Epidemiologia de la Enfermedad

Page 1

MICROBIOLOGIA

CÓDIGO: 151006

Unidad 3 - Caso – 5 Epidemiologia de la enfermedad

Entregado por:

María Fernanda Barrera Polonia 1075246489

Isabel Sánchez Rodríguez 1010009698

Anyi Paola Jiménez Aragón 1010113049

Presentado a:

Deisy Viviana Villanueva González Tutor

Grupo: 125

UNIVERSIDAD NACIONAL ABIERTA Y A DISTANCIA - UNAD TECNICO DE REGENCIA EN FARMACIA

ESCUELA DE CIENCIAS DE LA SALUD- ECISA

NEIVA - HUILA

Afectación Renal Por Leishmania en Paciente Con Infección Por el BIH y el VHB no Conocida

1. Identificación de todos los microorganismos y su relación clínica asociada al caso del artículo. Varón de 40 años, raza negra, originario de Ghana y residente en España desde hace 16 años.

Motivo de consulta Síndrome constitucional y epistaxis leve.

Antecedentes personales: Consumo previo de cocaína, enolismo y tabaquismo.

Historia clínica: Malestar general, astenia, náuseas, vómitos, sensación febril, pérdida de peso no cuantificada, orina de coloración oscura.

Examen físico: Estado general regular, presión arterial 145/90 mm/Hg, temperatura 37,5 °C, deshidratación mucocutánea, lesiones herpéticas en labios, abdomen no doloroso, hepatomegalia no dolorosa, sin esplenomegalia, no edemas.

R= Parásito

Leishmania donovani, causante de la leishmaniasis visceral, una enfermedad parasitaria zoonótica, donde el paciente presenta los síntomas

clásicos de LV, que incluye fiebre, astenia, pérdida de peso, hepatoesplenomegalia e insuficiencia renal, transmitida por un flebótomo enfermo; que ataca los órganos internos hígado bazo, custodiada por una distención

abdominal severa causando la pérdida del estado corporal desnutrición y anemia.

La confirmación del diagnóstico se realizó mediante biopsia de médula

ósea, donde se encontraron amastigotes de Leishmania.

Imagen #1 Parasito Leishmania

R= Virus

El paciente presenta coinfección por VIH, lo que lo convierte en un huésped inmunodeprimido y más susceptible a desarrollar complicaciones graves por LV, también presenta coinfección por VHB, la hepatitis B que puede causar daño renal, lo que podría contribuir a la insuficiencia renal del paciente.

Imagen#2 VIH Imagen #3. Virus de la hepatitis B-

R= Relación clínica asociada al caso

La leishmaniasis visceral es la principal causa del cuadro clínico del paciente, donde la coinfección por VIH ha agravado la enfermedad, lo que ha llevado a una progresión más rápida y a complicaciones más graves, como la insuficiencia renal, de igual manera la hepatitis B también puede haber contribuido al daño renal del paciente.

2. De los microorganismos identificados, registre a traída epidemiológica de los que considere son los más relevantes en el caso clínico en estudio.

Imagen #4. Triada Epidemiológica Imagen #5 Imagen #6

3. Del caso clínico mencione los estudios realizados al paciente para el diagnostico

Analítica

Hemoglobina, 9,4 g/dl; volumen corpuscular medio, 76; reticulocitos, 2,40%. Frotis, algún esquistocito aislado; plaquetas, 81.000; leucocitos, 2.250; :neutrófilos absolutos, 1,06; tiempo de protrombina, 74%; cociente internacional normalizado, 1,6; glucosa, 85 mg/di; creatinina, 1,90 mg/di; filtrado glomerular, 43 ml/min; sodio, 125 mEq/l; potasio, 3,80 mEq/l; cloro, 89 mEq/l; lipasa, 384 U/I, aspartatotransaminasa, 190; alanina-transaminasa, 103; g-glutamil-Transferasa, 487; fosfatasa ácida, 161;bilirrubina total, 1,10 mg/di; bilirrubina directa, 0,70 mg/di; proteínas totales, 10,14 mg/di; lactato-deshidrogenasa, 363 U/l; ácido láctico, 28,1; gasometría venosa: pH, 7,419; pCO, 40,8; bicarbonato, 25,7;ferritina, 2.563 ng/ml; triglicéridos, 193 mg/dl. Orina: micro hematuria y proteinuria, 0,7 g/l.

Radiografía de tórax

Imagen #7

• La radiografía de tórax revela cambios en los ganglios linfáticos.

Prueba rápida de malaria

• No se encontraron signos de malaria en la prueba rápida.

4. Del caso clínico mencione los tratamientos realizados al paciente y explique los que considere que son relevantes en el estudio.

En el caso clínico unas de las principales características del paciente realizan biopsia renal, que muestra un patrón de glomerulonefritis membranoproliferativa tipo 1 secundaria a leishmaniasis; la biopsia de médula ósea confirma la presencia de Leishmania con patrón de hemofagocitosis secundario. El paciente presenta evolución tórpida, es decir, con dificultad, con persistencia de febrícula, escalofríos y malestar general. Se aísla en el hemocultivo Staphylococcus aureus sensible a meticilina, tratado de forma dirigida con daptomicina. La función renal empeora progresivamente, con sedimento urinario activo.

Debido a su antecedente de VIH (+) y VHB (+), motivo por el cual se inicia tratamiento con antirretrovirales, el paciente responde positivamente en su estado de salud, el segundo objetivo es el tratamiento contra la leishmaniosis conanfotericina b liposomal, al inicio del tratamiento la función renal mejora hasta 1,2 mg [dl de creatinina.

La afectación renal producida por el agente causal y el tratamiento del medicamento provoca nefrotoxicidad a la semana, lo que obliga a la disminución de la dosis.

Paciente responde al tratamiento médico instaurado satisfactoriamente, se da de alta por mejoría clínica con recomendaciones para el hogar, con tratamiento ambulatorio con:

Anfotericina b liposomal por una semana, con tratamiento antihipertensivo orales con 2 fármacos que incluye antagonista de los receptores de la angiotensina II y terapia antirretroviral.

Por deterioro de la función renal se suspende al mes tratamiento con Anfotericina b liposomal y continua con MILTEFOSINA, con una función renal estabilizada y filtrado glomerular adecuado.

Analítica

hemoglobina, 9,4 g/dl; volumen corpuscular medio, 76; reticulocitos, 2,40%.

Frotis, algún esquistocito aislado; plaquetas, 81.000; leucocitos, 2.250; neutrófilos absolutos, 1,06; tiempo de protrombina, 74%; cociente internacional normalizado, 1,6; glucosa, 85 mg/dl; creatinina, 1,90 mg/dl; filtrado glomerular, 43 ml/min; sodio, q/l; potasio, 3,80 mEq/l; cloro, 89 mEq/l; lipasa, 384 U/l, aspartato-transaminasa, 190; alanina-transaminasa, 103; gglutamil-transferasa, 487; fosfatasa ácida, 161; bilirrubina total, 1,10 mg/dl; bilirrubina directa, 0,70 mg/dl; proteínas totales, 10,14 mg/dl; lactato-deshidrogenasa, 363 U/l; ácido láctico, 28,1; gasometría venosa: pH, 7,419; pC02 40,8; bicarbonato, 25,7; ferritina, 2.563 ng/ml; triglicéridos, 193 mg/dl. Orina: microhematuria y proteinuria, 0,7 g/l.

Tabla 1. Estudio analítico

Inmunoglobulinas (Ig) Subpoblaciones linfocitarias

Proteinograma Aumento policlonal VIH

Positivo de fracción gamma

PCR CMV 255 (copas/ml)

Ecografía abdominal

Riñones de tamaño agrandado (14 cm) y ecoestructura normal. No presenta ectasia pielocalicial. Hay esplenomegalia de 18 cm, con probables hemangiomas esplénicos y hepático.

Tomografía por emisión de positrones-tomografía computarizada: moderada captación difusa en ambas glándulas parótidas sugerente de proceso inflamatorio, infeccioso, autoinmune, etc. Presenta adenopatías laterocervical derecha y mediastínicas hipermetabólicas, baja captación difusa en ambos parénquimas pulmonares y esplenomegalia con incremento metabólico difuso, todo ello sugerente de proceso reactivo/inflamatorio. Hay disminución de la captación renal bilateral compatible con insuficiencia renal. No hay otros hallazgos indicativos de lesiones neoplásicas.

Ecocardiograma

Hipertrofia concéntrica grave del ventrículo izquierdo con fracción de eyección del ventrículo izquierdo conservada

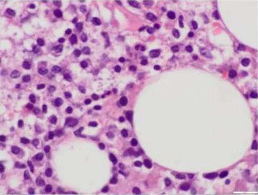
Imagen 8 Médula ósea. Tinción de hematoxilina-eosina (40x). Amastigotes en el citoplasma de histiocitos. Abundantes células plasmáticas.

5. Complemente el desarrollo del caso con datos epidemiológicos a nivel nacional con los microorganismos del caso que considere más relevantes.

Leishmaniasis visceral (LV) es una enfermedad parasitaria, crónica, sistémica, puede estar asociada a la desnutrición y a otras condiciones de inmune supresión como VIH-SIDA. Si no se instaura un tratamiento adecuado en forma oportuna, puede evolucionar hacia la muerte en más del 90% de los casos.

Las manifestaciones clásicas de la LV son: fiebre que puede ser constante o irregular, pérdida de peso, esplenomegalia que se manifiesta en la gran mayoría de los pacientes, hepatomegalia que puede o no estar presente, palidez causada por anemia grave, leucopenia, trombocitopenia y pérdida de peso que ocurre de forma lenta y progresiva. Otros signos y síntomas secundarios incluyen trastornos respiratorios o gastrointestinales, como vómitos y diarrea, En los casos graves hay desnutrición y edema de miembros inferiores, que puede progresar a anasarca. Otros signos importantes son hemorragias (gingival, epistaxis), petequias, ictericia y ascitis. En estos pacientes, la muerte es determinada generalmente por infección bacteriana o sangrado. (Sanchez, J. D. (2012, February 7). OPS/OMS. Pan American Health Organization / World Health Organization.)

En Colombia, la leishmaniasis visceral es endémica principalmente en el Valle del Río Magdalena y sus afluentes; existen focos que corresponden con la distribución de Lutzomyia longipalpis en Tolima, Huila, Cundinamarca, Bolívar, Córdoba, Sucre, Santander y Norte de Santander. Durante los últimos cinco años (20013-2018), se han notificado 183 casos confirmados procedentes de los departamentos de Bolívar, Córdoba, Cundinamarca, Huila, Norte de Santander, Tolima, Santander y Sucre; con distribución en 25 municipios del territorio nacional. El 58 % de estos casos se concentran en los municipios de Ovejas, El Carmen de Bolívar, Neiva, San Andrés de Sotavento y Tuchín. ((N.d.). Gov.Co. Retrieved November 20, 2022).

Imagen #9 Imagen #10

En Colombia, al 31 de enero de 2022, había registradas 141.787 personas viviendo con VIH, de las cuales 12.919 son casos nuevos, siendo la vía sexual la principal forma de transmisión. De esta cifra, el 63% de los casos corresponde a personas con edades entre los 25 y 29 años.

En este contexto, urgen medidas para alcanzar los objetivos 95-95-95 propuestos, acciones que consisten en dar respuesta al VIH para 2030; es decir, lograr que el 95% de las personas que viven con VIH conozcan su estado serológico, que de ellas, el 95% ingresen a tratamiento antirretroviral, y que el 95% logren supresión viral, alcanzando un estado de indetectabilidad (indetectable = intransmisible).

Tabla. 2

DISTRIBUCIÓN POR NACIONALIDAD DE

PERSONAS TAMUJAS, AHF COLOMBIA, ABRIL 2022

60,00

40,00

20,00

Otros países Colombianos Venezolanos

A la fecha, AHF Colombia ha diagnosticado de infección por el VIH a 5.726 personas. De los anteriormente mencionados el 25, (1.440) es de nacionalidad colombiana, el 74,3% (4.257) es de nacionalidad venezolana y el 0,5% (98) de otras nacionalidades, muchos de estos últimos, procedentes de Venezuela; la positividad entre los hombres venezolanos es del 21% y entre las mujeres venezolanas es del 4,2%, las personas positivas colombianas o con derechos en el sistema de salud han sido canalizadas al Sistema General de Salud Colombiano.

Solo durante el mes de marzo y abril, de las personas tamizadas para VIH se encontraron 331 personas con diagnóstico de VIH de los cuales el 16% son diagnóstico de Novo.

Grafico.
1

Positividad pacientes colombianos tamizados, AHF

Colombia , abril 2022

• POSITIVE. NEGATIVE

15,0 10,0 5,0

POSITIVIDAD ACUMULADA POR CIUDAD, AHF

COLOMBIA ABRIL 2022 10,6

Cúcuta Bogotá RiohachaBucaramanga Casanare Valledupar

Cúcuta Bogotá Riohacha Bucaramanga Casanare Valledupar

Grafico. 2
8,8

Durante los meses de marzo y abril de 2022, la positividad fue del en la ciudad de Bogotá, Cúcuta de 14,8%, Bucaramanga de 4,5%, en Riohacha del 4,1% Valledupar del 1,7%.

Hepatitis B

Se han tamizado para hepatitis B un total de 7.510 personas, 9 % colombianos y el 91% venezolanos.

El 0 9% de los venezolanos ha resultado con tamizaje positivo para VHB mientras que los colombianos se han encontrado el 2,2% de positividad. Adicionalmente de las PVVS que se quedan a atenderse con AHF Colombia, el 2% (n=47) ha resultado coinfectado con hepatitis B.

Grafico. 3

•negativa positiva

TAMIZAJE PARA VHB EN pws, AHF COLOMBIA ABRIL 2022

En Colombia se ha identificado la forma visceral en 47 municipios de IO departamentos (La Guajira, Cesar, Bolívar, Sucre, Córdoba, Norte de Santander, Santander, Cundinamarca, Tolima y Huila) y en el área sub-urbana del distrito de Cartagena. Con corte a semana epidemiológica 24, se han confirmado 4 casos de leishmaniasis visceral por medio de inmunofluorescencia indirecta (IFI) que presentaron la triada diagnóstica (fiebre, hepatoesplenomegalia y pancitopenia) y recibieron tratamiento, en ninguno se reportó coinfección con VIH y se reportó un fallecimiento que actualmente se encuentra en seguimiento. Los casos proceden de los departamentos de Sucre (3 en los municipios de Ovejas, Sincelejo y Sampués) y Tolima (municipio de Ortega).

Referencias

Vásquez, S.T. et al. (2020). Afectación renal por Leishmania en paciente con infección por el VIH y el VHB no conocida. NefroPlus.12 (02). 90-94. https://www.revistanefrologia.com/es-afectacion-renal-por-leishmania-pacientearticulo-

X1888970020006660#:~:text=La%20mayor%C3%ADa%20de%20los%20paciente s,aguda%2C%20glomerulonefritis%20o%20nefropat%C3%ADa%20cr%C3%B3nic a

Plan Estratégico Leishmaniasis 2018 2022 Dirección de Promoción y Prevención Subdirección Enfermedades Transmisibles Fernando A. Mendigaña

Páez https://www.minsalud.gov.co/sites/rid/Lists/BibliotecaDigital/RIDE/VS/PP/ET/ plan-estrategico-leishmaniasis-2018-2022

Política Y Gerencia Estratégica Observatorio De Salud De Bogotá Sistema De Gestión Control Documenta Elaborado por: Nancy Chacón Héctor I. Lara / Revisado por: Natalia Rodríguez /Aprobado por: Alejandro Gómez 2008-2022 Junio

https://saludata.saludcapital.gov.co/osb/index.php/datos-de-salud/enfermedades-

I %20de

Turn static files into dynamic content formats.

Create a flipbook
Issuu converts static files into: digital portfolios, online yearbooks, online catalogs, digital photo albums and more. Sign up and create your flipbook.
Epidemiologia de la Enfermedad by msaria - Issuu