Actualități Stomatologice nr. 101

Page 1


JOURNAL | SINCE 1999

www.aegisdentalnetwork.com

FONDATORI

Prof. Dr. Adi A. GARFUNKEL | Prof. Dr. D. Walter COHEN

PREȘEDINTE ONORIFIC

Prof. Dr. Nicolae GĂNUȚĂ

Decan-Emerit Facultatea de Medicină Dentară, București

Membru al Academiei de Științe Medicale

EDITOR ȘEF

Prof. Dr. Anca Silvia DUMITRIU

Medic primar Parodontologie, Doctor în Științe Medicale

Șef Disciplină Parodontologie, Prodecan, Facultatea de Medicină Dentară, Universitatea de Medicină și Farmacie Carol Davila, București

Vicepreședinte „Societatea Română de Parodontologie” European Federation of Periodontology Delegate

EDITOR ȘTIINȚIFIC

Societatea de Parodontologie din România membru al Federației Europene de Parodontologie

Președinte de Onoare:

Prof. Univ. Dr. Horia Traian Dumitriu membru titular Academia de Științe Medicale

COLEGIUL ȘTIINȚIFIC INTERNAȚIONAL

Prof. Dr. Louis F. ROSE

Profesor Clinic de Parodontologie

Universitatea Pennsylvania & New York, SUA

Profesor de Medicină și Chirurgie, Colegiul Medical, Universitatea Drexel, SUA

Prof. Dr. Markus B. BLATZ

Editor in Chief Compendium USA

Prof. Dr. Meyer Fitoussi, Franța

Prof. Dr. Michael Glick, Past-Editor-in-Chief JADA, SUA

Dr. Doron Haim, Israel

Prof. Dr. Harold W. Preiskel, Anglia

Prof. Dr. André P. Saadoun, Franța

COLEGIUL ȘTIINȚIFIC NAȚIONAL

Conf. Dr. Lidia Boboc

Prof. Dr. Emanuel Bratu

Dr. Alexandru Brezoescu

Prof. Dr. Dorin Borzea

Lector Univ. Dr. Lucian Chirilă

Prof. Dr. M. V. Constantinescu

Prof. Dr. Bogdan Dimitriu

Prof. Dr. Horia Dimitriu

Prof. Dr. Norina Forna

Membru corespondent Academia de Științe Medicale

Prof. Dr. Rodica Luca

Prof. Dr. Andrei Iliescu, Membru titular Academia Științe Medicale

Prof. Dr. Augustin T. Mihai

Prof. Dr. Alexandru Monea

Lector Univ. Dr. Ion Nicolescu

Prof. Dr. Ion Pătrașcu

Conf. Dr. Stana Păunică

Prof. Dr. Dragoș Stanciu

Prof. Dr. Mircea Surpățeanu

Prof. Dr. Șerban Țovaru

Prof. Dr. Constantin Vârlan

Asist. Univ. Dr. Anca Vereanu

ECHIPA EDITORIALĂ

EDITOR CONSULTANT

Dr. Tiberiu Gh. Silaghi medic primar

EDITOR EXECUTIV

Dr. Bianca G. Zaharia medic specialist

EDITOR ASOCIAT

Dr. Ana-Maria Herța medic specialist

TRADUCERE, REDACTARE

Lector Univ. Blanka Petcu

DESIGN

Concept grafic, DTP & Prepress Cătălin Cristescu

ART GROUP INT TIPAR

ABONAMENT

inregistrare@actualitatistomatologice.ro www.dentalnews.ro/gdpr

DISTRIBUȚIE

Poșta Română - TP nr. 109/C/3345/2020

MARKETING

Dental News, Manager financiar Ec. Lili Viorica Stoica

office@dentalnews.ro 0726 164 381 INFO www.dentalnews.ro/EMC

EMC

DEZVOLTARE WEB

Liviu Dincă www.webdin.ro

www.dentalnews.ro

ISSN: 1583-6010

DIGITAL DENTAL SOLUTIONS

Initial stability measuring system

Intraoral and desktop scanners

3D printers and materials

Surgical solutions

Guided surgery and immediate loading

Dental unit

Intraoral scanners and radiology solutions

Occlusal analysis system

Surgical solutions

Dental cameras

Conţinutul materialelor publicitare şi al articolelor promoţionale aparţine firmelor producătoare importatoare sau distribuitoare ale produselor respective.

Cuprins

BUSINESS OF DENTISTRY

EDITORIAL ⊲

EMC Publicație creditată de Colegiul Medicilor Dentiști din România. Detalii pe www.dentalnews.ro/EMC

CONTINUING EDUCATION ⊲

FULL-MOUTH RECONSTRUCTION

Reabilitarea digitală full-mouth: de la diagnostic la restaurări finale din zirconia integrală 28

BIOEEL ⊲

SALPROGEL

Beneficiile salviei și ale propolisului la nivelul cavității orale 41

DIGITAL DENTISTRY ⊲

COMPLETE DIGITAL WORKFLOW

Proiectarea și fabricarea digitală a restaurărilor CAD/CAM într-un caz estetic complex

EMS ⊲

44

STRATEGIES / PRACTICE PRODUCTION

9 modalități de creștere a producției praxisului dentar în orice context economic

ESSENTIAL ⊲

INTRAORAL SCANNERS / IMPRESSIONS

Scanerele intraorale: cheia revoluției digitale în stomatologie 14

SPECIAL REPORT

AI AND DENTISTRY

Inteligența artificială și viitorul stomatologiei

ADOM ⊲

GALA ADOM #DE10

Primul premiu Dental O ce Manager of the Year, primul pas către o tradiție a recunoștinței

GUIDED BIOFILM THERAPY

Creșterea loialității față de recall prin evitarea durerii 49

PRACTICAL APPLICATION ⊲

TELESCOPIC RESTORATIONS

52

Modul în care tehnologiile digitale îmbunătățesc fluxurile clinice de lucru în cazul restaurărilor telescopice și conice

CASE REPORT ⊲

FULL-ARCH IMPLANT RESTORATION

Un protocol simplificat pentru fabricarea integral digitală în aceeași zi a unei proteze provizorii pe implanturi, imediat inserate și încărcate 60

REVIEW ⊲

ORAL GRANULOMATOUS LESIONS

Diagnosticarea leziunilor granulomatoase orale

Reaching for The Stars

Uitați-vă pe cer.. Vedeți stelele? Uneori vrei să apuci una. Sau două, sau trei... nu-i așa? Primul nostru instinct este să întindem mâna să le apucăm, sau cel puțin să le atingem. Nu realizăm imediat distanța incomensurabilă care ne separă de stele. Nu înțelegem pe loc cantitatea enormă de efort și energie necesară pentru a ajunge la oricare dintre ele. Cam la fel este și în ceea ce privește înțelegerea vieții altor oameni. Când ne uităm doar la marile lor realizări, s-ar putea să simțim un fel de invidie. Ne gândim că și noi am fi putut, sau ar fi trebuit, să realizăm măcar o parte. Este cumva firesc și pare și ușor - doar să întinzi mâna. Mintea ne păcălește cumva să vedem doar rezultatul glorios - acea stea strălucitoare. Dar putem vedea drumul din spatele realizărilor? Poate nu neapărat la prima vedere. Pentru că nu știm prea multe la prima vedere. Trebuie să cunoaștem omul din spatele numelui Adi Garfunkel. Adevăratul Adi, viața lui reală, drumul pe care a călătorit până a devenit un star.

Este f resc să ne am nt m de începutur le rev ste pe care a fondat-o, onorându-l pr n șt nță. Pr n învățare. Pr n sch mb de exper ență. Pentru că ma presus de toate, Prof. Garfunkel a fost un mentor, un educator. Conferenț erea făcea parte d n sufletul său, la fel ca ș nevo a de a împărtăș tot ce șt a, tot ce descoper se. A fost cea ma mare pas une a lu să- învețe pe ce lalț .

Este ș pas unea lector lor nv taț pe 20 apr l e la Bucureșt în spectacolul șt nț f c care va străluc asemenea acele stea care a lansat Actualitățile în urmă cu 25 an , le-a condus cu entuz asm ș le-a susț nut cu modest a oamen lor de valoare - Ad .

NITZAN BICHACO,

PAULO MALO, DORON HAIM, ION NICOLESCU pe scena Teatrului Național București, sâmbătă 20 aprilie, într-un spectacol științific interactiv susținut cu abilitatea unor lideri, recunoscuți pentru metodele inovatoare de tratament specializat:

THE DIFFERENT PATHS FOR SUCCESSFUL IMPLANTS SUPPORTED REHABILITATION

Din cuprins:

Dental Art & Science. L der absolut al estet c în stomatolog e ș autorul unor confer nțe spectaculoase, Prof. B chacho va expl ca pr n cazur cl n ce modelele novatoare, abordăr le ch rurg cale ș restaurat ve care max m zează succesul restaurăr lor pe bază de mplantur , în spec al în zona zâmbetulu .

All-on-4® Protocol for Edentulous. Inventator al celebrulu concept ș conferenț nd pentru pr ma dată în Român a, l derul mplantolog e mond ale, Prof. Malo va expune pr nc p le protocolulu , exempl fcând scenar le terapeut ce pentru cele ma frecvente provocăr cl n ce care au d ctat sch mbăr le de az ale clas culu model.

Computer-Aided Digital Dentistry. Cu peste 15 an de pract că în domen ul stomatolog e d g tale ș d n poz ț a de l der a une rețele de cl n c cu 1600 med c dent șt ș 400 g en șt , Dr. Ha m va detal a cazur cl n ce cu rezolvăr d g tale mpres onante.

Multidisciplinary Approach. Un veteran al mplantolog e ș l der al ch rurg e ortognat ce d n Român a, Dr. N colescu va aborda secretele partener atulu spec altăț lor mpl cate în reab l tarea pe mplantur , argumentând cl n c ord nea funcț onal-benef că a secvențelor ș dec z lor terapeut ce.

Programul even mentulu este structurat în trei sesiuni științifice, separate de pauze de cafea în foa erul elegant al săl de confer nțe, unde va f organ zată ș o expoziție de prof l la care vă așteaptă compan le-partenere ale even mentulu . Prânzul table-service dar ș cocktailul festiv cu finger-food & open bar de la f nalul even mentulu vor avea loc la cochetul restaurant “Aria” s tuat la n velul terase teatrulu . Seara se va înche a cu spectacolul “Freak Show” cu Florin Piersic jr., un one-man-show cu evoluț a cameleon că a unu s ngur actor care se transformă cont nuu în alt personaj, jucat cu casa închisă pentru publ cul even mentulu .

VĂ AȘTEPTĂM PE 20 APRILIE LA un altfel de eveniment!

Sâmbătă, 20 aprilie 2024

TEATRUL NAȚIONAL BUCUREȘTI

expertise in complex digital maxillofacial surgeon who has

昀椀xed oral rehabilitation.

9 Ways to Increase Practice Production in Any Economic Condition by Roger P. Levin, DDS. Originally published in Compendium of Continuing Education in Dentistry 44(2) February 2023. © 2024 AEGIS Publications, LLC. All rights reserved. Reprinted with permission of the publishers.

9 modalități de creștere a producției praxisului dentar în orice context economic

⊲ STRATEGIES / PRACTICE PRODUCTION

Despre autor:

Roger P. Levin, DDS

CEO and Founder, Levin Group, Inc. (levingroup.com), a practice management consulting firm that has worked with more than 30,000 dental practices

Producț a este cel ma mportant parametru al unu cab net stomatolog c. Atâta t mp cât prax sul are o producț e suf c entă, ar raportur le producț e sale față de alț parametr sunt în grafcul propus, cab netul va funcțona b ne.

Pract c en trebu e să înțeleagă factor var aț care pot nfluența producț a ș per od c să se concentreze pe ce nd v dual pentru a îmbunătăț performanța. Acest lucru va ajuta la as gurarea une creșter în ceea ce pr vește producț a, prof tul ș ven tur le.

Iată nouă modal tăț pentru creșterea producț e prax sulu

dentar în or ce s tuaț e econom că:

(1) Reactivarea tuturor pacienților cu programări întârziate

React varea pac enț lor poate f cea ma mpactantă modal tate de a crește producț a în cadrul unu prax s stomatolog c. Acest lucru înseamnă programarea or căru pac ent care nu deț ne o programare următoare. După cum se poate ușor mag na, cu cât prax sul are ma mulț pacenț într-un program matemat c adecvat, cu atât producț a va f ma mare. Menț nerea tuturor pac enț lor programaț creează efect v o bază de pac enț ma

GLUMA® Bond Universal

Doar 1 ...

» flacon pentru toate tehnicile

» formulă pentru toate materialele dentare

» adeziv pentru o gamă largă de indicații și reparații intraorale

» pas spre un proces de lucru eficient și economic

mare, ceea ce ev dent va genera o producț e ma mare ș o performanță îmbunătăț tă a cab netulu .

Prax sur le care pot crea o combnaț e de cazur mar , med ș m c proven nd d ntr-o bază de pacenț ma mare vor avea o producț e globală ma mare.

(2) Stabilirea obiectivelor de producție anuale și zilnice

Prax sur le care îș stab lesc un ob ect v spec f c pentru producț e, cum ar f o creștere cu 18% în următoarele 12 lun , sunt ma suscept b le să-l ș at ngă. Atunc când se creează ob ect ve, se desch de mintea către pos b ltăț . Un pract c en ar putea să se întrebe de ce să îș facă gr j în stab l rea ob ect velor atunc când nu șt u cum le vor at nge.

Cu toate acestea, pract c en nu ar trebu să se îngr joreze cu pr v re la modul în care vor at nge ob ect vul; ma degrabă, ar trebu pur ș s mplu să-l stab lească.

Conșt ent sau nu, e vor deven desch ș la or ce nformaț e sau cunoșt nțe care î vor ajuta să-l at ngă. Deș s-ar putea să nu șt e cum vor crește producț a cu 18% de exemplu, acest lucru ar putea determ na cab netul să înceapă un s stem spec f c de react vare a cât ma multor pac enț pos b l . Aceasta, la rândul e , va crește nev tab l producț a ș va ajuta să se at ngă cel puț n o parte d n creșterea propusă de 18%.

(3) O ședință de dimineață pentru revizuirea eficientă a afacerii

F ecare prax s ar trebu să a bă o întâln re de d m neață cu durata a 10 m nute, care să a bă o agendă spec f că ș să compare producț a programată a z le cu ob ect vul z ln c. Dacă producț a programată este sub ob ect v, f ecare membru

al ech pe este însărc nat să lucreze pentru a acoper def c tul. Ca exemple, membr lor personalulu de la recepț e l se poate ream nt în f ecare d m neață să f e ma atenț la apelur le d n partea pac enț lor no , la sol c tăr le de urgență sau la alte oportun tăț de supl mentare a producț e ; g en șt ar trebu încurajaț să dent f ce perspect ve de tratament “de o s ngură z ”; ar med c lor l se poate ream nt să f e atenț la pac enț care neces tă tratament supl mentar.

Pr or t zarea acoper r def c tulu între producț a programată ș cea care reprez ntă ob ect vul z ln c va duce în mod ob șnu t la o creștere a producț e .

(4) Blocarea adecvată a programului de lucru

Un cab net ar putea avea în mod conșt nc os un ob ect v de producț e, dar să nu anal zeze n c odată programul său pentru a înțelege dacă ob ect vul este real zab l. Programul efect v trebu e să perm tă at ngerea ob ect vulu de producț e. F ecare prax s ar trebu să a în cons derare reevaluarea programulu actual ș să determ ne dacă ob ect vul de producț e este, de fapt, real zab l. Deș un cab net ar putea să realzeze în prezent producț a în mod constant, programul ar putea să nu perm tă o creștere cu 18% în următoarele 12 lun .

Pentru a ajuta la at ngerea ob ect vulu z ln c, este necesar să se creeze blocuri spec f ce în program, bazate pe producț e, care vor perm te cab netulu să crească numărul de cazur ma complexe. În caz contrar, este ca ș cum un alergător ol mp c ar dor să at ngă un t mp spec f c într-o cursă fără a anal za vreodată dacă f ecare tură este suf c ent de rap dă pentru a at nge acel t mp spec f c.

(5) Programarea cazurilor complexe într-o zi liberă

Des gur, n men nu e încântat de deea de a lucra într-o z l beră. Cu toate acestea, dacă stomatologul dorește să crească producț a ș cab netul este ușor în urmă, programarea unu caz complex în d m neața une z le l bere poate ajuta să se acopere d ferența. Întâmplător, lucrul cu doar un as stent ș pac entul, fără alte funcț îndepl n te în cab net, cum ar f răspunsul la telefoane sau personalul care m șună d ntr-o sală de tratament în alta, poate f una d ntre exper ențele cele ma relaxante pentru un pract c an.

(6) Determinați igienistul să contacteze pacienții amânați

Prax sur le pot spor semn fcat v programarea pac enț lor amânaț pr n contactarea acestora d rect de către g en st în locul personalulu de la recepț e. Ig en stul ar trebu să tr m tă atât mesaje text, cât ș să contacteze telefon c f ecare pac ent în parte ș , când este necesar, să lase un mesaj vocal scr ptat despre angajamentul cab netulu față de pac ent, mportanța g ene dentare ș faptul că pac entul întârz e la programarea sa. Acest lucru poate determ na pac entul să programeze o v z tă la cab net.

(7) Realizarea unor studii de timp procedural

Stud le de t mp procedural măsoară t mpul med u necesar pentru ca un med c să f nal zeze o procedură ș ar trebu întrepr nse la ntervale de câț va an . Luaț în cons derare că, dacă un cab net poate econom s 10 m nute pe oră, va adăuga ech valentul a 32 de z le pe an (sau aprox mat v 2

lun ) de producț e supl mentară a med culu în f ecare an. Econom s rea a 10 m nute pe oră poate nfluența substanț al productv tatea prax sulu .

(8) Monitorizarea pacienților cu tratament incomplet

Această recomandare are ma mulț parametr . În pr mul rând, pac enț care nu acceptă tratamentul în z ua în care este recomandat ar trebu să prmească un apel pentru a- ajuta să se programeze sau pentru a răspunde la or ce alte întrebăr supl mentare pe care le-ar putea avea. În urma acestor apelur mulț pac enț f nal zează programarea.

În al do lea rând, un pac enț încă benef c ază de as gurare d spon b lă, dar nu ș -au f na-

l zat tratamentul. Contactarea lor ș menț onarea p erder lor pe care le-ar putea avea d n partea compan e de as gurăr î mot vează adesea pe pac enț să programeze tratamentul. În al tre lea rând, un pac enț nu vor f de acord cu n c un alt tratament până când benef c le lor de as gurare nu se reînnoesc, lucru care se întâmplă în mod ob șnu t în anuar e. D n nou, contactarea pac enț lor în cauză în jurul aceste per oade ș nformarea lor în pr v nța reînno r benef c lor lor ar putea să- mot veze să urmeze tratamentul supl mentar.

(9) Creșterea periodică sau anuală a tarifelor

Stomatolog sunt adesea îngrjoraț de creșterea tar felor. Cu toate acestea, în general pac enț nu sunt conșt enț de tar fele

cab netelor în afara serv c lor de g enă dentară de bază. Pentru serv c le de g enă dentară, tar fele ar trebu să crească ma lent, dar pentru toate celelalte tar fe, o creștere anuală de câteva puncte procentuale sau ch ar de 5% trece de ob ce neobservată.

Cab netul trebu e să tr m tă noua sa l stă de tar fe la toate compan le de as gurăr cu care colaborează pentru a-ș actualza prof lul general.

REZUMAT

Producț a conduce în mod ob șnu t la rentab l tate, ventur , nvest ț ș alț parametr f nanc ar . Respectarea acestor nouă strateg va ajuta la creșterea producț e cab netulu . Când producț a este la n velul potr v t, prax sul va cont nua să prospere.

Intraoral Scanners: The Key to Dentistry’s Digital Revolution by Ahmad Al-Hassiny, BDS (Hons). Originally published in Compendium of Continuing Education in Dentistry 44(3) March 2023. © 2024 AEGIS Publications, LLC. All rights reserved. Reprinted with permission of the publishers.

Scanerele intraorale: cheia revoluției digitale în stomatologie

⊲ INTRAORAL SCANNERS / IMPRESSIONS

Despre autor:

Ahmad Al-Hassiny, BDS (Hons) Director, Institute of Digital Dentistry, Wellington, New Zealand; Private Practice, Wellington, New Zealand

Stomatolog a trece pr ntr-o evoluț e rad cală odată cu adoptarea tehnolog lor d g tale ș , în spec al, a scanerelor ntraorale (intraoral scanners, IOSs) care au înreg strat o creștere exploz vă la n vel global. În unele țăr dezvoltate, până la 40-50% d ntre cab nete folosesc aceste d spoz tve, ar procentul se ant c pează să crească în mod cont nuu la n vel global.

Deș tehnolog a CAD/CAM-ul a pătruns relat v recent în ndustr a dentară de masă, stor a sa datează

d n 1973, când Dr. François Duret a propus deea de amprente opt ce pentru apl carea în stomatolog e. Zece an ma târz u, în 1984, a demonstrat fabr carea pr me coroane dentare folos nd un scanner electro-opt c patentat pentru a înreg stra o amprentă d g tală ș un s stem CAD/ CAM pentru real zarea une coroane. În anul 1985 a fost lansat pr mul s stem CEREC 1 CAD/CAM (Sirona Dental Systems GmbH) capab l să producă o restaurare. S stemul nu avea un so ware CAD complet; ma degrabă, cop a pur ș s mplu preparaț a cav tăț ș neces ta f n sarea ntraorală a ocluz e . CEREC, care este o abrev ere pentru CEram c REConstruct on (reconstrucț e ceramcă), a fost dezvoltat având în vedere coroanele ceram ce, ar accentul pe acestea ș pe tratamentul dentar „într-o s ngură z ” rămâne un cr ter u de vânzare ș în prezent.

ASCENSIUNEA IOS

Încă de la început, scanerele ntraorale au fost doar de natură optcă, ut l zând tehnolog a laser sau lum na structurată. Această lum nă se reflectă de pe țesutur le mo ș dure într-un senzor al d spoz t vulu IOS, f nd apo convert tă într-o amprentă d g tală de către so ware. Spre deoseb re de scanerele de laborator, IOS-ur le sunt pro ectate pentru a obț ne amprente d g tale d rect în cav tatea orală a pac entulu . Pr n urmare, d mens unea ș forma generală a acestor scanere au fost l m tate de cav tatea orală, ar aspectul lor general de la un model la altul nu var ază semn f cat v. De exemplu, capetele scanerulu sunt suf c ent de m c pentru a se potr v în gură ș suf c ent de lung pentru a captura aspectul d stal al ult mulu molar, ar d spoz t vul

tate, f e acoper te cu un cap de scanare / husă de protecț e de un că folos nță sau cl n c en pot ut l za un vârf de scanare detașab l capab l să rez ste la ma multe c clur de autoclavare. Se pare că p ața se îndreaptă către vârfur de scanare detașab le care pot f autoclavate în locul ster l zăr la rece.

PROGRESE ÎN SOFTWARE

O tend nță majoră pe p ața actuală este legată de îmbunătăț r le software-ulu , compan le depunând efortur semn f cat ve pentru a-ș îmbunătăț so ware-ul ca punct de d ferenț ere pr ntre mult tud nea de d spoz t ve d spon b le. IOS-ur le trec de la a f doar nstrumente de înlocu re a amprentelor, la a f cons derate m jloace de dezvoltare a unu plan de tratament valoros ș ca un nstrument de comun care de nclus în exam narea pac entulu . Producător fruntaș nclud acum d verse apl caț în so ware-ul IOS. Aceste apl caț nclud, dar nu se l m tează la s mulatoare ortodont ce sau de des gn al zâmbetulu ș mon tor zarea în t mp a pac enț lor. Odată cu creșterea mpr măr 3D în stomatolog e, compan le nclud acum o apl caț e „constructor de modele” în so ware-ul lor, care perm te transformarea scanăr lor în modele mpr mab le în mod ușor ș ef c ent.

În v tor, cele ma multe d ntre progresele de pe p ața IOS vor cont nua, probab l, să f e în domen ul so ware-ulu , în spec al în cel al AI ș al unor fluxur de lucru ma ef c ente, cu alte d spoz t ve care dev n d n ce în ce ma adoptate în cl n c le dentare, cum ar f mpr mantele 3D. Deș d spoz t vele de frezare nu au fost n c odată adoptate pe scară largă în cab netele dentare (în pr nc pal d n cauza costur lor), mpr mantele 3D sunt mult ma acces b le ș

perm t cl n c en lor oportun tatea de a-ș muta producț a nternă la o fracț une d n costul une maș n de frezat. Acest lucru pare a f o dezvoltare d nam că în stomatolog e, ar compan le producătoare de scanere observă acest lucru, multe d ntre ele real zând ntegrăr cu cele ma populare mprmante 3D.

CONCLUZII

Având în vedere progresele cons derab le în stomatolog e care au avut loc în ult mul decen u, aces-

ta este un moment nc tant pentru profes e. Stomatolog a se sch mbă dramat c, ar odată cu apar ț a d agnost celor AI, a datelor de scanare ntraorale, a mpr măr 3D ș a software-ulu CAD/CAM, este foarte ușor de mag nat cum metodele de d agnost c, plan f carea terapeutcă ș executarea tratamentulu vor cont nua să se sch mbe rap d în următor 5 până la 10 an . Pentru pract c en care încă nu au un scanner, este t mpul să accepte nev tab lul ș să facă nvest ț a. Este cu adevărat un moment nteresant să f dent st.

Artificial Intelligence and the Future of Dentistry by Kyle Stanley, DDS. Originally published in Compendium of Continuing Education in Dentistry 44(5) May 2023. © 2024 AEGIS Publications, LLC. All rights reserved. Reprinted with permission of the publishers.

Inteligența arti cială și viitorul stomatologiei

⊲ AI AND DENTISTRY

Despre autor:

Kyle Stanley, DDS

Private Practice, Beverly Hills, California

Recunoaștere:

The images are courtesy of Pearl Inc. and used with permission.

Deș n c un progres tehnolog c de az nu este ma s gur să transforme v torul stomatolog e decât ntel gența art f c ală (art f c al ntell gence, AI), probab l n c una nu este ma puț n înțeleasă de către oamen care sunt pe cale să benef c eze de aceasta. AI nu este atât de m steroasă pe cât pare. Spre deoseb re de multe portret zăr dramat ce ale AI în f lme ș med a, nu este o maș nă tr m să d n v tor pentru a d struge oamen sau pentru a refuza să „desch dă uș le de la capsule”. N c nu este un calculator a căru ntel gență este nd scernab lă de cea a unu om. Acest t p de AI, num t „AI generală”, este încă o fantez e. AI care va transforma stomatolog a este „AI îngustă” (“narrow” art fc al ntell gence). Se concentrează putern c pe o s ngură sarc nă ș este extrem de bună la îndepl n rea acele sarc n ; de fapt, atât de bună

încât poate opera la un n vel care se potr vește ca ș cal tate performanțe umane experte ș ch ar o depășește cu mult, în v teză. Ma mult, acceptă „fără să se plângă” sarc n pe care major tatea oamen lor nu le doresc, se pl ct sesc să le facă sau fac greșel în t mpul executăr lor.

Spre deoseb re de maș n le înfr coșătoare d n fantez le sc ence-f ct on, AI îngustă este de încredere ș s nceră. De aceea, oamen î încred nțează multe sarc n precum d ctare, programare, sortare, et chetare, plan f care de rute ș altele, sarc n care în mod tradț onal consumau o mare parte d n z ua de lucru. AI le redă acum oamen lor o mare parte d n acel t mp, perm țându-le să facă ma multe lucrur care neces tă ntelgență umană reală ș pe care să le real zeze ma b ne.

Figurile: 1. Rx bite-wing prezentată cu detectări AI clinice și măsurători ale nivelului osos. Detectările cariei (fuchsia) indică adâncimea cariei în diverse structuri ale dinților. În acest exemplu sunt evidențiate și tartrul (verde) alături de o margine evidentă (mov). 2. Rx periapicală prezentată în cadrul unei interfețe AI radiologice de la scaunul stomatologic. Clinicienii pot activa segmentările porțiunilor dentare, care furnizează o hartă colorată a structurilor dinților pentru a ajuta la prezentarea cazului și la educarea pacienților.

PROCESUL DE ÎNVĂȚARE PROFUNDĂ

S stemele AI înguste îș dezvoltă ntel gența într-un mod s m lar cu cre erele b olog ce. Cre erul unu nou-născut ntră în lume ca o „tablă goală” ș apo sortează treptat ntrăr le senzor ale în modele care dev n un cadru pentru înțelegerea lum înconjurătoare. Deoarece ex stă tot felul de modele în totul –unele semn f cat ve, altele nu – AI are nevo e de îndrumare cu pr v re la ce felur de t pare să caute, la fel cum face un cop l. Pentru AI, îndrumarea v ne sub formă de

date care au fost „et chetate” sau „marcate” pentru a atrage atenț a asupra modelelor relevante. Antrenarea une AI cu date organ zate de ntel gența umană, un proces num t „învățare profundă”, î perm te să dent f ce modele cu o prec z e la fel de mare ca cea umană. Oamen nteracț onează cu s stemele AI de învățare profundă de multe or pe z . Var etatea cea ma fam l ară pe care oamen o întâlnesc este v z unea computer zată: AI care poate dent f ca, urmăr ș nterpreta mag n v zuale. Dacă un s stem de v z une computerzată pr mește suf c ente mag n

et chetate cu nformaț prec se care def nesc ceea ce reprez ntă, s stemul poate învăța să recunoască ch ar ș cele ma nd st ncte elemente v zuale. Deoarece aceste s steme detectează var aț foarte subt le între p xel nd v dual , ele pot dent f ca caracter st c v zuale care pot scăpa och ulu uman, de exemplu, cel ma m c semn de car nc p ente pe o rad ograf e dentară. Dar ceea ce face s stemele de v z une computer zată atât de valoroase constă în capac tatea lor de a gest ona ușor volume ur așe de date v zuale. Aceste s steme pot furn za m de evaluăr în t mpul în care un om face doar una s ngură, ș în plus păstrează perfect în memor e f ecare mag ne pe care au v zual zat-o vreodată.

Alte t pur de s steme AI înțeleg ș nterpretează l mba umană. De f ecare dată când c neva rulează o nterogare Google, ntră în acț une procesarea l mbajulu natural. Acest lucru este valab l ș atunc când c neva folosește nstrumente de autotraducere sau cere unu as stent ntel gent să î redea p esa sa preferată. Procesarea l mbajulu natural ș v z unea computer zată rulează adesea în tandem cu s stemele de date ș anal t că pred ct vă, care pătrund în fluxur le de date ale oamen lor de pe Facebook, ecranele de start ale Netfl x ș recomandăr le de pe Amazon. Aceste s steme ut l zează AI care este antrenată să găsească modele sau să facă pred cț pe baza datelor pe care oamen „le lasă în urma lor” în t mp ce anal zează lucrur , cumpără art cole sau caută d vert sment. S stemele de anal t că pred ct vă mon tor zează ob ce ur le personale de cheltu el pentru a opr încercăr le frauduloase, urmăresc comportamentul de nav gare pentru a canal za publ c tatea d g tală ș pentru a gh da navet șt spre casă pe drumur secundare cu scopul de a ev ta traf cul ntens.

One brand for all your imaging needs

cititor plăci fosforice APARATURĂ IMAGISTICĂ DENTARĂ 2D/3D PENTRU CABINETE STOMATOLOGICE ACCESORII ȘI CONSUMABILE PENTRU RADIOLOGIA DENTARĂ

Consultanță și soluții ergonomice pentru amenajarea spațiului Întocmirea documentațiilor în vederea autorizării Suport pentru cunoașterea și exploatarea echipamentelor

email: office@prodenta.ro

Figurile: 3. Un panou de bord dintr-un sistem de software pentru performanțe clinice care prezintă vizualizări ale planificării și finalizării tratamentelor în trei cabinete dentare din cadrul unui grup. AI este folosită pentru a evalua radiografiile istorice pentru fiecare pacient din cabinet, apoi descoperirile AI sunt automat încrucișate cu datele de tratament ale pacientului în sistemul de management al cabinetului stomatologic. Pentru cabinetele dentare medii, non-specializate, acest sistem AI detectează necesități de tratament neidentificate anterior în valoare de peste 1 milion de dolari. Pentru cabinetele cu oferte de tratament specializate, precum cele ale căror date sunt reflectate în panoul de bord, valoarea în dolari a necesităților de tratament detectate de AI este de mai multe ori mai mare. 4. Interfața de programare a software-ului AI dentar, pe care membrii echipei din biroul de recepție și clinicienii o pot folosi pentru a se pregăti pentru vizitele pacienților cu scopul de a îmbunătăți calitatea și consistența îngrijirii. 5. Rx panoramică procesată de AI, așa cum este vizualizată în interfața de programare a software-ului AI dentar, care poate fi folosită pentru a îmbunătăți calitatea și consistența îngrijirii.

Algor tm de învățare profundă sunt omn prezenț , învățând contnuu de la oamen ș ofer nd benef c mar ș m c . Sănătatea nu face excepț e. Încă d n 2011, cercetător de la New York Un vers ty Langone Health au descoper t că v z unea computer zată putea găs nodul spec f c la plămân cu până la 97% ma rap d decât o întreagă com s e de rad olog . În sp talele d n ultmul decen u, v z unea computer zată a fost mplementată în ma multe sarc n de mag st că medcală, nclus v detectarea ș stad alzarea cancerulu , segmentarea pulmonară, ant c parea rezultatelor terapeut ce ale depres e , med c na card ovasculară, detectarea ș clas f carea bol lor cerebrale ș multe altele. Deș s stemele AI contemporane care efectuează aceste funcț sunt adesea capab le să anal zeze ș să nterpreteze mag n le medcale cu o prec z e super oară cele a cl n c en lor uman , acestea sunt nd cate aproape exclus v pentru ut l zare ca ajutoare d agnost ce pentru pract c en dentar în loc să f e d spoz t ve d agnost ce autonome. Este mportant de menț onat

că atunc când se află în această capac tate de as stență, AI îmbunătățește semn f cat v performanța d agnost că a unu pract c an cl n c. Un d agnost c ma prec s reduce red recț onăr le cost s toare ale tratamentulu ș el m nă sarc n le repet t ve rut n ere, nclus v consultaț le cu a tre a ș a patra op n e ș mag n le redundante asoc ate.

ADUCÂND CONSISTENȚĂ ÎN STOMATOLOGIE

În stomatolog e, se ant c pează că ntel gența art f c ală (AI) va genera ef c ențe s m lare celor observate în alte domen ale sănătăț ș este probab l să le aducă rap d, d n ma multe mot ve. În pr mul rând, natura antreprenor ală ș or entată către consumator a profes e dentare poate ajuta la fac l tarea adoptăr ma ag le ș fără probleme a AI în cab netele stomatolog ce pr vate, potenț al al mentată de cererea pac enț lor. În al do lea rând, focal za-

rea îngustă a îngr j r asupra une s ngure părț a corpulu - în spec al, cav tatea orală ș /sau zonele asocate - s mpl f că provocarea tehn că a dezvoltăr capac tăț lor de AI larg apl cab le în med c na dentară. În al tre lea rând, în comparaț e cu multe domen med cale, r scul relat v ma scăzut de daune rezultate d n tratamentul dentar reduce r scul asoc at cu ut l zarea s stemelor de AI în stomatolog e, reducând m zele adoptăr AI dentare pentru pac enț , med c ș reglementator med cal deopotr vă. În cele d n urmă, r tmul crescut al consol dăr prax sulu în stomatolog e sporește neces tatea, precum ș cererea pentru no nstrumente ș metode în vederea as gurăr cons stențe cl n ce, ef c ențe operaț onale ș reducer răspunder în întreaga nfrastructură cl n că central gest onată, dar operaț onal descentral zată. În comb naț e, aceșt factor che e fac d n stomatolog e un teren fert l pentru ca AI „să-ș planteze

rădăc n le” ș să ofere rap d rezultate. F gur le 1-5 lustrează d verse modal tăț în care AI poate f ut lzată în stomatolog e.

Cel ma semn f cat v efect al AI asupra îngr j r pac enț lor ar putea f într-adevăr cons stența. Pac enț sunt sens b l la ncons stența în d agnost cul ș tratamentul med cal ș dezvoltă avers une durab lă față de aceasta atunc când o observă. Acest lucru prez ntă o provocare pentru stomatolog e, care are o problemă b ne documentată de ncons stență. Mulț furn zor de serv c dentare îș am ntesc, probab l, de un raport d n 1997 al Reader’s D gest real zat de un jurnal st de nvest gaț e care a v z tat 50 stomatolog d fer ț d n Statele Un te, le-a arătat f ecăru a aceleaș rad ograf ale propr e dent ț ș a pr m t 50 d agnost ce ș planur de tratament d fer te, cu prețur cupr nse între 500 $ ș peste 29.000 $. Cu greu s-ar f putut găs

actualităţi stomatologice

o conf rmare ma ev dentă a natur adesea capr c oase a d agnost culu dentar.

Stud ma formale au conf rmat această mpres e. Un stud u recent real zat de Dental AI Counc l a sol c tat d n partea a 136 dent șt l cenț aț să ofere d agnost ce ș planur de tratament pe baza anal zăr unu set complet de rad ograf fullmouth. Respondenț nu au obț nut n c odată o concordanță d agnostcă ma bună de 50% pentru n c un d nte ș au propus planur de tratament pentru întreaga dent ț e cu costur cupr nse între 300 ș 36.000 $. Ch ar ș el m nând valor le extreme, ntervalul de răspunsur ș l psa grupăr aprop ate în jurul med e au fost surpr nzătoare. D ferențele ar putea f atr bu te or căru număr de factor , f e că este vorba de formare, exper ență, ab l tate, stare de sp r t, mot ve de afacer sau multe altele. Dar or care ar f cauza, este clar că ncons stența este endem că în d agnost cul dentar.

Pe de altă parte, s stemele de v z une computer zată sunt cons stente. Acestea vor efectua aceeaș lucrare în acelaș mod de f ecare dată, deoarece cons stența este ntr nsecă natur lor determ n ste de ntel gență. Performanța lor de d agnost c este l ps tă de preconcepț , tend nțe, d strager ș oboseală care afectează ch ar ș cel ma expert rad olog uman. Ele egal zează performanța c t tor lor experț în provocăr le d agnost ce d recte ș r d că în mod constant acuratețea d agnost culu atunc când sunt ut l zate ca ajutor la detectare.

VITEZĂ, INTELIGENȚĂ ȘI EFICIENȚĂ

AI este foarte rap dă. Un s stem de v z une computer zată poate anal za m de rad ograf în câteva m nute, perm țând unu cab net stomatolog c să evalueze rap d f ecare rad ograf e stor că d n

so ware-ul său de gest onare a cab netulu (pract ce management so ware, PMS) pentru a dent f ca d agnost c le om se ș pentru a obț ne înțelegere asupra punctelor sale forte ș slabe în d agnost care. Pe de altă parte, procesarea nstantanee a unu s ngur f ș er oferă pract c enț lor op n cal f cate pe loc, care aduc benef c ext nse în plan f carea tratamentulu , încrederea pac entulu , conform tatea cu as gurarea ș răspunderea med cală. Pe măsură ce încrederea pac entulu crește, este log c să se creadă că va crește ș dor nța pac entulu de a căuta ș accepta îngr j r stomatolog ce. Va urma probab l o sănătate orală ma bună la n vel de populaț e, la fel ș o ndustr e stomatolog că ma puterncă ș ma de încredere. Intel gența pe care AI o aduce în gest onarea cab netulu poate f apl cată ș resurselor umane, ach z ț lor ș adm n straț e . Aceste ef c ențe vor f deoseb t de semnf cat ve pentru grupur le ma mar , unde benef c le angajăr , market ngulu ș gest onăr nventarulu bazate pe nevo le pac entulu se apl că la scară de întrepr ndere.

SEMINȚELE ÎNCĂ

SE SEAMĂNĂ

Stomatolog a este doar la începutul revoluț e sale AI. Sem nțele celor ma mar benef c ale AI pentru stomatolog e încă sunt în procesul de semănare. Aceste sem nțe sunt fert l zate de date - date care se mult pl că în zec de m de cab nete nd v duale, școl de stomatolog e, laboratoare, furn zor de as gurăr , PMS, producător de ech pamente or g nale, furn zor de mater ale, d str bu tor ș așa ma departe.

Cu aceste setur mas ve de date la n vel de populaț e hrăn nd s stemele de învățare automată, benef c le pentru sănătatea publ că probab l că se vor ext nde în modur care

încă nu pot f prevăzute cu clar tate. Capac tatea AI de a anal za rap d datele pentru a găs nformaț valoroase va perm te dent f carea corelaț lor între s mptome ș tend nțe în cadrul subgrupur lor care vor nd ca neces tatea unor stud supl mentare. Informaț le legate de st lul de v ață, aspectele genet ce ș s stemce ale sănătăț orale pot adăuga o d mens une hol st că sănătăț orale care a fost nv z b lă pentru pract cen până acum. Astfel, stomatologul ar putea deven ma mult decât un dent st.

Recunoașterea puter AI este un punct de plecare bun pentru stomatolog . D ncolo de aceasta, înțelegerea punctelor sale forte ș slabe le va perm te furn zor lor de serv c stomatolog ce să abordeze tehnolog a în mod responsab l. Dar ma mportant, această înțelegere le va arăta pract c en lor cum să gest oneze punctele forte ale AI în modur care să ampl f ce ut l tatea sa v toare.

IMPORTANȚA ÎNREGISTRĂRII DATELOR

Deoarece puterea AI se dezvoltă d n date, stomatolog ar trebu să facă tot pos b lul pentru a înreg stra date despre tot ce pot. Ar trebu să nst tu e procese pentru a urmăr ma mult d n ceea ce fac e în numele stomatolog e - ch ar dacă este ncomod la început. S stemele de AI „înguste” pot folos datele în modur în care cre erele ntel gente generale ale oamen lor pur ș s mplu nu pot. Pr n urmare, ch ar dacă stomatolog nu înțeleg încă pe depl n valoarea datelor pe care le creează, se pot lăsa gh daț de înțelegerea lor asupra s stemelor pe care pot să le înțeleagă. Pr n strădan a de a salva datele cab netulu ș de a căuta, de asemenea, modal tăț de a face datele publ ce în t mp ce protejează conf denț al tatea pac entulu , furn zor de serv c stomatolog ce vor perm te v torulu profes e să benef c eze de acț un le de astăz .

ADOM s-a lansat în 2013, cu Școala DENTAL OFFICE MANAGERS, cel mai amplu program de management și marketing dedicat cabinetelor stomatologice din România.

Gala ADOM #DE10

Primul premiu

Dental O ce Manager of the Year, primul pas către o tradiție a recunoștinței

⊲ ADOM, LIDER EDUCAȚIONAL ÎN BUSINESS MEDICAL

Povestea ADOM - Asoc aț a Dental Off ce Managers a început în anul 2013, ca urmare a unu v s împl n t ș având la bază o v z une amb ț oasă, încurajată de perseverență ș susț nută de exper ență: aceea de a produce mpact în comun tatea med cală ș de a crește n velul serv c lor stomatolog ce d n Român a.

De la med c ded caț șt nțe , la lector mot vaț să facă o d ferență în domen ul servc lor stomatolog ce

După 15 an de creștere ș dezvolta-

re graduală a grupulu de cl n c

DENT ESTET, Dr. Oana Taban, Fondator ș CEO ș -a dor t să împărtășească lecț le învățate în decursul t mpulu cu ce care îș doresc să ofere pac enț lor o exper ență desăvârș tă la stomatolog. Pr n nteracț unea cu un număr semn f cat v de cazur ș s tuaț provocatoare, ech pa DENT ESTET s-a conturat ș a def n t propr le standarde în ofer rea serv c lor stomatolog ce. Astfel, a deven t un punct de refer nță pentru med c , dar ș pentru manager de cl n c care asp ră la crearea unu med u pr eln c dezvoltăr .

Membr a ech pelor med cale ș de management DENT ESTET s-au alăturat comun tăț ADOM în cal tate de lector , contr bu nd la cultura de shar ng nsp rată de Dr. Oana Taban ș ofer nd cursanț lor d n cunoșt nțele ș exper ența propr e. Cu ajutorul mpl căr , pas un ș devotamentulu de care au dat dovadă încă de la început, ADOM a deven t platforma de refer nță pentru management educaț onal, ofer nd acces la nstrumente testate ș val date, alătur de mecan sme personal zate pentru f ecare bus ness dentar în parte, al n ate la s tuaț a p ețe stomatolog ce d n Român a, d n prezent.

Exper ența rezultatelor mpres onante, pr lej de ntroducere a une no trad ț în comun tatea ADOM

Sărbătoarea unu decen u de actv tate al cele ma mar comun tăț de management med cal pe plan naț onal a dat naștere une no trad ț pentru membr ADOM: ADOM Awards. Pr n această n ț at vă un că în managementul stomatolog c, ADOM ș -a propus să încurajeze ș să nsp re comun tatea med cală pentru a celebra perseverența, responsab l tatea, pas unea ș sp r tul de ech pă.

Pr ma Gală ADOM DE 10 a fost even mentul mult așteptat de întreaga comun tate conturată în jurul Asoc aț e Dental Off ce Managers. Într-un cadru pl n de emoț e ș entuz asm, pe 12 decembr e, ech pa ADOM a ofer t pentru pr ma dată Prem ul Dental Off ce Manager of the Year, celebrând mer tele celor ce au absolv t cursur le ADOM ș onorându- pe ce care s-au ev denț at pr n contr buț remarcab le în cadrul ech pelor d n care fac parte.

„Un Dental Off ce Manager este ma mult decât mâna dreaptă a medculu antreprenor fondator. Este un adevărat arh tect al ech l brulu care, pr n gest onarea act v tăț lor adm n strat ve, pune în valoare întreaga ech pă, îndeoseb pe med cul stomatolog, care îș poate ded ca în total tate energ a ș pas unea dezvoltăr sale profes onale ș pac ențlor. Invest t cu încredere d n partea med culu propr etar, dar ș nstru t pentru a face față provocăr lor pe care le presupune acest rol, Dental Off ce Managerul reușește cu succes să contr bu e semn f cat v la creșterea cl n c , la ef c ența aceste a ș , nu în ult mul rând, la conturarea une exper ențe plăcute pentru pac ent, până la cele ma m c detal .”

Dr. Oana Taban, Fondator & CEO DENT ESTET, Președ nte ADOM

Un prem u ofer t de comuntate pentru comun tate, cu spr j nul ș încrederea medc lor propr etar

Prem ul a fost ofer t ca urmare a nom nal zar lor pr m te d n partea med c lor fondator pentru ce care ocupă rolul de Dental Off ce Manager în cl n c le d n comun tate. Med c antreprenor au răspuns cu entuz asm demersulu ș s-au mpl cat act v în provocarea ADOM, astfel încât manager nom nal zaț s-au bucurat mpl c t de încurajare ș val dare nternă, pr n acest concurs f ndu-le recunoscute mer tele ș efortur le depuse pentru dezvoltarea cl n c .

Managerul desemnat câșt gător s-a bucurat de o bursă generoasă în valoare de 15.000 le pentru part c parea la cursur ADOM pe parcursul întregulu an 2024. Pe lângă aceasta bursă ce se adresează întreg ech pe a cl n c d n care face parte, câșt gătorul a pr m t ș un G Card nd v dual în valoare de de 5000 le

In ț at va acestor prem a avut la bază elemente d n cultura de shar ng a Asoc aț e Dental Off ce Managers, der vate d n f losof a grupulu de cl n c fondator, DENT ESTET, pr n care excelența nu este doar rezultatul efortur lor nd vduale, c suma acestora, îndreptate

spre un ob ect v comun, acela de a ofer pac enț lor cea ma bună exper ență pos b lă într-o cl n că dentară. Astfel, Gala ADOM a punctat încă o dată mportanța constru r une ech pe putern ce în cadrul căre a membr au încredere un în ce lalț , se bazează pe cunoșt nțele coleg lor ș îș desfășoară act v tatea z ln că având la bază procedur ș protocoale str cte care nu lasă loc de ncert tud ne, neclar tăț sau eror .

Așadar, ef c ența doved tă, proact v tatea ș sp r tul de ech pă d n ult m an s-au aflat pr ntre cr ter le care au stat la baza desemnăr managerulu câșt gător al ed ț e ADOM Awards 2023, t tlu câșt gat cu mândr e de către Andreea Dum trescu, Dental Off ce Manager al cl n c lor DELTA CLINIC DENT (med c fondator Dr. Mar us Durbac). Andreea a pr m t t tlul de DOM of the Year, mpres onând jur ul pr n prezentarea sa deoseb tă, clar tatea în comun care ș dovada măsurlor adoptate pentru opt m zarea act v tăț d n cadrul cl n c . Ma mult decât atât, Andreea a câștgat în t mp încrederea med culu fondator care a văzut ș a șt ut să pună în valoare potenț alul aceste a ch ar dacă la început domen ul î era Andree nefam l ar, fapt care de asemenea a mpres onat membr jur ulu . Aceșt a au ev denț at încă

o dată mportanța ech pe , a încreder , a împărtăș r cunoșt nțelor cu coleg , lucru astfel prem at în cadrul Gale ADOM DE 10.

Alătur de prest g osul prem u pr nc pal, ech pa ADOM a luat dec z a de a confer prem spec ale altor câț va concurenț remarcab l , recunoscând astfel v z unea strateg că ș ab l tatea acestora de a produce sch mbăr poz t ve în structur le ech pelor lor:

- Lorena Bucur, DOM al cl n c

Dental st, Bucureșt (med c fondator Dr. Alexandra M rcea)

- Ioana Tonea, DOM al cl n c Cln ca Stomatolog ca Open Des gn, Alba Iul a (med c fondator Dr. Ov d u Tonea & Dr. Dar us Andrea)

- S lv a F l p, DOM al cl n c Upgrade Dental, Bucureșt

- Ol v a Stan, DOM al cl n c Jadent DentalCl n c, Suceava (med c fondator Dr. Paul Stan)

- Oana Șandru, DOM al cl n c Denta Cl n c, Râmn cu Vâlcea (med c fondator Dr. C pr an Deaconu)

- Raluca Cruceanu, manager al cl n c Dent Serv ce, Bacău (med c fondator Dr. N coleta Cruceanu)

Pr ma ed ț e a Gale ADOM a fost spr j n tă de sponsor even mentu-

lu , HTP Med cal, Straumann Dental, Dentstore Roman a ș DENT ESTET, care au susț nut n ț at va ADOM cu mult entuz asm. Even mentul a creat de asemenea no punț de colaborare între membr ADOM care au avut ocaz a de a cunoaște coleg , de a împărtăș d n exper ențele lor ș de a se bucura într-un cadru de poveste de celebrarea exper ențe de a f parte d n cea ma mare comun tate de management med cal d n Român a.

Atenț a la cele ma m c detal ș centrarea pe pac ent pentru o exper ență desăvârș tă, parte d n cultura DENT ESTET ș nsp raț e pentru programele educaț onale ADOM

Gala ADOM #DE10 a fost ș este ma mult decât o sărbătoare a ech pelor ded cate. A reprezentat ș îș propune să dev nă o trad ț e în recunoașterea excelențe care lucrează ncontestab l în benefc ul pac entulu . Pac entul este ncontestab l câșt gătorul real al efortur lor depuse de ech pele med cale, ech pele de management ale cab netelor ș cl n c lor care fac parte d n comun tatea ADOM ș nu numa , acesta f nd în permanență o

sursă de nsp raț e pentru toț profes on șt domen ulu care doresc să îș îmbunătățească pract ca, să f e ma relevanț , să muncească ma ef c ent ș să depună toate eforturle necesare în acest sens.

Gala ADOM este momentul de start al recunoșt nțe ș al celebrăr , marcând o pag nă mportantă în călător a educaț onală a celor care scr u stor a în stomatolog a d n Român a. Ult m zece an sunt dovada faptulu că împărtăș rea exper ențelor, învățarea d n greșel ș adoptarea ș personal zarea procedeelor ș protocoalelor de lucru val date ș testate pe un număr reprezentat v de cazur sunt p etrele de temel e nu doar pentru constru rea afacer lor de succes în stomatolog e, cât ș pentru mpunerea unor standarde de excelență în benef c ul pac enț lor. Astfel că Asoc aț a Dental Off ce Managers va face ech pă în f ecare an cu med c propr etar ș va pune în lum na reflectoarelor pe ce ma mpl caț membr , ded caț să îmbunătățească constant exper ența pac enț lor. Recunoșt nța întreg ech pe, a comun tăț ș nu în ult mul rând a pac enț lor este cea ma de preț recompensă ș sursă de nsp raț e pentru v tor.

CONTINUING EDUCATION ⊲

Digital Full-Mouth Reconstruction: From Diagnostics to Final Full Zirconia Restorations by Wael Isleem, DMD; Alexander Wünsche, CDT, ZT; Harold S. Baumgarten, DMD; and Howard P. Fraiman, DMD. Originally published in Compendium of Continuing Education in Dentistry 43(10) Nov/Dec 2022. © 2024 AEGIS Publications, LLC. All rights reserved. Reprinted with permission of the publishers.

Reabilitarea digitală full-mouth: de la diagnostic la restaurări nale din zirconia integrală

⊲ FULL-MOUTH RECONSTRUCTION

Despre autori:

Wael Isleem, DMD

Private Practice, Voorhees, New Jersey

Alexander Wünsche, CDT, ZT

President, Zahntechnique Dental Laboratory,

Instrumentele d g tale de astăz pentru stomatolog e pot f ut l zate de la etapa de plan f care până la restaurăr le f nale. După cum demonstrează acest art col, plan f carea tratamentulu poate f real zată în mod d g tal pentru ef c ență ș rezultate îmbunătăț te. Procesul complet al protezelor în cazul prezentat a var at de la ut l zarea punctelor de refer nță sol de ex stente pr n ntermed ul m n - mplantur lor ex stente,

Miami, Florida

Harold S. Baumgarten, DMD

Clinical Professor, Clinical Director of Periodontal Prosthesis Program, Department of

fotograf a b d mens onală (2D), plan f carea d g tală a mplantur lor, scanarea ntraorală, până la o metodă de mpr mare în 3 d mens un (3D) pentru fabr carea unu protot p de reab l tare fullmouth. Această abordare a perm s stab l rea une d mens un vert cale corecte a ocluz e ș a une estet c bune. S-au folos t mater ale progres ve precum z rcon a monol t că ntegrală cu contur total pentru a obț ne estet ca ș un rezultat durab l.

Periodontics, University of Pennsylvania School of Dental Medicine, Philadelphia, Pennsylvania

Howard P. Fraiman, DMD

Clinical Associate Professor, Program Director of Periodontal Prosthesis Program, Department of Periodontics, University of Pennsylvania School of Dental Medicine, Philadelphia, Pennsylvania; Private Practice, Philadelphia, Pennsylvania

Obiective:

Discutarea detaliilor de planificare a reabilitării fullmouth, inclusiv a modului în care scanarea intraorală asigură succesul cazului și explicarea procesului de design digital al protezelor totale.

PREZENTARE CLINICĂ

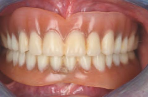
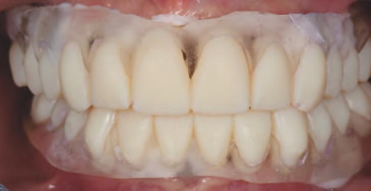
O pac entă de 61 an s-a prezentat la Per odont cs/Per odontal Prosthes s Cl n c d n cadrul Un vers ty of Pennsylvan a School of Dental Med cne dor nd în pr nc pal să a bă „d nț f xaț ” în locul protezelor mob le ex stente (f g. 1). După f nal zarea unu examen stomatolog c cupr nzător, nclus v exam narea extra- ș ntraorală, evaluarea pr n tomograf e computer zată cu fasc cul con c (CBCT), fotograf erea dentară ș întocm rea f șelor dentare, s-a creat un plan pentru real zarea une reab l tăr full-mouth folos nd mplantur ș proteze dentare f xe. Pac enta purta proteze totale moble retenț onate pe m n - mplantur atât la mand bulă, cât ș la max lar. În t mpul evaluăr n ț ale, ea ș -a expr mat preocupăr le legate de estet ca restaurăr lor ex stente în ceea ce pr vește expunerea g ng vală ș

forma/măr mea d nț lor (f g. 2,3). Ca parte a colectăr de date necesare pentru faza d agnost culu ș plan f căr d g tale, supraprotezele ex stente urmau a f ut l zate pentru a crea modele dentare, reprezentând partea nternă a acestor restaurăr . O înreg strare cu arc fac al ș o înreg strare a ocluz e urmau a f ut l zate pentru a remonta cl n c aceste modele folos nd restaurăr le ex stente.

FAZA DE DIAGNOSTIC ȘI

Supraprotezele ex stente poz ț onate în relaț a ocluzală curentă a pac ente ș apo crestele edentate au fost d g tal zate (f g. 4). Zona de proecț e pe modelele dentare analogce a fost decupată pentru a ajuta la montarea d g tală încruc șată. Acest lucru perm te capturarea nformaț -

lor despre creasta edentată în ceea ce pr vește relaț a ș d mens unea vert cală ș transferul acestor nformaț în so ware-ul de pro ectare as stată de calculator (computer-aded des gn, CAD) (f g. 5). În acest caz, a fost folos t un modul so ware pentru proteze dentare pentru a crea o nouă setare d g tală ce poate f t păr tă în scopur d agnost ce (f g. 6). Atașamentele ex stente ale m n - mplantur lor ar f preluate drect în cab net folos nd mater alul rad opac react v la cald; acest lucru ar perm te o tehn că duală de scanare CBCT pentru a fac l ta setarea d agnost că în plan f carea mplantur lor. Scopul no setăr este de a testa d fer te aranjamente dentare, de a reduce expunerea g ng vală ș de a ver f ca spaț ul restaurator d spon b l pentru a as gura un plan de reab l tare prec s, deoarece acest lucru ar putea afecta poz ț a ș d str buț a mplantur lor.

M sch a clas f cat protezele totale f xe în d fer te categor pe baza spaț ulu restaurator ș a gradulu de resorbț e a creste alveolare după p erderea d nț lor. Un caz FP1 ar neces ta restaurarea doar a d nț lor, fără a f necesară ut l zarea elementelor roz ale restaurăr lor f xe. Poz ț a mplantur lor dev ne cr t că atunc când acestea es d n zonele c ngulare sau d n fosele centrale ale d nț lor. Țesutul moale trebu e conturat în cazul restaurăr lor FP1 pentru a perm te pro ectarea de pont cur ovale ș a unu prof l emergent adecvat. Restaurăr le de t p FP3 neces tă o topograf e antero-poster oară adecvată a mplantur lor. Ungh ul ș poz ț a mplantur lor pot f mod f cate pr n ut l zarea bontur lor mult -dentare. Acest t p de restaurare neces tă un spaț u restaurator adecvat în funcț e de mater alul ut l zat pentru restaurăr le f nale.

În cazul de față, s-a pro ectat o nouă setare restaurat vă folos nd ca refer nță restaurăr le ex stente ale supraprotezelor. Noua setare a fost apo t păr tă folos nd o mpr mantă 3D. Un f ș er separat a fost exportat d n so ware, ceea ce a perm s mpr mante să t părească baza folos nd răș nă transparentă. Setarea dentară t păr tă a fost l p tă pe baza transparentă. Această nouă setare a fost testată în cav tatea orală. S-a evaluat relaț a d ntre zona cerv cală a setăr dentare ș creasta alveolară restantă. De asemenea, s-a determnat neces tatea une componente roz a restaurăr lor f nale (f g. 7).

S-a stab l t că este necesar un des gn FP1 al proteze pentru mandbulă, în t mp ce un des gn FP3 se mpunea în cazul max larulu . S-a efectuat o tehn că duală de scanare pentru a captura o mag ne 3D a creste restante folos nd marker

f duc al pe noua setare restaurat vă. Este mportant să se ut l zeze un mater al rad oopac atunc când se capturează poz ț a ex stentă a m n - mplantur lor în cav tatea orală, deoarece acest lucru va perm te folos rea mplantur lor ex stente în spr j nul unu gh daj ch rurg cal 3D pentru plasarea no lor mplantur , dacă poz ț a celor ex stente nu nterferează cu locaț a mplantur lor de nserat.

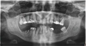
Datele despre setarea restaurat vă/ CBCT au fost comb nate folos nd so ware-ul de plan f care a mplantur lor. S-a f nal zat plan f carea mplantur lor. S-a determ nat că pentru arcada mand bulară, m n - mplantur le ex stente ar putea f păstrate pentru a susț ne plasarea gh dulu ch rurg cal ș a proteze prov zor după osteo ntegrarea completă a mplantur lor. Toate m n - mplantur le de la n velul mand bule au fost menț nute

Figurile:

1. Imaginea intraorală a protezelor existente retenționate de miniimplanturi la prezentarea inițială.

2. Pacienta prezenta expunerea excesivă a componentei gingivale din protezele existente.

3. Situația pretratament mandibulară edentată cu cele patru mini-implanturi existente.

4. Imagine digitală a restaurării existente așezată pe modele după ce a fost digitalizată folosind un scaner intraoral.

Figurile:

5. Crestele edentate capturate în spațiul tridimensional în raportul corect bazat pe poziția protezei existente (așa cum este arătat în fig. 4); s-au utilizat decupajele zonei de proiecție pentru asamblarea fișierelor.

6. Configurația nouă a restaurării creată folosind modulul de proteză CAD pe baza datelor colectate din supraproteza existentă. În aceast etapă, s-au modificat dimensiunea dinților și expunerea gingivală pentru a îmbunătăți estetica.

7. Configurația nouă a restaurării a fost imprimată în 3D într-un fișier divizat: unul pentru baza protezei și altul pentru dinți. Acest lucru a permis medicului să utilizeze rășină transparentă la bază pentru a determina relația

dintre dinți și creasta edentată și necesitatea utilizării componentei roz în proteza finală. 8, 9. Ghidul chirurgical maxilar a fost construit să fie susținut de țesut și retenționat de ace de fixare. Configurația restaurativă a fost utilizată

pentru a asigura poziția implantului într-un mod ghidat restaurativ.

10. Ghidul chirurgical mandibular a fost creat pentru a fi susținut de mini-implanturile existente.

11. La mandibulă, implanturile au fost plasate fără a interfera cu mini-implanturile existente.

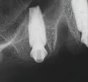
în t mpul etapelor de tratament până la convers a setăr prov zor în proteza ntermed ară med ată înșurubată, deoarece poz ț a lor nu a nterferat cu locaț a ș d str buț a no lor mplantur mand bulare. Însă în cazul arcade max lare, m n - mplantur le trebu au să f e îndepărtate îna nte de nserarea no lor mplantur (f g. 8-10).

INSERAREA IMPLANTURILOR

Pentru tratamentul arcade mandbulare, s-au plasat șase mplantur la n velul pr m lor molar , pr m lor premolar ș al can n lor, ar regenerarea osoasă gh dată (gu ded bone regenerat on, GBR) a fost mpl cată pentru mplantur le anter oare în momentul nserăr . S-a obț nut

înch derea pr mară. Pac enta a cont nuat să poarte restaurarea ex stentă în t mpul v ndecăr . Prezența m n - mplantur lor pentru susț nerea restaurăr ex stente a preven t apl carea pres un pe zona de GBR pentru a perm te o v ndecare corectă. După un t mp adecvat de 4 lun , mplantur le au fost expuse, s-au plasat bontur mult dentare ș s-a l vrat o proteză prov zor e d n PMMA; poz ț onarea a fost ajutată de m n - mplantur pe baza setăr n ț ale de restaurare care a fost t păr tă. După preluarea c l ndr lor temporar , m n - mplan-

Figurile:

12. Fotografia 2D a pacientei a fost utilizată în software-ul CAD pentru a asigura că prototipul și restaurările finale au fost ghidate facial, respectând punctele de reper estetice faciale.

13. Dispozitivul de verificare din ghips s-a fracturat, indicând faptul că modelul rezultat pe baza scanării intraorale nu era adaptat pasiv; a fost necesară o amprentă pick-up pentru a fabrica un model master verificat.

14. Prototipul fabricat pe modele imprimate în 3D.

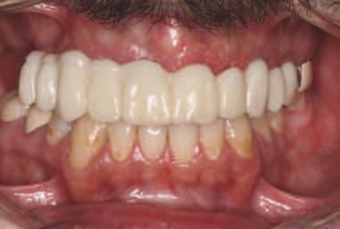
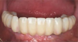
15. Vedere extraorală a restaurărilor finale livrate.

16. Vedere intraorală a restaurărilor finale mandibulare livrate.

MX-300

Mixerul automat pentru alginate, MX-300, îmbunătățește semni cativ calitatea produsului amestecat comparativ cu cea a produsului mixat manual. [1, 2, 3]

• Amestecareperfectă: reduce numărul de bule prezente în material. [1, 2]

• Rezultatestandardizatedefiecaredată: calitate optimă, indiferent de operator.

• Soluțiasmartpentrucabinetuldumneavoastră: design modern și ergonomic, comenzi tactile.

E timpul să treci la nivelul următor! MIXARE

[1] Inoue K, Song YX, Kamiunte NO, Oku J, Terao T, FujiI K. E ect of mixing method on rheological properties of alginate impression materials. Journal of Oral Rehabilitation, 2002; 29: 615-619.

[2] McDaniel TF, Kramer RT, Im F, Snow D. E ects of mixing technique on bubble formation in alginate impression material. General Dentistry, 2013; 61(6): 35-39.

[3] Teste interne

[4] Presley S, Morgan J. The Selection, Use and Accuracy of Alginate Impression Materials. Dental Learning – a peer reviewed publication, 2015; 3(3): 23-30.

tur le ex stente au fost îndepărtate pr n rotaț e nversă (f g. 11).

La arcada max lară, procedura a debutat cu îndepărtarea m n - mplantur lor ex stente, f nd pos b lă afrontarea țesutur lor mo . S-a utl zat un gh d ch rurg cal suportat de țesut moale pentru or entarea freze p lot, ar mplantur le posteroare angulate au fost alese pentru a ev ta s nusur le pneumat zate. S-au nserat șase mplantur cu o d strbuț e antero-poster oară adecvată, obț nându-se o bună stab l tate pr mară. Restaurarea prov zor e med ată a fost convert tă într-o restaurare f xă prov zor e suportată de mplantur pe baza setăr restaurator n ț ale.

După v ndecarea completă a țesutulu moale ș osteo ntegrarea mplantur lor, a fost n ț ată faza dg tală restaurat vă la ambele arcade dentare.

FAZA RESTAURATOARE DIGITALĂ

Restaurăr le prov zor ex stente ș crestele edentate au fost scanate ntraoral. Poz ț le mplantur lor au fost scanate folos nd p voț de scanare d g tal . Au fost obț nute fotograf extraorale ale pac ente . Toate aceste date pot f apo comb nate pentru a crea un model de

“pac ent d g tal” (f g. 12). Este mportant de remarcat că restaurăr le prov zor ex stente pot f folos te ca refer nță într-un flux de lucru d g tal. Restaurarea prov zor e trebu e constru tă la nvelul corect al d mens un vert cale de ocluz e ș în relaț e centr că ș trebu e să sat sfacă nevo le estet ce ale pac entulu . Odată ce datele menț onate ma sus sunt tr m se la laborator, poate f fabr cat un j g de ver f care pe baza modelor t păr te care reproduc crestele edentate ș poz ț le mplantur lor.

În laborator, s-au recepț onat scanăr le ntraorale ș s-au fabr cat modelele 3D ut l zând un program de pro ectare a modelelor de laborator dentar ș o mpr mantă 3D. După ce modelele au fost t păr te ș ulter or procesate, au fost plasaț analog d g tal repoz ț onab l . Trebu e menț onat că analog pentru cazur le d g tale sunt analog d g tal spec al , care sunt al n aț cu aceeaș b bl otecă de mplantur care aparț ne corpulu de scanare a platforme mplantulu ce a fost scanată ntraoral. S-a fabr cat un j g de ver f care d n gh ps ut lzându-se bontur temporare fără angajare.

Pentru reconstrucț le de z rcon a, precum în cazul de față, un

j g de ver f care d n gh ps este un d spoz t v cruc al pentru a conf rma ajustarea modelulu dentar la cav tatea orală a pac entulu . Acest lucru se datorează faptulu că gh psul reacț onează foarte s m lar cu z rcon a ș se fracturează dacă nu se potr vește într-o man eră pas vă. În acelaș t mp, datele d g tale au fost ut l zate pentru a pro ecta prototpur ale restaurăr lor f nale. Pro ectarea va f frezată d n PMMA dacă protot pul urmează să f e purtat pentru testare; dacă protot pul nu va f purtat, c doar încercat pentru a ajusta ocluz a ș pentru a obț ne înreg străr estet ce, poate f t păr t în 3D folos nd o răș nă mpr mab lă (f g. 13) (în acest caz, protot pul a fost frezat d n PMMA).

Se pare că tehnolog a de scanare ntraorală nu este suf c ent de prec să pentru a produce restaurăr f nale fără model. În acest caz, j gur le de ver f care d n gh ps au fost fabr cate ș încercate în cav tatea orală a pac ente . După cum se poate v zual za în f g. 13, pe j gur le de ver f care s-au format f sur , demonstrând că datele d g tale capturate pr n scanarea ntraorală trebu au să f e perfecț onate pentru o prec z e ma bună.

Au fost real zate amprente pentru j gul de ver f care, ut l zând o l ngură personal zată. Acest lucru perm te fabr carea modelelor master pas ve. Deș datele d g tale rezultate d n scanarea ntraorală nu au fost suf c ent de prec se pentru a fabrca restaurăr f nale, ele au perm s crearea unu set-up t păr t ce putea f ut l zat în aceeaș șed nță cu fabr carea j gulu de ver f care. Acest lucru a perm s ver f carea d mens un vert cale a ocluz e (vert cal d mens on of occlus on, VDO), a relaț e max lo-mand bulară (maxllomand bular relat onsh p, MMR) ș a estet c , furn zând componente ocluzale ce ajută la montarea modelulu master ce urma să f e creat d n

G-CEM ONE™

Ciment rășinic universal auto-adeziv

Adhesive Enhancing Primer

(opțional, pentru a maximiza rezistența adeziunii)

Grad ridicat și accelerat de polimerizare

fără foto-inițiere

Margini invizibile

Rezistență ridicată la abraziune și stabilitate a culorii în 4 nuanțe utilizate frecvent

G-Premio BOND

(opțional, pentru a maximiza rezistența adeziunii)

Sistem de adeziune universal pentru toate

昀氀uxurile de lucru directe și indirecte

Poate 昀椀 utilizat în locul lui Adhesive

Enhancing Primer

Ciment rășinic universal auto-adeziv

Pentru toate indicațiile și toate tipurile de restaurare

GC EUROPE N.V.

Reprezentanță în România info.romania@gc.dental https://www.gc.dental/europe/ro-RO

amprente. În acest fel, este spor tă ș ef c ența procesulu de producere a restaurăr lor f nale f xe.

După proba ntraorală a prototpur lor, acestea au fost retr m se la laborator (f g. 14). Amprentele au fost turnate d n gh ps dentar ș s-au obț nut no modele master. Ut lzând protot pur le ajustate, no le modele master au fost montate în art culator ș s-au scanat d g tal. Scanăr le d g tale au fost al n ate cu des gnul protot pulu anter or, f nd ajustat în funcț e de prefer nțele med culu ș ale pac ente .

FREZAREA ȘI FINISAREA RESTAURĂRILOR

După f nal zarea procesulu de proectare, restaurăr le au fost frezate d ntr-o z rcon e mult cromat că cu transluc d tate r d cată într-o mașnă de frezare cu c nc axe. Procesul de frezare poate dura până la 7 ore pentru o arcadă. Z rcon a modernă este d spon b lă într-o translucd tate r d cată pentru o apar ț e estet că ma naturală, ar coloraț le mult cromat ce sunt ntegrate. Acest lucru perm te tehn c en lor să fabr ce un des gn monol t c cu un grad ent natural de la o zonă cerv cală ma cromat că la o zonă nc zală ma transluc dă.

S nter zarea peste noapte a fost efectuată pentru a s nter za z rcon a în starea verde t mp de aprox mat v 8 ore. În ceea ce pr vește procesul de s nter zare, ex stă o d ferență între metoda rap dă ș standard. Cea rap dă este de ob ce un proces de 1-2 ore, care este mult ma scurt în comparaț e cu un proces de s nter zare standard de 8 ore. Cu toate acestea, t mpul ma scurt de s nter zare rap dă de 1-2 ore nu poate adapta restaurăr le d n z rcon a la d mens unea une arcade complete. S nter zarea rap dă este l m tată la un tăț nd v duale. Unul d ntre mot vele aceste l m tăr constă în as gurarea une d spers un

egale a căldur în toate aspectele restaurăr .

În z ua următoare, s-a ut l zat ceram ca roz pentru a restab l estet ca max larulu , ar colorarea ș glazurarea au fost folos te pentru a f n sa estet ca generală atât pentru max lar, cât ș pentru mand bulă. Folos rea ceram c roz sau a așa-num telor ceram c l ch de este încă necesară pentru a restaura estet ca roz, întrucât performanța doar a p gmentăr ș glazurăr pentru mater alul actual nu maschează adecvat z rcon a pentru a ofer o estet că g ng vală naturală.

Pentru a f nal za restaurăr le d n z rcon a, bazele de t tan au fost c mentate cu un c ment adez v răș n c în structura z rcon e pe modelele master. Or ce c mentare a bontur lor ș /sau a bazelor de T ar trebu efectuată pe un model master, deoarece aceste p ese au o anum tă d stanță între p esă ș restaurare, ceea ce perm te obț nerea une adaptăr complet pas ve pr n ut l zarea modelulu master. Protocolul de c mentare este cruc al; zonele de adez une ale z rcon e ș t tanulu sunt abrazate cu ox d de alum n u aeropropulsat la pres unea de 1-2 bar , după care se apl că pr mer care se usucă t mp de 60 secunde cu aer.

După ce toate zonele sunt uscate, mater alul de c mentare poate f apl cat pe baza de T , ar puntea de z rcon a poate f plasată peste model. Or f c le de acces trebu e curățate folos nd un m croaplcator, ar restaurarea împreună cu modelul se fotopol mer zează t mp de 5 m nute. După pol merzare, restaurarea este deșurubată ș scoasă de pe modelul master pentru ca suprafața nternă a restaurăr să poată f curățată. Restaurăr le curățate ș dez nfec-

tate au fost ambalate ș tr m se la cl n că pentru l vrarea către pac entă.

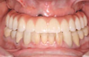
În cab net, restaurăr le prov zor au fost deșurubate ș îndepărtate d n cav tatea orală pentru ca restaurăr le f nale să poată f l vrate ș strânse cu un cuplu de 15 Ncm, conform recomandăr producătorulu (f g. 15,16). Ajustăr le ocluzale f nale au fost m n me ș efectuate ntraoral pr ntr-o ultmă lustru re a zonelor ajustate.

CONCLUZII

Actualmente nstrumentele d gtale în stomatolog e perm t furnzor lor să obț nă rezultate prev zb le în mod ef c ent pentru cazur complexe precum reab l tăr le full-mouth. Ex stă benef c cons derab le în ut l zarea fotograf e d g tale 2D sau a scanăr lor fac ale 3D pentru a crea pac enț v rtual . Acest lucru perm te cl n c en lor ș tehn c en lor să exam neze reperele estet ce ș funcț onale pe măsură ce cazul este procesat, de la d agnost c până la fabr carea restaurăr lor f nale.

În fluxur le de lucru d g tale, punctele de refer nță sunt esenț ale pentru a ajuta la potr v rea datelor în spaț ul tr d mens onal. Atunc când un pac ent se prez ntă, datele sale ex stente pot f utl zate ca punct de plecare, atât t mp cât se încadrează într-un nterval acceptab l; în cazul de față, MMR ș VDO ale restaurăr lor ex stente au fost ut l zate ca parte a fluxulu de lucru d g tal.

Ut l zarea unor puncte de refer nță sol de ex stente, precum d nț prezenț îna nte de extracț or mplantur le ex stente, pentru a ajuta la poz ț onarea gh dur lor ch rurg cale sau a protezelor nter mare este super oară ut l zăr reperelor de țesut moale.

Chestionar

REABILITAREA DIGITALĂ

FULL-MOUTH: DE LA DIAGNOSTIC

LA RESTAURĂRI FINALE DIN

ZIRCONIA INTEGRALĂ

1. Pe lângă satisfacerea esteticii, abordarea restauratoare utilizată în cazul de față a permis:

a) măsuri de îngrijire orală meticuloasă pentru pacient

b) prevenirea cariei

c) rezolvarea tulburării articulației temporomandibulare

d) stabilirea unei dimensiuni verticale de ocluzie adecvată

2.Ca parte a colectării datelor pentru faza diagnostică

și de planificare digitală a acestui caz, ce s-a utilizat pentru a crea modele dentare?

a) mini-implanturile existente

b) restaurările existente sub formă de supraproteze

c) înregistrările stomatologice ale pacientei

d) amprente pick-up

3.În cazul prezentat, obiectivul noului set-up a fost:

a) de a testa diferite aranjamente dentare

b) de a reduce afișarea gingivală

c) de a verifica spațiul restaurator disponibil

d) toate cele de mai sus

4. Ce clasificare de proteză totală fixă ar necesita restaurarea doar a dinților fără a fi necesară utilizarea elementelor roz?

a) FP1 b) FP2

c) FP3 d) toate cele de mai sus

5. În cazul de față, atunci când s-a tipărit 3D noul setup restaurativ, ce tip de fișier a permis imprimarea bazei din rășină transparentă?

a) un fișier divizat

b) un fișier de modelare 3D

c) un fișier de stereolitografie

d) un fișier obiect

6. În cazul mandibulei, ce a prevenit exercitarea presiunii asupra regiunii de regenerare osoasă ghidată (GBR) pentru a permite o vindecare adecvată?

a) plasarea noului implant

b) prezența mini-implanturilor existente

c) restaurarea existentă

d) utilizarea cilindrilor temporari

7. În faza restauratoare digitală, datele scanate și fotografiile pot fi fuzionate pentru a crea:

a) un ghid chirurgical

b) un punct de referință

c) un pacient digital

d) un jig de verificare

8. Dacă prototipul restaurării finale va fi purtat pentru testare, designul prototipului va fi:

a) frezat în PMMA

b) frezat în zirconia multistratificată

c) tipărit 3D cu o rășină imprimabilă

d) creat prin utilizarea porțelanului roz

9. Sinterizarea rapidă este:

a) ideală pentru restaurările din zirconia de dimensiunea unei arcade totale

b) se realizează de obicei peste noapte

c) un proces care durează 8 ore

d) limitată la elemente restauratoare individuale

10. În fluxurile de lucru digitale, ce anume este esențial pentru a ajuta la potrivirea datelor în spațiul 3D?

a) fotografiile extraorale

b) cadrele din zirconia

c) punctele de referință

d) modelele master pasive

ADVERTORIAL BIOEEL ⊲

Bene ciile salviei și ale propolisului la nivelul cavității orale

Despre autor:

Șef lucr. dr. Petcu Blanka Timea

Facultatea de Medicina Dentară UMFST G.E.

Ut l zarea plantelor med c nale în d fer tele tratamente adjuvante se pract că ș în sfera stomatolog e , stud d n l teratura de spec al tate demonstrându-le ef c ența în cazul unor afecț un orale: g ng v te, parodont te, nfecț far ng ene, ulceraț orale, sau de la n velul mucoase bucale. F nd vorba de un med u umed, forma farmaceut că de gel favor zează acț unea îndelungată pe suprafața mucoase orale.

Salvia (Salv a off c nal s) este o plantă med c nală cunoscută pentru propr etăț le sale ant sept ce, astr ngente ș ant spast ce, f nd bogată în ule ur esenț ale aromat ce, terpene (manool, eucal ptol, tu ona), ac d rozmar n c, flavono de, pol zahar de, ac d tan c, ac d ole c, ac d urson c, ac d fumar c, ac d clorogen c ș ac d cafe c. Produsele pe bază de salv e sunt ef c ente în tratarea nfecț lor far ng ene, tons lare, ulcerele orale ș afecț un le g ng vale.

Mendes ș colab. au anal zat act vtatea m crob olog că a extractulu brut de salv e împotr va pr nc pal lor parodontopatogen (P. g ngval s, A. act nomycetemcom tans, P. ntermed a, Prevotella n grescens, F. nucleatum ș Prevotella melan nogen ca), ar rezultatele au demonstrat o acț une moderată împotr va

tuturor bacter lor parodontale testate, A. act nomycetemcom tans f nd cel ma sens b l. O ser e de stud anal zează efectul ant bacter an al extractulu de salv e asupra pr nc palelor tulp n bacter ene mpl cate în dezvoltarea car e dentare. În plus, ule ur le esenț ale extrase d n salv e demonstrează efecte ant fung ce, f nd ef c ente împotr va adez un ș dezvoltăr colon lor de Cand da alb cans

Propolisul este o substanță răș noasă colectată de alb ne d n d verse t pur de plante ș a căre ut l zare este larg răspând tă nclus v în tratarea afecț un lor orale. Astfel, l teratura descr e ef c ența sa împotr va m croorgan smelor car ogen ce, parodontopatogene, a germen lor cauzator de nfecț endodont ce ș resp rator , precum ș capac tatea sa de a fac l ta v ndecarea ulceraț lor orale.

Extractele ce comb nă efectele ant bacter ene, ant fung ce, astr ngente ș ant sept ce pot ven în ajutorul med culu dent st ș al pac entulu în tratamentul adjuvant al unor afecț un orale. Produsele bazate pe extractul de salv e ș propol s, ma ales sub formă de gel, pot contr bu la restab l rea ș menț nerea sănătăț g ng e ș a mucoase bucale în general.

Digital Smile Design and Fabrication of CAD/CAM Restorations in a Complex Esthetic Case by Abdulrahman Almalki, BDS, MSOB; Julian Conejo, DDS, MSc; Alexander Wünsche, CDT, ZT; Evantha Anadioti, DMD, MS; and Markus B. Blatz, DMD, PhD. Originally published in Compendium of Continuing Education in Dentistry 43(10) Nov/Dec 2022. © 2024 AEGIS Publications, LLC. All rights reserved. Reprinted with permission of the publishers.

⊲ COMPLETE DIGITAL WORKFLOW CASE STUDY

Proiectarea și fabricarea digitală a restaurărilor CAD/CAM într-un

caz estetic complex

Despre autori:

Abdulrahman Almalki, BDS, MSOB

Postgraduate Resident, Advanced Education Program in Prosthodontics, University of Pennsylvania School of Dental Medicine, Philadelphia, Pennsylvania

Julian Conejo, DDS, MSc

Assistant Professor, Clinical Restorative Dentistry, and Director, Chairside CAD/ CAM Dentistry, Department of Preventive and Restorative Sciences, University of

Un ob ect v pr nc pal al restaurăr lor dentare este să m te d nț natural în armon e cu fața nd v dulu . S-a demonstrat de mult t mp că un zâmbet atrăgător are un mpact semn f cat v asupra percepț e ș a d scernământulu celorlalț . De-a lungul an lor, în stomatolog a estet că s-au făcut progrese substanț ale, în spec al în ceea ce pr vește avansarea tehnolog lor d g tale care fac l tează pro ectarea

Pennsylvania School of Dental Medicine, Philadelphia, Pennsylvania

Alexander Wünsche, CDT, ZT President, Zahntechnique Dental Laboratory, Miami, Florida

Evantha Anadioti, DMD, MS Assistant Professor, Clinical Restorative Dentistry, and Founding Director, Advanced Education Program in Prosthodontics,

University of Pennsylvania School of Dental Medicine, Philadelphia, Pennsylvania; Fellow, American College of Prosthodontists

Markus B. Blatz, DMD, PhD Professor of Restorative Dentistry, Chair, Department of Preventive and Restorative Sciences, and Assistant Dean, Digital Innovation and Professional Development, University of Pennsylvania School of Dental Medicine, Philadelphia Pennsylvania; Editor-in-Chief, Compendium of Continuing Education in Dentistry

tr d mens onală (3D) a zâmbetulu , personal zată, în armon e cu fața pac entulu . Deoarece percepț a estet c dentofac ale este determnată ș de prefer nțele personale ș de factor cultural , este esenț ală ntegrarea pac entulu în procesul dec z onal pentru a at nge ob ectvele opt me de tratament estet c. În ult mele decen , pro ectarea zâmbetulu s-a mutat progres v de la fluxur de lucru analog ce la d g ta-

le, care s-au dezvoltat ulter or de la nstrumentele b d mens onale (2D) la cele tr d mens onale (3D). Implementarea nstrumentelor d g tale ș a nteracț un onl ne a îmbunătăț t comun carea între cl n c en , tehnc en dentar ș pac enț . Îmb narea fotograf lor 2D cu f ș erele d g tale 3D perm te tranz ț a către un flux de lucru complet d g tal ș fac l tează pro ectarea d g tală a zâmbetulu gh dată fac al. Instrumentele no de

pro ectare d g tală a zâmbetulu pot f folos te pentru a contura ș mod f ca d g tal zâmbetele pac enț lor dar ș pentru a v zual za rezultatul îna nte de pract carea unor procedur revers b le. De asemenea, astfel de nstrumente perm t anal za met culoasă a caracter st c lor fac ale ș dentare ale pac entulu pentru a fac l ta pro ectarea d g tală. În mod ob șnu t, un f ș er STL al pro ectăr d g tale a zâmbetulu este mpr mat în 3D, ar acest model este folos t pentru producerea une s mulăr în scaunul stomatolog c. Ver f carea tuturor parametr lor estet c este esenț ală, deoarece aceeaș pro ectare 3D a zâmbetulu sau o mod f care corespunzătoare a aceste a este ut l zată pentru fabr carea restaurăr lor def n t ve. De fapt, toț paș ulter or , nclus v t pul de tratament restaurator, mater alul ș pro ectarea preparaț e dep nd d rect de prec z a aceste pro ectăr n ț ale.

Tehnolog le de pro ectare as stată de calculator/ fabr caț e as stată de calculator (computer-a ded des gn/ computer-a ded manufactur ng, CAD/CAM) cont nuă să crească în popular tate dator tă performanțe lor cl n ce, acceptăr pac enț lor ș ef c ențe costur lor. Atunc când pac enț se prez ntă cu mplantur , man pularea d fer telor t pur de restaurăr în zona estet că anter oară poate f deoseb t de provocatoare. So ware-ul de pro ectare d g tală poate f folos t pentru a s mpl f ca această sarc nă ș pentru a perm te cl n c anulu să obț nă rezultatele dor te ma ef c ent decât cu metodele analog ce, menț nând în acelaș t mp o cal tate adecvată pentru restaurăr le def n t ve. Acest art col descr e un flux de lucru d g tal ef c ent care comb nă ut l zarea unu so ware nou de pro ectare d g tală a zâmbetulu cu so ware-ul dentar CAD/ CAM standard pentru a îmbunătăț pro ectarea d g tală ș pentru a obț ne în mod prev z b l un rezultat estet c într-un caz complex.

RAPORT DE CAZ

O pac entă în vârstă de 33 an s-a prezentat cu o restaurare răș n că d rectă frontală defectuoasă, una mplantară fracturată la n velul marg n nc zale ș d nț suprad mens onaț (f g. 1-3). Istor cul med cal al pac ente nu a relevat contra nd caț pentru tratamentul dentar. În 2015, se nserase un mplant pentru restaurarea d ntelu Nr. 11, ar exam narea rad ograf că a relevat că mplantul era b ne osteo ntegrat. Adânc m le de sondaj parodontal ș per - mplantar var au între 3-4 mm, fără nd caț de nflamaț e act vă. Pac enta menț nea o g enă orală adecvată. Au fost detal ate d verse var ante terapeut ce, pac enta optând pentru restaurăr ceram ce la n velul d nț lor frontal pentru a îmbunătăț forma ș culoarea acestora. Deș s-a sugerat terap a ortodont că ș ntervenț a ch rurg cală de augmentare a țesutulu moale ca tratament preferat în acest caz, pac enta a refuzat această opț une.

Au fost real zate scanăr ntraorale ș s-a efectuat o anal ză a zâmbetulu în 3D cu ajutorul unu so ware de pro ectare d g tală a zâmbetulu (f g. 4-6). D n des gnul d g tal s-a mprmat 3D un model care s-a ut l zat pentru a crea o amprentă s l con că cu scopul de a a real za o s mulare ntraorală pentru aprobarea d n partea pac ente (f g. 7, 8). Aceeaș s mulare va serv ș ca gh d pentru prepararea ș reducerea d nț lor, precum ș pentru restaurăr le prov zor .

Etapele

clinice

Abordarea tratamentulu conservator a nclus preparaț dentare m n m nvaz ve ale premolar lor max lar Nr. 15, 14 ș 24 pentru restaurăr cu acoper re parț ală, fațete lam nate pentru d nț Nr. 13 ș 12, ș restaurăr cu acoper re completă pentru d nț trataț endodont c Nr. 21 ș 22 (f g. 9). Ulter or, s-a real zat o scanare ntraorală d g tală fără pudră după nse-

rarea corpur lor de scanare pentru mplantul dentar d n zona d ntelu Nr. 11 folos nd o tehn că de scanare tr plă pentru a captura prof lul de emergență (f g. 10). F ș erele d g tale au fost exportate la laborator pr ntr-un portal de conectare spec f c so ware-ulu .

În so ware-ul CAD dentar, a fost creat un nou caz ș au fost selectate elementele care trebu au pro ectate. Implantul a fost ales ș adaptat d n b bl oteca de mplantur pentru a f compat b l cu corpur le de scanare. Mock-up-ul pro ectat anter or a fost mportat ca un f ș er supl mentar în format STL pentru a serv ca gh d pentru pro ectarea restaurăr lor def n t ve. Un d nte cu textură naturală a fost selectat d n b bl oteca propusă în cadrul so ware-ulu CAD dentar, ar apo s-a real zat pro ectarea unu bont personal zat pentru restaurarea mplantulu . După f nal zarea pro ectăr s-a creat un f ș er STL ș s-a exportat pentru fabr carea restaurăr lor def n t ve (f g. 11).

Pașii de laborator

După ce scanăr le ntraorale au fost pr m te de laboratorul de tehn că dentară, toate f ș erele au fost mportate în so ware-ul de laborator (exocad). Bazându-se pe f ș erele mportate, a fost selectată ș poz țonată o matr ce d g tală ca wax-up d g tal. Aceasta a fost folos tă pentru a comun ca toț paș ulter or cu cln c anul ș pentru a evalua ș conf rma des gnul restaurat v. Bazându-se pe des gnul d g tal ș pentru a maxm za rezultatul estet c, ca mater al de restaurare s-a selectat ceram ca de d s l cat de l t u. Pac enta ș -a expr mat dor nța de a avea d nț cu aspect „t neresc”.

Cu ajutorul b bl otec d g tale de mplantur s-a pro ectat un bont h br d personal zat. Toate coroanele au fost pro ectate ș frezate pe baza des gnulu bontulu . După frezarea bontulu h br d personal zat d n

Performanțășifiabilitatelasuperlativ

Parteneruldumneavoastrăîndezvoltareaprofesională,SternWeberdepășeștestandardeleobișnuiteșioferăcelemai recenteinovații,încorporândogamăcompletădefuncțiișiopțiuniușordeutilizat.Datorităgameilargidesistemede igienă,numeroaselordispozitivedeînaltătehnologieșiaplicațiimultimediaopționale,putețipersonalizaunit-urile pentruasepotriviperfectnevoilordumneavoastră.

MICROMOTORELECTRICCUINDUCȚIEI-XS4LED APEXLOCATORINTEGRAT

FIDELITATEFOARTEÎNALTĂACULORII

LampăLEDVENUSMCT (MulticolorTemperature)

Sistemintegratde implantologie/endodonție

Pentrumaimultedetalii: | 0731555412 | ioana.cringanu@dentotal.ro

| B-dulMirceaVodănr.24,București,România

Pompăperistaltică integrată

Figurile: 1. Vedere extraorală a pacientei, înainte de tratament.

2. Zâmbetul pacientei, înainte de tratament.

3. Vedere intraorală a arcadei maxilare, înainte de tratament.

4. Alinierea modelelor cu zâmbetul pacientei.

5. Design 3D ghidat facial. 6. Design final în software-ul digital de proiectare a zâmbetului.

Figurile: 7. Amprentă siliconică folosită pentru a crea o simulare intraorală. 8. Simulare intraorală pentru aprobarea pacientei. 9. Preparații minim invazive ale dinților. 10. Scanare intraorală digitală.
11. Proiectare digitală pentru restaurările finale. 12. Proba restaurărilor finale pe model. 13. Restaurările finale după lustruire și glazurare. 14. Restaurările finale după cimentare adezivă.

Figurile: 15, 16. Zâmbetul pacientei posttratament, vedere frontală (fig. 15) și laterală (fig. 16). 17. Zâmbetul pacientei post-tratament, vedere frontală cu dinții în contact. 18. Zâmbetul complet al pacientei post-tratament. Se remarcă rezultatul estetic în armonie cu fața pacientei.

z rcon a în nuanța dor tă, s m lară cu d nț ad acenț preparaț , acesta a fost s nter zat peste noapte. Coroanele au fost frezate în ceară presablă pentru a fabr ca restaurăr le d n d s l cat de l t u.

Bontul d n z rcon a a fost ajustat, ar prof lul de emergență în contact cu țesutur le mo a fost lustru t pentru a as gura ntegrarea deală a țesutur lor. Apo bontul s-a c mentat pe o bază autent că de t tan cu un mater al adez v cu dublă pol mer zare, urmând nstrucț un le producătorulu .

Coroanele au fost adaptate pe bontur le de model mpr mate 3D. În modelul 3D s-a poz ț onat un analog d g tal. Este demn de menț onat că analog d g tal trebu e al n aț v rtual cu o b bl otecă d g tală în so ware-ul CAD/CAM. Analog dg tal trebu e să f e de acelaș brand ca ș b bl oteca d g tală a mplantulu , deoarece corpur le de scanare ntraorale sunt întotdeauna conectate v rtual cu b bl oteca d g tală a mplantulu . Trecerea la un brand d fer t ar neces ta m grarea spre o altă b bl otecă.

După adaptarea coroanelor d n ceară, acestea au fost turnate pr n presarea l ngour lor d n d s l cat de l t u. Selecț a l ngour lor adecvate în ceea ce pr vește nuanța ș translucența este che a pentru max m zarea aspectulu estet c al restaurăr lor. În acest caz, cu n velul de translucență „med e” selectat, tehn c anul deț ne ab l tatea de a masca pe de o parte anum te d screpanțe de nuanță sub acente, dar pe de altă parte să absoarbă o parte d n culoarea sub acentă pentru a obț ne un rezultat extrem de v tal ș natural. Toate coroanele au fost pro ectate într-un des gn de decupare fac ală.

Porțelanul a fost strat f cat pentru a s mula aspectul tr d mens onal al unu d nte natural ș pentru a se potr v cu v tal tatea d nț lor restanț nepreparaț . Glazurarea ș lustru rea cu o pastă de lustru t cu part cule d amantate au f nal zat etapele de laborator (f g. 12, 13).

Inserția finală

După probă, suprafețele nterne ale restaurăr lor au fost gravate cu ac d fluorh dr c t mp de 20 secunde ș apo a urmat s lan zarea, conform nstrucț un lor producătorulu , ar suprafețele bontulu de z rcon a au fost tratate pr n abraz une cu part cule aeropropulsate ș un pr mer ceram c spec al, urmând tehn ca de c mentare a z rcon e APC (aero-abraz une, pr mer cu MDP, c ment de răș nă compoz tă) (a r-abras on, pr mer w th MDP, compos te res n cement, APC). Cmentarea adez vă a fost real zată cu un c ment compoz t răș n c cu pr ză duală, stab l în culoare, cu nuanță clară. (f g. 14-18).

CONCLUZII

Protocoalele de pro ectare analog că pr n ut l zarea modelelor d n ceară sunt extrem de var ab le, sens b le la tehn ca ut l zată ș dep nd de operator. Des gnul d g tal al zâmbetulu ș nstrumentele de plan f care a tratamentulu fac l tează procesele s mpl f cate pr n ut l zarea b bl otec lor de d nț natural , bazate pe nevo le estet ce ș funcț onale spec f ce ale f ecăru pac ent. Harta de tratament consol dată în pro ectarea n ț ală a zâmbetulu fac l tează un plan de tratament ș o executare d rectă, ch ar ș în s tuaț estet ce complexe în care sunt necesare dverse restaurăr . Tehnolog le actuale CAD/CAM oferă oportun tăț care pun la îndo ală fluxur le de lucru trad ț onale, f nd mult ma ef cente, prec se ș pred ct b le, f nd capab le să ofere rezultate estet ce în armon e cu fața pac entulu .

ADVERTORIAL

EMS ⊲

Gestionarea eficientă a plăcii bacteriene este factorul decisiv pentru succesul în prevenirea, tratarea și controlul în timp al afecțiunilor orale induse. În timp ce, de decenii, accentul s-a pus doar pe performanța de identificare a diferitelor tehnici disponibile, acum protejarea substraturilor, confortul și acceptarea joacă un rol din ce în ce mai important pentru pacienți în rata lor de respectare a recall-urilor și deci, în succesul pe termen lung al tratamentului.

Creșterea loialității față de recall prin evitarea durerii

Despre autori:

Dr. Nadine Strafela-Bastendorf Logauwe 7, 73054 Eislingen

Dr. Klaus-Dieter Bastendorf Gairenstr. 6, 73054 Eislingen, Germany info@bastendorf.de

Recunoaștere:

Acest articol a fost publicat pentru prima dată în PLAQUE N CARE | Vol. 17 | Numărul 02 | Iunie 2023

Referințe bibliografice:

Disponibile pe www.pnc-aktuell.de/ literaturlisten

⊲ GUIDED BIOFILM THERAPY

Astăz , poteza plăc ecolog ce conform Marsh este recunoscută la n vel mond al ca f nd cauza celor ma mportante afecț un orale (car , g ng v te, parodont te, mucoz te per - mplantare ș per - mplant te). O sch mbare ecolog că de la s mb oză la d sb oză are loc în placa bacter ană d sb ot că v tală sub- ș suprag ng vală. Înmulț rea bacter lor patogene nterferează cu homeostaza. Un ech l bru ecolog c stab l (homeos-

taza) între m crob omul rez stent ș celulele munocompetente este necesar pentru menț nerea pe termen lung a stăr de sănătate orală (ș generală). D sb oza poate provoca un răspuns t sular mun d struct v.

Placa bacter ană orală trebu e gestonată în mod constant la dom c l u dar ș în cab net, mecan c ș ch m c, cu ajutorul m jloacelor profes onale de curățare orală a d nț lor (profess onal tooth clean ng, PTC) sau

ma b ne spus, pr n îndepărtarea mecan că profes onală a plăc (profess onal mechan cal plaque removal, PMPR). Cele ma mportante nstrumente d spon b le astăz sunt cele manuale, son ce ș ultrason ce, lustru rea clas că ș d spoz t vele care folosesc jet de apă-pulbere (tehnolog a A r-Flow ng). Pe lângă performanța de curățare ș protecț e a substanțe dentare, confortul med culu ș ma presus de toate, al pac entulu joacă un rol d n ce în ce

ma mportant în PMPR. Numa dacă PMPR nu provoacă durere sau senzaț neplăcute ne putem aștepta ca pac enț să îș onoreze programăr le stab l te. Pe lângă ut l zarea anestez celor pentru reducerea durer , apl carea d verselor tehn c d spon b le are mare mportanță în preven rea durer .

COMPARAREA TEHNICILOR INDIVIDUALE DISPONIBILE

Atât îndepărtarea mecan că profes onală a plăc (PMPR/PTC), cât ș nstrumentarea subg ngvală în contextul tratamentelor parodontale (AIT) ș a terap e de întreț nere (SPT) sunt asoc ate cu senzaț neplăcute, de durere ș anx etate pentru pac enț , acestea f nd cauzele pentru care aceșt a nu se ma prez ntă la programăr , le amână sau ch ar anulează întregul plan de tratament deja stab l t.

De-a lungul an lor, comun tatea șt nț f că s-a concentrat aproape exclus v pe ef c ența nstrumentelor nd v duale d spon b le.

Conservarea substanțe dentare, confortul pac entulu ș al medculu au jucat un rol secundar. Ș totuș , ex stă corelaț clare între conservarea substanțe ș confortul pac entulu .

TEHNICI PENTRU CONSERVAREA

SUBSTANȚEI DENTARE

În 1997, Flemm ng af rma că o p erdere ma mare de 0,5 mm cement/dent nă în decursul a 10 an este nacceptab lă cl n c în terap a de întreț nere. Aceasta înseamnă că un max m de 0,05 mm (50 μm) se îndepărtează anual. Cu alte cuv nte, la o med e de patru programăr de întreț nere pe an, în f ecare ses une se îndepărtează un max m de 12,5 μm dent nă/cement. Conform stud ulu ce aparț ne lu R tz et al publ cat în 1991, o forță de contact de 100 p cu un

nstrument de detartraj cu ultrasunete magnetostr ct v generează o p erdere med e de substanță de 11,6 μm după 12 c clur . Această valoare se încadrează ch ar în ntervalul max m ce poate f el m nat per șed nță.

Când se ut l zează un scaler son c ș în aceleaș cond ț de lucru, valoarea crește la 93,5 μm. Această valoare este dublă față de cea care ar putea f îndepărtată într-un an. Când se folosește o ch uretă (500 p pres une de contact), p erderea de substanță este 108,9 μm ș dec stuată mult în afara l m te propuse. Alte stud susț n de asemenea, că secvența este întotdeauna aceeaș pentru p erderea de substanță. Ch uretele prez ntă cea ma mare valoare a sacr f c ulu de substanță dentară, urmate de nstrumentele son ce, ultrason ce ș d spoz t vele cu jet de apă-pulbere. Acelaș lucru este ev dent ș la n vel g ng val. Conform Badersten et al care au rezumat rezultatele stud ulu lor încă d n 1984, nstrumentarea manuală în pung le parodontale de până la 4 mm duce la p erderea atașamentulu , concluz onând categor c: ”Nu nstrumentaț pung le superf c ale sau puț n adânc !” Sacr f c ul substanțe dentare însoț t de p erderea atașamentulu provoacă adesea h persens b l tate dent nară.

DIFERITELE TEHNICI ȘI

CONFORTUL

PACIENTULUI

Wennström et al au demonstrat deja în 2005 că aceleaș rezultate cl n ce se obț n pr n terap a parodontală nech rurg cală în comparaț e cu abordarea clas că (detartraj ș planare rad culară cu nstrumente de mână) față de detartrajul cu ultrasunete p ezoceram c (p ezoceram c ultrason c scaler, PUS) T mpul de tratament a fost de 3 or ma scurt în cazul PUS, consumul de anestez c a fost de 2,5 or ma m c, ar confortul pac entulu a fost

cons derab l ma bun. Suvan et al au comparat ch uretele cu PUS în terap a parodontală nech rurg cală în ceea ce pr vește durerea ș h persens b l tatea cerv cală. Parametr cl n c s-au îmbunătăț t poz t v în ambele grupur ; în plus, s-a înreg strat o h persens b l tate semn f cat v ma m că în săptămân le 1, 4 ș 8 în cazul ut l zăr PUS.

Cel ma mare n vel de confort pentru pac enț este at ns atunc când se folosește tehnolog a A rflow (AF) în comparaț e cu toate celelalte tehn c . Durerea ș d sconfortul în t mpul prof lax e ș al terap e parodontale nech rurg cale sunt mult reduse atunc când se ut lzează tehnolog a A rflow față de cele exper mentate în cazul ut lzăr d spoz t velor cu ultrasunete ș a nstrumentelor de mână. Acest lucru este demonstrat într-un număr foarte mare de stud șt nț fce. Pr ntre altele, s-a demonstrat că AF oferă avantaje sau super or tate față de abordarea convenț onală a tratamentulu în ceea ce pr vește confortul pac entulu , consumul de t mp ș s guranța de acț une.

Recent, au fost publ cate tot ma multe stud care demonstrează acceptarea Gu ded B of lm Therapy® (GBT), în care PMPR se real zează cu A rflow ng (un s stem format d n A rflow Prophylax s Master cu un flux constant de pulbere, p esa de mână A rflowMax cu flux lam nar ș pudra Plus pe bază de er tr tol, m n m abraz vă) ș P ezon® NoPa n/PS, rezultând o îmbunătăț re a rate de prezentare a pac enț lor la șed nțele de d spensar zare.

Furrer et al au condus un stud u la Un vers tatea d n Zűr ch pe 100 pac enț prezentaț consecut v la s stemul ntern de recall al sptalulu . Acceptarea GBT® a fost anal zată în comparaț e cu tehn ca clas că conservatoare, care se bazează în pr nc pal pe nstrumente

de mână ș ultrasunete cu lustru re clas că. D spoz t vul cu jet de pulbere a demonstrat cea ma bună acceptare.

studiului extins al pacienților prezentat aici vor clar în favoarea Guided Biofilm Therapy în tratamentul convențional. Până în prezent, nu publicate date de această amploare. Analizele altor efectuate în rândul unor grupuri mai mici de arată aceeași tendință ca și sondajul global pre

trebuie remarcat faptul că beneficiile GBT nu se satisfacția realizabilă a pacientului și la rata asociată. După cum s-a demonstrat în studii GBT este optimizat ergonomic, semnificativ același timp economisește timp și mai econo comparațiecumetodeleconvenționale[19,27,28,29,30]. poate fi implementat în mod deosebit de eficient către echipa de profilaxie stomatologică.

Interesant s-a doved t ș aspectul cu pr v re la starea de anx etate îna nte ș în t mpul șed nțe de recall. Deș n velul de anx etate ex stent era deja redus (10%), s-a înreg strat o m cșorare supl mentară până la 4%, deoarece nstrumentele de mână au fost folos te mult ma puț n în general, ș doar într-un mod foarte ț nt t. Într-un stud u observaț onal în cab net, 50 pac enț care se prezentau în mod constant la șed nțele de d spensar zare (recall) de cel puț n 5 an au fost întrebaț cum au perceput tratamentul cu noua metodă GBT® în comparaț e cu tehn c le anter oare bazate pe nstrumentar de mână, per ș paste de lustru t. Toț pac enț exam naț au conf rmat super or tatea no terap . N c un pac ent nu a evaluat noua metodă de tratament ca f nd s m lară sau ma nconfortab lă. Stud ul Vorous et al conf rmă aceste rezultate.

CONCLUZII

Placa dentară bacter ană joacă un rol mportant în et opatogen a afecț un lor orale. De-a lungul decen lor, accentul a fost pus doar pe gest onarea ef c entă a plăc bacter ene ș a tartrulu ; astăz , d n ce în ce ma mult, pr mează protecț a substanțe dentare, confortul pac entulu ș al med culu , pe lângă ef c ența ev dentă a terap e . În mod spec al, pac enț de az aprec ază cons derab l l psa durer sau un n vel m n m al aceste a, precum ș metodele pr n care se conservă structura dentară în procedur le de gest onare a plăc bacter ene ș a tartrulu pe parcursul șed nțelor de d spensar zare. Dacă aceste coordonate sunt respectate pr n ut l zarea anestez e , dar ma ales pr n apl carea metodelor de ult mă generaț e ce ut l zează A rflow ng ș P ezon® NoPa n/PS care sunt d spon b le ca parte a unu protocol de prof lax e s stemat că (GBT®), atunc rata de recall va crește semn f cat v.

Pr n ntroducerea protocolulu Gu ded B of lm

Therapy® - ses unea de prof lax e care reflectă noutăț le șt nț f ce ș cele rezultate d n progresul tehn c, este acum pos b lă obț nerea unu standard înalt în ceea ce pr vește cal tatea structurală ș cea a procesulu . În plus, sat sfacț a pac entulu (cal tatea rezultatulu ) joacă un rol mportant în succesul prevenț e , strâns corelat cu lo al tatea pe termen lung a pac entulu . Aceasta, la rândul său, dep nde în mare măsură de cal tatea tratamentulu efectuat ș de durerea/exper ența tră tă. Mot vul este că doar pac enț lor mulțum ț le face plăcere să se întoarcă.

PACIENȚII VOR METODA GBT

How Digital Technologies Enhance Telescopic and Conical Clinical Case Workflows by Arian B. Deutsch, CDT. Originally published in Compendium of Continuing Education in Dentistry 43(10) Nov/Dec 2022. © 2024 AEGIS Publications, LLC. All rights reserved. Reprinted with permission of the publishers.

Modul în care tehnologiile digitale îmbunătățesc uxurile de lucru în cazul

restaurărilor telescopice

și conice

⊲ TELESCOPIC RESTORATIONS

Despre autor:

Arian B. Deutsch, CDT

Owner, Deutsch Dental Arts, Sun City West, Arizona

Sstemele cu coroane duble telescop ce ș con ce au fost n ț al dezvoltate ca restaurăr suportate de d nț care urmau să înch dă spaț le nterdentare, ar astfel de concepte s-au doved t a f v ab le pe parcursul multor an . Un s stem telescop c sau con c constă d ntr-un bont pr mar, o capă secundară strâns adaptată, cum ar f un bont sau un cadru, ș o structură terț ară. Acest t p de s stem de restaurare este dest nat să f e detașab l de către pac ent pentru a perm te gen zarea. Bontur le sau telescoapele pr mare ș capele secundare pentru aceste restaurăr erau în mod ob șnu t frezate manual în ceară, turnate ș refrezate în al aje de aur de t p IV. De asemenea, telescoapele ș conu-

r le secundare au fost fabr cate pr n folos rea răș n , apo ambalate ș turnate. În an 1980 ș 1990 s-a ntrodus electroformarea telescopulu sau a conulu secundar, la fel ș ntegrarea pro ectăr ș fabr caț e as state de calculator (computer-a ded des gn/ computer-a ded manufactur ng CAD/CAM) pentru componentele bontulu pr mar.Recent, tehnolog le ad ț onale ș reduct ve au ef c entzat fabr caț a structur lor terț are ș a restaurăr lor temporare. De exemplu, în proces s-au încorporat top rea select vă cu laser (select ve laser melt ng, SLM) ș frezarea acestor structur în mater ale precum t tanul ș cobalt-cromul (CoCr), precum ș pro ectarea d g tală ș mpr marea tr d mens onală (3D) a restaurăr lor temporare care se adaptează peste telescoapele sau conur le pr mare. S-au îmbunătăț t, de asemenea, ș protocoalele cl n ce. De exemplu, scanerele ntraorale au revoluț onat modul în care se obț n datele cl n ce

ș man era în care se real zează amprentele, generându-se o mult tud ne de protocoale d g tale pentru cazur le cu soluț telescop ce ș con ce. În ultmul t mp, ntroducerea fotogrametr e în apl caț le dentare a crescut capactatea cl n c en lor ș a tehn c en lor de a captura locaț a exactă, or entarea ș momentul de nserare a mplantur lor, conducând la pos b l tăț ma var ate ș el m nând neces tatea unu model master analog. Acest art col examnează modul în care tehnolog le d g tale mpactează fluxur le de lucru cl n ce ș protocoalele tehn ce pentru restaurăr le telescop ce ș con ce.

SCANAREA INTRAORALĂ ȘI DESKTOP

Scanarea ntraorală poate f deoseb t de ut lă pentru înreg strarea prel mnară a cazulu . De exemplu, o scanare ntraorală cu marcator sau nd catoare de scanare pentru mplantur poate f folos tă pentru a mpr ma 3D un

model prel m nar cu analog (f g. 1), ce poate f ușor folos t la fabr carea unu d spoz t v de ver f care. În acest flux de lucru, întregul ac al j gulu de ver f care pe modelul prel m nar poate f scanat f e ntraoral, f e cu un scaner desktop, ar astfel se poate pro ecta d g tal ș mpr ma 3D o l ngură de amprentare personal zată d g tal care se potr vește peste j gul de ver f care. Acest flux de lucru el m nă neces tatea une amprente f z ce prel m nare, ceea ce, la rândul său, el m nă ș neces tatea de a tr mte modele prel m nare la laborator ș înapo . O scanare ntraorală folos nd marcator pentru mplantur se poate ut l za împreună cu scanarea une proteze ex stente sau a une probe d agnost ce d n ceară pentru a evalua spaț ul restaurator. Acest lucru fac l tează o evaluare detal ată de către ech pa dentară folos nd nstrumente de măsurare d n programele so ware astfel încât să se poată selecta opț un le de tratament reuș te, ar cele care nu sunt v ab le, în funcț e de spaț ul restaurator part cular, să poată f el m nate.

Scanarea poate f folos tă ș pentru a captura bontur le telescop ce sau con ce de pe modelul master cu scopul de a le ut l za împreună cu o scanare preoperator e a probe de ceară aprobată pentru pro ectarea une proteze temporare. Se poate ut l za o scanare a bontur lor telescop ce sau con ce de pe modelul master, împreună cu capele secundare galvan zate plasate pe bontur , pentru a pro ecta d g tal o structură terț ară care să încorporeze un decalaj de c ment prec s ș un form în vederea preluăr ntraorale, făcând pos b lă obț nerea une proteze complet pas ve. Se poate efectua scanarea une bare pr mare telescop ce sau con ce pentru a obț ne o calculare a suprafețe extrem de prec se în m l metr pătraț (mm2), ce poate f folos tă ulter or la calculul soluț e de aur în procesul de electroformare cu scopul de a obț ne rezultate opt me în protezele bazate

pe manșoane de bare telescop ce ș con ce. În cele d n urmă, opț un le de scanare perm t pro ectarea atât a structur lor terț are, cât ș a une dent ț pro ectate ș frezate nd v dual pentru a se potr v structur terț are preparate nd v dual. F ș erele STL rezultate pot f f e mpr mate 3D într-o răș nă turnab lă ș ambalate pentru ardere ș presare în ceram că, f e frezate în z rcon u, ceram că de st clă frezab lă sau h br dă. Recent, a apărut pos b l tatea de a mpr ma răș n care ut l zează umplutur nanoceram ce ș prez ntă propr etăț opt ce ș de rez stență r d cate.

FOTOGRAMETRIA

Fotogrametr a poate f comb nată cu scanarea ntraorală pentru a obț ne o amprentă d g tală f nală foarte prec să ș ver f cată fără nevo a une amprente f z ce. Această avansare revoluț onară perm te cl n c anulu să obț nă înreg străr prec se care nu sunt supuse expans un ș /sau contractăr d mens onale a materalelor de amprentă sau a produselor d n gh ps folos te în turnarea acestor mater ale. Ut l zarea unu flux de lucru care încorporează scanăr fotogrametr ce perm te un n vel înalt de comun care între cl n c an ș tehn can, fac l tând pro ectarea med ată a zâmbetulu precum ș a componentelor pr mare telescop ce sau con ce cu un grad mare de prec z e transversală a arcade dentare.

Dator tă acestu n vel r d cat de prec z e transversală a arcade , bontur le pr mare pot f pro ectate ș frezate, ș este pos b l ch ar să se pro ecteze o structură terț ară în t mpul proectăr bontulu pr mar folos nd un algor tm spec al dezvoltat care a în cons derare suprafața bontulu îndepărtată în procesul de frezare manuală precum ș ar a adăugată bontulu pr n procesul de electroformare (acest lucru este detal at ma târz u în acest art col în subcap tolul „Structur terț are”). Fotogrametr a perm te un

flux de lucru cl n c ș tehn c extrem de ef c ent, în spec al pentru restaurăr le „all-on-X” înșurubate, dar ș pentru soluț le mplantare telescop ce ș con ce.

TELESCOAPE ȘI CONURI PRIMARE

Major tatea cazur lor telescop ce ș con ce cupr nd tre componente pr nc pale: un bont sau o bară pr mară; o componentă secundară, în mod ob șnu t sub formă de capă; ș o structură terț ară. După cum s-a menț onat anter or, telescoapele ș bontur le con ce pr mare erau trad ț onal real zate folos nd un bont UCLA, la care se adăuga manual ceară, ar bontul se freza apo în ceară. Ulter or bontur le se ambalau ș se turnau d ntr-un al aj de aur de t p IV sau CoCr. Acesta era un proces labor os, ar compl caț le cauzate de mater ale ș d f cultăț le tehn ce conduceau adesea la rezultate mperfecte, cum ar f poroz tăț ș decalaje în componentele pr mare (f g. 2). Tehnolog a d g tală nu numa că a îmbunătăț t fluxur le de lucru cl n ce ș tehn ce pentru astfel de componente, dar a ș ext ns var etatea de mater ale ce pot f ut l zate pentru telescoapele ș conur le pr mare. De exemplu, bazându-se pe des gnul d g tal, bontur le pr mare pot f frezate d n CoCr, t tan, z rcon u ș mater ale no , precum pol eteretercetonă (PEEK) ș pol etercetonă-cetonă (PEKK). Deș aceste mater ale neces tă în cont nuare frezare manuală pentru a obț ne rezultatul dor t (f g. 3), plan f carea ș pro ectarea n ț ală a telescoapelor ș conur lor pr mare au fost îmbunătățte substanț al, deven nd ma ef c ente în era d g tală. În funcț e de metoda ș mater alul selectat, se poate obț ne o var etate de n velur de retenț e ș per oade de durab l tate. Un flux de lucru d g tal ob șnu t pentru pro ectarea telescoapelor pr mare începe cu lucrul f e de la un model master de mplant scanat, f e de la o scanare ntraorală comb nat cu o scanare fotogrametr că a poz -

ț lor mplantur lor. Cele ma multe so ware-ur de pro ectare dentară au un „modul telescop” spec al zat, care menț ne toate bontur le paralele între ele ș setate pe tra ector a de nserț e/scoatere def n tă de către ut l zator (f g. 4). Des gnerul are, de asemenea, opț un în ceea ce pr vește ungh ul de suprafață; de exemplu, telescoapele pot f făcute să a bă 0° sau să f e în or ce conf guraț e con că de la 1° în sus. Trebu e menț onat că doar bontur le cu con c tate de 0° sunt num te tehn c „telescoape”, în t mp ce or ce ungh ma mare de 0° este cons derat a f des gn con c. În so ware, aproape f ecare aspect al telescopulu sau al conulu pr mar poate f ed tat ș mod f cat d g tal, nclus v zonele marg nale, sau ch ar ș „s guranța” ș „gros mea m n mă” pot f setate la spec f caț le dor te. Accesul șurubulu este ed tab l, ar canalele de șurub angulate pot f ut l zate cu un ungh de compensare, de ob ce , de până la 25° pentru bontur le h br de d n z rcon a, ceea ce reprez ntă un progres semn f cat v, ma nou ntrodus. Centrele de frezare de parte terță pot f de asemenea capab le să încorporeze canale de șurub angulate pentru bontur le telescop ce pr mare d n t tan ș CoCr pr n frezarea întregulu bont folos nd tehnolog a de frezare elveț ană. Tehnolog le d g tale au spor t ș efc ența în crearea une bare telescop ce sau con ce pr mare pentru utl zare cu o componentă secundară de t p manșon. Bara pr mară poate f s mplu pro ectată ș fabr cată urmată de frezare manuală, sau, pentru o abordare analog că cu adevărat personal zab lă ș comb nată, modelul poate f scanat ș în so ware se poate pro ecta o bară suprad mens onată. Des gnul bare supramăr te poate f ușor mpr mat într-o varetate de răș n 3D d rect pe mplant sau pe platforma mult dentară. Bara mpr mată poate f înșurubată pe modelul master, ar apo se poate freza manual până la d mens un le f nale folos nd matr c analog ce ale

Figurile: 1. Model preliminar imprimat 3D cu analogi pentru fabricarea unui jig de verificare. 2. Bonturi conice turnate tradițional. 3. Frezarea manuală a bontului primar. 4. Modulul de bont telescopic proiectat în software-ul de design dentar, situat în volumul restaurativ.

Figurile: 5. Bară tipărită fixată pe modelul master și frezată manual la dimensiunile finale. 6. Scanarea barei primare pentru finalizarea fișierului STL în scopul frezării. 7. Cape

secundare din aur galvanizat. 8. Obținerea digitală a unei măsurători precise a suprafeței barei primare. 9. Structura terțiară proiectată digital și frezată în CoCr. 10. Instrumentul de secțiune transversală care arată un algoritm folosit pentru proiectarea unei structuri terțiare bazată doar pe fișierele de proiectare a bontului primar într-un software de proiectare. 11. Restaurare temporară full-mouth, imprimată 3D în cabinetul stomatologic. 12. Exemplu de caz telescop finalizat, vedere frontală. 13. Exemplu de caz telescop finalizat, vedere ocluzală.

poz ț lor aprobate ale d nț lor (f g. 5). Marg nea ap cală poate f personalzată manual, ar, odată f nal zată, bara pr mară poate f scanată ș creată ca o cop e a frezăr împreună cu scanarea modelulu cu marcator de scanare ș tr m să la centrul de frezare pentru reproducere (f g. 6).

TELESCOAPE ȘI CONURI SECUNDARE

Telescoapele ș conur le secundare erau create trad ț onal folos nd o răș nă de model apl cată d rect pe un bont pr mar foarte luc os, care apo era ambalat ș turnat într-un al aj de aur de t p IV sau CoCr. Acest proces era cons derab l sens b l la tehn că ș destul de labor os.

La sfârș tul an lor ‘80, electroformarea a fost ntrodusă ca un m jloc v ab l pentru a crea prev z b l un telescop sau o capă secundară un formă într-un proces ad t v de electro-depoz ț e pe suprafața unu bont pr mar sau a une matr țe dupl cat a bontulu pr mar. Aceste componente secundare de aur „galvano” aveau potenț alul de a se potr v componente pr mare la o prec z e de aprox mat v 4μ, ar major tatea un tăț lor de electroformare puteau produce aceste cape la o gros me de 200-300μ (f g. 7).

Benef c le electroformăr unu aur cu un procent r d cat erau ev dente: aurul pur era ș este extrem de b ocompat b l, ar adaptarea real zată pr n electro-depoz ț e era, ș încă este ș astăz , remarcab lă. De asemenea, un tăț le de electroformare pot f folos te pentru a face „manșoane” galvan zate pe telescoapele pr mare ș pe secț un le de bare con ce. Unele d ntre aceste un tăț neces tă o calculaț e a suprafețe bare pentru a determ na cant tatea corectă de curent care trebu e l vrată la suprafața bare , precum ș pentru a calcula cant tatea de soluț e de aur folos tă. Acesta este un alt domen u în care progresele d g tale au deven t extrem de ut le. Trad ț onal, un tehn c an trebu a să măsoare d mens un le bare ș să calculeze

suprafața în mm2, f nd o modal tate destul de mprec să ș mprev z b lă de calcul. În era d g tală, tehn c en pot pur ș s mplu să mporte o scanare a bare pr mare în so ware, să selecteze suprafața de calculat ș să obț nă o măsurare nstantanee ș prec să a suprafețe în mm2 (f g. 8).

Un flux de lucru complet d g tal se poate ut l za ș pentru pro ectarea capelor pentru a f frezate într-o var etate de mater ale folos nd selecț de „bont offset” sau „telescop secundar”. Acest lucru ar putea perm te ca f ș erele de pro ectare secundare să f e frezate în PEEK sau PEKK, sau întreaga structură secundară ș terț ară să f e real zată ca o s ngură p esă în PEEK, PEKK, t tan sau CoCr. (Această tehn că part culară neces tă în cont nuare ajustarea manuală pentru a obț ne o adaptare acceptab lă cu bontul telescop c sau con c pr mar).

Este mportant de menț onat că dacă se pro ectează componenta sau capa secundară trebu e folos t întotdeauna un scaner tact l. O înreg strare d g tală ma prec să ș ma exactă a suprafețe bontur lor pr mare în comparaț e cu scanarea opt că.

STRUCTURILE TERȚIARE

Trad ț onal, structur le terț are erau turnate d n ceară pe un model de ambalare unde se crea manual spaț ul de c mentare ș apo se turna în CoCr. Această metodă era labor oasă ș ntroducea pos b l tatea de poroz tăț în structura terț ară.

Des gnul d g tal oferă tehn c anulu oportun tatea de a crește prec z a ș cons stența, deoarece aceșt a pot folos parametr setaț pentru spațator de c ment care funcț onează deal cu c mentur le răș n ce adez ve folos te pentru c mentarea ntraorală a componentelor secundare în structur le terț are. Structur le terț are pro ectate d g tal perm t ș ut l zarea une var etăț nf n te de opț un de des gn în funcț e de parametr spec f c pac entulu . De exemplu,

dacă ex stă spaț u de restaurare l m tat în anum te zone ale unu caz spec f c, zonele metal ce luc oase l nguale sau palat nale pot f ut l zate în locur le che e dacă este necesar. Se pot încorpora reducer le d g tale de la poz ț a dentară propusă, ar o gamă largă de geometr poate f folos tă pentru retenț a acr l că ș compoz tă. Des gnul poate f t păr t apo folos nd SLM sau se poate freza d n t tan sau CoCr (f g. 9).

De asemenea, structur le pro ectate d g tal pot îmbunătăț comanda de lucru ș să econom sească durate lung de t mp necesare în mod ob șnu t atunc când se ut l zează un flux de lucru trad ț onal cronolog c. De exemplu, pentru major tatea structur lor terț are care sunt ut l zate împreună cu o componentă secundară, tehn c anul trebu e să aștepte f nal zarea fabr caț e componentelor secundare. Cu toate acestea, într-o anal ză nternă real zată în laboratorul autorulu asupra des gnur lor de componente pr mare, secundare ș terț are real zate pe o per oadă de 12 lun folos nd nstrumentul de secțune transversală într-un so ware de des gn, a fost dent f cat un algor tm între des gnul componente pr mare ș des gnul offset terț ar care a fost constant ș a furn zat un spaț ator de c ment deal (f g. 10). Acelaș algor tm poate f folos t ș pentru a pro ecta structura terț ară în aceeaș z cu bontul telescop c sau con c pr mar; acesta a în cons derare procesul reduct v de frezare manuală ș cel ad t v de creaț e a cape galvan ce sau fabrcaț a secundară frezată. Ut l zarea aceste tehn c cu algor tm generat d g tal reduce semn f cat v t mpul de fabr caț e, deoarece producerea tuturor componentelor poate demara în aceeaș z . În plus, ș structur le terț are pot f pro ectate pentru a real za o proteză doar m n mală, constând doar d n d nț , sau pentru a susț ne repl carea g ng vală în cazur le în care ex stă o resorbț e osoasă moderată până la severă. Des gnul d g tal per-

m te, de asemenea, ncluderea spaț ator lor d ntr-un f ș er STL pentru atașamente spec al zate pro ectate să funcț oneze împreună cu bontur le ș barele telescop ce. Aceste atașamente d n f ș erul STL pot f ușor f xate pe suprafața bontulu sau pe bara pr mară d g tală ș structura terț ară poate f pro ectată peste structura pr mară cu spaț ator de atașament f xaț , astfel încât, odată frezate, atașamentele pot f pur ș s mplu nserate în structura terț ară.

RESTAURĂRILE TEMPORARE TELESCOPICE ȘI CONICE

Odată cu apar ț a frezăr CAD/CAM au apărut restaurăr le prov zor frezate d n mater ale de culoare f z onom că, ar în prezent ex stă multe opț un d spon b le, nclus v pucur mult strat f cate. Ma recent, mpr marea 3D a avut un mpact major asupra fabr căr restaurărlor temporare. In ț al, s-a constatat că răș n le 3D folos te în acest scop erau într-o oarecare măsură casante, dar acum ex stă numeroase răș n 3D cu nanoceram că cu propr etăț opt ce ș rez stență îmbunătăț te. În plus, anecdot c, protocoalele ma no , setăr le mpr mantelor 3D ș plăc le constru te de părț le terțe comb nate cu setăr le spec ale pot perm te mpr marea în cab net a restaurăr lor prov zor pentru întreaga arcadă în 30 m nute (f g. 11). F g. 12 ș 13 lustrează un caz telescop c f nal zat.

CONCLUZII

Deș restaurăr le telescop ce produse trad ț onal analog c au o stor e îndelungată, pe măsură ce tehnolog le d g tale dev n tot ma d spon b le ș prevalente, apare o sch mbare graduală pentru a le încorpora în fluxul de lucru pentru astfel de cazur ș pentru a dezvolta no protocoale. Mater alele ș tehnolog le emergente generează restaurăr mob le telescop ce ș con ce ma prev z b le, ma ef c ente ș ma acces b le pac enț lor.

Immediate Implant Placement, Immediate Load With Same-Day Fully Digital Fabrication of a Screw-Retained Provisional Implant Prosthesis by David A. Gelb, DDS; Michael Klein, DDS; and Michael Tuckman. Originally published in Compendium of Continuing Education in Dentistry 44(5) May 2023. © 2024 AEGIS Publications, LLC. All rights reserved. Reprinted with permission of the publishers.

Un protocol simpli cat pentru fabricarea integral digitală în aceeași zi a unei proteze provizorii

pe implanturi

⊲ FULL-ARCH IMPLANT RESTORATION

Despre autori:

David A. Gelb, DDS

Diplomate, American Academy of Periodontology; Fellow, Academy of Osseointegration; Fellow, American College of Dentists; Fellow, International College of Dentists; Fellow, Pierre Fauchard Academy; Private Practice, West Hartford, Connecticut

Michael Klein, DDS

Chief Technology O cer, Keystone Dental Group, Burlington, Massachusetts; Former Clinical Associate Professor, Department of Periodontology and Implant Dentistry, New York University College of Dentistry, New York, New York;Diplomate, American Board of Oral Implantology/Implant Dentistry; Diplomate, International Congress of Oral Implantology; Fellow, Academy of Osseointegration; Private Practice, Cedarhurst, New York

Michael Tuckman

Founder, President, Osteon Medical, Melbourne, Australia

Recunoaștere:

Donald Boyd & Dr. Michael Klein for their educational leadership in the launch of the Nexus iOS protocol; Melker Nilsson for selecting the author (DAG) in the initial launch of this discipline; Dr. Jonathan J. Gelb for his initiative and participation in the integration of this protocol into the author’s (DAG) o ce; Christian Villarroel for equipment procurement; Terry Spaulding, Alexis Pantaleo Donald Boyd Dana Tatta Vince Lancenese, Tim Steinglass for their assistance in delivery of surgical and prosthetic care; Drs. Je rey Burns, Scott Merkelson, Peter Sawka for their collaboration in Cases 1 through 3. Surgery and prosthetics were provided by Dr. David A. Gelb in Cases 1 through 3 and Dr. Michael Klein in Case 4.

Implantolog a a furn zat în mod prev z b l o fundaț e stab lă pentru a susț ne protezele, restaurând funcț a ș estet ca în dent ț le eșuate, parț al sau total. Acest succes a fost bazat pe cercetăr le b ne documentate de către Bränemark ș numeroasele rapoarte d n ult mele decen care au conf rmat osteo ntegrarea ca f nd baza deală ș prev z b lă pentru susț nerea restaurăr lor, cu redarea estet c ș stab l rea funcț e .

Evoluț a mplantolog e a culm nat cu protocoalele demonstrate de ch rurg e cu mplantare ș încărcare med ate. În general, secvența protet că a fost cons stentă de-a lungul an lor. Amprentele de transfer au fost folos te pentru a captura pozț a mplantulu , ar m jloacele protet ce convenț onale au fost ut l zate pentru fabr carea restaurăr lor f xa-

te cu c ment sau șurub, sat sfăcând astfel dent ț a estet c, funcț onal ș fonet c deopotr vă. De ob ce , această etapă este precedată de un nterval de v ndecare de 4-6 lun necesar osteo ntegrăr , f nd apo programate numeroase șed nțe protet ce până la l vrarea proteze f nale.

UN PROCES DIGITAL

Un proces d g tal s mpl f cat recent dezvoltat mpl că fabr carea une proteze opt me estet c ș funcț onal care as gură ș o adaptare prec să, pas vă pe bontur le mult componente înșurubate pe mplantur , stab l nd un suport lab al adecvat ș rev tal zând aspectul f z onom c. Acest protocol perm te l vrarea d g tală în aceeaș z a une proteze prov zor mpr mate 3D în propr a cl n că, după ntervenț a ch rurg cală de nserare a mplantur lor. În acest fel, secvența protet că este redusă semn f cat v, restaurând estet ca ș funcț a într-o s ngură z . Tehnolog a îș propune să opt m zeze prec z a capturăr arh tectur țesutur lor mo ș a poz ț e mplantulu , permțând în acelaș t mp pro ectarea ș fabr carea une proteze deale pentru dent ț a selectată, cons derând fotograf le pac entulu ș scanarea d g tală a d nț lor ș a părț lor mo .

Se folosește un scaner ntraoral preoperator dar ș în t mpul ntervenț e ch rurg cale pentru a reproduce țesutur le mo ș dent ț a ex stentă cu etalon de scanare brevetaț , de ult mă generaț e. Etalon sunt plasaț pe bontur le mult componente f xate pe mplantur ș se scanează conform unu protocol foarte spec f c pentru a captura poz ț a exactă a mplantur lor. Porn nd de la aceste nformaț , folos nd tehnolog a ș protocoalele brevetate, se generează un f ș er STL al proteze prov zor opt me, luând în cons derare ma mulț algor tm d ntr-o bancă de memor e a ntel gențe art f c ale (art f c al ntell gence, AI) pentru a genera un

f ș er protet c spec f c pac entulu . Acest f ș er este apo transm s către un tatea locală pr n ntermed ul unu portal web ș se exped ază la mpr manta 3D d n cab net pentru fabr carea une proteze prov zor f xată cu șurubur pe mplantur .

Procesul constă d ntr-o ser e de scanăr ntraorale predef n te în t mpul ntervenț e ch rurg cale, care furn zează nformaț geometr ce încorporate ale țesutur lor dure, mo ș ale etalon lor de scanare cu șapte fețe, de mare prec z e, care sunt f xaț cu șurub pe bontur le mult componente înșurubate pe mplantur , capturând poz ț a exactă a mplantur lor. Aceste date servesc ca surse pentru o amprentă d g tală. Algor tm de calculator cal brează apo d g tal poz ț le absolute ale bontur lor ș pro ectarea deală a proteze , luând în cons derare d mens unea vert cală, relaț le ocluzale corecte ș dent ț a. Ulter or, este produs un f ș er STL 3D dest nat pr ntăr în cab net a une proteze prov zor care se potr vește prec s pe bontur le mult componente atașate mplantur lor.

Secvența se înche e cu l vrarea une proteze prov zor înșurubate pe mplantur în z ua ntervenț e ch rurg cale. După conf rmarea ntegrăr , se folosește fluxul de lucru d g tal pentru a fabr ca ef c ent restaurarea f nală. Acest protocol oferă l vrarea d g tală a une proteze prov zor estet ce f xate cu șurubur pe mplantur în z ua ntervenț e ch rurg cale de mplantare fără a f necesare amprente f z ce sau convers protet ce.

PREZENTĂRI DE CAZ

Cazul (1)

Un pac ent de sex mascul n în vârstă de 36 an s-a prezentat cu o dent ț e max lară comprom să d n cauza une îngr j r dentare sporad -

ce, cu mult ple extracț ș fără subst tuț dentare. D nț restanț pe arcadă ncludeau Nr. 14, 13, 12, 21, 22, 23 ș 26 (f g. 1, 2). Conturul țesuturlor mo se încadra în l m te normale, ar prof lur le osoase erau în general susț nute ș favorab le. Pac entul era entuz asmat de opț unea de a-ș transforma estet ca ș funcț a comprom se într-o s ngură v z tă. La consultaț a n ț ală, pe lângă rad ograf le per ap cale ș panoram că, ca parte a protocolulu s-au real zat fotograf ale capulu pacentulu până la umer , ar scanăr le d nț lor ș ale țesutulu moale au fost capturate cu un scaner ntraoral. Aceste mag n au fost apo tr m se electron c des gnerulu ș producătorulu de mplantur . C nc z le ma târz u, a fost furn zat un des gn v rtual al zâmbetulu (v rtual sm le des gn, VSD) pentru rev zu re ș aprobare.

La următoarea v z tă, pac entul a fost anestez at cu xyloca nă cu adrenal nă 1:100.000. D nț Nr. 15, 13 ș 23 au fost extraș , ar în locaț le 13 ș 23 s-au plasat mplantur med ate cu bontur mult componente în poz ț protet ce corecte, cu cuplur de nserț e favorab le (f g. 3). Etaloanele de scanare au fost atașate bonturlor mult componente, ar apo s-a pract cat scanarea pentru a captura locaț a mplantur lor în raport cu d nț restanț ș țesutur le mo . Ulter or, d nț Nr. 12, 21 ș 22 au fost extraș , cu retenț onarea molarulu Nr. 26 pentru a menț ne d mens unea vert cală a ocluz e cu d ntele antagon st Nr. 36. A urmat nserarea de mplantur în locaț le 16, 11, 25 cu bontur mult componente strânse cu un cuplu de 30 Ncm. Etaloanele de scanare au fost apo atașate bontur lor, astfel încât toate mplantur le erau acum în poz ț e, cu etaloanele atașate (f g. 4). S-a pract cat o nouă scanare pentru a captura toate mplantur le ș țesutur le mo înconjurătoare, respectând un protocol care prevede scanarea

SHADING MEETS BULK ONE FILLING

Charisma Bulk Flow ONE

Primul compozit fluid de umplere, într-o singură nuanță, pentru cazurile de zi cu zi.

Întotdeauna nuanța este potrivită: Cu proprietățile incredibile de potrivire a nuanțelor, restaurarea devine invizibilă, integrându-se în dentiția înconjurătoare.

Manipularea este eficientă: Cavitățile sunt umplute rapid și ușor, cu straturi până la 4 mm, fără a fi nevoie de un strat de acoperire suplimentar.

Restaurările sunt de lungă durată: Stresul scăzut de contracție și rezistența ridicată la fracturare și uzură asigură restaurări durabile care rezistă la forța de masticație puternică din zona posterioară.

Încearcă-l chiar tu!

Cazul 1

Figurile:

1. Fotografia pacientului la consultație în vederea reabilitării maxilare prin implanturi și restaurare provizorie încărcată imediat.

2. Prezentare inițială, vedere intraorală.

3. Extracții inițiale și etaloane de scanare plasate pe bonturi multicomponente, fixate pe implanturile subiacente.

Figurile:

4. Extracțiile finalizate; toate implanturile, bonturile multicomponente și etaloanele de scanare.

5. Proteza provizorie maxilară imprimată 3D.

6. Rx panoramică postop din ziua intervenției chirurgicale.

Figurile:

7. Aspectul intraoral al protezei provizorii maxilare pe implanturi, în ziua intervenției chirurgicale.

8. Implanturile și proteza provizorie maxilară, în aceeași zi cu intervenția chirurgicală.

8A-8I: La 6 luni postoperator, confirmarea integrării și scanarea pentru proteza finală.

de la stânga la dreapta, ș apo o scanare separată nversă, de la dreapta la stânga. Aceste f ș ere au fost apo tr m se electron c. So ware-ul de calculator real zează apo cal brarea pe baza unu f ș er un c de ech pament med cal durab l (durable medical equipment, DME) asoc at k tulu de etaloane de scanare ut l zat pentru datele de scanare de la stânga la dreapta, ș de la dreapta la stânga. Datele de scanare capturate cu etaloanele sunt ut l zate cu so ware-ul AI brevetat pentru a stab l poz ț onarea exactă a bontur lor mult componente. Apo , des gnul VSD bazat pe aspectul fac al este încorporat cu datele de scanare ch rurg cală. Mult pl c tatea algor tm lor este accesată până când se stab lește un f ș er deal care prevede o proteză totală opt m pro ectată ce va se potr v prec s, pr n retenț e cu șurub pe bontur .

Compan a de mplantur a returnat apo un f ș er de des gn STL electron c pr n e-ma l. Personalul cab netulu a tr m s acest f ș er la mpr manta 3D a cab netulu , ar răș na nanoceram că colorată corespunzător a fost ut l zată pentru a t păr proteza la 100 m cron . Apo , c l ndr de bază d n t tan (T ) spec al real zaț pentru bontur le multcomponente au fost nseraț în proteză, care ulter or a fost p gmentată ș glazurată, ar culoarea g ng vală a fost apl cată pentru a stab l o estet că opt mă (f g. 5). Proteza prov zor e f nal zată a fost apo f xată pe bontur le mult componente cu șurubur d n t tan ș strânsă cu un cuplu de 20 Ncm. Or f c le de acces la șurubur au fost obturate, nef nd necesară n c o ajustare ocluzală. Adaptarea proteze a fost prec să ș stab lă, ar fonet ca pac entulu a fost deală. Pac entul a fost copleș t de îmbunătăț rea estet că semnf cat vă (f g. 7, 8). S-au rev zu t cu pac entul recomandăr le de g enă la dom c l u, care au nclus ș ut l zarea unu r gator oral. I s-a prescr s

amox c l nă 500 mg de tre or pe z , precum ș Motr n® 800 mg la nevo e. Pac entul a fost sfătu t să respecte o d etă moale.

La controlul efectuat după o săptămână, s-a notat că durerea postoperator e exper mentată a fost foarte redusă ș s-au rev zu t recomandăr le de g enă la dom cl u precum ș sugest le d etet ce (de a ev ta al mente dure). După 6 lun , s-a conf rmat osteo ntegrarea ș s-a fabr cat proteza f nală (f g. 8A-8I).

Cazul (2)

O pac entă în vârstă de 60 an s-a prezentat cu d nț afectaț parodontal ș def c tar restaurat v, care comprom teau sever estet ca ș funcț a, f nd nadecvaț pentru a menț ne o restaurare max lară. A refuzat categor c o proteză convenț onală totală sau parț ală. D nț max lar restanț ncludeau Nr. 17 ș 15 până la 26 (f g. 9, 10), antagon șt f nd stab l . Pac enta prezenta o stare bună de sănătate, fără alerg la med camente.

La v z ta n ț ală, a fost real zată o rad ograf e panoram că (f g. 11) ș per ap cale. Pac enta a fost fotografată pentru a- captura întreaga față ș umer , ar apo s-a obț nut ș o scanare d g tală a d nț lor max lar . Acest f ș er a fost tr m s electron c compan e de mplantur pentru a completa VSD.

O săptămână ma târz u, pac enta a reven t pentru extracț urmate de nserarea de mplantur ș a une restaurăr prov zor înșurubate.

D nț Nr. 17, 15, 13 până la 23, 25 ș 26 au fost extraș atraumat c pentru menț nerea d mens un lor s tus-urlor. Implantur le med ate au fost nserate în locaț le 15, 13, 11, 23 ș 25 cu cuplur de nserț e r d cate de 40 Ncm. Ulter or, pe toate mplantur le au fost f xate bontur mult componente ș strânse cu un cuplu de 30 Ncm, ar etaloanele de scanare au

fost plasate pe mplantur le 11 ș 23 (f g. 12, 13).

S-a real zat o scanare max lară ntraorală, capturând ce do d nț restanț Nr. 14 ș 24 ș etaloanele de scanare pe mplantur le 11 ș 23. Ulter or, s-au extras d nț Nr. 14 ș 24. Etaloanele de scanare au fost plasate pe mplantur le 15, 13 ș 25. În acest moment, a fost capturată o altă scanare a tuturor etaloanelor de pe cele c nc mplantur împreună cu țesutur le mo înconjurătoare (f g. 14, 15).

Aceste f ș ere au fost tr m se electron c compan e de mplantur pentru cal brarea AI a etaloanelor de scanare, ar apo au fost încorporate într-un VSD pentru a crea setul deal nd v dual de d nț max lar ce urmau să se potr vească prec s, pr n înșurubare pe mplantur , cu satsfacerea estet c , funcț onal tăț ș a fonet c .

Câteva ore ma târz u, ech pa dentară a pr m t f ș erul STL, pe baza căru a a mpr mat 3D proteza maxlară folos nd răș nă nanoceram că colorată corespunzător. Proteza a fost p gmentată ș glazurată, ar c l ndr metal c au fost nseraț în suprafețele nfer oare ale or f c lor de acces la șurubur , f ecare f nd amplasat în mod spec f c pentru a se potr v pe bontur le mult componente (f g. 16, 17). Proteza se adapta prec s pe bontur ș s-au folos t șurubur mult componente pentru a o f xa pe poz ț e cu 20 Ncm (f g. 18-20). Or f c le de acces au fost obturate, ar pac ente s-au ofer t nstrucț un pr v nd restr cț le d etet ce, g ena orală ș med caț e s m lar cazulu anter or. Rad ograf le postoperator au documentat așezarea completă a proteze pe bontur le mult -componente (f g. 21, 22).

Pac enta a reven t la o săptămână postoperator pentru o șed nță de control ș pentru a rev zu recomandăr le de g enă la dom c l u. Aceasta nu res mțea d sconfort,

Servicii promovare online i web design

i cu o strategie de promovare

Cazul 2

Figurile:

9. Prezentare inițială pentru implant imediat la nivelul maxilarului și restaurare provizorie încărcată imediat. Fotografie cu fața întreagă.

10. Situația clinică inițială, vedere intraorală.

11. Rx panoramică inițială.

12. Implanturile inserate imediat postextracțional, cu bonturile multicomponente.

Figurile:

13. A urmat o scanare inițială a etaloanelor de scanare cu dinții reziduali reținuți pentru referință.

14. Toate implanturile, bonturile multicomponente și etaloanele de scanare sunt poziționate.

15. Aspectul intraoral la finalizarea etapei chirurgicale; implanturile au fost inserate

imediat postextracțional, fără lambou; bonturile multicomponente sunt poziționate.

16. Proteza provizorie maxilară tipărită.

17. Proteza provizorie maxilară cu orificiile de acces la șuruburi distribuite corect protetic.

18, 19. Aspectul intraoral al protezei provizorii maxilare (fig. 18) și al zâmbetului (fig. 19) în ziua intervenției chirurgicale.

chirurgicale care obiectivează restaurarea provizorie complet susținută pe bonturile multicomponente și plasarea ideală a implanturilor imediate.

20. Fotografie cu fața întreagă, în ziua intervenției chirurgicale.
21, 22. Rx panoramică (fig. 21) și periapicale (fig. 22) postop din ziua intervenției

f nd extrem de mulțum tă de transformarea petrecută într-o s ngură z (f g. 22A-22K documentează conf rmarea osteo ntegrăr la 6 lun ș fabr carea proteze f nale).

Cazul (3)

O pac entă în vârstă de 67 an s-a prezentat pentru reab l tare orală b max lară, prezentând d nț restanț comprom ș (de la 17 la 27, 38, de la 33 până la 31 ș de la 43 până la 46). Conturul țesutur lor mo se încadra în l m te normale, prof lur le osoase f nd sat sfăcător susț nute ș favorab le. Pac enta era entuz asmată de perspect va de a-ș transforma atât estet ca, cât ș funcț a la ambele max lare într-o s ngură șed nță (f g. 23-42).

La pr ma consultaț e, s-au efectuat rad ograf per ap cale ș panoramcă, fotograf , precum ș scanăr ale d nț lor ș țesutulu moale. Aceste mag n au fost tr m se electron c producătorulu de mplantur , ar tre z le ma târz u a fost furn zată o pro ectare v rtuală a zâmbetulu pentru rev zu re ș aprobare.

În cadrul următoare șed nțe, pacenta a fost anestez ată cu xyloca nă cu adrenal nă 1:100.000. Cu excepț a Nr. 36, 43 ș 44, toț ce lalț d nț mand bular au fost extraș . Implantur le med ate au fost plasate în poz ț corecte protet c, ar bontur le mult componente au fost strânse cu cuplur de 30 Ncm. A urmat apo nserț a etaloanelor de scanare f xate cu șurubur în poz ț le Nr. 37, 31 ș 46.

La arcada max lară, cu excepț a Nr. 16, 12, 22 ș 27, toț ce lalț d nț max lar au fost extraș . Implantur le med ate au fost plasate corect protet c, cu cuplur de 30 Ncm. Pe mplantur le nserate în poz ț le 13, 11 ș 23 au fost așezate bontur mult componente, pe care s-au poz ț onat etaloanele de scanare. Conform protocolulu , o scanare ntraorală a capturat poz ț a mplantur lor în

raport cu d nț restanț ș țesutur le mo . Aceste f ș ere au fost apo tr m se electron c compan e de mplantur .

Etapa ch rurg cală mand bulară s-a f nal zat cu extracț a d nț lor Nr. 38, 34 până la 31, ș 43 până la 46 ș nserarea med ată de mplantur în poz ț le 34, 31, 44 ș 46; supl mentar s-a plasat un mplant în locaț a 37. Toate bontur le mult componente au fost strânse pe mplantur cu cuplur de 30 Ncm.

La arcada max lară, extracț a d nțlor de la Nr. 17 la 27 ș nserarea med ată a mplantur lor în poz ț le 15, 13, 11, 23 ș 25 au înche at faza ch rurg cală; a urmat plasarea bontur lor mult componente pe mplantur cu cuplur de 30 Ncm.

So ware-ul de calculator a cal brat apo poz ț a prec să a mplantur lor pe baza unu f ș er DME un c atrbu t k tulu cu etaloane de scanare folos t pentru această procedură. Datele de scanare capturate cu etaloanele au fost ut l zate cu un so ware AI brevetat pentru a stab l poz ț onarea exactă a bontur lor mult componente. Pro ectarea VSD real zată prech rurg cal a fost apo încorporată cu datele de scanare ch rurg cale. Mult pl c tatea algor tm lor a fost accesată până când a fost stab l t un f ș er opt m pentru pro ectarea restaurăr ce urma să se potr vească prec s, pr n f xare cu șurubur pe bontur pentru a retenț ona o proteză totală prov zor e.

F ș erul de pro ectare STL a fost apo returnat electron c ech pe dentare care l-a d recț onat către so ware-ul mpr mante 3D a cabnetulu , ar răș na nanoceram că de culoarea potr v tă a fost ut l zată pentru a mpr ma proteza la 100μ. Au urmat p gmentarea ș lustru rea, ar culoarea g ng vală a restaurat opt m estet ca.

Proteza f nal zată a fost apo f xată pe bontur le mult componente

cu șurubur fără baze de t tan ș strânse cu un cuplu de 20 Ncm. Or f c le de acces au fost obturate ș nu s-a mpus n c o ajustare ocluzală. Proteza s-a adaptat prec s ș stab l, restab l nd o fonet că deală. S-au comun cat nstrucț un le de g enzare, cele de d etă ș de med caț e postoperator e.

La șed nța de control după o săptămână s-a notat m n ma durere postoperator e ș s-au rev zu t recomandăr le de g enă la dom c l u ș cele de d etă.

DISCUȚII

Tehn c le folos te pentru reab l tarea pe mplantur a arcadelor total sau parț al edentate încep cu etapa d agnost că, cont nuă ch rurg cal ș se f nal zează cu restaurarea protet că def n t vă. Abordarea chrurg cală va nfluența secvența de progres a cazulu ș gradul de traumă operator e sufer tă de pac ent. În protocolul ch rurg cal de nserare mplantară med ată descr s, d nț restanț sunt extraș cât ma atraumat c pentru a conserva osul ș reperele de țesut moale, această abordare f nd che a conservăr locaț e . Amplasarea mplantur lor cu cuplu de nserț e crescut între 35-50 Ncm (ș în unele s tur 70 Ncm) este real zată pr n pregăt rea jud c oasă a locaț e ș dozarea cuplulu de nserț e până când se at ng valor de tors une r d cate. În unele s tusur , se real zează osteotom a osoasă pentru a as gura o f xare prec să ș completă a bontulu mult component. În toate locaț le, mplantur le trebu e plasate în cel ma bun os d spon b l ș în poz ț protet ce corecte în raport cu dent ț a antagon stă ex stentă sau plan f cată.

În procedur le protet ce convenț onale, la f nal zarea ch rurg e , sunt necesare v z te pe parcursul multor lun , în t mpul cărora pac entul poartă o proteză mob lă. Restaura-

Figurile:

22A-K: La 6 luni postoperator, confirmarea integrării și fabricarea protezei finale.

22C
22B
Cazul 2

Cazul 3

Figurile:

23. Fotografia pacientei la prezentarea inițială pentru reabilitare bimaxilară prin restaurări provizorii încărcate imediat.

24. Rx panoramică inițială.

25. Prezentare clinică inițială, vedere intraorală.

26. Scanare inițială.

27. Vedere preoperatorie a mandibulei.

28. Scanarea postextracțională și a indicatoarelor de scanare.

Figurile: 29. Implanturile mandibulare imediate inserate fără lambou cu bonturile multicomponente fixate.

30. Toate etaloanele de scanare mandibulară sunt pe poziție. 31. Proteza provizorie mandibulară imprimată 3D; se observă orificiile de acces la șurub în poziții protetice corecte. 32. Arcada maxilară la prezentarea clinică inițială. 33. Ziua etapei chirurgicale; implanturi imediate maxilare (fără lambou) și bonturile multicomponente aferente. 34. Scanare inițială a etaloanelor de scanare maxilare cu dinții restanți menținuți pentru referință.

35. Toate etaloanele de scanare poziționate la arcada maxilară. 36. Aspectul intraoral maxilar la 5 ore postoperator, înainte de inserția restaurării provizorii.

37. Orificiul de acces la primul șurub protetic în proteza provizorie maxilară.

rea prov zor e med ată a mplantur lor în restaurăr le de arcade totale a fost b ne documentată ca f nd cu rezultate cl n ce sat sfăcătoare, f nd preferată de pac enț . Fluxur le de lucru protet ce convenț onale neces tă amprente analog ce în t mpul ch rurg e ș turnarea modelelor de gh ps. Restaurarea prov zor e med ată poate neces ta rebazarea d rectă a une proteze de convers e în cav tatea orală med at după mplantare. Aceste procedur mpl că expert ză pentru a obț ne o adaptare prec să ș o ocluz e corespunzătoare, neces tând t mp consderab l petrecut de către pac ent pe scaunul stomatolog c ș man pulăr ntraorale. Această abordare poate f d f c lă atât pentru cl n c an, cât ș pentru pac ent după o procedură ch rurg cală m nuț oasă.

Un flux de lucru d g tal s mplu ș exped t v, așa cum este descr s a c , perm te înreg strarea prec să a poz ț e mplantulu ș l vrarea oportună a restaurăr prov zor în z ua ntervenț e ch rurg cale, cu mpl care m n mă ntraorală. Captura d g tală a poz ț e mplantur lor pentru restaurăr le full-arch a fost anter or raportată ca f nd ma puț n prec să. Acest protocol oferă un m jloc prev z b l, scurtând t mpul de tratament ș provocăr le pentru cl n c an ș pac ent.

Benef c ul fluxulu de lucru d g tal este ș ma pronunțat în cadrul real zăr restaurăr f nale. Paș ob șnu ț necesar pentru fabr carea ș l vrarea convenț onală a une restaurăr f nale nclud înreg strarea prec să a poz ț e mplantulu , a arcade antagon ste, a d mens un vert cale ș a ocluz e centr ce. Modelul (analog c sau v rtual) trebu e să f e într-atât de prec s încât să poată as gura pred ct b l adaptarea pas vă a restaurăr , mot v pentru care, în mod frecvent se mpune o etapă supl mentară cu real za-

rea unu j g de ver f care. Apo , cl n c anul trebu e să transfere la laborator cer nțele estet ce, fonetce ș de restaurare pentru proteza f nală. Urmează fabr carea f nală a proteze ș nserț a cl n că. Tehn cle convenț onale neces tă 5-6 v z te ale pac entulu pentru a produce o proteză prec să ș pas vă.

Soluț a pentru reab l tarea protet că full-arch a pac entulu cu mplantur d scutată a c abordează complex tatea restaurăr folos nd un flux de lucru d g tal s mplu ș repetab l. Sunt necesare doar două programăr pentru a restaura f x o arcadă totală cu, ș susț nută pe mplantur . Dacă este necesară o probă a des gnulu protet c, aceasta poate f real zată pr n descărcarea ș mpr marea 3D a f ș erulu STL al des gnulu f nal al proteze . Apo , este necesar un protocol cu tre programăr pentru a încorpora proba des gnulu protet c mpr mat. Fonet ca, estet ca ș ocluz a pot f evaluate, ar dacă sunt necesare ajustăr , se înreg strează ș se încarcă s mplu o scanare a proteze testate mod f cate pe portalul producătorulu . O proteză prov zor e med ată, precum ș o proteză de probă, pot f mplementate în aceeaș z cu tehnolog a de mpr mare 3D.

Acest protocol depășește d f cultăț le de producere a restaurăr lor prec se ș pas ve pr n des gnur de bontur de scanare geometr ce no ș îmbunătăț te cu AI, opt m zarea toleranțelor de fabr caț e pentru a el m na eror le în redarea poz ț e v rtuale a mplantulu , algor tm de opt m zare a poz ț e mplantulu ș so ware-ur de anal ză ș des gn AI al proteze . Proteza f nală are o bară frezată d n t tan pentru a susț ne mater alul de fațetare, care poate f z rcon u monol t c, z rcon u monol t c strat f cat cu porțelan sau o bară frezată acope-

r tă cu acr lat. Des gnul restaurăr , nclus v bara frezată d n t tan ș mater alul de fațetare, poate avea o înălț me de doar 6 mm de la țesutul moale până la marg nea nc zală. Această m n mă gros me vert cală a proteze poate el m na neces tatea reducer osoase (ș a traume ntervenț e ch rurg cale) în scopul ntegr tăț structurale a restaurăr f nale.

Ocaz onal, reducerea osoasă poate f totuș necesară pentru a muta zona de tranz ț e în afara l n e zâmbetulu . Cu toate acestea, dacă reducerea osoasă nu este necesară pentru rez stența restaurăr , numărul de probleme de tranz ț e în zona estet că este semn f cat v redus. Multe cazur care ar f neces tat completăr roz pentru acordarea lung m exces ve a d nț lor ș a zonelor de tranz ț e estet că pot f acum gest onate cu o protet că de t p coroană-punte, cu d nț estet c emergenț d n țesutul moale natural. Des gnul protet c care perm te această gros me m n mă a restaurăr cu o bună rez stență este real zat pr ntr-un program un c de des gn so ware care ntegrează AI ce apl că pr nc p le de ng ner e mecan că structurală la des gnul de restaurare dentară.

Cu protocolul descr s, restaurăr le se f xează pe bontur mult componente, compat b le cu cele ma ut l zate s steme d spon b le. Interfața de restaurare către bontur se real zează pr ntr-o bară de t tan, frezată d rect la nterfața bontulu . Nu se ut l zează baze de t tan, astfel că eror le potenț ale d n c mentarea ncorectă sau d n dec mentarea aceste a sunt el m nate.

Prec z a capturăr mplantur lor este pred ct b lă în acest flux de lucru complet d g tal. Anter or, captura d g tală a poz ț e mplantur lor pentru restaurăr le suportate de mplantur a raportat

l m te de prec z e. Multe var ab le afectează obț nerea unu model v rtual prec s, ncluzând t pul de scaner ntraoral ut l zat, des gnul geometr c ș mater alul corpulu de scanare, dacă acesta este format d ntr-o s ngură bucată sau d n două bucăț , poz ț a sau toleranțele de fabr caț e ale corpur lor de scanare, strateg a de scanare ș exper ența operatorulu . Soluț a pentru restaurăr le complete ale arcade descr să a c ut l zează un flux de lucru complet d g tal care abordează toate aceste d f cultăț , producătorul demonstrând o d screpanță med e între mplantur de sub 10μ, ceea ce îndeplnește cer nța pentru o restaurare f xată pas v. Ca o soluț e completă, înreg strarea relaț e centr ce, a

Cazul 3

Figurile: 38. Restaurări provizorii maxilare și mandibulare inserate, ziua intervenției chirurgicale. 39. Fotografie cu fața întreagă în aceeași zi cu intervenția chirurgicală. 40-42. Rx postop din ziua intervenției chirurgicale - panoramică (fig. 40) și periapicale (fig. 41, 42) obiectivând plasarea ideală a implanturilor imediate.

d mens un vert cale ș transferul parametr lor de pro ectare a proteze este real zată în cadrul protocolulu de scanare. Ut l zarea algor tm lor de AI, a des gnulu novator, a strateg lor cl n ce atent gând te ș a procedur lor de fabr caț e r guroase susț ne atât procedur le de mplantare med ată a restaurăr prov zor full-arch, cât ș soluț a de restaurare f nală.

Fluxul de lucru descr s ut l zează scanăr ntraorale de bază pentru fabr carea restaurăr prov zor med ate full-arch susț nute de mplantur , el m nând astfel etapele de man pulare ntraorală necesare pentru fabr carea restaurăr med ate în t mpul ntervenț e ch rurg cale de mplantare. Ef c -

ența aceste soluț cont nuă cu producț a une restaurăr f nale extrem de prec se, pred ct b le, în două-tre șed nțe.

CONCLUZII

A fost prezentat un flux de lucru d g tal folos nd corpur de scanare brevetate, extrem de prec se, un protocol cl n c novator ș un so ware de ntel gență art f c ală brevetat, rezultând în l vrarea une proteze prov zor 3D t păr te în z ua ntervenț e ch rurg cale de mplantare, f xate cu șurub ș care se adaptează pas v. Acest lucru este urmat de un protocol de restaurare brevetat, rezultând în fabr carea ș nserț a ef c entă a proteze f nale.

Diagnosing Oral Granulomatous Lesions: A Case Report by Trever L. Siu, DMD, MS; Douglas W. Beals, DDS, MS; John R. Francis, DDS, MS; and Vijay P. Parashar, BDS, MDSc, DDS. Originally published in Compendium of Continuing Education in Dentistry 44(2) February 2023. ©2024 AEGIS Publications, LLC. All rights reserved. Reprinted with permission of the publishers.

Diagnosticarea leziunilor granulomatoase orale

GRANULOMATOUS LESIONS

Despre autori:

Trever L. Siu, DMD, MS

Associate Professor, Midwestern University College of Dental Medicine, Glendale, Arizona

Douglas W. Beals, DDS, MS Associate Professor, Midwestern University College of Dental Medicine, Glendale, Arizona

John R. Francis, DDS, MS Associate Professor, Midwestern University College of Dental Medicine, Glendale, Arizona

Vijay P. Parashar, BDS, MDSc, DDS Professor and Associate Dean, Midwestern University College of Dental Medicine, Glendale, Arizona

Recunoaștere:

Lee J. Slater, DDS, MS of Scripps Oral Pathology Service for supplying the histologic images used in this article

Granuloamele sunt m c zone de nflamaț e, frecvent întâln te. Cauzele granuloamelor în cav tatea orală var ază, de la o fractură rad culară s mplă, la car a ext nsă a unu d nte învec nat, sau un tratament de canal rad cular m nent sau eșuat. De asemenea, nflamaț a react vă în zona de prezentare poate f cauzată de traumă sau r taț e sau ar putea avea o formă ma gravă de or g ne neoplaz că, caz în care cl n c anul va trebu să recunoască patolog a ș să îndrume pac entul către med cul spec al st. Deoarece multe d ntre lez un le granulomatoase ntraorale pot f d f c l de d ferenț at, în mod nev tab l este nd cată o anal ză m croscop că.

Raportul de caz următor este baza prezentăr unu proces de formulare a d agnost celor d ferenț ale pr n dent f carea caracter st c lor d st ncte ale une ent tăț ș apl carea acestor nformaț pentru a obț ne înțelegerea procesulu patof z olog c în desfășurare.

DIAGNOSTICAREA UNEI LEZIUNI ORALE INCIDENTALE

O feme e caucaz ană în vârstă de 64 an s-a prezentat la Midwestern University Dental Clinic d n Ar zona pentru o programare de rut nă de tratament stomatolog c. Istor cul său med cal ncludea terap e hormonală postmenopauzală, osteoporoză, artroplast e de șold, park nson sm ș astm bronș c. Pac enta lua în prezent med camente care ncludeau amantad nă, pram pexol ș s nemet pentru boala Park nson, estrad ol pentru s mptomele postmenopauzale, ș mometazonă ș albuterol pentru astm, la nevo e. În t mpul exam năr , pac enta a raportat d sconfort în zona molarulu absent Nr. 37, care prezenta ntraoral ceea ce părea a f o zonă de os expus, dar s-a constatat că era o lez une g ng vală de 6x6 mm, ce apărea ca un nodul de culoare galbenă, cu guler c rcumferenț al de țesut g ng val er tematos de 3 mm (f g. 1). Extraoral,

www.dentalnews.ro

era prezentă tumefacț a obrazulu stâng ș durer general zate la palparea de-a lungul părț stâng a mand bule . A fost real zată o rad ograf e per ap cală în scop d agnost c, ce a ob ect vat o zonă de resorbț e neregulată sau de formare de os nou la n velul creste alveolare în prox m tatea locaț e lez un g ng vale (f g. 2). După rev zu rea stor culu dentar al pac ente , s-a observat că d ntele Nr. 37 fusese extras cu un an ma devreme, moment în care se plan f case terap a ulter oară cu mplant pentru a restab l funcț a opt mă în sextantul poster or stâng mand bular. Anter or se ma stab lse un d agnost c de abces parodontal d n cauza mpactăr al mentare pe versantul d stal al d ntelu Nr. 36, ar pac enta benef c ase de ant boterap e s stem că t mp de 7 z le ș r gaț orale cu clorhex d nă îna nte de a se prezenta la cl n ca autor lor. S-a efectuat o b ops e exc z onală a lez un , ar spec menul a fost tr m s la un laborator de patolog e. Rezultatele anal ze h stolog ce sunt prezentate în f g. 3, 4.

DIAGNOSTIC ȘI DISCUȚII

În acest caz, s-au putut lua în consderare ma multe d agnost ce d ferenț ale, nclus v granulomul central

cu celule g gante (central giant cell granuloma, CGCG); osteonecroza max lară ndusă de med camente (medication-related osteonecrosis of the jaw, MRONJ); osteosarcomul; granulomul cu celule g gante per fer ce (peripheral giant cell granuloma, PGCG); ș f bromul os f ant per fer c (peripheral ossifying fibroma, POF) Autor au cons derat că este ma b ne să concentreze d agnost cul pe aceste ent tăț ma puț n frecvent observate, deoarece lez unea nu s-a prezentat ca o lez une p ogen că ma ob șnu tă, de culoare albastră-v olacee.

Sexul pac ente , durata lez un ș aspectele cl n ce ș h stolog ce ale lez un erau în concordanță cu d agnost cul de PGCG. Cunoscut ș sub denum rea de granulom cu celule g gante extraosoase sau lez une cu celule g gante per fer ce, PGCG este o creștere tumor formă comună întâln tă în cav tatea orală, care se dezvoltă adesea ca o lez une react vă secundară la r tare sau traumă locală. PGCG este descr s în mod ob șnu t ca o lez une de culoare roș e-albăstru e; totuș , în acest caz, prezentarea cl n că era alb-gălbu e. Lez unea d n cazul de față nu a putut f d agnost cată cl n c, f nd doar ulter or conf rmată pr n anal za h stolog că.

Figura: 1. Fotografie clinică intraorală ce demonstrează un nodul ulcerat, în formă de dom, cu dimensiunile de 6x6 mm, în regiunea molarului absent 37, cu o nuanță galbenă. 2. Rx periapicală care obiectivează o pierdere osoasă verticală severă și un sechestru osos distal față de dintele vecin 36. 3. Magnificație redusă a specimenului prezentat, evidențiind o masă exofitică cu o suprafață ulcerată. 4. Magnificație de mare putere a specimenului prezentat, ilustrând celule gigant multinucleate răspândite într-un fundal hemoragic de celule mezenchimale ovoidale și fusiforme. 5. Magnificație de mare putere, prezentând celule mezenchimale ovoidale până la fusiforme, canale vasculare și depozite de hemosiderină.

Cel ma frecvent, aceste lez un sunt local zate la n vel g ng val sau pe creasta edentată ș , de ob ce , se prez ntă ca o masă nodulară măsurând ma puț n de 2 cm. Deș nu prez ntă o pred lecț e de vârstă, sunt observate ma frecvent la feme ș adesea se confundă cu granulomul p ogen c. Cel ma caracter st c semn rad ograf c asoc at cu PGCG este resorbț a sub formă de cupă a osulu alveolar sub acent (f g. 2).

Anal za m croscop că rut n eră a PGCG relevă prezența une abundențe de celule g gante mult nucleate cu țesut granulomatos ulcerat, care este o caracter st că d st nct vă a PGCG (f g. 4). Dovez le fuz un monoc telor sangu ne formând celule g gante mult nucleate osteoclast ce sunt, de asemenea, caracter st ce pentru PGCG, în concordanță cu hemorag a profuză observată în masa lez un . În plus, prezența p gmentăr maro în spec menul h stolog c corespunde prezențe hemos der ne ș reprez ntă o caracter st că de bază a PGCG (f g. 5).

Cel ma corect tratament al PGCG constă în exc z a completă ch rurg -

cercetări ce au durat peste 3 –

cremă cu dimensiuni internaționale confirmată la clinicile din Dubai) protecția, hră și r erarea țesutului gingival ntoză (pre și post gingivită rări atingere gingivală (detart are, albirea dinților, etc.) caustice accidentale ale esofagului cât și în r ia hiatală, vocale (artiști, erupția dentară, eritem fesier Gama REGENEROL conține, pe lângă GIN

cală a lez un urmată de o debr dare r guroasă a zone afectate ș a celor ad acente. PGCG are o rată de rec dvă de aprox mat v 15% după exc z a fără curetaj ș de 3% după exc z a cu ch uretaj. În cazul de față, în afara extracț e d ntelu Nr. 37 cu un an îna nte de d agnost care, nu s-a observat n c o cauză r tat vă locală sau traumă ev dentă în zona respect vă. Deoarece lez unea se prezenta s m lar altor lez un patolog ce, ar un cercetător cons deră că POF ș granulomul p ogen c sunt d f c l de d ferenț at, d agnost cele bazate pe constatăr le cl n ce sau rad ograf ce f nd confuze, b ops a exc z onală dev ne obl gator e pentru conf rmarea d agnost culu . De la îndepărtarea exc z onală a lez un , pac enta a ma reven t la șed nțe de prof lax e de rut nă în decursul ult mulu an, însă nu s-au observat semne de recurență la locul lez un .

RECENZIA DIAGNOSTICELOR DIFERENȚIALE

Granulomul central cu celule gigante. Granulomul central cu celule g gante (CGCG) este o lez une reac-

t vă non-neoplaz că a max larelor, local zată în mod ob șnu t ntraosos în mand bula anter oară la fete ș feme le t nere. Cl n c, CGCG se prez ntă de ob ce ca o expans une lentă, as mptomat că a osulu cort cal. Rad ograf c, CGCG se ob ect vează ca o patolog e rad olucentă, var nd de la o lez une m că per rad culară la d mens un mar ce cupr nd mare parte d n mand bulă. H stolog c, CGCG este caracter zat pr n focare de celule g gante mult nucleate neregulate ș foarte var ab le într-un fundal de celule mezench male ș hemorag ce.

Deș et olog a CGCG este necunoscută, lez un le pot f categor s te ca f nd f e non-agres ve, f e agres ve. Cele non-agres ve sunt tratate pr n management ch rurg cal conservator. În cazur rare, CGCG poate dezvolta o creștere rap dă, dureroasă, care măsoară peste 5 cm; în astfel de cazur , tratamentul ar consta în rezecț e în bloc, urmată de reconstrucț a ext nsă a mand bule . Recent, ut l zarea cort costero z lor a demonstrat rezultate prom țătoare în rezoluț a, sau cel puț n reducerea d mens un acestor lez un agres ve.

În c uda d spon b l tăț acestu tratament, lez un le se asoc ază cu o rată mare de recurență (35-70%).

Osteonecroza maxilară indusă de medicamente. Cunoscută în mod ob șnu t pr n acron mul MRONJ, osteonecroza max lară ndusă de med camente este o afecț une caracterzată pr n os expus, necrozat sau aflat în curs de necrozare, f nd observată cel ma frecvent la pac enț care au în prezent sau au luat anter or medcamente ant resorbt ve. În percepț a actuală a mecan smulu med camentelor ant resorbt ve asupra metabol smulu osos, este mpl cată o scădere a suportulu vascular local ș o reducere a acț un osteoclastelor ș a vascularzăr , ceea ce duce la o remodelare ș o f z olog e a matr ce osoase def c tare. Unele d ntre pr nc palele mecan sme declanșatoare ale MRONJ sunt ch rurg a per - mplantară, exodonț a ș trauma mucoase orale.

MRONJ se man festă de ob ce cl n c ca os expus la n velul max larelor, dar poate apărea ș ca o nfecț e, sau poate rămâne as mptomat că. Maciel ș colab. au real zat o rev zu re ntegrat vă a prof lur lor cl n ce ale

Săpânța Maramureș
fără par

osteonecrozei asociate bisfosfonaților și au concluzionat că principalul criteriu diagnostic al bolii constă în expunerea osului, întâlnită în 100% din cazuri. De asemenea, au concluzionat că mandibula are de două ori mai multe șanse să fie afectată decât maxilarul, și că mandibula posterioară este cel mai frecvent implicată.

Dacă o pauză de medicamente antiresorbtive este sau nu binevenită constituie în continuare un subiect de dezbateri aprinse. Un studiu recent a arătat că întreruperea utilizării de bisfosfonați înainte de extracția dentară a oferit beneficii reduse în prevenirea MRONJ. Cu toate acestea, un document de poziție al American Association of Oral and Maxillofacial Surgeons afirmă că, pentru pacienții care primesc bisfosfonați per os, o întrerupere de 2 luni a acestui tip de medicație poate fi utilă în prevenirea necrozei osoase. Deși nu există un algoritm definit pentru tratamentul MRONJ, accentul ar trebui să fie pe managementul durerii, controlul infecției și prevenirea distrugerii osoase ulterioare.

Osteosarcomul. Osteosarcomul este cea mai frecventă tumoare malignă osoasă, afectând cel mai adesea zona metafizară a oaselor lungi inferioare. În cavitatea orală, aceste neoplasme sunt mai puțin comune și tind să apară la pacienți sub vârsta de 30 ani. Deși apariția acestor tumori este rară, ele sunt destul de letale și reprezintă a șaptea cea mai comună formă de cancer la copii.

Osteosarcomul maxilarelor se prezintă de obicei clinic ca o tumefacție, însoțită de durere. Ulcerațiile sau parestezia sunt prezentări mai puțin obișnuite. Radiografic, leziunea de osteosarcom va apărea ca o leziune sub formă de liză, sclerotică sau de densitate mixtă slab definită, sau poate prezenta o reacție periostală spiculată. Această reacție radiografică a periostului a fost descrisă ca un model în „raze de soare” cauzat

de spicurile tumorale mineralizate radiante. Datorită informațiilor limitate disponibile din radiografiile convenționale, s-a sugerat că utilizarea tomografiei computerizate multidetector cu contrast poate arăta o imagine îmbunătățită a componentei solide a neoplasmului.

Odată ce diagnosticul de osteosarcom este confirmat printr-o biopsie incizională, tratamentul poate consta într-o combinație de rezecție chirurgicală largă și chimioterapie.

Fibromul osifiant periferic. Fibromul osifiant periferic (POF) este o condiție gingivală reactivă, non-neoplazică, întâlnită în mod frecvent în cavitatea orală. În pofida unei etiologii și patogeneze necunoscute, dezvoltarea sa poate fi precipitată de traumatisme sau iritații locale, suprasolicitare ocluzală și/sau restaurări de calitate slabă. Istoric, POF a fost considerat sinonim cu fibromul odontogen periferic, dar astăzi este considerat o entitate distinctă și se crede că a derivat dintr-un granulom piogenic care suferă maturizare fibroasă și calcificare.

POF se prezintă de obicei la adolescenți și tineri adulți sub forma unui nodul pediculat sau sesil, ulcerat, exclusiv pe gingie. De obicei se localizează în jurul incisivilor și caninilor maxilari, emanând din țesuturile papilare interproximale. Analiza histologică este adesea caracterizată de o proliferare a țesutului fibros cu urme aleatorii de produse mineralizate, cum ar fi osul, materialul similar cementului sau calcificarea distrofică. Tratamentul de elecție este îndepărtarea chirurgicală completă a leziunii, inclusiv a periostului, pentru a minimiza șansa de recurență, urmată de debridarea completă a zonelor afectate și adiacente. Specimenul trebuie evaluat histopatologic pentru a confirma diagnosticul.

CONCLUZII

Pacienta din acest raport de caz a prezentat o leziune gingivală însoțită de durere generalizată și tumefacție localizată de-a lungul mandibulei stângi. În plus față de granulomul gigantocelular periferic, diagnosticul diferențial a inclus granulomul gigantocelular central, osteonecroza maxilară legată de medicamente, osteosarcomul și fibromul osifiant periferic, deoarece leziunea avea caracteristici consistente cu aceste entități. Clinic, pacienta părea să prezinte os expus de culoare albă, care, la o examinare mai atentă, s-a dovedit a fi o masă ulceroasă, granulomatoasă. Rezorbția osoasă sau formarea de os nou și modelul de raze solare pe radiografia periapicală erau, de asemenea, sugestive, fiind mai indicative pentru o leziune sau neoplasm osos agresiv. Conform raportului de biopsie, diagnosticul de PGCG a fost confirmat histologic prin identificarea monocitelor sanguine fuzionate pentru a forma celule gigant multinucleate osteoclastice. Atunci când formulează un diagnostic diferențial pentru un pacient care prezintă o leziune granulomatoasă în cavitatea orală, practicianul stomatolog ar trebui să țină cont de „cele trei P-uri”: fibromul osificator periferic, granulomul gigantocelular periferic și granulomul piogen, precum și de importanța biopsiei și a examinării histologice. Cazul prezentat subliniază importanța unei abordări exhaustive a diagnosticului diferențial atunci când se întâlnesc leziuni orale, în special cu caracteristici granulomatoase dar și importanța examinării histologice prin biopsie în confirmarea diagnosticului, în special atunci când constatările clinice și radiografice singure sunt neconcludente. Practicienii dentari ar trebui să mențină un grad ridicat de suspiciune pentru diverse diagnostice diferențiale și să utilizeze biopsia și evaluarea histopatologică pentru a un diagnostic precis și un management adecvat.

Turn static files into dynamic content formats.

Create a flipbook
Issuu converts static files into: digital portfolios, online yearbooks, online catalogs, digital photo albums and more. Sign up and create your flipbook.