PZ13_29.06.2023

Page 30

BRUNECK, 29. Juni 2023, JG. 35, NR. 13-864/2023 erscheint 14-tägig, EZLNR. 0,77 EUROPoste Italiane SpAVersand im Postabonnementges. Dekr. 353/2003 (abg. in Ges. 27/02/2004 Nr. 46) Art. 1, Komma 1, NE BOZEN, ISSN 2532-2567 Ausgabe 13 /2023 Der Hoffnungsschimmer Öffentliche Schwimmbäder im Pustertal Mit großem Special ! Das Hüttenpanorama Wandern, Sport & Freizeit

A T T O

G e ö f f n e t v o n D i e n s t a g b i s S a m s t a g 1 5 . 0 0 - 2 3 . 0 0 U h r

K ü c h e n c h e f A n d r e a s B a c h m a n n i s t m i t v i e l P a s s i o n d a b e i – e r k r e i e r t r a f f i n i e r t e u n d e h r l i c h e G e r i c h t e a u s b e s t e n r e g i o n a l e n Z u t a t e n .

A m N a c h m i t t a g g i b t e s h a u s g e m a c h t e K u c h e n m i t l e c k e r e m K a f f e e .

E r f r i s c h e n d e D r i n k s a u f d e r S o n n e n t e r r a s s e u n d A b e n d s f i n e d i n i n g f ü r j e d e r m a n n .

H i g h l i g h t : J e d e n M i t t w o c h T a p a s e v e ni n g

w w w . a t t o s u i t e s . c o m

E S T A U R A N T I M H E R Z E N V O N I N N I C H E N
R
0 0 3 9 0 4 7 4 4 3 1 4 3 1

TITELTHEMA

Die Hallenbäder und Saunen im Pustertal: Momentaufnahme, Rückblick und Vorschau 5

POLITIK & VERWALTUNG

Die Geduld der Anrainer ist wohl bald zu Ende 8

SOZIALES & GESUNDHEIT

Autismus: Es braucht dringend helfende Hände 13

MENSCHEN IM PORTRÄT

Matthias Schenk: „Ich denke nicht lange nach.

Ich mache einfach!“ 18

GESELLSCHAFT & MENSCHEN

Pepi Moser wurde 75:

Eine intensive und erfüllende Lebensreise 20

Jakob Kirchler: Seit 50 Jahren eine starke Stütze 22

Erich Falkensteiner: Ehre, wem Ehre gebührt 24

A. Gabalier: Ein Wiedersehen unter Freunden 26

WIRTSCHAFT & UMWELT

Josef Gruber: Auf den heiligen Stufen 30

Capriz in Vintl: Echte Käsekultur aus der Region 32

Ander: Neues und Bewährtes in Harmonie vereint 34

VEREINE & VEREINSLEBEN

Yoseikan Budo Terenten: Die Weichen sind gestellt 38

KOMMENTAR

BRENZLIGE VERKEHRSTHEMEN IM GRÜNEN TAL

von Chefredakteur

Reinhard Weger

IMPRESSUM

Sitz, Redaktion und Verwaltung: Oberragen 18, 39031 Bruneck, Tel.: 0474 550 830, Fax: 0474 410 141 Internet: www.pz-media.it

Email: info@pz-media.it · Egtr. Trib. BZ Nr. 23/89 v. 2.10.1989

Erscheinung: 14-täglich; Verantw. Direktor: Reinhard Weger (Chefred.)

Sekretariat: Michaela Huber; Akquisition: Hans Paulmichl, Josef Tasser

Redaktion: Reinhard Weger, Dr. Willy Pöder, Dr. Judith Steinmair, Dr. Verena Duregger, Monika Gruber, Barbara Pöder, Dr. Johann Passler, Dominik Faller, Alexander Dariz, Dr. Egon Mair, Dr. Rudolf Gruber, Margareth Berger; Grafik: Andreas Rauchegger, Kerstin Voigt;

Herausgeber: Pustertaler Medien GmbH - Oberragen 18, 39031 Bruneck, Im PT-Abo vert. ROC-Nummer: 2717, ISSN 2532-2567 Mitglied der USPI (Unione Stampa Periodica Italiana)

Druck: Athesia Druck, Bozen – PEFC-zertifiziert: Dieses Produkt stammt aus nachhaltig bewirtschafteten Wäldern, Recycling und kontrollierten Quellen;

Titelbild: Cron 4

Derzeit wird viel über Verkehr im Pustertal geredet. Die Menschen wollen die übermäßige verkehrstechnische Belastung nicht mehr hinnehmen. Überall regt sich Protest. In Olang genauso wie in Antholz, Innichen oder St. Sigmund. In Innichen hat sich der Gemeinderat nach langen Diskussionen dazu durchgerungen, „Ja“ zur Brücken-Einfahrt in der West-Seite von Innichen zu sagen. Es soll eine Bahn-Überführung werden. Doch vor allem die Opposition läuft dagegen Sturm. Obwohl der kombinierte Umfahrungs- und zugleich Hochwasser-Tunnel auf der anderen Seite großen Zuspruch bei der Bevölkerung fand, wird die Brückenumfahrung im Westen von vielen kritisch gesehen. Innichen ist aber ein gutes Beispiel dafür, dass in puncto Kommunikation einiges nicht rund gelaufen ist. Die Bedenken der Kritiker und Gegner wurden nicht aufgegriffen – zumindest fühlten sie sich links liegen gelassen.

Denn bereits im Juni 2022 hatten diese in einem Brief an den Landeshauptmann ihre Bereitschaft kundgetan, sich einzubringen, um letztlich auch die viel zitierten Klimaziele zu erreichen. Für die Landesregierung wäre es die Gelegenheit gewesen, eine andere Sicht zur Lösung der Mobilitätsprobleme der beiden Gemeinden anzuhören und die „andere Seite“ hätte über die Hintergründe von Entscheidungen und Strategien der Landesregierung erfahren, die die jeweiligen Landesräte und Zuständigen oft nur bei internen Parteiversammlungen ansprechen. Genau das ist aber das Hauptproblem. Es ist einfach wichtig, über den Tellerrand hinaus zu blicken und vor allem in kommunikativer Hinsicht größere Maßstäbe zu setzen. Denn nur so können die Menschen letztlich auch mitgenommen werden.

In St. Sigmund fühlen sich viele Menschen ebenfalls allein gelassen. Seit vielen Jahren wird dort um eine Umfahrung und Entschärfung des berüchtigten Gisser-Eckes gekämpft – aber bislang ohne konkrete Ergebnisse. Zudem ist nach der Realisierung des Kiener Umfahrungstunnels und der Perchiner Umfahrung das Dorf St. Sigmund als einziges Ballungszentrum zwischen Mühlbach und Percha ohne Umfahrung. Dass das die Menschen nicht mehr goutieren, braucht niemand zu verwundern. Doch nicht nur das tödliche Gisser-Eck bringt Probleme, sondern auch die Ein- und Ausfahrt in das Dorf selbst und die Kreuzung zum Dorfteil „Ilstern“ sind verkehrstechnisch problematisch in St. Sigmund. Es braucht jedenfalls konkrete und vor allem zeitnahe Maßnahmen. Zudem braucht es eine gediegene Informationspolitik. Alles andere ist den Menschen nicht mehr zuzumuten.

PEFC/18-31-166

PEFC-zertifiziert DiesesProdukt stammtaus nachhaltig bewirtschafteten Wäldern,Recycling undkontrollierten Quellen www.pefc.org

Ihre personenbezogenen Daten werden gemäß dem G.v.D. Nr. 196/2003, der EU-Verordnung 679/2016 (DSGVO) sowie dem G.v.D. Nr. 101/2018 verarbeitet. Die vollständige Aufklärung über die Verarbeitung Ihrer personenbezogener Daten und Ihre Rechte, wie z.B. das Recht auf Löschung, sind auf unserer Website veröffentlicht: www.pz-media.it/datenschutz.html. Falls Sie die Pustertaler Zeitung nicht mehr erhalten möchten, schreiben Sie uns dies einfach an folgende E-Mail Adresse: info@pz-media.it oder rufen Sie an: 0474 550830

Ähnlich verhielt es sich in Olang und Antholz. Dort wollten die höchsten politischen Vertreter und vor allem bürokratisch perfekt versierten Beamten die leichtesten Lösungen umsetzen und überdimensionierte Betonklötze in die Landschaft knallen. Es regte sich Protest – zu Recht. Denn das, was geplant war, war wirklich unter jeder Kritik. Am Ende wurde in beiden Fällen ein Kompromiss gefunden, der von den Allermeisten mitgetragen wurde. Die Wogen konnten geglättet und die Weichen richtig gestellt werden. Diese Art von Partizipation, Kommunikation und Transparenz kann auch für andere heiße Eisen einen guten Lösungsansatz darstellen. Zum Wohle aller!

3 INHALT & KOMMENTAR PZ 13 | 29. JUNI 2023
& SCHULE
und nützlich: Faszinierende
40 WFO Bruneck: Viel Neues bei der Abendschule 41 WFO Bruneck: Der Nachhaltigkeitstag 42 Ein Tag im Zeichen des Miteinanders 46 KULTUR & KUNST UFO: Open-Air Kino, Kinderkino und Konzerte 50 Stadtbibliothek: Gute Bücher für den Sommer 52 SPORT & FREIZEIT Maratona: Ein Lächeln für die Menschlichkeit 56 Dolomiti Superbike: Das Hochfest der Biker 57 Karate: Eine grandiose Saison ist beendet 58 SONDERTHEMA Das Hüttenpanorama: Wandern, Sport & Freizeit 61 SERVICE Kreuzworträtsel 85 Kleinanzeiger 89 Veranstaltungen 94
BILDUNG
Wichtig
Pilze

Erschließung der Lahneralm in Prettau

Wir sind enttäuscht darüber, dass die Landesregierung entschieden hat, die Erschließung der Lahneralm abzulehnen. Der Vollerwerbsbauer des Auerhofes in Prettau hatte bereits seit Jahrzehnten versucht, eine Erschließung der Lahneralm durch eine moderate Zufahrtsstraße zu erreichen. Im vorliegenden Projekt war die kürzeste Trasse von 850 Metern Länge vorgesehen und es wurde bewusst eine einfache und umweltschonende Variante in Absprache mit den verschiedenen zuständigen Ämtern gewählt. Der Führungsausschuss des Naturparkes, der Gemeinderat, die Fraktionsverwaltung als betroffener Grundbesitzer und weitere lokale Institutionen hatten sich für die Umsetzung dieser Almerschließung ausgesprochen. Zu diesem Projekt hatte zudem die Sektion Bauwesen der Gemeindekommission für Raum und Landschaft ein positives Gutachten abgegeben. Das Natura-2000-Verträglichkeitsgutachten war positiv und auch die hydrogeologische Situation wurde positiv bewertet. Lediglich das landschaftsästhetische Gutachten war Basis für ein negatives Gutachten im Rahmen des Sammelgenehmigungsverfahrens der Dienststellenkonferenz im Umweltbereich.

Der Eigentümer der Alm, Hermann Benedikter, hat auf Anregung des Naturparkes ein Almbewirtschaftungskonzept ausarbeiten lassen und für den Erschließungsweg entsprechende Ausgleichsmaßnahmen wie etwa die Aufwertung eines Feuchtgebietes oder den absoluten Verzicht auf Beweidung in einigen Bereichen vorgesehen.

NEGATIVE ENTSCHEIDUNG DER LANDESREGIERUNG

Nach der Entscheidung der Landesregierung ist die Zukunft der Lahneralm in Frage gestellt. Der Vollerwerbsbauer Hermann Benedikter sieht sich außerstande, ohne eine Zufahrtsstraße die Milchwirtschaft auf der Lahneralm weiter zu betreiben. Daher wird er bereits im heurigen Sommer die Lahneralm nicht mehr bewirtschaften. Nach zahlreichen Einwänden und Rekursen wurde der Antrag zum Bau des Erschließungsweges nämlich von der Landesregierung abgelehnt. Die Auflassung der Lahneralm mit den dazugehörigen

Straße auf die Lahneralm

Entgegen anders lautender Meldungen waren wir immer positiv zu diesem Bauvorhaben eingestellt. In der Sitzung vom März 2023 wurde die Anfrage der Gemeinde Prettau einstimmig genehmigt und das Projekt von unserer Seite gutgeheißen. Auf die Grundbesitzer und Bauern sind wir

Konsequenzen haben die jetzigen Entscheidungsträger der Landesregierung zu verantworten. Der Talschluss von Prettau stirbt und somit auch ein Stück unserer Heimat Südtirol.

Alle positiven Gutachten und die lokalen Meinungen zählen offensichtlich nicht. Dieser unverständliche Beschluss der Landesregierung gibt der Ökolobby recht. Wenn die Grünen von den Städten aus schreien, wird sehr schnell die Pheripherie geopfert. Dies ist dasselbe Verhalten, das wir europaweit bei Wolf und Bär erleben. Unsere Kulturlandschaft wird hier mit Wildnis verwechselt.

Dabei wurde von der Ökolobby - auch mit der Vorspiegelung falscher Tatsachen - in der Presse gearbeitet. So wurde etwa eine vermutete Mountainbikestrecke konstruiert, obwohl jeder Ortskundige sofort dar-

auf hinweist, dass die Birnlücke dafür auch nach einer Erschließung der Lahneralm absolut uninteressant ist. Auch wurde durch den Dachverband gezielt ein vollkommen falsches Bild der Kosten an die Presse weitergegeben.

ERHALT UNSERER KULTURLANDSCHAFT

Die Erschließung von Höfen und Almen als Basis für den Erhalt unserer Kulturlandschaft sind grundlegender Bestandteil unserer Politik für den ländlichen Raum. Der Erfolg Südtirols basiert auf lebendigen Dörfern. Ein Großteil von Südtirol ist dabei ländlicher Raum, der nur stark bleibt, wenn auch die Almen und die Landwirtschaft lebendig bleiben. Auch lokale Umweltverbände hatten sich dabei für eine Erschließung der Lahneralm stark gemacht. So hatte beispielsweise die Sektion Ahrntal des Südtiroler Alpenvereines einstimmig erklärt, das vorgelegte Erschließungsprojekt zu befürworten. Die lokalen Institutionen und auch privaten Vereinigungen sind für die vorgeschlagene Erschließung der Lahneralm. Die Ablehnung durch die Landesregierung erweckt fast den Eindruck, dass die Meinungen von ortsund offensichtlich weltfremden Ökofundamentalisten, welche die Lahneralm noch nie gesehen haben, mehr zählen als die Anliegen der ländlichen Bevölkerung.

als Wegehalter im AVS angewiesen, bei jeder unserer anstehenden Arbeiten werden die Grundbesitzer selbstverständlich um ihr Einverständnis gefragt. Traditionelle Landschaftspflege steht für uns im AVS an vorderster Stelle. Dass diese im konkreten Fall ohne Zufahrtsstraße auf die Lahneralm

äußerst schwierig und arbeitsintensiv ist, liegt auf der Hand. Deswegen sprechen wir uns kategorisch für die Realisierung der Zufahrt aus, um eine weitere Bewirtschaftung der Alm und gleichzeitig die Pflege der Landschaft durch den Bauern zu erleichtern.

AVS-Sektion Ahrntal · Der Ausschuss

4 ECHO PZ 13 | 29. JUNI 2023
Bürgermeister Robert Alexander Steger

Momentaufnahme, Rückblick und Vorschau

Zuerst Corona-Pandemie, dann die Energiekrise… Die Entwicklung der vergangenen drei Jahre hat bei den Hallenbädern im Pustertal Spuren hinterlassen und in vielen Bereichen Veränderungen mit sich gebracht. Beispielsweise bei den öffentlichen Hallenschwimmbädern, welche mit zeitweiligen beziehungsweise immer noch andauernden Schließungen oder verschiedenen Maßnahmen auf die Krisen reagiert haben. Das Cron4 in Bruneck/ Reischach hat beispielsweise seine Toren geöffnet und mit Ener-

giesparmaßnahmen wie das Anbringen einer Fotovoltaikanlage und veränderten Öffnungszeiten den steigenden Energiekosten entgegenzuwirken versucht. Die Cascade in Sand in Taufers und das Acquafun in Innichen sind indes zum aktuellen Zeitpunkt immer noch geschlossen. Die PZ hat für das Cron4 bei der Betreibergesellschaft Bruneck Aktiv, Präsident von Alfred Valentin, für die Cascade bei Bürgermeister Josef Nöckler und für das Acquafun bei Vizebürgermeister Harald Kraler nachgefragt:

PZ: Trotz Energiekrise hat das Cron4 seine Tore für die Besucherinnen und Besucher offen gehalten und mit verschiedenen Maßnahmen reagiert. Ihr Fazit nach der Winter- und Frühlingssaison, sind Sie zufrieden, haben Sie steigenden Energiekosten halbwegs abfedern können?

Alfred Valentin: Das Betriebsergebnis des Jahres 2022 von Cron4 und der Intercable Arena hat die Erwartungen in positiver Hinsicht weit übertroffen. Das Defizit ist viel geringer ausgefallen als befürchtet. Entscheidend dafür waren die

rasch und konsequent eingeleiteten Energiesparmaßnahmen, die auch mit einigen Einschränkungen für die Besucherinnen und Besucher verbunden waren, aber auch der Durchbruch bei den Verhandlungen mit dem Landeshauptmann. Ohne die Unterstützung des Landes hätten wohl die meisten Anlagen entweder zugesperrt oder mit reduzierten Angeboten reagieren müssen. Wir setzen nun darauf, dass diese Förderung jetzt eine laufende, jährliche sein wird, unabhängig von den Energiepreisen, weil die Kosten insgesamt sehr hoch sind und wir die Preise sozial verträglich halten möchten. Mit dieser Förderung hat das Land erstmals die soziale und gesundheitliche Bedeutung der Hallenbäder unterstrichen. Bruneck Aktiv

hat im Jahr 2022 für den Betrieb des Hallenbades Cron4 eine Landesförderung von 238.000 Euro und für die Intercable ARENA von 141.000 Euro. erhalten.

Nun sind die entsprechenden Infrastrukturen in Sand in Taufers und in Innichen nach wie vor geschlossen. Macht(e) sich das in Bezug auf die Besucherströme im Cron4 bemerkbar? Diese Schließungen wirken sich für uns zwar aus, aber es ist kein Dammbruch. Besucht haben uns unter anderem Schwimmvereine und Schwimmsportler, auch Schulen, die ihre Schwimmheimat verloren haben. Was die Familien mit Kindern betrifft sind die Anfahrtswege vom Ahrntal, bzw. vom

SOZIALES & GESUNDHEIT 5 TITELTHEMA PZ 13 | 29. JUNI 2023 DIE HALLENBÄDER UND SAUNEN IM PUSTERTAL
CRON 4 - Interview mit dem Präsidenten von Bruneck Aktiv, Alfred Valentin >> Alfred Valentin

oberen Pustertal zu lang und mit zu großen Umständen verbunden. Sie brauchen das Schwimmbad in vertretbarer Nähe.

Die Sommersaison steht vor der Tür, das bedeutet beim Cron4: Alles läuft in gewohnten Bahnen oder gibt’s Neuerungen/Änderungen?

Das Freibad hat am 12. Juni geöffnet und bleibt es bis zum 28. August. Das Hallenbad ist noch bis zum zweiten Juli geschlossen. Wir nutzen die Zeit, um beim Hallenbad Cron4 die technische Anlage mit einem neuen unterirdischen Vorbau zu optimieren und wesentlich zu verbessern. Damit verbunden ist, dass das Restaurant Aquarium eine neue Sonnenterrasse bekommt. Diese

Investition beträgt rund 2,1 Millionen Euro und wird dank der Unterstützung des Bürgermeisters von der Stadtgemeinde Bruneck und von den Stadtwerken Bruneck je zur Hälfte getragen. Für uns ist das ein weiterer Schritt in Richtung Energieoptimierung und eine Investition in die Sicherheit der Anlage. Das Angebot im Cron4 wird dank der Bemühungen unseres Betriebsleiters Arnold Thum sehr geschätzt, die Besucherzahlen haben jetzt, nach anfänglichem Zögern, das Niveau des Rekordjahres 2019 überschritten. Ich bezeichne dies als großen Erfolg und als Beweis dafür, dass das Cron4 eine wichtige Einrichtung für die Bevölkerung darstellt. Unserem Betriebsleiter macht zurzeit weniger die finanzielle Situation zu schaffen

als viel mehr die Schwierigkeit, das notwendige Personal zu finden. Der Arbeitsmarkt ist trockengelegt. Allein im Cron4 beschäftigen wir durchschnittlich 45 Mitarbeiterinnen und Mitarbeiter, davon mehr als 10 Bademeister, die sehr schwer zu finden bzw. zu halten sind.

Wir tun gut daran, unseren Hallenbädern mit all ihren Angeboten jenen Stellenwert zu geben, den sie verdienen, nämlich als Ort der Begegnung, der Bewegung, des Ausgleichs, der Erholung für alle Generationen, aber ganz besonders für unsere Familien. Die Stadtgemeinde Bruneck, die Stadtwerke Bruneck, Bruneck Aktiv und das Team Cron4 stehen dazu. //

CASCADE - Interview mit dem Bürgermeister von Sand in Taufers, Josef Nöckler

PZ: Seit Dezember 2022 ist die Cascade nun geschlossen und immer wieder ein Streitpunkt, der letztlich auch zu Neuwahlen geführt hat. Mit Ihrer deutlichen Wiederwahl ist das Thema nun wiederum auf ihrer Agenda gelandet: Es gelte nun –so Ihre Aussage dazu – die entsprechende vorliegende Studie zu prüfen und eine Entscheidung zu treffen, was die Zukunft der Cascade betrifft – Wie ist also der derzeitige Stand der Dinge? Gibt es schon einen ungefähren Zeitplan, innerhalb welchen eine Entscheidung getroffen werden sollte? Oder welches procedere ist nun vorgesehen?

Josef Nöckler: Der neue Verwaltungsrat der Sportcenter GmbH hat in den letzten Monaten eine umfangreiche Studie betreffend die Bade- und Saunaanlage CASCADE ausgearbeitet. Die Situationsanalyse besteht aus Geschichte und Entwicklung, Ordentli-

che und außerordentliche Instandhaltung, Soziale Situationsanalyse, Sinn und Bedeutung für den Tourismus, Attraktionen, Organisationsformen, Ökonomische Situationsanalyse und deren Schlussfolgerungen. Dieses Dokument soll bei der ersten Gemein-

SOZIALES & GESUNDHEIT 6 TITELTHEMA PZ 13 | 29. JUNI 2023
Josef Nöckler Foto: wpz

deratssitzung (voraussichtlich Ende Juni) den Gemeinderäten übergeben und vorgestellt werden. Aufgrund dessen wird dann der neue Gemeinderat Bewertungen vornehmen und in Folge dessen auch Entscheidungen treffen. In der Zwischenzeit wird auf jeden Fall das Freibad für diesen Sommer geöffnet werden. Ein Zeitrahmen für die Wiedereröffnung des Hallenschwimmbades und der Saunaanlage kann derzeit noch nicht bekannt gegeben werden. Die ausgearbeitete Situationsanalyse ist sehr umfangreich und betrifft wie gesagt die erforderlichen Neuinvestitionen (ordentliche und außerordentliche Instandhaltung), die Finanzierung und vor allem die Führung der Cascade. //

ACQUAFUN - Interview mit dem Vizebürgermeister von Innichen, Harald Kraler

PZ: Nach wie vor ist das Acquafun geschlossen. Das Cron4 in Bruneck/Reischach hat mit diversen Maßnahmen auf die Krisen reagiert und das Hallenbad/die Saunen geöffnet, Sand in Taufers wird demnächst über eine entsprechende Studie diskutieren und dann eine Entscheidung für/wider Öffnung treffen – Wie sieht es bei Ihnen in Innichen diesbezüglich aus? Ist eine Wiedereröffnung in Sicht beziehungsweise ist eine solche überhaupt ein Thema?

Harald Kraler: Selbstverständlich. Nachdem das Acquafun im vergangenen Jahr von der Gemeindeverwaltung aufgrund der exponentiell gestiegenen Energiekosten schweren Herzens geschlossen werden musste, hat sich der neu formierte Verwaltungsrat der IB GmbH Acquafun Innichen eine schnellstmögliche Neueröffnung im Herbst 2023 zum Ziel gesetzt. Einerseits hat sich die Lage am Energiemarkt zum Glück deutlich entspannt, zum anderen hat der Verwaltungsrat inzwischen an einer Zukunftsstrategie gearbeitet und – in enger

Absprache mit der Gemeindeverwaltung, die bereits ihre volle Unterstützung in bürokratischer wie finanzieller Hinsicht zugesichert hat – erste Schritte eingeleitet.

Bereits im Jänner wurde eine Studie in Auftrag gegeben, um zu erörtern, wie das Acquafun so effizient wie möglich geführt werden könnte. Wir sind nun auch dabei, längst fällige Reparaturarbeiten zu tätigen und in deren Zuge wird die gesamte Anlage auch im Bereich Brandschutz und Sicherheit auf den neuesten Stand gebracht. Und als Gemeindeverwaltung arbeiten wir derzeit zudem ein flächendeckendes Energiekonzept aus mit dem Ziel, die öffentlichen Gebäude mit Photovoltaik-Anlagen auszustatten. Dies würde auch beim Erlebnisbad Acquafun zu wesentlichen Einsparungen führen und die Kosten für die Führung senken. Aktuell suchen wir nach einer neuen Pächterin/einem neuen Pächter für die Bar und das Restaurant des Erlebnisbades Acquafun. Die Ausschreibung läuft bereits. Jede Person, die über die notwendigen Voraussetzungen verfügt, kann gerne die Bewerbungsunterlagen bei der Gemeinde einreichen. //

SOZIALES & GESUNDHEIT 7 TITELTHEMA PZ 13 | 29. JUNI 2023
Harald Kraler

Die Geduld der Anrainer ist wohl bald zu Ende

Bei der letzten Bürgerversammlung in St. Sigmund wurden viele Themen abgearbeitet. Den breitesten Raum nahm – wenig überraschend – der motorisierte Verkehr und die Forderungen nach konkreten verkehrstechnischen Entlastungen für das Dorf St. Sigmund ein.

Arno Kompatscher und Daniel Alfreider haben zugesagt, dieses Problem nun einer Lösung zuführen zu wollen. Doch eines gilt immer: „Erst die Tat macht die Vorsätze gültig“, wie SVPOrtsobmann Markus Falkensteiner bemerkte.

Der gesamte Barbereich im Café Treyen in St. Sigmund war bis zum letzten Platz gefüllt. SVP-Ortsobmann Markus Falkensteiner konnte neben vielen Bewohnerinnen und Bewohnen auch zahlreiche Ehrengäste begrüßen. Allen voran Arno Kompatscher, Daniel Alfreider, Talschaftspräsident Robert Alexander Steger, Bürgermeister Andreas Falkensteiner, Vizebürgermeister Markus Mitterhofer, Gemeindereferent Matthias Falkensteiner und die Gemeinderäte Margareth Schöllberger, Andreas Kirchler und Armin Silginer. Es gab viel zu bereden. Vor allem das Thema „motorisierter Verkehr“ brennt den Menschen unter den Nägeln. Schon mehrfach haben die Anrainer diverse Protestmails und -briefe geschickt und im fernen Jahr 2015 (!) eine Unterschriftenaktion initiiert. Dar-

in wurde das Problem klar umrissen: „Nicht nur der konstant anwachsende Schwerverkehr, laut dröhnende Motorräder und die

enorme Zahl von Touristen stellen eine Problematik dar. Auch die zahlreichen Pendler und der Berufsverkehr - sie alle passieren das berühmte „Nadelöhr“ am Gisser-Eck, inmitten durch die Wohnsiedlung von mehreren lärmgeprüften- und lärmgeplagten Familien. Hinzu kommt noch, dass sich viele der genannten Verkehrsteilnehmer nicht an das vorgegebene Tempolimit von 60 km/h halten und das Überholverbot ebenso regelmäßig missachtet wird“, heißt es im Schreiben, das am 24.09.2015 an die Gemeinde ging. Die angebrachten Unterschriften nehmen fast drei Seiten in Anspruch! Bereits in besagtem Schreiben regten die Verfasser eine „gemeinsame Lösung“ an und riefen dazu auf, dass die Umfahrung in der Gisse nicht länger aufgeschoben werden könne. Allerdings wird in Kiens derzeit zwar am Umfahrungstunnel des Hauptortes gebaut, aber St. Sigmund bleibt außen vor. Passiert ist in dieser Hinsicht bislang herzlich wenig!

LEBENSGEFÄHRLICHE SITUATION

Dabei ist die Situation vor Ort absolut gefährlich und prekär. Wenn die Hauptstraße überquert werden muss, sind die Anrainer

8 POLITIK & VERWALTUNG PZ 13 | 29. JUNI 2023
ST. SIGMUND
Die Belastungen durch den motorisierten Verkehr sind auf der Hauptstraße durch St. Sigmund, aber vor allem beim berüchtigten Gisser-Eck (im Bild), untragbar geworden. Die Anrainer fordern Abhilfe. Gefährlich (auch im Winter): Die Situation vor der Pizzeria Petra. Daneben ist die Bushaltestelle.

gezwungen, nach eigenem Ermessen blitzschnell über die Straße zu tigern und zu hoffen, dass nichts passiert. Immer wieder kam es auch zu Zwischenfällen. Sogar Unfälle gibt es regelmäßig und auch Verletzte – leider auch mit tödlichem Ausgang – gab es schon. „Gerade für Kinder und ältere Menschen wird so das Überqueren der Straße, um beispielsweise die Bushaltestelle zu erreichen, zu einem Lotteriespiel, das auch tödlich enden könnte“, so die Anrainer. Diese permanente und beängstigende Gefahrenquelle belastet die betroffenen Familien jedenfalls sehr. Darüber machten sie sich auch in der Bürgerversammlung entsprechend Luft. Wer kann es ihnen verdenken, zumal schon viele Zeit vorübergezogen ist…

ES BRAUCHT DIE ENTSCHÄRFUNG

Daniel Alfreider und auch Gouverneur Arno Kompatscher äußerten Verständnis für

die schwierige Situation in St. Sigmund und kündigten an, nun entsprechende Geldmittel in die Hand zu nehmen, um konkrete Lösungsansätze zu erarbeiten. Dabei gibt es in St. Sigmund drei Problemzonen: Zum einen das gefährliche GisserEck, aber auch die Ein- und Ausfahrt in das Dorf selbst und die Kreuzung zum Dorfteil „Ilstern“. Aufzuzeigen ist auch, dass St. Sigmund nach der Fertigstellung des Kiener Umfahrungstunnels trotz wirklich langer Bemühungen der Anrainer das einzige Dorf ohne Umfahrung zwischen Mühlbach und Percha ist. Dass das nicht gut ankommt, liegt auf der Hand. Wie Alfreider der PZ gegenüber bestätigte, sollen nun die bereits bestehenden Pläne aber zügig weiterentwickelt und zusammengefasst werden. Dabei sollen über entsprechende Machbarkeitsstudien auch die technischen Hindernisse, sowie Vor- und Nachteile herausgearbeitet werden. Über

einen Zeitpunkt sowie Abschluss dieser vorbereitenden Planungsarbeiten konnte bislang allerdings noch nichts in Erfahrung gebracht werden, aber es ist endlich ein Schritt in die richtige Richtung. Und wer Markus Falkensteiner kennt, der weiß, dass wohl auch er am Ball bleiben wird. Denn seine Aussage „Erst die Tat macht die Vorsätze gültig!“ lässt an Eindeutigkeit kaum Zweifel übrig.

Im Zuge des Bürgerabends wurde auch über den Gefahrenzonenplan der Gemeinde Kiens in Bezug auf die Gefahrenzone „Folkstoana“-Wand in St. Sigmund gesprochen. Diesbezüglich wird in Kürze das Ausführungsprojekt genehmigt, das vier Abschnitte mit gefahrenmäßig angepassten Maßnahmen umfassen wird.

Gesprochen wurde auch über die Glasfaser-Anbindung, die teuren Stromtarife, den Trinkwasseraufschlag und die nicht mehr tragbare Situation bei Wolf und Bär. // rewe

9 POLITIK & VERWALTUNG PZ 13 | 29. JUNI 2023
Daniel Alfreider: wichtiger erster Schritt. rewe Von links: Arno Kompatscher und SVP-Ortsobmann Markus Falkensteiner in St. Sigmund. rewe Zahlreiche Mitbürgerinnen und Mitbürger von St. Sigmund waren beim letzten Bürgerabend im Cafè Treyen in St. Sigmund mit dabei. rewe

AUSGETRÄUMT

Die Fläche zwischen dem OBI und der Mila (ex Senni) liegt seit Jahren brach (siehe Bild), obschon auf Betreiben der Brauerei Forst (Algund) und der Gemeinde St. Lorenzen darauf ein Kongresshotel entstehen sollte. Die rechtlichen Voraussetzungen für einen 300-Bettenbetrieb der 5-Sterne-Klasse wurden dafür bereits 2015/16 geschaffen. Der Rubner-Konzern war außerdem gewillt, das Grundstück zu verkaufen, sodass einer Realisierung des Projektes eigentlich nichts mehr im Wege zu stehen schien. Bürgermeister Dr. Martin Außerdorfer jubilierte. Er machte in der Initiative, einmal realisiert, ein Plus an Steuern für die Gemeinde von rund 100.000 Euro jährlich aus. Darüber hinaus fänden im Kongresshotel 80 Menschen eine Jahresstelle, weitere 40 würden saisonal beschäftigt, so die Vorhersage von damals. Selbst der Sprecher der Bürgerliste im Rat, Alois Pallua, sprach sich grund-

sätzlich für das Projekt aus. Dennoch betraten die Bosse und Bossinnen der Brauerei Forst nie den ihnen von der Gemeinde St. Lorenzen ausgebreiteten Teppich. Der Traum vom Kongresshotel zwischen OBI und Mila

GELDPREIS GOURMETTEMPEL

In den vergangenen Monaten ist der Preis für Geld beträchtlich gestiegen. Insbesondere Darlehensnehmer, welche ihre Verträge einst mit variablem Zinssatz abgeschlossen haben, dürften die Auswirkungen hart treffen. Der Referenzzins der EZB liegt seit der letzten Erhöhung bei vier Prozent. Dazu kommt der Bankaufschlag, der sich im Regelfall zwischen 0,75 und 1,50 Prozent einpendeln dürfte. Verglichen mit der Zeit, wo der EZB-Referenzzinssatz Nullprozent betrug, für alle Betroffenen eine mehr als wahrnehmbare, für so manche Darlehensnehmer sogar untragbare Mehrbelastung. Doch es gab in der Vergangenheit, noch zu Zeiten der Lira, weitaus schwärzere Perioden hinsichtlich der Geldkosten. Die Tabelle (siehe Bild) gewährt hierzu ein aufschlussreiches, wenn auch längst überholtes, dennoch beachtenswertes Bild. Ein Trost ist das freilich nicht. // wp

Norbert Niederkofler, Starkoch aus Luttach, machte das St. Hubertus-Restaurant im Hotel Rosa Alpina in St. Kassian zum einzigen Drei-Michelin-Sternerestaurant Südtirols. Der hoch dekorierte Küchenchef ist übrigens auch in den Lehrbetrieb der Freien Universität Bozen eingebunden, die einen dreijährigen Kurs für Gastronomie und Önologie (Bachelor in Enogastronomy) anbietet.

scheint mittlerweile, auch angesichts des Bettenstopps, definitiv ausgeträumt zu sein. Nun, der beste Standort für ein Kongresshotel der Nobelklasse wär’s ohnehin nicht gewesen. // wp

Seit März dieses Jahres wird das Hotel Rosa Alpina in St. Kassian mit Hilfe ausländischer Investoren von Grund auf erneuert. Ob und Inwiefern das St. Hubertus hernach noch weitergeführt wird, ist so genau nicht bekannt. Sicher ist jedenfalls, dass Norbert Niederkofler maßgeblich in die Planung und künftige Küchenausrichtung eingebunden ist. Ob er jemals als Chefkoch an den Herd dorthin zurückkehrt, ist freilich eine andere Frage. Sehr wahrscheinlich ist das nicht,

10 AKTUELLES PZ 13 | 29. JUNI 2023
3a.
Fotos: wpz

denn er ist dabei, seinen eigenen Tempel in der Villa Moessmer zu eröffnen (Bild 3a.), wo er weder mehrstöckige Hamburger noch superdicke Hauswürste, sondern fein zubereitete Teller aus Produkten heimischer Herkunft aufzutischen gedenkt; eine Wahl, die ihm den Blick zu Michelins-Sternenhimmel keineswegs verstellt, sondern vielmehr ungetrübt freihält. Der beabsichtigten Sternenlese dürfte sein Konzept sicherlich förderlich sein. Somit käme auch Bruneck zu seinem Gourmettempel der Extraklasse. Das Restaurant in der Villa Moessmer soll seinen Betrieb in etwa zwei Wochen aufnehmen. Der städtische Zug fährt die Gegend dort derweil schon mal an (Bild 3b.). // wp

TATENLOS

Der Präsident der Autonomen Provinz Bozen, Dr. mag. iur. Arno Kompatscher, war jüngst zu Gast beim österreichischen Gemeindetag, der unter dem Motto „Lokal. Regional. Europäisch. Gemeinden im Herzen Europas.“ stattfand. Kompatscher unterstrich in seinem Statement die Bedeutung der Gemeinden für die Bevölkerung: „Mit ihrer Tätigkeit, ihren Dienstleistungen und Infrastrukturen begleiten sie die Bürgerinnen und Bürger von der Wiege bis zur Bahre“, sagte er. Dies trifft in der Tat oft, jedenfalls auf die seit Generationen unterlassene Realisierung der Umfahrung von Sillian zu. Seit 1985 kämpfen die verkehrsgeplagten Dorfbewohner nämlich erfolglos für die Verlegung der B 100 aus dem Orts-

kern (Bild 4a.). Der Bund, als Eigentümer der Straße, blieb diesbezüglich die ganze Zeit herauf ebenso untätig wie die Tiroler Landesregierung unter den diversen Führungen. Selbst beim kürzlich abgehaltenen kleinen „Verkehrsgipfel“ in Osttirol, zu dem

auch Pustertaler Gemeindepolitiker geladen waren, stand nicht so sehr die Umfahrung von Sillian als vielmehr die Skiverbindung zwischen Sexten und Sillian (Drei Zinnen – Thurntaler) über Hochgruben zur Debatte. Die Seilbahnunternehmer (Schultz/Senfter), so war vor Ort neulich zu erfahren, würden gegebenenfalls die Südvariante gegenüber der Nordvariante bevorzugen. Sie wäre der künftigen Talstation bei Heinfels dienlicher als die von der Gemeinde bevorzugte Tunnelvariante nordseitig von Sillian.

Diesseits der Grenze wird im Gegenzug an den Umfahrungen von Kiens und Percha (Bild 4b.) auf Teufel komm raus gearbeitet. Die Sillianer, wann sie durchs Pustertal fahren, fragen sich natürlich, warum geschieht denn bei uns seit Jahrzehnten nichts? Mattle ist gefordert. // wp

11 AKTUELLES PZ 13 | 29. JUNI 2023
3b. 4a. 4b. Fotos: wpz

VERLORENE URKUNDE

Im August 2017 weilte Staatspräsident Sergio Mattarella auf Urlaub in Toblach, wo er während seines 10-tägigen Aufenthalts am Stützpunkt der Luftwaffe untergebracht war. In diesem Rahmen empfing er damals auch den ältesten Hotelier Toblachs: Eugenio Comini (97) und Enkel Enrico als seinen Begleiter (Bild 5a).

Eugenio Comini war erfolgreicher Hotelier, ein Mann von Weitblick, der sich gerne auch für die Allgemeinheit nützlich machte. Er war Gemeinderat, Assessor, außerdem Präsident und Ehrenpräsident des Hockeyvereins, saß im Ausschuss des Tourismusvereins und war Mitbegründer des Rienzlift GmbH. Für all diese und andere Verdienste ehrte ihn der Staatspräsident mit der Verleihung des Titels „Commendatore“. Das diesbezügliche von ihm unterzeichnete und von Minister Gentiloni gegengezeichnete Dekret wurde mit Datum 22. Dezember 2017 erlassen (Bild 5b.)

Vier Tage später feierte Eugenio Comini seinen 98igsten Geburtstag – ohne um die frohe Botschaft und die hohe Auszeichnung aus Rom zu wissen. Das diesbezügliche Diplom tauchte bis zum Tode Cominis, am 17. Juni 2021, niemals auf. Erst im Mai dieses Jahres wurde auf Betreiben des Enkels Enrico und des Kommandanten der örtlichen Carabinieristation die verlorengegangene Urkunde durch die Präsidialkanzlei ersetzt und das entsprechende Dip -

lom Sohn Bruno zugestellt. Für den Toten, der sich über die Auszeichnung mächtig gefreut hätte, leider Gottes zu spät. Doch der erworbenen Ehre tut das keinen Abbruch. Übrigens: Im oberen Pustertal halten sich Gerüchte, wonach Staatspräsident Sergio Mattarella seinen Sommerurlaub heuer wiederum in Toblach verbringen würde. Auf einer anderen Bühne zu Ehren kamen

kürzlich drei weitere Toblacher: Bruno Comini (Hotel Union) und Herbert Santer mit Frau Godelieve (Romantik Hotel Santer). Sie bekamen auf Vorschlag von Thomas Walch, Präsident der der HGV-Ortsgruppe, auf der Verbands-Vollversammlung im Kurhaus zu Meran - neben vielen anderen - eine Anerkennungsurkunde für die 50-jährige Mitgliedschaft überreicht (Bild 5c). // wp

SCHRÄGES IN SCHRÄGSCHRIFT

Den- Herz-Jesu-Sonntag begeht Tirol mit Hochämtern, Prozessionen und Bergfeuern besonders festlich. Der Brauch findet seinen Ursprung im Jahre 1796, als Tirol sich angesichts der anrückenden Franzosen dem Schutz Herz-Jesu anvertraut hatte.

Heute sind es nicht mehr die Franzosen, welche die Tirolerinnen und Tiroler in Angst und Schrecken versetzen. Nein, nicht Napoleon ist es, sondern Meister Petz, der Bär, und Isegrim, der Wolf sind es, die über die Europaregion (Tirol-Südtirol-Trentino) herfallen, die Menschen bedrohen und die Nächtigungs-Rekordzahlen gefährden, so man den Zeitungskampagnen und den Aussendungen einzelner Wirtschaftsverbände (SBB, HGV) Glauben schenken darf. Kein Wunder also, dass beispielsweise über Taufers im Pustertal am Wasserfallkamm, der Umriss eines heulenden Wolfes samt einer auf ihn gerichteten Bockbüchse anstatt das Herz-Jesu mahnend brannten. Das Herz Gottes schlage für alle, sagte Bischof Ivo Muser einmal. Einen Exklusivanspruch darauf habe Tirol also nicht. Und so

kam es, dass es heuer auch in der Piloten-Brust der Frecce Tricolori hämmerte. Die Formation der weltberühmten Kunstflugstaffel zeichnete zu Herz Jesu im Rahmen der 100-Jahrfeier der Luftwaffe mit neun Maschinen ein riesiges Herz in den Himmel über Pratica Mare (RM), worauf es der Solist in Pfeilgeschwindigkeit durchstieß. Kampfbetonte Herzen also überall. // wp

In der Ausgabe vom 16. Juni veröffentlichte die Neue Südtiroler Tageszeitung unterm Titel „Bauernland in Bauernhand“ einen Auszug aus „Politika“. Autor Wolfgang Mayr zitiert darin den Bauernbund und dessen Anspruch auf politische Teilhabe wie folgt: „Die Interessenvertretung auf politischer Ebene erfolgt durch die Entsendung von Vertretern des Bauernbundes in die gesetzgebenden Organe auf Gemeinde-, Bezirks-, Landes-, Staats- und EU-Ebene“.

Nanu, seit wann gibt’s gesetzgebende Organe auf Gemeinde- und Bezirksebene? Etwa seit „Kann Südtirol Staat?“ So doch nicht! // wp

12 AKTUELLES PZ 13 | 29. JUNI 2023
5b. 5a. 5c. wpz

WOHNHAUS FÜR MENSCHEN MIT AUTISMUS

Es braucht dringend mehr helfende Hände

Das Wohnhaus für Menschen mit Autismus der Bezirksgemeinschaft Pustertal ist im Brunecker Josefsheim untergebracht. Die Struktur soll von der Lebenshilfe das ganze Jahr über geführt werden. Allerdings fehlen an allen Ecken und Enden die Mitarbeitende. Diese werden nun dringend gesucht.

Im neu eingerichteten Wohnhaus für Menschen mit Autismus in Bruneck – eine überaus wichtige Struktur – fehlt das Personal. Obwohl acht Vollzeitstellen vorgesehen wären, konnten bis dato nur knapp zwei Mitarbeitende engagiert werden. Das wiederum hat zur Folge, dass derzeit nur ein reduzierter Betrieb möglich ist. Damit könnten aktuell fünf Personen betreut werden, allerdings nur eingeschränkt und ohne Übernachtung. Mehr ist derzeit nicht möglich, da die betreuten Menschen nur von ausgebildetem Personal betreut werden können und sollen. Ziel ist aber, in Zukunft das Wohnhaus in Bruneck rund um die Uhr und das ganze Jahr über offen zu halten. Dort sollen dann Menschen mit Autismus-Spektrum-Störungen und tiefgreifenden Entwicklungsstörungen aus dem gesamten Raum Pustertal ein zweites dauerhaftes Zuhause finden. Und zwar rund um die Uhr und ganzjährig. „Das wichtigste Ziel des neuen Wohnhauses ist es, den Menschen mit autistischer Störung ein

bedarfsmäßig geeignetes zweites Zuhause zu bieten“, so Hildegard Kaiser, die seit 31 Jahren mit dabei ist und als Leiterin fungiert. Wichtig sei auch, dass sich die Menschen in der neuen Einrichtung „wohl fühlen, sich entfalten, sowie individuell unterstützt und gefördert werden können“, ist sie überzeugt. Dabei wird auch ein neuer ganzheitlicher Betreuungsansatz umgesetzt.

WICHTIGE UND SCHÖNE ARBEIT

Das Wohnhaus hat darüber hinaus die wichtige Funktion, die Familien zu Hause zu entlasten. Denn vielfach sind die Eltern dieser Menschen bereits in die Jahre gekommen und brauchen eine entsprechende Unterstützung. Um das zu erreichen, werden zusätzliche

Mitarbeitende für die neue Struktur gesucht. Die Arbeit selbst ist herausfordernd, aber sehr abwechslungsreich und wird von den aktuellen Bediensteten quer durch die Bank als „sehr schön und erfüllend“ bezeichnet. Die Schwerpunkte liegen im Wohntraining und -begleitung, in der sozialpädagogischen Arbeit, in der lebenspraktischen Förderung und in der Gestaltung der Freizeit der betreuten Menschen.

Die Arbeit und der Kontakt mit diesen Menschen ist im Grunde gleichbedeutend mit einer täglichen „Schatzsuche“. An dieser Schatzsuche können sich gerne alle beteiligen, die einen wichtigen und wertvollen Beitrag leisten können. Gerne einfach melden! // rewe

13 SOZIALES & GESUNDHEIT PZ 13 | 29. JUNI 2023
Von links: Markus Kiwitt (Team Autismus), Franca Marchetto (Leiterin Bereich Wohnen der Lebenshilfe), Hildegard Kaiser (Leiterin Struktur in Bruneck), Carmen Kostner (Krankenpflegerin) und Francesca Lo Re (Sozialbetreuerin) arbeiten bereits mit vollem Einsatz im neuen Wohnheim in Bruneck. rewe Die Menschen mit Autismus-Spektrum-Störungen können im neuen Wohnhaus im Josefsheim in Bruneck ein zweites Zuhause finden. Sie fühlen sich dort wohl. Nun braucht es noch Mitarbeitende.

Parodontitis – Neue Volkskrankheit auf dem Vormarsch

Vorsicht bei den ersten Anzeichen

„Ich putze regelmäßig meine Zähne und jetzt heißt es, ich habe Parodontitis“. Was bitte ist das? Leider kein moderner Schnickschnack. Es ist ein echtes Problem! Bei zunehmendem Zahnbelag entsteht Zahnstein, der Zahnfleischentzündungen geradezu provoziert. Werden die nicht zügig behandelt, droht die chronische Entzündung – Parodontitis. Gewebe- und Knochenabbau sind die Folge. Also: Aufgepasst! Achten sie auf erste Anzeichen! Mundgeruch, Schwellungen und empfindliches Zahnfleisch. Auch Probleme mit dem Geschmack, Zahnfleischbluten oder lockere Zähne sind erste Anzeichen und bedeuten: „Ab zum Zahnarzt“.

Rauer Zahnbelag bietet Bakterien einen idealen Nistplatz. Durch den Stoffwechsel dieser „Plaquebakterien“ entstehen Giftstoffe, die in das Zahnfleisch gelangen. Der Körper reagiert mit einer Zahnfleischentzündung. Nach einer gewissen Zeit hält unsere natürliche Barriere den Giftstoffen der Bakterien nicht mehr

stand: das Zahnfleisch löst sich vom Zahn und bildet Zwischenräume. Diese „Taschen“ werden tiefer, das Zahnfleisch geht zurück. Spätestens jetzt muss unsere Ampel auf Alarm umstellen. Raucher sind von Parodontitis deutlich häufiger betroffen als Nichtraucher. Regelmäßige Mundhygiene kann vieles vermeiden. Zweimal täglich Zähneputzen. Zahnseide verwenden. Regelmäßig zur Mundhygiene beim Zahnarzt, der die ersten Anzeichen von Parodontitis schnell erkennt und Labortests machen kann, die die Erkrankung nachweisen.

Unter örtlicher Betäubung reinigt der Zahnarzt die Zahnfleischtaschen mit Handinstrumenten. Ultraschall- oder Lasergeräte können ebenfalls eingesetzt werden, um weiche und harte Beläge gründlich und schonend zu entfernen. Danach werden die erreichbaren Zahnflächen geglättet. Dies erschwert den schädlichen Bakterien ein erneutes Anheften. Meist kann die Entzündung schon durch die Basistherapie gestoppt werden. Lassen Sie sich von ihrem Zahnarzt beraten.

MODERNE ZAHNMEDIZIN

Kieferorthopädie

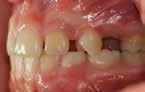
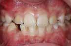
Dieser Patient hatte folgende Diagnose:

• Platzmangel im Ober- und Unterkiefer

• Protrusion der Ober und Unterkieferschneidezähne

• Retinierte Eckzähne (da zu wenig Platz um durchzubrechen)

Aufgrund des starken Platzmangels sah der Behandlungsplan die Extraktion von 4 Prämolaren vor. Behandelt wurde mit einer festsitzenden Apparatur. Die Behandlungsdauer betrug insgesamt 20 Monate. Es konnten alle Fehlstellungen behoben und ein stabiles Ergebnis erzielt werden.

Bachla 6

I - 39030 Pfalzen (BZ)

Tel.: 0474 862334

whatsapp: +39 327 341 00 99

Anzeige

Anzeige

Mit freundlichen Grüßen

Dr. Josef Willeit und Dr. Paul Willeit

Dr. Josef Willeit

Facharzt für Zahn-, Mund- & Kieferheilkunde Facharzt für Kieferorthopädie

Dr. Paul Willeit

Zahnarzt, Facharzt für Kieferorthopädie

Adresse:

Romstraße 3, Bruneck • Tel. 0474 555 409 info@willeit.it • www.willeit.it

14 SOZIALES & GESUNDHEIT PZ 13 | 29. JUNI 2023
Dr. med. dent. Jule Hirte Abb. 1: Vor der Behandlung, frontal Abb. 2: Nach der Behandlung, frontal Abb. 5: Vor der Behandlung, rechts Abb. 6: Nach der Behandlung, rechts Abb. 3: Vor der Behandlung, links Abb. 4: Nach der Behandlung, links

VON DER PRETTAUER KRÄUTERWIESE

Der Lavendel

Botanischer Name: Lavandula angustifolia

Organzugehörigkeit: Der Lavendel gehört zu den Merkurpflanzen. Merkur ist als der Götterbote bekannt und wird mit den Eigenschaften: schnell, beweglich und kommunikativ verbunden. So vermittelt Lavendel wichtige Informationen, stellt hilfreiche Verbindungen her, schnelles Lernen und bleibendes Wissen gehören in diesem Sinne zu ihm. Merkur ist als der Herr der Wege zum Glück bekannt. Wege verbinden Menschen, Dörfer, Städte, Staaten, ja die ganze Welt. Damit wird erklärbar, wie der Lavendel hilft, sich schnell und ohne Entzugserscheinungen aus dem digitalen Informationssumpf zu befreien und sich gründlich davon zu erholen. Der lateinische Wortstamm Lavare bedeutet sich reinwaschen. Als Heilpflanze fördert er blockierte Energieflüsse, reguliert die innere Balance, löst Verspannungen und aufgestaute Gefühle, reduziert die nervöse Gereiztheit und lenkt den Blick auf die Dinge, die noch geklärt werden sollten. Er nimmt die Angst vor Neuem gleich wie vor der Langeweile und ist damit dem Baldrian vom Charakter her ähnlich.

Indikation: Lavendelblüten wirken als leichtes Sedativum beruhigend und entspannend auf das zentrale und periphere Nervensystem. Das ätherische Öl wirkt nachweislich antimikrobiell und antiphlogistisch, fungizid, insektizid und akarizid und schützt dadurch vor ständig drohenden äußeren Einflüssen. Zudem haben Lavendelblüten cholagoge und choleretische (gallenflußfördernde) Eigenschaften auf Leber und Darm. Lavendel als standardisierter Extrakt erweist sich bei vegetativer Dystonie (Schwindel, Unwohlsein, Kreislaufinstabilität bei z.B. sommerlicher Hitze) als sehr hilfreich. Eingesetzt wird er zudem bei Unruhe, nervöser Erschöpfung und Schlafstörungen. Weitere Indikationen sind funktionelle Oberbauchbeschwerden, wie z.B. Appetitlosigkeit, Meteorismus, Blähungen und nervöse Darmbeschwerden sowie das Reizdarmsyndrom. Auch bei muskulären Verspannungen und Rheumatischen Beschwerden sowie bei Neuralgien wirkt Lavendel beruhigend und lindernd. In der Volksheilkunde wird Lavendel innerlich als Tee oder Extrakt bei Migräne, Krämpfen aller Art und auch bei Asthma bronchiale verwendet.

Besondere Anwendung: Der wundervoll blau blühende Lavendel bedeckt ganze Landstriche und überzieht sie mit seinem betörenden sommerlichen Duft. Der Duft besitzt die seltene Eigenschaft zu beruhigen und gleichzeitig zu beleben. Sowohl frische oder getrocknete Blüten als auch das Öl lassen sich vielfältig innerlich und äußerlich anwenden. In Kombination mit Zitrone und oder Rosmarin wirkt der Lavendel als morgendliche Waschung im Sinne eines Morgenrituals in besonderer Weise belebend auf alle Sinne.

GUTE TEEKOMBINATIONEN WESTLICH UND NACH TCM (traditionell chinesische Medizin) von Lavendel (Blüten,-kraut, -öl):

Entsprechende themenbezogene Zusendungen und Fragen können so wie bisher in bewährter Weise direkt an meine E-Mailadresse gruber@prosalus.info oder telefonisch unter 0474 409344 direkt an mich gerichtet werden.

Dr. Rudolf Gruber

Lavendel + Anemone (Küchenschelle, Pulsatilla)

Beruhigt Herz- Geiststörungen: bei ängstlicher Erregung, Schlafstörungen, Herzklopfen und Herzstolpern; Lavendel + Valeriana (Baldrian) Beruhigt hyperaktives Leber- Yang, besänftigt LeberWind: ist krampflösend, antikonvulsiv; wirkt nach Schlaganfall begleitend zur Erholung, bei Kopfschmerzen mit nervöser Anspannung (Öl)

Lavendel und Mentha piperita/ Nepeta cataria (Minze/ Katzenminze)

Lavendel, Leonurus (Herzgespann) und Weissdorn

Beruhigt Darm- Qi- Störungen: blähungstreibend, krampflösend, beruhigend, bei Völlegefühl, Darmkoliken und Reizdarm

Reguliert stagnierendes Herz- Qi: bei leichten Depressionen mit ängstlicher Erregung, bipolaren Störungen; bei nervöser psychischer Verdauungsstörung (wenn man über eine sogenannte Kleinigkeit nicht drüberkommt). Wirkt bei Herzinsuffizienz und allgemeiner Kreislaufschwäche

Lavendel und Rosmarin Reguliert stagnierendes Leber- Qi, wirkt leicht antidepressiv und verdauungsfördernd, hilft bei sozialem Kältegefühl (verletztem Gerechtigkeitssinn)

Tee zur schnellen abendlichen Beruhigung: 2 gehäufte Teelöffel Blüten für ¼ Liter Tee. Mit kochendem Wasser übergießen, 10 Minuten ziehen lassen, abseihen. Mit Honig gesüßt langsam 23 Tassen trinken; auf diese Weise ruhig und gelassen aus einem stressigen Tag herausmeditieren.

Lavendelbad: 50 – 60 Gramm Lavendelblüten mit 1 Liter Wasser bis zum Sieden erhitzen und nach 10 Minuten abseihen. Diese Flüssigkeit wird einem Vollbad zugesetzt. Alternativ funktioniert ein grosser Esslöffel Lavendelöl genauso. Gleichzeitig können während dem Bad auf einem Stöfchen über einem Teelicht Lavendelblüten vergellt werden. Überreizte Menschen erfahren dadurch einen Jungbrunnen für das Nervensystem.

Weitere interessante Infos unter www.naturheilpflanzen.eu

15 SOZIALES & GESUNDHEIT PZ 13 | 29. JUNI 2023

Das Stalking

In Zusammenarbeit mit dem Anti-Gewalt-Netzwerk Pustertal (AGNET)

Gewalttaten gegenüber Frauen und Mädchen sind auch im Pustertal aktueller denn je. Bei der Gewalt denkt man zunächst an die körperliche Gewalt. Aber die Gewalt an Frauen hat mehrere Gesichter. Es gibt auch die psychische, die finanzielle, die sexuelle, die soziale und die miterlebte Gewalt der Kinder sowie die Gewaltform „Stalking“ und die Gewalt in den sozialen Medien. Die verschiedenen Gewaltformen gehen ineinander über und werden selten getrennt voneinander ausgeübt.

Die Gewaltform „stalking“ bezeichnet das intensive und andauernde Nachstellen, Be-

lästigen und Bedrohen der ausgewählten Person. „To stalk“ bedeutet anschleichen.

Die Gewaltform „stalking“ äußert sich beispielsweise wie folgt:

SÜDTIROLER KUPPELCUP IN ST. JOHANN

DAS GROSSE FINALE

Nachdem die Feuerwehr von St. Johann bereits letztes Jahr einen von drei Bewerben des Südtiroler Kuppelcups ausgetragen hat, findet dieses Jahr am achten Juli 2023 das Finale in St. Johann statt. Am gleichen Wochenende findet auch das Feuerwehrfest statt.

Im Rahmen des Südtiroler Kuppelcup werden drei Bewerbe veranstaltet. Nun findet das Finale um die begehrte Trophäe und um den Titel der schnellsten Kuppelmanschaft Südtirols in St. Johann statt. Die „schnellste Kuppelmannschaft Südtirols“ wird durch die Addition der einzelnen Angriffszeiten der drei Bewerbe und schlussendlich mit der niedrigsten Gesamtzeit ermittelt. Nach den ersten zwei Bewerben liegen mit den Feuerwehren von Ahornach, Aufkirchen und Steinhaus gleich drei Pustertaler Feuerwehren auf den vordersten Rängen und somit in aussichtsreicher Position, um den Titel wieder in das Pustertal zu holen. Bei der Veranstaltung werden an die 40 Mannschaften aus Süd- Nord- und Osttirol sowie aus dem Trentino erwartet. Die Ver-

anstaltung wird am Samstag, den achten Juli 2022 im Festzelt von St. Johann ausgetragen und beginnt um ca. 11.30 Uhr mit den Bewerben.

Um 18.30 Uhr wird das Finale im Rahmen eines KO-Bewerbes der besten 18 Mannschaften des Tages ausgetragen. Diese spannenden und mitreißenden Parallelbewerbe sollte man sich nicht entgehen lassen.

Nach der Siegerehrung um ca. 20.00 Uhr

• Ständiges Anrufen am Telefon bzw. Telefonterror;

• Zusenden von Drohbriefen;

• Wiederholtes Zusenden von Geschenken;

• Ständiges Zusenden von Nachrichten und Botschaften über die sozialen Medien;

• Bespitzelung und Verfolgung am Arbeitsplatz und zu Hause;

Die Gewaltform „stalking“ gegenüber Frauen wird meist von nahestehenden Männern ausgeübt. Der Täter zwingt dem Opfer den Kontakt auf und beeinträchtigt das tägliche Leben des Opfers sehr intensiv. Dem Täter geht es nicht um eine Beziehung. Tatsächliches Ziel sind Macht und Kontrolle. // jst

INFO BOX

Quelle: AGNET

(Anti Gewalt Netzwerk Pustertal)

Tel: Grüne Nummer 800 310 303

wird die Veranstaltung durch die bekannte Partyband „Die jung Puschtra“ abgerundet. Die Feuerwehr von St. Johann freut sich auf zahlreiche interessierte Besucher bei diesem speziellen Feuerwehrbewerb und bei der parallel verlaufenden Festveranstaltung am Samstag. Das Feuerwehrfest wird am Sonntag fortgeführt. Als musikalische Umrahmung der Festveranstaltung spielen am Sonntag beim Frühschoppen die Musikkapelle St. Johann und um 13 Uhr die Feuerwehrmusik St. Johann zum Tanz auf. Das Nachmittagsprogramm steht im Rahmen der kleinen Gäste mit Austragung der Feuerwehrolympiade für Kinder und musikalischer Unterhaltung der Jugendkapelle „Ahrna JuKa“. Die Festveranstaltung wird am Abend mit der Tanzmusik DUO flexibel aus Südtirol abgerundet welche zum Tanz aufspielen. // mat

16 SOZIALES & GESUNDHEIT PZ 13 | 29. JUNI 2023
GESICHTER DER GEWALT AN FRAUEN

Fotos: (c)socialventures

TAUFERER STRASSENKÜCHE UND OLANGER STANDLSCHMAUS

Wieder feiern wir den Sommer unter Sternen

TAUFERER STRASSENKÜCHE

Sommer, Sonne, Straßenküche! Die Sandner*innen stellen Stühle und Tische nach draußen und nehmen den Herd gleich mit. Es gibt wieder Schmackhaftes, Frisches und

verwenden Null-Kilometer-Speisezutaten, recycelbares Geschirr, daher trägt sie das Label Green Event. Und die Musik ist spaßig-geräuschvoll, aber auch leise, mit viel Platz für Geplänkel & Debatten am Tisch und beim Flanieren.

Die Sandner Sträßchen geben mit der angeleuchteten Burg im Hintergrund einen gelungenen Rahmen ab fürs Feiern. Gern lässt man sich ein Glasl munden, wenn man nach anstrengendem Tagwerk ein paar Stunden zum Genießen übrig hat, mit Freunden, mit Nachbar*innen, mit Gästen.

Gesundes aus dem Ahrntal – und anderswo. Der Tourismusverein freut sich drauf, und mit ihm die Standlbetreiber*innen. An sieben Straßenküchenabenden in musikdurchfluteten Sandner Gassen. Dazwischen Standlan mit Handwerksleuten, mit Käse der Umgebung, Chilldown-Lounge, Bastelecken und Spiele-Nischen für die Knirpse –sie sind wie immer die heimlichen Stars ... Tiefgrün ist sie, die Straßenküche, alle achten auf sorgsamen Umgang mit Ressourcen,

Es ist Straßenküchen-Time, von 19:00 bis 23:00 Uhr, vom 4. Juli bis 22. August –außer um Ferragosto, 15.08., da ist Mittsommerfest. Dienstags, wie immer. Her mit allen Sommernachtsfans! (Sonderlinie nach Bruneck und ins Ahrntal.)

OLANGER STANDLSCHMAUS

Mitten im grünen „Oalinga“ Zentrum, unter mächtigen Linden und Ahornbäumen tafelt sich’s traumhaft! Die Olanger*innen zelebrieren ihn wieder, den zauberhaften Standlschmaus, sie erwarten’s kaum, ebenso die Gäste von drumherum.

Und wir, wir tun nichts lieber als unter Sternen dem Duft zu folgen und uns vom Genuss leiten zu lassen ... mittwochs nach Mitterolang! Köstliches und Festliches aus Töpfen und Pfannen wird unter aller Augen frisch zubereitet. Und was nicht fehlt, ist richtig schöne Musik, die einlädt zuzuhören, mitzusingen, zum Tanzen. Beim Einzug mit Volksmusikklängen darf gern geklatscht werden. Kinder: herzlich willkommen, für sie gibt’s Minispezialitäten, Spiel & Späßchen da und dort.

Dreimal im Sommer, am 5. und am 26. Juli und am 23. August. Mittwoch, wie immer. Um 18:00 Uhr geht’s los, bis gegen 23:00 Uhr. Her mit allen Sternenabendfans! //

Anzeige

„Ich denke nicht lange nach. Ich mache einfach!“

Vom Bauernhof in die gehobene Gastronomie: Als Matthias Schenk ins Berufsleben als Koch einstieg, gab es für ihn viel Neues zu entdecken. Im Lodenwirt in Vintl kann er sich seit mehr als 20 Jahren verwirklichen. Porträt über einen, der möglichst viel selbst herstellen will, Produkte aus der umliegenden Gegend schätzt und Regionalität in der Küche trotzdem nicht als Marketinginstrument verwendet.

von Verena Duregger

An die Schulzeit denkt Matthias Schenk nicht gerne zurück. Das Pauken lag dem heute 41-Jährigen einfach nicht. Viel besser gefiel dem Sohn einer Bauernfamilie aus Lajen die Arbeit im Dorfgasthof Sonne nebenan. Seit er elf Jahre alt war, spülte er im Sommer dort ab und beobachtete aus dem Augenwinkel, wie die Köche die Teller nach draußen zu den Gästen schickten. Als er nach dem Abschluss der Schule erfuhr, dass in Olang ein Koch gesucht wird, sagte er gleich zu. Das Gourmethotel, in dem er anheuerte, war 70 Kilometer von daheim entfernt und eröffnete ihm eine neue Welt.

Schenk, der Fleisch, Kartoffeln und Nudeln gewöhnt war, eben typische traditionelle Südtiroler Küche, sieht in der großen Hotelküche seinen ersten Hummer, Steinbutt, Austern und andere feine Sachen der gehobenen Gastronomie. Er lässt sich da-

von nicht abschrecken und kostet sich durch die Speisekarte. „Interessanterweise hat mir das meiste gleich geschmeckt”, sagt er und schmunzelt. Probieren, was er nicht kennt – das begleitet ihn in den folgenden Jahren auf dem Weg zum gelernten Koch. Rote Bete zum Beispiel, die in Südtirol alle Rohnen nennen, musste er öfter als einmal essen, bis sie ihm schmeckte. Heute verarbeitet er sie in seiner Küche zu Knödeln, Ravioli, Salat und liebt die Knolle auch wegen der violetten Farbe, die sie einer Speise gibt.

Küche. Er powert sich aus. Er feiert oft mit. Zu oft. Er ist Anfang 20, da beschließt er, einen Sommer lang nichts zu tun und am Bauernhof seiner Eltern mit anzupacken. Heuarbeit, Kühe füttern und melken, den Duft der Alpenkräuter atmen. Herunterkommen.

Als er auf der Hochzeit eines Gastronomen kocht, spricht ihn Manfred Profanter an. Der Transportunternehmer aus Pfunders hat in Vintl gerade ein Hotel mit Restaurant eröffnet. Den Lodenwirt. „Er suchte einen Koch für zwei Wochen.” Schenk sagt zu – und bleibt. Aus zwei Wochen sind mittlerweile über 20 Jahre geworden. Seit 2008 ist Schenk Küchenchef im Lodenwirt. Hier sitzt der Politiker neben der Friseurin, der Handwerker neben der Buchhalterin: Schenk gelingt mit seinem Team aus mittlerweile zehn Köchen (am Anfang waren es vier) ein Umfeld, in dem alle zuhause sind. Sie schätzen die schnelle und trotzdem anspruchsvolle Küche in der Mittagspause. Und genießen am Abend die heimelige Atmosphäre im Restaurant.

Gourmetführer: Das Porträt ist im Kochbuch „Genussregion Südtirol“ erschienen, in dem Matthias Schenk seine Rezepte mit zehn anderen Köchen präsentiert.

Mit Demut erlernt er das Kochhandwerk, schaut sich alles von seinen Ausbildern ab, liest Bücher, sucht im Internet nach Rezepten und lernt andere Betriebe kennen. „Ich denke nicht lange nach. Ich mache einfach.” Auch auf einer Almhütte kocht er einen Winter lang. Die Zeit auf 2000 Metern am Sellajoch bringt ihn an die Grenzen. Er rockt die

Matthias Schenk baut seine Speisen nach zwei Prinzipien auf: Geschmack und Auge. Wobei die Optik heute weniger verspielt und kleinteilig ist als in der Anfangszeit. „Das Gericht muss natürlich schmecken und nicht aufgesetzt wirken”, sagt er, „und Süße und Säure müssen im Mund die Balance halten.” Die Rezepte, die Schenk im Kochbuch Genussregion Südtirol präsentiert, zeigen die Vielfalt des Lodenwirts. Die Burrata zum Beispiel, in der Sommervariante mit Tomate und Limettensalz, ist ein einfaches und köstliches Gericht, das Schenk seinen Gästen öfter serviert. Oder die gefüllten Petersilientortelli mit Selleriepüree und Gamsragout. Ein Gericht, bei dem sich verschiedene Geschmäcker und Konsistenzen perfekt miteinander verbinden. Die Pasta ist übrigens handgemacht wie alle Teigwaren im Lodenwirt.

MENSCHEN IM PORTRÄT 18 PZ 13 | 29. JUNI 2023
Macher: Seit über 20 Jahren prägt Matthias Schenk die Lodenwirt-Küche Uwe Spörl

Das liegt an Schenks Lust, immer Neues auszuprobieren und vor allem möglichst viel selbst herzustellen (auch das Brot kommt aus dem hauseigenen Backofen), und an Thomas Profanter, der den Lodenwirt 2016 von seinem Vater übernommen hat. Er liebt Essen und Trinken genau wie Matthias Schenk. Die beiden ergänzen sich und treiben sich an. Die frische Pasta ist nur ein Beispiel dafür. Wenn im Herbst die Trüffelschnüffler losziehen, um die Rarität aufzuspüren, fahren die beiden zusammen ins Piemont (die Region von Haselnüssen, Wein und Trüffeln) und treffen in der Nähe von Alba ihren Trüffellieferanten. Bei einem Glas Barolo essen sie die Trüffeln dann, wie sie es am liebsten mögen: einfach und unverfälscht. Genau so bringt Matthias Schenk die mitgebrachten Trüffeln im Lodenwirt dann auf den Teller. Als ehrliches Gericht.

Wein ist das Steckenpferd von Thomas Profanter. 450 verschiedene Etiketten lagern im Weinkeller, 25 offene Weine gibt es täglich im Angebot. Sobald die Speisekarte wechselt (und das ist häufig der Fall, schließlich weiß man die Stammgäste zu überraschen), nimmt der Sommelier auch wieder neue Weine auf die Karte. „Zum Carnaroli-Risotto mit Käse passt ein Riesling”, sagt Thomas Profanter. Er empfiehlt einen passenden Wein zu jeder Speise auf der Karte.

Für das Risotto-Rezept verwendet Matthias Schenk Höhlengenuss. Der Blauschimmelkäse trägt seinen Namen, weil ihn Hubert Stockner an einem besonderen Ort mindestens sechs Monate lang reifen lässt. Der Käsemeister veredelt verschiedene Käse in einem Natursteinbunker, einem Relikt aus dem Weltkrieg. Den Bunker verlassen sie als Raritäten. Produzenten wie Stockner begeistern Matthias Schenk. Weil sie ihre Idee verfolgen. Weil sie immer auf der Suche nach Neuem sind. Genau wie er.

Seit Jahren beschäftigt er sich mit der Fleischreifung. Weil er alles zum Thema wissen wollte, lernte er das Handwerk von einem Profi in Bayern. Im Lodenwirt gibt es nun mit Asche, Gin, Whisky oder in Butter gereiftes Fleisch. Fachbegriff: Dry Aged. „Damit habe ich viel Erfolg”, sagt Schenk.

Und dann ist da noch so ein gemeinsames Projekt von Thomas und Matthias: der Speck. 20 Schweine zieht Bauer Florian Winkler vom Oberguggerhof in Montal auf. Die Schweine bekommen nur feinstes Getreide und Molke der Feinkäserei Capriz, die gleich neben dem Lodenwirt Käseprodukte herstellt und verkauft. Die Tiere verbringen ihre Zeit auf der Wiese und fressen in den letzten beiden Wochen ihres Lebens geröstete piemontesische Haselnüsse, ein Abfallprodukt der Eisproduktion. Auch das Eis stellen Matthias Schenk und seine Mit-

arbeiter selbst her, aber das ist wieder eine andere Geschichte aus dem Lodenwirt-Universum. Die Schlachtung draußen unter freiem Himmel läuft für die Tiere stressfreier ab und verhindert, dass zu viel Adrenalin ins Fleisch geht und den Geschmack verändert. Natürlich ist damit der Bedarf für ein großes Restaurant nicht gedeckt. Aber es ist ein Beispiel für die Produktbesessenheit von Matthias Schenk und für die Offenheit seines Chefs Thomas Profanter, jeden Tag neue Wege zu gehen. „Du kannst nicht günstig Qualität kaufen”, ist Schenk überzeugt.

Regionalität spielt in seiner Küche eine Rolle, klar. „Eigentlich war das immer schon so”, sagt er, „aber heute wird der Begriff so aufgebauscht.” Sofern er auf regionale Produkte zurückgreifen kann, macht er das gerne. Aber er will sich von diesem Ansatz auch nicht einschränken lassen und schaut, was sonst in Europa oder Amerika passiert. „Wenn du nirgends hingehst, dann siehst du auch nichts.”

In seiner Freizeit setzt sich Matthias Schenk gerne auf die Harley-Davidson und brettert durch das Land. Er liebt Musik von AC/DC und positive Energie. Wenn er sein Team in der Küche auf den nächsten Tag einschwört, blickt er auf eine Songzeile von AC/DC. Auf der grün gefliesten Wand steht in schwarzen Buchstaben ein Satz. „It’s a long way to the top if you wanna rock’n’roll.” //

MENSCHEN IM PORTRÄT 19 PZ 13 | 29. JUNI 2023
Schenk liebt es, auf seiner Harley zu fahren. Tris aus dem Universum von Matthias Schenk: Im Kochbuch präsentiert er unter anderem Puntarella mit Burrata und Focaccia, Petersilientortelli mit Gamsragout und Carnaroli-Risotto mit Blauschimmel und Kloatzenmehl (v.l.). Das Buch ist im Matthaes-Verlag erschienen.
Fotos Uwe Spörl
Zwei, die sich ergänzen: Thomas Profanter, Lodenwirt-Chef (l.) und Küchenchef Matthias Schenk.

Eine intensive und erfüllende Lebensreise

Am siebten Juni 2023 fand – ganz standesgemäß - im Autohaus Moser in Bruneck eine außergewöhnliche Buchpräsentation statt. Anlass war der 75. Geburtstag des unverwüstlichen Pepi Moser, der in seinem Buch „Meine Lebensreise“ einen tiefen Einblick in sein bewegtes Leben gab. Zahlreiche Gäste, darunter Familienmitglieder, Freunde und Wegbegleiter, waren mit dabei.

Es war ein besonderer Abend. Ein Buch zum 75. Geburtstag ist etwas Bleibendes. Darüber hinaus unterstreicht es die zurückhaltende Art des Jubilars, der immerhin viel erlebt hat und ergo viel zu erzählen hatte. Das Buch wird auf ausdrücklichen Wunsch von Pepi Moser darüber hinaus nicht verkauft, sondern im Buchladen am Rienztor für eine freiwillige Spende für das Projekt „Wasser für Kongo“ des Brunecker Kooperators Kitzuto abgegeben.

Beim Festakt zeigten die Gäste jedenfalls großes Engagement und spendeten eine beachtliche Summe für den guten Zweck. „Diese Spenden werden dazu beitragen, den Menschen im Kongo Zugang zu sauberem Wasser zu ermöglichen“, ist Pepi Moser überzeugt. Er freut sich natürlich darüber, wenn noch zahlreiche Exemplare des im-

20 GESELLSCHAFT & MENSCHEN PZ 13 | 29. JUNI 2023
PEPI MOSER WURDE 75 Ein starkes Team: Pepi Moser und seine Gerda. Robert Mair Florian Kronbichler (Mitte) mit PZ-Präsident Gerd Schönhuber und Vize-Präsident Dieter Schramm mit ihren Gattinnen. Robert Mair

merhin 284 Seiten starken Buches viele Spendengelder einbringen. Absoluter Höhepunkt des Abends war die Präsentation des neuen Buches, wobei der Autor selbst einige Episoden zum Besten gab. Das

Buch selbst ist sehr übersichtlich, überzeugt durch eine mitreißende Ausdrucksweise und ist sehr lesefreundlich gestaltet. Pepi Moser möchte damit vor allem seine Erlebnisse und Erfahrungen mit anderen teilen und durchwegs inspirierende Geschichten weitergeben. Die Veranstaltung wurde von Christine Lasta moderiert und Florian Kronbichler steuerte Gastkommentare bei. Für die musikalische Untermalung sorgten hingegen Helga Plankensteiner und Michael Lösch mit erstklassigem Jazz. Herzliche Gratulation dem Jubilar und ad multos annos! // Reinhard Weger

MEINE LEBENSREISE

Die Buchpräsentation des Buches „Meine Lebensreise“ von Pepi Moser ist ein wichtiger Meilenstein und hat durch die Spendierfreudigkeit der Gäste eine schöne Spendensumme erbracht. Das Buch ist nicht im Handel zu haben, sondern wird im Buchladen am Rienztor in Bruneck gegen eine freiwillige Spende zugunsten des Hilfsprojektes „Wasser für Kongo“ des Brunecker Kooperators Kitzuto verteilt. // rewe

FEUERWEHR BRUNECK

AUF DEN SPUREN DER GESCHICHTE

Vor wenigen Wochen weilte eine hochrangige Delegation des österreichischen Bundesfeuerwehrverbandes in der Feuerwache der Feuerwehr Bruneck. Konkret ging es um die höchsten feuerwehrtechnischen Vertreter des Sachgebietes „Geschichte, Dokumentation und Auszeichnungen“ des österreichischen Bundesfeuerwehrverbandes. Organisiert wurde das Treffen vom ehemaligen Bezirksfeuerwehrpräsidenten Walter Zanon.

Die hohen Gäste wurden in Bruneck von Kommandant Reinhard Weger und Bürgermeister Roland Griessmair begrüßt und willkommen geheißen. Anschließend besichtigten sie das schön ausgestattete Feuerwehrmuseum in der Feuerwache, das vom ehemaligen Brunecker Zugskommandanten Hansjörg Alton und seinem Team in liebevoller Detailarbeit aufgebaut worden war. Nach einem Rundgang in der Feuerwache trafen sich alle zu einer zünftigen Marende. Anschließend fuhr die Delegation nach Vilpian in die Landesfeuerwehrschule weiter, wo in den Folgetagen die jährige Konferenz des Sachgebietes weitergeführt wurde. // bp

21 GESELLSCHAFT & MENSCHEN PZ 13 | 29. JUNI 2023
Die hochrangige Delegation aus Österreich beim Gruppenfoto vor der Feuerwache von Bruneck. Links im Bild Kommandant Reinhard Weger, Walter Zanon (Dritter von links), Sachgebietsleiter Christian K. Fastl (Fünfter von links) und Bürgermeister Roland Griessmair (Siebter von links). mt Die Familie Moser ist in den verschiedenen Bereichen erfolgreich. In der Bildmitte der Jubilar und Buchautor Pepi Moser. Robert Mair Mit dem Buch wird das Projekt „Wasser für Kongo“ des Brunecker Kooperators Kitzuto (rechts) unterstützt. Links Christine Lasta. Robert Mair

Seit 50 Jahren eine starke Stütze

Feste muss man feiern wie sie fallen. Dies hat sich das Dorf St. Jakob im Ahrntal zu Herzen genommen und das 50jährige Priesterjubiläum von Jakob Kirchler, genannt Flox Jougl würdig und feierlich begangen. Ist er doch einer der ihren, ein Sohn des Dorfes und darauf darf man stolz sein.

Unter der organisatorischen Handschrift des Pfarrgemeinderates wurde der Festgottesdienst vom Jubilar und den Mitzelebranten Missionar Konrad Forer und Pfarrer Josef Profanter gefeiert. Zur anschließenden Prozession durch die Felder des Dorfes sind

die Vereine des Dorfes, Kinder und Erstkommunikanten, Ehrengäste, Verwandte und Freunde, eigentlich jeder und jede, der abkömmlich war, gekommen. Es war nicht viel anders, als damals vor fünfzig Jahren, als „do Jougl“ die Primiz gefeiert hat. Schon am Vorabend wurden die Häuser mit phantasievollen Bildern oder bunten Lichtern beleuchtet und mit der Tiroler Fahne beflaggt. Der Sonntag wurde zum Festtag mit den genannten kirchlichen Festlichkeiten und anschließendem Konzert der Musikkapelle St. Jakob. In der Begrüßung durch den Pfarrgemeinderatspräsidenten Konrad Testor, einem Neffen des Jubilars wurden kurz einige Stationen des Lebens gestreift. Stolz erzählte Konrad Testor, dass er den Priester bei der Primiz mit einem Gedicht begrüßen durfte und nun ein halbes Jahrhundert später das Jubiläum organisieren konnte. Drei Kinder

aus dem Dorf trugen in einem Gedicht einige Begebenheiten und Stationen aus dem Leben des Missionars vor. Einige witzige Episoden durften darin nicht fehlen, zum Beispiel jene, als er sich als Jugendlicher am Lichtmesssonntag beim Skifahren das Bein gebrochen hatte. Sonst Lieblingssohn seiner Mutter, zeigte diese kein Erbarmen, da man „an einem solch hohen Festtag in die Kirche geht, anstatt sich auf der Skipiste zu vergnügen.“

Von seinem Wirken in der Mission in Pakistan und im Sudan wurde erzählt, wo das Leben des Priesters nicht ohne Wagnis war und er einmal sogar unter Lebensgefahr flüchten musste. Von seiner Liebe zur Natur und den Bergen im Ahrntal, die er oft und gerne besteigt, wenn er auf Heimaturlaub ist, von seiner Liebe zu Afrika, denn „erst wenn er nicht mehr von Afrika träumt, ist er zuhause angekommen!“

22 GESELLSCHAFT & MENSCHEN PZ 13 | 29. JUNI 2023
PRIESTERJUBILÄUM VON JAKOB KIRCHLER Der Jubilar Jakob Kirchler wurde vor kurzem von der ganzen Dorfgemeinschaft gefeiert. Die festlich geschmückte Kirche von St. Jakob. Am Vorabend wurden die Häuser des Dorfes mit phantasievollen Bildern beleuchtet. Fotos: Alfred Stolzlechner Die Prozession mit dem Allerheiligsten durch die Felder von St. Jakob. Der Präsident des Pfarrgemeinderates Konrad Testor, war für die Organisation zuständig.

Auch wenn der Jubilar sehr bescheiden von seinem Wirken ablenkte, sah man ihm doch die Freude über das gelungene Fest an.

EINIGE FRAGEN AN DEN JUBILAR, JAKOB KIRCHLER

Warum sind Sie Priester geworden? Jakob Kirchler: Es war früher üblich, Buben die in der Schule leicht lernten zu fördern und so eventuell für einen späteren Priesterberuf vorzubereiten. Mich hat der Missionar Konrad Forer aus meinem Heimatdorf vom Besuch des Vinzentinums überzeugt. Auch der Werdegang vom Priester Innerbichler Alfons, ebenfalls aus St. Jakob hat mich beeindruckt. So bin ich ins Vinzentinum gegangen und habe mich sieben Jahre auf das Priesterleben vorbereitet.

Haben Sie nie an der Berufung gezweifelt?

Im Maturajahr schon. Deswegen bin ich auch ins Josefsheim nach Bruneck übersiedelt, um mir ganz sicher zu sein. Dieser Schritt hat für meinen Vater größere finanzielle Ausgaben bedeutet, in einer Familie mit elf Kindern ein nicht zu übersehender Faktor. Trotzdem habe ich von meinen Eltern nie Druck erlebt, ich durfte meinen Weg ganz nach meiner Überzeugung wählen. Und ich habe mir diesen auch gut überlegt. Nach meiner Rückkehr aus Pakistan habe ich eine mentale Krise erlebt. „ist dies der richtige Weg für mich? Wäre nicht ein anderer gescheiter?“ solche Gedanken haben mich begleitet, doch mit einem starken Willen habe ich auch diese schwierige Zeit überwunden.

In fünfzig Jahren haben Sie viel erlebt und gesehen, welches Erlebnis würden Sie als schönstes beschreiben?

Ein beeindruckendes Erlebnis war sicher die Taufe einer Frau in Malakal im Sudan. Sie war die erste Frau ihres Mannes, der traditionsgemäß mehrere Frauen geheiratet hat und demzufolge diese Frau eigentlich nach dem kirchlichen Gesetz nicht getauft werden durfte. Doch sie wollte unbedingt dieses Sakrament erhalten und hat alle Mühen der Vorbereitung zusammen mit ihrer Kinderschar auf sich genommen. Dafür musste sie für drei Monate dreimal pro Woche am Unterricht teilnehmen Dieses vorbehaltlose Zeichen zum christlichen Glauben hat mich sehr beeindruckt.

Wo wirken Sie jetzt nach Ihrer Zeit in der Mission?

Ich bin jetzt im Herbertshaus in Brixen, helfe aus wo ich kann und gebraucht werde. Und so schnell geht die Arbeit als Priester nicht aus… // Interview: Monika Gruber

23 GESELLSCHAFT & MENSCHEN PZ 13 | 29. JUNI 2023
COS_OoH_SpicyWeeks_Pustertaler_Zeitung_185x128_V3_CH_0623.indd 1 21.06.23 15:59
Ein Dorf feiert seinen Sohn. Fotos: Alfred Stolzlechner Die Fahnenträger müssen dem Wind standhalten. Das brauchte Kraft.

Ehre, wem Ehre gebührt

Vor kurzem wurde Erich Falkensteiner, Aufsichtsratsvorsitzender der Falkensteiner-MichaelerTourism-Group und Gründer der Falkensteiner Hotels & Residences für sein Engagement und seine Leistungen um die österreichische Tourismusbranche ausgezeichnet. Ihm wurde das große Ehrenzeichen für Verdienste um die Republik Österreich überreicht.

Begonnen hat alles vor 66 Jahren mit einem kleinen Gästehaus in Ehrenburg. Das Haus ist bis heute das Stammhaus der Familie und zugleich der Geburtsort von Erich Falkensteiner. Nach dem frühen Tod seines Vaters brach er seine Ausbildung ab und übernahm mit jugendlichem Elan die Leitung des Unternehmens. Zusammen mit seinem Bruder Erich Falkensteiner und dem Geschäftspartner Otmar Michaeler baute er das Unternehmen vom kleinen Gästehaus zur Falkensteiner-MichaelerTourism-Group mit 27 Vierund Fünf-Sternehotels, drei Apartment-anlagen und einem Premium-Campingplatz auf. Die Tourismusgruppe mit Sitz in Österreich bietet al-

les an, was im Tourismusbereich wichtig ist und hat sich zu einer europaweit beliebten Tourismusmarke entwickelt. Ein besonders gutes Pflaster für den anpackenden Touristiker ist Österreich, wo die Firmengruppe sich ebenfalls bis an die Spitze vorarbeiten konnte. Für diese Leistungen wurde Erich Falkensteiner vor kurzem mit dem großen Ehrenzeichen für Verdienste um die Republik Österreich ausgezeichnet.

Der Jubilar selbst nahm die Auszeichnung mit großer Dankbarkeit und Demut entgegen: „Es war eine wunderschöne Überraschung und ganz große Ehre für mich, das große Ehrenzeichen für Verdienste um die Republik Österreich verliehen bekommen zu haben“, zeigte sich Erich Falkensteiner gerührt. „Diese Auszeichnung habe ich stellvertretend für die gesamte Falkensteiner-Familie entgegengenommen. Ihnen allen gilt mein herzlicher Dank für den Einsatz und die Liebe zu unserem Unternehmen! Auch meinem Bruder Andi Falkensteiner und Otmar Michaeler danke ich für die vielen großartigen Jahre der Zusammenarbeit. Sie sind diesen Weg mit mir zusammen gegangen - durch Höhen und Tiefen. Bis heute sind wir ein unschlagbares Team und dafür bin ich sehr dankbar.“ Herzliche Gratulation! // rewe

24 GESELLSCHAFT & MENSCHEN PZ 13 | 29. JUNI 2023
ERICH FALKENSTEINER
VO N I M P E R I A L WÄ R M E P U M P E N
Erich Falkensteiner (rechts) erhielt vor kurzem das große Verdienstzeichen für Verdienste um die Republik Österreich.

Das Kind in besten Händen

Kleinkinder in die Obhut anderer Menschen zu geben ist ein großer Schritt. Umso wichtiger ist die fundierte Ausbildung der Tagesmütter. Beim diesjährigen Lehrgang an der Fachschule in Dietenheim wurden 20 Frauen umfassend geschult, damit Eltern ihre Kleinkinder unbesorgt in deren Obhut geben können.

360 Stunden Fachunterricht, 100 Stunden Praktikum, Präsenzunterricht an mindestens zwei Tagen pro Woche von September bis Juni: Wer den Lehrgang für Tagesmütter an der Fachschule Dietenheim absolvieren will, muss sich mächtig ins Zeug legen. Der Lehrgang wird als Kooperation der Sozialgenossenschaft „Mit Bäuerinnen lernen – wachsen – leben“, der Landesfachschule für soziale Berufe ‚Hannah Arendt‘ und der Fachschule Dietenheim durchgeführt und hat im Laufe der Jahre hohe Standards eingeführt. „Tagesmütter bieten in ganz Südtirol eine familiennahe, lokale und hochqualitative Betreuung für Kleinkinder an“, erklärt Esther Großgasteiger. Sie ist eine der lei-

tenden Kräfte des Lehrganges und weiß um die hohen Ansprüche von Eltern, wenn es um die Betreuung der Kleinkinder geht. „Der Lehrgang bietet eine fundierte Ausbildung. Dabei werden alle wichtigen Aspekte dieser Arbeit beleuchtet, von Gesundheit und Ernährung über Haushaltsführung, Arbeitssicherheit, Entwicklungspsychologie, Kommunikation und Erste Hilfe.“

BEDARF BLEIBT GROSS

Der Bedarf an Tagesmüttern ist seit Jahren im Steigen. Die Berufstätigkeit beider El ternteile in vielen Familien verlangt nach einer verlässlichen, hochwertigen Alterna tive in der Betreuung der Kleinkinder. Das Konzept der Tagesmütter setzt genau hier an. „Tagesmütter bieten eine ganzjährige Dienstleistung und sorgen für eine familiä res Umfeld“, sagt Esther Großgasteiger. „Die beschränkte Anzahl von Kindern pro Tages mutter garantiert eine hohe Betreuungsqua lität. Und: Tagesmütter bilden sich regelmä

ßig weiter, damit dieser hohe Standard auf Dauer gehalten werden kann.“

Die 20 Absolventinnen des Lehrgangs erhielten ihr Diplom im Rahmen einer Abschlussfeier am 23. Juni 2023 an der Fachschule in Dietenheim überreicht. // Rainer Feichter

25 GESELLSCHAFT & MENSCHEN PZ 13 | 29. JUNI 2023
DIETENHEIM
Geschafft: Nach der Ausbildung zu Tagesmüttern beim gemeinsamen Gruppenfoto in Dietenheim.
Tel.: 0472 86 90 29 www.gruber-steinmetz.it Handwerkerzone 2, 39030 Vintl - Südtirol Wirsuchen MITARBEITER
Das Wickeln eines Kleinkindes will auch gelernt sein.

Ein Wiedersehen unter Freunden

Andreas Gabalier ist in Bruneck kein Unbekannter. Schon mehrfach war er in Bruneck und hat auch diverse Konzerte gegeben. Das jüngste vor kurzem am Rathausplatz, das gewissermaßen der Auftakt seiner Sommer-Tour war. Das „kleinste, aber feinste Konzert“, wie der begnadete Musiker der PZ gegenüber meinte.

Das Konzert selbst spulte er professionell und gekonnt ab. Sogar bei den Draufgaben ließ er sich nicht lange betteln. Er gab sie einfach und überzog die vorgegebene Zeit –sehr zur Freude der vielen Fans. Rund 4.000 werden es wohl gewesen sein.

Der Künstler verstand es auch, die Kinder einzubinden. So hat er die „Hulapalu-Gruppe“ von Katy K-Dance aus Bruneck mit in das Programm genommen und mit den Zwillingen Ilaila und Shania zum zehnten Geburtstag das „Happy Birthday“ angestimmt. Der gemeinsame Auftritt auf der Bühne wurde immer wieder durch frenetischen Beifall begleitet. Die Tanzgruppe ist heuer im Sommer

wieder bei vielen Auftritten mit dabei (Altstadtfest, langer Freitag Bruneck, Standlschmaus Olang, Kirchtage usw.). Wie die Verantwortliche der Tanzgruppe, Kathrin Seeber der PZ verriet, sind die Kinder auf den Geschmack gekommen und würden gerne in Zukunft auch noch mit anderen Künstlern zusammenarbeiten. Und wer weiß: vielleicht klappt es sogar einmal als Vorgruppe oder im Begleitprogramm? Zu wünschen wäre es den Mädchen und Buben allemal! Das Konzert selbst war ein großer Erfolg und das Publikum war begeistert. Allerdings gab es auch zwei Punkte, die für negative Stim-

mung gesorgt haben: Zum einen die Toiletten, die von vielen – vor allem Frauen – als zu wenig erachtet wurden und zum anderen lief es mit den Online-Ticketbuchungen nicht immer rund. Doch letztlich konnten alle ihren Platz einnehmen. Insofern: Gut gemacht! // Barbara Pöder

26 GESELLSCHAFT & MENSCHEN PZ 13 | 29. JUNI 2023
ANDREAS GABALIER IN BRUNECK Fotos: Reinhard Weger, Barbara Pöder, diverse

ÄNDERUNGEN AM GESETZ RAUM UND LANDSCHAFT

Im Amtsblatt Nr. 23 vom 08.06.2023 wurden die Änderungen des Landesgesetzes Raum und Landschaft veröffentlicht. Diese sind am Tag nach ihrer Kundmachung in Kraft getreten. Einige Änderungen betreffen Ergänzungen bei den Verwaltungsverfahren und auch die eher umstrittene Aufhebung der Frist für die Ausarbeitung des Gemeindeentwicklungsprogramms (ursprüngliche Fälligkeit war der 30.06.2023).

Im vorliegenden Artikel werden nur einige der Änderungen angeführt. Nun wurde der dem Grundsatz der Einschränkung des Bodenverbrauchs gewidmete Art. 17 in dem Sinn abgeändert, dass in den Natur- und Agrargebieten die Errichtung unterirdischer Baumasse zulässig ist, sofern sie die überbaute Fläche des Gebäudes nicht überschreitet. Im Landwirtschaftsgebiet kann sich die unterirdische Baumasse zusätzlich zur Errichtung derselben auf der überbauten Fläche des Gebäudes auf eine anschließende zweimal so große Fläche ausdehnen.

Der Abbruch und Wiederaufbau von im Landwirtschaftsgebiet bestehenden Gebäuden kann nun auch in einer Entfernung von max. 40 Metern erfolgen, sofern die Bestandsfläche ordnungsgemäß entsiegelt wird.

Jetzt wird im Landesgesetz präzisiert, dass bei Erweiterungen von im Landwirtschaftsgebiet bestehenden Wohngebäuden auf 1000 Kubikmeter (die nicht zu einem geschlossenen Hof gehören)

die Pflicht zur Bindung für Ansässige nicht besteht, wenn das zusätzliche Volumen für die Erweiterung einer bestehenden (freien) Wohneinheit genutzt wird. Die Bindung kommt aber zur Anwendung, sollte in Zukunft die Wohneinheit geteilt werden.

Nun wird auch präzisiert, dass bei der Errichtung von Bienenständen, Lehrbienenständen, Holzhütten und -lagern diese mit Flugdächern ausgestattet werden können (immer sofern vom Landschaftsplan bestimmt).

Eine Aussiedlung der Hofstelle ist nun aus dem Mischgebiet auch in eine angrenzende Gemeinde zulässig, sofern die für den Herkunftsstandort zuständige Kommission ein bindendes Gutachten über das Vorliegen der objektiven betrieblichen Erfordernisse erlässt und die Kommission der angrenzenden Gemeinde die Eignung des neuen Standortes positiv bewertet (auch mit bindendem Gutachten).

Auch bei den Bautoleranzen gibt es wichtige Neuerungen: im Vergleich zur vorherigen Version des Gesetzes findet die Regelung über die 2%-Abweichung nun auf alle Immobilieneinheiten Anwendung, unabhängig von einem Bestandsdatum (früher galt die Bestimmung nur für zum Zeitpunkt des Inkrafttretens des Gesetzes Raum und Landschaft bereits bestehende Immobilieneinheiten). Nun wird auch ausdrücklich bestätigt, dass unter bestimmten Voraussetzungen geometrische Abweichungen und geringfügige Änderungen der Gebäudeausstattung, sowie die bei Arbeiten zur Umsetzung von Baurechtstiteln vorgenommene veränderte Anordnung von Installationen und Innenausbauten Ausführungstoleranzen bilden. //

STEUERBONUS FÜR MASSNAHMEN ZUR ELIMINIERUNG ARCHITEKTONISCHER BARRIEREN

Bekanntlich wurde mit dem Haushaltsgesetz 2023 der für Maßnahmen zur Beseitigung architektonischer Barrieren vorgesehene Steuerbonus bis zum 31. Dezember 2025 verlängert.

Anspruchsberechtigt sind unter anderem folgende Subjekte:

• Privatpersonen,

• Öffentliche und private Einrichtungen, ohne kommerzielle Tätigkeit,

• Unternehmer und Gesellschaften.

Der Steuerbonus kann für Arbeiten an privat und an betrieblich genutzten Liegenschaften in Anspruch genommen werden.

Geförderte Maßnahmen

Gefördert werden Maßnahmen, die darauf abzielen, bestehende architektonische Barrieren zu beseitigen und somit die Beweglichkeit von Personen mit eingeschränkter Mobilität erleichtern. Darunter verstehet sich beispielsweise:

• Realisierung von Personenaufzügen;

• Installation von Treppenliften;

• Errichtung von Rampen;

• Bau von Anlagen wie Sanitär- und Freisprechanlagen. Gefördert ist auch der Austausch bereits bestehender Anlagen. Zu unterstreichen ist, dass die Steuerförderung nur für Arbeiten an bestehenden Liegenschaften genutzt werden kann. Er steht also nicht zu, wenn bei Neubau an einer Immobilie eben beschriebene Maßnahmen ergriffen werden.

Höhe der Steuerbegünstigung

Der Steuerbonus beläuft sich auf 75% der getragenen Kosten, mit folgende Obergrenzen:

• 50.000 Euro für Einfamilienhäuser und für funktionell unabhängige Wohneinheiten;

• 40.000 Euro, multipliziert mit der Anzahl der Wohneinheiten, für Gebäude bestehend aus zwei bis acht Einheiten;

• 30.000 Euro für die Einheit ab der neunten.

Die auf die einzelne Baueinheit entfallende Kostenobergrenze ermittelt sich anhand nachvollziehbarer Kriterien, wie insbesondere einer „Tausendstelberechnung“.

Nutzung des Steuerbonus

Das Steuerguthaben, wird als Steuerabsetzbetrag in fünf gleichen jährlichen Raten von der jeweiligen Bruttosteuerschuld in Abzug gebracht (Nutzung über Steuererklärung).

Für Privatpersonen gilt Kassaprinzip, das heißt das Guthaben wird ab dem Jahr der getätigten Zahlungen beansprucht. Für Unternehmen hingegen gilt Kompetenzprinzip, sodass die Nutzung des Steuerbonus ab Abschluss der Arbeiten erfolgen kann.

Da ausschließlich die direkte Nutzung als Steuerabsetzbetrag vorgesehen ist, muss beachtet werden, dass eine ausreichend hohe Steuerlast eine zwingende Voraussetzung zur tatsächlichen Inanspruchnahme der Förderung darstellt. Der Vortrag eines eventuellen Überschusses in das nachfolgende Steuerjahr ist nicht möglich. //

27 TIPPS VOM EXPERTEN PZ 13 | 29. JUNI 2023
§
RA Dr. Daniel Ellecosta Schramm-Tschurtschenthaler Mall-Ellecosta Anwaltskanzlei www.schramm.it
Dr. Tobias Bacher Anwärter Wirtschaftsprüfer und Steuerberater Baumgartner.Partner GmbH Wirtschaftsprüfung und Steuerberatung Bruneck

Ein besonderes Jubiläum

Im Jahr 1873 gründete Virgil Gasser, ein rühriger Uhrmacher aus Defreggen, sein Unternehmen und errichtete in der Stadtgasse das bekannte Geschäft. Er legte –wie Hans Heiss in seiner gekonnten Art aufzeigte – die Weichen für einen Familienbetrieb, der die Stärke gerade aus dem familiären Zusammenhalt, aber auch aus der kritischen Reflektion, bezieht. Heuer soll das Jubiläumsjahr mit vielen schönen Akzenten würdig begangen werden.

Der Auftakt des Jubiläumsjahrs erfolgte ganz standesgemäß: Der heutige Geschäftsführer Christian Gasser ließ Historiker Stefan Lech-

ner ein Buch schreiben. Das Titel „Zeitlos – seit 150 Jahren“ bringt es perfekt auf den Punkt und das Buch selbst ist ein Zeugnis gelebter Brunecker Geschichte. In gefälliger Form wurde die reichhaltige Geschichte der Brunecker Traditionsfamilie nachgezeichnet mit vielen Höhen und Herausforderungen. Natürlich gab es auch Rückschläge, die aber allesamt gut gemeistert werden konnten. Ganz wichtig ist der Familie Gasser auch heute noch die Heimatverbundenheit, Kultur und Traditionen, aber auch Weltoffenheit und ausgeprägter Unternehmensgeist, wie Heiss aufzeigte. Gasser hat die Geschichte der Stadt wesentlich mitgeprägt und tut dies noch heute.

DIE WICHTIGSTEN STATIONEN

Historiker Heiss präsentierte dann in geraffter Form einen Überblick über das Buch, wobei er die wichtigsten Stationen herausarbeitete. Ganz im Sinne des Selbstverständnisses der Familie begann Heiss mit dem Firmengründer. Virgil Gasser war sehr tüchtig, repartierte Uhren und stieg schließlich auch in den Uhrenhandel ein. Er importierte Uhren der Firma Omega und führte seit 1890 sogar Omega-Taschenuhren mit eigenen Gasser-Zifferblättern. Das war im Grunde eine Adelung!

Nach seinem Tod übernahm das Geschäft der jüngere Bruder Hermann. Als er im Ersten Weltkrieg fiel, machte Virgil Gasser wei-

WIRTSCHAFT & UMWELT 28 PZ 13 | 29. JUNI 2023
150 JAHRE „V. GASSER“ IN BRUNECK
Firmenchef Christian Gasser rewe Buchautor Stefan Lechner rewe Historiker Hans Heiss rewe

ter, der den Geschäftsbereich wiederum erweiterte. Ganz im Sinne der Gasser’schen Schläue änderte er während der Faschistenzeit den Namen in „V. Gasser“ und machten den Schwarzhemden klar, dass dies zu Ehren des Firmengründers Vigil Gasser geschehe. Weitaus wichtiger war ihm aber wohl, dass er nicht das italienische „Vigilio“ auf der Hauswand anbringen musste. Die diktatorischen Machthaber gingen ihm auf den Leim und ließen ihn gewähren. Er mag sich in der Folge das „V“ im Sinne von „Victory“ oder – etwas deftiger – auch im Sinne von „Va f…“ gedacht haben. Jedenfalls blieb es dabei. Gut gemacht!

Nach ihm übernahmen die beiden Söhne Hermann und Hans das Ruder. Weitere wichtige Stationen waren dabei der Erwerb des heutigen Gasser-Haues im Jahr 1968 und die abermalige Erweiterung des Geschäftes. Nachdem Hans aus dem Geschäft ausschied, machte Herrmann allein weiter und führte schließlich seine Söhne Robert und Christian in das Geschäftsleben ein. Seit dem tragischen Tod von Robert führt Christian mit viel Elan den Familienbetrieb weiter.

AUFBRUCH UND HÜRDEN

Im Jahr 1981 konnte eine eigene Filiale in Sand in Taufers eröffnet und zwei Jahre später mit dem Swatch-Shop ein weiterer gewaltiger Sprung nach vorne gemacht werden. Zudem wurde auch das Sortiment der qualitativ und preislich hochwertigen Uhren stark erweitert.

Es gab aber auch dunkle Momente. So trieb ein dreister Einbruch im Jahr 1998 die Familie fast in den Ruin, weil die Verbrecher Uhren im Gesamtwert von damals 1,25 Milliarden Lire erbeuteten, was heute rund 650.000 Euro ausmachen würde. Ein harter Schlag, der nur dank größter Anstrengungen verdaut werden konnte. Erschwerend kam noch hinzu, dass die Uhrenbranche einen gewaltigen Umbruch erlebte, was sich ebenfalls negativ auswirkte. Es kam einfach alles zusam-

men! Aber es gelang, mit viel Einsatz und positivem Denken diese schwere Prüfung letztlich zu meistern. Als das Gröbste wieder geschafft war, schlug das Schicksal wieder erbarmungslos zu: Im Jahr 2014 kam Robert Gasser bei einer Trekkingtour zu Tode. Also lag es an Christian Gasser, das Unternehmen weiterzuführen. Dieser Herausforderung wusste er sich zu stellen und machte seine Sache gut. Er blickt mit „Dankbarkeit zurück, mit Demut auf die Gegenwart und mit Zuversicht in die Zukunft“, wie er meinte. Die nächste Führungsgeneration seht übrigens ebenfalls bereits in den Startlöchern: Christians Tochter Carmen und Roberts Tochter Coroline arbeiten bereite fleißig im Betrieb mit. Damit sind die Weichen bereits

gestellt. Im Laufe des heurigen Jahres werden noch im Rahmen verschiedener Aktionen an das 150-Jahr-Jubiläum in würdiger Form gedacht werden. // rewe

EIN NETTES FEST

Am 14. Juli 2023 lädt die Familie Gasser zu einem Aperitif samt AfterWork-Party vor das Haus der Familie Gasser von 18.00 bis 22.00 Uhr ein. Darüber hinaus gibt es Livemusik mit der Band „TriOlé“ und ein „get together“ mit der Uhrenmarke „NOMOS“. // rewe

WIRTSCHAFT & UMWELT 29 PZ 13 | 29. JUNI 2023
Zahlreiche geladene Gäste aus Wirtschaft, Politik und Gesellschaft machten den Jubilaren ihre Aufwartung. Es war eine schöne Feier. rewe Die Familie Gasser beim Festakt in gemütlicher Runde. Es gibt heuer mehrere Aktionen. rewe

Auf den heiligen Stufen

Fast überall ruht derzeit der Ball. Grund genug für die PZ, das Zuhause des Fußballs etwas näher zu beleuchten und mit Koryphäe Josef Gruber über seinen Blick auf die StadionThematik zu plaudern. Sein jüngst erschienenes Buch „Das Fußballstadion – Lost Grounds und Stadien abseits der Moderne“ zieht große Neugierde auf sich und beschäftigt sich interessanterweise vor allem mit alten Bauwerken.

Fußballspiele besucht der im Burgenland wohnhafte Gruber seit Mitte der 1980er-Jahre, seit 1996 wurde Italien bevorzugt und intensiv bereist, wo der Autor bis dato in 79 verschiedenen Stadien Spiele besuchte (einige mehrfach). Insgesamt stehen 24 Länderpunkte und 340 besuchte Stadien auf seiner Liste. Über seine Abenteuer berichtet er auf YouTube, in seinen Büchern und dem hauseigenen Fanmagazin „Unterwegs“ (alle näheren Infos auf: unterwegsfanzineverlag.at).

FASZINATION FUSSBALL

Für Josef Gruber steht das Spektakel vor Ort schon lange im Zentrum: „Seit ich zum Fußball gehe, interessiere ich mich auch für die Stadien selbst, zwar lange Zeit eher am Rande aber eine gewisse Begeisterung war schon immer vorhanden. Schon in meiner Jugend haben mich Bücher über berühmte Vereine fasziniert, worin ich zum ersten Mal über Stadien wie dem Bernabeu oder dem Meazza gelesen habe. In den letzten Jahren wurde das Thema von mir abwechselnd intensiv verfolgt.“ Auf dem Weg zu den verschiedenen Fußballspielen wurden dann auch stets, falls möglich und sinnvoll, sogenannte „Lost Grounds“ und alte Stadien aufgesucht. In insgesamt 25 Jahren Stadionfotografie ist am

Ende allerlei zusammengekommen, um daraus ein Buch zu formen.“ Gern zieht der Rapidler einen Vergleich mit Denkmälern, die es zu dokumentieren gelte, um einen anderen Blickwinkel, abseits der oftmals steril wirkenden, modernen Arenen zu vermitteln. „Bei Stadien aus den ersten Jahren des 20.

Jahrhunderts, in denen zum Zeitpunkt meines Besuches noch gespielt wurde, beeindrucken mich deren Holztribünen am meisten. Wenn du auf so nostalgischen Bänken Platz genommen hast, spürst du sofort die Natur, den Geruch des Holzes. Eine heimelige Atmosphäre. Ein besonderer Hingu-

WIRTSCHAFT & UMWELT 30 PZ 13 | 29. JUNI 2023
JOSEF GRUBER Das legendäre Sant Elia in Cagliari gleicht wenige Jahre nach der Schließung im Jahr 2017 einer Ruine, wie die beiden Bilder eindrucksvoll aufzeigen. Josef Gruber bei der Arbeit an einem Sonntagmorgen in Bydgosczc (im Jahr 2021).

cker und Fotomotiv ist der Anblick hunderter verwaister Betonsockeln, zu finden meist in den alten Stadien in Osteuropa. Wahrscheinlich sind die darauf montierten Holzbänke mittlerweile als Heizmaterial verwendet worden“, erklärt Josef mit einem Augenzwinkern.

ALTER CHARME

Die ersten bewussten Begegnungen dieser Art waren die Stadien in London, welche 1998 besucht wurden. Durch einschlägige Lektüre vorbelastet, plante der Stadionliebhaber damals eine zweitägige Rundreise durch die Hauptstadt des Fußballs. Ein Wembleystadion, der Upton Park von West Ham, das Highbury von Arsenal oder die Stamford Bridge von Chelsea haben ihm abseits der österreichischen Stadionlandschaft so richtig die Augen geöffnet. In den letzten Jahren veränderte der moderne Fußball hier einiges: „Bei letzterem hat mich vor allem die erste dreistöckige Tribüne der Insel, der East Stand, beeindruckt. Der alte West Stand hingegen ist mit heute nicht mehr zu vergleichen. Was damals eine einfache Sitzplatztribüne ohne Dach war, ist heute ein Monstrum von Tribüne, welche alle Stücke der modernen Zeit spielt.“

STADION-INFRASTRUKTUR IN SÜDTIROL UND ITALIEN

Auch die hiesigen Gefilde sind dem Autor nicht unbekannt: „Da erzähle ich euch nicht Neues, dennoch ist es oft erschreckend, wie schnell man in Italien Stadien verfallen lässt. Auf der anderen Seite gefällt mir der Trend, dass sich vielerorts Initiativen bilden, um historische Stadien zu retten oder zumindest die Reste zu erhalten. Das Filadelfia in Turin, das Ballarin in San Benedetto, das Viale Brin in Terni, oder die letzten Initiativen in Udine rund um das alte Stadio Moretti muss man hier hervorheben.“

Und weiter: „Euer schönes Südtirol habe ich selbstverständlich auch besucht, hier werden die Stadien in Bozen und Meran im nächsten Band von meinem Stadionbuch (erscheint 2024 vor dem EM, quasi als Kontrast zu den dortigen Arenen) ein eigenes Kapitel haben. Das Drusus-Stadion in Bozen mit seiner malerischen Kulisse und der denkmalgeschützten Fassade hat einen sehr positiven Eindruck hinterlassen. Überrascht war ich über die Vielzahl an Stadien in Meran,“ erzählt der Autor. Es sei hierzu auch noch erwähnt, dass die vielen Zäune an und um die Sportanlagen in Südtirol bei auswärtigen Gästen immer wieder für Verwunderung sorgen.

Auf die Intercable-Arena angesprochen, muss sich Gruber etwas zurückhaltender geben: „Wenn ich die Bilder so betrachte, erinnert mich das Umfeld und die Bauart dieser neuen Arena an meinen Eishockeybesuch in der ehemaligen DDR, beim EHC Crimmitschau. Deren Stadion war auch mitten im Wald mit offenen Tribünen, wo du die Bäume rundherum gesehen hast. So weit, so gut, ich denke ich werde es einmal im Rahmen eines Derbys gegen den großen HC Bozen besuchen, um mir ein Bild davon zu machen.“

NEUBAUTEN MIT CHARAKTER

Jene Vereine, die sich heute einen Um – oder Neubau leisten können, haben sich laut Josef Gruber leider zu sehr von der Nostalgie entfernt. Jeder denke halt, es müsse eine 0815-Arena sein, mit einem tollen VIP-Club. Auf die Idee, sich mit einem Tribünenbau von der Masse hervorzuheben kommt leider kaum noch jemand. Dabei wäre es laut dem Kenner wichtig, dass auch Neubauten Identität und Eigenheit ausstrahlen. Sei es durch die Dachkonstruktion, die Holz-

bänke, die Zäune, die Eingangsportale, die Anzeigetafeln, die Flutlichtmasten, die Ticketschalter und vieles mehr. „Heute gehst du oft in irgendeinen Tempel aus kaltem Beton, der von außen im schlechtesten Fall wie ein Kino oder Einkaufszentrum aussieht, parkst in der Tiefgarage und gehst vorher noch etwas einkaufen“, kritisiert Gruber. Warum also im grünen Tal in Zukunft nicht etwas mehr mit Holz oder anderen Naturmaterialien arbeiten? Egal, ob „großer“ oder „kleiner“ Verein. // Dominik Faller

WIRTSCHAFT & UMWELT 31 PZ 13 | 29. JUNI 2023
Echter „Ost-Charme“ im Tehelne Pole in Bratislava. Auch das hat einen besonderen Reiz.
www.radioholiday.it
393 22 33 222
„Emotionen schaffen mit Stimme und Musik – das bin Ich!“ Judith Brugger (Radiomoderatorin)
T.

Echte Käsekultur aus der Region

Seit nun mehr zehn Jahren ist die Feinkäserei Capriz in Vintl lokaler Genussbotschafter für feinste Käsespezialitäten. Eine Südtiroler Erfolgsgeschichte, die sich lokale Kreisläufe verstärkt zunutze macht.

Traditionelles Handwerk, Experimentierfreude, größte Sorgfalt und beste Qualität: Capriz in Vintl stellt nicht nur bloß Käse von erster Güte her, die Feinkäserei nimmt auch eine Vorreiterrolle ein. Die Herstellung von Ziegen-Weichkäse nach französischer Machart ist Südtirolweit in dieser Form einzigartig. Bei der Eröffnung der Feinkäserei vor zehn Jahren war es die Vision des Eigentümers Heiner Oberrauch die Ziegenzucht in Südtirol wieder aufleben zu lassen. Während diese Nutztierrasse früher in Südtirol heimisch war, so halten nur mehr wenige Bauern an der Ziegenzucht fest. Capriz fördert durch ihre Passion für ZiegenWeichkäse diese engagierten Bauern, stärkt die lokalen Kreisläufe und belebt den Südtiroler Milchmarkt.

Genauso wie die Ziegenmilch, stammt auch die Kuhmilch für den Capriz-Käse nur von einheimischen ausgewählten Bauernhöfen aus dem näheren Umkreis. Täglich von den Mila-Milchsammelwägen in die Feinkäserei geliefert, wird der weiße Rohstoff zu verschiedenen Käsespezialitäten verarbeitet. Eine Besonderheit nimmt die Herstellung des Ziegen-Weichkäses ein: Nach französischer Machart werden hierbei mesophile

Bakterienkulturen eingesetzt, die ihre Wirkung am besten bei mittleren Temperaturen von ca. 30 Grad entfalten. Die Reifung des Käses dauert somit länger als bei der Verwendung von thermophilen Kulturen und schenkt dem Käse wertvolle Zeit, sein einzigartiges Aroma und seinen intensiven Geschmack zu entwickeln.

Ob Ziegen- oder Kuhmilchkäse, allesamt handgeschöpft und mit erlesenen Zutaten affiniert, bereichert die hochwertige Vielfalt mittlerweile das kulinarische Angebot im ganzen Land und außerhalb. Dabei liegt Südtirol mit 70 Prozent als wichtigster Absatzmarkt ganz vorne, gefolgt vom restlichen Italien, sowie Österreich und Deutschland. Dass die Erfolgsgeschichte der Feinkäserei Capriz auch auf einer gelebten Käsekultur

beruht, zeigt die einzigartige Verbindung von Geschäft, Produktion und Erlebbarkeit am Capriz-Standort in Vintl. Besucherinnen und Besucher begegnen in der Erlebniswelt der Tradition der Käseherstellung und im familienfreundlichen Museum lernen sie spielerisch den Weg der Milch kennen. Anlässlich des Jubiläumsfestes in der Feinkäserei Capriz am 14. Juni 2023 kam diese authentische Käsekultur besonders geschmackvoll zum Ausdruck. In Anwesenheit von Vertreterinnen und Vertretern aus Politik, Kultur und Wirtschaft, darunter Landesrat Philipp Achammer und dem ehemaligen Landesrat Hans Berger, stellen Heiner Oberrauch und 2-Sternekoch Gerhard Wieser den Jubiläumskäse „Rubinum“ vor. Eine Rarität, die sämtliche Vorzüge von Capriz in sich vereint. // mis

WIRTSCHAFT & UMWELT 32 PZ 13 | 29. JUNI 2023
CAPRIZ IN VINTL
Heiner Oberrauch, Felix Keim, Helga Unterhuber, Georg Jud, Anna Niederkofler und Rudi Ebner (Direktor). Ein starkes Team: Elisabeth Unterkircher, Laura Schmalz, Traudi Ebner, Melanie Hinteregger, Karin Eppacher und Annemarie Lamprecht. Kilian Ritsch und Gerhard Wieser sorgen für die gute Küche.

Eine tolle Angelegenheit

Eingebunden in das Interregprojekt Dolomiti LIVE, „Bike und Natur“, in grenzüberschreitender Kooperation mit den Partnern, der Gemeinde Longarone und dem Tourismusverband Osttirol, sowie kofinanziert von der europäischen Union, wurde vor kurzem der Bikestop Niederdorf am zentral gelegenen VonKurz-Platz, seiner Bestimmung übergeben. Die Struktur gilt als Pionierprojekt.

Wenn man nicht gerade zu Fuß geht, ist Fahrradfahren die ökologischste Art der Fortbewegung. Es hat das Zeug zum Paradebeispiel, zum Inbegriff der Nachhaltigkeit. Emissionsfrei, leise, effizient, klimaschonend – darüber hinaus vielseitig, schnell, kostengünstig und gesundheitsfördernd. Der Fahrradtourismus nimmt ständig zu, so auch die Nachfrage nach entsprechenden

Abschnitten ihres Einzugsbereiches angemessene Dienstleistungen zur Verfügung stellen werden. Die am Projekt beteiligten Partner liegen entlang wichtiger Fernradwege, wie den Drauradweg, den Pustertaler Talradweg, oder den Dolomitenradweg, letztere sind auch Teil der Radstrecke München – Venedig.

Transparente und Fahnen weisen künftig auf den Bikestop am Von-Kurz-Platz von Niederdorf hin. Hier finden die Radler einen Outdoor-Infototem und eine Radservice-Säule. Eine weitere wurde direkt beim Zugbahnhof angebracht. Abschließbare Radständer und

zusätzliche Sitzgelegenheiten mit Big Prints, die auf lokale Sehenswürdigkeiten verweisen, komplettieren das Angebot. In unmittelbarer Nähe befinden sich Radverleihe mit Radservice, Einkaufsmöglichkeiten, sowie Restaurants und Bars für die Verpflegung. In Longarone wurden ein Rastplatz mit Unterstand, sowie Ladestationen direkt am Radweg neben den Fischteichen errichtet. In Osttirol wurde eine öffentliche WC-Anlage und ein Rastplatz installiert. Ein Meeting für radaffine Beherbergungsbetriebe und ein Vademecum zur Sensibilisierung für die Umwelt runden das Projekt ab. // ht

Dienstleistungen und Angeboten durch die Nutzer. Menschen steigen auf das Rad, um Ausflüge und Reisen zu unternehmen oder benutzen es, um sich zur Arbeit zu bewegen. Radverbindungen werden daher immer wichtiger, aber auch das Serviceangebot entlang der Radwege und ein nachhaltiges Verhalten der Radfahrer stehen im Fokus. Mit dem Interregprojekt Bike DL Bike und Natur, haben die Gemeinde Longarone, der Tourismusverein Niederdorf (BZ) und der Tourismusverband Osttirol im CLLD-DLGebiet, grenzüberschreitend eine Lücke geschlossen, indem sie in den jeweiligen

WIRTSCHAFT & UMWELT 33 PZ 13 | 29. JUNI 2023
BIKESTOP IN NIEDERDORF
Der Bikestop am Von-Kurz-Platz in Niederdorf kommt überaus gut an. Fotos: Martina Moser Am Bahnhof in Niederdorf wurde sogar eine eigene Radservicesäule (im Bild) errichtet. Das Rad-Info-Totem beim Bikestop in Niederdorf.

Neues und Bewährtes in Harmonie vereint

Aus dem Traditionshotel „Andreas Hofer“ wird das „Ander“, mit neuer Führung, einem gelungenen Mix aus Altbewährtem und Neuerungen, stets jedoch den alten Charme bewahrend. Am 10. Juni 2023 wurde es nun im Beisein vieler Ehrengäste offiziell eröffnet.

Mit einem weinenden, aber auch einem lachenden Auge wohne er der Eröffnung bei, sagte der Brunecker Bürgermeister Roland Griessmair bei dieser Gelegenheit im Zuge seiner Grußworte. Weinend, da es immer schade sei, wenn ein traditioneller Familienbetrieb nicht mehr von eben dieser Familie weitergeführt werde, lachend, weil das besondere Flair trotzdem erhalten und das Hotel, wenn auch nicht von der bisherigen Familie, so doch von einem einheimischen Betrieb weitergeführt werde. Im Jahre 1909 errichtet, blickt das bisherige Hotel „Andreas Hofer“ auf eine über hundertjährige Geschichte zurück und war im Laufe der Jahre nicht nur den zahlreichen Gästen, sondern auch bei den Einheimischen durchaus ein gewichtiger Begriff. Nun hat die Hoteliersfamilie Schifferegger das Zepter an die Kronplatz Touristik abgegeben.

Aufstellung zum PZ-Gruppenfoto unmittelbar nach der feierlichen Eröffnung des Hotels Ander in Bruneck.

Diese ist eine Tochtergesellschaft der Kronplatz Holding AG – ehemals Kronplatz Seilbahn AG - und zusammen mit der Kronplatz

Seilbahn GmbH und der Kronplatz Gastronomie GmbH eines der drei operativen Unternehmen der Kronplatz Holding.

WIRTSCHAFT & UMWELT 34 PZ 13 | 29. JUNI 2023
HOTEL ANDER IN BRUNECK

KRONPLATZ STEIGT EIN

Vor ungefähr einem Jahr habe man mit den Verhandlungen mit Familie Schifferegger begonnen, so der Präsident der Kronplatz Touristik, Bernhard Schönhuber, bei der Eröffnung, und gemeinsam sei es gelungen, das große Charme-Potential auf einen neuen Weg zu bringen. Der neue Name indes, eine logische Konsequenz, wie KronplatzTouristik-Geschäftsführer Ivo Pezzei verriet. Seit der Übernahme Anfang Dezember habe man zunächst einmal geschaut, wie alles läuft, und sich dann über etwaige Änderungen Gedanken gemacht. Vieles ist daher beim Alten geblieben: Die Zimmer, bereits von Peter Schifferegger geschmackvoll umgebaut, genauso wie die tolle Wellnessanla-

ge, die wunderbaren alten Stuben und der grandiose Garten, der mitten in Bruneck seinesgleichen sucht. Einer Änderung unterzogen wurden im Wesentlichen lediglich die „Schwachstellen“ Bar und Eingangsbereich. Und im Zuge des Rebrandings dann eben auch der Name, der mit „Ander“ kurz, knackig und sportlich sei, so Pezzei. Hoteldirektor Gerhard Stecher erläuterte kurz die verschiedenen Konzepte der nunmehr beiden Kronplatz Touristik-Hotels in Bruneck: das Hotel Post mit dem Restaurant/der Lounge Bar Cosmo sowie das Hotel Garden Restaurant Ander. Hotel mit Frühstück das eine mit einem À-la-carteRestaurant und einer „modernen“ Küche, die Möglichkeit zur Halbpension das ande-

re mit doch eher regional-traditionell angehauchten Tellern. Zwei unterschiedliche Gastrokonzepte also, der Gast hat die Qual der Wahl. Beide Restaurants/Bar sind dabei nicht nur Hausgästen vorbehalten, und dementsprechend freuen sich Ander-Betriebsleiter Hanno Torggler und sein Team auf die neue Herausforderung und auf zahlreiche Gäste, die sich im Sinne der Nachhaltigkeit, des Genusses und des Wohlbefindens verwöhnen lassen wollen.

Bei strahlendem Sonnenschein genossen dann die zahlreichen Geladenen, Aktionäre und Ehrengäste bei einem Flying Buffet und Musik von DJ Martinez die entspannte Atmosphäre des herrlichen Ander-Gartens. // Jst

jeden Dienstag ab 19.00 Uhr

Genießen Sie Spezialitäten vom Grill in unserem Garten.

Taufererstraße

WIRTSCHAFT & UMWELT 35 PZ 13 | 29. JUNI 2023
• hotelander.com
1, Bruneck Tel. +39 0474 551 469
ENJOY SUMMER EVENINGS
AND ER GARTEN Tisch reservieren

MIT MERCEDESPOWER VORAN

Mit der neuen Filiale in Bruneck erweitert die Autoindustriale Mobility Group als offizieller Vertragshändler der Marken Mercedes-Benz, smart und Toyota ihr Sortiment nun um die Marken Renault und Dacia.

Vor wenigen Wochen wurde der neue Showroom und die Werkstatt mit den Marken Renault, Dacia und der eigenen Gebrauchtwagenmarke „Drive+“ feierlich eröffnet. Zahlreiche Gäste, darunter auch Bürgermeister Roland Griessmair, Peter Rech (Vorsitzender des Unternehmerverbandes Puster-

tal), langjährige Partner wie der HC Pustertal und Skirama Kronplatz, sowie einige Manager von Renault und Dacia Italia sowie zahlreiche Besucher aus Bruneck und Umgebung freuten sich gemeinsam mit der Familie Baumgartner und den Mitarbeitern auf die Neueröffnung anzustoßen. „Das Pustertal ist seit vielen Jahren ein wichtiges Standbein für Autoindustriale, mit unseren neuen Marken Renault und Dacia möchten wir unseren Kunden nun ein noch umfangreicheres Angebot an Mobilitätslösungen bieten. Seit der Erweiterung des Sortiments reicht unsere Fahrzeugpalette nun von kom-

pakten Stadtautos über SUVs, Lieferwägen, LKWS, bis hin zu luxuriösen Premiumfahrzeugen“, so Firmenchef Lukas Baumgartner. Mit Dacia soll ein breites Spektrum an Kunden, mit preislich interessanten Fahrzeugen angesprochen werden – egal, ob für Familien, Abenteurer oder für den Alltag. Die Marke Renault überzeugt mit fortschrittlicher Technologie, vor allem im Bereich der Elektrofahrzeuge. Die große Modellauswahl an Autos und Nutzfahrzeugen ist nicht nur für Privatkunden, sondern auch für Firmenkunden interessant.

Die Besucher genossen das großartige Rahmenprogramm, mit Kinderunterhaltung und dem Besuch einiger Spieler des HC Pustertals. Es war jedenfalls ein gelungener Einstand im Pustertal. // al

RaiffeisenFlash Liquiditätsplanung und Inflation

Liquidität geht vor Rentabilität. In der aktuellen Phase mit außergewöhnlich hohen Inflationsraten, gewinnt die altbekannte Weisheit erneut an Bedeutung. Ein Blick auf die eigene Liquiditätssituation lohnt sich.

Liquidität bezieht sich auf die Fähigkeit eines Unternehmens, seinen Verbindlichkeiten verlässlich und fristgerecht nachzukommen und die laufenden Betriebskosten decken zu können. Hohe Inflationsraten können die Liquiditätssituation beeinträchtigen, da steigende Preise für die Beschaffung von Waren und Dienstleistungen sowie steigende Lohnkosten beim eigenen Personal einen erhöhten Liquiditätsabfluss verursachen.

Einsparungen

Die wohl naheliegendste Maßnahme, um höheren Kosten zu begegnen, ist eine Einsparung beim Verbrauch von betrieblichen Ressourcen, v.a. bei

Branchen, in denen die gestiegenen Kosten nicht einfach über höhere Verkaufspreise auf die Kunden abgewälzt werden können. In manchen Fällen sind aber weder Einsparmaßnahmen noch Preisanpassungen im Verkauf möglich. Somit bedarf es alternativer Lösungswege. Finanzierungsmöglichkeiten erweitern Banken spielen eine wichtige Rolle in der Liquiditätsplanung von Unternehmen und können mit geeigneten Produkten dazu beitragen, Engpässe zu überwinden. Da Liquidität nun wieder ein gefragtes Gut ist, kann man versuchen durch zeitnahe Begleichung der Rechnungen über Kassaskonti den

Liquiditätsabfluss zu minimieren. Sofern kein eigenes Liquiditätspolster vorhanden ist, kann einin einer angemessenen und der Unternehmensgröße und Tätigkeit entsprechenden Höhe - Kontorahmen Abhilfe schaffen und somit eine sofortige Zahlung ermöglichen. In Situationen, wo Kautionen verlangt werden, kann die Hinterlegung von Bankgarantien an Stelle von Bardepots von Vorteil sein. Bei der Bewertung der Liquiditätssituation stehen Ihnen unsere Berater*innen gerne zur Seite.

raiffeisen-bruneck.com

WIRTSCHAFT & UMWELT 36 PZ 13 | 29. JUNI 2023
Werbeanzeige
Patrick Pramstaller Kommerzcenter Berater
ALPIN
BRUNECK
IN
Im ehemaligen Autohaus der Familie Staggl ist die neue Niederlassung untergebracht. Neben den neuen Renault- und Dacia-Modellen, werden auch Gebrauchtautos verkauft.

TASCHLER HOLZ TOBLACH

ZUVERLÄSSIGKEIT, QUALITÄT UND INNOVATION

Taschler Holz ist ein Familienunternehmen, das seit vier Jahrzehnten qualitativ hochwertige Schnittware in Fichte, Lärche und Zirbe produziert. Die Kunden stehen dabei im Mittelpunkt. Darüber hinaus ist das Unternehmen stets auf der Suche nach guten Mitarbeitenden.

Der direkte Kontakt und die individuelle Beratung der vielen Kunden ist das „A“ und „O“. Denn nur so kann letztlich sichergestellt werden, dass die Kunden immer das bekommen, was sie sich vorstellen. Das Unternehmen ist auch stolz darauf, ein Teil

der lokalen Wirtschaftskreisläufe zu sein. Folgerichtig setzt man sich für die Erhaltung und der gezielten Förderung regionaler Kreisläufe ein. „Wir sind der Überzeugung, dass nur durch eine nachhaltige Wirtschaftspolitik und den Erhalt regionaler Ressourcen eine langfristige Zukunft gesichert werden kann“, so die Unternehmensphilosophie. Die Innovation ist darüber hinaus ein weiterer wichtiger Bestandteil der Arbeit. Dabei ist man stets bestrebt, die Maschinen und Anlagen immer auf

dem neuesten Stand der Technik zu halten. Ein weiterer wichtiger Eckpfeiler ist die hohe Qualität. Diese lässt sich durch heimisches, wintergeschlägertes und feinjähriges Holz sicherstellen, das durch seine feinen Fasern eben vorzügliche Eigenschaften aufweist. Das Unternehmen produziert auch Hobelware wie Riemenböden und Wandverkleidungen in allen gewünschten Abmessungen. Gute Mitarbeitende machen all dies möglich. Als zukunftsorientiertes Unternehmen wird daher großer Wert auf innovative Arbeitsplätze gelegt. Dabei werden die Bedürfnisse und Wünsche der Mitarbeiterinnen und Mitarbeiter ernst genommen, was letztlich ein angenehmes Arbeitsumfeld schafft. www.taschler.info

Liebe Kunden, liebe Geschäftspartner, liebe Mitarbeiter, die Geschichte von ELTEC KG des Summerer Markus begann im Jahr 1993 als kleiner Betrieb mit einer Werkstatt im Dorfzentrum von Sexten.

Im Laufe der Jahre ist das Team kontinuierlich gewachsen und die Auftragslage hat sich stetig verbessert. Um den steigenden Anforderungen gerecht zu werden, wurde 1999 mit dem Bau einer Betriebshalle und eines Büros in der Handwerkerzone Anderter in Sexten begonnen. Aktuell beschäftigt Eltec KG sieben Mitarbeiter.

Das Leistungsspektrum bei Eltec teilt sich in vier Bereiche:

Elektrotechnik: Von der klassischen Elektroinstallation bis hin zur Gebäudetechnik. Schaltschrankbau und Regeltechnik: In der eigenen Werkstatt werden Elektroverteiler als Herzstück der Energieversorgung angefertigt.

Beleuchtung: Lieferung und fachgerechte Montage von Beleuchtungskörpern

Arbeiten mit eigener Hebebühne: Montage von Außenbeleuchtung, Weihnachts-

beleuchtung und Installation von Dachrinnenheizungen.

Neben den Hauptleistungen werden auch zuverlässigen Reparaturservice angeboten.

Firmeninhaber Markus Summerer blickt stolz auf 30 erfolgreiche Jahre zurück und wirft einen Blick in die Zukunft: „Ich möchten mich herzlich bei all meinen Mitarbeitern für das Engagement und die harte Arbeit und bei den langjährigen Kunden für Ihre Treue bedanken, ohne sie wäre unser Erfolg nicht möglich, und dafür sind wir zutiefst dankbar.“

Wir freuen uns auf das, was die Zukunft bringt, und darauf, die kommenden Jahre mit Ihnen zu gestalten.

Unser Team bei Eltec ist motiviert und zuverlässig.

Unsere Arbeit hat ein klares Ziel: Kundenzufriedenheit.

Unsere Unternehmensphilosophie

basiert auf Kompetenz und dem Streben nach stetiger Weiterentwicklung.

Wir sind leidenschaftlich bei dem, was wir tun, und genießen die Herausforderungen, denen wir uns mit Fachkenntnis und Freude stellen. // PR-Info

Wir bedanken uns für die gute Zusammenarbeit!

SCHAUFENSTER 37 PZ 13 | 29. JUNI 2023
Elektroinstallationen Summerer Markus & Co. ∙ Anderterstraße 5 ∙ 39030 Sexten Tel. 0474 710638 ∙ info@elteckg.it ∙ www.elteckg.it
KG
ELTEC
IN SEXTEN ALLES GUTE ZUM 30. GEBURTSTAG!
PR-Info
//

Die Weichen sind gestellt

Der Yoseikan Budo Verein Terenten ist im Oktober 2022 wieder wie gewohnt mit den Yoseikan Budo Kursen für Kinder und Jugendliche und den Gesundheitskursen „RückenFIT“ erfolgreich gestartet. Jeden Donnertag wird mit Freude und Begeisterung das Angebot genutzt und die jungen Budokas erleben hautnah die wertvollen Inhalte dieser faszinierenden Kampfkunst. Technik lernen, Spaß haben und dabei den Gemeinschaftssinn fördern bewährt sich seit vielen Jahren und bereichert die Heranwachsenden in ihrer persönlichen Entwicklung. Viele nutzen auch die wunderbare Gelegenheit sich bei den verschiedenen Wettkampfturnieren mit Athleten anderer Vereine zu messen und dabei sportliche Erfolge zu feiern was die durchaus sehenswerte Bilanz in diesem Jahr bestätigt.

Den Athleten der neuen Wettkampfgeneration in den Alterskategorien U8, U10, U12 und U14 ist es gelungen den Verein mit vielen Topplatzierungen zu einem der erfolgreichsten Wettkampfsaisonen aufstreben zu lassen. Jeder teilnehmende Wettkämpfer von Terenten konnte sich an einem Stockerlplatz erfreuen. Mit 11 goldene, 11 silberne und neun bronze Medaillen kann sich Terenten in diesem Jahr zu einer der erfolgreichsten Vereine von Südtirol zählen.

EIN VIELFÄLTIGES ANGEBOT

Das Angebot im diesjährigen Wettkampfkalender des Yoseikan Budo Verbandes mit 4 Turnieren und 180 bis 250 Teilnehmer pro Turnier bot wieder eine Fülle von Möglichkeiten sich in diversen Kategorien und Disziplinen zu messen, wobei die Athleten Oberhofer Natalie und Oberhofer Georg bei allen vier Turnieren erfolgreich dabei waren. Oberhofer Natalie hat es auch geschafft in den 4 Turnieren fünf Mal das Siegerpodest zu besteigen.

Beim Nikolausturnier in Brixen am 04.12.2022 begann die diesjährige Erfolgsgeschichte, und zwar mit den Athleten Schmid Rene`, Oberhofer Natalie, Rofner Anna, Rofner Lea, Schmid Marie, Oberhofer Georg, Gasser Lea, Gasser Amy, Mair Hanna Lena und Lechner Raffael. Gemeinsam ist es ihnen gelungen mit vier 1. Plätze, fünf 2. Plätze und zwei 3. Plätze die Trophäensammlung des Vereins ordentlich aufzustocken. Gefolgt vom Winterturnier in Mals am 22.01.2023 und den Dolomitenturnier in Deutschnofen am 19.02.2023 konnten die Terner Athleten mit Oberhofer Natalie,

Oberhofer Georg und Schmid Rene`mit drei 1. Plätze, zwei 2. Plätze und einem 3. Platz einen weiteren Meilenstein im Wettkampfgeschehen setzen.

Im vierten und letzten, beim GoldenTurnier in Bruneck am 26.03.2023, mit einer Rekordteilnehmerzahl von 250 Wettkämpfer gaben unsere Athleten noch einmal alles und lieferten sich spannende Kämpfe auf hohem Niveau. Mit einer Anzahl von 12 teilnehmenden Terner Athleten (neu dabei Jud Severin und Oberparleiter Sarah) konnten im Einzelbewerb vier 1. Plätze, vier 2. Plätze und fünf 3. Plätze verbucht werden. Im Einzelbewerb wurde vor allem die körperbetonte Disziplin „Kumiuchi“ gekämpft wo nur effiziente Wurf- und Blockier- Techniken zum Sieg führen.

TOLLE RESULTATE ERZIELT

Die Mannschaft mit Frida Jud und Gasser Amy konnte nach den verschieden Ausscheidungskämpfen den 3. Platz der Kategorie U12 „Multidisziplin“ für sich entscheiden. Die Disziplinen im Mannschaftsbewerb beinhalten drei Disziplinen, wobei in der ersten Runde „Emono“ (Stockkampf) gekämpft wird. Dabei kommt es vorallem auf die Schnelligkeit, ein gutes Distanzgefühl und Timing an. Die zweite Disziplin „Randori“ besteht aus einem gemeinsamen Showkampf wobei die Anzahl von verschiedenen und korrekt ausgeführten Techniken bewertet wird und den Sieger ermittelt. In der dritten und letzten Runde mit der Formdisziplin „Kata“ welcher alleine vorgeführt werden muss, wird durch eine technische Bewertung von drei Schiedsrichtern über Sieg, oder Niederlage entschieden.

Bei vollen Zuschauerrängen auf den Wettkampftribünen, begleitet durch die begeisterten Eltern und Fans die unsere Athleten voll unterstützten, konnten unsere Mädchen und Jungs durch ihre Erfolgserlebnisse wertvolle Erfahrungen sammeln und die Freude an ihrer Sportart voll genießen.

38 VEREINE & VEREINSLEBEN PZ 13 | 29. JUNI 2023 AMATEURSPORTVEREIN TERENTEN – YOSEIKAN BUDO
Die Wettkampfgruppe des Amateursportvereins Terenten (es fehlen Sarah und Severin). Severin und Marie mit Trainer Werner Ploner und den Coaches Frida und Federica. Natalie kürte sich zur Siegerin in allen Turnieren!

KURIOSE REDENSARTEN

ÜBER DEN KAMM SCHEREN NA, HAST DU EINE OHRFEIGE VERPASST GEKRIEGT?

Die Wendung mit dem Kamm und der Schere mutet etwas seltsam an. Sie reicht in Zeiten zurück, als es noch keine Frisörsalons gab, Handwerker aller Art von Haus zu Haus wanderten und ihre Arbeit vor Ort ausführten. Manche übten gleich mehrere Berufe aus, dazu gehörte auch der des Haarschneiders.

Will heute eine Frisörin oder ein Frisör die Haare so kürzen, dass sie auch danach natürlich aussehen, benutzt sie/er neben der Schere auch einen geraden Kamm. Jedes Haarbüschel wird durch die Zähne dieses Werkzeugs hochgezogen, bis die Spitzen auf gleicher Linie liegen. Dann schneidet man alle vorstehenden Spitzen ab, sodass die Haare verschiedener Länge übereinander nach unten fallen und die Kopfform gut aussieht.

Die Redensart vom Scheren über den Kamm bedeutet also im übertragenen Sinne, dass alle gleich behandelt und bei Bedarf zurechtgestutzt werden. Meistens ist sie kritisch gemeint im Sinne, dass Unterschiede nicht ausreichend berücksichtigt werden. // mb

In Südtirol fragt man eher, ob einer eine „Watsche“ gekriegt hat, die hochdeutsche „Ohrfeige“ klingt aber vornehmer.

Hört man diese Wendung, fragt man sich, warum „Feige“? Die Redensart stammt angeblich aus dem Niederländischen, wo das Ohr (oor) gleich klingt wie im Deutschen, aber der Hieb ein „veeg“ ist. Geringfügig verballhornt wurde auf deutsch daraus eine Feige.

Die hämische Frage nach der Ohrfeige ist allerdings nicht witzig, sind Ohrfeigen für die geschlagene Person doch gefährlich. Sie können nicht nur Gehirnerschütterungen, sondern wegen des Überdrucks auch grobe Verletzungen des Hörgangs und des Trommelfells oder ein Schädel-HirnTrauma verursachen. Ohrfeigen und Kopfnüsse sind oft regelrechte Körperverletzungen, egal, ob sie als Strafe, bei der Firmung oder beim Ritterschlag verteilt werden. Der Täter, gewollt oder ungewollt, macht sich in solchen Fällen strafbar. // mb

39 BILDUNG & SCHULE PZ 13 | 29. JUNI 2023
Mauritius Images

FACHSCHULE FÜR LANDWIRTSCHAFT, HAUSWIRTSCHAFT UND ERNÄHRUNG IN DIETENHEIM

WICHTIG UND NÜTZLICH

Faszinierende Pilze

Wenn man an Pilze denkt, denkt man vor allem an die schmackhaften, ungenießbaren oder zuweilen auch giftigen Gebilde im Wald, bestehend aus Stiel und Hut. Aber das ist nur die halbe Wahrheit. Pilze sind überall verbreitet, ihr feines Netzwerk aus Pilzfäden durchzieht die Böden, ihre Sporen schwirren unsichtbar in der Luft umher, es gibt Pilze, die an das Leben im Wasser angepasst sind und solche, die unseren Körper besiedeln.

Auch wenn Pilze den Pflanzen äußerlich ähneln, besitzen sie sehr viel mehr Ähnlichkeiten mit Tieren. Pilze sind bei ihrer Ernährung - so wie auch wir - auf andere Lebewesen angewiesen. Für den Menschen sind sie von großer Bedeutung. Viele Arten sind essbar, enthalten viele Mineralstoffe, Vitamine, Ballaststoffe und einen relativ hohen Proteingehalt. Sie werden außerdem seit langer Zeit zur Lebensmittelproduktion, z. B. bei der Brot- und Bierherstellung genutzt.

Neben ihrer Bedeutung als Nahrungsmittel, wusste bereits Ötzi um ihren medizinischen Nutzen. Pilze sind in der Medizin weit verbreitet.

Mittlerweile werden Wirkstoffe aus Pilzen in der Krebstherapie genutzt, wirken als Cholesterinsenker, helfen den Blutzuckerspiegel zu senken und vieles mehr. Penicillin, das erste bekannte Antibiotikum stammt von einem Pilz und es werden ständig neue Pilzstoffe entdeckt, die uns im Kampf gegen krankheitserregende Mikroorganismen unterstützen.

ROHSTOFF UND LEUCHTKÖRPER

Pilze gelten aber auch als ein Rohstoff der Zukunft, der uns dabei helfen kann, nachhaltiger zu produzieren. Pilzfäden sind biologisch abbaubar, können so gut wie jede beliebige Form annehmen und sind somit vielseitig einsetzbar, beispielsweise als Bau- oder Verpackungsmaterial. Eine weitere interessante Fähigkeit, die Pilze besitzen, ist ihre Leuchtkraft. Dieses Phänomen wird als Biolumineszenz bezeichnet und beschreibt das Vermögen von Organismen, in ihrem Körper durch chemische Reaktionen Licht zu erzeugen. Derzeit sind an die 70 derartige Pilzarten bekannt. Warum sie es tun, bleibt jedoch ein Rätsel. Im Folgenden ist eine Anleitung beschrieben, wie man eine Nachtleuchte aus Pilzen herstellen kann. Dieses Experiment wurde an der Fachschule für Hauswirtschaft mit den Schülerinnen durchgeführt. Wir haben dazu den Herben Zwergknäueling, Panellus stipticus verwendet. Diese Art ist weltweit sehr verbreitet, allerdings besitzen nur Vertreter eines nordamerikanischen Stammes die Fähigkeit der Biolu-

mineszenz. Bei diesem Exemplar leuchten nicht nur die Fruchtkörper, sondern auch das Myzel. Der Herbe Zwergknäueling ernährt sich von abgestorbenem Laubholz, ist ungenießbar, aber ungiftig.

BENÖTIGTE MATERIALIEN:

• 1 Weckglas (1l ohne Gummiring, mit Klammern)

• Wasserkocher / Schnellkochtopf

• 200 g Buchenholzchips (alternativ Birke oder Eiche; wichtig Laubholz!)

• 4 g Gips

• 150 g abgekochtes Wasser

• 6 Impfdübel (mit Panellus stipticus beimpft)

• Handschuhe, Löffel, Waage, Pinzette

ARBEITSANLEITUNG

Zunächst Hände und Arbeitsplatz gründlich reinigen; mit Handschuhen arbeiten. Das Glasgefäß idealerweise im Wasserbad sterilisieren. Bis zur Verwendung verschlossen stehen lassen.

Die Holzchips und den Gips abwiegen und vermischen. Den Wasserkocher vorbereiten und Wasser zum Kochen bringen. Die Holz-GipsMischung in das Glas füllen und sofort mit dem abgewogenen, kochend heißen Wasser übergießen. Das Gefäß sofort verschließen. Auf Raumtemperatur auskühlen lassen.

In das abgekühlte Glas mit einer Pinzette Impfdübel zugeben. Deckel möglichst schnell wieder verschließen. Je nachdem wie viele Impfdübel man verwendet hat, dauert es 3 bis 6 Wochen bis das Glas im Dunkeln leuchtet.

Das Glas an einem eher dunklen Ort bei einer Temperatur um die 22 °C abstellen. Anfangs benötigt der Zierpilz eine sehr hohe Luftfeuchtigkeit. Ist die Mischung zu trocken, kann man das Glas kurz öffnen und mit einer sauberen Sprühflasche etwas abgekochtes Wasser darüber sprühen. Das Glas anschließend wieder verschließen. Setzt sich Feuchtigkeit im Glas ab, sollte man die Klammern lösen und evtl. den Deckel für kurze Zeit offenlassen.

Damit man das Leuchten wahrnehmen kann, muss man den Raum abdunkeln. Nach einigen Minuten, wenn sich die Augen an die Dunkelheit gewöhnt haben, ist das einzigartige Leuchten erkennbar. // Die Autorin: Michaela Plaikner ist Lehrerin für Biologie an der Fachschule in Dietenheim

40 BILDUNG & SCHULE PZ 13 | 29. JUNI 2023
Leuchtpilz Mycena chlorophanos in der Dunkelheit und bei Tageslicht. Angus Veitch on flickr Eine Schülerin bei der Herstellung einer Pilzlampe

Viel Neues bei der Abendschule

Ab September 2023 gibt es diverse spannende Neuerung an der Abendschule der WFO Bruneck. Anmeldungen sind innerhalb Juli vorzunehmen.

Das vergangene Schuljahr 2022/2023 liegt gerade hinter uns, doch die Gedanken sind schon beim nächsten Schuljahr. Keine großen Prüfungen am Ende des Schuljahres, sondern Schularbeiten, Tests und mündliche Prüfungen während des Schuljahres –ab September 2023 werden die vierte und fünften Klasse der Abendoberschule der WFO Bruneck nach diesem neuen System angeboten. Mit einem positiven Abschluss einer dritten bzw. vierten Klasse einer Oberoder Berufsschule kann man mit Prüfungen im August in die nächsthöhere Klasse der Abendschule eintreten. Ist der Abschluss in einer WFO erworben worden, so sind keine Prüfungen im August notwendig.

ES GEHT LOS

Die dritte Klasse der Abendschule wird ab Februar 2024 angeboten. Voraussetzung hierfür ist der positive Abschluss einer zweiten Klasse einer Ober- oder Berufsschule. Sollte auch hier der Abschluss an einer anderen Schule als der WFO erworben worden sein, so finden im Jänner 2024 Prüfungen in einzelnen Fächern statt.

Wie auch in der Tagesschule besteht für die dritten, vierten und fünfte Klasse eine Anwesenheitspflicht von 75 Prozent des Gesamtstundenkontingents. Der Unterricht für al-

le drei Klassenstufen findet von Montag bis Freitag jeweils von 18.00 bis 22.00 Uhr in Präsenz in den Räumen der WFO Bruneck in der Schulzone statt.

Ab September 2023 werden auch Vorbereitungskurse für die erste und zweite Klasse angeboten, die die Kandidaten auf den Besuch der dritten Klasse ab Februar 2024 vorbereiten. Auch Erwachsene, die einen Mittelschulabschluss besitzen, können diese Vorbereitungskurse besuchen, um nach positiver Prüfung im Jänner 2024 im Februar 2024 in die dritte Klasse einsteigen zu können.

MATURA IST WICHTIG

Obwohl momentan Erwachsene auch ohne einen Maturaabschluss einen Arbeitsplatz finden, ist die Matura nach wie vor Voraussetzung für einen guten Arbeitsplatz und Voraussetzung ein Studium zu beginnen. Auch weiß man nicht, wie lange diese Situation am Arbeitsmarkt bleibt.

Somit ist die Abendschule eine hervorragende Möglichkeit für Erwachsene ab 18 Jahren den Maturaabschluss nachzuholen. Auch darf der gesellige Teil in der Abendschule nicht fehlen. So nahm zum Beispiel ein Teil der 5.Klasse der Abendschule am traditionellen Maturantenfußballturnier der WFO Bruneck mit einer Mannschaft (Foto) und anschließendem Maturaessen teil. // sb

DIE ANMELDUNGEN

Anmeldungen für die Vorbereitungskurse (erste und zweite Klasse) sowie für die vierte und fünfte Klasse sind innerhalb Juli 2023 zu machen. Alle Kurse können nur bei genügend Teilnehmern angeboten werden. Für weitere Informationen können sich Interessierte an die Koordinatorin Sabine Beutel (Telefon: 3345816876 oder 0474 / 555125) bzw. E-Mail (Sabine-Susanne.Beutel@ schule.suedtirol.it) wenden. // rewe

41 BILDUNG & SCHULE PZ 13 | 29. JUNI 2023
WIRTSCHAFTSFACHOBERSCHULE BRUNECK
Ein Teil der fünften Klasse der Abendschule beim Maturantenfußballturnier der WFO Bruneck. Der IKT-Unterricht in der vierten Klasse der Abendschule in der WFO in Bruneck.

Der Nachhaltigkeitstag

„Ein Thema, das uns alle angeht“- über Fächer- und Ausbildungsgrenzen hinweg, setzten sich Schülerinnen und Schüler der WFO Bruneck und Innichen und Studentinnen der Fakultät Design und Kunst der Freien Universität Bozen gemeinsam mit Problemen auseinander, vor denen die Gesellschaft ihre Augen und Ohren nicht mehr verschließen darf. Denkanstöße, die auch zum Handeln animieren sollen - denn „Nachhaltigkeit“ geht uns alle an.

Am Freitag, den 26.05.2023, fand an der WFO Bruneck ein erster Nachhaltigkeitstag statt, organisiert von der Arbeitsgruppe „Öffentlichkeitsarbeit“, allem voran von den Lehrpersonen Niederbacher Karin, Irsara Doris und Gatterer Andreas. An diesem Tag wurden verschiedenste Projekte und Arbeiten der SchülerInnen vorgestellt, an welchen sie das gesamte Schuljahr über zum Thema

der Nachhaltigkeit gearbeitet hatten. Gleichzeitig war diese Veranstaltung als Denkforum konzipiert, um nicht nur zu zeigen, dass dieses Thema im Schulunterricht sichtbaren Einzug gefunden hat, sondern auch um den Ist-Zustand bezüglich Nachhaltigkeit an der Oberschule aufzuzeigen, zu reflektieren und einen künftig möglichen Soll-Zustand anzudenken.

DIE SYBIOSE

Mit dem musikalischen Intro „Fantaisie“ von Gioachino Rossini der Lehrpersonen Karin Niederbacher an der Klarinette und Markus Federer am Klavier wurde die Veranstaltung offiziell eröffnet. Nach der Begrüßungsrede durch Direktor Markus Hilber präsentierten fünf Kunststudentinnen der Freien Universität Bozen der Fakultät Design und Kunst in den Sprachen Deutsch, Italienisch und Englisch ihre Kunstwerke aus recycelten Materialien. Den fünf engagierten Studierenden Stefana Teona Corlatan (Salzburg), Romy

Gatterer (Pfalzen), Maria Sole Gorni (Branzoll), Grete Henriette Rederer (Berlin) und Nina Unterberger (Münster/Nordtirol) ist es mittlerweile ein sehr großes Anliegen, ihre Werke aus recycelten Materialen zu gestalten und damit auch über ihre Kunst im Betrachter ein schärfendes Bewusstsein für Themen der Nachhaltigkeit, des Umgangs des Menschen mit der Umwelt und ihren Ressourcen, die Mutter Erde bereitstellt, zu schaffen. Eine überdimensional große Steckdose aus Plastikkisten, kreiert von der Kunststudentin R. Gatterer, verweist auf die aktuelle Energieproblematik. Schmuck aus Bestandteilen eines Radios der Kunststudentin M. S. Giorni ist sichtbares Zeugnis, dass viele Dinge auch eine zweite Zukunft haben können, so etwa auch ein Büstenhalter, den die Kunststudentin St. T. Corlatan kurzerhand in einen Männerslip umfunktionierte. Der Linoldruck eines Fötus samt Plazenta in einer Plastikflasche veranschaulicht, dass 2020 das erste Mal Mikroplastik in der Plazenta einer

42 BILDUNG & SCHULE PZ 13 | 29. JUNI 2023
WIRTSCHAFTSFACHOBERSCHULE BRUNECK UND INNICHEN
Der Direktor der WFO Bruneck-Innichen Markus Hilber bei der Begrüßungsrede. Die SchülerInnen und Schüler verfolgen mit großem Interesse die Veranstaltung.

Vorne 1. Reihe von links: Schülerin Eva Engl, Schülerin Vicky de Lorenzo Meo, Kunststudentin Nina Unterberger, Kunststudentin Romy Gatterer und Kunststudentin Grete Henriette Rederer.

Hintere 2. Reihe von links: Prof. Markus Federer, Schüler Oneld Halili, Prof. Irsara Doris, Prof. Niederbacher Karin und Prof. Gatterer Andreas.

Schwangeren nachgewiesen wurde; eine erschreckende Tatsache, welche die Kunststudentin N. Unterberger einer breiten Öffentlichkeit bekannt machen möchte. Kleidungsstücke, welche ihre Farbe verlieren, thematisieren das weltweite Korallensterben, denn auch diese verlieren beim Absterben ihre prächtige Farbe. Die Kunststudentin G. H. Rederer macht diesen tragisch bedenklichen Umstand in einer Modekollektion sichtbar. Sichtlich beeindruckt und nachdenklich zeigten sich die anwesenden SchülerInnen von diesen unbestreitbaren Tatsachen. Die Umweltproblematik war auch Anlass für die SchülerInnen der Klasse 4A, sich mit Nachhaltigkeitskonzepten auseinanderzusetzen. Im Laufe des Schuljahres beschäftigten sich besagte SchülerInnen intensiv mit den Sustainable Development Goals, den 17 global gültigen Zielen für eine nachhaltige

WIR SUCHEN

Softwareentwickler:in

Devops Engineer

Projektmanager:in

Strategic Product Owner

Sales Manager:in

Bewerbung und weitere Infos: www.solunio.com/jobs

Mit innovativen Softwarelösungen zur Digitalsierung von Fertigungsprozessen sind wir ein zuverlässiger und gefragter Partner für internationale Unternehmen im In- und Ausland.

Werde Teil unseres Teams in Bruneck!

Rienzfeldstraße 46, I-39031 Bruneck +39 0474 64 60 57

info@solunio.com

Steckdose aus Plastikkisten, geschaffen von der Kunststudentin Romy Gatterer.

Kunststudentin Romy Gatterer präsentiert ihr Kunstwerk, eine überdimensional große Steckdose.

softwareforsmartproduction

43 BILDUNG & SCHULE PZ 13 | 29. JUNI 2023
>>
Der Nachhaltigskeitstag fand bei allen überaus großen Anklang.

Entwicklung, welche auf der Generalversammlung der Vereinten Nationen im September 2015 die 193 Mitgliedsstaaten mit der Agenda 2030 beschlossen haben; kurz den SDGs der Nachhaltigkeit. Zu diesen Zielen arbeiteten die SchülerInnen Flyer aus, welche seit dem Nachhaltigkeitstag sichtbar in jeder Klasse hängen, um die WFO-SchülerInnen und ihre Lehrpersonen für nachhaltige Einstellungen zu sensibilisieren und mögliche Änderungen zu provozieren. Den SchülerInnen ist sehr wohl bewusst, dass große Veränderungen längerfristig anzustreben sind, dass aber viele kleine Schritte in richtiger Richtung vieles bewirken können.

SCHULE UND PRAXIS

Nicht nur im großen Projektformat beschäftigten sich die SchülerInnen der WFO im vergangenen Schuljahr mit Themen der Nachhaltigkeit, auch im Kleinen fand eine stetige Auseinandersetzung mit diesem Thema statt, zum Beispiel im Schreibunterricht. Schülerinnen und Schüler der Klassen 3A und 1B der WFO Bruneck erörterten mit ihren Professorinnen verschiedenste Themen zur Nachhaltigkeit, wie etwa eine kritische Betrachtung der Modeindustrie und Konzepte einer hochwertigen Bildung. Satirische Comics der 3C – WFO Bruneck zeigen die Widersprüchlichkeit zwischen ökologi-

schem Wissen und Handeln auf. Die Klasse 2C – WFO Innichen setzt sich in einem Comic mit dem Schwinden von Lebensräumen für Flora und Fauna durch die zunehmende Verbauung und den steten Ausbau von Infrastrukturen auseinander.

Die gelungene Veranstaltung endete mit dem Aufruf, nicht nur in den Klassen, sondern auch außerhalb der Schule über Konzepte nachzudenken und Schritte zu setzen, welche nicht nur nachhaltigen Frieden und Wohlstand gewähren, sondern vor allem auch unseren Planeten schützen.

44 BILDUNG & SCHULE PZ 13 | 29. JUNI 2023
// wmh
Linoldruck der Kunststudentin Nina Unterberger, ein Fötus mit Plazenta in einer Plastikflasche. Eine Halskette aus Bestandteilen eines Radios, Schmuck der Kunststudentin Maria Sole Gorni. Kleidungsstücke, Modekollektion der Kunststudentin Stefana Teona Corlatan. Interessiertes Publikum begutachtet in der Folge die verschiedenen Ausstellungsstücke. Ein Ring aus Bestandteilen eines RadiosSchmuck der Kunststudentin Maria Sole Gorni. Interessierte Schüler diskutieren über Konzepte der Nachhaltigkeit und bringen sich auf diese Weise gekonnt ein. Schüler Oneld Halili und Schülerin Vicky de Lorenzo Meo der Klasse 4A präsentieren ihr Projekt zu den SDGs der Nachhaltigkeit.

GRUNDSCHULE JOSEF BACHLECHNER BRUNECK

Die Bläserklasse als besonderes Projekt

Das Projekt „Bläserklasse“ hat mittlerweile an der Bachlechner-Grundschule in Bruneck Tradition. Eine „Bläserklasse“ ist ein besonderes Angebot für musikinteressierte Schülerinnen und Schüler. Die Bläserklasse setzt sich aus verschiedenen Kindern der vierten Klassen aller drei Schultypen der Grundschule Bruneck zusammen. In diesem klassenübergreifenden Projekt konnten die Kinder der Montessori-Lerngruppen, der vierten Sprachenklasse, der 4a und der 4b gemeinsam „Musik machen“. Das Erlernen eines Blasinstrumentes war das Leitmotiv.

Bei einem Informationsabend für die Eltern der interessierten Schüler konnten sich diese über das Projekt informieren. Bei einem Kennenlerntag lernten die zukünftigen Bläserklassenkinder auch den Musikschullehrer, Andreas Pramstraller, der auch in diesem Schuljahr die Bläserklassen leitete, kennen. Jeder Schüler konnte sich zwischen den Instrumenten Trompete, Horn, Klarinette, Saxophon und Euphonium ihren persönlichen Favoriten auswählen.

PRAKTISCHER BEZUG

Nach wenigen Tagen wurden allen Kindern ein Instrument von der Bürgerkapelle Bruneck zur Verfügung gestellt. Schulleiterin Seeber Evi koordinierte die Abläufe während der Unterrichtszeit. Wöchentlich konnten die Kinder während des regulären Unterrichts in Kleingruppen die Instrumente erlernen. Zu Hause wurde fleißig geübt. Die dabei gesammelten musikalischen Erfolgserlebnisse bereiteten Freude, wirkten sich positiv auf das Selbstbewusstsein der Kinder aus, stärkten das Sozialverhalten und förderten Aufmerksamkeit und Rücksichtnahme. Gleichzeitig war viel Selbstdis-

ziplin notwendig, um das Zusammenspiel im Orchester zu ermöglichen. Wichtig und motivierend ist bei dem Konzept auch, dass die Schüler die Möglichkeit erhalten vor Publikum zu spielen. So gab es zum Abschluss des Projektes einen Auf-

tritt vor der gesamten Schulgemeinschaft. Alle Kinder gaben ihr Bestes und wurden mit viel Applaus von ihren Mitschülern belohnt. Auch Herr Direktor Lanz Oswald freute sich über die gute Zusammenarbeit aller Beteiligten. // es

45 BILDUNG & SCHULE PZ 13 | 29. JUNI 2023

Ein Tag im Zeichen des Miteinanders

Am achten Juni 2023 haben um die 100 Betreute aus den Werkstätten der Bezirksgemeinschaft Pustertal gemeinsam mit den Betreuungsteams und 22 Schülerinnen und Schüler einen Spiel- und Sporttag verbracht. Auf dem Sportplatz Sand in Taufers standen der Austausch, das Miteinander, der Spaß an Spiel und Sport im Vordergrund.

Fast zwei Monate lang arbeiteten die Schülerinnen und Schüler der vierten Klasse des Sozialwissenschaftlichen Gymnasiums Oberschulzentrum Sand in Taufers an der Planung des Spiel- und Sporttages. Unterstützt wurden sie dabei von Mitarbeitenden der Direktion Sozialdienste und von zwei Fachlehrerinnen. Die Aufgabe war klar: einen Parcours an Spielen zusammenstellen und planen, welcher an die Fertigkeiten der verschiedenen Teilnehmenden angepasst ist und Spaß machen soll. Vor allem zu Beginn der Planung war das für die Klasse nicht einfach. Die Schülerin Maria sagt zum Beispiel: „Wir konnten uns anfangs nicht wirklich gut vorstellen, wie der Tag ablaufen könnte und was wir genau machen sollten.“ Je weiter die Vorbereitungen liefen, umso konkreter wurde das Programm und umso mehr freuten sich die Schülerinnen und Schüler dann auf den Tag selbst. „Es war für uns alle eine tolle Erfahrung und ein lehrreiches Projekt. Zu sehen, wie man mit Wenig, so vielen Menschen eine große Freude bereiten kann, war einfach toll“, freute sich Maria.

SPORT

UND SPASS

An neun Stationen konnten die Teilnehmerinnen und Teilnehmer am Donnerstag dann

46 BILDUNG & SCHULE PZ 13 | 29. JUNI 2023
WERKSTÄTTEN DER BEZIRKSGEMEINSCHAFT PUSTERTAL Entenfischen im Spielparcours. Da war neben Geschicklichkeit auch das richtige Augenmaß gefragt. Talschaftspräsident Robert Alexander Steger (rechts im Bild) überreichte die Medaillen. Einer der glücklichen Gewinner mit selbstgemachten Pokalen.

ihre Fertigkeiten in verschieden Disziplinen unter Beweis stellen. Vom Dosenwerfen über Memory und Kegeln bis hin zum Entenfischen war für Jede und Jeden was dabei. Nach dem Spielparcours standen ein Grillteller und ein Eis auf dem Speiseplan.

Krönender Abschluss der Veranstaltung war die Preisverteilung mit Pokal- und Medaillenüberreichung. Die Augen der Gewinnerinnen und Gewinner strahlten, die Freude bei allen Teilnehmenden über die Medaille war riesig. Um viele tolle und schöne Momente reicher und mit einem breiten Grinsen im Gesicht machten sich alle Betei ligten dann auf den Heimweg.

BILDUNG & SCHULE
Bezirksrat Martin Seeber (links im Bild) bei der Preisverteilung.
Benefits & Bewerbung Servicetechniker Lehrling Installateur (m/w) Bruneck 0474 555218 www.peintner.it WERDE TEIL UNSERES TEAMS UND DENKE HLS NEU
Beim Ringwerfen konnten alle ihre Zielsicherheit unter Beweis stellen.

Cusanus goes Europe

Ausgewählte Schülerinnen des Sprachen- und Realgymnasiums „N. Cusanus“ haben auch in diesem Schuljahr ein Austauschprojekt mit dem schwäbischen Kreisgymnasium Riedlingen durchgeführt. Das Projekt stand ganz im Zeichen von Europa: Die Schülerinnen lernten nicht nur zwei unterschiedliche regionale Lebensräume und Lebensweisen kennen, sondern vertieften auch Themen der großen europäischen Politik.

Seit nunmehr fast 10 Jahren pflegt das Sprachen- und Realgymnasium N. Cusanus eine Schulpartnerschaft und damit eine länderübergreifende Zusammenarbeit mit dem Kreisgymnasium Riedlingen in Baden-Württemberg. Das diesjährige Projekt stand ganz im Zeichen von Europa und damit im Zeichen der europäischen Verständigung und Begegnung.

Im Oktober 2022 reisten 13 Schülerinnen aus Bruneck mit zwei Begleitpersonen für eine Woche nach Oberschwaben und wurden dort von Gastfamilien herzlich aufgenommen, verpflegt und betreut. Die Schülerinnen konnten damit voll und ganz eintauchen in den schwäbischen Dialekt, in die schwäbische Kultur, Kulinarik und Landschaft. Zahlreiche Besichtigungen und Exkursionen hinterließen bei den Gästen aus Tirol bleibenden Eindruck, so etwa zum Fe-

dersee bei Bad Buchau, der wie unsere Dolomiten zum Schatz des UNESCO-Weltkulturerbes gehört. Einen Höhepunkt bildete zweifelsfrei die Reise nach Straßburg, wo der Sitz des Europäischen Parlaments just während einer Sitzungsperiode besucht werden konnte. Wie der Zufall es wollte, konnten die Schülerinnen der Abstimmung über die Einführung eines Standard-Ladekabels beiwohnen, das dem so ungeliebten Kabelsalat den Garaus machen soll. Eine Begegnung mit Norbert Lins, dem Vertreter des oberschwäbischen Wahlkreises, gab den Schülerinnen die Möglichkeit, mit einem Abgeordneten des EU-Parlaments in einen direkten und

am Ende sehr lebhaften Austausch zu treten. Von Straßburg führte die Reise weiter nach Esch-sur-Alzette in Luxemburg, eine der europäischen Kulturhauptstädte 2022. Als unvergessliches Erlebnis erwies sich die Besichtigung der Hochöfen von Belval, einer beeindruckenden Industrie-Architektur mit einer bemerkenswerten Geschichte.

DER GEGENBESUCH

Im Mai fand dann der Gegenbesuch der Riedlinger Elftklässler im Pustertal statt. Dabei wurden die Themen „Europa im Frieden“ und „Europa im Krieg“ in den Vordergrund gestellt. Ein Tagesausflug führte die Gruppe nach Trient, wo nicht nur der kulturelle Reichtum der Stadt an der Etsch erkundet, sondern auch der Sitz der Europaregion Tirol (Euregio) besucht wurde. An einem weiteren Tag lernten die Gäste aus Deutschland das Bergwerk in Prettau und in Sexten einen altösterreichischen Fortifikationsbau (Mitterberg) sowie die Realität des Hochgebirgskriegs an der Dolomitenfront kennen. Am letzten gemeinsamen Projekttag stellte die Schülergruppe im Beisein von Anna Klammer, Direktorin des Sprachen- und Realgymnasiums, in abwechslungsreich gestalteten Präsentationen die Ergebnisse ihrer Recherchen vor. „Wir mussten unsere Komfort-Zone verlassen und sind über uns selbst hinausgewachsen. Es war eine aufregende Zeit, in der wir gemeinsam viel erlebt und viele neue Erfahrungen gesammelt haben“, resümierten einige Schüler begeistert. Es bleiben wohl viele schöne Eindrücke und Erinnerungen, aber auch ein profunderes Wissen über die Europäische Union und ihre Institutionen. //

48 BILDUNG & SCHULE PZ 13 | 29. JUNI 2023
ws CUSANUS-GYMNASIUM BRUNECK Bei den Hochöfen von Belval in Luxemburg. Schülerinnen und Schüler aus Riedlingen sowie Bruneck im Europaparlament von Straßburg. Schülerinnen und Schüler aus Riedlingen sowie Bruneck im Bergwerk Prettau.

KUNSTCAFÈ PINTA PICHL IN BRUNECK

ARTE GREZZA UND PATINA…

Bis Ende Juni gab es im Café/Atelier „Pinta Pichl“ in Bruneck eine besondere Kunstaktion zu bestaunen. Helmut Johann Fuchs stellte dort eine Kostprobe seiner besonderen Kunststücke aus, die sich unter dem Sammelbegriff „Arte grezze e patina“ am besten zusammenfassen lassen. Es handelte sich um Bilder und Exponate aus verschiedenen Metallen und Materialien. Es war eine faszinierende Kombination.

Im Juli gibt es hingegen wieder das Ripido-Festival, wo sich auch der Pinta Pichl zu einem beliebten Treffpunkt gemausert hat. Zudem gibt es im beschaulichen Lokal von Marlene Pizzini immer etwas zu entdecken. Am besten jedoch einfach vorbeikommen. // rewe

IN GAIS

EIN REICHHALTIGER KULTURELLER SCHATZ

Im Mai trafen sich zahlreiche Feuerwehrhelmsammler aus ganz Europa. Alle zwei Jahre findet im Hotel Burgfrieden in Gais das beliebte Treffen statt.

Franz Josef Mairhofer, der Inhaber des Feuerwehrhelmmuseums in Gais ist Mitgründer dieser Treffen, die nun schon seit mehr als 26 Jahren im Zwei-Jahre-Rhythmus stattfinden. Im Rahmen dieser Zusammenkünfte von Sammlern und Feuerwehrbegeister-

ten aus aller Welt, werden Fachvorträge zu speziellen Helmthemen gehalten. Der wissensaustauch ist ein wichtiges Element des Treffens, Erfahrungen austauschen und Fachsimpeln. Die Experten tauschen sich zu allen Themen rund um Feuerwehrhelme bis spät in die Nacht an der Hotelbar aus. Ein Besuch im hauseigenen Feuerwehrhelmmuseums des Hotel Burgfrieden welches die beachtliche Menge von über 1.100 Helmen aus aller Welt beinhaltet darf natürlich auch

nicht fehlen. Höhepunkt der Veranstaltung war einmal mehr die Tauschbörse am Samstag, worauf sich die Sammler richtig freuten, wie der PZ zugetragen wurde. Der Termin für das nächste Treffen steht übrigens auch schon fest: vom 23. bis zum 25 Mai. 2025 werden die Sammler in Gais wieder zusammenkommen. Neue Teilnehmer und Interessierte aus der Umgebung sind natürlich auch wieder herzlich willkommen.

49 KULTUR & KUNST PZ 13 | 29. JUNI 2023
13. FEUERWEHRHELM-SAMMLERTREFFEN
// km
Der Pustertaler Künstler Helmut Johann Fuchs mit zwei Mitarbeiterinnen vom Pinta Pichl. An der Wand eines seiner ausgestellten Bilder. rewe Beim internationalen Feuerwehrhelm-Sammlertreffen gab es viel zu bestaunen. Franz Josef Mairhofer (im Bild) mit einem der vielen Feuerwehr-Helme.

Open-Air Kino, Kinderkino und Konzerte

Am 4. Juli 2023 startet wieder der stets heiß erwartete UFO-Summer in Bruneck. Bis zum 24. August präsentiert dann das Jugend- und Kulturzentrum UFO zum mittlerweile vierundzwanzigsten Mal ein tolles Kulturprogramm mit insgesamt 22 Filmen und 7 Konzerten in der wunderschönen UFO-Arena unter freiem Himmel, mit Riesenleinwand und Open-Air Bühne. Und in diesem Jahr dürfen sich endlich auch wieder die Kinder aufs Kinderkino freuen.

DIE ABENDFILME AM DIENSTAG UND DONNERSTAG

Gewohnt vielseitig und in einer guten Kombination aus Qualität und sommerlicher Leichtigkeit, wie immer mit den erfahrenen Argusaugen der mittlerweile langjährigen Projektgruppe rund um Gertraud Sieder, Christian Mair, Gernot Nagelschmied, Hanspeter Niederkofler, Gunther Niedermair und

Georg Schondorf ausgewählt: die Filme am Dienstag- und Donnerstagabend um 21 Uhr.

Einige Highlights: „The Peanut Butter Falcon“, eine Komödie rund um Zak, einen jungen Mann mit Down-Syndrom, der aus dem Altersheim in North Carolina flieht oder der vielfach ausgezeichnete Film „Der schlimmste Mensch der Welt“ über eine junge Frau, die von den unendlichen Möglichkeiten, die ihr offenstehen, überwältigt ist. Ein Film für die ganz Familie: „Fannys Reise“ über die Flucht

einer Kindergruppe mit der 13-jährigen Fanny vor den Nationalsozialisten. Der Spielfilm über drei Familien „Tre piani“ ist zugleich eine Hommage des UFO an den Regisseur Nanni Moretti, der vor 70 Jahren in Bruneck geboren ist. Berührend die Geschichte zwischen den Generationen im Film „Come On, Come On“: Als Radiojournalist reist Johnny im ganzen Land umher, interviewt in den Großstädten Kinder und fragt, was diese sich von ihrer Zukunft erhoffen.

5 Promille für die Feuerwehr Bruneck

Für Sie kostenlos, für uns eine große Hilfe!

Jeder Steuerzahler kann fünf Promille der eigenen Einkommenssteuer einem Onlus-Verein zukommen lassen. Dies kostet dem Steuerzahler keinen Euro mehr und er entscheidet selbst, wem er diesen Teil der ohnehin dem Staat geschuldeten IRPEF-Steuer zukommen lassen möchte.

Was müssen Sie tun?

Mit Steuererklärung

Sie brauchen nur auf dem Mod. 730 oder auf dem Mod. UNICO im Feld der 5-Promille-Zuweisung zu unterschreiben und die Steuernummer des von Ihnen vorgeschlagenen Onlus-Vereines einzutragen.

Ohne Steuererklärung

Wenn Sie keine Steuererklärung (Mod. 730 oder Mod. UNICO) verfassen, können Sie die 5 Promille auch auf dem letzten Blatt des Modellformulars zuweisen, das Sie von Ihrem Arbeitgeber bekommen. Füllen Sie die dafür vorgesehenen Felder auf der letzten Seite mit Unterschrift und Steuernummer der Organisation aus und unterschreiben Sie ein zweites Mal am Ende der Seite.

Die Steuernummer der Feuerwehr Bruneck: 81007940216

Danke dass Sie uns helfen zu helfen!

Ihre Feuerwehr Bruneck!

50 KULTUR & KUNST PZ 13 | 29. JUNI 2023
UFO-SUMMER 2023
Im Zuge des Summer Open Air Kinos beim UFO werden tolle Filme gezeigt. Gunther Niedermair Ryan Tennis

DIE KINDERFILME JEWEILS AM DIENSTAG

Das Motto der Kinderfilme um 17 Uhr (im Veranstaltungssaal!) lautet heuer „tierisch gut“. Der Name ist Programm, zu sehen sind beispielsweise „Latte Igel und der magische Wasserstein“ oder der Animationsklassiker „Shaun das Schaf“. „Kiriku“ entdeckt auf einer Reise durch die Wüste und den Dschungel die Schönheiten Afrikas und begegnet den wilden Tieren, die auf dem Kontinent zu Hause sind. Der Dokumentarfilm „Die wilde Farm“ zeigt, was passiert, wenn die Tiere am Bauernhof das Regiment übernehmen. Und das ist noch lange nicht alles. Passend zu den jeweiligen Filmen können sich die jungen Kinofreunde bereits ab 16 Uhr auf ein lustiges Rahmenprogramm freuen.

DIE KONZERTE JEWEILS AM MITTWOCH

Der Mittwochabend ist ab 20.30 Uhr der Musik gewidmet. Auf der Open-Air-Bühne inmitten eines Gartencaféambiente trifft innovative Musik auf entspannte Menschen. Sich auf neue Sounds und besondere Stimmen einlassen – das ist das Musikkonzept mit dem Namen „Voices“. Bei der Musikauswahl setzt das UFO dabei auf einen Mix aus jungen aufstrebenden Formationen aus Südtirol und weltbekannten Musikerinnen und Musikern. Höhepunkte markieren die Konzerte mit der australischen Folkband „Sons Of The East“ im Rahmen der Reihe „Flow concert series“ und der Auftritt des US-Amerikaners Ryan Tennis. Weiters dabei: Marc Perin & Friends, Peter Burchia, Jetflag, Adam Harpaz, Sons Of The East, MariOn & The GrooveClub Collective, ZeitLous, le:la, Ryan Tennis Trio und Zeugshmitz. // jst

WICHTIGE INFORMATIONEN

Die Filme starten um 21 Uhr, die Konzerte um 20.30 Uhr. Alle Abendveranstaltungen sind als Open-Air-Erlebnisse geplant und finden in der UFO-Arena statt. Bei unsicherem Wetter wird empfohlen, einen Regenschutz mitzunehmen. Sollte für den Abend starker Regen vorhergesagt sein, finden die Filmvorführungen und das Konzert mit Sons Of The East im Saal und alle anderen Konzerte auf der überdachten UFO-Terrasse statt. Das Kinderkino findet immer um 17 Uhr im Saal statt. Bei den Veranstaltungen (außer das Konzert mit Sons Of The East) ist freier Eintritt! Sponsoren: Stadtgemeinde Bruneck, Amt für Jugendarbeit, Amt für Film und Medien, Raiffeisenkassen des Pustertals, Stadtwerke Bruneck, SiMedia, Graber & Partner, solunio, Buchladen am Rienztor, harpf Getränke, Pustertaler Zeitung & Radio Holiday. Das umfassende Programm mit Fotos und Trailer findet man auf der Webseite des Jugend- und Kulturzentrums UFO unter www.ufobruneck.it

Ütia de Pecol

1.930 m ü.d.M. – Antermoia

Geöffnet von Anfang Juli bis Ende September. Umgeben von Zirben eröffnet die urige Pecolhütte einen herrlichen Blick auf den Peitlerkofel. Gerne verwöhnen wir Sie mit lokalen Gerichten und hausgemachten Kuchen auf unserer Panoramaterrasse. Genießen Sie eine schöne Auszeit mit traumhaftem Ausblick. Für die kleinen Gäste steht ein Kinderspielplatz bereit.

> RUNDWANDERUNG MAURERBERG

Vom Parkplatz Pedebörz, unterhalb des Würzjochs, erreichen Sie uns über einen gut begehbaren, kinderwagentauglichen Wanderweg in zirka 45 Minuten. Von unserer Hütte aus führt der Wanderweg weiter zum Maurerberg.

Fam. Canins T. +39 335 787 8777 • gary.s@rolmail.net

51 KULTUR & KUNST PZ 13 | 29. JUNI 2023
// jst
Jetflag Peter Burchia Sons Of The East Pat O‘Hara

Gute Bücher für den Sommer

Du möchtest ab Herbst Zivildienst leisten? Weißt aber nicht wirklich wohin? Wie wär’s mit der Stadtbibliothek Bruneck? Bibliotheken haben unter anderem die Aufgabe, die 17 Ziele für Nachhaltige Entwicklung der Vereinten Nationen (SDGs) unter die Leute zu bringen. Du, ja genau du, wärst uns eine große Hilfe dabei! Und du lernst alle Bereiche kennen, die für moderne Bibliotheksarbeit wichtig sind. Wenn du interessiert bist, so melde dich für ein Gespräch! Bewerbungsfrist: 11.08.2023, Dienstbeginn. 02.10.2023. Kontakt und Info: sonja.hartner@gemeinde.bruneck.bz.it oder telefonisch 0474 545400

SABINE BOHLMANN:

FRAU HONIG UND DIE GEHEIMNISSE IM KIRSCHBAUM

Planet! 2023, 144 Seiten

Frau Honig ist ein besonderes Kindermädchen, sie kommt von VFFBDAEBADRL – der Vermittlungsstelle für Familien, bei denen alles ein bisschen aus dem Ruder läuft und taucht immer dann auf, wenn Not am Mann oder an der Frau ist. Bei der 9-jährigen Emma läuft es gerade nicht so gut. Ihre Eltern streiten sich andauernd. Also hat sie beschlossen, von zu Hause auszuziehen und im Kirschbaum zu wohnen. Sie freut sich gar nicht, als plötzlich Frau Honig auftaucht, in den zweiten Stock des Baums einzieht und sich dort gemeinsam mit Bienenschwarm und Kuckuck gemütlich einrichtet. Doch die anfängliche Skepsis dauert nicht lange, denn Frau Honig versteht es mit ihren besonderen Fähigkeiten, viel Einfühlungsvermögen und kleinen Zaubereien das Mädchen für sich zu gewinnen. Zum Abendessen werden Pfannkuchen und Würstchen aus Nachbars Garten geangelt, Emmas Goldfisch Mister Blubb wird auf den Baum geholt und Frau Honig nimmt Emma auf einen Ausflug mit dem fliegenden Koffer mit. An unkonventionellen Ideen fehlt es dem gelb gekleideten Kindermädchen nicht, doch was lässt sich Frau Honig einfallen, um die Eltern von Emma zu versöhnen? Das fünfte Abenteuer mit dem zauberhaften Kindermädchen Frau Honig kann unabhängig von den Vorgängerbänden gelesen werden und erleichtert mit aufgelockertem Layout und verschiedenen Schrifttypen auch ungeübten Kindern das Lesen.

(Empfohlen von Monika Ludwig)

HANNAH GOLD:

DER LETZTE BÄR –IHRE FREUNDSCHAFT WIRD ALLES VERÄNDERN

Von Hacht 2022, 283 Seiten

Auf der Bäreninsel - die es tatsächlich gibt, sie liegt auf halbem Weg nach Spitzbergen, von Nordnorwegen aus gesehen, – gibt es keine Eisbären mehr. Aprils Vater behauptet das zumindest. April verbringt mit ihrem Vater sechs Monate auf dieser abgelegenen Insel im Norden, wo es nur eine wissenschaftliche Wetterstation und ein Versorgungshaus gibt. Der Vater ist ständig in seine wissenschaftlichen Forschungen vertieft, sodass er keine Zeit hat für April. April ist sehr selbstständig und jeden Tag nach dem Erfüllen ihrer schulischen Verpflichtungen erkundet sie alleine die Insel. Während einer endlosen Sommernacht entdeckt sie einen Eisbären. Dieser scheint fast verhungert und vereinsamt zu sein. Aufgrund ihrer empathischen Fähigkeiten schließt April eine einzigartige Freundschaft mit dem Eisbären, den sie liebevoll Bär nennt. Sie ist fest entschlossen, den Bären zu retten und begibt sich auf die wichtigste Reise ihres Lebens, auch, wenn es sie das Leben kosten könnte ….

„Der letzte Bär“ ist ein sehr spannender und berührender Abenteuerroman, der nicht nur für Kinder und Jugendliche, sondern auch für Erwachsene geeignet ist. Er will Bewusstsein schaffen dafür, dass es wichtig ist, auf unsere Natur zu schauen. Brüllen wir gemeinsam, wie die Eisbären, dass der Klimawandel besser und schneller bekämpft wird.

52 KULTUR & KUNST PZ 13 | 29. JUNI 2023
STADTBIBLIOTHEK BRUNECK (Empfohlen von Valerie Vanas)

MARIE HÜTTNER:

IST OMA NOCH ZU RETTEN?

Thienemann 2023, 254 Seiten

Eigentlich soll Pia mit ihrem Vater und dessen neuer Freundin für zwei Wochen in die Alpen fahren, aber Pia will die Ferien viel lieber mit ihrer Oma verbringen, so wie jedes Jahr. Geschlagene zwei Stunden wartet Pia nun aber schon auf dem Bahnhof, aber keine Spur von Oma Lore, die sie hätte abholen sollen. So macht sich das Mädchen alleine auf den Weg zu Omas Haus und muss entsetzt feststellen, dass niemand zuhause ist. Außer dem Kater Schnorrer, der sich seltsamerweise im Garten aufhält, was Oma Lore normalerweise nie und nimmer duldet. Irgendwas stimmt da nicht, ist sich Pia sicher. Als dann auch noch der Nachbarsjunge Pepe, ein selbsternannter Hobby-Detektiv, behauptet, Pias Oma sei echt in Schwierigkeiten, gibt es nur eine Möglichkeit: Angst aus, Mut an. Das ist Omas Motto, wenn es mal brenzlig wird. Zusammen beginnen Pia und Pepe zu ermitteln. Sie verfolgen verdächtige Spuren und landen mit ihren Ermittlungen immer wieder in einer Sackgasse. Ist Oma noch zu retten? Ein spannender Kinderkrimi, voller Abenteuer, leicht und humorvoll geschrieben. Genau die richtige Sommerlektüre für Kinder ab 9 Jahren!

(Empfohlen von Simone Engl)

MARIKA PFEIFFER: TORI TWISTER –STÜRMISCH UNTERWEGS

KOSMOS 2023, 176 Seiten

Tori Twister freut sich megamäßig, denn jetzt sind Sommerferien und diese verbringt sie immer bei ihrer Oma. In einem kleinen Ort namens Mittendrin lebt Oma Winda mit ihrem Hund Schirokko, der Katze Missi und einem geheimen Wetterlabor. Tori darf ihr immer beim Wetterkochen assistieren. Sie hat schon so einige Sturmwinde zusammengebraut und Schneeregen gemixt. Natürlich kann dabei einiges schiefgehen. So etwa der nicht geplante Tornado, der Oma Winda gleich am ersten Tag von den Füßen reißt!

Wie es scheint, sind sie in diesem Sommer nicht die Einzigen, die das Wetter nach ihren Wünschen formen. Kann Tori Mittendrin vor einem Hitzschlag retten und das auch ohne Oma, die immer noch vom Wirbelsturm ziemlich durch den Wind ist? Mit spannenden Wetterfakten am Ende des Buches für alle, die noch mehr wissen wollen.

(empfohlen von Stefanie Leiter)

53 KULTUR & KUNST PZ 13 | 29. JUNI 2023

Die Welt wird wieder bunter - Frühlingsbeginn auch für die Kuhschelle Brigitte Oberlechner aus Niederrasen Segelfalter Helmut Hilber aus St. Georgen

Spalier Apfelbaumanlage in voller Blüte Toni Willeit aus Ehrenburg

Wasser ist Leben, das brauchen wir. Margit Holzer aus St. Sigmund

Abendstimmung in Welsberg Wiki Bernardi aus Welsberg

Wen der Löwenzahn am schönsten blüht

54 LESERFOTOS PZ 13 | 29. JUNI 2023
Josef Engl aus Terenten Grönland Hans Willeit

Die Farben der Ladinischen Fahne. Lavarella - St. Kassian Herta Mangutsch

Turmfallke Dietmar Plaikner aus Pfalzen

Blumenhochbeet mit Dach

Rosmarie Mitterrutzner

Mein schönstes Leserfoto

Liebe Leserinnen und Leser, schickt uns Eure schönsten, lustigsten, überraschendsten und/oder atemberaubendsten Bilder –wir zeigen sie dem Pustertal!

Der Stern von Bethlehem

Zusendungen an:

E-Mail: info@pz-media.it oder

PZ, Oberragen 18, 39031 Bruneck

Wichtig: Bitte geben Sie Ihren Namen, ihren Wohnort und das Kennwort „Leserfoto“ an!

55 LESERFOTOS PZ 13 | 29. JUNI 2023
Die PZ behält sich das Recht vor, Inhalte und Fotos aus ethischen und anderen Gründen abzulehnen.
Florian Volgger aus Terenten Margareth Schuster Dagmar Pörnbacher

MARATONA DLES DOLOMITES

Ein Lächeln für die Menschlichkeit

Am zweiten Juli 2023 findet die 36. Auflage der Maratona dles Dolomites statt. Am Wettbewerb werden 8.000 Personen aus 75 Nationen teilnehmen, von denen 4.000 verlost wurden und 4.000 ohne Auslosung teilnahmeberechtigt sind. Insgesamt gab es 27.000 Bewerbungen. Insgesamt sorgen 1.500 Freiwillige für einen perfekten Ablauf.

Für das besondere Rennen stehen drei Strecken zur Verfügung: Die Maratona-Strecke mit 138 Kilometer und einem Höhenunterschied von 4.230 Metern, die mittlere Strecke mit 106 km und einem Höhenunterschied von 3.130 m und die Sellaronda mit 55 km und einem Höhenunterschied von 1.780 m. Sämtliche Straßen sind für diesen Anlass komplett gesperrt. Die Dolomitenpässe mit dem Fahrrad zu überqueren, ist wie das Epos des Radfahrens selbst, und dies in völliger Freiheit zu tun, ist unvergesslich: Campolongo, Pordoi, Sella, Grödnerjoch, Giau, Falzarego und Valparola: ein großartiges Karussell, in das man in der Stille und der Pracht einer einzigartigen Landschaft eintaucht. Und am Ende des Rennens nehmen alle Teilnehmer eine unvergessliche Erinnerung mit.

GREEN EVENT

Ausgabe für Ausgabe wollen die Organisatoren die Veranstaltung grüner und umweltfreundlicher gestalten. Heuer wurden 15 Mikroprojekte implementiert, die sich mit Nachhaltigkeit und Umweltschutz befassen. So hat Enervit in Zusammenarbeit mit der von WFTO (World Fair Trade Organisation) zertifizierten srilankischen Selyn Cooperative den Rennbeutel entwickelt. Eine Tasche aus 100 Prozent Baumwolle zum Wiederverwenden und ein vollständig recyclebares Lenkerband komplettieren das Angebot. Das Thema Nachhaltigkeit zeigt sich auch in der Initiative „Green Angel“, den nachhaltigen Mechanikern, die mit E-Bikes von

Pinarello und den von Audi zur Verfügung gestellten Elektroautos unterwegs sind. Die verwendeten Materialien für die Teilnehmermedaillen sind ebenfalls natürlich und stammen aus den Dolomiten: Zirbenholz in 60-Millimeter-Brettern und 60 Kilogramm Gestein der „Wengener Stratifizierung“ aus dem Dorf La Val in Alta Badia.

VIELE FREIWILLIGE

Es ist allseits bekannt, dass die freiwilligen Helfer die wahren Protagonisten des Rennens sind. Heuer wurden , knapp 1.500 Frauen, Männer und junge Leute aufgeboten, um die Veranstaltung reibungslos über die Bühne gehen zu lassen. Ohne sie gäbe es keine Maratona! Die Freiwilligen verteilen die Startnummern, betreiben die Labstationen, bereiten die Rennpakete vor, sorgen für die Sicherheit und koordinieren den Zielbereich. Die Liste ließe sich noch beliebig fort-

WICHTIGE FAKTEN

In Italien gibt es 107 Provinzen, 103 davon sind bei der Maratona vertreten. Dieses Jahr ist der älteste Teilnehmer der Italiener Orfeo Ramazzotti, geboren am 2. Februar 1941. Es gibt rund 1.500 freiwilligen Helfer, die insgesamt rund 23.250 Arbeitsstunden aufbieten. Sechs Labstationen befinden sich entlang der Strecke und während des Rennens werden 2.000 kg Äpfel, 1.500 kg Bananen, 380 kg Orangen, 9.500 gefüllte Brötchen, 180 kg Käse, 190 kg Schinken,

setzen. Freiwilligen sind die unerlässliche Stütze des gesamten Organisationsapparats. Wenn dann das Rennen vorbei ist und alles abgebaut wird, findet am Tag nach dem Rennen ein großes Fest für alle statt. Ein tolles Grillfest mit einer Lotterie entschädigt sie für die großen Anstrengungen.

Interessant ist auch, dass es den Organisatoren auch heuer gelungen ist, das Rennen live übertragen zu lassen. Die auf RAI 2 von 6.15 bis 12 Uhr gesendete Live-Übertragung ist ein wichtiges Schaufenster für die Gegend und den Amateur-Radsport. Mit den Fernsehbildern soll nicht zuletzt die ladinische Kultur mit ihren Sitten und Gebräuchen umfassend vermittelt werden. Die „Gazzetta dello Sport“ wird darüber hinaus eigene Talkshows mit wichtigen Sportpersönlichkeiten organisieren, die via Live-Stream auf www.gazzetta.it zu sehen sein werden. // rewe

620 kg Kuchen und Süßwaren, 3.900 Liter Coca-Cola, 6.500 Liter Mineralwasser, 900 Liter Eistee, 8.200 Liter Mineralstoffe, 2.150 kg Rana-Tortellini und 8.100 Koteletts und Bratwürste vertilgt. Mit dieser Ausgabe werden darüber hinaus zwei große Wohltätigkeitsprojekte (das Dynamo Camp und das Ausbildungs- und Rehabilitationsprojekt für Kinder und Jugendliche aus aller Welt von der Vereinigung „Insieme si può“) unterstützt. // rewe

56 SPORT & FREIZEIT PZ 13 | 29. JUNI 2023
Reparaturdienst für Geräte der führenden Marken 0474 375000

Das Hochfest der Biker

Am Samstag, den achten Juli 2023 wird in Niederdorf zum 28. Mal der Dolomiti-Superbike über die Bühne gehen. Es stehen drei Strecken zur Auswahl. Das Bike-Rennen zählt zu den teilnehmerstärksten in Europa und genießt den Ruf eines der härtesten MTB-Rennen in Südtirol und darüber hinaus. Heuer werden auch verstärkt E-Bikes zu sehen sein.

Die Anmeldungen laufen noch immer auf Hochtouren. Viele Bikerinnen und Biker aus allen Teilen der Welt haben sich bereits eingeschrieben. Und gar einige werden noch folgen. Das Rennen wurde im Jahr 1995 zum ersten Mal ausgetragen und seitdem hat sich dieses besondere Radsport-Event zu einem wahren Klassiker in der MTB-Szene entwickelt. Nicht umsonst zählte der Dolomiti Superbike 2006 und 2007 zum MarathonWeltcup, ehe vor 15 Jahren in Niederdorf sogar die Marathon-Weltmeister ermittelt wurden.

Das Erfolgsrezept des Dolomiti Superbike ist dabei einfach und komplex zugleich. Einfach, weil es dafür eigentlich „nur“ eine herausfordernde Strecke, ein phantastisches Bergpanorama im Dolomiten UNESCO-Welterbe, eine rundum perfekte Abwicklung, hilfsbereite und freundliche Mitarbeitende und Freiwillige, sowie ein auf ständige Weiterentwicklung bedachtes OK-Team braucht. Komplex, weil es diese Kombination eben nur beim Dolomiti Superbike gibt – mit Kurt Ploner als Visionär und „Pusher“ an der Spitze der Veranstalter.

NEUERLICH DREI STRECKEN

ZUR AUSWAHL

Was die Streckenanführung angeht, halten die Veranstalter an Bewährtem fest. So haben alle Teilnehmerinnen und Teilnehmer auch am Samstag, 8. Juli 2023 die Möglichkeit, zwischen drei Distanzen mit unterschiedlichem Schwierigkeitsgrad zu wählen. Die klassische Distanz ist 60 km lang und weist 1.570 Höhenmeter vor.

Auf der mittleren Strecke, die im vergangenen Jahr zum ersten Mal gefahren wurde, gilt es 85 Kilometer und 2360 Höhenmeter zurückzulegen. Die Lang-Distanz misst 123 Kilometer – bei sage und schreibe 3.400 Höhenmetern.

OK-Chef Kurt Ploner: Alles bereit für die Radler.

Beim Dolomiti Superbike sind aber auch EBiker willkommen. Entlang der Strecke gibt

Die Einschreibungen

Diese können noch unter https:// onreg.datasport.com/suedtirol-dolomiti-superbike-villabassa-i-2023 vorgenommen werden. Jeder Teilnehmende erhält ein Startpaket, ein Geschenk, hochwertige Produkte aus der Region, Infomaterial, die Startnummer mit dem Transponder für die Zeitmessung, sowie einen Gutschein für die Pasta-Party. // rewe

es zwei Lademöglichkeiten, damit nicht der Saft ausgeht. Die Batterien der E-Bikes können entweder bereits an der Nordic-Arena in Toblach oder später auf den Plätzwiesen aufgeladen werden. Noch etwas: Die E-Biker starten in einem von den restlichen Bikerinnen und Bikern getrennten Block und werden eigens gewertet.

Einschreiben können sich auch Radsportlerinnen und -sportler, die auf einem Gravel-Bike unterwegs sind. In jedem Fall steht einem faszinierenden Raderlebnis nichts mehr entgegen. // rewe

WOHNGENUSS IN BRUNECK/STEGEN

WOHNGENUSS IN BRUNECK/STEGEN

Neubauwohnungen in „Klimahaus A“

» 2-Zw., 1.OG. | 36 m² | 6,6 m² Terr. EUR 226.000,-

» 2-Zw., 1.OG. | 36 m² | 6,6 m² Terr. EUR 226.000,-

» 2-Zw., 2.OG. | 36 m² | 6,6 m² Terr. EUR 235.000,-

» 2-Zw., 2.OG. | 36 m² | 6,6 m² Terr. EUR 235.000,-

| 41 m² | 19 m² Terr. EUR 297.000,-

» 2-Zw., EG. | 42 m² | 16 m² T. | 142 m² Gar. EUR 325.000,-

» 2-Zw., 2.OG. | 41 m² | 19 m² Terr. EUR 297.000,-

» 3-Zw., EG. | 59 m² | 9 m² Terr. | 24 m² Gar. EUR 378.000,-

» 3-Zw., EG. | 59 m² | 9 m² Terr. | 24 m² Gar. EUR 387.000,-

» 3-Zw., EG. | 59 m² | 9 m² Terr. | 24 m² Gar. EUR 387.000,-

» 3-Zw., EG. | 71 m² | 9 m² Terr. | 25 m² Gar. EUR 448.000,-

» 3-Zw., EG. | 71 m² | 9 m² Terr. | 25 m² Gar. EUR 448.000,-

» 3-Zw., EG. | 71 m² | 9 m² Terr. | 25 m² Gar. EUR 448.000,-

» 3-Zw., 1.OG. | 71 m² | 9 m² Terr. EUR 429.000,-

» 3-Zw., 1.OG. | 71 m² | 9 m² Terr. EUR 429.000,-

» 3-Zw., 1.OG. | 71 m² | 9 m² Terr. EUR 429.000,-

» 3-Zw., 3.OG. | 65 m² | 17 m² Terr. EUR 495.000,-

» 3-Zw., 3.OG. | 65 m² | 17 m² Terr. EUR 495.000,-

» 3-Zw., 3.OG. | 65 m² | 17 m² Terr. EUR 495.000,-

» 4-Zw., 3.OG. | 74 m² | 28 m² Terr. EUR 610.000,-

*Keller inklusive | Autoabstellplätze: EUR 25.000,-

*Keller inklusive | Autoabstellplätze: EUR 25.000,-

* Keller inklusive | Autoabstellplätze: EUR 25.000,-

Verkauf: Richard Tonetti tr@zima.it | 348 8258484

Verkauf: Richard Tonetti tr@zima.it | 348 8258484

57 SPORT & FREIZEIT PZ 13 | 29. JUNI 2023
DOLOMITI SUPERBIKE IN NIEDERDORF
Es werden wieder zahlreiche Radlerinnen und Radler aus vielen Ländern erwartet. Die Bedingungen passen.
in „Klimahaus A“ » 2-Zw., 1.OG. | 36 m² | 6,6 m² Terr. EUR 226.000,» 2-Zw., 2.OG. | 36 m² | 6,6 m² Terr. EUR 235.000,» 2-Zw., 2.OG.
Neubauwohnungen

Eine grandiose Saison ist beendet

Die Vereinsmeisterschaft bei Karate Mühlbach war ein Fest der Freude, mit dem eine grandiose Karate-Saison 2022/23 zu Ende gegangen ist. Es war ein Schlussspurt nach Maß.

Das vereinsinterne Turnier ist der jährliche Höhepunkt, bei dem sich alle Mitglieder von Karate Mühlbach treffen. „Es ist spannend zu sehen, wer alles Teil des Teams ist, wie sich die Athleten entwickelt haben und wir diese Einheit erleben können“, so ein erwachsenes Vereinsmitglied. Während sich die Kinder in der Disziplin Kata (Form-Wettkampf) gemessen haben, zeigten die Jugendlichen und Erwachsenen ihr Können in beiden Disziplinen: Kata und Kumite (Zweikampf). Spannung, Aufregung und Nervosität lag in der Luft – vor heimischem Publikum einen Wettkampf zu bestreiten, lässt den Puls deutlich in die Höhe schießen. „Allen war es wichtig, maximale Leistungen zeigen zu können; sobald die Athletinnen und Athleten die Wettkampffläche betreten haben, zeigte sich der Ehrgeiz, der Biss und die Ernsthaftigkeit, die Karate Mühlbach auszeichnen“, so Trainer Martin Pezzei. Das zahlreiche und faire Publikum, das gefühlt zwei Stunden hindurch die Athletinnen und Athleten mit Applaus belohnt hatten, war für die Turnierteilnehmer ein zusätzlicher Motivationsgrund. Die Wettkämpfe selbst haben sich durch Fairness ausgezeichnet, wo jeder jedem den Erfolg gegönnt hat, wo man zwar Gegner auf der Wettkampffläche, aber wieder Freund nach dem Turnier gewesen ist. „Es war ein würdiger Abschluss dieser großartigen Saison“, so eine 17-Jäh-

rige nach der Vereinsmeisterschaft, an der viele mitgeholfen und zum Gelingen dieses Höhepunktes beigetragen haben.

RÜCKBLICK

Trainer Martin Pezzei hat in seiner Ansprache einen Rückblick auf diese spannende

Saison gegeben, in der es nicht nur große Herausforderungen zu meistern galt, sondern die durch eine dreifache Investition gekennzeichnet war: Es wurde viel an Planung, an Zeit und an Geld ins Training und in die Athleten investiert – was sich gerechnet hat und worauf in der kommenden Sai-

58 SPORT & FREIZEIT PZ 13 | 29. JUNI 2023
MÜHLBACH
KARATE
Kata Kumite Bei der Preisverleihung konnten die vielen guten Platzierungen gewürdigt und entsprechend in Szene gesetzt werden. Sie haben es sich alle verdient.

son aufgebaut werden kann. Eigens hervorgehoben und gedankt wurde Margit Zerle, die durch ihren Einsatz ermöglicht hat, dass die „Kids 2“ zweimal wöchentlich trainieren konnten; ebenso Silke Marcher, die stets zur Seite gestanden ist, „wenn es gebrannt hat“; dem gesamten Ausschuss, der viel im Hintergrund arbeitet, aber die Geschichte von Karate Mühlbach damit aktiv mitschreibt und prägt. Gedankt wurde auch all jenen, die das Karate-Training in Mühlbach möglich machen: Der Präsidentin des Sportvereins, Marlene Lanz, der Gemeinde und der Schule, vor allem auch den Förderern: Horst Nössing von der Weißen Lilie, dem Teamausstatter Parth und der Firma Schlosserei Huber Roman und Co.

AUSBLICK

Die Saison 2023-2024 verspricht erneut einen Qualitätssprung, da zwei neue Trainer hin-

ERFOLGREICHE DAN-PRÜFUNGEN

Die Yoseikan Budo & Fitness-Sektion des SSV Bruneck freut sich über erfolgreiche DAN-Prüfungen von drei Brunecker Athleten.

Das erfolgreiche Yoseikan-Team von Bruneck hat einen weiteren Grund zu feiern: Wieder einmal stand eine Diplomverleihung auf dem Programm, mit der traditionsgemäß das Erreichen der jeweiligen Leistungsstufe offiziell gewürdigt wird.

Nach einer langen Vorbereitungsphase und einer Reihe von besuchten Lehrgängen des Yoseikan-Verbandes war es beim nationalen Jahresmeeting Ende Mai in Rimini so weit: der Prüfungsabschluss für Arthur Mayr, Robin Palma (diesjähriger Staatsmeister der Junioren) und Renate Seeber. Arthur Mayr und Robin Palma wurden mit dem Schwarzgurt 1. DAN im Yoseikan Budo und 1. DAN in

zukommen werden und zwei Athleten sich zu VSS-Sportinstruktoren ausbilden lassen. Die Trainings-Schwerpunkte für die neue Saison hat das Trainerteam bereits anklingen lassen und den Athleten damit gezeigt, wie spannend und herausfordernd diese neue Saison zu werden verspricht.

Für die neue Saison, die im September beginnen wird, können sich Interessierte ab August bei Trainer Martin Pezzei anmelden (3391741291); bereits im Vorfeld findet man die wichtigsten Informationen auf der Homepage www.karate-muehlbach.it.

Karate ausgezeichnet – wobei anzumerken ist, dass sich bei Arthur mit seinen 16 Jahren zum jüngsten Schwarzgurtträger in Bruneck handelt. Für die beiden Wettkampferfahrenen Athleten waren die geforderten Kompetenzen und Techniken sowohl im Stand und im Boden sowie mit den Sportgeräten (Stock und Holzschwert) als auch im freien Kampf – ebenso wie die Anwendung- und Übungsaufgaben – kein Problem. Auch den Theorieteil meisterten die beiden Kandidaten mit Bravour, genauso wie die Pflichtformen Kata (festgelegte Abfolge von Techniken): für

Arthur Mayr und Robin Palma somit eine rundum gelungene Prüfung.

Renate Seeber hat mit ihrer dritten DANMeistergradprüfung für den Verein Geschichte geschrieben. Als erste Frau im Brunecker-Verein hat sie nach einer intensiven und systematischen Vorbereitung diesen Kompetenznachweis erfolgreich erbracht. Neben praktischem Können wurde ihr auch umfangreiches theoretisches Wissen über den Kampfsport abverlangt. Renate ist als Übungsleiterin und Tutorin im Einsatz und gibt ihr Wissen an den Yoseikan Budo-Nachwuchs des SSV Bruneck engagiert weiter. Mit Ihrem Können, ihrer Konstanz, ihrem Einsatz und nicht zuletzt ihrer Kollegial ist sie eine wertvolle Stütze im Verein.

Alle drei Budokas hatten das erworbene technische Wissen sowie Können im Rahmen der entsprechenden Teilprüfungen eindrucksvoll unter Beweis gestellt und die hohen Anforderungen bravourös gemeistert. Bei der Abschlusszeremonie beim nationalen Yoseikan Budo-Meeting in Rimini wurde ihnen dann von Meister Mitchi Mochizuki, dem älteren Sohn des Begründers der Kampfkunst Yoseikan Budo, das betreffende Diplom feierlich überreicht. // jp

59 SPORT & FREIZEIT PZ 13 | 29. JUNI 2023
// pez
YOSEIKAN BUDO BRUNECK Erfolgreich: Renate Seeber, Arthur Mayr, Meister Mitchi Mochizuki und Robin Palma. Athletinnen und Athleten des SSV Bruneck Yoseikan Budo und Fitness beim Meeting in Rimini.

TRAININGSLAGER DES VFL BOCHUM IN GAIS

EIN FRÖHLICHES WIEDERSEHEN

Der VfL Bochum 1848 schlägt auch heuer wieder sein Trainingslager in Gais auf. Vom 23. bis 30. Juli wird der Fußball-Bundesligist nach einem harten Abstiegskampf zu Gast in Gais sein. Untergebracht ist die Mannschaft im Hotel Windschar in Gais. Die täglichen Trainingseinheiten finden auf dem in perfektem Zustand befindlichen Fußballplatz statt.

Neben der Pressekonferenz sind im Rahmen der Trainingswoche auch Testspiele angesetzt, welche Fans aus nah und fern zum Zuschauen und Mitfiebern einladen.

Dabei wird VfL Bochum am 29. Juli gegen Parma Calcio antreten, wobei der Spielort noch nicht bekannt ist. Zeitgleich mit dem Trainingslager findet auch heuer wieder ein

WIRTSCHAFTSFACHOBERSCHULE BRUNECK

DIE BESTEN SPORTLER PRÄMIERT

Am Ende des diesjährigen Schuljahres fand an der WFO Bruneck eine Sportlerprämierung statt. Schüler und Schülerinnen, die im vergangenen Schuljahr herausragende Leistungen in ihren Sportarten erzielten konnten, wurden prämiert.

Die vielen Trainingseinheiten, anstrengenden und zeitintensiven Wettkämpfe der Athleten und Athletinnen wurden belohnt. Von Biathlon, Volleyball, Ski-Alpin und SkiNordisch, Fußball, Yoseikan Budo bis hin zu Eishockey vertreten unsere Sportler und Sportlerinnen ihre Disziplinen auf verschiedensten Leistungsebenen. Die Schüler und Schülerinnen verzeichneten ausgezeichnete Erfolge auf Landes- und Staatsebene. Um die Balance zwischen schulischer und sportlicher Karriere zu halten wird den Jugendli-

GSIESERTAL-LAUF

chen einiges abverlangt. Sport sollte in allen Schulen einen hohen Stellenwert haben, da es Werte vermittelt, den Kindern und Ju-

DIE ANMELDUNGEN FÜR DIE JUBILÄUMSAUSGABE LAUFEN

Im kommenden Jahr wartet der Gsiesertal-Lauf mit einer ganz besonderen Ausgabe auf: Es ist nämlich die 40. des beliebten Volkslanglaufs. Die Anmeldungen können ab sofort vorgenommen werden.

Während am Samstag, den 17. Februar 2024 das Klassik-Rennen über 42 bzw. 30 Kilometer stattfindet, messen sich die Langläufer am Sonntag, den 18. Februar, traditionell

beim Freistil-Rennen über 42 bzw. 30 km. Ab sofort sind die Anmeldungen für den Lauf geöffnet.

Im nächsten Jahr soll mit zahlreichen Jubiläumsaktionen dem Ereignis der würdige Stellenwert eingeräumt werden. Informationen dazu werden in den nächsten Monaten regelmäßig auf der Website und in den sozialen Netzwerken wie facebook und Instagram veröffentlicht. Man darf jedenfalls gespannt sein. Für wei-

Trainingscamp für Kids von 8 – 14 Jahren in Uttenheim statt. Ein Trainerteam des Vfl Bochum rund um Dariusz Wosz wird den Kindern aus Gais und Umgebung besten Fußball beibringen. // aldar

Leider ist uns in der letzten PZAusgabe (PZ vom 15.06.2023) ein Fehler passiert. Wegen eines technischen Missgeschicks wurde beim Artikel über das Trainingslager der falsche Text eingefügt. Wir bitten das zu entschuldigen. // Reinhard Weger

gendlichen lehrt mit Erfolgen und Misserfolgen umzugehen und sie auf ganzheitlicher Weise stärkt.

Ein besonderer Dank gilt der Firma HOKU aus Toblach, welche mit einer großzügigen Unterstützung die Sportler und Sportlerinnen belohnt hat.

tere Informationen und Anmeldungen: www.gsiesertal-lauf.com. // rewe

60 SPORT & FREIZEIT PZ 13 | 29. JUNI 2023
// cz
DER
ANMERKUNG
REDAKTION
Prämierung der Sportlerinnen und Sportler durch Direktor Markus Hilber und die Lehrpersonen für Sport und Bewegung.

DAS HÜTTENPANORAMA Wandern, Sport & Freizeit

61 PZ 13 | 29. JUNI 2023
Laura Haipl Johanna Zingerle Florian Hainz Richard Niederlechner Franz Erlacher Margit Holzer Chritian Ties

Das Hütten-Panorama

MITTLERES PUSTERTAL

64 » Das Almdorf Haidenberg

64 » Oberegger Alm

64 » Plattner Alm

65 » Gönner Alm

GADERTAL/HOCHABTEI

66 » La Crusc – Heilig Kreuz

68 » Fanes Hütte

»

»

Einzigartiges Event inmitten traumhafter Bergkulisse

Wer den Kronplatz noch nie bei Nacht erlebt hat, sollte das Event „Kronplatz by Night“ auf keinen Fall verpassen. Es erwartet euch ein einmaliges Zusammenspiel von Natur, Kultur und Unterhaltung.

Ihr habt nicht nur die Möglichkeit einen atemberaubenden Sonnenuntergang über den Alpenhauptkamm und den Dolomiten zu bestaunen, sondern könnt euch auch auf eine kulinarische Reise durch internationale und nationale Geschmackswelten begeben. Unsere Hütten und Restaurants verwöhnen eure Gaumen mit feinsten kulinarischen Kreationen – sowohl für Feinschmecker als auch für diejenigen, die herzhafte Gerichte lieben, ist genau das Richtige dabei.

Außerdem bietet euch die Veranstaltung die Gelegenheit, die beiden Museen am Kronplatz-Gipfel bei Dämmerung zu besichtigen, wodurch ihr die Kunst und Ausstellungsstücke in einer völlig neuen Weise erleben könnt. Während das Lumen-Museum in seinen Innenräumen alles rund um die Entwicklung der Bergfotografie zeigt, begeistert das MMM-Corones mit seiner außergewöhnlichen Architektur und seinen Exponaten, die über Erlebnisse der Bergsteigerlegende Reinhold Messner erzählen. Eine Erfahrung, die euch in Erinnerung bleibt! // PR-Info

62 PZ 13 | 29. JUNI 2023 DAS HÜTTENPANORAMA
68
68
Ütia Saraghes 68
Pisciadù Hütte 69
Edelweiss Hütte
AHRNTAL 70 » Weizgruberalm 70 » Mair am Tinkhof Alm 70 » Daimerhütte 70 » Schwarzbachalm 70 » Kegelgasslalm 70 » Hollenzalm 71 » Bizat Hütte 71 » Holzerböden 71 » Berggasthof Stallila 71 » Kasselerhütte 71 » Jägerhütte 71 » Birnlücken Hütte HOCHPUSTERTAL 72 » Taistner Vorderalm 72 » Regiohof 72 » Pizzeria Restaurant Bar Sonnleiten 72 » Plätzwiese Hütte 72 » Rudi Hütte 72 » Fonda Savio 73 » Hütte Zin Fux OSTTIROL 73 » Virgentaler Hütten UNTERES PUSTERTAL 74 » Pertinger Alm 74 » Tiefrastenhütte 74 » Kreuzwiesen Alm 74 » Tschiffernaun Alm 74 » Großberghütte 74 » Pranter Stadl Hütte 76 » Gampiel Alm 76 » Edelrauthütte EISACKTAL / BURGGRAFENAMT 75 » Geisleralm 76 » Plattkofelhütte 76 » Gartlhütte WIPPTAL 76 » Prantneralm 76 » Allriss Alm INHALT
68 » Lavarella Hütte 68 » Ütia Ciampcios
» Maurerberghütte
»
TAUFERER
Irmgard Eppacher

Hüttenspaß,

höchste kulinarische Genüsse und Natur pur

In der aktuellen PZ gibt es auf den folgenden Seiten einen umfangreichen Sonderteil über die Hütten und Almen des Pustertales. Diese haben sich im Laufe der Jahrzehnte zu wichtigen Akteuren im puncto Landschaftsschutz, Wirtschaft und bäuerliche Kultur entwickelt. Die Angebote sind überaus vielfältig und lassen kaum Wünsche offen. Die Natur bietet den großen Rest.

Wir haben heuer auch die grafische Linie dieses Ratgebers angepasst und leserfreundlicher gestaltet. Darüber hinaus haben wir auch einen Q-Code eingefügt. Jede Hütte hat einen eigenen Code. Einfach das Handy darauf halten und Sie werden auf die jeweilige Web-Seite geleitet. Dort können dann alle weiterführenden Informationen eingeholt werden. Ganz schnell und vor allem bequem!

Ihnen allen, liebe Leserinnen und Leser, wünsche ich beim Durchstöbern dieses Sonderteiles viel Vergnügen und vor allem die passenden Tipps und Ratschläge. Ich bin überzeugt davon, dass Sie fündig werden! Den teilnehmenden Hüttenwirten danke ich hingegen fürs Mitmachen!

Das Bergpanorama auf Radio Holiday

Bis Ende September sendet Radio Holiday täglich (außer sonntags) zwischen 08.00 und 08.15 Uhr das beliebte Bergpanorama.

Hüttenwirtinnen und Hüttenwirte informieren über die aktuelle Wetterlage, geben Prognosen und Einschätzungen. Zusätzlich gibt‘s den einen oder anderen Wandertipp und kulinarische Empfehlungen.

sponsored by Sport Mayrl

T. 393 22 33 222

MOUNTAIN CARD PUSTERTAL

Mit einem Ticket

zum Bergbahnerlebnis im Pustertal!

Die Erlebnisberge 3 Zinnen Dolomites, Kronplatz, Gitschberg Jochtal, Speikboden und Klausberg im Sommer entdecken. Mit der Moutain Card Pustertal ist das für 12 verschiedene Bergbahnen bequem möglich.

Das Pustertal ist vielseitig, am See, im Wald, am Berg und im Tal. Am abwechslungsreichsten wird es in luftigen Höhen, die dank der Bergbahnen bequem erreichbar sind. Die Mountain Card Pustertal bietet die Möglichkeit die 12 verschiedenen Bergbahnen der teilnehmenden Aufstiegsanlagen zu benutzen. Es warten atemberaubende Landschaften mit eindrucksvollem Panorama. Oben am Berg angekommen ist das Angebot vielfältig: eine Wanderung für Geübte oder für Familien mit Kinderwagen, ein Besuch im Museum, ein Ausflug in einen der Erlebnisparks oder ein Einkehrschwung in eine gemütlich Almhütte – für jeden ist etwas dabei!

PREISE

Die Mountain Card Pustertal ist eine Punktekarte und inkludiert Berg- und Talfahrten (kein Tagesticket). Ein Punkt beinhaltet eine Berg- und Talfahrt, die bei jeder teilnehmenden Bergbahn im Pustertal eingelöst werden kann. Hunde, Mountainbikes, Paraglider sind im Ticketpreis nicht enthalten. Das Ticket kann bei den Kassen der teilnehmenden Aufstiegsanlagen oder online unter www. mountaincard.it gekauft werden. // PR-Info

63 PZ 13 | 29. JUNI 2023 DAS HÜTTENPANORAMA
Bergbahnen BERG- & TALFAHRT Erwachsene > 16 Junior 8 – 16 Kinder < 8 3x in 5 Tagen 6 68 € 4 49 € free 5x in 7 Tagen 85 € 6 61 € free 8x im Sommer 125 € 8 88 € free 3 Zinnen Dolomites Kronplatz Speikboden Klausberg Gitschberg Jochtal 2023 www.mountaincard.it INFOS & ONLINE SHOP Südtiroleraufgepasst!
1 Ticket 12
www.radioholiday.it

DAS IST WICHTIG BEI DER WAHL DER WANDERSCHUHE

Auf sicheren Sohlen

Raus in die Natur, auf unebenen Pfaden unterwegs sein und neue Wege erkunden, dazu lädt Wandern ein. Damit dies eine angenehme Erfahrung für den ganzen Körper wird und es nicht früher oder später zu Gelenkbeschwerden und Schmerzen kommt, ist die Wahl des richtigen Schuhwerks bewusst vorzunehmen.

Die richtet sich in erster Linie nach den Vorhaben. Je anspruchsvoller das Gelände ist, umso höher und fester sollte der Schuh sein. Auch das Gepäck spielt mit hinein. Während bei einem leichten Rucksack Halbschuhe meist ausreichend sind, sollte man bei

Das Almdorf Haidenberg in

Stefansdorf

1.354 m

Das Almdorf Haidenberg befindet sich in Stefansdorf und ist zu Fuß entlang beschilderter Wanderwege oder ganzjährig mit dem Auto über eine gut befahrbare Straße zu erreichen.

Im heimeligen Ambiente mit kulinarischen Köstlichkeiten finden Sie bei uns die ideale Lage für Ihre Feier oder Ihren Hochzeitsaperitif.

Tel . +39 0474 548 062 | Mobile: 340 51 89 293 info@haidenberg.it | www.haidenberg.it

Oberegger Alm Olang

Parkplatz Geiselsberg; hoch zur Pfarrkirche und weiter über den leichetn Wanderweg Nr. 3 bis zur Oberegger Alm (Gehzeit: ca. 40 min.).

Oberegger Alm | Eggerweg 21 | 39030 Olang / Geiselsberg Tel. 347 522 0122 | www.obereggeralm.com

einem schweren lieber zu Stiefeln greifen. Temperatur und Gelände bestimmen über die Wahl des Materials. Leder ist zum Beispiel robust, widerstandsfähig und sorgt für ein angenehmes Fußklima. Ein weiterer Vorteil ist, dass sich Lederschuhe mit dem Einlaufen an die persönliche Fußform anpassen. Allerdings trocknet es nur sehr langsam und braucht vor allem Pflege! Mesh-Gewebe ist weniger robust, dafür aber besonders leicht, atmungsaktiv und flexibel. Jedoch sind beide Materialien nicht wasserdicht.

Muss man also mit Regen oder gar Schnee rechnen, sollte man zu Artikeln mit einer Tex-Membran greifen. In dieser sind zahlreiche winzig kleine Löcher eingearbeitet, die um ein Vielfaches kleiner als Wassertropfen sind. Somit kann kein Wasser eindringen, die Haut aber trotzdem atmen. Dennoch schwitzt man in Schuhen aus diesem Material mehr als bei anderen. Es lassen sich aber auch Kompromisse finden, wie zum Beispiel mit gewachsten Lederschuhen. Diese sind dann zwar nicht hundertprozentig wasserdicht, dafür aber immerhin wasserabweisend. In jedem Fall sollte man zum Schuhkauf genügend Zeit mitbringen! Am besten führt man diesen nachmittags oder abends durch, da die Füße im Laufe des Tages anschwellen. Auch eine fachliche Beratung ist sinnvoll. //

1.942 m

Die Plattner Alm ist ca. 1 Stunde zu Fuß vom Parkplatz Platten bei Pfalzen zur erreichen und für Familien geeignet. Sie verwöhnt mit typischen Almgerichten sowie hausgemachten Kuchen.

Geöffnet von Mai bis Oktober. Mittwoch Ruhetag, außer im Juli und August.

Plattner Alm | Tel. 327 583 3355 plattneralm@gmail.com

64 PZ 13 | 29. JUNI 2023 DAS HÜTTENPANORAMA
Plattner Alm - Platten/Pfalzen Gertrud Lercher
1560 m
Sonnenterrasse mit herrlichem Ausblick auf das obere Pustertal und die Dolomiten. Ganzjährig mit dem Auto erreichbar. Montag Ruhetag.
65 PZ 13 | 29. JUNI 2023 werbedesign.it Sonnenterrasse Gemütlicher Forstweg Gehzeit 1,5 h . Bike-Station Terrazza soleggiata Agevole strada forestale Tempo di percorso 1,5 h Oberwielenbach / Vila di Sopra · T +39 347 98 76 876 · www.goenneralm.com
Bruneck Brunico 6 16a Percha Perca Oberwielenbach Vila di Sopra Rammelstein Montone Gönner Alm Malga Gönner Erdpyramiden Piramidi di terra
alm OBERWIELENBACH Ich gönn mir was! Goditi la vita!
Olang Valdaora

Vier Gipfel, eine Herausforderung

Es ist bereits die fünfte Sommersaison, dass sich Extremsportler in Alta Badia, im Gebiet La Crusc/ Hl. Kreuz, sich einer spannenden Herausforderung stellen können: „4 Peaks Alta Badia“. Wer schafft es, alle vier Gipfel der Kreuzkofelgruppe an nur einem Tag zu bewältigen, um „Alta Badia Mountaineer“ ernannt zu werden?

Abenteuer, Adrenalin und atemberaubende Ausblicke: Das erwartet all jene, die sich der „4 Peaks Alta Badia“ - Challenge annehmen. Ihr Ziel ist die Bewältigung der vier Gipfel Kreuzkofel (Sas dla Crusc 2.907 m), Zehnerspitze (Piza dales Diesc 3.026 m), Lavarela (3.055 m) und Conturines (3.064 m): Was manche schon in Etappen an ihre Grenzen bringt, sollen Extremsportler an nur einem Tag schaffen (gesamte Gehdauer: ca. 11 Stunden).

DIE WILDE SEITE DER DOLOMITEN

Auf den anspruchsvollen Touren geht es wortwörtlich über Stock und Stein: Ausgebaute Wege, Pfade, aber auch Klettersteige führen den Sportler hinauf zu den Gipfeln und durch das beeindruckende UNESCO-Welterbe der Dolomiten. Einige ausgesetzte Streckenabschnitte sorgen für einen zusätzlichen Abenteuerfaktor. Für all jene, die gesichertes Gelände bevorzugen, wird auch eine „Light-Variante“ angeboten: Hier ist die Gehdauer zwar länger (ca. 14 Stunden), doch der ausgesetzte Abschnitt kann umgangen werden.

MEDAILLE UND DIPLOM ALS AUSZEICHNUNG

Wer sich an die Herausforderung der 4 Peaks Alta Badia wagen möchte, kann sich zunächst online unter www.4peaks.it anmelden, da findet jeder Interessierte alle notwendigen Informationen. Auf jedem der vier Gipfel ist eine Lochzange mit einem speziellen Symbol angebracht; Oben angekommen, stanzt man das jeweilige Symbol in den Gipfelpass, den der Teilnehmer davor ausgehändigt bekommt.

25 km Länge

2.000 Mt. Höhenunterschied

11 h Gehdauer

Startpunkt: La Crusc/Hl. Kreuz in Badia

Ziel: Capanna Alpina, St. Kassian //

66 PZ 13 | 29. JUNI 2023 DAS HÜTTENPANORAMA
Anzeige
4 PEAKS ALTA BADIA:
G 49 G 13 G 0 C K 00 C K 30 00 C K 00 00
» The extreme challenge in the Dolomites «

Die kleine Perle in Alta Badia

La Crusc ist ein besonderes Gebiet, welches nicht nur Spiritualität und Ruhe spüren lässt, sondern bietet auch unzählige Freizeitmöglichkeiten an. Sowohl im Sommer als auch im Winter lädt La Crusc zu kulturellen Erfahrungen auf der Entdeckung der Ladinischen Lebensweise ein.

Der Sommer in La Crusc bietet nicht nur Spaß für Kinder im neuen „SummerPark La Crusc“, sondern auch verschiedene Wandermöglichkeiten, Touren auf gesicherten Wegen zu beeindruckenden Gipfeln, Freeclimbing-Routen auf den steilen Wänden des Sas dla Crusc – diese jedoch sind nur für sehr erfahrene Climber geeignet. Auch Bike-Liebhaber finden interessante Routen sowohl für MTB als auch für E-Bike, sei es bergauf als auch bergab. Die ArmentaraWiesen sind mit ihren umwerfenden Panoramaaussichten und der einzigartigen Alpenflora ein unglaubliches Spektakel. //

Die historische Bergkirche La Crusc, errichtet im 15. Jahrhundert, ist die Besonderheit dieses Ortes am Fuße des Bergmassivs Sas dla Crusc (Kreuzkofel), gelegen auf einer Höhe von 2045 Metern.

In La Crusc befinden sich die Tore zum Naturpark Fanes-SennesPrags, gehörend zum Naturwelterbe UNESCO, der mit seinen einzigartigen geologischen Beschaffenheiten und atemberaubenden Blicken zu den beliebtesten und meist besuchten Orten der Dolomiten zählt. Die Natur, die La Crusc umgibt, wird die Besucher über das ganze Jahr faszinieren. So ist die bekannte Enrosadira, oder besser, die rötlichen Töne, die die Dolomiten bei Sonnenuntergang färben, eine wahre Lebenserfahrung.

67 PZ 13 | 29. JUNI 2023 DAS HÜTTENPANORAMA R G B 228 49 70 R G B 114 13 21 R G B 0 0 0 C M Y K 00 86 60 0 C M Y K 30 100 100 00 C M Y K 00 00 00 00 SEGGIOVIA SANTA CROCE SPA Str. La Müda 3 – 39036 Badia | Tel. +39 0471 839645 E-Mail: info@santa-croce.it | www.santa-croce.it Öffnungszeiten: 10.06. - 01.10.2023 | 08,30 - 17,30 Uhr Anzeige
LA CRUSC – HEILIG KREUZ / DOLOMITEN / UNESCO

2.060m

Fanes Hütte im Naturpark Fanes-Sennes-Prags

Das Schutzhaus liegt inmitten grüner Almwiesen von Kleinfanes oberhalb von St. Vigil-Enneberg, umgeben vom alpinen Naturschauspiel der Dolomiten.

Das reichhaltige kulinarische Angebot und die herzliche Gastfreundschaft machen den Tag in der Fanes Hütte zu einem unvergesslichen Erlebnis.

Fanes Hütte | Tel.: 0474 45 30 01 info@rifugiofanes.com | www.rifugiofanes.com

Ciampcios

Die Ütia Ciampcios in Munt d’Adagn, mitten im Naturpark Puez Odles in Lungiarü, ist eine wahre Oase der Erholung.

Die Ütia Ciampcios erreichen Sie in 1,5 Std., ausgehend vom Parkplatz Pares in Lungiarü, problemlos auch mit Kinderwagen.

Tel. +39 335 78 66 436 info@uetiaciampcios.com www.uetiaciampcios.com

Lavarella Hütte - Fanes Alm 2050 m

Die Schutzhütte Lavarella liegt in einer traumhaften Lage inmitten des Naturparks Fanes Sennes Prags mit der höchstgelegenen Kleinbrauerei in den Dolomiten.

Wir sind erreichbar von: Pederü/St.Vigil, Capanna Alpina/Sankt Kassian, Wengen oder auch Cortina D’Ampezzo.

Lavarella Hütte | Tel. 0474 501079 www.lavarella.it

Ütia Saraghes - in St. Kassian

1837 m

Eindrucksvolles Bergpanorama: Die Kreuzkofelgruppe, das Lavarellamassiv, Lagazuoi und Setsas bieten eine imposante Kulisse.

Ob zu Fuß, mit dem Bike oder dem Kinderwagen – die Ütia Saraghes lässt sich im Sommer über einen schönen Spazierweg einfach erreichen.

Ütia Saraghes | Tel. 335 7897164 info@saraghes.com | www.saraghes.com

Hoch über dem Gadertal thront die Maurerberghütte mit atemberaubenden Blick auf die Geislerspitzen, den Peitlerkofel bis zum Heiligkreuzkofel.

Die Hütte bietet eine komfortable Unterkunft für Wanderer oder für einen mehrtägigen Wanderurlaub.

Tel. 0474 520059 | 347 0840435 St. Martin in Thurn (Untermoi)

Pisciadù Hütte - Alta Badia

2.587 m

Vom Schutzhaus südlich des Grödner Jochs in der nördlichen Sellagruppe gelegen, blickt man auf die nördlich gelegene PuezGruppe.

Das Schutzhaus bietet ausreichend Übernachtungsmöglichkeiten und ist Zwischenstation oder Etappenziel auf dem Dolomiten-Höhenweg.

Pisciadù Hütte - Alta Badia

T 0471 836292 - 335 6096141 | www.rifugiopisciadu.it

68 PZ 13 | 29. JUNI 2023 DAS HÜTTENPANORAMA
2.030 m Ütia
Maurerberghütte
2.157m

Die Schutzhütte Edelweiss befindet sich oberhalb vom Dorf Kolfuschg in Alta Badia, mitten im Edelweißtal, am Fuße des Sassonghers und des Ciampatsch-Berges, in einer besonders sonnigen Panoramalage. Im Familienbetrieb erwartet Sie nicht nur Gastfreundschaft, Freundlichkeit, Sympathie und eine atemberaubende Sicht auf den Sellastock in erster Linie und die Marmolada und Monte Civetta in der Weite, sondern Sie finden auch ein Restaurant und eine große Auswahl an leckeren Gerichten. Die Schutzhütte befindet sich in einer idealen Lage als Erfrischungsort während einer Wanderung. Vom Grödner Joch aus erreichen Sie die Edelweisshütte gemütlich in zwei Stunden. Zögern Sie nicht, uns in der Schutzhütte Edelweiss zu besuchen!

Weitere Touren finden sie auf www.almenrausch.at und www.sentres.com. Tipp: Wir organisieren auch besondere Anlässe, wie z. B. Hochzeiten, Geburtstage oder Familienfeiern.

Il rifugio Edelweiss si trova sopra il paesino di Colfosco in Alta Badia, nel mezzo della Valle Stella Alpina, ai piedi del Sassongher e del Monte Ciampac, in una posizione particolarmente panoramica e soleggiata. Nel ristoro di gestione familiare non Vi aspettano soltanto ospitalità, cordialità, simpatia ed una vista mozzafiata che spazia dal Gruppo Sella in primo piano, alla Marmolada ed al Monte Civetta in lontananza, ma troverete anche un ristorante con un ampia scelta di gustosi piatti. Il rifugio si trova in una posizione ideale come punto d’ appoggio durante la Vostra escursione. Dal Passo Gardena potete raggiungere il rifugio Edelweiss in una gradevole camminata di due ore.

Considerazioni per diverse escursioni ed altre informazioni sul nostro rifugio trovate sul sito web www.rifugioedelweiss.com - nostra offerta: organizziamo anche eventi particolari come matrimoni, compleanni e festività familiari.

EDELWEISSHÜTTE KG

Altonnstraße 18, 39030 Kolfuschg Tel. 0471/836024 - 0471/830332

rif.edelweiss@hotmail.it www.rifugioedelweiss.it

69 PZ 13 | 29. JUNI 2023 DAS HÜTTENPANORAMA

Weizgruber Alm im Mühlwalder-Tal

2.040 m

Eingebettet von den Dolomiten im Süden und den Dreitausendern der Zillertaler im Norden, überrascht die Einkehr mit einem fabelhaften Ausblick, einer zur Erholung einladenden Naturlandschaft.

Die Weizgruberalm erreicht man vom Parkplatz aus über einen gemütlichen Wanderweg durch Wald und Bergwiesen, mit mäßigem Anstieg bis zur Alm. Gehzeit: 1,5 Std.

Fam. Niederbrunner | Tel. +39 340 8195565

Mair am Tinkhof Alm - Zösental in Lappach

1.760 m

Unsere Almhütte liegt auf 1760 m Meereshöhe im Zösental in Lappach. Sie ist in wenigen Gehminuten und auch mit Kinderwagen leicht erreichbar. Von Mitte Juni bis Mitte Oktober ist unsere Alm bewirtschaftet.

Man kann auf den Eggespitz oder das Rieglerjoch wandern, oder Sie wagen den Überstieg von den Bergl-Seen über den Napfspitz zur Edelrauthütte.

Mair am Tinkhof Alm

Tel. +39 340 9415965 | www.mairamtinkhof.eu

Daimerhütte - im Rohrbachtal in St. Johann / Ahrntal

1.862 m

An der Südseite der Zillertaler Alpen im Rohrbachtal unterm Schwarzenstein liegt die seit dem Jahr 1884 bewirtschaftete Daimerhütte. Sie dient als Almbetrieb und Jausestation mit Übernachtungsmöglichkeit im Hüttenlager.

Unsere traditionelle Küche ist bis Mitte Oktober von Früh bis Abends für Sie geöffnet.

Täglich wird frische Butter und Graukäse hergestellt.

Tel. 348 7248124 + Tel. 348/7230207 daimerhuette@gmail.com

Kegelgasslalm - St. Johann / Ahrntal 2109 m

Von unserer Alm aus haben Sie eine wunderschöne Aussicht. Gipfel wie der Kreuzkofel, Löffler, Schwarzenstein oder die westl. Floite sind von uns aus zu erreichen.

Eine besondere Spezialität sind unsere hausgemachten Knödel. Bis zu zwölf verschiedene Knödelvariationen stehen zur Auswahl.

Familie Gruber | Tel. 348 8730731

info@kegelgassl.eu | www.kegelgassl.eu

Schwarzbachalm im Ahrntal

Das Ausflugsziel am Wolfskofel, zwischen Luttach und Weißenbach für Familien, Sportbegeisterte und Mountainbiker, sowie Erholungssuchende.

Erreichbar vom Parkplatz des Innerbachhofes in einem leichten Spaziergang von 15 min, oder in 1,5 Std. ab Luttach, und in 2,5 Std. von Weißenbach aus.

Tel. +39 391 3321903 | www.schwarzbachalm.com

Ruhetag: Donnerstag (außer Hochsaison)

Hollenzalm oberhalb St. Jakob im Ahrntal

1.831m

Die familienfreundliche Alm liegt zu Füßen von Dreitausendern und bietet den Wanderern eine gemütliche Sonnenterrasse.

Die Kinder vergnügen sich auf dem Spielplatz und die Küche verwöhnt die kleinen und großen Gäste mit zünftigen Brettljausen und Ahrntaler Spezialitäten.

Fam. Niederkofler, St.Jakob

Tel. 347 5713156 • www.unterberghof.net

70 PZ 13 | 29. JUNI 2023 DAS HÜTTENPANORAMA
1.905 m

1.900 m

Familienparadies Bizat

Hütte - Ahrntal 1.430m

Die Bizat Hütte erreicht man, vom Parkplatz ausgehend, über einen 15-20 min. Fußweg und ist geeignet für die ganze Familie (Kinderwagen, Mountain Bike) oder über den Ahrntaler Sonnenweg oder Hexensteig mit dem Frankbach Wasserfall.

Es gibt die Südtiroler Spezialitäten sowie Eis, Kaffee und Kuchen, raffiniert und frisch zubereitet aus einheimischen Produkten, ein absoluter Gaumenschmaus.

Bizat Hütte | Herbert Oberschmied | Tel. 349 3622039

St. Johann / Ahrntal

Berggasthof Stallila 1.472 m

Ein beliebtes Ausflugsziel für Wanderer und Ausgangspunkt für anspruchsvollere Hochtouren auf den Schwarzenstein (3.344m) und den Kreuzkofel (2.345m).

Die gemütliche Sonnenterrasse lädt zur Erholung ein und die Kinder unterhalten sich am schönen Spielplatz und bei den Tieren vor Ort.

Rohrberg 37, 39030 St.Johann / Ahrntal Tel.: 0474/670141

Die Almhütte auf den Holzerböden

Eine wahre Aussichts-Perle auf das gesamte Tal erwartet Wanderer und Bergsteiger auf den Holzerböden oberhalb von Steinhaus im Ahrntal.

Das ideale Wanderziel für Familien und Mountainbiker, Wanderzeit circa 1 Stunde. Hausgemachte Gerichte und Käsespezialitäten.

Steinhaus/Ahrntal, Hermann Klammer | Tel. +39 349 7130859

Kasseler Hütte - Rein in Taufers

2.274 m

Die Kasseler Hütte ist ein beliebter Einkehrpunkt über den Höhenweg Arthur Hartdegen. Von der Kasseler Hütte kann man bequem in einer Gehstunde den Malersee erreichen.

Weitere beliebte Touren sind der Schneebige Nock, der Magerstein oder für anspruchsvolle Bergsteiger der Hochgall.

Schutzhütte Tel: 0474 672 550 Tel. 333 7238426 | www.kasseler-huette.com

Jägerhütte (Trinksteinalm) in Heilig Geist

1.700 m

Die urige Jägerhütte in Hl.Geist begeistert mit einer Vielfalt an geschmackvollen Speisen sowie einem Lächeln. Sie ist in 45 min vom Parkplatz Kasern leicht erreichbar.

Ausgangs- oder Schlusspunkt für Hochtouren wie Rötspitze, Dreiherrnspitze, Birnlückenhütte oder dem Klockerkarkopf („Vetta d‘Italia“).

Jägerhütte (Trinksteinalm) | Kasern Tel. 348 3651402

Birnlücken Hütte

Seit 1975

die nördlichste Schutzhütte Italiens

2.441 m

Am Fuße der Dreiherrenspitze und dem Glockenkarkopf gelegen, zählt die Hütte zu den schönstgelegenen Schutzhütten Südtirols

Start am Parkplatz in Prettau-Kasern bis zum Ende des Talbodens, dann führt der Anstieg in Serpentinen bis zur Birnlückenhütte.

Geöffnet: Ende Juni - Anfang Oktober

Familie Untergassmair: Tel: 0474 - 65 41 40

71 PZ 13 | 29. JUNI 2023 DAS HÜTTENPANORAMA

Taistner Vorderalm

2.012 m

Eingebettet in die Wälder am Fuße des Lutterkopfs, ist die Wanderung zur Taistner Vorderalm besonders für Familien sehr lohnend.

Es erwarten Sie Felix und sein Team mit einer warmen Mahlzeit, echter Tiroler Küche und vielen Schmankerln.

Tel. 340 3359611 · Taisten Welsberg

Ruhetag: Montag

Regiohof Bauernkuchl – Hofwerkstatt – Hofladen 1.400 m

Sommer-Zeit ist Regiohof-Zeit – genießen wie anno dazumal. Bauernkuchl & Hofladen. Panoramastube & -terrasse.

Bis 09.09. täglich von 11.30 bis ca. 19.00 Uhr, Sonntags ab 10 Uhr geöffnet. Mittwoch Ruhetag. Im August kein Ruhetag.

P. Haspinger Str 22c . I-39030 St. Magdalena Gsies T +39 0474 948 562 . www.regiohof.com

2.000 m

Pizzeria Restaurant Bar SONNLEITEN in Prags 1.400 m

Das Restaurant/Pizzeria Sonnleiten befindet sich an der Aufstiegsanlage in Prags.

Auf der sonnigen Terrasse genießt der Gast schmackhafte Gerichte. Die Kinder spielen währenddessen auf dem Spielplatz mit Trampolin und Hüpfburg. Im Juli und August bereitet Chef David leckere Grillgerichte am Barbecue zu.

Öffnungszeiten von 16.00 bis 23.00 Uhr

Kein Ruhetag | Tel: +39 0474 862517

Berggasthof Plätzwiese

in Prags

Der Berggasthof liegt im Naturpark der Pragser Dolomiten. Man erreicht ihn von Brückele über den Wanderweg Nr. 37.

Weitere lohnende Aufstiegsmöglichkeiten bietet der Weg Nr. 37 von Schluderbach über das Seelandtal (1,5 h) oder der Weg Nr. 18 über das Knappenfußtal ab „Gemärk“ (1,45 h).

Berggasthof Plätzwiese | Außerprags 58 | Prags Tel. +39 0474 748650 | info@plaetzwiese.com

Rudi Hütte - Rotwandwiesen

1.905 m

Direkt neben der Bergstation der Rotwandwiesen-Umlaufbahn auf 1.905 m Meereshöhe liegt die Rudi Hütte.

Erreichbar mit der Kabinenbahn Rotwandwiesen oder über die Fußwege: Bad Moos Nr.151; Dolomitenhof (P Fischleintal) Nr.153 + Nr.124, etc.

Sexten | Tel +39/347/2847714 | www.rudihuette.it

Öffnungszeiten: Juni bis Oktober.

2.367 m

Direkter Zustieg Weg Nr. 115 vom Geisterplatz oberhalb Misurina - 1 h Gehzeit - Dolomiten Höhenwege Nr. 4 und 9 - Wanderkarte „Sextner Dolomiten“

Öffnungszeiten: 17.06 bis 01.10

T 0435 39036 / 0435 366056 | www.fonda-savio.it

72 PZ 13 | 29. JUNI 2023 DAS HÜTTENPANORAMA
Fonda Savio Hütte Wir sind ein kleine aber feine Schutzhütte südlich der 3 Zinnen und sind bekannt für unser gutes Essen.

Hütte Zin Fux in Sexten

1.438 m

Gut Essen und den Ausblick auf der sonnigen Terrasse genießen. Die Hütte ist perfekter Zwischenstopp bei einer Wanderung über den Sextner Rundweg, zum Kreuzbergpass oder zu den Almen. Direkt mit dem Auto erreichbar.

Gerne verwöhnen wir euch auch am Nachmittag oder am Abend, unsere Küche ist im Sommer durchgehend geöffnet. Schau vorbei und bleib gerne etwas länger!

St. Josef-Str. 59, 39030 Sexten | T. +39 348 527 1851 www.zinfux.com

ZWANG IST KONTRAPRODUKTIV

Auf den Körper hören

Jeder kennt es, wenn Gedanken zum Beispiel Ängste, Zweifel oder auch Leistungsdruck auslösen. Besonders wenn es um Sport und Gesundheit geht, gibt es eine Vielzahl an Meinungen, egal ob aus Fachkreisen oder der Nachbarschaft. Ein ständiges Vergleichen mit seinem Umfeld ist wie ein gefundenes Fressen für Selbstvorwürfe.

VIRGENTAL

DAS WANDERTAL

Kostenlos

erhältlich:

Tourismusinfo

Matrei i.O.

+43 50 212 500 matrei@osttirol.com

Kulinarisches wandern von Hütte zu Hütte auf dem Lasörlingund Venediger Höhenweg mit 18 bewirtschafteten Hütten und Almen. Erlebniswanderungen mit Nationalpark Rangern Klettersteige • Naturlehrwege • Iseltrail • Thiemeweg • Sunnseitnweg • Umballfälle www.virgentaler-huetten.at

Etwas Entscheidendes sollte man dabei jedoch nicht vergessen: wie man sich damit fühlt. Das Gespür für den eigenen Körper und dessen Bedürfnisse ist ein persönlicher und hilfreicher Ratgeber. Denn dabei handelt es sich um einen hochintelligenten Komplex, der kommunizieren kann. Um dessen Signale wieder besser wahrnehmen und deuten zu können, sind Achtsamkeitsübungen ein sinnvoller Begleiter. Mit etwas Übung erkennt man, ob man gerade ein bisschen Bewegung oder lieber eine Pause braucht. Man lernt, was einem gut tut. Das steigert die Lebensqualität spürbar und ganzheitlich. //

Simon Gietl

Alpinist aus Leidenschaft und Käse-Genießer

Spitzenklasse aus der Dolomitenregion Drei Zinnen www.3zinnen.it

73 PZ 13 | 29. JUNI 2023 DAS HÜTTENPANORAMA
mendinirobertodesign.it Foto Christian Gufler
Sennerei Drei Zinnen_Pustertaler Z 210x143.indd 4 31.01.23 14:56

Pertinger Alm bei Terenten

1.861 m

Das ideale Jauseplatzl mit grandiosem Ausblick: im Sommer zum Wandern oder Mountainbiken.

Wir verwöhnen Sie mit Tiroler Spezialitäten und hausgemachten Kuchen und für unsere kleinen Gästen haben wir einen Kinderspielplatz, sowie Tiere zum Streicheln!

Im August kein Ruhetag

Pertinger Alm | Tel. 348/90 540 28 | www.pertingeralm.it

AVS-Tiefrastenhütte

2.312 m

Die Tiefrastenhütte (2.312m) liegt mitsamt eines kleinen Bergsees in einem beeindruckenden Hochkar der Zillertaler Alpen.

Der Zustieg über den Normalweg durch das Winnebachtal oberhalb von Ast bei Terenten dauert ca. 2 Stunden.

Geöffnet: Mitte Mai - Anfang November | kein Ruhetag Tel. 334 989 6370 www.tiefrastenhuette.it

Schutzhütte Kreuzwiesenalm auf der Lüsner Alm

1.925 m

Hüttenurlaub mit 10 Zimmern - Almkäserei - Spielplatz - Kegelbahn. Geöffnet von Mai bis November

Von Lüsen ab dem Parkplatz Schwaigerböden auf 1.720 m ist ein einfacher und kurzer Aufstieg (¾ h) zur Hütte möglich - Kinderwagen tauglich.

Familie Hinteregger | Tel. 333 7484880

Tschiffernaun Alm in Vals

Die Tschiffernaunalm begeistert nicht nur mit ihrer sonnenverwöhnten Lage, sondern auch mit einer ausgezeichneten Küche mit selber gemachten Produkten.

Sie erreichen uns vom Parkplatz Fanealm/Vals: über die Forststraße Nr.15 (Gehzeit: 1,40 h) oder über den AVS Jägersteig Nr.15/A (Gehzeit: 1 h)

Geöffnet: Mitte Juni - Ende September, kein Ruhetag Tschiffernaun Alm | 39037 Vals| Tel. 333 5929637

Großberghütte - Altfasstal 1.640 m

Am Anfang des idyllischen Altfasstales liegt die Großberghütte, inmitten einzigartiger Natur, bequem erreichbar in nur 30 Minuten vom Parkplatz Altfasstal aus.

Die Hütte ist ein Ausgangspunkt für unzählige Spaziergänge, Bergtouren, Hüttenwanderungen und ideal für Mountainbiker und Familie.

info@kreuzwiesenalm.com | www.kreuzwiesenalm.com Tel. +39 0472 520 277 | www.grossberghuette.com

Geöffnet von Mitte Juli bis November

Prantner Stadlhütte im Altfasstal

1.833 m

Urige Almhüttte im Talschluss des idyllischen Altfasstales mit großem Kinderspielplatz, Tieren und Liegewiese.

Durchgehend warme Tiroler Küche, jeden Sonntag und an Feiertagen Grillspezialitäten.

Von Mitte Mai bis Ende Oktober geöffnet. Kein Ruhetag

Adriana und Matthias mit Team Handy 348 2123860 | Tel. 0472 679087

74 PZ 13 | 29. JUNI 2023 DAS HÜTTENPANORAMA
2.216 m

Die Geisleralm

Zum herrlichen Bergkino auf die Villnösser Geisler, Teil des Dolomiti UNESCO Weltnaturerbe:

Wo Seele und Geist zueinander finden, können erholungssuchende Wanderer auf Wellnessliegen entspannend das Naturschauspiel der besonderen Art - das Geislerkino- genießen. Die Dolomiten zum Greifen nah und die herrliche Villnösser Almlandschaft, - machen das Geisleralm Bergkino zu einem unvergesslichen Erlebnis. Das Motto „Typisch Geisleralm“ steht für unverfälschte Almkultur und Almwellness in seiner natürlichsten Form, veredelt mit den kreativen Genüssen aus Küche und Keller.

Die Highlight-Rund-Wanderung zur Geisleralm führt vom Parkplatz Zans den Heuweg Nr. 6 folgend Richtung Tschantschenon. Von dort über den spektakulären Adolf-Munkelweg bis zur Abzweigung Geisleralm. Rückweg über die Dusleralm zum Hauptparkplatz Zans.

Aufstieg: 1,5 Stunden - Abstieg: 1 Stunde

Urig
echt
Geisleralm - Villnösser Tal Tel. 333 756 90 29 & 339 604 46 85 | info@geisleralm.com | www.geisleralm.com Geöffnet: Mitte Mai - Anfang November | Montag Ruhetag (am 14. & 21. August durchgehend geöffnet)
und
...
Die Wandererlebnis-Alm im Villnösser Tal
TAXI Shuttle P Zans - Geisleralm Phillip 348 762 6454 Auf Anfrage

Gampiel Alm in Pfunders 2047 m

Wir sind über die markierten Wanderwege startend vom Weiler Dun oder bequem über die Forststraße ab dem Parkplatz auf der Eggerseite erreichbar. Es bietet sich der Almhüttenrundweg als Variante an.

Freuen Sie sich auf eine gute, traditionelle, auch glutenfreie Küche und auf eine traumhafte Aussicht und kehren Sie ein auf der Gampiel-Alm in Pfunders.

info@gampielalm.com | Tel. 338 4858383 www.gampielalm.com

Plattkofelhütte - auf der Seiser Alm

2300 m

Auf der Plattkofelhütte, am Friedrich-August-Weg am Fuße des Plattkofels gelegen, genießt man einen traumhaftem 360° Dolomitenblick.

Die Plattkofelhütte ist von der Seiser Alm, vom Sellajoch, von Gröden und von Campitello im Fassatal in 2-3 Stunden erreichbar.

Plattkofelhütte | Tel. 334 9569626 | www.plattkofel.com

Öffnungszeiten: 25. Mai 2023 bis 1. November 2023

Edelrauthütte - in den Pfunderer Bergen

2.545 m

Die Edelrauthütte holt die Zillertaler Bergnatur über große Fensterfronten imposant ins Haus und gibt großartige Panoramaausblicke auf die höchsten Dreitausender des östlichen Alpenhauptkammes frei.

Sie ist Ausgangspunkt in die Gletscherwelt rund um Weißzint, Hochfeiler und Großen Möseler. Beeindruckend sind der Pfundererund Neveserhöhenweg sowie der Rundweg Zösen.

Tel. Hütte: 0474 653230 | Tel: 340 6604738 info@edelrauthuette.it | www.edelrauthuette.it

Prantneralm bei Sterzing

1.800 m

Die Prantner Alm ist ganzjährig bewirtschaftet und bietet eine herrliche Aussicht auf die Stubaier Gletscher und zum Pflerscher Tribulaun.

Der Aufstieg ist leicht und ein Erlebnis für Groß und Klein. Erreichbar über die Forststraße zu Fuß oder dem Auto ab einem der Parkplätze oberhalb des Braunhofes.

Familie Gogl | Tel. 333 465 6009 o. 338 4959084 info@prantneralm.com | www.prantneralm.com

Gartlhütte - Rosengarten - Vajolet Türme

2.621 m

Die Schutzhütte liegt auf 2.621 Metern im „Garten von König Laurin“, umgeben von den steilen Wänden der Laurinspitze, der imposanten Nordwand des Rosengartens und direkt am Fuße der berühmten Vajolettürme.

Renommierte Hausmannskost, mit traditioneller Tiroler- als auch italienischer Küche - Verwendung lokaler Produktedarunter Knödel, Ofen-Polenta und traditionelle Süßspeisen.

Gartlhütte - Rifugio Re Alberto 1° - Pallotta Valeria Cell. +39 334 72 46 698 | www.rifugiorealberto.com

Allriss Alm im Pflerschtal 1.534 m

Die Allriss Alm ist eine bewirtschaftete Alm im Pflerschtal in herrliche Panoramalage mit toller Aussicht auf die alles beherrschende Bergwelt - dem Pflerscher Tribulaun.

Ein ideales Ausflugsziel für Groß und Klein. Speziell auch für Familien mit Kindern, da der Aufstieg zur Hütte leicht und kurzweilig ist.

Tel. 349 2648358 | info@ferienhaus-staudacher.com

Geöffnet bis Ende Oktober. Montags Ruhetag, außer August

76 PZ 13 | 29. JUNI 2023 DAS HÜTTENPANORAMA

BERGERLEBNISWELT RATSCHINGS

Spielerisch die Natur erleben

In der Bergerlebniswelt Ratschings lässt sich auf spannende und lehrreiche Weise die Natur entdecken und in die Welt von Eichhörnchen, Adler, Murmeltier und Co. eintauchen. Eine Erlebniswanderung für die ganze Familie!

Direkt an der Bergstation der Kabinenbahn Ratschings-Jaufen, auf 1.800 Metern Höhe startet der Erlebnis-Wanderweg in die BergerlebnisWelt, der auch mit Kinderwagen bequem zurückgelegt werden kann. Der Weg führt an einer Vielzahl von Attraktionen vorbei, die für viel Abwechslung sorgen und kleine und große Abenteurer gleichermaßen in den Bann ziehen.

ACTIONREICHE STATIONEN

Als eine der ersten Stationen lockt die Murmeltier-Welt, in der Murmeltiergänge durchlaufen werden können. Einige Meter weiter trifft man auf die Ameisen-Welt mit einer Riesenameise, die von den kleinen Kletterern eifrig erklommen wird. Anschließend führt der Weg zur Klang-Welt, in der urige Holzinstrumente zum Erklingen gebracht werden. Wenige Stationen weiter geht es in der Flug-Welt

in luftige Höhen: Frei wie ein Adler schwebt man in der kleinen Seilbahn quer durch die Lüfte. Hat man wieder Boden unter den Füßen gewonnen, lädt eine Kneipp-Welt zum Barfußlaufen durch das kühle Nass. Während vor allem die Erwachsenen hier genüsslich kneippen, sausen die größeren Kinder auch schon weiter zur nächsten Attraktion, der Riesen-Rutsche, die großes Spaßerlebnis mit Bauchkribbeln garantiert. Seilklettern, Netz springen, Balancieren –im Erlebnis-Wald können angehende Akrobaten ihre Geschicklichkeit nach Lust und Laune frei unter Beweis stellen. Weitere Magneten in der Bergerlebnis-Welt sind die Wasserspiele und der Streichelzoo. Für einen spannenden Familienwettstreit ist an der Holzkugelbahn gesorgt. Für Wissenshungrige gibt es entlang des Erlebnis-Wanderweges zahlreiche Lehrtafeln mit wissenswerten Informationen und Erklärungen zur lokalen Flora und Fauna. Nach der Rundwanderung laden die vielen kinderfreundlichen Almhütten zu einer stärkenden Mahlzeit. Die Bergerlebnis-Welt ist vom 2. Juni bis 8. Oktober 2023 täglich kostenlos zugänglich. // PR-Info

DER BERGSOMMER FÜR DIE GANZE FAMILIE

Q 02.06. BIS 08.10.202 3 q

täglich von 8.30 bis 17.00 Uhr

Preise für Einheimische der Provinz Bozen Erwachsene Kinder

Familientarif Berg- und Talfahrt

* Familien-Tickets NUR gültig mit Kindern, die 2007 bis 2014 geboren wurden. Ab 1 Elternteil + 1 Kind; max. 2 Elternteile. Bei Kindern der Jahrgänge 2015 und jünger bezahlen die Eltern den Normalpreis.

14,50 € 9,50 €

77 PZ 13 | 29. JUNI 2023 DAS HÜTTENPANORAMA

PANORAMA-KABINENBAHN www.ratschings-jaufen.it
Einzelfahrt 12,50
9,00 € 11,50 €
16,50 € 11,50 € 15,00 €
Senioren
Berg- und Talfahrt
BERGBAHNEN
Wasserspiele für Groß und Klein. Die Holzkugelbahn lädt zum Familienmatch.

SÜDTIROL RADELT

www.suedtirolradelt.bz.it

3. Juli bis 3. September 2023

REITSPORTTAGE IN WIESEN

Ein tolles Fest

Vom 14. bis zum 16. Juli 2023 werden auf der Reitanlage Wiesenhof in Wiesen die traditionellen Reitsporttage veranstaltet. Das Reitturnier fand bereits im letzten Jahr auf der Reitanlage Wiesenhof statt und erhielt sehr großen Zuspruch von Seiten der Teilnehmer und Teilnehmerinnen.

Der Startschuss fällt am Freitag, den 14. Juli ab 9 Uhr. Von da an messen sich die Teilnehmer in verschiedenen Springbewerben beginnend bei 40cm bis hin zu 135cm. Der Höhepunkt des Turniers findet am Sonntagnachmittag statt. Beim „Großen Preis von Südtirol“ über eine Hindernishöhe von 135cm kämpfen die Reiter und Reiterinnen in zwei Umläufen um den Sieg.

„Wir bedanken uns ganz herzlich bei unseren Sponsoren, die uns bereits über viele Jahre unterstützen // PR-Info

SÜDTIROL RADELT Sommerradle auch Du!

Die Sommeraktion startet am 3. Juli 2023. Es gibt eine FahrradSchnitzeljagd quer durch das ganze Land.

Ganz Südtirol tritt auch im Sommer in die Pedale, nimmt an der Fahrrad-Schnitzelaktion teil und radelt zwei Monate lang von einer Sehenswürdigkeit zum nächsten Freizeitort.

WIE TEILNEHMEN?

Wer an „Südtirol radelt. Sommerradle auch Du!“ teilnehmen will, lädt sich zunächst die Südtirol-radelt-App auf das Handy. Insgesamt gibt es über 100 verschiedene Orte, die über das ganze Land verstreut sind und die ab dem 3. Juli bis zum 3. September 2023 über die GPS-Funktion der App „eingesammelt” werden können. Diese GPS-Radsammelpunkte befinden sich etwa am Kalterer See, am Bozner Museion oder an der Churburg in Schluderns.

SCHÖNE PREISE

Unter allen Teilnehmerinnen und Teilnehmern, die mindestens fünf Punkte gesammelt haben, werden tolle Preise verlost. Die Kilometer gelten auch für die Jahresaktion „Südtirol radelt. Radle auch Du!” „Südtirol radelt. Sommerradle auch Du!” ist eine Initiative von Green Mobility in der STA – Südtiroler Transportstrukturen AG. Weitere Informationen gibt es unter www.suedtirolradelt.bz.it. // PR-Info

78 PZ 13 | 29. JUNI 2023 WANDERN, SPORT & FREIZEIT
Sommerradle auch Du! Schnitzeljagd
Katharina Knollseisen Anna Ladurner

Auf knapp 200 m2 Ausstellungs äche entfaltet sich in den suggestiven historischen Räumen der Festung Franzensfeste die Darstellung des BBT-Projektes in seiner faszinierenden technischen Vielseitigkeit bis hinzu Natur und Kultur. Highlights sind interaktive Scannerfahrten in den Tunnel genauso wie das multimediale Erleben des Tunnelvortriebs.

Den Brenner Basistunnel hautnah erleben

Öffnungszeiten der Ausstellung im BBT-Infopoint

Von Mai bis Oktober: Dienstag–Sonntag 10:00–18:00 Uhr

Von November bis April: Dienstag–Sonntag 10:00–16:00 Uhr

Montag geschlossen

Kontakt

www.bbtinfo.eu / info@bbtinfo.eu / BBT-Infopoint

79 PZ 13 | 29. JUNI 2023
Foto: Alessandra Chemollo
Franzensfeste (BZ), Südtirol – Italien
/ F +39 0472
Brennerstraße, 39045
T +39 0472 057200
057219

Eine wichtige Komponente fürs Wohlbefinden

Müdigkeit, Leistungstiefs und Konzentrationsschwierigkeiten, diese Beschwerden können verschiedene Ursachen haben. Ein instabiler Blutzuckerspiegel könnte eine davon sein. Unter dem Begriff versteht man die Menge an Glukose, die sich im Blut befindet. Sie wird aus der Aufspaltung von Kohlenhydraten gewonnen, die über die Nahrung aufgenommen werden. Die Ernährung spielt also eine große Rolle bei der Balance der Blutzuckerwerte. Besonders zuckerreiche Lebensmittel wie zum Beispiel Süßigkeiten lassen den Glukosegehalt im Blut in die Höhe schnellen und man fühlt einen Energiekick. Genauso schnell fällt dieser aber wieder ab und ein Leistungstief macht sich bemerkbar. Ein instabiler Blutzuckerspiegel kann somit zu Heißhungerattacken und ungewünschter Gewichtszunahme führen. Um dem entgegenzuwirken, sich ausgeglichen und leistungsstark zu fühlen, kann man seine Ernährung, aber auch seinen Lebensstil unter die Lupe nehmen. Mit dem Verzicht auf Weißmehl oder zuckerreiche hochverarbeitete Produkte kann schon viel erreicht werden. Solche lassen sich durch Vollkornprodukte ersetzen. Diese werden langsamer verdaut, der Blutzuckerspiegel steigt nur allmählich an und man bleibt länger satt. Alternativ kann auf gesunde Fette als

Ihr Outdoor-Spezialist in Südtirol

Energielieferant zurückgegriffen werden, denn auch hier findet ein komplexerer Verdauungsprozess statt. Achtsames Essen und Pausen zwischen den Mahlzeiten helfen ebenfalls die Werte stabil zu halten. Dasselbe gilt für einen gesunden Schlaf und Stressreduktion. //

Ihr Outdoor-Spezialist in Südtirol

Bei Camping- und Freizeitartikel

Bei Camping- und Freizeitartikel

80 PZ 13 | 29. JUNI 2023 WANDERN, SPORT & FREIZEIT
500
Fahrzeug-
C.-Abarth-Straße 19 | Sinich/Meran Tel. 0473 24 45 08 info@camping-caravan.it m² Verkaufsfläche mit Campingartikeln
500
Spezialwerkstatt Fahrzeuge sofort lieferbar Fahrzeugvermietung
C.-Abarth-Straße 19 | Sinich/Meran Tel. 0473 24 45 08 info@camping-caravan.it m² Verkaufsfläche mit Campingartikeln STABILER BLUTZUCKER Was und wie man isst, hat Einfluss auf den Blutzuckerspiegel und somit auf das Wohlbefinden. Pexels

Seit Jahrzehnten gehören erlesene Weine zum Olanger Sommer. Und so findet auch heuer wieder die beliebte, traditionelle Weinverkostung statt, die heuer ihre 49. Auflage feiert. Der Park im Zentrum von Mitterolang verwandelt sich zum wiederholten Male für einige Stunden in ein kleines Schlaraffenland. Von 18.30 bis 23 Uhr findet am 10 Juli 2023 das bereits 49. „Olanger Weinleben“ statt. 14 Südtiroler Weinkellereien stellen dabei ihre besten Rot-, Weißund Schaumweine vor.

Für die passende musikalische Umrahmung sorgen Hubert Dorigatti & Bayou side. Käse-Affineur Hansi Baumgartner von Degust, Spezialist der Käseveredelung, präsentiert dir die perfekte Geschmackskombination zwischen Wein und Käse und bei der Schaumweinverkostung geht es darum gemeinsam mit dem diplomierten Weinsommelier Werner Südtiroler Schaumweine und neue Geschmacksnuancen zu entdecken. Außerdem erwartet dich wieder eine kleine kulinarische Überraschung.

OLANGER BIERLEBEN

Am Tag darauf, am Abend des 11. Juli 2023 wandelt sich erneut das Angebot. Nicht mehr edle Weine stehen im Zentrum der Aufmerksamkeit, sondern handwerklich hergestellte Biere. Südtiroler Brauereien stellen ihre Besonderheiten dar, die man hier unter freiem Himmel gemütlich verkosten kann. Sieben Südtiroler Bierbrauereien laden zu Klängen des The Jam’son Duos zum abwechslungsreichen Biergenuss mit dem Thema „Sauerbiere aus Südtirol & Belgien“: Die Heimat des Sauerbieres ist das Pajottenland in Belgien. Seit vielen Jahrhunderten wird dort dieses so einzigartige und gleichzeitig so verzaubernde Bier hergestellt. Für all jene die eine Genussreise

DAS PROGRAMM

49. Olanger Weinleben

» Montag, 10.07.2022

» 18.30 bis 23.00 Uhr im Park von Mitterolang

» Teilnahme von 14 Südtiroler Weinkellereien

» Schaumweine aus Südtirol

» Passito und Käse: Eine gelungene Symbiose

» Stimmungsvolle Atmosphäre mit Hubert Dorigatti & Bayou side

» Kulinarische Überraschungsverkostung

8. Olanger Bierleben

» Dienstag, 11.07.2023

» 18.30 bis 23.00 Uhr im Park von Mitterolang

» Teilnahme von sieben Südtiroler Brauereien

» Verkostung von Belgischen und Südtiroler Sauerbiere

» Im Park von Mitterolang in einer stimmungsvollen Atmosphäre mit der Band „The Jam’son Duo“

» Kulinarische Überraschungsverkostung

» Sonderthema: Sauerbier aus Südtirol & Belgien

nach Belgien erleben möchten, gibt es die Möglichkeit zur Verkostung der Sauerbiere, präsentiert vom Getränkefachhandel Harpf. Eine kulinarische Überraschungsverkostung passend zum Bier rundet den Abend ab. // cl

KRAPFENGENÜSSE

Nicht fehlen dürfen natürlich die bäuerlichen Köstlichkeiten. Auch heuer verwöhnen die Olanger Bäuerinnen die Besucher wieder mit köstlichen Krapfen. An beiden Veranstaltungstagen wird in der Krapfenküche von 18.30 bis 23 Uhr frisch gebacken – natürlich nach bewährten, traditionellen Rezepten. Die Palette reicht von den beliebten „Tirtlan“ mit Topfen, Spinat und Kraut über süße Mohnkrapfen bis hin zu „Hasenöhrln“ und „Niggilan“.

Informationen: Tel. +39 0474 496277 bzw. www.olang.com

81 PZ 13 | 29. JUNI 2023 WANDERN, SPORT & FREIZEIT VINISSIMA Olanger weinleben 10.07.2023 BIRRISSIMA Olanger Bierleben 11.07.2023 ORE 18.30-23.00 UHR IM PARK VON MITTEROLANG | NEL PARCO DI VALDAORA DI MEZZO INFOS & TICKETS WWW.OLANG.COM IL PIACERE DEI KRAPFEN Olanger Krapfengenusse .. Olanger Bäuerinnen Fotos: Shutterstock
WEIN- UND BIERLEBEN IN OLANG
Reinform
Genuss in

Das Comeback

Vier Jahre ist es bereits her, dass Innichen zum letzten Mal zu seinem legendären Marktlfest lud. Doch am dritten Juli-Wochenende hat das lange Warten aller Feierwütigen und Partytiger auf das beliebte Highlight im Hochsommer ein Ende und im Herzen des malerischen Ortskerns mit seinem städtischen Flair wird in geselliger Runde drei Tage lang gefeiert, gesungen, getanzt und gelacht.

Neuer Verkaufspunkt Stegen Besuch uns! Visitaci!

Neuer Verkaufspunkt Stegen Besuch uns! Visitaci!

Das Innichner Marktlfest ist trotz der etwas längeren Pause längst ein Klassiker im Südtiroler Veranstaltungskalender – schließlich findet das gesellschaftliche Ereignis in diesem Jahr bereits zum 16. Mal statt. Eingeläutet wird das bei Einheimischen wie Gästen gleichermaßen beliebte Sommerfest am Freitag, 14. Juli um 18 Uhr mit dem feierlichen Einzug der Ehrengäste, der von der Musikkapelle Innichen stimmig umrahmt wird. Danach wird bei rockigen, poppigen, jazzigen oder volkstümlichen Klängen unter freiem Himmel bis zur Sperrstunde um 1 Uhr geschunkelt oder getanzt – die Disco im Josef Resch Haus, die besonders bei Jugendlichen und Junggebliebenen hoch im Kurs steht, hat sogar eine Stunde länger geöffnet. Am Samstag, den 15. Juli werden die Feierlichkeiten beim Innichner Marktlfest neuerlich ab 18 Uhr fortgesetzt – mit dem bewährten Zapfenstreich um 1 (im Zentrum), bzw. 2 Uhr (im Josef Resch Haus). Der Festbetrieb am Sonntag, 16. Juli beginnt hingegen bereits um 10 Uhr und endet um 22 Uhr. Und wie schon an den beiden Tagen zuvor wieder mit vielen musikalischen Leckerbissen der verschiedensten Musikrichtungen, die Alt und Jung gleichermaßen ansprechen.

ZUBEHÖR EINKAUFEN

AQUISTARE ACCESSORI

WEINSBERG 650

• 4 Erw. / adulti

• Waschraum / bagno

• Küche / cucina

Camper RENT

• Klimaanlage / aria condizionata

PIFFRADER VERMIETET verschiedene Wohnmobile neuerer Bauart für bis zu 6 Personen ab 120€ täglich. Auf unserer Webseite findest du eine detaillierte Beschreibung der Fahrzeuge, ihre Ausstattung, Serviceleistungen, Zubehör.

PIFFRADER AFFITTA camper di ultima generazione per fino a persone a partire da al giorno. Sul nossito web troverai una descrizione dettagliata veicoli, i loro allestii servizi inclusi e accessori da scegliere.

• Foto: Brunner Outdoor, Piffrader, www.rcmarketing.it

ZUBEHÖR EINKAUFEN Besuche uns im Geschäft in Bruneck / Stegen zu Öffnungszeiten und wähle zwischen 150 lagernden Artikeln. Oder du bestellst im Vorfeld die Artikel deiner Wahl vom Brunnerkatalog und holst sie zum vereinbarten Termin im Geschäft ab.

• Satzfehler & Änderungen vorbehalten

PIFFRADER AFFITTA diversi camper di ultima generazione per fino a 6 persone a partire da 120 € al giorno. Sul nostro sito web troverai una descrizione dettagliata dei veicoli, i loro allestimenti, i servizi inclusi e accessori da scegliere.

AQUISTARE ACCESSORI Vieni a trovarci nel negozio di Brunico / Stegona durante l‘orario di apertura e scegli tra 150 articoli. Oppure ordina gli articoli che preferisci dal catalogo Brunner e ritirali nel nostro negozio.

Besuche uns im Geschäft in Bruneck / Stegen zu Öffnungszeiten und wähle zwischen 150 lagernden Artikeln. Oder du bestellst im Vorfeld die Artikel deiner Wahl vom Brunnerkatalog und holst sie zum vereinbarten Termin im Geschäft ab.

DER WEG ZU UNS COME TROVARCI

Vieni a trovarci nel negozio di Brunico / Ste gona durante l‘orario di apertura e scegli tra 150 articoli. Oppure ordina gli articoli che preferisci dal catalogo Brunner e ritirali nel nostro negozio.

INNICHNER MARKTLFEST GEHT DURCH DEN MAGEN

CAMPING ACCESSOIRES

© 2023 www. rcmarketing.it

PIFFRADER Camper RENT & Accessoires

PIFFRADER Camper RENT & Accessoires www.piffrader.bz.it - info@piffrader.bz.it Bruneck - Brunico

www.piffrader.bz.it - info@piffrader.bz.it

Bruneck - Brunico (Südtirol / Italien - Italia)

Rienzfeldstr. 4 - via Campi della Rienza, 4 Tel. +39 349 66 84 238

Di.+Do. / ma + gio. 14–19:00 & Sa. 9–12:00 und auf Anfrage - e su richiesta

Unsere Partner - I nostri partner:

www.piffrader.bz.it

Bruneck - Brunico (Südtirol)

Jene 17 Vereine, die an der Durchführung des Innichner Marktlfestes beteiligt sind, verwöhnen die vielen Gäste aus Nah und Fern außerdem mit verschiedenen gastronomischen Leckereien. Die Auswahl reicht dabei von klassischen Speisen wie Brathuhn, Wienerschnitzel, „Rippilan“ oder Knödeln, bis hin zu „pulled pork“, Chili con carne oder Pizza. „Längst kein Geheimtipp mehr sind die immer köstlichen Strauben. Auf frische Weißwürste, Brezeln und Leberkäse dürfen sich die Marktlfest-Besucher hingegen beim Stand unserer bayerischer Partnerstadt Freising freuen. Soviel steht jedenfalls fest: Beim Marktlfest ist garantiert für jeden Geschmack etwas dabei. Wir freuen uns, dass im Zentrum von Innichen wieder richtig gefeiert wird“, heißt es von Seiten des ausrichtenden Marktlfest-Komitees.

Camper & Zubehör / Accessori

82 PZ 13 | 29. JUNI 2023 WANDERN, SPORT & FREIZEIT PIFFRADER Camper RENT & Accessoires www.piffrader.bz.it - info@piffrader.bz.it
- Bruneck Tel.
66
238 MO.-FR. auf tel. Anfrage Sa. 9–12:00 Uhr CAMPING ACCESSOIRES www.piffrader.bz.it
- Brunico (Südtirol) Unsere Partner - I nostri partner: PIFFRADER Exclusivvertrieb für Pustertal & Osttirol / sionario per la Val Pusteria & Osttirol Camper & Zubehör / Accessori
Rienzfeldstr. 4
+39 349
84
Bruneck
DER WEG ZU UNS COME TROVARCI
650 • 4 Erw. / adulti • Waschraum / bagno • Küche / cucina • Klimaanlage / aria condizionata
WEINSBERG
(Südtirol / Italien - Italia) Rienzfeldstr. 4 - via Campi della Rienza, 4 Tel. +39 349 66 84 238 Di.+Do. / ma + gio. 14–19:00 & Sa. 9–12:00 und auf Anfrage - e su richiesta © 2023 www. rcmarketing.it • Satzfehler & Änderungen vorbehalten • Foto: Brunner Outdoor, Piffrader, www.rcmarketing.it Unsere Partner: INNICHNER MARKTLFEST VOM 14. BIS ZUM 16. JULI 2023

EIN SPANNENDES SPIELEPROGRAMM FÜR DIE KLEINEN

Nicht zu kurz kommen werden beim 16. Innichner Marktlfest auch die Kleinsten, die sich am Sonntag auf ein spannendes Spieleprogramm freuen dürfen. Es wird gleich hinter dem Rathaus und somit etwas abseits des hektischen Treibens vom Eltern-Kind-Zentrum

Hochpustertal in Zusammenarbeit mit dem Familienverband (Ortsgruppe Innichen) betreut. Ein weiterer Grund also, um sich das dritte Juli-Wochenende schon einmal rot im Kalender anzustreichen, wenn Innichen zu seinem legendären Marktlfest lädt und drei Tage lang gefeiert, gesungen, getanzt und gelacht wird. // tvi

83 PZ 13 | 29. JUNI 2023 WANDERN, SPORT & FREIZEIT 14.–16.7. Freitag 18 bis 1 Uhr Samstag 18 bis 1 Uhr Sonntag 10 bis 22 Uhr Kinderprogramm: Sonntag 13 bis 18 Uhr Venerdi ore 18 alle ore 1 Sabato ore 18 alle ore 1 Domenica ore 10 alle ore 22 Programma per bambini: Domenica ore 13 alle ore 18
www.innichen.it / www.sancandido.info Inserat 90x128mm.indd 1 20/06/23 10:13
Herzog Tassilo, Gründer Innichens lädt ein / Duca Tassilo, fondatore di San Candido invita

ALLES FÜR DIE SCHULE

LANDMASCHINEN & TRAKTOREN

10.8.2023 24.7.2023

ABGABETERMIN UNTERLAGEN

ERSCHEINT AM REDAKTIONSSCHLUSS 31.7.2023

Reservieren Sie jetzt

UNSERE ANGEBOTE IM MEDIENMIX (PZ & Radio Holiday)

PAKET A 1/4 Seite Inserat in der PZ + 1/4 Seite PR-Info

50 Werbespots auf Radio Holiday

(30 Sek. - Spotproduktion inklusive)

Gesamtpreis: 990,00- € + MwSt

PAKET B 1/2 Seite Inserat in der PZ + 1/2 Seite PR-Info

100 Werbespots auf Radio Holiday

(30 Sek. - Spotproduktion inklusive)

Gesamtpreis: 1.757,00- € + MwSt

Ihre Anzeige in der meistgelesenen Zeitung im Pustertal! Die PZ-Ausgaben mit allen Sonderthemen können auch online gelesen werden auf www.pz-media.it

Ihre Ansprechpartner:

Pustertaler Medien GmbH

39031 Bruneck, Oberragen 18

Michaela Huber - Sekretariat

T. 0474 550830 | info@pz-media.it

HANS PAULMICHL Bruneck Tauferer Ahrntal Bozen 340 2498606 hans.paulmichl@pz-media.it

JOSEF TASSER

Die PZ-Ausgaben mit allen Sonderthemen können auch online gelesen werden auf www.pz-media.it

Unteres & oberes Pustertal, Gadertal - Eisacktal - Wipptal Nordtirol - Osttirol 329 4877051 josef.tasser@pz-media.it

PZ-FORMATE FORMAT 1 FORMAT 2 FORMAT 3 90 x 128 mm 185 x 128 mm 210 x 297 mm 185 x 60 mm A B C D E 90 x 264 mm PR PR PR PR PR € 890,00 € 490,00 € 1.594,00
PZ-SONDERTHEMA
Ihre personenbezogenen Daten werden gemäß dem G.v.D. Nr. 196/2003, der EU-Verordnung 679/2016 (DSGVO) sowie dem G.v.D. Nr. 101/2018 verarbeitet. Die vollständige Aufklärung über die Verarbeitung Ihrer personenbezogener Daten und Ihre Rechte, wie z.B. das Recht auf Löschung, sind auf unserer Website veröffentlicht: www.pz-media.it/datenschutz.html. Falls Sie dieses Informationsschreiben nicht mehr erhalten möchten, schreiben Sie uns dies einfach an folgende E-Mail Adresse: info@pz-media.it oder rufen Sie an: 0474 550830

BIO-QUALITÄT, VON EXPERTEN GERÖSTET!

Wir legen Wert auf erstklassige Qualität des Rohkaffees. Fairness in der Herstellung und Schonung natürlicher Ressourcen liegen uns am Herzen.

85 SERVICE PZ 13 | 29. JUNI 2023 Lösungen auf Seite 94 1 2 3
CAROMA Kaffee-Schaurösterei . Völs . www.caroma.info GLEICH PROBIEREN! 230322_CAROMA_PZ_Kreuzworträtsel_Juni_BioQualitaet_Inserat_PDFx4.indd 1 22.03.23 16:19

Die Sternzeichen im Monat Juli

Der Juli startet mit einer günstigen Verbindung von Venus und Mars. Beide Planeten halten sich bis zum 11.7. im verwandten Feuerzeichen Löwen auf. Vor allem am 9. Juli, wenn auch der Mond durch Ihr Zeichen wandert, sind Sie voll auf Liebe eingestellt und bester Laune. Planen Sie aktiv einen Ausflug mit Ihrem Schatz oder verbringen Sie die Zeit mit Freunden, es wird lustig! Geschäftlich können Sie dann ab dem 13.7. aktiv werden. Merkur und Venus lassen Sie kluge Entscheidungen treffen. Eine besonders schöne Konstellation am 27. und 28. Juli schenkt den Geborenen ab dem 18.4. eine harmonische, kraftvolle Zeit. Genießen Sie diese!

Krebs

Nicht nur die Sonne, sondern auch Merkur verweilt aktuell in Ihrem Zeichen. Dies bringt ein gutes geschäftliches Gelingen mit sich und stärkt Ihre Auffassungsgabe und Kreativität. Man tritt Ihnen wertschätzend und loyal gegenüber und die Ende-Juni-Geborenen können auch mit einer Verbesserung oder einem Aufstieg rechnen, der sich auch auf ihr Konto positiv auswirken dürfte. Auch ein Neuanfang in einer neuen Firma oder in einer neuen Position ist jetzt möglich. Jupiter steuert hierfür den notwendigen Enthusiasmus bei und Saturn sorgt dafür, dass sich der eingeschlagene Weg auch langfristig bewährt. Zugreifen!

Stier Löwe

Bis zum 11. Juli steht Mars noch in einer angespannten Situation zu Ihrer Geburtssonne. Dies dürfte vor allem den Geborenen ab dem 11.5. noch einige stressig Tage bringen. Auch Uranus im eigenen Zeichen macht so manche Planänderung notwendig. Bleiben Sie flexiebel! Mit Venus im Quadrat können Missverständnisse und Nörgeleien nun auch schnell zum Streit führen, deshalb sollten vor allem die Geborenen um den 12.5. zum Monatsanfang auf ihre Wortwahl achten. Die Ende-AprilGeborenen hingegen haben mit Jupiter gute berufliche Chancen. Vor allem der 3. und 4.7. sind gute Tage für Geschäfte und finanzielle Transaktionen.

Den ganzen Juli über verweilt Venus in Ihrem Zeichen und pusht damit nicht nur Ihre Stimmung, sondern fördert dadurch auch Kreativität und Ihren Sinn für Ästhetik. Aber auch Mars gibt den Geborenen ab dem 18.8. bis zum 11. Juli viel Power und Kraft. Da auch Uranus mit von der Partie ist, müssen Sie jedoch aufpassen, dass Sie sich nicht verzetteln und auf mehreren Hochzeiten zeitgleich tanzen, das könnte nämlich in die Hosen gehen. Für berufliche Belange eignet sich dann die Zeit ab dem 14. Juli, wenn auch Merkur in Ihr Zeichen wandert. Nun überzeugen Sie andere rasch von Ihren Ideen und können eigene Projekte vorantreiben.

Berauschender Sommer

cAuch wenn sich die Zwillinge seit März unter den prüfenden Augen von Saturn bewähren müssen, genießen Sie aktuell die Leichtigkeit des Sommers. Venus (Liebe) und auch Mars (Vitalität) stehen beide sehr positiv und sorgen für unbekümmertes Sommer-Feeling. Vor allem die Geborenen ab dem 11.6. fühlen sich jetzt pudelwohl und lassen sich von zukünftigen Verpflichtungen nicht die Laune verderben. Schlagen Sie jedoch nicht zu sehr über die Stränge, sonst könnten ab dem 12.7. erste Wehwehchen auftreten. Vor allem für die Mai-Geborenen, könnten sich diese im weiteren Verlauf, als ziemlich hartnäckig herausstellen.

Zwillinge Jungfrau

Gleich zum Monatsanfang sind Sie sehr beschäftigt. Sonne und auch Merkur stehen in einem positiven Winkel zu Ihrer Geburtssonne, was sich sowohl förderlich auf Ihr Berufs- als auch auf Ihr Privatleben auswirkt. Vor allem die Anfang-September-Geborenen haben um den 3.7. sehr gute Sterne, um sich beruflich weiterzuentwickeln. Ein Aufstieg, aber auch ein Neustart entpuppt sich nun zum wahren Glücksgriff. Wenn ab dem 12.7. dann auch noch der Energie-Planet Mars in Ihr Zeichen vorrückt, sind Sie nicht mehr zu halten. Lange haben Sie darauf hingearbeitet und nun wird es Zeit, Ihre Pläne und Projekte in die Tat umzusetzen.

86
Wer wagt gewinnt Sie haben Erfolg
21.04.-20.05. 21.05.-21.06.
Widder
\
21.03.-20.04.
22.06.-22.07.
23.07.-23.08. 24.08.-23.09.
d e f b
Zuerst Liebe, dann Business Sturheit bringt Sie nicht weiter Venus steht auf Ihrer Seite

d + \ = Bei ihm gehen Sie in die Defensive

d + b = Sie beide teilen dieselben Werte

d + c = Er hat kein Ohr für Ihre Anliegen

d + d = Sehr intime, emotionale Bindung

d + e = Zollen Sie ihm Bewunderung

d + f = Ihre fleißige, korrekte Art gefällt Ihnen

Waage

Skorpion

d + g = Harmonie ist Ihnen beiden wichtig

d + h = Zwei wie Pech und Schwefel

d + i = Er ist Ihnen viel zu oberflächlich

d + j = Gegensätzlich aber komplementär

d + k = Seine unangepasste Art stört Sie oft

d + l = Sie verstehen einander blind

Schütze

Machen Sie mal auf „ernst“ Cool bleiben! Sie sind gut dabei

Dieser Sommermonat startet mit einer verheißungsvollen Planetenverbindung für Sie, denn wenn sich Venus und Mars im Feuerzeichen Löwe miteinander verbinden, wirkt sich dies positiv auf Ihr Liebesleben aus. Aktuell verspüren vor allem die Geborenen ab dem 13.10. diese anregende Energie und können um den 2.7. interessante, neue Kontakte knüpfen. Für geschäftliche Termine eignet sich dann die zweite Monatshälfte, wenn auch die Sonne und Merkur nachrücken. Wenn der Mond am 24. und 25. Juli in Ihrem Zeichen steht, haben Sie eine besonders gute Intuition und können Probleme gezielt und sachlich lösen.

Auch wenn Sie die Saturn-Phase bereits hinter sich gelassen haben, ist es aktuell nicht ganz so einfach für Sie. Sonne und Venus im Quadrat könnten vor allem bei den Geborenen ab dem 12.11. für miese Stimmung, Zerwürfnisse oder Streitereien sorgen. Halten Sie sich mit Vorwürfen gegenüber Ihren Mitmenschen besser zurück, ansonsten bekommen auch Sie so manches Unangenehme zu hören. Da auch Uranus für die Geborenen vom 12. bis 15.11. negativ steht, müssen sie mit spontanen Kursänderungen rechnen. Sie stellen Ihre individuellen Bedürfnisse jetzt in den Mittelpunkt und ertragen keinerlei Zwang von außen.

Seit März befinden sich die SchützeGeborenen in der „berühmtberüchtigten“ Saturnphase und vor allem die Ende-November-Geborenen müssen aktuell mit einigen Hürden rechnen. Saturn verlangt von Ihnen, dass Sie Verantwortung übernehmen und sich aufs Wesentliche konzentrieren. Zudem wirkt sich Neptun blockierend auf Entscheidungsprozesse aus. Hier sollten, vor allem die Geborenen um den 19. Dezember, ein Auge auf Details haben und wenn möglich, jetzt keine langfristigen Verträge abschließen. Ab dem 24. Juli, wenn die Sonne in den Löwen wandert, dürfen Sie aber mit Erleichterungen rechnen.

Steinbock

Energiegeladen ab dem 11. Juli

Auch wenn es tendenziell gut läuft bei Ihnen, verlangsamt Merkur zum Monatsanfang etwas das Tempo. Nun bleibt Zeit, nochmals genau auszuloten, wohin Sie Ihr Weg in Zukunft führen soll und Ihre Prioritäten neu zu ordnen. Mit dem Eintritt von Mars in das verwandte Erd-Zeichen Jungfrau am 11. Juli, fallen dann aber die Würfel und Sie sind sich Ihrer Sache sicher. Voller Elan starten jetzt vor allem die Geborene vom 26.12. bis 5.1. mit neuen Projekten und Aufgaben. Notieren Sie sich den 21.7. in Ihrem Terminkalender! Dieser Tag eignet sich hervorragend für geschäftliche Termine und könnte zu Ihrem Glückstag werden.

Wassermann

Fische

Dies wird ein etwas schwieriger Monat für Sie, denn Merkur, Venus und Mars in Opposition sorgen vor allem bei den Geborenen ab dem 10.2. für schlechte Stimmung. Zusätzlich werden Sie von Ihrem Herrscherplanet Uranus immer wieder mit Planänderungen konfrontiert. Das kann selbst bei Ihnen, wo Sie als Luft-Zeichen doch ein spontaner und offener Geist sind, für angespannte, nervöse Stimmung sorgen. Die EndeJanuar-Geborenen werden jetzt von Jupiter auf die Probe gestellt. Wenn Sie seinem Ruf nach „Mehr“ folgen und allzu optimistisch durch die Welt gehen, kann es sein, dass Sie sich „verzetteln“.

Den Monatsanfang können Sie gleich nutzen, um Liegengebliebenes anzugehen. Sonne und Merkur im verwandten Wasser-Zeichen Krebs unterstützen Sie bei Ihren Vorhaben. Vor allem am 3. und 4. Juli, wenn auch der Mond günstig steht, können Sie pragmatisch ans Werk gehen. Etwas blockierend steht Saturn für die Geburtsdaten vom 24. bis 28. Februar. Da hilft jetzt auch kein „Abtauchen“, sondern Sie sind gefordert reinen Tisch zu machen und sich aus Ihrer KomfortZone heraus zu bewegen. Die MärzGeborenen profitieren jetzt von Jupiter (Glück) und Uranus (Neuigkeiten).

Neue Türen und Möglichkeiten öffnen sich für Sie.

87
Holen Sie tief
Monatsanfang DER KREBS UND DIE ANDEREN 24.09.-23.10. 24.10.-22.11. 23.11.-21.12. 22.12.-20.01. 21.01.-19.02.
j k l g
Luft Ein guter
20.02.-20.03.
h i
PZ-Grafik

Kinder-Rätselspaß mit PZ-Pezi

Kommt der Ehemann nach Hause: „Frau, wir haben im Lotto gewonnen! Pack die Koffer!“

Endlich Sommer!

Darauf seine Frau: „Sommer oder Winterkleidung“?

Darauf er: „Ist mir scheißegal, Hauptsache du bist in 10 Minuten verschwunden!“

Marie hat Hunger!

Marienkäfer Marie hat unglaublichen Hunger. Aber wo war noch einmal der Rosenbusch mit den leckeren Läusen? Hilfst du suchen?

Was passt nicht?

Elsa packt ihren Ko er für ihren Strandurlaub. Jetzt hat sie alles rausgelegt.

Aber was passt nicht zum Strandurlaub?

Kannst du die 10 Unterschiede zwischen den Bildern nden? Lösungen auf Seite 94

Kinder-Sudoku:

Fülle die 12 freien Felder mit den fehlenden Zahlen aus. Die grünen Linien unterteilen die 4 Bereiche. In jedem Bereich müssen alle Zahlen von 1 bis 6 stehen. Aber Achtung, es darf sowohl waagerecht wie senkrecht keine Zahl doppelt stehen.

4 3 6 6 2 1 4 5 2 6 4
5

Die nächste Ausgabe erscheint am: 13.07.2023

ANNAHMESCHLUSS

für Glückwünsche & Wortanzeigen: 04.07.2023

Liebe Mutti und Oma!

Herzliche Glückwünsche zum Goldenen Hochzeitsjubiläum

... und weiterhin viele gemeinsame Jahre, Gottes Segen und Gesundheit!

KLEINANZEIGER

AUTO & ZUBEHÖR

Willst Du Dein Auto verkaufen?

Fairer Preis, sofortige Bezahlung im Autohaus Moser

Jetzt unverbindlich bewerten: www.dasautohaus.it

ALLES MÖGLICHE

Verkaufe Heu, Klee und Silomais in bester Qualität. Tel. 347 9203076

FREUNDSCHAFT & LIEBE

Ein alleinstehender Herr (Senior) aus dem Pustertal sucht eine liebe einsame Frau 70+ für gemeinsame Unternehmungen Bitte melde dich telefonisch unter Tel. 348 8969468. Ich freue mich auf deinen Anruf.

Ein sportlicher, schlanker, ansehnlicher Mann sucht eine attraktive Frau ab 50 Jahren Tel. 389 0609585

Tel. 0474 550 830

E-Mail: info@pz-media.it Rubrik: Kleinanzeiger www.pz-media.it

Geburtstag ist wohl ohne Frage der schönste aller Ehrentage. Drum wollen wir keine Zeit verlieren, zum 80. Dir zu gratulieren. Wenn wir es auch nicht immer sagen wir wissen was wir kostbares an dir haben. Denk stets daran, vergiss es nicht, wir lieben und wir brauchen dich.

Zum runden Geburtstag winschen enk Euren Lieben, olles Guate, gonz viel Glück und vor ollem no viel Gesundheit. A groasses Vergelsgott für olls!!

Mann Mitte 70 sucht seine lenverwandte. Du liebst Zunei gung, volles Vertrauen, Ausflüge und gutes Essen? Dein Alter spielt keine Rolle. Briefe mit Kennwort „Sommertraum“an die Pustertaler Zeitung, Oberragen 18-Bruneck.

89 SAG ES MIT DER PZ ... PZ 13 | 29. JUNI 2023
50
80 www.dasautohaus.it TOP BEWERTET Autokauf? Autonita GEBRAUCHTWAGEN AN- UND VERKAUF ACQUISTO E VENDITA MACCHINE USATE d. Nuka Dardan Nordring 25 I-39031 BRUNECK MwSt. Nr./Part. IVA: 03134640212 | St. Nr./Cod. Fisc.: NKUDDN96C23B220P Tel.: +39 347 732 49 95 +39 329 745 53 76 E-mail: nuka.autonita@outlook.it d. Nuka Dardan Fabrikstraße 2 (gegenüber Karosserie Leitner) | Bruneck Tel.: +39 347 732 49 95 nuka.autonita@outlook.it - Alle Modelle - BaujahrePreisklassen - Auch Fahrzeuge mit hohen Kilometerstand, sowie Unfall-, Getriebe-, oder Motorschaden Wir suchen Gebrauchtwagen +39 393 8800880 www.rentabox.it Mo.-Fr. 08-12 / 14-18 Wir lösen ihr Platzproblem rentabox Self Storage AUTOMATISCHE FLUCHTTÜR SONNKLARHÜTTE Automatische Schiebe- und Falttüren Garagentore Türen Balkonverglasungen Alufenster Glasbau Windfänge Vordächer BACHER METALLBAU Sand in Taufers - 0474 678313 bachermetallbau@gmail.com

Wir suchen eine/n

SACHBEARBEITER/IN

(m|w|d) mit technischem Verständnis für unseren Hauptsitz in Pfalzen.

Bist du ein Teamplayer, arbeitest sicher und genau im Umgang mit Daten bzw. Zahlen, verfügst über gute Computerkenntnisse und zeigst Ausdauer und Engagement?

–> DANN MELDE DICH! <–

Deine Aufgaben

Verschiedene Tätigkeiten im Ein- und Verkauf

–Artikelstammdatenpflege

Hilfe bei der Betreuung der Datenverarbeitung in unserer Zentrale sowie der PC- und Kassensysteme in unseren Conad- und Eurospin-Filialen.

Es erwartet dich

Ein zukunftssicherer und anregender Job

Umfangreiche Einarbeitung durch unser erfahrenes

Team –

Ständige Aus- und Weiterbildung –

Eine attraktive Entlohnung, kostenloses Mittagessen, Firmenauto, Einkaufsrabatte und noch viele weitere Benefits.

BEWERBUNGEN UNTER

personal@anjoka.it oder T 0474 529 580

STELLENMARKT Stellensuche

Ortsansässige Frau aus Bruneck, mit langjähriger Erfahrung, sucht Arbeit als Badante in Bruneck oder Umgebung. Tel. 327 8103404

Eine Frau aus dem Oberpustertal sucht eine Arbeit als Haushaltshilfe oder als Babysitterin für max. 3-5x pro Woche. Arbeitszeit flexibel einteilbar. Tel. 349 6983262 (Anrufe ab 17 Uhr erbeten)

18 Jährige WFO-Schülerin sucht für die Monate Juli-August einen Sommerjob im Raum Bruneck

Tel. 389 5939996 (Anrufe ab 16 Uhr erbeten)

Pustertal: Ein italienischsprachiger arbeitswilliger Herr sucht eine Arbeit als Hilfskoch, Küchengehilfe, Hausmeister oder Arbeiter im Hotel- oder Fabrik- oder im Bausektor (kein Führerschein vorhanden) Tel. 345 5768595

Ortsans. Frau aus Bruneck, mit langjähriger Erfahrung, sucht Arbeit als Betreuerin einer älteren Person nur für die Nachtstunden in Bruneck oder Umgebung. Tel. 320 6456630

Makler*in gesucht

Geboten wird:

» Fixgehalt

» Provision

» Golf VIII Firmenauto

» Firmenhandy & -laptop

» Freie Zeiteinteilung

Stellenangebot

Wir suchen ab sofort ein Zimmermädchen als Hilfe in einer Pension in Niederdorf. Unterkunft bei Bedarf vorhanden. Tel. 377 9465426

City Café Bruneck sucht ab sofort eine nette Bedienung mit Spaß an der Arbeit.

Geboten werden ein nettes und junges Team, abwechselnder Wochendienst, und Samstag frei.

Wenn du dich angesprochen fühlst, dann melde dich unter Tel. 345 1551240

Wir freuen uns auf deinen Anruf.

90 SERVICE PZ 13 | 29. JUNI 2023 landes.zivildienst jugenddienst dekanat bruneck oktober 2023
september
infos.
tel.
bewerbung. bis 7.
lukas@vollleben.it
bis
2024 [18-28 jahre]
www.vollleben.it,
0474 410242
juli -
Wir suchen genau Sie

NIDUS-WOHNEN in St. Lorenzen

Sucht ab sofort: Vertreter und ADMitarbeiter (m/w) sowie Verkäufer (m/w) für unsere Möbelabteilung

Bei Interesse melden Sie sich bitte unter info@nidus.bz.it oder telefonisch

Tel. 348 851 8220 - 0474 474786

NIDUS-WOHNEN in St. Lorenzen

Sucht ab sofort: Lkw- und Staplerfahrer sowie Lagerarbeiter (m/w)

Bei Interesse melden Sie sich bitte unter info@nidus.bz.it oder telefonisch

Tel. 348 851 8220 - 0474 474786

BÜROMITARBEITER GESUCHT

(M, W, D)

Tel.0474552286

Zur Erweiterung unseres Teams, für Installation und Wartung suchen wir:

(m/w)

Techniker Sicherheitstechnik

Dein Profil: Ausbildung als Elektriker/Elektrotechniker

Eigenständige und zuverlässige Arbeitsweise

Dich erwartet:

Weiterbildung in einem jungen und motivierten Team

Ein abwechslungsreiches Aufgabenfeld

Benefits und leistungsgerechte Entlohnung

Du bist interessiert? Dann melde dich unter jobs@xalarm.it oder 0472 802311

WE ARE HIRING!

Die Gruppe Mirò sucht eine*n

LEITER*IN FÜR ZAHNÄRTZLICHES ZENTRUM IN BRIXEN (w/m/d)

Wir suchen passionierte Menschen, die sich engagieren und für Zahnmedizin genauso brennen wie wir. Die Mirò-Gruppe wächst und sucht eine/n Mitarbeiter/in für unser Zahnzentrum in Brixen:

Zahnarztassistent/in

Es erwarten dich ein tolles Team, innovative Technologien, ein großartiges Ambiente und Chancen für die persönliche, berufliche Weiterbildung.

Du arbeitest gerne mit Patienten, bist ihr*e Ansprechpartner*in und begleitest sie auf ihrem Behandlungsweg, bis hin zur Abwicklung von Versicherungen und/oder anderen Zahlungsmethoden? Deine Stärken sind die Organisation und Planung von Ressourcen und du bist ein Teamplayer? Du arbeitest zielorientiert und unterstützt auch gerne im Bereich Marketing und Kommunikation? Dann suchen wir genau dich!

Wir freuen uns auf dein CV: jobs@gallmetzerholding.com!

Wir freuen uns auf deine Bewerbung an: jobs@gallmetzerholding.com

Kleiderkammer der Vinzenzvereinigung Toblach jeden 1. und 2. Samstag im Monat von 9:00 bis 11:00 Uhr und jeden

3. Dienstag von 15:00 bis 17:00 Uhr im Bahnhofsgebäude von Toblach

Öffnungszeiten

Recyclinghof Bruneck:

Dienstag u. Donnerstag:

07.15 Uhr - 12.15 Uhr & 13.30 Uhr - 17.30 Uhr

Mittwoch u. Samstag: 07.15 Uhr - 12.15 Uhr

91 SERVICE PZ 13 | 29. JUNI 2023 Bruneck, Michael-Pacher-Straße 5 I 0474 862621 Toblach , St. Johannesstraße 8 I 0474 976261 Innichen, Peter-Paul-Rainer-Straße 16 I 0474 914352 Brixen, Trattengasse 7 I 0472 201250 Meran, Laubengasse 37, I 0473 055344 Lazise, Via Gardesana 20 I 045 4735086 www.castellanum.it pustertal@castellanum.it Neubau „Viehweider“ Mühlen in Taufers - Molini di Tures A+ Einheiten 21 Übergabe ab 2025 Preise ab 175.000 € Zimmer 4 Verkaufsfläche 144 m2 Preis 478.000 € A+ Neue Zweizimmerwohnung mit Balkon Bruneck - Stadtzentrum Zimmer 2 Verkaufsfläche 53 m2 Preis 365.000 € A+
INFO@KAROSSERIE-LEITNER.COM

Ihr Bodenschleifer Schleifen, Ölen oder Lackieren von Holzböden sowie Grundreinigung von geölten Holzböden

Tel. +39 392 6711700 - Bruneck

E-Mail: boednschleiffn@gmail.com

Schöne Baugründe in Osttirol (Nikolsdorf)

zu verkaufen.

Anfragen per Email an: plonerhof@aon.at

Lagerhalle

ca. 290 m2 13,3 x 22 m in Pfunders zu vermieten.

Mit eigenem Eingang und der Möglichkeit einen Brückenkran zu benützen.

IMMOBILIEN

Mietsuche

Suche große Halle zur Miete oder zum Kauf mit min. 5 Meter Deckenhöhe und ab ca. 800 m² im Pustertal. Tel. 333 9290890

Suche eine 2-Zimmerwohnung im Raum Brixen bis Bruneck ab sofort zu mieten. Tel. 327 5960342

Bruneck: Junges Paar, Nichtraucher, keine Haustiere, mit fixem Arbeitsvertrag (Öffentliche Verwaltung) sucht eine 3-4 Zimmerwohnung mit Garage oder ggf. Autoabstellplatz ab Juli zu mieten.

Tel. 340 4192963 (Anrufe ab 14.30)

Bruneck und Umgebung: Gesucht wird ab sofort eine 3 Zimmerwohnung zu einem moderaten Preise zu mieten.

Tel. 348 3066203 (gerne auch WhatsApp Angebote)

Vermiete im Auftrag eine Zweizimmerwohnung (Klimahaus

A-nature) im Sonnendorf Pfalzen auf 65 m², mit großer Terrasse, Keller und Tiefgaragenplatz. Mietpreis: € 900,00 VB (Kaltmiete).

WhatsApp: 342 0745921

Welsberg: Vermiete 53 m² Geschäftslokal im Zentrum von Welsberg, mit Magazin, extra idealer Standort für Kosmetikstudio, Büro oder Geschäftslokal. Ab sofort bezugsfähig. Tel. 346 5729692

Wien: schönes WG Zimmer mit Balkon + Internet im 11. Bezirk Simmering ab sofort zu vermieten. 380,00 Euro plus Strom.

Tel. 348/6487254

4 Zimmer Wohnung für eine kleine ortsansässige Familie in Bruneck/St. Georgen/Stegen/ Dietenheim/St. Lorenzen mit Garten oder alternativ großer breiter Terrasse zu kaufen gesucht. Kontakt: Tel. 333 9290890. Suche eine ca. 50 m² große sonnige Wohnung im EG oder mit Aufzug. Kauf oder zur Miete. Bruneck und nähere Umgebung. Tel. 340 59987690

Immobilienangebot

Gemeinde Prettau: 5 Hektar Grundstück und eine dazugehörige renovierte Heuschupfe im Hasental von Privat zu verkaufen (keine Immobilienverkauf und Provision) Tel. 347 3922450

Grünig Natursteine GmbH

Tel. 0472-765465

Wohnung mit 2-3 Schlafzimmern für italienische Familie mit Kind und gesichertem fixem Einkommen (öffentliche Verwaltung) in Bruneck oder näheren Umgebung ab sofort zu mieten gesucht. Tel. 379 2270446

www.zahnarzt-ungarn-heviz.de

Wohnung, 90m², 3 Schlafzimmer mit großer Terrasse und Garage in Bruneck ab Herbst zu vermieten.

Tel. 348 851 8220

4-Zimmerwohnung , 2 Kellerräume und Garage in ruhiger Lage, freie unverbaubare Aussicht und angrenzenden Kinderspielplatz in Bruneck verkauft Messner Immobilien. Tel. 349 8204433 info@messner-immobilien.it

Dietenheim: Kleinwohnung mit Autostellplatz ab September für einen begrenzten Zeitraum bsplw. für ein Schuljahr an Arzt/Ärztin, Student/Studentin oder Lehrperson zu vermieten. Tel. 339 1225192

• seit über 15 Jahren erfolgreich in Südtirol

Italienischsprachige Familie mit fixem Einkommen sucht eine 3- oder 4- Zimmerwohnung im Raum Pustertal ab sofort zu mieten. Tel. 345 2385102

www.zahnarzt-ungarn-heviz.de

• ganzjährig geöffnete Partnerpraxis für Vor- und Nachbehandlungen in VINTL

• seit über 15 Jahren erfolgreich in Südtirol

Mietangebote

Nähe Bruneck: Möblierte Wohnung inklusive Autoabstellplatz, geeignet für 2 Personen in schöner Wohnlage ab sofort nur an Ortsansässige zu vermieten.

Toblach: Neubauprojekt! Konventionierte Wohnungen für Ansässige, EK A, ab 303.000 €

• eine der größten Kliniken Ungarns mit 45-jähriger Erfahrung

• ganzjährig geöffnete Partnerpraxis für Vor- und Nachbehandlungen in VINTL

• eine der größten Kliniken Ungarns mit 45-jähriger Erfahrung

• bestens ausgestattete Räumlichkeiten und 21 hochquali zierte Zahnärzte

• bestens ausgestattete Räumlichkeiten und 21 hochquali zierte Zahnärzte

• Top-Qualität und beste Behandlungsmöglichkeiten für Angstpatienten auch im Dämmerschlaf

• Top-Qualität und beste Behandlungsmöglichkeiten für Angstpatienten auch im Dämmerschlaf

4-Zimmer/81m² sanierte Wohnung im Erdgeschoss mit 2 Terrassen, Gemeinschaftsgarten, Garage und Autoabstellplatz in Pfalzen an Ortsansässige zu vermieten, möglicherweise ohne Haustiere. Tel. 338 4886447

• wöchentlicher Transfer im Dental-Taxi

• wöchentlicher Transfer im Dental-Taxi

Tel. 333 3587098

Prags: Bezugsfertige konventionierte Wohnungen zu super Preis, EK A, ab 300.000 € Sie möchten Ihre Immobilie verkaufen? Rufen Sie uns unverbindlich an für eine kostenlose Werteinschätzung!

Immobiliensuche

Brixen: 2 Zimmerwohnung zu kaufen gesucht. Tel. 333 929089

• Professionalität und Herzlichkeit sprechen für uns

• Professionalität und Herzlichkeit sprechen für uns

339 10 70 714

339 10 70 714

Verein Frauen helfen Frauen

Top Gelegenheit in Innsbruck: Schönes Zimmer für Student/ in in einer netten Wohngemeinschaft ab sofort zu vermieten. Das Zimmer ist frei und kann sofort bezogen werden. Tel. 345 0418717

WIR SUCHEN Wohnungen, Häuser, Grundstücke, Höfe, Wälder überall im PUSTERTAL für unsere vorgemerkten, zahlungskräftigen Kunden. Profitieren Sie von unserer langjährigen Erfahrung. Unverbindliche Wertschätzung.

WIR VERKAUFEN:

Verein Frauen helfen Frauen

Selbsthilfegruppe

Bruneck

Bruneck

Paul-von-Sternbach-Str. 6

bei Depression & Angststörungen

BRUNECK: Neubau: Büro/Studio/Salon, 100 m², ruhige zentrale Lage, separater Eingang, sofort beziehbar • Geschäftslokal/Arztpraxis, Neubau Nähe Krankenhaus, 95 m² • große Geschäftsoder Bürofläche Nähe Zugbahnhof, 288 m² Netto, freie Gestaltungsmöglichkeit – interessanter Preis! • Büro/Praxis/Studio, ideale Position direkt neben der Hauptstraße Richtung St. Lorenzen, ab 105 m² Nettofl. zu verkaufen

Paul-von-Sternbach-Str. 6

I-39031 - Bruneck (BZ)

WIR SIND FÜR SIE DA!

I-39031 - Bruneck (BZ)

www.frauenhelfenfrauenbruneck.it

www.frauenhelfenfrauenbruneck.it

Tel. 0474 410 303

Kapuzinerplatz 9 – 39031 Bruneck

Tel. 0474 551327

Montag: 15.00 – 19.00 Uhr

Bruneck: Montag, 17.00 Uhr

14-tägliche Treffen

SEXTEN: 3-Zi-Wg., mit auslaufender Konventionierung 2026, herrl. Lage, direkt an der Skipiste

VINTL: Bar/Cafè im Dorfzentrum, ideal auch für eine Bäckerei mit Cafè

WIR VERMIETEN:

Tel. 0474 410 303

info@frauenhelfenfrauenbruneck.it

info@frauenhelfenfrauenbruneck.it

Öffnungzeiten:

Dienstag, Mittwoch und Donnerstag:

8.30 – 12.00 Uhr

Gustav-Mahler-Straße 3b – 39034 Toblach

Wichtig:

BRUNECK/ZENTRUM: kleines, voll ausgestattetes Büro, 2. Stock, Euro 450,00 zuzüglich Spesen

Öffnungzeiten:

Montag - Freitag: 8.30 - 11.30 Uhr

Tel. 3351211392

Anmeldung beim Verein LICHTUNG; Tel: 333 468 622 0 oder info@lichtung-girasole.com

Mittwoch: 15.00 - 17.00 Uhr oder nach Vereinbarung

Montag - Freitag: 8.30 - 11.30 Uhr

Mittwoch: 15.00 - 17.00 Uhr oder nach Vereinbarung

Montag bis Mittwoch von 9.00.-.11.00 Uhr

Donnerstag von 9.00 – 11.00 Uhr und von 16.00 – 18.00 Uhr

Teilnahme nur möglich nach Erstgespräch mit der Gruppenleiterin.

BRUNECK: neue 3-Zi-Wg., Wohnraum/Küche mit Terrasse, 2 große Schl.Zi., 2 Bäder • neue 2-Zi-Wg, EG mit Garten, ruhige zentrale Lage, 850,00 Euro

Europastraße 15 | 39031 Bruneck Tel. 0474 554666 | www.ausserhofer.immo

92 SERVICE PZ 13 | 29. JUNI 2023
www. mair-real.it
Tel: 340 4 668 669 info@mair-real.it
Tel. 0474 554666 | www.ausserhofer.immo

Neubauwohnungen für Ansässige...

Wir suchen/kaufen im Raum Südtirol: Geschlossene Höfe - Alte Häuser - Baugründe - Landw. Gründe

Dr. Andrè-Benedict Niederkofler +39 335 440891 info@immobil-niederkofler.it

Kleiderkammer vom Vinzenzverein Bruneck jeden 1. und 3. Donnerstag im Monat von 14.30 bis 16.30 Uhr in der Mühlgasse 2

Die Kleiderkammer im Kolpinghaus hat das ganze Jahr hindurch jeden Dienstag Nachmittag von 14-16 Uhr und jeden Donnerstag Vormittag von 9-11 Uhr geöffnet.

Frau Hedwig Nicolussi: Tel. 0474 411175 mittags o. abends

BEITRAG

IHR VORTEIL

Promotion (Südtirol) 25 Euro 40 Euro 3

Gönner (Südtirol) 30 Euro 50 Euro

6 WA für 1 Jahr

12 WA für 2 Jahre

Für das Italien-Abo und Auslands-Abo wenden Sie sich bitte an das Sekretariat unter Tel. 0474 550830 oder via E-Mail: info@pz-media.it

RAIKA BRUNECK: IBAN IT81 V080 3558 2420 0030 0004 081

ProvisionsfreifürdenKäufer

Dr. Lukas Pörnbacher +39 342 5116923 lukas@immobil-niederkofler.it

AUR1429: Zum Verkauf stehen zwei exklusive, neue Dreizimmerwohnungen im Erdgeschoss eines Privathauses, eine mit Süd-Ostausrichtung, die andere mit Süd-Westausrichtung, in einer der schönsten Lagen von Toblach, mit herrlichem Panoramaausblick und Sonne von morgens bis abends! Verkauf ohne Mehrwertsteuer. KlimaHaus A Nature <= 10,00 kWh/m²a

Preis auf Anfrage Dreizimmerwohnung . Toblach

Kontaktieren Sie uns: Tel. +39 0474 431271 www.aurimmobil.com

93 SERVICE PZ 13 | 29. JUNI 2023 www. egal .bz.it
NIEDERKOFLER
IMMOBILIEN
NEURAUTH Sonnenterrassen mit Panoramablick SANDBLICK in einzigartiger Lage mit unverbaubaren Blick SONNE im Zentrum mit Balkon/Terrasse Ahornach | 3820 Sand in Taufers | 3891 Welsberg | 3881
KOSTENLOSE ERSTBERATUNG! A+ A+ A+ 63 - 118 m² 51 - 124 m² 50 - 108 m² 2 - 3 1 - 3 1 - 3 Scan me Scan me Scan me ab 320.000 € + MwSt. ab 310.000 € + MwSt. ab 310.000 € + MwSt.
1 JAHR 2 JAHRE GRATIS Wortanzeigen f. Private
IHR
IHRE ZEITUNG BEITRAGS-FORM
für
WA
1 Jahr
6 WA für 2 Jahre

VERANSTALTUNGEN & KURSE

ohne

Bruneck

Bauernmarkt

Jeden Freitag ab 05.05.2023, von 7.30-12.30 Uhr auf dem Graben.

Boardwalk Theater

Stadt Bruneck, im Stadtzentrum

Freitag, 30.06.2023 um 16:00 Uhr: Parade in der Oberstadt

Freitag, 30.06.2023: 16:30 - 22:00 Uhr

Samstag, 01.07.2023: 10:00 - 21:00 Uhr

Sonntag, 02.07.2023: 10:00 - 14:00 Uhr

Treten Sie ein, nehmen Sie Platz und genießen Sie das exklusive Spektakel aus Artistik, Theater und Show.

St. Lorenzen

Pustertaler Sommerabende

7 Termine: vom Mittwoch, 5. Juli 2023 bis Mittwoch, 16. August 2023 - Beginn: 20:00 Uhr

St. Lorenzen, beim Musikpavillon

Die Bäuerinnen von St. Lorenzen bieten Pustertaler Spezialitäten an. Die Südtiroler Bauernjugend von St. Lorenzen sorgt für Speisen und Getränke. Musikalische Umrahmung mit verschiedenen Gruppen.

St. Georgen

Waldfest 2023

Am Flatschwaldile in St. Georgen.

PROGRAMM:

07.07 von 18:00 - 01:00 Uhr; „The Jam‘son“

ALKOHOLPROBLEME?

Es gibt eine Lösung. Nehmen Sie mit uns Kontakt auf!

info@aa-suedtirol.com | www.anonyme-alkoholiker.at Tel. +39 334 8314515

T. 0474 550 830 • info@pz-media.it Rubrik: Veranstaltungen

08.07 von 18:00 - 02:00 Uhr; „Gsieser Jungböhmische“, „Die Troglauer“

09.07 ab 12:00 Uhr; „Jergina Böxamusig“, „Da Zillertaler und die Geigerin“

Ahrntal

Prozession und Frühschoppenkonzert

Am 2. Juli 2023

Beginn: 11:00 - Ende: 13:00 Uhr

St. Peter, nähe Grundschule Peter - und Paul Prozession und anschließend Konzert der Musikkapelle St. Jakob

Abendkonzert

der MK Steinhaus

3 Termine vom Mittwoch, 5. Juli 2023 bis Mittwoch, 16. August 2023 - in Steinhaus, beim Musikpavillon - Musikkapelle Steinhaus

Olang

Kirchtag in Niederolang

2 Termine vom Samstag, 1. Juli 2023 bis Sonntag, 2. Juli 2023

In Niederolang, Pavillon

Beginn: 17:00 Uhr

Der Niederolanger Kirchtag ist jedes Jahr ein Muss für Einheimische und Gäste. 2 Tage lang verwandelt sich das Dorf in ein Festzelt mit viel Musik und guter Laune!

Olanger Bierleben

Am 11. Juli 2023Beginn um 18:30 Uhr In Mitterolang, im Zentrum Besuch uns auf der Olanger Bier-

Angehörige & Freunde von Alkoholikern

Kontakt Südtirol: 0474 944 469

verkostung, tanze zu einheimischer Musik, lausche den Gesängen und genieße dazu Südtiroler

Spezialitäten: Südtiroler Bäuerinnen und Bauern präsentieren vielfältige Varianten an Krapfen.

Antholz

Musikfest in Antholz Niedertal

2 Termine vom Samstag, 8. Juli 2023 bis Sonntag, 9. Juli 2023

In Rasen Antholz, Beginn: 18:00, Ende: 01:00 Uhr

Musikfest der Musikkapelle Antholz Niedertal

Prags

Konzert der Musikkapelle Prags

Am Freitag, den 7. Juli 2023

Prags, am Dorfplatz - Schmieden

Beginn: 20:30, Ende: 22:00 Uhr

Welsberg - Taisten

Margarethen Fest

Am 9. Juli 2023 in Welsberg Taisten. Beginn: 10:45, Ende: 15:00 Uhr - Konzert der Musikkapelle Kiefersfelden und der Musikkapelle Welsberg. Lokale Spezialitäten und Getränke.

Innichen

Monatsmarkt in Innichen

Am 4. Juli 2023

In Innichen Dorf, Pflegplatz/Alter Markt

Beginn: 08:00 Uhr

Ende: 14:00 Uhr

Was passt nicht?

TURNUSAPOTHEKEN

Der Dienstwechsel der Apotheken findet jeweils am Freitag um 19 Uhr statt.

Die unten angegebenen Öffnungszeiten beziehen sich auf Werktage. Am Sonntag gelten folgende Öffnungszeiten: 9 - 12 Uhr und 16 - 19 Uhr.

Der Notdienst gilt außerhalb der Öffnungszeiten für dringende Fälle und erfordert die Vorlage eines ärztlichen Rezeptes.

MEETINGS

Bruneck (Seeböckhaus)

Di, 15.00 Uhr

Brixen (Domgasse 2)

jeden 2 + 4. Mo im Monat, 15.00 Uhr

LÖSUNGEN: SUDOKU, KREUZWORT- & KINDERRÄTSEL

Endlich Sommer!

Marie hat Hunger!

Elsa lässt die Wollmütze und die Ohrenschützer Zuhause!

- Sand i.T. Öffnungszeiten 08:00 - 12:30 /

15:00 - 18:30 Uhr

Telefonische Erreichbarkeit: 00:00 - 18:59 Uhr, Tel. 0474 678035

Apotheke Toblach - Toblach Öffnungszeiten 08:10 - 12:15 /

15:30 - 19:00 Uhr

Telefonische Erreichbarkeit: 00:0023:59 Uhr, Tel. 0474 972165

Apotheke Pütia - St. Martin i. Th., Öffnungszeiten: 08:00 - 12:00 /

15:00 - 19:00 Uhr

Telefonische Erreichbarkeit: 00:00 - 23:59 Uhr, Tel. 0474 523020

94 SERVICE PZ 13 | 29. JUNI 2023 In
Gewähr
1 2 3 30. 06. - 07. 07. 2023 Apoteca Alta Badia - Abtei Öffnungszeiten 09:00 - 12:00 / 15:30 - 18:30 Uhr Telefonische Erreichbarkeit: 00:0023:59 Uhr, Tel. 0471 847152 Apotheke SebatumSt. Lorenzen Öffnungszeiten 08:30 - 12:30 / 15:00 - 19:00 Uhr Telefonische Erreichbarkeit: 00:00 - 18:59 Uhr, Tel. 0474 476068 Karbacher Sexten - Sexten Öffnungszeiten 08:30 - 12:30 / 15:00 - 19:00 Telefonische Erreichbarkeit: 00:00 - 23:59 Uhr, Tel. 0474 710460 07. 07. 2023 - 14. 07. 2023 Apotheke Kron - Reischach Öffnungszeiten 08:30 - 12:30 / 15:00 - 19:00 Uhr Telefonische Erreichbarkeit: 00:00 - 23:59 Uhr, Tel. 0474 548440 Apotheke Aichner
NOTDIENST | PRONTO SOCCORSO Samstag & Feiertage | sabato & giorni festivi: 12.00 – 15.30 Uhr | mobile +39 335 7820187 Sterzing Vipiteno Jaufenstr. 5 Via Giovo Tel. 0472 767650 www.dentalclinic-dallatorre.it Wir haben Sommerferien Weiter geht es im September. Parkinson Selbsthilfegruppe Pustertal

LUST AUF EINEN COOLEN JOB?

KOMM ZU UNS.

– Staplerfahrer*in, Verladung

– Teamleiter*in Produktion

– Technische Zeichner*in, auch Schulabgänger*in

personal@pircher.eu

Niederdorf (BZ) | Villabassa

www.longo.media

Die Barchetti Gruppe ist eines der wichtigsten Unternehmen im Automobilsektor in Italien. Wir sind mit 17 Marken und mehr als 40 Standorten in ganz Norditalien vertreten. Seit 1924 bieten wir unseren Kunden mit Leidenschaft und Professionalität maßgeschneiderte Dienstleistungen und Mobilitätslösungen.

BRINGEN SIE IHREN LEBENSLAUF IN UNSERE WERKSTÄTTEN

17

0471 323032

67

KONTAKTIEREN
SIE UNS
Enzo Ferrari-Str. 8 Vittorio Veneto-Str. Albertina Brogliati-Str. 7 Nordring

Turn static files into dynamic content formats.

Create a flipbook
Issuu converts static files into: digital portfolios, online yearbooks, online catalogs, digital photo albums and more. Sign up and create your flipbook.