Believe Autumn 2016

Page 1

www.braintumourresearch.org Tel: 01908 867200 | info@braintumourresearch.org The news magazine for brain tumour activists Issue 007 – Autumn 2016 her inspirational 20-year journey to recovery A landmark year for our first Research Centre of Excellence + Influencing change: Progress at Westminster Meet some Fighting Force Heroes... and choose your next challenge event to help fund the fight! Read more inspirational stories inside HEATHER’S STORY COVER STORY
www.braintumourresearch.org/legacy legacy@braintumourresearch.org 01908 867200 Remember Brain Tumour Research in your Will and your gift will leave a legacy of hope. Brain tumours kill more children and adults under the age of 40 than any other cancer Just 1% of the national spend on cancer research has been allocated to this devastating disease YOU CAN Please tell us where you saw this advert when responding

4 Tackling the historic underfunding of brain tumour research

– with your help

An appeal from our Chief Executive

6 Heather’s Story Her inspirational 20-year journey to recovery

8 Welcome... to The Darel Bryan Foundation, Leah’s Fairy Fund, Trevor&Friends and The Lorn’s Legacy

10 The latest news from our Fundraising Groups

12 Meet some Fighting Force Heroes... and choose your next challenge event to help fund the fight!

14 Going up... Coming down Two spectacularly successful challenge events!

16 Smashing targets! A World Record special

18 Connecting Brain Tumour Narratives

25

Artist and scientist Dr Immy Smith in residence at our Centre of Excellence

20 Research updates

A landmark year for our first Centre of Excellence

Repurposing drugs and dietary therapeutics – topical research updates from Dr Kieran Breen

23 Your regular gift helping us fund the future of research

6

12

28

30 Wear A Hat Day 2017

32

33

34

25 Influencing change: Progress at Westminster

20

Contents Written and edited by: Natasha Pile, Crispin Zeeman & Sue Farrington Smith at Brain Tumour Research, Suite 3, Shenley Pavilions, Chalkdell Drive, Shenley Wood, Milton Keynes MK5 6LB. Cover photo: Printed by: BCQ, 1 Osier Way, Swan Business Park, Buckingham, Buckinghamshire MK18 1TB www.bcqgroup.com Designed by: Clearthinking Creative, 51 Church Street, Hungerford, West Berkshire RG17 0JH www.clearthinkingcreative.co.uk
Influencing change Progress at Westminster
our Member Charities
Updates from
in
Help
work live on
Remember us
your Will
our
In Our Hearts
this
www.braintumourresearch.org Autumn 2016 3 Cover story
Giving Hope
Christmas
Heather’s Story: her inspirational 20-year journey to recovery COVER HIGHLIGHTS
Meet some of our Fighting
Heroes... and choose your
to help fund the fight!
Force
next challenge event
of Excellence Together we will find a cure
A landmark year for our first Centre

TACKLING THE HISTORIC UNDERFUNDING OF BRAIN TUMOUR RESEARCH – WITH YOUR HELP

The last year has seen a huge leap forward in our quest of challenging the Government and larger cancer charities to invest more in brain tumour research.

When the National Cancer Research Institute (NCRI) a partnership of larger cancer charities and government organisations was founded in 2002, the national funding for brain tumour research was just £730k, 0.3%; whilst cancers such as breast and leukaemia received 7%, £18million each.

An appeal from our Chief Executive

Since then, due to huge public awareness these two cancers have each continued to receive 7% of the national funding and have seen great advances in treatment and survival rates as a result, with 87% of breast cancer patients and 52% of leukaemia patients surviving beyond five years. This is clearly to be welcomed.

In contrast, brain tumour research represents just 1% of national (NCRI) spend and less than 20% of brain tumour patients survive beyond five years.

THIS IS UNACCEPTABLE!

At the current rate of spend it could take 100 years for brain cancer to catch up with developments in other cancers and find a cure.

We are striving to increase public awareness and fundraising support to fund a world leading UK based network of seven dedicated research centres. Together with our amazing fundraising supporters and donors, BrainTumour Researchintend to play our part in increasing the national investment in brain tumour research to £30-£35 million.

4 Autumn 2016 www.braintumourresearch.org

The Petitions Committee Launch:

L-R Sue Farrington Smith, Rebecca Harris MP, Helen Jones MP, Maria Lester, John Bercow MP, Peter Realf and Christopher Grayling MP

Sue with the Realf family

Welcome

Launch Event

The Realf family’s e-petition supporting our manifesto and calling on the government and larger cancer charities to raise investment in brain tumour research represented a milestone in our campaign.

The Petitions Committee’s subsequent inquiry, report and Westminster Hall debate were further milestones. We look forward to representing the brain tumour community and playing a key role in the Task and Finish Working Group set up by George Freeman, then Minister for Life Sciences, to drive our manifesto and the Petitions Committee’s recommendations forward.

Westillneedyourhelptoo...

Weneedthethousandsofyouwho readthismagazinetothinkoutside theboxandhelpusraisefundsin whateverwayyoucan.

A considerable amount of the national spend on breast cancer and leukaemia research is contributed by site specific charities: Breast CancerNowand Bloodwise. Many of you will have got involved in fundraising for them over the years and that has helped them support research and find the treatments that there are today.

We need you, your family and friends, your work colleagues and your social clubs to similarly raise funds to support our vital work.

Just 1% of the national spend on cancer research has been allocated to this devastating disease Campaign with us

HOW YOU CAN HELP

Set up a regular standing order of £2, £5 or £10 per month

Sell our Christmas cards

Send in a donation and a message on a Christmas bauble for our Hope Tree appeal

Ask your organisations to get involved in Wear A Hat Day

Organise an event

Take part in a challenge event

www.braintumourresearch.org Autumn 2016 5
Together we will find a cure
to the Petitions Committee

Main picture:

Heather with her beloved companion Petal.

Centre pictures:

Petal in her customised Brain Tumour Research outfit!

The Devon garden which is Heather’s pride and joy.

Heather, her brother and niece and nephew.

Heather and Petal on a Devon beach.

Heather Turner was just 24 when she was diagnosed with an acoustic neuroma, a low-grade brain tumour which caused partial hearing loss. The only treatment option was surgery but complications caused nerve damage leading to life-long difficulties including facial palsy and the loss of sight in one eye.

6 Autumn 2016 www.braintumourresearch.org

Heather’s Journey

Main picture: Sunrise from Heather’s house.

Inset pictures: Recovering with the help of a faithful friend. Heather with her Mum. Taking part in the Canonteign Falls Abseil.

Heather’s brain tumour was diagnosed at Derriford Hospital in Plymouth after she noticed problems with her hearing. She underwent surgery in September 1996 at the Royal Free Hospital in London but complications left her unconscious for two weeks and with a very long road to recovery ahead. Heather was left with permanent palsy on one side of her face and, to begin with, was unable to walk or eat. Her life changed dramatically: she was no longer able to play sports or to sew and embroider. She found herself the object of cruel taunts as people stared at her in the street and shouted out rude remarks.

Inspired by her mum’s “can do” attitude, Heather decided to take back control of her life. Frustrated at not being allowed to leave the house on her own, she recruited a “new best friend.”

She explained: “Ineededastrategyandso Igotadog!Iwasn’tsupposedtogoouton myownastherewasapatchofskinonmy headaroundthesizeofa50ppiecewithno skullunderneath.Iwasmarriedatthetime andmyhusbandwasoutatworkleavingme isolatedandlonelyathomeduringtheday.

“Mysaviourcameintheshapeofatimid littleStaffordshirebullterriercalled Cracker.Hecamefromarehomingcentre anditwasasifweweregivingeachother anewlife.Hegavemetheconfidenceto getoutandwasstrongenoughtopullme alongalittlewhenIstruggledwithmy balance.Iamnowonmyfourthrescuedog Petal,whoIadore,butCrackerwillalways bemyfavourite.”

Now divorced and living in Brixham, Heather has renovated her home and created a peaceful garden where, along with her dog, she can relax and enjoy the fresh sea air.

“I walk my dog along the seafront and really appreciate the beauty of nature. My experience

has taught me that it is the simple things in life which really matter. Although I have travelled a long road, I have found peace. People tell me how brave I am but I don’t feel it, I am just living my life and trying to enjoy it.

“Ittookme10yearstorecoverfromthe damagecausedbythesurgeryandthere weretimeswhenIwonderediflifewasstill worthliving.AlthoughIhavelostcountof thenumberofoperationsIhavehadto makemelook‘normal’–includingone toclosemypermanently-openrighteye –Inowfeelasiftheworstthingthatever happenedtomehaschangedmylifeforthe better,”she said.

Earlier this year, Heather decided to face her fears by taking part in the BrainTumourResearch Canonteign Falls Abseil in Devon’s beautiful Teign Valley. Her late mother, who did so much to help Heather get back on her feet after neurosurgery was the inspiration for the challenge.

Heather, 44, said: “Mymumhadsuchazest forlife.Shewasjust59whenshediedof leukaemiain1999.Doingsomethinglike anabseilwouldhavebeenrightupher streetso,althoughIwasterrified,Ididit torememberherandtoraisefundsfor researchintobraintumours,thedisease whichhashadsuchanimpactonourlives.”

challenge to abseil the waterfall which, at over 229ft is England’s highest man-made waterfall, Heather worked with BrainTumourResearch to tell her inspirational story and help raise awareness. Along with Petal, she has been featured in the glossy county magazine Devon Life and told her story on BBC Radio Devon. After featuring on our Facebook page, Heather’s story was shared more than 900 times.

Our Regional PR Manager Susan Castle-Smith, who worked with Heather to tell her story, said: “Heather’slifewaschangedforeverbythe surgerytoremovehertumour.Shehas overcomegreatdifficulties,bothphysical andemotionalandonlynow,after20 years,hasshebeenabletotalkindetail aboutwhathappenedtoher.Weare extremelygratefultoHeatherandthe manyotherpatientsandfamilieswhowork withustoincreaseawarenessinthisway. Togetherwewillfindacure.”

www.braintumourresearch.org Autumn 2016 7

Welcome our wonderful

Our family of Fundraising Groups are absolutely pivotal in driving forward research. These incredible people have usually been affected by a brain tumour in some way. Whether they have lost a loved-one, know someone who is fighting or are facing their own battle, determination unites them; both with each other and with Brain Tumour Research’s vision to find a cure.

If you are considering becoming a Fundraising Group for BrainTumour Research , please get in touch with our Head of Community Fundraising, Carol. She can’t wait to hear from you! carol@braintumourresearch.org

Meet all of our Fundraising Groups on our website: www.braintumourresearch.org/fundraising_groups

The Darel Bryan Foundation

Darel was 33 years old and in the prime of his life when he was diagnosed with glioblastoma multiforme (GBM) in December 2014. Previously extremely healthy and active, it was a complete shock and devastating to his family and beloved partner of 12 years, Natalie. Darel bravely fought this aggressive disease for 15 months, but sadly lost his battle on 26th February 2016.

Natalie formed TheDarelBryanFoundation alongside Darel’s family in May 2016, determined that they will make a difference to the future of brain tumour research. She said of Darel’s bravery: “Hefoughtsohard andalthoughIcannotfightforDarelany longer,Iwanttohonourhimineveryway wecanandcarryonthefight.

The group are hugely enthusiastic and ambitious and have set a fantastic fundraising target of £100,000 in their first year!

Read Darel’s full story on our website: www.braintumourresearch.org/ darel-bryan-foundation

Leah’s Fairy Fund

Little Leah Martin was diagnosed with a high-grade medullablastoma at the age of two. After several operations and a gruelling regime of chemotherapy and radiotherapy, she is now tumour-free but must strive daily to overcome the long-term side effects of her treatment.

Leah’s mother Joanne said: “Ourlittlegirl wassodiminishedbythetreatmentthat Ipleadedwithherconsultantnottogo aheadwiththelasttwosessions.IfeltI couldnolongerputherthroughthedaily ordealofageneralanaesthetic,ofbeing takenfrommyarmstobelaiddownon whatseemedtometobeacoldslab,and pinneddownbyafacemask...ForLeahit wasnormalityandsheprobablyassumed everyonedidit;itwasworseforus.”

Leah’sFairyFundhas been set up by Joanne to help increase funding and awareness under the umbrella of BrainTumourResearch

Devastated by the effects of the gruelling and intrusive treatment, she is determined that future families should not have to undergo the same devastation.

A warm welcome to Joanne and the team at Leah’sFairyFund!

Read Leah’s full story on our website: www.braintumourresearch.org/in-hope

8 Autumn 2016 www.braintumourresearch.org NEW FUNDRAISING GROUPS
AlthoughitcannotbeforDarel,ifitwillhelpfuturepatientsand theirfamiliesthenDarel’sbattlewouldnothavebeeninvain.”
Leah’s Fairy Fund

new Fundraising Groups!

Trevor&Friends

Trevor&Friendsis the unique project of a group of school friends who were devastated to discover that their friend had been diagnosed with a brain tumour. The tumour was nicknamed ‘Trevor’ and their mission became to banish him once and for all.

The girls were at universities across the country when their friend became ill but were united in shock after learning about the distinct lack of awareness and funding for brain tumour research.

Trevor&Friendswant to initiate something positive to reflect the journey they have shared. They aim to inform as many people as possible

about the issues surrounding brain tumours and also to raise money for world-class research at our Centres of Excellence.

The team said: “Wearehonouredthat Trevor&FriendsisbecomingaBrain TumourResearchFundraisingGroup. Sinceitwassetupin2009,BrainTumour Researchhasstrivedtoincreaseawareness ofbraintumoursandtheireffectsonthe under40s.Itisagreatopportunityfor ustobepartofsuchanimpressiveand growingorganisation,andweverymuch lookforwardtocollaboratinginfuture.”

Let’s send Trevor packing!

www.facebook.com/trevorandfriends15

The Lorn’s Legacy

Lisa Atkinson and Louise Bircham have established TheLorn’sLegacyin memory of their mother Lorna Atkinson, who they lost to a brain tumour in March this year following an 18-month battle with the disease.

The sisters were utterly shocked after discovering that just 1% of research funding has been allocated to brain tumours and so decided that they must help by starting their own Fundraising Group for BrainTumourResearch

They held their first event, a Park Run in Gateshead in April 2016, just weeks after they lost their mother. They quickly smashed their modest £500 fundraising target, reaching almost £5,000 – such was the regard held by so many for Lorna. Lisa said “Wewere blownawaywiththesupport,hundredsof runnersandspectatorscamealong.

“Wehadplannedtheeventwhilemam wasalive,soitmadeitevenmore poignantbecausesheknewwewere goingtodothisinhername.Shewas goingtocomealongandcheerusfrom herwheelchair.”

Their friends helped on the day by selling raffle tickets, cakes and gift packs and also collected donations. What’s more, later in the month Lisa also went on to complete the London Marathon!

We are honoured to have TheLorn’sLegacyon board and look forward to many more successful fundraising events.

Read Lorna’s full story on our website: www.braintumourresearch.org/ in-our-hearts

The Lorn’s Legacy

www.braintumourresearch.org Autumn 2016 9 Together we will find a cure

LATEST NEWS from

The Glenn McMahon Foundation

The Glenn McMahon Foundation has gone from strength to strength since it was established by Wendy McMahon last year in memory of her beloved husband, Glenn, who passed away from an aggressive GBM brain tumour in June 2015. His loss left a huge void in the family’s lives, catalysing a determination to help raise funds to find a cure for this devastating disease.

Before he died, Glenn was the Captain of the Westerham Golf Club in Kent. It was therefore a fitting tribute that they hosted a fundraising golf day in his memory, in June this year. Teams of four were invited to take part in the day which included breakfast, 18 holes of golf, a two-course dinner and evening entertainment.

The event was a great success, raising an awesome £2,740 –sponsoring a day of research at our Portsmouth Centre of Excellence.

Glenn’s stepson Sam Doubleday also ran the Brighton Marathon earlier this year, raising a fantastic

M.I.N.E

(Money Is Needed Every Day)

Mel Hennessey was diagnosed with two brain tumours just a few weeks after the birth of her daughter, Daisy Boo, in 2009. Determined to help make a difference for brain tumour patients, she began her Fundraising Group, Money Is Needed Every Day (M.I.N.E) in 2012. In the seven years since her diagnosis, Mel has helped to raise thousands for Brain Tumour Research, despite ongoing treatment and the diagnosis of a further brain tumour in 2015.

10 Autumn 2016 www.braintumourresearch.org
FUNDRAISING GROUP UPDATES

our Fundraising Groups!

Mel’s latest venture saw over 200 people join her for a 1,000ft walk up Roseberry Topping Hill in North Yorkshire! The event not only raised an excellent £1,500 but also attracted widespread attention from the press. Mel and her supporters appeared on BBC Look North, BBC Radio Tees and in The Daily Mirror and Gazette Live (to name a few!). This led to an outpouring of support from the public, with donations and kind words from those touched by Mel’s story.

Watch the TV coverage on our YouTube channel –braintumourresearch

The Taylan’s Project team have been extremely busy raising funds for Brain Tumour Research – here’s a snapshot of what they’ve been getting up to.

Taylan’s Project

In addition, Mel’s husband Wayne received fantastic sponsorship support for running the Paris Half Marathon, heading a team for Tough Mudder, and joining the M.I.N.E On Yer Bike spinnathon – totalling an additional £2,500! This husband and wife team are amazing in what they achieve for us year after year. A real inspiration to us all.

A team of seven amazing supporters took on their latest cycling challenge, Tour de Lakes, in the Lake District in June this year. Richard Willis, Jon Hill, Greg Orme, Calum Hughes, Rob Harper, David Penn and Simon Kinser cycled 160 miles up a 12,900ft incline in support of Taylan’sProject , completing the challenge in just two days and raising over £1,300! Friends Phil Smith and Mark decided that ‘Biking-and-boating-the-Hebrides-in-a-week’ was an ample challenge to raise money for Taylan’sProjectand Marie Curie Hospice in April this year. The duo covered 464 miles and 10 islands in just seven days, easily beating their fundraising target of £2,500. Stunning effort!

On 11th June, Dee Brown conquered her fear of heights to abseil 229ft down the picturesque Canonteign Falls in Devon! This is just the latest event where Dee has shown her support for Taylan’sProject , previously helping by volunteering at events and baking and hosting get-togethers for the Fundraising Group. Dee’s abseil raised a fantastic £275.

Milton Keynes-based lift hire company Elavation have made a very generous commitment to Taylan’sProjectby branding the UK’s largest HR28 Boom Lift with the group’s logo and colours – they plan to donate a percentage of the revenue from its rental for the lifetime of the machine! Not only will this provide steady funds, it will also help give invaluable exposure to our cause.

Finally, whilst Taylan was undergoing treatment in 2009, his mother Figen met another family whose daughter, Jasmine Mahoney, was receiving treatment for a DIPG brain tumour. Nine-year-old Jasmine sadly passed away in 2009, the same year as Taylan. The families have remained close and Jasmine’s family have been a great support to Taylan’sProject . Indeed, their most recent event, a Family Fun Day, raised a wonderful £3,450!

www.braintumourresearch.org Autumn 2016 11

MEET OUR FIGHTING FORCE!

We are honoured and proud to have so many dedicated fundraisers across the country, taking on incredible physical challenges for Brain Tumour Research. They are our awesome Fighting Force!

No matter who you are or what your challenge, you can join the team and help raise vital funds for research. Get inspired by these profiles, then take your pick from the events coming up in 2016/17 on the page opposite.

Name: Team Lou

Age: 7-73

Event: Grand Union Canal Walk

Motivation: Team Lou comprised of 26 enthusiastic supporters united in memory of Caroline ‘Lou’ Taylor.

Loving wife and mother to three sons, Caroline passed away in August 2015. This incredible team joined us for the 2015 event, determined to raise funds so that future families would not have to endure the painful loss that they have. Donations came pouring in after they shared their JustGiving page with family, friends and work colleagues!

Total raised £5,083

Name: Oli Hilsdon

Age: 24

Event: Virgin London Marathon

Total raised £52,555

Motivation: Diagnosed with a GBM brain tumour in December 2014 and determined to defy his 12-month prognosis, Oli immediately underwent chemotherapy and immunotherapy treatment, which resulted in a significant reduction in tumour size by August 2015something his oncologist is hopeful will continue. During this time, Oli became determined to raise funds for BrainTumourResearchand set the marathon in his sights. He decided on an ambitious fundraising target and received incredible support from his family and friends...

Oli completed the iconic race in an awesome 3 hours, 56 minutes and 21 seconds!

What’s more, by sharing his JustGiving page far and wide, holding events in his local community and making appeals at his church, Oli smashed his fundraising target!

12 Autumn 2016 www.braintumourresearch.org
FIGHTING FORCE
Oli and his Mum, Jayne

You can support our cause at any challenge event you take part in! Whether you sign up to a muddy run, colour obstacle course or even take on a mountain trek or cross-Saharan drive, simply set up a page for Brain Tumour Research and share with your friends and family.

CHALLENGES 2016/17

24th September

23rd October

5th November

3rd December

25th February 2017

12th March 2017

9th April 2017

23rd April 2017

Grand Union Canal Walk

Great South Run

South West Fire Walk

London Santa Run

On Yer Bike: Events across the UK

Silverstone Half Marathon

Paris Marathon

London Marathon

Please visit www.braintumourresearch.org/calendar-of-events for the most up-to-date information and events list, or get in touch with Sarah with any questions or queries! sarah@braintumourresearch.org

www.braintumourresearch.org Autumn 2016 13

CLIMB EVERY MOUNTAIN

Three days, 42 summits and two intrepid fundraisers!

In May this year, Martyn Wright and Steven Jackson took on a monumental challenge in the Lake District in memory of Martyn’s father Ron Wright, who passed away from a brain tumour in 2005.

Martyn and Steven scaled some of the Lake District’s most rugged terrain and climbed a total of 28,000ft – which is equivalent to Mount Everest. Martyn was brimming with pride afterwards:

“Challengecomplete!Thankyoutoeach andeveryoneofyouforyourdonations andmessagesofsupport.Somovingto readmessagesfrompeoplewhoalso knewdad!…Thechallengewasvery physicallydemanding–wemanagedto coverover66milesinjustthreedays–butweenjoyedeveryminuteandwe’re delightedtohaveraisedfundsforthis veryworthycause”

They tweeted and shared their story with the local press and with the help of Steven’s sister, Leanne Hunt, collected donations totalling an awesome £3,624. Far surpassing the £2,740 needed to fund a day of research at one of our UK based Centres of Excellence. This will be recognised on a Wall of Hope with a personalised tile.

Total raised £3,264

14 Autumn 2016 www.braintumourresearch.org CONQUER IT TOGETHER

SCALING THE SPINNAKER

Jody Blunt is no stranger to extreme physical challenges but her latest feat took her to new heights and was the ultimate test of her nerve…

Total raised £705

On 15th May 2016, Jody joined us for our Spinnaker Tower Abseil in Portsmouth after she was asked by her friends at Netkandi –a digital marketing agency based in Crawley, West Sussex. Netkandi pledged their dedicated support for BrainTumourResearchthis year and as Jody had personal connections with the disease, she was only too happy to accept the challenge:

“Ruth,my(almost)sister-in-lawhasa braintumour,itisundercontrolbutshe isstillsufferingfromseizuresandhas tobeonmedicationfortherestofher life.Also,JamieFlegg,oneofmyDad’s footballstudents,whotrainedwithme forashortwhileatBootcamp,sadlylost hisbattleagedjust16.”

Jody completed the 328ft abseil and easily smashed her £300 fundraising target –achieving an awesome £705!

FEELING INSPIRED? Visit: www.braintumourresearch.org/calendar-of-events for the most up-to-date information and events list, or get in touch with Sarah with any questions or queries! sarah@braintumourresearch.org

www.braintumourresearch.org Autumn 2016 15

BREAKING RECORDS FOR

In the past 18 months, we have lost two of our youngest and most determined fundraisers. We’ve been touched that friends and family have felt moved to continue their tireless efforts to raise funds and awareness for Brain Tumour Research and have since organised World Record attempts in their names.

Emma’s Daisy Trail

Emma Welch began fundraising for Brain Tumour Research in 2011 when she learned that her church Minister, Andrew Stammers, had been diagnosed with a brain tumour. Emma took on some incredible challenges, despite the scoliosis curvature of her spine. These included scaling the height of Everest on a climbing wall and a 1,000-mile cycle challenge.

Emma tragically passed away at the age of 14 during a routine operation to treat her scoliosis. She had completed her latest fundraising adventure just days beforehand; setting the World Record for the largest teddy bear’s picnic on a mountain summit atop Mt. Snowdon in Wales.

On 4th June 2016, the first anniversary of her death, Emma’s parents and friends took part in another successful record attempt for the largest display of crochet daisies – achieving a staggering total of 31,082!

(The previous record stood at 13,388.)

“Iwanttothankeveryonewhogot involved,butparticularlyVictoriaand SandraRobertsfortheirhugeefforts–theappealfordaisieswentinternational withpeoplefromcountrieslikeAmerica, SpainandFranceansweringthecall.”

We consider it a fitting tribute to an incredible young woman that the total raised by Emma, her friends and her family has reached an awesome £13,785.

Since the event Sandra Roberts and her daughter Victoria have sold daisies as pin badges to raise further funds and the remaining 20,000 were then generously planted in Yeo Valley’s Organic Garden in Blagdon, North Somerset. The £1 entry fee was donated to BrainTumourResearchfor the month of August and the garden served as a stunning memorial to Emma.

Our warmest thanks to the Welch family for their consistent and dedicated support, which they believe would have been Emma’s wish.

16 Autumn 2016 www.braintumourresearch.org
✶WORLD RECORD SPECIAL✶
Image: Louis Smith

BRAIN TUMOUR RESEARCH!

Hats off to Fin

Fin Church was diagnosed with a brain tumour in June 2014. He bravely fought the disease for 17 months; enduring three operations, chemotherapy, a clinical trial and 12 weeks of daily radiotherapy before he passed away in November 2015, at the age of 11.

Incredibly, during this time Fin raised over £60,000 for Brain Tumour Research and Birmingham Children’s Hospital. His selfless determination in organising ‘Operation Teddy Bear’ (beating the World Record for the longest line of teddy bears) and inspiring a fundraising ball and Movemberstyle campaign in the local community is testament to his inspirational attitude. Fittingly, he was also named ‘Child of Courage’ at the Pride of Birmingham Awards 2015.

On what would have been Fin’s 12th birthday another world record was smashed, inspired by our annual fundraising campaign, Wear A Hat Day. An awesome

5,471 hats were donated and laid at Alvechurch Middle School which Fin attended – smashing the original record of 1,000 hats in a line.

Fin’s mother Penny was incredibly moved by a random coincidence on the day:

“When the 1,001st hat was laid –the one to break the record – we saw it had the initials FJ on the side which wasincrediblebecausetheywereall pickedrandomlyfromthe5,471that had been donated.”

FJ was what people used to call him and also stands for ‘Finlay’s Journey’ – the name used for the family’s Facebook and JustGiving pages.

Notable hat donors included Tom Fletcher from McFly and Lorraine Kelly. The event raised over £5,000 for research in Fin’s memory; a fitting legacy for a truly special boy.

www.braintumourresearch.org Autumn 2016 17
✶WORLD RECORD SPECIAL✶
Images: Tracy Brown

During January to October 2015, artist and scientist Dr Immy Smith completed a Leverhulme-funded residency at our Centre of Excellence within the University of Portsmouth. Through her project ‘Connecting Brain Tumour Narratives’, she weaved together the imagery of brain tumour science and the stories and experiences of brain tumour patients, researchers and others affected by the disease into a unique creative artform.

18 Autumn 2016 www.braintumourresearch.org

Immy devised artistic experiments to explore the nature of and challenges associated with brain tumours. She said at the beginning of her residency: “Braintumoursareauniquely difficultformofcancertotreat;accesstoour brainsisconstrainedbyourskulls,andthe brainissomethingno-onecandowithout orreplace!

“Braintumoursareunder-fundedand under-studied.Howcanweinvestigate theuniquenatureandchallengesofbrain tumourswithart?Howcanwehelpraise awarenessandilluminatethehuman storiesbehindthesecancers?Howcan weshareourhopeforthefutureaswell asthestarkrealityfacingpeopleaffected bybraintumours?”

Following approval from the faculty ethics committee, Immy was permitted to interview a select number of patients. These honest and sometimes stark stories went on to inform Immy’s approach to the subject. Indeed, she was immediately struck by their disinterest in taking the option of telling their stories anonymously: “Theirsarenotstoriestobehidden;they arepowerful,experientialnarrativesthat participantsstronglyownandwantshared, rootedinadesiretoraiseawareness... Ithasbeenmyprivilegetolisten.”

These stories directly informed the narratives detailed in the final culmination of Immy’s project – an extra-large book entitled ‘Connecting Narratives’, which has been on display at the University of Portsmouth.

Less than 20% of those diagnosed with a brain tumour survive beyond five years

Immy spent significant time during her residency in the lab, interacting with PhD students and researchers wherever possible. She was embraced by the students, who were intrigued by the project. Immy said: “Motivatedtono smallextentbycuriosity,thisopennessis toProfessorPilkington’scredit;histeam maintaintheirinquisitiveness,notjustfor science,butformanyotherfields.”

The team got fully involved with Immy’s projects, which included the ‘Heterogeneity Experiment’. This was a series of ink experiments which resulted in 120 patterns depicting the 120 kinds of tumour formed from cells in the brain. Researchers expressed their mixed feelings towards the cells, as they nurture and grow them in the labs only in order to find the most effective way of destroying them.

Immy presented the resulting work at a number of external exhibits, some of which included an interactive element for visitors. Venues included University of Bradford (where Immy undertook her undergraduate degree), the British Science Festival 2015 and the Aspex Gallery in

Portsmouth. These were well-attended and added great value to Immy’s overall findings.

The most recent exhibition, at Ventnor Botanic Garden, concluded at the end of August with the confirmation of their willingness to accommodate future workshops and art activities relating to ‘Connecting Brain Tumour Narratives’.

We are thrilled to have been able to support Immy in this rare opportunity to combine art and science and are thankful to her for lending her talents to help increase awareness for this devastating disease.

Visit Immy’s blog to read and see more of this fascinating project:

www.connectingnarratives.tumblr.com

Immy’s residency was funded by the Leverhulme Trust, an independent organisation providing grants and scholarships for research and education. Immy received the ‘Artist in Residence’ grant, which is intended to foster creative collaboration between artists and institution staff and students.

Find out more: www.leverhulme.ac.uk

www.braintumourresearch.org Autumn 2016 19

A landmark year for our first Centre of Excellence

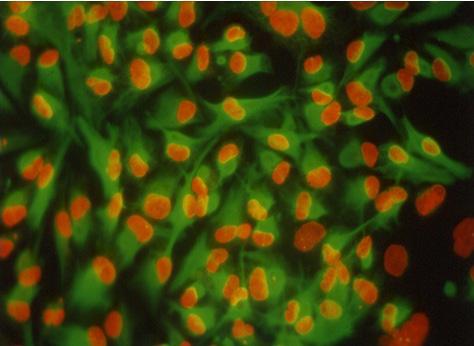
The Centre of Excellence at the University of Portsmouth, led by Professor Geoff Pilkington, was the first to be established by Brain Tumour Research in 2010. Aided by our Members and other charity funders, along with our Umbrella Fundraising Groups and all of our fundraising activists across the UK, some £3.7 million has been granted to vital research at our Portsmouth Centre over the last five years. Indeed, the facility has now grown to become the largest dedicated brain tumour research centre in the UK.

The development of a sustainable programme of research at Portsmouth has allowed our scientists to glean a better understanding of brain tumour growth and spread in order to identify new therapeutic drugs. The group also developed an innovative model of the blood-brain barrier by growing cells in a dish. This allows us to predict whether drugs can cross the blood-brain barrier, enter the brain and ultimately to get to the site of brain tumours.

In addition, groundbreaking revelations from the team have identified some key genes associated with the spread of tumours within the brain.

It is vital that the progress of the Centre is monitored carefully so that we can be sure that our money has been well spent and that the research that has been carried out will have a real benefit for people living with brain tumours. We owe this to our supporters who have worked hard to raise the funds for the research. It is also a condition of our membership of the Association of Medical Research Charities (AMRC), who regularly audit their members to ensure good practice of review in order that only the best quality research is funded.

In order to hold Professor Geoff Pilkington and his team to account, we conducted a comprehensive quinquennial (five-year) review of the progress of the Centre in May this year. The appraisal was carried out by a group of International Peer Reviewers, world leaders in brain tumour research who operate across Europe and the US.

As well as reviewing a comprehensive report prepared by the team at Portsmouth, our International Peer Review team took an in-depth tour of the research laboratories, conducted interviews with our research team and studied presentations on what had been achieved in the last five years and how that will inform plans for the next five. The body of work Geoff and his team summarised was acclaimed as impressive and we will be publishing details of this in due course.

The University of Portsmouth needs £2,740 a day to continue its research work. Could you organise an event or events to raise this much each year? Please contact our Head of Community Fundraising, carol@braintumourresearch.org

Just 1% of the national spend on cancer research has been allocated to this devastating disease

RESEARCH – PORTSMOUTH QUINQUENNIAL REVIEW 20 Autumn 2016 www.braintumourresearch.org

To read more about our Research Centres of Excellence and learn about the latest research achievements, visit our website: www.braintumourresearch.org/finding-a-cure

Following a very detailed discussion by the review committee, ‘co-ordinated by our Director of Research, Dr Kieran Breen, it was recommended that our Board of Trustees support the Centre for a further five years. There were a number of suggestions made which will be taken on board to further improve the success of the Centre. Negotiations with the University to discuss how they can provide further support for the Centre’s development to complement the significant investments already granted by BrainTumour Researchare ongoing.

RESEARCH UPDATES

Geoff, his team and the Dean of the University of Portsmouth Science Faculty – Professor Tara Dean, who gave a presentation at the start of the review – were all delighted to have had existing and future research plans endorsed by our experts. Looking forward to bringing the research closer to the clinic over the coming five years, Geoff said: “Wehaveamuchgreaterunderstandingof braintumoursandthenextstageistouse thisknowledgetodevelopnewtherapiesto bringusevenclosertoourgoalofacurefor braintumours.”

Liquid aspirin – a potential cure for brain tumours?

There have been a number of notable research developments over the last few months. Our Director of Research, Dr Kieran Breen, provides a summary.

We have all probably used dispersible aspirin at some stage. Although the tablet may appear to dissolve in water, it is actually a suspension of tiny particles of powder containing the drug – the fact that it is not truly soluble means that it is very difficult for the drug to enter the brain. However, a drug company called Innovate has re-formulated the drug in combination with two additional factors.

The aspirin is now truly soluble and could potentially enter the brain.

The big story in June 2016 was that of the potential for liquid aspirin to treat brain tumours. This made national headlines and I was invited to appear on the BBC Radio 4 Today programme. The journalists told me that they really enjoy reporting on positive stories such as the development of new treatments for devastating conditions like brain tumours.

Richard Hill, Senior Research Fellow in Professor Geoff Pilkington’s lab at our Centre of Excellence in the University of Portsmouth then tested the drug on cells and found that although the drug kills glioblastoma cells, they had no effect on normal brain cells. He also demonstrated that the drug could potentially enter the brain. These results were reported for the first time at a scientific conference in Warsaw at the end of June.

The research is still at an early stage and more studies are needed before we know whether it will be suitable for clinical trials. But it demonstrates that there is the potential for drugs to be repackaged so that they can enter into the brain. It also shows that existing drugs, which are currently being prescribed for one condition, may potentially be used for the treatment of brain tumours. This is known as “drug repurposing”, an area that was highlighted in our 2015 Invest in a Cure manifesto, as needing Government attention.

www.braintumourresearch.org Autumn 2016 21

Can diet influence brain tumour development?

All cells need to generate energy to be able to grow and survive. For most cells, this is achieved through complex reactions within the cell that use components which are contained in a normal diet. However, a number of recent studies have hypothesised that some brain tumour cells primarily use glucose as a source of energy rather than other items found in the diet such as fatty acids or proteins. This may be associated with some changes that occur within the cancer cell.

Using glucose as the primary energy source may also stimulate tumour formation and growth. This has led to the proposal that limiting the amount of glucose available to the cells will deplete their energy and therefore, they will be less able to grow and may ultimately die. The best way to achieve this is by changes in a person’s diet.

The ketogenic diet is a high-fat, adequateprotein, low-carbohydrate diet currently used to treat epilepsy in some children. It is designed to dampen down the electrical activity of some nerve cells. So researchers decided to test the hypothesis that this diet, with low glucose levels, will also deplete energy within tumour cells. They expect the diet to force the cells to use other energy

sources which are much less efficient, particularly for tumour cells, while having a less damaging effect on normal brain cells.

The results in the lab were promising and a number of clinical trials are underway in the US and Germany to find out whether the treatment may be effective and whether it could also enhance the effect of existing medication.

The main challenge will be the effect on the patient’s lifestyle due to the very strict nature of the diet. We also need to find out which types of tumour may be the most responsive to this treatment. BrainTumourResearchis working together with Member Charities BTRC and Astrofundto develop a clinical study on the ketogenic diet in the UK in collaboration with Matthew’sFriendsand we’ll keep you updated on our progress.

However, the results from another pre-clinical trial in Newcastle, which also focuses on the effect of diet on brain tumours, were published recently and cast some doubt over the ketogenic diet.

They suggest that decreasing rather than increasing the levels of fat within the cell may be a more effective approach.

So which of these theories is correct? Probably both. We know that there are over 120 types of brain tumour and the factors which stimulate them to grow may be very different for the different tumour types. While a nutritional approach for therapy appears promising, further work will be required in order to really determine how effective it will be in the clinic. This is why some of the research being carried out in the BrainTumourResearchCentres of Excellence focuses on the changes between the different tumour types and how they may respond to different therapeutic approaches. We will keep you updated on any progress in this area.

22 Autumn 2016 www.braintumourresearch.org RESEARCH UPDATES

HELP US FUND THE FUTURE

Brain Tumour Research is the only national charity in the UK dedicated to funding longterm sustainable research into brain tumours. Your regular gift can help us plan for the future, ensuring that our network of research experts have the day-to-day ‘consumables’ they need to get us closer to a cure.

Director of Research, Kieran Breen explains the significance of your gift: “Withsecurelong-termfunding, researchers at Brain Tumour Research Centres of Excellence will be freed from the limitations andfrustrationsofapplyingfor onespecificprojectgrantafter another,andinsteadwillbe abletopursuethesustainable and continuous research so desperatelyneededbythe scientistsandcliniciansworking in this underfunded field.”

per month

per month

Could equip a PhD student to carry out vital cell experiments

Could pay for a researcher to study the genetic properties of a tumour sample, paving the way for personalised treatments

Together we will find a cure £10 £25 £50

per month

Could help a Senior Research Fellow publish a paper, helping put more pieces of the jigsaw in place

www.braintumourresearch.org Autumn 2016 23 DONATE TODAY
Donation form overleaf

I want to help find a cure for brain tumours. Title Initials Surname First Name

Postcode Tel. No Email

I enclose a donation of £ made payable to Brain Tumour Research

If you are not on our database already and would like to be, please tick here to receive updates by ■ email ■ post

I’m interested in leaving a gift to Brain Tumour Research in my Will. Please send me more information ■

Standing Order Mandate

I wish to make a regular monthly donation of £5 ■ £10 ■ £25 ■ Other £

Bank

Bank Address Postcode

Please pay

NatWest Bank Plc, 1 Penn Road, Beaconsfield, Bucks HP9 2PU. Sort Code 60-02-09, for the credit of Brain Tumour Research, Account No. 84040319, the sum of (in words) pounds £ on (day) of (month) (year) and thereafter on the same date each month until further notice.

Please treat as Gift Aid donations all qualifying gifts of money made ■ Today (amount donated) £ ■ In the past 4 years ■ In the future

Tick all boxes that apply

I am a UK taxpayer and understand that if I pay less Income Tax and / or Capital Gains Tax than the amount of Gift Aid claimed on all my donations in that tax year it is my responsibility to pay any difference.

Signed:

Date DD MM YYYY

Thank you! Please return your completed form to: Brain Tumour Research, Suite 3,

www.braintumourresearch.org

#FundingTheFight

I WOULD LIKE TO MAKE A REGULAR DONATION TO HELP FIND A CURE FOR BRAIN TUMOURS BELIEVE 7_BTR2016 Print and return
| Tel: 01908
867200 info@braintumourresearch.org
Shenley
Chalkdell Drive, Shenley
Milton
Registered charity number 1153487 (England and Wales) Company limited by guarantee number 08570737 (England and Wales). Registered Address: Brain Tumour Research, The Business Centre, Padbury Hill Farm, Padbury, Buckingham MK18 2BN.
Pavilions,
Wood,
Keynes, Bucks MK5 6LB
Address
Name My Account Number Sort Code Signature Date DD MM YYYY
My Account

Helen Jones MP

Campaign with us

Born and bred in Chester, Helen Jones served as a local councillor on the City Council during the 1980s. Her professional career includes having worked as an English teacher, a solicitor and as a Development Officer for Mind, the mental health charity. The 1997 General Election saw Helen become the Labour MP for Warrington North with a majority of 12,622.

Having arrived in Parliament, Helen soon got to work with holding the Government to account on the Public Administration Committee. As a teacher herself, Helen was delighted to be invited to join the Education Select Committee and serve as its Vice-Chair. In a cabinet reshuffle in 2008, Helen was promoted to Assistant Government Whip and later as Vice-Chamberlain of the Household. She recently wrote about her time in the Government Whips’ Office in her new book ‘How to Be a Government Whip’.

In June 2015, Helen was elected by her fellow MPs to become the Chair of the new Petitions Committee. This brand new committee looks at online petitions, considers them for debate and highlights important issues to the Government, making recommendations.

By the time the Petitions Committee was officially launched in October 2015, Maria Lester’s petition on funding into brain tumour research was already starting to amass public support and went on to collect over 120,000 signatures. Helen and her colleagues launched an inquiry into the issue and the brain tumour community rallied around this latest success in the campaign led by Brain TumourResearchfor sustainable investment into a cure.

As Chair of the Committee, Helen has played a vital role in ensuring that the voices of patients, families, researchers and charities are now being heard by MPs and the Government. The Petitions Committee published its inquiry report in March this year and set out their key concerns into brain tumour research funding.

The report clearly highlighted the burden of brain tumours that is being felt by both patients and their families. Stating that successive governments

had failed brain tumour patients for decades, recommendations included a call to tackle the historical underfunding of brain tumour research and overcome the barriers to research such as tissue sample collection and clinical trials. It was also felt important for the Government to set out clear research priorities and for them to provide the leadership in funding the fight against this devastating disease.

On Monday 18th April, Helen called a landmark debate at Westminster Hall, at which George Freeman MP, then Life Sciences Minister, announced a package of measures to tackle the issue of brain tumour research funding.

Following the Government’s response to their report, Helen addressed the APPG on brain tumours in July, where she praised BrainTumour Researchfor championing Maria’s petition and highlighting the current funding crisis. Helen also noted that: “ThefactthattheGovernment hasadmittedthatthereisnotenough researchintothisdreadfuldiseaseisastep forward–theyhaveagreedtosetupa TaskandFinishWorkingGroupincluding clinicians,charitiesandotherstomove thingsforward.”

BUT WHAT NEXT?

Helen has pledged that both she and the committee will make sure the Government’s promises are followed through. She called for brain tumour activists and our wider community to continue lobbying the Government to ensure that it makes brain tumours a national research priority. Recognising our collective voice, Helen argued: “Thereisalottobesaidformaking anuisanceofyourselves–youreallyhave toberesilient.”

www.braintumourresearch.org Autumn 2016 25
CAMPAIGNING
Welcome to the Petitions Committee Launch Event
Together we will find a cure

INFLUENCING CHANGE AT GOVERNMENT LEVEL

Just 1% of the national spend on cancer research has been allocated to this devastating disease

The story so far

In August 2015, Maria Lester launched an e-petition calling on the UK government to invest more in brain tumour research, supporting our 2015 manifesto, Invest In a Cure. The e-petition drew attention to the fact that in 2014 brain tumours received just 1.54% (£7.7 million) of the £498 million national spend on research into cancer.

By the time the e-petition closed in February 2016, over 120,000 people throughout the UK had signed online. The campaign was taken up by the Petitions Committee in its first ever inquiry and subsequent report that included many deeply moving stories from brain tumour patients, collected during the committee’s evidence-gathering sessions. The report concluded that brain tumour research funding had been “neglectedbysuccessiveGovernmentsfor decades” . The Petitions Committee called for “decisive actiontotacklethehistoricunderfundingof braintumourresearch”and a debate was held in Westminster Hall on 18th April 2016.

Following the debate, the UK Government responded to the Petitions Committee report.

• They agreed that action was needed

• They agreed that current funding for brain tumour research is not enough

• They promised to create a Task and Finish Working Group on Brain Tumour Research to address the problem

CAMPAIGNING 26 Autumn 2016 www.braintumourresearch.org

APPG

The first All-Party Parliamentary Group (APPG) meeting since the landmark debate at Westminster Hall took place on 13th July.

During the meeting, Helen Jones MP reviewed the landmark success of the Petitions Committee inquiry into brain tumour research funding and facilitated discussion on how the new Government could take forward their recommendations.

Maria Lester’s father Peter Realf gave an emotive speech and Tracy Warr, Professor of Neuro-oncology at the University of Wolverhampton, challenged the Government to deliver on their promises.

All spoke passionately about the incredible progress made so far this year as a result of the successful e-petition but were united in their call to keep up the pressure in order to bring about tangible change. Indeed, it was highlighted that

the funding for brain tumour research actually decreased in 2015.

It was formally acknowledged that BrainTumour Researchwould continue to hold the Secretariat for the APPG and our Chief Executive, Sue Farrington Smith, concluded the meeting: “Wewillcontinuetocallfornational investmentinbraintumourresearchtobe increasedto£30-35millionperannumby 2020.Wewillcontinuetobeadrivingforce intheurgentneedtotacklethishistoric underfundingandwearelookingforward toplayingakeyroleintheGovernment’s WorkingGroupinthecomingmonths. Togetherwewillfindacure.”

Campaign with us

Whilst the Department of Health develops its Task and Finish Working Group on the funding for brain tumour research, it’s important for MPs to know about the level of public support for more funding.

To learn how to lobby your MP and other ways you can campaign with us to keep brain tumours on the Government’s agenda, email campaigning@braintumouresearch.orgor visit www.braintumouresearch.org/campaign-with-us

Your signature for change

The success of our e-petition has encouraged others to raise the profile of their specific type of brain tumour and some have established their own e-petitions. BrainTumourResearchis pleased to support these e-petitions which highlight the complexity of this devastating disease due to their being over 120 types of brain tumour, each with their own issues.

Six-year-old Kayleigh Lau was diagnosed with a Diffuse Intrinsic Pontine Glioma (DIPG) in April this year. DIPG is the most common form of brain tumour in children and now her father, Scott, has established an e-petition calling for more funding for research specifically into DIPG.

www.petition.parliament.uk/petitions/131556

Rhiley Bennett was just three-years-old when she lost her battle with an extremely rare type of brain tumour – an Atypical Teratoid Rhabdoid Tumour (AT/RT). Her parents Kim and Richie have started an e-petition calling for research to be undertaken into this type of tumour, for which the cure rate for under-threes currently stands at less than 10%.

https://petition.parliament.uk/petitions/161514

We urge you to please sign these e-petitions and ask everyone you know to do the same. There has never before been this level of focus and attention on brain tumours in Parliament and signing these petitions is a simple way to keep the pressure on. Let’s champion these and make sure the Government delivers commitment to unlocking funds for long-term and sustainable brain tumour research into all types of brain tumour.

www.braintumourresearch.org Autumn 2016 27

ASTRO BRAIN TUMOUR FUND

The mission of AstroBrainTumourFund(ABTF) is to fund low-grade brain tumour research, raise awareness and offer support to those whose lives are touched by this challenging form of tumour via their website and online support groups.

The trustees of ABTFreport that they have had a productive year with many supporters fundraising for the charity. Here are details of just two events out of the many that have taken place. Every donation, large or small makes a real difference!

Liverpool Rock ‘n’ Roll Marathon and Half Marathon

A huge team of friends and family of Karan Waller, who was diagnosed with a low-grade astrocytoma in June 2009, took part in these events. The team included Ian, Karan’s husband, who was instrumental in the organisation of the teams.

Ian reported: “Thesevenhalfmarathon runnerssetoffat9am,whilethemain marathonrunnersstartedat10am.The sunwasshininganditwasextremelyhot.

“Forthefirst12milestherewaslotsof singingtothebandsandDJsspreadout alongtheroute.Wealsoranaroundboth LiverpoolandEvertonfootballgrounds. Thingsthenstartedtogettoughbutafter lotsofblood,sweatandtears,weallgot overthefinishline.Karan,alongwithother familiesandfriends,werewaitingforusat the10-milemarkandcheeringusonat thefinishline.Itwasaveryspecialday forKaran.”

The runners raised over £11,200 between them!

Blackett Family Tree

Trustee of AstroBrainTumourFund, Linda Rickford (nee Blackett), whose 36-year-old son has a grade 2 ependymoma brain tumour, decided some time ago to try and trace her family tree. She discovered that her newly found cousins had so much information on their family history that they decided to write a book!

LEVI’S STAR

A unique, fragranced candle, has been created for our wonderful Member Charity, Amanda Welbourn, owner of ‘Make a Wish candle’ approached the charity because her son went to school with Levi.

Vicky, Levi’s mother, said: gorgeousanditsverseisbeautiful.Weare askingpeopletohelpraisefundsfor Levi’sStarbypurchasingoneofthese divinecandles.”

www.etsy.com/uk and search ‘MakeAWishCandleCo’ www.levisstar.co.uk

Linda was delighted and very moved when Al, Pat and Martin, after discovering that Linda’s son had a brain tumour, told her that they wanted to donate all of the profits from the sale of the books to two Charities – Astro BrainTumourFundand TheRainbowTrust Children’sCharity . This has resulted in the sum of £1,270 being donated to AstroBrain

28 Autumn 2016 www.braintumourresearch.org MEMBER CHARITY UPDATES
Pictured from left to right are: Al Kirtley, Caroline Robertson from the Rainbow Trust, Sir Hugh Blackett, Linda Rickford, Pat Longbottom, Martin Blackett.

THE LISA WILES RED WELLIES BRAIN TUMOUR SUPPORT FUND

Formed in 2012, RedWellieswas established to raise funds in memory of 43-year-old mother of three, Lisa Wiles, who passed away following a 14-month battle with a glioblastoma multiforme (GBM).

The team at RedWellies, who are based in Norfolk, have been hard at work canvassing for support from businesses, hosting fundraising events, holding street collections and giving presentations at schools and colleges.

IN BETWEEN EARS

allowed them to present a cheque for £50,000 to a new laboratory within Addenbrokes Hospital, Cambridge. There are plans to use the money to buy four pieces of vital research equipment for the laboratory, which has been named in Lisa’s honour – a fitting and poignant tribute.

On 23rd July, InBetweenEarswas among a number of charities, families and patients who attended a “Meet the Scientists” day at the University of Central Lancashire School of Pharmacy and Biomedical Science in Preston. The day began with a series of short talks. Dr Swati Kumar spoke about the blood-brain barrier (BBB) and how it may prevent drugs from entering the brain. She has developed a model system which can be used to screen for drugs which may be able to enter into the brain. She highlighted the clinical relevance of her research including research on novel drugs, which could target brain tumours.

Dr Lisa Shaw spoke about how compounds called aptamers could be used as both diagnostic and therapeutic agents. These can attach to structures within the brain which are associated with specific diseases. They can cross the BBB and bind to brain tumour cells without adhering to noncancerous cells. They may ultimately be used to bring drugs into the brain or in the development of new diagnostic tools.

The Red Wellies team have now begun working towards their next £50,000 donation to the hospital!

www.redwellies.org.uk

Dr Milos Petrovic spoke about research into the role of electrical signals on brain function and how changes may be associated with neurological diseases. His research aims to develop new research tools with potential therapeutic applications, particularly focused on problems with learning and memory which can be associated with certain tumour types. He highlighted how a combination of a number of different research techniques, including genetics, imaging, electrophysiology and molecular biology, can give us a much better understanding of brain disorders.

Afterwards, the researchers and the audience had an opportunity to discuss key challenges for brain tumour research including the time it takes

for new drugs to be developed and how patients and the public could help to speed things up. The scientists also asked what more they could do to help patients cope with their condition. The day concluded with a tour of the laboratories to demonstrate the techniques used in the various research projects that are being carried out. It was agreed that events like these are very useful and should become an annual event at the University of Central Lancashire.

www.inbetweenears.co.uk

www.braintumourresearch.org

Image: Lynn News

TIME TO GET YOUR THINKING CAPS ON!..

The UK’s premier brain tumour research fundraising event returns on 31st March 2017!

www.wearahatday.org 30 Autumn 2016 www.braintumourresearch.org 2017
www.braintumourresearch.org Autumn 2016 31 WEAR A HAT DAY 2017 Register today for your FREE FUNDRAISING PACK Available Janfrom2017 www.wearahatday.org

A Legacy of Hope

“ My husband John was looking forward to retirement when he was diagnosed with a brain tumour.

Defying all expectations, he lived for another three years before I lost him. I have rewritten my Will to include a legacy to Brain Tumour Research because brain tumours kill more children and adults under the age of 40 than any other cancer yet just 1% of the national spend on cancer research has been allocated to this devastating disease.

This is unacceptable.

It is too late for John but my legacy will help underpin gamechanging research bringing us closer to a cure. I’d urge everyone who has been affected by a brain tumour to do the same.”

REMEMBER US IN YOUR WILL – HELP OUR WORK LIVE ON

BrainTumourResearchis a member of Remember A Charity, a consortium of over 140 charities set up to encourage more people to consider leaving a charitable gift in their Will; currently, just 7.3% of the UK population have pledged to do so.

Legacies play a key role in funding the vital research at our Centres of Excellence. The amount involved will obviously determine what the legacy can fund.

£2,740 would sponsor a day of research at one of our four Centres, covering researchers’ salaries and laboratory consumables such as solutions, pipettes and dishes.

Larger legacies could help us to pursue our programme of sustainable research and invest in the future, so a generous gift of £150,000 could fund a post-doctoral researcher over three years.

INTERESTED IN LEAVING A LEGACY OF HOPE?

We recommend you consult with a professional solicitor or Will writer who carries the appropriate experience for all formal advice regarding the writing and legalities of your Will.

You can find a professional and approved solicitor on the Law Society website: www.lawsociety.org.uk

Alternatively, find a professional Will writer here: www.ipw.org.uk

We are grateful for all legacies, large or small, which help us rewrite the future of brain tumour patients and bring us closer to our vision of finding a cure for brain tumours.

Please contact us if you would like any further information about leaving a gift in your Will to Brain Tumour Research: 01908 867200 / legacy@braintumourresearch.org

Or visit www.braintumourresearch.org/legacy

32 Autumn 2016 www.braintumourresearch.org

Adam Patterson

Adrian Squirrel

Albert Broe

Aldwyn Robinson

Alexandra Head

Amanda Bentley

Andrew Shenton

Andrew Wood

Annette Smith

Anthony Haymes

Anthony Rees

Arthur John Boyd

Barry James

Beverley Cameron

Brian Gordon

Brian Wratten

Bryan & Margaret Blyth

Carol Grainger

Carole O’Hare

Catherine Hockey

Cathy Atkinson

Charles Richard Smith

Charlotte

Christopher Scott

Darel Bryan

David Grindy

David Orchard

David Rogers

David Walker

Denis Booth

Dennis Johnson

Derek Rose

Derrick Ware

Diana Mary Legg

Donald Cray

Doug Miles

Dr Neil Bathurst

Eileen Enever

Elizabeth Truelsen

Emlyn Howells

Garry Carse

Gary Lewis

Geoffrey Clark

Georgina Mellor

Gerald Thomas

Gilly Palin

Graham Stott

Ian White

Irene Davis

Irene Wells

James Hodgkinson

Jackie Kane

James Michael Clarke

Jamie Ross

Jane Stevens

Jason Brewer

Jayantilal Patel

Jennifer Browning

Camelford

Jessie Millar

Jill Long

Jim and Bill

Jim Pickford

Joan Burke

Joan Gooddy

João Alfredo Sousa

John

John Forbes

John Stephens

John Vannett

forever in our hearts

From all of us at Brain Tumour Research, our love and thoughts are with all those who inspire us and with everyone who continues to support us in memory of their loved ones and colleagues, year after year.

Joshua Dobson

Joyce Gatward

Kallistheni

Kate Kenealy

Keith Alexander

Kevin Whatley

Kumkum Majumdar

Len & Stephanie

Leslie Arthur Hall

Leslie Hallam

Leslie Parsons

Lily Gates

Lord Walton of Detchant

Lorna Atkinson

Louise

Louise Edwards

Margaret Florence

Margrith Hucknall

Marilyn Parker

Mark Farren

May Martindale

May Shepley

Michael Maine

Mick O’Reilly

Nicki Waterman

Nicola Needle

Nik Ekholm

Pamela Warren

Pat Hill

Paul Daniels

Paul Rainbow

Pauline Smith

Pete Kaiser

Peter Barley

Peter Redshaw

Phyllis Walshaw

Reuben Kemble

Richard Wust

Rob Mottram

Robert Arnold

Robert Coburn

Sally Heddle

Sharon Warner

Stan Gate

Steve Wallace

Stevie Blair

Susan Hebson

Terence Timmins

Thomas Bainbridge

Tom Perry

Tony White

Tony Withers

Trevor Metcalf

Val Kirk

Vanessa Hurst

Vera

Victor Seebaluck

William Chapman

William Cooper

William Coulson

William Foster

William Kerr

William Ritchie

William Taylor

www.braintumourresearch.org Autumn 2016 33
Loved ones remembered here represent in memoriam donations received between 1st April 2016 – 31st July 2016

THE HOPE TREE CHRISTMAS APPEAL...

Whilst Christmas is traditionally a time for togetherness and celebration, we know that the festive season can be a very difficult and uncomfortable time for many of our supporters: brain tumours don’t stop for Christmas, so nor do we.

If you’d like to help fund the fight this Christmas, you can do so with our Hope Tree Christmas Appeal. In return for a one-off donation or establishing a new regular gift, we invite you to write a message on one of our special baubles, which will be hung on unique Christmas trees at the heart of our Centres of Excellence.

Every year we receive messages of remembrance, determination and support but mostly, of hope. Despite the terrible hardships our supporters endure, they are determined that their story will not be one which is repeated for other families indefinitely for years to come.

To find out how you can take part in our 2016 Hope Tree campaign, visit www.braintumourresearch.org/ thehopetree

THE HOPE TREE
34 Autumn 2016 www.braintumourresearch.org

SEND A MESSAGE THAT MAKES A DIFFERENCE THIS CHRISTMAS

Could you sell Christmas cards on our behalf?

Giving or sending cards is the perfect way to show you are thinking of someone during the festive season. Christmas is so often a time to reflect on the significant connections in our lives and a personal card or note is a thoughtful touch that will always be appreciated. Our cards are priced at £4 per pack and at least 50% of the proceeds will go towards funding brain tumour research.

Cards only £4 per pack

We’d love to send you a box of cards to sell at your school, club, workplace, local Christmas fair or simply from your own home. We’ll send these to you on a sale or return basis so anything you don’t sell, simply return to us along with any money raised.

Visit our website to find out more about buying or selling cards and to view our full-range of designs. www.braintumourresearch.org/ christmascards

When you’re ready to order, please contact the office on 01908 867200 or email: supportercare@ braintumourresearch.org

Alternatively, purchase online via our eBay page: www.ebay.co.uk/ usr/braintumourresearch

www.braintumourresearch.org Autumn 2016 35
MARK “BOMBER” LANCASTER TRUST Leah’s Fairy Fund The Lorn’s Legacy Together we will find a cure Our Fundraising Groups Our Member Charities www.braintumourresearch.org | Tel: 01908 867200 info@braintumourresearch.org Brain Tumour Research, Suite 3, Shenley Pavilions, Chalkdell Drive, Shenley Wood, Milton Keynes, Bucks MK5 6LB Registered charity number 1153487 (England and Wales) Company limited by guarantee number 08570737 (England and Wales). Registered Address: Brain Tumour Research, The Business Centre, Padbury Hill Farm, Padbury, Buckingham MK18 2BN. We love hearing from you! Whether you’d like to set up a regular donation, discuss fundraising ideas, are interested in becoming a Fundraising Group or want some further information about brain tumours or our research programme; we are only a call, email, tweet or Facebook message away. DIVISION OF NEUROPATHOLOGY AND DEPARTMENT OF NEURODEGENERATIVE DISEASE Our Centre of Excellence Partners #Fundingthefight

Turn static files into dynamic content formats.

Create a flipbook
Issuu converts static files into: digital portfolios, online yearbooks, online catalogs, digital photo albums and more. Sign up and create your flipbook.