Sonntagszeitung






















BAYREUTH. Die Bahnbrücke in in Oberkonnersreuth wird Ende Oktober abgerissen, da sie erneuert und der Hohlmühlweginder Unterführung verbreitert wird. Bahnreisende auf der Streckezwischen Bayreuth und Nürnbergwerden sich ab 21. Oktober umstellen müssen. Der Neubau der Bahnbrückewirdindieser Zeit nicht die einzige Bahnbaustelle in Bayreuth sein.
BahnbrückeinBayreuth-Ober konnersreuth wirdabgerissen Der Abriss der alten BahnbrückeamOrtseingang Ober konnersreuth rücktnäher.Die Abrissarbeiten werden in der Woche vom21. bis 28. Oktober stattfinden, wie eine Sprecherin der Deutschen Bahn der Sonntagszeitung auf Anfrage mit teilte. Fürdie Bahnreisenden, zwischen Bayreuth einerseits und Creußen, Schnabelwaid, Pegnitz und Nürnberganderer seits, bedeutet das: Schienener satzverkehr Während der Bauzeit wirdein Schienenersatzverkehr zwischen dem Bahnhof Bayreuth und dem Bahnhof
Schnabelwaid eingerichtet. Die Fahrzeit verlängert sich dabei um sechs Minuten im Vergleich zum RE auf derselben Strecke“, teiltedie Bahn-Sprecherin weitermit.Umdie Einschränkungen für Bahnreisende in Bayreuth so gering wie möglich zu halten, wirdeine weitereBaumaßnahme gleich mit ausgeführt: Im HauptbahnhofBayreuth wirdeine Weiche miterneuert
Auch Bahnreisende,die aus Richtung Pegnitz bis Creußenfahrenmöchten, müssen in Schnabelwaid umsteigen. Der BahnhofCreußen kann während dieser Zeit nichtmit dem Zug angefahren werden. „Creußen wirdvom Schienenersatzver kehr angefahren, der Haltepunkt befindetsich aus verkehrstechnischen Gründen, wenige Schrit te vomBahnhofentfernt, in der Bahnhofstraße“,heißtesauf eine erneuteAnfrage der Sonntags zeitung hin.
Die Fahrzeit auf der Strecke Bayreuth-Schnabelwaid soll sichmitdemBusnachBahnangaben, im Vergleich zum Regionalexpress auf derselben Strecke, um sechs Minuten verlängern.
Bahnunterführung in BayreuthOberkonnersreuth für Verkehr schon lange gesperrt Fürden Verkehr im Stadtteil Oberkonnersreuth istder Hohlmühlweg bereits seit diesem Frühjahr gesperrt.Bisher war dort nur die Durchfahrt eines Au tosmöglich.
Im Zuge der Erneuerung der Bahnbrückesoll die Breitevon 3,50 auf 7Meter verbreitert werden. Zudem soll die neue Durchfahrtshöhe 4Meter betragen. Neben der alten Bahnbrücke wurde die neue,breitereUnter führung bereits vorbereitet.Der Bayreuther Stadtrat hatimJuli 2020 für eine Verbreiterung und Tieferlegung des Hohlmühlweges gestimmt.
„Der Ersatzneubau der BahnbrückeHohlmühlweg einschließ lichderStraßenverbreiterungund -tieferlegung erfolgt im Rahmen einer Kreuzungsvereinbarung gemäß §5Eisenbahnkreuzungs gesetz(EKrG) zwischen der DB Netz AG und der Stadt Bayreuth“, teilt das Rathaus auf Anfrage mit
Die Gesamtkostendes Brückenneubaus beziffert das Rathaus auf zirka4.360.000 Euro
Aufdie DB Netz AG entfallen rund 2.020.000 Euro,auf die Stadt Bayreuth ca.2.340.000 Euro Nach Abzug des Kostenanteils und zu leistendem Ablösebeitrages seitens der DB Netz AG muss die Stadt noch zirka1.600.000 Millionen Euro zahlen. jle
WerHartz IV bezieht, istdadurch nichtautomatisch vonder Un terhaltspflichtfür seine Kinder befreit.Denn anders als das Job centerkenntdas Familiengericht sogenannte fiktiveEinkünfte“ die ein Unterhaltspflichtiger er zielen könnte,wenn er sich mehr bemühen würde –sowie im folgenden Fall des Oberlandes gerichts Hamm (OLG).
Die geschiedenen Eltern hat tendreiKinder,von denen der ältereSohn beim Vaterlebte,die jüngeren Töchterbei der Mutter. Bereits während der Ehe hatte die Familie Leistungen des Job
centers bezogen. Nun zahlte die Unterhaltsvorschusskasse für die Mädchen bei der Mutter, das Jobcenter für den Jungen beim Vater.
Das Familiengericht hatte zu entscheiden, ob der Vater der Un terhaltsvorschusskasse etwas zu erstatten und in Zukunft den Mindestunterhalt an die Mutter zu zahlen hatte. Ansatzpunkt dafür war das Argument, dass er arbei ten könnte so dass man fiktiv sei ne Leistungsfähigkeit errechnete
In erster Instanz wurdedieses fiktive Einkommen mit dem Min destlohn ermittelt Bevor es aber davon etwas an die Töchter zu verteilen gab, wurde der Bedarf des im Haushalt lebenden Sohns abgezogen. So blieben nur 17
EUR monatlich je Tochter übrig.
In der Beschwerdeinstanz beim OLG argumentierten die Antrag stellerinnen mit Erfolg, der Vater könne mehr als nur Mindestlohn verdienen, zum Beispiel als Fah rer eines Kleintransporters. Vor allem aber sei der Bedarf des Sohns nicht abzuziehen, da des sen Bedarf ja bereits von Hartz IV gedecktsei.
Das OLG errechnete dass der Vater eine stattliche Summe Rückstand und ab sofort 128 EUR monatlich für die jüngere sowie 159 EUR monatlich für die älte re Tochter zu zahlen habe auch wenn er kein Einkommen hatte.
Das OLG war nicht davon über zeugt, dass der Vater sich um eine Erwerbstätigkeit gekümmert
habe.Erhabe eine reale Beschäf tigungschance,und wenn er sich vonAnfangdes Verfahrens an bemühthätte,wäresein Lohn auf inzwischen 2.250 EUR brutto ge stiegen.
Hinweis: Den Bedarf des Sohns hattedas Jobcenterbe zahlt –und das konnte nichtzu rückverlangt werden, weil dem Zweiten Buch Sozialgesetzbuch die Anrechnung fiktiven Einkom mens fremd ist. Beider Berech nung des Rückstands spielte der Sohn daher keine Rolle.Wird jedoch künftig fiktiv unterstellt der Vaterwürde 2.250 EUR brut to verdienen, muss man auch die Konsequenz weiterdenken, dass er dann kein Hartz IV bezie
hen würde und hiervon auch den Sohn mitfinanzieren muss.
Dann aber kann der Unter halt für die Töchternur unterBe rücksichtigung des Bedarfsdes Sohns berücksichtigt werden –die sogenannte Ausfallhaftung, da bei der Mutternichts zu holen war.
DasOLG ging dabei nichtauf die Frage ein, warum der Vaterfür den bei ihm lebenden Sohn nicht ebenfalls Unterhaltsvorschuss vomJugendamtbekam –oder in dem fiktiv gebildetenFallfür die Zukunfthätte beantragen müssen. Dann hättesich die Mutterebenfalls die Frage ge fallen lassen müssen, warum sie kein Einkommen erwirtschaften kann.
Dr.ClaudiaErkRechtsanwältin,Fachanwältinfür Familienrecht,Mediatorin
Telefon0921/5085780 Fax0921/5085779 www.kanzlei-erk.de
BAYREUTH. Die Stiftung Ver bundenheit mit den Deutschen im Ausland lädt zu einer Fahrt nach Prag vom26. bis 29 November ein. Abfahrt um 11 Uhr ab Bayreuth /Volksfest platz,Ankunft in Prag um ca.16 Uhr.Höhepunktist der Besuch der musikalisch-literarischen Lesung zu Otfried Preusslers „Fluchtnach Ägypten“ mitWolf ramSterund dem Egerländer Duo „Bojaz“ in der Deutschen Botschaft im Palais Lobkowicz auf der Prager Burgmit an schließendem Empfang.
Die Kosten belaufen sich auf 290EuroproPersonimDoppel
zimmer,Einzelzimmer390 Euro Fahrt mit modernem Reisebus der Firma Krieg aus Pegnitz einschl. drei Übernachtungen im ****HotelAmbiance im Her zendes historischen Zentrums vonPrag, 3xFrühstücksbuffet eine Stadtführung in Prag und Empfang in der Deutschen Bot schaft in Prag.
Anmeldungen bis spätes tens 15. Oktober red
Rückfragen und verbindliche Anmeldung: info@stiftung-verbundenheit.de oder unter0921/1510824-0
Reinigungskraft
ECKERSDORF In Eckersdorf gibteseinen neuen Supermarkt.
Verkäufer (m/w/d) in flexibler Voll- undTeilzeit
SicherstellungWarenpräsenz im Verkaufsraumund Lager Warenannahmeinkl. –Kontrolle Kundenberatungmit Mehrfachbedienung Kassentätigkeiten
Dasbringen Siemit Spaß am Umgangmit Kunden undfreuensich auf abwechslungsreiche Aufgaben Erste Erfahrungen im Verkauf Kommunikationsstärke undTeamfähigkeit Ausgeprägte Serviceorientierung undFlexibilität Leidenschaft fürModeund Trends Motivation undZielstrebigkeit
Dasbieten wirIhnen
Sielernenineinem kollegialem Team Schuhe undAccessoires entsprechend zu präsentieren Angenehme undoffene Arbeitsatmosphäreineinem hochmotiviertenund sympathischenTeam Personalrabatteauf alle unsere Marken attraktive Zusatzleistungen Perspektivezur persönlichenEntwicklung
Der hatzwarnur alle zwei Wo chen geöffnet, doch dahinter steckteine besondereIdee Einkaufen kann man seit dem 05. Oktober beim „Unverpackten Stiehlchen“auf dem Parkplatz der SparkasseinDonndorf.Ver kauftwirdaus einem Lieferwagen heraus –einem Supermarktauf vier Rädern. Seit Sommer 2021 ist das „Unverpackte Stiehlchen“im südlichen Landkreis Bayreuth auf Tour.DeniseStiehl steckthinter der Idee zum Supermarktauf vier Rädern. Sie bietetumweltscho nendes Einkaufen an. Seit dem 05. Oktober stehtEckersdorf ebenfalls auf der Tour des Super marktes. Worauf sich die Eckers dorfer freuen können?„Einfach mit ein paar leeren Behältern vorbeikommen und das Einkaufs erlebnis mal ausprobieren“, sagt DeniseStiehl der Sonntagszei tung.
Tage
16:30 bis 18:30 Uhr kann man bei ihr auf dem Parkplatz der Spar kasseinDonndorf einkaufen. Die Kunden bringen ihreeigene Ver packung mit.Gläser und Schütt dosen vonzuHausewerden mit Nudeln, Mehl, Waschmittelund anderen Dingen des täglichen Bedarfsbefüllt
EckersdorfsBürgermeiste rin Sybille Pichl freut sich auf die neue Einkaufsmöglichkeit: „Wir bedanken uns herzlich bei Denise Stiehl dafür,dass sie Donndorf in ihreTour mit aufgenommen hat, und bei der SparkasseBayreuth für die unkomplizierteBereitstel lung des Parkplatzes.“ Denise Stiehl selbstfreut sich, wenn je der Kunde mithilft, Verpackungen einzusparen. „Und die Nahver sorgung auf dem Land wirdauch ein Stück weit gesichert“, ergänzt DeniseStiehl. Kunden können auf ihrerWebsitesowieaufFacebook und Instagram ihreTour-Stand ortesehen und sie dann gezielt aufsuchen.jle
BINDLACH.AmvergangenenFrei tag, 07.Oktober,wurden zwei ehe maligeBürgermeisterderGemein de Bindlach zu Altbürgermeistern ernannt: Hermann Hübner und Gerald Kolb.Mit beiden haben wir aufihreAmtszeitzurückgeblickt:
Hermann Hübner:„Ich würde heutenichtsandersmachen 1994 wurde Hermann Hübnerals Nachfolger des aus gesundheit lichen Gründen zurückgetretenen BürgermeisterHansSteiningerge wählt.14Jahrespäterendete die Amtszeit und Hermann Hübner wurde zum Landrat desLandkrei sesBayreuth gewählt.„Wenn ich heuteauf meineAmtszeitals Bür germeister zurückblicke–ist die serBerufeinerder schönsten überhaupt. Man muss Verantwor tung übernehmen, kann aber für seine Heimatvieles gestalten. Das Menschen mit Sorgen und Proble men kommen, gehört zumAlltag“, soHermannHübner.Highlightshat HermannHübner viele in seiner Amtszeit als Bürgermeistererlebt: Mehr als 300 standesamtliche Trauungen, der Empfang des da Altbürgermeister istein durch den Stadtrat bzw. Gemeinderat verliehener Ehrentitel, für ehe malige Bürgermeistereiner Stadt oder Gemeinde
maligen Bayerischen Ministerprä sidentenEdmundStoiberamBind lacher Rathausplatz,der Bau der Bärenhalle und vieles mehr Be sonders stolz bin ich auf die in mei nerAmtszeitgeschaffenenKinder betreuungsplätze,aufdasstetsgu te MiteinanderimGemeinderat und der Rathausverwaltung,aber auch auf das ehrenamtliche Enga gementder Bürger in Feuerweh ren, Vereinen und Hilfsorganisatio nen. Ich würde auch heutenichts anders machen als damals“, so Alt bürgermeisterHermannHübner
Auch heutenoch liegt ihm das kommunale Geschehen am Her zen. „Mich mit gut gemeintenRat schlägen einzumischen,ist nicht mein Stil, außerdem machtunser BürgermeisterChristian Brunner einesehrguteArbeit.Ehrenamtlich aberengagiereichmichinBindlach weiterhin“,erläutertHermannHüb ner.Seinen Ruhestand verbringt Hermann Hübnernun besonders
gern mit der Familie und den mitt lerweile siebenEnkeln. „Langewei le kommtbei mir definitiv nichtauf“, lachtHermannHübner
Gerald Kolb: „Ich warein sehr bürgernaherBürgermeister“ AufHermannHübnerfolgteGerald Kolb als Bürgermeister der Ge meinde Bindlach. „Eine interessan te,lehrreiche und teilweiseaufre gende Zeit,die ich nichtmissen möchte“, so beschreibtGerald Kolb seine Zeit als Bürgermeister. Den Entschluss zur Bürgermeis terkandidatur hatsich Kolb nicht leichtgemacht. „Esgab viele Dis kussionen mit meiner Frau, denn ohne ihreUnterstützung hätteich die Aufgaben nichtschulternkön nen. Durch meine Aktivitätenbeim TSVBindlach warich vielenBür gernbekanntundhörtesomanche Probleme und Wünsche,wenn es um die ZukunftBindlachs ging“,so Gerald Kolb Daswar auchdas Ausschlaggebende für die Kandi datur“. Gerald Kolb erinnert sich gerne an seine Zeit als Bürger meisterzurück: „Highlights gab es viele –beispielsweisedie Einwei hung der erstenKreisverkehrsan lageamOrtseingangoderderUm bauunddieSanierungdesRathau ses. Stolz machtmich die guteZu sammenarbeit im Gemeinderat und die Unterstützung meiner Mit
PEGNITZ. Michael Ottfeierte dieser Tage 25 JahreBetriebs zugehörigkeit beim Pegnitzer Finanzdienstleister vfm. Der langjährige Mitarbeiter arbeitete an derEntwicklung des Finanz dienstleisters wesentlichmit.Im vergangenen Vierteljahrhundert hatsichdas Unternehmenauch verändert.Anfangs hatteMichael OttsechsKollegen, heutesind es 80.Der Jubilar istinzwischen Part nermanagerund verantwortlich fürdie Anbindungvon zahlreichen Kooperationspartnern.„Michaelist ein Vorbild für Loyalitätund ein Teil unserer Geschichte und Zukunft“, so Geschäftsführer Klaus Lie big. „Ich bin dankbar, vfmist nicht irgendeinArbeitgeber,sondernein StückFamilie“,soMichaelOtt. red
gesamtwurde ein Betrag von 4.500 Euro zur Verfügung ge stellt
„Für die Sparkasseeine sinn volle und lohnende Investition in die Zukunft“, so Wolfgang Hetz, Vorstandsvorsitzender der Spar kasseBayreuth.
arbeiter aus Rathaus, Bauhof, Klär werk und vielen mehr.“ Aufdie Fra ge ‚Was er heuteanders machen würde‘antwortet Gerald Kolb spontan: „Das können am besten die Bindlacher Bürger sagen. Ich warein sehr bürgernaher Bürger meister, der versuchthat,für Bür ger,VereineundVerbändeeinoffe nes Ohr zu haben.“2020be schloss Gerald Kolb nichterneut zur Wahl anzutreten. Die neu ge wonnene Freizeit verbringt er jetzt unteranderem mit Fahrradfahren, ReisenundTheaterbesuchen. jm
BAYREUTH. Die SparkasseBay reuth istseit vielen Jahren ein
geschenkt, mit einer Lernuhr und Spielgeld. Zusätzlich können Lehrkräfte der Erstkläßler „Hun dertertafeln“über das Schulamt bestellen, die ebenfalls vonder Sparkassegestiftetwerden. Ins
Wie PetraRauh, Schulamts direktorin der Staatlichen Schul ämterBayreuth, bestätigt,sind die Materialien schon fest in den Unterrichtder Grund- und För derschulen eingeplant. In diesem Jahr werden auch etwa 100 ukra inische Kinder in Bayreuth Stadt und Land eingeschult,diese profitieren natürlich auch vonden Lehrmaterialien. red
Schmerzen und Bewegungseinschränkungen im Hüftgelenk sind für den Betroffenenein massiver Einschnitt in die Lebensqualität. Aufeinen Großteil der Bevölkerung kommteines Tages die Operation mit einem künstlichen Hüftgelenk zu. Wenn die Notwendigkeit gesehen wird, steht man in der Zwischenzeit vorder Auswahl unterschiedlichsterImplantate.Die Wahl des richtigen Implantatesfür den Patientenist sehr wichtig, um mögliche Komplikationen zu vermeiden. Dr med. Tim Klopfer, Facharzt für Orthopädie und Unfallchirurgie sowie spezieller Unfallchirurg mit langjähriger Erfahrung im Bereich der Knie- und Hüftendoprothetik,beantwortet Fragen rund um den künstlichen Er satz des Hüftgelenksund deren Implantate
Wenbetrifftdie Hüftendoprothetik und waskönnen wir davonerwarten?
Durch das stetig ansteigende Patientenalter steigt auch die Anzahlderimplantiertenkünstlichen Hüftgelenke. Überwiegend istes
demnach Altersarthrose, teilweise haben wir aber auch jüngere Patienten, z.B. mit einer Hüftkopfnekroseoder nach Hüftfrakturen.
Über 275.000 Hüftendoprothesenwerden in Deutschland ak tuell proJahr implantiert.Bei den aktuellen Prothesengenerationen erwarten wir Standzeiten vonca. 15 bis 25 Jahre. Allerdings können Komplikationen auftreten und es gibtauch für den Operateur voreinem solchen Eingriff vieles zu bedenken. Komplikationen bei Hüftoperationen sind für die Patienten häufig mit dramatischen Folgen verbunden, diesegilt es zu vermeiden. Eine guteVorbereitung ist hierbei äußerstwichtig.
Wasmüssen Sie vordem Eingriff bedenken?
Jedes Hüftgelenk istsehr individuell und wir haben heutzutage zum Glück,für fast jede Eventualitäteine entsprechende Lösung parat.Inden letzten Jahren haben sich z.B. die verwendetenSchäfte stark weiterentwickelt.Von einem sogenanntenGerad-Schaft haben sich diesezuanatomisch angeformtenModellen entwickelt Diesekönnen wir minimalinvasiv einbringen und mögliche Komplikationen, wie z.B. Frakturen am Oberschenkelknochen, deutlich reduzieren. Minimalinvasiv gibt es unterschiedliche Techniken. Die vonmir bevorzugtegehtüber
einen ca.7 bis 9cmlangen Haut schnittohne Ablösung vonMus kulatur am Oberschenkelknochen. Man nutzt anatomische Lücken zwischen der Muskulatur und kann so größereBlutungen, Schläuche,Blutübertragungen und lange Heilungsphasen zumeistvermeiden.AusmeinerSicht wardas die größte Weiterentwick lung der letzten Jahre. DiePatientenkönnen sehr schmerzarm und zügig nachbehandelt werden. In aller Regel istdirektamOP-Tag wieder eine Mobilisierung in den Stand mit erlaubterVollbelastung möglich. Nach einigen Tagen berichtendie Patientennur noch über minimale Einschränkungen und Schmerzen. Auch das Risiko einer Luxation, alsodem Heraus springen des Kunstgelenks, kann so deutlich reduziert werden. Neben dem operativen Zugang und der Operationstechnik gibtes noch eine großeAuswahl an weiterenImplantat-Möglichkeiten: Kurzschaftsysteme: Ein sehr kurzer Schaft überträgt die Kraft
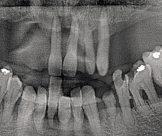
Parodontose stellt eine Volkskrankheit dar und ist häufiger verbreitet als Karies.
Dr Fischer, Zahnarzt mit Tätigkeitsschwerpunkt Implantologie, erläutertdie vielfältigen Behandlungsmöglichkeiten.
Wasversteht man unter Parodontose?
Dr.BerndFischer: Parodontitis stellt eine entzündliche Erkrankung des Zahnhalteapparates dar,meistaufgrund einer übermäßigenBakterienbesiedelung. Dabeierkrankt die Zahnwurzel, das umgebene Zahnfleisch sowie das Zahnfach, in welchem die ZahnwurzelimKnochen befestigtist
Welche Behandlungsmöglichkeiten gibt es?
Dr.Bernd Fischer: Grund sätzlich gilt beider Parodontitis, dass man so früh wie möglich mit der Therapiebeginnen sollte. Das bedeutet,dass durch regelmäßige professio nelle Zahnreinigungen rechtzeitig einübermäßiger Bakterienbefall entfernt wird, bevor
tiefereAnteile des Kieferkno chens zerstörtwerden. Ist die Erkrankung weiter fortgeschritten, wird unter lokaler Betäubung die Zahnfleischtasche gereinigt und dieWurzelober fläche geglättet, und je nach Schweregradauch chirurgisch das Zahnfleisch geöffnet. Bei starker Erkrankung bleibt häufignur noch die Extraktion, d.h dasEntfernendes Zahnes.
Welche Möglichkeiten gibt es nach dem Zahnverlust?
Dr.Bernd Fischer: Dieklassi sche Methode ist, je nach der Anzahl der zu ersetzenden Zähne, ein mehr oder weniger umfangreicher Zahnersatz, von einer Brücke über eine Teilprothese bis zu einer Vollprothese.Amsinnvollsten hat sich der Einsatzvon zahnärztlichen Implantaten erwiesen, da diese wesentlich resistenter gegen Parodontitis sind. Dabei wird anstelle des erkrankten, gezogenen Zahnes ein Implantat (d.h. eine künstliche Zahnwurzel) in den Kieferknochen eingebracht, welches
nach 6-wöchiger Einheilung jede Formvon Zahnersatz tragen kann, von einer Einzelkrone bis zu einer ganzen Prothese.
Wieist diePrognose und Halt barkeit von Implantaten?
Dr.BerndFischer: Die 10-Jahres-Erfolgsquote bei zahnärztlichen Implantaten liegt in meiner Praxis bei über 98 Prozent, egal ob eine Parodontitis-Erkrankung vorlagoder nicht.Bei guter häusli cher Pflege und regelmäßiger Kontrolle durch den Zahnarzt kann man sogar von einer lebenslangen Haltbarkeitmeiner Implantate ausgehen.
bereits im Schenkelhals, welcher erhalten werden kann, auf den Oberschenkelknochen. Eine gute Knochenqualitätisthiersehrwichtig. Gerade bei jüngeren Patienten versprichtman sich mit diesem Modell sehr guteErgebnisseund bei eventuellen Revisionen er leichterteUmstände
Mid-Schaftsysteme: Diesesind die aktuellen „Standard-Prothesen“,welche bereits, wie oben beschrieben, minimalinvasiv eingebrachtwerden können. Sehr guteLangzeitergebnisseund Verwendung in nahezu allen Fällen ist hier möglich. Wir können dieses System durch Auswahl gewisser Prothesenanteile individuell auf den Patientenanpassen. Langschaftsysteme und Revisionssysteme: Diesesind überwiegend der Frakturversorgung und Revisionen nach Komplikationen vorbehalten. Zementierung: Die Schaft- und ggf. auch Pfannenzementierung istein sehr nützliches Hilfsmittel bei Defektsituationen oder auch bei älteren Patientenmit äußerst schlechterKnochenqualität. Hier zeigen aktuelle Studien deutlich, dass eine Zementierung des Schaftes ein niedrigeres Risiko für Knochenbrüche und Lo ckerungen erreichen kann. Eine Pauschalisierung solltehier aber vermieden werden. In der Regel bespreche ich mit den Patienten
ein individualisiertes Vorgehen in der Operation, abhängig vom Knochenbefund und den vorliegenden Röntgenaufnahmen.
Pfannen: Der verbreiteteStandardsind hier die sog. Pressfit Pfannen. Dieselassen sich rein mit Druck im Becken verankern undhabeneineporösaufbereitete Oberfläche.Hier kann der eigene Knochen dann gut einwachsen und eine guteHaltbarkeit und Stabilitäterreichen. FürKomplikationsfälle haben wir die Zementierung oder auch Schalensysteme mit Schraubenfixierung sowie ergänzende Stabilisierungs systeme,sog. „Augmente“, zur Verfügung.
Gleitpaarung: Ein sehr wichtiger Teil der Protheseist die Gleitpaarung.Vonihrhängtofteinefrühzeitige Revision ab.Noch voreinigen Jahren hatteman teilweiseMetallpaarungen implantiert.Heute zeigen sich hier teils dramatische Auswirkungen für den Patienten. VonLockerungen der Implantate und Knochenuntergang, bis Metallvergiftungen. Einen Verschleiß weistjedes Kunstgelenk auf.Die bestenEigenschaften kann hier bei Keramik vorgefunden werden. Allerdings mit dem Risiko, dass bei Keramik-Keramik-Kombinationen ein Bruch der Implantate auftretenkann. Daher istdie zumeist implantierteVariante der Keramik Kopf auf dem Prothesenschaft mit
Dr.med. Tim Klopfer, Facharztfür Orthopädie und Unfallchirurgie sowie spezieller Unfallchirurg.
OC Bayreuth Parsifalstr.5,95445 Bayreuth www.oc-bayreuth.de
Polyethylen-Inlayinder Metallpfanne.DieseKombination weist sowohl für Langlebigkeit als auch für Stabilitätsehr guteWerteauf
Wie und wann entscheidensie, welcheProtheserichtigist?
Eine Vorauswahl geschiehtbereitsinderSprechstundemitdem Patientenanhand der Patienteninformationen und der vorliegenden Röntgenaufnahmen. Vorder Operationerfolgen amComputer noch Planungen anhand eines CAD-Programms. Eventuelle Probleme und die am besten mögliche Prothesekönnen hier bereits sehr präzisegetestet werden. Die Planung dientdann auch als Kontrollmöglichkeit und Abgleich während der Operation.
BAYREUTH. In den Jahren 2020 bis 2022 wurden für die drei einsatzführenden Gemeinschaften im BRK-Kreisverband Bayreuth, sowohl im Katastrophenschutz alsauchimRettungsdienst(Berg rettungsdienstder Bergwacht, Sanitätsdienstder Bereitschaftenund Wasserrettungsdienst der Wasserwacht), elf neue Einsatzfahrzeuge beschafft, die vergangene Woche offiziell gesegnetund in Dienstgestellt wurden.
Die Beschaffungen dienen dem Katastrophenschutz und dem erweiterten Rettungsdienst in Stadt und Landkreis Bayreuth und damit dem Schutz und der Sicherheit der Bevölkerung. Sie werden aber nichtnur regional eingesetzt,sondern auch auf überörtliche Anforderung in Bayern und in den anderen Bundes
WAISCHENFELD Am 12. Oktober um 14 Uhr findetim Sportheim des SV Bavaria in Waischenfeld ein Seniorennachmittag statt. Karin Böhm und Simon Henche vomLandratsamtBayreuth sind zu Gast, um die Wohnberatung und die aufsuchende Seniorenberatung vorzustellen. DieseAngebote unterstützen denWunsch, möglichstlange zu Hausewoh nen zu bleiben. Eingeladen sind alle Interessierten. red
ländern (wie z.B. im Ahrtal) als Teil der Hilfeleistungskontingente auf Regierungsbezirksebene
me für die Ersatz- und Neubeschaffungen der elf Fahrzeuge und eines Abrollbehälters betrug rund 762.000Euro.
BAYREUTH. 16 Schüler der Be rufsfachschule für Notfallsanitäter (BRK-Schulen Rettung) in Bayreuth, erhielten in der vergangenen Woche ihr Examen und feiern den Abschluss ihrer dreijährigen Ausbildung.
Als NotfallsanitäterimRettungsdienstleistendie Absolventenvon nun an einen wichtigen Beitrag für die notfallmedizinische Versorgung und tragen mit
ihrerArbeitzurAufrechterhaltung des gesamtenGesundheitssys tems bei.
Die Notfallsanitäter-Schüler erlernten–ineiner „quasi dualen“Ausbildung alle notwendigen Voraussetzungen zur eigenverantwortlichen Durchführung der notfallmedizinischen Versorgung und den Transport vonPatientinnen und Patienten. red
Fakten-Booster
Gerade in den Herbst- undWintermonatenhaltenwir uns wieder vermehrt in Innenräumen aufund die Ansteckungsgefahrist er höht. Mit dem geänderten Infektionsschutzgesetzsollenvor allem gefährdete Personen besservor einerInfektionmit dem Corona virusgeschütztwerden
Im öffentlichenFernverkehr gilt eine FFP2-Maskenpflicht. Kinderund Jugendlichevon sechsbis einschließlich 13 Jahrensowie das Personal können alternativ auch medizinische Masken(OP-Masken) tragen
Patientinnen undPatientensowieBesucherinnen undBesucher dürfenArztpraxen, Zahn arztpraxen,Dialyseeinrichtungen undweitereEinrichtungen des Gesundheitswesensnur mit FFP2-Maske betreten.
Eine Masken-und Testnachweis pflichtgiltfür den Zutrittzu Krankenhäusern sowievoll- und teilstationären Pflegeeinrichtun genund vergleichbarenEinrich tungen sowiefür Beschäftigte in ambulanten Pflegediensten und vergleichbarenDienstleistern während ihrerTätigkeit.*
Ausnahmen vonder Maskenpflichtsind vorgesehen, wenn dieBehandlung dem Tragen einer Maskeentgegensteht,sowie fürinden jeweiligenEinrichtungen be handelte,betreute, untergebrachte oder gepflegtePersoneninden fürihren dauer haften AufenthaltbestimmtenRäumlich keiten;ferner fürKinder untersechs Jahren, fürPersonen, dieaus medizinischen Grün den keineMasketragenkönnen,sowie für gehörloseund schwerhörige Menschen undPersonen,die mitihnen kommunizieren, sowieihreBegleitpersonen *Behandelte,betreute, untergebrachte oder gepflegtePersonensindzudemvon der Testnachweispflichtausgenommen
DieLänderhaben dieMöglichkeit, je nach Infektionslage in zwei Stufenauf diePandemie entwicklung zu reagieren. Ab dem 1.Oktober können die Landesregierungen in einer ersten StufeweitereMaßnahmen zumSchutzder Bevölkerung undunseres Gesundheitssystems beschließen. Stellt ein Landesparlamenteine konkrete Gefahr fürGesundheitssystem oder kritische Infrastrukturfest,können in dem Land weitereMaßnahmenfestgelegtwerden
Maskenpflicht für ÖPNV, in öffentlich zugänglichen Innenräumen (Restaurants, Bars, Kultur, Freizeit, Sport), in Schulenund sonstigen Ausbildungseinrichtungen für Beschäftigte und Schülerinnen und Schüler ab dem 5. Schuljahr (soweit dies zur Aufrechterhaltung eines geregelten Präsenz Unterrichtsbetriebs erforderlich ist.)
Testpflicht in Schulen, Kitas undanderen Einrichtungen (z.B.Asylbewerberunter künfte,Obdachlosenunterkünfte,Hafteinrichtungen, Heime der Jugendhilfe)
Maskenpflicht auch im Außenbereich,wenn 1,5Meter Abstand nichtmöglich sind Abstandsgebot, Personenobergrenzen beiVeranstaltungen in öffentlich zugänglichen Innenräumen
Hygienekonzepte
„Wir wissennicht,wie sichdie Pandemie im Herbstentwickelt. Aber wirwerden diesmalgut vorbereitetsein.“
Quelle:BMG
Quelle:BMG
Ab dem 1. Oktober2022geltenSie rechtlich alsvollständiggeimpft: nachdreiEinzelimpfungen (die letzte Einzelimpfung mussmindestensdreiMonate nachder zweiten Einzelimpfung erfolgtsein),
Oktober 2022 gelten Sierechtlichals vollständig geimpft:
Ab dem 1. Oktober 2022 gelten Sierechtlichals vollständig geimpft: nachdreiEinzelimpfungen (die letzte Einzelimpfung mussmindestensdreiMonate nachder zweiten Einzelimpfung erfolgtsein),
nachzweiEinzelimpfungen: plus positivemAntikörpertest vorder ersten Impfung oder plus einer mittels PCR-Test nachgewiesenen SARS-CoV-2-Infektionvor der zweiten Impfung oder plus einermittels PCR-Test nachgewiese nen SARS-CoV-2-Infektion nach der zweiten Impfung; seit derTestung müssen28Tagevergangen sein
Gutzuwissen nachzweiEinzelimpfungen: plus positivemAntikörpertest vorder ersten Impfung oder plus einer mittels PCR-Test nachgewiesenen SARS-CoV-2-Infektionvor der zweiten Impfung oder plus einermittels PCR-Test nachgewiese nen SARS-CoV-2-Infektion nach der zweiten Impfung; seit derTestung müssen28Tagevergangen sein
BAYREUTH. DerBasketball-Bundesligistmedi Bayreuth istbereits in die Spielzeit 2022/23gestar tet. Mit vielen Änderungen und Neuzugängen hatmedi Bayreuth bereits zwei Spiele absolviert Auffällig am neuen Team ist, dass es nicht nur einen neuen Trainer, Lars Masell, gibt, sondern auch die Spieler allesamtsehr jung sind. Doch das istkein Zufall: „Wir sind davonüberzeugt,das Team kann das Potenzial aufsParkett bringen, das in ihm schlummert Die Spieler sind bis in die Haar spitzen motiviert und wollen mit ihrer Spielart das Publikum begeistern“, so medi-GeschäftsführerJohannes Feuerpfeil. Auch Lars Masell freut sich auf seine neuen Aufgaben. Er istinBay reuth kein Unbekannter–denn von2016bis 2021 warerbereits als Co-Trainer vonRaoul Korner mit dabei. Somit kennterdas Umfeld und die Trainingsbedingungen. Positiv:Lars Masell hat
bereits als Jugendtrainer Erfahrungen mit jungen Spielern sammeln können, weshalb das Team der Saison 2022/23wie auf ihn zugeschnittenist.Aus der vorherigen Saison sind zwei Spieler mit an Bord :Bastian Doreth, als Kapitän, der nun bereits in seine achte Saison startet.Und Kay Bruhnke, der 2,03-Meter-Youngster, der besonders für seine Treffsicher heit bekanntist
Kapitän Bastian Dorethist begeistert vomneuen Team: „Wir werden vonTag zu Tagbesser Vorallem in der Detailarbeit machen wir Fortschritte.Inden ers tenbeiden Spielen konntenwir unseren Gameplan jeweils über weitePhasen rechtgut umsetzen und hatten jetzt in Oldenburgvor allem zwei defensiv extrem gute Viertel. Natürlich wardie knappe Niederlage in Oldenburgbitter, aber im Endeffektist sienur ein Kapitel in unserem gesamten Lernprozess. Die Identitätdieser Mannschaft sind die Verteidigung und das Herz,mit dem wir in jeder Partie kämpfen. In der Defensive müssen wir aber noch einen Schrittnach vorne tun und eben
unsereteils sehr guten Verteidigungs-Sequenzen ganz bis zum Ende durchspielen, nämlich bis wir eben mit dem Rebound dann auch den Ball zurückbekommen. Insgesamtaber siehtman, dass wir als Mannschaft besser werden, dass jeder Spieler sich im Team weiterentwickelt –und damitbinichsehrzufrieden.“ jm
Sa., 08.10.22 medi bayreuth :Veolia Towers Hamburg(18 Uhr)
So., 23.10.22medi bayreuth :HAKRO Merlins Crailsheim (15Uhr)
Sa., 29.10.22 ratiopharm ulm :medi bayreuth (18Uhr)
So., 06.11.22 FC Bayern München :medi bayreuth (18Uhr)
Sa., 19.11.22medi bayreuth :LöwenBraunschweig (20:30 Uhr)
Sa 26.11.22 SYNTAINICS MBC:medi bayreuth (18Uhr)
Sa 10.12.22 ALBA BERLIN :medi bayreuth (20:30 Uhr)
So 18.12.22 NINERS Chemnitz :medi bayreuth (15Uhr)
Mo., 26.12.22medi bayreuth :Brose Bamberg(20:30 Uhr)
Do., 29.12.22medi bayreuth :BGGöttingen (19Uhr)
Di., 03.01.23 MHP RIESEN :medi bayreuth (20:30 Uhr)
So., 08.01.23 medi bayreuth :WürzburgBaskets(15 Uhr)
So., 15.01.23 MLP AcademicsHeidelberg:medi bayreuth (15Uhr)
Fr., 20.01.23 medi bayreuth: Rostock Seawolves (20:30 Uhr)
So., 29.01.23 medi bayreuth: Telekom BasketsBonn (15Uhr)
Di., 31.01.23 BG Göttingen :medi bayreuth
So., 05.02.23 medi bayreuth :ratiopharm ulm
Sa 11.02.23 Veolia Towers Hamburg:medi bayreuth
Di., 14.02.23 medi bayreuth :MHP RIESEN Ludwigsburg
Sa., 04.03.23 HAKRO Merlins Crailsheim :medi bayreuth
So., 12.03.23 medi bayreuth :FCBayern München
Fr., 17.03.23 WürzburgBaskets:medi bayreuth
Fr., 24.03.23 medi bayreuth :EWE BasketsOldenburg
So., 02.04.23 medi bayreuth :SYNTAINICS MBC
Sa 08.04.23 Basketball LöwenBraunschweig :medi bayreuth
Sa 15.04.23 Telekom BasketsBonn:medi bayreuth
Di., 18.04.23 medi bayreuth :NINERS Chemnitz
Angaben ohne Gewähr.Spielzeiten können abweichen.
mistisch in die neue Saison: „Wir setzen auf die Stimmung der Fans in dieser Saison. Ganz wie in alten Zeiten soll es wieder in der Oberfrankenhalle werden. Unser junges Team kann unsereFans im Rücken gut als Unterstützung gebrauchen. Denn schließlich hilft eine guteStimmung auch den Spielern.“ Auch Maskottchen Ri chie soll in dieser Saison wieder mit vonder Partie sein. Bisher wurde allerdings noch kein An wärter gefunden, der in dieser Saison in das Kostüm vonRichie schlüpft
Die Fans dürfen sich unab hängig davonauf eine neue und spannende Saison 2022/23 freuen. jm
BAYREUTH. Ein neu aufgestelltes Team, ein fast komplett neuer Ka der –ausgenommen Bastian Dor ethund Kay Bruhnke. Einjunges hungriges Team mit viel Talentund Potenzial –das sich gegenseitig fördern und nach vorne bringen soll. Eine spannende Saison war tetauf die Spieler,in der sie ihre Stärken voll ausschöpfenkönnen.
Dassind die Neuen im medi Bayreuth Basketball-Team für die Saison 2022/23: Fotos: Thorsten Ochs
BAYREUTH. Die Basketball-Bun desliga ordnetseit dieser Saison die Tabelle neu. Neu ist, dassdie gewonnenen Spiele prozentual zu den ausgetragenen Spielen dar gestellt werden. DasZiel der BBL „Dass die Tabelle künftig zu jedem Saisonzeitpunktein aussagekräf
tiges Bild liefern soll“, wie Jens Staudenmayer, Sportlicher Leiter der easyCredit BBL,anküdigt.Mit der Neuregelung sollen die Leis tungen aller Teams gleich gewich tetwerden –unabhängig davon, ob Mannschaften Nachholspiele absolvieren müssen oder Spiele
vorverlegt werden.Eine weitere Neuerung: Coaches dürfen ein Mal proSpiel eine Entscheidung der Schiedsrichterper Videobe weisüberprüfenlassen(„Coaches Challenge“). Damit sollen „Trans parenzundGerechtigkeit“ forciert werden. red
Shooting Guard
Spenglerei
Rolle des Maskottchens bei den Basketballern derzeit unbesetzt
BAYREUTH. Die BasketballSaison 2022/23hat begonnen. Die erstenbeiden Spiele hatmedi Bayreuth bereits hintersich. Be sonders spannend ging es beim Heimauftakt gegen die FRA PORT Skyliners aus Frankfurt zu. Erstmit der letzten Aktion des Spiels warder Bayreuther Sieg in trockenen Tüchern.
DasPublikum warerleichtert und hatgejubelt.Einer,der wohl am meistenmitgegangen wäre, istMaskottchen Richie
Nur: ZumSaisonstart war noch kein Sportfangefunden, der bei den medi-Heimspielen der Saison in Richies Kostüm steigt Bereits Anfang September hatte medi öffentlich aufgerufen, potenzielle Richies mögen sich beim Verein melden. Selbstder virtuelle Richie meldete sich auf Face-
book und fragteandie medi-Fans gerichtet: „Kannstdumir wieder Leben einhauchen?“
Die Sonntagszeitung hatbei medi nach dem Anforderungs profilgefragt Wichtigist,jemanden zu haben, der konstant bei allen Heimspielen der Saison verfügbar ist“, sagt Pressesprecher SvenAmmon. Die Spiele finden in der Regel am Wochenende oder auch mal an Feiertagen statt.
„Das muss nichteine einzige Personsein. Auch eine Aufgabenteilung zweier Publikumsanheizer istmöglich.“ Man seizwarnahe an der Mannschaft dran undder Job sollteauch Spaß machen, dennoch seieranstrengend.
„Man schwitzt schon ordentlich im Kostüm. Eine gewissekörperliche Fitness solltealsovorhanden sein“, so Sven Ammon. Er be-
schreibt, waseinen guten Richie ausmacht: „Man posiert gerne für Fotosmit den Fans. Auch mit denen des Gegners, wenn die das wünschen. Während des Spiels interagiert Richie vorallem mit Fans, aber auch mit Spielern. „Richie istein fairer Sportsmann und verbreitet deshalb auch nur guteStimmung und weiß sich zu benehmen.“
Und sollten sich ein oder zwei Sportinteressierteals passende Richie-Besetzung herauskristallisieren, dann könntenauch Spiele wie das gegen Frankfurt,früher zu Gunstenvon medi entschieden sein. jle
BAYREUTH. Der BBCBayreuth und die Diakonie möchtenKindern vonklein auf die Freude am Basketball vermitteln. Kinder gärten in Bayreuth und Umgebung werden deshalb mit Bas ketballkörben ausgestattet.Der erste Basketballkorb wurde am Donnerstag, 29.September,im Diakonie-Kindergarten „Schloss bande“inLaineck aufgestellt
Tags drauf wurde er vonBas ketballern erstmals bespielt –von großen und kleinen gleichermaßen. Initiiert wurde die Idee von Alexis Karypidis, Vizepräsident des BBCBayreuth.
Die Diakonie Bayreuth sitzt als Partner mit im Boot.Gemeinsamhaben sie erstmals eine solche Idee in Bayern realisiert
Kitas in Bayreuth erhalten Basketballkörbe
Neu ist„Die unendliche Geschichte“von BBCund Diakonie in Bayreuth nicht. Bereits im Herbstletzten Jahres wurde die Ideevorgestellt.Dannkamjedoch Corona dazwischen und das Projektruhte vorerst. Am Freitag, 30 September,wurde die nächste Seiteaufgeschlagen. Nun steht der erste Korb
„Wir wollen Kinder spielerisch an Basketball heranführen. Der Spaß am Spiel und die Bewe gung stehen im Vordergrund“, sagt Alexis Karypidis. Sieben Kindertagesstätten in Trägerschaft der Diakonie werden derzeit mit
Basketballkörben ausgestattet, weiteresollen perspektivisch folgen. Die Höhe der Körbe istvoll auf die Größeder Kleinen ausgerichtet. Ring und Reusekönnen auf einer Höhe von3,05Meter eongestellt werden, wie bei den Profis, müssen es aber nicht. „Bis auf 2,30 Meterkönnen die Körbe herabgesenktwerden“, sagt Mar tin Kerner,weiterer BBC-Vizepräsidentbei der Präsentation, als er den ausgestrecktenArm an den Ring hochhält
BBCBayreuth und Diakonie unterstützen Kitas Bastian Doreth, Kapitän vonmedi Bayreuth, istebenfalls angetan vonder Idee: „Die Körbe können genau auf die richtige Höhe herabgesenktwerden. So werden nichtnur Kraftund Koordination beim Wurf geschult,sondern es stellen sich auch schnell Er folgserlebnisseinFormvon Tref fern ein.“
Dann spielt er auch schon mit drei Kindern weiter.Diakonie-Vorstand Dr.Franz Sedlak freut sich, dabei zu sein: „Esist ein tolles Spiel an der frischen Luft.Basketball passtideal ins pädagogische Bewegungsprogramm unserer Kindertagesstätten. Wir bedankenuns bei den Sponsoren, die die erstensieben Körbe finanziert haben.“
Zu den Sponsoren gehört unteranderem der gemeinnützige Verein „Wir helfen in Bayreuth e.V.
der Sonntagszeitung. Sponsor bei der Lainecker Kita „Schloss bande“war Stefanie Englert von Luitpold Immobilien.: „Gerade nach und während Corona wollen wir das gemeinsame Spielen von Kindern unterstützen.“
Soziale Kompetenz bei Kindern durch Basketball fördern Eine spielerische Anleitung zum Basketball soll und wirdesauch geben.
Alexis Karypidis kündigt an: „Wir wollen regelmäßig mit unserenJugendtrainern die Kinder tageseinrichtungen besuchen und altersgerechttrainieren. Werfen, dribbeln, alles wasSpaß macht, isterlaubt.
Schwerpunktmäßig richtet sich „Die unendliche Geschichte“ vonBBC Bayreuth und Diakonie an Drei- bis Fünfjährige.Und spielerisch sollen auch soziale Kompetenzen vermittelt werden. „Teamfähigkeit,Respekt, Rück sichtauf andere“,zählt Karypidis aus. „Wer einen Ball zum Mitspieler passt, wirdschnell lernen, dass man gemeinsam Erfolg haben kann“, isterüberzeugt
Und ganz nebenbei wurde mit seinem solchen ProjektinBayern erstmals eine Premiereauf die Beine gestellt
„Bisher gab es keine Zusammenarbeit dieser Art vonSport vereinen und Kita-Trägern“, sagt Karypidis. Dashat sich in Bayreuth nun geändert jle
Cornet kommt aus Mut rland s, Kanada Seine ist jedoch Franko-
die Bayreuth Tigers. Es i nicht seine Station als
Bei den wurde
Philippe Cornetkommt aus dem Mutterland des Eishockeys, aus Kanada.Seine aktuelle Heima istjedoch Bayreuth. Seit Beginn der Saison schnürt der Frank Kanadier seine Schlittschuhe für die Bayreuth Tigers. Es nichtseine erste Stationa Eishockey-Profi in Deutschland. Beiden Kassel Huskies wur er 2020 durch die Corona-Pandemie jäh gebremst. Dass dieses Mal anders werden.
Das soll habe
Corneterinnert sich genau an seine erstenTageinBay reuth zurück: „Am7.Augustbin ich hier angekommen“. Zuvor haterin Finnland gespielt –bis vorletztes Jahr gemeinsam mit seinem jetzigen Mitspieler Petteri Nikkilä auf dem Eis. „Wir haben uns mit einem Shakehands gefreut,uns wieder zu sehen“, berichteter. „In
hnung
gelebt, während er in Kouvola gespielt hat. Ich habe ihm als erstes versichert,dass mit seiner Bude alles in Ordnung istund ich mit der Einrichtung pfleglich umgegangen bin“, sagt Cornetlachend.
Cornetwurde zum Start in sein Bayreuther Leben vonseiner finnischen Freundin Helmi begleitet. „Wir haben im Augustdreitolle Wochen gemeinsam in Bayreuth verbracht“. Helmi, die aus Helsinki
t, erz bildung in Lappeenranta,einer Kleinstadt nahe der russischen Grenze. „Eines meiner bisher überschaubaren Bayreuth-Er lebnissewar,als Helmi und ich einfach ins Auto gestiegen und losgefahren sind, um die Gegend kennenzulernen. Ohne Ziel, ohne Navi. Wir hatten viel Spaß.“
Philippe Cornetfreut sich auf die deutschen Weihnachts märkte
Worauf Cornetgespanntist,sind diedeutschen Weihnachtsmärk te.„Ich habe schon gehört,dass sie toll sein sollen, aber sie noch nichtselbstgesehen. Wenn Helmi im Dezember wiederkommt, wollen wir auf den Weihnachts märkteninBayreuth und NürnbergGlühwein trinken.“ Und Schloss Neuschwanstein wollen die beiden dann auch noch besuchen. jle
Liebe Leserinnen, liebe Leser, der Herbstist da –Zeitder Ernte Fürmich ein Grund, über die Ver schiedenheit in Gottes Garten zu staunen. Fürmanche Sorten im Garten wares ein gutes Jahr,die Trockenheit hatnichtgeschadet. Vielleichthat Gießen mit dem Übermaß an Sonne für ein Re kordergebnis gesorgt.Andere Pflanzen hatten es schwer, sie warenstark im Frühling gestar tetund dann hatihnen die Hitze schaffen gemacht. Gleich ist, wie erstaunlich, unterschiedlich Welt und Natur sind.
Der Monatsspruch vom Oktober 2022 passtgut: „Groß und wunderbar sind deine Ta ten, Herr und Gott,duHerrscher über die ganzeSchöpfung. Ge rechtund zuverlässig sind deine Wege,duKönig der Völker“(Of fenbarung des Johannes 15,3). Die Welt istgroßund die Größe
Gottes spiegelt sich in ihr.Das gilt nichtnur für Pflanzen, sondern auch für die bunte Schar der Kir chen. Nie wurde mir das so deut lich wie bei der vergangenen 11. Vollversammlung des Ökumeni schen Ratesder Kirchen (ÖRK).
Als Ökumenebeauftragter des DekanatsbezirksBayreuth-Bad Berneck durfte ich teilweise dabei sein und Eindrückesam meln vondiesem Treffen von Vertreterinnen und Vertretern verschiedener Kirchen aus aller Welt –580 Mio.Mitglieder aus 352 Mitgliedskirchen, darunter großeKirchen wie die russischorthodoxe mitca. 110 Mio.Mit gliedern oder kleine Kirchen wie die Evangelisch-Lutherische Kir che in Jordanien und im Heiligen Land mit ca.2.000 Mitgliedern. Sie kommen aus den verschie denen Konfessionen und Win keln der Erde,von orthodoxen
Thomaschristenaus Indien, über brasilianische Pfingstler,bis zu bayerischen Lutheranern. Alle erzählen unterschiedliche Ge schichten, vonWachstum trotz bittererArmut,vom Klimawan del mit untergehenden Pazifi kinseln und vonKriegen vorder Haustür.Aber gemeinsam ist, dass sie die Begegnung unter einander suchen. Denn längst istuns bewusst: Es gibtnur eine Schöpfung Gottes und die Welt hängt zusammen. Sie istemp findlich. Wenn wir in Bayreuth Öl aus dem Irak verbrennen, kann das den Meerespiegel in Fidschi verändern. Es kann ein Krieg in der Ukraine Menschen nach Deutschland vertreiben und zu gleich in Äthiopien die Preisefür Brot durch dieDeckeschießen lassen.
Washilftnun?Wie können wir in dieser immer mehr kom
BAYREUTH. Der evangelische PfarrerHannes Schott und So zialpädagoge Stefan Haußner präsentieren als„Zammgebicht“ Bleedsinn mit Tiefgang –und dasseit15Jahren.FürdiesesJu biläumwerden„Zammgebicht ein besonderes Feuerwerk mit
einer Mischung aus leichter Museund tiefenGedanken mit Sinn für Unsinnabzünden, das in Bayreuth und Umgebung sei nesgleichen sucht. Sa., So., 22., 23.Oktober, Bechersaal, Tickets: Theater kasse. Text +Foto: red
plexenWelt leben?Die Antwort des ÖRK istsoeinfach wie ein leuchtend: „Der erste Schritt solltesein: Lernteuch kennen und redetmiteinander!“ In Karls ruhe haben wir gemeinsame Andachtenund Gottesdienste mit Menschen aus aller Welt ge feiert.Wir zeigten, wasuns und unseren Glauben ausmachtund kamen ins Gespräch. Wir sind verschieden und das darf so sein. Unterschiede sollen uns nichtdavon abhalten, einander geschwisterlich zu begegnen. Dazu gehört ganz elementar die Begegnung. Wasweltweit wich tig ist, soll auch bei uns erfahrbar sein. In Bayreuth haben wir den Drei-Kirchen-Pfadunserer Ar beitsgemeinschaft christlicher Kirchen heute, 09.Oktober, ab 14 Uhr durch drei ganz verschie dene Gotteshäuser.Gemeinsam mit Christinnen und Christenaus
verschiedenen Bayreuther Ge meinden spazieren wir in ökume nischer Verbundenheit.Von der evangelisch-lutherischen Chris tuskirche (Nibelungenstr.2)an der Neuapostolischen Gemein de vorbei gehteszur römischkatholischen Schlosskirche und enden gegen 17 Uhr.Herzliche Einladung dazu an alle Bay reutherinnen und Bayreuther, sich gegenseitig kennenzuler nen, einander wiederzusehen und Neues zu entdecken. Wir,er leben, wasimmer wichtiger wird. Es kann und soll nur gemeinsam gehen. Wir leben in dem einen Garten Gottes, den wir bebau en und bewahren. Wir lernen einander kennen und hören, welche Geschichte Gott mit uns schreibt. Wir erhalten neue Pers pektiven und andereBlickwinkel. So wie die Menschen, die in der Offenbarung des Johannes das
Lied singen, aus dem der Monats spruch stammt. Denn sie haben verstanden, dass Gott in der Ge schichte handelt.Und dann stim men wir staunend ein in das Lob Gottes: Groß und wunderbar sind deine Taten.
Ihr Stadtkirchenpfarrer Carsten Brall
BINDLACH. Kaufen,Staunen, ProbierenundErleben:Zahlreiche Ausstellerinnenund Aussteller präsentieren beim Künstler-und Kreativmarktein vielfältiges und kreatives Angebot,wie schöne Dinge aus Holzund Keramik, origi nelleStücke für Hausund Garten, Töpferarbeiten, Schmuck,Selbst genähtesfür Groß und Klein,
Herbstdeko, aberauch vielWeih nachtliches, Kränzeund Geste cke, Kunstdrucke, Naturprodukte, Upcycling,Biobrote, Aufstriche, Erlesenes und vieles mehr. Kuli narisches Angebot:Kaffee,haus gebackener Kuchen, fränkische Bratwurst. So., 06.11.,Bärenhalle, Eintritt:3Euro, Kinder bis 12 Jah re frei. Text +Foto: red
Lassen Sie sich in unserem Showroom von den neuesten Stofftrends inspirieren, werfen Sie einen Blick in unser Factory Outlet und profitieren Sie in der Verkaufshalle von tollen Angeboten!
Eine große Auswahl an schönen Heimtextilien und 1B Bezugsstoffen, hochwertige Restposten und ausgesuchte Muster-Kollektionen...
Entdecken Sie Lieblingsstoffe, mit denen Sie Ihr Zuhause noch ein bisschen schöner machen. Nach Ihrer Shopping-Tour warten fränkische Spezialitäten auf Sie!
Pfarrer Dr.Carsten Brall Foto: AltkoferDas Mekka für alle Freunde vonMotorrädern und E-Bikes ist die Firma PEPA-Bikesim Gewerbegebiet am Pfaffenfleck.Seitüber 20 Jahren ist die Firma mit ihren beiden Chefs Martin Petzold und Ma rioPawelzik Vertragshändler für diebekannte Motorradmar ke KTM und nun auch offizielle Vertretung fürMotorräder und E-Bikesder Marke GASGAS, die seitnochnicht allzu langer Zeit zumKTM-Konzern gehört.
Im Sortiment ist eine große Auswahl an Trial-, Enduro- und MotoCross-Motorrädern.
Die angebotenen E-Bikes aller Segmente sind eine perfekte Ergänzung zum bestehenden Motorrad-Sortiment.
Doris Benker-Roth kämpft seit 1985 als Rechtsanwältin leidenschaftlich für ihre Mandanten. Seit August 1986 war sie selbstständig in einer Kanzlei in der Carl-Schüller-Straße tätig, seit 1. Juli 2021 hat sie ihre neue Kanzlei in modernen Räumlichkeiten am Pfaffenfleck 7. Ihre Tätigkeitsschwerpunkte sind Arbeits- und Sozialrecht sowie Straf- und Bußgeldrecht. Interessensschwerpunkte sind Familienrecht sowie Straßenverkehrs- und Straßenverkehrsopferrecht. Kostenlose Parkplätze befinden sich direkt vor dem Haus.
Town &Country-Haus steht für energiesparende Massivhäuser mit einem optimalen Preis-Leistungsverhältnis.
Jedes Massivhaus wird mit hochwertigen Markenproduk ten gebaut. Dank garantierter Bauzeit, Festpreisgarantie und unserem umfangreichen Haus bau-Schutzbrief genießen un sere Bauherren ein hohes Maß an Sicherheit vor, während und nach dem Bau.
Über 40 Massivhaus-Typen mit unzähligen Varianten ste hen zur Auswahl: ob klassisch, urban oder elegant. Seit 2007 ist Town &Country-Haus am Pfaffenfleck vertreten.
Am Pfaffenfleck 13 95448 Bayreuth Telefon 0921 /5166471 info@pepa-bikes.de www.pepa-bikes.de
MR Metallbau GmbH &Co. KG istein deutschlandweiter Produzent und Lieferant für Produkte und Dienstleistungen in den Be reichen Stahl- und Metallbau, Anlagenbau, technische Ausrüstung vonBiogasanlagen, Metallgestaltung in Edelstahl und Stahl sowie Zerspanung. Dasmittelständische nach DIN EN 1090 zertifizierteUnternehmen, arbeitet seit mehr als 35 Jahren schnell und kompetent Ziel ist, alle Kunden vonAnfang an umfassend zu beraten und qualitativ hochwertige,zuverlässige Ar beit zu leisten. Alle Mitarbeiter sind bestens ausgebildet. Die Werkstatt istmodern und professionell aus gestattet,umindividuelle Lösungen anbietenzukönnen. Besuchen Sie auchdenAusstellungsraum. Wir sind ein vomTÜV Süd geprüfter „Fachbetrieb nach WHG“(Wasser haushaltsgesetz).
Doris Benker-Roth Am Pfaffenfleck 7 95448 Bayreuth Telefon 0921 /22068 kanzlei.benker-roth@t-online.de
Seit über 85 Jahren haben wir uns dem Handwerk, der Autosattlerei und Planenfabrikation verschrieben und sind stolz darauf, diese Tradition aufrecht zu erhalten.
Die Sitze Ihres Autos oder Rollers sind defekt? Kommen Sie zu uns, wir reparieren mit viel Erfahrung und in Handarbeit.
Auch kümmern wir uns um die Reparatur und Neuanfertigung von Verdecken für Cabrios, Boote und jede Art von Nutzfahrzeugen.
Sie benötigen eine Plane für Ihre Terrasse oder Pergola? Wir bieten Lösungen maßangefertigt nach Ihren Wünschen.
KonzeptBau GmbH Jenhaus GmbH
Niederlassung Bayreuth
Am Pfaffenfleck 7 95448 Bayreuth Tel.: 0921 -150 39 38 E-Mail: daniela.weidlich-tc@web.de
BAYREUTH. Das GewerbegebietPfaffenfleck-Süd liegt im südöstlichen Teil vonBayreuth und istdurch seine direkte Lage zur A9,zur B85, zur Nürnberger Straße Richtung Oberkonnersreuth und zur Innenstadt Bayreuth gut verknüpft Oberkonnersreuth bietetvor allem auch für Familien guteWohnbedingungen –so istdie Kombination zwischen Wohnen und Arbeiten gegeben.
Im Gewerbegebietbefinden sich verschiedene Dienstleister, Autohäuser,Ser vicecenterfür Motorräder und E-Bikes sowie Handwerksbetriebe.Auch ein Nahversor gungszentrum mit Lebensmittel- und Drogeriebedarf findetsich in unmittelbarer Nähe DasGewerbegebietexistiert seit 1989und hatsich seitdem stetig weiterentwickelt.Vor allem die direkte Verbindung zur A9 spielt eine wichtige Rolle.Die Neugestaltung der Anschlussstelle Bayreuth-Süd ermöglicht den direktenZugang zur Autobahn und kommtsoauch dem Gewerbegebietzu Gute.
red/Foto: Stefan Dörfler
BAYREUTH. Nichtjeder Hobby gärtner besitzt ein parkähnliches Grundstück.Aber auch auf klei neren Flächen lassen sich grü ne Träume verwirklichen -eine durchdachte Planung und Krea tivitätbei der Gestaltung voraus gesetzt.Mit den richtigen Tipps und Trickskommen kleine Gärten optisch ganz groß raus und ver mitteln die Behaglichkeit einer blühenden Oase
In einem erstenSchrittkann man die Fläche optisch größer wirken lassen. Fürdiesen Effektsollten Gartenbesitzer allzu geradlinige starreAchsen durchbrechen, in dem sie die vorhandene Fläche mit mehreren kleinen Elementen strukturieren. Zusätzliche Sicht achsen, geschwungene Wege und auf-lockernde Pflanzinseln erhöhen die Wirkung. Auch den dreidimensionalen Bereich kön nen sich Gartenbesitzer zunutze machen, leichte Aufschüttungen etwa vermitteln ein Gefühl von HöheundTiefe.Wichtigistzudem die Wahl der passenden Bepflan zung: Solitärpflanzen sind für klei nereGärten gut geeignet, auch säulenförmige,schmale Bäume wie Säulenbuche,Säulen-Hain buche oder Säulen-Zierkirsche machen in kleinen Gärten eine guteFigur.Sie verleihen der Flä che mehr Struktur,ohne selbstzu viel Platz zu beanspruchen. Nicht
zuletzt hatdie Farbwahl großen Einfluss auf die optische Vergrö ßerung: So vermitteln etwa blaue Blüten mehr räumliche Tiefe, die Farbkombination Weiß, Blau, Rosa harmoniert sehr gut mitein ander und setzt lichte Akzente
In Zeiten, in denen sich Leben und Arbeit zunehmend nach Hause verlagern, gewinntder eigene Garten an Bedeutung. Terrassen werden zum Outdoor-Wohn zimmer und das Garten-Office ermöglichtdas Arbeiten im Frei en. Besonders im Trend liegen Outdoorküchen, die zu Grillpar tysund Kochen einladen. Und auch der Urlaub zu Hausemacht
mehr Spaß, wenn der Garten ein schönes Ambiente ausstrahlt Wie ein Garten wirkt, hängt un teranderem vonden Materialien für die Terrassen und Wege ab Seit vielen tausend Jahren ha ben sich hier aus Tongebrannte Pflasterklinker bewährt,die nicht nur natürlich schön, sondern auch unempfindlich und langlebig sind. DasNaturproduktbietetmit seiner Vielfalt an Farben, Forma tenund Verlegemustern nahezu unbegrenzteGestaltungsmög lichkeiten und punktetmit hervor ragenden Produkteigenschaften.
Die richtige Überdachung Nichtimmer hält der heimische Sommer das, waserverspricht. Kühle Winde oder ein über raschender Regenguss können die Pläne für einen gemütlichen Spielenachmittag auf der Terras se oder für eine Grillparty zunich temachen. Gefragt istin diesen Fällen ein solider Unterschlupf. Eine festeBedachung des Out door-Wohnzimmers schützt vor den Launen der Witterung, die Terrasselässtsich somit noch vielfältiger und variabler nutzen. Praktisch sind dabei Glasdä
cher,dasie den Lichteinfall und den Ausblick in die Natur und in den Himmel nichtverbauen. Möglich istüber das Glasdach eine Stoffmarkisezuziehen, die individuell ausgefahren werden kann. So hatman gleichzeitig noch einen Sonnenschutz an heißen Tagen. akz /djd