
1 minute read
SKLEROTERAPI AV SIMPLE, SYMPTOMGIVENDE LEVERCYSTER
ULRIK CARLING, ERIC DORENBERG
KLINIKK FOR RADIOLOGI OG NUKLEÆRMEDISIN, OSLO UNIVERSITETSSYKEHUS
Advertisement
KORRESPONDANSE: ULRIC CARLING – JOHCAR @ OUS - HF.NO
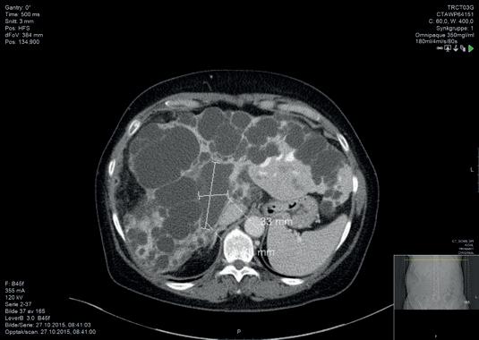
Simple levercyster kan gi symptomer i form av trykkfølelse og smerter ved matinntak. Symptomene er vanligvis relatert til cystens størrelse og beliggenhet (Figur 1), hvor cysten utøver mekanisk trykk på omgivende strukturer. Kausalitet i forhold til symptom blir viktig i vurderingen av pasientens plager; størrelse under fire cm gir sjeldent symptomer (1). Perkutan aspirasjons- og skleroterapi (PAS) er en behandlingsmetode hvor cysten dreneres og så skleroseres, typisk med etanol. Grunnet prosedyrens relativt høye effektivitet og lave komplikasjonsrisiko, bør PAS anses å være første behandling, med kirurgisk fenestrering reservert for pasienter hvor PAS ikke har ført frem (2, 3).
PAS utføres ved Oslo universitetssykehus, Rikshospitalet etter Dr. Trond Bjerke Larssens oppskrift. Bjerke Larssen var aktiv på radiologisk avdeling Haukeland universitetssykehus og disputerte på dette tema i 2006 (4). Prosedyren utføres på røntgenlaboratorium med en kombinasjon av ultralyd og røntgen (Figur 2 og 3). Kort sammenfattet utføres ultralydveiledet punksjon av cysten med innleggelse av et pigtail-dren. Ved punksjon tilstrebes det å gå gjennom leverparenchym for å unngå direkte kontakt mellom cyste og peritoneum da etanollekkasje her vil kunne føre til store smerter. Drensvæsken aspireres, cysten tømmes, og en setter så røntgenkontrast til cirka 80 % av cystevolumet for å detektere eventuell kontrastovergang til karstrukturer (levervener) eller galleganger. Dersom kontrastovergang påvises, avlyses etanolskleroseringen. Dersom ingen kommunikasjon påvises, tømmes cysten for kontrast og en setter etanol tilsvarende 10 % av cystens volum, men maksimalt 100 ml per behandling. Denne får stå i ti minutter og aspireres så ut igjen. Denne syklus gjentas én gang, før en trekker ut drenet. Flere cyster kan behandles samtidig under samme seanse hvis det er aktuelt, men fortsatt brukes da maksimalt 100 ml alkohol totalt. Det kan være aktuelt å punktere gjennom mindre cyster for å komme til en større symptomgivende cyste (Figur 4).
PAS gir høy symptomreduksjon (<4 % har vedvarende symptomer), med lav (>1 %) komplikasjons- og residivrate, publisert i en systematisk oversiktsartikkel i 2021 (3). Vi ser dog ikke helt sjeldent at prosedyren må gjentas etter noe tid (Figur 3). Noen pasienter får moderate smerter under prosedyren, hvilket kan tilskrives etanolen eller endring av strukturer som for eksempel leverkapsel. Vi har tappet cyster på over fire liter, hvilket kan innebære en relativt stor endring i leie av interne strukturer. Intravenøse benzodiazepiner og opiater brukes rutinemessig til sedasjon og analgesi. Erfaringsmessig er det, på linje med publiserte data, veldig uvanlig med større komplikasjoner. Etanolintoksikasjon er sjeldent med over beskrevne metode med total skleroseringstid på 20 minutter og maksimalt 100 ml etanol (2). Prosedyren bør kunne være tilgjengelig på de sykehus hvor det finnes dedikerte intervensjonsradiologer.
REFERANSER : Se side 100-102
TEMA: BENIGNE SYKDOMMER












