
8 minute read
Regurgitación/insuficiencia en las válvulas tricúspide y pulmonar: estudio ecocardiográfico y evaluación
from Argos 245
by Grupo Asís
Para la detección de todos los jets de regurgitación, centrados y excéntricos, debemos observar desde diferentes cortes ecocardiográficos la morfología de cada válvula en modo bidimensional, y aplicar Doppler color y espectral.
Luisa F Álamo Fernández, DVM, PhD y MSc. Vet-Ecodiagnóstico, Servicio de Eco&Cardio Veterinario Imágenes cedidas por la autora
Advertisement
El estudio y evaluación de los jets de regurgitación/insuficiencia valvular es uno de los usos más comunes de la ecocardiografía. Existen insuficiencias que podemos considerar no patológicas, pero para estar seguros debemos realizar previamente un estudio adecuado.
Estas regurgitaciones se suelen asociar a un soplo muy leve o no presentan soplo, su extensión en Doppler color suele ser inferior a 1 cm (en humana), no duran toda la diástole o toda la sístole (la aplicación del modo M color permite ver con más claridad su duración dentro del ciclo cardiaco) y son frecuentes en las válvulas del lado derecho del corazón.
Para la detección de todos los jets de regurgitación, centrados y excéntricos, debemos observar desde diferentes cortes ecocardiográficos la morfología de cada válvula en modo bidimensional, y aplicar Doppler color y espectral.
Como hemos comentado, la válvula pulmonar y la válvula tricúspide suelen presentar insuficiencias leves o moderadas consideradas normales en numerosos pacientes sanos (75 % y 50 % respectivamente), pero las válvulas mitral y aórtica no suelen presentarlas tan frecuentemente (15 % y 10 % respectivamente).
La válvula pulmonar y la válvula tricúspide suelen presentar insuficiencias leves o moderadas consideradas normales en numerosos pacientes sanos (75 % y 50 %, respectivamente), pero las válvulas mitral y aórtica no suelen presentarlas tan frecuentemente (15 % y 10 %, respectivamente).
En el examen bidimensional, la presencia de lesiones como nodulaciones o irregularidades en las hojas valvulares, así como la asincronía en el cierre o prolapso de las valvas, son indicativos de patología. La identificación de lesiones degenerativas es complicada y, sobre todo en válvulas con hojas pequeñas, pueden no ser observadas. El agrandamiento de las cámaras cardiacas relacionadas directamente con la válvula examinada también debe considerarse indicativo de patología.
El examen Doppler color y espectral se obtiene en cada válvula para la evaluación de los flujos sistólicos, diastólicos y de regurgitación. Es fundamental conseguir siempre una correcta alineación con los flujos de regurgitación para obtener medidas adecuadas, lo que requiere la observación valvular desde diferentes pro- yecciones ecocardiográficas para obtener las imágenes desde aquella en la que la alineación sea óptima.
Respecto al estudio semicuantitativo de la regurgitación valvular, hay cuatro métodos descritos: valvulares, y por aumentos de presión en la poscarga del ventrículo derecho generados por patologías, como la hipertensión o las estenosis pulmonares.
• Estudio de la fuerza de la señal de regurgitación con Doppler continuo.
• Medida de la longitud o área del jet de regurgitación dentro de la cámara receptora con Doppler color.
• Medida del diámetro o área de la vena contracta aplicando Doppler color.
• Cálculo del flujo de regurgitación con el método PISA.
Obviamente, para un estudio detallado será necesaria la combinación de varios métodos, siempre que estén validados (algunos, como PISA y vena contracta, no lo están para todas las válvulas), para establecer una clasificación.
En este artículo nos centraremos en el estudio y evaluación de las regurgitaciones de las válvulas del lado derecho del corazón: tricúspide y pulmonar.

Evaluación de la
regurgitación tricuspídea en modo bidimensional y en modo M

El estudio y evaluación de la válvula tricúspide debe hacerse desde cortes paraesternales derechos (eje largo y corto) y desde cortes apicales izquierdos optimizados. La observación de lesiones valvulares mixomatosas o de prolapso valvular indican la existencia de patología (figura 1). La observación de cambios en las cavidades derechas, como hipertrofia excéntrica o concéntrica del ventrículo derecho, aumento del volumen del atrio derecho o dilatación del tronco pulmonar, también serían indicativos de insuficiencia valvular asociada a patología, luego no fisiológica.

La diferenciación entre alteración valvular u otras acusas de regurgitación y
Es fundamental conseguir siempre una correcta alineación con los flujos de regurgitación para obtener medidas adecuadas, lo que requiere la observación valvular desde diferentes proyecciones ecocardiográficas para obtener las imágenes desde aquella en la que la alineación sea óptima.
Válvula tricúspide
Hemos comentado previamente que muchos pacientes sanos presentan insuficiencias de tricúspide que se consideran no patológica, ya que son leves o, como mucho, moderadas.
En el caso de las insuficiencias más graves, debemos considerar una causa patológica. La válvula tricúspide puede verse afectada por la enfermedad degenerativa mixomatosa (aunque su prevalencia es menor que en la válvula mitral), por problemas congénitos como las displasias la existencia de hipertensión pulmonar debe realizarse siempre y, en el caso de la evaluación bidimensional, la dilatación del tronco pulmonar y/o sus ramas suele estar asociada a hipertensión pulmonar.
El atrio derecho puede hallarse dilatado por patología valvular tricuspídea primaria o de forma secundaria a otros procesos, como hipertensión o estenosis pulmonares, defectos septales, PDA, aneurismas, etc.
La evaluación de la vena cava y de las venas hepáticas nos ayudará a sospechar el aumento de presión en el atrio dere- cho. De esta manera, se considera que esta presión puede estar aumentada, con posible insuficiencia cardiaca congestiva asociada, si dichas venas se observan dilatadas y/o la vena cava no reduce su diámetro durante la inspiración a su paso por el diafragma. son frecuentes. En el caso del hombre, se considera que un diámetro de la vena contracta superior a 7 mm es propio de regurgitación significativa.
La presencia de movimiento paradójico septal en modo M y de aplanamiento septal del ventrículo derecho, cuando se asocia a aumento de volumen ventricular, se produce más frecuentemente durante la diástole, mientras que cuando el aumento de presión en el ventrículo es secundario a presión posterior al propio ventrículo (como en caso de estenosis o hipertensión pulmonar), el movimiento y el aplanamiento pueden darse tanto en sístole como en diástole, puesto que la sístole ventricular derecha puede durar más que la izquierda y, en casos crónicos de hipertensión pulmonar, también la presión diastólica del ventrículo derecho estaría aumentada.
La regurgitación pulmonar patológica suele asociarse a estenosis pulmonar, PDA, hipertensión pulmonar y degeneración, fundamentalmente.
Evaluación de la regurgitación tricuspídea con Doppler color




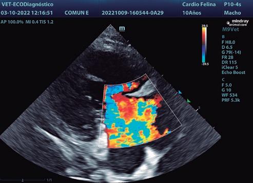
Es menos fiable que en el caso de la válvula mitral o aórtica, ya que la evaluación adecuada del área del atrio derecho es compleja. No obstante, cuando el jet se extiende ampliamente dentro del atrio derecho se considera que la regurgitación es grave. Debemos estudiar la válvula desde diferentes cortes para la evaluación de los jets, ya que suelen ser múltiples y excéntricos (figuras 2,3,4).
Como hemos dicho anteriormente, el método Pisa no suele ser efectivo en esta válvula dado que los jets centrados no
Evaluación de la regurgitación tricuspídea con Doppler espectral Normalmente las velocidades propias de regurgitaciones tricuspídeas, patológicas o no, no suelen superar los 3 m/s aproximadamente, excepto en los casos en los que la regurgitación es producida por aumentos de presión en el ventrículo derecho o tras él, no por anomalía valvular; esto debemos considerarlo siempre. Existen casos, de los que no conocemos la razón, en los que hay velocidades más elevadas sin ese aumento de presión ventricular, pero es anecdótico. Patologías como estenosis o hipertensión pulmonar pueden motivar un aumento de presión ventricular en la poscarga que genera insuficiencias con velocidad superior a 3 m/s, pero las displasias valvulares o la patología mixomatosa valvular suelen mostrar una velocidad pico de la regurgitación inferior a 3 m/s, dado que la presión ventricular aumentada no está implicada en la regurgitación (figura 5).
En ausencia de estenosis pulmonar, la presión de la regurgitación valvular tricuspídea se considera extrapolable con la presión sistólica de la arteria pulmonar. Respecto al estudio del volumen y la fracción de regurgitación, de nuevo, presenta dificultades en su aplicación puesto que la correcta alineación con los flujos y la morfología asimétrica del anillo tricupídeo dificultan estas medidas.
La visualización y el estudio con Doppler espectral de las venas hepáticas es también importante, de forma que la presencia de flujo reverso sistólico hepático tiene una sensibilidad del 80 % para la identificación de regurgitaciones graves.
Válvula pulmonar
La válvula pulmonar suele presentar regurgitaciones en perros y gatos sanos que no son audibles y que se consideran fisiológicas. Pueden ser jets prominentes en Doppler color a veces, pero de baja velocidad, y aparecen al final de la sístole. La regurgitación pulmonar patológica suele asociarse a estenosis pulmonar, PDA, hipertensión pulmonar y degeneración fundamentalmente. Debemos saber que la insuficiencia pulmonar no suele generar consecuencias secundarias por sí misma, aunque sea grave.
Evaluación de la regurgitación
Pulmonar En Modo Bidimensional
La presencia de anomalías congénitas valvulares puede observarse en modo bidimensional, como en el caso de las estenosis valvulares o supravalvulares. El acceso a la válvula debe hacerse desde cortes paraesternales derechos en eje corto y desde cortes craneales izquierdos.
La presencia de hipertensión pulmonar y de shunts como PDA suele generar dilatación de la zona valvular, el tronco y las ramas valvulares. En caso de estenosis pulmonar, la dilatación suele ser postvalvular (figura 6). No olvidemos que la degeneración mixomatosa puede afectar a cualquier válvula cardiaca.
En ausencia de otras patologías, se considera que los jets de velocidades superiores a 2,25 m/s se corresponden con hipertensión pulmonar diastólica.
Bibliografía:
Evaluación
de la regurgitación pulmonar con Doppler color
La evaluación de la longitud del jet de regurgitación con Doppler color no es muy específica respecto a la gravedad de dicha insuficiencia, dado que se halla muy influenciada por pequeños cambios de presión (figura 7).
En el caso del área existe más correlación con la gravedad, considerando que amplias áreas respecto al tracto de salida del ventrículo derecho se corresponden con insuficiencias graves, pero existe un amplio solapamiento entre grados de gravedad. La vena contracta y el método Pisa no han sido validados en esta válvula.
Evaluación de la regurgitación pulmonar con Doppler espectral
Las velocidades de deceleración y los tiempos de hemipresión se pueden evaluar en la regurgitación pulmonar, pero puede haber una deceleración rápida a pesar de no existir gravedad dadas las bajas presiones pulmonares diastólicas (figura 8).
Aún así, el Doppler espectral se utiliza para evaluar de forma indirecta la presión diastólica pulmonar. En ausencia de otras patologías, una velocidad de regurgitación pulmonar superior a 2,25 m/s suele corresponder, junto con otras alteraciones, a la existencia de hipertensión pulmonar diastólica.
El cálculo de volumen y fracción de regurgitación es poco preciso, dado que el diámetro de la arteria pulmonar cambia durante el ciclo cardiaco.
Kittelson MD. The approach to the paciente with cardiac disease. In Kittelson MD, Kienle RD ed. Small animalcardiovascular medicine. 1998. Ed. Mosby, St Louis, MO. p195-217.
June A, Boon MS; Evaluation of size, function and hemodinamics. Hemodinamic information obtained from echocardiographic exams. In Jonh Wiley and Sons Ltd editors. Veterinary Echocardiography. 2nd edition. WileyBlackwell, West Sussex, UK. p 538-640.
June A, Boon MS; Acquired Valvular disease. In Jonh Wiley and Sons Ltd editors. Veterinary Echocardiography. 2nd edition. WileyBlackwell, West Sussex, UK.
June A, Boon MS; Congenital shunts and AV dysplasia. In Jonh Wiley and Sons Ltd editors. Veterinary Echocardiography. 2nd edition. WileyBlackwell, West Sussex, UK.
June A, Boon MS; Stenotic lesions. In Jonh Wiley and Sons Ltd editors. Veterinary Echocardiography. 2nd edition. WileyBlackwell, West Sussex, UK.
June A, Boon MS; Hipertensive heart disease. In Jonh Wiley and Sons Ltd editors. Veterinary Echocardiography. 2nd edition. WileyBlackwell, West Sussex, UK.
Bonagura JD, Fuentes VL; Echocardiography. In John S. Mattoon, Rance K. Saellon and Clifford R. Berry editors. Small animal diagnostic ultrasound. 4th edition. Elsevier ed, St Louis, Misoury. P: 230-355.
Addin DB, McCloy K; Physiologic valve regurgitation in normal cats. J Vet Cardiol 2005; 7:9-13.
Chiavegato D, Borgarelli M, D,Angolo g et al. Pulmonary hypertension in dogs with mirtal regurgitación attributable to myxomatous valve disease. Vet Radiol Ultrasound. 2009; 50: 253-258.





