

![]()




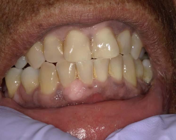
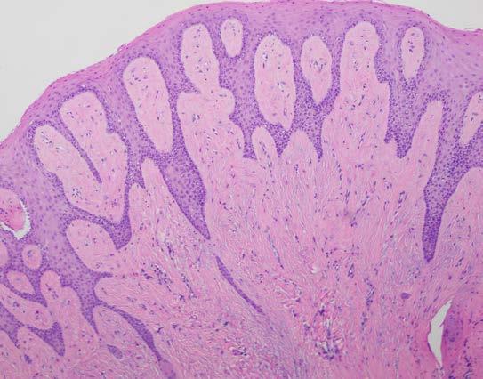
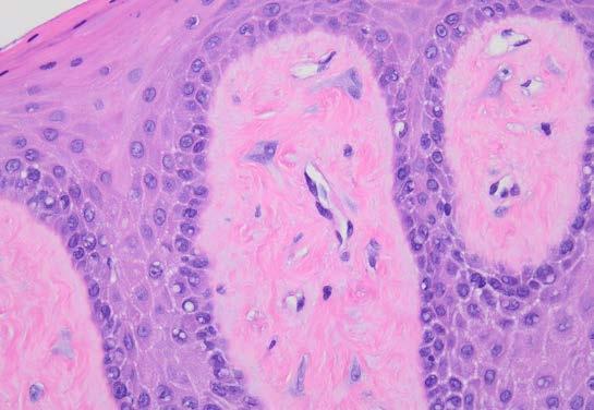
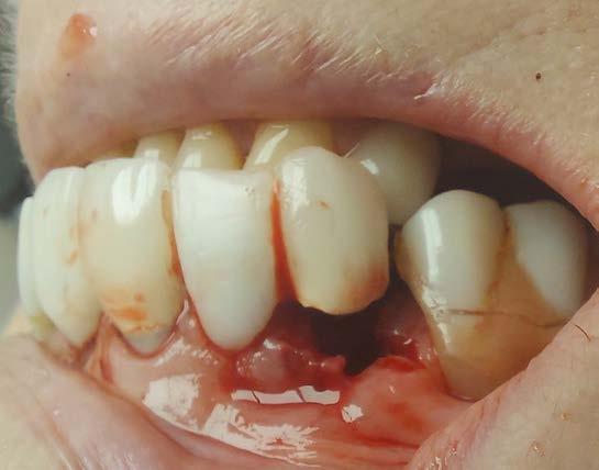
Cover: It’s a tricky situation. Patient with partial denture
Victoria L. Scarpa, D.D.S., M.S.; Yussra O. Mahmud, M.P.H., B.S.; Daria Vasilyeva, D.D.S., Ph.D.
Authors present case of giant cell fibroma that mimicked a squamous papilloma, an easy assumption based on clinical features, to provide general practitioners with valuable diagnostic information.
John S. Mamoun, D.M.D.
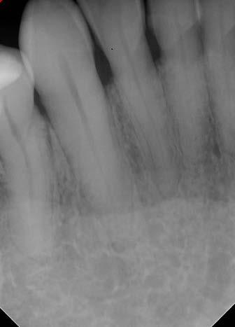
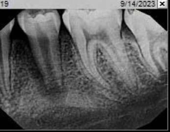
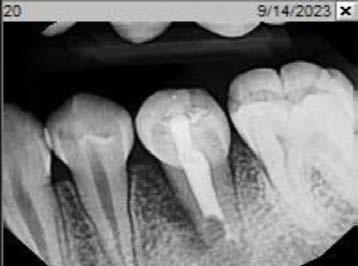
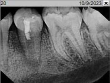
Technique for extracting tooth or root tip from underneath fixed partial denture emphasizes use of magnification from dental loupes or dental surgical operating microscope for precision when performing technique-sensitive procedure. Case report.
Jake Horowitz, D.D.S.; Prashant Sukhani, D.M.D.; Aaron Brandwein, D.D.S.; James Sconzo, D.M.D.
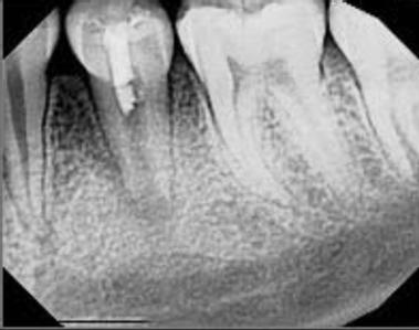
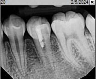
Employing revascularization by infiltrating stem cells from apical papilla and using them to treat immature necrotic tooth with periapical infection promotes root development and reduces fracture risk. Case report.







Trusted Partners. Proven Value. Member-Only Discounts Designed for You.
Did you knowthat as a valued NYSDA member, you have access to exclusive discountsfrom companies that have been vetted and endorsed to meet the unique needs of dental professionals? Explore your member discounts today and start taking advantage of the savings you've already earned!
A malpractice lawsuit against a MLMIC-insured orthodontist highlights one of the most critical risk management lessons: how poor recordkeeping can turn a simple case into a costly settlement. Despite experts finding little clinical merit in the patient's claims, incomplete records, undocumented treat-ment plan changes, and a lack of written informed consent made the case nearly impossible to defend. You can read the full case study here.


Patients want quick answers-day or night. New Al Chat from NYSDA-endorsed ProSites instantly responds using your practice's own website content, captures new appointments after hours, and hands off to staff when needed. It's built specifically for dental practices, making it a simple way to save time and convert more website visitors into patients.



The opportunity to capture more revenue during the appointment may be right at your fingertips.
Imagine how your fee and payment conversation would change if you knew which patients on the schedule already had a way to pay with the CareCredit credit card. CareCredit is now integrated into 90%+ of dental practice management software. One of the features is the ability to see which patients on the schedule:
• Already have a CareCredit credit card and available credit
• Are preapproved for a CareCredit credit card The easy financing solution is the one patients already have. Click for more information about CareCredit integrations and your custom QR code that enables patients to learn about and see if they prequalify for a CareCredit credit card privately using their smart device.





















































































































