Τετραµηνιαίο επιστηµονικό περιοδικό της Ελληνικής Παιδιατρικής Εταιρείας

|
|
2023
Τόμος 86 | Τεύχος 1 | Ιανουάριος - Φεβρουάριος - Μάρτιος - Απρίλιος 2023
Τετραμηνιαία έκδοση της Eλληνικής Παιδιατρικής Eταιρείας
Τετραµηνιαίο επιστηµονικό περιοδικό της Ελληνικής Παιδιατρικής Εταιρείας
|
|
2023
Τόμος 86 | Τεύχος 1 | Ιανουάριος - Φεβρουάριος - Μάρτιος - Απρίλιος 2023
Τετραμηνιαία έκδοση της Eλληνικής Παιδιατρικής Eταιρείας
ΣΥΝΤΑΞΗΣ
Πρόεδρος
Α. Κωνσταντόπουλος
Συντακτική επιτροπή
Διευθυντής Σ. Αντωνιάδης
Mέλη
Σ. Ανδρονίκου Ε. Γαλανάκης
Α. Ευαγγελίου
Λ. Θωμαΐδου
Μ. Κανάριου Α. Καπόγιαννης Σ. Kίτσιου-Τζέλη Ε. Μανταδάκης Π. Παναγιωτοπούλου-Γαρταγάνη Α. Παπαδοπούλου Β. Παπαευαγγέλου Α. Παπαθανασίου Α. Σιαμοπούλου-Μαυρίδου Α. Συρίγου-Παπαβασιλείου
Στέλιος Αντωνιάδης
008
ΒΡΑΒΕΥΜΕΝΗ ΕΡΓΑΣΙΑ
Ανάπτυξη Συστήματος Πληροφοριακής Επιδημιολογίας: Πεποιθήσεις έναντι του παιδικού
εμβολιασμού COVID-19 στο Ελληνικό Twitter
Χρήστος Μάρκου, Νεφέλη Γιαννοπούλου Μαρίνη, Ιωάννα Καρεφυλλάκη, Γεωργία
Μερκουριάδη, Βασιλική-Αθηνά Τυρολόγου, Δήμητρα Παπαδάκη, Κωνσταντίνος
Κεσανόπουλος, Αναστασία Μπαρμπούνη
020
ΑΡΘΡΟ ΕΙΔΙΚΟΥ ΕΝΔΙΑΦΕΡΟΝΤΟΣ
Επιδημιολογική Θεώρηση του Αναπνευστικού Συγκυτιακού Ιού (RSV)
Χαρίλαος Κ. Κουτής
024
ΑΡΘΡΟ ΑΝΑΣΚΟΠΗΣΗΣ
H οικογενειοκεντρική φροντίδα στις Μονάδες Εντατικής Νοσηλείας Νεογνών
Ιφιγένεια Παπακοτούλα, Δημήτριος Δέλλιος, Γεώργιος Μητσιάκος, Ηλίας Χατζηιωαννίδης
ΠΕΡΙΓΡΑΦΗ ΕΝΔΙΑΦΕΡΟΥΣΩΝ ΠΕΡΙΠΤΩΣΕΩΝ Ηωσινοφιλία και πνευμονικά διηθήματα
Υποβολή εργασιών e-mail: grammateia@e-child.gr
Οδηγίες προς τους συγγραφείς: http://e-child.gr/publications/ instructions-to-authors
Iδιοκτήτης
Eλληνική Παιδιατρική Eταιρεία
Μπακοπούλου 15,15451, Ν.
Ψυχικό
Tηλ.: 2107771140 e-mail: grammateia@e-child.gr
Eτήσια συνδρομή: €40
Eιδικευόμενοι, φοιτητές: €20
046
Ηπατική συμμετοχή σε λοίμωξη από ροταϊό. Περιγραφή
βιβλιογραφίας
περίπτωσης και ανασκόπηση της
Μαργαρίτα-Ευθαλία Παπασάββα, Δήμητρα Σαββίδου, Στυλιανή Γιαννακούλα, Βασίλειος Γραμμενιάτης, Βασιλική Τσανάκα, Βασιλική Γκέτση
052
ΑΡΘΡΟ ΙΣΤΟΡΙΚΟΥ ΕΝΔΙΑΦΕΡΟΝΤΟΣ
Δύο παιδιατρικού ενδιαφέροντος γαλλικές πραγματείες του 19ου αιώνα Αριστείδης Γ. Διαμαντής
058
ΣΥΝΑΔΕΛΦΙΚΑ
Στέλιος Αντωνιάδης
060
ΝΕΕΣ ΚΥΚΛΟΦΟΡΙΕΣ
Στέλιος Αντωνιάδης
062
ΟΔΗΓΙΕΣ ΠΡΟΣ ΤΟΥΣ ΣΥΓΓΡΑΦΕΙΣ
Volume 86 | Number 1 | January - February - March - April 2023
Four monthly publication of the Greek Paediatric Society
006 EDITORIAL
Stelios Antoniadis
008
AWARDED PAPER
Development of an Infoveillance System: Opinions against children’s COVID-19 vaccination on Greek Twitter
Christos Markou, Nefeli Giannopoulou Marini, Ioanna Karefyllaki, Georgia Merkouriadi, Vasiliki-Athina Tyrologou, Dimitra Papadaki, Konstantinos Kesanopoulos, Anastasia
Barbouni
020
ARTICLE OF SPECIAL INTEREST
Epidemiology of the Respiratory Syncytial Virus (RSV)
Charilaos K. Koutis
024
REVIEW ARTICLE
Family-Centered Care provision in Neonatal Intensive Care Units
Ι. Papakotoula, D. Dellios, G. Mitsiakos, Ι. Chatziioannidis
036
CASE REPORTS
Eosinophilia and Pulmonary infiltrates as a first sign of Primary Hypereosinophilic Syndrome in a 13,5 years old girl
Savvidou Dimitra, Margarita Papasavva, Smaragdi Fessatou, Frideriki Stergiou, MariaAlexandra Kefala, Vasiliki Gketsi
President
A. Constantopoulos
Editorial board
Editor- in- Chief
S. Antoniadis
Members
S. Andronikou
E. Galanakis
A. Evangeliou
L. Thomaidou
M. Kanariou
A. Kapogiannis
S. Kitsiou-Tzeli
E. Mantadakis
P. Panagiotopoulou-Gartagani
A. Papadopoulou
V. Papaevagelou
A. Papathanassiou
A. Siamopoulou-Mavridou
A. Syrigou-Papavasiliou
Manuscript submission
e-mail: grammateia@e-child.gr
Instructions to authors: http://e-child.gr/publications/ instructions-to-authors
Owner
Greek Paediatric Society
15, Mpakopoulou st.
GR - 15451, Ν. Psychiko Tel.: +302107771140
e-mail: grammateia@e-child.gr
Annual subscription
All foreign countries: US$50
046
Hepatic involvement in Rota virus infection. A case report and review of the literature
Margarita-Efthalia Papasavva, Dimitra Savvidou, Styliani Giannakoula, Vasileios Grammeniatis, Vasiliki Tsanaka, Vasiliki Gketsi
052
FROM THE HISTORY OF MEDICINE
Two interesting 19th century French treatises of paediatric interest
Aristidis G. Diamantis
058
BETWEEN COLLEAGUES
Stelios Antoniadis
060
RECENT PUBLICATIONS
Stelios Antoniadis
062
INSTRUCTIONS TO AUTHORS
γαπητοί συνάδελφοι, εκλεκτοί φίλοι Χριστός Ανέστη.
Περίμενα πολύ καιρό για να έρθει η ώρα που θα γράψω ότι η πανδημία έγινε ενδημία.
Και ενώ ευχόμουνα να τελειώσουν τα δυσάρεστα και να μπούμε σε μια ομαλή περίοδο παρουσιάστηκαν άλλα περίεργα και σοβαρά προβλήματα τα οποία έχουν σχέση με τα παιδιά.
Διαβάζουμε και ακούμε στα ΜΜΕ για εφήβους που δημιουργούν συμμορίες, ληστεύουν
συνομηλίκους τους και σαν να μην έφτανε αυτό χρησιμοποιούν όπλα, κυρίως για εκφοβισμό
αλλά και όχι λίγες φορές κάνουν χρήση του όπλου για να μαχαιρώσουν!
Σε άλλες περιπτώσεις μαθαίνουμε για διαπληκτισμούς που δεν μένουν στο επίπεδο των
αγοριών αυτής της ηλικίας που συχνά παλεύουν μεταξύ τους αλλά καταλήγουν σε σοβαρούς
τραυματισμούς,
Ένα άλλο πρόβλημα αποτελεί η σεξουαλική παρενόχληση που φτάνει στο επίπεδο του βιασμού σε πολύ μικρής ηλικίας παιδιά, ακόμα και βρέφη. Σεξουαλική παρενόχληση εντός της οικογένειας, σε χώρους άθλησης και μάλιστα σε πολλές περιπτώσεις κατ΄ εξακολούθηση.
Αναρωτιέται κανείς για το ποια μπορεί να είναι η αιτία. Να φταίει η πανδημία; Να συνέβαιναν
και παλαιότερα και να μην τα μαθαίναμε; Να συνέβαιναν σε μικρότερο ή πολύ μικρότερο
βαθμό; Δεν ξέρω και ίσως κανείς μας δεν ξέρει. Εκείνο όμως που όλοι κατανοούμε είναι
ότι το θέμα αφορά την παιδιατρική και πρέπει να δοθεί στους παιδιάτρους η ευκαιρία να παρέμβουν.
Και μη χειρότερα.
Με ιδιαίτερη πάντα εκτίμηση και συναδελφική αγάπη
ΣΤΕΛΙΟΣ ΑΝΤΩΝΙΑΔΗΣ Καθηγητής - Διευθυντής Παιδίατρος - Καρδιολόγος Παίδων
Χρήστος Μάρκου, Νεφέλη Γιαννοπούλου-Μαρίνη, Ιωάννα Καρεφυλλάκη, Γεωργία
Μερκουριάδη, Βασιλική-Αθηνά Τυρολόγου, Δήμητρα Παπαδάκη, Κωνσταντίνος
Κεσανόπουλος, Αναστασία Μπαρμπούνη
Εισαγωγή
Η παρακολούθηση της εμπιστοσύνης/δισταγμού του κοινού έναντι του εμβολιασμού των
παιδιών 5-11 ετών είναι ζωτικής σημασίας για την επιτυχή ανοσοποίησή τους έναντι της
COVID-19. Η επιτήρηση των απόψεων στα μέσα κοινωνικής δικτύωσης όπως το Twitter, μέσω
της Πληροφοριακής Επιδημιολογίας (Infodemiology - Internet Based Surveillance) μπορεί να αποτυπώσει τη στάση και τις πεποιθήσεις των χρηστών για τον εμβολιασμό των παιδιών.
Σκοπός της παρούσας εργασίας είναι η αποτύπωση των απόψεων/πεποιθήσεων των χρηστών
του ελληνικού Twitter για τον εμβολιασμό των παιδιών 5-11 ετών έναντι της COVID-19 με
στόχο τον αποτελεσματικότερο σχεδιασμό πολιτικών υγείας προώθησης του παιδικού
εμβολιασμού.
Μέθοδοι
Υλικό της εργασίας αποτέλεσαν αναρτήσεις tweets στα ελληνικά, για την περίοδο 15 ημερών
πριν από την ανακοίνωση έναρξης των εμβολιασμών για τα παιδιά 5-11 ετών στην Ελλάδα έως
και τις 13/4/2022, δηλαδή συνολικά από τις 19/11/2021 έως και τις 13/4/2022. Ανακτήθηκαν
6.971 tweets καθώς και οι αλληλεπιδράσεις των χρηστών με αυτά (retweets, likes, quotes).
Αξιολογήθηκαν 112 διαφορετικές λέξεις-κλειδιά σχετικές με τον παιδικό εμβολιασμό και
επελέγησαν 102. Η ανάκτηση των tweets έγινε με το Twitter API v2 (Academic licence) μέσω
εφαρμογής για τη συλλογή, επεξεργασία και αποθήκευση των δεδομένων, αρχιτεκτονικής LAMP (Linux, Apache, MySQL, PHP).
Αποτελέσματα
Συνολικά δημοσιεύθηκαν/επαναδημοσιεύθηκαν 6.971 απόψεις (Original tweets: 3.560 /
Retweets: 3.411 ) από 1.254 και 2.146 χρήστες αντίστοιχα.
Συμπεράσματα
Σύμφωνα με τα αποτελέσματα, οι χρήστες αλληλεπιδρούν με την σχετική με το εμβόλιο
ενημέρωση (εμβολιασμός, διαθέσιμες δόσεις εμβολίων, διακοπή εμβολιασμού στη Σουηδία
κ.ά).
Η προτεινόμενη μεθοδολογία αποτυπώνει τις απόψεις των χρηστών του Twitter και παρέχει τη
δυνατότητα περαιτέρω ανάλυσης των συναισθημάτων τους ως προς τον παιδικό εμβολιασμό
έναντι της COVID-19.
Λέξεις–Κλειδιά: COVID-19, παιδικός εμβολιασμός, Infodemiology, Sentiment analysis, Συστήματα Διαδικτυακής Επιτήρησης, Twitter.
Αλληλογραφία Κωνσταντίνος Κεσανόπουλος
T. 213 2010 262
E. kkesanopoulos@uniwa.gr
Χρήστος Μάρκου Νεφέλη ΓιαννοπούλουΜαρίνη Ιωάννα Καρεφυλλάκη Γεωργία Μερκουριάδη Βασιλική-Αθηνά Τυρολόγου Δήμητρα Παπαδάκη Κωνσταντίνος Κεσανόπουλος Αναστασία Μπαρμπούνη
Ειδική Ακαδημαϊκή Μονάδα Μελέτης Καπνισματικής Συμπεριφοράς Εργαστήριο Υγιεινής και Επιδημιολογίας Τμήμα Δημόσιας και Κοινοτικής Υγείας Σχολή Δημόσιας Υγείας Πανεπιστήμιο Δυτικής Αττικής Αθήνα, Ελλάδα
Abstract
Background
Monitoring public confidence/hesitancy towards vaccination of 5–11-year-olds is critical to their successful immunization against COVID-19. Monitoring opinions on social media such as Twitter through Infodemiology (Internet Based Surveillance) can depict users' attitudes and beliefs on childhood vaccination. The purpose of this work is the investigation of the opinions/beliefs of Greek Twitter users on the vaccination of children aged 5-11 years old against COVID-19, with the aim of developing more effective health policies to promote childhood vaccination.
Methods
The material of the work consisted of tweets written in Greek, for a 15-day-period prior to the announcement of the beginning of vaccination for ages 5-11 years old in Greece (19/11/2021) until 13/4/2022. A total of 6.971 tweets and user interactions (retweets, likes, quotes) were retrieved. 112 different keywords related to childhood vaccination were evaluated and 102 were selected. Tweets were retrieved with the Twitter API v2 (Academic license) through a LAMP architecture (Linux, Apache, MySQL, PHP) application for collecting, processing and storing the data.
Results
A total of 6,971 opinions were posted/reposted (Original tweets: 3.560 / Retweets: 3.411) by 1.254 and 2.146 users respectively.
Conclusions
According to the results, users interact with vaccine-related information (vaccination, available vaccine doses, discontinuation of vaccination in Sweden, etc.).
The proposed methodology presents the opinions of Twitter users and provides the possibility of further analysis of their sentiments towards children vaccination against COVID-19.
Keywords: COVID-19, childhood vaccination, Infodemiology, Sentiment analysis, Digital Surveillance Systems,
Ανάπτυξη Συστήματος Πληροφοριακής Επιδημιολογίας: Πεποιθήσεις έναντι του παιδικού
εμβολιασμού COVID-19 στο Ελληνικό Twitter
Λόγω της επιτακτικής ανάγκης για την αντιμετώπιση και τον περιορισμό της πανδημίας και
χάρη στις συντονισμένες προσπάθειες της παγκόσμιας επιστημονικής κοινότητας, τα πρώτα αποτελεσματικά εμβόλια για τους ενήλικες έναντι του νέου ιού έλαβαν, υπό προϋποθέσεις,
άδεια χρήσης στην Ευρωπαϊκή Ένωση τον Δεκέμβριο του 2020 (3), ενώ τα εμβόλια για τους
εφήβους (12 έως 15 ετών) (4) και τα παιδιά (5 έως 11 ετών) (5) έλαβαν αντίστοιχες άδειες τον
Μάιο και τον Νοέμβριο του 2021, αντίστοιχα.
Στην χώρα μας, η ηλεκτρονική πλατφόρμα για τον προγραμματισμό του εμβολιασμού σε
παιδιά 5 – 11 ετών, ξεκίνησε τη λειτουργία της στις 10/12/2021, ενώ οι πρώτοι εμβολιασμοί
πραγματοποιήθηκαν στις 15/12/2021, με περισσότερα από 37.000 παιδιά να έχουν εμβολιαστεί
μέσα στον πρώτο μήνα (6).
Τα τελευταία χρόνια, τόσο σε παγκόσμιο επίπεδο, όσο και στην Ελλάδα, έχει καταγραφεί μια
σημαντική απώλεια εμπιστοσύνης και άρνησης του πληθυσμού έναντι του εμβολιασμού και
ειδικότερα του εμβολιασμού των παιδιών (7-11). Η αντιεμβολιαστική αυτή στάση, μέρους της
κοινωνίας, καθώς και οι λανθασμένες πεποιθήσεις για την ασφάλεια των νέων εμβολίων
έναντι της COVID-19 για τους ενήλικες και τους εφήβους, αλλά και περισσότερο για τα παιδιά, είχαν ως αποτέλεσμα την αποτροπή μέρους του πληθυσμού από το να εμβολιαστεί.
Συνεχιζόμενης της πανδημίας και δεδομένων των μέτρων περιορισμού των μετακινήσεων
που επιβλήθηκαν τόσο στην Ελλάδα όσο και σε άλλες χώρες, κατέστη εξαιρετικά δύσκολη
εκ μέρους της επιστημονικής κοινότητας, η διεξαγωγή μελετών αποτύπωσης των απόψεων
των πολιτών για τον εμβολιασμό, με στόχο τον αποτελεσματικό σχεδιασμό δράσεων και
παρεμβάσεων ενημέρωσης και προαγωγής του εμβολιασμού έναντι της νόσου COVID-19.
Τα Συστήματα Διαδικτυακής Επιτήρησης (Internet Based Surveillance – IBS systems)
αποτελούν επέκταση των παραδοσιακών συστημάτων επιδημιολογικής επιτήρησης.
Βασιζόμενο στην Πληροφοριακή Επιδημιολογία (Infodemiology), ένα σύστημα IBS επιτρέπει
την παρακολούθηση των πεποιθήσεων και των απόψεων των χρηστών των μέσων κοινωνικής
δικτύωσης, για θέματα Δημόσιας Υγείας, όπως ο παιδικός εμβολιασμός κατά της COVID-19. Η
Επιδημιολογία” μπορεί να οριστεί, σύμφωνα με τον Eysenbach (2009), ως “η
επιστήμη της διανομής και μελέτης των καθοριστικών παραγόντων της πληροφορίας σε ένα
ηλεκτρονικό μέσο, συγκεκριμένα στο διαδίκτυο ή σε έναν πληθυσμό, με απώτερο σκοπό την
ενημέρωση της Δημόσιας Υγείας και της Δημόσιας Πολιτικής” (12).
Τα τελευταία χρόνια, όπως αποδεικνύεται και από την αύξηση των πρόσφατων δημοσιεύσεων
και ερευνών σχετικά με την Πληροφοριακή Επιδημιολογία, η χρήση των συστημάτων IBS
είναι αυξανόμενη, λόγω των σημαντικών επιδημιολογικών πληροφοριών που παρέχουν (13–16).
Το Twitter είναι μια διαδραστική πλατφόρμα κοινωνικής δικτύωσης που ιδρύθηκε το 2006
με περισσότερους από 300 εκατομμύρια χρήστες παγκοσμίως (17), η οποία επιτρέπει στους χρήστες να στέλνουν μηνύματα έως 280 χαρακτήρων ο ένας στον άλλο. Το κείμενο των αναρτήσεων (tweets), καθώς και η διάδραση μεταξύ των χρηστών (επισήμανση “Μου αρέσει” (like), επαναδημοσίευση ανάρτησης (retweet), δυνατότητα επαναδημοσίευσης με σχολιασμό (quote), αποτελούν το πρωτογενές υλικό μελετών από ερευνητές Δημόσιας Υγείας, τόσο για την αλληλεπίδραση μεταξύ των χρηστών, όσο και για την ανάλυση του περιεχομένου των
μηνυμάτων καθώς και των συναισθημάτων που εκφράζουν αυτά (18).
Σκοπός της παρούσας μελέτης, είναι η ανάπτυξη ενός Συστήματος Διαδικτυακής Επιτήρησης
συλλογής και ανάλυσης των πεποιθήσεων των Ελλήνων χρηστών του Twitter, καθώς και η
ανάπτυξη μεθοδολογίας για την αποτύπωση των απόψεων (θετική, αρνητική ή ουδέτερη) των
χρηστών του Twitter που εκφράζονται στα ελληνικά, σχετικά με το παιδικό εμβόλιο έναντι της COVID-19.
Η συλλογή και η ανάλυση των συναισθημάτων των χρηστών του Twitter μέσω του
προτεινόμενου Συστήματος Διαδικτυακής Επιτήρησης, μπορούν να παρέχουν σημαντικές
πληροφορίες για τον αποτελεσματικότερο σχεδιασμό προαγωγής του παιδικού εμβολιασμού
έναντι της νόσου COVID-19, τόσο στην Ελλάδα όσο και στην Κύπρο.
“Πληροφοριακή
Πεποιθήσεις έναντι του παιδικού
εμβολιασμού COVID-19 στο Ελληνικό Twitter
Μέθοδοι
Υλικό της μελέτης αποτέλεσαν τα tweets γραμμένα στην ελληνική γλώσσα, με περιεχόμενο
σχετικό με τον παιδικό εμβολιασμό (ηλικία 5 έως 11 ετών), καθώς και οι αλληλεπιδράσεις των
χρηστών για την χρονική περίοδο 19 Νοεμβρίου 2021 (15 ημέρες πριν την ανακοίνωση για
την ενεργοποίηση της πλατφόρμας προγραμματισμού εμβολιασμού για παιδιά ηλικίας 5 έως
11 ετών στην Ελλάδα) έως και τις 13 Απριλίου 2022. Συνολικά ανακτήθηκαν 6.971 tweets στα οποία συμπεριλαμβάνονταν 3.560 πρωτογενή tweet και 3.411 αναδημοσιεύσεις (retweets).
Η ανάκτηση των tweets έγινε μέσω του Twitter API v.2 (Academic Research Track), με την χρήση συγκεκριμένων όρων αναζήτησης.
Η επιλογή των tweets που σχετίζονται με τον εμβολιασμό των παιδιών 5-11 ετών κατά της COVID-19, έγινε με συγκεκριμένα κριτήρια, όπως είναι η γλώσσα, η ημερομηνία δημοσίευσης
του tweet και η παρουσία ενός ελάχιστου αριθμού όρων αναζήτησης, σε κάθε tweet.
Για την ανάκτηση όλων των πιθανών tweets οι όροι αναζήτησης χωρίστηκαν σε 3 θεματικές
κατηγορίες (Πίνακας 1).
Πίνακας 1: Θεματικές κατηγορίες αναζήτησης
Η επιλογή των πιο δόκιμων όρων αναζήτησης έγινε σε δύο στάδια, όπως περιγράφεται στον Πίνακα 1. Σε πρώτο στάδιο, έγινε η καταγραφή 112, συνολικά, όρων αναζήτησης γραμμένων στα ελληνικά, τα αγγλικά και τα greeklish (ελληνικά με λατινικούς χαρακτήρες).
Στην πλειονότητά τους, οι όροι αναζήτησης αφορούσαν το διαφορετικό τρόπο γραφής ίδιων λέξεων (π.χ. “κορονοϊός”, “κορονοϊός”, “κοροναϊός”, “κορωναϊός”).
Σε δεύτερο στάδιο, για κάθε έναν από αυτούς τους 112 όρους, έγινε έλεγχος της συχνότητας χρήσης τους για την περίοδο μελέτης, μέσω του εργαλείου της Python “twarc2”. Δέκα όροι οι οποίοι την προαναφερθείσα χρονική περίοδο δεν χρησιμοποιήθηκαν καθόλου, αποκλείστηκαν.
Με αυτό τον τρόπο, κάθε ένα από τα tweets που ανακτήθηκε περιείχε τουλάχιστον έναν όρο αναζήτησης από κάθε θεματική κατηγορία.
Για την αποθήκευση, επεξεργασία και ανάλυση των στοιχείων, χρησιμοποιήθηκε ένα σύστημα IBS αρχιτεκτονικής LAMP (Linux - Apache - MySQL - PHP). Η παραπάνω αρχιτεκτονική δοκιμάστηκε για την ακρίβεια των αναζητήσεων με συγκεκριμένες λέξεις-κλειδιά. Οι όροι αναζήτησης ελέγχθηκαν για την παρουσία τους ως λέξεις μέσα στο κείμενο, αλλά και για την παρουσία τους ως θεματικές ετικέτες (#hashtag).
Αποτύπωση πεποιθήσεων – Ανάλυση συναισθημάτων Κριτήρια κατηγοριοποίησης των tweets ως θετικά, ουδέτερα ή αρνητικά προς τον εμβολιασμό έναντι της COVID-19 των παιδιών 5-11 ετών.
Με στόχο την αποτύπωση των απόψεων και των πεποιθήσεων των χρηστών ως προς τον παιδικό εμβολιασμό, πραγματοποιήθηκε νοηματική ανάλυση των συναισθημάτων του κειμένου, από
μέλη της ερευνητικής ομάδας (manual sentiment analysis) σε αντιπροσωπευτικό δείγμα των
Ανάπτυξη Συστήματος Πληροφοριακής Επιδημιολογίας: Πεποιθήσεις έναντι του παιδικού
εμβολιασμού COVID-19 στο Ελληνικό Twitter
πρωτότυπων tweets (887 από το σύνολο των 3.411 tweets, ποσοστό 25%), που δημοσιεύθηκαν
κατά την χρονική περίοδο της μελέτης.
Τα 887 tweets επελέγησαν (επιλογή ενός tweet ανά 4) ώστε να αντιστοιχούν σε όλη την
περίοδο της μελέτης. Η κάθε ανάρτηση χαρακτηρίστηκε ως θετική, αρνητική ή ουδέτερη από
τουλάχιστον 6 μέλη της ερευνητικής ομάδας, σύμφωνα με το νόημα του κειμένου. Το κάθε
μέλος χαρακτήρισε το περιεχόμενο του κάθε tweet ατομικά και ανεξάρτητα.
Ως θετικά χαρακτηρίστηκαν τα tweets των οποίων το σύνολο του νοήματος ήταν υπέρ του
εμβολιασμού ή περιείχαν θετικά φορτισμένες λέξεις ή εκφράσεις (π.χ. “ευτυχώς”, “χάρη στο
εμβόλια¨, κ.λπ.) ή παρέπεμπαν σε ιστοσελίδες με θετικό ως προς τον παιδικό εμβολιασμό
περιεχόμενο.
Αρνητικές χαρακτηρίστηκαν οι αναρτήσεις οι οποίες διατύπωναν σαφώς την εναντίωση
του χρήστη στον εμβολιασμό ή περιείχαν αρνητικές λέξεις ή εκφράσεις (π.χ. “επικίνδυνο
ή πειραματικό ή θανατηφόρο εμβόλιο”) ή περιείχαν αρνητικές ή ειρωνικές εκφράσεις ως
προς τον εμβολιασμό και το εμβόλιο ή παρέθεταν ιστοσελίδες με αρνητικό ως προς τον
εμβολιασμό περιεχόμενο.
Ουδέτερα χαρακτηρίστηκαν τα tweets τα οποία περιείχαν πληροφορίες για τον παιδικό
εμβολιασμό (π.χ. “ανοίγει η πλατφόρμα για τον παιδικό εμβολιασμό”, “διαθέσιμες
επιπλέον δόσεις για τα παιδιά”, κ.λπ.), καθώς και παράθεση επιστημονικών δεδομένων και
δημοσιεύσεων (π.χ. έγκυρων επιστημονικά δημοσιεύσεων για την αποτελεσματικότητα ή την επικινδυνότητα του εμβολίου, δηλώσεις των κρατικών υπευθύνων για τον παιδικό εμβολιασμό, κ.λπ.). Επιπλέον, ως ουδέτερες κατηγοριοποιήθηκαν οι αναρτήσεις με ερωτήματα χρηστών, στα οποία δεν υπήρχε αρνητικό ή θετικό νοηματικό πρόσημο, παρά μόνο σαφής ερώτηση προς την κοινότητα των χρηστών για βοήθεια.
Το τελικό πρόσημο της ανάρτησης προέκυψε από τον μέσο όρο των χαρακτηρισμών των
6 ερευνητών της ομάδας. Για τον χαρακτηρισμό ενός tweet έπρεπε να συμφωνούν 4 ή
περισσότεροι από τους ερευνητές. Στις περιπτώσεις όπου δεν υπήρξε η απαιτούμενη
συμφωνία μεταξύ των μελών, τα tweets χαρακτηρίστηκαν ανεξάρτητα από 7 μέλος της ομάδας.
Επιπλέον της ανάλυσης συναισθήματος των tweets από μέλη της ερευνητικής ομάδας, πραγματοποιήθηκε και ανάλυση συναισθήματος των ίδιων tweets από αλγόριθμο Επεξεργασίας Φυσικής Γλώσσας (Natural Language Processing – NLP), με στόχο την σύγκριση των αποτελεσμάτων των δύο μεθόδων. Η ανάλυση συναισθήματος μέσω αλγορίθμου
NLP έγινε με τη βοήθεια του template για Excel “NodeXL Pro”, σύμφωνα και με προηγούμενες
μελέτες (19). Για τους σκοπούς της συγκεκριμένης εφαρμογής, χρησιμοποιήθηκε το ειδικά
διαμορφωμένο λεξικό για ανάλυση συναισθήματος στην ελληνική γλώσσα των Τσακαλίδη
και συν. (20), “GrAFS Lexicon”, το οποίο και αποτελεί σύμφωνα με την γνώση μας, το πλέον
πρόσφατο λεξικό για την ελληνική γλώσσα.
Συνολικά, βρέθηκαν 6.971 tweets και retweets γραμμένα στα ελληνικά, σχετικά με τον
εμβολιασμό των παιδιών ηλικίας 5 έως 11 ετών. Από αυτά τα 3.560 ήταν πρωτογενείς
αναρτήσεις (51%), ενώ τα υπόλοιπα ήταν αναδημοσιεύσεις (retweets).
Όπως προκύπτει από το πλήθος των tweets ανά μήνα στην χρονική περίοδο της μελέτης, το
θέμα του παιδικού εμβολιασμού απασχόλησε τους χρήστες κυρίως τον Δεκέμβριο του 2021 (3.323 tweets, ποσοστό 47,8% του συνόλου), μήνα κατά τον οποίο άνοιξε η πλατφόρμα για τον
προγραμματισμό του εμβολιασμού (10/12/2021) και ξεκίνησαν οι εμβολιασμοί (15/12/2021) (Διάγραμμα 1).
Επιδημιολογίας: Πεποιθήσεις έναντι του παιδικού
εμβολιασμού COVID-19 στο Ελληνικό Twitter
Διάγραμμα 1. Μηνιαία κατανομή των tweets για το χρονικό διάστημα της μελέτης
Σύμφωνα με την ανεξάρτητη κατηγοριοποίηση του 25% (887 από τα 3.560) του συνόλου των πρωτογενών tweets που εξετάστηκαν, χαρακτηρίστηκαν τα 805, ενώ για 82 (9,2%) δεν υπήρχε συμφωνία χαρακτηρισμού. Μετά από εξέταση των 82 αυτών tweets από έβδομο μέλος της ομάδας, κατέστη δυνατός ο χαρακτηρισμός συνολικά 866 tweets, ποσοστό που αντιστοιχεί
στο 97,6% του δείγματος, ενώ τα υπόλοιπα 21 tweets με ασαφές νόημα, δεν υπολογίστηκαν
στην ανάλυση των συναισθημάτων των χρηστών. Τα θετικά ως προς τον παιδικό εμβολιασμό tweets, ανέρχονται στο 6%, ενώ τα αρνητικά αντιστοιχούν στο 13,2%. Η πλειονότητα πλειοψηφία
των tweets του δείγματος που εξετάστηκε, χαρακτηρίστηκε ως ουδέτερα (ποσοστό 80,8%) (Διάγραμμα 2).
Κατάταξη των συναισθημάτων των χρηστών
Θετικά Αρνητικά Ουδέτερα
Θετικά Αρνητικά Ουδέτερα
Διάγραμμα 2. Κατανομή του 25% των tweets που κατηγοριοποιήθηκαν σύμφωνα με τα συναισθήματα των χρηστών σε θετικά, αρνητικά ή ουδέτερα
Ανάπτυξη Συστήματος Πληροφοριακής Επιδημιολογίας: Πεποιθήσεις έναντι του παιδικού
εμβολιασμού COVID-19 στο Ελληνικό Twitter
Παρατηρείται διαφορά στην διακύμανση του πλήθους των θετικών και αρνητικών tweets, κατά την χρονική περίοδο της μελέτης. Ενώ τα θετικά tweets ακολουθούν χρονικά την
κατανομή του συνόλου της δραστηριότητας των χρηστών (Διάγραμμα 1), τα αρνητικά tweets
εμφανίζουν μια αύξηση τον Μάρτιο του 2022 (Διάγραμμα 3).
Διάγραμμα 3. Διακύμανση θετικών και αρνητικών ως προς τον εμβολιασμό tweets
Στον Πίνακα 2 αποτυπώνεται το πλήθος των αλληλεπιδράσεων των χρηστών (θετική
αλληλεπίδραση “like”, θετική ή ουδέτερη αλληλεπίδραση “retweet”), σύμφωνα με το
συναίσθημα που εκφράζει η δημοσίευση.
Πίνακας 2: Likes & retweets ανά κατηγορία συναισθήματος
“Μου αρέσει” (likes)
Αναδημοσιεύσεις (retweet) Παράγοντας αλληλεπίδρασης
Τα συνολικά 866 tweets που κατηγοριοποιήθηκαν ως προς το συναίσθημα που εκφράζουν, αναλύθηκαν μέσω του αλγορίθμου NLP, με στόχο την σύγκριση των αποτελεσμάτων των δύο μεθόδων. Στο Διάγραμμα 4, απεικονίζεται η κατανομή των tweets ανά κατηγορία και ανά μέθοδο ανάλυσης.
Ανάπτυξη Συστήματος Πληροφοριακής Επιδημιολογίας: Πεποιθήσεις έναντι του παιδικού
εμβολιασμού COVID-19 στο Ελληνικό Twitter
Θετικά 6%
Αρνητικά 13%
Ουδέτερα 81%
Διάγραμμα 4. Συγκριτικά αποτελέσματα ανάλυσης των συναισθημάτων από την ερευνητική
ομάδα και μηχανικής ανάλυσης μέσω αλγορίθμου NLP
Τα μέσα κοινωνικής δικτύωσης αδιαμφισβήτητα αποτελούν μια κοινωνική πραγματικότητα, μέσω της οποίας οι άνθρωποι εκφράζουν τις απόψεις και τις πεποιθήσεις τους.
Η προτεινόμενη μεθοδολογία επιτρέπει τον εντοπισμό, την εξαγωγή και την αρχειοθέτηση
των tweets, καθώς και των αλληλεπιδράσεων των χρηστών του Twitter, για την αποτύπωση
των απόψεων και των πεποιθήσεων τους, σχετικά με τον εμβολιασμό των παιδιών 5 έως 11
ετών με το νέο εμβόλιο έναντι της COVID-19.
Σύμφωνα με την ανάλυση των συναισθημάτων στο αντιπροσωπευτικό δείγμα του 25% των πρωτότυπων tweets, στο μεγαλύτερο μέρος τους τα tweets χαρακτηρίστηκαν ως ουδέτερα.
Το γεγονός αυτό, οφείλεται πιθανότατα στον ενημερωτικό χαρακτήρα του συγκεκριμένου
μέσου κοινωνικής δικτύωσης που ενώ δεν έχει τον υψηλότερο αριθμό χρηστών, θεωρείται
ως μέσο ενημέρωσης και διαμόρφωσης της κοινής γνώμης. Για τον λόγο αυτό, συμμετέχουν
πολύ ενεργά τα μέσα μαζικής επικοινωνίας, όπως ραδιοφωνικοί και τηλεοπτικοί σταθμοί,
Ανάλυση ερευνητικής ομάδας
Ανάπτυξη Συστήματος Πληροφοριακής Επιδημιολογίας: Πεποιθήσεις έναντι του παιδικού
εμβολιασμού COVID-19 στο Ελληνικό Twitter
ηλεκτρονικός και έντυπος τύπος, καθώς και πρακτορεία ειδήσεων, αναρτώντας σχετικές με τον παιδικό εμβολιασμό ειδήσεις χωρίς συναισθηματική χροιά. Επιπλέον, καταγράφηκε
υψηλός αριθμός αναδημοσιεύσεων (ποσοστό 49%) στο σύνολο των ανακτηθέντων
αναρτήσεων, στοιχείο το οποίο επιβεβαιώνει τον σημαντικό ρόλο του συγκεκριμένου μέσου, στη διαμόρφωση τάσεων και απόψεων μεταξύ των χρηστών του και κατ’ επέκταση στην κοινωνία.
Όπως προκύπτει από την ανάλυση της διακύμανσης του πλήθους των tweets (Διαγράμμα 3), η διακύμανση των ουδέτερων δημοσιεύσεων σχετίζεται με την επικαιρότητα σχετικά με τον παιδικό εμβολιασμό, στοιχείο που συνάδει με τον ενημερωτικό χαρακτήρα του μέσου.
Διαφορετική διακύμανση του πλήθους στο χρόνο καταγράφηκε μεταξύ των θετικών και
των αρνητικών tweets, με τους χρήστες με αρνητική άποψη να αλληλεπιδρούν περισσότερο
με την επικαιρότητα (Διάγραμμα 4). Η μελέτη της διακύμανσης μπορεί να αποτελέσει ένα
χρήσιμο εργαλείο για τον εντοπισμό γεγονότων ή ειδήσεων, που επηρεάζουν τους χρήστες
του Twitter ως προς τον παιδικό εμβολιασμό έναντι της COVID-19, είτε θετικά, είτε αρνητικά
παρέχοντας τη δυνατότητα έγκαιρης παρέμβασης.
Η ποσοτική ανάλυση της αλληλεπίδρασης των χρηστών (like ή/και retweet) σε μια δημοσίευση, σύμφωνα με το συναίσθημα που εκφράζει (Πίνακας 2), καταγράφηκε μεγαλύτερη και για
τις δύο κατηγορίες μεθόδου συναισθηματικής ανάλυσης στα tweets με θετικό ως προς τον
παιδικό εμβολιασμό συναίσθημα, αναδεικνύοντας μια πιθανή δυναμική του μέσου για την προώθηση του εμβολιασμού.
Λόγω του πολύ μεγάλου όγκου των tweets, η ανάλυση των συναισθημάτων τους, αυτοματοποιημένα μέσω του αλγορίθμου NLP, αποτελεί απαραίτητη προϋπόθεση για την
ευρεία εφαρμογή των Συστημάτων Διαδικτυακής Επιτήρησης στην Δημόσια Υγεία.
Στη συγκεκριμένη μελέτη, και με στόχο την αξιολόγηση συγκεκριμένης μεθοδολογίας
αλγορίθμου NLP για την ελληνική γλώσσα, έγινε σύγκριση των αποτελεσμάτων των δύο
μεθόδων. Στο πλαίσιο της παραπάνω σύγκρισης, παρατηρήθηκε ομοιότητα των αποτελεσμάτων
των δύο μεθόδων κατά ποσοστό 30%. Το χαμηλό αυτό ποσοστό ομοιότητας μπορεί να
αποδοθεί σε αρκετές αιτίες, οι οποίες πιθανόν οφείλονται στην διαφορετική μεθοδολογία
προσδιορισμού και παραμετροποίησης των δύο μεθοδολογιών.
Το μικρό πλήθος των θετικών και αρνητικών tweets δεν μπορεί να οδηγήσει σε ασφαλή συμπεράσματα.
H εφαρμογή αλγορίθμων τεχνητής νοημοσύνης για την αυτοματοποίηση του αλγορίθμου NLP στην ελληνική γλώσσα, παραμένει μια πρόκληση. Ιδιαιτερότητες της γλώσσας όπως ο τονισμός (η αλλαγή του τονισμού μιας λέξης μπορεί να αλλάξει το πλήρως το νόημα της π.χ. “κάλος”
- “καλός”), σε συνδυασμό με το μικρό πλήθος των ανθρώπων που την χρησιμοποιούν στα μέσα κοινωνικής δικτύωσης, απαιτούν περαιτέρω εκπαίδευση μέσω τεχνητής νοημοσύνης των αλγορίθμων και των βιβλιοθηκών που θα χρησιμοποιηθούν.
Συμπερασματικά, η χρήση του προτεινόμενου Σύστηματος Διαδικτυακής Επιτήρησης, επέτρεψε την ταυτοποίηση των tweets γραμμένων στα ελληνικά που αναφέρονταν στον
παιδικό εμβολιασμό έναντι της COVID-19, αποτυπώνοντας τα συναισθήματα των χρηστών
του συγκεκριμένου μέσου κοινωνικής δικτύωσης (θετικά, αρνητικά ή ουδέτερα) ως προς αυτόν. Η αποτύπωση και η ανάλυση των συναισθημάτων των χρηστών, μπορούν να παρέχουν
ουσιαστικές πληροφορίες των απόψεών τους, οι οποίες μπορούν να αξιοποιηθούν για τον
σχεδιασμό αποτελεσματικότερων δράσεων προαγωγής του παιδικού εμβολιασμού.
1. Archived: WHO Timeline - COVID-19 [Διαδίκτυο]. WHO. 2020 [παρατίθεται 9 Μάιος 2022].
Διαθέσιμο στο: https://www.who.int/news/item/27-04-2020-who-timeline---covid-19
2. Greece - COVID-19 Overview - Johns Hopkins [Διαδίκτυο]. John Hopkins University & Medicine. 2022 [παρατίθεται 9 Μάιος 2022]. Διαθέσιμο στο: https://coronavirus.jhu.edu/ region/greece
3. COVID-19 vaccines: authorised | European Medicines Agency [Διαδίκτυο]. European Medicines Agency. 2022 [παρατίθεται 9 Μάιος 2022]. Διαθέσιμο στο: https://www.ema. europa.eu/en/human-regulatory/overview/public-health-threats/coronavirus-diseasecovid-19/treatments-vaccines/vaccines-covid-19/covid-19-vaccines-authorised
4. First COVID-19 vaccine approved for children aged 12 to 15 in EU | European Medicines Agency [Διαδίκτυο]. European Medicines Agency. 2022 [παρατίθεται 9 Μάιος 2022].
Διαθέσιμο στο: https://www.ema.europa.eu/en/news/first-covid-19-vaccine-approvedchildren-aged-12-15-eu
5. Comirnaty COVID-19 vaccine: EMA recommends approval for children aged 5 to 11 | European Medicines Agency [Διαδίκτυο]. European Medicines Agency. 2022 [παρατίθεται
9 Μάιος 2022]. Διαθέσιμο στο: https://www.ema.europa.eu/en/news/comirnaty-covid-19vaccine-ema-recommends-approval-children-aged-5-11
6. Ενημέρωση διαπιστευμένων συντακτών για το Εθνικό Σχέδιο εμβολιαστικής κάλυψης κατά
της COVID-19, από την Πρόεδρο της Εθνικής Επιτροπής Εμβολιασμών Μαρία Θεοδωρίδου και τον Γ.Γ. Πρωτοβάθμιας Φροντίδας Υγείας Μάριο Θεμιστοκλέους | Εμβολιασμός COVID-19 [Διαδίκτυο]. Υπουργείο Υγείας. 2022 [παρατίθεται 9 Μάιος 2022]. Διαθέσιμο στο: https:// emvolio.gov.gr/enimerosi-diapisteymenon-syntakton-gia-ethniko-shedio-emvoliastikiskalypsis-kata-tis-covid-19-39?fbclid=IwAR1K06wjVF28J5l2q1x9Nekei2f3pj3a4K-5DhysrOnKYeyG5NhctK0Udq8
7. Hussain A, Ali S, Ahmed M, Hussain S. The Anti-vaccination Movement: A Regression in Modern Medicine. Cureus [Διαδίκτυο]. 3 Ιούλιος 2018 [παρατίθεται 9 Μάιος 2022];10(7). Διαθέσιμο στο: https://www.cureus.com/articles/13250-the-anti-vaccination-movement-aregression-in-modern-medicine
8. Troiano G, Nardi A. Vaccine hesitancy in the era of COVID-19. Public Health. 1 Μάιος 2021;194:245–51.
9. Gkentzi D, Tsagri C, Kostopoulou E, Fouzas S, Vantarakis A, Dimitriou G, κ.ά. Attitudes and beliefs of parents about routine childhood vaccination in Greece. https://doi. org/101080/2164551520211914805 [Διαδίκτυο]. 2021 [παρατίθεται 9 Μάιος 2022];17(9):3066–
72. Διαθέσιμο στο: https://www.tandfonline.com/doi/abs/10.1080/21645515.2021.1914805
10. Sypsa V, Roussos S, Engeli V, Paraskevis D, Tsiodras S, Hatzakis A. Trends in COVID-19 Vaccination Intent, Determinants and Reasons for Vaccine Hesitancy: Results from Repeated Cross-Sectional Surveys in the Adult General Population of Greece during November 2020–June 2021. Vaccines [Διαδίκτυο]. 18 Μάρτιος 2022 [παρατίθεται 9 Μάιος 2022];10(3):470. Διαθέσιμο στο: https://www.mdpi.com/2076-393X/10/3/470/htm
11. Galanis P, Vraka I, Siskou O, Konstantakopoulou O, Katsiroumpa A, Moisoglou I, κ.ά. Predictors of parents’ intention to vaccinate their children against the COVID-19 in Greece: a cross-sectional study. medRxiv [Διαδίκτυο]. 29 Σεπτέμβριος 2021 [παρατίθεται 9 Μάιος 2022];2021.09.27.21264183. Διαθέσιμο στο: https://www.medrxiv.org/content/10.1101/2021.0
9.27.21264183v1
12. Eysenbach G. Infodemiology and Infoveillance: Framework for an Emerging Set of Public Health Informatics Methods to Analyze Search, Communication and Publication Behavior on the Internet. J Med Internet Res [Διαδίκτυο]. 1 Ιανουάριος 2009 [παρατίθεται 9 Μάιος 2022];11(1). Διαθέσιμο στο: /pmc/articles/PMC2762766/
13. Hartley DM, Nelson NP, Arthur RR, Barboza P, Collier N, Lightfoot N, κ.ά. An overview of Internet biosurveillance. Clin Microbiol Infect. 1 Νοέμβριος 2013;19(11):1006–13.
14. O’Shea J. Digital disease detection: A systematic review of event-based internet biosurveillance systems. Int J Med Inform. 1 Μάιος 2017;101:15–22.
15. MAvragani A. Infodemiology and Infoveillance: Scoping Review. J Med Internet Res 2020;22(4)e16206 https//www.jmir.org/2020/4/e16206 [Διαδίκτυο]. 28 Απρίλιος 2020 [παρατίθεται 9 Μάιος 2022];22(4):e16206. Διαθέσιμο στο: https://www.jmir.org/2020/4/ e16206
16. Zeraatkar K, Ahmadi M. Trends of infodemiology studies: a scoping review. Heal Inf Libr J [Διαδίκτυο]. 1 Ιούνιος 2018 [παρατίθεται 11 Μάιος 2022];35(2):91–120. Διαθέσιμο στο: https://onlinelibrary.wiley.com/doi/full/10.1111/hir.12216
17. Twitter: number of users worldwide 2020 | Statista [Διαδίκτυο]. statista. [παρατίθεται 9 Μάιος 2022]. Διαθέσιμο στο: https://www.statista.com/statistics/303681/twitter-usersworldwide/
18. Sinnenberg L, Buttenheim AM, Padrez K, Mancheno C, Ungar L, Merchant RM. Twitter
Ανάπτυξη Συστήματος Πληροφοριακής Επιδημιολογίας: Πεποιθήσεις έναντι του παιδικού
εμβολιασμού COVID-19 στο Ελληνικό Twitter
as a Tool for Health Research: A Systematic Review. Am J Public Health [Διαδίκτυο]. 1
Ιανουάριος 2017 [παρατίθεται 8 Μάιος 2022];107(1):e1. Διαθέσιμο στο: /pmc/articles/ PMC5308155/
19. Kydros D, Argyropoulou M, Vrana V. A Content and Sentiment Analysis of Greek Tweets during the Pandemic. Sustain 2021, Vol 13, Page 6150 [Διαδίκτυο]. 30 Μάιος 2021 [παρατίθεται
29 Απρίλιος 2022];13(11):6150. Διαθέσιμο στο: https://www.mdpi.com/2071-1050/13/11/6150/ htm
20. Tsakalidis A, Papadopoulos S, Voskaki R, Ioannidou K, Boididou C, Cristea AI, κ.ά. Building and evaluating resources for sentiment analysis in the Greek language. Lang Resour Eval [Διαδίκτυο]. 1 Δεκέμβριος 2018 [παρατίθεται 6 Μάιος 2022];52(4):1021–44.
Διαθέσιμο στο: https://link.springer.com/article/10.1007/s10579-018-9420-4
Χαρίλαος Κ. Κουτής
ΦΥΣΙΚΗ ΙΣΤΟΡΙΑ ΤΗΣ ΝΟΣΟΥ
Ο RSV ανήκει στο είδος Πνευμονοιού που είναι ένας μονόκλωνος ιός RNA του γένους Orthopneumovirus, της οικογένειας Pneumoviridae. Το γονιδίωμα είναι ελικoειδές και
κωδικοποιεί 10 πολυπεπτίδια των F, G και Sh.
Η μεγαλύτερη πρωτεΐνη G είναι υπεύθυνη για την αρχική προσκόλληση στα κύτταρα ξενιστές. Εντοπίστηκε για πρώτη φορά το 1956 σε μια αποικία χιμπατζήδων που χρησιμοποιήθηκε για
έρευνα πολιομυελίτιδας στο Walter Reed Army Institute for Research στην Ουάσινγκτον, ανέπτυξε ρινική καταρροή που προκαλείται από φλεγμονή (coryza).
Την εποχή εκείνη, ο αιτιολογικός παράγοντας ονομάστηκε παράγοντας χιμπατζής coryza (CCA). Ένα χρόνο αργότερα, το 1957, ένας ”νέος” ιός που προκάλεσε σοβαρή αναπνευστική
ασθένεια σε βρέφη βρέθηκε στη Βαλτιμόρη και ανακαλύφθηκε ότι ήταν πανομοιότυπος με
το CCA. Το παθογόνο μετονομάστηκε σε Αναπνευστικός Συγκυτιακός Ιός (RSV), καθώς ο ιός
αναγκάζει τα κύτταρα να συγχωνεύονται με γειτονικά κύτταρα, δημιουργώντας πολυπύρηνη
συγκυτία (μεμονωμένα κύτταρα που περιέχουν πολλαπλούς πυρήνες).
Ο RSV μεταδίδεται κυρίως από άνθρωπο σε άνθρωπο μέσω αναπνευστικών σταγονιδίων όταν
ένα άτομο βήχει ή φτερνίζεται και μέσω άμεσης επαφής με τα μάτια ή τη μύτη μετά από
επαφή με μολυσμένη επιφάνεια μολυσμένο αντικείμενο. Ο Αναπνευστικός συγκυτιακός ιός
(RSV) σε διατομή επικάθεται στην επιφάνεια ενός ανθρώπινου αναπνευστικού ενδοθηλιακού
κυττάρου.
Μπορεί να επιβιώσει για έως και 12 ώρες σε σκληρές, μη πορώδεις επιφάνειες, αλλά συνήθως
παραμένει για μικρότερα χρονικά διαστήματα σε μαλακές επιφάνειες, όπως ιστούς και χέρια.
Κλινική εικόνα
Συμπτώματα RSV
Τα συμπτώματα συνήθως περιλαμβάνουν πυρετό, βλεννώδεις εκκρίσεις καταρροή ή
βουλωμένη μύτη, ήπιο βήχα, δύσπνοια (δύσπνοια) και συριγμό. Σοβαρές λοιμώξεις μπορεί να
οδηγήσει σε βρογχιολίτιδα (φλεγμονή των αεραγωγών φραγμένο με βλέννα) και πνευμονία.
Το κλάμα και το τάισμα προκαλούν κυάνωση.
Οι γονείς οι φροντιστές παιδιών και ηλικιωμένων θα πρέπει να παραμένουν σε εγρήγορση για
προειδοποιητικά σημάδια έκτακτης ανάγκης.
Πρέπει να ζητείται άμεση ιατρική βοήθεια εάν εμφανιστεί οποιοδήποτε από τα παρακάτω
συμπτώματα: δυσκολία στην αναπνοή, μπλε χείλη ή πρόσωπο, ευερεθιστότητα, μειωμένη δραστηριότητα, μειωμένη όρεξη και άπνοια.
Τα περισσότερα άτομα που νοσούν από RSV και παρουσιάζουν ήπια εικόνα αισθάνονται
καλύτερα σε μια δύο εβδομάδες. Εξακολουθούν όμως να μπορούν να μολύνουν ακόμα και
Αλληλογραφία Χαρίλαος Κ. Κουτής
Χαρίλαος Κ. Κουτής MD,MSc,MPH,PhD Ομ. καθηγητής Υγιεινής Επιδημιολογίαs & Δημόσιας Υγείας (ΠΑΔΑΤΕΙ-Α)
Μηχανισμός
αφού δεν έχουν συμπτώματα. Μέχρι να υπάρξει ασφαλές εμβόλιο η καλή υγιεινή είναι ο
καλύτερος τρόπος για να αποφύγουμε την μόλυνση.
Επώαση RSV
Η περίοδος επώασης για τον RSV είναι 3-5 ημέρες
Μολυσματικότητα
Ο RSV έχει υψηλή μολυσματικότητα, μικρός αριθμός ιών μπορεί να μολύνει επίνοσα άτομα και να προκαλέσει νοσήσει. Δε ανήκει στα ολοδημικά νοσήματα που ελάχιστος αριθμός μολύνει και προκαλεί νοσήσει.
Ο RSV μολύνει τα άτομα κυρίως μέσω αναπνευστικών σταγονιδίων όταν ένα άτομο βήχει ή
φτερνίζεται και άμεσης επαφής με τα μάτια ή τη μύτη.
Επίσης μετά από επαφή με μολυσμένες επιφάνειες και μολυσμένα αντικείμενα ιδιαιτέρα τα
παιδιά στους βρεφονηπιακούς σταθμούς από τα μολυσμένα παιδικά παιχνίδια.
Μεταδοτικότητα
Τα μολυσμένα ασυμπτωματικά ή νοσούντα άτομα μπορεί να είναι μεταδοτικοί για 3-8
ημέρες μετά τη μόλυνση. Είναι ακόμη πιθανό να μολύνουν και 1-2 ημέρες πριν εμφανιστούν
τα συμπτώματα. Η αποβολή του ιού μπορεί να διαρκέσει έως και 4 εβδομάδες σε βρέφη
και μικρά παιδιά, ηλικιωμένους και άτομα με εξασθενημένο ανοσοποιητικό σύστημα.
Με πολλούς αναπνευστικούς ιούς να κυκλοφορούν, μπορεί να είναι δύσκολο να πούμε τη
διαφορά μεταξύ γρίπης, COVID-19, RSV και άλλων αναπνευστικών ιών σε παιδιά και βρέφη.
Πόσο συχνός είναι ο RSV;
Αν και ο RSV δεν είναι ένας νέος ιός, πολλοί δεν έχουν ακούσει, αλλά πιθανότατα έχουν μολυνθεί από αυτόν κάποια στιγμή στη ζωή τους.
Σχεδόν όλα τα παιδιά νοσούν από λοίμωξη RSV μέχρι την ηλικία των 2 ετών, αλλά ο RSV δεν είναι απλώς ένας ιός που επηρεάζει τα μικρά παιδιά - οι μεγαλύτεροι ενήλικες μπορεί ακόμα να διατρέχουν κίνδυνο σοβαρής λοίμωξης. Η ηλικία, οι χρόνιες παθήσεις και το εξασθενημένο ανοσοποιητικό σύστημα είναι όλοι παράγοντες κινδύνου για τη νόσο.
Είναι πιο συχνός το φθινόπωρο τον χειμώνα και την άνοιξη. Φέτος οι λοιμώξεις ξεκίνησαν
από το καλοκαίρι, αυτό οφείλεται πιθανόν στην άρση των προφυλάξεων για τον COVID-19.
Ο RSV έχει πολλούς τρόπους που μπορεί να αποφύγει το ανοσοποιητικό σύστημα. Η
Αντιγονικότητα έγκειται στις γλυκοπρωτεΐνες G και Sh. Έτσι τα άτομα μολύνονται ξανά με
RSV κατά μέσο όρο κάθε τρία έως δέκα χρόνια. Σχεδόν όλοι μολύνονται με RSV πριν από τη ηλικία των 2 ετών. Είναι μια από τις πιο κοινές αιτίες που νοσούν τα παιδιά. Σε αντίθεση με πολλούς άλλους ιούς που μολύνουν τους πνεύμονες ο RSV μπορεί να προσβάλει πολλές
φορές σόλες τις ηλικίες.
Η θνησιμότητα από RSV σχετίζεται με περίπου 100 υποκείμενους αναπνευστικούς θανάτους
κάθε χρόνο σε παιδιά ηλικίας κάτω του 1 έτους, θέτοντας μεγαλύτερο κίνδυνο για τα βρέφη
από ότι η γρίπη.
Στις ΗΠΑ, η λοίμωξη από RSV έχει ως αποτέλεσμα τα ακόλουθα ετήσια στατιστικά στοιχεία:
• 2,1 εκατομμύρια ΠΦΥ ασθενών (μη νοσοκομειακές) σε παιδιά κάτω των 5 ετών.
• 58.000-80.000 νοσηλείες σε παιδιά κάτω των 5 ετών.
• Περίπου 60.000-120.000 νοσηλείες ενηλίκων 65 ετών και άνω.
Τα περιοριστικά και πρωτοφανή μέτρα δημόσιας υγείας - χρήση μάσκας, κοινωνική απόσταση, αυξημένη προσοχή στην υγιεινή των χεριών - που υιοθετήθηκαν καθ 'όλη τη διάρκεια του 2020 και του 2021 άμβλυναν τη μετάδοση αναπνευστικών ιών, συμπεριλαμβανομένου του RSV. Στην πραγματικότητα, η γρίπη και άλλοι ιοί του κρυολογήματος ουσιαστικά εξαφανίστηκαν.
Επιδημιολογική Θεώρηση του Αναπνευστικού Συγκυτιακού Ιού (RSV)
Η άρση των περιοριστικών μέτρων για τον COVID-19 επέτρεψε στον το RSV να επανέλθει
με εκρηκτικό τρόπο τον Ιούνιο του 2021. Τελικά μειώθηκε καθώς πλησίασε ο Ιανουάριος
του 2022 και αυξήθηκε ελαφρώς ξανά το καλοκαίρι του 2022.Τα πρόσφατα κρούσματα
ενεργοποίησαν την επιδημιολογική επιτήρηση του ΠΟΥ.
Οι εργαζόμενοι στον τομέα της ΠΦΥ (ιδιαίτερα οι παιδίατροι) αναφέρουν αιχμές στις
περιπτώσεις RSV νωρίτερα από το αναμενόμενο για τη σεζόν Φθινόπωρο 2022 - Άνοιξη 2023
και οι εκθετικές αυξήσεις επηρέασαν τις υγειονομικές μονάδες περίθαλψης που ήδη είχαν
αυξανόμενα κρούσματα γρίπης και COVID-19.
Το Κέντρου Ελέγχου και Πρόληψης Νοσημάτων των ΗΠΑ (CDC) από τις αρχές του χειμώνα
έδειξε ότι η συχνότητα εμφάνισης του αναπνευστικού συγκυτιακού ιού (RSV) αυξάνεται σε
8 από τις 10 περιοχές δημόσιας υγείας στις ΗΠΑ. Εκείνη την εποχή, ορισμένες περιοχές
πλησίαζαν ήδη τα επίπεδα που παρατηρούνται συνήθως κατά τους εποχιακούς μήνες αιχμής
του ιού τον Δεκέμβριο ή τον Ιανουάριου.
Ο RSV επηρέασε τα νοσοκομεία, τα κέντρα επείγουσας φροντίδας και τις κλινικές σε πολλές
τοποθεσίες σε όλες τις ΗΠΑ στην ΕΕ αλλά και στη χώρα μας. Γνωρίζοντας λίγο τα άτομα για
την νόσο, (πώς να προστατεύσει τον εαυτό του και τα παιδιά του) - και πότε να αναζητήσει
θεραπεία - είναι το κλειδί για να υπομείνει αυτόν τον ανεπιθύμητο εποχιακό επισκέπτη.
Αν παρατηρήσουμε τα στοιχεία του CDC, για τις ΗΠΑ η αύξηση των κρουσμάτων RSV ξεκίνησε
ήδη από τα τέλη Αυγούστου και τις αρχές Σεπτεμβρίου του 2022, αλλά αυξήθηκε [~5 φορές] τον Νοέμβριο.
Από τον Νοέμβριο 2022, το CDC ανέφερε πάνω από 8.000 θετικά τεστ αντιγόνου και PCR RSV, σε σύγκριση με περίπου 4.500 τον Νοέμβριο 2021. Αυτό αναφέρεται ως «χάσμα ανοσίας» ή «χρέος ανοσίας», ένας όρος που προτείνεται για να περιγράψει το ζήτημα της προστατευτικής ανοσίας από τα παγκόσμια μέτρα μετριασμού της πανδημίας COVID-19 σε
παρατεταμένες περιόδους χαμηλής έκθεσης σε ένα δεδομένο παθογόνο, αφήνοντας ένα
μεγαλύτερο ποσοστό του πληθυσμού επίνοσο στη νόσο. Ως αποτέλεσμα αυτού, οι μονάδες υγειονομικής περίθαλψης σε όλες τις ΗΠΑ να βρέθηκαν σε μια προσέγγιση διαχείρισης έκτακτης ανάγκης για την αξιολόγηση και την παρακολούθηση
των τάσεων και τη διάχυση των πόρων. (Νέα Υόρκη, Μινεσότα, Τέξας, Μίσιγκαν, Μέριλαντ, Όρεγκον)
Πρόληψη λοίμωξης RSV
Θεραπεία με μονοκλωνικά αντισωμάτα
Ένα προληπτικό μέτρο είναι η παθητική ανοσοποίηση με το Palivizumab (Synagis®), το οποίο
είναι το μόνο εγκεκριμένο από τον FDA φάρμακο που βοηθά στην προστασία των μωρών
υψηλού κινδύνου από σοβαρή νόσο RSV. Αυτό το μονοκλωνικό αντίσωμα έχει εγκριθεί για preemies (μωρά που γεννήθηκαν στις ή πριν από τις 35 εβδομάδες) και βρέφη ηλικίας 6
μηνών ή λιγότερο στην αρχή της περιόδου RSV. Το φάρμακο δεν είναι εμβόλιο αλλά λειτουργεί
ως μηνιαία δόση προστατευτικών αντισωμάτων κατά τη διάρκεια της περιόδου RSV.
Εμβολιασμός
Υποψήφια εμβόλια RSV βρίσκονται σε εξέλιξη μένει, να αποδειχθούν ασφαλή. (Πηγή:
Βιβλιοθήκη Δημόσιας Υγείας cdc). Οι ερευνητές του NIH εργάζονται δεκαετίες για την
ανάπτυξη εμβολίου κατά του RSV.
Μια σημαντική εξέλιξη από την Pfizer αναφέρει θετικά δεδομένα από την κλινική δοκιμή
Φάσης 3 που διερεύνησε το δισθενές υποψήφιο εμβόλιο προέγκρισης RSV, RSV preF, όταν
χορηγήθηκε σε έγκυες συμμετέχουσες για να βοηθήσει στην προστασία των βρεφών τους
από τη νόσο RSV μετά τη γέννηση. Η μελέτη βρίσκεται σε εξέλιξη και έχει λάβει χαρακτηρισμό
Breakthrough Therapy και κατάσταση ταχείας διαδικασίας από το FDA.
Στρατηγική ελέγχου και εκρίζωσης
Επιδημιολογική Θεώρηση του Αναπνευστικού Συγκυτιακού Ιού
Ένα τέτοιο εμβόλιο μπορεί να είναι σε θέση να προστατεύσει τα νεογνά εμβολιάζοντας τις
μητέρες πριν την γέννηση.
Προφυλακτικά Μέτρα δημόσιας υγείας
Τα μέτρα δημόσιας υγείας που μας βοήθησαν να παραμείνουμε ασφαλείς από το COVID-19 τα
τελευταία 2+ χρόνια συμβάλλουν επίσης στον περιορισμό της εξάπλωσης άλλων ιών και δεν
πρέπει να ξεχαστούν. Μερικές από αυτές τις εύκολα εφαρμοζόμενες πρακτικές παρατίθενται
παρακάτω:
• Καλύψτε το στόμα σας όταν βήχετε ή φτερνίζεστε.
• Κρατήστε τα χέρια καθαρά πλένοντας τα με σαπούνι και νερό ή χρησιμοποιώντας συχνά απολυμαντικό χεριών με βάση το αλκοόλ.
• Καθαρίζετε και απολυμαίνετε τακτικά επιφάνειες ή αντικείμενα που αγγίζονται συχνά (όπως πάγκους, βρύσες, κρεβατάκια, ατομικά σκεύη σίτισης, κούνιες, πόμολα και παιχνίδια).
• Αποστασιοποιηθείτε από άτομα που νοσούν.
• Απολύμανση των παιχνιδιών καθημερινά στους βρεφονηπιακούς σταθμούς το βράδυ μετά
την απομάκρυνση των παιδιών.
• Μείνετε μακριά από τους άλλους εάν αισθάνεστε άρρωστοι.
• Φορέστε μια καλά τοποθετημένη μάσκα προσώπου.
• Η εφαρμογή και η προώθηση αυτών των απλών καθημερινών προφυλακτικών μέτρων κατά ενδημική ή επιδημική περίοδο παίζουν σημαντικό ρόλο στη διατήρηση της ασφάλειας του επίνοσου πληθυσμού.
• Τα διδάγματα από τον COVID-19 μπορούν να εφαρμοστούν και για αυτήν την απειλή.
Καθώς οι θερμοκρασίες ανεβαίνουν και οι άνθρωποι μετακινούνται σε εξωτερικούς χώρους, ο RSV (και άλλοι αναπνευστικοί ιοί) αναμένεται να μειωθούν.
_Bannister B,Gillespie S, Jones J.Λοιμώδη νοσήματα (επιμελ.Μπασιάρης Χ, Γώγος Χ Εκδ. Παρισιάνου 2008
_C.D.C 2022,2023
_C.D.C 2023 Βιβλιοθήκη Δημόσιας Υγείας
_Zhang L, Durr E, Galli JD, Cosmi S, Cejas PJ, Luo B, Touch S, Parmet P, Fridman A, Espeseth AS, Bett AJ.Εμβόλιο. 2018 Dec 18;36(52):8119-8130. doi: 10.1016/j.vaccine.2018.10.032. Epub 2018 16 Οκτωβρίου.PMID: 30340881
_NIH News in Health
_Peter Gilligan, Ph.D., D(ABMM), F(AAM) is the former Director of the Clinical MicrobiologyImmunology Laboratories at the University of North Carolina Hospitals
_Taleb SA, Al Thani AA, Al Ansari K, Yassine HM.Eur J Clin Microbiol Infect Dis. 2018 Οκτ;37(10):1817-1827. doi: 10.1007/s10096-018-3289-4. Epub 2018 6 Ιουνίου.PMID: 29876771
_Ruckwardt TJ, Morabito KM, Graham BS. Ανοσία . 2019 Σεπ 17;51(3):429-442. doi: 10.1016/j. immuni.2019.08.007. PMID: 31533056.
_WHO 2022,2023
_Κουτής Χ Αρχές Υγιεινής Εκδ.ΤΕΙ-Α 2009
_Κουτής Χ. Ειδική Επιδημιολογία Εκδ.ΤΕΙ-Α 2009
ΑΡΘΡΟ ΑΝΑΣΚΟΠΗΣΗΣ
Ιφιγένεια Παπακοτούλα, Δημήτριος Δέλλιος, Γεώργιος Μητσιάκος, Ηλίας Χατζηιωαννίδης
Περίληψη
Το μοντέλο της οικογενειοκεντρικής φροντίδας στις Μονάδες Εντατικής Νοσηλείας Νεογνών
(ΜΕΝΝ) ενθαρρύνει την ενεργό συμμετοχή των γονέων στη φροντίδα των νεογνών μετά την
κατάλληλη εκπαίδευση, καθοδήγηση και υποστήριξη τους από το νοσηλευτικό και ιατρικό προσωπικό. Η υλοποίηση αυτής της προσέγγισης περιλαμβάνει εκπαιδευτικές, διοικητικές
και κλινικές παρεμβάσεις με στόχο τη διασφάλιση της συνεχούς επαφής μεταξύ νεογνού και
γονέα. Παρόμοια πρότυπα παροχής φροντίδας που έχουν ήδη υιοθετήσει ΜΕΝΝ σε άλλες
χώρες φαίνεται να διασφαλίζουν τη νευροπροστασία των νεογνών, προσφέροντας επιπλέον
οφέλη τόσο στις οικογένειες τους όσο και στους επαγγελματίες υγείας. Παρά τα αδιαμφισβήτητα
πλεονεκτήματα που προσφέρει, η εφαρμογή τους σε χώρες χαμηλής οικονομικής ανάπτυξης
παραμένει περιορισμένη. Στην Ελλάδα δεν υπάρχουν διαθέσιμα στοιχεία σχετικά με την
υιοθέτηση πολιτικής προς την κατεύθυνση φροντίδας με επίκεντρο την οικογένεια. Σκοπός
αυτής της ανασκόπησης είναι η παρουσίαση των βασικών χαρακτηριστικών του μοντέλου
οικογενειοκεντρικής περίθαλψης στις ΜΕΝΝ με πρωταρχικό στόχο τη βελτίωση της φροντίδας του νεογνού και την αναβάθμιση της ποιότητας των παρεχόμενων υπηρεσιών υγείας.
Λέξεις-κλειδιά: Οικογενειοκεντρική φροντίδα, νεογνά, ΜΕΝΝ, ενεργός συμμετοχή του γονέα, ποιότητα υπηρεσιών υγείας.
Αλληλογραφία
Ι. Παπακοτούλα Δασκάλας Α.Τσακίρη 16, ΤΚ 56429, Ευκαρπία, Θεσσαλονίκη
T. 2314-009149
K. 6942634514
E. ifigeniapapakotoula@ gmail.com
Ιφιγένεια Παπακοτούλα Δημήτριος Δέλλιος Γεώργιος Μητσιάκος Ηλίας Χατζηιωαννίδης
Β` Νεογνολογική Κλινική Α.Π.Θ., ΓΠΝ Παπαγεωργίου, Θεσσαλονίκη
Correspondence
Ι. Papakotoula, 16 Daskalas Athinas Tsakiri Str., 56429 Efkarpia
T. +30 2314-009149
M. +30 6942634514
E. ifigeniapapakotoula@ gmail.com
Abstract
Healthcare providers strive to create a welcoming environment that promotes family involvement in neonatal intensive care units. Family-centered care (FCC) is a healthcare model that aims to foster parental involvement and represents a fundamental shift for medical and nursing staff, involving parents in the planning and delivery of neonatal care. Despite the numerous benefits of FCC, it is rarely implemented in low- and middle-income countries. There is limited evidence in Greece for adopting such approaches. The objective of this review is to emphasize the fundamental characteristics of a family-friendly care model that provides the best possible care for neonates while offering parents high-quality healthcare services and positive experiences.
Keywords: Family-centered care, neonates, NICU, parental care, healthcare quality.
Οι αλματώδεις εξελίξεις στη νεογνολογία έχουν οδηγήσει σε σημαντική αύξηση των ποσοστών επιβίωσης ολοένα και περισσότερο πρόωρων νεογνών. Ωστόσο, εξακολουθούν να υπάρχουν πολλοί παράγοντες που επηρεάζουν την επιβίωση νεογνών με συνυπάρχουσες επιπλοκές.
Σύμφωνα με στοιχεία του Παγκόσμιου Οργανισμού Υγείας, περίπου 15 εκατομμύρια πρόωρα νεογνά γεννιούνται ετησίως, αντιπροσωπεύοντας το 11% των συνολικών γεννήσεων, με τον
αριθμό αυτό να εμφανίζει αυξητική τάση (1). Επιπλέον η γέννηση ενός πρόωρου νεογνού επηρεάζει δυσμενώς την οικογένεια καθώς σχετίζεται άμεσα με το κοινωνικοοικονομικό της επίπεδο (2,3). Για την αντιμετώπιση των παραπάνω επιβαρυντικών παραγόντων, σημαντική
είναι η χρήση εναλλακτικών συστημάτων νοσοκομειακής/υγειονομικής φροντίδας, όπως η οικογενειοκεντρική προσέγγιση στη φροντίδα των νεογνών (FCC, Family Centered Care). Αντίθετα με το παραδοσιακό πρότυπο υγειονομικής περίθαλψης, στο οποίο οι παρεχόμενες υπηρεσίες επικεντρώνονται στις ανάγκες των νοσοκομείων και των παρόχων υγείας, η οικογενειοκεντρική προσέγγιση θέτει στο επίκεντρο της φροντίδας του νεογνού την ενεργό
Ι. Papakotoula
D. Dellios
G. Mitsiakos
Ι. Chatziioannidis
B` Neonatal Intensive Care Unit (NICU), Papageorgiou Hospital, Thessaloniki
Εικόνα 1: Συμβατικό Πρότυπο Φροντίδας(Maria&Dasgupta, 2016).
Ειδικότερα, επιδιώκεται η ανάπτυξη συνεργασίας μεταξύ όλων των εμπλεκομένων στη
φροντίδα του νεογνού (επαγγελματίες υγείας, οικογένεια), η ανταλλαγή πληροφοριών, η
ενθάρρυνση της συμμετοχής των γονέων και η από κοινού λήψη αποφάσεων. Με βάση αυτές
τις προϋποθέσεις και μέσω της συστηματικής εκπαίδευσης, οι γονείς αποκτούν ρόλο στη
φροντίδα του νεογνού τους (3). Αν και οι εξελίξεις στις σύγχρονες θεραπευτικές παρεμβάσεις
και η βελτίωση της υλικοτεχνικής υποδομής έχουν συμβάλει σημαντικά στα αυξανόμενα
ποσοστά επιβίωσης των προώρων νεογνών, δεν έχει δοθεί η απαιτούμενη προσοχή στην
στήριξη και ενδυνάμωση της οικογένειας (4). Ο πρόωρος τοκετός και η παραμονή στην
Μονάδα Εντατικής Νοσηλείας Νεογνών (ΜΕΝΝ) μπορεί να επηρεάσει δυσμενώς τον θηλασμό, την ψυχολογική κατάσταση των γονέων καθώς και τον δεσμό γονέα-νεογνού. Ωστόσο, από μετα-αναλύσεις έχει προκύψει ότι η επαφή γονέα-νεογνού από τα πρώτα στάδια της ζωής
του, αυξάνει σημαντικά την αποτελεσματικότητα των θεραπευτικών παρεμβάσεων, ενώ
ταυτόχρονα περιορίζει το άγχος και την κατάθλιψη των γονέων (5). Η παρούσα ανασκόπηση
αποτυπώνει τους βασικούς στόχους και τα οφέλη που προκύπτουν από την εφαρμογή
προτύπων φροντίδας νεογνών, με τη συμμετοχή της οικογένειας. Επιπλέον, αναφέρονται οι
τρόποι μετάβασης σε αντίστοιχα πρότυπα περίθαλψης, λαμβάνοντας υπόψη την επικρατούσα
τάση για την ενσωμάτωση των γονέων στις ομάδες φροντίδας.
Η ανάπτυξη του εγκεφάλου ολοκληρώνεται νευροαισθητηριακά κατά το τρίτο τρίμηνο της
εγκυμοσύνης, από την 24η έως και την 40η εβδομάδα κύησης. Πολύπλοκες διεργασίες
ολοκληρώνουν την ανάπτυξη του θαλάμου, της παρεγκεφαλίδας και του φλοιού, δομών
ιδιαίτερα ευάλωτων σε ενδογενείς και εξωγενείς παράγοντες (6). Όσον αφορά τα πρόωρα
νεογνά που χρήζουν νοσηλείας σε ΜΕΝΝ, ο εγκέφαλός τους αναπτύσσεται σε διαφορετικό
περιβάλλον από αυτό της μήτρας. Ο ανώριμος εγκέφαλος των πρόωρων νεογνών δέχεται
πλήθος αρνητικών αισθητηριακών ερεθισμάτων (όπως θόρυβος, φως, ήχος, αφή και θερμοκρασία), γεγονός που καθιστά δύσκολη την προσαρμογή του στους εξωγενείς παράγοντες. Πέραν αυτού, ο διαχωρισμός των νεογνών από τη μητέρα τους είναι σωματικά, ψυχολογικά και συναισθηματικά τραυματικός για το νεογνό, αλλά και για τους γονείς. Ο
αποχωρισμός μητέρας-νεογνού οδηγεί σε αύξηση του μετατραυματικού στρες, κατάθλιψης
και άγχους των γονέων (6).
Το πρότυπο οικογενειοκεντρικής φροντίδας προσφέρει μια ολιστική προσέγγιση, η οποία
υπερβαίνει τις απλές ιατρικές και νοσηλευτικές παρεμβάσεις. Αυτή η προσέγγιση βοηθά στη
νευρολογική ωρίμανση των πρόωρων νεογνών και τελικά στη νευροαναπτυξιακή εξέλιξή
τους μέσω της συνεχούς επαφής και εγγύτητας των γονέων με το νεογνό (7,8). Η φροντίδα
του πρόωρου νεογνού θα πρέπει να εστιάζει όχι μόνο στις ανάγκες του νεογνού, αλλά και των
γονέων, και να δίνει έμφαση στην αμοιβαία συνεργασία και επικοινωνία ανάμεσα στα μέλη
της οικογένειας και της ομάδας υγείας (9).
νεογνών
Το οικογενειοκεντρικό πρότυπο φροντίδας νεογνών αναγνωρίζει την οικογένεια ως την πλέον
σημαντική πηγή στήριξης και φροντίδας για το νεογέννητο και τον θετικό της αντίκτυπο στην
υγεία και την ανάπτυξή του νεογνού. Οι βασικές έννοιες του οικογενειοκεντρικού προτύπου
φροντίδας νεογνών περιλαμβάνουν τη συνεργατική, συνεχή και προσαρμοστική φροντίδα. Η
συνεργατική αναφέρεται στην σχέση αμοιβαίας βοήθειας και υποστήριξης μεταξύ των γονέων
και των επαγγελματιών υγείας. Η συνεχής φροντίδα περιλαμβάνει την παροχή εντατικής
παρακολούθησης και περίθαλψης στο νεογέννητο. Η προσαρμοστική φροντίδα αναφέρεται
στην προσαρμογή της φροντίδας στις ανάγκες του νεογνού και της οικογένειας, λαμβάνοντας
υπόψη τις προτιμήσεις και τις πεποιθήσεις τους.
Το συγκεκριμένο μοντέλο αντιπροσωπεύει την κυρίαρχη προσέγγιση στη φροντίδα της
υγείας των νεογνών στις ΜΕΝΝ της Βόρειας Αμερικής για τουλάχιστον 25 χρόνια και
έχει διαμορφώσει σε σημαντικό βαθμό την κουλτούρα των επαγγελματιών υγείας (9). Η
οικογενειοκεντρική φροντίδα αποδίδει ιδιαίτερη βαρύτητα στην εξατομικευμένη φροντίδα (9), θέτοντας στο επίκεντρο το νεογνό αλλά και ολόκληρη την οικογένεια σε ενεργό ρόλο.
Σύμφωνα με την έρευνα των Franck και O Brien (2019), οι βασικοί στόχοι της λειτουργίας
ενός τέτοιου προτύπου περιλαμβάνουν πέραν της εξατομικευμένης φροντίδας, την παροχή κατάλληλης εκπαίδευσης στις οικογένειες, τη συνεργασία των γονέων με το ιατρικό και νοσηλευτικό προσωπικό και την ενθάρρυνση της συμμετοχής τους στη φροντίδα. Επιπλέον, είναι σημαντικό να υπάρχει συναισθηματική υποστήριξη με ενδυνάμωση της οικογένειας
πολλαπλά επίπεδα, καθώς και διασφάλιση συνεχιζόμενης και αμερόληπτης πληροφόρησης.
Τέλος, οι επαγγελματίες υγείας πρέπει να επιδεικνύουν τον απαραίτητο σεβασμό στις αξίες, πεποιθήσεις και τις όποιες φυλετικές, πολιτιστικές και κοινωνικοοικονομικές ιδιαιτερότητες τους (10).
Οι γενικές συστάσεις για την υποστήριξη του ρόλου των γονέων είναι:
• Η ενσωμάτωση των γονέων στη θεραπευτική ομάδα.
• Ανάληψη ρόλου φροντιστή σε απλές διαδικασίες φροντίδας (αλλαγή πάνας, θερμομέτρηση, σίτιση).
• Η ενίσχυση της επαφής των γονέων με το νεογνό τους (δέρμα με δέρμα επαφή (KangarooCare)).
• Εκπαίδευση των γονέων για την τοποθέτηση του νεογνού σε ενδεδειγμένες θέσεις μέσα στην θερμοκοιτίδα, οι οποίες συμβάλλουν στον περιορισμό του στρες από τα επώδυνα ερεθίσματα.
• Τακτική ενημέρωση των γονέων για την πορεία του νεογνού.
Βασική παράμετρος για την επιτυχή εφαρμογή οικογενειοκεντρικής φροντίδας αποτελεί η κατάλληλη εκπαίδευση όλων των συμμετεχόντων, συμπεριλαμβανομένων των γονέων και των επαγγελματιών υγείας. Ειδικότερο στόχο αποτελεί η ενσωμάτωση δράσεων για την εκπαίδευση των επαγγελματιών υγείας και των γονέων, καθώς και η εγκαθίδρυση της οικογενειοκεντρικής φιλοσοφίας φροντίδας. Διάφορα προγράμματα εκπαίδευσης έχουν αναπτυχθεί για την υλοποίηση αυτού του στόχου, όπως το πρόγραμμα Οικογενειακής και Νεογνικής Νευροαναπτυξιακής Εκπαίδευσης (FINE, Family and Infant Neurodevelopmental Education) και η Εξατομικευμένη Αναπτυξιακή Φροντίδα και Αξιολόγηση Νεογνών (NIDCAP, Newborn Individualized Developmental Care and Assessment Program). Οι στόχοι των προγραμμάτων εκπαίδευσης είναι πολυδιάστατοι και αφορούν στο ρόλο των επαγγελματιών
υγείας των ΜΕΝΝ, της οικογένειας και κυρίως στη φροντίδα του νεογνού (Πίνακας 1) (1,11,12).
Το πρόγραμμα FINE σχεδιάστηκε προκειμένου να αναπτύξει δεξιότητες και βέλτιστες πρακτικές για τη φροντίδα του νεογνού. Οι βασικές αρχές του προγράμματος είναι:
1. Η φροντίδα του νεογνού με βάση την ευαισθητοποίηση (περιορισμός των επώδυνων ερεθισμάτων, ελαχιστοποίηση του άγχους και προστασία του ύπνου).
2. Η ανάπτυξη σχέσεων συνεργασίας μεταξύ των επαγγελματιών υγείας και της οικογένειας.
3. Η εξατομικευμένη φροντίδα του νεογνού βασισμένη στην κλινική εικόνα του κάθε νεογνού.
Το εκπαιδευτικό περιεχόμενο του προγράμματος είναι δομημένο γύρω από έξι κομβικά
σημεία, σχεδιασμένα να καλύπτουν πιθανές ελλείψεις των επαγγελματιών υγείας σε γνώσεις
και δεξιότητες (13,14) (Πίνακας 2). Η μελέτη των Warren και συν. (2018) αναδεικνύει τα θετικά
αποτελέσματα του προγράμματος φροντίδας νεογνών στο Ηνωμένο Βασίλειο, για τα νεογνά αλλά και τις οικογένειές τους (13). Ακόμη ένα εκπαιδευτικό πρόγραμμα οικογενειοκεντρικής
φροντίδας με μεγάλη απήχηση είναι το NIDCAP (Newborn Individualized Developmental Care and Assessment Program). Το πρόγραμμα δημιουργήθηκε το 1984 από την Heidelise Als και επικεντρώνεται στην εξατομικευμένη προσέγγιση κάθε νεογνού, παρέχοντας
σφαιρική αναπτυξιακή φροντίδα. Στόχος του προγράμματος είναι η πρόληψη των ιατρογενών συνεπειών από το επιβαρυμένο περιβάλλον της μονάδας και η ενδυνάμωση του δεσμού μεταξύ νεογνού και γονέα (14).
Απόψεις του προσωπικού των Μονάδων Εντατικής Νοσηλείας Νεογνών σχετικά με την εφαρμογή της οικογενειοκεντρικής φροντίδας
Προγράμματα εκπαίδευσης στα πρότυπα οικογενειοκεντρικής
Πίνακας 1: Επιδιωκόμενοι στόχοι από την φιλική προς την οικογένεια φροντίδα νεογνών (Maria&Dasgupta, 2016).
Πίνακας 2: Θεματικές ενότητες Προγράμματος FINE (Warren, 2017)
Η εφαρμογή της οικογενειοκεντρικής φροντίδας περιλαμβάνει τη δέσμευση όλων των εργαζομένων, την αλλαγή της οργανωσιακής κουλτούρας, την αναγνώριση και αντιμετώπιση των εμποδίων που προκύπτουν από την εφαρμογή των κλινικών πρακτικών και ένα αποτελεσματικό σύστημα λήψης αποφάσεων (15,16).
Παρόλο που η εφαρμογή της οικογενειοκεντρικής φροντίδας παρουσιάζει πολλά και σημαντικά οφέλη, η βιβλιογραφία αναδεικνύει ορισμένα σημαντικά εμπόδια. Συγκεκριμένα, σε μελέτη που διεξήχθη σε Μονάδα Νεογνών στη Βραζιλία, διαπιστώθηκε ότι η έλλειψη επαρκούς προσωπικού, υλικών πόρων και υποδομών καθώς και η ανεπαρκής εκπαίδευση
στο συγκεκριμένο πρότυπο περίθαλψης αποτέλεσαν τα κυριότερα εμπόδια για την εφαρμογή
της μεθόδου (17). Επιπλέον, σε άλλη μελέτη, οι εμπλεκόμενοι νοσηλευτές εξέφρασαν τον προβληματισμό τους σχετικά με την αντιμετώπιση ενός σοβαρά πάσχοντος νεογνού υπό την παρουσία των γονέων και την παροχή πληροφοριών σε περιπτώσεις με δυσμενή πρόγνωση ή σε αιφνίδια επιδείνωση (18). Κατά την εφαρμογή του συγκεκριμένου προτύπου φροντίδας, κύριος στόχος είναι η βέλτιστη γνωστική, αισθητηριακή και συναισθηματική ανάπτυξη των νεογνών. Προκειμένου να επιτευχθεί ο συγκεκριμένος στόχος, οι επαγγελματίες υγείας που εργάζονται στις ΜΕΝΝ και εφαρμόζουν αυτό το μοντέλο φροντίδας, πρέπει να είναι σε θέση να αντιμετωπίζουν τις προκλήσεις που προκύπτουν από τον ρόλο τους ως εκπαιδευτές των γονέων (17,18). Κατ’ αυτόν τον τρόπο, απαιτείται από το υγειονομικό προσωπικό μεγαλύτερη προσπάθεια για την κατάλληλη προετοιμασία και κατάρτιση των γονέων. Η ενεργός συμμετοχή
της οικογένειας στη φροντίδα του νεογνού μετατοπίζει το ρόλο του προσωπικού προς την εκπαίδευση των γονέων. Συνεπώς, είναι απαραίτητο να διασφαλιστεί η υγιής επικοινωνία μεταξύ του ιατρικού και νοσηλευτικού προσωπικού της μονάδας και των οικογενειών, καθώς αποτελεί έναν εξαιρετικά κρίσιμο παράγοντα για την επιτυχή εφαρμογή της μεθόδου (19).
Γίνεται, λοιπόν, αντιληπτό ότι μέσω της υιοθέτησης ενός αντίστοιχου προτύπου περίθαλψης
στις ΜΕΝΝ, ουσιαστικά επιχειρείται ο εξανθρωπισμός της παρεχόμενης θεραπείας.
Οι εργαζόμενοι στις ΜΕΝΝ βρίσκονται καθημερινά αντιμέτωποι με τις τραυματικές
εμπειρίες των γονέων, των οποίων τα νεογέννητα αντιμετωπίζουν σοβαρά προβλήματα υγείας (20). Οι επιπτώσεις της νοσηλείας των νεογνών στις ΜΕΝΝ επηρεάζουν όχι μόνο την οικογενειακή ζωή, αλλά και το δεσμό γονέα-νεογνού, με αποτέλεσμα σημαντικές επιπτώσεις στη νευροφυσιολογική και κοινωνική ανάπτυξη και συμπεριφορά. Οι γονείς των νεογνών που έχουν νοσηλευτεί σε ΜΕΝΝ παρουσιάζουν υψηλά ποσοστά επιλόχειας κατάθλιψης, διαταραχής μετατραυματικού στρες και άγχους. Το αίσθημα αδυναμίας που βιώνουν μπορεί να επηρεάσει αρνητικά την ικανότητά τους να υιοθετήσουν με επιτυχία το ρόλο και τις υποχρεώσεις τους στο μέλλον (4, 5, 10).
Η εφαρμογή των προτύπων φροντίδας έχει αποδειχθεί ότι οδηγεί σε οφέλη για τα νεογνά και τους γονείς τους, ενισχύοντας τη σχέση τους (Πίνακας 3) (21). Συγκεκριμένα, έρευνες από τον Καναδά και την Αυστραλία έχουν δείξει ότι η ενδυνάμωση των γονέων και η εμπλοκή τους στη φροντίδα των νεογνών τους, επιφέρει πλειάδα θετικών αποτελεσμάτων, όπως βελτίωση του σωματικού βάρους των νεογνών, μείωση των λοιμώξεων κατά τη διάρκεια νοσηλείας και αύξηση του ποσοστού μητρικού θηλασμού (3,21). Επιπλέον, οι επαγγελματίες υγείας και τα υγειονομικά ιδρύματα επωφελούνται από την εφαρμογή αυτών των προτύπων, καθώς συμβάλλουν στη μείωση του κόστους νοσηλείας, την προαγωγή κοινωνικών δεξιοτήτων, την επαγγελματική ικανοποίηση, τη βελτίωση της διεπαγγελματικής συνεργασίας και επάρκειας στο γνωστικό αντικείμενο (20). Το Ευρωπαϊκό Ίδρυμα Φροντίδας Νεογνών (European Foundation for the Care of Newborn Infants) έχει προτείνει συγκεκριμένο πρότυπο λειτουργίας των ΜΕΝΝ, το οποίο βασίζεται σε έξι τομείς που βελτιώνουν την ποιότητα της παρεχόμενης φροντίδας υγείας (21). Οι εν λόγω τομείς περιλαμβάνουν την επικέντρωση στον ασθενή, την αποτελεσματικότητα, την ασφάλεια του ασθενούς, την αποδοτικότητα, την έγκαιρη παροχή φροντίδας και την ισότητα.
Οφέλη και ποιότητα των παρεχόμενων
H οικογενειοκεντρική φροντίδα στις Μονάδες Εντατικής Νοσηλείας Νεογνών
Η ισότητα και η συμμετοχή της οικογένειας, θεωρούνται απαραίτητες προϋποθέσεις για τη βελτίωση της παρεχόμενης φροντίδας υγείας στις ΜΕΝΝ. Στα οφέλη, περιλαμβάνονται η
βελτίωση της ικανοποίησης των οικογενειών από την παρεχόμενη φροντίδα, η θετική έκβαση της νοσηλείας, η μείωση του χρόνου παραμονής στις ΜΕΝΝ, η ανάπτυξη του ομαδικού πνεύματος και η εδραίωση κλίματος ασφαλείας (22,25).
Νεογνών
Η παραδοσιακή πρακτική φροντίδας στις ΜΕΝΝ, χαρακτηρίζεται από τη συμμετοχή κυρίως
των επαγγελματιών υγείας, με τους γονείς να μην έχουν συχνά ρόλο στη φροντίδα του νεογνού.
Σύμφωνα με την ανάλυση των Maria A. και Dasgupta R. (2016), το παραδοσιακό πρότυπο
λειτουργίας που αποκλείει τους γονείς από την φροντίδα του νεογνού ενέχει αρνητικές συνέπειες. Η ανισορροπία στις σχέσεις γονέων και επαγγελματιών υγείας επηρεάζει αρνητικά την αυτοπεποίθηση και την ικανότητά τους να συμμετέχουν στη φροντίδα του νεογνού και
επιπλέον προκαλεί αίσθημα φόβου και άγχους (1). Σύμφωνα με τη μελέτη των Dhurjati
και συν. (2018), στα βασικά χαρακτηριστικά ενός μοντέλου περίθαλψης νεογνών πρέπει να περιλαμβάνονται η αναγνώριση των αναγκών της οικογένειας, η παροχή ψυχολογικής
υποστήριξης, η συμμετοχή των γονέων στη φροντίδα, η αποτελεσματική επικοινωνία με
την οικογένεια και ο συντονισμός των συμμετεχόντων στην περίθαλψη του νεογνού (26).
Επιπλέον, καθοριστικό παράγοντα για τη βελτίωση της ποιότητας των υπηρεσιών περίθαλψης νεογνών αποτελεί η ξεκάθαρη διατύπωση μακροπρόθεσμων στόχων για τη λειτουργία των ΜΕΝΝ, βασισμένων σε ένα μοντέλο φροντίδας που εστιάζει στην οικογένεια (26). Οι GomezCantarino και συν. (2020), προτείνουν σειρά μέτρων στις ΜΕΝΝ, με σκοπό τη δημιουργία περιβάλλοντος που ενθαρρύνει την εφαρμογή ενός οικογενειοκεντρικού προτύπου φροντίδας
(27). Συγκεκριμένα προτείνεται:
• Η παρότρυνση των γονέων προκειμένου να είναι παρόντες κατά την διενέργεια συγκεκριμένων και απλών παρεμβάσεων.
• Η προσαρμογή των μονάδων σε ένα σύστημα ευέλικτου επισκεπτηρίου. Ιδανικά προτείνεται η διαμονή των γονέων με το νεογνό τους εντός της μονάδας.
• Η εκπαίδευση των γονέων σε ορισμένες διαδικασίες παροχής φροντίδας με στόχο την
ομαλή μετάβαση στο σπίτι και τη συνέχιση της κατάλληλης φροντίδας.
• Η απλούστευση των διαδικασιών και η τροποποίηση της διοικητικής κουλτούρας των ΜΕΝΝ.
Χωροταξικές
Η στρατηγική σχεδιασμού και χωροταξικής υποδομής των ΜΕΝΝ αποτελεί σημαντικό
παράγοντα για την επιτυχή εφαρμογή μοντέλων οικογενειοκεντρικής φροντίδας. Οι υποδομές
πρέπει να ικανοποιούν τις ανάγκες του προσωπικού, της συστηματικής εκπαίδευσης, να ανταποκρίνονται στις συναισθηματικές και νευροαναπτυξιακές απαιτήσεις των νεογνών και να εξυπηρετούν τις ανάγκες των οικογενειών τους. Η σωστή σχεδίαση και υλοποίηση της χωροταξικής υποδομής μπορεί να διασφαλίσει την αποτελεσματική παροχή περίθαλψης και θεραπείας. Στα προτεινόμενα πρότυπα σχεδιασμού φροντίδας νεογνών στη Φλόριντα των Ηνωμένων Πολιτειών Αμερικής, επισημαίνεται ότι ο σχεδιασμός των Μονάδων Εντατικής Νοσηλείας Νεογνών πρέπει να είναι συμβατός με την αποστολή και τους στόχους του οικογενειοκεντρικού προτύπου φροντίδας. Δεδομένου ότι το βέλτιστο θεραπευτικό
περιβάλλον για τα νεογνά είναι η αγκαλιά των γονέων τους, συστήνεται η δημιουργία θαλάμων φροντίδας και περίθαλψης για τη διαμονή των γονέων μαζί με τα νεογνά τους μέχρι την αποχώρησή τους από τη μονάδα (28). Οι υποδομές θα πρέπει να εξασφαλίζουν επαρκή
χώρο για τις ελάχιστες απαιτήσεις ασφαλείας, ελευθερία κινήσεων και απομόνωση από τους
θορύβους του εξοπλισμού και τον φωτισμό της ΜΕΝΝ. Επιπλέον, κάθε νεογνό θα πρέπει να
έχει στην διάθεση του 14m2 καθαρού δαπέδου, ενώ εντός του χώρου νοσηλείας του είναι απαραίτητη η επίπλωση που θα επιτρέπει στον γονέα να παραμένει στο χώρο. Πλησίον του
κάθε δωματίου, στο οποίο φιλοξενείται το νεογνό, θα πρέπει να υπάρχει διάδρομος πλάτους
τουλάχιστον 1,2m. Για κάθε κλίνη νοσηλευόμενου νεογνού θα πρέπει να εξασφαλίζεται
επαρκής χώρος για τη διασφάλιση της ιδιωτικότητας κάθε οικογένειας, με την οπτική κάλυψη
και την προστασία της ακουστικής του χώρου διατηρώντας απόσταση μεταξύ των κλινών
τουλάχιστον 3,5 m.
Μετάβαση προς ένα Οικογενειοκεντρικό Πρότυπο Φροντίδας
απαιτήσεις
Το περιβάλλον των ΜΕΝΝ είναι ιδιαίτερα επιβαρυντικό για τα νεογνά και τις οικογένειες
τους. Παρά την παρεχόμενη ιατρική και νοσηλευτική φροντίδα στο νεογνό, η οικογενειακή
φροντίδα παραμένει ανεπαρκής κύρια λόγω της πληθώρας και βαρύτητας των περιστατικών.
Σε χώρες χαμηλής οικονομικής ανάπτυξης, τα συγκεκριμένα μοντέλα περίθαλψης δεν
έχουν αξιοποιηθεί πλήρως, κυρίως λόγω έλλειψης προσωπικού, αυξημένων εισαγωγών,
φόβου των γονέων να αναλάβουν ευθύνες φροντίδας, καθώς και ορισμένων κοινωνικών
και πολιτισμικών εμποδίων (27). Στην Ελλάδα, δεν υπάρχουν επαρκή στοιχεία που να
καταδεικνύουν τον βαθμό στον οποίο ευνοείται ή εμποδίζεται η εφαρμογή ενός μοντέλου
προσανατολισμένου στην οικογενειοκεντρική φροντίδα. Πρώτο και σημαντικότερο βήμα
προς την κατεύθυνση αυτή αποτελεί η καταγραφή της παρούσας κατάστασης τόσο σε εθνικό
όσο και σε επίπεδο ΜΕΝΝ. Επιπλέον, είναι ζωτικής σημασίας να τίθενται ρεαλιστικοί και
μετρήσιμοι στόχοι για την αύξηση του ποσοστού συμμετοχής των γονέων στην περίθαλψη
των νεογνών. Πιο συγκεκριμένα, παρεμβάσεις όπως η αύξηση των ωρών επισκεπτηρίου, η
πρακτική της επαφής δέρμα με δέρμα με τη μέθοδο "Kangaroo care", ο μητρικός θηλασμός,
καθώς και η κατάρτιση των γονέων σε θέματα φροντίδας του νεογνού, αποτελούν σημαντικές
παρεμβάσεις που μπορούν να συμβάλλουν στην αύξηση της συμμετοχής των γονέων αλλά
ταυτόχρονα και στη βελτίωση της περίθαλψης των νεογνών (29). Για την πλήρη εφαρμογή του μοντέλου, απαιτείται εκπαίδευση του προσωπικού στα βασικά πρότυπα φροντίδας FCC (Family Centered Care) και NIDCAP (Newborn Individualized Developmental Care and Assessment Program). Η εκπαίδευση του προσωπικού πρέπει να συμπεριλαμβάνει την απόκτηση δεξιοτήτων στον τομέα της συμβουλευτικής και της συναισθηματικής υποστήριξης
της οικογένειας. Τέλος, η συμμετοχή ενός ειδικού ψυχολόγου και οι συχνές ομαδικές
συναντήσεις θα ήταν ωφέλιμες για την ψυχολογική ενίσχυση του προσωπικού (30). Η αλλαγή
της χωροταξίας στις ΜΕΝΝ με ταυτόχρονη μείωση του θορύβου και της φωτεινότητας, αποτελούν αλληλένδετα ζητήματα για την επιτυχή εφαρμογή της στρατηγικής. Η ισχυρή
δέσμευση όλων των εμπλεκόμενων επαγγελματιών υγείας είναι καίριας σημασίας και
απαραίτητη είναι η ύπαρξη ενιαίας πολιτικής από όλα τα μέλη της ομάδας νοσηλείας στη
ΜΕΝΝ. Για την επίτευξη αυτού του στόχου, μπορεί να βοηθήσει η ανάθεση επιμέρους ρόλων
στα συμβαλλόμενα μέρη. Τέλος, η επιτυχής εφαρμογή αυτής της στρατηγικής απαιτεί τη
συνεχή αξιολόγηση και παρακολούθηση των αποτελεσμάτων, προκειμένου να επιτευχθούν οι επιθυμητοί στόχοι.
Η ενεργός συμμετοχή της οικογένειας στη φροντίδα του νεογνού εντός των ΜΕΝΝ, έχει θετικό αντίκτυπο στη νευροαναπτυξιακή εξέλιξη των πρόωρων νεογνών, στην ψυχική υγεία
των γονιών, στον δεσμό της οικογένειας-νεογνού αλλά και στο έργο των επαγγελματιών υγείας. Τα πρότυπα παροχής υπηρεσιών υγείας που θέτουν την οικογένεια στο επίκεντρο της
φροντίδας των νεογνών τους, υπογραμμίζουν τη σημασία της συνεργασίας με το νοσηλευτικό
και ιατρικό προσωπικό. Η κατάλληλη και συνεχής εκπαίδευση, η χάραξη συγκεκριμένης
πολιτικής, η αλλαγή κουλτούρας και η διασφάλιση της απαραίτητης υλικοτεχνικής υποδομής
και πόρων συμβάλλουν θετικά στην προσπάθεια εφαρμογής προτύπων φροντίδας με επίκεντρο την οικογένεια.
1. Maria A, Dasgupta R. Family-centered care for sick newborns: A thumbnail view. Indian Journal of Community Medicine. 2016;41(1):11.
2. Walani SR. Global burden of preterm birth. International Journal of Gynecology & Obstetrics. 2020;150(1):31–3.
3. Chawanpaiboon S, Vogel JP, Moller A-B, Lumbiganon P, Petzold M, Hogan D, et al. Global, regional, and national estimates of levels of preterm birth in 2014: a systematic review and modelling analysis. The Lancet Global Health. 2019;7(1):e37–46.
4. Benzies KM, Shah V, Aziz K, Isaranuwatchai W, Palacio-Derflingher L, Scotland J, et al. Family Integrated Care (FICare) in Level II Neonatal Intensive Care Units: study protocol for a cluster randomized controlled trial. Trials. 2017;18(1):467.
5. O’Brien K, Robson K, Bracht M, Cruz M, Lui K, Alvaro R, et al. Effectiveness of Family
Integrated Care in neonatal intensive care units on infant and parent outcomes: a multicentre, multinational, cluster-randomised controlled trial. The Lancet Child & Adolescent Health. 2018;2(4):245–54.
6. Ramezani T, Hadian Shirazi Z, Sabet Sarvestani R, Moattari M. Family-centered care in neonatal intensive care unit: a concept analysis. International journal of community based nursing and midwifery. 2014;2(4):268–78.
7. Franck LS, O’Brien K. The evolution of family-centered care: From supporting parentdelivered interventions to a model of family integrated care. Birth Defects Research. 2019;111(15):1044–59.
8. Aita M, de Clifford Faugère G, Lavallée A, Feeley N, Stremler R, Rioux É, et al. Effectiveness of interventions on early neurodevelopment of preterm infants: a systematic review and meta-analysis. BMC Pediatrics. 2021;21(1):210.
9. Carter BS, Willis T, Knackstedt A. Neonatal family-centered care in a pandemic. Journal of Perinatology. 2021;41(1177-1179).
10. Himuro N, Miyagishima S, Kozuka N, Tsutsumi H, Mori M. Measurement of familycentered care in the neonatal intensive care unit and professional background. Journal of Perinatology. 2015;35(4):284–9.
11. Ramezani T, Hadian Shirazi Z, Sabet Sarvestani R, Moattari M. Family-centered care in neonatal intensive care unit: a concept analysis. International journal of community based nursing and midwifery. 2014;2(4):268–78.
12. Sarapuk IM, Pavlyshyn HA, Lacina L, Królak-Olejnik B. Neurodevelopmental care of preterm babies and its key elements. International Journal of Medicine and Medical Research. 2017;3(1).
13. Warren I. Family and Infant Neurodevelopmental Education: an innovative, educational pathway for neonatal healthcare professionals. Infant Journal. 2017;13(5):200-3.
14. Als H, B. McAnulty G. The Newborn Individualized Developmental Care and Assessment Program (NIDCAP) with Kangaroo Mother Care (KMC): Comprehensive Care for Preterm Infants. Current Women’s Health Reviews. 2011;7(3):288–301.
15. Mirlashari J, Brown H, Fomani FK, de Salaberry J, Zadeh TK, Khoshkhou F. The challenges of implementing family-centered care in NICU from the perspectives of physicians and nurses. Journal of Pediatric Nursing. 2019;50 : 91-98.
16. Xiang X, Xia S, Zhu X, Gao X, Gao X, Zhang A, et al. Attitudes and concerns of neonatologists and nurses to family- integrated-care in neonatal intensive care units in China. Translational Pediatrics. 2020;9(5):603–9.
17. Silva TRG da, Manzo BF, Fiorete FCC de F, Silva PM. Family-centered care from the perspective of nurses in the Neonatal Intensive Care Unit. Revista da Rede de Enfermagem do Nordeste. 2016;17(5):643
18. Coats H, Bourget E, Starks H, Lindhorst T, Saiki-Craighill S, Curtis JR, et al. Nurses’ Reflections on Benefits and Challenges of Implementing Family-Centered Care in Pediatric Intensive Care Units. American Journal of Critical Care. 2018;27(1):52–8.
19. Gómez-Cantarino S, García-Valdivieso I, Moncunill-Martínez E, Yáñez-Araque B, Ugarte Gurrutxaga MI. Developing a Family-Centered Care Model in the Neonatal Intensive Care Unit (NICU): A New Vision to Manage Healthcare. International Journal of Environmental Research and Public Health [Internet]. 2020;17(19).
20. Oude Maatman SM, Bohlin K, Lilliesköld S, Garberg HT, Uitewaal-Poslawky I, Kars MC, et al. Factors Influencing Implementation of Family-Centered Care in a Neonatal Intensive Care Unit. Frontiers in Pediatrics. 2020;8: 222.
21. European Foundation for the Care of Newborn Infants EFCNI. Welcoming the family in the neonatal intensive care unit. 2016 [cited 2021 Aug 13]. Available from: https: https:// www.efcni.org
22. Champlain Maternal Newborn Regional Program. A framework for putting childbearing and families first. CMNRP. 2015. p. 10–1.
23. Hall SL, Phillips R, Hynan MT. Transforming NICU Care to Provide Comprehensive Family Support. Newborn and Infant Nursing Reviews. 2016;16(2):69–73
24. Breyer JZ, Giacomazzi J, Kuhmmer R, Lima KM, Hammes LS, Ribeiro RA, et al. Hospital quality indicators: a systematic review. International Journal of Health Care Quality Assurance. 2019;32(2):474–87.
25. Van der Starre C, Helder O, Tissières P, Thiele N, Ares S. Patient safety and quality
awareness in neonatal intensive care - EFCNI. newborn-health-standards.org. EFCNI; 2018. Available from: https://newborn-health-standards.org/patient-safety-nicu/?print=print
26. Dhurjati R, Sigurdson K, Profit J. Patient- and Family-Centered Care as a Dimension of Quality. American Journal of Medical Quality. 2018;34(3):307–8.
27. Gómez-Cantarino S, García-Valdivieso I, Moncunill-Martínez E, Yáñez-Araque B, Ugarte Gurrutxaga MI. Developing a Family-Centered Care Model in the Neonatal Intensive Care Unit (NICU): A New Vision to Manage Healthcare. International Journal of Environmental Research and Public Health. 2020;17(19):7197.
28. Health Facility and Services Development Act 2017 (Fla) S 59C-1.042
29. Kenner C, Altimier L, Boykova MV. Comprehensive neonatal nursing care. New York, New York: Springer Publishing Company; 2020.
30. Sivanandan S, Bethou A, Ramanujam SS, Kumar C, Chinnasamy K, Natarajan P, et al. Implementing Family-Centered Care in the Neonatal Intensive Care Unit – A Quality Improvement Initiative. Indian Journal of Pediatrics. 2021;88(9):872–8.
Δήμητρα Σαββίδου, Μαργαρίτα Παπασάββα, Σμαραγδή Φεσσάτου, Φρειδερίκη Στεργίου, Μαρία-Αλεξάνδρα Κεφάλα, Βασιλική Γκέτση
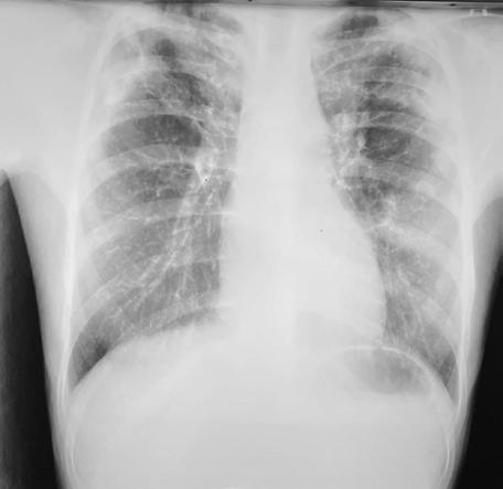
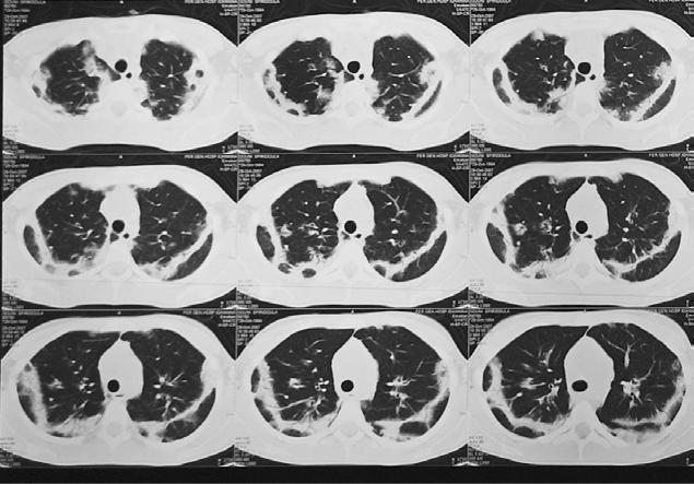
Η περιφερική ηωσινοφιλία αποτελεί διαφοροδιαγνωστική πρόκληση για τον παιδίατρο.
Διακρίνεται σε πρωτοπαθή (κλωνική) και σε δευτεροπαθή ή αντιδραστική (μη κλωνική).
Ανάλογα με τον απόλυτο αριθμό των ηωσινοφίλων, χαρακτηρίζεται ως ήπια, μέτρια ή σοβαρή. Παρουσιάζεται η περίπτωση κοριτσιού 13.5 ετών, που προσκομίστηκε με πυρετό, αίσθημα κόπωσης, βήχα, κοιλιακό άλγος και σοβαρού βαθμού ηωσινοφιλία και πνευμονικά διηθήματα. Επιχειρείται βήμα - βήμα η διαγνωστική προσπέλαση του περιστατικού, παρατίθεται ο
λεπτομερής εργαστηριακός και παρακλινικός έλεγχος, η πορεία της νόσου μέχρι να τεθεί η τελική διάγνωση, αυτή του Ιδιοπαθούς Υπερηωσινοφιλικού Συνδρόμου, καθώς και η θεραπευτική της αντιμετώπιση.
Λέξεις-κλειδιά: ηωσινοφιλία, πνευμονικά διηθήματα, ιδιοπαθές υπερηωσινοφιλικό
Βασιλική Γκέτση Λεωφ. Στρ. Μακρυγιάννη 60, ΤΚ 454 45 Ιωάννινα
Τ. 2651080785
Κ. 6945398479 Ε. vikigetsi@gmail.com
σύνδρομο, παιδική ηλικία. Δήμητρα Σαββίδου Μαργαρίτα Παπασάββα Φρειδερίκη Στεργίου Βασιλική Γκέτση Παιδιατρική Κλινική, Γενικό Νοσοκομείο Ιωαννίνων «Γ. Χατζηκώστα», Ιωάννινα
Σμαραγδή Φεσσάτου Γ΄ Πανεπιστημιακή Παιδιατρική Κλινική ΕΚΠΑ, Νοσοκομείο “ΑΤΤΙΚΟΝ”, Αθήνα
Κεφάλα Ιδιώτης Παιδίατρος, Ιωάννινα
Correspondence
Vasiliki Gketsi General Makrigiannis Avenue 60, PC 454 45
Ioannina
T. +302651080785
Μ. +306945398479
Ε. vikigetsi@gmail.com
Abstract
Peripheral eosinophilia is a differential diagnostic challenge for the pediatrician. It is categorized as either primary (clonal) or secondary/reactive (non-clonal), and charachterized as mild, moderate and severe, depending on the absolute eosinophil count. We present the case of a 13.5-year-old girl who came into the emergency room with fever, fatigue, cough and abdominal pain. Her complete blood count demonstrated severe peripheral eosinophilia and chest imaging revealed pneumonic infiltrates. A step-by step differential diagnosis of the case is attempted. A complete list of laboratory and imaging findings is presented and the patient’s course up to the final diagnosis of Primary Hypereosinophilic Syndrome is discussed, as well as the supplementary treatment.
Keywords: eosinophilia, pulmonary infiltrates, primary hypereosinophilic syndrome, childhood.
Κορίτσι 13.5 ετών προσκομίστηκε στην Κλινική μας διότι από επταημέρου παρουσίασε:
πυρετό (θερμοκρασία μέχρι 38.6οC, κυρίως τις απογευματινές ώρες), αίσθημα κόπωσης, βήχα, κοιλιακό άλγος (ήπιο, διάχυτο, χωρίς υφέσεις και εξάρσεις), οσφυαλγία, μυαλγίες και αρθραλγίες. Το ατομικό και οικογενειακό της ιστορικό ήταν ελεύθερα. Δεν αναφέρθηκαν
Savvidou Dimitra
Margarita Papasavva
Frideriki Stergiou
Vasiliki Gketsi
Pediatric Department, General Hospital of Ioannina “G. Hatzikosta”, Ioannina
Smaragdi Fessatou
Third Department of Pediatrics of University of Athens, ATTIKON Hospital, Athens
Maria-Alexandra Kefala
Pediatrician in Private Practice, Ioannina
αλλεργίες, άσθμα, λήψη φαρμάκων, προηγούμενες νοσηλείες, ταξίδια σε περιοχές ενδημικές παρασιτικών λοιμώξεων, ούτε επαφή με ζώα. Στην κλινική εξέταση διαπιστώθηκαν τα
εξής: Το παιδί είχε όψη πάσχοντος, αλλά ήταν αιμοδυναμικά σταθερό με Α.Π.: 120/80 mmHg, σφύξεις: 70/min, αναπνοές: 16/min, SpO2: 98% και CRT< 2 sec. Οι σωματομετρικές
παράμετροι βρισκόταν εντός φυσιολογικών ορίων (βάρος σώματος μεταξύ 10ης και 25ης
Ε.Θ. και ύψος μεταξύ 90ης και 97ης Ε.Θ.). Δεν είχε εξάνθημα, δεν είχε πληκτροδακτυλία
και το αναπνευστικό ψιθύρισμα ήταν φυσιολογικό αμφοτερόπλευρα. Κατά την ψηλάφηση
της κοιλίας η ασθενής ανέφερε ήπια διάχυτη ευαισθησία. Δε διαπιστώθηκε σύσπαση των
κοιλιακών τοιχωμάτων, ούτε ηπατοσπληνομεγαλία. Δεν βρέθηκαν λεμφαδενικές διογκώσεις.
Η εξέταση των υπολοίπων συστημάτων και η βυθοσκόπηση ήταν χωρίς παθολογικά ευρήματα. Στον εργαστηριακό έλεγχο εισαγωγής (πίνακας 1) διαπιστώθηκε λευκοκυττάρωση και σοβαρού βαθμού ηωσινοφιλία (WBC:15.040/μl, ΕOS:36%, με απόλυτο αριθμό 5.415/μl), αύξηση της Τ.Κ.Ε. (53 mm/1η ώρα), της CRP (26 mg/L) και του ινωδογόνου (1000.5 mg/ dl). Η τιμή της ανοσοσφαιρίνης Ε ήταν εντός των φυσιολογικών ορίων. Κατά τη νοσηλεία, σε επανειλημμένους εργαστηριακούς ελέγχους, η περιφερική ηωσινοφιλία σοβαρού βαθμού ήταν σταθερό εύρημα. Το ίδιο και η αυξημένη Τ.Κ.Ε. και η ήπια αυξημένη CRP (πίνακας 2). Στην ακτινογραφία θώρακα (εικόνα 1) διαπιστώθηκαν διάσπαρτες σκιάσεις (πνευμονικά διηθήματα) αμφοτερόπλευρα. Το υπερηχογράφημα άνω και κάτω κοιλίας, η αξονική τομογραφία (CT) κοιλίας, το ηλεκτροκαρδιογράφημα και το υπερηχογράφημα καρδιάς ήταν χωρίς παθολογικά ευρήματα. Στην CT θώρακα, στο πνευμονικό παρέγχυμα αμφοτερόπλευρα
Ηωσινοφιλία
Υπερηωσινοφιλικού
Πίνακας 1: Eργαστηριακός έλεγχος εισαγωγής
και τιμές δεικτών λοίμωξης κατά τη νοσηλεία WBC (/μL) 15.040 TPR/ ALB (g/dl) 8/4 N/L/M/E (%) 43/15/6/36 K (mmol/L) 4.1 Hb (g/dl) 13.2 Na (mmol/L) 141 Ht (%) 38.9 Glc (mg/dL) 113 PLT(/μL) 394.000 Urea (mg/dL) 27 ΤΚΕ (mm/1η ώρα) 53 Cre (mg/dL) 0.8 CRP (mg/L) 26 Ferr (ng/ml) 180.4 (ΦΤ: 7-140) PT/aPTT (sec) 13.4/31.5 Mg (meq/L) 1.9 INR 1.16 Ca (mg/dL) 9.5 Fib (mg/dL) 1000.5 P (mg/dL) 4.5 D-dimers (mg/L) 227.4 ALP (U/L) 142 ΙgE (U/mL) 270 (ΦΤ: 0-170) γGT (U/L) 17 CK (U/L) 48 AMY (U/L) 60 LDH (U/L) 301 TSH (μIU/mL) 2.28 SGOT/ SGPT (U/L) 16/11 T3 (ng/dL) 104.6 TBIL/DBIL (mg/dl) 0.4/0.07 T4 (μg/dL) 10.2 Ημέρα νοσηλείας 1η 6η 9η 11η 19η WBC (/μL) 15040 16330 14430 11677 14690 Ηωσινόφιλα (απόλυτος αριθμός) 5414 5359 6782 6773 6758 ΤΚΕ (mm) 53 87 120 90 107 CRP (mg/L) 26 6 19 12 17
Ηωσινοφιλία και πνευμονικά
διηθήματα ως πρώτη εκδήλωση Ιδιοπαθούς
Υπερηωσινοφιλικού Συνδρόμου σε κορίτσι 13.5 ετών
Εικόνα 1: Ακτινογραφία θώρακα με διάσπαρτες σκιάσεις (πνευμονικά διηθήματα)
αμφοτερόπλευρα
Εικόνα 2: ΑΑξονική τομογραφία θώρακα με αμφοτερόπλευρες, διαφόρων μεγεθών πυκνωτικές εστίες, ως επί το πλείστον επιμήκους σχήματος, που εντοπίζονται περιφερικά υποϋπεζωκοτικά. Στο μεσοθωράκιο και την περιοχή των πυλών αναγνωρίζονται λεμφαδενικές διογκώσεις.
Ηωσινοφιλία και πνευμονικά διηθήματα ως πρώτη εκδήλωση Ιδιοπαθούς Υπερηωσινοφιλικού
Συνδρόμου σε κορίτσι 13.5 ετών
Με βάση τον παραπάνω εργαστηριακό και απεικονιστικό έλεγχο ήταν σαφές ότι η ασθενής
μας είχε ηωσινοφιλική πνευμονοπάθεια. Έγινε εκτεταμένος εργαστηριακός και παρακλινικός
έλεγχος προς την πλευρά νοσημάτων που θα μπορούσαν να ευθύνονται για την σοβαρή
περιφερική ηωσινοφιλία και τα πνευμονικά διηθήματα (πίνακας 3) [1,2,3].
Πίνακας 3: Αίτια δευτεροπαθούς περιφερικής ηωσινοφιλίας
Αλλεργικά νοσήματα
Βρογχικό άσθμα, Αλλεργική ρινίτιδα
Ατοπικό έκζεμα, Κνίδωση
Τροφικές αλλεργίες
Λοιμώξεις
Παρασιτικές (Ancylostoma, Enterobius vermicularis, Trichinella spiralis, Echinococcus, Toxocara canis)
Μυκητιασικές (αλλεργική βρογχοπνευμονική
ασπερίλλωση, κοκκιδιομύκωση)
Βακτηριακές
Ιογενείς
Φάρμακα - τοξικές ουσίες
Αντιμικροβιακά (β-λακταμικά, νιτροφουραντοΐνη,
σουλφοναμίδες, τετρακυκλίνες, εθαμβουτόλη )
Αντιεπιληπτικά (φαινυντοΐνη, καρβαμαζεπίνη)
Άλατα χρυσού, αλλοπουρινόλη
Μη στεροειδή αντιφλεγμονώδη
Αντιυπερτασικά (καπτοπρίλη)
Αντιαρρυθμικά (αμιοδαρόνη)
Αντικαρκινικά (μπλεομυκίνη)
Αντικαταθλιπτικά
IL-2, GM-CSF
Ναρκωτικά (ηρωίνη, κοκαΐνη)
Ομοιοπαθητικά
Σύνδρομο DRESS
Εισπνοή τοξικών αερίων
Συμπληρώματα διατροφής
Νοσήματα που σχετίζονται με
αυτοανοσία και φλεγμονή
Ηωσινοφιλική κοκκιωμάτωση με
πολυαγγειίτιδα (Churg-Strauss)
Κοκκιωμάτωση Wegener Οζώδης πολυαρτηρίτιδα Νεανική ρευματοειδής αρθρίτιδα Δερματομυοσίτιδα, Σκληροδερμία
ΣΕΛ, Σύνδρομο Sjogren Σαρκοείδωση
Αυτοάνοση θυρεοειδίτιδα Ιδιοπαθής φλεγμονώδης νόσος του εντέρου Σύνδρομο ηωσινοφιλίας – μυαλγίας Αυτοάνοσο λεμφοϋπερπλαστικό σύνδρομο Ανοσοανεπάρκειες
Wiskott-Aldrich
Υπερ-IgE σύνδρομο
Υπερ-IgM
Ανεπάρκεια IgA
Χρόνια κοκκιωματώδης νόσος Σύνδρομο Omen
Κακοήθειες (αιματολογικές και μη)
Ενδοκρινικά νοσήματα
Υποαλδοστερονισμός
Αυτοάνοση θυρεοειδίτιδα
Hodgkin & μη Hodgkin λεμφώματα Οξεία λεμφοβλαστική λευχαιμία t 5;14 Οξεία και χρόνια ηωσινοφιλική λευχαιμία, Χρόνια μυελογενής λευχαιμία, διάφορα νεοπλάσματα Άλλα (αταξινόμητα)
Δήγματα ερπετών, τοξίνες Ιδιοπαθής πνευμονική ίνωση, Νόσος Kimura
Αποκλείστηκαν λοιμώξεις (πίνακας 4α), ανοσολογικά (πίνακας 4β) και κλωνικά αιματολογικά
νοσήματα (πίνακας 4γ, 4δ). Στο μυελόγραμμα τα ηωσινόφιλα ήταν αυξημένα και αποτελούσαν
το 35% των κυττάρων, εκ των οποίων το 8% ανήκε σε αωρότερες βαθμίδες. Οπότε, ως πιθανές
διαγνώσεις παρέμειναν οι εξής: Ιδιοπαθής οξεία ηωσινοφιλική πνευμονία, Ιδιοπαθής
χρόνια ηωσινοφιλική πνευμονία, Υπερηωσινοφιλικό σύνδρομο (ΥΗΣ). Η ενδεικνυόμενη
φαρμακευτική αγωγή και για τα 3 αυτά νοσήματα είναι τα κορτικοστεροειδή [4,5]. Η ασθενής
Υπερηωσινοφιλικού Συνδρόμου σε κορίτσι 13.5 ετών
τέθηκε σε αγωγή με μεθυλπρεδνιζολόνη σε δόση 1 mg/Kg Β.Σ. για 1 μήνα. Ακολούθησε
σταδιακή μείωση και διακοπή. Ο συνολικός χρόνος χορήγησης της αγωγής ήταν 2 μήνες.
Στον επανέλεγχο του περιφερικού αίματος της ασθενούς που διενεργήθηκε μετά το πέρας
της δίμηνης αγωγής με μεθυλπρεδνιζολόνη, ο απόλυτος αριθμός των ηωσινοφίλων ήταν μηδενικός.
Πίνακας 4α: Έλεγχος για λοιμώξεις
Δερμοαντίδραση Mantoux: αρνητική (0mm διήθηση)
Κ/ες αίματος (3): στείρες
Κ/α φαρυγγικού: φυσιολογική χλωρίδα
Κ/ες κοπράνων (3): φυσιολογική χλωρίδα
Παρασιτολογικές εξετάσεις κοπράνων (6): αρνητικές
Ag κοπράνων για ροταϊούς, αδενοϊούς: αρνητικό Wright, Rose-Bengal, Abs για Brucella melitensis: αρνητικά Widal, ASTO: αρνητικές
Ag πνευμονιοκόκκου στα ούρα: αρνητικό
Abs για CMV, EBV, ηπατίτιδες A,B,C, HIV, μυκόπλασμα, χλαμύδια, Yersinia, coxiella burnetti: αρνητικά
Abs για παράσιτα (τοξόπλασμα, τοξοκάρα, αμοιβάδες, ασκαρίδες, τριχινέλλα, εχινόκοκκο, αγκυλόστομα, κυστίκερκο, φιλάριες): αρνητικά
Abs και δερματικές δοκιμασίες για ασπέργιλλο: αρνητικά
Πίνακας 4β: Έλεγχος για νοσήματα που
Ηωσινοφιλία και
Συνδρόμου σε κορίτσι 13.5 ετών
Πίνακας 4γ: Έλεγχος για κακοήθειες – αιματολογικά νοσήματα
Ανοσοφαινότυπος περιφερικού αίματος: χωρίς παθολογικά ευρήματα
Β12: 588 pg/ml (Φ.Τ. 252-1125 )
Τρυπτάση: 2 μg/L (Φ.Τ. 1 -11.4)
Ηλεκτροφόρηση πρωτεϊνών: χωρίς παθολογικά ευρήματα
Ανοσοκαθήλωση πρωτεϊνών ορού και ούρων: χωρίς παθολογικά ευρήματα.
Πίνακας 4δ: Εξέταση μυελού των οστών
Βιοψία μυελού/Μυελόγραμμα: Ηπίως αντιδραστικός μυελός με ικανού βαθμού αύξηση
των ηωσινοφίλων κοκκιοκυττάρων. Ηωσινόφιλα: 35% εκ των οποίων το 8% ανήκει σε
αωρότερες βαθμίδες
Καρυότυπος μυελού: εντός φυσιολογικών ορίων
Ανοσοφαινότυπος μυελού: άτυπη μορφολογία των ηωσινοφιλικών προβαθμίδων
Έλεγχος για παρουσία αναδιατάξεων: αρνητικός
PDGFRb & PDGFRA (FISH, PCR)
BCR/ABL
PCR TCRG
Έλεγχος για παρουσία κυτταρικού πληθυσμού με μεταθέσεις IgH: αρνητικός
Έλεγχος για παρουσία κυτταρικού πληθυσμού με έλλειψη 6q21: αρνητικός
Τρείς μήνες μετά την αρχική νοσηλεία (δηλαδή ένα μήνα μετά την διακοπή της θεραπείας),
η ασθενής μας επανεμφάνισε περιφερική ηωσινοφιλία (ΕOS: 12%, με απόλυτο αριθμό 1.242 /μL), οπότε έγινε επανέναρξη αγωγής με μεθυλπρεδνιζολόνη και συστήθηκε στενή κλινική
και εργαστηριακή παρακολούθηση, οδηγίες που δεν ακολουθήθηκαν.
Η ασθενής επανήλθε 7 μήνες αργότερα. Είχε γίνει αυτόβουλη διακοπή της μεθυλπρεδνιζολόνης
πριν 1,5 μήνα. Ανέφερε από 17 ημέρου δεκατική πυρετική κίνηση, κεφαλαλγία, μυαλγίες, αρθραλγίες και αίσθημα κόπωσης, συμπτώματα παρόμοια με αυτά της πρώτης εισαγωγής.
Είχε όψη πάσχοντος και η γενική της κατάσταση ήταν επηρεασμένη. Η κλινική εξέταση των
επί μέρους συστημάτων δεν αποκάλυψε κάτι το παθολογικό. Στον εργαστηριακό έλεγχο
διαπιστώθηκε εκ νέου σοβαρού βαθμού περιφερική ηωσινοφιλία (απόλυτος αριθμός ηωσινοφίλων: 8.155/μl), αυξημένη Τ.Κ.Ε. (85 mm/1η ώρα) και ηπίως αυξημένη CRP (21.7 mg/L). Διενεργήθηκαν εκ νέου οι εξετάσεις που αναγράφονται στους πίνακες 4α, 4β,4γ και 4δ, οι οποίες ήταν και πάλι αρνητικές. Το νέο μυελόγραμμα είχε ευρήματα παρόμοια του
πρώτου: 35% ηωσινόφιλα, εκ των οποίων το 12% ανήκαν σε αωρότερες βαθμίδες. Επιπλέον έγινε σπιρομέτρηση, που ήταν ενδεικτική περιοριστικού τύπου πνευμονοπάθειας, καθώς και
βρογχοσκόπηση (ελήφθησαν BAL και βιοψία πνεύμονα) (πίνακας 5).
Πίνακας 5: Ευρήματα βρογχοσκόπησης
Βρογχοκυψελιδικό έκπλυμα (BAL):
• Συνολικός αριθμός κυττάρων: 12 x 106 /μL
• Ηωσινόφιλα: 12%, Π: 18%, Λ:12%, Μακροφάγα: 58%.
• Εικόνα φλεγμονής
Βιοψία πνεύμονα:
• Υποϋπεζωκοτικό πνευμονικό τμήμα με αλλοιώσεις χρόνιας πνευμονοπάθειας με
επιμέρους μορφολογικά και ανοσοϊστοχημικά χαρακτηριστικά, τα οποία θέτουν τη
διάγνωση ηωσινοφιλικής χρόνιας πνευμονοπάθειας.
Ηωσινοφιλία και πνευμονικά διηθήματα ως πρώτη εκδήλωση Ιδιοπαθούς
Υπερηωσινοφιλικού Συνδρόμου σε κορίτσι 13.5 ετών
Όσον αφορά τη διάγνωση της ασθενούς μας: (α) Η Ιδιοπαθής Οξεία Ηωσινοφιλική Πνευμονία αποκλείστηκε από την πορεία της νόσου, αφού σε αυτή τη νοσολογική οντότητα τα συμπτώματα διαρκούν λιγότερο από ένα μήνα και δεν παρατηρούνται υποτροπές [4,5,6].
(β) Δεν προέκυψε ασφαλής διάγνωση Ιδιοπαθούς Χρόνιας Ηωσινοφιλικής Πνευμονίας διότι ναι μεν η ασθενής είχε συμβατή κλινική εικόνα, περιφερική ηωσινοφιλία και υψηλή Τ.Κ.Ε., αλλά θα περίμενε κανείς, με βάση τα κριτήρια της νόσου (πίνακας 6), η τιμή της IgE να είναι
αυξημένη στις εξάρσεις της νόσου και κυρίως να υπάρχει εκσεσημασμένη ηωσινοφιλία στο BAL (>40%). Αυτό άλλωστε είναι και το χαρακτηριστικότερο εύρημα αυτής της νοσολογικής
οντότητας, αφού η ευαισθησία του παραπάνω δείκτη (ηωσινοφιλία στο BAL) αγγίζει το 100% και το BAL έχει υποκαταστήσει σχεδόν πλήρως τη διαβρογχική βιοψία [7].
Πίνακας 6: Διαγνωστικά κριτήρια Ιδιοπαθούς Χρόνιας Ηωσινοφιλικής Πνευμονίας
• Συμπτωματολογία από το αναπνευστικό διάρκειας περισσότερο των 2 εβδομάδων
• Διάχυτα πνευμονικά διηθήματα με αεροβρογχόγραμμα και εικόνα θολής υάλου, ιδίως στην περιφέρεια, ηωσινοφιλία στο BAL > 40% και/ή περιφερική ηωσινοφιλία >1.000/mm3
• PaO2: < 60 mmHg ή SpO2: < 90%
• Απουσία άλλων πνευμονικών ηωσινοφιλικών νοσημάτων, όπως Ηωσινοφιλική Κοκκιωμάτωση με Πολυαγγειίτιδα (σύνδρομο ChurgStrauss), Υπερηωσινοφιλικό Σύνδρομο και Αλλεργική Βρογχοπνευμονική Ασπεργίλλωση
(γ) Τέθηκε επί του παρόντος η διάγνωση του Ιδιοπαθούς Υπερηωσινοφιλικού Συνδρόμου, αφού η ασθενής μας πληρούσε τόσο τα βασικά, όσο και τα τροποποιημένα κριτήρια της νόσου (πίνακας 7): ηωσινόφιλα> 1.500/mm3 (για διάστημα τουλάχιστον 6 μηνών), μη διαπίστωση δευτεροπαθών αιτιών, βλάβη οργάνων (πνευμόνων) [1,8].
Πίνακας 7: . Κλασικά και τροποποιημένα διαγνωστικά κριτήρια Ιδιοπαθούς Υπερηωσινοφιλικού Συνδρόμου
Κλασικά κριτήρια:
1. Ηωσινόφιλα > 1.500/mm3 για διάστημα τουλάχιστον 6 μηνών
2. Μη διαπίστωση δευτεροπαθών αιτιών ηωσινοφιλίας
3. Βλάβη διαφόρων οργάνων
Τροποποιημένα κριτήρια:
1. Ηωσινόφιλα > 1.500/mm3 (δεν είναι απαραίτητο το ελάχιστο χρονικό όριο των 6 μηνών, επειδή σε σοβαρές περιπτώσεις χρειάζεται άμεση θεραπεία για να αποτραπεί ιστική βλάβη)
2. Όταν διαπιστώνεται μυελοϋπερπλαστικό ή λεμφοϋπερπλαστικό νόσημα με ηωσινόφιλα > 1.500/mm3 και ένδειξη ιστικής βλάβης, προτείνεται αυτές οι περιπτώσεις να αναγνωρίζονται ως ΥΗΣ, ακόμη κι αν είναι γνωστή η υποκείμενη διαταραχή (π.χ. μετάλλαξη FIP1L1/PDGFRA)
3. Το τρίτο κριτήριο των κλασικών κριτηρίων προτείνεται να διαγραφεί.
044
Ηωσινοφιλία και πνευμονικά διηθήματα ως πρώτη εκδήλωση Ιδιοπαθούς Υπερηωσινοφιλικού
Συνδρόμου σε κορίτσι 13.5 ετών
Έγινε επανέναρξη αγωγής με μεθυλπρεδνιζολόνη (1 mg/Kg Β.Σ.) για ένα μήνα και στη
συνέχεια συνεστήθη σταδιακή μείωση και ρύθμιση της δόσης ανάλογα με τα αποτελέσματα
της γενικής εξέτασης αίματος.
Γνωρίζοντας ότι στους ασθενείς με ιδιοπαθές ΥΗΣ η συνεχής αναζήτηση κλωνικότητας
αποτελεί βασικό στοιχείο της παρακολούθησής τους [3], στην ασθενή μας δόθηκαν οι εξής
οδηγίες: ανά 3-6 μήνες να γίνονται γενική αίματος-μελέτη περιφερικού αίματος, πλήρης
βιοχημικός έλεγχος, υπερηχογράφημα καρδιάς και ανά έτος κυτταρογενετικές και μοριακές
αναλύσεις.
Ως ηωσινοφιλία ορίζεται η αύξηση του απόλυτου αριθμού των ηωσινοφίλων στο περιφερικό
αίμα > 500/mm3 . Χαρακτηρίζεται ως ήπια (ηωσινόφιλα: 500 – 1.500/mm3), μέτρια
(ηωσινόφιλα: 1.500 – 5.000/mm3) ή σοβαρή (ηωσινόφιλα: >5.000/mm3) [1,5]. Διακρίνεται σε
πρωτοπαθή (κλωνική) και σε αντιδραστική ή δευτεροπαθή (μη κλωνική).
Η πρωτοπαθής (κλωνική) ηωσινοφιλία οφείλεται σε διαταραχή ενός κλώνου της
ηωσινοφιλικής σειράς στο μυελό των οστών και παρατηρείται σε αιματολογικά, νεοπλασματικά
ή μυελοδυσπλαστικά νοσήματα [5].
Η αντιδραστική ή δευτεροπαθής (μη κλωνική) ηωσινοφιλία οφείλεται στη δράση κυτταροκινών, κυρίως IL-5, και παρατηρείται σε (1) αλλεργικά νοσήματα (στο 80% των περιπτώσεων προκαλείται αντιδραστική ήπια ηωσινοφιλία), (2) λοιμώξεις: παρασιτικές (σε αυτές ο βαθμός της ηωσινοφιλίας -μέτρια ή σοβαρή- σχετίζεται με την διεισδυτική ικανότητα του παρασίτου στους ιστούς), μυκητιασικές, βακτηριακές και ιογενείς (είναι γνωστό ότι κατά τη διαδρομή τους ή συνηθέστερα κατά την αποδρομή τους, ναι μεν μπορεί να διαπιστωθεί ηωσινοφιλία, είναι όμως κατά κανόνα ήπια και παροδική). Οφείλεται στη συμμετοχή των ηωσινοφίλων στην ανοσολογική απόκριση, αφού το ηωσινόφιλο απομακρύνει -εκτός των άλλων λειτουργιών του - και τα προϊόντα αποδόμησης των ιστών μετά από φλεγμονή [1]), (3) φάρμακα – τοξικές ουσίες, (4) νοσήματα που σχετίζονται με αυτοανοσία και φλεγμονή, (5) ανοσοανεπάρκειες, (6) κακοήθειες (αιματολογικές και μη), (7) ενδοκρινικά νοσήματα, και (8) άλλες καταστάσεις (αταξινόμητες) (πίνακας 3).
Η περιφερική ηωσινοφιλία στους παιδιατρικούς ασθενείς αποτελεί διαφοροδιαγνωστική
πρόκληση για τον παιδίατρο. Ειδικότερα, η σοβαρή ηωσινοφιλία ενέχει τον χαρακτήρα του
επείγοντος, αφενός λόγω της πιθανότητας ύπαρξης σοβαρού υποκείμενου νοσήματος που
χρήζει άμεσης θεραπευτικής παρέμβασης, αφετέρου λόγω του αυξημένου κινδύνου για
πρόκληση ιστικής βλάβης σε διάφορα όργανα-στόχους από τις τοξικές ουσίες που παράγονται
από τα κοκκία των ηωσινοφίλων [1]. Βέβαια, είναι δύσκολη η πρόβλεψη της διάρκειας και
της σοβαρότητας της ηωσινοφιλίας που θα οδηγήσει σε βλάβη των ιστών στους ασθενείς.
Υπάρχουν ανεπαρκή βιβλιογραφικά δεδομένα που υποστηρίζουν την έναρξη θεραπείας με
βάση έναν συγκεκριμένο αριθμό ηωσινοφίλων σε ασθενείς που δεν παρουσιάζουν ιστική
βλάβη οργάνων. Ορισμένοι ερευνητές έχουν συστήσει ως βάση για έναρξη θεραπείας έναν
απόλυτο αριθμό ηωσινοφίλων 1.500-2.000/μl. Επιπλέον, οι αλγόριθμοι θεραπείας έχουν
ενσωματώσει τη σειριακή παρακολούθηση του αριθμού των ηωσινοφίλων, την εξέταση
μυελού των οστών και τη βιοψία με κυτταρογενετική, καθώς και την αξιολόγηση της
κλωνικότητας και την κατευθυνόμενη αξιολόγηση οργάνων (π.χ. με μέτρηση τροπονίνης, υπερηχοκαρδιογραφία, έλεγχο πνευμονικής λειτουργίας, βρογχοσκόπηση, βυθοσκόπηση, απεικόνιση κοιλιακών σπλάχνων, ενδοσκόπηση πεπτικού). Αυτό γίνεται για τον εντοπισμό
ιστικής βλάβης οργάνων καθώς και καθορισμένων αιτιών ηωσινοφιλίας, που μπορεί να
εμφανιστούν μετά από μια αρχική διάγνωση Υπερηωσινοφιλικού Συνδρόμου [5].
Στην ασθενή μας τέθηκε η διάγνωση του Ιδιοπαθούς Υπερηωσινοφιλικού Συνδρόμου και
χορηγήθηκε μεθυλπρεδνιζολόνη. Τα κορτικοστεροειδή είναι η θεραπεία εκλογής, αφού
μειώνουν τόσο την παραγωγή των ηωσινοφίλων από τον μυελό των οστών, άρα και τον
αριθμό τους, όσο και τον αριθμό των Τ λεμφοκυττάρων που ελέγχουν την παραγωγή των
ηωσινοφίλων. Γνωρίζοντας ότι στους ασθενείς με ιδιοπαθές ΥΗΣ η συνεχής αναζήτηση
κλωνικότητας αποτελεί βασικό στοιχείο της παρακολούθησής τους, καθώς έχει βρεθεί ότι
Ηωσινοφιλία και πνευμονικά
διηθήματα ως πρώτη εκδήλωση Ιδιοπαθούς
Υπερηωσινοφιλικού Συνδρόμου σε κορίτσι 13.5 ετών
το 25% αυτών θα εμφανίσουν κάποιο κλωνικό αιματολογικό νόσημα στην πορεία της νόσου, στην ασθενή μας δόθηκαν οι προαναφερθείσες οδηγίες παρακολούθησης. Πτώση της αιμοσφαιρίνης, θρομβοπενία ή θρομβοκυττάρωση, αύξηση της βιταμίνης Β12, παθολογική αλκαλική φωσφατάση των ουδετεροφίλων, παρουσία στο περιφερικό αίμα παθολογικών ουδετεροφίλων, εμπύρηνων ερυθρών, δακρυοκυττάρων ή αυξημένων βασεοφίλων, πιθανόν να αποτελούν ενδείξεις κλωνικής διαταραχής, όπως μυελοϋπερπλαστικού ή μυελοδυσπλαστικού συνδρόμου [1,3]. Βιβλιογραφία:
1. Αλέξανδρος Μάκης, Νικόλαος Χαλιάσος, Αντιγόνη Σιαμοπούλου. Πρακτικός οδηγός διερεύνησης της εμμένουσας και σημαντικής ηωσινοφιλίας στα παιδιά. Παιδιατρική 2013; 76 (3):256-267.
2. Κωνσταντίνος Πηγάκης, Γεώργιος Μελέτης, Μανώλης Φερδούτσης, Γεώργιος Πατσουράκης, Νικόλαος Μπαχλιτζανάκης. Ιδιοπαθείς Ηωσινοφιλικές Πνευμονοπάθειες. ΠΝΕΥΜΩΝ. 2008; 21(2): 145-155.
3. Τέρπος Ε, Μελέτης ΓΧ. Ηωσινοφιλία - διαγνωστική προσέγγιση. https://www. researchgate.net/publication/215577855_YPEREOSINOPHILIKO_SYNDROMO.
4. Lisa Giovannini-Chami, Sibylle Blanc, Alice Hadchouel, André Baruchel, Rachida Boukari, Jean-Christophe Dubus. Eosinophilic pneumonias in children: A review of the epidemiology, diagnosis, and treatment. Pediatr Pulmonol. 2016;51:203–216.
5. William Shomali, Jason Gotlib. World Health Organization-defined eosinophilic disorders: 2019 update on diagnosis, risk stratification, and management. Am J Hematol. 2019;94:1149–1166.
6. Chin Kook Rhee, Kyung Hoon Min, Nam Yeol Yim, Ji Eun Lee, Na Rae Lee, Man Pyo Chung, et al. Clinical characteristics and corticosteroid treatment of acute eosinophilic pneumonia. European Respiratory Journal 2013 41: 402-409.
7. Eric Marchand, Jean-François Cordier. Idiopathic chronic eosinophilic pneumonia. Orphanet J Rare Dis. 2006; 1: 11, doi: 10.1186/1750-1172-1-11
8. Hans-Uwe Simon, Marc E. Rothenberg, Bruce S. Bochner, Peter F. Weller, Andrew J. Wardlaw, Michael E. Refining the definition of hypereosinophilic syndrome. J Allergy Clin Immunol. 2010 Jul; 126(1): 45–49.
Μαργαρίτα-Ευθαλία Παπασάββα, Δήμητρα Σαββίδου, Στυλιανή Γιαννακούλα, Βασίλειος
Γραμμενιάτης, Βασιλική Τσανάκα, Βασιλική Γκέτση
Οι ροταϊοί είναι δίκλωνοι RNA ιοί της οικογένειας Reoviridae που είναι δυνητικά παθογόνοι
για πολλά ζωικά είδη. Ο ροταϊός της ομάδας Α παραμένει η κύρια αιτία νοσηρότητας και
θνησιμότητας λόγω γαστρεντερίτιδας σε μικρά παιδιά παγκοσμίως. Η επιδημιολογία
της νόσου έχει τροποποιηθεί και η βαρύτητά της έχει μειωθεί σημαντικά την τελευταία
δεκαετία, κυρίως λόγω της συμπερίληψης των εμβολίων κατά του ροταϊού A στα εθνικά
προγράμματα ανοσοποίησης, σε περισσότερες από 100 χώρες. Ωστόσο, συνεχίζει να προκαλεί
εκατομμύρια νοσήσεις και χιλιάδες θανάτους στον παιδιατρικό πληθυσμό, κυρίως στις αναπτυσσόμενες χώρες. Εκτιμάται ότι το 2016 προκάλεσε 258.173.300 επεισόδια διάρροιας
και 128.500 θανάτους σε παιδιά κάτω των 5 ετών. Τα τελευταία χρόνια εμφανίζονται στην
διεθνή βιβλιογραφία αναφορές περιστατικών και μελέτες σε πειραματόζωα, σχετικές με τις εξωεντερικές εκδηλώσεις της νόσου, με σκοπό την καλύτερη κατανόηση αυτών και τη
δημιουργία αποτελεσματικότερων εμβολίων. Το περιστατικό μας, που αφορά σε ένα κορίτσι ηλικίας 14 μηνών με εκσεσημασμένη υπερτρανσαμινασαιμία κατά τη διαδρομή λοίμωξης από
ροταϊό Α, έρχεται να προστεθεί σε αυτές τις σποραδικές αναφορές.
Λέξεις-κλειδιά: ροταϊός, παιδική ηλικία, εξωεντερικές εκδηλώσεις, υπερτρανσαμινασαιμία.
Βασιλική Γκέτση Λεωφ. Στρ. Μακρυγιάννη 60, ΤΚ 454 45
Ιωάννινα
Τ. 2651080785
Κ. 6945398479 Ε. vikigetsi@gmail.com
Δήμητρα Σαββίδου Στυλιανή Γιαννακούλα Βασίλειος Γραμμενιάτης Βασιλική Τσανάκα Βασιλική Γκέτση Παιδιατρικό Τμήμα, Γενικό Νοσοκομείο Ιωαννίνων “Γ. Χατζηκώστα”, Ιωάννινα
Correspondence
Vasiliki Gketsi
General Makrigiannis Avenue 60, PC 454 45
Ioannina
T. +302651080785
Μ. +306945398479
Ε. vikigetsi@gmail.com
Abstract
Rotaviruses are double-stranded RNA viruses in the family of Reoviridae which can cause disease in several animal species. Rotavirus type A is the leading cause of morbidity and mortality due to diarrheal in infants and young children worldwide. More than 100 countries all over the world have included vaccination against Rotavirus Α in their National Vaccination Programs, an action which altered the epidemiology and reduced the severity of the disease. However, Rotavirus Α remains a main cause of morbidity, leading to millions of illness cases and thousands of deaths in the pediatric population, mostly in the developing countries. It is estimated that in 2016, Rotaviruses caused 258.173.300 diarrheal cases and 128.500 deaths in children under 5 years of age [1]. Recently, international data focus on case reports and experimental studies concerning non-enteral manifestations of the disease, aiming to better understanding of them and thus, to the development of more efficient vaccines. Our case report, describing a 14-months-old girl who developed pronounced hypertransaminasemia during Rotavirus type A infection, can be added to these reports.
Keywords: Rotavirus, childhood, extraintestinal manifestations, hypertransaminasemia
Περιγράφεται περίπτωση κοριτσιού, ηλικίας 14 μηνών, με λοίμωξη από ροταϊό και
εκσεσημασμένη υπερτρανσαμινασαιμία. Επιχειρείται ανασκόπηση της βιβλιογραφίας που
αφορά στις εξωεντερικές εκδηλώσεις της νόσου και κυρίως στην αύξηση των ηπατικών ενζύμων και την ηπατική συμμετοχή.
Περιγραφή περίπτωσης
Κορίτσι 14 μηνών προσκομίστηκε διότι παρουσίασε προ τριημέρου πυρετό (δύο πυρετικά
Margarita-Efthalia
Papasavva
Dimitra Savvidou
Styliani Giannakoula
Vasileios Grammeniatis
Vasiliki Tsanaka
Vasiliki Gketsi
Pediatric Department, General Hospital of Ioannina “G. Hatzikosta”, Ioannina
κύματα με μέγιστη θερμοκρασία μέχρι 38.2οC) και από 24ώρου δύο εμέτους, υπνηλία, νωθρότητα και μειωμένη σίτιση. Το οικογενειακό και ατομικό της αναμνηστικό ήταν ελεύθερα. Ήταν πλήρως εμβολιασμένη για τον ροταϊό με δύο δόσεις, σε ηλικία 2 και 4 μηνών αντίστοιχα, με το εμβόλιο που περιέχει ζωντανό, εξασθενημένο στέλεχος ανθρώπινου ροταϊού Α τύπου G1P(8) (HUMAN ROTAVIRUS A TYPE G1P(8) STRAIN RIX4414 LIVE ANTIGEN).
Στην κλινική εξέταση διαπιστώθηκαν τα εξής: Το παιδί παρουσίαζε νωθρότητα και είχε όψη πάσχοντος. Ήταν αιμοδυναμικά σταθερό, με θ: 37.1οC, Α.Π.: 112/49 mmHg, σφύξεις: 133/min, αναπνοές: 16/min, SpO2: 99%, CRT < 2 sec. Οι σωματομετρικές παράμετροι βρίσκονταν εντός φυσιολογικών ορίων (βάρος σώματος και περίμετρος κεφαλής μεταξύ 50ης και 85ης Ε.Θ. και ύψος στην 85η Ε.Θ.). Δεν είχε εξάνθημα και το αναπνευστικό ψιθύρισμα ήταν φυσιολογικό άμφω. Κατά την εξέταση του πεπτικού συστήματος διαπιστώθηκαν αυξημένοι εντερικοί ήχοι.
Η κοιλία, κατά την ψηλάφηση, ήταν μαλακή, ευπίεστη, ανώδυνη, χωρίς ηπατοσπληνομεγαλία.
Η εξέταση των υπολοίπων συστημάτων ήταν χωρίς παθολογικά ευρήματα.
Στον εργαστηριακό έλεγχο εισαγωγής (πίνακας 1) διαπιστώθηκαν: αύξηση των τρανσαμινασών
048 Ηπατική συμμετοχή σε λοίμωξη από ροταϊό. Περιγραφή περίπτωσης και ανασκόπηση της βιβλιογραφίας
και της LDH, αρνητικοί δείκτες λοίμωξης, φυσιολογικές τιμές παραγόντων πήξης, χολερυθρίνης, ALP, γGT, ολικών λευκωμάτων και αλβουμίνης και απουσία χολοχρωστικών
στα ούρα. Στο υπερηχογράφημα κοιλίας το ήπαρ απεικονίστηκε με διάχυτη, ήπια αδροποίηση
του παρεγχύματος και μέγεθος στα ανώτερα φυσιολογικά όρια για την ηλικία της ασθενούς
(κεφαλουραία διάμετρος στην μεσοκλειδική γραμμή: 9.3 cm με Φ.Τ.: 7-9.6 cm).
Πίνακας 1: Eργαστηριακός έλεγχος εισαγωγής
Έγινε περαιτέρω εργαστηριακός έλεγχος προς την πλευρά νοσημάτων που θα μπορούσαν
να ευθύνονται για την υπερτρανσαμινασαιμία (πίνακας 2). Το αντιγόνο κοπράνων έναντι του
ροταϊού, καθώς και η πολυπλεκτική αλυσιδωτή αντίδραση πολυμεράσης (MULTIPLEX PCR)
για Rotavirus A στα κόπρανα ήταν θετικά.
Πίνακας 2: Eργαστηριακός έλεγχος νοσηλείας
Αρνητικό PCR αίματος για ιό Ηπατίτιδας Ε
Αρνητικό Ag Adeno Virus κοπράνων
Αρνητικό
Abs EΒV IgG/IgM
Abs CMV IgG/IgM
Αρνητικά/
αρνητικά Ag Rota Virus
Αρνητικά/
αρνητικά
κοπράνων
PCR κοπράνων
για ροταϊό Α
Θετικό
Θετική
Ηπατική συμμετοχή σε λοίμωξη από ροταϊό. Περιγραφή περίπτωσης και ανασκόπηση της βιβλιογραφίας
Η ασθενής αντιμετωπίστηκε με υποστηρικτική αγωγή: ενδοφλέβια ενυδάτωση και διόρθωση
των ηλεκτρολυτικών διαταραχών. Την 4η ημέρα νοσηλείας διαπιστώθηκαν: (α) ηπατομεγαλία
(ήπαρ ψηλαφητό 6 cm κάτω από το πλευρικό τόξο, στη μεσοκλειδική γραμμή, μαλθακής σύστασης, χωρίς χείλος) και (β) εκσεσημασμένη αύξηση των ηπατικών ενζύμων (πίνακας 3).
Προοδευτικά η κλινική και εργαστηριακή εικόνα της ασθενούς βελτιώθηκαν. Το πυρέτιο, οι έμετοι, οι διάρροιες και η ανορεξία υποχώρησαν, ομοίως και η ηπατομεγαλία. Οι τιμές των τρανσαμινασών επανήλθαν στα φυσιολογικά επίπεδα μετά από διάστημα ενός μήνα (πίνακας 3).
Πίνακας 3: Δείκτες ηπατικής λειτουργίας
Οι ροταϊοί είναι δίκλωνοι RNA ιοί της οικογένειας Reoviridae που είναι δυνητικά παθογόνοι
τόσο για τα ζώα όσο και για τους ανθρώπους. Η λοίμωξη από ροταϊό στα ζώα έχει σημαντικό
οικονομικό αντίκτυπο, γιατί μπορεί προκαλέσει νόσηση και θανάτους σε πολλά είδη, όπως μοσχάρια, χοιρίδια, κατσίκια και πουλερικά. Στους ανθρώπους, η σοβαρή γαστρεντερίτιδα
που προκαλούν εμφανίζεται κυρίως σε παιδιά ηλικίας μικρότερης των 5 ετών και έχει ως αποτέλεσμα χιλιάδες θανάτους ετησίως σε παγκόσμια κλίμακα [1]. Η εμφάνιση διάρροιας συνήθως διαρκεί έως και 1 εβδομάδα. Σε ανοσοκατεσταλμένα παιδιά ωστόσο, μπορεί να επιμείνει για μεγαλύτερο χρονικό διάστημα, οδηγώντας σε σοβαρότερη αφυδάτωση και αυξημένη θνητότητα [2]. Λόγω του προεξέχοντος συμπτώματος της διάρροιας σε λοίμωξη από ροταϊό, παλαιότερα κυριαρχούσε η εντύπωση ότι ο ροταϊός μολύνει μόνο τα ώριμα, διαφοροποιημένα επιθηλιακά κύτταρα του λεπτού εντέρου [3]. Όμως, το αντιγόνο ή και το RNA του ιού έχουν ανιχνευθεί στο αίμα, στα κύτταρα του ανοσοποιητικού συστήματος και σε άλλα εξωεντερικά όργανα και ιστούς (ήπαρ, σπλήνας, καρδιά, πνεύμονες, νεφροί, πάγκρεας, όρχεις, ουροδόχος κύστη και κεντρικό νευρικό σύστημα) μολυσμένων παιδιών και ζώων [2].
Το γεγονός αυτό υποδηλώνει ότι κατά την μόλυνση με ροταϊό, ο ιός μπορεί να διαφύγει από τη γαστρεντερική οδό και να εισβάλει σε άλλα όργανα και ιστούς [4,5,6], μέσω του αίματος (ιαιμία) ή των λεμφικών αγγειακών συστημάτων [2], προκαλώντας ποικίλες εξωεντερικές
εκδηλώσεις. Δεδομένου ότι το έντερο έχει άφθονα αιμοφόρα και λεμφικά αγγεία στην υποβλεννογόνια στοιβάδα των εντερικών λαχνών, πολλοί ιοί μπορούν εύκολα να εισέλθουν σε αυτά τα αγγειακά συστήματα και να εξαπλωθούν σε εξωεντερικά όργανα και ιστούς, ιδιαίτερα μέσω της πυλαίας φλέβας [2,6]. Μόλις το αίμα παροχετευτεί από τη γαστρεντερική οδό, μετακινείται στο ήπαρ. Στις περισσότερες αναφορές εξωεντερικής εξάπλωσης του ροταϊού σε παιδιά και νεαρά ζώα, το ήπαρ είναι το όργανο με την υψηλότερη συχνότητα ανίχνευσης του ροταϊού [7,8,9]. Στη συνέχεια, από το ήπαρ, μέσω της κυκλοφορίας του αίματος, ο ιός μπορεί να διανεμηθεί σε άλλα όργανα και ιστούς του σώματος και να προκαλέσει οξεία εγκεφαλοπάθεια (εγκεφαλίτιδα, μηνιγγίτιδα, παρεγκεφαλίτιδα), ραβδομυόλυση, οξεία παγκρεατίτιδα κ.ά. [6].
Όσον αφορά την ηπατική συμμετοχή σε νόσηση βρεφών ή παιδιών από ροταϊό, υπάρχουν βιβλιογραφικές αναφορές μικρής ή ήπιας αύξησης των τρανσαμινασών, της ασπαρτικής ή οξαλοξεικής αμινοτρανσφεράσης (AST ή SGOT) ή/και της αλανινικής ή πυροσταφυλικής αμινοτρανσφεράσης (ALT ή SGPT) [10].
Μεμονωμένη αύξηση της AST έχει αναφερθεί σε αρκετές μελέτες. Η AST είναι ένα ένζυμο που
βρίσκεται σε πολλά άλλα όργανα εκτός του ήπατος (κυρίως στην καρδιά, τους μυς, το έντερο)
και στις μελέτες αυτές δεν έχουν μετρηθεί τα κλάσματά της. Η αύξησή της θα μπορούσε
να αντικατοπτρίζει δραστηριότητα σε πολλούς ιστούς ή -στη συγκεκριμένη περίπτωση- να
οφείλεται μόνο στην εντερική λοίμωξη και σε βλάβη των εντερικών και όχι των ηπατικών
κυττάρων. Η φυσιολογική τιμή της γ-glutamyltransferase (γGT) στον ορό αυτών των ασθενών
ενισχύει αυτήν την άποψη. Επίσης, παρόμοιου εύρους αύξηση της AST μετά από εμβολιασμό
για τον ροταϊό, πιθανόν οφείλεται στον ίδιο λόγο και υποδεικνύει ότι το εμβόλιο επιτυγχάνει
αυτό που είναι σχεδιασμένο να κάνει, δηλαδή μολύνει τα επιθηλιακά κύτταρα του εντέρου [11].
Η ALT είναι ένα ένζυμο πιο ειδικό στην εκτίμηση της ηπατικής λειτουργίας, διότι βρίσκεται
κυρίως στο ήπαρ και σε πολύ μικρότερη ποσότητα σε άλλα όργανα (νεφροί, καρδιά, σκελετικοί μυς).
Στην μελέτη των Hisashi Kawashima και συν., 88.5% των παιδιών με γαστρεντερίτιδα από
ροταϊό είχαν ήπια μεμονωμένη αύξηση της τιμής της AST και μόνο 11.5% ήπια αύξηση της
τιμής της ALT [12]. Στην μελέτη των Palla και συν. η AST βρέθηκε ελαφρώς αυξημένη σε
παιδιά με γαστρεντερίτιδα από ροταϊό, ενώ η ALT ήταν φυσιολογική σε όλα τα παιδιά [13]. Η
σχετική μελέτη με την μεγαλύτερη σειρά ασθενών είναι αυτή των Teitelbaum και Daghistani.
Σε αυτήν την μελέτη 71% των ασθενών είχαν ηπίως αυξημένη μόνο την ALT (από 42 έως 110
IU/L, με μέση τιμή 61 IU/L), 20% είχαν αυξημένες τις ALT και AST (ΑLT: από 44 έως 114 IU/L,
με μέση τιμή 56 IU/L και AST: από 57 έως 126 IU/L, με μέση τιμή 80 IU/L) και 4% είχαν ηπίως
αυξημένες την AST και την αλκαλική φωσφατάση [14].
Στην βιβλιογραφία έχουν αναφερθεί μόνο σε 2 περιπτώσεις ανοσοεπαρκών παιδιατρικών
ασθενών με εκσεσημασμένη αύξηση των τιμών των τρανσανινασών (ΑLT: 1448-3558 IU/L και
AST: 1765-2614 IU/L) και φυσιολογικές τιμές χολερυθρίνης, αλκαλικής φωσφατάσης, γGT και
χρόνων πήξης [15], καθώς και μια 3η περίπτωση με αύξηση των ALT και AST της τάξης των 225 IU/L και 448 IU/L αντίστοιχα [16].
Σκοπός της παρούσας μελέτης είναι: (α) αφενός η ενημέρωση και ευαισθητοποίηση
των παιδιάτρων σχετικά με τις εξωεντερικές εκδηλώσεις της λοίμωξης από ροταϊό, και συγκεκριμένα την ηπατική συμμετοχή με εκσεσημασμένη αύξηση των τρανσαμινασών, και (β) αφετέρου η καταγραφή της περίπτωσης στην ιατρική βιβλιογραφία. Οι σποραδικές
αναφορές στην σχετική διεθνή βιβλιογραφία, υποδηλώνουν ασφαλώς την σπανιότητα αυτών των επιπλοκών. Ωστόσο, σύμφωνα με τον Ramig και συν., αν οι εξωεντερικές εκδηλώσεις
εμφανιζόταν μόνο σε 1 από τα 10.000 προσβεβλημένα παιδιά (δηλαδή σε 0.01% των νοσούντων), από τα 111.000.000 παιδιά που μολύνονται ετησίως θα αναμένονταν 111.000 περιστατικά συστηματικής νόσησης ετησίως [6]. Δηλαδή, η ιαιμία και η συστηματική νόσηση
από ροταϊό θα πρέπει να ερευνηθούν περαιτέρω, λόγω της αυξημένης επίπτωσης της νόσου
στον παιδιατρικό πληθυσμό. Η καλύτερη κατανόησή τους θα μπορούσε να οδηγήσει στη
δημιουργία αποτελεσματικότερων εμβολίων, στην ορθότερη διαχείριση των πασχόντων παιδιών και τη μείωση του κόστους των νοσηλίων.
1. Christopher Troeger, Ibrahim A. Khalil, Puja C. Rao, et al. RotavirusVaccination and the Global Burden of Rotavirus Diarrhea Among Children Younger Than 5 Years. JAMA Pediatr. 2018;172(10):958-965. doi:10.1001/jamapediatrics.2018.1960.
2. Mia Madel Alfajaro , Kyoung-Oh Cho. Evidences and consequences of extra-intestinal spread of rotaviruses in humans and animals. Virus disease. 2014;25(2):186-94.doi: 10.1007/ s13337-014-0197-9. Epub 2014 Mar 1.
3.Sue E. Crawford, Dinesh G. Patel, Elly Cheng, Zuzana Berkova, Joseph M. Hyser, Max Ciarlet, et al. Rotavirus Viremia and Extraintestinal Viral Infection in the Neonatal Rat Model. ASM Journals/Journal of Virology. 2006; 80(10). doi.org/10.1128/JVI.80.10.4820-4832.2006.
4. Sara E Blutt, Carl D Kirkwood, Viviana Parreno, Kelly L Warfield, Max Ciarlet, Mary K Estes, et al. Rotavirus antigenaemia and viraemia: a common event? The Lancet. Volume 362,
Issue 9394, 1 November 2003, Pages 1445-1449. doi: org/10.1016/S0140-6736(03)14687-9.
5. Siba Prosad Paul, David C. A. Candy. Extra-Intestinal Manifestation of Rotavirus Infection.... Beyond the Gut. The Indian Journal of Pediatric. 2013, volume 81, pages111–113 (2014). doi: 10.1007/s12098-013-1189-2.
6. Robert F Ramig. Systemic rotavirus infection. Expert Review of Anti-Infective Therapy.20014; 5(4): 591-612. doi: 10.1586/14787210.5.4.591.
7. Fenaux Μ, Cuadras ΜΑ, Feng Ν, Jaimes Μ, Greenberg ΗΒ. Extraintestinal Spread and Replication of a Homologous EC Rotavirus Strain and a Heterologous Rhesus Rotavirus in BALB/c Mice. J Virol. 2007; 80 :5219–5232. doi: 10.1128/JVI.02664-05.
8. Fischer TK, Ashley D, Kerin Τ, Reynolds-Hedmann Ε, Gentsch J, Widdowson ΜΑ, et al. Rotavirus Antigenemia in Patients with Acute Gastroenteritis. J Infect Dis. 2005; 192 :913–919. doi: 10.1086/432549.
9. Kim HJ, Park JG, Alfajaro MM, Kim DS, Hosmillo M, Son KY, et ai. Pathogenicity characterization of a bovine triple reassortant rotavirus in calves and piglets. Vet Microbiol. 2012; 159 :11–22. doi: 10.1016/j.vetmic.2012.03.017.
10. Ken Sugata, Koki Taniguchi, Akiko Yui, Fumi Miyake, Sadao Suga, Yoshizo Asano, et al. Analysis of rotavirus antigenemia and extraintestinal manifestations in children with rotavirus gastroenteritis. Pediatrics. 2008;122(2):392-7. doi: 10.1542/peds.2007-2290.
11. Keith Grimwood, John C. Coakley, Irene L. Hudson, Ruth F. Bishop, Graeme L.Barnes. Serum aspartate aminotransferase levels after rotavirus gastroenteritis. The Journal of Pediatrics. 1988; 112(4): 597-600. doi: org/10.1016/S0022-3476(88)80179-3.
12. Hisashi Kawashima, Chiako Ishii, Hiroaki Ioi, Shigeo Nishimata, Yasuyo Kashiwagi, Kouji Takekuma. Transaminase in rotavirus gastroenteritis. Pediatrics International. 2011; 54(1): 86-88. doi.org/10.1111/j.1442-200X.2011.03532.x.
13. Palla Gabriella, Ughi Claudio, Villirillo Antonietta, Cesaretti Graziano, Maggiore Giuseppe, Ventura Alessandro. Serum uric acid elevation in viral enteritis. Pediatr Infect Dis J. 1996 Jul;15(7):642-3.doi: 10.1097/00006454-199607000-00023.
14. Jonathan E Teitelbaum, Rima Daghistani. Rotavirus causes hepatic transaminase elevation. Dig Dis Sci. 2007 Dec;52(12):3396-8. doi: 10.1007/s10620-007-9743-2.
15. Meltem Akcaboy, Melahat Melek Oguz, Esma Altınel Acoglu, Mehtap Acar, Pelin Zorlu, Ferda Ozbay Hosnut, et al. Systemic Manifestation of Rotavirus Infection in Children: A Report of Three Cases. Iran Red Crescent Med J. 2016 Jun 14;18(8):e35086. doi: 10.5812/ ircmj35086.
16. Giacomo Zanelli, Giacinta Tordini. Is Rotavirus a Hepatotropic Virus? Dig Dis Sci. 2008;53:1433. doi: 10.1007/s10620-008-0212-3.
In the late 19th century the young Greek scientists, realizing the lack of adequate medical literature in our country and continuing the habit that was followed during the 18th and 19th centuries, transferred modern scientific knowledge to their colleagues, translating in Greek scientific writings of eminent European and Greek doctors. Among them were two interesting 19th century French treatises of paedi-atric interest, which were translated in Greek because of their special scientific usefulness: (a) the trea-tise by the distinguished professor Anastasios Zinnis “Du traitementdeladiarrhéechroniquechezlesenfants”, which was published in our country in 1886, a year after its publication in French and (b) the profound study by the French doctor Alfred François Donné “Conseils aux mères sur la manière d’élever les enfans nouveau-nés, ou del’éducationphysiquedesenfansdupremierâge”, first pub-lished in French in 1842 and translated in Greek because of its timeless value in 1883.
Από τις αρχές και μέχρι τα μέσα του 19ου αιώνα, η ιατρική ως επιστήμη, με την επιρροή που δέχτηκε από το νόημα της Γαλλικής Επανάστασης, άρχισε να γίνεται δημοφιλής στην καθημερινή ζωή των Γάλλων. Η ιατρική σκέψη εξελίσσεται, γεννιέται η σύγχρονη ανατομία, ανθίζουν η φυσιολογία και η βιολογία, η φυσική και η χημεία μαζί με το πείραμα προσεγγίζουν την ιατρική και στην κλινική πράξη η αντικειμενική και προσεκτική εξέταση του αρρώστου μαζί με την ασφαλή γνώση του ανθρώπινου οργανισμού γίνονται οι κανόνες του γιατρού. Φτωχοί και πλούσιοι αρχίζουν σιγά-σιγά να εμπιστεύονται τους γιατρούς και να γίνονται ένθερμοι καταναλωτές διαφόρων θεραπευτικών σκευασμάτων. Παρόλα αυτά, δεν φαίνεται να εγκαταλείπουν και τις καθιερωμένες τους συνήθειες, να ζητούν δηλαδή τη γνώμη των πρακτικών γιατρών και ακόμη χειρότερα να καταφεύγουν στους τσαρλατάνους.
Στα μέσα του 19ου αιώνα, γίνονται γνωστές οι μεγάλες μικροβιολογικές και ανοσοβιολογικές
ανακαλύψεις από τους τρεις θεμελιωτές της σύγχρονης Μικροβιολογίας και Βακτηριολογίας,
τον Γάλλο χημικό Louis Pasteur (1822-1895), τον Γερμανό βιολόγο Ferdinand Cohn (18281898) και τον Γερμανό γιατρό Robert Koch (1843-1910). Χάρις στις επιστημονικές τους
ανακαλύψεις ανέτειλε μια νέα εποχή για την ιατρική, κατά την οποία αναγνωρίστηκε η
αιτιολογική σχέση νόσου-μικροβίου, που οδήγησε στην αιτιολογική πρόληψη των ασθενειών.
Στη δίνη της επιστημονικής αυτής μεταμόρφωσης, που επιφύλασσε ο 19ος αιώνας, κατέστη απαραίτητη η ανάγκη της εξειδίκευσης στην ιατρική. Η συστηματική παρατήρηση της ζωής
του παιδιού, η βαθύτερη γνώση για τη θρέψη του βρέφους και τη δίαιτά του, που είχαν
επισημανθεί από τα αρχαία ακόμη χρόνια, η ραγδαία πρόοδος της ιατρικής επιστήμης
και η κατανόηση της φυσιολογίας της θρέψης και των αιτίων της παιδικής νοσηρότητας
και θνησιμότητας συντέλεσαν στην ανάπτυξη ενός ιδιαίτερου κλάδου της Παθολογίας και
οδήγησαν στη δημιουργία της παιδιατρικής ειδικότητας.
Εκείνη την εποχή, οι νεαροί Έλληνες επιστήμονες, αντιλαμβανόμενοι το έλλειμμα της επαρκούς
ιατρικής βιβλιογραφίας στη χώρα μας και συνεχίζοντας τη συνήθεια, που ακολουθήθηκε
κατά τη διάρκεια του 18ου και 19ου αιώνα, μετέφεραν τις σύγχρονες επιστημονικές γνώσεις
στους συναδέλφους τους, μεταφράζοντας στα ελληνικά επιστημονικά συγγράμματα
επιφανών Ευρωπαίων και Ελλήνων γιατρών. Μεταξύ αυτών και δύο ενδιαφέρουσες γαλλικές
πραγματείες του 19ου αιώνα παιδιατρικού ενδιαφέροντος, που μεταφράστηκαν στην ελληνική γλώσσα λόγω της ξεχωριστής επιστημονικής τους χρησιμότητας: α) Το πόνημα του πολυγραφότατου καθηγητή Αναστασίου Ζίννη «Dutraitementdeladiarrhéechroniquechez les enfants», το οποίο εξεδόθη στη χώρα μας το 1886, ένα χρόνο μετά την κυκλοφορία του στα γαλλικά και β) το περισπούδαστο σύγγραμμα του Γάλλου γιατρού Alfred François Donné «Conseils aux mères sur la manière d’élever les enfans nouveau-nés, ou de l’éducation physique des enfans du premier âge», που δημοσιεύτηκε για πρώτη φορά στα γαλλικά το 1842 και μεταφράστηκε στα ελληνικά λόγω της διαχρονικής αξίας μετά από σαράντα και πλέον χρόνια, το 1883.
Ο καθηγητής Αναστάσιος Ζίννης (1829-1899) σπούδασε
Ιατρική στην Αθήνα και το 1854 έλαβε τον τίτλο του διδάκτορα
της Χειρουργικής και Μαιευτικής και στη συνέχεια μετεκπαιδεύτηκε στο Παρίσι για τέσσερα χρόνια και ειδικεύτηκε στην Παιδιατρική. Το 1879, εξελέγη έκτακτος και στη συνέχεια τακτικός καθηγητής της Κλινικής των Παιδικών Νοσημάτων του Πανεπιστημίου Αθηνών. Υπήρξε μέλος
πολλών ελληνικών και ξένων επιστημονικών εταιρειών, ανέπτυξε σημαντική κοινωφελή δράση και κατέλειπε ένα πλούσιο επιστημονικό συγγραφικό έργο. Ο Ζίννης υπήρξε, αναμφισβήτητα, ο πιο σημαίνων ερευνητής της παιδικής νοσολογίας του τέλους του 19ου αιώνα, ο οποίος μαζί με τον προκάτοχό του καθηγητή Αντώνιο Βιτσάρη (18201882) θεμελίωσαν και διαμόρφωσαν την ειδικότητα της Παιδιατρικής στη χώρα μας.1
Αναστάσιος Ζίννης (1829-1899)
Το 1885, ο Ζίννης δημοσίευσε στα γαλλικά τη σημαντικότερη, ίσως, μελέτη του για τη θεραπεία
της χρόνιας διάρροιας των παιδιών (Dutraitementdeladiarrhéechroniquechezlesenfants), η οποία τιμήθηκε με το Αργυρό Μετάλλιο της Ιατρικής Ακαδημίας των Παρισίων. Ένα χρόνο αργότερα, το 1886, το πόνημα του χαλκέντερου καθηγητή μεταφράστηκε στα ελληνικά με τίτλο «Περίθεραπείαςτηςχρονίαςδιαρροίαςτωνπαίδων»και σχολιάστηκε με κάθε λεπτομέρεια από δύο τελειοφοίτους της Ιατρικής, τον Πέτρο Αποστολίδη και τον Στυλιανό Τσακίρη.2 Ο πρώτος
δεν ήταν άλλος από τον μετέπειτα γιατρό του Πολεμικού Ναυτικού και ακαδημαϊκό Παύλο Νιρβάνα (1866-1937), όπως ήταν περισσότερο γνωστός με το φιλολογικό του ψευδώνυμο, ο οποίος υπηρέτησε με πίστη και αφοσίωση την πατρίδα μας σε όλες τις ταραγμένες
1 Διαμαντής Α.: “Αναστάσιος Ζίννης (1829-1899). Ο πρωτοπόρος της Παιδιατρικής στην Ελλάδα”, Ενδοσκοπήσεις, 2021; 56: 50-56.
2 Ζίννης Α.: “Περί θεραπείας της χρονίας διαρροίας των παίδων»”, Μετάφρασις εκ του γαλλικού μετά εισαγωγής υπό Π. Κ. Αποστολίδου και Στυλ. Δ. Τσακίρη, τελειοφοίτων της Ιατρικής, Τυπογραφείον Βλαστού-Βαρβαρρήγου, Εν Αθήναις 1886.
Πέτρος Αποστολίδης (Παύλος Νιρβάνας, 1866-1937).
ιστορικές στιγμές της, είτε ασκώντας το καθήκον του ως
απλός κλινικός γιατρός, είτε διευθύνοντας ως υγειονομικός
αξιωματικός μεγάλες υγειονομικές αποστολές και μονάδες
του Ναυτικού.3 Για τον δεύτερο δεν είναι γνωστά πολλά
πέραν της ιατρικής του ιδιότητας, αφού τον συναντούμε
ξανά να δημοσιεύει, το 1899, για τη σύγχρονη ιατρική και
την πρόληψη των νόσων (Η σύγχρονη ιατρική επιστήμη και
η πρόληψις των νόσων μετ’ εισαγωγής περί της εξελίξεως
της αληθείας εν τη ιατρική επιστήμη) 4 Οι δύο μεταφραστές
στην αρχή της εκτεταμένης τους εισαγωγής, που μετράει τον
ίδιο αριθμό σελίδων με το γαλλικό κείμενο, σχολιάζουν τον
λόγο για τον οποίο προέβησαν στη μεταφορά του πονήματος
στην ελληνική γλώσσα, επαινώντας τον καθηγητή για την
όλη του επιστημονική προσφορά στην ιατρική κοινότητα
της χώρας. Είναι ιδιαίτερα ενδιαφέρον να τονιστεί ότι τα
σχόλια των δύο μεταφραστών καλύπτουν περισσότερο από
το ήμισυ των σελίδων της ελληνικής έκδοσης (12 από τις 29
συνολικά σελίδες του βιβλίου). Οι ίδιοι σημειώνουν: «Εάνηαυστηράφιλοπατρίατωναρχαίων
Σπαρτιατών επέβαλλεν αυτοίς να κατακριμνίζωσιν εις το χάος του Κεάδα τα ασθενικά και
ανάπηρα βέβη, άτινα, ανδρούμενα, δεν θα ηδύναντο νἀποβώσι παράγοντες χρήσιμοι τη
πολιτεία,ηεπιστήμηόμωςτωνχρόνωνημών,υπότηςαυτήςαρχήςορμωμένη,αλλ’ουχίδιά τωναυτώνμέσωνενεργούσα,στρέφειεπίσηςμετάπολλούενδιαφέροντοςταβλέμματαπρος την βρεφικήν ηλικίαν, οτέ μεν ίνα βελτιώση διά της υγιεινής τας συνθήκας της αναπτύξεως
αυτής,απ’αυτήςτηςενδομητρίουζωής,ότεδείναιάσηταιδιάτηςθεραπευτικήςταςνόσους ή αναπληρώση, κατά το δυνατόν τα ελλείποντα. Πανταχού του πεπολιτισμένου κόσμου, κατά
τα τελευταία μάλιστα έτι, η προσοχή και των επιστημόνων και των κυβερνήσεων εστράφη
ιδιαίτατα επί την βρεφικήν ηλικίαν, καθ’ ην υποστρώννυνται και αναπτύσσονται αι πρώται
βάσεις της ζωής και κατατίθενται τα θεμέλια ως επί το πολύ υγιούς ή νοσηράς διαπλάσεως
τουατόμου.…Εντωμικρώημώνέθνει,τωμετρούντιατυχώςολίγαμόνονέτηεπιστημονικής ζωήςκαιεπιδόσεως,έθνειπαράτωοποίωπάσατάσιςπροςπροαγωγήντηςεπιστήμης,ανμη ναυαγή, ανακόπτεται όμως προ των σκοπέλων της κοινωνικής αδιαφορίας και της από της πολιτείαςαδρανείας,πάσαεπιστημονικήπρόοδος,πρέπειναεπισύρημείζωτονθαυμασμόν και την εκτίμησην επί τους εργάτας αυτής. Και αν ούτως έχη το πράγμα, ως έχει βεβαίως, η ελληνίςεπιστήμη,πολλάοφείλειτωκαθηγητήκ.Αν.Ζίννη,όστιςπρώτοςενΕλλάδιενέκυψε μετά ζήλου περί τα νοσήματα της παιδικής ηλικίας, ουχί αρκεσθείς εις την αταλαίπωρον
μεταφύτευσιν ξένων θεωριών και παρατηρήσεων, αλλά μελετήσας κατά βάθος την τοπικήν έκφρασιντωννοσημάτωντούτωνενσχέσειπροςταςσυνθήκαςτουπαρ’ημίνβίου,προςτους κλιματολογικούς λόγους και τας ατμοσφαιρικάς διαθέσεις, και βασίσας πάσας ταύτας τας παρατηρήσεις επί στατιστικών πινάκων, μετά κόπων πολλών καταρτισθέντων, αντλήσας δε ταςθεραπευτικάςκαιυγιεινάςενδείξειςαπόμακράςκαιπολυτίμουπείρας,ηνπροσεπόρισεν αυτώ,εκτόςτηςευρείαςιδιωτικήςενεργείας,καιηδιεύθυνσιςτουΝηπιακούΟρφανοτροφείου.
Τας παρατηρήσεις ταύτας εξέθηκεν ο κ. Ζίννης εν πολυτίμοις μονογραφίαις, γαλλιστί και
ελληνιστί εκδοθείσαις, αίτινες έτυχον της επιδοκιμασίας του ευρωπαϊκού επιστημονικού
κόσμου, τιμηθέντος του συγγραφέως δι’ αλλεπαλλήλων μεταλλίων της Ιατρικής Ακαδημείας
της Γαλλίας και αναγορευθέντος μέλους σοφών ευρωπαϊκών εταιριών. Παραδιδόντες
σήμεροντοις Έλλησινιατροίςκαισπουδασταίςμετάφρασινμιάςτωνπραγματειώντούτωντου
διαπρεπούςπαιδιάτρου,τυχούσηςεπίσηςαργυρούμεταλλίουπαράτηςΙατρικήςΑκαδημείας
της Γαλλίας, κρίνομεν εύλογον να προτάξωμεν σύνοψιν των επί των παιδικών νοσημάτων
εν Ελλάδι παρατηρήσεων του κ. Ζίννη, επί τη βάσει των διαφόρων αυτού μονογραφιών, μη
κυκλοφορησασών των πλείστων ελληνιστί, δυσευρέτων δε άλλως και εξαντληθεισών, τας
οποίαςευηρεστήθηναπαράσχηημίνλίανευμενώςοδιαπρεπήςημώνκαθηγητής…».5
3 Διαμαντής Α.: “Ο γιατρός Πέτρος Αποστολίδης στον Πειραιά και οι πρώτες του επιστημονικές δημοσιεύσεις”,
Πειραϊκά Γράμματα, 2020; 82: 33-39.
4 Καραμπερόπουλος Δ.Α.: “Ιστορία της Ιατρικής. Ελληνική Βιβλιογραφία 1750-2000”, σελ. 93, εκδόσεις Σταμούλη
Α.Ε., Αθήνα 2009.
5 Ζίννης Α.: ό.π.
Η μελέτη του Ζίννη στηρίχθηκε, κυρίως, σε 16 περιστατικά
έκθετων βρεφών ηλικίας 55 ημερών μέχρι 23 μηνών, κατά
μέσον όρο 8 μηνών, που είχαν προσβληθεί από χρόνια
διάρροια, λαμβάνοντας υπόψη α) τη χρονολογία της εκθέσεως
του παιδιού στο άσυλο, β) την ηλικία και το βάρος του, γ) τη
χρονολογία εισόδου του στην κλινική καθώς και το βάρος
που είχε κατά την εισαγωγή, δ) τη χρονολογία της ιάσεως, ε)
το βάρος που αποκτήθηκε με τη θεραπεία και στ) τη χρονική
διάρκεια της θεραπείας. Είναι ενδιαφέρον να τονιστεί ότι ο
καθηγητής Ζίννης, ενήμερος των ευρωπαϊκών στατιστικών που
ανέβαζαν το ποσοστό της βρεφικής θνησιμότητας στα νόθα
παιδιά στο 85% έως και 95% έναντι των νομίμων, επιχείρησε με επιτυχία την καταγραφή των παιδικών νοσημάτων και τη στατιστική επεξεργασία των δεδομένων. 6
Ο Alfred François Donné (1801-1878) σπούδασε στην Ιατρική Σχολή της Σορβόννης. Η διδακτορική του διατριβή πάνω στη μικροσκοπική μελέτη των διαφόρων βιολογικών
υλικών επηρέασε πολλούς ερευνητές και γιατρούς, ώστε να εισηγηθούν τη χρήση της μικροσκοπίας στην
καθημερινή ιατρική πράξη. Ο ίδιος εφηύρε το μεταφερόμενο μικροσκόπιο και με τον μαθητή και στενό του συνεργάτη, τον διάσημο φυσικό Léon Foucault (1819-1868), γνωστό από την κατασκευή του εκκρεμούς του, με το οποίο απέδειξε την περιστροφή της γης, κατασκεύασαν το φωτοηλεκτρικό μικροσκόπιο προβολής και προχώρησαν στη φωτογραφική απεικόνιση με τη μέθοδο της δαγκεροτυπίας
των μικροσκοπικών παρασκευασμάτων, που οδήγησε το 1845 στη συγγραφή του υπέροχου «ΆτλανταΜικροσκοπίας»
των μαθημάτων του (Donné’s Atlas de microscopie)
Αξιοσημείωτες υπήρξαν και οι δύο σημαντικές του
ανακαλύψεις: η ανεύρεση της τριχομονάδας σε κολπικές εκκρίσεις (Trichomonasvaginalis)
και η περιγραφή των αιμοπεταλίων στο αίμα λευχαιμικών μικροσκοπικών παρασκευασμάτων, κύριος λόγος για τον οποίο ο Donné θεωρείται πρωτοπόρος της Αιματολογίας. Καινοτόμες, όμως, υπήρξαν και οι μελέτες του πάνω στη διατροφή και την υγεία των βρεφών και των μικρών παιδιών, χρησιμοποιώντας το «γαλακτοσκόπιο», το οποίο ο ίδιος κατασκεύασε για τον προσδιορισμό της πυκνότητας του γάλακτος.7
Με το πιο γνωστό του σύγγραμμα «Conseils aux mères sur la manière d’élever les enfans nouveau-nés, ou de l’éducation physique des enfans du premier âge», ο Donné εισήγαγε
την ιατρική στον χώρο της παιδικής διατροφής και καθιέρωσε την παρουσία των γιατρών στον χώρο της βρεφικής και παιδικής φροντίδας, δεδομένου ότι λίγοι ήταν οι ειδικοί στις
βρεφικές και παιδικές αρρώστιες στις αρχές του 19ου αιώνα.8 Η πραγματεία του Donné
αποτελεί, ίσως, ένα από τα πρώτα επιστημονικά συγγράμματα στο χώρο της Παιδιατρικής.
Παρόλο, που το εγχειρίδιο αυτό δεν ήταν το πρώτο στο χώρο, ωστόσο έγινε ένα από τα πιο
δημοφιλή εγχειρίδια ανατροφής παιδιών στη Γαλλία με τεράστια εμπορική επιτυχία, που
έκανε πολλαπλές εκδόσεις.
Καίτοι, τέτοια εγχειρίδια αφθονούσαν στην Ευρώπη ήδη από το 18ο αιώνα, αναπαράγοντας
τα ίδια τετριμμένα θέματα, δηλαδή την προαγωγή του μητρικού θηλασμού επενδυμένη με
ηθικολογικά στοιχεία, έμφαση στην καθαριότητα, πρακτικές βρεφικής διατροφής, μητρική
6 Διαμαντής Α.: “Αναστάσιος Ζίννης (1829-1899). Ο πρωτοπόρος της Παιδιατρικής στην Ελλάδα”, ό.π.
7 Diamantis A., Magiorkinis E., Androutsos G.: “Alfred François Donné (1801-78): a pioneer of mi-croscopy, microbiology and haematology”, J Med Biogr, 2009; 17: 81-87.
8 Donné A.F.: “Conseils aux mères sur la manière d’élever les enfants nouveau-nés, ou de l’éducation physique des enfants du premier âge”, Editions J.-B Baillière, Paris 1842.
056 "Δύο παιδιατρικού ενδιαφέροντος γαλλικές πραγματείες του 19ου αιώνα"
υγιεινή και υγιεινή του βρέφους και ιατρικές αναφορές στις πιο συνήθεις παιδικές ασθένειες, εντούτοις το σύγγραμμα του Donné δεν αποτέλεσε απλά μια μονογραφία ηθικο-φιλοσοφικού
περιεχομένου, αλλά επιστημονική μελέτη ενός «γιατρού και φυσιολόγου», απαραίτητη στις
γυναίκες που γίνονταν για πρώτη φορά μητέρες. Στην μελέτη αυτή, ο Donné επισήμανε τον
ρόλο του γιατρού στη λήψη σημαντικών αποφάσεων που επηρεάζουν την ανατροφή των
παιδιών και επέμεινε στη διαμόρφωση μιας αδιάρρηκτης σχέσης ανάμεσα στον γιατρό και τη
μητέρα, στην οποία ο γιατρός έχει καθοριστική συμμετοχή στην παιδική ανατροφή. Τέσσερα
είναι τα κύρια σημεία στο σύγγραμμα του Donné, στα οποία κανείς μπορεί να εστιάσει: α) στην
απόρριψη της αντίληψης περί υπεροχής της φυσικής φροντίδας, β) σε μια πραγματιστική, γενναιόδωρη αντίληψη απέναντι στις μητέρες, σημαντική για την «ιατρικοποίηση» της
μητρικής φροντίδας, γ) στην επιστημονική μέθοδο εκτίμησης της βρεφικής διατροφής και δ)
στην έμφαση της καλής ποιότητας της βρεφικής φροντίδας.9
Η εμβριθής μελέτη του Γάλλου γιατρού εξακολούθησε να
εκδίδεται ακόμα και στις αρχές του 20ού αιώνα και μεταφράστηκε
στα αγγλικά και τα ισπανικά. Το 1883, μεταφράστηκε στην
ελληνική γλώσσα από τον διαπρεπή λόγιο και γιατρό Νικόλαο
Φαρδύ (1853-1901) με τίτλο «Συμβουλαί προς τας μητέρας
περί του τρόπου του ανατρέφειν τα νεογέννητα παιδιά». Στις
σημειώσεις της ελληνικής έκδοσης του βιβλίου, ο Φαρδύς
επισήμανε τη σπουδαιότητα του συγγράμματος του Donné με
τα εξής: «Αναγγέλων προ τινων μηνών την δημοσίευσιν της
ανά χείρας μεταφράσεως, εν είδει προλόγου, προσεπάθησα
εν τη αγγελία μου, όπως καταδείξω εις το δημόσιον οποίας σπουδαιότητος και κοινής ωφελείας ετύγχανε το βιβλίον, ούτινοςτηνμετάφρασινέμελλοννατωπαράσχω. Ήδηδ’οπότε
το κοινόν προ των οφθαλμών αυτού έχει αυτά τα πράγματα, έκρινα καλόν να σιωπήσω εγώ απολύτως. Άλλως τε δε το εν τέλει του βιβλίου σοφόν και
εύχαριάρθροτουM.S.DeSacy,δυνατόνειπείν,ότιεξήντλησενολοτελώςτοθέμα.Επεθύμουν όμωςπολύναπροδιαθέσωτουςαναγνώσταςκαιαναγνωστρίαςτηςμεταφράσεωςταύτηςως προςτηνγλώσσανκαιτοντρόποντηςεκφράσεως,όνμετεχειρίσθην.Φίλοιαξιοσέβαστοι,άμα έμαθον,ότιειργαζόμηνειςτηνμετάφρασιντοιούτουβιβλίου,προσηνώςευηρεστήθησανναμε αξιώσωσιτωνσυμβουλώντων,όπωςμεταχειρισθώγλώσσανπαντάπασιναπλήν.Ηκολούθησα τας συμβουλάς των εφ’ όσον η καθαρότης της γλώσσης και οι επιστημονικοί όροι μοι το επέτρεπον.Επειδήδ’ωςαρχήνέσχοντοναμεταγλωττίσωπιστώςταςιδέαςτουσυγγραφέως, διά τούτο, μεθ’ όλας τας προφυλάξεις, ας έλαβον, και πάλιν μόλις και μετά βίας δύναμαι να είπωότιημετάφρασίςμουολιγώτερονκάπωςόζειγαλατισμού».10
Ο Φαρδύς υπήρξε μοναδική προσωπικότητα λόγιου και
ιατροφιλόσοφου του 19ου αιώνα με σπουδές που ξεκινούν
από την Ευαγγελική Σχολή της Σμύρνης και στη συνέχεια
ολοκληρώνονται στην Ιατρική Σχολή της Μασσαλίας. Δίδαξε
ως δάσκαλος την ελληνική γλώσσα στους Έλληνες ομογενείς
της Κορσικής και, μετά την εγκατάσταση στο αγαπημένο
του νησί τη Σαμοθράκη μέχρι και τον αδόκητο θάνατό του
σε νεαρή ηλικία, αναλαμβάνει τα πρακτικά της εκκλησίας ως
αρχιερατικός επίτροπος και πρακτικογράφος, συμμετέχει στα
κοινά, άλλοτε ως δήμαρχος και άλλοτε ως ζωτικό δυναμικό
κύτταρο της μικρής κοινωνίας του νησιού, ψάλλει στην
εκκλησία ως βαθύς γνώστης της βυζαντινής μουσικής, ασκεί
Νικόλαος Φαρδύς (1853-1901)
9 Διαμαντής Α.: “Ο Alfred François Donné (1801-1878) και οι πρωτοποριακές του μελέτες για τη διατροφή και την
υγεία των βρεφών”, Παιδιατρική, 2021; 84(2): 168-173.
10 “Συμβουλαί προς τας μητέρας περί του τρόπου του ανατρέφειν τα νεογέννητα παιδιά υπό Al. Donné” (μετάφρασις
υπό Ν. Β. Φαρδύ του Σαμόθρακος), Έκτη έκδοσις, Τύποις Πέτρου Ν. Γεωργιάδου και Αδελφών, εν Σμύρνη 1883. 10 “Συμβουλαί προς τας μητέρας περί του τρόπου του ανατρέφειν τα νεογέννητα παιδιά υπό Al. Donné” (μετάφρασις
υπό Ν. Β. Φαρδύ του Σαμόθρακος), Έκτη έκδοσις, Τύποις Πέτρου Ν. Γεωργιάδου και Αδελφών, εν Σμύρνη 1883.
"Δύο παιδιατρικού ενδιαφέροντος γαλλικές πραγματείες του 19ου αιώνα"
ιατρική και συγγράφει λαογραφικές, ιστορικές, λογοτεχνικές, αρχαιολογικές και ιατρικές μελέτες. Ο Φαρδύς ανήκει σε εκείνες τις χαρισματικές προσωπικότητες του τόπου μας, που
άφησαν πίσω τους πλούσιες πνευματικές παρακαταθήκες.11
Στην ογκώδη ελληνική έκδοση των 231 σελίδων του βιβλίου του Donné (συμπεριλαμβανομένων
τριών της είδησης της πέμπτης εκδόσεως και δέκα του προλόγου του συγγραφέα εκτός αρίθμησης) συγκαταλέγεται μια από τις πιο ενδιαφέρουσες σημειώσεις του Φαρδύ με ουσιώδες ενδιαφέρον για την ελληνική πραγματικότητα, την οποία παραθέτω: «Τινές εκ των επομένων παραγράφων αφορώσιν ιδίως την Γαλλίαν και μερικώτερον την πόλιν των Παρισίων∙δενπαρέλειψαόμωςταύτας,διότιενόμισα,ότικαιημείς,ανουχίαμέσωςκαικατ’ ευθείαντουλάχιστονεμμέσωςκαιούτωςειπείνακροθιγώςδυνάμεθαναενδιαφερώμεθαεις αυτάς και να εύρωμεν εν αυταίς τι το ωφέλιμον. Ούτω δε δυνάμεθα μάθωμεν εκ τούτων, ότι τα πεπολιτισμένα Κράτη ιδιαιτέρως μεριμνώσι δια την βρεφικήν ηλικίαν, ότι ακόμη και διά την γαλακτοτρόφησιν των παιδίων αναμιγνύεται ο Δήμος, και αυτή η Κυβέρνησις ενίοτε, ότι υπάρχουσιν ιδιαίτερα καταστήματα, ιδιαίτερα γραφεία, ότι εκδίδονται επί τούτω
διατάγματα κτλ. κτλ. Ευχής δ’ έργον ήθελεν είσθαι, εάν και αι ημέτεραι των εντός και εκτός της Ελλάδος Ελλήνων κοινωνίαι, αντί παντός άλλου ατερπούς και διαφθοράς παρόχου πιθηκισμού, ηκολούθουν τα ίχνη των πεφωτισμένων λαών κατά τούτο και εφήρμοζον εις εαυτάς τα κοσμοσωτήρια μέτρα, άπερ ο καλοκάγαθος ημών Συγγραφεύς συμβουλεύει εις τουςπατριώταςτου».12
Σημείωση: Διατηρήθηκε η πρωτότυπη γραφή των κειμένων, όπως αυτά καταγράφηκαν από τους
συντάκτες τους, χωρίς την παραμικρή ορθογραφική ή συντακτική μεσολάβηση, προκειμένου
να μην αλλοιωθεί ο τρόπος και η αυθεντικότητα της γραφής τους, όχι μόνο για λόγους
σεβασμού προς αυτούς αλλά και γιατί αποκαλύπτουν το πνεύμα μιας ολόκληρης εποχής. Η μοναδική παρέμβαση μου ήταν η μεταφορά τους στο μονοτονικό σύστημα γραφής για λόγους ομοιομορφίας προς το υπόλοιπο κείμενο.
11 Διαμαντής Α.: “Νικόλαος Φαρδύς ο Σαμόθραξ (1853-1901). Ένας πολυπράγμων λόγιος γιατρός του 19ου αιώνα”, Κασταλία, 2019; 169: 122-131.
12 “Συμβουλαί προς τας μητέρας περί του τρόπου του ανατρέφειν τα νεογέννητα παιδιά υπό Al. Donné”, ό.π.
Στο διάστημα των τριών χρόνων και μερικών μηνών που εργάστηκα στο Λονδίνο, Βοστώνη, Νέα Υόρκη με σκοπό να μάθω παιδοκαρδιολογία έρχονταν πολλοί γονείς από την
Ελλάδα για να αντιμετωπισθεί το καρδιολογικό πρόβλημα του παιδιού τους με τον καλύτερο
δυνατό τρόπο. Τότε στα πολύ δύσκολα, σπάνια και σύμπλοκα περιστατικά το επίπεδο της
παιδοκαρδιολογίας αλλά κυρίως της παιδοκαρδιοχειρουργικής ήταν σαφώς υποδεέστερο
αυτού που προσφερόταν στα καλύτερα κέντρα της Ευρώπης και της Αμερικής. Στη συντριπτική
πλειονότητα των περιπτώσεων τη δαπάνη την αναλάμβανε το κράτος και πολύ καλά έκανε.
Μερικοί γονείς ήξεραν ελάχιστα αγγλικά ενώ οι περισσότεροι δεν ήξεραν καθόλου. Όποιο
όμως και αν ήταν το επίπεδο της γνώσης τους στην ξένη γλώσσα ήταν πάρα πολύ δύσκολο
να κατανοήσουν τους δύσκολους ιατρικούς όρους, τα περίπλοκα προβλήματα της καρδιάς
των παιδιών τους κάτι που γινόταν ακόμα πιο δύσκολο με τον τρόπο που μιλούσε ο γιατρός.
Μεταφραστής στο νοσοκομείο υπήρχε αλλά πρόσφερε τις υπηρεσίες του με αμοιβή ωστόσο
και αυτός ακόμα δεν μπορούσε να γίνει εύκολα κατανοητός από τους γονείς που έρχονταν
από τα διάφορα σημεία της Ελλάδας ευρισκόμενοι σε πολύ δύσκολη ψυχολογική κατάσταση.
Βλέποντας όλα αυτά αισθανόμουν ότι έπρεπε να τους βοηθήσω κάτι που έκανα με όλη μου
την καρδιά σχεδόν για όλους χωρίς ποτέ από κανέναν να ζητήσω αμοιβή. Έκανα ότι καλύτερο
μπορούσε να γίνει μια και οι χειρουργοί ήταν συνεργάτες και φίλοι μου αλλά και γνωρίζοντας
την ανατομία του κυκλοφορικού καθώς και τις διάφορες ανωμαλίες γινόμουν αρκούντως
παραστατικός. Αν προσθέσει κανείς και τη συμπόνοια μου που δεν μπορούσα να κρύψω η
προσφορά μου γίνεται αντιληπτό ότι αποτελούσε ό,τι καλύτερο. Συμπερασμός λογικής
προφάνειας,
Επαναλαμβάνω ότι ποτέ δεν πήρα αμοιβή, ούτε μια δεκάρα, ούτε ένα σεντ. Κάποιοι μου
έδειχναν τις ευχαριστίες τους με ένα ευχαριστώ και κάποιοι άλλοι, ευτυχώς πολύ λιγότεροι, δεν έλεγαν τίποτα. Δώρα μου έκαναν πάρα πολύ λίγοι, τόσο λίγοι που ακόμα τους θυμάμαι.
Μία πολύ καθωσπρέπει οικογένεια με κάλεσε ένα βράδυ στο ξενοδοχείο που έμεναν και μου
πρόσφερε ένα ποτήρι ουίσκι με φιστίκια. Ευγενείς άνθρωποι με τους οποίους γίναμε φίλοι
παρακολουθώντας στη συνέχεια το παιδί τους για πολλά χρόνια. Ένας ακόμα αξέχαστος για
τη γενναιοδωρία του πατέρας ήταν αυτός που έφτιαχνε τον καλύτερο μπακλαβά της Ελλάδας.
Μου χάρισε ένα τενεκεδένιο κουτί με καταπληκτικό μπακλαβά τον οποίο έτρωγα λίγο λίγο
για να μην τελειώσει, Πρέπει φυσικά να προσθέσω ότι ήξερα από αυτά τα γλυκά λόγω της
κωνστατινούπολίτικης καταγωγής μου. Εκτός όμως από τα γλυκά του και ο ίδιος ήταν ένας
πολύ ζεστός και γλυκός άνθρωπος που τις πρώτες φορές που είχα πάει στο κατάστημά του
στην Αθήνα δεν ήθελε με κανέναν τρόπο να πάρει χρήματα. Αναγκαστικά πήγαινα στο μαγαζί
του αφού παρακολουθούσα εάν είναι εκεί ή όχι, έμπαινα όταν ήταν στο εργαστήριο και αφού
αγόραζα και πλήρωνα έλεγα στην υπάλληλο να τον ειδοποιήσει για να του πω μια καλησπέρα.
Ερχόταν και με μάλωνε γιατί πλήρωσα. Δεν πήγαινα φυσικά πολύ συχνά αλλά αργότερα
βρέθηκε ότι είχα υψηλή χοληστερόλη και κόπηκε ο μπακλαβάς ο οποίος όπως είναι γνωστό
περιέχει πολύ βούτυρο. Μια άλλη περίπτωση που θυμάμαι ήταν μια ευγενέστατη οικογένεια
που αφού έφυγε μου έστειλε στο Λονδίνο μερικά θαυμάσια κεντήματα χαρακτηριστικά της
περιοχής της Ελλάδας στην οποία ζούσαν. Ένας ακόμα πατέρας, από την ίδια περιοχή, μου
έφερε στο ιατρείο μου, στην Αθήνα ένα χειροποίητο μαχαίρι και κάποια γλυκά ενώ ένας ακόμα, από το ίδιο νησί, πολύ αγαπημένος μέχρι σήμερα φίλος, κάθε φορά που ερχόταν μου έφερνε
και ακόμα μου φέρνει, μαζί με τις ευλογίες του χειροποίητα σπιτικά γλυκά. Αυτά ήταν τα μόνα
δώρα που θυμάμαι και πολύ καλά θυμάμαι. Αν υπάρχει κάποιος που ξέχασα ας με συγχωρέσει.
Να επαναλάβω για τρίτη φορά ότι από κανέναν δεν πήρα δεκάρα, μου πρόσφεραν όμως τη
χαρά του να βλέπω ή να ξέρω ότι στα παιδιά τους έγινε ό,τι καλύτερο, κάτι που φαίνεται και
από το ότι στη συντριπτική τους πλειονότητα ζουν και ζουν με μία αναπάντεχα καλή ποιότητα
ζωής, Το καλό αποτέλεσμα φαίνεται και από τις στατιστικές που έχω κάνει σε ερευνητική μου
εργασία σε σχέση με την επαφή τους με το άλλο φύλο, το σεξ, τον γάμο, την απόκτηση παιδιού, τις σπουδές και την επαγγελματική τους αποκατάσταση, εργασία που έχει παρουσιαστεί και δημοσιευτεί. Για μένα αυτό είναι το καλύτερο δώρο.
Τα χρόνια πέρασαν, κάποια από τα παιδιά αυτά τα παρακολουθώ με μεγάλη χαρά και ικανοποίηση, κάποια άλλα μόνο με θυμούνται και κάποια άλλα δεν με θυμούνται. Ο Θεός να τα ευλογεί και να είναι πάντα καλά. Η ζωή τους είναι για μένα η σπουδαιότερη ανταμοιβή, το πολυτιμότερο δώρο.
Στέλιος Αντωνιάδης
Το περιοδικό “Παιδιατρική” είναι η επιστημονική έκδοση και ιδιοκτησία της Ελληνικής
Παιδιατρικής Εταιρείας, που διανέμεται στα μέλη της. Έχει ως βασικούς στόχους την
αποτύπωση του παιδιατρικού επιστημονικού έργου και τη συνεχή ενημέρωση των Παιδιάτρων.
Για το σκοπό αυτό δέχεται για δημοσίευση ποικιλία άρθρων και συγκεκριμένα:
1. Άρθρα σύνταξης (μετά από πρόσκληση της Συντακτικής Επιτροπής)
2. Ανασκοπήσεις
3. Βραβευμένες εργασίες
4. Ερευνητικές μελέτες
5. Κλινικά κουίζ
6. Επιλεγμένες συζητήσεις στρογγυλών τραπεζών
7. Επίκαιρα θέματα
8. Θέματα εκπαίδευσης και οργάνωσης υγείας
9. Ενδιαφέρουσες περιπτώσεις
10. Σύντομα νέα
11. Βραχείες δημοσιεύσεις
12. Επιστολές προς τη σύνταξη
13. Περιλήψεις της βιβλιογραφίας
14. Ανακοινώσεις προσεχών συνεδρίων και επιστημονικών εκδηλώσεων
15. Αναφορές και κριτική νέων εκδόσεων, ελληνικών και ξένων, παιδιατρικού ενδιαφέροντος
Η Συντακτική Επιτροπή διατηρεί το δικαίωμα να δημοσιεύει άρθρα με ιδιαίτερο επιστημονικό
ενδιαφέρον, καθώς και άρθρα με επίκαιρα θέματα χωρίς να τηρείται η σειρά υποβολής.
Επίσης, μπορεί να αποφασίζει για τη δημοσίευση εργασιών που έχουν παρουσιαστεί στο ετήσιο Παιδιατρικό Συνέδριο, την ολική ή μερική δημοσίευση παρουσιάσεων ιδιαίτερου ενδιαφέροντος και την ολική ή μερική δημοσίευση επιστολών που αναφέρονται σε δημοσιευμένα επιστημονικά άρθρα του περιοδικού.
Στις εργασίες με επίκαιρα θέματα πρέπει να αναγράφεται στην πρώτη σελίδα η πρόθεση των συγγραφέων για την αναγκαιότητα της ταχείας δημοσίευσης. Η Επιτροπή Σύνταξης διατηρεί το
δικαίωμα της αποδοχής της ταχείας δημοσίευσης.
Όλες οι εργασίες πρέπει να μην έχουν εν μέρει ή εξ ολοκλήρου δημοσιευθεί ή υποβληθεί για
κρίση σε άλλο περιοδικό. Επιπλέον, στην εργασία θα πρέπει να αναφέρονται τυχόν επιδοτήσεις-
χορηγίες ή άλλες πηγές υποστήριξης. Όλες οι κλινικές έρευνες πρέπει να έχουν γίνει μετά από
πληροφορημένη συναίνεση των μετεχόντων ή των νομίμων εκπροσώπων τους, σύμφωνα με τις διακηρύξεις του Ελσίνκι και του Τόκιο. Επίσης, πρέπει να έχουν τηρηθεί οι οδηγίες για τη φροντίδα πειραματόζωων του Εθνικού Ινστιτούτου Υγείας των ΗΠΑ (DHEW Publication, ΝΙΗ, 80-23). Οι κλινικές μελέτες πρέπει να έχουν εγκριθεί από την επιτροπή Ηθικής και Δεοντολογίας του Νοσοκομείου.
Οι απόψεις και τα συμπεράσματα των συγγραφέων που διατυπώνονται στις δημοσιευμένες εργασίες δεν αντικατοπτρίζουν απαραίτητα αυτές του περιοδικού. Η καταχώριση διαφημίσεων
στο περιοδικό δεν υποδηλώνει οπωσδήποτε έγκριση των περιεχομένων τους από την Ελληνική
Παιδιατρική Εταιρεία, τη Συντακτική Επιτροπή ή από τον εκδότη του περιοδικού.
Όλες οι δημοσιευμένες εργασίες θεωρούνται ιδιοκτησία του περιοδικού “Παιδιατρική” και η
ολική ή μερική αναδημοσίευσή τους επιτρέπεται μόνο μετά από έγγραφη συγκατάθεση του
περιοδικού.
Β. Σύνταξη των εργασιών
Όλες οι εργασίες πρέπει να ακολουθούν “Κοινές Προδιαγραφές για Χειρόγραφα που
υποβάλλονται σε Βιοϊατρικά Περιοδικά” (Uniform Requirements for Manuscripts Submitted to Biomedical Journals), οι οποίες τροποποιήθηκαν πρόσφατα και δημοσιεύονται στις
διευθύνσεις: www.icmje.org και www.icmje.org/icmje.pdf
Το κείμενο πρέπει να έχει την ακόλουθη διάταξη: σελίδα τίτλου, βραχύς τίτλος, περίληψη στα ελληνικά και τα αγγλικά, κατάλογος συντομογραφιών, κείμενο, ευχαριστίες καθώς και αναφορά
σε επιδοτήσεις-χορηγίες ή άλλες πηγές υποστήριξης, βιβλιογραφία, πίνακες, εικόνες, τίτλοι εικόνων.
Η έκταση προσδιορίζεται:
• Για τις ανασκοπήσεις σε 2000-3000 λέξεις.
• Για τις ερευνητικές εργασίες σε 1500-2500 λέξεις και τις ενδιαφέρουσες περιπτώσεις σε 1000-1500 λέξεις.
• Για τις βραχείες δημοσιεύσεις σε 1000-1500 λέξεις.
• Για τις επιστολές σε 250-500 λέξεις.
Σελίδα τίτλου
Πρέπει να περιλαμβάνει:
• Τον τίτλο (<14 λέξεις) του άρθρου. Δεν επιτρέπονται συντμήσεις.
• Το όνομα και το επώνυμο κάθε συγγραφέα στην ονομαστική.
• Το επιστημονικό κέντρο (ίδρυμα, κλινική, εργαστήριο) από όπου προέρχεται η εργασία. Σε περίπτωση έλλειψης συνεργασίας με συγκεκριμένα κέντρα, πρέπει να αναφέρεται η ιδιότητα
του/των συγγραφέα/ων (π.χ. ιδιώτης παιδίατρος) και ο τόπος διαμονής του/τους.
• Την πλήρη διεύθυνση, e-mail και το τηλέφωνο του συγγραφέα με τον οποίο γίνεται η αλληλογραφία.
Περιλήψεις
Η περίληψη πρέπει να ανακεφαλαιώνει τους στόχους της εργασίας, τη μεθοδολογία, τα κυριότερα αποτελέσματα και τα συμπεράσματα της μελέτης.
• Θα πρέπει να περιλαμβάνει τουλάχιστον 200 λέξεις, όμως δεν θα πρέπει να υπερβαίνει τις 250 λέξεις.
• Η περίληψη των εργασιών πρέπει να είναι δομημένη στις εξής παραγράφους: εισαγωγή, μέθοδοι, αποτελέσματα και συμπεράσματα.
Στην περίληψη στα αγγλικά πρέπει να αναγράφονται στην αρχή του κειμένου ο τίτλος της εργασίας και τα ονόματα των συγγραφέων στα αγγλικά. Το περιεχόμενο του αγγλικού κειμένου
πρέπει να είναι δομημένο σε: εισαγωγή (background), μέθοδοι (methods), αποτελέσματα (results) και συμπεράσματα (conclusions). Η περίληψη στα αγγλικά δεν πρέπει να διαφέρει
από την αντίστοιχη στα ελληνικά.
Κάτω από την ελληνική και την αγγλική περίληψη σημειώνονται τρεις έως πέντε λέξεις κλειδιά
που θα χρησιμοποιηθούν για το θεματικό ευρετήριο.
Κείμενο
Οι ερευνητικές εργασίες περιλαμβάνουν: εισαγωγή, μεθόδους, αποτελέσματα και συζήτηση.
Η εισαγωγή περιλαμβάνει τα τελευταία δεδομένα της έρευνας στο συγκεκριμένο θέμα με τις
κυριότερες βιβλιογραφικές παραπομπές και το σκοπό της εργασίας. Η περιγραφή των μεθόδων πρέπει να είναι ακριβής και αρκετά λεπτομερής, ώστε να επιτρέπει την αναπαραγωγή τους από άλλους ερευνητές. Επίσης, πρέπει να αναφέρονται με λεπτομέρειες οι στατιστικές μέθοδοι ανάλυσης και αξιολόγησης των αποτελεσμάτων. Τα αποτελέσματα πρέπει να παρουσιάζονται με σαφήνεια και να συνοδεύονται από την απαραίτητη στατιστική ανάλυση. Η συζήτηση πρέπει
να περιλαμβάνει τα συμπεράσματα που προκύπτουν από την εργασία, τη σημασία που μπορεί
να έχουν και την πιθανή συσχέτισή τους με παρατηρήσεις άλλων ερευνητών.
Οι ενδιαφέρουσες περιπτώσεις περιλαμβάνουν σύντομη εισαγωγή, περιγραφή της περίπτωσης
και βραχεία συζήτηση, με έμφαση στη διαφορική διάγνωση.
Τα υπόλοιπα θέματα έχουν ελεύθερη δομή κατά την κρίση των συγγραφέων τους.
Ευχαριστίες ή αναγνωρίσεις (αναφορά σε επιδοτήσεις-χορηγίες ή άλλες πηγές υποστήριξης)
θα πρέπει να αναφέρονται στο τέλος του κειμένου και πριν από τις βιβλιογραφικές
παραπομπές.
Τιμές εργαστηριακών εξετάσεων
Οι τιμές των εργαστηριακών εξετάσεων πρέπει να εκφράζονται στο Διεθνές Σύστημα Μονάδων
(SI Units) και στο Μετρικό (Conventional-Συμβατικό) Σύστημα μέσα σε παρένθεση. Πίνακες
μετατροπής περιλαμβάνονται στις διευθύνσεις: www.icmje.org και www.icmje.org/icmje.pdf.
Συντομογραφίες
Οι συντομογραφίες που έχουν επιβληθεί διεθνώς, δημοσιεύονται σε κάθε τεύχος του
περιοδικού. Σύνθετοι και μακροσκελείς όροι που επαναλαμβάνονται συχνά στο κείμενο
μπορούν να αντικαθίστανται από συντομογραφίες που επεξηγούνται από τους συγγραφείς σε
ειδικό κατάλογο, ο οποίος υποβάλλεται μαζί με την εργασία. Οι συντομογραφίες αναφέρονται
σε παρένθεση μόνο στις περιλήψεις.
Βιβλιογραφικές παραπομπές
Στο τμήμα της βιβλιογραφίας καταχωρούνται όλες οι βιβλιογραφικές παραπομπές με τη σειρά
που αναφέρονται στο κείμενο. Στο κείμενο, οι βιβλιογραφικές παραπομπές αναφέρονται
με αραβικούς αριθμούς σε παρένθεση. Οι βιβλιογραφικές παραπομπές δεν πρέπει να
υπερβαίνουν:
• τις 70 στις ανασκοπήσεις
• τις 40 στις ερευνητικές εργασίες
• τις 20 στα επίκαιρα θέματα και τις ενδιαφέρουσες περιπτώσεις
• τις 10 στις βραχείες δημοσιεύσεις και τις επιστολές
Η σύνταξη των βιβλιογραφικών παραπομπών γίνεται σύμφωνα με τις πρόσφατα
τροποποιημένες προδιαγραφές της International Committee of Medical Journal Editors/ Uniform Requirements for Manuscripts Submitted to Biomedical Journals, (www.icmje.org
και www.icmje.org/icmje.pdf). Οι συντμήσεις των τίτλων των περιοδικών γίνονται με βάση το Cumulated Index Medicus [List of Journals Indexed in Index Medicus (www.nlm.nih.goν/bsd/ uniform_requirements.html)].
Παραδείγματα βιβλιογραφικών παραπομπών
Ι. ΠΕΡΙΟΔΙΚA
Αν οι συγγραφείς είναι έως έξι, αναγράφονται όλοι, ενώ αν είναι επτά ή περισσότεροι, αναγράφονται οι πρώτοι έξι και προστίθεται “et al” ή “και συν”.
Τακτική έκδοση περιοδικού:
Αντωνίου Δ, Μπάρα Χ, Γιαννάτου Χ. Εμβόλια: επίδραση στην επιδημιολογία των λοιμωδών
νοσημάτων και την παιδιατρική πράξη. Παιδιατρική 1999;59:272-279.
Proesmans W. Bartter syndrome and its neonatal νariant. Eur J Pediatr 1997;156:669-679.
Συμπληρωματικό τεύχος περιοδικού: Flyvbjerg Α. Role of growth hormone, insulin-like growth factors (IGFs) and IGF-binding proteins in the renal complications of diabetes. Kidney Ιnt 1997;52 (60 Suppl):S12-S19.
Χωρίς συγγραφέα:
National Institutes of Health Consensus Deνelopment Conference. Neurofibromatosis conference statement. Arch Neurol1988;45:575-578.
Προσδιορισμός τύπου άρθρου: Schreiner GF, Lange L. Ethanol modulation of macrophage influx in glomerulonephritis [Abstract]. J Am Soc Nephrol 1991;2:562.
Should antileukotriene therapies be used instead of inhaled corticosteroids in asthma?
[Editorial]. Am J Respir Crit Care Med 1998;158:1697-1701.
Laux-End R, Inaebnit D, Gerber ΗΑ, Bianchetti MG. Vasculitis associated with leνamisole and circulating autoantibodies [Let ter]. Arch Dis Child 1996;75:355-356.
II. ΒΙΒΛΙΑ
Κεφάλαιο σε βιβλίο: Clark AG, Barratt ΤΜ. Steroid-responsiνe nephrotic syndrome. Ιn: Barratt ΤΜ, Arner ED, Harmon WE, editors. Pediatric Nephrology. 4th ed. Baltimore: Lippincott William Wilkins; 1999. p. 742.
Σύγγραμμα ή μονογραφία: Gorlin RJ, Cohen ΜΜ, Leνin LS. Syndromes of the head and neck. 3rd ed. New York: Oxford Uniνersity Press; 1990.
Δημοσίευση σε τόμο πρακτικών:
Bauer ΑW. The two definitions of bacterial resistance. In: Smith AJ, Rogers CA, eds. Proceedings of the Third International Congress of Chemotherapy; 1962 May 29-31; New York: International Society of Chemotherapy; 1963. p. 484-500.
Διδακτορική διατριβή:
Παπαδόπουλος Χ. Η θεραπεία του στραβισμού [διδακτορική
Αθηνών; 1979.
Πανεπιστήμιο
Kaplan SJ. Post hospital home health care: the elderly’s access and utilization [dissertation]. St. Louis (Μο): Washington Univ.;1995.
III. CD-ROM
Andersoη SC, Poulsen ΚΒ. Anderson’s electronic atlas of hematology [CD-ROM]. Philadelphia: Lippincott Williams & Wilkins; 2002.
IV. ΣΤΟ ΔΙΑΔΙΚΤΥΟ
Άρθρο σε περιοδικό: Abood S. Quality improνement initiatiνe in nursiηg homes: the ΑΝΑ acts in an adνisory role. Am J Nurs [Internet]. 2002 Jun:
Webpage: http://www.nursingworld.org/AJN/2002/june/Wawatch.htm
Μονογραφία: Foley ΚΜ, Gelbaηd Η, editors. Improving palliative care for cancer [Monograph, Internet]. Washington: National Academy Press; 2001.
Webpage: http://www.nap.edu/books/0309074029/html
Ιστοσελίδες: Cancer-Pain.org [Webpage, Internet]. New York: Association of Cancer Online Resources, Ιnc.; 2002: http://www.cancer-pain.org/
Πίνακες και Εικόνες Οι πίνακες αριθμούνται με αραβικούς αριθμούς με τη σειρά που εμφανίζονται στο κείμενο. Περιλαμβάνουν βραχύ τίτλο και επεξήγηση των συντμήσεων στο κάτω μέρος.
Όλο το απεικονιστικό υλικό (σχήματα, διαγράμματα, φωτογραφίες, κ.λπ.) χαρακτηρίζεται ως
εικόνες και θα πρέπει να αποστέλλεται σε ηλεκτρονική μορφή και σε αρχεία υψηλής ανάλυσης.
Σε περίπτωση που αυτό δεν είναι δυνατό, το υλικό θα αποστέλλεται ταχυδρομικώς και στο
πίσω μέρος των εικόνων θα σημειώνεται με μολύβι ο αριθμός της εικόνας και το όνομα του
πρώτου συγγραφέα, καθώς και ένα βέλος το οποίο να δείχνει το πάνω μέρος της εικόνας. Στις φωτογραφίες ασθενών δεν πρέπει να αναγνωρίζεται η ταυτότητά τους. Οι ασθενείς δεν πρέπει να αναφέρονται ονομαστικά.
Γ. Υποβολή και Δημοσίευση των Εργασιών
Όλες οι εργασίες πρέπει να αποστέλλονται στην ηλεκτρονική διεύθυνση της εταιρείας ( grammateia@e-child.gr). Σε ξεχωριστό μήνυμα θα δηλώνεται ότι η εργασία δεν έχει
εν μέρει ή εξ ολοκλήρου δημοσιευθεί ή υποβληθεί για κρίση σε άλλο περιοδικό και ότι οι
συγγραφείς εγκρίνουν τη δημοσίευσή της στο περιοδικό “Παιδιατρική”. Επιπλέον, θα πρέπει
να αναφέρονται τυχόν επιδοτήσεις-χορηγίες ή άλλες πηγές υποστήριξης.
Εφόσον η εργασία γίνει αποδεκτή, το διορθωμένο σύμφωνα με τις υποδείξεις των κριτών
κείμενο πρέπει να υποβάλεται στη Συντακτική Επιτροπή μέσω e-mail που να περιλαμβάνει
την εργασία σε πρόγραμμα Word. Σε ξεχωριστό αρχείο θα περιλαμβάνεται επιστολή όπου θα
αναφέρονται αναλυτικά οι τροποποιήσεις ή οι αντιρρήσεις στις προτάσεις των κριτών.
Η καθυστέρηση της επανυποβολής του τροποποιημένου κειμένου πέραν των 30 ημερών
συνεπάγεται νέα υποβολή.
Τα κείμενα των εργασιών που δε γίνονται αποδεκτές για δημοσίευση, δεν επιστρέφονται.
Μπορεί να επιστραφούν, εφόσον ζητηθεί εντός εξαμήνου, τα σχήματα και οι φωτογραφίες που τα συνοδεύουν.
Πριν αποστείλετε ηλεκτρονικά την εργασία σας, βεβαιωθείτε ότι το αρχείο περιλαμβάνει:
1. Σελίδα τίτλου που περιέχει:
• τίτλο και βραχύ τίτλο εργασίας
• όνομα και επώνυμο συγγραφέων (ολογράφως)
• επιστημονικό/ά κέντρο/α όπου έγινε η εργασία
• όνομα, διεύθυνση, ηλεκτρονική διεύθυνση και τηλέφωνο συγγραφέα για αλληλογραφία
2. Περίληψη ελληνική-αγγλική (200-250 λέξεις), δομημένη στις εξής παραγράφους: εισαγωγή, μέθοδοι, αποτελέσματα και συμπεράσματα
3. Λέξεις κλειδιά
4. Κατάλογο συντομογραφιών
5. Κείμενο
6. Ευχαριστίες ή αναγνωρίσεις (αναφορά σε επιδοτήσεις-χορηγίες ή άλλες πηγές υποστήριξης)
7. Βιβλιογραφία
8. Πίνακες (ο καθένας σε χωριστή σελίδα)
9. Εικόνες (η καθεμία σε χωριστή σελίδα)
10. Τίτλους εικόνων