
8 minute read
Intraoperativ CT-navigasjon ved akutt og planlagt ryggkirurgi
På ortopedisk klinikk, Oslo universitetssykehus, Ullevål, er vi syv overleger på seksjon for degenerative rygglidelser og -frakturer. Vi behandler torakale og lumbale brudd hos voksne og barn, samt degenerative rygglidelser inkludert degenerative skolioser. Kollegaene på Rikshospitalet har ansvar for behandling av pediatrisk og juvenil skoliose. I tillegg samarbeider vi med nevrokirurgene om pasienter med tumorer og metastaser i ryggsøylen, som trenger akutt avlastning av ryggmargen og stabilisering av torakal- eller lumbalcolumna, samt om cervikotorakale brudd. Vi utfører over 400 inngrep årlig hvorav cirka 300 med implantater, såkalt instrumentert ryggkirurgi, eller ryggfiksasjon.
FILIP DOLATOWSKI, ELLEN AKSNES, CHRISTIAN HELLUM, SIMRAN KAUR, OLE RASMUS ROBAK, MADS ROLFSEN, TORSTEIN SCHRØDER-AASEN, ROGER TRANA
Advertisement
ORTOPEDISK KLINIKK, OSLO UNIVERSITETSSYKEHUS, ULLEVÅL
KORRESPONDANSE: ROGER TRANA – UXTROG@OUS-HF.NO
Arbeidshesten for instrumentert ryggkirurgi er pedikkelskruer - skruer som plasseres gjennom ryggvirvlenes leddrøtter (pedikler). Til disse skruene låser vi stag med settskruer (Bilde 1). Anatomiske landemerker for inngang til pedikler framstilles med åpen kirurgi eller indirekte ved hjelp av røntgengjennomlysning ved perkutan fiksasjon. Ikke så sjeldent, kan det være utfordrende å framstille pediklene, selv ved åpen kirurgi, oftest på grunn av avvikende anatomi. Feilplasserte pedikkelskruer kan få betydelige følger for pasienten dersom skruen går medialt eller inferiort for pedikkelen og skader nerver, skader blodkar foran ryggsøylen eller lateralt for pedikkelen, hvor skruen ikke får en solid forankring.
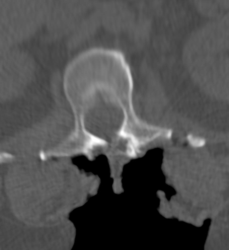
Avvikende anatomi støter vi på ved anomalier samt ved primære og sekundære deformiteter som skoliose og bruddsekvele, hvor ryggvirvlene og pediklene er roterte eller har en unormal helningsgrad. Dessuten har noen pasienter svært grasile pedikler (Bilde 2). Anatomiske landemerker kan også være dekket av beinbroer etter tidligere kirurgisk avstivning av ryggen, eller maskert av ankylose. Ved ryggfiksasjoner høytorakalt er ofte ryggsøylen dårlig framstilt på gjennomlysning – det skyldes strukturer som projiseres over ryggsøylen (skuldre, brystkasse, organer i brysthulen). Endelig er det en iboende begrensing i å anvende todimensjonal (2D) gjennomlysning for å visualisere og instrumentere en tredimensjonal (3D) struktur. Det krever lang erfaring å lære å «oversette» 2D til 3D bilder.
Instrumentering av pasienter med ovennevnte anatomiske avvik, kan nødvendiggjøre større doser røntgenstråler for å plassere pedikkelskruene riktig på en trygg måte, med lavest mulig risiko for iatrogen skade. Bruk av mye røntgenstråler er potensielt helseskadelig for pasienten og ikke minst for ryggkirurgen. På vår seksjon dokumenterte man for høye stråledoser hos ortopedkirurgene ved operativ behandling av høytorakale brudd. Vi fikk derfor

BILDE 1: Fiksasjon og dekompresjon av ryggbrudd med pedikkelskruer og stag. Preoperative bilder til venstre; postoperative til høyre.
A

B
BILDE 2: Pasient med grasile pedikler før (A) og etter instrumentering (B)
innvilget midler og gikk til anskaffelse av intraoperativ CT-navigasjon (Airo®-CT, Brainlab).
Airo®-CT er en ringformet CT-maskin som står på operasjonsstua. CT-undersøkelsen av ryggen danner grunnlaget for navigasjon, og utføres med pasienten i narkose under sterile forhold. CT-maskinen er knyttet til en sokkel for ryggbord (eller andre bordtyper), og bordet med pasient skyves inn og ut av CT-maskinen (Bilde 3). Før CT tas, settes en navigasjonsstjerne på en ryggtagg eller i bekkenet (os ilium). Ved perkutan ryggfiksasjon festes stjernen gjennom et separat lite hudsnitt. Ved åpen teknikk settes den etter at den kirurgiske tilgangen til ryggen er etablert. Navigasjonsstjernen detekteres av et takhengt infrarødt kamera med to «øyne», og øynene får et samsyn slik at datamaskinen kan «se» stjernens posisjon i rommet (i et 3D koordinatsystem). Deretter utføres en intraoperativ CT-skann av et utvalgt avsnitt av pasientens rygg. Fordi CT-undersøkelsen er tatt med påsatt stjerne, vil datamaskinen dermed også kjenne ryggsøylens posisjon i rommet. Slik blir navigasjonsstjernen selve referansepunktet for pasientens anatomi, og det er derfor essensielt at referansepunktet ikke flytter seg under instrumentering. Instrumentene har også navigasjonskuler, og ved kalibrering kan instrumentenes posisjon og retning i rommet gjenkjennes av datamaskinen. Datamaskinen beregner dermed et CT-bilde av ryggskjelettet hvor instrumentene avbildes «live» med høy presisjon på takhengte og/eller vegghengte TV-skjermer (Bilde 4). Hvilke snitt som vises på skjermen endrer seg når man beveger instrumentet, og dermed får man projisert hvordan instrumentet står i forhold til pasientens anatomi. Kirurgen kan framstille pediklene i aksial-, sagittal- og koronarplan med ekstrapolering av instrumentets sentrale akse. Man kan kalibrere og navigere rette spinalkirurgiske instrumenter som bor-guide, bor, pedikkelsyl, pedikkelfinner, meisel og skrutrekker (med skrue). Vi setter alle skruene før vi utfører reposisjon eller korreksjon av ryggens form.

BILDE 3: Preoperativ leiring av pasient med cervikotorakale brudd. Leiring og testing av hvordan pasienten kan skyves inn og ut av intraoperativ Airo(R)-CT-maskin. Foto: Filip Dolatowski. Gjengitt med pasientens skriftlige tillatelse. BILDE 5: Intraoperativ planlegging av pedikkelskruer og utprøving av robotarm.


BILDE 4: Navigering av pedikler etter intraoperativ CT-skann. Foto: Simran Kaur

Dette for at navigasjonsstjernen ikke skal forflytte seg i forhold til pasientens bevegelige anatomi. Ved bevegelser og manipulering av ryggsøylen som leder til små bevegelser i navigasjonsstjernen, vil systemet varsle om potensiell unøyaktighet, og kirurgen blir bedt om å utføre en enkel sikkerhetsprosedyre for å bekrefte at anatomiske landemerker forblir i overenstemmelse med bildene på TV-skjermen. Dersom dette ikke kan bekreftes, vil det kreve en ny CT-undersøkelse eller ny kalibrering av pasientens skjelettanatomi for å sikre nøyaktigheten. Når alle pedikkelskruene er plassert, utfører vi en ny lavdose-CTskann, med mulighet for å omplassere skruer mens pasienten fortsatt er i narkose.
Navigasjonssystemet gir mulighet for å planlegge skrueplassering preoperativt (Bilde 5), og vise siktelinjer på skjermen når skruene plasseres i virkeligheten. De preoperative CT-bildene kan fusjoneres med MR-bilder som er tatt på forhånd, slik at MR-forandringer også er synlige på skjermen når man navigerer. Vi har også mulighet til å feste navigasjonskuler på mikroskopet som benyttes ved ryggkirurgi. Datasystemet vil da også kjenne posisjonen til mikroskopet, slik at dataskjermene kan vise CT- eller MR-bildene av det samme området som ses i okularet. Disse skjermbildene kan dessuten projiseres i selve okularet. Om man for eksempel ønsker å markere 3D-strukturer på CT- eller MR-bildene som er tatt, kan mikroskopet tegne de imaginære ytterkantene av strukturen i selve feltet som ses i okularet, og ytterkantene vil da endres avhengig av hvilken dybde mikroskopet har i fokus.
Vi har brukt intraoperativ Airo®-CT med Brainlabnavigasjon siden september 2020 – både ved akutt bruddkirurgi og ved planlagt ryggkirurgi. Vi har evaluert de første 150 pasientene som vi opererte med CT-navigasjon. Av 150 inngrep, var 61% planlagte inngrep og 39% akutte inngrep (ryggbrudd). Førti prosent av pasientene var tidligere ryggoperert, og 67% av pasientene fikk implantert mer enn fire skruer. Total røntgenstråling for pasienten (effektiv dose) var i gjennomsnitt 26 millisivert (mSv) hos dem som fikk mer enn fire skruer og 17 mSv hos dem som ble fiksert i ett nivå med fire skruer. Til sammenlikning, gir en traume-CT en eksponering på cirka 34 mSv. Vi implanterte totalt 1129 pedikkelskruer. Ti pedikkelskruer (<1%) ble omplassert intraoperativt, hvorav syv skruer ble fjernet eller skrudd noe tilbake uten behov for ny kontroll-CT på stua. Vanligste segment for omplasserte skruer var torakalt. Vi utførte ingen reoperasjoner grunnet feilplasserte skruer hos disse 150 pasientene.
CT-navigasjon utgjør en betydelig investering og utstyret nødvendiggjør en større, dedikert operasjonsstue – vår ryggstue er på nesten 80 kvadratmeter (Bilde 6). Vi benytter også mikroskop, gjennomlysningsapparat (ved skiveimplantater og sementering av skruer) samt flere instrumentbord og assistansebord. I tillegg trengs det plass i pasientens hode- eller fotende for anestesi med lange gass- og infusjonsrør og ledninger. TV-skjermer, operasjonslamper og infrarødt kamera bør være forankret i taket på operasjonsstua for sømløs bruk.
CT-navigasjon har en betydelig læringskurve, og vi valgte å bruke metoden på samtlige fiksasjoner det første halvåret. Vår erfaring er at det er en fordel å først lære å sette pedikkelskruer med tradisjonell metode. Tradisjonell instrumentering av pedikler er basert på solid kunnskap om ryggens anatomi og en opparbeidet taktil sans – en ekstra sikkerhet dersom navigasjonssystemet ikke fungerer optimalt. På den andre siden kan det også være gunstig for kommende ryggkirurger å starte å instrumentere ved hjelp av CT-navigasjon for å få en bedre forståelse av ryggens anatomi før man lærer seg frihåndsteknikk.
Vi ser også at så avansert utstyr gir nye utfordringer. CT-navigasjon krever daglige vedlikeholdsrutiner og ukentlige kalibreringer – på vår avdeling har en dyktig og interessert portør gjort mye av dette. Det er stor forskjell blant kirurger og operasjonssykepleiere med hensyn til interesse og kunnskap om teknisk utstyr. Operasjoner med avansert teknisk utstyr krever at personell på operasjonsstuene kan ivareta vedlikehold og hjelpe til når systemene svikter. Det kan for eksempel også være nødvendig med nevromonitorering ved omfattende korreksjonskirurgi av ryggen. Tilsvarende her, er det stort behov for hjelp fra nevrofysiolog for å kunne overvåke nervefunksjon på best mulig måte. Vi har så langt ikke fått personell til dette. Kravet blir da at kirurgen skal kunne styre CT-navigasjon, nevromonitorering, avansert navigert mikroskop, gjennomlysningsapparat, ultralyd-kniv, ulike driller og en rekke annet teknisk utstyr. Faren er at kirurgens fokus under operasjon forflyttes fra selve kirurgien til det tekniske utstyret.
Til tross for ovennevnte begrensinger og utfordringer, har vi stor nytte av CT-navigasjon ved avansert ryggkirurgi med vanskelige anatomiske forhold. Resultatene er så langt meget gode, og det er liten tvil om at metoden øker pasientsikkerheten og reduserer behovet for reoperasjoner på grunn av feilplasserte pedikkelskruer. I tillegg blir vi som opererer pasienter daglig utsatt for betydelig lavere stråledoser enn ved tradisjonell røntgengjennomlysning. Fremtiden ligger i å ta i bruk CT-navigasjon som hjelpemiddel ved instrumentert ryggkirurgi, men det vil kreve ekstra ressurser og teknisk personell som kan bistå det kliniske personellet.








