
4 minute read
Denture Problems?
THERE ARE many problems that people encounter when wearing (or learning to wear) a denture – sore spots, looseness and damaged or missing denture teeth to name a few. The good news is there is no need to endure through pain or problems with your denture. In most cases, your dental prosthetist can help.
Sore spots are the most common problem faced by denture wearers. A sore spot occurs when the denture moves and rubs on the gum, causing a small amount of swelling leading to the denture rubbing more. Left untreated, the rubbing continues until the skin on the gum breaks causing a painful ulceration. This is something that can quickly be fixed by your dental prosthetist. By identifying where the denture is rubbing on the gum, and adjusting the denture accordingly, relief should be instantaneous. The trick is treating the sore spot when it is a small problem, before it becomes a painful ulceration.
Advertisement
A number of different factors can cause a denture to feel ‘loose’. If it is a partial denture, perhaps it is a simple matter of having the clasps tightened, or if it is a full denture, you may need a reline. When you have a natural tooth extracted, your gums shrink and are continually changing shape. Whilst this change slows down over time, it never completely stops, meaning that your denture is only a ‘good fit’ for a certain period of time. A reline replaces the fitting surface of your denture to suit the shape your gums are now, not the shape they were when the denture was made. A reline usually takes one day to complete and, in most cases, fixes a perceived looseness issue. In some cases, especially with a complete lower denture, implants may be required to stop the denture from moving around. A consultation with a dental prosthetist is the safest way to determine the best course of action for your specific situation.
Missing or damaged denture teeth is something that can affect daily life. Being embarrassed to smile or speak to people can seriously impact one’s self esteem. Denture teeth as well as other denture components (clasping, ‘gum’ area etc) can be replaced or repaired. A denture repair is generally fairly straight forward and happens inhouse over a couple of hours depending on the repair.
Whether you are experiencing sore spots, denture looseness, need a denture repair, or your denture simply needs a clean, Bromley’s Denture Clinic can help. We are your family owned local denture clinic with over 20 years combined experience, and whatever your denture problem may be, we are here to listen and help where ever we can. Life is too short to endure denture ‘teething problems’.
To find out more visit 54 Kirkwood Road, Tweed Heads South, or phone (07) 5523 2555.
Open Monday to Friday 8am to 5pm | (02) 6672 7620
Achieve total wellness with healthy smiles.
King Street Dental in Murwillumbah dental assistant Jayde Hosking said the best methods for healthy teeth are brushing twice a day, morning and night, and flossing before bed. You should also avoid sugary foods and sugary drinks. Visit your dentist regularly for check-ups and professional cleanings.
$200 Check-up & Clean
For all patients with no health fund, we offer a $200 Check-up and Clean every 6-months (twice a year). Includes check-up, scale, polish, fluoride and x-rays.
Children’s Dental
Eligible children have access to a benefit of $1,052 (over 2 consecutive calendar years) for services such as cleaning, x-rays, filling and much more.
Emergency Dentist
Once a dental emergency has occurred, a quick visit to the dentist can help save a tooth and procedures to fix the tooth can be made straight away.
Cosmetic Dentistry
$200 Check-up & Clean
Enhance the appearance and function of your smile with our smile makeovers.
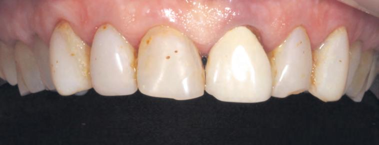
Smile Makeover - Cosmetic Dentistry - Veneers
Smile Makeover - Cosmetic Dentistry - Veneers


16 King Street, Murwillumbah NSW 2484/ Ph: 02 6672 1788 practice@kingstdental.com.au
16 King Street, Murwillumbah NSW 2484/ Ph: 02 6672 1788 practice@kingstdental.com.au
Orthodontics
For all patients with no health fund, we offer a $200 Check-up & Clean every 6-months (twice a year). Includes check-up, scale, polish, fluoride and x-rays.
Experience the convenience of Invisalign; an innovative orthodontic treatment that provides a discreet solution for straightening teeth without braces.
Restorative Dentistry
Children’s Dental
Eligible children have access to a benefit of $1,052 (over 2 consecutive calendar years) for services such as cleaning, x-rays, filling and much more.

Emergency Dentist
POINT 07 5523 3533
BAY 02 6685 7026

Murwillumbah residents have something to smile about this week as the King Street Dental Practice team proudly sponsors Dental Health Week in the community. With a firm commitment to promoting oral health awareness and preventive dental care, the practice is taking the initiative to educate and engage locals in maintaining a happy and healthy smile.
Dental Health Week, is an annual event aimed at highlighting the importance of oral hygiene and the role it plays in overall well-being. The team at King Street Dental Practice is enthusiastic about empowering the Murwillumbah community with essential dental knowledge. The practice aims to equip locals with the tools and information they need to embrace good oral hygiene habits.
“We are excited to be part of Dental Health Week and contribute to our community’s well-being. Prevention is at the core of our practice, and we believe that through education and awareness, we can help individuals prevent dental problems and improve their overall health,” says Dr. Rafael Maia, the lead dentist at King Street Dental Practice. King Street Dental Practice is offering exclusive discounts on comprehensive dental check-ups and X-rays during this week, encouraging residents to take charge of their oral health and prioritise regular dental visits.
The practice’s involvement in Dental Health Week is a testament to their unwavering commitment to the well-being of the Murwillumbah community. By providing accessible dental care and promoting preventive measures, they aim to make a positive impact on oral health.
BEACH 02 6676 4333
07 5534 7033
Once a dental emergency has occurred, a quick visit to the dentist can help save a tooth and procedures to fix the tooth can be made straight away.
02 6674 3344
Cosmetic Dentistry


Enhance the appearance and function of your smile with our smile makeovers.
If you’re in Murwillumbah and surrounds, take advantage of the offers during Dental Health Week at King Street Dental Practice. Invest in your oral health and experience the joy of a beautiful and healthy smile. Remember, a healthy smile leads to a healthier life!

90290

Are
healthy?
Are








