Atlanta Jewish Times, VOL. 99 NO. 8, April 30, 2024

Page 1

VOL. 99 NO. 8 APRIL 30, 2024 | 22 NISAN 5784 Spa & Beauty, Staycation and Mother's Day NEXT ISSUE: SENIOR LIVING
MAY 7-8 MAY 17-20 MAY 13-15 MAY 27-30 Purchase your tickets at BRAVES.COM/PROMOS *Giveaways for the 15,000 fans NAPA CAP MAY 7 PRESENTED BY PRESENTED BY FOR THE FIRST 3,000 KIDS PRESENTED BY RONALD ACUÑA JR. 2023 NL MVP BOBBLEHEAD* MAY 28 MATT OLSON FRANCHISE HOME RUN RECORD BOBBLEHEAD * MAY 30 MICHAEL HARRIS II CHAIN* MAY 15 KIDS SWIM GOGGLES* MAY 19 May in the

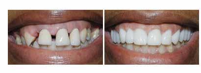
combining technology and artistry to create exceptional dentistry.

As a comprehensive dental office that goes above and beyond our specialty in Cosmetic Dentistry, our patients believe Dr. David Mastro is the right choice for all your family dentistry needs!

When it comes to your smile and oral health, Dr. Mastro has a proven 30 year track record of providing quality cosmetic and family dental care for families in our local community and around the world.

Thank You
Beyond Your Expectations...
FOR VOTING US BEST DENTIST! Implants and same-day, multiple unit crowns, veneers and bridges are available! All are personally fabricated by Dr. Mastro SEE MORE OF DR. MASTRO’S MAKEOVERS AT www.AlluringCosmeticDentistry.com Single appointment porcelain crowns and veneers available! 770-642-9900 | 800 Mansell Road | Roswell, GA Call today to schedule an appointment!
Dr. David Mastro
Wish Your Special Graduate Mazel Tov FREE GRAD AD! Submit your tributes by 5pm on May 17 Please email a photo of the graduate to: Creative@atljewishtimes.com To fill out a submission form go to: www.atlantajewishtimes.com/Grad-Ads-2024

PUBLISHER

Atlanta Jewish Times Wishes You a

susan@atljewishtimes.com

CREATIVE & DESIGN

Creative Director LILLI JENNISON lilli@atljewishtimes.com

COMMUNITY ENGAGEMENT

Events and Public Relations Coordinator KATIE GAFFIN

katie@atljewishtimes.com

Atlanta Jewish Connector Coordinator DIANA COLE Diana@atljewishtimes.com

GENERAL

info@atljewishtimes.com 404-883-2130

ATLANTA JEWISH TIMES APRIL 30, 2024 | 5 THIS WEEK
OFFICE
The Atlanta Jewish Times is printed in Georgia and is an equal opportunity employer. The opinions expressed in the Atlanta Jewish Times do not necessarily reflect those of the newspaper. Periodicals postage paid at Atlanta, Ga. POSTMASTER send address changes to Atlanta Jewish Times 270 Carpenter Drive Suite 320, Atlanta Ga 30328. Established 1925 as The Southern Israelite www.atlantajewishtimes.com ATLANTA JEWISH TIMES (ISSN# 0892-3345 IS PUBLISHED BY SOUTHERN ISRAELITE, LLC © 2024 ATLANTA JEWISH TIMES Printed by Walton Press Inc. MEMBER Conexx: America Israel Business Connector Atlanta Press Association American Jewish Press Association National Newspaper Asspciation Sandy Springs/Perimeter Chamber of Commerce Please send all photos, stories and editorial content to: submissions@atljewishtimes.com

NCJW Honors Local ‘Sheroes’

More than 270 women (and a few supportive men) gathered at The Temple on Peachtree for the fifth annual National Council of Jewish Women’s “Women Who Dare” luncheon on April 12 to celebrate a panel of “sheroes” -- Paige Alexander, Gabby Spatt, Ronnie van Gelder, and Cheryl Yagoda.

Immediate past NCJW president Sherry Frank stated, “This year’s turnout is by far the largest. Especially meaningful is honoring different generations. NCJW is stronger than ever and should be really proud.”

Temple Rabbi Lydia Medwin offered a rousing invocation addressing the past year in which “not a soul in this room has not had heartache over hostages, rapes, and innocents swept up in war.” She summarized the audience as being “brilliant, talented, well read, tired and nervous.”

Her fall back is the Torah’s mention of truth and love … the need for safety, peace, and for truth to become justice.

“Love is the vehicle for healing; and chesed means action and humility. This is our yoga pose.”

After lunch, Co-President Stacey Hader Epstein relayed specific projects that NCJW fostered ranging from reproductive health to a teen pilot program.

She stated, “This year, more than 50

Atlanta-area rabbis and cantors are part of NCJW’s Rabbis/Clergy for Repro initiative. During our annual Repro Shabbat … several of these clergy spoke from their pulpits or held study sessions looking at abortion through a Jewish lens.”

She noted the sponsorship of the Atlanta Jewish Film Festival entry, “Without

Precedent: The Supreme Life of Rosalie Abella,” and the importance of staying on top of legislative bills. She closed by emphasizing, “Remember, May 21 is a primary election, and expected to have a low turnout. The votes of the people in this room can make quite an impact!”

Then, fellow Co-President Susan

SERVING THE ATLANTA INTOWN JEWISH COMMUNITY

6 | APRIL 30, 2024 ATLANTA JEWISH TIMES
NEWS
Four “sheroes” were honored: (from left) Paige Alexander, Gabby Spatt, Ronnie van Gelder, and Cheryl Yagoda NCJW Co-Presidents Susan Gordon and Stacey Hader Epstein spoke of the meaningful projects in NCJW’s Year of Impact. Dr. Arthur Bodner (center) was proud of daughter, Cheryl Yagoda (right), and co-honoree Gabby Spatt (left).
WWW.CHABADINTOWN.ORG | 404.898.0434

F P

Reduce Crime

Protect Communities

Improve Jail Conditions

Enhance Courthouse Security

Recruit & Retain Exceptional Employees

L A B A T ’ S F I R S T T E R M S U C C E S S E S

S e c u r e d G R O U N D B R E A K I N G

E M P L O Y E E P A Y R A I S E S t o 3 6 % ,

c o m p e t i t i v e $ 1 0 , 5 0 0 s i g n i n g

b o n u s , a n d i n c r e a s e d

o v e r t i m e p a y t o d o u b l e t i m e

R E D U C E D J A I L P O P U L A T I O N r e s u l t i n g i n 6 0 0 d e t a i n e e s n o l o n g e r s l e e p i n g o n t h e f l o o r

A c h i e v e d 1 0 0 % B O D Y - W O R N

C A M E R A U S A G E i n c r e a s i n g

t r a n s p a r e n c y a n d a c c o u n t a b i l i t y

R E D U C E D C R I M E c a p t u r e d 2 0

o f F u l t o n C o u n t y ’ s M o s t W a n t e d a n d r e m o v e d h u n d r e d s o f g u n s o f f t h e s t r e e t

E N H A N C E D M E N T A L H E A L T H

S E R V I C E S f o r d e t a i n e e s a n d i n t r o d u c e d m a n d a t o r y w e l l n e s s e v a l u a t i o n s f o r e m p l o y e e s

ATLANTA JEWISH TIMES APRIL 30, 2024 | 7 PA D FOR BY LABAT FOR SHER FF V O T
M A
1 7 E
E E A R L Y A P R I L 2 9 -
Y
L E C T I O N D A Y M A Y 2 1
S H E R I F
A T R I C K “ P A T ” L A B A T Fighting for Fulton County!

Suspect Arrested for Incidents at Ali’s Cookies

William Kay has been arrested by DeKalb County police for criminal trespass and damage to Ali’s Cookies at Emory Village in Decatur.

According to the DeKalb County police report, paint was splattered onto the rear wall on the outside of the business on April 13. A private property sign was also defaced with graffiti. Footage from a video camera recorded green paint being thrown on the business and at the camera by a man wearing a hoodie when he discovered he was being recorded.

Four days later, on April 17, Kay came back into the cookie store and ordered an ice cream. He refused to pay, and began harassing employees and other customers, according to owner Sagi Shablis. Among his rants, Kay said, “They’re murdering children.” stated Shablis, who recognized him from the video footage recorded days earlier. DeKalb County police were immediately called to the scene.

Sagi and Nofar Shablis, Ali’s Cookies’ owners who are originally from Israel, stated that the police took 28

minutes to arrive, although the dispatcher continued to tell them police were “almost there” and would arrive momentarily. Sagi told the dispatcher that the same person who had thrown paint on the building and was seen

on the video camera was back at the store. He was concerned about the safety of his employees and customers, and afraid someone could get hurt before officers arrived.

Lt. Shane Smith with the DeKalb County Police Department replied in a written statement that the response time was not typical and that arrivals can vary based on different factors, including time of day and other calls that are pending.

According to Sagi, police initially resisted arresting Kay and suggested issuing a written warning to him. Shablis persisted, showing them the video footage from the paint incident a few days earlier. Sagi stated that the officers on the scene stated, “It’s not my case.”

After receiving a phone call from someone else at the DeKalb Police Department, the officers arrested Kay.

The Shablises have been concerned about many incidents of antisemitism and threats directed at their business since the Oct. 7 violence in Israel. Their hope is for greater support from DeKalb police. They indicated they feel like they have been kept in the dark about the incidents -- past and present -- that have been reported on an ongoing basis. To date, they have not heard from anyone at the DeKalb County Police Department to update them on the status of this case.

When brought to his attention, Lt. Smith shared, “Once the arrest is made, the investigation is turned over to the Solicitor’s Office for prosecution. If they want to stay in the loop as far as his case is concerned, they would need to contact the victim advocate with the Solicitor’s Office. They should be able to assist.”

The couple continues to be inspired by the support they have received from people throughout Atlanta and the country.

“We so appreciate the community support. It warms our hearts, and words cannot begin to express our appreciation,” said Nofar. “But our greatest hope is that what is happening in Israel will be over soon,” she emphasized. ì

8 | APRIL 30, 2024 ATLANTA JEWISH TIMES
NEWS NEWS
A private property sign was also defaced with graffiti. On April 13, William Kay splattered green paint on the Ali’s Cookies property at Emory Village. William Kay has been arrested by DeKalb County police for criminal trespass and damage to Ali’s Cookies at Emory Village in Decatur.

Protesters Arrested at Emory Demonstration

Several anti-Israel protesters, including a pair of professors, were detained on April 25 after demonstrating on the Emory University campus.

The demonstrators constructed an “encampment for Gaza” and took turns riling up the crowd via a bullhorn and divisive rhetoric, including declaring their support for Gaza in Hamas’ war with Israel.

As part of their demonstration, the protesters called for an end to “Israel’s genocide in Gaza” and demanded that Emory sever any association with the Atlanta Police Foundation and Israeli Defense Forces.

Georgia State Patrol and Atlanta Police Department officers joined Emory campus police on the scene in an attempt to contain the situation. According to reports, the officers informed the protesters that they were trespassing, and that the area would need to be cleared. Many of the protesters refused to leave and quickly found themselves tackled to the ground by some of the officers. Shortly after, officers targeted the crowd with a pepper spray-like irritant and

To

then used a Taser on at least one of the protesters to subdue them.

According to The Emory Wheel, police officers donned gas masks and used zip ties to arrest individuals after tackling them to the ground.

Emory University President Gregory Fenves issued a statement after the incident, noting that several dozen individuals who were not Emory students staged the demonstration with the purpose of

Among their demands,

disrupting the Emory community and the school’s final exam schedule.

“I ask each of you to use judgement and show compassion for everyone with whom you share this community,” Fenves wrote in his statement. “It is essential that we preserve an atmosphere of respect on our campuses at all times.”

Noelle McAfee, chair of Emory’s philosophy department, was among those arrested during the demonstration. Emory

Economics Professor Caroline Fohlin was also detained.

The April 25 protest was just one of a series of demonstrations currently taking place on college campuses across the country. Most recently, protesters have disrupted school communities on campuses at Harvard University, Columbia University, New York University, the University of Southern California, and the University of Texas. ì

ATLANTA JEWISH TIMES APRIL 30, 2024 | 9 NEWS
protesters at Emory demanded the school sever any association with the Atlanta Police Foundation and Israeli Defense Forces // YouTube screenshot control the crowd, officers utilized a pepper spraylike irritant and a Taser // YouTube screenshot

AJC Hosts Power Packed Award Dinner

The Hotel Intercontinental Ballroom on April 18 was the backdrop for 375 strong and involved community members who came to pay tribute to Ilene Engel, hear more about the recent good works of the American Jewish Committee, and learn from guest speaker Dara Horn, American novelist and essayist who spoke of her recent appearances and past publications like “People Love Dead Jews.” She was interviewed by Dov Wilker, regional director of the AJC Atlanta/Southeast.

Co-event chairs Gabby and Mark Spatt welcomed the crowd as they extolled Engel as a family member who broadened the AJC tent, especially in the women’s advocacy and access (younger adult) spaces. Similarly, co-chairs Stephanie and Matt Weiss closed the program relating the impact Engel made on their lives.

The invocation and Shecheyanu was especially upbeat with honorary event chairs Rabbis David Silverman and Peter Berg (last year’s honoree), from their relative Orthodox to Reform positions here and their mutuality in saluting Ilene for making the world a better place. They both recognized the irony of being so close to Passover in a series of Dayenus about what in current terms would “be enough.”

AJC President Belinda Morris, spoke of the recent success of the AJC Unity Seder covering a cross section of attendees. She also saluted Engel’s service as president of AJC during the pandemic and in cultivating tomorrow’s leaders.

Morris counted the 195 days since Oct. 7 with 133 hostages still missing and how the AJC coordinated communitywide rallies. She awarded Anat SultanDadon, Israel Consul General to the Southeast, a seder plate by artist Michael Aram for her management of the front lines amidst the current crises. An “Israel strong” video was then shown featuring comedian Modi among other familiar faces.

Event chair Maddie Cook referred to Ilene as “the woman in red who leads with grace and intention.” Earlier, in the pre-function hour, Cook told the AJT that she was honored to be on the host committee, and how Ilene set the example for Jewish leadership.

Wilker took to the stage seated in conversation with Horn, who holds a Phd from Harvard University in Yiddish and Hebrew literature. Horn stated that

Harvard had turned to her during the recent spate of antisemitism and the resignation of its president. She stated, “I felt they were very sincere in meeting with me and taking it seriously.”

She was inundated by Jewish students asking for help, “upset with vandalism, being followed by a megaphone, professors refusing to call out antisemitism, being spat at for wearing a yarmulke.”

Ever calm, Horn’s style is to field hostile questions by “considering it ignorance vs. malice. How do we build a future together?”

Wilker rebounded, “But malice is loud!”

Horn’s approach is to provide historical context of the many state-building nations during the 20th century … how things get partitioned, India, Pakistan, Greece, Turkey … if we prejudge, and don’t listen to the other side, how can we ever grow as a people? The Talmud is long because it includes so many ideas.

Now even terrorists and Zionists talk to each other.”

She recounted that the Anne Frank House took six months to decide if a man could wear a yalmulkie to work there.

Wilker inquired as to what we could do to help people like “living Jews.”

Both agreed that speaking up is the key.

“Queen Esther did not worry about being doxed or cancelled … I have to feel that most people are on our side.”

Honorary event chair Rabbi Alvin Sugarman presented the American Jewish Committee’s Annual Distinguished Advocate Award to Engel as “not one in a million, but one in a hundred million with no inflation.” An emotional Engel accepted and shared her humble roots from Jasper, Ala., the granddaughter of a peddler and parents who were among the first to go on a UJA mission to Israel.

She explained through her own health challenges how others lent her “a hand or an elbow … our time together

was my salvation.”

She pledged to continue to work with courage and resolve and praised Wilker for being “a stalwart rock in the center of the AJC universe.”

Wilker concluded, “We must not remain silent.  As a part of the community, we understand the responsibilities that we have.”

During the pre-function hour, out of town guests and local fans told the AJT of their motivation. Joanne Lieberman, AJC national board and director of engagement, flew in from Washington, D.C., and said, “Ilene is a fearless leader. I wouldn’t have missed this for the world.”

Barbara (Engel’s cousin) and Bob Costrell, in from Fayetteville, Ark., remarked, “Since the day she was born, there has never been a better person dedicated to good deeds.”

Another cousin, Ronne Hess, from Birmingham, said, “I practically raised her!” ì Rabbi David and Julie Silverman meet Engel’s cousins, Barbara and Bob Costrell, from Fayetteville, Ark.

10 | APRIL 30, 2024 ATLANTA JEWISH TIMES NEWS
Ilene Engel graciously accepted the AJC Award // Photo Credit: Jacob Ross (Left) Guest speaker Dara Horn, who flew in from Boston, was greeted by AJC President Belinda Morris Mark and Gabby Spatts chat with Dov Wilker (right) before the program. Maddie Cook poses with Barbara and Rabbi Alvin Sugarman Adam Hirsch and Matt Weiss welcome Joanne Lieberman, AJC National Board member and Director of Engagement, who flew in from Washington, D.C.

From Front Porch to Food Drive

Staff Report

Front Porch Food Drive, an upand-coming organization started by Dunwoody teen Sarah Menis, recently reached two milestones -- collecting more than 1,000 pounds of food for local food pantries and partnering with the Community Assistance Center (CAC) to expand the reach of the food drives’ impact.

Front Porch Food Drive collects nonperishable items directly from people’s homes, making it easy for people to give whatever is in their pantries. Each week, Menis leaves brown grocery bags on neighbors’ front porches with a flyer explaining her mission and a list of the food pantry’s most-needed items. A few days later, she picks up the filled bags and delivers them to CAC.

“At first, I didn’t know how people were going to react to the food drives or if they were going to give, but the response I’ve gotten has been incredible and so overwhelmingly positive. People truly want to give, and they seem really appreciative that I’m providing them with the opportunity to do so.” said Menis.

“This is an incredible story of a teenager seeing a need, asking ‘what can I do about it?’ Then taking concrete action to do it,” shared Francis K. Horton III, CEO of CAC. “Sarah is an example of the incredible resources we have in our community; partnering with her and Front Porch Food Drive helps us meet the increasing needs of our clients.”

As the cost of living increases, CAC and other food pantries are struggling under an increased demand for food. CAC feeds more than 1,000 families a month from three food pantry locations. Last year, they saw a 53 percent increase in clients, with the majority of new clients being employed full-time. CAC’s supplemental food program helps families keep food on the table during a financial crisis and frees up funds in the budget to cover other essentials like insurance.

“So many people are in need right now and this is such an easy way to have a huge impact on your community. I’m so excited for this to grow because it’s going to help so many people,” said Menis. Her program will provide the grocery bags and customized flyers to anyone wanting to do their own drive and will coordinate

Experience Atlanta

delivery to one of CAC’s food pantries. Menis and CAC plan to grow the organization through fellow community members doing front porch food drives in neighborhoods throughout Dunwoody, expanding into neighboring Sandy Springs and the Perimeter area.

“I hope to get more volunteers to do food drives in their own neighborhoods so that we can increase the amount of food collected and increase the impact we can have in the community.” said Menis.

Through the partnership, high school teens can earn community service hours. All who are interested, from church and temple groups to families with kids, are encouraged to volunteer.

Sarah is a junior at The Galloway School.

If you’re interested in doing a Front Porch Food Drive, email sarahmenis@ frontporchfooddrive.com or go to www. frontporchfooddrive.com. Follow Sarah on Instagram at @frontporchfooddrive. ì

ATLANTA JEWISH TIMES APRIL 30, 2024 | 11 NEWS
Sarah Menis, left, and CAC CEO Francis K. Horton III, right, chat about food insecurity as Menis drops off a donation at the CAC food pantry. Sarah Menis collects Front Porch Food Drive’s 1000th pound of food at a Dunwoody home.
Featuring an Award Winning Dunwoody’s Signature Steak House owned by Doug & Claudia McKendrick Lunch Served Mon-Fri 11am – 2:30pm Dinner Served nightly beginning at 5:00pm 4505 Ashford Dunwoody Rd. | 770-512-8888 | mckendricks.com Difficult to buy for? We have the perfect gift!

Local Attorney ‘Coaches’ the NFL

Not one to stay put, local family law attorney Randy Kessler was off to Chicago to present to NFL agents and financial advisors on behalf of the National Football League Players Association.

For the past 25 years, he has appeared countrywide (Miami, Las Vegas, Indianapolis) to explain how family law affects athletes, so that when the athlete calls their agent or financial advisor “in trouble,” they will know the basics of family law and tricky areas like child support, DNA testing, and prenuptial agreements.

Kessler said, “There’s a lot to it. I’ve been lucky that they’ve sort of let me into their circle; and I help so many athletes behind the scenes that nobody knows about. I have agents and advisors call me from all over the country to talk to a client in Dallas or Minnesota and help them get situated with a local lawyer in their community.”

Consider the complexity of an 18-year-old being plunged into fame and fortune without much guidance in growing up with tools to deal with that. Kessler explained, “People always ask me why professional athletes seem to have so many children out of wedlock. My response is that we hear about this more because they’re athletes, but in truth, to put it simply, they have much more to be tempted by than the average guy. There are women who make it their mission to have a child with an NFL, NBA, or other

major league player. And we must remember, these athletes are not wise old men, they’re kids, sometimes 18 years old, and often not older than 21 or 22.”

Kessler has one case where after three years of litigation and after child support and parenting time was resolved, the couple have spent another year still fighting over the Bentley.

Kessler continued, “While most players are ‘coachable’ and understand they will have to pay child support and coparent, perhaps the biggest impediment to resolving these cases is the assumption by the recipient of child support that they should receive so much monthly support because ‘he makes so much’. There’s not a lot of law in Georgia or anywhere addressing what to do when the payor earns millions of dollars per year, or even millions per month. Certainly, any reasonable need of the child should be met, and the child of such an income-earner should receive more than average child support. But how much more? Child support should not be, and usually is not, a way for the custodial parent to get rich.

“So, we advise based on our experience. Georgia tends to award much lower child support than, for instance, Los Angeles or New York. But then again, those places have much higher costs of living and many more high earners so a big ‘ask’ is less offensive to a judge in Beverly Hills or Manhattan.”

Kessler recalls watching young men, who are tops in their chosen professions and admired by many, face various chal-

STRONG FUTURES ARE BUILT ON COMMON GROUND

Our vibrant Cobb community has so much unrealized connectedness. I’ll be a leader who actively listens and creates opportunities to come together as we build a future we can all be proud of.

lenging situations with rules and obstacles that are new to them. He explained, “This is the essence of life. Creating a family, working through a difficult relationship and hopefully being able to reflect on it one day and feel good about the way he handled it, and the advice he received from us. And to see them years later, thriving, in a good relationship with their children (and hopefully with the children’s mother), is the best result and reward I ever receive.” ì

Based in downtown Atlanta and featured in the Atlanta Jewish Times Chai Style Art (July 2022), Kessler is known as the “celebrity divorce lawyer” whose highprofile cases include:

REPRESENTED:

Cardi B

Cam Newton (NFL League MVP)

Nene Leakes (Real Housewives of Atlanta)

Dominique Wilkins (NBA Hall of Fame)

Jeannie Mai (vs. Jeezy)

Neyo T-Pain

Jerry Stackhouse (NBA)

Joe Johnson (NBA)

Porsha Williams (Real Housewives of Atlanta)

OPPOSED:

Michael Jordan (NBA)

Evander Holyfield  Ludacris

Usher Raymond

12 | APRIL 30, 2024 ATLANTA JEWISH TIMES NEWS NEWS
Attorney Randy Kessler speaks at the NFLPA to help agents and advisors keep players “out of trouble.”
kevinforcobb.com MAY 21, 2024

Montana Tucker Dazzles FIDF Women

More than 200 women showed up and showed out for full Am Yisreal Chai vigor at the Friends of the Israel Defense Fund luncheon on April 11 at City Springs, featuring media star Montana Tucker.

In a strong and empowered program, each of the six speakers hammered home a unified message, “Now more than ever is the time to speak up to counteract the misinformation in the dialogue of antisemitic and anti-Israel sentiment. Israel Consul General to the Southeast Anat SultanDadon stated, “Too many are standing on the wrong side of history with these false narratives at their core-supporting murder and rape … it is our duty to call this out! If pro-Palestinians care about [their] people, they would want to free Gaza from Hamas. It’s our duty to use our voices.”

Welcoming remarks were made by FIDF Southeast Associate Director Jeris Hollander about how the events of Oct. 7 were her personal turning point into leadership and visiting Israel, the Kotel at Shabbat, understanding Israel’s terrible losses, and amazing resilience.

A video was shown featuring female IDF soldiers on the battlefield and especially in tanks. These impressive women explained how in some areas “they became experts in 10 minutes.”

Another added, “We spent 17 hours in a tank and not one civilian was harmed … terrorists did not see our ponytails blowing in the wind … You can’t spell ‘hero’ without “her” … women were in the air, land, and sea [in the IDF].”

Next on the podium was Karen Shulman, chair, FIDF Georgia and Southeast States, who mourned the loss of 600 IDF soldiers since the 187th day post-Oct. 7. On yet another trip to Israel, she visited Oct. 7 war sites, the kibbutz “singed to nothing,” music festival, and visiting cousins who had to shelter in stairwells. Shulman’s particular interest is in the area of mental health and post-traumatic stress disorder.

Lara Krinsky, FIDF national event moderator, led a panel with Sultan-Dadon and an IDF attaché from the Israel Embassy in Washington, D.C. Krinsky noted that the FIDF has touched every soldier since Oct. 7 and explained how we have to bridge the gap in misinformation. A forceful Sultan-Dadon emphasized that the antisemitism on college campuses is not just a Jewish problem, but “a concern for society at large in training future leaders … what kind of leaders will they be if hate is tolerated, and rape is acceptable?”

When asked if she is torn about being stateside vs. Israel, she stated that her role now is to fight from inside the U.S.

All eyes and hearts were wide open for comments by blonde youthful Montana Tucker, award-winning singer, songwriter, dancer, actress, who uses her social media for pro-Jewish causes and philanthropy. Some remember her moxie from wearing a yellow ribbon dress to the Grammy’s representing the hostages.

Tucker, whose grandparents were Holocaust survivors, explained the roots of her support for Israel and vowed to defend against misinformation despite possible consequences in popularity. She

explained how she was almost removed from the Grammy’s “for being too political,” but used her voice to get to walk the carpet in “that dress.”

She also shared that many Hollywood types quietly praise her for speaking out but are afraid to themselves for fear of loss of jobs or negative blow back. She said, “There were times when Jews could not speak up. I don’t hesitate and have no use for Jews like Jonathan Glazer (in his Oscar speech denouncing his Judaism). She also made a docuseries aimed at Gen X explaining the Holocaust.

She said, “My social media extends to all races and sexual preferences, I get

all kinds of death threats and am called ‘Hitler.’ I never reply, fueling more hate gets us nowhere ... I am able to block certain words on Instagram … I need to keep doing more until they finally get it.”     She boldly concluded, “I’m not afraid, I’m out buying more jewelry. This is just fuel for me to scream more.”

Tucker recognized her mother in the audience and shared how she has been making the rounds speaking at various high-level meetings like the Anti-Defamation League conference, and alongside the famous “Son of Hamas.”

For more insight, register for the FIDF Annual Event on May 13. ì

ATLANTA JEWISH TIMES APRIL 30, 2024 | 13 NEWS
Jeris Hollander, Karen Shulman, Montana Tucker, Anat Sultan-Dadon, Liz Rose, and Georgia State Legislator Esther Panitch line up for a power photo. Beth Friedman, alongside Rachel Simons, said, “How can we not speak out at this juncture in time?” Karen Mervis, Tessa Shaban, Moriya Jackson, and Lauren Karseboom (seated right) had family killed in the Warsaw Ghetto. Karen Shulman chatted with Garry Sobel, past FIDF Southeast Chair. Krinsky and Sultan-Dadon on a panel delved into serious and timely issues.

Wolpe Starts New Emory Center to Cool Conflicts

The director of the Emory University Center for Ethics, Paul Root Wolpe, is stepping down at the end of May to create a new national program at Emory to manage conflict, promote peace, and build bridges to greater understanding. The new center, which will take shape over the next three years, is in response to what Wolpe sees as an urgent need in this country and around the world to lower the temperature of public dialogue.

“We’re in a situation in this society where people no longer know how to talk to each other, and we see that so clearly in politics. You see that in Israel and Gaza and even with the students I’ve taught at Emory. We need to do a better job of knowing how to engage difficult conversations around contentious issues,”

The new center will build on the work that Wolpe has done over the past 16 years as the university’s Distinguished Research Chair of Jewish Bioethics and as a professor of medicine and neuroscience. Emory’s Vice President for Academic Affairs, Ravi Bellamkonda, credits Wolpe with having a profound impact on an engagement and understanding with ethical issues. And in the coming years, he is looking to Wolpe to expand Emory’s role in helping to solve important contemporary issues.

“Paul will continue to guide Emory’s response to some of the most pressing issues of the day,” Bellamkonda noted, “and position Emory as a leading resource for dialogue, civil conversation and reconciliation.”

Dr. Wolpe believes that Atlanta is ideally suited to become the home for the center he envisions. He points to the many relationships the university has nurtured over the past half-century.

Emory has worked closely with former President Jimmy Carter and his Carter Center, the family of the Rev. Martin Luther King, Jr., and the King Center for Non-Violent Social Change. It also has an ongoing partnership with the Dalai Lama, who has visited frequently to teach and lecture on the subject for peace and understanding. The city is also the home for the National Center for Civil and Human Rights, which is in the midst of a major expansion of its programs and facilities. According to Wolpe, helping people to come together peacefully is an important part of Atlanta’s heritage.

“We have a storied history of being a place that tries to avoid conflict and exclusion, where people work together.

And we have enormous resources here for the people who do this work. So, I think Atlanta is the natural place to be the national center of conflict resolution.

I’ve been making efforts to share my commitment with political leaders and civic leaders, and everybody seems to think it’s a wonderful idea if we can pull it off. So that’s the big vision.”

Even though he hasn’t formally started his new job yet, during the past year he’s already been at work in the Jewish community to calm the waters. His long family history of rabbinical leadership, which includes his father who was a famous rabbi, two brothers who have been national religious figures, and his daughter, who is an Atlanta rabbi who runs a nonprofit here, has given him a unique perspective to mediate the dispute.

“Just recently, a Jewish organization,

I won’t name it, was having some internal conflict over the Israel-Gaza situation,” Wolpe said. “We tried to help them negotiate how to deal with the issues that created. This new center is not just going to do academic work, we intend to continue to engage in active mediation and conflict resolution.”

In preparation for his new job, Wolpe is taking the next year to research best practices and develop relationships with some of the international organizations that are already at work at soothing the world’s conflicts. He plans to visit a number of centers in various countries, including Israel, for new insights of what he describes as a “global glimpse of how people do this work.” His first priority, though, is not in the international arena, but in American social and political life.

“We’re going to start domestically.

And that means community conflict, corporate and organization conflicts, and geo-conflicts. That means conflicts between political and pseudo political … to try to bring the two sides together. And of course, we’ll be looking at certain issues like Israel and the Palestinians as it manifests itself domestically. Because, as we well know, there’s an enormous amount of conflict in the United States about what’s happening.”

For the next year, as he travels around an increasingly contentious universe the most important job Wolpe sees for himself is learning how to have difficult conversations that reach beyond the ideological divide.

“How do we take people with completely different views of the world and have them communicate in a way that’s validating to both of them.” ì

14 | APRIL 30, 2024 ATLANTA JEWISH TIMES NEWS
Wolpe sees Emory’s ties with the Carter Center as an asset to his new work in conflict resolution. Paul Wolpe has guided Emory’s Center for Ethics for more than 16 years. Emory has maintained a long relationship with the Dalai Lama.

The Breman Announces Rebrand Campaign

The Breman Museum has unveiled a redesigned logo and a new branding campaign that is aimed at freshening up the public face it presents to the world. The campaign that debuted earlier this month is also part of The Breman’s attempt to expand as a performance venue in its Spring Street auditorium and elsewhere in the city.

Significantly, The Breman, which is properly called the William Breman Jewish Heritage and Holocaust Museum, omits any mention of that in its new design scheme. Gone, too, is the big blue Jewish Star of David. What takes its place are two triangles, set one on top of each other and “The Breman” in bold black letters.

It’s a clean, simple design that provides the museum with an infinite number of design choices to boost visits to its important collection of Southern Jewish historical relics and its comprehensive program of Holocaust history and education.

The rebranding effort, which came after two years of focus groups, interviews in the Atlanta community and discussions by the organization’s board, was ironically helped along by the recent pandemic. Because of public health concerns, attendance at the museum dropped sharply. The museum’s primary focus on gallery visits gave way to a stronger commitment to online programs of various kinds. The question, then, for the board and the professional staff was how to give The Breman a stronger identity, so that people would be moved to participate.

The recent chair of the museum board, Adam Koplan, noted in a press briefing in connection with the redesign that getting people interested in the facility was not only about getting them to look at what was hanging on the walls. The old slogan, “more than a museum,” seemed to fail to adequately describe what the organization was attempting to do.

“You go out into the community, and we’re not as known in the ways that we want to be known as,” Koplan commented. “And to some degree, there isn’t necessarily a glue that binds everything together in a way that people can clearly see who we are in all of the different kinds of things that we do. This was a challenge for us.”

Earlier studies by outside consultants had convinced board members that the future of museums must be more than framed pictures hung on the wall or

objects displayed under glass. If the museum was to grow it had to become what Koplan described as a gathering space with frequent events that drove people to come.

It was what motivated the museum to hire its current executive director, Leslie Gordon, five years ago. She had managed the Rialto Center for the Arts and over the 15 years she was there, had built it into an impressive performing arts venue for Georgia State University.

Her charge in heading up The Breman was to transform the facility into a cultural center and community gathering place. Despite the restriction imposed by the COVID pandemic, that’s the direction The Breman is rapidly moving.

“COVID was a time for us to have to jump out there in a big way and do a lot

of things,” Gordon says, “and they had to be virtual. But these virtual programs are now being done live. We learned that there is an audience that wants different types of programing. Some author talks, some film, some visual art, photography, and so forth and we think we’re there to provide it.”

The rebranding, which is a more informal way of presenting The Breman to the public, is aimed at tapping into the potential audiences that have streamed back into the city in recent years. The Breman, from its strategic location just off the I-75/I-85 downtown connector, is easy to find.

It’s particularly accessible to those who have been attracted to life on the Westside, Midtown, and the BeltLine. It’s a younger, sophisticated audience, but a

more informal one. Like one of the recent marketing pieces emphasizes, it’s a crowd that prefers blue jeans and tennis shoes. In keeping with the relaxed approach, the poster proclaims, with a Southern drawl, “Where y’all get its chutzpah.”

Gordon is hoping her experience drawing youthful audiences to GSU’s Rialto will fit in nicely with the campaign’s approach to new Breman visitors.

“My immediate background is in the presenting world, but it’s also a relationship with other entities. And I think that collaborative gene, if you will, is something that’s very important for The Breman. But it’s a community, I think, that knows little about us.”

With its new marketing plan, The Breman aims to significantly change that. ì

ATLANTA JEWISH TIMES APRIL 30, 2024 | 15 NEWS
Among the popular events The Breman hosts is the Molly Blank Concert Series. The new Breman logo has an eye-catching simplicity to it. The new marketing campaign has a more informal and youthful approach. In her five years as head of The Breman Museum, Leslie Gordon has put more emphasis on event programming.

ISRAEL PRIDE

NEWS FROM OUR JEWISH HOME

El AL announced it will now operate year-round, non-stop service to Tel Aviv, flying out of Ft. Lauderdale.

EL AL Launches Year-Round

Service

EL AL Israel Airlines recently operated their inaugural flight on its 787 Dreamliner aircraft from Ft. Lauderdale to Tel Aviv. This new, non-stop service between Fort Lauderdale-Hollywood International Airport and Tel Aviv, brings the weekly South Florida schedule to seven flights, just in time for the busy summer travel season.

“In response to increased demand, EL AL is expanding its U.S. operations and flight schedules. EL AL exists to keep

Today in Israeli History

April 30, 2003: The Quartet of the United States, Russia, the European Union and the United Nations issues its Roadmap for Peace, a framework for talks to achieve a permanent two-state solution between Israel and Palestinians.

May 1, 1956: Finance Minister Levi Eshkol, a future prime minister, authorizes the establishment of Ashdod on the site of a former Palestinian village, Isdud, between Tel Aviv and Ashkelon. The first Israeli residents arrive in November 1956.

This drawing of Yosef

is the work of actor Chaim Topol.

May 2, 1921: Writer Yosef Haim Brenner, a pioneer of modern Hebrew literature and a founder of the Histadrut, is among six people killed on the second day of rioting between Arabs and Jews in and around Jaffa.

May 3, 1882: Russian Czar Alexander III continues tightening restrictions on Jews by enacting the May Laws, which, among other things, toughen the rules requiring Jews to live within the Pale of Settlement.

community connected and when all other airlines stopped flying to Israel, EL AL morphed from airline to lifeline.” said Simon Newton-Smith, EL AL senior vice president of the Americas. “With Broward County home to a strong Jewish community of 230,000, FLL was a natural choice for EL AL. Both Miami and Fort Lauderdale offer passengers access to many domestic and international connections, especially with our codeshare partners Delta Air Lines and JetBlue," Newton-Smith concluded.

Compiled by AJT Staff

May 4, 1994: Israeli and PLO officials sign an autonomy agreement in Cairo for the Gaza Strip and the Jericho area. The agreement, part of the Oslo process, is the first to grant the Palestinians some degree of autonomy.

May 5, 1818: Karl Marx, baptized at age 6, is born in Trier to a Jewish mother and a Protestant father who left Judaism. His “Jewish Question” calls for the abolition of religion and associates Judaism with all of the evils of capitalism.

Israeli Prime Minister Yitzhak Shamir and U.S. Defense Secretary Caspar Weinberger review an honor guard at the Pentagon in February 1987, less than a year into the two countries’ cooperation on the Strategic Defense Initiative. // By Chanania Herman, Israeli Government Press Office, CC BY-SA 3.0

May 6, 1986: Israel and the United States sign a research agreement to work on the U.S. Strategic Defense Initiative, known as “Star Wars.” The effort leads to the Arrow and Iron Dome anti-missile systems.

May 7, 1983: Abu Musa leads a PLO revolt against Yasser Arafat while Israel is fighting the PLO in Lebanon. Abu Musa complains that Arafat, who is in Tunisia, is considering a U.S. peace plan without an independent state.

Several Jews on Time’s 2024 ‘Most Influential’ List

(JTA) — The mother of 23-year-old Israeli-American Hersh Goldberg-Polin, who was taken hostage by Hamas on Oct. 7, is one of nearly a dozen Jews on Time Magazine’s 100 “Most Influential” list, couched among comedians, writers, music producers, athletes, business executives, and politicians.

Several Jews were included on Time’s 2024 Most Influential List. the release of Israeli hostages held captive in Gaza. She has attended an audience with Pope Francis, Zoomed with President Joe Biden and spoken at the United Nations, in addition to cultivating a devoted following on social media.

Since Oct. 7, Rachel Goldberg-Polin has become one of the most prominent and indefatigable voices advocating for

May 8, 1936: Ethiopian Emperor Haile Selassie reaches Haifa after fleeing Italy’s invasion of his country. He spends two weeks in British Mandatory Palestine. With Selassie back on the throne, Ethiopia recognizes Israel in 1956.

May 9, 1942: Jewish Agency President Chaim Weizmann opens a special Zionist Congress in New York with delegates from 17 countries and urges pressure on the Allied powers to open Palestine to Jewish immigrants.

May 10, 2010: The 31-member Organization for Economic Co-Operation and Development invites Israel to join, which it does May 27. Prime Minister Benjamin Netanyahu credits the drive and ingenuity of Israel’s citizens.

Using the information gained during his May fact-finding trip, Secretary of State John Foster Dulles delivers a speech on Middle East policy in June 1953. // Courtesy of David S. Wyman Institute for Holocaust Studies

May 11, 1953: Secretary of State John Foster Dulles begins a fact-finding mission to Egypt, Israel, Jordan, Syria, Lebanon, Iraq, India, Pakistan and Libya. He says President Dwight Eisenhower is not beholden to American Jewish interests.

Other Jewish figures on this year’s list include comedian Alex Edelman; author James McBride; Larry Ellison, the co-founder of Oracle; and musician and producer Jack Antonoff; computer scientist Yoshua Begio, fashion designer Tory Burch, CEO of Mattel Ynon Kreiz, CEO of Baby2Baby Norah Weinstein, and comedian Maya Rudolph are also on the list.

West Germany’s first ambassador to Israel, Rolf Pauls (left), meets with Israeli President Zalman Shazar and Foreign Minister Golda Meir after presenting his credentials Aug. 19, 1965. // By Moshe Pridan, Israeli Government Press Office, CC BY-SA 3.0

May 12, 1965: Israel and West Germany establish official diplomatic relations, completing a process of increasing connections that began with Israel’s acceptance of German Holocaust reparations in 1952.

May 13, 1975: The United States and Israel sign a broad economic agreement at the end of a summit chaired by U.S. Treasury Secretary William Simon and Israeli Foreign Minister Yehoshua Rabinowitz in Washington.

May 14, 1947: Soviet Foreign Minister Andrei Gromyko addresses a special U.N. General Assembly session on Palestine and calls for the British Mandate to give way to one state shared by Jews and Arabs if they can get along.

Items are provided by the Center for Israel Education (israeled.org), where you can find more details.

16 | APRIL 30, 2024 ATLANTA JEWISH TIMES
Haim Brenner

Spectors Donate Shmurah Matzoh to Israel for Pesach

Jan and Marsha Spector, through the Jewish National Fund-USA, donated Shmurah Matzoh to Israeli communities and IDF soldiers so they could celebrate Passover this year. The AJT recently sat down with the philanthropic couple to share their story of giving during Pesach.

AJT: How did you first hear about the situation in Halutza? And when did you decide to help?

We went to Israel for Pesach in April 2019. Our family took a Jewish National Fund-USA tour to the Negev where we visited Be’er Sheva, Sderot, and Halutza in the Gaza Envelope. We were taken by the courage of the pioneers in Halutza and the adjoining communities. These folks were the protectors of Israel’s Gaza and Egyptian borders; a vibrant mixture composed mainly of religious Zionists of both Ashkenazim and Sephardi origin and brave Israelis on a patriotic mission.

Our initial tour of Halutza was conducted by our friend, Yedidya Harush. We wanted to become involved at that time but did not have an exact plan of how we could make a positive impact on the area.

Fast forward to the spring of 2021. We had been designating some of our contributions to Jewish National Fund-USA for Halutza but we wanted to do more. There is an important mitzvah known as Ma’ot Chitim, or “wheat money,” that is used to help our less fortunate brothers and sisters pur-

chase matzoh and groceries for Pesach. Jan was talking to Yedidya and asked him about Shmurah Matzoh for the community. He indicated that it was expensive and maybe difficult to obtain this close to the holiday, especially with the supply chain issues caused by COVID. Jan asked him what the cost would be to provide matzah for the entire community, and we agreed to fund it.

Our donation included the following on every box of matzah:

In the first paragraph of the Haggadah, we say: “All who are hungry, let them

come and eat.” Am Yisroel is one large family, in order to experience our liberation from slavery it is mandatory to ensure that our brothers and sisters have the means to celebrate freedom, too.

AJT: This is your third consecutive year in making this type of donation but this year you decided to double the amount. Please explain why you felt it important to do so.

That is easy. Yedidya had told us about the tremendous growth (B”H) in Halutza and because of the war in Gaza we also

Skillful Artistry, Extraordinary Outcomes.

Transform your appearance through surgical & non-surgical techniques.

wanted to provide matzoh for the soldiers and first responders.

AJT: Personally speaking, what does it mean to you to make this donation and be able to help the people of Halutza as they prepare for Passover, knowing they are finally able to return home after five months?

We know that Israel is the homeland of the Jewish people. Pioneers like the residents of Halutza are living in the land to preserve it for not only themselves but those of us living in the diaspora. ì

Abramson Facial Plastic Surgery is excited to announce that we now offer the newest technology in facial contouring and refinement, Inmode’s Embrace RF!

EmbraceRF is a groundbreaking, non surgical treatment that produces surgical like results. Utilizing Facetite and Morpheus8 microneedling to address jowling, double chin, and saggy or loose skin in the face and neck areas, Dr. Abramson and our fully trained staff, are able to help you achieve a smoother, firmer, more youthful look!

Renowned for his expertise, Dr. Abramson specializes in a range of transformative treatments, including facelifts, rhinoplasty, nasal airway reconstruction, blepharoplasty, and an extensive array of in office cosmetic procedures. If you are seeking a highly skilled facial plastic surgeon for injectable fillers, Botox, or other facial enhancements, Dr. Abramson's wealth of experience and innate cosmetic artistry make him the perfect choice to amplify your natural beauty.

www.FacialPlasticsAtlanta.com (404) 297 1789

ATLANTA JEWISH TIMES APRIL 30, 2024 | 17 ISRAEL
Jan and Marsha Spector donated Shmurah Matzoh this year to Israeli communities and IDF soldiers. Marsha Spector at the Western Wall. Marsha and Jan Spector in Israel.

SPORTS

Davis Alums Green & Frank Aim High

The Davis Academy has become quite the pole vault factory. Merely two years after Davis alum Alon Rogow captured the 2022 GHSA 7A pole vault state title as a senior, not one, but two former Davis students, Harrison Green and Jordan Frank, are gunning for Rogow’s highwater mark of 16’7.5” in their final season of high school outdoor track & field this spring.

Green and Frank, both of whom consider Rogow a close friend and role model, came into their own as pole vaulters under the direction of Davis Academy social studies teacher and track & field coach Matthew Barry.

Green, a senior at Norcross High who’s headed to Duke next year, where he will indeed be pole vaulting while on a pre-law track, was introduced to the sport when he was a seventh grader at Davis. In spring 2019, most of his then middle school buddies were obsessed with baseball – this was when the Atlanta Braves’ renaissance was underway -- so it took a bit of nudging from Barry to trade in an aluminum bat for a fiberglass pole. (Green actually first tried high jump, a sport in which his dad had excelled but realized pretty soon that it didn’t play to his strengths.) A half-decade later and Green currently ranks sixth in the state in outdoor pole vault, which comes on the heels of his third-place ranking for indoor competition that he attained this past winter for the club team, Pole Vault Atlanta, which competes basically yearround against the country’s finest high school track & field athletes.

“As I practiced more, I kind of fell in love with it,” Green recalled about his nascent days of pole vaulting, which unfortunately coincided with the onset of the pandemic.

A year ago, Green was clearing 13 feet – an impressive feat, but not one that would necessarily pique the interest of Division I coaches. Eventually, Green, also a state qualifier in swimming and diving and former basketball player for Norcross, would make a quantum leap to posting his current PR of 15’4.5”. Then he was able to fire off an attention-grabbing email subject line to coaches, such as Duke’s.

“My recruitment process was a little crazy because I was sort of a late bloomer,” noted Green, who, similar to Rogow a couple years ago, has assumed a mentorship role for his high school teammates. “But last summer everything just started clicking and each meet brought higher bars.”

The bar is just as high for his good friend Frank, a senior at North Springs who was also shepherded along in his pole vault journey by Barry. Frank, who has similar designs on competing at the D-I level (and ultimately the Olympics one day) but hasn’t yet committed to a program, set a new personal record of 16’3”, good for seventh in the entire country, at the prestigious New Balance Nationals in Boston back in early March.

While inching closer to Rogow’s record, Frank, whose grandfather himself was a competitive pole vaulter, noted, “I’m just happy that my last year I’m jumping well and keeping a good mentality. I think pole vaulting is definitely a mental sport. For some people, it’s hard to keep your emotions in one place. Being mindful that one meet doesn’t make your whole season. Even two or three meets don’t make your whole season. You can’t really jump mad. It won’t work. You just won’t be able to think properly when you’re jumping. This year I’ve been very focused on being in the moment and focused on what I’m doing.”

In the midst of his seventh year of pole vaulting (he started in sixth grade at Davis), Frank feels that he is not only in a better place mentally, but he’s also in tiptop physical shape after committing himself to the weight room like never before and regular gymnastic-style workouts to bolster his core strength. But, as Frank is quick to mention, success in pole vaulting doesn’t just mean having a chiseled physique. It’s having lightning-quick footwork and positioning yourself in the sweet spot just in front of the pole so that when it recoils, you are propelled with maximum force into the atmosphere. A technique that, apparently, Frank has mastered as he’s consistently soaring over 16 feet these days, racking up new personal records, and subsequently sees himself competing for an ACC or SEC school in the months ahead and potentially partaking in the Olympic trials four years from now.

“Pole vaulting has definitely been a big part of my life for the past seven years,” acknowledged Frank. “I will definitely continue it for as long as I can.”

Even though both Green and Frank have long since graduated from Davis, they keep in touch regularly with Barry, who continues to be heavily invested in their budding careers. Just as he has been for Rogow, who’s closing in on hitting 17 feet as a sophomore for the University of Georgia.

“It’s been really nice to have someone who’s helped me pole vaulting-wise, but he’s also been a counselor to me,” added Frank, who looks forward to majoring in mechanical engineering in college. “He has provided me with insight into the mental side of jumping as well. He definitely helped me get out of my head when I’m not in the right headspace jumping-wise. It’s definitely been a great experience to have someone who has been as involved as he has.”

In many ways a niche sport, pole vaulting engenders a tight bond among its practitioners. And while Green, Frank, and Rogow remain close to this day, the latter’s proteges stay laser-focused on one-upping their former teammate, who is one of the SEC’s elite pole vaulters, during an end-of-season meet at Regionals, Sectionals, or States.

“To be honest, that [surpassing Rogow’s mark] has been something that I’ve been dreaming about since he first set it,” said Green. “I think only time will tell. I don’t like comparing myself to Alon because he was the greatest pole vaulter that our club had ever seen. It’s not really something that would break my heart if it didn’t happen.”

What if his former Davis classmate and pole-vaulting brother is the one to do it?

“Even if Jordan breaks it, I’ll be just as happy because that’s my teammate.” ì

18 | APRIL 30, 2024 ATLANTA JEWISH TIMES
After an incredible showing at New Balance Nationals earlier this spring, Harrison Green and Jordan Frank are aiming to set more PRs before pursuing their collegiate track & field careers. Their former coach, Matthew Barry, is pictured in the center // Photo Credit: Matthew Barry

Lipkin Inks Deal with NHL’s Coyotes

While skating off the ice at Providence’s Amica Mutual Pavilion on the evening of March 31, seconds after he and his Quinnipiac brothers lost, 5-4, in overtime to heavily favored Boston College in the Division I men’s hockey NCAA Regional Final, sophomore forward Sam Lipkin was a bundle of emotions.

After jumping out to an early second period 2-0 lead, Lipkin and the Bobcats had been agonizingly close to stunning the No. 1 team in the land and returning to the Frozen Four in defense of their 2023 national championship, the first in the small Connecticut school’s history, only to see BC close things out in the extra session.

And that was only from a team perspective. Then there was the looming personal decision – to stay in school another year or capitalize on his phenomenal twoyear collegiate run and sign that enticing entry-level NHL contract?

“There was a lot going through my head – ‘Is this the last one, is it not?’ But for me, I was in the moment just with the boys, weeping with them,” Lipkin recalled about his team nearly knocking off an opponent in BC that was stacked with future NHL skaters.

“That was probably the best game we played all year. I was so proud of the boys, how we competed. I feel like we should have had a better result. It was definitely a tough moment in the locker room with the guys.”

Ultimately, the heartbreaking loss to the Eagles was the last one in NCAA competition for Lipkin as the native of Lafayette Hill, Penn., who was raised in a proud Jewish household, opted to sign a three-year pact with the Arizona Coyotes (a franchise that will soon be transported to Salt Lake

City, giving Utah its first ever NHL footprint) and report to their minor-league affiliate in Tucson. After all, hockey’s a sport where a career-ending injury is one vicious cross-check away, and Lipkin, like so many other college hockey stars, often leave school early to chase their NHL dreams when the opportunity presents itself.

“It was a tough three or four days where I kind of just reflected,” added Lipkin, who spent quite a few hours during the first week of April consulting with family and his advisor at school. “I think we made a great decision and I’m really happy about it.”

Quinnipiac, a school whose athletic and academic reputations have gotten a huge boost in the wake of the hockey team’s run this decade, was more than accommodating in allowing Lipkin to take incompletes on his courses so that he can finish them this summer and be on track for one day getting his diploma. But before that transpires, he has soaked up the opportunity to contribute to Tucson’s playoff push in the American Hockey League (AHL).

“We’ve got a great group in Tucson,” said Lipkin, who can best be described as a rugged and instinctive two-way wing who fearlessly bolts through the neutral zone. “I’m ecstatic. Waking up to 80 degrees outside is a great thing for me.”

If Lipkin gets called up to the big club next season – which would be a soaring achievement considering he was a seventhround draft pick in 2021 – it won’t be in sunny Arizona. Shortly after he inked his entry level deal with the Coyotes, it was announced that the embattled franchise will be headed to Salt Lake City next winter. The bombshell news release was quite the introduction to the ecosystem of pro sports.

Bobcats, Sam Lipkin signed his entry-level contract with the Arizona Coyotes to jumpstart his pro career // Photo Credit:

“Obviously, there’s a lot of buzz going on but for me, when I decided to sign, it was for me to be one step closer to playing in the National Hockey League,” explained Lipkin, who followed up an ECAC Rookie of the Year season by tallying 35 points during his sophomore campaign. “I’m not thinking about it too much.”

But even as he gets closer to taking his first NHL shift, Lipkin continues thinking about his now former Quinnipiac teammates who made a serious run of pulling off the improbable back-to-back championships.

“To bring home their first national championship was a goal of mine going into Quinnipiac,” he added. “To be able to accomplish that, I think it just leaves a legacy forever. I just can’t thank Quinnipiac enough for what they did for me on the ice but also off the ice as a person.

“That group of guys, they’re my friends for life. I don’t think that bond will ever go away. I’m really excited about that and to

be an alum of Quinnipiac.”

As it so happens, last year’s title team had a quartet of Jewish players: Lipkin, who dished the primary assist on the game-winning goal in overtime of the 2023 National Championship against the University of Minnesota, goalies Yaniv Perets and Noah Altman (he was on this year’s squad), and forward T.J. Friedmann. Meanwhile this year’s champs, the University of Denver Pioneers, had the Buium brothers, Shai and Zeev, both of whom are likely bound for the NHL one day. Clearly, there’s a robust pipeline of Jewish hockey players coming up through the ranks of college, from all corners of the country, who will soon skate alongside current Jewish NHL veterans.

For Lipkin, who takes great pride in sharing that “Judaism is something that has been a part of my family for a long time,” being able to leverage the ultra-visible platform of the NHL to publicly embrace Judaism will make the realization of his dream that much sweeter. ì

ATLANTA JEWISH TIMES APRIL 30, 2024 | 19 SPORTS
The Atlanta Perimeter Office | 4848 Ashford Dunwoody Road Dunwoody, GA 30338 BarocasFeldmanTeam@HarryNorman.com | (O) 770-394-2131 The above information is believed accurate, but is not warranted. This offer subject to errors, omissions, prior sale and withdrawals without notice. If your home is currently listed, this is not intended as a solicitation THE BAROCAS & FELDMAN TEAM KELSEY BAROCAS, REALTOR® (C) 678-852-3169 The Barocas & Feldman Team Have Over 75 Years of Combined Real Estate Experience with both Listing and Selling Homes in Atlanta! FAMILY HELPING FAMILIES Your LocaL reaL estate ExpErts PEGGY FELDMAN, REALTOR® (C) 404-310-0895 AMY BAROCAS, REALTOR® (C) 404-790-0913
Several days after his sophomore season ended for the defending national champion Quinnipiac Kate Dibildox, Photographer for the Tucson Roadrunners

Hostages’ Return Must be More than Slogan

Of nearly 100 comments on a NextDoor thread about the clash between police and pro-Palestine protestors on the Emory University campus, only one referenced Oct. 7.

Whatever your opinion of the status quo beforehand, the current war was sparked that day, when Hamas-led terrorists slaughtered 1,200 people and kidnapped 240 in an area of southern Israel known as the “Gaza envelope.”

Of the 133 hostages remaining in Gaza, Israel’s government believes that 30 or more already may be dead.

Return of the hostages — all of the hostages, the living and the dead — would be a productive step toward a ceasefire. But Hamas — which rules Gaza

and engineered the Oct. 7 attacks — reportedly cannot account for the whereabouts of all of the hostages.

What also worries their families — who, at this writing have endured 207 days of agony — is that return of the hostages seems to have become as much a slogan as a priority in some quarters of the Israeli government.

Tal Shoham’s smile graced our Seder table, but his chair was empty. Shoham’s family in Israel observed Passover without him.

Three members of his family — each a leaf on a different branch of my family tree — were murdered Oct. 7 when terrorists attacked Kibbutz Be’eri. Seven others were kidnapped. Six —including Shoham’s wife, son, and daughter — were freed Nov. 25 in an exchange of Israeli hostages for a larger number of Palestinians held in Israeli jails.

Tal remains a hostage.

This column is how I keep the hostages in the public eye. There are other ways.

Dog tags that read “Our hearts are held hostage in Gaza” and “Bring them home now” have become fashion statements with a message. Many were on display at a recent rally in Sandy Springs in support of the hostages.

Danielle Kapp Cohen, a freelance writer and editor who lives in East Cobb, has made it her mission to support one Israeli family that remains trapped in the nightmare of Oct. 7.

Through her mother’s sister, who made Aliyah 60 years ago, Cohen has three first cousins in Israel. One of the cousins, BatChen Grinberg, lives at Kibbuz HaOgen, northeast of Netanya. She told Cohen how her 12-year-old son, Adi, had befriended Eitan Yahalomi, a 13-year-old boy who was kidnapped on Oct. 7 and suffered physical and psychological abuse until he was freed.

relocated to Kibbutz HaOgen. She told Cohen’s cousin that the traumatized children sleep with her and insist that not only the door to the house, but also the bedroom door be locked.

Cohen was moved by the friendship of Adi and Eitan. “I go big or I go home,” said Cohen. “I just don’t know how to stand idly by.”

She set out to raise $1,800 — 100 times “Chai” — to support the Yahalomi family. Through friends and family that was achieved in 48 hours.

Old Powers Ferry Rd Sandy Springs

Absolutely pristine custom contemporary home in Heards Ferry Elementary

Newly renovated kitchen with stunning cabinets, high end appliances and every bell and whistle

Primary suite on main level open to the deck

Tucked back into nature with a saltwater heated pool and overlooking a serene pond

An art collectors dream house with room for everyone

When terrorists invaded Kibbutz Nir Oz, the handle on the safe room door at the Yahalomi home was broken, so Ohad Yahalomi sat in front of that door, protecting his wife and three children. He exchanged gunfire with the terrorists, until he was shot in a leg and an arm.

Terrorists grabbed his wife, BatSheva, and their children, putting them onto two motorcycles bound for Gaza. As Israeli tanks approached, the motorcycles veered. When one of the motorcycles toppled, Batsheva and her two daughters, a 10-year-old, and a 20-month-old, escaped.

They lost sight of Eitan.

When BatSheva and the girls returned to Nir Oz, their home was uninhabitable and Ohad was missing. He was last seen in a terrorist video released in January.

Eitan, meanwhile, suffered 52 days of hell. The boy was beaten by Palestinian civilians, forced to watch Hamas videos from Oct. 7, threatened at gunpoint if he made a sound. He was told that Israel had been destroyed, and that no one was coming for him.

Eitan was reunited with his mother and sisters in a Nov. 27 hostages-for-prisoners exchange.

BatSheva and the children have

As word of Cohen’s effort spread, “Complete strangers were donating and donating generously. It was just mind boggling to me."

To date, Cohen has raised more than $23,780, which she routes to the Yahalomi family through her cousin. Donations have come from 473 individuals in five countries on four continents, including 22 U.S. states and the District of Columbia.

“I didn’t think long term. I just started and it snowballed,” said Cohen. “I am happy to continue to persist with this for as long as people are willing to give.”

Cohen’s cousin has relayed BatSheva’s appreciation for the help provided by so many people she does not know.

Ohad Yahalomi turned 50 years old in April as a hostage, just as Tal Shoham turned 39 in January.

Ending the war must begin with return of the hostages to the families.

Note: Donations to the Yahalomi family can be made through https://venmo. com/u/DanielleCohen-Writer. Cohen can be contacted via https://www.facebook.com/ danielle.k.cohen/ ì

20 | APRIL 30, 2024 ATLANTA JEWISH TIMES OPINION Dave Schechter From Where I Sit ©2018 Coldwell Banker Real Estate LLC. Coldwell Banker is a regis ered trademark licensed o Coldwell Banker Real Estate LLC. An Equal Oppor tunity Company Equal Housing Oppo tunity Opera ed By a Subsidiar y of NRT LLC. Follow Us On Facebook Debbie@SonenshineTeam.com | www.SonenshineTeam.com #1 Coldwell Banker Team in State Top 1% of Coldwell Banker Internationally, Certified Negotiator, Luxury, New Homes and Corporate Relocation Specialist Voted Favorite Jewish Realtor in AJT, Best of Jewish Atlanta DEBBIE SONENSHINE Atlanta’s Favorite Real Estate Team THE SONENSHINE TEAM mobile 404.290.0814 | office 404.252.4908 SOLD
Danielle Kapp Cohen, a freelance writer and editor who lives in East Cobb, has made it her mission to support one Israeli family that remains trapped in the nightmare of Oct. 7.

Letters to the Editor

The AJT welcomes your letters. If you would like your letter to be published, please write 200 words or less, include your name, phone number and email, and send it to kaylene@atljewishtimes.com.

Letter to the editor,

With all going on affecting Israel and Jews, it was disturbing to see the Atlanta Jewish Times publish two letters in its March 15, 2024, edition that were vitriolic political screeds of no substance.

The second sentence of the first letter accused Netanyahu of being a “world class propaganda demon” in regard to invading Rafah. No discussion of Rafah; just the accusation of Netanyahu wanting to be a dictator. We then are offered the incessantly regurgitated criticisms of Trump. No policy discussions; just insults.

The second sentence of the second letter assaulted us with fears of “antisemitism, religious intolerance” and the always reliable standbys “fascism, Nazism, and white supremacy” from the 1940s, allegedly associated with a proposed bill about... license plate slogans. We are cautioned further about an election 80 years ago! If 80 years ago is the marker for ignominy, in 1944 there was a political party wedded to Jim Crow laws as it had been to slavery before then, and it’s the same party that has a sizable anti-Israel and antisemitic contingent today. Those are the issues that should be concerning Jews and the Atlanta Jewish Times.

Barry Kriegel, Atlanta

Disclamer to our readers:

This section of the newspaper is a forum for our community to share thoughts, concerns and opinions as open letters to the community or directly to the newspaper. As a letter to the editor, we proof for spelling and grammatical errors only. We do not edit nor vet the information the letter contains. The individual signing the letter is accountable for what they share.

Letter to the editor,

Your April 15 issue featured a letter from a hateful farbrente Democrat, who called Donald Trump, “hamanesque.” Here’s what hamanesque did for Jews and Israel: Recognized Jerusalem as Israel’s capital and moved the U.S. embassy. to Jerusalem, which all other presidents refused to do,

Signed the Taylor Force Act and ceased U.S. aid to Hamas/PA which pay pensions to terrorist in Israeli prisons,

Recognized Israel’s annexation of the Golan,

Updated American policy towards “settlements,”

Withdrew from the JCPOA and raised sanctions on Iran, allowing no waivers, Signed Executive Order 13899, “Combating Anti-Semitism,” making “anti-Semitic harassment in schools and on university and college campuses” subject to Civil Rights Act of 1964 prosecution, and Negotiated the Abraham Accords, for which he deserves a Nobel Prize.

Donald Trump has rightly been called “a dream come true” for Jews and Israel. Democrats harbor rabid antisemites like Ilhan Omar and Rashida Tlaib, pander to pro-Hamas protesters, ignore Executive Order 13899, removed sanctions against Iran and Hamas/PA, and stymies Israel from winning a war.  Most antisemitic acts are committed by Democrat voters.

According to DeKalb County precinct records, the “orthodox” Toco Hills community voted 70% for Joe Biden in 2020. It’s depressing that Jews will rationalize and continue to overwhelmingly vote for Democrats whose policies are often inimical to Jewish interests.

Jay Starkman, Atlanta

ATLANTA JEWISH TIMES APRIL 30, 2024 | 21 OPINION

OPINION

Letter to the editor,

This is a reply to the “Closing Thoughts” Allen Lipis opinion piece from March 31, 2024.

The Publisher of the AJT has repeatedly exhorted our community to listen to each other with open hearts and minds. To unify where and when we can and to respectfully and peaceably disagree when we can’t. With that in mind, I ask how you could print the latest opinion piece from Allen Lipis?

In Dr. Lipis’ world, anyone who voted, or plans to vote, for Trump is a “MAGA Republican” who then is, by his definition, one who wants to “take power back for white Christian men.” This would presumably come as a shock to the historic number of Black, Hispanic, and Jewish people intending to vote for Trump in November.

Dr. Lipis states that “it is not unreasonable to believe that the U.S. insurrection on Jan. 6, 2021, influenced the attack on Israel by Hamas a short while later…”. He goes on to say, “Hamas must have thought that Trumpism would undermine the power of Jews in the U.S, so why can’t Hamas do this against Israel”?

In fact, it is far more likely that the opposite is true: Under Trump, the U.S. walked away from the Iran deal, reimposed crippling sanctions on Tehran, recognized the annexation of the Golan Heights into Israel, moved the U.S. Embassy to Jerusalem and had the President’s Jewish son-in-law lead delegations that negotiated historic deals with multiple Arab countries, and made strong headway into a Saudi (Iran’s arch enemy) Israel deal. This is much more likely to be the reason Hamas attacked on October 7th. Trump’s approach sidelined the Palestinians and was driving the region toward a significant realignment that benefited Israel, the US, and the Arab nations that are enemies of Iran. Iran and its proxies, Hamas and Hezbollah, needed to do something fast, dramatic, and impactful to shift things back to the status quo ante! And boy, did they ever!

The idea that those nuts that invaded the Capitol on January 6, 2021, in some way inspired or motivated the murderous Hamas barbarians to do what they did on October 7, 2023, would be funny if it wasn’t so tragically silly and probably offensive to those with thinner skins than I.

Lee Pearlman, Atlanta

Letter to the editor,

I am disturbed to learn that Governor Brian Kemp has deployed the Georgia State Patrol onto the Emory University campus. The mandate of GSP is to “investigate traffic crashes and enforce traffic and criminal laws on the state’s roads.” Georgia State Patrol has no place on the college campus. And neither do outside agitators who seek to usurp the peaceful protests against the Netanyahu government’s killing of tens of thousands of innocent Gazans by giving life to a false narrative that the protest movement is violent and anti-Semitic. Those participants who seek to intimidate, threaten, or demean our Jewish brothers and sisters have no place among the legitimate protesters. Reminiscent of the anti-war and civil rights protests on college campuses in the 1960s and 70s, today’s student protesters have a First Amendment right to protest against what they see as unjust policies and practices of their government, I fully support their right to peacefully protest on campus, and I call for the outside agitators to stay away from our college campuses.

Congressman Hank Johnson (GA-04), Decatur, GA

22 | APRIL 30, 2024 ATLANTA JEWISH TIMES

Letter to the editor,

That’s enough! Universities – Do your Job, Protect your students.

Maccabi World Union (MWU), the largest Jewish sports movement in the world, with a deep commitment to the connection of young people to the Jewish nation Israel, fully condemns the virulent antisemitism that has appeared in colleges and universities around the world but appears to be quickly growing on campuses in the United States.

Sports around the world, of which the Paris Olympics is less than 90 days away, teach values, ethics, fair play, and teamwork. Through competition in sports, the rules of the game are followed. Individuals of all races and religions play together and against each other for the thrill of victory but universally come together at the end of games to shake hands and congratulate each other, even though there is always a great disappointment for the nonwinner.

What we see in the news today on campuses regarding anti-Israel activity has gone beyond any values we stand for. Intimidation, both physical and mental, violence and chants that call for the eradication of Israel and, in some cases, Jewish people themselves, have gone against every principle this organization stands for, and we must, as representatives of our 450,000 members globally, speak out. ENOUGH!

We call on all administrators and Board members of universities and colleges to do their jobs: Protect your students, All your students. Remove outside agitators from your campuses. We respect free speech, not hate speech. We respect the right to assemble where you provide the space to do so, not were demonstrators block access to classrooms and labs. Stand up for the rules and values you profess. Remove classes from teachers who profess hate speech. Do this in the name of democracy and of all sane people before these turns into widespread violence. Do this for the sanctity of education as you have done for generations. Rise up to the highest principles, not the mob mentality. Fear Not.

Michael Siegel, President of Maccabi World Union, the largest Jewish organization in the world that operates in 70 countries.

Letter to the editor,

As we prepare for Pesach there is a great deal of schlepping. Packing and unpacking. Shopping and cleaning. It is exhausting for the faithful observer but despite the intensity of the days before, it is a time that ends up rejoicing with friends and family. Devouring ageless delicacies, cheerfully gathered around a festive holiday table. We celebrate a distant victory over tyranny with familiar rituals and inspiring traditions. Typically, it is a glorious time for the Jewish soul. But this year the Jewish soul weeps not distant saltwater tears but tears that flow from heart break and shattered lives. The enemy is not an ancient Biblical foe but rather a demonic incarnation of ultimate savagery who has breached our gates. For the righteous among us it is a clear war between light and darkness. Civilization and depravity. And yet, too many who we once thought were decent now march with the iniquitous and the morally deranged. We are sickened by such treason and feel betrayed by the many who we once thought were friends and allies in the pursuit of a better world. We have been duped. Shaken. Sold out.

The Haggadah is no longer a charming, entertaining document of history but a harsh reminder that in every generation ‘…Omdim aleinu le chaloteinu…in every generation they have come to destroy us…’ The currency of the Haggadah is painfully astonishing. Not a dusty text weakened by the passage of time but elevated in relevance as we turn page after page.

‘Ma Nishtana’. What is different this time we ask?  ‘Avadim hayinu… once we were slaves. Impotent, bow headed shufflers’ But this time  is different. We fight back not with mumbled prayers and martyrdom but with an air force. An army. A navy. Never again is our holy battle cry.  Not kaddish. Not Eil malei rachamim. ‘Vayareinu otanu ha Mitzrim…the Egyptians demonized us…’  We have been defamed by a cynical, hateful planet as genocidal as blood thirsty. Branded murderers of the innocent when we are in fact the righteous ones and the victims, our accusers and their useful idiots the authentic villains. Hamas, Nazis with kaffiyas supported by panderers of the worst kind.

‘Arba banim..the four sons’…The Chacham understands Israel must defeat Hamas utterly and bring the hostages home. That failure to do so is nothing less than a global catastrophe. The Rasha is vile in his pretense of piety. He seeks not peace nor justice but the genocide of the Jewish people and the end of the Jewish state. The Tom marches for human rights and freedom chanting ‘From the river to the sea’ but doesn’t know what river nor what sea. He is bloated by ignorance and worships hypocrisy. Sheayno yodah lishol asks no questions. Raises no issues. Takes no side and dwells in a myopic bubble of self-indulgence. He is oblivious, dismissive of truth but is among the walking dead if Hamas wins.

‘Dayeinu’ Enough. We have endured exile. Humiliation. Persecution. Slavery. Extermination. We have been helpless, powerless victims long enough. No longer do we accept a sniveling, bloody, feeble destiny. We cry out from the top  of Sinai and Zion…F-35s. Merkava. Drones. Dimona. Mossad. Iron Dome. Shayetet 13. Davids Sling. Dayeinu. Enough.

Our humanity is embedded within the 10 plagues. The 10th makka tragic but there were 9 opportunities to fix things before the coming of The Destroyer, but the Egyptian people never missed an opportunity to miss an opportunity.  A cruel, cold tunneled Pharoah and his minions are responsible for the death and suffering. It was not God. It was not Moses. It was not the IDF. The misery self- inflicted. And yet we still spill wine with every uttered plague. Our virtue in a Manischewitz puddle.

We open the door for Elijah to dispel  libelous accusations yet call for the Almighty’s wrath to obliterate His enemies and ours. It is a delicate line but we miraculously maintain our balance. Our compassion always tested in the crucible of wickedness. Despite the temptation we do not forsake our moral nobility but we do what must be done for victory.

Our seder ends not with’…chasal siddur Pesach… the seder has reached its end..’ No. We continue with songs and melodies. Songs of triumph. Melodies of the unvanquished. We mourn our losses but march forward, a choir of righteous warriors. Though surrounded by evil doers. Though maligned by bigots. Though abandoned by cowards. Still we continue to sing ‘Leshana habaah b’Yerushalayim…Next year in Jerusalem’ but we also affirm in bittersweet celebration ‘…next year in Sderot. In Kibbutz Beeri, On Road 232, At Nova, In Kiryat Shemona…’

We fight when we must. We win because we must and we continue to sing. That is what Jews do.

Shalom Lewis, Rabbi Emeritus for Congregation Etz Chaim

ATLANTA JEWISH TIMES APRIL 30, 2024 | 23 OPINION

Why in The World is Your Nail Yellow?

Hadassah Greater Atlanta’s 3,000 members are taking the next step, The Yellow Nail Initiative, in the #EndTheSilence campaign. The purpose of this important action is to raise awareness and sound the alarm about the horrific acts of sexual violence perpetuated by Hamas and the hostages who have yet to be returned home. Members are painting one or more nails yellow.

“Hadassah hopes that friends and neighbors will ask our members, “Why is one nail yellow? Isn’t that funny?” Simone Wilker, Zionist Affairs chair for Hadassah Greater Atlanta explains. “I’ve painted my nail yellow to #EndTheSilence about the sexual violence committed by Hamas. My nail is yellow to show my solidarity with my sisters and brothers in Israel. My nail is a cry of alarm but also a sign of hope to #EndTheSilence #Hadassah,” stated Nancy Schwartz, President Hadassah Greater Atlanta.

The question of why yellow is simple. Yellow has been the color that protesters have chosen to symbolize their cause; with Israelis often putting up or waving yellow ribbons when demonstrating, especially in remembering the hostages who are still held in captivity.

Yellow nails show support and raise awareness of the sexual violence perpetuated by Hamas.

Hadassah feels obligated to speak up for those who can’t: visit Hadassah.org to sign the ongoing petition to #EndTheSilence regarding Hamas’s use of rape as a weapon of war on Oct. 7 and demand justice and accountability. We continue to urge the UN to conduct a thorough, independent, unbiased investigation and pursue vigorous prosecution of these war crimes.

Lichtstein Semifinalist in Presidential Scholars Program

Gordon Lichtstein, a graduating senior at Decatur High School, has been named one of 625 semifinalists in the 2024 U.S. Presidential Scholars Program.

Gordon Lichtstein, a graduating senior at Decatur High School, has been named one of 625 semifinalists in the 2024 U.S. Presidential Scholars Program. The semifinalists were selected from among more than 6,000 candidates expected to graduate from U.S. high schools this year.

Inclusion in the Presidential Scholars Program, now in its 60th year, is one of the highest honors bestowed upon graduating high school seniors. Scholars are

selected on the basis of their accomplishments in many areas – academic and artistic success, accomplishment in career and technical fields, leadership, strong character, and involvement in school and the community.

A total of 18 graduating seniors from the state of Georgia were among the semifinalists.

Compiled by AJT Staff

'History with Chutzpah' Wins Wilbur Award

The AIB Network has been honored with the prestigious 2024 Wilbur Award from the Religion Communicators Council (RCC) for “A Taste of History with Chutzpah – Remarkable Stories from the Southern Jewish Adventure.” This is the highest level of recognition provided by the RCC.

The four-part series was produced in partnership with the William Breman Jewish Heritage Museum in Atlanta and aired in 2023. The series highlighted selected stories from the cultural center’s “History with Chutzpah: Remarkable Stories from the Southern Jewish Adventure: 1733 to the Present” exhibit.

“While receiving the award was a surprise, we knew all along that the quality of the series reflected the spirit of teamwork we have created among our staff, as well as the leadership of our Manager of Programming & Production Jai Schwarz, and the series producer and AIB Community Engagement Director,

Audrey Galex,” said Audrey Daniels, President and CEO of AIB Network. “The series also reflects the value of partnering with organizations like the Breman Museum that deserve to have their stories amplified.” Galex and Leslie Gordon, Executive Director of The Breman, accepted the award during a ceremony held April 5, as part of the RCC annual convention in Louisville, Ky.

“We were honored to partner with The Breman to produce the series,” said Galex. “Receiving recognition from the Religion Communicators Council only confirmed that we took Breman’s thought-provoking exhibit of objects, photographs, oral history interviews, and text and fleshed the stories out even further. We’re grateful the Religion Communicators Council recognized that.”

Watch: “A Taste of History with Chutzpah” at https://bit.ly/4aoRMcG

Compiled by AJT Staff

24 | APRIL 30, 2024 ATLANTA JEWISH TIMES BUSINESS
Audrey Galex, Brad Pomerance, and Leslie Gordon with 2024 Wilbur Award.
ATLANTA JEWISH TIMES APRIL 30, 2024 | 25 A Podc A Jewish times don’t miss our uPcoming issues to Advertise cAll: 404-883-2130 FAther’s dAy, ProFessionAls And reAl estAte senior living Pets & senior living simchA And grAduAtion best oF Jewish AtlAntA heAlth & wellness And trAvel

Professional Color Analysis Reveals Your Best You

When it comes to your personal color palette, are you a Winter, Spring, Summer, or Autumn?

Winter is clear, bright, vivid, icy, and high contrast; Spring is clear, bright, warm, light, and splashy; Summer is soft, blue, smoky, and rose; and Autumn is rich, warm, earthy, and vibrant. Do you think you know which one you are?

I thought I knew. I was dead set that I was a Winter … bring on the contrast and vividness! But in the back of my mind I would ask, “Do I look good in winter colors, or do I just love the colors as colors?”

I went on a journey to find out for sure. Where else do millennials go for research? TikTok! There are filters to try on but I couldn’t tell what I was looking at. Again, I was just leaning Winter because I love purple and burgundy and that’s what I am used to seeing on my body. This wasn’t enough for me. I needed a professional. I looked up “color analysis Atlanta” and found the lovely Cassidy Hewitt with House of Colour Acworth.

I reached out to Cassidy and we set up a meeting at her beautiful new downtown Acworth studio. I walked in and said, “I know I’m a Winter but let’s see.” Later, she told me that when I first walked in, she thought I would be a Winter or an Autumn.

Color analysis is tricky and you really need a good eye for color. Cassidy had her own color analysis in January 2023. “I got in my car, I flipped the mirror visor down, and I saw myself as beautiful for the first time in a very long time,” explained Cassidy. The day after her color analysis, she began researching and within two months she had bought into the House of Colour franchise. “I opened my House of Colour franchise one year ago this week, so I’m celebrating my oneyear anniversary with House of Colour.”

The process was very interesting. Cassidy started out doing a warm vs. cool comparison. She compared similar colors in different seasons to see what brightened my face more. She started with whites. Bight white vs. a softer white. I responded much better to the off-whites. Finally, she narrowed it down to me being more warm toned than cool toned. I was shocked. I have been wearing white gold and silver my entire life. Warm tones favor rose gold and yellow gold. I told myself there was no way but promised to trust the process.

Next was Spring vs. Autumn. Drap-

ing the two seasons back-to-back went on for a little bit. It was very interesting to see how some of the dark circles under my eyes almost disappeared when she put Autumn colors on me vs. Spring colors where I seemed darker and more hollow. Cassidy decided on Autumn for my best season.

Next came the makeup. This part was so fun. Who doesn’t love getting their makeup done? I am very fair skinned, so it is really hard for me to buy foundations that work on my skin tone. The House of Colour makeup brand was amazing. The powder foundation was a perfect match and super soft. Next came autumn-colored blushes. I am used to berry colors on my face -- remember I thought I was a Winter. One of the blushes was a coolertoned Autumn, and I loved it so much I had to buy it.

Last came lipstick. I am known for wearing dark purple lipstick. Cassidy tried on a coral orange, and I couldn’t get into the vibe because it was so very different than what I am used to seeing on my face. But I trusted the process. Spoiler alert: when I came into the office the next day and showed my co-workers the pictures, the ladies loved the orange.

I am a hard person to convince to like things that are different. I asked if Cassidy could compare Winter vs. Autumn because I couldn’t wrap my head around Autumn. Thankfully, to cure my curiosity, Cassidy showed me (again) Winter vs.

Autumn. It really was amazing. My subseason is blue/vibrant Autumn which means I lean towards the more vibrant and dark colors of Autumn. On the color wheel, dark Autumn is right next to deep Winter. So, it makes sense how I can still like some of the deep winter colors on me but the Autumn colors like me better.

The really fun part was next. Cassidy took all of the Autumn colors and put them on me a few at a time to determine my best colors. She ended up with vibrant blues, greens, and purples – which look vibrant and rich on me. I felt like a million bucks.

Lilli: When did you find out your colors and how did it change your life?

Cassidy: I had my colors done Jan. 8, 2023, and it literally changed everything. I had been wearing the wrong makeup, the wrong colors, the wrong hair color, and I looked tired and washed out all the time. Since my color analysis, I’ve never once looked in the mirror and thought I look tired. I am vibrant and alive! I love knowing the right colors that bring me to life and make me look younger! Style analysis on top of color has emboldened me … to live and dress authentically, and a way that honors the way that I was created. I’m 47 years old and I’ve never felt more beautiful.

Lilli: What did you do before House

of Colour?

Cassidy: I graduated from the University of Texas at Austin with a degree in corporate communication. I spent quite a bit of time in corporate America before pausing to raise children. I actually got certified to teach yoga, became a certified personal trainer and group fitness instructor, and spent the last several years motivating women physically through exercise, when I felt a calling to go back to work full-time. I learned about House of Colour and it merged my mission to empower women with an incredible opportunity to own my own business, and I was all in.

Lilli: Are there any tips or tricks you can share with readers who may not be able to do a color analysis right now?

Cassidy: If you’re not able to have your colors done, I would recommend saving to do so. It really is impossible to know your undertones without going through the scientific process, utilizing our precision dyed drapes, and natural light from the sun. Cameras on phones automatically color correct, so you cannot use photographs or apps to try to determine your undertones. The best investment you can make in yourself is to learn this information. It impacts the way you dress, which impacts the way you feel, which impacts the way you present yourself to the world. Color analysis

26 | APRIL 30, 2024 ATLANTA JEWISH TIMES SPA & BEAUTY
Lilli Jennison is wearing her “best” colors. Cassidy Hewitt has been with House of Colour for a year now.

SPA & BEAUTY

truly is transformative. If you are investing in Botox or hair color and wearing clothes, but you don’t know the right colors to wear, you are working against yourself. Wearing your colors highlights your G-d given beauty, minimizes fine lines and imperfections, and can make you look years younger.

Lilli: What do you look at when comparing colors?

Cassidy: When we do color analysis, there are three main areas that we look at.

1. The eye area -- I want to see a wellrested eye with diminished dark circles, reduced fine lines and also bright clear eye color.

2. The lip area -- We’re looking for healthy color and lips, again diminished fine lines.

3. Overall skin tone -- We’re looking for a nice clear complexion, minimizing any redness or splotchiness.

4. And finally we're looking for harmony … when G-d created us He created us with eye color, hair colors, skin color, and undertones. There is a peace and a harmony in how we were made, and we are looking to find that.

Don’t just take my word for it. Cassidy has a ton of testimonials on her website, www.houseofcolour.com/stylists/ cassidy-hewitt-acworth-georgia.

Hayley Williams said, “Cassidy is

meant for this work! I recently worked with her for a color analysis and immediately scheduled a style appointment. Both meetings were amazing! Cassidy poured into me to build my confidence and help me understand that the possibilities are endless. I will take this new confidence and spark of style curiosity with me forever. I am forever changed and so grateful. Book time with her to understand how you can show up fully for yourself. You will not regret that investment in yourself.”

My next adventure with Cassidy will be a style analysis. According to her website, at a style analysis you discover the science behind personal style by unlocking the power of you. Cassidy will teach you how to combine who you are with how you dress so you can step out into the world looking fabulous as your authentic self. She considers your proportions, personality, and preferences to give you a style framework. You will confidently know which fabrics, prints, patterns, and accessories, necklines, details, and silhouettes best flatter your unique body architecture.

If you are interested in finding out if you are Winter, Spring, Summer, or Autumn, reach out to Cassidy Hewitt. Just a short drive up I-75 and you will be looking your best self in no time! ì

ATLANTA JEWISH TIMES APRIL 30, 2024 | 27
Cassidy also offers style analysis which takes the elements and trends you love, and tweaks them to honor your body and personality. Your personalized color fan will help you see your color harmony when shopping. Cassidy uses the color wheel to help explain the different seasons.

Utopia Takes the Stress Away

Spas should be clean and fragrant with a caring staff, tingling waterfall sounds, and relaxing music. A hidden gem, Utopia Foot & Shoulder/Relax and Recharge has all that plus a local owner who keeps things running like a Swiss clock.

Entrepreneur Julie Miller Stewart shared her concept, “We are affordable self-care. Our services include foot, neck, and shoulder. We like to say this is not an ‘airport’ massage, but the next best thing to full body, as you get all the typical trouble areas. We provide an affordable experience that doesn’t take weeks to get an appointment. Although we do book up daily, you can typically get a same-day appointment.”

For Northsiders, Utopia is out of the Buckhead maze, with a short jump off I- 20 East in Grant Park with free parking, Stewart said, “We easily cover South Atlanta, Downtown, Midtown, East Atlanta, Grant Park, Ormewood Park and surrounding areas.”

Boutiqu-ey and BeltLin-ey, Utopia has

four peaceful rooms with two lounging seats in each, and one in the rear for four guests. This is well planned because some spas have a pack of strangers sitting in a factory-like circle. Upon entering, guests are asked to select (no charge) their “salt”

ZooATL-Brew-2024-AJT-halfpage.pdf 1 4/17/2024 4:35:38 PM

flavor: peppermint, eucalyptus, lavender, and special “lava” that is a detox. Around 11 massage therapists are on hand each day. The temp is kept on the “edge of cool,” so wrapping in a cozy blanket is sooooo nice. No one here is undressed

under a sheet. Therapists offer eye coverings and optional T-shirts, as they maneuver around limbs and body parts reachable chairside. My companion, who had recently visited Thailand, stated that the Utopia Foot Massage was far better.

28 | APRIL 30, 2024 ATLANTA JEWISH TIMES SPA & BEAUTY
Stewart only uses fragrances that she herself loves. AJT writer Marcia Caller Jaffe chats with Utopia owner Julie Miller Stewart about her own zen-filled spa experience that day, and Stewart’s own journey in opening Utopia.
C M Y CM MY CY CMY K
Utopia offers candles, face products, lotions, essential oil sprays, neck wraps, and migraine pillows.

SPA & BEAUTY

Most rooms have two chairs and work well for bringing a friend. Make sure to check the daily specials.

In this Mother’s Day window (May 11-12), Utopia is offering 75 minutes of foot, shoulder, back and scalp massage with chocolate foot scrub for $85. On average, five to 10 percent of their business is gift cards. Other gift ideas are candles, face products, lotions, essential oil sprays, neck wraps, and migraine pillows. Stewart stated, “I am very particular about the scents and products I choose – I have to love them myself first.”

Stewart’s background for the past 25 years has been in marketing/digital media. Being entrepreneurial, she gave herself five years to open a business or invent something. She said, “The spa concept just came to me. I started researching other similar locations and figured out how to make the concept better.”

She obtained her business license in

Pricing Tiers

March 2020 after an eight-month build out … just in time for COVID to shut down the scene. They then waited until May 2020 to open in a world “where people did not want to be touched.”

She added, “I believe due to perseverance, and my marketing background … we survived. Our business grew and was doing well until August 2022.”

Then, a fire destroyed the entire business, and they were unable to reopen for a year. Since August 2023, Utopia has seen steady growth and is in the process of expanding into corporate wellness and events.

Stewart noted, “We are the most affordable massage experience that feels like the ‘Ultimate Zen’ and don’t forget men – 40 percent of our clientele! Utopia is located at 465 Boulevard. For more information, call (404) 228-4183. ì

30 minutes | $38 | Choose one: foot, back or shoulder.

60 minutes | $55 | Choose two: foot, back or shoulder.

75 minutes | $70 | All three included: foot, back and shoulder (most popular package)

90 minutes | $85 | All three included: foot, back, shoulder.

Note - Specials!

Take a friend Monday: two one-hour foot & shoulder massages ($78). Wednesday: two 75-minute foot, back, shoulder massages ($110).    They also offer scalp massages, sugar foot scrubs, and lavender foot masks.

Stewart’s Credo for Utopia

Customer Service: We believe everyone should be treated like they walked into your home when they arrive. We are always friendly and helpful. We love a happy relaxed face at checkout.

Cleanliness: We maintain a very clean environment.

Top Notch Service: Our therapists make sure you leave with one of the best massages while asking about your comfort level and needs throughout the massage. Intentional Environment: turn off the phone and take this time for yourself.

ATLANTA JEWISH TIMES APRIL 30, 2024 | 29 COLLECTIONS FOR THE HOME AND COMPANY

Nothing Beats a Great Hair Day

The easiest way to make any day a good day is by having a great hair day, which is why I got my hair done with Kathlyn Crawford at Head Over Heart Salon, which just opened near Grant Park. Kathlyn is the only person I’ve trusted with my hair since moving to Atlanta in 2021, and for good reason. Her specialty is curly hair and color, which works well for my naturally thick, wavy, and un-naturally colored hair.

The appointment begins with a complementary Topo-Chico and a discussion of what we’ll be doing today. Today’s goal is transitioning my current copper back to the blonde I’ve rocked most of my life. Kathlyn has already told me that a oneday transformation would be too rough on my hair, so the plan for today is a transitional red that’s closer to the natural color of my roots. It’s a “darker to go lighter” situation, because, as Kathlyn explained, this warm-neutral red will be a better and easier-to-lift base for the eventual warm-blonde than my current, though technically lighter, cool toned

shade. It is this masterful understanding and use of color theory that will allow my hair to stay as healthy as possible before my wedding in November.

She takes great care to make sure all my hair gets fully saturated with the color before letting it set and eventually rinsing and replacing with a deepconditioning mask and scalp massage. After the mask is rinsed out, we return to the salon chair to begin the “cut” part of my haircut. Kathlyn adds long layers and cuts pieces to frame my face, making me feel like I’m the high-powered fancy lady I always pretended to be when playing “hair salon” with my sister. I can truly relax, knowing my hair will look great because Kathlyn really gets how to work with thick hair beyond just pulling out the thinning shears. I’m sure many can relate to hearing “you just have too much hair, it needs to be thinned to do anything with it.” Kathlyn finishes up my appointment with a blowout using Davine’s products, which smell amazing, making sure each newly trimmed strand gets its special treatment with the round brush. Beyond the physical aspect of my cut and

Before After

color being refreshed, going to the salon, and taking that time for self-care allows my whole person to feel refreshed as

well. I’m so happy with how my hair has turned out, and I can’t wait to show it off on the town. ì

Pricing Tiers

Haircut: $65 to $125+

Color: $160 to $375+

Cut & Color: $185 to $400+

30 | APRIL 30, 2024 ATLANTA JEWISH TIMES SPA & BEAUTY
The “after” photo from Katie’s hair day. Katie has no issue with “trusting the process” as she only trusts Kathlyn Crawford with styling her hair. Stylist Kathlyn Crawford mixes the coloring for Katie’s hair. Head Over Heart Salon is located at 519 Memorial Drive Suite 105. The “before” photo from Katie’s visit to the hair salon.

Age-Defying Facial at Woodhouse Spa

I recently had a revitalizing Age Defying Facial with Dermaflash Enhancement at the Woodhouse Spa in Dunwoody.

As I entered the spa, the aromatherapy began to gradually transport me to a place of tranquility. The ease of checking in and getting situated for my treatment was effortless and the assistant walked me to the changing room.

Once ready, I had a few moments to relax in the lounge before my esthetician, Emily, came to greet me. She went over the treatment plan in depth so I would know what to expect from my appointment. Emily went above and beyond and advised me on changes I could make in my skin care routine to benefit my skin type and how I could incorporate the products I already own.

I was so appreciative, as facial cleanser and moisturizer are my go-to, but I was never sure what types of supplemental skin care products would be the best for me. Emily was extremely detailed and put notes in my client file so I

know what I should be doing for my next appointment. After my appointment, I felt rejuvenated from the service but also more confident in my capabilities to take care of my skin in between facials.

Woodhouse offers several packages including:

Ultimate Reset: 260 minutes | $745 – includes Signature Calming Retreat +

Nourishing Wrap + HydraFacial Deluxe

Digital Detox: 210 minutes | $515 –includes Signature Holistic Minkyti Facial + Signature Holistic Body Detox + Signature Restorative Sleep

Mother-To-Be: 100 minutes | $190 –includes Maternity Massage + Holistic Rejuvenation Pedicure

True Renewal: 100 minutes | $350 –

includes Signature Sculpt Facial + Black Sand Rejuvenation

Recover + Renew: 100 minutes | $330 – includes Sports Massage + Illuminate Facial.

Woodhouse Spa is located at 4400 Ashford Dunwoody Road NE, Suite 1805. For more information, call (770) 3773505. ì

ATLANTA JEWISH TIMES APRIL 30, 2024 | 31 SPA & BEAUTY
The Woodhouse Spa lounge is welcoming and tranquil. The esthetician provided Susan with tips on managing her skin care routine.
1851 Peeler Road Suite A Atlanta, GA. 30338 770.790.3700 | www.shumanfamilylaw.com Shuman & Shuman, P.C. is a family law practice committed exclusively to guiding clients through matters of divorce and family law, custody, child support, alimony, division of property, pre- and post-nuptial agreements, post-divorce issues and a variety of other family related situations. Attorney Eileen J. Shuman provides dedicated legal support for clients both in the courtroom and through alternative dispute resolution including mediation and collaborative divorce. Eileen represents clients who have cases in Metro Atlanta and the surrounding counties. BEST OF JEWISH ATLANTA Thank You for Voting Us Top 10 Law Firm in 2022 office@shumanfamilylaw.com
The Woodhouse Spa is located in Perimeter Mall at 4400 Ashford Dunwoody Road NE, Suite 1805.

STAYCATION Museum Visits for You and Your Kids

Stuck in town for a few days and need something fun to do to entertain the kids? How about checking out some of the off-the-radar cultural destinations? There are several lesser-known museums around the city that are well worth the price of admission. Read on to find out more about these entertaining and informative local hotspots.

The Oglethorpe Museum of Art Atlanta

OUMA, the Oglethorpe University Museum of Art, is the only small liberal arts university museum in the Southeast that regularly shows national and internationally recognized exhibitions. OUMA has three small galleries, connected by an art-display hall and tiny gift shop. All shows are accompanied by excellent gallery notes. The following are the museum’s simultaneously running current spring exhibits:

Gallery One: Select pieces from the museum’s excellent permanent collection are rotated through this space. One goal of this gallery is to occasionally devote the full space to work by a single prominent contemporary artist, and these exhibitions are usually accompanied on campus by an artist-in-residence semester and community lectures. Another museum goal results in retrospective shows of significant artists with a strong southern connection.

Gallery Two: “The Core Self” is a multimedia show that expresses the diversity of Oglethorpe University students. “The Core Self” assignment called for entries of “expressive works engaging with themes related to identity in a media of their preference,” including physical, digital, graphic art, poetry, and performance. During the show, visitors are encouraged to vote for favorite pieces. Awards will be given to OU students in the categories of Best of Show, Audience Choice, and Outstanding Core, reflecting the values outlined in the Core program.

Gallery Three: OUMA showcases “Contrapunto,” the final installation of a year-long series of Hispanic/Latinofocused exhibitions. The paintings, drawings, and sculptures in the Contrapunto show present a widely diverse group of styles, themes, and techniques, ranging from abstract to surrealist to moody portraits by this Atlanta-based group of six Latino artists, who have immigrated to the U.S. from five different countries.

Gallery notes explain that the aim of the group: is “To increase contemporary Latin American artist representation in the Southeast and to support our members with opportunities for education, exhibitions, and residencies.”

The gallery notes continue, “The word ‘counterpoint’ (contrapunto in Spanish) is the technique of combining two or more melodic lines in such a way that they establish a harmonic relationship with retaining their linear individuality. As artists, we work together in a harmonious way—the best way to describe our dynamic was to use the musical term ‘counterpoint.’”

Admission to the OUMA museum is free. Ask to be put on their mailing list to find out about upcoming OUMA

events in the arts. The museum is open Wednesday, Friday, Saturday, and Sunday from 2 to 5 p.m.; Tuesday and Thursday 12 noon to 5 p.m. Oglethorpe University is in Brookhaven, at 4484 Peachtree Road, NE, Atlanta, 30319. The OUMA museum is on the Oglethorpe campus. Go to Lowery Hall and take the elevator or stairs to the third floor. On-campus parking i s free.

The Federal Reserve Monetary Museum of Atlanta

The U.S. Federal Reserve Bank, or “The Fed,” is The United States’ central banking system. It is the most powerful economic institution in the United States, perhaps, in the world. Its primary responsibilities include setting interest

rates, managing our country’s money supply, and regulating financial markets. A tour of the Atlanta Federal Reserve Museum will help visitors understand the necessity and power of the Federal Reserve Bank in the U.S. economy. The Federal Reserve Bank of Atlanta, founded in 1914, represents the sixth district of the 12 Federal Reserve Banks of the United States. Its jurisdiction covers Georgia, Florida, Alabama, Tennessee, Louisiana, and Mississippi.

Visitors to the Atlanta Federal Reserve Monetary Museum will see historical artifacts and follow the fascinating story of money—from bartering to modern times—including the early turbulent years of banking in this country. Rare coins and currency are on display, and

32 | APRIL 30, 2024 ATLANTA JEWISH TIMES
A cash bus is used to transport money from the Fed’s vault Pasta comes in all colors, sizes, and shapes – from the “Al Dente” exhibit at MODA. One of OUMA’s three galleries presents student art. Gallery visitors vote for their favorites. From OUMA Latino exhibit

one will learn why some high-value currency has been discontinued. In addition to the history of money, visitors can enjoy multimedia exhibits, and real-life close-up views into the amazing, automated vault, cash-processing, and shredded currency areas. One also learns about the “gold standard” and what gives money its value.

The displays, videos, and interactive “games” take an entertaining approach to learning about the Federal Reserve. Visitor favorites include lifting a gold bar, playing a game about interest rates, and how to spot counterfeit money. The Fed also offers workshops about economics concepts and personal finance.

Guided tours and self-guided museum visits can be arranged. There is no charge. For questions, phone 404-4988500 or go to atl.museum.tours@atl.frb. org. The Atlanta Fed is located at 1000 Peachtree St., NE, Atlanta, 30309, across from the 10th Street MARTA station.

MODA -- The Museum of Design Atlanta

MODA is the only museum in the Southeast that is devoted exclusively to the study, appreciation, and universal impact of design. MODA is an intimate museum. After passing through the innovative gift shop, visitors learn how design influences just about every aspect of daily life, from clothing, architecture, and furniture to computer programs to indoor and outdoor places to relax or play.

MODA’s current show runs through Sept. 1. “Al Dente: The Design of Pasta,” is proof that design touches everything, even our food, opening our eyes to culinary oddities in the wide world of pasta

STAYCATION

with lots of interesting alternatives to the varieties we Americans have on our pantry shelves.

This show explores the Italian innovation of pasta hundreds of years ago, which food historians claim produced a “food renaissance.” Through a set of videos, which comprise an entertaining project called, “Pasta Grannies,” that features real-life Italian grandmothers making, shaping, and cooking pastas with names like orechiette, su finlindeu, spaghetti alla chitarra, corzetti, gorganelli, and strozzapreti, visitors learn that making pasta really is an act of design.

“Al Dente: The Design of Pasta” describes the evolution of pasta made by hand tools used for cutting and shaping to gradual industrialization which introduced new shapes (like penne). Display cases have examples of these tools, with clear, explanatory notes.

Highlights include decorative and clever pasta advertisements from the 1800s to the present, examples of designer pasta, the story of a newly shaped pasta that took three years to perfect, and 3-D-produced pasta that makes packaging more efficient.

MODA holds Sunday Fundays on the second Sunday of the month. All ages are welcome to join the fun throughout the afternoon. On May 12, “Chalk the Block” will take place outdoors in front of the museum.

On May 11, between 11 a.m. and 12 noon, MODA will host a story hour especially suited for budding designers who are interested in the world of fashion. Lisa B. Brathwaite, the author of “Miles of Style,” will introduce her new book about Eunice W. Johnson, manager and publisher of EBONY magazine and cofounder and creator of the EBONY Fashion Fair.

Go online to MODA.com to see the design-based summer camps for kids ages 6-18 that MODA will hold at Georgia Tech. For more information and additional events for families or kids, go to museumofdesign.org or call 404-9796455.

MODA is open 11 a.m. to 6 p.m., Wednesday through Sunday, closed Monday and Tuesday. General admission: $10; military, seniors, students, teachers $8; youth to age 11 free. MODA is located at 1315 Peachtree Street, NE, Atlanta, 30309. There is no free MODA parking garage; however, visitors use the High Museum lot and other lots nearby.

Parents, be sure to check the Fernbank Science Museum, the Atlanta Botanical Garden, the Puppetry Arts Museum, and the High Museum of Art for other staycation activities. ì

Let’s Get DeKalb Schools BACK ON TRACK

VOTE MAY 21

VOTE EARLY UNTIL MAY 17

Andrew Ziffer

Candidate for DeKalb County Board of Education, District 1

Serving Brookhaven, Chamblee, Doraville and Dunwoody

Member: Temple Emanu-El of Atlanta

ATLANTA JEWISH TIMES APRIL 30, 2024 | 33
“Al Dente: The Design of Pasta,” at MODA.

Cool Stuff to Do on The BeltLine

With new things to see and do constantly springing up -- from eateries and entertainment to art and recreation -- the buzz around the Atlanta BeltLine just keeps growing.

This 22-mile loop pathway that encircles and connects more than 30 Atlanta intown neighborhoods -- is a transformative project for reasons such as community building, access, and economic development. I’ve long been a BeltLine enthusiast, and with much of it now finished, there are so many ways to experience its offerings.

The first completed and one of the most developed sections is the Eastside Trail, a three-mile stretch from Piedmont Park in Midtown, through Poncey-Highland, Old Fourth Ward, and Inman Park, to the Reynoldstown neighborhood.

However you get there, be sure to go hungry as this BeltLine section is home to a plethora of restaurants, breweries and casual eateries, either directly fronting the path or adjacent to it, many with outdoor seating. Ponce City Market (PCM),

the renovated historic Sears & Roebuck building, is a popular destination featuring many restaurants and fast-food choices, shopping, and entertainment.

For great city views, visit PCM’s rooftop. Slightly south, the Krog Street District also has great options including the popular food hall, as well as trail-front-

ing restaurants, such as Bell Street Burrito, one of our favorites. Both PCM and Krog Street Market offer (paid) parking lots. But that just scratches the surface.

34 | APRIL 30, 2024 ATLANTA JEWISH TIMES
STAYCATION
The BeltLine is a planned 22-mile loop encircling many intown Atlanta neighborhoods // Photos by Fran M. Putney Ponce City Market is a popular destination featuring food, shopping, and entertainment, accessible from the Eastside Trail.

The Krog District is filled with restaurants and casual eateries, as well as retail stores.

Google “Best BeltLine restaurants” to get other ideas. There are always new places to try either right on the trail or very nearby. Breaker Breaker, for example, is a new, fun, and casual concept by Alex Brounstein that opened last summer on the Eastside Trail in Reynoldstown that received a great review in the new April issue of Atlanta Magazine.

When it comes to entertainment, the Eastside Trail is home to the Illuminarium, a high-tech entertainment venue presenting shows that give the visitor a unique immersive sensory experience. Tickets are now available for the current show, “Horizon of Khufu: An Immersive VR Expedition to Ancient Egypt.” (illuminarium.com)

And don’t be surprised when traversing this busy section of the BeltLine if you run across a Jewish presence – maybe even a rabbi on a bike -- as the thriving Chabad Intown is located here not far from PCM. The Chabad is a welcoming center offering a variety of programming and worship. (chabadintown.org)

For a truly festive experience, plan to participate in the 2024 BeltLine Lantern Parade on May 11. This annual community “light show” brings thousands of people together in what is always a colorful and joyful event. This year’s parade, with pre-parade activities and bands such as the Atlanta Drum Academy and Atlanta Freedom Band, will take place on the Westside Trail beginning at Adair Park. (art.beltline.org/events/lantern-parade)

Public art is also part of the lively BeltLine vibe, and each trail section features all types of sculptures, murals and even graffiti, as well as featured exhibi-

STAYCATION

This whimsical sculpture on loan from Mellow Mushroom Pizza is an example of the great variety of public art along all sections of the BeltLine.

tions that pop up throughout the year. According to its website (art.beltline.org/ about), Art on the Atlanta BeltLine hosts the largest temporary art exhibit and linear gallery in the U.S.

Recreation is an important aspect of the path’s design plans, and throughout the loop, there are numerous access points to recreational areas and green spaces -- from Piedmont Park to small community parks and even a skateboard park.

Bicycling is a great way to experience the BeltLine. For me, the idea of one day being able to hop on my bike and cycle through all these diverse neighborhoods and environments in one ride, is well, kind of exciting. Look up places to rent bikes if you don’t have one. Be watchful on weekends when there’s a lot of pedestrian traffic. BeltLine courtesy makes the path enjoyable for everyone.

BeltLine bike tours, offered on Saturday mornings, are a great way to explore the different trails. Sign up is required at beltline.org/events/category/health-andfitness/biking/list/.

Less congested sections are great for a quieter stroll. For a lovely walk, visit the Northside Trail for a scenic one-mile section that offers beautiful views and runs through Tanyard Creek Park and connects Ardmore Park and Atlanta Memorial Park to the NW BeltLine Connector Trail.

When it comes to the BeltLine, there’s an almost endless array of experiences and areas to enjoy and explore. Beltline.org is an excellent source for what to do, how to get there, and for more in-depth information about BeltLine news, its history and impact. ì

THURSDAY, MAY 2

7:30 – 10 PM

Event Co-Chairs

Louise & Brett Samsky | Michelle & Gary Simon

Inaugural Champion of Inclusion Award Winner

Larry Smith

The Tasting Experience is an expanded event supporting the nonsectarian Intellectual & Developmental Disabilities Services of JF&CS. Enjoy a silent auction, delicious tastings from some of Atlanta’s best restaurants & caterers, and spirits & wine from local distributors while supporting extraordinary programs and clients.

RESTAURANTS

Added Touch Catering | Brewable

Chef Steve Creations | C&S Seafood & Oyster Bar

EB Catering | High Roller Sushi | La Grotta

Message in a Bottle | Mission + Market

Nothing Bundt Cake | Nowak’s | Rina

South City Kitchen | Sugar Shane’s

The Sprinklenista | The Woodall | Vino Venue

Whiskey Bird | Zakia | Zest Catering | & More

ATLANTA JEWISH TIMES APRIL 30, 2024 | 35
TICKETS:
thetastingexperience.org
$150

Push … and Jewelry May Appear MOTHER'S DAY

Mother of three, Melissa Mor, came from a family where jewelry was valued as tradition and resilience. Now Mor is the founder of Mrs. Push, an online “push” present destination.

A “push” present is a sentimental piece of jewelry given to mom after the birth of a child. Just when one thinks every possible retail niche is filled, push gifts are gaining in popularity and can even involve dad.

Mor recalled that her own mother received jewelry when she and her brother were born. “It just didn’t have the term ‘push present.’”

And then there’s the extra layer of Jewish superstition -- to avoid gifts that have baby’s names before birth.

After delivering her own three children, Mor struggled to find meaningful gift ideas and created Mrs. Push 18 months ago as a one-stop shop for meaningful jewelry for moms. Mor’s attachment to jewelry has much deeper sig-

nificance as she channeled her family’s escape from the Holocaust by now cherishing the pieces that made it to the U.S. Mor herself actually never got a

push present because she couldn’t find something that she thought was “special” enough. She came to realize there was no one-stop shop for push presents. Her

friends came to her for the same dilemma -- to help them find the perfect push present. Fast forward to Mor baby No. 3, as Mor recalled, “I had that ‘aha’ moment,

36 | APRIL 30, 2024 ATLANTA JEWISH TIMES
Child silhouette charms are a best seller. Melissa Mor used her own three children’s births for motivation to create her niche push jewelry business.

MOTHER'S DAY

I saw a void in the market and immediately created my business.”

Most push items are “custom,” so if the parent-to-be knows the name of the child, they could purchase it before birth. She explained, “But being Jewish, I feel like we are always superstitious and like to wait till after. That is, at least, my opinion. Then you also know the birthstone and birth date that can be engraved. Many of my clients also never got a push present but want something to represent their kids. So, we’re creating jewelry for moms of kids of all ages.”

Mor’s bestsellers are initial necklaces and bracelets that can be augmented as more kids are born. Child silhouette charms are another popular piece. For those, the customer uploads a side silhouette photo of the child; and at checkout, it’s converted to a solid gold charm where names and birthdates can be engraved. Less expensive gifts can still be solid gold like mini heart rings -- also engravable. Mor can also package gifts to be unique baby shower or sprinkle gifts.

Melissa’s husband queried, “What about dads, we want to wear something representing our kids?”

Mor’s reply, “Maybe not given at the time of birth, but we make creative Father’s Day gifts like bracelets with a sterling silver plate that can be engraved with names or initials. The bracelet itself is either made out of silver or coated braided nylon.”

A native New Yorker married to an Is-

raeli, Melissa grew up loving fashion and commemorating special occasions with jewelry. As an authentic fashionista, Mor attended the pedigreed Fashion Institute of Technology after which she was a buyer who traveled to Paris for fashion weeks.

She stated, “Nothing lights me up like a good outfit and the perfect jewelry. I love investment bags such as a classic Chanel, but equally enjoy shopping the latest trends on Revolve or at Zara and Mango.”

From the age of five, she was styling her family and telling them what to wear and buy. As the granddaughter of Holocaust survivors, she’s touched that somehow “their lives were destroyed, but they managed to bring their jewelry with them when they came to the United States. I would play in my grandmother’s jewelry box with all her good stuff from a young age. Every birthday, I would get a piece from her collection. Every piece tells a story, and when my girls want to know more about something in my jewelry box, I have the entire story to tell them. “

As jewelry related to sentimentality, when Melissa got engaged, she used a family diamond, an heirloom that was her great-grandmother’s from before World War II, that again somehow made its way to the U.S. in perfect condition.

The Mors are affiliated with Congregation B’nai Torah and Israeli Chabad for events and holidays. For more information about Mrs. Push, please visit www. mrspush.com. ì

ATLANTA JEWISH TIMES APRIL 30, 2024 | 37
Melissa likes to combine bracelet options as families grow.

MOTHER'S DAY

Pachter Cozies up to New Pajama Line

Who doesn’t remember Livingston Taylor’s catchy children’s song, “I Got My Pajamas On”?

Pajama clothing dates to the 13th century Ottoman Empire as “garments for the legs” and have long been a symbol of comfort and warmth.

Dunwoody native Heather Rubin Pachter was just not satisfied with the design choices -- as a mother of two seeking out the best PJs over extensive shopping efforts.

She recalled, “Although I have purchased children’s pajamas for years, I was never satisfied with the fabric, fit, or designs. When my business partner, Jessica Zamir, and I bought matching pajamas for our daughters, we were underwhelmed with the design options and fabric quality. From that moment on, we went to work creating a product line Cozeezz that focuses on comfort without sacrificing style.”

The two spent a year working with professionals to optimize the fabric. Their “paramount” goal was for the ma-

terial to be soft without compromising quality and durability. Now they personally design all fabric patterns and enjoy the constant process of creative innovation. Once their fabric was printed, their first run was cut and sewn in Miami. They learned “the ropes” with details like single thread tags being the best option

Soar.

At Canterbury Court Senior Living Community, life can take you wherever you’d like to go. Our expanded 14-acre campus offers new elegantly finished and customizable apartment homes, enhanced amenities and services, beautiful gardens and lush green spaces, and plenty of cultural and social opportunities. All with the peace of mind of a continuum of care, if ever needed. With all this awaiting you, what are you waiting for?

To learn more and to schedule a personal tour, contact us today at 404-905-2444, visit CanterburyCourt.org/Soar, or scan the QR code.

since they are easy to remove if needed and do not degrade like tagless labels.

Pachter continued, “After extensive research and sample testing, we selected a female run manufacturer who custom prints, cuts, and creates pajamas of exceptional quality. We are so excited that our vision has come to fruition!”

They initially sold their pajamas at local school events in fall of 2023. They recently launched their website (www. cozeezz.com and Instagram page) “where slumber meets style … cause little legends deserve both.”

Pachter doesn’t stop there as the site sells adult and teen sets, little girl’s dress-

38 | APRIL 30, 2024 ATLANTA JEWISH TIMES
Heather Rubin Pachter advises that comfy well-designed PJs can help with bedtime routines. Pachter and Zamir first started by selling PJ’s at school events and often use their own kids as models. Pachter and Zamir did extensive research to find the right fabrics for style, comfort, and durability.
3750 Peachtree Road, N.E. | Atlanta, GA 30319 CanterburyCourt.org NOWEXPANSION OPEN Independent Living | Assisted Living | Memory Support | Skilled Nursing

es, in addition to boy's and girl's PJs.

Pachter recounts that pajamas are not only for sleeping. “Our kids always insist on wearing their Cozeezz, even around town, because they love the soft fabric and the style. My children have even flown in their Cozeezz on early morning flights. On our website, the models are our children and their friends. Jessica and I are both working moms, and we have organized the Cozeezz photo shoots around the kids’ schedules so they can participate. We know that it is important to show our children how to harness their creativity, design a plan, and become entrepreneurs. Our unmatched softness and unique prints are a result of countless hours spent perfecting the products. The result is a fit and feel that kids never want to take off. From day to night, we have them covered.”

The child pajamas retail for $49 a set. After numerous requests, they added pajamas for moms for $89 a set. Some sets come in shorts. They are currently in discussions with fashion boutiques from Miami to New York to establish a retail presence.

Cozeezz offers some tips to help preserve fabric quality and durability and recommend pajamas be washed in cold water with a mild detergent and air dried.

Pachter also proffers that fun PJs can help with nightly bedtime routine.

“Children look forward to putting on comfortable pajamas after their showers and baths. Feeling comfortable contributes to the nightly bedtime routine. Children have the opportunity to lounge and relax before bedtime. Cozeezz creates calming and soothing evenings and lazy mornings.”

Cozy up to some fun prints like Sneaker Head, Terrazzo, Jaws-ome, Camo, and Off Road.

Hey, how about matching PJs for dads?

Heather grew up in Atlanta and attended the Hebrew Academy. Later, she graduated from the Woodward Academy. While attending Tulane University, she earned a BSM in marketing. Subsequently, she obtained duel masters in elementary education and exceptional student education from Boston University. Heather Rubin Pachter’s home was featured in the Atlanta Jewish Times’ Chai Style Home column on May 27, 2021. ì

MUSIC SERIES

LIVE MUSIC & LIVELY ANIMALS

Enjoy all the fun of Georgia Aquarium alongside live music every Friday evening with admission. Plan your visit at GEORGIAAQUARIUM.ORG

APRIL 26 – MAY 31

ATLANTA JEWISH TIMES APRIL 30, 2024 | 39 MOTHER'S DAY
EVENINGS
FRIDAY
FREE PARKING
AFTER 5 P.M.
Kids sets are $49 and some have matching sets for mom at $89.

Amit Ferderber

Marni Bekerman - Dunwoody, GA

My mommy works so hard at The Epstein School. She takes me to Yogli Mogli and on special dates. Mommy is the best and works so hard to make money! She buys me milkshakes. She takes us on fun trips and she talks to me about my day in bed.

Micah Bekerman, age 5

Ayelet Ferderber - Atlanta, GA

My ima is who I want to be. She raised us to be proud Jewish-Israeli kids, she has a free spirit and allows makes time for anyone and everyone, she has become a second mom to all my friends and treats them as if they were her own. Since october 7 my ima has not been the same. She spends her whole day posting on social media and listening to the news in israel, when shes not working on getting her BA. I want to help her get out of this feeling of helplessness since our home was attacked. My ima deserves this because outside of being an outstanding person, she is one who despite the pain keeps on.

Shelly Kirsch - Atlanta, GA

Everyone often says, "I have the best mom" but there really only is one, Shelly Kirsch. For as long as I can remember my mom has been my first phone call every morning and my last phone call goodnight. Growing up, you couldn't have asked for a better role model or mom. I was one of those children who always knew how lucky I was in the moment and never forgot to tell her how much I appreciate her. My twin sister, Meredith and I relocated to Atlanta 13 and 10 years ago. It only took a matter of years until my parents moved down to Atlanta from NY as well.

We like to say Grandma Shelly's home is really a Bed and Breakfast because at least twice a week or so, one of the grandchildren are sleeping over. Our kids tell us each Sunday night its time to make "reservations" for the week. In all honestly, my mom would have all 6 of her grandchildren sleepover each night if she could. It's just who she is. Mom, I know I tell you everyday how much I love and appreciate you, but I want the entire world to know how incredible you truly are.

Kimberly Kirsch Huddleston

40 | APRIL 30, 2024 ATLANTA JEWISH TIMES
MOTHER'S DAY

Alyssa Mattson - Marietta, GA

Somewhere along the engagement stage last summer, I realized I was marrying not only a man, but a family. The prospect was daunting to me. Yet, now married and local to my inlaws, I have discovered that my insecurity and fears were groundless. My mother-in-love (to use her words), has been arms, heart, and smile wide open. Her unceasing, vibrant love strengthens my own. Her appreciation for all that is beauty and joy is unmatched; her commitment to family, endless. She deserves the most wonderful mother’s day full of flowers— both in nature sightings and in the comfort of home.

Elisa Mattson

Nataliya Shevchuk - Johns Creek, GA

My Mama is a beautiful woman, inside and out. As an immigrant from Ukraine in the 1990s, she brought her family to America and completely started over. This gave me and my children the opportunity to live freely as Jewish people and celebrate our heritage. With the devastating war in Ukraine and the recent events in Israel, we feel even more blessed to have all our loved ones safely here with us. This is thanks to the sacrifice made by my Mama. Besides her unfathomable strength, my Mama has the biggest heart. She is a giver all the way through. She remembers every little thing, brings homemade food and flowers to anyone who is in need of extra care, and dotes on all of us tirelessly. She is my inspiration for how to be a capital M Mother. A Mother not just to me but to the whole community. I love you so much, Mamochka!

Julia Urshansky

Randi Tucker- Roswell, GA

My mom is supermom! She does everything for everyone. She makes sure my brother and I have everything we need. She is the absolute best leader for my Girl Scout Troop, and an amazing volunteer Girl Scout Troop Development Coordinator for the Roswell Service Unit. She chaperones all my field trips, chorus concerts, and band competitions. She assists at our synagogue and makes sure I get to participate in House of Temple Tikvah Youth Group, Kesher classes, and Sunday School assistant teaching. She takes me and my friends to concerts, shopping, festivals, museums, holiday activities, and any other fun thing I can think of. She throws the best birthday parties and celebrates our every little accomplishment. She does all the things, all the time, for everyone, and I love her so much for it!

Shelby Tucker

ATLANTA JEWISH TIMES APRIL 30, 2024 | 41 MOTHER'S DAY

VaHi’s Ela Dips into the Mediterranean DINING

From a culinary and business perspective, one has to admire the creative development that the locally owned Fifth Group continues to “cook up” in Atlanta.

From Italian, Southern-ish, seafood, European inspired, to upscale Mexican/ Latin American … and now … Ela … inspired by the Mediterranean Sea which served as a trade route between arid, coastal countries with common denominator ingredients like olives, wheat, and fragrant spices. Its tapestry is more like Turkey and Greece with a wider Arabian swath. Label it “Pan–Med” with a hint of Israel (even Hebrew on the menu).

With a nice patio and easy driveup parking, Ela wants to be part of the neighborhood. Mark Jeffers, VP of Culinary Operations, said, “Our guests have been pretty representative of the VaHi (Virginia Highlands) neighborhood which runs the gamut of college kids and young families, to middle-aged couples and empty nesters. We want Ela to feel like the neighborhood; fun, vibrant, and

diverse.

Ela opened in February in the Original El Taco space on North Highland. The menu focuses on mezze and communal

THE ROBIN BLASS GROUP

entrees in an easy-to-follow format: starters, mains, desserts, with the back of the sailboat inspired menu featuring spirits, bubbles & whites, rose & reds, some brews, and two non-alcoholic specials.

Some of the Starters are The Mezze Board ($18) with five sharables, dips, grilled pita, Israeli pickles. We also sampled the grilled artichoke ($13) which was soft and lemony enough. Other beckoning starters were cauliflower falafel, baby eggplant, Steve’s Greek fries, and the Delicata squash with red onion, spiced nuts and honey vinaigrette which will be replaced in spring by a beet salad as seasonal adjustments capture ingredients at their peak. A curious touch here is the $5 charge for the side sauce.

Our favorite mains were the Indian River pompano ($35) and the mushroom shawarma ($13) with umami glaze, and pistachio dukka (Egyptian spice consisting of hazelnuts and herbs). The fish was prepared with potatoes, capers, celery, olive, and torgashi, displayed and splayed butterfly style. The shawarma was presented under skewers preceding optional sets, which further completes the dish. We chose Fork and Knife set -couscous with chili, dried fruit, mint and feta ($7). Other choices were “on a pita” with pickled cabbage and “with greens” roasted pepper, fennel, sheep feta, and goddess dressing. Ela’s chef knows his way around blends and spices.

The dessert menu has only two choices: Greek fro-yo with baklava crumbles ($9) or Ela’s Greek donuts ($9). For another $5, elevate those with boozy cherries or coconut coffee affogato

(“drowned” in Italian.).

Requisite inquiry, “What makes Ela’s hummus special?” Jeffers stated, “Traditional hummus only has a handful of ingredients, so making a standout hummus comes down to the quality of the products and process. We use very high-quality tahini, fresh lemon, great olive oil, but the real trick comes down to blending. To get silky-smooth hummus, you need to blend the chickpeas while hot, and use a very high-speed mixer. By adding in a couple of ice cubes towards the end, it becomes extra silky. We can save you the trouble if you come get ours!”

Vice President of Operations, Operating Partner, Stuart Fierman, relayed, “My mom and our cousins all hail from the vibrant VaHi neighborhood. My sister called the area ‘home’ for over a decade, residing just up the street from Ela’s current location. As the founding general manager of La Tavola 25 years ago, my roots run deep in this community. Being a part of crafting a concept that speaks to me on a personal level is incredibly meaningful. Enjoying a cocktail on the patio, surrounded by a spread of Mezze and friends, evokes fond memories of cozy cafes in Jerusalem. I hope Ela provides others with the same warmth, camaraderie, and sense of connection that I cherish.”

Fierman, a member of The Temple, is often at Jewish tasting events to show Fifth Group’s community support.

Ela is located at 1186 North Highland. Open seven days a week. Check www.ela-atlanta.com for happy hour, weekend brunch, and dinner hours starting at 5 p.m. (404) 873-4656. ì

42 | APRIL 30, 2024 ATLANTA JEWISH TIMES
Table favorite was the Indian River pompano with its artsy presentation. The table shared the Mezze Board with five ingredients.
The Atlanta Perimeter Office | 4848 Ashford Dunwoody Road | Dunwoody, GA 30338 | (O) 770-394-2131 The above information is believed accurate, but is not warranted. This offer subject to errors, omissions, prior sale and withdrawals without notice. If your home is currently listed, this is not intended as a solicitation. ROBIN BLASS + LAUREN BLASS SOLOMON, RobinBlassGroup@HarryNorman.com | www.RobinBlass.com REALTORS® | (C) 404-403-6561 or (C) 770-789-4464
The Mushroom shawarma(top) was over the Fork and Knife “set.”
WHETHER YOU ARE INTERESTED IN BUYING OR SELLING, LET US PUT OUR 43 YEARS OF EXPERIENCE TO WORK FOR YOU!

Chai Style Home

High Voltage Condo Stages ‘The Stones’

The Cohen’s are a dynamic duo who designed their condo with jet set authority and elite designer Rosthema Kastin, who pulled it all together among the clouds in a majestic Buckhead high rise panorama.

Lori is an internationally known litigator at Greenberg Traurig, a firm comprised of 47 offices worldwide. Lori serves as one of the firm’s vice chairs and is the global co-chair of litigation. The couple travels extensively, having been to all seven continents and more than 75 countries.

Ken, a retired dentist, said, “We fell in love with hotel designs from all over the world which drove many of our preferences when the project began.”

They are both devoted to white golden retriever, Lightning.

After acquiring their condo, the Cohens turned to Ros Kastin of Rosthema, ltd, Interiors of Distinction, to “strip down to the studs and redesign the whole

unit.” Kastin said, “The process took 18 months. We had multiple discussions about their vision so I could incorporate their preferences. Lori likes bold and bright colors reflecting her personality, whereas Ken leans towards Earth tones, given his love of the outdoors.

Marcia: Jump in with your unique design elements.

Ros: My goal was to make the furniture and furnishings flow and streamlined. It needed to be a dramatic arresting space.

The custom designed cabinetry and wall panels throughout are in a high gloss pale grey finish, capturing light which gives life to the woodwork.

In Lori’s study, we used an ombre Zuber wallpaper reflecting the colors of the setting sun. One of my favorite pieces is the custom dining table, with a brushed and polished stainless steel pattern, inlaid in Macassar ebony, framed by a mahogany bullnose. Donghia fluted dining chairs in brushed silver are upholstered in vibrant blue leather. The chandelier captured the Cohens’ admiration for “a sky full of stars.”

Marcia: What led to a blue kitchen?

Ros: A client like Lori challenged

me to “go bold” vs. traditional. Colors can bring cohesiveness to an interior. In some rooms, bold colors are subordinate to neutrals. Occasionally, we risk making color take center stage. The blue marble became the protagonist to offer a drama against white and silver, grey European cabinetry.

The large center island top is translucent onyx up-lighted and creates a stunning focal point.

Marcia: How did your interests parlay into the mix?

Ken: While Lori was more tuned into design and art, I was interested in populating the bar with my collection of rare and unique whiskeys and liqueurs.

The 10-foot-long by 10-foot-high bar is designed to showcase the unique and artistically designed bottles and glassware we collected from our various travels. The glass shelves are backed with triangular mirrors placed randomly.

I spend most of my time in my study in Carpathian burl walnut with a specially designed high shelf surrounding three walls displaying my Boehm porcelain collection (by Edward Marshall Boehm) of birds and animals in lifelike appearance -- which I inherited from my father.  They were well known for Presi-

dent Nixon gifting to heads of state.

Marcia: From where does this fascination with the Rolling Stones stem?

Lori: The Rolling Stones have been a passion of mine since the late 1980s, and we have seen them 145 times on four continents, largely in the front row of the Pit.  We have close friends who are an international group, and we attend the shows together all over the world. We stay at the hotels where the band stays typically and have been fortunate enough to have met most of the band and their entourage over the years. We have a collection of signed paintings (by Ronnie Wood), signed album covers (by Mick Jagger and Keith Richards) and signed set lists by Ronnie Wood, who is quite the artist in his own right. The piece de resistance is our Andy Warhol painting of Mick Jagger featured prominently in the foyer.

Marcia: The master suite is very luxurious.

Ros: The master bath has dark red marble on walls and countertops. The floating double vanity with dual mirrors is encased in stainless steel frames for back-to-back, “His and Hers” vanities. The closet features a curved shelf wall displaying one of Lori’s collections –

ATLANTA JEWISH TIMES APRIL 30, 2024 | 43
Lori and Ken Cohen relax with white retriever Lightning // Photos by Howard Mendel

CHAI STYLE

Above: Ken takes great care in selecting rare and unique whiskeys and liqueurs for his custom-designed bar.

Right: Lori goes for bold colors and selected this red sculpture, “Lace Female Form,” by Lagemann, standing on a pedestal in the middle of the narrow triangle intersecting like the prow of a ship, and peering over Georgia 400.

Below: The primary bedroom uses a neutral palette on the walls and cabinetry to accent the vermillion tones. The Stark rug lets the Bergamo fabric bed spread shine.

Left: Being a shoe lover, Lori opted for a curved closet, so everything was readily visible.

shoes -- fabulous high heels and boots. Then, there’s the purses where everything is visible.

Marcia: What is special about the entrance?

Ros: The Cohens’ wanted to extend the décor to include the front entrance and some of the common area in front of their door which I designed with a beautiful silver-streaked marble accenting the black front door with its stainless steel. The entrance foyer features pearlized, leather-covered front doors in grey with mother of pearl walls. The ceiling has panels graduating in height coming lower towards the entrance to the living room to accentuate the impact of the 13-foot ceiling in the living room. Floor to ceiling mirrors are used for the powder room. The floors throughout are white marble with grey streaks, which unifies the entire condo.

Marcia: You’re dressed in red …

Lori: I found this scarlet metal sculpture, “Lace Female Form,” by Rainer Lagemann (New York) by chance on the Internet while waiting for a flight. I also have a hot pink skull by Lagemann in our foyer.

On the back wall by the breakfast area hangs a colorful piece by Verbecky with strips of painted glass on the underside, creating an interesting effect which is a wonderful conversation piece.

CHAI STYLE

Marcia: What about the outdoors?

Ken: We have more than 4,500 square feet inside plus 1,000 feet on our three patios, combined with the main patio being the centerpiece of entertainment right off our living room. The main terrace houses a custom-designed, stainless steel and marble unit to incorporate the fireplace, grill and TV, which raise and lower into the cabinet. All are remote controlled. It’s an extraordinary place to visit with friends and drink cocktails. We love our neighbors who have become dear friends and make our lives all the more special.

Marcia: Last word.

Lori and Ken: We love coming home to our dream home in the clouds which is full of our passions. ì

Above: Designer Ros Kastin stands by the dining table under the chandelier of cascading glass stars with pin lights for a floating effect mid-air, adding a note of whimsy. Below: This long shot of the main living area captures the streamlined and dramatic effect Kastin sought in the overall design. Above: Lori and Ros chose “bold blue” for the well-appointed kitchen. Below: Kastin designed the foyer in pearlized, leather-covered front doors in grey with mother of pearl walls. The painting of Keith Richards was done by Carrie Pendley from a photo Ken took in Warsaw.

ARTS & CULTURE

Temple Chamber Players Wrap First Season

The newly formed Temple Chamber Players, featuring some of the finest classical musicians in Atlanta, wrapped up its first year of performances of “Yiddishkeit: A Story of Song & Prayer,” just before Passover on Sunday afternoon, April 21.

The group is under the direction of Roee Harran, an Israeli-born cellist who has worked with the Atlanta Symphony and the Atlanta Opera and is on the music faculty of Emory University.

The pre-holiday program, which was held in the historic Temple sanctuary on Peachtree Street, devoted a number of short pieces from the 20th century classical repertory that explored the legacy of European Jewish music, “Yiddishkeit: A Story of Song and Prayer.” The series of short selections, mainly from the music of the last 125 years, ranged from “Bei Mir Bist du Shein,” the Yiddish show tune that became a hit for the Andrews Sisters during the Swing era of popular music in the 1930s to an evocative musical reading of Ravel’s Kaddish.

The works were complemented by the historic setting of The Temple’s large main sanctuary that dates to 1931. The imposing structure is dominated by its unique and elaborate wrought iron railings that frame the bimah at the front of the large worship space and its shining gold metal ark that crowns the setting. The congregation, which dates to the late 1860s, has overhauled the building in recent years. The rebuild was capped by a state-of-the-art video production facility that was installed in the main sanctuary. Flanking either side of the soaring, classically ornamented worship space are 10foot square video monitors. They helped to transform the live Chamber Players concert into a hybrid event, which featured pre-taped introductions by the musicians at the Sunday afternoon event.

Cellist Harran told Lois Reitzes on her WABE broadcast, “City Lights,” that the elaborate electronic installation, which is unique to an Atlanta synagogue, complemented the afternoon’s music program.

“The Temple incorporated this highend, top-notch technology during COVID, with its huge screens. And I thought to myself, since I love chamber music, what a wonderful venue that would be if we could have live music and create this immersive experience that the audience can listen to great music with wonderful

musicians and at the same time watch us on these big screens, zooming into our playing and see our facial expressions or hand motions. It’s an experience for classical music lovers that just doesn’t exist at this point in Atlanta.”

Not only does the video installation help provide a greater sense of intimacy in a space that can overwhelm the stage of a small chamber ensemble, but it gives guests a close-up view of the vocal performance that was one of the highlights of the Sunday concert.

The Temple’s recently hired Cantor Tracy Scher, who grew up in Canada, decided on a career in liturgical music after an initial start in opera as a mezzo-soprano. Her beautiful, dramatic rendering of the High Holiday’s “Avinu Malkeinu”

was a perfect complement to The Temple worship setting. The classically trained voice brought back memories of an earlier era in cantorial music, when beautiful sung cantorial melodies by male cantors developed a passionate following not unlike modern day rock stars.

The April concert was one of three that The Temple Players created under Harran’s management. It featured two Kennesaw State University faculty members -- violinist Helen Kim and pianist Judy Cole -- who also plays for Friday night worship services at The Temple. Rounding out the ensemble was Jesse McCandless, who is also the principal clarinetist of the Atlanta Symphony Orchestra.

The season launched Oct. 23, two

weeks after the Hamas attack on Israel on with a benefit performance for the Magen David Edom ambulance service. The program, entitled “Fervor: Journey from Buenos Aires to Germany,” featured violinist David Coucheron, the Atlanta Symphony Orchestra concertmaster, with Julie Coucheron at the piano, Justin Burns on violin, Josia Cole on viola, Esther Park, piano, with cellist Harran rounding out the ensemble. The afternoon featured two beautiful performances of Mendelssohn’s “Piano Trio #1” and Schumann’s “Piano Quintet, Opus 44.”

A performance on April 17 presented “Zest - A Tale of Romantic Reflection,” with Sergiu Schwartz, violin; Josiah Cole, viola; Roee Harran, cello; and Esther Park, piano. ì

46 | APRIL 30, 2024 ATLANTA JEWISH TIMES
The Temple’s Senior Rabbi, Peter Berg, introduced the concert held just before Passover. Roee Harran produced The Temple’s Sunday afternoon Chamber music series // Photo Credit: Rachel Linkwald The chamber music series was performed in the historic synagogue's main sanctuary // Photo Credit: The Temple
SIMCHA SPOTLIGHT Have something to celebrate? Share your simchas with us! Births, B’nai Mitzvah, Engagements, Weddings, Anniversaries, Special Birthdays and more ... Share your news with the community with free AJT simcha announcements. Send info to submissions@atljewishtimes.com.

CALENDAR

May 1 – May 5

Food Drive - Camp Jenny is NFTY’s Southern year-round Mitzvah corps project, allowing children from Atlanta’s urban schools to receive tutoring and support. Please bring foods that kids can make themselves like Ramen, Mac n Cheese, peanut butter or cheese crackers, granola bars, and more to Congregation Dor Tamid. Learn more at https://bit. ly/3PG924N.

May 1 - June 10

Reading a Rainbow of Values - Counting the Omer is a Jewish tradition spanning from Passover to Shavuot, emphasizing personal growth through exploring values such as Kindness and Humility. Reading a Rainbow of Values is a MJCCA family program that enhances this tradition by suggesting a different children’s book to read together every day during this time between the holidays. Each book reflects one or more values, to foster growth and meaningful conversations. Find out more at https:// bit.ly/4cWDHoM.

WEDNESDAY, MAY 1

Counting the Omer Kick Off Event - 4:30 to 5:30 p.m. Read "The Princess" and the "Warrior Reading: A Tale of Two Volcanoes." There will be a volcano craft. Learn more at https://bit.ly/3w0feOt.

Another Sunrise: An Evening of Music and Reflection with the Atlanta Opera & The Temple - 6:30 to 8:30 p.m. Join us leading up to Yom HaShoah, Holocaust Remembrance Day, as The Temple and The Atlanta Opera partner for a special program of music and remembrance. The evening features a performance of “Another Sunrise,” followed by a Community Conversation. Purchase tickets at https://bit.ly/4aMN8VC.

THURSDAY, MAY 2

Campapalooza - 5:30 to 7 p.m. Join MJCCA Day Camps for Campapalooza down at the MJCCA Day Camp campgrounds!

Whether you are a seasoned camper, eagerly anticipating another exciting summer, or considering this adventure for the very first time, everyone is invited to Campapalooza! This event promises to peek into the diverse range of camp activities that await your child this summer. Register at https://bit.ly/49yGfX9.

Talking Peace: A webinar with Neil Lazarus and a Palestinian from the West Bank - 7 to 8:30 p.m. This webinar is hosted by Neil Lazarus, an Israeli commentator and educator, and “Ali,” a Palestinian from the West Bank (name changed for his safety) who opposes Hamas. Both will discuss their thoughts about the genocidal terrorist group Hamas, Israel-Palestinian relations postOctober 7th, and why BDS is detrimental to Palestinian interests. Get the Zoom Link by registering with the Atlanta Israel Coalition at https://bit.ly/3UbkYOJ.

The Tasting - 7:30 to 10 p.m. The Tasting Experience is an expanded event supporting the nonsectarian Intellectual & Developmental Disabilities Services (IDDS) of JF&CS. Through the Zimmerman-Horowitz Independent Living Program, clients are provided supportive living services that enable them to live as independently as possible. The Community Access Group is a community integration day program with numerous outings and activities each week. Supported Employment helps those who want to work gain the skills they need to get a job and keep it, while we provide on-going support to ensure longterm success. Through these incredible programs, clients learn new life skills, gain more confidence, become more independent, and most importantly, build community. Get tickets at https://bit. ly/3WeXAS7.

FRIDAY, MAY 3

Waffle House Shabbat - 7 to 9:30 p.m. Trybal Gatherings x OneTable are taking over a Waffle House for a private dining experience that serves up their famous menu with a side of new friends. Scattered, covered, smothered, chunked? That’s what this Friday is all about. Great friends, classic plates, and a festive meal are coming right up. So roll up your sleeves, grab a fork, and dig in at Atlanta’s most iconic restaurant. RSVP at https://bit.ly/49yOvGK.

SATURDAY, MAY 4

Puppet Palooza Saturday - 10:30 to 11:15 a.m. Piccadilly Puppets and Stage Door Theatre have teamed up to bring five individual puppet shows to the stage. The show is recommended for ages 3-8. Purchase tickets at https://bit.ly/3qN5ODB.

SUNDAY, MAY 5

Mazal Tots: Baby and Me - 9:10 a.m. to 12:10 p.m. Welcoming a new addition to your family is a joyous occasion, and finding a supportive community to share the journey makes it even more special. Introducing Mazal Tots, a unique gathering designed to foster connections, provide resources, and celebrate the beautiful journey of parenthood. With dedicated age-specific sections, Temple Emanu-El caters to the needs of families with infants (0-5 months), movers and groovers (6-17 months), and toddlers (18 months yrs), creating an inclusive space for all. Learn more at https://bit. ly/3UcQxI5.

MAY 1-14

Yom Hashoah – 59th Community-Wide Holocaust Commemoration - 11 am. - 1 p.m. Join Breman Museum as we remember the six million Jews murdered in the Holocaust, and the heroism of survivors and rescuers at the 59th CommunityWide Holocaust Commemoration. Learn more at https://bit.ly/49yAxEG.

Hadassah Greater Atlanta 2024 Chesed Student Awards - 2 to 4 p.m. Join Hadassah Greater Atlanta and Jumpspark in the FREE Community celebration to honor outstanding students nominated by Jewish day schools, synagogues, and volunteer organizations at the 33rd annual Hadassah Greater Atlanta Chesed (Loving Kindness) Student Awards Ceremony, followed by refreshments (dietary laws observed). Find out more at https://bit.ly/4cXxF76.

MONDAY,

MAY 6

Unto Every Person There Is A Name 2024 Remembrance Ceremony - 8 a.m. to 3 p.m. B’nai B’rith International (Atlanta) and the Jewish Community Relations Council of Atlanta are proud to present the “Unto Every Person There is a Name” 2024 Remembrance Ceremony this year, the 35th anniversary of this global Shoah Memorial Initiative. This public recitation of names of Holocaust victims will be held around the world on Yom HaShoah, the Holocaust Martyrs’ and Heroes Remembrance Day. Get information at https://bit.ly/3PZyouB.

48 | APRIL 30, 2024 ATLANTA JEWISH TIMES

TUESDAY, MAY 7

Shop for a Cause: Alembika - 12 to 2 p.m. Israel Bonds Atlanta Women’s Division invites you to Shop for a Cause. This event will feature an Israeli women founded fashion brand called Alembika and lunch with Yael Edelist, President of Alembika, U.S.A. Space is limited. 2024 Israel Bond investment required to attend. Register at https://bit.ly/3Q2gQy1.

WEDNESDAY, MAY 8

Remarkable Resilience. Leading the Way Forward - 12 to 1 p.m. Americans for Ben-Gurion University (A4BGU) is hosting its annual virtual event, “Remarkable Resilience. Leading the Way Forward,” a webinar showcasing how Ben-Gurion University of the Negev (BGU) is leading the way forward for Israel in the aftermath of the October 7 Hamas terrorist attacks. Attendees of the May 8 event will learn how BGU serves as the anchor institution and engine for growth in the Negev, and how the University stands as a beacon of hope for the future of Israel and a vital part of Israel’s rebuilding and recovery efforts. Register for the Zoom event at https:// bit.ly/3xAQCwp.

Counting the Omer - Kindness Rocks - 4:30 to 5:30 p.m. Read Sylvester and the Magic Pebble Reading. There will be a painting of Kindness Rock. Find out more at https://bit.ly/3Q26FJM.

CANDLE-LIGHTING TIMES

Torah Reading: Acharei

Friday, May 3 Light Candles at: 8:05 PM

Saturday, May 4 Shabbat Ends: 9:04 PM

Torah Reading: Kedoshim Friday, May 10 Light Candles at: 8:11 PM

Saturday, May 11 Shabbat Ends: 9:10 PM

THURSDAY, MAY 9

Epstein 50th Celebration - 6 to 10 p.m.

The Epstein School is so excited to celebrate its rich 50-year history in the memorable halls where Epstein was founded in 1973. Join them for a very special evening of Dinner + Silent Auction + Entertainment. Get details at https://bit. ly/43Zpa7K.

Kugel Cook Off - 7 to 8:30 p.m. Join Congregation Dor Tamid for a Kugel CookOff. If baking isn’t your thing, come taste and help us pick a winner. A small nosh will be provided. Learn more at https:// bit.ly/3TOirsg.

A Time To Dance: CBH Tantshoyz (Dancehouse) - 7 to 8:30 p.m. Join internationally acclaimed dance instructor Steve Weintraub as he leads a session of joyous traditional communal dancing, all to the live accompaniment of the CBH band! Beginners to Jewish dance or klezmer music are most welcome: steps will be taught and lead sheets will be provided for the musically inclined. Get more information at https://bit. ly/4cUF5b9.

FRIDAY, MAY 10

Tot Shabbat at Etz Chaim - 5 to 6:30 p.m. Etz Chaim Preschool invites you to our monthly Tot Shabbat on Fridays. Bring your own dairy or pareve dinner, and join us for songs, dances, crafts, and fun! Find out more at https://bit.ly/43UQzHQ.

Davis Academy - 25th Annual Community Golf Tournament - 8 a.m. to 5 p.m. Join The Davis Academy for their Annual Community Golf Tournament. Find out more at https://bit.ly/3Q2h4oR.

7:30 to 9:30

p.m. Join the Mitzvah House for Shabbat under the stars with friends and family

SUNDAY, MAY 12

Yom HaZikaron Observance – Consulate General of Israel - 8 a.m. to 8 p.m. Community observance of Yom HaZikaron, Israel’s National Memorial Day for Fallen Soldiers and Victims of Terror. This event is organized by the Consulate General of Israel to the Southeast U.S. More details can be found at https://bit.ly/3vGciql.

MONDAY, MAY 13

Mocha Mondays at Etz Chaim - 7:45 to 8:45 a.m. Monthly, coffee, and breakfast with the rabbi, accompanied by the Talmud’s greatest hits! Learn more at https://bit.ly/42AZc9S.

2024 FIDF Atlanta Celebration - 6 to 9 p.m. We come together to honor the brave men and women who have fought to protect the State of Israel and its people. We celebrate their dedication, their bravery, and their unwavering commitment to defending our beloved homeland. Register at https://bit.ly/3UesXur.

TUESDAY, MAY 14

JNF-USA Atlanta WFI Yom Ha’atzmaut Luncheon - 11:30 a.m. to 1 p.m. Jewish National Fund -USA Atlanta WFI Yom Ha’atzmaut Luncheon This event is complimentary with a required minimum gift of $360 to the current campaign. RSVP at https://bit. ly/4cWuaxE.

J-CREN Spring Event - 5:30 to 7 p.m. Join the Jewish Commercial Real Estate Network (J-CREN) for a panel discussion with Legends and Leaders in commercial real estate and time for networking. Learn more at https://bit.ly/3UdkdVw.

ATLANTA JEWISH TIMES APRIL 30, 2024 | 49 Find more events and submit items for our online and print calendars at: www.atlantajewishconnector.com Calendar sponsored by the Atlanta Jewish Connector, an initiative of the AJT. In order to be considered for the print edition, please submit events three to four weeks in advance. Contact Diana Cole for more information at Diana@atljewishtimes.com.

KEEPING IT KOSHER

Healthy Whole Wheat No-Sugar Banana Muffins

I’ve taken a regular banana muffin recipe and cut out the white flour and sugar, substituting it with oats, whole wheat flour, and simply no sugar. The bananas have their own sugar. I sometimes add raisins, cranberries, or chocolate chips. Yields 12 muffins

Ingredients

3/4 cup oats

3/4 cup Shibolim Whole Wheat Flour

1 teaspoon Gefen Baking Soda

1 teaspoon Haddar Baking Powder

1/2 teaspoon salt

3 bananas, mashed

1 egg

1/3 cup margarine (I always use oil)

Directions

1. Preheat oven to 350 degrees Fahrenheit.

2. Combine dry ingredients in one bowl and wet in another. Stir the banana mixture into the flour mixture until it’s just moistened. Pour batter into lined muffin pans until three-fourths full.

3. Bake for 18 to 20 minutes.

Recipe by Whisk

Submitted by Faigy Friedman

Source: Kosher.com

The Perfume Counter

Avrahom walks into Macy’s department store and goes straight to the perfume section.

He says to a sales clerk, “Today is my wife, Sadie’s, birthday and I would like to buy her a nice bottle of French perfume.”

The sales clerk replies, “Excellent. She’ll be so surprised.”

Avrahom then says, “She sure will – she’s expecting a diamond necklace.”

YIDDISH WORD

Vilde chaye libhober

n. An extreme pet enthusiast who only dates other extreme pet enthusiasts.

“Levy, that vilde chaye libhober, picks up women in the pit bull section of the dog run in Battery Park. They tend to be as meshugana (crazy) about their dogs as he is.”

Vilde chaye means “wild beast” in Yiddish, and libhober means “lover.”

JEWISH
JOKE

Shabbat Phrases

ACROSS

1. Shuttle letters

5. Horse’s house

11. Major sports org. Down Under 14. Disney follower

15. Some Drake’s Cakes 16. Site admin’s concern, briefly 17. Eerie way to say “Good Shabbos”?

19. ___-Caps (candy)

20. Soybean relative 21. Bug that may knock you out 22. Paper to fill out

23. Particularly skillful

25. Enthusiastic way to allow a little girl to open a chocolate bar on Shabbos?

28. Stimpy’s cartoon pal 29. Capital of Japan, once 31. Indonesian island known for its coffee

32. React to a shock, in a way

34. Quite a while

36. Movie star Cage, familiarly

37. Was just knocked over by the intensity of Shabbos bentching?

42. “Check, mate”

43. Blue Jays’ home, for short 44. Turned traitor, with “out”

46. Flagstaff’s state

50. Yenta’s expressions, perhaps 52. Director Burton

53. Make like one in a real hurry

slicing the lechem mishne?

55. Really can’t stand

57. Santa ___ (desert winds)

58. Connections, so to speak

59. “Land of the free”

60. Toretto in the “Fast” movies

61. Have an epiphany during Havdalah?

66. “___ tree falls in a forest...”

67. Mama Cass

68. Actress Mazar or skater

Thomas

69. Cont. of Chad

70. Cash, stocks and such

71. Those, to Jorge

DOWN

1. Where to hear Shapiro on the radio

2. Drink in Palestine that’s forbidden to most Palestinians?

3. Fiction genre

4. Go ___ further

5. Thesaurus entry, briefly

6. Penthouse place

7. “Rumour Has It” singer

8. Humdingers

9. Business designation, for short

10. Kfar Aza to Netivot dir.

11. Alphabetize, perhaps

12. ___ Greyback (Harry Potter villain)

13. Worker for (Willy) Wonka

18. “None for me, thanks”

22. Big brawl

23. Buenos Aires’s land, briefly

24. Like many characters in “Coda”

26. Like many Jews at the end of Yom Kippur

27. Arab leader

30. Make like an Israeli soldier

33. Public squares

35. Sarcastic add on to a complement

38. City at the juncture of the Rhone and Saone rivers

39. Epic home run

40. Bungalows

41. “The Oath” writer Wiesel

45. You can slip into them, in modern lingo

46. The only National Park in New England

47. Possible election result

48. One of the original priests

49. Sharon and Winter

51. Weekly walking locale, for some Jews

54. Make a knot not

56. Delivery to the audience

61. Kind of salt

62. Mamilla duo?

63. Aliens, for short

64. One place to see “Aliens”

65. “...___ time to do’t” (Lady Macbeth)

ATLANTA JEWISH TIMES APRIL 30, 2024 | 51
Pesach Search Solution P 1 A 2 M 3 I 4 R 5 A 6 T 7 E 8 T 9 R 10 U 11 A 12 T E D 13 A G I M A 14 I S H 15 T 16 I M F 17 I N D S B 18 R E A D S 19 P O T 20 D 21 E E A 22 T L A S R 23 T 24 E S S 25 N L S 26 H 27 E E R S 28 H A Y L 29 A 30 H 31 A 32 H A V A S 33 U H E 34 P A B 35 E D I K A 36 T C H A 37 M 38 E T Z B 39 A A B 40 A H S 41 U R L Y A 42 N G R 43 I 44 E R M 45 I S S Y E 46 L L T 47 I A A O 48 N 49 E 50 A L B 51 O N F 52 I 53 L 54 E 55 W 56 O R D S E 57 A R C H 58 F 59 E Y E 60 A S E L 61 I C H A F 62 A A H 63 E R I 64 S H A Y Y 65 S L 1 2 3 4 5 6 7 8 9 10 11 12 13 14 15 16 17 18 19 20 21 22 23 24 25 26 27 28 29 30 31 32 33 34 35 36 37 38 39 40 41 42 43 44 45 46 47 48 49 50 51 52 53 54 55 56 57 58 59 60 61 62 63 64 65 66 67 68 69 70 71 FOLLOW :
BRAIN FOOD
Difficulty Lever:
Manageable

Driving lessons for teens and adults

DDS approved on-site road testing services

Drivers education/Joshua’s Law

Defensive driving classes

DUI/Risk reduction classes

Call 770-274-4223 or Text 404-590-4570

www.1statlantaduischool.com

Mon-Fri 8am–8pm, Sat & Sun 8am-6pm

OBITUARIES

Louis Chaiken 95, Tinton Falls, N.J.

Louis Chaiken was born on June 25, 1928, in Brooklyn N.Y., the third child of Russian immigrants, Isidore and Frieda Chaiken. Louis graduated from Harren High School in New York and City College of New York, where he received his Bachelor’s degree in accounting. He worked his entire career as a public accountant, mostly in his own practice, not retiring until his early 90s.

As a young man, Louis was stricken with polio just a short time before the successful introduction of the first polio vaccine. Already married with two children, the loss of strength in his right leg hospitalized him for six months, during which time he had to re-learn how to walk, took up swimming to gain the upper-body strength he would need to help compensate for the effects of his disability, and began a life replete with obstacles that he would never fail to overcome.

Challenged again when the youngest of his four sons was born with severe developmental disabilities, Louis dedicated many years of his life to overseeing not only the care of his son, but of many children and young adults with disabilities, having served as the President of the Parents Association of the Brooklyn Developmental Center for ten continuous years.

After an 18-year marriage to his high school sweetheart, Syma Chester, ended in divorce, Louis was presented with another life challenge. It was then that he began studying Kundalini Yoga under the guiding hand of Swami Rudrananda, in which he found great strength, solace and the inner peace that would carry him through a long and rewarding life, and new challenges yet to come. He took up oil painting and was an accomplished designer of personalized, computer-generated greeting cards.

Seventeen years after his divorce from Syma, Louis found and fell in love with Edna Roanes, a successful businesswoman in New York’s “garment district,” originally from a town outside London, England. It was not long after their intimate wedding at the famous Rainbow Room in New York City that Louis would again face down a new, devastating hurdle: Edna was diagnosed with cancer and died a short time later. His resilience shone through, and he would often say, “I may be alone, but I never feel lonely.”

For the last 25 years of his life, Louis lived in the beautiful senior community of Seabrook Village in Tinton Falls, N.J. He was, in fact, a “pioneer,” one of the initial, and the last living, Seabrook Village residents of the community who lived there from the time it first opened. He was instrumental in creating the Jewish Community of Seabrook Village, serving multiple terms as its President, taking a leading role in services, authoring its weekly newsletter, creating both the community’s beautiful Shabbat prayer book and High Holiday prayer book, and designing and printing each prayerbook donation inscription, among many other roles. He led weekly meditation classes and was a long-time member of, and advocate for, his post-polio support group.

Louis passed away in his sleep, in the comfort of the apartment he loved at Seabrook Village, on April 16, 2024, just short of his annual family weekend birthday party, the planning for which he had almost completed. Louis was preceded in death by parents, Isidore and Frieda, wives, Syma Chester Yellin and Edna Roanes Chaiken, siblings, Lawrence, Edith Bloom and Nathan, and, in October 2022, his dear son, Andrew Lennard Chaiken. Louis is survived by his sons, Michael (Nathalie) of Grand Mere, Quebec, Canada, David (Ellen) of Jackson, N.J., Fredric (Rita) of Atlanta, Ga., grandchildren, Stacey (Matt) Zimmerman, Tara, Laurie (Vincent), Kim, Audrey, Aaron (Tal), Elliot (Jenna) and 13 great-grandchildren.

Louis leaves a legacy of love, faith, courage, compassion, dedication, humor, and inner peace. Donations may be made in Louis’ honor and memory to the Special Needs Fund of Congregation B’nai Torah, 700 Mt. Vernon Hwy, Sandy Springs, Ga. 30328, Adult Disability Medical Health 2520 Windy Hill Rd SE, Marietta, GA 30067, or Polio Network of New Jersey Monmouth County, Seabrook Village 300 Essex Rd. Tinton Falls, NJ 07753.

52 | APRIL 30, 2024 ATLANTA JEWISH TIMES

OBITUARIES

Henria King

80, Charlotte, N.C.

Henria “Zoe” King, 80, of Charlotte, N.C., passed away on April 19, 2024. She was born on April 12, 1944, in New York City.

King is survived by her loving husband of 45 years, Bruce King; daughter, Sarah Silva (Rob): son, Seth King (Nicole); sister, Jill Slavin (Doug); nieces, Kady Slavin (Peter) and Devorah Richards (Stephen); grandniece, Summer Slavin, and grand-nephews, Max Slavin and James Cartwright and her three cherished grandchildren, Leah, Daniel, and Benjamin. She is predeceased by her father, Sholom Rubinstein, mother, Bess Rubinstein, and brother Michael Rubinstein

King graduated from Adelphi University in New York City. From there she went on to become the Managing Director of Behavioral Systems Inc in Atlanta, Ga. Zoe then created her own private consulting business which she owned and ran for 15 years. In 2003, Zoe began a new career as a co-owner of a Comfort Keepers franchise which she and Bruce ran together until 2016.

Prior to moving to Charlotte, Zoe was a long-time member of Atlanta’s Etz Chaim synagogue. She found joy in gardening with perennials, needlework, reading and, most of all, her 3 delicious grandchildren.

King will be dearly missed by her family, friends, and all who knew her. May she rest in peace.

A graveside service for Henria was held Thursday, April 25, 2024, at Hebrew Cemetery, 1801 Statesville Ave, Charlotte, NC 28206.

In lieu of flowers, contributions in Henria’s memory may be made to Jewish National Fund, https://my.jnf.org/donate-today/Donate.

Variety is the spice of life at The Piedmont a premier senior living community designed and curated for unique adventures, endless opportunities, and vivid experiences.

Take the first step in imagining everything your next chapter can hold.

Book a tour and see for yourself.

ATLANTA JEWISH TIMES APRIL 30, 2024 | 53
650 Phipps Boulevard NE • Atlanta www.RetireAtThePiedmont.com • 470.681.9849 PREMIER RETIREMENT LIVING IN BUCKHEAD AN SRG SENIOR LIVING COMMUNITY LIFE’S AN ADVENTURE. SAVOR THE INGREDIENTS. AT BUCKHEAD THE PIEDMONT
Expert Knowledge of Jewish Memorialization Helping the Atlanta Jewish Community for over 20 years Bronze Markers • Stone Monuments & Markers • On-Site Engraving Quality, Compassion, & Lower Costs Set Us Apart Brook Bolton Owner 770.757.0330 office 770.289.0982 cell brook@rmemorials.com www.rmemorials.com

Barbara Litzky Krinsky 94,

Atlanta

Barbara Litzky Krinsky of Atlanta passed away on April 19, 2024. She was 94 years old.

Barbara was born in the Bronx, N.Y., in 1930. Even after 76 years of living in the South, she referred to herself as a Bronx Girl. Barbara met the love of her life, Moe Krinsky (sorry Ol’ Blue Eyes) on a blind date, as set up by her neighbor, who was Moe’s cousin. Moe happened to be in town for only two weeks from Atlanta for surgery. It was love at first sight and two weeks later Moe proposed to Barbara.

Because Moe had a business venture in Atlanta, the future Moe’s and Joe’s, Barbara made arrangements to live with Moe’s brother, Joe, and his wife, Ethel, for the summer, and they married in the fall of 1948. As Barbara loved to say, “I was a child bride,” although the family does not think any laws were actually broken. They immediately began making a large life for themselves, with children, business, extended family, and friends. Barbara and Moe were married for 57 years when Moe passed away in 2006.

Barbara was a lover of sports - she was a bowler, tennis player, golfer, and even an aviator! At one time, she owned a plane that she and Moe often flew to Miami to visit Barbara’s brother, Jerry.  She was an avid Atlanta Sports fan, but the Braves always held her heart. The night she passed, Travis D ’Arnaud, her favorite Braves Player, hit three home runs, including a grand slam, the perfect send off to one of their greatest fans.

She wasn’t the only entrepreneur in a family of many, she kept the books for Moe’s and Joe’s and even tried her hand in business with her beloved cousin, Judy, selling art, jewelry, and tchotchkes at Collector’s Cove. They had crazy adventures on their road trips buying for the store. Barbara was a discerning investor, who soundly beat the markets well into her old age. She said Moe came to her in dreams with hot tips. She had a competitive spirit, playing canasta and other card games, wordle, words with friends, and was an enthusiastic mahjong player to the end.  She cherished her regular games and looked forward to taking her friends’ money.  Lest one think otherwise, she was incredibly generous because she believed in helping others, no matter the cause.  Some of the many causes she gave money and her time to were B’nai B’rith, Temple Sinai, Hadas-

sah, the Atlanta Jewish Federation, the Jewish Home, knitting hats for cancer patients, and even transcribing books into brail for the blind.

Barbara was an incredible friend to many. She took relationships seriously and over the course of her 94 years created many strong bonds. From oversea travels, cruises, golf trips, dinners, regular games, to Friday birthday lunches, she always showed up to enjoy and celebrate her friendships. She loved to laugh and happened to be an amazing orator on festive occasions – mostly riffing off the cuff and moving all that was present.

The most important role in her life was matriarch. She even had a LinkedIn account letting people know.  She loved fiercely and made everyone feel important in her family. Her family meant everything to her, and she imparted to her family the importance of having one another in each other’s lives. The Krinsky Family has always prided themselves on being a close family, and Barbara and Moe were the guiding light, the beacon of the meaning of love and family.

Barbara was predeceased by her parents, Lewis and Helen Litzky; her stepfather, Joe Goodman; her husband of 57 years, Moe Krinsky; and her brother, Jerry Litt; and grandson, Josh Krinsky.

Barbara is survived by her children, Lynn Krinsky, Harold Krinsky, Fred Krinsky, and Howard Krinsky; daughters-in-law, Karen White, Robin Shapiro, Rita Krinsky, and Suzanne Simkin; grandchildren, Harley Krinsky (Casey), Cami (Nick), Jamie Krinsky; Carson White (Shoko), Erin Krinsky (Kevin), Rachel Abrams, Jordan Krinsky (Emily), Jules Krinsky (Linley), Hannah Krinsky, and Samantha Krinsky; her great-grandchildren River, Miles, Poppy, Stevie, Ryder, Willie, Penn, Peter, and Ripley; her cousin, Judy Finkel; and many nieces and nephews; and other family whom she loved.

At the end, Barbara was cared for by Josephine Cardoso, Ruth Kazemba, and Wendy Moomba, to whom the family is forever in debt for the love and care they showed Barbara and her family.

A Memorial Services was held Sunday, April 19, 2024, at 3:30 p.m., at Temple Sinai, with Shiva and a minyan to follow. Friends and family can also attend the Memorial Services virtually, at www.vimeo.com/showcase/tslifecycle.

Donations in lieu of flowers may be made to your favorite charity in her honor. As a final note, Moe would want to say, you’re looking good, and Barbara would want to remind everyone to remember to stop and smell the flowers.

Obituaries in the AJT are written and paid for by the families; contact Editor and Managing Publisher Kaylene Ladinsky at kaylene@atljewishtimes.com or 404-883-2130, ext. 100, for details about submission, rates and payments. Death notices, which provide basic details, are free and run as space is available; send submissions to editor@atljewishtimes.com.

54 | APRIL 30, 2024 ATLANTA JEWISH TIMES OBITUARIES
ATLANTA JEWISH TIMES APRIL 30, 2024 | 55 “A GAME-CHANGING ‘MOCKINGBIRD.’ GENUINELY RADICAL AND PULSING WITH RELEVANCE.” CHRIS JONES RICHARD THOMAS is ATTICUS FINCH in HARPER LEE’S TO KILL A MOCKINGBIRD AARON SORKIN BARTLETT SHER A new play by Directed by ON SALE NOW MAY 7 - 12, 2024 • FOX THEATRE BroadwayinAtlanta.com Get Connected! Register for your FREE account today. For more information, call: 404-883-2130 www.atlantajewishconnector.com An online community hub for all of Jewish Atlanta to use as a one-stop for community events, calendar planning, resource guides, organization information, blog sharing and much more. An Initiative brought to you by: Answers the What, Where and When, Today, Next Week, or Next Year. Connecting you to organizations! Connecting organizations to you!

CLOSING THOUGHTS The Kitchen Table

When I was a kid, the only person in my family to own a real desk was my father; it was a second-hand rolltop with lots of cool cubbyholes, at which he sat to pay bills and do the bookkeeping for our family store. The only space big enough in our small house for a big desk and large chair was the basement, to which he descended a couple of times each week. Neither my mother, my brother, nor I had a desk or worktable because we didn’t need one. We had the kitchen table.

Our table was surrounded by four chairs with red faux leather seats. It had chrome legs and a gray Formica top with confetti-colored flecks, typical of kitchen tables all over America in the 1950s. Other than our beds, it was our family’s most essential piece of furniture.

The table gradually acquired a per-

manent record of incidents it had borne. My father used the surface to build a cardboard dollhouse for me out of sturdy storage boxes from his store, an endeavor which left faint scratches from his X-Acto knife. My brother, while decorating a balsa wood airplane from a kit, accidentally knocked over a bottle of black ink, which—even though my parents tried to clean it—left a permanent shadowy stain. To help my mother prepare dinner, I often sat at the table to peel carrots or potatoes.

I once opened a can of whole beets and sliced them on a too-small cutting board (my parents considered beets to be a superfood); by the time my mother checked on me, a beet juice stain was about to join other permanent blemishes my brother and I had left over the years. Mom could never totally remove it, underscoring why ancients used beet juice as a permanent dye.

On that table, my mother traced clothing patterns, folded laundry, rolled out dough, and wrote letters to her parents and unmarried siblings (long distance phone calls were expensive in the 1950s. People wrote letters!) She covered

the tabletop with newspaper when she mixed a paste out of flour and water in a bowl for me to use as glue for pictures that I cut out of magazines for a home-made scrapbook I kept. (Making a scrapbook with pictures cut from magazines was just one of the no-cost art projects of my youth.)

We kids played Chinese Checkers, Pick-up-sticks, and Dominos on the table, but games had to be put away before dinner. After dinner, the table became the base where my brother and I did homework, drew pictures, or worked on messy school projects. After a full day accommodating our family, the tabletop was vigorously scrubbed and ready for breakfast the next day. School necessities and other paraphernalia were laid on the table each morning, so we wouldn’t forget anything. Somehow, there was room on that small table for our books, occasional science projects, and my brother’s baseball glove, along with the breakfast dishes. On alternate Wednesday nights, my parents played Bridge there, and once a month my father’s pals rotated to our house to play cards, snack on peanuts and drink Pepsi

Cola. When we moved, we gave the table to the couple who bought our house. They were newly married and had only a card table for dining.

I was recently browsing in a resale shop, where I spotted TWO chromelegged Formica tables. The six-chair table had a flecked yellow top like the one that was in my Aunt Shirley’s kitchen, and the four-chair table had a turquoise top like the one at our neighbor, Minnie Fendler’s, house. The store’s proprietor eased over to tell me, as I stood in a daze of kitchen table memories, “Those are originals. Even with a few stains, they’re hard to find in good condition. They’re classic, vintage!” Well, I wondered, feeling decidedly vintage myself, could I find a gray table like the one where my mother folded laundry and my father built a dollhouse? My curiosity led me to the Internet, where I discovered that original mid-century Formica tables are ultra-trendy, and replicas are currently being widely reproduced! Now, anyone can buy a new table without scratches or stains. But, as for me, I admit that I’m a pushover for old furniture that bears traces of its history. ì

56 | APRIL 30, 2024 ATLANTA JEWISH TIMES
SufisAtlanta.com I 404-888-9699 1814 Peachtree St NW I Atlanta, GA 30309 Atlanta’s  Finest  Persian  Cuisine Outside  Patio !        Full  Bar   Catering  For  Large  And  Small  Events Book    Your  Next  Holiday  Party          I  1814  Peachtree  St  NW  I  Atlanta,  GA  30309  I  404-­‐888-­‐9699 Atlanta’s Finest Persian Cuisine Outside Patio  Full Bar Catering For Large And Small Events Book Your Next Special/Corporate Event! WEEKDAY LUNCH SPECIALS
Chana Shapiro
Best Newspaper & Best Website 374,000+ Community Engagement Opportunities Every Month Keeping the Jewish Southeast connected since 1925. Call today to Advertise Submit your Simcha! Best Jewish Newspaper in America Best Jewish Website in America 2023
Marketplace VISIT OUR WEBSITE www.AtlantaJewishTimes.com FOR MORE OF WHAT YOU NEED CEMETERY PLOTS FOR SALE 6 cemetery plots in Savannah, GA at the beautiful, historic Bonaventure Cemetery. These 6 plots are all together in the Jewish section of the cemetery. For details call Ed Wexler 404-203-8113 John Salvesen • 404-453-3438 thehandymancanatlanta@gmail.com The Handyman Can • Plumbing • Electrical • Sheetrock • Floors • Tile • Framing • Kitchens • Painting • Roofwork • Concrete • Stained Glass • Antique Door Restoration as well as many other issues... HOME “Shekels For Your Collectibles” 404-263-2967 • Coins • Gold • Jewelry • Sterling • Strict Confidentiality • References Upon Request Member: ANA, NGC, PCGS & PMG THE DUSTY COIN COLLECTIBLES 404.401.4859 www.mobilityplus.com/alpharettaGA We sell, rent, and service: Your Community Mobility Partner! Mobility Scooters Wheelchair Ramps Stair Lifts Walkers & Rollators Hospital Beds & Other Home Health Items SENIOR EcksteinHomeCare org | 404 751 2277 EcksteinHomeCare.org | 404.751.2277 exceptional care When you can't be there SENIOR STANLEY PAVING Asphalt Paving, Patching & Seal Coating Specializing in driveways & small parking lots Family Owned & Operated since 1969 770.962.7125 770.480.1698 cell CALL NOW FOR 10% OFF SPECIAL HOME HOME Private Driver/Chauffeur Service in Sandy Springs �� Call or Text Fabio 786.777.8750 to elevate your transportation experience today! PRIVATE DRIVER ✈ �� �� Enjoy stress-free airport transfers & discounted round-trip rates. Hourly chauffeur services tailored to fit your needs Doctor appointments, Shopping, Private or Public events, etc. CAR SERVICE COMPUTER
Marketplace 404-883-2130 ADVERTISE WITH THE Jackie Biggs 678.520.8697 www.yourtechlady.com Help with Patience & a Personal Touch! Teaching & Troubleshooting Services: Cell phones, tablets, & laptops | Printers | Smart TVs | Device Set Up 1-on-1 Support in Your Home TECHNOLOGY COMPUER HOUSE CALLS Voted #1 by Atlanta Jewish Community As Seen On 770-527-3533 It’s Time to Call for Help! www.HealthyComputer.com BEST OF JEWISH ATLANTA COMPUTER Attractive, upbeat, youthful 66 yo single Jewish female, retired M.D. enjoying a second career as a journalist. Warm, easygoing and a lot of fun, I enjoy entertaining, especially Shabbat dinners and Jewish holidays. Mom of one grown daughter. Seeking nice Jewish guy to share the second half of life. I live in the greater Charlotte, NC area and am open to relocating. Happy to exchange photos, chat via video, etc. Write to: suziqzee@protonmail.com. SJW SEEKING SJM Ralph Kurland Sales Representative 905 Ernest Barrett Pkwy, NW Kennesaw, GA 30144 cell: 678-665-1024 dealership: 770-419-9800 ext. 3312 rkurland@subaruofkennesaw.com www.subaruofkennesaw.com Everyone Knows Someone Who Loves Their SUBARU Call me to test drive any of our new or used cars! Just bought Subaru #3 from Ralph. By far the best car buying experiences I’ve ever had. He’s a pro, and made the entire process an absolute pleasure! Call Ralph if you’re in the market for a new or used car. You won’t be sorry! Jack Feldman, Temple Sinai Scan for 5 Star Reviews AUTO Closets, pantries, garages, offices and more! Atlanta Custom Closets www.atlantacustomclosets.net Rick Moore: 404-255-0589 BEST OF JEWISH ATLANTA BEST OF JEWISH ATLANTA When Quality Counts! Design the Closet of your Dreams! HOME White Collar, DUI, Drug Crimes, Domestic Violence, Violent Crimes? Put my 25 years of litigation experience to work for you defending your innocence. My criminal defense work has been profiled or quoted in local and international media, including The New York Times, The Guardian, Rolling Stone, and NPR. Contact Doug (404) 735-3941 doug@abtlaw.com Criminal Defense Attorney Free Consultation! LEGAL SERVICES
Molly Blank Concert Series The Flying Carpet Theatre Company & The Breman Present A Tribute to Irving Berlin JUN 2 | 4PM A GREAT GIFT FOR MOM! TheBreman.org

Turn static files into dynamic content formats.

Create a flipbook
Issuu converts static files into: digital portfolios, online yearbooks, online catalogs, digital photo albums and more. Sign up and create your flipbook.