




Prof. Dr. Adi A. GARFUNKEL | Prof. Dr. D. Walter COHEN
PREȘEDINTE ONORIFIC
Prof. Dr. Nicolae GĂNUȚĂ
Decan-Emerit Facultatea de Medicină Dentară, București Membru al Academiei de Științe Medicale
EDITOR ȘEF
Prof. Dr. Anca Silvia DUMITRIU
Medic primar Parodontologie, Doctor în Științe Medicale Șef Disciplină Parodontologie, Prodecan, Facultatea de Medicină Dentară, Universitatea de Medicină și Farmacie Carol Davila, București Vicepreședinte „Societatea Română de Parodontologie”
European Federation of Periodontology Delegate
EDITOR ȘTIINȚIFIC
Societatea de Parodontologie din România membru al Federației Europene de Parodontologie
Președinte de Onoare: Prof. Univ. Dr. Horia Traian Dumitriu membru titular Academia de Științe Medicale
COLEGIUL ȘTIINȚIFIC INTERNAȚIONAL
Prof. Dr. Louis F. ROSE
Profesor Clinic de Parodontologie
Universitatea Pennsylvania & New York, SUA
Profesor de Medicină și Chirurgie, Colegiul Medical, Universitatea Drexel, SUA
Prof. Dr. Markus B. BLATZ
Editor in Chief Compendium USA
Prof. Dr. Meyer Fitoussi, Franța
Prof. Dr. Michael Glick, Past-Editor-in-Chief JADA, SUA
Dr. Doron Haim, Israel
Prof. Dr. Dan Nathanson, SUA
Prof. Dr. Harold W. Preiskel, Anglia
Prof. Dr. André P. Saadoun, Franța
COLEGIUL ȘTIINȚIFIC NAȚIONAL
Conf. Dr. Lidia Boboc
Prof. Dr. Emanuel Bratu
Dr. Alexandru Brezoescu
Prof. Dr. Dorin Borzea
Lector Univ. Dr. Lucian Chirilă
Prof. Dr. M. V. Constantinescu
Prof. Dr. Bogdan Dimitriu
Prof. Dr. Horia Dimitriu
Prof. Dr. Norina Forna
Membru corespondent
Academia de Științe Medicale
Prof. Dr. Rodica Luca
Prof. Dr. Andrei Iliescu, Membru titular Academia
Științe Medicale
Prof. Dr. Augustin T. Mihai
Prof. Dr. Alexandru Monea
Lector Univ. Dr. Ion Nicolescu
Prof. Dr. Ion Pătrașcu
Conf. Dr. Stana Păunică
Prof. Dr. Dragoș Stanciu
Prof. Dr. Mircea Surpățeanu
Prof. Dr. Șerban Țovaru
Prof. Dr. Constantin Vârlan
Asist. Univ. Dr. Anca Vereanu
EDITOR
Dr. Tiberiu Gh. Silaghi medic primar
EDITOR EXECUTIV
Dr. Bianca G. Zaharia medic specialist
EDITOR ASOCIAT Lector Univ. Blanka Petcu
Dr. Ana-Maria Herța medic specialist
Concept grafic, DTP & Prepress Cătălin Cristescu
Partenerul dumneavoastră în dezvoltarea profesională, Stern Weber depășește standardele obișnuite și oferă cele mai recente inovații, încorporând o gamă completă de funcții și opțiuni ușor de utilizat. Datorită gamei largi de sisteme de igienă, numeroaselor dispozitive de înaltă tehnologie și aplicații multimedia opționale, puteți personaliza unit-urile pentru a se potrivi perfect nevoilor dumneavoastră.
ALEGEREA TEMPERATURII DE CULOARE MOD COMPOZIT FIDELITATE FOARTE ÎNALTĂ A CULORII
MICROMOTOR ELECTRIC CU INDUCȚIE I-XS4LED APEX LOCATOR INTEGRAT MODUL RECIPROCITATE INTEGRAT
Lampă LED VENUS MCT (Multicolor Temperature)
Pentru mai multe detalii: Dr. Ioana Crînganu | 0731 555 412 | ioana.cringanu@dentotal.ro
Răspunsurile corecte la articolul de EC din numărul trecut: Acetaminofen: prea mult dintr-un lucru bun?
Conţinutul materialelor publicitare şi al articolelor promoţionale aparţine firmelor producătoare importatoare sau distribuitoare ale produselor respective.
EMC Publicație creditată de Colegiul Medicilor Dentiști din România. Detalii pe www.dentalnews.ro/EMC
SITE AUGMENTATION Reconstituirea țesutului moale periimplantar și papilar în zona estetică
Initial stability measuring system
Intraoral and desktop scanners
3D printers and materials
Surgical solutions
Guided surgery and immediate loading
Dental cameras
Dental unit
Intraoral scanners and radiology solutions
Occlusal analysis system
Surgical solutions
Regretatul Profesor Sami Sandhaus, originar din Cernăuți și un prieten constant al scenelor românești, aducea în atenția stomatologiei mondiale în urmă cu peste 50 ani implanturile non-metalice, dintr-un oxid de alumină, insuficient de stabil pe atunci. La începutul anilor 2000, începea să „strălucească” dioxidul de zirconiu ca material pentru implanturile dentare. „Materialul natural de pornire, zirconiul, este într-adevăr un metal; totuși, prin reacția cu oxigenul, este complet oxidat în dioxid de zirconiu și, astfel, transformat ireversibil într-o ceramică.”
O recenzie excelentă a materialelor și caracteristicilor implanturilor ceramice constituie subiectul articolului de Educație Continuă. Sunt detaliate, de asemenea, conceptele de restaurare a implanturilor ceramicemonobloc sau bicomponent, împreună cu avantajele în ceea ce privește flexibilitatea protetică și indicațiile clinice. În plus, sunt comparate estetica pe suportul din titan față de cel ceramic, riscul de periimplantită, ratele de osteointegrare, succes și de supraviețuire. Concluzia auto-
rilor este categorică: implanturile ceramice moderne, corect indicate și manipulate își croiesc drum sigur către cabinetele de implantologie convenționale, alături de titanii din titan.
Am selectat pentru acest număr al revistei, dedicat ca în fiecare septembrie implantologiei, o serie de prezentări de caz axată pe tehnici dovedite în terapia implantară:
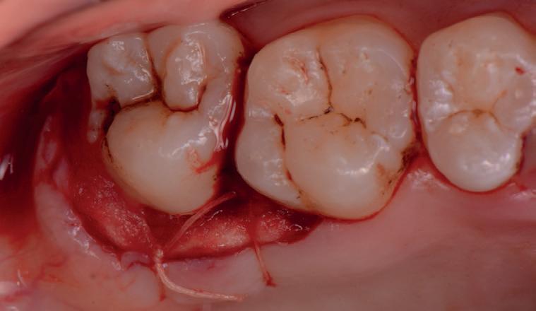
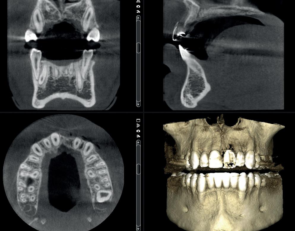
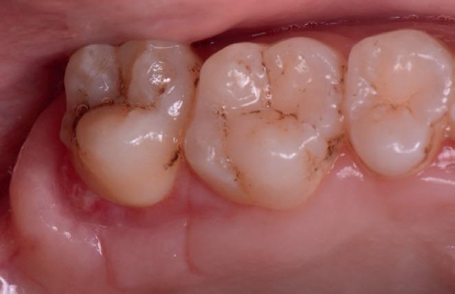
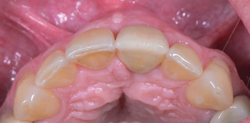
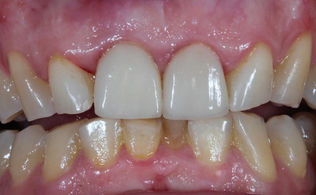
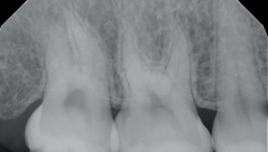
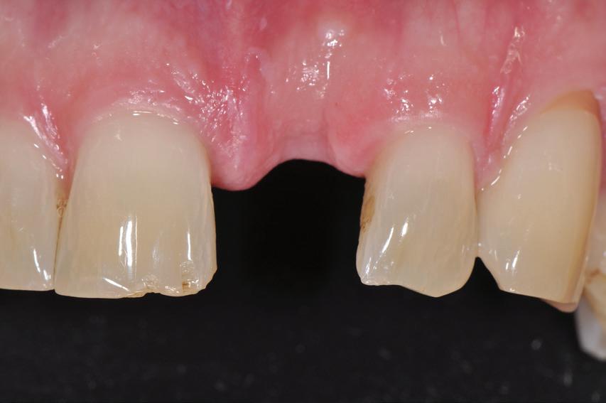
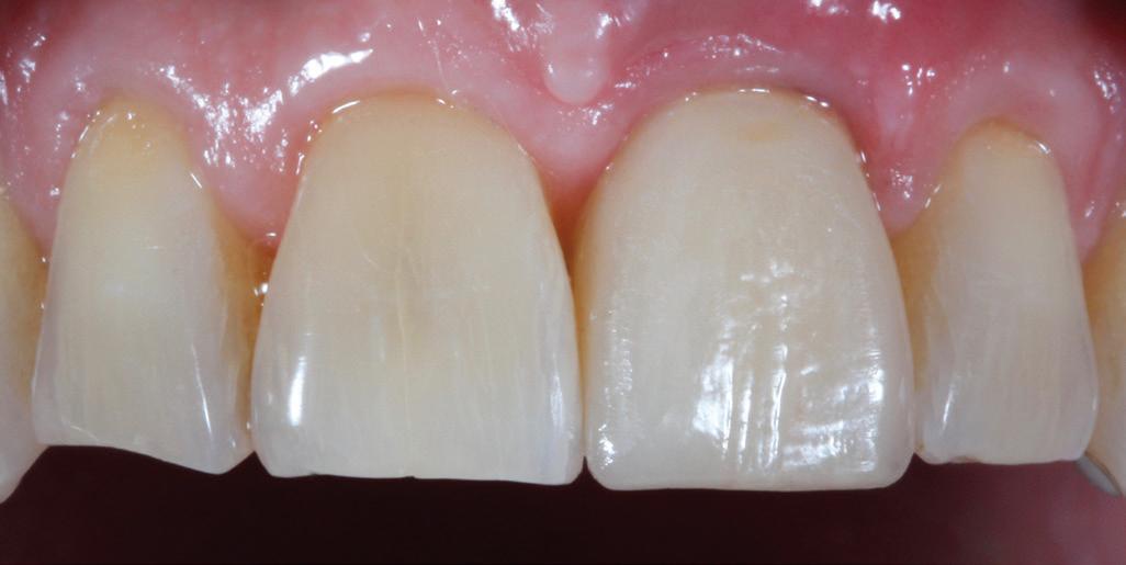
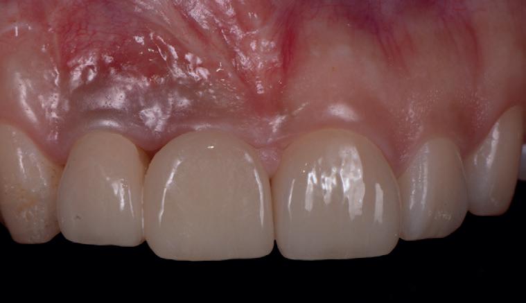
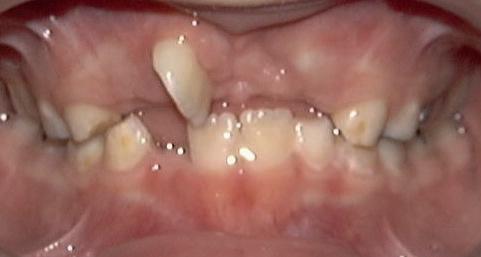
RECONSTITUIREA țesuturilor moi periimplantare. Scopul acestui raport de caz este de a demonstra procedurile chirurgicale utilizate pentru corectarea unui defect al țesuturilor moi periimplantare folosind țesutul moale interdentar în combinație cu tuberozitatea ca locație donatoare de țesut conjunctiv, utilizând o abordare prin tunelizare într-o zonă estetică.
RECONFIGURAREA suportului osos implantar. În cazul prezentat, după ani de terapie ortodontică incorect executată, dezvoltarea dentară a pacientului a complicat obținerea unui zâmbet estetic. S-a reanalizat și s-a optat pentru abordare interdisciplinară care cuprinde chirurgia parodontală, un al doilea tratament
ortodontic și protetica pentru a oferi îngrijirea comprehensivă.
RECUPERAREA planului implantar original. Dacă unul sau mai multe implanturi planificate eșuează, perspectiva reimplantării în locația compromisă poate fi simplificată prin transformarea ghidului chirurgical la nivel osos într-un ghid chirurgical suportat de implanturi în momentul intervenției chirurgicale primare.
REABILITAREA implanturilor în zona estetică. Acest articol detaliază două cazuri rezolvate prin tehnica extracției parțiale, finalizate fără grefarea compartimentului dintre implant și scut, și monitorizate cinci ani, dovedind stabilitatea volumetrică a țesuturilor moi și dure în timp.
Progresele în regenerarea țesuturilor dure și moi în terapia implantară completează conținutul revistei prezente, cu numărul 99. În anul 1999, tot în luna septembrie apărea prima ediție a revistei. Începem să ne pregătim de sărbătorire. Bineînțeles că împreună cu voi!
Cu prietenie, Anca
Silvia DumitriuDespre autor:
Chuck Le, DDS Founder, 7 Day Dental, Anaheim, CaliforniaDeși sunt mai preocupați ca niciodată de sănătatea și bunăstarea lor generală ca urmare a pandemiei globale, mulți oameni au evitat pe cât posibil să meargă la centrele medicale. În schimb, pacienții se bazează din ce în ce mai mult pe tehnologie pentru a-și monitoriza sănătatea la domiciliu. În prezent șaizeci la sută dintre oameni preferă să folosească tehnologia pentru a intra în contact cu medicii și pentru a-și gestiona propria îngrijire. Acest aspect este evident în dimensiunea pieței de soluții pentru implicarea pacienților din Statele Unite, care se anticipează să crească la o rată de dezvoltare anuală compusă de 16,6% din 2021 până în 2028.
Valoarea inerentă pe care aplicațiile de asistență medicală dentară
o aduc pacienților reprezintă unul dintre cele mai convingătoare motive pentru care practicienii merită să investească în tehnologia aplicațiilor de asistență medicală. Actualmente pacienții pot accesa specialiștii din domeniul sănătății prin telemedicină, ceea ce le economisește bani și timp de călătorie. Ei își pot vizualiza pe dispozitivele mobile dosarele importante de sănătate și chiar pot aranja și participa la întâlniri online cu clinica lor dentară din confortul casei.
Platformele specializate de implicare a pacienților oferă companiilor de asistență medicală soluții de comunicare aliniate clinic.
O astfel de platformă centralizează toate comunicările pacientului într-o singură locație, făcându-le mai ușor de organizat, distribuit și urmărit. Platformele pot prezenta un flux de lucru integrat care include de la producția de conținut până la dezvoltarea de aplicații, managementul utilizatorilor, măsurarea angajamentului și distribuția segmentată a conținutului, precum și interacțiunea ușoară cu sistemele actuale. Organizațiile din domeniul sănătății pot folosi platforma pentru a produce și livra conținut omnicanal, inclusiv aplicații multiplatforme, web, sisteme de divertisment pentru pacienți, semnalizare digitală și tipărire.
Astfel, cabinetele stomatologice ar trebui să fie familiarizate cu software-ul de implicare a pacienților, inclusiv cu unele dintre tehnologiile în curs de dezvoltare care pot evidenția soluțiile unui cabinet. Anumite aplicații pot oferi profesiei dentare următoarele beneficii:
Acces mai ușor la date și servicii
Cabinetele stomatologice care
își creează propriile aplicații pot oferi pacienților o metodă simplă și la îndemână pentru a accesa o varietate de servicii și informații. De exemplu, pacienții pot aranja programări, să obțină instrucțiuni cu privire la îngrijirea post-tratament, să plătească facturile dentare și să verifice profesioniștii disponibili într-o anumită locație, toate acestea utilizând aplicația de pe smartphone-ul sau tableta lor. La rândul lor, clinicile dentare pot folosi aplicații mobile pentru a stabili înregistrări electronice, un avantaj atât pentru pacienți, cât și pentru practicieni. Pacienții pot verifica informații despre viitoarele programări și pot solicita modificări, pot vizualiza evoluția tratamentului, pot introduce
informații vitale (cum ar fi declararea alergiilor) și pot urmări diagnosticul lor într-un singur loc. De asemenea, profesioniștii pot vizualiza istoricul medical al pacientului, inclusiv diagnosticele anterioare, urmărirea tratamentelor recomandate de alți medici, recenzia informațiilor privind sănătatea și chiar gestionarea programărilor zilnice pentru o mai mare eficiență.
Această abordare îmbunătățește accesibilitatea pentru toți cei implicați prin plasarea informațiilor esențiale la îndemâna atât a practicienilor, cât și a pacienților. Ca rezultat, cabinetul poate deveni mai organizat, își poate îmbunătăți gestionarea timpului și poate face mai convenabile sarcinile administrative.
Aplicațiile mobile pentru stomatologie pot avea o influență puternică în educația pacienților. Ele pot fi utilizate pentru a-i învăța pe pacienți despre practicile zilnice de îngrijire orală, pentru a ilustra boli și tratamente și pentru a ajuta pacienții să ia decizii informate atunci când sunt disponibile mai multe soluții pentru o problemă dentară specifică.
Conținutul de instruire oferit de materialul educațional al aplicației mobile va fi determinat în mare măsură de scopul clinicii dentare, bugetul de dezvoltare a aplicației și echipa de dezvoltare a aplicației mobile în sine. Aplicația mobilă dentară ar trebui să încorporeze aspecte vizuale și interactive. Astfel, o aplicație dentară pentru smartphone ar putea include redări 3D ale unui set de dinți afectați de diverse patologii. Prin atingerea punctelor cheie de de -
clanșare, profesionistul sau pacientul poate mări și micșora, poate roti imaginea pentru o vedere mai bună și poate obține informații suplimentare.
Aceste caracteristici pot ajuta pacienții să înțeleagă mai bine afecțiunile și procedurile dentare, permițându-le să ia decizii mai informate cu privire la propria sănătate dentară.
Dezvăluirea de noi oportunități
În cele din urmă, dezvoltarea unei aplicații personalizate de asistență medicală poate dezvălui perspective de creștere care altfel ar trece neobservate. Fiind un instrument excelent pentru comunicarea dintre cabinetele de asistență medicală și pacienții lor, aplicația mobilă ar putea fi folosită pentru a reaminti ședințele de dispensarizare sau pentru a discuta eventualele aspecte financiare.
În plus, o aplicație personalizată de asistență medicală poate include o opțiune de chat video, permițând pacienților să comunice cu un profesionist fără a fi nevoiți să-și părăsească domiciliul. Acest lucru ar putea fi utilizat pentru a oferi un diagnostic precoce și recomandări cu privire, de exemplu, la cum să își amelioreze disconfortul sau să se pregătească pentru tratamentul următor. De asemenea, ar putea ajuta la reducerea autodiagnosticelor, care sunt frecvente în stomatologie și conduc la complicații.
În cele din urmă, aplicațiile pot fi o abordare excelentă pentru a obține feedback despre practica clinicii, profesioniștii din cabinet și atenția generală. Deschiderea unui astfel de canal permite specialiștilor să comunice direct cu pacienți foarte implicați, care pot sugera îmbunătățiri și pot evidenția unele deficiențe, care altfel ar putea fi omise.
Str. Oltarului nr 4, Sector 2 020765 Bucuresti t +40 215 280 320 / 215 280 321 office@sitea.ro / info@sitea.ro www.sitea.ro
Str. Aeroport nr. 90 307200 Ghiroda t +40 256 246 114 / 755 082 077 comenzi@poka-dent.ro www.poka.ro
Str. Soveja, nr. 75, Sector 1 012303 Bucharest t +40 372 402 702 office@htp.ro www.htp.ro
Str. Iuliu Hatieganu nr. 4 400005 Cluj-Napoca t +40 741 277 088 / 744 339 598 echipamente@medicam3.ro www.medicam3.ro
nu pot fi valorificate în bani. Prezenta ofertă nu poate fi combinată cu alte promoții. Prețurile afișate sunt prețuri recomandate și pot diferi de prețurile finale de vânzare, care se vor stabili de către fiecare distribuitor în parte.
O aplicație de implicare a pacientului - și avantajele pe care le poate oferi - pot fi vitale pentru un cabinet stomatologic. Cu toate acestea, există și mai multe tehnologii emergente care au potențialul de a spori implicarea pacientului. Acestea includ internetul obiectelor fizice (internet of things, IoT), inteligența artificială (artificial intelligence, AI) și blockchain.
îmbolnăvire. Principalul punct forte al AI constă în capacitatea sa de a procesa cantități masive de date la o rată pe care niciun om nu o poate egala. Drept urmare, poate evalua rapid datele pacienților și poate identifica persoanele care sunt expuse riscului de a contracta o anumită problemă. Când AI informează medicii, ei pot, la rândul lor, să invite pacientul la un control, să înceapă terapia medicamentoasă sau să propună măsuri profilactice pe care pacienții le pot adopta.
Aplicarea tehnologiei blockchain în asistența medicală pentru a promova implicarea pacienților poate fi mai puțin clară; totuși, începe să aibă sens atunci când ținem cont de faptul că scopul este de a permite oamenilor să devină mai implicați și să-și controleze datele medicale.
Internetul obiectelor medicale este o colecție de soluții digitale pentru gestionarea pacienților, a personalului și a activelor. În ceea ce privește îmbunătățirea implicării pacienților, una dintre cele mai comune aplicații ale IoT este monitorizarea la distanță a pacientului. Dispozitivele conectate înregistrează informații medicale și le transferă către servere cloud conforme cu HIPAA, unde clinicienii pot accesa în siguranță datele. Sistemele IoT pot, de exemplu, să colecteze informații despre sănătatea orală și să le trimită medicilor pentru diagnosticarea precoce a potențialelor probleme de sănătate. Pacienții pot deveni mult mai implicați în asistența medicală ca urmare a utilizării dispozitivelor conectate, cum ar fi dispozitivele portabile, în timp ce medicii pot obține informații despre comportamentul pacientului care nu erau disponibile anterior.
AI are o gamă largă de aplicații în întreaga industrie a sănătății dentare. Cu toate acestea, în contextul interacțiunii cu pacientul, o pereche de aplicații AI este deosebit de importantă. Prima este predicția probabilității de
Comunicarea cu pacienții este mai ușoară. Având în vedere dorința pacienților de a beneficia de un acces facil la informații medicale și de a avea un rol mai activ în sănătatea lor, este normal ca ei să anticipeze un răspuns prompt ori de câte ori își contactează medicul. Aceste așteptări ale pacienților pot fi îndeplinite folosind chatbot-uri bazate pe inteligență artificială. Astfel de instrumente inteligente pot analiza solicitările pacienților, pot răspunde la întrebări simple și pot conecta utilizatorii fie cu resurse de informații, fie cu un operator uman, permițând furnizorilor să simplifice comunicarea cu pacientul.
A doua aplicație importantă AI este crearea de experiențe unice pentru pacient. Practicienii din domeniul sănătății au acces la informații medicale valoroase care prezintă modele în comportamentul pacientului. AI poate ajuta la procesarea acestor date și la extragerea de informații utile pe care personalul medical le poate utiliza pentru a oferi un nivel de tratament mai adaptat. Furnizorii de asistență medicală care utilizează software de implicare a pacienților bazat pe inteligență artificială se pot deosebi de concurență, prezicând cerințele și oferind servicii exclusive.
Fără blockchain, pacienții au un control restricționat asupra datelor lor de sănătate, ceea ce îngreunează colaborarea cu diferiți specialiști, putând ridica probleme de securitate asociate cu schimbul de date.
Profesioniștii din domeniul sănătății pot crește substanțial încrederea pacienților prin adoptarea rețelelor blockchain care utilizează standarde de interoperabilitate, criptografie și contracte inteligente. Acest lucru permite pacienților să posede control și să aibă mai multă încredere în securitatea datelor lor.
Dezvoltarea de aplicații pentru implicarea pacientului devine din ce în ce mai populară în domeniul medical. Mai mult, apariția tehnologiei inovatoare a deschis calea soluțiilor IT pentru a crește eficiența și a oferi puncte de contact suplimentare pentru pacienți. În cele din urmă, este la latitudinea fiecărui centru de asistență medicală dentară să decidă dacă urmează sau nu tendința aplicațiilor mobile.
Dezvoltarea mobilă poate oferi un potențial uriaș de transformare. Mai multe date, accesibilitatea, serviciile și conținutul de învățare util pentru pacienți și noile oportunități de creștere a cabinetului sunt toate avantaje care ar trebui să fie foarte căutate.
În literatura specializată de business, diverși autori au dezvoltat și explicat variate tehnici pentru obținerea succesului în afaceri. Eric Ries povestește în The Lean Startup cum să folosim inovația pentru a crea produsele pe care le vor clienții. In Think Again, Adam Grant subliniază importanța ieșirii din zona de confort și a dezvoltării gândirii critice. Start With Why este cartea în care Simon Sinek argumentează faptul că afacerile de succes au în spate lideri care și-au definit cu claritate scopul. Viziunea este definitorie pentru orice tânăr antreprenor entuziast care își dorește să își dezvolte propriul business și
vrea să își însușească cât mai multe cunoștințe, iar deținerea propriului cabinet dentar nu este o excepție în acest sens. Lumea stomatologiei este tot mai complexă de la an la an, deoarece cercetările și descoperirile tehnologice schimbă modul în care sunt oferite serviciile stomatologice, atât în ceea ce privește noile echipamente sau soluții digitalizate, cât și în ceea ce privește așteptările pacienților. Concurența este, de asemenea, în creștere, în special în contextul în care, după cum o arată cele mai recente statistici Eurostat, România se remarcă prin cel mai mare număr de absolvenți de stomatologie din Europa (fig. 1).
Pentru un medic stomatolog antreprenor, ca pentru orice alt tip de antreprenor, un moment cheie îl reprezintă ceea ce în literatura de specialitate se numește punct de cotitură („Tipping Point”, așa cum îl definește Malcolm Gladwell în cartea cu același nume). Acest termen definește momentul în care afacerea a crescut până în acel punct în care investiția financiară s-a amortizat în mare parte și costurile de operare s-au redus semnificativ.
„În definitiv, punctele de cotitură sunt o reafirmare a potențialului în ceea ce privește schimbarea și a puterii acțiunilor inteligente. Să ne uităm la lumea din jurul nostru.
Poate părea un loc rigid și inflexibil. Nu este deloc așa. Cu cea mai mică acțiune, îndreptată în direcția potrivită, poate fi schimbată.” (Malcolm Gladwell, The Tipping Point)
Timpul care trece până la atingerea acestui punct este foarte important pentru succesul pe termen lung. Mai mult decât atât, pregătirea acestui moment de multe ori are loc chiar înaintea demarării businessului, atunci când medicul petrece timp în cadrul unei echipe cu experiență, în calitate de medic colaborator, sau participă la sesiuni de instruire, ori pur și simplu se conectează cu oameni care au trecut prin procese antreprenoriale și învață din experiența lor.
La absolvirea Facultății de Stomatologie medicii învață să ofere servicii de sănătate orală, dar nu și să administreze afaceri în calitate de proprietari de cabinet. Gestionarea propriului cabinet este un lucru despre care majoritatea medicilor stomatologi – atât tineri, cât și cu experiență – consideră ca este un proces dificil și inconfortabil. Succesul în conducerea unei afaceri necesită multă planificare, efort și mai ales expertiză, dar în definitiv totul se rezumă la a urmări o serie de indicatori care pot confirma dacă direcția în care se îndreaptă un cabinet sau o clinică este cea corectă:
- Comunicarea la nivelul echipei este eficientă, membrii echipei lucrează bine împreună.
- Există un sistem de proceduri pe care fiecare membru al echipei le urmează îndeaproape.
- Agenda de programări este optimizată, timpii de lucru sunt respectați, iar pacienții au opțiuni de programare într-un timp rezonabil.
- Pacienților le sunt întocmite planuri de tratament, pe care le acceptă și finalizează.
Filosofia punctului de cotitură, definit de către Gladwell, este o continuă sursă de inspirație pentru profesioniști la nivel mondial. Dr. Roger P. Levin, medic stomatolog generalist și totodată CEO Levin Group, Inc., cea mai mare companie de consultanță pentru cabinete stomatologice din America de Nord, a punctat într-un articol dedicat importanța parcurgerii pașilor potriviți către acest moment. Așadar, aspectele de maximă importanță în dezvoltarea unei afaceri noi, care îi ajută pe tinerii stomatologi să reușească în peisajul complex de astăzi și să ajungă mai repede la acel tipping point sunt:
1. O viziune clară Călătoria antreprenorială are nevoie de un start bun pentru ca un business medical să crească responsabil și sustenabil. Majorita-
tea tinerilor stomatologi știu în linii mari ce își doresc de la cabinetul pe care intenționează să îl deschidă, însă foarte puțini detaliază aceste planuri în scris.
Pentru a ști ce vrea să realizeze, în cât timp, dar mai ales cum, medicul antreprenor are nevoie să își definească viziunea. Trecută pe hârtie, comunicată echipei și susținută prin activități dedicate în implementare, viziunea devine un set de obiective realizabile.
Un cabinet nou apărut pe piață se va bucura de o notorietate temporară generată de curiozitate din partea potențialilor pacienți. Aceștia vor compara inevitabil serviciile oferite de acest cabinet cu experiențele lor stomatologice anterioare, fiind un moment excelent pentru noul medic antreprenor să depășească așteptările acestora prin comunicarea și respectarea unor standarde înalte în oferirea de servicii stomatologice.
Fiecare pacient are nevoie să se simtă unic și, astfel, experiența sa poate să genereze tracțiune, să recomande cabinetul dentar altor prieteni și cunoștințe care să devină la rândul lor pacienți. Această filozofie de lucru trebuie să devină literă de lege pentru întreaga echipă.
3. Buna cunoaștere a concurenței Prin cunoașterea concurenței, medicul antreprenor fondator poate identifica modalități de a se diferenția în piață. Fie că este vorba de tehnologii de ultimă oră, servicii inovatoare sau abordări personalizate, aceste elemente pot ajuta la construirea unei poziții unice în rândul competitorilor săi. În plus, întrucât piața stomatologică este în continuă schimbare, cunoașterea concurenței poate ajuta antreprenorul să detecteze schimbările din timp și să-și ajusteze strategiile în consecință. Nu în utimul rând, ana-
liza și înțelegerea concurenței sunt necesare pentru a cunoaște punctele forte ale celorlalți jucători de pe piață și a felului în care acestea ar putea afecta afacerea sa.
Ca orice altă afacere, și un cabinet sau o clinică stomatologică poate eșua. De aceea, este bine ca tinerii stomatologi să nu cheltuiască neresponsabil atunci când deschid un cabinet, iar acest lucru se poate face cu ajutorul unei planificări adecvate pe care viitorii medici antreprenori o pot învăța în cadrul cursurilor specializate. „Un business plan bine pus la punct funcționează ca un manual de utilizare al afacerii. Este vital nu doar în prioritizarea acțiunilor, ci și în ceea ce privește alocarea inteligentă a resurselor. Astfel, medicul antreprenor fondator va face investițiile potrivite în momentele potrivite.” declară Cristian Taban, Director Executiv al grupului DENT ESTET.
Un lider inspirat și eficient are capacitatea de a ghida echipa către o viziune comună și de a menține o direcție stabilă în fața schimbărilor din domeniu. Acesta definește cu claritate valorile și standardele clinicii, oferind o sursă de motivație în furnizarea de servicii de înaltă
calitate și în cultivarea unei culturi organizaționale pozitive. Procesul de recrutare și selecție este, de asemenea, de o importanță crucială. Alcătuirea unei echipe diversificate, cu competențe complementare și comunicare eficientă, aduce în prim-plan perspective variate asupra diferitelor situații medicale. Prin promovarea colaborării și a încrederii între membri, se facilitează, așadar, gestionarea cazurilor complexe și se oferă pacienților o experiență coerentă și plăcută.
6. Identificarea și folosirea atuurilor generației actuale Noua generație de medici stomatologi aduce cu sine o serie de atuuri semnificative în ceea ce privește comunicarea și promovarea în domeniul medical. Acești tineri medici sunt conectați la tehnologia modernă și au o înțelegere profundă a platformelor de social media. Prin folosirea abilă a acestor instrumente digitale, ei pot atinge publicul țintă în mod eficient și autentic. Această aptitudine le permite să creeze conexiuni mai puternice cu pacienții, să ofere informații valoroase și să construiască încredere într-un mod mai direct și personal. Astfel, începutul de drum al tânărului medic stomatolog este marcat de o abordare inovatoare, care nu doar răspunde cerințelor comunicării contemporane, dar și redefinește
modul în care pacienții se raportează la serviciile stomatologice.
7. Folosirea beneficiilor aduse de tehnologie
Poate mai mult decât oricând, în momentul de față tehnologia a schimbat considerabil modul în care businessurile au evoluat, iar stomatologia nu a făcut excepție. Laserul dentar, scanarea facială, imagistica 4D MODJAW sunt doar unele dintre inovațiile ultimilor ani care au produs schimbări majore în modul în care medicii oferă pacienților servicii stomatologice. Deschiderea către nou este un element care nu trebuie să lipsească din etica de lucru a medicului, dar nici din cultura organizației, încă de la început. În calitate de medic antreprenor fondator, acesta va aduce beneficii considerabile afacerii prin investiția în capitalul uman și formarea unei echipe care să fie deschisă la nou în permanență, să cunoască și să se folosească de inovațiile tehnologice.
8. Planificarea eficientă a strategiei de marketing
Marketingul este foarte important în domeniul serviciilor stomatologice, însă pentru a investi inteligent în marketing este necesară înțelegerea pieței, a segmentului de pacienți vizat și a tendințelor actuale. O direcție strategică importantă
4. Planificarea bugetuluipoate fi dezvoltarea unui program de recomandare a pacienților. Medicul antreprenor fondator împreună cu echipa sa îi poate încuraja pe pacienți să ofere feedbackul experienței din clinică, asigurându-i astfel că părerea lor este foarte importantă și crescând totodată nivelul de notorietate a clinicii aflată la început de drum.
Mai mult decât atât, fiecare cabinet trebuie să aibă un site web proiectat profesional, cu informații ușor de accesat, cu detalii complete și inteligibile despre tratamente, servicii, ore de funcționare, biografii ale medicilor și date de contact.
9. Aderarea la o comunitate de experți
Tinerii stomatologi, deseori din cauza lipsei de finanțare, cred că cea mai bună modalitate de a face lucrurile este să încerce să facă totul pe cont propriu. Însă aceștia nu au expertiză și sunt mult mai predispuși greșelilor care pot întârzia cu ani de zile atingerea punctului de cotitură.
La fel de important în scurtarea timpului către punctul de cotitură este colaborarea cu furnizori și parteneri care contribuie semnificativ la sprijinirea dezvoltării businessului dentar. Un exemplu de colaborator de o deosebită importanță poate fi un laborator de tehnică dentară care folosește cele mai noi tehnologii și care are o contribuție directă în livrarea unor servicii la cele mai înalte standarde de calitate. Astfel, prin complementaritatea activităților, beneficiarul final se poate bucura de un rezultat peste măsura așteptărilor într-un timp semnificativ redus comparativ cu situația în care acest tip de colaborare nu ar exista. Nu în ultimul rând, este important ca medicii antreprenori fondatori să se înconjoare de oameni care cunosc particularitățile industriei, au experiență și sunt dispuși să împărtășească din cunoștințele lor
cu colegii lor mai tineri. Comunitatea #ADOM are peste 1800 experți care s-au alăturat începând cu anul 2013 și care, împreună, contribuie la creșterea standardelor în stomatologie și oferirea de servicii de cea mai înaltă calitate în beneficiul pacienților.
10. Utilizarea procedurilor și protocoalelor validate Medicul antreprenor fondator își dorește să fie eficient, dar ce presupune eficiența în cadrul unui cabinet stomatologic? În primul rând, acțiunile zilnice trebuie să de desfășoare cu minim de resurse și efort, iar acest lucru este posibil prin folosirea unor protocoale, modele de lucru și proceduri bine puse la punct. Întrucât un cabinet nou nu se poate baza pe propria experiență pentru întocmirea unor proceduri, medicul antreprenor fondator poate folosi cu succes protocoale validate în cadrul altor clinici, astfel încât să lucreze cu ce știe deja că funcționează.
Cursurile ADOM se diferențiază
față de alți competitori tocmai prin acest aspect: oferă cursanților nu doar sfaturi, îndrumări și cunoștințe pe diverse teme specifice domeniului, dar liberalizează accesul la protocoalele de lucru validate în cadrul grupului de clinici DENT ESTET pentru ca participanții să le poată aplica în clinicile lor de a doua zi și să se bucure de o creștere accelerată.
Advanced START-UP Seminar. Creat special pentru medicii antreprenori care doresc să-și deschidă un cabinet stomatologic sau să-și extindă practica existentă, acest program oferă o perspectivă detaliată asupra fundamentelor înființării unei afaceri de succes, prezentând modele de business, strategii optime, soluții pentru evitarea celor mai frecvente erori și provocări din această etapă incipientă.
Front Desk Officer Seminar. Dincolo de toate cunoștințele pe care este important ca membrii echipei din recepție să le dobândească, ceea ce este diferit în abordarea ADOM este faptul că procesul de training nu este considerat încheiat la finalul celor 2 zile de seminar, ci continuă cu o sesiune de follow-up. Pentru pregătirea acestei sesiuni, participanții aplică cele învățate și, în baza materialelor livrabile primite, redactează protocoale, scripturi personalizate și întocmesc o serie de rapoarte care să le eficientizeze activitatea de zi cu zi.
Dental Office Managers Seminar. Este destinat medicilor antreprenori fondatori și managerilor care doresc să își definească principalele obiective de business, să pună bazele unui business plan corect și să înțeleagă importanța implementării unui sistem de protocoale în orice cabinet sau clinică stomatologică.
Școala Dental Office Managers. Este programul nucleu al Asociației Dental Office Managers, în cadrul căruia sunt aprofundate toate aspectele pe care un medic antreprenor și un manager trebuie să le cunoască pentru a crește un business dentar sănătos.
Introducere în Stomatologia Pediatrică. Acest curs reprezintă o oportunitate unică pentru tinerii medici stomatologi de a învăța abordări inovatoare în tratarea eficientă a pacienților copii. Programul aprofundează teme esențiale, aducând în prim-plan atât cunoștințele teoretice, cât și experiența practică acumulată timp de +15 ani în cadrul clinicilor DENT ESTET 4 KIDS și DENT ESTET 4 TEENS. „Credem în importanța clinicilor pentru copii pentru că acestea pun bazele educației în ceea ce privește sănătatea dentară pentru noile generații. Cu sprijinul medicilor stomatologi pediatri ne dorim să rescriem povestea
experienței la dentist pentru tinerii pacienți, încurajându-i pe aceștia să prevină din timp eventualele probleme și să se bucure de zâmbete sănătoase pe termen lung.”
Dr. Oana Taban, CEO & Fondator DENT ESTET, Președinte ADOM.Este important de înțeles faptul că nu există rețete de succes universale, chiar dacă există pe piața serviciilor educaționale astfel de produse. În practica reală, acestea nu se potrivesc particularităților fiecărei clinici dentare și irosesc resurse foarte importante pentru un start bun, anume timp și bani. Cum fiecare pacient trebuie să fie tratat într-o maniera personalizată, la fel și fiecare business are elementele sale de unicitate. Din acest motiv, deschiderea propriului cabinet / propriei clinici trebuie să aibă loc atunci când medicul antreprenor fondator nu doar că este pregătit în ceea ce privește dorința de a porni o afacere pe cont propriu, dar deține și cunoștințele necesare conducerii acesteia. Altfel spus, momentul debutului antreprenorial este foarte important în dezvoltarea pe termen lung atât a afacerii dentare, cât și a medicului antreprenor fondator ca profesionist al domeniului.
De aceea, această etapă nu trebuie grăbită, ci dimpotrivă, este nevoie să fie atent calculată pentru a minimiza rata de insucces a inițiativei și a pune în valoare potențialul proiectului.
Alternativa pentru medicii care vor să mai aștepte până la momentul potrivit pentru deschiderea propriului cabinet este alăturarea în cadrul unei echipe cu experiență care și-a definit, testat și validat procedeele de lucru și protocoalele aferente. Avantajele asociate cu această opțiune sunt variate și generează impact pe termen lung asupra dezvoltării personale și profesionale a medicului. Acesta va învăța mai repede atât din experiența colegilor, cât și din expunerea la un mediu de lucru complex care îi va permite să asimileze cunoștințe și să facă diverse conexiuni pentru eficientizarea muncii sale. De asemenea, apartenența la o echipă mare vine cu beneficiul expunerii la diversitate, specific clinicilor dezvoltate care integrează multiple specializări și derulează majoritatea proceselor in-house. În plus, o clinică cu tradiție, care a beneficiat de o dezvoltare sănătoasă și sustenabilă, este un loc foarte potrivit pentru
asimilarea conceptului de cultură organizațională și conturare a eticii muncii, ambele concepte fiind vitale în primii ani ai activității profesionale. Acestea contribuie semnificativ la dezvoltarea în general a medicului, precum și la bunăstarea sa emoțională.
Experiența de lucru și de învățare în cadrul unei echipe mature pune bazele însușirii proceselor corecte în activitatea profesională, lăsând ulterior la latitudinea medicului decizia de a construi de la zero, dar pe o fundație solidă de cunoștințe, propria afacere în domeniul serviciilor stomatologice. „În cadrul cursurilor ADOM punem potențialul fiecărui participant pe primul loc. Credem că, odată ce accesează resursele potrivite, fiecare cursant poate deveni un lider pentru echipa sa, își poate pune în valoare capacitatea și poate avea rezultatele pe care le-a visat. Încurajăm participanții să iasă din zona de confort, să își consume energia și să depună efort în mod inteligent, având mereu pe linia orizontului o misiune și o viziune clară, ancorată la realitate și ambițioasă în egală măsură.”
Dr. Oana Taban, CEO & Fondator DENT ESTET, Președinte ADOM.DIGITAL DENTISTRY ⊲
Breaking Through the Barriers of CAD Software by Matthew Newman. Originally published in Compendium of Continuing Education in Dentistry 43(2) February 2022. © 2022 AEGIS Publications, LLC. All rights reserved. Reprinted with permission of the publishers.
Despre autor:
Matthew Newman Director of Sales Operations, Marketing, and Public Relations, CAD-Ray North America (cad-ray.com)CCând este împărțită în componentele sale de bază, stomatologia digitală (CAD/CAM) este, de fapt, oarecum simplă. Dacă cineva poate înțelege conceptul de utilizare a unui smartphone, poate gestiona și stomatologia digitală. Fluxul de lucru digital permite medicilor să lucreze nu mai greu, ci mai inteligent, rezultatele fiind o producție mai economică, timpi de operare mai rapizi și precizie exponențială. Nu numai că procesul poate fi mai simplu decât metodele convenționale, ci instrumentele digitale au devenit și mai accesibile decât acum câțiva ani. Fără îndoială, scanarea este cea mai ușoară parte a stomatologiei digitale, iar clinicienii ar trebui să aibă abilitatea de a efectua cel puțin această etapă de lucru.
Pe de altă parte, proiectarea asistată de calculator (computer-assisted design, CAD), sau cel puțin premisa acesteia poate fi puțin mai copleșitoare. Unul dintre obstacolele cu software-ul de proiectare a fost reprezentat dintotdeauna de faptul că a fost creat ținând cont de perspectiva experților de laborator. La crearea lui s-a luat în considerare faptul că personalul laboratorului de tehnică va face mai mult din munca de proiectare decât clinicienii. Nu întâmplător, mulți clinicieni își trimit scanările la laboratoare pentru a fi proiectate de „experți”.
Această tendință, însă, se schimbă încet. Odată cu explozia stomatologiei digitale și a CAD/CAM, în sfârșit, mulți medici fac, pe bună dreptate, saltul pentru a aduce o parte sau tot fluxul de lucru în cabinet, pentru a fi efectuat la scaun. Parțial pentru că devine din ce în ce mai ușor de făcut. Producătorii pun la dispoziție un software care, în comparație cu programele obișnuite din trecut, este orientat mai mult pe echipele stomatologice. Clinicienii trebuie să știe ce să caute și să obțină suficient feedback pentru a-și corobora alegerile.
Ușurința de utilizare a software-ului de proiectare nu este neapărat o caracteristică implicită. O modalitate prin care clinicienii pot constata că nu se uită la o versiune simplificată a unui program prietenos pentru laborator constă în numărul mediu de click-uri necesare pentru a proiecta o restaurare. Software-urile de proiectare pot varia de la foarte intimidante, chiar și pentru cei care s-au implicat deja, până la pur și simplu versiuni reduse ale software-ului de laborator prea tehnic, dar cu o multitudine de opțiuni oarecum inutile. Trecerea prin descărcări și configurații cu unele platforme poate epuiza răbdarea cuiva chiar înainte de a începe procesul de proiectare. Procesul poate fi intimidant nu numai pentru medic, ci și pentru personal.
Sistemele închise all-inclusive oferă cu siguranță confort și ușurință în utilizare, dar achiziția software-ului de proiectare încorporat într-un sistem complet poate fi costisitoare. Sistemele complete vin cu propriul software de proiectare și pot fi ușor de utilizat datorită funcționării fără întreruperi cu celelalte componente ale sale; cu toate acestea, suma pieselor poate ridica costul la cel mai înalt nivel al intervalului de preț al tuturor sistemelor CAD/CAM „do-it-yourself”. În plus, dacă clinicienii nu sunt pregătiți să frezeze și să prepare, ei sunt în esență blocați în brand prin achiziționarea de software încorporat într-un sistem închis.
Selectarea software-ului de proiectare de sine stătător oferă utilizatorului libertatea de a încerca alte mărci pentru a identifica ce i se potrivește cel mai bine. Un scaner de bază achiziționat la jumătate din prețul altuia care face parte dintr-un sistem ar permite cabinetului să folosească mai degrabă două scanere în cabinet, decât să fie nevoie să se aștepte pentru eliberarea unuia singur (legat de software-ul de proiectare încorporat). Pe lângă taxele pentru echipamentul în sine, unele software-uri de proiectare au prețuri piperate doar pentru software și taxe suplimentare de licență și abonament anual pentru trimiterea design-urilor la un laborator. Foarte puține produse software permit utilizatorilor să se descurce cu o taxă gestionabilă sau să opereze fără spațiu de stocare, doar câteva fiind bazate pe cloud, fără a fi nevoie de stocare. S-ar putea crede că, dacă o companie s-ar concentra pe realizarea celui mai bun software de proiectare, s-ar concentra numai pe asta.
Pentru a se educa, clinicienii ar trebui să discute mai întâi cu experți de încredere din industria stomatologiei digitale, de preferin-
ță cu cineva care este familiarizat cu mai multe mărci diferite și care să dețină experiență în utilizarea diferitelor produse. În al doilea rând, este recomandată căutarea de colegi interesați de subiect, atât în persoană, cât și pe rețelele sociale. Există multe grupuri de stomatologie în care membrii împărtășesc atât experiențe pozitive, cât și negative, postează și discută cazuri pentru feedback și oferă sfaturi despre aproape orice aspect al stomatologiei digitale.
Software-ul de proiectare există în multe forme. Clinicienii ar trebui să caute produse convenabile, inovatoare, ușor de utilizat și concepute de cei cu experiență. Taxele variază foarte mult, astfel încât clinicienii trebuie să își depună diligența pentru a înțelege exact pentru ce plătesc, atât inițial, cât și în mod constant după finalizarea tranzacției. Produsul software potrivit este disponibil pentru fiecare utilizator, chiar dacă nu este același pentru toți.
A Healthy Foundation: Regeneration Advances in Dental Implant Therapy by Sanda Moldovan, DDS, MS, CNS. Originally published in Compendium of Continuing Education in Dentistry 43(8) Sept 2022. © 2022 AEGIS Publications, LLC. All rights reserved. Reprinted with permission of the publishers.
Despre autor:
Sanda Moldovan, DDS, MS, CNS Private Practice, Beverly Hills, California; Diplomate, American Academy of Periodontology
PPentru a obține succesul unei terapii cu implant dentar, o bază osoasă și de țesut sănătos este esențială în momentul plasării și trebuie menținută pe termen lung. Adesea, obținerea unei fundații periimplantare sănătoase necesită regenerarea osoasă dacă periimplantita a afectat implantul (implanturile). Acest articol trece în revistă tehnicile și materialele disponibile astăzi și analizează progresele viitoare care ajută la regenerarea țesuturilor dure și moi în terapia cu implant dentar. De asemenea, se discută factori nutriționali importanți de luat în considerare atunci când este indicată regenerarea.
Pentru a recunoaște nevoia de regenerare în jurul unui implant,
este necesară înțelegerea unei fundații sănătoase. Mucoasa periimplantară sănătoasă este fie un epiteliu keratinizat (mucoasa masticatorie), fie nekeratinizat (mucoasa de căptușire) cu țesut conjunctiv subiacent, conform Workshop-ului Mondial din 2017 privind sănătatea periimplantară.
Acești autori au afirmat că sănătatea periimplantară presupune absența inflamației, eritemului, tumefacției și a sângerării la sondare (bleeding on probing, BOP).
Defectele osoase pot varia ca dimensiune, de la un defect asemănător jgheabului în jurul implantului cauzat de periimplantită până la un defect alveolar mare care se extinde atât pe verticală, cât și pe orizontală pe o porțiune sau pe întreaga lungime a arcadei dentare din cauza traumatismelor
Primul compozit fluid de umplere, într-o singură nuanță, pentru cazurile de zi cu zi.
Întotdeauna nuanța este potrivită: Cu proprietățile incredibile de potrivire a nuanțelor, restaurarea devine invizibilă, integrându-se în dentiția înconjurătoare.
Manipularea este eficientă: Cavitățile sunt umplute rapid și ușor, cu straturi până la 4 mm, fără a fi nevoie de un strat de acoperire suplimentar.
Restaurările sunt de lungă durată: Stresul scăzut de contracție și rezistența ridicată la fracturare și uzură asigură restaurări durabile care rezistă la forța de masticație puternică din zona posterioară.
Încearcă-l chiar tu: www.kulzer.com/cbfo-RO
sau a îndepărtării dinților afectați de parodontită severă. Scopul regenerării este de a obține o calitate osoasă ideală și de a crea o metodă predictibilă pentru restabilirea acestor defecte la înălțimea și lățimea ideală.
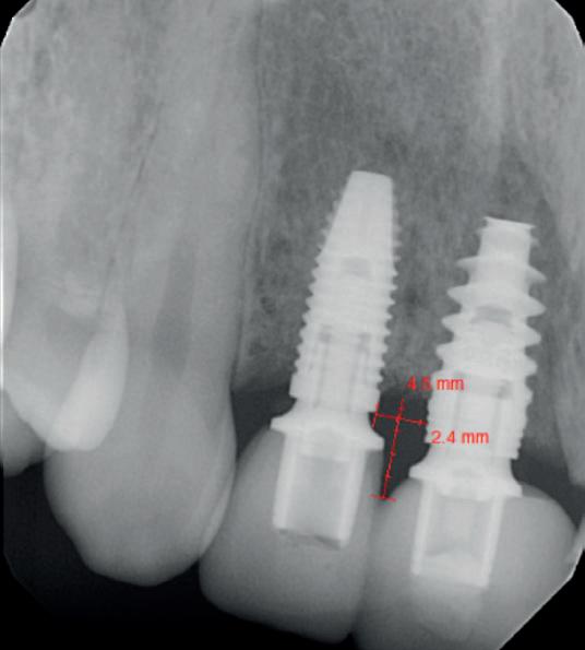
Până la 40% dintre pacienții cu implanturi pot fi afectați de periimplantită după cel puțin 1 an de funcționare. Cel mai bine este ca defectele periimplantare să fie abordate în stadiile incipiente, deoarece cu cât defectul este mai mare, cu atât este mai dificil de tratat. Implanturile dentare trebuie evaluate ca parte a examenului anual al pacientului. Odată detectată BOP, diagnosticul este de mucozită periimplantară impunându-se o serie de recomandări pacientului cu privire la modul de corectare a inflamației, fie prin îmbunătățirea îngrijirii la domiciliu, îndepărtarea biofilmului bacterian și/sau terapia cu laser.
De asemenea, trebuie evaluate anual modificările radiografice. În ședința de inserție a restaurării, se înregistrează o radiografie bitewing standardizată pentru a permite evaluarea anuală a modificărilor osoase din jurul implantului. Remodelarea osului alveolar în primul an este bine documentată și depinde de tipul de implant utilizat; cu toate acestea, nu ar trebui să apară apical de primul filet al implantului. Prin urmare, este importantă abilitatea de a vizualiza filetele implantului pe radiografii. Modificările pierderii osoase de 2 mm sau mai mult după primul an reprezintă un semn de periimplantită. De îndată ce pierderea osoasă este recunoscută, pacientului trebuie să i se recomande terapia imediată pentru a opri procesul de boală.
În plus, trebuie evaluate cu atenție starea medicală și nutrițională a
pacientului pentru a se asigura o vindecare optimă. Colesterolul din sânge, glicemia, anemia și vitamina D joacă un rol esențial în regenerarea osoasă. S-a demonstrat că suplimentarea cu vitamina D îmbunătățește contactul os-implant (bone-to-implant contact, BIC) și mineralizarea în jurul implanturilor dentare. Sunt recomandate niveluri sanguine optime ale vitaminei D între 60-80 ng/ml.
Defectele intraosoase rezultate din periimplantită tind să fie circumferențiale și să aibă o componentă bacteriană din cauza igienei orale insuficiente, a unei margini coronare defectuoase și/sau a prezenței subgingivale a cimentului. Pentru ca tratamentul regenerativ să aibă succes, trebuie abordați factorii cauzali. Îmbunătățirea igienei orale prin utilizarea aței dentare, restabilirea marginilor sănătoase ale coroanei și îndepărtarea cimentului subgingival sau înlocuirea restaurării cimentate cu una înșurubată ori de câte ori este posibil sunt componente importante ale tratării periimplantitei. Dacă este lăsată netratată, periimplantita poate provoca pierderi osoase extinse și în cele din urmă posibila pierdere a implantului.
Pentru un rezultat regenerativ de succes, biofilmul microbian trebuie îndepărtat de pe suprafața implantului. Pentru aceasta au fost folosite diferite tehnici, inclusiv metode chimice sau mecanice, cum ar fi debridarea cu perii, ultrasunete și antiseptice (peroxid de hidrogen sau clorhexidină) și lasere, cum ar fi Er:Cr:YSGG (erbiu, crom:itriu, scandiu, galiu, garnet). Nu există niciun studiu care să demonstreze o metodă superioară pentru eliminarea biofilmului.
Tehnologia cu ozon oferă beneficii suplimentare atunci când este utilizată pentru decontaminarea suprafețelor implanturilor înainte de terapia regenerativă.
Apa cu ozon poate fi obținută cu ușurință în cadrul stomatologic prin utilizarea unui generator de apă cu ozon la 10 ppm. Proprietățile antibacteriene ale ozonului au fost bine documentate în studii medicale, iar recent acesta a atras mai multă atenție în stomatologie din cauza provocărilor cu care se confruntă clinicienii în îndepărtarea biofilmului patogen de pe suprafețele periimplantare contaminate.
S-a demonstrat că debridarea cu apă cu ozon a suprafețelor implantului adaugă un beneficiu semnificativ în tratamentul chirurgical al periimplantitei prin îmbunătățirea markerilor inflamatori cum ar fi interleukina (IL)-6, IL-8 și IL-17, adâncimea de sondare și nivelul de atașament clinic măsurat la 12 luni după tratament.
Tratamentul cu laser al unei pungi periimplantare oferă mai multe beneficii, inclusiv invazivitate minimă, hemostază, fotobiostimulare, distrugere microbiană și degranulație precisă. Rezultatele unui studiu din 2014 cu laser Er,Cr:YSGG în tratamentul nechirurgical al periimplantitei au demonstrat o rezoluție de 91% a inflamației și reducerea pungii. Tratamentul nu a răspuns la trei din 28 implanturi care nu aveau țesut keratinizat, ceea ce a afectat cel mai probabil rezultatul tratamentului. S-a demonstrat că laserul Er:YAG (erbiu:itriu, aluminiu, garnet) restabilește pierderea osoasă în jurul implanturilor dentare prin îmbunătățirea BIC. Un studiu de 18 luni a arătat că laserul Er,Cr:YSGG poate decontamina eficient suprafața implantului în timpul procedurilor chirurgicale de regenerare, rezultatele arătând
o refacere osoasă reușită în jurul acestor implanturi.
Nu toate laserele sunt potrivite din cauza posibilei creșteri a temperaturii suprafeței implantului pe care acestea o pot modifica, creând leziuni celulare și producând un mediu mai puțin favorabil pentru atașarea osului. O recenzie a concluzionat că laserul Er,Cr:YSGG poate fi utilizat în siguranță și eficient în tratamentul periimplantitei într-un mod fără contact pe o durată de până la 2 minute, în asociere cu spray-ul aer-apă.
Ingineria tisulară/medicina regeneratoare (Tissue engineering/ regenerative medicine, TE/RM) este un domeniu de cercetare relativ nou, care include pe mai multe discipline, cum ar fi medicina, producția, cercetarea celulelor stem, chimia și stomatologia. Scopul TE/ RM este de a promova regenerarea țesuturilor fie prin implantarea de biomateriale pentru regenerarea in vivo, fie prin crearea de substituții in vitro. Progresele nanotehnologiei sunt studiate în reconstrucția defectelor periimplantare pentru a obține o regenerare osoasă mai previzibilă iar produsele aferente ar trebui să devină în curând disponibile comercial pentru utilizare în stomatologie.
Biomaterialul utilizat în regenerarea periimplantară poate fi împărțit în trei categorii: grefe osoase, pentru înlocuirea osului lipsă; bariere, pentru a proteja grefa de invazia epitelială; și produse biologice, care eliberează factori de creștere sau celule stem.
Grefele osoase pot fi clasificate în funcție de originea lor: autogene, alogene (cadaverice), xenogene
(animale) și sintetice. Grefele osoase autogene rămân „standardul de aur” deoarece conțin celule vii și provin de la pacient. Pentru defecte mari, se folosește o membrană sau o plasă de titan pentru a acoperi grefa osoasă și pentru a acționa ca o barieră fizică în regenerarea ghidată a țesuturilor. Barierele sunt, de asemenea, clasificate ca fiind autogene, alogene (placentă), xenogene (animale) și sintetice (plasă de titan sau politetrafluoretilenă).
Produsele biologice, cum ar fi produsele cu eliberare a factorului de creștere și celulele stem, sunt o adăugare mai recentă la tehnicile de regenerare osoasă. Proteinele morfogenice osoase (bone morphogenic proteins, BMP), în special BMP-2, sunt utilizate pentru augmentarea crestelor în tratamentul cu implanturi dentare. Din cauza costului ridicat al BMP-2, acesta nu este utilizat pe scară largă în stomatologie și este folosit mai ales în ortopedie.
Factorii critici care influențează stabilitatea pe termen lung după regenerarea osoasă în cazurile de periimplantită includ îndepărtarea biofilmului, accesul pentru o bună igienă orală postoperator, controlul eficient al plăcii și utilizarea factorilor de creștere.
Terapia cu fibrină îmbogățită cu trombocite (platelet-rich fibrin, PRF) reprezintă un supliment util al arsenalului pentru a îmbunătăți vindecarea regenerării plăgilor în stomatologia implantară. PRF este preparat din sânge integral care este centrifugat într-o centrifugă, și care determină apoi agregarea trombocitelor și a leucocitelor într-un strat asemănător unui cheag.
PRF poate fi presat într-o membrană sau utilizat sub formă injectabilă (i-PRF) pentru a se amesteca cu materialul de grefă osoasă.
Atunci când este utilizat pentru
conservarea crestei alveolare, PRF s-a dovedit radiografic că sporește refacerea osoasă postextracțional, precum și că păstrează dimensiunile crestei orizontale și verticale după extracție.
În studiile cu tratarea defectelor prin debridare cu lambou deschis, s-a demonstrat că atunci când a fost utilizat PRF, a existat o reducere mai mare a adâncimii de sondare și o recesie redusă după 3 și 6 luni. De asemenea, interesant este și faptul că produsele PRF au proprietăți antimicrobiene, iar suprafețele de titan expuse biofilmului bacterian prezintă o reducere semnificativă a numărului de bacterii atunci când sunt tratate cu PRF.
În ultimul deceniu, cercetările privind utilizarea teriparatidei, un medicament compus din 34 aminoacizi ai hormonului paratiroidian, au arătat o regenerare osoasă crescută în jurul implanturilor dentare. Teriparatida este utilizată în principal în tratamentul osteoporozei și vindecarea fracturilor. Pentru a îmbunătăți regenerarea osoasă pe cale orală, teriparatida este administrată ca injecție subcutanată zilnică pentru a crește proliferarea preosteoblastelor și a diminua apoptoza osteoblastelor.
Deși s-au făcut multe progrese în regenerarea periimplantară, nu există un protocol universal acceptat pentru rezolvarea periimplantitei. Este responsabilitatea clinicianului să rămână informat cu privire la progresele și tehnicile disponibile și să ia decizia clinică adecvată în tratarea periimplantitei. Cu toate acestea, este universal acceptat că boala periimplantară trebuie recunoscută și tratată cât mai devreme posibil, de preferință înainte de constatarea pierderii osoase.
Scanați codul QR pentru mai multe informații!
Combinarea corectă a formei, caracteristicilor suprafeței și poziționării unui implant poate conduce la creșterea osului în zona conică inversată a acestuia, așa cum au demonstrat cercetările științifice și practica de zi cu zi.
Utilizarea platform-switch și-a dovedit eficiența în sistemele moderne de implanturi. Însă acum, zona conică inversată oferă mai mult spațiu și un suport mai bun de aderență pentru țesutul dur și moale decât formele cilindrice ale implanturilor, așa cum cum se poate vedea în imaginea următoare.
Suprafața microstructurată din zona conică inversată sprijină atașarea osului și a țesutului conjunctiv. Atunci când marginea acesteia este poziționată subcrestal, este recomandată utilizarea unui material de augmentare (xenogrefă sau os autolog) care poate preveni dezvoltarea țesutului moale în zona conică inversată și poate oferi suport pentru o mai bună osteointegrare.
Datorită designului șurubului de acoperire, care are un diametru mic și formă concavă, nu se irită țesuturile periimplantare în momentul în care se intervine în vederea montării formatorului gingival. Osul nou format pe șurubul de acoperire anodizat poate fi îndepărtat cu ușurință cu ajutorul unei chiurete.
ția clinică, de la restaurarea unui singur dinte până la reabilitarea arcadelor, cu ajutorul tratamentului SKY fast & fixed se poate observa formarea de os nou. Înălțimea crestei alveolare se păstrează cu ajutorul osului nou format în zona conică inversată, deoarece există o indicație redusă pentru regularizarea osoasă a sitului implantar. Conceptul de creștere osoasă reprezintă exact etapa următoare de dezvoltare a platform switch: designul implantului și al bontului, conul inversat microstructurat și poziționarea subcrestală a implanturilor copaSKY acționează sinergic nu numai pentru a preveni resorbția osoasă, dar și pentru a sprijini regenerarea osoasă.
Studiile și experiența clinică au demonstrat faptul că prin poziționarea subcrestală a implantului copaSKY se poate obține mai mult spațiu în zona gingivală pentru atașarea țesutului moale și remodelarea țesutului osos.
Rezultate clinice impresionante Rezultatele observate de către clinicieni sunt convingătoare. Indiferent de indica-
Conceptul de Creștere Osoasă
• Zona conică inversată – oferă mai mult spațiu pentru os și țesut conjunctiv
• Suprafața microstructurată –sprijină oseointegrarea și atașarea țesutului conjunctiv
• Poziționarea subcrestală – susține creșterea/regenerarea osoasă
“Sistemele de implanturi bredent permit utilizarea acestei tehnici”, afirmă Prof. Dr. Jörg Neugebauer, Președintele ales al Academiei de Oseointegrare.
Tehnologie unică de regenerare osoasă
Zonă conică inversată.
Suprafață microstructurată.
Poziționare subcrestală.
disponibilă la bredent pentru pacienți si medici deopotrivă
CONTINUING EDUCATION ⊲
Ceramic Dental Implants: An Overview of Materials, Characteristics, and Application Concepts by Jens Tartsch, DMD; and Markus B. Blatz, DMD, PhD. Originally published in Compendium of Continuing Education in Dentistry 43(8) September 2022. © 2022 AEGIS Publications, LLC
All rights reserved. Reprinted with permission of the publishers.
Despre autori:
Jens Tartsch, DMD
President, European Society for Ceramic Implantology; Private Practice, Zurich, Switzerland
RRădăcinile dentare artificiale (implanturile) din titan au devenit un tratament standard în stomatologia modernă pentru înlocuirea dinților absenți. Cu rate ridicate de supraviețuire și de succes de până la 98% după 10 ani, acestea reprezintă standardul de aur în implantologia dentară. De la plasarea primelor implanturi din titan în 1965, numărul acestora în Statele Unite a crescut la 3 milioane pe an, cu 10 milioane implanturi inserate anual în întreaga lume.
Markus B. Blatz, DMD, PhD Professor of Restorative Dentistry, Chair, Department of Preventive and Restorative Sciences, and Assistant Dean, Digital InnovationLa scurt timp după debutul implanturilor de titan, profesorul Sami Sandhaus a introdus primele implanturi ceramice în 1967. Pentru o lungă perioadă de timp, acestea au avut o existență obscură, aparținând stomatologiei holistice datorită revendicării calității lor „non-metalice”. Din cauza materialului de la vremea respectivă - un oxid de aluminiu insuficient de stabil, și a lipsei de structurare a suprafeței, aceste implanturi au manifestat rate scăzute de succes timp de
and Professional Development, University of Pennsylvania School of Dental Medicine, Philadelphia Pennsylvania; Editor-in-Chief, Compendium of Continuing Education in Dentistry
Obiective:
Pentru a utiliza cu succes implanturile ceramice, practicienii ar trebui să dețină cunoștințe despre contextul materialului de dioxid de zirconiu și despre caracteristicile sale specifice în aplicarea clinică, așa cum este prezentat în această recenzie.
mulți ani. Cu toate acestea, odată cu introducerea dioxidului de zirconiu la începutul anilor 2000 ca material de implant dentar de încredere și cu dezvoltarea continuă a suprafețelor implantare microasperizate, acest lucru a început să se schimbe.
Astăzi, implanturile ceramice își pierd din ce în ce mai mult reputația ca produs de nișă și își găsesc progresiv drumul în cabinetele de implantologie „convenționale”. Acest fapt se datorează parțial sporirii gradului de conștientizare a sănătății în rândul populației și cererii crescute pentru restaurări non-metalice. În plus, dezvoltarea ulterioară a materialelor, suprafețelor și conceptelor de aplicare și, prin urmare, fiabilitatea crescută, este, fără îndoială, un motiv major pentru acceptarea crescută a implanturilor ceramice de către stomatologii care practică implantologia.
Ratele de supraviețuire ale implanturilor ceramice s-au apropiat deja de cele de titan în indicațiile bazate pe dovezi de „restaurare unidentară”
și „punte cu trei unități”, în prezent fiind la egalitate cu majoritatea sistemelor de titan. Deși datele pe termen lung nu au confirmat încă aceste rezultate bune, succesul de până acum este încurajator, astfel încât clinicienii profită de beneficiile clinice ale dioxidului de zirconiu în practica zilnică, introducând implanturile ceramice ca opțiune suplimentară în spectrul de opțiuni alături de cele de titan (fig. 1). Chiar
și titanul, pe cât de apreciat este, nu pare să fie complet lipsit de probleme.
Posibilitatea ca nuanța gri să transpară prin gingie este un posibil dezavantaj al implanturilor de titan. În schimb, datorită culorii albe a dioxidului de zirconiu, această problemă estetică poate fi evitată prin
utilizarea implanturilor ceramice. Desigur, obținerea unei estetici excelente cu implanturile de titan este posibilă în mod curent. Cu toate acestea, o condiție prealabilă pentru un astfel de rezultat este prezența unei mucoase periimplantare cu o grosime de cel puțin 2 mm, care poate împiedica transparența cenușie a titanului. În lipsa acestei grosimi, mucoasa poate fi dublată de o grefă de țesut conjunctiv (recoltată de obicei din palat), necesitând însă o procedură chirurgicală adițională și, prin urmare, o povară suplimentară pentru pacient. Utilizarea bonturilor implantare integral ceramice este o soluție alternativă, dar microdeplasările bontului dur de dioxid de zirconiu pe implantul de titan mai moale pot duce la abraziune și chiar la distrugerea conexiunii implant-bont.
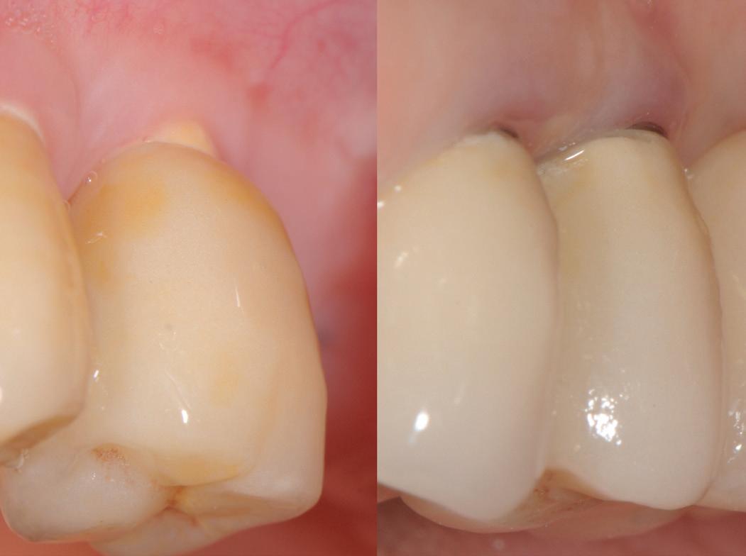
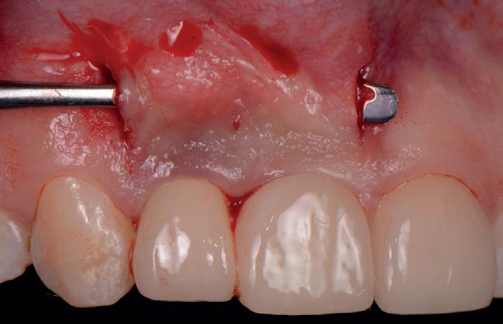
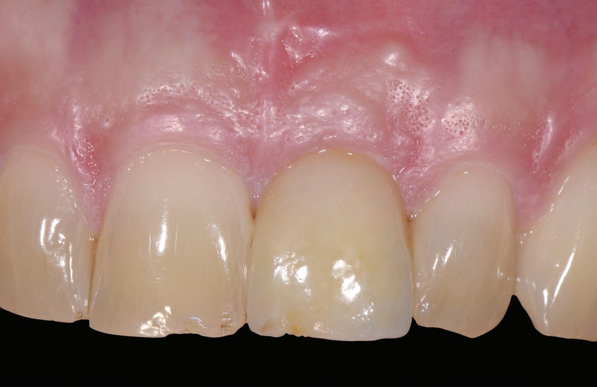
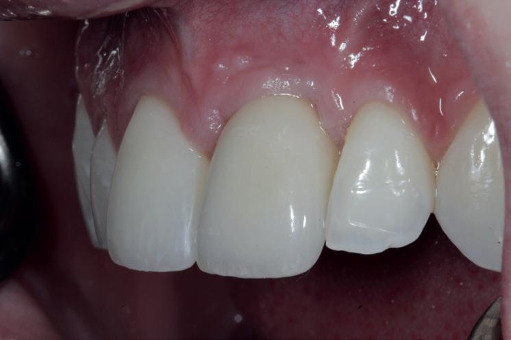
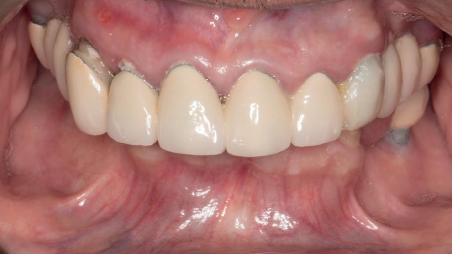
Totuși, ca și în cazul implanturilor de titan, în rare cazuri, și la cele ceramice poate apărea o recesie nedorită cu expunerea umărului implantar. Cu toate acestea, din punct de vedere estetic, această recesie a gingiei inflamate este posibil să fie mult mai bine tolerată de către pacienții preocupați de marginile întunecate ale implanturilor de titan (fig. 2).
Chiar mai mult decât estetica, cel mai important dezavantaj al implanturilor de titan îl constituie riscul periimplantitei. Această afecțiune patologică inflamatorie cu pierderea progresivă a țesuturilor dure și moi periimplantare poate duce în cele din urmă la pierderea implantului. Prevalența periimplantitei este semnificativă, un studiu demonstrând că aproape 15% dintre pacienții cu implant au prezentat periimplantită moderată până la severă după 9 ani. Un alt studiu a constatat periimplantită la 10% dintre implanturi și 20% dintre
pacienți în decurs de 5 până la 10 ani după implantare. Această prevalență devine mai importantă dacă se extrapolează la numărul total de implanturi inserate. Prin urmare, nu este surprinzător faptul că etiologia și terapia periimplantitei sunt subiecte integrante ale celor mai multe congrese de implantologie din întreaga lume, continuând să joace roluri din ce în ce mai importante în viitor.
Indiscutabil, biofilmul bacterian (teoria microbiană) rămâne un factor crucial în dezvoltarea periimplantitei. O acumulare de bacterii și placă produce inflamație și recesie tisulară; igiena orală bună contracarează acest lucru. Alți factori de risc includ fumatul, diabetul și influențele mecanice locale. Cu toate acestea, dovezile indică și faptul că titanul joacă un rol în acest proces (teoria corpului străin). La fel ca toate metalele, titanul este supus coroziunii, iar particule de titan au fost identificate în osul periimplantar și în țesuturile moi. Distribuția particulelor corespunde defectelor osoase în formă de „cuvă” tipice periimplantitei. Această „biocoroziune” este promovată de utilizarea diferitelor metale (de exemplu, bonturi din aur) sau de prezența lipopolizaharidelor bacteriene din pereții bacterieni.
De asemenea, poate surveni abraziunea intraosoasă de la particulele implantului de titan, ca urmare a inserției și micromișcării funcționale ulterioare a implantului în os. Aceste particule de titan sunt fagocitate sub forma unei inflamații cronice nespecifice de către macrofagele tisulare locale cu secreție de citokine inflamatorii și sunt transportate prin sistemul limfatic. La unii pacienți, eliberarea de citokine proinflamatorii pare să fie crescută în comparație cu un răspuns inflamator moderat necesar pentru osteointegrarea obișnuită și poate
fi considerat ca un posibil factor local de risc suplimentar al periimplantitei. Acest proces este o reacție inflamatorie cronică nespecifică, denumită intoleranță la titan.
Cu toate acestea, intens citata și raportata „alergie la titan” nu este posibilă din punct de vedere fiziologic. Pentru o sensibilizare la metal (reacție de tip IV tardiv), este necesară prezența ionilor metalici liberi; aceștia se cuplează la proteinele proprii ale corpului (haptene), modifică structura proteinelor și astfel pot deveni reactive imunologic sub forma unei sensibilizări. Totuși, titanul este foarte reactiv și ionii de titan posibil eliberați reacționează cu oxigenul în intervalul de milisecunde pentru a forma dioxid de titan (stratul de pasivare). Oxizii metalici de acest fel sunt prin definiție o „ceramică”. Întrucât această reacție nu este reversibilă, nu sunt disponibili ioni de titan liberi pentru formarea
unei posibile reacții alergice. Un test de transformare a limfocitelor, care se poate realiza și sub forma testului de imunostimulare a limfocitelor cu memorie (memory lymphocyte immunostimulation assay, MELISA), utilizat încă pe scară largă pentru detectarea sensibilizării la titan, pare a fi de valoare nesemnificativă, chiar dacă se utilizează încă frecvent.
Cele mai multe implanturi dentare sunt fabricate din titan pur de gradul IV. Cu toate acestea, s-au detectat impurități legate de producție, asociate cu nichel sau crom, ceea ce, ținând cont de cunoscuta prevalența ridicată a sensibilizării la nichel, poate fi o posibilă explicație pentru așa-numitele „alergii la titan” descrise în literatură. Alte sisteme implantare, precum majoritatea endoprotezelor din titan, sunt realizate dintr-un aliaj de titan (titan de gradul V). Componentele aliajului
includ aluminiu, vanadiu și rodiu. Spre deosebire de titan, aceste metale pot fi eliberate sub formă ionică, ducând astfel la reacții alergice. Prin urmare ar fi indicate diagnosticele de sensibilizare adecvate pentru aceste componente, precum și pentru nichel. În mod ideal, detectarea unei astfel de tendințe imunologice la inflamație ar trebui efectuată înainte de implantare, iar dacă se constată prezența acestei constelații de risc, un implant ceramic poate fi considerat o alternativă adecvată. Datorită proprietăților materiale, dioxidul de zirconiu este bioinert, deci nu există nicio interacțiune chimică și/sau biologică între implant și țesut și nu sunt eliberate substanțe toxice sau alergene. Prin urmare, sunt eliminate reacțiile de sensibilizare și imunologice la dioxidul de zirconiu și, în consecință, nu se indică testarea de intoleranță/alergie la „ceramică”.
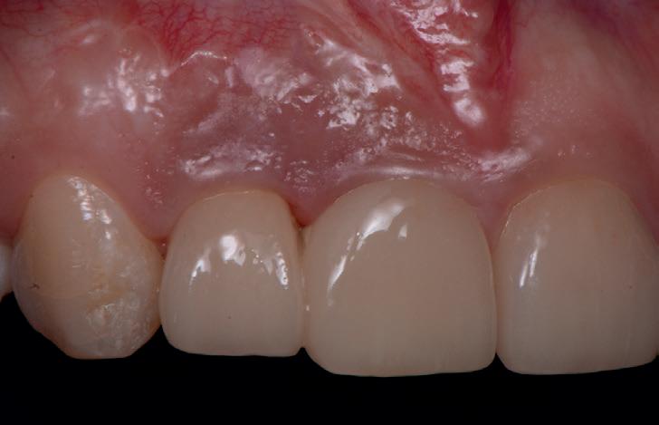
În plus, aceste proprietăți bioinerte par să aibă și beneficii în ceea ce privește dezvoltarea periimplantitei și calitatea țesuturilor moi. În comparație cu titanul, dioxidul de zirconiu prezintă acumulare de placă și aderență bacteriană mai redusă, precum și o grosime mai mică a biofilmului depus. Și fluxul sanguin circulant către țesuturile moi este mai asemănător cu cel al unui dinte natural în cazul ceramicii față de titan, care oferă flux sanguin redus semnificativ. Se știe că o circulație sanguină mai bună înseamnă țesuturi moi mai sănătoase, care, la rândul lor, prezintă rezultate estetice îmbunătățite. Deși deocamdată lipsesc dovezile pe termen lung pentru implanturile ceramice, sunt disponibile rezultatele inițiale la 3 și 5 ani, iar tendința, susținută de studii preclinice și experiența clinică, este că dioxidul de zirconiu demonstrează același rezultat - iar în unele studii chiar o pierdere osoasă marginală mai redusă față de implanturile de titan. În această perioadă încă nu s-a descris clinic periimplantită.
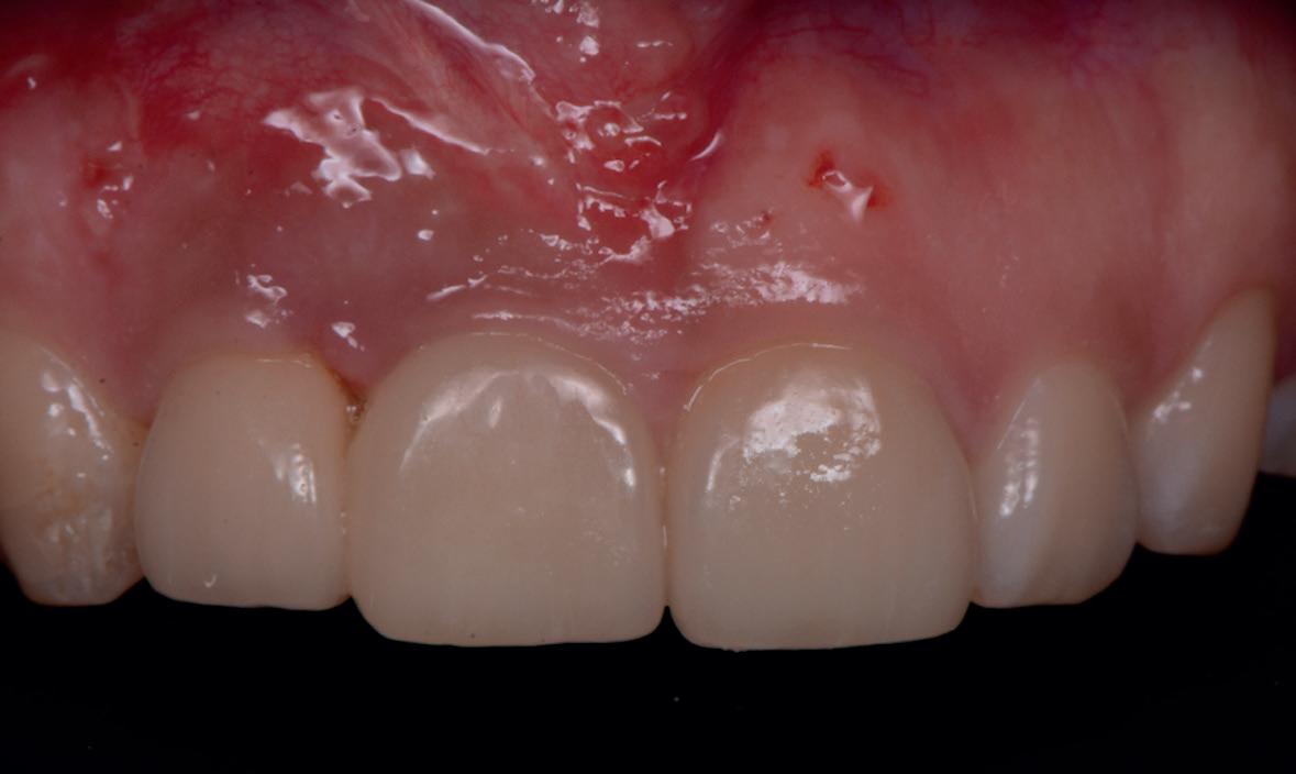
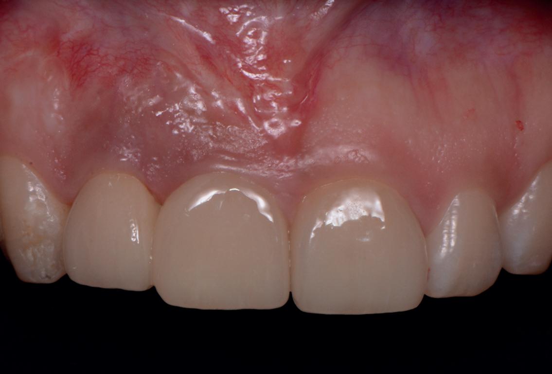
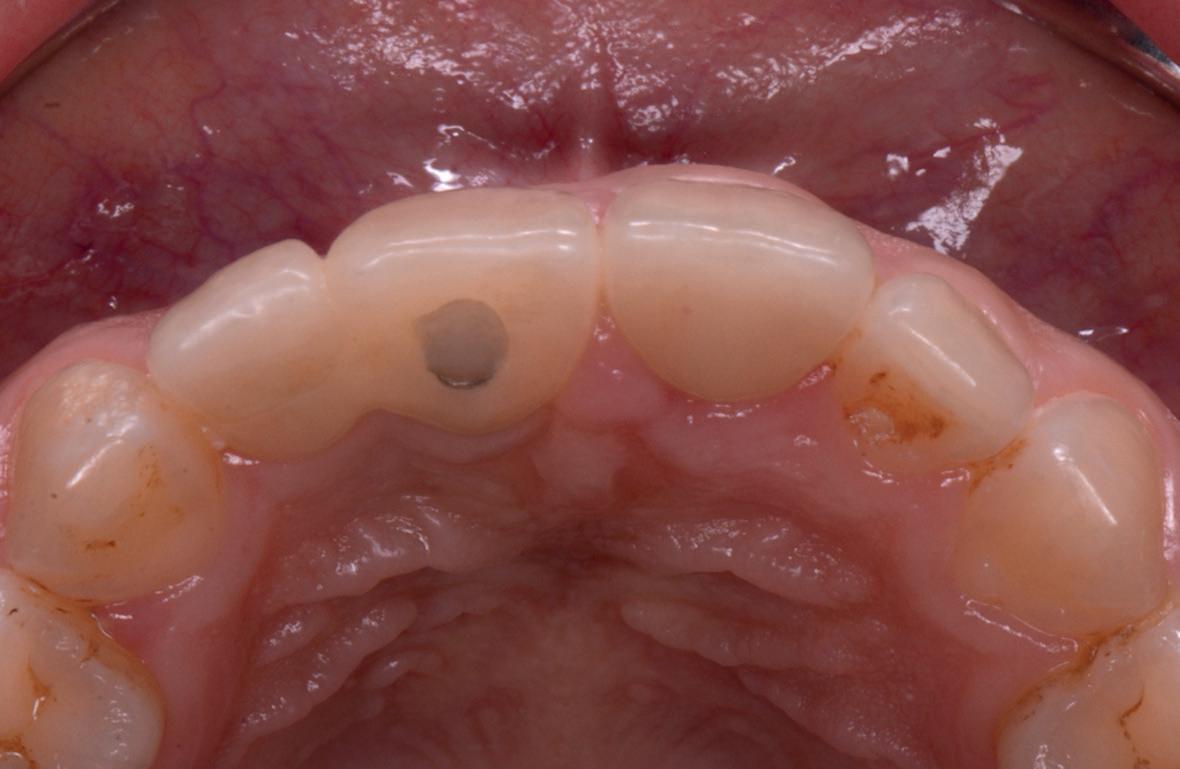
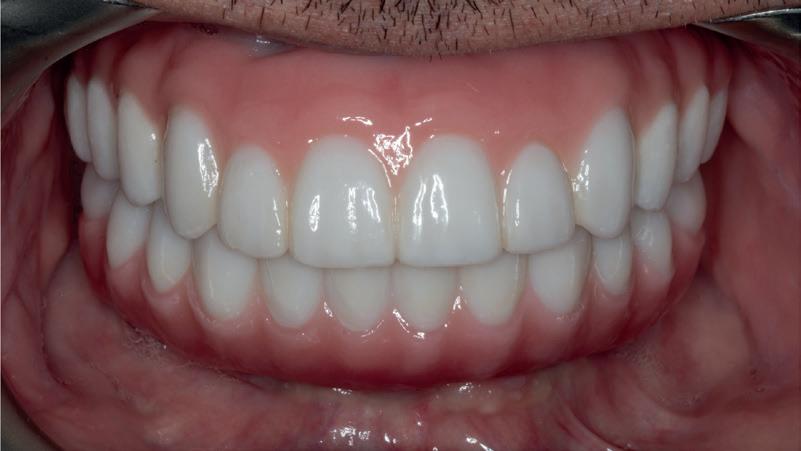
Trebuie remarcat, totuși, că în cazul implanturilor ceramice, ca și în al celor de titan, cementita, adică inflamația periimplantară cauzată de reziduurile de ciment, poate duce la periimplantită. În plus, la implanturile din dioxid de zirconiu poate apărea supraîncălzirea la înșurubarea implantului în os, iar suprafețele excesiv de aspre sau poroase ale implantului pot cauza defecte osoase periimplantare din cauza termoconductivității reduse a materialului. Deși sunt necesare mai multe dovezi științifice care să demonstreze o tendință mai scăzută spre periimplantită în cazul implanturilor ceramice, argumentul esențial pentru aceste implanturi bazat pe experiența clinică este starea excelentă și aproape constant lipsită de inflamație a țesuturilor moi periimplantare (fig. 3).
Comportamentul bioinert se datorează proprietăților materialului dioxid de zirconiu ca ceramică. Materialul natural de pornire, zirconiul, este într-adevăr un metal; totuși, așa cum se menționa mai devreme, prin reacția cu oxigenul, este complet oxidat în dioxid de zirconiu și, astfel, transformat ireversibil într-o ceramică. Spre deosebire de electronii din titanul metalic, care sunt încă liberi și, prin urmare, reactivi, electronii din dioxidul de zirconiu ceramic sunt ferm legați - și, prin urmare, nereactivi - în legături covalente autentice. Această reactivitate scăzută generează proprietățile speciale ale ceramicii: conductivitate termică și electrică scăzută, tensiune superficială redusă, solubilitate/”coroziune” scăzută și, astfel, interacțiune mai puțin distructivă cu țesuturile din jur.
Pe de altă parte, se asociază și cu o lipsă de elasticitate și, deci, cu o susceptibilitate mai mare la fractură. Ratele crescute de fracturare ale implanturilor ceramice menționate inițial din cauza acestei susceptibilități au fost reduse semnificativ - de la 3,4% la 0,2%, ca urmare a dezvoltării ulterioare rapide a proprietăților materialului. Această îmbunătățire s-a confirmat în testele de rezistență la fracturare statice și dinamice deopotrivă, conform ISO 14801, ceea ce înseamnă că unele sisteme moderne de implanturi ceramice ar putea fi clasificate ca fiind adecvate pentru utilizarea clinică în ceea ce privește rezistența la fracturare. În afara proprietăților materialului și alți factori joacă un rol în stabilitatea unui implant. De exemplu, într-o declarație privind implanturile ceramice din două piese, Societatea Europeană pentru Implantologie Ceramică a afirmat:
„Rezistența la fracturare și stabilitatea mecanică a implanturilor din
zirconiu din două piese pot varia în funcție de diferitele procese de fabricație, proprietățile materialelor, geometriile implantului și conceptele de conexiune protetică.”
Structura microcristalină particulară a dioxidului de zirconiu este un alt factor important pentru stabilitate și, prin urmare, înțelegerea acesteia este de relevanță clinică. Cristalele (granulele) de dioxid de zirconiu există inițial într-o fază monoclinică mai moale, instabilă (rețeaua cristalină monoclinică).
În timpul procesului de fabricație, această fază monoclinică este transformată în faza tetragonală mai dură și stabilă dezirabilă, la o presiune de până la 2000 bari și o temperatură de 1170°C (adică presare izostatică la cald). În acest punct, cristalele sunt denumite policristale de zirconiu tetragonal (tetragonal zirconia polycrystals, TZP) (fig. 4). Volumul cristalelor este redus cu 3% până la 5%. Totuși, sub influența energiei, această fază tetragonală dorită are tendința de a se reîntoarce la faza monoclonală. Acest proces se numește transformare de fază și se însoțește de o reducere a densității, durității și rezistenței. Pentru a reduce transformarea de fază de la tetragonal înapoi la monoclonal, se adaugă oxizi stabilizatori (oxid de ytriu) cu o fracție de volum de 2-3%. Oxidul de ytriu crește energia necesară pentru transformarea de fază, făcând transformarea de fază mai dificilă. În acest moment materialul este denumit Y-TZP.
Figurile:
1. Implanturi din titan (stânga) și zirconiu (dreapta). 2. Recesii la implanturile ceramice (stânga) și din titan (dreapta). 3. Țesut moale cu implant din zirconia, lipsit de inflamație.
4. Structura cristalină a ceramicii TZP.
5. Transformarea de fază și autovindecarea după inițierea fisurii (T = cristale tetragonale, M = cristale monoclonale). 6. Suprafața implantului microstructurat sablat și gravat cu acid.
Transformarea de fază joacă un rol esențial în practica clinică de zi cu zi. Aceasta deoarece, în circumstanțe nefavorabile, șlefuirea dioxidului de zirconiu poate introduce în material tocmai energia care inițiază dezvoltarea unei transformări de fază; astfel, materialul se slăbește. Cu toate acestea, creșterea volumului cristalelor monoclonale oprește propagarea fisurilor (adică, apare efectul de auto-vindecare) (fig. 5). Acest lucru poate explica de ce clinicienii ar putea să nu aprobe unele sisteme de implant dintr-o singură piesă în cazurile în care este implicată șlefuirea. În alte sisteme, s-a demonstrat că aceasta nu are nicio influență asupra susceptibilității la fractură.
Prin modificarea suplimentară a compoziției ceramicii, a fost posibilă optimizarea în continuare a proprietăților materialului. Astfel, TZP original are o rezistență medie la încovoiere de 1100 MPa (comparație: titanul 400 MPa, oxidul de aluminiu 550 MPa). Adăugarea de până la 0,5 vol% oxid de aluminiu mărește și mai mult această rezistență la încovoiere la 1200 MPa. În prezent, acesta este denumit TZP-A și se utilizează în forma menționată pentru majoritatea implanturilor ceramice contemporane.
Cea mai recentă generație de materiale ceramice compozite este reprezentată de zirconia ranforsată cu alumină (alumina-toughened zirconia, ATZ). Fracția de volum a aluminei a fost crescută la 20%. Alumina servește ca stabilizator și reduce sau blochează propagarea fisurilor.
Ca urmare, rezistența la încovoiere a fost aproape dublată la 2000 MPa și transformarea de la faza monoclinică la faza tetragonală a fost îmbunătățită semnificativ.
Alumina nu trebuie confundată cu forma metalică a aluminiului. Nu joacă niciun rol în dezbaterea holistică actuală despre aluminiul metalic ca potențial contributor la bolile neurodegenerative, cum ar fi boala Alzheimer. Aici se aplică același concept ca cel descris anterior: oxidul de aluminiu, ca oxid de metal, este prin definiție o ceramică. Reacția sa cu oxigenul este completă și ireversibilă; nu se poate elibera deloc aluminiul metalic. Chiar dacă analizele indică un conținut de aluminiu în țesut și salivă, acesta este oxidul aluminiului irelevant din punct de vedere imunologic. În aceste analize se poate detecta nu încorporarea moleculară sau cristalină, ci doar atomul însuși. Astfel, din punct de vedere medical general, alumina ca ceramică este inofensivă.
Procesul de fabricație industrială are și o influență asupra succesului pe termen lung al implanturilor ceramice. Dimensiunea granulelor, puritatea, densitatea, precum și dimensiunea, cantitatea și distribuția posibilelor defecte ale materialului au un efect semnificativ asupra durității și calității implantului. În fabricarea implanturilor ceramice se pot distinge două procese de bază: producerea implantului dintr-un material de pornire încă moale și dintr-un material inițial deja întărit. Primul proces poate fi realizat folosind una dintre cele două metode, fie turnarea prin injectare a ceramicii (ceramic injection molding, CIM), în care modelarea este efectuată mai întâi cu turnarea prin injectare, fie presarea izostatică la rece (cold isostatic pressing, CIP) care implică frezarea materialului de pornire încă moale (prelucrarea compactă verde).
În ambele metode, semifabricatul este apoi întărit și rafinat prin sinterizare sau ardere. Ambele metode sunt rentabile, dar trebuie luată în considerare contracția la sinterizare de până la 20% ce poate duce la o susceptibilitate mai mare la defecte
și incluziuni de defecte. În cel de-al doilea proces de fabricație, numit prelucrare dură, procedura este inversată: mai întâi un bloc de material este rafinat (sinterizat) și abia apoi, cu costuri industriale crescute, mulajul este măcinat din semifabricatul finisat, dur. Acest proces este mai costisitor și cronofag, dar este capabil să ofere rezultate precise și de foarte înaltă calitate (tabelul 1).
Pentru succesul pe termen lung, un implant trebuie să fie osteointegrat stabil, adică fuzionat ferm cu osul. Osteointegrarea este definită ca o legătură elastică, structurală, între osul vital și suprafața implantului dentar. O măsură a gradului de osteointegrare este valoarea contactului os-implant (bone-implant contact, BIC). Cu cât valoarea BIC este mai mare, cu atât implantul este mai stabil. Suprafețele implantare netede au, în general, un BIC scăzut, în timp ce suprafețele rugoase tind să producă un BIC mai mare datorită unei expuneri crescute și a unei stimulări suficiente pentru formarea osului.
Astfel, suprafețele netede ale implanturilor ceramice timpurii au avut ca rezultat o osteointegrare mai scăzută și, în consecință, rate mai mari de pierdere. Prin urmare, scopul a devenit proiectarea suprafețelor rugoase pentru a obține valori BIC mai mari, și astfel, îmbunătățirea osteointegrării, ca și în cazul implanturilor de titan. Rugozitatea ideală a suprafeței de 1-2 μm a fost deja atinsă în cazul implanturilor ceramice. Cu toate acestea, deși prelucrarea unei suprafețe de titan este relativ simplă, atunci când o suprafață de dioxid de zirconiu se prelucrează industrial, trebuie evitate potențialele modificări structurale ale cristalului (transformarea de fază) datorate aportului excesiv de energie.
V a r i o t i m e ®
L i b e r t a t e a d e a r e a l i z a a m p r e n t e
A d a p t a ț i t i m p u l d e l u c r u l a r u t i n a d u m n e a v o a s t r ă :
S i l i c o n u l A u n i c , c u u n c o n c e p t d e t i m p i n t e l i g e n t , v ă o f e r ă u n t i m p t o t a l d e 3 : 3 0 -
5 : 0 0 m i n .
T i m p u l d e l u c r u v a r i a b i l d e 1 : 0 0 - 2 : 3 0 m i n ș i t i m p u l d e p r i z ă i n t r a o r a l s c u r t d e 2 : 3 0
m i n f a v o r i z e a z ă u n p r o c e s c o n f o r t a b i l c a r e s a l v e a z ă t i m p
A l e g e ț i d i n ș a s e v â s c o z i t ă ț i d i f e r i t e , i n c l u s i v E x t r a L i g h t F l o w ș i H e a v y T r a y .
Giving a hand to oral health.
Implant produs dintr-un material inițial încă moale
Turnarea prin injectare (Turnarea prin injectare a ceramicii [CIM])
Prin urmare, se utilizează diferite metode de prelucrare a suprafeței pentru a crește macro- și microstructura. Aceste metode includ, printre altele, crearea unei suprafețe rugoase direct peste matriță în procesul CIM, modificarea suprafeței cu laser, aplicarea de învelișuri suplimentare și crearea macrostructurii prin sablare urmată de microstructurarea prin gravarea termică a suprafeței cu diferiți acizi și obținerea variatelor modele de gravare (fig. 6). În cele din urmă, implanturile ceramice cu suprafețe moderne microasperizate au demonstrat în studiile pe animale și în diverse recenzii rate de osteointegrare comparabile cu ale de titan și, prin urmare, se pot anticipa rezultate similare pe termen lung.
Industria stomatologică a recunoscut dezvoltarea implanturilor ceramice și relevanța crescândă a acestora în implantologie. În
prezent cei mai renumiți furnizori includ în portofoliile lor implanturi ceramice cu diferite concepte de restaurare.
Implanturi dintr-o piesă/monobloc
Majoritatea implanturilor ceramice oferite astăzi sunt sisteme dintr-o singură piesă, așa cum s-a întâmplat și la introducerea lor. Datorită istoriei lor mai lungi, au o bază de studii și dovezi mai bune decât sistemele din două piese. Un implant monobloc rezolvă eficient dilema conexiunii implant-bont, întrucât nu există nicio conexiune; bontul și implantul constituie o singură piesă. Implantul este un bloc omogen, închis ermetic, ceea ce face posibilă manipularea sa ca și cum ar fi un dinte natural. Un avantaj al implanturilor ceramice dintr-o singură piesă este că procedurile de amprentare și cimentare pot fi similare procesului de restaurarea a coroanei unui dinte natural. Desi-
Implant produs dintr-un material inițial întărit
Prelucrare
gur, dispozitivul nu este un dinte natural, ci un implant cu aspecte diferite față de un dinte natural din punct de vedere al flexibilitatii, profilului de emergență, diametrului, relației corono-radiculare/implant și anatomiei din sulcusul gingival/ mucos.
Restaurarea implanturilor dintr-o singură piesă se poate realiza însă numai prin cimentarea restaurării. Această abordare nu are flexibilitatea și reversibilitatea dorită în implantologie și implică riscul de cementită. Cu alte cuvinte, dacă umărul implantului se plasează mai adânc de 1-1,5 mm subgingival, reziduurile de ciment nu mai pot fi îndepărtate complet și sigur. Mai mult, trebuie asigurată o axă precisă a implantului (evitarea transformării de fază prin șlefuire), o stabilitate primară suficientă și o fază de vindecare fără încărcare (pentru o osteointegrare sigură). Deoarece implantul și bontul sunt o singură unitate, marginile plăgii nu pot fi
Figurile:
7. Restaurare și bont fixat cu șurub fără metal (60% fibră de carbon într-o matrice de polieteretercetonă [PEEK]).
8. Inserarea implantului ceramic fără metal (4,2x12 mm) la 8 săptămâni după extracția dintelui fără speranță nr. 21.
9. Locația implantului vindecată la 12 săptămâni după operație, înainte de reintervenție.
10. Profilul de emergență s-a format timp de 6 săptămâni cu utilizarea unei restaurări temporare cu un bont PEEK fixat cu șurub.
11. Bont detașabil in situ fixat cu șurub.
adaptate primar iar vindecarea urmează tiparul transmucos. Întrucât nu este posibilă închiderea primară a plăgii, augmentările extinse sunt recomandate doar într-o procedură în două etape.
Implanturi din două piese
Dezavantajele menționate anterior ale implanturilor monobloc sunt motive importante pentru care sistemele din două piese sunt considerate acum standardul în implantologia modernă din titan și explicația pentru care implanturile dintr-o singură piesă din titan se regăsesc doar în indicații rare, specifice. Sistemele din două piese acoperă majoritatea indicațiilor, permit faze de vindecare fără încărcare, precum și proceduri augmentative sigure după închiderea primară a plăgii și sunt reversibile, oferind flexibilitate.
Ca și în cazul implantologiei generale, tendința cu implanturile ceramice este, așadar, tot către sistemele bicomponente (fig. 7-15), dar acestea au încă semnificativ mai puține dovezi și studii comparativ cu cele dintr-o singură piesă.
Conectarea unor bonturi de dioxid de zirconiu dure, neelastice cu implanturile de dioxid de zirconiu dure, neelastice reprezintă încă o provocare majoră pentru sistemele din două piese. În consecință, diferiții producători oferă concepte de conectare foarte diferite, care s-au dovedit diferite în ceea ce privește susceptibilitatea la fractură și complicațiile tehnice, cum ar fi slăbirea șuruburilor.
- Conexiunea bontului atașat. În sistemele de implanturi ceramice bicomponente cimentate, până acum conexiunea bontului a fost realizată prin cimentarea bontului pe implant. Pentru a evita slăbirea bontului, trebuie folosite doar cimenturile pe bază de rășină. Implantul din două piese devine în
esență un implant dintr-o singură piesă prin lipirea bontului după faza de vindecare fără încărcare. În consecință, ca și în cazul unui implant monobloc, și restaurarea poate fi exclusiv cimentată, implicând riscul de cementită și nu mai este reversibilă sau flexibilă în cazul oricărei ajustări necesare.
- Conexiunea bontului înșurubat. În cazul sistemelor ceramice, doar îmbinarea cu șuruburi între bont și implant este flexibilă și reversibilă, așa cum în prezent este cazul restaurării implanturilor din titan. Bontul este fixat în corpul implantului cu șurubul pentru bont. Avantajele sunt evidente: niciun risc de exces de ciment, simpla gestionare a țesuturilor moi și modelarea profilului de emergență, precum și opțiuni simple de reparare și acces. Cu toate acestea, retenția prin înșurubare folosind șuruburi metalice din aur sau titan prezintă și ea provocări. Ceramica este mai rezistentă la compresie decât la tensiune sau pliere. O conexiune cu șuruburi, totuși, poate introduce forțe de tracțiune și de încovoiere în implant nefavorabile pentru materialul ceramic și acest lucru poate duce la creșterea tensiunii interne. Șurubul metalic este mai moale decât ceramica, iar microdeplasarea șurubului în filetul intern dur al implantului poate provoca, la rândul său, uzura și abraziunea șurubului. Precizia fabricării interfeței implant-bont și fixarea șurubului sunt probabil factori decisivi, deși sunt necesare investigații suplimentare în acest domeniu. În orice caz trebuie respectat cuplul de torsiune furnizat de producător. Chiar dacă șurubul bontului este complet înconjurat de ceramică, astfel de soluții nu mai sunt complet lipsite de metal atât din punctul de vedere al medicinei ecologice, cât și al pacientului. Rămâne de confirmat dacă subprodușii de abraziune și coroziune pot „scăpa” într-adevăr prin spațiul de conectare dintre
bont și implant. Sunt urmărite noi abordări cu șuruburi pentru bonturi nemetalice, armate cu fibră de carbon, care permit un cuplu de strângere ridicat de până la 85 Ncm (aplicat clinic 25 Ncm). Filetele rotunjite sunt destinate să evite vârfurile de tensiune interne.
În general, conceptul bicomponent oferă avantaje față de omologul său monobloc în ceea ce privește flexibilitatea protetică și indicațiile clinice. Atât în cabinetul stomatologic, cât și în laboratorul dentar, fluxurile de lucru similare cu cele utilizate la implanturile de titan pot fi retenționate pentru manipularea implanturilor ceramice, ceea ce ar trebui să contribuie semnificativ la acceptarea și răspândirea lor.
Aplicarea clinică a bioceramicilor moderne nu se mai limitează doar la restaurările protetice. Zirconia se folosește cu succes și ca material pentru implanturi dentare, permițând în majoritatea cazurilor un concept restaurator fără metal. Cererea pentru astfel de soluții non-metalice este în creștere constantă, în principal datorită gradului de conștientizare sporit al pacienților asupra sănătății.
Datele disponibile în prezent arată că, datorită dezvoltării continue, implanturile dentare ceramice s-au apropiat de cele din titan în ceea ce privește stabilitatea materialului, designul suprafeței și ratele de succes. În mare măsură, la implanturile ceramice pot fi adoptate protocoale chirurgicale și protetice familiare. Acești factori, împreună cu dovezile și fiabilitatea crescândă, ar trebui să conducă la o mai mare acceptare viitoare a implanturilor ceramice în implantologie.
Pentru a obține succesul clinic pe termen lung atunci când utilizează implanturi ceramice diferite
Figurile:
12. Restaurare fără metal, detașabilă, fixată cu șurub. Mucoasa periimplantară nu prezenta inflamație sau colorare.
13. Rx după încărcare, indicând remodelarea osoasă solidă în zona coletului implantului prelucrat.
14. Restaurarea la controlul de 3 ani, care arată un rezultat tisular stabil și estetic adecvat.
15. Rx la controlul de 3 ani, indicând starea osoasă stabilă comparativ cu Rx de control după încărcare (fig. 13); se observă lipsa pierderii osoase.
conceptual, cel mai bine este să se respecte principiile biologice cunoscute din implantologia cu cele de titan. Îndrumările producătorilor și instrucțiunile de utilizare în indicațiile clinice respective trebuie respectate cu strictețe. Presupunând că aceste principii și instrucțiuni sunt atent considerate, se poate afirma că implanturile ceramice moderne, corect indicate și manipulate, reprezintă un plus la spectrul terapeutic din implantologia dentară. Și vor continua probabil să devină mai răspândite în viitor.
1. Dioxidul de zirconiu a fost introdus ca material dentar sigur destinat implanturilor:
a) la mijlocul anilor 1960;
b) la finalul anilor 1980;
c) la începutul anilor 2000;
d) la sfârșitul anilor 2010.
2. Pentru a preveni umbra cenușie a implanturilor titanice, cât de groasă ar trebui să fie mucoasa periimplantară?
a) nu mai mult de 1 mm; b) 1,5 mm;
c) cel puțin 2 mm; d) nu mai puțin de 3 mm.
3. Utilizarea unui bont implantar integral ceramic pe un implant din titan poate duce la abrazie și la:
a) recesie inflamatorie cronică;
b) distrugerea conexiunii dintre implant și bont;
c) inabilitatea individualizării restaurării;
d) cementită.
4. Distribuția particulelor de titan constatată în osul periimplantar și țesutul moale corespunde defectelor osoase în formă de “cuvă”, specific pentru:
a) alergiile la titan;
b) periimplantită;
c) efectele supraîncălzirii unui implant;
d) conductivitate termică redusă.
5. În comparație cu titanul, dioxidul de zirconiu manifestă un nivel redus pentru:
a) acumularea plăcii;
b) adeziunea bacteriană;
c) grosimea biofilmului depozitat;
d) toate cele de mai sus.
6. Argumentul esențial pentru implanturile ceramice este:
a) starea țesutului moale periimplantar lipsit de inflamație în mod consistent;
b) prețul mai mic în comparație cu cel al implanturilor din titan;
c) o rată mai rapidă de osteointegrare;
d) paleta largă de indicații.
7. În cursul procesului de fabricare a dioxidului de zirconiu, ce se adaugă pentru a diminua faza de transformare din forma tetragonală la cea monoclonală?
a) aliaj de titan;
b) zirconia consolidată cu alumină (ATZ);
c) aluminiu metalic;
d) oxid de ytriu.
8. Rezistența flexurală a ATZ este de:
a) 800 MPa; b) 1200 MPa;
c) 2000 MPa; d) 2400 MPa.
9. Pentru îmbunătățirea osteointegrării, designul implantului ceramic a încorporat suprafețele asperizate pentru a dobândi:
a) un contact mai mare între os și implant;
b) transformare de fază mai rapidă;
c) o construcție de implant monocomponent;
d) mai puține microfisuri.
10. Ceramicile sunt mai reziliente în:
a) tensiune decât în pliere sau compresie;
b) compresie decât în tensiune sau pliere;
c) pliere decât în compresie sau tensiune;
d) niciuna de mai sus.
Despre autori:
Dr. Klaus-Dieter Bastendorf has, in his role as a dentist and pioneer of prevention in dental practice, given over 750 lectures on this subject and written numerous articles on the topic. Since 1979 he has had his own practice in Eislingen, since 2014 in the practice Dr. Strafela-Bastendorf Prof. EM. Dr. Adrian Lussi, DIPL. CHEM. ING. ETH is one of the leading researchers in the field of caries in German-speaking countries and is an honorary member of the SSO. Dental Clinics of the University of Berne and Clinic for Dental Preservation and Periodontology, University of Fribourg
CConform sistemului Axelsson/Lindhe, prevenția este cel mai eficient tratament stomatologic pentru menținerea și restabilirea sănătății orale prin evitarea bolilor dentare (carii, gingivită, parodontită, mucozita peri-implantară și peri-implantita prin prevenție primară, secundară) sau prevenind recidiva după efectuarea tratamentului. Desconsiderarea prevenției poate duce la deteriorarea funcțională și estetică și în consecință, la afectarea generală a sănătății pe lângă afecțiunile orale. Dacă prevenirea trebuie să aibă succes pe termen lung, atunci sistemul de prevenție introdus de Axelsson/ Lindhe în 1972 constând în îngrijirea la domiciliu și profilaxia profesională trebuie să fie integrat în practica de zi cu zi. Guided Biofilm Therapy
(GBT) (E.M.S., Elveția) a adaptat acest sistem la progresele științifice și tehnice pentru a satisface cerințele actuale. Prin definiție, GBT este un sistem de prevenție și un protocol de tratament orientat spre risc, bazat pe dovezi, sistematic, modular, individual, aplicabil universal (fig. 1). GBT poate fi aplicat tuturor pacienților, chiar și celor cu probleme complexe de sănătate orală și generală, și tuturor grupelor de vârstă. Peste 120 publicații despre fiecare pas GBT formează baza științifică a acestui protocol cu termeni definiți:
• Orientare în funcție de riscul de boală: istoric medical, constatări diagnostice, determinarea riscului specific vârstei, terapie și prevenție sistematic țintite / ”ghidate”;
• Bazat pe dovezi: toți pașii sunt bazați pe dovezi;
• Prevenție și terapie sistematică: se specifică o procedură de bază iar practicianul este ghidat sistematic prin protocolul în opt pași;
• Modular: nu există constrângeri de timp pentru pașii individuali ca în ”pie model” conform Axelsson/ Lindhe iar practicianul decide ce module utilizează în mod specific/ ghidat și cât timp alocă;
• Personalizat: atât intervențiile la domiciliu, cât și cele profesionale trebuie personalizate pentru fiecare pacient (participare);
• Universal: poate fi aplicat tuturor ”cazurilor” orale și generale de sănătate, chiar și celor complexe și pentru
Controlul infecțiilor servește la protejarea și garantarea siguranței medicului, echipei și pacienților față de riscul transmiterii infecțiilor, pentru că toate tratamentele stomatologice generează aerosoli. Clătirea cu un agent antimicrobian preoperator reduce numărul de microorganisme eliberate sub formă de aerosoli/ stropi, ce pot contamina ulterior echipamentele, suprafețele chirurgicale precum și personalul medical. Prin urmare, se recomandă clătirea 40 secunde cu soluția orală BacterX Pro, ce conține 0,1% clorhexidină; 0,05% clorură de cetilpiridină; 0,005% fluor. Studiile publicate recent arată că BacterX Pro elimină, de asemenea, SARS-CoV-2 datorită adaosului de clorură de cetilpiridină. Particulele SARS-CoV-2 ar putea fi eliminate complet in vitro după 30 secunde. În plus, sistemul de aspirație (aspirator cu debit mare), canula de aspirare (fig. 2) și tehnica de evacuare joacă un rol foarte important. S-a constatat că încărcătura bacteriană a aerosolilor/ stropilor rezultați este redusă la mai puțin de 5% printr-o clătire orală și o tehnică bună de evacuare.
Un studiu recent a demonstrat că nu există modificări ale aerului ambiental în timpul tratamentului cu Airflow sau cu Piezon, dacă este utilizată o soluție de clătire antimicrobiană/ antivirală înainte de tratament și apoi o tehnică de evacuare corectă. Sunt obligatorii și măsuri de protecție personală pentru personalul medical (mască orală cu filtrare bacteriană eficientă BFE de cel puțin 95%; mănuși, ochelari de protecție) și pacient (ochelari de protecție). Opțional pentru tratamente se poate utiliza OptraGate, protecție pentru buze cu vaselină și rulouri de bumbac.
Sfaturi pentru protecția împotriva infecțiilor. Istoricul medical,
determinarea riscurilor specifice vârstei și constatările diagnostice sunt necesare pentru efectuarea unui tratament țintit/ ghidat cu protejarea substratului. Constatările oferă informații despre profilul de risc individual de boală dentară a pacientului, asigurând astfel tratamente corespunzător adaptate/ ghidate. În acest scop, se pot utiliza ajutoare digitale moderne precum „conceptele parodontitei” care nu numai că permit identificarea factorilor de risc individuali actuali, dar asigură și monitorizarea și determinarea intervalelor individuale de recall. Punctul slab al majorității metodelor digitale este că neglijează riscul individual de eroziune și carii. Formularele de constatări ale Universității din Berna, disponibile pentru trei grupe de vârstă, au fost dovedite pentru a determina riscul de carie.
Conform Hellwege, evidențierea conduce la perspective. Doar evidențierea permite îndepărtarea completă (95–100%) a plăcii bacteriene supragingivale, fapt confirmat și într-un studiu realizat de Stiftung Warentest pe calitatea PMPR (Guided Professional Oral Care, PMPR) în 10 cabinete stomatologice. Doar aproximativ 50% din placa bacteriană a fost îndepărtată, și inadecvat în locurile critice (sulcular și interproximal). Placa bacteriană trebuie să fie vizibilă pentru: stabilirea unui indice exact de placă bacteriană; instrucțiuni specifice de igienă orală și motivație la domiciliu; îmbunătățirea comunicării cu pacienții; gestionarea direcționată a îndepărtării plăcii bacteriene; asigurarea calității, deoarece îndepărtarea 100% a plăcii bacteriene este posibilă doar prin evidențierea ei.
Sfat pentru evidențiere. Chiar și un profesionist foarte bine pregătit ratează placa bacteriană supragingivală până la de trei ori mai mult decât
prin evidențiere. Numai evidențierea permite o curățare minim invazivă deoarece placa supragingivală este îndepărtată, în special, acolo unde este vizibilă (fig. 3).
O prevenție de succes se bazează întotdeauna pe doi piloni: igiena la domiciliu și cea profesională. Fără o îngrijire adecvată la domiciliu, nu există un succes pe termen lung în prevenție. Cu alte cuvinte: acolo există o inflamație! Aflați obiceiurile de igienă ale pacienților și adaptați tehnicile în funcție de riscul lor de îmbolnăvire. Accesorii precum oglin-
GBTda, modele dentare, ajutoare pentru igiena bucală, camera intraorală, comparațiile prin fotografii pot fi folosite în acest proces.
Sfat pentru motivarea pacienților. Îngrijirea la domiciliu este adesea neglijată. O reevaluare și o corectare a măsurilor de igienă orală realizate acasă trebuie efectuate constant, pentru îmbunătățirea informației, instruirii și a motivației. În plus, îndrumarea nutrițională și/sau recomandarea produselor adecvate pentru igiena orală sunt benefice. În mod similar, trebuie discutați factorii de risc suplimentari, cum ar fi fumatul, diabetul, bolile cardiovasculare etc.
GBT PAŞII 4 & 5: AIRFLOW/PERIOFLOW
Placa bacteriană este cauza principală a celor mai importante boli dentare (excepție eroziunile). Acesta este motivul pentru care sunt îndepărtate întâi colorarea și placa bacteriană (fig. 4), abia apoi depozitele dure (mineralizate/tartrul).
În trecut, prevenția profesională se concentra în principal pe instrumentele de mână și lustruirea clasică (Rubber Cup Polishing/ RCP) cu o eficiență îndoielnică în gestionarea plăcii bacteriene, deteriorând inutil structura dentară și țesuturile moi. Astăzi, sunt disponibile tehnici moderne (dispozitive cu jet de apă-pulbere) care, pe lângă gestionarea eficientă a plăcii, se concentrează și pe protejarea substanței dure, pre -
cum și pe confortul pacientului și al medicului în timpul tratamentului. Deși ambele lucrează după același principiu al tehnologiei cu jet apă-pulbere, procedurile Air-Polishing (AP) și Air-Flowing (AF) trebuie diferențiate pentru o abordare corectă. AF este un sistem coordonat tehnic, fizic și chimic [Airflow Prophylaxis Master (fig. 5), Airflow, piesa de mână Perioflow, pudra Plus minim invazivă pe baza de eritritol] care funcționează cu un debit constant și reglat de pulbere. Pentru îndepărtarea perfectă a plăcii bacteriene supra- și subgingival (adâncimi de sondare de până la 4 mm) de pe toate suprafețele dinților, sunt necesare un flux continuu de pulbere (Airflow Prophylaxis Master/AFPM) și o piesă de mână Airflow Max cu tehnologie airflow laminară patentată (fig. 6).
Avantajele față de tehnicile clasice includ: îndepărtarea completă a plăcii bacteriene în fisuri, șanțuri, pe implanturi, în spațiul interdentar, în zonele cu înghesuiri, în sulcus, în cazul aparatelor ortodontice fixe, totul fără a deteriora structura dintelui natural. În plus, este mult mai puțin agresiv în timpul curățării rădăcinilor expuse ale dinților. Tehnologia Airflow cu pulberi slab abrazive poate îndepărta de trei ori mai multă placă bacteriană decât instrumentele de mână. Alte beneficii includ reducerea timpului de tratament precum și confortul maxim al medicului și pacientului, având ca rezultat o complianță îmbunătățită și o rată mai mare de revenire la recall.
Figurile: 4. Sunt îndepărtate întâi colorarea și placa bacteriană. Astăzi, sunt disponibile dispozitive moderne cu jet de apă-pulbere Airflowing 5. Airflow Prophylaxis Master aparține tehnologiei Airflowing, un sistem coordonat tehnic, fizic și chimic.
Sfat pentru Airflow/ Perioflow (fig. 7). Pentru a obține succesul optim al gestionării plăcii supra- și subgingival, reducând în același timp formarea de aerosoli, trebuie însușită o tehnică corectă a Airflow și respectată o evacuare corectă.
GBT PASUL 6: PIEZON/PS/PI MAX
Tartrul nu este cauza cariilor sau a parodontitei. Cu toate acestea, suprafeța sa poroasă facilitează aderența plăcii bacteriene și a produselor metabolice ale bacteriilor. De asemenea, tartrul împiedică îngrijirea optimă la domiciliu. Îndepărtarea perfectă și țintită a tartrului de pe toate suprafețele dentare este o parte esențială a GBT. Detartrajul supragingival țintit/ ghidat este mai specific și mai blând după evidențierea plăcii bacteriene.
Tehnologiile piezoceramice au fost demonstrate în îndepărtarea mecanică a depunerilor. Tehnologia Piezon No-Pain cu instrumentul PS (fig. 8) elimină tartrul, acum vizibil, într-un mod minim invaziv și nedureros. Avantajele față de instrumentele de mână includ: aplicare universală (supra- și subgingival până la 10 mm) pentru îndepărtarea plăcii mineralizate și a celei bacteriene; prietenos cu țesuturile; timp de tratament mai scurt (economic); mai puțin dureros datorită controlului dinamic al puterii cu mișcări liniare (confortul pacientului); poate fi folosit după o scurtă perioadă de acomodare.
Sfat pentru îndepărtarea blândă a tartrului. Pentru a obține un succes optim în îndepărtarea tartrului supra- și subgingival, ghidurile pentru aplicarea corectă a tehnicii Piezon trebuie însușite și respectate.
Acesta este un aspect important în verificarea propriei performanțe pentru gestionarea perfectă a plăcii bacteriene și a tartrului. În plus, supravegherea medicului stomatolog este indispensabilă pentru delegarea corectă din punct de vedere legislativ. Aceasta se referă la monitorizarea personalului care realizează prevenția, cu privire la calitatea tratamentului efectuat. Lupele (de preferință cu lumină integrată), ața dentară, sondele de explorare etc. servesc ca ajutoare. În timpul fazei de învățare, evidențierea plăcii bacteriene trebuie controlată de către medicul stomatolog care, în plus, evaluează riscul individual de îmbolnăvire, stabilește diagnosticul final și planifică orice alte tratamente necesare. La sfârșitul acestui pas de tratament și odată ce suprafețele dinților sunt perfect curățate, se efectuează fluorizarea.
Sfat pentru evaluare și fluorizare. GBT a permis atingerea unui standard ridicat de calitate (100% eliminarea plăcii bacteriene și a tartrului) în prevenție, respectiv profilaxie. GBT asigură un nivel ridicat de confort atât pentru practicieni, cât și pentru pacienți, conform feedback-ului de la peste 200.000 pacienți: 92% recomandă GBT membrilor familiei lor și cunoștințelor. Tratamentul sistematic poate fi efectuat aproape complet fără durere. GBT este un protocol care economisește timp, permițând și o eficiență economică.
Importanța terapiei de întreținere pentru sănătatea orală este demult recunoscută. The German Oral Hygiene Study - DMS-S Study din august 2016 confirmă încă o dată că adulții care s-au prezentat la consult în mod constant, în ultimii cinci ani, au un istoric de carii mai mic
și o incidență mai redusă a bolilor parodontale. Pacientului i se face o programare imediat după tratament. Intervalele de recall sunt stabilite individual pe baza constatărilor și a diagnosticului rezultat. Marea importanță profesională a dispensarizării pentru sănătatea orală este contrastată de rata ridicată de abandon în ceea ce privește recall-urile. Pe de o parte, acestea necesită o gestionare riguroasă realizată de cabinetul stomatologic și pe de altă parte, complianța pacientului trebuie îmbunătățită printr-un tratament nedureros. GBT se corelează cu o mai bună complianță a pacientului deoarece confortul pacientului este foarte ridicat, reflectat și în cele mai recente sondaje privind satisfacția după terapia GBT.
Sfat pentru terapia de întreținere. Obținerea succesului pe termen lung în prevenție este posibilă numai cu sistem de recall-uri bine organizat și specific pacienților.
GBT a reușit să integreze noi descoperiri științifice și progrese tehnice într-un protocol modern de recall Abordarea actuală este superioară sau cel puțin egală cu terapia convențională în rezultatele clinice și microbiologice. În ceea ce privește efectele suplimentare, cum ar fi conservarea substratului, confortul pacientului și al medicului, economia de timp și rentabilitatea, GBT este dovedită superior terapiei convenționale: controlul infecției prin clătire înainte de tratament; placa vizibilă prin evidențiere; îndepărtarea întâi a plăcii bacteriene cu Airflowing/ Perioflow/ Pudra Airflow Plus (minim invazivă), urmată de eliminarea țintită a tartrului cu Piezon PS (minim invaziv); nu este necesară lustruirea finală. Un factor important pentru schimbarea protocolului de prevenție în GBT este atingerea unui nivel ridicat al calității procesului.
Figurile: 6. Îndepărtarea plăcii bacteriene supra- și subgingival (de până la 4 mm) cu piesa de mână Airflow Max 7. Piesa de mână Perioflow cu duză este folosită pentru adâncimi de sondare între 5-8mm. 8. Tehnologia Piezon No-Pain cu instrumentele PS îndepărtează tartrul minim invaziv și nedureros.
Aplicarea corectă a dispozitivelor și abordarea sistematică a GBT poate fi învățată la Swiss Dental Academy - SDA (Academia Elvețiană de Stomatologie - SDA), institut de instruire E.M.S. În plus, satisfacția pacientului (calitatea rezultatelor) joacă un rol important în succesul prevenției fiind semnificativ corelat cu loialitatea pacientului pe termen lung, strâns legată de calitatea și confortul (durere scăzută) tratamentului efectuat. Avantajele GBT sunt impresionante inclusiv aplicarea universală, ceea ce permite o adaptare individuală, relativ facilă la pacient.
Reconstructing Peri-implant and Papillary Soft Tissue in the Esthetic Area Using Interdental Tissue, a Tuberosity Connective Tissue Graft, and a Tunneling Approach: A Case Report by Ye Shi, DDS, MS; Inés Fernández Guallart, DDS; Mashal Alrajhi, BDS, MPH; Sang-Choon Cho, DDS; and Stuart J. Froum, DDS. Originally published in Compendium of Continuing Education in Dentistry 43(9) October 2022. © 2022 AEGIS Publications, LLC. All rights reserved. Reprinted with permission of the publishers.
Despre autori:
Ye Shi, DDS, MS
Clinical Assistant Professor, New York University International Implant Program, Ashman Department of Periodontology and Implant Dentistry, NYU College of Dentistry, New York, New York
Inés Fernández Guallart, DDS
Former Resident, New York University
International Implant Program, Ashman
Department of Periodontology and Implant Dentistry, NYU College of Dentistry, New York, New York
Mashal Alrajhi, BDS, MPH
Former Resident, New York University
International Implant Program, Resident, NYU Master of Public Health, Ashman Department of Periodontology and Implant Dentistry, NYU College of Dentistry, New York, New York
Sang-Choon Cho, DDS
Director, New York University International Implant Program, Ashman Department of Periodontology and Implant Dentistry, NYU College of Dentistry, New York, New York
Stuart J. Froum, DDS
Adjunct Clinical Professor and Director of Clinical Research, Ashman Department of Periodontology and Implant Dentistry, NYU College of Dentistry, New York, New York
Literatura demonstrează pe larg supraviețuirea pe termen lung a implanturilor dentare la pacienții cu edentație totală și parțială deopotrivă. Cu toate acestea, pe măsură ce utilizarea restaurărilor pe implanturi a crescut, s-a constatat și o creștere concomitentă a cerințelor estetice și funcționale. Pentru a măsura rezultatele estetice, scorul estetic roz propus de Fürhauser în 2005 a folosit șapte parametri pentru a evalua estetica țesuturilor moi. Printre acestea s-au numărat papila, nivelul marginii țesuturilor moi și conturul vestibular, precum și morfologia țesuturilor moi din jurul implanturilor. Cu toate acestea, menținerea calității și volumului țesuturilor moi este adesea dificilă din cauza multiplelor intervenții chirurgicale implicate în plasarea implantului și resorbția fiziologică a osului după extracția dentară.
Augmentarea țesuturilor moi este adesea necesară pentru a îmbunătăți conturul moale. Astfel de proce -
duri pot fi efectuate fie înainte, fie împreună cu orice augmentare necesară a țesuturilor dure, în timpul plasării implantului, în momentul inserării bontului sau după plasarea restaurării finale pe implant. Acesta din urmă poate fi cel mai dificil scenariu, deoarece necesită o intervenție chirurgicală suplimentară pentru a suplimenta țesuturile care au suferit deja vindecarea.
Pentru augmentarea țesuturilor moi periimplantare au fost descrise diferite tehnici și materiale chirurgicale. Acestea includ autogrefe, adică grefe de țesut conjunctiv subepitelial (subepithelial connective tissue grafts, SECTG), grefe alogene, xenogrefe și proceduri de regenerare osoasă ghidată. Mulți clinicieni consideră grefele autogene a fi standardul de aur pentru augmentarea țesuturilor moi. SECTG recoltat de la nivelul palatului este o procedură bine documentată. Deși se pare că acest tip de grefă suferă o contracție inițială semnificativă, în cele din urmă rămâne stabilă în timp, cu
Hydrogum 5 este un alginat ultra-performant, scanabil, cu o precizie de 5 μm în reproducerea detaliilor și o stabilitate dimensională de 5 zile
Acuratețea sa în redarea detaliilor, alături de o excelentă stabilitate dimensională care face posibilă turnarea modelului chiar și la 5 zile de la amprentare, garantează amprente sigure, de înaltă fidelitate.
În plus, Hydrogum 5 este scanabil, fără utilizare de pudre opacifiante.* Acest beneficiu facilitează accesul la fluxurile de lucru digitale și îmbunătățește comunicarea cu laboratorul.
*Cu lumină structurată, lumină structurată albastră, laser albastru și CBCT. Teste efectuate de 3D Fast.
www.zhermack.com
Hydrogum 5 aparține categoriei de produse extraPRO și prezintă cele mai bune caracteristici tehnice din gama de alginate Zhermack.
SOLUȚII
5 zile DE STABILITATE DIMENSIONALĂ
rezultate estetice bune. Procedura de recoltare a unei SECTG din zona palatinală este, totuși, sensibilă la tehnică și poate fi neplăcută pentru pacienți în timpul vindecării, iar de multe ori grefa este limitată ca dimensiune din cauza morfologiei palatine.
În schimb, grefele de țesut moale recoltate de la nivelul tuberozității s-au dovedit a fi stabile dimensional doar în primele câteva luni, apoi tind progresiv să devină hiperplazice și pot avea ca rezultat un aspect inestetic cu pete tisulare albe. În pofida acestor dezavantaje, tuberozitatea maxilară poate fi utilizată ca locație donatoare de grefă alternativă, permițând chirurgilor să colecteze grefe mai groase, iar atunci când este utilizată în combinație cu alte intervenții de îngrijire orală (cum ar fi reducerea pungilor), acest tip de grefă poate oferi o formă unică (recreând o formă triunghiulară papilară), reducând în același timp disconfortul postoperator al pacientului, în comparație cu o locație palatinală. În rapoartele anterioare, grefele de tuberozitate maxilară erau folosite pentru a trata recesia dinților în procedurile de acoperire radiculară, dar până în prezent nu au fost publicate articole despre utilizarea acestei regiuni donatoare unice pentru a trata o deficiență a țesuturilor moi interimplantare.
Scopul acestui raport de caz este de a demonstra procedurile chirurgicale pas cu pas utilizate pentru corectarea unui defect al țesuturilor moi periimplantare folosind țesutul moale interdentar dintr-o procedură de reducere a defectului parodontal în combinație cu tuberozitatea ca locație donatoare de țesut conjunctiv, utilizând o abordare prin tunelizare într-o zonă estetică. Restaurările implantare au fost livrate cu 1 an înainte de reconstrucția țesuturilor moi.
În 2016, o pacientă în vârstă de 28 de ani s-a prezentat la Departamentul de Parodontologie și Implantologie Ashman de la Facultatea de Stomatologie din cadrul Universității din New York exprimându-și în principal nemulțumirea legată de culoarea cenușie a gingiei în jurul coroanelor implantare corespunzătoare incisivilor central și lateral nr. 11 și 12, și de umbra inestetică dintre acestea (fig. 1). Cu un an înaintea acestei vizite, într-un cabinet stomatologic privat se practicase inserarea celor două implanturi, alături de o restaurare conjunctă formată din două coroane de zirconia fixate cu șurub. A fost efectuată o radiografie care a obiectivat o distanță de 2,4 mm între cele două implanturi, respectiv de 4,5 mm între osul crestal interimplantar și punctul de contact al restaurărilor (fig. 2). Pacienta era sănătoasă, nefumătoare și prezenta un istoric medical neremarcabil. Astfel, s-a planificat o grefă de țesut moale pentru a suplimenta conturul vestibular și papilar periimplantar.
Zona de tuberozitate, inclusiv aria molarului prim (16) și secund maxilar (17) a fost evaluată ca posibil site donor pentru o grefă de țesut conjunctiv. Molarul de minte 18 era absent, fiind disponibilă astfel o suprafață mare pentru recoltarea țesuturilor (fig. 3). S-au măsurat adâncimile de sondare de 5 mm și 6 mm pe versantul distal al molarului nr. 17 și palatinal la nivelul dinților 16 și 17. Radiografiile periapicale nu au evidențiat defecte osoase parodontale, leziuni periapicale sau tartru subgingival, ceea ce a confirmat că pungile parodontale erau de fapt pseudopungi (fig.4). Scopul procedurii chirurgicale a fost reducerea pungilor la dinții nr. 16 și 17 în tim-
pul recoltării țesutului interdentar și tuberozitar împreună cu utilizarea țesutului conjunctiv ca grefă de țesut moale în jurul implanturilor nr. 11 și 12. Toate procedurile chirurgicale au fost efectuate în aceeași ședință.
grefei conjunctive
Reducerea pungilor pe versanturile distale și palatinale ale molarilor 16 și 17 a fost realizată utilizând o incizie distală urmată de un lambou Widman modificat, poziționat apical.
Procedura chirurgicală a debutat cu o incizie în formă de pană începând de la distalul dintelui nr. 17 și a continuat cu o incizie internă pe versantul palatinal al dinților nr. 17 și 16 (fig. 5). S-a elevat apoi un lambou mucoperiostal la nivelul crestei alveolare. S-au practicat incizii creviculare în jurul zonelor cervicale ale dinților implicați. După ce lamboul a fost reflectat, a fost realizată o a treia incizie interdentară.
Țesutul de la nivelul tuberozității și țesutul palatinal din jurul molarilor nr. 17 și 16 au fost excizate într-o singură piesă (5 mm x 15 mm). Nu era prezent niciun defect infraosos sau arhitectură negativă în locațiile distale nr. 17 și palatinale nr. 17 și 16; prin urmare, în acest caz nu s-a efectuat reducerea osoasă. Suprafețele radiculare au fost atent examinate și debridate. Lamboul palatinal s-a repoziționat, iar zona a fost suturată cu sutură catgut cromic resorbabil 5-0. Țesutul recoltat a fost îndepărtat, iar epiteliul a fost separat și îndepărtat cu o lamă nr 15C, lăsându-se țesutul conjunctiv pentru grefare (fig. 6, 7).
În locația donatoare s-a introdus o bandă de colagen resorbabilă și zona s-a suturat cu catgut cromic resorbabil 5-0 pentru obținerea hemostazei (fig. 8).
Mezial de implantul nr. 11, respectiv
Materiale de top de origine europeana, design inedit, ergonomie pentru medic si confort pentru pacient.
Toate imbinate, exclusiv, pentru a da nastere liniei Triton si Triton Plus.
Culori disponibile
*Nuante metalice
Tel: 0268.315.544 \ 0268.312.202
www.medidentexim.ro
office@medidentexim.ro
www.facebook.com/medidentexim
distal de implantul nr. 12 s-au practicat două incizii verticale care au fost extinse apical până la vestibul și coronar dincolo de joncțiunea mucogingivală. Ulterior, cele două incizii au fost conectate prin ridicarea unui lambou mucoperiostal de grosime totală utilizând o abordare prin tunelizare subperiostală cu incizie verticală (vertical incision subperiosteal tunnel approach, VISTA). Fasciculele de colagen restante pe suprafața internă a lamboului au fost excizate cu atenție folosind chiurete până la mobilizarea pasivă, fără tensiune a lamboului (fig. 9, 10).
SECTG recoltată din zona de tuberozitate a fost conturată la lungimea și lățimea măsurată a locației receptoare. Suturile resorbabile din vicryl 4-0 au fost folosite pentru a angaja cele două margini ale grefei, iar grefa a fost mobilizată lateral de cele două suturi, către fiecare dintre inciziile verticale și stabilizată la capătul distal și mezial al tunelului
(fig. 11). O altă sutură a fost introdusă în centrul grefei, iar coroanele conjuncte 11 și 12 au fost utilizate ca ancoră, servind la poziționarea coronară și stabilizarea grefei (fig. 12). Inciziile verticale au fost suturate cu suturi resorbabile catgut cromic 5-0.
Pacientei i s-a prescris antibiotic (500 mg amoxicilină, de trei ori pe zi) timp de 7 zile și a fost instruită să clătească cu o soluție de clorhexidină 0,2%, de două ori pe zi, timp de 1 minut, pe o durată de 2 săptămâni. De asemenea, s-a recomandat evitarea periajului în zona operată până la îndepărtarea suturilor la 2 săptămâni. Toate suturile care nu au fost resorbite au fost îndepărtate la vizita postoperatorie. Pacienta a fost dispensarizată la 1 săptămână, 14 zile, 1 lună, 3 luni și 1 an postoperator; la fiecare vizită, s-a practicat detartrajul dinților implicați, planarea și lustruirea radiculară, cu revizuirea igienei orale (fig. 13-19).
Figurile: 1. Prezentare inițială; colorația întunecată și un triunghi negru erau prezente la 1 an după reconstrucția cu implanturi. 2. Rx inițială a implanturilor nr. 12 și 11 cu restaurarea finală la prezentarea inițială a pacientei. Distanța dintre cele două implanturi era de 2,4 mm, iar cea dintre osul crestal interimplantar și punctul de contact era de 4,5 mm. 3. Locul donor: tuberozitatea maxilară stângă și zona țesutului interdentar.
4. Rx periapicală care obiectivează lipsa pierderii osoase parodontale în jurul primului și celui de-al doilea molar drept maxilar, lipsa vreunei leziuni periapicale și a tartrului subgingival. Adâncimile de sondare pentru ambii molari au fost de 5 mm și 6 mm din cauza excesului de țesut moale.
(Pentru a compara fotografiile pretratament cu cele de 1 an post-tratament, vezi fig. 1 versus fig. 17 [vizualizări frontale] și fig. 18 versus fig. 19 [imagini ocluzale].)
Principala acuză a pacientei a fost legată de aspectul țesuturilor moi din jurul restaurărilor implantare, în special colorarea mucoasei și papila aplatizată între cele două coroane din zona estetică. Având în vedere că supraviețuirea implantului și ratele de succes sunt relativ
ridicate, rezultatul estetic a devenit un obiectiv principal de interes atât pentru pacienți, cât și pentru clinicieni, în special în zonele frontale. Un rezultat estetic optim al unei restaurări cu implant ar trebui să fie în armonie cu dentiția adiacentă. Timp de decenii, pentru evaluarea rezultatului implantului s-au utilizat pe scară largă criteriile de succes propuse de Albrektsson; autorul lua în considerare doar supraviețuirea implantului, alături de absența complicațiilor mecanice și biologice. Cu toate acestea, progresele actuale în implantologia orală contemporană, cuplate cu așteptările mari din partea pacienților subliniază necesitatea unei definiții mai cuprinzătoare a succesului, decât doar stabilitatea implantului și a osului.
O recenzie sistematică publicată de Papaspyridakos și colab. a enumerat parametrii cel mai des utilizați în literatură pentru evaluarea succesului implantului și i-a separat în patru grupe: nivelul implantului, țesutul moale periimplantar,
proteza și evaluarea subiectivă a pacientului. Recenzia a suplimentat definiția clasică a succesului implantului propusă inițial de Albrektsson. Într-o situație clinică precum cea descrisă în acest raport de caz, este evident că supraviețuirea implantului fără a lua în considerare alți parametri nu este suficientă pentru a satisface criteriile actuale de apreciere a succesului unui caz și că satisfacția pacientului și estetica rezultatelor finale sunt extrem de importante. Acești factori sunt adesea legați de aspectul țesuturilor moi periimplantare.
Papila deficitară dintre restaurările implantare care compromite rezultatul estetic a reprezentat o dilemă frecventă. În regiunea anterioară, unde crearea papilelor necesită adăugarea unei componente verticale la orice îmbunătățire a țesuturilor moi în cazul unui profil plat, devine necesar un protocol chirurgical modificat. De-a lungul anilor, au fost propuse diferite tehnici pentru a aborda această problemă, cum
ar fi injectarea unui gel hialuronic, sculptarea țesuturilor moi cu coroane provizorii, utilizarea regenerării ghidate a țesuturilor și grefarea țesuturilor moi.
Grefele de țesut moale diferă în caracteristicile lor în funcție de locul donor. Când se recoltează din tuberozitate, poate fi obținută o grefă semnificativ mai groasă în comparație cu una din palatul dur. Literatura sugerează că o SECTG recoltată din palat suferă o contracție inițială semnificativă, dar rămâne stabilă după modificările inițiale. În contrast marcat, o grefă de țesut moale din zona tuberozității rămâne stabilă în primele luni și în timp tinde să crească progresiv în dimensiune. Motivul acestor diferențe este că țesutul din zona de tuberozitate este mai dens și
Figurile:
9, 10. Cele două incizii verticale și mobilizarea fără tensiune a lamboului: vedere frontală (fig. 9) și ocluzală (fig. 10).
11. Grefă introdusă și stabilizată prin utilizarea unor suturi continue cu tracțiune coronară.
12. Sutură continuă pentru ancorarea coronară a grefei.
Figurile:
13. Vedere frontală la 2 săptămâni după operație.
14. Locul donator la 2 săptămâni postoperator.
Figurile:
15. Vedere frontală la 3 luni postoperator.
16. Regiunea donatoare la 3 luni postoperator.
17. Vedere frontală la 1 an de monitorizare.
Figurile:
18, 19. Vedere ocluzală a zonei frontale restaurate înainte de intervenția chirurgicală (fig. 18) și la un an de monitorizare postoperatorie (fig. 19).
mai gros, având mai multe fibre de colagen și mai puțin țesut gras și glandular în comparație cu țesutul palatin. Un alt beneficiu al unei grefe de tuberozitate este că permite reducerea pungii. În cazul de față, pseudopungile inițiale de 5-6 mm din locațiile distale nr. 17 și palatinale nr. 17 și 16 au fost reduse cu succes după recoltarea unei grefe palatine din tuberozitate. Cu toate acestea, accesul la locația tuberozitară donatoare poate fi dificil la pacienții cu o deschidere limitată a gurii. Mai mult, prezența unui al treilea molar reduce volumul și grosimea țesutului disponibil. Acești factori trebuie luați în considerare atunci când se analizează recoltarea unei grefe de țesut moale din tuberozitate.
În cazul raportat, recoltarea grefei de tuberozitate a fost extinsă în zona papilară palatinală interdentară dintre cei doi dinți distali ai arcadei maxilare, creând astfel o grefă în formă de „V” care ar putea să se potrivească cu ușurință și să corecteze țesutul moale papilar interimplantar din zona estetică (fig. 6, 7). Această abordare a fost raportată anterior de către Hirsch și colab. în cazurile în care s-a îndepărtat țesut excesiv în cadrul unei proceduri de reducere a pungii, fiind folosit pentru acoperirea recesiilor radiculare din zonele estetice. Motivul utilizării acestuia este combinația dintre natura extrem de fibrotică a țesutului din tuberozitate împreună cu accesibilitatea și forma avantajoasă a țesutului palatin coronar interdentar.
Plasarea și stabilizarea grefei prin utilizarea unei abordări prin tunelizare oferă acces suficient la zona defectului cu avantajele păstrării integrității țesuturilor moi cervicale și ale aportului sanguin. Deoarece zona crestală nu este accesată, există mai puține șanse de dehiscență a plăgii, necroză a grefei sau recesie postoperatorie. De fapt, în compara-
ție cu o abordare convențională prin reflecția unui lambou mucoperiostal de grosime totală, această procedură mai puțin invazivă a fost raportată a fi o opțiune mai rentabilă și mai eficientă în timp, cu succes similar și mai puține complicații. Este, de asemenea, avantajoasă în comparație cu un lambou mucoperiostal de grosime totală în păstrarea rezervei de sânge în zona grefată.
Rezultatul final al papilei dintre cele două restaurări cu implant în acest caz a fost încă ușor deficitar în comparație cu partea controlaterală cu dinții naturali. Un alt factor determinant esențial constă în distanța dintre osul crestal și punctul de contact. Conform studiului clinic al lui Tarnow și colab., când această distanță era de 5 mm sau mai mică, papila ocupa complet acest spațiu în aproape 100% dintre cazuri. Când distanța era de 6 mm, spațiul interdentar se ocupa la aproximativ 55% din situații. Procentul de umplere totală a spațiului papilar scădea odată cu creșterea distanței. În plus, se poate aștepta o înălțime medie a papilei de 5 mm între doi dinți naturali. Cu toate acestea, în cazul a două implanturi adiacente, se pot aștepta doar 2 mm, 3 mm sau 4 mm de înălțime a țesuturilor moi (în medie 3,4 mm) de la creasta osoasă interimplantară până la punctul de contact. În cazul de față, a existat o pierdere osoasă minoră a osului crestal interimplantar, așa cum se arată în radiografie, rezultând distanța de 4,5 mm între osul crestal și punctul de contact (fig. 2). Dacă punctul de contact ar fi fost localizat mai coronar, este posibil ca umplerea completă a papilei să fi devenit nerealizabilă.
În plus, absența pierderii osoase marginale și crestale în jurul platformei implantului este un factor important în stabilizarea papilei. S-a raportat pierderea osoasă orizontală de 1,2 mm până la 1,5 mm a implanturilor fără comutare de platformă.
Dacă aceste implanturi sunt plasate la o distanță mai mică de 3 mm unul de celălalt, există un risc crescut de pierdere a vârfului osos interimplantar din cauza pierderii de os circumferențial crestal la ambele implanturi. Deși un alt studiu clinic a demonstrat o pierdere osoasă marginală redusă în cazul implanturilor cu comutare de platformă, a raportat totuși că doar 64% din vârful osos interdentar poate fi păstrat dacă distanța dintre două implanturi este mai mică de 3 mm. Prin urmare, se recomandă totuși menținerea unei distanțe interimplantare de minim 3 mm, în special în zona estetică anterioară, pentru a preveni pierderea osoasă dintre implanturi. În cazul de față, distanța dintre cele două implanturi a fost de 2,4 mm ceea ce ar putea constitui factorul etiologic pentru pierderea osoasă crestală interimplantară, rezultând o papilă interimplantară deficitară.
În acest caz grefa de țesut conjunctiv subepitelial obținută din combinația de țesut palatin interdentar dintr-o intervenție chirurgicală de reducere a pungii și țesut distal în formă de ic din zona tuberozității s-a dovedit că oferă un rezultat predictibil și estetic atunci când se dezvoltă o locație interimplantară în ceea ce privește câștigul conturului vestibular și papila, după ce a fost reconturată și repoziționată în maniera descrisă anterior. Natura hiperplazică a grefei de tuberozitate îi permite să devină mai groasă și mai densă în timp, menținându-și și îmbunătățindu-și rezultatul estetic chiar și după ani de la intervenția chirurgicală. Sunt necesare mai multe cercetări și studii comparative pentru a verifica tehnica și rezultatele prezentului raport de caz. Studiile clinice prospective și rapoartele de caz suplimentare cu scoruri obiective de evaluare estetică ar trebui luate în considerare pentru concluzii viitoare.
› Cel mai rapid sterilizator W&H
› Trasabilitate completă cu EliTrace
› Tehnologia Eco Dry+ adaptează timpul de uscare în funcție de masa instrumentelor încărcate
› Ecran tactil color pentru navigare cu ușurință
› Interfața Elisense oferă informații despre status, temperatură și multe altele
› Sterilizator economic de clasă B cu timp de numai 25 de minute pentru ciclul rapid de clasa B (0,5 kg)
› Ușurință în utilizare pentru o experiență de lucru de neegalat
› Opțiuni de upgrade unice pentru customizarea echipamentului, exact așa cum vă doriți
› Trasabilitate avansată pentru documentare
Cameră de sterilizare de 28 litri!
› Ciclu rapid de clasă B, datorită tehnologiei Eco Dry+
› Cu incinta de 28 litri, Lara XL poate steriliza până la 7 kg de instrumente împachetate sau 9 kg în containere
› Tehnologia Eco Dry+ adaptează timpul de uscare în
funcție de cantitatea de instrumente încărcate
› Opțiuni de upgrade unice, cu ajutorul Codurilor de Activare
› Ecran tactil color, pentru navigare cu ușurință
› Documentarea automată a ciclurilor prin USB stick de mare capacitate
› Opțional: imprimantă high-end pentru etichete și rapoarte de ciclu
› Ergonomie și design funcțional
28 litri
0.40
includ
Gențile câștigate la tombolă nu pot fi schimbate și nu pot fi valorificate în bani. Prezenta ofertă nu poate fi combinată cu alte
Prețurile afișate sunt prețuri recomandate și pot diferi de prețurile finale de vânzare, care se vor stabili de către fiecare distribuitor în parte.
The Importance of Interdisciplinary Treatment in an Esthetically Challenging Case by Sergio Rubinstein, DDS; Barry P. Levin, DMD; Elizabeth R. Michalczyk, DMD, PhD; Yan Razdolsky, DDS; and Toshiyuki Fujiki, RDT. Originally published in Compendium of Continuing Education in Dentistry 42(8) September 2021. ©2022 AEGIS Publications, LLC. All rights reserved. Reprinted with permission of the publishers.
Sergio Rubinstein, DDS
Private Practice limited to Prosthodontics, Cosmetic Dentistry, and Implant Dentistry, Skokie, Illinois
Barry P. Levin, DMD
Clinical Associate Professor, Department of Graduate Periodontology, University of Pennsylvania School of Dental Medicine, Philadelphia, Pennsylvania; Private Practice limited to Periodontics and Implant Dentistry, Jenkintown, Pennsylvania; Diplomate, American Board of Periodontology
Elizabeth R. Michalczyk, DMD, PhD
Resident, Georgia School of Orthodontics, Atlanta, Georgia
Yan Razdolsky, DDS
Private Practice limited to Orthodontics, Buffalo Grove, Illinois; Diplomate, American Board of Orthodontics
Toshiyuki Fujiki, RDT
Laboratory Technician, Skokie, Illinois
AAdesea, în conturarea unei prime impresii, zâmbetul unei persoane poate fi o marcă personală care servește atât ca mijloc de comunicare, cât și ca un indicator al încrederii în sine a individului. Zâmbetul joacă un rol esențial în bunăstarea psiho-socială și sănătatea emoțională. Prin urmare, solicitarea în creștere din partea pacienților de modificare a zâmbetului necesită din partea stomatologilor luarea în calcul a unei serii de considerente pentru o planificare adecvată. Tratamentul ar trebui să fie conservator sau invaziv?
Există limitări fizice și/sau emoționale pentru atingerea obiectivelor dorite? Ce opțiuni terapeutice sunt disponibile? Care va fi durata și costul pentru finalizarea tratamentului? De multe ori, un tratament poate deveni complex, impunând o abordare interdisciplinară încă de la început pentru a oferi pacienților
cea mai eficientă soluție. În cazul clinic prezentat, planificarea inițială și execuția ortodontică necorespunzătoare au condus la rezultate inacceptabile care necesitau corecții majore. S-a elaborat și aplicat un nou plan de management estetico-protetic pentru a obține un rezultat de succes atât din punct de vedere al sănătății orale, cât și al unui zâmbet plăcut estetic. Acest caz este reprezentativ în privința provocărilor cosmetice ale abordării terapeutice în cazul dinților frontali și a modului în care modalitățile și rezultatele pot varia în funcție de cadrul extrem de important din vecinătate: gingia.
Un pacient în vârstă de 7 ani s-a prezentat la ortodont în 2002 din cauza incisivului central stâng maxilar absent congenital (fig. 1).
Zâmbetul obținut după șase ani de terapie ortodontică era dominat de noua poziție a incisivului central controlateral care fusese translatat pe linia facială mediană (fig. 2, 3), compromițând și viitorul rezultat restaurator/protetic. În plus, cursul terapeutic necorespunzător și progresul nesatisfăcător au dus și la pierderea de timp pe parcursul perioadei de creștere, precum și la cheltuieli considerabile. Din cauza complexității cazului, în planificarea tratamentului ar fi trebuit incluse și alte discipline stomatologice încă de la început, dar scenariul ales a fost diferit.
Îndrumarea către protetician După șase ani de terapie, ortodontul a îndrumat pacientul către medicul protetician (autorul, SR) pentru o consultație în vederea stabilirii modului în care s-ar putea obține un rezultat estetic. Astfel, proteticianul a consultat inițial pacientul abia când acesta avea 13 ani. Medicul protetician a încercat să corecteze cursul necorespunzător al tratamentului printr-o colaborare strânsă cu ortodontul curant; cu toate acestea, în cele din urmă, pentru protetician a devenit evident că va fi necesară o nouă abordare terapeutică cu o echipă interdisciplinară. În pofida ghidajului oferit de protetician, mecanica ortodontică inadecvată și execuția necorespunzătoare a ancorajului au dus la evazarea vestibulară excesivă (fig. 4). Deși temporară, extinderea dincolo de arcada dentară în timpul tratamentului ortodontic a creat o situație cosmetică inacceptabilă pentru băiatul ajuns la vârsta de 14 ani, cu o breșă edentată extremă creată în zona incisivului central stâng. În consecință, această greșeală din partea medicului ortodont a generat preocupări psiho-sociale pentru pacient, cum ar fi timiditatea, introvertirea și zâmbetul inconfortabil. Pentru a aborda situația clinică actuală - dinte absent congenital
dar și dinții adiacenți deplasați ortodontic în poziții necorespunzătoare - medicul protetician a considerat necesară extracția primului premolar stâng maxilar pentru a crea spațiul necesar inserării unui implant, a cărui restaurare urma să substituie incisivul central stâng superior. S-a implementat o soluție estetică pe termen scurt prin adeziunea unui dinte de proteză folosind o sârmă ortodontică pe suprafața palatinală a incisivului central drept. Această procedură a îmbunătățit ușor preocuparea cosmetică (diastema excesivă) și a servit drept ghid util pentru medicul ortodont inițial, oferind lățimea corectă necesară închiderii spațiului mare existent (fig. 5). În acest caz, s-a diagnosticat un contur vestibular extrem de concav în dreptul incisivului central drept maxilar (fig. 5) și s-a stabilit că restaurarea finală a acestui dinte va fi abordată în mod conservator, fie prin adeziune directă, fie cu o fațetă de porțelan. S-a realizat închiderea spațiului pentru incisivul central absent cu îmbunătățirea esteticii, dar dinții anteriori prezentau o evazare vestibulară nedorită și inacceptabilă (fig. 6).
Includerea în echipă a unui nou ortodont
În acest moment, medicul protetician a recomandat implicarea unui alt ortodont pentru o nouă opinie
și a unui parodontolog în așteptarea obținerii unui rezultat satisfăcător. Planul de tratament actual, dezvoltat de echipa interdisciplinară nou formată, se baza pe repoziționarea dinților pacientului în locațiile adecvate și urmărea înlocuirea incisivului central stâng absent cu o coroană susținută de implant.
Echipa a stabilit că acest lucru ar fi dus la un rezultat estetic, sănătos și de lungă durată.
În opinia autorilor, evaluarea anatomică a dinților adiacenți și a țe -
suturilor dure și moi ar trebui luată în considerare în stadiile incipiente ale terapiei, deoarece aceasta poate modifica secvența tratamentului pentru înlocuirea dinților absenți. În acest caz, după cum se poate observa în fig. 4, clinic era evident că absența dintelui se asocia cu o creastă alveolară deficitară, iar grefarea osoasă era necesară pentru plasarea unui implant și îmbunătățirea esteticii. Pe măsură ce tratamentul progresa, era important de vizualizat dincolo de progresul ortodontic și de închiderea spațiului (fig. 7, 8) luarea în calcul a considerentelor privind poziția implantului pentru înlocuirea dintelui absent.
Evazarea dinților frontali a devenit o preocupare prin faptul că, după o durată totală de opt ani de tratament ortodontic, osul vestibular devenise extrem de subțire. S-a discutat grefarea osoasă a segmentului implicat, existând însă îngrijorări în privința corectării crestei edentate înguste. Cu ajutorul unei radiografii cefalometrice, noua echipă interdisciplinară a trebuit să decidă dacă înclinația vestibulară a dinților anteriori era acceptabilă sau corectă atât pe termen scurt, cât și pe termen lung, mai ales că urma să fie plasat și un implant.
Deși rezultatul estetic temporar obținut cu dintele fixat adeziv în poziția incisivului central stâng a reprezentat o îmbunătățire, evazarea vestibulară excesivă a frontalilor maxilari a constituit o preocupare în ceea ce privește longevitatea, la fel cum era și o plasare compromisă a implantului din prisma poziției/ angulației corecte. S-a cooptat în echipa interdisciplinară un al doilea medic ortodont, concluzionând împreună că noul plan de tratament trebuia să includă retractarea ortodontică a incisivilor superiori și inferiori din considerente ocluzale pentru funcționarea pe termen lung a unui implant și a unei coroane.
Se știe că implanturile absorb forțele de încărcare verticală semnificativ mai bine decât forțele laterale. În consecință, atunci când se ia în considerare plasarea unui implant pentru a înlocui un dinte anterior, trebuie luate în calcul ghidajul anterior, mișcările excursive și forțele de încărcare ale acestora. Fără o a doua fază de tratament ortodontic, implantul ar fi fost
plasat în raport cu dinții poziționați incorect, rezultând o încărcare în afara axului și un compromis estetic. Deși a doua fază ortodontică a fost limitată din cauza faptului că pacientul își încheiase deja o mare parte din creștere și, prin urmare, durata terapeutică nu era pe deplin suficientă, totuși, tratamentul a fost foarte eficient, deoarece s-a creat un spațiu adecvat pentru viitorul
implant și restaurarea dentară, s-a redus protruzia dinților frontali și s-a stabilit o ocluzie adecvată. Acest al doilea curs de tratament ortodontic a fost finalizat în 16 luni. Imaginile ortodontice finale și din cursul ședinței debracketării au evidențiat o reducere vizibilă a proeminenței incisive și o distanță mezio-distală corespunzătoare față de dinții adiacenți viitorului implant (fig. 9-12).
Evaluarea progresului
La pacienții cu protruzie bimaxilară dentară severă, pot fi posibile mai multe opțiuni de tratament în funcție de profilul facial, cerințele de spațiu și constatările cefalometrice. Extracția dinților (cum ar fi a celor patru premolari) poate genera un spațiu excesiv și aplatizarea profilului facial în timpul retrudării. În plus, trebuie o atenție sporită la spațiul căilor aeriene pentru a nu fi limitat dacă se impune o corectare semnificativă. O alternativă acceptabilă la extracții poate fi plasarea de mini-implanturi sau mini-plăci în partea posterioară a mandibulei și maxilarului pentru distalizarea dentiției superioare și inferioare. Rezultatul final trebuie să aibă la bază nu doar criterii estetice și funcționale adecvate, ci trebuie anticipat și din prisma unei contenții sănătoase durabile și a unui biotip tisular adecvat pentru protecția implantului și a restaurării.
La finalul tratamentului ortodontic, au fost evaluate ocluzia și alinierea estetică a dinților. Pentru a aprecia alocarea spațiului pentru dintele absent s-a efectuat o radiografie cu scopul de a se asigura că viitorul implant va beneficia de un spațiu mezio-distal adecvat și nu va fi în imediata apropiere a rădăcinilor adiacente (fig. 12). În plus, a fost efectuată o radiografie cefalometrică finală pentru a evalua profilul pacientului și proclinația dinților anteriori (fig. 13).
Înainte de îndepărtarea aparatelor
Figurile:
4. În timpul tratamentului ortodontic, s-a produs evazarea vestibulară excesivă a dinților anteriori. Se observă conturul bucal concav deficitar în dreptul incisivului central drept maxilar și defectul osos asociat.
5. S-a folosit un dinte de proteză lipit adeziv pentru a îmbunătăți estetica și pentru a oferi ghidaj ortodontic cu scopul de a închide închide spațiul.
6. Finalizarea tratamentului ortodontic inițial.
7. Închiderea spațiului a fost creată cu proporții mezio-distale adecvate pentru înlocuirea dintelui absent.
8. Tratamentul ortodontic s-a încheiat după o durată totală de opt ani, ponticul provizoriu lipit adeziv înlocuind incisivul central stâng maxilar.
ortodontice fixe trebuie stabiliți mai mulți parametri. S-a sugerat că se impune menținerea a cel puțin 1,5-2 mm de os interproximal între dinți și implanturi. Diametrul viitorului implant utilizat pentru înlocuirea dintelui are un impact nu numai asupra funcțiilor biomecanice și estetice, ci și asupra proximității dinților adiacenți și menținerii osului vestibular și oral sănătos. Punctul de contact restaurator și relația sa cu osul proximal subiacent ajută la determinarea prezenței sau absenței unei papile. În terapia implantară, formarea lățimii biologice este în concordanță cu diferite grade de remodelare osoasă. Aceasta se referă la prezența sau absența parodonțiului proximal al dintelui adiacent.
Integritatea osoasă facială este necesară nu numai pentru
și o distanță mezio-distală corespunzătoare față de dinții adiacenți viitorului implant. 12. Confirmarea radiografică a spațiului meziodistal adecvat pentru adaptarea viitorului implant. 13. Evaluarea cefalometrică (pre- și postoperatorie) a indicat eliminarea protruziei dentare bimaxilare, reducerea proclinației incisivilor superiori și inferiori și îmbunătățirea unghiului interincizal. 14. Evaluarea CBCT a fost utilizată pentru a facilita planificarea și tratamentul adecvat.
osteointegrare, ci și pentru stabilitatea și sănătatea țesuturilor moi. O deficiență în această zonă va duce la recesie. Când dinții lipsesc în mod congenital, de obicei există o creastă de grosime inadecvată pentru inserarea unui implant, cu excepția cazului în care se efectuează o procedură de grefare osoasă, etapizat sau simultan. Au fost propuse numeroase tehnici pentru a reconstrui creasta alveolară cu scopul de a facilita plasarea implantului. Indiferent de modul de
Figurile:
19. Coroana ceramică (realizată de Toshiyuki Fujiki, RDT) pe implantul corespunzător incisivului central stâng; s-a folosit adeziunea directă pe incisivul central drept. 20. Imaginea frontală a restaurărilor finale.
regenerare, pentru un rezultat durabil, sănătos și estetic trebuie atinsă grosimea osoasă adecvată.
în locația planificată (realizată de Maurice A. Salama, DMD). 17. Țesutul moale a fost modelat cu o restaurare provizorie. Se observă că profilul de emergență a conturului gingival implantar a păstrat și a maximizat țesutul moale. 18. Conturul restaurării finale a urmat contururile țesuturilor moi create cu restaurarea provizorie.
În plus, o scanare CBCT este esențială pentru planificarea corectă tridimensională a implantului cu scopul de a determina protocolul optim de grefare osoasă și locația pentru implant, alături de proximitatea acestuia față de dinții adiacenți și pentru a evalua cantitatea și calitatea fundației osoase din vecinătate (fig. 14). De asemenea, în acest moment chirurgul ar trebui să știe dacă restaurarea finală va fi cimentată sau retenționată cu șurub și trebuie abordată orice îngrijorare, pentru a evita potențialele greșeli de comunicare în ceea ce privește poziția finală a implantului și designul pentru restaurarea finală. În acest caz, creasta în formă de muchie de cuțit (fig. 4) a fost corectată pentru a oferi o bază adecvată pentru implant (fig. 15). Datorită unui relief vestibular concav și extrem de deficitar în zona incisivului central drept maxilar a trebuit luat în considerare și conturul final al acestui dinte, deoarece zona edentată adiacentă avea nevoie
de o grefă osoasă pentru a corecta creasta edentată subțire, și trebuiau evaluate dimensiunea și poziția implantului, dar și conturul final al coroanei (fig. 15, 16).
Când un dinte frontal se înlocuiește cu o restaurare pe implant, ca și în acest caz, este importantă dezvoltarea țesuturilor dure și moi folosind o restaurare provizorie cu scopul de a facilita un profil de emergență ideal și o estetică optimă (fig. 17). Țesutul trebuie lăsat să se maturizeze astfel încât tehnicianul dentar să poată modela coroana finală reproducând cu exactitate situația clinică (fig. 18, 19). Scopul final este de a oferi pacienților un rezultat sănătos, stabil, funcțional și extrem de estetic, de care să fie mulțumiți (fig. 20-22).
Încadrarea unei restaurări pe implant cu țesut dur și moale sănătos este esențială pentru stabilitatea pe termen lung. În cazul unui biotip parodontal gros, rezistent, o soluție restauratoare/protetică este adesea realizabilă. Când țesutul experimentează recesie și/sau biotipul înconjurător al dintelui/dinților este friabil, poate fi indicată o abordare chirurgicală. Atunci când cazul implică dinți absenți în mod congenital, așa cum s-a întâmplat și în scenariul de față, creasta edentată poate prezenta diverse provocări pentru care sunt necesare reconstrucții osoase și ale
țesuturilor moi cu scopul de a crea o fundație adecvată și, dacă este posibil și dorit, implanturile dentare să poată fi garantate. Adesea, dimensiunile adecvate ale țesuturilor pot fi create prin combinarea augmentării chirurgicale cu terapia de restaurare provizorie.
Lipsa unui singur dinte reprezintă o situație frecventă în rândul pacienților tineri și are un impact asupra esteticii și sănătății orale pe termen lung în ceea ce privește osul compromis și țesutul gingival, iar, dacă este justificat, chiar și asupra implantului și restaurării definitive. În acest caz, după ani de terapie ortodontică incorect executată, dezvoltarea dentară a pacientului a complicat obținerea unui zâmbet plăcut din punct de vedere estetic. S-a utilizat o abordare interdisciplinară care cuprinde chirurgia parodontală, un al doilea tratament ortodontic și restaurarea protetică pentru a oferi o îngrijire comprehensivă, care a inclus evaluarea ocluziei și a esteticii.
Tratamentul ortodontic s-a efectuat pentru a poziționa dinții optim estetic și funcțional. A fost indicată o coroană pe implant în poziția incisivului absent congenital și adeziunea directă pe incisivul controlateral pentru a trata o zonă edentată extinsă. Tratamentul ortodontic
final a redus substanțial protruzia incisivilor și a obținut o distanță mezio-distală adecvată între viitorul implant și dinții adiacenți. Înainte de coroana finală au fost create un profil ideal de emergență, o estetică atrăgătoare și o restaurare provizorie. S-a realizat alinierea optimă a dinților în raport cu arcada dentară și s-au obținut dimensiuni adecvate ale țesuturilor prin combinarea augmentărilor chirurgicale cu terapia restauratoare provizorie.
După cum a demonstrat acest caz, diagnosticele complexe necesită asamblarea și cooperarea unei echipe interdisciplinare. Deși tratamentul poate fi administrat pe o perioadă lungă de timp și poate să nu necesite implicarea fiecărui specialist dentar în fiecare etapă a procesului, este esențial ca echipa terapeutică să urmărească împreună progresul pacientului. În acest caz, recunoașterea eșecului de a obține un rezultat ideal cu prima fază a tratamentului ortodontic a impus o revizuire la mijlocul tratamentului. Urmând acest cadru, clinicienii pot ajuta la obținerea unui rezultat de succes și la mulțumirea pacientului cu privire la rezultate.
When Guided Surgery Fails: A Routine to Recover the Implant Original Treatment Plan by Robert J. Stanley, DDS, PhD, MS. Originally published in Compendium of Continuing Education in Dentistry 43(8) September 2022. © 2022 AEGIS Publications, LLC. All rights reserved. Reprinted with permission of the publishers.
Despre autor:
Robert J. Stanley, DDS, PhD, MS Adjunct Professor in Prosthodontics, University of North Carolina School of Dentistry, Chapel Hill, North Carolina; Co-founder and Senior Instructor, Stanley Institute for ComprehensiveDentistry, Cary, North Carolina; Private Practice, Cary, North Carolina
CChirurgia implantară ghidată a îmbunătățit acuratețea terapiei implantare, oferind pacienților îmbunătățirea calității vieții. Pe baza imprimării CAD/CAM și 3D, intervențiile chirurgicale implantare planificate digital, ghidurile chirurgicale asociate și tehnicile protetice aferente facilitează controlul și precizia în timpul plasării implantului. În plus, se eficientizează restaurarea provizorie imediată pentru termen lung. De aceea, această abordare a tratamentului „all-on-x” câștigă în popularitate.
Deși implanturile demonstrează un succes documentat, eșecurile lor imediate sau în timp cauzate fie de poziționarea incorectă a implantului, fie de bolile periimplantare sau alți factori sunt la fel de frecvent raportate. Implanturile compromise nasc dileme atât pentru medici, cât și pentru pacienți pentru a determina dacă implanturile se mai pot salva, se impune explantarea și/sau
poate fi necesară reimplantarea. Din momentul în care un ghid chirurgical este îndepărtat din cavitatea orală după procedura de inserare a implanturilor, acesta și toate componentele sale devin compromise. În mod tradițional, dacă unul sau mai multe implanturi eșuează în timpul sau după plasarea chirurgicală, viitoarea intervenție de reimplantare necesită o reabilitare protetică complet nouă și fabricarea ulterioară a componentelor șablonului chirurgical. Timpul, costul și neplăcerile pacientului asociate cu reimplantarea sunt toate consecințe nedorite ale eșecurilor de inserare și ale armamentului original de plasare ghidată, devenit inutil.
Din fericire, este posibilă dezvoltarea unui plan de urgență pentru gestionarea strategică a unui eșec implantar, cu „recuperarea” planului inițial de tratament. Prin convertirea șablonului chirurgical original la nivelul osului într-un ghid chirurgical cu sprijin implantar (adică fixare rigidă) imediat după intervenția
primară de inserare a implantului, se elimină necesitatea de a efectua o procesare protetică nouă și de a fabrica ulterior noi componente de plasare chirurgicală. Această abordare facilitează o simplă recuperare a planului inițial de plasare a implantului fără durate suplimentare, cheltuielile sau inconvenientele implicate în readaptarea șablonului chirurgical. Este prezentat un caz pentru a documenta protocolul pentru această rutină.
Un bărbat de 45 ani s-a prezentat acuzând în primul rând problema lipsei dinților, un zâmbet inestetic, probleme de somn și implanturi eșuate. Istoricul medical a evidențiat dureri cronice de spate (pentru care lua hidrocodonă/acetaminofen [Vicodin®]), apnee în somn și lipsa vreunei alergii cunoscute la medicamente. Pacientul a negat consumul de tutun și alcool. Au fost efectuate examinări amănunțite intraorale, fotografice, parodontale și radiografice. Pe lângă implanturile eșuate la nr. 36 și 46, care fuseseră planificate de către un alt stomatolog pentru coroane unidentare, pacientul prezenta o malocluzie de clasa 2 și ocluzie adâncă patologică exacerbată de un suport posterior inadecvat (fig. 1). Combinația dintre apneea în somn raportată, uzura severă și restaurările eșuate a sporit considerabil factorii de risc asociați acestui caz. Ar fi utilizate tehnici de atenuare a riscurilor, inclusiv inserarea de implanturi suplimentare, fabricarea protezei finale din zirconiu și a gutierelor de protecție pentru somn.
Opțiunile de tratament discutate cu pacientul au inclus proteze parțiale mobilizabile, implanturi pentru înlocuirea dinților absenți, și/sau reconstrucția intraorală totală susținută de implanturi inserate sub ghidaj complet oferit de șablonul chirurgical și restaurarea provizorie
imediată. După evidențierea și discutarea cu pacientul a riscurilor și beneficiilor acestor variante, planul de tratament convenit a inclus reconstrucția maxilară și mandibulară totală conform unui protocol ghidat protetic, inserarea implanturilor cu ajutorul unui șablon chirurgical la nivel osos și restaurarea provizorie imediată cu un cadru prefabricat din titan frezat, dublat de polimetil metacrilat monolitic frezat (PMMA) pentru a asigura rezistența pe termen lung.
Cinci implanturi maxilare și șapte mandibulare au fost planificate digital pentru a le maximiza distribuția antero-posterioară și a minimiza consolele protetice. Adâncimea de inserare a implanturilor s-a bazat pe ascunderea liniei de tranziție de la țesutul moale la proteză, apical față de linia înaltă a zâmbetului. Toate plasările implantare au fost planificate conform ghidului cu cinci filete pentru anticiparea stabilității imediate; aceasta ar asigura ca implanturile să beneficieze de 2 mm de os circumferențial, maximizând diametrul și lungimea implantului, menținând în același timp o zonă de siguranță de 2 mm față de toate structurile vitale (fig. 2).
Sub sedare intravenoasă (cu personal autorizat) și anestezie locală s-a practicat extracția dinților restanți și îndepărtarea celor două implanturi mandibulare compromise.
Implantul din poziția 36 era mobil, fiind extras cu un efort minim iar locația s-a grefat cu os autogen. Pentru îndepărtarea celui din poziția 46 care prezenta o pierdere osoasă de 60%, s-a utilizat suplimentar un piezotom.
Elevarea lamboului cu grosime totală a permis poziționarea sigură a șablonului cu suport osos (bone
foundation guide, BFG) direct pe osul mandibular. Acest sistem de ghidare coordonată fixă a constituit fundația pentru ghidarea întregului proces protetic, coordonând simultan și reducerea osoasă. Pentru a se asigura că șablonul a fost precis poziționat înainte de fixarea rigidă, osul aflat coronar față de BFG a fost comparat vizual cu modelul de reducere a „osului” acrilic fabricat în laborator (fig. 3). După confirmare, șablonul a fost fixat pe os folosindu-se trei știfturi de fixare prin stabilizare bicorticală prin pereții vestibulari și orali. A urmat reducerea osoasă utilizând irigație abundentă cu soluție salină sterilă (fig. 4). Șablonul chirurgical pentru implant a fost plasat deasupra BFG și fixat cu știfturile din plastic furnizate (fig. 5). S-a realizat inserarea implanturilor complet ghidată, cu un cuplu de inserție ≥70 Ncm măsurat de piesa de mână chirurgicală la nivelul celor cinci implanturi maxilare și șapte mandibulare, cu excepția celui planificat pentru locația 36 care a fost considerat instabil și s-a îndepărtat; riscul asociat acestei locații a fost anticipat în faza de planificare digitală (fig. 6). Șablonul chirurgical pentru implant s-a îndepărtat din BFG și au fost plasate bonturi individuale cu mai multe unități. Bonturile de amprentare din titan (Ti-coping) au fost ușor înșurubate peste cele protetice corespunzătoare, după care s-a efectuat prima dintre cele trei proceduri pick-up la scaun.
Prima procedură de pick-up. Primul pick-up în cabinet a fost utilizat pentru crearea restaurărilor provizorii pe termen lung. Pe șablon s-a fixat o garnitură de blocare din silicon prin cele trei șanțuri de pe aspectul lingual al BFG. Restaurarea provizorie s-a poziționat în siguranță deasupra garniturii de blocare și s-a sprijinit apical de BFG. S-a plasat apoi o șină ocluzală fabricată în laborator, permițând așezarea corectă a restaurării provizorii înainte de cimentare. Cu pacientul menținut în
contact ocluzal și astfel cu restaurarea provizorie în poziție fixă, agentul de cimentare s-a injectat în orificiile special destinate ale restaurării (fig. 7). După priza cimentului s-au slăbit șuruburile din titan, s-a înlăturat restaurarea provizorie din cavitatea orală. S-a îndepărtat orice urmă de ciment și a urmat lustruirea restaurării provizorii.
A doua procedură de pick-up. Al doilea pick-up în cabinet a creat o copie acrilică clară a restaurării provizorii pe termen lung. Acest proces a fost identic cu cel descris anterior. S-au plasat bonturile din Ti, duplicatul acrilic transparent a fost securizat cu ajutorul unei șine ocluzale, iar agentul de cimentare a fost injectat în duplicat pentru fixarea de bonturile titanice (fig. 8). Duplicatul transparent a fost îndepărtat, curățat și depozitat în siguranță pentru faza de restaurare finală, planificată după 6 luni de la intervenția chirurgicală inițială.
A treia procedură de pick-up. Pentru a încerca recuperarea planului de tratament inițial după primul eșec imediat al reimplantării în poziția dentară 36, s-a întreprins un al treilea pick-up în cabinet folosindu-se BFG încă fixat pe os pentru a păstra sistemul de coordonate fix. Bonturile din titan au fost plasate pe cele trei implanturi mandibulare anterioare, iar apoi peste ele s-a poziționat șablonul chirurgical pentru implant, fixându-se pe BFG prin intermediul celor trei știfturi din plastic (fig. 9). Agentul adeziv a fost injectat în spațiul dintre bonturile Ti și cilindrii principali din interiorul ghidului chirurgical. S-a avut grijă pentru a injecta doar cantitatea de ciment suficientă pentru a capta bonturile Ti și pentru a nu se exprima în osul neprotejat și expus (fig. 10). După priza cimentului, șuruburile bonturilor Ti au fost slăbite și s-a detașat șablonul chirurgical. Această tehnică de preluare a transformat cu succes ghidul chirurgical
susținut anterior de os într-un șablon chirurgical suportat de implanturi. Noul ghid chirurgical susținut de implanturi (adică, cel de recuperare a planului de tratament implantar) a fost pus deoparte pentru utilizarea ulterioară la înlocuirea implantului nr. 36 exact în aceeași locație ca și în planul protetic original.
Finalizarea etapei chirurgicale
BFG a fost apoi îndepărtat, s-a repoziționat lamboul și s-a suturat cu catgut cromic 4-0. Deoarece consola din locația 36 a restaurării provizorii pe termen lung putea periclita vindecarea, orificiul din acea zonă a fost obturat cu material provizoriu și s-a lustruit (fig. 11). S-au plasat restaurările provizorii pe termen lung și s-a ajustat ocluzia.
Recuperarea planului de tratament
După trei luni, pacientul s-a întors pentru a doua încercare de inserare a unui implant în poziția 36, utilizând ghidul chirurgical de recuperare a planului de tratament susținut de implanturi. După practicarea anesteziei, s-a îndepărtat restaurarea provizorie și s-a creat o incizie pe mijlocul crestei. Țesutul cheratinizat aferent poziției dentare 36 a fost deplasat bucal și inferior pentru a se asigura că pe versantul vestibular rămân cel puțin 3 mm de gingie cheratinizată (fig. 12). Șablonul chirurgical de recuperare a planului de tratament a fost fixat pe implanturile nr. 33, 41 și 43 cu șuruburi protetice standard. S-a confirmat stabilitatea ghidului, iar implantul s-a inserat în locația nr. 36 utilizându-se protocolul chirurgical de rutină complet ghidat.
Ulterior, doar pe implantul nr. 36 s-a fixat un bont de vindecare, celelalte șase implanturi mandibulare deja integrate beneficiind de cape (fig. 13). Întrucât pacientul suferise
fractura protezei provizorii de polimetil-metacrilat (PMMA) din cauza bruxismului, s-a decis repararea acesteia în laborator. Pacientul s-a întors după 3 zile, moment în care a fost plasată restaurarea provizorie reparată, iar implantul din poziția 36 a fost capturat conform protocolului cu bonturile din titan și cimentarea descrisă anterior.
Restaurarea finală
La trei luni după intervenția chirurgicală de recuperare a planului de tratament cu implant (adică, la 6 luni după intervenția chirurgicală inițială), implantul din poziția nr. 36 se vindecase cu succes, iar prelucrarea protetică a fost finalizată conform planului inițial (fig. 14).
Atunci când se planifică inserarea complet ghidată a implantului, sunt proiectate, fabricate și utilizate numeroase componente complexe. Soluția propusă - de transformare a ghidului chirurgical la nivel osos într-unul suportat de implanturi în momentul intervenției chirurgicale primare - elimină aceste preocupări. Anticiparea implanturilor care vor eșua este de multe ori dificilă pentru că, deși dobândesc o stabilitate primară, nu beneficiază de osteointegrare. Prin urmare, o abordare prudentă poate presupune capturarea tuturor implanturilor atunci când se face conversia ghidului chirurgical. Dacă trei implanturi rămân stabile, sistemul de coordonate fix rămâne intact.
Protocolul descris în acest articol facilitează o rutină simplă de recuperare pentru clinicianul practicant și ar putea deveni un protocol de operare standard pentru toate procedurile de inserare a implanturilor multiple, ghidate protetic deoarece permite reinserarea unui implant în locația eșuată, păstrând în același timp planul protetic original.
a creat un duplicat acrilic transparent al restaurării provizorii. 9. A
treilea pick-up prin fixarea BFG, plasarea bonturilor de titan pe 3 implanturi mandibulare și securizarea ghidului chirurgical peste acestea. 10. S-a injectat agentul de cimentare în spațiul dintre bonturile de titan și cilindrii principali din interiorul ghidului chirurgical. 11. Orificiul consolei 36 s-a obturat cu material provizoriu și s-a lustruit. 12. Țesutul aferent 36 a fost deplasat pentru a asigura vestibular cel puțin 3 mm gingie cheratinizată. 13. Cu excepția 36 unde s-a plasat un bont de vindecare, celelalte implanturi au beneficiat de cape. 14. Restaurările protetice finale realizate conform planului de tratament original.
The Graftless Socket-Shield Technique: A 5-Year Case Series by J. Kobi Stern, DMD, MSc; Vladimir Deresciuc, DMD; Mira Ghaly, DMD, MS; Jeril Cooper, DMD; and Mark E. Peacock, DMD, MS. Originally published in Compendium of Continuing Education in Dentistry 43(6) June 2022. ©2022 AEGIS Publications, LLC. All rights reserved. Reprinted with permission of the publishers.
J. Kobi Stern, DMD, MSc
Associate Professor, Dental College of Georgia at Augusta University, Augusta, Georgia; Former Director, Residency in Periodontics, Dental College of Georgia at Augusta University; Diplomate, American Board of Periodontology
Vladimir Deresciuc, DMD
Private Practice in Periodontics and Dental Implants, Asheville, North Carolina
Mira Ghaly, DMD, MS
Assistant Professor, Dental College of Georgia at Augusta University, Augusta, Georgia; Director, Residency in Periodontics, Dental College of Georgia at Augusta University; Diplomate, American Board of Periodontology
Jeril Cooper, DMD
Retired Professor, Dental College of Georgia at Augusta University, Augusta, Georgia
Mark E. Peacock, DMD, MS
Professor, Dental College of Georgia at Augusta University, Augusta, Georgia; Former Director, Residency in Periodontics, US Army, Fort Gordon, Georgia; Former Director, Residency in Periodontics, Dental College of Georgia at Augusta University; Diplomate, American Board of Periodontology
EEvoluția tehnicilor de implantologie orală condusă de intenția de a maximiza o oportunitate chirurgicală, precum și de dorința pacienților de a reduce durata terapeutică și de a obține rezultate restaurative prompte a condus la implantarea imediată care devine o alternativă viabilă a unui protocol etapizat. Augmentarea compartimentului dintre os și implantul plasat imediat folosind diferite combinații de materiale de grefare osoasă și membrane a devenit subiect de mare interes pentru cercetătorii/clinicienii care încearcă să minimizeze remodelarea alveolei dentare.
Tarnow și Chu au oferit validarea histologică și clinică a ipotezei vindecării cu succes prin intenție secundară a spațiilor mai mari de 1,5 mm între interfața implantului și osul bucal intact. Studiul lor a demonstrat obținerea contactului os-implant fără măsuri auxiliare de grefare și/sau utilizare a unei membrane pentru excluderea țesuturilor,
după modelul vindecării naturale a unei locații postextracționale. Provocarea cu care clinicienii se confruntă în zona estetică nu este reprezentată de osteointegrare, ci de păstrarea crestei alveolare și a dimensiunii gingivale, având în vedere diminuarea aportului de sânge în această zonă.
Pentru a depăși această provocare, a fost dezvoltată o tehnică de conservare cunoscută sub numele de „scut alveolar” sau „tehnica terapiei cu extracție parțială”, fiind raportată inițial de Hürzeler și colab. în 2010. În cadrul acestei tehnici, un implant imediat se plasează într-o alveolă postextracțională proaspătă în care porțiunea vestibulară a fragmentului dentar este secționată și lăsată pe loc, cu spațiul ligamentului parodontal (periodontal ligament, PDL) asociat rămas neatins și cu păstrarea aportului sanguin. Odată ce dispozitivul imediat de fixare este plasat în apropierea secțiunii bucale a dintelui, se poate contura
#whdentalwerk
wh.com/ro_romania
Combinația
Kit Implantmed Plus SI-1023
› Implantmed SI-1023
› Micromotor EM-19 LC
› Pedală fără fir S-NW
› O piesă de mână cu lumină la alegere: WS-75 L, S-11 L sau WS-91 L
Modul Piezomed Plus
› Putere 24W
› Piesă de mână cu iluminare SA-40 L
› Detecție automată a ansei
› Cheiță dinamometrică
› Bibliotecă de instrumente
› 6 tuburi de irigare
Osstell Beacon
› Cart Chirurgical
› Implantmed SI-1023 + Micromotor EM-19 LC
› Pedală fără fir S-NW
› Piesă cu lumina WS-75 L
› Piezomed Plus Module SA-435
› Kit de anse “Bone” pentru Piezomed
› Osstell Beacon
GRATUIT ANSA B6 Include kitul “Bone”
Str. Aeroport nr. 90 307200 Ghiroda t +40 256 246 114 / 755 082 077 comenzi@poka-dent.ro www.poka.ro
Str. Oltarului nr 4, Sector 2 020765 Bucuresti t +40 215 280 320 / 215 280 321 office@sitea.ro / info@sitea.ro www.sitea.ro
Str. Soveja, nr. 75, Sector 1 012303 Bucharest t +40 372 402 702 office@htp.ro www.htp.ro
Osstell Beacon vă ajută să determinați în mod obiectiv stabilitatea implantului și să măsurați gradul de osteointegrare.
GRATUIT 10 Smart Peg-uri
A 2-a piesă de mână
Comandați a 2-a piesă de mână și cu un discount de 40% Piese de mână cu lumină: WS-75 L, S-11 L sau WS-91 L -40%
Str. Iuliu Hatieganu nr. 4 400005 Cluj-Napoca t +40 741 277 088 / 744 339 598 echipamente@medicam3.ro www.medicam3.ro
Calea Calarasilor, nr. 250 bl.S18, ap.1, sect. 3 - 030634 Bucuresti Nicoleta Dediu Mobil: 0722750218 info@ardsimplant.ro www.ardsimplant.ro
Turn chirurgical “all-in-one““ Cart FLUX-DE-LUCRU complet
21 nerestaurabil.
4. Plasarea imediată a implantului fără grefarea compartimentului din proximitatea scutului.
5
Augmentarea facială CTG prin tehnica tunelizării modificate.
6. Restaurarea provizorie imediată a implantului 21. Se observă marginile gingivale poziționate coronar după operație.
7. La 4 luni postoperator, se constată șanțul periimplantar sănătos cu dimensiunea stabilă și robustă a crestei.
13, 14.
frontale și ocluzale de control la cinci ani care prezintă stabilitatea marginală gingivală (fig. 13) și conturul facial stabil (fig. 14).
sau nu un spațiu gol. Dacă există, mulți practicieni aleg să augmenteze acest spațiu liber cu diverse proceduri regenerative.
Atrofia post-extracțională în jurul implanturilor din zona estetică este o preocupare tangibilă, având în vedere că grosimea peretelui vestibular este mai mică sau egală cu 1 mm în proporție de 90% în jurul dinților maxilari anteriori. Când grosimea osului vestibular este mai mare de 1 mm, spațiul dintre alveolă și implant poate fi menținut cu sau fără grefare. Cu toate acestea, predictibilitatea estetică în jurul implanturilor imediate poate fi obținută prin mai multe tehnici. Chu și colab. au introdus tehnica de grefare cu două zone pentru a reduce potențiala remodelare a crestei, sporind în același timp stabilitatea țesuturilor moi periimplantare. Buser și colab. au implementat un protocol diferit de compensare în care plasarea timpurie a implantului a fost combinată cu mobilizarea lamboului și augmentarea conturului vestibular superficial utilizând osul bovin deproteinizat cu resorbție lentă pentru a obține stabilitatea volumetrică pe termen lung a țesuturilor moi și dure.
Ar putea fi firesc de concluzionat că, în unele cazuri care implică pierderea unui dinte, nu ar exista niciun substituent pentru designul fiziologic. Această filozofie a condus la abordarea hibridă de conservare a țesutului, păstrând o porțiune din rădăcina dintelui în alveolă. Un raport publicat de Bäumer și colab. cu date colectate timp de 5 ani post-implantare a obiectivat rezultate încurajatoare și o rată de succes ridicată prin tehnica scutului alveolar.
Cazurile prezentate în acest articol raportează evoluția a doi pacienți tratați prin tehnica scutului alveolar sau de extracție parțială finalizată fără grefarea spațiului gol; ca-
zurile erau stabile și sănătoase, fără complicații estetice sau biologice după 5 ani de urmărire. Este inclusă o trecere în revistă a literaturii care discută raționamentul biologic din spatele protocolului stabilit, precum și descrierea acestei tehnici.
Următoarele două cazuri abordate prin terapia scutului alveolar (a extracției parțiale) au fost efectuate la clinica Facultății din cadrul Dental College of Georgia, Augusta University din Augusta, Georgia, în perioada 2016-2017. Pacienții au fost urmăriți pe o perioadă de 5 ani și 4 luni și au fost documentate toate modificările survenite la nivelul țesuturilor dure și moi. Nu au fost observate complicații, iar pacienții nu au raportat nicio problemă. Pacienții și-au dat consimțământul verbal și scris la procedură și la documentația fotografică completă și apoi pentru transmiterea manuscrisului.
Incisivul central maxilar (21) la un pacient de sex masculin în vârstă de 59 ani cu un biotip subțire a fost considerat nerestaurabil din cauza resorbției radiculare externe (fig. 1, 2) și a fost planificat pentru extracție și plasarea imediată a implantului prin tehnica scutului alveolar. Dintele a fost secționat și îndepărtat după decoronarea lui la 1 mm coronar față de creastă. Așa cum s-a descris anterior, cu utilizarea unei freze diamantate grosiere pe o piesă de mână de mare viteză, fragmentul de rădăcină facială (adică scutul) a fost șlefuit, lăsând un fragment de dinte de 2 mm grosime și PDL său atașat de os, intact și neîntrerupt ( fig. 3). Un implant de 4,3 mm x 13 mm a fost plasat imediat în alveolă, departe de fragmentul
15. Rx preoperatorie a dintelui nerestaurabil nr. 11.
16. Implant imediat fără grefarea osoasă a spaţiului alveolă-implant.
17. La 4 luni postoperator, era evident un șanț periimplantar sănătos, cu dimensiunea stabilă și robustă a crestei.
18. Restaurări ceramice definitive plasate în pozițiile 11 și 21.
19, 20. Scanarea CT finală (fig. 19) și Rx (fig. 20) la controlul realizat după 5 ani, care demonstrează prezența osului periimplantar și vestibular sănătos și stabil.
CAZUL 2 - Figurile: 21, 22. Control la cinci ani. Imaginea frontală (fig. 21) și ocluzală (fig. 22) afișând conturul țesutului facial și dimensiunea crestei în jurul poziției dentare 11 stabile și plăcute din punct de vedere estetic. De asemenea, în fig. 21 se observă discrepanța marginii incizale a dinților 11 și 21 din cauza erupției dentare continue, în raport cu implantul anchilozat.
radicular, lăsând un spațiu bucal de la rădăcină la implant mai mare de 4 mm (fig. 4). Nu s-a plasat niciun biomaterial osos în acest gol, dar o grefă de țesut conjunctiv (connective tissue graft, CTG) recoltată din palat a fost utilizată prin tehnica tunelizării modificate pentru a acoperi rădăcinile expuse și pentru a nivela conturul marginilor gingivale frontalilor maxilari (segmentul dentar 12-22; fig. 5). În acest moment, folosind un fir de sutură polilactic de 6,0, țesutul moale a fost poziționat coronar și apropiat de coroana imediată provizorie înșurubată care a fost utilizată pentru a sigila golul negrefat (fig. 6).
După 4 luni de vindecare fără evenimente, s-a obținut osteointegrarea implantului și vindecarea alveolei cu un țesut periimplantar conturat sănătos și satisfăcător din punct de vedere estetic (fig. 7, 8). Apoi s-a fabricat o coroană integral ceramică fixată cu șurub (fig. 9). Controlul radiografic și clinic după 5 ani a evidențiat sănătatea de lungă durată a implantului și contururile proeminenței alveolare cu stabilitatea țesutului marginal periimplantar (fig. 10-14).
Un pacient de sex masculin în vârstă de 48 de ani s-a prezentat cu dintele 11 nerestaurabil (fig. 15), care a fost considerat lipsit de speranță, planificându-se extracția și plasarea imediată a implantului prin tehnica scutului alveolar. Dintele a fost secționat atraumatic, așa cum s-a descris anterior în primul caz, iar porțiunea de rădăcină bucală cu grosimea de 2 mm fost păstrată neîntreruptă și atașată de osul facial, lăsând intact PDL și aportul de sânge asociat. După debridarea completă a alveolei, a fost plasat imediat un implant de 4,3 mm x 13 mm, la distanță de fragment, fără grefarea osoasă a spațiului liber
dintre implant și rădăcină (fig. 16). O coroană provizorie imediată s-a inserat în infraocluzie și a fost utilizată o sutură polilactică de 6,0 pentru a aproxima marginile țesuturilor moi de coroana temporară, etanșând astfel suplimentar alveola.
La 4 luni, după ce s-a permis vindecarea completă a alveolei și osteointegrarea cu succes, s-a obținut un țesut periimplantar conturat sănătos, satisfăcător din punct de vedere estetic (fig. 17). În acest moment s-au plasat coroane definitive integral ceramice pe dinții nr. 11 și 21 (fig. 18). După 5 ani s-au observat contururi tisulare periimplantare stabile și sănătoase (fig. 19-22).
Pierderea aparatului PDL împreună cu alimentarea sanguină integrată poate duce la resorbția drastică și ireversibilă a osului fascicular, ducând în cele din urmă la modificări dimensionale verticale și orizontale ale crestei alveolare. Cu toate acestea, clinicienii dețin capacitatea de a orchestra în mod eficient evenimentele care pot duce la conservarea electivă a interfeței complexului alveolar, așa cum au demonstrat anterior Hürzeler și colab. și mai târziu Bäumer și colab. Dacă vascularizația peretelui bucal nu este compromisă, plasarea implantului și vindecarea alveolei pot avea loc prin formarea cheagului și osteointegrarea fără resorbția crestei. Obținerea stabilității pe termen lung a platei osoase faciale prin păstrarea PDL și a potențialului său vascular va permite păstrarea intactă a anatomiei sale naturale.
În prezent, există o dihotomie de opinii și metode în rândul diferitelor grupuri de cercetare cu privire la problema grefării spațiului de lângă scut. Susținătorii grefării alveolei protejate susțin că, teoretic, locul grefat ar fi mai rezistent la creșterea
descendentă a țesutului conjunctiv fibros de-a lungul spațiului învecinat cu scutul. Pe de altă parte, în cadrul unui studiu care nu susținea grefarea spațiului de lângă scut, Mitsias și colab. au fost primii care au demonstrat o analiză histologică într-un caz abordat prin terapia cu scut alveolar/extracție parțială, care a evidențiat os compact matur la nivelul celor două treimi apicale ale spațiului liber și țesut conjunctiv non-infiltrat în treimea coronară. Acești autori au teoretizat că, deși utilizarea unei grefe osoase ar putea ajuta la evitarea infiltrației fibroase, ar putea, de asemenea, să crească riscul de infecție și să întârzie vindecarea plăgilor; ei au observat că lipsa inflamației în specimen ar putea fi considerată încurajatoare. În plus, alte studii recente care raportează rezultate de succes și pereți osoși vestibulari stabili în jurul golurilor înguste din proximitatea scuturilor negrefate confirmă și mai mult constatările autorilor.
Tehnica scutului alveolar sau tehnica terapiei cu extracție parțială a fost dezvoltată ca o metodă cuprinzătoare de reabilitare a implanturilor în locurile în care estetica este un factor extrem de important. Cele două cazuri documentate pe o perioadă de 5 ani care demonstrează dimensiunea stabilă a crestei în jurul alveolelor cu scut și fără grefă sugerează că spațiile cu scut din jurul implanturilor imediate pot fi lăsate negrefate. Ca și în cazul oricărei tehnici chirurgicale noi, protocoalele de procedură ale terapiei cu extracție parțială / scut alveolar sunt în mod continuu testate și supuse interpretării ca parte a evoluției naturale a practicii. Sunt necesare studii histologice suplimentare și clinice pe termen lung pentru a determina necesitatea și indicațiile grefei compartimentului scut-implant.