LIVING LONGER, LIVING WELL
          
    
    A Resource Guide For 55+
          
    March 2023
          
    
    
    Sparking Joy Page 2
          Helping Adults Achieve Independence
          
    
    
    
    
    Page 3
          
    THE GRAND IDEA
          
    -Adventure!
          Page 4
          Community Calendar of Events
          Page 4
          
              
              
            
            Living Longer, Living Well
          A collaborative partnership of the Daily News-Record and the Aging Well Consortium
          Editorial Committee
          Leigh-Anne Lees, Chair
          Community Relations Manager, VPAS
          Beth Bland
          Director of Senior Services, Harrisonburg/Rockingham VPAS
          Jeremy Douylliez
          Communications Specialist, Bridgewater Retirement Community
          Lavenia “Lev” Norford Community Contributor
          Susan Ribelin
          Coalition Member, Sentara RMH Lifeline and Senior Advantage
          Nancy Wayland
          Marketing Director, Sunnyside Retirement Community
          Brenda Sipe Barb
          Clinical Chaplain-CDP, CMDCP, Bridgewater Retirement Community
          BJ Bryson Professor, Social Work, James Madison University
          MISSION: The Aging Well Consortium mission is to develop and promote education and public awareness programs to enhance the health and well-being of older persons, care providers and families.
          Living Longer, Living Well is published quarterly and focuses on issues and topics pertinent to aging.
          Aging Well Consortium - Living Longer, Living Well
          975 South High Street, Harrisonburg, VA 22801
          
              
              
            
            Sparking Joy
          By: Leigh-Anne Lees, Chair, Aging Well Consortium
          
          My inner Marie Kondo, who normally whispers throughout the year, has been nearly shouting for the last three months. You remember Marie Kondo. She’s the one who advised getting rid of things that don’t spark joy as you move through your home tidying. It’s a fun decluttering technique she abandoned once her house filled up with ids. maine that.)
          ut it has stuc with me. t first I thought my near desperate attempts to declutter were because I wanted an organized, soothing living space. That’s partly true, but I’m realizing now that it has more to do with resenting the amount of time I spend dusting knic knacs when I could be hanging out with the people I love.
          Coincidentally, it was after coming home from a Goodwill donation dropoff that I sat down to read B.J. Bryson’s Grand Idea in this issue. And boy, did it spark joy.
          In her article, BJ talks about how hard it can be to stay relevant with grandchildren, to keep strong bonds in place, and to create meaningful engagement between generations. She lays out a variety of ways to connect with family members - from beach trips to
          botanical gardens, gardening to game nights. For BJ, the adventure itself is less important than feedback loops and time shared together.
          Of course, these are all tips we can use whether we have grandchildren or not. A morning of shopping at the farmers market with a neighbor can strengthen bonds. So can volunteering with a nephew, or going on a hike with a co-worker.
          It seems obvious, doesn’t it? And yet, a research report commissioned by Cigna shows that over half of Americans are consistently lonely. Maybe we’re spending too much time scrolling social media or taking care of our stuff, both of which can feel easier than navigating relationships. In some cases, though, loved ones have come and gone in our lives and it’s hard to make new connections. If that’s true for you, please join us at a VPAS Café or at any of the events listed in the calendar.
          I hope you’ll enjoy the Grand Idea in this issue, as well as the community gardens story, the introduction to TCARE, information about over the counter hearing aids, and other practical resources in the pages ahead. And, on behalf of the Living Longer Living Well team, I wish you less stuff and more adventure.
          Cooking Up Community
          By: Beth Bland, VPAS, Director of Senior Services, Harrisonburg & Rockingham County
          
          Valley Program for Aging Serices is e cited to announce our 2023 annual March for Meals festivities.
          ON THE COVER: VPAS is partnering with Church World Services in Harrisonburg and Harrisonburg Parks and Recreation to provide an immersive language experience for English language learning adults 60 years and older in the Laugh and Learn program. Here are some Congolese neighbors at a recent class. For most of them, this was their very first time coloring with crayons/colored pencils.
          Each year, the March for Meals celebration commemorates the historic day in arch of when resident i on signed into law a measure that amended the Older Americans Act of 1965 to include a national nutrition program for seniors 60 years and older. This legislation supported the rapid growth of the nationwide network of senior nutrition programs – commonly referred to as Meals on Wheels.
          During March for Meals, VPAS will draw attention to the serious impact of
          loneliness and social isolation on our older neighbors by participating in the “No Senior Eats Alone” initiative. Nearly one-fourth of adults aged 65 years and older are considered to be socially isolated. This fact puts them at risk for dementia and other serious medical conditions. “No Senior Eats Alone” is a callto-action for all community members to improve the health and quality of life of our elderly population. We invite everyone to share a meal or two or three with an older adult this month and all year long.
          The festivities will kick off with our
          2 Wednesday, March 15, 2023 Harrisonburg, Va.
        See COOKING
        Page 8
        ,
        
              
              
            
            Helping Adults Achieve Independence
          By: Robin Ramsey, Executive Director, Foundation for Rehabilitation and Equipment & Endowment
          
          
    Imagine ordinary activities like getting out of bed, bathing, or getting the mail becoming so difficult that you worry about becoming dependent on others for even simple tasks. The fight to regain safe mobility and independence after a serious illness or injury can be the most challenging struggles of a lifetime.
          
    Many people recovering from injuries or illnesses worry about how they will care for themselves or their family members. The solution to these problems could be as simple as having access to the right medical equipment at the right time. For many, recovery means reliance on specialized equipment to assist them in achieving their fullest potential. Durable medical equipment includes items such as crutches, canes, walkers, rollators, wheelchairs, power chairs, shower chairs, bedside commodes, raised toilet seats, clamp on grab bars, Hoyer lifts, etc.
          Imagine the frustration of knowing equipment is available that would give you greater mobility, freedom, and independence, but not having access to it because of inadequate insurance or the inability to pay. For many residents and seniors throughout the Valley, this is a harsh reality.
          The Foundation for Rehabilitation Equipment & Endowment (F.R.E.E.) is a volunteer-led 501(c)(3) non-profit based in the state of Virginia with seven locations: Roanoke, Lynchburg, Winchester, Richmond, Williamsburg, South Hampton Roads, and now Harrisonburg. Thanks to a grant from Sentara Cares and support from Sentara RMH and JMU, Sentara RMH Safe at Home, and Senior Advantage for supporting the newest F.R.E.E. program open in Harrisonburg in January 2023 at 2000 Beery Rd, Harrisonburg, Virginia.
          F.R.E.E. collects, sanitizes, and gifts donated mobility equipment to low-income, uninsured or under-insured adults. F.R.E.E.’s mission is to
          
    acquire and provide mobility-related rehabilitation equipment to maximize functional independence and improve quality of life. F.R.E.E. envisions a Virginia where every need for mobility-related rehabilitation equipment is fulfilled.
          
    Equipment donations can now be donated at area Goodwill of the Valleys and collected for F.R.E.E. of Harrisonburg. F.R.E.E. staff and volunteers collect, sanitize, and prepare medical equipment donations making it like new and matching it to meet the needs of our clients. Serving over 3,000 people last year, F.R.E.E.’s clients report significant improvements in their functional independence, reduction in at home falls, decreased medical care needs, and the ability to remain living safely at home.
          To learn more visit www.free-foundation.org or call 540-564-5632.
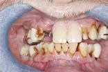
          Tired of never ending teeth repair?
          
    Are you missing one or more teeth?
          Are you losing your facial shape?
          All-0n-4 Dental Implants & Permanent Teeth are the Permanent Answer!
          
    
    
    
    
    “I
          It was what I needed in order to eat. I looked around and Smile for Life had the best reviews for implants. I wanted to have implants because my father had standard dentures and they did not fit right, so he had trouble with them. Now I am happier than a fuzzy bear that fell in a beehive. Before treatment I had problems eating and then began losing teeth/fillings, the normal stuff that happens when you get older. I decided that getting them all removed instead of one was the better option. Everyone says my teeth look very good and gives me compliments. I will tell you that the staff here is the best dentist office staff I have ever had in my life. I would recommend this treatment to others because the staff and doctors are awesome!”
          - Orion P.
          
          Financing Available NEW PATIENT SPECIAL: EXAM, X-RAYS, TEETH CLEANING - JUST $150 A Courtesy for You! Courtesy Consultation (Regular Fee $172) Free Report - Permanent Teeth & All-on-4® Implants Drs. McIntyre, Whiting & Associates 540-425-0192 www.SmilesForLifeOnline.com NEW TEETH IN ONE DAY! All-on-4 Dental Implants Shenandoah Valley’s Newest Technology! Permanent Teeth Available Today!!
        feel
        about the work being done.
        good
        All-on-4 Implants & Permenent Teeth Do you have dentures that don’t work?
        3 Wednesday, March 15, 2023 Harrisonburg, Va.
        Before After
        
              
              
            
            THE GRAND IDEA -Adventure!
          By: BJ Bryson
          
          Sometimes it is hard to stay in contact and be relevant to our grandchildren, grandnieces or grandnephews who could live miles or even states away. It takes extra effort for their parents and for us to keep bonds in place and strong.
          
    I live a ten-hour drive from one grandchild, a plane ride to middle merica or the acific orthwest for the others. These have now become expensive encounters. Technology can make short exchanges where we see each other, but there is nothing like a hug, the power of touch or direct conversation. I have grown tired of purchasing and sending presents, gift cards that I never know what came of them, and cards through the once cost-effective package delivery services. The desire is to retain intergenerational relationships over time and create meaningful engagement between the generations.
          The grand idea – stop giving so many material gifts! Birthdays and holidays can be expensive for visits or sending gifts. Be over it! Move to provide meaningful exchanges and experiences with the rands and to find a better use of my limited dollars.
          As people with lots of lived experience, consider your experiences, hobbies, strengths, and joys. Consider how to share these in unique ways? It is easier with younger children than teens if you start late doing this. The goal is to build a mutual relationship. Some
          examples below, including those with higher monetary investments to those that are free.
          • Sponsor a weeklong family beach trip. Rent one space with multiple bedrooms. You’ll share time walking on the beach, watching their activities, informal chats, playing games – board, putt putt, technology games, and sharing meals together. This does require family negotiation. Going off-season makes this a winning effort with cheaper accommodations and less congestion. I enoyed watchin my fi e year old rand learn and learn to play chec ers with my dad, her great grandfather. Priceless!
          •Give gifts of adventure or health – memberships to their local botanical garden, aquarium, or historical sites. pportunities for classes li e ymnastics, music, or swimming. Always discuss with the parent who needs to help execute such adventures.
          • Consider a challenge like shared visits to local, state, or national parks. Glamping makes it possible for those of us who no lon er find sleepin on the ground comfortable.
          • Plan family trips to sporting events and while there share some of your precious stories of enjoying the sport. They will listen as you’ll tell the story with excitement and joy. Make it a challenge to be accomplished together.
          • Go with them to children’s museums with hands on experiences. Your
          role is often to sit, watch, and share. Depending on age, some safety assistance may be needed.
          • Plan game night. Allow them to pick the meal. Plan at least one game they want – even if it is electronic, then you select a board or card game you like. Making this a ritual of being together helps to build our connections.
          • Shared story construction where characters and story settings are imagined. The child provides a line, followed by you sharing a line. Back and forth. These stories can get wild, silly, and imaginative.
          • Like to sing? We have a blues tradition in our family. one of us can sin well, so we construct blues songs when we are together. Young people pick up the feel for this very easy, even to the point of trying to scat! Costs nothing but time and togetherness.
          • Plant a garden or take care of a plant collectively. Weekly check ins on their care of the plant provide the connection.
          These are suggestions and you will have many more. The most important part of this is there needs to be a feedback loop. You may share the experience or talk about it using technology. Small children have short attention spans, but this does not stop them from drawing a picture of the experience, sharing age-appropriate observations like what types of owers they learned about or their fa orite color of owers. hildren
          can be inventive, but so can you. Remember the key is shared adventure whether directly or through technology.
          Community Calendar of Events
          Any reader interested in attending an event should call the contact person for that event to determine if registration and fees are applicable. All readers and encouraged to call to confirm that the event is still taking place prior to the event date. To contribute information to the Living Longer, Living Well Community Calendar, please email Leigh-Anne Lees at leighanne@vpas.info.
          Alzheimer’s Caregiver Support Group
          First Friday of the month | 9 am | Community Mennonite Church
          A support group offered by the Alzheimer’s Association in partnership with VPAS. Here is a safe place for people living with dementia and their care partners to:
          • develop a support system
          •exchange practical information on challenges and possible solutions
          •talk through issues and ways of coping
          •share feelings, needs, and concerns
          •talk about community resources Register at vpas.info/caregiver-support or call VPAS at 540-615-5341.
          Ongoing Caregiver Support Groups
          Third Tuesday of the month | 10 am
          |VPAS Waynesboro office
          Fourth Tuesday of the month | 3 pm | Sunnyside Retirement Community Caregiver Support groups provide interaction with other caregivers, resources, tips, ideas, and a safe outlet for sharing of
          feelings. Register at vpas.info/caregiver-support or call VPAS at 540-615-5341.
          Virtual Caregiver Support Groups
          Mondays at 3 pm or Wednesdays at 10:30 am
          It can be difficult attending a support group in person if you are unable to leave your care partner alone at home.  Here is a virtual solution. Groups gather on Zoom. Register at vpas.info/caregiver-support
          or call VPAS at 540-615-5341.
          Memory Partners
          First Tuesday of the month |10-11:30 am |Plains District Community Center
          First Thursday of the month |10-11:30 am | Massanutten Regional Library
          Second Thursday of the month |1011:30 am | Rosenwald Community Center
          A safe space for caregivers and people
          See CALENDAR , Page 6
          4 Wednesday, March 15, 2023 Harrisonburg, Va.
        The author on another adventure with her granddaughter, Davis.
          
              
              
            
            Community Gardens – Cultivating a Harvest of Friendship and Well-Being
          
    By: Brenda Sipe Barb, Clinical Chaplain-CDP, CMDCP, Bridgewater Retirement Community
          
          
    
    
    
    
    Community gardens aren’t the newest trend, but they are increasing more and more in popularity as people seek to produce sustainable fruits and vegetables for their own personal consumption, and quite often, to provide for those in need within their own communities.
          Wikipedia defines a community garden as “a piece of land gardened or cultivated by a group of people individually or collectively; the land is normally divided into separate plots, and is the responsibility of the plot owner or renter.” While this explanation is true, its simplistic definition belies the much broader vision and purpose of so many community gardens.. Community gardens are quite often the pride and joy of its gardeners, local community, and especially anyone who benefi ts from that which the garden yields.
          Community Garden Benefits… though but a few of an unending list of possibilities and benefits.
          • Saves money and provide fresher
          
    
    and more nutritious fruits and vegetables.
          • Spending quality time with neighbors and establish lasting friendships.
          • Supports physical health to aid in the prevention or effects of high blood pressure, diabetes, osteoporosis, and more through light aerobic exercise with digging, pulling, twisting, reaching, repetitious squatting, all of which can improve heart and lung health, and support the immune system.
          • Supports mental health through improved sleep and improved mood, and calming down stress and anxiety through reduction of those pesky stress hormones such as cortisol.
          • May improve memory through task-driven focus, and offers meaning and purpose, promotes happy memories of gardening, and offers multiple opportunities to meet and connect with their neighbors which can serve to alleviate isolation and loneliness.
          
    1684 Port Hills Drive | Harrisonburg, VA 22801 www.BellaireAtStonePort.com | Let’s keep in touch FI/BellaireAtStonePort GOLD Winner Assisted Living | GOLD Winner Memory Care. by Shenandoah Valley Best Winner’s Magazine Assisted Living & Memory Care WE’D LOVE TO SHOW YOU AROUND. SCHEDULE A TOUR TODAY! AUGUSTA AUDIOLOGY ASSOCIATES, PC Julie Farrar-Hersch, PhD Lauren Matsko, AuD, MPH Alex Hersch, BA, HAS CUSTOMER SERVICE IS OUR TOP PRIORITY We Follow You Every Step of the Way to Ensure Your Hearing Aids are Comfortable, Beneficial and Meet Your Communication Needs During and After Your Trial Period. STATE-OF-THE-ART HEARING AID TECHNOLOGY Assistive Technology for Personal Listening and Bluetooth Compatibility. SPECIALIZED EARMOLDS FOR •Musicians •Hunters •Swimmers •NASCAR Fans •Industrial Employees and More On the Campus of Augusta Health Medical Office Building Suite 204 70 Medical Center Circle Fishersville, Virginia 22939 Proudly serving the Valley for our 29th year! www.AugustaAudiology.com 540-332-5790 5 Wednesday, March 15, 2023 Harrisonburg, Va.
        Bridgewater Church of the Brethren members and college volunteers (under the direction of Dr. Tim Krepps at Bridgewater College) donate thousands of pounds of garden produce to several food pantries in Harrisonburg and Rockingham County each summer. See GARDENS, Page 10
          
              
              
            
            Arts Council of the Valley
          By: Ann Leatherwood, Programs Manager, Arts Council of the Valley
          
          Arts Council of the Valley was created in 2000 to operate Court Square Theater (opened in 1998 as a downtown revitalization catalyst), and create community partnerships. That dual focus remains active today through these program areas:
          Court Square Theater draws some 15,000 patrons each year to films and live music, comedy, and theatrical events. The new ACT ONE educational program offers people of all ages a chance to participate in theatrical productions. This fall’s play, Steel Magnolias, will showcase the dramatic talents of age 60+ residents - check courtsquaretheater.org soon for audition dates!
          Thirty-two venues - including VMRC’s Park Gables Gallery - are involved in First Fridays of the Valley, offering art exhibitions and musical performances. Visit valleyarts.org/first-fridays-venues the week of each First Friday to see what’s planned.
          Smith House Galleries (311 South Main St, Harrisonburg) opens new exhibitions monthly. The galleries are free, and open Monday-Friday, 11
          living with dementia to attend together. There will be social time with other care partners, optional games, activities and refreshments, and Tai Chi for Memory exercise.  Register at vpas.info/caregiversupport or call VPAS at 540-615-5341.
          Casks for a Cause to Benefit VPAS and Meals on Wheels
          March 17 |1-10 pm with music from 6-8
          | Brothers Craft Brewing
          
          The best St. Patrick’s Day party in the area with a special cask to benefit VPAS, music by Dwight Martin, wood fired pizza, raffles, silent auction, and more!
          Details at brotherscraftbrewing.com
          Noble Native Gardens
          March 20 | 2-3 pm | Price Rotary Senior Center
          Spring is coming! Join us for this workshop with Karl Shank and Kirsten Sharp from Natural Gardens as we discuss how to work out the best location for a native garden, which Habitat Pack works best for each location, how to install plants and make a successful native garden. Register at vpas.info/recreation or call VPAS at 540-615-5341.
          Discover & Dine: Finding the Right Fit in Retirement
          March 21 | 2:00 pm | Bridgewater
          am to 4 pm; as well as the Second Saturday each month, 10 am to 2 pm. Exhibitions begin with a reception during First Fridays of the Valley. Mark your calendar for the June 2-30 exhibition! Never Stop Creating will showcase painting, quilting, woodworking and other mediums by artists living at Sunnyside Retirement Community.
          
    Advancing the Arts grants ($445,606 over 22 years) fund art projects reaching thousands of area residents annually. A new Public Art Forward grant allocates $15,000 to create a downtown public artwork each year for three years.
          Arts Council of the Valley also provides support for other public art initiatives, most recently partnering with the City of Harrisonburg on the North End Gateway Public Art Project. Opening Doors: The Art of Inclusion, a collaboration with The Arc of Harrisonburg and Rockingham, will see 20 Art Doors on display later this year.
          We invite you to visit Court Square Theater and Smith House Galleries. More information on Arts Council of the Valley is available at valleyarts.org.
          Retirement Community
          Should you stay in your long-time home and seek additional support as you age, or join a community with on-site amenities? Learn about the different types of retirement communities, and take a tour BRC’s model home. On your way out, pick up a delicious take-home dinner for two! RSVP Required — Register online at brcliving.org.
          Good Heart Art: Seeds of Hope
          April 18 | 2-3:30 pm | VPAS Harrisonburg Office
          Artistic expression is a wonderful resource to keep our minds sharp, our spirits up, and new friendships growing! Supply lists for this guided art project will be offered in advance. Open to anyone 60 years old and older who believes creating arts and crafts is uplifting and fun! This is a no-pressure, come-as-you-are, art venture!  All skill levels welcomed! Register at vpas.info/recreation or call 540-615-5341.
          Explore & Engage: Retirement Done Right—BRC Residents Discuss Choices and Discoveries
          May 16 | 2:00 pm | Bridgewater Retirement Community
          Get the straight story from residents of a Bridgewater Retirement Community about why they made the retirement choices they did and what they would have done differently. Then take a tour of BRC’s community center and model home.
          RSVP Required — Register online at brcliving.org.
          Confident Caregiver Dementia Conference
          May 17 | 9 am-3 pm | Blue Ridge Community College Plecker Center
          This is a “Must Go” for anyone caring with a person living with dementia.  Featuring Melanie Bunn, Geriatric Nurse Practitioner and speaker for Teepa Snow’s Positive Approach to Care, conference topics will include:
          •Using a Positive Approach to Dementia Care
          • Coping with Challenging Situations in Dementia Care
          • How Lifelong Personality Traits Impact Dementia Care Register at vpas.info/education or call VPAS at 540-615-5341.
          The Science of Happiness by Bill Weech
          May 23 | 10-11 am | Bridgewater Retirement Community
          In celebration of Mental Health Awareness Month, join us for this fascinating seminar about how you can build happiness later in life. Bill Weech is an award-winning leadership trainer, executive coach, and management consultant with more than two decades of experience in leadership development. Treat yourself to this pickme-up and primer for what could be your very best years. Register at vpas.info/education or call VPAS at 540-615-5341.
          Lego Serious Play for Caregivers
          May 24 | 1-3 pm | Bridgewater Church of the Brethren
          Caregivers, this is a perfect way to spend 120 minutes and it’s fun for all ages! This session is designed to help you relax and enjoy yourself. National caregiver expert Loretta Veney will lead you through LEGO building fun to help you build lots of JOY, HOPE or Superpowers to conquer caregiving challenges! She’ll help you discover what steals your joy, what brings you joy, and how to maintain joy on tough days. Register at vpas.info/caregiver-support or call VPAS at 540-615-5341.
          Discover & Dine: Living Well with Assistance: Resident Stories and Insights
          June 6 | 2:00 pm | Bridgewater Retirement Community
          What’s it like to live in an Assisted Living community that cultivates connections and independence? Hear directly from BRC residents about their experiences, then tour the community center and an Assisted Living neighborhood. On your way out, pick up a delicious take-home dinner for two! RSVP Required — Register online at brcliving.org.
          VPAS Cafes – ongoing
          New friends, a delicious meal, light exercise and recreational programming for adults 60 years and older. Find a café near you by visiting vpas.info/vpas-cafes or calling 540-615-5341.
          6 Wednesday, March 15, 2023 Harrisonburg, Va.
        Calendar FROM PAGE 4
          Photo by Mary Rouse
          Arts Council of the Valley Executive Director Jenny Burden, left, listens as Sunnyside residents point out features in one of Viktoriya Samoylov’s works at Smith House Galleries in December.
          Estate Planning & Elder Law Attorneys
          
    
    
    
    
    Is it time to review your estate plan? Every July 1st, the statutory law of Virginia changes. Moreover, courts review and interpret law every day. You should review your estate plan to take advantage of changes in the law. Whether you are planning for the distribution of assets at your death, naming someone to act for you during periods of incapacity, needing guidance through the murky waters of applying for Medicaid, or handling the estate of a lost loved one, we are here to help. Set your mind at ease by planning ahead for you and your loved ones at our convenient wheelchair-accessible downtown Harrisonburg location .
          KAREN L. ROWELL, ESQUIRE
          
    
    Email: krowell@clark-bradshaw.com
          MATTHEW C. SUNDERLIN, CELA
          
    Email: sunderlin@clark-bradshaw.com
          CLARK & BRADSHAW, P.C.
          92 North Liberty Street, Harrisonburg
          Telephone: (540) 433-2601
          Web: clark-bradshaw.com
          We are a proud member of
          
    
    The Most Sophisticated Hearing Technologies Available Today Fit by the Most Qualified Professionals Available To You Audiology Associates of Harrisonburg Setting the standard for the highest quality care in Harrisonburg and the Shenandoah Valley. Dr. Diane Schwalbach 37 years of experience Audiology Associates R R R Dr.
        24
        Call today for an appointment: 540-574-4327 Ask us about DNNTM by Oticon 1452 Brookhaven Dr., Rockingham, VA 22801 “Better Hearing Care”
        Scott C. Murray
        years of experience
        Audiologist Over the Counter Hearing Aids? Find out if you are a candidate for these new products by scheduling a diagnostic hearing test. Call today! 4765 Spotswood Trail
        Laird, VA 22846
        540-217-2104
        Dr. Kathleen A. Culbertson
        Penn
        www.mcrestaud.com
        3935 Sunnyside Drive | Harrisonburg, VA 22801 | 800.237.2257 | 540.568.8411 | www.LiveatSS.com ADVENTURE. It’s timeless at Sunnyside. Live in our award-winning, trailblazing and vitalizing community to explore what life is like for those 55 and better. Learn how our 150-acre campus can enrich your life. Call 540.568.8411 to schedule your personal tour. Independent Living • Assisted Living • Skilled Nursing • Memory Support 7 Wednesday, March 15, 2023 Harrisonburg, Va.
        
              
              
            
            Over-the-Counter Hearing Aids: What Everyone Should Know
          By: Ayasakanta Rout, Ph.D. Professor of Audiology and Department Head Director, Hearing Aid Research Laboratory James Madison University
          
          Nearly one in every seven American adults report some degree of hearin difficulty. earin loss can result from many different causes- some of which are treatable by a medical doctor while other types affecting the inner ear and the hearing nerves are generally not reversible. Hearing aids have been the primary treatment approach for hearing loss resulting from the damage to the inner ear and its nerves. However, affordability and accessibility to hearing aids has been a problem for many people due to high cost and the lack of adequate insurance coverage. The United States Congress passed a bipartisan bill in 2017 to create a new category of hearing aids to be sold over-the-counter and it was signed into law the same year. The Food and Drug Administration (FDA) released final uidelines describin the
          nature and scope of these new category of hearing aids in 2022. As soon as the FDA guidelines were published, several companies introduced products under the new category. Here is a list of eight important things everyone should know about over-the-counter hearing aids.
          1. Over-the-Counter (OTC) hearing aids are for adults only (18 years and older).
          2. One can purchase OTC hearing aids from big box stores, Pharmacies, and over the Internet.
          3. OTC hearing aids are designed for mild to moderate hearing loss (not for severe hearing loss).
          4. One does not need a hearing evaluation or prescription to purchase OTC hearing aids.
          5. Very Important: Do not buy OTC hearing aids if you have ear infection, ear pain, dizziness with hearing loss,
          sudden change in hearing ability, excessive ear wax, hearing loss or ringing only in one ear.
          6. The price of these hearing aids will generally range from a couple of hundred to as much as a thousand dollars.
          7. Is there a way to know which OTC hearing aids are good? Researchers have started to evaluate and publish data on how well these hearing aids perform. For consumers, an independent private company has launched a website where they test OTC hearing aids and share the results (https://www.hearadvisor.com/)
          8. OTC hearing aids will be available in different shapes and sizes, many of which will not at all look like a traditional hearing aid.
          Depending on who you ask, expert opinions about OTC hearing aids can range from excitement to cause for concern. The reality is, like any new forms
          of technology there are more questions than answers at the early stages. It is important to point out that hearing aid users et most benefit when they are supported by a professional who can guide them through the process of adjusting to hearing sounds that they have not heard in a long time. While OTC hearing aids are going to be cheaper than professionally fitted hearing aids, they won’t come with the personalized professional support of a hearing healthcare professional such as an audiologist. As more OTC hearing aids become available in the market, hearing aid clinics may provide services to test the de ices fine tune and teach about care and maintenance of these products. It is my personal belief that OTC hearing aids can serve as a step-in for some people who are not ready to wear prescription hearing aids.
          
              
              
            
            TCARE: A New Tool to Identify Your Needs
          Family caregivers often put the needs and concerns of their loved one ahead of their own. Perhaps it even feels unclear exactly when and how a relationship changes and we recognize that our role has evolved into that of a caregiver.
          Cooking FROM PAGE 2
          Cask for a Cause fundraiser hosted by Brothers Craft Brewing on March 17 (which is also St. Paddy’s Day). The event will feature a specially crafted beer brewed exclusively for the event. Music will be provided by Dwight Martin. ood iredco will feature wood fired pi as for sale on site. e will be raf in off all kinds of exciting items – including restaurant gift cards to encourage meals out with an older adult.
          The Community Champions Day is special meal delivery day in which local community leaders will be invited to deliver meals. Over 55,000 meals were deliveredtohomebound older adults living in Harrisonburg and Rockingham County this past year. We all know that the meal
          By: Joyce Nussbaum, VPAS Programs Director
          
          Whether the transition to being a family caregiver happens suddenly or gradually, the health and well-being of the caregiver is often directly related to the well-being of the care receiver. Even with this knowledge and the best intentions, it can be difficult for family care i ers to
          is important butit’s the friendly smile, kind words, and a sense of security that comes with knowing someone is checking on you that really makes a difference.
          VPAS invites you to help us cook up community this month. Here is how you can make a difference:
          •Share a meal with an older adult in your life
          •Volunteer to deliver meals
          •Make a donation to help support VPAS’ Meals on Wheels program
          •Show your support by joining us at Brothers Craft Brewing on March 17
          
    VPAS empowers adults 60 years and older with the resources and opportunities they need to lead engaged lives.
          To learn more about our services visit our website at www.vpas.info, or call 540-615-5341.
          find the time to ta e care of themsel es and access needed support and education.
          Valley Program for Aging Services offers a Tailored Caregiver Assessment and Referral (TCARE), a valuable tool designed to help us best support family caregivers in ways that might be missed
          without the assessment. TCARE is designed to identify the source of caregiver stress and to connect family caregivers with the most relevant strategies and support services available. Participating in
          See TCARE, Page 10
          8 Wednesday, March 15, 2023 Harrisonburg, Va.
        Alan Shelton and Jane Hubbel enjoy Casks for a Cause at Brothers Craft Brewing.
          
              
              
            
            "THEYGAVEMEMYLIFEBACK"
          "Itstartedoutasanormalouting. MywifeandIhadtoruntothegrocery store.Weweredrivingdowntheroad casuallygoingoverourshoppinglist whenthecaraheadofmestartedto slowdownanticipatingtheyellow light.Istartedtomovemyfootfrom thegastothebrakeasanynormal personwoulddowhentheyseebrake lightsinfrontofthem,butIcouldn't.I couldn'tfeelmyfoot.The carkept movingforwardandIjustcouldn'tget myfootonthebrake.AndCRUNCH!
          Ifinallycameto astopwhenIhit thecarinfrontofme."
          Thistragicstorywassharedwithusby HarrisonburgresidentDanS.whohas peripheralneuropathy.Andwhileno onewashurtinthisaccident,Danhad sufferedalmosteverydayofhislife withtinglingandburninginhisfeetuntil numbnesssetinandhe couldnolonger feeleventhebrakepedalbeneath hisfoot.
          "Thefirststageispain,"sharesAmara ofAcupunctureMedicalCenter."Youfeel burning,tingling,sharppains,oryoufeel like youarewalkingontacksormarbles. Thispaineventuallysubsidesandthe numbnesssetsin.Unfortunately,the numbnessbringswithitawholehostof otherproblems."Thiswasthecasewith Dan,whoclaims "IsaidIwasn'tgoingto driveagain.Whatifthathadbeena pedestrian?"
          Itisterriblycommonthatperipheral neuropathyanditsdebilitating symptomsinterferewithaperson's abilitytolivetheirlife.Danbecame reliantonhiswifetodrivehimaround,
          eventhesimplepleasureofaSunday cruiseonSkylineDriveortakingherout todinnerwasoutsidehiscapabilities. Andevenmorecommon,Dan'sgeneral practitionerandseveralspecialiststold himtherewasnothingtheycoulddoother thanprescribehimpillstoeasethepainof hisneuropathy.
          That'swhereAcupuncturists
          AmaraandBerryandtheirstaffcome in."About75%ofourcurrentpatients cometoussufferingfromthesame conditionasMr.Dan,"Amarashares.
          "They'reinconstantpainfrom neuropathyanditpreventsthemfrom notonlylivingtheirlives,butmore importantly,itpreventsthemfrom enjoyingit.Dependingontheseverity oftheirnervedamage,wetypicallysee tremendousprogressin3-4monthsof treatment.Iliketosaywe'reinthe businessofmakingthegolden years golden,"saysBerry.
          
    "Ican'tlie,"confidesDan,"Iwas skepticalatfirst.ThefolksatmyPCP toldmetherewasnothingthatcould bedoneandthenthereare practitionersrighthereinHarrisonburg whotellmetheycanhelp.Turnsout theywereright!Aboutthreemonths aftermyfirsttreatmentIwasableto confidentlydrivemyselftomy appointments!MywifeandI celebratedbybuyingourselvesanew car!It'shardtoputintowordshow incrediblethisis,quitefrankly,the AcupunctureMedicalCenter gavememylifeback."
          WhileAcupunctureMedicalCenter specializesinacupunctureandit's definitelypartoftheirprotocolswhen treatingneuropathy,therealsecretisin amoremodernmedicalsolutioncalled ATPResonanceBioTherapy."This technologywasoriginallydevelopedby NASAtoexpeditehealingand recovery," sharesKayla,aseniorPatientCare Technicianattheclinic."It'slikewateringa plant.ATPBioResonanceTherapy stimulatesthebloodvesselstogrow backaroundtheperipheralnerveswhich providesthemthepropernutrientsto healandrepair."
          Youcanlearnmoreaboutthe acupuncturistsBerryandAmaraat AcupunctureMedicalCenterandread testimonialsfromotherhappypatients by visitingAcuMedCenterVA.com.Ifyou arereadytoscheduleaconsultationcall (540)217-2783.AcupunctureMedical Centerisanintimateclinicwherethe stafftakeprideintheirabilitytotake theirtimewitheachpatient.
          Localclinichasamodernmedicalsolutiontotreatyour PeripheralNeuropathy andisseeingincredibleresults!
          Visitwww.AcuMedCenterVA.comtolearnmoreand totakeadvantageoftheirNEWPATIENTOFFER! TM TM 9 Wednesday, March 15, 2023 Harrisonburg, Va.
        
              
              
            
            How The SECURE 2.0 Act Impacts Your Retirement Savings
          By: Abe Shearer and Jennifer Shirkey
          
          It is rumored that Albert Einstein once joked to his friend and accountant that, “The hardest thing in the world to understand is income taxes.”
          One thing is for sure—with how frequently tax laws change, it’s certainly difficult to eep thin s strai ht. n ust the last handful of years, we have seen the Tax Cuts and Jobs Act of 2017, the SECURE Act of 2019, and the CARES Act of 2020. We also now have the SECURE 2.0 Act of 2022 (SECURE 2.0), which became law on December 29, 2022. SECURE 2.0 builds on the original SECURE Act to implement sweeping changes for retirement accounts. This article highlights key updates from SECURE 2.0.
          Required Minimum Distributions (RMDs) – SECURE 2.0 raises the starting age for beginning these mandatory taxable distributions and also lowers the penalty for missing an RMD.
          • Starting Age: Beginning in 2023, retirees with IRAs and workplace retirement plans must begin taking withdrawals at age 73, increasing to age 75 in 2033.
          • Previously, age 72 was mandated by the original SECURE Act, and before that was 70.5 up until January 1, 2020.
          • Penalty: The penalty for not taking RMDs has been lowered to 25% of the RMD amount not taken. If full corrective action is taken later, the penalty gets reduced to 10%.
          • Previously, this penalty was a harsh 50% for those who overlooked taking their RMD.
          TCARE FROM PAGE 8
          TCARE can actually save time for caregivers as it provides information that uic ly identifies the areas of reatest
          Gardens FROM PAGE 5
          • Intergenerational opportunities to instill responsibility in the grandchildren or even some neighborhood children through teaching and demonstrating simple garden tasks and chores.
          A local community garden can be found just off Resort Drive in Massanutten; its lower location offers plenty of sunshine, easy access, and convenience, and also avoids a lot of the “food seeking” deer population and many other abundant wildlife found the higher you travel on the mountain.
          Qualified Charitable Distributions (QCDs) – Currently, individuals aged 70.5 or older may use a QCD to donate up to annually to ualified charities directly from their IRAs. QCDs are excluded from taxable income, and you don’t have to itemize deductions to make a QCD. SECURE 2.0 enhances QCDs by inde in the limit for in ation starting in 2024. In addition, a one-time QCD may now be made to a charitable remainder trust (CRT) or charitable gift annuity (CGA) up to a maximum of $50,000.
          
    need for stress reduction.
          Caregivers can access the TCARE initial assessment online at vpas.info or get more information by calling 540820-8567. Following a brief initial as-
          Board member, Elizabeth “Liz” Walker, of Massanutten Property Owners Association (MPOA), chairs the Community Garden, and according to Bradford Dyjak, Administrator for MPOA, “Liz has worked industriously over the years with volunteers to ensure the garden is up and running to continue to provide well-maintained plots for MPOA owner rentals.”
          Ms. Walker shared that in 2017, a group of owners approached the board about building a community garden that would be protected by the wildlife that makes gardening In Massanutten very difficult. pro ided the supplies
          Catch-Up Contributions – SECURE 2.0 increases the amount older workers can contribute to their workplace retirement plans and IRAs.
          • Workplace Plans: You have to wait a couple more years, but beginning January 1, 2025, individuals aged 60 through 63 will be able to make additional catch-up contributions of $10,000 annually, indexed for in ation thereafter.
          • Currently, the catch-up contribution limit is $7,500 for those aged 50 and over.
          • IRAs: Starting in 2024, the current $1,000 annual catch-up contribution will be inde ed for in ation meanin it should increase gradually over time.
          • Currently, the catch-up limit is $1,000, but it hasn’t changed for many years.
          Student Loan Debt – Payments towards student loans may now help some workers start saving for retirement.
          • Beginning in 2024, employers will have the ability to incentivize retirement savings for younger employees by “matching” some student loan payments with similar contributions on the employee’s behalf to a workplace retirement plan.
          • One of the key barriers to retirement savings for recent college graduates can sometimes be a large student debt burden. This change can help alleviate this problem.
          529 to Roth IRA Transfers – Individuals with excess funds in a 529 college savings plan may be eligible to roll them into a oth for the account beneficiary.
          sessment, caregivers will be contacted to discuss support services and may be invited to complete the full assessment to gather more information so that the ma or sources of stress can be identified
          which is being paid back via plot rental. Community volunteers along with MPOA maintenance staff built the garden, totaling 32 raised beds, and approximately 3’ x 5’ and made of concrete blocks with the original soil provided by the earlier MPOA gardener renters. More soil can be added if desired and renters are responsible for their own plot and for weeding around the plot’s pathways. MPOA provides water via water hoses and watering cans, mulch for the paths, and composted leaf soil.
          At last, milkweed began to grow in a non-rented space and the previously
          • Beginning in 2024, and only for 529 plans that have been maintained for at least 15 years, extra funds may be eligible to be moved directly to a Roth IRA in the beneficiary s name.
          • Currently, options are more limited for extra funds remaining in a 529 plan, and generally the account owner must pay a 10% penalty (in addition to federal income taxes) to withdraw the funds, or they can name a new beneficiary that is a related family member.
          This is just a sampling of SECURE 2.0’s more pertinent items for retirement accounts. The law is over 350 pages long, so there are myriad caveats and other changes.
          Each new tax law brings challenges and opportunities impacting your investments, tax considerations, charitable giving strategies, and estate planning. Becoming aware of the latest developments is an essential first step to optimizing plans for your hard-earned savings.
          Abe Shearer and Jennifer Shirkey are Directors with Bridgewater Retirement Community. In a separate capacity, Abe is an investment advisor of Strategent Financial, LLC. Jennifer is an attorney at Flora Pettit Attorneys at Law. The information provided is educational in nature and is not intended to be specific financial, tax, or legal advice. Readers should consult with their respective financial, tax, and legal service providers before implementing any of the options directly or indirectly referenced above.
          and addressed. TCARE is offered free of charge to family caregivers who are 60 years or older or who are caring for someone 60 years and older due to a grant from the Merck Foundation.
          planted zinnias have continued to reseed. The space continues to be left unrented to provide a pollinator garden and for the monarch butter ies that stop by to continue enjoying a tasty snack from the milkweed.
          So, get outside and activate those happy hormones by doing something enjoyable and fun. Bathe yourself in plenty of fresh air, sunshine, and nature. You will be sure to enjoy a harvest of friendship and well-being. Whatever your garden yields, well, that’s just an added bonus! It’s not just about growing food; it’s about growing community!
          10 Wednesday, March 15, 2023 Harrisonburg, Va.
        Metro Creative Connection
          
    11 Wednesday, March 15, 2023 Harrisonburg, Va.
        
    
    
    
    12 Wednesday, March 15, 2023 Harrisonburg, Va.