
5 minute read
ATENEO MO: Melanoma de Coroides
Autores: Dres. Romero, Ismelda; Varas, Elena M.; Rizo Saffe, M. Emilia y Fernando A. Eluani. Servicio de oftalmología del Hospital Enrique Vera Barros, La Rioja, Argentina*.
Palabras Claves:
MELANOMA OCULAR, TUMOR, POCO FRECUENTE, CÉLULAS PIGMENTARIAS, RIESGO DE VIDA
El melanoma de coroides es la neoplasia (tumor) maligna intraocular primaria más frecuente en adultos a nivel mundial, con un 80% del total de casos, seguida por el cuerpo ciliar (12%) y el iris (8%). Generalmente se diagnostica en pacientes sexagenarios, suele ser más frecuente en personas de piel y ojos claros. Dentro de los factores de riesgo para su desarrollo se incluye la exposición prolongada a la luz ultravioleta y presencia de melanocitosis.
Los primeros síntomas que pueden aparecer son las fotopsias y miodesopsias. Los tumores de mayor tamaño suelen presentar disminución de la visión por hemorragias o desprendimiento de retina, aunque gran cantidad de pacientes son asintomáticos. Su diagnóstico correcto es de vital importancia para el pronóstico dado que pueden causar metástasis a otros órganos y comprometer la vida del paciente.

El melanoma de coroides se clasifica según su tipo histológico en:
• Melanoma fusiforme
• Melanoma mixto
• Melanoma epiteloide
• Melanoma de células balonadas
• Melanoma de células claras
Caso Clínico
Mujer de 53 años de edad acude a consulta en el mes de marzo de 2024, por presentar una masa tumoral en cavidad orbitaria. Al examen físico se encuentra que el ojo derecho había sido eviscerado por ojo ciego doloroso y se visualiza la masa tumoral.
En la anamnesis se relevan los siguientes antecedentes oftalmológicos: traumatismo ocular en OD con 4 años de evolución, sin consulta médica. Evisceración OD por ojo ciego doloroso realizada en 2022, sin contar con estudios de anatomía patológica ni controles posteriores.


EXAMEN OFTALMOLÓGICO
AGUDEZA VISUAL
OD: NPL (no percepción de la luz)
OI: 3/10 SC 7/10CE
BIOMICROSCOPIA
OD: se observa masa tumoral con hiperemia conjuntival
Oi: córnea clara pupila corica, reactiva CSP++
ESTUDIOS COMPLEMENTARIOS

Se indica realización de TAC de órbita. Se realiza interconsulta con el Servicio de cabeza y cuello que decide cirugía de exenteración de contenido orbitario y envía de muestra a anatomía patológica.
La Tac de órbita informa tumoración en región orbitaria derecha. En tanto, los resultados del informe anatomopatológico indican:


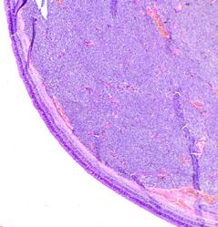
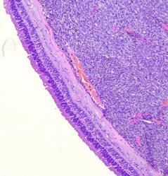
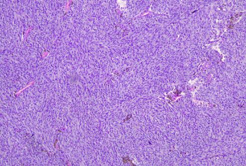
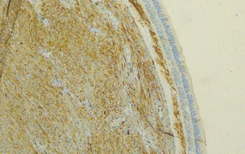
Examen microscópico: Los cortes histológicos exhiben proliferación de células neoplásicas con dos morfologías: unas de aspecto epiteloide de núcleos redondeados y nucleolos acidófilos prominentes, alternan con nidos de células fusadas. Se advierte pigmento melánico en células dispersas y abundante pigmento en áreas de necrosis tumoral. El tumor infiltra tejido adiposo y conectivo circundante. Se observa epitelio conjuntival sin alteraciones.


Mitosis: escasa a moderada cantidad. Necrosis: Presente.

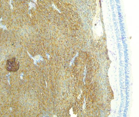
Estudio inmunohistoquímico: Se realizó con anticuerpos monoclonales en un procesador automático de tejidos Benchmark GX. En la detección se utilizó el sistema supersensitivo de Biotina-Estreptavidina, y en la visualización el cromógeno Diaminobencidina (DAB).
RESULTADOS:
Actina: Negativo. Desmina: Negativo; Ki 67:15%.



DIAGNÓSTICO
Los hallazgos inmunohistoquímicos y de hematoxilina eosina en correlación con los antecedentes de la paciente indican diagnóstico de melanoma de origen ocular primario. Por lo tanto, se solicita interconsulta con Oncología que requiere nuevos estudios complementarios y continúa atendiendo a la paciente.
• Tac Abdomino Pelviana Simple: informa hígado de forma y tamaño normal, de densidad heterogénea por múltiples formaciones nodulares compatibles con lesiones secundarias. Hipertrofia del lóbulo caudado. Resto dentro de los parámetros normales.
• Tomografía de cerebro: informa enucleación ocular derecha, resto dentro de los parámetros normales.
DIAGNÓSTICOS DIFERENCIALES
Existen otras enfermedades que se presentan de forma similar al Melanoma de coroides:
• Cuerpo coroideo: nevo coroideo, hemangioma coroideo, desprendimiento coroideo hemorrágico.
• Retina: adenocarcinoma del epitelio pigmentario de retina.
La biopsia es la única forma definitiva de confirmar un diagnóstico de melanoma de coroides.
TRATAMIENTO INDICADO
Según informa el Servicio de Oncología, a octubre 2024 la paciente se encuentra con melanoma ocular estadio IV y compromiso extenso hepático, con seguimiento estricto para evaluar su progresión y respuesta al tratamiento de quimioterapia.
Desde el servicio de oftalmología se está a la espera de la prótesis ocular por cuestiones estéticas, al servicio social.
CONCLUSIÓN
En la mayoría de los casos, el melanoma se forma en una parte del ojo que no está visible para la persona y, en su estadio más temprano, suele no presentar síntomas, lo que complica su detección. El diagnóstico temprano es fundamental para su tratamiento por lo cual es importante trabajar la prevención en los pacientes que presentan mayores posibilidades de desarrollar la enfermedad, así como recomendar a la población en general evitar la exposición solar entre las 12 y las 16 horas, y usar gafas de sol con protección UV.
Una vez diagnosticado el melanoma ocular, es fundamental conocer las características genéticas del tumor.
Y, ante una evisceración o enucleación, es imprescindible el envío a anatomía patológica que permita obtener de forma oportuna los diagnósticos.
Actualmente, los tratamientos de los melanomas coroideos son más conservadores. Los procedimientos combinados son la alternativa para aquellos casos de melanomas grandes que anteriormente requerían la enucleación. Siempre es prudente monitorear a los pacientes en forma periódica, teniendo en cuenta que el riesgo por metástasis a causa del melanoma es alto.
*Asesoró, Dr. David E. Pelayes.
APUNTES
• Evisceración ocular: cirugía que consiste en extraer el contenido del ojo, conservando la esclerótica y los músculos que permiten su movimiento.
• Cirugía de exenteración de contenido orbitario: procedimiento quirúrgico que consiste en eliminar el contenido de la cuenca del ojo, incluyendo el nervio óptico, los músculos, el sistema de glándulas lagrimales y parte del hueso de la órbita.
