Mimetic Blue® SA HL P6XL
Mimetic Blue® SA HL P6XL is a high-capacity affinity resin for large-scale albumin purification. From plasma, it achieves >20 g/L binding capacity with ~96% purity, and exceeds 30 g/L in other feedstocks. With broad pH stability, low ligand leakage, and robustness over hundreds of cycles, it offers a scalable, cost-effective solution for regulated albumin manufacturing. This application note explores its performance in the capture and purification of human serum albumin from plasma.
Albumin is the most abundant protein in human plasma and a critical therapeutic product, but isolating it efficiently from a complex mixture of proteins, including IgG, fibrinogen, and alpha-1 antitrypsin, remains a challenge. Mimetic Blue® adsorbents were developed to address this need, with proprietary Mimetic Blue® ligands immobilized on robust agarose supports to deliver high selectivity for albumin and albumin-related proteins.
At the forefront of this technology, Mimetic Blue® SA HL P6XL combines exceptionally high albumin binding capacity with proven stability and robustness. It is designed for large-scale, regulated plasma fractionation and recombinant albumin capture, serving as the reliable first step in purification. The resin is stable across an extended pH range (2.0–14.0), demonstrates negligible ligand leakage by ELISA, and retains performance over multiple cycles ensuring consistent yield and product quality at commercial scale.
In this application note, we demonstrate how Mimetic Blue® SA HL P6XL achieves efficient, high-purity albumin capture directly from human plasma.
Materials & methods
Human-source plasma (untreated) was loaded onto equilibrated Mimetic Blue® SA HL P6XL packed to a bed height of 15 cm in a 1 cm diameter column. After loading, non-bound protein was removed by washing with equilibration buffer. The bound albumin was eluted using a buffer containing sodium octanoate. Mimetic Blue® SA HL P6XL is hydroxide stable and was cleaned with 0.5 M NaOH. The conditions are summarized in Table 1.
Results & discussion
Mimetic Blue® SA HL P6XL selectively binds to the albumin in plasma, while other plasma proteins are not retained by the adsorbent and are present in the flow-through fraction (Figures 1 and 2).
Platform Automated chromatography workstation
Column parameters 11.8 mL column volume (1 cm diameter, 15 cm bed height)
Packing flow rate 450 cm/hr
Operational flow rate 200 cm/hr
Loading flow rate 150 cm/hr (6-minute residence time)
Equilibration buffer 50 mM sodium phosphate, 150 mM NaCl, pH 7.5
Load 7 mL human-source plasma, pH 7.5
Elution buffer 25 mM sodium phosphate, 150 mM NaCl, 30 mM sodium octanoate, pH 6.0
Clean-in-place 0.5 M NaOH
Table 1: Chromatography conditions for the capture and recovery of human serum albumin from human-source plasma using Mimetic Blue® SA HL P6XL.

Figure 1: Chromatogram of the capture and purification of human serum albumin from human-source plasma using Mimetic Blue® SA HL P6XL.
Table 2: Performance data for Mimetic Blue® SA HL P6XL determined by nephelometry and densitometry.
*The flow-through sample, measured by nephelometry, was below the limit of detection. As a result, the yield (%) result is presented as a less than value.
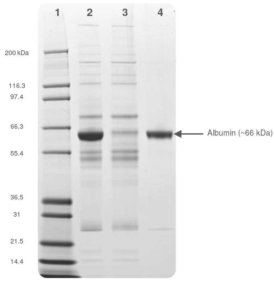
The resulting eluate has a purity of 96.1%, as determined by densitometry (Figure 2 and Table 2). Mimetic Blue® SA HL P6XL has a dynamic binding capacity in excess of 20 g/L of adsorbent and high recovery, as determined by nephelometry (Table 2).

Figure 2: Reduced SDS-PAGE of the chromatography fractions for the capture and purification of human serum albumin from human-source plasma using Mimetic Blue® SA HL P6XL – Lane 1: Molecular weight marker; Lane 2: Load; Lane 3: Flow-through; Lane 4: Elution.
Conclusions
Mimetic Blue® SA HL P6XL offers a proven, scalable solution for the capture and purification of human serum albumin from plasma and other complex feedstocks. Demonstrating dynamic binding capacities exceeding 20 g/L of adsorbent from plasma with recoveries of ~96% purity, and over 30 g/L of adsorbent in alternative feedstocks, the resin consistently delivers high yield and product quality. Combined with its broad pH stability (2.0–14.0), negligible ligand leakage, and robustness over multiple cycles, Mimetic Blue® SA HL P6XL is a dependable choice for regulated, large-scale albumin manufacturing. This combination of performance, stability, and regulatory confidence positions the resin as a leading technology for costefficient, high-quality albumin purification.
References
[1] Mimetic Blue® Affinity Adsorbents Brochure (Issue: 060510).
Astrea Bioseparations is a world class provider of chromatography adsorbent and resin services. With over 30 years of chromatography manufacturing expertise, we deliver a unique and trusted service in close partnership with our clients. For more information, please don’t hesitate to reach out at sales@astrea-bio.com or visit astreabioseparations.com.