Actualități Stomatologice nr. 102

Page 1


DENTAL NEWS JOURNAL | SINCE 1999

ROMANIAN

www.aegisdentalnetwork.com

FONDATORI

Prof. Dr. Adi A. GARFUNKEL | Prof. Dr. D. Walter COHEN

PREȘEDINTE ONORIFIC

Prof. Dr. Nicolae GĂNUȚĂ

Decan-Emerit Facultatea de Medicină Dentară, București

Membru al Academiei de Științe Medicale

EDITOR ȘEF

Prof. Dr. Anca Silvia DUMITRIU

Medic primar Parodontologie, Doctor în Științe Medicale

Șef Disciplină Parodontologie, Prodecan, Facultatea de Medicină Dentară, Universitatea de Medicină și Farmacie Carol Davila, București

Vicepreședinte „Societatea Română de Parodontologie” European Federation of Periodontology Delegate

EDITOR ȘTIINȚIFIC

Societatea de Parodontologie din România membru al Federației Europene de Parodontologie

Președinte de Onoare:

Prof. Univ. Dr. Horia Traian Dumitriu membru titular Academia de Științe Medicale

COLEGIUL ȘTIINȚIFIC INTERNAȚIONAL

Prof. Dr. Louis F. ROSE

Profesor Clinic de Parodontologie

Universitatea Pennsylvania & New York, SUA

Profesor de Medicină și Chirurgie, Colegiul Medical, Universitatea Drexel, SUA

Prof. Dr. Markus B. BLATZ

Editor in Chief Compendium USA

Prof. Dr. Meyer Fitoussi, Franța

Prof. Dr. Michael Glick, Past-Editor-in-Chief JADA, SUA

Dr. Doron Haim, Israel

Prof. Dr. Harold W. Preiskel, Anglia

Prof. Dr. André P. Saadoun, Franța

COLEGIUL ȘTIINȚIFIC NAȚIONAL

Conf. Dr. Lidia Boboc

Prof. Dr. Emanuel Bratu

Dr. Alexandru Brezoescu

Prof. Dr. Dorin Borzea

Lector Univ. Dr. Lucian Chirilă

Prof. Dr. M. V. Constantinescu

Prof. Dr. Bogdan Dimitriu

Prof. Dr. Horia Dimitriu

Prof. Dr. Norina Forna

Membru corespondent Academia de Științe Medicale

Prof. Dr. Rodica Luca

Prof. Dr. Andrei Iliescu, Membru titular Academia Științe Medicale

Prof. Dr. Augustin T. Mihai

Prof. Dr. Alexandru Monea

Lector Univ. Dr. Ion Nicolescu

Prof. Dr. Ion Pătrașcu

Conf. Dr. Stana Păunică

Prof. Dr. Dragoș Stanciu

Prof. Dr. Mircea Surpățeanu

Prof. Dr. Șerban Țovaru

Prof. Dr. Constantin Vârlan

Asist. Univ. Dr. Anca Vereanu

ECHIPA EDITORIALĂ

EDITOR CONSULTANT

Dr. Tiberiu Gh. Silaghi medic primar

EDITOR EXECUTIV

Dr. Bianca G. Zaharia medic specialist

EDITOR ASOCIAT

Dr. Ana-Maria Herța medic specialist

TRADUCERE, REDACTARE

Lector Univ. Blanka Petcu

DESIGN

Concept grafic, DTP & Prepress Cătălin Cristescu

ART GROUP INT TIPAR

ABONAMENT

inregistrare@actualitatistomatologice.ro www.dentalnews.ro/gdpr

DISTRIBUȚIE

Poșta Română - TP nr. 109/C/3345/2020

MARKETING

Dental News, Manager financiar Ec. Lili Viorica Stoica

office@dentalnews.ro 0726 164 381 INFO www.dentalnews.ro/EMC

EMC

DEZVOLTARE WEB

Liviu Dincă www.webdin.ro

www.dentalnews.ro

ISSN: 1583-6010

DIGITAL DENTAL SOLUTIONS

Initial stability measuring system

Intraoral and desktop scanners

3D printers and materials

Surgical solutions

Guided surgery and immediate loading

Dental unit

Intraoral scanners and radiology solutions

Occlusal analysis system

Surgical solutions

Dental cameras

Cuprins

EDITORIAL ⊲

Diminuarea impactului inflației prin abordare proactivă

ADOM ⊲

DENTAL BUSINESS MASTER SEMINAR

Care este valoarea clinicii tale și ce trebuie să faci ca să crești această valoare

Importanța wax-up-ului diagnostic în chirurgia parodontală estetică

KOIS CENTER CASE ⊲

CONSERVATIVE DENTISTRY

Un tratament conservator pentru abordarea problemelor funcționale și estetice

COMPOSITES

Compozitele rășinice de ultimă oră și perspectivele viitoare

Analgezicele

POLISHING IN PREVENTION

Mitul despre “lustruirea” în prevenție

PRACTICAL APPLICATION

ORTHOGNATHIC SURGERY

Considerente estetice în chirurgia ortognatică minim invazivă

LECTURE

Cum să prezinți o conferință stomatologică remarcabilă

25 toge eryears

Retrospectiva unui altfel de eveniment

An versarea a 25 an a rev ste la Teatrul Naț onal d n Bucureșt a fost o z mportantă pentru no toț , ce care ne strădu m să facem „Actual tăț Stomatolog ce” nu doar ma bună, ma prezentă, ma relevantă, c în pr mul rând cât ma aproape de v sele fondator lor: Prof. Adi Garfunkel ș Prof. D. Walter Cohen. E nu ma sunt az pr ntre no dar ușur nța, conv ngerea ș bucur a pe care o transm teau când vorbeau despre acest pro ect ne rev ne mereu în m nte.

Tocma de aceea am ales să ne am nt m de începutur le rev ste pr n șt nță, pr n învățare. A fost într-adevăr o z densă, cu multă nformaț e extrem de nteresantă ș ut lă pe care Dr. Ion Nicolescu, cu ab l tatea pract c anulu expermentat, a transformat-o încet-încet într-un d alog permanent între lector ș publ c, accentuând exact acele d leme mult - ș nterd scpl nare, frecvente în abordarea complexă de astăz a restaurăr lor pe mplantur .

A fost o z în care am avut t mp pentru toate. Am avut t mp să ne aducem am nte. Să f m recunoscător Profesorului Nicolae Ganuță, fără de care, în mod absolut ș categor c, ce 25 an ar f rămas doar un v s, dar ș board-ulu ed tor al. Să mulțum m Profesorului Horia Dumitriu care a n ț at ș fac l tat acordarea cred telor EMC rev ste pr n Soc etatea de Parodontolog e, ofer ndu-ne g rul șt nț f c. Am avut t mp să învățam ceva nou într-o z de od hnă ș să ne bucurăm împreună. Să petrecem. Să vorb m. Să ne cunoaștem. Să constru m un p c d n z ua de mâ ne. Munc m ș ne trud m pentru oamen ș încercăm în f ecare z să facem ma b ne pentru pac enț noștr . Ș acesta este poate cel ma frumos aspect al meser e noastre.

20 apr l e a fost una d n z lele norocoase în care am putut să ne aprop em un p c de stele, am nt ndu-ne de oamen m nunaț care nu ma sunt pr ntre no ș au urcat acolo, pr ntre ele, ș o z în care ne-am bucurat de STAR-ur le de pe scenă care ne lum nează drumul în profes e. O z care ne-a rămas în m nte ș în suflete, pentru care vă mulțum m vouă, celor care aț fost în sală, ș vouă, partener lor even mentulu !

Easing the Impact of Inflation by Being Proactive by Brad McKeiver, CPA, MBA. Originally published in Compendium of Continuing Education in Dentistry 44(5) May 2023. © 2023 AEGIS Publications, LLC. All rights reserved. Reprinted with permission of the publishers.

Diminuarea impactului in ației prin abordare proactivă

⊲ THE IMPACT OF INFLATION THE BUSINESS OF DENTISTRY

Despre autor:

Brad McKeiver, CPA, MBA National Dental Practice Leader, Aprio (aprio.com); Mr. McKeiver oversees the firm’s sta of dental CPAs and accountants and serves as a strategic business advisor to dentists and owners of dental practices

Î

n un e 2020, Sarah Kl ff subl n a în The New York T mes că mulț econom șt cons deră med c dent șt ca pe un nd cator sol d al sănătăț econom e , acesta f nd mot vul pentru care atât de multe bănc cons deră cab netele dentare a f cred tor

de încredere. Prax sur le stomatolog ce sunt pr ntre cele ma stab le afacer pe p ața econom că: acestea transcend decen ș generaț , ar med c dent șt furn zează un serv c u esenț al care pur ș s mplu nu se poate găs n că er altundeva. Așa cum se spune, „în f ecare z , c neva se naște cu un nou set de d nț .”

Primescan Connect™

Ultraperformanță și ultraportabilitate la un preț accesibil

19.400 EURO* 19.400 *preț recomandat, include TVA

Dentsply Sirona CEE Central Str. Vulturilor nr. 98A, 030857, București Sector 3

Ștefan Tătaru Tel.: +40 737 028 111 stefan.tataru@dentsplysirona.com

În ansamblu, ndustr a stomatolog că este pregăt tă pentru o creștere cont nuă. Conform cercetăr lor Precedence, p ața amer cană a serv c lor stomatolog ce este est mată cu o rată de creștere anuală de 6,24% între an 2021 ș 2027. Având în vedere că stomatolog a servește ca un nd cator al econom e , este mportant să exam năm modul în care tend nțele econom ce actuale ș v toare vor cont nua să modeleze spaț ul. Anum te tend nțe vor crea atât oportun tăț , cât ș potenț ale provocăr pentru med c dent șt în următor an , astfel încât pract c en ar trebu să înțeleagă ce pot face astăz pentru a se pregăt în acest sens.

EFECTELE INFLAȚIEI ȘI ALE MACROECONOMIEI

Probab l cel ma mportant „t tlu” care dom nă pe sajul econom c este nflaț a. Econom le dezvoltate exper mentează nflaț e la n velur neîntâln te de peste tre decen . Ma mult, experț se așteaptă ca nflaț a să rămână r d cată în v torul aprop at, ceea ce înseamnă prețur mar pentru bunur ș serv c în folosul consumator lor, care vor pers sta pentru un t mp ma îndelungat.

Inflaț a afectează med c stomatolog în multe felur , dar cele ma mportante tre puncte de mpact sunt: (1) creșterea costur lor cu forța de muncă, pe măsură ce crește salar ul în contextul p ețe strânse a forțe de muncă; (2) creșterea costur lor de aprov z onare, pe măsură ce nflaț a determ nă creșterea costulu nstrumentelor, mater alelor ș ech pamentelor dentare, precum ș a produselor de papetăr e; ș (3) costur ma mar ale dator e , ca urmare a creșter ratelor dobânz lor.

Totuș , nflaț a nu este s ngurul factor care modelează real tatea econom că a med c lor dent șt . Dator tă programelor de ajutor CO-

VID-19, multe afacer au avut l ch dtăț supl mentare între 2020 ș 2021. Mulț pract c en au observat, de asemenea, o creștere a no lor procedur precum stomatolog a cosmet că ș o spor re a g en zăr lor odată cu apar ț a lucrulu la d stanță, ceea ce le-a ofer t angajaț lor o flex b l tate crescută ș a condus la o creștere a șed nțelor v rtuale. Aceșt factor au contr bu t la creșterea stomatologe ș au perm s multor prax sur să înreg streze unele d ntre cele ma putern ce lun d n punct de vedere al performanțe ș al ven tur lor.

În pr ma jumătate a anulu 2023, cea ma mare parte d n acea l ch d tate s-a epu zat ș prax sur le stomatolog ce s-au întors la n velur le de producț e pre-pandem e. Comb nat cu nflaț a r d cată, creșterea ratelor dobânz lor, restrângerea econom că ș o anum tă anx etate legată de o reces une m nentă, mulț propr etar de cab nete petrec acum ma mult t mp anal zând fluxur le de numerar ș pro ecț le bugetare pentru restul anulu .

P erderea ven tur lor într-o p ață nflaț on stă poate reduce marjele, așa că med c dent șt sunt atenț în pr v nța nvest ț lor în prax s ș se concentrează pe d ferenț ator che e ș un c pentru a spor valoarea.

UTILIZAREA UNUI PLAN DE ACȚIUNE ÎN PERIOADE DE INFLAȚIE

Med c dent șt pot lua măsur proact ve pentru a reduce mpactul nflaț e asupra afacer lor lor ș pentru a depăș bar erele ș provocăr le de cost. Următor paș ar trebu să reprez nte pr or tăț : Gestionarea veniturilor și cheltuielilor.

Scurger le de ven tur sunt un adevărat per col în per oadele nflaț on ste. Med c dent șt trebu e să se străduască să crească acceptarea cazur lor pr n ntroducerea unu arsenal ma

d vers de procedur care pun accent pe captarea de prof t brut. În ceea ce pr vește cheltu el le, costur le crescute cu aprov z onarea nu ar trebu să f e descurajatoare pentru creștere. Stab l ț bugete real ste pentru nvest ț le che e în întreț nerea cap talulu ș f nanțarea ech pamentelor.

Investiții creative în oameni. Med c dent șt pot compensa nflaț a pr n concentrarea pe creșterea retenț e de personal ș ofer rea unor benef c nonf nanc are ma atract ve pentru v tor angajaț pentru a îmbunătăț mag nea prax sulu ca angajator. Automat zarea, so ware-ul ș tehnolog a ar trebu ut l zate pentru a dent f ca ef c ențe care să reducă volumul de muncă, ceea ce va ajuta la compensarea costur lor r d cate cu forța de muncă; de asemenea, vor prelua sarc n le greoa e repart zate membr lor ech pe .

Management activ al taxelor și finanțelor.

Dacă este necesar, med c dent șt îș pot proteja balanța pr n dator e cu rată f xă ș f nanțare îna nte ca ratele să crească ma mult. De asemenea, este mportant să gest onaț agres v fluxul de numerar pr n concentrarea pe creanțe ș econom f scale atunc când se prez ntă oportun tăț . Pe măsură ce costur le de ntrare se modf că, prax sur le ar trebu să-ș actual zeze ma frecvent modelele f nanc are ș să plan f ce scenar pentru a f pregăt te în pr v nța or căror sch mbăr econom ce neașteptate.

Monitorizarea indicatorilor cheie de performanță.

Ex stă ma mulț nd cator KPI (key performance nd cators, KPI) pe care f ecare propr etar de prax s stomatolog c ar trebu să î urmărească în mod constant. Cel ma mportant parametru de mon tor zat în per oadele de ncert tud ne econom că este rentab l tatea ca procent d n încasăr (ven tul îna nte de compensaț a med culu / spec al stulu ).

Alț KPI care pot ajuta med c dent șt să obț nă o ma bună înțelegere a sănătăț f nanc are ș operaț onale a cab netulu lor nclud: (1) încasăr ș contur de pr m re, un parametru care nclude încasăr le față de ob ectvele z ln ce/lunare, încasăr le ca procent d n producț a netă, procentul de încasăr extraburs ere ș contur le de pr m re învech te; (2) g enă, care cupr nde producț a med e z ln că pr n procedur le de g en zare, procentul d n producț a totală, programul z ln c al pac enț lor pentru g en șt ș raportul de compensaț e al g en șt lor la încasăr ; (3) pac enț no ș act v , care nclud numărul de pac enț programaț , numărul de pac enț consultaț , numărul de anulăr , șed nțele anulate reprogramate ș cazur le acceptate; ș (4) producț a, care nclude producț a totală, producț a med culu , producț a generată de procedur le de g en zare, med a de producț e per pac ent ș t mpul d spon b l per un t dentar.

PRIVIND ÎNAINTE:

OPORTUNITĂȚI DE CREȘTERE

Deș tend nțe precum nflaț a ș ratele r d cate ale dobânz lor prez ntă provocăr pentru med c stomatolog , ex stă ș o mulț me de oportun tăț la or zontul d n domen ul dentar.

Investiți în tehnologie.

Tehnolog le no pot costa mult la început, dar cu nstrumentele potr v te, un prax s va benef c a de ef c ențe ș marje de prof t semnf cat ve pe termen lung. Tehnolog a de vârf perm te unu cab net să servească ma b ne o populaț e de pac enț ma largă, contr bu nd la îmbunătăț rea acceptăr cazur lor ș a plan f căr proact ve a tratamentulu . Multe nstrumente populare ș de încredere d spon b le astăz perm t o ma mare transparență (de exemplu, capac tatea de a arăta pac enț lor no cav tăț sau probleme pr n tehnolog a v deo) ș creează ma multe oportun tăț pentru creșterea prax sulu .

Profitați de oportunitățile atât pentru cumpărători, cât și pentru vânzători.

Evaluăr le cab netelor rămân r d cate, ar nteresul corporațlor stomatolog ce ș al p ețelor de cap tal pr vat a dus la creșterea prețur lor, ceea ce a creat oportun tăț atrăgătoare. Vânzător de astăz benef c ază ș de o ma mare v z b l tate în f nanțele prax sulu , ceea ce nsp ră încredere pentru cumpărător, care poate f as gurat că pr mește un produs excelent la prețul p ețe .

Pe lângă vânzător , ex stă oportun tăț abundente în med ul econom c actual ș pentru cumpărător , în spec al pentru med c dent șt care îș încep car era. Înțelepc unea convenț onală a perpetuat deea că dator a de împrumut pentru stud prez ntă un r sc ș împ ed că me-

d c dent șt asp ranț să urmeze un drum către propr etate med at după absolv re. Dar d n exper ența f rme autorulu , lucrur le nu stau deloc așa. În real tate, cred tor încă percep med c stomatolog ca pe nvest ț sol de ș stab le, f nd gata să le acorde împrumutur în cazul une ach z ț de cab net. D n punct de vedere f nanc ar, med c stomatolog au șanse să genereze ma mult ven t d n propr etate decât d n urmăr rea une car ere în domen ul dentar corporat v, așa că t ner med c dent șt ar trebu să exploreze ambele că în t mp ce îș evaluează următor paș .

Considerați alternativele la asigurare.

Ratele de rambursare a as gurărlor pun o pres une crescută asupra prax sur lor în fața nflaț e . Atunc când pract c en sunt nevo ț să ramburseze ma puț n pe procedură, ex stă r scul ca marjele de prof t să scadă ș să reducă fluxul de numerar.

Pentru a combate problemele de rambursare a as gurăr lor, med c dent șt se îndreaptă tot ma mult către planur le de accesare sau de ntegrare (membersh p plans) în d verse rețele de prof l, ce pot serv pentru atragerea ma multor pac enț care nu aparț n furn zor lor ob șnu ț de as gurăr . De ob ce , aceste planur sunt facturate la o anum tă rată de abonament lunar, ofer nd abonaț lor serv c ncluse în mod ob șnu t în planur le de bază, cum ar f două g en zăr pe an, rad ograf , tratamente cu fluor ș alte serv c de bază. Unele planur pot ofer abonaț lor ch ar ș un d scount de 10-15% la serv c spec al zate, cum ar f real zarea une coroane. Pentru pract c en îngr joraț de mpactul rambursăr as gurăr lor asupra rezultatelor fnanc are, aceste serv c supl mentare ar putea f foarte benef ce ș mer tă să f e explorate.

Atenție la schimbările demografice ale medicilor dentiști. În t mp ce stomatolog a în ansamblu crește robust, crește ș vârsta med e a med c lor dent șt , ceea ce nd că faptul că mulț pract cen se află în pragul pens onăr ș eventual pot părăs profes a. Când se gândește la următoarea generaț e de propr etar de prax s, d vers tatea va f un factor pr ncpal care ar trebu să f e o pr or tate pentru ace pract c en care îș plan f că retragerea ș au în consderare v tor succesor .

Rămâneți concentrat pe planul strategic.

Pentru a gest ona tend nțele econom ce actuale ș v toare ș pentru a pregăt prax sul în vederea une creșter cont nue, propr etar de cab nete trebu e să facă d n plan f carea strateg că pe termen lung o pr or tate constantă. Un plan f nanc ar trebu e pus în scr s anual ș ar trebu să reflecte planul operaț onal al prax sulu . Ar trebu mplementat un proces sau o platformă care să perm tă urmăr rea fără probleme a KPI cruc ale, deoarece aceste constatăr vor f necesare pentru a actual za planul strateg c ș pentru a perm te ajustăr le necesare.

CEREȚI AJUTOR

Ma presus de toate, pract c en ar trebu să șt e că nu sunt nevo ț să se descurce pe cont propr u. E pot sol c ta ajutorul unu contab l cert f cat ș spec al zat în domen ul stomatolog c care să- ajute să-ș gest oneze planul strateg c, să- ț nă la curent cu tend nțele econom ce ș cu sch mbăr le leglor f scale ș să- împutern cească să a dec z opt me pentru sănătatea v toare a prax sulu . O ech pă f nanc ară profes on stă poate f farul de care un cab net are nevo e pentru a prospera, nd ferent de starea econom e .

Care este valoarea clinicii tale

și ce trebuie să faci ca să crești această valoare

⊲ ADOM, LIDER EDUCAȚIONAL ÎN BUSINESS MEDICAL

PPentru un med c antreprenor fondator, propr etar de cl ncă stomatolog că, este esenț al ca acesta să a bă capac tatea să șt e ș să înțeleagă care este valoarea cl n c . Med cul antreprenor fondator trebu e să șt e răspunsul la întrebarea: Clinica mea creează valoare? Acest aspect este deoseb t de mportant d n ma multe mot ve, ar f ecare d ntre ele contr bu e la gest onarea ef c entă a afacer ș la luarea unor dec z corecte în momente che e.

Pentru ce este utilă evaluarea clinicii?

Dacă med cul propr etar îș dorește ext nderea cl n c sau ach z ț onarea anum tor ech pamente pentru a se al n a no lor tehnolog , poate lua în calcul ș obț nerea une f nanțăr de la o nst tuț e bancară. În această s tuaț e, med culu se va sol c ta o garanț e care are legătură cu evaluarea valor cl n c . Real zând corect această evaluare, med cul va câșt ga încrederea bănc care î va f nanța dezvoltarea pro ectulu , încredere care va reflecta faptul că afacerea dentară este sol dă ș are potenț al de creștere. Alt moment în care evaluarea cl n c poate determ na planul de dezvoltare al aceste a este atunc când med cul antreprenor este în căutarea unu

partener sau a unu nvest tor. A avea un partener face neapărat necesară cunoașterea valor f rme pentru a evalua nvest ț a lu față de valoarea cl n c . De asemenea, sunt s tuaț în v ața unu med c când poate ajunge la concluz a că dorește să vândă cl n ca În această s tuaț e, d scuț le se vor purta în jurul prețulu , care trebu e să f e corect pentru ambele părț . Pentru acest lucru, propr etarul actual al cl n c trebu e să a în calcul toate aspectele pentru a real za o evaluare corectă, a obț ne max m zarea valor de vânzare ș a garanta un proces de negoc ere transparent ș ech tab l. Evaluarea cl n c poate ofer o perspect vă clară pr n înțelegerea punctelor forte ș a punctelor slabe ale afacer , care va ajuta la stab l rea strateg lor pentru v tor. Este foarte mportant ca med cul să f e onest în pr mul rând cu el însuș , să îș păstreze ob ect v tatea în f ecare moment pentru a putea face planur , la momentul potr v t, de ext ndere, bazate pe date f nanc are sol de.

Odată cunoscută valoarea cl n c – putem dent f ca ș că le pr n care putem nfluența creșterea aceste valor , pr n act v tatea de z cu z a ech pe de management, a ech pe med cale ș până la urmă a f ecăru angajat sau colaborator al cl n c .

Cum se realizează o evaluare corectă și eficientă a clinicii?

Evaluarea cl n c este un pas pe cât de mportant, pe atât de complex. Procesul în s ne presupune o evaluare cant tat vă care ne va da anum te rezultate, care pot f apo ajustate cu ajutorul evaluăr cal tat ve a act v tăț lor d n cl n ca stomatolog că. În l n mar , însă, ex stă ma multe metode pentru a determ na valoarea une cl n c stomatolog ce.

Metoda bazată pe ven tur le generate este una d ntre cele ma comune modal tăț de a evalua o cl n că stomatolog că. Aceasta a în calcul câț va parametr esenț al pr ntre care ven tul anual d n act v tatea stomatolog că, m ster osul EBITDA care arată capac tatea cl n c de a produce suf c ent prof t care să plătească dobânz le bancare, taxele către stat ș dator le către furn zor , mult plul de EBITDA, ce poate să var eze în funcț e de poz ț onarea cl n c în p ața de stomatolog e d n Român a, gradul de dezvoltare reg onală, ter tor ală, valoarea brandulu , factor d n p ață sau alte aspecte.

Pe lângă evaluarea f nanc ară, care a în calcul aspecte mater ale ș elemente aflate în poses a cl n c într-o formă sau alta, med cul antreprenor fondator trebu e să anal zeze ș fac-

tor de natură non-mater ală care pot avea o nfluență putern că asupra determ năr valor cl n c . D ntre aceșt a, ce ma mportanț sunt reputaț a ș brandul, care reflectă percepț a pe care o au pac enț actual dar ș ce potenț al despre cl n că ș serv c le ofer te, lo al tatea pac enț lor, care determ nă gradul în care aceșt a rev n la cl n că pentru cont nuarea tratamentulu , real zarea unu tratament nou sau recomandarea cl n c une persoane cunoscute, personalul med cal, una d ntre pr nc palele resurse în ceea ce pr vește exper ența, n velul înalt de cal f care sau gradul de spec al zare, ș amplasarea cl n c , care poate nfluența semn f cat v valoarea aceste a, în spec al în cazul cl n c lor aflate în local tăț urbane aglomerate unde ș concurența este una acerbă.

DENTAL BUSINESS MASTER SEMINAR, răspunsul ADOM la dorința de creștere a comunității stomatologice din România

În cadrul Asoc aț e Dental Off ce Managers s-a conturat nevo a unu masterclass ntens v care să spr j ne med c antreprenor fondator de cl n c stomatolog ce în creșterea sustenab lă a pro ectelor acestora. Dental Bus ness Master Sem nar este programul ded cat med c lor antreprenor fondator care îș doresc

aprofundarea ab l tăț lor de management. În cadrul acestu a se abordează ntens v procesul de evaluare a une cl n c stomatolog ce, parcurgând toate etapele ș luând în calcul aspectele care îl nfluențează. Pe lângă aspectele teoret ce relatate, care contr bu e la o ma bună structurare a nformaț lor, cursul este ș o ext nsă exper ență de dezamb gu zare a c frelor ș de aducere a clar tăț în ceea ce pr vește acț un le f nanc are. Astfel, parcurgând acest program, or ce med c propr etar va avea ab l tatea de a lua dec z nformate despre paș pe care dorește să î plan f ce în strateg a de creștere a cl n c .

Cursanț îș raf nează cunoșt nțele sub îndrumarea lu Cr st an Taban, D rector Execut v al grupulu de cln c DENT ESTET. Cu un EMBA de la ASEBUSS Business School ș Kennesaw State University, Cr st an are o formare sol dă în F nanțe pentru Rolur Execut ve la INSEAD ș în management la IEDC-Bled School of Management În decursul an lor, a obț nut rezultate remarcab le în compan le în care a act vat, având un palmares mpres onant de pro ecte f nal zate cu succes în compan mult naț onale precum Henkel ș GE. De când a preluat funcț a de D rector Execut v al DENT ESTET în 2016, ș -a valor f cat cunoșt nțele ext nse pentru a genera mpact în p ața stomatolog că d n Român a.

2023 State-of-the-Art in Resin-Based Composites and Future Trends by Gaetano Paolone, DDS; Carlotta Diana; and Giuseppe Cantatore, DDS. Originally published in Compendium of Continuing Education in Dentistry 44(2) February 2023. © 2023 AEGIS Publications, LLC. All rights reserved. Reprinted with permission of the publishers.

Compozitele rășinice de ultimă oră și perspectivele viitoare

⊲ COMPOSITES

Despre autori:

Kyle Stanley, DDS

Instructor in conservative dentistry, VitaSalute San Ra aele University, Milan, Italy; Private Practice, Rome, Italy

Carlotta Diana

Dental Student, Vita-Salute San Ra aele University, Milan, Italy

Giuseppe Cantatore, DDS

Professor, Vita-Salute San Ra aele University, Milan, Italy

În ult m an , evoluț a contnuă a compoz telor dentare pe bază de răș n (resin-based composites, RBC-uri) a dus la d verse îmbunătăț r restaurat ve, perm țând obț nerea de rezultate cl n ce f ab le împreună cu o estetcă excelentă. Un compoz t poate f def n t ca o un une a două sau ma multe faze nsolub le d n care rezultă un mater al cu caracter st c super oare în comparaț e cu componentele nd v duale. Elementele pr nc pale ale RBC dentare sunt matr cea organ că de răș n ș partculele de umplutură anorgan ce.

Cel ma frecvent ut l zaț monomer care compun o matr ce de răș n pentru RBC au fost b sfenol

A gl cerolat d metacr lat (b s-GMA), d metacr lat de tr et len gl col (TEGDMA) ș d metacr lat de uretan (UDMA). Deș monomer au rămas în mare parte nesch mbaț ,

s-au observat mod f căr semn f cat ve în RBC în ceea ce pr vește t pul, d mens unea ș d str buț a umplutur lor anorgan ce. Umplutur le sunt compuse în pr nc pal d n st clă rad oopacă, dar alte t pur nclud st clă alcal nă, ox z de metale, z rcon u ș h drox apat tă.

S lanul, un agent de cuplare, acoperă part culele de umplutură anorgan ce, perm țându-le să se al pească de matr cea răș noasă. Rezultatul este o moleculă b funcț onală cu un rez duu de metacr lat pe de o parte ș un rez duu de s lan pe cealaltă parte, capab lă să creeze o legătură covalentă între cele două faze. Legarea part culelor de umplutură la matr cea de răș n pr ntr-un agent de cuplare este cruc ală pentru îmbunătăț rea propr etăț lor mecan ce ș f z ce. Aceasta perm te transferul încărcătur , sub stres ntens, către umplutură, ev tând astfel separarea celor două faze.

SHADING MEETS BULK ONE FILLING

Charisma Bulk Flow ONE

Primul compozit fluid de umplere, într-o singură nuanță, pentru cazurile de zi cu zi.

Întotdeauna nuanța este potrivită: Cu proprietățile incredibile de potrivire a nuanțelor, restaurarea devine invizibilă, integrându-se în dentiția înconjurătoare.

Manipularea este eficientă: Cavitățile sunt umplute rapid și ușor, cu straturi până la 4 mm, fără a fi nevoie de un strat de acoperire suplimentar.

Restaurările sunt de lungă durată: Stresul scăzut de contracție și rezistența ridicată la fracturare și uzură asigură restaurări durabile care rezistă la forța de masticație puternică din zona posterioară.

Încearcă-l chiar tu!

Pe lângă aceste două elemente de bază, RBC ma conț n ș n ț ator a reacț e de pol mer zare, nh btor (pentru a ev ta pol mer zarea spontană) ș p gmenț , aceșt a d n urmă perm țând furn zarea de nuanțe, transparență ș rad opac tate mater alulu compoz t.

EVOLUȚIE ȘI CLASIFICARE

În an 1960 ș 1970, compoz tele cu macroumplutură au fost ntroduse ca alternat vă la s l cate. Acestea se caracter zau pr ntr-o d mens une med e a umplutur de 10 μm până la 50 μm. In ț al, compoz tele cu macroumplutură se pol mer zau s ngure. Pr n ut l zarea fotopol mer zăr cu ultrav olete, acestea au deven t pol mer zab le cu lum nă v z b lă. După an 1970, d mensunea part culelor de umplutură anorgan că a început să scadă progres v, ceea ce a dus la crearea unor no categor de compoz te, respect v cu m croumplutură, m croh brde ș , ma târz u, cu nano-umplutură ș nanoh br de.

Apar ț a nanotehnolog e a îmbunătăț t semn f cat v cal tatea compoz telor dentare. Dator tă d mens un reduse a umplutur lor ș , mpl c t, a creșter conț nutulu de umplutură, se pot obț ne o estet că ș o performanță mecan că ma bune. Compoz tele cu nanoumplutură cupr nd atât nanomer (între 5-75 nm), cât ș nanoclustere. Nanoclusterele sunt compuse d n nanomer aglomeraț , ar o comb naț e de ox d de s l c u ș z rcon u este adăugată pentru a crește man pularea compoz tulu , făcându-l potrv t atât pentru restaurăr le anteroare, cât ș pentru cele poster oare. Compoz tele nanoh br de sunt RBC h br de asoc ate cu nanoumplutur d spersate în răș na prepol mer zată. Ele se caracter zează pr n man pulare ușoară ș rez stență la uzură, prezentând în acelaș t mp estet că super oară ș propr etăț de pol zare r d cate.

Succesul pe termen lung al restaurăr lor este, de asemenea, legat de cal tatea suprafețe . Suprafețele aspre (cu valor r d cate ale parametrulu Ra) ar putea cauza acumularea de placă bacter ană, perm țând prol ferarea bacter lor ș , în cele d n urmă, dezvoltarea car lor secundare. Dator tă d mens un ma m c a umplutur lor, valor le asper tăț pentru mater alele cu nanoumplutură ș nanoh br de pot f reduse semn f cat v, fac l tând astfel o aderență ma redusă a bacter lor. Alte avantaje ale RBC-ur lor cu nanoumplutură ș nanoh br de nclud estet ca excelentă, luc ul rd cat, stab l tatea culor ș man pularea ușoară. În general, asper tatea este nvers proporț onală cu luc ul restaurăr . Comparat v cu nanohbr dele ș mater alele cu nanoumplutură, compoz tele m croh br de se caracter zează pr ntr-un luc u ma redus ș valor ma mar ale asper tăț suprafețe .

Mater alele compoz te pot f clas f cate în funcț e de d mens unea umplutur ș cons stența mater alulu . O clas f care bazată pe d mens unea umplutur este prezentată în tabelul 1. În ceea ce pr vește cons stența, compoz tele pot f clas f cate în tre categor : un versale, compacte ș flu de. Compoz tele un versale au o cons stență med e ș pot f plasate ș modelate folos nd spatule ș sculptoare. Un avantaj al acestor compoz te este reprezentat de caracter st c le estet ce ș mecan ce ce perm t obț nerea unor rezultate excelente în restaurăr le d recte la ambele t pur de d nț , atât anter or , cât ș poster or . Compoz tele compacte sunt ma r g de ș , pr n urmare, neces tă plasarea cu un d spoz t v de compactare. Compoz tele flu de se caracter zează pr ntr-o vâscoz tate redusă, dator tă nu doar cant tăț reduse de umplutură, c ș prezențe agenț lor mod f cator precum tens oact v .

În ult mul decen u, s-a ntrodus o nouă categor e, compoz tele bulk-fill. Acest t p de mater al se caracterzează pr ntr-un stres redus în t mpul contractăr mater alulu . Două t pur de cons stență sunt d sponb le în mater alele bulk-fill: vâscoztate redusă ș r d cată. Vers unea cu vâscoz tate redusă trebu e „acoper tă” cu un compoz t convenț onal pentru protecț a împotr va forțelor ocluzale, în t mp ce compoz tele bulk-fill cu vâscoz tate r d cată pot f plasate fără a folos alt mater al pentru acoper rea ocluzală.

DIRECȚIA VIITOARE A RBC

Cele două cauze cele ma comune ale eșeculu restaurăr lor mar la d nț poster or sunt reprezentate de fractură ș car secundare. S-au dezvoltat ma multe abordăr pentru a gest ona ambele probleme, nclus v dezvoltarea de compoz te cu performanțe mecan ce îmbunătăț te ș suprafețe b oact ve cu propr etăț contact-act ve.

RBC ranforsate cu fibre

Deoarece RBC sunt tot ma folos te pentru tratamentele restaurat ve ext nse, mater alele cu rez stență mare la fractură ș propagare redusă a f sur lor sunt foarte căutate. Una d ntre ma multele abordăr pentru a îndepl n această cer nță este adăugarea de f bre la RBC. F brele de st clă au fost folos te în întăr rea pol mer lor dentar t mp de peste 30 an . Ef cac tatea consol dăr RBC cu f bre dep nde de multe var ab le, cum ar f răș n le ut l zate ș cant tatea, lung mea, forma, or entarea ș cond ț onarea f brelor.

Pentru ca f brele să acț oneze ca o ranforsare pol mer că ef c entă, transferul de tens une între matrcea pol mer că ș f bre este esenț al. Pr n urmare, compoz tele întăr te cu f bre au fost ntroduse ca mater al restaurat v dentar cu scopul de a ext nde nd caț a RBC-ur lor

Clasificarea compozitelor rășinice pe baza dimensiunii umpluturii.

CLASIFICAREDIMENSIUNEA UMPLUTURII

Cu macroumplutură10 μm - 50 μm

Cu microumplutură< 1 μm

- Omogen: 0,04 μm - 0,06 μm

- Heterogen: particule mari încorporate (aglomerate prepolimerizate de diverse forme)

Hibride

10 μm - 50 μm + 0,04 - 0,06 μm

- Hibride dure: 1 μm - 2 μm

- Hibride fine: 0,6 μm - 1μm

- Microhibride: 0,4 – 0,6 μm

- omogene (același tip de umplutură)

- neomogene (cu agregate și așchii / așchii)

Cu nanoumplutură5 μm - 75 μm

Cu miniumplutură0,6 μm - 1 μm + 40 μm

Nanohibride miniumplutură + nanoumplutură

d recte la car dentare poster oare mar . De asemenea, au fost propuse ca înlocu tor a dent ne pentru a m ta propr etatea sa de absorbț e a stresulu . Cu toate acestea, ef cac tatea cl n că reală a RBC ranforsate cu f bre încă nu a fost doved tă deoarece l psesc stud le cl n ce. Garoushi ș colab au raportat într-un stud u in vitro propr etăț mecan ce îmbunătăț te pentru RBC consol date cu f bre în comparaț e cu RBC convenț onale. În sch mb, într-un alt stud u in vitro, Barreto ș colab au remarcat l psa d ferențelor între RBC ranforsate cu f bre ș cele convenț onale în rez stența la oboseală ș rez stența la fractură a premolar lor restauraț extens v.

RBC cu proprietăți antibacteriene

Nanotehnolog a a desch s calea pentru dezvoltarea mater alelor dentare cu propr etăț ant bacter ene folos nd tehnolog a act vă la contact. Agentul ant m crob an este încorporat în matr cea materalulu fără a f el berat. Suprafețele care uc d ef c ent bacter le fără a el bera un b oc d reprez ntă o tend nță către mater ale ster le permanent. Provocarea dezvoltăr constă în faptul că b of lmele sunt cunoscute să poată colon za toate t pur le de suprafețe, atât naturale, cât ș art f c ale, în t mp. Caracter st ca benef că a b omater alulu

act v este că ar putea nact va bacter le d rect la contact, ev tând astfel el berarea de compuș care ar putea f tox c ch ar ș pentru celulele mam fere, pe lângă bacter . O suprafață de contact act vă poate f obț nută pr n copol mer zarea compuș lor b oc d c în matr cea RBC sau pr n adăugarea ch m că a pol mer lor sau vector lor ant mcrob en pentru a obț ne protecț a mater alulu dentar. Acoper r le pe bază de arg nt câșt gă tot ma multă popular tate. Arg ntul a fost adăugat la RBC dator tă efectulu ant bacter an ș a b ocompat b ltăț sale, f nd capab l să nterfereze cu act v tăț le enz mat ce ale Streptococcus mutans ș să prev nă prol ferarea acestu a. Dezvoltarea acestor t pur de mater ale „ ntelgente” care pot controla b of lmul reprez ntă v torul procedur lor restaurat ve.

REPARAREA COMPOZITELOR

Repararea compoz telor pentru m c fractur , f sur ș defecte a fost recunoscută ca f nd o procedură dor tă, dar nu este adesea recomandată deoarece poate f cons derată o abordare pr n comprom s. Cu toate acestea, procedura a câșt gat popular tate deoarece perm te o longev tate ext nsă a restaurăr . Repararea poate f efectuată f e med at (augmentarea punctulu de

contact sau mod f carea forme ), f e pe restaurăr le compoz te ma vech (în caz de car secundare sau fractură).

Dieckmann ș colab. au raportat că vârsta compoz tulu reparat este cruc ală în ceea ce pr vește rez stența la legătura compoz t-compoz t, repararea med ată arătând cele ma mar valor . Cu toate acestea, cercetător sugerează că sablarea cu alum nat (AlO2) sau ut l zarea frezelor d amantate ( nd ferent de granulaț e) ș apl carea de s lan împreună cu o răș nă adez vă fără umplutură ar putea ofer valor de legătură cl n c acceptab le pe compoz tele ma vech . Pr n urmare, deș compoztele vech se caracter zează pr n expans unea h droscop că/ stresantă ș degradarea h drol t că la nterfața răș nă-umplutură, repararea lor ar putea f cons derată o procedură f ab lă.

CONCLUZII

Deș stomatolog a este departe de a avea mater ale de restaurare perfecte, în cazul RBC s-au făcut îmbunătăț r semn f cat ve. Se așteaptă ca dezvoltarea ulter oară a RBC să ncludă îmbunătăț r ale propr etăț lor mecan ce, reducerea contracț e ș a stresulu de contracț e, capac tatea de rem neralzare ș ncluderea compuș lor de control al b of lmulu .

CONTINUING EDUCATION ⊲

Analgesics in Pregnancy and Lactation: Safe Medication Practices by Mark Donaldson, BSP, ACPR, PharmD; and Jason H. Goodchild, DMD. Originally published in Compendium of Continuing Education in Dentistry 44(5) May 2023. © 2023 AEGIS Publications, LLC. All rights reserved. Reprinted with permission of the publishers.

Analgezicele în sarcină și alăptare: practici de medicație sigură

⊲ DRUG SAFETY

Despre autori:

MarkDonaldson,BSP,ACPR,PharmD

Associate Principal, Vizient Pharmacy Advisory Solutions, Irving, Texas; Clinical Professor, School of Pharmacy, University of Montana, Missoula, Montana; Clinical Assistant Professor, School of Dentistry, Oregon Health & Sciences University, Portland, Oregon; Adjunct Professor, Faculty of Dentistry, University of British Columbia, Vancouver, British Columbia; Fellow, American Society of Health-System Pharmacists; Fellow, American College of Healthcare Executives®

JasonH.Goodchild,DMD

Vice President of Clinical A airs, Premier Dental Products Co., Plymouth Meeting, Pennsylvania; Associate Clinical Professor, Department of Oral and Maxillofacial Surgery, Creighton University School of Dentistry, Omaha, Nebraska; Adjunct Assistant Professor, Division of Oral Diagnosis, Department of Diagnostic Sciences, Rutgers School of Dental Medicine, New Brunswick, New Jersey

DDe la traged a cu tal dom dă de acum ma b ne de 50 an , prescr erea med camentelor pentru feme le însărc nate ș care alăptează a fost o preocupare pentru furn zor de serv c de sănătate, mame ș publ c. Această preocupare cont nuă se datorează l pse de nformaț de cal tate despre ef cac tatea ș s guranța ut l zăr med camentelor în t mpul sarc n ș alăptăr pentru cele ma multe med camente comerc al zate. Stud le pe an male nu pot prez ce întotdeauna r scur le teratogene la oamen , ar feme le însărc nate ș care alăptează sunt în general excluse d n stud le cl n ce care generează cele ma multe date refer toare la ef cac tate ș s guranță. În plus, foarte puț ne s steme de nformare despre med camente care evaluează ut l zarea med camente-

lor la n vel de populaț e capturează date pentru toate feme le de vârstă fert lă, l m tând cant tatea de nformaț colectate pr n supravegherea post-comerc al zare..

Numeroase stud au constatat că ut l zarea med camentelor cu prescr pț e med cală în t mpul sarc n nu este doar frecventă, c a crescut în t mp. Un cercetător au demonstrat că două d n tre feme au med camente cu prescr pț e med cală în t mpul sarc n . Adm n strarea de med camente în t mpul alăptăr reprez ntă o altă provocare pentru pac enț ș prescr ptor , ș deș ncdența reală a ut l zăr med camentelor la feme le care alăptează nu este cunoscută, este larg acceptat că acestea au semn f cat v ma multe med camente pe lună decât feme le însărc nate. Un stud u recent d n

KaVo Primus 1058 Life

De încredere, zi după zi.

Cu Primus 1058 Life, mare importanță a fost acordata stabilitatii și fiabilitatii. Vei aprecia valoarea investitiei tale - azi și mâine. Beneficiati de avantajul unui raport pret-performanță optim și alăturați-vă miilor de stomatologi din întreaga lume care au sustinut despre unit-ul lor Primus 1058: „Functioneaza si functioneaza si functioneaza”

Pentru detalii despre unit-ul Primus 1058 Life accesati link-ul: KaVo Primus 1058 Life treatment unit | KaVo Dental

Pentru a intra in legatura cu distribuitorii nostri din Romania, accesati link-ul: KaVo dealers worldwide | KaVo Dental

Olanda a conf rmat această tend nță într-o populaț e de stud u de 292 sarc n în care 66% au înreg strat ut l zarea med camentelor, urmată de 84,2% în pr v nța ut l zăr de med camente în t mpul alăptăr . În contextul ep dem e de op o de ș a preocupăr lor reînno te pentru abordarea adecvată a durer pacenț lor, alătur de publ carea unor gh dur recente ș a preocupăr lor actual zate pr v nd s guranța unor med camente pentru durere precum paracetamolul, prescr erea s gură a analgez celor pentru feme le însărcnate sau care alăptează poate f ma puț n clară. Scopul acestu art col este de a furn za o sursă organ zată de nformaț despre ut l zarea analgez celor pentru pac enta dentară însărc nată sau care alăptează. Cu date refer toare la med camentele ut l zate frecvent ș la categor le de sarc nă stab l te de Adm n straț a pentru Al mente ș Med camente (Food and Drug Administration, FDA) a Statelor Un te, furn zor de îngr j re orală (Oral HealthCare Providers, OHCPs) pregăt ț cu nformaț bazate pe dovez despre s guranța ut l zăr med camentelor în t mpul sarc n ș alăptăr pot sfătu ef cent pac entele cu pr v re la terap a med camentoasă opt mă, contrbu nd la as gurarea unor rezultate sănătoase atât pentru mamă, cât ș pentru cop l.

PACIENTA ÎNSĂRCINATĂ

LA DENTIST

Pac entele grav de reprez ntă două provocăr cons derab le pentru OHCPs. În pr mul rând, nu toate feme le la vârstă fert lă șt u că ar putea f însărc nate, ar atunc când se prescr u med camente, ar trebu luată în cons derare pos b l tatea ca pac enta să rămână grav dă în t mp ce a med camentul ș să gh deze selecț a adecvată a med camentulu . În al do lea rând, în t mp ce majortatea procedur lor dentare elect ve pot f amânate până după înche-

erea sarc n , nu ar trebu amânat tratamentul dentar pentru o feme e grav dă care are durer dentare, nfecț e sau boală avansată. Rata sarc n lor ne ntenț onate a scăzut cu aproape 20% între începutul an lor 1980 ș m jlocul an lor 1990, dar a rămas relat v nesch mbată de atunc . Această scădere poate f rezultatul une ma bune educaț publ ce, a une prevalențe ma mar a contracepț e ș a ut l zăr unor metode de contracepț e ma ef cente, însă o publ caț e ma recentă a constatat că puț n peste o tre me d ntre feme le de vârstă reproduct vă nterv evate în 2016 (36,4%) au exper mentat cel puț n o naștere neplan f cată la un moment dat în v ața lor. Pr n urmare, atunc când prescr u pentru feme la vârstă fertlă, OHCPs trebu e să a în cons derare efectele adverse potenț ale asupra fătulu . În plus față de actual zarea rut n eră a stor culu farmacolog c ș med cal al f ecăre pac ente, o tehn că s mplă de nterv u pentru toate pac entele feme care pune tre întrebăr ar putea ajuta în mod semn f cat v la reducerea acestu r sc: „Sunteț însărc nată?” „Șt ț dacă sunteț grav dă?” „Încercaț să rămâneț grav dă?”

Teratogen c tatea se referă la medcamentele care ar putea f asoc ate cu anomal structurale la fătul în curs de dezvoltare (de ex., desp cătura de palat sau de buză superoară, focomel e, etc.). Momentul de cel ma mare r sc teratogen c fetal este între 3 ș 8 săptămân după concepț e (5 la 10 săptămân de gestaț e, când săptămâna 1 începe în pr ma z a ult me menstruaț ). În jurul cele de-a c ncea săptămân de v ață embr olog că, transportul placentar al substanțelor maternale la făt ș al substanțelor de la făt la mamă este stab l t. D n acest mot v, opr rea bruscă a unu med cament d n mot ve de îngr jorare legate de teratogen c tate la săptămâna 10 de ob ce nu reduce în mod semn f ca-

t v r scul teratogen.

Pe lângă teratogen c tate, fetotoxc tatea poate apărea or când între etapa f nală a pr mulu tr mestru ș naștere, ș poate cauza o var etate de efecte. Un exemplu este ut l zarea ant nflamatoarelor nonstero d ene (AINS) buprofen, care este asoc ată cu dezvoltarea d sfuncț e renale fetale în al do lea ș al tre lea tr mestru ș înch derea prematură a ductus arteriosus în al tre lea tr mestru. Aceste t pur de anomal structurale sunt ma ușor de detectat ș ma ev dente decât efectele med camentelor asupra funcț e cogn t ve ș nterferența cu dezvoltarea cerebrală. Or ce substanță ch m că sau medcament adm n strat mame poate trece într-o oarecare măsură pr n placentă, cu excepț a cazulu în care este mod f cat sau d strus în t mpul trecer , sau solub l tatea sa l p d că redusă ș d mens unea moleculară l m tează transferul transplacentar. Substanțele ch m ce cu greutate moleculară m că d fuzează l ber pr n placentă, propulsate în pr mul rând de grad entul de concentraț e ș de d fuz a pas vă. Aproape f ecare substanță ut l zată în scopur terapeut ce poate ș trece de la mamă la făt; deea de „bar eră placentară” este o denum re ncorectă. Dacă rata ș ext nderea transferulu sunt suf cente pentru a provoca concentraț semn f cat ve în făt, rezultând f e teratogen tate, f e fetotox c tate, este de o mportanță cap tală.

Pract ca prescr er med camentelor în t mpul sarc n este un ech l bru între benef c ul (de ob ce pentru mamă) tratăr bol ș pos b lele r scur adverse ale med camentulu (de ob ce pentru făt). Acest ech l bru poate f sch mbat în t mpul sarc n în funcț e de gestaț e ș de act v tatea bol . De exemplu, o feme e cu o exacerbare severă a bol nflamator ntest nale poate f cand dată pentru terap a cu ant corp monoclonal în pr mul tr mestru, deoarece s-a demonstrat că ma multe

Tabelul 1

Definițiile FDA privind factorii de risc gestaționali și exemple medicamentoase.

CATEGDEFINIȚIEMEDICAȚII EXEMPLIFICATOARE

AStudiile control la femei nu au reușit să demonstreze un risc asupra fătului în primul trimestru (și nu există dovezi de risc în trimestrele ulterioare), iar posibilitatea daunelor fetale apare la distanță

BFie studiile de reproducere pe animale nu au demonstrat un risc fetal - dar nu există studii controlate în rândul femeilor însărcinate, fie studiile de reproducere pe animale au demonstrat un efect advers (altul decât o reducere a fertilității) care nu a fost confirmat în studiile controlate în rândul femeilor în decursul primului trimestru (și nu există nicio dovadă a riscului în trimestrele ulterioare)

CFie studiile pe animale au evidențiat efecte adverse asupra fătului (teratogenitate, embriociditate sau altele) și nu există studii controlate în rândul femeilor, fie studiile pe femei și animale nu sunt disponibile; medicamentele ar trebui administrate doar dacă posibilul beneficiu justifică potențialul risc asupra fătului

DExistă dovada pozitivă a riscului fetal uman, dar beneficiile utilizării în rândul femeilor însărcinate pt fi acceptabile în pofida riscului (de ex. dacă medicamentul este necesar într-o situație care periclitează viața sau pentru o afecțiune severă pentru care nu se pot folosi medicamente mai sigure sau care sunt ineficiente)

XStudiile pe animale sau ființe umane au demonstrat anormalitățile fetale sau există dovezi privind riscul fetal pe baza experienței umane sau ambele, iar riscul utilizării medicamentului la femeile însărcinate depășește clar orice posibil beneficiu; medicamentul este contraindicat la femeile care sunt sau pot deveni însărcinate

NFDA încă nu a clasificat medicamentul într-o categorie specifică de sarcină.

substanțe b olog ce nu trec placenta până în al do lea tr mestru; cu toate acestea, în al tre lea tr mestru ar putea f rezonab l să se încerce ma întâ cort costero z . La termen, ntervenț a terapeut că a nașter fătulu poate îmbunătăț rap d starea maternă a bol . În decembr e 2014, FDA a publ cat regula f nală de Et chetare a Med camentelor în T mpul Sarc n ș Alăptăr (Pregnancy and Lactation Labeling Rule, PLLR) refer toare la et chetarea med camentelor cu prescr pț e med cală, pentru a nforma ma b ne prescr ptor cu pr v re la ut l zarea s gură a med camentelor în t mpul sarc n ș alăptăr . PLLR a el m nat stor cele categor de l tere pentru sarc nă - A, B, C, D, X ș N - în care med camentele d n categor le A ș B erau cons derate s gure pentru ut l zare, cele d n categor a C puteau f ut l zate dacă benef c le depășeau r scur le, d n categor a D trebu au ev tate cu unele c rcumstanțe excepț onale, ar cele d n categor a X trebu au str ct

ev tate la feme le grav de; dacă un med cament nu a fost încă clas f cat de FDA într-o categor e de sarc nă spec f cată, era desemnat ca „N”. Et chetarea pentru med camentele fără prescr pț e med cală nu s-a sch mbat, dec este încă mportant să cunoaștem def n ț le factor lor de r sc pentru sarc nă ale FDA (tabel 1).

Aceste sch mbăr în et chetarea med camentelor cu prescr pț e med cală oferă tuturor furn zor lor de îngr j re med cală nformaț ma bune pentru cons l erea feme lor care sunt la vârstă fert lă, grav de sau care alăptează, ș pentru dec z a de prescr ere ma nformată. De asemenea, secț unea de sarc nă a PLLR nclude un rezumat al r scur lor, cons derente cl n ce, date supl mentare ș nformaț pentru un reg stru de expunere a sarc n pentru med camentul respect v, dacă ex stă unul d spon b l. Noul s stem de et chetare va reduce ș tend nța de a cons dera un med cament „nev novat până la proba contrar e”, în care

Acetaminofen, amoxicilină, azitromicină, cefalosporine, clindamicină, eritromicină, etidocaină, lidocaină, metronidazol, oxicodonă, penicilină, prilocaină

Articaina, benzocaina, bupivacaina, claritromicina, codeina, dexametazona, hidrocodona, mepivacaina, metilprednisolon

med camentele netestate fără efecte secundare cunoscute (categor a B) erau percepute ca f nd ma s gure decât cele testate cu efecte secundare cunoscute (categor a C). Tabelul 2 ev denț ază pr nc palele cons derente cl n ce pentru med camente ș pentru pac entele dentare grav de.

PACIENTA DENTARĂ CARE ALĂPTEAZĂ

Cel ma recent Raport al Centrelor pentru Controlul ș Preven rea Bollor (Centers for Disease Control and Prevention, CDC) pr v nd alăptarea, publ cat în 2020, a constatat că nc dența alăptăr la cop născuț în 2017 în SUA a fost de 84,1%, cu 58,3% d ntre aceșt a alăptaț la 6 lun ș 35,3% la 12 lun . Acest procent relat v r d cat se poate datora parț al pr me poz ț a Academ e Amer cane de Ped atr e (American Academy of Pediatrics, AAP) pe această temă, care a subl n at alăptarea ca f nd cel ma bun mod de al mentaț e pentru sugar în pr mele 6 lun de v ață. Rata

actualităţi

Acid folic
Tetraciclinice
Benzodiazepine

Tabelul 2

Considerentele clinice pentru medicații și sarcină.

Utilizarea medicației doar dacă beneficiile anticipate (de obicei asupra mamei) depășesc potențialele riscuri (de obicei în privința fătului)

Încercarea de a evita utilizarea în primul trimestru

Prescrierea medicamentelor care se utilizează extensiv în sarcină și nu a celor noi

Utilizarea dozei minime necesare pentru obținerea efectului dorit

Conștientizarea faptului că absența informațiilor nu implică siguranță

crescută a alăptăr , împreună cu îngr jorăr le tot ma mar ale păr nț lor cu pr v re la nevo le de sănătate ale bebeluș lor, a condus la o creștere a întrebăr lor adresate farmac șt lor, med c lor ș OHCPs despre s guranța ș tox c tatea potenț ală a medcamentelor care pot f excretate în laptele matern.

Cele ma multe stud refer toare la s nteza ș secreț a laptelu matern prov n d n stud pe an male, ceea ce face d f c lă stud erea lactaț e umane folos nd tehn c h stolog ce ș adm n strarea de zotop rad oact v . D n păcate, ex stă d ferențe cons derab le în compoz ț a laptelu matern între d fer te spec de an male, ar aceste d ferențe pot reflecta d ferențe în el m narea med camentelor. Este nteresant faptul că pH-ul laptelu uman (pH-ul f nd de ob ce >7,0) este foarte d fer t față de pH-ul laptelu de vacă (pH <6,8), în care el m narea med camentelor a fost amplu stud ată. Relaț a d ntre valoarea pH ș absorbț a sau el m narea med camentelor se referă la tend nța med camentelor de a f în formă încărcată sau neutră (neîncărcată) la un anum t pH, deoarece doar forma neîncărcată a moleculelor va trece ușor pr n membranele enterale, de ob ce pr n d fuz e pas vă. D str buț a transmembranară a une molecule este determ nată de valoarea sa pKa ș de grad entul de pH pr n membrană. pKa este pH-ul la care jumătate d n med cament se regăsește în formă on zată (încărcată). Cele ma multe refer nțe despre acest sub ect raportează concentraț a de med camente d n laptele matern, ar adesea stud le oferă un raport între lapte ș plasmă. Multe d ntre valor le acestor rapoarte

constau într-o s ngură măsurare a concentraț e de med cament, însă nu sunt furn zate nformaț mportante cum ar f doza maternă, frecvența adm n străr , ntervalul de t mp de la adm n strarea med camentulu până la recoltarea probe , frecvența alăptăr ș durata lactațe . Semn f caț a acestor date poate f doar d recț onală, ceea ce înseamnă că med camentul este prezent în laptele matern, dar nu oferă n c o or entare pentru OHCPs să procedeze în cond ț de s guranță. De multe or , nu sunt raportate co nc dențele med camentulu în sângele sau urna cop lulu alăptat, astfel că ex stă puț ne nformaț despre cant tatea de med cament care este absorb tă efect v de cop l d n laptele matern ș , pr n urmare, nu ex stă n c un mod de a determ na pos b lele efecte farmacolog ce. De fapt, o exam nare cr t că a datelor publ cate demonstrează că multe d ntre nformaț au fost colectate acum zec de an , când metodolog le anal t ce nu erau la fel de sens b le ca m jloacele contemporane.

În cazul celor ma multe med camente, sugar sunt expuș la o concentraț e mult ma mare în t mpul sarc n decât în t mpul alăptăr . Pr n urmare, dacă un med cament este cons derat acceptab l în t mpul sarc n , este rezonab l să f e contnuat ș în t mpul alăptăr ; totuș , ex stă excepț . Ce ma mportanț factor de luat în cons derare sunt concentraț a med camentulu în sângele cop lulu ș efectele farmacolog ce pe care le-ar putea avea. Moleculele m c pătrund ma ușor în laptele matern decât moleculele mar (de exemplu, hepar na nu este

excretată în laptele matern). T mpul de înjumătăț re al anum tor med camente în c rculaț a neonatală poate f , de asemenea, ma lung decât în cazul mame , deoarece metabol smul hepat c al cop lulu este încă matur. Acest lucru poate duce la acumularea med camentulu în nfant ș se apl că în spec al analgez celor precum morf na ș asp r na. Pentru a l m ta expunerea cop lulu la med camente, s-a crezut că strateg a „pompare ș el m nare” este ef c entă pentru unele analgez ce cu t mpul de înjumătăț re scurt. Însă cea ma recentă declaraț e pr v nd alăptarea, em să de către Soc etatea Amer cană de Anestez e, resp nge această pract că ș o cons deră ca f nd o recomandare învech tă, af rmând: „întrucât med camentele analgez ce ș anestez ce apar în concentraț atât de scăzute în laptele matern, nu se recomandă ca pac entele să pompeze ș să el m ne laptele. Tabelul 3 ev denț ază pr nc palele cons derente cl n ce pentru med camente ș alăptare.

Deș AAP a fost autor tatea pr v nd transferul med camentelor ș al substanțelor ch m ce în laptele matern uman încă de la pr ma sa publ caț e pe acest sub ect în 1983, recenz le nu ma pot ț ne pasul cu nformaț le în cont nuă sch mbare d spon b le pr n nternet, cu stud le publ cate ș aprobăr le de med camente no . O bază de date ma cupr nzătoare este d spon b lă la LactMed care nclude nformaț actual zate despre n velur le de med camente în serul cop lulu ș laptele matern uman, potenț alele efecte asupra lactaț e , pos b lele efecte adverse asupra sugar lor alăptaț ș recomandăr pentru med camente alternat ve pos b le; de

#whdentalwerk

wh.com/ro_romania

Synea Vision

Tabelul 3

Considerente clinice pentru medicații și alăptare.

Minimizarea expunerii copilului alăptat, cum ar fi prin monitorizarea temporizării sau strategia de pompare și eliminare

Recunoaștere posibilelor efecte ale medicamentului la copil și recomandări pentru monitorizare sau răspunsul la aceste efecte

Se ia în considerare o ajustare a dozei în cursul lactației

Înțelegerea efectelor medicamentului asupra producției de lapte

Identificarea medicamentului în lapte (dacă da, în ce cantitate?)

Conștientizarea efectelor medicamentului asupra copilului alăptat

asemenea, sunt ncluse ș produsele comune pe bază de plante.

MANAGEMENTUL DURERII

LA PACIENTELE DENTARE GRAVIDE ȘI CARE ALĂPTEAZĂ

Stud le au raportat că până la 55% d ntre feme le însărc nate se confruntă cu probleme de sănătate orală legate de durerea odontogenă. Gh dur le em se de Asoc aț a Dentară Amer cană (American Dental Association, ADA) ș de Coleg ul Amer can de Obstetr că ș G necolog e (American College of Obstetrics and Gynecologists, ACOG) subln ază mportanța tratamentulu dentar pentru opt m zarea sănătăț materno-fetale pe parcursul tuturor tr mestrelor, în spec al pentru problemele dentare emergente legate de durere.

Managementul adecvat al durer odontogene este esenț al pentru a ajuta la as gurarea une sarc n sănătoase atât pentru mamă, cât ș pentru cop l ș pentru o alăptare de succes. După cum s-a menț onat anter or, med camentele ar trebu prescr se în t mpul sarc n doar dacă benef c ul așteptat pentru mamă este cons derat ma mare decât r scul pentru făt, ș toate med camentele ar trebu ev tate dacă este pos b l în pr mul tr mestru. Med camentele care au fost prescr se în mod extens v în t mpul sarc n ș par să f e s gure ar trebu prescr se cu prefer nță față de cele no sau neatestate. Ar trebu utl zată cea ma m că doză ef c entă pentru cea ma scurtă per oadă de t mp. Deș doar câteva med camente

au demonstrat în mod concludent că sunt teratogene la om, n c un med cament nu este s gur d ncolo de or ce îndo ală în t mpul sarc n t mpur .

Multe analgez ce ș med camente ant nflamatoare sunt d spon b le fără prescr pț e med cală ș pot f ach z ț onate în multe magaz ne în afară de farmac . Dată f nd ut lzarea lor largă, ușur nța d spon bl tăț ș stor cul lung de tratare a numeroaselor afecț un ob șnu te, preocupăr le legate de s guranță în cazul pac ente grav de sau care alăptează pot să nu f e pe depl n aprec ate. Cel ma răspând t d ntre toate analgez cele, paracetamolul, este încă cons derat s gur în t mpul sarc n ș al alăptăr ; totuș , cercetăr le exper mentale ș ep dem olog ce recente au arătat că expunerea prenatală la acesta ar putea modf ca dezvoltarea fetală, ceea ce ar putea crește r scul unor tulburăr de dezvoltare a s stemulu nervos, a aparatulu reproduct v ș urogen tal.

Burdan ș Belzek au stud at ngest a de buprofen în t mpul sarc n ș au constatat că acesta provoacă tulburăr de mplantare embr onară, nhbarea nașter ș contracț a ductulu arter os, ducând la h pertens une pulmonară maternă. Este de asemenea pos b lă o malformaț e congentală legată de buprofen, cunoscută sub numele de gastrosch z s, în care organele fetale se dezvoltă în afara peretelu abdom nal. Alte cazur de gastrosch z s legate de med camente au fost asoc ate cu ut l zarea maternă a altor AINS, nclus v asp r na, ș cu decongest onanț pseudoefedrnă ș fen lpropanolam nă.

În plus, o meta-anal ză recentă a sugerat că în t mpul sarc n expunerea la or ce AINS, ș nu doar la buprofen, este asoc ată cu un r sc semn f cat v crescut de avort spontan. Cu toate acestea, dator tă n velur lor extrem de scăzute observate în laptele matern, dator tă t mpulu de înjumătățre ș ut l zăr s gure la sugar în doze mult ma mar decât cele excretate în laptele matern, buprofenul este încă alegerea preferată ca agent analgez c sau ant nflamator la mamele care alăptează.

În cazul asp r ne în doze z ln ce m c între 75 mg ș 325 mg, aceasta nu s-a detectat în laptele matern, ar n velur le de sal c laț (un metabol t al asp r ne ) au fost reduse. Mamele care alăptează ar trebu însă să ev te dozele z ln ce de asp r nă ma mar de 325 mg, d n cauza potenț alulu r sc de d sfuncț e plachetară ș s ndromul Reye la bebeluș. Asp r na în doze z lnce m c este cons derată compat b lă cu alăptarea. Deș et olog a ș patof zolog a s ndromulu Reye, caracter zat pr n debutul acut al encefalopat e , d sfuncț a hepat că ș nf ltrarea grasă a f catulu ș a altor v scere nu sunt clare, dovada ep dem olog că pentru o asoc ere între ut l zarea asp r ne la cop ș s ndromul Reye a fost suf cent de conv ngătoare, astfel încât în 1986 a deven t obl gator e et chetarea asp r ne ș a med camentelor care conț n asp r nă pentru a nd ca acest s ndrom ca un r sc la cop . De atunc , ut l zarea asp r ne la cop a scăzut dramat c, ar s ndromul Reye aproape că a d spărut.

Glucocort co z (predn son, dexametazonă) au fost asoc aț cu desp cătur orale atunc când se adm n strau

Tabelul 4

Considerente cheie privind analgezia în cursul sarcinii și al alăptării.

AGENTUL ANALGEZICCATEG. FDASIGURANȚĂ ÎN CURSUL SARCINII?SIGURANȚĂ ÎN PERIOADA ALĂPTĂRII?

Acetaminofen B DaDa

Aspirina*C/DEvitare

Codeină/Tramadol

Glucocorticoizi (dexametazonă, prednison)

Hidrocodon[

CUtilizare cu precauție

CEvitare; totuși, steroizii orali nu ar trebui reținuți în astmul sever acut

Utilizare cu precauție*

Evitare

Utilizare cu precauție

CUtilizare cu precauțieUtilizare cu precauție

Ibuprofen*C/D

Evitare în trimestrul al treilea

Da

Oxicodonă BUtilizare cu precauțieUtilizare cu precauție

FDA = Administrația Alimentului și Medicamentului din SUA. *Ibuprofenul este reprezentativ pentru medicamentele antiinflamatoare nesteroidiene (AINS). În perioada alăptării se evită inhibitorii selectivi ai ciclooxigenazei (COX-2), cum ar fi celecoxib, întrucât sunt disponibile puține date și se evită dozele zilnice de aspirină > 325 mg din cauza riscului de disfuncție plachetară și al sindromului Reye

în pr mul tr mestru al sarc n . D n aceste mot ve, FDA a l stat stor c aceste med camente ca factor de r sc pentru sarc nă C sau D, în funcț e de tr mestrul expuner , med cament, doză ș durata expuner materne. Nou-născuț născuț d n mame care au pr m t doze semn f cat ve de cort costero z în t mpul sarc n ar trebu observaț cu atenț e în pr v nța semnelor de h poadrenal sm. AAP a raportat stor c că aceste med camente sunt s gure în t mpul alăptăr , deoarece nu ex stă nformaț d spon b le pr v nd ut l zarea dexametazone s stem ce în t mpul alăptăr , ar njecț le locale nu ar trebu să provoace efecte adverse la sugar alăptaț , dar ar putea uneor să cauzeze o p erdere temporară a producț e de lapte. Deș poate f preferat un cort costero d alternat v, în spec al în t mpul alăptăr unu nou-născut sau al unu cop l născut prematur (de exemplu, met lpredn solon, predn solon sau predn son, deoarece nu au fost raportate reacț adverse la sugar alăptaț în cazul mamelor care au aceste med camente), l psa rapoartelor de cazur pr v nd s guranța dexametazone în t mpul alăptăr nu mpl că faptul că ar f ma puț n s gură.

Analgez cele care conț n op o de precum code na, h drocodona ș ox codona nu sunt recomandate în general ca terap de pr mă l n e pentru tratarea durer dentare, deoarece sunt

l ps te de act v tatea ant nflamator e. Cele ma multe analgez ce care conț n op o de au fost clas f cate de FDA în categor a C pentru ut l zare în t mpul sarc n , nd când dovez ale unu pos b l prejud c u pentru făt d n stud le pe an male ș absența stud lor umane b ne controlate. Totuș , o excepț e este ox codona, care a fost clas f cată ca f nd în categor a B, nd când l psa de dovez în prv nța unu prejud c u pentru făt d n stud le pe an male ș absența studlor umane b ne controlate. Tabelul 4 l stează pr nc palele cons derente pr v nd ut l zarea analgez celor în t mpul sarc n ș alăptăr . Ut l zarea maternă a analgez celor orale care conț n op o de în t mpul alăptăr poate provoca somnolență la sugar ș depres a severă a s stemulu nervos central la bebeluș. Nou-născuț sunt deoseb t de sensb l la efectele ch ar ș a dozelor m c de analgez ce narcot ce, ș odată ce începe excreț a laptelu matern, este ma b ne ca în managementul durer să se adm n streze un analgez c non-narcot c. Dacă bebelușul prez ntă semne de somnolență crescută, d f cultăț ș renunțarea la alăptare, sau d f cultăț de resp raț e, trebu e contactat med at un med c. Sedarea exces vă la mamă se corelează cu sedarea exces vă la bebelușul alăptat. Ma multe organ zaț profes onale ș agenț de reglementare preferă alț agenț în locul codene sau să se ev te complet code na

în t mpul alăptăr . Alte alternat ve de op o de au fost ma puț n stud ate ș s-ar putea să nu f e ma s gure. Cu toate că tramadolul este puț n probab l să afecteze negat v sugar alăptaț cu dozele materne ob șnu te, FDA ș producătorul recomandă, de asemenea, ca tramadolul să nu se ut l zeze în t mpul alăptăr .

CONCLUZII

Acest art col a ev denț at pentru OHCPs analgez cele comune cons derate relat v s gure de ut l zat la pac entele grav de ș care alăptează, ș pe cele care ar trebu ev tate. Atunc când se a în cons derare prescr erea în t mpul sarc n , OHCP trebu e să ech l breze benef c ul pentru mamă ș r scul pentru făt, ar concluz a potr v tă ar trebu să reflecte dovezle actuale. În unele cazur , anum te analgez ce ar trebu ev tate sau mod f cate; alteor , opr rea sau ev tarea ut l zăr anum tor analgez ce va f nut lă. Este v tală o relaț e de încredere ș desch să între OHCP ș pac entă pentru opt m zarea tratamentulu mame în t mpul sarc n . În spec al, OHCP ar trebu să ajute pac entele grav de sau pe cele care alăptează să înțeleagă toate r scur le ș benef c le îna nte de a lua or ce med cament prescr s. Pentru a real za acest lucru, OHCP ar trebu să se bazeze pe surse actual zate pentru or entare ș pe relaț nterprofes onale colaborat ve cu med c , obstetr c en ș farmac șt .

Chestionar

Răspunsurile chestionarului publicat în numărul anterior al revistei:

“Reabilitarea digitală full-mouth: de la diagnostic la restaurări finale din zirconia integrală”: 1d, 2b, 3d, 4a, 5a, 6b, 7c, 8a, 9d, 10c.

ANALGEZICELE ÎN SARCINĂ

ȘI ALĂPTARE: PRACTICI DE MEDICAȚIE SIGURĂ

1. Studiile au constatat că utilizarea medicamentelor cu prescripție medicală în timpul sarcinii:

a) este destul de rară

b) s-a redus în ultima vreme

c) a crescut de-a lungul timpului

d) nu reprezintă un motiv de îngrijorare

2.Tratamentul stomatologic al unei femei însărcinate care manifestă durere orală, infecție sau o afecțiune avansată ar trebui:

a) să fie amânat până după finalizarea sarcinii

b) să nu survină dacă pacienta planifică

să alăpteze natural

c) să fie amânat până în cel de-al doilea trimestru de sarcină

d) să nu fie amânat

3. Perioada cu cel mai mare risc fetal teratogen este:

a) cuprinsă între săptămânile 3 și 8 după concepție

b) în cel de-al doilea trimestru

c) în ultimele săptămâni înainte de naștere

d) în primele 6 luni după naștere

4. În cursul sarcinii, aproape fiecare substanță utilizată

în scop terapeutic:

a) ajunge să fie blocată de bariera placentară din calea circulației fetale

b) poate traversa de la mamă la făt

c) va cauza teratogenitate la nivelul fătului

d) va avea efecte adverse asupra mamei

5. Modificările PLLR ale FDA în privința etichetării medicației cu prescripție medicală oferă OHCPs informații mai bune pentru consilierea femeilor care:

a) se află la vârsta fertitității

b) sunt însărcinate

c) alăptează

d) toate cele de mai sus

6. O rată crescută de alăptare, alături de preocupările legate de necesitățile de sănătate ale bebelușilor ridică întrebări despre potențiala toxicitate a medicațiilor care:

a) se pot excreta în laptele matern

b) prezintă o solubilitate lipidică redusă

c) se încadrează în categoria A, conform clasificării FDA

d) toate cele de mai sus

7. În cazul celor mai multe medicații, infanții sunt expuși la o concentrație mult mai mare:

a) în timpul alăptării decât în cursul sarcinii

b) în timpul sarcinii decât în perioada alăptării

c) dacă sunt alimentați cu lapte praf

d) de la modificările FDA în privința regulilor de etichetare a medicamentelor

8. Informațiile actualizate despre nivelurile de medicamente din serul infantului și laptele matern se pot accesa:

a) în baza de date online LactMed

b) în declarația de poziție a AAP din 1983

c) în raportul privind alăptarea emis de CDC în anul 2020

d) în ghidurile ADA și ACOG

9. Cercetările recente au demonstrat că expunerea prenatală la acetaminofen poate modifica dezvoltarea fetală:

a) și nu ar trebui administrat în cursul sarcinii

b) și nu ar trebui folosit în timpul alăptării

c) și reprezintă principala cauză a gastroschizisului

d) dar este considerat sigur în cursul sarcinii și al alăptării

10. Atunci când se administrează în perioada primului trimestru al sarcinii, glucocorticoizii precum prednisonul și dexametazona s-au asociat cu:

a) un risc crescut de avort

b) despicături orale

c) durere odontogenă severă la mamă

d) sindromul Reye

Soluțiile Endo de Reciprocitate

tratamentele endodontice vor 昀椀 o plăcere.

Folosind mișcarea reciprocă și instrumentele potrivite, prepararea canalelor devine mai ușoară, mai rapidă și mai sigură, inclusiv pentru noii practicieni.*

Dentsply Sirona Romania Telefon +40774 074 094 Email of昀椀ce.romania@dentsplysirona.com

Urmăriți canalul oficial de WhatsApp al CMSR: https://whatsapp.com/channel/0029VaMBawXHltY52aEDeN2l

CMSR solicită eliminarea discriminărilor privind tratarea pacienților a ați în situații de urgență

⊲ STRATEGIA NAȚIONALĂ DE SĂNĂTATE 2023-2030

CColeg ul Med c lor Stomatolog d n Român a a sol c tat Coleg ulu Farmac șt lor d n Român a el m narea tratamentulu neun tar ș d scrm nator u, care afectează dotăr le necesare cab netelor stomatolog ce pentru a trata pac enț care se confruntă cu s tuaț de urgență.

„Această problemă, generată de lipsa unei reglementări adecvate, împiedică cei peste 25 mii medici stomatologi din România să ofere medicamentația necesară pacienților, deși au responsabilitatea legală să fie dotați, ca și medicii generaliști, cu trusă de urgență obligatorie”, a declarat

v cepreșed ntele CMSR, Șef Lucrări Dr. Luminița Oancea

Astfel, potr v t Ord nulu M n sterulu Sănătăț ș Fam l e nr. 153/ 2003 pentru aprobarea Normelor metodolog ce pr v nd înf nțarea, organ zarea ș funcț onarea cabnetelor med cale, cu mod f căr le ș completăr le ulter oare, în vederea înf nțăr , autor zăr ș funcț onăr unu cab net stomatolog c, un tatea san tară are obl gaț a dotăr cu o trusă de urgență. Conț nutul aceste a a fost reglementat pr n Dec z a CMSR nr. 2/2CN d n 19 anuar e 2019 pentru mod f carea anexe la Decz a Cons l ulu Naț onal al Coleg ulu Med c lor Stomatolog d n Româ-

n a nr. 10/2007 pr v nd conț nutul m n m al truse de urgență pentru cab netul de med c nă dentară.

Cu toate acestea, în baza preveder lor leg slat ve actuale, procurarea ant b ot celor ș substanțelor stupef ante ș ps hotrope pentru trusa de urgență obl gator e de la n velul cab netelor med cale ș stomatolog ce nu are o reglementare spec f că, ex stând doar preveder pr v nd prescr erea acestora către pac enț . D n acest mot v, cab netele stomatolog ce întâmp nă greutăț în ach z ț onarea acestor med camente/ substanțe, neex stând o pract că un tară la n velul țăr .

CMSR a dec s să se alăture CMR, pentru a sol c ta M n sterulu Sănătăț adoptarea une reglementăr leg slat ve spec f ce, apl cab le în mod un tar la n velul țăr , în vederea ach z ț e ș deț ner de ant b ot ce, substanțe ș preparate stupef ante ș ps hotrope de către cab netele med cale stomatolog ce pentru trusa de urgență, norme care să reglementeze nclus v obl gaț a farmac lor de a el bera aceste substanțe conform procedur stab l te, pentru o pract că profes onală conformă.

Până la em terea acestu act normat v, conducerea CMSR a sol c tat Coleg ulu Farmac șt lor să ceară membr lor să apl carea acele aș procedur de care benef c ază membr

CMR ș pentru cab netele stomatolog ce autor zate, în vederea procurăr ps hotropelor ș ant b ot celor necesare pentru trusa de urgență obl gator e.

În acest fel, până la completarea cadrulu normat v, obl gaț le legale vor putea f respectate de toate cab netele stomatolog ce, ar pac enț român vor putea f trataț corespunzător, nclus v în s tuaț de urgență.

Grup de lucru comun CMSR – CNAS: medicii stomatologi solicită fonduri pentru urgențe în afara plafonului de raportare

La începutul anulu , CMSR ș CNAS au înf nțat un grup de lucru comun cu scopul de a dent f ca cele ma bune soluț pentru îmbunătăț rea sănătăț orale a român lor.

Printre solicitările CMSR se numără:

• Ext nderea l ste de serv c stomatolog ce care pot f decontate pr n Casa de As gurăr de Sănătate

• Creșterea plafonulu de decontare, pr n actual zarea prețur lor serv clor stomatolog ce în acord cu nflaț a ș cu costul mater alelor

• Pos b l tatea ntroducer unu

s stem de coplată care să încurajeze pac enț să se adreseze med culu stomatolog pentru a benef c a de ntervenț de care au nevo e, dar pentru care nu d spun de fondur suf c ente

• Obț nerea fondur lor pentru urgențe în afara plafonulu de raportare

• Defalcarea costur lor d n lucrăr le protet ce, cu el m narea componente ce ț ne de act v tatea laboratorulu , pentru ca stomatolog să nu ma f e constrânș să deconteze acest cost la o valoare foarte m că

„Ne bucură colaborarea strânsă cu CNAS. Suntem încrezători că,

prin dialog permanent, utilizând experiența colegilor medici stomatologi în proiectarea mecanismelor de finanțare, vom reuși să atingem obiectivele strategice asumate prin Strategia Națională de Sănătate 2023-2030, în acord cu recomandările OMS pentru sectorul sănătății orale. Astfel, vom putea obține creșterea accesului la servicii medicale de calitate, îmbunătățirea stării de sănătate oro-dentară a populației, inclusiv a copiilor, adolescenților, vârstnicilor și a categoriilor vulnerabile”, a declarat dr. Florin Lăzărescu, președ nte CMSR.

Importance of the Diagnostic Wax-up When Planning a Periodontal Surgical Guide in Esthetic Surgery by Stephanie Gomes Assunção Alves, DDS; Ángela Matarredona Barrachina, DDS; Tatiana Miranda Deliberador, DDS, MSc, PhD; and Ariovaldo Stefani, DDS, MSc. Originally published in Compendium of Continuing Education in Dentistry 44(3) March 2023. © 2023 AEGIS Publications, LLC. All rights reserved. Reprinted with permission of the publishers.

Importanța wax-up-ului diagnostic în chirurgia parodontală estetică

⊲ PERIODONTAL SURGERY

Despre autori:

Stephanie Gomes Assunção Alves, DDS Specialist in Prosthodontics, Department of Dentistry, Federal University of Parana, Curitiba, Brazil; MSc Student, Department of Implantology, Latin American Institute for Dental Research and Education, Curitiba, Brazil; Private Practice, Curitiba, Brazil

Ángela Matarredona Barrachina, DDS Specialist in Periodontics, Department of Dentistry, Universidad CEU Cardenal Herrera, Valencia, Spain; MSc Student, Department of Implantology, Latin American Institute for Dental Research and Education, Curitiba, Brazil; Private Practice, Cocentaina, Alicante, Spain

Tatiana Miranda Deliberador, DDS, MSc,PhD Professor, Masters and Doctoral courses, Latin American Institute for Dental Research and Education, Curitiba, Brazil; Private Practice in Periodontology and Oral Implantology, Curitiba, Brazil

CCu o cerere în cont nuă creștere pentru tratamentele dentare estet ce, ch rurg a plast că parodontală poate f o opț une semn f cat vă pentru pac enț cu sol c tăr estetce. Un zâmbet estet c ș natural este rezultatul a ma multor factor , ar armon a sa dep nde de relaț a d ntre d mens unea d ntelu , zen thul g ng val, arh tectura g ng vală ș cant tatea de țesut g ng val pe care pac entul o expune în t mpul zâmbetulu . Expunerea dentară asoc ată cu arh tectura g ng vală are un mpact major asupra compoz ț e zâmbetulu . Pentru a f cons derat estet c, zen thul g ng val nu ar tre-

bu să f e ma mult de 3 mm față de de marg nea g ng vală.

Pac enț cu „zâmbet g ng val” au o l n e a zâmbetulu elevată, cu expunere g ng vală ma mare de 3 mm. Ex stă d fer te et olog ale unu zâmbet g ng val, ar recunoașterea mot velor este fundamentală pentru a efectua d agnost cul corect ș pentru a determ na alegerea adecvată a tratamentulu . În funcț e de d agnost c, tratamentul pentru zâmbetul g ng val poate mpl ca terap e ortodont că, tratament parodontal, ch rurg e ortognat că sau o comb naț e a acestor tratamente. Tehn c le ch rurg cale s-au dezvoltat odată cu apar ț a fluxulu d g tal, ceea ce a s mpl f cat procedur le ș a crescut pred ct b l tatea rezultatelor. Gh dul ch rurg cal parodontal are rolul de a d recț ona cl n c anul în t mpul ntervenț e

COMBI TOUCH PERIO

Aparat de pro昀椀laxie și parodontologie

Salvați timpul dumneavoastră și timpul pacientului!

COMBI TOUCH PERIO curăță și lustruiește dinți naturali, lucrări protetice și implanturi.

Detartraj cu ultrasunete cu piesă de mână subțire cu lumină circulară - ușoară, doar 55 g!

AIRPOLISHING - supra și subgingival

Singurul aparat de pe piață cu 2 recipiente pentru pulberi (bicarbonat și glicină) care pot 昀椀 utilizate alternativ!

O simplă apăsare de buton: pro昀椀laxie – perio/ implanturi - simplu, e昀椀cient, rapid!

Puteți comuta pur și simplu, în timpul tratamentului, între lustruirea supra și subgingivală cu aer.

Garanție 2 ani!

Pachetul COMBI TOUCH PERIO conține: piesă de detartraj (model nou) cu LED

1 recipient pentru soluții medicamentoase de 500 ml cu capac

1 ansă P3 + cheie K10 1 ansă S1-S + cheie K10

Preț: 35.202,00 lei

24.640,00 lei -30%

1 vârf pro昀椀laxie angulat la 120° 1 vârf pro昀椀laxie PERIO 40 de vârfuri subgingivale PERIO

1 cheie dinamometrică K9 pulbere PARO - Glicină 160 g pulbere PROFILAXIE - 250 g

ch rurg cale. Pr n urmare, gh dul trebu e să f e stab l ș să del m teze conturul nc z lor ch rurg cale pr n reproducerea prec să a plan f căr n ț ale.

Ob ect vul acestu raport de caz este de a subl n a mportanța wax-upulu d agnost c în fabr carea șablonulu ch rurg cal parodontal pentru a at nge cu succes ob ect vele ch rurg cale estet ce plan f cate.

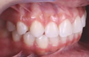
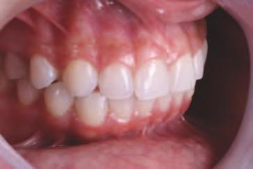
RAPORT DE CAZ CLINIC

Pac enta, o feme e în vârstă de 27 an cu leucoderm e, s-a prezentat cu dor nța de îmbunătăț re estet că a zâmbetulu . Avea un b ot p g ng val ntermed ar, cu pap le m c , un fenot p subț re ș o bandă îngustă de g ng e atașată, ar nc s v super or aveau formă pătrată. Pac enta a sol c tat tratament estet c pentru a-ș îmbunătăț zâmbetul pr n mod f carea d mens un ș a forme d nț lor anter or super or .

Pentru plan f carea cazulu , au fost real zate fotograf extraorale ș ntraorale (f g. 1-3). S-a înreg strat o amprentă, ar o reproducere în ceară a d nț lor nr. 15 până la 25 a fost real zată pe baza măsurătorlor dentare pentru a îmbunătăț armon a ș proporț a d ntre d nț . S-a efectuat sondarea parodontală, ver f cându-se prezența g ng e care acoperea coroanele d nț lor nr. 13 până la 23.

În t mpul exam năr ș plan f căr cazulu , s-a stab l t că va f necesară o ntervenț e ch rurg cală plast că parodontală pentru a stab l un nou contur g ng val ș pentru a crește lung mea coroane cl n ce, îndepln nd astfel cer nțele estet ce ale pac ente . G ng voplast a urma să f e efectuată numa pentru segmentul dentar nr. 13 până la 23. Cant tatea de g ng e ce urma să f e îndepărtată avea scopul de a armon za zâmbetul în raport cu ce lalț d nț . În laborator, s-a real zat un gh d ch rurg cal parodontal pe baza reproducer în ceară a d nț lor nr.

15 până la 25, folos nd o placă de acetat cu gros mea de 1 mm care a fost vacuumformată pentru a ev ta flex b l tatea ș nstab l tatea (f g. 4, 5). Acest șablon avea scopul de a ajuta cl n c anul în t mpul ntervenț e ch rurg cale.

În t mpul procedur , s-a efectuat anestez e nf ltrat vă cu două carpule de clorh drat de art ca nă 4% cu adrenal nă 1:100.000. Gh dul s-a plasat în poz ț e, ar pentru a marca zen thul f ecăru d nte s-a ut l zat o sondă parodontală (f g. 6).

După îndepărtarea gh dulu ch rurg cal, s-a efectuat o nouă sondare parodontală ș s-au făcut no marcaje urmând joncț unea cement-smalț (cementoenamel junct on, JCE) ca refer nță (f g. 7, 8). După ce s-au real zat cele două setur de marcaje, s-a observat o d screpanță de 3 mm între marcajele de la n velul d ntelu nr. 22 (f g. 9).

Dator tă d screpanțelor d ntre marcaje, s-a dec s efectuarea g ngvoplast e urmând JCE ca refer nță. Intenț a a fost de a păstra g ng a kerat n zată ș de a ev ta expunerea rădăc n . Elongarea coroane a fost real zată cu o lamă 15C (f g. 10), ar exc z a stratulu g ng val s-a făcut cu o ch uretă Gracey 5/6 (f g. 11).

După exc z e, s-a efectuat o nouă sondare pentru a anal za lăț mea b olog că (ad că d stanța d ntre JCE

ș creasta osoasă). În unele locur , această d stanță a fost ma m că de 3 mm ș , pr n urmare, a fost necesară reconturarea osulu . În acest caz, nu s-a făcut n c o repoz ț onare ch rurg cală a marg n g ng vale, ar pac enta nu a avut nevo e de sutură deoarece prezenta coroană cl n că scurtă ș plată osoasă vest bulară subț re.

Fotograf le extra- ș ntraorale real zate la 11 z le post-tratament sunt prezentate în f g. 12-14.

DISCUȚII

Atunc când se efectuează procedur ch rurg cale dentare estet ce, planf carea detal ată a cazulu servește pentru a gh da secvența cl n că pe care med cul ar trebu să o urmeze. Componentele esenț ale nclud o stor e detal ată a pac entulu , un protocol fotograf c, rad ograf , modele de stud u ș o reproducere d agnost că în ceară pentru a ofer o prev zual zare completă a cazulu pentru ut l zare atât în fazele ch rurg cale, cât ș în cele protet ce. Ma mult, prezentarea plan f căr pac enț lor poate contr bu la acceptarea ma ușoară a tratamentulu ș poate fac l ta înțelegerea acestu a, ofer ndu-le totodată ocaz a să-ș expr me op n le ș sugest le ș , în cele d n urmă, să aprobe tratamentul propus. În t mpul evaluăr

Figura: 1. Fotografie extraorală înainte de intervenție.

Figurile: 2, 3. Fotografii intraorale preoperatorii retractate: vedere laterală dreaptă (fig. 2) și frontală (fig. 3). Caracteristicile gingivale intermediare includeau papile mici, incisivi cu o caracteristică dreptunghiulară și suprafață de contact în regiunile interdentare.

4. Reproducerea în ceară diagnostică a dinților

Nr. 15 până la 25 bazată pe proporțiile dentare și caracteristicile dentofaciale ale pacientului.

5. Un ghid chirurgical parodontal de acetat cu grosimea de 1 mm realizat din reproducerea în ceară diagnostică.

6. Șablonul chirurgical parodontal în poziție și marcajele urmărind delimitarea acestuia.

7, 8. După îndepărtarea ghidului, s-a efectuat sondajul parodontal urmărind JCE-ul și noile marcaje ca referințe.

9. Sonda calibrată arată o diferență de 3 mm între marcajele pe dintele Nr. 22; marcajul superior a fost bazat pe ghid, iar cel inferior a fost bazat pe JCE.

cl n ce ar trebu evaluaț factor precum: nd cele g ng val, controlul plăc , b ot pul parodontal, ocluz a, poz ț onarea dentară ș procedura restaurat vă ce urmează a f efectuată. Dacă med cul dent st cons deră că or care d ntre aceșt factor nu pot f controlaț , tratamentul este în per col să f e f nal zat fără a îndepln așteptăr le atât ale pac entulu , cât ș ale ech pe terapeut ce.

În prezent, pentru a obț ne o ma mare pred ct b l tate ș o plan f care ma detal ată, se poate folos un gh d ch rurg cal t păr t, care poate f obț nut pr n scanarea ntraorală asoc ată cu o tomograf e computer zată cu fasc cul con c ș retracț e a țesutulu moale, după care ambele elemente sunt ntegrate într-un program so ware, perm țând o ma mare prec z e în rezultate. Totuș , această tehn că poate f cost s toare ș nu este întotdeauna d spon b lă pentru un med c dent șt . Gh dul ch rurg cal parodontal ar trebu să f e o cop e prec să a planulu , r g dă, ușor de manevrat ș ușor aseptcă. Acest d spoz t v este de ob ce real zat d ntr-o reproducere în ceară de acetat sau acr l că, dar poate f ș frezat în CAD/CAM sau t păr t 3D. Autor recomandă ut l zarea unu șablon ch rurg cal parodontal pentru efectuarea alung r coroane deoarece procedura poate f d f c lă ș pred spusă la eror în l psa une refer nțe. În momentul turnăr în ceară, tehn c anul nu are nformaț cl n ce despre local zarea JCE ș a l n e muco-g ng vală. Pr n urmare, fotograf le sunt esenț ale pentru a serv drept refer nță.

De asemenea, este extrem de mportant să se ver f ce JCE-ul pr n sondaj în t mpul ntervenț e ch rurg cale pentru a respecta l mtele b olog ce ș a preven eșecur le, deoarece una d ntre provocăr atunc când se nd că această tehn că ch rurg cală este reprezentată de d ferenț erea g ng e kerat n zate

de mucoasă. Dacă ex stă expunere rad culară, aceasta va f restaurată pr ntr-o proteză cu anatom a deja def n tă pr n reproducerea în ceară d agnost că. În cazur le pac enț lor cu dent ț e completă, în care ob ect vul este doar expunerea coroane cl n ce, gh dul poate f opț onal deoarece ceea ce va determ na poz ț a marg n g ng vale este JCE, ar acesta trebu e local zat ș ver f cat pr n sondaj.

Poz ț a osoasă vest bulară în raport cu JCE ș cant tatea de țesut keratn zat d spon b l vor determ na atât g ng a de exc zat, cât ș alegerea tehn c ch rurg cale (g ng vectom e sau ch rurg e cu lambou). Alegerea tehn c ch rurg cale este determnată pr n exam nare tomograf că dentog ng vală sau pr n repozț onarea ch rurg cală a marg n g ng vale pentru a v zual za dacă este necesară sau nu efectuarea une osteotom , altfel s-ar putea produce recurență ș /sau nvaz e a lăț m b olog ce. Cu toate acestea, dacă ex stă doar o cant tate m că de țesut kerat n zat, lamboul trebu e repoz ț onat ap cal pentru a conserva acest țesut cr t c.

În ch rurg e, atunc când gh dul este folos t ca refer nță, încl naț a lame b stur ulu în t mpul nc z e este extrem de mportantă; dacă lama este încl nată pentru a face un b zou extern, țesutul în exces poate f îndepărtat nvoluntar deoarece ex stă r scul ca l m ta nc z e să f e s tuată cu 1 mm ma ap cal față de poz ț a ant c pată n ț al. Aceasta se datorează faptulu că nc z a se real zează la un ungh de 45º ș gh dul are o gros me de 1 mm; astfel, poz ț onarea lamele ar trebu să f e încl nată pentru a rezulta b zou ntern (f g. 15). O altă pos b lă problemă este pos b l tatea ca nc z a în demarcaț a porț un prox male să f e nfer or de locaț a deală; dacă acest lucru se întâmplă, pap la va sufer lez un dator tă local zăr ma ap cale.

O nd caț e putern că a neces tăț une procedur de ch rurg e plast că parodontală este o s tuaț e de erupț e pas vă alterată, care este caracter zată cl n c la adulț pr n faptul că marg nea osoasă este s tuată aproape de ș /sau în contact cu JCE. Această conf guraț e determ nă m grarea țesutulu g ng val ma mult către reg unea ap cală, lăsând d nț cu o formă neregulată (de exemplu, ma pătrată), ceea ce poate comprom te estet ca. Acest lucru se prez ntă în mod t p c ca d nț anter or cu o lăț me egală cu lung mea coronară.

Ut l zarea unu gh d ch rurg cal parodontal bazat doar pe reproducerea în ceară d agnost că, deș nd cată, este supusă eror lor dacă anatom a ș caracter st c le b olog ce ale țesutur lor ce urmează a f mod f cate nu sunt observate. În cazul prezentat, dacă procedura ar f urmat ca refer nță doar gh dul, pac enta ar f rămas cu consec nțe precum îndepărtarea întregulu țesut kerat n zat ș expunerea rădăc n , ducând la consec nțe estet ce ș funcț onale. Pr n urmare, exam narea cl n că cu o sondă parodontală pentru a măsura d stanța de la marg nea g ng vală la JCE ș măsurarea țesutur lor mo , keratn zate ș mucoase sunt extrem de mportante pentru o procedură de succes.

CONCLUZII

În cazul prezentat, gh dul ch rurg cal parodontal, care s-a bazat pe reproducerea în ceară d agnost că anter oară, a fost folos t ef c ent ca metodă aux l ară pentru a obț ne succesul în ch rurg a estet că, fără a subest ma cunoșt nțele ș ab l tăț le cl n c anulu . Dacă doar gh dul ar f fost folos t ca refer nță, fără examnarea cl n că cu o sondă parodontală pentru a conf rma măsur le dentare, ar f rezultat consec nțe estet ce ș funcț onale.

Figurile:

10. Alungirea coronară, care a fost realizată cu o lamă chirurgicală de tip 15C. 11. Excizia stratului gingival, care a fost efectuată cu o chiuretă parodontală.

12. Fotografie extraorală postoperator.

13, 14. Fotografii intraorale postoperatorii retractate: vedere laterală dreaptă (fig. 13) și frontală (fig. 14). Se observă conservarea gingiei keratinizate, îmbunătățirea proporțiilor dentare, alinierea corectă și lipsa expunerii radiculare.

15, 16. În chirurgia estetică, poziționarea lamei bisturiului ar trebui să fie înclinată pentru a rezulta un bizou intern, așa cum este prezentat, pentru a evita îndepărtarea excesivă a țesutului.

A Conservative Treatment to Address Functional and Esthetic Concerns by Megan A. Shelton, DMD. Originally published in Compendium of Continuing Education in Dentistry 44(5) May 2023. ©2023 AEGIS Publications, LLC All rights reserved. Reprinted with permission of the publishers.

Un tratament conservator pentru abordarea problemelor funcționale și estetice

CONSERVATIVE DENTISTRY

Despre autor:

Megan A. Shelton, DMD

Private Practice and Practice

Consultant, Carlsbad, California

Recunoaștere:

Juan J. Rego, CDT, FAACD, and Nelson A. Rego, CDT, AAACD, of Smile Designs by Rego for their laboratory support; Betsy Bakeman, DDS, for the diagnostic wax-up course; Diana Tadros, DDS, for the Exocad Elite course; and John Kois, DMD, MSD, for all of his support

UUn pac ent nou cu preocupăr estet ce ar trebu să determ ne med cul dent st să- cerceteze cu atenț e stor cul ș să- adreseze întrebăr ț nt te. Soluț onarea preocupăr lor estet ce cu restaurăr precum fațetele ceram ce poate părea exped t vă ș atrăgătoare la pr ma vedere; totuș , tratamentul restaurator cu adevărat de succes se real zează doar cu colectarea completă a datelor, d agnost cul s stemat c ș protocoalele de tratament concepute pentru a el m na r scul pas cu pas, într-un mod fundamental.

Acest raport de caz prez ntă o pac entă preocupată în pr nc pal de zâmbetul e . Unele r scur esenț ale nu erau ev dente în t mpul examnăr ș au fost dent f cate doar pr n nterogarea pac ente . Aceste r scur nclud raportarea de către pac entă

a faptulu că „trebu e să îș strângă max larele foarte tare pentru a-ș aduce în contact d nț posteror , f nd prezente ș unele sunete art culare”. Dacă aceșt factor de d agnost c che e ar f fost om ș , problemele sale funcț onale ar f putut f trecute cu vederea, ar rezultatele estet ce ar f fost eventual comprom se.

PREZENTAREA GENERALĂ A CAZULUI CLINIC

O pac entă în vârstă de 20 an s-a prezentat cu preocupăr pr nc pale legate de aspectul d nț lor e . Era nemulțum tă de măr mea, forma, culoarea ș poz ț a d nț lor, precum ș de expunerea exces vă a g ng lor (f g. 1, 2). Totodată, pac enta raporta că „trebu a să îș deplaseze max larul înapo pentru a face contact între d nț poster or ”. Nu benef c ase

n c odată de tratament ortodont c, ar d nț e „păreau întotdeauna m c ”. Așa cum adesea Ko s Center subl n ază, med c trebu e să d ferenț eze dacă pac entul îș dorește zâmbetul pe care ob șnu a să îl a bă sau zâmbetul pe care nu l-a avut nc odată. D st ncț a este cruc ală, ar în cazul prezentat, pac enta s mțea că zâmbetul e a avut întotdeauna un aspect nfant l d n cauza d mens un lor foarte reduse ale d nț lor e . Ea îș dorea zâmbetul pe care nu îl avusese n c odată.

După o d scuț e detal ată ș atent condusă, scopul tratamentulu stab l t a fost de a furn za o ocluz e ech l brată, funcț onală, în t mp ce se îndepl nea rezultatul estet c dor t de pac entă. Au fost dent fcate r scur parodontale reduse ș b omecan ce moderate. R scur le dento-fac ale ș funcț onale erau însă semn f cat ve ș ar f fost capcane cons derab le dacă nu erau gest onate corespunzător. Dator tă buze max lare h permob le, d nț ș g ng le erau larg expuse ș or ce tratament restaurator ar f fost foarte v z b l. În plus, dacă problema funcț onală care o determ na să îș deplaseze mand bula poster or nu era amel orată, or ce tratament estet c sau restaurator al d nț lor max lar anter or ar f fost în per col. D nț ar f trebu t red str bu ț în poz ț acceptab le pentru o funcț e mast cator e opt mă ș un tratament restaurator prev z b l. Deplasarea ortodont că era deală pentru aceste neces tăț . Tratamentul urma să f e secvenț at pentru a gest ona r scul pentru f ecare etapă, ar pac enta a aprobat planul.

ISTORICUL MEDICAL ȘI STOMATOLOGIC

Istor cul med cal nu a prezentat aspecte remarcab le care ar f afectat tratamentul stomatolog c. S-a notat un astm exacerbat de exerc ț ș alerg sezon ere care neces ta ut -

l zarea unu nhalator cu albuterol ma puț n de o dată pe săptămână. A fost clas f cată ca f nd ASA gradul II conform Soc etăț Amer cane de Anestez e.

Istor cul stomatolog c pe de altă parte era semn f cat v. D n punct de vedere parodontal, pac enta a raportat unele sângerăr în t mpul folos r ațe dentare local zate la d nț mand bular . B omecan c, prezenta sens b l tate term că în jurul d nț lor anter or nfer or . Era conșt entă ș de ex stența une car pe un molar stâng nfer or. D n punct de vedere funcț onal, a observat că atunc când îș aducea d nț în ocluz e, trebu a să îș deplaseze mand bula poster or ș să îș strângă max larul pentru ca molar să v nă în contact depl n. De asemenea, a remarcat că, în ult m 5 an , d nț anter or mand bular deveneau d n ce în ce ma înghesu ț ș ses za sunete art culare pe partea stângă. Era conșt entă ș că, uneor , man festa brux sm în t mpul z le .

DIAGNOSTIC, EVALUAREA RISCURILOR ȘI PROGNOSTIC

Parodontal:

Au fost dent f cate pung parodontale general zate de 4 mm cu sângerare la sondare. Nu ex sta p erdere de os prezentă pe rad ograf . Pr n urmare, pac enta a fost d agnost cată cu stad ul I, gradul B conform Academ e Amer cane de Parodontolog e (Amer can Academy of Per odontology, AAP) (f g. 3).

Risc: scăzut. Prognostic: bun.

Biomecanic:

Molarul 36 prezenta o car e în fosete ș f sur ș a fost d agnost cat cu un prognost c fără speranță în l psa tratamentulu . Au fost dent f cate restaurăr îndo eln ce la d nț Nr. 16, 15, 23 ș 26, cu un prognost c acceptab l fără tratament. Risc: moderat.

Prognostic: fără speranță.

Funcțional:

Exam narea funcț onală a demonstrat un nterval normal de deplasare. Pac enta a raportat sunete artculare pe partea stângă, dar acestea nu au putut f reproduse în t mpul exam năr . Nu ex stau durer sau d sconfort la n velul musculatur capulu sau gâtulu în t mpul exam năr , dar a menț onat că uneor ex sta sens b l tate în t mpul z le d n cauza brux smulu . Testele de încărcare ș de mob l zare au avut rezultate negat ve. Era prezentă o ușoară uzură (sub 1 mm) la d nț Nr. 13, 11, 21, 23, 31 ș 41 (f g. 4). Nu s-a înreg strat n c un frem tus sau mob l tate a vreunu d nte. Aceste constatăr , împreună cu stor cul dentar al pac ente , au nd cat un d agnost c de anvelopă mast cator e constrânsă (constr cted chew ng pa ern, CCP). D agnost cul a fost în pr mul rând der vat d n raportăr le pac ente , ar cl n c anul se aștepta ca deprogramatorul Ko s (Ko s deprogrammer, KDP) (Ko s Center, ko scenter.com) care urma să f e folos t în tratament, să conf rme d agnost cul.

Risc: moderat.

Prognostic: acceptab l.

Dento-facial:

Pr nc pala preocupare a pac ente în ceea ce pr vește aspectul dento-fac al a fost d mens unea redusă a d nț lor. Aceasta era o preocupare de lungă durată pentru ea, deoarece nu îș putea am nt un moment în care aceșt a să f fost ma lung sau ma mar . Îș dorea un zâmbet care „să arate ma mult ca al unu adult”. D nț Nr. 11 ș 21 aveau f ecare lung mea de 7,1 mm ș lăț mea de 6,9 mm conf rmând percepț a pac ente în pr v nța d nț lor subd mens onaț . Măr mea normală a unu nc s v central pentru un pac ent cu o lăț me nteralară de 37,8 mm este de 10 mm lung me ș 8,5 mm lăț me. Evaluarea estet că a relevat h permob l tatea buze super oare care se deplasa vert cal cu 8,2 mm la n velul can n lor max lar ș cu 11,2 mm la cel al nc s v lor central supe-

r or . Expunerea completă a d nț lor anter or max lar împreună cu ce peste 2 mm de g ng e în zâmbetul Duchenne însemna că or ce tratament dentar estet c ar f fost foarte v z b l ș , pr n urmare, cu un r sc r d cat (f g. 5).

Risc: r d cat.

Prognostic: slab.

OBIECTIVELE TERAPEUTICE

Ob ect vele tratamentulu s-au

Figurile:

1. Fotografie facială pretratament. Pacientei îi displăcea mărimea, forma și culoarea dinților, fiind nemulțumită de gradul de expunere a gingiei.

2. Vedere apropiată a zâmbetului înainte de tratament; acuza un aspect „infantil” al acestuia.

3. Rx panoramică pretratament.

4. Vedere retractată pretratament. Se observă abraziunea minimă pe dinții anteriori.

5. Pacientei nu îi plăcea expunerea excesivă a gingiei când zâmbea.

concentrat pe crearea succesulu pe termen lung în abordarea preocupăr lor pr nc pale, ș anume: reducerea r sculu parodontal, amel orarea preocupăr lor funcț onale ș b omecan ce dar ș max m zarea șanselor pentru rezultatul estet c (dento-fac al) dor t. Pentru a îndepl n ob ect vele dento-fac ale ș funcț onale, era necesar tratamentul anvelope mast cator constrânse (CCP). Traseul de mast caț e trebua desch s, f nd necesară crearea

unor contacte poster oare b laterale, egale ș s multane. Acest lucru -ar f perm s pac ente să înch dă pe d nț poster or fără să îș deplaseze sau să îș strângă max larul ș , astfel, să reducă s mptomele auto-raportate de durere ș sens b l tate musculară. De asemenea, s-ar f creat spaț ul restaurator necesar pentru a îmbunătăț măr mea ș forma d nț lor Nr. 13 până la 23. Spaț ul crescut ar f perm s tehn ca ad t vă, ma puț ne preparaț dentare ș ut l zarea con-

servatoare a mater alelor restauratoare pentru a reduce r scul b omecan c.

PLANUL DE TRATAMENT

Au fost real zate înreg străr d agnost ce, nclus v fotograf ntraorale ș extraorale, rad ograf , o scanare cu tomograf e computer zată cu fasc cul con c (CBCT) ș o scanare ntraorală în ntercusp dare max mă (max mum ntercuspat on, MIP) ș cu un m crometru. Terap a parodontală urma să ncludă detartraj de rut nă, comb nat cu recomandăr pentru o g enă orală adecvată ș d spensar zare str ct controlată. D n punct de vedere b omecan c, se ant c pau restaurăr compoz te. Urma a se fabr ca un deprogramator KDP pentru a stab l relaț a centr că (centr c relat on, CR), a conf rma d agnost cul așteptat de CCP ș pentru a obț ne rezultate funcț onale prev z b le. Preocupăr le estet ce ale pac ente ar f fost abordate pr n al n erea ortodont că adecvată, ech l brarea ad t vă ș poz ț onarea corectă a d nț lor în raport cu coordonatele fac ale. S-au plan f cat restaurăr d recte ș nd recte pentru a obț ne rezultatul estet c dor t.

Faza 1: Tratamentul parodontal, controlul cariilor și deprogramarea

Pac enta a benef c at de detartraj ob șnu t ș nstrucț un de g enă orală. Ig ena orală s-a îmbunătăț t cu el m narea nflamaț e g ngvale în decurs de 4 lun , îna nte de a trece la terap le ortodont ce ș restaurat ve. D spensar zarea parodontală s-a stab l t la f ecare 6 lun . Lez unea car oasă ocluzală local zată la n velul molarulu Nr. 36 a fost îndepărtată ș restaurată d rect cu compoz t.

Pac enta a purtat deprogramatorul KDP t mp de 3 săptămân . A raportat că atunc când îndepărta

deprogramatorul, pr mul punct de contact al înch der era în mod constant între d nț Nr. 41 ș 42 ș d ntele Nr. 12. Au fost real zate înreg străr care au conf rmat raportul ocluzal al pac ente , precum ș d agnost cul de CCP.

Faza 2: Planificarea ortodontică și designul zâmbetului

În scopur de plan f care ortodontcă, marg nea g ng vală vest bulară a d ntelu Nr. 13 a fost folos tă ca refer nță pentru a plan f ca poz ț a deală a d nț lor anter or max lar ș a marg n lor g ng vale. Marg n le g ng vale ale nc s v lor max lar au fost îndepărtate cu 1 mm pentru a se potr v înălț m vest bulare a marg n lor g ng vale ale can n lor. Marg n le g ng vale ale nc s v lor lateral ar f poz ț onate aproxmat v cu 0,5 mm coronar față de nc s v ș can n . D astemele au fost menț nute la n velul celor șase d nț anter or pentru a perm te o reducere ma m că a d nț lor.

Procl naț a ș ntruz a d nț lor max lar au fost esenț ale pentru el m narea traseulu constr ct v ș îmbunătăț rea zâmbetulu g ngval. Intruz a a creat o neces tate d m nuată de reducere nc zală în t mpul faze restaurat ve. D nț Nr. 31 ș 41 au fost ntruzaț cu 1 mm, ceea ce a ajutat ș la desch derea traseulu funcț onal mast cator.

Stad ul f nal ant c pat a fost exportat d n Inv sal gn® ș mportat în so ware-ul exocad pentru plan f carea pretratament. S-au prevăzut restaurăr nd recte pentru d nț Nr. 12 până la 22, ar restaurăr d recte au fost plan fcate în exocad (f g. 6) pentru d nț Nr. 13 ș 23, deoarece erau necesare doar ad ț m nore la vârfur le cusp d ene. Această plan f care a perm s ajustarea nstrumentulu de v zual zare pentru a m n m za reducerea de smalț.

Faza 3: Ortodonție cu alignere transparente, echilibrare și frenectomie

Tratamentul ortodont c a fost nț at cu al gnere transparente. S-a ut l zat scannerul ntraoral pentru a obț ne înreg străr le. Poz ț a de refer nță a CR a fost ut l zată ntraoral pentru înreg străr le nterocluzale. Pe durata celor 8 lun de tratament ortodont c, au fost efectuate ver f căr constante ale progresulu (pentru a conf rma că deplasarea d nț lor este în conform tate cu rezultatele plan f cate ale cazulu ) care au nclus: poz ț a marg n nc zale, n velul g ng val, ntruz a prescr să, lărg rea cor dorulu vest bular ș suprapunerea dor tă.

După tratamentul ortodont c, a fost fabr cat un nou KDP pentru a conf rma că pac enta nu ma avea CCP. Mand bula se deplasase într-o poz ț e confortab lă ș nu ma trebu a să îș deplaseze sau să îș încleșteze max larul pentru a avea contact la n velul d nț lor poster or . Pac enta a conf rmat că nu ma prezenta n c brux sm, n c sunete sau s mptome art culare. Ech l brarea ad t vă (folos nd apl carea d rectă a răș n compozte) s-a efectuat pe d nț poster or mand bular pentru a crea contacte b laterale, de ntens tate egală ș s multane (f g. 7).

De asemenea, a fost efectuată o frenectom e lab ală super oară în momentul f nal zăr deplasăr ortodont ce cu un laser erb um, crom: ytr u, scand u, gal um, garnet (Er,Cr:YSGG). Acest tratament s-a adăugat deoarece d nț Nr. 12 până la 22 fuseseră ntruz onaț ș d astemele preex stente între d nț Nr. 13 ș 23 se îngustaseră ma mult decât era plan f cat n ț al. El m narea frenulu a avut rolul de a ajuta la stab l zarea tratamentulu ortodont c.

O gamă variată și versatilă, care satisface toate cerințele clinice. Alături de medicii stomatologi, în ecare zi, de peste 25 ani.

Elite HD+ oferă o gamă completă de vâscozități pentru diferite indicații clinice și tehnici de amprentare (în 2 timpi, simultană cu 2 vâscozități sau într-un timp); de asemenea, sunt disponibile diverse tipuri de ambalări compatibile cu orice metodă de amestecare (manuală, semi-automată sau automată) și cu timpi de priză normal sau rapid, pentru a satisface orice preferință.

Greater experience, greater choice.

www.zhermack.com

Figurile:

6. Planificarea restaurărilor în software, peste stadiul final al planificării ortodontice.

7. Echilibrare aditivă. Se observă marcajele bilaterale de contact de intensitate egală.

8. Fotografie monocromatică cu tab-uri de nuanțe.

9. Fotografie color cu tab-uri de nuanțe.

10. Selecția nuanței folosind cardul eLAB. Cu această tehnică, clinicianul se concentrează pe dinții adiacenți celor care urmează să fie restaurați și va cere laboratorului să atribuie o valoare numerică a culorii dinților nepreparați pentru a se potrivi cu nuanța celor adiacenți și nu cu cea a preparației.

11. Dinții au fost preparați prin restaurările provizorii.

12. Plasarea digii de cauciuc înainte de cimentarea fațetelor de la dinții Nr. 12 până la 22.

Faza 4: Planificarea post-ortodontică

După f nal zarea tratamentulu ortodont c, pac enta a purtat un nou KDP, s-au efectuat înreg străr

ocluzale pentru a ver f ca co ncdența între MIP ș CR, real zându-se ș no fotograf ș scanăr d g tale. S-a conf rmat ș s-a ajustat des gnul zâmbetulu conceput n ț al în so ware (exocad), ar modelul

a fost mpr mat la 50 µ pentru prec z e, folos nd o mpr mantă 3D ș răș nă pentru model. A fost fabr cată o matr ce d n s l con pe modelul mpr mat, care apo a fost scurtată.

13. Restaurări compozite directe cimentate pe dinții Nr. 13 și 23 folosind o matrice linguală.

14. MIP post-tratament, vedere retractată.

15. Imaginea în prim-cadru posttratament a zâmbetului.

16. Zâmbetul complet posttratament.

17. Arcada mandibulară posttratament.

Figurile:

Faza 5: Restaurările maxilare definitive

Pentru a ev ta selecț a mprec să a nuanțe dator tă desh dratăr smalțulu în t mpul programăr , aceasta s-a efectuat îna nte de procedură. Nuanțele au fost înreg strate folos nd patru tehn c d fer te pentru o comun care ef c entă cu ceram stul de laborator. Pr ma a ut l zat ma multe tab-ur de nuanțe VITA 3D, a doua a ut l zat tab-ur de nuanțe 3D cu modul de fotograf e monocromat că (f g. 8), ar a tre a a ut l zat tabur de nuanțe 3D cu lum nă polar zată (f g. 9). A patra tehn că a mpl cat o metodă care se concentrează pe d nț ad acenț celor care urmează să f e restauraț (f g. 10).

S-a efectuat o probă a tratamentulu restaurator propus cu răș nă de b sfenol A-gl c d l metacr lat (b s-GMA) într-o matr ce d n s l con. Pac enta a acceptat rezultatul estet c propus.

Restaurăr le prov zor nu s-au îndepărtat, adm n strându-se totodată anestez a d nț lor 12 până la 22 pentru confortul pac ente .

Inc s v au fost reduș pr n restaurăr le prov zor folos nd freze de reducere d amantate pentru o preparare m n mă a structur dentare în smalț (f g. 11). Preparaț le nterprox male au fost plasate sub marg n le g ngvale pentru a perm te ceram stulu spaț u în scopul creăr unor ambrazur deale ș prof lur de emergență la înch derea d astemelor. Preparaț le au fost lustru te cu o p atră albă, ar ungh ur le au fost rotunj te cu un d sc de f n sare ș cu pol zare gros eră. Restaurăr le prov zor au fost reapl cate pe preparaț pentru a ver f ca reducerea un formă ș adecvată. S-au folos t freze de adânc me pentru a îndepărta prov zor le ș pentru a conf rma că s-a obț nut o reducere corectă pentru gros mea ceram că deală. Nuanțele d nț lor stâlp au fost determ nate folos nd gh dul de nuanțe pentru mater alele

de matr țe de turnare naturale. După plasarea șnurur lor de retracț e, s-au înreg strat amprente de v n lpols loxan max lare ș mand bulare, precum ș o înreg strare a ocluz e în MIP.

Restaurăr le prov zor f nale au fost fabr cate d n matr cea de s l con folos nd o tehn că nd rectă, unde au fost conturate ș pol zate extraoral ș apo f xate pe poz ț e. În cele d n urmă, s-a folos t o scanare d g tală a d nț lor max lar pentru a mpr ma un model, după care s-a fabr cat un d spoz t v de retenț e prov zor e Ess x pentru a menț ne poz ț a d nț lor în t mpul fabr căr ceram c .

Când pac enta s-a întors pentru c mentare, restaurăr le prov zor au fost îndepărtate, ar fațetele au fost probate ș aprobate de către pac entă ș de către cl n c an. După admn strarea anestez e , a fost plasată o d gă d n cauc uc gros (f g. 12), ar d nț au fost curățaț cu ox d de alum n u de 27 µm. Apo , d nț au fost cond ț onaț cu ac d, clăt ț , uscaț ș umez ț cu agent adez v subț at. Toate suprafețele nterne ale corpur lor de coroană au fost preparate cu ac d, s lan zate, c mentate cu c ment adez v ș pol mer zate cu lum nă.

Restaurăr le compoz te au fost cmentate pe d nț Nr. 13 ș 23 folos nd o matr ce l nguală (f g. 13). S-au plasat restaurăr le respect ve, după care s-au pol mer zat ș lustru t cu d scur de cauc uc. Ocluz a a fost ver f cată ș ajustată cu hârt e de art culaț e de 8 µm. Excurs le laterale au fost marcate cu fol e de art culaț e roș e, ar marcajele pe planur le încl nate au fost îndepărtate. Pac enta s-a așezat în poz ț e vert cală ș a mestecat pe hârt e de 200 µm pentru a ver f ca ocluz a corectă fără nterferențe în anvelopa funcț onală. S-au real zat ult mele înreg străr ortodont ce, ar aparatele de retenț e f nale au fost fabr cate ș l vrate pac ente . Fotograf le f nale post-tratament sunt prezentate în f g. 14-17.

DISCUȚII

Atunc când pac enta ș -a prezentat pentru pr ma dată preocupăr le estet ce, a fost necesar ca pract canul să înțeleagă clar ce înseamnă aceste preocupăr pentru ea ș dacă dorea să îș restaureze un zâmbet anter or sau să îș creeze un zâmbet nou. Odată ce rezultatul dor t al pac ente a fost înțeles, s-a folos t o exam nare s stemat că pentru a evalua corect r scur le sale care au fost abordate ș gest onate pentru a îmbunătăț succesul pe termen lung al restaurăr lor, funcț e , confortulu ș estet ca. Pac enta a fost d spusă să f nal zeze tratamentul conform prezentăr , urmând cu str ctețe recomandăr le post-tratament.

La un an după f nal zare, nu s-au observat compl caț ș estet ca s-a menț nut excelentă. Rezolvarea CCP a ajutat la îmbunătăț rea r sculu funcț onal la un n vel „scăzut” ș prognost cul la unul „bun”.

R scul dentofac al rămâne nesch mbat dator tă d nam c lab ale r d cate; cu toate acestea, prognost cul s-a îmbunătăț t la „bun” deoarece s-au abordat preocupăr le sale estet ce. Prognost cul b omecan c s-a îmbunătăț t dator tă îndepărtăr car lor; totuș , r scul a rămas acelaș d n cauza adăugăr restaurăr lor ceram ce frontale.

CONCLUZII

După un d agnost c complet, ut l zarea KDP, ortodonț e ș odontolog e restaurat vă ad t vă, a fost real zată o funcț e ocluzală corectă pentru a susț ne rezultatul estet c excelent. CCP a fost el m nat, n velur le g ng vale au fost al n ate, ar forma ș culoarea d nț lor au fost îmbunătăț te, fac l tând astfel un zâmbet frumos ș funcț onal. Un benef c u supl mentar al acestu tratament a fost el m narea brux smulu , îmbunătăț nd cal tatea v eț sale.

Descoperă NOUL Scanner Intraoral Trios 5!

ehnologiedescanareinteligentăspecialconceputăpentruoigienăîmbunătățită, ergonomiedeni elsuperiorșiscanarefărăefort. rios5stabileșteunnoustandardîn protecțiapaciențilorșicontrolulinfecțiilor.

Aceastănouă ersiunedescanner, rios5,estecu ,20% maiușorcomparativ cu rios4.

annerules ceeaceînseamnăcănutrebuierecalibratdupăunanumitnumăr descanări.Esteîntotdeaunagatadeutilizare!

- Cândeștiînmijloculuneizilepline,cusiguranțăvrei optimizată.

MotorulScanAssistoferă

entrumaimultedetalii: 0371700430 | office@dentotal.ro

|SplaiulIndependenței,Nr.319L,ClădireaBruxelles,IntrareaA,Et.1,București,Sector6

entrudetali scaneazăcodulQ

ADVERTORIAL EMS ⊲

Termenii de curățare și lustruire ar trebui utilizați corect în ceea ce privește limbajul (semantica) în contextul prevenției mecanice profesionale; cu alte cuvinte, ar trebui să vorbim despre curățarea structurii dentare atunci când ne referim la îndepărtarea amănunțită a depozitelor moi supragingivale (placa bacteriană) și a colorațiilor, cu beneficii medicale. Așa numita ”lustruire finală” după o curățare amănunțită nu oferă niciun beneficiu suplimentar.

Mitul despre „lustruirea” în prevenție

Despre autori:

Dr. Nadine Strafela-Bastendorf Logauwe 7, 73054 Eislingen

Dr. Klaus-Dieter Bastendorf Gairenstr. 6, 73054 Eislingen, Germany info@bastendorf.de

Keywords:

Polishing, Air-Polishing, Air-Flowing

Referințe bibliografice:

Disponibile pe http://www.prophylaxeimpuls.de/mythos-politur

⊲ POLISHING IN PREVENTION

LLmbajul este sursa neînțeleger lor” remarca Anto ne de Sa nt-Exupery. Ț nând cont de această af rmaț e, pr ma întrebare care ar trebu clar f cată este legată de def n ț a lustru r , precum ș unde ș cum se folosește lustru rea în pract ca stomatolog că?

Termenul „lustru re” are d fer te semn f caț în stomatolog e. Conform def n ț e generale ChatGBT, acesta „este un termen folos t global pentru a descr e un mater al ut l zat pentru a netez ș lustru o suprafață”. Așa cum este def n tă general,

lustru rea poate f necesară pentru toate t pur le de restaurăr dentare, a căror suprafață este netez tă ș lustru tă cu nstrumente rotat ve ș abraz ve. Cal tatea suprafețe este îmbunătăț tă (1).

În prevenț e, termenul lustru re este adesea folos t ncorect d n punct de vedere semant c. Se vorbește despre lustru re, deș refer rea este la curățare. Curățarea suprafețe este def n tă (ChatGBT) ca f nd „procesul de îndepărtare a murdăre , prafulu ș a altor depuner de pe o suprafață”. Îndepărtarea mecan că

profes onală a plăc (Profess onal Mechan cal Plaque Removal, PMPR), o componentă esenț ală a tuturor conceptelor s stemat ce de prevenț e nclude îndepărtarea mecan că (curățarea) a depoz telor dentare mo patogene (placa bacter ană) ș a coloraț lor. Termenul de lustru re (cu refer re la lustru rea f nală de la sfârș tul tratamentulu ) este folos t de asemenea, pentru a descr e netez rea smalțulu după curățarea mecan că, cu o îmbunătăț re ev dentă a cal tăț suprafețe acestu a așa cum a fost def n t anter or.

Pe scurt, lustru rea ș curățarea suprafețe sunt două procese d fer te, cu ob ect ve d fer te. Urmând punctul de vedere al lu Anto ne de Sa nt-Exupery, acest lucru înseamnă că ar trebu să folos m corect termen ș în med c na dentară. În stomatolog a restauratoare, ut lzăm termenul conform def n ț e generale. În stomatolog a preventvă, “lustru rea sau lustru rea suprafețe ” se folosește predom nant pentru a descr e ”curățarea” suprafețelor dentare. Pr n urmare, termen de lustru re clas că /cupă de cauc uc de lustru re (Rubber Cup Pol sh ng, RCP) ș A rpol sh ng (AP) sunt ncorecț - ambele măsur prevent ve refer ndu-se la curățare. Lustru rea (lustru rea f nală) după curățarea mecan că a smalțulu nu poate îmbunătăț cal tatea suprafețe . Smalțul uman este cea ma dură substanță endogenă (dur tate V ckers cca 340 N/mm2) ar cal tatea suprafețe smalțulu nu poate f îmbunătăț tă pr n lustru re.

Pentru a proceda corect în ceea ce pr vește term nolog a, termen A rPol sh ng (AP) ș A r-Flow ng® (AF®) trebu e d ferenț aț unul de celălalt: amb se bazează pe acelaș pr nc p u (curățare cu ajutorul d spoz t velor cu jet de pulbere aer-apă). AF® este s ngurul s stem (AIR-FLOW® Prophylax s Master ș p esele de mână AIR-FLOW®, PERIOFLOW®, pudra pe bază de er tr tol AIR-FLOW® PLUS m n m nvaz vă) care funcț onează la un deb t de pudră constant ș regulat. A rFlow ng® este un s stem coordonat tehn c, f z c ș ch m c (2) (fig. 1).

GESTIONAREA PLĂCII BACTERIENE

Placa bacter ană este o comun tate stab lă, formată m crob an, caracter zată de celule atașate revers b l la o suprafață, la o nterfață, ș /sau între ele. Acestea sunt încorporate într-o matr ce de substanțe extrace-

Figura: 1.

Airpolishing (N2

și M3) versus Air-

flowing (E1) (Sursa:

Dr. Donnet, EMS

Nyon, Elveția)

lulare pol mer ce pe care le-au produs ș prez ntă un fenot p alterat în ceea ce pr vește rata de creștere ș expres a genelor comparat v cu celulele v suspendate (planctonce). Placa dentară este, de asemenea, un b of lm (3).

Astăz , “ poteza plăc ecolog ce conform lu Marsh” (4) este acceptată la n vel mond al ca et olog e a celor ma mportante afecț un orale. Conform aceste poteze, placa bacter ană d sb ot că v tală sub- ș supra-g ng vală este pr nc pala cauză a celor ma mportante afecț un orale (car , g ng v te, parodont tă ș bol per - mplantare). În placa bacter ană are loc o sch mbare ecolog că de la s mb oză la d sb oză care produce o perturbare a homeostaz e . Cum cauza celor ma frecvente afecț un orale este deja cunoscută, ob ect vul nostru este reprezentat de menț nerea stăr de sănătate orală pe parcursul v eț . Acest ob ect v poate f at ns pr n comb narea măsur lor de g enă orală nd v duale la dom c l u ș curățarea profes onală (5). Curățarea profes onală a d nț lor (Profess onal Tooth Clean ng, PTC) sau ma b ne spus, îndepărtarea mecan că profes onală a plăc (Profess onal Mechan cal Plaque Removal, PMPR) este ș rămâne o componentă centrală a prevenț e în contextul parodontal ș car olog c, în plus față de controlul adecvat al plăc bacter ene efectuat la dom c l u pe parcursul întreg v eț .

1

TEHNICI PENTRU GESTIONAREA PLĂCII BACTERIENE

În pr nc p u, facem d ferența între g ena la dom c l u ș gest onarea profes onală a plăc bacter ene de către med cul stomatolog, pentru care d spunem de d spoz t ve ș metode ch m ce ș mecan ce. Acest art col se concentrează pe gest onarea mecan că profes onală a plăc bacter ene ș anume îndepărtarea mecan că profes onală a plăc (PMPR). Această procedură poate f real zată cu nstrumente de mână (Hand Instruments, HI) cum ar f scalere ș ch urete, cu d spoz t ve mecan ce cum ar f scalere son ce (AS) ș ultrason ce (US), precum ș cu cele cu jet de pudră aer-apă (AP /AF®) (fig. 2) ș cupe de cauc uc pentru lustru re (RCP) (fig. 3). Acelaș ob ect v se apl că tuturor tehn c lor folos te: îndepărtarea ef centă ș ț nt tă a plăc bacter ene, mod f carea plăc bacter ene, protecț a substanțe , confortul pac entulu ș al med culu . Cele ma potr v te opț un pentru îndepărtarea suprag ng vală a coloraț lor ș plăc bacter ene sunt AP /AF® ș RCP.

ÎNDEPĂRTAREA EFICIENTĂ A PLĂCII SUPRAGINGIVALE

Revoluț onar în acest context a fost un stud u d n 2013 aparț nând lu Chetrus ș colab. (6) condus cu scopul de a determ na cea ma ef c entă var antă de a d agnost ca ș îndepărta placa bacter ană, concluz onând că

cea ma ef c entă ș ușoară metodă de a v zual za placa bacter ană este pr n a o ev denț a, pentru că aceasta este greu de dent f cat cu och ul l ber. Aproape 100% d n placa suprag ng vală poate f îndepărtată cu AP ș doar aprox mat v 80% cu RCP. Art colul lu Bo ș colab. d n 2017 (7) demonstrase deja că îndepărtarea completă a plăc bacter ene de la n velul f sur lor este pos b lă doar cu AP în comparaț e cu RCP. L teratura ma recentă demonstrează ch ar ma clar că AF® este super or tuturor celorlalte metode în îndepărtarea ef c entă ș prec să a plăc bacter ene. Rezultatele d n lucrarea lu Wolg n ș colab. d n 2021 (8) susț ne că AF® obț ne rezultate semn f cat v ma bune în îndepărtarea plăc suprag ng vale decât RCP. Acest lucru se apl că atât d nț lor anter or , cât ș celor poster or . Avantajele sunt ev dente în spec al în cazul îndepărtăr plăc suprag ng vale la pac enț cu aparate ortodont ce f xe. Curățarea cu AF® este ma ef c entă ș ma rap dă în comparaț e cu RCP, ma ales sub aparate, în jurul brackets-ur lor ș în spaț le nterdentare. Arefn a ș colab. (10) ș -au rezumat rezultatele pr v nd curățarea smalțulu comparând nstrumentele manuale, ultrasunetele p ezoceram ce, AF®, RCP ș comb naț le tuturor metodelor astfel: „Cea ma bună curățare profundă a smalțulu se obț ne folos nd doar pr n AF®.” În concluz e, îndepărtarea plăc bacter ene suprag ng vale este o

Figura: 2. AIRFLOW® MAX în acțiune pentru a îndepărta placa bacteriană (sursă: EMS Nyon, Elveția) 2

componentă esenț ală a tuturor măsur lor prevent ve s stemat ce ar AF® este super or lustru r clas ce cu nstrumente rotat ve, cupe de cauc uc, per uțe ș pastă de lustru re (RCP).

ÎNDEPĂRTAREA EFICIENTĂ A PLĂCII SUBGINGIVALE

Deș îndo eln c, cu RCP doar placa bacter enă sulculară se poate îndepărta. Supr marea plăc subg ngvale nu este pos b lă. În contrast, lucrarea lu Peters lka ș colab. 2003 (11, 12) a demonstrat deja că ut l zarea AP cu o pudră cu un grad de abraz une redusă (gl c nă) în pung le parodontale moderate a dus la o reducere semn f cat v ma mare a cant tăț de bacter subg ng vale decât cu nstrumentele manuale. Müller ș colab. 2014 (13) au reuș t să demonstreze avantajele tehnolog e A rflow / Per oflow față de tehnolog a ultrasunetelor pentru pung le parodontale rez duale ≥4 mm în terap a de întreț nere. Valor le pentru Aggregat bacter act nomycetemcom tans au fost semn f cat v ma m c atunc când s-a folos t tehnolog a A rflow / Per oflow. De asemenea, durerea res mț tă a fost semn f cat v ma m că, astfel încât pac enț au preferat

A rflow-ul în locul ultrasunetelor. Concluz onând, îndepărtarea profes onală a plăc bacter ene subg ng vale formează o parte esenț ală a terap e non-ch rurg cale a parodont te . Gest onarea plăc subg ng vale nu este pos b lă cu RCP.

LUSTRUIREA DUPĂ CURĂȚAREA SUPRAFEȚEI

Dezbaterea despre neces tatea lustru r după curățarea suprafețe a fost controversată în ult m an . Încă d n 2021, autorul a sol c tat ma multor profesor un vers tar europen să comenteze neces tatea „lustru r f nale”. Mombell de la Unvers tatea d n Geneva a menț onat că „benef c ul b olog c al une suprafețe ultra-netede rezultate d n îndepărtarea țesutulu dur nu a fost doved t.” Schlagenhauf, Un vers tatea d n Würzburg: „Nu cunosc n c un stud u cl n c controlat care să f doved t vreodată că lustru rea supl mentară cu ajutorul une cupe de cauc uc ș a paste de lustru re este ut lă sau necesară.” Sau Haas, Un vers tatea d n Graz: „De ce să încercăm să ne jucăm de-a Dumnezeu ș să îmbunătăț m ș ma mult smalțul deja sănătos? Cu s guranță nu este pos b l să real zăm o suprafață ma netedă în mod durab l în acest fel. Dacă med camente precum fluorura, z ncul, arg n na, etc. trebu e apl cate pe smalț sau pe suprafața rădăc n , acest lucru nu se face cu s guranță cu ajutorul pastelor de lustru t. Pentru m ne, acestea sunt recomandăr men te a menț ne metodele vech . Renunțarea la lustru rea nut lă neces tă o readaptare, precum ș curaj.”

LUSTRUIREA FINALĂ

Unele date, bazate pe dovez , despre tema lustru r f nale: atunc când se compară d fer te tehn c (HI, AF®, RCP ș toate comb naț le) în gest onarea plăc suprag ng vale (pe smalț), efectele tuturor metodelor de tratament asupra rugoz tăț au fost măsurab le, dar cu relevanță cl n că l m tată (14). Acest lucru a fost ev dent ș în stud ul Arefn a ș colab. (10): AF® s ngur ș /sau cu RCP nu provoacă n c o p erdere de smalț ș prez ntă cele ma bune valor de rugoz tate. Un stud u recent a concluzonat că RCP după folos rea AF® sau

a ch uretelor nu a avut n c un efect asupra rugoz tăț suprafețe ș , pr n urmare nu a ofer t n c un avantaj ca procedură f nală (15). Art colul lu Wolg n ș colab. (8) a demonstrat ma puț nă placă nouă după folos rea AF® decât RCP atunc când se compară AF® cu RCP în z ua următoare curățăr profes onale. N sh o ș colab. (16) au reuș t să demonstreze că la probele de smalț lustrute plan, valor le de rugoz tate au crescut ș s-a înreg strat o creștere a colon zăr cu patogen Streptococcus mutans

Rezumând, acest lucru înseamnă că se poate renunța la ”lustru rea f nală” deoarece cal tatea suprafețe smalțulu nu poate f îmbunătăț tă (dur tate V ckers cca 340 N/mm2).

În plus față de smalț ș de dent nă, RCP ș AF® pot provoca abraz une ș rugoz tate pe suprafața d fer telor mater ale de restaurare. Re nhart ș colab. (2022) au abordat această problemă, concluz onând că folos rea RCP în comparaț e cu AF® are ca rezultat o abraz une semn f cat v ma mare pe compoz t, ceram că ș aur. Abraz unea pe c mentul onomer de st clă a fost ma mare în grupul AF® decât în grupul RCP (17).

CONFORTUL PACIENTULUI

ȘI AL MEDICULUI

Art colul lu Mens ș colab. (2022) a comparat folos rea RCP, ultrasunetelor p ezon cu AF® ș ultrasunetelor p ezon la pac enț cu g ng v tă. Pe lângă parametr cl n c , confortul pac entulu ș al med culu au fost de asemenea, nvest gate în acest art col. Parametr cl n c au fost semn f cat v ma m c stat st c pentru AF® /ultrasunete p ezon în comparaț e cu RCP /ultrasunete p ezon (sângerarea la sondare 8,7% vs. 11,6%; ndexul plăc bacter ene 10,7% vs. 12,3%). Scorur le de confort pentru pac ent ș med c au fost, de asemenea, super oare în cazul AF®/ ultrasunete p ezon. În med e, durata tratamentulu a fost ma scurtă cu

9,2% pentru AF®/ultrasunete p ezon decât cu ultrasunete p ezon /RCP. Valor le pentru confortul pac entulu au fost ch ar ma concludente. Pac enț au preferat AF® /ultrasunete p ezon vs. ultrasunete p ezon/ RCP cu 73,2% vs. 17,1% (18). Rezultate s m lare au fost obț nute ș în stud ul Fu ș colab. (2021). S-a real zat o comparaț e a AF® vs. RCP cu ș fără a ev denț a pr n colorare placa bacterană la pac enț cu un ndex de placă ≥60. Rezultatele pot f rezumate astfel: ev denț erea a îmbunătăț t ef c ența îndepărtăr plăc bacter ene atât pentru RCP, cât ș pentru AF® dar AF® este mult ma ef c entă decât RCP, f nd preferată de pac enț ș med c (19). Muscholl ș colab. (2022) au demonstrat de asemenea, că AF® este mult ma ef c ent în gest onarea mecan că a plăc bacter ene ș în ceea ce pr vește confortul pac entulu ș al med culu față de HI /RCP (20).

CONCLUZII

Ob ect vul curățăr structur dentare a fost stab l t de mult t mp, Kantorow cz postulând încă d n secolul trecut că “un d nte curat nu va sufer de afecț un dentare”. Când vorb m despre lustru re cu benef c med cale în prevenț a profes onală, în general ne refer m la îndepărtarea amănunț tă a depoz telor mo suprag ng vale (placa bacter ană) ș a coloraț lor. Lustru rea după o curățare amănunț tă nu îmbunătățește valor le de rugoz tate ale smalțulu (14, 15). Nu ex stă dovez în l teratură care să susț nă af rmaț a că o lustrure f nală după curățarea smalțulu duce la o formare ma lentă a no plăc bacter ene. D n contră, Wolg n ș colab. 2021 (8) au constatat că, după curățarea cu RCP vs. AF®, s-a găs t ma puț nă placă bacter ană nouă în z ua următoare curățăr cu AF® fără lustru re ulter oară. Lustru rea suprag ng vală supl mentară este contraproduct vă. Comparaț a între abordarea clas că

a gest onăr plăc bacter ene (RCP) versus gest onarea modernă cu AF® a plăc bacter ene este în mod clar în favoarea AF®, astfel: AF® este ma ef c entă, econom sește t mp ș este ma blândă cu substanța dentară decât RCP. Doar AF® perm te îndepărtarea completă a plăc bacter ene d n f sur , fosete, spaț nterdentare, sulcus ș aparatele ortodont ce f xe. Îndepărtarea plăc bacter ene subg ng vale nu este pos b lă cu RCP. Rez duur le paste de lustru t pot rămâne în sulcus. În ceea ce pr vește confortul pac entulu ș al med culu , AF® are toate avantajele. Pentru RCP sunt necesare d fer te produse supl mentare ceea ce se transformă într-o povară pentru organ zarea cab netulu .

Succesul pe termen lung al prevențe se corelează putern c cu lo al tatea pac entulu pe termen lung. Acesta, la rândul său, dep nde în mare măsură de cal tatea tratamentulu real zat ș de senzaț a de durere /a stăr de b ne exper mentată. A c avantajele tehn c lor moderne au fost deoseb t de mpres onante. Pentru rata de lo altate a pac entulu , este mportant ca tratamentul să f e fără durere, ceea ce crește compl anța. Doar pac enț mulțum ț rev n cu plăcere!

Conflict de interese: În scopul transparenței, Dr. Klaus-Dieter Bastendorf dorește să declare că este membru al ”Scientific Board” (Consiliului Științific) al EMS Electro Medical System S.A., 1260 Nyon - Elveția. În plus, este un lector activ în numele EMS și primește onorarii pentru serviciile sale. Nu există conflict de interes pentru Dr. Nadine Strafela-Bastendorf. 3

Figura: 3. Variante pentru lustruirea clasică (RCP) (© Dr. K.-D. Bastendorf, Eislingen)

Esthetic Considerations in Minimally Invasive Orthognathic Surgery by Jonathas Daniel Paggi Claus, PhD, DDS; Matheus Spinella Almeida, PhD, DDS; Hugo José Correia Lopes, DDS; Asdrubal Pereira, DDS; and Nelson Leon, DDS. Originally published in Compendium of Continuing Education in Dentistry 44(2) Feb 2023. © 2023 AEGIS Publications, LLC. All rights reserved. Reprinted with permission of the publishers.

Considerente estetice în chirurgia ortognatică minim invazivă

⊲ ORTHOGNATHIC SURGERY

Despre autori:

Jonathas Daniel Paggi Claus, PhD, DDS

Private Practice, Oral and Maxillofacial Surgery, Florianópolis, Brazil

Matheus Spinella Almeida, PhD, DDS

Private Practice, Oral and Maxillofacial Surgery, Florianópolis, Brazil

Hugo José Correia Lopes, DDS

Private Practice, Oral and Maxillofacial Surgery, Florianópolis, Brazil

Asdrubal Pereira, DDS

Private Practice, Oral and Maxillofacial Surgery, Caracas, Venezuela

Nelson Leon, DDS

Private Practice, Oral and Maxillofacial Surgery, Caracas, Venezuela

m n -plăcuțe personal zate pentru a as gura prec z e ș s guranță spor tă. Cu toate acestea, mulț pac enț ș ch ar med c sunt încă ret cenț să folosească această opț une d n cauza reputaț e de ”operaț e complexă”, cu morb d tate postoperator e ntensă.

CCh rurg a ortognat că este un tratament b ne stab l t pentru corectarea anomal lor dentofac ale, fac l tând îmbunătăț r funcț onale ș estet ce. În ult mele două decen , procedura s-a dezvoltat semn f cat v, folos nd progrese precum plan f carea v rtuală ș

Procedur le m n m nvaz ve sunt în prezent în tend nță în toate domen le med cale, ar ma multe art cole recent publ cate au apl cat acest concept ș în ch rurg a ortognat că. Publ caț le respect ve s-au concentrat în pr nc pal pe tehn c le ch rurgcale mod f cate folos te ș pe pos blele benef c care pot f obț nute în per oada scurtă de recuperare. Deș ch rurg a ortognat că a fost n ț al stab l tă în scopul corectăr problemelor funcț onale, a crescut semn f cat v numărul pac enț lor a căror mot vare pr nc pală este îmbunătăț rea estet că. Scopul acestu art col este de a descr e benef c le estet ce potenț ale pe termen lung

ale conceptulu relat v nou de chrurg e ortognat că m n m nvaz vă (m n mally nvas ve orthognath c surgery, MIOS) (f g. 1-3) care nclud o morb d tate d m nuată, o reacț e nflamator e ma redusă, confort postoperator îmbunătăț t ș rezultate estet ce ma bune. Protocolul MIOS ut l zează mod f căr ale osteotom e max lare Le Fort I (LFI) trad ț onale, osteotom a sag tală b laterală (b lateral sag al spl t osteotomy, BSSO) ș procedur le de gen oplast e. Sunt ev denț ate d ferențele d ntre MIOS ș d versele tehn c trad ț onale.

MAXILARUL

Fibroza labială

Este un adevăr absolut faptul că o nc z e rezultă într-o c catr ce, ar cu cât nc z a este ma ext nsă, cu atât c catr cea va f ma accentuată. Pentru o osteotom e LFI convenț onală, o nc z e ob șnu tă se ext nde între pr m molar , ofer nd acces com-

Variotime ®

Adaptați timpul de lucru la rutina dumneavoastră: Libertatea de a realiza amprente » » »

Siliconul A unic, cu un concept de timp inteligent, vă oferă un timp total de 3:305:00 min.

Timpul de lucru variabil de 1:00 - 2:30 min și timpul de priză intraoral scurt de 2:30 min favorizează un proces confortabil care salvează timp

Alegeți din șase vâscozități diferite, inclusiv Extra Light Flow și Heavy Tray.

Giving a hand to oral health.

plet la max lar. Această abordare va genera o l n e de f broză pe întreaga buză super oară, ceea ce poate l m ta m șcarea buze în t mpul zâmbetulu . Acesta este unul d ntre mot vele pentru care se numește „buza Le Fort I”, pr n care aspectul buze super oare este mod f cat, ar un profes on st poate recunoaște pac entul care a sufer t o osteotom e LFI.

În contrast, o nc z e de t p MIOS standard la n velul max larulu are aprox mat v 2 cm lung me, care reprez ntă în mod normal d stanța d ntre nc s v lateral , sau ma scurtă (f g. 4-6). Această abordare păstrează o parte d n mușch ul orbcular ș va rezulta într-o f broză ma m că cu ma puț nă nterferență în m șcăr le lab ale. Înch derea plăg se face în două planur , cu mușch în planul profund reatașaț cu sutură mult f lament resorbab lă. În planul superf c al se recomandă sutura monof lament pentru a accelera v ndecarea țesutur lor mo ș a m nm za tumef erea. Această abordare reprez ntă un avantaj față de ch rurg a ortognat că trad ț onală în ceea ce pr vește recuperarea postoperator e ș ev tarea formăr de f broză (f g. 7-9).

Expresia facială

Mot vul pr nc pal pentru ut l zarea une tehn c LFI convenț onale este de a obț ne acces complet la max lar, pentru o v zual zare d rectă în t mpul osteotom e , mob l zarea max le ș ma ales fac l tatea f xăr . Pr n abordarea trad ț onală, este pos b lă poz ț onarea a patru m n plăcuțe pentru stab l zarea max le în noua sa poz ț e; totuș , acest lucru este real zab l numa pr ntr-o r d care subper ostală extens vă ș d secț a mușch lor d n stratur le profunde. Mușch fac al superf c al ș d n planur le profunde sunt atașaț în pr nc pal pr n nterconectarea f brelor. El berarea unu mușch d n profunz me va afecta tens unea mușch lor stratulu superf c al (de

Figurile:

1. MIOS, imagini intraoperatorii de avansare a maxilarului și repoziționare inferioară, cu fixarea internă cu doar două plăcuțe precurbate la nivelul caninilor asigurând o fixare stabilă.

2. MIOS, imagini intraoperatorii de avansare mandibulară, rotație în sensul opus acelor de ceasornic și fixarea rigidă cu ajutorul unei plăcuțe monocorticale și a unui șurub bicortical.

3. MIOS, imagini intraoperatorii de avansare a mentonului și fixare rigidă cu două șuruburi bicorticale.

exemplu, mușch elevator a buze super oare ș mușch z gomat c ) ceea ce poate conduce la aplat zarea buze super oare, sch mbăr volumetr ce, d m nuarea verm l onulu v z b l ș rotunj rea com sur lor orale. Acesta este al do lea mot v pentru așa-num ta „buză Le Fort I” menț onată anter or (f g. 10-11).

În t mpul MIOS, d secț a este l mtată la zona paranazală. Osteotom a LFI este efectuată cu o abordare în tunel, max larul este mob l zat folos nd o „tehn că de răsuc re” în care

nserț a ș rot rea une dălț promovează fracturarea în jos a max larulu , ar f xarea este real zată în general folos ndu-se doar două m n plăcuțe. Pe lângă d versele benef c în ceea ce pr vește conservarea țesutulu moale - de exemplu, hemorag a redusă, vascular zare spor tă, ma puț ne tulburăr neurosenzor ale ș un m n m mpact asupra s stemulu de drenaj l mfat c - MIOS se asoc ază ș cu un mpact negat v redus asupra poz ț e buzelor ș expres e fac ale dator tă conservăr mușch lor fac al d n stratur le profunde (f g. 12-13).

Figurile: 4-6. MIOS, imagini intraoperatorii ale inciziilor la nivelul maxilarului (fig. 4), mandibulei (fig. 5) și mentonului (fig. 6).

Lărgirea bazei nazale

Pe lângă gradul de deplasare schelet că, d secț a subper ostală ș elevarea lamboulu joacă rolur mportante în mod f căr le baze nazale. În t mpul une abordăr LFI convenț onale, cele ma multe nserț musculare d n jurul sp ne nazale anter oare ș a zone de bază a ar p nazale sunt deconectate, perm țând mușch lor să f e retractaț lateral, rezultând lărg rea lăț m nter-alare ș a baze nazale. Această consec nță estet că nedor tă este destul de frecventă, ma multe tehn c ch rur-

g cale f nd descr se pentru ev tarea acestor rezultate, cum ar f înch derea în formă de „V-Y” ș sutura de strângere alară, deș ef cac tatea lor rămâne controversată.

După elevarea n ț ală a lamboulu în t mpul MIOS folos nd o abordare mn m nvaz vă, mucoasa nazală este rd cată, dar sp na nazală anter oară nu este n c odată expusă, menț nând astfel atașăr le per ostale ș musculare. Ut l zând nstrumentar p ezo, ch rurgul efectuează o osteotom e în formă de „V” la baza sp ne nazale anter oare,

Figurile: 7-9. Vedere postoperatorie a pacientului prezentat în fig. 4-6, la patru luni după MIOS, demonstrând o zonă minimă de fibroză care permite mobilizarea liberă a buzelor - maxilar (fig. 7), mandibulă (fig. 8) și menton (fig. 9).

care rămâne atașată la septul nazal. Această tehn că subsp nală, care a fost descr să pentru pr ma dată de Mommaerts ș colab în 1997, menț ne mușch sf ncterulu nazal atașaț de sp na nazală anter oară, controlând astfel d mens unea baze nazale ș conservând forma ș lung mea buze super oare atât pe termen scurt (f g. 14-17), cât ș pe termen lung (f g. 18-21).

MANDIBULĂ

Deș s-au scr s ma puț ne nformaț despre ut l zarea MIOS la mand bulă,

Figurile:

10. Ilustrație care arată impactul unei osteotomii Le Fort I convenționale asupra mușchilor faciali în raport cu nasul și buzele. Decolarea periostală extinsă periclitează tensiunea musculară din straturile profunde și superficiale, rezultând în poziționarea incorectă a buzelor.

11. Exemplu pentru consecințele labiale și lărgirea nazală după abordările Le Fort I convenționale.

12. Ilustrație care arată menținerea suspensiei musculare folosind o abordare minim invazivă.

13. Rezultat postoperator la 2 ani după chirurgia ortognatică minim invazivă.

14-17. Imagine preoperatorie în profil (fig. 14) și la 3 zile postoperator după avansarea bimaxilară cu genioplastie folosind concepte minim invazive, arătând îmbunătățirea proiecției nasului și a conturului mandibular (fig. 15). Vedere frontală preoperatorie (fig. 16) și la trei zile postoperator indicând îmbunătățirea posturii buzelor și menținerea bazei nazale alare (fig. 17).

Figurile:

18-21. Vedere preoperatorie în profil (fig. 18) și la 3 luni postoperator după impactarea maxilarului, avansarea mandibulei și genioplastie folosind concepte minim invazive, demonstrând armonie și echilibru facial (fig. 19). Vedere frontală preoperatorie (fig. 20) și la trei luni postoperator cu îmbunătățirea aspectului buzelor și a curbelor zâmbetului (fig. 21).

22, 23. Ilustrație care arată impactul osteotomiilor mandibulare convenționale la nivelul corpului mandibulei (fig. 22) și exemplu clinic al defectului tip “notching” rezultat (fig. 23).

24, 25. Ilustrație care arată dislocarea osteotomiei anterioare cu menținerea corpului mandibulei intact, evitând defectele și permițând proiecția unghiului (fig. 24) și rezultatul postoperator folosind o osteotomie sagitală oblică înaltă în cadrul conceptului minim invaziv, cu un aspect natural al proiecției mandibulare (fig. 25).

acest concept ma puț n nvaz v a generat alternat ve no la des gnur le clas ce BSSO, cu osteotom ma scurte care neces tă nc z ma m c ș detașarea l m tată a țesutulu moale ș muscular. Abordarea MIOS reduce morb d tatea postoperator e, cum ar f edemul ș tulburăr le neurosenzor ale, ș perm te m șcăr ma t mpur ale mand bule . Pe lângă aceste mportante benef c legate de nflamaț e, se real zează o nc z e anter oară obl că, mutând partea anter oară a osteotom e către ungh ul mand bular, în loc de o osteotom e convenț onală la n velul corpulu mand bule . Această mod f care a l m te osteotom e de la marg nea nfer oară a mand bule generează îmbunătăț r estet ce semn f cat ve.

Proiecția gonion

În t mpul tehn c lor BSSO convențonale, osteotom a marg n nfer oare a mand bule se efectuează la n velul corpulu mand bular, astfel încât după repoz ț onare, ma ales în rotr le spre stânga, corpul mand bule câșt gă pro ecț e or zontală ș vertcală, dar ungh ul mand bule rămâne în poz ț a sa or g nală. Osteotom a mand bulară în protocolul MIOS

este s m lară cu vers unea or g nală a BSSO descr să în 1957 ș care astăz este denum tă osteotom e obl că anter oară. Acest des gn perm te real zarea tuturor m șcăr lor pe care le îngădu e o osteotom e clas că, necestă ma puț nă expunere a lung m nervulu alveolar nfer or ș l m tează r scul une separăr greș te. Odată ce osteotom a anter oară este mod fcată într-o d recț e obl că poster or, ungh ul mand bular este păstrat complet atașat la segmentul d stal. Acest lucru oferă avantaje deoarece ungh ul este mob l zat împreună cu corpul mand bule în m șcăr le de rotaț e, perm țând elongarea atât a ramur lor or zontale, cât ș a celor vert cale (f g. 22-25).

Defectul mandibular „notch”

Un alt dezavantaj al BSSO clas c, cu

nc z a f nală real zată în jurul corpulu mand bular, constă în r scul de a cauza un defect osos v z b l ș palpab l pe marg nea nfer oară, cunoscut sub numele de „notch ng”. Deș mușch ul maseter ș țesutul moale per mand bular pot masca unele d ntre defecte, efectul „notch ng” generează o întrerupere a l n e naturale osoase, cu mpact estet c negat v (f g. 22-25). Noua vers une a BSSO în MIOS conservă ntegr tatea margn bazale a mand bule , d slocând poster or pos b lele defecte postoperator . Ev tă crearea une deformăr palpab le sau v z b le, în pr mul rând pentru că țesutul subcutanat d n jurul aceste locaț este ma gros.

MENTONUL

Fibroza și ptoza labială

Pr nc p ul constant conform cărua, cu cât este ma ext nsă nc z a, cu atât va f ma mare c catr cea, se apl că ș în cazul gen oplast lor convenț onale, în care nc z a t p că necesară unu acces d rect ș complet la menton este urmată de decolarea nserț e mușch ulu mental, nterferând d rect sau nd rect ș cu alț mușch de expres e fac ală, cum ar f mușch ul depresor al com sur orale sau al buze nfer oare. Această abordare va rezulta într-o l n e de f broză lab ală nfer oară completă. Ma mult, este necesară o sutură suspens vă pentru a ev ta ptoza lab ală datorată d secț e mușch ulu mental.

Într-o gen oplast e t p MIOS, o ncz e scurtă de aprox mat v 1,5 cm lung me este suf c entă pentru a aborda mentonul pr n d secț e tunel zată. Este mportantă l m tarea decolăr pentru a păstra cant tatea max mă de țesut moale atașat la segmentul nfer or (f g. 3-6). În plus față de benef c le legate de nflamaț e, această abordare crește potenț alul răspuns al țesutulu moale la repoz ț onarea osoasă, în spec al în m șcăr le as metr ce, ev tând f broza ș ptoza

lab ală (f g. 9). D n nou, se recomandă înch derea plăg în două planur .

DISCUȚII

Personal zarea este în prezent o real tate în ch rurg a max lofac ală, nclus v în procedur le ortognat ce, dar cele ma multe stud raportează astfel de ntervenț ch rurg cale folos nd abordăr convenț onale sau ch ar ma nvaz ve. Având în vedere că plăcuțele de f xare personal zate sunt mecan c ma putern ce decât cele convenț onale, fără a neces ta îndo re supl mentară, f xarea cu m n plăcuțe poate f fac l tată pr n ut l zarea unor nc z m c . Pr n urmare, cu dezvoltarea plăcuțelor nd v dual zate, ut l zarea lor de rut nă poate serv ca soluț e pentru ch rurg care doresc să efectueze MIOS.

Ca ș în cazul or căre tehn c no , ex stă o curbă de învățare asoc ată cu MIOS, în spec al în ceea ce pr vește fracturarea max larulu ș f xarea mand bule cu o zonă de contact osoasă ma m că. În op n a autor lor, MIOS ar trebu pract cat de către profes on șt exper mentaț ș transm s ma departe t ner lor pract c en . Deș au fost raportate doar stud l m tate despre MIOS, aceste tehn c ma puț n nvaz ve au fost asoc ate cu morb d tate m n mă, o reacț e nflamator e mult redusă ș un confort postoperator super or, ma ales pe termen scurt, în comparaț e cu metodele convenț onale. O recentă recenz e s stemat că a relevat că apl carea MIOS este s gură, fezab lă ș ef c entă.

Sunt necesare stud supl mentare pentru a conf rma cons derentele estet ce asoc ate cu MIOS. Pe măsură ce crește numărul profes on șt lor care adoptă această tehn că, vor putea f formulate concluz suplmentare, nclus v observaț asupra rezultatelor pe termen lung ș astfel va f obț nută o înțelegere ma bună a tehn c atât pentru cl n c en , cât ș pentru pac enț .

Simply do more Axano Pure

How to Present an Outstanding Dental Lecture by Gary Greenstein, DDS, MS. Originally published in Compendium of Continuing Education in Dentistry 44(2) February 2023. ©2023 AEGIS Publications, LLC. All rights reserved. Reprinted with permission of the publishers.

Despre autor:

Gary Greenstein, DDS, MS

Former Clinical Professor, Department of Periodontology, College of Dental Medicine, Columbia University, New York, New York; Private Practice, Freehold, New Jersey

Cum să prezinți o conferință stomatologică remarcabilă

PRESENTATION

AAsusț ne o prezentare excelentă este o formă de artă a comun căr care poate f învățată ș pract cată. De multe or , med c dent șt sunt sol c taț să transm tă verbal nformaț sub formă de confer nțe către grupur profes onale sau publ cul larg. În acest sens, ex stă patru t pur de d scursur publ ce: ceremon al, demonstrat v, persuas v ș nformat v. Vorb tul ceremon al este d scursul ț nut cu ocaz a unu even ment spec al.

O prezentare demonstrat vă îndrumă publ cul asupra modulu de a face ceva, în t mp ce, în contrast, confer nțele persuas ve presupun conv ngerea altora asupra unu punct de vedere. Prezentăr le nformat ve mpl că transferul de date ș nformaț de la o persoană la un grup. Deș major tatea confer nțelor dentare este nformat vă, acestea se pot încadra în or care d ntre

categor le menț onate sau pot comb na ma multe.

Prezentăr le memorab le sunt educat ve ș d stract ve. Pregătrea este che a cea ma mportantă pentru a susț ne o prezentare reuș tă. Pregăt rea mpl că atât cercetarea teme în profunz me, astfel încât mater alul să f e actual, cât ș efectuarea munc de bază pentru a as gura că prezentarea este organ zată ș repetată. Sub ectul ș n velul ntelectual al prezentăr ar trebu să f e adaptate publ culu ț ntă.

Pr n urmare, lectorul trebu e să dec dă dacă o prezentare va acoper un sub ect într-o man eră generală sau detal ată. Această dec z e va f adesea d ctată de mot vul pentru care are loc confer nța ș de t mpul alocat pentru aceasta. De exemplu, dacă o confer nță are alocată o s ngură oră, prezentarea detal ată ar trebu să f e l m tată la câteva sub ecte secundare.

G-ænial™ Universal Injectable Compozit pentru restaurare cu rezistență ridicată

Transformati-vă modul de lucru

Modelați și conturați pe măsură ce injectați

Duritate excepțională și rezistență la abraziune

Restaurări de lungă durată cu o retenție excepțională a luciului

Vârf 昀氀exibil

Acces ușor și adaptare perfectă în toate unghiurile cavității

Indicații universale

Aplicare rapidă, manipulare și estetică excepționale, pentru toate tipurile de cavități (I-V)

GC EUROPE N.V. Reprezentanță în România info.romania@gc.dental https://www.gc.dental/europe/ro-RO

Acest art col oferă sugest pentru a furn za o confer nță dentară remarcab lă. Se va d scuta despre: pregăt rea (măsur organ zator ce îna nte de a vorb pentru a ev ta potenț alele probleme), prezentarea confer nțe (l vrarea efect vă a d scursulu ; de exemplu, v teza de vorb re), probleme tehn ce (de exemplu, ut l zarea unu po nter) ș alte măsur pregăt toare (precum conturarea răspunsur lor la pos b lele întrebăr îna nte de confer nță).

MĂSURI ORGANIZATORICE

Neplăcer le organ zator ce cum ar f defectele ech pamentulu pot f adesea ev tate. Îna nte de a ț ne o prezentare, vorb tor trebu e să se as gure că po nterul laser funcțonează ș este suf c ent încărcat. Orator pot aduce o bater e suplmentară pentru po nter dacă îș aduc propr ul d spoz t v. Îna nte de prezentare, se ver f că poz ț a pup trulu ș , la nevo e, acesta se mută sau se ajustează. Este mportant de aflat c ne se ocupă de lum n le săl . As guraț -vă că telecomanda pentru avansarea d apoz t velor funcț onează ș ver f caț acust ca m crofonulu . Ar putea f înțelept să aveț un st ck USB supl mentar cu confer nța pregăt tă. Aceste măsur pregăt toare pot ajuta la ev tarea problemelor procedurale care pot f exasperante atât pentru lector, cât ș pentru publ c.

PREZENTAREA

CONFERINȚEI

Introducerea conferinței. In ț al, orator ar trebu să menț oneze t tlul ș scopul d scursulu lor. Prezentarea unu scurt rezumat al prezentăr nformează aud tor ul în ce d recț e se va îndrepta d scuț a. Vorb torul ar trebu să nd ce dacă sunt acceptate întrebăr în

t mpul sau numa la sfârș tul confer nțe . Dacă întrebăr le sunt perm se, lectorul trebu e să f e pregăt t pentru a le întrerupe pol t cos, altfel confer nța s-ar putea să nu se term ne la t mp.

Discursul.

Confer nța ar trebu să ncludă o ntroducere, corpul d scursulu ș o concluz e, urmată de o recap tulare a ceea ce s-a d scutat. Acest lucru se numește tr pt c ar stotel c, o metodă care a apărut în 384 î.Hr. Tr pt c se referă la tri (tre ) ș typch (pl ur ) sau cele tre părț ale unu d scurs.

Un vorb tor trebu e să ev te suprasol c tarea nformaț onală. Dacă spectator sunt copleș ț de cant tatea sau complex tatea nformaț lor, rezultă o p erdere a atenț e lor. Dacă este prezentată o d agramă compl cată, lectorul ar trebu să gh deze aud tor ul încet, l n e cu l n e, folos nd un po nter. În caz contrar, part c panț ar putea să nu urmărească d scursul. În general, lector ar trebu să f e cu fața către aud tor u cu excepț a momentelor când folosesc un po nter manual pentru a îndruma spectator către elementele spec f ce de pe d apoz t v.

Pe de altă parte, dacă se folosește un computer, se poate ut l za cursorul, ar vorb torul ar trebu să f e cu fața către spectator săl . Atunc când se folosește un m crofon, volumul de vorb re al prezentatorulu trebu e să f e adaptat la acust ca ofer tă de s stemul de sunet. Orator ar trebu să păstreze un ton conversaț onal, ca ș cum ar vorb cu un coleg, deoarece acest lucru mpl că aud tor ul.

Dacă vorb torul dorește să mplce aud tor ul, pot f puse întrebăr pentru a le st mula m ntea, sau se poate formula o întrebare pentru

a serv ca nv taț e spre part cparea aud tor ulu . Alț factor mportanț care mpl că dest natar sunt încrederea, entuz asmul ș autent c tatea vorb torulu .

Brevitatea.

Brev tatea fac l tează furn zarea de nformaț max me folos nd cel ma m c număr pos b l de cuv nte. O confer nță ar trebu să f e conc să, d rectă ș la ob ect. De ob ce , brev tatea este percepută ca o v rtute st l st că atâta t mp cât nu este real zată în detr mentul clar tăț . Pregăt rea va ajuta la el m narea redundanțelor ș a pauzelor de tranz t. Astfel de pauze sunt foarte d fer te de o pauză dramat că sau de tăcere pentru ev denț ere, care ar trebu să f e preplan f cate. În Hamlet, Shakespeare af rma că „brev tatea este sufletul sp r tulu ”. Această frază a fost nterpretată în sensul că „a f scurt este esența ntel gențe ”.

Prima impresie și aspectul. D ncolo de mater alul prezentat, aud tor ul evaluează o var etate de aspecte în ceea ce pr vește lectorul, care are doar o s ngură șansă să facă o pr mă mpres e bună. Pr mele mpres nclud aspectul, tonul, expres le fac ale, îmbrăcăm ntea potr v tă ș atenț a la postură ș gestur . Vorb tor ar trebu să îș ț nă mâ n le departe de buzunare ș să zâmbească.

Repetarea și reducerea nervozității.

Este normal să s mț ț o anum tă nervoz tate îna nte de a vorb în publ c. Secretul pentru a reduce anx etatea este pregăt rea. Atunc când exersează, orator ar trebu să-ș cronometreze ntroducerea, corpul d scursulu ș concluz le cu un cronometru. Ar trebu să exerseze trecerea de la un sl de la altul, ar frazele che e ar trebu să f e folos te pentru a perm te un

cont nuu de gând re între d apoz t ve. Vorb tor nu ar trebu să repete doar în m ntea lor, c ar trebu să art culeze verbal, totul cu voce tare.

Cu cât exersează ma mult, cu atât vor f ma puț n nervoș , nd ferent de aud ență. Dacă se folosește un po nter, acesta ar trebu ț nut cu o s ngură mână; totuș , dacă mâna vorb torulu tremură de teamă, ț nerea cu două mâ n sau spr j n rea cotulu poate ajuta. Resp raț a lentă ș profundă poate, de asemenea, să calmeze m ntea, corpul ș r tmul card ac.

Viteza vorbirii.

Exersarea prezentăr va ndca vorb torulu cât va dura o confer nță. Prea multe sl de-ur determ nă un lector să vorbească prea repede dacă t mpul confer nțe este l m tat. Folos rea unu număr ma m c de d apozt ve ș vorb rea la un r tm plăcut, conversaț onal, este ma adecvată decât graba ș dor nța de a acoper prea multe nformaț . Aud tor ul nu va șt că anum te d apoz t ve au fost el m nate. Dacă un d scurs întârz e, nu vă grăb ț ; în sch mb, săr ț peste unele sl de-ur ma puț n mportante sau vorb ț ma scurt pe marg nea anum tor d apoz t ve. Informaț le om se pot f revzu te în partea de concluz e sau ascultător pot f îndrumaț către o publ caț e spec f că.

Contactul vizual.

Un bun orator scanează sala ș stab lește contactul v zual cu un d ntre spectator săl . O regulă de aur constă în stab lrea unu contact v zual t mp de 3 până la 5 secunde cu câteva persoane d n pr mele rândur ale aud ențe . Aceasta va ajuta prezentatorul să se conecteze cu aud ența la un n vel ma profund.

Încheierea conferinței.

Remarc le f nale ale une prezentăr ar trebu să facă mult ma mult decât să anunțe publ cul de înche erea confer nțe . Amprenta durab lă a întregulu d scurs poate dep nde de af rmaț le f nale.

Pr n urmare, pregăt rea une înche er putern ce pentru o confer nță este la fel de mportantă ca ș crearea une deschder robuste.

MĂSURI TEHNICE

Modul de folosire a unui pointer.

Porn ț po nterul laser când este necesar ș apo opr ț -l când deea este completă. Nu îl folos ț cont nuu. Atunc când folos ț un cursor, nd caț spec f c ceva atunc când vorb ț despre el. Nu faceț desene cu po nterul. Cuv ntele care trebu e accentuate pot f subl n ate cu cursorul.

Atunc când d scutaț despre un tabel, c t ț ma întâ t tlul, ș apo îndreptaț aud ența cu po nterul către rând (or zontal) ș coloană (vert cal) pe sl de-ul abordat.

Designul diapozitivelor.

Două sl de-ur s mple sunt ma bune decât unul complex. În opn a autorulu , f ecare d apoz t v ar trebu să a bă cel mult două până la patru de ș să conț nă șase sau ma puț ne l n de text. Un număr prea mare de rândur de text poate dezangaja spectator . Acordaț t mpul necesar pentru a transm te mesajul de pe d apoz t v, dar plan f caț să d scutaț f ecare sl de în mod ob șnu t t mp de 1 până la 2 m nute.

Graf cele ar trebu să susț nă, nu să d stragă atenț a de la nformaț le textuale.

Nu grăb ț mag n le cum ar f fotograf le; acestea trebu e prezentate suf c ent de mult t mp pentru ca publ cul să poată as m la ceea ce este arătat.

În ceea ce pr vește culor le, ar trebu să f e folos te culor de bază cu un contrast r d cat între fundal ș text. De exemplu, fundalur le albastre înch se pot f folos te cu text alb sau galben sau fundalur negre cu text alb, aur u sau verde. Un fundal alb poate f folos t cu l tere întunecate. Nu ar trebu să f e folos te ma mult de tre culor pe un s ngur d apoz t v. Roșul ar trebu ev tat ca nuanță de text, deoarece nu se pro ectează b ne.

În general, d mens unea fontulu pentru t tlur le d apoz t velor ar trebu să f e de 40 sau 44 de puncte, în t mp ce t pul de text pr ncpal ar trebu să f e de d mens une 24 până la 36. Deș fontur le cu d mens unea 18 pot f l z b le, ele pot f greu de c t t. Ut l zarea tal celor, care se v zual zează cu d f cultate, ar trebu ev tată, în spec al în fontur ma m c .

Graficele și tabelele.

Orator ar trebu să-ș creeze propr le graf ce ș tabele. Autorul a constatat că, pentru d apoz t vele cu un tabel cu două coloane, pentru a obț ne o v z b l tate opt mă, numărul max m de rândur nu ar trebu să depășească c fra opt. Pentru un tabel cu tre până la c nc coloane, nu ar trebu să se folosească ma mult de șase rândur .

Legile drepturilor de autor.

Ut l zarea mater alulu d ntr-o publ caț e poate încălca leg le pr v nd dreptur le de autor, cu excepț a cazulu în care ed torul a acordat perm s unea sau dumneavoastră, lectorul, sunteț autorul or g nal. Când cop aț fotograf , acordaț cred t, adăugând numele autorulu în partea de jos a d apoz t vulu .

ALTE MĂSURI

PREGĂTITOARE

Revizuirea „Show Biz”. Vorb tor ar trebu să f e propr lor cr t c în t mpul repet ț lor. Dacă prezentarea are porț un care sunt pl ct s toare, ștergeț -le sau mod f caț mater alul pentru a-l face ma nteresant. Segmentele care ar putea f prea compl cate ar trebu ed tate sau s mpl f cate. Luaț în cons derare folos rea fotograf lor sau a altor graf ce pentru a lustra punctele. Albert Einstein af rma că, dacă șt mater alul, poț să-l expr m s mplu. În ceea ce prvește remarc le controversate, f ț pregăt ț să susț neț af rmaț le d scutab le ș să lăsaț loc pentru alte op n .

Întrebări și răspunsuri.

Gând ț -vă la c nc întrebăr pe care publ cul ar putea să le adreseze. Îna nte de a prezenta, formulaț răspunsur le ș luaț în consderare pregăt rea d apoz t velor pentru a răspunde la întrebăr le ant c pate. Repetaț întrebăr le

puse îna nte de a le răspunde ș menț neț răspunsur le scurte. Dacă orator nu cunosc răspunsul, ar trebu să ofere nformaț le pe care le deț n ș apo să spună că nu sunt conșt enț de răspunsul spec f c la întrebare.

Ce își amintește auditoriul.

Imed at după o confer nță, spectator reț n 50% d n ceea ce s-a d scutat. A doua z , îș am ntesc 25%, ar după o săptămână, de obce , numa 10% d n nformaț e este reevocată. Instrumente precum poveșt le, analog le, exemplele ș repetarea punctelor mportante pot f ut l zate pentru a ajuta publ cul să-ș am ntească af rmaț le che e.

REMARCI FINALE

În concluz e, cele cele ma mportante 10 sugestii pentru a susț ne o confer nță remarcab lă sunt:

(1) Pregăt ț ș repetaț prezentarea cu mult t mp îna nte de data prezentăr .

(2) Luaț în cons derare publ cul ț ntă.

(3) Impl caț câț va spectator în d scuț e.

(4) Creaț d apoz t ve care nu sunt prea încărcate.

(5) Folos ț un ton conversaț onal, dar vorb ț destul de tare pentru ca publ cul să vă poată auz .

(6) Folos ț po nterul laser ntermtent.

(7) Nu c t ț sl de-ur le.

(8) Pr v ț ascultător în t mpul confer nțe ; nu vă u taț contnuu la d apoz t ve.

(9) Dacă t mpul se scurge, nu vă grăb ț ; în sch mb, săr ț peste anum te d apoz t ve sau detalaț ma puț n d apoz t vele.

(10) Zâmb ț ș bucuraț -vă de prezentare.

Turn static files into dynamic content formats.

Create a flipbook
Issuu converts static files into: digital portfolios, online yearbooks, online catalogs, digital photo albums and more. Sign up and create your flipbook.