
1 minute read
Snublefot: Epidermoid metaplasi/leukoplaki i øsofagus
from NGF-Nytt 3/20
by WebPress
Epidermoid metaplasi/ leukoplaki i øsofagus
Tekst/bilde: Tom Andre Pedersen
Advertisement
Pasienten var en mann i midten av 70-årene som ble henvist til gastroskopi på grunn av dysfagi gjennom flere år. Fra før hadde han oral lichen planus og hadde blitt operert for dysplasi på tungen. Han var tidligere røyker, hadde hatt et moderat alkoholkonsum og brukte Nexium fast.
Figur 1: Proksimalt, 25 cm fra tannrekken

Ved gastroskopi så man allerede ved 25 cm fra tannrekken skarp overgang fra normalt utseende slimhinne til hvitlige forandringer med brosteinsrelieff. Gjentatte biopsier fra disse områdene viste betennelse, fokal parakeratose og hypergranulose med hyperkeratose, forenlig med epidermoid metaplasi. Det har ikke blitt påvist dysplasi eller malignitet. CT thorax var uten malignitetssuspekte funn.
Oral leukoplaki er relativt vanlig, men øsofageal leukoplaki/epidermoid metaplasi er en sjelden tilstand. Risikofaktorer for utvikling av leukoplaki er røyk og alkohol. Leukoplaki er et klinisk begrep brukt for å beskrive en hvit flekk eller et plakk som ikke kan gnis bort fra slimhinner, og som histologisk korresponderer med områder med hyperkeratose.
Gjennomsnittsalder ved påvisning av øsofageal leukoplaki var i en artikkel 61,5 år, med en liten overvekt av kvinner (1). De fleste har forandringen i midtre og distale del av øsofagus. Disse pasientene har litt økt risiko for å utvikle dysplasi og karsinom, og bør derfor følges med regelmessige gastroskopier.
Pasienten vår har hatt behov for enkelte blokkinger og kontrolleres regelmessig med gastroskopier for å fange opp evt. dysplasi-/malignitetsutvikling.
Referanser:
1) Esophageal leukoplakia or epidermoid metaplasia: a clinicopathological study of 18 pasients.
Montgomery et al. Modern pathology (2014) 27, 38-43 2) Hilde Kollsete Gjelberg, overlege i patologi, Haukeland Universitetssykehus
Figur 2: Tydelig brosteinsmønster sentralt i området med leukoplaki

Figur 3: Distale begrensing

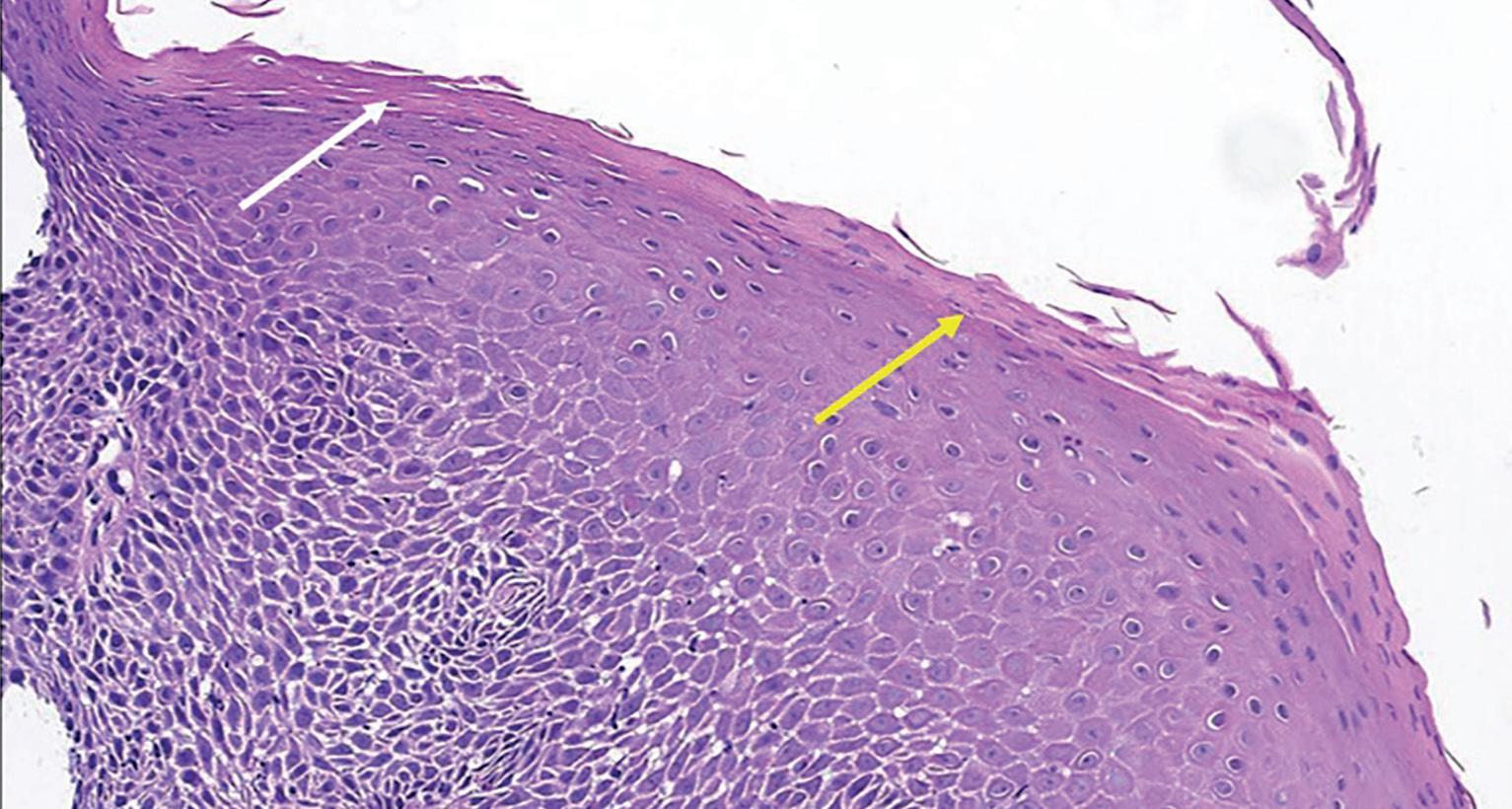
Figur 4: Biopsi fra område med leukoplaki (hematoksylin- og eosinfarget snitt, ca. 550 ganger forstørrelse) viser fortykket plateepitel med parakeratose (gul pil) og kompakt hyperkeratose (hvit pil). Forenlig med epidermoid metaplasi. For øvrig sees noe spongiose (intercellulært ødem). Øsofagus er normalt kledd av ukeratinisert plateepitel uten granulærcellelag og keratinlag. (2)









