VISIONS 2024 Winter Edition

Page 1


6

First for Scotland at Forth Valley Hospital

Optimising clinical workflows boosts diagnostic productivity, empowers clinicians, and enhances user experience. Workflow efficiency integrates wellbeing with workload, enriching clinicians’ lives with streamlined performance, while improving patient outcomes with faster throughput.

The VISIONS magazine is a publication of Canon Medical Systems Ltd and is offered free of charge to medical and health professionals. Access to full, previously published digital editions can be found via the website. Register to receive future editions of VISIONS UK by scanning here:

For Canon Medical Systems UK's privacy policy go to uk.medical.canon/ technical-information/privacy-policy.

The VISIONS magazine covers Canon Medical across the UK's regions and, as such, reflects products, technologies and services for this particular area. The mentioned products may not be available in other geographic regions. Please consult your Canon Medical representative sales office in case of any questions.

No part of this publication may be reproduced in whole or in part, stored in an automated storage and retrieval system or transmitted in any manner whatsoever without written permission of the publisher. The opinions expressed in this publication are solely those of the authors and not necessarily those of Canon Medical. Canon Medical does not guarantee the accuracy or reliability of the information provided herein.

Alphenix Sky+, Aplio i600, Aplio i700, Aplio me, Aquilion ONE / GENESIS Edition, Aquilion ONE / INSIGHT Edition, Aquilion Prime SP, Aquilion Serve SP, Clear-IQ Engine (AiCE), CoolNovus X-ray, InnerVision, INSTINX, PIQE, PUREINSIGHT, SilverBeam, Ultimax-i, Vantage Orian, Vitrea Advanced Visualization.

Aquilion Precision and Made for Life are trademarks of Canon Medical Corporation.

Vitrea is a trademark of Canon Medical Informatics, Inc. Olea Medical S.A.A. is a Canon Group Company.

QR Code is a registered trademark of DENSO WAVE INCORPORATED.

Publisher Canon Medical Systems Ltd Boundary Court, Gatwick Road, Crawley, West Sussex, RH10 9AX +44 1293 653700 uk.medical.canon marketing.uk@eu.medical.canon

Editor-in-chief

Oscar Martin oscar.martin@eu.medical.canon

Editor Claire Walker claire.walker@eu.medical.canon

Design and Layout

Origin Creative creativepool.com/andrew-albon

© 2024 by Canon. All rights reserved.

// EDITORIAL

Welcome to VISIONS UK, 2024

As chronic disease rates grow, the sheer quantity of patients coming through hospital doors is accelerating rapidly, with the pressure to diagnose quickly, safely, and accurately, higher than ever before. Burnout is a prevalent issue for those working within this environment. Clinicians are working harder than ever, yet productivity is falling because patients simply aren’t flowing efficiently through hospitals.

This is a challenge we’re acutely aware of at Canon Medical Systems UK. That’s why driving workflow efficiency remains a priority for us and why it is the focus of this year’s VISIONS UK. It marks our continued commitment to supporting the growing demands placed on our customers by offering solutions that optimise clinical workflows, boost diagnostic productivity, empower clinicians.

The launch of the Aquilion Serve SP to the UK market this year, and the first UK installation of the Aquilion ONE / INSIGHT edition CT system at Royal Bournemouth Hospital have been key milestones in this journey. Both CT systems have been developed to ease workload pressure on healthcare professionals by combining AI-enabled patient setup and protocol selection technologies with a faster, more efficient workflow experience.

Equipped with the all-new INSTINX workflow solution, customers are seeing a real impact with workflow steps reduced by 40%. Significantly more patients are being seen each day without requiring additional staff per system, thereby boosting productivity.

Other great examples of improved workflow efficiency across our client base include our work with Tameside Hospital to increase its in-patient MRI capacity, and in doing so - support clinical uptime targets. This project went beyond the installation of equipment, and included the design and delivery of a bespoke, purpose-built MRI suite developed specially to accommodate more patients by optimising workflow design.

Meanwhile, in Scotland, the installation of the Aquilion Prime SP CT system continues to have a huge impact for Western Isles Hospital and the population of the Outer Hebrides it serves. Since the installation of the CT back in 2018, there has been a 100% reduction in patient referrals elsewhere due to its multi-award-winning radiographer-led cardiac CT service which has vastly improved patient pathways. Thanks to the remote access servicing available via Canon Medical’s InnerVision, engineer callouts to the remote Isles have also been significantly minimised, addressing NHS Scotland’s climate strategy, and further enhancing workflow efficiency.

Finally, marking one of our largest-ever ultrasound installations to date, we partnered with Cardiff and Vale University Health Board to install 56 ultrasound systems across four sites within a month. These machines not only support the needs of various departments and specialities, but also offer the hospitals superior imaging quality, meaning the clinical teams can make diagnostic decisions quicker, avoid repeat scanning, and deliver a more seamless experience for patients. We worked closely with the Board to train clinicians on the latest techniques and capabilities of these systems and continue to offer ongoing support.

Here at Canon Medical, our focus is always on improving healthcare outcomes and operational excellence by empowering our customers through technology, innovation, and education. Working together, we will continue to develop solutions that streamline diagnostics and ultimately deliver a better patient experience.

We hope you enjoy reading about some of these exciting advances and projects in this issue and as ever, thank you for your continued support.

44

32

Helping Royal Alexandra Childrens Hospital to Reduce Patient 'Scanxiety'

INTERVENTIONAL X-RAY

Greater Manchester Hospital Increases MRI Capacity by 100%

MAGNETIC RESONANCE

48

A First for Scotland at Forth Valley Hospital

INTERVENTIONAL X-RAY

32 Helping Royal Alexandra Childrens Hospital to Reduce Patient 'Scanxiety'

INTERVENTIONAL X-RAY

36 Identifying Risk in Multiple Pregnancies

ULTRASOUND

40 NHS Western Isles Addresses NHS Scotland's Climate Strategy

ENVIRONMENTAL, SOCIAL & GOVERNANCE

44 Greater Manchester Hospital Increases MRI Capacity by 100%

MAGNETIC RESONANCE

48 A First for Scotland at Forth Valley Hospital

INTERVENTIONAL X-RAY

52 Award Winning Community Diagnostics Centre Expands in Barnsley Town Centre

COMPUTED TOMOGRAPHY

The Aquilion ONE / INSIGHT Edition, equipped with INSTINX workflow and cutting-edge Deep Learning Reconstruction technology, marks a significant advancement in medical imaging, designed to enhance both healthcare outcomes and operational efficiency.

First UK Install of Aquilion ONE / INSIGHT Edition

The all-new premium CT scanner is built with INSTINX workflow and the latest Deep Learning Reconstruction technology to optimise workflow and improve healthcare outcomes.

With the first installations in two top European healthcare facilities - the Royal Bournemouth Hospital in the UK and the University of Strasbourg in France – the Aquilion ONE / INSIGHT Edition represents a major innovation in medical imaging with a focus on improving healthcare outcomes and operational excellence.

The CT scanner simplifies complicated scans for clinicians, elevates those that are more routine, and is easy to operate regardless of the level of experience or how specialised the scan is.

Simplifying workflow

With the INSIGHT Edition, Canon Medical has streamlined the system design and workflow experience to enable fast, safe, and efficient CT exams while keeping the needs of the patients top of mind.

Roy Verlaan, European Director CT at Canon Medical Systems Europe, comments, “With the launch of the Aquilion ONE / INSIGHT Edition, Canon Medical continues to expand and strengthen the capabilities of its premium CT.”

Canon Medical has streamlined the system design and workflow experience to enable fast, safe, and efficient CT exams while keeping the needs of the patients top of mind

Better image quality

The Aquilion ONE / INSIGHT Edition's all-new imaging chain features the CoolNovus X-ray tube and PUREINSIGHT detector, designed to withstand the extreme forces generated during ultrafast 0.24 second gantry rotations. The Canon CoolNovus X-ray tube is designed for precise operation at a force of 50g combined with outstanding heat dissipation and longer tube life. While the PUREINSIGHT detector reduces electronic noise, which adds to better image quality.

"The Aquilion ONE / INSIGHT Edition delivers exceptional image quality thanks to cutting-edge Deep Learning Reconstruction technology."
Roy

Verlaan, European Director CT at Canon Medical Systems Europe.

Roy adds, “The Aquilion ONE / INSIGHT Edition delivers exceptional image quality thanks to cutting-edge Deep Learning Reconstruction technology. The combination of Deep Learning Reconstruction, low kV acquisition (70 kV) and high mA (1400 mA) makes it possible to minimise the amount of contrast media injected in vascular imaging.”

In addition, the Aquilion ONE / INSIGHT Edition features INSTINX, Canon Medical’s holistic workflow solution designed to enhance every

aspect of imaging – from referral to diagnosis – creating new standards in efficiency and consistency. Driven by a host of Canon Medical’s most advanced technologies and innovations, INSTINX employs automation whenever possible to make operations easier, faster, and more consistent with a 40% reduction in workflow steps. Its 80 cm diameter and uniquely flared gantry, enhance patient comfort while two built-in cameras simplify patient positioning where AI-based anatomical detection executes automatic scan planning, making

Aquilion ONE / INSIGHT Edition features INSTINX, Canon Medical’s holistic workflow solution designed to enhance every aspect of imaging.
Driven by a host of Canon Medical’s most advanced technologies and innovations, INSTINX employs automation whenever possible to make operations easier, faster, and more consistent

every scan accessible to operators of all levels. And with the new, easy-to-learn, intuitive CT interface, training time can be significantly reduced.

After the successful introduction of Advanced intelligent Clear-IQ Engine (AiCE), Precise IQ Engine (PIQE) is the next step in Deep Learning Reconstruction (DLR) bringing together extraordinary spatial resolution and reduced noise. PIQE shows sharper anatomical details in 1024 image matrix for better delineation of small anatomical

structures for a more accurate diagnosis of complex pathologies, particularly in cardiology, oncology, or paediatric imaging.

Simplify and streamline

Roy concludes, “We are delighted with the response to the Aquilion ONE / INSIGHT Edition, through which we offer a more advanced version of our PIQE DLR that harnesses the potential of DLR even further to support incredibly high-quality imaging at low doses. As well as provide a solution that significantly

Key product features of the Aquilion ONE / INSIGHT Edition

• INSTINX total new workflow experience

• 80 cm gantry bore

• Up to 0.24 sec rotation time

• New CoolNovus X-ray tube

• New PUREINSIGHT Detector

• Two built-in positioning cameras

• Gantry touch panels for one touch patient positioning

• Lateral table slide (± 85 mm)

• Automatic scan planning with 3D Landmark Scan

• SilverBeam Filter

• Automatic hanging protocols for reviewing

• Advanced intelligent Clear-IQ Engine (AiCE)

• PIQE for cardiac and body

• Deep Learning Spectral imaging

simplifies and streamlines CT workflows and makes the scan experience more efficient for patients and operators. Through the new system, we are reaffirming our continued commitment to our Made For Life Philosophy.” //

Find out more about Canon Medical's Aquilion ONE / INSIGHT Edition.

Aquilion ONE / INSIGHT Edition's all-new imaging chain features the CoolNovus X-ray tube, PUREINSIGHT detector, and Precise IQ Engine (PIQE).

The Aquilion Serve SP enables faster throughput, allowing more time to focus on the patient. Equipped with INSTINX, Canon Medical’s comprehensive workflow solution, it is designed to optimise every stage of the imaging process.

New Aquilion Serve SP CT System Launched to the UK Market

The Aquilion Serve SP CT supports faster throughput with more time for the patient, consistent imaging results with less training, and better image quality with a lower radiation dose. The new CT has been developed to help ease mounting pressures on healthcare professionals from continuously increasing workload, imaging needs that have become significantly more complex, staff shortages, financial limitations, and the growing need for better sustainability.

The new CT system features INSTINX, Canon Medical’s holistic workflow solution that creates new standards in efficiency and consistency and was specially designed to enhance every aspect of the imaging chain.

Reducing the pressure

Through its easy-to-learn operations, the Aquilion Serve SP reduces the training time required for staff. Moreover, the system’s 40% reduction in workflow steps saves time, reduces

pressure on overloaded staff, and enhances opportunities to serve more patients, while preserving optimal accuracy.

INSTINX comes with a 24% reduction in time to perform scan planning and a 97% accuracy in setting the scan range, including the Field of View. In addition, the ease of use of INSTINX ensures greater consistency in scanning when used by multiple technologists and enables more flexible staff allocation.

"Aquilion Serve SP combines the power of Canon Medical AI-enabled technologies with a completely redesigned workflow that makes scanning easier than ever."

Roy Verlaan, Canon Medical System’s European Director CT.

Key product features of the Aquilion Serve SP:

• INSTINX workflow

• 80 cm gantry bore

• 7,5MHU tube – 72 kW

• 0.35 s/r scan, suitable for cardiac scanning

• Two built-in optical Canon cameras

• Gantry Touch panels – one button patient positioning

• Lateral table slide (± 85 mm)

• 3D Landmark Scan with Anatomical Landmark

Detection for automated scan planning

• SilverBeam Filter for low dose scanning

• Advanced intelligent Clear-IQ Engine (AiCE)

• DE-Helical scan

• Precise IQ Engine (PIQE) 512 & 1024 matrix ready

• Automatic Hanging layouts for image review

With its powerful performance and updated workflow experience, the Aquilion Serve SP quickly demonstrates its value to clinical teams looking to reduce scan times, simplify training, and keep infrastructure requirements to a minimum

The power of AI

“Combining the power of Canon Medical AI-enabled technologies with a completely redesigned workflow that makes scanning easier than ever, the Aquilion Serve SP is designed to meet all clinical needs with superior performance,” said Roy Verlaan, Canon Medical System’s European Director CT.

“Employing the latest technologies and applications to enhance image quality and support diagnostic speed

and accuracy, it has all clinical needs covered. From routine to complex imaging needs, Aquilion Serve SP is a scanner that can do it all.”

Lung screening

Lung cancer is one of the leading causes of cancer death worldwide. Its early detection with low dose CT enables earlier treatment options and a better prognosis. However, the biggest concern in lung screening with CT is radiation dose, and secondly, how healthcare

organisations can integrate the additional throughput of large numbers of screening candidates.

As well as providing the capacity for high throughput, the Aquilion Serve SP features a ‘Game-Changer’ in Low-Dose Lung Imaging –SilverBeam. Canon Medical’s SilverBeam Filter combined with INSTINX and Deep Learning

Reconstruction for CT delivers a reduction in radiation dose, an increased patient throughput and

enhanced image quality with minimised image noise preserving overall image quality and diagnostic accuracy.

Obvious added value

With its powerful performance and updated workflow experience, the Aquilion Serve SP quickly demonstrates its value to clinical teams looking to reduce scan times, simplify training, and keep infrastructure requirements to a minimum. Roy Verlaan, European Director CT, Canon Medical Systems

Europe, concluded, “It’s an exciting time for Canon. With the launch of the Aquilion ONE / INSIGHT Edition and the Aquilion Serve SP, we are simplifying and streamlining CT workflows, making the scan experience more efficient for patients and operators. On top of that, we reaffirm our Made for Life philosophy by introducing Deep Learning Reconstruction across our entire CT portfolio to support fast and high-quality imaging at low dose for all patients.” //

Designed to meet today's medical imaging challenges, the Aplio me delivers high resolution imaging in an impressively compact system.

Introducing the New Aplio me for Growing Ultrasound Needs

Canon Medical Systems introduces Aplio me, the latest addition to its esteemed Aplio series. This high-performance, mobile, and intelligent diagnostic imaging device offers advanced AI-enabled capabilities and superior manoeuvrability, enhancing workflow and diagnostic confidence in various settings.

The Aplio me was designed to meet today's medical imaging challenges across a range of different clinical environments,” remarked Satoshi Matsunaga, European Modality Director Ultrasound at Canon Medical Systems Europe. “It excels in delivering high resolution imaging in an impressively compact system and is a game-changer for users who demand high throughput without sacrificing quality.”

Environmentally friendly

Sustainability is central to the design of the Aplio me. Reflecting

Canon Medical’s commitment to environmental, social, and governance, the Aplio me minimises energy consumption, making it a leading environmentally friendly option in medical imaging technology. Its compact and lightweight design reduces material usage and enhances energy efficiency, facilitating easier transport and storage.

By seamlessly integrating high performance with environmental responsibility, the Aplio me offers a thoughtful solution that aligns with modern sustainability goals.

By seamlessly integrating high performance with environmental responsibility, the Aplio me offers a thoughtful solution that aligns with modern sustainability goals

“The introduction of the Aplio me underscores our commitment to advancing medical technology."

Satoshi Matsunaga, European Modality Director Ultrasound at Canon Medical Systems Europe.

Ease of use

The Aplio me excels in ergonomic design and user-friendly features. The adjustable control panel ensures personalised comfort and ease of use, seamlessly integrating into any clinical workflow to enhance productivity and reduce strain. Additionally, the system sets new standards in connectivity with advanced tools like ApliCam and ApliGate, which streamline communication and collaboration among medical professionals. ApliCam simplifies capturing and sharing of high-quality images, while ApliGate

supports real-time collaboration and remote support, fostering continuous learning and expert consultation to elevate patient care.

Quietly efficient

The Aplio me fosters a smooth working environment with its library-quiet operation, which helps reduce patient anxiety and creates a serene workspace for healthcare professionals, enhancing their focus. This is a prime example of how advanced technology meets patientcentric design in modern healthcare.

Key Highlights of Aplio me

• High Performance and Compactness: Outstanding image quality in a compact design.

• Versatile: Ideal for various medical settings, ensuring flexibility and ease of use.

• Quiet: Ensures a calm environment for both patients and healthcare professionals.

• AI Integration: Enhances workflow efficiency, exam consistency and ease of use.

• Wise Investment: A sustainable and versatile choice for high-performance.

The Aplio me has already been evaluated by several key ultrasound centres in Europe, who have welcomed the new features it provides. “Canon Medical remains at the forefront of the ultrasound imaging industry, driven by our dedication to innovation, quality, and environmental sustainability,” stated Satoshi Matsunaga. “The introduction of the Aplio me underscores our commitment to advancing medical technology, improving patient care, and streamlining clinical operations." //

Register Now to Medical Imaging Education

Registration and access to Medical Imaging Education is complimentary and open to everyone in the medical imaging industry. Regular visitors can enjoy constantly evolving On-Demand education videos, How-To Guides, webinars and be the first to book online to specially designed, face to face training courses and hands-on practical workshops. A complimentary e-Learning platform with CPD certification

Start your journey today. Log on to www.medicalimagingacademy.co.uk and register for 24/7 access. Scan here

Dr. Russell Bull (Consultant Radiologist and Lead CT at the Radiology Department) and team with the new Aquilion ONE / INSIGHT Edition CT scanner.

Making a Difference at Royal Bournemouth Hospital

Royal Bournemouth Hospital in the UK was the first in Europe to receive the new Aquilion ONE / INSIGHT Edition CT scanner from Canon Medical Systems UK. Dr. Russell Bull, Consultant Radiologist and Lead CT at the Radiology Department of the Hospital explains how it has already brought about big changes.

The Royal Bournemouth Hospital is a general hospital in Bournemouth, Dorset, UK. It has approximately 600 inpatient beds and 123 day care beds. The hospital provides urgent and emergency care, medical care, surgery, critical care, end-of-life care, outpatient and diagnostic services.

The Royal Bournemouth provides services for a population of around 550,000 local people – a number which rises during the summer months due to the attraction of the area as a destination for tourists. The hospital’s radiology department has collaborated with Canon Medical for many years. In addition to the new Aquilion ONE / INSIGHT Edition CT, the department has other Canon Medical CT scanners including an Aquilion ONE / GENESIS Edition and an Aquilion Serve SP

Dr. Russell Bull was appointed as a consultant Radiologist at Bournemouth, UK, in 2000, initially working as a general cross-sectional radiologist. He started a cardiac CT service at Bournemouth in 2004 using a Canon Aquilion 16. For the last 13 years he has worked almost exclusively as a cardiothoracic Radiologist with his time split between cardiac CT and MRI.

According to Dr. Bull, who is responsible for training a large team, the Aquilion ONE / INSIGHT Edition has already delivered many benefits to the 24-strong team of Radiologists and 30 Radiographers. Dr. Bull commented, “It’s been very easy to train the radiographers on the Aquilion ONE / INSIGHT Edition due to the new efficient INSTINX workflow solution. It guides the Radiographers through the process logically and intuitively.”

The Aquilion ONE / INSIGHT Edition has already delivered many benefits to the Hospital's 24-strong team of Radiologists and 30 Radiographers

Improved resolution

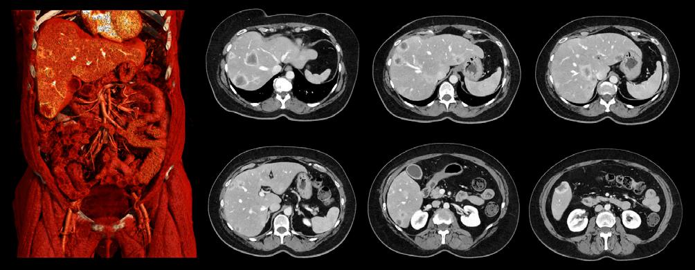
With the Aquilion ONE / INSIGHT Edition’s advanced Deep Learning Reconstruction (DLR), the hospital has benefited from enhanced image quality. Dr. Bull commented, “Generally, the Deep Learning Reconstruction has been very well accepted by our radiologists. The Aquilion ONE / INSIGHT Edition utilises two types of DLR, one of them is Advanced intelligent Clear-IQ Engine (AiCE), which we tend to use in the body, and Precise IQ Engine (PIQE), which we tend to use for the coronary arteries at the moment but is also available for body examinations.”

PIQE is a Deep Learning Reconstruction algorithm that maximises the inherent resolution of a CT to provide Super Resolution 1024 matrix images. PIQE images show sharper anatomical detail for better delineation of small anatomical structures for a more definitive diagnosis.

SilverBeam scan of the cervical spine. Images are showing reduced artefacts in the shoulder region.
SilverBeam scan of the cervical spine. Images are showing reduced artefacts in the shoulder region.
SilverBeam scan of the cervical spine. Images are showing reduced artefacts in the shoulder region.
0.5 mm slice thickness PIQE 1024 abdominal images showing increased spatial resolution in this patient with liver lesions.
(left) Mr. Matthew Benbow (Superintendent Radiographer of CT and MRI) and Dr. Russell Bull (Consultant Radiologist and Lead CT at the Radiology Department) at the Royal Bournemouth Hospital, UK, with Canon Medical's Aquilion ONE / INSIGHT Edition.

enhancement

70kVp

contrast

delayed imaging there is a blood appendage. We use much better

“The benefit of PIQE 1024 is that it gives us much higher spatial resolution without increasing radiation dose."

Dr. Russell Bull, Consultant Radiologist and Lead CT at the Radiology Department, Bournemouth Royal Hospital.

“The benefit of PIQE 1024 is that it gives us much higher spatial resolution without increasing radiation dose. As it improves spatial resolution, we can image coronary arteries with calcification and stents and we can reduce blooming artefacts. We’ve only had it five weeks, but we are much more confident in our diagnosis because the resolution is much higher,” Dr. Bull added.

High quality at very low dose

Dr. Bull and his team also use the SilverBeam Filter for high-quality images at very low dose. SilverBeam is a filter for Aquilion CT that incorporates silver to selectively optimise the beam energy. It removes low-energy photons from the beam spectrum, which do not contribute to image quality, but do increase dose and scatter. When combined with Canon Medical’s

We also use very small patients who function. We have like CTPA, set these patients.” challenging patients Radiology surprised how much / INSIGHT larger patients. and with the support of Canon Medical,

Advanced intelligent Clear IQ Engine (AiCE) technology, this beam-shaping energy filter can harness the power of AI to deliver high image quality and low noise for dedicated applications.

Dr. Bull commented, “We are not just going for low dose - we aim for high image quality at low dose. We are able to do that with SilverBeam. We don’t just use it for lung cancer screening, we use it for standard chest imaging. We also use it for bone imaging because we get much fewer artefacts and the dose is so much lower. If it’s a spine or if we are looking for a hip fracture, we will use SilverBeam.”

Better contrast enhancement

Dr. Bull and his team use 70kVp when they want better contrast enhancement. He commented, “We use 70-kVp to do delayed imaging of the heart to see if there is a blood clot in the left atrial appendage. We use 70-kVp because you get much better contrast enhancement.

We also use it when we want to use a very small amount of contrast with patients who have poor kidney function. We have specific CTA protocols, like CTPA, set up in our scanner for these patients."

Seamless integration

Installing and integration of the new system at the hospital has been seamless, and with the support of Canon Medical, the department has been able to adopt the new technology. Dr Bull concluded, “We had great support both from Canon Medical Systems UK, Canon Medical Systems Europe and Canon Medical Systems Corporation (Japan). All of these people supporting us has made a huge difference. It really helped us because the new technology is quite different. I think we are still learning, but we learned much faster because of the excellent support.” //

Cardiac CTA with different reconstructions algorithms of the LAD showing increased spatial resolution with PIQE 1024.
Cardiac CTA with different reconstructions algorithms of the LAD showing increased spatial resolution with PIQE 1024.

Cardiff and Vale University Health Board has renewed its seven-year Managed Equipment Service (MES) contract with Canon Medical Systems UK for a third term.

Cardiff and Vale Health Board Extend Service Agreement to 2031

To provide patient support and clinical continuity in the provision of diagnostic ultrasound systems, Cardiff and Vale University Health Board has renewed its seven-year Managed Equipment Service (MES) contract with Canon Medical Systems UK for a third term following a competitive tender bid which involved extensive equipment evaluations across a range of clinical specialities. The Ultrasound leadership team in Radiology were instrumental in leading the Health Board-wide tender process.

The decision to extend the long-standing partnership to 2031 underscores the Health Board’s confidence in Canon Medical. Over the 20-year collaboration, Canon Medical’s dedicated service –including the provision, maintenance, and replacement of ultrasound systems – has resulted in 100% clinical uptime on equipment, ensuring continuity of high-quality scans for clinicians.

Notably, within one month of signing the contract, Canon Medical successfully replaced 56 ultrasound systems across sites managed by the Heath Board, with one of the sites being the University Hospital of Wales, the third largest University Hospital in the UK, and the largest hospital in Wales. The new ultrasound systems will ensure standardised high-quality patient care across departments and clinical specialities.

Notably, within one month of signing the contract, Canon Medical successfully replaced 56 ultrasound systems across four sites managed by the Health Board

“Canon Medical is among the best providers of ultrasound equipment when it comes to consistency and reproducibility."

Dr Adam Aboalkaz, Consultant Radiologist at Cardiff and Vale.

As part of the installation process, Canon Medical’s team of experienced, Health & Care Professions Council (HCPC) registered, Clinical Applications Specialists provided extensive training for around 250 Health Board clinicians on the new systems, focusing on equipment set-up, new features and technologies. Clinical Application Specialists and engineers completed the new installation within just a few weeks to ensure clinical productivity and patient services were unaffected.

Patient-centered care

The new equipment, which consists of Aplio i-series Prism Edition, Aplio a550, Aplio a, Xario 200G and Viamo SV7, supports the University Health Board to deliver patient-centred care to a population of around 472,400 people living in Cardiff and the Vale of Glamorgan1

Dr Adam Aboalkaz, Consultant Radiologist at Cardiff and Vale University Health Board, explained, “Canon Medical is among the best providers of ultrasound equipment when it comes to consistency and reproducibility”.

Whilst standardisation across the Health Board sites was important, the new equipment needed to support various departments and specialities. Of the 56 ultrasound systems, 20 were replaced in the Radiology Directorate, 27 fall under the Directorate of Obstetrics and Gynaecology (including fetal medicine), and the remainder are for the use of other clinical specialties

such as vascular, emergency medicine, nephrology, podiatry and neonatal intensive care.

Ultrasound technology

In Radiology, Nerys Thomas, Consultant Sonographer at Cardiff and Vale University Health Board, and Karen Fido, Superintendent Sonographer at University Hospital Wales, highlighted the exceptional functionality and ergonomics of the ultrasound systems, which enabled continuous service during the transition period. The latest software and advanced ultrasound technology deliver superior image quality across a variety of specialties, allowing clinical

The latest software and advanced ultrasound technology deliver superior image quality across a variety of specialties
Pictured left to right: Karen Fido (Superintendent Sonographer), Tim Palarm (Regional Sales and MES Manager - Canon Medical Systems UK), Dr Paul Williams (Consultant Clinical Scientist - Cardiff and Vale University Health Board), Dr Adam Aboalkaz (Consultant Radiologist - Cardiff and Vale University Health Board), Helen Lockyer (Ultrasound Clinical Applications Specialist - Canon Medical Systems UK).
“Having access to Canon Medical’s MIE education platform has been immensely beneficial for staff, along with the How-To Guides for each system to supplement the face-to-face support provided."
Dr Paul Williams, Consultant Clinical Scientist at Cardiff and Vale University Health Board.

teams to make faster, more accurate diagnostic decisions, minimise the need for repeat scans, and ultimately provide a more seamless, patientcentred experience.

Micro-vascular imaging

Dr Armin Vandeperre, Consultant in Fetal Medicine and Ultrasound Governance at Cardiff and Vale University Health Board, commented, “We are often responsible for scanning women at all stages of pregnancy, where we need to analyse the smallest of details to provide an accurate diagnosis.”

Dr Aboalkaz added, “The unique Superb Micro-vascular Imaging (SMI) technology integrated in Canon Medical’s equipment is particularly good for liver, renal, and testicular imaging, allowing clinicians more confidence when assessing visceral perfusion. The ease and accuracy of the integrated contrast enhanced ultrasound settings allows for advanced ultrasound practice and massively aids diagnostics. Shear wave elastography and steatosis software (liver package) has been transformative in the assessment of liver disease.”

Medical Imaging Education

In addition to learning the latest techniques and capabilities on the new ultrasound systems, clinicians benefit from ongoing face-to-face clinical applications support and online access to Continuing Professional Development (CPD) accredited courses delivered via Canon Medical’s Medical Imaging Education (MIE) platform. Providing flexibility around busy schedules, the On-Demand courses are delivered by clinical experts in their

respective fields of practice. Dr Paul Williams, Consultant Clinical Scientist at Cardiff and Vale University Health Board, said, “Having access to Canon Medical’s MIE education platform has been immensely beneficial for staff, along with the How-To Guides for each system to supplement the face-to-face support provided. NHS workers operate in a highly stressful environment and often face burnout. These courses and training materials are empowering staff to learn new techniques and capabilities to continue their learning and subsequently support their wellbeing.”

Tim Palarm, Regional Sales and MES Manager at Canon Medical, concluded, “We are pleased to extend our partnership with Cardiff and Vale

University Health Board for another seven years, and look forward in continuing to collaborate to deliver the most advanced ultrasound imaging, ensuring patients benefit from the highest-quality scans, regardless of department or speciality. While the replacement of 56 ultrasound systems is a huge undertaking, we believe it’s our extensive experience in managing and supporting a managed equipment service, alongside training and ongoing access to CPD-accredited education that really makes the difference to NHS staff wellbeing, and ultimately patients.” //

References 1 https://cavuhb.nhs.wales/about-us/our-healthboard-structure/

A First for Wales: Aquilion ONE / INSIGHT Edition at St Joseph’s Hospital

To increase the capacity of cardiac scanning and improve the patient experience, St Joseph’s Hospital has installed the Aquilion ONE / INSIGHT Edition with the brand new INSTINX, making it the first hospital in Wales and the first private hospital in the UK to benefit from Canon ’s most advanced CT system.

Last year, the Newport-based hospital treated around 69,000 patients in Wales and Southwest England, with the CT department being one of the most in-demand departments of the hospital. To help manage an increasing level of patient intake, St Joseph’s Hospital needed a scanning system that would be extremely fast, safe, and reliable to allow its team to diagnose as quickly and accurately as possible.

The Aquilion ONE / INSIGHT Edition offers an optimised workflow experience that is designed to set new standards in efficiency, consistency, and patient comfort. It utilises automated

solutions such as one-touch patient positioning, and automatic scan planning to enhance usability and improve the overall scanning experience. By simplifying workflows, radiographers at St Joseph’s can focus on patient wellbeing, ensuring they are comfortable throughout the scan process.

Ben Day, Specialised CT and MRI

Radiographer at St Joseph’s Hospital, comments, “Many patients are anxious when having a CT scan, often caused by a feeling of claustrophobia. In addition to offering a smooth scanning experience, the new CT system is much more spacious, which immediately puts patients at ease”.

The new equipment offers an optimised workflow experience that is designed to set new standards in efficiency, consistency, and patient comfort
St Joseph’s Hospital has installed the Aquilion ONE / INSIGHT Edition with the brand new INSTINX.
"I have been extremely impressed by the cardiac images produced by the new CT system. Canon Medical has always stood out for cardiac scanning, but the new system has surpassed expectations."

High-quality scans

Image quality has also been enhanced with the new system, which enables the hospital to produce high-quality scans of the entire body extremely quickly. For cardiac scanning in particular, rotations of the heart can be achieved in 0.24 seconds, enabling effective scans to be achieved under all circumstances – from high heart rates and fast trauma to paediatric scans. Equipped with a Deep Learning Reconstruction algorithm known as PIQE, the system enhances image

resolution. Meanwhile, the rapid acquisition of image data helps to reduce motion artefact, meaning that high-quality scans can be achieved at a much lower radiation dose.

Andrew Morley, Consultant Radiologist at St Joseph’s Hospital, comments, “I have been extremely impressed by the cardiac images produced by the new CT system. Canon Medical has always stood out for cardiac scanning, but the new system has surpassed expectations.

We can now achieve better resolution with PIQE higher-definition images, less blooming artefact, and at faster heart rates. Meanwhile, lung images are more detailed than ever, to the point where we are seeing detail not previously seen before”.

Ten year partnership

Commenting on the hospital’s longstanding relationship with Canon Medical, Ben Day adds, “Throughout our ten-year partnership, Canon Medical has understood our needs as a

Left to right: Ben Day (Radiographer), Thomas Laurie (Account Manager - Canon Medical Systems UK). Jane Carpanini (Associate Director Of Clinical Services). Charity Mukwenya (Radiographer and CT Lead). Colin Pellow (Regional Sales Manager - Canon Medical Sysems UK).
Andrew Morley, Consultant Radiologist at St Joseph’s Hospital.

hospital and been supportive as the demands of our cardiac imaging suite have increased. With this install, the team have helped tailor a CT system and software package that works for our hospital and can meet patient demands both now and in the future”.

A first for Wales

“We are incredibly proud to be the first hospital in Wales and the first private hospital in the UK to have this CT system. Knowing we have the best technology available that will produce images of the highest quality puts St Joseph’s Hospital at a real advantage

"Lung images are more detailed than ever, to the point we are seeing detail not previously seen before."

when it comes to what we can offer within our CT department”, he added.

Thomas Laurie, Account Manager at Canon Medical Systems, concludes, “This project marks our second installation of the Aquilion ONE / INSIGHT Edition in the UK and has been a great success in Wales.

With the added Aquilion ONE / INSIGHT Edition technology, our new CT scanner ensures that patients at St Joseph’s receive high-quality CT exams that are faster, safer, and easier to perform by clinicians. With INSTINX, workflow efficiency is increased by up to 40%, allowing the hospital to meet the growing demands of CT”. //

The Aquilion ONE INSIGHT / Edition in use.
Andrew Morley, Consultant Radiologist at St Joseph’s Hospital.

Our Premises Across the UK

Helping Royal Alexandra Children’s Hospital to Reduce Patient ‘Scanxiety’

Specialist fluoroscopy suite, incorporating new state-of-the-art Ultimax-i X-ray machine, reimagined to put paediatric patients at ease while delivering optimum diagnostic versatility and image quality at lower radiation dose.

X-rays can be a daunting experience for patients, especially children. To help reduce ‘scanxiety’ – the increased level of anxiety patients may feel before, during, and after a scan – Royal Alexandra Children’s Hospital, Brighton, partnered with Canon Medical Systems UK to reimagine the whole X-ray experience. This included transforming the hospital’s fluoroscopy suite, via an extensive makeover, into a welcoming, comfortable, and even fun place for children while delivering the most advanced diagnostic imaging service via the new Ultimax-i X-ray system.

Under the sea theme

Royal Alexandra Children’s Hospital selected Canon Medical to create a

visually alluring scanning environment to house the new Ultimax-i X-ray system. To appeal to children – many of whom have additional needs – the renovation included a floor-to-ceiling under-thesea theme featuring sea creatures and a submarine, LED mood lighting to create a calming atmosphere, and a ceiling-mounted interactive projector featuring 50 different games and challenges for children to enjoy pre- and post-scan.

Offering diagnostic versatility, the Ultimax-i enables Royal Alexandra Children’s Hospital to meet growing demand by enabling clinicians to see a broader age range of patients with a variety of conditions.

Royal Alexandra Hospital, Brighton, partnered with Canon Medical Systems UK to reimagine the whole X-ray experience

Ultimax-i X-ray system at the Royal Alexandra Children’s Hospital.

Optimising workflow

Firstly, by optimising workflow space, it allows for more complex scans and procedures to take place without additional reconfiguration of floor space. Secondly, an innovative multidirectional C-arm and an adjustable tilting table allow clinicians at the hospital superior ergonomic access to the patient’s anatomy. Meanwhile, light-beam diaphragm functionality ensures greater precision for centring and collimation.

By offering clinicians a more complete and accurate patient view, the Ultimax-i reduces the need for patient movement and multiple images to be taken during scans, improving overall operator workflow and efficiency and, most importantly, ensuring patient comfort and safety. The smoother the scanning

The smoother the scanning process, the better the child's experience, helping to reduce fear and anxiety

process, the better the child’s experience, helping to reduce fear and anxiety during the scan.

Reduced dose exposure

In addition to unsurpassed image quality, the Ultimax-i includes DoseRite, a comprehensive dose management suite of technology to minimise patient X-ray exposure. Clinicians are empowered with three variable dose modes to choose from, ensuring precise control over radiation exposure. Patients experience a notable reduction in

dose exposure, thanks to fewer repeat views required, enhancing safety and comfort throughout the imaging process. This is particularly important when scanning children, many of whom are regular visitors requiring multiple scans.

The Fluoroscopy Suite refurbishment was made possible by funding from My University Hospitals Sussex, the dedicated charity for NHS hospitals in Sussex. They raise funds for treatment, care and research which go over and above core NHS funding, making a positive difference to patients and staff.

Steve Crump OBE, Director of Charities & Voluntary Services at My University Hospitals Sussex said: "We're incredibly proud to have funded this outstanding

“We're incredibly proud to have funded this outstanding refurbishment at the Royal Alexandra Children's Hospital."

Steve Crump OBE, Director of Charities & Voluntary Services at My University Hospitals Sussex.

The hospital’s fluoroscopy suite has been transformed into a welcoming, comfortable and fun place for children.
“The combination of the new X-ray system in its under-the-sea setting provides the very best experience we could hope for."
Kyriakos

Iliadis, Lead Consultant Paediatric Radiologist MD MSc at University Hospitals Sussex Foundation Trust.

refurbishment at the Royal Alexandra Children's Hospital. The state-of-the-art equipment, along with the vibrant ocean-themed design, will ensure children requiring fluoroscopy procedures receive the best service possible, as well as have a positive hospital experience. The charity is delighted to have enabled this improved pathway and quality of care for paediatric patients across the region."

The new Ultimax-i system offers simplicity and, due to its versatility and

superior image quality, enables the hospital to provide a wider range of services and keep up with the growing demand for diagnostics.

Ongoing support from Canon Medical’s Application Specialists also means that the hospital can adapt the functionality of the equipment in the future to enhance useability and unlock further capability as required.

Kyriakos Iliadis, Lead Consultant Paediatric Radiologist MD MSc at University Hospitals Sussex

Foundation Trust, concluded, “The feedback has been immensely positive from everyone who has encountered the new system and the new fluoroscopy suite – from radiographers to consultants but, most importantly, patients. The combination of the new X-ray system in its under-the-sea setting provides the very best experience we could hope for. Often, the children are having so much fun, they do not want to leave!” //

Identifying Risk in Multiple Pregnancies

Women’s Health ultrasound - where do we start?

From routine screening to high-risk assessment in obstetrics, gynaecology and breast imaging, it is critical to start with, and maintain, high image quality across ultrasound for the benefit of women’s health. Every examination is important! If we look at multiple pregnancies, and the associated risks, it is clear that superior image quality and the use of advanced applications are making a real impact in aiding diagnosis and providing clinical confidence.

Multiple pregnancies are quite literally multiplying. As of 2021, reports suggest that 1.6 million twins are born worldwide each yearI, and due to increasing maternal age and the rise in assisted reproduction, this trend is showing no signs of slowing down.

These pregnancies carry greater risks than singleton pregnancies and are often associated with increased danger of perinatal mortality and morbidityII. Not only are the risks of experiencing conditions such as premature labour, pre-eclampsia, placenta abruption, and fetal growth restrictions heightened, but further complications can also arise depending on type of multiplesIII. For medical purposes, there are three types of twins: dichorionic diamniotic (DCDA), each has their own separate placenta and separate sac; monochorionic diamniotic (MCDA), share a single placenta but have their own separate sacs; monochorionic monoamniotic (MCMA) twins, share both a placenta and a sac – this is a much rarer type of pregnancyIV

Assessment of the placenta in twins is therefore crucial,and one of the most serious conditions is Twin-to-Twin placenta

Transfusion Syndrome (TTTS) – an abnormality of the placenta resulting in an unequal flow of blood – affecting 10 to 15% of monochorionic (MC) twinsV, with the risk being greater for MCDA twins. Ongoing research suggests that MC twins are also at greater risk of additional complications affecting the placenta, including Twin Anemia Polycythemia Sequence (TAPS) and Selective Fetal Growth Restriction (sFGR)VI

Left undiagnosed and untreated, complications such as these can lead to devastating consequences, making close monitoring throughout gestation (as often as every two weeks)VII – via regular, high-quality ultrasound, vital to ensuring a healthy and successful pregnancy.

Why high-end modern equipment is a must

While entry-level 2D ultrasound equipment is sufficient in determining multiple pregnancies, and the type of placentation (chorionicity and amnionicity)VIII, a high-end ultrasound machine providing optimal clarity and high-resolution detail is recommended to efficiently identify symptoms associated with any complications or abnormalities. These cases can then be referred to a Fetal Medical Consultant for further investigation and diagnosis if required.

In addition to monitoring growth regularly to identify any growth discrepancy in TTTS, sonographers typically look at the amount of fluid each baby has in the amniotic sac by measuring the depth of the deepest vertical pocket. This is to identify if there is any Polyhydramnios (excessive amniotic fluid) due to volume overload, or Oligohydramnios, (reduced levels of amniotic fluid). In a recent webinar on the topicIX, Dr Monique Haak cited the membrane, bladder, and placenta thickness in addition to amniotic fluid as the cornerstones for diagnosis.

- Clinical Business Development Manager Women's Health Ultrasound – Canon Medical Systems UK.
"If we look at multiple pregnancies, and the associated risks, it is clear that superior image quality and the use of advanced applications are making a real impact in

aiding diagnosis and providing clinical confidence."

Jane Hanford (Clinical Business Development Manager Womens Health Ultrasound - Canon Medical Systems UK).

She also revealed a common pitfall when diagnosing TTTS in MCDA twins, warning that the condition can be easily interpreted as growth restrictions in an MCMA twin pregnancy due to a lack of visibility of the inner membrane.

This is where having the most up-to-date equipment, providing fine detail and high-resolution images, is extremely important. Several reports, including consensus statements from the College of Intensive Care Medicine, NHS England, and the British Medical Ultrasound Society (BMUS) cite five years as the optimal lifespan for all ultrasound equipment X. While this is just a guideline, implementing the latest imaging technologies should be a priority, not only for the effective monitoring of multiple pregnancies but across all clinical applications.

Delving deeper with SMI technology

Ultimately, high-quality 2D ultrasound, right from the beginning of the pregnancy through to the later stages, is critical when monitoring for any potential complications – such as TTTS. However, should a growth restriction or other abnormality be identified, then the use of colour Doppler imaging (CDI) technology can enable the sonographer to take a closer look and interrogate the tiny vessels in the umbilical cord and placenta.

Superb Micro-vascular Imaging (SMI) technologyXI is an award-winning Doppler technology and is proving to be extremely effective in this area.Unlike traditional colour Doppler imaging, which removes clutter from images by suppressing low-velocity components, SMI expands the range of visible blood flow from low to high velocities with incredible sensitivity.

https://www.shutterstock.com

During the examination, clinicians can easily choose SMI with the press of a button. SMI separates blood flow from overlaying tissue motion effectively, while preserving even the subtlest low-flow components with superior detail and definition – meaning that clarity needn’t be sacrificed. Compared with other colour Doppler, SMI is found to be superior in terms of high frame rate, high sensitivity, high resolution, and less motion artifact – making blood flow easier to analyse, especially when visualising the microvasculature flow of the placenta.

Predicting risk with existing ultrasound technologies

Advanced ultrasound capabilities, such as SMI, along with the Myocardial Performance Index (MPI), and Speckle Tracking Echocardiography (STE), have enabled research that has led to a better understanding of fetal and maternal physiology and pathophysiology of many conditions, and has provided focus for further studies.

Prof. Christoph Lees is currently conducting research, funded by the Medical Research Council and the Wiseman Trust XII, to understand whether existing ultrasound technology, including SMI, can be used to look at the blood vessels within the placenta of MCDA twins. The study aims to understand how and where they join to

predict the risk of developing TTTS, along with other serious complications.

This ongoing research consists of a study carried out in London in May 2019, which used a Canon Aplio i-series ultrasound machine to map placental angioarchitecture (the arrangement and distribution of blood vessels)XIII in MC pregnancies using different colour Doppler filters. According to Lees, placental angioarchitecture is important to determine the vascular connections in an MCDA twin pregnancy but up until now, it is rarely examined prenatally. He argues, however, that the detection and characterisation of placental anastomoses (a connection between two structures)XIV within the angioarchitecture could be key to identifying conditions such as TTTS or other risks.

When examining the placental vessels through the different colour Doppler modalities the results varied. While traditional CDI was impacted by sonographic “noise”, Advanced Dynamic Flow (ADF), which combined a broadband frequency with a high frame rate, allowed for a more precise depiction of blood circulation, and blood flow to be characterised. With SMI and ADF, Lees was able to view microscopic blood flow, suggesting its potential for identifying risk earlier in the future.

For the effective monitoring of twins, as well as the diagnosis of TTTS or any other complications, the right equipment and technologies must be used from the very start

Overall, the study concluded that a “multi-filter” approach to angioarchitecture sonographic examination (using different colour Doppler techniques) is of fundamental assistance when characterising anastomoses and determining vascular equator in twin MC placentas.

The benefits of early identification

According to guidance provided by Dr. Surabhi Nanda for Twins Trust UK XV , as soon as there are signs that TTTS has progressed, the mother will be referred to their regional fetal medicine unit to discuss treatment options. Whilst the options available will depend on the stage of pregnancy, Fetoscopic Laser Ablation is a common, minimally invasive treatment. This procedure focuses on the connections in the placenta causing TTTS and methodically treats them using a laser.

Laser surgery, however, is not the only option for this condition. Innovation within the ultrasound space is providing potential alternative treatments. In fact, in 2021, doctors at Queen Charlotte’s and Chelsea Hospital, Institute for Cancer Research and Imperial College London were the very first in the world to complete a successful non-invasive procedure using high-intensity focused ultrasound (HIFU) energy to safely treat a caseXVI This phase 1 study is nearing its target of recruiting 10 women with early onset TTTS.

For the effective monitoring of twins, as well as the diagnosis of TTTS or any other complications, the right equipment and technologies must be used from the very start. That means using ultrasound equipment that can deliver crystal-clear images with enhanced resolution. This is not only important in the case of multiple pregnancies, but also for women’s health in general, from routine screening to clinical research, assisted reproduction to high-risk assessment, gynaecological imaging to interdisciplinary assessment, and ideally all via one dedicated system. If you can deliver the precise detail needed for clinical confidence when monitoring the earliest stages of multiple pregnancies, then just imagine what else could be possible. Clearer images can mean faster examination times and a more confident diagnosis for your patient, leading to reduced anxiety and better outcomes. //

References

I BBC News (2021) 'Twins peak with more born than ever before,' BBC News, 12 March. https://www.bbc.co.uk/news/health-56365422.

II Trust, T. (2023) New statistics show neonatal death risk five times greater for twin or triplet pregnancies compared to carrying one baby. https://twinstrust.org/ resource/new-statistics-show-neonatal-death-risk-five-times-greater-for-twin-ortriplet-pregnancies.html.

III Website, NHS. (2022) Antenatal care with twins. https://www.nhs.uk/pregnancy/ your-pregnancy-care/antenatal-care-with-twins/.

IV Website, NHS. (2022) Antenatal care with twins. https://www.nhs.uk/pregnancy/ your-pregnancy-care/antenatal-care-with-twins/.

V Website, NHS. (2022) Antenatal care with twins. https://www.nhs.uk/pregnancy/ your-pregnancy-care/antenatal-care-with-twins/.

VI COMPLICATIONS IN YOUR PREGNANCY WITH TWINS, TRIPLETS AND MORE: A GUIDE FOR PARENTS (2021). https://twinstrust.org/static/db3ab122bcee-42c4-ab8b8e2f80053e90/e4fc85cb-1c0b-4963-8c32a6a801c7c668/ Twins-Trust-Complications-Guide.pdf (Accessed: November 14, 2023).

VII Website, NHS. (2022) Antenatal care with twins. https://www.nhs.uk/pregnancy/ your-pregnancy-care/antenatal-care-with-twins/.

VIII NICE (2013) Quality statement 1: Determining chorionicity and amnionicity Multiple pregnancy: twin and triplet pregnancies | Quality standards | NICE. https://www.nice.org.uk/guidance/qs46/chapter/Quality-statement-1Determining-chorionicity-and-amnionicity.

IX Canon Medical Systems Europe (no date) Women’s Health Care Live Webinar - June 15 | Canon Medical Systems Europe. https://eu.medical.canon/ events_calendar/webinars/womens_health_care_live_webinar_jun_2022.

X AXREM (2022). Manifesto for Medical Ultrasound - “The modern-day stethoscope” https://www.bmus.org/static/uploads/resources/103216_Axrem_ Ultrasound_Manifesto_Final.pdf

XI Canon Medical Systems Europe (2023) Aplio i-series / Prism EditionCanon Medical Systems Ltd. https://uk.medical.canon/products/ultrasound/ aplio-i-series-prism-edition/.

XII Twin placental mapping study (July 24th, 2019). https://www.wisemantrust. co.uk/twin-placental-mapping-study/.

XIII 'angioarchitecture' (no date) TheFreeDictionary.com. https://medical-dictionary. thefreedictionary.com/angioarchitecture.

XIV 'anastomoses .' (no date) TheFreeDictionary.com. https://medical-dictionary. thefreedictionary.com/anastomoses%20.

XV Trust, T. (no date a) Complications. https://twinstrust.org/information/pregnan cy-and-birth/complications.html.

XVI Trust carries out world-first non-invasive procedure to safely treat twin pregnancy complications (no date). https://www.imperial.nhs.uk/about-us/news/trust-car ries-out-world-first-non-invasive-procedure-to-safely-treat-twin-pregnancy-com plications.twin-pregnancy-complications.

Jane Hanford Clinical Business Development Manager Women's Health Ultrasound – Canon Medical Systems UK.

NHS Western Isles Addresses NHS Scotland’s Climate Strategy

NHS Western Isles (which is part of NHS Scotland) has collaborated with long-standing partner, Canon Medical Systems UK, to help ‘reduce the need for travel’ under the ‘Sustainable Travel’ initiative – one of five main drivers in NHS Scotland’s net-zero ambitions, as set out in the Climate Emergency and Sustainability Strategy (2022-2026)i.

Based in Stornoway, Western Isles Hospital is the largest of three hospitals operated by NHS Western Isles across the Outer Hebrides, the remote island chain off the northwest coast of Scotland. Serving a population of 26,640ii, it is also home to the only Computed Tomography (CT) scanner on the isles.

As well as cutting CO2 emissions by reducing unnecessary travel, the introduction of a pioneering and multi-award-winning cardiac CT service to Western Isles Hospital has brought healthcare closer to the community, reducing the need for patient referrals to the mainland.

Western Isles’ CT team has undertaken around 320 cardiac examinations since 2019 and seen a 100% reduction in the need to send patients elsewhere to be scanned. In addition, remote access servicing to the CT system via Canon

Western Isles' CT team has undertaken around 320 cardiac examinations since 2019

Medical’s InnerVision has further reduced the need for travel and optimised workflow efficiency.

Between January 2019 and March 2024, there were 10 separate interventions via InnerVision, saving an engineer from having to visit the site.

Radiographer-led cardiac CT

In 2018, NHS Western Isles replaced their previous CT system, the 10-yearold Aquilion 64, with the Aquilion Prime SP, using this as an opportunity to launch a radiographer-led cardiac CT service. “Retaining a full-time radiologist has always been problematic. Currently, there are no radiologists or cardiologists on the isles. This places greater responsibility

on our team of radiographers and, in 2018, this called for a pioneering approach to service delivery,” explained Jane MacDonald, Radiology Manager at Western Isles Hospital.

Faster patient throughput

The Aquilion Prime SP includes fluoroscopy (Advanced Image Processing) and cardiac packaging, whilst also utilising Vitrea Advanced Visualisation, a platform that provides clinical workflows to boost productivity and efficiency. Offering faster patient throughput, robust cardiac scanning, and enhanced diagnostic capabilities, the CT system enabled Western Isles Hospital to offer a cardiac CT service for certain patients, such as those suffering from stable angina, for the first time. Since then, the department has been able to scan more patients efficiently and closer to home without having a radiologist or cardiologist present.

Environmental and sustainability goals

Jane commented, “Working closely with Canon Medical, our partner of 16 years, we were able to use the replacement of the CT system as an opportunity to launch our radiographer-led cardiac CT service. By providing diagnostics locally, without the need for a radiologist or a cardiologist on site, we’re addressing environmental and sustainability goals by reducing unnecessary travel, as well as radically improving the patient experience.”

Award winners

The success of the initiative has been such that NHS Western Isles cardiac CT radiographers were given three awards by the Society of Radiographers: Scottish Team of the Year 2023, UK Team of the Year, and Patient Choice Award for Exceptional Care in November 2023iii

"Canon Medicals's customer service is second to none. They gave us vital application support when we launched the service in 2018"
Jane

Remote connectivity

Canon Medical’s Applications Team has been supporting NHS Western Isles via remote connectivity to the CT system. Through remote access, InnerVision increases productivity by catching problems before they affect imaging performance. This streamlines the identification, diagnosis, and resolution of system issues. Additionally, remote servicing minimises the necessity for engineers to travel to and from the rural and remote isles, further optimising workflow efficiency.

Jane continued: “Canon Medical’s customer service is second to none.

They gave us vital application support when we launched the cardiac CT service in 2018, providing off-site training for radiographers, who would ordinarily work closely with specialists, and onsite support for the first cardiac patients. They also installed a mobile CT in our car park to ensure continuity of service to patients as we transitioned from an Aquilion 64 to an Aquilion Prime SP. We’ve found that having remote engineers makes such a difference to how quickly we can manage a query or fault on the system – another important factor for a remote and rural team with only one CT system at our disposal.”

MacDonald, Radiology Manager, Western isles Hospital.
Left to right: Alexandra MacIver (Senior Radiographer). Dave Pilborough (President of Society of Radiographers). Jane MacDonald (Radiology Manager). Ciara Mackenzie (Specialist Radiographer). Karen Macleod (Senior Radiographer).
The success of the initiative has been such that NHS Western Isles cardiac CT radiographers were given three awards by the Society of Radiographers

High quality ultrasound

In addition to the Aquilion Prime SP, Western Isles Hospital has also installed Canon Medical’s Aplio i700 and Aplio i600 ultrasound systems in Stornoway, further aiding diagnostics for the local community. The new systems enable high-quality images to be captured, enhancing confidence and accuracy during interventional procedures. The addition of Shear Wave Elastography, for example, calculates the elasticity of tissues and provides a dynamic visual display to evaluate and monitor liver stiffness. The highly reliable and reproducible tool provides fully integrated

measurement and reporting for seamless integration which helps improve workflow.

Laura McGibbon, Ultrasound Applications Specialist at Canon Medical Systems commented, “The installation of both systems offers the hospital the ability to deliver more complex interventional procedures in-house, whilst providing the diagnostic confidence and clarification needed and increasing patient throughput. Traditionally, the islanders had to be flown to Raigmore Hospital in Inverness for a non-invasive test but the utilisation of shear wave

technology means the team can now offer this on the island with the support of Hepatology in Inverness. We’re pleased to see that the installation of the equipment has helped to reduce carbon footprint by further reducing unnecessary travel for patients.”

References i https://www.gov.scot/publications/nhs-scotlandclimate-emergency-sustainability-strategy-20222026/ ii https://statistics.gov.scot/atlas/resource?uri=http% 3A%2F%2Fstatistics.gov.scot%2Fid%2Fstatisticalgeography%2FS08000028 iii https://www.wihb.scot.nhs.uk/western-isles-cardiac -ct-radiographers-scoop-3-national-awards/

Lee Simpson (Regional Sales Manager for Canon Medical Systems UK), in discussion in front of the Aquilion Prime SP.

In step with

Aplio me is an inspiring, versatile platform that can easily adapt and grow with your clinical needs. The system’s thoughtful design and customisable operation allow you to tailor Aplio me to your exact needs. Its dedicated tools and consistently high imaging performance for numerous clinical applications can give you that extra reassurance with every exam.

Aplio me – a compelling solution, made for you, to help you manage your daily workload with performance, quality and ease of use. At Canon Medical we enrich lives by empowering people.

Greater Manchester Hospital Increases MRI Capacity by 100%

Tameside Hospital worked with long-term partner, Canon Medical, to deliver a bespoke solution to the growing demand for diagnostic imaging in the region.

With 2.5 million more people in England projected to be living with major illness by 2040i, increasing diagnostic imaging capacity has never been more important for the 215 NHS Trusts across the UK. Playing a critical role in the diagnosis and treatment of conditions such as cancer, as well as many neurological and heart conditions, the demand for Magnetic Resonance Imaging (MRI) in particular is at an all-time high. However, currently the UK has far fewer MRI scanners than nearly any other comparable country.ii

Bespoke MRI suite

To address this increasing demand and help tackle the NHS waiting list, Tameside and Glossop Integrated Care NHS Foundation Trust, collaborated with its partner of 20 years, Canon Medical Systems UK, to expand its in-house MRI capacity in a unique way. Utilising last-minute funding awarded to Greater Manchester from the NHS,

the hospital leveraged its long-term relationship with Canon Medical to design and deliver a bespoke, purpose-built MRI suite that will serve as a permanent solution for the hospital.

Increasing diagnostic imaging capacity has never been more important for the 215 NHS Trusts across the UK

The integrated modular unit, consisting of two modules to accommodate waiting and changing rooms, houses Canon Medical’s Vantage Orian MRI system, a second MRI scanner for the hospital. Replacing a separate external mobile unit situated in the car park, the new unit allows clinical staff to serve in-patients, as well as emergency and outpatients, within the main hospital - something that had previously not been possible.

A new MRI suite has been installed at Tameside Hospital featuring Canon Medical’s Vantage Orian MRI system.
“Canon Medical helped us roll out an end-to-end solution in under nine months - from sourcing equipment to designing and building the unit to house the MRI system."

Matthew Kilheeney, Radiology Manager, Tameside and Glossop Integrated Care NHS Foundation Trust.

Permanent solution

Jennifer Riley, Cross-sectional (CT/MRI) Service Lead Radiographer at Tameside Hospital, commented, “This wasn’t just a case of procuring MRI equipment to meet increasing demand. Careful consideration needed to be given to where the new system would be housed to meet the needs of both our in-patients and outpatients. Working with Canon Medical, we needed a permanent solution to increase MRI capacity within a very tight timeframe to meet the requirements of our funding. Ensuring accessibility and a positive patient experience, both during and post-installation, was crucial. The new suite needed to feel like part of the existing site without changing the fabric of the building. During construction, we worked hard to ensure minimal disruption to patient services.”

Matthew Kilheeney, Radiology Manager at Tameside Hospital, continued, “We’ve always had a strong partnership and positive experience working with Canon Medical. The team is reliable, responsive, and quick to find a solution to any challenge, and their training, aftersales support and service is second to none. At the onset

The demand for Magnetic Resonance Imaging (MRI) in particular is at an all time high

of the pandemic when demand peaked and Covid restrictions were in place, they also provided us with a mobile CT scanner to increase capacity and support social distancing. So, when faced with the challenge of building” a whole new suite, we knew

we could turn to Canon Medical to help execute the whole project. They helped us roll out an end-to-end solution in under nine months – from sourcing equipment to designing and building the unit to house the MRI system.

Over many years, Canon Medical has provided the Trust with numerous diagnostic imaging solutions –including two Ultrasound (US) systems, an Ultimax-i Multi-Purpose Fluoroscopy room designed to enhance efficiency by opening up workflow space, and three Aquilion Prime SP Computed Tomography (CT) scanners. The CT scanners feature Vitrea Advanced Visualisation, a modular viewing platform that unifies workflows, enabling greater diagnostic productivity.

Matthew added, “Having a second permanent MRI scanner in-house has given us a 100% guaranteed capacity increase internally. Previously, if our internal MRI scanner had failed, scanning in-patients would have been impossible, so this has removed that single point of failure. As a hospital we need to meet a target of 98% up time across our diagnostic equipment, and thanks to the support from Canon Medical we continue to hit and even exceed that target.”

Increasing diagnostic capacity remains a key priority for the Trust, with plans already underway for the redesign and redevelopment of Tameside Hospital’s Emergency Department, which will include the addition of a third in-house CT scanner – the Canon Medical Aquilion Prime SP. //

References

i The Health Foundation (July 25, 2023) 2.5 million more people in England projected to be living with major illness by 2040. https://www.health.org.uk/ news-and-comment/news/25-million-more-peoplein-england-projected-to-be-living-with-major-illnessby-2040#:~:text=Overall%2C%20the%20number%20 of%20people,services%20and%20the%20public%20 finances.

ii Why is Britain’s health service, a much-loved national treasure, falling apart? (2023). https://edition.cnn. com/2023/01/23/uk/uk-nhs-crisis-falling-apart-gbrintl/index.html (Accessed: January 31, 2024).

The team at Tameside Hospital alongside Canon Medical Systems UK Account Manager, Colin Murray.

A First for Scotland at Forth Valley Hospital

The Alphenix Sky+ will enable the hospital to deliver complex precision procedures by offering greater levels of accessibility to patient anatomy, superior image quality, and workflow optimisation

To bring complex interventional procedures in-house and increase patient throughput, Forth Valley Royal Hospital has installed the Alphenix Sky+, making it the first hospital in Scotland to benefit from Canon Medical’s most advanced ceiling-mounted imaging system, placing it at the cutting edge of diagnostic innovation.

Superior imaging quality

The Alphenix Sky+ offers clinicians superior imaging quality and the 220° rotation needed to carry out complex precision procedures such as prostate artery embolization (PAE) for prostate

conditions. This will improve clinical workflow efficiencies by reducing the need for patient referral to alternative hospitals in Scotland, bringing healthcare closer to the community. In addition, patients with vascular and renal conditions, which previously required major surgery, can now undergo treatment through minimally invasive techniques.

The Alphenix Sky+ also enables the hospital to carry out examinations of the uterus for women experiencing fertility issues and treat uterine fibroids, reducing the need for more invasive procedures or surgery.

Forth Valley Royal Hospital has installed the Alphenix Sky+, making it the first hospital in Scotland to benefit from Canon Medical’s most advanced ceiling-mounted imaging system

The team at Forth Valley Royal Hospital alongside Canon Medical Systems UK, Director of Sales CT/MR/XR/HIT, Alistair Howseman.

Jennifer Gilchrist, Radiology Services Manager at NHS Forth Valley, commented, “Whilst our previous radiology imaging system served us well, technology has significantly advanced since its purchase 12 years ago. We needed new state-of-the-art equipment that would provide crystal clear, high-quality images to enable us to carry out a broader range of precision procedures in-house. As a hospital, we are keen to serve our patients as close to home as possible and are thrilled that we can now make this possible.”

Integrated AI technology

Featuring a double C-arm feature with full rotation from either the right or left side of the table, the Alphenix Sky+ can capture scans of the patient’s body from all angles, whilst integrated AI technology allows the operator to create a high-resolution 3D image from a 2D set of data. This is vital for complex procedures and scans, including inserting small metal coils into veins or arteries to cut off the blood supply

"Thanks to the new equipment, we now have the imaging precision needed for the services we want to provide."
Jennifer Gilchrist, Radiology Services Manager at NHS Forth Valley

to cancerous tumours and placing stents which can then be expanded to help clear blockages and maintain blood flow. Increased clinical confidence through 3D images leads to better patient outcomes.

Combined with an integrated workstation, the Alphenix Sky+ system significantly reduces restrictions on examinations and procedures, aiding greater operator workflow and increasing overall productivity. It also offers a lower radiation dose than alternative scanners, a key consideration in diagnostic imaging, especially for patients requiring multiple scans during treatment.

The addition of a unique SPOT Fluoro, which helps improve workflow and visibility of guide wires and catheters, also works to reduce dose per procedure. The radiation field can be seamlessly adjusted independently, ensuring that the minimum area needed to perform the procedure is exposed, without needing to adjust the patient or system position. Meanwhile, the use of the Dose Tracking System (DTS) within the Alphenix Sky+ scanner allows the clinician to monitor the patient’s skin dose in real-time, thus minimising the risk of radiation injury.

Increased diagnostic capacity

In addition to the Alphenix Sky+ system, Forth Valley Royal Hospital has also installed Canon Medical’s Ultimax-i X-ray machine to further build diagnostic capacity and resilience within the hospital. The new machine, housed in the fluoroscopy room, enables high-quality images and videos to be captured using contrast dye. This can be used to examine patients experiencing difficulty

High-quality 3D images produced from the Alphenix Sky+.
The Alphenix Sky+ offers clinicians superior imaging quality and the 220° rotation needed to carry out complex precision procedures such as prostate artery embolization

chewing and swallowing food, which can often happen after a stroke. It can also be used to assess joints to determine if a patient would benefit from a hip or knee replacement and help with the precise positioning of stents to treat patients with a range of cancers, including bowel, stomach, gallbladder, and liver, as well as supporting a wide range of investigations carried out by the Endoscopy Department.

Imaging precision

Jennifer Gilchrist added, “Thanks to the new equipment, we now have the imaging precision needed for the services we want to provide. Resilience is another key consideration. Our old imaging fluoroscopy room wasn’t set up for interventional procedures, so being able to carry these out with the Ultimax-i, as a support to the Alphenix Sky+, is extremely exciting. Together the two systems offer a perfect solution as we know we’ll always have a backup machine in place and, better still, we can offer interventional procedures to more than one patient at a time.

Replacing and installing the new systems back-to-back enabled us to keep patient services running effectively during the transition, and Canon Medical ensured that the installation was completely seamless from start to finish. We could not have done this installation as successfully without the constant oversight from the experienced project manager and partners.

This is a long-term investment for the health board and hospital and, due to the relationship we have built,

we know that if we require further assistance moving forward when it comes to upgrades, updates, and training, Canon Medical will be able to support us.”

Better patient outcomes

Philip Willcock, XR/VL Modality Manager at Canon Medical Systems, concludes, “We are pleased to have completed the first installation of the Alphenix Sky+ in Scotland, along with the Ultimax-i X-ray system at the Forth Valley Royal Hospital. The installation of both systems offers

the hospital the ability to deliver more complex interventional procedures in-house, whilst increasing patient throughput and comfort by offering superior access to patient anatomy. Being able to capture high-quality scans of the patient’s body from all angles is crucial to improving operator workflow and achieving increased productivity, clinical confidence, and better patient outcomes. We hope this is the first of many more installations in Scotland, and across the rest of the UK.” //

Alphenix Sky+ installed at the Forth Valley Royal Hospital, Larbert, Scotland.

To enhance healthcare services for the local community, the Community Diagnostic Centre (CDC) at the Glass Works shopping mall has installed the Aquilion Prime SP, enabling faster patient throughput and advanced diagnostic capabilities.

Award Winning Community Diagnostic Centre Expands in Barnsley Town Centre

Since April 2022, Barnsley’s 240,000i citizens have benefitted from more accessible diagnostic testing thanks to a state-of-the-art Community Diagnostic Centre (CDC) situated in the Glass Works shopping mall in the heart of Barnsley, South Yorkshire. With the aim of expanding healthcare services to the local community, the project involved installing Aquilion Prime SP, a CT from chosen supplier, Canon Medical Systems.

Developed by Barnsley Hospital NHS Foundation Trust, in collaboration with Barnsley Facilities Services (BFS), the CDC provides vital testing and screening services including phlebotomy, non-obstetric ultrasound diagnostics, breast screening, plain film X-rays and bone density scans. Following an initial allocation of approximately £2.8 million of capital funding via the national CDC programme, Barnsley CDC was awarded a further sum of around £4.6 million at the beginning of 2023ii for expansion of the facility. This included the installation of the new CT system in September 2023. Additional healthcare services now include computerised tomography (CT), abdominal aortic aneurysm screening (AAA), Urodynamics, capsule endoscopy and retinal eye screening.

The installed Aquilion Prime SP offers fast patient throughput to robust cardiac scanning and new diagnostic capabilities. The Canon Medical

equipment is installed with additional software including Advanced Intelligent Clear-IQ Engine (AiCE), Tech Assist Lateral and SureSubtraction. Trained using vast amounts of high-quality image data, reconstructed with an advanced model-based iterative reconstruction (MBIR) algorithm, AI-assisted CT such as AiCE reduce noise and boost signal to deliver sharp, clear and distinct images at speed.

Heralded as ‘a leading example of modern healthcare infrastructure and modern diagnostics’, Barnsley CDC was awarded ‘Project of the Year’ at the Healthcare Estates and Facilities Management Awards in May 2023.iii

Reducing waiting times

Since its opening, waiting times for non-obstetric ultrasound diagnostics have been cut by half (from six weeks in March 2022 to three weeks in September 2022) and the uptake rate for breast screening increased from around half (50%) in April 2022 to almost three quarters (72%) by October 2022.

As of February 2023, staff had provided over 40,000 checks and scansiv Following the installation of the Aquilion Prime SP, it is estimated that the total throughput of patients at Barnsley CDC will rise to approximately 70,000 annually.

"Since this latest installation, the team has seen improved image quality & greater productivity, leading to faster patient examinations"

Liz Elfleet, Medical Imaging Manager at Barnsley Hospital NHS Foundation Trust.

The Glass Works Barnsley’s entrance to their Community Diagnostic Centre (CDC). Image by courtesy of NHS Barnsley.

"Installation of the latest medical imaging equipment means that Barnsley citizens benefit from better care, as well as access to a broader range of diagnostic services."
Billy

Erwin, Account Manager at Canon Medical Systems UK.

Liz Elfleet, Medical Imaging Manager at Barnsley Hospital NHS Foundation Trust, explains, “As an NHS Trust, we have a long-standing relationship with Canon Medical Systems UK. They provide excellent technology, and the equipment is backed by superior training along with excellent service support. Since this latest installation, the team has seen improved image quality and greater productivity, leading to faster patient examinations. This has resulted in a further reduction to our waiting lists for patients.”

Preventative screening

Barnsley is amongst the most deprived 10% of communities in England. Life expectancy for men is 2.3 years lower than the national average, and 2 years lower for women. Providing access to preventative screening is critical to help early detection of diseasesv. The continued expansion of diagnostics services in the community means patients can attend scans and blood tests in a more relaxed environment, encouraging those who feel intimidated by a traditional hospital environment to attend appointments, and help in earlier detection of disease. It also eases pressure on existing hospital and GP services within the

Barnsley Hospital NHS Foundation Trust. This is part of wider NHS plans to reduce waiting times for routine procedures and help diagnose life-threatening conditions, such as cancer, earliervi

Billy Erwin, Account Manager at Canon Medical Systems UK comments “We’re very pleased to provide the new Aquilion Prime SP to Barnsley CDC. Installation of the latest medical imaging equipment means that Barnsley citizens benefit from better care, as well as access to a broader range of diagnostic services, helping to redress health inequalities in the local community.”

Liz Elfleet added, “We’re committed to helping local people live happy, healthy lives. By bringing diagnostic tests to Barnsley town centre, we can offer scans earlier and in a more friendly and accessible location. Residents have been involved in how we’ve transformed the centre – even the artwork that’s on the walls was chosen by the patient experience group. We didn’t want it to look like a healthcare environment. People feel more at ease visiting a shopping centre rather than a hospital setting. They can

do their shopping or go to the cinema and attend their appointment at the same time. The Glass Works has a range of accessible parking options and is conveniently located for Barnsley residents.” //

References

i Office for National Statistics (2023, January 1) How life has changed in Barnsley: Census 2021. https://www.ons.gov.uk/visualisations/ censusareachanges/E08000016/

ii Barnsley Metropolitan Borough Council (2023,October 19) Important visitor to Barnsley's Community Diagnostic Centre https://www. barnsley.gov.uk/news/important-visitor-tobarnsleys-community-diagnostic-centre/

iii Barnsley Hospital NHS Foundation Trust (2023, May 30) Barnsley Community Diagnostic Centre Wins HEFMA Project of the Year Award. https:// www.barnsleyhospital.nhs.uk/news/barnsley-community-diagnostic-centre-wins-hefmaproject-year-award

iv South Yorkshire Integrated Care Board (2023, February, 23) 4.6million NHS funding to expand Barnsley town centre health check centre https://southyorkshire.icb.nhs.uk/news/ 46million-nhs-funding-expand-barnsley-towncentre-health-check-centre?newsID=#:~:text=Since%20the%20centre%20opened%20 its,been%20excellent%20or%20very%20good.

V Andrews. D, (2023, October 5). Barnsley's health inequalities are 'not getting better' as male life expectancy drops to 77. https://uk.news.yahoo. com/barnsleys-health-inequalities-not-getting-091831316.html#:~:text=Around%20 50%2C000%20residents%20in%20 Barnsley,for%20health%20and%20social%20care

Vi NHS England (2023, May 11). NHS cuts longest waits and speeds-up response times https://www. england.nhs.uk/2023/05/nhs-cuts-longest-waitsand-speeds-up-response-times/

Instinctive user experience.

Pre Scan Scan Post

Canon Medical’s new INSTINX workflow for CT combines a human-centered intuitive design with artificial intelligence to drive a fast, simple, and accurate workflow experience. Based on extensive research and evaluation with a team of experts, Canon Medical developed intuitive features that result in high-quality and consistent results, independent of the level of user experience.

INSTINX supports full automatic use of all diagnostic imaging procedures, from patient positioning to user defined reporting pages. The INSTINX workflow makes scanning simple and helps you to keep your attention where it belongs, on the patient.

Turn static files into dynamic content formats.

Create a flipbook
Issuu converts static files into: digital portfolios, online yearbooks, online catalogs, digital photo albums and more. Sign up and create your flipbook.
VISIONS 2024 Winter Edition by bttr - Issuu