
5 minute read
Anatomical risk assessment to prevent endodontic extrusion injuries
The following is a synopsis of the article “Beyond the apex: anatomical risk assessment to prevent extrusion injuries in endodontics,” which appears in the November/December issue of General Dentistry.
Read the full article here.
Extrusion of irrigants or obturation materials during endodontic therapy may result in serious complications such as postoperative pain, chronic inflammation, and nerve damage, but detailed anatomical assessment can prevent adverse outcomes. In a new article in General Dentistry, published as part of a collaboration between the Academy of General Dentistry and the American Association of Endodontists, Dr Gordon S. Lai explores how anatomical complexities contribute to extrusion risk.
The unintended passage of materials such as irrigants, sealers, and obturation materials beyond the apical foramen may occur to some degree in routine endodontic therapy, but the consequences can be severe, including irreversible nerve damage.(1) An understanding of root canal anatomy is not only essential for effective cleaning and shaping but also critical to preventing iatrogenic injury. Risk factors for extrusion include the presence of complex root apex morphology; close proximity of the root to vital anatomical structures; and the presence of root resorption and external defects. Although technological advancements, including cone beam computed tomography (CBCT), have improved the clinician’s ability to visualize these risks preoperatively, the burden remains on the clinician to interpret the anatomical information accurately and integrate it into clinical decision-making.
Factors contributing to extrusion risk
Complex anatomy and overinstrumentation: Adequate cleaning and shaping of the apical third are essential to reduce microbial load, promote periapical healing, and achieve long-term treatment success.(2) However, the complex apical region presents a clinical paradox: It is both the area that most critically requires disinfection and the area most vulnerable to procedural mishaps, particularly overinstrumentation and extrusion. Overinstrumentation or overfilling that violates periapical tissues may trigger foreign body reactions, persistent inflammation, and eventual treatment failure.
Proximity of apex to vital structures: Proper preoperative evaluation is essential to identify apical proximity to vital structures and reduce the risk of procedural complications associated with extrusion. Anatomical proximity of the root apices to key neurovascular or sinus structures substantially increases the risk of iatrogenic extrusion injuries. The inferior alveolar nerve, maxillary sinus, and mental foramen and its associated neurovascular bundle are high-risk areas often underestimated during treatment planning.
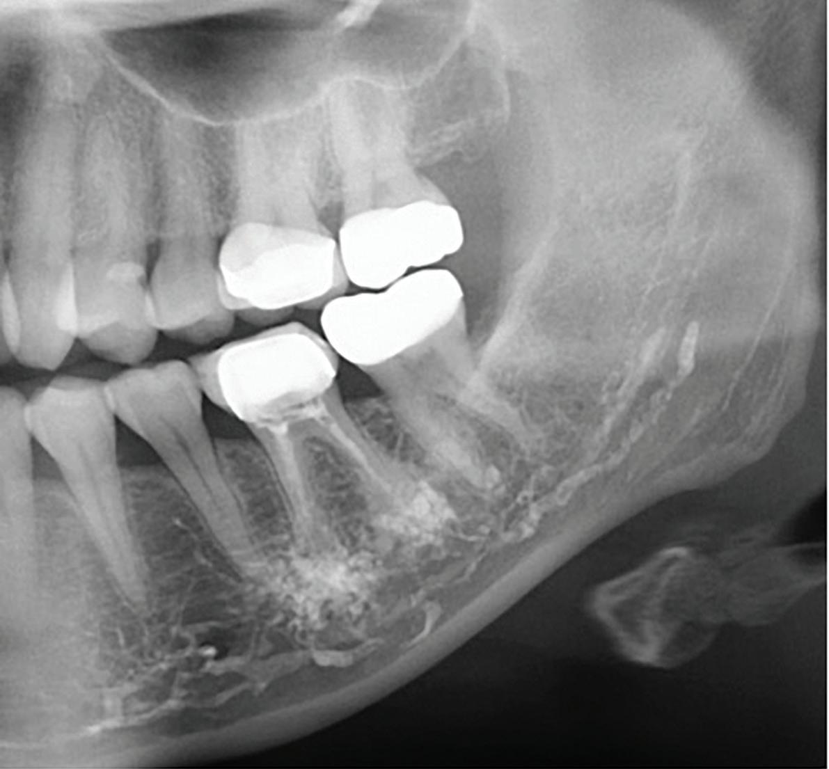
Apical root resorption and external defects: Careful evaluation for root resorption and other external anomalies is essential. Apical root resorption can complicate endodontic treatment by eliminating the natural apical constriction, a key anatomical barrier against extrusion. Resorbed apices are also prone to overinstrumentation, as they lack resistance to file advancement. An underrecognized anatomical risk factor closely associated with apical resorption is fenestration, a defect in the cortical plate where a portion of the root protrudes through the bone. Irrigants or materials extruded from teeth with fenestrations may enter directly into soft tissue or mucosal spaces, dramatically increasing the risk of postoperative swelling, pain, and delayed healing (Figure).(3)

Imaging tools to identify anatomical risk
Periapical radiography: Conventional periapical radiography remains a fundamental diagnostic tool in endodontics, offering high-resolution, real-time imaging at low radiation exposure and minimal cost. However, two-dimensional periapical radiography presents inherent limitations when complex root anatomy is evaluated, especially the inability to provide information in the buccolingual dimension. To improve diagnostic accuracy, clinicians are encouraged to take multiple angulated views, but the limitations persist, and structures with significant buccolingual spread or overlap may still be misinterpreted.
Cone beam computed tomography: CBCT has revolutionized endodontic diagnostics by allowing evaluation in three dimensions. CBCT images can reveal nuances of dental anatomy such as root canal curvature, apical deltas, external resorptions, and fenestrations. The ability to visualize the thickness of cortical bone, position of the inferior alveolar canal, or floor of the maxillary sinus can alter treatment decisions dramatically. The American Association of Endodontists and the American Academy of Oral and Maxillofacial Radiology jointly recommend the use of CBCT in select cases involving complex root canal anatomy, persistent periapical pathosis, or surgical planning.(4) These guidelines emphasize CBCT as an adjunct imaging modality, primarily to limit unnecessary radiation exposure. However, some clinicians have argued that concerns over CBCT radiation dosage may be overstated, particularly when weighed against the diagnostic and safety benefits in complex cases.(5) CBCT is the only reliable tool to detect fenestrations preoperatively, and it also allows visualization of cortical bone thickness.
Conclusion
Anatomical complexity is a defining factor in endodontic diagnosis, treatment planning, and clinical execution. Thorough anatomical risk assessment is essential to identify features such as atypical canal configurations and apical resorption and thereby avoid extrusion injuries. Conventional radiography provides an initial overview, but advanced imaging modalities, including CBCT, enable more precise treatment planning. Ultimately, a proactive approach to anatomical risk can reduce procedural errors, enhance patient safety, and improve long-term treatment outcomes in endodontics.
Read the full article here.
References
1. Gluskin AH. Anatomy of an overfill: a reflection on the process. Endod Top. 2007;16(1):64-81. doi:10.1111/j.1601-1546.2009.00238.x
2. Siqueira JF Jr, Rôças IN. Clinical implications and microbiology of bacterial persistence after treatment procedures. J Endod. 2008;34(11):1291-1301.e3. doi:10.1016/j.joen.2008.07.028
3. Cho-Kee D, Basrani BR, Vera J, Ordinola-Zapata R, Aguilar RR. Sodium hypochlorite accidents: a retrospective case-series analysis of CBCT imaging and clinician surveys. J Endod. 2025;51(10):1485-1489. doi:10.1016/j.joen.2025.05.024
4. Special Committee to Revise the Joint AAE/AAOMR Position Statement on use of CBCT in Endodontics. AAE and AAOMR joint position statement: use of cone beam computed tomography in endodontics 2015 update. Oral Surg Oral Med Oral Pathol Oral Radiol. 2015;120(4):508-512. doi:10.1016/j.oooo.2015.07.033
5. Azevedo BA. CBCT: dispelling the fear. AAE Communiqué. May 5, 2025. Accessed June 14, 2025. https://www.aae.org/specialty/cbct-dispelling-the-fear/
