Blackburn & Burnley Issue 80

Page 1


FEBRUARY - MARCH 2026

Celebrity Feature

WELCOME TO ZURICH

IN THIS ISSUE

6-7

10-11

12-13

TWITTERING ON

TRAVEL

Welcome to Zurich

CELEBRITY FEATURE

Stephen Graham, critically acclaimed actor

17-19 HOME

30-31

Spring into the New Year

HESKIN HALL SHOPPING VILLAGE

A warm welcome awaits you

32-35 FOOD

Saturday Morning with James Martin

38-39 CONSIDERING A FUNERAL PLAN

Give peace of mind to your loved ones

Ground Floor | 546 Blackburn Road | Astley Bridge Bolton BL1 8NW.

Sales Enquiries : T: (01204) 238180

E: artwork@mcgrathmedia.co.uk www.50plusmagazine.co.uk

Bolton Market

BREAST SCREENING

Saves lives through detecting cancer early

The National Breast Screening Programme invites all women aged between 50 – 70 every 3 years for a mammogram. Each GP Practice is screened in turn and all women registered with a GP will receive an invitation

What happens when I reach 71?

Women over the age of 71 will not be sent an appointment automatically but they can self-refer for a mammogram every 3 years by contacting us.

What is breast screening?

Breast screening (or mammography) is an x-ray of the breast that is used to find any changes in the breast tissue that could be cancer, so they can be investigated early

South Lancashire Breast

Screening is your local service , covering Wigan, West Lancs and Chorley and South Ribble

0300 707 5899

bsuappointments@wwl.nhs.uk

www.wwl.nhs.uk/specialities/breast_screening

South Lancashire Breast Screening Unit

Why do I need to be screened?

1 in 7 women in the UK will be diagnosed with breast cancer at some point during their lives. Breast cancer is now the most common cause of cancer in women in this country.

Early detection saves lives

Most breast changes will not be cancer, but if cancer is found, the treatment needed will often be less intense and the chance of making a full recovery is much higher.

The earlier breast cancer is found, the better the chances of survival

TWITTERING ON

FAMILY REALLY DOES MATTER

IF there is one thing we’ve learned by now it’s that family is important.

Because, whether you’re the King, a world-famous millionaire couple or just an ordinary person, fall-outs happen in the best –and worst – of families and times like the annual festive season really highlight them.

This is the time when cracks in relationships turn into chasms. When not being invited to celebrations or simply remembered in a card has the ability to hurt forever and tear families apart.

Just witness the Royal Family’s festive get-togethers with notable missing individuals or glance at David and Victoria Beckham’s much-chronicled split with son Brooklyn.

Ordinary families understandably often contain friction. This means that sisters and brothers don’t speak for years, parents lose touch with their children and Grandmas and Grandads don’t get to see their grandchildren grow up.

At worst, major problems can force teens to flee home and violence or sexual threat for the hell of homelessness on the streets.

At the very least, misunderstandings, re-opened old wounds or simply a row over some triviality can cause chaos to the family dynamic.

And while we often take this latter kind of event for granted as being “normal family life”, it can cause untold damage to relationships forever.

The bottom line is that, often, family is all we have. They are the people who should love us unconditionally, defend us to our detractors and be there for us when life throws tragedy our way.

Never mind that they may sometimes annoy us to death. What does that matter when someone is dealing with genuine trauma and needs the comfort of their own people?

True, we may rely on good friends for support, if we’re lucky enough to have them. But many people never have true friends, just that enduring blood tie.

I know it sounds idealistic and, yes, that old saying “you can choose your friends but not your family” may well be true. But, if you have had a serious falling out with a close family member, it may well be worth a simple decision to think it through in 2026.

Life is far too short to lose family members over some disagreement that you may not even completely remember or now realise was simply a misunderstanding.

Just re-considering it may lead to a different, and far better, outcome for all your futures.

SUCCESS OR FAILURE?

IN an age when we glorify success and largely ignore anything that doesn’t come up to scratch the Museum of Failure is a fabulous beacon.

This wonderful travelling exhibition, founded by Dr Samuel West, aims to shift attitudes on how society considers failure to show it as a “universal and necessary part of innovation and learning.”

Now, he is bringing it home to the UK where visitors can marvel at everything from Snapchat spectacles to the Nintendo power glove and the Tesla Cybertruck.

Dr West told the Guardian: “I’ve travelled all over the world with the museum but I’ve always wanted to bring it back home because of our black humour and our support of the underdog.”

A venue and opening date haven’t yet been confirmed but, apparently, fans should soon be able to witness everything from failed cars to disappointing gadgets, flawed ideas and AI disasters.

Fittingly for the UK which has nurtured many eccentric individuals and ideas, there are plenty of British-born concepts including the Titanic, Sinclair C5, Dyson’s Zone headphones and even the NHS’s national IT system.

I suppose “failure” can be a bit subjective but you can’t argue about entries like the Titanic – famously sunk on its maiden voyage from the UK to America in 1912.

Or inventor Sir Clive Sinclair’s electric tricycle unveiled in 1985 and certainly ahead of its time. Another brainwave, The Fyre Festival, billed as a luxury music festival, fell so far below its advertised standards that the whole dream fizzled out.

However, failed designs still paved the way for some of the greatest innovations of the last century. The Apple Newton was the forerunner of the iPhone and Google Glass was among the first in a now successful range of wearable items augmenting reality.

Innovator Ben Strutt, who specialises in turning failures into successes, told the Guardian that the exhibition was designed to change attitudes towards the ideas that don’t succeed.

As Dr West stated: “I want to reframe failure and show it is a universal and necessary part of innovation and learning.”

In other words, we may still need to take bold risks to solve the biggest problems of our times - environmental, social and economical.

Failure can definitely be a learning curve, although not everyone who has been to the Museum of Failure around the world gets this. According to Dr West, Americans treated it as a joke and South Koreans struggled to understand the concept of celebrating failure.

Hopefully, the UK will welcome the whole idea with open arms, and we’ll all learn from it.

GET FIT OVERNIGHT

THE start of any New Year is when we reassess the shape we’re in and look to improving our health.

Usually, this means joining a gym or radically reviewing our diet. In fact, it’s when we look to fitness gurus like Joe Wicks to show us the way.

Interestingly, though, Joe – who became a household name during lockdown as the “nation’s PE teacher” with his daily workouts for all – is advising a different top tip for wellness this year.

He recommends focussing on sleep.

He told PA: “We often don’t think about how important sleep is. We have routines where we stay up late and we don’t get enough sleep and so everything feels a bit harder.

“I think the first thing anyone should really focus on, regardless of your age, is really getting a good sleep routine. Because that allows you the next day to wake up with energy, to exercise with a bit more willpower with the food and discipline around that.”

And anything Joe Wicks suggests is good enough for me.

Established in 2016 we offer fantastic holidays in the UK and across Europe.

With fabulous excursions, quality hotel accommodation, executive coaches and top class tour drivers, a trip with AVA Travel is one to remember!

We also have a huge selection of UK day trips to suit every traveller.

AVA are committed to making the whole process of taking a holiday with us as easy and pain free as possible.

OVER 200 HOLIDAYS AND SHORT BREAKS TO CHOOSE FROM!

VISIT OUR WEBSITE OR CALL OUR FRIENDLY TEAM TO ORDER YOUR FREE BROCHURE TODAY!

& DROP OFF INCLUDED ON ALL OUR

Ava Travel Leyland Ltd

Welcome to Zurich

For those yearning to escape the constant demands of life in the fast lane, consider taking a weekend break this summer and escape to Zürich, the largest city in Switzerland, located on the northern shores of the tranquil Lake Zürich.

Zürich is widely regarded as the best city in the world for its quality of life and as a centre of finance and banking it remains the wealthiest city in Europe. The people of Zürich are clearly dedicated to protecting their environment as the public transport system is used by the vast majority. Trains, trams, electric and diesel buses, river and lake boats and a cable car are the preferred modes of transport and this is reflected in the quality of the city air. Zürich offers visitors the opportunity to experience an insight into a thriving and vibrant city, which is not dominated by the car.

Take a leisurely stroll along the promenade of Lake Zürich, festooned with colourful flowers creating a heavenly scent, which hangs in the air. Head for the meandering cobbled stone streets of Aldstadt (the old town) and browse around the eclectic art galleries, the charming antique shops and book stores galore. Pause awhile and stop off for a coffee and a Swiss pastry or two. No doubt you will be enchanted by the view of the snow capped Alps in the distance.

For an exceptional shopping experience wander along Bahnhofstrasse, where the finest boutiques and stores feature international fashion labels, exquisite jewellery and of course an abundance of wrist watches. Even the most resistant shopper is sure to part with a substantial amount of francs, once succumbing to the sight of those glittering treasures displayed in the shop windows.

To examine another impressive collection of time pieces visit the Clock and Watch Museum within the Beyer Chronometrie shop, also on Bahnhofstrasse. This private collection includes exhibits dating from 1400BC to the present day and features fascinating oil and water clocks, sun dials, hourglasses, table and grandfather clocks and delicate pocket and wrist watches.

Take a leisurely stroll along to the nearby Confiserie Sprüngli; it’s Swiss chocolate heaven for those of us with an insatiable sweet tooth. The Sprüngli company dates back to 1836 and they are certainly masters in their field and you are sure to be tempted by the mountains of homemade pralinés and truffles. Sample the delicious VIP selection, made with butter ganache with a hint of kirsch or rum or the chocolate apricot or Tahitian vanilla.

After that calorific overload, make your way to Platzspitz Park, the location of the Swiss National Museum where you will be able to take an intriguing glimpse into Swiss culture and history. The Museum was built in 1898 by the talented Gustav Gull and it is a truly striking building reflecting the style of a French Renaissance city chateau, with beautiful towers and courtyards. The main exhibition effortlessly guides the visitor from prehistoric to ancient times, through to the Middle Ages and on to the present day. There are several fascinating artefacts including colourful costumes, old pieces of furniture, stained glass and a selection of weapons and the mesmerising collection of Gothic art is not to be missed.

For art lovers, Zürich is a treasure trove with more than 100 galleries and over 50 museums, and 14 of those are dedicated solely to art. View Zürich’s largest collection of modern art at the Kunsthaus Museum, which houses the widest selection of Munch masterpieces outside Norway. Other works include masterpieces by Chagall, Picasso, Braque, Giacometti and Monet, several medieval sculptures and a selection of contemporary pieces by Swiss artists including Ferdinand Hodler.

Be sure to make your way to the Fraumunster Church, which dates back to the 13th century, and where you can view five magnificent stained glass windows designed by Marc Chagall and visit St Peter’s Church, another treasured landmark, located next to the Lindenhof hill, its towering steeple is a city landmark and features the largest clock face in Europe.

For a relaxing afternoon take a 90 minute boat cruise and sail on the calm waters of Lake Zurich. The Lake Zurich Navigation Company at Burkliplatz harbour is a short walk from the old town and it is one of the most popular attractions in the city.

Weary explorers seeking relaxation should head for the luxurious Baur au Lac Hotel, which offers the highest levels of comfort and service.

Zürich, from the bay of the lake with a Limmat boat. On the left Bauschaenzli and the towers of Fraumuenster and St. Peter, on the right the Wasserkirche and Grossmuenster.
Signature: Christof Sonderegger. Credit: Switzerland Tourism
Zurich with a view of Quaibruecke and the Alps.
Signature: Jan Geerk. Credit: Switzerland Tourism

The property is set within its own private park overlooking the lake and the Alps, and is within walking distance to the Bahnhofstrasse. Accommodations are spacious, elegant, comfortable and inviting. Treat yourself to a 70 sqm deluxe suite with an unforgettable lake view. The spacious bathroom is the ideal spot to sink into a bath tub of bubbles, and the ultra comfortable beds with plump pillows and crisp white linens ensure a deep and rejuvenating slumber.

The hotel’s Michelin starred Pavillon restaurant provides an exceptional fine dining experience and the service is first class. Sample the Gyoza tortellini filled with butternut squash and sweet and sour diced pumpkin, followed by the most delicious steamed sole roulade, garnished with crayfish, Nantua sauce, Swedish turnip and pilaf rice, and the Grand Marnier Soufflé just cannot be ignored.

To dine further afield, hop on to tram no. 4 and head for the LaSalle restaurant and bar on Schiffbaustrasse. This stylish restaurant resembles a glass cube and is housed within the Schiffbau building, which dates back to 1825 when it was a cotton mill and later became a production plant. Steel beams and old rivets remain in place and a trolley crane hangs down from the ceiling. The menu features a wide variety of delicious dishes including a first class squid and papaya salad with chilli and coriander and a mouth watering braised beef in a red wine sauce.For jazz lovers, Moods, also on Schiffbaustrasse, is undoubtedly one of the best ‘live’ jazz clubs in Europe and attracts some of the biggest names in the industry. Located next to LaSalle restaurant, this is the place for a toe tapping jazz experience.

And for a late night tipple or two visit Clouds on the 35th floor of the Prime Tower, the tallest building in Switzerland, located on Maagplatz. This contemporary and sophisticated bar, which is also a restaurant, is set on two floors and features floor to ceiling windows, which of course ensures that the visitor is overwhelmed by the stunning views over the city.

Whatever you decide to do in Zurich, you are sure to be charmed, it really is a Swiss gem.

Top tip: Take advantage of low air fares. Visit easyjet.com for daily flights from Gatwick to Zurich.

Tip: Consider visiting Zurich in June or July when the Zurich festival takes place. A wide selection of operas, concerts, drama, dance and open air theatre performances take place and the city is even more vibrant and colourful in the Swiss sunshine. For more information visit https://www.zuerich.com/en/visit/ bluesnjazz-rapperswil

Evening view of the Schipfe on Limmatquai with Grossmuenster, Zurich.
Signature: Jan Geerk. Credit: Switzerland Tourism

STEPHEN GRAHAM

Critically acclaimed English actor

THE name Stephen Graham has become a new Industry Standard – spot a new film, play or TV series with him in the cast list and you just KNOW it’s worth watching.

He’s just won three Emmy’s for the amazing Netflix psychological crime drama Adolescence for acting, writing and producing the programme that had everyone talking and which has prompted social perceptions to change.

This should be no surprise to most fans as Stephen is quoted as insisting: “I’m drawn to dramas that make people think. I want to make an impact.”

Well, the 52 year-old Liverpudlian has certainly done that. Ever since, in fact, he first came to public attention playing the dimwitted Tommy in Guy Ritchie’s 2000 film Snatch. His story, though, goes back to his upbringing in Kirkby, Lancashire where he was encouraged to try for an acting career while performing in a school production of Treasure Island.

“I was 10 and I played Jim Hawkins,” recalled Stephen, “and this great Liverpudlian actor called Andrew Schofield – he was Johnny Rotten in Sid and Nancy – came to watch it and he had a word with my mum and dad afterwards and told them I should have a go at the Everyman Youth Theatre. I’ve never looked back.”

After attending Ruffwood School, and receiving some theatrical training at the Rose Bruford College of Theatre and Performance, he began an acting career which initially saw him taking on bit parts.

All that changed, though, when he went with a friend who was auditioning for Snatch and was offered the role of Tommy. He followed that up with a role in Band of Brothers in 2001.

This exposure led to America taking notice of the quirky Brit actor and a part in Gangs of New York in 2002.

Then he had his breakthrough role as Andrew “Combo” Gascoigne in the 2006 film This is England. On TV, Stephen then reprised this role for This is England ’86, This is England ’88 and this is England ’90.

He played Al Capone in the HBO series Boardwalk Empire from 2010 to 2014 and a slew of high-profile appearances followed. These included film roles in Pirates of the Caribbean: On Stranger Tides and later in Pirates of the Caribbean: Dead Men Tell No Tales.

He was Anthony Provenzano in The Irishman in 2019 and Patrick Mulligan in Venom: Let There Be Carnage in 2021 and its sequel Venom: The Last Dance in 2024.

He has become a regular favourite in some of the best TV of the past decade, like the thought-provoking 2017 drama Little Boy Blue, based on the true-life murder of 11 year-old football fan Rhys Jones.

Stephen played Detective Superintendent Dave Kelly in the fourpart series, earning attention and accolades and ramping up his burgeoning acting reputation.

He had a pivotal role in the fifth series of multi award-winning Line of Duty in 2019 and played Hayden Stagg in the sixth series of Peaky Blinders in 2022.

One of his key skills is handling accents in his many roles and as a result he has accurately portrayed characters from various parts of Britain, Ireland and America. For example, he played Welsh detective Taff Jones in 2020’s TV series White House Farm based on more true-life murders.

“People in New York are surprised when I open my mouth,” he has stated.

Not content with all that exposure, he has also appeared in music videos like When The Sun Goes Down with Arctic Monkeys and Unlovable by Babybird which was directed by Johnny Depp. He has also been on Radio 4’s Desert Island Discs.

Unsurprisingly, his varied and highly accomplished work has brought him plenty of official recognition through awards.

He was nominated for an RTS Award for his work in The Street and for a British Independent Film Award for his role in this is England. He has received nominations for five British academy Television Awards and two British Academy Film Awards among others.

Stephen was also made an OBE (Officer of the Order of the British Empire) in 2023 for his services to drama, which he dedicated to his late mother.

In 2020, he set up a production company with his wife Hannah Walters. Matriarch Productions exists to “try to develop good stories that will be a broader representation of the cultural aspects of our society.”

He and Hannah – whom he met while they were both training as actors – have two children and live in Leicestershire.

“I wouldn’t rule out LA life but I love England,” he is reported as saying. “I have a lovely house and garden. I walk my kids to school –family is most important to me.

“I don’t need to move to the States. I love our little village, Ibstock.”

A plainly moral man with a strong sense of social justice, he applies his straightforward approach to his profession. “There has to be something that I like about a character for me to be able to play him,” he stated.

“I’m a mixed race lad from Liverpool. I get to play a lot of hard characters and some people perceive that’s what I’m like, but it’s great for me ‘cos they’re always the most interesting characters.”

In fact, he has had three fine portrayals onscreen of infamous gangsters – Baby Face Nelson in Public Enemies in 2009, Al Capone in Boardwalk Empire and Anthony “Tony Pro” Provenzano in The Irishman.

Stephen is quite traditional in various areas of his life. For instance, “I like how TV used to be,” he once commented. “Boys from the Blackstuff and Play for Today instead of Stars in Your Eyes and Celebrity Come Cook with Me or whatever. I hate all that stuff.”

In spite of his success and international recognition, Stephen Graham keeps his feet firmly on the ground.

“There are moments when you’re stepping out of a really nice car on to a red carpet and you feel inside like ‘this is quite nice.’ But I’m never whisked off my feet.”

One stop shop, Appliances, Worktops and flooring available, everything under one roof

• Massive choice of traditional or modern

• Fabulous showroom with 60 displays open 7 days

• Owned by JJO Furniture Manufacturers offering very keen prices with a quality product

• Supply Only or Project Managed installation. All aspects covered

• Established over 150 years with five experienced designers plus CAD designer for outstanding visual aids

• ‘Buy Now, Pay Later’ and other Finance Options available, subject to status

Spring into the New Year

SPRING into the New Year by revamping your home to make it more comfortable and, yes, more trendy!

The home style predictions for 2026 have never been easier to follow or put into action as they’re all about flexibility, colour and comfort.

There’s a big emphasis on personal expression, moving away from minimalist trends and encouragement to show just who you are around your home.

So watch out for GALLERY WALLS and other vintage elements around the home that tell your story. Dig out those items of memorabilia that remind you of happy family occasions because this New Year is all about you!

After several years of cool colour palettes in the home, the trend this year will be warm colours like caramel, sand and clay to give a cosy feel to rooms. And look around your home for FLEXIBLE SPACES that fit in with modern daily living and can be changed to suit the activity or interest.

ADAPTABLE LAY-OUTS allow anyone to re-configure a space and invest in some modular furniture and fold-out desks to make areas around the home even more versatile.

There is a desire for more natural light around your home and a growing interest in GARDEN ROOMS to link with living

areas and bring Nature and the outside indoors for a healthier, connected lifestyle.

Go for comfort and ease of living all over your house this year to set a trend that will take you happily through years to come.

Get the outside right first, of course. Check out any potential problem points like ROOFS AND GUTTERS to ensure all is good against the elements and, as we move into Spring, think about a fresh coat of paint for the outside.

External areas like your FRONT DOOR may need attention with painting or you may even consider a new front door to give the house a fresh look for 2026.

Home influencers like Etsy, Pinterest and Dulux have all named blue as the colour of the year. Dulux has three different shades of blue as pivotal for this year.

Use colour to support your daily life and make you feel better and more appreciative of where you live.

If your home has become a bit draughty – or your heating bills have got higher than usual – examine your WINDOWS and see if you need new ones. Modern window styling is all about ease of lifestyle so here’s another way to add to your domestic comfort.

WOOD-STYLE FURNITURE brings a warmth and character of its own around the home – that swirling grain and reflective surfaces compliments homely touches.

Invest in a smart new small table in the lounge for an eye-catching table lamp or an impressive wardrobe as a bedroom centrepiece.

Add warmth to the KITCHEN with plain white units and striking accents of deep colour, like purple or burgundy.

Your kitchen is meant to be a place of convenience and efficiency and these days there are many hi-tech advances there to make your life so much easier.

Airfry function, though, should also continue its huge popularity as will barista-style coffee machines for that perfect drink.

So it’s definitely worth considering investing in the latest labour-saving gadgets. These include induction hobs with built-in extraction for better air quality and even AI-powered ovens that feature mini touchscreens and built-in cameras that detect food and adjust cooking times and temperatures.

Look for smart ovens and whisper-quiet dishwashers to help create a calm kitchen environment which enhances the overall experience.

Go for integrated kitchen appliances that blend seamlessly into the kitchen architecture for an easy-to-use kitchen layout. Then there are gadgets to streamline cooking processes and reduce time spent in meal preparation – after all, you are trying to improve your lifestyle.

Induction cooking looks like continuing to grow in popularity this year along with the demand for intelligent cookware. The

The nature of kitchens is also changing as we use this area as a multi-functional space for daily family life. As a result, many appliances now are hidden or integrated and we’re opting for clean, functional lines here.

This not only minimises countertop clutter but offers an increase in workspace all round to allow other activities to take place here and to promote balance and calm in an important area.

Like other areas around the home, this can all be enhanced by STATEMENT LIGHTING so shop for sleek, modern lighting to enhance your comfy living style.

Promoting rest and relaxation around the home can be echoed in decorative style and little comfort touches like furniture that supports your body and allows you to easily put your feet up and rest.

Then there are warm, textured curtain fabrics that feel warm and look striking with matching cushions and a toning throw for extra cosiness.

Create comfortable spaces around the home, enhanced by warm walls and toning curtains or blinds that continue that wrappedaround feeling.

SAFETY & QUALITY NEVER COMPROMISED

Plenty of storage space - perhaps in an unused areas - can get rid of daily clutter and free up new areas.

Treat yourself to beautiful HOUSE-PLANTS in strategic places that gently re-connect you with Nature and add to that feeling of wellbeing.

In the bathroom, a new deep BATH is ideal for that luxury bathing experience and definitely a worthwhile investment. If you have the space for a stand-alone bath, it can become a regular haven of relaxation after a busy day.

Is your BED truly comfortable, promoting a good night’s sleep?

Perhaps now is the time to treat yourself to that new bed. The latest mattresses adjust to your sleep needs – team it with a smart lighting system that can adapt to your mood and sleep patterns.

For those chilly nights, how about the latest HEATED BLANKETS? There are plenty of bargains in this very competitive market and when night-time temperatures drop, there’s no more welcoming feeling than a pre-warmed bed!

For bedding generally, use breathable fabrics and layered textiles to make the bedroom feel cosier and more personal and look for multi-functional furniture like storage beds and floating nightstands.

CRAFTSMANSHIP & DEMAND BUILT ON PRECISION,

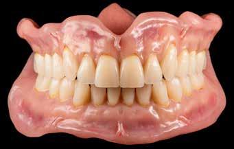
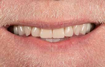
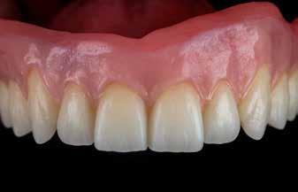
Renovo Dental’s quiet revolution in denture excellence sees master technician Dean Ward leading a hidden gem in the Ribble Valley

Renovo Dental has long been celebrated across the Ribble Valley and the North West as a centre of excellence for advanced dental implant treatments. Patients and colleagues know the team for their precision, longlasting results and life-changing full-arch reconstructions. Yet what many people do not realise is that, behind the scenes, Renovo has also been quietly developing another area of exceptional strength – a highly skilled, bespoke denture service led by Clinical Dental Technician and master craftsman Mr Dean Ward.

DEDICATED SPECIALIST DENTURE CENTRE

For years, Dean has been an integral part of the Renovo team, shaping and refining the clinic’s approach to dentures with a level of artistry, scientific precision and technical mastery that is rare even in specialist dental centres. As demand grew and as more patients and dentists sought out Dean’s expertise, Renovo responded by creating a dedicated specialist denture centre, with everything now delivered entirely in-house. This expansion has allowed the team to manage the sheer volume of people seeking

high-quality, comfortable, beautifully crafted dentures that genuinely fit.

Part of the reason this demand exists is due to challenges within general dentistry –particularly within the NHS. Many dentists, even the most caring and conscientious, will openly admit that providing dentures that fit well can be extremely difficult under NHS

limitations. Restricted appointment times, limited material options and low remuneration mean that it often becomes quantity over quality, through no fault of the clinician. Most simply do not have the resources, materials or time needed for the level of precision and customisation that a truly successful denture requires. Many also have inadequate training in this field in the UK. As a result, many dentists now routinely refer their denture patients directly to Dean, trusting his advanced expertise to achieve the results they know their patients deserve.

INTERNATIONAL KEY OPINION LEADER

Dean brings 27 years of dedicated experience in denture prosthetics and is known in the UK as the ‘Sensei of Digital Denture Protocols’. He lectures around the world and serves as a Certified Trainer and Key Opinion Leader for Ivoclar International, one of the global leaders in premium denture materials and prosthetic technologies. His work as a beta tester, BPS clinical and technical instructor and award-winning clinician ensures that Renovo patients benefit from the most advanced materials, processes and innovations available anywhere.

DEAN AND RENOVO HAVE DEVELOPED A DENTURE SERVICE THAT BLENDS THE FINEST ELEMENTS OF TRADITIONAL HANDCRAFTED ARTISTRY WITH THE POWER OF CUTTING-EDGE DIGITAL DENTISTRY

Working quietly but meticulously, Dean and the team have developed a denture service that blends the finest elements of traditional handcrafted artistry with the power of cutting-edge digital dentistry. While many clinics rely heavily on generic lab-made dentures or basic digital outputs, Renovo uses a hybrid workflow that gives patients the best of both worlds.

CAD/CAM design, 3D printing and precision milling capture every minute detail with micron-accuracy, while Dean’s expert hand-finishing ensures natural texture, personalised aesthetics and lifelike character that no machine can replicate.

A key breakthrough in Renovo’s denture success is the use of next-generation milled denture materials developed by world-class research teams. These materials are twice as strong as traditional acrylic, making denture fractures – once a common frustration –virtually a thing of the past. The stability and accuracy of these milled dentures is transformative as they fit better, feel more secure and require far fewer adjustments.

Dean also incorporates the renowned SEMCD (Suction Effective Mandibular Complete Denture) technique developed by world-renowned Japanese expert Dr Jiro Abe – masterfully combining it with digital workflows to produce lower dentures that achieve exceptional suction and stability without the need for implants or adhesives. For patients with significant bone loss, this can be life-changing.

As Renovo’s entire denture service is in-house, many cases can now be completed in as little as two clinical appointments, without compromising any element of planning, precision or craftsmanship. Referrals from local dentists continue to grow and a significant number of new patients now find Renovo through word of mouth, inspired by the transformations experienced by friends, neighbours and loved ones. Today, Renovo Dental stands not only as

a leader in implant dentistry, but also as a specialist centre of excellence for bespoke dentures, offering a level of skill, accuracy and artistry rarely found elsewhere. With master technician Dean Ward at the heart of

THESE MATERIALS ARE TWICE AS STRONG AS TRADITIONAL ACRYLIC, MAKING DENTURE FRACTURES – ONCE A COMMON FRUSTRATION –VIRTUALLY A THING OF THE PAST

the service, and with world-leading Ivoclar materials elevating every case, the clinical team continues to deliver dentures that restore not just smiles, but comfort, confidence and quality of life. n

Renovo Dental

Pendle House, Clitheroe Road Chatburn BB7 4JY 01200 441000 hello@renovodental.co.uk renovodental.co.uk

Garden Fencing -

We start every winter wondering if our garden fences will withstand the storms, if they do we wait until spring to paint wood fences once again, hoping they survive another year. As we become busy in summer with family and fun things to do, we think about how to make our gardens more appealing, maintenance free and take out tedious jobs.

At Everlong Fencing, installers of Colourfence maintenance free garden fencing in the Northwest UK for over 12 years, and now installing maintenance free Durapost garden fencing, we have all the solutions you require.

From coloured composite metal fencing and composite plastic fencing, both guaranteed for 25-years, we provide all year-round solutions with no boundaries to colour size and design. From gates to railings fencing set between brick pillars, from small heights to 900mm high up to 2m high, you choose. In certain circumstances you can go higher.

VistaFolia artificial living walls and hedging offers lush greenery with zero maintenance, ideal for enhancing gardens without the fuss of real plants which never die or fade.

Deponti verandas and pergolas, perfect for creating elegant, functional outdoor living areas.

James Robertshaw electric blind, awnings and retractable roofing solutions for instant shade when required.

And now a new partnership with Glenview Retreats Garden Rooms and Lodges designed to serve as versatile home offices, studios, or leisure spaces, tailored to suit modern lifestyles. Offering affordable Garden Rooms, Living Annexes, Holiday Lodges, Glamping Pods with several decades of experience in projects across Scotland and Northern England. Offering contemporary and traditional designs using a high-quality timber-frame build method.

Success is driven by a passion for quality and outstanding customer service.

Stephen and his dedicated team have built a reputation for delivering long-lasting, aesthetically appealing fencing solutions that transform outdoor spaces.

Their commitment to quality, reliability, and attention to detail ensures each project meets clients’ unique visions, making them a trusted name in the region.

Everlong Garden Fencing Ltd is the business Stephen created over 12 years ago to deliver high quality low maintenance fencing to the Northwest.

Beyond fencing, Stephen’s business has grown to become a comprehensive outdoor solution provider. Under his new Brand Mangow Outdoor Living partners include:

Colourfence zero maintenance

Composite metal garden fencing and gates colours never fade truly a fit and forget garden fence and gate solution.

Durapost unique H-post garden fencing system with composite plastic of wood infills an alternative to wood and concrete.

This expansion reflects his forward-thinking approach and commitment to meeting the evolving needs of customers, providing a one-stop shop for high-quality, maintenance-free outdoor and garden solutions.

Clients consistently praise Stephen and his team for their professionalism, punctuality, and meticulous approach, which results in highly satisfied customers and glowing testimonials. This positive reputation fuels ongoing growth, establishing Stephen’s business as a reliable, innovative leader in garden and outdoor solutions across the Northwest UK.

For expert advice or a free, no-obligation quotation, contact Stephen at 07793 437581 or at steve@everlongfencing.co.uk and discover how his team can help you transform your outdoor space into a beautiful, functional haven. www.everlongfencing.co.uk

And if you catch us before spring there is a 30% discount off labour for installations. Offer ends 28th February!

l 12 years of

l

l

l

l Competitive prices with no compromise on standards

l Safe Contactor Approved

l Licenced Waste Carriers

SPOTLIGHT ON: Millennium Blinds

Window blinds built with style

As we move through these autumn days many of us may wish we’d invested in some thick window blinds to keep the warmth in but it’s not just about keeping in the warmth.

Window blinds are a great way to add a touch of style to any home without blowing the budget, they’re perfect for adding privacy but many people opt for blinds as an interior design statement piece. We can even buy a remote control to operate our blinds now!

And now we are in autumn, thicker fabric blinds are an ideal way to keep the home insulated, so it’s a win-win situation. It also improves your energy efficiency of your home throughout the year, which is important more than ever with the rising energy cost. We looked at the best designs for window and door blinds for 2025.

With more people working from home, the trend for home offices and conservatories have led to an increase in the sales of many different blind and shutters to improve and enhance the space. If you have an outdoor

pod for instance, you may need some heavy duty blinds to protect your office from the elements, whether it be rain, sun or wind. Many conservatories and garden rooms now look like miniature versions of the home and can be dressed like an extension of it using the same fabrics and colour schemes.

The trend for blackout blinds has become more popular than ever as the UK moves into Autumn, keeping out the light and keeping privacy but also insulating the home right into winter. The experts tell us that blackout blinds can be custom made in almost any design from a traditional roller, perfect fit or pleated style. Ideal for the kids’ nurseries.

Talking about Perfect Fit blinds, you may have heard about these but aren’t sure what they actually are. As popular as ever in 2025 they are an incredibly versatile blind available in a huge range of styles from rollers to venetian and pleated. The perfect fit part of the name is because they are literally made to fit within the window frame so there is no need for

invasive drilling – genius, no damage to walls or windows. They’re the popular choice for odd shaped frames like conservatories or velux windows.

As plantation shutters have been a big hit in the past few years, budget conscious buyers are looking for cheaper options with the same style and the new blinds on the block are faux wood which is easy to clean and maintain.

Another emerging trend this year is for custom printed blinds, choose your colours to match perfectly with the colour scheme in your home. Some blinds manufacturers even offer the option of uploading your own photos to print on the blinds, great fun for kids’ bedrooms!

One of the Best Blind Companies around is Millennium Blinds based in Haslingden where they offer free measuring and free fitting, they are extremely competitive with prices and offer expert advice – call now to book your appointment.

The service I received was excellent. They are quick and efficient, this company is focussed on customer care and affordability. They go out of their way to get the right stairlift for their needs and they are a conscientious company. I am happy to recommend them to anyone needing help.

Mr Staples, Lancashire.

Friendship, Connection, and the Joy of Belonging: Life at Our Activity

Day Centres

For many of us, later life brings with it unexpected changes. Perhaps our circle of friends is smaller than it once was. Family may live far away, and daily routines can start to feel a little quieter than we’d like. Add in the challenges of memory concerns or a dementia diagnosis, and those feelings of isolation can grow even stronger.

But what if later life could look different? What if each week brought not just structure and support, but also laughter, creativity, and perhaps most importantly connection with people who truly understand?

At Regenerage, we believe nobody should face the journey of later life alone. That’s why, at our Activity Day Centres in Bamber Bridge, Fulwood and Lostock Hall we offer far more than just care; we offer friendship, belonging, and the opportunity to thrive.

The Power of Friendship

When people walk through the doors of our activity centres, something remarkable happens. Faces light up. Names are remembered. Hands reach out in greeting. The warmth of being known and welcomed is something we all crave and in our centres, it’s woven into every day.

We often hear from those who attend that one of the greatest gifts our activity centres give is companionship. Whether it’s chatting over a cup of tea, sharing stories from the past, or working together on a seasonal

craft project, these connections remind us of something vital: we are not alone.

Social connection is more than just pleasant it’s essential for health and wellbeing. Studies show that strong friendships can improve memory, reduce stress and even help people live longer. For those navigating the challenges of dementia or memory concerns, a friendly face and a listening ear can make all the difference.

Activities That Spark Joy

Of course, connection flourishes best when people are engaged and enjoying themselves. That’s why our activity centres provide a wide variety of activities designed not only to stimulate the mind but also to encourage creativity, laughter, and fun.

From reminiscence sessions that invite people to share treasured memories, to arts and crafts that allow self-expression, every activity has a purpose: to maintain daily living skills, spark conversation, and boost wellbeing. Seasonal projects bring the changing year to life, whether it’s planting flowers in spring, creating festive decorations in winter, or enjoying the garden on a summer afternoon.

We design our activities with both heart and expertise, always keeping in mind the individual needs and interests of our service users. That’s what makes the experience so personal and meaningful.

Spaces That Inspire

Each of our Activity Centres has its own unique personality.

• Charnley Fold in Bamber Bridge offers both enhanced and mainstream support, with a spacious environment filled with light. The specially designed garden is a favourite spot, encouraging safe exploration, relaxation, and connection with nature.

• Withy Trees in Fulwood has a more eclectic atmosphere, carefully designed to spark reminiscence and inspire happy memories. Its accessible garden also provides space for meaningful outdoor activities.

• Lostock Hall Activity Centre offers a warm welcome to over 55’s, providing activities that combat social isolation. From arts to Zumba and everything in between the centre offers opportunities to meet up with friends old and new.

All the centres are safe, welcoming places where people feel comfortable and at ease. For many, they become a second home, a place where they can be themselves, free of judgement, and surrounded by others who care.

Peace of Mind for Families

The journey of dementia affects not only the individual but also their loved ones. Families often carry the weight of worry: “Is Mum lonely?” “Is Dad safe?” “Does my partner still feel joy in the little things?”

Our centres help lift that weight. When families see their loved ones laughing, creating, and making new friends, the relief is palpable. They know their loved one is not only safe but thriving. And while their loved one spends time at the centre, families and carers gain precious time for rest and renewal, knowing they can relax with peace of mind.

Stories of Connection

We’ve seen friendships blossom in the most unexpected ways. Two gentlemen who had never met before discovered they both once worked in engineering and now spend every Tuesday reminiscing about their careers. A lady who had grown quiet and withdrawn found her smile again after joining a singing group, and now looks forward to every session. Another member, who had been hesitant to attend at first, now describes the centre as her “happy place.”

These are not isolated stories, they are everyday realities in our activity centres. And they highlight something powerful: later life doesn’t have to be defined by loss. It can be a time of rediscovery, new friendships, and fresh purpose.

Come and See for Yourself

We know that taking the first step can sometimes feel daunting. That’s why we warmly invite you to try a free taster session at either our Bamber Bridge of Fulwood activity centres. Come and meet our team, experience the activities and see first-hand the smiles, laughter, and sense of belonging that fill the rooms.

Our doors are open:

• Charnley Fold, Bamber Bridge: Monday to Thursday, 9am–4.45pm; Friday, 9am–4.30pm. Call 01772 645721 to arrange your free taster session.

• Withy Trees, Fulwood: Monday to Thursday, 9am–4.45pm; Friday, 9am–4.30pm. Call 01772 717763 to arrange your free taster session.

• Lostock Hall: Monday to Friday, 9am- 4.30pm. Various activities take place at various times. Call 01772 269175 to find out what’s on when.

Whether you are looking for support for yourself or for a loved one, we are here for you with compassion, creativity, and above all, friendship.

A Different Kind of Later Life

At Regenerage, we have over 40 years of experience helping people live later life differently. But for us, it always comes back to the same simple truth: life is better when shared.

In our Activity Day Centres, every smile, every story and every friendship formed is a reminder that no matter our age or circumstance, we all deserve joy, connection, and the comfort of belonging.

Come and see what’s possible.Your new chapter of connection and friendship is waiting.

Established in 2016 we offer fantastic holidays in the UK and across Europe.

With fabulous excursions, quality hotel accommodation, executive coaches and top class tour drivers, a trip with AVA Travel is one to remember!

We also have a huge selection of UK day trips to suit every traveller.

AVA are committed to making the whole process of taking a holiday with us as easy and pain free as possible.

OVER 200 HOLIDAYS AND SHORT BREAKS TO CHOOSE FROM!

VISIT OUR WEBSITE OR CALL OUR FRIENDLY TEAM TO ORDER YOUR FREE BROCHURE TODAY!

& DROP OFF INCLUDED ON ALL OUR

Ava Travel Leyland Ltd

A Warm Welcome Awaits You at Heskin Hall Shopping Village

Nestled in the heart of rural Lancashire and surrounded by rolling countryside, Heskin Hall Shopping Village offers a truly refreshing shopping experience. Designed to be more than just a place to browse, the village brings together over 40 independent boutique shops and businesses under one welcoming roof, creating the perfect destination for a relaxed and enjoyable day out. With free entry and free, easy parking, visitors can take their time exploring everything the village has to offer.

Heskin Hall Shopping Village is proud to showcase a diverse mix of independent retailers, each bringing its own personality and passion. From unique gifts for all the family to stylish ladies clothing, handbags and jewellery, there is something for every taste. Shoppers can discover beautifully crafted homewares, gifts, hair and beauty services, a bathroom showroom, wood-burning stoves, cake decorating supplies, toys, books and much more. Art lovers will also enjoy visiting the leading on-site art gallery, Hepplestone Fine Art, while food enthusiasts will be spoilt for choice with high-quality local produce available throughout the centre.

Food plays a central role in the Heskin Hall Shopping Village experience. Visitors can browse the well-stocked deli, pick up fresh local fruit and vegetables, or treat themselves to a scoop of the ever popular Fredericks ice cream. At the heart of the food offering is the

village’s quintessential British butchers shop. Supplying beef and lamb from their own farms, the herd is free range and 100% grass fed, producing natural, high-quality meat with exceptional flavour. The beef is reared for 24 months and dry matured for 28 days, resulting in tenderness and depth of flavour that truly stands out. All other meats are also free range and carefully sourced from trusted farms and producers where quality always comes first.

No visit would be complete without a stop at The Two Birds Tea Room, an ideal place to pause and relax. Whether you’re looking for a light snack or a leisurely lunch, the menu offers homemade soup, sandwiches, toasties, wraps, salads, daily specials and indulgent afternoon teas. There is also a tempting selection of cakes, alongside coffee, wine and beer. Wherever possible, ingredients are sourced from the food shops within the village, ensuring freshness and supporting local businesses.

Conveniently located just minutes from Junction 27 of the M6, Heskin Hall Shopping Village is easy to reach from Preston, Bolton, Southport, Liverpool, Manchester and surrounding Lancashire towns. It is also just two minutes from Park Hall and the former Camelot site near Chorley. Combining rural charm with excellent accessibility, the village is a perfect choice for anyone seeking a memorable shopping day out in Lancashire.

Whether you’re visiting for the first time or returning for another relaxing browse, Heskin Hall Shopping Village promises a warm welcome, exceptional independent shopping and a truly enjoyable experience for all.

Saturday Morning

With James Martin

Host of ITV’s flagship cookery show, James Martin’s Saturday Morning, James Martin is one of the UK’s most popular TV chefs, whose enthusiasm and passion for food have won him countless fans. His accessible approach to cooking has been showcased across bestselling books including Cheese, James Martin’s Spanish Adventure, Potato, Butter, James Martin’s Great British Adventure and James Martin’s French Adventure. He regularly appears on the BBC, ITV and Food Network, as well as demonstrating live at the BBC Good Food Show and touring the UK with his own one-man show. James has compiled a selection of dishes that will have you cooking from scratch through the week and into the weekend.

COQ AU VIN

This is a classic dish that I learnt when cooking in France. You can actually use red or white wine, but soaking the chicken in the wine and then sealing it off properly is key. I love a good French Bistro dish, especially if you’re sitting in Paris watching the world go by. Chef Claude Bosi is a great friend of the show and I cooked this dish with him. Even the French chefs with the Michelin-starred restaurants love the classic French brasserie food because, cooked properly, they are some of the best dishes around. Soak the chicken portions in the wine overnight in the fridge.

Serves 4–6

1.8kg chicken, portioned into 8 pieces

500ml red wine

2 tablespoons plain flour

25g butter

500ml chicken stock

150g pancetta lardons

100g pearl onions

250g small chestnut mushrooms

a few sprigs of thyme and parsley tied with a bay leaf

sea salt and freshly ground black pepper

To serve mashed potatoes

METHOD

Preheat the oven to 180ºC/1600C fan.

Drain the chicken, reserving the wine. Put the chicken in a roasting tray and dust in the flour. In a large frying pan, over a medium-high heat, fry the chicken in the butter until browned on both sides.

Put the reserved wine in a large, ovenproof pan and add the chicken stock. Add the browned chicken, the lardons, onions, mushrooms, bouquet garni, salt and pepper and bring to the boil, then pop a lid on and put in the oven for 11/4 hours, or until the chicken is completely tender.

Serve with mashed potatoes.

BEEF PIE WITH STAR ANISE CARROTS

This is basically a braised beef stew turned into a pie. We get a lot of letters and emails from people complaining that a pie isn’t a pie without a base! But this is such a simple dish. For the beef, make sure you get big chunks – you don’t want the stewing beef that’s already cut up as the chunks are too small and they fall to bits in your stew. You want chunks and whole carrots, as you want to be able to taste everything.

Serves 6

2kg shin of beef, cut into large dice

2 shallots, diced

250ml beer

500ml red wine

a few sprigs of thyme

2 bay leaves

500g ready-made puff pastry

1 egg yolk, beaten

sea salt and freshly ground black pepper

For the carrots

400g whole carrots, peeled, with 1cm green tops left on

100g caster sugar

5 star anise

100g butter

METHOD

In a very large casserole dish, over a medium-high heat, fry the beef in batches until deeply coloured. Season with salt and pepper, then pop it all back into the pan with the shallots, cover with the beer and wine and add the herbs. Bring to the boil, then cover and simmer for 2–3 hours, until the beef is very tender. Season with salt and pepper and allow to cool.

Preheat the oven to 2000C/180ºC fan.

Use the beef stew to fill a 20cm ovenproof pie dish. Roll out the pastry to 2mm thick and slightly larger than the dish. Brush the top edges of the dish with egg wash, then pop the pastry on, crimp and seal the edges and garnish with pastry leaves (cut from the pastry offcuts) and egg-wash these too. Put the dish onto a baking tray to avoid any overspill and bake in the oven for 40 minutes until the pastry is risen and deep golden.

Meanwhile, pop all the ingredients for the carrots into a pan, bring to the boil, stirring occasionally, then simmer for 20 minutes until the carrots are tender. Serve with the beef pie.

STICKY TOFFEE PUDDING WITH MISO CARAMEL SAUCE & CLOTTED CREAM

There are loads of variations of sticky toffee pudding, and I love to put my own spin on it. Miso is a brilliant savoury ingredient and when added to caramel it’s amazing, but it has to be high-quality miso!

METHOD

Preheat the oven to 1800C/160ºC fan. Grease a 20cm square, 5cm deep cake tin and line it with baking parchment.

Serves 6

290ml boiling water

200g stoned dates

50g butter, softened, plus extra for greasing

175g Demerara sugar

1 tablespoon golden syrup

2 eggs, beaten

2 tablespoons black treacle

200g sifted plain flour

1 teaspoon vanilla bean paste

1 teaspoon bicarbonate of soda

For the miso caramel sauce

200ml double cream

100g butter

100g dark muscovado sugar

3 tablespoons black treacle

2 tablespoons golden syrup

2 tablespoons white miso paste

To serve clotted cream

Pour the boiling water over the dates in a bowl and leave to sit for 5 minutes, then blitz until smooth and pour back into the bowl.

In a separate bowl, beat together the butter and sugar until pale, then fold in the syrup, eggs, treacle, flour and vanilla until smooth and combined.

Stir the bicarbonate of soda into the blitzed dates, then mix into the pudding batter. Pour into the prepared tin and bake for 35–40 minutes until springy to the touch. Leave to cool slightly in the tin, then turn out onto a plate to serve.

Meanwhile, to make the toffee sauce, put all the ingredients into a pan and bring gently to the boil, stirring until blended, then take off the heat.

To serve, cut squares of the pudding, spoon over the toffee sauce and top each portion with a dollop of clotted cream.

Credit: James Martin’s Saturday Morning Kitchen (Quadrille, £25), Photography © Dan Jones

PLAICE WITH SAUCE GRENOBLOISE

This is another dish from my restaurant Chewton Glen. It was one of the first dishes I put on the menu.When I was working at the Waterside with Michel Roux Snr, he taught me never to cook fish fillets in too hot a frying pan as it makes the fish curl up and dry out.The most foolproof way to cook a delicate fish is on a well-buttered baking tray and in the oven.

Serves 2

2 x 200g plaice fillets

50g butter, cubed

For the grenobloise vegetable oil, for deep-frying

2 tablespoons capers

2 slices of sourdough bread, cubed

1 hard-boiled egg, cooled, peeled and diced juice of 1 lemon

1 small bunch each of parsley and mint, chopped 1/2 shallot, finely diced

1 garlic clove, chopped

sea salt and freshly ground black pepper

For the butter sauce

150g butter juice of 1 lemon

METHOD

Preheat the oven to 2000C/180ºC fan.

Pop the fish into a roasting tray, dot with the butter and cook in the oven for 5–10 minutes, depending on the thickness of the fillets. Meanwhile, to make the grenobloise, heat some vegetable oil in a heavy-based pan and deep-fry the capers and sourdough croûtons until golden, then drain on kitchen paper. Add them to the remaining sauce ingredients on a board and chop and mix them all together.

To make the butter sauce, heat a pan until very hot, add the butter and cook, stirring, for about 3 minutes until nut brown, before adding the lemon juice.

To serve, place the fish onto a plate/platter, then spoon the grenobloise on top and spoon over the nut brown butter sauce.

SUPPORTING THE PEOPLE OF OUR COMMUNITY SINCE 1994

Nominated Funeral Director for Haven Personal Funeral Plans Ltd www.havenfuneralplans.co.uk

High Flight

Oh! I have slipped the surly bonds of Earth and danced the skies on laughter-silvered wings; Sunward I’ve climbed, and joined the tumbling mirth of sun-split clouds, - and done a hundred things you have not dreamed of – wheeled and soared and swung high in the sunlit silence.

Hov’ ring there, I’ve chased the shouting wind along, and flung my eager craft through footless halls of air… up up the long, delirious burning blue I’ve topped the wind-swept heights with easy grace where never lark, or ever eagle flew – and, while with silent, lifting mind I’ve trod the high untrespassed sanctity of space, put out my hand, and touched the face of God.

Hyndburn Funeral Services

336 Union Street, Oswaldtwistle BB5 3DJ

Telephone: 01254 879436

Queens Road, Accrington BB5 6DR Telephone: 01254 233 133/879739

www.hyndburn-funeral-services.co.uk

Celebrating

20 years of being open, offering a more modern environment both from our clinical and technical needs.

Confidence begins with a beautiful smile ...

Many denture wearers suffer with poor fitting, worn out or artificial looking dentures that cause the wearer to feel a lack of confidence in their dentures. This can present itself when chewing or even by just worrying about the denture dropping during a conversation. All these are issues that Bolton Denture Centre specialise in correcting.

What is a Clinical Dental Technician?

A Clinical Dental Technician (CDT) is a qualified dental technician that has under gone further Education and Training to gain a Diploma in Clinical Dental Technology as Awarded by the Royal Collage of Surgeons (RCS).

At Bolton Denture Centre our clinician is one of the first registered Clinical Dental Technicians in the country, and able to offer a bespoke service of treating the patient AND making the denture in the laboratory.

Over recent years there have been many improvements in both the way we construct dentures and in the materials and denture teeth that we use. One such innovation currently on the dental market is DIGITAL DENTURES.

However as with any new technology it usually gets rushed to market before it is fully developed. We have seen an upturn in enquiries for this technology, but after many meetings with sales reps and looking into the technology behind it we feel the quality and aesthetics are extremally substandard in comparison to a bespoke handmade tradtional denture.

We also feel the fit of digital dentures are not going to be as good as the fit of traditional dentures as the digital impression cannot replicate the compressive action of the denture, therefore leaving in general reduced suction. This is why we have chosen not to offer this service as of yet here at Bolton Denture Centre. You still have to be a clinical dental technician to provide digital dentures.

Your Dentures need Attention

1. When they become loose.

2. When teeth or denture base discolours.

3. When tooth surfaces become flat.

4. When denture base does not fit around natural teeth (in partial dentures).

5. When you develop deep lines around your mouth.

6. When your chin sticks out, and the corners of your lips are constantly wet, developing sores.

7. When you stop smiling and feel embarrassed.

My Dentures have become loose!

Bolton Denture Centre can offer all aspects of denture care including;

4 Free Consultations

4 Denture cleaning and polishing service

4 Repair of broken or cracked dentures

4 Relining existing dentures to improve fit

4 New full dentures

4 New partial dentures (following treatment plan from dentist) *

4 Sports mouth guards

* Dentist treatment plan can be arranged.

your dentures holding you back

This is easily remedied by a procedure know as Re-lining. A new layer of Denture base is added to your existing Denture, improving the fit and restoring confidence.

one of the most basic, biologically uniform expressions of all Smiling is not just a universal means of communicating, it’s also frequent one. More than 30% of us smile more than 20 times a day and 14% of us smile less than 5 times a day.

Should I have a spare set of Dentures made?

host of benefits which include:

Yes, it is very important to have a spare set of dentures for emergencies in case of breakage. Once a new set is made the old set becomes a spare.

Psychologists have found that even if you’re in a bad mood s immunity - smiling makes your body more relaxed and contributes to a go immunity.

What our Customers Say

CONSTRUCTING A GOOD SET OF DENTURES

What can I say about this place.......... Don’t think anything I do say will do this place justice to be honest. My partner is autistic and she struggles a lot, Jonathan is amazing and made her feel comfortable and was patient with her. Gemma was amazing too, cannot thank them both enough, lily been smiling all day, honestly wish I could give you more stars.

PM

Constructing a functional and aesthetically pleasing set of dentures is the most difficult task in dentistry. We are not only replacing lost teeth, but also lost tissue matter and bone. In other words, we have to re-create your facial features as they were before the loss of your natural teeth.

In most cases we do not know what your teeth looked like, what size they were or what position they were in originally. We have a few indications but mostly we have to rely on our visual and artistic judgement.

Fantastic service. Called Friday as my dad had had a fall and broken his teeth and I was very limited in terms of when I needed them sorted as I live far away from him. I was given an appointment Monday afternoon and they were sorted brilliantly and with such a welcome and smile. So appreciative of the excellent service.

AB

At the same time we have to use our technical expertise in order to make the denture stable and functional. Denture construction is more art than science.

DENTURES NEED REGULAR SERVICING

Dentures are in constant use almost 24 hours a day, 365 days a year. They are also in a pretty hostile environment in the mouth, being attacked by strong acid, bacteria, hot, cold and spicy food. Denture material absorbs liquids and food odour.

Johnathan is an absolute star, my dentures are wonderful and fit perfectly, I am so glad to have my smile back. Thankyou Johnathan. The service is excellent and very friendly.

PD

Constructing a Good Set of Dentures

Smiling releases endorphins which reduce stress and change y same effect.

pressure - Reducing stress and smiling can also help lower blood pressu infectious - Not only do others smile when we smile but studies also sugg others when we smile.

Daily cleaning is essential as well as professional ultrasonic cleaning in a dental laboratory at least once a year. Due to

don’t like your smile, do you suffer from loose poorly fitted or broken dentures? Bolton Denture Centre we have been helping denture wearers to get beautiful smiles for

Constructing a functional and aesthetically pleasing set of dentures is the most difficult task in dentistry. We are not only replacing lost teeth, but also lost tissue matter and bone. In other words, we have to re-create your facial features as they were before the loss of your natural teeth.

At the same time we have to use our technical expertise in order to make the denture stable and functional. Denture construction is more art than science.

Why not call me to discuss your current situation or arrange an appointment as I am always more than happy to help.

We are extremely excited to welcoming

always

Jonathan Dean LBIDST CDT RCS Eng

Considering a funeral plan?

Take care of your financial end of life planning and more importantly give peace of mind to your loved ones. This article was written by Haven Personal Funeral Plans Ltd.

What is a funeral plan?

A funeral plan allows you to pay for your funeral upfront saving your loved ones from the financial burden of covering the cost themselves. Funeral plans can only be sold by firms authorised and regulated by the Financial Conduct Authority (FCA) or their Appointed Representatives.

You will pay for the funeral at today’s prices, potentially saving the cost of inflation from between when you take the funeral plan out and time of need.

Planning your own funeral can be a difficult and emotional thing to do for most people, nobody wants to think about, let alone have a conversation about the day when they are not here. However it can provide loved ones with all the help and support they will need at a difficult time.

If you have ever had to plan a loved one’s funeral, you will know first hand how distressing and difficult this can be. In order for the funeral director to arrange the funeral they have to ask you a series of questions. You need to make certain decisions which when you are grieving and upset can be an incredibly difficult thing to do, especially if you didn’t know your loved one’s personal preferences. This can make you question if you made the right choice and then there is the financial burden of also having to cover the cost of the funeral.

A funeral plan can be a positive, practical and productive thing to do not only for yourself but very importantly for your loved ones.

What are the benefits and risks of having a funeral plan?

If you are thinking about a funeral plan, it is important that you have all of the information in order for you to decide if a funeral

plan is right for you, it is important to weigh up the benefits and the risks.

Benefits of having a funeral plan:

• They potentially protect you from inflation. You pay for the funeral at today’s price avoiding any future inflation. If funeral costs continue to rise in the future as they have done consistently in previous years, you will not need to pay anymore. Currently in the UK, the cost of a basic funeral is now £4,141.00 which has increased by 4.7% compared to last years price (according to the Sunlife Cost of Dying Report 2024).

• The financial burden is taken away from your loved ones at time of need.

• Your funeral arrangements and personal wishes are taken care of.

• Funeral plans are exempt from Inheritance Tax.

Risks of having a funeral plan:

• A funeral plan only covers items/ services included in the plan, these vary depending on the plan so it is important to check you have included everything. If at point of need items / services need to be added, for example an additional car for relatives, your relative will have to pay for this.

• The funeral plan provider could fail, if this was the case your plan could be refunded in full or be transferred to another provider.

• The Trust in which your money is invested may fail, if this was the case and a return of your monies is not possible you may be entitled to compensation under the Financial Services Compensation Scheme (FSCS).

• In the unlikely event that funeral costs fall in the future, the price paid for your funeral plan would remain the same.

What’s included in a funeral plan?

This can vary depending on the plan provider and the type of funeral plan however most funeral plans include funeral directors’ costs, a coffin, a hearse, a minister, cremation fees, burial fees up to the cost of cremation. It is important when buying a funeral plan that you read and understand exactly what is and is not included in the funeral plan. Funeral plans can be tailored and personalised to suit your individual needs and wishes.

How does a funeral plan with Haven work?

Haven sells funeral plans through a network of family-owned funeral directors who are Appointed Representatives of Haven Personal Funeral Plans. The funeral homes cover East Lancashire, West Yorkshire and Greater Manchester. Funeral plans are sold face

to face by funeral directors who have been specifically trained in funeral plans.

When you take out a Haven Personal Funeral plan, the price you pay includes an administration fee that is kept by the company to cover the day to day running costs. The balance is then transferred into The Haven Funeral Trust where it is invested by an FCA regulated investment manager. The money is held there until needed.

During the lifetime of the funeral plan, you will be contacted every 18 months with a summary of your funeral plan and given the opportunity to change any details of the funeral plan to suit your current needs and wishes. Changes to your funeral plan can be made at any time, you do not need to wait for the 18 month summary. Haven do not charge an admin fee for changes being made to your funeral plan.

When you take the funeral plan out, you will be given the opportunity to appoint a Nominated Representative. A Nominated Representative is someone who will know about your funeral plan so that at time of need, the funeral plan does not go unclaimed. A nominated representative can’t make any changes or cancel your funeral plan.

At time of need, whoever is arranging your funeral simply needs to get in touch either with Haven directly or your nominated funeral director where they will be informed of what happens next. They will then be supported throughout the entire process leading up to during and after the funeral by our team of dedicated caring and professional staff.

Once the funeral has taken place, Haven will pay your nominated funeral director for carrying out your funeral in accordance with your planned wishes. Your loved ones will not be charged any extra for this, these costs will be covered by your funeral plan. If any extras are required at time of need that are not covered by the funeral plan, these will be payable to the funeral director by your loved ones.

Haven is a trading name of Haven Personal Funeral Plans Ltd which is registered in England and Wales No. 03557936

Registered Address: Cedar Lodge, 227 Bury Road, Rawtenstall, Rossendale, BB4 6DJ

Haven Personal Funeral Plans Ltd is authorised and regulated by the Financial Conduct Authority – FRN 962488

What are your PLANS this summer?

Sit back and relax this summer knowing your funeral plan is taken care of.

Plan with us today the Haven way.

Fixed price pre-paid funeral plans offering peace of mind for you and your family.

Haven have helped over 7,000* clients plan for their final farewell in 1998 * represents the total number of funeral plans sold as at May 2025.

25 Nominated funeral directions throughout East Lancashire, West Yorkshire and Greater Manchester.

Give your family peace of mind knowing the financial burden of arranging a funeral has been take care of.

Celebrate your life your way.

OUR FAMILY HELPING YOURS FOR OVER 25 YEARS www.havenfuneralplans.co.uk or call 01706 230285

Haven is a trading name of Haven Personal Plans Ltd which is registered in England and Wales No. 03357936. Registered address Cedar Lodge, 227 Bury Road, Rawtenstall, Rossendale BB4 6DJ. Haven Funeral Plans Ltd is Authorised and regulated by the Financial Conduct Authority - FRN(962488).

Leyland Beds and Furniture is a family-run business that has been serving the community for over 20 years. We’re open 7 days a week and offer free local delivery. Our product range includes beds, mattresses, frames, occasional and dining furniture, and ex-display items.

WARDROBES

Turn static files into dynamic content formats.

Create a flipbook