Leading With Purpose and Compassion
A Conversation With 2025–2026 SAEM President Michelle Lall, MD, MHS


A Conversation With 2025–2026 SAEM President Michelle Lall, MD, MHS
Ali S. Raja, MD, DBA, MPH SAEM President Massachusetts General Hospital
Harvard Medical School
Board Liaison to:
• Bylaws Committee
• Telehealth Interest Group
• Wilderness Medicine Interest Group
Pooja Agrawal, MD, MPH
Member at Large
Yale Department of Emergency Medicine
Board Liaison to:
• Ethics Committee
• Research Committee
• Academy for Diversity and Inclusion in Emergency Medicine (ADIEM)
• Informatics, Data Science, and Artificial Intelligence Interest Group
• Research Directors Interest Group
• Sex and Gender in Emergency Medicine Interest Group
• Tactical and Law Enforcement Interest Group
• Guidelines for Reasonable and Appropriate Care in the Emergency Department (GRACE)
Nicholas M. Mohr, MD, MS
Member at Large University of Iowa Carver College of Medicine
Board Liaison to:
• Equity and Inclusion Committee
• Program Committee
• Simulation Academy
• Disaster Medicine Interest Group
• Evidence-Based Healthcare & Implementation Interest Group
• Transmissible Infectious Diseases
Interest Group
• Advanced Research Methodology Evaluation and Design (ARMED)
Michelle D. Lall, MD, MHS SAEM President-Elect Emory University
Board Liaison to:
• RAMS Board
• Nominating Committee
• Committee of Academy Leaders (COAL)
• Academy of Geriatric Emergency Medicine
• Educational Research Interest Group
• Operations Interest Group
Jeffrey P. Druck, MD
Member at Large University of Utah School of Medicine
Board Liaison to:
• Awards Committee
• Clerkship Directors in Emergency Medicine
• Academic Emergency Medicine Pharmacists Interest Group
• Toxicology/Addiction Medicine Interest Group
• Certificate in Academic Emergency Medicine Administration (CAEMA)
Ava Pierce, MD
Member at Large UT Southwestern Medical Center, Dallas
Board Liaison to:
• Education Committee
• Workforce Committee
• Academy of Women in Academic Emergency Medicine
• Behavioral and Psychological Interest Group
• Oncologic Emergencies Interest Group
• ARMED MedEd
Jody A. Vogel, MD, MSc, MSW SAEM Secretary-Treasurer Stanford University
Board Liaison to: • Global Emergency Medicine Academy • Finance Committee • Airway Interest Group
• Social Emergency Medicine and Population Health Interest Group
Julianna J. Jung, MD, MEd
Member at Large
Johns Hopkins University School of Medicine
Board Liaison to:
• 2025 Consensus Conference Committee
• Fellowship Approval Committee
• Grants Committee
• Academy of Administrators in Academic Emergency Medicine (AAAEM)
• Clinical Researchers United Exchange (CRUX) Interest Group
• Palliative Medicine Interest Group
• Emerging Leader Development Program (eLEAD)
Lewis S. Nelson, MD, MBA
Chair Member
Rutgers New Jersey Medical School
Board Liaison to:
• Consultation Services Committee
• Quality and Patient Safety Interest Group
• Vice Chairs Interest Group
• Chair Development Program
Daniel N. Jourdan, MD
Resident Member Henry Ford Hospital
Board Liaison to:
• Wellness Committee
• Climate Change and Health Interest Group
• Innovation Interest Group
• Neurologic Emergency Medicine Interest Group
Wendy C.
MD SAEM Immediate Past President UCLA Department of Emergency Medicine
David Geffen School of Medicine at UCLA
Ryan LaFollette, MD
Member at Large University of Cincinnati
Board Liaison to:
• ED Administration and Clinical Operations Committee
• Faculty Development Committee
• Membership Committee
• Academy of Emergency Ultrasound (AEUS)
• Critical Care Interest Group
• Emergency Medical Services Interest Group
• Pediatric Emergency Medicine Interest Group
to:
• SAEM Executive Committee
• Association of Academic Chairs of Emergency Medicine (AACEM)
• RAMS Board
• SAEM Foundation
Balancing Parenthood and Practice: How Emergency Medicine Trainees Manage Family Life
Maximizing Your Visiting Student Learning Opportunities: Tips for a Successful Rotation
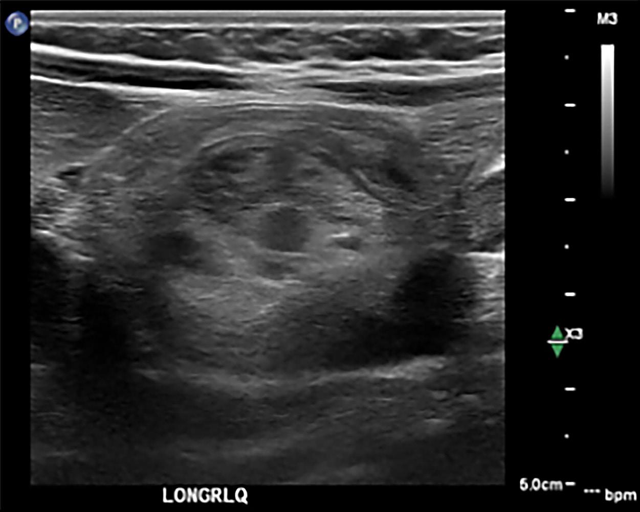
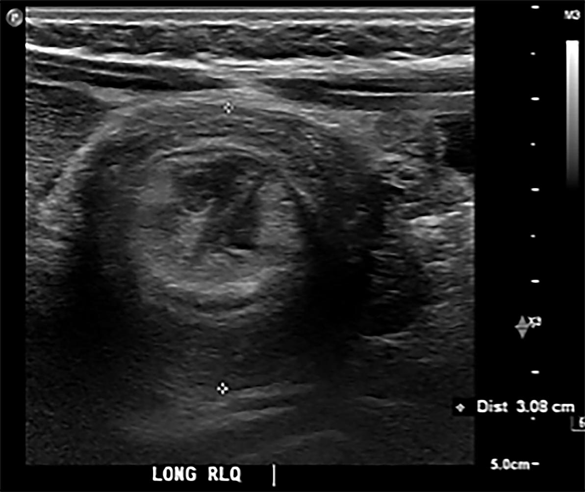
Persistent Emesis in a Pediatric Patient: A Case of Intussusception Diagnosed by Point-of-Care Ultrasound
Regional Anesthesia: Building the Plane While Flying It
Safety and Care: The Role of Law Enforcement in Emergency Departments
Wellness That Works: How the gRatitude Project Is Strengthening Residency Culture
Sequence Travel: A Practical Guide to Family Travel for Emergency Physicians
Trained for Chaos, Ready for Anything: Redefining Resilience and Belonging in Emergency Medicine
Vacation Patterns in Emergency Medicine: Does “Work Hard, Play Hard” Still Hold True?
and Belonging: The Women in
the
Foundation (SAEMF) Research and Education Grantees
Harvard Medical School/Massachusetts General Hospital
2024-2025 President, SAEM
As we gather in Philadelphia this May for SAEM25, our Society’s Annual Meeting, I can hardly contain how thrilled I am to be with you all—so many familiar faces, and so many new ones. There’s something truly powerful about standing together, nearly 4,000 strong, as one vibrant, passionate academic emergency medicine community. In a year like 2025, when federal funding cuts are threatening the very research and innovation that propel our specialty forward, this moment feels more vital than ever. This meeting isn’t just a reunion—it’s a bold recommitment to our shared mission, to progress, and to each other.
While the week of SAEM25 will be bittersweet for me personally, I’m filled with pride and excitement to pass the torch to Dr. Michelle D. Lall of Emory University. Michelle is a visionary leader with an unwavering dedication to academic emergency medicine, and I have no doubt she will guide SAEM to even greater heights during her presidency. I’m especially excited for her SAEM25 president’s address on Wednesday, May 14, where she’ll unveil two major initiatives: the launch of the search for our next editor-in-chief of Academic Emergency Medicine journal, and the creation of the SAEM Federal Funding Committee. This new committee will serve as a powerful connector, linking our members to a broader range of funding agencies and sparking more focused, ongoing conversations that will help unlock critical resources and opportunities for our researchers.
Of course, SAEM’s success has never been about one person—it’s about all of us. I want to extend my deepest gratitude to the SAEM Board of Directors, and especially to our outgoing members—Dr. Wendy C. Coates, Dr. Julianna J. Jung, Dr. Lewis S. Nelson, and Dr. Daniel N. Jourdan—for their extraordinary service, wisdom, and leadership over the years.
At the same time, I’m delighted to welcome our newest board
members, Dr. Cassandra A. Bradby and Dr. Bryn E. Mumma, who will join us as members-at-large for the 2025–26 term. We are in great hands, and I look forward to seeing how their energy and insight will shape our path forward.
To our Residents and Medical Students (RAMS) Board, academy executive committees, committee and interest group chairs, and the editors-in-chief of Academic Emergency Medicine and Academic Emergency Medicine Education & Training—thank you for your dedication and countless hours of service. To the thousands of SAEM members who volunteer year after year: you are the heartbeat of this organization, and we are stronger because of you.
A very special thank-you to the SAEM25 Program Committee, especially our phenomenal co-chairs, Dr. Patrick Maher and Dr. Sanjey Gupta, whose tireless efforts have made this meeting both possible and meaningful.
And finally, to our incredible SAEM staff and our chief executive officer, Megan Schagrin, MBA, CAE, CFRE—thank you. Your unwavering commitment to our members and mission has made every step of this journey possible. Your support has meant the world to me.
To everyone who has led, served, supported, and believed in this organization: thank you. It has been the most incredible honor of my professional life to serve as your president. I look forward to seeing what we create together next.
ABOUT DR. RAJA: Ali Raja, MD, DBA, MPH, is a professor of emergency medicine at Harvard Medical School and the executive vice chair of the department of emergency medicine at Mass General Brigham.
“To everyone who has led, served, supported, and believed in this organization: thank you.”
Ly Cloessner, MD, MSPH
Washington University in Saint Louis
2024-2025 RAMS Board President
As both the academic year and my term as president of Residents and Medical Students (RAMS) come to a close, I find myself reflecting on what has been a truly transformative year. I see many encouraging signs for the future of our specialty.
After a few uncertain years in the residency Match, the 2024–2025 application cycle showed a significant rebound. More than 4,000 applicants pursued emergency medicine, and over 3,000 new physicians matched into the specialty. At SAEM, our Medical Student Ambassadors program received a record number of applications for the annual meeting, reflecting a renewed interest in emergency medicine. Our RAMS membership continues to grow and now exceeds 5,100 members.
Yet, our community is also facing a sea of substantial change. While this year’s medical students used the Electronic Residency Application Service (ERAS) to enter the Match, applicants in the 2025–2026 cycle will be the first to use the new ResidencyCAS platform. Emergency medicine is only the second specialty to adopt ResidencyCAS, following obstetrics and gynecology’s transition this past cycle.. Throughout the year, the RAMS Board has collaborated with the Council of Residency Directors in Emergency Medicine (CORD) to help facilitate this transition. We look forward to continuing our partnership with CORD as our members prepare for the upcoming application cycle.
Emergency medicine residents are also facing considerable changes. In February, the Accreditation Council for Graduate Medical Education (ACGME) proposed modifications to emergency medicine residency training requirements that could significantly alter the current structure of residency training. If adopted, all programs would extend to four years, requiring about 80% of existing programs to add an additional year of training. The extended curriculum would include more time
in toxicology, administration, emergency medical services, and the emergency department, as well as new experiences in telemedicine and observation medicine. What emergency medicine training will ultimately look like for the incoming class of 2027 remains to be seen. This year’s SAEM25 Consensus Conference will address the topic of competency-based training and certification in light of these developments.
In addition to changes in the application process and training structure, board certification is also evolving. The graduating class of 2025 will be the first to take the newly designed Certifying Exam from the American Board of Emergency Medicine (ABEM), which will debut in early 2026. This exam represents a major departure from the traditional oral boards format. Rather than simply discussing case management, candidates will now work through simulated cases that require hands-on demonstration of procedural skills. The RAMS Board remains in communication with ABEM to ensure our members stay informed and well-prepared.
While much is changing, I am deeply optimistic about the future of RAMS and our specialty. Though times are uncertain and the challenges we face daunting, if we remain focused on our core mission—delivering excellent, evidence-based care— we will continue to move forward and thrive.
I look forward to seeing many of you in person at the SAEM Annual Meeting in just a few days. Thank you for the honor of serving as your RAMS president this year. It has been a privilege.
ABOUT DR. CLOESSNER : Emily “Ly” Anne Cloessner, MD, MSPH, is a current PGY-4 and chief resident at Washington University in Saint Louis.
“If we remain focused on our core mission—delivering excellent, evidence-based care—we will continue to move forward and thrive.”
Michelle Lall, MD, MHS, a board-certified emergency medicine physician, is a professor at Emory University, where she has been a faculty member since 2013. Dr. Lall earned her medical degree from Wayne State University School of Medicine and completed her residency and chief residency at Emory University. Throughout her tenure, she has held significant leadership roles, including serving as the associate residency director for seven years and currently as the inaugural vice chair of diversity, equity, and inclusion in Emory's Department of Emergency Medicine. Previously, she was the inaugural director of wellbeing, equity, diversity, and inclusion, as well as the director of the medical education fellowship program.
Before her time at Emory, Dr. Lall began her academic career as an assistant professor at Wayne State University in 2008. There, she played key roles as the assistant residency director for the Sinai-Grace/Wayne State University Emergency Medicine Residency Program and as the medical student clerkship site director at Sinai-Grace/Wayne State University starting in 2009.
Dr. Lall’s passion for medical education is matched by her dedication to physician wellbeing and addressing the detrimental impact of bias on equity and inclusion within medicine. She has a particular interest in exploring gender differences in burnout and workplace mistreatment among emergency physicians. Dr. Lall served as the inaugural chair of the All-Emergency Medicine Diversity, Equity, and Inclusion Task Force, a national initiative aimed at tackling bias and disparities in academic emergency medicine.
A fellow of the American College of Emergency Physicians, Dr. Lall is actively engaged in several professional organizations, including the Society for Academic Emergency Medicine (SAEM), where she serves on the executive committee of the board of directors; the SAEM Academy for Women in Academic Emergency Medicine (AWAEM), where she is a past president; the American Association of Women Emergency Physicians; and the Georgia College of Emergency Physicians. She is also a member of the Delta Omega Honor Society.
Over the course of her career, Dr. Lall has earned numerous accolades, including being named faculty teacher of the year twice at Sinai-Grace/Wayne State University and faculty advocate of the year twice at Emory University. In 2020, she was honored as one of the Emergency Medicine Residents' Association 25 Under 45 Influencers in Emergency Medicine. She has also received the AWAEM Momentum Award and Mid-Career Award. In 2023, Dr. Lall was selected for the prestigious Hedwig van Ameringen Executive Leadership in Academic Medicine® (ELAM®) program, an intensive oneyear fellowship designed to expand the national pool of women candidates for leadership roles in academic medicine.
Dr. Lall remains deeply committed to caring for underserved populations in safety-net hospitals, educating and training the next generation of emergency physicians, and advancing the field of academic emergency medicine.
Dr. Lall will be formally installed as the 2025–2026 president of SAEM during the opening session of SAEM25 in Philadelphia.
As the new president of SAEM’s board of directors, what excites you most about this role, and what are your key priorities for the upcoming year?
SAEM has been a cornerstone of my career for the past 15 years, and it is both an honor and a privilege to have the opportunity to lead this esteemed society in the coming year. My priorities include amplifying the voices of all members, enhancing accessibility to the Board of Directors, and fostering a more inclusive community within academic emergency medicine.
I owe much of my journey to the mentorship of Dr. Gloria Kuhn, who first introduced me to SAEM through the SAEM Academy for Women in Academic Emergency Medicine (AWAEM). It was through my involvement with this academy and, later, the broader SAEM community, that I discovered a truly collaborative and innovative professional network. I am deeply convinced that my engagement with SAEM has been a key factor in both my personal and professional fulfillment and longevity in the specialty.
SAEM plays a vital role in advancing academic emergency medicine. How do you envision the society evolving under your leadership to better support its members and mission? Our mission is to lead the advancement of academic emergency medicine through education, research, and professional development. I envision fostering greater member support by enhancing engagement across the organization. This will include regular communication to members via SAEM Pulse and regular updates provided by board liaisons to all our academies, interest groups, and committees. Additionally, I believe it is crucial to establish a comprehensive platform that allows members to view the full spectrum of activities within the organization. This transparency will empower both new and existing members to discover and connect with their academic community, further strengthening the sense of belonging and collaboration within our organization.
You have been a strong advocate for fostering a more supportive, inclusive, and culturally aware environment in emergency medicine. How do you plan to integrate and elevate these values within SAEM?
To achieve professional fulfillment, it's essential that we feel supported and included in both our clinical and academic work environments. Cultivating a culturally aware environment and fostering a sense of community requires the collective effort of all of us. Together, we are stronger. In my experience, these values are central to SAEM's mission and vision. It’s not enough to simply listen—we must truly hear one another. Each of us brings unique lived experiences, and it is through these diverse perspectives that we can build a brighter future. As we move forward, we are committed to ensuring that all voices are heard, and all members are represented in the execution of our vision and mission.
What are some of the biggest challenges academic emergency medicine faces regarding gender disparities and workplace mistreatment, and how can SAEM help address these issues?
The data reveals that patients and their families are the most frequent sources of mistreatment for emergency physicians. This mistreatment begins during residency and persists into faculty roles. Fortunately, numerous valuable resources already exist through the SAEM Wellness Committee, and I hope that these efforts can extend to our Clinical Operations Interest Group. By doing so, we can foster innovation and identify strategies to promote respectful behavior from our patients and their families. Gender-based disparities remain pervasive, SAEM's Academy for Women in Academic Emergency Medicine (AWAEM) has already developed a significant number
of resources to address these challenges. SAEM can continue to support and amplify these efforts, ensuring that our collective work reaches a wider audience to help address these critical issues.
Physician well-being is a key focus of your work. What strategies do you believe are most effective in combating burnout among emergency physicians, and how can SAEM support these efforts?
There is no one-size-fits-all solution to addressing burnout. For years, efforts in this area have primarily focused on individual-level interventions aimed at alleviating burnout. However, it is increasingly clear that systemic changes are essential to effectively combat the issue. This evolving field presents an opportunity for organizations like SAEM to play a pivotal role by continuing the impactful work of its Wellness Committee. This committee has not only published numerous influential manuscripts but also developed a comprehensive repository of resources tailored to the diverse needs of our members. The breadth and depth of these resources are crucial in addressing the unique challenges faced by individuals and health systems alike. Additionally, SAEM remains a leader in the #StoptheStigmaEM initiative, which further underscores its commitment to tackling burnout at multiple levels. Beyond these efforts, it is equally important to cultivate collaborative communities and safe spaces for our members. Professional fulfillment has proven to be a key factor in reducing burnout, and enhancing member engagement within the society is a powerful strategy to help mitigate its effects. By fostering an environment of support and connection, we can empower our members to thrive both professionally and personally. This more comprehensive approach—encompassing individual, systemic, and community-based strategies—will be critical in our ongoing fight against burnout.
You have an extensive background in medical education. What changes or innovations do you think are most needed in training the next generation of emergency physicians?
In recent weeks, the landscape of medical education has been abuzz with significant developments. Among the most prominent topics are the Accreditation Council for Graduate Medical Education’s (ACGME's) recommendations to extend residency training to four years, as well as the growing conversations surrounding competency based medical education. Additionally, there is increasing interest in exploring how artificial intelligence can be leveraged to enhance the educational process. These are just a few of the major issues currently shaping the future of emergency medicine. What I believe is most crucial, however, is that we approach these discussions with open minds and a spirit of innovation. By doing so, we can create and refine educational experiences that not only benefit our trainees
but also ultimately empower us all to deliver the highest quality care to our patients.
You’ve been recognized as a mentor and advocate for faculty development. What advice would you give to early-career emergency physicians looking to grow in academic medicine?
My first piece of advice is to explore available resources both within your institution and nationally. Many medical schools and universities offer early career education and research programs, which, while perhaps time intensive, are great for networking and building future collaborations. On a national level, focus on areas of academia that truly interest you, as a fulfilling career often stems from pursuing work aligned with your passions. Identify national organizations that align with your vision and get involved — volunteer for committees, and when opportunities arise, don’t hesitate to contribute. The relationships built through these groups can lead to lasting professional connections and open doors for education, research, and innovation.
Your selection for the Hedwig van Ameringen Executive Leadership in Academic Medicine (ELAM) fellowship speaks to your leadership and career trajectory. How has that experience influenced your approach to leadership within SAEM?
ELAM was an incredible experience and an invaluable opportunity. I am deeply grateful for the support of my department chair and the Emory School of Medicine in facilitating my participation in this fellowship. The chance to collaborate with distinguished leaders from various disciplines of medicine and healthcare broadened my perspective on organizational dynamics, including personnel management, financial oversight, strategic planning, and long-term mission development. This experience has also enhanced my ability to apply diverse leadership skills and perspectives to maximize the potential of any team I work with. I have learned that effective leadership requires adaptability and flexibility, using a range of strategies and techniques to guide large groups or organizations toward success. Leadership must be both agile and responsive to the needs of the moment.
Emergency medicine is evolving rapidly with new research, technologies, and challenges. What emerging trends do you think will have the greatest impact on academic emergency medicine in the coming years?
Artificial intelligence (AI) holds immense potential to transform the field of academic emergency medicine. It promises to revolutionize our workflows within emergency departments, enhance how we communicate information to patients and their families, and potentially aid in the synthesis of data to inform medical decision-making. While the specific ways in which AI will shape education, peer review, and scholarly output are still unfolding, the possibilities are exciting. As the gateway to healthcare in the United States, emergency medicine remains at the forefront of the evolving healthcare landscape. In this time of systemic change, emergency medicine must remain agile, ensuring that we continue to provide exemplary care to every patient, at any time, and for any concern that arises.
As you reflect on your career so far, what legacy do you hope to leave-not only at SAEM but in the field of academic emergency medicine?
I want to leave emergency medicine better than I found it, fostering a specialty known for high professional fulfillment, empathy, and compassion. My goal is for future generations of physicians to experience less mistreatment and burnout, while enjoying long, fulfilling careers. As emergency physicians, we have the privilege of caring for patients and their families on some of their worst days, forming strong bonds quickly through empathy. I envision a future where we modify our work environments to reduce burnout, ensuring longevity in the specialty. I aim to leave academic emergency medicine in a better place, making it a field recognized for its compassionate care and steadfast professionals, not one plagued by high rates of burnout and attrition.
What’s your favorite way to recharge after a long shift?
Either curling up with a good book or binge watching a series with my daughter.
If you could swap jobs for a day with anyone in the world, who would it be?
Dan Campbell, head coach for the Detroit Lions of the National Football League.
What’s one thing you always keep on hand during a shift?
Snacks and a full water bottle!
If you had a personal theme song that played every time you walked into the emergency department, what would it be?
Depends on the shift location and time, so I have two: “I Gotta Feeling,” by the Black Eyed Peas or “Under Pressure,” by Queen/David Bowie
What’s a hidden talent or hobby that most people don’t know about you?
I was a collegiate volleyball player and still hold many school records.
If you could have dinner with your younger self, what advice would you give? Be patient. You can do it all but take your time and enjoy the journey.
If you weren’t in medicine, what career would you have pursued?
Teaching
What’s one thing you always make time for outside of work?
One thing is hard but my three things that keep me well are my family and friends, exercise, and reading for fun.
Get ready—this year’s premier academic emergency medicine gathering is heading to Philadelphia! From cutting-edge education to meaningful connections, this event is packed with opportunities to sharpen your skills, exchange ideas, and grow professionally alongside leaders and peers from across the country. Our Program Planner makes it easy to chart your course through all the sessions, workshops, and events that matter most to you.
When the day winds down, Philadelphia is yours to explore. Whether you’re diving into the rich history that helped shape a nation, walking in the footsteps of the Founding Fathers, wandering through worldclass museums, taking in vibrant street art, catching
live music in a lively neighborhood, or treating yourself to an unforgettable meal (cheesesteak optional, but recommended), the City of Brotherly Love has something for everyone.
This special section provides everything you need to know to make the most out of SAEM25. Safe travels to Philadelphia—we can’t wait to see you there!
Philadelphia Marriott Downtown: Your SAEM25 Host Hotel
The Philadelphia Marriott Downtown, located at 1201 Market Street, is the official host hotel for SAEM25 meetings, educational sessions, and most events.
Situated in the heart of Center City, the Marriott offers contemporary accommodations, inviting communal areas, and convenient on-site dining options, including a classic American tavern and a grab-and-go market. The hotel features a 24-hour fitness center and is in direct proximity to Reading Terminal Market, a historic indoor food market beloved by locals and visitors alike. Just steps from the Marriott, this culinary landmark is home to dozens of vendors offering everything from Pennsylvania Dutch specialties and fresh produce to international cuisine and artisanal treats.
Meeting spaces are located on multiple levels and are easily accessible by escalators and elevators. The hotel’s central location places you within walking distance of iconic landmarks, historic sites, exceptional dining, and vibrant neighborhoods full of culture and energy.
Philadelphia International Airport (PHL) is approximately 20 to 30 minutes from the hotel, depending on traffic. The Marriott does not offer an airport shuttle, but here are your transportation options:
• Southeastern Pennsylvania Transportation Authority (SEPTA) Regional Rail – Board the Airport Line from any terminal; exit at Jefferson Station, which is adjacent to the hotel.
• Taxis – Flat-rate fare of $32 to Center City.
• Ride-hailing services – Uber, Lyft, and other services operate from designated pickup areas.
• SEPTA – Extensive citywide service, including subways, buses, trolleys, and regional rail.
• Amtrak – 30th Street Station is a 5- to 10-minute ride from the hotel via SEPTA, taxi, or Uber.
• PATCO – Ideal for those traveling from South Jersey.
• NJ Transit – Regional rail access from North Jersey and NYC
• Megabus/Greyhound/Flixbus– Budget options from nearby metro areas, with stops close to the hotel.
• Indego Bike Share – Convenient stations throughout the city.
• E-scooters – Pilot programs may be active; check local rules.
• Pedicabs – Fun for short rides or sightseeing.
The Philadelphia Marriott Downtown is walkable to historic landmarks, shopping, world-class dining, arts, and cultural destinations. It’s in the heart of Center City, making it easy to experience Philly’s vibrant energy without needing a car.
Hours (Eastern Time)
• Monday, May 12: 3–6 p.m.
• Tuesday, May 13: 7 a.m.–6 p.m.
• Wednesday, May 14: 7 a.m.–7:30 p.m.
• Thursday, May 15: 7 a.m.–6:30 p.m.
• Friday, May 16: 7 a.m.–1:30 p.m.
You should have received a registration confirmation email with a barcode. Please save it to your mobile device or print it. Scan your barcode at the self-serve kiosks located near the SAEM25 Registration Desk in the Franklin Hall Foyer, Level Four.
If you don’t have your confirmation, no problem—select “User Lookup” on the kiosk screen, search for your name, and print your badge and any applicable tickets. Badge holders and lanyards will be available at the kiosks.
Visit our fully staffed registration desk in the Franklin Hall Foyer, Level Four. Our team is available to help during registration hours.
Note: All participants—including members, nonmembers, partners, children, and guests—must register and wear badges to access sessions, the exhibit hall, and most events.
Presenters may review slides in the Speaker Ready Room (Room 403, Level Four). In accordance with CME guidelines, presenter disclosures and bios were due by April 1 and final presentation slides were due by April 10.
Join us in Philadelphia on Tuesday, May 13, 2025, from 1:00 PM–4:00 PM for a meaningful volunteer opportunity with SAEM and the Center for Addiction Medicine and Policy (CAMP). Help assemble lifesaving Naloxone kits or take part in community outreach to distribute kits and engage in conversations that reduce stigma and raise awareness about substance use. You can choose one or both activities—either way, your time will make a real impact. Reserve your spot today and be a part of this important initiative!
Only presenters with no conflicts of interest may edit slides on-site.
• Tuesday, May 13: 7 a.m.–5 p.m.
• Wednesday, May 14: 7 a.m.–5:30 p.m.
• Thursday, May 15: 7 a.m.–5:30 p.m.
• Friday, May 16: 7 a.m.–1 p.m.
Download the SAEM Annual Meeting app from the Apple App Store or Google Play. Log in with your SAEM username and password to:
• Browse sessions, workshops, and events
• View abstracts, learning objectives, and speaker information
• Navigate the exhibit hall and create a personalized exhibitor list
• Customize your schedule and plan your experience
Free Wi-Fi is available throughout the meeting space at the Philadelphia Marriott Downtown.
• Username: SAEM25
• Password: AnnualMeeting
• Visit the App Help Desk or Member Services, both located in the Franklin Hall Foyer, Level Four.
• Look for Medical Student Ambassadors (MSAs) in blue, SAEM RAMS-branded jackets throughout the Philadelphia Marriott Downtown.
• SAEM staff will also be available at the registration desk during registration hours and at SAEM Booth #315 during exhibit hours.
Stop by SAEM Booth #315 in the exhibit hall to introduce yourself, get a professional headshot, pick up a t-shirt and SAEM swag, and enter our prize drawing. We’re excited to meet you and help you make the most of SAEM25.
Tune into SAEM’s Facebook and YouTube channels May 14 and 15, from 9–11 a.m. ET to catch live coverage of SAEM25 awards ceremonies, keynote addresses, and plenary presentations.
Note: CME and CPE credits are not designated for live-streamed content.
Located in Conference Suite I, Level Three, the SAEM25 Family and Prayer Room provides a quiet, reflective space for personal prayer and meditation and a comfortable area for caregivers, equipped with seating, a changing table, refrigerator, snacks, water, wipes, burp cloths, and sanitizer. Family and Prayer Room Hours (Eastern Time)
• Tuesday, May 13: 7:30 a.m.–5:30 p.m.
• Wednesday, May 14: 7:30 a.m.–5:30 p.m.
• Thursday, May 15: 7:30 a.m.–5:30 p.m.
• Friday, May 16: 7:30 a.m.–1 p.m.
Stay connected and share your experience by following SAEM:
• X: @SAEMOnline and @SAEM_RAMS
• Bluesky
Use #SAEM25 to join the conversation!
Starting August 1, 2025, access more than 120 hours of SAEM25 content through SOAR (SAEM Online Academic Resources). Log in with your SAEM credentials to:
• Watch recorded presentations
• Download session PDFs and MP3s
• Engage with synchronized slides and audio
Note: CME and CPE credits are not designated for SAEM25 content accessed through SOAR.
• Members have a professional and ethical obligation to act in a manner that upholds the purposes, values, and objectives of SAEM.
• Members shall conduct themselves in a professional manner while attending or participating in SAEMsponsored events and all communications with SAEM staff.
• While alcohol is served at many SAEM events, members shall not use any substance to an excess that negatively impacts the member's ability to act in a professional manner.
• Members shall be honest and fair, and act respectfully and with integrity.
• Members shall not discriminate against members or SAEM staff regarding religion, race, ethnicity, color, national origin, gender, gender identity, sex, sexual orientation, or disability.
Conduct unbecoming of an SAEM member should be reported to the CEO. The SAEM Executive Committee may refer the case to the SAEM Ethics Committee, which will investigate any reported breaches of professional conduct. We reserve the right to enforce the SAEM Code of Professional Conduct up to and including removal of SAEM Membership.
SAEM25 educational content is developed for, but not limited to, emergency medicine healthcare professionals, including physicians, faculty, researchers, fellows, residents, medical students, allied healthcare providers (nurse practitioners, physician assistants), nurses, and technicians
As a result of participating in this activity, participants should be able to:
1. Apply both education and research findings to their emergency medicine practice.
2. Apply key statistical indicators to the analysis of research and educational results.
3. Utilize acceptable research and education methods and study designs in the development of research projects.
4. Realize the details of the framework for evidence-based medicine (EBM) so that intended practice improvements are vetted through this prism.
5. Obtain the necessary education, research, and administrative tools needed to advance within the academic emergency medicine sector.
6. Utilize research and expert guidelines to provide patients with the best and latest treatment options.
This activity has been planned and implemented in accordance with the accreditation requirements and policies of the Accreditation Council for Continuing Medical Education (ACCME) through the joint providership of the University of Cincinnati and Society for Academic Emergency Medicine. The University of Cincinnati is accredited by the ACCME to provide continuing medical education for physicians.
The University of Cincinnati designates this live activity for a maximum of 29.75 AMA PRA Category 1 Credits™. Physicians should claim only the credit commensurate with the extent of their participation in the activity.
The University of South Carolina College of Pharmacy is accredited by the Accreditation Council for Pharmacy Education as a provider of continuing pharmacy education. This activity is eligible for ACPE credit; see final CPE activity announcement for specific details.
Your Insider’s Guide to Philadelphia: SAEM25 Edition
Philadelphia is a vibrant, walkable city of neighborhoods, filled with world-class art, incredible food, and unexpected experiences. These locations, ranging from iconic restaurants and cafés to cultural landmarks and outdoor attractions, offer a rich taste of what the city has to offer. To help you make the most of your visit during SAEM25, we asked SAEM members who live and work in The City of Brotherly Love to dish on their favorite spots, must-try eats, and can’t-miss activities. Here’s what they had to say.
Amanda Deutsch, MD, is a clinical assistant professor and director of well-being in the Department of Emergency Medicine at Thomas Jefferson University. She currently serves as chair of the SAEM Wellness Committee.
• Must-Try Restaurant: Monk’s for casual, Kalaya for upscale Thai.
• Best Cheesesteak: Dalessandro’s
• Breakfast/Brunch: Parc
• Hidden Gem: Illata (BYOB in Grad Hospital neighborhood).
• Cocktails/Craft Beer: PHS South Street Beer Garden
• If You Only Have a Few Hours: Reading Terminal Market + Rittenhouse, Fitler, or Washington Square parks.
• Favorite Museum: Barnes Foundation for its unique curation; Mütter Museum for medical history buffs.
• Scenic Escape: Longwood Gardens (named by Time magazine as one of the 100 greatest places in the world!); also Schuylkill River Trail and Spruce Street Harbor Park.
• History Beyond Liberty Bell: Explore neighborhoods on foot for historical blurbs.
• Night Out: Philadelphia Orchestra performances.
• Unexpected Fun: Outdoor dining in nice weather.
• Free Evening at SAEM25: Try a new BYOB restaurant.
• Classic Experience: Relaxing at Bok Bar
• Like a Local: Head to South Philly for a game.
• City Skyline View: Four Seasons rooftop. (SkyHigh was just named one of Food & Wine magazines top 10 hotel bars in the U.S.!)
Health Policy, is core faculty at the Center for Emergency Care Policy and Research, and is a senior fellow at the Leonard Davis Institute of Health Economics.
• Breakfast/Coffee: Elixr and Reanimator coffee shops.
• Hidden Gem: Penn Museum—worldclass Chinese art and rare Egyptian temple.
• Quick Explore: Rent a blue bike and ride Spruce/Pine lanes and Schuylkill River Trail
• Favorite Museum: Barnes Foundation for its immersive, genreblending displays.
• Scenic Escape: Fairmount Water Works.
• History: Walking near Independence Hall.
• Live Music: World Café Live
• Unexpected Fun: Self-guided mural tour.
• Skyline View: Drexel Square at sunset.
Bernard L. Lopez, MD, MS, is professor and vice chair for diversity, equity, and inclusion in the Department of Emergency Medicine at Sidney Kimmel Medical College (SKMC). He also serves as senior associate dean of diversity and community engagement at SKMC and associate provost for diversity and inclusion at Thomas Jefferson University.
• Must-Try Restaurant: Reading Terminal Market and Ralph’s Italian
• Best Cheesesteak: Dalessandro’s
• Brunch: Le Pain Quotidien.
• Hidden Gem: Any small South Philly restaurant.
Ari Friedman, MD, PhD, is assistant professor of emergency medicine at the University of Pennsylvania. He holds a secondary appointment in the Department of Medical Ethics and
• Quick Explore: Independence National Historical Park, home to Independence Hall, Liberty Bell, Constitution Center.
• Favorite Museum: Franklin Institute for science lovers.
• Scenic Walk: Philadelphia Art Museum and the 8-mile (roundtrip) Schuylkill Banks Trail
• History: Strolling around Philadelphia’s Historic District
• Night Out: Dining near Kimmel Center.
• Unexpected Fun: Philadelphia Phillies game (there’s one May 13 and 14!).
• Free Evening at SAEM25: Try one of many nearby restaurants.
• Classic Experience: Philadelphia Museum of Art or historic area.
• Like a Local: Walk as much as possible.
• Skyline View: Top floor of the Philadelphia Marriott — our SAEM25 host hotel!
Zachary Meisel, MD, MPH, MSHP, is director of the Center for Emergency Care Policy Research and associate professor of emergency medicine at the Perelman School of Medicine at the University of Pennsylvania. He serves as associate editor for Academic Emergency Medicine, and is the patient safety officer at the Hospital of the University of Pennsylvania.
• Must-Try Restaurant: Kalaya
• Best Cheesesteak: Dinic’s Roast Pork
• Brunch: Parc
• Hidden Gem: Illata
• Craft Beer Spot: Royal Tavern or Standard Tap.
• Quick Explore: The Barnes Foundation
• Favorite Museum: The Barnes Foundation—unique and founded by a physician.
• Scenic Escape: Bartram Gardens, Schuylkill River Trail, or Penn Park.
• History: Walk Society Hill
• Night Out: Johnny Brenda’s
• Unexpected Fun: Walk across the Ben Franklin Bridge
• Free Evening: Visit The Barnes Foundation (open late).
• Classic Experience: Visit Barnes, Philadelphia Museum of Art, University of Pennsylvania campus, and the Palestra
• Like a Local: Have a drink at Bob and Barbara’s.
• Skyline View: Camden Waterfront (take the ferry).
Lara Phillips, MD, is a clinical associate professor of emergency medicine at Thomas Jefferson University and director of wilderness medicine at Sidney Kimmel
Medical College. She serves as faculty advisor to the Wilderness and Disaster Medicine Interest Group and is a course director for the Breckenridge Wilderness and Environmental Medicine Elective for senior medical students.
• Must-Try Restaurant: Parc or Amada
• Best Cheesesteak: John’s Roast Pork
• Brunch: Green Eggs Café.
• Hidden Gem: Malooga or Dizengoff.
• Late-Night Spot: StrangeLoves
• Quick Explore: Reading Terminal Market
• Favorite Museum: Eastern State Penitentiary for its eerie beauty.
• Scenic Walk: Schuylkill River Walk.
• History: Take a guided walking tour.
• Night Out: Gayborhood
• Unexpected Fun: The Cauldron (Wizarding World-themed bar).
• Free Evening at SAEM25: A good restaurant.
• Classic Experience: Walk along the Waterfront or Boathouse Row
• Like a Local: Come with an appetite and good walking shoes.
• Skyline View: Jean-Georges on top of the Comcast Building.
WEDNESDAY, MAY 14 Supported by:
Shifting to Inhaled CorticosteroidContaining Asthma Rescue
Supported by:
Zeto Introduces Full Montage, Rapid EEG with Video and AI-Powered Seizure Detection for Critical and Emergency Care
THURSDAY, MAY 15 Supported by:
Efficient and Effective Ways to Address the HIV Epidemic in an Emergency Department Setting
co-sponsored by CORD, AACEM, ABEM, and Stanford Competency-Based Training and Certification: The Future of Emergency Medicine Education
ADVANCED EM WORKSHOPS
FRIDAY, MAY 16 • 8:00 AM-5:00 PM
WEDNESDAY, MAY 14
The Federal Funding Playbook: Strategies from Successfully Funded EM Researchers, 2:00 PM – 2:50 PM Facilitated Roundtable Discussions with Federally Funded Investigators, 3:00 PM – 3:50 PM
THURSDAY, MAY 15 • 3:00 PM - 5:00 PM
Supported by:
By Alexander Giuliano, MD, and Alexander Bracey, MD
Over the past decade, video laryngoscopy (VL) has become the standard method of endotracheal intubation (ETI) in most emergency departments. The near-ubiquitous adoption of VL over direct laryngoscopy (DL) has reshaped the educational landscape for emergency airway management. As VL platforms have evolved, they have also created opportunities to refine and review intubation techniques. Video review of recorded airway procedures is now common in emergency medicine (EM) residency programs. With this addition to training, it is essential to recognize and correct the mechanical errors frequently associated with VL.
VL can be further subdivided into three categories:
• Standard geometry video laryngoscopy (SGVL): Mirrors the technique of DL but includes a video component.
• Hyperangulated video laryngoscopy (HAVL): Uses an acutely angled laryngoscope to enhance indirect visualization.
• Fiberoptic bronchoscope video laryngoscopy (FBVL): Incorporates fiberoptic technology for airway visualization.
EM residents are typically first taught advanced airway management using techniques that translate well between DL and
SGVL. While many of these skills apply during HAVL intubations, HAVL introduces unique technical requirements and micro-skills. Both anecdotal and documented evidence suggest that HAVL is associated with specific errors. Therefore, it is important that residents are instructed early in their training on how to avoid the common pitfalls specific to HAVL.
One well-documented error is known as Kovac’s sign, an eponymous term that describes the overinsertion of the hyperangulated blade. This error results in a view of the cricoid ring below the larynx, signaling an overly steep angle of approach—even beyond that which
the HAVL blade already imposes. While learners may feel reassured by a full-screen view of the vocal cords, it is often necessary to slightly withdraw the blade. This adjustment improves intubation success in two key ways:
1. Facilitating identification of the ETT after its introduction into the oropharynx.
2. Allowing smoother passage of the ETT past the vocal cords.
When the blade is positioned in a way that demonstrates Kovac’s sign, there is typically minimal room to observe the ETT’s approach to the vocal cords. Even when the tube is visualized at the vocal cords, the steep angle of approach may make advancement against the anterior tracheal wall difficult. Though rotating the ETT and popping the stylet upward and out may help, this technique still introduces the possibility of tracheal trauma.
Proper handling of the HAVL stylet is also crucial. Unlike flexible stylets commonly used with DL or SGVL, the rigid stylets used with HAVL are often angled at nearly 90 degrees. Novice users may hold the stylet like a pencil throughout the procedure. While this is appropriate during the initial introduction of the blade into the mouth, the correct technique for these stylets involves transitioning to a grip similar to a joystick. This allows the right thumb to “pop” the handle of the stylet upward while advancing the tube past the vocal cords. This movement facilitates controlled withdrawal of the stylet while advancing the ETT into the trachea, minimizing the risk of tracheal dissection from the unforgiving rigid metal component.
This is not an exhaustive list of the unique considerations associated with HAVL. Research into the taxonomy of
HAVL-related techniques and errors is ongoing. While these may seem like minor details in the context of an emergent intubation, awareness and understanding of them are essential to fully realize the improved firstpass success rates that VL, including HAVIL, can provide.
Dr. Giuliano is an emergency medicine and anesthesia critical care medicine fellow at the University of Texas Southwestern in Dallas, Texas.
Dr. Bracey is program director of the resuscitation and emergency critical care fellowship at Albany Medical Center in Albany, New York.
By Monisha Dilip, MD, MBA; John K. Riggins Jr., MD, MHA; and Latoshia Henderson, MD
Introduction
Boarding patients with behavioral health conditions in the emergency department (ED) presents significant challenges for patients, ED staff, and healthcare institutions. Prolonged ED boarding is linked to serious safety concerns, higher morbidity and mortality rates, and overall compromised patient outcomes. Limited funding and resources have exacerbated the issue. Rates of depression, anxiety, and suicidal ideation—which increased during the COVID-19 pandemic—have continued to rise over time. As patient volumes increase, EDs are struggling to meet demand, with an estimated 136
million emergency visits annually—a number that continues to climb
Although psychiatric cases make up only 6–10% of ED visits, they have a disproportionately high impact on patient flow, safety, and resource allocation. This article highlights the challenges associated with ED boarding, explores the scope of the ED boarding problem, assesses it implications for patients and healthcare systems, and proposes potential operational and policy-level solutions.
For patients in need of inpatient psychiatric care, the wait for an
available bed can stretch from days to weeks—or even longer—often without legal recourse. Many wait in hallways or nontherapeutic environments that exacerbate their distress. Psychiatric and home medications are frequently delayed or omitted, contributing to worsening underlying conditions. Patients often report feeling unseen, unheard, and mismanaged.
The typical busy ED environment— characterized by bright lighting, constant noise, and frequent interruptions—can escalate agitation, delirium, or aggression in vulnerable individuals. Hospital policies such as confiscating personal items,
“Higher boarding volumes are associated with increases in workplace violence, patient elopement, and the use of physical holds, all of which put both patients and ED staff at risk.”
requiring escorts for routine activities, or prohibiting personal clothing may further dehumanize and distress patients and erode trust in the healthcare system. These practices raise ethical questions about about how EDs manage patients seeking psychiatric care.
The primary driver of the boarding crisis is the severe shortage of inpatient psychiatric beds. This issue has its roots in the deinstitutionalization movement of the 1960s, which shifted care away from state psychiatric hospitals to community-based settings. While intended to support patient autonomy, the transition left many without adequate support. Today, insufficient community mental health resources, coupled with requirements under the Emergency Medical Treatment and Labor Act (EMTALA), have made EDs the default point of care for many psychiatric emergencies.
This situation has led to ED overcrowding, longer wait times for all patients, increased provider stress, more patients leaving without being seen, and significant financial strain on hospitals.
Extended boarding of psychiatric patients creates significant operational and safety concerns. Staffing shortages and limited resources make it difficult to conduct timely medical and psychiatric reassessments, which can result in missed interventions and worsening conditions. Higher boarding volumes are associated with increases in workplace violence, patient elopement, and the use of physical
holds, all of which put both patients and ED staff at risk. The frequent involvement of security personnel or law enforcement may inadvertently contribute to the criminalization of mental health crises within the clinical setting.
Additionally, medical conditions may go unaddressed when behavioral symptoms take precedence, leading to preventable complications. For instance, a patient with diabetes may experience worsening glucose control if medications are not properly managed during a prolonged ED stay. The lack of standardized protocols for psychiatric reassessments, observation orders, or manual holds contributes to inconsistent care
and may increase legal liability for hospitals.
Reducing ED boarding of mental health patients will require a comprehensive approach, combining operational improvements, workforce investments, security considerations, and systemic reforms. Establishing standardized protocols for psychiatric holds, reassessments, and treatment plans can promote consistent, highquality care. Clear workflows for documentation and monitoring can
“Patients often unheard, and
BEHAVIORAL
continued from Page 21
help prevent lapses in both medical and psychiatric treatment.
Expanding access to psychiatric consultation services—through emergency psychiatric teams or telepsychiatry—can help expedite evaluations and disposition planning. Increasing the availability of psychiatric nurse practitioners, social workers, and behavioral healthtrained staff can ease the burden on emergency physicians and nurses, improving care delivery. Training ED personnel in de-escalation techniques and psychiatric crisis intervention can further improve patient outcomes and reduce incidents of violence.
Security policies must balance staff and patient safety with ethical considerations. Minimizing law enforcement involvement and implementing trauma-informed security measures can help avoid escalation and maintain patient dignity, while ensuring a safe environment for all..
System-level changes are essential to address the root causes of ED boarding. Expanding inpatient psychiatric capacity and strengthening community-based mental health
“Emergency department boarding of patients with mental health conditions is a complex, systemic issue that calls for sustained attention.” report feeling unseen, and mismanaged.”
services can reduce reliance on EDs for crisis care and help prevent prolonged ED stays. Some states have established psychiatric emergency service units adjacent to EDs, offering short-term stabilization and faster transitions to appropriate care. Expanding such models nationally could alleviate the burden on EDs.
Policy reform at both the state and federal levels may help address barriers to timely psychiatric care by supporting more efficient patient transfers and expanding funding for crisis stabilization units. Public and private sector investment in innovative care models—such as hospital-based psychiatric emergency services and mobile crisis response teams—may offer viable alternatives to traditional inpatient hospitalization. Further evaluation of these models can help determine their effectiveness and scalability.
Conclusion
Emergency department boarding of patients with mental health conditions is a complex, systemic issue that calls for sustained attention. Prolonged ED stays are associated with increased safety risks, provider burnout, and adverse patient outcomes. Addressing this challenge will require collaborative efforts among hospital leaders, clinicians, mental health professionals, and policy experts.
Hospitals can support improvements by prioritizing standardized workflows, expanding access to psychiatric consultation services, and investing in behavioral health staffing. Strengthening the availability of community-based mental health services and enhancing access to psychiatric beds could also
play a role in reducing ED boarding times.
Ongoing research, data collection and analysis, and national dialogue are essential to developing sustainable solutions. Organizations such as SAEM provide a critical platform for in facilitating these conversations and fostering crossdisciplinary collaboration. Continued inquiry and knowledge sharing will be key to informing policy and practice and improving the care experience for individuals experiencing mental health crises.
Dr. Dilip is an emergency physician and assistant director of quality and patient safety at Columbia University Medical Center. Her interests include quality improvement, ED operations, and physician wellbeing. She is actively involved in national organizations, serving on committees focused on ethics, wellness, and health policy.
Dr. Riggins is an assistant professor of emergency medicine at the NewYorkPresbyterian/Columbia University Department of Emergency Medicine and Columbia University Vagelos College of Physicians and Surgeons. He serves as medical director for the NewYork-Presbyterian/ Allen Emergency Department and chair of the department’s Bridge Builders Board.
Dr. Henderson is an assistant professor of emergency medicine at the NewYorkPresbyterian/Columbia University Department of Emergency Medicine and Columbia University Vagelos College of Physicians and Surgeons. She serves as assistant director for quality and patient safety for both the Columbia Presbyterian and Allen emergency departments.
By Eric Kontowicz, MPH, PhD; Jason Rotoli, MD; Cori Poffenberger, MD; IV Mirus, MD, MPH; Richard Sapp, MD, MS; and Wendy C. Coates, MD, on behalf of the SAEM Academy for Diversity and Inclusion in Emergency Medicine
The Road to Inclusion: Setting the Stage for Change
The World Health Organization defines disability is an umbrella term that includes impairments, activity limitations, and participation restrictions Disability is not only a health issue but a complex phenomenon that results from the interaction between a person’s body and the environment in which they live. In the United States, individuals with disabilities represent a significant portion of the population, with approximately one in four U.S. adults having a disability
People with disabilities are often perceived as needing to be “cured” to achieve a so-called “normal” state. This reflects an ableist mindset,
which views able-bodied individuals as the ideal. Such attitudes are likely influenced by caregivers’ inherent desire to cure disease and optimize patient well-being. However, these implicit biases can negatively affect the patient-physician relationship, leading to challenges in receiving equitable care. Many individuals with disabilities do not perceive themselves as “broken” or in need of a “cure.”
People with disabilities often encounter societal, physical, communication, attitudinal, institutional, and environmental barriers to accessing healthcare. These barriers include inadequate wheelchair access, insufficient language accommodations for those who are deaf or hard of
hearing, inadequate descriptions of printed documents for people with low vision, physician bias, negative assumptions about quality of life, denial of access due to the cost of accommodations, and increased violence against people with disabilities.
Such obstacles extend into healthcare settings, delaying treatment, increasing anxiety, and sometimes leading to outright denial of care. Table 1 outlines examples of barriers individuals with disabilities may face when seeking healthcare.
Moreover, individuals with disabilities are more likely to underutilize primary care services
continued on Page 26
• Physician assumes the patient has a poor quality of life or is unhealthy because of their impairment and does not advocate for the patient with a disability as they would for a patient without one.
• Physician displays stigma, prejudice, or discrimination toward a patient with a disability; assumes the disability is a personal tragedy that must be cured or fixed; and fails to establish good rapport, resulting in the patient feeling uncomfortable fully disclosing their needs.
Attitudinal barriers
Communication barriers
• Physician assumes a patient who uses a wheelchair is not sexually active and therefore does not take a sexual history or perform appropriate tests.
• Physician assumes the disability is the reason for the visit, leading to the patient's chief complaint being overlooked.
• Physician assumes noncompliance rather than investigating societal or systemic barriers that may affect adherence to care.
• Patient with a visual disability is unable to read or has difficulty reading their after-visit summary.
• Patient who uses a screen reader cannot access a clinic’s website to make an appointment because it is not compatible with screen reader technology.
• Patient who is deaf and uses American Sign Language misses being called from the waiting room because staff rely only on verbal announcements without visual cues.
• Patient with an intellectual disability is unable to understand physician instructions due to the use of technical language, lengthy sentences, and complex vocabulary.
• Patient who is nonverbal is not provided with alternative communication methods to share their medical history or is unable to call the physician’s office due to the need for phone communication.
• Patient does not understand the procedure they are undergoing because appropriate accommodations were not made during the informed consent process.
• Patient who uses a wheelchair is unable to receive a routine mammogram or X-ray because the equipment requires standing or transferring to a table that is too high.
Physical barriers
• Clinic is unable to obtain the patient’s weight because there is no scale that accommodates individuals who use a wheelchair.
• Patient who uses a wheelchair waits for hours in the emergency department for a minor complaint because the “fast track” area uses only nonadjustable exam tables, not gurneys.
Policy barriers
Programmatic barriers
Social barriers
Transportation barriers
• Patient with a disability is denied an appointment because the clinic lacks equipment for safe transfer from a wheelchair to the exam table, which is a violation of the Americans with Disabilities Act.
• A qualified patient with a disability is denied participation in a federally funded program.
• Patient with a physical disability is scheduled for an appointment in an accessible exam room, only to find it is being used for a patient without a disability.
• Physician is unable to schedule sufficient time to care for a patient with communication challenges who requires additional time to express their needs.
• Patient must repeatedly disclose their disability and request accommodations at each health care encounter—and often multiple times per visit—due to the absence of a notification system alerting staff to accommodation needs.
• Patient with a disability is less likely to be employed and more likely to face difficulty accessing or affording the health care services they need.
• Patient with a disability is more likely to experience physical and sexual violence than individuals without disabilities.
• Patient arrives late to an appointment because of a delayed government rideshare or carpool and is not seen due to clinic policies on late arrivals.
• Patient who uses a power wheelchair is ready for discharge from the emergency department, but no rideshare services are available after hours, resulting in the patient remaining overnight in the department.
• Patient faces barriers due to a lack of accessible, affordable, or convenient transportation options
Adapted from the CDC Disability Barriers to Inclusion and Emergency Medicine Resident Education on Caring for Patients With Disabilities: A Call to Action
Table 1. Examples of barriers for individuals with disabilities during their interaction with health care systems
CULTURAL AWARENESS continued from Page 24
(despite often having greater healtcare needs). They also experience higher rates of obesity, smoking, and unintentional injury Additionally, these individuals may report being mistreated in healthcare settings and suffer from poorer overall health. Some physicians may feel uncomfortable providing care for patients with disabilities and may be reluctant to offer necessary accommodations.
The passage of the Americans with Disabilities Act (ADA) in 1990 marked a critical milestone in advancing inclusion and equity for people with disabilities. The ADA provided a legal foundation for preventing discrimination on the basis of disability, similar to civil rights laws that prohibit discrimination based on race, ethnicity, gender, age, or religion. The enactment of the ADA ensured that individuals with disabilities would have the same opportunities as their able-bodied peers to participate in all facets of society, including healthcare.
The ADA also serves as a reminder to healthcare providers to recognize and address biases, as well as to ensure necessary accommodations are made for patients with disabilities.
Since the ADA was enacted, significant progress has been made in improving healthcare access for individuals with disabilities. Many hospitals and clinics have improved physical accessibility, including wider doorways, accessible exam tables, and modified restrooms for mobility aids. Additionally, healthcare providers are increasingly asking about accommodation needs when interacting with patients.
Communication accessibility has also improved. There is greater availability of qualified American Sign Language (ASL) interpreters, Health Insurance Portability and Accountability Act (HIPAA)-compliant speech-to-text applications, and Communication Access Real-Time Translation (CART) services for individuals who are deaf or hard of hearing and do not use ASL. These tools are as essential as providing foreign
language interpreters. For individuals with low vision, video remote interpreting (VRI) and alternative formats for printed materials, such as large print or Braille, have enhanced access.
Technological innovations have also facilitated care for patients with visual impairments. Screen reader-compatible patient portals, tactile cues, and digital tools that convert visual information to audio are becoming more widely available. In some institutions, staff training has been implemented to improve sensitivity, reduce bias, and teach communication strategies for working with the diverse patient populations with disabilities.
However, a recent survey of physicians revealed that only 36% felt confident about their legal responsibilities under the ADA, and 71% answered incorrectly about who determines reasonable accommodations In accordance with the ADA, qualified service animals are allowed in any setting. Healthcare providers may ask two questions: 1.) “Is this animal a service animal required because of a disability?” and 2.) “What task or work has the animal been trained to perform?” It is important to distinguish between service animals, which are protected under the ADA, and emotional support animals, which do not currently meet ADA standards.
One simple step that can be implemented system-wide is a standard question posed to all patients upon entering the healthcare system: “Do you have a disability? If so, do you require any accommodations to facilitate your care?” This could lead to the creation of an alert in the electronic health record, visible to all staff involved with the patient, ensuring timely accommodations while respecting their privacy.
Despite the progress made since the ADA’s passage, significant work remains to ensure full accessibility
and inclusivity in healthcare across the United States.
First, there is a need for standardized training in medical education and clinical settings that emphasizes disability competence, anti-ableism, and best communication practices. These initiatives should go beyond legal compliance and focus on fostering empathy, respect, and empowerment.
Second, many healthcare facilities still lack essential accessible equipment, training, and policies, which can limit the ability to provide equitable diagnostic and preventive care. Physicians and practice owners must ensure that they have the necessary equipment, such as transfer boards and belts, and that staff are properly trained to use them in routine care and procedures.
Third, access to language-concordant care for the Deaf and hard-of-hearing population remains limited. Relying on untrained staff or family members to facilitate interpretation can lead to errors, dissatisfaction, and mistrust. Investing in certified interpreters and training clinicians in basic communication strategies will improve care. As a last resort, HIPAA-compliant technologies can serve as a stopgap measure until better solutions are available.
Fourth, in emergency care settings, a patient’s disability may not be immediately known. To address this, physicians should proactively ask patients or their caregivers about any disability-related needs. Enhanced screening during triage or incorporating a disability flag in electronic health records can help identify patients with disabilities at arrival. This flag could also facilitate smoother patient handoffs if the patient is admitted to the hospital. Collaboration between emergency departments and primary care providers to develop care plans for patients with disabilities could further improve quality of care in emergency settings.
Finally, engaging patients with disabilities in the healthcare design and policy development process offers a valuable opportunity to identify unmet needs and create more inclusive systems. Patient advisory boards, community partnerships, and inclusive research can guide future progress. The healthcare community must serve as allies to build a more inclusive healthcare system for patients with disabilities. The benefits of improvements will likely extend beyond people with disabilities and improve healthcare systems for everyone.
Acknowledge and respect individual experiences and abilities. Learn about different disability types.
Moving Forward: Strengthening Equity Through Awareness and Advocacy
The population of individuals living with disabilities is large and diverse, with people experiencing the same disability in vastly different ways. Since the passage of the ADA, there have been significant improvements in fostering inclusive environments. However, continued efforts are necessary to eliminate ableist biases, ensure healthcare settings are fully accessible, and provide necessary accommodations for all patients
Dr. Kontowicz is an assistant research scientist at University of Iowa Health Care.
Dr. Rotoli is an associate professor of emergency medicine at University of Rochester. Dr. Poffenberger is a professor of emergency medicine at University of New Mexico.
Dr. Mirus is an assistant professor of emergency medicine at UT Southwestern Medical Center.
Dr. Sapp is a fourth-year resident in the Harvard Affiliated Emergency Medicine Residency.
Dr. Coates is an emeritus professor of emergency medicine at University of California, Los Angeles.
By Adrené Garabedian; Bianca Velasquez; and Angie Hawkins, MA,
on behalf of the SAEM Academy for Diversity and Inclusion in Emergency
Medicine
Emergency medicine thrives on teamwork, adaptability, and resilience. During every shift, patients rely on seamless collaboration between physicians, nurses, technicians, administrators, and support staff to receive highquality care. But what happens beyond the walls of the emergency department (ED)—particularly in academic settings where clinical and nonclinical staff work side by side to advance the mission of emergency medicine (EM)?
How might departments strengthen the interpersonal
connections that enable teams to function cohesively under pressure, even outside clinical environments?
Enter Connect’EM—a staff-led initiative, supported by departmental leadership, designed to build community among academic EM staff, faculty, fellows, and residents beyond the workplace.
Developed by the Stanford Department of Emergency Medicine’s Diversity, Equity, and Inclusion (DEI) Staff Subcommittee under the guidance of DEI Committee Chair Dr. Jennifer Newberry and DEI staff co-lead Adrené Garabedian,
Connect’EM aims to foster meaningful connections through social spaces centered on shared interests and hobbies. The initiative aligns with Stanford Emergency Medicine’s mission, vision, and values by prioritizing diversity, inclusion, compassion, collegiality, collaboration, and service.
Unlike most extracurricular activities, Connect’EM intentionally supports cross-sectional relationships, encouraging interdisciplinary collaboration and a sense of belonging across all roles in the department.
“These interpersonal bonds are the glue that holds our department together, especially when working under high-pressure, high-stakes conditions.”
At its core, Connect’EM is designed to foster relationships between physicians and academic emergency medicine staff. These connections are essential not only for morale but also for cultivating a department culture grounded in mutual respect and collaboration.
Creating opportunities to learn about one another’s experiences fosters empathy, which leads to improved communication, deeper appreciation of individual challenges, and shared understanding.
Faculty and staff often operate on different schedules with differing responsibilities and workflows, which can result in miscommunication or unintended tensions. By coming together in shared spaces, participants can find common ground and build a culture of assumed goodwill and mutual effort, even when methods or timelines differ. These interpersonal bonds are the glue that holds our department together, especially when working under highpressure, high-stakes conditions.
Strong relationships contribute to better teamwork, improved morale,
and a more resilient workforce. Yet the intense, often irregular nature of EM schedules can make it difficult for colleagues to connect outside of work. Connect’EM addresses this challenge by offering casual, interest-based gatherings that create space for authentic connection and camaraderie.
Connect’EM launched with a gingerbread house decorating
“Connect’EM bridges this gap by providing casual, interest-based gatherings where emergency medicine professionals can meet in environments that encourage authentic connection and camaraderie.”
CULTURAL AWARENESS
continued from Page 29
competition that emphasized teamwork and creativity. Scheduled between resident didactics and an in-person faculty meeting, teams of faculty, staff, and trainees were provided supplies and broad parameters to build gingerbread emergency departments and houses. The energy and engagement from the kickoff event set the tone for the initiative—a space for belonging, collaboration, and joy.
Since its debut, Connect’EM has grown to include Connect’EM Conversations—virtual gatherings where staff come together with Well-Being Directors Dr. Al’ai Alvarez and Dr. Mia Karamatsu to reflect and share personal experiences in a psychologically safe environment. These sessions offer emotional support, validate shared humanity, and create opportunities for mutual learning—key elements in building a safe and supportive workplace culture.
The first Connect’EM Conversation took place during the lunch hour and provided an open space for participants to discuss personal and professional stressors, including how current events have impacted them and their families. Feedback was overwhelmingly positive; one participant shared that it meant a great deal to see the department prioritize staff well-being in such a tangible way.
Connect’EM has also expanded to
include community outreach efforts. In one example, residents, faculty, and staff collaborated to assemble more than 100 bracelets in support of Teen Dating Violence Awareness. These were donated to a local organization that supports survivors, with each bracelet serving as a symbol of solidarity and awareness.
Among the most anticipated upcoming initiatives within Connect’EM is the launch of a Staff Observership Program in the Stanford ED. This program will provide administrative staff with the opportunity to shadow faculty during clinical shifts, offering firsthand insight into the fast-paced, high-stakes environment of frontline emergency care. By connecting the day-to-day administrative work to the department’s larger clinical mission, the initiative aims to foster mutual understanding, appreciation, and collaboration between clinical and nonclinical roles.
Looking forward, Connect’EM plans to expand its offerings with additional small-group gatherings based on shared interests, community service projects, and wellness initiatives— including a regular cadence of Connect’EM Conversations. Whether through a book club, hiking group, culinary meetup, or service opportunity, the goal remains consistent: to strengthen relationships within the department, build a culture of inclusion and belonging, and enhance collaboration among physicians, trainees, and staff to improve emergency care.
In a field as demanding as emergency medicine, cultivating community and connection is not a luxury—it is a necessity. By intentionally including administrative staff in efforts to promote occupational well-being and by nurturing relationships beyond the clinical space, initiatives like Connect’EM help build a more cohesive, engaged, and effective academic emergency medicine team.
The authors would like to acknowledge Dr. Jennifer Newberry, Dr. Al’ai Alvarez, Dr. Mia Karamtsu, and Susan Coppa for their expertise, guidance, and grace.
Adrené Garabedian is the strategic plan manager and diversity, equity, and inclusion program manager and co-lead at Stanford Emergency Medicine. She holds a bachelor’s degree in biology from the University of California, Santa Barbara. Over seven years, she has advanced faculty initiatives, enhanced staff development, and led DEI efforts, driven by a passion for operational efficiency and inclusive departmental growth.
Bianca Velasquez is the program manager for the Accreditation Council for Graduate Medical Education–accredited Stanford Emergency Medicine Residency Program, overseeing 60 residents. She leads initiatives focused on process improvement, psychological safety, equity, and rapport-building.
Angie Hawkins is the education manager for Stanford’s Department of Emergency Medicine, leading a team of 11 staff who implement clerkship, residency, and fellowship programs.
By Adedoyin Adesina, MD, MEd, on behalf of the SAEM Clerkship Directors in Emergency Medicine academy
The story of Blockbuster, the oncepopular video rental company, offers a cautionary lesson: recognizing emerging trends and responding with timely, innovative solutions is essential to survival and growth. Once a dominant force in home entertainment, Blockbuster failed to adapt to a rapidly changing market and rejected opportunities for innovation—ultimately leading to its downfall. Though the company eventually entered the streaming space, it was too late to regain a competitive edge, and Blockbuster declared bankruptcy in 2010.
Emergency medicine may now be at a similar crossroads.
In 2019, emergency medicine was the fourth most selected specialty among graduating U.S. medical students. Out of approximately 3,000 applicants, nearly 600 went unmatched, signaling strong interest and competition. Many students cited shift work and a favorable work-life balance as key attractions to the field. However, interest among U.S. medical school seniors has declined significantly in recent years. A primary deterrent is the high burnout rate in emergency medicine,
a trend exacerbated by the COVID-19 pandemic. The ripple effects of the pandemic continue to impact the specialty and may represent not just a temporary disruption but a lasting shift.
At the height of the pandemic, emergency departments experienced substantial declines in patient volume, and many emergency medicine physicians— both established and newly graduated—faced job insecurity. Despite being on the front lines
“To maintain a robust pipeline of future emergency medicine physicians, it is essential to understand the evolving values, perceptions, and expectations of medical students.”
and assuming significant personal risk, many physicians reported feeling underrecognized and undercompensated. These conditions intensified existing burnout and contributed to rising attrition in the field.
Paradoxically, while interest in emergency medicine declined, residency programs continued to expand, outpacing demand. A 2021 workforce report forecasting a surplus of emergency physicians and a shortage of positions added to student concerns. Prospective applicants, already burdened by student debt and lengthy training, began reconsidering emergency medicine due to uncertain job prospects. Ongoing challenges—such as staffing shortages, increased workplace violence, mental health strains, boarding crises, and corporate consolidation through private equity— have contributed to a growing sense of instability within the specialty.
Although the initial post-pandemic period saw a drop in residency applications, the 2024 cycle showed signs of recovery, with more than 4,000 applicants for roughly 3,200 positions. For the 2025 Match, emergency medicine reported 52,498 applicants and a 97.9% fill rate, nearing pre-pandemic levels. The specialty matched 3,003 applicants.
However, there has been a noticeable shift in applicant demographics. The number of MD applicants has declined, while applications from Doctor of Osteopathic Medicine (DO) and international medical graduates
(IMGs) have increased. As discussions continue about transitioning emergency medicine residency programs to four years, the impact of these shifts on long-term interest in the specialty remains to be seen.
Historically a predominantly male specialty, emergency medicine has experienced a steady increase in female representation. This trend reflects sustained interest among women, despite persistent gender equity gaps and higher attrition rates—nearly double that of their male counterparts.
The racial and ethnic composition of emergency medicine residents reflects trends seen across many specialties. White residents make up more than half of the residency class, with Asian residents representing the second-largest group. However, certain groups—including Black or African American, Hispanic, Native Hawaiian or Pacific Islander, and American Indian or Alaska Native individuals—remain underrepresented among both residents and practicing emergency physicians.
The future of emergency medicine depends on the specialty’s ability to adapt to a changing healthcare environment. Despite demographic shifts and an evolving healthcare landscape, emergency medicine remains a vital and indispensable component of the medical system.
If the changes currently underway are more than temporary, there may be a need to reexamine the scope of
practice and training requirements. A more diversified and comprehensive educational approach may help prepare future emergency physicians for a broader range of career paths within the field.
To maintain a robust pipeline of future emergency medicine physicians, it is essential to understand the evolving values, perceptions, and expectations of medical students. Their perspectives are critical—not only for guiding mentorship and career advising— but also for ensuring the specialty continues to attract and retain passionate, skilled physicians equipped to meet the challenges of tomorrow.
Dr. Adesina is an assistant professor of emergency medicine at Baylor College of Medicine and serves as associate clerkship director.
By Erin Hunt on behalf of the SAEM Academy of Geriatric Emergency Medicine
Wherever you are, it’s likely that someone nearby is scrolling through social media on their phone. Many people use social media as their primary source of educational content, making it essential for medical providers to leverage these platforms in educating the public and preventing the spread of misinformation.
While studies on the use of social media (SoMe) in academic medicine began before 2020, the growth and influence of SoMe on education have surged since the COVID-19 pandemic. Social media sells, which is why many journals
and academic programs have created SoMe accounts to share their work. Additionally, many socalled “medfluencers” have gained significant attention on social media by sharing aspects of their personal lives outside of medicine, offering medical information to the public, or giving a “behind the scenes” look at their roles in healthcare. Given SoMe's significant potential reach and influence, its use in academic medicine has generated considerable debate and discussion.
Despite its potential, many academics hesitate to engage with SoMe due to concerns over ethics,
misinformation, and best practices. However, studies have provided useful guidelines to address these concerns:
1. Medical content providers must adhere to institutional policies, local regulations, privacy laws, and copyright regulations.
2. Medical content providers should avoid direct contact with patients or providing medical advice via SoMe. Such interactions should be limited to professional channels.
3. Medical content providers should ensure the information they share comes from credible sources.
“With proper training and attention to best practices, medical institutions, academic journals, and healthcare providers can harness the many benefits of social media.”
Any mistakes or misinformation in educational content should be addressed and corrected promptly and professional manner.
While using SoMe for educational content comes with challenges, the benefits are considerable. Traditional methods of disseminating academic medical information required users to search for it passively. In contrast, SoMe actively pushes content to users using artificial intelligence algorithms, enabling them to engage with material they may not have specifically sought out. Studies show that using platforms like X, Instagram, and the newer BlueSky can increase Altmetric scores and abstract views when used effectively. Some effective strategies for sharing academic medical content via SoMe include:
1. Embedding relevant links in each post. If character limits restrict this, use a URL shortener.
2. Tagging widely recognized users such as @SAEMonline on X, @SAEMonline on Instagram, and @SAEM.bsky.social on Bluesky. This can boost engagement, especially if the tagged organizations or individuals share your posts.
3. Including hashtags, such as #emergencymedicine, #emergencydepartment, #medicine, #SAEM, and any other relevant tags to extend the reach of your content.
4. Using visual abstracts to improve engagement. Canva is a popular tool for creating visuals and offers templates tailored for social media formats.
5. Linking to podcasts relevant to the academic topic of the post. This provides an alternate and
sometimes preferred method of learning for some users.
6. Create an X journal club, where participants engage in real-time discussion of a specific article via a social media thread. This increases interaction and visibility, which can positively influence platform algorithms.
7. Posting regularly and consistently. Building a social media presence takes time, so don’t be discouraged by low engagement at first.
To see how I implemented these strategies to build a social media presence for the Academy of Geriatric Emergency Medicine (AGEM), visit our accounts on X (@AGEM_SAEM), Instagram (@saem_agem), and BlueSky (@agem-saem.bsky.social).
Finally, some institutions now recognize social media-based scholarship in academic evaluations, acknowledging the growing number of medical providers creating educational content on these
platforms. Although this is still a relatively new form of scholarship, I believe it will become more common in the future. While ethical considerations and content credibility should always be monitored, with proper training and attention to best practices, medical institutions, academic journals, and healthcare providers can harness the many benefits of social media. As its influence continues to grow, now is the time to learn how to use social media effectively to enhance medical education for both providers and patients.
Erin Hunt is a third-year medical student at The Ohio State University College of Medicine. She served as the medical student representative for the Academy of Geriatric Emergency Medicine (AGEM) this past year and was recently re-elected for the 2025-2026 term.
By Stacey Frisch, MD; Corlin Jewell, MD; Elizabeth Stulpin, MD; and Charlotte Sheridan
Your emergency medicine (EM) clerkship—and the accompanying Standardized Letter of Evaluation (SLOE)—is one of the most important parts of your residency application. To make the most of your learning experience and leave a strong impression on your team, it’s essential to be well prepared. Although expectations may vary slightly by institution, there are key strategies that can help you succeed across the board.
Before and throughout your
rotation, familiarize yourself with core emergency medicine (EM) complaints and the common and dangerous conditions that cause them. This preparation will help you ask the right questions when evaluating patients based on their chief complaint. Review common procedures—such as nasogastric tube placement, intubation, central line placement, and suturing—and practice your skills to be ready when called upon.
Familiarize yourself with clinical decision-making tools like the
HEART score, Wells criteria, and the Canadian CT Head and C-spine rules. Practice the Advanced Trauma Life Support (ATLS) algorithm to increase your effectiveness during trauma resuscitations.
For each shift, establish learning objectives—such as improving presentation skills, mastering a procedure, interpreting radiology images or electrocardiograms, or managing a specific complaint. Discuss these goals with your
“A student who acknowledges their gaps and works to fill them is far more impressive than one who pretends to have it all figured out.”
preceptor so they can tailor the shift to your needs and offer focused feedback. Use this time to clarify workflow expectations, such as whom to work with, how to pick up patients, whether to write notes, and how to place orders.
During slower moments, use the time to review pathophysiology, clinical guidelines, decision tools, and relevant medications. Brush up on landmark trials and the evidence that supports clinical decisions. While it’s helpful to review before presenting, avoid excessive delays that could impact patient care.
You can also observe how others document and take the opportunity to practice your own documentation skills.
It’s natural to feel uneasy admitting when you don’t know something—but no attending or resident expects you to have all the answers. That’s what residency is for. What matters most is your honesty and willingness to learn. If you're unsure about something, speak up. Your team can only help fill in the gaps if they know where they are, and understanding your current comfort level allows them to tailor their teaching more effectively.
Being honest also ensures you receive the appropriate level of supervision. It’s far better to ask for help upfront than to struggle through a task and need rescue later. A student who acknowledges their gaps and works to fill them is far more impressive than one who pretends to have it all figured out.
Residency programs value applicants who are coachable, learn from their mistakes, and open to improvement. Being receptive to feedback not only helps you grow but also makes a strong impression for your SLoE. Request feedback regularly—not only from attending physicians but also from residents, nurses, and other staff members.
Most importantly, demonstrate that you’ve applied previous feedback when working with the same person again. Not all feedback will be positive, and that’s okay. Constructive criticism is often the most useful. What matters is how you respond to it and improve.
Ask your attending or resident how they prefer presentations. Some
may want just the highlights; others may prefer more detail. Regardless, aim to provide a succinct, prioritized differential diagnosis that includes “can’t miss” conditions and focuses on your management and disposition plan. Be specific about interventions, including medication routes and imaging modalities.
If possible, “pre-brief” with a resident before presenting to the attending. Be flexible and adapt to feedback. If you need extra time to prepare, ask—just try to keep it under five minutes.
After each presentation, reflect on:
• Which questions caught you off guard?
• Did your attending ask many followups?
“Request feedback regularly—not only from attending physicians but also from residents, nurses, and other staff members.”
EDUCATION & TRAINING
continued from Page 37
• Did they appear engaged or distracted?
Use your reflections to improve future presentations.
The emergency department can feel fast-paced and unstructured. Stay proactive and self-directed. Early in your rotation, familiarize yourself with the department: locate equipment (such as ultrasound machines), identify key personnel (like the charge nurse), and learn to interpret overhead alerts.
Be present for stroke or trauma activations and resuscitations. Offer to help with procedures like IV placement, suturing, splinting, and chest compressions. Check in with patients, ask about their comfort, and offer blankets or food if appropriate. During downtime, engage in discussions about other patients in the department.
When questions arise, be aware of your surroundings. Ask questions when others are not preoccupied with high-level cognitive tasks. This shows situational awareness and allows your supervisors to give your question their full attention. The fast-paced, dynamic nature of the dmergency department creates countless learning opportunities—if you’re attentive and thoughtful about when to engage.
During your rotation, you will often hear the phrase, “Own your patients.” But what does that actually mean?
It means being the person on the team who knows the patient best. This starts with taking a thorough history, performing a careful physical examination, reviewing the medical record—including information from outside hospital systems—and gathering collateral information by speaking with family members or staff from a facility, if needed.
But your responsibility does not end there. You should also follow up on laboratory results and imaging, contact consultants, and incorporate their recommendations to adjust your treatment plan. Taking this level of ownership shows that you are an active member of the team, actively involved in patient care, rather than simply reporting information. In just a few short months, you will be the primary physician—so use this time to practice taking full responsibility for your patients.
Continue to reassess your patients and modify your management plan as needed. Keep your team informed of any status changes. Think ahead about patient disposition: if a patient is likely to be discharged, assess whether they have the resources and support to recover at home. Discuss with patients potential barriers to discharge or admission and ensure appropriate handoffs for transition and continued care. Demonstrating this level of thoughtfulness signals your growing readiness to manage patient care independently.
Many away rotations offer opportunities to connect with residents and faculty outside of shifts—at conferences, simulation
sessions, or social events. These are valuable chances to make a good impression and learn more about the program.
Outside of your clinical responsibilities, take care of your mental health. Stay connected to your support system. Completing multiple away rotations and preparing residency applications can be stressful. Give yourself grace as you adjust to new environments, and don’t hesitate to reach out to friends or mentors for support.
Dr. Jewell is the director of medical student education in the BerbeeWalsh Department of Emergency Medicine at the University of Wisconsin. He also serves as a longitudinal teaching coach for the University of Wisconsin School of Medicine and Public Health.
Dr. Frisch is an associate program director at NYU Grossman School of Medicine’s Emergency Medicine Residency Program.
Dr. Stulpin is a current medical education fellow in the Emory Department of Emergency Medicine. She will be joining the faculty at the University of Pennsylvania as the assistant program director of their Emergency Medicine Residency Program.
Charlotte Sheridan is in her final year of medical school at NYU Grossman School of Medicine and is an incoming Emergency Medicine resident at Temple University Lewis Katz School of Medicine.
By Jeremy R. Simon, MD, PhD
An 82-year-old male with metastatic prostate cancer presents with pneumonia. He is at his baseline mental status, which is alert but uncommunicative. In addition to pneumonia, his skin is atrophic with multiple areas of breakdown. He arrives with his wife, who reports that he has been suffering greatly and expresses a desire for him to be admitted to the palliative care unit for comfort care. After reviewing the case, the palliative care team agrees that, clinically, the patient is appropriate for the service.
However, the wife later shares that the patient had previously requested
all efforts be made to keep him alive. His view was strongly influenced by his experience with his mother, who also had metastatic cancer and was placed on comfort care at the end. He believed the morphine administered to his mother hastened her death, which disturbed him deeply. As an observant Jew, his religious beliefs may have influenced his feelings, as Judaism places significant value on life. However, according to the wife, the patient never directly discussed his decision with their rabbi.
As the ability to communicate a decision is essential for decisionmaking capacity, this patient clearly lacks such capacity. In these
situations, decisions are made by a surrogate, either a designated healthcare agent or the closest living relative. In this case, the wife is the surrogate. Generally, surrogates have the authority to make decisions on matters the patient could address if they had capacity. However, surrogates cannot make decisions arbitrarily. They are expected to make decisions using "substituted judgment"—to decide what they believe the patient would have chosen if they could decide for themselves.
This creates a clear problem in this case. While we seem to know what the patient would have decided, because he appears to have made
“While we seem to know what the patient would have decided, because he appears to have made the decision earlier, the wife cannot simply place the patient into comfort care.”
the decision earlier, the wife cannot simply place the patient into comfort care. Despite her decision-making authority, she must opt for treatments that could potentially prolong life, even at the cost of discomfort or pain. After all, the patient was disturbed by his mother's morphine use, believing it hastened her death.
However, interpreting the patient’s previous statements requires care. Do the current circumstances align with the ones the patient addressed, or are there significant differences? The current case presents several aspects for analysis.
First, how similar is this case to the one the patient had in mind when he made his request? Structurally, the cases are clearly similar—late-stage metastatic cancer with significant discomfort. However, based on the wife’s report, they are quite different. Although the patient's mother appeared uncomfortable at the end of her life, the discomfort did not appear to be extreme. In contrast, the patient in this case has appeared to suffer greatly at times. In such situations, ethics committees often conclude that the patient did not foresee such an extreme scenario and may allow the surrogate to override or not apply the advance directive.
This case presents another complication. It is not clear that the patient was making a purely quantitative judgment, weighing life extension against pain. Instead, his religious beliefs may suggest that life—regardless of its quality—has supreme value and must be preserved at all costs. While not all Orthodox Jews hold this belief, some do, as may other religious groups. If this is
the patient’s stance, then the degree of suffering he is experiencing may not matter. Comfort care would not be appropriate. Even though such a decision may be difficult for his loved ones, respect for the patient’s wishes may require continuing treatment, even if others involved in the case would not consider such a choice for themselves.
Of course, there may still be uncertainty about whether the patient's faith would have been strong enough to refuse comfort care in his current state if he were able to
make decisions. Discussions with the patient’s rabbi about the nature and strength of his beliefs would likely be necessary before any decision to override his expressed wishes could be considered.
Dr. Simon is a professor of emergency medicine at Columbia University, where he is also a member of the hospital's ethics committee and ethics consultation service.
By Sangil Lee, MD, MS, and Dan Mayer, MD, on behalf of the SAEM Evidence-Based Healthcare Implementation Interest Group
Introduction
Evidence-based medicine (EBM) has transformed health care by ensuring that clinical decisions are guided by the best available scientific evidence Its development has been particularly impactful in emergency medicine (EM), where rapid decision-making under uncertainty is critical. This article explores the history of EBM, its evolution, and its significance in shaping modern EM.
The concept of using evidence to guide medical decisions is not new. Philosophers in ancient civilizations, including those in Greece and China, advocated for the use of clinical observations to determine the most effective diagnostics and treatments However, for much
of history, medical practice relied more on tradition, anecdote, and expert opinion than on structured observation or rigorous scientific evaluation.
The modern foundation for EBM was laid in the 19th and early 20th centuries with advancements in statistics, epidemiology, basic science, and clinical research
In 1747, James Lind conducted the first randomized clinical trial on the treatment of scurvy. Pierre Charles Alexandre Louis gathered data on typhoid patients who underwent bloodletting and compared their outcomes to those who did not, ultimately finding that bleeding increased the death rate.
In the 1840s, Ignaz Semmelweis demonstrated that handwashing could reduce puerperal fever, although his findings were largely
ignored due to the prevailing reliance on authority-based medicine Similarly, John Snow’s work in tracing cholera outbreaks to contaminated water in London emphasized the importance of systematic observation in medicine.
Despite these early contributions, many physicians continued to favor personal knowledge and intuition over scientific evidence—a sentiment that persists among a minority of clinicians today.
The Rise of Evidence-Based Medicine as a Formal Discipline
The mid-20th century brought significant progress in clinical research methodology. Randomized controlled trials (RCTs), pioneered by Sir Austin Bradford Hill in the 1940s, provided a scientific framework for evaluating medical interventions.
“Evidence-based medicine has transformed health care by ensuring that clinical decisions are guided by the best available scientific evidence.”
Landmark studies, such as the 1954 trial of streptomycin for tuberculosis, highlighted the potential of RCTs to shape clinical practice.
The modern movement of EBM emerged in the 1970s and 1980s, led by figures such as Archie Cochrane, a British physician and epidemiologist who emphasized the importance of systematic reviews of clinical evidence. His efforts led to the founding of the Cochrane Collaboration in 1993. Around the same time, Canadian internist David Sackett and colleagues at McMaster University advanced the principles of EBM, focusing on high-quality literature searching, critical appraisal of evidence, and the integration of clinical expertise, patient values, and scientific data.
The term “evidence-based medicine” was formally introduced in a 1992 article in the Journal of the American Medical Association by David Eddy. This marked a shift from medicine based on intuition and anecdote toward a structured, research-informed approach to clinical decision-making.
EBM’s Impact on Emergency Medicine
Emergency medicine was formally recognized as a specialty in the 1970s. Its rapid development coincided with the rise of EBM, creating an environment in which evidence-based approaches could be readily integrated into practice. Today, EBM is taught in all medical schools and residency programs, enhancing the use of “just-in-time” resources in everyday emergency care.
One of the earliest applications of EBM in emergency medicine was the Ottawa Ankle Rules, developed in the 1990s to guide clinicians in deciding
when X-rays were necessary for ankle injuries. This evidence-based decision rule reduced unnecessary imaging and helped lower health care costs.
Other notable EBM-driven advancements in emergency medicine include:
• Thrombolysis for Stroke: The 1995 National Institute of Neurological Disorders and Stroke (NINDS) trial demonstrated the benefit of tissue plasminogen activator (tPA) for ischemic stroke, transforming emergency stroke care and prompting further research.
• Sepsis Management: The 2001 trial by Emanuel Rivers on early goal-directed therapy revolutionized the treatment of sepsis, although subsequent studies refined and questioned aspects of the original approach.
• Chest Pain Evaluation: The development of high-sensitivity troponin assays and clinical decision tools, such as as the HEART score, improved risk stratification in patients with possible acute coronary syndromes.
Despite its benefits, implementing EBM in emergency medicine presents challenges. The dynamic nature of care in the emergency department, combined with time constraints and patient variability, often makes it difficult to apply rigid guidelines uniformly. Additionally, new evidence can contradict previous recommendations, requiring clinicians to continuously adapt.
The rise of medical misinformation, both within and outside the health care community, poses a further challenge. Mastery of EBM principles equips clinicians to critically evaluate
research, conduct meaningful studies, and serve as discerning peer reviewers.
Looking ahead, the integration of artificial intelligence (AI) and machine learning in emergency care may support real-time evidence analysis and enhance clinical decision-making. Pragmatic trials conducted within emergency settings will continue to improve the applicability of research findings to real-world practice. Implementation science frameworks may help evaluate and operationalize new evidence-based tools in clinical environments.
Evidence-based medicine has profoundly shaped emergency medicine, improving patient outcomes through systematic research and clinical guidelines. From early epidemiological observations to modern randomized controlled trials and meta-analyses, the evolution of EBM has equipped emergency physicians with robust tools to navigate complex clinical scenarios. As research methods evolve, EBM will continue to promote precision and excellence in emergency care delivery.
Dr. Lee is an associate professor in the Department of Emergency Medicine at the University of Iowa and chair of the SAEM Evidence-Based Healthcare Implementation Interest Group.
Dr. Mayer is a former professor of emergency medicine at Albany Medical College and was course director of the four-year longitudinal required course, Evidence-Based Health Care.
By Alina Tsyrulnik, MD; Mary McLean, MD; Geoff Comp, DO; Leah Bralow MD; Justin Holmes MD; and Kristen Whitworth, DO, on behalf of the SAEM Education Committee
So, you’ve just become an assistant or associate program director (APD). Now what? A recent SAEM Pulse article (March-April 2025) highlighted the roles, responsibilities, and possible career trajectories of this position. As many in the field know, the definition and scope of your work as an APD can vary widely based on numerous factors—your institution’s size and type (community or academic), geographic location, residency duration, number of residents, and the structure of your leadership team. In short, there is no single job description.
This article builds upon the previously published piece by outlining generalizable "pearls and
pitfalls" to help APDs navigate and succeed in their roles. The contributors—six APDs from diverse programs across the country—bring a range of experiences that are applicable to a broad audience of emergency medicine educators. Let’s begin on a positive note with strategies that can help you succeed both within your program and in your own academic and professional development.
Pearls for Success
• You Be You: Don’t try to imitate your predecessor, your program director (PD), or your co-APDs. You were chosen for this role because of your unique skills,
strengths, and personality. Your distinct perspective will benefit the residency and may help you better connect with specific groups of residents.
• Rome Wasn’t Built in a Day: Don’t attempt to change everything at once. While having a longterm vision is important, don’t underestimate the value of small, incremental changes in achieving your goals.
• Find Your Spotlight: Identify at least one area where you can serve as a visible advocate for residents. Many APD tasks happen behind the scenes, but visibility is important for both resident engagement and
“Trying to please everyone all at once will ultimately lead to pleasing no one.”
your own personal and professional growth.
• Engage Resident Ambassadors: Residents can be powerful allies when introducing new initiatives. Involve them early in the process— they will bring valuable perspectives and help increase buy-in from the larger group.
• Leverage Multitasking Skills: Emergency medicine physicians are accustomed to juggling multiple responsibilities. The same can be said of the APD role. Integrate small APD tasks into your clinical shifts—send a quick email, check
in with a resident, or follow up on administrative items like duty hours or procedure logs. These microefforts can enhance productivity and improve work-life balance.
• Present a United Front: Internal debate is healthy and necessary within a leadership team, but outward unity is essential. Ensure all voices are heard before launching any major initiative, then deliver consistent, aligned messaging to residents and the department.
• Maximize Your Wins: Enhance academic productivity by tying measurable metrics to educational
initiatives. Repurpose your work— use background research from a paper to develop lectures, present your findings at meetings, write a blog post, or submit a podcast. Start with an abstract or poster and build toward full manuscript submission.
• Use Your Program Director: Whether or not you aspire to become a program director, having this “builtin” mentor can be very helpful. Take advantage of the guidance and support available to you.
continued on Page 47
continued from Page 45
• Consider a Leadership Coach: Unlike a mentor, a leadership coach focuses on your personal development and long-term goals. A coach can help you grow as both a residency leader and a professional.
• Automate Where You Can: Use technology to streamline recurring tasks. Set calendar reminders for routine follow-ups, schedule messages using "send later" functions, or automate faculty reminder emails using tools like Boomerang.
• One Size Does NOT Fit All: Customize for workplace culture. Not every successful initiative will translate to your program. Be sensitive to institutional culture and modify borrowed ideas to fit your local environment.
Pitfalls to Avoid
• Investment-Profit Mismatch: Avoid devoting excessive time to low-impact tasks. Delegate administrative work, like scheduling events or meetings, to support staff. This will avoid multiple backand-forth emails and conserve your bandwidth for higher-level responsibilities.
• Lack of Stakeholder Buy-In: Changes that affect others must include their input. You don’t need unanimous approval, but you do need representative voices— especially from chief residents and other key leaders—on board before implementing new ideas.
• Overextension and Burnout: Taking on too many responsibilities, especially during periods of transition, can lead to burnout or failure. Delegate thoughtfully, matching tasks to team members’ strengths to foster individual growth and program success.
• Trying to “Fix” Everything: As an APD, you’ll be approached with complaints and suggestions. Recognize that you can’t please everyone. What one group favors,
“Holding back your ideas due to fear of rejection does a disservice not only to yourself, but to the program and its learners.”
another may resist. Focus on the big picture and avoid constantly pivoting based on shifting preferences. Trying to please everyone all at once will ultimately lead to pleasing no one.
• Blurred Boundaries With Residents: Especially early in your career, you may be close in age to your residents. While relatability builds trust, avoid fostering friendships that blur supervisory boundaries. Similarly, it is important to avoid an adversarial relationship. Approach resident remediation with objectivity and empathy—not frustration or judgment.
• Failure to Accept “No”: Sometimes, despite your passion for an idea, you’ll be overruled—by your program director, department leadership, or the residents themselves. Accept the outcome, learn from it, and move on to the next initiative.
• Don’t Be a Wallflower: Circling back to the first pearl: be yourself. You were chosen for this role for a reason. Withholding your ideas out of fear of rejection not only limits your own growth, but also shortchanges your program and its residents.
The APD role is dynamic and multifaceted, requiring both flexibility and intentionality. By embracing your unique contributions, building strong relationships, and avoiding common pitfalls, you can thrive in this evolving leadership position—and help your residency program thrive as well.
Dr. Tsyrulnik is an assistant professor and associate residency director at Yale University School of Medicine. She is chair of the APD Community of Practice for the Council of Emergency Medicine Program Directors (2023–2025).
Dr. McLean is the associate program director and research director at AdventHealth East Orlando. She is the current chair of the CORD APD Community of Practice.
Dr. Comp is an associate program director for the Creighton University School of Medicine emergency medicine residency at Valleywise Health Medical Center in Phoenix, Arizona.
Dr. Bralow is an assistant program director for the St. Barnabas Hospital emergency medicine residency in the Bronx, New York.
Dr. Holmes is the associate program director for the Texas Tech University Health Sciences Center emergency medicine residency in Lubbock, Texas.
Dr. Whitworth is the program director for the Corewell Health Lakeland emergency medicine residency in Saint Joseph, Michigan.
By Peter Acker, MD, MPH, and Prateek Gupta
A 23-year-old woman delivered a healthy baby boy at a rural health center in Cambodia, assisted by a midwife. A few hours after the delivery, the midwife noted that the woman continued to bleed. Aware of the center’s limited resources, the midwife recommended that the woman be evaluated at a hospital. With no ambulance available onsite, the midwife asked the woman to arrange her own transportation. The woman contacted a friend with a motorbike, who arrived about an hour later and transported her to the
nearest hospital, approximately 25 minutes away.
The hospital offered only basic services and was staffed by a general practitioner (GP). Upon evaluation, the GP noted that the patient was tachycardic and slightly pale and became concerned she had lost a significant amount of blood.
The hospital lacked a blood bank and did not have an obstetrician on staff.
The GP initiated plans to transfer the patient to the nearest district hospital. Although an ambulance was available, the driver was offsite and had to be called in. About
20 minutes later, the ambulance departed for the district hospital, located 35 minutes away.
When the patient arrived at the district hospital, she was pale, clammy, and lethargic. Because the staff had not received prior notice of her pending arrival, they had not alerted the obstetrician—who was at home—or contacted the blood bank. Once the blood bank was contacted, staff learned it had no packed red blood cells available. The patient continued to bleed and died while waiting for the obstetrician to arrive.
“A well-functioning emergency care system must include a robust and efficient emergency referral and transport network that links patients to facilities equipped to manage emergencies.”
Global Maternal Emergencies and the AMDD EmONC Toolkit
This case illustrates multiple failures in the local emergency care and referral system, ultimately contributing to a preventable maternal death. Unfortunately, similar scenarios occur around the world, resulting in nearly 800 maternal deaths each day—the vast majority in low- and lowermiddle-income countries. Nearly all maternal deaths and near-miss events are preventable, but reducing them requires, among other strategies, improved access to timely, effective emergency care.
To improve access to and utilization of emergency care resources, health systems must first understand what resources exist and where they are located. The Averting Maternal Death
Basic EmONC
1-Administer parenteral antibiotics
2-Administer uterotonic drugs
3-Administer parenteral magnesium sulfate
4-Manual removal of retained placenta
5-Removal of retained products of conception
6-Perform assisted vaginal delivery
7-Perform neonatal resuscitation with bag and mask
and Disability (AMDD) Emergency
Obstetric and Newborn Care (EmONC) Toolkit, first developed in 2009, was created for this purpose. The toolkit is designed to assess and document a health facility’s capacity to manage maternal and newborn emergencies. It has been used in more than 80 countries by governments and
Comprehensive EmONC
Perform items 1-7 AND
8-Perform cesarean section
9-Provide blood transfusion
ministries of health to generate detailed data on the capabilities of their emergency obstetric and newborn care systems.
The toolkit collects standardized information about each facility’s ability
continued on Page 51
“This
tragic case highlights multiple breakdowns in the emergency care and referral system—each contributing to a preventable maternal death.”
continued from Page 49
to perform key clinical interventions— referred to as “signal functions”— targeting the most common causes of maternal and newborn mortality. Facilities are then categorized based on their capacity to provide either basic or comprehensive EmONC services. Since its introduction, the toolkit has helped stakeholders identify system strengths and weaknesses, enabling more strategic allocation of resources to improve care delivery and access.
Revising the AMDD Tookit
Over more than two decades of use, the AMDD EmONC framework has evolved alongside advances in health system evaluation and growing understanding of emergency care delivery. Recognizing the need to refine the tool further, the AMDD team recently launched a revision process that includes new insights, particularly around emergency referral systems.
In resource-limited settings, the expertise and equipment needed to provide high-quality emergency care are often centralized at higherlevel facilities. These facilities may be geographically remote, especially for rural populations. A well-functioning emergency care system must include an effective referral and transport infrastructure to ensure that patients can reach appropriate care in a timely manner. Although the AMDD EmONC Toolkit has been instrumental in assessing facility-level maternal emergency care capacity, it previously lacked indicators for evaluating emergency referral and transport
effectiveness—a gap identified by many stakeholders.
To address this, the AMDD steering committee convened experts from the London School of Hygiene and Tropical Medicine’s Transport and Referral Community of Practice
Participants included Dr. Peter Acker, an emergency medicine physician from the Stanford University School of Medicine, along with professionals in obstetrics, neonatology, transport medicine, and representatives from nongovernmental organizations, the World Health Organization, the World Bank, and the United Nations Population Fund. This group conducted a literature review and a series of stakeholder meetings to identify the core elements of effective emergency referral.
Based on this work, two key additions were proposed:
1. New Signal Function: Continued Clinical Care During Interfacility Transfer
This new signal function expands the toolkit’s ability to assess whether facilities can provide essential medical care during patient transfers—an area not previously captured.
2. Referral Readiness Indicator
A complementary survey tool assesses a facility’s readiness to conduct emergency referrals. It evaluates the availability of ambulances and drivers, fuel supply and vehicle maintenance plans, communication protocols with receiving facilities, and the financial accessibility of referral services. Together, these additions strengthen a government’s capacity to monitor emergency referral and transport
systems, helping them identify gaps and make more informed decisions about resource allocation.
These proposed updates have received provisional approval from the AMDD team and are undergoing further evaluation by expert panels from United Nations agencies. Final review is expected in 2025. Once finalized, the revised EmONC Toolkit will be disseminated to stakeholders including ministries of health, researchers, and funding agencies. By incorporating measures of referral readiness and the provision of ongoing care during transport, the revised toolkit represents an important step toward closing gaps in maternal and newborn emergency care. Evaluating the ability of health facilities to manage referrals effectively could help reduce preventable deaths in low-resource settings. The case of the young woman in Cambodia, whose life was lost due to delays, poor coordination, and a lack of care during transport, illustrates the critical need for these improvements.
Dr. Acker is a clinical associate professor of emergency medicine at Stanford University School of Medicine and a faculty fellow with the Center for Innovation in Global Health.
Prateek Gupta is a doctoral student at the Faculty of Public Health and Policy at the London School of Hygiene and Tropical Medicine.
By Catherina Lubin, MD, on behalf of the SAEM Global Emergency Medicine Academy
I entered the room with an iPad interpreter in tow. She was 16, sitting at the edge of the examination table, her hair tied back in a puffy ponytail. Her brother sat beside her. All their belongings fit into the exam room.
The electronic medical record had already listed the reason for her visit: “abdominal pain.” I introduced myself as the doctor and began the interview, pausing intermittently for the interpreter to translate my questions into Haitian Kreyol. I asked the standard questions I pose to any female of reproductive age presenting with abdominal pain:
• How long has this been going on?
• When was your last menstrual period?
• Where is the pain located?
• On a scale of 1 to 10, how severe is the pain?
Having seen abdominal pain as a complaint hundreds of times, I felt confident in my interview skills. Yet, with this patient, the more questions I asked, the less clear the picture became.
She explained that the pain had persisted for several months— roughly corresponding to the time she spent emigrating from Haiti, through Brazil, to the United
States. The pain was generalized and sporadic. She had difficulty describing it and denied any worsening symptoms. She also mentioned experiencing headaches that were often debilitating but seemed to improve with water. She reported no diarrhea, infectious symptoms, or urinary complaints. At the time of the exam, she was not in pain, and her physical exam revealed a soft, non-tender, non-distended abdomen.
She shared that the main reason she had come to the emergency department was that, upon arriving in Boston, she had completed a screening questionnaire. When
asked whether she experienced pain in any specific areas, she mentioned the abdominal discomfort and was referred to the Boston Medical Center emergency department for further evaluation.
I left the room feeling confused. While presenting the case to my attending physician, I admitted I was unsure of the diagnosis. I planned to start with basic lab work, a pregnancy test, and urinalysis, as there were no clear indications for imaging.
About five minutes later, after my attending had visited the patient, she called me over. “Cat, she’s been having hunger pains.”
I was overcome by a mix of disbelief, sadness, and surprise. My attending had specifically asked the patient about factors that improved her symptoms. Together, they identified that the pain worsened
after long periods without food and improved after eating. The headaches appeared to be related to dehydration. It became clear that, during her immigration journey, she had experienced significant food scarcity and had not connected these symptoms to hunger.
Her lab results came back normal. We provided food and water before discharging her and her brother to the shelter.
Until that moment, hunger had never been on my list of differentials for abdominal pain in the emergency department. I had not considered that food insecurity might drive someone to seek emergency care. Yet it is far more prevalent in the United States than many realize.
In the United States, food insecurity
defined as limited or uncertain access to enough nutritious food for an active, healthy life—is a persistent and growing issue, particularly among vulnerable populations. While it is often linked to poverty, its impact reaches far beyond economics, posing serious challenges to public health and the delivery of emergency medical care.
Safety-net hospitals such as Boston Medical Center, which provide care to uninsured and underserved populations, are at the forefront of this crisis. These institutions increasingly face the compounded challenges of food insecurity, chronic health conditions, and an overburdened healthcare infrastructure.
The relationship between food insecurity and health is well
continued on Page 55
“Food insecurity contributes to a
a range of health issues that can lead to emergency department visits.”
GLOBAL HEALTH
continued from Page 53
documented. Numerous studies have shown that food insecurity is associated with higher rates of chronic health conditions—including diabetes, hypertension, and asthma that frequently lead to emergency department visits. It is also linked to poorer mental health outcomes, including increased rates of anxiety and depression, which can further increase reliance on emergency services.
According to the U.S. Department of Agriculture (USDA) 12.5% of American households—representing 34 million people, including 9 million children—experienced food insecurity in 2023 Rates were significantly higher among Black, Latino, and Native American communities. The COVID-19 pandemic intensified the crisis, as widespread job loss and economic hardship strained household food access. For many, the effects are still ongoing.
Rising inflation in recent years has made the situation more severe. As the cost of living increases, so does the price of food. Inflation has caused a sharp rise in food prices, which disproportionately impacts lowincome households. Consequently, the rising cost of groceries and everyday necessities has pushed millions of Americans deeper into food insecurity.
Pandemic-related economic relief helped temporarily ease some of the burden. However, many of those supports have since expired, while inflation continues to rise amid global supply chain disruptions and economic instability. The USDA
reported that food prices rose by more than 10% in 2022 alone—the steepest increase in over a decade. The cost of essentials such as eggs, bread, and meat has skyrocketed, limiting access to balanced diets and pushing more households into food insecurity. As food becomes more expensive, many individuals are forced to make difficult choices, often sacrificing nutritional value to stretch their budgets and contributing to worsening chronic diseases and secondarily increased emergency room visits.
Addressing the intersection of food insecurity and emergency care requires a multifaceted response. Safety-net hospitals cannot manage this crisis alone. A collaborative approach—engaging healthcare systems, community organizations, policymakers, and food banks—is essential to building infrastructure that treats nutrition as a critical component of health.
One strategy is to integrate food access into the healthcare system itself. Hospitals can partner with local food banks, farmers markets, and nutrition programs to provide healthy food to patients during their visits. Some institutions have already piloted programs that distribute fresh produce or connect patients with long-term food resources following discharge. These initiatives have the potential to improve overall health outcomes and reduce the need for emergency care.
Safety-net hospitals should also consider expanding their teams to include social workers and community health navigators who can assess patients’ broader needs during emergency department visits. These professionals can screen for food insecurity and connect patients with
resources such as the Supplemental Nutrition Assistance Program (SNAP), food pantries, or meal delivery services. By taking a holistic approach to care, hospitals can address the root causes of many of the health issues that lead to emergency room visits in the first place.
On a broader level, policymakers must treat food insecurity as a public health priority. Efforts could include expanding SNAP, increasing support for food banks, and investing in community-based food systems. These changes can help reduce poverty and ensure greater access to healthy, affordable food.
Food insecurity is a growing crisis— one that disproportionately impacts emergency departments at safety-net hospitals. As emergency medicine providers, it is essential to recognize how social determinants of health, such as access to food and hydration, influence why patients seek care. This is particularly true for patients from marginalized communities, who often face the greatest barriers.
To build a more equitable and effective healthcare system, we must address the root causes of food insecurity and integrate nutrition and food access into into our model of care. Only then can we ensure that every individual—regardless of income or background— has access to the care they need to live a healthier, more secure life.
Dr. Lubin is a fourth-year emergency medicine resident at Boston Medical Center.
By Edith Rivera, MS, on behalf of the SAEM Academy for Diversity and Inclusion in Emergency Medicine
The ongoing immigration debate in the United States continues to affect how undocumented populations access health care. In recent months, the revocation of the “sensitive areas” policy has introduced new uncertainty for many communities. This policy had previously offered protections for sites such as hospitals, schools, and places of worship, discouraging Immigration and Customs Enforcement (ICE) activities in these locations. Under the latest executive directive, ICE field officers and agents in charge now have the discretion to make case-by-case decisions about whether, where, and when to conduct
immigration enforcement actions in or near these areas. As a result, healthcare facilities are no longer uniformly considered protected from enforcement actions.
Given these recent developments, it is important to explore how fear of deportation may affect individuals’ willingness to seek care—particularly within emergency medicine.
The fear of deportation can influence both individuals and entire communities. Undocumented immigrants already face significant barriers to accessing healthcare, including lack of insurance, financial instability, and language challenges.
Heightened enforcement activity has introduced a further deterrent, leading some to delay or avoid seeking care altogether, even for preventive or routine needs. Research has linked the emotional toll of deportation fears to. increased rates of anxiety, depression, and posttraumatic stress disorder (PTSD).
“The fear of deportation with significant public
These mental health challenges can compound physical health concerns and affect community well-being more broadly.
A recent recent report by National Public Radio (NPR), for example, describes how migrants in Chicago have increasingly delayed or canceled appointments at a local community clinic amid a rise in immigration enforcement activity. Fearing that contact with the healthcare system could draw the attention of immigration officials, individuals are choosing to forgo necessary care. As personal experiences circulate within communities, they may further contribute to a climate of mistrust and reluctance, reinforcing health disparities.
Emergency departments (EDs) have long served as critical access points to health care for immigrant populations. However, recent evidence suggests that fear of deportation may directly reduce utilization of ED services. A study published in the Journal of Immigrant and Minority Health found that immigration enforcement activities contributed to delayed or reduced ED visits among undocumented individuals, even when they experienced significant health issues. The findings suggest that increased enforcement may contribute to lower ED use, particularly among Latino communities, who already experience multiple healthcare inequities.
This reluctance to seek emergency care can have serious health consequences. For instance, patients with chronic illnesses such as diabetes may wait until symptoms become severe, such as in cases of diabetic ketoacidosis. Infections that could be treated early might progress to life-threatening conditions like sepsis. Additionally, when patients
are reluctant to disclose immigration status, emergency physicians may receive incomplete medical histories, which can complicate diagnoses and delay treatment. These circumstances create challenges for emergency physicians, who must provide high-quality care while navigating complex legal, ethical, and clinical uncertainties.
Medical schools and student organizations are taking steps to address these concerns through education and training. Groups such as the Latino Medical Student Association and the Student National Medical Association offer programming designed to prepare future healthcare providers to care for immigrant patients. These efforts include seminars and workshops on patient rights and the unique challenges faced by undocumented communities.
Professional and academic organizations in emergency medicine have also developed resources to support inclusive and equitable care. For example, the SAEM Immigration Advocacy Toolkit provides guidance on how students, faculty, and staff can promote safe and nondiscriminatory care. Educational articles, such as the Emergency Medicine Residents’ Association publication on immigration enforcement in the emergency department, aim to equip providers with the knowledge to respond to evolving enforcement practices while maintaining focus on patient care.
Hospitals and healthcare institutions across the country are adopting internal protocols and training to reinforce protections provided under the Health Insurance Portability and Accountability Act (HIPAA) and the Emergency Medical Treatment and Labor Act (EMTALA). For example, Vanderbilt University Medical Center offers a frequently asked questions document to help staff manage potential encounters with immigration authorities. Grady Memorial Hospital in Atlanta has developed multilingual guidelines for both patients and providers outlining procedures for interactions with
enforcement officials.
Legal and advocacy organizations also play an important role. Many partner with hospitals to create policies that address immigrationrelated concerns and ensure patient protections remain in place. While some resources—such as those issued by the California Attorney General—are state-specific, they offer frameworks that can be informative nationwide by emphasizing federal patient privacy laws and best practices for maintaining a safe healthcare environment.
Though institutions are responding with proactive measures, broader legal clarity remains important. Some observers note that the lack of uniform federal guidelines may leave hospitals and providers vulnerable to changes in enforcement policy. Continued collaboration between health professionals, legal experts, and policymakers may help address these gaps and support consistent, safe access to care.
The fear of deportation has emerged as a factor with significant public health implications. Emergency departments, as critical points of care for many vulnerable patients, now face additional challenges in ensuring that fear does not interfere with timely treatment. As patient hesitancy increases, particularly among undocumented populations, it is important for emergency medicine providers to remain informed, responsive, and committed to equitable care.
Continued research, education, and collaboration will be essential to address these evolving challenges and to support the health and well-being of all patients, regardless of immigration status
Edith Rivera is a fourth-year medical student at the Brody School of Medicine at East Carolina University. She is an active member of the Latino Medical Student Association and the Student National Medical Association, and a mentee in the SAEM Leadership and Advancement Program.
By RJ Alado and Jamison Geracci
In emergency departments across the American Southwest, clinicians regularly observe the harmful impact of food insecurity on patients’ health. While food insecurity is a global concern, it is particularly prevalent in states along the U.S. southern border—California, Texas, Arizona, and New Mexico. These areas report high rates of food insecurity, especially among Hispanic communities, which are disproportionately affected by metabolic disorders such as
nonalcoholic fatty liver disease (NAFLD) and metabolic dysfunctionassociated steatotic liver disease (MASLD).
Food insecurity disproportionately affects Hispanic populations in border communities such as El Paso, Nogales, and the Rio Grande Valley, where Hispanic households are twice as likely as white households to experience food insecurity. Limited access to consistent,
nutritious food often leads families to depend on inexpensive, caloriedense options high in sugars and unhealthy fats. This pattern contributes to obesity, insulin resistance, and the development of liver-related diseases such as NAFLD and MASLD.
Economic disparities play a central role in perpetuating food insecurity. Poverty rates in these border regions rank among the highest in the country. The Rio Grande Valley reports a poverty rate
“Food insecurity significantly affects Hispanic populations in border communities such as El Paso, Nogales, and the Rio Grande Valley, where Hispanic households are twice as likely as white households to experience food insecurity.”
nearing 34%, while El Paso, where 81% of the population is Hispanic, reports a poverty rate of 18.4%. These economic conditions restrict access to fresh, healthy foods and increase reliance on processed, high-fat, and high-sugar options that contribute to the progression of chronic liver disease.
The Health Consequences of NAFLD and MASLD
NAFLD and MASLD are increasingly prevalent among Hispanic populations, particularly those experiencing economic hardship and food insecurity. A study conducted in Cameron County, Texas, found high rates of hepatic steatosis and advanced fibrosis, especially among individuals with elevated body mass index (BMI). These conditions often remain asymptomatic in early stages but may progress to cirrhosis, liver cancer, or other severe complications if left untreated.
Emergency departments frequently encounter patients with advanced manifestations of these conditions, including liver failure, cardiovascular complications, and other metabolic disorders. While emergency care provides a critical safety net, many patients present only after their conditions have worsened, requiring extensive intervention. Addressing upstream factors—particularly food insecurity and inadequate nutrition— is essential to preventing disease progression.
The Supplemental Nutrition Assistance Program (SNAP) has
shown some success in reducing food insecurity, especially among children. Participation in SNAP for at least six months has been associated with up to a one-third reduction in food insecurity risk. However, current purchasing restrictions have shown limited impact on improving overall dietary quality. Culturally tailored interventions, such as communitybased nutrition education programs designed specifically for Hispanic populations, may enhance the effectiveness of these efforts.
Expanding funding for food assistance programs, increasing access to affordable, nutritious foods, and implementing community education initiatives may be critical strategies in addressing this public health challenge. Emergency medicine professionals are uniquely positioned to witness the full spectrum of disease burden caused by food insecurity and can advocate
for public policies that address its health implications. Recognizing food insecurity as a key determinant of health allows for more effective prevention strategies and long-term improvements in health outcomes, both in the American Southwest and across the nation
RJ Alado graduated from the University of Texas with a degree in biochemistry in 2023. He has since dedicated his time to pursuing research interests and gaining clinical experience while applying to medical school.
Jamison Geracci is a graduate of the United States Military Academy and a former Army infantry officer. He is currently working in emergency medical services, in the emergency department, and in public health while completing postbaccalaureate, premedical studies.
By Wendy Sun, MD; Lindsay MacConaghy, MD; Wan-Tsu Wendy Chang, MD; Hannah Mishkin, MD, MS; Neha Raukar, MD, MS; and Laura Walker, MD, MBA on behalf of SAEM Academy for Women in Academic Emergency Medicine Leadership Committee
Life in academic medicine is busy. Just as the landscape of academic medicine rapidly evolves, so too do the tools available to streamline our professional lives. Artificial intelligence (AI), including large language models (LLMs), is at the forefront of this transformation. These tools offer innovative solutions to optimize various aspects of our work, including the conference experience. For those attending, presenting, and traveling at SAEM25, there are tools you can use to make your life easier. In this article, we highlight how AI tools can support travel planning, conference preparation, and session summaries for SAEM25.
Travel Planning
AI-powered travel platforms like Mindtrip can curate personalized itineraries, suggesting activities,
dining options, flights, and accommodations—complete with booking links—all tailored to your preferences and constraints. To maximize the quality of recommendations, crafting a clear and specific prompt is essential. Instead of a broad query like “Where should I eat in Philadelphia?” consider refining it with details such as “What are the five best restaurants for groups of over 10 within a mile of Center City?” This level of precision enables the AI to deliver more relevant and insightful suggestions.
Here is a prompt example for someone on a tight CME budget for Mindtrip:
“I am traveling to Philadelphia for a conference. I will be staying in Center City. I want to try some local fare, but
only have a CME $20/day budget. I would like to visit one historic site while in town. I will be there for four days. Can you please make some suggestions?”
Here is an example of how Mindtrip might respond:
“For your stay in Philadelphia with a budget of $20 per day for local fare, here are some great options:
1. Reading Terminal Market: This historic market is a culinary hub where you can sample a variety of local and international foods. With over 80 vendors, you can enjoy affordable options like Pennsylvania Dutch treats, Middle Eastern dishes, and classic American fare.
2. John’s Roast Pork: Known for its award-winning roast pork sandwiches and cheesesteaks,
this no-frills eatery offers authentic Philly flavors at reasonable prices. It’s a must-visit for a taste of the city’s iconic sandwich offerings.
3. Jim’s South St.: Famous for its cheesesteaks, this spot allows you to watch as your meal is prepared. It’s a classic Philly experience located on bustling South Street.
4. Federal Donuts: Offering a unique combination of freshly made donuts and crispy fried chicken, this innovative spot is perfect for a quick and satisfying meal.
5. Tommy DiNic’s: Located in the Reading Terminal Market, this eatery is renowned for its roast pork sandwiches, which have earned national acclaim.
For a historic site visit, consider exploring Independence Hall. This UNESCO World Heritage site is where the Declaration of Independence and the United States Constitution were debated and adopted, offering a deep dive into American history.
Let me know if you need more information or additional suggestions!”
AI can significantly enhance PowerPoint presentations by streamlining design, improving content clarity, and ensuring audience engagement. Tools like Microsoft Copilot in PowerPoint can automatically generate slides, suggest layouts, and refine text for clarity. Beautiful.ai and Tome use AI-driven design principles to create visually compelling slides with minimal effort.
For content enhancement, ChatGPT or Grammarly can refine messaging,
while Canva’s AI Presentation Maker helps generate professionallooking decks with dynamic visuals. Additionally, DALL·E or MidJourney can create custom AI-generated images to make presentations more visually striking.
By leveraging these AI tools, presenters can save time, enhance storytelling, and create polished, engaging slides effortlessly. Many of these applications have services that are both free and paid. We recommend checking with your institution to see what is accessible.
AI-powered note-taking app tools like Wave and Notta leverage ambient listening technology to capture and summarize meetings. At SAEM25, or any other lecture, this could enhance both engagement and productivity in two key ways.
1. After turning it on and telling it to record, it can manage note-taking automatically, which allows you to stay fully present and focused during sessions.
2. If you are presenting a didactic, Wave can generate a concise summary of key points, serving as a foundation for future submission, such as to SAEM Pulse or even a scholarly article. This enables you to share valuable insights with those who cannot attend, extending the reach and impact of your presentation.
As remarkable as these tools are, they require oversight. It is essential to review and refine their outputs, as they can generate inaccuracies or fail to fully capture your intended message.
“AI can significantly enhance PowerPoint presentations by streamlining design, improving content clarity, and ensuring audience engagement.”
Thoughtful oversight ensures clarity, accuracy, and alignment with your objectives. Finally, while there are several tools to use, many of them have advanced functions for a fee. Ultimately, knowing which parts of your experience could benefit from AI tools and the outcome you want to see will help you find the right tool for the right job.
Disclosure: The authors utilized AIbased tools to help refine the language and structure of this article. We have no financial interests or affiliations with any of these services
Dr. Sun is an administration fellow at the Yale School of Medicine.
Dr. MacConaghy is an assistant professor of emergency medicine at Geisinger Commonwealth School of Medicine and assistant residency program director at Guthrie Robert Packer Hospital in Sayre, Pennsylvania.
Dr. Chang is an associate professor of emergency medicine at the University of Maryland.
Dr. Mishkin is the emergency medicine residency program director at Reading Hospital, Tower Health, in West Reading, Pennsylvania.
Dr. Raukar is an associate professor and vice chair for academic advancement and faculty development at Mayo Clinic Rochester.
Dr. Walker is an assistant professor of emergency medicine at Mayo Clinic. She is a leader in emergency medicine and hospital operations, focusing on health systems, equity, and quality improvement.
By Anthony R. Rosania, MD, MHA, MSHI on behalf of the SAEM Vice Chairs Interest Group
We live in an era of significant data and information, characterized by the rapid volume and speed at which information, especially related to health, is shared with the public. However, the accuracy of that information can vary. The spread of false or misleading health information—sometimes referred to as misinformatics—can be influenced by various factors, and is not always driven by ill intent. In most cases, the propagation of misinformation and disinformation is a multifactorial process shaped by both mechanism and intent. Still, misinformation has the potential to affect the health of patients
and populations, highlighting the importance for physicians to understand its role in health care.
Examples are easy to find. Recently it was announced that the Trump administration would be turning over vaccine-related data to a researcher previously tied to claims linking vaccines to autism. At the same time, Texas is experiencing an unprecedented measles outbreak. Reports from that outbreak include cases of vitamin A toxicity, which followed public claims by Health and Human Services Secretary Robert F. Kennedy Jr. that vitamin A could be a treatment for measles.
While these are recent examples, the challenges of misinformation in health care have existed for some time. Since the COVID-19 pandemic, false claims about vaccines, smoking, and other health-related topics have increased significantly on social media and elsewhere. Some estimates suggest that during the pandemic, around 800 deaths may have been linked to misinformation. This number does not include those related to vaccine hesitancy, which may also be indirectly tied to the spread of falsehoods. Even before the rise of social media, misinformation— sometimes influenced by political or
“Misinformation has the potential to affect the health of patients and populations, highlighting the importance for physicians to understand its role in health care.”
scientific factors—has played a role in public debates around issues like climate change and tobacco use, as noted in the book Merchants of Doubt by Naomi Oreskes.
While misinformation, disinformation, and propaganda are not new phenomena, social media has increased their reach and speed. Since 2016, research interest in the topic has grown steadily, with the COVID-19 pandemic accelerating the urgency. One post-pandemic review found that COVID-19 and vaccines were among the most common topics of health misinformation, along with drugs and alcohol. Other studies have shown correlations between public trust and vaccine uptake, as well as increased mortality in regions with high levels of vaccine hesitancy. These issues
disproportionately affect populations already burdened by health inequities.
There is, however, reason for hope. Research has shown that social media can also be used for good—spreading positive, educational content more quickly than traditional communication methods. Nonetheless, numerous gaps remain, including understanding the direct links between misinformation and health outcomes, and measuring the real-world impact of mitigation efforts. While some in emergency medicine are working in this space, greater engagement in researching and implementing effective strategies is urgently needed.
To ground the discussion, it’s helpful to define some terms. Misinformation
refers to any misleading or inaccurate information, regardless of intent. Disinformation implies a deliberate intent to misinform. The difference can be subtle. Some also use the term rumor to describe information that is inaccurate and known to be so by those spreading it. This creates a continuum: from misinformation, to rumor, to disinformation. Propaganda, by some definitions, refers to communication that aims to persuade a group toward a specific position and may be true or false.
In this article, we focus primarily on misinformation, which encompasses disinformation. Importantly, science welcomes healthy skepticism
continued on Page 65
“Combating misinformation spreads not only faster media—by as much
misinformation is difficult. Studies show that misinformation faster but also more deeply and broadly across social much as 70 percent more than accurate content.”
continued from Page 63
and contradictory findings. The problem arises when contrary or fringe results are presented as equally plausible alternatives to overwhelming consensus and a well-established body of evidence. In this sense, misinformation can be more comprehensively defined as misleading or inaccurate information— or information presented in a way that overstates the strength of its supporting evidence. Under this definition, junk science is captured under the umbrella of misinformation. While it is reasonable to keep an open mind, we must be cautious not to provide “equal time” to data or claims that are spurious or unsupported. Communicating these distinctions to the public remains a persistent challenge.
Why does misinformation spread so effectively on social media? The answer lies in the dual dynamics of filter bubbles and echo chambers Filter bubbles arise in tightly knit social networks that limit exposure to dissenting views and limit the opportunity for debunking. When a member of such a network encounters contradictory information, they are less likely to share it, effectively filtering it out. These networks become echo chambers, reinforcing false beliefs through repetition. Compounding the problem is the practice—whether in news coverage or on social media—of presenting false information with “equal time” to accurate information. While this may not be done with negative intent, it reinforces the availability heuristic,
which ties perceived accuracy to exposure frequency.
Combating misinformation is difficult. Studies show that misinformation spreads not only faster but also more deeply and broadly across social media—by as much as 70 percent more than accurate content. This makes countering falsehoods with facts alone insufficient. Still, strategies do exist.
Some strategies borrow from the same toolkit used to spread misinformation, such as algorithms and bots, though their effectiveness is mixed. More promising are social science interventions such as accuracy prompting and inoculation strategies. Inoculation strategies, popularized by social psychologist Sander van der Linden, involve exposing people to small doses of misinformation in a controlled setting to help build resistance, and thus protect them, against future exposures. Accuracy prompting educates users at the moment of sharing, aiming to reduce the spread of falsehoods. These approaches have shown varying levels of success and may work best in combination. One point is clear: an educated public—aware of misinformation and scientifically literate—is better protected.
However, improved algorithms alone are not enough. Social media platforms have increasingly become ideologically siloed, creating “airgapped” echo chambers. Platforms like BlueSky and Truth Social reinforce ideological divisions, worsening the problem of filter bubbles.
Emergency medicine has the potential to play an important role in the dialogue and research surrounding health misinformation, as emergency departments may bear significant consequences from its spread. Our speciality is in a unique position to observe the real-time impact of public health misinformation and disinformation. We often encounter patients at moments when they may be more receptive to educational interventions. Therefore, we must develop the skills to effectively and compassionately debunk misinformation in a way that is respectful, nonjudgmental, and well received.
On the research front, there is an opportunity for emergency medicine to contribute to the growing body of evidence on how misinformation spreads and how to address its impact. A multidisciplinary approach is essential, and emergency medicine must be part of that collaboration. Unfortunately, social media companies have grown more protective of their data, making research more difficult. This is an area where policy change could help.
Training our residents and medical students to be effective communicators of science could be a valuable step in addressing misinformation. One potential approach is to evolve the learning health system in a way that encourages patients to become discerning consumers of scientific information. Emergency physicians already make up a significant portion of the nation’s clinical informaticians. Expanding training in informatics may help strengthen efforts to combat misinformation
Dr. Rosania is vice chair for clinical operations and chief of the division of operations, quality, and informatics at Rutgers New Jersey Medical School. In addition to emergency medicine, he is board certified in clinical informatics and healthcare administration, leadership, and management.
By Arwen Declan, MD, PhD; Christopher Awad, MD, MBA; Michael Makutonin; Joshua Joseph, MD, MS, MBE; Brian Kwan, MD; Moira Smith, MD, MPH; and Jared Anderson, MD on behalf of the SAEM Informatics, Data Science, and Artificial Intelligence Interest Group
During World War II, pilots famously blamed unexplained mechanical failures and baffling equipment issues on mischievous, fictional creatures called gremlins. These tiny troublemakers were held responsible for everything from lost gear and errant bomb drops to nervous breakdowns among the crew.
Today’s emergency departments (EDs) have their own version of gremlins—complex operational problems that slow workflows, hinder
patient care, and push emergency physicians to the brink of frustration. Fortunately, many of these modern “gremlins” can be tackled using data-driven approaches rooted in clinical informatics. In this article, several emergency medicine physicians share how they’ve used informatics to address persistent challenges—and they invite you to consider similar strategies for your own department (but please leave the gremlins at home!).
Moira Smith, MD, University of Virginia; Brian Kwan, MD, University of California, San Diego
Resident learners are required to log their procedures to demonstrate competence. These logs serve as important records of personal and professional progress. However, accreditation requirements from the Accreditation Council for Graduate Medical Education (ACGME), along
“Residents now spend significantly less time on redundant documentation, battling administrative gremlins. Procedure logs are more accurate and complete—and even the gremlins seem content to occupy themselves with reassigning outdated paperwork.”
with varying standards among individual residency programs, often mandate different minimum procedural experiences. This lack of uniformity makes documentation burdensome, sometimes requiring residents to enter the same information multiple times, and introduces administrative challenges— what some might call “gremlins.”
“Previously, residents were required to log procedures twice—in the electronic health record (EHR) for billing and documentation, and again in the residency procedure log,” said Dr. Smith. Some faculty even recall logging intubations three separate times: in the EHR, in residency documentation software, and on National Emergency Airway Registry forms. To make matters worse, Dr. Smith found that manually entered logs were often less complete than those derived directly from the EHR.
Dr. Kwan encountered these issues during his emergency medicine residency at Highland Hospital, where he developed an automated system to transfer procedure data from the EHR to New Innovations, a common residency management system. While this approach marked a step forward, it relied on a weekly manual file transfer, making it vulnerable to recurring failure.
During his informatics fellowship at the University of California, San Diego, Dr. Kwan and his colleagues developed a new approach to transfer procedure data from the EHR to the MedHub residency management system. By leveraging MedHub’s application programming interface (API), they automated the logging
process. The resulting data proved to be more accurate, complete, and reliable than manual entries.
Despite working from different institutions, Drs. Kwan and Smith successfully collaborated to implement this automated solution. Both report that residents now spend significantly less time on redundant documentation, battling administrative gremlins. Procedure logs are more accurate and complete—and even the gremlins seem content to occupy themselves with reassigning outdated paperwork.
Michael Makutonin, MD, Yale University Dr. Mike Makutonin observed that some clinical questions are poorly addressed in textbooks or primary medical literature. These gaps
in guidance can be particularly challenging to navigate during a clinical shift, as even widely used resources like UpToDate may offer limited or inconclusive information. For instance, should a patient with uncomplicated biliary colic automatically receive a cholecystectomy? It’s not always clear. Is it appropriate to reassure a worried parent that non-surgical options exist for treating appendicitis? It depends. Do multi-drug toxidromes significantly increase healthcare costs? That, too, remains uncertain.
Using a basic laptop and some practical data analysis skills, Dr. Makutonin developed a way to use a Healthcare Cost and Utilization Project (HCUP) dataset as a searchable tool. He built an analysis
“Using a basic laptop and Healthcare
continued from Page 67
pipeline capable of calculating costs and outcomes across different care workflows. This tool allows him to explore clinical questions that are too complex for traditional resources like OpenEvidence or Google.
Dr. Makutonin notes that physicians and emergency medicine learners often seek out informaticians to better understand how electronic health records (EHRs) function, explore data analysis methods, reframe clinical problems to make them more solvable, and learn how to implement practical solutions. He invites anyone with questions to join the SAEM Informatics Interest Group (IDSAI IG), which meets via Zoom on the third Thursday of each month at noon ET. He also encourages everyone to keep an eye out for the return of the IDSAI IG Datathon—currently on hiatus as it undergoes an exciting collaborative revamp for 2025, with plans to relaunch in 2026. There will be plenty of chances to get involved and learn—future administrative gremlins, watch out!
Jared
Anderson, MD, Brown University
Most emergency physicians understand the frustration patients experience during this era of emergency department (ED) boarding and “waiting room medicine.” Due to wellknown operational challenges in overwhelmed ED systems, patients often encounter increasingly complex care models, sometimes
and some practical data analysis skills, Dr. Makutonin developed a way to use a Healthcare Cost and Utilization Project dataset as a searchable tool.”
never reaching a traditional ED treatment space.
In these circumstances, waiting ED patients often find themselves subject to what can be called the three "gremlin rules":
1. No sunlight (EDs typically have few windows);
2. No access to water (no drinks, no IV hydration);
3. No food after midnight (unless it’s some expired chips from the waiting room vending machine).
To improve communication with these patients and help manage their expectations, Dr. Anderson implemented event-triggered SMS messages that notify patients of visit milestones and provide links to helpful resources, such as infographics, the EHR patient portal, and curated pages on the hospital website.
To assess the effectiveness of the new system, he securely linked it to NRCHealth ratings and EHR chart data for a comprehensive quality improvement evaluation. While patient satisfaction is still a work in progress, even the "gremlins" seem satisfied with the new text message system.
Josh Joseph, MD, Brigham and Women’s Hospital
Emerging Artificial Intelligence (AI) tools, such as Large Language Models (LLMs), promise to significantly reduce the burden of documentation and enhance clinical decision support. However, they also introduce serious privacy risks. For example, information entered into an external LLM like ChatGPT becomes no longer private, and queries can lead to “hallucinations”—errors of
commission, where the AI provides inaccurate or fabricated responses. These risks are so significant that even the gremlins would be alarmed by the potential HIPAA violation fines!
To mitigate these risks in his ED, Dr. Joseph focuses on educating staff. He stresses that only AI systems that are embedded within the hospital’s infrastructure and isolated from external networks—referred to as “hospital-sandboxed” systems— should be used for direct patient care.
As we continue to explore innovative solutions to complex problems, it’s essential to recognize and respect the limitations of these tools. Additionally, we must prioritize patient and provider understanding and privacy. The gremlins, it seems, would agree with this approach, as we caught a few of them sneaking behind a privacy screen during Dr. Joseph’s teaching session.
All of our authors agree that clinical informatics is a field built on teamwork and collaboration. Informaticians often work with colleagues from various clinical disciplines, hospital departments, training backgrounds, and areas of expertise. They are especially drawn to complex problems that they can break down into manageable solutions.
Informaticians are eager to collaborate with you to understand and address the issues—referred to as “gremlins”—that disrupt your workflow. Bring your problems, your curiosity, and your gremlins, and together, we can try to find solutions to some of the persistent challenges in health care. And if not, we can always enjoy a friendly gremlin hunt instead
Dr. Declan is the assistant research director at Prisma Health Upstate and clinical assistant professor at the University of South Carolina School of Medicine - Greenville & Clemson University.
Dr. Makutonin is an EM resident at Yale, with experience in dataset and data science research throughout his medical training, using skills learned as a software engineer and data science bootcamp instructor.
Dr. Awad is a first-year resident at The Ohio State University in emergency medicine. His work focuses on how data and technology evolve our understanding of patients, providers, and healthcare networks.
Dr. Smith is the assistant emergency medicine informatics director at the University of Virginia. Her work focuses on data analytics and reporting, quality improvement, electronic health record usability and workflow, and clinical decision support.
Dr. Joseph is an assistant professor of emergency medicine at Harvard Medical School and the medical director for enterprise emergency medicine analytics at Mass General Brigham. His research focuses on leveraging AI to improve operations and triage.
Dr. Kwan is on faculty in the Department of Emergency Medicine at the UC San Diego School of Medicine and is the medical director for education informatics. He looks for ways to use EHR data to improve medical education.
Dr. Anderson is the director of clinical informatics and quality and patient safety for Brown Emergency Medicine.
By Monisha Dilip, MD, MBA; Joshua Baugh, MD, MPP; Neil Dubey, MD, MBA; Meir Dashevsky, MD; and Ryan Ribeira, MD, MPH, on behalf of the SAEM Operations Interest Group
Emergency medicine is characterized by unpredictability, high patient volumes, and the demanding nature of shift work. Scheduling structures can either amplify or alleviate the chronic stress and fatigue associated with the specialty. In a recent webinar hosted by the SAEM Operations Interest Group, emergency medicine leaders from across the country shared strategies their institutions are using to improve physician well-being through more thoughtful shift scheduling.
The Toll of Shift Work
Emergency physicians often face disrupted sleep cycles, cognitive fatigue, and long-term health consequences related to night and weekend work. Research indicates that sustained exposure to night
shifts is associated with increased rates of burnout, decreased cognitive function, and potentially even reduced life expectancy. Despite these risks, many departments continue to struggle with developing schedules that support physician well-being while meeting operational demands.
“There’s a sense of lack of control when it comes to scheduling,” said one panelist. “And that lack of control is what drives a lot of dissatisfaction.”
Some institutions have implemented specific strategies to reduce the strain of irregular schedules:
• Shorter shifts: Many departments limit shifts to eight to 10 hours,
particularly for overnight coverage, to reduce fatigue.
• Capped consecutive nights: Capping night shifts at a maximum of three in a row—even for nocturnists—can help maintain circadian stability.
• Recovery periods: Ensuring 24 to 48 hours of rest after night shifts allows physicians to reset and maintain performance.
• Structured scheduling rules: Predictable scheduling blocks and shift transitions, such as waterfall scheduling, can offer greater consistency.
The Role of Scheduling Software Technology continues to play a growing role in shift scheduling. Panelists discussed the advantages
and limitations of various software platforms:
• One institution adopted a widely used scheduling system that improved shift-swapping capabilities but lacked customization features specific to emergency medicine.
• Another department uses a platform designed by emergency physicians that simplifies shift requests but provides limited scheduling analytics.
• A third hospital contracts with a scheduling service that assigns a dedicated scheduler to create shift drafts based on departmental needs. This approach reduces administrative workload but incurs higher costs.
Despite technological advances, no single platform fully meets the complexity of emergency medicine scheduling. As one scheduler noted, “There’s no program sophisticated enough to handle all the variables we need to consider.”
Nocturnists help reduce the burden of night shifts for their colleagues, but departments vary in how they structure incentives:
• Some institutions offer a shift reduction model, allowing nocturnists to work 15 to 20 percent fewer shifts while maintaining full compensation.
• Others provide financial incentives typically $30,000 to $40,000 annually—without reducing work hours.
• Certain programs give nocturnists scheduling priority, allowing them more control over their shift blocks.
One site reported that most faculty members work only two to three night shifts per year, a factor strongly linked to job satisfaction. “We’ve found that shift reductions motivate our faculty more than financial bonuses,” one panelist said.
Approaches to sick calls and lastminute coverage vary by institution:
“We’ve found that shift reductions motivate our faculty more than financial bonuses.”
• Some hospitals require faculty to sign up for a set number of backup shifts per year. Those called in receive shift credits.
• Another system anonymizes sick calls to prevent bias or undue pressure when someone needs time off.
• Some departments offer higher compensation for backup coverage, using moonlighting rates as an incentive.
Panelists agreed that cultivating a culture where physicians feel comfortable taking time off when needed is vital to long-term wellness.
Holiday scheduling remains a persistent challenge. Institutions have adopted several models to maintain fairness and flexibility:
• Block scheduling: Physicians rotate coverage for one major winter holiday (Christmas, New Year’s Day, or Thanksgiving) and one summer holiday.
• Point-based bidding systems: Bidding points are allocated at the start of the year, allowing staff to prioritize holiday preferences.
• Opt-in/opt-out models: One site offers the option to forgo holiday shifts in exchange for taking on additional work during the rest of the year.
One message was clear: emergency medicine scheduling is evolving. Institutions that prioritize flexibility, predictability, and fairness tend to experience higher levels of physician satisfaction and retention.
“It’s not just about the number of shifts worked—it’s about control, predictability, and a sense of fairness,”
one scheduler concluded.
As departments refine their approaches, the ongoing challenge remains to balance operational efficiency with physician well-being. The strategies discussed offer a roadmap toward more sustainable scheduling practices in emergency medicine.
Dr. Dilip is the assistant director of quality and patient safety at Columbia University Medical Center Department of Emergency Medicine.
Dr. Baugh is the senior clinical director for the emergency department at Massachusetts General Hospital and an assistant professor at Harvard Medical School.
Dr. Dubey is the physician scheduler for emergency medicine at Columbia.
Dr. Dashevsky is an assistant professor of emergency medicine at the Yale School of Medicine and an associate medical director of the Yale–New Haven Hospital emergency department.
Dr. Ribeira is the medical director of the Stanford Adult Emergency Department and an assistant professor in emergency medicine at Stanford Medical School. He has extensive experience in policy and health technology, having served on the boards of AMPCA, AMA, CMA, SSH, and CALPAC, and having worked for CMS, AHRQ, FDA, and Google.
By Lauren Lin, MD and Kei U. Wong, MD
In the emergency department, physicians juggle many tasks in a short period, balancing the care of new and existing patients. Whether one is a resident in emergency medicine, pediatrics, or family medicine, one thing becomes clear in the fast-paced environment of the emergency department (ED): family dynamics play a pivotal role in patient care. Pediatric interns quickly learn that while diagnosing and treating pediatric patients is
challenging, the most complex aspect of working in the pediatric emergency department (PED) is effectively communicating with families.
In the PED, we often encounter children who cannot communicate directly, either due to their age or medical conditions. Consequently, we rely heavily on their caregivers as the primary source of information to articulate observations and concerns. Learning to communicate effectively with families is a skill
that must be refined over time. Family interactions present unique challenges, such as language barriers, diverse family dynamics, and time management. To gather a thorough history and physical examination and provide highquality care in the ED, it is crucial to collaborate with families throughout the process.
Overcoming Language Barriers
One of the most significant challenges healthcare providers face in the PED is communication across
“While diagnosing and treating pediatric patients is challenging, the most complex aspect is effectively communicating with families.”
language barriers. As hospitals across the country see increasing rates of immigrant families, it is critical to have strategies that ensure families understand their child’s condition and care plan. While interpreter services, whether in person or via video/phone, act as a bridge in these physicianpatient interactions, information can still be lost in translation. Despite the efforts of the care team to use interpreters for every interaction, there can still be confusion or lack of clarity. Patients and families may walk away
unsure of why they were referred to the ED or what specific tests are being done.
To address this, providers can practice using simple language and avoiding medical jargon. Metaphors can also be helpful in connecting a physiological or pathological process to something more familiar to the family. At the end of every encounter, providers can use the teach-back method, asking the family to repeat the key points of the discussion to ensure understanding.
Each patient brings a unique family dynamic. Some families, particularly those with adolescent patients, expect their children to play a more active role in their care. Occasionally, adolescent patients present on their own without a caregiver. Younger children may also want to be involved in the conversation with the medical team. Other patients may have foster
continued on Page 75
“Providing and acknowledging patience help ease during
“One of the most effective techniques in these situations is to practice active and empathetic listening.”
PEDIATRIC EM
continued from Page 73
caregivers, and it may be unclear who holds medical decision-making rights. In some cases, separated parents may both accompany their child to the PED and have differing perspectives on their child’s care.
In these situations, providers must take extra care to ensure all caregivers feel their concerns are heard and that the plan moving forward is agreeable to everyone. It is important to ensure each child feels included in the conversation, even when decisionmaking falls to their caregivers. One of the most effective techniques in these situations is to practice active and empathetic listening. Repeating the family’s concerns and summarizing the discussion and plan at the end demonstrates engagement and assures the family that their worries are being taken seriously.
Time management is one of the most challenging aspects of working in the PED. Many families have numerous questions about their children’s health, with concerns that span multiple
“Providing a general timeframe acknowledging their patience during long waits can ease anxiety and frustration during a stressful time.”
organ systems. Some families bring frustration from previous encounters with the healthcare system, requiring more time to address their concerns. However, on any given shift, a provider is pulled in multiple directions: attending to critically ill patients, performing procedures, and managing complex discussions with families.
Spending more time with patients is ideal for providing good care, as it helps families feel their concerns have been addressed. But this is not always feasible in the PED. One way to manage time while maintaining quality communication is by setting clear expectations with the family. For example, if a provider needs to step away, they should tell the family when they will return. When discussing a child’s work-up, providers should inform the family how long the wait will be for results.
A team approach to communication can also help manage time. For example, the resident can update the family while the attending physician works with another patient, reducing wait times. A study by Ali et al. (2025) found that the top concern of families visiting the PED was the lack of communication regarding wait times. This study highlights the need for information, emotional support, and clarity during the child’s ED visit.
The ED serves as the gateway to the hospital for most patients, and a positive interaction with the family can significantly impact the quality of the patient and family’s experience. While spending an extended period with a patient in the ED is often not feasible, even small actions, like sitting down while speaking with a patient, can improve the family’s experience.
A study by Orloski et al. (2018) demonstrated that when physicians sit down during interactions in the ED, it positively influences the patient’s perception of the physician’s empathy, attentiveness, and the overall time spent in the encounter. Additionally, actively listening and repeating the patient’s concerns shows that their issues are being heard. Using clear, simple language throughout the conversation also enhances the family’s understanding of the medical process.
Most importantly, setting expectations can shift the family’s perspective on how the work-up process will unfold. This is particularly important in pediatrics, where children are often healthy and visiting the ED for the first time. Families may have little understanding of how the ED and hospital processes work. Providing a general timeframe and acknowledging their patience during long waits can help ease anxiety and frustration during a stressful time.
Dr. Lin is a first-year pediatric resident at UCSF Benioff Children's Hospital Oakland.
Dr. Wong is an assistant professor of emergency medicine in the division of pediatric emergency medicine at Rutgers New Jersey Medical School. She serves as the clinical director of pediatric emergency medicine education for the residency program and is also the director of the pediatric emergency medicine student elective. In addition, she is the course director for preclerkship students at New Jersey Medical School.
By Wee-Jhong Chua, MD
A 3-month-old infant is brought to the emergency department with a forehead bruise. The parent reports that the infant was accidentally dropped onto a wood floor while sitting in the lap of a 4-year-old sibling on the couch. Examination in the emergency department reveals a crying infant with facial bruising (forehead and right cheek), subconjunctival hemorrhage in the right eye, a torn frenulum, and bruising to the flank and right leg. The question then falls to the emergency provider: What is the next step in managing this patient?
Physical abuse and the resulting injuries can be devastating and have lasting effects on children. According to a 2023 report from the U.S. Department of Health and Human Services, there were more than 500,000 victims of child abuse and neglect, including approximately 2,000 pediatric deaths and over 62,000 confirmed cases of physical abuse.
To aid in recognizing potential abuse, the TEN-4-FACESp clinical decision tool was developed for use in patients younger than 4 years old. It identifies specific bruising patterns and locations that are more concerning for abuse
than for accidental injury. The tool incorporates three elements: body region, patient age, and presence of patterned bruising.
The acronym TEN-4-FACESp stands for:
• Torso
• Ears
• Neck
• Bruising anywhere on a child 4 months of age or younger
• Frenulum
• Angle of the jaw
• Cheeks (fleshy part)
• Eyelids
• Subconjunctivae (bulbar)
• patterned bruising
“If any individual physical exam finding is present, this indicates an increased likelihood of abuse.”
The presence of any one of these findings on physical examination indicates an increased likelihood of abuse.
The tool was validated in a 2021 prospective, cross-sectional study conducted in the emergency departments of five urban children’s hospitals. Researchers enrolled approximately 21,000 patients under the age of 4 and documented bruising characteristics in 34 distinct body regions, cumulative bruise counts, patterned bruising, and patient age. The clinical decision tool demonstrated a 96% sensitivity and 87% specificity in distinguishing abusive from nonabusive trauma in young children, based on bruising characteristics observed on examination. Notably, the exam takes only a few minutes to complete but has significant implications for the
child’s safety and long-term wellbeing.
In the case of the 3-month-old patient described above, the presence of multiple bruises, subconjunctival hemorrhage, and frenulum injury raises concern that the reported mechanism of injury—a fall from a sibling’s lap—does not account for the extent and distribution of trauma. Given the involvement of the head, torso, and extremities, a multisystem trauma evaluation is indicated, including assessment for central nervous system, skeletal, and thoracoabdominal injuries. A timely and thorough social work evaluation is also essential.
A valuable resource for emergency physicians is Pediatric Education and Advocacy Kit (PEAK): Child Abuse. This toolkit includes current,
evidence-based practices for clinical care related to suspected abuse. Key guidance includes:
1. Mandated Reporting
In the United States and Canada, medical professionals are legally required to report suspected child abuse to child protective services. A diagnosis of abuse is not necessary; reporting is based on reasonable concern that a child may have been or is at risk of being harmed. The report should include the child’s age, presenting complaint, injuries observed, reasons for concern, and level of suspicion.
2. Documentation
Prompt photodocumentation of injuries is critical, as bruises can change or fade quickly. Best practices
continued on Page 79
“Each April is designated Child Abuse reminding frontline clinicians to recognition, advocacy, and prevention
“The bruising clinical decision tool demonstrated 96% sensitivity and 87% specificity for distinguishing abusive from nonabusive trauma in young children.”
PEDIATRIC EM
continued from Page 77
include capturing one image zoomed out to show the injury’s location on the body, and one zoomed in to detail the injury, using a ruler or scale to indicate dimensions. The camera should be aligned perpendicular to the injury.
3. Consultation
Whenever possible, consult with a pediatric child abuse physician. If unavailable, consider transferring the patient to a pediatric specialty center.
4. Reporting
Reports to local child protection services should be completed before disposition, unless the child is medically unstable—in which case, stabilization takes precedence.
5. Disposition
A medically stable child may be discharged home only if a safe disposition plan has been made with child protection services. If this cannot be assured, admission or transfer to a pediatric facility is warranted.
Several smartphone applications are available to assist with realtime decision-making in cases of suspected abuse. These apps support
Abuse Prevention Month, continue their efforts in prevention of child abuse.”
clinicians by providing access to published guidelines, injury plausibility assessments, and recommendations for communication, documentation, diagnostic testing, consultation, and disposition planning. Two widely used examples include the Child Protector App (Children’s Mercy Kansas City) and the Lurie Children’s Child Injury Plausibility Assessment Support Tool (LCAST) app.
The EMSC (Emergency Medical Services for Children) Innovation and Improvement Center also provides a concise reference titled Bottom Line Recommendations: Child Abuse, created in partnership with Translating Emergency Knowledge for Kids. This document offers evidence-based guidance for the evaluation and care of suspected abuse victims, especially those under age 3—the most vulnerable population.
Each April is recognized as Child Abuse Prevention Month, reminding emergency medicine professionals of the importance of vigilance, prevention, and advocacy.
Additionally, October 4 is TEN-4 Day, a national observance promoting awareness of the TEN-4-FACESp tool and encouraging recognition of children at risk.
The first TEN-4 Day, held in Kentucky in 2019, was organized by the Face It Abuse initiative and Kentucky Youth Advocates. Since then, the effort has expanded to 18 states and the District of Columbia. Events have included grand rounds presentations, press conferences, state and city proclamations, abuse recognition and prevention training, and parenting classes. To learn more or join the TEN-4 Day coalition, contact Dr. Wee-Jhong Chua at wchua@mgh.harvard.edu
ABOUT THE AUTHOR
Dr. Chua is an assistant in emergency medicine and director of pediatric emergency medical education at Massachusetts General Hospital. He is also an instructor at Harvard University.
By Vivian Kum, PharmD, on behalf of the SAEM Academic Emergency Medicine Pharmacists Interest Group
Diabetic ketoacidosis (DKA) is a common diagnosis in the emergency department (ED) and frequently leads to prolonged hospital stays. Traditional DKA management involves continuous intravenous (IV) insulin therapy, followed by initiation of subcutaneous longacting insulin (LAI) after resolution of DKA. The latest American Diabetes Association (ADA) guidelines recommend overlapping LAI with IV insulin for at least one to two hours before discontinuing the infusion to prevent rebound hyperglycemia or recurrence of DKA.
Recently, there has been growing interest—and emerging evidence— supporting the earlier initiation of LAI in DKA management, even before
resolution. The traditional two-hour overlap recommendation originated during the era when neutral protamine Hagedorn (NPH) insulin, with an onset of action of about one to two hours, was the predominant long-acting agent. Newer LAIs, such as glargine and detemir, have slower onsets of action—typically up to three to four hours—and have largely replaced NPH as the preferred LAI. This shift suggests that a two-hour overlap may be insufficient.
Early initiation of LAI may offer several benefits: more effective overlap with intravenous insulin, reduced rates of rebound hyperglycemia, shorter intensive care unit (ICU) and hospital stays, and faster DKA resolution.
The Joint British Diabetes Society (JBDS) guidelines support early administration of subcutaneous basal insulin. While the ADA guidelines also reference early initiation, the JBDS recommendations are more robust. JBDS guidelines suggest continuing a patient’s home long-acting insulin at the usual schedule during DKA management with IV insulin infusion. For newly diagnosed patients, they recommend initiating LAI at a dose of 0.25 units/kg subcutaneously once daily—often at the same time of IV insulin is started.
Although these guidelines advocate for simultaneous use of LAI and IV insulin in DKA management, the practice is not yet
“Early initiation of long-acting insulin may offer several benefits: more effective overlap with intravenous insulin, reduced rates of rebound hyperglycemia, shorter intensive care unit and hospital stays, and faster diabetic ketoacidosis resolution.”
universal, partly due to limited data in adults with severe DKA.
The study cited in support of the JBDS guideline, conducted by Hsia and colleagues, was a prospective, randomized trial that evaluated rebound hyperglycemia in patients with type 1 and type 2 diabetes during the transition from IV to subcutaneous insulin. The intervention group received insulin glargine at 0.25 units/ kg subcutaneously within 12 hours of initiating IV insulin. The control
group received subcutaneous insulin more than 12 hours after IV insulin initiation. The intervention group had significantly lower rates of rebound hyperglycemia (33% vs. 93%; p<0.001), defined as any glucose value over 180 mg/dL during the 12-hour followup after infusion discontinuation. Importantly, no hypoglycemia occurred during concomitant IV insulin therapy.
However, early insulin initiation in this study did not reduce the duration
or total dose of iIV insulin. A key limitation was that only about 40% of patients in each group had DKA, as the study’s primary objective was to assess rebound hyperglycemia—not DKA management.
Subsequent studies have echoed the safety of early LAI administration (particularly with respect to hypoglycemia), though
continued on Page 83
“The intervention group had significantly lower rates of rebound hyperglycemia (33% vs. 93%; p<0.001), defined as any glucose value over 180 milligrams per deciliter during the 12-hour follow-up after infusion discontinuation.”
EM PHARMACOLOGY
continued from Page 81
findings regarding DKA resolution time and insulin requirements have varied. Doshi and colleagues found no significant differences in hypoglycemia rates or time to anion gap closure between patients who received LAI within two hours of DKA diagnosis and those who received standard care. Rappaport and colleagues, as well as Thammakosol and colleagues reported similar hypoglycemia rates between early and delayed LAI groups. However, they observed reduced insulin infusion duration and faster DKA resolution in the early LAI groups. Thammakosol’s study also reported a significantly shorter hospital length of stay in the early group (4.5 vs. 15.25 days; p=0.024), though the longer stays in the control group may have been due to more complicated infections. In contrast, Murray and colleagues found that administering LAI prior to anion gap closure was associated with a longer time to DKA resolution.
The largest study to date, by Mohamed and colleagues, analyzed 380 ICU patients and found that each six-hour delay in administering LAI correlated with a 26-minute increase in DKA resolution time (p<0.001), a 3.2-hour increase in insulin infusion duration (p<0.001), and a 4.8-hour increase in hospital length of stay (p=0.041).
Despite promising results, several limitations in the literature may prevent early subcutaneous insulin administration from becoming
standard of care for all DKA patients. The studies vary in design, insulin formulations, timing, and dosing. Most were unblinded, retrospective, and evaluated different outcomes. Patient populations often included individuals without type 1 diabetes, and the overlap duration in usual care groups was not always reported.
Overall, the evidence supports early LAI administration in adults with mild to moderate DKA. Patients with severe DKA were often excluded (as in studies by Doshi, Thammakosal, and Murray ) or grouped with mild and moderate cases (as in Hsia’s study), and included patients without type 1 diabetes. The choice of LAI—glargine, detemir, or NPH—does not appear to influence outcomes. For patients not already on long-acting insulin, a dose of 0.25 to 0.3 units/kg may be used, depending on hospital formulary or clinician preference.
Further research is needed to assess early LAI use in patients with hyperosmolar hyperglycemic state or euglycemic DKA, particularly when triggered by sodium-glucose cotransporter-2 inhibitors such as dapagliflozin or empagliflozin.
In pediatric patients, the evidence for early LAI is stronger, especially in moderate to severe DKA. Shankar and colleagues along with Welter and colleagues, retrospectively studied children ages 2 to 21 who received subcutaneous insulin glargine within the first six hours of IV insulin initiation or ICU admission. Both studies reported reduced IV insulin duration, lower total insulin doses, and faster DKA resolution in the early LAI groups.
In a prospective study by Elhawary and colleagues, patients who received their home dose of basal insulin at the time of initiating IV insulin infusion were compared to those receiving conventional treatment. The study found that early administration of LAI was associated with a lower total IV insulin dose and shorter infusion time. Interestingly, the early LAI group also had a lower incidence of hypoglycemic events. The authors attributed this to the stabilizing effect of long-acting insulin, which helped reduce the need for higher total doses of IV insulin. Other safety outcomes, including hypokalemia and cerebral edema, were similar between both groups in all studies.
In summary, available evidence supports early LAI as safe and potentially beneficial in adult patients with mild to moderate DKA and pediatric patients with moderate to severe DKA. Early administration may reduce rates of transition failure, rebound hyperglycemia, and insulin infusion duration, while accelerating DKA resolution. Larger, controlled trials evaluating standardized dosing and timing are needed, but the early use of LAI shows promise in improving patient outcomes.
Dr. Kum is an emergency medicine clinical pharmacist specialist at NewYorkPresbyterian Weill Cornell Medical Center.
By Molly Brick, MD and Julie Rice, MD, MSMS
Post-event clinical debriefing occurs when a team involved in a clinical scenario gathers to review the event, identify successful components, and highlight areas for improvement. Clinical debriefing programs are associated with improved rates of return of spontaneous circulation, neurologic outcomes, hands-off compression times, and time delay to first compression. As such, the American Heart Association includes clinical debriefing in its official guidelines. In addition to enhancing clinical performance, debriefing serves as an important educational tool for learners.
Post-event debriefing allows educators to address all six Accreditation Council for Graduate Medical Education (ACGME) core competencies in an interprofessional environment: medical knowledge, patient care, practice-based learning, interpersonal skills/communication, professionalism, and systems-based practice. Finally, in the context of understaffed hospitals and historic burnout, debriefing provides a space for emotional support and processing after taxing events.
Despite the well-cited benefits of clinical debriefing, its implementation remains variable. In a review of two
studies interviewing emergency department (ED) providers, the majority of respondents reported that they debriefed after 25% or fewer of ED resuscitations. This is an alarmingly low number, considering the high level of acuity, overcrowding, and consequences of violence in our work environment. Why isn’t debriefing occurring? Reported barriers include lack of structure, competing responsibilities during shifts, and limited training. Given the challenges inherent in the emergency medicine work environment, how can healthcare providers promote robust cultures of team debriefing?
“Post-event debriefing serves as an important educational tool for learners, enhancing clinical performance and addressing all six Accreditation Council for Graduate Medical Education core competencies.”
Several evidence-based strategies support effective team debriefing in the clinical environment. These include using established debriefing frameworks, standardizing debriefing practice, training debrief facilitators, and promoting a culture of psychological safety. Numerous structured debriefing frameworks are available, such as Plus-Delta, Promoting Excellence And Reflective Learning in Simulation (PEARLS), and Gather-Analyze-Summarize (GAS). Although these frameworks differ in details, common components typically include gathering the clinical team, reviewing the objective data from a patient encounter, providing a space for team members to discuss the event, and collecting key takeaways and learning points
In addition to structuring debrief conversations, tools are available to standardize the debriefing process, such as those provided during TeamSTEPPS training. TeamSTEPPS, developed by the Agency for Healthcare Research and Quality and the Department of Defense, provides free standard debriefing tools and facilitator training to improve clinical team performance. Some emergency departments find success in developing novel debriefing tools tailored to their specific needs
Training opportunities are available through programs such as TeamSTEPPS, The Debriefing Academy, The Center for Medical Simulation Debriefing Courses, and Resilience in Stressful Events (RISE) –Peer Support & Debriefing Training
Debrief facilitators have many important roles. First, they guide
and direct the conversation with the goal of improving team performance. The facilitator aims for a teamlearning approach through group engagement and self-recognition of areas for improvement Effective debrief facilitation also supports a psychologically safe workplace. Cultivating environments where team members can speak up without fear of interpersonal risk is a key factor for the success of debriefing programs. Effective debriefing requires open communication to review errors in a just environment focused on error prevention and process improvement Post-event debriefing is a vital clinical tool that improves teamwork, communication, and patient outcomes. By using standard facilitation frameworks, training team facilitators, and fostering a supportive
debriefing culture, effective debriefing programs can thrive in the busy emergency department
Dr. Brick is a fourth-year emergency medicine resident at the Johns Hopkins Emergency Medicine residency with an interest in patient-centered communication and clinical debriefing.
Dr. Rice is director of simulation education and an assistant professor of emergency medicine at The Johns Hopkins Hospital and affiliate faculty with the Armstrong Institute for Patient Safety. Additionally, Dr. Rice currently works at the Johns Hopkins Hospital as a clinician and simulation-based educator with a focus on collaborative practice, safety culture, and professionalism.
By Sara Schulwolf, MD, MPH, on behalf of the SAEM Research Committee
Negin Khosravi Ceraolo, MD, MS
Dr. Ceraolo is an emergency medicine resident physician training at Cleveland Clinic Akron General Medical Center. She earned her medical degree from Northeast Ohio Medical University and holds a Master of Science in biotechnology from Johns Hopkins University. Her current interests include prehospital, wilderness, and global health medicine.
What drew you to pursuing research? I’ve always been curious—even as a child I was fascinated by how things worked. But it wasn’t until I started working in a lab at the University of California, San Francisco during college that I began to understand
how powerful curiosity could be when applied to research. It gave me the chance to ask questions, test hypotheses, and learn not just from books but from the real world. I wanted to be part of that—not just as a student, but as someone who could make a meaningful contribution.
In college, I started thinking more about the long-term implications of research in human health. I was particularly drawn to health studies, such as a quality improvement project focused on smoking cessation in health care, and I was also interested in genetics. These interests led me to pursue a graduate degree in biotechnology at Johns Hopkins University, where I worked on RNA crystallography at the National Cancer Institute, examining how different mutations lead to
disease processes. Although the pace was sometimes grueling, each new finding brought the potential to better understand and treat genetic diseases—which was exhilarating.
Amid my growing passion for research, I realized I also wanted to work directly with patients. Starting medical school at Northeast Ohio Medical University, I found a new depth to my love for research. The scientific foundation I had built in graduate school became a tool that helped me understand patient care in a deeper way as I encountered patients with conditions I had spent years studying. Throughout medical school, I sought out opportunities to get involved in clinical research, particularly in areas where I could combine my knowledge of genetics and disease. I began to realize that research wasn’t just confined to
“Research isn’t just a career path for me—it’s a way of thinking, a way of approaching problems, and a way of seeing the world.”
— Negin Khosravi Ceraolo, MD
the lab—it was an essential part of clinical medicine, driving innovations in treatments, diagnostic techniques, and patient outcomes. I wasn’t just learning about diseases—I was contributing to the ongoing effort to find better ways to treat them.
Now, as an emergency medicine resident at Cleveland Clinic Akron General, I’ve come to fully appreciate the marriage of clinical work and research. Residency has been challenging—the patients’ needs, the long hours, the difficult decisions— but it has also given me a front-row seat to the real-world applications of research. As I continue to learn and grow in my field, I’m finding new ways to integrate my research background into the care I provide. I’m involved in writing case studies and conducting quality improvement projects, and it excites me to think about how the work I’m doing now could shape the future of patient care.
Looking back—from college to graduate school to medical school and now residency—research has been a constant thread in my journey. It’s what ignited my curiosity, helped me make sense of disease, and gave me the tools to make a difference. The more I learn, the more I realize that research isn’t just a career path for me—it’s a way of thinking, a way of approaching problems, and a way of seeing the world. It’s the driving force behind innovation in medicine, and I’m excited to be part of that process, both as a clinician and a researcher. What role has mentorship played in your research experience? What advice do you have for residents or young faculty who are struggling to find mentorship? Mentorship has been a cornerstone
of my research experience. From my early days in college, mentors provided guidance and helped me navigate complex research concepts and challenges. They taught me how to think critically, design experiments, and embrace failure as part of the learning process. In graduate school, mentorship helped refine my research questions and gave me the confidence to tackle ambitious projects. As I progressed through medical school and into residency, mentors helped me balance clinical work with research and showed me how to apply research findings to patient care. Their support, advice, and encouragement have shaped my growth as both a researcher and a clinician.
Here is some advice I can offer to fellow residents:
First, be proactive and take the initiative to reach out to potential mentors. Attend departmental events, ask for one-on-one meetings, and express genuine interest in their work. Reflect on what you need from a mentor and seek out those who align with your goals. Also, look beyond traditional mentors— sometimes, peers, senior residents, or colleagues from other departments can offer valuable guidance. Be clear about what you hope to gain from the relationship, and ask your mentor about their availability and expectations.
Finding the right mentor takes time, and not every relationship will be a perfect fit. Keep trying and stay open to learning from different people. Don’t give up. Cultivate a network of peers and colleagues who can offer advice, feedback, and emotional support, even if they aren’t formal mentors.
Remember, mentorship is a process— not a destination. Stay persistent and patient.
How have you been able to balance your training with forging a path in research? Balancing residency training with research has been a challenge, but I’ve approached it with intentionality and discipline. Early on, I recognized the importance of time management and prioritization. I set clear goals for both my clinical duties and research projects, recognizing that while both required dedication, they could complement each other in meaningful ways.
I’ve learned to carve out focused time for research—during evenings, weekends, or quieter moments between patient care responsibilities. I also make use of available support systems. Staying organized, setting realistic expectations, and maintaining a balance between research and patient care has been key. Additionally, I seek out research opportunities that align with my clinical interests, which allows me to stay engaged in both areas without feeling stretched too thin.
Ultimately, it’s about finding the right rhythm—knowing when to push forward in research and when to step back and focus on clinical training. This balance has enriched my learning and strengthened my commitment to integrating research into my future practice as a physician.
Tell me about the research project you are working on now.
I am currently working on a quality improvement project regarding Code
Violet activation in the emergency department. By understanding the dynamics of Code Violet incidents, emergency departments can develop more effective strategies to protect staff and patients, improve workplace safety, and enhance the overall patient care experience.
I was introduced to this project through my program’s research department and staff. I took it from idea to reality by refining my hypothesis and breaking it down into clear, manageable questions and surveys that I could distribute to other physicians. I developed a structured plan, reviewed the literature, and consulted with mentors to ensure a sound methodology. Execution involved collecting data and staying adaptable when challenges arose. Throughout the process, mentorship—and help from medical students—has played a key role in guiding me, offering feedback, and helping me stay focused.
What role do you see research playing in your future career?
As an emergency medicine physician, I see research playing a key role in my career by driving improvements in patient care and emergency department practices. Research will allow me to explore innovative approaches to acute care, optimize treatment protocols, and and better understand how to manage resuscitation. By staying engaged in research, I can contribute to evidence-based advancements that improve patient outcomes, enhance workflow efficiency, and develop new strategies for handling emerging challenges in emergency medicine.
What role has SAEM played in your academic/research journey?
SAEM has played a key role in my academic and research journey by providing a platform for networking, mentorship, and professional development. Through SAEM Pulse, I’ve published articles related to
wilderness medicine, an area of interest for me. SAEM has also provided access to educational resources that have expanded my knowledge and research skills in emergency medicine. It has enabled connections with experts in the field and offered opportunities for collaboration and feedback on my research. SAEM has been instrumental in supporting my growth as both a clinician and a researcher, helping me stay engaged with the latest advancements in emergency care.
Dr. Bunch is a postgraduate year 3 (PGY-3) resident in the combined emergency medicine/internal medicine residency program at Henry Ford Hospital in Detroit, Michigan. He hopes to further emergency critical care and resuscitation science in areas such as goaldirected hemorrhagic resuscitation, trauma-induced coagulopathy, endotheliopathy, and improved methods of detecting aberrant coagulofibrinolysis.
How did you first become involved in research?
I began clinical research early in my third year of medical school. A more senior medical student recommended I reach out to an emergency medicine/internal medicine physician named Dr. Mark Walsh, who is the one that set my foundation of intrigue. At that time, it was still early in the COVID-19 pandemic, and there was little research and conflicting guidance on the appropriate anticoagulation strategy for critically ill COVID patients prior to the REMAP-CAP, ATTACC, and ACTIV-4A trials. There was a high incidence of simultaneous clotting and bleeding in these patients, but it was a separate entity from disseminated intravascular coagulation (DIC), and bleeding often occurred late in the hospital course. We hypothesized it was due to early heparin resistance
that later developed into a heparin hypersensitivity, which resulted as the cytokine storm abated and the fibrinolytic system rebalanced.
I assisted Dr. Walsh in developing an institutional anticoagulation protocol with adjunctive thromboelastography for hospitalized COVID patients on unfractionated heparin. We adopted a similar anticoagulation approach to patients on extracorporeal membrane oxygenation (ECMO), and we significantly reduced our institution’s bleeding complications. While I was in medical school, we also published work on traumainduced coagulopathy, goal-directed blood component therapy, and coagulopathy of traumatic brain injury. Later in my fourth year, I was introduced to a novel ultrasoundbased coagulation device called resonant acoustic rheometry (RAR) in collaboration with engineers from the University of Michigan.
What is something that has surprised you about research? What has helped you navigate challenges you have faced? I was surprised (1) to actually enjoy research, and (2) by how important relationships are in scientific research. The most important factor in maintaining my interest and navigating challenges in research is being surrounded by passionate people. I’m fortunate to be surrounded by excellent teachers and clinicians who exemplify what it means to be a physician. Maintaining a team of excellent people is paramount for success in research. How have you been able to balance research with the demands of your clinical training? When I’ve been busy with clinical responsibilities during more time-
“The most important factor in maintaining my interest and navigating challenges in research is being surrounded by passionate people.”
— Connor Bunch, MD
intensive rotations, or during periods of transition where I need to focus on learning new responsibilities (such as this year, learning how to lead resuscitations in the emergency department and senioring a team of interns on the wards), research tends to go on the back burner. My top priority is to be an excellent bedside physician and continue learning. However, later in the year as a third-year resident, I’ve become efficient and comfortable with my senior responsibilities, and I’ve been more productive in research. I spend much of my free time drafting papers, writing emails to coordinate projects, meeting with the team, or writing institutional review board (IRB) protocols. I’ve always enjoyed staying busy in my off time and find our work meaningful.
Tell me about a research project you are working on now.
We are currently working on a few projects. One is evaluating thromboelastography’s (TEG) ability to predict the futility of continued massive transfusion for severely injured, hemorrhaging patients. A characteristic TEG tracing with an LY30 equal to 100% within 45 minutes of the start of the run has shown a 94% positive predictive value of death in a prior small study. When two “death diamond” TEGs are drawn sequentially during ongoing resuscitation, it has shown 100% prediction of death. This tracing is rare, however, so we are working to capture more cases to validate its predictive value. I became involved in this project through Dr. Walsh. With the increasing use of whole blood in civilian trauma resuscitation, there is more strain on our blood
banks to maintain the national blood supply. Objective clinical and laboratory futility markers to conserve blood products and other resources in trauma have been sought after for decades with little success. We are hoping the death diamond may offer some objectivity to assessing futility in massive transfusion of severely injured patients.
In a similar vein of reducing blood product waste, we are also collaborating with our blood bankers to compare whole blood versus blood component therapy transfusion strategies in trauma patients with hemorrhagic shock. The American College of Surgeons is now recommending whole blood for civilian trauma centers, and we are coordinating a head-to-head study of the two resuscitation strategies. This has required many multidisciplinary meetings across emergency medicine, trauma surgery, and blood banking.
I am also involved in translational research on a novel coagulation method called resonant acoustic rheometry (RAR). RAR is a patented ultrasonic methodology developed by University of Michigan biomedical engineer Dr. Cheri Deng. Dr. Deng sought out Dr. Walsh’s TEG expertise, and he brought me into the project since Henry Ford Hospital is just a short drive from the University of Michigan. We were happy to provide blood samples. We recently published our initial studies on plasma using the RAR and are now using whole blood with the device for the first time.
Building relationships has been pivotal in finding these opportunities. How do you see research fitting into your future career?
After completing my critical care fellowship, I plan to pursue additional training in resuscitation science through a formal clinical research fellowship, which will also provide a master’s degree in biostatistics and clinical research design. I want research to be an integral part of my career, though I love bedside medicine first. I’m still deciding on the balance between clinical care and research, which will largely depend on where I end up practicing.
What role has SAEM played in your academic and research journey? SAEM has helped build many connections for research collaborations. I’m very grateful to the SAEM Foundation for funding my prior work on plasma for the RAR. During that grant period, the SAEM Grant Writing Workshop was particularly helpful. Hearing from National Institutes of Health (NIH) program officers and established emergency medicine clinician-researchers offered pragmatic guidance on how to build a research career in medicine. Through grant support, annual meetings, and the writing workshop, SAEM has helped foster my continued interest in research throughout residency.
Dr. Schulwolf is a recent MD/MPH graduate from the University of Connecticut School of Medicine. She will begin her emergency medicine training at the Harvard-Affiliated Emergency Medicine Residency in Boston. She served as the SAEM RAMS board medical student representative and research committee liaison during the 2024–2025 year and will continue on the RAMS board as a resident member-at-large for 2025–2026.
By Seamus Vahey and Karri Weisenthal, MD, MHS on behalf of the SAEM Social EM & Population Health Interest Group
The Centers for Disease Control and Prevention (CDC) recently released data indicating an overall decline in drug-related overdose deaths
Total overdose deaths in 2024 are projected to decrease by more than 20,000 compared to 2023. This progress can be attributed to several factors, including expanded access to medications for opioid use disorder, naloxone, and syringe service programs. The critical work of peer support workers and community health workers—who respond to overdoses and save lives every day—also plays a significant role.
However, while the overall trend is encouraging, the data do not reflect the ongoing racial disparities in overdose deaths. Notably, overdose mortality rates have increased among Black, Latinx, and American Indian/Alaska Native populations, as well as among individuals who primarily smoke substances rather than inject them. These disparities reflect longstanding inequities exacerbated by the effects of the war on drugs, which have resulted in fewer resources for substance use treatment and support in many communities of color. The continued criminalization of substance use
further compounds these challenges, contributing to gaps in access to care and overdose prevention compared to white populations.
Emergency departments (EDs) are uniquely positioned to help address the overdose crisis. People who use drugs (PWUD) account for a disproportionately high number of ED visits, often presenting with soft tissue infections, overdoserelated complications, or in need of detoxification services. These encounters present critical opportunities for harm reduction interventions.
“While the overall trend is encouraging, the data do not reflect the ongoing racial disparities in overdose deaths—particularly among individuals who primarily smoke substances rather than inject them.”
Harm reduction is a public health approach that acknowledges the ongoing reality of substance use and aims to minimize associated risks, including overdose and the transmission of infectious diseases. Originating as a grassroots movement led by PWUD, harm reduction strategies have gained traction in medical settings, with clinicians increasingly adopting them to improve patient engagement and reduce health complications such as HIV, hepatitis C virus (HCV), and bacterial infections.
Hospitals in the United States and Canada have implemented successful harm reduction initiatives, including the distribution of naloxone upon discharge and the initiation of medications for opioid use disorder, such as methadone and buprenorphine.
While many interventions focus on injection drug use, individuals who smoke drugs are often overlooked. Smoking can serve as a safer alternative to injection and presents lower risks of certain health complications. Although smoking still carries risks—including overdose, pulmonary disease, and HCV transmission—it is associated with a lower likelihood of HIV transmission, fewer soft tissue infections, and an overall reduced risk of overdose compared to injection. When people who primarily smoke do not have access to appropriate supplies, they may resort to riskier practices such as injecting or using unsafe equipment like broken pipes or light bulbs. Including smoking supplies—such as pipes, filters, and mouthpieces— in harm reduction efforts can help mitigate these risks. Providing access to safer smoking supplies may also help address racial disparities in care.
Research indicates that individuals from communities of color are more likely to smoke rather than inject drugs. However, most syringe service programs primarily serve people who inject drugs, potentially limiting engagement with those who smoke.
Incorporating harm reduction supplies into acute care settings, including emergency departments, can improve access for marginalized populations and promote health equity
At our institution, providers offer patients a menu of safer use supplies to choose from, which includes not only injection equipment but also smoking supplies. This approach allows clinicians to engage patients in conversations about safer use practices, HIV testing and prevention, and community-based resources. Additionally, resident physicians receive harm reduction training through a structured curriculum.
Further community-based research is needed to better understand and address the disparities in overdose deaths among communities of color.
Emergency departments will continue to serve on the front lines in responding to the complex needs of people who use drugs. Including smoking supplies in harm reduction strategies offers one additional tool that may help reduce risk, improve outcomes, and advance equity in care
Seamus Vahey is a third-year medical student at Boston University Chobanian and Avedisian School of Medicine. Before medical school, he worked in HIV prevention and screening among people who use drugs, where he developed a passion for expanding access to harm reduction services and low-threshold substance use treatment.
Dr. Weisenthal is an assistant professor of emergency medicine at Boston University Chobanian and Avedisian School of Medicine. She serves as associate medical director of Faster Paths, an addiction bridge clinic, and medical director of the emergency department addiction consult team at Boston Medical Center.
By Juhi Varshney, MD; Katarina Bielinski, PharmD; Kelly Pfiefer, MD; Marta Rowh, MD, PhD; Ian Bishop, MD, MPH; and Mark Supino, MD; on behalf of the SAEM Academy for Women in Academic Emergency Medicine
Early pregnancy loss (EPL) is a common diagnosis in the emergency department (ED). The standard of care includes three options: expectant, medical, and procedural management. Procedural management typically involves uterine aspiration performed by an obstetrician-gynecologist (OB-GYN). Medical management, however, falls within the scope of emergency medicine, yet it remains underutilized in many EDs.
There is broad consensus that the medications used for medical management of EPL—misoprostol
and mifepristone—are safe and generally well tolerated. Although these medications are also used for medical abortion, which has contributed to some confusion and stigma, a substantial body of evidence supports their effectiveness in treating EPL when used together
Misoprostol can be used alone or in combination with mifepristone. Many EDs include misoprostol on their formularies. When used alone, misoprostol has a success rate of 67% at day three. When combined with mifepristone, success rates
increase to 83% at day three and 89% at day eight. Some studies have found the combination to be 92–96% effective Patients also appear to experience fewer adverse effects and are less likely to require uterine aspiration when both medications are used. The American College of Obstetricians and Gynecologists recommends the addition of mifepristone to EPL treatment when available.
Despite this evidence, mifepristone is not included on the hospital formulary in many EDs. Emergency physicians interested in offering
“Adding mifepristone to the formulary can improve outcomes, especially for patients with limited access to outpatient OB-GYN services.”
this treatment option can take several steps to obtain approval and incorporate mifepristone into their department’s clinical workflow.
Developing a Protocol Access Bridge is a national organization that supports emergency physicians seeking to expand access to reproductive health services. The organization provides protocols for EPL treatment with mifepristone that can be adapted to the needs and workflows of individual EDs.
Developing an EPL treatment protocol with mifepristone requires collaboration. Emergency physicians should work closely with OB-GYN
colleagues—ideally a complex family planning specialist—to establish evidence-based clinical pathways. These pathways should include diagnostic criteria for EPL, contraindications to medical management, and clear guidelines for when OB-GYN consultation is appropriate. While emergency physicians can manage straightforward EPL cases, others will require specialist input. This process may require iterative refinement over time.
Pharmacists are also key partners. Mifepristone is regulated under the U.S. Food and Drug
Administration’s Risk Evaluation and Mitigation Strategy (REMS), a drug safety program requiring specific compliance measures. To meet REMS requirements, physicians and pharmacists must work together to ensure certification of the pharmacy and prescribing providers, proper documentation of patient agreement forms, tracking of medication lot numbers, and provision of required patient materials, including a medication guide and discharge instructions.
“Adding outcomes,
“Emergency physicians can play a critical role in improving care for patients experiencing early pregnancy loss.”
continued from Page 93
Collaboration with informatics or information technology leads will be necessary to integrate the required REMS documents into the electronic health record system, create a medication order entry, and upload patient discharge instructions. Support from department leadership, such as the medical director or department chair, can help move the process forward. Consultation with legal counsel may also be beneficial depending on the political and regulatory environment in your institution or state.
Once emergency medicine, OBGYN, and pharmacy teams reach consensus on the clinical pathway, a formal formulary request can be submitted to the hospital’s formulary and/or pharmacy and therapeutics (P&T) committee. These committees may have questions or concerns that must be addressed before approval is granted. After approval, the pharmacy can contact one of the two FDAapproved manufacturers to supply mifepristone to the ED
Education is also essential for successful implementation. Consider incorporating training into resident
didactics, grand rounds, and staff meetings to familiarize clinicians with the protocol and workflow.
This process does not happen overnight. At Jackson Memorial Hospital in Miami, our team spent nearly a year developing our EPL protocol, ensuring compliance with REMS, and securing committee approval. Based on this experience, we offer the following recommendations:
• Focus on patient care: Adding mifepristone to the formulary can improve outcomes, especially for patients with limited access to outpatient OB-GYN services.
• Use institutional language: When communicating with administrators, highlight potential improvements in patient satisfaction and reduced return visits due to increased efficacy of mifepristone pretreatment compared to misoprostol alone.
• Be mindful of scope: In states with abortion restrictions, consider developing a protocol that uses mifepristone solely for cases of EPL that meet the diagnostic criteria outlined by the American College of Obstetricians and Gynecologists.
As access to reproductive health care evolves and OB-GYN resources become more limited in many regions, emergency physicians
“Adding mifepristone to the formulary can improve outcomes, especially for patients with limited access to outpatient OB-GYN services.”
can play a critical role in improving care for patients experiencing early pregnancy loss. Incorporating mifepristone into ED protocols is a safe, feasible, and evidence-based step toward that goal.
Dr. Varshney is a medical education fellow in the Department of Emergency Medicine at Emory University School of Medicine.
Dr. Bielinski is an emergency medicine clinical pharmacist at University Health San Antonio. Dr. Pfeifer is a family practice physician who is a co-founder and senior advisor at Access Bridge.
Dr. Rowh is an assistant professor in the Department of Emergency Medicine at Emory University School of Medicine.
Dr. Bishop is director of the Division of Family Planning in the Department of Obstetrics, Gynecology, and Reproductive Sciences at the University of Miami Miller School of Medicine.
Dr. Supino is assistant medical director in the Department of Emergency Medicine at Jackson Memorial Hospital.
By Erin L. Simon, DO; Alexander Y. Sheng, MD, MHPE; Esther H. Chen, MD; Timothy Friedmann, MD, MS-HPEd; Eddie Garcia, MD; Vytas Karalius, MD, MPH; Michael Kiemeney, MD; Brian Merritt, DO; Brian Milman,
Background
Before 2022, emergency medicine had been a relatively competitive specialty, with a consistently rising number of applicants since 2001. The field peaked in 2021, with fewer than 30 unmatched positions per year for more than a decade. However, in 2022 and 2023, the number of applicants fell by 17.5% and 10.3%, respectively, leaving 219 and 554 positions unfilled. The number of senior applicants from allopathic (MD) programs decreased by 15.4% from 2020 to 2024.
Emergency medicine was suddenly forced to confront a steep decline in medical student
interest due to multiple factors. A 2021 workforce study by the American College of Emergency Physicians projected a surplus of 7,845 emergency physicians by 2030. Additional contributing factors likely included the COVID-19 pandemic, corporatization in medicine, economic concerns, emergency department boarding, and a rapidly rising number of residency programs.
In response, the Emergency Medicine Match Taskforce was convened to assess the changing Match environment and recommend interventions to address the contributing factors behind the poor Match results in 2023 (Joint Statement on the Emergency Medicine 2023 Match Results). As a result of the taskforce’s efforts— along with initiatives from local educators and program directors to streamline recruitment and interview strategies—the specialty has seen a rebound since 2023.
Applications to emergency medicine increased by 29.3% from 2023 to 2024, driven by significant increases in applicants from osteopathic (DO) programs (up 43.9%) and international medical
graduates (IMGs) (up 81.6%). The number of MD applicants increased slightly (3.7%) between 2023 and 2024. Unfilled residency positions dropped significantly, from 554 in 2023 to 135 in 2024. MD, DO, and IMG applicants filled 44.4%, 36.2%, and 15.5% of residency positions, respectively—an increase from 2023, when DO and IMG applicants filled 29.7% and 14.3%, respectively.
The 2025 Match continued the positive trend. From 2024 to 2025, the number of emergency medicine applicants rose from 3,574 to 3,753, and the number of positions offered increased from 3,026 to 3,068.
The percentage of positions filled reached 97.9%, leaving 65 open positions—another year-over-year improvement from the 135 unfilled in 2024 and the 554 in 2023.
This year, the number of MD emergency medicine applicants rose by 128, from 1,386 to 1,514. U.S. allopathic seniors filled 1,377 positions (45.9%), an increase from 1,285 (44.4%) in 2024, though still significantly lower than the peak of 1,765 (62.5%) in 2021.
A total of 1,231 U.S. DO seniors applied to emergency medicine, and 1,078 matched, filling 35.9% of available positions. This is largely unchanged from 2024, when 1,047 U.S. DO seniors matched and filled 36.2% of positions. These past two years represent a significant increase from 2021, when 790 U.S. DO seniors matched, accounting for 28% of available positions.
In the 2025 National Resident Matching Program Match, 467 U.S. IMGs and 336 non-U.S. IMGs applied to emergency medicine. Of those, 315 and 131 matched successfully, respectively, for a total of 446 positions (14.6%). This is consistent with 2024, when 448 positions (14.8%) were filled by IMGs (Advance Data Tables: 2025 Main Residency Match).
Conclusion
The 2025 Match showed a continued upward trajectory for emergency medicine, with a second consecutive year of reduced unfilled positions since 2023. The percentage of positions filled by U.S. MD seniors (46%) remained stagnant and showed continued on Page 99
no sign of returning to 2021 levels (62%). The percentages of positions filled by U.S. DO seniors and IMGs have remained relatively stable over the last two Match cycles.
While this may reflect a new steady state for medical school graduates entering emergency medicine, the specialty must continue its multipronged efforts to:
• optimize recruitment and interview strategies,
• improve job satisfaction,
• combat burnout,
• reduce emergency department violence, and
• ensure a sustainable job market for graduates.
These efforts are essential to maintaining a strong pipeline of future talent to fulfill emergency medicine’s mission and serve the public effectively.
Dr. Simon is a professor of emergency medicine at Northeast Ohio Medical University. She is vice chair of emergency services research for Cleveland Clinic, research director for the Cleveland Clinic Akron General emergency medicine program, and medical director for the Cleveland Clinic Bath emergency department.
Dr. Sheng is program director of the emergency medicine residency and an associate professor of emergency medicine at the Warren Alpert Medical School at Brown University, where he also serves as a teaching scholar.
Dr. Chen is a professor in the department of emergency medicine at the University of California, San Francisco, and the director of graduate medical education at San Francisco General Hospital.
Dr. Friedmann is an assistant professor in the department of emergency medicine at the Icahn School of Medicine at Mount Sinai. He is an assistant program director for the residency program and works clinically at Mount Sinai Hospital and Elmhurst Hospital.
Dr. Garcia is an assistant professor in the department of emergency medicine at Stanford University School of Medicine, where he also serves as an assistant program director. He is board certified in medical toxicology.
Dr. Merritt is a current medical education fellow at the University of Utah.
Dr. Milman is an assistant professor in the department of emergency medicine at UT Southwestern in Dallas. He also serves on the national emergency medicine Match Task Force.
Dr. Mitchell is an assistant professor at the Feinberg School of Medicine, Northwestern University, and an assistant program director in the department of emergency medicine at Northwestern Memorial Hospital.
Dr. Mugfor is the simulation director and a core faculty member for the Allegheny General emergency medicine residency at Drexel University.
Dr. Karalius is an assistant program director for the emergency medicine residency at Stanford University.
Dr. Patel is an assistant professor of emergency medicine at UT Southwestern. He is passionate about bedside teaching and mentoring residents.
Dr. Wong is a second-year emergency medicine resident at Mount Sinai Morningside West.
By Lauren Huang; Jeremy Ackerman, MD, PhD; Esther Hwang, DO, MPH; Sam Malakhovsky, MD; and Florian Schmitzberger, MD, MS,
on behalf of the SAEM Tactical and Law Enforcement Interest Group
Introduction
A less-lethal weapon (LLW) is generally defined as a weapon that, when used as intended, is not likely to cause death or serious bodily harm. LLWs are categorized by mechanism and are designed to allow law enforcement, corrections, and military personnel to gain temporary control of a violent or potentially violent individual while minimizing the risk of serious injury to all parties involved.
Categories of LLWs include:
• Energy discharge weapons (conducted energy weapons, or CEWs)
• Chemical irritant devices
• Acoustic devices
• Kinetic LLWs (e.g., impact projectiles)
• Optical devices (e.g., light)
• Unmanned aircraft systems (e.g., drones)
Physical restraint via law enforcement canines may also be employed. Common examples of LLWs include batons, pepper spray, and stun guns. Emerging technologies include drones equipped with tear gas, rubber bullets, and TASER® devices. This article focuses on energy discharge weapons, chemical irritant devices, and kinetic LLWs.
Although LLWs are generally considered safe and their use is centered on safety and efficacy, injuries have been reported in the scientific literature. The national debate over their safety is ongoing but beyond the scope of this article. The following sections provide an overview of mechanisms, injury patterns, and management considerations of less-than-lethal weapons relevant for emergency physicians.
Prehospital Considerations
Prehospital management of LLWs often involves interaction with law enforcement. Key considerations include:
“Energy discharge weapons—commonly known as TASER devices—deliver high-voltage, low-amperage electrical pulses that cause muscle contractions and temporary paralysis through neuromuscular incapacitation.”
• Decontamination
• Removal of TASER barbs
• Custody and appropriate restraint use
• Refusal of treatment
• Cervical spine precautions in cases of falls or head/neck trauma related to LLW deployment
Energy Discharge Weapons
Energy discharge weapons commonly known as TASER devices or CEWs—are pistol-shaped devices that fire barbed probes using compressed nitrogen. The TASER X26 can launch probes up to 7.7 meters; other models can reach distances up to 11 meters Probes penetrate clothing and skin, with barbs typically measuring 9 millimeters in length. Penetration of 4–5 mm into the skin is usually required for effective electrical connection.
Upon contact, the probes deliver high-voltage, low-amperage electrical pulses that cause muscle contractions and temporary paralysis through neuromuscular incapacitation Each cycle lasts about five seconds and includes 19 short-duration shocks per second, targeting A-alpha motor neurons responsible for skeletal muscle contraction. For context, a static shock may peak at 30 amperes but typically causes no harm due to its short duration. TASER probes peak at 3 amperes when a complete circuit is formed.
Injury patterns typically correspond to the site of probe contact. Target zones include the back and areas below the neck to avoid the heart. CEWs are intended for use only
in individuals without significant comorbidities, those who are not pregnant, and individuals with average body mass—though these conditions are not always met.
Other potential injuries include ocular trauma, bone penetration, and genital injuries. The literature reports a 1% incidence of mild rhabdomyolysis in patients immobilized by a CEW. Additional risks include pain, psychiatric exacerbation, and thermal injuries when flammable substances are present. Secondary injuries may result from falls or trauma during incapacitation.
One serious potential complication is cardiac dysrhythmia. Some case reports describe arrhythmias after CEW use, though other studies show no cardiac effects in healthy individuals While not a major cause of mortality, cardiac rhythm evaluation may be appropriate in select cases.
Assessment Following CEW Deployment
1. Evaluate for trauma per Advanced Trauma Life Support (ATLS) protocol
2. Assess cardiac rhythm
3. Identify injuries from probes
4. Remove probes (simple pull, similar to fishhook removal)
Treatment for expected outcomes is dependent on injuries ascertained from primary and secondary assessments. Of note, altered mental status is generally not attributed directly to CEW exposure.
Chemical agents are to achieve distraction, disorientation, disruption, dispersibility, disability, and detection in law enforcement activities. These include lacrimators, tear gas, and other irritants.
Notable examples:
• Chloroacetophenone (CN or Mace)
• 2-chlorobenzalmalononitrile (CS)
• Oleoresin capsicum (OC or pepper spray)
• Smoke
“These agents effects systems, pronounced and
continued from Page 101
Methods of dispersion include:
• Pyrotechnic combustion
• Blast dispersion
• Expulsion
• Liquid or powder projectiles
• Liquid aerosols or fog
These agents produce immediate effects across multiple organ systems, with the most pronounced impacts on the eyes and respiratory tract.
Typical Symptoms:
• Ocular: Chemosis, blepharospasm, tearing, photophobia, corneal injury, temporary blindness
• Respiratory: Dyspnea, bronchospasm, coughing, increased secretions
• Dermal: Burning, pruritus, or chemical burns (dose-dependent)
• Gastrointestinal: Nausea, vomiting, diarrhea
Additional injuries may result from the chemical propellants used to disperse chemical agents. These can act as skin irritants and may cause burns, especially if they are combustible. Some dissemination methods also involve solid projectiles, which can cause blunt force trauma upon impact. Furthermore, the combination of multiple chemical agents during deployment can increase the risk of burns and skin irritation. Both chloroacetophenone (CN) and 2-chlorobenzolmalononitrile
agents produce immediate across multiple organ systems, with the most pronounced impacts on the eyes respiratory tract.”
(CS) are known to irritate mucous membranes, skin, and the respiratory tract. Oleoresin capsicum (OC), or pepper spray, is an odorless, naturally derived substance from the pepper plant.
Management of Chemical Agent Injuries:
• Don appropriate personal protective equipment (PPE)
• Ensure airway patency
• Begin decontamination promptly
o Remove contaminated clothing
o Irrigate with sterile 0.9% normal saline or clean water
o Use mild soap and water (e.g., baby shampoo)
o Perform ocular fluorescein exam if eye exposure is suspected
(Impact Projectiles)
Impact projectiles are designed for blunt trauma with minimal penetration. Typically made of rubber or foam, they can be delivered via shotguns, launchers, or grenades. Common delivery systems include:
• 12-gauge shotgun
• 37 mm smooth or rifle-barreled grenade or flare launchers
• 40 mm grenade launchers
• 68-caliber paintball guns (e.g., PepperBall®)
Intended to disorient or incapacitate through pain compliance, these weapons require minimum range guidelines and careful aim.
Expected Injuries:
• Common targets: Lower extremities, torso
• Typical findings: Contusions, abrasions, lacerations
Possible Complications:
• Penetrating injuries
• Blunt organ trauma
• Craniofacial trauma
Emergency Department Considerations:
• Maintain a low threshold for imaging—rubber bullets may contain radiopaque cores (e.g., steel or lead)
• Injury location determines organ system evaluation
• Be aware of potential fragmentation from projectiles
Conclusion
Patients exposed to less-lethal weapons may present to any emergency department. A thorough assessment of affected organ systems, expected injury patterns, and potential complications is essential. Emergency physicians should be prepared to manage these injuries with appropriate evaluation, imaging, and decontamination measures tailored to the specific LLW involved
Lauren Huang is finishing her fourth year of medical school at Case Western Reserve University and is an incoming emergency medicine resident at the University of Cincinnati.
Dr. Ackerman is an assistant professor in the department of emergency medicine at Emory University School of Medicine. He also serves as a tactical and SWAT physician in Atlanta and is a sworn police officer.
Dr. Hwang is an assistant professor at Emory University School of Medicine and is board certified in emergency medical services and emergency medicine. She is the medical director for AMR-DeKalb County in metro Atlanta, a local emergency medical advisor for the National Park Service – Atlanta Region, and the associate medical director for the Grady-Emory Biosafety Transport Team.
Dr. Malakhovsky is a third-year emergency medicine resident at the University of Michigan. He is a former paramedic and emergency medical services instructor.
Dr. Schmitzberger is a clinical assistant professor at the University of Michigan. He previously served as a medic in the Austrian military. He is currently the medical director for the Genesee County Sheriff's Department paramedic division, serving Flint, Michigan, and the medical director for the Special Operations Combat Medicine Course at Hurley Medical Center.
By Adrienne Perotti, PharmD and Jesse Albano, PharmD, on behalf of the Toxicology Writing Group of the SAEM Academic Emergency Medicine Pharmacists Interest Group
Bupropion is very lipophilic, has a large volume of distribution and is metabolized through the liver with active metabolites. It is available in several formulations (Table 1), and these properties can increase the duration of effects and prolong toxicity in overdose Currently, no antidote exists for bupropion overdose and treatment is primarily supportive. This review discusses treatment strategies in massive ingestions and explores controversies surrounding specific interventions.
Bupropion, a unique atypical antidepressant, is now the most common antidepressant associated with fatalities in overdose. Structurally, bupropion is a beta-keto amphetamine—a substituted cathinone—used to treat major depressive disorder, seasonal affective disorder and smoking cessation. Its off-label uses include treatment for attention-deficit disorders, obesity, and compulsive eating disorders.
Bupropion is highly lipophilic, has a large volume of distribution and is metabolized through the liver with active metabolites It is available in several formulations (Table 1), and these properties increase the duration of effects and prolong toxicity in overdose Currently, no antidote exists for bupropion overdose, and treatment is primarily supportive. This review discusses treatment strategies in massive ingestions and explores controversies surrounding specific interventions.
The precise mechanism of bupropion toxicity is not fully understood. As a substituted cathinone, bupropion shares structural similarities with amphetamines and other sympathomimetics. It is proposed that its central inhibition of dopamine and norepinephrine reuptake, along with its antagonism of nicotinic receptors, play a role in toxicity. While bupropion does not directly inhibit serotonin 5-HT receptors,
its increase in norepinephrine release may enhance serotonin neuronal firing, leading to potential serotonergic toxicity. The primary toxic effects of bupropion overdose are outlined in (Table 2). The neurotoxic effects are thought to result from alterations in dopamine and norepinephrine levels within the corticolimbic and striatal pathways
The most significant morbidity and mortality are often attributed to the cardiotoxic effects of bupropion overdose. Similar to tricyclic antidepressants, bupropion causes QT-interval and QRS prolongation, which can lead to ventricular arrhythmias. Like most medications that prolong the QT interval, bupropion affects the human ethera-go-go-related gene (hERG) channel delayed rectifier potassium current (IKr) in the heart. Unlike tricyclic antidepressants and antiarrhythmics, which cause QRS prolongation and arrhythmias due to sodium channel blockade, bupropion inhibits myocardium gap junction intercellular communication (GJIC)
Although bupropion is the most common antidepressant responsible for overdose fatalities, most overdoses do not result in death. Early recognition of severe symptoms and prompt monitoring in a tertiary care center can prevent serious events. Tachycardia and seizures are the most common manifestations of overdose. Seizures should be treated with gamma-aminobutyric acid (GABA) agonists with benzodiazepines as the first-line treatment, followed by barbiturates if necessary. For most bupropion overdoses, monitoring and supportive care are sufficient.
This section focuses on treatment options when standard supportive measures fail—particularly in cases of massive ingestion—and explores treatment controversies.
Patients with a heart rate greater than 104 beats per minute, abnormal echocardiogram findings, or seizures within eight hours of ingestion should be monitored closely.
Activated charcoal (AC) adsorbs to a broad range of toxins, reducing systemic absorption and enhancing elimination. It is typically administered as a single 50 g dose or at a ratio of 10-to-1 (AC to the amount of
drug ingested). AC demonstrates a time-dependent effect on its ability to reduce toxin absorption, and is recommended to be administered within one hour of significant drug ingestion However, several variables can prolong the effective timeframe for AC administration—and bupropion exhibits many of them.
Bupropion has a long elimination half-life ( approximately 21 hours) and produces active metabolites with even longer half-lives. Modifiedrelease formulations (12-hour [SR] and 24-hour [XL/XR]) further complicate the situation. Additionally, bupropion overdose may lead to pharmacobezoar formation, prolonging gastrointestinal transit time and delaying drug absorption These factors extend bupropion’s onset of toxicity and make AC
potentially effective beyond the traditionally recommended time window.
Multiple-dose activated charcoal (MDAC) is a strategy to address prolonged drug absorption in acute ingestion. While no standardized dosing algorithm exists, MDAC is often initiated with a 50 g dose, followed by repeat doses of 25 to 50 g every four to six hours. A systematic review by Hoegberg et al. (2021) demonstrated that MDAC may be beneficial in cases involving drugs with prolonged half-lives and sustained-release formulations, such as bupropion. MDAC also helps achieve the desired 10-to-1 AC-todrug ratio in massive ingestions.
continued on Page 107
“Bupropion, a unique atypical antidepressant, is now the most common antidepressant associated with fatalities in overdose.”
Given bupropion’s significant toxicity and prolonged absorption, MDAC should be considered in patients with substantial overdose who can maintain their airway or are already intubated.
Bupropion-induced cardiotoxicity can cause cardiac conduction delays, including QTc and QRS prolongation, leading to ventricular dysrhythmias. Sodium bicarbonate is commonly used to treat QRS prolongation in tricyclic antidepressant (e.g., amitriptyline, nortriptyline, imipramine) and antiarrhythmic (e.g., quinidine, procainamide, flecainide, propafenone) overdoses but is largely ineffective in bupropion toxicity. This is due to the differing underlying mechanisms of toxicity.
A 2023 retrospective cohort study by Simpson et al. found no significant changes in QRS duration, QTc, heart rate, or blood pressure after sodium bicarbonate administration in bupropion overdose. There is currently no consensus on the management of QRS prolongation secondary to bupropion overdose. While vasopressors, inotropes, and short-acting antiarrhythmics may be administered, cardiac conduction issues may persist. In severe cases,
extracorporeal membrane oxygenation (ECMO) may be a treatment option for bupropion-induced cardiotoxicity.
Cardiovascular Support and ECMO The use of intralipid emulsion (ILE) therapy in poisoning beyond local anesthetic toxicity has been proposed for lipophilic, cardiac, and neurotoxic overdoses. Proposed mechanisms include promoting the “trapping” of drug into the bloodstream for elimination and providing metabolic support to the heart. Given bupropion’s lipophilicity and cardiotoxicity, ILE therapy is sometimes considered.
However, due to bupropion’s prolonged effects, extended ILE infusions may be necessary, increasing the risk of adverse effects. Gosselin et al. (2016) published evidenced-based consensus guidelines on ILE therapy in poisoning. They issued a weak recommendation for ILE in life-threatening bupropion toxicity when other treatments have ailed, with a very low evidence, and a neutral recommendation in cardiac arrest due to bupropion toxicity. The panel also noted that routine use could interfere with epinephrine and ECMO. A more recent retrospective case review by Chhabra, et al. also reported high mortality and complication rates in cases where ILE was administered in bupropion toxicity. ILE has also been shown to interfere with ECMO, further limiting its
Multiple-dose activated charcoal (MDAC): Consider MDAC in significant bupropion overdoses, especially with modified-release formulations, to enhance elimination. Example dosing: 50 grams once, followed by 25 grams every four hours until a 10:1 activated charcoal–to–drug ratio is achieved.
Sodium bicarbonate: Ineffective for bupropion-induced QRS prolongation due to gap-junction inhibition. Consider alternatives such as vasopressors, intravenous lipid emulsion, or extracorporeal membrane oxygenation (ECMO).
Intravenous lipid emulsion (ILE) therapy: Recent case reviews show minimal benefit and potential for adverse effects in bupropion toxicity.
Venoarterial extracorporeal membrane oxygenation (VA-ECMO): Case reports suggest favorable outcomes for massive bupropion overdoses with cardiovascular toxicity, but not all hospitals can provide ECMO. Consider transferring early.
utility. Given the inconclusive evidence and potential interference with ECMO, ILE is not routinely recommended in cases of massive bupropion overdose with cardiovascular toxicity.
The use of venoarterial extracorporeal membrane oxygenation (VA-ECMO) in druginduced cardiovascular shock has gained traction. VA-ECMO can provide cardiovascular support while the body eliminates the toxin. A recent retrospective study favorable outcomes in patients with poisonings leading to cardiotoxicity, including bupropion Several case reports also support favorable outcomes with ECMO in massive bupropion ingestions. However, not all facilities have ECMO capabilities, so early transfer to an ECMO-capable center is recommended for patients with suspected massive bupropion overdose.
Severe bupropion overdose can lead to prolonged cardiotoxic and neurotoxic effects, which may be fatal. In most cases, supportive care and close monitoring are sufficient. In massive overdoses, early recognition of severe toxicity and prompt treatment are crucial. GABA agonist antiepileptics, vasopressors, inotropes, and shortacting antiarrhythmics may be used while consulting ECMO services. Current data do not support the use of sodium bicarbonate or routine ILE therapy. MDAC is indicated in cases of significant bupropion overdose
Dr. Perotti is a clinical pharmacy specialist in emergency medicine and toxicology at the University of Chicago Medical Center.
Dr. Albano is a clinical pharmacy specialist in emergency medicine at Yale New Haven Hospital and coordinator of the postgraduate year two emergency medicine pharmacy residency program.
By Amelia Barber, MD; KC Hummer; and Iram Nasreen, PharmD, on behalf of SAEM RAMS and the SAEM Education Committee
Balancing medical training with the arrival of a child presents a unique challenge for both medical students and emergency medicine (EM) residents. While obstacles such as tight schedules, financial strain, and unclear policies persist, growing institutional support and innovative solutions are making this significant life event more manageable for trainees.
For medical students, maternity leave typically requires taking a medical leave of absence. Unlike employees, students are not covered
under the Family and Medical Leave Act (FMLA). Without federally mandated protections, time off and academic accommodations are left to the discretion of individual institutions. Some schools adjust coursework or reschedule exams, but students may still face delays in graduation. Financial strain is another challenge, as high tuition, living expenses, and child-rearing costs persist. Although some schools offer scholarships or emergency funds, these resources are not always guaranteed.
KC, a fourth-year medical student at the University of Colorado applying to EM, is no stranger to these challenges. She reflects:
"Beginning my post-clinical year, I commented to a classmate that this year felt the busiest so far of medical school. She was surprised— to her, it was the least stringent in scheduling, and she had so much 'extra time' that she had been able to restart several prior hobbies. I spent the drive home contemplating how our schedules could differ so significantly. It didn’t take long to conclude where our lives
“Parenting and medicine are both demanding identities; daily tasks vary in urgency but there can only ever be a single 'Priority #1.'”
diverged: my friend was a medical student, and I was a mother attending medical school.
“As I ran the numbers in my head, I was shocked to tally the time spent each day on parental tasks— daycare drop-offs and pickups, pediatrician visits, pumping, washing bottles, and bedtime routines easily totaled six or more hours of my day. And that didn’t account for the midnight wakeups, scrambling for childcare coverage when my toddler spiked a fever, or our evening baths and storytime. With an extra six hours of work each day, it was no wonder that my schedule felt fuller than my peers’.
“While I entered parenthood during medical school very intentionally, the time commitment was, somehow, a
factor I underestimated. Parenting and medicine are both demanding identities; daily tasks vary in urgency but there can only ever be a single 'Priority #1.' So, you pick— does medicine or family play second fiddle?
Obviously, they are often very closely ranked. I like to hope that my commitment to becoming a physician is only just barely lagging my love of being a mother. However, it is also important to acknowledge the ways in which becoming a parent has made me a better physician. In adding (now two) children to my world during medical school, I’ve strengthened my time management, learned to compartmentalize for full presence whether in 'work' or 'mom' mode, and deepened my understanding and
empathy for patients. I’ve worried about the health of a loved one, sat anxiously in an emergency room waiting room because it’s after hours at the pediatrician's office, and learned to interpret the discomfort of someone who is non-verbal."
For many trainees, timing is critical. KC’s family was fortunate to time the births of their children during periods when she could take asynchronous curricular time as parental leave. She advises anyone planning to expand their family during medical school to plan but also to expect changes— pregnancies can end sooner than anticipated, children get sick, and children get you sick.
continued on Page 111
“The hope is that no trainee between family and career. be supported in both roles, community that values compassion, dedication as much as
continued from Page 109
Having a support network— a flexible partner, family, friends, and school administration— is essential to success when plans go awry.
Many trainees are concerned about how long hours in residency or practice might negatively impact their children, but research suggests otherwise. One article from Harvard Business Review summarizes this sentiment perfectly: children were less affected by the number of hours their parents worked, and instead more affected by how present their parents were when home.
For EM residencies, residents typically receive 6–8 weeks of maternity leave, extendable to 12 weeks under FMLA, which provides job-protected leave for those who have been at the institution for over a year. Paid leave is rare but becoming more accessible through short-term disability, institutional policies, or creative scheduling. Nonbirthing residents may receive paternity leave, though policies vary between institutions. Financial concerns are significant, as child-rearing costs often exceed resident salaries, but many programs offer stipends, childcare resources, and flexible scheduling to help. Residency directors often work with trainees to adjust rotations and minimize disruptions, ensuring that residents don’t feel pressured to shorten their leave or extend training. Many residents return with renewed purpose, as parenthood deepens
trainee will have to choose career. Instead, they will roles, creating a medical compassion, balance, and as skill and expertise.”
their connection to patients and colleagues.
Amelia, a second-year EM resident at the University of Utah expecting her second child in 2025, shares:
"I’ve always had two dreams: to be a doctor and a mom. I arrived at residency with a four-month-old whom I nursed through most of my intern year. My program was very supportive of my pumping on shift as I shamelessly slipped wearable pumps under my scrubs to chart for 15 minutes periodically. Breastfeeding time-blocks your life into strict threehour increments. Missing pump breaks risks leaking, mastitis, and decreasing your supply. It was a demanding feat on top of other resident responsibilities, but I found meaning in it. I was able to provide for my baby in this way even when I was working long hours away from him.
“For childcare, my husband started medical school at the same time I started residency, but he happens to be a superhero. He was able to keep our son home with him most days his first year of life, though we also had a daycare option. My son now goes Monday–Friday to play with all his baby friends and work on those milestones. Options for childcare as a physician parent are either relying on the other parent to take primary responsibility for childcare, hiring a nanny/au pair at high financial cost, or daycare. Daycare can be scary if you don’t know how others will care for your child, but we’ve been incredibly happy with ours. It connects us on a deeper level when we come together after we’ve all been out in our community.
“I learned from our resident counselor that being a parent in residency improves resiliency. It demands more defined boundaries between work and home, a support network, and a more balanced perspective. This resonates with and encourages me. It can feel like missing out when your nonparent co-residents are going on adventures together while you go home to care for and play with the small best friend you created. Although when I step back and look at my life, I’m so grateful. When you leave
a pediatric emergency medicine or pediatric intensive care unit shift where you witnessed unspeakable tragedy to be greeted at home with an overly loud 'Hiiiiiiii mama!' you gain perspective and gratitude.
“I use my car rides to work listening to EM podcasts to prime me to serve as a medicine woman, then the ride home to review my day, feel for my patients, and decompress so when I arrive home, I’m ready to mom and join the sanctuary that is my tribe. Being a parent in emergency medicine gives me one extra layer of understanding the paradox of fragility and resilience that is the human condition."
While parental leave presents challenges, it also offers growth and reflection, highlighting the human side of medicine. As the medical culture evolves, organizations like SAEM and the American Medical Association (AMA) advocate for standardized policies, including paid leave, to help trainees balance family and career. With continued advocacy and evolving institutional policies, the hope is that no trainee will have to choose between family and career. Instead, they will be supported in both roles, creating a medical community that values compassion, balance, and dedication as much as skill and expertise.
Dr. Barber is a second-year resident at the University of Utah. She had her first child as a fourth-year medical student, and is expecting her second child in August 2025.
KC Hummer is a fourth-year medical student at the University of Colorado, preparing to begin an emergency medicine residency this June. She is the parent of two little girls.
Dr. Nasreen is a second-year emergency medicine pharmacy resident at Rush University Medical Center in Chicago. She is an active member of the SAEM RAMS and AEMP interest groups.
By Caitlin Williams, MD, MS; Michael Zdradzinski, MD; and Xóchitl Olivares
How to Apply
If you are a medical student eager to explore a specific emergency medicine (EM) residency or experience different emergency department environments, the Visiting Student Learning Opportunities (VSLO) program can be an excellent option. These fourweek rotations provide exposure to diverse clinical settings, allowing you to find a residency that aligns with your goals. To apply, confirm that your medical school participates in VSLO through the Association of American Medical Colleges (AAMC) and that you are in your fourth year. You may also choose to rotate in EM subspecialties such as ultrasound, pediatric EM, and toxicology.
Regardless of your VSLO selection, be mindful of deadlines. Most
programs open on April 1, with rolling admissions and specific requirements, such as letters of recommendation. Additionally, if you are an international medical graduate or student, note that your options may be limited, but you can use the Emergency Medicine Residents' Association (EMRA) Match to find additional learning opportunities.
Benefits of a VSLO
Your VSLO rotation is an opportunity to explore a different emergency department and hospital system while building connections with new attendings and residents. The practice environment you encounter will depend on the type of hospital hosting your rotation. You will be exposed to different pathologies, patient populations, and practice styles compared to your home
institution. Use this opportunity to explore various hospital settings and determine what type of residency program aligns with your career goals.
If you enjoy being around other medical students and having more formal learning opportunities with residents from many specialties, a university hospital with an academic setting may be the right fit for you. If you are passionate about working with underserved patient populations or in limited-resource settings, a county hospital may be a great match. If you prefer a smaller, closeknit environment with more hands-on experience and direct interactions with attendings, a community hospital could be an excellent choice.
“Treat the entire experience as a month-long interview—just as you are evaluating the program, they are evaluating you as a potential resident.”
Beyond clinical training, a VSLO rotation also allows you to experience life in a different city or region, helping you decide where you might consider living for residency. Use your time off to explore the surrounding area and get a feel for the lifestyle. Engage with residents to learn what they enjoy most about their program and what unique opportunities it offers— whether it’s strong ultrasound training, a critical care focus, or another area of expertise.
Familiarize yourself with the facility you will be visiting by researching the patient population, trauma level, and overall hospital system. Prepare by sharpening your medical knowledge, honing your patient assessment skills, and refining your presentation style. While you likely already have study tools that work best for you, consider using resources specifically designed for EM rotations, such as emergency medicine podcasts that focus on common pathologies, EMRA resource books that guide your differential diagnoses, and the various resources offered by SAEM
While on shift, it’s essential to balance being proactive with maintaining situational awareness. Choosing the right time to ask relevant, direct questions demonstrates not only your engagement but also your understanding of the busy emergency department environment and the responsibilities of attendings and residents. Keeping your questions and patient presentations concise and well-organized shows your ability to think efficiently and communicate effectively. As with any rotation, don’t hesitate to seek help from your resident or attending if a patient requires immediate attention. Always
bring a positive attitude, a strong work ethic, and a willingness to learn. Your goal is to demonstrate that you are a valuable team player who would be a great addition to their program.
One of your key goals during your VSLO rotation is securing a Standardized Letter of Evaluation (SLOE). Early in your rotation, identify the process for obtaining one. Typically, this involves meeting with the clerkship director and determining who will write your SLOE. Plan to meet with this person at least once throughout your rotation and schedule this meeting in advance to ensure timely feedback. If you are completing an EM subspecialty rotation, you may receive an O-SLOE, which is typically not counted toward the total SLOE requirement for residency applications.
Many residency programs extend interview invitations to visiting students during their rotations. Treat the entire experience as a month-long interview— just as you are evaluating the program, they are evaluating you as a potential
resident. Maintain professionalism and a strong work ethic while staying engaged and adaptable. Determine if the program and practice style would be a good fit for you as a future EM physician. Finally, enjoy your VSLO rotation and use this opportunity to make new friends, mentors, and connections in EM.
Dr. Williams is an emergency medicine resident at George Washington University.
Dr. Zdradzinski is an assistant professor in emergency medicine at Emory University School of Medicine.
Xóchitl Olivares is a fourth-year medical student at Universidad Autónoma de Guadalajara. She will be applying for emergency medicine in the 2026 match.
By Michael Romano, MD
A 12-month-old female presented to the emergency department with a one-week history of emesis and loose bowel movements. She had previously been diagnosed with gastroenteritis and prescribed acetaminophen and ondansetron. Despite this treatment, she continued to experience multiple episodes of emesis, prompting her return for reevaluation.
The patient was born full term without complications and had no prior medical history. Her family reported a tactile fever but noted no abdominal pain or urinary symptoms. On examination, her vital signs were as follows: temperature 37.1°C, blood pressure 115/81 mmHg, heart rate 141 beats per minute, respiratory rate 25 breaths per minute, and oxygen saturation
of 98% on room air. She appeared well, was well hydrated, and had a soft, non-tender but mildly distended abdomen without palpable masses.
A point-of-care ultrasound (POCUS) of the abdomen performed in the emergency department revealed a 3.08-centimeter “target sign” lesion in the right lower quadrant, consistent with ileocolic intussusception.
Intussusception commonly presents with emesis, abdominal pain, and, in later stages, bloody “currant jelly” stools. In rare cases, emesis may be the only presenting symptom. POCUS has been shown to be a reliable and reproducible tool for diagnosing intussusception in pediatric patients. A recent metaanalysis reported that POCUS has a sensitivity of 94.9 percent and a specificity of 99.1 percent for detecting intussusception.
A linear transducer is preferred for ultrasound evaluation. The probe should be placed perpendicularly to the ascending colon in the transverse position, starting at the right lower quadrant near the psoas muscle. (Figure 1). The “lawn mower” approach is used to scan through all
“lawn mower” approach to abdominal ultrasound
“Point-of-care ultrasound has been shown to be a reliable and reproducible tool for diagnosing intussusception in pediatric patients.”
abdominal quadrants. Begin scanning in the transverse plane from the psoas, moving superiorly along the ascending colon to the hepatic flexure, then continue tracing perpendicular to the bowel in transverse orientation to the splenic flexure. Rotate the probe 90 degrees as you progress down the descending colon.
The hallmark ultrasound finding is the “target sign,” which appears as a hyperechoic core surrounded by a hypoechoic wall of edematous bowel with an enlarged anteroposterior diameter (approximately 2.5 to 5 centimeters) when viewed in transverse orientation. (Figure 2) Diagnosis may also be supported by the presence of hyperechoic mesenteric fat and lymph nodes pulled into the bowel.
When mesenteric fat is visible within the bowel lumen on transverse imaging, it produces the “crescent-indonut” sign. In the longitudinal plane, it resembles the “pseudokidney” sign
(Figure 3) due to its similarity to the renal hilum.
Careful ultrasound evaluation is essential to identify potential pathologic lead points such as lymphoma, polyps, cysts, or Meckel’s diverticulum. While intussusception is rare in adults, when it does occur, it is more commonly associated with a pathological lead point, such as adenocarcinoma. Cross-sectional imaging is warranted in adult patients for further evaluation.
Pneumatic air enema is preferred over contrast enema for reduction of intussusception due to its effectiveness and avoidance of contrast exposure. Studies show no significant differences in the rate of bowel perforation between the two methods. Recurrence is not uncommon within the first 48 hours following reduction, and families should be counseled on the potential for relapse and the possibility of readmission. A recent meta-analysis reported a recurrence rate of 8.5
percent following fluoroscopy-guided air enema.
In this case, the patient underwent a successful fluoroscopy-guided air enema reduction of her ileocolic intussusception and was admitted for observation. While patients have traditionally been admitted overnight following successful pneumatic reduction, several recent studies support a shortened observation period of four hours as a safe alternative to inpatient admission— provided that caregivers receive detailed return precautions due to the risk of recurrence.
Dr. Romano is a pediatric resident physician at New York University Grossman School of Medicine. He serves as medical clinical site chief for pediatric emergency medicine at Bellevue Hospital and is director of emergency medicine ultrasound scholarly activities.
By Jason Arthur, MD, MPH; Dan Holleyman, MD; and Zach Lewis, MD on behalf of the SAEM Academy for Emergency Ultrasound
Like many emergency medicine programs across the country, we’ve been working to implement ultrasound-guided regional anesthesia (UGRA). On paper, the concept is simple: teach people how to perform nerve blocks, and they’ll do them. It’s the Field of Dreams approach to clinical innovation—build the program, and the blocks will come.
But anyone who’s ever tried to shift practice in a complex healthcare system knows it’s rarely that easy. From Niche Skill to Department Priority
From Niche Skill to Department Priority
Historically, UGRA at our institution was a niche skill, typically performed by ultrasound faculty and fellows.
This was partly due to their focused training, but also due to a longstanding culture in which nerve blocks were viewed by other specialties as taboo. It’s a familiar dynamic in emergency medicine: we’re told we can’t do something, we get trained, we prove we can do it safely and effectively, and it eventually becomes an accepted part of our scope of practice.
In 2019, we had our first structured opportunity to integrate UGRA into emergency care. Our colleagues in anesthesiology proposed a collaborative effort with our department and orthopedic surgery to use regional anesthesia for patients with low-energy hip fractures—aiming to reduce opioid
use and improve outcomes. To their credit, our orthopedic colleagues reviewed the literature and helped develop a protocol. It was a promising start.
Then came the realities of implementation. One of the first barriers? Ropivacaine wasn’t on our hospital formulary. It’s a safer, less cardiotoxic alternative to bupivacaine and the preferred anesthetic for many regional blocks. We worked with our ED pharmacists to build the case for its inclusion. Pharmacy leadership performed a cost analysis and supported the addition. But at the P&T committee meeting, questions arose. Was the extra few dollars per dose truly necessary? Could we justify the cost?
It took a mountain of data, advocacy from anesthesiology, and the discovery that we were one of the last Vizient hospitals without ropivacaine on formulary to finally gain approval. At the time, it felt frustrating. In retrospect, it’s almost amusing. Almost.
With formulary issues resolved and a protocol in place, anesthesiology filled in the gaps in our coverage to help provide UGRA consistently. On one hand, this was a major win—patients received timely, effective pain control, and blocks became more routine. But the flip side was less obvious: with a reliable safety net in place, there was less urgency for emergency medicine faculty to learn and perform blocks themselves. The safety net we had built inadvertently stalled broader adoption within our department.
Fortunately, our residents were paying attention. Recognizing the value of UGRA, they developed an elective with the acute pain service, working directly with anesthesia. This gave them hands-on experience and highlighted emergency medicine’s strengths in procedural skills, ultrasound use, and adaptability in unfamiliar clinical environments— whether in the operating room, postanesthesia care unit, or wards.
Then came a stroke of remarkable timing. Two of our colleagues, Dr. Carly Eastin and Dr. Michael Wilson, received an Emergency Department Alternatives to Opioids (ED-ALT) grant from Substance Abuse and Mental Health Services Administration (SAMHSA). The grant supported the development of a sustainable UGRA training program for our department, with a goal of training 90% of faculty and residents.
We were not alone in this endeavor. Around the same time, the SAEM Academy of Emergency Ultrasound (AEUS) began revamping its Narrated Lecture Series (NLS) The updated curriculum includes detailed, peer-reviewed lectures on
UGRA—covering safety, anatomy, and specific blocks of the trunk, upper, and lower extremities. The NLS gave us a scalable solution to the educational component of our training program—and critical documentation for tracking progress and assessments.
One key piece of advice from AEUS: don’t wait for all faculty to be trained before starting. Train those who are ready, when they’re ready. Momentum, after all, is contagious.
Didactics are just one part of the puzzle. UGRA is a technical skill that also requires hand-eye coordination and tactile feedback. We explored several options for hands-on training— each with strengths and limitations.
• Ballistic gel models: Excellent for ultrasound imaging and needle visualization but lacked tactile realism.
• Meat models: Made with transglutaminase (Moo Gloo) to simulate fascial planes. These were affordable, well received by learners, easy to assemble, and provided an engaging, tactile learning experience, but had a short shelf life, variable reliability, and tricky cleanup.
• Lightly embalmed cadavers (LECs): Our preferred teaching medium, made possible by our partnership with the anatomy department. LECs look, feel, and behave like live tissue—allowing for realistic fluid redistribution and repeated practice without loss of fidelity.
We paired LEC sessions with completion of the AEUS NLS lectures to create a hybrid training experience that was both scalable and high fidelity. Learner feedback was overwhelmingly positive. Residents reported increased confidence not just in knowledge, but also in procedural performance. We’ve since incorporated monthly UGRA cadaver labs into our curriculum to support continued learning and retraining
The results so far have been encouraging. Residents and faculty
are more confident in performing blocks. Our interdisciplinary partnerships are stronger. And most importantly, patients are receiving timely, effective pain control—often without the need for systemic opioids. Of course, challenges remain. Training faculty takes time. Residents graduate. Institutional priorities shift. But the trajectory is forward, and that matters.
If you’re building a UGRA program in emergency medicine, here are a few takeaways from our experience:
1. Leverage what exists. The AEUS NLS is an outstanding resource— peer-reviewed, comprehensive, and easy to implement.
2. Build relationships. Pharmacy, anesthesiology, orthopedics, anatomy—collaboration is essential for overcoming institutional inertia.
3. Say yes to teaching opportunities. If someone’s ready to learn— resident, intern, or faculty— don’t wait. Momentum begets momentum.
We’re still building, still learning, and still refining our approach. But we’ve come a long way—and at last, the blocks are starting to come.
Dr. Arthur is an associate professor in the Department of Emergency Medicine and Department of Pediatrics and fellowship director for the clinical ultrasound fellowship at the University of Arkansas for Medical Sciences.
Dr. Lewis is an associate professor and chief of the division of emergency ultrasound in the Department of Emergency Medicine at the University of Arkansas for Medical Sciences.
Dr. Holleyman is an associate professor and assistant fellowship director for the clinical ultrasound fellowship in the Department of Emergency Medicine at the University of Arkansas for Medical Sciences.
By Sharmain Siddiqui
Last month, the City of Chicago announced the long-awaited reopening of the Roseland Mental Health Clinic to provide free mental health services to residents of the Far South Side. The clinic aims to offer preventive mental health care to help ensure that Chicagoans do not end up in the emergency department for mental health crises.
While public investment in mental health is a crucial step toward creating safer communities, more work is needed to clarify the current role of armed security and law enforcement in these
spaces. The most recent survey by the International Association for Healthcare Security and Safety (IAHSS) found that hospitals employed an average of 9.5 full-time security staff members per 100 beds in 2023.
Workplace violence in hospitals is a real issue. Emergency departments (EDs) are particularly vulnerable, with one cross-sectional study finding that 78% of respondents experienced at least one violent act at work in the previous year. As a medical student
and researcher at the University of Chicago Violence Recovery Program, I have found that the ambiguous role of law enforcement in hospitals can negatively affect overall safety and patient outcomes.
When patients experience acute mental health crises, they may become dangerous to themselves and others, including doctors and nurses attempting to provide care. The presence of multiple armed individuals with undefined, overlapping responsibilities can pose a significant risk to both the patient and those seeking treatment.
“Hospitals and clinics must also more clearly define the role that armed security and law enforcement play in healthcare settings to ensure the safety of patients, families, and staff.”
At the University of Chicago Hospital, for example, patients are often confronted by a mix of private security officers, the University of Chicago police force, and the Chicago Police Department (CPD). This overlap of armed actors can increase the risk of violence. Nearly a quarter of emergency department shootings have been linked to individuals attempting to take weapons from armed security officers.
Private security staff and CPD officers often lack training in verbal de-escalation and do not have the clinical background that licensed mental health professionals possess. This lack of specialized training can hinder effective medical care during critical situations. Psychiatrists, psychologists, licensed clinical social workers, peer support specialists, and crisis intervention specialists are all trained in comprehensive mental
health care and crisis response. They undergo formal education and clinical training in crisis intervention, traumainformed care, culturally competent care, and handling psychiatric emergencies. Together, these professionals form a comprehensive team that can address the complex needs of individuals in mental health crises.
The good news is that Chicago is leading the way with communityinformed approaches to ensure the safety of both patients and healthcare workers. The University of Chicago’s Violence Recovery Program serves as a model for addressing the diverse needs of patients, and its strategies are being shared with other hospitals. In the public sector, the City’s Crisis Assistance Response and Engagement (CARE) program, where mental health professionals respond to residents in mental health crises,
is another promising approach that could be expanded to the hospital setting.
As medical students, residents, and attending physicians, we take an oath to "do no harm." Patients admitted to the emergency department are often experiencing the worst day of their lives, and we must follow the data to ensure that hospitals remain places of treatment and care. Hospitals and clinics must also more clearly define the role that armed security and law enforcement play in healthcare settings to ensure the safety of patients, families, and staff.
Sharmain Siddiqui is a rising 4th-year medical student at Loyola University Stritch School of Medicine in Chicago and Schweitzer. She is invested in community-based medicine, with a focus on violence recovery and social determinants of health.
By Irene Lieu, MD; Rebecca Eager, MD; Kyrillos Attaalla, MD; and Kei U. Wong, MD
The demanding environment of emergency medicine (EM) residency can often leave little room for personal well-being. Recognizing the importance of nurturing resident wellness, the gRatitude Project has emerged as a meaningful initiative within the Rutgers New Jersey Medical School (NJMS) Emergency Medicine Residency Program. Designed to foster peer support, recognition, and connection, the gRatitude Project has significantly improved residents' emotional wellbeing and camaraderie.
Project Overview
At the core of the gRatitude Project is the concept of appreciation. Through “gRatitude Shoutouts,” residents can recognize and celebrate their colleagues' professional and personal
contributions. These shoutouts help create a culture of mutual respect and motivation. Additionally, each month, one resident is nominated by their peers as the “gRatitude Recipient of the Month” for their exceptional achievements. This recognition reinforces the value of acknowledging peers’ hard work and promotes positivity throughout the residency program.
The project’s impact has been significant, with resident feedback indicating improvements in morale and a stronger sense of belonging within the group. Residents have emphasized the importance of having a dedicated space to show appreciation amidst the pressures of an EM residency. Feedback also highlighted the desire for more opportunities to connect with peers
outside the academic and clinical environment. As one resident put it, “I think the gRatitude Project truly makes a difference in the culture and environment of our program. We feel that wellness is prioritized when opportunities for interclass and whole-residency bonding are supported!”
Class Days are a key component of the education and wellness initiative at the Rutgers NJMS Emergency Medicine Residency Program, designed to enhance education while fostering community among residents. Each week of the fourweek academic block, one EM training class is offered an afternoon free from clinical responsibilities. This designated time is valuable for
non-clinical learning, relaxation, and open discussions with peers who share an understanding of the job’s demands.
Class Days also play a crucial role in cultivating a sense of community and collegiality. During these days, residents support one another through candid conversations about their experiences, challenges, and the aspects of their work that inspire them. These days provide a balance of procedural learning and communitybuilding, helping residents strengthen relationships with their peers.
Building on this, the gRatitude Project has expanded its efforts by sponsoring one to two monthly activities per class. These activities provide additional opportunities for residents to bond in non-academic settings. Such opportunities offer essential space for residents to unwind, process stressors, support each other, and build meaningful friendships—critical aspects of navigating the emotional challenges of emergency medicine.
Impact and Sustainability
The gRatitude Project aims to cultivate a positive and supportive environment where residents feel appreciated, connected, and motivated. One of its key goals is to encourage increased attendance at residency conferences, where colleagues can learn from each other and strengthen peer support systems through regular social interactions.
The gRatitude Project is poised to remain a cornerstone of the residency program’s wellness efforts. By
integrating with Class Day and weekly resident conferences, the project will continue to offer consistent opportunities for connection, reflection, and community-building. Ultimately, the gRatitude Project aims to foster a culture where residents feel supported, valued, and understood—not just as colleagues, but as individuals. Through regular recognition, appreciation, and intentional community-building activities, the project helps residents thrive personally and professionally, enhancing their overall wellness and resilience.
“Through regular recognition, appreciation, and intentional community-building activities, the project helps residents thrive personally and professionally, enhancing their overall wellness and resilience.”
Dr. Lieu is a third-year resident and future chief resident at Rutgers New Jersey Medical School.
Dr. Eager is a fourth-year resident and chief resident at Rutgers New Jersey Medical School.
Dr. Attaalla is the medical education fellow at Rutgers New Jersey Medical School.
Dr. Wong is an assistant professor of emergency medicine in the division of pediatric emergency medicine at Rutgers New Jersey Medical School. She is the clinical director of pediatric emergency medicine education for the residency program and serves as the director for the pediatric emergency medicine elective and pre-clerkship course director for NJMS students.
By Jennifer Kanapicki, MD, and Carolyn Wiech, MD
For many emergency physicians, travel is essential for well-being and recovery. But once parenthood enters the picture, the idea of traveling with kids can feel more like running a code than taking a vacation—chaotic, high-stakes, and potentially exhausting. Some parents even delay or avoid travel altogether.
However, just as we approach a difficult airway with a systematic plan, preparation, and a checklist, the same principles can apply to family travel. With the right mindset and tools, not only can you survive the trip—you just might thrive. Here’s our emergency medicine–inspired guide to successful family travel.
Just like a well-run trauma or resuscitation, successful family travel starts with solid preparation. That means having the right tools ready—diapers, wipes, snacks, distractions. Save an evolving family travel checklist on your favorite note platform (we use OneNote), update it as your kids grow (goodbye, diapers!), and refer to it each time you pack.
Organizational tools like packing cubes can be game changers, especially with multiple children. We recommend a color-coded system: assign each child a designated cube color (e.g., green for Benji) to keep
belongings organized and easy to access. Include everything from clothing to in-flight snacks in the cubes for smoother transitions and happier kids.
Pro tip: Bring small trash bags on the plane to manage messes before they pile up. Don’t forget familiar comforts like sleep sacks, pacifier clips, and backup clothes. The more you prepare in advance, the smoother travel day will go.
Even for adults, anticipation is one of the best parts of a trip. Kids are no different. Involving them in the planning process can build excitement
and reduce stress. We’ve found it helpful to let each child pack their own suitcase—with a little supervision. This gives them a sense of agency and helps avoid post-arrival heartbreak when a beloved item (looking at you, strawberry swimsuit) is missing.
Visual countdowns can build excitement and give kids a sense of timing. Whether it’s marking the trip on a family calendar or building a paper chain, these small rituals help children prepare for the adventure ahead. For readers, consider themed books about your destination—like a scavenger hunt guide to Washington, D.C., or a story about dolphins before a marine excursion. A little anticipation goes a long way in keeping kids engaged and included.
Just as we stock the resuscitation bay before a critical patient arrives, we recommend prestocking your travel destination. Before a beach trip, we often place a large order with a retailer such as Target for essentials— sunscreen, snacks, towels, sand toys— and arrange for delivery or pickup.
If you already have favorite lists saved in your shopping apps, switching the location is easy. This helps avoid the dreaded post-flight dash through unfamiliar store aisles with cranky kids in tow. A little prep here equals a lot more peace later.
Remember your first shift in a new emergency department? You probably took time to learn where everything was. Apply the same strategy to your travel destination.
Search for “mom’s guide” or “family guide” to your destination. Local blogs are often filled with hidden gems, insider tips, and practical suggestions—quiet playgrounds, kid-friendly restaurants, and off-thebeaten-path activities.
Plan meals ahead to avoid meltdowns (theirs or yours). We keep a running list of restaurant options— some dine-in, some takeout—to make decision-making easier. Consider your kids’ preferences when planning. If they love playgrounds, locate a few nearby. If they’re into biking, look up trails or rental spots. Keeping small routines intact helps kids adjust more easily to new environments.
Give them as many turkey sandwiches as they want. On travel days, anything goes. We stop at the dollar store before flights and let each child pick five items—novelty toys, snacks, anything to keep them entertained while we’re in the air.
Once you’re on the plane, don’t
worry about screen time limits or strict snack rules. The priority is flexibility, distraction, and preserving sanity—for everyone.
Like resuscitating a crashing patient, family travel can feel overwhelming— but it can also be incredibly rewarding. With thoughtful preparation, defined roles, preloaded supplies, and a mindset that embraces flexibility, travel becomes not just manageable, but joyful.
Emergency physicians are already experts at managing chaos under pressure. So trust your training, follow your checklists, and go explore. Whether your destination is the mountains or the beach, you’ve got this.
Dr. Kanapicki is an associate professor at Stanford Department of Emergency Medicine where she serves as co-director of the Medical Education Scholarship Fellowship and director of faculty development.
Dr. Wiech is associate program director for the emergency medicine residency program and clinical assistant professor at the University at Buffalo where she is also the faculty leader of the Resident Wellness Committee
By Al’ai Alvarez, MD, and Sreeja Natesan, MD, on behalf of the SAEM Wellness Committee and the SAEM Academy for Diversity and Inclusion in Emergency Medicine
Uncertainty and the unknown have always been central to emergency medicine. On every shift, we make high-stakes decisions with incomplete information, balancing diagnostic ambiguity against the urgency of timely intervention. Lately we’ve done so under increasing strain—rising patient acuity, boarding, volume, limited resources, and decreasing institutional support. It’s not right, but it’s become our reality.
What’s changing now is that this clinical uncertainty is no longer confined to the bedside. It’s spilling into our academic and nonclinical roles, where shifting legislation and unstable funding add layers of unpredictability and strain. Skills long valued in the specialty—speaking up, asking difficult questions, and advocating for patients—may now carry professional risk. In today’s climate, the very actions that once
defined our identity as emergency physicians can be perceived as liabilities.
Still, it’s worth reminding ourselves we are trained for this. Tolerating ambiguity is not a flaw—it’s a defining strength of our specialty. We care for patients without complete histories, wait on labs that may not arrive in time, and often act without full
“Belonging is not just a feeling—it’s a function of being seen, supported, and valued.”
certainty. We speak with families who seek definitive answers while we are still forming a differential diagnosis.
This type of clinical ambiguity is more common than we acknowledge. Research indicates that more than one-third of patients leave the emergency department without a definitive diagnosis. For patients, this can be frustrating and unsettling. For us, it can be exhausting. Our ability— or inability—to navigate uncertainty directly affects burnout risk, decisionmaking, and our sense of purpose.
Not all uncertainty is clinical. Many many of us also carry emotional uncertainty—an invisible burden intensified by the current academic and societal landscape. The pressure
to adapt to changing norms, manage external scrutiny, and respond to evolving expectations can feel overwhelming —and it’s okay to feel that way.
For some, this moment brings grief—over lost agency, reduced academic freedom, or values that once felt secure. Others may experience frustration, fear, anger, or even relief. All these emotional responses are real, valid, and worth acknowledging.
It is helpful to pause and reflect: What am I feeling right now? What do I need? Conflicting emotions—grief and hope, loss and resolve—can coexist. This is not a flaw; it is part of being human. These feelings are not distractions but signals that help identify unmet needs, whether for rest,
connection, advocacy, or clarity.
Just as we’ve learned to navigate clinical uncertainty, we can build emotional resilience as well. That process begins with recognizing that both internal and external forms of uncertainty deserve our attention and care. Most importantly, no one needs to navigate it alone.
Belonging is not just a feeling— it’s a function of being seen, supported, and valued. In the same way we show up for one another in the trauma bay, we can show up for each other in moments of emotional strain. As
“Now is the time to extend that same trust to ourselves, to one another, and to the communities that sustain us.”
continued from Page 125
teammates and colleagues, we can help name, normalize, and navigate complex experiences.
Not everyone will respond to uncertainty in the same way. Some may speak out, while others may withdraw. What matters is offering grace, space, and solidarity. Supporting one another includes creating room for honest, sometimes uncomfortable, conversations.
While fostering emotional safety is essential, it is also important to recognize that some burdens are structural, not just personal.
Across academic emergency medicine, many faculty are experiencing constraints on what and how we teach, research, and communicate. A recent national survey reported that 35% of faculty feel less freedom to teach without interference, and 36% feel less free to express themselves as citizens. More than half report concerns about online harassment, and many report altering language to avoid potential backlash.
This shift presents challenges for a specialty that often serves as the healthcare safety net and addresses social drivers of health. Our efforts to advance equity through education, research, and public engagement are built on the foundation of academic freedom. As that freedom becomes more limited, so does our capacity to fulfill that mission.
While these constraints can feel heavy—and, at times, disheartening— they are not necessarily permanent. The current challenges will continue to evolve. What remains enduring
is our collective strength and the communities and the relationships that sustain it.
In times of uncertainty, community becomes essential. National organizations such as the Society for Academic Emergency Medicine (SAEM) offer more than professional development; they provide space for connection, belonging, and shared purpose.
Initiatives such as the SAEM Guidelines for Reasonable and Appropriate Care in the Emergency Department (GRACE) help clinicians navigate clinical uncertainty through expert consensus, especially when high-quality evidence is limited. In addition, several academies—such as the SAEM Academy for Diversity and Inclusion in Emergency Medicine and SAEM Academy for Women in Academic Emergency Medicine— provide opportunities for engagement through research, education, and community-building. These resources are especially valuable when local support feels scarce or when speaking out feels risky.
These national communities of practice serve as reminders that we are not alone. Even in isolating environments, there are spaces where questions are welcomed, voices are heard, and identities are affirmed. In those spaces, we are reminded that our strength lies not only in our individual resilience—but in our willingness to show up for each other.
Together, the emergency medicine community can face difficult moments, respond to uncertainty with purpose, and stay rooted in our shared values. In a time when so much feels uncertain, reconnecting with each other— and with the mission that
brought us to this work —can provide much-needed clarity and grounding.
Moving Forward—Together
As the landscape continues to shift, we invite you to:
• Check in with yourself. What are you feeling? What do you need?
• Acknowledge emotional complexity It is possible to feel despair and determination at the same time.
• Support your colleagues. Assume others are carrying burdens you cannot see.
• Reconnect with the community National societies like SAEM offer solidarity, tools, and space to grow.
• Remember the “why.” We are here to deliver excellent care to all people, in all moments—anyone, anytime, anywhere.
Emergency medicine has always required courage in the face of the unknown. Navigating uncertainty has long been our defining strength. We have learned to trust our training, teams, and instincts. Now is the time to extend that same trust to ourselves, to one another, and to the communities that sustain us.
Al’ai Alvarez, MD, is a clinical associate professor and director of well-being for Stanford emergency medicine. He serves as subcommittee chair of the Stop the Stigma in Emergency Medicine initiative for the SAEM Wellness Committee.
Sreeja Natesan, MD, is an associate professor and associate program director in the Duke University Department of Emergency Medicine. She is president-elect of the SAEM Academy for Diversity and Inclusion in Emergency Medicine.
By Maia Winkel, MD; Julie Tondt, MD; Victoria Zhou, MD; and Amanda J. Deutsch, MD
Despite the popular perception of emergency medicine physicians as adventurous, international jetsetting, individuals, data suggest they take the fewest vacation days of any medical specialty in the United States. Multiple studies in recent years have reported that emergency medicine physicians take fewer than 15 vacation days per year — significantly lower rate than their counterparts in other specialties. For a group often described by the motto “work hard, play hard,” these findings reveal a misalignment between perception and reality.
Although many emergency medicine physicians are drawn to the field by the fast-paced environment and the opportunity to care for critically ill patients, they often cite work-life balance as a key reason for choosing this specialty. With shift-based schedules, an average workload of about 36 hours per week, and typically no after-hours inbox responsibilities, emergency medicine theoretically offers more flexibility to take time off. Yet in practice, this expected availability for vacation does not materialize. The discrepancy between the perceived flexibility and the actual time taken
off raises important questions. Something is not adding up.
There is a notable lack of literature exploring why emergency medicine physicians take less vacation than those in other specialties. While taking shorter vacations is not inherently problematic, the fact that that they do so at a markedly lower rate than other specialties warrants closer examination.
Several questions arise when considering why emergency medicine physicians take fewer or shorter vacations. One possibility
“For a group often described by the motto ‘work hard, play hard,’ these findings reveal a misalignment between perception and reality.”
is that the definition of “vacation” is unclear. Physicians may take brief trips—such as weekend getaways or travel for weddings—but not count these as true vacations unless they involve extended time away or international travel.
Additionally, shift-based scheduling implies a set number of days off each month. When these days are grouped for travel but not formally labeled as vacation on the schedule, they may go unrecognized as time off.
For physicians in academic settings, taking multiple consecutive days off can be challenging due to ongoing nonclinical responsibilities, such as
speaking engagements, conference attendance, or other professional obligations. These responsibilities, along with personal or family commitments, can make it harder to reserve time specifically for vacation.
Moreover, emergency department schedules are typically based on a fixed number of shifts per month, depending on clinical hour commitment per year, regardless of whether a physician is on vacation. This often results in a clustering of shifts before and after vacation periods, which can be physically and mentally taxing—and a deterrent to taking time off.
Interestingly, a study by Sinsky et al. found that factors such as “age, gender, and having children were not associated with taking more than three weeks of vacation annually, after adjusting for variables.”
Collectively, these barriers help explain why emergency medicine physicians tend to take fewer or shorter vacations compared with those in other specialties.
Why does it matter that emergency medicine physicians take less
“Taking more than three weeks of vacation annually, with full coverage for electronic health record responsibilities, was associated with reduced burnout.”
continued from Page 129
vacation? Studies have shown that regular, fulfilling time off can improve workplace satisfaction, career longevity, and overall wellness. A 2024 cross-sectional study of 3,024 physicians found that both the number of vacation days taken and the extent of patient-related work performed while on vacation were associated with burnout. Among specialties with more than 30 respondents, emergency medicine had one of the lowest percentages—23.8%—of physicians taking more than three weeks of vacation per year. That same study found that taking more than three weeks of vacation annually, with full coverage for electronic health record responsibilities, was associated with reduced burnout
The trend of emergency medicine physicians taking fewer vacation days than those in other specialties is concerning, particularly given its impact on personal relationships. Strong relationships with family and friends are among the most important predictors of long-term health and well-being. In households with one or two physicians, relationship satisfaction is closely tied to the amount of time couples spend together. While regular days off can help with short-term balance, vacations offer extended, uninterrupted quality time for connection and restoration with family and friends—something that is especially valuable in today’s culture of increasing social isolation.
Given these realities, the reasons behind reduced vacation time among
EM physicians warrant serious attention. Prioritizing more vacation days each year could enhance physician well-being both at work and in their personal lives and may also play a role in improving physician retention.
From an institutional perspective, encouraging time off is not just beneficial—it’s strategic. Studies have linked strained personal relationships due to work demands with higher rates of unsolicited patient complaints. Therefore, supporting EM physicians in taking meaningful time away from work could positively impact both their quality of life and patient satisfaction.
Addressing this challenge requires a cultural shift within the field of emergency medicine. Several steps could help foster this change:
• Clarify the definition of vacation. A more standardized definition—such as one week or more intentionally taken away from work—may help normalize and encourage vacationtaking.
• Distinguish professional travel from vacation. Conference attendance and non-clinical academic commitments should not be classified as vacation time.
• Provide coverage and administrative support. Ensuring coverage for clinical responsibilities and reducing administrative burdens while on leave can help physicians fully disconnect.
• Reconsider financial disincentives Incentive-based compensation models tied to relative value units (RVUs) may discourage time off.
Adjusting these models could increase vacation uptake.
• Avoid shift clustering. Transitioning to more flexible scheduling models, such as banking shifts rather than clustering them around time off, can promote longer vacations.
Medical institutions and emergency departments should prioritize these efforts, creating systems that track and model vacation behavior. In doing so, they can support a healthier, more sustainable work culture for emergency medicine physicians—one in which “work hard, play hard” is more than just a catchphrase.
Dr. Winkel is the emergency medicine physician wellness fellow and a clinical instructor at Stanford University.
Dr. Tondt is an assistant professor in the Department of Emergency Medicine at Penn State Hershey Medical Center.
Dr. Zhou is an assistant professor in the Department of Emergency Medicine at the University of Vermont.
Dr. Deutsch is a clinical assistant professor and director of well-being at Thomas Jefferson University, and chair of the SAEM Wellness Committee.
By Jaclyn Kaletski, MD; Marwa Ali, MD; Kei Wong, MD; and Mehruba Anwar Parris, MD
Nearly one third of emergency physicians are women, and this proportion continues to grow each year. In 2004, only 20% of emergency medicine physicians were female, which has grown to 30% in 2022 However, many challenges that have existed since women first entered this field remain. A 2020 publication by the SAEM Academy for Women in Academic Emergency Medicine, outlines challenges faced by women in EM at various levels of training. They suggest that female physicians experience increased burnout, and female residents face challenges beyond those typical of residency. The authors propose
solutions to address some of these disparities, including mentorship and departmental wellness programs.
A survey distributed to emergency medicine residents and faculty at Rutgers New Jersey Medical School revealed that respondents identified a lack of time and insufficient opportunities to network and connect with others within the department. They also expressed a desire for more mentorship, opportunities to establish a sense of community, better work-life balance, and opportunities to drive institutional and departmental change.
In response to these concerns, we created the Women in EM Empowerment Initiative (WiEMpowerment), with funding from the Rutgers Health Joy at Work Mini-grant Program. This initiative aims to provide a space for all residents and faculty within the Department of Emergency Medicine to foster a sense of community and discuss issues pertinent to women in emergency medicine. The program includes a series of events centered on topics prioritized by the residents and faculty.
The first event was a pool party and barbecue, focusing on career development and transitioning into
“Through this initiative, we are working to create a more holistic, flexible, and inclusive environment for learning and practicing medicine in our emergency medicine program.”
new roles. The second event, held at a local farm, featured pumpkin picking and decorating, with a targeted discussion on overcoming barriers to establishing mentorship. The final event was a potting succulents and potluck gathering, with a conversation on enhancing work-life balance. These events were held in a relaxed, familyfriendly setting, with flexible activities that encouraged candid discussions. We also invited residents' and faculty members' support systems—such as partners, spouses, and children—to participate in the events to promote work-life integration.
Participants received reading material, including the articles “Gender Disparities in Academic Emergency Medicine: Strategies for the Recruitment, Retention, and Promotion of Women” and “Impact of Mentoring on Academic Career Success for Women in Medicine: A Systematic Review” along with a copy of “Real Self-Care” by Dr. Pooja Lakshmin, to
stimulate productive discussions.
A follow-up survey distributed to residents and faculty after the events indicated that small group discussions were particularly valuable. The events also contributed to a sense of wellbeing, supported by the creative and outdoor activities. Participants reported gaining an improved sense of work-life balance, increased connection to their community, stronger mentorship and networking opportunities, and guidance in their career development.
Given the success of this program, as well as the strong support from residents, faculty, and administration, we hope to continue and expand the WiEMpowerment initiative in the upcoming year.
Future plans include offering a selfdefense class, facilitating discussions on safety and support in the workplace, hosting guest speakers to share their experiences in emergency
medicine, and organizing additional smaller events throughout the year to foster networking and mentorship. These events will allow more participants to attend despite the erratic schedules typical of emergency medicine. Through this initiative, we are working to create a more holistic, flexible, and inclusive environment for learning and practicing medicine in our emergency medicine program.
Dr. Kaletski is an emergency medicine resident at Rutgers New Jersey Medical School. She earned her medical degree from Rutgers.
Dr. Ali is an emergency medicine resident at Rutgers New Jersey Medical School and a graduate of Boston University School of Medicine.
Dr. Wong is an assistant professor of emergency medicine in the division of pediatric emergency medicine at Rutgers New Jersey Medical School. She serves as clinical director of pediatric emergency medicine education for the residency, director of the pediatric emergency medicine student elective, and course director for pre-clerkship students.
Dr. Parris is an assistant professor of emergency medicine at Rutgers New Jersey Medical School. She completed a fellowship in medical toxicology at Emory University and the Centers for Disease Control and Prevention in Atlanta. She currently serves as director of clinical services for the division of medical toxicology at Rutgers.
By Kailee Pollock and Kevin Watkins, MD, on behalf of the SAEM Wilderness Medicine Interest Group
Frostbite, also known as freezing cold injury (FCI), occurs when skin and underlying tissues are exposed to freezing temperatures. It most commonly affects the distal extremities, such as fingers, toes, the nose, and ears, which are more vulnerable due to decreased insulation and reduced perfusion. The severity of frostbite is influenced by the ambient temperature, duration of exposure, and the extent of cellular damage.
As tissue temperatures fall below freezing, intracellular and extracellular crystals form, leading to electrolyte disturbances, dehydration, and protein and lipid denaturation. This ultimately causes endothelial cell damage and tissue death. Upon thawing,
inflammatory mediators—including thromboxane A2, prostaglandins, bradykinin, and histamine—are released, initiating a cascade of events that results in inflammation, edema, hyperviscous intravascular flow, and vasoconstriction. These changes contribute to microthrombi formation, progressive ischemia, and eventual necrosis.
Frostbite progresses through four pathological phases: pre-freeze, freeze-thaw, vascular stasis, and late ischemia. In the United States, frostbite injuries are classified by depth of tissue involvement:
• First-degree: Affects only the epidermis
• Second-degree: Involves the epidermis and part of the dermis
• Third-degree: Extends into subcutaneous tissue and possibly muscle
• Fourth-degree: Penetrates all skin layers and involves muscles, tendons, or bones
The Cauchy classification system, more commonly used in Europe, categorizes frostbite based on pathological severity into four degrees. First-degree frostbite involves distal fingers and toes without cyanosis. Fourth-degree frostbite includes cyanotic injuries or hemorrhagic blisters that extend into the proximal phalangeal joints. The risk of amputation increases with the severity of the injury.
Frostnip, a superficial, nonfreezing cold injury, often precedes frostbite
and creates favorable conditions for it to occur.
Underlying comorbid conditions, trauma, and moderate to severe hypothermia should be addressed before initiating treatment for frostbitten extremities. Initial management includes removing constrictive clothing and jewelry, immersing the affected area in warm water, providing hydration to prevent hypovolemia, administering nonsteroidal anti-inflammatory drugs (NSAIDs), applying aloe vera, and performing appropriate wound care.
Rewarming typically takes 30 to 60 minutes and should be done using gently circulating warm water. Betadine may be added to the bath. Because thawing can be extremely painful, aggressive pain control is essential to avoid interrupting the process.
Once rewarming is complete, the extremities should be reassessed to determine the severity of injury. Although no studies currently support the routine use of prophylactic antibiotics, they may be considered in grade 3 or 4 injuries.
Aspirin has traditionally been used for pain management, but it is now largely replaced by ibuprofen. This shift is due to aspirin’s theoretical inhibition of prostacyclin, which may hinder healing.
Grade 1 injuries can typically be managed with supportive care alone.
Grade 2 injuries are also usually treated conservatively; however, clear blisters may be aspirated, as the fluid contains thromboxanes that can worsen tissue damage. Grade 3 and 4 injuries may require angiography and thrombolysis with tissue plasminogen activator (tPA), or evaluation with a technetium bone scan.
Until recently, thrombolytics and amputation were the only options available in the United States for treating severe frostbite. Iloprost, a prostacyclin analog used in Europe and Canada with varying success, was recently approved in the United States. It appears especially useful for patients who are candidates for thrombolytics but have contraindications—such as those taking direct oral anticoagulants (DOACs).
Unlike tPA, iloprost does not require radiologic intervention and can be administered on a general hospital floor, offering a more accessible alternative for frostbite treatment.
Iloprost (Aurlumyn®) is a prostacyclin mimetic approved by the FDA on Feb. 13, 2024, for the treatment of severe frostbite in adults to reduce the risk of digit amputation. It is the first medication approved in the United States specifically for frostbite injuries.
Iloprost was originally approved in 2004 for pulmonary arterial hypertension (PAH), and has since been used for conditions such as scleroderma, Raynaud phenomenon, and chronic critical limb ischemia caused by atherosclerosis or Buerger’s disease.
As a prostacyclin (PGI2) analog, iloprost works by activating adenylate cyclase, which increases intracellular cyclic AMP (cAMP), resulting in vasodilation and inhibition of platelet aggregation.
Iloprost is available in both intravenous (IV) and nebulized formulations, but only the IV formulation is indicated for severe frostbite. The recommended administration is a six-hour IV infusion daily for up to eight days. Dosing should be titrated to the highest
tolerated dose based on the patient's actual body weight (kg). A lower starting dose is advised for patients with significant liver disease.
For patients with renal impairment (eGFR <30 mL/min), dosing should be titrated up to the maximum tolerated dose. If the initial dose is not tolerated, a lower starting dose may be necessary.
Due to its vasodilatory effects, common side effects include dizziness, headache, and hypotension. If hypotension persists despite corrective measures, dose reduction may be considered.
There is currently insufficient data to provide dosing recommendations for pregnant or lactating individuals, as well as for pediatric and geriatric populations.
A study conducted in France evaluated amputation rates among 47 patients with stage 3 or 4 frostbite affecting a single digit. The study compared two treatments: iloprost and buflomedil, a vasodilator with platelet and alpha-adrenergic inhibition properties that is not available in the United States. Iloprost significantly reduced amputation rates compared to buflomedil (0% vs. 60%, p < 0.001). When combined with rtPA, iloprost also showed a lower amputation rate than buflomedil alone (19% vs. 60%, p < 0.03).
Kailee Pollock is a third-year medical student at Ohio Heritage College of Osteopathic Medicine and a clinical pharmacist at Cleveland Clinic Akron General. She is interested in pursuing an emergency medicine residency, serves on the research committee for the Wilderness Medical Society, and is a Wilderness Life Support for Medical Professionals instructor.
Dr. Watkins is core faculty at Cleveland Clinic Akron General, where he serves as director of wilderness medicine and is ultrasound faculty. He is also vice chair of the Society for Academic Emergency Medicine Wilderness Medicine Interest Group and a Wilderness Life Support for Medical Professionals instructor.
By Negin Ceraolo, MD, MS, and Kevin Watkins, MD, on behalf of the SAEM Wilderness Medicine Interest Group
Prevention and management of insect bites are primary concerns for both adventurers and medical professionals in wilderness medicine. While typically harmless, insect bites can carry many health risks, including allergic reactions and the transmission of life-threatening diseases. Insect repellents have become an invaluable tool in wilderness medicine, especially in remote areas with limited medical care.
Several vectors responsible for disease transmission are worth mentioning:
1. Mosquitoes: In the United States, mosquitoes are known carriers of multiple infectious diseases, primarily West Nile virus. In tropical areas, they transmit diseases like dengue and malaria. Some infections once considered tropical have spread to the U.S.
2. Ticks: Ticks can transmit diseases such as Lyme disease, Rocky Mountain spotted fever, alphagal syndrome, tick paralysis, and tick-borne encephalitis. If left untreated, some of these can lead to chronic health problems.
3. Flies: Flies can cause irritation, allergic reactions, and secondary infections. In some regions, flies may also transmit diseases like leishmaniasis or African sleeping sickness.
4. Other Insects: Insects like ants, fleas, and chiggers can cause discomfort and irritation. Stings from insects like fire ants can lead to allergic reactions. Though these insects are not typically major vectors for diseases, their bites should not be ignored in wilderness survival contexts.
Insect repellents come in various forms, including sprays, creams, and lotions, and their active ingredients
“Insect repellents have become an invaluable tool in wilderness medicine, specifically in remote areas with limited medical care.”
can vary. The choice of repellent depends on the type of insect being targeted, the geographical region, and the individual’s specific needs. Physical barriers—such as long pants, long-sleeved shirts, socks, hats, and boots—are another primary means of protection. Protective shelters and bed nets can also be used to prevent insect access. Synthetic repellents are another key form of protection, discussed in detail below.
1. DEET (N,N-Diethyl-meta-toluamide) DEET, the most widely known synthetic insect repellent, was developed by the U.S. Army in 1946 and has been used extensively since. It is effective against a wide range of insects, including mosquitoes, ticks, fleas, and biting flies. DEET is the active ingredient in many commercial insect repellents, available in concentrations ranging from 5% to 100%. The cost varies from $5 to $25, depending on the concentration.
DEET works by interfering with the insect’s ability to detect humans. It masks the chemical signals (such as carbon dioxide and body odors) that attract insects to us. Mosquitoes and other insects rely on their sense of smell to find hosts, and DEET confuses these sensors, preventing them from locating humans to bite.
Effectiveness:
• DEET is highly effective and offers long-lasting protection against mosquitoes and other biting insects.
• Higher concentrations provide longer protection. Products containing 30% to 50% DEET offer up to 6 hours of protection.
• It is widely recommended by health organizations, including the Centers for Disease Control and Prevention
(CDC), especially in areas with high mosquito-borne disease risk.
• Generally proven to be safe during pregnancy, with concentrations of 30% or less recommended for pregnant individuals.
• Safe for children aged 2 months and older, with concentrations of 30% or less recommended.
Pros:
• Proven safety and effectiveness.
• Works against a wide range of insects.
• Provides long-lasting protection, especially with higher concentrations.
Cons:
• Some individuals may experience skin irritation or allergic reactions.
• DEET can damage synthetic fabrics, including nylon and plastics used in outdoor gear like tents and backpacks.
• The smell is often considered unpleasant.
• Overuse or high concentrations may be unnecessary for typical outdoor activities.
Picaridin is a synthetic repellent introduced in the 1990s as a DEET alternative. It has become popular due to its safety profile and ease of use. Picaridin is found in various repellent formulations, including sprays, lotions, and wipes. It is available in concentrations from 5% to 20%, with prices ranging from $5 to $15 depending on the concentration. Higher concentrations do not significantly improve protection beyond 20%.
Picaridin works by disrupting insects' ability to detect human
presence and mimics the insectrepelling properties of pepper plants, specifically piperine, a compound in black pepper.
Effectiveness:
• Highly effective against mosquitoes, ticks, and other biting insects.
• Provides up to 8 hours of protection, depending on concentration (typically 10% to 20%).
• Effective against mosquitoes transmitting diseases like West Nile virus and Zika, as well as ticks carrying Lyme disease.
• Safe during pregnancy, with concentrations of 5% to 20% recommended for short periods.
• Safe for children aged 2 months and older, with concentrations of less than 20% recommended.
Pros:
• Less likely to cause skin irritation or allergic reactions compared to DEET.
• More pleasant scent and feel, nongreasy with no strong odor.
• Does not damage clothing, gear, or plastics.
• Long-lasting protection with fewer reapplications than other natural repellents.
Cons:
• Slightly less effective than DEET in areas with high insect density or extreme outdoor conditions.
• Caution is needed with children or prolonged exposure.
3. IR3535 (Ethyl Butylacetylaminopropionate)
Developed in the 1970s and used widely in Europe, IR3535 has been approved by the U.S. Food and Drug
“Synthetic insect repellents provide and effectiveness, particularly in looking to stay safe
provide reliable protection in terms of duration in high-risk areas, and are a key tool for anyone safe and comfortable outdoors.”
continued from Page 137
Administration (FDA) as a safe and effective repellent for mosquitoes, ticks, and other insects. It works by mimicking natural animal defenses, making it less detectable to insects. It confuses the sensory receptors of mosquitoes, ticks, and flies, preventing them from finding and biting humans.
Effectiveness:
• Provides moderate to long-lasting protection (up to 8 hours) against mosquitoes and other biting insects.
• Particularly effective in preventing mosquito bites that can lead to diseases like West Nile virus and malaria.
Pros:
• Very safe for use on skin, even for children (often included in children’s insect repellents).
• Non-greasy and odorless or has a very mild scent.
• Does not damage clothing or outdoor gear.
• Mild on the skin, making it suitable for sensitive skin types.
Cons:
• Less effective than DEET in high insect populations.
• May require more frequent reapplication than DEET in certain conditions.
• Less widely available in the U.S. compared to DEET or Picaridin.
4. Permethrin
Permethrin is a synthetic repellent and insecticide derived from chrysanthemum flowers. It is typically used to treat clothing, tents, and gear,
rather than being applied directly to the skin. It is highly effective against mosquitoes, ticks, fleas, and other pests. Permethrin works by disrupting the nervous system of insects, preventing their ability to move, feed, and reproduce, ultimately killing them. When applied to clothing or gear, it provides long-lasting protection by repelling and killing insects on contact.
Effectiveness:
• Permethrin-treated clothing provides long-lasting protection against ticks, mosquitoes, and other insects (up to 6 weeks or more).
• Especially useful for outdoor activities like hiking, camping, and hunting.
• Kills ticks and mosquitoes on contact, making it useful in areas where Lyme disease and other tickborne diseases are prevalent.
Pros:
• Offers long-lasting protection when used on clothing and gear.
• Effective against both mosquitoes and ticks.
• Remains effective even after several washes.
• Safe for use on outdoor gear, tents, and fabrics.
Cons:
• Should not be applied directly to the skin, only on clothing or gear.
• Requires time to dry and bond to fabrics after application.
• More hassle for users who prefer direct application methods.
5. Allethrin
Allethrin is a synthetic pyrethroid used in aerosol insect repellents, coils, and other indoor products. It is effective
against mosquitoes and is often used in combination with other repellents for comprehensive protection. As a pyrethroid, allethrin affects the nervous system of insects, leading to paralysis and death. It is often used in products like mosquito coils, foggers, and sprays designed to eliminate insects in enclosed spaces.
Effectiveness:
• Effective in enclosed spaces, providing short-term protection from mosquitoes and other flying insects.
• Less effective in outdoor or highwind environments where the active ingredients dissipate quickly.
Pros:
• Effective indoors, especially in homes, patios, or tents.
• Safe for use indoors when product instructions are followed.
Cons:
• Less effective outdoors, particularly in high-wind areas or large insect populations.
• May not provide long-lasting protection compared to other insect repellents.
• The odor can be strong, which some users find unpleasant.
Conclusion
Synthetic insect repellents provide reliable protection in terms of duration and effectiveness, particularly in highrisk areas. They are an essential tool for anyone seeking to stay safe and comfortable outdoors.
Dr. Ceraolo is an emergency medicine resident physician currently training at Cleveland Clinic Akron General Medical Center.
Dr. Watkins is core faculty at Cleveland Clinic Akron General, where he serves as director of wilderness medicine and is ultrasound faculty. He is also vice chair of the Society for Academic Emergency Medicine Wilderness Medicine Interest Group and a Wilderness Life Support for Medical Professionals instructor.
This year, we are making SAEM Foundation (SAEMF) history with an investment of more than $1 million in grants to support the brightest researchers and educators in emergency care. This milestone is only possible because of SAEM’s generous $1 million investment in SAEMF that was committed in 2024 and the unwavering support of SAEM member donors. The demand for grant funding is surging—grant applications have grown by more than 50% for each of the last two
cycles, and we expect even more this year. Without increased support, too many promising projects will go unfunded. We need your help now to sustain this momentum and ensure the next generation of groundbreaking ideas becomes reality. Donate today to help fund more emergency care research and education grants to inspiring future EM research leaders like this year’s grantees.
Katrina Muraglia, MD, PhD
Regents of the University of Michigan
Research Training Grant – $300,000
Mechanism of Thermal Injury After a Heat-Based Therapy for Central Line Infection
Anita Chary, MD PhD
Baylor College of Medicine
Large Project Grant – $150,000
An Intervention to Engage Older Adults in Emergency Department Admission Decisions
Brandon Maughan, MD, MHS, MSHP
Oregon Health & Science University (OHSU)
Large Project Grant – $150,000
Improving Pulmonary Embolism Diagnosis With Sex-Specific D-Dimer Screening
Michael Gottlieb, MD
Rush University Medical Center
Emerging Infectious Disease and Preparedness Grant – $99,960
Genomic Surveillance to Identify Emerging Pathogens via Air Sampling
Brandon Kappy, MD, MPP
Children’s National Hospital
SAEMF/ED Benchmarking Alliance Clinical Operations Research Grant –$50,000
Classifying Pediatric Emergency Department Resource Use for Split Flow Operational Improvements
Mario Camacho, MD
Denver Health and Hospital Authority
SAEMF ARMED Pilot Grant - $25,000
Prehospital Patients With a Preference for a Language Other Than English: A Mixed Methods Study
Martin F. Casey, MD, MPH
University of North Carolina at Chapel Hill
GEMSSTAR for Emergency Medicine Supplemental Funding Program - $25,000
Developing a Foundation for a Novel Emergency Department-Based Intervention to Address Inappropriate Aspirin
Nicholas Pokrajac, MD
Stanford University
SAEMF ARMED MedEd Pilot Grant - $25,000
Motivations and Barriers of Emergency Physicians Maintaining Procedure Skills
Elizabeth S. Jacobs, MD
Rhode Island Hospital
SAEMF Education Project Grant - $20,000
Development of Key Objectives and Best Practices for Training
Emergency Medicine Residency Graduates Completing a Pediatric Emergency Medicine (EM2PEM) Fellows
Ashley C. Rider, MD MEHP
Stanford University
SAEMF Education Project Grant - $20,000
Electronic Health Record Data for Assessment of Residents’ Clinical Efficiency
Marta Rowh, MD, PhD
Emory University
SAEMF Education Project Grant - $20,000
Identifying Sex-Based Cardiovascular Health Inequities in Medical Education Using Natural Language Processing
Rebecca Theophanous, MD, MHSc
Duke University
SAEMF Education Project Grant - $20,000
Emergency Physician Ultrasound-Guided Nerve Block Training
Simulation Assessment
Arthur Jurao, MD
Hennepin Healthcare Research Institute
SAEMF/MTF Toxicology Research Grant - $19,536
Effect of High-Dose Insulin in a Porcine Model of Amlodipine-Induced Toxicity
Samita Heslin, MD, MBA, MPH, MA, MS
Stony Brook University - The Research Foundation for the State University of New York
SAEMF Geriatric Emergency Medicine Research Catalyst Grant made possible by Michelle Blanda, MD – $10,000
Artificial Intelligence Medication Reconciliation for Older Adults in the Emergency Department
Rachel Shing, MD
Boston Medical Center Health System
SAEMF/AEUS Research Grant - $10,000
Tele-Ultrasound for Low- and Middle-Income Country Point-of-Care
Ultrasound Training: Learning Curves and Posttraining Use
Derek Lubetkin, MD
Maine Health - Pen Bay Medical Center
SAEMF/GEMA Research Pilot Grant - $10,000
Understanding Barriers and Opportunities of a Rural Nepal Police-Based Basic Life Support Program
Walid Farooqi, MBBS
Weill Medical College of Cornell University
SAEMF/GEMA Research Pilot Grant - $10,000
Analyzing Bystander Intervention for Cardiac Arrest in a Low-Middle Income Country
Elaine Hsiang, MD
Stanford University
SAEMF/ADIEM Research Grant - $6,000
Emergency Department Avoidance and Hesitancy to Seek Care Among LGBTQ+ Young Adults
Rebecca Barron, MD, MPH
Baystate Medical Center
SAEMF/AWAEM Research Grant - $5,000
Influence of a Sexual Assault Curriculum on TeleSAFE’s Efficacy
Robert Tennill, MD
Board of Trustees of Southern Illinois University
SAEMF/CDEM Innovations in Undergraduate Emergency Medicine Grant – $5,000
Exploring Factors that Contribute to Future Placement into Rural Emergency Medicine
John Gaillard, MD
Dominique Gelmann, MD
Wake Forest University Health Sciences
SAEMF/Simulation Academy Novice Research Grant – $4,920
Using Simulation to Improve Extracorporeal Cardiopulmonary Resuscitation Utilization and Initiation in the Emergency Department
Gabrielle Zuniga, MD, PhD
The University of Texas Health Science Center at San Antonio
SAEMF/RAMS Resident Research Grant - $5,000
The David E. Wilcox, MD, FACEP Scholarship Recipient - $1,250
Assess the Efficacy and Target Engagement of 3TC After Traumatic Brain Injury
Manoj Arra, MD, PhD
The Washington University
SAEMF/RAMS Resident Research Grant - $5,000
Characterizing Time of Day Variation in Human Neutrophil Inflammation and Metabolism
Sean Brown, MD, MBA, ScM
Mass General Brigham
SAEMF/RAMS Resident Research Grant - $5,000
Gender Disparities in Point-of-Care Ultrasound
Samuel Chiacchia, MD
Stanford University
SAEMF/RAMS Resident Research Grant - $5,000
NextGen Artificial Intelligence for Predicting Organ Support Needs From the Emergency Department
Hannah Edelson, MD, MPH
The Regents of the University of California, Los Angeles
SAEMF/RAMS Resident Research Grant - $5,000
Measuring Emergency Physician Attitudes and Adoption of Syphilis and Human Immunodeficiency Virus Testing
Sara Hurley, MD
The Ohio State University
SAEMF/RAMS Resident Research Grant - $5,000
Elder Mistreatment Radiographic Biomarkers in Emergency Department Patients With Rib Fractures
William Reis, MD, MS
University of Pennsylvania
SAEMF/RAMS Resident Research Grant - $5,000
Pulseless Electrical Activity in Out-of-Hospital Cardiac Arrest: Understanding Etiologies and Outcomes
Carter Gottschalk
Virginia Polytechnic Institute and State University
SAEMF/RAMS Medical Student Research Grant - $2,500
The David E. Wilcox, MD, FACEP RAMS Medical Student Research Scholarship - $1,250
Effects of Cardiac Monitoring in Perceived Stress of Unexplained Syncope Patients
Carlisle Topping
Yale University
The Ali and Danielle Raja RAMS Medical Student Grant and Scholarship Recipient – $4,405
What You See Is What You Learn: National Variation in Emergency Medicine Residency Environments
Adhitya Balaji
Trustees of Indiana University
SAEMF/RAMS Medical Student Research Grant - $2,500
Integration of Simulation Into Rapid Sequence Intubation Training for Advanced Life Support/Basic Life Support Paramedics
Katarina Ho
Brown University
SAEMF/RAMS Medical Student Research Grant - $2,500
Use of Intubation Kits With Checklists to Reduce Intubation Risks in Rwanda
Jude Luke
University of Cincinnati College of Medicine
SAEMF/RAMS Medical Student Research Grant – $2,481
ACED (A1C Check in ED): An Emergency Department Diabetes Screening and Linkage to Care
EMF/SAEMF Medical Student Research
Grantees - $5,000
To be announced, Summer 2025
Emergency Medicine Interest Group
Grantees - $1,000
To be announced, Summer 2025
The Society for Academic Emergency Medicine
Foundation (SAEMF) offers a wide variety of funding opportunities for emergency medicine researchers at all training levels and with diverse research interests. These grants range from small awards designed to supplement educational or travel expenses to substantial funding for large projects and advanced research training to support career advancement.
Several grants are also offered through SAEM’s academies and interest groups, focusing on specific topic areas within emergency medicine. Each grant includes eligibility criteria and awardee expectations outlined in its corresponding request for applications (RFA). All RFAs and the grant submission portal are available at SAEM.org/foundation.
Once you have identified the grant that aligns with your career goals or project focus, the next step is crafting a compelling proposal. A successful application demonstrates your expertise and convinces reviewers of your ability to execute your plan effectively.
Use clear and concise language. While reviewers are likely to have some background in emergency medicine, they may not be familiar with your specific topic or the key concepts related to your proposal. When writing your background and specific aims, assume the reviewers have no prior knowledge of your subject area. Your writing should be accessible to someone outside your field—clearly explaining what you plan to do, why it matters, and how it will make a meaningful contribution to emergency medicine.
Although your passion for the topic is important, it’s equally important to present your ideas in a clear, focused, and succinct manner—staying within the page limits outlined in the request for applications (RFA). Proposals that are overly wordy or filled with technical jargon can obscure the key elements reviewers need to evaluate your submission effectively.
Reviewers want to see a well-defined plan that includes methodology, protocols, data management strategies, timelines, and project workflows. Describe how you will turn your idea into reliable, reproducible results, and, if applicable, explain how you intend to use the data you collect. Be sure your plan is feasible within the timeframe specified in the request for applications (RFA). If your project involves additional team members
July 1
5 May 8 Foundation starts accepting applications
December
Acceptance Letters Sent
4
2
August 15 Applications due October Applications reviewed
3
or a mentor, explain their roles and why they are wellsuited to support the work. A clear, detailed approach gives reviewers confidence in your ability to deliver results and in the potential return on investment if your project is funded.
Address the specific requirements of the RFA
Members of the SAEM Grants Committee volunteer to review all SAEMF grant applications. Each submission Grants Timeline 1
Funding Begins continued on Page 148
Each SAEM Foundation grant has a defined purpose, along with expectations and eligibility criteria for the applicant. Clearly explain how your proposal aligns with the grant’s purpose and confirm that you meet the eligibility criteria at the start of the funding cycle and for the full duration of the award. Pay close attention to these details, especially if you are a medical student or fellow with a limited training period. Make sure to address these specifics in your proposal. Demonstrating that you have thoroughly reviewed the RFA will show reviewers why you and your project are the best fit for the funding.
“Your writing should be accessible to someone outside your field—clearly explaining what you plan to do, why it matters, and how it will make a meaningful contribution to emergency medicine.”
continued from Page 147
is evaluated across several domains:
• Significance of the proposal
• Investigator qualifications
• Innovation
• Approach and methodology
• Research environment
Each application is also scored for overall impact, which is independent of the other criteria. Some topicspecific grants may include additional areas for review.
An ideal, high-scoring grant application presents an innovative, impactful idea supported by a clear methodology. It is proposed by someone with the appropriate credentials to address the topic and the necessary resources to complete the project within the designated funding cycle. However, most grant applications are not ideal and may have some weaknesses. Proposals with too many low-scoring sections or obvious flaws may be excluded from full discussion by the subcommittee. That said, many less-than-perfect applications can still be fully reviewed if they effectively address their weaknesses and present strong information in other areas. For example, if the applicant lacks significant experience in the proposed topic, including a subject area expert as a mentor can be helpful (some SAEM Foundation grants require a mentor). A well-chosen mentor can enhance the perception of the application and help junior investigators avoid a low screening score due to lack of experience. Similarly, a project proposed in a resourcelimited environment can still score highly if the plan is innovative, methodologically strong, and led by a highly qualified investigator.
Ultimately, reviewers are looking for a well-thoughtout proposal that aligns with the specific goals of the grant as outlined in the RFA and demonstrates the
highest potential for making a significant impact in the field. Since funding is limited, reviewers aim to identify the proposal with the greatest likelihood of success and meaningful impact if awarded.
Each application is scored on a standardized scale from 1 to 9 in each domain, with 1 being the highest and 9 the lowest. A score of 5 is considered average.
SAEM Grants Committee members are assigned to topic-based subcommittees, each led by a chair with relevant expertise. Members must disclose any conflicts of interest before reviewing applications.
Each application is reviewed by three members of the grant topic's subcommittee, who score the proposal both overall and by specific criteria as the primary, secondary, and tertiary reviewers. The scores from these three reviewers are averaged to determine which proposals will be fully presented and discussed by the subcommittee. Proposals that do not meet the minimum score threshold in the initial review are excluded from further discussion by the subcommittee. Each topic subcommittee meets to discuss the applications that passed the initial screening threshold. The Grants Committee follows a similar process to the NIH and other federal agencies. For a deep dive into what occurs during study section, take a look at the NIH Peer Review: Mock Study Section video. It is insightful.
Each grant proposal that is fully discussed by its subcommittee will receive a detailed score breakdown and reviewer rationale after the review process is complete. This feedback offers applicants valuable insight into how their proposal was evaluated and why it was or was not selected for funding. Applicants who do not receive funding are encouraged to use this information to strengthen their proposals for future submission cycles. The SAEM Grants Committee looks forward to receiving your proposals by August 1!
Submitted by Adrienne Malik, MD, on behalf of the SAEM Grants Committee
Residency and Fellowship Programs: Recruit Top Candidates — All in One Place!
Maximize your recruitment impact by participating in the SAEM RAMS Virtual Residency & Fellowship Fair, July 21-24, 2025. While the in-person event is sold out, you can still take advantage of this virtual event to meet hundreds of qualified candidates during 50-minute interactive Zoom sessions. These sessions offer a cost-effective, time-saving way to showcase your program, highlight what makes it unique, and connect with future residents and fellows. Gain valuable insights into candidate fit through live Q&A and real-time engagement. Don’t miss this opportunity to streamline your recruitment efforts and stand out to top medical students and residents. Celebrating Emergency Medicine Investigators Securing Federal Grants!
SAEM and the Association of Academic Chairs of Emergency Medicine (AACEM) applaud the dedication and perseverance of emergency medicine investigators who have recently secured federal grants despite the current challenging funding landscape. To view a list of the newest awardees in emergency medicine, visit our website
Nominate a Senior Medical Student for Outstanding Achievement in EM
Recognize a senior medical student excelling in emergency medicine by nominating them for the prestigious "Excellence in Emergency Medicine Award." Each medical school may nominate one student who demonstrates outstanding achievements in the specialty. Award recipients receive a certificate and a complimentary one-year SAEM
membership, unlocking benefits like leadership opportunities, career resources, educational tools, and more. Don’t miss this chance to honor and support future leaders in academic emergency medicine. Click here for details and to submit your nomination!
SAEM Journals Announce the Appointment of Resident and Fellow Editors for the 20252026
Congratulations to newly elected residents Connor Bunch, MD (Henry Ford Hospital), and Dee Luo, MD (Maimonides Emergency Medicine), who will serve as resident editors for the editorial board of Academic Emergency Medicine (AEM) and fellows Natasha Aguirre, MD (University of Colorado Anschutz Medical Campus), and Juhi Varshney, MD (Emory University School of Medicine), who will serve as fellow editors for the editorial board of Academic Emergency Medicine
Education and Training (AEM E&T)
Chosen from a highly competitive pool of applicants, these editors will gain valuable experience serving on the editorial board of a peer-reviewed journal while receiving mentorship and hands-on training in peer review, editing, and journal publishing.
The March issue of Academic Emergency Medicine explores the complex science of errors in emergency care, with a focus on diagnostic error. This special issue moves beyond blame to examine the multifaceted causes of errors — cognitive biases, knowledge gaps, communication breakdowns, and systems-based factors. Notably, this is AEM’s largest issue ever, featuring contributions from leading experts
in the field. Don›t miss this essential read on advancing patient safety in emergency medicine!
The special issue dedicated to the science of errors in emergency care is supported by the Agency for Healthcare Research and Quality (AHRQ)
SAEM Journals Announce Outstanding Peer Reviewers
The editors-in-chief of Academic Emergency Medicine (AEM) and Academic Emergency Medicine Education and Training (AEM E&T) journals have announced the AEM Outstanding Peer Reviewers for 2024 and the AEM E&T Outstanding Peer Reviewers for 2024. These exceptional peer reviewers are essential to presenting the high-quality academic contributions that fill the pages of our journals each month. The Outstanding Peer Reviewer designation is given annually to peer reviewers who meet specific criteria for excellent performance. Congratulations to all our 2024 Outstanding Peer Reviewers!
Research Grants (R01, U01)
February 5, June 5, October 5
Research Career Development (K series)
February 12, June 12, October 12
Other Research Grants (R03, R21, R33, R21/R33, R34, R36, U34, UH2, UH3, UH2/UH3)
February 16, June 16, October 16
For other grants not listed visit Standard NIH Deadlines
continued on Page 150
continued from Page 149
Upcoming Webinars Offer Key Insights in Emergency Medicine
A variety of insightful webinars are scheduled in the coming months— be sure to mark your calendar and check back often as new sessions are added. Visit the SAEM Webinar Library to explore the full lineup of live and recorded presentations on important topics in academic emergency medicine.
Featured webinar libraries:
• Research Learning Series (RLS)
• Academy of Emergency Ultrasound
Registration Open for the 2025 Southeastern Regional Meeting, July 12
Mark your calendar and join us for the 2025 Southeastern Regional Meeting on July 12 at the University of Central Florida Student Union in Orlando, Florida. Program highlights include an "EM Madness" competition, top abstracts presentation, keynote address, and more! This free event provides emergency medicine residents and faculty with a platform to showcase their research and scholarly activity in a collaborative environment that promotes professional growth and academic excellence. Registration is open!
SAEMF Grant Applications Open May 8
Each year, the SAEM Foundation (SAEMF), in collaboration with SAEM, awards grants to universities and medical schools to support innovative research and education in emergency medicine. To date, SAEMF and SAEM have invested more than $14.5 million in funding for over 600 emergency medicine academicians.
This year, SAEMF expects to award approximately $1 million—or more—in grants to SAEM members for career development and to advance solutions to critical challenges in emergency medicine. To be eligible, proposed projects must fall within one of the grant categories listed below and align with the missions of SAEM and SAEMF.
Apply by 5 p.m. CT on August 1, 2025:
• Research Training Grant—$300,000
• Research Large Project Grant—$150,000
• Education Research Training Grant—$100,000
• SAEMF Emerging Infectious Disease and Preparedness Grant—Up to $100,000
• SAEMF/ED Benchmarking Alliance Clinical Operations Research Grant—$50,000
• SAEMF ARMED Pilot Grant—$25,000
• SAEMF ARMED MedEd Pilot Grant —$25,000
• Education Project Grant (EPG) —$20,000
• Geriatric Emergency Medicine Research Catalyst Grant, Supported by Michelle Blanda, MD—$10,000
• SAEMF/Clerkship Directors in Emergency Medicine Innovations in Undergraduate Emergency Medicine Education Grant —$8,000 (increased funding this cycle)
• MTF/SAEMF Toxicology Research Grant—$20,000
• SAEMF/Academy of Emergency Ultrasound Research Grant—$10,000
• SAEMF/Global Emergency Medicine Academy Research Pilot Grant—$10,000
• SAEMF/Academy for Women in Academic Emergency Medicine Research Grant—$10,000
• SAEMF/Simulation Academy Novice Research Grant—$5,000
• SAEMF/Academy for Diversity and Inclusion in Emergency Medicine Research Grant—$6,000
Thanks to the visionary philanthropy of several of our longtime donors, RAMS applicants will be considered for special opportunities that will support their research and career development, and elevate the funding they receive from SAEMF: The Ali and Danielle Raja RAMS Medical Student Research Grant and Scholarship Encourages more medical students from all backgrounds to pursue careers in academic emergency medicine research.
The David E. Wilcox, MD, FACEP Endowed Scholarships Elevates funding for RAMS Resident and RAMS Medical Student Research Grants and recognizes excellence. Scholarships will be awarded to the highest scoring RAMS Resident Research Grant and RAMS Medical Student Research Grant recipients.
• SAEMF/Resident and Medical Students Research Grant and Scholarship—$2,500–$5,000
• The Ali and Danielle Raja RAMS Medical Student Research Grant and Scholarship—$2,500 plus scholarship to defray costs of participation as a Medical Student Ambassador at the SAEM’s Annual Meeting
• The David E. Wilcox, MD, FACEP Endowed Scholarships—$1,250 bestowed upon the highest scoring RAMS Resident and RAMS Medical Student Research Grant recipients annually.
Not all categories are offered every year.
A recent article in Academic Emergency Medicine, titled “Estimating the Size and Scope of the Academic Emergency Physician Workforce,” estimates that 43.5% of emergency physicians in the United States are affiliated with at least one facility where emergency medicine residents train. According to data from the Association of American Medical Colleges, 18,268 residents completed training in the past decade, with 11.96% of them becoming junior faculty with fulltime faculty appointments through U.S. medical schools. Many of these early-career educators and attendings—who work with residents but are not employed by academic institutions—seek professional development resources to improve their teaching skills. A PubMed search of “clinical teaching in the emergency department” from 2014-2024 yields 21,037 results, including over 1,000 articles on resident feedback published in the past year alone. With such a vast amount of content available, it is difficult to identify a singular, highquality resource or comprehensive curriculum. To address this gap, SAEM developed a solution: The Teaching On-Shift in Emergency Medicine toolkit.
In 2023, the SAEM Education Committee was tasked with organizing bedside education resources for non-academic and new clinical faculty. A subcommittee conducted a needs assessment, reviewing existing resources and compiling a centralized list. Based on this assessment, the committee developed a faculty development series targeting these learners. The toolkit was
organized around five key themes: general principles, approaches to novice and experienced learners, teaching techniques, and teaching procedures. Five short lectures were created for each theme, along with optional educational activities and handouts to reinforce the topics. All materials underwent an iterative review process by the committee. The final toolkit was completed by the 2024 SAEM Annual Meeting. A new subcommittee was formed to facilitate distribution, and the modules were reviewed by a panel of nationally recognized education experts, many of whom serve in leadership roles within SAEM. Feedback from these experts was incorporated into the final product.
Module 1: General Principles
This module introduces essential education principles relevant to all educators. It offers a foundational overview of education theory, focusing on practical concepts that will be applied throughout the other modules.
Teaching novice learners can be rewarding but challenging, as they are still building their knowledge base. This module helps educators identify novice learners, define their educational goals, and apply effective teaching methods tailored to this group.
Experienced learners pose unique challenges, as many educational strategies are designed for more junior learners. This module defines the experienced learner and discusses specific goals for this
group, offering three educational strategies to apply at the bedside with real-world examples.
Module 4: Teaching Techniques
This module covers four general teaching techniques suitable for learners at all levels. For each technique, learners are provided with tips on when to use it, as well as pearls and pitfalls to enhance success.
Module 5: Procedural Skills
Teaching procedures in a busy emergency department can be challenging. This module moves beyond the traditional “see one, do one, teach one” approach and presents two effective frameworks for teaching procedures in clinical practice.
Maximizing the Toolkit’s Use
The “Teaching On-Shift” toolkit was designed with flexibility in mind. It can supplement existing department programs or be used independently by individual faculty members. The toolkit is useful for junior faculty to enhance bedside teaching skills, for mid-career and senior faculty to maintain teaching proficiency, and for onboarding new educators in emergency medicine. Program directors may also share these resources with faculty needing educational remediation based on learner evaluations. As clinical rotations expand to include satellite or community-based faculty, this toolkit can be shared to ensure consistent, high-quality education across diverse clinical settings. Submitted by Brian Milman, MD; Sarah Dunn, MD, MPP; and Kathleen S. Williams, MD, on behalf of the SAEM Education Committee.
President
Michelle D. Lall, MD, MHS
President-Elect
Jody A. Vogel, MD, MSc, MSW
Secretary-Treasurer
Ava E. Pierce, MD
Immediate Past President
Ali S. Raja, MD, DBA, MPH
Members-at-Large
Pooja Agrawal, MD, MPH
Cassandra A. Bradby, MD
Jeffrey P. Druck, MD
Ryan L. LaFollette, MD
Nicholas M. Mohr, MD, MS
Bryn E. Mumma, MD, MAS
Chair Member
Jane H. Brice, MD, MPH
Resident Member
Patricia Hernández, MD
President
Daniel Jose Artiga, MD
Secretary-Treasurer
Lauren Diercks, MD
Immediate Past President
Emily (Ly) Cloessner, MD, MSPH
Members-at-Large
Jared A. Escobar, MD
Alison Bonner, MD
Mel Ebeling
Ethan Grant, MD
Indrani Guzmán Das, MD
Juliet Jacobson, MD
Sara Schulwolf
Eileen Williams, MD
Medical Student
Representatives
John Hennessy
Carlisle Topping
President
Ian B.K. Martin, MD, MBA
President-Elect
Mary E. Tanski, MD, MBA
Secretary-Treasurer
Susan B. Promes, MD, MBA
Immediate Past President
Jane H. Brice, MD, MPH
Members-at-Large:
Andra L. Blomkalns, MD, MBA
Angela M. Mills, MD
The 2025-2026 SAEM leadership will officially assume office at SAEM25 in Philadelphia, Pennsylvania.
Watch for the full announcement of the 2025-2026 SAEM Academy leadership in the July–August issue of SAEM Pulse.
SAEM Foundation Board of Trustees
President
Zachary F. Meisel, MD, MPH, MSHP
President-Elect
James J. McCarthy, MD, MHA
Secretary-Treasurer
Paul I. Musey, Jr., MD, MS
Immediate Past President
J. Scott VanEpps, MD, PhD
Members-at-Large
Katie Buck, MD, MPH
Charles B. Cairns, MD
Christopher R. Carpenter, MD, MSc
Cherri D. Hobgood, MD
Robert W. Neumar, MD, PhD
Susan B. Promes, MD, MBA
Niels K. Rathlev, MD
Members-at-Large
Neha Raukar, MD, MS
Stefanie Sebok-Syer, PhD
SAEM Grants Committee Chair
Elizabeth Burner, MD, MPH, PhD
SAEM Finance Committee Chair
Marquita S. Norman, MD, MBA
SAEM President
Michelle D. Lall, MD, MHS
SAEM President-Elect
Jody A. Vogel, MD, MSc, MSW
SAEM Secretary-Treasurer
Ava E. Pierce, MD
SAEM Immediate Past President
Ali S. Raja, MD, DBA, MPH
Join us at SAEM25 for SAEM Wellness Committee-Sponsored Didactics! Gain valuable strategies to thrive in emergency medicine. Find dates, times, and locations in the SAEM Program Planner by filtering didactics by “wellness.”
Wednesday, May 14, 2025
• Building and Sustaining Peer Support Programs
• Reigniting Your Motivation: A Practical Approach to Self-Determination Theory
• Night Shift Mastery: Thriving as a Nocturnist by Setting Boundaries and Finding Balance
• Streamlining Emergency Department Workflows to Reduce Physician Cognitive Load
• Ctrl+Alt+Heal: Rebooting Physician Wellness in the Age of Electronic Health
Thursday, May 15, 2025
• Physician, Do No Harm (to Yourself): An Open Discussion About Physician Suicide
• Physician, Know Thyself: Using Brand Management Principles to Build a Fulfilling Professional Identity
• Sleep, Scheduling, and Shared Responsibility for Physician Well-Being
Friday, May 16, 2025
• Emergency Department or Battleground? Voices of Emergency Physicians Speaking Out About Workplace Violence Against Staff
• Technological Solutions to Workforce Stressors: Coming to an Emergency Department Near You!
• Enhancing Physician Wellness Through Operational Feedback Loops
• Honoring the Moment: Exploring the How and Why of Defusing Emotions After a Patient's
• Skills for Effective Mentoring and Advising Bonus!
Storytelling From the Trenches in Emergency Medicine (Wednesday, May 14, 12 p.m. ET, Room 308: Level Three): A storytelling session featuring true, powerful narratives from emergency physicians—shared in the style of “The Moth Hour”—to foster connection, resilience, and post-traumatic growth.
Committee
Research Committee Members Publish JAMA Study on Regional Anesthesia for Hip Fractures
Congratulations to Drs. Yiju Teresa Liu, Eva Tovar Hirashima and Kabir Yadav on their recent Journal of
the American Medical Association (JAMA) publication, "Peripheral Nerve Blocks for Hip Fractures." This outstanding work highlights the expanding role of emergency physicians in delivering safe, effective, ultrasound-guided regional anesthesia for older adults with hip fractures—advancing multimodal pain management and reducing complications such as delirium.
The AAAEM Benchmark Committee presented data for the FY24 academic year from the annual benchmark surveys at the annual Chair/Administrator Retreat in March. These surveys are used to benchmark academic emergency medicine department’s/division’s clinical, education, and research missions. If you have any questions or need assistance regarding the AAAEM benchmark surveys, contact Alyssa Tyransky. AAAEM will share some of the results of the FY24 data collection at the AAAEM booth at SAEM25 so stop by and learn more about the surveys and AAAEM.
Survey and Panel Volunteers Sought on Awareness During Paralysis in the ED
The Academic Emergency Medicine Pharmacists Interest Group is conducting a survey to better understand awareness during paralysis in the emergency department—a distressing phenomenon in which patients regain consciousness but are unable to move.
The study seeks input from both patients who have experienced this and healthcare professionals who manage sedation and neuromuscular blockade in the ED.
Volunteers are also needed to speak on a panel about awareness with paralysis in June. If you are interested, please complete the survey here
Join AEMP at SAEM25 in Philadelphia! We can’t wait to see you at AEMP25 at SAEM25, May 14–16, 2025! Don’t miss these exciting events:
• May 14, 1–5 p.m. and May 15, 11 a.m.–3 p.m. – AEMP PharmERgency Conference
• May 15, 6–8 p.m. – Cheer on our dodgeball team!
• May 16, 8–9 a.m. – AEMP Interest Group Business Meeting
• May 16, 9–10 a.m. – EM Pharmacy Resident Research Presentations
Guest Experts Spotlight Climate and Health Issues in EM
The Climate Change and Health Interest Group welcomes guest speakers to share their expertise during group meetings. Recent presentations included:
• Dr. Kyle Denison Martin on “The Financial and Environmental Impact of Unopened Medical Supplies Discarded in the Emergency Department”
• Dr. Gayle Kouklis on “Alaska, Extreme Heat, and Health”
Plan a Greener Experience at SAEM25 With Our Go Green Guides
The Climate Change and Health and Wilderness Medicine Interest Groups have teamed up to create Go Green at SAEM25—a resource for attendees looking to reduce their environmental impact while in Philadelphia. The printable guides highlight: sustainable transportation options and eco-conscious local restaurants. Explore the guides:
Go Green SAEM25: Transportation
Go Green SAEM25: Restaurants
Climate Change and Health IG to Sponsor Three Didactics at SAEM25
The Climate Change and Health Interest Group is sponsoring three didactic sessions at SAEM25, focused on the health impacts of climate change and how emergency medicine can lead the way toward sustainability:
• Blueprints for Green Teams: A Prescription for a Better Tomorrow
• Fight the Bite: Climate Change and the Up-Tick of Vector-Borne Diseases in the ED
• Watching the World Burn: Wildfires and Health Impacts
Next meeting: Join us at SAEM25 on Thursday, May 15 from 3–3:50 p.m. ET in Room 301: Level Three for our in-person meeting.
The Educational Research Interest Group (ERIG) of the Society for Academic Emergency Medicine (SAEM) is a vibrant community of over 800 members committed to advancing educational research in emergency medicine. Our mission is to foster innovation, collaboration, and excellence in educational scholarship by providing a platform for networking, mentorship, and the sharing of best practices.
We support researchers at all career stages, offering guidance on study design, methodology, and funding opportunities. Through workshops, collaborative projects, and didactic sessions, we strive to elevate the quality and impact of educational research in emergency medicine.
By bridging theory with practice, we help shape the future of emergency medicine education. Whether you are new to research or an experienced scholar, we invite you to engage, collaborate, and contribute to the advancement of this critical field.
SAEM Reports continued on Page 156
continued from Page 155
Join Us:
• Monthly Zoom Meetings: Fourth Tuesday of each month at 2 p.m. ET
• SAEM25 In-Person Meeting: Wednesday, May 14, 2–2:50 p.m. ET, Rooms 305-306, Level Three
Evidence-Based Healthcare and Implementation Interest Group
EBHI IG Meeting at SAEM25
The Evidence-Based Healthcare Implementation (EBHI) Interest Group will hold an in-person meeting at SAEM25 on Wednesday, May 14, from 1 to 1:50 p.m. ET, Rooms 305-306: Level Three. The meeting will include updates on current initiatives, collaborations, and upcoming events. Members are encouraged to attend and help shape future goals and strategies for advancing evidence-based healthcare implementation in emergency medicine.
Engineer Award Selection
The Engineer Award, which honors the best abstract on implementation science presented at the SAEM Annual Meeting, will be announced during the EBHI IG meeting at SAEM25. The award recognizes exceptional contributions to research translation and practice change in emergency medicine.
The EBHI IG recently gathered input via survey and submitted a list of high-impact articles to the American Board of Emergency Medicine (ABEM). These articles are intended to help inform ABEM’s required reading list, ensuring that current research continues to shape best practices for emergency physicians.
Education, Curriculum Development
The Oncologic Emergencies Interest Group is dedicated to improving the recognition and management of cancer-related emergencies by promoting supportive care guidelines and advancing education and research in oncologic topics.
The group meets quarterly, with the next meeting scheduled for Wednesday, May 14, at 2 p.m. ET, Room 301: Level Three, during SAEM25.
Members are currently developing a curriculum on oncologic emergencies and are seeking training programs interested in piloting or contributing to its development.
“Knowledge is power,” the saying goes, and every academic discipline and profession is built upon foundational knowledge. For emergency medicine physicians, this knowledge empowers us to better care for patients during acute crises, when they have nowhere else to turn.
It empowers us as educators, enabling us to inform patients and family members on how best to support healing and to impart essential knowledge, skills, and aptitude among the next generation of emergency medicine physicians. It also empowers us to better understand and shape health care systems to be more health-affirming and responsive to patient and community needs.
Research and the generation of specialized knowledge were pivotal in establishing emergency medicine as an independent specialty, and this pursuit of knowledge continues to define and advance our profession.
While our specialty has made great strides in advancing research and generating a distinct body of scholarship, we are not yet where we aspire to be—particularly when measured by levels of federally funded research faculty and departments. A report by the Association of Academic Chairs of Emergency Medicine (AACEM) Research Task Force noted that emergency medicine ranks last among clinical specialties in the percentage of medical school faculty who are National Institutes of Health (NIH)-funded principal investigators (1.7%) and the percentage of medical school departments with NIHfunded PIs (33%).
In response, the leadership of AACEM, SAEM, ACEP, and AAEM endorsed a set of strategic goals for the emergency medicine research enterprise to be achieved by 2030.
Given the need to amplify research and scholarship in academic departments of emergency medicine, the SAEM Consultation Services Committee and the AACEM Research Workgroup developed tailored research consultation services to provide guidance and expertise in meeting this challenge.
SAEM Research Consultation Services can help departmental leaders build robust research infrastructure and implement effective processes and strategies for highly successful research programs. Because academic departments of emergency
medicine are diverse, the consultation team and goals are tailored to the specific needs of each department. Broadly speaking, there are two categories of consultations:
• Federally funded research program consultations. This service assists departments in creating or expanding sustainable federally funded research programs. Guided by experienced research leaders from AACEM, it is appropriate for departments at all stages of development. It can help departments better develop and support NIH-funded faculty and projects, as well as identify various potential federal funding sources.
• Broader research consultation services. This type of consultation addresses a range of departmental research needs. Depending upon departmental goals, this may involve establishing and supporting foundation- or industry-sponsored research programs, designing research-oriented fellowship or postdoctoral programs, developing faculty incentive plans that promote scholarship, and creating scholarship programs for residents that align with ACGME requirements.
To start, a soliciting department identifies its priority areas, and the SAEM Research Consultation Services Committee creates a consultant team to match its needs. Consultations can be performed virtually or in person.
Goals for the consultation will be determined mutually, along with a timeline and measurable outcomes. The consultation may also include targeted coaching and mentorship to help the department achieve research success.
Deliverables will vary based on departmental goals. For example, a consultation focused on federally funded research programs would provide a verbal report-out to the dean, chair, and departmental research faculty, as well as a written report with a roadmap, specific recommendations, and the resources required to meet the stated goals.
For more details on these consultation services, visit the SAEM Consultation Services website or email ConsultationServices@saem.org.
Written and submitted by Aasim I. Padela, MD, MSc, and Peter E. Sokolove, MD, on behalf of the SAEM Consultation Services Committee.
SAEM members Deborah B. Diercks, MD, and Hope A. Ring, MD, have been elected to the board of directors of the American Board of Emergency Medicine (ABEM).
Dr. Diercks is professor and chair of the Department of Emergency Medicine at UT Southwestern Medical Center in Dallas, Texas. She has served in numerous leadership roles, including president of the Society for Academic Emergency Medicine (SAEM), president of the Association of Academic Chairs of Emergency Medicine (AACEM), and currently as chair of the American College of Emergency Physicians (ACEP) Clinical Policy Committee. She has been an ABEM oral examiner (since 2012), a member of the ABEM Foundation board of directors (since 2023), and a Certifying Exam case developer (since 2024).
Dr. Ring has served as associate professor of emergency medicine at the University of Kansas Medical Center since 2021. She is also medical director of urgent care and telehealth services at The University of Kansas Health System. In addition, she is a member of the emergency department executive committee and residency leadership team, where she has established a strong foundation of service and mentorship for both patients and faculty. Dr. Ring's volunteer roles with ABEM include oral examiner (since 2019), member of the ABEM Foundation board of directors (since 2023), item writer (since 2020), member of the Stakeholder Advisory Group (since 2024), and Certifying Exam case developer (since 2024).
The following individuals have been promoted to associate professor of emergency medicine at the Medical College of Wisconsin Medical School, effective July 1, 2025:
Christine Ngaruiya, MD, MSc, has been appointed director of Stanford Emergency Medicine International (SEMI), which works to improve global emergency care through education, research, and health systems development. She is an associate professor in the Stanford University Department of Emergency Medicine. Dr. Ngaruiya completed a fellowship in global health at Yale and earned a master’s degree in tropical medicine from the London School of Hygiene and Tropical Medicine. Her work focuses on global noncommunicable diseases.
Peter Acker, MD, MPH, has been appointed associate director of Stanford Emergency Medicine International (SEMI), which works to improve global emergency care through education, research, and health systems development. He is an associate professor in the Stanford University Department of Emergency Medicine. Dr. Acker earned his MD and MPH from Tufts, completed a fellowship in international emergency medicine at Stanford, and specializes in strengthening emergency referral systems.
Michelle Lin, MD, MPH, MS, has been appointed director of research engagement in the Stanford University Department of Emergency Medicine. In this role, she will promote collaboration and build community among research faculty and staff. Dr. Lin is an NIH-funded physician-scientist and associate professor at Stanford. Her research aims to improve access and outcomes after emergency care among high-risk populations.
Michael Uihlein, MD, has been honored with USA Hockey’s 2024 Dr. Alan Ashare Excellence in Safety Award. He spent more than a decade serving as team physician for the U.S. National Sled Hockey Team and is regarded as one of the top authorities on adaptive sports medicine. Dr. Uihlein is an assistant professor in the Department of Emergency Medicine at the Medical College of Wisconsin Medical School. He also serves as associate chief of emergency medicine and co-director of the adaptive sports medicine clinic at the Zablocki VA Medical Center in Milwaukee.
Daniel Cabrera, MD, has been promoted to professor of emergency medicine in the Department of Emergency Medicine at the Mayo Clinic in recognition of his groundbreaking work in medical education, artificial intelligence, and digital scholarship. A leader in integrating AI into healthcare education, Cabrera has developed innovative curricula that prepare clinicians to leverage technology in patient care. His research on AI applications in emergency medicine, digital scholarship, and quality improvement has gained international recognition. He continues to shape the future of emergency medicine education and practice through his mentorship, research, and leadership.
Tobias Kummer, MD, has been promoted to associate professor of emergency medicine in the Department of Emergency Medicine at the Mayo Clinic for his expertise in ultrasound education, research, and practice improvement. As medical director for emergency ultrasound at Mayo Clinic, Kummer has led efforts to develop an advanced ultrasound curriculum, mentor learners across specialties, and pioneer the use of contrast-enhanced ultrasound in emergency and critical care settings. His research in resuscitative ultrasound, procedural guidance, and quality assurance has positioned Mayo Clinic as a leader in point-of-care ultrasound.
Andrew Benjamin Cox, MD, has been appointed emergency medicine medical student clerkship director at Advocate Christ Medical Center in Oak Lawn, Illinois. Cox earned his medical degree from Rush University Medical Center and completed his emergency medicine residency at the University of Illinois at Chicago, where he served as education chief in his final year. With a passion for teaching, he completed a medical education fellowship at UCSF–Fresno before returning to Chicago as core faculty for the Advocate Christ Medical Center Emergency Medicine Residency Program.
Penelope Lema, MD, has been promoted to professor of emergency medicine at Columbia University Vagelos College of Physicians and Surgeons. Dr. Lema is vice chair of faculty affairs for the Columbia University Department of Emergency Medicine, where her work in faculty development and mentorship has earned her numerous accolades, including the NY ACEP Physician of the Year Award and the ACEP AAWEP Outstanding Mentor Award.
Jimmy Truong, DO, MS, has been promoted to associate professor of emergency medicine at Columbia University Vagelos College of Physicians and Surgeons. Dr. Truong is the director of the Columbia University Emergency Medicine Sub-Internship and holds multiple departmental leadership roles in education, administration, and communications. He is the recipient of several honors, including the NY ACEP Unsung Hero Award and the Columbia ED Faculty Educator of the Year Award. Dr. Truong serves as an oral board examiner for the American Osteopathic Board of Emergency Medicine and is a member of the editorial board for the Visual Journal of Emergency Medicine.
Adam Blumenberg, MD, has been promoted to associate professor of emergency medicine at Columbia University Vagelos College of Physicians and Surgeons. A toxicologist with expertise in simulation and educational tools, Dr. Blumenberg serves as vice chair of the New York–Presbyterian subcommittee on emergency medicine therapeutics of the enterprise Formulary and Therapeutics Committee. He is the recipient of multiple awards, including Technology Innovator of the Year, Columbia EM Faculty Educator of the Year, and most recently, the NYP–Columbia Pharmacy Partner of the Year Award.
Laura Walker, MD, MBA, has been promoted to associate professor of emergency medicine in the Department of Emergency Medicine at the Mayo Clinic in recognition of her contributions to healthcare systems research, quality improvement, and palliative care in emergency medicine. Her work has focused on using network analysis and data science to improve emergency care systems, as well as developing interventions for high-quality palliative and geriatric emergency care. A dedicated mentor and educator, Dr. Walker has led curriculum development initiatives, multidisciplinary training programs, and leadership development efforts at both national and international levels.
The SAEM Pulse Academic Announcements section publishes academic appointments, promotions, retirements, grant awards, research announcements, published papers, etc. Send your content (50-75 words max) to newsletter@saem.org. The next content deadline is June 1, 2025 for the July-August 2025 issue.
Accepting ads for our “Now Hiring” section!
Deadline for the next issue of SAEM Pulse is April 1.
For specs and pricing, visit the SAEM Pulse advertising webpage.
The University of California San Francisco, Department of Emergency Medicine is recruiting for a full-time faculty member to serve as the Medical Director of our UCSF Health – GoHealth Urgent Care network. We seek individuals who meet the following criteria: emergency medicine faculty with administrative leadership experience and/or advanced administrative training (e.g., administrative fellowship training, MBA, MPP) and outstanding clinical and interpersonal skills. Rank and academic series will be commensurate with qualifications. The Department of Emergency Medicine provides comprehensive emergency services to a large local and referral population at multiple academic hospitals and clinics across the San Francisco Bay Area, including UCSF Medical Center at Parnassus Heights, Zuckerberg San Francisco General Hospital and Trauma Center, UCSF Benioff Children’s Hospitals in San Francisco and Oakland and Bayfront Urgent Care at Mission Bay. The Department of Emergency Medicine hosts a fully accredited 4-year Emergency Medicine residency program and multiple fellowship programs. This opportunity will involve substantial Medical Director administrative responsibilities as well as clinical work at UCSF Health –GoHealth Urgent Care clinical sites and the UCSF Hellen Diller Medical Center at Parnassus Heights Emergency Department. The Medical Director will also closely partner with the Parnassus emergency medicine leadership team. Board certification in Emergency Medicine is required. All applicants should excel in bedside teaching and have a strong ethic of service to their patients and profession. The University of California, San Francisco (UCSF) is one of the nation’s top five medical schools and demonstrates excellence in basic science and clinical research, global health sciences, policy, advocacy, and medical education scholarship. The San Francisco Bay Area is well-known for its great food, mild climate, beautiful scenery, vibrant cultural environment, and outdoor recreational activities.
PLEASE APPLY ONLINE AT: https://aprecruit.ucsf.edu/JPF053377
Applicants’ materials must list current and/or pending qualifications upon submission.
The posted UC salary scales set the minimum pay determined by rank and step at appointment. See [Table 5]( https://www.ucop.edu/academic-personnel-programs/_files/2024-25/oct-2024scales/t5-summary.pdf). The minimum base salary range for this position is $149,700-$393,200. This position includes membership in the [health sciences compensation plan](https://ucop.edu/academic-personnel-programs/_files/apm/apm-670.pdf) which provides for eligibility for additional compensation.
UC San Francisco seeks candidates whose experience, teaching, research, or community service has prepared them to contribute to our commitment to diversity and excellence.
The University of California is an Equal Opportunity/Affirmative Action Employer. All qualified applicants will receive consideration for employment without regard to race, color, religion, sex, sexual orientation, gender identity, national origin, disability, age or protected veteran status. For additional information, please visit our website at http://emergency.ucsf.edu/.
About Us: Penn State Health is a multi-hospital health system serving patients and communities across central Pennsylvania. We are the only medical facility in Pennsylvania to be accredited as a Level I pediatric trauma center and Level I adult trauma center. The system includes Penn State Health Milton S. Hershey Medical Center, Penn State Health Children’s Hospital and Penn State Cancer Institute based in Hershey, Pa.; Penn State Health Hampden Medical Center in Enola, Pa.; Penn State Health Holy Spirit Medical Center in Camp Hill, Pa.; Penn State Health Lancaster Medical Center in Lancaster, Pa.; Penn State Health St. Joseph Medical Center in Reading, Pa.; Pennsylvania Psychiatric Institute, a specialty provider of inpatient and outpatient behavioral health services, in Harrisburg, Pa.; and 2,450+ physicians and direct care providers at 225 outpatient practices. Additionally, the system jointly operates various healthcare providers, including Penn State Health Rehabilitation Hospital, Hershey Outpatient Surgery Center and Hershey Endoscopy Center.
We foster a collaborative environment rich with diversity, share a passion for patient care, and have a space for those who share our spark of innovative research interests. Our health system is expanding and we have opportunities in both academic hospital as well community hospital settings.
Benefit highlights include:
• Competitive salary with sign-on bonus
• Comprehensive benefits and retirement package
• Relocation assistance & CME allowance
• Attractive neighborhoods in scenic central Pennsylvania
Founded in 1819, the University of Cincinnati ranks among the nation’s best urban public research universities. Home to 53,235 students, more than 11,000 faculty and staff and 350,000+ living alumni, UC combines a Top 35 public research university with a physical setting the New York Times calls “the most ambitious campus design program in the country.”
With the launch of Next Lives Here, the Cincinnati Innovation District, a $100 million JobsOhio investment, three straight years of record enrollment, worldwide leadership in cooperative education, a dynamic academic health center and entry into the Big 12 Conference, UC’s momentum has never been stronger. UC’s annual budget stands at $1.85 billion, and its endowment totals nearly $1.8 billion.
Job Overview
The Department of Emergency Medicine at the University of Cincinnati College of Medicine is seeking an accomplished and visionary leader for the position of Vice Chair of Research. This role will provide strategic oversight of all research initiatives within the department, fostering a collaborative, innovative, and impactful research environment. The Vice Chair will work closely with faculty, fellows, and residents to elevate the department’s research portfolio, secure external funding, and promote the department’s national reputation in emergency medicine research. Faculty Appointment Rank, Endowed Chair and tenure – track will be commensurate with experience.
Essential Functions
• Develop and implement the department’s strategic research vision, aligned with institutional goals and national priorities.
• Promote a culture of mentorship by guiding junior faculty and trainees in developing research skills, securing funding, and achieving scholarly success.
• Identify, pursue, and secure external funding opportunities, including NIH, foundation, and industry grants.
• Collaborate with the Office of Research to support sponsored programs, budgeting, and regulatory approvals.
• Strengthen the department’s partnerships with other research entities within the College of Medicine and UC Health.
• Build and maintain relationships with external partners, including other academic institutions and funding agencies.
• Promote research innovation through partnerships with clinical trials, translational research, and community-based initiatives.
• Lead the development of research curricula for residents and fellows.
• Mentor faculty and trainees to advance their scholarly activity, publications, and grant submissions.
• Provide leadership and oversight of research infrastructure and resources, including budget management and compliance.
• Represent the Department of Emergency Medicine at national conferences and meetings, promoting the department’s research achievements.
Minimum Requirements
• M.D., D.O. or foreign equivalent.
• Successful completion of an Emergency Medicine Residency.
• A demonstrable record of success in academic achievement, with incrementally increased regional and national reputation and funding.
Compensation and Benefits
UC offers a wide array of complementary and affordable benefit options, to meet the financial, educational, health, and wellness needs of you and your family. Eligibility varies by position and FTE. Competitive salary range dependent on the candidate’s experience.
For full description and to apply, please visit https://bit.ly/3ZooK8J
To learn more about why UC is a great place to work, please visit our careers page at https://www.uc.edu/careers.html
FOR ALL FACULTY HIRES OFFICIAL ACADEMIC TRANSCRIPTS WILL BE REQUIRED AT THE TIME OF HIRE
For questions about the UC recruiting process or to request accommodations with the application, please contact Human Resources at jobs@uc.edu
The University of Cincinnati is an Equal Opportunity Employer.
Wednesday, May 14, 2025 Philadelphia Marriott Downtown, Level 3 309-310 12:00 pm – 12:50 pm ET
Susan Estrella-Eades, MSN, CRNP, FNP-BC
Complimentary food and beverages are provided by SAEM.
This program is not sponsored by SAEM or SAEM25 Conference. This presentation is sponsored by AstraZeneca and is open to all conference attendees. This presentation is not accredited for CME credit.
AIRSUPRA is a registered trademark of the AstraZeneca group of companies. ©2025 AstraZeneca. All rights reserved. US-100191 4/25
May 13-16, 2025 | Philadelphia Marriott Downtown