Skip to main content

Vet Cetera 2015

Page 1


Home Or Clubs. Car OSU Magazine. for Re Connec Alum Scholarships. Chapters. Clubs. Car OSU Magazine. for Re Connec Alum Scholarships. Chapters. Clubs. Car

EVIE TREADS WATER IN A FIRST-OF-ITS-KIND TREATMENT

Future OSU Cowboys got a chance to play veterinarian at this summer’s Grandparent University

PHOTOGRAPHY BY GARY LAWSON / UNIVERSITY MARKETING

VET CETERA

The Center for Veterinary Health Sciences graduates competent, confident, practice-ready veterinarians — a tradition it has proudly carried forward since the day the veterinary college opened its doors 67 years ago. Please join us at the CVHS website: www.cvhs.okstate.edu. The OSU homepage is located at www.okstate.edu

Vet Cetera magazine is a publication of the Oklahoma State University Center for Veterinary Health Sciences. Its purpose is to connect the college with its many alumni and friends, providing information on both campus news and pertinent issues in the field of veterinary medicine

OKLAHOMA STATE UNIVERSITY © 2015

ON THE COVER: Evie, a young calf with problem legs, exercises in Oklahoma State University’s Center for Veterinary Health Sciences’ underwater treadmill. The innovative treatment is profiled on page 12. Photography by Phil Shockley / University Marketing.

18 WHEN PEACE IS A PROBLEM

A cat known for his bullying personality took a turn for the milder — which caused his owners to investigate.

20 TOXICOLOGY GROWS

And that’s a good thing in our case: The Sitlington Lecture has become a cornerstone of a new annual interdisciplinary seminar at OSU.

42 FROM MARDI GRAS TO MEADOWS

Equine surgeon Dr. Daniel Burba has returned to OSU after spending 24 years at LSU in Baton Rouge, La.

64 CLASS OF 2015 …

Get a glimpse of some of the newest veterinarians to graduate from CVHS.

84 AND CLASS OF 1965

The 50-year reunion of the class of 1965 was held in conjunction with the 2015 Hooding and Commencement Ceremony.

Editor’s Note: In 2015, Vet Cetera’s publishing date was changed to the end of the year, so we could match the calendar in our coverage. With that, you’ll see a few articles in this issue include both 2014 and 2015 versions. We think our readers will enjoy a magazine that includes a full year of CVHS news, and that’s what we’re beginning with this issue.

www.cvhs.okstate.edu

Jean Sander, DVM, MAM, DACPV Dean, Center for Veterinary Health Sciences

Derinda Blakeney, APR

Public Relations and Marketing Coordinator derinda@okstate.edu

Sharon Worrell

Alumni Affairs Specialist

Jayme Ferrell , Director of Development

Dorothy L. Pugh

Editor

Paul V. Fleming

Art Director / Designer

Phil Shockley / Gary Lawson

Staff Photographers

From the Office of the Dean

I have great news:

The Center for Veterinary Health Sciences Academic Center faculty office building is finally complete.

A wonderful dedication ceremony was held Sept. 12. OSU President Burns Hargis, with the assistance of Dr. Joao Brandao, our wildlife and exotic animal specialist, released a barn owl that had been found as an owlet and reared under OSU’s outstanding care. Guests toured the new building and made behind-thescenes visits to the hospital and the Gaylord Center for Excellence in Equine Health, another recently opened area supporting our equine specialty service. An award-winning documentary — Nature vs. Nature: The Animal Victims of the May 2013 Oklahoma Tornadoes — was shown, which featured the involvement of the college and many of our alumni throughout central Oklahoma during this difficult time.

Many naming opportunities are available in the new building, and I’d like to share my views on such giving opportunities. Our role is to train the whole person. Of course there is the classical education, requiring classroom time where faculty and students discuss areas of veterinary medicine that will be essential to their future success. The current Academic Center building is phase 1; phase 2 is focused on our student success and may include an auditorium, educational spaces or discussion areas. The CVHS is bursting at the seams and needs additional educational spaces. The gifts that are received through naming opportunities in the academic center will support Phase 2, which directly benefits our wonderful students.

But this goes much further. Naming opportunities are a visual reminder of the support our friends have provided to help us along our way. Each time I see a plaque indicating a gift was made by someone who cared, I am grateful for all we have. I don’t know that we stop often enough to recognize what others do for us, and that daily dose of gratitude makes us all better people. That gratitude can go beyond simply putting your name on an office or meeting space to being a way of recognizing someone who made an impact on our lives and may have made all the difference in our success. Spaces can b e named in honor or memory of someone for whom we owe a great deal. I did that for my mother before she passed, and every dollar that I contributed was worth the look on her face when she was presented with this honor in her name.

Naming spaces keeps away the “out of sight/out of mind” problem. These gifts can help shape the understanding of both faculty and students that we are here due to the grace of people who love animals and education. Without our friends, our lives would be less rich and our experiences less fulfilling. I welcome all of you to think about how you might keep the idea of giving back in front of our students so we might guide them in the art of gratitude and the pleasure of giving back.

Feel free to reach out to me directly or contact Jayme Ferrell, the new CVHS development officer. You can find information on her in this issue of Vet Cetera.

PHIL SHOCKLEY / UNIVERSITY MARKETING
JEAN E. SANDER, DVM, MAM, DACPV DEAN, CENTER FOR VETERINARY HEALTH SCIENCES

Treating Equine Athletes

GAYLORD FOUNDATION’S GIFT LEADS TO STATE-OF-THE-ART HORSE HOSPITAL

Thanks to a $1 million lead gift from the E.L. and Thelma Gaylord Foundation, the Gaylord Center for Excellence in Equine Health is open to treat equine athletes. The gift created versatile new space by renovating areas within the OSU equine hospital and providing funds for diagnosis, treatment and rehabilitation equipment.

The newly renovated space creates an outpatient service area. A separate overhead door allows sport horses to enter the Gaylord Equine Performance Suite directly from the lameness examination area. Separate, specialized heating, ventilation and air conditioning systems make the diagnostic area comfortable. In addition, specialty equipment for rehabilitation and regenerative medicine is now centrally located adjacent to the exam area.

Six equine stalls were remodeled, forming three enlarged stalls for mare and foal hospitalization. Swinging stall partitions with Dutch doors accommo date mares while allowing the management of critically ill foals in the adjacent partitioned stall with separate access for veterinary medical staff. The stall partitions can also b e positioned to provide full 12x24foot stalls for the hospitalization of larger breed horses such as Drafts and warmbloods.

CONTINUES

Dr. Todd Holbrook, professor and June Jacobs

Endowed Chair in Equine Medicine and equine section chief, poses with a resident horse in the Gaylord Equine Performance Suite.

Dr. Mike Schoonover, equine surgeon and sports medicine and rehabilitation specialist, performs a coffin joint injection on a horse with osteoarthritis.
GARY LAWSON / UNIVERSITY MARKETING

Critically ill horses with infectious diseases need to be isolated. The isolation facility HVAC system was replaced with a system that manages this airspace with negative pressure and specialized filters to safely isolate horses with airborne infectious conditions. The isolation facility is also equipped with a hoist system to manage horses with infectious neurologic conditions that require assistance standing or need full sling support.

“These new facilities will greatly enhance our ability to provide the latest in health care for horses of all ages and disciplines,” says Dr. Todd Holbrook, equine section chief. “I am very excited about the future of equine health care at OSU and confident opportunities will arise to fulfill our vision to become the region’s premier equine health care referral center.”

OSU equine team members are ready to serve the needs of all horses, whether it’s a neonatal foal, a competitive equine athlete or a beloved family horse. The team includes:

ƒ TODD HOLBROOK, DVM, DACVIM, DACVSMR, professor and June Jacobs Endowed Chair in Equine Medicine, is the equine section chief. In addition to his expertise in equine internal medicine and sports medicine, he has a special interest in endurance horses. For more than a decade, he represented the U.S. Equestrian Federation as a veterinarian for the endurance team internationally. In his spare time, he enjoys raising and showing reining horses with his family.

ƒ DAN BURBA, DVM, DACVS, is a professor of equine surgery and the McCasland Professor in Biomedical Laser Surgery. He has a special interest in cribbing and upper airway function in horses. His research interests focus on orthopedics and laser surgery. He also has extensive experience in equine rescue efforts, having served a pivotal role during Hurricane Katrina in 2005.

ƒ LYNDI GILLIAM, DVM, DACVIM, Ph.D., is an associate professor of equine medicine. She has extensive equine internal medicine experience. Her special interests include neonatology, cardiology and client communication. She has spent decades researching the effects of venomous snakebites on cardiac function in horses.

ƒ MIKE SCHOONOVER, DVM, DAVS, DACVSMR, is an assistant professor of equine surgery. He specializes in the treatment of western performance horses. His clinical and research interests include diagnosis and treatment of navicular syndrome.

ƒ MICHAEL DAVIS, DVM, Ph.D., DACVIM, DACVSMR, professor and Oxley Chair in Equine Sports Medicine, is the director of the Comparative Exercise Physiology Lab. He has supported many collaborative investigations affecting the health of equine athletes and has an international reputation in exercise physiology research. He also oversees the equine treadmill facility used for both clinical and research purposes in horses.

Thanks to the generosity of donors such as the Gaylord Foundation; Alamo Pintado Equine Clinic; Dr. Dick (BS ’69, DVM ’71) and Mary Kay Shepherd (BS ’69); and the family of John S. Gammill, the OSU Center for Veterinary Health Sciences has stateof-the-art, renovated facilities to improve the health care of horses.

Cl/HS

If you love horses and want to contribute to the Gaylord Center of Excellence in Equine Health, contact Jayme Ferrell at the OSU Foundation at 405-385-0729 or jferrell@osugiving.com

TODD HOLBROOK DAN BURBA
LYNDI GILLIAM
MIKE SCHOONOVER MICHAEL DAVIS

Academic Center Enhances Veterinary Program

NEW FACILITY ADDS PREMIER FACULTY OFFICES

On Sept. 12, 2015, OSU President Burns Hargis joined Dr. Jean Sander, dean of the Center for Veterinary Health Sciences, and donor Vicki Palmer to dedicate the new Academic Center Faculty Office Building.

One of only 30 American colleges accredited by the American Veterinary Medical Association, OSU’s veterinary center is addressing the growing national shortage of veterinarians. Throughout its history, the center has produced more than 3,700 graduates.

“When the Boren Veterinary Medical Hospital opened in the late 1970s, the only space for veterinary clinical sciences faculty was in the basement. The cubicles did not provide privacy for the counseling of students and clients,” said Sander. “Those conditions made it difficult to recruit and retain the best faculty. Once this Academic Center started becoming a reality, we brought on many bright young faculty who are enhancing our teaching and research, and expanding our clinical services.”

The new 13,972-square-foot building connects to the Veterinary Medical Hospital, better equipping OSU to supp ort progressive clinical education, accommodate additional growth and meet the challenges and advancements in

21st-century veterinary medicine. It will house 40 veterinary clinical sciences faculty. These veterinarians, most of whom are board-certified specialists in their fields, provide veterinary medical services to the public and referring veterinarians through the center’s Veterinary Medical Hospital. In addition, this faculty conducts research and serves as clinical instructors for fourth-year veterinary students.

This new facility completes Phase 1 of the Academic Center. Phase 2 is a 140seat multimedia equipped auditorium with conferencing capabilities for distance learning courses. For more information on how you can support the Academic Center, contact Jayme Ferrell, OSU Foundation, at jferrell@osugiving. com or 405-385-0729

OSU President Burns Hargis and Dr. Joao Brandao release a barn owl at the Academic Center Faculty Office Building dedication.

Gracing the Academic Center’s garden is Our Patients by Mark Carter.
PHIL

Breathing Easier

OSU VETERINARY HOSPITAL ACQUIRES A DYNAMIC RESPIRATORY SCOPE

Horse owners can breathe a little easier if their horse is having respiratory problems. Equine veterinary specialists at OSU’s Veterinary Medical Hospital recently acquired a dynamic respiratory scope to help better view the respiratory track of horses.

“The dynamic respiratory scope or DRS will allow us to better assess the upper respiratory track of performance horses,” explains Daniel Burba, DVM, Diplomate of the American College of Veterinary Surgeons, professor of equine surgery and the McCasland Professor in Biomedical Laser Surgery at OSU’s Veterinary Medical Hospital. “The DRS will be a valuable tool in assessing whether the problem is in the throat area.”

Burba says horses’ respiratory tract can be subject to a variety of problems, including a collapsed throat. The new DRS system can help diagnose such things as roarer (paralysis of the flapper in the throat), displacement of the soft pallet and problems with the epiglottis.

The DRS system is portable and worn across the horse’s back and can fit under a regular saddle. A scope is placed up the horse’s nose and a transmitter projects images from the horse’s throat onto a portable computer screen.

“This system allows us to watch a performance horse ‘work’ in real time and assess its respiratory track simultaneously,” says Burba. “You can ride the horse or put it on a lunge line. The DRS system records the respiratory track activity even as you watch it live on the screen. So if you want, you can review it after the horse has exercised.”

Burba used the DRS system in his former position at Louisiana State University’s School of Veterinary Medicine and thought it would be a great tool for Oklahoma State to offer clients.

VIDEO: http://okla.st/1jqBmqJ

The dynamic respiratory scope is portable and worn across the horse’s back.
DERINDA BLAKENEY, APR / CVHS

A Brighter Operation

SMALL ANIMAL SURGERY GETS NEW LIGHTS

Thanks to the generosity of grateful clients, alumni and referring veterinarians, all three small animal surgery suites at OSU’s Veterinary Medical Hospital look brighter with brand-new lighting.

“Our current lights were circa 1981, and this upgrade gives us state-of-the-art operating room lighting,” says Dr. Mark Neer, director of the hospital.

“In addition, each new light has a camera attached so that teaching, videotaping surgeries and surgery resident training will all be enhanced.”

The donors who made this possible are David Traub, M.D., of Tulsa, Avis and Phil Scaramucci of Oklahoma City, and Drs. Bob Shoup and Steve Weir of Catoosa, Okla.

In February 2014, Traub brought his German shepherd, Samantha, who had knee issues, to the small animal clinic. After suffering an ACL rupture, Samantha needed surgery. Small animal surgeons leveled the dog’s tibial plateau to prevent her tibia from sliding, giving her a more stable joint even without her cruciate ligament.

“I can’t tell you how grateful I am to have an animal care center of such excellence for my dogs,” Traub says.

The Scaramuccis have been friends of the veterinary center since 2008. Three of their seven farm dogs have visited the hospital — Frosty, an English pointer; Milla, a German shepherd; and Sadie, a mixed breed. Their love for their dogs inspired them to consistently donate to small animal needs at OSU’s Veterinary Medical Hospital, including a recent gift to the underwater treadmill project.

Having earned their DVM degrees from OSU, Shoup (’82) and Weir (’80) know the value of the hands-on experience students gain during their fourth year of veterinary college. To ensure that tradition continues, these veterinarians refer cases to the hospital and support scholarships and equipment needs.

The gifts from these donors totaled $40,000, approximately half of the total project cost of $90,000 to remove the old surgical lights and install the new, more efficient lights.

“We cannot thank our donors enough,” says Neer. “We perform approximately 725 small animal surgeries a year — just think of the animals and owner lives that these gifts will touch in the days to come. Thank you so much.”

Cl/HS

To support the Veterinary Medical Hospital or the Center for Veterinary Health Sciences as a whole, contact the OSU Foundation at 405-385-5607

“… JUST THINK OF THE ANIMALS AND OWNER LIVES THAT THESE GIFTS WILL TOUCH IN THE DAYS TO COME. THANK YOU SO MUCH.”
" ... JUST THINK OF THE ANIMALS AND OWNER LIVES THAT THESE GIFTS WILL TOUCH IN THE DAYS TO COME. THANK YOU SO

MUCH."

— DR. MARK NEER

donations replaced these old lights in small animal surgery.

Generous

An Honor for Keen Eyes

NJAA’S AWARD BEGAN WITH SIMPLE OBSERVATIONS

IT ALL STARTED WITH A SIMPLE REQUEST.

Brad Njaa, DVM, DACVP, an associate professor in OSU’s Center for Veterinary Health Sciences Department of Veterinary Pathobiology and in the Oklahoma Animal Disease

Diagnostic Laboratory, was asked to write a chapter on the ear for the Pathologic Basis of Veterinary Disease, fifth edition by James F. Zachary and M. Donald McGavin. In preparation, he opened nearly every middle ear in dogs and cats that crossed his necropsy table — and noticing things that had not been recognized before, which led to research, which resulted in the 2015 C. L. Davis Journal Award.

Each year the award is given to Veterinary Pathology authors of pieces that:

ƒ Advance significantly the area of knowledge covered by the manuscript.

ƒ Demonstrate exemplary scientific techniques and scholarly conceptions.

ƒ Demonstrate technical excellence in the text, figures and tables.

“I consider this a wonderful honor primarily because it largely involved clarifying a poorly understood area that was based on observations in the necropsy room that were incongruent with current thought or recent publications,” says Njaa.

In 2009 a study found that only 59 or 1.7 percent of 3,442 examined cats had otitis media.

Feeling that otitis media might be underreported, Njaa enlisted the help of Dr. Mee Ja Sula, an anatomic pathology resident at OSU at the time, to examine that hypothesis.

“Histologic characterization of the cat middle ear: in sickness and in health” was authored by D rs. Mee Ja Sula, Brad Njaa and Mark Payton. It did not require any molecular tests, just detailed obser vation. Njaa hopes it will lead to more investigation of otic disease.

“The first cat I worked on had otitis media, defined as inflammation of the middle ear,” says Njaa. “I found the cat dead alongside the road. Without any medical history on the cat, I can’t confirm it; however, I surmise that the cat met its death because it was having trouble navigating due to the discomfort in its middle ear.”

The research was partially funded by the Roger J. Panciera Pathology Educational Fund. The images in the publication were taken with an Aperio digital microscope in OSU’s Department of Veterinary Pathobiology. Near the end of the project, the veterinary center’s Research Advisory Committee provided support through the Research Equipment and Development fund for a digital stereomicroscope imaging system that depicted images of the middle ear, specifically the relationship between the stapes and the facial canal foramen where the facial nerve lacks a bony covering and is exposed to the middle ear compartment.

“We looked at 50 cats for a total of 100 ears,” Njaa says. “A total of 48 ears, nearly 50 percent, showed lesions of previous or ongoing otitis media. This is a much higher occurrence than the 2009 study reported.”

Otitis media can cause discomfort and irritation that could result in behavioral issues.

“Middle ear inflammation can lead to facial neuritis, which could lead to abnormal posture of the ear pinna. The common misconception is middle ear inflammation leads to head tilt but that is a reflection of internal ear inflammation, not middle ear,” says Njaa. “If both ears are affected, it can lead to a very subtle sign of the cat extending its neck.”

Because the changes in the cat’s behavior are subtle, owners might not pick up on them.

“We did discover that unlike dogs where otitis media is secondary to otitis externa, in cats there is not a single case of otitis externa,” he says. “In the cat, otitis media is thought to occur primarily as a sequela of upper respiratory tract disease. This often occurs as a direct consequence of bacteria from the nasopharynx or simply auditory (Eustachian) tube dysfunction.

“When talking about the ear, I am referring to the middle and inner ear compartments. Because of the bony shell, complex anatomy and delicate sensory apparatus, few articles address the pathology of this compartment in common veterinary journals. When dogs and cats were used as animal models of otic pathology in toxicity studies or methods that mimicked diseases in humans (sound-induced hearing loss), these studies were buried in specialized journals not commonly referenced by veterinarians.”

Njaa’s findings are being included in several book chapters including Jubb, Kennedy and Palmer’s Pathology Domestic Animals, G. Maxie ed, sixth edition 2015; Zachary and McGavin’s Pathologic Basis of Veterinary Disease, fifth edition 2012, and a sixth edition 2016; and Tumors in Domestic Animals, D. Meuten, fifth edition 2016.

“There needs to be greater attention paid to cats with the possibility of otitis media being more prevalent than once assumed,” Njaa says. “A problem for practitioners is the lack of clinical disease or very subtle signs associated with bilateral otitis media. Most people associate a

head tilt with otitis media, but that actually is a sign that refers to otitis interna affecting the cranial nerve VIII or the vestibulocochlear nerve. Furthermore, otitis media may cause drooping ears related to facial nerve paralysis (cranial nerve VII). The droopy ears may be due to chronic, bilateral otitis media necessitating imaging studies and appropriate therapy before it becomes more serious and leads to otitis interna or meningitis.”

According to Njaa, studies have investigated upper respiratory disease (rhinitis) in cats leading to meningitis by traversing the nasal cavity. These studies did not investigate middle ears for disease.

“I presume that at least some of the cats with chronic rhinitis may have had dysfunctional auditory tubes (Eustachian tubes) that could have initially led to otitis media followed by otitis interna and meningitis. This is an area that has not been pursued and one that I would love to investigate.”

To read Dr. Njaa’s research in full, visit okla.st/1Poq180

Breeding Options

Thanks to a new transcervical insemination (TCI) unit, the theriogenology veterinary specialists at OSU’s Veterinary Medical Hospital can do several nonsurgical procedures on dogs to aid the breeding process.

“This compact, portable transcervical insemination unit from MOFA Global finally allows us to perform frozen semen breedings, chilled semen breedings and endometrial biopsies in the dog nonsurgically. Not having to put a dog under anesthesia is a huge b enefit to its overall well-being,” says Candace Lyman, DVM, DACT, assistant professor of theriogenology. “Other treatment options provided to us by this equipment include uterine lavage and, in some cases, treatment of the serious condition, pyometra in the intact female without the requirement of surgery.”

This ad vanced system is relatively new. In the past, veterinarians used equipment from the human side of medicine but endoscopes designed for human uses had limitations in animals.

The TCI unit utilizes transcervical endoscopes that are more flexible than traditional scopes and have a larger inner diameter for use with additional equipment. The handle design is streamlined with portals for the light source for the camera/endoscope all in one cord. It has Wi-Fi capability for teaching purposes. The procedure can be streamed to an audience (the client, veterinary students, etc.) who can watch the procedure being performed. The system can also document the procedure with still pictures and video.

Both Lyman and Reed Holyoak, DVM, Ph.D., DACT, have trained at the MOFA Global International Center for Biotechnology, in Mount Horeb, Wis., on using the equipment.

“We are beyond excited to have the ability to provide services to our clients, and to the valued clients of our referring veterinarians, utilizing this new equipment,” Lyman says. “This equipment has made surgical intervention and general anesthesia previously utilized to perform breeding procedures and diagnostic tests on subfertile breeding bitches unnecessary; technology such as this enables us to vastly improve the quality of care offered at OSU.”

Lyman and Betsy Coffman, DVM, MS, DACT, will use this equipment in research projects geared toward improving offered advanced reproductive technologies in dogs and small ruminants.

For assistance with breeding your dog, contact the theriogenology group at 405-744-7000, ext. 1

“NOT HAVING TO PUT A DOG UNDER ANESTHESIA IS A HUGE BENEFIT TO ITS OVERALL WELL-BEING.”
"NOT HAVING TO PUT A DOG UNDER ANESTHESIA IS A HUGE BENEFIT TO ITS OVERALL WELL-BEING."

— DR. CANDACE LYMAN

CANDACE LYMAN
PHOTOGRAPHY BY GARY LAWSON
Dr. Brandon Gates (left), resident in theriogenology, and Dr. Lyman prepare to perform an artificial insemination utilizing the new Flexicam Mobile Pro TCI unit.
Cl/HS

‘AN AMAZING EFFECT’

DR. LITTLE DETAILS BENEFITS OF PETS FOR PEOPLE AT 2015 TEDx

Dr. Susan Little, a Regents Professor who holds the Krull-Ewing Endowed Chair in Veterinary Parasitology and is the co-director of the National Center for Veterinary Parasitology at OSU, is passionate about improving the health of pets and people by understanding and controlling parasites and vector-borne diseases in dogs and cats. She spoke on “The Human-Animal Bond” for the Center for Veterinary Health Sciences at the 2015 TEDxOStateU.

“Pets make our lives better. They have an amazing effect on us — reducing anxiety, depression, decreasing blood pressure, even reducing the incidence of allergy and asthma,” said Little. “And we love our pets. In fact, recent surveys show that the majority of dog and cat owners in the United States sleep with a pet in the bed with them.”

Little went on to say that because of the close relationship people have with pets, it is important to practice effective parasite control to keep pets and their owners healthy. Thanks to advancements in veterinary medicine, it is now easier to control common parasites such as fleas and ticks, which makes pets healthier and reduces transmission of severe diseases.

To view her entire TEDx talk, visit okla.st/1Rdig1P

Dr. Susan Little speaks at the 2015 TEDxOstateU
PHIL SHOCKLEY

Treading a New Path

CALF GETS WATER EXERCISE TO HELP HER FRONT LEGS

At OSU’s Veterinary Medical Hospital, the order for New Year’s Eve — like any other night — is treating emergency patients.

Patient history

The 4-day-old Brahman heifer calf was brought to OSU’s Veterinary Medical Hospital on Dec. 31, her body temperature 10 degrees lower than normal and refusing to take a bottle.

“Diana asked me what her name was,” owner Bill Martell of Jacktown, Okla., recalls. “I told her she didn’t have one and that if she saved her, she could name her. They named her Evelyn, Evie for short because it was New Year’s Eve.”

“When a calf’s temperature drops below 101 degrees, it can’t thermo-regulate and keep warm,” says Dr. Melanie Boileau, food animal medicine and surgery section chief. “We warmed Evie up and treated her for dehydration, abomasitis (inflammation of the inner lining of the stomach), diarrhea with secondary metabolic acidosis, or increased acidity in her blood, and pneumonia. We eventually gave Evie a feeding tube to get some nutrients into her system until we could teach her to drink from a bottle.”

Veterinarians also noticed something was wrong with her two front legs.

“Evie has laxity in her flexor tendons,” Boileau says. “Her tendons are too loose and in a constant state of extension. We put splints (initially) then casts on her legs to give her support, hoping that as she grows, the problem will self-correct.”

Evie was discharged on Jan. 16, still wearing casts on her front legs. Martell later brought Evie back to OSU’s Veterinary Medical Hospital to have the casts removed and her legs checked by Dr. Robert Streeter, associate professor of food animal medicine and surgery.

“Evie’s legs still needed support, so we put new casts on and sent her home,” says Streeter. “We told Mr. Martell to take the casts off in 10 days.”

He did. Still, it wasn’t long before Evie was back at OSU.

“When Evie returned on Feb. 15, I felt her legs had worsened and decided to consult with Dr. Michael Schoonover, one of our equine veterinary surgeons and sports medicine rehabilitation specialists,” says Streeter.

In addition, Streeter brought in Dr. Lara Sypniewski, a certified veterinary medical acupuncturist who works primarily with small animals and uses a variety of modalities.

“This is what is so exciting about bringing your animals to OSU for treatment,” says Sypniewski. “We have all these experts here who can collaborate about each client’s animal. The three of us went over Evie’s case and discussed the best options.”

Martell was given three choices: 1) euthanize Evie; 2) treat her with underwater treadmill exercise, electric stimulation and anabolic steroids; or 3) fuse her knee joints, making her stiff-legged.

“I told them if we do option 1, we won’t know if 2 or 3 work,” says Martel. “If we do option 3, we won’t know if 2 will work. So let’s start with option 2 and see where it goes. If it doesn’t work, we will still have two choices left.”

Making Veterinary History

Sypniewski’s rehabilitation center has an underwater treadmill that will hold up to a 250-pound animal — usually dogs use it. It had never held a calf before Evie arrived.

“I don’t think any other veterinary college has treated a calf with underwater therapy; it’s a first, and we’re glad her owner was willing to try this different approach,” says Sypniewski. “Evie weighs 125 pounds, so the treadmill can easily accommodate her.”

Housed in the food animal barn, Evie had to get from one side of the hospital to the other on slippery floors. She ended up being wheeled through the hospital in a moving crate.

“It was a learning process for sure,” says Dr. Megan Downing, a food animal medicine and surgery intern. “We put foam noodles (like people use in the water) on each side of Evie so she would stay on the moving track and away from the sides of the treadmill. A student would put on waders and get in the tank to keep Evie from sliding into the back of the tank.”

A special life jacket was secured around her. “Brahman cattle tend to lie down when they are stressed,” says Downing. “Once she started to lie down, Evie discovered she could float with the life jacket on, which defeated the purpose, so we had to take it off her.”

In addition, Evie’s rehabilitation included electrical stimulation. Gradually, Evie built up her stamina and was discharged March 23. Martell will bring her in for checkups to monitor her progress. Evie’s case will probably be the subject of a future journal publication so that other veterinarians may learn from OSU’s experience treating tendon laxity in a calf using an underwater treadmill, electrical stimulation and anabolic steroids.

DERINDA BLAKENEY, APR

To watch a video on Evie, visit okla.st/1M4fknZ

THE TEAM

Throughout Evie’s stay at OSU’s Veterinary Medical Hospital, these people played an important role in her rehabilitation: Veterinarians

ƒ Dr. Melanie Boileau

ƒ Dr. Robert Streeter

ƒ Dr. Michael Schoonover

ƒ Dr. Lara Sypniewski

ƒ Dr. Megan Downing

ƒ Dr. Chase Whitfield

Fourth-year veterinary students

ƒ Diana Pirolo

ƒ Sarah Fry

ƒ Cynthia Smith

ƒ Celena Quist

“THIS IS WHAT IS SO EXCITING ABOUT BRINGING YOUR ANIMALS TO OSU FOR TREATMENT. WE HAVE ALL THESE EXPERTS HERE WHO CAN COLLABORATE ABOUT EACH CLIENT’S ANIMAL.”

"THIS IS WHAT IS SO EXCITING ABOUT BRINGING YOUR ANIMALS TO OSU FOR TREATMENT. WE HAVE ALL THESE EXPERTS HERE WHO CAN COLLABORATE ABOUT EACH CLIENT'S ANIMAL."

— DR. LARA SYPNIEWSKI (RIGHT, WITH EVIE)

Cynthia Smith, above, a fourth-year veterinary student, towels Evie off after an underwater treadmill therapy session.
Cl/HS

Jumping and Playing Again

ROSIE THE DACHSHUND GETS BACK TO A DOG’S GOOD LIFE AFTER SURGERY

PHOTOS BY THE CENTER FOR VETERINARY HEALTH SCIENCES

Shelley Wilmoth of Fayetteville, Ark., has a soft spot for Dachshunds, as proven by her rescues: two male Dachshunds and a long-haired girl named Rosie Claire.

“Rosie is approximately 2 years old,” Wilmoth says. “When we adopted her in the fall of 2014 from Fayetteville’s Washington County Shelter, she had a bad back and could only walk a little bit. We took her to a veterinarian and an x-ray showed she has a pellet in her chest. So at some point in her life, she was shot with a pellet gun. She has probably had a hard time.”

Rosie and her owner, Shelley Wilmoth

But things are looking up for Rosie. Wilmoth brought Rosie to Oklahoma State University’s Veterinary Medical Hospital in February 2015 to see if the dog was a good candidate for percutaneous laser disc ablation surgery. The surgery, a prophylactic procedure developed by Dr. Kenneth Bartels, emeritus professor, lessens the risk of intervertebral disk rupture in dogs. It is performed only on dogs that are currently free of back pain; some have had prior episodes of pain or paralysis while others are at risk for disk rupture. Without the procedure, up to 40 percent of dogs face more back pain or paralysis.

“The disc is like a jelly donut with a tough outer layer and jelly-like material on the inside,” explains Mark Rochat, DVM, MS, Diplomate of the American College of Veterinary Surgeons and former small animal surgery section chief at OSU’s Veterinary Medical Hospital. “We insert a needle into each disc that needs treatment, then insert a laser fiber through the needle. Laser energy is delivered through the fiber to ‘burn away’ the inside (jelly) material so that

it cannot rupture through the outer layer, compress the spinal cord and cause pain or paralysis. It’s a minimally invasive procedure with no surgical opening, just the tiny holes made by the needles.”

Rosie was a good candidate for the laser surgery, and so she was treated. She spent one night in the hospital and was crate-contained while recovering at home for a few weeks.

“I think it will definitely help her quality of life,” adds Wilmoth. “Right now, we don’t let her sprint across the yard. We don’t let her jump up on furniture. We have ramps in the house and out to the yard even though it is just two steps off the deck. She needs to be a normal dog; I’m hoping surgery will do that.”

“The length of surgery varies from dog to dog,” Rochat says. “The needle placement is the unknown factor; sometimes it takes longer than other times to place them. Firing the laser is 40 seconds for each needle with time in between to double check the placement. Rosie had eight needles.”

Rosie’s procedure took about an hour. Even though Wilmoth’s friends have had the procedure done on their dogs with great success, she was still anxious about Rosie’s operation.

“It was elective surgery, so it was very difficult for us to do this. Even though it was elective, I feel like it was not elective in the sense if I wanted Rosie to have a normal dog life. She wants to be able to play with other dogs. She has two brothers, and they don’t play a whole lot. If you have ever seen a Dachshund with back pain, their nose is to the ground and their back is hunched, and you know it’s extremely painful.”

Wilmoth says veterinarians told her Rosie did great.

“The doctors and staff are wonderful,” she says. “They explained the risks, the process of what they were going to do and they communicated with me. I was in contact with the veterinary student on the case a lot, which was wonderful. They called me after surgery and said Rosie came out of anesthesia, walked around and went to the bathroom. … It was a success and I’m glad we did it.”

For more information on laser disc surgery, contact Oklahoma State University’s Veterinary Medical Hospital at 405-744-7000, ext. 1

DERINDA BLAKENEY, APR
Dr. Mark Rochat places needles in Rosie during her percutaneous laser disc ablation surgery.
The laser goes into one of the eight needles.

Doggy Dialysis

PUPPY GETS SECOND CHANCE WITH TREATMENT AT OSU

Abby, an English golden retriever puppy, became deathly ill only 10 days after she joined the Ashcraft family of Edmond, Okla.

“I noticed that Abby wasn’t eating and that she felt extremely warm,” says Shasta Ashcraft. “We took Abby to our normal vet, Britton Road Veterinary Clinic in Oklahoma City. They kept her through the day and monitored her. Her values weren’t right, and her kidney function didn’t look good. They asked if I wanted to take her home for the night since nobody would be there with her 24/7. I was out of town and wasn’t comfortable with that so that evening, my mom actuall y drove to Oklahoma City, picked her up and brought her to OSU.”

Dr. Lydia Gentry with the Veterinary Medical Hospital’s emergency ser vice quickly found that Abby had elevated kidney values, meaning her kidneys were not working properly. Abby was given IV fluids and some antibiotics but by morning, her kidneys had completely shut down.

“Abby was diagnosed with a bacterial infection called leptospirosis,” say s Dr. Shane Lyon, assistant professor of small animal internal medicine at OSU’s Veterinary Medical Hospital. “Leptospirosis is a bacteria that is transmitted through the urine of infected animals, particularly rats, possums, raccoons, things like that in the environment. When dogs are exposed to the urine, this bacterial infection infects their bloodstream initially, then settles into their kidneys and causes kidney damage.”

With her kidneys not working, Abby’s body had no way to rid itself of toxins. Her team of veterinary specialists included Drs. Lyon and Kelly Sesemann in small animal internal medicine, Dr. Sabrina Reilly in anesthesia, Drs. Mark Rochat and Brandy Cicho cki in small animal surgery, several veterinary technicians and assistants, and fourth-year veterinary student Rebecca Dallam.

“We used a specific kind of dialysis on Abby called peritoneal dialysis,” says Lyon. “We surgically placed a tube into her abdomen and infused sterile product into her abdomen. We allowed that to sit for a period of time using her body to draw out those toxins that should be removed from the kidneys and then removed that fluid from her abdomen. That cycle was repeated every hour for the first 24 hours.”

Abby undergoes dialysis while wearing a stockinette bandage.

During a follow-up visit, Abby waits for an exam.
DERINDA BLAKENEY, APR / CVHS

Abby went from making no urine to making too much urine. Housed in the hospital’s Kirkpatrick Foundation Small Animal Critical Care Unit, she received round-the-clock care for 14 days.

“One thing that I have been so happy with as a pet owner is just the attention to detail and the care and the true love that Abby has received,” says Ashcraft. “I have constantly received updates by phone in the mornings and in the evenings letting me know how things are going. I didn’t even know before I walked in this place that dogs could receive dialysis. The fact that they were willing to go the distance, as long as I was giving them permission to go the distance, should make anybody say, ‘This is the place I should go when I need help.’”

“Her prognosis at this point is pretty good to excellent,” says Lyon. “Her kidney values have pretty much normalized. I do think the only reason Abby was successful in her treatment was because of the team approach that we have at Oklahoma State. And that involves a lot of different people, including really good, dedicated owners that were observant of their dog and brought her to her primary care veterinarian in a timely fashion. The primary care veterinarian, who recognized the severity of her disease and immediately referred her for further care. That care was continued by our emergency service and then by our internal medicine and surgery services for dialysis.”

Abby has returned to the hospital for a couple of follow-up visits.

“Abby is producing sufficient amounts of urine, and her kidney enzymes have returned back to normal. We will just have to monitor those over time to see how much damage was done,” says Lyon.

“To bring her in the state that she was and then be able to pick her up and the progress that we’ve made in the last two weeks is just uncanny,” says Ashcraft. “It’s an amazing response to the way that she’s healed. And being a normal puppy, and running and jumping, being into everything and destroying everything, I just never thought we’d get back to this point.”

Abby shows Rebecca Dallam how grateful she is for her life-saving treatment at OSU’s Veterinary Medical Hospital.
DERINDA BLAKENEY, APR / CVHS
... WE LOVE OUR EVIL CAT!"
… WE LOVE OUR EVIL CAT!” — STACY SHOUSE

A Brain-Tumor Bully

MIKEY’S SUDDEN TURN TOWARD PEACE BRINGS OWNERS TO OSU FOR HELP

Most pet owners would be thrilled if their “bully” animal turned over a new leaf.

But Mikey’s owners knew something was wrong.

Mikey lives in Tulsa, Okla., with his owners, Stacy and Drew Shouse, and two other cats — Sheridan and Odin. Stacy Shouse calls Mikey a bully, saying the fluffy, 11-year-old cat would purr and lure people close — then slap would-be admirers in the face. Mikey even sent both Sheridan and Odin to the veterinarian on separate occasions. But in March, that all changed.

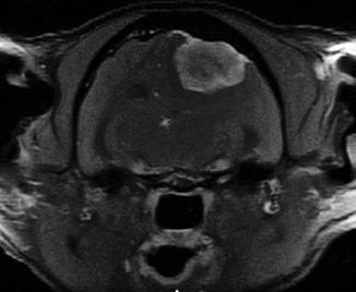
“Mikey stopped attacking his siblings and started stumbling around, walking in circles and staring at the wall,” Stacy recalls. Totally out of Mikey’s character, Stacy and Drew decided to have him checked out at OSU’s Veterinary Medical Hospital. Dr. Shane Lyon, small animal internal medicine, first saw Mikey and ordered an MRI.

“The MRI showed a huge mass on Mikey’s brain,” says Dr. Mark Rochat, former small animal surgery section chief. “It was about the size of a large grape and was pressing on the cat’s brain, which basically affected Mikey’s behavior.”

Mikey was not a fan of the cone he had to wear after his brain surgery at OSU’s Veterinary Medical Hospital.

GARY LAWSON / UNIVERSITY MARKETING

“We struggled with the decision to have surgery because of his age and the risk of complications,” says Stacy. “However, I so enjoyed the rare occasion when he would curl up in my lap. Or when I was sick or injured, he had to be close to make sure I was OK, even if it meant beating up the other cats to get a good spot. Every time Drew was out of town or deployed, … Mikey would wait hours by the door before giving up and going on to bed. So we decided to move forward with the surgery.” Drew is a member of the Tulsa Air National Guard, 138th F ighter Wing, 125th Fighter Squadron.

Mikey’s surgery took about an hour. “This type of tumor is one of the easier types to deal with. Mikey came through surgery without any lasting problems,” adds Rochat — but with another change of behavior.

“Mikey came through surgery great. He hated the cone around his neck with a passion but the weird thing is, Mikey is not attacking his siblings and is quite the lover,” Stacy says. “We hope this mellow side of him stays but even if it doesn’t, he is still a keeper — we love our evil cat!”

“Mikey is doing great,” she continues, several weeks later. “Although he isn’t beating up on his siblings, Mikey has started growling and hissing, which may be a sign of things to come.” If Mikey’s softer side gives way to his original personality, sibling cats and visitors to the Shouse household b eware — Mikey has been known to slap.

Cl/HS

For more information on OSU’s Veterinary Medical Hospital, visit www.cvhs.okstate.edu or call 405-744-7000

Drs. Mark Rochat and Brandi Cichocki, small animal surgery resident, watch owner Drew Shouse cuddle Mikey

Research for All

FIRST INTERDISCIPLINARY TOXICOLOGY SYMPOSIUM HEARS FROM STUDENTS AND EXPERTS

Toxicology research is key to protecting human, animal and environmental health.

The First Interdisciplinary Toxicology Symposium included presentations from graduate students and industry and government experts, and the 15th Sitlington Lecture in Toxicology.

Organized by Carey Pope, Ph.D., Regents Professor and Sitlington Chair in Toxicology at OSU’s Center for Veterinary Health Sciences, the event featured speakers from multiple backgrounds and experiences, all focusing on various aspects of toxicology research.

CVHS Dean Jean Sander, DVM, and Graduate College Dean Sheryl Tucker, Ph.D., who is also interim vice president for research, welcomed attendees as well.

Pope moderated the 15th Sitlington Lecture in Toxicology. This year’s presenter was Robert Tanguay, Ph.D., from the Department of Environmental and Molecular Toxicology and director of the Sinnhuber Aquatic Research Laboratory in the Environmental Health Sciences Center at Oregon State University. Tanguay presented “High Throughput Assessment of Bioactivity Using Zebrafish: High Content Data for the 21st Century.”

“Dr. Tanguay is a molecular toxicologist who has been instrumental in the development of the zebrafish as a model for toxicological research in order to improve human and environmental health,” says Pope.

Tanguay says that the main challenge in the field of toxicology is that there are too many chemicals to evaluate using traditional approaches.

Robert Tanguay, Ph.D.
PHIL SHOCKLEY / UNIVERSITY MARKETING

“There are 50,000 to 90,000 individual compounds in commerce that we are exposed to,” he says. “Then you add on the fact that we are always exposed to chemicals in complex mixtures and these mixtures are constantly changing. This results in a nearly infinite number of p ossible chemical exposures.”

But Tanguay says it isn’t all gloom and doom. The goal is to use structural and mechanistic information from large numbers of chemicals in order to predict chemical toxicity of all chemicals. This information can be used to regulate chemical use, but perhaps more importantly, will help to design safer products.

Tanguay uses the zebrafish model because it is amenable to large-scale studies.

OSU’s Interdisciplinary Toxicology Program fosters collaborative research on toxicity among faculty from different disciplines and supports the training of students in the use of multidisciplinary concepts and approaches.

Loren Smith , Ph.D., Regents Professor, head of the Department of Integrative Biology and co-director of the Interdisciplinary Toxicology Program, moderated the five graduate fellows’ presentations, which included:

ƒ ADAM SIMPSON, a Ph.D. candidate in the Department of Integrative Biology, presented “Utilizing Resurrection Ecology to Discover the Link Between Cultural Eutrophication and Xenobiotic Sensitivity.” Simpson studies  Daphnia pulicaria, a freshwater zooplankton. Daphnia produce eggs that can remain viable in sediment for centuries. Simpson exposed a population of hatched Daphnia eggs to the insecticide chlorpyrifos in a series of acute toxicity tests, which found the resurrected organisms were more sensitive to chlorpyrifos.

ƒ PATRICK CUSAAC, a Ph.D. student in the Department of Integrative Biology, presented “Terrestrial Exposure and Effects of Headline AMP Fungicide on Amphibians.” Cusaac used agricultural areas in the Rainwater Basin of Nebraska to examine exposure and effects of Headline AMP fungicide to amphibians, specifically Bufo woodhousii ulicaria (toads) and Acris blanchardi (cricket frogs), during routine aerial treatment of corn (tassel stage). He determined that mortality appeared low under these conditions.

ƒ MANUSHREE BHARADWAJ, BVSc, a graduate teaching assistant and Ph.D. candidate in the Department of Physiological Sciences at the Center for Veterinary Health Sciences, presented “Effects of the Cholinesterase Inhibitor Pyridostigmine on Autonomic Regulation of Cardiac Function.” The drug pyridostigmine has been used to control symptoms of progressive weakness and improve cardiac function in humans suffering heart failure. The current project is focused on developing an animal model of heart failure and studying the mechanism by which pyridostigmine is beneficial.

ƒ CHRISTOPHER GOODCHILD, a Ph.D. student in the Department of Integrative Biology, presented “Assessing the Bioenergetic Effects of Crude Oil in an Avian Model System.” Goodchild plans to use zebra finches to determine if birds, not visibly oiled, are affected by ingestion of crude oil.

ƒ SHANE MORRISON, a Ph.D. student also in Integrative Biology, presented “Development of Helisoma trivolvis Pond Snails as Bio-Monitoring Tools for Current Use Pesticides.” Morrison’s research focuses on methods for estimating environmental exposures that typically occur in short pulses.

David Wallace, Ph.D., professor of pharmacology and assistant dean for research at the OSU Center for Health Sciences in Tulsa, moderated the Toxicology in Safety Assessment section:

ƒ KEN OLIVIER, Ph.D., senior director of toxicology at Merrimack Pharmaceuticals, presented “Is it Safe? Toxicology in Therapeutic Development.” Olivier likened his job as a toxicologist to that of a risk assessor with an “it depends” approach to ensure high-quality generation and interpretation of data. “Drug-development toxicologists evaluate the effects of drug candidates in nonclinical animal studies to inform the benefits/risks to human patients,” he said. “We study the adverse effects of chemical, physical or biological agents on living organisms and the ecosystem and try to prevent and/or lessen such adverse effects.”

ƒ ANNA LOWIT, Ph.D., senior scientist, health effects division at the U.S. Environmental Protection Agency, presented “Toxicology in Risk Assessment: Pesticides.” According to Lowit, registration of pesticides for use in the U.S. requires extensive toxicology and exposure data. “We review the safety of pesticides and the effects of pesticides on human and ecological health.”

The inaugural recipients of graduate fellowships in Interdisciplinary Toxicology joined professors at the Interdisplinary Toxicology Symposium. From left are Manushree Bharadawaj, Shane Morrison, Dr. David Wallace, Adam Simpson, Dr. Carey Pope, Patrick Cusaac, Dr. Loren Smith and Chris Goodchild
Cl/HS

Healthy Animals,

INFECTIOUS DISEASE EXPERT MAKES CASE FOR ONE HEALTH APPROACH

The Class of 1963 Distinguished Lecturer, Edward Br eitschwerdt, DVM, DACVIM, made a strong case for a total approach to medicine to approximately 200 veterinarians during OSU’s Center for Veterinary Health Sciences’ 2014 annual conference for veterinarians and veterinary technicians. An infectious disease expert, Breitschwerdt drew attention to one genus of bacteria in particular — Bartonella spp Bartonella spp. causes such diseases as endocarditis (inflammation of the lining of the heart), g ranulomatous disease (malfunctioning immune system), chronic intravascular infection and vasoproliferative tumors. It has also been linked to Rocky Mountain spotted fever. It can be transmitted by sand flies, human body louses, rodent fleas and other insects.

“Because approximately 75 percent of emerging infectious diseases are zoonoses, a One Health appr oach to bartonellosis and other zoonotic infections is needed to address animal health, public health and environmental factors that influence the distribution and transmission of these bacteria,” Breitschwerdt says. “The One Health concept has b een around for 100 years. It is an effort to bring veterinary medicine and human medicine more closely aligned to solve very complicated medical problems facing society today. I think by working together, we will get to the answers for society much quicker than working in our own individual silos. Furthermore, substantial research is needed to define the medic al importance of this new genus as a cause of animal and human illness.”

Research finds rodents, cats, dogs, wildlife and humans can be among the variety of Bartonella reservoir hosts, adding to the avenues where the bacteria can infect animals and humans.

“It is imp ortant that veterinarians and the general public recognize that fleas that infect dogs and cats are not just an inconvenience,” he says. “Fleas are transmitting bacteria to animals and to people that can result in very chronic infections in the blood stream, infections that affect the joints, the ner vous system and other systems within the body. These diseases are very difficult to diagnose and bring to the forefront the urgency of having medical and veterinary medical professionals collaborate on projects whenever possible. While we know the source of disease, we don’t know how often ticks are

actually transmitting members of the genus Bartonella to animals and humans throughout the world.

“The one thing that animal owners can do is protect a pet from b ecoming infected. Owners can use products that are readily available, that are safe and effective for killing fleas and ticks b efore they are able to transmit these organisms,” he says. “Once the organisms are transmitted they can literally ‘set up housekeeping’ in the animal for fairly long periods of time — months and years — and serve as a source of infection for members of the family.”

Breitschwerdt is a professor of medicine and infectious diseases at the North Carolina State University College of Veterinary Medicine and an adjunct professor of medicine in the division of infectious diseases at Duke University.

Dr. Edward Breitschwerdt and OSU CVHS Dean Dr. Jean Sander visit before the Class of 1963 Distinguished Lecture

Healthy People

BETTER VETERINARY PRACTICES IMPROVE FOOD SAFETY, EXPERT SAYS

The increasing safety of the food supply was the focus of the keynote speech at OSU’s Center for Veterinary Health Sciences’ 2015 annual conference f or veterinarians and veterinary technicians.

Stan W. Casteel, DVM, Ph.D., DABVT, presented “Back Then, Now, What’s Next for Veterinary Medicine.”

“I think the food supply is safer than ever. Animal agriculture is increasingly consolidating which includes pig farms and cattle operations,” Casteel said during his sp eech. “Since 1940, production efficiencies have increased. Meat produced today per sow is double what it was in 1940.”

Casteel also discussed antibiotic use in food animals.

“I think it is a myth that antibiotic free animals in general are b etter for us. Residue testing procedures are better, and we’re not finding antibiotic residue in food animals. In Denmark, a ban on antibiotic use resulted in increased mortality, a reduction in weight gain and an increased incidence of salmonellosis.”

Casteel added that 75 percent of emerging infectious diseases are zoonotic, which highlights the connection between animal health and human health.

“There are changes of susceptibility in our own population due to immunosuppression,” he said. “We also have microbial adaptation. Every year we have the influenza virus to deal with. It changes its antigenic char acter in just a matter of months and the vaccine

industry can’t always keep up with it. Approximately 36,000 people per year in this country die from influenza, which usually affects the very young and the very old. Because we have global transportation, we have the potential to spread diseases around the planet within 24 to 48 hours quite easily.”

Casteel also discussed bioterrorism and its potential impact on animal and human health.

“I think the concern here is that bioterrorism could easily attack both our food supply and our

human population,” he said. “We need more veterinarians with advanced degrees in virology and bacteriology to keep track of emerging infectious diseases that could affect us all.”

Casteel is a professor of veterinary pathobiology at the University of Missouri’s College of Veterinary Medicine and a Diplomate of the American Board of Veterinary Toxicology. He has 28 years of experience as a researcher, teacher and diagnostician of animal diseases.

THE LECTURESHIP

In 2004, the Class of 1963 established its Distinguished Lectureship Endowment. The money earned from this investment hosts an annual expert speaker on a variety of subjects related to veterinary medicine, human health and environmental factors.

Drs. Stan W. Casteel (from left), CVHS Dean Jean Sander and Class of ’63 representative Thomas Loafmann visit at the event.

Working for Easier Breathing

KOTTON DETAILS RESEARCH TO HELP REPAIR INJURED LUNGS

Darrell N. Kotton, M.D., shared his findings from his research into stem cells at the 6th Annual Lundberg-Kienlen Lectureship in Biomedical Research at OSU’s Center for Veterinary Health Sciences, presenting “Pluripotent Stem Cells for Modeling Lung Development and Disease” in November 2014.

Since 2002, Kotton has studied pluripotent stem cells, which can form any cell in the body. They are mostly embryonic or induced pluripotent stem (iPS) cells. All stem cells can divide and create an identical copy of themselves.

Kotton’s research focuses on lung injury and repair. One study looks to determine the road map needed to use developing embryos to recreate pluripotent stem cells that will benefit animals and humans fighting certain lung diseases. Using a mouse mo del, Kotton can determine the pathways faster, then adapt the process to human cells.

The doctor shared a story of a young boy who was being shocked 100 times a day to keep his b ody systems functioning. Using iPS cells from his parents to create cells for the child cut the number of arrhythmias — and thus the need for shocks — to zero.

“It is working,” Kotton. “However, more research is needed. Specifically we need a functional assay for iPS-derived lung cells to test how good the cells are that we are making. We need better cellular definitions of what makes a cell. And we are lacking in rigor; we need true organ controls such as a lung biopsy from a person.”

Kotton is a professor in the Department of Medicine and the Department of Pathology and Laboratory Medicine at the Boston University School of Medicine. I n addition, he is an attending physician in the Medical Intensive Care Unit and on the Pulmonary Consultation Service at Boston Medical Center. He is also the founding director for the Center for Regenerative Medicine and co -director for the Alpha-1 Center.

Dr. Lin Liu (left) and CVHS Dean Dr. Jean Sander welcome Dr. Darrell N. Kotton to the Center for Veterinary Health Sciences. Kotton spoke at the 6th Annual Lundberg-Kienlen Lectureship in Biomedical Research.

The Lundberg-Kienlen lecture is hosted by Lin Liu, Ph.D., OSU Regents Professor of physiological sciences, the Lundberg-Kienlen Endowed Chair in Biomedical Research and director of the Oklahoma Center for Respiratory and Infectious Diseases at the veterinary center. The lectureship is co-sponsored by the Oklahoma Center for Respiratory and Infectious Diseases and the Interdisciplinary Program in Regenerative Medicine at Oklahoma State University.

Cl/HS

Researching Pneumonia

DOERSCHUK DESCRIBES HOW DISEASE CHANGES LUNGS

Claire Doerschuk, M.D., presented “Leukocyte Recruitment and Function during Bacterial Pneumonia” at the 7th Annual Lundberg-Kienlen Lectureship in Biomedical Research on Nov. 18, 2015. Doerschuk is a professor in the Department of Medicine and the director of the Center for Airways Disease at the University of North Carolina at Chapel Hill School of Medicine.

Internationally known for her contribution to bacterial pneumonia research, her interests focus on understanding innate immunity in the lungs and the host defense, particularly the mechanisms that initiate the host’s responses.

D oerschuk’s current research focuses on the mechanisms underlying the recognition of pathogens or other lung injuries, the r ecruitment of leukocytes, the changes in vascular permeability, the functions of leukocytes and the effects of leukocytes and edema or excess fluid.

“We have determined that bacterial pathogens induce changes in the expression of mRNAs and microRNAs in lung neutrophils during pneumonia,” says Doerschuk. “Bioinformatics analyses of correlations between microRNAs and mRNAs provide testable hyp otheses for future research.”

Doerschuk has published approximately 140 scientific papers. She is a councilor of the Society for Leukocyte Biology and a fellow of the American Association for the Advancement of Science. Doerschuk has received the

MERIT award from the National Institutes of Health and the Elizabeth Rich, M.D. Award and the Recognition Award for Scientific Accomplishments from the American Thoracic Society.

The Lundb erg-Kienlen Lectureship in Biomedical Research is hosted by Lin Liu, Ph.D., Lundberg-Kienlen Endowed Chair in Biomedical Research, director of the Oklahoma Center for Respiratory and Infectious Diseases and director of the Lung Biology and Toxicology Laboratory at the OSU Center for Veterinary Health Sciences.

Cl/HS

Dr. Martin Furr (left) and CVHS Dean Dr. Jean Sander welcome Dr. Claire Doerschuk to the Center for Veterinary Health Sciences, along with Dr. Lin Liu (right).

Honoring Our Veterans

RETIRED MAJOR GENERAL PAYS TRIBUTE TO THOSE WHO SERVED

The cold, windy weather on Veterans Day in 2014 may not have been perfect for an outdoor event, but it worked for OSU’s Center for Veterinary Sciences Dean Dr. Jean Sander, who noted that service members don’t always have the choice to be where it is dry and warm.

Guest speaker retired Army Maj. Gen. James Ron Sholar was up for the challenge.

“Any ceremony that honors our veterans — those who have served so selflessly in whatever period of time — is special to me,” Sholar told the small crowd at the Military Veterinary Honor Court by McElroy Hall. “I am honored to be here with you.”

Sholar talked about words used to describe those in a military uniform — dedication, integrity, perseverance, honor and service.

“While service can be found throughout society in firefighters, policemen, nurses and even professors, I would submit to you that you can find it in greater abundance perhaps with our military men and women than in any other walk of life,” he said.

Veterans Day honors everyone who has worn the uniform of any U.S. branch of service.

“Heroes from any branch and any era are all around us,” continued Sholar. “Here in our own Stillwater community, two World War II veterans were recently recognized by the French government. Both OSU emeriti professors, Ron duBois and J.Q. Lynd received the French Legion of Honor. It is so gratifying to me to know that after 70 years, the French people still appreciate what the American liberators did for them and are still honoring them.

“It is not limited to World War II, though. Just today I was reading about First Lt. Nathan Peterson. I don’t know if you are familiar with Nathan. He was an outstanding football player at OSU — All Big 12. He decided to join the service and in 2008 after he graduated, he went to Marine Officer Candidate Scho ol. He was commissioned, went to Afghanistan twice and was a plato on leader. Now he’s an assistant football coach here at OSU. We are surrounded by heroes of one sort or another.”

War is still fought in the human dimension, despite improving technology, he added.

“We still have to send our young men and women into harm’s way and God bless them. We owe them a debt of gratitude. I’m just proud that our community has not forgotten that. I’m glad this school has not forgotten. We have not forgotten that veterinarian Lt. Col. Daniel Holland, class of 1988, gave his life in 2006. We must never forget. Military personnel have acted on our behalf and we owe them a debt of gratitude that simply cannot be paid. God bless our veterans who have served and who will continue to serve.”

Retired Army Maj. Gen. James Ron Sholar spoke at OSU’s 2014 Veterans Day event. PHOTO

Army Lt. Col. Troy C. Bucher, professor of military science for the Oklahoma State University Army ROTC program, presented “Service to Our Nation” at the 2015 Center for Veterinary Health Sciences’ Veterans Day observance.

“In the United States today, there are 22 million veterans who have served both in peace and war,” he says. “That’s about 6 percent of the population. In Oklahoma, that percentage is higher with 9 percent of the population being veterans. Oklahoma has a rich tradition of military service. I would like to think that is because people in Oklahoma tend to feel a stronger sense of duty and obligation.

“Oklahomans have served honorably in nearly every unit of every branch in the military, from World War II to Korea to Vietnam to Iraq and Afghanistan. Oklahoma can definitely be proud of its sons and daughters, many of whom have paid the ultimate price for freedom.”

Bucher says cadets usually list one of three main reasons for serving in the military.

“Those who serve in the military want to be part of something bigger than themselves; to be able to look back some day and say that when it came right down to it, they were willing to put their life on the line to defend their

country, and that they were part of something that made a difference both here in the United States and abroad.

“Second, they want the opportunity to give back to the people who made them what they are — their teachers, parents, friends and communities. Many have a parent or another relative or role model who served, and they want to live up to that image and become a role model for the next generation.

“Finally, they serve because of their peers. The military is a really close-knit community. After a short time in the service, soldiers, sailors and airmen come to understand that there is a b ond between them like no other place in society. This is the reason most continue their service through deployment after deployment.”

Bucher notes the sacrifices military personnel and their families willingly make.

“When you see a military person or veteran, thank them for their commitment to keeping our country safe, thank them for their willingness to put their life on the line to protect your family, thank them for putting the needs of the country above their own, and something equally important, thank a military spouse for his or her sacrifices as well. God bless our veterans, their families, the state of Oklahoma and the United States.”

“OKLAHOMA
"OKLAHOMA

HAS A RICH TRADITION OF MILITARY SERVICE. I WOULD LIKE TO THINK THAT IS BECAUSE PEOPLE IN OKLAHOMA TEND TO FEEL A STRONGER SENSE OF DUTY AND OBLIGATION.”

HAS A RICH TRADITION OF MILITARY SERVICE. I WOULD LIKE TO THINK THAT IS BECAUSE PEOPLE IN OKLAHOMA TEND TO FEEL A STRONGER SENSE OF DUTY AND OBLIGATION."

Lt. Col. Troy C. Bucher spoke at OSU’s 2015 Veterans Day event.

Clary helps ‘keep the place running’

It’s the little things that make a work environment pleasant. It’s the behind-thescenes work that often keeps that operation running smoothly. And it is employees like Dennis Clary, the 2015 Stratton Staff Award recipient, that make both of these things happen at OSU’s Center for Veterinary Health Sciences.

Clary grew up in Stillwater and worked at Mercury Marine before coming to OSU. In the five years that he has worked in the center’s facilities maintenance department, he has proven to be a great asset.

“Dennis has a vast knowledge of the CVHS facilities and is never afraid to tackle any project,” says Jim Hargrave, facilities maintenance supervisor. “He also regularly attends continuing education courses to continue to expand his knowledge base. Dennis has a great attitude and is always willing to help anyone who needs it. He takes care of business, is efficient and keeps me informed.”

Clary enjoys working at the veterinary center because “everybody is nice to you.” He describes a typical day as being pretty busy.

“We do everything from replacing light bulbs to repairing water lines to helping p eople move office furniture,” Clary said. “We help people whenever they need it. It is a team effort. Basically, we keep the place running.”

Hargrave says Clary is the first one to volunteer to come in early, stay late or work weekends or holidays to lessen the impact and downtime on the center’s critical building systems. And when he’s not working, Clary enjoys spending time hunting and fishing.

“Receiving the Stratton Staff Award is a big honor,” says Clary. “It means you are doing something right.”

The Str atton Staff Award was established upon the retirement of Dr. Louie Stratton in 1989. The former director of OSU’s Veterinary Medical Hospital wanted this award to honor outstanding staff members for their dedicated service and many key contributions. Nominations are accepted from any employee of the center and selected by an ad hoc committee appointed by the dean.

DENNIS CLARY

Western Veterinary Conference recognizes two from OSU

Oklahoma State University Center for Veterinary Health Sciences

alumnus Thomas Reece, DVM, MS, MPH, DACVPM, and veterinary student Kristen Ward were recognized at the 2015 Western Veterinary Conference for their achievements.

Thomas Reece (OSU CVM ’80) received a Special Recognition Award from the board of directors for his three years on the Food Animal Incentive Award Committee. The award was presented by WVC President Dr. George Dyck. Reece owns and operates Bovine Production Medicine Services and teaches at Cameron University in Lawton, Okla.

Kristen Ward (Class of 2016) was one of 33 veterinary students who received a Dr. Jack Walther Leadership Award. Given to third-year veterinary students, the award includes $1,000, complimentary conference registration, lodging, airfare and a daily stipend to attend the group’s 2016 conference. Recipients also have one additional complimentary registration to a future conference to be used within five years following graduation. Ward is a second lieutenant in the Army. While earning her DVM degree, she also serves as a student ambassador, the Oxbow student representative, Hill’s Depot team member, Society for Veterinary Surgery and Anesthesiology vice president, and the Zoo, Exotics and Wildlife Club secretary.

DR. THOMAS REECE
KRISTEN WARD

An Honor for a Dynamic Duo

COWELL, TYLER RECEIVE 2014 ASVCP LIFETIME ACHIEVEMENT AWARD

DRS. RICK COWELL AND RON TYLER SR. have been colleagues for decades, starting in veterinary college at Oklahoma State University in the 1970s. Tyler graduated in 1977 and Cowell in 1978. They both completed their residencies in pathology at OSU, and both are board certified as clinical pathologists by the American College of Veterinary Pathologists. Tyler is also certified as an anatomic pathologist and toxicologist. Cowell earned a master’s degree while Tyler earned a doctorate at OSU. And both men spent time on the faculty of OSU’s College of Veterinary Medicine.

So it’s not surprising that the two were honored with the 2014 ASVCP LIFETIME ACHIEVEMENT AWARD together. Together Cowell and Tyler published classic texts — Diagnostic Cytology and Hematology of the Dog and Cat (1989), Diagnostic Cytology and Hematology of the Horse (1992), Veterinary Clinical Pathology Secrets (2004) and Atlas of Canine and Feline Peripheral Blood Smears (2014). Cowell and Tyler are known the world over through their publications, professional presentations, research and more.

“They are probably best known for their cytology textbook, which was the first comprehensive organ-based veterinary cytology text,” says J ames Meinkoth, DVM, Ph.D., Diplomate ACVP and former interim head of the Department of Veterinary Pathobiology at OSU. “It has undergone four editions and has been translated into Spanish, Italian, Japanese, Korean, French and Portugese. Both have served on the ASVP certifying exam committee, published

numerous diagnostic clinical pathology manuscripts and book chapters, and made many continuing education presentations. Both have served in academia as well as private diagnostic labs. Ron, of course, also has extensive experience in the pharmaceutical industry. More imp ortantly, both are just good people, the kind you enjoy being around. They are humble and down-to-earth people best known for an ever-present smile, infectious laughter and a firm belief that life is to be enjoyed.”

The American Society for Veterinary Clinical Pathology Lifetime Achievement Award recognizes members who have contributed to veterinary clinical pathology. Pathologists are nominated for their research, teaching or outstanding contribution to the field as well as through their work on behalf of the ASVCP.

Dr. Ron Tyler (left) and Dr. Rick Cowell were nominated by Dr. Amy Valenciano for the award.

2015: Lyndi Gilliam, DVM, Ph.D.

Lyndi Gilliam, DVM, Ph.D., DACVIM-Large Animal and associate professor of equine internal medicine at OSU’s Veterinary Medical Hospital, is the Center for Veterinary Health Science’s 2015 Regents Distinguished Teaching Award recipient.

“It’s pretty exciting,” Gilliam says. “The Regents award was something that I thought would be amazing someday but I didn’t have it in my sights at this point. Dr. Michael Lorenz encouraged me to submit my application to the college. The college then cho oses who they want to send forward to the main campus. One recipient from each college is then selected.”

The application process includes submitting a current vitae, teaching evaluations, and letters of recommendation from current and past students, colleagues, the department head, and the dean of the college. Applicants also have to submit a statement on their teaching philosophy. Gilliam’s philosophy statement makes it clear she practices what she writes.

Gilliam says she strives to bring clinical medicine to the students as early as possible.

“I work to integrate myself in teaching in all four years of the curriculum. I remember how easy it was in veterinary school to lose sight of that final goal during the first three years of coursework.”

Being a veterinarian is a passion that many students have harbored since childhood.

“I strive to keep that passion alive and take students from having a dream of making animals well, to having a drive to understand the pathophysiology of the diseases aff ecting animals,” she says. “I encourage them to explore new horizons, discover new diseases, and new cures for diseases. Their know ledge of health and disease will impact not only animals but humans as well. Whether they cho ose to enter private practice in rural Oklahoma or work at the National Institutes of Health, the knowledge they will possess is invaluable.”

Gilliam keeps students passionate about veterinary medicine by demonstr ating that passion herself. She shares her private practice experiences with her students. Working in the clinic also gives her real-life examples to show students how she uses what she is teaching in the classroom.

“I am very open and not afraid to share my mistakes or learning experiences. I want my students to see me as a real person and to see how I grew as a veterinarian and how I continue to grow, as medicine is a profession where an individual never stops learning.”

And Gilliam constantl y critiques herself to ensure she is presenting the material in the best p ossible way.

“AT THE END OF THE DAY, MY STUDENTS AND THOSE I TRAIN ARE PART OF THE LEGACY I WILL LEAVE AT MY ALMA MATER.”
"AT THE END OF THE DAY, MY STUDENTS AND THOSE I TRAIN ARE PART OF THE LEGACY I WILL LEAVE AT MY ALMA MATER."
— LYNDI GILLIAM

“I hold very high expectations for my students. But when one of them fails to meet these expectations, rather than assuming they are inadequate, I ask myself, did I prepare them to be able to meet my expectations? While I firmly believe that students must take ownership of their education, I also believe I must be willing to assess why an expectation has not been met and how it can be better met in the future.”

Gilliam tries new techniques and challenges herself to engage every student.

“I like to spend time thinking about the ways in which different students learn and trying to cover a spectrum of teaching techniques to attempt to reach every student possible. I use videos of the diseases that we are talking about so that students can see what I am describing. It brings the words I am saying to life.” Teaching in the clinic is very different from the classroom. Gilliam teaches equine internal medicine to fourth-year veterinary students, interns and residents — all with different levels of knowledge and expectations. Gilliam has attended special training seminars on communication to be able to better read students’ non-verbal cues and adjust her communication style.

“For example, very few of my students are familiar with horses. I need to teach them medical knowledge as well as husbandry skills, all the while keeping them safe. Recognizing that a lack of participation may be due to fear of the unknown has enabled me to address their fears and get them actively involved in the rotation,” she says.

“At the end of the day, my students and those I train are part of the legacy I will leave at my alma mater. I hope I have built a relationship with them that will facilitate me being a consultant for them during their career. I want to be able to say I gave all I had to equip them to be all they can be.”.

PHIL SHOCKLEY / UNIVERSITY MARKETING

2015: Carey Pope, Ph.D.

He grew up in Pasadena, Texas, earned an undergraduate degree from Stephen F. Austin State University in Nacogdoches, Texas, and worked as a research technician at M.D. Anderson. Meet Carey Pope, Ph.D., Sitlington Endowed Chair in Toxicology in the Department of Physiological Sciences at Oklahoma State University’s Center for Veterinary Health Sciences.

“While at Stephen F. Austin, I talked to a professor who asked about my interests,” says Pope. “He mentioned ‘toxicology’ as an important area and a colleague of his worked in ‘pesticides.’ That conversation was during the 1970s when environmental awareness was increasing. Chemicals like DDT and PCBs were being recognized as worldwide contaminants, showing up in places like the Arctic Circle and pristine lakes in the Rocky Mountains. So I decided that the toxicity of pesticides would be an exciting, relevant field of study.”

And attention he gave it. After working at M.D. Anderson for two years, he joined the doctoral program at the University of Texas in Houston. Pope has sp ent the last 29 years researching pesticide toxicology. OSU recognized Pope twice honoring him with the Regents Distinguished Research Award in 2005 and again in 2015. Pope was also appointed a Regents Professor in 2007.

PHIL SHOCKLEY / UNIVERSITY MARKETING
Carey Pope

“To receive the Regents Distinguished Research Award again in 2015 makes me appreciate the people I work with more than anything else,” says Pope. “I’ve spent a lot of time trying to foster research in our college and the university in general, and I appreciate that my colleagues recognize my efforts.”

Pope credits one of his earlier papers for a long-term concept in his research program.

“Comparing the effects of different organophosphorus pesticides led me to think about this class of chemicals as a set of similar but unique chemicals, sharing one toxic mechanism but having distinct additional actions that might lead to selective toxicity. In other words, the organophosphorus pesticides may share a common mechanism but they may not all work through the same mechanisms, as was commonly believed at the time,” he adds. “That hypothesis formed the basis of a review pap er that’s been my most cited publication to date.”

“I think our work had an impact on risk assessment of these pesticides and how chemicals in different classes are evaluated and regulated,” Pope continues. “Looking at mechanisms of toxicity not just in a linear manner but as a more complex set of interacting events helps us better understand how these chemicals actually work and how to better protect people, animals and the environment from their adverse effects.”

“I’M

REALLY

APPRECIATIVE OF THE

''l'M REALLY APPRECIATIVE OF THE OPPORTUNITY I HAD TO BECOME A COWBOY AT OKLAHOMA STATE'S CENTER FOR VETERINARY HEALTH SCIENCES, AND CONSIDER THE DECISION TO COME HERE AS ONE OF MY LIFE'S BEST."

OPPORTUNITY

I HAD TO BECOME A COWBOY AT OKLAHOMA STATE’S CENTER FOR VETERINARY HEALTH SCIENCES, AND CONSIDER THE DECISION TO COME HERE AS ONE OF MY LIFE’S BEST.”

— CAREY POPE

Pope’s laboratory is working with a group of scientists on a project aimed at protecting soldiers and first responders from another type of organophosphorus compounds, the nerve agents.

“This is a very interesting multidisciplinary project that brings together the e xpertise of different people from different colleges throughout our campus to focus on how we can improve the protection of people from these types of chemicals.”

And for young researchers just starting out, Pope has this to offer.

“Basically invest yourself completely, think about your research as much as you can and put the time in. This strategy has worked for me and most successful people I know. You have to be extremely interested in what you are doing or you’re not likely to succeed. There are lots of very smart, hard-working people throughout the world who are doing research. That’s why you absolutely have to be über-interested in your field and dedicated to what you are doing.”

Pope joined Oklahoma State University’s Center for Veterinary Health Sciences in 2000 as the Sitlington Chair in Toxicology.

“Being supp orted by the Sitlington Endowment really had a major impact on my career,” he says. “As the Sitlington Chair in Toxicology, I’ve had the opportunity to positively impact a number of people who have come through my lab. I’m really appreciative of the opportunity I had to become a Cowboy at Oklahoma State’s Center for Veterinary Health Sciences, and consider the decision to come here as one of my life’s best.”

The Regents Distinguished Research Award recognizes research excellence at Oklahoma State University. Candidates must demonstrate a distinguished record of past and continuing excellence in research and be clearly recognized nationally and internationally. Each recipient receives a $2,000 permanent annual salary incr ease and an award plaque.

2014: Melanie Breshears, DVM, Ph.D.

It’s easy to understand why Dr. Melanie Breshears received the 2014 Regents Distinguished Teaching Award: She loves her subject matter, the students, and being at her alma mater.

Breshears is an associate professor in anatomic pathology at Oklahoma State University’s Center for Veterinary Health Sciences. Originally from Mustang, Okla., she came to OSU to earn her undergraduate degree and never left, earning both her DVM and Ph.D. degrees and completing a residency in anatomic pathology. A Diplomate of the American College of Veterinary Pathology, she has been on the OSU faculty since 2003.

“I teach parts of veterinary histology and a few lectures in the general pathology course in addition to general pathology labs for first year veterinary students,” says Breshears. “I also teach gastrointestinal pathology and an elective that’s called Case Studies in Systemic Pathology to the third years. Then I teach necropsy rotation to fourth-year veterinary students.

“What I like most about teaching is seeing the lightbulb come on when students finally gain that understanding of a complex process. One of the biggest challenges in teaching veterinary students today is just the abundance of information. So, it’s the job of the instructor to select what’s most important for students to know. You can’t know everything, so it’s my job as a teacher to teach them the most important information so that they can then go forth as a professional and continue to learn throughout their career.”

And her students say she is doing just that. Alex Simpson, a third-year veterinary student, calls Breshears, “Intelligent, optimistic, driven and respectful.”

"WHAT I
“WHAT I LIKE MOST ABOUT TEACHING IS SEEING THE LIGHT BULB COME ON WHEN STUDENTS FINALLY GAIN THAT UNDERSTANDING OF A COMPLEX PROCESS.”

LIKE MOST ABOUT TEACHING IS SEEING THE LIGHT BULB COME ON WHEN STUDENTS FINALLY GAIN THAT UNDERSTANDING OF A COMPLEX PROCESS."

“She presents her material in a concise manner,” Simpson says. “She uses crazy pictures or funny word pronunciation to get the material she believes is most important into your mind. I’ve also learned from her that even though you may be a distinguished practitioner or prominent researcher, there is no reason to act above others wanting to obtain the knowledge you behold. She will sit down at any moment, no matter her task at hand, and help you with any question you may have; she’s very approachable.”

Breshears also finds her subject matter extremely interesting.

“What makes pathology the most fun is you never know what you are going to find,” she says. “It’s (pathology) always challenging. It’s really never dull or boring and when you get that final answer, that’s rewarding.

“One of the most interesting pathology cases that I remember was a 6-month-old foal that had salmonella infection in the intestine or enteric salmonellosis. Because of that, it acquired a respiratory fungal infection and then also some problems with the distal limbs — sort of a distal gangrenous necrosis. It was a really complex case. It was very interesting because for each of the lesions you could find descriptions in textbooks, find clinical examples or reported cases of the many disease processes in this one foal. And what made it even more of a favorite case for me is that I got to work with a student so she could present the case and then we also were able to publish it. It was a really interesting case to work up, and it had a cool teaching aspect, too.”

“I think part of the reason that I enjoy teaching so much is that I really loved vet school,” she says. “I loved the experience of it, just the learning and the environment. The class becomes sort of an extended family and you get one-onone time with professors. You get to know the people. It’s just a friendly, supportive place to go through veterinary college. And now, being on faculty here the best part of my job is interacting with students and colleagues. That’s what I think makes the Center for Veterinary Health Sciences a strong veterinary program.”

“Melanie is most deserving of this recognition,” says James Meinkoth, DVM, Ph.D., DACVP (clinical pathology), professor and former interim department head for the Department of Veterinary Pathobiology. “She is a dedicated and versatile educator teaching future veterinarians and mentoring anatomic pathology residents. Melanie has earned multiple teaching awards including the Zoetis (Pfizer/Norden) Distinguished Veterinary Teacher Award (2011), the center’s First Year Class Teaching Award (2012) and now the Regents Distinguished Teaching Award.”

“I feel very honored to have been chosen as a recipient of the Regents Distinguished Teaching Award,” Breshears said. “But I think what makes it most meaningful is that some of my teaching heroes also received this award, so it’s nice to be following in their footsteps.”

DERINDA BLAKENEY, APR

To watch a video featuring Dr. Breshears, visit okla.st/1HtFzNS

“THE BEAUTY OF THIS POSITION IS I STILL HAVE MY PATIENTS AND MY CLIENTS, SO ALL THAT I HAD IN PRIVATE PRACTICE I STILL HAVE HERE, BUT IN ADDITION TO THAT, I GET THAT FEELING OF GIVING BACK TO MY PROFESSION AND MY SPECIALTY BECAUSE I GET TO TEACH STUDENTS OPHTHALMOLOGY.”

"THE BEAUTY OF THIS POSITION IS I STILL HAVE MY PATIENTS AND MY CLIENTS, SO ALL THAT I HAD IN PRIVATE PRACTICE I STILL HAVE HERE, BUT IN ADDITION TO THAT, I GET THAT FEELING OF GIVING BACK TO MY PROFESSION AND MY SPECIALTY BECAUSE I GET TO TEACH STUDENTS OPHTHALMOLOGY."

2015: Margi Gilmour, DVM, DACVO

Ateacher can be defined as a person who shares information or a specific skill.

But Margi Gilmour, DVM, DACVO, a veterinarian and professor at Oklahoma State University’s Center for Veterinary Health Sciences, takes the title of teacher to a different level.

“For me, the first thing, I want to have a rapport with the students and they understand I see them as colleagues and we are in this together,” says Gilmour. “Secondly, I want them to understand the value of what I’m going to teach them. I explain why it is important they know ophthalmology and what it means for them as practitioners and why it is worth them to invest a lot of time and energy in this course because I am going to ask them to do that and then make the subject very relevant.”

She calls her teaching philosophy fairly simple. She wants her students to walk away from the class with two things: confidence and competence.

“The students’ goals for the core (ophthalmology) class is to be confident and competent in p erforming an ophthalmic examination, … and be able to come up with a diagnosis,” she says. “But most importantly, the first key is giving these students the confidence and competence to do that initial eye exam. You have to b e comfortable with that.”

Gilmour didn’t head straight back to the classroom after graduating with her veterinary degree from Michigan State University. Instead, she worked in private practice for several years before realizing she missed teaching students.

She found the perfect fit at OSU’s CVHS, where she has been for 14 years.

“The beauty of this position is I still have my patients and my clients, so all that I had in private practice I still have here, but in addition to that, I get that feeling of giving back to my profession and my specialty because I get to teach students ophthalmology,” says Gilmour. “OSU didn’t have a very developed ophthalmology department at that time, so the idea of being able to come in and be on the ground floor of that was really exciting to me.”

Gilmour realizes not all of her students have a passion for ophthalmology like she does. She hopes students realize the importance of eye exams for their patients.

“Students are bombarded by a lot of material, and there is so much new information in the medical fields,” says Gilmour. “I don’t want them all to be ophthalmologists. I want them to be very good, solid general practitioners who can do a good eye exam and know the basics.”

Gilmour was recognized in 2015 for her achievements and work with students in the classroom with the Zoetis Distinguished Teaching Award. Gilmour says receiving the award makes her feel very humble.

“For students to think that I did that good of a job for them, that is just amazing,” says Gilmour. “We all go in, and we all do our best. We have great faculty here, and everyone is interested in teaching and doing a good job, and so to have that honor and to be singled out one year is really special. Because I am in a sea of wonderful instructors, I appreciate it so much.”

Since 1963, CVHS has given the Distinguished Teaching Award, sponsored by Zoetis, to a professor nominated by the students and faculty. Winners are selected based on their dedication, character and leadership.

Gilmour’s influence expands beyond the classroom, and she keeps in touch with graduates and practicing veterinarians who have taken her classes.

“The most exciting aspect for me as a teacher, is when my students who have graduated call me or email me or write me notes about using what they’ve learned in their practice,” says Gilmour. “That just makes it all worth while to me. That to me is the best.”

But what’s her favorite part of teaching? She pauses, her face calm before a sparkle reaches her eye and a smile grows.

“I always ask my students to give me their goals for the three-week rotation. In the middle of the rotation and at the end of the rotation, we discuss them and make sure the goals are being met,” says Gilmour. “We figure out a way together to work on them so that almost everyone achieves their goals. … That makes me feel good because they have done what I think they should do as well as what they want to do, which gives them that needed confidence.”

Heart Health for All

Blood vessel growth can affect a variety of different diseases and body parts in both animals and humans. Pamela Lloyd, Ph.D., at the Oklahoma State University Center for Veterinary Health Sciences, is leading the way to determine exactly how the modulation of this blood vessel growth could potentially treat these diseases.

“Our lab studies cardiovascular physiology and what makes blood vessels grow,” says Lloyd. “This would be beneficial to people if they have atherosclerosis, where one of their arteries in their heart is getting blocked and the heart isn’t getting enough blood. If we can get the blood vessels to grow around that blockage, then that could potentially replace a bypass surgery and could prevent heart attacks.”

Graduate students Farzana Rouf (from left), Nabil Rashdan, Bo Zhao and Asitha Silva were part of the research team for Dr. Pamela Lloyd (second from left).
LLOYD LEADS RESEARCH ON BLOOD VESSEL GROWTH
“WHEN YOU HAVE YOUR HYPOTHESIS OF WHAT YOU EXPECT TO FIND AND YOU FIND SOMETHING DIFFERENT, THAT IS NEW AND SURPRISING AND YOU FEEL LIKE YOU’VE MADE A CONTRIBUTION.”
"WHEN YOU HAVE YOUR HYPOTHESIS OF WHAT YOU EXPECT TO FIND AND YOU FIND SOMETHING DIFFERENT, THAT IS NEW AND SURPRISING AND YOU FEEL LIKE YOU'VE MADE A CONTRIBUTION."
— PAMELA LLOYD

Because Lloyd’s research is focusing on identifying signaling pathways that control blood vessel growth, several treatments could come from the results, including treatments for ischemic cardiovascular disease and cancer.

“The work we are doing, although we are looking at human disease, if we can understand this protein, it is actually something that could b e important in diseases that are veterinary focused as well,” says Lloyd. “Especially in diseases like cancer, where you have blood vessels growing where you don’t want them. If you can block the signaling, then maybe you can have a cancer therapy.”

Lloyd’s lab is specifically focused on the signaling pathways that regulate the expression of placenta growth factor (PLGF), a protein that stimulates blood vessel growth.

“We are studying one specific protein, placenta growth factor, and the things that regulate its expression,” she says. “We are looking at the effect of flowing blood on the cells in blood vessels and how that activates the signaling that causes the protein to produce, which makes the blood vessel enlarge.”

Because Lloyd’s research can potentially help both humans and animals, her lab is funded by a grant from the National Institutes of Health and has been funded by the Oklahoma Center for Adult Stem Cell Research.

“They (Oklahoma Center for Adult Stem Cell Research) are looking at the same growth factor as us, but in lung disease,” says Lloyd. “In that situation, the protein we are studying has a negative role and it actually makes lung disease worse. That would be another area that we could lo ok at with the protein.”

Lloyd recently received the Zoetis Award for Veterinary Research Excellence for her work with blood vessel growth, which is useful in treating disease in pets and people. Winners are selected based on research accomplishments, innovations and contributions to the profession.

“It was really exciting to win this award,” she says. “I didn’t expect to be chosen for it.”

Lloyd’s influence extends beyond the researching world. She also teaches cardiovascular physiology and a course for graduate students in professional skills.

“In the professional skills class, we talk about how to write a scientific paper, how to write grants and how to apply for a position or different jobs,” says Lloyd.

Students have an opportunity to research alongside Lloyd and learn techniques and accumulate their own results and data.

“It is really exciting for me when students get their own results,” she says. “You learn something new that nobody knew before and the research doesn’t always give us the answers that we thought it was going to but that is kind of more interesting. When you have your hypothesis of what you expect to find and you find something different, that is new and surprising and you feel like you’ve made a contribution.”

Lloyd also serves as the graduate coordinator for the graduate college and helps organize the three-minute thesis contest. She credits Zoetis, the sponsor of the award she received, for helping sponsor multiple events for CVHS.

“Zo etis has been really helpful to us,” says Lloyd. “The three-minute thesis program is a contest that allows students to explain their research to regular people and not faculty. Zoetis has been really helpful with providing us judges. We really appreciate them supporting that event.”

Cl/HS
KAROLYN BOLAY

Home is Where the Heart Is

Growing up on a farm in eastern Kentucky, Daniel Burba dreamed of becoming a veterinarian. He came to Oklahoma State University in 1986 to complete an internship followed by a residency. Even though he left OSU in 1990 upon completion of those positions, Oklahoma remained a favorite.

Burba has returned — after 24 years in Baton Rouge, La. — to join OSU’s equine veterinary team as a professor of equine surgery and is seeing patients. He was recently named the McCasland Professor in Biomedical Laser Surgery.

“I knew at a very young age that I wanted to be a veterinarian,” recalls Burba. “We had horses on the farm and I always enjoyed working with them. So in veterinary college, it was a natural for me to focus on being an equine veterinarian. However, I never really

thought about being a surgeon until my OSU mentor inspired me to look into equine surgery. I followed that path and here I am today.

“What I like most about equine surgery is the challenges it brings,” he continues. “Often you don’t know what you are going to encounter in surgery. I like knowing that I am doing something good that will hopefully make the horse better and fix the problem. And I love teaching – it’s one of my favorite passions. I’ve been in academia for more than 24 years. I enjoy teaching students something they will follow as a career path. Having the ability to mold somebody, inspire somebody, and give them knowledge is a profession that’s unlike any other.”

Burba earned his DVM degree from Auburn University and is a Diplomate of the American College of Veterinary Surgeons. Most recently, he taught equine surgery at Louisiana State University. His research interests focus on orthopedics and laser surgery, specifically cribbing in horses.

“HAVING THE ABILITY TO MOLD SOMEBODY, INSPIRE SOMEBODY, AND GIVE THEM KNOWLEDGE IS A PROFESSION THAT’S UNLIKE ANY OTHER.”
"HAVING THE ABILITY TO MOLD SOMEBODY, INSPIRE SOMEBODY, AND GIVE THEM KNOWLEDGE IS A PROFESSION THAT'S UNLIKE ANY OTHER."
— DANIEL BURBA

“When I was doing my internship and residency here, I fell in love with the people and the horses. I am excited to be back in Oklahoma and for the opportunity to work with this team. I look forward to new adventures and new challenges. I hope to make a positive impact on the program here — both for the students and for the clients we serve at OSU’s Veterinary Medical Hospital.”

To watch a video of Burba at work, visit okla.st/1KPijhL

BURBA JOINS EQUINE VETERINARY TEAM IN RETURN TO OSU
PHIL SHOCKLEY / UNIVERSITY MARKETING
PHIL

New Faculty Members

BETSY COFFMAN

Betsy Coffman, DVM, MS, DACT, is an assistant professor of theriogenology in the Department of Veterinary Clinical Sciences. Originally from Albuquerque, N.M., she earned her bachelor’s and DVM degrees at the University of Tennessee. She also completed an internship at Tennessee before going to Ohio State University, where she earned a master’s degree and completed her residency in theriogenology. Her research interests focus on reproductive endocrinology with specific interest in the effect of early diestrus PGF administration in mares and neuroendocrinology of reproduction.

JILL AKKERMAN

Jill Akkerman, DVM, Ph.D., is an associate professor of gross anatomy in the Department of Physiological Sciences. Originally from Raleigh, N.C., she earned both her DVM and Ph.D. from North Carolina State University. Her research interests focus on heat shock proteins, breast cancer and estrogen signaling.

SUSAN FIELDER

Susan Fielder, DVM, MS, DACVP, is a clinical assistant professor in the Department of Veterinary Pathobiology. Originally from Bartlesville, Okla., she earned a bachelor’s and a master’s in zoology from the University of Oklahoma. She earned her DVM degree from OSU followed by a small animal internship at Kansas State University. She then returned to OSU to complete her clinical pathology residency. Fielder has spent the last seven years as a clinical pathologist at the Texas A&M Veterinary Medical Diagnostic Laboratory.

PHIL

SHITAO LI

Shitao Li, Ph.D., is an assistant professor in the Department of Physiological Sciences and an investigator with the Oklahoma Center for Respiratory and Infectious Diseases. Originally from China, he earned his Ph.D. from Wuhan University in 2000. His research interests focus on how interactions between influenza A virus and host control viral pathogenesis and innate immunity.

MARTIN FURR

Martin Furr, DVM, DACVIM, Ph.D., MA, is the head of the Department of Physiological Sciences. Originally from Tulsa, he earned his DVM degree from Oklahoma State in 1986. In 1991, he became a Diplomate of the American College of Veterinary Internal Medicine (Large Animal). He earned a Ph.D. from the University of Maryland in 2000 and a master’s degree in health professions education from Michigan State University in 2015. His research interests focus on equine immunology including neuroimmunology and the influence of endotoxemia via immunological methods; neurology, equine neonatology and critical care. Furr comes to the CVHS from the VirginiaMaryland Regional College of Veterinary Medicine, where he served as the assistant department head for the Department of Large Animal Clinical Sciences, was chief of staff at the Equine Medicine Center and held the Adelaide Riggs Chair of Internal Medicine in the Marion DuPont Scott Equine Medical Center.

CLINTON JONES

Clinton Jones, Ph.D., is the Sitlington Endowed Chair in Infectious Diseases and a professor in the Department of Veterinary Pathobiology. Originally from Plainville, Kan., he earned a bachelor’s degree from Bethany College in Lindsborg, Kan., and a Ph.D. in microbiology from the University of Kansas. His current research focuses on two viruses that belong to the alpha-herpesvirinae subfamily — bovine herpes virus 1 and herpes simplex virus type 1.

PHIL SHOCKLEY / UNIVERSITY MARKETING
PHIL SHOCKLEY / UNIVERSITY MARKETING
PHIL SHOCKLEY / UNIVERSITY MARKETING

SARAH PEAKHEART

Sarah Peakheart, DVM, is a clinical assistant professor in junior surgery and shelter medicine in the Department of Veterinary Clinical Sciences. Originally from Stilwell, Okla., she earned her bachelor’s degree in animal science and her DVM degree from OSU. While she is not currently involved in research, her interests lie with feline medicine, particularly cytauxzoon felis, feline leukemia and feline infectious peritonitis.

BRAD NJAA

Brad L. Njaa, DVM, MVSc, DACVP, is an associate professor in the Department of Veterinary Pathobiology and a pathologist with the Oklahoma Animal Disease Diagnostic Laboratory. He earned a master’s degree in anatomic and clinical pathology and a DVM degree from the Western College of Veterinary Medicine at the University of Saskatchewan. His research interests include the pathology of special senses (otic and ophthalmic), respiratory disease, reproductive disease, diseases of exotic species and infectious diseases.

REBECCA SAYRE

Rebecca Sayre, DVM, is an assistant professor of veterinary anesthesiology in the Department of Veterinary Clinical Sciences. Originally from Port Costa, Calif., she earned her DVM degree from Texas A&M University. Her research interests focus on pharmacology, analgesia and cardiopulmonary physiology.

PHIL SHOCKLEY / UNIVERSITY MARKETING
PHIL SHOCKLEY / UNIVERSITY MARKETING
PHIL SHOCKLEY / UNIVERSITY MARKETING

New Staff

KRISTI HOWEY

Kristi Howey joins the CVHS family as the director of fiscal affairs. Originally from Blackwell, Okla., she earned her bachelor’s degree in accounting and her master’s degree in business administration from OSU.

FACULTY PROMOTIONS / TENURE

MEG GROSS

Meg Gross, DVM, MS, DACVAA, promoted from clinical associate professor to clinical professor in the Department of Veterinary Clinical Sciences. Her research focuses on finding solutions for clinically related problems.

DIANNE M c FARLANE

Dianne McFarlane, MS, DVM, PhD, ACVIM (Large Animal), promoted from associate professor to professor and Ricks Rapp professor in the Department of Physiological Sciences. McFarlane’s research focuses on aging and endocrine diseases of horses.

ASHISH RANJAN

Ashish Ranjan, BVSc, PhD, from assistant professor to assistant professor and Kerr Foundation Endowed Chair, Department of Physiological Sciences. His research focuses on nanocarriermediated targeted drug delivery, image-guided therapy and nanotoxicology.

KAYLIE WEHR

Kaylie Wehr is the veterinary center’s web designer. Originally from Stillwater, she earned her bachelor’s degree in strategic communication from OSU. Before joining the CVHS, Kaylie worked at Langston University on its website.

LARA SYPNIEWSKI

Lara Sypniewski, DVM, DABVP, CVA, CCRP, promoted from clinical assistant professor to clinical associate professor and Patricia Henthorne Clinical Professorship in Small Animal Medicine in the Department of Veterinary Clinical Sciences.

JARED TAYLOR

Jared Taylor, DVM, MPH, PhD, DACVIM (Large Animal), DACVPM, promoted from assistant professor to associate professor with tenure in the Department of Veterinary Pathobiology. Taylor teaches veterinary epidemiology and public health.

PHIL SHOCKLEY / UNIVERSITY MARKETING
GARY LAWSON / UNIVERSITY MARKETING
PHIL SHOCKLEY / UNIVERSITY MARKETING
PHIL SHOCKLEY / UNIVERSITY
PHIL SHOCKLEY / UNIVERSITY MARKETING
PHIL SHOCKLEY /
PHOTO / COURTESY

OADDL Names New Leadership

NEW LEADERSHIP WAS NAMED FOR THE OKLAHOMA ANIMAL DISEASE DIAGNOSTIC LABORATORY (OADDL) IN LATE 2014. DR. KEITH BAILEY WAS NAMED DIRECTOR AND EMILY COOPER ASSISTANT DIRECTOR.

“It is truly an honor to serve as director of a diagnostic laboratory at an outstanding land-grant university and in a state that values animal agriculture,” says Bailey, who had been serving as OADDL’s interim director.

Bailey earned his DVM and Ph.D. degrees from the University of Missouri. He is also a Diplomate of the American College of Veterinary Pathologists. He joined OADDL in 2010 as a clinical associate professor of pathology. His research interests focus on laboratory animal research and diseases of such production animals as cattle, swine and poultry.

Cooper has been with OADDL since April 1999. She started as a senior research analyst and quality assurance/quality control coordinator and was instrumental in initiating OADDL’s membership in the National Animal Health Lab oratory Network. Most recently she served as OADDL’s quality manager and development

coordinator, developing and implementing the Quality Management System, which includes more than 800 standard operating procedures.

“Because animal owners and veterinarians rely on the Oklahoma Animal Disease Diagnostic Laboratory for answers as to why an animal died or what is causing a herd to be sick, it is important for us to provide accurate and speedy results when samples are submitted,” Cooper says. “One of the greatest strengths of OADDL is that we offer value-added diagnostics. Our faculty and staff are accessible to clients and responsive to their needs.”

Established in 1976, the Oklahoma Animal Disease Diagnostic Lab oratory is fully accredited for all species by the American Association of Veterinary Laboratory Diagnosticians. It provides core diagnostic services including pathology (necropsy and biopsy), bacteriology/mycology, parasitology, molecular diagnostics,

serology, toxicology and virology. OADDL is also a member of the National Animal Health Laboratory Network, performing diagnostic tests for targeted surveillance programs and emergency response testing for foreign animal diseases including avian and swine influenza virus, avian paramyxovirus-1, classical swine fever, and foot and mouth disease virus.

“Veterinarians and animal producers have several options for diagnostic ser vice providers in this competitive environment. At OADDL, we work hard every day to earn the trust and business of our clients. Despite a tradition of solid state support, one of the biggest challenges facing OADDL is generating e nough revenue to continue to meet the diverse diagnostic needs of our clients. We want veterinarians and producers in Oklahoma to know that we are customer focused and service driven,” adds Bailey.

COOPER EARNS UNIVERSITY SERVICE AWARD

Emily Cooper, assistant director of the Oklahoma Animal Disease Diagnostic Laboratory, was honored at the 2014 University Awards Convocation Ceremony. She received the University Service Award, given to a faculty member, staff person or administrator who renders meritorious service to the university. Cooper uses her knowledge, capabilities and capacity to get things done whether or not it is in her job description. She consistently strives for customer satisfaction and quality assurance compliance throughout the laboratory.

Emily Cooper Keith Bailey

A New Focus on Department Strategy for Veterinary Pathobiology

Dr. Jerry Ritchey, the new head of the Department of Veterinary Pathobiology, earned his DVM degree from Oklahoma State University in 1991 and joined the faculty in 1997. We asked him a few questions about his vision for Veterinary Pathobiology.

What do you teach?

I teach inflammation and wound repair as part of the general pathology curriculum. I teach cardiac pathology to the juniors. I do a cameo lecture in toxicology (ethylene glycol toxicity).

In the graduate program, I teach inflammation/wound repair and every other semester I am the instructor of record for a graduate level immunology course.

When I put on my veterinarian hat and attend as a pathologist at the Oklahoma Animal Disease Diagnostic Laboratory, I teach the senior students who rotate through as part of their diagnostic rotation.

What do you like most about teaching?

The veterinary students are so smart. They are the cream of the crop; they competed to get in here. They’re typically more mature. You have to be on your “A” game. So it keeps me sharp, but what I like the most about it is when I feel like I have encouraged them and have been a mentor to them and have helped them become better than they thought they could be.

You also do research; what do you like about research?

In research, there is a question or a hypothesis. You don’t know how it’s going to turn out. You do the studies and you get an answer. I just like that mystery, that excitement, the surprise of it all. It’s fun when it works out the way that you want and other times, sadly most the time, it doesn’t work out the way you want but I like that surprise of the question. What do you hope to accomplish as department head?

We have in our department probably two phases of things that we need to accomplish. I’ve termed these acute and chronic.

In the acute phase are some issues that I consider maintenance items for the department to take care of related to our evaluations and appraisals, improving our department communication, updating our web page and our individual faculty pages.

And then looking down the road, a chronic issue is we need a departmental strategic plan. The reason this is really important for us right now is we have several faculty who have given decades of service in teaching and research to our department and to the college. I would estimate in the next five years, we’re going to have several retirements. We need to circle our wagons now before this occurs so that we can do some planning and figure out how we are going to fill these huge shoes and what programs do we have that we want to bolster or shore up or improve. Or are there new programmatic areas that we may think we want to carve a niche out for ourselves to be successful.

That will be my role as department head to make sure that this strategic plan isn’t just put on a shelf, that it is actually followed, looked at and evaluated as we move forward as a department.

GARY LAWSON / UNIVERSITY MARKETING
DR. JERRY RITCHEY

MAKE YOUR PASSIONS COUNT

NEW DEVELOPMENT DIRECTOR

FINDS DREAM JOB IN HELPING CVHS

“Working for OSU has been a lifelong dream of mine,” says Jayme Ferrell, the new director of development and team lead for the Center for Veterinary Health Sciences at the OSU Foundation.

Ferrell grew up in Okarche, Okla., and earned a bachelor’s degree in journalism-broadcasting with a minor in marketing from OSU. Two years ago, she joined the OSU Foundation to fundraise on behalf of the College of Arts and Sciences.

Ferrell has 10 years of development experience. Before coming to OSU, she worked for the North Texas Food Bank and the American Cancer Society.

“I lo ok forward to my role with the Center for Veterinary Health Sciences,” Ferrell continues. “I love the idea of being a part of the future of veterinary medicine by helping to provide student scholarships, faculty support and the most ad vanced technology and resources for our veterinary medical hospital. I believe what we are doing here at the OSU Center for Veterinary Health Sciences has such an impact in our community and globally. It is truly a joy uniting people with OSU and the Center for Veterinary Health Sciences a nd all of the amazing work of our dedicated faculty and students.”

When she’s not busy working, Ferrell enjoys spending time with her husband, Brian, and their two children, 5-year-old Leila and 2-year-old Stella. Also at home are their 8-year-old Weimaraner, Winston, and 1-year-old cat, Bell Dinger Muffin Crumbs (named by Leila). Ferrell likes running, boating, camping, reading, home renovations and OSU football.

“I am excited to meet our alumni, supporters, clients and students,” she says. “It is an honor to hear their OSU stories and talk about the inspiring work happening right here at the CVHS. I encourage people to reach out if they are interested in learning more about the Center for Veterinary Health Sciences and the work of our faculty and students. There are so many w ays that people can be involved. Nothing makes me happier than helping someone realize their passion, especially when their passion is OSU.”

To reach Ferrell, email her at jferrell@osugiving.com or call her at (405) 385-0729

Saying Goodbye

OSU’s Center for Veterinary Health Sciences is fortunate to attract some of the brightest faculty members, their careers often spanning decades. We are bidding farewell to those who have retired this year.

Kenneth Bartels DVM, MS, McCasland Professor of Laser Surgery, Kerr Foundation Chair for Biomedical Laser and Biophotonics Research, Department of Veterinary Clinical Sciences

Dr. Bartels earned his DVM degree from Iowa State University, served in the Army Veterinary Corps, earned a master’s degree from Colorado State University and spent five years in private practice before joining the CVHS in 1982.

He counts among his accomplishments:

ƒ Providing service to the university and to Veterinary Medical Hospital clients.

ƒ Being elected as chair of the University Faculty Council.

ƒ Initiating a biomedical laser program within the CVHS and the university.

ƒ Being named the 2014 Oklahoma Veterinarian of the Year.

“I would like to be remembered as someone who cared for his patients, his clients, his students, his colleagues, his soldiers and most of all, his family,” says Bartels. “Having a family who has stuck together and worked hard to make both human and animal lives better is by far the greatest accomplishment.” (Bartels’ wife, Jan, is a registered nurse.)

As he retires to spend more time with his family, especially his grandson, to travel, fish and bird hunt with his new black lab pup, and perhaps continue working with colleagues on biomedical laser and photonic research projects, Bartels offers this advice:

“Stay as positive as possible, balance your work life with your personal life, stay loyal to friends and colleagues but offer constructive mentorship, exhibit integrity with humility, get involved and above all, be proud to be a member of a noble profession.”

Lurinda Burge Research specialist, Department of Veterinary Pathobiology

Burge earned a bachelor’s degree in biology from Kansas Wesleyan University and a master’s in zoology from Oklahoma State University. She has been working for Dr. Robert Fulton in his laboratory for the past 33 years.

“He’s been a great supervisor — so easy to get along with and always listens to my suggestions,” Burge says. “He gives me lots of credit for the lab’s success. I will miss him as my supervisor and as a friend. I’ve also enjoyed working with so many other people including numerous faculty, staff, students, and my husband, Jim Lish.”

Burge hop es to be remembered for trying to do a good job and getting along with people.

She plans to spend some quality time at home, enjoying their 20 acres in the country where she can garden, read, watch birds and hike.

Robert Fulton

DVM, Ph.D., DACM, Regents Professor and McCasland Foundation Endowed Chair for Food Animal Research, Department of Veterinary Pathobiology

Dr. Fulton earned his DVM degree from Oklahoma State University in 1966 and his Ph.D. in 1975 from the University of Missouri-Columbia in microbiology. He joined the veterinary center in 1982 and ser ved as a department head for 15 years.

He is thankful for the “dedication, honesty and commitment for excellence in the laboratory” of Lurinda Burge, his research technologist for 33 years who is also retiring. A grant from the Noble Foundation in 1999 with Dr. Anthony Confer allowed the bovine respiratory disease program to prosper, permitting significant advancements in bovine viruses and vaccinology. “We developed a national and international reputation for OSU in cattle disease research,” he says.

Most recently, he received the 2015 Academy of Veterinary Consultants Outstanding Service Award for his contributions to the Academy of Veterinary Consultants and to the beef industry.

While he has many accomplishments, these rank among the top:

ƒ Being recognized outside the university for publications on bovine viral diarrhea viruses, bovine coronaviruses and other respiratory viruses.

ƒ Receiving the 2015 Outstanding Service Award from the Academy of Veterinary Consultants and Merck Animal Health.

ƒ Being appointed as Regents Professor and McCasland Foundation Endowed Chair.

He hop es to be remembered for the support he gave to new department faculty as they started their careers and that his team’s contributions to bovine viral research will be worthwhile to others.

As he retires, Fulton and his wife, Arlene, who has supported him throughout his career, will be moving to Broken Arrow, Okla., to be near their two children, their spouses and the couple’s five grandchildren.

His advice to new faculty:

“Be a good writer, and document your scholarship for advancement in academia. Prioritize your time for scholarship as you will be known for it over most all other activities. Be your own advocate. Know your limitations, and maintain integrity. Remember what you want on your ‘academic tombstone.’”

Eileen Johnson

DVM, MS, Ph.D., Clinical Associate Professor, Veterinary Parasitologist, Department of Veterinary Pathobiology

Dr. Johnson earned her DVM (Class of 1974), master’s and Ph.D. degrees all from Oklahoma State University. In addition to teaching clinical parasitology to fourth-year veterinary students, she provided diagnostic services in the National Center for Veterinary Parasitology.

Johnson first worked at the veterinary center from 1977 to 1988 in the same department s he has spent the last 12 years. She considers these among her favorite memories and accomplishments:

ƒ Working with Drs. Roger Panciera and Sidney Ewing on the American canine hepatozoonosis project.

ƒ Helping others in the profession succeed.

ƒ Identifying the vectors for Potomac horse fever, discovering an alternate way for the transmission of Hepatozoon americanum to dogs, and finding Alaria mesocercariae in feral hogs in Oklahoma.

Her retirement plans include traveling with her husband, Dr. Bill Johnson, former OADDL director, finish clearing some land they own and attending pottery workshops.

Her advice to others and her parting comments:

“Work as a team, collaborate and communicate. This has been an interesting journey. With the limited resources the CVHS has, we do a fantastic job, and it is because of the dedication of the entire staff and faculty. I will miss all of you.”

PHIL SHOCKLEY / UNIVERSITY MARKETING

Dr. Lorenz earned his DVM degree from Oklahoma State University (class of 1969) followed by an internship and residency at Cornell University. He served on faculty at the University of Georgia, as dean at Kansas State University and at OSU before returning to teaching full time. He enjoyed the balance he had between teaching, clinical duty and administrative work.

During his 18 years at OSU, he treasures the many people he has worked with and the students he has taught. He considers the following to be some of his top accomplishments:

ƒ Alumni support and respect for the veterinary college.

ƒ Keeping enrollment, tuition and fees reasonable.

“I want to be remembered as a man of integrity who could be trusted to do the right thing,” says Lorenz. “A person who enjoyed his job and valued what each individual brings to the table.”

Lorenz plans to stay connected, continuing several education projects underway for dermatology and neurology. He also is committed to civic service and plans to fish more and travel with his wife, Velda. To those he leaves behind, he offers this advice:

“Stay focused on the big picture. Academic life is wonderful, and one should take advantage of the opportunities presented every day. I encour age faculty members to be ‘givers’ instead of ‘takers.’ What counts in the final analysis is how you treat people.”

Dr. Morgan earned her DVM degree from Oklahoma State University (Class of 1980). She worked one year as a sole practitioner in northern Oklahoma before joining the faculty at OSU where she has worked for the last 34 years. Her first position was an ambulatory instructor; her rotation was known as being very hands-on with visits to the OSU Dairy twice daily to care for 300-plus head of cattle. She later transitioned to a position that split her time between Physiological Sciences and OADDL.

“I would have liked to have kept doing a little ambulatory work along with the teaching and diagnostics,” Morgan says. “I enjoyed the students and getting to know the clients.”

She considers her accomplishment to b e teaching students clinically relevant information in a way they can remember it.

“I want to be remembered for being a good teacher and for helping clients diagnose challenging cases.”

She plans to sp end retirement helping her husband, former faculty member Dr. Gregor Morgan, care for their farm and cattle, being with her grandsons Luke and Huck, helping her father with his garden and going fly-fishing every chance she gets.

“Younger faculty do need older faculty as mentors,” she offers. “That way they won’t be as clueless as I was. I want to thank my family, all of my wonderful instructors, my classmates and former students for making the job so much fun. Thank you to the clients who let students work on their animals, the diagnostic lab clients who challenged my brain, and all of the people I was privileged to work with over the years in this awesome profession.”

Alastair Watson

BVSc, MAgrSc, PhD, Professor of Veterinary Anatomy, Department of Physiological Sciences

Dr. Watson is a Kiwi, having grown up on a sheep farm in New Zealand. He earned a BVSc (DVM equivalent) and a master’s degree in anatomy from Massey University. After two short stays in Antarctica, he completed a Ph.D. in anatomy at Cornell University. He joined the faculty at OSU in 1986 and spent the next 28 years teaching anatomy and pursuing research.

“I enjoyed offering a broader view,” Watson says. “Providing electives and graduate courses on whales and dolphins has been challenging and rewarding. I was part of a team that had the pleasure of finding the world’s first six-fingered flipper in our discovery of a pair of rare b eaked whales (mother and son) in Taiwan and from Galveston, Texas, a six-fingered bottlenose dolphin (they normally have five fingers like humans).”

While Watson is retiring from OSU, he is merely transitioning to a life cultivating his passion.

“I’ll be moving back to New Zealand, creating a veggie garden and enjoying time with family and friends. I will be doing what I love and what is important to me, continuing research and writing about New Zealand’s whales and dolphins and nurturing my philatelic interests. I am grateful for this opportunity (at OSU) to learn so much, to grow, create and to contribute. I hope my students have gained in their skills of lifelong learning and open-mindedness. Thank you very much!”

Folsom named 2015 McElroy Award recipient

J.D. Folsom of Beaverhead, Mont., received the 2015 Dean Clarence H. McElroy Award, the highest honor bestowed upon an Oklahoma State University veterinary student.

“It’s an honor to r eceive this award,” says Folsom, Class of 2015. “What means the most is that it’s an award voted on by my classmates, instructors and clinicians. I want to congratulate all of my classmates on their hard work and dedication getting to graduation because that’s exactly what it takes to get through this program. And thank you to the professors and clinicians for their hard work and patience with us all.”

Folsom, the son of John and Tracy Folsom of Jackson, Mont., grew up on a cow/calf operation

with horses and dogs. So becoming a veterinarian was his goal for as long as he can remember.

“Dr. Patricia Holland in Wyoming made a big impact on me at a young age,” he says. “I can still remember her showing me and my brothers her instruments and what they were for about every time she was around.”

In addition to the McElroy Award, Folsom also earned a Butch and Luella Ruth Curtis Educational Fund award for being a student in good standing and the Alfred M. Bradley Memorial Scholarship for his interest in large animal medicine.

After graduation, Folsom will be joining Mountain River Veterinary Hospital in Rigby, Idaho, a mixed animal practice where he will be one of three veterinarians.

“I will be spending three-quarters of my time practicing bovine medicine, and the remaining quarter will be split between equine and small animal.”

For those wanting to pursue a career in veterinary medicine, Folsom offers this advice.

“Make sure you spend sufficient time riding and working with veterinarians so you not only know what you’re getting into but you also have an idea of certain areas of veterinary medicine that you enjoy and are passionate about. It sure makes it easier to spend long hours studying a topic you are passionate about.”

Folsom also had the challenge of balancing family life while pursuing his veterinary medicine degree. Married to Micah for eight years, the couple has a 6-year-old

daughter, Jonnie, a 4-year-old son, Knox, and a baby due at the end of 2015.

“I think what really helped was that I treated school like a job. While I was at the school, I was studying so that when I got home, I could spend time with my family without feeling like I needed to be studying. It also helps when your wife is a rock star and keeps things in order at home, which allowed me to really focus on my studies.

“I really just want to take a second to publicly thank my wife for all she has done over the past four years. I can’t imagine doing this without her by my side every step of the way. I’m so excited for the future and all it has to offer.”

J.D. Folsom (right) receives the McElroy Award from CVHS Dean Dr. Jean Sander

FLOYD NAMED VETERINARIAN OF THE YEAR

Graduates of OSU’s Center for Veterinary Health Sciences have many career options — as personified by 2015 Oklahoma Veterinarian of the Year Dr. Carey Floyd.

Floyd grew up in Ada, Okla., and knew early on she wanted to be a veterinarian.

“I don’t ever remember wanting to do anything else,” Floyd says. “We had about 25 acres outside of town. My mom was the animal lover; every stray ended up at our house. My dad taught biology at Ada High, so every year when he cleaned out his classroom for the summer, the snakes and turtles came home with him.”

Floyd earned her DVM degree from OSU in 1985 and returned to Ada.

“I worked in a private veterinary practice for several years. Then I had an opportunity to work at the Oklahoma Department of

Agriculture. I was the first woman they hired as a field veterinary medical officer. … I enjoyed it and really liked the people I met.”

After 15 years, Floyd moved on to Murray State College in Tishomingo, Okla.

“I was the director of Murray State’s veterinary technician program. I loved teaching and was there for almost 11 years. Then in May 2014, I decided to try something different. I am now teaching biology II and anatomy and physiology at Seminole High School.”

“I really think what I like the most about being a veterinarian has to be my colleagues and the people in and around the veterinary medicine profession,” she says. “I loved my patients and my clients. And I really love the kids and teaching. I tell people I am not a typical high school teacher; I am a veterinarian who is teaching.”

More OSU alumni honors

At the 100th Annual OVMA Convention and Expo, two more alumni were honored.

Dr. Kimberly Weiss (’99) received the Distinguished Service Award. Weiss owns and operates Heartland Healing Hands, a mobile veterinary practice serving the greater Oklahoma City metro area.

Dr. Edward Wagner (’80) received the Companion Animal Practitioner Award Wagner works at 15th Street Veterinary Group in Tulsa.

And because she is not currently practicing veterinary medicine, Floyd was surprised when the Oklahoma Veterinary Medical Association selected her as the 2015 Oklahoma Veterinarian of the Year.

“It is such an honor to b e recognized by many veterinarians and colleagues in Oklahoma. I have tried to give back to this profession. I have done a lot of different things with this veterinary medicine degree — some things I never would have been able to do without it. I am very humbled by this award. It was truly an amazing honor for me to receive it.”

Floyd is the 36th veterinarian to be honored by the OVMA. Of that number, 30 (83 p ercent) have been alumni or faculty members of the OSU Center for Veterinary Health Sciences.

Dr. Carey Floyd
PHOTO / COURTESY

Formula for Success

THIRD-YEAR VETERINARY STUDENT APPRECIATES SCHOLARSHIPS, FACULTY AND COLLEAGUES

For HILARY LUDWIG , a third-year veterinary student at Oklahoma State University Center for Veterinary Health Sciences, scholarships have made all the difference. She recently added the DEAN HARRY ORR MEMORIAL AWARD to her list of honors.

“It was really special to win this award,” says Ludwig. “This award is based on how a student has done for the first two years of vet school, so it was nice to be recognized for the hard work I put in during those two years.”

The Orr Award honors the second dean of OSU’s CVHS and goes to the top-ranking third-year veterinary student.

Judi Baker (left) helped present the Dean Harry Orr Memorial Award, named for her grandfather, to third-year veterinary student Hilary Ludwig

Besides the Orr Award, Ludwig has won:

ƒ An Alice J. Levin Endowed Scholarship for her interest in small animal medicine.

ƒ The Gladys Stipe-Myers Endowed Scholarship for her academic performance.

ƒ A Salsbury Scholarship for her academic performance.

ƒ The Subbiah Sangiah Endowed Scholarship in Veterinary Pharmacology in recognition of her high academic achievement in pharmacology.

“I have a lot of student loans, so I am always so thankful for every scholarship I receive,” says Ludwig. “OSU helps so many students financially, which is great because vet school is expensive.”

These scholarships have helped Ludwig work to fulfill her childhood dream of becoming a veterinarian.

“I’ve always loved animals and our family pets growing up,” she says. “I also started horseback riding when I was about 7 years old. A lot of horse owners are involved in their own horses’ vet care, so I was involved in that a lot growing up. Seeing that made me think that being a veterinarian would be something I would want to do.

Veterinary school also presents many difficulties for students. Ludwig says the pace of veterinary school was a major change compared with her undergraduate work.

“Vet school is very fast-paced, and we are constantly taking exams,” she says. “It is a highstress environment and adjusting to that has been challenging.”

Ludwig says the adjustment was made easier with assistance from CVHS faculty and the other students.

“The best part of vet school so far has been my fellow classmates,” says Ludwig. “We always have the best time together, and you always struggle a lot in vet school, but we are always struggling together and having a good time together even though the tests are difficult.

“Dr. Mark Rochat (formerly a small animal surgeon at CVHS) has helped me tremendously since I decided I wanted to do small animal surgery. I’ve been emailing him, and he would always chat with me in his office. I email him all the time for advice. Dr. Jonathan Pucket, an ophthalmologist, allowed me to write a case report with him, and we are in the process of getting that published. I really appreciate him giving me the opportunity to have the hands- on experience.”

Of course, these faculty members and others have seen Ludwig’s work ethic first-hand.

“Hilary is a highly driven and outstanding veterinary student,” says Dr. Pucket. “From very early in her veterinary career, she sought out ways to further her knowledge and prepare for her career. She will be a great addition to our profession, and I look forward to being her colleague.”

Ludwig doesn’t spend all of her time in the classroom. She is also an energetic student who is involved in several different activities.

“I was involved in the student chapter of the American Veterinary Medical Association and served on the executive board for two years,” says Ludwig. “I also helped start the Diagnostic Imaging Club. I’ve gained experience organizing club meetings, and being involved has really helped me to meet people and practice talking in front of people.”

The most memorable part of receiving the Orr Award for Ludwig took place during the awards banquet in the spring of 2015, where she sat next to Judi Baker, the granddaughter of Dean Orr.

“I got to sit with Judi Baker at my table, and she was so nice,” says Ludwig. “I’ve received a scholarship every year, but it made it so special to hear the story of this award, and I really appreciated meeting her. A lot of students work really hard, and I appreciate her and her family recognizing the hard work it takes to go through vet school.”

Cl/HS

KAROLYN BOLAY

“FROM VERY EARLY IN HER VETERINARY CAREER, SHE SOUGHT OUT WAYS TO FURTHER HER KNOWLEDGE AND PREPARE FOR HER CAREER. SHE WILL BE A GREAT ADDITION TO OUR PROFESSION, AND I LOOK FORWARD TO BEING HER COLLEAGUE.”

"FROM VERY EARLY IN HER VETERINARY CAREER, SHE SOUGHT OUT WAYS TO FURTHER HER KNOWLEDGE AND PREPARE FOR HER CAREER. SHE WILL BE A GREAT ADDITION TO OUR PROFESSION, AND I LOOK FORWARD TO BEING HER COLLEAGUE."

Welcome, Class of 2019

THE INCOMING CLASS OF 2019 AT OSU’S CENTER FOR VETERINARY HEALTH SCIENCES SPENT TWO DAYS PARTICIPATING IN THE COWBOY VET (VETERINARY EDUCATION AND TEAM BUILDING) ORIENTATION. THE PROGRAM FOCUSES ON LEADERSHIP, SELF-AWARENESS AND COMMUNICATION CONCEPTS. OUT OF 501 ELIGIBLE APPLICANTS, THESE 88 STUDENTS WERE SELECTED TO BECOME FUTURE OSU COWBOY VETERINARIANS.

OKLAHOMA RESIDENTS

NON-RESIDENTS REPRESENTING ARKANSAS, CALIFORNIA, FLORIDA, INDIANA, KANSAS, MARYLAND, MICHIGAN, MINNESOTA, MISSOURI, MONTANA, NEW HAMPSHIRE, NEW MEXICO, NEW YORK, NORTH DAKOTA, PENNSYLVANIA, PUERTO RICO, SOUTH DAKOTA, TEXAS AND WISCONSIN

The Class of 2019 enjoys orientation before classes begin at OSU.
ORIENTATION PHOTOGRAPHY BY PHIL SHOCKLEY

BY THE NUMBERS

3.535 CORE GPA 3.534 CUMULATIVE GPA

GENESEE PHOTO

Class of 2016: Movin’ On Up

Members of the Class of 2016 pose around Center for Veterinary Health Sciences Dean Dr. Jean Sander (center, second row from the top) during the Transition Ceremony in April.

The 88 members of the Oklahoma State University Center for Veterinary Health Sciences’ Class of 2015 on Commencement Day Congratulations, Class of 2015!

GARY LAWSON / UNIVERSITY MARKETING
GENESSEE PHOTO

• "ANY VETERINARY STUDENT CONSIDERING AN INTERNATIONAL INTERNSHIP OR EXTERNSHIP SHOULD ABSOLUTELY DO IT. WHEREVER YOU GO, YOU WILL FIND THE STYLE OF MEDICINE A LITTLE DIFFERENT."

“ANY VETERINARY STUDENT CONSIDERING AN INTERNATIONAL INTERNSHIP OR EXTERNSHIP SHOULD ABSOLUTELY DO IT. WHEREVER YOU GO, YOU WILL FIND THE STYLE OF MEDICINE A LITTLE DIFFERENT.”

Lessons from Down Under

Jason Anton of Lithia, Fla., decided to pursue a career in veterinary medicine while earning his undergraduate degree in animal science at the University of Florida.

“While I was studying at Florida, I worked with the veterinarians at the horse teaching unit,” says Anton.

“I have always enjoyed being around animals. I found it is a great stress reliever. Working with the veterinarians, I realized that veterinary medicine was something I wanted to be involved in, and I really liked the niche market of assisted reproductive technologies of large animals.”

Anton went on to earn his master’s degree in animal science with an emphasis in equine reproduction from Clemson University in South Carolina. He came to Oklahoma State University in 2011 to earn a degree in veterinary medicine.

PHOTOGRAPHY BY GARY LAWSON

“The last four years have been a great experience,” says Anton. “We spent the first three years basically in the classroom. The transition to clinics has been relatively smooth. Getting your hands on patients and working with the experts here in OSU’s Veterinary Medical Hospital has been great. The knowledge gained will be beneficial in the future.”

Anton has taken full advantage of opportunities available to OSU veterinary students. He participated in the student chapter of the Am erican Association of Bovine Practitioners, was instrumental in establishing the OSU student chapter of the Society of Theriogenologists and was a member of the OSU b ovine palpation team. He also participated in research projects focusing on novel artificial insemination techniques in small ruminants.

He f ound grant money for a trip to study in Australia the fall of his senior year. Among the funds he received was a $4,900 travel grant from the Humphreys Chair

in International Studies through OSU’s Division of Agricultural Sciences and Natural Resources.

“I sp ent nine weeks at Total Livestock Genetics in Camperdown, Victoria, on the east coast of Australia,” says Anton. “It was during the equine br eeding season, so we were very busy. However, what impressed me the most was not only how hard everyone worked but how well they worked together. There was a high level of loyalty, and they took care of one another. There was a good work/life balance, and these highly skilled veterinarians used practical medicine. They did a go od, thorough job but nothing over the top.”

Established in 1989 to fill the need for a professional, independent collection service, Total Livestock Genetics has two Australian l ocations with about 50 people on staff. The company specializes in semen collection, embryo collection/tr ansfer and live animal export.

“I was interested in TLG because they specialize in artificial reproductive technologies and work w ith multiple species,” he says. “They also handle live animal and embryo exports. There is a huge international market for animals of high genetic merit with an excellent health status. Farmers and ranchers can use these animals to establish or maintain herds to help feed the world’s growing population.”

According to Anton, TLG is responsible for source verifying each animal and making sure they are properly vaccinated. Furthermore, each animal must meet stringent fertility guidelines before being shipped to the client.

“TLG handles dairy animals, beef animals, sheep, and goats,” says Anton. “The take-home message for me was the applicability of assisted reproductive technologies to international export. These techniques can be practiced in countries like Australia or the U.S. to gr eatly benefit growing agricultural markets in countries such as

Jason Anton searches for a bovine embryo on a plate with wells in it that allows veterinarians to search for and wash embryos.

China. Start with high-quality animals with superior genetic merit, a nd your herd will maintain its integrity. As a result, these animals will help keep up with the demand for food sources.”

Anton earned his DVM degree in May 2015 and joined Bickett Genetics of Chickamauga, Ga. This veterinary practice specializes in bovine embryo transfer and will be expanding its services to include small ruminant embryo transfer.

“Doing an internship at TLG was wonderful,” he says. “Any veterinary student considering an international internship or externship should absolutely do it. Wherever you go, you will find the style of medicine a little different. But the techniques are transferrable especially if you are on a production career path. The food animal medicine and equine medicine techniques I learned can easily be incorporated into the U.S. veterinary medicine industry.”

Anton is the son of Terrence Anton of Tahlequah, Okla.

Following Mom’s Footsteps

CAVETT CITES IMPORTANCE OF FAMILY IN CAREER CHOICE

In 1983, Dr. Lisa Good earned her DVM degree from Oklahoma State University. She joined her father’s mixed animal practice in Ponca City, Okla., and has spent the last 32 years working at Ponca Animal Hospital. On May 8, 2015, she hooded her daughter, Carrie Cavett, as she earned her DVM degree from OSU.

Dr. Lisa Good (left, OSU ’83) hooded her daughter, Carrie Cavett, upon her graduation from OSU’s CVHS in May.
CARRIE
DERINDA BLAKENEY, APR / CVHS
“… MY MOM ALWAYS NURTURED MY INTEREST IN VETERINARY MEDICINE. THE THING THAT HAS INFLUENCED ME THE MOST IS THAT SHE MAKES EVERYONE FEEL LIKE FAMILY.”
" ... MY MOM ALWAYS NURTURED MY INTEREST IN VETERINARY MEDICINE. THE THING THAT HAS INFLUENCED ME THE MOST IS THAT SHE MAKES EVERYONE FEEL LIKE FAMILY."

“I can’t think of a time when I wanted to be anything but a veterinarian,” Cavett says. “The majority of my earliest childho od memories are going on calf delivery calls with my mom and grandfather. I never really thought I might do anything else.”

“Carrie has always shown an interest in my work,” echoes Good. “She loved to watch surgeries or help her papa (my father) take care of animals. When she was around the age of 3, she got her first veterinarian bag with a stethoscope, thermometer and bandages. Needless to say, our poor cat was one of her first ‘patients.’”

Over the years, Cavett has spent many hours at her mother’s clinic helping in a variety of ways from cleaning kennels to mopping the floors. She has worked the front desk, pulled patient records, helped prepare monthly statements and accompanied Dr. Good on after-hours calls.

“ Without a doubt, Carrie has a superior work ethic,” Good says. “She is also extremely dependable and finishes what she starts. There is no halfway for her — if she says she will do it, she will do it on time and to the best of her ability.”

“My mom’s work made me want to be a veterinarian,” says Cavett. “I never felt pressured to be one; my mom always nurtured my interest in veterinary medicine. The thing that has influenced me the most is that she makes everyone feel like family.”

Family is important to Cavett and played a role in her selection of a veterinary college.

“I wanted to attend a great school that would provide me with a wellrounded education, and I wanted to stay close to my family. OSU offered me all these things, and I can’t wait until I am able to give back to the university that has given me so many opportunities.

“My favorite memory has been my entire fourth year. I have absolutely loved every minute of it, from the never-ending emergency shifts to sleepless nights and even the paperwork. I have learned and advanced my clinical skills and knowledge tremendously in these last 12 months.”

To those aspiring to become a veterinarian, Cavett offers this advice.

“G et as much veterinary experience as possible,” Cavett says. “Challenge yourself in your coursework to b etter prepare for the demands of veterinary school, and try to maintain a healthy life/school balance.”

“Carrie will be an asset to our profession, and I know when I hood her, I’m going to be thinking of how proud my father would have been of her,” Good says. “Our entire family, my husband, her older sister, grandmothers and cousins couldn’t be more proud of our newest OSU veterinarian.”

“I can’t even express how grateful I am that my mom was so supportive of my dreams,” Cavett says. “I am so lucky to have attended OSU and learn from the wonderful professors and hospital clinicians. This university feels like home, and I am thankful every day for the opportunity that OSU has given me to pursue my career.”

Cavett’s days at OSU aren’t over yet. She will be staying at OSU to complete a yearlong small animal medicine and surgery rotating internship. After that, she plans to pursue a residency in small animal internal medicine or critical care. Cavett is one of 88 new veterinarians in the Class of 2015.

Cl/HS

Like Mother, Like Son

Veterinary medicine runs in some families. That’s the case for Bryce Fritzler, who is following his mother’s footsteps.

Fritzler earned his DVM degree from Oklahoma State University on May 8, 2015, 29 years after his mother, Beverly Fritzler, DVM, CCRT, CVMA, earned her DVM degree from the same college in 1986.

Bryce Fritzler (right) was hooded by his mother, Beverly Fritzler (OSU ’86) upon his graduation.
BRYCE FRITZLER SET TO JOIN FAMILY’S CLINIC
DERINDA BLAKENEY, APR / CVHS
“MY MOTHER IS THE SOLE REASON I DECIDED TO BECOME A VETERINARIAN. IT IS AWESOME BEING ABLE TO SEE HER WORK WITH CLIENTS AND PATIENTS.”
"MY MOTHER IS THE SOLE REASON I DECIDED TO BECOME A VETERINARIAN. IT IS AWESOME BEING ABLE TO SEE HER WORK WITH CLIENTS AND PATIENTS."

“I didn’t always foresee being a veterinarian,” admits Bryce Fritzler. “Throughout my undergraduate studies at the University of Oklahoma, I had always envisioned being a medical doctor.

“My mother is the sole reason I decided to become a veterinarian,” says the son, who grew up helping at his mother’s small animal practice, Rose Rock Veterinary Hospital & Pet Resort in Norman, Okla. “Bryce would clean kennels after school until he was old enough to drive,” Beverly Fritzler says. “After he earned his bachelor’s at OU, he worked as a veterinary assistant while he tried to decide if human medicine was the way he wanted to continue. He soon realized veterinary medicine had many more facets than just the work he had done growing up.”

“It is awesome being able to see her work with clients and patients,” Bryce says. “And going to OSU for my DVM degree was a no-brainer. As a resident of Oklahoma, I paid in-state tuition, and it allowed me to stay closer to home, which was important to me.

“My favorite memory of veterinary college starts with the first physiology test our freshman year. I received a 100 on the exam. I was

temporarily labeled the ‘smart person,’ which led to meeting my wife, Jennifer Devine. Jennifer struggled with the first exam and sought me out as a tutor. We developed a friendship and later a relationship. It also gave me confidence at the beginning of this long journey that I had chosen the right career path.

“If you’re thinking about becoming a veterinarian, I suggest getting experience in the field as soon as possible. Experience working with a veterinarian is essential to easing the process of school. It can also help you determine if it is the career you really do want to pursue,” he adds. At commencement, Dr. Fritzler hooded her son during the hooding ceremony — a long-standing tradition at Oklahoma State’s Center for Veterinary Health Sciences.

“It means more than I can say,” says Beverly. “I am so proud of what he has accomplished and that our dreams are shared. Receiving my DVM was one of the happiest moments of my life and has provided my family with much enjoyment. I am proud that he watched, learned and wants to excel in veterinary medicine.”

“My mother is the person who has influenced and supported me the most with my decision to become

a veterinarian,” adds Bryce. “She has been my mentor these past four years. Having her hood me will be an incredible experience.”

Following graduation, Bryce joined his mother’s practice as an associate veterinarian.

“I think intelligence and compassion are Bryce’s greatest strengths. The intelligence he p ossesses is so impressive, and I’m looking forward to learning more from him,” says Beverly. “He has a big heart, and it’s those little things he does that will make his transition into practice seamless. I have been looking forward to slowing down, but there is so much more I want to do that I have not accomplished yet. Bryce seems to share the same goals as me, so I look forward to him continuing my work.”

In addition to practicing small animal medicine and surgery, Beverly is a Certified Canine Rehabilitation therapist, a Certified Veterinary Medical Acupuncturist, and has specialized training in Canine Massage Therapy. Bryce plans to also receive additional training in rehabilitation, acupuncture and endoscopy. Rose Rock Veterinary Hospital and Pet Resort employs three veterinarians (in addition to the Fritzlers) and 30 staff members.”

her

A Good Word

SHAWN KINSER CREDITS POPE FAMILY WITH VETERINARY INSPIRATION

Shawn Kinser, who grew up in Boswell, Okla., is among the 88 veterinary students earning a DVM degree from Oklahoma State University in 2015. He thought about going to medical school for a long time, but once he started working at Boswell Animal Kare, the Pope family of veterinarians changed his mind.

Dr. Rachel Kinser hooded
husband, Shawn Kinser, in the Class of 2015
DERINDA BLAKENEY, APR / CVHS
“EVERY DAY IS DIFFERENT AND IT HAS BEEN SUCH A PLEASURE INTERACTING WITH THE CLINICIANS AND STAFF AT THE VETERINARY MEDICAL HOSPITAL WHILE WE SERVE PEOPLE WHO TRUST THE HEALTH OF THEIR ANIMALS TO US.”

"EVERY DAY IS DIFFERENT AND IT HAS BEEN SUCH A PLEASURE INTERACTING WITH THE CLINICIANS AND STAFF AT THE VETERINARY MEDICAL HOSPITAL WHILE WE SERVE PEOPLE WHO TRUST THE HEALTH OF THEIR ANIMALS TO US."

“I fell in love with the work,” recalls Kinser. “Caring for animals quickly became my passion, and I looked for any opportunity to be around the vet clinic where Drs. Stanley, Stanna, Corey and Megan Pope all worked. They taught me a great deal and mentored me while I was in high school. They were very influential in my decision to pursue veterinary medicine. I attribute a lot of who I am today to them and their investments in me.”

“Initially Shawn walked dogs and cleaned cages,” says Dr. Stanna Pope (OSU ’05). “He was soon promoted to small animal assistant, impressing us with his knowledge, initiative and determination. From such a young age, he exuded a strong work ethic and high moral values.”

And the Drs. Pope, all OSU alumni, also influenced Kinser’s decision on where he would study his craft.

“OSU always had a glowing reputation when I heard anyone talk ab out its veterinary school,” Kinser says. “Working with OSU alumni was definitely a strong factor. I wanted to be part of all the good things they told me about OSU’s veterinary college. A few times during high school I visited Stillwater with the Popes and fell in love with the town and the college.”

He fell in love with more than Stillwater and OSU, meeting and marrying Rachel Steinman. The couple married in June 2013, one month after Rachel earned her DVM degree from OSU. Since graduation, she has been working in a mixed animal practice with three other OSU alumni.

“I do primarily small animal work at Pond Creek Veterinary Clinic,” she says. “Dr. Harry James, an OSU distinguished alumnus, started the practice in 1960. His daughter, Dr. Stephanie Slaving (OSU ’98) and Dr. Pete Streck, a classmate of mine, work there as well. We are the only veterinary clinic in the county and serve many surrounding areas.”

“Rachel has been incredibly helpful since she was two years ahead of me,” says Kinser. “If I wasn’t grasping a concept from class, she was able to explain it with real-world examples in a way that made it much easier to understand. Her experiences during clinical rotations really helped me prepare for the fourth year so that I could keep my head above water.

“My favorite memory of veterinary college has been working with clients and patients during the clinical rotations. Every day is different, and it has been such a pleasure interacting with the clinicians and staff at the veterinary medical hospital while we serve people who trust the health of their animals to us.”

“While Shawn was in college, he often visited during the summer months,” says Stanna Pope. “We had the great pleasure of hosting him for a three-week preceptorship this past year. To see the progression of a high school student aspiring to b ecome a veterinarian someday to now a young man that has met his goal is heartwarming. I could not be prouder. I am honored to call Shawn my friend and am ecstatic that I can call him my colleague.”

“Seize every opportunity while in school to maximize your learning experience,” Kinser advises futur e students. “You’re only in vet school for a short amount of time. While you’re here, you have immediate access to a wealth of knowledge in our clinicians and professors. It’s easy to start living from test to test once the busy schedule sets in. Things like wet labs and volunteer opportunities are going to help you solidify the knowledge gained in the classroom. Maintain a positive attitude, and cultivate a habit of working hard. That will carry you a long way in vet school.”

On Commencement Day, Kinser had the honor of hooding her husband.

“It’s an honor for me. First, because he’s my husband, and as a former student, I understand what completing this degree requires. I respect him and am proud of his accomplishment,” she says. “As a fellow veterinarian, I look up to him for his knowledge, abilities and skills that he will bring to the field of veterinary medicine. Finally, as an OSU alumna, I feel honored to be part of such a long-standing tradition in the hooding ceremony.”

“I have a lot of respect and admiration for my wife,” adds Kinser. “She has accomplished so much in her life and excels at everything she does. It’s a great honor to have someone I look up to give me my hood and an even greater honor for it to be my wife, whom I respect so much.”

Following graduation, Kinser plans to look for a position in northwest Oklahoma City or near Pond Creek. Ultimately, the couple plans to move near Amarillo, Texas, to be closer to Rachel’s family.

Taking a Different Path

A career in veterinary medicine requires many years of study. And for one senior veterinary student at Oklahoma State University’s Center for Veterinary Health Sciences, that road was much, much longer. Leland Liston, of Claremore, Okla., earned his Doctorate of Veterinary Medicine in May 2015. It’s not the 49-year-old’s first career. Originally from Los Angeles, Liston spent 20 years there repairing cars at a Chevrolet dealership.

LELAND LISTON EARNS HIS DVM DEGREE — AT AGE 49
GENESSEE PHOTO
“I DIDN’T WANT TO BE ROCKING MY GOLDEN YEARS AWAY ON THE PORCH WITH REGRETS. SO AT AGE 40, I QUIT MY JOB. … MY FRIENDS HELPED ME REALIZE IT’S NEVER TOO LATE; YOU’RE NEVER TOO OLD TO LEARN SOMETHING NEW.”
"I DIDN'T WANT TO BE ROCKING MY GOLDEN YEARS AWAY ON THE PORCH WITH REGRETS. SO AT AGE 40, I QUIT MY JOB .... MY FRIENDS HELPED ME REALIZE IT'S NEVER TOO LATE; YOU'RE NEVER TOO OLD TO LEARN SOMETHING NEW."

“I was very successful in my field,” says Liston. “I was a shop foreman in charge of 25 guys, making $75,000 a year, but I wasn’t happy.”

Liston always wanted to go into veterinary medicine but didn’t think it was something he could make happen.

“It’s something I always wanted to do all my life. I didn’t want to be rocking my golden years away on the porch with regrets. So at age 40, I quit my job. It was a big risk to throw away a successful career. My friends helped me realize it’s never too late; you’re never too old to learn something new.”

In 2001, Liston started taking night courses at a California community college while working full time. In 2007, he moved to Oklahoma. He completed his undergraduate degree at Rogers State University in Claremore and applied to OSU’s College of Veterinary Medicine.

“I chose OSU because my parents live here. I loved Oklahoma once I moved here. This is the only school I wanted to go to, and it was the only one I applied to.”

Liston was one of 83 students from a pool of 364 applicants selected as the Class of 2015.

“I love the challenges of veterinary college. I like how hard you have to work because it makes you better prepared for when you get out in the real world. My favorite memory is junior surgery — gloving up and gowning up and actually getting my hands in there doing things as a real doctor for the first time.”

Liston wants to go into a mixed animal practice.

“I want to stay in Oklahoma; I really love it here. I have family here and even own a home in Claremore. I like cats, dogs, cows and horses. I would just like to get my hands in a little bit of everything and have some variety. I have been in school for a long time, and I am ready to get back out there and start working again.”

And to others thinking ab out a career as a veterinarian, Liston has this message:

“Make sure veterinary medicine is what you really want to do because it is a challenging program, and it’s really going to push you. If anything, I hope I am an inspiration to older students or people who want to go through a career change. It was really scary to throw away everything I knew and start over, and I’m so glad I did. Even if I had failed, at least I would have tried. If you have friends and family to support you, anybody is capable of anything regardless of your age. If it’s what you want to do, go for it. Now I feel like I can be part of something good and help people and their animals.”

To see a video of Liston, visit okla.st/1JRbH1H

Adding a Historic Touch

NEW VETERINARIAN GETS MBA SAME DAY AT HIS ‘FAMILY SCHOOL’

Kentucky’s Holt Tripp comes from a long line of Oklahoma State University alumni. He recently joined them, adding a historic spin to his accomplishment.

Holt’s father, Phil Tripp, uncle Mike Tripp, aunt Eva and uncle Pat Edmonds all earned their DVM degrees from OSU. Recently, Holt became the first person to earn both a DVM and an MBA degree on the same day at OSU.

DERINDA BLAKENEY, APR / CVHS
Holt Tripp (right) was hooded by his dad, Phil Tripp, at his commencement from OSU recently. Phil Tripp, DVM, is also an OSU alumnus.
“(VETERINARY

MEDICINE) IS A FAMILY TRADITION, AND

I

"(VETERINARY MEDICINE) IS A FAMILY TRADITION, AND I AM LOOKING FORWARD TO WRITING MY PART OF IT."

AM LOOKING FORWARD TO WRITING MY PART OF IT.”

“Oklahoma State has a special place in my heart and in my family’s heart,” Holt says. “I chose to come here in part because it is a family school. My grandparents graduated from OSU the last year it was Oklahoma A&M. My dad, aunts and uncles and cousins have all been here, so there was a lot of appeal from that standpoint, and I wanted to get away from home for a bit, too.

“I made the decision to pursue the MBA after several long conversations with my parents. My dad owns and operates Kentucky Equine Medical Associates, and my mom helped run the practice when it was first started. They know how important business training is and felt it was somewhere that my dad had fallen short in his training. They had the wisdom and the foresight to recommend that I not make the same mistake,” he adds.

“My practice is a racetrack practice,” says his dad, Phil. “We spend eight months a year at Churchill Downs in Louisville, Ky., and four months at Oaklawn in Hot Springs, Ark. As a little guy, Holt liked to tag along to the track when he could. He enjoyed being around the animals and the people. Holt has always done well in school and was able to get some scholarships. We knew he would do something in agriculture. OSU has one of the best animal science departments in the country. I told him, ‘It is your education, and you are only going to do it once, so you might as well go to the best place.’ Of course, once he came to Stillwater and the campus, he fell in love with the people and the university. He was accepted at both Auburn University’s and OSU’s veterinary colleges but decided to stay at OSU for his veterinary degree.”

“I don’t know if there is any one part of vet school that I can pinpoint as my favorite,” says Holt. “The late nights in the anatomy lab studying with friends; the early mornings cramming for exams together — it’s the friendships and the relationships that you develop that really make vet school special and bearable because it certainly is a challenge.”

For those interested in pursuing a career in veterinary medicine, Holt has this advice.

“It is a diverse profession with a lot of opportunities,” he says. “I would discourage you from being pigeon holed into any one portion of the field because there is plenty of room for individual interests and pursuits. Don’t feel restricted in the form of practice that you pursue.”

During his second year of veterinary college, Holt teamed up with D r. D.L. Step, professor and food animal extension specialist.

“Holt is an excellent communicator. He keeps his word and keeps you informed,” says Step. “We did a review of vaccines in receiving cattle and published the results. Holt is always thirsty for knowledge and to learn something new. I am honored to have had the opportunity to work with him.”

Holt’s father hooded him on commencement day.

Holt married this summer, and the young couple moved to Canada.

“I have accepted a position with G.K. Jim Farms in Alberta, Canada,” says Holt. “I will be working as a professional services veterinarian and director of cattle operations for a large privately held cattle feeding company. I’m excited. It’s a family tradition (veterinary medicine), and I am lo oking forward to writing my part of it.”

To see a video of Tripp, visit OKLA.ST/1CBTH01

Distinguished Alumni Award

DR. ROBERT BAHR

Robert Bahr, DVM, DACVR, of Stillwater earned his DVM degree from OSU in 1970 and was nominated for the award by classmate Dr. Billy Clay.

After graduation, Bahr joined a small animal practice in St. Petersburg, Fla., for a year before joining the Air Force, where he was involved with zoonotic disease control, the small animal out-patient clinic, and monitoring public health and food sanitation.

Bahr served a yearlong internship in radiology at Kansas State University, followed by a radiology residency at the University of California, Davis. In 1976, he became a Diplomate of the American College of Veterinary Radiology. After more private practice experience and teaching at the University of Missouri, Bahr joined the faculty at OSU’s veterinary center in 1984 to teach veterinary radiology and retired in June 2014.

He is a member of the American Veterinary Medical Association and the Oklahoma Veterinary Medical Association, which honored him with its Practitioner to Faculty Award in 2011.

DR. MARY BALLENGER

Mary Ballenger, DVM, of Tulsa and Ulaanbaatar, Mongolia, earned her DVM degree from OSU in 1981 and was nominated for the award by classmate Dr. Genie Bishop.

“Dr. Ballenger loved mission work and was constantly being mentored by a great missionary, the late Dr. Keith Flanagan (OSU CVM ’78),” says Bishop, noting Ballenger’s service on the Oklahoma Board of Veterinary Medical Examiners and numerous Oklahoma Veterinary Medical Association committees and as secretary for OSU’s Veterinary Medicine Alumni Society.

DR. HARRY JAMES

Harry James, DVM, of Pond Creek, Okla., earned his DVM degree from OSU in 1960. Drs. James Shmidl and Larry Major nominated him for this honor on behalf of their entire class.

Following graduation, James opened the Pond Creek Veterinary Clinic, a mixed animal practice serving rural northwest Oklahoma. He continues to treat large animals, while his daughter, Dr. Stephanie Slaving (OSU CVM ’98), now tends to their small animal patients.

Dr. Ballenger and her husband, Richard, are missionaries to Mongolia with the Christian Veterinary Mission. Dr. Ballenger works as a veterinary continuing education adviser, creating and managing continuing education programs. She also supervises Mongolia’s veterinary drug registration and works closely with herders to help improve animal and human health in the country.

“In my career I have seen diseases such as hog cholera, brucellosis, tuberculosis, screw worms and scabies come and go,” he says. “Today’s veterinarian won’t see them outside of a textbook.”

James is an active member of the American Veterinary Medical Association, the Oklahoma Veterinary Medical Association, the American Association of Bovine Practitioners and the Academy of Veterinary Consultants. He served two terms on the board for both the OVMA and AABP. In 1995, he was named the OVMA Food Practitioner of the Year, and in 2004, he received the OVMA President’s Award. The Oklahoma State Senate designated May 2010 as Harry “Doc” James Month for his 50 years of veterinary services.

DR. MERLIN EKSTROM

DR. SYBIL HEISE

Merlin Ekstrom, DVM, MS, DACVP, of Mount Pleasant, Mich., earned his DVM degree from OSU in 1967. He served more than 24 years in the Air Force and Michigan Air National Guard before retiring as a lieutenant colonel. He was awarded the Joint Services Commendation Medal and the Air Force Meritorious Ser vice Medal.

He spent the last 40 years at Detroit’s Wayne State University, serving as the attending veterinarian and director of the Division of Laboratory Animal Resources, which supports the university’s laboratory animal care and use program, the John D. Dingell VA Medical Center and the Karmanos Cancer Institute in D etroit. DLAR also provides resources and staffing for a veterinary technology program.

As a board-certified veterinary pathologist, Ekstrom taught pathology in Wayne State University’s College of Pharmacy and Health Sciences.

He has served on many state and national committees, won several peer-reviewed NIH grants, been a volunteer member of the Michigan Veterinary Corps and more.

“I am forever grateful for the opportunity Oklahoma State University gave this North Dakota native to obtain a DVM degree,” says Ekstrom.

Sybil Heise, DVM, of Guymon, Okla., earned her DVM degree from OSU in 1971 and completed a small animal medicine and surgery internship at the University of California at Davis. She married Don Heise, DVM (OSU 1969) in 1972. From 1972 to 1979, she worked at the Liberal (Kan.) Animal Hospital.

In 1979, she and her husband built Town and Country Veterinary Clinic, in Guymon. Dr. Sybil handled the small animal medicine and surgery while Dr. Don handled the livestock cases. The mixed animal veterinary practice achieved AAHA certification in the 1980s.

Heise has b een a member of the Oklahoma Veterinary Medical Association, the American Veterinary Medical Association and the American Animal Hospital Association. In 2012, she received the Companion Animal Practitioner Award from the Oklahoma Veterinary Medical Association.

“I appreciate not only the opportunity that OSU gave this Louisiana girl to become a veterinarian but also the timely support I have r eceived from OSU’s Center for Veterinary Health Sciences over the years,” says Heise.

DR. DEMARIOUS KELLER FREY

Dr. Demarious Keller Frey of Corpus Christi, Texas, earned her DVM degree from OSU in 1963, one of two women in the class. Following graduation, she joined Highland Veterinary Clinic owned by D r. Roy Brenton Smith (OSU ’62).

She married Martin Frey, DVM (a Kansas State graduate on staff at OSU from 1959-1963) in 1964. The couple provided veterinary services in Ethiopia. In 1965, the couple opened Alameda Veterinary Clinic, a small animal and equine practice in Corpus Christi. In 1972, they opened a second clinic, Padre Animal Hospital.

Keller Frey was the first woman appointed to the Texas State Board of Veterinary Medical Examiners serving a six-year term. She also was a member of the National Board Examination Committee of the American Association of Veterinary Boards. In addition, she was on the Texas Racing Commission to bring parimutuel horse and greyhound racing to Texas.

She has been named Outstanding Woman Veterinarian of America and honored by the YWCA, the Oklahoma State University Woman’s Council, the National Greyhound Association and the Texas Veterinary Medical Asso ciation. In 2009, Keller Frey was named a Distinguished Alumna of Texas A&M University, Kingsville, where she gave the commencement address in 2011.

“I am grateful to both universities and the professors and clinicians who helped me make my dreams come true to be a veterinarian,” says Keller Frey.

Cl/HS

We honor those who have served the profession, our distinguished colleagues and friends.

Don Beavers, DVM, of Faxon, Okla., died Sept. 23, 2015. He was 73.

An Oklahoma native, he was born in Grandfield and grew up on a farm near Chattanooga. He earned his DVM degree from OSU in 1967. He owned Beavers Animal Hospital in Lawton, Okla., for more than 30 years. Dr. Beavers also farmed and raised cattle.

Known for his expertise in ratite medicine, he conducted seminars across the country and authored the book Ostrich, Emu, Rhea: Reproduction, Management, Nutrition, & Health. He also formulated ratite rations.

He was a past president of the Oklahoma Academy of Veterinary Practice and Oklahoma and Comanche County VMAs and served on the Oklahoma State Board of Veterinary Medical Examiners, Oklahoma State University College of Veterinary Medicine Admissions Committee, and Exotic Newcastle Disease Task Force. In 1998, Dr. Beavers was named Oklahoma Veterinarian of the Year and Don Beavers Day was declared in Lawton on Jan. 24. He is survived by his wife, Sally; a son and two stepdaughters; seven grandchildren; and two great-grandchildren. Memorials may be made to Central Baptist Church, 901 S.W. B, Lawton, OK 73501.He enjoyed working with metal and leather, fishing and photography. He also enjoyed his wife’s cooking, especially her cherry pies.

SOURCE: LAWTON RITTER GRAY FUNERAL HOME AND AVMA

Many faculty, staff and alumni of OSU’s Center for Veterinary Health Sciences were saddened to learn of the sudden passing of Jana Black, 67, of Warr Acres, Okla., on Oct. 30, 2015. Ms. Black worked with many faculty, staff and students in her role as executive director of the Oklahoma Veterinary Medical

Association. Her passion for veterinary medicine was evident in all her activities as the director.

She graduated from Yukon High School, studied at the University of Oklahoma, then attended and graduated from the University of Central Oklahoma.

Her enthusiasm for baseball, her grandchildren and veterinary medicine will be sorely missed by all here at the Center for Veterinary Health Sciences.

Jana is survived by her husband, Jim Black; son Keith (Sherri) Linn; stepsons Chris Black and Jay (Robin) Black; four grandchildren and two great-grandchildren.

Memorial donations may be made to the Oklahoma Animal Care Foundation, formerly the Oklahoma Veterinary Medical Foundation, P.O. Box 14521, Oklahoma City, OK 73113 (405-478-1002).

SOURCE: OBITS FOR LIFE

Dr. Thomas A. Byrd

Thomas A. “T.A.” Byrd, DVM, of Tulsa, died Nov. 25, 2015. He was 91.

He grew up in Madill, Okla., and graduated from Capitol Hill High School in Oklahoma City. He served in the U.S. Army during World War II from 1942 to 1945, attaining the rank of sergeant. He attended Oklahoma City University and transferred to Oklahoma A&M College in 1947 to study veterinary medicine. He earned his DVM degree in 1953.

Dr. Byrd practiced veterinary medicine for a short time in Antlers, Okla., before moving his family to McAlester, where he practiced from 1954 until 1985. He was a member of the Oklahoma Veterinary Medical Association (president, 1978-79), the OVMA Executive Board (1984-1987) and the Oklahoma Veterinarian of the Year in 1991. He was also active in the McAlester Rotary Club and the Grand Avenue United Methodist Church.

He was an avid OSU fan, serving on the veterinary college’s Admissions Board for many years. He was honored as a Distinguished Alumnus in 1991. He also loved OSU athletics, especially football.

Byrd is survived by his son, Gary (Karen) Byrd; daughters, Jamee Byrd Market; Jan (Jerry) McVicker; Julie Kathleen “Kathy” (Tom) Cooper; four grandchildren, four great-grandchildren, several step-grandchildren and numerous relatives and friends. Memorial donations may be made to the OSU Foundation, 308 McElroy Hall, Stillwater, OK 74078.

SOURCE: TULSA WORLD

Dr. Patricia N. Chism

Patricia N. Chism, DVM, of Etna, Calif., died Nov. 19, 2014, after a four-year battle with ovarian cancer. She was 54.

She earned her DVM degree from OSU in 1995 followed by an internship and residency in large animal surgery at the University of Tennessee. While a veterinary student, she was the U.S. representative to the International Veterinary Student Association and traveled to England, Europe and South Africa for meetings.

Dr. Chism worked in California equine veterinary practices in Santa Ynez and Salinas before setting up her own large animal practice in Scott Valley in 2006.

She and Dennis Moyles married in 2008. The couple attended the National Finals Rodeo and AAEP national meetings, visited the Grand Ole Opry and enjoyed annual family camping trips. They helped family and friends move cattle into the mountains and visited their grandchildren. Dr. Chism loved riding and camping in the mountains with her husband. She is survived by her husband, Dennis Moyles; mother, Vera Looker of Santa Barbara, Calif.; four sisters, two brothers, three stepsons, a stepdaughter, six grandchildren, and seven nieces and nephews. Gifts in memory of Dr. Chism may be made to the American Association of Equine Practitioners, 4075 Iron Works Parkway, Lexington, KY 40511.

SOURCE: SANTA BARBARA (CALIF.) NEWS-PRESS

Dr. James Claude Cooper

Dr. James Claude Cooper of Claremore, Okla., died April 16, 2015. He was 90.

Born in Mount Olive, Ark., he moved with his family to Claremore when James was a teenager. He graduated from Claremore High School and, with written permission from his mother, joined the U.S. Marine Corps at age 17. He served as a navigator and gunner of a B25 plane and navigator of a Douglas SPD Dauntless dive bomber plane in the South Pacific during World War II.

Dr. Don Beavers

Following the war, he earned his undergraduate degree from Northeastern State University in Tahlequah, Okla., then his DVM degree from OSU in 1955. He practiced veterinary medicine in Pryor, Okla., for one year before moving his mixed animal practice to Claremore. He retired at age 50. A year later, he became a meat inspector for the Oklahoma State Department of Health and worked for 15 more years.

Dr. Cooper is survived by his son Dr. James Claude Cooper Jr. and his wife, Kathy, of Fayetteville, Ark.; two granddaughters and two great-grandchildren. Memorial contributions may be made to the Will Rogers Memorial, 1720 W. Will Rogers Blvd., Claremore, OK 74017.

SOURCE: CLAREMORE (OKLA.) DAILY PROGRESS

Dr. Virginia Copland

Dr. Virginia Sue Copland, of Juneau, Alaska, died July 25, 2015. She was 61.

Born in Duncan, Okla., she earned her DVM degree from Oklahoma State University in 1980. Following graduation, she worked in a veterinary clinic in Fairbanks, Alaska, where she met and married her husband, Truman Middleton. Dr. Copland then completed a threeyear residency in anesthesiology and critical patient care at the University of California, Davis.

Following a year in Australia, the couple returned to Alaska in 1987 and established the Juneau Pet Clinic (now Juneau Veterinary Hospital). They would fly their Lake Amphibian plane to provide veterinary services in the bush. In 1989, Copland was diagnosed with multiple sclerosis. In 1991, she reluctantly retired and in 1992, her husband died.

Dr. Copland was an accomplished pianist, choir singer, English horn player, bush pilot, author, animal lover and world traveler (Australia, New Zealand, China and South Africa). In 1994, she met Louis Keller, and they enjoyed 21 years together.

Dr. Copland is survived by Mr. Keller; his daughters Debra (Ron) Woodbury; Christy (Greg) Gendron; two grandchildren; her mother, Martha Copland; one sister and two brothers; and many other relatives and friends.

SOURCE: THE JUNEAU EMPIRE

Dr. Hollis Cox Sr.

Dr. Hollis Utah Cox Sr. of Midwest City, Okla., died June 11, 2015. He was 71.

After graduating from Jacksonville (Ark.) High School, he earned a DVM degree from Oklahoma State University in 1967. He served in the Air Force in Panama and Vietnam, attaining the rank of captain. In 1973, Dr. Cox completed a doctorate in microbiology at Louisiana State University, where he remained on faculty as a professor of veterinary medicine and head of the diagnostic laboratory until he retired in 2009.

An Eagle Scout, Dr. Cox remained active in the Boy Scouts through troop leadership and membership in the Order of the Arrow. He earned several awards including the Vigil Honor, the OA Founder’s Award and the Silver Beaver Award for Exemplary Service.

Dr. Cox is survived by his mother, Molinda Edline Cox; his children, Lindy Crace, Chris Cox and Lauren Cox; six grandchildren and many relatives and friends. Memorial donations may be made to the Boy Scouts of America, P.O. Box 152079, Irving, TX 75015 or the Veterans of Foreign Wars, 2311 N. Central Ave., Suite 1200, Oklahoma City, OK 73105.

SOURCE: THE OKLAHOMAN

Dr. Richard Dillman

Richard “Dick” E. Dillman, DVM, of Dunnellon, Fla., died Jan. 30, 2015, after bravely fighting a long illness.

He was born in Ancon in the Panama Canal Zone where his family lived and worked. He completed junior college in the Canal Zone, then joined the U.S. Army, where he served as a medic and competed on the Army rifle team. In 1961, he earned his DVM degree from Oklahoma State University.

After graduation, Dr. Dillman moved to Miami, Fla., and worked with established practices before opening his Veterinary Small Animal Clinic in 1965. He helped introduce inhalation anesthetic throughout the Miami veterinary community. He is a past president of the South Florida Veterinary Medical Association. In the mid-1980s, he underwent several major back surgeries, leaving him unable to continue his veterinary practice. Dr. Dillman then turned to volunteer work, developing animal-assisted programs with the Dade County Public Schools.

Dr. Dillman worked with Miami Dade College to secure a W.K. Kellogg Foundation grant to fund many of the animal-assisted activities. One program provided

horses, instructors and helmets for inner-city youngsters to learn the basics of horse grooming and riding. Another taught students how to prepare dogs and themselves to do therapy visits to nursing homes. In addition, he worked with teachers and students using animal-assisted techniques to teach science and other subjects.

He won several local awards for his volunteer work and was named the 1997 Volunteer of the Year in the state of Florida.

Dr. Dillman was an avid birder and nature photographer, and he loved fishing, particularly fly fishing.

He is survived by his wife of 38 years, Karen; daughters Pam and Debi and her husband, Steve; four granddaughters and three great-grandchildren.

On Jan. 30, 2016, the first anniversary of his passing, there will be a celebration of his life event at the American Legion Post 58 in Dunnellon.

SOURCE: DILLMAN FAMILY

Dr. Robert Gengler

Robert H. “Bob” Gengler, DVM, of Enid, Okla., died Jan. 13, 2015. He was 85.

He grew up in Perry, Okla., and graduated from Perry High School. He served in the Air Force from 1950 to 1955, attaining the rank of sergeant. He earned his DVM degree from OSU in 1959.

Dr. Gengler owned and operated Enid Pet Hospital from 1960 to 1997. He was a member of the Aesculapius Society of OSU, Enid Chamber of Commerce, Enid Noon AMBUCS and a life member of the Oklahoma Veterinary Medical Association. He was active on the Enid YMCA board and a charter member of the Enid St. Gregory the Great Catholic Church, serving on its parish council and finance committee.

He was a storyteller and master woodworker who had a sense of humor and adventure and a zest for life. He enjoyed hunting, cards and nature and was an enthusiastic birder.

He was preceded in death by his first wife, Vickie Zerr Gengler. He is survived by his wife of almost 11 years, Kathleen; three sons, Clay and his wife, Sue, of Redlands, Calif.; Brian and his wife, Cathy, of Victorville, Calif.; and Tom of Denver; two grandchildren, a sister and several nieces and nephews.

Memorial gifts may be made to the Altar Society of St. Gregory the Great Catholic Church, the YMCA, the Salvation Army or the charity of choice with Henninger-Hinson Funeral Home, 601 W. Broadway Avenue, Enid, OK 73701 acting as custodian of the funds.

SOURCE: ENID NEWS

Dr. William Glover

William David Glover, DVM, of Edmond, Okla., died Oct. 25, 2015. He was 62.

Born in Holdenville, Okla., his family moved to Purcell, Okla., when he was in the fifth grade. He attended Wichita State University in Kansas on a football scholarship and the University of Oklahoma before earning his DVM degree from OSU in 1981.

After graduating, Dr. Glover ran a mobile large animal practice out of Guthrie, Okla. In 1995 he built Sooner Animal Hospital in Edmond, where he treated dogs and cats almost until his death.

In 2011, he married a high school classmate, Mary Stephens, who survives him. He is also survived by his son, William Cody Glover and his wife, Toni Simon, of Guthrie; stepson, Ryan Morphew and his wife, Lindsey, of Norman, Okla.; stepdaughter Candace Wheeler and her husband, Diamond, of Montreal, Canada; one grandson and many other relatives and friends.

SOURCE: WILSON-LITTLE FUNERAL HOME

Dr. Robert “Bob” Lee Hartin

Robert “Bob” Lee Hartin, DVM, died May 26, 2014. He was 79.

Born in Madill, Okla., he graduated from Madill High School in 1953. He married Marguarett Emily Standridge and moved to Stillwater, Okla., earning his DVM degree from OSU in 1959.

Following graduation, Dr. Hartin established a veterinary practice in Tishomingo, Okla. In 1962, the family moved to Amarillo, Texas, and to Edmond, Okla.,

in 1977. He served as the state veterinarian for 17 years. In 1994, the Hartins moved to Murfreesboro, Tenn., before retiring to Sayre, Okla., in 2000. Dr. Hartin enjoyed tending his cattle and gardening with his brother.

Dr. Hartin is survived by his son, Robert E. Hartin and his wife, Janis, of High Springs, Fla.; daughter, Teresa Deras and her husband, Carlos, of Albuquerque, N.M.; granddaughter, Courtney Hartin of Columbia, Mo., and many other relatives and friends.

SOURCE: WHITNEY FUNERAL SERVICE

Dr. Joseph S. Hayden

Joseph Hayden, DVM, 83, died at his home in Corinth, Texas, Sept. 27, 2014.

Born in Milton, Mass., he earned his undergraduate degree in dairy science from Oklahoma State University, a master’s degree in physiology from the University of Arkansas and his DVM degree from OSU (’64).

Following graduation, Dr. Hayden served as a captain in the U.S. Army. He then spent his veterinary medical career with Ralston Purina. He retired after 26 years as animal health manager for research and development.

In his spare time, Dr. Hayden loved to sail, golf, travel and play bridge. For the past 10 years, he volunteered weekly at Our Daily Bread, a soup kitchen at St. Andrew’s Church in Denton, Texas.

Hayden is survived by his beloved wife of 56 years, Betty Lou; daughters Ellen Hayden and her husband, Jack Luft, of Evanston, Ill.; Anne Hayden Bishop and her husband, Brad, of Clayton, Mo.; and son Christopher Hayden and his wife, Michele Rockelein, of Austin, Texas; five grandchildren and other relatives and friends.

Memorial gifts may be made to Our Daily Bread, c/o St. Andrew Presbyterian Church, 300 West Oak St., Denton, TX 76201 or to the Class of 1964 Endowed Scholarship, c/o OSU Foundation, Attn: Sharon Worrell, 308 McElroy Hall, Stillwater, OK 74078.

SOURCE: DENTON (TEXAS) RECORD-CHRONICLE

Dr. Louis Heavner Jr.

Dr. Louis Wells Heavner Jr., 83, of Navarre Beach, Fla., died May 2, 2015. Born in Riverside, N.J., he and his family moved to Tulsa when Louis was 15. He graduated from Will Rogers High School and earned a bachelor’s degree in animal husbandry from Oklahoma

A&M followed by his DVM degree in 1958 from OSU. He is a member of Sigma Nu Fraternity.

After graduation, Dr. Heavner opened Purcell Veterinary Hospital. A year later, he became a partner in the Norman (Okla.) Veterinary Hospital, where he worked until 1967. He served on the Oklahoma Board of Veterinary Medical Examiners, including as its president for three years. He and his partner both took flying lessons and purchased a Cessna 205, which they used for business and pleasure — a hobby Dr. Heavner thoroughly enjoyed.

In 1967, he established Aurora Animal Hospital Inc. in New Orleans, practicing there until he retired in 1999. He was proud to have the second veterinary hospital in Louisiana to be certified by the American Animal Hospital Association. He and his partner opened three outpatient clinics on the Westbank of New Orleans. Heavner was a founding member of the Westbank Pet Emergency Clinic.

Dr. Heavner also earned his certification in veterinary acupuncture from Purdue University in 1976. He was a member of the Cayman Veterinary Practice in the Cayman Islands from 1972 to 1982. He was an honorary member of the American Veterinary Medical Association, a life member of the Louisiana VMA and the Southeast Louisiana VMA, having served as its president. He was also a hospital director emeritus of the American Animal Hospital Association.

Upon retirement, Dr. Heavner moved to Navarre Beach and became a member of the Miracle Strip VMS, serving as part-time track veterinarian for Ebro Greyhound Park during racing season.

Dr. Heavner is survived by his wife and high school sweetheart, Mary Towers Heavner, sons, Louis III and his wife, Betsy, of Austin, Texas; Will and his wife, Nancy, of St. Louis; daughter Sandy and her husband Doug Arnold of Edmond, Okla.; and 11 grandchildren. Memorial donations may be made to the Greyhound Pets of America Emerald Coast, P.O. Box 64, Gonzalez, FL 32560.

SOURCE: SCHAUDT-TEEL FUNERAL SERVICE AND CREMATION CARE

Dr. Anita “Sunny” L. Hinshaw

Anita “Sunny” Hinshaw, DVM, died Oct. 17, 2014, after suffering a massive stroke while working on the family farm in Tontitown, Ark. She was 64. She was one of the first female veterinarians in northwest Arkansas, where she lived most of her life.

Born Anita Louise Hinshaw in Jacksonville, Fla., she received the nickname Sunny while in college. She earned her DVM degree from OSU in 1975. An old-fashioned vet who would make house calls and a skilled surgeon, Dr. Hinshaw helped established the Springdale (Ark.) Animal Shelter and took many injured or unwanted pets into her home. In 2011, she retired and sold her practice, Southwest Pet Hospital in Springdale.

In retirement, she enjoyed studying to be a master gardener, playing music and serving as a member of the Tontitown City Council. Dr. Hinshaw had been unopposed for re-election in November. She played the flugelhorn and trumpet at Grace Methodist Church in Rogers.

Dr. Hinshaw is survived by her mother, Betty Hinshaw; sister, Cathyrn Hinshaw of Little Rock, Ark.; brother, Ross Hinshaw of Springdale; sister, Dawn Hinshaw and her husband, Michael Latham, of Columbia, S.C.; and many other relatives and friends.

Memorial donations may be made to the Tontitown Historical Museum, Box 144, Tontitown, AR 72770 or to Washington County Master Gardeners, 2536 N. McConnell Ave., Fayetteville, AR 72704.

SOURCE: TRIBUTES.COM

Dr. Harold Ivie

Dr. Harold Dee Ivie, of San Mateo, Calif., died peacefully at home on May 27, 2015. He was 88. Born in Sand Springs, Okla., he served in the U.S. Navy during World War II in the Philippine Islands before earning his DVM degree from then-Oklahoma A&M in 1952. After graduating, Dr. Ivie settled in the San Francisco area, practicing small animal medicine at White and Morris Pet Hospital, where he became a partner. Eventually he became the sole proprietor of White-Ivie Pet Hospital in San Bruno, Calif., until he retired in 2003.

During his 50-year career, he mentored many aspiring veterinarians. In 2007, he established the Dr. Harold Ivie Endowment Fund to benefit the OSU Center for Veterinary Health Sciences.

Ivie is survived by his longtime companion, Patricia Richardson; daughter, Charlene; son, David and his wife, Renee; two stepchildren and their families, Colleen and her husband Bob Cookson and Daniel and his wife Debi Lamb, one grandson and an extended family in the Midwest.

Memorial donations may be made to the Dr. Harold Ivie Endowment Fund at Oklahoma State University, 308 McElroy Hall, Stillwater, OK 74078.

SOURCE: SAN FRANCISCO CHRONICLE

Dr. Alana Jenkins

Dr. Alana June Jenkins died Feb. 1, 2015, following a battle with cancer. She was 30.

She earned her DVM degree from OSU in 2009 and completed a yearlong internship in Maryland. She went on to practice in Spiro, Okla., for a year before practicing in Frisco, Texas.

Dr. Jenkins was licensed to practice in Maryland, Oklahoma and Texas and a member of the Oklahoma, Texas and American Veterinary Medical Associations. Becoming a veterinarian was a childhood dream of Dr. Jenkins’; her dad, Dr. Stanley Jenkins (OSU ’81), owns and operates Town and Country Animal Hospital in Henryetta, Okla.

She is survived by her parents, Dr. Stanley and Pamela Jenkins of Henryetta; brother, James Jenkins of Henryetta; sisters, Erin Jenkins of Stillwater and Cheryl Boatner and her husband, Joseph, of Okmulgee, Okla.; paternal grandmother, Thurlene June Jenkins of Wetumka, Okla., and other family and friends.

SOURCE: THE HENRYETTAN.COM

Dr. Leslie Johnston

Leslie Newkirk Johnston Jr., DVM, of Owasso, Okla., died Nov. 4, 2015. He was 87.

Born in Wilmington, N.C., he graduated from Hanover High School (Wilmington), attended Wilmington College and North Carolina State College, and earned a degree from the University of North Carolina at Chapel Hill. He served in the Air Force and was stationed in Hawaii. In 1956, he earned his DVM degree from OSU. Following graduation, he established a veterinary practice in Tulsa where he practiced for more than 50 years. While he enjoyed both large and small animals, he focused primarily on small animals.

Dr. Johnston enjoyed the outdoors — bird hunting, fishing, leading a Boy Scout troop, flying his own plane or riding his motorcycle. He was a member of the First Baptist Church of Tulsa for more than 60 years. He considered the members of the Agape

Sunday School Class as some of his closest friends. Dr. Johnston was a past member of the American Veterinary Medical Association, the Oklahoma Veterinary Medical Association and the Northeast Oklahoma Veterinary Group.

He is survived by his wife of 63 years, Ada Sue; daughter, Pamela Sue Johnston of Owasso; son, Dr. Timothy Lynn Johnston of Cullowhee, N.C.; and two grandchildren. He loved his role as “Uncle Budgy” to his North Carolina niece and nephews.

Memorial gifts may be made to the Agape Sunday School Class, First Baptist Church, 403 S. Cincinnati Avenue, Tulsa, OK 74103, to further local mission outreach efforts.

SOURCE: DILLON FAMILY SERVICES

Charlotte Kincaide

Many OSU alumni may fondly remember Charlotte Kincaide, the College of Veterinary Medicine admissions coordinator for nearly 19 years. On April 28, 2015, at age 92, Kincaide passed away.

Born in Nowata, Okla., she earned a bachelor’s degree in education from Oklahoma A&M where she was a Redskin Beauty and a member of Pi Beta Phi Sorority. She later earned her master’s degree from Fort Hays College in Fort Hays, Kan. She taught at several Oklahoma schools and worked in a physician’s office before joining the veterinary college. Upon her retirement, a scholarship called Charlotte’s Kitty, was established in honor of her service to the veterinary college.

She was a member of the First Presbyterian Church in Nowata and the Nowata Historical Society Board. She was an accomplished pianist and loved animals and nature.

Kincaide is survived by her sons, Stephen and his wife, Lisa, of Nowata; KC and his wife, Jackie, of Spring, Texas; a daughter, Lonetta Sprague and her husband, Robert, of Cleveland, Okla.; four grandchildren and six great-grandchildren.

SOURCE: BENJAMIN FUNERAL SERVICE, NOWATA, OKLA.

GARY LAWSON / UNIVERSITY MARKETING

Dr. Brenda Love

Brenda Cheryl Love, DVM, Ph.D., of Plano, Texas, died June 3, 2015. She was 49. Born in Oklahoma City, she earned her DVM degree from Oklahoma State University in 1990. She went on to earn a doctorate in veterinary microbiology from the University of California at Davis.

Dr. Love, an assistant professor at the veterinary center for nearly eight years, worked as a veterinary microbiologist at the Oklahoma Animal Disease Diagnostic Laboratory.

She is survived by her son, Sage of Ada, Okla.; mother, Roberta Winningham of Farmersville, Texas; and numerous other relatives and friends.

SOURCE: TURRENTINE JACKSON MORROW FUNERAL HOME

Dr. Wade Lyon

Wade N. Lyon, DVM, of Oklahoma City, died Nov. 3, 2014, after a lengthy illness. He was 86.

Born in Geary, Okla., he earned his DVM degree from OSU in 1954. After graduation, he married Shirley Ann Smalstig. The couple moved first to El Reno and then to Oklahoma City in 1956.

Dr. Lyon practiced small animal veterinary medicine at two clinics before joining Portland Veterinary Hospital in Oklahoma City. He retired from Portland in 1995 after many years of helping people and their pets.

Dr. Lyon and his wife enjoyed traveling across America and Europe many times over. He also loved fine food, antique Ford cars and trucks and antiques in general. Many vacations were scheduled around swap meets, antiques and fine restaurants.

His wife preceded him in death. He is survived by his son, Mark Lyon and his wife, Lori, of Oklahoma City, two grandchildren, four great-grandchildren and many other relatives and friends.

Memorial donations may be made payable to the OSU Foundation with “Dr. Wade N. Lyon 28-85500 Veterinary Medicine General Scholarship Fund” noted in the memo and mailed to: Sharon Worrell, 308 McElroy Hall, Stillwater, OK 74078.

SOURCE: THE OKLAHOMAN

Dr. John Montgomery

Former OSU Regent Dr. John W. Montgomery of Poteau, Okla., died Dec. 5, 2014. He was 97. He earned his DVM degree from Tuskegee University in 1950 and founded LeFlore County Veterinary Clinic in Poteau, where he practiced more than 35 years. He served two terms on the Oklahoma State University Board of Regents, including twice chairing the board and helping the efforts to establish OSU’s Veterinary Medical Hospital. Dr. Montgomery was named the Oklahoma Veterinarian of the Year and was inducted into the Oklahoma Hall of Fame in 2001.

Memorial gifts may be made to Prairie View A&M University, Office of Development — John Montgomery Scholarship Fund, P.O. Box 519, MS 1200, Prairie View, TX 77446.

SOURCE: OURNAL OF THE AMERICAN VETERINARY MEDICAL ASSOCIATION

Dr. Nancy B. Pate

Dr. Nancy B. Pate of Durham, N.C., died Oct. 5, 2014, following a long battle with Lou Gehrig’s disease. Also called amyotrophic lateral sclerosis, ALS attacks motor neurons, cells that control the muscles. She was 70.

She earned her DVM degree from OSU in 1969. She was a veterinary officer in the U.S. Public Health Service, first with the Bureau of Veterinary Medicine, a section of the Food and Drug Administration, then with the Environmental Protection Agency. During her career, she was active in emergency response as a public health service officer and as a disaster volunteer with the American Red Cross. She retired as a captain in 2005.

After retirement, she continued to work at the EPA as an environmental health scientist. Early in her career, she practiced small animal medicine in several states. Dr. Pate served as a committee chair for many years with the North Carolina Veterinary Medical Association. She was the association’s 2002 Veterinarian of the Year.

Active in her community, Dr. Pate was a Wood Badgetrained Boy Scout leader, serving in many roles in the organization as well as in training programs for future leaders. She was a soccer coach and committee member of the local athletic association, involved with local environmental organizations and service areas in her church.

Dr. Pate is survived by her son and grandson. Memorial contributions may be made to the charity of your choice or to the Appalachian Trail Conservancy, 799 Washington St., P.O. Box 807, Harpers Ferry, WV 25425.

SOURCE: FAMILY

Dr. Michael E. Sanders

Michael E. Sanders, DVM, died March 5, 2015, in Jurupa Valley, Calif. He was 63. Born in Sayre, Okla., he earned his DVM degree from OSU in 1979. He had lived in Antelope Valley, Calif., since 1999.

Dr. Sanders practiced veterinary medicine for 35 years. He was a member of the American Veterinary Medical Association and the American Association of Equine Practitioners. He was also a faithful member of the Fifth Street East Church of Christ.

Dr. Sanders is survived by his wife, Sue; daughters, Krista Sanders and Katrina Verco; son, Michael Sanders; stepdaughters, Andrea and Shelly Stone; five grandchildren, two sisters and one brother.

SOURCE: ANTELOPE VALLEY (CALIF.) PRESS

Dr. Janet Schroeder

Dr. Janet Yvonne Grantham Schroeder of Gage, Okla., died Aug. 7, 2014. She was 76. A lifelong resident of Gage, she graduated from Gage High School in 1956. She earned her DVM degree in 1962 from OSU, the first female Oklahoman to do so.

Following graduation, she married Joseph Lee Schroeder. Later that year, when her parents moved to Texas, the newlyweds took over their dairy farm, and Dr. Schroeder established her veterinary practice on the farm.

Dr. Schroeder participated in the Home Extension Club for many years. For more than 40 years, she worked with the Gage and Ellis County 4-H groups. She was an active member of the Gage Christian Church.

She is survived by her five sons: Rex (and wife Linda) Schroeder of Gage, Eddie (and wife Lorraine) Schroeder of Roll, Okla., Tony (and wife Shelly) Schroeder of Gage, Fred (and wife Rhonda) Schroeder of Stillwater and Wayne (Michelle) Schroeder of Christiana, Tenn.; 19 grandchildren, seven great-grandchildren; and other relatives and friends.

Memorial gifts may be made to the Gage 4-H Club, c/o Oklahoma State Bank, 506 N. Main St., Gage, OK 73843.

SOURCE: SHAW FUNERAL HOME

Dr. George Thomas

George Michael “Mike” Thomas, DVM, of Ninnekah, Okla., died Oct. 18, 2015. He was 74. Born in Hugo, Okla., he came to Ninnekah as a young boy and ended up graduating from Ninnekah High School. He earned a bachelor’s degree in animal husbandry (1962), a pre-veterinary Sciences degree (1965) and a DVM degree (1968), all from OSU.

Following graduation, Dr. Thomas joined a veterinary clinic in Temple, Okla., where he worked with Dr. Lester Dupler (OSU ’62) for 13 years. In 1981, he returned to Ninnekah to open a mobile veterinary practice.

He enjoyed playing sports and coaching his children and other youth in his younger years. He was a very family-oriented man and loved spending time with his family.

Dr. Thomas is survived by his wife of more than 53 years, Barbara; daughter, Michele Flanagan of Lawton, Okla.; son, Joe and his wife, Valerie Thomas of Gilbert, Ariz.; five grandchildren, other relatives and friends.

Memorial contributions may be made to the Ninnekah United Methodist Church, P.O. Box 165, Ninnekah, OK 73067.

SOURCE: FERGUSON FUNERAL HOME

Dr. Lawrence Valentine

Dr. Lawrence H. Valentine, 89, of Plano, Texas, died June 18, 2015. He grew up in McCurtain County, Okla., and entered the Army during World War II. He was commissioned as a lieutenant and served in Japan. After the war, he returned to Idabel, Okla., and married Dale Farley.

He earned his DVM degree from Oklahoma A&M in 1952, the second class to graduate from the new School of Veterinary Medicine. Following graduation, he practiced veterinary medicine in Wakonda, S.D., until 1960. He then fulfilled his dream of returning to McCurtain County as a veterinarian and worked in a mixed animal practice there until he retired in 1993.

In 1990, Dr. Valentine received a Distinguished Alumnus Award from the OSU College of Veterinary Medicine. He was also an anchor in the community and a deacon at the First Baptist Church of Idabel. An avid horseman, he cherished trail rides with his friends.

Dr. Valentine was preceded in death by his wife and mother of his children, Dale Valentine. He is survived by his wife, Linda Valentine; and three children, Jan Valentine Yates of Powderly, Texas; Karen Valentine of Edmond, Okla.; and Mark Valentine of Mandeville, La.; four grandchildren, one great-grandchild and many other relatives and friends.

Memorial donations may be made to St. Jude Children’s Hospital, P.O. Box 1000, Dept. 142, Memphis, TN 38101-9908 or the Oklahoma Medical Research Foundation, 825 NE 13th Street, Oklahoma City, OK 73104.

SOURCE: WHITE FAMILY FUNERAL HOME

Dr. Conrad Whitfield

Born in Perry, Okla., Conrad Whitfield earned his DVM degree from Oklahoma State University College of Veterinary Medicine in 1997. Following graduation, he went into equine practice and worked in Oklahoma, Texas and New York throughout his career. He was known for his incredible work ethic, love for helping horses and great since of humor. Dr. Whitfield died Oct. 3, 2014.

He is survived by his wife, Jennifer; five sons, Chase, Colt, Cutter, Crew and Canyon; and one daughter, Raven.

SOURCE: WHITFIELD FAMILY

Dr. Bradley Williams

Dr. Bradley Kenneth Williams, of Moscow, Idaho, died May 23, 2015, after a brief illness. He was 54.

Born in New Jersey, his family moved to Ardmore, Okla., in 1973. Brad graduated from Ardmore High School in 1978 and earned his bachelor’s degree in animal science from OSU. After earning his DVM degree from OSU in 1986, he practiced at the Ardmore Veterinary Clinic, a mixed-animal practice. In 1987, he married Janet E. Garrett. They moved to Moscow, where Dr. Williams worked in the Department of Biological Sciences at the University of Idaho. In 1989, he was a resident in Louisiana State University’s laboratory animal program. In 1990, he joined

Washington State University’s College of Veterinary Medicine, working in the intensive care unit. Williams then practiced small animal medicine at the Southway Animal Clinic in Lewiston, Idaho, before accepting a campus veterinarian position at the University of Idaho in 1993. He worked diligently to ensure animal research was conducted ethically, legally and purposefully for the benefit of both animals and humanity. For several years, he also served as the university’s research compliance officer, overseeing the integrity of the entire research enterprise of the institution. He retired in 2014.

Dr. Willams enjoyed spending time with family and friends, golfing, playing euchre and working on his computer.

He is survived by his wife, Janet; daughter, Casey Marie; son, Corey Garrett; his mother, two brothers and 18 nieces and nephews. Memorial gifts may be made to Emmanuel Lutheran Church, 1036 West A Street, Moscow, ID 83843, for distribution to organizations that advocate for youth through golf.

SOURCE: MOSCOW-PULLMAN (IDAHO) DAILY NEWS

Dr. Jack Williamson

Dr. Jack Ellis Williamson, 81, of Maumelle, Ark., died Dec. 19, 2014. He grew up in Hammon, Okla., graduating from Hammon High School in 1952. After earning his bachelor’s degree from OSU, he continued his education to earn his DVM in 1959.

Following graduation, he practiced mixed animal medicine and surgery in Weatherford, Okla., until he went to work as a USDA veterinarian. His first post was in Greenville, Mass. In 1967, he transferred to Dardanelle, Ark., and worked in the poultry inspection unit there until he retired in 1994.

He is survived by his son, Stephen Williamson, MD, of Waynesville, Mo.; daughter, Anne Ingle (and husband Donald) of Arlington, Texas; and three grandchildren. His wife of 45 years, Shirley Phillips Williamson, died in 2000.

SOURCE: FORT WORTH (TEXAS) STAR-TELEGRAM

50 years later …

When the members of the Class of 1965 graduated with their DVM degrees, they numbered 34, with 31 men and three women. In May 2014, 19 of the 29 living class members returned to Stillwater to celebrate the last 50 years. Here are brief summaries of their varied careers as OSU Cowboy veterinarians.

THE CLASS OF 1965

The Class of 1965 from OSU’s

for Veterinary

Back

For a video of some members of the class, visit okla.st/1hbDm43

Center
Health Sciences reunited with members: seated (from left): William Lance, Larry Edwards, Duane Lemburg, Wade Markham, Paul Frith and L.D. Barker
Center row, standing (from left): John Kirkpatrick, Sandie Olson (widow of Ben Olson), Barbara McAbee, Dianne Nail, Gail Thiede (widow of Johnnie Remer), Janet Bennett (widow of Dorland Bennett) and Darrell Allison
row standing (from left): Jerry Durham, Starling Miller, Talmage Brown, William Robertson, John Doyle and Ronald Ford
CLASS OF 1965 REUNITES IN STILLWATER

DARRELL ALLISON, DVM, served as director of veterinary services in the Air Force Veterinary Corps, worked in mixed veterinary practices in Oklahoma and Kansas and for the Hawaii Department of Agriculture. He was a consulting veterinarian to Laboratory Animal Services at the University of Hawaii and a founding member of the chancellor’s animal care committee, where he was an active member for 25 years. Allison retired in 2014.

L.D. BARKER, DVM, established a mixed animal practice in Snyder, Okla. He also began rendering veterinary services in 1986 for the Oklahoma National Stockyards, the world’s largest livestock market. Later in 1986, he purchased a clinic in Newcastle, Okla., where he and his two sons, Mark (2005) and Matt (2012), practice. Barker is also a partner and president of SolidTech Animal Health, which manufactures a solid-dose, time-release vaccine for cattle.

DORLAND BENNETT, DVM, served two years in the Air Force before returning to Hennessey, Okla. He worked for the USDA and served on the Oklahoma Board of Veterinary Medical Examiners. Bennett died June 26, 2003.

TALMAGE BROWN, DVM, PH.D., served in the Air Force before becoming a pathologist. In 1975, he joined the faculty at OSU College of Veterinary Medicine. In 1978, he joined the National Animal Disease Center in Ames, Iowa, as research leader of the Shipping Fever and Respiratory Diseases of Cattle Project. In 1981, Brown joined the new veterinary school at North Carolina University, where he developed the pathology program and worked until he retired in 2008.

THOMAS COFFIN, DVM, served in the Army after graduation. Following discharge, he practiced in his hometown of Waukomis, Okla. He later joined Idabel (Okla.) Veterinary Clinic, where he practiced for 25 years. In 1981, he built Coffin Animal Hospital and worked there until his 2006 retirement. Coffin also served on the Oklahoma Veterinary Medical Association Board for four years. He died Dec. 29, 2013.

JOHN DOYLE, DVM, worked in private practices in Ness City, Kan., and Anadarko and Perkins, Okla. In 1982, he became the animal health epidemiologist for the Oklahoma Department of Agriculture and was director of the Brucellosis Eradication Program in Oklahoma. He also served several years on a USDA Tuberculosis Epidemiology Team traveling to Mexico before retiring.

JERRY DURHAM, DVM, returned to his hometown of Prairie Grove, Ark., and established a mixed animal practice. He sold it and retired in 2011.

LARRY EDWARDS, DVM, began his career in Amarillo, Texas. After one year, he moved to Sherman, Texas, where he established a small animal practice that he sold, retiring in 2012.

RONALD FORD, DVM, spent two years in the Air Force. In 1968, he established a veterinary practice in Lemmon, S.D., where he works today. Since 1972, he has been raising roan and grey quarter horses. He stands Guys Gold Coin, a son of Frenchman Guy, as stud, shipping cooled semen and breeding on site.

PAUL FRITH, DVM, MPH, served as a regional health officer for the Alaska Division of Public Health for 12 years and a compliance officer for Alaska OSHA for seven years. In 1995, he joined the Oregon OSHA staff as a training specialist. In 2005, he and his wife, Nancy, formed a consulting firm, OSHA Rx LLC, providing consulting services in the Pacific Northwest and in Trinidad/Tobago for the next 10 years. They currently reside in Fairbanks, Alaska.

JOEL JENSEN, DVM, enjoyed practicing veterinary medicine and still provides assistance to a kennel a couple days a week. He also enjoys acting and has been part of a community theater for 35 years and counting.

JOHN KIRKPATRICK, DVM, joined Drs. Charles Love and Louis Nightengale (OSU ’62) in a mixed animal practice in Ardmore, Okla. In 1972, he built his own mixed animal practice in Shattuck, Okla. In June 1992, he joined the food animal section at OSU’s College of Veterinary Medicine and later served as director of Veterinary Extension and director of the Veterinary Medical Hospital.

WILLIAM LANCE, DVM, MS, PH.D., joined the Air Force and served until 1973. In 1976, he joined the Wildlife Disease Center at Colorado State University’s College of Veterinary Medicine. He worked as a researcher and earned a Ph.D. in pathology finishing in 1981. He then founded Wildlife Pharmaceuticals Inc., which has branches in South Africa, Canada and Mexico.

DUANE LEMBURG, DVM, worked in Wichita, Kan., before entering the military. He was assigned to the Scout Dog Program to prepare dogs and handlers for their mission in Vietnam. This assignment included assisting in a scene from the movie The Green Berets. In 1969, he moved to Golden, Colo., and opened Applewood Veterinary Hospital in 1970. In 1974, he and a nearby competitor joined to build Mesa Veterinary Hospital, where he worked for the next 40 years, retiring in 2004.

WADE MARKHAM, DVM, opened a practice in Pryor, Okla. Six months later he moved to Vinita, Okla., and eventually built Vinita Veterinary Center with Dr. Gene Frie (OSU ’68). He sold his part of the practice in 1980 and continued to work out of his barn. In 2003, he was named Craig County’s Citizen of the Year.

BARBARA MCABEE, DVM, worked in or owned various practices in North Carolina, Virginia, Colorado, Iowa and Illinois. Her three goals when she graduated from OSU were to save the (animal) world, to foxhunt and to become an expert skier — and she accomplished all three. She currently does relief work in Illinois, Iowa and sometimes in Virginia.

STARLING MILLER, DVM, joined a mixed animal practice in Perry, Okla., where he later became a full partner. After developing back issues, he left the practice and went into the auction and real estate business with his wife.

DIANNE NAIL, DVM, practiced in Oklahoma City and Tulsa. In 1983, she and her husband Nick (OSU ’62) built a new hospital, Arrow Springs in Broken Arrow, where they worked until they sold it in 2004. She was the second female president of the Oklahoma Veterinary Medical Association and the Veterinarian of the Year in 2002.

REX OLSON, DVM, opened a mixed animal practice in his hometown of Waynoka, Okla., and served as the veterinarian at livestock auctions in Seiling and Woodward. He also ser ved on the Oklahoma Veterinary Medical Association’s Board of Directors. After contracting Brucellosis, which reduced his energy level, he sold his practice in 1983. With a friend, he formed Santo Resources Inc., operating oil and gas wells. Olson passed away Oct. 27, 1997.

JOHNNIE REMER, DVM, bought a small animal practice in Fort Smith, Ark. His son, Jon, earned his DVM degree from OSU in 1984 and joined the practice. At age 59, Remer suffered a massive heart attack and died March 30, 1993.

WILLIAM ROBERSON, DVM, served in the Army Veterinary Corps for two years. He then moved to Little Rock, Ark., where he was part owner of three AAHA-approved hospitals and one emergency clinic. He served as president of the Arkansas VMA and was named Veterinarian of the Year in 1981.

ROGER WELLS, DVM, practiced in Vinita, Okla., before establishing a racetrack practice in Pennsylvania. He spent 12 years at the Penn National Racecourse in Grantville and at racetracks in Florida and Ohio. In 1984, he established a practice in New Hampshire that served Ro ckingham Park and Suffolk Downs. In 2005, he ran for the New Hampshire House of Representatives and served six years.

THOMAS WELSH, DVM, PH.D., DACLAM, moved to California to practice at the Firestone Veterinary Hospital. Eight months later, he was called to join the U.S. Army, serving until 1968. He went on to complete his Ph.D. and a laboratory animal residency in Illinois. In 1972 he accepted a p osition at Rush University Medical Center in Chicago, retiring 30 years later in 2002. He then accepted a position at Northwestern University as director of its laboratory animal medicine program. After eight years at Northwestern, he retired again in 2010.

JAMES ZYSKOWSKI, DVM, practiced at Edgewood Veterinary Hospital in Tulsa for one year before opening his own practice on South Harvard. In the early 1970s, he built Valley Glen Veterinary Hospital in east Tulsa and practiced until he sold it to Walgreens. He built one more practice, leased it for a while and finally retired in 2007.

DERINDA BLAKENEY, APR / CVHS
Cl/HS

YEARS~ SERVICE

OSU Celebrates 125 Years of Service

As Oklahoma State University celebrates 125 years of excellence, it is a time to look back on the accomplishments and milestones that have made OSU America’s Brightest Orange. While the Center for Veterinary Health Sciences is the youngest of the colleges, the school has left its mark on OSU history in its 67 years.

The School of Veterinary Medicine was officially established March 1, 1948, with an inaugural class of 31 students. The school completed its first new building in 1949 and graduated its first class of 26 students on May 27, 1951.

June Iben became the first female to graduate from the School of Veterinary Medicine in 1955, paving the way for many more.

As the times changed, so did OSU. In 1957, Oklahoma A&M College changed its name to Oklahoma State University, and the School of Veterinary Medicine became the College of Veterinary Medicine. The college continued to strive for excellence in the veterinary field. The Oklahoma Animal Disease Diagnostic Laboratory was dedicated in 1975, in partnership with the Oklahoma Department of Agriculture, Food and Forestry, and the Boren Veterinary Medical Teaching Hospital was completed in 1981.

The college also received its first full academic accreditation by the American Veterinary Medical Association in 1981. The hospital, which has been accredited and certified by the American Animal Hospital Association since 1983, treats all species and is open to the public.

CVHS boasts many prominent alumni, including Dr. Leroy Coggins, Class of 1957, who developed the Coggins test that checks for equine infectious anemia; it is required for horses in order to travel or compete. The college has also made many contributions through its breakthrough research by faculty and veterinary graduates.

The college was renamed in 2004 as the Oklahoma State University Center for Veterinary Health Sciences. The CVHS encompasses the College of Veterinary Medicine, the Oklahoma Animal Disease Diagnostic Laboratory, the Boren Veterinary Medical Teaching Hospital, the CVHS Ranch, the Equine Research Park and other laboratories located within its facilities.

As OSU continues to lead, the Center for Veterinary Health Sciences will continue its mission to better the lives of animals and people through education, research and service. Read more about OSU’s rich history at www.timeline.okstate.edu.

Now more than ever in OSU’s 125-year history, it’s good to be a Cowboy!

WEHR

ROUNDUP

In 2014, OSU Cowboy veterinarians and guests gathered at the Payne County Expo for the Cowboy Roundup.

In addition to class reunions, silent auctions raised nearly $4,200 to support veterinary student scholarships.

PHOTOGRAPHY BY GARY LAWSON
Class of 1964
From left: Drs. Gloyd Miller, Ben Baker and Laurin Patton
Cl/HS

Class of 1974

Standing:

Class of 1969

From left: Drs. Gary Wallis, Don Heise, Charlotte Dietz, Jimmie Baldwin, John Goedeken, Richard Shawley and Michael Lorenz
Seated (from left): Drs. Brenda Rowe, Julie Clements, Ronald Powell, Ronald Wallis and Gary Glisan
Drs. Robert Moak, Patrick Thistlethwaite, Donald Whitehead and Bill Schaefer
Alumni and guests enjoyed the sounds of the band Highway 51, led by Jimmy Bryson

Class of 1979

Seated (from left): Drs. Mike McGuire, Carl Propp, Michael Steward and Brad Hildabrand

Standing: Drs. Arlyn Omtvedt, Terry Lehenbauer, Harry Wilson, Timothy Ashley and Ladd Oldfield

Class of 1989

Seated (from left): Drs. Kimberly Carter, Rosemarie Strong, Kristi Darrow and Erica Miller Standing: Drs. Wyvern Cline and William Hancock

Class of 2004

Class of 1994

From left: Drs. Jamie Augenstein and Monica Norman
Seated (from left): Drs. Erin Pruitt, Shanda Geurin, Jennifer Johnson-Neitman, Stacy McLeod and Sandra Tatarynw
Standing: Drs. Zuleika Carballo, Chad Baumwart, Cade Wilson, Jason Risley and Scott Sturgeon

CORRAL CRAWL

This year, the Corral Crawl attendees enjoyed a special treat when Drs. Jean Sander and Jerry Ritchey put their own words to a favorite tune and sang, “Mamas, please let your babies grow up to be Cowboys” to start the evening off.

Alumni and friends started their holiday shopping early during the SCAVMA Silent Auction that raised more than $6,500 for veterinary student scholarships.

Thank you to all who attended, those who donated auction items and to all who bid.

Items in the silent auction drew bids from many, including Mrs. William McClees (left) and others.
PHOTOGRAPHY BY GARY LAWSON

Class of 1970

Class of 1975

From left: William McClees, Lyndon Tate, Stanley Kosanke, Thomas Shroyer and Billy Clay
Seated (from left): Milton Pollard, Jonathan Turner, Vickie Stonestreet and Larry Nieman
Standing: Dennis Henson, Marvin Ellis and Timothy Eaker

Class of 1980

Seated (from left): Lemac Morris, Susan Hossenlopp, Dwight Olson and Steven Weir

Standing (from left): Randy Lewis, Joel Lenz and Charles Reavis

Class of 1985

Seated in front (from left): Linda Ford, Linda Coenen, Judith Roberds, Fawn King, Heather Cobb and Kathryn Dunaway

Second row (from left): Kenneth Abrams, Ronald Smith, Randal Burris, Harry Traylor, James Rebeie, Julia O’Carroll, Richard Marrinson, Eric Wynn and Carl Manske

Standing in the back row (from left): Gordon Gathright, Jeffery Sarchet, Andrew Broaddus, Bruce Omonhundro, Gregory Campbell and Gary Spodnick

Dr. Johnathan Turner (left) and Dr. Tim Woody look over silent auction items.

Class of 1990

Seated (from left): John Otto, Kimberley Morey, Randall Eisel, Terri Wheeler and Patricia Williams

Standing (from left): Benjamin Slaybaugh, Barry Whitworth, Nancy Proctor, Carl Bello, Shawna McCune, Michael Thorp and Brad Roach

Class of 1995

Seated (from left): Angela Henzel, Brenda Stewart, Jason Steinle, Troy Lindsey and Michael Brown

Standing: Rodney Auffet, Kevin Fenton, Jennifer Rhodes-Fenton, Tracy Turner, William Evans, Amy Gustafson, Kristi Zarges, Jacqueline Harvey and Julius Brinkis

CVHS Dean Dr. Jean Sander and Dr. Jerry Ritchey entertain during the Corral Crawl

Oklahoma State University

Center for Veterinary Health Sciences

308 McElroy Hall

Stillwater, Oklahoma 74078-2011

VET’S PETS

Kids Galore

The kids were coming early. It was her first pregnancy, and one of the twins was too large for the birth canal. She would need a cesarean section from Dr. Melanie Boileau at OSU’s Veterinary Medical Hospital. Meet one of the twin “kids” — of the goat variety — of Dr. Danielle Dugat and her husband, Brent.

“The boy weighed 10½ pounds and his twin sister weighed 7 pounds,” says Dugat. “Since Diva, the mom, didn’t produce enough milk, we have been bottlefeeding the babies three times a day here at the house. They won’t be weaned until they are 12 weeks old.”

The Dugats have 25 goats at their acreage just outside of Stillwater. Brent has been raising Boer show goats since he was in high school. They sell the goats to FFA and 4-H students. Their herd was to increase by 13 when the other pregnant goats deliver.

“Sometimes if a student can’t afford to buy the kid, we will let them raise it, show it and then give it back to us,” adds Dugat.

In addition to the three goats temporarily in their backyard, Danielle and Brent have two dogs, a cat and four saltwater fish. And the day the photos of the twins were taken, Danielle was about one month from delivering their first kid — daughter Braylee, born March 28, 2015.

Dr. Dugat is an assistant professor of small animal surgery at OSU’s Veterinary Medical Hospital. She earned her DVM and MS degrees at OSU and is a Diplomate of the American College of Veterinary Surgeons. Brent is an agriculture teacher at Billings (Okla.) High School.

PHIL SHOCKLEY / UNIVERSITY MARKETING

Turn static files into dynamic content formats.

Create a flipbook