PZ15_24.07.2025

Page 33


TITELTHEMA

Stadtfest und Euregio-Fest in Bruneck: Ein schönes Volksfest der besonderen Sorte 4

DIES & DAS

Die Sonnenburg in St. Lorenzen dem Luxus geweiht:

Unterm Sternenhagel 10

MENSCHEN IM PORTRÄT

Sigrid Regensberger: Ein echtes Löwenherz 16

GESELLSCHAFT & MENSCHEN

HC Pustertal wird zu HC Falkensteiner Pustertal:

Schulterschluss für die Zukunft 20

GESCHICHTE & HISTORIE

Historische Lichtbilder: Freiwillige Feuerwehr Bruneck 21 SONDERTHEMA

Wirtschaftszone Bruneck-Nord 25

KULTUR & KUNST

Pustertaler Theatergemeinschaft:

Widerstand im Wandel der Zeit 32

Haus Wassermann: Kunst trifft Erinnerung 34

BILDUNG & SCHULE

Matura-Abschlussfeier an der TFO Bruneck: Bildung als Tor zur Welt 36

VEREINE & VEREINSLEBEN

25 Jahre UFO in Bruneck: Das Jubiläums-Sommerfest 38

Bergrettung Sand in Taufers: Große Freude über das neue Einsatzfahrzeug 40

SPORT & FREIZEIT

30. Dolomiti Superbike: Ein würdiges Jubiläumsrennen 42 Maratona dles Dolomites 2025: Licht, das verbindet 44

Südtiroler Erdäpfellauf 2025: Der Weg zum 30-Jahr-Jubiläum beginnt jetzt 46

STADTFEST ZWISCHEN

FESTFREUDE UND NEUER REALITÄT

Drei Tage lang wurde Bruneck zur Bühne der Begegnung, der Musik und des Miteinanders. Das Stadtfest zeigte sich auch heuer wieder von seiner besten Seite: Mit kulinarischen Genüssen, einem breiten Veranstaltungsprogramm, buntem Kinderprogramm, einem vielfältigen Musikangebot und einem Festumzug, der durch das Euregio-Fest noch einen besonderen europäischen Geist verströmte. Viele Tausende Besucherinnen und Besucher waren mit dabei und haben oft bis in die späten Abend- und Morgenstunden nett gefeiert. Dabei ging es ohne gröbere Vorkommnisse zu. Erfreulicherweise ist es auch heuer gelungen, größere Abordnungen von den Partnerstädten –leider nicht aus allen – nach Bruneck zu holen. Das ist wichtig und unterstreicht den größeren Gedanken des Stadtfestes.

Was das Fest so besonders macht, ist nicht nur das breite Angebot, sondern vor allem die Menschen dahinter. Heuer waren leider nur 20 Vereine mit dabei, aber sie haben mit großer Leidenschaft und viel ehrenamtlichem Einsatz ein lebendiges Miteinander möglich gemacht. Ohne diese Idealistinnen und Idealisten wäre dieses Fest undenkbar. Das wurde einmal mehr deutlich. Was hier ehrenamtlich geleistet wird, ist nämlich alles andere als selbstverständlich: Monatelange Vorbereitungen, Auf- und Abbau, teils hoher finanzieller Einsatz, viele helfende Hände – und dennoch spürt man bei vielen Ständen echte Freude und Zusammenhalt. Der Einsatz der örtlichen Vereine beim Fest selbst, aber auch beim Rahmenprogramm, ist gelebter Ausdruck dieses tiefen Gemeinschaftsgefühls. Keine Frage: Die Vereine bilden das Rückgrat des Stadtfestes. Ihr Engagement verdient nicht nur Anerkennung, sondern auch aktive Unterstützung.

IMPRESSUM

Sitz, Redaktion und Verwaltung: Oberragen 18, 39031 Bruneck, Tel.: 0474 550 830, E-Mail: info@pz-media.it Egtr. Trib. BZ Nr. 23/89 v. 2.10.1989 Internet: www.pz-media.it; Einzelnr.: 1,00 Euro; Jahresabo: 25,00 Euro; Erscheinung: 14-täglich; Verantw. Direktor: Reinhard Weger (Chefred.); Sekretariat: Michaela Huber; Akquisition: Hans Paulmichl, Josef Tasser; Redaktion: Reinhard Weger, Dr. Willy Pöder, Dr. Judith Steinmair, Dr. Verena Duregger, Monika Gruber, Barbara Pöder, Dominik Faller, Alexander Dariz; Grafik: Andreas Rauchegger, Kerstin Voigt; Herausgeber: Pustertaler Medien GmbH - Oberragen 18, 39031 Bruneck, Im PT-Abo vert. ROC-Nummer: 2717, ISSN 2532-2567 Mitglied der USPI (Unione Stampa Periodica Italiana) Druck: Athesia Druck, Bozen – PEFC-zertifiziert: Dieses Produkt stammt aus nachhaltig bewirtschafteten Wäldern, Recycling und kontrollierten Quellen; PZ-WhatsApp Nummer: 371 7678970

Titelbild: Reinhard Weger

Denn bei aller berechtigter Freude über das gelungene Fest schwingen auch ernstere Töne mit: Die Zahl der mitwirkenden Vereine ist in den letzten Jahren gesunken. Konnte man früher noch die Bewerber auswählen, ist das rührige Team vom Brunecker Tourismusverein mittlerweile froh über 20 teilnehmende Vereine. Die Anforderungen liegen auf der Hand: Zeitdruck, demografischer Wandel, Bürokratie, hohe Kosten – viele Vereine kämpfen mit der großen Belastung. Dass beispielsweise die Brunecker Bergrettung ihre Teilnahme trotz großem Aufwand noch als „Spaß mit Einschränkungen“ beschreibt, zeigt: Unsere Leute sind da und machen mit, aber es braucht neue Ideen und neue Ansätze für das Fest!

PEFC/18-31-166

PEFC-zertifiziert

DiesesProdukt stammtaus nachhaltig bewirtschafteten Wäldern,Recycling undkontrollierten Quellen

Ihre personenbezogenen Daten werden gemäß dem G.v.D. Nr. 196/2003, der EU-Verordnung 679/2016 (DSGVO) sowie dem G.v.D. Nr. 101/2018 verarbeitet. Die vollständige Aufklärung über die Verarbeitung Ihrer personenbezogener Daten und Ihre Rechte, wie z.B. das Recht auf Löschung, sind auf unserer Website veröffentlicht: www.pz-media.it/datenschutz.html. Falls Sie die Pustertaler Zeitung nicht mehr erhalten möchten, schreiben Sie uns dies einfach an folgende E-Mail Adresse: info@pz-media.it oder rufen Sie an: 0474 550830

www.pefc.org

Die räumliche Verkleinerung – etwa der Verzicht auf die Stadtgasse und Oberstadt – ist ebenfalls spürbar. Tradition trifft hier auf Anpassungen, die nicht immer zur Freude der Besuchenden oder der Beteiligten gereichen. Dennoch ist das Stadtfest ein Fest voller Herzblut, das Bruneck verbindet und zwar generationenübergreifend! Es muss aber bodenständig, lokal verwurzelt und europäisch offen bleiben. Doch damit es so bleibt, braucht es neben schönem Wetter und guter Stimmung auch ein neues Konzept mit klaren Signalen und weiterer Unterstützung seitens der Stadt, der Politik und aller, die dieses Fest auch künftig lebendig halten wollen. Dann kann das Brunecker Stadtfest auch in Zukunft ein Ort des gelebten und respektvollen Miteinanders bleiben, wo nicht nur Tradition, sondern auch frische Ideen und echter Rückhalt vorherrschen. Dafür haben wir eine gemeinsame Verantwortung.

STADTFEST UND EUREGIO-FEST IN BRUNECK

Ein schönes Volksfest der besonderen Sorte

„Drei Tage, zwei Nächte, ein Fest“ so das Motto des diesjährigen Brunecker Stadtfests, das vergangenes Wochenende in der Rienzstadt über die Bühne gegangen ist. Verschiedene kulinarische und musikalische Angebote, ein Kinder- und Familienprogramm, ein Festumzug und ein Euregio-Fest – das Wetter hat schlussendlich auch mitgespielt, und so kamen die Festbesucher in Strömen und auf ihre Kosten. Ein gut besuchtes und somit auch gelungenes Stadtfest, selbst wenn durchaus auch ein paar kritische Stimmen laut wurden.

von Judith Steinmair

Alle zwei Jahre steht DAS Volksfest im Pustertal an, mittlerweile war die aktuelle Auflage bereits die 19. und nicht nur die Brunecker Bürgerinnen und Bürger freuen sich stets auf das traditionelle Stadtfest. Wobei dieses im Laufe der Jahrzehnte doch so einigen Veränderungen unterlegen ist. Einst als „Altstadtfest“ über die Brunecker Stadtgrenzen hinaus bekannt und beliebt, haben sich die räumlichen Dimensionen des heutigen Stadtfestes reduziert beziehungsweise verlagert. Die Stadtgasse an sich sowie die Oberstadt werden mittlerweile gar nicht mehr bespielt, zum Teil aus Sicherheitsgründen, zum Teil wohl auch, weil es gar nicht mehr so viele Stände gibt. Somit ist das Herzstück des Fests neben den ebenfalls traditionellen Standorten am Brunecker Graben und am Tschurtschenthaler Platz, nun eben der Rathausplatz sowie kleinere Ableger am Gilmplatz, Universitätsplatz oder Raiffeisenplatz. Das Kinderprogramm wurde indes ins NOBIS verlegt, und beim Weinkeller fand praktisch ein Fest im Fest statt. An die 20 Vereine haben das Stadtfest in diesem Jahr mitgestaltet, und die, die dabei waren, haben

Die Bürgerkapelle Bruneck (im Bild) eröffnete den Festumzug am Sonntag. wpz

wie immer großen Einsatz und viel Herzblut und Idealismus hineingesteckt, und ohne diese Ehrenamtlichkeit wäre das Stadtfest auch gar nicht machbar. Tatsache ist aber auch, dass im Laufe der Jahre das Engagement von Seiten der Vereine und Freizeitclubs immer weniger geworden ist. Waren

es einst über 60 Vereine, die sich bei einem Stadtfest beteiligten, ist die Anzahl inzwischen auf ein Drittel geschrumpft. Fragt man nach den Gründen, fallen dann meist Antworten wie „zu hoher Zeitaufwand“ sowie „steigende Kosten“, eine „ausufernde Bürokratie“ und „fehlender Nachwuchs“ (siehe

auch Interview). Trotzdem: Der Stimmung tat‘s keinen Abbruch, wer in Feierlaune war, fand immer noch genügend Möglichkeiten, diese auch auszuleben.

BESUCH VON DEN PARTNERSTÄDTEN

Neben dem geselligen Festgedanken ist das Brunecker Stadtfest traditionell aber auch ein Ort der Begegnung und des Austauschs. Dass Delegationen der Partnerstädte der Rienzstadt bei der Gelegenheit zu Besuch kommen, gilt als gesetzt. In diesem Jahr mit dabei: Der Bürgermeister von Groß-Gerau

in Deutschland, Jörg Rüddenklau, sowie die beiden Stadträte Klaas Carrette und Birger De Coninck aus Tielt/Belgien. Bei der offiziellen Eröffnung am Freitag am Rathausplatz, mit Schlüsselübergabe durch Bürgermeister Bruno Wolf an den Tourismusverein als Veranstalter des Fests – in dem Fall an Präsidenten Martin Huber -, den entsprechenden Dankesworten und dem traditionellen Fassanstich im Beisein zahlreicher Ehrengäste und politischer Vertreterinnen und Vertreter von Gemeinde, Land und aus Rom überbrachten die Delegationen der Partnerstädte dann auch

Grüße aus ihren jeweiligen Heimatstädten. Seit über 60 Jahren hält Bruneck nun schon freundschaftliche und partnerschaftliche Beziehungen zu ihren Schwesternstädten Brignoles in Frankreich, Groß-Gerau in Deutschland und Tielt in Belgien, nach der Öffnung des Ostens kam im Jahre 1997 dann noch die polnische Stadt Szamotuly dazu. Gegenüber der PZ betonten die Delegationen aus Groß-Gerau und Tielt beim Stadtfest, wie wichtig ihnen diese grenzüberschreitende Zusammenarbeit und die dabei entstehenden Freundschaften seien und dass man

Lödan“
Martin Huber, Bruno Wolf: Der Stadtschlüssel wird übergeben. wpz
Der Bierfass-Anstich gelang perfekt.
wpz Euregio-Feier: D. Alfreider, B. Wolf, R. Weger, A. Kompatscher und M. Huber.

gemeinsam am Modell Städtepartnerschaften weiterhin feilen müsse. Das sieht auch der Brunecker Gemeinderatspräsident Reinhard Weger so, der die Delegationen über die drei Tage begleitet hat: „Der Gedanke der Städtepartnerschaft ist ja ein sehr moderner Gedanke in Hinsicht auf den europäischen Friedensgedanken. Insofern ist es auch wichtig, auf dem bisher Aufgebauten weiterzubauen und dem Ganzen einen Schwung zu verleihen. Wir müssen die Städtepartnerschaft neu und modern leben und dazu braucht es eigene Impulse. In dieser Hinsicht müssen wir sicherstellen, dass eine gelebte Städtepartnerschaft auf einer breiten Ebene von den Menschen, Vereinen und Allen mitgetragen und nicht nur von oben aufgesetzt wird.“

DER FESTUMZUG

UND DAS EUREGIO-FEST

Wie immer einer der Höhepunkte des Stadtfests: der große Festumzug am Sonntag. Und der stand heuer ganz im Zeichen des Euregio-Fests, für welches das Stadtfest in diesem Jahr am Sonntag gleichzeitig Schauplatz war. Derzeit hält Südtirol nämlich den Vorsitz der Euregio Tirol-Südtirol-Trentino inne, und traditionell findet kurz vor Ende der jeweils zweijährigen Euregio-Präsident-

schaft (am 1. Oktober 2025 wechselt der Vorsitz von Südtirol turnusmäßig ins Land Tirol) das Euregio-Fest statt, das dazu einlädt, die „Einheit in der Vielfalt“ zu feiern. Beim „Euregio“-Festumzug mit dem Schwerpunkt Musikkapellen, Trachten und Folklore verkörperten über 20 Gruppen die kulturelle und historische Verbindung der Euregio-Regionen, aufgeteilt auf drei Blöcke. Zuerst zogen aber die Ehrengäste aus den Euregio-Regionen und den Partnerstädten durch Brunecks Straßen. Dem folgte der Tiroler Block mit den beiden Musikkapellen aus Aldrans und

Kufstein, dann der Trentiner Block mit einem Trentiner Chor und der Musikkapelle aus Folgaria und schlussendlich der Südtiroler Block mit den heimischen Musikkapellen, Schuhplattlern usw. Und als Zugabe gab es dann auch noch einen ladinischen Block mit der Musikkapelle und einer Volksgruppe aus Cortina d‘ Ampezzo.

Nach dem Festumzug fand auf der Rathausplatz-Bühne der offizielle Euregio-Festakt statt. Zunächst berichteten Teilnehmerinnen und Teilnehmer aus allen drei Euregio-Regionen - Celina Moser aus Tirol,

Die Stände waren zumeist überaus gut besucht. Die Feiernden kamen auf ihre Kosten. ar
Beim Festumzug, der am Sonntag durch Bruneck zog, waren links und rechts am Straßenrand Tausende von Besuchenden mit dabei. wpz
Weißwurst

Assia Brahimi aus dem Trentino und Simon Mariacher und Josef Urthaler aus Südtirol - über ihren persönlichen Zugang und ihre Erfahrungen im Hinblick auf die Euregio und äußerten dann ihre Visionen, Wünsche und Zielsetzungen für die zukünftige Entwicklung. Im Anschluss gaben dann auch Landeshauptmann Arno Kompatscher als aktueller Euregio-Präsident sowie der Tiroler Landeshauptmannstellvertreter Philip Wohlgemuth und der Trentiner Landesrat für Wohnbau, Liegenschaften und Autonomiebewusstsein, Simone Marchiori,

Die Mitglieder des Brunecker Männergesangsvereins waren nach 25 Jahren wieder dabei. rewe

Fröhliche und ausgelassene Stimmung. rewe

unter anderem Einblicke in aktuelle Euregio-Projekte, wie etwa dem Euregio-Wetterbericht, dem kulinarischen Filmprojekt „So isst Euregio“, dem Euregio-Ticket oder der geplanten Euregio-Jobbörse. Betont wurde dabei immer das Motto „Grenzen überwinden“, wobei es nicht nur um politische oder sprachliche Grenzen gehen sollte, sondern vor allem auch um Grenzen in den Köpfen, die es zu überwinden gelte. Für weitere Informationen stand dann vor Ort auch ein Euregio-Infostand zur Verfügung, wo über die gemeinsame Geschichte, Gegenwart und die Euregio-Projekte Auskunft gegeben wurde. //

Die Stände wurden am Graben, Rathausplatz und dem Tschurtschenthaler Platz errichtet. ar
Der Chef rührt die Polenta um... rewe
Die Tirtlan schmeckten einfach! rewe
Das Bier wurde gekonnt gezapft. rewe
Toni Mair unter der Eggen und Reinhard Weger mit den offiziellen Delegierten der Partnerstädte.

NACHGEFRAGT

BEI DER BRUNECKER BERGRETTUNG

Stellvertretend für die am Stadtfest teilnehmenden Vereine hat die PZ zwei Tage vor Beginn des Stadtfests die Bergrettung inmitten der Aufbauarbeiten besucht und mit dem für das Stadtfest hauptverantwortlichen Bergrettungsmitglied Karl Niedermair und einigen seiner Kollegen über Motivation, Herausforderungen und Schwierigkeiten gesprochen:

PZ: Als Bergrettung seid Ihr Stadtfest um Stadtfest wieder mit Begeisterung dabei?

Bergrettung: Na ja, ehrlich gesagt diskutieren wir schon Mal um Mal, ob wir wieder mitmachen sollen, schließlich sind der zeitliche und finanzielle Aufwand schon enorm, aber so lange wir eine so coole, harmonische und motivierte Truppe sind, macht’s dann ja auch Spaß…

Gebt’s uns mal einen Einblick in den Aufwand? In finanzieller Hinsicht heißt das was?

Alle Teilnehmer zahlen eine Standmiete, die sich auf 5.000 Euro beläuft. Vereine, die eine Zivilschutzfunktion haben, erhalten einen Preisnachlass, also sind wir bei 3.000 Euro. Zudem müssen wir für die Außenfläche zahlen, die wir brauchen, sowie für die Sitzgarnituren – da kommt schon was zusammen!

Aber es bleibt auch was übrig?

Spielt das Wetter mit, dann geht sich die Rechnung erfahrungsgemäß schon auf. Das Risiko besteht aber immer, dass es ein Stadtfest verregnet, dann bleibt man auf den Fixkosten sitzen. Während man Getränke zurückgeben kann in so einem Fall, wurden zum Beispiel Lebensmittel ja bereits verarbeitet. Als es einmal zwei Tage geregnet hat bei einem Stadtfest, waren wir sofort in den roten Zahlen. Also wenn man im Grunde alles mitrechnet, Risiko und zeitlicher Aufwand, bräuchte man sich das Ganze eigentlich nicht anzutun.

Wie viel zeitlicher beziehungsweise personeller Aufwand fließt denn in die Vorbereitung und Nachbereitung und in die Arbeit an den drei Stadtfesttagen? Könnt Ihr das ungefähr beziffern? Während des Stadtfests sind wir alle, will heißen 40 Mitglieder, im Einsatz und jeder bringt noch mindestens zwei Freiwillige mit. Das braucht es auch, um das Ganze stemmen zu können, nur mal das Tirtlan-Machen vor Ort ist immer viel Arbeit. Mit dem Aufbau unseres Standes sind wir im Vorfeld ab Montag beim Werkeln, natürlich nicht immer die ganze Truppe und den ganzen Tag, viele kommen nach Feierabend um mitzuhelfen, einen großen Teil erledigen mittler-

weile diejenigen von uns, die bereits in Pension sind, aber nach wie vor gibt es auch diejenigen, die sich extra Urlaub nehmen um auf- beziehungsweise abzubauen. Denn auch das Abbauen braucht die entsprechende Zeit bis alles wieder in die Einzelteile zerlegt, gereinigt, verstaut usw. ist.

Nun gibt es ja sehr unterschiedliche Stände, einige sind geliehen, einige gehören den Vereinen selbst, einige sind größer und aufwändiger aufzustellen, einige sind weniger zeitintensiv im Aufbau, einige sind mittlerweile Kult und gehören zu einem Stadtfest dazu, einige sind neu. Wie sieht‘s bei euch aus?

Wir hatten ja im Laufe der Jahrzehnte verschiedene Standorte und haben unseren Stand jeweils an die Gegebenheiten angepasst. Am aktuellen Standort am Graben

sind wir nun seit fast 20 Jahren, und seitdem haben wir auch unser Standl, so wie es heute hier steht. Der Stand, das heißt das Material und das ganze Holz aus dem er besteht, gehören uns als Verein, was auf der einen Seite natürlich super ist, andererseits ja auch Probleme mit sich bringt.

Inwiefern?

Wir brauchen den Stand ja nur alle zwei Jahre und zwischen der Zeit müssen wir das Material ja irgendwie lagern, aber als Verein fehlt uns ein entsprechender Platz beziehungsweise die Möglichkeiten. Also müssen wir es im Freien lassen, zugedeckt mit Planen, das ist natürlich ganz und gar nicht optimal. Wir wären froh, wenn uns da jemand beziehungsweise die Stadtgemeinde eine Lösung anbieten könnte.

Ihr seid’s ja „alte Hasen“ und echt lange dabei beim Stadtfest, wobei sich die Anzahl der Teilnehmer schon drastisch reduziert hat mittlerweile – woran liegt’s eurer Meinung nach? Wie gesagt, die Fixspesen sind inzwischen schon sehr, sehr hoch und die Bürokratie rundum ist auch ein Wahnsinn geworden. Es wäre ja wünschenswert, wenn junge, motivierte Vereine und Clubs nachkommen würden, aber die sind aufgrund der hohen Anforderungen vermutlich zu erschrocken um mitzumachen. Wenn’s so weitergeht, wird’s wohl schwierig, das Stadtfest künftig noch zu erhalten. Vermutlich braucht es also ein neues Konzept, neue Ideen von Seiten der Gemeinde. Und sie müssen uns als Vereine auf alle Fälle mehr entgegenkommen, ansonsten springen früher oder später alle ab.

// Interview: Judith Steinmair

Die Bergretter machen die Tirtlan stets selbst. Eine große, aber fruchtbringende Arbeit. rewe
Karl Niedermair (vorne) aus Bruneck. rewe

STADTFEST: FLEISSIGE HÄNDE BEIM AUFBAU

Unterm Sternenhagel

Seit sechs Jahren rührte sich auf dem Schloss nichts mehr. Nun, nach zweijähriger Renovierungszeit, steht der baldigen Wiedereröffnung als Luxusherberge samt Gourmetrestaurant nichts mehr im Wege.

Die seinerzeit vom Starnberger Reiseunternehmer Karl Knötig in den Sechzigerjahren des vorigen Jahrhunderts erworbene, mit sehr viel Geld, Geduld und Liebe restaurierte und zum Hotel umfunktionierte Sonnenburg (St. Lorenzen) wurde nach dessen Tod (2018) von den Hinterbliebenen an die Kronplatz-Seilbahngesellschaft verkauft (2019). Aus der Sonnenburg völlig verabschiedet haben die Knötigs sich dennoch nicht, denn die Familie hält Anteile an der Kronplatz Touristik GmbH (Präsident Bernhard Schönhuber), in deren Eigentum das Objekt mittlerweile überführt wurde.

Noch im Herbst 2018 wurde der Hotelbetrieb geschlossen und blieb es seither auch. Das war ursprünglich nicht so gewollt, denn das

Hotel sollte eigentlich schon nach einer kurzen Adaptierungsphase wiederum geöffnet werden, doch die neue Führungsspitze der Kronplatz Holding AG um Christian Gasser hatte sich für eine Ziel- und Kurskorrektur entschieden. Gasser hatte mit der Burg Größeres, Luxuriöseres vor. Er puschte die Gehirnwellen seiner Führungsriege. In der Folge wurde viel überlegt, getüftelt und geplant. Vor rund zwei Jahren war es schließlich so weit: Zu Hügels Füßen rollten die Bagger an; übers historische Bauwerk kreisten unentwegt die Kranarme.

UMFANGREICHE ARBEITEN

Es begannen umfassende Bauarbeiten innerhalb und außerhalb der ehrwürdigen Schlossmauern. Des Hügels Unterbauch

wurde nordseitig geöffnet und eine Tiefgarage darin implantiert; die deswegen notwendigerweise ins Terrain geschlagenen Brüche und Risse wurden zu Hügels und der Burg Sicherheit mittels eines erdbebensicheren Betonstützverbandes geschlossen. Mittlerweile sind die mechanischen Wunden im Großen und Ganzen verheilt, die Narben der Jahreszeit gemäß grün verwachsen.

In wenigen Wochen, jedenfalls noch im Laufe des Herbstes und spätestens mit Beginn der Wintersaison, am 29igsten November, sollen die Bau- und Renovierungsarbeiten in und ums Kastell rundum definitiv abgeschlossen sein. Dann soll Leben in die 28 Suiten der Luxusklasse und in den öffentlich zugänglichen Restaurantbereich einkehren. Mit der Führung wurde das apulische Unternehmen „Egnazia Ospitalità Italiana“ mittels eines Managementvertags betraut und langfristig gebunden.

EIN NEUES KAPITEL

Fünf Sterne werden am Himmel über dem illustren Ansitz prangen und alle jene, die dort ein und aus gehen, gegen nicht zu knapp entlockte Scheine beglückend bescheinen. Schon zu Zeiten Karl Knötigs waren auf der Sonnenburg oft hohe und gut betuchte Persönlichkeiten aus Wirtschaft und Politik zu Gast; so zum Beispiel Manfred Wörner, zuerst als Verteidigungsminister im Kabinett Kohl, dann auch als NATOGeneralsekretär als der er der PZ übrigens ein Exklusiv-Interview gewährt hatte. Die Kronplatz Touristik GmbH (zur Hälfte

DIE SONNENBURG IN ST. LORENZEN DEM LUXUS GEWEIHT
Die Nordansicht der Sonnenburg mit der Tiefgarage. wpz
Die Südansicht der schönen Sonnenburg in St. Lorenzen. wpz

Der Weiler bekommt seine Nobeladresse. Nach rund zweijähriger Renovierungs- und Sanierungszeit steht die Wiedereröffnung bald bevor. wpz

Eigentümerin der Sonnenburg, zu je einem Viertel sind es die Gasser Touristik GmbH sowie die Familie Knötig) ist nebst der Kronplatz Gastronomie GmbH, der Kronplatzbahn GmbH und der Kronplatz Mobility AG eine von mehreren Tochterfirmen der Kronplatz Holding AG, deren Präsident pro tempore, Christian Gasser, in der über 60-jährigen Geschichte der Kronplatzbahn erst der Dritte in dieser Rolle ist. Vor ihm stand Wer-

ner Schönhuber 36 Jahre lang an der Spitze der Gesellschaft, der seinerseits die Präsidentschaft 1983 von Ernst Lüfter, dem Begründer der 1963 in Betrieb genommenen Bahn, übernommen hatte. Christian Gasser ist außerdem Hotelier in Geiselsberg (mittlerweile wird das „Hubertus“ von Tochter Daniela und Sohn Markus geführt); er ist zudem Großaktionär der Kronplatz AG, wie es sein Vater Franz auch schon war. Alex und Lu-

kas, die beiden jüngeren Brüder Christians, stehen hingegen seit dem Tod des Vaters an der Spitze der Gasser Iveco mit Hauptsitz in St. Lorenzen und diversen Niederlassungen in den Provinzen Bozen und Belluno.

EINE ECHTE ERFOLGSGESICHTE

Mehr als erwähnens- und erinnernswert der Erfolgsweg ihres Vaters Franz: Er begann ihn, wie er mir selbst einmal erzählt hatte, als Mechaniker-Lehrling bei der Fiat Zentralgarage in Bozen. Doch war diese Wahl nicht ganz sein Ding. So sah es offensichtlich auch sein Werkmeister, der ihm empfahl, die Straßenseite zu wechseln, seine Talente in den Verkauf zu investieren, was er in der Folgezeit auch gekonnt und sehr profitabel tat. Zusammen mit Josef Moser gründete er nämlich die Garage „Fiat Dolomit“ in Bruneck. Irgendwann teilten sich ihre Wege: Während Moser sich weiterhin auf den PKW- Verkauf konzentrierte, wechselte Gasser in den LKWHandel über, schuf mehrere eigentümergeführte Unternehmen, darunter eben auch die Gasser IVECO GmbH. Mit dem Kauf des Hubertus in Geiselsberg stieg er erstmals ins Tourismusgeschäft vor; schließlich ergatterte er auf der Beteiligungsleiter der Kronplatzbahn die dickste Sprosse. All das mutet ganz nach einer amerikanischen Erfolgsgeschichte an. Franz Gasser verstarb erst 72-jährig im Jahre 2004. // wp Das Hotel

wpz

BEWUNDERNSWERT

Beim Weihnachtskonzert, das das Jugendorchester Luigi Cherubini vor Weihnachten letzten Jahres im Senat gab und von Riccardo Muti, dem Begründer desselben 2004, dirigiert und von der Rai übertragen wurde, kam der Träger des Goldenen Ringes der Wiener Philharmoniker im Rahmen seiner kurzen Ansprache auch auf die „Bande da giro“ (die Musikkapellen bei uns) zu sprechen, und merkte dabei kritisch an, dass die Medien der Tätigkeit dieser Ensembles, aus denen immer wieder große Bläser hervorgegangen seien, zu wenig Aufmerksamkeit schenkten. Die „Bande“ seien von einem beispielhaften Korpsgeist durchdrungen; sie respektierten

die Institutionen und strebten unaufhörlich nach Harmonie. Und einmal mehr brach er für die Musikjugend eine Lanze mit den Worten: „È proprio pensando ai fiori che i fiori crescono!“ // wp wpz

Hubertus in Geiselsberg, Gassers Zutrittstor ins Gastgewerbe.

FIRST CLASS

Bei Fernreisen, egal ob per Flugzeug oder Bahn, bieten die Betreiber unterschiedliche Komfortklassen an. In den Theatersälen ist es genauso. Sitzplätze in der ersten Reihe bzw. im Businessbereich zählen nun einmal zu den begehrtesten, sind jedoch auch die teuersten. Generell sind Stehplätze überall am billigsten zu haben. Bei Flügen vom Kronplatz ins Tal scheint die Wahlmöglichkeit auch und nur dort in der gegebenen Form zu bestehen, denn bei den üblichen Flugreisen kommt es nicht vor, dass der Pilot seinen Sitzplatz gegen den Stehplatz eines illustren Fahrgastes tauscht. Mag unhöflich erscheinen, doch falsch ist es gewiss nicht. Bei Flügen vom Kronplatz wird das anders gehandhabt (siehe Bild). // wp

a)

WASSERSTOFF ADE

Bis vor Kurzem wurde der Wasserstoff noch als der Treibstoff der Zukunft für Kraftfahrzeuge bezeichnet. Davon haben sich in letzter Zeit jedoch wichtige Autobauer wie Stel-

lantis verabschiedet. Das ist insofern mehr als bemerkenswert, als dass unter der Fahne dieser Firma die Autos der Marken Opel, Peugeot, Citroën, Fiat, Chrysler, Jeep und Alfa Romeo gebaut werden. Das Unternehmen stellt in etwa sieben Millionen Fahr-

zeuge per Anno her und rangiert in der Größenordnung der Autohersteller somit hinter Toyota (10 Mio) und Volkswagen (8 Mio) mit Hyndai zusammen an dritter Stelle. Stellantis begründet seinen Ausstieg mit den zu hohen Infrastrukturkosten bei der Herstellung sowie bei der Schaffung von Tankstellen. Es setzt auf elektrische Antriebe.

Die Nachricht des drittgrößten Autobauers der Welt ist auch für die Autonome Provinz Bozen ein herber Rückschlag, die in der Vergangenheit viel Geld in die Erzeugung von Wasserstoff investiert und zwecks Verteilung provinzweit mehrere diesbezügliche Tankstellen bauen wollte. Eine davon liegt an der SS49 zwischen Bruneck und Percha und steht kurz vor der Fertigstellung (siehe Bild a). Einmal abgesehen davon, ob nun die Provinzverwaltung mit der Produktion und Verteilung von Wasserstoff als Treibstoff aufs falsche Pferd gesetzt hat, bleibt zu sagen, dass die Standortwahl der hier erwähnten Tankstelle ob der schwierigen Zuund Abfahrt (siehe Bild b) jedenfalls nicht die glücklichste war. // wp

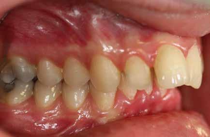
Die unterschätzte Gefahr für Ihre Gesundheit

Parodontitis

Parodontitis ist eine weit verbreitete, chronische Entzündung des Zahnhalteapparats. Ausgelöst wird sie durch bakterielle Beläge, die zunächst das Zahnfleisch reizen (Gingivitis) und sich unbehandelt in die Tiefe ausbreiten. Dort zerstören sie nach und nach das Gewebe, das die Zähne im Kiefer verankert – mit der Folge, dass Zähne sich lockern oder sogar verloren gehen.

Was viele nicht wissen: Parodontitis bleibt oft lange unbemerkt, da sie schmerzfrei verläuft. Erste Anzeichen wie Zahnfleischbluten, Mundgeruch oder Rückgang des Zahnfleischs werden häufig übersehen oder nicht ernst genommen. Hinzu kommt, dass die Erkrankung nicht nur den Mund betrifft. Studien belegen Zusammenhänge mit Herz-Kreislauf-Erkrankungen, Diabetes oder rheumatischen Erkrankungen. Eine frühzeitige Diagnose und konsequente Behandlung sind entscheidend.

Dabei werden die entzündeten Bereiche gründlich gereinigt, Bakterien entfernt und eine regelmäßige Nachsorge etabliert, um Rückfälle zu vermeiden.

Unser Tipp: Lassen Sie leichte Zahnfleischbeschwerden nicht unbeachtet. Schon

eine einfache Kontrolluntersuchung kann klären, ob eine beginnende Parodontitis vorliegt. Mit der richtigen Behandlung lassen sich weitere Schäden und unangenehme Begleiterscheinungen verhindern.

Wir sind für Sie da.

Dr. med. dent. Jule Hirte Bachla 6 I - 39030 Pfalzen (BZ)

Tel.: 0474 862334

WhatsApp: +39 327 341 00 99

MODERNE ZAHNMEDIZIN

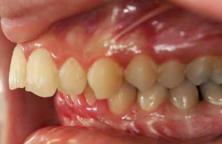
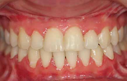
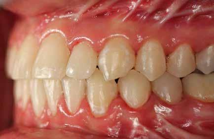
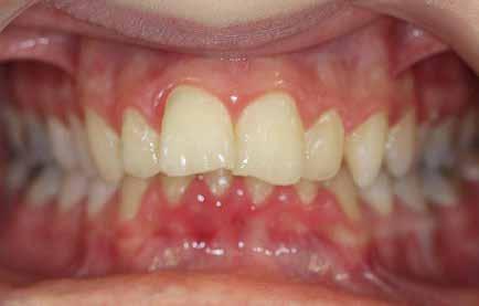
Abb. 1: Vor der Behandlung, frontal Abb. 2: Ende der Behandlung, frontal

Abb. 3: Vor der Behandlung, rechts

Abb. 5: Vor der Behandlung, links

Abb. 4: Ende der Behandlung, rechts

Abb. 6: Ende der Behandlung, links

Kieferorthopädie: Behandlung einer erwachsenen

Patientin mit ausgeprägter Kl II/2 Fehlstellung

Bei dieser erwachsenen Patientin konnte folgende Diagnose erstellt werden:

• Kl II/1 Fehlstellung um eine Zahnbreite

• Dentofaziale Asymmetrie

• Tiefbiß

• Uk Rücklage

Die Behandlung erfolgte mit festsitzender Spange und Kieferchirurgie. Der Ober- und Unterkiefer Zahnbogen wurde optimal für die Kieferchirurgie vorbereitet. Bei der Kieferchirurgie erfolgte die Neupositionierung des Ober- und Unterkiefers nach funktionellen und gesichtsästhetischen Richtlinien im Gesichtsschädel. Danach erfolgte noch die Feineinstellung der Verzahnung.

Die gesamte Behandlungsdauer betrug 19 Monate.

Mit freundlichen Grüßen Dr. Josef Willeit und Dr. Paul Willeit

Dr. Josef Willeit

Facharzt für Zahn-, Mund- & Kieferheilkunde Facharzt für Kieferorthopädie

Dr. Paul Willeit

Zahnarzt, Facharzt für Kieferorthopädie

Adresse: Romstraße 3, Bruneck • Tel. 0474 555 409 info@willeit.it • www.willeit.it

Anzeige

Reservieren Sie jetzt Ihre Anzeige in der meistgelesenen Zeitung im Pustertal!

Die PZ-Ausgaben mit allen Sonderthemen auch online auf www.pz-media.it

und Radio Holiday)

PAKET A

1/4 Seite Inserat in der PZ + 1/4 Seite Gratis-PR-Info

50 Werbespots auf Radio Holiday (30 Sek. + Spotproduktion inklusive) Gesamtpreis: 990,00- € + MwSt

PAKET B

1/2 Seite Inserat in der PZ + 1/2 Seite Gratis-PR-Info

100 Werbespots auf Radio Holiday (30 Sek. + Spotproduktion inklusive) Gesamtpreis: 1.757,00- € + MwSt

KONVENTIONIERUNG VON NEUEN WOHNUNGEN ZU 100%?

§

Schramm-Tschurtschenthaler

Mall-Ellecosta

Anwaltskanzlei www.schramm.it

Der neue kürzlich in Kraft getretene Art. 38 des Landesgesetzes Raum und Landschaft bestimmt, dass in Mischgebieten die zur Wohnnutzung bestimmte neue Baumasse zu 100% der Konventionierungspflicht (sprich Wohnungen für Ansässige) unterliegt. Als neue Baumasse im Sinne dieses Artikels gilt die Baumasse, die gemäß Baudichte oder gemäß Durchführungsplan verwirklicht werden kann, und die durch Neuerrichtung oder Umwandlung einer bestehenden Baumasse erhalten wird. Dementsprechend schreibt Art. 36 (Umwandlung bestehender Baumasse) vor, dass in Mischgebieten umgewandelte Baumasse der Regelung von Art. 38 unterliegt, und somit zu 100 zu konventionieren ist. Gemäß Übergangsregelung (Art. 103/18) greift die neue Regelung lediglich für Mischgebiete, deren Ausweisung im Bauleitplan nach dem Inkrafttreten der neuen Bestimmung (20.6.2025) eingeleitet wird, sofern es sich nicht um Gemeinden und Fraktionen mit Zweitwohnungsanteil über 10% handelt. Für letztere galt die 100%ige Konventionierungspflicht, mit einigen Ausnahmen, bereits bisher. Folgende Pusterer Gemeinden weisen einen Zweitwohnungsanteil von nicht mehr als 10% auf: Ahrntal, Bruneck (ohne die Fraktion Reischach), Gais (ohne die Fratkion Mühlbach), Kiens, Mühlwald, Percha, Pfalzen, Prags, Prettau, Sand in Taufers, St. Lorenzen, Vintl und Wengen. In diesen letztgenannten Gemeinden gilt somit in bereits bestehenden Mischgebieten weiterhin eine Konventionierungspflicht von in der Regel 60%.

Folgende Pustertaler Gemeinden/Fraktionen weisen einen Zweitwohnungsanteil von mehr als 10% auf, weswegen die Konventionierungspflicht zu 100% weiterhin greift: Abtei, Fraktion Reischach Gemeinde Bruneck, Corvara, Enneberg, Fraktion Mühlbach in der Gemeinde Gais, Gsies, Innichen, Niederdorf, Olang, Sexten, St. Martin in Thurn, Terenten, Toblach und Welsberg-Taisten.

In Abweichung zur neuen Regelung kann der Gemeinderat, sofern die gesamte Gemeinde von der Landesregierung anhand objektiver Kriterien als strukturschwach und abwanderungsgefährdet eingestuft wird und nicht einen Zweitwohnungsanteil von über 10% aufweist, entscheiden, mindestens 60 Prozent der neuen Baumasse für die Errichtung von Wohnungen für Ansässige gemäß Artikel 39 zu verwenden. Die Hälfte der zu konventionierenden Baumasse muss weiterhin für Wohnungen mit einer Nettofläche von mindestens 70 m² verwendet werden. Neu ist, dass die Gemeindebauordnungen diesbezüglich anderslautende Bestimmungen festlegen können. Von der neuen Regelung sind in jedem Fall folgende Sachverhalte ausgenommen (Art. 38/3): - wenn eine seit dem 21. August 2020 bestehende, nicht gebundene Wohneinheit um nicht mehr als 20 Prozent der bestehenden Baumasse erweitert wird, unbeschadet der Pflicht der Bindung im Falle einer nachträglichen Teilung der erweiterten Wohneinheit; - wenn die neue Baumasse für die Erweiterung eines an der betreffenden Stelle bereits bestehenden Betriebes verwendet wird. //

BEITRÄGE FÜR DEN ANKAUF VON FAHRRÄDERN UND E-BIKES FÜR BETRIEBE

€Dr. Martin Oberhammer

Wirtschaftsprüfer und Steuerberater MOVO Wirtschafts- und Steuerberatung GmbH Freiberuflergesellschaft www.movo.bz

Die Südtiroler Landesregierung hat mit Beschluss Nr. 283 vom 29.04.2025 die neuen Kriterien zur Förderung und Entwicklung einer nachhaltigen Mobilität in Südtirol veröffentlicht. Gefördert werden unter anderem der Ankauf und die Langzeitmiete von Fahrrädern und E-Bikes für die eigenen Mitarbeiter. Gefördert werden nur Maßnahmen zur Vermeidung, Verlagerung oder Verbesserung der vom eigenen Betrieb verursachten Mobilität.

Wer kann um einen Beitrag ansuchen?

Die Beiträge richten sich an Unternehmen und Vereine inklusive Tourismusorganisationen mit Sitz oder Niederlassung in Südtirol. Welche Ausgaben werden gefördert?

• Ankauf von Fahrrädern mit oder ohne Trethilfe

• Langzeitmiete von Fahrrädern (Mindestdauer von 6 Monaten)

• Errichtung von Fahrradabstellanlagen

• Errichtung von privaten Einzel- und Sammelboxen für Fahrräder Nicht gefördert werden Ausgaben für Reparatur, laufende Betriebsoder Stromkosten und auch nicht der Ankauf von Ladestationen. Die Anzahl der geförderten Fahrräder muss in einem angemessenen Verhältnis zur Anzahl der Mitarbeiter des Unternehmens stehen. Ausmaß der Förderungen

Der Ankauf von E-Bikes wird mit maximal 40% der anerkannten Ausgaben bis zu einem Höchstbetrag von 800,00 Euro pro Fahrrad, der Ankauf von konventionellen Fahrrädern mit bis zu maximal 400,00 Euro pro Fahrrad gefördert. Für Langzeitmiete von E-Bikes ist ein Fördersatz von 40,00 Euro pro Monat bzw. 20,00 Euro bei normalen Fahrrädern vorgesehen. Die Errichtung von privaten Fahrradabstellanlagen wird mit 30% der zugelassenen Ausgaben gefördert. Wie und bis wann kann um die Förderung angesucht werden?

Die Beitragsgesuche müssen vor Beginn oder Durchführung des Vorhabens der Investition bis zum 31. März und 31. August eines jeden Jahres bei der Landesabteilung für Mobilität über die zertifizierte E-Mail-Adresse (PEC) und auf dem von der Landesabteilung bereitgestelltem Vordruck eingereicht werden. Bestellungen, Auftragsbestätigungen oder Rechnungen vor dem Einreichen des Beitragsgesuches führen zum Ausschluss der Förderung. Die Anträge werden in chronologischer Reihenfolge ihres Eingangs erst nach jedem Termin kollektiv bearbeitet. Von Anfang September bis Ende Dezember können keine Anträge eingereicht werden. Der vorgesehene Beitrag ist nicht mit anderen Förderungen kumulierbar. Abrechnung und Auszahlung

Die Begünstigten sind verpflichtet, die geförderten Güter, nur im Rahmen ihrer betrieblichen Tätigkeit zu verwenden und deren wirtschaftliche Zweckbestimmung für drei Jahre nicht zu ändern. Die angekauften Fahrräder oder Radabstellanlagen dürfen in diesem Zeitraum weder veräußert noch vermietet werden. Der Antrag um Auszahlung des Beitrages nach erfolgter Investition muss spätestens innerhalb Ende Dezember des Folgejahres eingereicht werden. //

Ein echtes Löwenherz

In ihrem früheren Leben arbeitete Sigrid Regensberger in einem Immobilienbüro. Dann kam ihre Tochter Julia zur Welt. Sie ist einer jener Menschen, die einfach nicht in eine Schublade passen. Um eine Zukunft für sie zu schaffen, wächst Regensberger über sich hinaus. Vor genau zehn Jahren gründete sie mit einigen Freunden ein Nähatelier. Es ist der Beginn einer besonderen Geschichte, der Geschichte von Vergissmeinnicht. Ein Ort, an dem Julia und viele andere Grenzgängerinnen und Grenzgänger arbeiten und sich entfalten können.

An die Stunde null erinnert sich Sigrid Regensberger noch genau. Sie saß zuhause am Küchentisch. Julia war noch in der Schule. In ein paar Stunden würde sie wieder heimkommen, die Tür mit einem kräftigen Stoß aufmachen und laut „Mama“ rufen. Kaum einen Moment für sich zu haben, daran hatte Sigrid Regensberger sich gewöhnt. Sie war gut darin, spontan alles umzuorganisieren und keine allzu großen Pläne zu schmieden. Von Tag zu Tag, nein, besser, von Stunde zu Stunde zu leben. In ihrem Leben lief die Uhr nach einer anderen Zeit. Diese Zeitrechnung hatte sie sich nicht selbst ausgesucht. Als sie ihr Kind zum ersten Mal in den Armen hielt, sagten die Ärzte, dass das kleine Bündel Mensch nie ein eigenständiges Leben führen könne.

DIE ANFÄNGE

All diese Momente zogen jetzt an ihr vorbei. Seit Monaten fragte Julia ihre Mutter immer wieder, was wohl einmal aus ihr werden sollte. Der Abschluss der Oberschule stand bevor. Julia dachte, ihre Freunde wussten alle schon, was sie tun würden. Studium, Ausbildung, Beruf. Und irgendwann Familie gründen. Ein Weg, den es so für Julia nicht geben würde. Sigrid Regensberger hatte sich da schon im ganzen Land umge-

Angekommen: Sigrid Regensberger

sehen, welche Möglichkeiten es gab. Aber da war nichts, was ihr recht erschien. Denn für Menschen wie Julia, die ihre Zukunft nicht in einer Werkstatt für Beeinträchtigte sehen und auch nicht einfach in ein normales Unternehmen als Mitarbeiter integriert

werden können, war da nur ein leerer Zwischenraum. Ein Grenzgang, in dem sie sich bewegten. Ein Weg ohne ein Ziel, dachte Sigrid Regensberger. Als ihr Mann wenig später nach Hause kam, sagte sie: „Ich gründe selbst etwas, damit Julia an einem Ort arbeiten kann, wo sie aufgehoben ist.”

Eine Jugendherberge mit angeschlossenem Bauernhof eröffnen, das war die erste Idee. Da gäbe es viele Arbeitsmöglichkeiten für diese Zielgruppe, dachte sie. Daraus wurde nichts. Dann trommelte sie ein Team zusammen und machte bei der Ausschreibung für die Leitung eines Schülerheims mit. Andere machten das Rennen. Wenn sie darüber erzählt, ist in keinem Moment Bedauern zu spüren, eher Vertrauen, dass es so, wie es ist, schon alles seinen Sinn hat.

DIE IDEE WÄCHST

Sie ging zurück in ihren alten Beruf, saß am gleichen Schreibtisch, den sie vor über 20 Jahren verlassen hatte, um ein gesundes Kind zur Welt zu bringen. In den Jahren dazwischen liegen Lebenserfahrungen, die sie zu der gemacht haben, die sie heute ist. Sie würde ihr Kind nicht anders wollen. Sie würde so ein Kind niemandem wünschen. Manchmal fühlte sie sich wie ein entwurzelter Baum, den niemand zur Seite geräumt hat. Ihr altes Leben gab es schon lange nicht mehr. Dass sie ständig auf dem Sprung war, nie wirklich planen konnte, stieß manche aus ihrem Umfeld vor den Kopf. „Ganz strukturierte Menschen können damit nicht gut umgehen”, stellt sie fest. Freundschaften sind daran zerbrochen. Sie lassen sich nicht immer an den Plan B anpassen. 2015 nimmt er Gestalt an. Mit einer Freundin wächst die Idee zu einem Projekt: Ponchos in vielen bunten Farben und Größen für den Weihnachtsmarkt nähen, das ist der Plan. Im August wird eine Genossenschaft gegründet, im Oktober öffnet eine kleine Nähstube in der Brunecker Oberstadt. Im folgenden Herbst wagen sie den nächsten Schritt und ziehen in einen größeren Laden gleich ums Eck. In dem 40 Quadratmeter großen Geschäft hängt nur ein Produkt im Regal: der

Alles auf Anfang: In der Brunecker Oberstadt beginnt die Reise von Vergissmeinnicht in einer kleinen Nähstube. Am Anfang gibt es nur Ponchos in verschiedenen Farben und Größen.
Judith Hofer

Poncho. „Wir haben nur das?”, fragt einer der neuen Mitarbeiter geradeheraus, auch er ein Grenzgänger wie Julia.

DAS VERGISSMEINNICHT

Schnell entdecken auch Touristinnen den Laden für sich. Der Mann einer Kundin leitet eine Schweizer Modefirma. Während seine Frau den passenden Poncho anprobiert, meint er zu Sigrid Regensberger: „Ihr habt nur ein Handicap, und das ist die Lage.“ Damit trifft er einen wunden Punkt. Der Laden ist viel zu klein, das weiß sie selbst. Nicht nur, weil kaum Platz ist, um Stoffe und Utensilien zu verstauen, auch die Grenzgängerinnen und Grenzgänger haben mit der Enge zu kämpfen. Eine Mitarbeiterin wird ständig krank. Ist es vielleicht zu laut?

Zeit für den nächsten Schritt, mitten hinein ins Geschehen. Das Vergissmeinnicht kommt an – gleich neben dem Florianitor, am Dreh- und Angelpunkt. Im neuen Atelier im ersten Stock über dem Geschäft am Graben haben nun noch mehr Menschen Platz zum Arbeiten. Die Kollektion ist um Röcke, Kleider, Shirts und Mäntel erweitert worden.

INKLUSION UND GESCHÄFTSSINN

Zwei Dinge treiben Regensberger an. Das pädagogische Konzept für die Inklusion der Grenzgänger steht über allem. „Aber wir wollen nicht nur produzieren, sondern auch schwarze Zahlen schreiben.” Dass sie mit dem Projekt auch wirtschaftlich erfolgreich sein will, wurde ihr am Anfang oft vorgeworfen. Und auf der anderen Seite bekam sie zu hören, dass Vergissmeinnicht ja ohnehin nur vom Land durchfinanziert sei. „Ich nehme das niemandem übel, vielleicht hätte ich genauso gedacht.” Umso wichtiger ist ihr deshalb, zu sagen, was ist. „Wir erhalten keine Beiträge für die laufenden Kosten. Was wir bekommen, ist ein Beitrag für die Grenzgänger, die bei uns arbeiten.” Damit meint sie die Sozialbeiträge, die jeder Betrieb bekommt, der Menschen mit Beeinträchtigung einstellt.

GROSSE HERAUSFORDERUNGEN

Während sie davon erzählt, klopft es an der Tür und Julia kommt herein. Sie muss etwas in der Stadt erledigen und fragt um Erlaubnis. „Es geht gerade nicht”, sagt Sigrid Regensberger. Zweimal fragt Julia noch nach, dann geht sie. Es ist ein gutes Beispiel für die Herausforderungen, die ein solches Projekt mit sich bringt. Einer der Grenzgänger wird nervös, wenn es zu hektisch wird. Dann steht er irgendwann einfach auf und nimmt sich für einen Moment eine Auszeit. Seine Kollegin fragt immer nach, ob sie es schon richtig macht, obwohl sie es eigentlich längst können müsste. Jemand anderes kann keine Kleider in blauer Farbe nähen, weil das Probleme mit den Augen macht. Und am nächsten Tag könnte es bei grünem

Markus Pescoller, Präsident der Sozialgenossenschaft, ist ein Unterstützer der ersten Stunde.

Stoff passieren. Die Liste an Beispielen ist lang. Was besonders wichtig für die Grenzgängerinnen und Grenzgänger ist? „Dass sie einen sicheren Arbeitsplatz haben, an dem

sie gebraucht und so genommen werden wie sie sind und dass sie ein echtes Gehalt für ihre Arbeit bekommen”, sagt Regensberger.

STARKES NETZWERK

Und dann sind da die anderen Menschen im Team. Freiwillige schenken Vergissmeinnicht einen Teil ihrer Zeit, um im Laden oder in der Nähstube zu helfen. Sozialpädagogen, Schneiderinnen, auch ein Coach verfolgen, wie sich das Projekt entwickelt. Normalerweise begleitet er Spitzensportler. Sein Credo ist in der Arbeit dort nicht anders als hier. „Wenn wir sie fördern wollen, müssen wir sie fordern.“ Die Reaktionen der Menschen berühren Sigrid Regensberger. „Es gibt so viele, die immer wieder kommen und uns einfach unterstützen wollen. Auch aus dem Ausland schreiben sie uns.” Zehn Jahre gibt es das Vergissmeinnicht nun. Eine Zeit,

Wertschätzung: Gebraucht zu werden, einen sicheren Arbeitsplatz zu haben und ein echtes Gehalt zu bekommen – das ist für die Grenzgängerinnen und Grenzgänger besonders wichtig. Heinz Innerhofer

Starke Bande: Die Menschen hinter Vergissmeinnicht.
Judith Hofer

auf die sie mit Dankbarkeit zurückschaut. Wie sich das alles entwickelt hat, kann sie selbst manchmal gar nicht glauben. Sieben Grenzgängerinnen und Grenzgänger nähen, lachen und lernen jetzt in der Nähstube, so viele wie nie zuvor. Wenn Regensberger an die Zukunft denkt, dann ist da jetzt nicht mehr ein luftleerer Raum. Julia, die lange Taschen gehäkelt hat, hat gelernt, Taschen auch zu nähen. Erst letzthin sagte sie zu ihrer Mama: „Ich werde hier nicht in Pension gehen. Ich möchte auch noch was anderes sehen.” Da erschrak Sigrid Regensberger für einen Moment. Dann musste sie lachen. Eigentlich, dachte sie, habe ich wohl doch einiges richtig gemacht. // Verena Duregger

10 JAHRE VERGISSMEINNICHT

Manche Erfolgsgeschichten fangen klein an. 2015 gründet Sigrid Regensberger, Mutter einer Grenzgängerin, Vergissmeinnicht. In dem Nähatelier entsteht am Anfang nur ein Produkt: bunte Ponchos. In der Sozialgenossenschaft finden Grenzgängerinnen und Grenzgänger einen Arbeitsplatz. Grenzgänger? Das sind Menschen, die nirgends richtig dazugehören, die an einem normalen Arbeitsplatz nicht in-

GÄNSELIESL IN BRUNECK

tegriert werden können, weil die Herausforderungen zu groß sind und in einer Werkstatt für Menschen mit Beeinträchtigung das Gefühl haben, auch nicht am richtigen Platz zu sein. Menschen – daher auch der Name Vergissmeinnicht – die man „vergessen” hat. Das Jubiläumsjahr startet mit – wie könnte es anders sein – einer Aktion zu den Ponchos, mit denen alles begann. Am 6. August gibt es im Geschäft gleich

BELIEBTER TREFFPUNKT KEHRT ZURÜCK

Still war es lange geworden um die idyllische Wiese unterhalb von Schloss Bruneck. Doch nun kehrt Leben zurück an einen der charmantesten Orte der Stadt. Die kleine Schänke bei der Gänseliesl-Statue, direkt neben der Rainkirche, ist zurück – zumindest vorübergehend und in neuem, sommerlichen Gewand. Seit Anfang Ju-

li verwandelt sich das dortige Areal immer freitags und samstags ab 17.00 Uhr in einen stimmungsvollen Treffpunkt. Unter den alten Bäumen erwartet die Besucherinnen und Besucher eine entspannte Mischung aus Livemusik, kleinen Kulturbeiträgen und feinem Streetfood. Die Resonanz zum Auftaktwochenende war vielversprechend: Zahlreiche Bruneckerinnen und Brunecker genossen das besondere Ambiente – mit Blick auf die Stadt, umrahmt von Musik und einem kühlen Getränk in der Hand. Die ursprüngliche Schänke war 2019 stillgelegt worden. Seitdem wurde an einem neuen Konzept gearbeitet. Da das Areal unter Natur- und Landschaftsschutz steht, ist nur ein reduzierter Ausbau möglich. Wann der allerdings in Angriff genommen wird, steht noch nicht fest. Für Fraktionspräsident Maximilian Gartner ist die temporäre Wiedereröffnung ein Schritt in die richtige Richtung. „Wir

neben dem Florianitor Strauben. Das kommt nicht von ungefähr: Die Teigspeise hat schließlich die Form eines Netzes und Vergissmeinnicht lebt seit jeher vom starken Netzwerk an Unterstützern. Am Graben wird es auch eine Kunstinstallation von Ponchos geben, die das Thema Inklusion sichtbar macht. Und dann sind noch viele weitere Aktionen geplant. //

hoffen, dass dieses Format neue Gespräche mit der Gemeindeverwaltung anstößt – mit dem Ziel, im nächsten Sommer eine dauerhafte, kleine Struktur zu schaffen“, sagt er. Der Wunsch nach einer sanften Wiederbelebung sei stark aus der Bevölkerung gekommen. Zumindest für diesen Sommer ist die Gänseliesl ein Ort der Begegnung, wie ihn viele in Bruneck vermisst haben. //rewe

Bunte Auswahl: Im Geschäft am Graben gibt es die Kreationen aus dem Nähatelier. D. Perbellini

JANNIK SINNER

LICHTBRINGER IM HERRENTENNIS

Jannik Sinner ist derzeit der leuchtende Mittelpunkt im Herrentennis – sowohl sportlich als auch in der öffentlichen Wahrnehmung. Der 23-jährige Sextner ist nicht nur der erste Italiener, der jemals in die Weltranglisten-Spitze (ATP-Nummer 1) aufgestiegen ist, er hat heuer gleich drei Grand-Slam-Titel gewonnen: den Australian Open (erneut), die French Open (Finalist) und vor kurzem in einem historischen Triumph mit Wimbledon seinen ersten Titel auf dem heiligen Rasen. Damit hat er sich endgültig in die Geschichtsbücher katapultiert.

Jannik Sinner überzeugt nicht nur durch seine druckvolle und taktische Spielweise, sondern auch durch seine Bodenständigkeit. Er residiert in Monaco, fährt leidenschaftlich gerne Ski und bringt sich abseits der Tennisplätze in vielfältige Engagements ein –sein jüngstes Projekt ist die Gründung der Jannik Sinner-Stiftung, die sich der Förderung von Kindern durch Sport und Bildung verschreibt.

Vor allem aber beeindruckt Sinner durch seine mentale Stärke und sein Feingefühl im Umgang mit dem eigenen Erfolg. Nach

seinem Wimbledon-Sieg sagte er, dass ihn sein Duell mit Carlos Alcaraz weiter motiviere: „Alcaraz macht mich zu einem besseren Spieler“, sagte er nach dem denkwürdigen Turnier.

Im berühmten Endspiel von Wimbledon, in dem Sinner nach Satzrückstand gegen den Spanier triumphierte, attestieren Kommentatoren ihm „Resilienz und taktische Brillanz“. Das ist ein weiterer Beleg für sein großes Format.

DIE ÖKONOMISCHE DIMENSION

Der Aufstieg Sinners ist zugleich eine wirtschaftliche Erfolgsgeschichte für Italien und für ihn persönlich: Mit einem geschätzten Vermögen von 30 Millionen Dollar gehört er zu den am besten verdienenden Tennisspielern weltweit – allein 2024 nahm er rund 11,6 Mio. Dollar Preisgeld und 15 Mio. Dollar aus Sponsorings ein.

Und er hat noch lange nicht fertig. Sein Tennisstil, seine charismatische Außenwirkung und Reichweite machen ihn zu einem idealen Markenbotschafter für Sport, Region und Sponsoren gleichermaßen. Es ist auch zu bemerken, dass der Tennissport auch hierzulande dank Sinner einen neuen Drive erfährt.

NACHHALTIGER KARRIEREBAU

Sinner ging 2018 mit 17 auf die ATP-Tour, und sein Weg war bis vor kurzem ein geradliniger Aufstieg. Einen kurzen Rückschlag musste er 2024 hinnehmen, als ein „positives“ Doping-Ergebnis zu einer drei-monatigen Sperre führte. Doch er kehrte stärker zurück, gewann den Shanghai-Masters und verteidigte seinen Australian Open-Titel – bevor er in Wimbledon endgültig zum Weltstar im Tennishimmel wurde. //rewe

SPORTLICHER ÜBERBLICK:

• Grand-Slam 2025: Australian Open, Wimbledon-Sieg, French-Open-Finale

• Weltranglisten-Platz: ATP-Nummer 1 (seit Juni 2024)

• Karrierestatistiken: bislang 20 ATP-Titel, davon 4 im Grand-Slam-Bereich

Schulterschluss für die Zukunft

Es ist ein Schritt, der über reines Sportsponsoring hinausgeht: Der HC Pustertal schlägt ein neues Kapitel auf und zwar als HC Falkensteiner Pustertal. Der traditionsreiche Eishockeyclub des Pustertals startet mit einem neuen Namen und einem starken Partner an seiner Seite in die kommende Saison der ICE-Hockey Liga. Möglich macht das die Kooperation mit der Falkensteiner Michaeler Tourism Group AG (FMTG), die ab sofort als Hauptsponsor und Namensgeber auftritt.

Für die Verantwortlichen auf beiden Seiten ist diese Partnerschaft weit mehr als ein Logo auf dem Trikot. Es ist ein Bekenntnis, zur Region, zum Spitzensport und zur gemeinsamen Vision. „Tourismus und Sport bewegen Menschen, schaffen Emotionen und verbinden - über Grenzen hinweg“, bringt es Otmar Michaeler, CEO der FMTG, auf den Punkt. „Diese Partnerschaft ist ein strategischer Schulterschluss. Wir wollen gemeinsam Begeisterung stiften und die Strahlkraft des HC Falkensteiner Pustertal weit über Südtirol hinaus sichtbar machen.“

Dass das Engagement aus dem eigenen Tal kommt, verleiht der Zusammenarbeit zusätzlichen Wert. Die FMTG, zu der unter anderem 27 Hotels in sieben europäischen Ländern gehören, ist mit der Marke Falkensteiner Hotels & Residences tief im Pustertal verwurzelt. Für Erich Falkensteiner, Präsident des HC Pustertal, ist die Kooperation Ausdruck gemeinsamer Werte: „Beide Marken stehen für Qualität, Beständigkeit und Leidenschaft. Diese Verbindung war ein logischer Schritt.“

PROFESSIONALISIERUNG MIT HERZ

Der Wechsel in die ICE Hockey League im Jahr 2021, der Umzug in die neue Arena in Bruneck und nun ein Hauptsponsor von internationalem Format: Der HC Pustertal zeigt seit Jahren, wie man einen regional verankerten Verein nachhaltig, wirtschaftlich solide und sportlich ambitioniert weiterentwickeln kann.

„Wir betreuen unsere Partner mit viel Engagement und Wertschätzung. Das zahlt sich aus“, so HCP-Geschäftsführer Jochen Schenk. „Mit Falkensteiner haben wir nun einen Partner auf Augenhöhe, der uns neue Möglichkeiten eröffnet – nicht nur sportlich, sondern auch in Struktur und Entwicklung.“

Auch Marketingchef Michael Ranalter zeigt sich überzeugt: „Der Verein ist heute deut-

Strahlende Gesichter nach der Vertragsunterzeichnung (von links nach rechts): Erich Falkensteiner (Präsident HCP und Co-Owner/Chairman von Falkensteiner Hotels & Residences), Otmar Michaeler (CEO FMTG), Jochen Schenk (CEO HCP) und Peter Oberparleiter (Vize-Präsident HCP).

lich attraktiver für Unternehmen – vom lokalen Handwerksbetrieb bis zum internationalen Konzern. Die neue Partnerschaft ist eine Chance, unser Profil weiter zu schärfen und als Marke zu wachsen.“

VERTRAG AUF DREI JAHRE

Der geschlossene Vertrag zwischen dem HCP und der FMTG umfasst eine dreijährige Partnerschaft. Neben den Namensrechten beinhaltet er umfangreiche Marketingmaßnahmen – darunter Werbeflächen in der Arena, Präsenz auf Spielerdressen sowie digitale Kooperationen. Doch auch symbolisch ist die Partnerschaft ein Meilenstein. Nach dem

erfolgreichen Ligaeintritt vor vier Jahren spricht man beim HC Pustertal nun erneut von einer „neuen Zeitrechnung“. Diesmal nicht durch sportlichen Aufstieg, sondern durch eine wirtschaftliche Verbindung, die auf Dauer angelegt ist und auf gemeinsamen Werten basiert.

Mit dem neuen Namen HC Falkensteiner Pustertal rücken Sport, Wirtschaft und regionale Identität noch näher zusammen. Was einst als sportlicher Aufbruch begann, entwickelt sich zu einer stabilen Größe in der Alpenregion, getragen von Menschen, Unternehmen und einer Gemeinschaft, die an die Kraft des Eishockeys glaubt. // rewe

FREIWILLIGE FEUERWEHR BRUNECK

Mit der neuen Bezirkseinteilung Alt-Tirols 1868 endete die vorhergehende Kreiseinteilung: Bruneck und Lienz wurden nun zu Bezirkshauptstädten. Im selben Jahr wurde die Freiwillige Feuerwehr Lienz unter Aegid Pegger „aus der Taufe“ gehoben; Pegger regte 1872 auch die Gründung des Tiroler Landesfeuerwehrverbands an.

Der Vorreiter ist aber Bruneck mit der Installierung seines traditionsreichen Verbands bereits 1864 (!) als allererste Feuerwehr im heutigen Südtirol. Den Anstoß dazu gab Druckereibesitzer und Zeitungsverleger Johann Georg Mahl, welcher der aus dem Turnverein rekrutierten Feuerwehr auch vorstand (daher auch der damals übliche Name „Turnerfeuerwehr“). Mahl sollte 1881 bis 1887 auch rühriger Bürgermeister von Bruneck werden. // mk

AUFRUF

Das TAP sucht historische Photographien aus Bruneck und Umgebung sowie das Pustertal und seine Seitentäler betreffend (auch aus dem übrigen Südtirol sowie Nord- und Osttirol) – von Alltag und Freizeit (Bergfotografie!) bis Politik, Wirtschaft, Religion, Vereinsleben etc.

Aus den (kurzfristig) überlassenen Fotos wird ausgewählt, jene als Kulturschatz eingestuften Lichtbilder werden kostenfrei gescannt und dann die Originale mit den Scans an die Besitzerin bzw. den Besitzer zurückgegeben. Das TAP wünscht einzig auch die Nutzung der erstellten Digitalisate. Archivleiter Dr. Martin Kofler steht gerne zur Verfügung (T.: 0043-664-3568535)!

Nächster Abgabetermin: Dienstag, 29.07.2025, 10.00 bis 12.30 Uhr, Rathaus Bruneck, Sitzungsraum 1. Stock links

WEITERE INFOS: www.tiroler-photoarchiv.eu www.lichtbild-argentovivo.eu www.instagram.com/tiroler_photoarchiv/

Eine Aktion des TAP

mit Unterstützung der Pustertaler Zeitung

1. Übung mit Motorspritze Magirus Pumpe 19 Fiat 503, 1931. (Fotograf: Unbekannt; Sammlung Freiwillige Feuerwehr Bruneck – TAP)
Die Freiwillige Feuerwehr Bruneck, 1897, unter Kommandant Carl Mahl. (Fotograf: Albuin Johann Mariner; Sammlung Freiwillige Feuerwehr Bruneck – TAP)
Umzug beim 40-jährigen Jubiläum der Freiwilligen Feuerwehr Bruneck, 1904. (Fotograf: Unbekannt; Sammlung Freiwillige Feuerwehr Bruneck – TAP)

DIE NEU GESTALTETE PARFÜMERIE VON ZIEGLAUER AM FLORIANITOR IN BRUNECK

Zwischen Tradition und Eleganz

Im Herzen von Bruneck, am Florianitor, dem Tor zur Stadt, präsentiert sich die Parfümerie von Zieglauer seit Kurzem in einem neuen Erscheinungsbild. Elegant und trotzdem dezent, modern und gleichzeitig heimelig und freundlich, kurzum verlockend und einladend, weil bis ins Detail liebevoll gestaltet, ist die lange schon beliebte Parfümerie nun auch ein echter Blickfang am Eingang der Rienzstadt. Marion von Zieglauer, kreative Seele und Ideengeberin dieser stimmigen Veränderung, hat das sorgsam durchdachte Konzept Hand in Hand mit der Tischlerei Unterberger verwirklicht, jedes Detail wurde gemeinsam entwickelt und gezeichnet. In Hans, Sabine und Jan Unterberger hat Marion von Zieglauer somit ein Tischlerunternehmen für Inneneinrichtung

Dieses Projekt durften wir gemeinsam mit einem unserer qualifizierten Partnerbetriebe begleiten –mit hochwertigen Fliesen aus unserem Haus und fachmännischer Verlegung durch Piffrader Meinrad.

Unser Partner

Piffrader Meinrad

info@piffrader.bz.it

St. Lorenzen

gefunden, das genauso leidenschaftlich für Präzision brennt wie sie selbst. „Die drei nehmen sich Zeit für Feinheiten, warten mit immer neuen Ideen auf und schrecken auch vor komplizierten Aufgaben nicht zurück!“, so das zufriedene Fazit der Unternehmerin.

GUT GELUNGENER UMBAU

Im Ergebnis erwartet die Kundschaft nun also eine Parfümerie in warmen Ulmenholztönen, die mit großzügiger Atmosphäre glänzt: Eine erweiterte Schmuckabteilung, eine neue Wand für exklusive Nischendüfte – von venezianischen Schätzen von Gritti bis zu erlesenen Kreationen von Brunello Cucinelli – sowie ein erweitertes Sortiment

an Kosmetikmarken. Internationale Größen wie Shiseido und Clarins präsentieren sich in der neuen Parfümerie gewohnt stilvoll, genauso wie interessante Neuzugänge von Kiehl’s und Doctor Babor. Wichtig ist für Marion von Zieglauer dabei stets, dass Nachhaltigkeit auf wissenschaftliche Forschung und neueste Technologien der Kosmetik aufeinandertreffen.

FAMILIENUNTERNEHMEN

MIT MEHREREN ECKPFEILERN

Denn seit jeher steht das Familienunternehmen von Zieglauer für qualitativ hochwertige Produkte, gepaart mit einer kompetenten, persönlichen Beratung und Betreuung. Und was einst vor über einem Jahrhundert als kleine Drogerie im Hinterhaus der Zieglauer-Apotheke begann, ist über die Generationen hinweg gewachsen und umfasst heute als Unternehmen ein Ensemble

Unterberger J. & Co KG

J.-G.-Mahl-Str. 44, Bruneck

Tel. 0474/555450 - info@unterberger.bz

Ausführung der gesamten Einrichtung inkl. Planung mit Detailausarbeitung

Das Team der Tischlerei Unterberger bedankt sich bei Marion von Zieglauer für die vertrauensvolle und angenehme Zusammenarbeit.

Wir wünschen viel Erfolg!

39034 Toblach (BZ)

Tel. 348 7157793

Info@maler-schneider.it

www.maler-schneider.it

Kunst- und Bauschlosserei Edelstahlverarbeitung

Kunst- und Bauschlosserei Edelstahlverarbeitung

Kunst- und Bauschlosserei Edelstahlverarbeitung

Kunst- und Bauschlosserei Edelstahlverarbeitung

TUTZER

TUTZER

TUTZER

TUTZER

kompetent & zuverlässig

kompetent & zuverlässig

kompetent & zuverlässig

kompetent & zuverlässig

zertifiziert nach EXC2

zertifiziert nach EXC2

zertifiziert nach EXC2

zertifiziert nach EXC2

aus Parfümerie und klassischer Drogerie in der Brunecker Oberstadt, am Graben und in Sand in Taufers, sowie aus dem Sanitätshaus und der Lingerie in der Andreas Hofer Stra ße, jeweils geführt von den Schwestern Ma rion und Elisabeth von Zieglauer.

Bruneck/St. Georgen - Zum Hohen Kreuz 3 | Tel. 0474 550 626 | info@tutzer.bz.it | www.tutzer.bz.it

EINE CHARMANTE VERWANDLUNG

wie Einheimische herzlich willkommen heißt. Ein großes Dankeschön an dieser Stelle an alle, die zur Verwirklichung des Projekts beigetragen haben, neben der Tischlerei Unterberger und der gesamten Familie von Zieglauer, allen voran Gabi und Max, an alle beteiligten Firmen und Unternehmen. // ez

Bruneck/St. Georgen - Zum Hohen Kreuz 3 | Tel. 0474 550 626 | info@tutzer.bz.it | www.tutzer.bz.it

Bruneck/St. Georgen - Zum Hohen Kreuz 3 | Tel. 0474 550 626 | info@tutzer.bz.it | www.tutzer.bz.it

Bruneck/St. Georgen - Zum Hohen Kreuz 3 | Tel. 0474 550 626 | info@tutzer.bz.it | www.tutzer.bz.it

St. Georgen, Zum Hohen Kreuz 3 Tel. 0474 550626 - Fax 554827 - info@tutzer.bz.it

St. Georgen, Zum Hohen Kreuz 3 Tel. 0474 550626 - Fax 554827 - info@tutzer.bz.it

Bruneck / St. Georgen Zum Hohen Kreuz 3 Tel. 0474 550 626 • info@tutzer.bz.it www.tutzer.bz.it

St. Georgen, Zum Hohen Kreuz 3 0474 550626 - Fax 554827 - info@tutzer.bz.it

St. Georgen, Zum Hohen Kreuz 3 0474 550626 - Fax 554827 - info@tutzer.bz.it

des/di Stimpfl Manfred & Co.

des/di Stimpfl Manfred & Co.

des/di Stimpfl Manfred & Co.

des/di Stimpfl Manfred & Co.

- DROGERIE

KG SAS (BZ)

HEIZUNGS- UND SANITÄRANLAGEN

EINRICHTUNG PROJEKTE. www.innerhofer.it www.stimpflkg.it

Mahl-Str. 6 Via J.G. Mahl

MwSt-Nr. u. H.R. e R.I.:

I-39031 Bruneck (BZ)

I-39031 BRUNECK / BRUNICO (BZ)

J.G. Mahl-Str. 6 Via J.G. Mahl

BRUNECK / BRUNICO (BZ)

St.-Nr. u. MwSt-Nr. u. H.R.

Tel. 0474 552236

Tel. 0474 552236

01376390215 KG SAS

C.F. e P. IVA e R.I.:

01376390215

J.G. Mahlstraße 6 Tel. 0474/552236 info@stimpflkg.it

Tel. 0474 552236 E-mail: info@stimpflkg.it PEC: stimpflkg@secure-pec.it

Tel. 0474 552236

E-mail: info@stimpflkg.it PEC: stimpflkg@secure-pec.it

E-mail: info@stimpflkg.it PEC: stimpflkg@secure-pec.it

E-mail: info@stimpflkg.it PEC: stimpflkg@secure-pec.it

01376390215 www.stimpflkg.it

Und schließlich zeichnet sich die Drogerie von Zieglauer seit vielen Jahren durch eine breite Palette an alltäglichen Pflegeprodukten, verschiedenster Kosmetik sowie Haushalts- und Reinigungsartikeln aus – ein Sortiment, das in der neuen Parfümerie nun zeitgemäß und geschmackvoll ergänzt wird. Mit dem jüngsten Umbau hat Marion von Zieglauer zusammen mit ihrer Familie und der Tischlerei Unterberger somit ein echtes Schmuckstück geschaffen – ein Ort des Wohlfühlens und der Inspiration. Ein weiterer wichtiger Schritt des Familienunternehmens von Zieglauer Richtung Zukunft – und gleichzeitig eine ehrwürdige Verneigung vor der Geschichte. Denn Marion von Zieglauer betont, dass sie mit der diesem Umbau nicht nur ihr eigenes Projekt verwirklichen, sondern auch etwas zum Erscheinungsbild der Stadt beitragen wollte und damit einen Ort schaffen, der das Tal bereichert und Gäste

Bruneck

Am Graben 20, 39031 Bruneck

Tel. +39 0474 530 760

Oberragen 14, 39031 Bruneck Tel. +39 0474 410 933

Sand in Taufers

Jungmannstr. 3, 39032 Sand in Taufers Tel. +39 0474 678 780

www.zieglauer.it

PARFUMERIE
Fotos
Roman

GEWERBEZONE BRUNECK NORD

Rückgrat der Pustertaler Wirtschaft

Die Gewerbezone Bruneck Nord, nördlich des Stadtzentrums gelegen, ist heute ein dynamischer Wirtschaftsraum mit überregionaler Strahlkraft. Sie umfasst über 50 Betriebe, die zusammen zahlreiche hochkarätige Arbeitsplätze in unterschiedlichsten Branchen sichern – vom klassischen Industrie- bis Handwerksbetrieb über spezialisierte Zulieferer bis hin zu Hightech-Unternehmen.

Ein besonderer Schwerpunkt liegt im verarbeitenden Gewerbe und dem Handwerk. Das sind Sektoren mit tiefer regionaler Verankerung. Sie nutzen die hervorragende Anbindung und Infrastruktur der Zone. Gleichzeitig sind auch industrielle Betriebe angesiedelt, die zum Teil international tätig sind und mit ihren Fertigungs- oder Lagerstandorten zur Exportstärke der Region beitragen.

INFRASTRUKTUR MIT WEITBLICK

Die Gemeinde Bruneck hat in den vergangenen Jahren zwar in die Entwicklung der Zone investiert, aber die komplette Verlegung des Nordringes samt Anschlussteil über die Stegener Brücke harrt noch der Umsetzung. Auch das Parkplatzproblem – vor allem >>

für LKWs – konnte noch nicht gelöst werden. Dafür haben die Betriebe massiv investiert und haben moderne Betriebsgebäude erstellt. Das leistungsfähige digitale Glasfasernetz schafft ideale Bedingungen für effizientes Arbeiten – auch in Zeiten zunehmender Digitalisierung.

Auch bei der Energieversorgung und Mobilität denkt man zukunftsorientiert: Auf mehreren Betrieben wurden Photovoltaikanlagen errichtet, es gibt Ladestationen für E-Fahrzeuge, und Regenwassernutzung wird bei Neubauten zunehmend mitgedacht. Diese ökologische Grundhaltung der Zone wird auch vom Land Südtirol unterstützt, das gewerbliche Nachhaltigkeit gezielt fördert.

Camper RENT

PIFFRADER VERMIETET verschiedene Wohnmobile neuerer Bauart für bis zu 6 Personen ab 120€ täglich. Auf unserer Webseite findest du eine detaillierte Beschreibung der Fahrzeuge, ihre Ausstattung, Serviceleistungen, Zubehör.

Neuer Verkaufspunkt Stegen Besuch uns! Visitaci!

AUSBILDUNG, FACHKRÄFTE, ZUKUNFT

Neuer Verkaufspunkt Stegen Besuch uns! Visitaci!

Für den gesamten Bezirk ist Bruneck Nord auch ein wichtiger Ausbildungsstandort: Viele Betriebe bieten Lehrstellen und Praktika an –nicht nur im Bereich der Industrie und Handwerk, sondern auch in technischen und kreativen Berufen. Die Nähe zu den Berufsschulen von Bruneck und zum NOI-Technologiepark ermöglicht eine enge Verzahnung von Praxis und Lehre.

Gleichzeitig zeigt sich hier ein Modell, wie ländliche Regionen junge Fachkräfte halten können, indem sie Perspektiven und Entwicklungsmöglichkeiten vor Ort schaffen – ein zentraler Punkt in der aktuellen Debatte um Fachkräftemangel und Abwanderung.

ZUBEHÖR EINKAUFEN

WEINSBERG 650

• 4 Erw. / adulti

WEINSBERG 650

• 4 Erw. / adulti

• Waschraum / bagno

• Küche / cucina

Camper RENT

• Klimaanlage / aria condizionata

PIFFRADER AFFITTA

diversi camper di ultima generazione per fino a 6 persone a partire da 120 € al giorno. Sul nostro sito web troverai una descrizione dettagliata dei veicoli, i loro allestimenti, i servizi inclusi e accessori da scegliere.

Herausragende Tore & Haustüren seit 45 Jahren

Auroport GmbH Bruneck, Tel. 0474 551084 info@auroport.it • www.auroport.it

PIFFRADER VERMIETET verschiedene Wohnmobile neuerer Bauart für bis zu 6 Personen ab 120€ täglich. Auf unserer Webseite findest du eine detaillierte Beschreibung der Fahrzeuge, ihre Ausstattung, Serviceleistungen, Zubehör.

• Foto: Brunner Outdoor, Piffrader, www.rcmarketing.it

Besuche uns im Geschäft in Bruneck / Stegen zu Öffnungszeiten und wähle zwischen 150 lagernden Artikeln. Oder du bestellst im Vorfeld die Artikel deiner Wahl vom Brunnerkatalog und holst sie zum vereinbarten Termin im Geschäft ab.

• Waschraum / bagno

• Küche / cucina

• Klimaanlage / aria condizionata

AQUISTARE ACCESSORI Vieni a trovarci nel negozio di Brunico / Stegona durante l‘orario di apertura e scegli tra 150 articoli. Oppure ordina gli articoli che preferisci dal catalogo Brunner e ritirali nel nostro negozio.

• Satzfehler & Änderungen vorbehalten

PIFFRADER AFFITTA diversi camper di ultima generazione per fino a 6 persone a partire da 120 € al giorno. Sul nostro sito web troverai una descrizione dettagliata dei veicoli, i loro allestimenti, i servizi inclusi e accessori da scegliere.

© 2023 www. rcmarketing.it

ZUBEHÖR EINKAUFEN Besuche uns im Geschäft in Bruneck / Stegen zu Öffnungszeiten und wähle zwischen 150 lagernden Artikeln. Oder du bestellst im Vorfeld die Artikel deiner Wahl vom Brunnerkatalog und holst sie zum vereinbarten Termin im Geschäft ab.

PIFFRADER Camper RENT & Accessoires www.piffrader.bz.it - info@piffrader.bz.it

AQUISTARE

Vieni a trovarci negozio di gona durante apertura e articoli. Oppure articoli che dal catalogo ritirali nel nostro

PIFFRADER Camper RENT & Accessoires www.piffrader.bz.it - info@piffrader.bz.it

Bruneck - Brunico (Südtirol / ItalienRienzfeldstr.

Bruneck - Brunico (Südtirol / Italien - Italia) Rienzfeldstr. 4 - via Campi della Rienza, 4

Tel. +39 349 66 84 238

Di.+Do. / ma + gio. 14–19:00 & Sa. 9–12:00 und auf Anfrage - e su richiesta

MO.-FR. auf tel. Anfrage Sa. 9–12:00 Uhr

Unsere Partner - I nostri partner:

DER WEG ZU UNS COME TROVARCI
Unsere Partner:
alle Bilder: Google Streetview

MEHR ALS EINE GEWERBEZONE

Die Gewerbezone Bruneck Nord ist längst mehr als nur ein Betriebsgebiet. Sie ist ein lebendiger Beweis dafür, dass Wirtschaft, Regionalität und Nachhaltigkeit keine Gegensätze sein müssen, sondern sich gegenseitig stärken können. Mit ihrem starken Rückhalt aus Industrie und Handwerk, ihrer klugen Infrastrukturpolitik und dem offenen Blick für die ökologischen Herausforderungen der Zeit bietet sie ein Modell für viele andere Gemeinden – im Pustertal und darüber hinaus.

Wenn nämlich Standortentwicklung mit Weitblick, kommunaler Verantwortung und regionaler Identität verbunden wird, kann daraus ein Areal bestehen bleiben, der Arbeitsplätze schafft, Innovation fördert und gleichzeitig bodenständig fest verankert bleibt. Das ist genau der Mix, den es für ein erfolgreiches Wirtschaften braucht. // bp

Üppiger, 60 Jahre alter Gyzinienschmuck... Toni Willeit aus Ehrenburg

Sonnenuntergang am Haunold Erna Tschurtschenthaler aus

Der traumhafte Wengsee in Mühlwald

Gertraud Karner Hopfgartner aus Mühlwald

Mondsee mit Drachenwand

Blumenwiese in Geiselsberg

Gabi Schnarf aus Olang

Arnikawiese, auf dem Weg zu den

Toblach
Hans Willeit
Lobisa Schupfen in Rein Anna Eppacher aus Luttach

Frühling in St. Georgen

Sarah Unterberger aus St. Lorenzen

Türkenbund

Rosmarie Volgger aus Pfunders

Wunder der Natur

Helga aus Corvara

„Le Cancun Blanch“ im Reich der Fanes

Morgenstimmung in Heilig Geist

Hermann Leiter aus St. Johann im Ahrntal

Sabrina Da Col Gelber Frauenschuh in St.Vigil

Walter Pörnbacher aus Olang

Liebe Leserinnen und Leser, schickt uns Eure schönsten, lustigsten, überraschendsten und/oder atemberaubendsten Bilder –wir zeigen sie dem Pustertal!

Zusendungen an:

E-Mail: info@pz-media.it oder PZ, Oberragen 18, 39031 Bruneck

Wichtig: Bitte geben Sie Ihren Namen, ihren Wohnort und das Kennwort „Leserfoto“ an!

Die PZ behält sich das Recht vor, Inhalte und Fotos aus ethischen und anderen Gründen abzulehnen.

Mit neuer Produktlinie in die Zukunft

GKN Driveline Bruneck blickt wieder mit Zuversicht nach vorn, nach einem wirtschaftlich schwierigen Jahr. Das Werk, das sich bisher stark auf E-Drive-Technologien konzentriert hat, erweitert nun sein Portfolio: Ab Anfang 2026 startet die Produktion von Verteilergetrieben für Allradfahrzeuge; Vorder- und Hinterachsen – sogenannte PTU (Power Transfer Unit) und RDU (Rear Drive Unit) – für den Automobilhersteller Volvo.

Das vergangene Jahr stellte das Werk vor große Herausforderungen: Globale Unsicherheiten und schwache Nachfrage nach elektrifizierten Fahrzeugen führten zu reduzierter Auslastung und Kurzarbeit. Doch das Team in Bruneck hielt zusammen, die GKN-Gruppe unterstützte den Standort und investierte in Know-how und Technologie – und stellte damit die Weichen für einen Neustart.

DOPPELTE STRATEGIE

Mit dem neuen Auftrag für Volvo verfolgt GKN Driveline Bruneck nun eine doppelte Strategie: Neben dem bestehenden E-Drive-Geschäft wird künftig auch wieder verstärkt auf traditionelle Antriebssysteme gesetzt. Die Produktion der PTU- und RDU-Einheiten ist ein klares Bekenntnis zur Verlängerung bestehender Fahrzeugplattformen – ein Trend, der sich aktuell in der gesamten Automobilindustrie abzeichnet.

„Wir folgen damit dem Markt“, sagt Alexander Burger, Geschäftsleiter der GKN Driveline Bruneck. „Viele Hersteller setzen weiterhin auf bewährte Antriebstechnologien, parallel zur Elektrifizierung. Diese Balance ist entscheidend für eine stabile Transformation.“ Die neuen Getriebeeinheiten werden vollständig in Bruneck gefertigt und montiert – inklusive hochpräziser Hypoidverzahnung, die für eine besonders effiziente und leise Kraftübertragung sorgt. Damit unterstreicht das Werk seine technologische Kompetenz und Position als Zulieferer im Antriebsbereich.

Mit dem Produktionsstart Anfang 2026 beginnt nicht nur ein neues Kapitel für das Werk, sondern auch für viele Fachkräfte in der Region. Bereits jetzt wird wieder eingestellt – ein positives Signal für den Standort Bruneck. Die Kombination aus E-Drive und klassischen Antriebssystemen schafft eine neue Basis für die kommenden Jahre – und macht das Werk fit für die Mobilität der Zukunft. // PR-Info

und

in Voll- oder Teilzeit

gkndrivelinebruneck.onboard.org/jobs

GKN Driveline Bruneck

Tel: +39 0474 580179 E-Mail: hr.bru@gknautomotive.com

WIDERSTAND IM WANDEL DER ZEIT

„Im Faulturm“ ist ein Theaterstück über Freiheit, Macht und Widerstand. Im Gedenken an 500 Jahre Bauernkriege wird im Rahmen der „Puschtra Freilichtaufführungen“ die Uraufführung von Gertrud Geisslers historischem Drama gebracht. Das Theaterstück hat brennende Aktualität.

Ein Prediger im Kerker, gefoltert wegen seines Glaubens: Was auf den ersten Blick wie ein Kapitel aus der fernen Vergangenheit klingt, entpuppt sich in der Uraufführung von „Im Faulturm“ als eindringlicher Kommentar zur Gegenwart. Das neue Freilichttheaterstück der Pustertaler Theatergemeinschaft erzählt die wahre Geschichte von Hans Kral, einem Täufer, der im 16. Jahrhundert im Ahrntal verhaftet, auf Burg Taufers gefoltert und beinahe zwei Jahre im sogenannten Faulturm eingesperrt wurde. Sein Vergehen: der Widerstand gegen die kirchliche und weltliche Macht seiner Zeit. Anlässlich 500 Jahre Bauernkrieg und im Gedenken an die Täuferbewegung rückt

das Stück zentrale Themen ins Licht, die auch heute nichts an Brisanz verloren haben: Glaubensfreiheit, Unterdrückung, Zivilcourage. Für Sonja Ellemunt, Obfrau der Theatergemeinschaft, ist klar: „Wir zeigen nicht einfach ein Stück Geschichte – wir zeigen, wie dünn der Boden ist, auf dem unsere Freiheit steht.“

Das Stück „Im Faulturm“ stellt unbequeme Fragen: Was bedeutet Überzeugung in einer Welt, in der Abweichung bestraft wird? Wer

widerspricht heute den Machtstrukturen? Und wer zahlt dafür den Preis?

Das Stück schlägt gezielt Brücken zur Gegenwart – etwa zu religiöser Verfolgung weltweit, eingeschränkter Meinungsfreiheit, zunehmender Polarisierung oder der politischen Instrumentalisierung von Religion. Es geht um Systeme, die sich wandeln – doch um Mechanismen, die bestehen bleiben. „Macht schützt sich nicht durch Argumente, sondern durch Angst“, lautet eine der zentralen Botschaften des Stücks.

EIN SYMBOLTRÄCHTIGER SPIELORT

Gespielt wird an einem besonders stimmungsvollen Ort: dem Ansitz Hebenstreit in St. Lorenzen, nur unweit vom Herkunftsort Jakob Huters, eines der bedeutendsten Täuferführer. Die Nähe zur Sonnenburg –selbst einst Schauplatz kirchlicher und weltlicher Machtausübung – verleiht dem Spielort zusätzliche Tiefe. Getragen wird das Stück von einem breiten Netzwerk der Theaterlandschaft im Puster-

tal: Zahlreiche Gruppen aus Pfunders, Weitental, Kiens, Terenten, Pfalzen, St. Georgen, Bruneck, Gais, Sand in Taufers, Weißenbach, St. Johann, Percha, Rasen und Niederdorf wirken am Gemeinschaftsprojekt mit. Es ist gelebte kulturelle Zusammenarbeit –generationenübergreifend und gemeindeübergreifend. // rewe

PREMIERE UND AUFFÜHRUNGSTERMINE

Die Premiere von „Im Faulturm“ findet am Freitag, den 8. August 2025 um 21:00 Uhr im Ansitz Hebenstreit in St. Lorenzen bei Bruneck statt. Weitere Aufführungstermine (jeweils 21:00 Uhr): So, 10.08. | Mi, 13.08. | Do, 14.08. | Sa, 16.08. | Di, 19.08. | Mi, 20.08. | Fr, 22.08. | Sa, 23.08. | Mo, 25.08. Karten und Kontakt: Reservierungen unter der Nummer +39 379 1634951 (auch via WhatsApp) oder per E-Mail an pustertalertheatergemeinschaft@ gmail.com möglich. Bitte geben Sie bei der Anfrage Name, Anzahl der Sitzplätze und Telefonnummer an. Die Reservierung gilt erst nach Bestätigung. //

BEETHOVENS 9. SINFONIE IN DER EISARENA IN BRUNECK

WENN MUSIK DIE EISFLÄCHE EROBERT

Ein außergewöhnliches Projekt verbindet diesen Sommer im Pustertal Musik und Sport auf eindrucksvolle Weise: Am 2. August 2025 verwandelt sich die Eisarena in Bruneck in einen Konzertsaal und lädt ein zu einem musikalischen Erlebnis der besonderen Art. Unter dem Titel „Sport meets Music“ bringt der Verein Musik Leben Pustertal gemeinsam mit hochkarätigen Partnern Beethovens 9. Sinfonie auf die Bühne.

Rund 350 Musikerinnen und Musiker – das Orchester und der Chor der Studienstiftung des deutschen Volkes (München) sowie Gesangssolistinnen, -solisten und der Südtiroler Projektchor – vereinen sich an diesem Abend zu einem klanggewaltigen Ensemble, das Beethovens Meisterwerk in einer ungewöhnlichen Kulisse zum Leben erweckt. Möglich gemacht wird dieses kulturelle Großereignis unter anderem durch die großzügige Unterstützung der Raiffeisenkasse Bruneck, die sich als Hauptsponsor klar zur Förderung regionaler Kultur bekennt.

„Dieses Projekt zeigt eindrucksvoll, wie viel entstehen kann, wenn Leidenschaft auf

RaiffeisenFlash

Förderung trifft“, so Heiner Nicolussi-Leck, der Präsident des Vereins „Musik Leben Pustertal“. Auch Georg Oberhollenzer, Geschäftsführer der Raiffeisenkasse Bruneck, unterstreicht die Bedeutung der hochkarätigen Veranstaltung.

„Kultur stiftet Identität und Zusammenhalt. Solche Partnerschaften sind unser Beitrag zu einer lebendigen Kulturlandschaft in der Region.“

„Sport meets Music“ ist dabei weit mehr als ein Konzert – es ist ein Symbol für Gemeinschaft, Grenzüberschreitung und kreative Verbindung, wie sie auch in Beethovens berühm-

ter „Ode an die Freude“ anklingt. Tickets sind ab sofort erhältlich – online bei Midaticket Beethoven oder direkt beim Tourismusverein Bruneck unter Tel. 0474 555722. // cs

Selbstbestimmt und abgesichert im Pflegefall – Raiffeisen Pflegevorsorge

Welche Herausforderungen stehen der Pflege älterer Menschen in Südtirol bevor und warum ist Vorsorge wichtig?

In Südtirol erwarten wir bis 2035 einen Anstieg des Pflegebedarfs um mehr als 35 Prozent. Der demografische Wandel und sich ändernde familiäre Strukturen führen dazu, dass immer mehr Senioren auf Unterstützung angewiesen sind. Die frühzeitige Vorsorge ist entscheidend, um finanzielle Risiken im Pflegefall zu minimieren.

Wie unterstützt die Raiffeisen Pflegevorsorge konkret und wer profitiert davon?

Unsere Pflegeversicherung bietet im Ernstfall eine monatliche Pfle-

gerente. Diese hilft, einen Teil der Pflegekosten zu decken, sodass Betroffene ihre Ersparnisse nicht vollständig aufbrauchen müssen. Dadurch werden auch Angehörige finanziell entlastet. Jeder, der sich frühzeitig um seine Pflegevorsorge kümmert, kann profitieren.

Wie sieht die aktuelle PflegeSituation in Südtirol aus, und wer übernimmt hauptsächlich die Pflege?

Aktuell werden rund 70% der Pflegebedürftigen von Angehörigen betreut, oft unterstützt durch Hilfskräfte, die sogenannten „Badanti“. In Südtirol leben zudem etwa 4.700 Menschen in 79 Seniorenheimen.

Worüber wurde beim Informationsabend „Heute Vorsorge - morgen Fürsorge“ am 22. Mai in der Raiffeisenkasse Bruneck diskutiert?

Expert*innen diskutierten neue Herausforderungen und Perspektiven der Pflege. Mehr als 160 Besucher*innen informierten sich über die Bedeutung frühzeitiger Vorsorge und die finanziellen sowie gesellschaftlichen Aspekte der Pflege. Dieser Informationsabend schärfte das Bewusstsein für die Notwendigkeit von vorausschauender Planung und Verantwortung.

Karin Rungger Beraterin

Werner Volgger, Georg Oberhollenzer und Heiner Nicolussi-Leck (v. l. n. r.) bei der Besiegelung der Partnerschaft.
Werbeanzeige

Kunst trifft Erinnerung

Mit großem Interesse und zahlreicher Beteiligung wurde am vierten Juli 2025 im „Haus Wassermann“ in Niederdorf die Ausstellung „Fragments of Freedom“ feierlich eröffnet. Das eindrucksvolle Projekt verbindet Kunst, Geschichte und gesellschaftliches Bewusstsein. Im Mittelpunkt stehen die Themen Freiheit, Erinnerung und Verantwortung.

Bürgermeister Günther Wisthaler begrüßte Vertreterinnen und Vertreter aus den umliegenden Gemeinden sowie aus Niederdorf selbst und erinnerte an ein bedeutendes Kapitel lokaler Geschich te: Vor genau 80 Jahren zeigte die Nieder dorfer Bevölkerung große Zivilcourage, als Häftlinge des Konzentrationslagers Dachau nach Niederdorf kamen – sie wurden von den Bewohnern unterstützt und versorgt. Dieser historische Moment ist zentraler Be

dom“ Werke in Holz, Farbe und Fotografie.

OF FREEDOM

In Zusammenarbeit mit der Künstler

UNIKA-Präsident Matthias Kostner betonte die Vielfalt der künstlerischen Zugänge: Die ausgestellten Arbeiten setzen sich auf sehr persönliche, oft fragmentarische und manchmal schmerzhafte Weise mit dem Begriff der Freiheit auseinander.

Günther Runggaldier - Liberty, Öl auf Leinwand

Günther Runggaldier: Liberty K. Matthaeus

©Kostner Matthaeus

Wir suchen Mitarbeiter für Produktion u. Montage

29.09.2025

FREIHEIT IST WICHTIG

Die Kuratorin Sigrid Bachmann hob her-

Stefan Perathoner: Evviva Kostner Matthaeus

gesellschaftliches Ideal sei, sondern eine fragile, individuell empfundene Erfahrung. Das ist eine Botschaft, die angesichts aktueller weltweiter Entwicklungen besondere Aktualität erhält.

Die Ausstellung „Fragments of Freedom“ ist noch bis zum 29. September 2025 zu sehen.

Die Öffnungszeiten: Mittwoch bis Samstag von 16:00 bis 19:00 Uhr sowie Sonntag von 10:00 bis 12:00 Uhr und 16:00 bis 19:00 Uhr.

MUSIKALISCHER SOMMERABEND IM URSULINENGARTEN IN BRUNECK

BENEFIZKONZERT

MIT DEN GESCHWISTERN HINTNER

Ein besonderer musikalischer Genuss erwartet Besucherinnen und Besucher am Sonntag, den 3. August 2025 um 19:00 Uhr, wenn die beliebte Gruppe „Geschwister Hintner“ im wunderschönen Ursulinengarten in Bruneck auftritt. Bei schlechter Witterung findet das Konzert in der Aula des Sowi-Gymnasiums statt. Organisiert wird der Abend vom Freundeskreis der Ursulinen, der mit dieser Veranstaltung nicht nur einen stimmungsvollen Sommerabend schafft, sondern auch wichtige Anliegen verfolgt: die Förderung von Schule, Heim und Kloster, die Bewahrung christlicher Werte sowie die Unterstützung der Bildung und Erziehung junger Menschen.

INNICHEN

MAGIE UNTER FREIEM HIMMEL

Am 25. Juli 2025 verwandelt sich das Zentrum von Innichen erneut in eine große Bühne. Das beliebte internationale Straßentheaterfestival „Olala“ macht bereits zum 11. Mal Station in der Pustertaler Marktgemeinde. Es ist ein Highlight für Kulturbegeisterte und Neugierige jeden Alters. In Lienz, wo das Festival seinen Ursprung hat, feiert Olala heuer übrigens bereits seine 34. Ausgabe.

Zwölf Künstlergruppen aus aller Welt sorgen zwischen 14:00 und 22:00 Uhr für ein vielfältiges und überraschendes Programm. Ob spektakuläre Akrobatik, witzige Straßencircus-Nummern, charmante Clownerie oder stille, poetische Darbietungen – das Festival bietet Kulturgenuss mit Tiefgang und Augenzwinkern zugleich. Ein Erlebnis, das nicht nur Kinder zum Staunen bringt. Olala steht ganz im Zeichen von Offenheit, Zugänglichkeit und spontaner Begegnung: Der Eintritt ist frei, gespielt wird im Freien – ganz so, wie es sich für echtes Straßentheater gehört. Da sich dieses von Wetter und Moment inspirieren lässt, sind kurzfristige Änderungen im Ablauf möglich. Ermöglicht wird dieses besondere Kulturerlebnis durch die grenzüberschreitende Zusammenarbeit mit dem Osttiroler Verein „ummiGummi“, der das Festival mit großem Engagement

Der Eintritt erfolgt auf freiwillige Spendenbasis – der Erlös kommt direkt Projekten des Freundeskreises zugute und unterstützt damit Initiativen innerhalb der Ursulinen-Gemeinschaft. Seit seiner Gründung am 4. Februar 2012 engagiert sich der Freundeskreis für die Pflege der Identität der Ursulinen und setzt Impulse für eine nachhaltige und zukunftsorientierte Entwicklung der Bildungseinrichtung. Alle sind herzlich eingeladen. // cs

organisiert. Diese Partnerschaft zeigt beispielhaft, wie gelebte Nachbarschaft und kultureller Austausch über Landesgrenzen hinweg funktionieren können.

Ein Besuch bei Olala in Innichen verspricht unvergessliche Augenblicke, Überraschungen an jeder Ecke und ein Fest der Sinne – mitten im Herzen des Dorfes. Das vollständige Programmheft ist im Tourismusverein Innichen erhältlich. // ha

INTERNATIONALES STRASSENTHEATER FESTIVAL LIENZ

Freitag 25.7.2025

14 - 22 Uhr INNICHEN

Fußgängerzone

Die Geschwister Hintner treten im Ursulinengarten in Bruneck auf.

Bildung als Tor zur Welt

Ein Lebensabschnitt endet, ein neuer Weg beginnt. Ihr habt hart gearbeitet. Umso mehr sollt ihr jetzt euren schulischen Erfolg gebührend feiern!“. Mit diesen Worten eröffnete die

Im Bild die fünf Maturanten mit der höchstmöglichen Punktezahl.

Direktorin der TFO Bruneck, Silvia Kaser, ein kleines Fest, bei welchem die Maturadiplome an die diesjährigen Absolventinnen und Absolventen der Schule überreicht wurden. Sie bedankte sich herzlich beim Förderverein für die große und unkomplizierte Unterstützung der Bildungsarbeit an der TFO Bruneck.

Dank der Initiative des Fördervereins konnten die rund 170 anwesenden Gäste, darunter auch zahlreiche Lehrpersonen und Eltern sowie die Vorstandsmitglieder des Fördervereins, unentgeltlich verköstigt werden. Auch an eine musikalische Unterhaltung hatte man gedacht. Und so genossen alle Anwesenden einen warmen Sommerabend und tauschten vielerlei Gedanken aus.

AUSGEZEICHNETE FACHLICHE BILDUNG

Alexander Burger vom Unternehmerverband bedankte sich bei der Schule für die ausgezeichnete fachliche Bildung, die den jungen Menschen geboten wird, und das in Berufen, die heute mehr denn je gefragt sind. Er rief dazu auf, die großen Herausforderungen der heutigen Welt mit positivem Denken, Freude und Begeisterung anzugehen, und betonte, dass den jungen Menschen viele Wege offenstehen. Der Südtiroler Unternehmerverband mit all seinen kleineren und größeren Betrieben, so Burger, bietet rund 42.000 Arbeitsplätze, die in der Regel überdurchschnittlich gut bezahlt sind. // gw

GEEHRTE MATURANTEN

Im Rahmen der Diplomüberreichung wurden auch jene Maturanten geehrt, welche die Abschlussprüfung mit der höchstmöglichen Punktezahl abgelegt hatten: Thomas Oberhauser (Klasse 5MaA, Fachrichtung Maschinenbau), Georg Gruber (Klasse 5MaB, Fachrichtung Maschinenbau), Jannik Burger (Klasse 5ChA, Fachrichtung Chemie), Matteo Dallara (Klasse 5ChA, Fachrichtung Chemie) und Simon Nitz (Klasse 5ElB, Fachrichtung Elektrotechnik) //

STÄRKERE STIMME FÜR DIE INKLUSION

Der Südtiroler Landtag hat vor kurzem die feste Vertretung für Schülerinnen und Schüler mit Behinderung und ihre Eltern in Schulbeiräten beschlossen. Die Initiative wurde vom Pustertaler Abgeordneten Alex Ploner (Team K) initiiert.

Ein bedeutender Schritt hin zu mehr Teilhabe im Bildungssystem: Der Südtiroler Landtag hat beschlossen, dass Schülerinnen und Schüler mit Behinderung sowie ihre Eltern künftig fest in den schulischen Landesbeiräten vertreten sein werden. Damit erhalten sie ein dauerhaftes Mitspracherecht in den wichtigsten Gremien zur Schulentwicklung. Die Initiative geht auf einen Antrag von Alex Ploner zurück. Er fand im Landtag breite Unterstützung. Ploner zeigte sich überzeugt: „Nach Jahrzehnten schulischer Mitbestimmung war es längst überfällig, auch jene einzubeziehen, die täglich mit den besonderen Herausforderungen inklusiver Bildung leben.“ Die schulische Realität sei heute komplexer und vielfältiger als zur Zeit der ursprünglichen Gesetzgebung – und genau das müsse sich auch in den Mitwirkungsgremien widerspiegeln.

KLARE GESETZLICHE REGELUNG

Die Neuerung ersetzt eine bisherige KannBestimmung durch eine klare gesetzliche Verpflichtung. Betroffene erhalten dadurch

nicht nur eine formale, sondern auch eine wirksame Stimme. „Niemand weiß besser, was Kinder mit Behinderung brauchen, als sie selbst und ihre Familien. Deshalb ist ihre direkte Beteiligung bei schulischen Entscheidungen unerlässlich“, so Ploner. Mit dem heutigen Beschluss reagiert der Landtag auf ein langjähriges Anliegen vieler Eltern und Betroffener, die sich bislang in Fragen, die ihre Lebensrealität unmittelbar betreffen, nicht ausreichend gehört fühlten. Die feste Einbindung in die Beiräte stellt nicht nur einen Akt der Fairness dar – sie steht auch symbolisch für eine offenere, gerechtere Gesellschaft.

Ploner wertet die Annahme seines Antrags als wichtiges Signal: „Es zeigt, dass politisches Engagement etwas bewegen kann. Wir setzen heute ein deutliches Zeichen für mehr Mitbestimmung, für Gleichberechtigung und für eine Schule, in der alle ihren Platz haben.“

Die Entscheidung gilt als wichtiger Meilenstein für die Südtiroler Bildungslandschaft. Er könnte darüber hinaus auch anderen Regionen als Vorbild dienen. In jedem Fall ist es ein Zeichen für mehr Menschlichkeit im Bildungssystem. // rewe

Der Abgeordnete vom Team K, Alex Ploner.

Das Jubiläums-Sommerfest

Vor 25 Jahre wurde das Jugend- und Kulturzentrum UFO eröffnet und steht seitdem nicht nur für einen Ort der Jugendarbeit, sondern ganz allgemein für junge Kultur, für Begegnung der Generationen und für einen innovativen Ort der Vielfalt. Mit einem Jubilee-Sommerfeschtl am Samstag, 2. August, werden nun 25 Jahre Bandbreite der Kreativität ordentlich gefeiert - und alle sind herzlich dazu eingeladen.

Los geht’s ab 14 Uhr, unter anderem für die Kinder, wenn die UFO-Arena zu einem riesigen Spielplatz wird mit kunstvoll gestalteten Holzspielen, Glitzertattoos, Gesichtsmalerei und der bezaubernden Clownin Luftalina, ein erfrischendes Eisgeschenk und Zuckerwatte gibt’s für die Kids obendrauf. Und im Saal wird um 15 und 16.30 Uhr das Stück „Die Glücksforscher“ vom bekannten Kinder- und Jugendtheater freiluft gezeigt. Für Jugendliche ist natürlich auch ein buntes und cooles Programm geplant: Ein Workshop mit dem Graffitikünstler Aaron Unterholzner, ein Gymkurs im Calisthenics-Raum und ein Workshop mit den DJs AVE und Natter im Treff - für die Workshops kann man sich vorab im UFO anmelden.

Auf der Café-Terrasse performen nachmittags junge Singer-Songwriter/innen und Poetry-Slammerinnen und -Slammer. Der Gitarrist und Künstler Peter Burchia erfindet sich immer wieder neu, bei seinen Konzerten gibt es kein vorgefertigtes Programm. Nach seinem Konzert greift er beim Sommerfeschtl zum Pinsel mit dem Ziel, ein Bild im Hier und Jetzt entstehen zu lassen. Gleichzeitig slammen die mehrfach ausgezeichneten Wortkünstler/innen Olivia Kaufmann und Andreas Kofler. Simon Feichter ist der Sänger und Songwriter der Band „Cemetery Drive”, er wird mit seiner Akustikgitarre seinen Lieblingssongs neues Leben einhauchen. !nes & Sophia begeistern mit selbst geschriebenem Indie-Pop auf Englisch und Ladinisch. Musik- und Kulturgenuss pur also, und auch kulinarisch bleiben keine Wünsche offen, denn die beliebte Matilda Streetfood Bar ist vor Ort.

OFFIZIELLER FESTAKT

Der offizielle Festakt beginnt dann um 19.30 Uhr mit Tänzen der Shabba Crew, die mit ihren Tanzperformances seit vielen Jahren für Gänsehaut- und Nachdenkmomente im UFO sorgt. Nach der Jubiläumsrede beziehungsweise einem Rückblick von Seiten der UFO-Präsidentin Judith Steinmair folgt ein kurzer Jubiläums-Talk mit Verantwortungsträgern und Wegbegleitern der Stadtgemeinde Bruneck und des Landes. Zudem trägt das Slammer-Duo „OlliAnder“ ihre Sichtweise zur Jugend und Kultur und Südtirol bei und die Filmschule ZeLIG zeigt den Kurzfilm UFO. Der musikalische Hauptact kommt aus Australien. Das Duo „Salt Tree“ verbindet eine einzigartige Chemie, die sich in ihren mitreißenden Harmonien und ihren aufregenden Live-Auftritten widerspiegelt. In die Nacht hinein getanzt wird mit den Rappern von „Alex the Judge and the forbidden fruits“. Die Gewinner des 15. UploadSoundsContests rund um den Künstler Alex Richter und den Produzenten Fabian Pichler garantieren eine coole Geburtstagsparty. // jst

WICHTIGE INFORMATIONEN

Das Jubilee-Sommerfeschtl am zweiten August 2025 findet bei jeder Witterung statt. Bei Regen werden die Aktivitäten ins Haus verlagert. Alle Programmpunkte finden bei freiem Eintritt statt, Reservierungen für einzelne Events (außer Workshops) sind nicht möglich – auch nicht für das Konzert mit Salt Tree. Weitere Infos: www.ufobruneck.it

Hermann Maria Gasser

ZEHN JAHRE JUNGBÖHMISCHE PICHL–GSIES

EIN FEST DER TÖNE UND FREUNDSCHAFT

Ein Jahrzehnt voller Musik, Freundschaft und unzähliger Auftritte: Die Jungböhmische Pichl feiert heuer ihr zehnjähriges Bestehen und lädt am 1. und 2. August 2025 zu einem großen Jubiläumsfest in die Sportzone Pichl/Gsies.

Was einst als kleine Musikinitiative begann, ist heute eine eingespielte Truppe mit 15 Musikantinnen und Musikanten, begleitet von Sängerin, Tontechniker und zwei Marketenderinnen. Sie alle vereint ihre Leidenschaft zur Blasmusik. Den Auftakt zum Jubiläumsfest macht am Freitagabend das

• HEILSITZUNGEN

• ATLASREPONIERUNG

beliebte „Feiroubmdfeschtl“, das gemeinsam mit der Schützenkapelle Pichl organisiert wird. Bereits am frühen Abend sorgen die jungen Talente der Juka-Gsies für musikalische Einstimmung, bevor mitreißende Livebands und DJ-Klänge das Publikum bis in die Nacht begleiten. Am Samstag geht das Fest bereits am Vormittag weiter – mit Frühschoppen, regionaler Kulinarik und einem bunten Kinderprogramm für die kleinen Gäste. Im Mittelpunkt des Tages steht der Blasmusikcontest „Echt Böhmisch“, bei dem acht Musikgruppen aus Nah und Fern auf der Bühne ihr Können zei-

• COACHING IN PRÄSENZ & ONLINE

• CORE COACHING

gen. Eine Fachjury bewertet die Auftritte, und auf die Gewinner warten nicht nur Ehre und Applaus, sondern auch ein Auftritt beim renommierten Festival „Brass Pyramide“ im Folgejahr. Am Abend dürfen sich die Besucher auf hochkarätige Live-Musik freuen, bevor die Jubelgruppe selbst – die Jungböhmische Pichl – zum großen Abschluss aufspielt. Neben dem musikalischen Programm erwarten die Gäste eine gemütliche Weinlaube, kulinarische Spezialitäten und ein besonderes Gewinnspiel: Unter allen Vorverkaufskarten wird ein Wellnessgutschein im Wert von 1.000 Euro verlost. // rewe

MARION GRIESSMAIR

PRAXIS FÜR GEISTIGES HEILEN UND FUTURE - COACHING

Wenn Blockaden und Schmerzen uns daran hindern, ein Leben in Freude und Freiheit zu führen…

Alles, was wir bis jetzt in unserem Leben gelernt, erlebt und erfahren haben, ist in unseren Zellen gespeichert und bestimmt mit, ob wir ein glückliches Leben führen oder nicht.

Kennst auch du herausfordernde Situationen, in denen du immer wieder gleich reagierst und keine für dich guten Lösungen findest?

Hast du immer wiederkehrende oder anhaltende Schmerzen, die dir deine Energie und deine Kraft rauben?

Vielleicht meldet sich bei dir auch der Gedanke, nicht dein Leben zu leben, das, was du wirklich brauchst? Dabei fühlst du dich immer öfter kraftlos, ausgeliefert und nicht glücklich?

Ich kenne und biete effektive und lebensverändernde Hilfe in diesen Situationen.

Wenn dein System in Unordnung geraten ist, gilt es durch gezielte Heilimpulse deine Selbstheilungskräfte zu aktivieren und deine Energie wieder fließen zu lassen.

Auf diese Weise können emotionale Blockaden aufgelöst werden und auch Schmerzen verschwinden, was dein Leben beträchtlich erleichtern kann.

Fehlstellungen und Verdrehungen in deinem Bewegungsapparat dürfen korrigiert werden und du kommst wieder in deine Mitte. Du fühlst dich zentrierter, freier und sicherer in deinen Alltagsbewegungen.

Dies bedeutet: Die Qualität deines Lebens verbessert sich. Deine eigene Kraft kommt zurück und damit auch deine Lebensfreude.

Melde dich gerne bei mir, wenn du dich angesprochen fühlst und nutze das besondere Sommerangebot!

Ich freue mich auf dich!

BERGRETTUNG SAND IN TAUFERS

Freude über den leistungsstarken Zuwachs im Fuhrpark. Einen guten Grund zum Feiern bot den 34 Sandner Bergrettungsmännern die Segnung ihres neuen Mannschaftsfahrzeuges. Michael Kaiser

Große Freude über das neue Einsatzfahrzeug

Mit einer kleinen Feier und großer Freude stellte jüngst die Bergrettung Sand in Taufers ihr neues Mannschaftstransportfahrzeug offiziell in Dienst. Dieses soll künftig improvisierte Fahrten mit den Privatautos der Einsatzkräfte ersetzen.

„Ein Meilenstein für unsere Einsatzbereitschaft und unsere Sicherheit“, betonte Rettungsstellenleiter Walter Unteregelsbacher bei der feierlichen Übergabe. Das neue Fahrzeug – ein 7-Sitzer von Mercedes-Benz mit Allradantrieb, Anhängerkupplung und 235 PS – wird künftig für Mannschafts- und Materialtransporte, für Drohneneinsätze sowie als mobile Einsatzleitung am Berg genutzt. Auch Gemeinschaftsfahrten zu Versammlungen, Aus- und Weiterbildungen sowie zu gemeinnützigen Diensten sollen erleichtert werden.

Die Anschaffungskosten von 110.000 Euro sind durch ein starkes Netzwerk an Unter-

Aller guten Dinge sind drei. Ein für die speziellen Erfordernisse der Bergrettung umgerüsteter Mercedes Benz V-Klasse ergänzt seit Kurzem den Fuhrpark der Bergrettungsstelle Sand in Taufers.

stützern gedeckt: 30.000 Euro kamen vom BRD-Landesverband, 37.000 Euro von den Gemeinden Sand in Taufers und Mühlwald sowie den Fraktionen Mühlen, Kematen, Sand, Ahornach und Rein. Den Rest trugen großzügige Spender aus der Wirtschaft, von Vereinen und der Bevölkerung bei. Ein besonderer Moment war die Segnung des Fahrzeugs durch Diakon Günther Rederlechner. Mit einem Augenzwinkern und den Worten „Guter Gott, segne flott“ stellte er das Fahrzeug unter den Schutz des Allmächtigen – verbunden mit der Bitte, dass alle Einsätze gut ausgehen mögen, sowohl für die Hilfesuchenden als auch für die Einsatzkräfte. Rederlechner zeigte sich erfreut darüber, dass die Bergretter den kirchlichen Segen ausdrücklich gewünscht hatten: „Schön, dass die Segnung für euch nicht nur ein symboli-

scher Akt ist, sondern Kraft- und Tankstelle sowie Ausdruck eurer Hoffnung und Zuversicht, dass euch das neue Fahrzeug helfe, Leben zu retten und in Not Geratene zu versorgen“, so der Diakon.

Nach dem offiziellen Teil wurde gefeiert: Bei kühlen Getränken und herzhaft Gegrilltem verweilten die Bergretter gemeinsam mit ihren Familien, Gemeinde- und Fraktionsvertretern, den Delegierten befreundeter Blaulichtorganisationen und Unterstützern in geselliger Runde. Besonders gefragt war dabei die Führung durch das Bergrettungslokal mit Einsatzzentrale und Mannschaftsausrüstung – inklusive der Hightech-Drohnen, über die der BRD Sand mittlerweile verfügt und die auch von den benachbarten Rettungsstellen für Einsätze im Raum Pustertal angefordert werden können. // te

Eduard
Tasser

SCHACH IM WEINKELLER

Vor kurzem fand die zweite Ausgabe des Schachturniers vom SSV Bruneck im Weinkeller in Bruneck statt. Wie auch vergangenes Jahr, versprach ein starkes Teilnehmerfeld für Spannung zu sorgen. Heuer war vor allem die Delegation des hauseigenen SSV Bruneck gut vertreten, was unmissverständlich auf die Ambitionen des Vereins hindeutet, dass im Herbst ein neuer, alter Player, zur Südtiroler-Schachmeisterschaft antreten wird. Auch durften erfreulicherweise wieder neue Gesichter in der urigen WeinkellerKulisse begrüßt werden. Vor allem die Kategorie C (Jugend) ließ aufhorchen.

Kurz vor Beginn des Turniers fand zum ersten Mal unsere Initiative Sommerschach im „Inso-Haus“ statt. Gleich zwei neue Enthusiasten des Sports meldeten sich auch prompt an, um ihr Können gegen die Großen unter Beweis zu stellen. Bonasera Gabriele schnappte sich den dritten Platz in Kategorie C.

Das toppte dann noch Urbani Grecchi Emanuele, ein vielversprechendes Talent, gern gesehener Gast und bereits jetzt Teil der SSV Bruneck Gemeinschaft, triumphierte

bei den Jugendlichen und durfte sich über einen Geschenkskorb mit Südtiroler Spezialitäten freuen.

Ein äußerst spannendes Generationen-Duell wurde vom zweitplatzierten Victor von Mersi Spanu (Kat C) und Roland Mair ausgefochten. Victor mit deutlichem Stellungsvorteil, aber beide unter extremer Zeitnot, mit weniger als einer Minute auf der Uhr, links und rechts. Die Nerven lagen blank und so forcierte Victor kurzerhand den Damentausch, übersah, dass er jene seines Gegners eigentlich gewinnen konnte und musste leidvoll zusehen, wie seine Zeit zuerst ablief. Wie echte Gentlemen gab es einen freundlichen Handschlag unter Vereinskollegen (beide SSV Bruneck) und die aufgeheizte Stimmung verlief in heiterem Gelächter.

STARKE ERGEBNISSE

Auch die Ergebnisse in Kategorie B deuten ein Wiedererstarken des SSV Bruneck an. Der dritte Platz ging an Markus Zöggeler und souveräner Sieger wurde Jonathan Volgger. Im SSV-Sandwich belegte Daniel Gurschler den zweiten Platz.

In der Gesamtwertung, mit jeweils 5,5 aus 7 Punkten fanden sich Werner de Nicolò auf

BAUERNJUGEND IM AUSTAUSCH MIT LUIS DURNWALDER

WURZELN

dem dritten Platz und Andreas Peintner, mit der besseren Buchholz-Wertung, auf dem zweiten Platz ein, auch sie wiederum Brunecker Spieler. Den Tagessieg holte sich Michael Sader (Brixen-Milland) mit sechs Punkten. Er darf sich über ein Abendessen zu zweit im Pustertaler Hof in Kiens freuen. Der Verein möchte sich bei allen Beteiligten, insbesondere der Teilnehmer und Sponsoren bedanken. Wer Schach spielen oder auch nur zuschauen möchte, kann die Sektion gerne über den Sommer im Inso-Haus besuchen. Der Verein ist jeden Mittwoch, ab 18:00 Uhr vor Ort. Diese gemütliche Atmosphäre schreit förmlich nach Grillfeier. Alle weiteren Informationen gibt es auf den Social-Media-Kanälen. // mz

SPÜREN UND ZUKUNFT GESTALTEN

Wo junge Ideen auf historische Erfahrung treffen, entsteht oft etwas besonders Wertvolles. Genau das war bei der Sommer-Landesleitungssitzung der Südtiroler Bauernjugend (SBJ) der Fall, die heuer am Unterfinserhof in Lajen/Ried stattfand. Unter dem Motto „Wer seine Wurzeln kennt, kann die Zukunft gestalten“ tauschten sich Vertreterinnen und Vertreter aus ganz Südtirol mit einem der prägenden politischen Köpfe des Landes aus: Alt-Landeshauptmann Dr. Luis Durnwalder.

Dass Durnwalder nicht nur als Politiker, sondern auch als Mitgründer der Südtiroler Bauernjugend eingeladen wurde, verlieh dem Treffen eine besondere Bedeutung. In entspannter Atmosphäre berichtete er von den Anfängen der SBJ, die er als damaliger Direktor des Südtiroler Bauernbundes aktiv mitgestaltet hatte. Dabei erinnerte er sich auch an Widerstände: „Gerade von Seiten der Kirche gab es anfänglich viel Skepsis“, erzählte er. Und: Die Bauernjugend war ursprünglich eine reine Burschengruppe. Erst 1974 wurde durch eine Statutenänderung der Weg für junge Frauen in der SBJ frei.

Das Foto von der Gründungsversammlung aus dem Jahr 1969. Ganz links Luis Durnwalder in andächtiger Pose.

In Bezug auf die Zukunft der Landwirtschaft im Nebenerwerb riet er den Jugendlichen, achtsam mit den eigenen Ressourcen umzugehen: „Wer sich zu viel auflädt, hat irgendwann keine Zeit mehr für das Wesentliche.“ Im Anschluss an den Austausch bedankten sich Landesobmann

Raffael Peer und Landesleiterin Viktoria Kössler herzlich bei Durnwalder. Als Erinnerung überreichten sie ihm eine Flasche Wein und eine Grußkarte mit einem historischen Foto der SBJ-Gründung aus dem Jahr 1969 auf dem auch ein junger Luis Durnwalder zu sehen ist. // rewe

Ein würdiges Jubiläumsrennen

Was am 12. Juli 2025 mit rund 2.500 begeisterten Radfahrerinnen und Radfahrern in Niederdorf gefeiert wurde, war nicht nur ein sportliches Großereignis, sondern auch ein möglicher Schlusspunkt. Denn die 30. Ausgabe des Südtirol-DolomitiSuperbike könnte zugleich die letzte gewesen sein – zumindest unter der Leitung von Kurt Ploner, dem Mann, der diese Veranstaltung über Jahrzehnte mit seinem Team aufgebaut und geprägt hat.

Kurt Ploner, der das Rennen im Jahre 1995 mitinitiiert hatte, stand mehr als drei Jahrzehnte lang an der Spitze des Organisationskomitees. In dieser Zeit hat sich das Event von einem lokalen MTB-Rennen zu einem der renommiertesten Marathonläufe Euro-

pas entwickelt. Mit seiner Mischung aus sportlicher Herausforderung, landschaftlicher Schönheit und perfekter Organisation lockte das Superbike Jahr für Jahr über 2.500 Teilnehmende aus aller Welt ins Hochpustertal – und mit ihnen Besucher, Medien, Wirtschaftstreibende. Wer in Niederdorf und Umgebung ein Hotelzimmer für das Superbike-Wochenende braucht, der muss früh buchen. Denn das Rennen ist längst nicht mehr nur sportlich relevant, es ist wirtschaftlich bedeutsam, regional identitätsstiftend und imageprägend für die gesamte Region.

DER RÜCKZUG

Doch genau diese Erfolgsgeschichte steht nun auf der Kippe. Kurt Ploner hat angekündigt, sich zurückzuziehen. Nicht im Zorn,

Kurt Ploner (Präsident Organisationskomitee):

„Mit dieser Ausgabe schließt sich ein Kreis. Aus einer Idee von vier Freunden aus dem Jahr 1995 hier in Niederdorf ist einer der beliebtesten Mountainbike Marathons geworden. Diese drei Jahrzehnte waren eine wunderschöne Reise und ich möchte mich von Herzen bei allen bedanken, die uns in diesen Jahren immer unterstützt, die mit uns mitgefiebert, die mit uns mitgearbeitet haben. Allen voran natürlich meinem Team, den vielen freiwilligen Helferinnen und Helfer, allen Blaulicht-Organisationen und sonstigen Vereinen. Auch unseren Partnern möchte ich für ihre Unterstützung danken. Mit viel Enthusiasmus und Leidenschaft haben wir diesen Südtirol Dolomiti Superbike gemeinsam aufgebaut.“ //

nicht aus Enttäuschung, sondern aus dem Gefühl heraus, dass es Zeit sei, die Verantwortung weiterzugeben. Dass bislang keine Nachfolge in Sicht ist, bereitet ihm Sorge. In Gespräch spricht er offen darüber, dass ein solches Großevent ohne langfristige Planung, motiviertes Team und starke Partnerschaften nicht zu stemmen sei. Was für die Zuschauer nach einem reibungslosen Ablauf aussieht, ist in Wirklichkeit das Ergebnis harter Arbeit – das ganze Jahr hindurch. Der mögliche Wegfall der Veranstaltung hätte spürbare Konsequenzen für die Region. Nicht nur, weil es Einnahmeausfälle für Hotellerie, Gastronomie und Dienstleister gäbe. Sondern auch, weil dem Pustertal ein Stück überregionaler Sichtbarkeit verloren ginge. Das Dolomiti Superbike ist mehr als

Kurt Ploner wisthaler

30. DOLOMITI SUPERBIKE
Armin Stuefer

ein Rennen – es ist ein Aushängeschild. Ein Wochenende, an dem das Hochpustertal seine Stärken ausspielen kann: landschaftliche Schönheit, sportliche Infrastruktur, organisatorisches Know-how, kulturelle Offenheit. Gerade deshalb trifft Ploners Rückzug einen wunden Punkt. Denn was über Jahre aufgebaut wurde, ist nicht selbstverständlich. Es braucht Menschen mit Visionen, mit Energie und mit dem Mut, Verantwortung zu übernehmen. Ploner hat diese Rolle über drei Jahrzehnte hinweg perfekt verkörpert.

Die Hoffnung bleibt, dass sich eine Lösung findet. Dass das Dolomiti Superbike nicht als ein beeindruckendes Kapitel Südtiroler Sportgeschichte endet, sondern weitergeschrieben wird – vielleicht anders, aber mit derselben Begeisterung. Denn eines hat die Jubiläumsausgabe 2025 erneut gezeigt: Dieses Rennen bewegt weit mehr als nur Räder. Es bewegt Menschen, Wirtschaft und ganze Regionen.

DIE SPORTLICHEN HÖHEPUNKTE

Die Jubiläumsausgabe am 12. Juli 2025 hat in sportlicher Hinsicht zwei Favoritensiege hervorgebracht. Im Eliterennen der Männer setzte sich auf den 123 Kilometern mit 3.400 Höhenmetern der frischgebackene Italienmeister Andrea Siffredi im Zielsprint gegen Diego Rosa durch. Bei den Damen rollte Vize-Italienmeisterin Claudia Peretti nach 85 Kilometern und 2360 Höhenmetern als Erste über die Ziel-Linie. Lokalmatadorin Agnes Tschurtschenthaler aus Sexten wurde gute Fünfte.

Der Sieg im 85-Kilometer-Rennen der Männer ging hingegen an Lorenzo Allodi. Auf der klassischen Distanz (60 km/1,570 hm) gab es dann zwei Südtiroler Siege. Bei den Männern setzte sich Armin Dalvai aus Altrei durch. Er ist amtierender Master-Europa-

meister und -Italienmeister. Das Damenrennen entschied hingegen Lena Kahn aus Toblach für sich.

Am Sonntag den 13. Juli 2025, fand im Rahmen des berühmten Rennens dann auch die Junior Trophy statt. Das ist ein eigenes Nachwuchsrennen für Kinder in verschiedenen Altersklassen. Es bietet jungen Mountainbikerinnen und Mountainbiker die Möglichkeit, erste Wettkampferfahrungen zu sammeln. Von dieser Möglichkeit nahmen auch viele Gebrauch. In Summe waren über 2.500 begeisterte Bikerinnen und Biker bei diesem renommierten MTBMarathon mit von der Partie. Sie freuten sich nicht nur über eine einmal mehr toporganisierte Veranstaltung, sondern auch über nahezu perfekte äußere Bedingungen. Insofern bleibt zu hoffen, dass die Reise für dieses Rennen weitergeht. // Reinhard Weger

ERGEBNISSE

Agnes Tschurtschenthaler Armin Stuefer

30. SÜDTIROL DOLOMITI SUPERBIKE

ELITE MÄNNER (123 KM)

1. Andrea Siffredi ITA/Scott Racing 4:43.06,2 Stunden

2. Diego Rosa ITA/ FOL MTB Racing Team 4:43.06,3

3. Stefano Goria ITA/Scott Racing Team 4:43.57,9

4. Diego Alfonso Arias Cuervo COL/ Metallurgica Veneta MTB Pro Team 4:45.32,7

5. Nicola Taffarel ITA/Metallurgica Veneta MTB Pro Team 4:47.17,1

ELITE FEMMINILE (85 KM)

1. Claudia Peretti ITA/Olympia Factory Team 3:48.43,0

2. Chiara Gualandi ITA/Soudal Leecougan International Team 3:49.26,0

3. Giorgia Marchet ITA/KTM Protek Elettrosystem 3:50.23,6

4. Greta Recchia ITA/Piraz Coaching MTB Academy 3:54.18,7

5. Agnes Tschurtschenthaler ITA/Team Cingolani-Specialized 3:54.22,5

Alle Ergebnisse: https://www.datasport.com/live/ranking/?racenr=27301 //

Licht, das verbindet

Wenn sich die Dolomiten in frühem Morgenlicht baden und tausende Radfahrerinnen und Radfahrer lautlos durch autofreie Pässe gleiten, dann ist es wieder so weit: Die Maratona dles Dolomites-Enel verwandelt die Berge in eine Bühne für Bewegung, Umweltschutz und gelebtes Miteinander.

Die 38. Ausgabe des traditionsreichen Marathons stand ganz im Zeichen des Mottos „Lüm – Licht“ – und brachte nicht nur sportliche Glanzleistungen hervor, sondern sendete ein deutliches Signal: Sportveranstaltungen können weit mehr sein als Wettkampf. Sie können Verantwortung übernehmen, gemeinsame Werte vermitteln und nachhaltige Impulse setzen – für Umwelt, Wirtschaft und das Zusammenleben.

EINE VISION MIT WIRKUNG

Bereits frühmorgens eröffnete Michil Costa, Präsident der Maratona und Vordenker mit Haltung, das Rennen auf seinem alten Stahlrad – eine stille, doch kraftvolle Geste. Für

ihn ist das Licht, das Motto dieser Ausgabe, mehr als nur Sonnenstrahl und Sichtbarkeit. „Wir sind Licht, weil wir Teil eines größeren Ganzen sind“, so Costa. Sein Verständnis von Sport ist poetisch und politisch zugleich. Der Marathon soll keine Bühne für Einzel kämpfer sein, sondern ein Raum der Begeg nung, der Solidarität und des Innehaltens.

DIE UMWELT IM ZENTRUM

Dass diese Philosophie nicht nur in Worten, sondern auch in Taten Ausdruck findet, zeig te sich an den vielen kleinen, aber wirkungs vollen Maßnahmen entlang der Strecke: Die Dolomitenpässe waren für einen ganzen Tag komplett autofrei, die Verpflegungsstatio nen plastikfrei, und die Teilnehmer erhielten lokal produzierte, nachhaltige Startpakete. Der Abfall wurde getrennt, Elektrofahrzeuge sorgten für den Transport, und entlang der Strecke achteten sogenannte Green Angels auf Ordnung und Umweltverantwortung. Diese Maßnahmen führten zu einem spürbaren Rückgang von Müll und Emissionen und machten aus dem Event ein Beispiel dafür,

OK-Chef und Hotelier Michil Costa.

Bewusstsein durchgeführt werden können.

WIRTSCHAFTLICHER MOTOR

Fast 8.000 Radbegeisterte aus aller Welt – begleitet von Angehörigen, Teams und Medien – reisten in die Dolomiten. Hotels waren ausgebucht, Restaurants voll, die Stimmung festlich. Der Marathon stärkt Jahr

MARATONA DLES DOLOMITES 2025
Fotos: Freddy Planinschek, Valentina Celeste, Matteo Agreiter

für Jahr die lokale Wirtschaft in Alta Badia und darüber hinaus – nicht nur durch direkte Einnahmen, sondern auch durch die positive Außenwirkung. Das Pustertal präsentiert sich dabei als weltoffene, sportliche und zukunftsfähige Region. Auch die Nachwuchsförderung kam nicht zu kurz: Bei der „Maratona for Kids“ in Corvara durften sich Kinder auf abgesicherten Strecken mit dem Radsport vertraut machen – begleitet von ehemaligen Profis und eingebettet in ein Projekt, dessen Einnahmen sozialen Zwecken zugutekamen.

SPORTLICHE MOMENTE

Natürlich wurde auch gefahren und gekämpft. Auf der längsten Strecke über 138 Kilometer setzte sich Luca Cavallo durch. Bei

den Damen feierte Roberta Bussone einen beeindruckenden Solosieg. Doch so sehr diese Leistungen anerkannt wurden sie standen nicht im Vordergrund. Was zählte, war das gemeinsame Erlebnis, das Teilen der Straße, die helfende Hand am Anstieg und der stille Gruß am Gipfel. Die Maratona dles Dolomites zeigte einmal mehr, dass Sport verbinden kann, wenn er von Werten getragen wird. Es war ein Rennen, das Licht brachte: Auf die Straßen, die Landschaft, aber vor allem in die Herzen der Menschen.

DER AUSBLICK AUF 2026

Mit dem Blick nach vorn kündigte Michil Costa bereits das Thema der 39. Ausgabe an: „Pesc“ – Frieden, auf Ladinisch. Ein Begriff, der in diesen Zeiten aktueller denn je ist – und

Mittsommerfest in Sand in Taufers

Einzigartiger Festumzug mit historischen Gruppen, kunstvollen Klein-Monumenten, Hochrädern, Festwägen | Festkonzerte und Tanz

der, wie Costa betont, nicht nur als Ideal gedacht, sondern als tägliche Übung gelebt werden muss. Ob beim Teilen einer Trinkflasche, beim Warten auf einen Mitfahrer oder im einfachen Gruß am Wegesrand, Frieden beginnt im Kleinen. Und genau das, so Costa, ist das wahre Ziel der Maratona. Dieses Motto tut uns auch fürs tägliche Leben gut! // rewe

Immer wieder Tauferer Straßenküche!

An jedem Dienstag: abendliches Flanieren bei Musik und köstlichen Imbissen

Mittsommer: seit jeher ein fröhliches Fest für die Sandner und ihre Feriengäste. Das Fest beginnt wie immer um 11:30 Uhr am Hoch-Unser-Frauen-Tag, mit dem großen Fest-Umzug, der in der Wiesenhofstraße startet. Im Anschluss sorgen musikalische und „akrobatische” Darbietungen - darunter die Pfundra Schuichplattla, die Bands Mawalaaaa und Sugar Project - für Unterhaltung und Lust zum Tanzen. Leckerbissen wie Schweinshaxe, Bratwurst, Pressknödel & Schlutza machen Appetit. Der Treffpunkt für die Kinder ist die famose Schminkecke. Treffpunkt für die Erwachsenen ist der Tanzboden? Bei jedem Mittsommerfest freuen sich die Sandner und ihre Gäste über Tanzmusik, bei der endlich wieder WalzerPolka oder ein Boarischer erklingt ... aber auch Fox, Pop, Rock oder Swing ... Musik Spaß und Unterhaltung für alle.

FR, 15.08., Beginn 11:30 Uhr, Sand in Taufers, Festpavillon, Zentrum

Den Dienstagabend reservieren! In Sand in Taufers gibt’s die erste und die beste Straßenküche – mit Musik von Südtiroler Spitzenbands, mit ausgesuchten kleinen Spezialitäten, mit preisgekrönten Südtiroler Käsesorten beim Feinschmeckerstandl, mit kleinem Handwerkermarkt, mit Kletterparcours, Trampolin, Waldbastelecke und den Bauernlandzwergen für die Jüngsten, mit geöffneten Läden fürs Shopping, mit Schatzsuche im Naturparkhaus, mit Burgführung um neun, mit ... mit ... Willkommen!

An jedem Dienstag bis 19.08., 18:00 – 22:00 Uhr, Sand in Taufers, Zentrum

Anzeige

Der Weg zum 30-JahrJubiläum beginnt jetzt

Der Südtiroler Erdäpfellauf – besser bekannt als Potato Run – zählt längst zu den beliebtesten Laufveranstaltungen in Südtirol. 2025 startet er in seine 26. Ausgabe, doch der Blick richtet sich bereits weiter: In fünf Jahren feiert der Potato Run sein 30-jähriges Jubiläum – ein Meilenstein, der gebührend vorbereitet wird.

Der Potato Run 2025 wirft seine Schatten voraus – und er hat mehr zu bieten als sportliche Höchstleistungen. Mit der kommenden Ausgabe beginnt eine ganz besondere Reise: der Weg zum 30-jährigen Jubiläum. Fünf Jahre, fünf Läufe – und ein gemeinsames Ziel: Eine Medaille, die Geschichte schreibt.

EINE BESONDERE MEDAILLE

Was 2025 startet, ist weit mehr als eine jährliche Auszeichnung: Ab sofort erhalten alle Teilnehmerinnen und Teilnehmer eine exklusive Sammelmedaille, die sich Jahr für Jahr zu einem großen Ganzen zusam-

Nahezu 1.000 Läuferinnen und Läufer sind letztes Jahr an den Start gegangen.

mensetzen lässt. Jede Medaille ist individuell gestaltet, trägt ein eigenes Thema und symbolisiert ein Kapitel der Potato-RunGeschichte.

Der Kinderlauf erfreut sich großer Beliebtheit.

NUR WER DRANBLEIBT, KANN VOLLENDEN

Das Besondere: Nur wer in allen fünf Jahren mitläuft, kann die große Jubiläumsmedaille komplettieren. Damit wird aus einer sportlichen Leistung ein sichtbares Zeichen für Ausdauer, Engagement und Treue zur Veranstaltung. „Wir möchten mit dieser Aktion unsere langjährigen Läuferinnen und Läufer ehren – und gleichzeitig neue motivieren, Teil dieser besonderen Geschichte zu werden“, so die Veranstalter.

EIN LAUF – EINE GEMEINSCHAFT

Der Erdäpfellauf steht seit jeher für Bewegung, Begegnung und regionale Verbundenheit. Ob Freizeitläufer oder ambitionierter Athlet, Alt oder Jung – beim Potato Run kann jeder mitmachen.

„Wer sich also rechtzeitig auf den Weg

Der Sieger 2024: Martin Plankensteiner.

Die Jubiläumsmedaille: Nur wer die nächsten fünf Jahre mitläuft, kann sie komplettieren. Das sollte doch ein echter Ansporn sein!

macht, kann nicht nur sportlich, sondern auch symbolisch Schritt für Schritt dem Jubiläum entgegenlaufen“, freut sich Stolzlechner. Der Potato Run findet heuer am 30. August statt. Der Startschuss fällt wieder am Rathausplatz von Bruneck. Übrigens: Für die musikalische Unterhaltung vor, während und nach dem Rennen sorgt auch heuer wieder Albi DJ von Radio Holiday.

Initiatoren bei der Streckenbesichtigung vor dem ersten Rennen im Jahr 1999: Paul Innerhofer, Nino La Marchina, Georg Brunner, Hermann Achmüller und Willi Innerhofer. Fans an der Laufstrecke…

TEAMBUILDING 2.0

Als Einstieg für weniger Lauferfahrene bietet der Erdäpfllauf seit einigen Jahren auch einen Staffellauf an. Neu ist seit dem vergangenen Jahr die Firmenwertung im Rahmen dieses Bewerbs. Immer mehr Unternehmen investieren in die Gesundheit und sportliche Betätigung ihrer Mitarbeiter – dem möchten die Organisatoren mit einer eigenen Firmenwertung Rechnung tragen. Damit können sich Betriebe sportlich miteinander messen. Zusätzlich werden die drei Firmen mit den meisten Teilnehmern prämiert.

KINDERLAUF AM NACHMITTAG IN SAND IN TAUFERS

DAS SOMMER EVENT FÜR ALLE.

8. | 9. | 10. AUG.

62 BANDS, DJS & MUSIKKAPELLEN 8 BÜHNEN UND 28 GASTRO-STÄNDE

ALLE 3 TAGE: Familien Area im Klostergarten

BEZIRKSMUSIKFEST am Sonntag, 10. August, 09 – 17 Uhr

PROGRAMM & STADTPLAN

Veranstalter

// Alex Dariz

Auch der Nachwuchs soll nicht zu kurz kommen: Deshalb findet auch heuer wieder der beliebte Kinderlauf am Nachmittag in Sand in Taufers statt. Hier steht natürlich der Spaß an der Bewegung im Vordergrund.

DU HAST DEN DURCHBLICK, BIST AUS DEM RICHTIGEN HOLZ GESCHNITZT?

DU HAST DEN DURCHBLICK, BIST AUS DEM RICHTIGEN HOLZ GESCHNITZT?

DU HAST DEN DURCHBLICK,

DU HAST DEN DURCHBLICK, BIST AUS DEM RICHTIGEN HOLZ GESCHNITZT?

BIST AUS DEM RICHTIGEN HOLZ GESCHNITZT?

DU HAST DEN DURCHBLICK, BIST AUS

DEM

RICHTIGEN HOLZ GESCHNITZT?

Holz ist ganz dein Element, du brennst für deine Projekte und hast richtig Lust auf eine interessante, abwechslungsreiche Tätigkeit, selbstständiges Arbeiten, gute Entlohnung und ein motiviertes Team?

Holz ist ganz dein Element, du brennst für deine Projekte und hast richtig Lust auf eine interessante, abwechslungsreiche Tätigkeit, selbstständiges Arbeiten, gute Entlohnung und ein motiviertes Team?

Holz ist ganz dein Element, du brennst für deine Projekte und hast richtig Lust auf eine interessante, abwechslungsreiche Tätigkeit, selbstständiges Arbeiten, gute Entlohnung und ein motiviertes Team?

Dann bist du genau richtig als unser (m/w)

Holz ist ganz dein Element, du brennst für deine Projekte und hast richtig Lust auf eine interessante, abwechslungsreiche Tätigkeit, selbstständiges Arbeiten, gute Entlohnung und ein motiviertes Team?

Holz ist ganz dein Element, du brennst für deine Projekte und hast richtig Lust auf eine interessante, abwechslungsreiche Tätigkeit, selbstständiges Arbeiten, gute Entlohnung und ein motiviertes Team?

Dann bist du genau richtig als unser (m/w) PROJEKTLEITER HOLZBAU

Dann bist du genau richtig als unser (m/w) PROJEKTLEITER HOLZBAU

PROJEKTLEITER HOLZBAU

Dann bist du genau richtig als unser (m/w) PROJEKTLEITER HOLZBAU

DEINE AUFGABEN:

Dann bist du genau richtig als unser (m/w) PROJEKTLEITER HOLZBAU

DEINE AUFGABEN:

DEINE AUFGABEN:

DEINE AUFGABEN:

Aufsicht & Koordination der Baustellen inkl. Dokumentation, Zeitplanung, Qualitätskontrolle und Abrechnung

Aufsicht & Koordination der Baustellen inkl. Dokumentation, Zeitplanung, Qualitätskontrolle und Abrechnung

DEINE AUFGABEN:

Aufsicht & Koordination der Baustellen inkl. Dokumentation, Zeitplanung, Qualitätskontrolle und Abrechnung

DEIN PROFIL:

DEIN PROFIL:

Aufsicht & Koordination der Baustellen inkl. Dokumentation, Zeitplanung, Qualitätskontrolle und Abrechnung

DEIN PROFIL:

• du bist gelernter Zimmerer, Geselle oder sogar Meister

• du bist gelernter Zimmerer, Geselle oder sogar Meister

DEIN PROFIL:

• du bist gelernter Zimmerer, Geselle oder sogar Meister

Aufsicht & Koordination der Baustellen inkl. Dokumentation, Zeitplanung, Qualitätskontrolle und Abrechnung

• du bist gelernter Zimmerer, Geselle oder sogar Meister

• du hast bereits Erfahrung im Holzbau, bist vielleicht schon Vorarbeiter oder hast bereits als Projektleiter gearbeitet

• du hast bereits Erfahrung im Holzbau, bist vielleicht schon Vorarbeiter oder hast bereits als Projektleiter gearbeitet

DEIN PROFIL:

• du verfügst über gute Deutsch- und Italienischkenntnisse

• du bist gelernter Zimmerer, Geselle oder sogar Meister

• du hast bereits Erfahrung im Holzbau, bist vielleicht schon Vorarbeiter oder hast bereits als Projektleiter gearbeitet

• du verfügst über gute Deutsch- und Italienischkenntnisse

• du hast bereits Erfahrung im Holzbau, bist vielleicht schon Vorarbeiter oder hast bereits als Projektleiter gearbeitet

• du verfügst über gute Deutsch- und Italienischkenntnisse

• du bist lösungsorientiert und entscheidungsfreudig

• du bist lösungsorientiert und entscheidungsfreudig

• du bist lösungsorientiert und entscheidungsfreudig

• du hast bereits Erfahrung im Holzbau, bist vielleicht schon Vorarbeiter oder hast bereits als Projektleiter gearbeitet

• du verfügst über gute Deutsch- und Italienischkenntnisse

• du bist lösungsorientiert und entscheidungsfreudig

• du verfügst über gute Deutsch- und Italienischkenntnisse

Dann melde dich gleich bei:

Dann melde dich gleich bei:

Dann melde dich gleich bei: UNIONBAU AG / Tobias Marcher Gewerbegebiet Mühlen 11 39032 Sand in Taufers T 338 659 44 72 / jobs@unionbau.it

• du bist lösungsorientiert und entscheidungsfreudig

Dann melde dich gleich bei: UNIONBAU AG / Tobias Marcher Gewerbegebiet Mühlen 11 39032 Sand in Taufers T 338 659 44 72 / jobs@unionbau.it

Dann melde dich gleich bei: UNIONBAU AG / Tobias Marcher Gewerbegebiet Mühlen 11 39032 Sand in Taufers T 338 659 44 72 / jobs@unionbau.it

UNIONBAU AG / Tobias Marcher Gewerbegebiet Mühlen 11 39032 Sand in Taufers T 338 659 44 72 / jobs@unionbau.it

UNIONBAU AG / Tobias Marcher Gewerbegebiet Mühlen 11 39032 Sand in Taufers T 338 659 44 72 / jobs@unionbau.it

Kinder-Rätselspaß mit PZ-Pezi Kinder-Rätselspaß mit PZ-Pezi

„Mama, möchtest du ein Eis?“

„Nein danke, meine Süße“

Juhu... ein Eis!

Egon braucht dringend eine Erfrischung!

Da ruft seine Mutter, sie hat ein Eis für ihn.

Nichts wie hin! Zeigst du ihm den Weg?

Erdbeereis ohne Zuckerzusatz

Zutaten

100 g Erdbeeren

200 g Joghurt (z.B. Natur- oder Kokosjoghurt) 1 kleine Banane (ca. 60 g)

Anleitung

Alle Zutaten pürieren und in Eisformen einfrieren.

Fertig!

Die Eisdiele

„Ok, Mama. Und jetzt frag du mich mal.“

Eis am Stiel

Anna möchte für ihre Zwillingsschwester

Julia genau das selbe Eis, wie sie hat.

Welches ist es?

Lösungen auf Seite 54

Finde die 10 Unterschiede!

ANNAHMESCHLUSS

Glückwünsche & Wortanzeigen: 29.07.2025 Die nächste Ausgabe erscheint am: 07.08.2025

70 Jahre sind es wert, dass man Dich besonders ehrt.

Darum wollen wir Dir heute sagen: Es ist so schön, dass wir Dich haben.

Olls Guite zin Giburtstog

winschn Dir:

Deina Frau Helga

Deina Gitschn Nadja, Sabrina und Ramona

Deina Enkilan Anna, Alex, Emma und Paul und Deina Schwiegosöhne Andreas, Gregor und Michael

Liebe Mama, liebe Oma,

heute ist dein großer Tag, an dem man Dir alles Gute wünschen mag. Gesundheit, Glück und Sonnenschein, sollen immer Deine Begleiter sein!

Zum 95. Geburtstag am 25.Juli wünschen wir Dir alles Gute und viel Liebe. Bleib gesund und weiterhin so humorvoll, das wünschen Dir, Deine Familie und besonders Deine Ururenkelin Aylin.

E-Mail: info@pz-media.it

Rubrik: Kleinanzeiger www.pz-media.it

www.mycamper.bz

Tel. +39 335 764 5000

GENERVT VON SCHLECHTER BERATUNG?

Komm zu uns!

Wir suchen Gebrauchtwagen

- Alle Modelle - BaujahrePreisklassen

- Auch Fahrzeuge mit hohen Kilometerstand, sowie Unfall-, Getriebe-, oder Motorschaden

Autonita - Bruneck - Pustertal

d. Nuka Dardan Fabrikstraße 2 (gegenüber Karosserie Leitner) | Bruneck Tel.: +39 347 732 49 95 nuka.autonita@outlook.it

AUTO & ZUBEHÖR

Bruneck: Limitiertes Smart Roadster Modell, in exzellentem Zustand mit Halbautomatik, Brabus Tuning, garagengepflegt zu verkaufen. Tel. 348 2451370

ALLES MÖGLICHE

Absolute Gelegenheit! Bruneck: Eleganter, neuwertiger, automatischer Pelletofen Marke: CS-Thermos Größe 55cm=B,55cm=L, 121cm=H, NP: 3.000€, wegen Umzug an Selbstabholer günstig zu verkaufen. Foto auf WhatsApp erhältlich. Tel. 338 8853854

Alte Bauernmöbel, Truhen, Bilder, Schränke, sakrale Volkskunst und ganze Hinterlassenschaften zu kaufen gesucht. Tel. 338 3200159

Entrümpelungs-und Umzugsservice im Pustertal: Seeber Andreas. Tel.349 6648312 oder seeber.andreas74@gmail.com

Bruneck: Neuwertiges

Garagen-Sektionaltor, Model: Alpha, Breite 2410mm x Höhe 2210mm wegen Umbau und in sehr gutem Zustand an Selbstabholer zu verkaufen.

Tel. 349 1475649 (Anrufe abends erwünscht)

Gelegenheit wegen Haushaltsauflösung: Verkaufe kaum benutzten Schnellkochtopf, mit Einsatz, Marke Fissler, Mod. CookStar 1102, um 60 € und unbenutzte Schlagbohrmaschine Marke Einhell, Modell TC-ID650E, um 30 €. Tel. 338 8853854

Einmalige Gelegenheit! Verkaufe wegen Umzug, an Selbstabholer, neuwertigen Gefrierschrank der Marke AEG, Modell Arctis, electronic (L=60cm; B=60cm; H = 85 cm) um nur 200,00 €. Tel. 338 8853854

Diverse Flohmarktartikel aus Haushaltsauflösung gegen freiwillige Spende bzw. sehr günstig zu verkaufen. Tel. 346 2313361

Suche gebrauchtes Kinderfahrrad (für Jungen) 16 Zoll im Raum Pustertal. Tel. 340 9467539

Verkaufe guterhaltene Schreibmaschine - Olivetti Studio 45 - um 40,00 €. Tel. 338 8853854

www.zahnarzt-ungarn-heviz.de

www.zahnarzt-ungarn-heviz.de

• seit über 15 Jahren erfolgreich in Südtirol

• seit über 15 Jahren erfolgreich in Südtirol

• ganzjährig geöffnete Partnerpraxis für Vor- und Nachbehandlungen in VINTL

• ganzjährig geöffnete Partnerpraxis für Vor- und Nachbehandlungen in VINTL

• eine der größten Kliniken Ungarns mit 45-jähriger Erfahrung

• eine der größten Kliniken Ungarns mit 45-jähriger Erfahrung

• bestens ausgestattete Räumlichkeiten und 21 hochquali zierte Zahnärzte

• bestens ausgestattete Räumlichkeiten und 21 hochquali zierte Zahnärzte

• Top-Qualität und beste Behandlungsmöglichkeiten für Angstpatienten auch im Dämmerschlaf

• Top-Qualität und beste Behandlungsmöglichkeiten für Angstpatienten auch im Dämmerschlaf

• wöchentlicher Transfer im Dental-Taxi

• wöchentlicher Transfer im Dental-Taxi

• Professionalität und Herzlichkeit sprechen für uns

• Professionalität und Herzlichkeit sprechen für uns 8

339 10 70 714

Haustüren & Garagentore

Montal

Baumüllerboden 14

Tel. 0474 551 553

info@suedtirol-tueren.com www.suedtirol-tueren.com

STELLENMARKT

Stellensuche

Eine Frau aus Bruneck sucht Arbeit als Betreuerin (badante) für eine ältere Person, evtl. auch Nachtdienst oder nur stundenweise Betreuung nach Vereinbarung. Nur Bruneck / Umgebung. Tel. 320 3347574

Bruneck/Umgebung: Suche Arbeit als Begleitung für Kranke, ältere Person für die tägliche Reinigung des Haushalts, zum Kochen und tägliche Hygiene. Tel. 388 4294104

Stellenangebot

Antholz: Gesucht wird ein Pächter ab Herbst für Pizzeria mit bestehendem treuem Kundenstamm und erfahrenem vorhandenem Personal im Dorfkern von Antholz Mittertal. Tel. 348 6925676

Pensionierte Handwerker gesucht! Für Hausrenovierung in Eigenregie! Benötige geschickte Hände und Hilfe bei Ausbau, Renovierung und Umbau. Flexible Zeiten möglich. Tel. 331 3417444

Hochpustertal: Wir suchen eine zuverlässige Haushaltshilfe in Teilzeit, flexible Tage nach Vereinbarung möglich. Tel. 389 230 3315 - Anrufe nur vormittags erbeten.

Du bist gerne unter Menschen, hast ein Gespür fürs Verkaufen und möchtest in einem Betrieb arbeiten, der fair bezahlt, flexibel denkt und sein Team wirklich schätzt?

Dann komm zu uns! Ob in Vollzeit, Teilzeit oder als Lehrling. Wir freuen uns auf dich!

SCAN MICH FÜR INFOS

BEWERBUNGEN UNTER personal@anjoka.it oder T 0474 529 580

Wir suchen Menschen, die mehr bewegen.

Für die Tankstelle mit VIVA (Shop, Gastro) in 9920 Sillian-Arnbach, in der Region Tirol suchen wir eine/n dynamische/n, selbstständige/n Tankstellen-Franchise-PartnerIn, der/ die gemeinsam mit uns unsere erfolgreichen Systeme umsetzt und weiterentwickelt.

Ihr Verantwortungsbereich:

X Sie führen und entwickeln einen gut frequentierten Standort mit den Bereichen Treibstoff sowie Shop und Gastronomie im Rahmen unseres VIVA-FranchiseSystems

X Sie betreiben als selbstständiger/selbstständige Franchise-PartnerIn eine Tankstelle als Ihr eigenes Unternehmen

Wir bieten Ihnen:

X den Einstieg als SystempartnerIn in eine Unternehmensgruppe, in der Sie gut ausgebildet, unterstützt, beraten und begleitet werden

X die Sicherheit der starken Marken eines österreichischen und zukunftsorientierten Unternehmens

X Entwicklungsper spektiven für erfolgreiche UnternehmerInnen

Wir erwarten von Ihnen:

X Führungs- und Verkaufserfahrung

X kaufmännisches Grundverständnis

X Bereitschaft für eine Systempartnerschaft mit OMV und VIVA

X Freude am Shop- und Gastronomiegeschäft

X solide finanzielle Voraussetzungen

Wenn Sie überdurchschnittlich engagiert sind und gemeinsam mit uns mehr bewegen möchten, freuen wir uns auf Ihre Bewerbung. Bitte senden Sie diese per E-Mail an retail.supportAT@omv.com.

Lahner Franz GmbH sucht zum sofortigen Eintritt:

(m/w/d)

für allgemeine Büroarbeiten in Jahresstelle

Lahner Franz GmbH sucht zum sofortigen Eintritt:

0474/474208 oder info@lahner.it

DU HAST DEN DURCHBLICK, BIST AUS DEM RICHTIGEN

DU HAST DEN DURCHBLICK, BIST AUS DEM RICHTIGEN

HOLZ GESCHNITZT?

DU HAST DEN DURCHBLICK, BIST AUS DEM RICHTIGEN HOLZ GESCHNITZT?

HOLZ

DU HAST DEN DURCHBLICK, BIST AUS DEM RICHTIGEN HOLZ GESCHNITZT?

DU HAST DEN DURCHBLICK, BIST AUS DEM RICHTIGEN HOLZ GESCHNITZT?

GESCHNITZT?

Holz ist ganz dein Element, du brennst für deine Projekte und hast richtig Lust auf eine interessante, abwechslungsreiche Tätigkeit, selbstständiges Arbeiten, gute Entlohnung und ein motiviertes Team?

Holz ist ganz dein Element, du brennst für deine Projekte und hast richtig Lust auf eine interessante, abwechslungsreiche Tätigkeit, selbstständiges Arbeiten, gute Entlohnung und ein motiviertes Team?

Holz ist ganz dein Element, du brennst für deine Projekte und hast richtig Lust auf eine interessante, abwechslungsreiche Tätigkeit, selbstständiges Arbeiten, gute Entlohnung und ein motiviertes Team?

Holz ist ganz dein Element, du brennst für deine Projekte und hast richtig Lust auf eine interessante, abwechslungsreiche Tätigkeit, selbstständiges Arbeiten, gute Entlohnung und ein motiviertes Team?

Dann bist du genau richtig als unser (m/w)

Holz ist ganz dein Element, du brennst für deine Projekte und hast richtig Lust auf eine interessante, abwechslungsreiche Tätigkeit, selbstständiges Arbeiten, gute Entlohnung und ein motiviertes Team?

Dann bist du genau richtig als unser (m/w) PROJEKTLEITER

Dann bist du genau richtig als unser (m/w)

Dann bist du genau richtig als unser (m/w) PROJEKTLEITER

Dann bist du genau richtig als unser (m/w)

DEINE AUFGABEN:

DEINE AUFGABEN:

DEINE AUFGABEN:

DEINE AUFGABEN:

HOLZBAU

Aufsicht & Koordination der Baustellen inkl. Dokumentation, Zeitplanung, Qualitätskontrolle und Abrechnung

Aufsicht & Koordination der Baustellen inkl. Dokumentation, Zeitplanung, Qualitätskontrolle und Abrechnung

DEINE AUFGABEN:

Aufsicht & Koordination der Baustellen inkl. Dokumentation, Zeitplanung, Qualitätskontrolle und Abrechnung

Aufsicht & Koordination der Baustellen inkl. Dokumentation, Zeitplanung, Qualitätskontrolle und Abrechnung

DEIN PROFIL:

DEIN PROFIL:

• du bist gelernter Zimmerer, Geselle oder sogar Meister

DEIN PROFIL:

• du bist gelernter Zimmerer, Geselle oder sogar Meister

Aufsicht & Koordination der Baustellen inkl. Dokumentation, Zeitplanung, Qualitätskontrolle und Abrechnung

DEIN PROFIL:

• du bist gelernter Zimmerer, Geselle oder sogar Meister

Lahner Franz GmbH sucht zum sofortigen Eintritt:

0474/474208 oder info@lahner.it SpezialpreiSe auf

Lahner Franz GmbH sucht zum sofortigen Eintritt:

Magazineur (m/w/d)

0474/474208 oder info@lahner.it

Direkte und PROVISIONSFREIE Verkaufsabwicklung mit dem Bauträger. Wir freuen uns auf Ihre Kontaktaufnahme: T +39 0474 64 66 49 - smartliving.bz

IMMOBILIEN

Büroräume mit großer Dienstwohnung im Raum Bruneck zu vermieten. Tel. 347 6038247

Mietsuche

• du bist gelernter Zimmerer, Geselle oder sogar Meister

• hast bereits Erfahrung im Holzbau, bist vielleicht schon Vorarbeiter oder hast bereits als Projektleiter gearbeitet

DEIN PROFIL:

• du hast bereits Erfahrung im Holzbau, bist vielleicht schon Vorarbeiter oder hast bereits als Projektleiter gearbeitet

• du verfügst über gute Deutsch- und Italienischkenntnisse

• du hast bereits Erfahrung im Holzbau, bist vielleicht schon Vorarbeiter oder hast bereits als Projektleiter gearbeitet

• du bist gelernter Zimmerer, Geselle oder sogar Meister

• du verfügst über gute Deutsch- und Italienischkenntnisse

• du hast bereits Erfahrung im Holzbau, bist vielleicht schon Vorarbeiter oder hast bereits als Projektleiter gearbeitet

• bist lösungsorientiert und entscheidungsfreudig

• du verfügst über gute Deutsch- und Italienischkenntnisse

Ein Mann sucht eine Mietwohnung in Sand in Taufers

• du verfügst über gute Deutsch- und Italienischkenntnisse

• du bist lösungsorientiert und entscheidungsfreudig

• du bist lösungsorientiert und entscheidungsfreudig

• du hast bereits Erfahrung im Holzbau, bist vielleicht schon Vorarbeiter oder hast bereits als Projektleiter gearbeitet

Tel. 389 0609585

Toblach: Neues, bezugsfertiges Büro, E.K. A, im Zentrum zu vermieten. Tel. 349 8204433 –info@messner-immobilien.it

• du bist lösungsorientiert und entscheidungsfreudig

• du verfügst über gute Deutsch- und Italienischkenntnisse

Dann melde dich gleich bei:

Dann melde dich gleich bei: UNIONBAU AG / Tobias Marcher Gewerbegebiet Mühlen 11 39032 Sand in Taufers T 338 659 44 72 / jobs@unionbau.it

Dann melde dich gleich bei: UNIONBAU AG / Tobias Marcher Gewerbegebiet Mühlen 11 39032 Sand in Taufers T 338 659 44 72 / jobs@unionbau.it

Dann melde dich gleich bei: UNIONBAU AG / Tobias Marcher Gewerbegebiet Mühlen 11 39032 Sand in Taufers T 338 659 44 72 / jobs@unionbau.it

• du bist lösungsorientiert und entscheidungsfreudig

Dann melde dich gleich bei: UNIONBAU AG / Tobias Marcher Gewerbegebiet Mühlen 11 39032 Sand in Taufers T 338 659 44 72 / jobs@unionbau.it

UNIONBAU AG / Tobias Marcher Gewerbegebiet Mühlen 11 39032 Sand in Taufers T 338 659 44 72 / jobs@unionbau.it

Selbstständiger Herr sucht eine 2-3 Zimmerwohnung im Raum Bruneck oder Umgebung zu mieten. Tel. 388 6235037

Mann mit unbefristetem Arbeitsvertrag sucht eine möblierte 1-2 Zimmerwohnung im Raum Bruneck und Umgebung. Tel. 333 1558007

Ortsansässige Familie sucht eine 3-4 Zimmerwohnung im Raum Bruneck und näheren Umgebung zu mieten.

Tel. 333 3696463

Mietangebote

Halle im Raum Bruneck ca. 300 m² zu vermieten.

Tel. 347 6038247

Toblach: Geschäftslokal mit insgesamt 400,00 m² Fläche und Kundenparkplätzen, E.K. F, im Zentrum zu vermieten. 349 8204433 –info@messner-immobilien.it

Zweizimmerwohnung an Ortsansässige in Pfalzen nach Vereinbarung zu vermieten.

Tel. 349 7175918

Innichen, Handwerkerzone: zwei Mehrzweckräume (insgesamt ca.145 m²) im Dachgeschoss mit WC ab sofort zu vermieten. Parkplatz vorhanden. Bei Interesse: Tel. 348 353 7687

Immobiliensuche

Ortsansässige Familie sucht eine 3-4 Zimmerwohnung im Raum Bruneck und näheren Umgebung zu kaufen. Tel. 333 3696463

Immobilienangebot

Bruneck: 4-Zimmerwohnung, hochwertig eingerichtet, 2 Kellerräume und Doppelgarage E.K. E, zu verkaufen. Tel. 349 8204433 –info@messner-immobilien.it

WIR VERKAUFEN:

BRUNECK: Dachgeschosswohnung, ruhige Lage, ca. 78 m² Netto, Wohnküche, 2 Schl.Zi., 2 Bäder, Keller, nicht konv., E.K. G, 300.000; • 5-ZiWg., letzter Stock mit Aufzug, 95 m² Netto, gr. Wohnzimmer, Wohnküche, 3 Schl.Zi., 2 Bäder, Ost- und Westbalkon, herrlicher Ausblick, Keller, Garage, E.K. G, 490.000 REISCHACH/Zentrum: großzügige, neu sanierte, nicht konv. 2-Zi-Wg.en, ideale Geldanlage! ST. LORENZEN/Zentrum: 5-Zi-WG, Wohnraum, Wohnküche, 3 Schl.Zi., Bad, 2 Terrassen, Balkon, Keller und Garage ANTHOLZ-NIEDERTAL: ruhig gelegene Erdgeschosswg., Wohnraum/Küche, 3 Schl.Zi., 2 Bäder, Keller, Stellplatz, K.H. A WIR VERMIETEN:

BRUNECK: Gewerbeflächen, ca. 240 m² sowie ca. 600 m², ideal nutzbar als Showroom/Ausstellungsfläche bzw. Lagerzwecke • Kurzfristig beziehbarer Büroraum in Bürogemeinschaft, 360 Euro

Europastraße

| www.ausserhofer.immo

Unsere Neubauprojekte ...

WIESENRUH im Zentrum, für Ansässige

IMMOBILIEN NIEDERKOFLER

MESNER 11 Einheiten, für Ansässige

Wir suchen/kaufen: Baugründe - Häuser - Wohnungen - Höfe - Landwirtschaftliche Gründe

Fabian Mair unter der Eggen +39 335 440891 fabian@immobil-niederkofler.it

AUR1571: Hochwertige Erdgeschosswohnung in sonniger, ruhiger Lage mit offenem Wohnbereich, Kamin, Wohnküche und Südterrasse mit Privatgarten. Zwei Schlafzimmer, Tageslichtbad und Gäste-WC. Plus: separate Einheit mit eigenem Eingang – ideal für Gäste oder Büro. Inkl. 3 Garagenboxen, Stellplatz und 2 großen Kellern. KlimaHaus G = 199,00 kWh/m²a

6-Zimmerwohnung . Reischach

1.350.000 € + Registergebühr

FRANZ mit Terrassen und/oder privaten Gärten

Dr. Lukas Pörnbacher +39 342 5116923 lukas@immobil-niederkofler.it

GEBRAUCHTE IMMOBILIEN GESUCHT: Einfamilienhäuser, Höfe, Wohnungen in Bruneck und dem gesamten Pustertal. Wir bieten eine professionelle Unterstützung beim Verkauf!

seit 1975

Tel. 0474 554666 | www.ausserhofer.immo

Sie möchten verkaufen?

Kontaktieren Sie uns unverbindlich für eine kostenlose Schätzung Ihrer Immobilie. Wir bieten Ihnen ehrliche, zuverlässige und transparente Beratung. Mair Immobilien - Tel. 340 4668669 www. mair-real.it

seeber-immobilien.it immobilien zu Kaufen Gesucht!

VERANSTALTUNGEN UND KURSE

Bruneck

Brunecker Bauernmarkt

Jeweils Freitags von 8.00-12.30 Uhr auf dem Graben

Kronplatz by Night

Am Freitag, 25.07.2025 ab 17.45 Uhr

Bruneck Live

Am Freitag, 25.07., 01.und 08.08. sowie Dienstag 06.08.2025 jeweils ab 19.00 Uhr auf dem Tschurtschenthaler Platz

Terrassenlesung in Bruneck

Am Mittwoch 30.07. um 18.00

Uhr: Rainegg Hons: Schön sein tut gut, fit sein noch viel mehr

Am Mittwoch 06.08. um 18.00

Uhr: Dori Passler Mair: Das Schreiben in schwierigen Zeiten

Flohmarkt in Bruneck

Am Freitag 01.08.2025 von 10.00 bis 17.00 Uhr am Rathausplatz

Buchvorstellung:

„Der alte Mann und der Hase - ein erhliches und ermutigendes Gespräch über Leben und Sterben“

Am Freitag 25.07.2025 ab 18.00 Uhr in der Aula Magna der italiensiche Mittelschule.

St. Sigmund

Zimita Kirschta

Am Samstag, 26.07. ab 19.00 Uhr und Sonntag, 27.07. ab 11.30 Uhr am Festplatz

Montal

Sommerfest in Montal

Am Samstag, 02.08. ab 17.00 Uhr und Sonntag, 03.08.2025 ab 11.00 Uhr am Rossbühel

Pfalzen

Pfolzna Pfinzta

Am Donnerstag 24.07. und

14.08.2025 ab 18.30 Uhr im Dorf Dorffest Pfalzen

Am Freitag 01.08. ab 19.00 Uhr, Samstag 02.08. ab 17.00 Uhr und Sonntag, 03.08.2025 ab 11.00 Uhr im Dorfzentrum

Terenten

Sommertreff in Terenten

Am Donnerstag 24., 31.07, und 07.08.2025 beim Musikpavillon

Mühlenfest im Mühlental

Am Sonntag 03.08.2025 von 10.00 bis16.00 Uhr im Terner Mühlental

Sand in Taufers

Die Tauferer Straßenküche

Jeweils Dienstags bis 19.08.2025 18.00-23.00 Uhr im Dorfzentrum Mittsommerfest

Am Freitag 15.08.2025 ab 11.30 Uhr beim Festpavillion/Zentrum

Mühlwald

Feuerwehr-Fest

Am Samstag, 02.08. ab 15.00 Uhr und Sonntag, 03.08.2025 ab 11.00 Uhr am Festplatz/Lappach

Ahrntal

Klausberg by Night Jeden Freitag bis 29.08.2025 ab 19.30 Uhr in Steinhaus

Nasen

Kirchtag in Nasen

Am Samstag, 26.07. ab 18.00 Uhr und Sonntag, 27.07. ab 11.00 Uhr am Dorfplatz

Rasen /Antholz

Abendmarkt in Mittertal

Am Freitag 25.07., 08. und 22.08.2025 jeweils ab 17.00 Uhr im Dorfzentrum

Sommerfest der MK Oberrasen Am Samstag, 26.07. ab 18.00 Uhr und Sonntag, 27.07. ab 11.00 Uhr beim Musikpavillon

Jubiläumsfest der FF Antholz

Mittertal Am Samstag, 02.08. ab 18.00 Uhr und Sonntag, 03.08.2025 ab 11.00 Uhr am Festplatz Sportzone

Welsberg / Taisten

Feirobnd Fescht der MK Taisten

Am Freitag 25.07. ab 19.00 Uhr und 15.08.2025 ab 18.00 Uhr beim Musikpavillon in Taisten

Burning Park Festival / Welsberg

Am Freitag, 01.08. ab 18.00 Uhr und Samstag, 02.08.2025 ab 11.30 Uhr im Prenniger Park

Niederdorf

Jubiläumsfest Niederdorf

Am Freitag 25.07. ab 17.30 Uhr bis Sonntag 27.07.2025 ab 11.00 Uhr am Von-Kurz-Platz

Monatsmarkt

Am Sa. 02.08.2025 von 8.0014.00 Uhr am Von-Kurz-Platz

Toblach

Flohmarkt in Toblach

Am Samstag, 26. 07. und Donnerstag, 21. 08.2025 im Zentrum

Innichen

Int. StraßentheaterfestivalOLALA

Am Freitag 25.07.2025 von 14.00 bi 22.00 Uhr in der Fußgängerzone

Sexten

Sommer-Park-Fest

Am Freitag, 25.07. ab 18.00 Uhr und Samstag, 26.07.2025 ab 17.00 Uhr am kleinen See am Ende des Parkwegs.

Eis am Stiel Das selbe Eis ist die Nr. 8 ?

Erstklassige Privatklinik mit Assistenz in Südtirol

Bruneck | Tel. 378 083 2750

TURNUSAPOTHEKEN

Der Dienstwechsel der Apotheken findet jeweils am Freitag um 19 Uhr statt.

Die unten angegebenen Öffnungszeiten beziehen sich auf Werktage. Am Sonntag gelten folgende Öffnungszeiten: 9 - 12 Uhr und 16 - 19 Uhr.

Der Notdienst gilt außerhalb der Öffnungszeiten für dringende Fälle und erfordert die Vorlage eines ärztlichen Rezeptes.

26. 07. - 01. 08. 2025

Apotheke St. Anna – Bruneck Öffnungszeiten 08:30 - 12:30 / 15:00 - 19:00

Telefonische Erreichbarkeit: 00:00 - 23:59, Tel. 0474 555264

Apoteca Alta Badia - Abtei Öffnungszeiten 09:00 - 12:00 / 15:30 - 18:30 Uhr

Telefonische Erreichbarkeit: 00:00 - 23:59 Uhr, Tel. 0471 847152

Schlossapotheke - Welsberg Öffnungszeiten: 08:30 - 12:00 / 15:00 - 19:00 Uhr

Telefonische Erreichbarkeit: 00:00 - 23.59 Uhr, Tel. 331 9116797

01. - 08. 08. 2025

Apotheke St. BarbaraSt. Georgen Öffnungszeiten 08:30 - 12:30 / 15:00 - 19:00 Uhr

Telefonische Erreichbarkeit: 00:00 - 23:59 Uhr, Tel. 0474 551400

Apotheke Sexten - Sexten Öffnungszeiten 08:30 - 12:30 / 15:30 - 19:00 Uhr

Telefonische Erreichbarkeit: 00:00 - 23:59 Uhr, Tel. 0474 710460

Apotheke Pütia - St. Martin in Thurn, Öffnungszeiten: 08:00 - 12:00 / 15:00 - 19:00 Uhr

Telefonische Erreichbarkeit: 00:00 - 23:59 Uhr, Tel. 0474 523020

Du renovierst, erweiterst oder Reparaturen sind erforderlich?

Fachgerechte Elektroinstallationen, Reparaturen und Wartungen

Tel. +39 349/2909121 www.mnelektrikersuedtirol.com

Sand in Taufers - 0474 678313 bachermetallbau@gmail.com

HOLZBÖDEN SCHLEIFEN

HOLZBÖDEN SCHLEIFEN

• lackieren • ölen • wachsen

• lackieren • ölen • wachsen

Bodenleger

Bodenleger

Fußboden - Fachbetrieb

Fußboden - Fachbetrieb

Fa. Priller Oskar - prilleroskar@gmail.com

Fa. Priller Oskar - prilleroskar@gmail.com

AUTOMATISCHE SCHIEBETÜREN –CAMPING ANTHOLZ

TEL. 348 2321852

TEL. 348 2321852

Kleiderkammer

Bruneck

Offener Kleiderschrank - die Kleiderkammer im Kolpinghaus Öffnungszeiten: Dienstag Nachmittags von 14-16 Uhr und Donnerstag Vormittags von 9-11 Uhr geöffnet. Jeden letzten Samstag im Monat auch im Gedi Center von 09.30-17.00 Uhr geöffnet.

Kleiderkammer vom Vinzenzverein Bruneck Öffnungszeiten: jeden 1. und 3. Donnerstag im Monat von 14.30 bis 16.30 Uhr in der Mühlgasse 2

Toblach

Kleiderkammer der Vinzenzvereinigung Toblach Öffnungszeiten: jeden 1. und 2. Samstag im Monat von 9:00 bis 11:00 Uhr und jeden 3. Dienstag von 15:00 bis 17:00 Uhr im Bahnhofsgebäude von Toblach. Beschränkt auf den Zeitraum 1. Juni bis 1. September 2025 wird in der Kleiderkammer Toblach keine Bekleidung, Schuhe, Taschen usw. angenommen.

Recyclinghof

Gemeinde Bruneck

Öffnungszeiten:

Dienstag u. Donnerstag: 07.15 - 12.15 Uhr & 13.4517.30 Uhr, Mittwoch u. Samstag: 07.15 - 12.15 Uhr

Selbsthilfegruppen

Bruneck

Parkinson Selbsthilfegruppe Pustertal

Wir sind in den Sommerferien, im September geht‘s weiter!

Automatische Schiebe- und Falttüren Garagentore Türen Balkonverglasungen Alufenster Glasbau Windfänge Vordächer

Selbsthilfegruppe Fibromyalgie Pustertal

Wir sind in den Sommerferien, im Herbst geht‘s weiter!

Selbsthilfegruppe bei Depression & Angststörungen

Bruneck: Montag, 17.00 Uhr 14-tägliche Treffen.

Wichtig: Anmeldung beim Verein LICHTUNG; Tel: 333 4686220 oder info@lichtung-girasole.com Teilnahme nur möglich nach Erstgespräch mit der Gruppenleiterin.

Angehörige & Freunde von Alkoholikern

Kontakt Südtirol: 0474 944 469

Treffen: Bruneck (Seeböckhaus) am Dienstag, 15.00 Uhr und Brixen (Domgasse 2) jeden 2. + 4. Montag im Monat, 15.00 Uhr

Lebenshilfe

Südtiroler Krebshilfe

WIR SIND FÜR SIE DA!

Kapuzinerplatz 9 – 39031

Bruneck, Tel. 0474 551327

Montag: 13.00 – 17.00 Uhr, Dienstag, Mittwoch und Donnerstag: 8.30 – 12.00 Uhr

Gustav-Mahler-Straße 3b –39034 Toblach, Tel. 3351211392, Montag bis Mittwoch von 9.00 – 11.00 Uhr, Donnerstag von 9.00 – 11.00 Uhr und von 16.00 – 18.00 Uhr

Verein Frauen helfen Frauen

Paul-von-Sternbach-Str. 6, I-39031 - Bruneck (BZ) , Tel. 0474 410 303, info@frauenhelfenfrauenbruneck.it www.frauenhelfenfrauenbruneck.it

Öffnungszeiten: Montag - Freitag: 8.30 - 11.30 Uhr, Mittwoch: 15.00 - 17.00 Uhr oder nach Vereinbarung

Anonyme Alkoholiker

E. K. in Ausarbeitung ANTHOLZ - MITTERTAL Gepflegtes Reihenhaus in schöner Wohnlage

A

BRUNECK - STADTZENTRUM Exklusives Neubauprojekt „PALAIS ROTH“

K. in Ausarbeitung

BRUNECK - STADTZENTRUM Teilmöblierte Dreizimmerwohnung mit Garten

ALKOHOLPROBLEME? Es gibt eine Lösung. Nehmen Sie mit uns Kontakt auf! Tel. +39 334 8314515 sotirol@anonyme-alkoholiker.at www.anonyme-alkoholiker.at 0474 976261 | pustertal@castellanum.it www.castellanum.it

E. K.

Turn static files into dynamic content formats.

Create a flipbook
Issuu converts static files into: digital portfolios, online yearbooks, online catalogs, digital photo albums and more. Sign up and create your flipbook.