Skip to main content

Western Articulator - Edition 03 2024

Page 1

my benefits. my adawa. The many benefits that come with your ADAWA membership 50-year reflections Dr Ken Watts on half a century as a ADAWA member Roll up your sleeves For World Blood Donor Day E DITION 3 2024 THE RECOGNISED VOICE OF ORAL HEALTH IN WA adawa.com.au AUSTRALIAN DENTAL ASSOCIATION WA
Amazing service is just the beginning. See for yourself what our clients say about their experience. Speed • Service • Expertise T&Cs: The issuer and credit provider of these products and services is Credabl Pty Ltd (ACN 615 968 100) Australian Credit Licence No. (ACL) 499547. 5-star Google rating is current as of February 2024. Practice Purchase • Commercial Property • Goodwill Loans • Overdraft Facility • Home Loans • Car Loans • Equipment & Fitout Finance • SMSF Lending 1300 27 33 22 credabl.com.au Credabl finance for dentists
adawa.com.au 4 President's report Dr Gwen Chin 6 my benefits. my adawa. Benefits of your ADAWA membership 12 50-year reflections Dr Ken Watts 15 New ADAWA member offer spotlight Leederville Cameras 16 Roll up your sleeves World Blood Donor Day June 14 20 Bank of Queensland feature 22 Perio pockets 24 CPD spotlight Meet Dr Udit Bhatnagar 26 CPD calendar 30 DPL feature 33 WADA golf 34 PM Lawyers Free speech and social media perils 36 Clinical feature 40 Good news stories 42 Professional notices contents.

The President's report

When our Strategic Plan was in development, our main considerations were what we offer our members and what we represent. It was concluded that ADAWA should stand as a cornerstone in the dental profession, advocating for oral health excellence, professional growth, and community welfare. Your membership not only fosters professional development but reinforces ethical standards and promotes camaraderie within the dental community in WA.

Professional Development: ADAWA membership offers access to a wealth of resources designed to enhance professional skills and knowledge. As an ADAWA member, you benefit from continuing education opportunities, seminars, and workshops. It also provides avenues for networking with our peers and mentors. Attendances at our New Practitioner Program study clubs have been a great example of how valuable professional and collegiate support is to our new graduates. It has also been wonderful to see the willingness and dedication of the presenters that give up their time to help on their journey.

Advocacy and Representation: ADAWA advocates for the interests of members and the broader dental community. Through lobbying efforts and engagement with policymakers, ADAWA influences legislative decisions affecting oral health care delivery, engagement with the private

health insurance industry and professional standards. This is achieved by keeping you informed of important changes and updating them as soon as we are aware of issues. Membership empowers you to contribute to shaping the future of your profession and safeguarding the welfare your patients. One example are the new Infection Guidelines changes. There will be upcoming webinars and a members-only edition that will highlight the changes that will affect private practices. Please look out for those details in your email inbox.

Ethical Standards and Integrity: As ADAWA members, we adhere to the highest ethical standards, guided by the ADA Code of Ethics. By upholding integrity and professionalism, you earn the trust and respect of their patients and colleagues.

Community Engagement and Outreach:

As seen in the last edition of the Western Articulator, ADAWA membership opens avenues for community engagement and service. Through initiatives such as community dental clinics, oral health education programs, and volunteer opportunities, you can contribute to improving oral health outcomes and promoting dental awareness across diverse populations. Our commitment is to enrich the professional journey of our members –from our students to our long-standing members – while promoting excellence in oral health care.

4 EDITION 3 ∙ 2024 western articulator
Advertising
Business Development
shaden.kanaan@adawa.com.au
The views and opinions expressed in this publication and its attachments by advertisers and contributors are not necessarily endorsed by The Australian Dental Association (WA Branch) Inc. The Branch, its members, employees and agents do not assume any loss or damage which may result from any inaccuracy or omission in this publication, or from the use of the information contained, and make no warranties, express or implied, with respect to any of the material contained herein.
enquiries
Manager
DISCLAIMER

Pricing

The ADAWA Indemnity Committee has scrutinised indemnity pricing considerations for the forthcoming (2024/25) indemnity period.

CEO comment

Indemnity insurance 2024/25

In summary, the Committee is satisfied that any price increase to premiums required by MDA National Insurance (MDANI) to maintain sufficient insurance ‘pool’ funding should be maintained within current inflationary (CPI) levels.

MDANI subsequently confirmed that they would be seeking an average increase of 4% across all insurance categories, which under the circumstances should provide members with relief from the price volatility of pricing that had prevailed in recent years.

MDANI has also confirmed that there would be no change to the Practice Category Guide for 2024/25, however the Committee will continue to review the suitability of indemnity policy categories to ensure our members have available the appropriate cover relative to the complexity of the dental procedures they currently perform, or maybe considering.

In this regard, the Committee has foreshadowed to MDANI that a new category should be considered that includes components of both ‘YD4M’ and ‘YD4I’ to cover removal of lower third impacted molars and undertaking simple implants with basic bone grafting if required.

ADAWA will argue in this instance that a discrete category is required because currently members can only choose only one category but not both, although if they perform both activities they must select ‘YDX’ category which attracted a substantial

premium increase. Further, the premium for the new category should be lower than the YDX category, but potentially higher than the YDM and YDI categories.

Changes to CRF

MDANI has modified the criteria by which the claims rating factor (CRF) is applied.

Currently, the CRF only applies when there are two claims in the last 3½ years and where the total incurred from those claims are $10k or more, noting this could be that both claims are $5k each or that one is $1k and the other $9k, or other combinations.

The new criteria, which will be applied from 2024/25, now means that CRF will apply to claims that are >$5k each and is underpinned by actuarial data that supports loadings for members with a claim of $2k or above and notified in the last 5 years.

The premium loading for 1 claim is 5%, while for 2 claims each above $5k the premium loading is 250% if later than 3 years ago, and more by varying amounts if both claims occurred in the last 3 years but decreasing as the claims age.

The CRF tool is designed to price the higher risk of members who are impacted with claims without subjecting all members to higher premiums. However, it is important to note that the overwhelming majority (>96%) of ADAWA members will not be impacted by CRF in the coming renewal year, and ADAWA continues to support those who unfortunately will be subject to a premium loading to reduce that loading as quickly as possible.

my benefits. my adawa.

Did you know the many benefits that come with your ADAWA membership?

As an ADAWA member, you are part of a community of 2000 local dentists and dental specialists.

As a valued member, your association keeps you up-to-date with industry news, via numerous sources:

Fortnightly emails

ADAWA sends the latest news straight to your inbox. Please ensure you are receiving these emails as they let you know CPD updates, and in the coming month, will also communicate important updates about your ADAWA renewal.

Western Articulator

The Western Articulator is a high-quality magazine, produced exclusively for ADAWA members. Available to read in hard copy or digitally, each edition of the magazine details inspiring stories about your peers, the difference volunteerism makes, industry news and the latest CPD. Contributed articles and suggestions are always welcome from members.

ADAWA website

Our website allows members to book into WA Dental CPD courses, read the Western Articulator online and access resources and information. adawa.com.au

As an ADAWA member, you can submit a professional notice that will be published for three editions in the Western Articulator, free of charge.

If you are opening a new practice, employing a new member of your team or want to advise of any changes in your practice, the professional notices are a great way to get the word out to your colleagues. media@adawa.com.au

Online Communities

Our supportive Facebook group is available for you to ask questions or network within our private online community. ADAWA members can join our exclusive ADAWA Members Facebook group.

As an ADA member, you also have access to online community, Peer. peer.org.au/home

Social platforms

General Meetings

Held five times a year, our General Meetings allow members to come together to find out what is happening behind-the-scenes at ADAWA. Prior to the meeting, our ‘Eat and Meet’ allows members to network with their peers. A guest speaker presents a lecture following the meeting, allowing members to tick off some CPD. If you haven’t been to a General Meeting in a while, please come along and connect with like-minded people. adawa.com.au/membership/rsvp

Volunteerism

Are you looking for a chance to give back? The WA dental community have various volunteerism opportunities. You can contact ADA DHF state coordinator Andrea Paterson about the range of programs via ADA DHF, by emailing WA@adadhf.org.au

Badges of Continuous Membership

ADAWA celebrates long-serving members through our Badges of Continuous Membership.

adawa.com.au
adawaoralhealth adawa_perth Australian-dental-association-wa

WA Dental CPD

Our world-class program is highly renowned, inviting renowned international speakers and respected local experts to present, so you know you are learning from the best. Our CPD committee works hard behind-thescenes, adding new courses to the program throughout the year. Whether you are looking for hands-on courses, informative lectures or a dinner course to attend, you are in good hands when you learn with us. adawa.com.au/cpd

As an ADAWA member, you receive exclusive member discounts on our world-class WA Dental CPD courses. When you book through our website, check out the difference between member and non-member prices! In fact, the discounts you receive on just a few courses can mean that your ADAWA membership fee pays for itself in your CPD savings. If you are working in the country in an approved location, you may be eligible to enrol in a limit of two complimentary courses per calendar year. To find out if you are eligible, please contact ADAWA.

New Practitioners Program

If you are a recent graduate (this is you if you have graduated from Dental School or ADC exams within the last five years), this program, run by the ADAWA Recent Graduates and Students Committee, is tailored specifically to you. Exclusively for ADAWA members, the Study Clubs, held throughout the year, allow recent grads to learn from a respected speaker in a safe and supportive setting. The program concludes with the highly-anticipated, all-day Young Dentists Conference, which is free to attend and exclusive for ADAWA members.

ADC support

Are you an ADC candidate? ADAWA supports ADC candidates by hosting courses, presented by respected dentists who have been through the ADC process themselves, to help prepare ADC candidates for their exams.

ADC Graduates (who have passed exams within the last five years) are also welcome to attend our New Practitioner Program study clubs.

my support.

my

adawa.

There are times when everyone needs some support. ADAWA is here for its members, as individuals and as a collective group.

Advocacy

ADAWA is active in advocating on the issues important to our members, so our members can focus on caring for their patients. There is great strength in numbers, so as an ADAWA member, you are important in helping us make positive change.

Legal advice

If you ever find yourself needing legal advice, ADAWA members are entitled to a free initial 30-minute consultation plus a 15% discount on standard hourly rates with our legal partners. Contact ADAWA for a referral.

Support from Dental Protection Limited

The expert team at DPL offer colleague to colleague support and advice, including a 24/7 emergency phone line

8 EDITION 3 ∙ 2024 western articulator
my cpd. my adawa.

and comprehensive risk management resources. As a member of DPL, you have access to the expertise of the team of Dentolegal Consultants and Case Managers. Contact DPL on 1800 444 542.

Accreditation support

Are you planning to go through the practice accreditation process? Andrea Andrys at ADA House can offer guidance and support. Contact Andrea at andreaa@adawa.com.au

HR advice

When you run a dental practice, you also have the challenges of running a business. If you need help with a Human Resources matter, as an ADA member you can access ADA’s HR Advisory Service. Call 1300 232 462. There are also regular HR features in the Western Articulator

Pharma Advice

ADA members can seek the advice of clinical pharmacist, about prescription and over-the-counter medicine and nutritional supplements. ada.org.au

HIF

ADAWA members are entitled to a 12% discount on health cover each year when premiums are paid by direct debit. hif.com.au/adawa access code: ADAWA.

Dental Essentials public liability

ADAWA members with indemnity insurance through MDA, can activate free Public Liability through Dental Essentials. Call Dental Essentials on (08) 9382 5614 – and let them know you are an ADAWA member.

Bunnings

You can join the Bunnings Trade Power-Pass Membership Program or link your existing account to access exclusive benefits. To sign up or link your account, email OrganisationsWA@bunnings.com.au

Leederville Cameras

Leederville Cameras offers ADAWA members a 4% discount off all sales and services. leedervillecameras.com.au

AMA Finance Brokers

ADA members are eligible to receive up to $2000^ cashback offer from the bank or lender (if eligible) on home loans successfully settled between 1 January 2024 and 31 December 2024. info@amafinance.com.au

As an ADAWA member, you are entitled to special offers and discounts. Are you making the most of your potential savings?

Lifestyle Benefits

As an ADAWA member, you can access many great discounts with ADA Lifestyle Benefits on gift cards, dining out, fitness, cars, electronics and so much more. ada.rewards-plus.com.au

Partner benefits

ADAWA work with a number of respected partners, sponsors and advertisers to bring additional benefits to our members, Go to our Directory on page 43.

adawa.com.au
my savings. my adawa.

my future. my adawa.

ADAWA has a long history of supporting members from their student days. The support for students includes:

Free membership

ADAWA membership for UWA dental students is free – introducing benefits of belonging to the association without any financial obligation. Membership also includes a welcome pack from ADA Inc and the Therapeutic Guidelines.

Contract lectures

Our partner Panetta McGrath Lawyers hosts lectures for final year students about what to look for in contracts when they are entering the job market.

ADAWA awards

ADAWA sponsors leadership and academic excellence awards for dental students at UWA. ADAWA also sponsors a number of student volunteerism scholarships.

Graduate Guide

The Graduate Guide introduces the newest dentists to the WA dental community. This is also a popular resource for WA practices who are looking to hire new graduates.

Yearbook

ADAWA produces a keepsake yearbook for graduating students.

Welcome to the Profession

ADAWA hosts a dinner to welcome newly-graduated dentists into the profession.

10 EDITION 3 ∙ 2024 western articulator

50-year reflections

After half

a century

as an ADAWA member, we spoke to Dr Ken Watts about his career.

Ken Watts decided to pursue dentistry due to the father of a good friend of his being a dentist. He also thought the working hours of a dentist would be more controlled than that of a doctor.

He started studying dentistry at UWA in 1968 and finished at the end of 1972.

“During my time as a student I had received a cadetship from the government – they paid my university fees and then when I finished, I was bonded to work for the government initially,” Ken recalls. “In 1973 I started working for the government and went rural. In my case I went to several rural towns in the dental caravan. I was it – there were no nurses or help – just me. I went to places including Dalwallinu, Jurien Bay, Meekatharra, Wiluna and Yalgoo – carting the van around for about five months. I was then posted up to Wickham, which is near Karratha, and was there for most of the winter of 1973, before working a short stint

back at Dalwallinu. “The disadvantage of working on your own for such a brief time in each place was that you were restricted to mainly emergency dental treatment,” he explains. “A lot of things I had learned in school like crown and bridge and restorations were not possible because I wasn’t in any one place for very long.”

When he came back to Perth at the end of that year, he had a review and when asked what he would like to do, requested to be in one spot for a while (preferably coastal due to his love of the ocean).

“I went away for a holiday for a week and received a letter saying the next year I was to be in the caravan again, heading out along the Nullarbor,” he says. “That wasn’t quite what I hoped for, so I resigned from the government, and had to pay back the cadetship amount.” Ken then started working locums in Perth, including at Park

12 EDITION 3 ∙ 2024 western articulator

Towers at the practice of Dudley Baker and associates – it was the start of a long career in the CBD.

“Long story short, I liked it there and I was offered a position, so I started working in Park Towers with four other dentists – and we were there until about 1990,” he recalls. “Then because we had leasing issues the practice split and three of us went across the road further up Hay St. I was there until I retired in 2019.”

Significant changes

Over nearly half a century as a working dentist, Ken saw some significant changes, particularly in relation to infection control.

“We went from just washing our hands and then treating people to wearing masks and gloves,” Ken says. “We would cold sterilise instruments and wipe them over between patients – getting used to those changes was dramatic. “In those days we still used mainly amalgam and early composite resins,” he adds. “Crown and bridge was done with impressions – there was no taking a digital scan of the teeth.”

Highlights

Ken says throughout his career he was able to work with some wonderful people – both fellow staff and patients.

“I worked with some very good mentors and extremely good operators,” he says. “Laurie Baker and John Italiano were very fine

operators, not only for their ethics but their skills as dentists. They were great people to learn from.

“I have also met some very interesting people and that led to some unusual and interesting things,” he adds. “At one stage I was treating the then current Governor and his wife. We ended up with an invitation to Government House Ballroom for a function. That was pure chance, not from anything wonderful I did.

“We also had some wonderful friendships with patients we got to know, and with technicians.”

After such a long time in the same practice, Ken says he was privileged to treat generations of patients. “I was very grateful that parents would refer their children, so I must have done something right as they kept coming even though we were in the city and a number of patients didn’t live nearby. It was very good that they made the trek.”

When asked about his ADAWA membership, Ken says it has always been good to go to different courses for CPD and to have a comradery with colleagues. “Fortunately, I haven’t needed ADA for anything particularly supportive, but it has always been a good lot of people to know,” he says.

Retirement

Ken says his journey to retirement was a long exercise. “I was working

adawa.com.au

happily away and not really considering retirement and then one of the younger dentists who was working a locum for one of my associates offered to buy the practice at Mi Dental,” Ken says. “By that stage I was nowhere near ready to retire. Amit Gurbuxani was lecturing part time at university at that stage, and he asked if I would come back, because he couldn’t keep the lecturing going and run the practice. As a result, I was invited back to do a locum in what was my practice and in some ways that was the best part, because all I had to do was concentrate on doing the dentistry. I already knew the staff and patients. It has been great knowing my patients have been looked after so well by Amit since my retirement.”

For future plans, Ken says he hopes to do some travel and more sailing adventures.

Sound advice

When asked if he has any advice for a young dentist beginning their career, Ken says things have changed drastically from when he started out. “However, I still think the main thing you need to do is build trust with your patients and do that by combining two things,” he says.

“Number 1: You must treat them very ethically. You don’t just treat them to get money. You treat them for their benefit, not yours. That is the most important thing.

“Number 2: Make sure you absolutely give them the best possible treatment that you can do and that they can afford – and if you cannot provide it, then you need to refer to others.

“Dentistry can at times be demanding but equally satisfying,” he adds. “Seeing the reaction of patients without discomfort with an aesthetically and functionally pleasing result is in itself a great reward.”

14 EDITION 3 ∙ 2024 western articulator

New ADAWA member offer spotlight:

Leederville Cameras

Leederville Cameras are the camera and equipment experts with over 40 years in the business.

“My Dad opened the store in 1984 in Leederville when it was a small photo lab processing films,” says Director of Leederville Cameras, Lidio Fiore. “Then he evolved to selling cameras. I started working there when I was 14-years-old in sales and we moved a few years later to our current location to a much bigger store.”

Leederville Cameras has grown to provide a large suite of products and services of photography equipment and accessories, including cameras, lenses and binoculars, as well as tripods, flashes, memory cards and batteries. They also offer services including film processing, canvas printing and aluminum printing. The services at Leederville Cameras also extend beyond your photography needs. They are in-demand for their commercial

printing services, including business cards, brochures and flyers, as well as scanning services. Understanding that dentists often use photography in their practices, Leederville Cameras offers a ‘Dentist Kit’ for sale or rental arrangement. “Our Dentist Kits are tried and tested and come with a good camera (either a Canon or a Sony), and a macro lens with an LED light, which gives an overall lightness to the dark areas of the teeth,” Lidio says. “Dentists can come to the store and get advice from our staff and to talk about the different variations of the Dentist Kit to suit their needs. We are local and that makes a big difference with service and assistance.”

They also offer interactive screens (SmartTech Interactive Touch e-learning tables) that Lidio says are a perfect addition to dental waiting rooms. “They have multiple learning games, and are hardwearing and upgradable, so in a waiting area for young patients, they are great,” he says.

Leederville Cameras is offering ADAWA members 4% off anything in the store (including products, printing and services). Mention ‘ADAWA’ to Leederville Cameras staff to get the member-exclusive offer. leedervillecameras.com.au

Roll up your sleeves

World

Blood Donor Day is June 14, and Dr Marilyn Lobo is championing for more ADAWA members to roll up their sleeves.

Did you know one blood donation can save up to three lives? ADAWA members care for their patients every day, but as Dr Marilyn Lobo has discovered, it is easy to make a difference by donating blood or plasma.

‘I first enquired about blood donation over two decades ago, but didn’t meet the requirements at the time,” Marilyn recalls. “Friends have recently spoken about their experience in donating, so I thought I’d try again.”

“As a mother and paediatric dentist, I appreciate the saying: ‘Give thanks for the healthy kids in your life and give to those who are not’,” she says. “Giving blood has echoed this for me. Giving thanks for my health and giving to those who need our help to be healthy.”

Marilyn’s first donation was in January.

“I drive past the Edgewater Lifeblood Centre frequently,” she says. “One day, I stopped in, thinking I was going in to get something information or a brochure. What actually proceeded was completely unexpected! After 30 minutes of questions, a finger prick, pulse reading and blood pressure test, I was offered a seat and the opportunity to give plasma!

“I wasn’t a candidate for whole blood at the time because of recent travel, but was advised plasma is very much needed. There are a few reasons to give plasma instead of whole blood and everything is very clearly explained and calculated.

“The whole process was just over 90 minutes,” she adds. “Giving whole blood is even faster.”

Marilyn has since donated again in February and March and at the time of interview had also scheduled her April donation.

She says the process was easy and gratifying. “I thought I was going in to give blood – I could never have imagined what it felt like to give life,” she says. “Looking around the room, men and women of all ages were giving life. It was inspirational. I received so much more than I gave. I’ve made a personal commitment to donate 12 times this year. Some people have donated over 100 times! I’m a way off but that’s the ultimate goal.”

Marilyn urges her peers and colleagues to also donate if they can. “I want everyone to experience the feeling of donating life, not just ADAWA members,” she says. “When Lifeblood asked me to champion this cause for ADAWA, I was happy to help promote this amongst our group. By asking the question, I’ve had seven staff members commit to a group booking. That’s up to 24 lives we could save by each giving up two hours of time.”

She adds people wanting to donate can connect their donation to the ADAWA team (let the Lifeblood staff know when you donate). “There’s a running list of monthly top donors,” she says. “We’re not as big in number as some of the companies listed, but I know we’ve got big hearts and are willing to roll up our sleeves for others.”

There are seven conveniently located Lifeblood Centres around Perth. There are also locations in Albany and Bunbury.

16 EDITION 3 ∙ 2024 western articulator

“If you have two hours and want to give the best gift ever, stop in,” Marilyn suggests. “Subsequent visits take less time as you’ll be set up in the registry and have everything ready.

“Dentists help people,” she adds. “It’s in our nature before dentistry. So many people, some of whom are colleagues, staff, patients, family, or friends, need blood products. When we feel helpless, this is something we can do. Australia needs over 1.7 million donations every year to meet demand: that’s three every minute. Every drop counts. ADAWA can make a difference!”

For details about donating blood or plasma, visit lifeblood.com.au

adawa.com.au

Pregnancy, Babies and Children’s Expo

At the Perth Exhibition and Convention Centre

Participating at the Pregnancy, Babies and Children’s Expo held over two days on behalf of and supported by the Australian Dental Association (WA), was an excellent opportunity to promote and share the message of prevention and healthy teeth for life; that the deciduous dentition is equally as important as the permanent dentition. The event coincided with World Oral Health Day, which promoted the apt theme of: “A Happy Mouth is …A Happy Body".

Volunteering at the expo were UWA dental students, dental assistants, dental practitioners, dental therapists and paediatric postgraduates.

We provided information/advice along with an abundance of printed material. ‘Screenings’ were conducted on children who then also received a toothbrush/ toothpaste. Our very colourful and interactive stand, balloons and ‘tooth fairies’ were a hit with the children. A balloon ‘standoff’ between one child and Mo Halane, (one of our paediatric postgrads), brought a smile to everyone’s face!

The youngest child we saw was only a few weeks old. There was a genuine interest and concern from parents with so many questions, wanting to do the best for their

child. Questions such as: Brushing - when do we start? What technique? What about fluroride? When do we see the dentist? “My child is 12 months and still doesn’t have teeth, do I have to worry?"; "My child was born with two teeth, is that a problem?”; “My child won’t let me near them with a toothbrush— what do I do?” There were many questions and confusion over tongue and worry about the effects of thumbsucking and dummies. The ramefications of diet was a focal point of discussions with parents.

We have been attending the expo for a number of years and find these are recurring questions. This highlights the fact that information on children’s oral health and its significance is not reaching the majority of the community.

We as a profession need to be proactive. This is why we maintain a presence at this expo. This begs the question - what more can we as a profession do and how can we be more proactive? Raising an awareness to the profession for further discussion and action.

Our other outcomes included having satisfied mums, dads, grandparents with comments such as: “I never knew that; I was never told, thank you so much"; very good

18 EDITION 3 ∙ 2024 western articulator

information; 'I have never taken my child to the dentist before; really appreciated' and having parents taking photos of the information on the walls of our stand.

We were noticed and approached by midwives from the Family Birth Unit at King Edward Memorial Hospital who deal with women during pregnancy and post-partum. They are concerned that information on oral health is lacking and are very keen to form a liaison to help with dissemination of information, resources and education within their organisation on oral health.

A representative from the Australian Breastfeeding Association also requested details to access to the information we had on display with a request for talks to be given to their groups.

The students commented on how much they learned from watching and listening to the advice being given by the dentists and how helpful interacting with the public was for their communication skills. The students said they truly enjoyed themselves - overstaying their allotted rostered time (by 2 hours for some!) was a good indication of that. It was invaluable having the students there - they are the future voice of our profession.

There was overwhelmingly positive feedback from the volunteers. What a great weekend! THANK YOU!

I would also like to express my appreciation to Ileana Kalamaras and Deshna Bajracharya for their patience and assistance with set up; Lisa Bowdin for her help with notifying the dental students; and to Rose Turner at Dental Health Services who kindly assisted with the supply of the displays and pamphlets. My sincere gratitude to all who took part. Dr Lena Lejmanoski

Volunteers

Ileana Kalamaras

Deshna Bajracharya

Tracy Wong

Chinh Tran

Ashlee Bence

Kiranbir Kaur

David Qui

Zarni Shakibaie

Lyndon Abbott

Catherine Munday

Leena Goh

Ylan Pham

Jainish Patel

Jeha Patel

Mo Halane

Charlotte Pickering

Brigitte O’Brien

Tammie Parr

Bigya Dhital

Wen Phua

Darshwin

Indrawathan

James Huang

Ethan Ng

Emma Caseley

Monisha Arora

Stella Mullane

Sanika Dingre

Julie-Anne Martis

Suba Sree

Velusuwamy

Xi Chin

Sneha Thomas

Priyank Chotalia

Harrison Tran

Lena Lejmanoski

adawa.com.au
A few of the enthusiastic volunteers at the expo
My place
Owning your practice premises offers many benefits that simply aren’t available when leasing.

Owning the premises of your practice is a common goal of many dental professionals. The benefits of ownership include possessing an asset that can increase in value, having complete control over the design and fit-out of your practice, and the ability to place your business in a better tax position.

The right time to strike out on your own, establish a practice and purchase the premises is largely dependent on where you are in your career life cycle.

“It’s always a good idea to get some first-hand experience under your belt, then look at purchasing your practice premises,” says Michelle O’Hanlon, BOQ Specialist Commercial Partnerships Manager, who has more than 13 years’ experience in healthcare finance.

“Through their degree and training, younger dental professionals are wellversed in the clinical side of their profession, but they may not have the financial knowledge required to make this next career move.

At BOQ Specialist, our extensive experience means we are able to help guide our clients through this unfamiliar process so as a buyer, they feel comfortable with their position.”

Pros and cons

No matter what your profession is, you need a good general understanding of the pros and cons of practice ownership before making any decisions. BOQ Specialist has a set of informative publications called Guides to Purchasing Your Practice that are designed to help you navigate

the process of owning your own practice, and help you to weigh up the option of either buying or renting your premises.

“The guides are very thorough,” says Michelle. “The general information we offer is an important part of forward planning before making any kind of commitment.”

Deciding to rent your premises instead of purchasing can be a perfectly sensible option for some professionals. You can lock in a long-term lease so you have the security that you can stay in that space. The downside is that you don’t own an appreciating asset and you are paying rent that generally increases every 12 months. Owning your premises is a long-term investment that provides a financial safety net. It also allows you complete freedom in designing and fitting out your practice. After all, this is where you are going to spend the majority of your working life so why not make it your dream practice.

“One of the big issues, often overlooked by younger professionals starting out in practice ownership, is retirement,” says Michelle. “Selling or renting the premises you purchased years or decades previously can help fund your retirement lifestyle. Utilising a self-managed super fund (SMSF) to buy your premises can also offer attractive tax benefits.”

Ensuring that the space itself is right for your needs is essential. It has to be big enough to allow growth but not so big that it can’t be filled. It’s also important to do some research on the local region. Is it a growth area? Is there competition? Is the family demographic growing?

20 EDITION 3 ∙ 2024 western articulator
“It’s always a good idea to get some first-hand experience under your belt, then look at purchasing your practice premises.”
Michelle O’Hanlon, BOQ Specialist

Count the costs

Whether you’re purchasing an empty building or converting an existing practice, there’s going to be additional costs involved. Part of the joy of owning your premises is the ability to stamp it with your personality and business ethos. Refurbishing an existing practice can range from a new coat of paint to a full redesign. Starting a practice from scratch requires a fit-out, new equipment and effective marketing. All of these costs are manageable, provided you have a realistic expectation of the final total. It’s important that over-capitalisation is avoided.

“We work with our clients so they have an idea of what their cash flow will look like,” says Michelle. “If a fit-out and equipment are required, then we can provide options to enable that large investment.

“For dentists, being technologically up-todate is key—and that means investing in the appropriate equipment and processes. It is self-defeating to fit old technology into a new practice. While the latest digital technology is expensive upfront, the longerterm investment and efficiencies it provides make good financial sense.”

Handy workshops

It can be quite overwhelming when considering whether to purchase the premises for your practice. However, with good financial advice and guidance, the benefits over renting make it a very attractive proposition. Not only do you own an appreciating asset but also the equity in that property. This equity can be

used as a guarantee for whenever you need to establish a loan.

It’s essential to collect as much information as possible before making any financial commitment. Even if you’re just idly wondering if you’re brave enough to start the process, accurate and timely facts can help you to make an informed choice. Fortunately, BOQ Specialist runs a series of workshops that offer valuable general information.

“We host workshops that cover purchasing your practice premises, setting up your practice, and the variety of finance options that are available,” says Michelle. “Alongside our industry partners, we can help explain all that’s involved in order for you to make the best decision. We want to make sure that our clients are informed, they've done their due diligence and we can work together to make their practice a success. Choosing to purchase your practice premises can be a huge step in the right direction.”

You can find out more about BOQ Specialist’s commercial property loans and limited time offer by contacting your local finance specialist on 1300 160 160 or visiting boqspecialist.com.au/commercial

Disclaimer:

The issuer and credit provider of these products and services is BOQ Specialist – a division of Bank of Queensland Limited ABN 32 009 656 740 AFSL and Australian credit licence no. 244616 (“BOQ Specialist”). Terms, conditions, fees, charges, eligibility and lending criteria apply. Any information is of a general nature only. We have not taken into account your objectives, financial situation, or needs when preparing it. Before acting on this information, you should consider if it is appropriate for your situation. BOQ Specialist is not offering financial, tax or legal advice. You should obtain independent financial, tax and legal advice as appropriate.

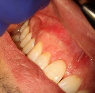
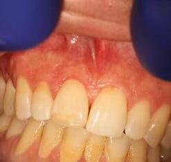
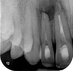
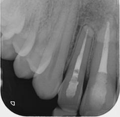
This is not a “Terminal Dentition”. It is interesting to see the increase in patients being advised that Periodontitis is not treatable or that treatment is somehow expensive and ongoing maintenance is difficult/unachievable. These patients are usually advised to receive implant treatment as an alternative.

This patient first presented in 2016 at the age of 33 years. He was a former smoker (quit two years prior to the initial presentation). He presented with generalised deep pocketing and advanced loss of attachment.

Perio Pockets

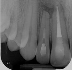
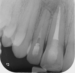
2023 show stable bone levels with no evidence of further bone loss.

The patient had orthodontic treatment between 2018-2020 to address the flaring and spacing of his teeth, which was a cosmetic concern to him (orthodontic treatment done by Dr Frank Furfaro). Long-term evidence shows that we, as dental clinicians, are not accurate at determining the prognosis of periodontally compromised teeth (McGuire 1996). We may also be hasty at labelling such teeth as “hopeless”. The threshold at which we

Short pockets of information

Radiographic assessment showed generalised moderate to advanced bone loss with most teeth showing bone loss to more than 50% of the root length. Given the established loss of attachment in relation to his relatively young age, this patient was diagnosed with generalised aggressive periodontitis. According to the 2017 Classification of Periodontal Disease, he would be Stage III, Grade C Periodontitis.

The patient was managed with non-surgical periodontal debridement. Two months later, he presented with an encouraging reduction in periodontal probing depth (PPD). There were 85% sites with PPD 1-3mm, 15% sites with PPD 4-5mm and no sites with residual PPD > 6mm. The patient showed excellent plaque control measures and his bleeding on probing score was 1%. The patient has been placed on a six-monthly periodontal maintenance program with the periodontist. He also sees his general dentist once annually. The OPG images dated 2016 and

decide to extract teeth due to periodontal disease may be too low (Splieth 2002). There is no evidence on the other hand that dental implants have longer survival or less complications or better cost compared to periodontally treated teeth.

I conclude with these two quotes: "The belief of implants yielding a

better

long-term prognosis has now clearly been rejected in several comparative studies and systematic reviews”.

Giannobile 2016

“In no way does the longevity of oral implants surpass that of natural teeth even of those that are compromised for periodontal reasons”.

Holm-Pederson 2007

22 EDITION 3 ∙ 2024 western articulator

NITROUS OXIDE AND ORAL SEDATION

6.5 CPD  21 and 22 June 9.00am - 5.00pm UWA DENTAL SCHOOL $1256 members

COURSE OUTLINE

Many of our patients are quite anxious about seeking and receiving dental treatment. This course will cover a spectrum of anxiety-relieving alternatives. It will give the caring dentist a selection of anxiolytic techniques that can be offered to their patients including psychosedation, oral sedation and nitrous oxide sedation.

All participants will have the opportunity to administer and experience the full range of effects of relative analgesia using nitrous oxide-oxygen, and, after completing the course, will feel confident in setting up and administering this agent.

LEARNING OUTCOMES

• Gain an understanding of the key causes of fear and

• anxiety in our patients.

• Understand basic psychosedation techniques and be able to apply them.

• Revise Basic Life Support.

• Gain confidence in utilising oral sedation and nitrous oxide sedation.

ABOUT THE PRESENTER

Dr Steven Parker has completed postgraduate diplomas in both oral surgery (Otago University 1997) and sedation and pain control (University of Sydney 2000). He has also completed financial planning and legal qualifications. After completing fifteen years in the Defence Forces, Steven now operates a referral based oral surgery practice in North West Sydney where he provides treatment under General Anaesthesia, Intra-venous sedation, Inhalation sedation and Local Anaesthesia. He also provides IV sedation services to Dental Practices for nervous and phobic patients.

Note: This is the same course, run over two separate days.

HAND S -ON
SCAN QR TO BOOK FOR MORE INFORMATION GO TO ADAWA.COM.AU/CPD adawa.com.au

Meet Dr Udit Bhatnagar

In the lead up to his course in October, we caught up with Specialist Paediatric Dentist, Dr Udit Bhatnagar.

During his schooling years, Udit always had a knack for health sciences. “I was very interested in how the body worked so I always knew I wanted to do something in the health field,” he recalls. “I dabbled between medicine and dentistry and when I got accepted into both I had to make a decision. Dentistry sounded more exciting because I was doing more handson things.”

Soon after graduating, Udit decided to specialise as a paediatric dentist. “Everyone thought I was crazy to want to work with kids, but what I absolutely love about paediatrics is that dentistry is only a small part of what I do,” he says. “Paediatric dentistry is all about the child and providing an environment that makes that child feel safe and have fun. A large part of my day goes not only to providing dentistry but a lot of behaviour management and creating an enjoyable environment around the dentistry and that is very fulfilling. It is also very rewarding being able to help patients who other dentists are unable to treat, including those with special needs and complex medical backgrounds. I also really enjoy the fact that in paediatrics you are not just dealing with one patient at a

time,” he explains. “Usually, I run multiple rooms at once and each room will have the child along with parents and siblings… it is a family affair and a very positive environment.”

“I also spend a lot of time in the operating theatre, which I really enjoy doing,” he adds.

Udit says his course, Paediatric Dentistry in the General Dental Practice, will aim to teach the general practitioner how to better treatment plan a paediatric patient.

“It will help attendees understand about the everyday things you will see in children, namely early childhood caries, enamel hypomineralisation and malocclusion,” he says. “We get a good understanding of what those things are, how to diagnose, how to properly develop a treatment plan and how to improve management skills in the dental chair. There is also a hands-on component so the attendees will learn how to do a pulpotomy, prepare a stainless-steel crown, a resin composite strip crown and a space maintainer. They walk away from the course being able to implement what they have learned the very next day in clinical practice.”

24 EDITION 3 ∙ 2024 western articulator

Learning objectives will include:

• Developing the necessary skills to efficiently diagnose the common dental conditions seen in children.

• Developing strategies to improve treatment planning in children's dentistry as well as determining when to use sedation in children.

• Understanding how orthodontic considerations play a role in treatment planning.

• Developing skills in how to communicate better with children and their parents.

• Improving hand skills in preparing and cementing stainless steel crowns, resin composite strip crowns and space maintainers.

• Learning the indications and techniques used for performing pulpotomies.

Udit, who recently moved to Perth from Sydney, says he loves being able to teach others. He has taught the ‘Paediatric Dentistry in General Dental Practice’ in Sydney for a few years now, which is regularly sold out, and is looking forward to bringing it to Perth for the first time.

“I enjoy being in a position where I have the privilege of teaching others and sharing my knowledge to help the dental profession better understand paediatric dentistry,” he says. “Being able to teach and mentor other dentists gives me a great deal of satisfaction knowing I can impart my knowledge to others and help them improve their clinical practice.”

Dr Udit Bhatnagar will be presenting Paediatric Dentistry in General Dental Practice on October 19. Book on our website, adawa.com.au/cpd

5 minutes with Dr Udit Bhatnagar

What three words best describe you? Empathetic, motivated, curious.

If you weren’t in the dentistry field, what would you be doing for a living?

I would still be in health – probably medicine. I love being in the health field and feel so privileged that I can be in a job that helps others.

What do you enjoy doing in your spare time?

I was an avid photographer (before having kids!). I would do a lot of landscape and wildlife photography, spending a lot of time behind the lens. Now my days are spent running after our two little rascals and one rowdy dog!

What is your favourite book?

I cannot look past the Harry Potter series as a favourite easy read but my favourite classic would have to be 1984 by George Orwell.

Is there anything people might be surprised to learn about you?

I am totally obsessed with the movie director, Christopher Nolan. I know everything about him and every movie he has ever directed.

adawa.com.au

CALENDAR 2024

Event Types WA Dental CPD Events ADAWA Meetings International Dinner Courses SCAN QR TO BOOK JUNE 6 THUR Business Series 3 Jenny Edinger, Sean Foy, Victoria Stamper ADA House 8 SAT Practical Oral Surgery - June Drs Carolyn Stulner, Mario Alberghini, Sophie Mougos, Magdalen Foo, Lee Kaing, Frank Chang CTEC 15 SAT Preserving the Tooth Drs Asheen Behari and Paul Gorgolis UWA DENTAL SCHOOL 21 / 22 fri/SAT Nitrous Oxide and Oral Sedation Dr Steven Parker UWA DENTAL SCHOOL 28 FRI Hands On XLA Associate Professor Dieter Gebauer and Professor Ray Williamson CTEC JULY 3 WED ADAWA General Meeting ADA House 5 FRI Forensic Odontology Dr Jenny Ball MANTRA Bunbury Lighthouse 11 THUR Extraction of Teeth for General Practitioners Dr Helen Grady UNIVERSITY CLUB 13 SAT Endodontic Series 3 Dr Mostafa Elkholy UWA Dental School 20 SAT Don’t Dis My Ability! Dr Jee-Yun Leung and Dr Lydia See ADA House 25 THUR What’s in the Shop Drs E Elhassan, A Jacobs and R Jennings ADA House 27 SAT Basic Posterior Composites Drs El-Hakim, Alex Park and Jenny Ball UWA Dental School 30 TUES Business Series 4 Enore Panetta, Drs Martin Webb, Amit Gurbaxani, Brian Koch and Alex Park ADA House AUGUST 9 FRI Restore My First Implant - August Drs Graham Carmichael and Glen Liddelow THE BRANEMARK CENTRE 10 SAT Practical Oral Surgery - August Drs Carolyn Stulner, Mario Alberghini, Sophie Mougos, Magdalen Foo, Lee Kaing, Frank Chang UWA Dental School 15 THUR Paediatric Soft Tissues Dr Greg Celine UNIVERSITY CLUB 16 FRI Endodontic Complications & Consent Dr Mark Johnstone ADA House 22 THUR Infection Prevention and ControlPERTH Ms Kylie Robb ADA House 24 SAT Infection Prevention and ControlALBANY Ms Kylie Robb ADA House 30 FRI Lets get moving! Drs G Cheung, L Leask and Mr D Owen ADA House september 7 SAT Ridge Preservation in Daily Dental Practice Drs Leticia Algarves Miranda and Mahnaz Syed ADA House 7 SAT Hands-On Caries Detection and Management for Dental Professionals Dr Jilen Patel UWA Dental School 14 SAT Endodontic Series 4 Dr Mostafa Elkholy UWA Dental School 20 FRI Managing Neck and Back Pain Professor Peter O’Sullivan ADA House 21 SAT Business Series 5 Michelle Pritchard ADA House
27 FRI Advanced Single Implant Restorations & Introduction to Short-Span Bridges Drs Graham Carmichael and Glen Liddelow THE BRANEMARK CENTER october 5 SAT All Stitched Up Dr Lee Kaing ADA House 12 SAT Anterior Composites - Doable, Predictable and Repeatable Dr Vishal Gupta UWA Dental School 13 SUN Posterior Composites - Doable, Predicatable and Repeatable Dr Vishal Gupta UWA Dental School 16 WED Business Series 6 J Ryan, K Creasy, G Bishop, A Maurice, B Potter ADA House 19 SAT Paediatric Dentistry in General Dental Practice Dr Udit Bhatnagar UWA DENTAL SCHOOL 24 THUR The Bite Stuff Dr Asheen Behari UNIVERSITY CLUB 26 SAT Practical Oral Surgery - October Drs Carolyn Stulner, Mario Alberghini, Sophie Mougos, Magdalen Foo, Lee Kaing, Frank Chang CTEC November 1 FRI Beautiful Periodontics In Beautiful Albany Dr Ahmed Saleh Hilton Garden Inn Albany 5 TUES Surgical Aseptic Technique in the Dental Practice Office Dr Roslyn Franklin and Ms Yvonne Fletcher TBC 8/9 FRI/SAT Porcelain Veneers and Ceramic Onlays Drs Asheen Behari and Paul Gorgolis UWA DENTAL SCHOOL 13 WED CPR Refresher Hands-On Course Surf Life Saving WA ADA House 14 THUR Digital Smile Design Dinner Dr Sally McMullen UNIVERSITY CLUB 23 SAT Endodontic Series 5 Dr Shahrzad Nazari, Stephen Kwang, Jane McCarthy, Colm Harney, Gaurav Vasudeva ADA House 30 SAT Direct Veneers Dr Joshua Graieg and Clin A Prof Glen Liddelow UWA Dental School PUBLIC HOLIDAYS 3 June – WA Day 23 Sept – King’s Birthday 25 Dec – Christmas Day 26 Dec – Boxing Day PUBLIC SCHOOL HOLIDAYS 29 June – 14 July 21 Sept – 6 Oct 13 Dec – 4 Feb

PRESERVING THE TOOTH

7 CPD  Saturday 15 June 8.30am - 5.00pm UWA DENTAL SCHOOL $1287 members

COURSE OUTLINE

Explore the nuances of ceramic onlays and inlays in this one-day course. Learn when to choose each restoration, select materials, master preparation techniques, and ensure successful temporisation and bonding of restorations.

LEARNING OUTCOMES

• Be able to make informed choices for clinical cases

• Differentiate the advantages between onlays and inlays and their respective prescription

• Learn tooth preparation techniques

• Select appropriate materials

• Understand bonding methods

• Communication with patients as to benefits of onlays and inlays

ABOUT THE PRESENTERS

Dr Asheen Behari is a general practitioner in private practice in Claremont, Perth. He graduated from the University of the Witwatersrand in 1993, subsequently completing a Post Graduate Diploma in Clinical Dentistry in Oral Implants at the University of Sydney. Dr Behari is a Clinical Associate lecturer in the Discipline of Oral Rehabilitation at the University of Sydney.

Dr Paul Gorgolis is a general practitioner currently in private in Wembley Downs. In London, he developed the UK’s first multidisciplinary general and specialist practice where patients could be comprehensively managed and treated “under one roof”.

SPONSORED BY

HAND S -ON
FOR MORE INFORMATION GO TO ADAWA.COM.AU/CPD
SCAN QR TO BOOK
View our full range of dental equipment and consumables at www.westcoastdental.com.au Wayne Young Sales & Project Manager 0417 948 121 Nobody beats West Coast Dental Depot on W&H WCDD_18318 17A Wheeler Street, Belmont WA 6104 • Phone (08) 9479 3244 • Fax (08) 9479 3255 • Email sales@westcoastdental.com.au West Coast Dental Depot is the largest supplier of W&H sterilising equipment to dentists in Western Australia. For a great deal backed by the most reliable and experienced service and support team in the state, call West Coast.

What treatment options should be presented to patients?

By far and away one of the most common questions we get asked at Dental Protection, either in calls and certainly in our interactive education such as presentations and webinars, is how much information are we expected to give when discussing treatment options? This is reasonably followed up by “we’d be there all day if we had to give all the options and explain them in detail”.

As practicing clinicians ourselves we agree, empathise and wrestle with this vexed issue in our own practicing life. Ultimately, in the background, sits the Law which also wrestles with this vexed question when it comes to healthcare.

Of relevance to this conundrum is a recent decision from the UK which addresses and updates this issue in the UK and which arguably provides persuasive guidance to Australian courts in this area moving forward – McCulloch and others (Appellants) v Forth Valley Health Board (Respondent) (Scotland) [2023] UKSC 26.

We asked Brad Wright, Dentist and Health Law Barrister, for his opinion on the case, which was succinctly provided in this recent article. Of particular note is the example (at [57] – [58]) and the footnote that “ultimately, some superior court consideration of this in Australia will likely occur”.

In this recent case, the Supreme Court in the UK further explored the responsibilities of health practitioners in relation to warnings and also as to treatment options.

To date this has not been the subject of a great deal of judicial attention in Australia.

Montgomery v Lanarkshire Health Board [2015] UKSC 11, [2015] AC 1430 decided following Rogers v Whittaker that the test of materiality is whether “a reasonable person in the patient’s position would be likely to attach significance to the risk, or the doctor is or should reasonably be aware that the particular patient would be likely to attach significance to it.”

In Montgomery at [73] the court observed helpfully that:

Expressions of concern by the patient, as well as specific questions, are plainly relevant. As Gummow J observed in Rosenberg v Percival (2001) 205 CLR 434, 459, courts should not be too quick to discard the second limb (i.e. the possibility that the medical practitioner was or ought reasonably to have been aware that the particular patient, if warned of the risk, would be likely to attach significance to it) merely because it emerges that the patient did not ask certain kinds of questions.

30 EDITION 3 ∙ 2024 western articulator

At [2] the Court explained its earlier decision in Montgomery v Lanarkshire Health Board [2015] UKSC 11, [2015] AC 1430:

In the case of Montgomery v Lanarkshire Health Board [2015] UKSC 11, [2015] AC 1430 (“Montgomery”) this court decided that the professional practice test did not apply to a doctor’s advisory role “in discussing with the patient any recommended treatment and possible alternatives, and the risks of injury which may be involved” (para 82). The performance of this advisory role is not a matter of purely professional judgment because respect must be shown for the right of patients to decide on the risks to their health which they are willing to run. “The doctor is therefore under a duty to take reasonable care to ensure that the patient is aware of any material risks involved in any recommended treatment, and of any reasonable alternative or variant treatments” (para 87). The courts are therefore imposing a standard of reasonable care in respect of a doctor’s advisory role that may go beyond what would be considered proper by a responsible body of medical opinion. (emphasis added).

This is practically an adoption of Rogers v Whittaker the 1992 High Court decision in Australia save for the inclusion of alternative treatments. The Montgomery decision referred to that decision at length.

In McCulloch, the court principally dealt with what legal test should be applied to the assessment as to whether an alternative treatment is reasonable and requires to be discussed with the patient.

The factual background is set out in relation to pericarditis at [8]-[25] of the judgment.

The judgment can also be watched here: https://www.supremecourt.uk/watch/ uksc-2021-0149/judgment.html which sets out the facts quite conveniently.

The court considered Duce v Worcestershire Acute Hospitals NHS Trust [2018] EWCA Civ 1307, [2018] PIQR P18 and Montgomery

at [46]- [55]. Ultimately, the court found at [56]:

[56] the correct legal test to be applied to the question of what constitutes a reasonable alternative treatment is the professional practice test found in Hunter v Hanley and Bolam. On the facts of this case, therefore, as Dr Labinjoh took the view that prescribing NSAIDs was not a reasonable alternative treatment because Mr McCulloch had no relevant pain and there was no clear diagnosis of pericarditis and, because that view was supported by a responsible body of medical opinion (as established by the evidence of Dr Bloomfield), there was no breach of the duty of care to inform required by Montgomery.

And at [57] – [58] set out a helpful example: 57. A hypothetical example may help to explain, in more detail, how we regard the law as working. A doctor will first seek to provide a diagnosis (which may initially be a provisional diagnosis) having, for example, examined the patient, conducted tests, and having had discussions with the patient. Let us then say that, in respect of that diagnosis, there are ten possible treatment options and that there is a responsible body of medical opinion that would regard each of the ten as possible treatment options. Let us then say that the doctor, exercising his or her clinical judgment, and supported by a responsible body of medical opinion, decides that only four of them are reasonable. The doctor is not negligent by failing to inform the patient about the other six even though they are possible alternative treatments. The narrowing down from possible alternative treatments to reasonable alternative treatments is an exercise of clinical judgment to which the professional practice test should be applied. The duty of reasonable care would then require the doctor to inform the patient not only of the treatment option that the doctor is recommending but also of the other three

adawa.com.au

reasonable alternative treatment options (plus no treatment if that is a reasonable alternative option) indicating their respective advantages and disadvantages and the material risks involved in such treatment options.

58. It is important to stress that it is not being suggested that the doctor can simply inform the patient about the treatment option or options that the doctor himself or herself prefers. Rather the doctor’s duty of care, in line with Montgomery, is to inform the patient of all reasonable treatment options applying the professional practice test.

Practically, the effect of all of this is that the correct and straightforward approach is that a doctor has a duty of care to inform a patient of the reasonable alternative treatments in addition to the treatment recommended and that the legal test for determining what are reasonable alternative treatments is the professional practice test. So perhaps the law could be stated in the

UK to be that health practitioners should consider material risks as to proposed treatment, then present alternatives that might be the opinion of their peers. It would be supposed that the materiality of the risks of those procedures would need to be explained in the manner set out in Rogers v Whittaker and Montogomery. Ultimately, some superior court consideration of this in Australia will likely occur.

This article first appeared in March in the Australian College of Legal Medicine Newsletter.

1 The responsibility to discuss options for treatment was mentioned in Rogers and Whittaker only as a footnote. Other cases considering this exist in District Court in NSW and Western Australia – these were discussed by Mr Bill Madden and Professor Tina Cockburn in a paper at the Informa Medico Legal Conference in Sydney on March 19 2024.

2 It should be noted from some 23 years earlier Rogers v Whittaker [1992] HCA 58

3 Available at https://www.supremecourt.uk/cases/uksc2021-0149.html

Practice insurance. Done right.

At Dental Essentials, we’ll take care of all your insurance needs big and small.

As the leading insurance broker for dentists in Australia, our team will work closely with you to create a tailored insurance policy that offers ultimate peace of mind. With our extensive services covering Practice Insurance, Management Liability, Practice Indemnity, Cyber Insurance and Personal Insurance, at Dental Essentials, we take care to do things right.

PART OF THE BRUCE INSURANCE GROUP 1300 136 339 dentalessentials.com.au

WADA Golf

Gosnells Golf Club

Friday 22 March 2024

The second WADA Golf fixture for the year was held at the Gosnells Golf Club on Friday 22 March. We enjoyed a beautiful Perth Autumn day with a combination of heat and wind. The course was in excellent condition once more and 17 keen golfers tried to conquer the course.

Scoring for the day was tight for most of the field. Congratulations to Michael Welten for his victory on a score of 33 stableford points. Paul Tan took second with 31 points on a countback from Hugh Gillespie 3rd and Frank Welten with 29 points 4th on countback from Jun Liew.

The day was generously sponsored by Health Practice Brokers. Garry Bishop and Kang Kim from HPB joined us for the day. Our thanks to Health Practice Brokers for their ongoing support of WADA Golf.

Nearest the pin

4th hole Gregory Yap Swan Valley Dental Laboratory

7th hole Unclaimed Health Practice Brokers

11th hole Angus Wilshaw Dentsply Sirona

14th hole Michael Welten Healthlinc

Reg hole unclaimed Med and Dent WA

Longest drive (18th Hole) Michael Welten Insight Dental Ceramics

NAGA award for the most golf played today – Dean Martin.

Good golfing Frank Welten WADA Golf Captain Dentistgolf@gmail.com

adawa.com.au

Navigating the Blur: Free Speech and Social Media Perils for Dentists

With social media being an integral part of our professional and personal lives, the dental profession finds itself navigating the blurry boundary between freedom of speech and meeting its professional obligations.

Ahpra and the Dental Board have established guidelines for online behaviour of dentists, aiming to maintain ethical standards and safeguard public trust. The guidance states:

Public Comment and trust in the profession:

Ahpra and the National Boards recognise the freedom of expression for practitioners and their right to communicate, including advocating for causes via social media, provided their activities do not involve the abuse or discrimination of others, or present a risk to the public.

While everyone has the right to lodge a notification if they are concerned about the social media use of a registered practitioner, there are only limited grounds on which Ahpra and the National Boards would investigate or consider taking action.

Registered practitioners will not be investigated purely for holding or expressing their views on social media. Regulatory action may be considered if the way a practitioner expresses their views presents a risk to public safety; provides false or misleading information or breaches privacy or confidentiality; risks the

public’s confidence in their profession; or requires action to maintain professional standards. The guidance goes on to state:

Practitioners who use social media are expected to:

• comply with confidentiality and privacy obligations

• comply with professional obligations as defined in the relevant Board’s Code of conduct

• maintain professional boundaries

• communicate professionally and respectfully with or about patients, colleagues and employers, and

• not present information that is false, misleading or deceptive.

Examples of social media activities that are likely to warrant investigation include:

Political content that calls for inappropriate action.

A practitioner posts to social media a condemnation of citizens of a country, or a cultural or religious identity. The post includes a call to action, such as signing a petition or attending a protest march, specifically aimed at denigrating or discriminating against a population or group. Depending on

34 EDITION 3 ∙ 2024 western articulator

the specific circumstances or events being reported, this is potentially discriminatory and could be a breach of the code of conduct and social media guidance.

Political content that is deliberately biased and not factual.

A practitioner shares intentionally misleading content about citizens of a country, or a cultural or religious identity that is biased, inflammatory and has the potential to incite racial hatred, intolerance. The content is intended to influence and persuade and is not factual.

A member of the public makes a complaint that the content is derogatory, slanderous or offensive, and that it is not factual. Depending on the specific circumstances or events being reported, the content may be a breach of the practitioner’s code of conduct and social media guidance, and a review of the matter reveals that the non-factual material is a repost of private political sentiment that is posted to gain traction against a target group.

In both examples, the National Board might take action in response to the notification where the post:

• presents a risk(s) to public safety

• risk(s) the public’s confidence in the profession

• require(s) action to maintain professional standards

Dentists can adopt several strategies to help them align with the Ahpra and Dental Board guidelines while safeguarding their right to free speech. First, a clear understanding of the guidelines is important and that understanding must be refreshed, including to keep up with updates to the guidelines. Moreover, dentists might also consider establishing separate personal and professional accounts on social media platforms. This delineation may help maintain a level of privacy while ensuring that the professional persona aligns with

the established guidelines. However, it must be appreciated that the content and conduct of personal accounts may also impact on a dentist's professionalism and patient trust.

Dentists must take care in the online world, a world that never digitally forgets a post, comment or like and for which the author is always identifiable. An online world with the trappings of informality, familiarity and short-hand expressions inherently presents greater risk of miscommunication and misinterpretation and comments being taken out of context under a regulatory microscope – and if subjected to a regulatory assessment the subjective intent of the dentist is not determinative or even relevant, it is the objective interpretation of the actions and words that will matter and their impact on professionalism and patient trust.

A vigilant and measured approach to online communication is obviously prudent. Dentists must be conscious of the potential impact their words may have on patients, colleagues, and the broader community. Dentists engaging in respectful and constructive dialogue, while refraining from offensive or inflammatory language, helps foster an online environment that reflects positively on themselves, personally, and on the dental profession.

Regular self-audits of online content is also recommended. Periodically reviewing posts, comments, and shared content can help dentists minimise the risk of being subject to complaints by identifying and rectifying any potential breaches of guidelines. A proactive and diligent approach in this regard demonstrates a commitment to professional standards and responsible online conduct.

The content of this article is intended to provide a general overview and guide to the subject matter. Specialist advice should be sought about your specific circumstances.

adawa.com.au

Endondontic case study

A 29-year-old male patient was referred for endodontic assessment and management of his teeth 11 and 12. Both teeth had history of root canal treatment in Spain many years ago. These teeth were asymptomatic until the patient got Covid, and they started to play up, as mentioned by the patient in the consultation session. Root canal treatments were done by a family dentist in Spain after the patient had a fall from his bicycle in his teen years.

Patient said that these teeth were tender upon biting and chewing on them for the past couple of days in March 2022. He found a dentist in Perth and they started the initial stage of the root canal treatment for him. On examination, tooth 11 had a mesioincisal tooth colored restoration with good quality, while the 12 did not have any restorations. Periapical view showed that tooth 11 had root filling whereas there was no sign of root filling material in the 12. However, there was a broken instrument inside the apical third of the root. The broken part was extruded almost 4mm from the radiographic apex of the 12.

Based on the endodontic examination, both teeth were diagnosed with previous root canal treatment and infected root canal system with chronic apical periodontitis and external apical inflammatory resorption due to breakdown of restorations and history of trauma. Different treatment modalities were explained to the patient.

Due to complexity of the case, the best treatment option was to:

• Investigation of both 11 and 12 to see whether they are suitable for further restoration or not,

• If these teeth can be saved, root canal re-treatment would be done. Fortunately, the endodontic investigation showed that these teeth could be saved as there was no further decay or cracks extending inside the roots.

For the root canal re-treatment, removal of the root filling materials was performed. To control the external apical inflammatory resorption, two rounds of intra-canal dressing of ledermix were done with intervals of 6 weeks for both teeth.

Then, the medicament was changed to calcium hydroxide, which was changed every 12-15 weeks. After 6 months, a periapical surgical procedure was performed in order to remove the broken instrument from the apical area of tooth 12 while tooth 11’s root canal was filled with GP cones and Ah-26 cement. Upon patient’s request, internal whitening was also done for his tooth 11, followed by a composite filling 1 week later.

Endodontic treatment of tooth 12 continued with long term calcium hydroxide until the 12’s root canal was eventually filled with GP cones and Ah-26 cement 6 months later.

Both teeth were sent to the referring dentist for continual of the treatment and placement of crowns.

36 EDITION 3 ∙ 2024 western articulator

First photo investigation session

After the first session of internal whitening

After the second session of internal whitening

Radiograph 1

Radiograph 2 Radiograph 3 Radiograph 4

Radiograph 5 Radiograph 6

Radiographs

1. Pre-operative (16/01/2023)

2. After root filling tooth 11 (30/03/2023)

3. Immediately after surgical removal of the broken file (30/03/2023)

4. Redress tooth 12 (14/09/2023)

5. Root filling session tooth 12 (30/01/2024)

6. Immediately after root filling tooth 12 (30/01/2024)

adawa.com.au

What the “Click”!

The temporomandibular joint (TMJ) is unique in that the articulation comprises of two joints. The articular disc between the mandibular condyle and the temporal bone separates it into two joints with the movements in the inferior joint, of a purely rotary nature whereas the superior joint is of a gliding or translatory type.

Signs of temporomandibular disorders (TMD) occur in about 60 to 70% of the general population.(1) However only about 1 in 4 of these people will really be aware of, or report any symptoms.(2)

The most common symptom of TMD is clicking (13%), nevertheless it is a far more common sign of TMD, reportedly at about 62%. TMJ crepitus accounts for 10% of TMD signs. The anterior displacement of the disc was

identified as the cause of the clicking or popping of the TMJ by Nogaard.

TMD is a multifactorial condition and may have varied clinical signs and symptoms of which clicking, and crepitus are but two presentations. About 12% of the adult population will need urgent treatment of the severe pain that they experience because of TMD. Women outnumber men in seeking treatment for TMD.

This noisy joint was initially investigated and described in the initial half of the 20th century. With a detailed description of the signs and symptoms associated with TMJ disorders by James Costen in 1934, the condition then came to be called Costen’s Syndrome.(3)

In the 1950s Schwartz coined the term “Temporomandibular Joint

38 EDITION 3 ∙ 2024 western articulator

Pain Dysfunction Syndrome” and later Ash and Ramford devised the term “Functional temporomandibular joint disturbances.” Some conceived the plot to name the condition based on perceived aetiology, thus occlusomandibular disturbance and myoarthropathy of the TMJ were created. Others suggested pain dysfunction syndrome and myofunctional pain dysfunction syndrome (MPDS, by Laskin). Because the symptoms are not restricted to the face or jaw, Bell suggested the term craniomandibular disorders and this was used synonymously with temporomandibular disorders. Facial arthromyalgia, mandibular dysfunction, myofascial pain, masticatory myalgia syndrome and primary myalgia affecting the masticatory musculature are also used synonymously!(4) These wide variety of terms to describe disorders of this complex joint have only complicated a really confounding condition!

As if this was not enough, TMDs can have complex and multifactorial aetiology. Macro- and microtrauma can be initiating factors. Due to Costen’s hypothesis that an over closed occlusion was the cause of the problems, dentists started focusing on opening patients’ bites. For the major part these were

largely ineffectual. Occlusal discrepancies, bruxism, orthopaedic instability, genetics, congenital disorders, joint laxity, poor nutrition and health, infections, inflammation, as well as oestrogen have all been implicated. A fall or physical injury from violence or a motor vehicle accident may act as an initiating factor while psychological factors (Stress, depression, anxiety), behavioral factors (Awake and sleep bruxism, nail biting, chin resting, poor head posture), negative cognitive factors like rumination, poor quality sleep, conditions like ADHD, and some medications may act as perpetuating factors. TMDs can occur suddenly, not every patient with a sign will necessarily have a symptom, and some patients will not seek treatment for the TMD. When they present to the dentist, studies have shown that there may be a lack of wholesome training and skills for a proper diagnosis or effective management. (5, 6) There are not many effective, evidence-based preventative options, other than the use of sports mouthguard(7), and complete resolution cannot always be assured. Lastly, there are not many robust scientific studies to support most of the treatment modalities that are proposed.(8-10) Education on the diagnosis and treatment of TMDs needs

significant improvements. No wonder this ginglioarthroidal joint is “clicking” perplexing.

1. Ângelo DF, Mota B, João RS, Sanz D, Cardoso HJ. Prevalence of Clinical Signs and Symptoms of Temporomandibular Joint Disorders Registered in the EUROTMJ Database: A Prospective Study in a Portuguese Center. Journal of Clinical Medicine [Internet]. 2023; 12(10).

2. Iodice G, Cimino R, Vollaro S, Lobbezoo F, Michelotti A. Prevalence of temporomandibular disorder pain, jaw noises and oral behaviours in an adult Italian population sample. J Oral Rehabil. 2019;46(8):691-8.

3. Costen JB. A Syndrome of Ear and Sinus Symptoms Dependent upon Disturbed Function of the Temporomandibular Joint. Annals of otology, rhinology & laryngology. 1997;106(10):805-19.

4. Sharma S, Gupta DS, Pal US, Jurel SK. Etiological factors of temporomandibular joint disorders. National journal of maxillofacial surgery. 2011;2(2):116-9.

5. Al-Huraishi HA, Meisha DE, Algheriri WA, Alasmari WF, Alsuhaim AS, Al-Khotani AA. Newly graduated dentists’ knowledge of temporomandibular disorders compared to specialists in Saudi Arabia. BMC Oral Health. 2020;20(1):272.

6. López-Frías FJ, Gil-Flores J, BonillaRepresa V, Ábalos-Labruzzi C, HerreraMartinez M. Knowledge and management of temporomandibular joint disorders by general dentists in Spain. J Clin Exp Dent. 2019;11(8):e680-e5.

7. Singarapu R, Panneerselvam E, Balasubramaniam S, Komagan Prabhu N, Ramanathan M, Krishnakumar Raja VB. The Role of Mouthguards in Preventing Temporomandibular Joint Injuries During Contact Sports: A Prospective Study Mouthguards in Contact Sports. Frontiers in dentistry. 2023;20.

8. Chen J, Huang Z, Ge M, Gao M. Efficacy of low-level laser therapy in the treatment of TMDs: a meta-analysis of 14 randomised controlled trials. Journal of oral rehabilitation. 2015;42(4):291-9.

9. Christidis N, Lindström Ndanshau E, Sandberg A, Tsilingaridis G. Prevalence and treatment strategies regarding temporomandibular disorders in children and adolescents—A systematic review. Journal of oral rehabilitation. 2019;46(3):291-301.

10. Eliassen M, Hjortsjö C, Olsen-Bergem H, Bjørnland T. Self-exercise programmes and occlusal splints in the treatment of TMD-related myalgia—Evidence-based medicine? Journal of oral rehabilitation. 2019;46(11):1088-94.

adawa.com.au

good news stories

World No Tobacco Day

World No Tobacco Day is May 31. It is a great reminder to talk to your patients about the benefits of quitting.

Zonta House

Young Dentists Volunteer Grant

Applications are open for the next Section VIII ICD Young Dentists Volunteer Grant. The grant is a collaborative initiative with the New Zealand Dental Association (NZDA) and the Australian Dental Association (ADA) state branches.The value of the grant is up to $3,500 to cover airfares, accommodation and other expenses directly related to a one-or twoweek volunteer experience as approved by the ICD Board. Applications close on 31 July 2024. To apply visit icdaustralasiasection.snapforms.com.au/form/ydvgrant-application

Zonta House are excited to continue their workplace education program, Empowerment Through Education. This program has a variety of workshops that aim to support your organisation’s staff in preventing, recognising, and responding to family and domestic violence (FDV). Workshops can be delivered on-site or online and will help support your people to respond to victim-survivors and identify and commit to equality and respect in the workplace. ADAWA staff recently attended a Zonta House workshop and found it very informative. Please contact the team at training@ zontahouse.org.au to learn more about presenting a workshop at your practice.

Dental Rescue Day Thanks

A big thank you to the amazing Rockingham Dental Centre volunteer Team for hosting their annual Dental Rescue Day in March. This delightful team has been generously supporting the ADA Dental Health Foundation’s pro bono dental programs for many years. They treated 9 patients referred by local charities: St Vincent de Paul Rockingham, EHIWA, Richmond Wellbeing and Palmerston.

Volunteer dentists Drs Hari Menon, Vilas Menon, Jude Fernando and Divia Heng provided urgent dental care to those in need, presenting with dental pain, infection and discomfort. Each dentist has ‘Adopted’ a Patient for ongoing treatment, including dentures. Many Thanks to Oceanic Dental for supporting the ADA DHF with pro bono laboratory services and products.

Volunteers wanted

Volunteer general dentists and Dental Assistants are wanted for the upcoming ADA Dental Health Foundation’s Dental Rescue Day, hosted by the Dental Student Clinic and OHCWA.

Friday 30 August

Clinical sessions 9am – 12pm and 1pm – 4pm Half day or Full day options

Providing urgent dental care to clients referred from charity and NFP organisations.

Please contact: Andrea Paterson WA ADA Dental Health Foundation wa@adadhf.org.au

Hands-on courses

It’s little surprise the hands-on WA Dental CPD courses are so popular – they are what we do best. The recent Rubber Dam course even proved that rubber dams can be exciting and the BioClear Method course with Dr Geoff Wan was sold out! Be sure to visit our website to book for upcoming hands-on courses. adawa.com.au/cpd

Dr Elizabeth Lam – new addition to the team

Bob Childs, Michael O'Halloran, Gareth Davies and Adrian Best are delighted to welcome Specialist Periodontist Dr Liz Lam to our Specialist Team at Cambridge Periodontics and Specialist Oral Surgery Perth. Liz looks forward to accepting referrals for all aspects of periodontics and implant surgery.

T (08) 9388 3453

F (08) 9388 3442

E cambridgeperio@bigpond.com

A 174 Cambridge St, West Leederville, WA 6007

New Practice Announcement

Dr Maleeha Gilani - new addition to the team

We are delighted to announce Specialist Paediatric Dentist Dr Maleeha Gilani has joined Dr Timothy Johnston and the team at iKids. Dr Gilani brings years of extensive dental experience and is now accepting referrals for all aspects of paediatric dental care.

T (08) 9433 6082

E ikids@ikidsdentalcare.com.au

A 94 Stirling Highway North Fremantle WA 6159 W ikidsdentalcare.com.au

Dr Gordon Cheung is excited to share the launch of his boutique specialised orthodontic practice located in Winthrop. Together with his team, Gordon is dedicated to delivering top-tier contemporary orthodontic care within a warm and inviting atmosphere. Dr Gordon personally treats each patient's treatment during every visit, ensuring the utmost quality in results. Referrals for patients of all ages are welcome, and Dr Gordon is available to consult in English, Mandarin or Cantonese.

T (08) 9310 4911

E admin@winthroportho.com.au

A 8/52 Hatherly Parade, Winthrop 6150

W winthroportho.com.au

New Practice Announcement

Dr Andrew Savundra would like to announce the opening of his new practice in Mandurah at the new South West Dental Specialist Centre. Andrew is a hands-on chairside clinician and sees every orthodontic patient at each and every visit. He continues to practice in South Perth and Willetton. Bookings in his new Mandurah clinic are now open.

T (08) 9312 2310

E reception@savundra.com.au

A Suite 1/280 Pinjarra Road, Mandurah 6210

Professional Notices
42 EDITION 3 ∙ 2024 western articulator

Premium Partners

AMA Finance Brokers

ADA members are eligible to receive up to $2,000^ cashback on top of the cashback offer from the bank or lender (if eligible) on home loans successfully settled between 1 January 2024 and 31 December 2024. Phone 1800 262 346 or email info@amafinance.com.au

Plus Partner

Panetta McGrath Lawyers

We are excited to offer a member benefits program exclusive to ADAWA members. As a member of ADAWA, the member benefits program entitles you to an initial 30-minute consultation in person, by phone, or via video conference. ADAWA members are also eligible for a 15% discount on our standard hourly rates - ADAWA referral required pmlawyers.com.au

Credabl has built a strong reputation offering tailored financial solutions. Whether you are looking to expand your practice, invest in medical equipment or explore personal finance options, Credabl's has you covered. Their suite of financial products includes medical equipment finance, practice loans, residential and commercial property loans, car finance and personal loans. credabl.com.au

Sponsors and Advertisers

HIF Corporate Program

ADAWA members are entitled to a 12% discount on health cover each year when premiums are paid by direct debit. Existing HIF members need only call or email to have the discount applied to their membership. Visit hif.com.au/adawa and use the access code ADAWA Alternatively call HIF on 1300 13 40 60 or email sales@hif.com.au

Directory

Find a space to call your own

Wouldn’t it be great to create security for your practice and never have to worry about rent increases or relocation? All the while enjoying potential tax advantages and the flexibility to tailor your fit-out.

At BOQ Specialist, we offer the ability to borrow up to 100% of the purchase price of your practice premises. Plus, for a limited time we’re also waiving the establishment fee on eligible purchases.*

So if you’re thinking of taking ownership of your future, we’re here to make it easy, with over 30 years’ experience providing tailored finance solutions for dental professionals.

Visit boqspecialist.com.au/commercial or speak to your local finance specialist on 1300 160 160 today.

*Subject to credit approval. Lending criteria, T&Cs and fees apply. Limited time no establishment fee offer is only available for new Business Term Loans (includes commercial property and goodwill loans) applications received between 1 March 2024 and 30 June 2024 (inclusive) and that fund by 31 August 2024. Only available for new borrowing between $200,000 and $3,000,000. Excludes internal refinances, increases to existing BOQ Specialist loans, loans for the purpose of property development, construction and land acquisition. Other fees and charges (including government charges) may be payable. This offer expires on 30 June 2024 and is subject to change without notice at the discretion of BOQ Specialist. It is not available in conjunction with any other offers, packages or promotions. This information is current as at 1 March 2024. Credit provided by BOQ Specialist – a division of Bank of Queensland Limited ABN 32 009 656 740 AFSL and Australian Credit Licence no. 244616 (“BOQ Specialist”). Secure your future by investing in your own premises. You could borrow up to 100% of the purchase price of your practice premises and pay no establishment fee*
BOQ Specialist. The bank for dental professionals

Turn static files into dynamic content formats.

Create a flipbook