Skip to main content

July 2008

Page 1

501LIFE Celebrating Greater Central Arkansas July 2008 501lifemag.com Home Green Home Savor the flavors of summertime Enjoying fun in the sun all throughout the 501 New homes affordable AND resource friendly

Financially troubled companies make the news. Stable ones make the ads.

ere are stories every day of nancial institutions whose business practices have made them victims of the weak economy. While failure of any business is bad news, it’s more unsettling when they’re holding your money.

If you want your money to be handled by someone who can actually handle their own, you’ll want to consider one of Home BancShares’ member banks. You won’t hear about them in the news every day and that’s a good thing. ey all share the philosophy of scal stability and conservative lending practices.

With $2.5 billion in assets, almost $300 million in capital and exceptional asset quality, we’re one of the most secure nancial institutions you can nd. Our loan loss reserve places us in the nation’s top six of pro table bank holding companies with assets of $1 billion or greater for the fourth quarter of 2007. And our stability continues to grow – during the rst quarter of 2008, our deposits grew $260 million.

Join the Home BancShares family today. Because it’s better to trust your money to a company that’s in the ads, not the news.

www. homebancshares.com

501 LIFE July 2008 2

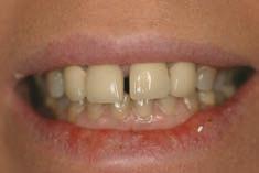
TMJ is a painful condition of the jaw that can be agonizing and disruptive to your life. Some of the symptoms may be headaches, earaches, ear ringing, loud jaw clicking, facial muscle pain, stiffness and pain in the jaw, neck, shoulders and back, tingling of your fingers and even pressure behind the eyes. But there is a treatment to help eliminate your suffering. At Dalton Designer Smiles we don’t just mask your TMJ symptoms; we treat the underlying problem. General

501lifemag.com July 2008 3 Before After 501-327-6453 • www.daltondesignersmiles.com
ā€œMy new smile was icing on the cake after Dr. Dalton alleviated my TMJ symptoms.ā€
2415 Prince Street • Conway, AR 72034 Central Arkansas’ LVI Dentist www.lvidocs.com
—Janet Criswell, Conway, AR
Dentistry

Care that’s recognized as some of the best.

As a community hospital, caring for you with the most personal of attention is what we do best. And doing our best has earned us some of the industry’s most respected accolades nationally, regionally and locally. Conway Regional doctors, nurses and staff have been recognized over and over for being the best in their field by organizations such as the Arkansas Foundation for Medical Care, American Cancer Society, Service Professionals, Arkansas Business and Professional Women, as well as publications including the Arkansas Democrat-Gazette and the Log Cabin Democrat. But more important than the awards we receive is the feeling we’re rewarded with for taking care of you.

A Human Touch.

July 2008
www.conwayregional.org

28 Cover story

501 LIFE celebrates ā€œGoing Greenā€ and the incredible work of the Argenta Community Development Corporation.

32 Entertaining

With the cost of gas on the rise, don’t rule out the simplicity of entertaining in your own backyard.

34 Savor

On a hot summer day, what could be better than sipping an ice cold beverage?

53 The arts

Motown legends to international performers will be making their way to Conway over the next year.

54 Sports

Looking for a summertime sport and an excuse for the family to get outside and enjoy the 501 area code? Grab a pole and some bait and go fishing.

56 Pets

Meet Stewart McConnell and Bo, his special four-legged friend.

57 Travel

There is much talk of sticking closer to home this summer. That works well for those who live in the 501 because Heifer Ranch offers an experience that takes us around the world.

Neighbors

20 Vilonia – Meet Don Greenland, whose hobbies include gardening, beekeeping and sheep.

22 Damascus – May 2 started out as a typical day for Sancy Faulk. She had no idea her world and her neighborhood were about to be turned upside down – literally.

LIFE Pics

Pages 10-16

– 501 LIFE reception

– Go Red Luncheon

– National Day of Prayer

– Andersen tea at UCA

– Scholastic achievement banquet

– Business After Hours

– Girl Scout pajama party

See more at 501lifemag.com

Donna Spears

Sonja Keith

Tracy Ferrell

Sonja J. Keith

A.J. Carol

Mike Kemp

Tanya Hightower

Don Bingham

Tiffany Block

Kyle Dalton

Angie Howard

Mathilda Hatfield Hulett

Renee Hunter

Karl Lenser

Janice Malone

Marilyn Mathis

Lauralee McCool

Debbie Plopper

Richard Ryerson

Jan Spann

Donna Lampkin Stephens

Audrea and Jimmy Toal

Kellie Turpin

Quentin Washispack

Johnny Adams

Rob Bell

Lori Case

Kay Dalton

Gena Ester

David Humbuchen

Mathilda Hatfield Hulett

Rosanne Johnson

Mike Kemp

Julie LaRue

Karl Lenser

Monica Lieblong

Deanna Ott

Pat Otto

Jon Patrom

Lori Ross

Warwick Sabin

Margaret Smith

Jan Spann

Amy Stockton

Beth Tyler

Jeff Whitehead

Jennifer Whitehead

Nancy Williams

501lifemag.com July 2008 5
Regulars 6 Life in the 501 8-9 Letters/Calendar 24-26 Faith in the 501 27 Guest Column 36-37 Health 40-43 Home 44-45 Shopping for home 46-48 Fashion 49 Fashion shopping bag 50 Business 52 Dining 58 Loving life in the 501
501 LIFE
To subscribe or order back issues, visit www.501lifemag.com The subscription rate is $36 for one year. (12 issues) Single issues are available upon request for $5. 501 Advertising and Publishing 1002 Front St., Suite 1 Conway, Ark. 72032 501.327.1501 info@501lifemag.com 501 LIFE is published monthly by 501 Advertising and Publishing (1002 Front St., Suite 1, Conway, Ark. 72032, 501.327-1501). The contents of 501 LIFE are copyrighted and materials presented may not be copied or reproduced in any manner without the written permission of the publishers. Articles should not be considered specific advice, as individual circumstances vary. Products and services advertised are not necessarily endorsed by 501 LIFE. 501 LIFE is produced on recycled paper. Publishers Editor Art Director Photo Director Distribution Manager Contributors Editorial Board Subscribe Contact us contents Features&Departments July 2008 20 58 28 49

Doing something you love

Lynne Sowell and Kendra Scott may live many miles apart but both are doing something they love, and helping others along the way.

Both women shared their life experiences and insight during the ā€œGo Red for Women Luncheonā€ held in May in Conway (see photos and Lynne’s story on Page 11). What an incredible event. Women from all walks of life turned out for the luncheon to help defeat what is considered the No. 1 killer of women – heart disease.

As Kendra took the podium, it was obvious that those in attendance were in for an entertaining and motivational message. As she traced her early venture into entrepreneurship at age 19 to her work with noted designer Oscar de la Renta, it was obvious that family, fashion and philanthropy are important.

Kendra shared her ā€œEight Rules To Live Byā€ which struck a chord with many, including us:

• Let go of the ā€œwhat ifs.ā€ Tell them to go away.

• Don’t be afraid to ask for help. ā€œYou don’t have to do it on your own.ā€

• Be nice and appreciative. ā€œWrite thank you notes. It will take you far.ā€

• Surround yourself with a winning team.

• Laugh a lot. ā€œDo things that make you happy. You can’t take life so serious. Seize the moment.ā€

• See the world. When you have a chance, travel. ā€œThere is so much to see.ā€

• Never, ever give up. ā€œDon’t let dream stealers get in your way,ā€ she said. ā€œRemind yourself – ā€œYes you can!ā€

• Give back. ā€œNot just with your money but with your time.ā€

With a laugh, she said Rule 8.5 would be ā€œAccessorize.ā€

Great women. Inspiring stories.

With this, our third issue of 501 LIFE, we are living our dream and doing something we love.

We have been incredibly touched by the positive response the magazine has received, and by the countless individuals and businesses who have offered their support. Thank you.

Kendra’s enthusiasm was contagious as she offered words of encouragement and support. ā€œAnything is possible. You can do anything you want, whenever you want,ā€ she said. ā€œNo one can stop you from pursuing your dreams.

ā€œDo something you love. Do something that makes you smile inside.ā€

Good advice.

Until next month, here’s to loving LIFE in the 501, and to ā€œdoing something you love.ā€

501 LIFE July 2008 6
life in the 501
501 Publishers Sonja Keith (from left), Donna Spears and Tracy Ferrell cut the ribbon, officially marking the opening of their business – 501 Advertising and Publishing – and the beginning of their magazine – 501 LIFE. Sonja J. Keith Donna J. Spears Tracy L. Ferrell

Going green

501 LIFE is proud to celebrate ā€œhome and gardenā€ this month with a special emphasis on ā€œGoing Green.ā€

The Argenta Community Development Corporation – which has the distinction of earning the first Gold LEED designation in Arkansas – was an obvious choice to feature on the cover of this edition.

The group is doing great and wonderful things in North Little Rock, making affordable housing a reality for many and having a positive impact on the environment and our future in the process. We applaud their efforts.

In light of ā€œgreen,ā€ this issue also contains information on Master Gardener Don Greenland and his green thumb (Neighbors-Vilonia on Page 20) as well as a guest column by Conway recycling expert Debbie Plopper, who offers an interesting perspective on local recycling efforts – past, present and future.

Speaking of home, there are many in the 501 area who are still rebuilding their homes and their lives following tornadoes and other damaging storms this year. Sancy Faulk shares with 501 how her family and community were affected when a tornado ripped through Damascus in May (Page 22). She also offers some helpful advice to others who may find themselves in a similar situation.

This month, 501 LIFE also has lots of photos from community events that you will want to check out, including a reception the magazine hosted in honor of the teachers of the year from throughout Faulkner County (Page 10).

By all indications, it appears that we have a sensational summer ahead and 501 LIFE has a lot of helpful information this month to ensure you get the most out of it.

Here’s to loving life (and summertime) in the 501.

Take 501 LIFE on vacation

As readers pack their bags and head out on summer excursions in the weeks ahead, they are encouraged to take 501 LIFE along for the ride.

Photos of readers holding a copy of the magazine while vacationing will be published in an upcoming edition of the magazine.

ā€œWe would love for readers to share their vacation photos with other 501 readers,ā€ said publisher Donna Spears.

Readers who would like to submit a photo can do so by email at info@501adsandmags.com or by mail to Vacation Photos, c/o 501 LIFE, 1002 Front St. Suite 1, Conway, Ark. 72032. (Sorry, photos will not be returned.)

501lifemag.com July 2008 7
Pulaski
Faulkner White Saline Garland Hot Spring Lonoke Perry Conway Van Buren Cleburne

June

The Central Baptist College Alumni Association will host a three-person golf scramble at 8 a.m. Saturday, June 28, at Mountain Ranch Golf Resort. For more info, please go to www.cbc.edu or email dott@cbc.edu.

The 20th annual Great Arkansas Pig Out will be held Friday, June 27, and Saturday, June 28, in the Morrilton city park.

The Conway Symphony Orchestra will present ā€œLights Over the Lakeā€ at 7 p.m. Saturday, June 28, at Beaverfork Park. The CSO’s gift to the community, the annual free performance on the shores of Beaverfork Lake is always a crowd-pleaser. Starting with a rousing opening act, the evening includes remarks from local

What a joy to read the new magazine 501 LIFE!

I have read through the first issue and love it. I am so very glad that you are using your wonderful talent of producing words that help us in this confusing time of tragedy and loss.

Be sure of my prayers that the new magazine will be widely read and successful.

Welcome!

In the midst of war news, storms, other strife, comes an uplifting new magazine, 501 LIFE. With a special staff, talented and caring, we are already strengthened by their wisdom and sharing. I look forward to reading more things that they know will bring good to Conway and cause it to grow.

- Letter and poem from Betty Fraser (Conway)

dignitaries, an Armed Forces Salute and the Presentation of the Colors for the National Anthem. The evening ends with fireworks. The whole family will enjoy this grand celebration of Independence Day.

The Conway Noon Lions Club is sponsoring a new fundraiser for its charitable efforts. In exchange for an annual $50 subscription, on 10 national holidays the Lions will display the American Flag in front of a business or home in Conway. The Lions Club will supply the mounting bracket, flagpole and a high quality 3-foot by 5-foot American Flag which will be raised in the morning and retired in the evening of that day. There is a discount for multiple flags. In the cutline, please add this right before the last sentence in the cutlineLions club members Luis Ortega (left) and Ken Ingram are among those heading up the fundraiser. If you would like to help the Lions honor our country and serve the community, please contact Ken Ingram at 327.1293 or go to www. conwaynoonlions.org.

The 28th annual Malvern Brickfest will be held June 26-28 in Malvern.

The Archey Fork Fest is scheduled Saturday, June 28, at Archey Fork Creek in Clinton.

I had spent most of my life in Faulkner County, until about seven years ago, when I moved to Eastern Arkansas. I am so excited about 501 LIFE. It helps me keep in touch with the community I grew up in. I am definitely looking forward to future issues. After reading the first two issues, I am reminded of what a great place my hometown is! Thanks for a wonderful magazine!

A winner with LIFE

Paula Bruner of Conway – a charter subscriber of 501 LIFE – won dinner for two to Marketplace Grill in Conway in the magazine’s prize drawing last month.

501 LIFE subscribers are eligible for prize drawings, special promotions, VIP invitations to events, lunch in the 501 and much, much more.

Subscribe today and you could be the next ā€œWinner with LIFE.ā€

Go to www.501lifemag. com to subscribe or complete the subscriber card inside this issue to be entered in the next drawing.

Watch this space to see if you are the next ā€œwinner with LIFE.ā€

501 LIFE July 2008 8
calendar
letters to501LIFE Drop us a line at 501lifemag.com

The 25th Annual Pops on the River will be held Friday, July 4, at the Little Rock Riverfront Amphitheatre. This family-friendly event showcases a performance by the Arkansas Symphony Orchestra and fireworks. Gates open at 6 p.m. and admission is free.

The 51st Annual Miss Arkansas Pageant will be held July 16-19 at the Hot Springs Convention Center/ Summit Arena. Contestants from all corners of the state come to compete for the title of Miss Arkansas. The winner will represent Arkansas in the Miss America Pageant. Over $60,000 in scholarships will be awarded. For more information, please email info@missarkansas.org, go to www. missarkansas.org, or call 501.321.3506.

The St. Joseph Bazaar Dinner will

be held on Friday, July 25, at the St. Joseph Parish Hall Dining Room on College Avenue in Conway.

August

The St. Joseph Bazaar will be held Friday, Aug. 1, and Saturday, Aug. 2, at St. Joseph Catholic Church on College Avenue in Conway.

The 11th Annual First Security Conway Kids Triathlon will be held Saturday, Aug. 9. Kids ages 7-15 years old will swim bike and run. All finishers receive a medal. There is no race day registration and the field is limited to 400 participants. For information, email ironmann@ conwaycorp.net or go to www. ConwayKidsTri.com.

The ā€œGreat Escape,ā€ an annual fundraiser for the Women’s Shelter of Central Arkansas, will be held at the Conway Sports Center on Lower

Ridge Road from 9 a.m. to 3 p.m. Saturday, Aug. 23. Tickets are $10 per person and may be purchased at the door or by calling 501.730.9864.

The 23rd Annual National Championship Chuckwagon Races are planned for August 23-31 at Clinton.

September

The 17th Annual Hot Springs JazzFest is scheduled Sept. 12-14 in Hot Springs.

To submit a calendar item, please send information to info@501adsandmags.com.

To see a complete list of items, please go to www.501lifemag.com.

501lifemag.com July 2008 9
July

501 LIFE honors local educators

Teachers of the year from public and private schools throughout Faulkner County were recently honored at a special reception hosted by 501 LIFE.

In conjunction with the May ā€œEducation and Inspirationā€ issue of the magazine, the 501 LIFE Editorial Board hosted the reception to honor educators as well as introduce the magazine to the community.

The event – held at the Conway Area Chamber of Commerce –included a ribbon-cutting ceremony for 501 Advertising and Publishing, publisher of 501 LIFE. Refreshments were served and a variety of door prizes were given away.

Sponsors for the event were First Security Bank, First State Bank, Walk This Way and Edward Jones. Additional photos from this event are available and can be ordered at www.501lifemag.com.

photos by Richard Ryerson

501 LIFE July 2008 10
pics
LIFE
Erma and Charles McDonald. Sharon and Dennis Johnson with their daughter Kalee, who was among the high school seniors featured on the cover of the May issue of 501 LIFE. Samantha Huseas with a door prize. 501 LIFE publishers Sonja Keith (front, from left), Donna Spears and Tracy Ferrell cut the ribbon in celebration of their new business, 501 Advertising and Publishing. Mathilda Hatfield Hulett and Monty Rowell. Kim Williams (from left), Mike Binko and Lori Case. Karl Lenser reads door prize winners. Jason and Monica Lieblong. Conway Christian School representatives Amy Shiew (from left), Carly Powell, Kim Powell, Mendy Clanton and Rhonda Robinson.

ā€˜Go Red for Women’

Women throughout the community were ā€œseeing redā€ and learning how to fight heart disease during the ā€œ2008 Go Red For Women Luncheonā€ held May 20 at the Agora Special Events and Conference Center in Conway.

Presenting sponsors for the event – coordinated by the American Heart Association –were Acxiom and Wellpoint. Kimberly Clark was the gold sponsor, and Conway Regional Health System the silver. Donna Townsell served as event chairman and Dawn Scott of Channel 11 Today’s THV in Little Rock served as the emcee. Kendra Scott was the keynote speaker. (See Page 6 for more information on her speech.)

Lynne Sowell, survivors chairman, shared her experiences after suffering a stroke. ā€œI am a miracle and I am alive,ā€ she said. ā€œThat wasn’t suppose to happen

when I had a stroke but it happened. I wasn’t suppose to live.

It was on Jan. 15, 2007, that Lynne fell getting out of bed and hit her head on the nightstand. When she woke up, she was disoriented, and couldn’t move or speak.

ā€œGod gave me the word ā€˜emergency’,ā€ Lynne said, explaining that she could only utter one word to her daughter Amy who discovered her.

Lynne was taken to the hospital, where she remained in a coma for five days. When she left the hospital, she went to a rehabilitation facility where she was an inpatient for six weeks.

Her husband, Rik, attributes his wife’s impressive recovery to several things, including her determination, prayer and her faith in ā€œthe Great Physician.ā€

ā€œI love life,ā€ Lynn said. ā€œ I’ve learned life is short.ā€

501lifemag.com July 2008 11
LIFE pics
Dr. Margaret Beasley (front, from left), state Rep. Betty Pickett; (back) Suzanne Brazil and Donna Hambuchen. Marlene Vadjunec (left), executive director of the American Heart Association, and Heather Kendrick. ā€œGo Redā€ luncheon committee members (front, from left) Cathy Hooker, Donna Townsell, Amy Routt and Wendy Shirar; (back) Deanna Moses, Laura Weatherly, Linda Johnson, Kristi Finch, Lynne Sowell, Lorie Yates and Kathy Wyrick. (Not pictured are Karen Blaylock and Mary Bausom.) Miss Conway Melissa Davis (left) and Miss Arkansas Katie Bailey. Lynne and Rik Sowell (center) with their children Amy and Erik. Sharon Gray (front, from left), Amber Gross and Judy Hughes; (back) Dr. Sharon Meador and Linda Collins. Kendra Scott (from left), Dawn Scott and Donna Townsell. Holly McKenna (front, from left), Cynthia Frost; Carol Patty (back) and Suzy Bradley.

On May 1National Day of Prayer observed

More than 75 turned out May 1 on the lawn of the Faulkner County Courthouse to participate in the local observance of the National Day of Prayer.

Sen. Stanley Russ opened the event, which featured music performed by the Conway Christian School Choir under the direction of Donna Bradley.

The theme for this year’s event was ā€œPrayer! America’s Strength and Shield.ā€

Local pastors offered prayers during the service for different segments of the community, including government, media, education, church and family. In addition, those attending formed small groups to offer prayer for federal, state and local leaders.

501 LIFE July 2008 12
LIFE pics
Amid members of the Conway Christian School Choir, Sen. Stanley Russ welcomes those attending the local prayer service, held on the front lawn at the Faulkner County Courthouse. Those attending the service gathered in small groups to offer prayer for federal, state and local leaders. Small groups gather during prayer service. Choir members huddle in prayer. Dr. Quentin Washispack offers opening remarks. Donna Bradley directs the Conway Christian Choir. Prayer leaders were (from left) - Cary Cox (Celebration Church), Dr. Quentin Washispack (ReachGlobal), Scott Hinton (The Landing), Henry Horton (Antioch Baptist Church), Sen. Stanley Russ, Sen. Gilbert Baker, Jim Stockdale (New Life Church), Dusty Rush (University Church of Christ), Jim Bob Baker (Four Winds) and Mark Dance (Second Baptist Church).

University hosts tea & design show

Alumni and special guests recently attended an afternoon tea and design show hosted by the Family and Consumer Sciences Department at the University of Central Arkansas.

Proceeds benefited the Georg Andersen Interior Design Scholarship Fund at UCA. Following refreshments, several presentations were made.

Andersen, an interior designer, made a presentation that included completed project designs with concepts and advice on quality residential decorating.

Conway artist Tim Morris showed techniques and special finishes for any style of home.

Don Bingham, director of special events at UCA, presented ā€œThe Art of Food Designā€ for healthy spring and summer recipes.

501lifemag.com July 2008 13
LIFE pics
Jeanne Smyers (left) and Susie Walker. Don Bingham (from left), Janet Huckabee, Georg Andersen and Tim Morris. Sheena Thompson (left) and Kayla Cooper. Paige Norman (left) and Rik Sowell. Kirsten and Ryan Kravitz. Janis Banister (from left), Gretchen Taylor and Peggy Harrison. Cynthia Hawkins (from left), Lisa Coker, Mary Hardin and K.C. Poole. BerLinda Lott (left) and Jalentha McNeil.

LIFE pics

Honor graduates recognized

More than 200 honor graduates were recognized during the 30th annual Faulkner County Scholastic Achievement Banquet held May 13 at the University of Central Arkansas.

Sponsored by the Conway Area Chamber of Commerce and First Security Bank, more than 400 attended the event. Of the 258 honor graduates recognized, 58 percent already have received credit through UCA.

Mike Mertens, superintendent of the Greenbrier School District, was the keynote speaker.

501 LIFE July 2008 14
Abbey Eckert (from left), Abby Adams and Kathleen Moix. Brook and Laura Mayor. Lisette and Quentin Washispack with their daughter, Abigail (center). Kyle and Catherine Zinno. Dr. Greg Murry (left) and Joe White. Betsy Moss (from left), Justin Moss, Pete Moss, and Greg and Sherri Pillow. Corey and Laura Breeding. Mike Mertens. Liz Snipan and Nicholas Rogers. Toad Suck Daze Scholarship recipients - (not in order) Jared Anderson, Abbey Eckert, Justin Moss, Megan Ogle, Callie Malcolm, Luke Adlong, Kathleen Moix, Edward Owen, Kaylen Stevenson, Kaitlyn Martin, Tia Houston, Hunter Padgett, Taylor Bell, Katie Poole and Brianna Lambe. Guy-Perkins High School honor graduates - Stephen Arnold (not in order), Cody Cook, Michelle Passmore, Kandis Bivens and Nakeia Guiden.

LIFE pics

Hendrix hosts Business After Hours

Tours of the new Wellness and Athletics Center (WAC) were on tap May 19 as Hendrix College in Conway hosted Business After Hours.

Dr. Tim Cloyd, president of Hendrix, discussed the new facility as well as future plans for the college during the event, coordinated by the Conway Area Chamber of Commerce.

The 100,000-square-foot facility –officially dedicated on Sept. 27, 2007 – serves as the hub for all Hendrix athletics, fitness and wellness programs, intramural/ outdoor sports in addition to being home to the college’s kinesiology department.

The facility includes a 7,000-square-foot fitness center with treadmills, elliptical trainers, upright bikes and recumbent bikes that are all equipped with 15-inch personal TV screens and FM radio; a three-lane indoor track; a movement studio for group exercise classes; a competition gym and a recreation gym; an aquatic center with a retractable roof; and a climbing wall.

The WAC is available for use by Hendrix students, faculty, staff, alumni, retirees and the community. Public memberships are available. For more information, please call 501.505.2966 or go to www.hendrix.edu/wac.

501lifemag.com July 2008 15
Danny Powell (left) and Karl Lenser. Todd Tipton (left) and Paul Tipton. Rena Tyler (left) and Dr. Ellen Turney. Randall and Teresa Vaughn. Kathy Wyrick and Andy Hawkins. Lawrence Cheatham (from left), Beverly Harper and Philip Young. Chad Russell (from left), Wes Pruitt, Brad Lacy and Jamie Gates. Dr. Tim Cloyd (left) and Conway Mayor Tab Townsell. Bliss Hickey (from left), Jim Murphy, J. B. Mobley and Brian Atkins.

Prizes & pajamas

Girl Scouts from throughout Faulkner County recently hosted a mother-daughter pajama dance party.

Held at Peace Lutheran Church, the event featured a mother-daughter pajama fashion show with prizes, refreshments, crafts, a nail polish station and even a pillow fight. More than 130 Scouts participated in the event.

501 LIFE July 2008 16
LIFE pics
Lisa Burgess (left) and Alyssa Wade – Greenbrier Troop 770. Vilonia Troop 222 - Bailey Allen (from left), Meagan Bartley, leader Annette Fay, Kayla Luck and Hannah Fay. Hannah McKee, Haley McKee and Janna Smothermon - Greenbrier Troop 763. Mia and Pele Passalaqua –Conway Troop 452. Joniya and Melinda Flowers - Conway Troop 711. Rose and Tracy McGarrity (left - Conway Troop 495) and Sarah and Shay Raycher (Conway Troop 471). Hannah and Debbie Landers - Vilonia Troop 169. Olivia (left) and Debora Wilson - Conway Troop 637. Phoebe (left) and Jeanetta Darley –Conway Troop 690. Allison (left) and Susan Suits (Conway Troop 711). Olivia (left) and Jennifer Whitehead (Conway Troop 452).

Don’t slip back

Learning Ahead

Recently, a large Canadian school board released an interesting study. It seems that students who attend summer classes not only achieve higher levels of academic skills (reading comprehension, writing and math) but also develop a positive outlook on school.

Imagine being able to improve motivation by continuing some education programming throughout the summer.

The reasons why this happens are both simple and complex. Learning consists of a series of purposeful activities – activities we can control and direct. Children must learn that it is possible to control and direct their own learning activities. Often, this is seen as an entirely new idea. Too many leave this control in the hands of the education system. They feel that it is their teachers’ responsibility to teach. They feel that teaching is active while learning is passive.

This unfortunate mindset often carries over into the summer. If learning is the direct responsibility of the teacher and the classroom, then a vacation from these permits the student to let all responsibility for school and learning passively drift away. This is unfair to teachers, the education system and most of all, the student. When learning is viewed as passive, education suffers and students drift backward. They lose the academic gains that they made during the previous year but, more importantly, they lose their ability and motivation to problem-solve and integrate information – to learn. As they drift, they lose selfesteem because they have relinquished control and direction and have lost key skills and learning strategies.

It is no wonder that kids resent returning to school and see it as an intrusion on their lives. However, for kids who have attended a properly constructed summer program, one that will help them develop new thinking and learning habits while reinforcing and building upon existing academic skills, this loss of momentum and motivation does not occur.

Summer is an opportunity for children to develop new skills, make new friends and experience new challenges. If we take care to blend both recreation and academics, summer can be a wonderful growth time for all. Students will be prepared physically, emotionally and academically for a successful return

to school in the fall.

Here are a few examples to keep the active minds working this summer:

• Go hiking or biking and discuss why the environment is important. Help your child discover evidence of wildlife, point out varieties of trees and other plants; discuss the significance of wetlands and forestry. Visit the library together and pick out a book on animal footprints, tree varieties and local plant life.

• Reading a minimum of 30 minutes a day not only helps brains stay alert, it helps develop vocabulary. Ask questions about what your child is reading — this helps minds think actively and fosters a greater understanding of what they’ve read.

• Keep a scrapbook of things you did over the summer: places you’ve visited, books you’ve read and movies you’ve watched. Have your child draw pictures, add photos, collect postcards, or add souvenirs. This is a good way to help your child remember her vacation for her inevitable ā€œWhat I Did This Summer Essay.ā€

• Pick a destination and have your child research and plan how to get there and things to do. Or have your child research information for a new family purchase. Let them make a presentation of what they have discovered.

• Solving the logistics of a puzzle is a great way to keep brains sharp. Alternatively, do timed crosswords. Set the timer, and see who can get the most words in the allotted time. Have your child verbalize her problem-solving techniques — this creates active thinking, and is a great method to keep brains sharp.

• Participate in athletic camps and events. After each camp or each day, have the child summarize what they have learned and have them write about it. Make sure they discuss how the skills learned will help them and the team. This will develop active learning in any activity that they do.

• Attend academic workshops that keep a child’s brain active over the summer. Make sure they are fun AND academic.

Follow these tips this summer to make sure that your child goes back to school with happy arms, legs AND a brain. Our wish for you and your children this summer: have fun, be safe and learn.

It can take up to 2 months for students to get that momentum back in the fall. This can cause learning skill gaps. Don’t

501lifemag.com July 2008 17 Make S’MORE Time For Learning This Summer Reading | Writing | Math | Spelling | Study Skills | Homework Support | SAT 501.329.3232 | Conway, AR | 2480 Prince Street, Suite J FREE Diagnostic Assessment NO CONTRACTS FREE Support at ALL School Conferences Academic Tutoring PLUS Cognitive Development We are the only learning center to offer: Research from John Hopkins Institute for Summer Learning shows that kids can lose up to 40% of their learning momentum over the summer!
get behind. Get ahead!
neighbors >> kids
Jimmy and Audrea Toal are the center directors for Oxford Learning in Conway. Established in 1984, Oxford Learning has grown to include more than 100 locations across Canada and the U.S. For more information, visit www.oxfordlearning.com or call 501.329.3232.

eBay aficionado:

My experience with eBay started in Mountain Home. I was a pastor at Twin Lakes Baptist Church with four kids and a wife. We needed a way to purchase things more economically and a way to make a few dollars to help our budget.

A friend at a birthday party showed me what he was bidding on, on eBay. After the party I went home and went to the eBay web site. I created my account on Aug. 12, 2000. I was hooked immediately. I bought a few items, but what really convinced me was my first sale.

I had purchased a Gateway laptop computer in 1997 and one of the add-ons was a home school package of 100 CDs for kindergarten through twelfth grade. My wife was home schooling our children and I thought for $99 we could use these CDs. Well, they sat on our shelf for three years and we never used them. I figured I would put them on eBay and if I got $50 for them I would be thrilled. I took a picture of the CD package, wrote a description and started the auction. Immediately people started bidding. When it was over, I received $250 for the CD package.

I called Gateway to see if I could get some more of these home schooling CDs. The Gateway salesperson indicated I had to purchase a computer to get the deal.

I went to my wife and told her we had to go through the attic to see what we had that we could sell. A friend had invited us to go skiing, and we did not have the money to go. So I started selling the items in the attic and we made $2,000 to pay for our trip.

This started a hobby I have been doing since 2000. Over the last eight years, I purchased my 2001 Suburban on eBay for $22,000. I purchased a 2002 Tacoma truck for a friend for $11,000. I sold a 1998 Oldsmobile Intrigue for my mother for $3,500. I sold a 1957 Plymouth for Stanley Russ for $5,800.

501 LIFE July 2008 18
Dr. Quentin Washispack, who took up buying and selling on eBay as a hobby in 2000, recently had his biggest sale. He sold a Land Cruiser for a friend for $15,000. Quentin will be teaching ā€œeBay for Beginnersā€ from 7 p.m. to 9 p.m. Sept. 15, 22, 29, and Oct. 6 as a continuing education class at the Univeristy of Central Arkansas. To register, please call 501.450.3118.
ā€˜Someone’s junk is another person’s treasure’
neighbors

Here are some other eBay stories.

• When we moved to Conway in 2001, I was a pastor at Fellowship Bible Church. We hired a youth pastor and helped him move into a rent house. He had a garbage can set out by the road and I noticed an old egg timer in the can. I told Jay, ā€œYou shouldn’t throw that away. I could sell it on eBay.ā€

He replied, ā€œI bet you can’t!ā€

I took the challenge. I brought the egg timer home and had my wife, who is an artist, paint a chicken on the outside of the timer. I listed it on eBay as a collector’s egg timer painted by a Louisiana artist (my wife is from Thibodaux). The egg timer sold for $7 to a guy in California who collected egg timers! I won the bet!

• Once I bought some soccer cleats for my daughter for $12 on eBay. She tried them on and they did not fit. So, I took a picture of them and put them for sale on eBay. They sold for $27.

• We had a trampoline in the backyard of our house. My kids loved to jump on it, but after several years, the mat tore. So I had the idea that if I could sell the 100 springs that held the mat for $1 a piece I would make enough money to purchase another. So I took a picture of the spring and put it on eBay. Within two weeks I had sold all the springs and was able to purchase another trampoline. I even brought the old frame to the scrap iron place in Conway and made $3 on it.

I continue to buy and sell items on eBay. I have taught four classes on eBay in the academic outreach department at the University of Central Arkansas. It is a fun hobby and one I can make money on. I currently travel to China about four times a year and I use some of the money I make for my ministry travels.

Recently, my friend Stuart Norton had an oversized Rapala Replica lure (28 inches long by 5 inches wide) that I put on sale on eBay. He was hoping for $10. It sold for $42. If he had put it in a garage sale he might have received $5.

Someone’s junk is another person’s treasure!

501lifemag.com July 2008 19 Roe Henderson 930 Wingate, Ste. A3 Conway 501-327-3888 g Looking for a way to save money on your insurance? Call us to see if you qualify for our newest discounts. Seek Shelter Today! www.shelterinsurance.com

Master Gardener

Retired fisheries biologist Don Greenland has been fascinated by ā€œall things biologicalā€ since his teens, so it is no surprise that his ā€œhobbiesā€ include gardening, beekeeping and sheep.

He has been a Master Gardener for 15 years, and transferred to the Faulkner County group from a Concord, N.C., branch in 1997. He enjoys the organization because it allows him to meet like-minded people, do public service projects and expand his gardening knowledge.

The organization has gardening projects throughout the county, including maintenance of the courthouse landscaping and the flower beds at all the libraries.

ā€œOne of my favorite projects is a youth garden at Oak Grove Commons,ā€ Don said. He also enjoys working with the water-conservation garden adjacent to the Conway Corp. offices on Harkrider Street, and he looks forward to helping with the new historical garden at the Faulkner County Museum. Each Master Gardener must give 40 hours of public service and earn 20 education hours annually. ā€œRecently, I attended a class in Beebe on butterfly gardening,ā€ Don said, adding that a butterfly garden might be a good Master Gardener project.

Master Gardening isn’t Don’s only interest, however.

It started with bees.

ā€œI’ve always been interested in the critters,ā€ he said. ā€œI had hives when I was 16.ā€

His first encounter with bees was without protective gear. He was badly stung. ā€œI had to get a shot,ā€ he said. So he bought equipment and learned proper handling methods.

Don expects this year’s honey crop to be small because of all the cloudy weather. Bees navigate by the sun and don’t gather nectar on cloudy days – no nectar, no honey. A current concern, although it hasn’t reached Faulkner County, is Colony Collapse Disorder, a phenomenon in which the bees simply disappear from the hive. CCD’s cause is unknown, and if not discovered soon, CCD could become a problem, and not just for beekeepers and honey lovers, since bees pollinate many of the foods we eat. Research is being done, Don said, but more research funding is needed.

Don’s bees led him to another project: Growing seed crops. While attending a small-farm seminar in Columbia, Mo., three years ago, Don heard a talk by the Baker Seed Company founder on starting a seed business. He has been growing seeds for Baker ever since, and has grown things like Mexican squash, Zuk gourds, several varieties of peppers, an heirloom variety of okra, and bambara groundnut, a staple food in South Africa.

Often, Don has no idea what the crop being grown will look like or how much it will take to get the necessary amount of seed. ā€œIt’s fun to see what happens,ā€ he said.

Growing plants for seed presents two problems: Preventing cross-pollination and harvesting difficulties. ā€œFor example, squash seeds are easy to do,ā€ Don said. ā€œBut lettuce seed is about the same specific gravity as dust and hard to harvest.ā€ Red Amaranth is hardest to harvest, Don says, because it must be rubbed through a screen to separate it and then winnowed using a fan.

501 LIFE July 2008 20 Constructing quality CONCRETE pavements forArkansas. quality crushed STONE and aggregate.
SOLIDQUALITY WEBCO MININGINC. 501-796-2301 ElPaso,Arkansas 501-796-2323 ElPaso,Arkansas neighbors >> vilonia
ROCK

Don has two gardens on ā€œDownhill Farm,ā€ so named because it slopes precipitously away from Schultz Road. In the ā€œupperā€ garden, food is grown for the family table. Seed crops are grown ā€œdownhill.ā€ The Greenland home is halfway between the two.

Don has also been growing shitake mushrooms for the past eight years. He began this project because he wanted a use for the hardwood being cleared off his 43 acres, and shitakes grow on hardwood logs. He learned how to do this from a grower in Shirley. He first drills holes in each log, then uses a hypodermic needle to inject the ā€œspawn,ā€ which looks like sawdust, into the holes and seals them with wax to keep insects out. At first, Don used 42-inch logs and hand-drilled the holes, a labor-intensive operation.

ā€œI’ve refined my operation to what an old man can handle,ā€ he said. He now uses shorter logs and uses a drill press to make the holes. A log will grow mushrooms for three years before

it is depleted of nutrients.

ā€œWe probably get 20 pounds a year off 10-12 logs,ā€ Don said.

In the past, Don has also raised exotic poultry, and currently he and his wife, Annette, have 14 Dorper-Katahdins, a variety of haired sheep developed in South Africa for meat.

ā€œI threatened for years to get some sheep to mow the lawn,ā€ Don explained. ā€œAnd I finally did.ā€

The herd began in 2005 with two sheep. The newest additions are twins named Bonnie and Clyde.

ā€œWe don’t know where our sheep operation is going at this point,ā€ Don said. They are approaching the maximum number for their space, but Annette cringes at the thought of selling for meat the animals she has grown fond of.

No doubt the current projects are not the last Don will tackle. After all, he is still fascinated by ā€œbiological things.ā€

501lifemag.com July 2008 21
Retired fisheries biologist Don Greenland has been fascinated by ā€œall things biologicalā€ since his teens, so it is no surprise that his ā€œhobbiesā€ include gardening (above), beekeeping (left photo) and sheep. Don’s bees led him to another project - growing seed crops (right).

ā€˜What was normal isn’t anymore’

Friday, May 2, started out as a typical day for Sancy Faulk. She dropped off her 2-year-old son with her parents at their Damascus home and headed to Conway to her job at Central Baptist College. But it wasn’t to be an ordinary day.

Sancy had no idea that in a short time after she left home that a tornado would ravage her Black Hill Road neighborhood. ā€œWe knew it was supposed to rain but we didn’t know it was so going to be so bad.ā€

With her husband, Travis, in Texas for his work, Sancy dropped off Layne with her parents, Sam and Kay Hutto. A short while later, when the weather began to look threatening, Sam told his wife to get ready to leave to seek shelter with other relatives. Sancy’s aunt and uncle had already picked up her grandmother and had taken her to their home to wait out the storm in their basement.

ā€œWhen he went outside he could see the funnel in the sky. He said the clouds and everything were being pulled toward the funnel.ā€

The Huttos quickly huddled under stairs off their garage and braced for the storm. Kay held Layne and Sam piled clothes over them before laying his body on top of them as protection. As the storm raged, the sound was very loud. ā€œThey thought the tornado had gone over them but didn’t do any damage because they didn’t hear anything hit the house,ā€ Sancy said. ā€œBut when Dad lifted the garage door, they couldn’t get out.ā€

Nine trees in the yard were uprooted, with two landing on the house, but there was no interior damage. Miraculously, most of the trees had fallen in a direction as to miss the house.

Sancy received a call at work about 8:45 a.m. from her dad. ā€œHe said everybody was OK but a tornado hit the house.ā€

Leaving immediately to return home, Sancy found that the weather conditions were still bad. ā€œIt was so dark you couldn’t see the road. The rain was so hard and blowing sideways, and it was hailing.ā€ Traffic was stopped on Highway 65 which was littered with trees and debris, so Sancy drove on the shoulder to get as close to her road as she could before setting out on foot. ā€œI had to crawl over trees to get to our house.ā€

501 LIFE July 2008 22 neighbors >> damascus
Sonja J. Keith More than 60 trees fell in Sancy’s grandmother’s yard (seen from the roof of the house), but only one actually hit the structure. Unfortunately, the home and its main gas line were heavily damaged requiring extensive repairs. photos by Sam Hutto Sancy Faulk with her son, Layne, and husband, Travis. Nine trees in the Hutto’s yard were uprooted (above), with two landing on the house, but there was no interior damage. Miraculously, most of the trees had fallen in a direction as to miss the house.

The damage was so severe, Sancy explained, that neighbors Jim and Maria Thayer were trapped in their storm cellar when a tree fell across the door. ā€œHe called my dad and asked,ā€ ā€˜Are you OK? Can you get me out?’ They were getting them out when I drove up. They were fine but their house was horrible. It was really, really bad.ā€

It was nearly 1 o’clock before Sancy finally made it to her parents’ home. ā€œIt’s not that far but there were so many trees,ā€ she said. ā€œWhen I walked in, Layne said, ā€˜I’m OK Mommy’ and he was playing like normal.ā€

But the events of the morning had been anything but normal. ā€œLayne would say, ā€˜Nana cried and Mommy cried.ā€

What followed seemed like an immediate outpouring of love and concern – as well as chainsaws and supplies – from relatives, friends and co-workers at CBC as the cleanup began. There were many phone calls as well as visits and offers of help, making it difficult at times to work.

First Baptist Church in Damascus was set up as a command center, with meals prepared and served on site and delivered out in the field by volunteers and the American Red Cross. ā€œA hot meal is nice, especially when you’ve had sandwiches for a week and a half,ā€ she said. ā€œThere were other churches and banks – a lot of people did meals and took around food. We definitely had lots of help. We were provided for.ā€

While her parents’ home was not severely damaged, the Faulk’s home shifted during the storm, and the roof apparently was lifted off and set back down. The ceilings, walls and floors will have to be replaced because of trapped water. Damage is estimated to be about $50,000.

Instead of rebuilding (which would take four months before it could start and four to six months to complete), the Faulks have opted instead to build a metal shop with living quarters on land behind her parents’ home. With good weather, it should be completed by late July. Work will also be going on at her parents’ home as well as at Southside Baptist Church, where they attend. ā€œIt’s just a lot to think about.ā€

Continued on page 38 ...

helpful advice

Sancy Faulk – whose home was badly damaged in the May 2 tornado that hit Damascus – has some words of wisdom that can be helpful to anyone who may find themselves victim of a tornado or other disaster:

• Review your insurance policy. Sancy’s family rented their home and fortunately had insurance on the contents. The policy has also helped with living expenses. ā€œIf you have homeowner’s insurance, make sure you have enough coverage if you have to rebuild,ā€ she said. ā€œI would definitely say review your insurance policy.ā€

• Make sure you have a record of your belongings. ā€œKnow what you have. We didn’t lose that much but some people lost everything. To catalog an entire house after you have lost it, that’s a daunting task.ā€ Make a record of belongings (paper, photo and/or video) and update it regularly.

• Have a storm shelter or a safe room. ā€œWhen we build, we’re going to put a safe room in it,ā€ she said. ā€œWe talked about it before, but now we really want to do that.ā€

• ā€œBe thankful for your friends and family.ā€ Sancy and her family received needed supplies and materials to board up their home and begin the cleanup. ā€œIt just all started coming in, almost immediately.ā€

— Sancy Faulk, in the immediate aftermath of the May 2 tornado that ripped through her neighborhood.

501lifemag.com July 2008 23
ā€œ ā€ I had to crawl over trees to get to our house.

At bazaar –

St. Joseph marks 96th year of food, fellowship and fun

Fun, food and fellowship will again be on tap as St. Joseph Catholic Church in Conway celebrates its 96th annual bazaar later this summer.

While the event has evolved and changed over the years, food and fun have remained a constant. The bazaar will kick off with its traditional box lunches (10 a.m. to 1 p.m.) and a family-style dinner (5 to 8 p.m.) on Friday, July 25.

The following weekend – Friday, Aug. 1, and Saturday, Aug. 2 – the midway will take center stage at the church and school grounds. Hours are 6 to 10 o’clock each night.

David Hambuchen, a member of the bazaar steering committee, said the midway will once again feature a variety of carnival-type games as well as bingo. Food booths will also be set up. Last year, Hispanic and Vietnamese members of the church prepared ethnic food to sell at the event.

A live auction is also in the works for the Saturday evening of the bazaar, leading up to a raffle drawing for a 2008 Ford Explorer Sport Trac. The auction will begin at 10 o’clock and conclude with the drawing for the truck. Raffle tickets are $1 each and six for $5. ā€œThe auction builds a little more excitement that evening,ā€ Hambuchen said.In addition to a great evening of family fun, the bazaar is the primary fundraiser for the St. Joseph School. ā€œIt is the major revenue source other than tuition.ā€

Hambuchen serves as president of the St. Joseph School Board and has three children who attend the school – from the third grade to a high school sophomore. He knows firsthand how important the bazaar is for the school, which boasts an enrollment of about 500 students, kindergarten through 12th grade.

ā€œThe bazaar is important to the school for financial support to help keep tuition low and allow more families access to the high quality, Catholic Christian education,ā€ he said. ā€œIt is also a fellowship thing. It’s a reason to get together.ā€

In addition to church members, a lot of local residents enjoy the bazaar and make it an annual outing. Organizers hope that new members to the church as well as newcomers to Conway and Faulkner County will join in the fun.

ā€œIt’s a good community-building opportunity,ā€ he said, adding that organizers want to extend an invitation and encourage all area residents to attend and participate in the bazaar.

501 LIFE July 2008 24 faith
The midway during the St. Joseph Bazaar offers a variety of games and activities (top) that young and young at heart enjoy. Richie Hambuchen (middle photo) watches the fun as youngsters try their hand at a game. Jacklyn Hess (bottom photo, from left), Katie Halter, Brandi Elsinger, Emily Luyet take in the bazaar.

J. Mallett (top photo, from left), Rachel Briggler and Kevin Briggler enjoy one of the carnival games. David Strack (middle photo, from left) and Herman Moix enjoy the festivities. Greg Williams (bottom photo) takes aim.

501lifemag.com July 2008 25

Home sweet home

My family moved a lot! We didn’t move from city to city or state to state, but from house to house in Conway.

At 3, we moved from Fordyce, where I was born, to Conway. By the time I was 15, we had moved EIGHT times. We were tenants, not homeowners. My mother would find a ā€œnewā€ house that was larger, or cheaper, and we would pack up and change locations.

Moving was never a traumatic experience for me, because I never changed my school, church or left family. As long as my mother, father and brothers moved with me, it was home.

A young doctor, his wife and three children moved to a new city. The family could not find a house to live in so they had to stay at a hotel. A friend said to the 6-year-old daughter, ā€œToo bad you have no home.ā€ ā€œOh, yes we have a home,ā€ she replied promptly, ā€œbut no house to put it in.ā€

A home is not a building, wood or stone, but the people who live in that house. Too often we get more concerned about the house than the home. DO YOU HAVE A HOUSE OR A HOME?

At the death of my grandmother, my mother became the owner of our last home. We were no longer tenants, but HOMEOWNERS! This change was possible due to Granny’s death and my mother’s inheritance.

Did you know that you can have an eternal home, HEAVEN, because of Jesus’ death and your inheritance from Him? ā€œAnd He (Christ) came and preached peace to you who were far away (Gentiles), and peace to those who were near (Jews); for through Him we both have our access in one Spirit to the Father. So then you are no longer strangers and aliens, but you are fellow citizens with the saints, and are of God’s household - Ephesians 2:17-19.ā€

Heaven is described as a household, a home. It

is God’s house. Our entrance and acceptance into heaven is not on what we do – works – but on what Jesus did – His death on the cross! Just before Jesus went to the cross, He spent time teaching His disciples. He told them, ā€œIn My Father’s house are many dwelling places; if it were not so, I would have told you; for I go to prepare a place for you. If I go and prepare a place for you, I will come again and receive you to Myself, that where I am, there you may be also - John 14:2-3.ā€

According to some translations of the Bible, ā€œmany dwelling placesā€ may read ā€œmany rooms,ā€ ā€œmany homes,ā€ or ā€œmany mansions.ā€ I really don’t know what type place Jesus is preparing for me — a mansion, room or home, but I do know that there will be plenty of room. ā€œManyā€ is used to describe each one of these places. There will be ample room for me and you in heaven.

When Jesus came to earth there was a ā€œNO VACANCYNO ROOMā€ sign out in Bethlehem. We will not see such a sign in heaven. Jesus assures us that we have reservations, a prepared place, in God’s house. An eternal home designed by the Father, built by the Son (remember Jesus is the carpenter) and decorated by the Holy Spirit. What a promise!

Two Christian ladies lived very healthy lives. When they died, they went to heaven. As they were walking along, marveling at the paradise around them, one lady turned to the other and said, ā€œWow, I never imagined heaven would be this good.ā€ ā€œYeah,ā€ agreed the other. ā€œAnd just think, if we hadn’t eaten all that oat bran we could have gotten here 10 years sooner.ā€

I’m not sure I want to go ā€œsoonerā€ to heaven, but I really do rejoice in the fact that ā€œsooner or laterā€ I will enter that place prepared just for me by Jesus. Is He preparing a place for you?

501 LIFE July 2008 26
faith column
A home is not a building, wood or stone, but the people who live in that house.
}
A Conway resident, Marilyn Mathis is a wife, mother, Nana and teaching leader for First Wednesday Lunch Break. Readers can reach her at marilynm@cyberback.com

Recycling: Yesterday, today and tomorrow

From 22,000 lbs. in 1990 to 22 million lbs. of recyclables collected in 2007, Conway has come a long way toward its ultimate goal of recycling everything possible, with full community participation.

With today’s environmental awareness, it is hard not to reflect on how we arrived at this point, both on local and national levels. We’ve come from a time when:

• Green building referred only to a color.

• People were looked at as ā€œenvironmental wackosā€ if they recycled or considered reusing a shopping bag.

• Community recycling programs were minimal and markets for materials were few and far between.

• Businesses perceived recycling as inconvenient, regardless of its potential to save money or resources.

Conway has long been considered a leader in recycling, and its program always has been highly regarded within the state and region. It has seen tremendous progress because of community involvement and the strong commitment by city and sanitation department leaders/employees. These are crucial elements for continued growth and in making the program ā€œuser friendly.ā€

Is it as good a program as it will be tomorrow? Probably not, given the many goals, which include:

• Expanding the collection of unsalable textiles.

• Constructing a permanent household hazardous waste collection site.

• Developing a separate glass drop-off area at the landfill.

• Completing a Class IV landfill, to extend the life of the very expensive Class I landfill.

• Adding more education programs/tools.

Most everything evolves over time, and one success generally builds on another. This is true for environmental attitudes as well as programs. Conway’s strong base began building in the 1970s when First United Methodist Church members were challenged to ā€œdo somethingā€ to support what they felt strongly about (they began drives until the markets dissolved).

In 1990, the Community Recycling Committee began recycling drives/educational programs (it involved thousands of volunteer hours from many groups/ individuals, including Conway Morning Rotary, Acxiom, Audubon, plus Conway Sanitation employees). Also in 1990, the City’s Community Task Force on Recycling

presented a vision for future recycling. In 1995, the Recycling Center opened (two-thirds of the building was used to bale trash (to reduce the volume going into the landfill); one-third was used for recycling. Today, we no longer bale trash and need the whole building for recycling!

The city began a pilot curbside program in 1995, and after overcoming a wide variety of challenges, the program began to grow. Our current leadership team has made major headway in growing the great program we have today, which includes free curbside and educational programs for all Conway businesses, schools and residential areas.

The evolution of county programs also was exciting to see. Teachers/students were the driving force and organizers behind the Conway-assisted monthly drives in the county back in the mid to late-1990s. They started from scratch in trying to educate their communities.

It was an uphill battle to start, but the momentum grew, especially for Mayflower’s program when the city took over and established a 24/7 drop-off. All efforts were aided when Keep Faulkner County Beautiful volunteers began their awareness/education efforts, too.

Today, the newly-formed Faulkner County Solid Waste District has brought in additional grant monies and created further awareness of county recycling programs. Vilonia now has a 24/7 drop-off area, as well. What has impacted the relatively high level of awareness and behavioral changes that we are experiencing today? It has taken a combination of things, including community involvement, personal responsibility, repetition, education, infrastructure, good leadership, money, an energy crisis, and local and national discussions. It is my hope that people will continue these discussions and remind themselves (and others) that attitudes and the choices they make today, both at home and at the workplace, impact tomorrow. More and more people are recycling today because it makes both economical and environmental sense.

Those interested in becoming a liaison for their neighborhood, workplace, apartment complex, special event or church may call 327-2105 or 450-6155. Additional information about recycling, waste issues and waste audits can be found at www.ConwaySanitation.com. Additional information about countywide initiatives can be found at www.fcsolidwaste.org and www.fcssc.org.

You have, and will continue, to make a difference!

501lifemag.com July 2008 27
guest column
}
Debbie Plopper is the special projects coordinator for the City of Conway, Recycling.

HOME GREEN HOME

NLR family realizes the American Dream

North Little Rock families have a new opportunity to live their dream and still ā€œgo greenā€ thanks to the work of the Argenta Community Development Corporation. Just ask Yolanda Mathis.

Two months ago, Yolanda and her three children moved into a ā€œgreenā€ home and today are proud to be ā€œthe first familyā€ to reside in a LEED-Gold (Leadership in Energy and Environmental Design) certified home in Arkansas. ā€œI’m happy to be living here,ā€ she said. ā€œIt’s very comfortable and easy to take care of.ā€

The Argenta CDC has been in the business of helping families with affordable housing for a number of years, according to Brad Williams, but it wasn’t until recently that officials recognized an obligation to use a more sustainable approach with development practices. In 2007, ā€œBuilding Greenā€ was launched with the CDC partnering with the Arkansas Chapter of the U.S. Green Building Council to design, construct and promote affordable energy efficient homes for low-to-moderate income families.

ā€œBuilding Green represents a new era in our construction practices, integrating affordable housing with environmental sustainability and energy efficiency,ā€ Brad said. ā€œThe homes in this project are designed, built and are constructed of high-performance features that will

501 LIFE July 2008 28
Yolanda Mathis and her children on the front porch of their new ā€œgreenā€ home –Alessandria (from left), Xiomaria and Jared. Jared enjoys riding his bicycle in his new neighborhood.

save the homeowner money, provide a healthier indoor environment, require less maintenance and have a positive impact on the environment.ā€

The first four Building Green homes that conserve energy and natural resources were built last summer in North Little Rock’s Holt Neighborhood. Five more affordable green homes are in the pipeline for construction.

The brick homes are 1,300 square feet and feature three bedrooms, two bathrooms, a living room/dining room combo, a fully-equipped kitchen, a laundry room and a privacy fence.

The selling price for the homes begins at $96,500, with various assistance programs available to those who qualify. Brad noted that the city of North Little Rock has been very generous in providing subsidies to help individuals realize the American dream of owning a home. ā€œIt provides an opportunity for some who would like to become a homebuyer for the first time.ā€

Brad said Gardner Methodist Church has also been a ā€œterrific partner,ā€ providing financial assistance to those needing help with a down payment or closing costs. ā€œThey certainly care about the neighborhood and have taken a leadership role.ā€

The Argenta CDC’s green efforts have not gone

501lifemag.com July 2008 29
The Argenta CDC’s mission is to improve the economic vitality, quality of life and sense of community in targeted neighborhoods through the development of quality housing, the promotion of home owners and the stimulation of economic growth.
The Argenta Community Development Corporation office is located in the heart of Downtown North Little Rock, which has seen a revitalization.

Building ā€˜green’ facts

Building ā€œgreenā€ can:

• Save the homeowner money. Green building products and construction practices can lower water and energy bills, and reduce maintenance and replacement costs.

• Provide more comfort. Good energy design, proper insulation and efficient heating and cooling systems help to ensure a more comfortable home.

• Create a healthier indoor environment.

Building green encourages the use of materials, paints and finishes that eliminate many sources of indoor air pollution.

unnoticed. The Building Green homes are among only 21 projects out of nearly 175 that have earned GOLDLEED status. Only 19 have achieved the platinum level.

Launched as a pilot program in 2005, LEED-HĀ® is a green home ratings system (from certified to platinum) that assures residents their homes are designed and built to be energy and resource efficient and provide better indoor air quality.

All homes in the Building Green initiative are expected to earn a LEED-H certification. They have been built to be at least 30 percent more efficient than traditionally built homes. Some of the energy-saving amenities include gap-proof insulation, tight air and duct sealing, and a higher efficiency heating and cooling unit. The use of compact fluorescent bulbs in lighting fixtures, energy efficient windows, ventilation fans and low flow faucets also contribute to reduced utility bills.

Residents are also trained on how to maintain their home, with the Argenta CDC providing a manual that offers maintenance tips and resources along with a ā€œgreenā€ basket of sustainable household products and other resources.

Providing affordable housing has been at the heart of the organization, according to Brad, and supporting ā€œgreenā€ housing is a natural fit. While slightly more expensive on the front-end, ā€œgreenā€ homes will save homeowners money after they move in.

ā€œAffordable housing can be green,ā€ he said. ā€œCoupled with providing quality homeownership opportunities for low-to-moderate income families, we have designed homes that can ease our buyers’ utility burden.

ā€œWe understand that energy costs take an even greater percentage of the monthly budget for many families that we serve. The CDC feels it is part of our

mission to build homes that will be affordable to buy and affordable to live in.ā€

The four ā€œgreenā€ homes were completed last fall but there was little interest in purchasing them. When Little Rock TV stations broadcast stories on the homes, interest picked up. ā€œSuddenly they all went in a row,ā€ Brad said.

ā€œWhen I found about the ā€˜green’ houses, I checked it out. When I saw this house, I said, ā€˜This is my house,’ and I got it,ā€ Yolanda said. Interest has continued, especially in light of the LEED certification. ā€œSlowly we are taking the

neighborhood back,ā€ Brad said.

While Yolanda has only lived in her home for two months, she has already noticed a marked difference in her utility bills – almost half of what she had expected. ā€œThe light and water bills are low. I can tell this is different.ā€ Yolanda also likes the green cleaning products, explaining that she and her daughter have allergies and the cleaners are less irritating.

The relationship with the homeowners doesn’t end when they receive the keys to their house, according to Brad. The Argenta CDC has a holistic approach to

501 LIFE July 2008 30
Yolanda and her children (left) in their new 1,300-square-foot home which came with a fully-equipped kitchen. The first four Building Green homes that conserve energy and natural resources were built last summer in North Little Rock’s Holt Neighborhood. Five more affordable green homes are in the pipeline for construction.

home ownership.

In 1998, the Argenta CDC expanded its scope of services and became a certified NeighborWorks America homeownership center. The center provides the full range of services needed to purchase and maintain a home. ā€œSince its inception we have had close to 3,000 program graduates and referred more than $40,400,000 in mortgage loans for closing to lenders.ā€

The building ā€œgreenā€ initiative and NeighborWorks center are just two of five of the areas of focus for the Argenta CDC.Other areas of focus include:

• Single-family and multi-family housing development.

• Commercial property development.

• Community development and outreach.

The Argenta CDC traces its roots to the late 1980s and early 90s, when Downtown North Little Rock was plagued by high crime, historic homes deteriorated and property values dropped. In response, residents and property owners organized the CDC – a private nonprofit organization – in 1992 to take back their neighborhood. Community members believed that home ownership would serve as a catalyst for neighborhood improvement and began strategizing about how best

to promote the area as attractive to prospective homeowners.

To date, the organization has renovated and constructed 162 residential and commercial properties including a 56-unit apartment complex, investing over $13 million in Downtown North Little Rock’s renewal efforts. The group has also received numerous awards for its efforts.

Along the way, property values have gone up while the crime rate has gone down.

ā€œOur organization’s history is one of making homeownership possible for more people by rehabilitating, designing and building quality homes at affordable prices,ā€ Brad said. ā€œOur development approach has earned national recognition but most importantly, we have transformed lives and communities through our mission.ā€

Her new home has already meant a lot to Yolanda. She enjoys it so much, it is difficult for her to identify just one favorite thing about it. ā€œI like the location because it is close to my mom. I like the style. I like everything about it.ā€

For more information on the Argenta Community Development Corporation and its ā€œgreenā€ initiatives, please go to www.argentacdc.org or call 501.374.0622.

501lifemag.com July 2008 31
Brad Williams, executive director of the Argenta Community Development Corporation, in front of another ā€œgreenā€ home built by the organization.

Relax at a make-ahead backyard picnic

Some centerpiece ideas:

• Try making a centerpiece from old jewelry, books and photos.

• A simple rose bowl with cut greenery from the shrubs or flowering plants.

• Place whole fruit in the largest black iron skillet you have available.

• Open an old picnic basket and fill it full of fun magazines to enjoy reading or odd silverware pieces for dining.

Your imagination is the only limit!

I found the following recipes in an old discarded magazine collection and having tried them all, I have discovered a new twist to old favorites.

Make the whole meal the day before, then relax and enjoy the conversation and food with your guests.

Basil-Chicken-Vegetable Salad

4 skinned and boned chicken breast halves

1 tablespoon olive oil

1/3 cup white wine vinegar

1/3 cup olive oil

2 tablespoons chopped fresh basil

1 tablespoon capers

½ teaspoon sugar

½ teaspoon salt

1 pound fresh green beans

½ teaspoon salt

2 medium tomatoes, cut into wedges

Garnish: fresh basil leaves

With the cost of gasoline on the rise, don’t rule out the simplicity of entertaining in your own backyard.

All of the elements to produce a colorful and fresh picnic can be accomplished ahead of time – even grooming the yard several days ahead and making the entire meal the day before. The backdrop is right in your own backyard, or even in a small venue that’s shaded and can be enhanced with a few potted plants or outdoor furniture.

Splashes of color, a surprise element of sparkle, and your guests will love the results.

The occasion may be a graduation celebration, a neighborhood gathering, a ā€œthank-youā€ to special friends or just the family. Don’t be afraid to bring out some of those ā€œun-usedā€ treasures and display them as though they were making a first-time appearance at a party.

We enjoy going through the house as though we were shopping for the latest in antiques and ā€œone-of-a-kindā€ items (remember, one person’s junk is another person’s treasure) that will add to our event; no money is spent from the budget, and these items are as close to set up and return as the backyard.

Even an assortment of cloths for the picnic table and mixmatched napkins will add charm to the culinary offerings.

Cut chicken into ½-inch strips. Heat 1 tablespoon olive oil in a large skillet; add chicken and cook 5 minutes or until tender, stirring often. Set aside.

Combine vinegar and next five ingredients in a jar; cover tightly, and shake vigorously. Pour dressing over chicken strips, toss gently. Cover and chill 1 to 2 hours. Wash green beans; trim ends and remove strings. Pour water to depth of 1 inch into a skillet. Add ½ teaspoon salt, and bring to a boil. Add green beans; cover, reduce heat and cook 8 to 10 minutes or until crisp-tender. Drain immediately; then plunge beans into ice water to stop the cooking process. Arrange beans and tomato wedges on plates; top with chicken strips. Drizzle with dressing and garnish, if desired. Yield: 4 servings.

Ginger Cheese

1 8-ounce pkg. cream cheese, softened

2 tablespoons half-and-half

3 tablespoons chopped crystallized ginger

2 tablespoons almond slices, toasted

Commercial gingersnaps

Combine cream cheese and half-and-half. Beat at medium speed with an electric mixer until smooth. Stir in ginger; chill 8 hours. Sprinkle with almonds, and serve with gingersnaps. Yield: 1 cup.

501 LIFE July 2008 32
entertaining

Oatmeal Muffins

1 cup regular oats, uncooked

1 cup buttermilk

1 large egg

¼ cup honey

1 cup whole wheat flour

1 ½ teaspoons baking powder

½ teaspoon baking soda

½ teaspoon salt

¼ cup sesame seeds

Combine oats and buttermilk in a bowl. Let stand for 30 minutes. Stir in egg, oil and honey.

Combine flour and next four ingredients in a large bowl; make a well in center of mixture. Add oatmeal mixture, stirring until moistened. Spoon mixture into greased muffin pans, filling three-fourths full.

Bake at 350 degrees for 20-25 minutes. Remove from pans immediately.

Yield: 15

Sweet-and-Hot Melon

1 small cantaloupe, scooped into balls

¼ cup Marsala wine*

½ teaspoon dried crushed red pepper

Pinch of salt

Combine all ingredients; cover and refrigerate at least 2 hours, stirring occasionally. Remove melon balls from liquid; serve on wooden skewers, if desired.

Yield: 4 servings.

*1/4 cup ginger ale may be substituted for Marsala wine.

}Recognized throughout the state as an accomplished chef, Don Bingham has authored cookbooks, presented television programs and previously served as the executive chef at the Governor’s Mansion. He is now the director of special events at the University of Central Arkansas.

501lifemag.com July 2008 33

Exploring the world of beverages

Growing up in southeast Arkansas, freshly-squeezed lemonade and overly-sweetened tea were a definite in my home. I remember the tartness of the lemonade and the sugariness of the tea. It all tasted especially ā€œyummyā€ as a child.

Now, I must admit that maybe these things were probably so good to my taste buds because they were overloaded with sugar. I often find myself as an adult trying to recapture some of these childhood memories in hopes of passing them on to my children.

So began the mission of exploring and creating different and unique beverages that might not be so unfavorable to my health. Honestly, it is quite simple but it does take a little creativity on your part.

But on a hot summer day, what could be better than sipping an ice cold beverage. Summer inspires us to sip more, and sip often. That’s because we drink to hydrate our bodies, we sip to cool down and refresh ourselves, and we sip for the sheer enjoyment of it.

One of my favorite summer beverages is a fruit smoothie. Making fruit smoothies is a wonderful way to enjoy warmweather fruits. They’re great for breakfast, cooling off on a hot summer day or welcoming guests as they arrive for a barbecue.

Similar in consistency to milkshakes, smoothies are quick, nutritious and amazingly rich at the same time. Children love smoothies, so they are a perfect way to get them to eat fruit. With such versatility, it’s no wonder that the fruit smoothie has become one of the latest food crazes!

Smoothies... those delicious, creamy, frosty fruit drinks, are good for you and so simple to make. Creating the trendy, cool, thirstquenching concoctions in your kitchen couldn’t be easier. Choose your ingredients, wash the fruit, peel or cut into chunks (if needed) and then let your blender do the rest.

Nothing could be more invigorating and refreshing than a homemade fruit drink in a frosty glass on a warm summer day! Here’s an assortment of recipes for chilled fruit drinks and teas to try this summer season.

501 LIFE July 2008 34 savor
Hawaiian Iced Tea

Hawaiian Iced Tea

1 quart barely boiling hot water

4 orange pekoe tea bags

1 quart ice cold water

1 (16 ounce) can pineapple juice

1 fresh pineapple - peeled, cored and cut into spears

Splenda to taste

Pour the barely boiling hot water into a large pitcher, and add the tea bags. Steep the tea 2 to 4 minutes. Remove the tea bags, and pour in the ice water. Pour in the pineapple juice. Refrigerate until thoroughly chilled, about 1 1/2 hours. Pour the tea over ice, garnish with pineapple spears and serve.

Fruity Lemonade Slush

Lemonade flavor drink mix

1 cup water

2 cups ice cubes, divided

1/2 cup fresh strawberries

1/2 cup frozen sliced peaches

Measure drink mix to 1-quart line on container and empty into blender. Add water and 1 cup of the ice cubes. Cover and blend on high speed until smooth. Add remaining 1 cup ice cubes and the fruit.

Cover and blend using pulsing action until smooth. Serve immediately. Store leftover slush in freezer.

Makes 4 (about 1 cup each) servings.

Melon Smoothie

1/4 cantaloupe - peeled, seeded and cubed

1/4 honeydew melon - peeled, seeded and cubed

1 lime, juiced

2 tablespoons sugar

In a blender, combine cantaloupe, honeydew, lime juice and sugar. Blend until smooth. Pour into glasses and serve.

Fruity Lemonade Slush

501lifemag.com July 2008 35
}
A Conway resident, Tiffany Block enjoys cooking and has been catering for friends and family for about four years. She considers cooking an art. ā€œThe best part for me is seeing the finished product.ā€ In addition to cooking, she enjoys reading, writing and poetry.

EXERCISE AND WEIGHT LOSS:

Fallacies and facts

As a fitness professional, I have to admit that the amount of information available concerning exercise advice and weight loss tips has grown exponentially over the past decade or so. Unfortunately, not all of the information that is published is accurate or is based upon scientific research.

Many people are still misled and duped by television and newspaper ads, magazine articles and various web sites that deliver mixed messages about weight loss and what exercise can do for people. The following are some classic fitness fallacies:

1. ā€œThe Steam Room/Sauna Syndrome.ā€

I will borrow a quote that I have heard many times over the years that sums up a weight loss mentality that permeates from probably every steam room and sauna in the world. This quote usually is heard after an individual works out and then enjoys a few minutes in the steam room or sauna as a post-workout reward for his/her exercise session.ā€œOh, man, that sauna is AWESOME. I just dropped three pounds!ā€

My usual reply is, ā€œThree pounds of what?ā€ The answer is three pounds of water — not fat, like many folks believe. Water that was lost through the sauna session will quickly be replaced and the exuberant exerciser/saunacizer will be surprised the next morning when his/her weight on the bathroom scale will magically be back to his/her pre-sauna session weight.

FACT: The sauna/steam room will help you lose water weight, not fat weight.

2. ā€œMuscle weighs more than fat.ā€

This one is a classic and will most likely never go away. My usual answer to this fallacy is, ā€œHow can 16 ounces weigh more than 16 ounces?ā€

What people need to understand is that a pound of muscle is more dense than a pound of fat and the muscle takes up less space than the fat tissue. For example, you may have two ladies that weigh 150 pounds, but one may be a size 10 and the other a size 8 due to the fact that the size 8 lady has less body fat than the size 10 lady.

3. Low intensity exercise ā€œburnsā€ more fat than higher intensity exercise.

This exercise philosophy was popular back in the 1980s, but still rears its ugly head on occasion. While lower intensity exercises will utilize a greater percent of fat as an energy source than a high intensity exercise (walking vs. running, for example), the total number of calories expended is much more with a higher intensity workout.

An individual who runs for 30 minutes will burn more total calories than going for a 30-minute casual walk, even though walking will use more fat to fuel his/her walk. When it gets down to weight loss, you have to look at total calories — not what fuel source they come from (fat or carbs). Intensity is directly related to the number of calories expended in a workout.

A great example of this is stationary cycling. Pedaling casually on a bike while reading a book, for example, is low intensity with minimal caloric expenditure. The antithesis to this would be taking an indoor cycling class where the intensity and calorie expenditure is much higher.

4. Women will develop big muscles if they lift weights.

And the answer is…NO. Granted, a very small percentage of women who are genetically predisposed to muscle hypertrophy (enlargement of muscles) will show some increase in size, but the majority of women will not ā€œbulk upā€ if they lift weights. Women need muscle for many reasons and I will focus on this in a future article.

5. Sit-ups and crunches will eliminate my spare tire or bay window that is enveloped around my mid-section.

I don’t think this one will ever go away. Many fitness enthusiasts believe that mass quantities of crunches will transform their abdominal region into a chiseled mid-section like those that appear monthly on the covers of almost every fitness magazine imaginable. Achieving that six-pack requires a sound diet, consistent cardio and weight training and good genetics. Hundreds of crunches daily will tighten the muscles, but the fat tissue that overlays the muscle will not ā€œmelt awayā€ as the advertisers claim.

I hope these examples will help you with your own fitness program. There are many mixed messages out there about exercise and weight loss. Please consult a certified or degreed exercise professional if you have questions about your exercise program.

The main message is that you shouldn’t believe everything you hear or see that pertains to exercise and weight loss. Quick fixes and the ā€œeasy wayā€ usually do not work very well.

501 LIFE July 2008 36
health
A Conway resident, Karl Lenser is the director of wellness programs at Hendrix College. He has bachelor’s and master’s degrees from the University of WisconsinLaCrosse. An accomplished runner, he can be reached at lenser@hendrix.edu.
}

What is the glycemic index?

The glycemic index used to be a term used only by nutrition scientists. Now, thanks to our nationwide obsession with carbohydrates, the term glycemic index is becoming a part of our ā€œcarbā€ vocabulary.

There are several books on dieting and diabetes concerning the glycemic index. Many diet programs are now basing their meals on the glycemic index.

It may sound like it’s the key to solving our weight, blood sugar and diet dilemmas. But is it really the answer?

Glycemic index is the measurement of degree to which a carbohydrate food turns into sugar (blood glucose). The glycemic index only applies to carbohydrate foods.

Carbohydrates turn into glucose to fuel our bodies and our brain. Carbohydrates that digest quickly and thus turn into glucose quickly are called high glycemic index foods. Foods with a high glycemic index are digested and broken down by the body quickly, leading to a quick insulin response which may make you feel tired and hungry sooner.

ask the dietitian & }

ACarbohydrates that are slower to digest and thus slower to turn into glucose are called low glycemic index foods. Carbohydrate foods that contain fiber, fat and/or protein will be slower to digest which give these types of foods a lower glycemic index.

Diets that emphasize the glycemic index might recommend that you avoid high glycemic index foods, which can be unfortunate because there are many high glycemic index foods that are good for you such as watermelon, beets, carrots and potatoes.

Send your diet and nutrition questions to Kellie at kturpin@ conwayregional.org. Frequently asked and pertinent questions will be addressed in future articles in 501 LIFE.

Some foods classified as low glycemic index foods are not such a good addition to your diet, such as chips and chocolate. To base your whole diet on the do’s and don’ts of some glycemic index books can be complicated and unrealistic. There are several variables that can make the glycemic index complicated to implement. Eating various combinations of carbohydrates, protein and fat will make the glycemic index vary greatly. For example a boiled white potato without the skin has a high glycemic index, however if you eat it with meat (protein) and add

butter (fat) to your potato, the glycemic response will be lower. Adding butter to your baked potato should not necessarily be the answer to lowering the glycemic index of the potato.

Pasta is another example. If you overcook your pasta, it will digest faster than if you cook your pasta al-dente (slightly firm). Overcooked pasta will have a higher glycemic index than pasta cooked al-dente. Now you can see how it can get very complicated.

It is possible to use the glycemic index in a healthy and simple way to your advantage if you keep fiber in mind. Many high fiber, low glycemic index foods are excellent to include in your diet regularly. Some examples include high fiber cereals, whole grain products, barley, beans, peas, soybeans, apples (with skin), and grapefruit. These carbohydrates can help to keep you full and sustain you longer, and they will also boost the nutritional content of your diet.

If you want to eat a high glycemic index food such as melon or beets, simply include a source of protein such as low fat cottage cheese, or low fat string cheese. Including protein with a high glycemic index food will help to lower the glycemic response of that meal or snack.

Other examples of high glycemic index foods include low fiber cereals such as cornflakes and puffed rice, white breads, fruit juices, colas, crackers and most candy.

A healthy diet is not black and white. If you want to keep your blood sugar stable, feel full and have energy longer, then eating in a low glycemic index way can be beneficial as long as you don’t eliminate the healthy high glycemic index carbs.

For good glucose control and more sustained energy, choose high fiber foods, spread out your portions of carbohydrates, and include low fat protein sources with your meals and snacks.

501lifemag.com July 2008 37
Q
Kellie Turpin, a registered and licensed dietitian, is the wellness coordinator at the Conway Regional Health and Fitness Center.

...continued from page 23

In the meantime, the Faulks are living in Travis’ parents’ camper at their home, which is powered by a generator. Sancy admits living in an RV can be challenging. ā€œI’ve learned to be content in my current situation and with what I have, and I have learned what is important. You look at things differently.ā€

Despite the losses and inconveniences, there have been some bright spots as a result of the storm.

The family was ā€œclose anyway,ā€ according to Sancy, ā€œbut we had to become more dependent because of the circumstances.ā€

Their faith has also been affected. ā€œI think our faith is stronger because we saw God’s protection in all of this,ā€ she said. For example,

a family that normally takes cover in a bathtub during severe weather went instead this time to their storm cellar. ā€œIn this storm, a tree went through the bathroom into the bathtub,ā€ she said.

ā€œIn story after story, you see God’s protection.ā€

The experience has also strengthened her support of the United Way. A financial supporter since she went to work at CBC, she now knows personally how important the organization and its member agencies can be to families in need. ā€œI was always thinking I was doing it for somebody else. When I looked at the agencies, I didn’t know how I would use them. Things change in a moment and you need them.ā€

She also plans to offer greater support to

the Red Cross. ā€œI know other people will need them.ā€

Sancy is grateful for the support and friendship she has among her co-workers at CBC. Admittedly she has difficulty focusing on work when at CBC with thoughts of what still has to be done at home. At home, she thinks about work. ā€œWhat was normal isn’t anymore.ā€

ā€œWhen something like this happens to you it is bad but the whole family rallies around you and you move on. But when it happens to you, your parents, your grandparents, your church, your pastor’s home and every home around you for as far as you can see, it is just so overwhelming. But, through it all, our family is stronger, our church is stronger and our community is stronger. Only God can do that!ā€

501 LIFE July 2008 38
Photographs can’t adequately capture the magnitude of the damage and loss from the May 2 tornado that ripped through Damascus, according to Sancy Faulk, whose home and church lay in its path. The Southside Baptist Church (pictured) was among the structures heavily damaged. A construction crew was working on a new sanctuary on the site when the tornado hit. Fortunately, the workers were alerted and had moved to a safe area of the church before the tornado struck, and no one was harmed. Workers begin clearing trees at Sancy’s grandmother’s home.

How our smile affects our attitude

When we walk into a room, we always seem to notice that one person who stands out above the rest. We wish that we showed that much confidence.

When we don’t like our smiles or the way our teeth look and feel, it can define who we are. We tend to not smile as big as we want, not smile at all or cover up our smiles.

How do we think we can land that job when we don’t even smile at the potential boss in the interview? Who wants to go on a date with someone who never smiles? How can we light up a room when we never smile to say hello?

Being embarrassed by a smile is very common. Teeth may be discolored, crooked, or even missing. Whatever the case may be, when we don’t smile our attitude changes.

Studies have shown that 70 percent of what we think about a person is from the first impression. Also, it takes at least 10 positive events to overcome a negative first impression.

Of all the factors involved in a first impression, appearance comprises 80-plus percent; and a smile draws 75 percent of our attention. That means that a smile, good or bad, is a major factor in guiding a first impression.

Other studies have shown that:

• People with great smiles are far more successful.

• A smile is a major determining factor when hiring or giving promotions. In a tie, chances are the one selected will always have the better smile.

This may be related to the perceptions of others or more selfconfidence, but the fact remains that a great smile will definitely have a direct influence on success.

501lifemag.com July 2008 39 looking good
Before – Cindy Ussery with her old smile. After – Cindy with her new smile.

ā€˜A secretpersonal garden’

home

Alittle creativity can go a long way in making your home –no matter how big or small – a warm and comfortable place. There was a small entrance to a bedroom in our home. We rarely used the entrance, and I was watching the stacks and stacks of books accumulate on the shelves and in the corners, unorganized and in disarray. After some creative planning, we decided to turn this small space into a ā€œprayer closet retreatā€ enclosed with floor to ceiling bookshelves.

It’s a small space, room for one chair and ottoman, a hanging light fixture and wall-towall shelving – home to the most wonderful, inspirational, uplifting array of collections imaginable!

There’s only one window that overlooks our back garden and what a delight it is to sit, read, meditate and watch the changing seasons outside as well as the changing seasons within my own heart, as I read the various writings.

I love our prayer closet. I have often referred to it as the place where I go to meet with my ā€œdear friends.ā€ As one could imagine, there are the wonderful authors from Scripture – Moses, David, Paul; and then there are the incredible Puritan writers that I especially enjoy. There are also the mystics and contemporaries of our lifetime.

I love to peruse the shelves, selecting the ā€œfirst editionā€ and out of print books that lift my spirit and encourage me. I recall where that particular book came from and the circumstances surrounding the procuring of that book. It makes my prayer closet become a more precious retreat and a much-needed refreshment from the pressures of the times.

It’s only a corner, and a very small, modest one at that – but it opens up a vast world of comfort and growth to my own heart and mind.

Recently, a friend heard me speak of my ā€œdead friendsā€ and gave me a calligraphy version of thoughts from Samuel Davies (1723-1761). They still speak to my heart each time I read them: ā€œI have a peaceful study – a refuge from the hurries and the noise of the world around me. The venerable dead are waiting in my library to entertain me and relieve me from the nonsense of surviving mortals.ā€

I’m overwhelmed when I read thoughts from Spurgeon, Augustine, Jonathan Edwards and more! As Richard Baxter pointed out in his Christian Directory in the 17th century, ā€œMany

a one may have a book, even any day or hour or the week, that cannot at all have a good preacher!ā€

It has also been a grand encouragement to me to realize with St. Teresa of Avilia’s book ā€œLife of Prayerā€ that ā€œthe art of devotional reading is not exegetical, not informational, and not literary in its emphasis. Spiritual reading is essentially formative of the soul before God. We need then to read it in such a way that it helps us to be inspired and in tune with God in the inner man.ā€

Our prayer closet is a dear place to meet with friends; a true friend in Christ will wake me up, help me to grow, and deepen my awareness of God.

C.S. Lewis said, ā€œIt is a good rule, after reading a book, never to allow yourself another new one until you have read an old one in between. If that is too much for you, you should read one to every three new ones.ā€

I always look forward to my daily visits to our prayer closet – our personal secret garden. I’m thankful for all my friends and all they have to teach me!

501lifemag.com July 2008 41
ā€œ
ā€ I have a peaceful study – a refuge from the hurries and the noise of the world around me.
– Samuel Davies

going greena ā€˜Greening up’ your backyard

With an estimated one in three Arkansans participating in wildlife-watching activities, ā€œBackyard Conservationā€ principles have grown in popularity as a method of bringing wildlife from the countryside to our backyards.

ā€œBackyard Conservation…It’ll Grow on Youā€ is a cooperative project of the USDA Natural Resources Conservation Service, the National Association of Conservation Districts and the Wildlife Habitat Council. It is designed to encourage the protection of soil, water, air, plant and animal resources among private landowners.

When applying backyard conservation principles and creating or enhancing habitat around your home, the University of Arkansas Division of Agriculture Cooperative Extension Service (UACES) suggests following the three D’s – diversity, design and diligence.

A diversity of habitat is crucial for the survival of many wildlife species. The more variety including food (fruit, acorn, nectar,

501 LIFE July 2008 42

suet cakes, black oil sunflower seeds and white proso millet), water, shelter and nesting habitat provided in a small area, the more wildlife that will be attracted.

The proper design of your backyard habitat will greatly benefit wildlife and improve viewing opportunities.

Some design tips:

Create vistas for seeing wildlife near windows and decks.

Place feeders and nest boxes in locations that are visible from your home and preferably 10 to 15 feet from trees or shrubs to provide an escape cover for birds fleeing from predators.

Locate taller vegetation around the border of your yard, planting multiple species of plants in natural effects in groups of three, five or seven, design curved rather than straight boarders.

Plan for year round aesthetics and habitat needs.

Diligence in maintaining your backyard habitat is the final key to successfully attracting wildlife. Weeding and thinning overgrown vegetation, cleaning bird boxes and bird feeders (eliminating the danger of a potentially fatal bird infection from fungus bred on wet seeds), draining and sanitizing water containers and replacing dead plants will ensure an abundance of visitors to your backyard for generations to come.

The Faulkner County Conservation District (FCCD) offers a ā€œBackyard Conservationā€ publication free to the public. The guide provides helpful information on a variety of backyard conservation topics including tree planting, wildlife habitat, backyard ponds, backyard wetlands, composting, mulching, nutrient management, terracing, water conservation and pest management.

To obtain a complimentary copy, visit the FCCD office at 110 South Amity Road, Suite 102. Hours are 8 a.m. to 5 p.m. MondayFriday.

501lifemag.com July 2008 43 4035McDowellDrive,Conway,AR72034 501.329.1680/877.468.6659 www.interiorsonly.com NaturallyBeautiful BAMBOO CORK NATURALFIBER CARPET LAMINATE &MORE CARPETS& FLOORS SaveBigon EarthFriendly InteriorsOnly BUYAFLOOR and SAVESOME GREEN
}
A Conway resident, Angie Howard is the recycling coordinator for the city of Conway and the Faulkner County Solid Waste District. She is also the executive coordinator of the Keep Faulkner County Beautiful Organization and serves as the information education specialist for the Faulkner County Conservation District.

Picnic basket for two - $70 Red/white dinner plate - $5 each Red/white salad plate - $3.50 each

Clear outdoor drinkware - $4 each Napkin ring -$1 each Blue/white napkin - $3.50 each

Artificial fruit - $2.50-$3 each

$3.50

501 LIFE July 2008 44 for
the home
Mini tea light lantern/stand Artificial green plant - $39
summercool }Pier 1 Imports 701 Elsinger Blvd. Conway Commons 501.513.9789
Wooden tea light lantern - $8 each

Hedge shears - $45.99

Tuff Mate gloves - $12.99

Water cooler - $9.29

Garden hose - $16.99

Garden visor hat - $6.99

Greenbrier

OUR NEWLY RENOVATED FACILITY FEATURES A MEDICARE UNIT THAT INCLUDES ITS OWN ENTRANCE, DINING ROOM, PRIVATE ROOMS, AND TERMINAL CARE ROOMS.

From long-term care residents, to rehab patients, everyone’s needs are met with dignity and respect in a comfortable living environment.

A spectacular outdoor area is the focal point of our living environment with special attention given to the indoor dƩcor. The facility reflects our concern for the quality of life we feel our residents deserve.

Our ongoing goal at Greenbrier Nursing and Rehabilitation Center is to provide the highest quality of care to each resident.

We invite you to come in for a visit. Our sincere professional staff enjoys giving extra attention to service and going the extra mile for residents and their family members.

501lifemag.com July 2008 45
16
WILSON FARM ROAD • GREENBRIER, AR • (501) 679-0860
NURSING & REHABILITATION
CENTER
}Hiegel Supply 1310 Bruce St. Conway 501.327.7755

Get Smart. Go Green.

This ā€œHannahā€ style features green frames and brown lenses from Banana Republic. Bold and Beautiful.

Big, bold black frames from Banana Republic, the ā€œAllisonā€ style features gray lenses. Guess Who.

Large white frames are very retro. These feature gold embellishments and brown lenses from Guess.

BRIGHT FUTURE

photo styling by Dianna K. Winters

Sunglasses – the one fashion accessory that should be in every person’s wardrobe no matter their age, budget or personal style. The outdoorsman: definitely; the soccer mom: absolutely; the 24/7 workaholic, yep; even high school students to toddlers should keep some shades handy.

That is, according to licensed opticians Vickey Magie and Brian Bolden of Conway Optical. Vickey and Brian have noticed that cataracts are starting earlier and earlier. So yes, having toddlers wear shades while out and about is an extra form of protection against potential future problems.

Vickey recommends certain characteristics to look for in selecting shades – fit, form and function. Some people may purchase sunglasses just based

501 LIFE July 2008 46 fashion
Sunglasses complete every summer outfit

on how they look; Vickey emphasizes that how they function makes all the difference.

ā€œPolarized lensesā€ are optimum, recommends Vickey. ā€œPolarized lenses protect eyes from glare. The polarization actually cuts the glare. However, if you can’t find polarized lenses to fit your budget then at the very least get 100 percent UV protection. The UV protection may not cut the glare in the same manner but they’ll go a long way to protect your peepers.

Another aspect of function is the tint, or lens color. The main colors you’ll find, according to Brian, are brown and gray. Gray neutralizes color, so everything looks muted. Brown lenses enhance and give contrast. A brown lens seems to be preferred by golfers because of the contrast it provides of the white ball on the green turf. Green lenses are, ā€œOkay,ā€

Cool dude.

Men’s aviator-style, named, ā€œMorganā€ in black wire frames with gray lenses.

Chill out.

501lifemag.com July 2008 47
Carrera brand polarized UV400 black wire frame with gray lenses. Sunglasses courtesy of Conway Optical in Downtown Conway.

Ice, ice, baby.

The ever popular Nike wrap-style ā€œOverpassā€ in black frames with gray lenses.

according to these two opticians. Again, be sure that they provide UV protection at the minimum.

Vickey likes to help customers find the perfect fit. The first thing to consider is how the shades sit on the bridge of your nose. This determines where the frame sits on your face. You need to avoid your frames riding on or dragging on your cheeks. Vickey recommends big frames to cut all light from peeping in.

Women seem to be drawn to frames with lots of bling. Vickey observes that the current style in sunglasses, as with clothes, seems to be ā€œretro.ā€ For example, you’ll find styles reminiscent of the size and shape worn by Grace Kelly in the 1950s and Jackie Onassis in the ā€˜70s.

Brian also has noticed that Conway Optical is selling more ā€œloudā€ styles, more ā€œoff-thewallā€ frame colors and styles.

For men, the popular frame form is the ā€œwrapā€ style. These make great ā€œrecspecsā€ which means, recreation specs. The retro look for men is evident in the return of the ā€œaviatorā€ style. For juniors, the once popular Ray Ban brand is making a come back, again, reminiscent of the Frank Sinatra era and most recently, Tom Cruise in the ā€œRisky Businessā€ movie.

Even if the fashion style for clothes and accessories seems to go back in time, there are some new aspects in sunglasses and the protection they offer. Conway Optical now offers transition lenses called, ā€œDrivewear.ā€ These polarized lenses progressively change their tint from light to dark based on the conditions. These lenses are available in most prescriptions.

Fit, form and function – each are important aspects in your wardrobe choices. And, sunglasses, like shirts and shoes are another clothing necessity. Just like with your shirt and shoes, you’ll benefit the most when your shades have the right fit, form and function.

501 LIFE July 2008 48

his and her must-haves for summer

Guys get ready for fun in the sun with these accessories from EM in Downtown Conway.

4 5

1 2 3 4 5

Bellagio cologne - $44

Maui Jim sunglasses - $249

Razorback Fossil watch - $100

Cuff links - $42

Summer colors come alive with this 60-inch strand of multi-colored pearls and matching bracelet from Fletcher Smith’s Jewelers in Downtown Conway.

Necklace - $650

Bracelet - $375

Cool down this summer in style. With these fun items from Lefler’s in Downtown Conway, you will be in style at the lake or out to dinner.

Spiritual Bands - $38

Brighton Bracelet - $54

Lauren Hobo Billfold - $108

Brighton Sunglasses with free beach towel - $70

Havaianas Flip Flops - $18

501lifemag.com July 2008 49
shopping bag
1 2 3

CONWAYCHAMBER GOINGGREEN

The Conway Area Chamber of Commerce is sporting a new brand as well as a new eco-friendly initiative.

ā€œGet Smart,ā€ the new slogan for Conway, was unveiled at the organization’s annual meeting held in February at the University of Central Arkansas.

Last year, four groups – the Conway Advertising and Promotion Commission, Conway Development Corporation, Conway Downtown Partnership and the chamber – worked together to create a uniform look and a new city brand. The end result included a unique yet complimentary logo for each group that reflected a new city brand and logo – a large C in a circle designed using two colors of green and the words ā€œGet Smart.ā€

ā€œThese organizations stepped forward to create a brand that would best challenge people to rethink what Conway is,ā€ said Brad Lacy, president and chief executive officer of the chamber.

The city’s new brand was intentionally designed to reflect the ā€œgreenā€ movement, according to Lacy. He said if the city is marketed as an intelligent, smart community it only makes sense that would include supporting measures that protect the environment.

ā€œIt fits with our brand.ā€

The new Conway brand also reflects Arkansas, which has long been noted as ā€œThe Natural State,ā€ Lacy said.

The emphasis on green is reflected in several ways at the chamber building and through the staff. Lacy said the chamber has recycled for a number of years but more effort is being made to look at other ways to minimize the impact on the environment – from using biodegradable coffee cups to using and distributing compact fluorescent bulbs at the recent Get Smart, Go Green event at the chamber.

During the event, Angie Howard, recycling education coordinator

501 LIFE July 2008 50
business
Brad Lacy introduces the city’s new brand and logo at the chamber’s annual meeting in February.

for the city of Conway, shared ideas on how to recycle and environmental stewardship, which can help a business’ bottom line. She also conducted a waste audit for the chamber and noted ways to reduce its waste stream.

ā€œWe’re learning too as we go along,ā€ Lacy said. ā€œWe are helping members understand they can be green and it not cost a whole lot more.ā€

The Conway chamber may be among the first of its type to embrace and support the green movement. Lacy noted that the Gatlinburg, Tenn., chamber was the only one mentioning its green efforts at last year’s Chamber Institute.

To introduce the new brand as well as illustrate the importance of ā€œgoing green,ā€ reusable shopping bags with the new brand were distributed at the chamber annual meeting. An energy efficient light

bulb was included in the bag with a card that listed the results if 750 people who attended each replaced just one incandescent light bulb with a compact fluorescent light bulb:

• ā€We would save up to 345,000 kilowatt hours of electricity –enough to light 157.50 homes for a year.

• ā€We would reduce carbon dioxide emissions comparable to removing 19.2 cars from our roadways for one year.

• ā€We would create the same effect as planting 27.4 acres of forest.ā€

The card further summed up the chamber’s approach to the ā€œgo greenā€ movement - ā€œTogether, we can make a difference and protect the environment. It’s not only smart – it’s the right thing to do.ā€

To learn more about the chamber’s new brand and ā€œgreenā€ efforts, please email GetSmart@ConwayArkansas.org.

501lifemag.com July 2008 51

Tasty possibilities are endless At Bear’s Den –

Have you noticed that almost anything you need can be purchased at the corner gas station? With the price of gasoline, that’s a good thing!

For those who are looking for a nutritional and delicious quick meal, have we got a gas station for you!

The Bear’s Den - located in a Conway gas station at 2890 Dave Ward Drive - is actually one of Conway’s best hidden secrets. Many have been stopping by, including local police officers, military personnel, university staff and lots of students.

Yes, there’s the availability of everything fried that is still digestible but the secret is the wonder that this gas station fires up Monday through Friday - the smoking wagon.

For the low-carb dieters, those who like outdoor grill flavors, and those who are looking for a quick take-out to add to what is waiting at home, the possibilities are endless. The smoked ribs, half and whole smoked chickens, pork chops and turkey legs are smoked to perfection.

True enough, you have to forget the

Fruit Salad with Blackberry Basil Vinaigrette

8 cups mixed greens

1 ½ cup sliced mango

1 ½ cup pink grapefruit segments

1 ½ cup sliced strawberries

1 cup fresh blackberries

1 large avocado, sliced

Smoked chicken slices

Mix and toss with dressing. Place smoked chicken on salad for a great protein meal.

Blackberry Basil Vinaigrette

½ (10 ounce) jar seedless blackberry preserves*

¼ cup red wine vinegar

6 fresh basil leaves

1 garlic clove, sliced

½ teaspoon salt

½ teaspoon seasoned pepper

¾ cup vegetable oil

*Raspberry preserves may be substituted. Pulse preserves and vinegar; add next four ingredients. With blender running, add oil slowly. Process until smooth. Serves 6.

Chicken Artichoke Salad

¾ cup coarsely chopped red pepper

2 ½ cups cubed poached chicken

1 ½ cups hearts of artichoke, quartered (about 1 ½

14-ounce cans)

Egg Yolk Vinaigrette

¼ cup sour cream

Limoge china and Ralph Lauren napkins but Bart Sullivan serves up genuine warmth and hospitality – one of those characteristics I look for in my eating establishments – and now it is offered as daily fare at the local corner gas station.

You’ll have to pull up next to the 50-cent ā€œvacuum your own carā€ pump rather than valet parking and be prepared to be met with the ambience of the elegant Harley motorcycle and bar stools rather than white tablecloths and bud vases. Just watch your step and make your way to the carryout line of wonderful smoked meats.

Upon further investigation, I’ve discovered the sauces are all natural – no additives, no preservatives – and are packed full of flavor. The 501 market arena has lots of great barbecue options. We all have our favorites. We’ll support them and will continue to welcome more choices in our local neighborhoods, but I’m delighted to add the Bear’s Den to my fast food, drive-by gourmet roster.

May I recommend the following recipe for dinner tonight, using the Bear’s Den smoked chicken.

Cut red pepper in half and remove seeds. Cut each piece in half vertically and remove the skin with a vegetable peeler. Chop coarsely. Combine red pepper, chicken and artichokes in a large bowl. Whisk vinaigrette and sour cream together. Add to chicken mixture. Stir well, cover and chill at least 6 hours or overnight. Serves 4-6.

Egg Yolk Vinaigrette

1 small shallot

½ teaspoon salt

½ teaspoon dried tarragon

2 egg yolks

2 teaspoons Dijon mustard

2 tablespoons lemon juice

2 tablespoons white wine vinegar

½ cup salad oil

Freshly ground white pepper

With the steel blade in the processor bowl and the machine running, drop the shallot down the feed tube. Mince finely. Scrape bowl down. Add salt, tarragon, egg yolks, mustard, lemon juice and vinegar. Process 10 to 15 seconds to mix very well. With machine running, slowly pour salad oil down feed tube. Process 5 seconds after all of the oil is in. Scrape down, process 5 seconds more. Season with pepper and additional salt to taste.

501 LIFE July 2008 52
dining

Four Tops, acrobats among acts at UCA this 2008-09 season

Motown legends to international performers will be making their way to the University of Central Arkansas at Conway over the next year in what has been described as ā€œthe perfect season.ā€

UCA recently released its 2008-2009 Public Appearances season.

ā€œThis is a very bright season of great shows that demonstrate the same variety we have presented over the past eight years,ā€ said Guy Couch, director of UCA Public Appearances since the 1,200-seat Donald W. Reynolds Performance Hall opened in September 2000. ā€œWe have lined up a group of shows that are sure to please the UCA community, as well as individuals and families in Conway and all over Central Arkansas.

ā€œThis really may be ā€˜The Perfect Season.ā€™ā€ Opening the season will be the Golden Dragon Acrobats of China on Sept. 19-20. This amazing company represents the best of time-honored traditions of Chinese acrobatics, which began more than 25 centuries ago.

During UCA Homecoming Week, two Motown forces - the Temptations and the Four Tops - take the stage together for a concert that may literally bring down the house. Lucky ticket holders will be dancing to hits like ā€œMy Girl,ā€ ā€œThe Way You Do the Things You Do,ā€ ā€œAin’t No Woman Like the One I Love,ā€ and ā€œStanding in the Shadow of Love.ā€

UCA President Lu Hardin and his wife, Mary, will host this once-in-a-lifetime show, scheduled for Thursday, Oct. 9, with a special 8 p.m. curtain.

Remaining shows in the fall include a fascinating classical concert called Marsalis Brasilianos, featuring saxophonist Branford Marsalis and the 30-member Filharmonia Brasileira in a tribute to the music of Brazilian composer Heitor Villa-Lobos (Oct. 20); a program of modern dance by Israeli choreographer Ohad Naharin called Minus One, performed by the 29-member Les Grands Ballets Canadiens de Montreal (Nov. 11); and a Sunday afternoon performance of ā€œA Celtic Christmasā€ by the Boys of the Lough at 4 p.m. Dec. 7.

Rounding out the season is the very hot Argentine ballroom dance show called Tango Fire on Feb. 5, and the wonderful Poncho Sanchez Latin Jazz Band on March 5. The 2008-2009 season culminates with a concert by America’s Bluegrass Sweetheart Rhonda Vincent and her band, The Rage, on April 30.

Season tickets are now on sale. Call or come by UCA Ticket Central during regular box office hours, 10 a.m. to 4 p.m., Monday through Friday. The toll free phone number is 866-810-0012. Conway residents should call 450-3265.

More information about the season is available online at www.uca.edu/reynolds. Single tickets to all shows go on sale on Monday, Aug. 11.

Couch announced in the spring that he was stepping down as director of Public Appearances at the end of June. ā€œWhen I took this job in July 2000, I told myself that I would

build the series and take it through the UCA Centennial, in 2007,ā€ he said. ā€œWe have done that, and now it is time for someone new to step in and give the series new leadership and hopefully new vision as UCA approaches the next 10 years.

ā€œI have been privileged to work at UCA during a period of phenomenal growth. I leave knowing that UCA Public Appearances has the infrastructure and the staff to continue to grow, along with the College of Fine Arts and Communication and the University as a whole. ā€œI will dearly miss all the friends I have made here in Conway.ā€

501lifemag.com July 2008 53
arts
the
The Temptations and Four Tops will be among the acts appearing this season at the Donald W. Reynolds Performance Hall.

Enjoying life – and fishing –on Lake Conway

Casting a line byDonnaLampkinStephens

Looking for a summertime sport and an excuse for the family to get outside and enjoy the 501 area? Grab a pole and some bait and go fishing.

Arkansas has more than 600,000 acres of lakes and 9,700 miles of rivers and streams, and one of the jewels in the crown is Lake Conway, located along Interstate 40 between Conway and Mayflower.

ā€œThey come from all over the state of Arkansas,ā€ said Rick Bates, the long-time owner of Bates Field and Stream, probably the most comprehensive bait shop near the lake, located on Highway 89 just east of Interstate 40 off Exit 135. ā€œUsed to, we were the No. 1 bass fishing lake in the state and No. 9 in the nation.ā€

Brent Stallings, the boys basketball coach at Mayflower, started fishing Lake Conway in about 1984 and said he ā€œfished it hard from about ’88-2000 or so, almost 150 days a year.ā€

Why fish?

ā€œIt’s a great activity you can do for a lifetime,ā€ Stallings said. ā€œYou can do it at 80 just like you could at 14. It’s a clean sport; you’re out in the open and get to see all the wildlife; it’s a challenge, and they taste pretty good.ā€

Why fish Lake Conway?

ā€œAt one time it was about the best lake in the state,ā€ Stallings said. ā€œNot only could you catch numbers of fish, but really nice big fish. Years ago, you’d stand a chance of catching a 10-pound or bigger bass, and I’ve heard of some 8- or 9-pounders this spring.ā€

The Arkansas Game and Fish Commission has worked with a citizen’s committee for several years

on a long-range management plan for the 60-year-old lake, and the major work has been completed. That’s good news for all fishermen — and women.

ā€œThe fishing has been excellent, a lot better than I thought it would be after all the work,ā€ Bates said. ā€œIt came back a lot quicker than I thought it would. Bass have been phenomenal, but the fishing is great for everything.ā€

According to the Game and Fish web site, the 6,700-acre Lake Conway is the largest man-made game and fish commission lake in the United States. Work began on it in 1948, long before Interstate 40 cut through the area, when Highway 89 was a gravel road. Stone Dam Creek, Gold Creek, Palarm Creek, Little Cypress Creek and Panther Creek feed the lake.

Carl Perrin, fisheries biologist for District 10 of the AGFC, agreed that the fishing now is good. ā€œBass, especially, is real good; bream is real good, crappie and catfish, especially crappie,ā€ he said.

He explained that the commission has a five-year stocking plan for the lake. Three out of five years, crappie and catfish are stocked — 40,000 catfish and 300,000 crappie plus whatever young ones come along. Bass are stocked the other two years. In the fall, plans are to add 50,000 Florida largemouth bass to the lake.

Stallings said that would mean those 10-pounders would be back in a few years.

The work over the last several years has mostly been focused on repairing the gates and pipes in the dam in order for officials to have better control of the lake’s water level.

Martha Cullins enjoys a quiet moment while fishing from the Gerald Ward Pier on Lake Conway.

ā€œThe lake’s absolutely full and at a normal level,ā€ Perrin said. ā€œWe’re able to maintain it closer to normal than we could several years ago because we don’t have the leakage we have had. Of course, if we have a drought in the summertime, it would still go down, but we’ll head into the fall pretty well full.ā€

Vegetation is still something of a problem, though. At first water lilies were the culprit, but Perrin said a couple of exotic species had come in lately in alligator weed and water pennywort. Officials continue to work on biological and chemical solutions, but that will be an ongoing battle.

That shouldn’t affect this summer’s fishing, though.

The sport’s biggest problem is aging participants, but the Game and Fish Commission has several programs to encourage young people to pick up a pole.

ā€œThe older generation is dying off, and a lot of the younger generation are couch potatoes,ā€ Bates said. ā€œThey play on computers and participate in different kinds of activities. The ones who are fishing now have been raised in it.

ā€œThe fishing is getting better all the time; it’s just a matter of getting people to go.ā€

Perrin agreed.

ā€œThat’s a problem nationwide, and it is a shame,ā€ he said. ā€œWe’ve got several programs at Game and Fish designed to help alleviate that, but we’re running behind on that issue.ā€

In the last few years, Stallings has started fishing a Central Arkansas circuit with Vince Miller’s Team Bass. He said it’s a chance to feed his competitive nature.

ā€œThat’s the thing I get out there and do,ā€ he said. ā€œI don’t play softball; I don’t play golf, and I’m too old to get too competitive in basketball. I enjoy fishing, and you can make some pretty good paychecks when you do well. It’s a big, big challenge trying to figure out what they’ll bite and how they’ll bite.ā€

Perrin said bream and catfish at Lake Conway should be biting all summer while the water is warm. Bass bite better in spring and fall and slow down a bit with the extreme temperatures of summer and winter, and fall and winter are best for crappie.

ā€œThat’s not to say a good fisherman can’t catch crappie in the summer — he can, but he’s got to know where to go and how to catch them,ā€ Perrin said. ā€œAll of them can almost be caught all year unless we have extreme conditions.ā€

In order to fish Lake Conway and most Arkansas lakes, sportsmen 16 and older must have a license. They are available online at http://www.agfc.com/fishing/licenseinfo-fishing.aspx or at a number of retailers, including Bates Field and Stream.

The main access to Lake Conway is from Interstate 40 via Exit 135 at Mayflower. Call (501) 223-6300 or 1-800-364-4263 or visit www.agfc.com/fishing for more information.

SalemPlace recognizedforgreat service—again!

Forover18years,SalemPlacehasbeenin thebusinessofhelpingindividualswhoneed specialcare.So,itcameasnosurprisewhen SalemPlacewasrecentlyrecognizedonce againasthebestineldercare/residencein FaulknerCountyinapolloflocalnewpaper readers.Salemwasrunner-upforbestin physicaltherapy.

ā€œWeareproudtohavebeenofservicetothe communitybyprovidingoutstandingcarefor theelderly,ā€saidVickeyKirkemier,facility administrator.ā€œWewanttothankFaulkner CountyforvotingusNo.1inthe2007 Readers’Choice,ā€shesaid.ā€œWearecommittedtogivingyourlovedonesthecareand comforttheydeserve.ā€

Servicesoffered:

ā¤ LTCprivateroomsavailable

ā¤ Privaterehabroomswithflatscreen TV/cableandtelephone

ā¤ 24-hourskillednursingcare

ā¤ Physicaltherapy

ā¤ Occupationaltherapy

ā¤ Speechtherapy

ā¤ Social/activityprograms

ā¤ IVtherapy

ā¤ Short-termrehabilitation

ā¤ Long-termcare

ā¤ Terminalcare

ā¤ Separateentrancetorehab

ā¤ Observationunitforsafety

501lifemag.com July 2008 55
SalemPlace NursingandRehabilitationCenter
SalemPlaceNursingand RehabilitationCenterhasearned areputationofquality servicesdeliveredbytop-notch healthcareprofessionals. Onlytwo-years-old,SalemPlace offersamodernandfriendly atmosphereforresidentsandfamilies. 2401ChristinaLane Conway,AR72034 501-327-4421 VOTED #1 inElderCare/Residence inFaulknerCounty 2007 Readers’Choice Eachofthecenter’sthreemainareas featuresitsowndiningspace. The20-bedRehabilitationCenterhas itsownseparateentrance.

MEET: Stewart McConnell & Bo

Hometown: Conway

Occupation: Contractor/developer

Pet name: Bo

Age: 5

Type of animal: Labrador retriever

Where/when did you meet: We got Bo when he was 5 weeks old as a gift for our oldest son.

Activities you enjoy together: We play together and work together. Bo goes along with me every day to work. All the subcontractors know and enjoy his company. He is well behaved and is part of the ā€œcrew.ā€

On weekends, Bo enjoys playing at the farm. He runs along while we are on long horse rides. He enjoys playing in the lake. We even enjoy a good Sunday afternoon nap. Bo also retrieves our paper each morning.

Quote about your pet: ā€œBe the kind of person your dog thinks you are.ā€

501 LIFE July 2008 56
>>
neighbors
special friends

At Heifer RanchTake a trip around the world

There is much talk of sticking closer to home this summer. That works well for those who live in the 501 because we can still have an experience that takes us around the world.

Heifer Ranch, located in Perryville (Perry County), offers visitors the opportunity to see how Heifer International is working to alleviate world hunger through the responsible use of many different kinds of livestock, and environmentally sound agriculture methods.

Tours are available for drop-in visitors (10 or less) from 8 a.m. to 5 p.m. Monday-Saturday. Tour prices vary so call ahead.

During a tour, visitors see the Heifer Global Village, a unique five-acre program area, representing housing found in areas where Heifer operates. The Global Village consists of replicas of typical housing from around the world, including a brick house from Guatemala, a round house from Zambia, and a stilt house from Thailand, among others.

55

Perryville,

Many of the animals that Heifer utilizes around the world are kept on the Ranch’s 1,200-acre farm and are integrated into aspects of its educational programs and several farm programs, including water buffalo, camels and traditional farm animals.

In addition to the Global Village and the animals, visitors can see how brick making, rope making and a community garden are used to accomplish Heifer’s mission to work with communities to end hunger and poverty and to care for the earth.

Comfortable clothing and shoes are a necessity as guests travel through the Global Village. The terrain is uneven, as it represents conditions found in the countries. Also plan to pack sunscreen and insect repellent.

In addition to drop-in visitors, the ranch offers overnight programs and group tours, which require advance reservations. Heifer Ranch offers three modern lodges for groups (accommodating up to 78 people total), a dining hall with meals served cafeteriastyle and two meeting rooms. Each can accommodate up to 50.

501lifemag.com July 2008 57 traveling in the 501
Photos courtesy of Heifer Project International.
Heifer Road
AR 72126
Head to Heifer this summer, and take a trip ā€œaround the world.ā€ heifer ranch
501-889-5124 www.heifer.org

Scott Schallhorn

Family: Wife: Jeanne (high school sweetheart and fellow Hendrix alum), John (freshman at Hendrix), and Madison: (freshman at Little Rock Central High)

Title/Place of employment: Vice president and general counsel at Hendrix College. Also in charge of The Village at Hendrix neighborhood.

What ā€œgreenā€ efforts have been undertaken with The Village: We have specific ā€œGreen Buildingā€ guidelines that our home builders will follow that address construction methods promoting energy efficiency and waste reduction. We also plan to reclaim a portion of Gold Creek that courses through the site to return it to a more natural waterway that will sustain aquatic life.

Read last: ā€œSuburban Nation: The Rise of Sprawl and the Decline of the American Dreamā€ by Andres Duany, Elizabeth Plater-Zyberk and Jeff Speck

Favorite book: ā€œThe Godfatherā€ by Mario Puzo

Favorite meal: I enjoy food too much to have one favorite meal. However, barbecue is way up there on the list.

Most enjoyed weekend activity: Cooking for and eating with my family and friends.

Favorite quote: ā€œBut they that wait on the Lord shall renew their strength; they shall mount up with wings as eagles; they shall run, and not be weary; and they shall walk, and not faint (Isaiah 40:31).ā€

No. 1 vacation spot: Sea Grove Beach, Fla., and Cashiers, N.C.

Favorite place in Arkansas: Maddox Bay, a lake off the White River in Monroe County. My family has a small house there where we fish, hunt, swim and unwind.

What do you love about living in the 501: Great restaurants, exciting cultural opportunities, proximity to a variety of outdoor activities, and there are relatively few mosquitoes.

501 LIFE July 2008 58
LIFE in the 501
At the site of The Hendrix Village, a dynamic, community-centered neighborhood near campus.

Security Here. Find

Security means a lot. Like taking care of Arkansas families by providing experience, expertise and the right products to make life better. And we top it off with something that’s even harder to find: the personal touch. Whatever security means to you, you’ll find it here.

501 LIFE July 2008 60
fsbank.com Member FDIC

Turn static files into dynamic content formats.

CreateĀ aĀ flipbook