
13 minute read
Vanessa Rocha Rodrigues: “Enxerto gengival
Enxerto gengival livre - considerações clínicas

Advertisement
Vanessa Rocha Rodrigues
Médica dentista. Aluna da Especialização em Periodontologia e Implantes na Faculdade de Medicina Dentária da Universidade de Lisboa (FMDUL). Aluna do Doutoramento na FMDUL.
Pedro Lopes Otão
Médico dentista. Aluno da Especialização em Periodontologia e Implantes na Faculdade de Medicina Dentária da Universidade de Lisboa (FMDUL). Aluno do Doutoramento na FMDUL.
Ana Rita Fradinh o
Médica dentista. Aluna da Especialização em Periodontologia e Implantes na FMDUL.
Rita Lamas
Médica dentista. Aluna da Especialização em Periodontologia e Implantes na FMDUL.
Pedro Rocha
Médico dentista. Aluno da Especialização em Periodontologia e Implantes na FMDUL.
Tiago Rodrigues
Médico dentista. Aluno da Especialização em Periodontologia e Implantes na FMDUL.
Francisco Brandão de Brito
Médico dentista. Docente da Especialização em Periodontologia e Implantes na FMDUL.
Ciência e prática
Introdução
A importância da gengiva queratinizada - perspetiva histórica
Antigamente considerava-se que era necessária uma zona ampla de gengiva aderida e queratinizada em torno de dentes para a manutenção da saúde periodontal e prevenir a perda de inserção e a recessão de tecido mole (Nabers, 1954; Ochsenbein, 1960; Friedman e Levine, 1964; Hall, 1981; Matter, 1982).
Durante vários anos, foi predominante o conceito de que uma banda estreita de gengiva: • Era insuficiente para proteger o periodonto de dano causado pelas forças de fricção da mastigação e dissipar os golpes na margem gengival criados pelas inserções musculares da mucosa alveolar adjacente (Friedman, 1957;
Ochsenbein, 1960). • Facilitava a formação de placa subgengival devido ao encerramento impróprio da bolsa devido à mobilidade do tecido marginal (Friedman, 1962). • Favorecia a perda de inserção e recessão de tecido mole, devido à menor resistência do tecido à propagação apical das lesões gengivais associadas à placa bacteriana (Stern, 1976; Ruben, 1979). • Quando associado a um fundo de vestíbulo plano, pode favorecer a acumulação de restos alimentares durante a mastigação e impede corretas medidas de higiene oral (Corn, 1962; Carranza & Carraro, 1970).
As opiniões acerca da quantidade “adequada” ou “suficiente” de gengiva variam. De um ponto de vista biológico, Friedman (1962) e De Trey e Bernimoulin (1980) consideram que uma quantidade adequada é aquela que seja compatível com a saúde gengival ou previna recessão gengival durante os movimentos da mucosa alveolar. Lang e Loe (1972) avaliaram o significado da dimensão de uma determinada zona gengival na manutenção da saúde periodontal. Avaliaram estudantes de Medicina Dentária sujeitos a controlo de placa bacteriana profissional uma vez por dia, durante seis semanas. Todas as localizações vestibulares e linguais/palatinas foram examinadas relativamente à presença de placa, condições gengivais e altura de gengiva. Verificaram que todos os locais, com menos de 2 mm de gengiva, mesmo na ausência de placa bacteriana, apresentaram sinais clínicos persistentes de inflamação.
Wennstrom e Lindhe (1983 a,b) avaliaram a quantidade mínima de gengiva aderida para uma adequada proteção do periodonto, em cães Beagle.
Nestes estudos, as unidades dento-gengivais com diferentes características clínicas foram experimentalmente estabelecidas: 1. Unidades com uma zona estreita e móvel de tecido queratinizado. 2. Unidades com gengiva aderida firme e ampla.
Concluíram que, com medidas de controlo de placa bacteriana realizadas diariamente, as unidades podem manter-se livres de sinais de inflamação clínicos ou histológicos, independentemente da presença ou ausência de uma porção de gengiva aderida. Quando era permitida a acumulação de placa bacteriana (durante 40 dias), desenvolviam-se sinais clínicos de inflamação (eritema e edema) que eram mais pronunciados em regiões dentárias com gengiva móvel do que em zonas com uma banda larga e firme de gengiva aderida. No entanto, a análise histológica revelou que a dimensão do infiltrado celular inflamatório e a sua extensão em direção apical era similar nas duas unidades analisadas.
Assim, os resultados de que os sinais clínicos da inflamação gengival não correspondem ao tamanho do infiltrado inflamatório ilustra as dificuldades inerentes à interpretação dos
dados obtidos a partir das observações clínicas, em diferentes condições de largura de gengiva. Isto deve ser tido em conta quando se interpretam os estudos de Lang e Loe (1972), que consideraram que os sinais clínicos observáveis de inflamação são mais frequentes em áreas com menos de 2 mm de gengiva do que em zonas com uma larga banda de gengiva.
Da análise dos estudos realizados até à data, conclui-se que a saúde gengival pode ser mantida independentemente das suas dimensões. Na presença de placa, áreas com uma banda estreita de gengiva apresentam um grau similar de “resistência” à contínua perda de inserção semelhante a áreas com uma larga banda de gengiva. O tradicional dogma da necessidade de uma adequada largura de gengiva (em mm) ou uma porção aderida de gengiva, para a prevenção de perda de inserção não é cientificamente suportada (Lindhe e Lang, 2015).
Enxerto gengival livre – considerações clínicas
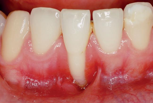
A recessão gengival é definida como o deslocamento da margem do tecido mole para uma posição apical à junção amelocimentária (JAC) (American Academy of Periodontology. Glossary of Periodontal Terms) e é uma característica clínica frequente em populações com bons e maus padrões de higiene oral (Loe et

al., 1992). A perda localizada de inserção com recessão gengival está localizada principalmente nos espaços interproximais em pacientes com inflamação periodontal induzida por placa e na superfície vestibular dos dentes em pacientes com altos padrões de higiene oral, podendo afetar superfícies radiculares simples ou múltiplas (Loe et al., 1992), (figs. 1 a 4).
Enxerto gengival livre – indicações
Segundo a literatura, o enxerto gengival livre está indicado para aumento de banda de gengiva queratinizada à volta de dentes (Aguido et al., 2009) e à volta de implantes (Roccuzzo et al., 2016). Alguns autores afirmam ainda que esta técnica pode ser usada para recobrimento radicular (Cortellini et al., 2012; Zuchelli e De Sanctis 2013) e aumento da profundidade do vestíbulo (Yadav et al., 2014).
Enxerto gengival livre – técnica cirúrgica
Preparação do leito recetor
O procedimento cirúrgico inicia-se com a preparação do leito recetor, permitindo um período de tempo adequado para a hemóstase do leito e minimizando o intervalo de tempo


Figs.1 a 4. Recessões gengivais.


Figs. 5 e 6. Preparação do leito recetor.
entre a remoção e colocação do enxerto. O epitélio, tecido conjuntivo e fibras musculares do local recetor são dissecadas até ao periósteo. A camada de tecido mole remanescente forma a base imóvel, que permite a imobilização do enxerto e reduz a contração pós-operatória do mesmo (Sullivan e Atkins, 1968), (figs. 5 e 6).
A superfície do leito deve ser plana para prevenir a acumulação de sangue e a formação de um coágulo nas zonas irregulares. Após a preparação, uma gaze embebida com solução salina deve colocar-se sobre o leito para controlar a hemorragia (Sullivan e Atkins, 1968).
Preparação do local dador
A mucosa palatina é a zona mais utilizada, mas tem limitações anatómicas. A submucosa do palato anterior é rica em tecido adiposo, que se é inadvertidamente incluída no enxerto pode atuar como barreira à difusão e vascularização e, por isso, deve ser removida antes da colocação do enxerto. Por outro lado, no palato posterior existe o orifício palatino maior e os vasos que o acompanham, o que pode limitar a abordagem cirúrgica (Sullivan e Atkins, 1968).

Os nervos e vasos sanguíneos palatinos maiores e menores entram no palato através do orifício palatino maior e menor. A localização destes orifícios varia, mas normalmente pode ser identificado apicalmente ao terceiro molar na junção da porção horizontal e vertical do osso palatino. A banda neuro-vascular pode estar localizada de 7 a 17 mm da JAC dos pré-molares e molares maxilares. Dada a variabilidade de posicionamento, antes de se proceder à incisão inicial para recolha de um enxerto do palato, o clínico deve tentar palpar o sulco ósseo, que é mais facilmente palpável na sua extensão posterior. Quando o palato é raso, as estruturas neurovasculares estão localizadas mais proximamente da JAC e pelo contrário, num palato alto (forma-de-U), as estruturas neurovasculares encontram-se mais afastadas da JAC (Raiser et al., 1996).
O ramo terminal da artéria palatina maior estende-se até ao orifício incisivo, onde passa acima do canal incisivo para o septo nasal, na área Kiesselbach. Por esta razão, é aconselhável limitar a extensão anterior de recolha de enxertos, à linha ângulo distal do canino, devido ao percurso ascendente da artéria palatina maior e uma aproximação a JAC dos dentes adjacentes. Por sua vez, se ocorrer lesão desta banda neurovascular, pode ocorrer anestesia, parestesia ou hemorragia (Raiser et al., 1996), (figs. 7 a 9).
Figs. 7 a 9. Preparação da zona dadora.

Antes de recolher o enxerto, um template com uma folha de estanho/cera pode ser feito e posteriormente transferido para o local dador. O template assegura um adequado contorno do tecido para que este seja compatível com a zona recetora. (figs. 10 e 11).
Para minimizar o trauma e a desidratação, coloca-se o enxerto no leito recetor previamente preparado tão cedo quanto possível. Por qualquer atraso devido a uma inadequada hemóstase, o enxerto deve colocar-se numa gaze com solução salina (Sullivan e Atkins, 1968).
Espessura do enxerto
Soehren et al. (1973) relataram que a espessura do epitélio palatino variou de 0,1 a 0,6 mm com uma espessura média de 0,34 mm. Esses autores recomendam o uso de enxertos com pelo menos de 0,75 a 1,25 mm de espessura para garantir que haja um componente de tecido conjuntivo adequado (figs. 12 e 13).
Tratamento da superfície radicular exposta
Antes do procedimento de recobrimento radicular, a superfície radicular exposta deve estar livre de biofilme bacteriano, o que pode ser alcançado pelo uso de uma taça de borracha com pasta de polimento. Um alisamento radicular extenso, apenas deve ser realizado, quando uma proeminência radicular reduzida é considerada benéfica para a sobrevivência do enxerto.
Alguns autores, preconizam o uso de agentes de desmineralização da superfície radicular, não apenas para a remoção de smear layer, mas também para facilitar a formação de uma nova adesão fibrosa. No entanto, com base em uma revisão sistemática sobre a eficácia do condicionamento da superfície radicular, Oliveira e Muncinelli (2012) concluíram que não há evidências de que a biomodificação da superfície radicular, por exemplo, ácido cítrico, EDTA ou laser antes do recobrimento radicular melhore o resultado clínico dos procedimentos (figs. 14 e 15)
Imobilização do enxerto
Após a sua remoção, o enxerto imobiliza-se num leito recetor não sangrante, o que é fundamental para a sobrevivência do enxerto. Os passos para a imobilização incluem a sutura e a formação do coágulo de fibrina. Durante a sutura, deve-se minimizar o trauma, prevenindo dano desnecessário à vascu

Figs. 10 e 11. Template.

Figs. 12 e 13. Avaliação da espessura do enxerto.



Figs. 14 e 15. Preparação da superfície radicular.

Fig. 16. Adaptação do enxerto à zona recetora.

larização do enxerto. Deve usar-se um número mínimo de suturas (Sullivan e Atkins, 1968), (fig. 16).
Após a sutura, deve-se realizar pressão contra o enxerto durante cinco minutos para eliminar o coágulo sanguíneo que se encontra entre o enxerto e a zona recetora. A deslocação total de coágulo sanguíneo é difícil, se existirem irregularidades da superfície recetora/dadora. Estas irregularidades atuam como reservatórios de sangue que levam à formação de coágulos localizados entre o enxerto e o leito recetor. Na ausência de irregularidades de superfície, a pressão resulta no deslocamento do coágulo sanguíneo e uma aproximação íntima do enxerto com o leito (Sullivan e Atkins, 1968), (figs. 17 a 20).
Cicatrização dos enxertos gengivais livres
A sobrevivência de um enxerto colocado sobre uma superfície radicular desnudada, depende da difusão do plasma e da revascularização das partes do enxerto, que repousam no leito do tecido conjuntivo. A quantidade de tecido que pode manter- -se sobre a superfície radicular é limitada pelo tamanho da área avascular (Oliver et al., 1968; Sullivan e Atkins, 1968).
Outro fenómeno de cicatrização frequentemente observado, após procedimentos de enxertos gengivais livres, é o creeping attachment, relatado por Matter (1980), que consiste na migração coronal da margem do tecido mole. Este fenómeno ocorre entre um mês e um ano após a cirurgia.



Figs. 17 a 20. Sutura do enxerto à zona recetora.



Figs. 21 a 23. Cicatrização do enxerto.

A cicatrização de enxertos gengivais livres,
estudada por Oliver et al. (1968)
• Fase inicial (de zero a três dias), (fig. 21): – Uma fina camada de exsudado está presente entre o enxerto e o leito recetor. – Degeneração e descamação da camada superficial do epitélio. – Circulação plasmática por difusão. – Não há vascularização do enxerto. • Fase de revascularização (de dois a 11 dias), (fig. 22): – Tecido conjuntivo torna-se normal. – Reabsorção óssea mínima. – Novo epitélio a recobrir o enxerto ao dia 11. – Vascularização densa a partir do dia sete. • Fase de maturação do tecido (de 11 a 42 dias), (fig 23): – Tecido conjuntivo não se altera desde o dia 14. – Aumento da espessura do epitélio com tecido queratinizado (dia 28). – Menor número de vasos, mas de maior diâmetro.
Conclusão
Segundo a literatura, o enxerto gengival livre ainda é considerado o gold standard para aumentar a espessura dos tecidos moles e aumentar o tecido queratinizado à volta de dentes e implantes, aumentar a profundidade do vestíbulo e corrigir problemas relacionados com freios proeminentes (Zucchelli et al., 2019).
Bibliografi a
1.
2.
3.
4.
5.
6.
7.
8.
9.
Allen E. Use of mucogingival surgical procedures to enhance esthetics. Dent Clinics N Am, 1988; 32: 307-330. Allen EP, Miller PD. Coronal positioning of existing gingiva: short-term results in the treatment of shallow marginal tissue recession. J Periodontol, 1989; 60: 316-319. American Academy of Periodontology. Glossary of Periodontic Terms, 4th edn. Chicago, 2001. American Academy of Periodontology. Bernimoulin JP, Luscher B, Muhlemann H. Coronally repositioned periodontal flap. J Clin Periodontol, 1975; 2: 1-13. Carranza FA, Carraro JJ. Mucogingival techniques in periodontal surgery (1970). Journal of Periodontology, 41, 294-299. Dorfman HS, Kennedy JE, Bird WC. Longitudinal study of free autogenous gingival grafts. J Clin Periodontol, 1982; 53: 349-352. Dorfman HS, Kennedy JE, Bird WC. Longitudinal evaluation of free gingival autografts. J Clin Periodontol, 1980; 7: 316-324. Friedman N. Mucogingival surgery (1957). Texas Dental Journal 75, 358-362. Hangorsky U, Bissada NB. Clinical assessment of free gingival graft effectiveness on maintenance of periodontal health (1980). Journal of Periodontology, 51, 274-278.
10.
11.
12.
13.
14.
15.
16.
17.
Karring T, Ostergaard E, Löe H. Conservation of tissue specificity after heterotopic transplantation of gingiva and alveolar mucosa (1971). Journal of Periodontal Research, 6, 282-293. Lang NP, Löe H. The relationship between the width of keratinized gingiva and gingival health (1972). Journal of Periodontology, 43, 623-627. Matter J. Creeping attachment of free gingival grafts: a five-year follow-up study. J Periodontol, 1980; 51: 681-685. Oliver RG, Löe H, Karring T. Microscopic evaluation of the healing and re-vascularization of free gingival grafts. Journal of Periodontal Research, 3, 84-95. Sullivan H, Atkins J. Free autogenous gingival grafts: I. Principles of successful grafting. Periodontics, 1968; 6: 121-129. Wennström JL, Lindhe J. The role of attached gengiva for maintenance of periodontal health. Healing following excisional and grafting procedures in dogs (1983a). J Clin Periodontol, 10, 206-221. Wennström JL, Lindhe J. Plaque-induced gingival inflammation in the absence of attached gingiva in dogs (1983b). J Clin Periodontol, 10, 266-276. Zuchelli et al. Autogenous soft tissue grafting for periodontal and peri-implanter plastic surgical reconstructions. Journal of Periodontology, 2019.









