HI - May - June 2024

Page 1


INTR ODUCING THE NEW

14 Spokane hatcheries get upgrades

Two hatcheries on Little Spokane River renovate its facilities to focus on sustainable practices and phosphorus reduction.

20 State of the European Union

European aquaculture is not out of the woods yet, but the outlook gets brighter.

Smarter Sensors

Industry-leading

Seamless Integration

Modbus communication integrates directly

Automatic Compensation

Optional built-in conductivity automatically compensates for salinity —

STA R T ST R ONG. STAY

ST R ONG.

LARVIVA is a complete range of hatchery feeds. It is specially developed to maximize the success of the hatchery operations by giving your larvae a strong start ensuring high quality, robust and performing fry ready for the grow out stages. www.larviva.com

VOLUME 25, ISSUE 3 | MAY/JUNE 2024

Reader Service

Print and digital subscription inquiries or changes, please contact customer service

Angelita Potal

Tel: (416) 510-5113

Fax: (416) 510-6875

Email: apotal@annexbusinessmedia.com

Mail: 111 Gordon Baker Rd., Suite 400, Toronto, ON M2H 3R1

Editor Jean Ko Din jkodin@annexbusinessmedia.com

Associate Editor Seyitan Moritiwon smoritiwon@annexbusinessmedia.com

Contributors Bob Atwiine, Ruby Gonzalez, Julia Hollister, Nicole Kirchhoff, Magida Tabbara, Vladislav Vorotnikov, Bonnie Waycott

Associate Publisher / Advertising Manager Jeremy Thain jthain@annexbusinessmedia.com +1-250-474-3982

Account Manager Morgen Balch mbalch@annexbusinessmedia.com +1-416-606-6964

Account Coordinator Catherine Giles cgiles@annexbusinessmedia.com

Media Designer Svetlana Avrutin savrutin@annexbusinessmedia.com

Audience Development Manager Urszula Grzyb ugrzyb@annexbusinessmedia.com 416-510-5180

Group Publisher Anne Beswick abeswick@annexbusinessmedia.com 416-410-5248

CEO Scott Jamieson sjamieson@annexbusinessmedia.com

PUBLISHED BY ANNEX BUSINESS MEDIA 105 Donly Drive South, Simcoe, ON N3Y 4N5

Hatchery International is published six times a year by Annex Business Media. The authority for statements and claims made in Hatchery International is the responsibility of the contributors. Reference to named products or technologies does not imply endorsement by the publisher.

Subscription rates (six issues) Canada: $37.74+Tax

Within North America: $48.96 CAD

Outside North America: $63.24 CAD

To subscribe visit our website at www.hatcheryinternational.com

PRINTED IN CANADA ISSN 1922-4117

Publications Mail Agreement #PM40065710

RETURN UNDELIVERABLE CANADIAN ADDRESSES TO 111 Gordon Baker Rd., Suite 400, Toronto, ON M2H 3R1

Annex Privacy Officer

Privacy@annexbusinessmedia.com Tel: 800-668-2374

The contents of Hatchery International are copyright ©2024 by Annex Business Media and may not be reproduced in whole or part without written consent. Annex Business Media disclaims any warranty as to the accuracy, completeness or currency of the contents of this publication and disclaims all liability in respect of the results of any action taken or not taken in reliance upon information in this publication.

Next Ad Deadline

The advertising deadline for the July/Aug issue is May 17. Don’t miss the opportunity to be part of this exciting aquaculture publication. For more information, or to reserve space in the next issue, call our advertising department at +1.250.474.3982 jthain@annexbusinessmedia.com

Next Editorial Deadline

The editorial deadline for the July/Aug issue is May 22. Contact Jean Ko Din at jkodin@annexbusinessmedia.com for details. Material should be submitted electronically with prior arrangement with the editor.

Learning the past

Learning from the past will always be a wise way to inform a brighter the future for the hatchery and aquaculture industries.

In this issue, we take a look at the evolution of fish health and welfare standards that dictate your work everyday. The cover story tracks the evolution of the Aquaculture Stewerdship Council (ASC) standards, as well as the Best Aquaculture Practices (BAP) standards, as a unique lens to track how industry practices have changed with the times.

I’m sure I don’t have to tell many of you that it feels like change has accelerated much more quickly in the past few years. Climate change is a major factor that has forced us all to innovated more urgently than ever before. Progress is no longer a choice, but a state of emergency.

If the hatchery industry is to keep up with the world’s demands for food security and ecological preservation, seafood production must become more – more economical, more efficient, more sustainable, more diverse. Even so, we should also take this chance to look at how far we’ve come. Even in just examining the history of fish health and

welfare practices, developments made in the past 25 years have led to great leaps in better quality operations.

It has led to more transparency and trust between farmers, suppliers, regulators, and consumers. It has led to better safeguards for the animals, the natural environment, and the fish farmers themselves.

As this publication looks at its own 25-year history, I look to you, our faithful readers, to inform our collective vision for its future. As the hatchery industry evolves, so must our role in facilitating the exchange of ideas among your peers around the world. I also want to continue engaging next generation.

I hope you can help me in spreading the word about this year’s Top 10 Under 40 program. Again, I appeal to this community’s help in bringing spotlight to young professionals who bring new energy and new ideas to the industry. They are the key to the industry’s success in the next 25 years. If you’d like to know more and participate in this program, please visit www.hatcheryinternational.com/top-10-under-40/.

Also, I’d love to hear your story ideas at jkodin@annexbusinessmedia.com.

Chinese herbs mixture boosts abalone resistance vs. heat stress

Supplementation of a Chinese herbs mixture (CHM) in Japanese abalone (Haliotis discus hannai) diet fortified welfare while exposed to heat-stressed environment.

“In conclusion, dietary supplementation of CHM improved the growth performance, anti-oxidative capacity, immunity and the resistance to heat stress of abalone. The recommended level of CHM supplemented in diets for abalone was 0.049 per cent,” Rui Wang et. al cited in its recently published study, “The growth performance, anti-oxidative capacity, immunity and resistance to heat stress of abalone Haliotis discus hannai can be improved by a mixture of herbs.” The study was published on Aquaculture Reports.

Study results cited dietary CHM within the range of 0.02 to 0.04 per cent could enhance growth of abalone. Immunity and resistance of the animal to heat stress benefited at 0.04 per cent inclusion.

The 84-day feeding trial was conducted on juveniles in floating cages in Fujian, China.

The heat stress test was conducted on a seawater tank heated to 28 C and kept at this

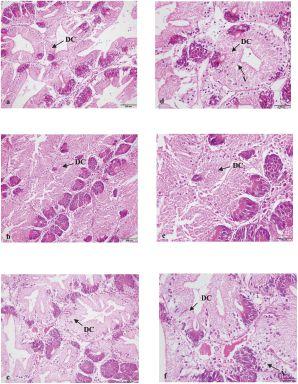
Effects of dietary CHM on the digestive gland histology of abalone Haliotis discus hannai (HE, ×200; × 400). DC, digestive gland cell; V, vacuolization. a. abalone fed 0.00% of dietary CHM (HE,×200), b. abalone fed 0.04% of dietary CHM (HE,×200), c. abalone fed 0.10% of dietary CHM (HE,×200), d. abalone fed 0.00% of dietary CHM (HE,×400), e. abalone fed 0.04% of dietary CHM (HE,×400), f. abalone fed 0.10% of dietary CHM (HE,×400).

temperature for 24 hours.

In China, one of the key stressors in abalone has been linked to global warming. Sensitive to its environment, increased water temperature could reduce its immunity levels and survival rates. The use of antibiotics is the conventional approach. Authors considered, however, environmental, health and ethical implications.

The team said Chinese herbs have been used as feed additives in aquaculture due to many advantages: low toxicity, absence of medicine residue, and being non-pollutant and inexpensive. Previous studies have proven the potency of Chinese herbs in terms of growth promotion, appetite stimulation, anti-oxidation, immune-stimulation, anti-stress and liver protection.

The CHM used in the study contained Artemisiae Scopariae Herba ( Artemisia capillaris), Uncariae Ramulus Cum Uncis (Uncaria rhynchophylla), Polygoni Cuspidati Rhizoma et Radix (Polygonum cuspidatum).

Increased water temperature aside, intensive farming practices has been identified as another leading cause of mortality in cultured abalone because of disease outbreaks.

– Ruby Gonzalez

PHOTO: AQUACULTURE REPORTS

Effect of desiccation on H2O2. A comparison of seawater H2O2 concentrations after introduction of seaweeds that had not been desiccated, desiccated for 2h, and desiccated for 4h.

Hydrogen peroxides at high levels as SOS in cultured seaweed

Measuring hydrogen peroxide (H2O2) concentrations could be used as a mitigation strategy in determining stress levels in seaweed aquaculture, according to a study.

“Monitoring hydrogen peroxide (H2O2) could be used as a health indicator in seaweed aquaculture and serve as an early warning sign of stress, said authors Lina Taenzer et. al in the study, “Assessment of hydrogen peroxide as a bioindicator of stress in seaweed aquaculture.”

“Observations of increased production of H2O2 by plants as a stress response, along with its comparative stability and ease of quantification in seawater in comparison to other (reactive oxygen species), suggest that H2O2 could be used as an indicator of health,” they explained.

The protocol is seen as contributing towards the sustainability of the seaweed aquaculture industry, which has been identified as providing a “multi-faceted solution to the problems of hunger, nutrient deficiency, and alternative energy supplies.”

Keeping up with global demand for seaweed is stymied by challenges in production. Among these are environmental stressors that come with intensive farming.

The study demonstrated how measurements of H2O2 provide information about seaweed health. “H2O2 has a sufficiently long lifetime allowing it to diffuse out and away from cells. This affords it the potential as a target for monitoring in the aqueous environment,” they explained.

With focus on temperate seaweeds, chlorophyte Ulva fenestrata and rhodophyte Palmaria palmata , tests were conducted on the effects of using major environmental stressors, specifically, acute heat shock, grazing, and desiccation, on H2O2 concentrations. An herbivorous snail (L. littorea) was included in the environment to evaluate the effect of grazing pressure.

Highest concentrations were observed in the grazing experiments and least, under the heat stress condition.

At present, methods employed in monitoring stress in seaweed are “time- and labour-intensive”, they said. Among the ways are washing algal blades in acid solution, and visually monitoring stocks for epiphytes that are then removed by hand.

The article of the study was published in Scientific Reports

PHOTO: SCIENTIFIC REPORTS

Kivu Choice Fish Farm breaks ground for factory site

Kivu Choice, a Rwandan fish farm company, has broken ground for the construction of its factory aimed at producing 20,000 tonnes annually as part of its development strategy and expansion to new markets from neighbouring countries.

Headquartered on Rwandan side of Lake Kivu, in the Huye district, Kivu Choice is a sister company for Kenya’s Victory Farms. It is strategizing to secure its position not only as the biggest supplier of farmed tilapia, but also as the leader of fish production for the sub-Saharan region.

Kamran Heinrich Ahmad, the company’s founder and chief executive, says the ground-breaking was a result of the culmination of two and half years of planning and preparation.

“When fully built out by end-of-year, this site will enable the production of over 50 million fish meals a year,” said Ahmad.

Kivu Choice Rwanda and Victory Farms Kenya completed their Series B fundraising round for US$35 million in April 2023, constituting the largest ever investment in Africa’s aquaculture industry. The fund will support the expansion of the group’s operations in Rwanda and Kenya, and potential entries into Ethiopia, Uganda, and Tanzania.

The round was led by Creadev, with investors including the Acumen Resilient Agriculture Fund (ARAF), DOB Equity, Endeavour Catalyst Fund, and Hesabu Capital.

The companies’ founders and angel investors – including Joseph Rehmann, Steve Moran, Kamran Ahmad, and Hans den Bieman – also invested into the transaction.

Last month, Kivu Choice also launched its state-of-the-art incubation facility with a total production capacity of over 100 million fingerlings per year.

Kamran notes that the infrastructure poises for explosive growth in the coming years and will take the company one step closer to affordable protein access for Rwanda and the region at large.

Under its 30-year lease agreement with the Government of Rwanda, Kivu Choice will be supplying 1.2 million fingerlings a year to smallholder farmers to help the wider industry grow.

The California Department of Fish and Wildlife (CDFW) announced that the mass deaths involved an expected 830,000 Chinook salmon.

According to CDFW spokesperson, Jordan Traverso, the cause of the disaster is two-fold.

“It is isolated,” said Traverso deputy director of communications. “They suffered gas bubble disease from the diversion tunnel that goes through the Iron Gate dam.

The young salmon are believed to have died as they migrated through the Iron Gate Dam tunnel, where they may have encountered “severe pressure change” resulting from “environmental or physical trauma.”

Gas bubble disease is caused by an increase in the dissolved gas pressure above the ambient air pressure.

Traverso said gas bubble disease has occurred before, in 2014, but not in this area of California.

This tunnel diversion hasn’t been used for decades. It was built when the dam was constructed. The recent rains were not relevant to the death of the salmon. Traverso explains that the fish were released into Fall Creek alive, then died when going through a tunnel in the Iron Gate dam that is being removed.

“These 830,000 fish were fry, about one to two inches in length. It is unclear how many of them died, but we know it was a large mortality event,” he said.

Their bodies will remain in the river where they will return to the ecosystem either by being eaten (the disease does not pose a risk to other animals that might eat them) or decomposing.

“For all future releases from Fall Creek Hatchery, we will truck the fish around the dam and release them downstream to avoid this,” he said.

The 100 million fingerling capacity per year hatchery system set up by Kivu Choice in Huye district, Rwanda
An Aerial view of Kivu Choice fish farm site located on Lake Kivu in Huye distriict, Western Rwanda.
Hundreds of California salmon die from pressure change
PHOTOS: KIVU CHOICE FISH FARM

Maine welcomes Atlantic salmon broodstock company

A new commercial Atlantic salmon broodstock venture named, SalmoGen, has been inaugurated in Maine to address the gap in the U.S. market for a producer-independent supply of Atlantic salmon eggs.

According to a press release, the company wants to target both domestic and international markets, producing 25 million eggs annually in its first development phase.

The initiative is backed by a coalition including Walton-backed Cuna Del Mar, Builders Vision, the Penobscot Indian Nation, and Xcelerate Aqua.

“We have been contemplating an Atlantic salmon broodstock opportunity for years, and in the SalmoGen case, the pieces came together in a way that moved us to invest and to also be a committed industry partner,” said Chris Perry, Cuna Del Mar and SalmoGen board chairman.

The company has had broodstock under development since early 2023 in two partner locations. The facility is being developed on Penobscot Trust Land in Maine in partnership with the Penobscot Indian Nation. The location is close to the University of Maine.

“The Penobscot Indian Nation has been interested in aquaculture for some time. This project fits very nicely on Indian Island and we are excited to be a part of the solution for future aquaculture development in the U.S. We are also excited to expand our commitment to bringing back wild salmon to the Penobscot River,” said Kirk Francis, Penobscot Indian Nation Chief.

SalmoGen started its Atlantic Salmon broodstock program in 2022 with USDA as a strategic supplier of genetics and stocking material. The company was formed in late 2022 through a collaboration of industry players, investors, and academic resources, and is financially supported by the Finance Authority of Maine (FAME).

According to information from the company’s website, “Our broodstock farm in Maine is placed on land has been developed to not have any impacts on its surrounding environment or ecosystems. High bio-security levels, fish welfare, advanced discharge treatment technology are cornerstones in the company’s commitment to ecosystem protection.”

Rising costs killing small-scale aquaculture in South Africa

Small-scale fish farmers in South Africa continue to battle the problems of an unabated rise in the cost of production and unstable energy supply due to constant power load shedding.

This time, small-scale fish farmers are shouting that many operators are closing shops in an apparent surrender to the inclement operating conditions, a development they fear may worsen the current unemployment situation in South Africa.

Morena Khashane is a South African small-scale fish farmer from the small town of Port Alfred in Eastern Cape Province, who developed a passion and interest in the aquaculture sector at a tender age. He wanted to create employment for his fellow young people as a youth coordinator in his native hometown.

Khashane was then taken to Cape Town by his area’s Member of Parliament for intensive training and killing in fish farming. Subsequently, he established MK Enterprise (Pty) Ltd. to farm Nile Tilapia (Oreochromis niloticus) in 2005 in recirculating water systems together with a group of other young partners.

However, Khashane’s dream of feeding his people on sustainably farmed tilapia and job creation is now shuttered. Just like hundreds of fellow small-scale fish farmers in the country, he has hung up the nets, a painful decision he had to make because business is no longer sustainable.

“The reason why the cost of production in South Africa has become unbearable is because of the issue of water. Because, for example, Nile tilapia takes about six to eight months to reach the maximum size under the room temperature of 28 degrees celsius. Here in South Africa, it is very impossible to get that temperature in eight months. The only option available is to heat the water using energy and that automatically increases the

cost of production in order to produce a desirable mature tilapia,” says Khashane.

He further explains that many farmers in South African farms use recirculating aquaculture system (RAS) which consumes a lot of energy because of using generators to run the systems due to unstable power supply.

“Unfortunately, in South Africa, now we are disturbed by electricity load shedding since last year and that means that if you are using RAS, the plant must run 24 hours which will require a backup generator,” he explained.

Khashane added that on his former farm, he has been depending on a diesel generator to run RAS system, thus shooting up his production costs which has become unbearable for him in the long run.

He also disclosed that the high cost of fish feeds has had their prices above normal. This has been principally responsible for the high cost of production and the higher cost of fish on the market.

“The fish feeds are also very expensive; a kilogram now is between 18-20 South

African Rands from 15-16 Rands previously. These factors among others increase our cost of production. At the end of last year most of the small-scale fish farmers closed down because it was very difficult to sustain the business under this situation. The few who are still struggling are operating below their original operational capacity,” he said.

Small-scale farmers and fishers in South Africa have long faced many obstacles, with the fishing industry established amidst discriminatory policies that favour large-scale, commercial farmers. These farmers are often off the radar for policymakers, and their social, and economic situation like this puts a serious threat to the livelihoods of these farmers that provide food for millions of people.

According to Khashane, the South African government is working on a new bill on aquaculture which is yet to be tabled before parliament for discussion and passing later this year after elections which he hopes will assist small-scale fish farmers in the country.

“The Chinese large-scale fish farmers and importers are also a big challenge because they have too much capital and bring in cheap frozen imported fish. Our small-scale farmers cannot compete with them due to insufficient funds to invest. Small-scale fish farming especially in tilapia can no longer work in South Africa. We have given up,” Khashane said.

The youngest fisheries award winner 2018/2019 after closing business has enrolled for MSc in Sustainable Aquaculture at University of St Andrews in the United Kingdom, after scooping a Commonwealth Scholarship to further his studies.

Khashane hopes that once he completes his studies, he will be able to develop more knowledge and skills needed to develop aquaculture in South Africa to become economically viable and train more young people.

– Bob Atwiine

Morena Khashane holding fingerlings from one of the water tanks inside his fish farm
PHOTO: MORENA KHASHANE

U.S. Fish and Wildlife Service secures $1.3M for restoration projects

The U.S. Fish and Wildlife Service has received US$1.3 million from the Great Lakes Restoration Initiative funding.

Three projects will be supported in 2024, which will aid in the restoration of sustainable populations of coregonines in Lake Ontario to re-establish their historical roles as forage for predators.

The first project at the Alpena Fish and Wildlife Conservation Office in Michigan will support researching coregonine populations. According to information from the U.S. Fish and Wildlife Service website, “Research will include a focus on Lake Huron and will continue to collect baseline information on lake herring communities, including the assessment of the post-stocking survival, growth and maturity of these cultured cisco. This will allow staff to assess reproduction.”

The second project, led by the Green Bay Fish and Wildlife Conservation Office, in Wisconsin, will study wild lake herring for Saginaw Bay Restoration. The conservation office will evaluate a proof-of-concept process for collecting wild juvenile fish for development into future broodstock.

“Currently, staff face hazards when accessing offshore winter spawning locations for fish collections and other serious logistical challenges, including achieving high capture efficiencies and personnel safety,” the wildlife service stated.

The work will test a fundamentally different approach to capturing juvenile fish to determine rates of survival during capture of the fish, subsequent isolation through the rearing process, and feasibility of the method.

The third project will be a partnership with regional fisheries. Great Lakes Restoration Initiative funding will also be used by the Allegheny National Fish Hatchery, and the Northeast Fishery Center, in partnership with the U.S. Geological Survey Tunison Lab, in New York, the New York Department of Environmental Conservation and the Ontario Ministry of Natural Resources.

In addition to the projects described above, work will include developing a better understanding of how these fish play a role in the food web.

“The Great Lakes Restoration Initiative has been very instrumental in supplementing our ability to support reintroductions of native prey species to the Great Lakes. We could not do this amount of work without it,” said Kurt Schilling, Midwest Region Hatchery program supervisor.

A male bloater, a type of deepwater cisco, collected from Lake Michigan. PHOTO: KATIE STEIGER-MEISTER/USFWS

California’s prized steelhead in murky waters

There is no doubt about the numbers: steelhead in California are in big trouble.

“Some stocks, or populations, of steelhead are listed under the Endangered Species Act, which provides federal protection to threatened and endangered species,” said Michael Milstein, Public Affairs Officer, NOAA Fisheries, U.S. Department of Commerce. “The Southern California Distinct Population Segment of steelhead is the only West Coast population of steelhead that are listed as endangered, while several others including California Central Valley, Northern California and Central California Coast steelhead are listed as threatened.”

Species can be listed as “endangered” if they are in danger of extinction throughout all or a significant portion of their range. Threatened species are likely to become endangered in the foreseeable future throughout all or a significant portion of their range.

Both receive federal protection under the Endangered Species Act, although there are some limited differences.

“Milstein said in most cases, steelhead eggs are collected from adult broodstock that return annually to the hatchery. The eggs are hatched and reared within a hatchery facility for approximately one year. Steelhead juveniles are released as yearlings, typically between the months of January-April

There are factors affecting steelhead survival.

Predation

Predators are one factor affecting steelhead survival and recovery, but not the only factor. Most steelhead hatchery programs in California were established to help offset or mitigate the loss of spawning and rearing habitat behind high-head dams.

The species preying on steelhead range from birds such as gulls and terns to other, often invasive species of fish, as well as marine mammals such as seals and sea lions. While steelhead have always faced predators, changes in their habitat and other factors have made them more vulnerable in some situations.

“If it is the ladder, predators (birds, sea lions, otters, piscivorous fish) can have some

“The primary impacts are loss of historic habitat due to non-passible structures/dams, limited available habitat that is degraded and has poor water conditions, large scale impacts from climate change in both the inland and ocean environment.”

localized impacts to released fish; but each hatchery has developed release strategies that help to minimize potential impacts,” said Jonathan Nelson, environmental program manager at Anadromous Fishes Conservation and Management Program at the California Department of Fish and Wildlife (CDFW).

“This includes releases at dusk/evening, releasing in different locations within the river for each release, releasing fish at larger size to improve survival to the ocean.”

For instance, the loss of riparian and floodplain habitat has reduced opportunities for young steelhead to hide from predators during their migration. In some cases the fish funnel together at dams and predators

can take advantage of that. NOAA Fisheries and their partners have invested in restoring habitat and other measures to reduce the toll that predators take over the course of the steelhead life cycle.

“I want to stress that the main purpose of these hatcheries is to support fishing and harvest opportunities,” said Nelson. “The fish from hatcheries have their adipose fin clipped so fishermen can tell that is a fish that can be harvested. However, since they are similar to the original stock, they are considered part of the listed species.”

Harnessing hatcheries

Hatchery fish primarily support fishing, which by selectively removing the hatchery fish allows the naturally spawning fish in the rivers to continue to survive and hopefully recover.

The exception is the Nimbus hatchery. Those steelhead are from a coastal stock and do not resemble the native stocks. So they are NOT considered part of the listed species.

Usually a hatchery has one of two purposes – either it produces fish to support fisheries, or it is intended for conservation purposes to help restore a species. These hatcheries are all supporting fisheries.

PHOTO: JOHN R. MCMILLAN NOAA/NWFSC

Nelson explains the endangered act and the threats to California’s steelhead.

“For clarification, there is a Federal Endangered Species Act (ESA) Designation process that is overseen by National Marine Fisheries Service (NMFS) for salmon and steelhead,” he said.

“Separately the State of California has the ability to list species under the CA Endangered Species Act (CESA). In CA, there are six Distinct Population Segments for steelhead populations designated by NMFS. NMFS has listed the Southern CA Steelhead DPS as ESA Endangered.

California currently has one CESA Endangered steelhead listing for the Northern California Summer Steelhead population.

The Southern steelhead geographic range extends from the Santa Maria River in Santa Barbara County south to the U.S.-Mexico Border. There is no recreation fisheries allowed for steelhead in these ranges and there are no hatcheries that produce steelhead in this range.

“California has listed the Northern CA Summer Steelhead population as CESA Endangered,” he said. “There are several specific waters within the Northern California geographic range that include endangered summer steelhead populations. All of the critical areas that have these populations are closed to fishing.”

The Mad River is the only river in this range that has a hatchery producing steelhead. The hatchery does not produce summer steelhead and there is minimal contact with summer steelhead when hatchery operations are collecting winter steelhead adults.

“There are numerous reasons/information why these specific populations are listed,” Nelson said. “The primary impacts are loss of historic habitat due to non-passible structures/dams, limited available habitat that is degraded and has poor water conditions, large scale impacts from climate change in both the inland and ocean environment (fire, flood, slides, drought, ocean warming) and reduced water availability from human water usage.”

CDFW recently completed a status review for the Southern Calif. steelhead trout population to determine if a CESA listing is warranted. The review will be presented to the Cali. Fish and Game Commission (FGC) in April where they will decide if the species will be listed as Endangered under CESA or not. If approved for listing, this would be the second Endangered CESA Listed steelhead population in Calif.

CALIFORNIA’S HATCHERY LIST

Rowdy Creek Hatchery (a small tribal led program on the Smith River that raises non-listed Klamath Mountains Province steelhead.) Annual production numbers are variable, based on adult returns

Operator: Tolowa Dee-ni Tribe

Location: Rowdy Creek – Tributary to the Smith River

Annual SH smolt release target: 80,000

Spokane hatcheries get upgrades

Two hatcheries on Little Spokane River renovate its facilities to focus on sustainable practices and phosphorus reduction. By

Every building needs a facelift now and then. Spokane Hatchery in Washington hasn’t had one since it was built in 1934. But now it’s getting one.

The Spokane Hatchery, run by the Washington State Department of Fish and Wildlife (WDFW), is one of the major rainbow trout broodstock facilities in the state, producing about nine million rainbow trout eggs each year and six million are shipped to other facilities around the state.

The primary goal of the renovation is to improve the way the hatchery deals with its wastewater. “So trying to mitigate some or improve solids management generally. And then nutrient management,” said Sarah Welsh, an environmental engineer at the WDFW. Currently, discharge from the hatchery goes into a Griffith slew and then flows into the Little Spokane River which has low dissolved oxygen and high levels of nutrients. As one of the point sources on that river, the Spokane Hatchery has been working with the Washington Department of Ecology to figure out the best way for the hatchery to reduce the amount of phosphorus they discharge into it.

Low phosphorus feed

While the hatchery is allowed to discharge 0.51 kg of phosphorus per day, Jordan Bauer, finfish general permit facility manager at Washington Dept. of Ecology said they have been above their discharge levels for some time. To meet this requirement, Spokane Hatchery is introducing low-phosphorus feed into fish diets. In 2023, they did a study to determine how this feed will see lower phosphorus in wastewater and the effect on fish growth and development.

“From that feasibility study, we saw about a 400 to 600 per cent decrease in the amount of phosphorus, both soluble and particulate phosphorus we were seeing in the effluent samples,” Welsh said.

Although it was just one isolated sampling event and not comprehensive, Welsh said, “This might be something that could really help us reduce phosphorus loading without having to pour a bunch of money into more technical treatment, which we’re still doing, but this is a good way to supplement that.”

This year, they’re doing a longer study, feeding a few different raceways of trout and monitoring their health to see if they’re having

higher levels of diseases. They’ll conduct periodic water quality sampling over a long period to see if those lower levels of phosphorus are being maintained in operation samples.

“We’re looking for any little way to shave off phosphorus in our system. So it’s something that we’re certainly thinking has a place in this hatchery program,” Welsh said.

As a hatchery that’s been in existence since 1934 and had minimal renovations over the past 90 years, a lot of the infrastructure and buildings are starting to fail. There are cracked round ponds and hatchery operators spend a lot of time patchworking different facilities.

According to Bauer, before this renovation, they made some changes in the early 2000s, putting in raceways instead of round ponds. As part of the renovations, they’re trying to upgrade residences which are also falling apart.

The plan is to install different drum filters on all their rearing units, new dual drain round ponds that should be more self-cleaning, and a pollution abatement pond so to get the settling of solids. “A lot of the Department of Fish and Wildlife facilities across the state have retention ponds, or pollution

abatement ponds that are at the facility, but this one, this one doesn’t have one of those,” said Bauer.

He said polychlorinated biphenyls (PCBs ) are also an issue. “The Spokane hatchery, being that it’s an older facility, some of the old caulk and paint and some other things, there has been a discharge for PCBs, but through this renovation, they are going to take those out,” Bauer added will be an improvement.

Spokane Tribal Hatchery

Another hatchery undergoing renovations is the Spokane Tribal Hatchery, just down the river, but on a much smaller scale.

After an unusual heatwave in Spokane in the summers of 2020 and 2021, which caused an increase in surface water temperature and fish diseases, they started working on ways to alleviate the issues if they occurred again.

As explained by Brent Nichols, fisheries and water resource director for the Spokane Tribe, the Spokane tribe used to subsist primarily on Chinook salmon, steelhead, and sockeye, but Chinook was the most prominent component of their culture. When Grand Coulee Dam was constructed, in 1939, it completely blocked all movement of salmon to the Spokane Tribe of Indians. In 1980, Congress enacted the Power Act, which is what created the mitigation for the Pacific Northwest for all the construction of hydro systems dams.

“Our hatchery was designed and is operated still as partial mitigation for the construction of those dams on the Columbia River in Spokane rivers,” said Nichols. “Rainbow trout is our focal species for the tribe.”

Rebecca Cook, fisheries biologist for the Spokane Tribe said currently, the hatchery doesn’t reuse its water. She said they have a flowthrough system. “We wanted to see if there are ways to turn our flowthrough hatchery into a partial reuse so that if there were low water times throughout the year, the hatchery wouldn’t be scarce, and have problems with the fish capacity that they currently maintain and need to maintain,” she said.

Partially recirculating

Nichols said right now, the effluents of the tribal hatchery go into a settling pond. “Part of this renovation and the ability to recirculate this water and reuse this water will be to at the point at the hatchery where it flows into the settling pond it will be diverted into a containment system where they will have the biological filters in place to help break down the ammonia and nitrogen,” he said. It’ll then go through drum filters to remove particulate material, and through the UV

filters to remove any bacteria or viruses anything before that water is pumped back up for reuse. They’re targeting 80-83 per cent reuse.

Like the tribal hatchery, the state-run Spokane Hatchery wants to install a partial recirculating aquaculture system (PRAS) to help mitigate low water years when there isn’t much spring water. They’ve designed six banks of these round ponds to recirculate up to 75 per cent of flow. So they use less water to raise the same amount of fish.

A lot of new technology that will be installed has a higher power demand, so they’re adding in solar panels. “Spokane is a really sunny area compared to Western Washington. So we’re trying to take advantage of the sunlight so that they don’t have a massively higher power bill after this project,” Welsh said.

The tribal hatchery renovations are estimated to cost US$2.2-2.6 million and have gotten funding from the Bureau of Reclamation and Bureau of Indian Affairs.

On the other hand, the Spokane Hatchery project is going for about 23 times that amount. The project is divided into three phases and is estimated to cost around US$55-60 million. It is expected to last six years and the first phase will kick off in the winter of 2024 with construction beginning in the summer and lasting two summers.

“Our first phase is really supposed to test if we’re going to be able to meet that waste load allocation with the strategies we are currently planning. And if not, we have some

The Washington State-run hatchery’s current concrete round ponds will be demolished and upgraded to new fiberglass dual-drain round ponds. These new ponds will be a partial recirculating aquaculture system designed to reuse up to 75 per cent of its water.

land set aside for other options if we need to continue to explore that. But we’re hoping that kind of strategy we’ve come up with at this point is going to be enough,” said Welsh, who’s also project manager for the technical side of this project.

Welsh has been working at the WDFW for two years. After growing up in a family that loved the outdoors and fishing, together with her interest in STEM, Welsh studied Environmental health engineering at Havard University. “It’s cool to be an engineer, but not just be in a room full of engineers talking math and nerdy things. So there’s a lot of public and, within the agency interaction in this job,” he said.

Welsh emphasizes that water treatment is difficult. She said they’re doing a lot of learning about low phosphorus feed at the WDFW that they hope to publish.

“We are trying our best to clean up our wastewater from this facility because the people who run this facility are also the ones going out and fishing in Lake Spokane and live on Little Spokane River.”

“We’ve talked to a number of other hatcheries that are trying to do similar things and all of them are having similar issues of the traditional wastewater treatment technology doesn’t seem to work well, when it comes to some of these applications.”

She said while low phosphorus feed might be the answer for some, it has its drawbacks, and it is more expensive. “It’s not necessarily mass-produced in all the same feed manufacturers we currently use. So there are a number of challenges with this project.”

25 years of welfare

How fish health and welfare certifications have evolved

Following a significant decline in fish stocks from 90 per cent in 1974 to 65.8 per cent in 2017, aquaculture had emerged as an alternative source of seafood by the late 1980s. However, negative effects on the environment and local communities spurred resistance and social movements by the early 1990s.

During this period, consumer concerns about seafood safety and quality, market demands for sustainably sourced farmed seafood and aspirations to upgrade the socio-environmental performance of aquaculture production emerged, according to Choyon Saha at the University of Waterloo in Ontario, Canada.

“These challenges pressured seafood retailers and aquaculture industry representatives to create certification schemes in 1997 to ensure sustainable aquaculture production,” said Saha.

“Environmental non-governmental organizations (ENGOs), civil society, private sectors and fish production associations

came forward to create more aquaculture certification schemes, notably the Aquaculture Stewardship Council (ASC), Friends of the Sea (FOS), Naturland, BioGro and Global Seafood Alliance (GSA). Their aim is to mitigate the social and environmental impacts of aquaculture production, ensure food safety and quality and improve fish health and welfare.”

The beginning

In 2010, ASC was established. In its early years, it developed and implemented standards for various aspects of aquaculture, one of which was fish welfare. Comprehensive standards for farmed fish were drawn up during the initial phase and a certification process for farms that met these standards was initiated. ASC also engaged in pilot projects with early adopters in aquaculture to test and refine initial standards in real-world farming conditions, and helped farmers and stakeholders understand and implement the best practices outlined in the standards. Today, the assessment process for farms seeking ASC certification involves a thorough evaluation of their practices, such as water quality and disease management in

relation to fish health and welfare. ASC also gathers feedback from certified farms, stakeholders and experts, as part of its ongoing commitment to improvement.

The certification program addresses, mitigates, and prevents poor fish health and welfare, resulting in a comprehensive multi-faceted approach encompassing ethical, economic, environmental and regulatory considerations. It supports an operational definition of welfare defined by the physical and mental state of an animal in relation to the conditions in which it lives and its capacity to cope with the environment.

“The overall purpose of health and welfare in the ASC scheme is not just an isolated objective, but a central theme that addresses a myriad of contemporary global challenges, including food security, ecosystem resilience, carbon emissions, ocean pollution, overfishing and threats to public health,” said Maria Filipa Castanheira, Fish Welfare coordinator at ASC.

“Recognizing the interlinkage of these issues, animal health and welfare in aquaculture emerges as a critical element, offering a multidimensional approach to safeguarding humans, animals and the environment.”

Health and welfare practices on ASC certified farms have transformed significantly over the years, says Castanheira, with improved biosecurity, effective disease prevention through vaccines and enhanced staff care and development. The salmon industry, in particular, exemplifies advanced technological and biosecurity measures, emphasizing disease prevention, effective vaccines and optimal fish care. While acknowledging new challenges, it’s essential to recognize the progress made.

“Sea lice remain a concern, but their impact is nowhere near that of aquaculture’s early days,” said Castanheira. “Significant strides have also been made in the slaughter of salmon, with harvest, slaughter and processing plants achieving highly efficient and humane practices. These advancements are attributed to dedicated individuals and remarkable technological developments

that have played a pivotal role in enhancing overall effectiveness.”

More recently, ASC launched the Fish Welfare project in 2019. A set of indicators covering fish welfare, followed by another set for shrimp and cleaner fish, was developed during the initial phase. By integrating these into the ASC Farm Standard, the project aims to enable stakeholders to understand ASC health and welfare commitments across all certified species. The ASC Farm Standard is due for release in Q3 2024 and will become effective in Q3 2025.

“Having clear requirements on fish health and welfare combined with ASC staff expertise will bring many opportunities and benefit the wider ASC program,” said Castanheira. “The growing focus on ethical and sustainable practices, propelled by consumer preferences, regulatory advancements, and

PHOTO: PHOTOGRAPHY BY ADRI/ISTOCK/GETTY
PHOTO: PHOTOGRAPHY BY ADRI/ISTOCK/GETTY IMAGES PLUS/GETTY IMAGES
PHOTO: AQUACULTURE STEWARDSHIP COUNCIL

global sustainability objectives, is expected to result in an increased number of farms pursuing certifications, with a particular emphasis on those addressing fish welfare.”

The U.S. example

Alongside environmental and social responsibility and food safety, fish welfare is one of four key pillars of the Best Aquaculture Practices (BAP) certification program built by the Global Seafood Alliance (GSA) in the US. GSA, formerly known as Global Aquaculture Alliance (GAA), was an early pioneer in using certification standards to drive improvements in responsible aquaculture.

The GAA’s first certification program was the Shrimp Farm Standard in 2003, followed by the Shrimp Hatchery Standard in 2004. The program was then formalized, bringing in external technical committees, an overarching standards oversight committee, and an ISO17065-compliant audit process involving the onboarding of independent certification bodies and auditors. Following this shift, GAA set out to produce additional standards and bring the shrimp standards under this new model.

“These standards are specifically related to setting maximum biomass limits based on a facility’s design, fish health and survival, managing feeding to avoiding stress from under- or over-feeding, and setting limits to fasting, crowding and time out of water,” said David Dietz, manager of Standards Oversight at GSA.

“They are also related to regularly inspecting the culture facility, water quality and behaviour of fish, providing written health management plans that include biosecurity measures, the involvement of fish health specialists for

disease diagnosis and treatment, and practising harvest, transport and slaughter processes with animal welfare in mind.”

These are some of the initial animal welfare interventions and improvements that have been added to the BAP program and refined over the years. With the move to the ISO model, BAP facilities must comply with 100 per cent of all components of the standard to be certified. Auditors assess for full conformity and facilities must address all non-conformities to achieve certification. This assures that these new animal welfare interventions are being addressed everywhere equally.

“BAP’s goal has always been to advocate and advance responsible practices around the globe, and animal welfare is a key component to that,” said Dietz. “The program listens to science and relevant stakeholders on what best practice looks like on an aquaculture farm and how it can promote that through standards. The issues and focuses change over time, but our constant goal has always been continuous improvement and industry engagement. Improvements we’ve seen on farms include lower mortalities, fewer disease outbreaks, improved slaughter, transport and handling practices and better general welfare outcomes per animal.”

Is it enough?

Certifications represent an assurance around the processes on farms to raise the animals in question. A BAP certification as it relates to animal welfare means that the farm’s procedures are fully compliant with the standard’s animal health and welfare requirements, says Dietz. The assurance here is that farms have the correct procedures, personnel and

resources to meet the requirements outlined in the standard.

“However, farms must ensure that they have the right staff so that necessary measures are always taken, while management must seriously commit to monitoring so that farms remain certified and in line with best practices,” said Dietz.

Castanheira agrees that the effectiveness of ASC standards relies on varied implementation and enforcement across different contexts. She says that while recognizing certification as a key element, farms must adopt a multi-faceted approach with continuous monitoring, dedicated research to enhance welfare practices, educational initiatives, transparent practices within the industry and collaborative efforts with stakeholders. Only through this holistic strategy can farms truly address the welfare of farmed species, extending beyond the confines of certification and covering the diverse challenges that aquaculture faces.

Certification can also do more for better impact beyond health and welfare, says Saha. One example is addressing the vulnerability of small-scale farmers to exclusion.

“These farmers don’t have enough money for the assessment process and certification because it’s expensive,” he said. “To address this, certification programs may need to change their standards, rules, principles or codes of practice. A discount for small-scale farmers may also help.”

“Small-scale farmers dominate the aquaculture sector and may have limited resources, so they represent the greatest risk in the value chain if their capacity and interests are not addressed,” agrees Castanheira. “To address this gap, the ASC Improver Programme was created to support farms that are interested in becoming certified or improve their practices but are not yet meeting expectations in terms of performance. As fish health and welfare are usually matters that farms in improvement see as a challenge, tailoring the program with inputs on these two topics has enabled improvements in farming practices and, ultimately, the uptake of the program.”

Hopes are high that certification programs like the ASC and BAP can continue to operationalize health and welfare by creating a common industry language for what good aquatic welfare looks like and how to improve it. “Our goal with all standards and standard updates is to reflect agreed best practice, but in a way that is attainable for responsible producers in the industry to help support a supply of responsibly farmed seafood in the marketplace,” said Dietz.

State of the European Union

European aquaculture is not out of the woods yet, but the outlook gets brighter.

In the past few years, aquaculture in the European Union has been a rollercoaster ride. Caught between the hammer of soaring production costs and an anvil of waning demand, fish farmers have had a rough time. Looking ahead, there are reasons for optimism.

There is a big difference between the situation in the aquacultural sector of the European Union (EU) and geographic Europe. The latter has experienced a steady growth in output in the past few years, but within the EU, any growth was absent, commented Javier Ojeda, general secretary of the Federation of European Aquaculture Producers.

The reason is that Norway and Scotland –the leading powerhouses of European aquaculture – are not part of the trade block, and their output is not reflected in the EU performance.

The key factor contributing to the stagnation of European aquaculture in recent years was environmental legislation, which Ojeda described as “asphyxiating.” The ecological campaign embarked on by Brussels is coupled with imports from Asia, Africa, and America that do not comply with production rules mandatory for European farmers.

This state of events in Europe is not unique to aquaculture. In the last months of 2023, European farmers were taking to the streets, blocking motorways and logistics platforms from France to the Ukrainian border. Although the aquacultural industry was not the driving force of those rallies, the hearts and minds of fish farmers were with the protesters.

A drama unfolding

What’s happening now is believed to be the climax of a long-lasting crisis that gradually erased the financial health of the European fish farming sector for years. The COVID-19 pandemic and the European energy crisis all played their parts in this process.

Although European energy prices subsided from the peaks of 2022, they are still far from the levels preceding the Ukrainian conflict.

“It’s important to remember that energy is a significant input in aquaculture, particularly for maintaining optimal water temperatures and running equipment like pumps and aerators. Higher energy costs can squeeze profit margins for aquaculture producers, especially smaller operations,” said Wasseem Emam, a PhD researcher at the

Institute of Aquaculture at the University of Stirling and director of the Ethical Seafood Research.

Anna Swacha-Polańska, office manager of the Polish Trout Breeders Association, said that the energy crisis is only one piece of a big puzzle.

“This is an extremely dynamic period in which the world is transforming at a pace never seen before. Rapid climate change, war across Poland’s eastern border, global warming, and the energy crisis are all factors that not only affect the planet but also pose significant challenges for livestock production, including salmonid fish farming,” Swacha-Polańska explained.

In 2022, the Polish trout farmers saw a hike in operations costs across the board, which was a far cry from the official inflation rate. The growth in wholesale prices, however, failed to compensate for the soaring spending.

“Statistics show that the average selling price for all species increased by 18 per cent, with a 14 per cent increase for pork trout. This is way below the upward cost dynamics. Farmers are more pessimistic about the impact of the war and inflationary situation

Rising costs put a pressure on operations
PHOTO: PLANT AND FOOD RESEARCH

than about the restrictions during the pandemic period,” Swacha-Polańska said.

Fish farmers face a worrying trend of many consumers abandoning the food service industry, which became palpable in 2022 and only picked up the pace as Europe plunged into the cost-of-living crisis.

Aquaculture businesses have adequately responded to the problematic situation by scaling down their operations. A production decline recorded in 2022 likely continued last year, Swacha-Polańska admitted.

In the past few years, Europe saw a shift towards sustainable and locally sourced seafood, which created opportunities for certain producers but challenges for others, Emam indicated.

However, economic downturns or disruptions, such as those caused by the COVID-19 pandemic, have had a knock-on effect on consumer spending on seafood products, Emam claimed, adding though that during the pandemic in particular, consumer spending on seafood products surprisingly increased, not the other way round.

Dominating green agenda

To this catalogue of difficulties, European aquaculture should also add the increasing regulatory requirements placed on farms.

“We must adapt to the reality that environmental and ecological changes are having a huge impact on our business,” Swacha-Polańska said, also warning that climate change may have a detrimental impact on the farms.

Global warming, caused by increased greenhouse gas emissions, is leading to changes in the temperature of waters, oceans and rivers, with direct consequences for salmonids, Swacha-Polańska said. This is a challenge not only in terms of maintaining optimal farming conditions but also in terms of preserving biodiversity and aquatic ecosystems in Europe.

“Already today, the problem of high temperatures has derailed the profitability of farming at many trout facilities. It is necessary to intensively search for new technological solutions that will maintain the production volume and, thus, allow small, often family-owned businesses to get back on their feet,” Swacha-Polańska said.

In addition, the energy crisis, which is linked to the transition to more sustainable sources of renewable energy, pushes fish farmers to find new energy management solutions for their breeding facilities.

“As the public’s environmental consciousness grows, our industry must adapt to the challenges of reducing carbon emissions

and cutting energy consumption while maintaining production efficiency and profitability,” Swacha-Polańska stated.

Hatcheries in the same boat

For European hatcheries, the state of play differs depending on their geographical locations and production portfolio.

In the salmon sector, hatcheries are an integral part of large companies; as such, it is not possible to know their individual performance or activities, commented Gorjan Nikolik, the senior global specialist in seafood at RaboResearch Food & Agribusiness, adding that there are also several independent hatcheries in Norway.

In the past few years, European hatcheries have invested in technology and research to improve efficiency, reduce disease risks and enhance the quality of juvenile fish produced, Emam said.

“Advances in genetics, selective breeding, and biosecurity measures have contributed to better broodstock production and overall hatchery performance. They mainly produce salmon, trout, sea bass, sea bream, and carp,” Emam added.

Certain countries or regions within Europe have a stronger focus on aquaculture and thus have more developed hatchery infrastructure and production capabilities.

“Countries with extensive coastlines, favorable environmental conditions, and supportive regulatory frameworks generally perform better in terms of hatchery production. Norway, Scotland, Spain, Greece, and Denmark are among the countries known for their significant aquaculture activities, including hatchery operations,” Emam indicated.

The excessive regulatory pressure and tightening environmental standards have had a certain impact on hatcheries, too. Emam noted burdensome licensing requirements, health standards and environmental regulations hatcheries must comply with.

“Some argue that this has held back the sector and made it less competitive than

other global producers such as China. On the other hand, countries with clear and supportive regulatory frameworks typically find it easier to attract investment and foster growth in the hatchery sector,” Emam added.

Despite the headwinds, European hatcheries saw a steady improvement in operational effectiveness in the past year.

“European broodstock production figures point towards an increase in selective breeding programs. Health risks and disease management are being handled much better, which is reflected in lower mortality rates for a number of species. Production is overall on the rise. The hatchery sectors in Norway, Scotland, Spain, Greece and Denmark have all been performing well with overall increasing demand year on year,” Emam pointed out.

Advances in these genetic technologies are enabling more precise and therefore, efficient selection and breeding strategies. There is a lot of talk within the sector of species diversification, and hatcheries are trying to do this to meet evolving market demands and address challenges such as climate change and disease susceptibility. For example, there is growing interest in alternative species with potential for sustainable aquaculture, such as meagre and shellfish.

Reasons to be optimistic

There are intense research and innovation efforts aimed at improving aquaculture practices, developing new technologies, and diversifying species for cultivation. This includes research into alternative feed sources, disease prevention, selective breeding, and offshore aquaculture systems. Social acceptance of aquaculture is undoubtedly an issue.

Public perception related to environmental concerns and fish welfare is being addressed but more from a communication perspective than referring to specific practices. Aquaculture positives are not yet in the open discussions, which creates an unfavourable knowledge gap in the minds of European citizens, Ojeda noted.

“Overall, I think the outlook for European hatcheries is positive, given the renewed drive for continued innovation, their ability to adapt to changing market trends and their attempts at prioritizing sustainability,” Emam said.

According to Emam, while challenges such as disease management, environmental concerns, and regulatory compliance persist, hatcheries are well-positioned to leverage technological advancements and strategic partnerships to navigate these challenges and contribute to the sustainable growth of the aquaculture industry in Europe.

Fish farming in Europe stagnates
PHOTO: CLEAN FISH

From sensitive picky eaters to laid-back gluttons

Feed effectors can improve shrimp feeding and stress tolerance

Shrimp production increased a lot over the past several years. As of 2022, shrimp is the topmost aquacultured species, with close to six million tons produced. Increasing culture areas, improving aeration, supplying shrimp with nutritionally adequate feed, among other factors, contributed to the increased production. However, farmers still face a lot of challenges and obstacles that they have little control over.

Shrimp are “sloppy” eaters that tend to waste a lot of their feed while “chewing.” A lot of the feed offered to them is simply wasted by the formation of fine particles and nutrient leaching. That worsens the feed conversion ratio and can deteriorate water quality. Additionally, shrimp are sensitive to salinity changes, especially in the early life stages. Salinity of the ponds and culture areas can fluctuate for a variety of reasons, mainly the change of tides and rainfall. Experiencing salinity changes like this can be lethal for the shrimp. Therefore, it is important to further improve shrimp production by getting the animals to “finish their meal” and “unwind.”

The idea

Shrimp are continuous benthic feeders. They feed at the bottom of the water column and have small digestive tracts that don’t allow them to consume feed in big quantities. Consequently, studying their feeding behavior can prove difficult, but it is not impossible. One recent technology allows scientists to “eavesdrop” on the shrimp as they feed and form a better understanding of their feeding behavior. The idea is to drop hydrophones – underwater microphones –in the center of a glass aquaria and listen to the animals “clicking” their mandibles and breaking down the feed pellets. The benefit of eavesdropping lies in getting all of the information needed without disturbing the animals. We refer to this procedure as Passive Acoustic Monitoring, or simply PAM. Improving shrimp production does not stop at knowing how they feed. The two main goals of current research are using nutritious yet affordable ingredients for feed formulation and raising the animals to be healthy and stress-free. Nutritionists are trying to incorporate a lot of terrestrial animal protein

sources and by-products into aquaculture feed to make it more cost-effective. One such source of protein is poultry meal.

Poultry meal is a by-product of one of the biggest sectors in the food industry, comprised of the inedible poultry by-products that are seldom consumed by humans, mainly feet and heads, among other organs. With proper processing, poultry meal can be used as an alternative to the traditional protein source used in aquaculture i.e. fishmeal. Poultry meal has a similar nutritional profile to fishmeal, with the exception of some amino acids. However, shrimp seem to be averse to consuming poultry meal-based feed. It seems that incorporating poultry meal in the feed decreases its palatability and shrimp are no longer attracted to it. Consequently, it would be interesting to see if supplementing shrimp feed with an attractive element would incentivize the animals to consume poultry meal-based feed.

Our team of researchers from Auburn University decided to evaluate the aforementioned hypothesis. Additionally, limited data present in the literature suggest that some attractive elements of synthetic or natural origins could potentially improve shrimp tolerance to stress, particularly the one related to salinity. Accordingly, the research team designed a three part experiment to assess the use of a feed effector with attractive properties on Pacific whiteleg

shrimp feeding behavior, feed consumption, growth, and tolerance to salinity stress.

The approach

We started the study by producing three sets of three experimental diets each, allowing for a total of nine diets. We used poultry meal as main source of animal protein in the first set, whereas the remaining sets of diets had fishmeal as the protein source. The main difference between the second and the third set was the level of fishmeal included, which was either medium (at 6%) or high (12%). Each set of diets had a control diet with no feed effector, and two other diets with feed effector supplemented at either 0.1 or 0.2%. The main reason for our choice of animal proteins used was to compare poultry meal to an attractive source of protein, and to eliminate the effect of diet matrix on the possible results.

After the diets were made, we assessed the shrimp’s feeding behavior and how much feed they’d consume. For that purpose, we relied on PAM to record shrimp “clicks” when offered a known quantity of feed in each aquarium, over a period of 30 minutes, at the end of which we would collect any leftover feed and dry it to determine the feed consumption.

Afterwards, we moved to the second part of the experiment which was the growth evaluation. For this part, we used a clearwater recirculating aquaculture system comprised of identical glass aquaria connected to pumps and a reservoir tank. We stocked 15 shrimp of similar size per aquarium, randomly distributing the diets among the aquaria, which allowed for four replicate aquaria per diet. We offered the shrimp feed manually four times a day for a total of 36 days. During that period, we were assessing shrimp survival on a weekly basis, and adjusting the feed ration based on the number of shrimp available in the aquarium.

After 36 days, we terminated the second part and proceeded to stress evaluation. At the time, we did a final count of the shrimp in each aquarium, and group weighed the animals to obtain growth data. We then randomly selected five shrimp from each aquarium and induced an acute salinity stress by submerging them in a freshwater bath for one minute before returning them

PHOTO: MAGIDA TABARRA

to their respective aquaria. After 24 hours, we went back and assessed their survival post-salinity stress.

The outcome

The results we obtained from this study were very propitious, especially in terms of shrimp feeding behavior and stress tolerance. Incorporating the feed effector in the feed seemed to increase the number of “clicks” emitted by the shrimp, especially when it came to poultry meal-based feed. The shrimp tended to find the poultry meal-based feed more palatable and attractive when the feed effector was supplemented. Their “clicks” also seemed to increase with the increased level of the feed effector. The results were similar for the set of diets containing high fishmeal, despite the ingredient being a palatability enhancer itself. The interesting yet unexplainable result was that observed for the medium fishmeal feed. For some reason, the number of “clicks” decreased with the increase in the level of feed effector in the feed. A similar trend was also observed in terms of feed consumption. The animals tended to consume more of the poultry meal-based feed and the high fishmeal feed when more feed effector was supplemented.

Results of the growth assessment, however, were not in accordance with the feeding behavior and feed consumption experiment. Shrimp offered the various feed grew similarly and exhibited similar feed conversion ratios and survival. That is not necessarily a bad thing, considering that the experiment was performed in a laboratory setting rather than a production setting such as a pond. But the most important observation we obtained was that the incorporation of the feed effector in the feed significantly improved shrimp survival following exposure to salinity stress.

The data collected opened our eyes to the benefits of supplementing shrimp feed with feed effectors that have attractive properties. Having that supplementation, we can confidently use poultry meal or animal by-products to produce cost effective nutritious aquaculture feed. That nutritional improvement does not jeopardize the feeding

Suggested readings

FIGURE 1: Average survival of shrimp offered feed containing increasing levels of the feed effector. Error bars represent standard error of the mean, and different superscripts indicate significant differences (p<0.05).

behavior of the animals or their growth. Also, shrimp tolerance to salinity-related stress increases. That can benefit shrimp production in a variety of aspects, mainly by decreasing production expenses as well as resisting stress caused by salinity fluctuations, which is an environmental factor that farmers have less control over.

Full scientific article citation: Tabbara, M., Strebel, L., Peixoto, S., Soares, R., Morais, S., & Davis, D. A. (2024). Use of passive acoustic monitoring to evaluate the effects of a feed effector on feeding behavior, growth performance, and salinity stress tolerance of Litopenaeus vannamei Aquaculture, 582, 740499. https://doi.org/10.1016/j.aquaculture.2023.740499

Reis, J., Peixoto, S., Soares, R., Rhodes, M., Ching, C., & Davis, D. A. (2022). Passive acoustic monitoring as a tool to assess feed response and growth of shrimp in ponds and research systems. Aquaculture, 546, 737326. https://doi.org/10.1016/j.aquaculture.2021.737326

Tabbara, M. (July/August 2023). The future of shrimp feeding in ponds: Eavesdropping on animals has unexpected benefits. Aquaculture North America, 14(4), 20-21.

Zhu, T., Morais, S., Luo, J., Jin, M., Lu, Y., Le, Y., & Zhou, Q. (2019). Functional palatability enhancer improved growth, intestinal morphology, and hepatopancreas protease activity, replacing squid paste in white shrimp, Litopenaeus vannamei, diets. Journal of the World Aquaculture Society, 50(6), 1064–1077. https://doi.org/10.1111/jwas.12615

LONG-LASTING AQUACULTURE PUMPS

How can we foster the next generation?

Training new employees takes a lot of time, and often money. Therefore, retaining great employees is highly valuable. But how can we as a community help foster the generation of great hatchery staff that will be around for the long haul?

Earlier this year, I was honoured to take part in a workforce development panel at the Aquaculture America 2024 conference where an industry panel shared what skills they look for in staff and the challenges they face in staffing. It was followed by a government and academic panel where they discussed current training objectives aimed at supporting industry in their staffing needs.

The popularity of this session showed the need for an updated workforce training and skills description for aquaculture. And how we all need to work together for the future of our workforce. So let’s dive in.

Encourage passion

Universities or technical colleges are great at setting the foundation for biological, chemical, physical or business foundations, training us on the newest generation of innovations and/ or bringing together global perspectives into our local farms. Seeing a university or technical college degree on a resume can show not only the potential employees’ commitment to aquaculture but also a standard of background knowledge and skills.

But universities can’t forget the soft skills. Employees and business owners also need to be good communicators, problem solvers, team players, self-motivated, have time management, organization, great hygiene, and interpersonal skills.

Universities also need to feed that passion that drives us all to aquaculture. Remember we are farmers first and foremost. There is a limited salary, long hours, dirty tasks (they literally filmed several of the hit TV show Dirty Jobs episodes at aquaculture farms), and limited advancement opportunities. What motivates people to stay in this industry is therefore passion. Amy Stone from Aquatic Equipment and Design said it the best, “hire the attitude, train the skills.” Passion is infectious and teams built around people who live, eat, and breathe aquaculture make working in such a tough career very rewarding. Universities can aid in fueling this passion by exposing students to hands-on training, current farm employees to skills workshops, and the community as a whole to new innovations in the field.

The great age divide

As much as I hate to admit, our millennial or Gen-X generation needs to start understanding the upcoming workforce of today. Not only do our attitudes need to shift to this modern generation, but so do our farms. We need to modernize. Modernize how we keep and record data, monitor inventory, life support controls, and even how we communicate with each other internally and externally. In many ways, this will flip the dynamic of farms. The newer generation will become our teachers and guides in how to utilize and structure our farms to take advantage of this digitally connected world. We may have to learn how to utilize our devices to record data, to create searchable databases of how to operate, maintain, or troubleshoot different aspects of our farm, to collaborate with other

departments within or outside our farm, and how quickly Big Data from the farm can be analyzed and interpreted to make high-level decisions in seconds.

Before they retire, we also need to take the time to tap the lifelong knowledge and experience of the older generations and utilize it to inform the training manuals and AI computing solutions of the future.

But bridging this generational gap may take effort, respect, and patience from both ends of the great age divide.

Fostering team/community

We need to continue building a culture of belonging, respect, and breaking down barriers of exclusivity. Fostering connections and bonds within and between companies, universities and government, can greatly enhance the employee and community experience as well as the success and sustainability of our industry. As it was infamously explained, “even the person pushing a broom at NASA helped put a man on the moon.”

We need to encourage and incentivize collaboration at every level of a farm and between farms and research/government. Rewarding those who can and do communicate, unify, and lift an entire team up through accolades, leadership positions, promotions, grant funding, travel stipends, etc.

Removing barriers such as expanding opensourced journals, free webinars, training experiences, community events and lab or farm tours will continue to enhance engagement.

Gamifying communication and collaboration can already be seen through badges on social platforms like the Aquaculture Information Exchange.

Nicole Kirchhoff, on right, joined a panel of aquaculture employers at Aquaculture America 2024 to share experiences in workforce development.
PHOTO: NICOLE KIRCHHOFF

But we cannot forget that sometimes, a simple “thank you” is enough of a gesture of appreciation that can boost morale and sustain commitment.

Non-conventional paths

We need employees who have a basic understanding of plumbing, electric, fluid dynamics, and mechanical knowledge. We need employees who can diagnose and, at least temporarily, repair culture tanks or equipment. And can work well under pressure.

Because in aquaculture things can go catastrophically wrong in only a few minutes and often in locations with limited access to tools or experts to aid in the repair.

The truth is these skills are not taught in today’s universities or technical colleges and often not at home. Therefore, many of us business owners have looked for employees who have perhaps worked in construction and have experience with power tools; have worked as a boat mechanic; in a warehouse and can use a fork lift; or are ex-truckers and can thread a needle with a trailer.

It was almost unanimous among us industry panellists: our best managers and employees

often don’t have an advanced degree in aquaculture at all. Matching employees with these diverse non-conventional backgrounds with those who have advanced technical aquaculture skills is therefore very valuable to the employment goals of a business and therefore should not be overlooked.

The power of retention

Aquaculture is one of those fields where hands-on training, experience, and cross-training yields value. You need that experience of failures to understand the options in troubleshooting the solution; thousands of hours of understanding what is normal with an animal, plant, or piece of equipment to know what is not normal.

It often takes a year or more to adequately train and trust an employee with working alone or managing a portion of your business. And it takes decades for them to really be a leader to train the next generation. If retention is the goal, then we need to understand what it will take for an employee to stay in the field, or better yet, at the farm.

But nothing will retain employees if we cannot afford to compete with the increasing

Smarter, stronger, more economical drum filters

The Hydrotech Drum Filter Value series focuses on reduced maintenance, increased component quality and simplified operation – all to give your plant maximum filtration performance at a minimum operational cost.

Let us help you!

Call +46 (0)40 42 95 30, or visit www.hydrotech.se

cost of living. Or as one farmer put it “with the corn dog factory next door.” This is where we need to come together and innovate as a community. The big costs of operating our businesses, like feed, fuel and labour, are not decreasing. Therefore, how can we run our operations with fewer employees who are each paid more for their time and experience?

A huge thank you to LaDon Swann, Director of the Mississippi-Alabama Sea Grant Consortium and Christian Brayden, Project Manager of the Maine Aquaculture Association for organizing and moderating such a diverse group of industry and academic leaders and wonderful morning of open dialogue. I believe everyone gained a new perspective. And hopefully, this can aid those who want to train the next generation of our workforce or those who want to dive into a career in aquaculture.

Nicole Kirchhoff is the owner of Live Advantage Bait LLC (www.liveadvantagebait.com), a wholesaler of warmwater marine fish, fingerlings, and eggs for baitfish and foodfish growout, research, and restoration located in Florida, USA. Kirchhoff has a PhD in Aquatic Animal Health and was Hatchery International’s Top 10 Under 40 in 2022.

SHOWCASE

Calysta’s

protein receives approval for

use in aquaculture feeds in China

Calysta’s FeedKind® protein has gotten formal approval to be used in aquaculture feeds in China as the country’s Ministry of Agriculture and Rural Affairs (MARA) has formally given Calysta’s single-cell protein full approval for use in fish and shrimp feeds.

The company’s joint venture with Adisseo, Calysseo, is preparing to deliver its first product to customers through the Adisseo sales network in China.

“MARA approval is more than simply a regulatory step, it is validation that our product is a healthy and practical ingredient for use in aquaculture systems and opens the door for the Chinese aquaculture sector to set new standards in sustainable feed practices,” said Herman Hong, Adisseo Aquaculture manager for China.

Alan Shaw, co-founder and chief executive officer of Calysta, agreed. “Approval from MARA is the final piece of the puzzle to bring a truly sustainable, high-quality source of protein to the Asian aquaculture market that offers superior nutrition to existing alternatives. FeedKind® can be produced year-round using no arable land and without using any plant or animal ingredients, it truly is a protein without limits,” Shaw said.

Calysseo’s first production plant is in Chongqing, already producing sustainable FeedKind protein for the aquaculture industry, giving producers access to an alternative to plant or animal sources for aquafeed diets. The protein is produced by harnessing the power of a naturally occurring microbe that converts methane into a healthy, nutritious feed ingredient, FeedKind. It is produced by fermentation for aquaculture feeds and pet foods produced using no plant or animal ingredients.

“This is an important step forward not just in helping make food production systems more sustainable, but in improving global food security, by providing feed producers with a domestically produced, reliable feed ingredient that isn’t susceptible to weather or

climate-driven fluctuations in supply,” said Sun Bin, Calysseo’s chairman.

FeedKind is said to have been validated via extensive trials across popular aquaculture species, including shrimp, sea bass, and salmon. Research previously demonstrated distinct benefits for shrimp, concluding that FeedKind promotes strong, healthy growth, while also helping activate shrimp’s immune response to Vibrio, the causative agent of early mortality syndrome. feedkind.com and calysseo.com

Bionetix recommends probiotics for cleaner water

Bionetix® International, a waste treatment company, suggests the use of probiotics for aquaculture. Probiotics are living organisms that digest waste, clean up water and promote intestinal health. This promotes better water quality and healthier species in fish farms.

Bionetix International suggests the following for probiotics for aquaculture:

Probiotics for Fish Food: AQUA-FEED™

AQUA-FEED™ is a natural feed additive designed to promote increased weight gain for shrimp, fish, and other aquatic species. It contains beneficial microorganisms and contains key nutrients such as β-glucans, mannan-oligosaccharides, protein, fibre, minerals, vitamins, and amino acids.

Probiotics for Fish Farms: BCP54™

BCP54™ can be used for fish and shrimp farms which have a high density of aquatic species and more organic waste. Beneficial bacteria in BCP54™ consume fecal matter and nutrient pollution, improving water quality and reducing sludge and odours. The probiotic aims to prevent off-flavours and off-odours in fish or shrimp.

Probiotics for Water Clarity: AQUACLAR™ PLUS

AQUACLAR™ PLUS can clear up cloudy water. It consumes nitrogen, ammonia, and other nutrients that cause algae growth. It is reportedly easy to use and safe to handle. www.bionetix-international.com

FAIVRE Group announces new fish pump for hatcheries

FAIVRE Group has announced its 2.5” fish pump, the Pescamotion 10 fish pump for hatcheries.

The fish pump helps to feed a fish grader, load a truck or transfer fish up to 40 g for salmonids and up to 25 g for sea bass & bream. The Pescamotion 10 fish pump allows farmers to safely transfer fish with a 2.5” hose. Its AISI 316L stainless steel housing and frame make it corrosion-resistant.

The impeller is held directly by the motor. The pescamotion10 is said to require no maintenance to manage belt tension or lubricate the bearings. The Direct Drive system considerably reduces the number of parts to be replaced.

According to FAIVRE Group, “With 92 kg on the scale, our fish pump is easy to handle, even manually. The compact 67 cm width makes it easy to drive through doors and between ponds in a hatchery.” www.faivre-aqua.fr/en

HIPRA releases manual for disease prevention in fish

HIPRA, a biotechnological pharmaceutical company has released a new fish necropsy manual for disease prevention.

According to HIPRA, “The early identification of diseases is crucial for implementing control measures and preventing the spread of pathogens. However, the quality of samples is essential to obtain a robust and representative diagnosis of the health status of a specific farm.”

The manual addresses the following:

External and Internal Examination

The manual is said to help detect problems at an early stage. Properly conducting fish necropsies assists in quickly identifying issues before they spread throughout the population.

Rapid Diagnostic Techniques

The manual addresses the need for quick

diagnostics. It provides detailed guidelines on how to perform tests and rapid examinations that yield preliminary results in the field.

Sampling for Bacteriology and PCR

The manual includes instructions on how to collect tissue samples for subsequent bacteriological and molecular analysis using PCR.

Sample Shipment to the Laboratory

The manual provides guidance on how to securely package and label samples and how to document all necessary information for analysis to reduce the possibility of errors in the laboratory and expedite the diagnostic process.

Fish Shipment to the Laboratory (Alive and Dead)

In situations requiring a more comprehensive diagnosis or when assessing the health of a group of fish, the manual also covers how to send fish to the laboratory. It talks about keeping fish alive during transportation and how to handle dead fish properly to preserve their integrity until they arrive at the laboratory.

The Necropsy Manual is available in English, Greek, and Turkish. www.hipra.com/en

Smir contracted to deliver waterborne feeding system to Lingalaks

Fish welfare innovation company, Smir has entered into a contract with Norwegian salmon farming company, Lingalaks for delivery of the waterborne feeding system, Smirfeeder to their exhibition fish farming site Toska South in Norway.

The system will be able to supply feed for up to 14 pens and will be delivered ready on a new feed barge in the summer of 2024.

Dialogue between the two companies has been ongoing and Lingalaks says it has gone through a thorough selection process to choose Smir. “We are therefore confident that we have found a solution that meets our needs, and that we have chosen an innovative and good technical solution that will ensure sustainable and stable production going forward,” said Georg Andrè Melcher, project manager at Lingalaks.

The sales manager at Smir, Frode Rygh, said he’s pleased to be able to deliver Lingalaks a sustainable solution for efficient and gentle transport of feed. “We see the fact that they chose Smirfeeder for one of their exhibition fish farming sites as a great vote of confidence, and we look forward to the collaboration,” said Rygh. www.smir.no

Asian-Paci c Aquaculture 2024

High quality fish farming equipment

Designer & Manufacturer Since 1958

Full stainless steel Fish Pump Pescamotion 50 (10‘‘)

High speed loading and transfer for salmonids up to 3kg

Meet us booth # A 11

Turn static files into dynamic content formats.

Create a flipbook
Issuu converts static files into: digital portfolios, online yearbooks, online catalogs, digital photo albums and more. Sign up and create your flipbook.