VOORWOORD ortho-nieuwsbrief
groeninge flash special - juli 2022

groeninge flash special - juli 2022
Op het moment van dit schrijven zijn we eindelijk uit het corona-dal aan het klauteren. Gelukkig is de laatste golf al een tijdje achter ons.
We kijken terug op een periode van twee jaar van het dragen van de mondmaskers, het weglaten van een stevige handdruk, het afbellen van operaties. Gelukkig maar bijna herleid tot een zeer nare en lange droom. Het menselijk contact is nog steeds zeer belangrijk en dat voelt iedereen. Het is alsof een periode van isolatie afloopt en men zich terug kan werpen in de armen van je naaste, hoewel er hier nog schroom rond heerst. Het afbellen en verplaatsen van operaties was steeds een onaangenaam werk. Het geconfronteerd worden met de ontgoocheling van de patiënten, ondanks hun begrip voor de situatie blijft nazinderen. Niemand wordt graag geconfronteerd met uitblijven van een behandeling van pijn of functiebeperking. Het mag dan wel niet levensbedreigend of geen oncologie zijn, leven met pijn, uitblijven van nachtelijke rust en functieverlies kan heel vervelend tot ernstig zijn en zelfs een lijdensweg betekenen.
Het leven gaat evenwel voort en de praktijk blijft draaien op orthopedie AZ Groeninge. We proberen terug de maximale versnelling te vinden en proberen de achterstand asap weg te werken. We blijven werken om de hoogst mogelijke kwaliteit te leveren en alles rond de patiënt te laten draaien. We blijven werken aan een optimale dienstverlening en informatieverspreiding.
Er is helaas ook minder goed nieuws over onze dienst. Luk Verhelst verlaat ons per 1 juli voor een carrièreswitch. Gedurende 10 jaar hielp Luk onze dienst uit te bouwen en op de kaart te zetten. Zijn tomeloze inzet voor patiënten, teaching voor assistenten en grote chirurgische vaardigheid zullen enorm gemist worden. We verliezen een groot chirurg die het menselijke aspect als collega en arts nooit uit het oog verloor en hebben veel aan hem te danken.
In het kader van onze toenemende samenwerking met de dienst Orthopedie Brugge, zullen 2 Brugse collega’s ons vanaf 1 augustus deeltijds vervoegen om de kwaliteit en continuiteit van zorg op heup- en schoudergebied te verzekeren.
Dr Pieter Pierreux zal zich toeleggen op de schouderpathologie en Dr Anthony Van Emeren zal het heupluik, inclusief de Young Adult Hippathologie voor zijn rekening nemen.
>>
Anticiperend op het feit dat over enkele jaren een drietal collega’s op pensioen zullen gaan, zijn er bijkomende vacatures uitgeschreven om onze dienst te versterken op het gebied van knie-, heup-, schouder- en rugchirurgie.
Tegelijkertijd hebben we binnen onze dienst recentelijk beslist een nieuwe weg in te slaan. De traumatologie wordt geleidelijk aan steeds meer gespecialiseerd. Naast collega dr. Guy Putzeys, die binnen de dienst ook al meer traumatologie voor zijn deel neemt, vervoegt dr. Marno Van Lieshout zich ons vanaf augustus. Dr Van Lieshout heeft zowel de opleiding orthopedie als urgentiegeneeskunde doorlopen en kan op deze manier een unieke expertise toevoegen. Hij zal zich binnen de dienst dan ook exclusief bezighouden met traumatologie en mee zal helpen het trauma-verhaal te dragen en te maken.
Hierna staat ook vast dat dr. Karolien Schwagten ons vervoegt over een kleine 1,5 jaar. Zij specialiseert zich in voet- en enkelchirurgie. Meer hierover in een van de volgende brieven.
Zo ziet u, grote veranderingen staan op til. Behalve de dienst voorstellen en veranderingen in ons collega’s bestand te melden, is het de bedoeling dat deze nieuwsbrief veel meer inhoud bevat.
Ook in deze editie zijn er terug mooie topics die behandeld worden door collega’s van binnen en buiten de dienst.
Dr. Jaap van der Maas schreef een artikel over osteotomieën rond de knieën met indicatiestellingen, technieken en alle bijzonderheden.
Ook ikzelf kroop in de pen om meer duidelijkheid te geven over de ‘frozen shoulder’. Een schouderpathologie die zeker niet zelden voorkomt maar waarover nog veel onduidelijkheid bestaat. Alle aspecten van de aandoening worden ruimschoots belicht.
Hopelijk wordt het op deze manier weer een educatieve Nieuwsbrief waarmee we een praktische aanpak voor veel voorkomende orthopedische problemen voor de eerste lijn willen bieden.
Ik wens bij deze allen veel leesgenot en een voorspoedig verder verloop van 2022.
Met vriendelijke groet.
Dr. Jan Van Cauwelaert
Tot voor kort was er niet veel op de markt voor patiënten met persisterende post-operatieve pijn na (multiple) kniechirurgie of voor patiënten met eindgradige degeneratieve osteo-artritis van de knie die omwille van co-morbiditeiten inoperabel zijn. Men probeerde zich te behelpen met intra-articulaire infiltraties of medicamenteuze therapie. Dit was helaas vaak met ontgoochelende resultaten, escalerend opioïdgebruik, ernstige medicamenteuze intoleranties of secundaire orgaanschade. Behandeling van de nn. geniculares verruimt het spectrum van de therapeutische mogelijkheden voor deze groep van patiënten met therapieresistente anterieure kniepijn. Het anterieure kniekapsel wordt bezenuwd door vijf van deze nn. geniculares (figuur 1) nervus genicularis inferomedialis (nGIM), nervus genicularis superomedialis (nGSM), nervus genicularis superolateralis (nGSL), nervus genicularis inferolateralis (nGIL) en de eindtakken van de nervus vastus intermedius.
therapieresistente pijnklachten waar geen andere oplossing kan geboden worden, maakt dit absoluut een wereld van verschil.
Een gamechanger om de succesratio omhoog te krikken is mogelijk op komst: cooled radiofrequency. Hierbij worden de zenuwen door middel van een speciale radiofrequentiecanule met interne koeling opgewarmd over een langere tijd aan lagere temperatuur. Uiteindelijk zal hierdoor een groter
Drie van deze vijf zenuwen (nGIM, nGSM en nGSL) kunnen vlot echografisch opgezocht worden. De nGIL wordt niet mee behandeld omwille van de nabijheid van de nervus peroneus communis. Ook de eindtakken van de nervus vastus intermedius worden niet behandeld aangezien deze intramusculair verloopt en dus moeilijk aflijnbaar is en een grote anatomische variabiliteit kent.
Onder echogeleide wordt telkens een radiofrequentiecanule geplaatst tot op deze zenuwen (figuur 2). Eénmaal een adequate positie bekomen is, wordt de canuletip met radiofrequentie opgewarmd tot 80°C. Hierbij wordt een thermocoagulatieletsel aangebracht op de zenuw waardoor de pijnsignalen uit het anterieure kniekapsel niet meer verder geleid worden.
In de literatuur wordt gesproken over een succesvolle behandeling in ongeveer 35% van de patiënten. Dit betekent een daling van de pijnscores van 50% of meer met uiteraard ook toegenomen levenskwaliteit, ADL, slaapkwaliteit, … De gemiddelde effectduur van de behandeling is ongeveer één jaar. We noteren in ons pijncentrum gelijkaardige cijfers. 35% succesratio lijkt niet zo veel. Echter voor deze patiënten, met
thermocoagulatieletsel gecreëerd worden, waardoor een groter deel van de zenuw behandeld wordt en er een grotere kans op succes is.
Deze techniek van cooled radiofrequency is nog niet terugbetaald in België, maar in mei 2022 zal dit wel beschikbaar zijn in studieverband in ons pijncentrum.
Vervangt deze therapie een gebalanceerd revalidatietraject uitgezet door een fysisch geneeskundige of een weloverwogen operatieve indicatie door een orthopedisch chirurg? Absoluut niet! Dit is een extra wapen indien het revalidatiepotentieel door de fysisch geneeskundige als te laag wordt ingeschat of indien er geen operatieve mogelijkheid is volgens de orthopedisch chirurg. In deze staan we dus schouder aan schouder om het beste mogelijke resultaat voor onze patiënten te bekomen.
De frozen shoulder of capsulitis adhesiva is waarschijnlijk een van de meest onbegrepen en verkeerd gediagnosticeerde pathologiën die er is in de schouderchirurgie door nietschouderchirurgen.
De pathogenese is nog niet volledig begrepen. We weten niet welke patiënten zich ermee zullen komen aanbieden. We weten gelukkig wel hoe ze te behandelen maar weten dan weer geen preventie aan te bieden.
Een goede klinische diagnose is het belangrijkste om ze te onderscheiden van de rest van de schouderpathologie. De behandeling doet de rest.
Om een volledige beweging te hebben van het schoudergewricht zijn 3 gewrichten en 2 bursale interfaces noodzakelijk die daarenboven perfect functioneren.
Het betreft het glenohumerale, het acromio-claviculaire, het sterno-claviculaire gewricht en de subacromiale en thoracoscapulaire bursa als pseudo-gewricht.
Het schoudergewricht zelf bestaat uit het kraakbenig oppervlak van de humeruskop en het glenoid, de stabiliserende structuren zoals het labrum. Verder wordt het gewricht afgelijnd door het gewrichtskapsel wat een dun vlies is. De ligamenten, pezen, bloedvaten en zenuwen liggen hierbuiten, juist eronder.
Als alle gewrichtsoppervlaktes normaal zijn, er geen beelderige obstakels zijn en de gewrichten stabiel zijn, dan is elke bewegingsbeperking te herleiden tot een primaire stijfheid.
Artrose en malunion horen hier uiteraard niet bij daar dit een bewegingsbeperking is door een abnormaal gewrichtsoppervlakte.
Dr. Van CauwelaertDe definitie en benaming van de stijve schouder heeft in zijn geschiedenis een hele evolutie meegemaakt. Dit bewijst het gebrek aan een volledig inzicht in oorzaak, gevolg, behandeling en evolutie van de aandoening.
De definiëring gaat van periartrititis scapulohumerale (1896), over frozen schouder (1934), over capsulitis adhesiva tot fibrotische capsulitis. Deze laatste wegens de afwezigheid van adhesies bij arthroscopie.
Waar het in het begin ging het om een omschrijving van een hele reeks schouderaandoeningen zoals calcinerende tendinopathie, over rotatorcuff lijden tot een stijve schouder, werd jaren later de benaming meer specifiek voor één specifieke aandoening. Strikt gezien gaat het over een schouder met capsulaire retractie, verlies van passieve mobiliteit in 1 of meerdere van de drie dimensies. Dit alles in vergelijking met de contralaterale zijde.
Tegenwoordig komt men overeen dat de groep stijve schouders op te delen is in primaire idiopatische stijve schouders en secundaire stijve schouders.
De primaire stijve schouder of frozen shoulder treedt op zonder trauma of specifieke schouderpathologie.
De secundaire stijve schouder treedt op na trauma of heelkunde van of in de omgeving van de schouder of bij een specifieke schouderpathologie.
De indeling van de secundaire schouderstijfheid gaat uit van de verschillende oorzaken, zoals intra- en extra-articulaire pathologie, capsulaire oorzaken en neurologische aandoeningen.
Ook bestraling, schouderoperaties, borstoperaties en cardiovasculaire procedures behoren tot aanleidingen van de secundaire stijve schouder. De bedoeling is echter ons te verdiepen in de primaire idiopatische stijve schouder, de frozen shoulder. Het waarom, de hoe, de wanneer.
De frozen shoulder treedt op als er geen oorzaken worden gevonden bij anamnese, voorgeschiedenis, klinisch onderzoek en technische onderzoeken. Idiopatisch dus.
Hoewel er geen rechtstreekse oorzaken te vinden zijn, kunnen we wel een aantal zaken aanstippen die een zekere voorgeschiktheid geven.
Vooreerst is er geen relatie met werken, inspanning, (in)activiteit of roken. De arm stilhouden is dus geen voorgeschiktheid tot een frozen shoulder, dit in tegenstelling tot wat soms gedacht wordt.
Het zou voorkomen bij 2 tot 5% van de bevolking en dit meer bij vrouwen dan mannen en in de leeftijdsvork van 40 tot 80 jaar. Het komt in meer dan 50% van de gevallen bilateraal voor maar zelden tegelijkertijd en zelden tweemaal aan dezelfde zijde.
Genetisch nazicht toont dat het tweede homozygote deel van een tweeling waarvan de eerste een frozen shoulder doet, 2 tot 3 maal meer kans heeft om het te krijgen dan elk andere onafhankelijke patiënt.
Een laag BMI lijkt meer kans te hebben op een frozen shoulder uit te lokken en hetzelfde geldt voor de non-dominante kant die iets meer lijkt aangetast te worden. Het lijkt gerelateerd te zijn met de ziekte van Dupuytren waarbij 1 op 8 met schouderklachten een frozen shoulder heeft.
Verder zijn er een aantal comorbiditeiten die voorbeschikt lijken te zijn, zoals hypothyroïdie en parkinson, myocardinfarcten en vooral diabetes mellitus.
Het blijkt dat 85% van de patiënten met een frozen shoulder een comorbiditeit heeft en 37,5 % zelfs meer dan 3.
De belangrijkste link met een comorbiteit is diabetes mellitus. De prevalentie van een frozen shoulder bij diabetici is 10 tot 36% en hoe langer de diabetes aanwezig is in jaren, hoe meer kans op incidentie. Elk jaar met een verhoogde HbA1c, is 2,77% meer kans op een primaire stijve schouder. De oorzaak hiervan zou liggen in de glycosylatie (AGE-advanced glycation endproducts). Dit geeft meer accumulatie van cross-links tussen proteïnen onderling in het weefsel onder het synovium met inkrimping van het weefsel en meer stijfheid tot gevolg.
Het gaat niet zozeer om een inflammatie tenzij beperkt in het rotatorcuff interval en er is geen betrokkenheid van het kapsel (synovium) zelf, maar eerder om een fibroplasie in het weefsel onder het synovium. De fibroblasten die myofibroblasten worden liggen aan de oorzaak van de frozen shoulder. Cytokines en groeifactoren spelen mee een grote rol.
Er blijkt dus een hele cascade aan reacties te zijn die op gang gezet worden om de contractuur te geven. De betrokken reactoren bestaan uit AGE, cytokines, matrix metallo-proteinases, die ook neoangiogenese en neo-innervation veroorzaken.
Bij de secundaire stijve schouder daarentegen gaat het vooral om beschadiging van de normale anatomische weefselvlakken, waardoor contracturen en verklevingen optreden in de weefsels rond gewrichten, tussen weefselvlakken en eventuele verkortingen van de pees-spier-unit spierexcursie.
De spontane evolutie van een primaire stijve schouder kan tot drie jaar duren. Zelfs na een succesvolle behandeling, heelkundig of conservatief, kunnen er nog vage klachten blijven bestaan en hierbij gaat het voornamelijk uit een beperkte residuele stijfheid en milde last.
De normale evolutie bestaat uit 3 fasen. De zogenaamde vervriezende fase, de bevroren fase en de ontdooiende fase. Deze benamingen slaan voornamelijk op de evolutie van de stijfheid en niet van de pijn. De pijn kent een verloop die omgekeerd evenredig is met het verloop van de stijfheid.
1. De “freezing fase” is het begin.
Er ontstaat een periode van opkomende pijn zonder aanleiding. De patiënt neemt een triviale gebeurtenis aan als oorzaak. De pijn neemt toe en imiteert grotendeels een subacromiale pathologie. De pijn straalt uit in de bovenarm door de capsulaire innovatie vanuit de n. Axillaris. Ze is sterk aanwezig tijdens de nacht en bij gebruik van de arm in de hoogte en bij reiken. Ze straalt evenwel ook uit naar achter en is ook aanwezig in rust met uitschieters van pijn bij bruuske, plotse bewegingen. Er is geen krachtsverlies tenzij antalgisch.
Tijdens deze fase treedt ook de bewegingsbeperking op. Deze kan snel of traag evolueren en leiden tot een heel sterke bewegingsbeperking in alle dimensies of leiden tot een eerder beperkte verlies aan range of motion. Het is nu dat het klinische beeld van een frozen shoulder duidelijk wordt.
Elke vermindering van de beweeglijkheid naar bad, flexie, exorotatie en endorotatie die niet is terug te brengen naar omartrose, malunion, postoperatieve of postfracturale stijfheid is een capsulitis adhesiva.
2. De “frozen fase” is de tweede fase in het drieluik.
Hierin neemt de bewegingsbeperking nog toe, zoals reeds gezegd, soms in extreme vorm, soms in beperktere vorm. De beperking treedt meestal op in 3 dimensies maar kan gradueel verschillen. De pijn is nog aanwezig in de deltoid-regio en aan de posterieure zijde. Ook kan scapulothoracale compensatie op den duur klachten geven rond de mediale boord van de scapula.
3. De “showing fase” is de derde en uitdovende fase.
In deze fase neemt de pijn progressief af en neemt de beweeglijkheid gestaag toe. In totaal kan het geheel een drietal jaar in beslag nemen indien er niet ingegrepen wordt.
In studies blijkt dat na 7 jaar er bij 50% van de betrokkenen nog klachten zijn van een zekere bewegingsbeperking die meestal evenwel niet functioneel beperkend is.
Heel dikwijls gebeurt er een verwijzing omwille van schouderpijn, niet zelden zonder vermelding van de stijfheid. Meestal zelfs is zelfs onwetendheid wanneer naar stijfheid wordt gevraagd. De patiënt geeft meestal een bepaalde onset aan die gebeurde in de periode waarbij de klachten opkwamen.
De primaire stijve schouder of frozen shoulder is in het bijzonder vooral een klinische diagnose waarbij bewegingsbeperking de “keystone” symptoom is. Technische onderzoeken zijn hierbij vooral een hulpmiddel om bijkomende pathologieën aan te tonen of om bevestiging te geven van de capsulitis. Ook kunnen technische onderzoeken andere oorzaken aantonen van de stijve schouder zodat deze een secundaire stijve schouder wordt.
- Standaard radiografie van de schouder : Deze toont geen verwijzing naar frozen shoulder. Beenderige afwijkingen kunnen wijzen op een andere oorzaak van stijfheid, in het bijzonder een omartrose, een malunion of een osteosynthese of prothese.
- Echo : De diagnose van een capsulitis is niet te stellen op echo die enkel de oppervlakkige weke delen in beeld brengt. De echografie kan wel intra-articulair vocht aantonen rond de bicepspees die een intra-articulaire pathologie kan doen vermoeden zoals een capsulitis.
- De ct : Er wordt geen bevestiging gegeven van de capsulitis adhesiva, wel van eventuele een onderliggende pathologie die een secundaire schouder kan verklaren.
- Artro ct : Hierbij is enkel een verkleind inferieur kapsel te zien dat kan verwijzen naar een primaire frozen shoulder.
- Indirecte artro mri : (met intraveneus contrast), Deze MRI toont inflammatie ter hoogte van het inferieur kapsel, een wolk dewelke een duidelijk beeld is van een frozen shoulder in de eerste of tweede fase. Dit is een duidelijke hulpmiddel in de diagnose en ter uitsluiting van andere oorzaken.
Directe artro mri : (met intra-articulair contrast) toont enkel een verkleind inferieur kapsel zoals de artro-ct en in veel mindere mate de inflammatie rondom het inferieure kapsel.
Uiteindelijk leidt een natuurlijk verloop heel dikwijls tot een mooi resultaat met veelal een quasi volledig herstel van de beweeglijkheid, maar evengoed kan het toch leiden tot een uiteindelijke bewegingsbeperking in bepaalde richtingen. Het grootste probleem stelt zich dat de tijdsperiode voor een natuurlijk verloop lang is en gepaard gaat met grote invaliditeit door pijn en beperkingen.
Door de jaren heen zijn dan ook een aantal mogelijkheden ontstaan om de periode van herstel en ziekte in te korten.
- Neglect : Het is een niet dodelijke aandoening beperkt in de tijd, dus is een afwachtende houding mogelijk. Hierbij wordt een afwachtende houding aan genomen met pijnbehandeling.
- NSAI : Deze geven niet het gewenste effect, onder geen enkele vorm of hoeveelheid. De pijn blijft bestaan en bevestigen zo dat het niet louter gaat om een inflammatie proces.
- Kinesitherapie en mobilisatietechnieken : Deze wordt voorbehouden voor de weinige patiënten die ofwel hardnekkig een corticoïdeninspuiting weigeren, niet mogen krijgen omwille van medische redenen of voor degenen die geen reactie van pijnverlichting voelen na een of meerdere intra-articulaire injecties met een corticoidenpreparaat.
De behandeling bestaat dan uit voorzichtige mobilisaties en pijnverlichtingstherapie met de bedoeling om vooral de pijn in eerste instantie te verminderen. Stevige forcerende kine daarentegen wekt meer pijn op en een verdere negatief verloop.
- Combinatietherapie van kinesitherapie met corticoïden-therapie intra-articulair :
Hier is er een werking op dubbel niveau. Door de injectie vermindert de pseudo-inflammatoire reactie en de pijn. Aldus wordt het mogelijk met een meer agressievere kinesitherapie, mobilisatie en veel thuisoefeningen een toename te bekomen van de beweeglijkheid.
Foto 2 Frozen Shoulder verloopReeds na een viertal weken meldt de patiënt spontaan een verbetering van de klachten op vlak van zowel beweeglijkheid als pijn. De negatieve gevolgen van een corticoïden-infiltratie zijn beperkt. Het positieve effect van de infiltratie compenseert ruimschoots de hele beperkte kans op chondrolysis of andere reacties. Het lijkt ook beter te zijn de corticoïden intra-articulair toe te dienen dan oraal.
- De Suprascapulair nerve block : Dit levert iets van short term verbetering van pijn en functionaliteit, op lange termijn is er minder evidentie te vinden van een goed blijvend resultaat.
- Voor ESWT is er ook wetenschappelijke evidentie om een resultaat te bieden qua pijn en beweeglijkheid op korte termijn.
- Gleno-humerale hydrodilatatie : Er wordt een intra-articulaire inspuiting gegeven met een combinatie van een van corticoïdpreparaat, fysiologisch vocht en lokaal anestheticum en in een vrij groot volume. Bij het geleidelijk inspuiten wordt de druk verhoogd zodat hierbij het kapsel gaat scheuren. Hierbij zou het enkel gaan om het zwakste deel van het kapsel, hierna vermindert de druk en de rest van het kapsel blijft bestaan. Er volgt hierna een mobilisatie van de schouder waarbij het lokaal anestheticum werkt als verdoving en het corticoïden preparaat voor de verdere mildering van de pijnklachten.
- Bij een MON (mobilisatie onder narcose) krijgt de patiënt de patiënt een locoregionale verdoving, al dan niet gecombineerd met een algemene narcose. Vervolgens wordt de schouder in alle richtingen gemobiliseerd en geforceerd tot een quasi volledige beweeglijkheid wordt bekomen. Tijdens deze acte hoor je de capsulaire weefsels scheuren. Het is niet ondenkbaar dat bij een dergelijke acte de humerus wordt gebroken of dat bij het forceren van de schouder het kraakbeen wordt beschadigd. Andere mogelijke complicaties hierbij zijn plexusletsels, luxaties of cuff scheuren. Deze methode is veelal verlaten.
- De Chirurgische circumferentiële release van het kapsel is de meest ingrijpende methode om de beweeglijkheid kunstmatig te vermeerderen. Er wordt een arthroscopie verricht en intraarticulair wordt het kapsel rondom rond het glenoid gereleased en deels verwijderd anterieur, het interval wordt vrijgemaakt. Nadien volgt nog een voorzichtige en laatste mobilisatie om de laatste vergroeiingen los te maken. Zo wordt tijdens de operatie de beweeglijkheid terug hersteld. Nadien volgt uiteraard een intensieve kine behandeling om de de behaalde beweeglijkheid te bewaren. Het voordeel is dat het kapsel a visu wordt doorgenomen en de schouder los wordt gemaakt met respect voor alle omliggende weefsels zoals kraakbeen en zenuwen en pezen. Het wordt echter voorbehouden voor hen die niet of onvoldoende reageren op de conservatieve behandelingen. Het resultaat is goed bij ongeveer 80% van de patiënten. Evenwel zien we dat diabetici hierbij minder goede resultaten behalen dan niet-diabetici.
De primaire stijve schouder of frozen shoulder is een klinische diagnose die behoorlijk frequent is maar dikwijls niet herkend wordt. De behandeling is voornamelijk conservatief met een goed tot zeer goed resultaat. Er is quasi geen recidief maar daartegenover staat dat de duur vrij lang kan aanslepen.
Brandon J. Erickson, Yousef Shishani, Meghan E. Bishop, Anthony A. Romeo, and Reuben Gobezie. Adhesive Capsulitis: Demographics and Predictive Factors for Success Following Steroid Injections and Surgical Intervention. Arthroscopy, Sports Medicine, and Rehabilitation;1:1:2019:35-40
Helen E. Segmüller,MD, David E. Taylor, MD, Charlotte S. Hogan, Andrew D. Sales, FRAC-S,and Michael G. Hayes, FRACS, Stepney. Arthroscopic treatment of adhesive capsulitis. J Shoulder Elbow Surg; 1995:403-408
Daniel C. Austin, Itai Gans, Min Jung Park, MD, James L. Carey, John D. Kelly IV. The association of metabolic syndrome markers with adhesive capsulitis. J Shoulder Elbow Surg (2014) 23, 1043-1051
Eduardo Angeli Malavolta , Mauro Emilio Conforto Gracitelli, Gustavo de Mello Ribeiro Pinto, Arthur Zorzi Freire da Silveira, Jorge Henrique Assunc ão, Arnaldo Amado Ferreira Neto. Asian ethnicity: a risk factor for adhesive capsulitis. rev bras ortop. 2018;53(5):602–606
Eiji Itoi, Guillermo Arce, Gregory I. Bain, Ronald L. Diercks, Dan Guttmann, Andreas B. Imhoff, Augustus D. Mazzocca, Hiroyuki Sugaya, and Yon-Sik Yoo. Shoulder Stiffness: Current Concepts and Concerns. Arthroscopy: The Journal of Arthroscopic and Related Surgery, Vol 32, No 7 (July), 2016: pp 1402-1414
Kemble Wang, Victoria Ho, David James Hunter-Smith, Pith Soh Beh, Katrina Michelle Smith, Andrew Bryant Weber. Risk factors in idiopathic adhesive capsulitis: a case control study. J Shoulder Elbow Surg (2013) 22, e24-e29
Kiera Kingston, Emily J. Curry, Joseph W. Galvin, Xinning Li. Shoulder adhesive capsulitis: epidemiology and predictors of surgery. J Shoulder Elbow Surg (2018);27:1437–1443
Jason E. Hsu, Okechukwu A. Anakwenze,, William J. Warrender, Joseph A. Abboud. Current review of adhesive capsulitis. J Shoulder Elbow Surg (2011);20: 502-514
Jonathan Zavala-González, Francisco Pavez-Baeza, Héctor GutiérrezEspinoza, Cristian Olguín-Huerta. The effectiveness of joint mobilization techniques for range of motion in adult patients with primary adhesive capsulitis of the shoulder: a systematic review and meta-analysis; Medwave 2018;18(5):e7265 doi: 10.5867/ medwave.2018.05.7265
Justin H. Chan, Bryant S. Ho, Hasham M. Alvi, Matthew D. Saltzman, Guido Marra. The relationship between the incidence of adhesive capsulitis and hemoglobin A1c. J Shoulder Elbow Surg (2017) 26, 1834–1837
Tarek Boutefnouchet, Robert Jordan, Gev Bhabra, Chetan Modi, Adnan Saithna. Comparison of outcomes following arthroscopic capsular release for idiopathic, diabetic and secondary shoulder adhesive capsulitis: A Systematic Review. Orthopaedics & Traumatology: Surgery & Research 105 (2019) 839–846
William N. Levine, Christine P. Kashyap, Sean F. Bak, Christopher S. Ahmad, Theodore A. Blaine, Louis U. Bigliani. Nonoperative management of idiopathic adhesive capsulitis. J Shoulder Elbow Surg: 2007;569-573
Yinghua XuFiona BonarGeorge A. C. Murrell. Enhanced expression of neuronal proteins in idiopathic frozen shoulder. J shoulder Elbow Surg: 2012:21;10:1391-1397
Osteotomie betekent letterlijk ‘het (deels) doorzagen van een bot’. Rond de knie betreft dit de distale femur of de proximale tibia. Osteotomieën rond de knie werden reeds uitgevoerd vanaf 19e eeuw maar door het toenemend succes van de prothesechirurgie, verloor de ingreep aan belang. Recent is er echter weer een opleving van gewrichtssparende chirurgie wegens verbeterde inzichten in indicatiestelling en nieuwere operatietechnieken.
Het doel van een osteotomie rond de knie is om de as van het onderste lidmaat te veranderen om zo de druk van een degeneratief compartiment af te leiden naar het gezonde compartiment wat voor pijnverlichting en verhoogde belastbaarheid van de knie zorgt.
Gonartrose bij patiënten onder de 55 jaar, zeker met een actieve levensstijl, vormt een therapeutische uitdaging. Infiltraties brengen vaak onvoldoende en slechts kortstondig beterschap en prothesechirurgie geeft regelmatig teleurstellende functionele resultaten bij deze jonge populatie. Grote studies tonen aan dat tot 20% van de patiënten, voornamelijk de jongere populatie, na totale knieprothese niet tevreden zijn over hun functionele resultaten en dit voornamelijk door residuele pijn- of stijfheidsklachten. In geselecteerde gevallen kan een osteotomie hier een goede oplossing bieden.
Doel van de ingreep is om het plaatsen van een prothese minstens een tiental jaar uit te stellen. Functionele resultaten van een osteotomie zijn in vergelijking met prothesechirurgie veel beter omdat het eigen gewricht gespaard blijft en er dus een betere proprioceptie is.
Om het principe van een osteotomie goed te begrijpen, is het eerst nodig om enkele zaken omtrent alignement van het onderste lidmaat te verduidelijken.
Bij een neutraal alignement (= recht been) gaat ongeveer 70% van de druk door het mediale compartiment en slechts 30% door het laterale. Bij een O-benen (varus) loopt dit vanaf 3-5° varus op tot 100% mediaal, bij X-benen is er meer druk lateraal (foto 1).
Foto 1 Alignement onderste lidmaat. Bij een neutraal of normaal alignement, wordt ongeveer 70% van het lichaams gewicht door het mediale compartiment gedragen. Bij varus (O-benen) is dit 100%. Bij valgus (X-benen) is de druk in het lateraal compartiment verhoogd.
Daarom zal artrose bij een patiënt met onderliggend een varusafwijking zich quasi altijd bevinden thv het mediale compartiment. Door de artrose, wordt de kraakbeenlaag dunner in het mediale compartiment, waardoor het been nog meer in varus kantelt en de druk op het mediaal compartiment zal verder verhogen. Daarom wordt dit ook een variserende gonartrose genoemd. Bij een valgus alignement zal de artrose het vaakst optreden in het lateraal compartiment met hierdoor een progressieve X-stand van het been. Dit wordt dan een valgiserende gonartrose genoemd.
Door een zaagsnede wigvormig te openen (“opening wedge”) of een wigvormig stuk bot weg te nemen (“closing wedge”) thv distale femur of proximale tibia, kan de as van het been veranderd worden om de druk van het aangedane compartiment weg te leiden naar het gezonde compartiment.
Een vuistregel is dat varus zich meestal bevindt thv de proximale tibia en valgus thv de distale femur. Dit dient per patiënt individueel echter bepaald te worden op radiografie en kan soms variëren. Globaal gaat met dus valgiseren op tibia en variseren op femur. Bij een valgisatie osteotomie mikt met op een lichte valgus om het mediaal compartiment maximaal te ontlasten. In het geval van een varisatie osteotomie, mikt men op een neutraal alignement omdat hierbij reeds 70% van het lichaamsgewicht door het mediale compartiment gaat. Overcorrectie kan leiden tot versnelde degeneratie in het niet-aangedane compartiment wat de levensduur van de osteotomie zal compromiteren.
Keuze om opening dan wel closing wedge te werken hangt voornamelijk af van voorkeur en ervaring van de chirurg. Meest voorkomende correctie in onze regio is de zogenaamde valgiserende opening wedge osteotomie thv mediale proximale tibia om een variserende gonartrose te behandelen.
Foto 2 Standaard preoperatief radiografisch bilan. Het betreft hier een eindgradige (cfr Schuss opname) variserende gonarthrose bij onderliggend varus alignement (loodlijn van centrum heupkop naar centrum enkelgewricht loopt door mediaal compartiment op full leg opname). Gezien reeds eindgradige artrose is dit dus geen ideale casus voor osteotomie maar zal eerder voor unicondylaire knieprothese geopteerd worden.
Indicatie wordt gesteld aan de hand van standaard radiografisch bilan. Deze bestaat uit de 4 standaard opnames (face/profiel/ schuss en axiaal) en een Rx full leg opname bilateraal waarop het alignement van de patiënt wordt bepaald (foto 2). Aan de hand van hoekmetingen kan dan bepaald worden waar de afwijking zich bevindt (tibia of femur) en waar de correctie dus dient te gebeuren. Idealiter betreft het een jonge patiënt met een milde tot matige gonartrose volgens classificatie van Kellgren-Lawrence. (foto 3) Resultaten bij een eindgradige (= graad 4) artrose zijn onvoorspelbaar en uitstel naar prothesechirurgie vaak beperkt. Daarom wordt er op dat moment soms beter geopteerd voor een unicondylaire knieprothese.
Foto 3 Kellgren-Lawrence (KL) radiografische classificatie van gonartrose. Pragmatisch werkt men meestal met milde (< 50% vernauwing van gewrichtspleet), matige (>50% vernauwing) of eindgradige (bot op bot) gonartrose.
Meestal wordt er vooraf een proeftherapie gestart met een zogenaamde unloaderbrace (foto 4). Deze gaat het effect van de ingreep nabootsen en dient een tweetal maanden gedragen te worden bij belasting van de knie. Indien patiënt een significante pijndaling ondervindt bij het dragen van deze brace, kan er ook een gunstig effect van de ingreep verwacht worden.
De ingreep zelf duurt ongeveer een uur. Bij voorkeur gebeurt deze onder loco-regionale anesthesie (‘ruggenprik’ of rachi) omdat dit voor een betere pijncontrole zorgt postoperatief. Op vraag van patiënt kan er dan ook nog een lichte sedatie gegeven worden zodat er niks van de ingreep gemerkt wordt.
Er wordt ook een perifeer zenuwblok gegeven thv mediale zijde van de dij (femoral triangle blok). Dit is een zuiver sensibel blok om de nervus saphenus te verdoven en zorgt ervoor dat patiënt de eerste 24u weinig pijn voelt maar toch kan mobiliseren en steunen.
Met een zaag en beitels wordt het bot doorgenomen en gekanteld in de gewenste positie. Zoals eerder vermeldt kan dit enerzijds door een wig weg te nemen (closing wedge) of door de zaagsnede open te krikken (opening wedge). De correctie wordt peroperatief dmv fluoroscopie gecontroleerd en de osteotomie wordt gefixeerd dmv plaat en schroeven (foto 5)
In principe is het geopereerde been direct postoperatief belastbaar. Door pijn en zwelling zal er echter de eerste twee weken nog niet veel gesteund worden.
Nadien mag de patiënt progressief beginnen steunen binnen de pijngrens. Gemiddeld wordt er nog een 6 tal weken met krukken gestapt. Dit beleid wordt soms aangepast in functie van stabiliteit van de osteotomie en gewicht van de patiënt.
Postoperatieve controles vinden meestal plaats na 2 weken (wondcontrole + radiografie), 6 weken (+ radiografie om callus progressie in te schatten) en 3 maanden (+ radiografie om consoli datie vast te stellen en ascorrectie te controleren) (foto 6).
Kine dient direct gestart te worden om het kniegewricht soepel te houden en spierzwakte (quadricepsatrofie) tegen te gaan. Werkhervatting hangt af van het type werk. Bij zware arbeid dient een arbeidsongeschiktheid van 4-6 maanden voorzien te worden.
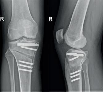
Foto 5 Postoperatieve face en profiel radiografie. De osteotomie is gefixeerd dmv een carbonplaat die deels radiolucent is waardoor deze moeilijk zichtbaar is. Deze plaat heeft gunstige biomechanische eigenschappen (vergelijkbare elasticiteit) tov bot wat genezing ten goede komt. De schroeven zijn standaard roestvrij staal dus goed zichtbaar op radiografie.
In de direct postoperatieve periode is hoogstand (onderbeen hoger dan hart) en mobilisatie van enkel (ankle pumps) essentieel. Zwelling van de kuit kan pijnlijk zijn. Steunkousen worden niet standaard voorzien maar indien voldoende hoogstand onvoldoende beterschap brengt, kunnen deze tijdelijk voorgeschreven worden.
Door mobilisatie kan er soms tot enkele dagen na de ingreep evacuatie van hematoom optreden. Een drukverband gedurende 24u, ijsapplicatie en relatieve rust lossen dit probleem meestal op. Bij blijvende wondlekkage na 1 week wordt de behandelend chirurg best op de hoogte gebracht.
Postoperatieve infecties kunnen onderverdeeld worden in oppervlakkige en diepe infecties. Een oppervlakkige infectie manifesteert zich meestal de eerste dagen postoperatief door toenemende roodheid en pijn thv de wonde met soms etterig verlies. Koorts en algemene malaise kunnen in later stadium ook optreden. Gezien er vreemd osteosynthesemateriaal ter plaatse is, wordt er best niet blind met antibiotica gestart. In dat geval wordt er best contact opgenomen met de chirurg en moet de wonde meestal gespoeld worden.
Een diepe infectie (chronische laaggradige infectie) kan ook optreden bv door een hematogene besmetting of peroperatieve besmetting met een weinig virulente kiem. Dit wordt meestal gekenmerkt door aanhoudende pijnklachten en vertraagt de botgenezing waardoor een pseudartrose kan onstaan. Dit dient behandeld te worden door het verwijderen van het osteosynthesemateriaal, grondig debridement en spoeling van de wonde en langdurige antibioticakuur. Indien de osteotomie op dat moment onvoldoende stabiel is, moet er soms een tijdelijke externe fixator geplaatst worden.
Directe mobilisatie en lichte steunname om kuitmusculatuur te activeren zijn de meest krachtige preventiemaatregelen tegen thromboflebitis. Gezien de eerste twee weken er meestal nog niet zoveel gesteund wordt, worden laag moleculair heparines voorgeschreven (bv Fraxiparine 0,4ml) gedurende 20 dagen.
Zoals bij vele ingrepen rond de knie die door een longitudinale incisies worden uitgevoerd, kan er soms hypoesthesie lateraal van het litteken optreden. Dit komt doordat de ramus infrapatellaris van de nervus saphenus, die van mediaal naar lateraal loopt, doorgenomen wordt. Het betreft een zuiver sensibele tak waardoor er geen motorische repercussies zijn. Geruststelling is hier op zijn plaats. Spontane beterschap kan optreden tot 1 jaar postoperatief maar vele patiënten blijven beperkte zone behouden die `voos` aanvoelt.
Indien na 6 maanden het bot nog niet volledig genezen is, spreekt men van een pseudartrose. Revisie met autologe botgreffes is dan geïndiceerd. Bij rokers is dit risico zeer sterk verhoogd. Daarom wordt een osteotomie ook afgeraden bij rokers.
Dit kan voorkomen bij een onder- of overcorrectie van de as. Een blijvende belasting van het aangedane compartiment of overbelasting van het laterale compartiment kunnen dan voor pijnklachten zorgen.
- Irritatie van het osteosynthesemateriaal Gezien er slechts een beperkte wekedelen bedekking is thv mediale zijde van de proximale tibia, kan er soms irritatie optreden van de osteotomieplaat. Ter hoogte van de femur is dit minder frequent. Indien dit het geval is, kan deze via dagziekenhuis verwijderd worden vanaf 1 jaar postoperatief. Nadien wordt er aangeraden een week partieel te steunen tussen twee krukken en is een arbeidsongeschiktheid te voorzien van een tweetal weken voor een goede wondgenezing.
Doel van een osteotomie is om een degeneratief compartiment te ontlasten om zo prothesechirurgie 10-15 jaar uit te stellen. Dit voornamelijk omdat de functionele resultaten van prothesechirurgie bij de jongere artrosepopulatie vaak teleurstellend zijn.
Deze ingreep is dus geïndiceerd bij de iets jongere (< 55 jaar) artrose patiënt met een actieve levensstijl of zwaar beroep die een milde tot matige gonartrose heeft obv een asafwijking.
Totale revalidatie van 4 tot 6 maanden is te verwachten. Gezien sterk verhoogd risico op complicaties, wordt het afgeraden bij rokers.
Orthopedie, campus kennedylaan
Pres. Kennedylaan 4 | 8500 Kortrijk
T 056 63 35 40
Dr. Barth Joeri: heup - trauma - young adult hip
Dr. Dewilde Thibault: rug & nek - voet & enkel
Dr. Dezillie Marleen: elleboog - hand & pols
Dr. Michels Frederick: voet & enkel
Dr. Oosterlinck Dirk: heup - knie - rug & nek
Dr. Putzeys Guy: trauma – schouder – bekken
Prof. Dr. Stockmans Filip: hand & pols - congenitale hand en zenuwchirurgie
Dr. Van Cauwelaert de Wyels Jan: schouder – knie
Dr. Van Der Bauwhede Jan: voet & enkel – knie - kraakbeentherapie
Dr. van der Maas Jaap: knie
Dr. Vandevivere Hanne: hand & pols – kinderhand – trauma reconstructie
Dr. Vanhaecke Jeroen: hand & pols
Dr. Vercruysse Luc: heup – knie
Dr. Verhelst Luk: heup – schouder – young adult hip
www.azgroeninge.be/nl/patient/diensten/orthopedie www.ortho-kortrijk.be
vu: Inge Buyse, Pres. Kennedylaan 4, 8500 Kortrijk