9 minute read

Managementul interdisciplinar al unei dileme estetice complexe

Acest articol descrie un caz complex, cu dileme estetice cauzate de restaurări deficitare pe dinți compromiși structural, cu tratamente endodontice eșuate, mobilitate avansată și pungi parodontale profunde. În plus, un incisiv lateral fiind absent congenital, substituția canină a cauzat un aspect înclinat, accentuat de linia înaltă a zâmbetului. S-a urmat un plan de tratament interdisciplinar și coordonat între endodont, parodontolog, ortodont și protetician.

Adesea, pentru a maximiza eficacitatea stomatologiei restauratoare, este necesară o abordare interdisciplinară și coordonată mai ales în cazuri complexe ce necesită satisfacerea necesităților legate de funcție și de dorința unui aspect atractiv.

PREZENTARE DE CAZ

O pacientă în vârstă de 45 ani s-a prezentat acuzând, în principal, aspectul inestetic și dezechilibrat al segmentului frontal superior (fig. 1).

Caninul poziționat în spațiul incisivului lateral stâng maxilar absent congenital împreună cu linia înaltă a zâmbetului agravau deficitul estetic. În plus, era nemulțumită de aspectul și culoarea coroanelor existente (fig. 2). Din antecedente, s-au reținut multiple tratamente endodontice precum și o intervenție chirurgicală apicală în încercarea de menținere a frontalilor superiori (fig. 3).

Simpla refacere a coroanelor frontale maxilare, cu prognostic rezervat din cauza terapiei radiculare compromise, a pierderii osului de susținere și a mobilității dentare consecutive dar și lipsa unei viziuni pentru corectarea dezechilibrului cervical și al aspectului înclinat ocluzal au determinat clinicianul generalist să îndrume pacienta către un specialist protetician.

După examinarea și consultația inițială, acesta a solicitat acordul pacientei pentru prezentarea cazului în cadrul grupului de studiu multidisciplinar Northwest Network for Dental Excellence, ale cărui opinii pertinente ar putea contribui la o rezolvare mai predictibilă a dilemelor complexe implicate.

Fig. 1. Aspectul inițial, cu linia înaltă a zâmbetului, coroane inestetice și margini gingivale sever înclinate.
Fig. 2. Substituția canină a incisivului lateral stâng absent congenital accentua dezechilibrul zâmbetului.
Fig. 3. Se obiectivează leziuni apicale, pierderea osoasă avansată și structura dentară compromisă.

DIAGNOSTICUL INTERDISCIPLINAR ȘI PLANIFICAREA TRATAMENTULUI

Înregistrările pacientei au fost prezentate grupului de studiu interdisciplinar, în cadrul căruia fiecare specialist a abordat propriul aspect din planul de tratament, împreună cu prognosticul pentru variantele terapeutice propuse.

Endodontul a considerat că refacerea tratamentelor radiculare ar fi cel puțin problematică, deoarece terapia endodontică fusese instituită repetat, incluzând proceduri chirurgicale apicale. Accesul la canalele centralilor necesita îndepărtarea reconstituirilor corono-radiculare, și, cel mai probabil se impunea reintervenție chirurgicală apicală la nivelul tuturor incisivilor. De asemenea, proteticianul a subliniat compromisurile majore structurale și parodontale ale incisivilor, chiar dacă reintervenția endodontică ar avea succes.

Parodontologul a accentuat dificultatea reducerii adâncimii pungilor parodontale care măsurau 7-8mm și a mobilității avansate, precum și a ameliorării planului ocluzal prin intermediul intervențiilor chirurgicale osoase. Ortodontul a propus erupția forțată a 1.2., 1.1., 2.1. și 2.3. care ar rezolva mai multe probleme. În primul rând, planul ocluzal înclinat putea fi îmbunătățit semnificativ prin erupția caninului, ce ar permite, de asemenea, obținerea unui aspect mai apropiat de cel al unui incisiv lateral. Apoi, erupția incisivilor ar putea îmbunătăți nivelul osului crestal și ar facilita un plan de tratament implantar. În urma consultărilor, s-a generat un rezumat al tuturor posibilităților de tratament și o secvențiere terapeutică pentru fiecare variantă.

PLANUL DE TRATAMENT

În cadrul discuțiilor interdisciplinare, s-a dezbătut accentuat posibilitatea de salvare a incisivilor, în pofida problemelor endodontice, a adâncimilor pungilor parodontale de 7-8 mm și a mobilității. Prognosticul limitat de retratamentul endodontic, chirurgia parodontală, mobilitate și, la final, un rezultat estetic de compromis au anulat varianta menținerii acestor dinți.

Soluția optimă propusă - și acceptată ulterior de către pacientă - a constat în extrudarea incisivilor pentru a îmbunătăți nivelul osului în vederea inserării de implanturi, și a caninului pentru îmbunătățirea aspectului și a gradului sever de înclinare a marginilor gingivale anterioare. La finalizarea procedurii de extrudare ortodontică, incisivii se puteau extrage cu inserarea de implanturi fie corespunzătoare 1.2. și 2.1., fie în pozițiile celor doi centrali - caz în care se impunea restaurarea prin punte cu extensie (cantilever) pentru substituirea 1.2.

SECVENŢELE TERAPEUTICE

Tratamentul a debutat cu detartraj și planare radiculară minuțioasă, proceduri realizate de către parodontolog; s-au furnizat instrucțiuni riguroase pentru igiena orală la domiciliu, împreună cu stabilirea ședințelor trimestriale de dispensarizare. Pacienta a revenit la protetician care a îndepărtat coroanele existente și a scurtat preparațiile subiacente cu scopul de a simplifica sarcina de reducere a provizoriilor pe măsura erupției dinților (fig. 4). Restaurările provizorii au fost cimentate cu material permanent pentru a se asigura că nu se vor mobiliza sub acțiunea forțelor extruzive. La nivelul caninului poziționat în locul lateralului absent congenital s-a fabricat o restaurare provizorie în infraocluzie pentru a permite extrudarea considerabilă a acestuia (fig. 5).

S-a inițiat terapia ortodontică de erupție forțată a celor trei incisivi și a caninului, cu deplasări programate de aproximativ 0,5-1 mm pe lună pentru o conformare optimă a crestei osoase alveolare. La fiecare vizită, ortodontul a redus din lungimea restaurărilor provizorii în vederea extrudării ulterioare. Tratamentul ortodontic s-a finalizat pe parcursul a cinci luni, iar dinții au fost stabilizați cu un arc dreptunghiular (fig. 6, 7).

A urmat etapa extracțiilor și a inserării de implanturi. Topografia preliminară a implanturilor presupunea două variante: fie inserarea în pozițiile dentare 1.2. și 2.1., fie în locațiile 1.1. și 2.1. S-au practicat extracțiile incisivilor și s-au evaluat alveolele (fig. 8, 9). Una dintre preocupările premergătoare extrudării ortodontice a vizat leziunile apicale existente și influența asupra necesității de augmentare osoasă. Defectul periapical extins de la

nivelul alveolei incisivului lateral drept a dictat inserarea imediată a implanturilor în locațiile celor doi centrali, urmată de augmentarea periimplantară cu amestec de particule osoase și sulfat de calciu, și fixarea bonturilor de vindecare (fig. 10). După chiuretarea țesutului de granulație, alveola lateralului 1.2. a fost augmentată cu substitut mineral osos combinat cu sulfat de calciu și membrană resorbabilă (fig. 10). Pacienta a revenit la ortodont care a fixat un arc de sârmă temporar pentru restaurarea segmentului dentar 1.2.-2.2. (fig. 11, 12). Vindecarea a decurs fără evenimente notabile.

Fig. 4. Îndepărtarea coroanelor 1.2.-2.1. pentru a pregăti restaurările provizorii înainte de inițierea erupției ortodontice.
Fig. 5. Fixarea restaurărilor provizorii; se observă că la nivelul caninului 2.3. restaurarea era considerabil în infraocluzie pentru a permite erupția maximă.
Fig. 6. După 5 luni de terapie ortodontică, s-a finalizat erupția segmentului 1.2.-2.3. cu câte 5 mm.
Fig. 7. Pe Rx efectuată la finalul erupției ortodontice se remarcă deplasarea coronară semnificativă a osului crestal corespunzător 2.1.-2.3.
Fig. 8. Incisivii extrași în momentul chirurgiei implantare.
Fig. 9. Alveolele postextracționale 1.1. și 2.1. Se remarcă o regenerare osoasă crestală semnificativă în alveolele integre.
Fig. 10. Implanturile corespunzătoare 1.1. și 2.1. cu bonturi de vindecare de 4 mm și grefa formată dintr-un amestec de particule osoase și sulfat de calciu. Alveola 1.2. a fost augmentată cu un amestec de substitut osos mineral și de sulfat de calciu și acoperit cu o membrană resorbabilă.
Fig. 11. Imediat postoperator, ortodontul a plasat provizoriu un arc de sârmă temporar fix pentru substituția segmentului 1.2.-2.1.
Fig. 12. Vederea ocluzală a arcului fix temporar.

La cinci luni postoperator, evaluarea clinică a confirmat succesul grefării, cu conformarea unui contur labial satisfăcător la nivelul tuturor locațiilor augmentate (fig. 13), iar proteticianul a început etapa de restaurare provizorie concepută să modeleze țesuturile moi subiacente (fig. 14). Controlul efectuat după 3 luni a obiectivat grosimi și niveluri gingivale satisfăcătoare pentru fabricarea restaurării finale și, în pofida plasării adiacente a implanturilor fără platforme medializate, papilele prezentau înălțimi aproape complete (fig. 15, 16). Mai mult, papila dintre implantul din poziția 1.1. și ponticul din locația 1.2. era ideală, fenotipul gros al pacientei contribuind la acest rezultat optim.

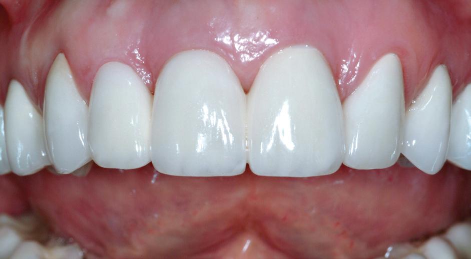
Verificarea efectuată după doi ani a demonstrat un aspect sănătos al conturului gingival (fig. 17), iar la patru ani după finalizarea cazului, era evidentă o îmbunătățire semnificativă a aspectului înclinat al marginilor gingivale (acuza principală a pacientei), notându-se stabilitatea țesutului moale și osos (fig. 18-20). Rezolvarea cu succes a acestui caz a demonstrat eficacitatea unei abordări interdisciplinare coordonate atunci când se tratează un pacient cu probleme estetice complexe.

Fig. 13. La 5 luni după operație, se evidențiază grosimea țesutului vestibular de implanturi și conservarea crestei în poziția dentară 1.2.
Fig. 14. Restaurarea provizorie cu contururi ideale pentru a facilita modelarea țesuturilor și dezvoltarea papilelor.
Fig. 15. După 3 luni de modelare a țesuturilor, utilizarea contururilor și a presiunii adecvate a permis dezvoltarea papilelor și a marginii gingivale.
Fig. 16. Erau evidente grosimea ideală și sănătatea țesutului (fig. 16).
Fig. 17. La doi ani după tratament se observă îmbunătățirea continuă a țesutului moale, cu înălțimea ideală a papilelor.
Fig. 18. Aspect la patru ani după tratament.
Fig. 19. Rx la 4 ani după tratament. Se remarcă osul crestal ideal între corpurile implantare adiacente în pofida platformelor nemedializate.
Fig. 20. Aspectul estetic al zâmbetului la 4 ani postoperator.

Despre autori:

David P. Mathews, DDS

Specialist in Periodontics, Gig Harbor, Washington

Vincent G. Kokich, DDS, MSDin memoriam

Professor, Department of Orthodontics, School of Dentistry, University of Washington, Seattle, Washington

Recunoaștere: Rodger A. Lawton, DMD, prosthodontist for his help with the restorative dentistry in this case.

Interdisciplinary Management of a Complex Esthetic Dilemma by David P. Mathews, DDS; and Vincent G. Kokich, DDS, MSD†. Originally published in Compendium of Continuing Education in Dentistry 42(1) January 2021. ©2021 AEGIS Publications, LLC. All rights reserved. Reprinted with permission of the publishers.

This article is from: