
3 minute read
Part IV: The Use of Decoronation
DECORONATION AS A SOLUTION
It was at this time that it was decided to remove the ankylosed tooth prior to the continuation of growth. Mamlgren et al. described a technique in a 2006 paper that discussed the use of decoronation in circumstances such as this. (Figure 3) Rather than remove all of the tooth fragments, decoronation removes the crown of the tooth approximately 1mm below the osseous crest. (Figure 4) Figure 3 Figure 4 Figure 5 This will allow for the periosteum to grow over the remaining root creating a periosteal sling between the adjacent teeth over the edentulous ridge and underlying root. The creation of the periosteal sling will allow some vertical ridge development in the edentulous site due to the tension created by the eruption of the adjacent teeth, while the remaining root continues to undergo replacement resorption.
Advertisement

(Figure 5)

This decoronation technique has been modified to include hollowing out the internal of the root in addition to cutting off the coronal portion below the osseous crest. The benefit of this is that the resorption will occur at a more rapid rate as it will be occurring from the internal as well as the external aspect of the root.
The difficulty in managing these patients with extraction of the ankylosed tooth is providing interim tooth replacement until the cessation of growth (this is especially true in males where growth may not be completed until 21-22 years of age). As can be seen though, when the patient is ready to undergo implant treatment, the ridge height is relatively good, making the management of the ridge more predictable for an implant or a pontic. (Figure 6) Figure 6 If decoronation is considered in the growing patient, the key is that provide the treatment prior to the patient

undergoing significant growth.
Introducing Virtual Seminarsthe Spear Experience with Online Flexibility
New format provides the same dynamic CE content as campus seminars – but with online flexibility
The new virtual Spear Seminar format allows you to refine your clinical skills following the same lessons that you would at the Spear Campus in Scottsdale — but from anywhere, as a safe online alternative to large-attendance campus events.
Experience the same clinical dental CE seminars as you would in Scottsdale but in a virtual format that provides the comfort of intimate online engagement with faculty from your home or office.

What would your practice team like to accomplish next? Take part in a virtual seminar and you will be invited to return to experience the seminar in person when we reopen the Spear Campus.
Check upcoming dates and register for the Spear Virtual Seminar that works best for your schedule at SPEAREDUCATION.COM/VIRTUAL-SEMINARS
PA R T V : AUTOTRANSPLANTATION
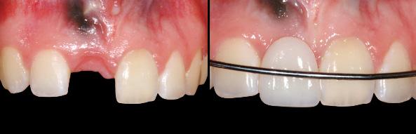
Typically when managing ankylosed teeth in children it is advisable to remove the ankylosed tooth prior to significant growth cycles so growth and subsequent eruption of teeth don’t create significant hard and soft tissue defects. However, the difficulty in managing these patients is providing interim tooth replacement until the cessation of growth. This is especially true in males when trauma occurs early in life (ie. age 9 to 11) and where growth may not be completed until 21 to 22 years of age.
This can be a considerable amount of time to manage the edentulous ridge and provide an interim restoration that doesn’t significantly impact them socially. The main image shows a 10-year-old male patient with an ankylosed tooth #9 that is beginning to show signs of incisal edge and gingival margin asymmetry.

Figure 1
