
PARA RUMIANTES ENFERMOS
PARTE I p. 30

de Congresos y Exposiciones de León (CONELE)
![]()

PARA RUMIANTES ENFERMOS
PARTE I p. 30

de Congresos y Exposiciones de León (CONELE)
La ganadería y, en particular, la producción lechera requieren de formación continuada, ya que se ha demostrado que no todo vale. Producir de manera eficiente es imprescindible para que la actividad sea rentable y sostenible para los productores, sus trabajadores y el medio ambiente.
En este sector, los márgenes empresariales son cada vez más estrechos, por lo que la eficiencia productiva se convierte en una condición indispensable.
En este contexto, la formación debe ser uno de los pilares del manejo en las granjas lecheras, aunque todavía queda camino por recorrer.
Los ganaderos necesitan conocer en profundidad todas las tareas que se realizan a diario en la granja para asegurar el buen funcionamiento del sistema productivo y la rentabilidad del negocio.
La aplicación práctica de ese conocimiento técnico es lo que marca la diferencia entre unas granjas y otras. No se trata únicamente de disponer de información, sino de saber integrarla en el manejo diario y en la toma de decisiones.
Este conocimiento no solo es necesario para el responsable de la granja, sino también para los trabajadores. Todos deben comprender por qué y cómo se realizan las distintas tares. Ser conscientes de la importancia de cada acción y del impacto que tiene su trabajo en el conjunto del sistema productivo es fundamental para mejorar los resultados.
La formación en una granja lechera abarca múltiples ámbitos.
Uno de ellos es la sanidad animal, que incluye comprender la importancia de la bioseguridad y conocer las principales enfermedades que pueden afectar al ganado.
Es necesario contar con formación en bienestar animal, que engloba aspectos como el comportamiento de las vacas, el diseño de las instalaciones, la limpieza o el manejo de las camas.
Otro aspecto clave es la salud de la ubre y todos los factores que influyen en ella, como la rutina de ordeño, el correcto funcionamiento del equipo de ordeño, el manejo del periodo seco o el tratamiento de las mastitis. Conocer estos elementos permite actuar frente a las infecciones intramamarias tanto desde un punto de vista preventivo como curativo.
La alimentación y la nutrición constituyen igualmente un pilar esencial, ya que de ellas depende que las vacas puedan alcanzar su potencial productivo.
A esto se suma la reproducción, otro factor determinante en la producción lechera, que exige conocimientos específicos para mejorar la fertilidad y lograr que las vacas se queden preñadas en el momento adecuado.
Quienes trabajan en una granja deben tener presente que no solo es importante el producto final obtenido, sino también todo el proceso necesario para conseguirlo.
En este sentido, también resulta imprescindible cumplir con la documentación y los requisitos establecidos a nivel legislativo.
En todo este proceso, el papel de los veterinarios es clave, ya que su asesoramiento permite canalizar y aplicar muchos de estos conocimientos en la práctica diaria.
Actualmente, existe una formación obligatoria para las personas que trabajan con ganado bovino de leche y de carne, así como con otras especies, que deben realizar un curso de al menos 20 horas.
El Real Decreto 1053/2022 establece el contenido mínimo de estos cursos y también contempla la realización de cursos de reciclaje de al menos 10 horas cada cinco años para actualizar los conocimientos técnicos.
En definitiva, la formación marca la diferencia entre producir de forma eficiente o no, y condiciona directamente la rentabilidad y el futuro de las granjas lecheras.
EDITOR
GRUPO DE COMUNICACIÓN AGRINEWS S.L.
PUBLICIDAD
Laura Muñoz
+34 629 42 25 52 laura@mediatarsis.com
Félix Muñoz +34 618 18 00 16 felix@mediatarsis.com
Luis Carrasco +34 605 09 05 13 lc@agrinews.es
DIRECCIÓN TÉCNICA
Christian de la Fe Rodríguez
Luis Miguel Jiménez Galán
REDACCIÓN
Daniela Morales
COLABORADORES
Gema Chacón
Fernando Bacha Braulio de la Calle Campos
María Fernández
ADMINISTRACIÓN
Mercè Soler
Tel: +34 93 115 44 15 info@grupoagrinews.com www.rumiantes.com
Precio de suscripción anual: España 36 € Internacional 125 €
DIRIGIDA A VETERINARIOS DE RUMIANTES
Depósito legal rumiNews B-8798-2019
ISSN (Revista impresa): 2696-8185
ISSN (Revista digital): 2696-8193
Revista trimestral
La dirección de la revista no se hace responsable de las opiniones de los autores. Todos los derechos reservados. Imágenes: Noun Project / Freepik/Dreamstime/BioRender
4





Las enfermedades emergentes y su control, un reto futuro que ya es presente
Christian de la Fe, Xochitl Hernández, Joaquín
Amores, Antonio Sánchez y Juan Carlos Corrales
Grupo de Investigación Sanidad de Rumiantes, Departamento de Sanidad Animal, Facultad de Veterinaria, Universidad de Murcia
Tomografía computarizada en estación en rumiantes: una técnica viable con utilidad clínica
Kari L. Means, Samantha
Loeber y Sabrina H. Brounts
Departamento de Ciencias Quirúrgicas, Facultad de Veterinaria, Universidad de Wisconsin–Madison, EE. UU.
Control y gestión del bienestar animal en vacuno y ovino mediante el uso de la termografía


Juan Andrés de Luis Sobejano1 y Olena Semenko2
1Técnico de Coova 2Técnico de Upna
Fundamentos de nutrición terapéutica para rumiantes enfermos – Parte I
Saulo Teixeira Rodrigues de Almeida1, Mariana Caetano2, Roy Neville Kirkwood3 y Kiro Risto Petrovski2
1Facultad de Ciencias Agrarias y Veterinarias, Universidad Estatal Paulista Júlio de Mesquita Filho (FCAV, UNESP), Brasil
2Davies Livestock Research Centre, Universidad de Adelaida, Australia
3Facultad de Ciencias Animales y Veterinarias, Universidad de Adelaida, Australi
Glucosa protegida: una herramienta nutricional en la fase de transición
Montse Paniagua y Altaïr Jin Galindo
Departamento Técnico de Quimidroga SA
MASTERFLY® BAIT: control eficaz de moscas hasta 8 meses 54
Servicio Técnico de Quimunsa
Calidad del gránulo en piensos para vacas: factores que marcan la diferencia

Braulio de la Calle Campos
DT Rumiantes Coren Agroindustrial SAU y responsable Departamento Vacuno de Carne en Coren Sociedad Cooperativa








Bioseguridad hídrica en ganado lechero
David García Páez
Farmacéutico y Director Técnico en OneSilex, Expertos en Bioseguridad Aplicada
Hacia una visión equilibrada de la ganadería: promoción de los beneficios de los sistemas de pastizales para la producción cárnica
Jean-Louis Peyraud1 y Jean-François Hocquette2,3
1INRAE, Institut Agro, UMR PEGASE, Francia
2INRAE, Universidad Clermont Auvergne, VetAgro Sup, UMR Herbivores, Francia 3Asociación Francesa de Zootecnia, AgroParisTech, Francia
Producción de metano en rumiantes: ciencia, medición y retos productivos
Cecilia Cajarville y José Luis Repetto
Sintesisnutrición S.L. Consulting, Badalona, Barcelona, España.
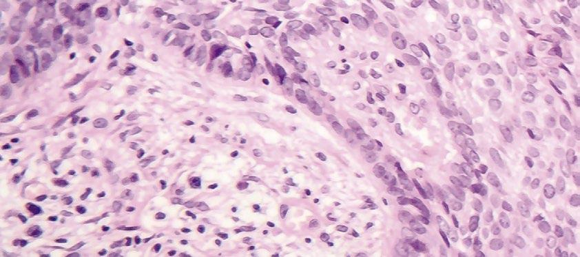
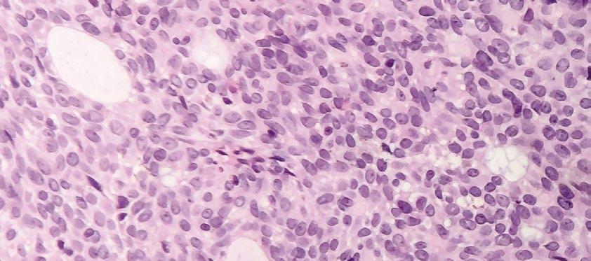
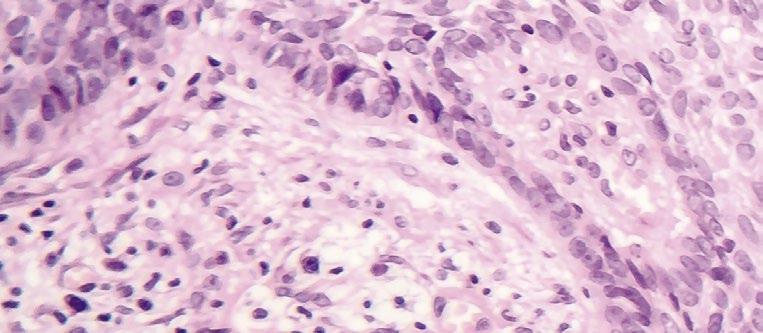
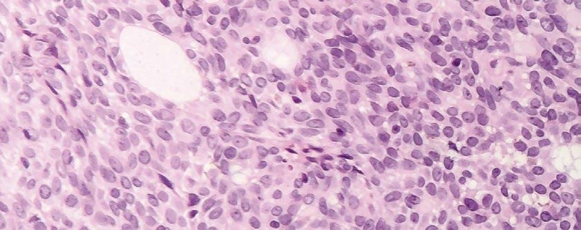
Carcinoma de células escamosas en ovino raza rasa aragonesa: paradigma predisposición-fenotipo
Lucía Asenjo, Jorge Bou, Roberto Vitaller, David Guallar, Pablo Quílez, Javier Marco, Marta Ruiz de Arcaute y Héctor Ruiz
Servicio Clínico de Rumiantes de la Universidad de Zaragoza

Es momento de atraer y retener talento
Laura Pérez Sala
Veterinaria especialista en producción animal y gestión de equipos



Christian de la Fe, Xochitl Hernández, Joaquín Amores, Antonio Sánchez y Juan Carlos Corrales
Grupo de Investigación Sanidad de Rumiantes, Departamento de Sanidad Animal, Facultad de Veterinaria, Universidad de Murcia.

Vivimos un periodo histórico en el que las enfermedades emergentes parecen ser una constante en nuestras vidas.
Diversos agentes infecciosos, principalmente víricos, se van presentando uno tras otro en nuestro territorio y granjas. Esto ocurre ante la perplejidad de instituciones, técnicos y demás integrantes del sector ganadero, que tratan de aplicar a marchas forzadas medidas de control para limitar su propagación e incluso plantean su erradicación cuando esta posibilidad es real.

Peste porcina africana, gripe aviar, enfermedad de Newcastle, dermatosis nodular contagiosa o el serotipo 3 de la lengua azul son solo algunos de los ejemplos que debemos tener en consideración en base a lo sucedido recientemente.
Cada una con sus particularidades, son infecciones que irrumpen en nuestras vidas generando un impacto sanitario y económico de consecuencias impredecibles.
Lógicamente, siempre se presta mayor atención a aquellas enfermedades que pueden afectar al ser humano, pero afortunadamente, la mayor parte de las mencionadas no son zoonosis.
Entre los factores de riesgo de España a la hora de sufrir episodios de estas enfermedades emergentes, hemos de tener en cuenta aspectos geográficos, como la cercanía al continente africano o su papel como zona de paso de aves migratorias, en el caso de las enfermedades aviares.
Evidentemente, en ambos casos, son difícilmente controlables y poco se puede hacer.
Algo similar sucede con la presencia de vectores como Aedes spp. o Culex spp. que, una vez en nuestro territorio, son imposibles de erradicar. Frente a ellos, solo se pueden aplicar, en la medida de lo posible, estrategias de control que limiten el riesgo de exposición.
Una vez que aparecen estas infecciones, las vías de transmisión, el movimiento de animales y otros factores de riesgo serán determinantes en el grado de afectación de los individuos y poblaciones.
Ahí sí se puede actuar:
Desarrollando sistemas de vigilancia y control que limiten la difusión de la infección mediante un diagnóstico temprano.
Aplicando medidas de contención con la mayor rapidez posible, especialmente cuando se dispone de vacunas eficaces.
La rapidez cuenta mucho ante cualquiera de estas infecciones.
Debemos considerar muy positivos los esfuerzos y el trabajo realizados para la contención de la dermatosis nodular contagiosa en Cataluña o el despliegue llevado a cabo para el control de los episodios de peste porcina africana en la fauna silvestre, también en esta comunidad.
Un objetivo prioritario es tratar de que las patologías no se extiendan mucho más allá de donde se localizaron los primeros casos. Cuando eso se logra, es una noticia muy alentadora de cara al trabajo frente a estas infecciones y otras que ya han llegado o llegarán.

En el ámbito específico del ganado bovino, son varias las infecciones que mantienen en vilo al sector, comenzando por la inesperada dermatosis nodular contagiosa.
Tras su paso por Italia y Francia, se encuentra bajo control en España, aunque debemos recordar que ahora mismo nos encontramos en un periodo de inactividad vectorial.
Esto ha sido posible gracias al empleo de la vacunación como medida preventiva en los colectivos cercanos a los focos y, sobre todo, al esfuerzo de muchos profesionales que han actuado con rapidez y diligencia.
La situación en Francia, que dista mucho de la conseguida en España, mantiene a todo el sector en vilo. No solo no se ha podido erradicar el agente, sino que, desafortunadamente, se ha extendido a otras zonas del país en los meses finales de 2025 y comienzos de 2026.
Su cercanía a los Pirineos y la enorme concentración de animales que se da en algunas zonas de Cataluña o Aragón nos hace ser muy precavidos en relación con la evolución de esta situación epidemiológica, máxime cuando en los próximos meses es presumible la reactivación de la actividad de los vectores transmisores.
A ello se une la reanudación del tránsito de terneros procedentes de Francia para su engorde en diversas zonas de España.
A pesar de que no proceden de las zonas afectadas y sus áreas de restricción, su cercanía y el aparente descontrol de la infección nos obligan a ser precavidos respecto a lo que puede suceder en la primera mitad del año.
Esperemos que la situación se pueda controlar definitivamente y que podamos ir avanzando poco a poco hacia el estatus de oficialmente libres de la infección.
Respecto a otras infecciones, no debemos dejar de observar lo que sucede en el continente africano, donde enfermedades como la temida fiebre aftosa campan a sus anchas.
Es evidente que la llegada de esta infección supondría un antes y un después por sus enormes implicaciones sanitarias, económicas y comerciales.



El último brote masivo, acontecido en el Reino Unido a principios de siglo, da fe de ello, con millones de animales sacrificados, todo ello orientado a recuperar el estatus de libre de la infección lo antes posible.
Esperemos que la situación pueda seguir manteniéndose bajo control, aunque con estas infecciones nunca se debe perder de vista todo lo que sucede.
Pequeños rumiantes:
peste y viruela siguen atrayendo nuestra atención, con permiso de la lengua azul
El impacto de la lengua azul en España ha sido muy fuerte en el segundo semestre de 2025, con la expansión del serotipo 3 llegado del Norte de Europa por muchas ganaderías de diferentes especies.
No solo afectando al ganado ovino, sino también al vacuno y, sorprendentemente, al ganado caprino en gran medida.
En los meses de julio o agosto, diversas explotaciones de caprino han sufrido episodios muy graves de mortalidad en los cabritos, superando en ocasiones tasas de mortalidad superiores al 70 % de la paridera, registrándose con frecuencia abortos y otros problemas reproductivos.
Solo la vacunación parece paliar el efecto de esta infección, por lo que esperemos que, durante este parón de actividad de los vectores, hayamos aprovechado el tiempo para inmunizar a nuestras ganaderías, comenzando por las explotaciones ovinas.
El tiempo y los próximos meses nos indicarán si hemos tenido éxito en la prevención.
Otra infección que sigue manteniéndonos en vilo es la peste de los pequeños rumiantes.
Incluida también en la lista A de la UE, esta infección continúa deambulando por diversas zonas de Europa, siendo Grecia uno de sus puntos calientes.
Afortunadamente, nunca se ha presentado en España y la ausencia de vectores asociados a su transmisión nos permite ser optimistas respecto a su posible erradicación en el continente europeo.
La infección requiere del contacto directo con las secreciones de animales infectados, por lo que la limitación del contacto entre rebaños afectados y libres es fundamental.


Finalmente, no podemos olvidarnos de una infección que ya nos visitó en el año 2022 y que, afortunadamente, pudimos erradicar: la viruela ovina.
Se trata de una infección que afecta a los pequeños rumiantes, pero principalmente a la especie ovina, y que, sin esperarla, se presentó en Andalucía, concretamente en la provincia de Granada, en septiembre de 2022.
Afortunadamente, el episodio pudo resolverse tras un año de incertidumbre. Todo ello, después del sacrificio completo de algunos rebaños en Andalucía y en CastillaLa Mancha, las dos comunidades autónomas que se vieron afectadas.
Las enfermedades emergentes y su control, un reto futuro que ya es presente DESCÁRGALO EN PDF
La llegada de estas infecciones que afectan a los rumiantes y otras que afectan a otras especies se debe considerar como un serio aviso de lo que puede pasar con otras infecciones igual o más peligrosas.
En tan solo 4-5 años, diversas enfermedades infecciosas han sido “protagonistas” en nuestro día a día.
No hace falta hoy hablar de otras posibles amenazas como la fiebre del valle del Rift, la enfermedad de Akabane, la pleuroneumonía contagiosa caprina y otras muchas que podrían afectar a nuestra cabaña de rumiantes y que, afortunadamente, no tenemos.
Debemos ser conscientes de la situación, del riesgo que existe y de la necesidad de estar siempre vigilantes ante cualquier práctica de riesgo o sospecha de que alguno de estos agentes pueda presentarse en nuestro territorio.
Nuestros profesionales, ganaderos y técnicos constituyen la primera línea de control, y deben estar alerta ante la presencia de cualquier signo clínico o situación anómala no registrada antes en sus ganaderías. La rapidez es fundamental a la hora de establecer medidas de control eficaces.







Kari L. Means, Samantha Loeber y Sabrina H. Brounts
Departamento de Ciencias Quirúrgicas, Facultad de Veterinaria, Universidad de Wisconsin–Madison, EE. UU.

Las técnicas de diagnóstico por imagen avanzada, como la gammagrafía, la resonancia magnética (RM) y la tomografía computarizada (TC), se utilizan de forma habitual en la práctica equina, con un acceso cada vez mayor gracias al desarrollo de la TC y la RM en estación.
En los animales de producción, las modalidades de diagnóstico por imagen suelen limitarse a la radiografía y ecografía, ya que la mayoría de los casos se atienden en el campo.
La TC y la RM se realizan en contadas ocasiones, y la gammagrafía no está disponible en animales de producción, dado que los radiofármacos no están aprobados para su uso en animales destinados a la alimentación humana.
Las limitaciones económicas, el tamaño y el peso de los animales, la necesidad de anestesia general y el requerimiento de equipamiento especializado pueden restringir el uso de técnicas de imagen avanzada en estas especies.
El uso de la TC en animales de producción se ha descrito principalmente en informes y casos centrados en afecciones de los sistemas digestivo, respiratorio, reproductor o urinario, en los que la exploración se realizó con los animales en decúbito y bajo anestesia general.
La TC en estación ha transformado la práctica clínica equina y ha demostrado ser útil en casos clínicos.
Se realiza bajo sedación en estación.
Evita las complicaciones asociadas a la anestesia general y reduce el coste al eliminar los gastos anestésicos.

Se pueden explorar las extremidades distales, los carpos, los tarsos y la región de la cabeza y el cuello.
Permite explorar al animal en una posición natural de carga de peso, lo que se traduce en menos estrés para el animal.
El uso clínico de sistemas de TC en estación en animales de producción, incluidos los rumiantes, no ha sido descrito previamente en la literatura.
Por ello, el objetivo de estudio retrospectivo fue ilustrar la viabilidad y utilidad clínica de la TC en estación en rumiantes.
El estudio incluyó rumiantes atendidos en el Morrie Waud
Large Animal Hospital de la Universidad de Wisconsin–Madison entre enero de 2019 y agosto de 2025 que fueron sometidos a una TC en estación. Se recopiló:
Información básica sobre los animales
El motivo de consulta
La región anatómica explorada
El diagnóstico obtenido
El tipo de sedación utilizada
La aparición de posibles complicaciones durante la prueba
Se incluyeron en el estudio nueve rumiantes sometidos a TC en estación, de los cuales siete eran bovinos y dos pequeños rumiantes (un ovino y un caprino).
En el grupo de bovinos predominaron animales jóvenes, principalmente de raza frisona, con pesos variables.
Los pequeños rumiantes correspondieron a un ovino Hampshire y un caprino de raza no determinada, ambos adultos.
Los principales motivos de consulta fueron:
Inclinación cefálica
Masa submandibular
Sacudidas de la cabeza
Cojeras
La TC en estación se realizó utilizando un sistema específico para grandes animales, diseñado originalmente para su uso en caballos, que permite explorar al animal sin necesidad de anestesia general mediante un pórtico móvil y robotizado.
El sistema permite la exploración de distintas regiones anatómicas ajustando la posición e inclinación del pórtico en función del área de interés.
Posicionamiento del animal

La longitud del escaneo se determina individualmente en cada animal según la región anatómica a explorar, utilizando un sistema de posicionamiento con láser.
Este equipo no permite realizar imágenes de planificación previas, por lo que se explora toda la región anatómica incluida dentro del campo de visión seleccionado.
Para los estudios de cabeza y cuello, los animales se colocan en un potro de contención, con la cabeza apoyada y el pórtico orientado en posición horizontal.
En el caso de la TC de extremidades, los animales se posicionan sobre una plataforma integrada en el suelo, con el pórtico dispuesto en posición vertical.
En animales de menor tamaño, se utilizan alzas para optimizar la región explorada.
Los animales fueron sedados por vía intravenosa con xilacina (0,05-0,1 mg/kg, IV), se adoptaron medidas adicionales para minimizar estímulos externos durante el procedimiento y, finalizada la exploración, los animales regresaron a su alojamiento para la recuperación.
Las imágenes obtenidas fueron evaluadas inmediatamente por personal especializado para confirmar su calidad diagnóstica y, en caso necesario, se repitió el escaneo.

Imagen 1. Fotografías de la configuración de la TC en estación y del posicionamiento del paciente para la obtención de imágenes de la cabeza y el cuello en un bóvido (A), y de las extremidades torácicas distales en un paciente bóvido (B) y caprino (C). En el modo de exploración de la cabeza (A), el pórtico de la TC se sitúa en un plano horizontal para el escaneo. El animal sedado se coloca en un potro de contención, con la cabeza apoyada sobre un soporte cefálico. El pórtico se desplaza en dirección caudal y el escaneo se realiza en sentido caudal a rostral. En el modo de exploración de extremidades distales (B y C), el pórtico de la TC se sitúa en un plano vertical para el escaneo. El paciente sedado se posiciona sobre la plataforma del orificio del sistema durante la exploración. El pórtico se eleva desde el suelo hasta el nivel deseado y el escaneo se realiza en sentido proximal a distal. El personal esencial permanece en la sala de TC en estación para operar el equipo y posicionar al paciente durante toda la exploración, con el fin de garantizar la obtención de imágenes de calidad diagnóstica y la seguridad del animal. Cabe destacar que, debido al pequeño tamaño del paciente caprino (C), se utilizan bloques para ayudar a aumentar la longitud del escaneo en sentido proximal a lo largo de la extremidad y se requiere una persona adicional para asegurar que las extremidades pélvicas se mantengan en posición caudal al pórtico a medida que este se eleva desde el suelo.
En algunos casos, y según el criterio del clínico, se realizaron radiografías digitales de la región anatómica de interés como primera aproximación diagnóstica antes de recurrir a la TC.
Para la evaluación de las extremidades se obtuvieron varias proyecciones estándar.
En el caso del cráneo se realizaron proyecciones dorsoventral y lateromedial.
Cuando se sospechó la implicación de tejidos blandos, se llevó a cabo una exploración ecográfica complementaria de la región afectada.
Se realizaron un total de nueve exploraciones de TC en estación, seis en la cabeza y 3 en las extremidades distales.
En los casos bovinos, la TC se utilizó principalmente para el estudio de la cabeza.

En los pequeños rumiantes se aplicó la TC exclusivamente a las extremidades distales.
El tiempo total del procedimiento varió en función de la región anatómica explorada, con una duración aproximada de 20-40 minutos por animal, mientras que el tiempo de adquisición de las imágenes fue de apenas unos segundos.
20-40 min
En todos los casos se obtuvieron imágenes de calidad diagnóstica.
La mayoría de los animales requirió una única exploración y solo en dos casos fue necesario repetir el escaneo por artefactos de movimiento o por una cobertura anatómica insuficiente.
No se registraron complicaciones durante la realización de la TC en estación y todos los animales toleraron adecuadamente la sedación y el procedimiento.
En los seis casos en los que se realizó TC de la cabeza, el hallazgo principal fue la otitis media, detectada en cuatro animales, todos ellos terneros (Imagen 2).
Otros hallazgos incluyeron la presencia de un absceso en un ganglio linfático mandibular y una estenosis del foramen retroarticular izquierdo, considerada un hallazgo incidental y de posible relación incierta con el signo clínico de sacudidas de la cabeza.
En los tres casos de TC de extremidades distales, se identificaron lesiones como artritis séptica asociada a osteomielitis de la articulación metacarpofalángica y del metacarpo distal (Imagen 3), así como una fractura no desplazada de la tercera falange en una pezuña anterior (Imagen 4).
En uno de los casos no fue posible establecer un diagnóstico clínico definitivo tras la exploración por imagen y la evaluación clínica.
Imagen 2. Imágenes de TC en estación de la cabeza de un bovino que muestran una calidad de imagen representativa en una reconstrucción multiplanar sagital (A) y una imagen tridimensional del cráneo con renderizado volumétrico (B). Las imágenes transversales de TC centradas en la bulla timpánica de cuatro terneros diferentes muestran una bulla timpánica normal (C) y casos de otitis media (D a F), evidenciada por la presencia de material con atenuación de líquido en la bulla timpánica (flechas negras) y por el engrosamiento y la esclerosis de las paredes de la bulla timpánica (cabezas de flecha blancas). En uno de los terneros se observó la presencia de líquido en los conductos auditivos horizontales, compatible con otitis externa (E; flechas blancas), y en otro ternero se detectó una lisis focal de la bulla timpánica izquierda (L), compatible con osteomielitis (F; cabeza de flecha negra). Todas las imágenes de TC se obtuvieron utilizando un algoritmo óseo de alta frecuencia (ancho de ventana/nivel de ventana [WW/WL], 1.500/300).


Imagen 3. Radiografías (A y B), imágenes de TC con renderizado volumétrico tridimensional (C y F) e imágenes de TC en estación (D, E, G y H; algoritmo óseo de alta frecuencia en ventana ósea; WW/WL, 1.500/300) de la articulación metacarpofalángica derecha (R) en un ternero macho frisón de 10 meses de edad. Las radiografías laterolateral (A) y dorsopalmar (B) muestran un engrosamiento de los tejidos blandos intracapsulares centrado sobre la articulación metacarpofalángica (cabezas de flecha), sin identificarse alteraciones óseas. La reconstrucción tridimensional con renderizado volumétrico en plano dorsal de las extremidades distales derecha (R) e izquierda (L) muestra el posicionamiento en el escáner de TC en estación (C); se utilizó un bloque en la extremidad torácica izquierda para facilitar la carga de peso. Se presentan imágenes de TC con reconstrucción multiplanar sagital (D y G) y dorsal (E y H), así como una reconstrucción tridimensional con renderizado volumétrico en plano sagital (F) de la articulación metacarpofalángica derecha. La letra R indica los aspectos dorsal o lateral de la extremidad. El margen articular de la articulación metacarpofalángica del dígito lateral (cuarto metacarpiano fusionado) presentaba una irregularidad con un defecto cóncavo y esclerosis del hueso subcondral (D a F; flechas blancas). Además, se observó un defecto cóncavo hipoatenuante rodeado de esclerosis en el aspecto dorsal del sesamoideo proximal medial del dígito lateral (G y H; flechas blancas discontinuas). En la TC se identificó derrame articular metacarpofalángico (D y G; cabezas de flecha blancas). Los hallazgos fueron compatibles con una osteocondrosis de la articulación metacarpofalángica confirmada mediante artroscopia y con una lesión ósea tipo quiste del sesamoideo proximal medial.

Imagen 4. Radiografías (A-C), imagen de TC en estación con renderizado volumétrico tridimensional en plano sagital (D) e imágenes de TC en estación (E y F) obtenidas con un algoritmo óseo de alta frecuencia en ventana ósea (WW/ WL, 1.500/300) de la articulación metacarpofalángica izquierda (L) y la pezuña de un macho caprino castrado de 7 años con cojera crónica del miembro torácico izquierdo. La letra L indica los aspectos dorsal y lateral de la extremidad. En la revisión inicial no se identificaron alteraciones en las radiografías dorsopalmar (A), laterolateral (B) y oblicua lateral (C). La reconstrucción tridimensional con renderizado volumétrico en plano sagital (D), la reconstrucción multiplanar sagital (E) de la pezuña lateral y la imagen transversal de TC de los dígitos distales (F) revelaron una fractura articular crónica no desplazada de la tercera falange de la pezuña lateral (flechas). Tras la reevaluación de las radiografías después de la TC, se identificó en esta localización una línea radiolúcida incompleta y mal definida en la radiografía oblicua lateral (C; cabeza de flecha blanca).
En conjunto, la TC en estación permitió establecer un diagnóstico por imagen en ocho de los nueve casos evaluados, lo que pone de manifiesto su elevada capacidad diagnóstica en rumiantes.
La radiografía se realizó en cuatro de los nueve casos, aunque solo permitió establecer un diagnóstico en uno de ellos.
En los casos de extremidades distales no se obtuvo ningún diagnóstico radiográfico.
En el único caso de exploración de cabeza en el que ambas técnicas coincidieron, la TC permitió definir con mayor precisión la extensión de la lesión, mostrando una mayor sensibilidad diagnóstica que la radiografía.
La ecografía se utilizó en tres casos y permitió establecer un diagnóstico en uno de ellos.
En este caso, correspondiente a una masa submandibular, los hallazgos ecográficos y de TC fueron concordantes, si bien la TC en estación aportó información más detallada sobre la extensión de la lesión y el grado de afectación ósea.
VIABILIDAD Y UTILIDAD
CLÍNICA DE LA TC EN ESTACIÓN
EN RUMIANTES
La TC en estación demostró ser una técnica viable en bovinos y pequeños rumiantes para ayudar a establecer un diagnóstico clínico.
Los animales mostraron una buena colaboración y toleraron adecuadamente el procedimiento de exploración.
Debido a la ausencia de superposición de estructuras y a su mayor resolución de contraste, la TC suele ofrecer un rendimiento superior al de técnicas como la radiografía y la ecografía, que actualmente constituyen la base del diagnóstico por imagen en animales de producción.
En las especies de producción, la TC en estación puede utilizarse para explorar extremidades distales, los carpos, los tarsos, la cabeza y el cuello, permitiendo identificar alteraciones óseas (lesiones, osteomielitis y fracturas) y lesiones en tendones y ligamentos.
En este estudio se exploraron seis cabezas y tres extremidades distales desde el menudillo hacia distal, identificándose tanto patologías óseas como de tejidos blandos.
El diagnóstico más frecuente en las exploraciones de cabeza fue la otitis media. Este hallazgo no resulta sorprendente, dado que la mayoría eran animales jóvenes en los que las enfermedades respiratorias son frecuentes.
Diversos estudios han demostrado que las enfermedades respiratorias y la otitis pueden estar interrelacionadas, y que las puntuaciones clínicas no siempre se correlacionan adecuadamente con fases tempranas o avanzadas de otitis media o interna.
La radiografía y la ecografía pueden emplearse para la identificación de otitis media, pero no presentan la misma sensibilidad ni especificidad que la TC, que permite determinar con mayor exactitud la extensión de la lesión y la posible presencia de osteomielitis en el hueso circundante.
La cojera fue la indicación más frecuente para la realización de TC en estación de las extremidades distales y los diagnósticos por imagen obtenidos en estos casos estuvieron relacionados principalmente con patología ósea.
En el ganado bovino, la cojera se localiza con mayor frecuencia en regiones distales al menudillo. Por ello, la TC en estación de las extremidades distales puede resultar útil en casos de cojera de difícil diagnóstico o en situaciones de inicio temprano de la patología que no se identifican mediante radiografía o ecografía, contribuyendo así a orientar el tratamiento.

La TC demostró ser clínicamente útil al identificar lesiones o definir con mayor precisión su extensión en situaciones en las que estas no eran fácilmente detectables mediante radiografía o ecografía.
Una de las ventajas de la TC en estación de las extremidades distales frente a la TC en decúbito es que permite realizar la exploración en una posición natural de carga de peso, lo que facilita la evaluación de posibles asimetrías entre extremidades y la identificación de alteraciones mediante la comparación con la extremidad contralateral.
El aumento progresivo en la disponibilidad de equipos de TC en estación sugiere que su uso con sedación debería considerarse como una herramienta diagnóstica en aquellos casos en los que la radiografía resulte insuficiente.
La selección y manejo adecuado de los pacientes es fundamental para la realización de TC en estación.
Los animales deben poder ser conducidos con un ronzal hasta el pórtico de la TC y mostrarse dispuestos a permanecer en estación durante la exploración.
En el caso de la TC de cabeza, deben tolerar la contención en el potro durante todo el procedimiento para poder obtener imágenes de calidad diagnóstica.
Los animales se deben sedar con el fin de evitar reacciones adversas frente a estímulos externos, que podrían dañar el equipo o provocar lesiones tanto al paciente como al personal, siendo importante respetar los tiempos de espera de los medicamentos utilizados.
La TC genera una mayor dosis de radiación que la radiografía convencional, tanto para el paciente como para el personal.
No obstante, la TC en estación requiere que permanezcan en la sala dos o tres personas (una para operar el escáner y una o dos para manejar al animal, en función de su tamaño, con el fin de garantizar la seguridad del paciente sedado y del equipo).
Las dosis más elevadas se registraron en la posición del operador de control durante la exploración de la cabeza y en la posición del manejador del ronzal durante la TC en estación de extremidades torácicas.
La realización de TC en estación requiere tener en cuenta la posibilidad de eventos adversos, por lo que es fundamental diseñar la sala de exploración y los protocolos de trabajo incorporando medidas de seguridad y planes de respuesta ante emergencias.
Asimismo, una correcta selección de los pacientes y una sedación adecuada permiten obtener imágenes de calidad diagnóstica de forma segura, generalmente en uno o dos intentos.
A pesar de que las dosis de radiación medidas fueron bajas en todas las posiciones del personal, es importante:
Limitar el número de personas presentes en la sala.
Rotar al personal entre estudios y funciones de manejo.
Aumentar la distancia del operador respecto al escáner.
Utilizar protectores plomados y gafas de protección.
El personal debe llevar protección plomada y dosímetros, y seguir los principios de protección radiológica de “tan bajo como razonablemente sea posible”.
La elección de la técnica de diagnóstico por imagen depende en última instancia del criterio del clínico responsable para alcanzar un diagnóstico, así como de la capacidad del cliente para asumir el coste asociado a las técnicas de imagen avanzada.
En el caso del presente estudio, el coste de la TC en estación y de la TC en decúbito es el mismo, y solo ligeramente superior al de una radiografía de múltiples proyecciones o extremidades de la cabeza y de las extremidades distales.
La diferencia de coste entre la TC en estación y la TC en decúbito radica fundamentalmente en el uso de sedación frente a anestesia general.
El tamaño del paciente y la región anatómica a explorar son factores clave a la hora de valorar la viabilidad de la TC en estación.

Para realizar una TC de cabeza en estación, el animal debe tener la altura suficiente para que la cabeza alcance el pórtico. Sin embargo, algunos pacientes, como terneros jóvenes y pequeños rumiantes, pueden no ser lo suficientemente altos, incluso con el uso de dispositivos de posicionamiento como bloques.
En la posición más baja del pórtico para la exploración de cabeza, los animales deben alcanzar al menos 35 cm de altura a nivel cefálico para poder acceder a la apertura del pórtico, siendo ideal que la cabeza se sitúe aproximadamente a 70 cm para una correcta colocación en el isocentro.
En la región de cabeza y cuello, también deben considerarse las limitaciones en la resolución de contraste para tejidos blandos y la posible aparición de artefactos relacionados con la infraexposición de regiones anatómicas amplias, debido a la técnica de exposición fija.
Aunque los límites de longitud de escaneo de las extremidades no se han evaluado completamente en rumiantes, debido a su conformación corporal, menor alzada y extremidades más cortas en comparación con los équidos —dependiendo de la especie y la raza—, la TC en estación en rumiantes probablemente se limite a las regiones distales de la extremidad, como el menudillo y la pezuña.
En pequeños rumiantes, cuando se exploran estructuras anatómicas pequeñas, como las extremidades distales, puede producirse una menor resolución espacial de las imágenes de TC debido a la necesidad de ampliar estructuras pequeñas dentro de un campo de visión amplio.
La TC en estación con sedación de la cabeza o de las extremidades distales es viable y presenta utilidad clínica en bovinos y pequeños rumiantes.
La selección adecuada de los casos y una correcta sedación son aspectos fundamentales, requiriéndose más estudios para evaluar el potencial completo de esta técnica en animales de producción en un contexto clínico.
Traducido y adaptado de: Means, K. L., Loeber, S., & Brounts, S. H. (2026). Standing computed tomography is feasible and has clinical utility in ruminants. American Journal of Veterinary Research, 87(1), Article ajvr.25.07.0254, ajvr.25.07.0254. Retrieved Jan 26, 2026, from https://doi.org/10.2460/ajvr.25.07.0254 (CC BY-NC 4.0).
ARTÍCULO ORIGINAL

Tomografía computarizada en estación en rumiantes: una técnica viable con utilidad clínica DESCÁRGALO EN PDF

Juan Andrés de Luis Sobejano1 y Olena Semenko2
1Técnico de Coova
2Técnico de Upna
TEMPERATURA CORPORAL: REFLEJO DE SALUD Y BIENESTAR
Conocer la salud física y el bienestar del rebaño es un objetivo primordial en la ganadería actual y, siendo la temperatura un indicador clave, surge la necesidad de estudiar los métodos más precisos para evaluarla, así como los mejor adaptados a las necesidades del ganado y el ganadero.
La temperatura corporal es un parámetro fisiológico de vital interés, ya que un aumento de temperatura puede ser un:
Indicador para la detección temprana de enfermedades infecciosas (ej.: diarrea vírica bovina o fiebre aftosa) e inflamatorias (ej.: laminitis o mastitis).
Indicador general de estrés.

Además, cabe resaltar la importancia económica que supone para el ganadero la varianza de este parámetro, pues tanto su disminución como aumento puede alterar la productividad del animal.
Animales con hipertermia o hipotermia son animales que se encuentran decaídos y pasan más tiempo tumbados, lo que conlleva a acudir menos al pesebre y la disminución de ingesta, traduciéndose en un bajo índice de conversión y producción láctea (en el caso del vacuno de leche).
En la actualidad, gracias al desarrollo continuo tecnológico, ya no solo se dispone del método tradicional de medición de temperatura central (el termómetro rectal), sino que se han ido implantando sistemas que permiten su monitoreo sin necesidad de inmovilizar al animal.
El termómetro digital, se usa tanto en medicina humana como veterinaria desde hace más de una década al ser un instrumento clínico de fácil uso y lectura y, además, más seguro y rápido que su antecesor, pues no contiene mercurio y permite la lectura de temperatura en menos de un minuto.
No obstante, tiene sus limitaciones, ya que la toma de temperatura en los animales se realiza introduciendo el termómetro digital por el recto, lo que hace necesaria su inmovilización, lo que genera dos circunstancias problemáticas.
El hecho de estar en contacto con el animal e inmovilizarlo puede generar una respuesta estresante, pudiendo producirse hipertermia por estrés, por tanto, el proceso en sí dificulta una lectura precisa de los resultados.
El tiempo que se tarda en realizar la medición también afecta a la precisión, pues hay animales de manejo complicado cuya sujeción física es difícil.
De esta forma, los métodos de medición de temperatura más relevantes son:
Termómetro digital
Cámara de termografía infrarroja
Termómetro de infrarrojos

Comercialmente, en el campo de la medicina veterinaria, algunos de los dispositivos con tecnología infrarroja que se pueden encontrar son las cámaras de termografía infrarroja (TIR).
Estos sistemas han sido utilizados, y cada vez más, en el diagnóstico de enfermedades ortopédicas, así como para la investigación en diversas áreas del ámbito de producción animal:
En el ordeño para evaluar la presencia de mamitis.
En el campo de bienestar animal evaluando el estrés térmico en las prácticas habituales de manejo .
Como herramienta no invasiva para la evaluación del metabolismo y la nutrición, así como la producción y emisión de metano.
Para evaluar la eficiencia alimentaria, donde queda demostrado que la producción de carne es más eficiente con menor pérdida de calor y producción de metano, mostrando los animales más eficientes una temperatura de superficie corporal más baja que los menos eficientes.
Detección de enfermedades que puedan dar sintomatología febril.
Aplicación en el estudio de enfermedades y del medio que rodea al individuo que contribuyan a la prevención de estados patológicos al detectar anomalías en los patrones termográficos. Ello evitará tener que recurrir a ciertos tratamientos si se descubre mediante termografía que la zona sospechosa de estar afectada no es la afectación que en un primer momento se pensaba.
Detección de ectoparásitos en la superficie del animal.
Detección temprana del estro o evaluación del ciclo estral.
La Cooperativa de Ovino y Vacuno de Navarra (COOVA), junto a la Universidad Pública de Navarra (UPNA) y a UCAN (Unión de Cooperativas Agrícolas de Navarra) ha puesto en marcha el proyecto piloto de desarrollo rural titulado “Control y gestión del Bienestar Animal en vacuno y ovino mediante el uso de la Termografía” englobado en la medida “Ayudas a proyectos piloto en cooperación para la innovación agraria”.
La convocatoria se incluye en el marco de la intervención 7162 (Grupos de cooperación para la innovación no relacionados con la AEI-Agri que apoyen la realización de proyectos piloto en materia de productividad y sostenibilidad agrícolas) del Plan Estratégico de la PAC 2023-2027.
El proyecto está encuadrado dentro de la convocatoria del año 2023 y ha sido desarrollado en el periodo de tiempo del segundo semestre del año 2024 y el año 2025.

El objetivo del proyecto es el desarrollo e implantación de un sistema de monitorización del estado de salud del ganado ovino, caprino y vacuno, empleando técnicas termográ cas.
1. 2.
Determinar las posibilidades de la técnica de la termografía para el estudio en especies ovino, caprino y vacuno, en el entorno de los ganaderos de Coova.
Establecer los protocolos para la utilización por parte de ganaderos y personal técnico de las cámaras termográ cas.
Mostrar al sector y a la sociedad los resultados y conclusiones obtenidos.
6. 7. 8.
Formar a personal técnico implicado en el proyecto y a los ganaderos de ovino, caprino y vacuno de la Cooperativa.
3. 4. 5.
Establecer las patologías en ganado ovino y vacuno que pueden ser detectadas por las cámaras termográ cas.
Determinar, un número representativo de explotaciones y dentro ellas, un determinado número de animales, como tamaño muestral, que sea representativo para la obtención de resultados.

Obtención de muestras (termografías en animales).
Obtención de resultados y conclusiones previas y digitalización de la información para compartir resultados.
En este proyecto se ha buscado poner de relieve las aplicaciones de la termografía óptica en ovino, caprino y vacuno, llevando primero a cabo una revisión bibliográfica sobre este tema, después mostrando resultados de las aplicaciones mediante pruebas realizadas con la cámara termográfica y relacionando estas aplicaciones con el bienestar animal al no tener que sufrir los animales procesos invasivos para el diagnóstico de ciertas patologías o de gestación, así como al reducir la propia interacción humano-animal, teniendo en cuenta los cinco pilares básicos sobre los que se asienta el bienestar animal.

Permite el diagnóstico precoz de ciertas patologías.

Digitalización de la información de campo obtenida en múltiples explotaciones y con un tamaño muestral elevado, incluyendo animales de diversas edades y razas.
La termografía constituye una documentación visual que facilita la comprensión de la patología por parte del ganadero, así como el tratamiento, pronóstico y evolución del caso por parte del veterinario.
Exploración completa y detección de anomalías térmicas
La cámara termográfica es una herramienta que ayuda a detectar problemas (igual que con un termómetro rectal), pero es necesario realizar una exploración completa de los órganos y zonas afectadas y hacer pruebas posteriores, para sacar conclusiones más completas y fiables.
A partir de las diferencias de temperatura que detecta la cámara entre distintas zonas del cuerpo, es posible identificar animales con fiebre y analizar qué áreas presentan incrementos o descensos térmicos, lo que puede ayudar a detectar procesos inflamatorios.
Tomas desde distintas posiciones
Para la correcta detección y control de las zonas afectadas en un individuo, es necesario tomar termografías desde distintas posiciones, con el fin de obtener la mayor cantidad de información posible.
A partir del análisis visual, mediante la paleta de colores, y del análisis numérico, a través de los valores discretos de temperatura, se puede localizar el epicentro de la inflamación y comparar las temperaturas de las áreas afectadas con las de aquellas que no lo están.
Repetición de tomas y análisis dinámico
Es conveniente realizar varias tomas en cada una de las posiciones elegidas para el análisis del animal, ya que posteriormente se pueden descartar las de peor calidad y quedarse con aquellas termografías más claras y, por tanto, más informativas.
Asimismo, obtener termografías mientras el animal se mueve es una opción muy interesante, en lugar de limitarse únicamente a tomas estáticas.
Una vez identificado el animal, se toman termografías de las zonas afectadas o sospechosas de estarlo, así como, en todos los casos, de la cabeza y las patas, aunque no exista una patología aparente en esas áreas.
La cabeza —en especial la región ocular—, las ubres y las extremidades son siempre zonas de interés, ya que resultan clave para interpretar correctamente los resultados y poder realizar una valoración o un diagnóstico adecuados.













A la hora de tomar las imágenes termográficas, es importante tener en cuenta y configurar adecuadamente factores como:
El enfoque.
El ajuste de la imagen.
La elección de parámetros como la emisividad térmica o la distancia entre la cámara y el animal.
Es fundamental disponer de un software adecuado a la hora de analizar los archivos (termografías) tomados en campo, que permita obtener temperaturas medias, máximas y mínimas de zonas concretas, y ajustar la paleta de colores para mejorar la representación gráfica, entre otras funciones.
Cada zona a analizar requiere la posición (“pose”) más adecuada del animal.
Por ejemplo, en el caso de una oveja, para obtener el valor de la temperatura infrarroja ocular es necesario tomar una termografía lateral de la cabeza, con el animal con los ojos abiertos en ese momento, situándose a aproximadamente 1 m de distancia y a una altura de la cámara similar a la de los ojos. Esta posición permite registrar con la cámara termográfica la temperatura infrarroja ocular máxima en esa zona.
Un enfoque impreciso dificulta la diferenciación entre las zonas de interés y, aunque lo ideal es trabajar a unos 1 m entre cámara y animal, en la práctica, al tratarse de un ser vivo que se mueve y reacciona, especialmente en exteriores, esa distancia no siempre se puede mantener.
Si no es posible acercarse a 1 m, se puede realizar un cálculo o corrección basada en los principios de la transmisión del calor por radiación y en el propio funcionamiento de la cámara termográfica. No obstante, este ajuste no es sencillo ni inmediato, ya que implicaría calibrar los resultados obtenidos frente a un valor de referencia, como la temperatura rectal.

Imagen 1. Posición adecuada para tomar la TIR ocular de un animal ovino.


Imagen 2. Posición adecuada para tomar la TIR ocular de un animal vacuno.

VENTAJAS DEL USO DE LA CÁMARA TERMOGRÁFICA PARA EL ANÁLISIS DE TEMPERATURAS EN ANIMALES

REDUCCIÓN DEL ESTRÉS
Al evitar el contacto directo, se reduce la operativa asociada al manejo del animal y el estrés que ello le genera.



DETECCIÓN DE INFLAMACIÓN
Se pueden localizar y acotar zonas afectadas, dañadas o inflamadas.

Se puede evaluar la influencia de la temperatura ambiente en la temperatura superficial del animal para obtener información sobre el estrés térmico en condiciones de frío o calor.
A partir del trabajo realizado, se han obtenido los siguientes resultados:

Detección de determinadas patologías en ovino y vacuno mediante el uso de la termografía infrarroja.
Establecimiento de patrones termográficos en ovino y vacuno, tanto en animales sanos como en animales con determinadas patologías, como base para su identificación y seguimiento.
Elaboración de protocolos de trabajo o guías de apoyo para la aplicación de la termografía en campo, que faciliten la labor del ganadero, junto con la puesta a disposición de elementos y tecnologías adecuados y modernos para ayudar en el control de animales con patologías o enfermos, mejorando así la productividad de las explotaciones.
Digitalización de la información termográfica obtenida en las explotaciones y su puesta al alcance de los ganaderos, para implementar resultados, compartir experiencias y, si fuera preciso, compartir los resultados con otros actores del sector a través de Coova.

La termografía permite obtener información sobre las condiciones térmicas de animales de ovino y vacuno, facilitando la identificación de posibles procesos inflamatorios asociados a aumentos de temperatura de origen patológico.
Para que el análisis sea fiable, el trabajo de campo debe cumplir una serie de condiciones y parámetros, ya que, de no hacerlo, resulta difícil interpretar correctamente los resultados.
Aunque se trata de un método menos exacto que la medición de la temperatura rectal, la termografía es una técnica no invasiva que posibilita la toma masiva de datos sobre la temperatura superficial del animal, sin un consumo excesivo de tiempo y sin interferir en la operativa diaria de la explotación ganadera, al reducir los recursos necesarios para la toma de datos.
Control y gestión del bienestar animal en vacuno y ovino mediante el uso de la termografía
DESCÁRGALO EN PDF
Saulo Teixeira Rodrigues de Almeida1, Mariana Caetano2, Roy Neville Kirkwood3 y Kiro Risto Petrovski2
1Facultad de Ciencias Agrarias y Veterinarias, Universidad Estatal Paulista Júlio de Mesquita Filho (FCAV, UNESP), Brasil
2Davies Livestock Research Centre, Universidad de Adelaida, Australia
3Facultad de Ciencias Animales y Veterinarias, Universidad de Adelaida, Australia

Las directrices en materia de nutrición clínica para rumiantes enfermos siguen siendo limitadas a pesar de que desempeña un papel clave en su recuperación.
Dado el papel esencial de los preestómagos en la utilización de los nutrientes, resulta prioritario apostar por intervenciones de nutrición terapéutica que permitan aportar la dieta por vía oral o directamente al rumen.
En este contexto, puede ser preferible el uso de dietas blandas, con menor longitud de partícula y de alta palatabilidad.
Asimismo, la nutrición intravenosa total debería reservarse únicamente para animales de alto valor o neonatos, siempre durante el menor tiempo posible.
Incluso con una alimentación equilibrada y condiciones favorables, los rumiantes pueden presentar problemas de salud.
De hecho, el estado nutricional influye de forma significativa en la evolución de las enfermedades infecciosas y la malnutrición retrasa la recuperación y los procesos de cicatrización, y altera la función inmunitaria y la salud general.
En situaciones de enfermedad, la detección precoz y la intervención temprana resultan fundamentales.
Por ello, aunque en el pasado la nutrición en rumiantes no se consideraba un elemento terapéutico prioritario, en la actualidad se reconoce como un componente clave en el manejo de las enfermedades.
¿Qué es la nutrición terapéutica?
La nutrición terapéutica es una estrategia basada en la administración de compuestos farmacológicamente activos (aminoácidos, antioxidantes, tampones y ácidos grasos omega) para:
Modular la respuesta inmunitaria
Promover la reparación tisular
Facilitar la recuperación
Criterios para la aplicación de la nutrición terapéutica en rumiantes
La nutrición terapéutica en rumiantes ha recibido una atención limitada, lo que se traduce en una falta de información sobre sus beneficios y su aplicación adecuada.
Las particularidades anatómicas, fisiológicas y metabólicas de los rumiantes frente a las enfermedades hacen necesario adoptar enfoques diferenciados en las intervenciones de nutrición terapéutica en comparación con humanos y otros animales monogástricos, aunque los principios básicos sean comunes.
El principal objetivo de la nutrición terapéutica en rumiantes es proporcionar una dieta equilibrada y saludable a los animales enfermos o lesionados, con el fin de:
Minimizar el uso de las reservas corporales
Facilitar la recuperación Favorecer el retorno a la producción
Sin embargo, existen lagunas de conocimiento sobre los requerimientos nutricionales de los rumiantes enfermos (por ejemplo, en casos de indigestión o desplazamiento de abomaso), así como una escasez de información sobre los enfoques más adecuados para las intervenciones de nutrición terapéutica.
Los rumiantes enfermos suelen experimentar una disminución del apetito y presentan con frecuencia alteraciones en sus funciones alimentarias.
En los sistemas de producción, estos animales suelen alojarse junto al resto del rebaño y reciben la misma dieta que sus compañeros sanos y el manejo de su patología se basa casi exclusivamente en el tratamiento farmacológico.
Distintos trastornos pueden dar lugar a modificaciones fisiológicas y metabólicas, por lo que, para favorecer una recuperación más rápida, cada animal enfermo requerirá una dieta que tenga en cuenta de forma específica su estado físico y fisiológico individual.
La aplicación eficaz de la nutrición terapéutica requiere un diagnóstico preciso y una adecuada comprensión de las alteraciones que se han producido como consecuencia de la enfermedad o lesión.
De hecho, el uso inadecuado de la nutrición terapéutica puede incrementar la gravedad de la patología, provocar efectos
Además de garantizar el aporte de los requerimientos nutricionales básicos, la intervención de nutrición terapéutica debe evaluarse teniendo en cuenta consideraciones relacionadas con:
La viabilidad económica del tratamiento
El bienestar animal
El valor del animal afectado
El diagnóstico
El pronóstico
El tratamiento de la patología primaria debe ser siempre la máxima prioridad y, con frecuencia, se complementa con tratamientos de soporte y cuidados adecuados (Tabla 1).

La nutrición terapéutica puede formar tratamiento primario, corrigiendo deficiencias o excesos nutricionales específicos, o integrándose dentro del tratamiento de soporte, contribuyendo al equilibrio ácido-base, de los electrolitos y de los fluidos.
Por ejemplo, en los casos de diarrea neonatal, los principales problemas que requieren corrección incluyen la deshidratación, los desequilibrios electrolíticos, la hipoglucemia y la acidosis metabólica.
El objetivo de la nutrición terapéutica debe ser:
Optimizar la funcionalidad corporal y celular, la competencia inmunitaria, los resultados del tratamiento y/o la cicatrización.
Minimizar los procesos catabólicos, la morbilidad, las alteraciones metabólicas, la mortalidad, el daño oxidativo y la pérdida de peso.
Para ello, en las fases iniciales se deben corregir las alteraciones del equilibrio ácido-base, de los electrolitos, de los uidos y del metabolismo, para posteriormente dar soporte al estado general y al bienestar del animal.
Objetivo
Determinar si es necesaria una intervención de nutrición terapéutica
Determinar el método de intervención de nutrición terapéutica
Corregir la patología primaria
Establecer los requerimientos nutricionales
Diseñar la dieta
Implementar la intervención de nutrición terapéutica
Monitorizar la intervención de nutrición terapéutica
En última instancia, los objetivos de la nutrición terapéutica son reducir la duración y la gravedad de la morbilidad y prevenir la mortalidad.
En definitiva, debe contribuir a restablecer la funcionalidad del sistema digestivo y favorecer el retorno del animal a la salud y a la productividad, minimizando al mismo tiempo el impacto sobre el bienestar animal.
Tabla 1. Pasos a seguir en rumiantes candidatos a una intervención de nutrición terapéutica.
Aspectos
Evaluación nutricional (datos identificativos, historial sanitario)
Entrevista
Evaluación del entorno
Exploración clínica a distancia y de cerca
Equipamiento y nutrientes disponibles
Tiempo
Datos recopilados
Instalaciones
Funcionalidad e integridad del sistema digestivo Recursos económicos
Manejo de la patología principal (la intervención de nutrición terapéutica puede formar parte del tratamiento primario o actuar únicamente como estrategia de soporte)
Energía
Proteína
Corrección del equilibrio ácido-base, electrolítico y de fluidos
Uso de farmaconutrientes
Ingredientes
Duración de la anorexia
Estado fisiológico
Tipo de morbilidad
Funcionalidad e integridad del sistema digestivo
Datos identificativos y valor del animal
Viabilidad económica
Dependiente de la morbilidad
Condición corporal
Duración de la anorexia
Morbilidad
Estado fisiológico
Datos identificativos
Tipo de intervención nutricional: completa/total o parcial (vía oral, enteral, combinada o, menos probable, parenteral)
Dieta suplementaria (enteral, parenteral o combinada)
Hiperalimentación (enteral, parenteral o combinada)
Plan de actuación: frecuencia, tamaño de las raciones, vía de administración de la dieta
Monitorización y reajustes
Necesidad de transfaunación
Responsabilidades del personal
Desequilibrios: ácido-base, electrolitos, energía, fluidos, proteína
Función e integridad del rumen
Signos de síndrome de realimentación
Condición corporal
Funcionalidad e integridad del sistema
digestivo
Duración de la anorexia
Morbilidad
Estado fisiológico
Datos identificativos
Objetivos SMART (Specific, Measurable, Achievable, Relevant, and Time-bound): específicos, medibles, alcanzables, relevantes y acotados en el tiempo)
Criterios de activación para una intervención oportuna
La malnutrición generalizada y los desequilibrios de nutrientes específicos pueden provocar una alteración de la función inmunitaria, lo que se traduce en un aumento de la incidencia y gravedad de las enfermedades y las lesiones que, a su vez, conlleva mayores tasas de morbilidad y mortalidad, a menudo asociadas a patologías más severas.
La inmunosupresión asociada a la desnutrición puede dar lugar a fallos vacunales, incrementando aún más los costes derivados de ella.
Desde el punto de vista económico, hay que tener en cuenta que, aunque sean procesos subclínicos, generan costes elevados asociados a:
Reducción de la eficiencia de conversión alimentaria y de las tasas de crecimiento
Incremento de los costes de tratamiento
Mayor riesgo de decomisos en el matadero
También cabe señalar las implicaciones medioambientales y sociales de una nutrición deficiente:
Una menor ingesta por parte de los animales enfermos se asocia a un mayor impacto ambiental debido a la contaminación del entorno con antimicrobianos y otros medicamentos, así como al aumento de las emisiones de gases de efecto invernadero.
Los rumiantes enfermos suelen presentar una disminución del apetito y carecen de una respuesta adaptativa eficaz frente al ayuno.
La reducción de la ingesta puede ser:
Consecuencia directa de la enfermedad o la lesión (menor actividad del centro hipotalámico del apetito)
Debido a la incapacidad para acceder al alimento (cojera, paresia/parálisis o decúbito)
Debido a la incapacidad para ingerir la dieta ofrecida (dificultad para la prensión, masticación o deglución)
Por ello, puede ser necesario:
Manipular la dieta para facilitar el acceso al alimento (comederos portátiles)
Aumentar la densidad energética (grasas o cereales)
Mejorar la ingesta a través de una mayor palatabilidad
Alternativamente, para asegurar un aporte adecuado de nutrientes, puede ser necesario recurrir a la hiperalimentación y a la administración de medicación

Es importante tener en cuenta las los consumidores respecto a la adquisición de productos procedentes de animales sanos.
Los rumiantes enfermos experimentan un aumento de la movilización de proteínas musculares y de los tejidos adiposos, así como un incremento de la tasa metabólica, con o sin aumento de la temperatura corporal, además de un mayor daño oxidativo celular y de los procesos de reparación tisular.
Estos cambios se asocian a un estado de hipercatabolismo proteico.
Las alteraciones del metabolismo lipídico y el desarrollo rápido de resistencia a la insulina y/o de alteraciones en la secreción de insulina son frecuentes en situaciones de enfermedad o lesión graves.
Estos cambios se deben a la actividad individual o combinada de hormonas circulantes, citoquinas inflamatorias y neurotransmisores.
En animales enfermos que mantienen parcialmente el apetito, el aporte de la dieta contribuye a minimizar los procesos catabólicos asociados al ayuno.
Cuando persisten los procesos catabólicos derivados de enfermedades o estados inflamatorios crónicos (especialmente el catabolismo proteico), se debe garantizar que se cubran los requerimientos energéticos y proteicos del animal.


Debido a la disminución de la ingesta, puede ser necesario ofrecer raciones de menor volumen, pero con mayor concentración de nutrientes.

Durante los procesos de enfermedad, los aminoácidos disponibles se destinan preferentemente a la síntesis de proteínas de fase aguda y al apoyo de la respuesta inmunitaria, en lugar de a funciones de crecimiento o producción.
En el contexto del hipercatabolismo proteico, algunos aminoácidos no esenciales (como la arginina y la glutamina) pasan a considerarse condicionalmente esenciales.

La proteína muscular constituye una fuente importante de glutamina en situaciones de enfermedad grave, mientras que el hígado es su principal consumidor.
Dado que la glutamina es esencial para el correcto funcionamiento de la inmunidad celular, su déficit puede dar lugar a una respuesta inmunitaria subóptima como consecuencia de la depleción de este aminoácido en las células inmunitarias.
Además, desempeña un papel clave en la función del cerebro, el hígado y el riñón, en el metabolismo del nitrógeno y en la función digestiva y absortiva del intestino.
La arginina facilita la cicatrización, mejora el balance nitrogenado y estimula la competencia inmunitaria.
Por todo ello, las intervenciones de nutrición terapéutica deben orientarse a minimizar el catabolismo proteico mediante el aporte adecuado de aminoácidos esenciales y condicionalmente esenciales.
Para cubrir las necesidades de mantenimiento del organismo en situaciones de inapetencia, se produce un catabolismo de la masa muscular y del tejido adiposo.
Este proceso se ve agravado por el aumento de los requerimientos metabólicos asociado a la fiebre, el malestar general y/o la reparación tisular.
El catabolismo se incrementa en parte debido a la liberación de compuestos con actividad similar a la insulina por parte de las células inflamatorias. Además, bajo la influencia de determinadas citoquinas inflamatorias, también puede liberarse insulina, lo que intensifica aún más el catabolismo de los carbohidratos.

Estos procesos catabólicos pueden contribuir a la acumulación de triglicéridos en el hígado y a la producción de especies reactivas de oxígeno (EROs) y, cuando este estado se prolonga, pueden desarrollarse patologías como lipidosis hepática, cetosis y pérdida de peso.
Además, el comportamiento del animal también puede verse alterado, en parte debido a un aporte insuficiente de glucosa al cerebro.



Por ello, la intervención de nutrición terapéutica debe proporcionar una fuente de energía de fácil disponibilidad, como la glucosa.
Refuerza la resistencia de los animales estimulando el sistema inmu nitario.
Facilita la digestión de la leche ac tivando la producción de enzimas .
Favorece el equilibrio de la flora intestinal con aceites esenciales específicos y probióticos .
Mejora la higiene digestiva y reduce los riesgos de problemas digestivos.




grupoinnofarm@grupoinnofarm.com www.grupoinnofarm.com

Debido a las alteraciones en la utilización de la glucosa y a la menor influencia hormonal sobre el metabolismo lipídico, puede resultar beneficioso aumentar el contenido graso de la dieta hasta un máximo aproximado del 5 % de la materia seca.
No obstante, niveles de grasa superiores, entre el 6 y el 8 %, pueden provocar una depresión de la fermentación ruminal y de la degradación de la fibra, por lo que deben evitarse.

Además, niveles elevados de grasas insaturadas pueden reaccionar con el calcio disponible para formar jabones cálcicos insolubles en el rumen, reduciendo la disponibilidad de este mineral.
Conviene señalar que los rumiantes presentan un umbral bajo de concentración de glucosa en sangre, a partir del cual el exceso se elimina por la orina, lo que puede dar lugar a una limitación en el suministro energético basado en glucosa, incluso cuando esta se administra por vía parenteral.
Las concentraciones sanguíneas de algunos minerales (o sus formas disponibles) pueden verse modificadas durante procesos de enfermedad debido a la mediación, principalmente, de distintas citoquinas inflamatorias.
No obstante, no se recomienda la inclusión rutinaria de minerales en las intervenciones de nutrición terapéutica, por lo que la suplementación debe basarse en la confirmación analítica de necesidades reales.
Una gran parte de las vitaminas hidrosolubles, en particular las del complejo B, son sintetizadas por los microorganismos del rumen.
Las vitaminas del complejo B son especialmente importantes por su papel esencial como coenzimas en el ciclo de Krebs, clave para el metabolismo energético y la función celular.
Debido al aumento de la tasa metabólica en rumiantes enfermos, las vitaminas del complejo B se utilizan en mayores cantidades y, dado que los microorganismos ruminales pueden verse comprometidos al inicio de la intervención de nutrición terapéutica, debe considerarse la suplementación con vitaminas hidrosolubles.
Desempeñan funciones relevantes en:
◦ La protección y el funcionamiento del tejido nervioso (vitaminas B1, B3, B6 y B9)
◦ El crecimiento de los microorganismos ruminales (B1 y B3)
◦ La hematopoyesis (B12)
◦ La salud de la pezuña (B7)
◦ La inmunidad (B2)
◦ La integridad e in amación del epitelio digestivo (B1)
◦ La salud hepática (B9 y B12)
◦ El rendimiento reproductivo (B9 y B12)

Aunque su importancia es probablemente mayor en animales no rumiantes, la vitamina C puede adquirir relevancia durante periodos de estrés, como enfermedad, transporte o cambios ambientales.

Puede actuar como antioxidante y participa en la síntesis de colágeno, contribuyendo a la reparación tisular y a la cicatrización de las lesiones.
Los rumiantes enfermos suelen experimentar una reducción en la ingesta de agua, lo que, asociado a una mayor pérdida de agua, conduce a la deshidratación y a diversos desequilibrios electrolíticos.
La deshidratación puede producirse como consecuencia del secado del contenido ruminal o de pérdidas excesivas de fluidos, como ocurre en casos de diarrea, hemorragias, poliuria, sialorrea o pérdidas hacia el tercer espacio.
Las intervenciones de nutrición terapéutica deben contemplar la reposición de fluidos y electrolitos.
De hecho, la terapia con fluidos y electrolitos también puede estar indicada cuando se requiere un aumento de la diuresis, como en situaciones de lesión renal aguda o en cuadros de intoxicación.
Las vitaminas liposolubles se almacenan en el tejido adiposo, pudiendo observarse deficiencias en animales con anorexia o, en general, cuando no consumen cantidades suficientes de nutrientes, lo que conduce a un empeoramiento de la condición corporal y, con el tiempo, a posibles carencias vitamínicas.
La vitamina A es esencial para la reparación de los tejidos epiteliales.
La vitamina E, conocida por sus propiedades antioxidantes, puede contribuir a la recuperación muscular y a la reducción del estrés oxidativo en los tejidos dañados, favoreciendo así una recuperación más rápida y la disminución de la in amación. Asimismo, puede reducir la incidencia de mastitis y de retención placentaria.
La vitamina D resulta clave en casos de fracturas o lesiones óseas, ya que facilita la absorción de calcio y fósforo necesarios para la correcta cicatrización ósea.
En el caso de heridas, la vitamina K desempeña un papel fundamental en la coagulación sanguínea, favoreciendo una correcta cicatrización de lesiones o de procedimientos quirúrgicos.
Aunque las bacterias ruminales suelen producir cantidades su cientes de vitamina K, los rumiantes pueden desarrollar de ciencias cuando consumen piensos que contienen dicumarol, un antagonista de la vitamina K presente en el heno o el ensilado de trébol dulce enmohecido.
En animales enfermos con baja condición corporal o con elevadas demandas metabólicas, también puede ser necesario considerar la suplementación con vitaminas liposolubles

En los rumiantes, una gran parte de la funcionalidad del sistema digestivo depende de la fermentación ruminal, seguida de la digestión abomasal e intestinal, mientras que una fracción menor se basa en la fermentación en el intestino posterior.
La funcionalidad y la integridad del sistema digestivo, en particular de la mucosa intestinal, dependen en gran medida del aporte continuo de nutrientes y oxígeno a la mucosa.
La enfermedad puede comprometer la función del sistema digestivo, como ocurre en los síndromes de malabsorción y maldigestión, incrementando los requerimientos nutricionales y reduciendo la eficiencia en la utilización de los nutrientes.
Además, el daño de la mucosa en rumiantes enfermos puede requerir periodos prolongados de recuperación, aumentando los costes asociados a su manejo.
Una de las funciones clave de la mucosa intestinal es actuar como barrera frente a la absorción de compuestos no deseados y la entrada de patógenos, función que depende en gran medida de las uniones estrechas entre enterocitos y del tejido linfoide asociado al intestino.
La reducción de la ingesta priva a la mucosa intestinal de nutrientes, alterando la capacidad de absorción y el aporte vascular, dañando las vellosidades intestinales y comprometiendo la función barrera, con un aumento del transporte paracelular.
Las alteraciones hemodinámicas y la isquemia pueden agravar estos efectos al reducir la oxigenación de la mucosa y provocar lesiones por reperfusión.
En este escenario, la absorción de compuestos intestinales no deseados y/o toxinas bacterianas se asocia a cambios de comportamiento, endotoxemia y respuestas inflamatorias, así como a la translocación de patógenos.
La intervención de nutrición terapéutica debe priorizar el aporte de alimento fresco tan pronto como sea seguro hacerlo.
Alteración de la función y la integridad de los preestómagos
Al analizar la fisiopatología de la utilización de los nutrientes en rumiantes, resulta clave considerar la función de los preestómagos, especialmente en relación con las alteraciones de la microbiota y de la motilidad.
Los rumiantes dependen de una compleja comunidad microbiana comensal y simbiótica que produce nutrientes esenciales para el hospedador, como proteína microbiana, vitaminas y ácidos grasos volátiles.

En rumiantes sanos, la fermentación ruminal aporta aproximadamente el 80 % de la digestión de la fibra y alrededor del 60 % de los aminoácidos totales. Por ello, los microorganismos ruminales requieren un suministro continuo de ingesta fresca, siendo fundamental cubrir los mayores requerimientos dietéticos específicos de los rumiantes enfermos para favorecer una recuperación rápida.

La falta de ingesta de alimento ralentiza e incluso puede detener la motilidad de los preestómagos y, como consecuencia, la microbiota ruminal se altera (disbiosis) debido a la pérdida de protozoos activos y a cambios en la proporción de microorganismos viables, lo que conduce progresivamente a la muerte de una parte signi cativa de la población microbiana.
No obstante, los rumiantes se recuperan más lentamente del ayuno que los animales monogástricos, en parte debido al tiempo necesario para que la microbiota ruminal se adapte a la dieta.
En este contexto, la transfaunación* ruminal puede acelerar el proceso de recuperación.
*Procedimiento que consiste en extraer líquido ruminal con microbiota sana y de buena calidad de un rumiante y transferir el líquido extraído al rumen de otro rumiante.

Estos cambios dan lugar a distintos cuadros de indigestión y a diversos trastornos metabólicos, como el desplazamiento de abomaso.

A medida que disminuye el pH ruminal, se favorece el crecimiento de bacterias gramnegativas, lo que puede dar lugar a la producción excesiva de lipopolisacáridos (LPS), cuya absorción provoca endotoxemia e in amación. En rumiantes alimentados con dietas altamente concentradas, los LPS también pueden originarse a partir de la fermentación en el intestino posterior.

En última instancia, el desequilibrio nutricional asociado a la disfunción de los preestómagos se traduce en indigestión.



Descubra ELITE, nuestra gama de leches maternizadas para terneros. Crecimiento, seguridad digestiva y buena conformación para un destete tranquilo. Serval le acompaña para elegir la solución más adecuada para su explotación.
Servicio comercial : 629 64 02 61
Servicio técnico : 656 83 30 80
commercial@serval.fr
Serval España






AviPlus®R es una combinación única de ingredientes botánicos y ácidos orgánicos, microencapsulados en una matriz lipídica, para optimizarel rendimiento de losrumiantes bajocondiciones de estrés nutricional, social y térmico.

Distribuidor enPortugalyEspaña: inove.tec@reagro.pt www.reagro.pt
La provisión de alimento al reticulorrumen debe basarse en dietas que contengan suficiente fibra efectiva, ya que es clave para el mantenimiento de la salud y la funcionalidad de los preestómagos:
Estimula la mezcla del contenido ruminal
Favorece la producción de grasa láctea en hembras lactantes mediante la generación de ácidos grasos volátiles (acetato y butirato)
Promueve la masticación, la rumia y la salivación, contribuyendo indirectamente al control del pH ruminal
Los neonatos son más propensos a enfermar debido al contacto estrecho con otros animales, una mayor exposición a patógenos, una menor competencia inmunitaria y su elevada susceptibilidad. Además, sus reservas corporales de energía y proteína son considerablemente menores y la tasa metabólica es más alta, por lo que su disponibilidad energética suele ser insuficiente.
Además, el organismo del neonato contiene una proporción de agua mucho mayor que el del animal adulto, por lo que cualquier trastorno puede dar lugar rápidamente a deshidratación y desequilibrios electrolíticos.
No obstante, en rumiantes con elevadas demandas metabólicas (animales jóvenes en crecimiento, hembras lactantes o gestantes avanzadas) los forrajes pueden no ser suficientes para cubrir los requerimientos energéticos y proteicos.
Las soluciones electrolíticas administradas por vía oral, enteral o parenteral al inicio de la intervención de nutrición terapéutica deben cubrir los requerimientos energéticos y proteicos del animal y permitir la corrección y optimización del equilibrio ácido-base, electrolítico y de fluidos, garantizando al menos la reposición de cloruro, potasio y sodio.

No obstante, hay que tener en cuenta que cualquier enfermedad grave puede provocar la pérdida del reflejo de succión, de modo que la administración oral de fluidos puede dar lugar inadvertidamente a neumonía por aspiración.
Asimismo, las enfermedades o lesiones graves pueden alterar la funcionalidad del sistema digestivo, y la administración forzada de fluidos y/o leche puede provocar depósito ruminal, timpanismo y putrefacción ruminal.
En resumen, en función de las alteraciones fisiopatológicas de las funciones corporales y del diagnóstico, la intervención de nutrición terapéutica en rumiantes debe considerar el aporte de agua, carbohidratos (estructurales y no estructurales), proteínas, lípidos, electrolitos, minerales y vitaminas (Tabla 2).
Asimismo, la nutrición terapéutica debe contribuir al apoyo de la función inmunitaria del rumiante.
Tabla 2. Relación entre alteraciones fisiopatológicas, síndromes indicativos de alteración y causas más frecuentes en rumiantes. El texto en cursiva está directamente relacionado con el manejo nutricional de los rumiantes.
Alteración
Síndromes
» Alteraciones alimentarias
» Malestar general
» Estrés por calor
» Síndromes neurológicos
Apetito
Prehensión
» Fiebre grave, inflamación, dolor, sepsis, toxemia
» Aporte insuficiente de la dieta
o deficiencias en la preparación o suministro de nutrientes
» Anomalías congénitas
» Disfunción de nervios craneales
» Cojera
» Dolor localizado
» Traumatismo oral
» Estomatitis
» Anomalías congénitas
» Disfunción de nervios craneales
» Problemas dentales
» Dolor localizado
Masticación
» Traumatismo oral
» Abscedación, celulitis o traumatismo faríngeo
» Anomalías congénitas
» Disfunción de nervios craneales
» Disfagia
» Neoplasia
Deglución
» Odinofagia
» Traumatismo oral
» Abscedación, celulitis, divertículo, neoplasia o traumatismo esofágico
» Síndromes alimentarios
Fermentación ruminal
Eructación
» Mala calidad del alimento o su deterioro
» Alteraciones alimentarias
» Anomalías congénitas
» Olor o sabor ofensivo de la dieta
» Mala calidad del alimento, deterioro
» Cambio brusco de dieta o dieta no familiar
Diagnósticos frecuentes
» Actinobacilosis
» Actinomicosis
» Morbilidad generalizada
» Queilitis
» Cuerpo extraño
» Alteraciones de la lengua
» Olor o sabor desagradable de la dieta
» Mala calidad del alimento
» Presencia de compuestos corrosivos
» Rumia incompleta (quidding)
» Estomatitis
» Alteraciones de la lengua
» Olor o sabor ofensivo de la dieta
» Mala calidad del alimento
» Presencia de compuestos corrosivos
» Abscedación, celulitis o traumatismo faríngeo
» Estomatitis
» Alteraciones de la lengua
» Presencia de compuestos corrosivos
» Actinobacilosis
» Queilitis
» Cuerpo extraño
» Glositis
» Fractura mandibular
» Actinobacilosis
» Actinomicosis
» Lesión por aplicador de bolos ruminales
» Botulismo
» Cuerpo extraño
» Intoxicación por plomo, sal, azufre o agua
» Lesión por aplicador de bolos ruminales
» Botulismo
» Atragantamiento
» Cuerpo extraño
» Bocio
» Glositis
» Fractura mandibular
» Sinusitis
» Estomatitis
» Sinusitis
» Estomatitis
» Listeriosis
» Fractura mandibular
» Tétanos
» Hipocalcemia
» Intoxicación por plomo
o azufre
» Megaesófago
» Rabia
» Cambio brusco de dieta
» Dieta desequilibrada
» Indigestión
» Síndromes neurológicos
» Timpanismo
» Atragantamiento
» Acidosis ruminal (alcalosis menos probable)
» Cuerpo extraño
Alteración
Rumia
Paso del quimo
Digestión
Absorción
» Alteraciones alimentarias
» Anomalías congénitas
» Síndromes neurológicos

» Alteraciones alimentarias
» Anomalías congénitas
» Neoplasia
» Síndromes neurológicos
» Alteraciones alimentarias
» Anomalías congénitas
» Alteraciones alimentarias
» Intervenciones iatrogénicas
» Pérdidas alimentarias, hepáticas o urinarias
» Alteraciones alimentarias o endocrinas
Utilización de nutrientes
» Estado caquéctico
» Morbilidad crónica
» Estrés por calor
» Neoplasia
» Parasitismo
» Síndrome de maldigestión (raro en rumiantes)
» Diarrea
» Síndrome de malabsorción
» Enfermedad grave (fiebre, inflamación, dolor, sepsis, toxemia)
» Toxicidades que impiden el transporte y el metabolismo de nutrientes
» Malnutrición
La nutrición terapéutica en rumiantes enfermos debe sustentarse en una comprensión sólida de las alteraciones fisiopatológicas que afectan a la utilización de los nutrientes durante los procesos de enfermedad.
Los cambios en el metabolismo, la función digestiva, la respuesta inmunitaria y el equilibrio hidroelectrolítico condicionan de forma directa la eficacia de cualquier intervención nutricional.
» Cuerpo extraño
» Herniación
» Impactación del omaso
» Desplazamiento, impactación o ulceración abomasal
» Gastroenteritis parasitaria
» Amiloidosis
» Colestasis
» Insuficiencia cardiaca congestiva
» Endocrinopatía
» Trastornos obstructivos
» Uso de laxantes
» Indigestión vagal
» Abomasitis
» Colestasis
» Enteritis
» Uso de secuestrantes en la dieta
» Enteritis o enteropatía
» Hepatitis o hepatopatía
» Nefritis o nefropatía
Esta primera parte del artículo pone de manifiesto que la fisiopatología del rumiante enfermo constituye la base sobre la que deben apoyarse las decisiones nutricionales, evitando enfoques generalistas y priorizando intervenciones adaptadas a cada situación clínica.
Sobre este marco conceptual se desarrollarán, en la segunda parte, los criterios y estrategias prácticas para la implementación y el seguimiento de la nutrición terapéutica en rumiantes.

Artículo traducido y adaptado de: Teixeira Rodrigues de Almeida, S.; Caetano, M.; Kirkwood, R.N.; Petrovski, K.R. The Basics of Clinical Nutrition for Compromised Ruminants—A Narrative Review. Ruminants 2025, 5, 51. https://doi.org/10.3390/ruminants5040051 (CC BY 4.0).














Es una gama de nutrientes encapsulados con tecnología de lecho fluido para maximizar la energía, la proteína y la producción láctea.
+ LipoAktiv Glu 60
Energía protegida (+60 % azúcares): aporta glucosa directamente al intestino, previene la cetosis y favorece la producción leche.
+ LipoAktiv L-Met 60
Metionina protegida (60 % L-metionina): aumenta la absorción y la biodisponibilidad, cuida la salud hepática y eleva +1,4 kg de leche/día.
+ LipoAktiv Lys 40
L-lisina encapsulada de alta digestibilidad: mejora el uso del nitrógeno y de la producción láctea y mantiene el equilibrio nutricional.



Montse Paniagua y Altaïr Jin Galindo Departamento Técnico de Quimidroga SA

La transición es el periodo más crítico del ciclo productivo en la vaca lechera.
El paso de la última fase de la gestación al inicio de la lactación comporta importantes cambios fisiológicos, metabólicos e inflamatorios que predisponen a la aparición de patologías, afectando a la productividad y a la salud del animal durante este periodo.
El periodo de transición engloba las tres semanas previas y las tres posteriores al parto (Grummer, 1995). En esta etapa se producen cambios drásticos a nivel metabólico, fisiológico y nutricional destinados a la adaptación para la fase de lactación.
El inicio de la lactación supone un desafío importante, ya que implica un incremento en los requerimientos de energía y nutrientes importantes, como el calcio, al mismo tiempo que se instaura un proceso inflamatorio generalizado.
A esto se suma la capacidad de ingesta reducida de la vaca, que no le permite incrementar el consumo de materia seca en esta fase.
Esto comporta una reducción en el aporte de nutrientes y energía, dando lugar a un desequilibrio nutricional importante que afecta a la salud y a la productividad del animal.

El inicio de la lactación comporta una alta demanda de energía y de calcio.
Esto predispone a cetosis e hipocalcemia, las dos patologías metabólicas más importantes del periparto.

Esta situación se ve agravada por la inflamación generalizada que se desencadena. La activación del sistema inmune comporta un aumento de la demanda de energía (glucosa) y, a su vez, interfiere hormonalmente en la recuperación de los niveles de calcio en el postparto.

Al comienzo de la lactación, la necesidad de energía para la producción de leche es mucho mayor que la capacidad de ingesta energética de la vaca, produciendo un balance energético negativo (BEN) cuya magnitud varía en función del animal y de su manejo.
En BEN, el animal prioriza la producción de leche, adaptando el metabolismo de carbohidratos, lípidos, proteínas y minerales para garantizar la síntesis láctea.
Uno de los principales reajustes metabólicos es la reducción de la oxidación de la glucosa como fuente de energía en los tejidos, permitiendo que ésta se redirija a la glándula mamaria, donde actúa como precursor de la lactosa (Bennick et al., 1972; Gráfica 1).
Gráfica 1. Oxidación de glucosa (%), 30 días preparto a 40 días postparto (Adaptado de Bennink et al., 1972; Lemosquet et al., 2011).
La movilización de tejido adiposo y la síntesis de cuerpos cetónicos utilizados por los tejidos como fuente de energía es una vía alternativa a la glucosa.
Esta estrategia metabólica en los rumiantes permite compensar una ingesta reducida de energía y/o precursores de la glucosa (Drackley et al., 2001).
A la vez, garantiza la síntesis láctea, teniendo una gran importancia en el metabolismo energético al inicio de la lactación.
Durante este BEN, la movilización de grasas desencadena la producción de NEFA (ácidos grasos no esterificados) y beta-hidroxibutirato (BHB) que, junto con la hipoglucemia, juegan un papel inmunosupresor que favorece la aparición de enfermedades metabólicas, como la cetosis.
La cetosis clínica y subclínica predisponen a patologías importantes que afectan negativamente a la salud de la vaca, comprometiendo la producción láctea y la fertilidad, ocasionando pérdidas económicas importantes en las granjas.
Al inicio de la lactación, los requerimientos de glucosa incrementan drásticamente, superando la capacidad endógena de síntesis hepática (Gráfica 2).
La gluconeogénesis hepática es la vía metabólica encargada de sintetizar glucosa a partir de diferentes precursores (propionato, aminoácidos, lactato y glicerol).
Reynolds et al. (2000) midieron la glucosa liberada por el hígado en este periodo, observando un aumento drástico de 1.356 g/d el día 11 preparto, a 2.760 g/ d en el día 11 postparto.
Este incremento, se vio asociado a un aumento del 84 % en el flujo sanguíneo hepático, mientras que la ingesta de materia seca solo se incrementó en un 44 %.

Suministro
Gráfica 2. Demanda total de glucosa estimada comparada con la capacidad de síntesis hepática durante el periodo de transición (Drackley et al., 2001).
La gluconeogénesis es un proceso fundamental en la vaca lechera, ya que le permite cubrir la alta demanda de glucosa de la glándula mamaria, donde actúa como:
Metabolito para la síntesis de lactosa (principal osmorregulador de la síntesis láctea).
Nutriente esencial para la producción de leche.
Se estima que una vaca lechera que produce unos 31 kg de leche/día requiere 2,7 kg glucosa/día (Lemosquet et al., 2011), el 85 % de la cual se producirá mediante gluconeogénesis hepática.
Los sustratos utilizados en este proceso provienen de:
La fermentación ruminal.
La movilización de grasa.
La movilización de proteína (aminoácidos).
El propionato, sintetizado durante la fermentación ruminal o a partir de NEFAs en el hígado, es el principal sustrato utilizado en este proceso (32 - 73 %), seguido por los aminoácidos (10 – 30 %) y el lactato (15 %) (Drackley et al., 2001).
Tradicionalmente, el propilenglicol se ha utilizado como precursor para la síntesis de glucosa en animales con cetosis. El propilenglicol llega al hígado principalmente en forma de propionato tras ser fermentado en el rumen, pero también se puede oxidar por la vía del lactato.
Es importante señalar que no todos los sustratos se utilizan con la misma eficiencia en la síntesis de glucosa y en su liberación a nivel circulatorio.
Para estudiar la eficiencia de liberación de glucosa al torrente sanguíneo en función del sustrato, Lemosquet et al. (2009) llevaron a cabo un estudio en el que compararon la ratio de aparición (Ra) de la glucosa en sangre de vacas en lactación tras realizar infusiones isoenergéticas de:
Glucosa a nivel duodenal (GLC)
Propiónico a nivel ruminal (C3)
Mezcla de 5 aminoácidos no esenciales en el duodeno (NEAA): alanina (Ala), aspartato (Asp), glutamato (Glu), glicina (Gly) y serina (Ser)
Las infusiones se realizaron de forma continua, a través de bombas peristálticas, adaptando la alimentación para mantener estables las concentraciones plasmáticas de los metabolitos sanguíneos y el hematocrito.
a c Infusión isoenergética b b
McCarthy et al. (2020) glucosa protegida (RPG) en la dieta sobre la leche, el metabolismo postabsorción y la inflamación en vacas durante el periodo de transición.
(a,b,c;P<0,05)
Gráfica 3. Eficiencia de Ra en función de los precursores (Lemosquet et al., 2009, 2011).
Los resultados en la Gráfica 3 muestran que la infusión de glucosa duodenal (GLC) incrementó significativamente la Ra de glucosa en sangre en comparación con el propiónico y a los NEAA.
Aunque en este estudio no encontraron relación con la cantidad de lactosa en la leche, se concluyó que:
Una mayor disponibilidad de glucosa en sangre tras la infusión duodenal puede promover un cambio en su utilización, tanto a nivel mamario (como fuente de energía metabólica) como sistémico (por otros tejidos).
La disponibilidad de glucosa constituye un punto crítico durante el periodo de transición, con repercusiones sobre la salud de la vaca y su capacidad de producción láctea. Por este motivo, se ha estudiado el uso de glucosa protegida como estrategia para aumentar su llegada al duodeno, minimizando su degradación en el rumen.

En este estudio, se realizó una reacción de Maillard para proteger la glucosa, formando un complejo azúcaraminoácido, que se suplementó en el grupo tratamiento al 6 % sobre MS en la ración.
Aunque no se observaron diferencias en los parámetros productivos, sí se registró un circulante (27 %), así como la reducción de los NEFA (-28 %) y el BHB (-24%), reduciendo así los marcadores de inflamación en el periparto
Glucosa, mg/dL
Insulina, µg/L
Tratamiento: P = 0,52
Día: P < 0,01
Tratamiento × Día: P = 0,48
Tratamiento: P = 0,10
Día: P < 0,01
Tratamiento × Día: P = 0,36
Gráfica 4. Efectos de la RPG sobre la glucosa circulante (A), la insulina (B), los NEFA (C) y el BHB (C) (McCarthy et al., 2020).

La recuperación temprana de los niveles de insulina es fundamental en el postparto, ya que estas concentraciones se relacionan con la fertilidad y con la reanudación de la actividad ovárica.

Recientemente, Yu et al. (2024) han realizado otro estudio con RPG, en este caso protegida con aceite de palma.
Se estudiaron 3 dosis diferentes de RPG (150, 300 y 450 g/d) durante 42 días y se evaluó:
La ingesta
La condición corporal
La producción de leche
Metabolitos sanguíneos
La dosis de RPG a 450 g/día mejoró significativamente el peso vivo, la producción de leche y su composición (lactosa y sólidos totales) (Tablas 1 y 2) y los niveles de glucosa circulantes.
A su vez, la concentración de NEFAs y BHB se vieron reducidas, indicando un menor BEN y, como consecuencia, una disminución de la cetosis en las vacas suplementadas con esta dosis de RPG.
Tabla 1. Rendimiento productivo de vacas al inicio de la lactación suplementadas con diferentes niveles de RPG (Yu et al., 2024).
Variable
Tabla 2. Composición de la leche de vacas suplementadas con diferentes niveles de RPG al inicio de la lactación (Yu et al., 2024).
La glucosa protegida puede ser una herramienta nutricional muy útil en la fase de transición, especialmente al inicio de la lactación, reduciendo los efectos negativos del BEN, mejorando la salud, la fertilidad y la productividad, ayudando a la vaca a alcanzar su máximo potencial.
Glucosa protegida: una herramienta nutricional en la fase de transición DESCÁRGALO EN PDF
Servicio Técnico de Quimunsa


En las granjas de ganado vacuno, ovino y caprino, la presencia de moscas no solo genera molestias, sino que también afecta a la sanidad animal y la eficiencia productiva. Además de causar estrés y reducir la ingesta de alimento, estos insectos pueden transmitir enfermedades, comprometiendo el bienestar de los animales y la bioseguridad de las instalaciones.



Masterfly® Bait ofrece una solución eficaz y de larga duración, atrayendo y eliminando rápidamente a las moscas con una sola aplicación que mantiene su efecto hasta 8 meses.
Su innovadora formulación, que combina un potente insecticida con atrayente feromona, lo convierte en una herramienta clave para el control integrado de plagas en el sector de los rumiantes.
Moscas hematófagas: algunas especies, como la mosca de establo (Stomoxys calcitrans), se alimentan de sangre, causando dolor y un estrés aún mayor en los animales.
Anemia y debilidad: las picaduras frecuentes pueden generar anemia en los animales, debilitándolos y haciéndolos más vulnerables a enfermedades.

ralentiza su crecimiento y disminuye la producción de carne.

Ocasionan malestar en los animales por:
Irritación constante: las especies que no pican, como la mosca doméstica (Musca domestica), se alimentan de secreciones oculares y nasales de los cerdos, lo que causa incomodidad y estrés.
Interrupción del descanso: las moscas alteran los patrones de descanso de los animales, afectando su bienestar y crecimiento.
Heridas e infecciones: algunas especies se alimentan de las supuraciones de heridas, dificultando su cicatrización y favoreciendo infecciones secundarias.
Favorecen la propagación de enfermedades:
Vectores de patógenos: las moscas pueden transportar virus, bacterias, parásitos y hongos en sus patas y piezas bucales, contaminando alimento, agua y superficies dentro de la granja.
Transmisión de enfermedades: son responsables de la propagación de patologías como miasis, mastitis y enfermedades entéricas.
Afectación a la salud humana: al actuar como vectores de enfermedades zoonóticas, las moscas pueden transmitir infecciones desde los animales a los trabajadores de la granja.
Las moscas representan un problema recurrente en las granjas, afectando al bienestar animal, la bioseguridad y la productividad. Por ello, la implementación de medidas higiénicas, físicas y químicas es esencial para su prevención y control.
MEDIDAS HIGIÉNICAS
Gestión de residuos orgánicos
El manejo adecuado de excrementos y restos de alimento es fundamental para reducir la atracción de moscas por lo que se recomienda:
Retirar periódicamente el estiércol y almacenarlo en áreas alejadas de la zona de producción.
Implementar sistemas de compostaje o tratamiento de purines para minimizar su impacto.
Evitar la acumulación de alimento en descomposición.

Limpieza y desinfección
Establecer un protocolo de limpieza regular para todas las áreas de la granja.
Utilizar desinfectantes eficaces en superficies donde puedan proliferar larvas.

Mantener drenajes y fosas sépticas en óptimas condiciones para evitar charcos que faciliten la reproducción de moscas.

MEDIDAS FÍSICAS
Barreras físicas
Instalación de mallas mosquiteras en ventanas y aberturas para impedir el acceso de insectos.
Uso de cortinas plásticas en accesos para minimizar la entrada de moscas.
Control ambiental
Mejorar la ventilación en las instalaciones para reducir la humedad y el calor, condiciones favorables para la reproducción de moscas.
Manejar adecuadamente el nivel de humedad en el suelo y en los espacios donde se almacena alimento.
Uso de larvicidas para el control en las zonas húmedas.
Uso de insecticidas adulticidas de contacto para aplicación sobre las superficies.
Uso de cebo atrayentes para atraer y eliminar las moscas.
Para el control de moscas mediante medidas químicas, el cebo con atrayente Masterfly® Bait es una herramienta sencilla y con garantía de resultados.

El control de moscas es indispensable para garantizar una producción eficiente y cumplir con los estándares sanitarios exigidos por la industria.
Masterfly® Bait actúa atrayendo y eliminando rápidamente a las moscas adultas, reduciendo significativamente su población.

Masterfly® Bait es una solución altamente efectiva para el control de moscas que reduce de forma rápida su población con efecto prolongado en el tiempo.
Con una sola aplicación, su acción se mantiene activa hasta 8 meses, ayudando a reducir significativamente la presencia de las moscas en las explotaciones ganaderas y evitando los inconvenientes y costes asociados a su proliferación.
Este producto se ha diseñado específicamente para combatir de manera eficiente la infestación de moscas en instalaciones ganaderas, donde su presencia representa un problema serio para la sanidad y el bienestar animal.
Masterfly® Bait garantiza una protección rápida, eficaz, duradera y de sencilla aplicación.
Las ventajas de Masterfly® Bait son excepcionales:
Compuesto con DINOTEFURAN, molécula insecticida de última generación de alta eficacia.
Contiene feromona como atrayente para atraer irresistiblemente a las moscas.
Su eficacia es de larga duración, hasta 8 meses.
Sus resultados ultra rápidos, en pocas horas.
Masterfly® Bait es el cebo para moscas con la mayor persistencia del mercado, elimina eficazmente hasta 8 meses.





(Musca domestica) y mosca de establo (Stomoxys calcitrans) demuestran que el producto es altamente eficaz para el control de ambas especies durante períodos de hasta 8 meses.
¡Masterfly® Bait es una solución eficaz para el control de moscas de larga duración y sencilla aplicación!
mes 1 mes 2 mes 3 mes 4 mes 6 mes 8 mes 10
Duración en meses
Mosca doméstica Mosca de establo
Gráfica 1. Eficacia del Dinotefuran en el control de Musca domestica y Stomoxys calcitrans a lo largo del tiempo. Se observa una alta mortalidad sostenida en ambas especies durante un período de hasta 8 meses.
pintar pequeños cuadrados de aproximadamente 30 x 30 cm sobre material plástico o madera no absorbente. Una vez secos colgarlos en las paredes.

Masterfly® Bait facilita placas con agujeros diseñadas para facilitar su aplicación y colocación en distintas superficies, ya sea de forma fija o colgante.
Masterfly® Bait está disponible en envases de 125 g y 500 g
El control de moscas en granjas porcinas requiere un enfoque integral basado en la higiene, el manejo de residuos, la implementación de barreras físicas y medidas químicas.
La combinación de estas estrategias reduce significativamente la presencia de estos insectos, mejorando la sanidad y el bienestar animal, además de contribuir a una producción más eficiente y sostenible.
BAIT: control eficaz de moscas hasta 8 meses DESCÁRGALO EN PDF






Braulio de la Calle Campos
DT Rumiantes Coren Agroindustrial SAU y responsable Departamento Vacuno de Carne en Coren Sociedad Cooperativa

En la actualidad, debido a la tendencia cada día más acusada hacia la incorporación de robots de ordeño en las granjas de vacuno de leche, se requiere por parte de los nutrólogos la elaboración de fórmulas granulables que cumplan una serie de requisitos de calidad, lo que permite extraer todo el potencial genético y productivo de los animales.
La granulación ha sido la principal mejora introducida en la tecnología de fabricación de piensos desde la incorporación de la molienda.
Consiste en someter el pienso en forma de harina a un efecto combinado de compresión y extrusión, mediante un proceso mecánico en el que confluyen fuerzas como fricción, presión y extrusión, junto con incrementos de temperatura.
Como resultado, se modifican ciertas características de las materias primas y se produce la aglomeración de las partículas, dando lugar a gránulos o pellets.
Originariamente, el objetivo de la granulación fue adaptar la presentación física del pienso a los nuevos sistemas de distribución, evitando los problemas de fluidez y manejo asociados al uso de harinas.
El proceso consta de tres fases básicas:


1
Acondicionamiento hidrotérmico de la harina procedente de la mezcladora.

2
Compresión-extrusión de la harina en la prensa granuladora, que consta de tres elementos:
La matriz, cuyos orificios determinan la compresión y el tipo de gránulo que se desea obtener.
Los rodillos, que comprimen la harina y facilitan su paso a través de los orificios de la matriz.

Las cuchillas cortadoras, instaladas a la salida de la matriz, que cortan los gránulos a la longitud deseada.
3
Enfriado-secado de los gránulos.
Cuando el proceso de granulación se realiza bajo condiciones controladas, especialmente en lo referente a humedad y temperatura, pueden obtenerse mejoras relevantes tanto en la calidad del pellet como en la eficiencia del proceso de fabricación.
Mayor gelatinización del almidón.
Mayor índice de durabilidad del gránulo (PDI, Pellet Durability Index) y disminución de la dureza del granulo.
Reducción de finos.
Mejoras índices productivos en animales.
Fijación de la humedad en el pellet terminado.


Incremento de la digestibilidad proteica.
Mejora de los índices productivos. (GMD, CMD, IC).
Menor consumo energético en la granulación.
Lubricación de las matrices (menor desgaste).
Consumo energético estandarizado (eliminación de los picos de sierra).
Mayor producción/hora y disminución de los atascos.
Mayor eficacia de esterilización de los piensos.

HIDROTÉRMICO: CONTROL DE VAPOR, HUMEDAD Y TEMPERATURA
El acondicionador es una pieza fundamental en la preparación del producto antes de su entrada en la matriz, ya que permite que la granulación se lleve a cabo en condiciones óptimas.
Las transformaciones físicas y químicas que se producen durante esta fase dependen de la combinación de tres factores principales:
Temperatura
Humedad
Tiempo de retención
La adición de vapor en el acondicionador incrementa la temperatura de la harina y, de forma simultánea, aumenta su humedad.
El objetivo final es alcanzar la temperatura más elevada posible, manteniendo el mayor tiempo de permanencia en el acondicionador, pero evitando que se produzcan atascos en la granuladora.
Cada fórmula admite un rango específico de temperatura y humedad:
16-17,5 %
En general, la humedad máxima de la harina a la entrada de la matriz se sitúa entre el 16 % y el 17,5 %.
>17,5 %
Valores superiores pueden generar una “pasta” que provoca el patinamiento de los rodillos y, finalmente, el atasco de la granuladora.
Resulta imprescindible asegurar una correcta homogeneidad de la humedad en la mezcla. Si todos estos factores se equilibran adecuadamente, se logrará una buena gelatinización de los almidones.

COMPRESIÓN-EXTRUSIÓN:
Durante esta fase, las partículas primarias de la harina se adhieren entre sí para formar estructuras de mayor tamaño, constituidas por múltiples partículas densas y de libre flujo, conocidas como gránulos, mediante un proceso que tiene lugar en la granuladora.
Proceso físico-químico de la granulación por vía húmeda
La granulación por vía húmeda es el sistema más utilizado en las fábricas actuales de pienso para ganadería y se basa en la incorporación de agua, principalmente en forma de vapor.
El objetivo final es ablandar las partículas para facilitar su posterior compactación.

El vapor proporciona:
Humedad y calor, mejorando la plasticidad de la mezcla y facilitando la compactación de las partículas para formar un gránulo durable.
Energía térmica y química que contribuye a desintegrar parcialmente la estructura del almidón, favoreciendo su gelatinización.
Desnaturalización parcial de las proteínas y reblandecimiento de la fibra, mejorando la cohesión del gránulo.
Fuerzas implicadas en la formación del gránulo
Fuerzas de cohesión
Se trata de fuerzas de atracción entre partículas sólidas, consideradas menos importantes debido a su tamaño relativamente grande.
La presión ejercida por los rodillos sobre la matriz de la granuladora sitúa las moléculas a distancia de enlace, actuando:

Fuerzas electrostáticas
Puentes de hidrógeno
Fuerzas de Van der Waals
Las fuerzas de atracción de Van der Waals son proporcionales al diámetro de la partícula e inversamente proporcionales a la distancia de separación entre ellas.
A mayor presión y menor tamaño de partícula, mayor cohesión. En consecuencia, un menor tamaño de molienda se asocia a una mayor fuerza de cohesión.
presión y tamaño de partícula = cohesión

tamaño de molienda = fuerza de cohesión
Las fuerzas de entrelazamiento son de vital importancia para la granulación, ya que la compresión obliga a las partículas a encajar entre sí, produciendo un entrelazamiento mecánico.
Esta fuerza está directamente relacionada con la relación longitud/diámetro (L/D) de los orificios de la matriz y, por tanto, con el rendimiento y el consumo energético. Cuanto mayor y más estrecho sea el recorrido que debe atravesar la harina, mayor energía de empuje y mayor tiempo serán necesarios.


Un alto contenido de fibra requiere una gran cantidad de energía para comprimir la harina hasta alcanzar la densidad del gránulo.


En materias primas relativamente densas, como los cereales o la harina de soja, se necesita menos energía para la compresión. Por ello, una mayor proporción de cereales favorece el enlazamiento.


Las fuerzas de adhesión se basan en la formación de fuerzas capilares por la presencia de pequeñas “gotas” de agua entre las partículas. Al añadir líquido, se forma una lente de agua con tensión suficiente para mantener unidas las partículas.
El agua sobrante no ligada debe eliminarse posteriormente durante el enfriado, pero si la velocidad de enfriamiento es excesiva, pueden producirse agrietamientos.
Durante los procesos de mezcla y acondicionamiento, en los que se añade humedad, la densidad de la harina aumenta debido al amasado constante. Esto disminuye el tamaño del poro ocupado por aire y conduce a un estado de adhesión sin necesidad de añadir más líquido.

Ruminology es nuestro método de nutrición de precisión, basado en el análisis QUÍMICO y, sobre todo FÍSICO del forraje. Sabemos su comportamiento en el rumen y respetamos los principios fisiológicos de los rumiantes.
NUTRISTAR: nutristarspa | BESUMA: besuma.nutristar Delegación España: marc.beltran@nutristar.it | 647915221 www.nutristar.it
2023 SL

La tumectación hace referencia a la capacidad del agua para repartirse homogéneamente y penetrar en la masa de harina.
Todas las propiedades físicas del alimento se ven afectadas por el agua, por lo que resulta imprescindible una distribución uniforme de la humedad y, para favorecer esta penetración, debe disminuir la tensión superficial.
En física, se denomina tensión superficial del agua a la cantidad de energía necesaria para aumentar su superficie, ya que el agua, al contacto con el aire o con sólidos, tiende a agruparse. Esta tensión es una manifestación de las fuerzas intermoleculares en el agua, conocidas como puentes de hidrógeno.
La tensión superficial, junto con las fuerzas entre el agua y las superficies sólidas en contacto, origina la capilaridad.
Como consecuencia, se produce la penetración del agua en la zona de contacto con el sólido, siendo mayor cuanto menor sea la tensión superficial.
No obstante, no se debe sobrepasar el nivel máximo de humedad admitida por la harina (vapor + agua libre), ya que se puede producir un deslizamiento de los rodillos y, finalmente, el atasco de la granuladora. Este nivel máximo de absorción de agua se denomina capacidad.
De forma general, este parámetro se determina según el tipo de materia prima:



Proteína y fibra soluble (pectina)



Fibra no soluble (lignina y celulosa)


Los puentes sólidos se forman principalmente por dos mecanismos:
Endurecimiento de los aglutinantes.
Cristalización de las sustancias disueltas.
Este es el mecanismo más importante en la formación del gránulo, ya que muchas materias primas empleadas presentan capacidad de aglomeración por sí mismas, debido a la presencia de sustancias que actúan como pegamentos naturales.
El almidón gelatinizado se considera el aglutinante más eficaz y económico, ya que aporta fuerza de unión y elasticidad, contribuyendo a mejorar la durabilidad del pellet.
La pregelatinización puede iniciarse a partir de 60 °C y con aproximadamente 3 % de agua libre.
A continuación, se indican valores orientativos de contenido de amilosa y temperaturas de pregelatinización de distintos ingredientes empleados en la formulación de piensos:
Trigo: 26 % de amilosa; 53–65 °C
Cebada: 22 % de amilosa; 56–62 °C
Maíz: 28 % de amilosa; 62–70 °C
Avena: 27 % de amilosa; 56–62 °C
Guisante: 35 % de amilosa; 57–70 °C
Además del almidón, existen otros componentes que favorecen la formación de puentes sólidos:
Fibra soluble (carboximetilcelulosa): forma puentes líquidos que, al secarse, generan puentes sólidos entre partículas.
Alcoholes y azúcares (melaza, productos con lactosa, ácido láctico, glicerina o vinazas): al secarse cristalizan y actúan como aglutinantes endurecidos (caramelización).
Gomas (guar y xantana): polímeros de alta capacidad higroscópica con capacidad gelificante que aportan viscosidad y elasticidad, aumentando la resistencia a la rotura.
Arcillas sólidas (sepiolita, bentonita, sulfato cálcico): incrementan la compresión por su capacidad de hinchamiento y actúan como “cemento” una vez secas.
El trigo presenta una mayor reputación como aglomerante pese a tener menos amilosa que el maíz, debido a otros factores como su menor contenido en aceite (1,5 % en trigo frente a 3,5 % en maíz).

La adición de grasa o aceite antes de la granulación es el factor que más disminuye la cohesión y la adhesión, ya que crea una película hidrófoba que impide la unión entre partículas y lubrica en exceso el proceso, reduciendo la fuerza aplicada.
Existen tres factores que determinan en mayor medida la calidad del granulado:
El acondicionado de la harina.
La formulación del pienso.
El tamaño de partícula tras la molienda.
A este respecto, algunos autores proponen la siguiente distribución orientativa de la influencia de estos factores sobre la calidad del pellet:
Enfriamiento: 5 %
Compresión (relación L/D): 15 %

Formulación (factor de granulación de ingredientes): 40 %

Molienda (tamaño de partícula): 20 %
Acondicionado con vapor y humedad: 20 %
Actuaciones para mejorar la calidad y el rendimiento
Aumento en la ecuación longitud/ ancho del dado de la matriz
Materias primas con alto factor de granulación
Inclusión de arcillas aglomerantes y gomas
Aumento de la temperatura
Aumento de la humedad en fórmulas altas en cereales


Homogeneidad de la masa en el acondicionado
Reducción de la grasa

Mejoras de rendimiento

Disminución de la relación longitud/ancho del dado de la matriz
Aumento de grasas y aceites
Disminución de la inclusión de arcillas
Aumento de la temperatura
Aumento de la humedad
A la salida de la matriz, el gránulo ya formado y caliente cae al enfriador, donde se reduce su temperatura hasta aproximarse a la temperatura ambiente y se disminuye su humedad con el fin de favorecer su correcta conservación.
14-18 %
Los gránulos entran en el enfriador con una humedad del 14 - 18 % y una temperatura de 60 - 90 °C.
A la salida, la humedad de los gránulos se sitúa entre el 11 % y el 14 %, mientras que la temperatura desciende hasta 20- 30 °C.
60 - 90 ºC

20 - 30 ºC
La pérdida de humedad en el enfriador corresponde aproximadamente a la incorporada previamente con el vapor.
En general, la temperatura final del pellet no debe superar en más de 5 - 7 °C la temperatura ambiente.
Durabilidad
La durabilidad es el parámetro más importante que se debe evaluar, ya que el gránulo debe soportar el transporte y la manipulación sin romperse, generando el mínimo porcentaje posible de finos.
En laboratorio se simula el recorrido del gránulo desde la salida de la matriz hasta su llegada al comedero de la granja.


90 % - 90s
La durabilidad se define mediante el PDI expresado como porcentaje. De forma general, un valor óptimo en pienso granulado se sitúa por encima del 90 % a los 90 segundos.
El sistema más utilizado es el Holmen 100, un método rápido y versátil que trabaja con muestras de 100 g y permite seleccionar tiempos de ensayo de 30, 60, 90 y 120 segundos. Por su parte, el Holmen 200 es una versión más moderna, que incorpora pesaje y resultados automáticos.
La dureza se define como la presión (kg/cm²) que el gránulo soporta sin romperse.
Este parámetro se mide con un durómetro y es importante para determinar cómo resistirá el almacenamiento y el transporte, aunque no siempre está correlacionado con la durabilidad.
Valores de referencia por especie:
Porcino: 2,5 - 4,5 kg/cm²
Pollo: 2 - 4 kg/cm²
Conejos: 7 - 9 kg/cm²


Los finos deben reducirse al mínimo posible, ya que afectan directamente a la calidad final del granulado.
Para calcularlos, se realiza un tamizado del pienso mediante cribas de 2 a 3 mm. En general, el resultado no debería superar el 10 %, considerándose valores entre 5 % y 10 % como un rango medio-alto.
<10 % > 70 %
Este porcentaje puede variar notablemente según el punto de muestreo, ya que en fábrica pueden encontrarse valores de hasta un 8 %, mientras que tras el transporte y el manejo en la granja los finos suelen incrementarse debido al trasiego.
Por ello, más allá del valor medido en planta, lo realmente importante es que en el comedero se mantenga una proporción suficiente de gránulos íntegros, idealmente superior al 70 %.

La actividad de agua (aw) es un parámetro que mide el agua libre que permanece tras el enfriado.
El agua libre es aquella que no está ligada a los nutrientes o estructuras y puede ser aprovechada para el crecimiento fúngico y bacteriano, así como para favorecer oxidaciones y, en último término, la proliferación de insectos. Por tanto, controlar este parámetro garantiza la estabilidad del pienso y evita su deterioro.

Aunque está relacionada con la humedad, no es exactamente lo mismo.
Por ello, el fabricante suele establecer un límite de humedad a la salida del enfriador por debajo del cual se considera que no existe un exceso de agua libre (habitualmente 12 - 13 %).
0,65
El valor ideal de actividad de agua se sitúa en torno a 0,65 y no debería superar 0,70.
Una forma efectiva de garantizar que el pellet pierde la humedad sobrante durante el enfriado es mantener la diferencia de temperatura pellet/ ambiente por debajo de 5 °C (máximo 10 °C) a la salida del equipo.
La forma y el aspecto del gránulo pueden aportar información muy valiosa sobre el funcionamiento del proceso de granulación.
Defectos como grietas, deformaciones o texturas irregulares suelen estar relacionados con desequilibrios en el acondicionado, la molienda, la humedad o la compresión en la matriz.

Identificar estos signos a tiempo permite corregir el problema de forma rápida y evitar pérdidas de calidad, aumento de finos o incidencias en la producción. A continuación, se recogen los defectos más frecuentes y sus posibles causas.
Gránulo con forma de abeto
Causa: fórmulas muy fibrosas, molienda deficiente, defecto de humedad o compresión insuficiente en la matriz.
Explicación: se observa con mayor frecuencia en piensos con alto
Recomendación: Revisar las parrillas.
Gránulo curvado o agrietado
Causa: cuchillas mal reguladas.
Explicación: el gránulo presenta una longitud de 3 a 4 veces su diámetro.
Recomendación: Los gránulos deberían romperse por “volteo”.


Gránulo con vetas
Causa: deformación de los orificios de la matriz por ataque químico, abrasión o desprendimiento de costras metálicas.
Gránulo con agrietamiento longitudinal
Causa: desmezcla del pienso o alta velocidad de la matriz.
Explicación: la falta de homogeneidad o una compresión excesiva pueden generar grietas longitudinales.
Recomendación: revisar la caída de harinas al silo de la granuladora, añadir más líquidos en mezcladora y reducir la producción de la máquina.



Explicación: la alteración de la matriz provoca irregularidades en la superficie del gránulo.
Recomendación: cambiar la matriz.


Gránulo con partículas gruesas
Causa: molienda demasiado grosera o parrilla rota.
Explicación: la presencia de partículas grandes dificulta la compactación uniforme del gránulo.


Gránulo con forma de pastillas






Causa: compresión elevada o deficiencia de vapor.
Explicación: el gránulo pierde su forma habitual y aparece más corto y compacto.
Recomendación: añadir grasa en mezcladora, reducir la compresión y asegurar que la diferencia de temperatura entre la harina y el gránulo no supere los 15 °C.

Recomendación: revisar el estado de las parrillas con frecuencia e instalar un cernedor y un imán antes del molino.
Gránulo deforme con fisuras
Causa: molturación gruesa.
Explicación: un tamaño de partícula excesivo impide una compactación adecuada y favorece la aparición de fisuras.
Recomendación: moler más fino, mejorar la aireación a lo largo de la parrilla, revisar el estado de los filtros y alimentar el molino a todo lo ancho de la parrilla.
Gránulo con aspecto “velludo”
Causa: exceso de vapor, temperatura elevada o presencia de partículas gruesas de fibra.
Explicación: la fibra larga o una humedad excesiva generan un gránulo con superficie irregular y “peluda”.
Recomendación: reducir la presión de vapor y revisar la granulometría de las harinas.
La tendencia actual apunta a una fabricación cada vez mayor de piensos granulados, lo que obliga a formular dietas específicamente diseñadas para ser granulables. Sin embargo, no todas las fábricas aplican el proceso de granulación de la misma manera, por lo que los resultados pueden variar significativamente.
Las materias primas evolucionan a lo largo del año y su capacidad o potencial de granulación puede cambiar, lo que hace necesario ajustar el proceso y la formulación en función de sus características.
David García Páez
Farmacéutico y Director Técnico en OneSilex, Expertos en Bioseguridad Aplicada
Este artículo técnico aborda un factor crítico y a menudo subestimado en la producción lechera: la calidad del agua de bebida.
Se analiza la relación directa entre la higiene hídrica, la salud de la glándula mamaria, el Recuento de Células Somáticas (RCS) y la calidad final de la leche.
Se presentan los sistemas autónomos de potabilización basados en ácido hipocloroso (HClO) como una herramienta innovadora para reforzar la bioseguridad, optimizar la eficiencia productiva y asegurar la sostenibilidad económica de las explotaciones lecheras.


En el manejo diario de una explotación lechera, el agua es el nutriente más consumido, aunque a menudo el más infravalorado.
Una vaca lechera de alta producción puede ingerir más de 150 L diarios.
Este consumo no solo es vital para sus funciones metabólicas y de termorregulación, sino que el agua constituye entre el 86 % y el 88 % de la leche producida.
La correlación es directa: una mayor ingesta de agua de calidad estimula el consumo de materia seca y, por tanto, la producción lechera.
Se estima que una vaca requiere entre 4 y 5 L de agua por cada kg de materia seca consumida, una demanda que se dispara en condiciones de estrés térmico.
¡La importancia de la CANTIDAD de agua no debe eclipsar la de su CALIDAD!
La presencia de contaminantes en el agua puede impactar la producción de forma más drástica que cualquier otra deficiencia nutricional.
La contaminación microbiológica, la formación de biopelículas (biofilm) en las conducciones y alteraciones en los parámetros fisicoquímicos comprometen la bioseguridad de la granja, reduciendo el consumo de agua y debilitando la respuesta inmunitaria del rebaño.
Este artículo profundiza en cómo la tecnología del ácido hipocloroso (HClO) ofrece una solución integral para el control de la calidad hídrica y su impacto en el RCS.

El RCS es el indicador de referencia universal para monitorizar:
La salud de la ubre
La calidad higiénica de la leche
Compuesta mayoritariamente por leucocitos, la concentración de células somáticas aumenta en respuesta a procesos inflamatorios, principalmente mastitis.
Un RCS inferior a 100.000 células/mL es indicativo de una ubre sana.
Cifras superiores a 100.000 células/mL alertan de una posible mastitis, a menudo subclínica y sin sintomatología visible.
La mastitis subclínica representa un coste económico silencioso pero significativo.
Un RCS elevado no solo merma el volumen de producción, sino que altera la composición de la leche, reduciendo los niveles de grasa, proteína y lactosa.

Las pérdidas económicas se extienden a los costes de tratamiento y al descarte prematuro de animales.
Provoca un aumento de la actividad enzimática que degrada la caseína, comprometiendo el rendimiento quesero y la vida útil de los productos derivados.
Aunque su etiología es multifactorial, la exposición continua a patógenos ambientales a través de un suministro de agua deficiente es un factor de riesgo que incrementa la presión de infección.
El agua en una granja lechera es un ecosistema dinámico y vulnerable.
Desde la fuente (pozos, arroyos, red pública) hasta el bebedero, el agua de la granja puede contaminarse con una amplia gama de agentes, incluidas bacterias patógenas (como E. coli, Salmonella, Campylobacter), virus, protozoos, materia orgánica, sedimentos y minerales indeseables como hierro o manganeso.
Las vacas son especialmente sensibles a la calidad del agua y un análisis periódico puede desvelar problemas que, aunque no sean evidentes a simple vista, están mermando la ingesta y la salud del rebaño2
Parámetros fisicoquímicos como el pH, los sólidos disueltos totales, la dureza y la presencia de nitratos o sulfatos también influyen en la palatabilidad del agua y, por ende, en su consumo, afectando indirectamente la salud y productividad animal.
El gran desafío en la gestión de la calidad del agua es el biofilm, una comunidad microbiana estructurada y adherida a las superficies internas de tuberías y bebederos, protegida por una matriz de exopolisacáridos (EPS)5

Esta biopelícula actúa como un reservorio continuo de patógenos, como E. coli, Klebsiella o Streptococcus, protegiéndolos de la acción de desinfectantes convencionales y liberándolos de forma constante en el agua.
La formación de biofilm se ve favorecida por factores como:
La presencia de materia orgánica
La dureza del agua

El uso de medicaciones o suplementos con azúcares en el agua de bebida
La temperatura ambiental
El peligro del biofilm radica no solo en su capacidad para liberar patógenos, sino también en su resistencia a antimicrobianos y biocidas.
Además, en casos extremos, puede llegar a obstruir las conducciones, limitando el acceso al agua.
Beber agua contaminada con biofilm no solo aumenta el riesgo de enfermedades entéricas y problemas reproductivos, sino que también somete al sistema inmunitario de la vaca a un estrés constante, lo que contribuye indirectamente a una mayor incidencia de mastitis y, por tanto, a un RCS más elevado.

Frente a desinfectantes tradicionales como el hipoclorito de sodio, que presentan limitaciones en eficacia contra el biofilm, dependencia del pH y formación de subproductos no deseados2, hay una solución tecnológicamente avanzada y biológicamente compatible: el ácido hipocloroso.
El HClO es la misma sustancia que el sistema inmunitario de los mamíferos produce para combatir infecciones, lo que lo convierte en un biocida de alta eficacia y seguro6, siendo su poder oxidante 80-100 veces superior al del hipoclorito, lo que le permite eliminar con rapidez bacterias, virus, hongos y esporas7
A diferencia de otros desinfectantes, el HClO actúa de manera rápida y eficiente, penetrando las membranas celulares de los microorganismos y oxidando sus componentes vitales, lo que conduce a su inactivación irreversible.
Esta acción no selectiva minimiza el riesgo de que se desarrolle resistencia microbiana, un problema creciente con el uso prolongado de ciertos antibióticos.
Un ambiente con alta carga patógena en el agua de bebida es un caldo de cultivo para infecciones, dificultando los esfuerzos de bioseguridad.

E cacia superior contra el bio lm: penetra la matriz de exopolisacáridos del bio lm, desestructurándola y eliminando los microorganismos incrustados, lo que previene su reaparición y la colonización de nuevas super cies5,8
Potente acción biocida: elimina un amplio espectro de patógenos al oxidar sus membranas celulares de forma irreversible, incluyendo bacterias grampositivas y gramnegativas, virus envueltos y no envueltos, hongos y esporas7 .
Seguridad y sostenibilidad: se descompone en agua y sal, no deja residuos tóxicos en la leche o la carne, y no genera resistencia microbiana. Es seguro para el personal, los animales y el medio ambiente6.
Ventajas técnicas del ácido hipocloroso en sistemas autónomos de generación in situ:
La implementación de sistemas de generación de HClO in situ permite una potabilización autónoma y continua del agua.
Estos equipos, mediante electrólisis de una solución salina diluida y controlada, producen ácido hipocloroso a demanda y lo dosifican de forma precisa en el sistema de agua de la granja, manteniendo un residual desinfectante constante y efectivo en toda la red de distribución, desde la entrada hasta el último bebedero.
Esta automatización asegura que cada animal tenga acceso a agua microbiológicamente pura en todo momento, eliminando la variabilidad y el riesgo de la dosificación manual y garantizando una bioseguridad hídrica ininterrumpida.
No corrosivo y no irritante: en las concentraciones de uso, es seguro para las instalaciones, no corroe equipos ni tuberías, y no irrita a los animales. Tampoco altera el sabor ni el olor del agua, lo que garantiza un consumo óptimo y evita el rechazo por parte del ganado6
Amplio rango de pH: mantiene su e cacia en un rango de pH más amplio que el hipoclorito sódico, lo que lo hace más versátil en diferentes calidades de agua6.
La versatilidad del ácido hipocloroso no se limita a la desinfección del agua de bebida.
Su perfil de seguridad y potente acción biocida lo convierten en una herramienta valiosa para una bioseguridad integral en la granja lechera, abarcando prácticas clave de higiene que impactan directamente en la salud de la ubre y la calidad de la leche:
Limpieza y desinfección de pezones (pre y post-dipping)
El HClO puede usarse como un agente eficaz en las soluciones de pre-dipping y post-dipping

Antes del ordeño ayuda a reducir la carga bacteriana en la superficie del pezón, minimizando el riesgo de introducir patógenos en las ubres.
Después del ordeño forma una barrera protectora que desinfecta y sella el conducto del pezón, previniendo nuevas infecciones.
Su naturaleza no irritante es una ventaja clave, ya que no causa molestias en los animales, fomentando una mejor aceptación de la rutina de ordeño y contribuyendo a la integridad de la piel del pezón.



superficies de establos, pasillos y herramientas.
Al eliminar eficazmente el biofilm y los patógenos de estas superficies, se reduce la contaminación ambiental general en la granja, creando un entorno más saludable para las vacas y disminuyendo la presión infecciosa.
Esto es especialmente relevante en la sala de ordeño, donde la higiene es primordial para evitar la contaminación cruzada y mantener la calidad microbiológica de la leche.
Sistemas de potabilización autónomos y control eficaz
La integración de sistemas autónomos de generación y dosificación de HClO no solo garantiza la calidad del agua de bebida, sino que también facilita la preparación de soluciones desinfectantes para las diversas aplicaciones mencionadas.
Estos sistemas ofrecen un control preciso de la concentración de HClO, asegurando la eficacia sin exceder los límites seguros.
La tecnología moderna permite monitorizar y ajustar la dosificación en tiempo real, optimizando el uso del producto y garantizando una bioseguridad constante y fiable en toda la explotación.
Esta automatización:
Reduce la dependencia de la mano de obra
Minimiza errores humanos
Adoptar un sistema de tratamiento de agua autónomo basado en HClO, junto con su aplicación en otras áreas de bioseguridad, tiene un impacto directo y medible en la granja y la calidad de la leche.
Al garantizar un agua libre de patógenos y biofilm, y al mantener una higiene rigurosa en el entorno y en las rutinas de ordeño, se reduce drásticamente la carga infecciosa a la que están expuestas las vacas.
Esto se traduce en:
Reducción de la presión infecciosa: se minimiza la exposición a patógenos causantes de mastitis (clínica y subclínica), enfermedades entéricas, problemas reproductivos y otras afecciones, lo que se traduce en una menor morbilidad y mortalidad en el rebaño.
Fortalecimiento del sistema inmunitario: un menor desafío patogénico permite que el sistema inmunitario del animal funcione de manera más e ciente, destinando recursos a la producción y el crecimiento en lugar de a combatir infecciones constantemente.

Proporciona trazabilidad al proceso de desinfección

Disminución sostenida del RCS: la mejora en la salud de la ubre, resultante de un ambiente más limpio y una menor exposición a patógenos, conduce a una reducción signi cativa y constante del RCS, un indicador clave de la salud Mejora de la calidad de la leche: una leche con menor RCS y carga bacteriana obtiene una mejor cali cación en los controles de calidad, lo que se traduce en un mejor precio para el productor y una mayor aptitud para la transformación industrial, aumentando el rendimiento quesero y la vida útil de los productos lácteos.
Estudios han demostrado la eficacia del HClO en la reducción del RCS, incluso en aplicaciones directas para el tratamiento de mastitis subclínica8.
La conclusión es clara: un agua de bebida purificada con HClO, unida a su uso en la higiene de pezones y equipos, contribuye a un estado de salud general superior del rebaño, reduce la dependencia de antibióticos y mejora drásticamente la rentabilidad de la explotación.

La higiene del agua ya no puede ser un aspecto secundario en la gestión de una granja lechera. Es una inversión estratégica que impacta directamente en la salud animal, la calidad del producto final y la sostenibilidad del negocio.

Al asegurar un suministro de agua microbiológicamente tratada y mantener un entorno higiénico y limpio, se rompe un eslabón clave en la cadena de transmisión de patógenos, lo que se traduce en una mejora tangible de la salud de las ubres y una reducción sostenida del RCS.
La implementación de tecnologías de potabilización autónomas, como los sistemas de generación de ácido hipocloroso, representa un cambio de paradigma: pasar de una desinfección reactiva a una bioseguridad proactiva y controlada.
Estos sistemas no solo garantizan la pureza del agua de bebida, sino que también proporcionan una solución versátil para la higiene de pezones, equipos y superficies, creando un escudo protector integral contra los patógenos.
En un mercado cada vez más exigente, donde la calidad y la sostenibilidad son valores fundamentales, invertir en la calidad del agua y en soluciones de bioseguridad avanzadas como el ácido hipocloroso no es solo una medida preventiva, sino una declaración de compromiso con la excelencia y la producción de leche de alta calidad para el siglo XXI. A fin de cuentas, es una inversión en la resiliencia y el éxito a largo plazo de la empresa lechera.
Bioseguridad hídrica en ganado lechero: ácido hipocloroso como estrategia integral para el control del RCS y la mejora de la calidad láctea
DESCÁRGALO EN PDF


Dosis: 4 ml
Primovacunación: Dos dosis (separadas 3 semanas)
HEPIZOVAC suspensión inyectable para bovino.
Presentaciones: 100 ml y 252 ml
Composición por dosis (1 ml): Virus inactivado de la enfermedad hemorrágica epizoótica (VEHE), serotipo 8, 105.5 DICC50 Indicaciones y especies de destino: Para la inmunización activa de bovino para prevenir la viremia causada por el serotipo 8 del virus de la enfermedad hemorrágica epizoótica. Vía de administración: Subcutánea. Posología: Dosis: 4 ml. Pauta de vacunación: Primovacunación: A partir de 2 meses de edad. Administrar dos dosis de 4 ml por vía subcutánea con un intervalo de 3 semanas. Revacunación: No establecida. Contraindicaciones: Ninguna. Precauciones: Conservar y transportar refrigerado (entre 2ºC y 8ºC). No congelar. Proteger de la luz. Tiempo de espera: Cero días. Medicamento sujeto a prescripción veterinaria. Titular de la autorización: CZ Vaccines S.A.U. A Relva s/n-Torneiros. 36410 O Porriño. Pontevedra. Reg. Nº: EU/2/25/341/001-003
En caso de duda consulte a su veterinario
Jean-Louis Peyraud1 y Jean-François Hocquette2,3
1INRAE, Institut Agro, UMR PEGASE, Francia
2INRAE, Universidad Clermont Auvergne, VetAgro Sup, UMR Herbivores, Francia
3Asociación Francesa de Zootecnia, AgroParisTech, Francia

Los debates contemporáneos sobre la ganadería y consumo de carne suelen estar dominados por una interpretación ambiental negativa y exagerada, ampliamente difundida desde la publicación en 2006 del informe de la FAO Livestock’s Long Shadow.
Se suelen esgrimir como argumentos centrales a favor de una reducción drástica de la producción animal —o incluso de su sustitución por alternativas vegetales o cultivadas en laboratorio— los siguientes puntos:

Las emisiones de metano asociadas a los rumiantes.
La deforestación vinculada al cultivo de soja para alimentación animal.
La competencia entre alimentación animal y alimentación humana.
La elevada huella hídrica atribuida a la carne de vacuno.
Este enfoque resulta caricaturesco, carece de matices y sigue siendo parcial.
Tiende a aislar o utilizar de forma inadecuada determinados indicadores (gases de efecto invernadero, consumo de agua, rendimiento proteico) sin integrar todas las dimensiones ecológicas, agronómicas, económicas, sociales y culturales de la ganadería.
El artículo de Peyraud y Hocquette (2025) propone superar esta visión fragmentada y ofrecer una interpretación multidimensional, matizada y equilibrada, que tenga en cuenta no solo los impactos negativos, sino también los servicios ecosistémicos y sociales que proporcionan los sistemas ganaderos, especialmente los basados en pastizales.
Peyraud, J.L., & Hocquette, J. (2025). Towards a balanced view of livestock: benefits of grazing farming systems to produce meat. Livestock Science, 302, 105829
LEER ARTÍCULO
La ganadería forma parte del balance global de emisiones de gases de efecto invernadero (GEI). Según estimaciones recientes de la FAO, se le atribuye alrededor del 12 % de las emisiones antropogénicas a escala mundial.
Dentro de este conjunto, el ganado bovino representa la principal contribución, en gran medida asociada a las emisiones de metano procedentes de la fermentación entérica.
Variabilidad entre sistemas
La huella de carbono necesaria para producir 1 kg de carne de vacuno puede variar en un factor de 1 a 3 en Europa, dependiendo de las prácticas de manejo.


Especificidad del metano
No obstante, varios elementos invitan a la cautela al interpretar estas cifras:
Potencial de mitigación

A diferencia del CO₂, el metano es un gas de vida corta (alrededor de 12 años).
La selección genética, los aditivos alimentarios que reducen la producción de metano, la mejora de la calidad de los forrajes, una gestión sanitaria más eficiente y la metanización del estiércol ofrecen un margen significativo de mejora.


Los métodos convencionales de contabilización (GWP100) pueden sobreestimar su impacto a largo plazo y, por ello, se están desarrollando nuevas métricas (GWP*).
Una reducción progresiva de las emisiones de metano es suficiente para estabilizar su efecto de calentamiento, mientras que las emisiones de CO₂ y óxido nitroso (N₂O) deben aproximarse a cero neto para limitar el calentamiento global a +1,5 °C o +2 °C, en línea con los objetivos de la COP21.
Es importante destacar que los sistemas basados en pastizales se asocian al secuestro de carbono en los suelos de pastos permanentes. Estos suelos, ricos en materia orgánica, pueden compensar una parte significativa de las emisiones de los rumiantes.
Sin embargo, este efecto de almacenamiento se integra de manera insuficiente en la contabilidad estándar del carbono, lo que conduce a una sobreestimación de la huella neta de los sistemas ganaderos basados en pastos.

Con frecuencia se afirma que producir 1 kg de proteína animal requiere una media de 6 kg o más de proteína vegetal, lo que sugeriría
una ineficiencia biológica estructural de la ganadería.
Sin embargo, este razonamiento se basa en un indicador engañoso, ya que contabiliza todas las proteínas vegetales consumidas por los animales, incluidas aquellas que no son comestibles para el ser humano.
Proteína vegetal no apta para consumo humano 5,4 kg
A nivel mundial, aproximadamente el 86 % de las proteínas consumidas por los animales de granja no son aptas para el consumo humano, ya que proceden de recursos que las personas no pueden ingerir: pastos, cultivos forrajeros y subproductos agrícolas (tortas de oleaginosas, salvados, granos de destilería, pulpas).
Los rumiantes, en particular, convierten recursos vegetales no cultivables en alimentos (leche y carne).

Proteína vegetal apta para consumo humano 0,6 kg
Si se consideran únicamente las proteínas vegetales realmente comestibles para el ser humano, los rumiantes utilizan, de media, 0,6 kg de proteína vegetal comestible para producir 1 kg de proteína animal (con amplias variaciones según el sistema).
En consecuencia, algunos sistemas de vacuno basados en pastizales pueden incluso ser productores netos de proteína comestible para el ser humano.

La ganadería aparece así no como un simple competidor de la alimentación humana, sino como un convertidor de biomasa no comestible en alimentos de alto valor nutricional.
Las cifras llamativas que se citan con frecuencia (hasta 15.000 L de agua/kg de carne de vacuno) se basan en la metodología de la Water Footprint Network, que incluye:

Agua gris
Agua azul
Agua verde
Agua relacionada con la dilución de contaminantes
Agua superficial y subterránea
Agua de lluvia absorbida y evapotranspirada
En el caso de los rumiantes, el 90–95 % de la huella corresponde a agua verde (lluvia sobre pastizales), que se evaporaría igualmente en ausencia de ganado, por lo que considerarla “consumo” problemático resulta cuestionable.
La cuestión central concierne al agua azul cuyo consumo se estima en aproximadamente:
510 L/kg para carne de vacuno
490 L/kg para porcino
313 L/kg para pollos
86 L/kg para producción de leche
En zonas con estrés hídrico, el riego de cultivos destinados a alimentación animal puede competir con otros usos. Sin embargo, en regiones templadas y húmedas, los sistemas ganaderos basados en pastos dependen principalmente de la lluvia y ejercen una presión limitada sobre los recursos hídricos.
Mientras que los impactos negativos están ampliamente documentados, los servicios que aporta la ganadería reciben mucha menos atención. Entre ellos se encuentran:
La valorización de tierras marginales
El mantenimiento de la fertilidad del suelo
El desarrollo de una agricultura circular
Las contribuciones socioeconómicas y culturales
A escala global, de los 5.000 millones de hectáreas de tierras agrícolas, 3.500 millones son pastizales y una parte considerable (1.300 millones de hectáreas) no es apta para el cultivo.
Los rumiantes permiten producir carne y leche en estas superficies sin competir con cultivos destinados al consumo humano.
Eliminar la ganadería supondría abandonar estas zonas o convertir tierras arables, con el consiguiente riesgo de pérdida de biodiversidad y emisiones asociadas al cambio de uso del suelo.
Los pastizales contribuyen al secuestro de carbono, limitan la erosión, mejoran la estructura del suelo y favorecen la biodiversidad microbiana
Los suelos bajo los pastos permanentes almacenan más carbono que los suelos cultivados y su conversión en tierras de cultivo liberaría cantidades significativas de CO₂.
La especialización territorial extrema (zonas de ganadería intensiva separadas de zonas cerealistas) ha roto los ciclos naturales de nutrientes, pero reintegrar cultivos y ganado permitiría:
Reciclar subproductos como alimento animal
Introducir leguminosas fijadoras de nitrógeno
Diversificar rotaciones
Reducir las importaciones de soja
Los sistemas integrados agriculturaganadería constituyen, por tanto, una vía prometedora para reforzar la autosuficiencia proteica, reducir emisiones y restaurar ciclos biogeoquímicos.
El estiércol aporta materia orgánica, nitrógeno y fósforo, reduciendo la dependencia de fertilizantes sintéticos

Sin riesgos , sin PIs P R OTECCIÓN INTELIGENT E

Porque hay riesgos que es mejor evitar
Asegura una protección completa frente a la BVD
+10%
PESO DIARIO -7%

¿QUIÉNES SOMOS?
IDENA es un pionero en nutrición animal que utiliza activos botánicos y biotecnologías para ofrecer soluciones de alimentación comprobadas, rentables y sostenibles. Desde 1995, co‑diseñamos premezclas y aditivos con fabricantes de piensos y ganaderos, mejorando el rendimiento y el bienestar en todas las especies, con presencia en más de 65 países en todo el mundo.
La ganadería proporciona sustento a 1.300 millones de personas en todo el mundo y sostiene aproximadamente a 1.000 millones de personas pobres en países en desarrollo.
Representa hasta el 40 % del PIB agrícola en partes de África y Asia del Sur, pero también en Europa.
Más allá de lo económico, la carne ocupa un lugar central en tradiciones culinarias, rituales y patrimonio cultural, ya que, desde la domesticación en el Neolítico, la relación entre humanos y animales ha modelado la organización social y las identidades colectivas.
Los sistemas extensivos basados en
Los beneficios e impactos de la ganadería no pueden resumirse en un único indicador, sino que se requiere un enfoque de “paquete de servicios” que permita evaluar simultáneamente:
La producción de carne y leche
Los impactos ambientales (positivos y negativos)
El empleo
La dependencia de insumos
Las dimensiones sociales y culturales
Este enfoque pone de manifiesto la necesidad de encontrar el equilibrio entre beneficios e inconvenientes. Por ejemplo:
Los sistemas intensivos producen más

Ningún modelo es perfecto y el desafío consiste en gestionar mejor ese equilibrio en lugar de caricaturizar la oposición entre sistemas intensivos y extensivos.

Las alternativas vegetales pueden presentar una huella ambiental inferior a la de la carne de vacuno, pero persisten debates sobre su valor nutricional y su grado de procesamiento.
La opción más disruptiva es la carne cultivada a partir de células animales en biorreactores.
Aunque se presenta como una solución a los problemas climáticos y éticos, subsisten importantes incertidumbres:
Evaluaciones ambientales controvertidas
Posible elevada demanda energética
Dependencia de medios de cultivo complejos
Cuestiones sanitarias, nutricionales y sensoriales aún no resueltas
Debates regulatorios en curso
La aceptación social sigue siendo limitada y los consumidores muestran curiosidad, pero poca disposición a sustituir permanentemente la carne convencional.
El precio, la percepción de naturalidad y el sabor constituyen barreras importantes.

Incluso si estas alternativas se expandieran, no reemplazarían los servicios ecosistémicos proporcionados por la ganadería.

Este análisis invita a superar las visiones reduccionistas que presentan la ganadería únicamente como un problema climático, ético o ambiental.
La clave no está en eliminar la actividad, sino en seguir evolucionando los sistemas productivos para hacerlos cada vez más eficientes, integrados y sostenibles.
La verdadera incoherencia ecológica reside en la separación artificial entre agricultura y ganadería, siendo crucial:
Reintegrar ambos componentes
Reforzar los sistemas basados en pastizales
Valorizar mejor los subproductos
Mejorar la eficiencia productiva respetando el medio ambiente y el bienestar animal
Reducir el desperdicio alimentario
Un mundo sin ganadería destinada a la producción de carne sería difícil de sostener desde el punto de vista agronómico, ecológico, económico y cultural. El objetivo, por tanto, no es eliminar la ganadería, sino transformarla para que contribuya plenamente a sistemas alimentarios

Cecilia Cajarville y José Luis Repetto
Sintesisnutrición S.L. Consulting, Badalona, Barcelona, España. sintesis@sintesisnutricion.com ccajarville@gmail.com

Los gases de efecto invernadero (GEI) son componentes naturales de la atmósfera que retienen parte del calor emitido por la Tierra, manteniendo el clima estable, lo que resulta indispensable para la vida sobre el planeta. No obstante, las actividades humanas han elevado significativamente sus concentraciones, intensificando este efecto y causando calentamiento global (Figura 1).
Los principales GEI incluyen dióxido de carbono (CO₂), metano (CH₄), óxido nitroso (N₂O) y los gases fluorados. Cada uno tiene distinto origen e impacto.
El CO2 proviene mayormente de la quema de combustibles fósiles.
El CH₄ tiene como principales fuentes la ganadería, los cultivos de arroz, los pantanos y los residuos orgánicos.
El N₂O se asocia al uso de fertilizantes y a la gestión de estiércol.
Los gases fluorados se emiten desde procesos industriales y de refrigeración.
Radiación térmica emitida
Radiación solar reflejada
Radiación solar recibida
Radiación solar absorbida en la superficie Transporte Agricultura
Radiación térmica re-emitida desde la atmósfera
Deforestación
Irradiado de la superficie

Generación de energía eléctrica Industria
Temperatura promedio en la superficie terrestre: T = + 16 °C
Figura 1. Efecto invernadero. La radiación solar ingresa a la Tierra y los gases impiden que sea devuelta a la atmósfera en su totalidad. Esto es lo que genera el efecto invernadero. Sin este efecto, la temperatura de la Tierra sería de -18 °C. Lo que sucede es que debido a actividades humanas (principalmente quema de combustibles y deforestación), el incremento de estos gases aumenta el efecto invernadero en la Tierra y, por lo tanto, la temperatura está subiendo.
Entre estos gases, el CH₄ destaca por su alto potencial de calentamiento, pero su menor duración en la atmósfera. Es por ello que, en un período de 20 años, el CH4 tiene un impacto 80 veces mayor, mientras que en 100 años es 25-30 veces más potente que el CO2. Además, nos concierne por su directa relación con la fermentación entérica de los rumiantes.
A escala global, la actividad ganadera emite aproximadamente 7,1 gigatoneladas de dióxido de carbono equivalente anuales, lo que contribuye en un 14,5% al total de las emisiones antropogénicas de GEI (Ghassemi Nejad et al., 2024).
Los sistemas de producción rumiantes presentan una mayor intensidad de emisión de GEI por unidad de proteína generada en comparación con los sistemas de especies monogástricas. Los rumiantes se distinguen además por un perfil de emisiones singular, dominado abrumadoramente por el CH₄, a diferencia de la producción de cerdos o aves, donde predominan otras fuentes (Figura 2).
Esta particularidad ha posicionado a los rumiantes como un foco crítico para las estrategias de mitigación. Además, existe una gran heterogeneidad en las emisiones entre los distintos sistemas de producción rumiantes, lo que significa que aquellos con mayores intensidades de emisión representan una gran oportunidad para aplicar medidas de mitigación. Es evidente, entonces, que la ganadería no es la mayor responsable de la contaminación ambiental. Sin embargo, como actores de la producción animal, es un tema que toca encarar responsablemente.

ARumiantes
Alimentación
Gestión del estiércol
de pastizales
soja y palma
Estiércol aplicado
4% Fertilizantes y residuos de cosecha 4%
Gestión del estiércol
Fermentación entérica
Monogástricos
Alimentación
Gestión del estiércol 13%
Fermentación entérica 2% Alimentación 31%
6%
Gestión del estiércol 2%
Fertilizantes y residuos de cosecha
Estiércol aplicado 13%
LUC: soja y palma 6%
Figura 2. Perfil de emisiones promedio para producciones de rumiantes (A) o de monogástricos (B). En la producción de rumiantes hay un predominio neto (55 %) de CH4 emitido por fermentación entérica. Si bien, el manejo de las deyecciones de los rumiantes también emite metano, lo hace en una proporción mucho menor (3 %) (Fuente: FAO, 2019).
En un contexto de creciente crisis climática, la sostenibilidad futura de la producción de carne y leche bovina dependerá críticamente de nuestra capacidad para implementar de manera efectiva prácticas que reduzcan la huella de ambiental del sector.
Los rumiantes poseen una capacidad biológica única para convertir alimentos de bajo valor y no aptos para el consumo humano (como pastos o residuos de cosecha) proteína de alta calidad (carne, leche) mediante la fermentación microbiana, una capacidad digestiva ausente en los animales monogástricos.

Sin embargo, este mismo proceso conlleva un coste ambiental: cuando los microorganismos descomponen material vegetal fibroso, uno de los subproductos de esta digestión es el CH₄, un potente gas de efecto invernadero.
A continuación explicaremos:
Por qué la producción de CH₄ es inevitable en los rumiantes.
Cómo esta producción genera una tensión fundamental entre la seguridad alimentaria global y los objetivos climáticos.
El ecosistema ruminal es una asociación simbiótica entre el rumiante y su microbiota residente que cumple un doble papel para beneficio del rumiante:
La descomposición de la lignocelulosa para obtener energía a partir de materiales fibrosos.

El suministro continuo de proteína microbiana de alta calidad mediante el pasaje de los mismos microorganismos hacia el tracto gastrointestinal inferior.
Cuando el rumiante ingiere alimento, este ingresa al rumen y es fermentado por los microorganismos.
Los carbohidratos se descomponen en ácidos grasos volátiles (AGV), principalmente acético, propiónico y butírico, que en su mayoría son absorbidos a través de la pared ruminal y sirven como la principal fuente de energía para el rumiante.
Estos carbohidratos pueden ser:
Simples: glucosa, fructosa o sacarosa, que son de muy rápida fermentación.
Almidones: polisacáridos digestibles y fermentables.
Fibras: polisacáridos que no se digieren, pero fermentan en el rumen (celulosa, hemicelulosa y pectina).
La producción de AGV es el resultado constante de la fermentación de cualquier carbohidrato, aunque el tipo de sustrato determina las proporciones específicas de cada uno y las vías metabólicas utilizadas para generarlos.
La degradación de proteínas genera amoníaco que, en gran parte. es reutilizado por las bacterias para formar proteína microbiana.
La masa microbiana producida en el rumen (que es una proteína de alta calidad) pasa al tracto digestivo posterior, donde es digerida, proporcionando la mayor parte de los aminoácidos para el rumiante.
Así es como el rumen cumple con las dos funciones señaladas: actúa como un fermentador continuo, capaz de suministrar energía y generar proteína de alto valor biológico para el rumiante.
Hasta aquí, todo es positivo, el rumiante es capaz de generar productos de altísima calidad para el humano partiendo de materiales de baja calidad. Pero...
Durante la fermentación se liberan H₂ y CO₂ como subproductos y, como el exceso de H₂ en el rumen es inhibidor de la fermentación microbiana, debe eliminarse. Para ello, el ecosistema ruminal cuenta con microorganismos anaerobios específicos, conocidos como arqueas metanogénicas, que representan alrededor del 3 % de la microbiota, y que utilizan el H₂ para reducir el CO₂ resultante y formar CH₄ de acuerdo con la siguiente reacción general:
Curiosamente, el principal microorganismo metanógeno en el rumen es el Methanobrevibacter spp., que está presente en sistemas digestivos tan diversos como el de los rumiantes, el del humano o el de las termitas. En el ser humano, la deficiencia de algunas especies de este género se ha vinculado al mal funcionamiento del tracto gastrointestinal y a la aparición de cáncer colorrectal (Mohammadzadeh et al., 2022).
Dado que ni el rumiante ni la población microbiana pueden metabolizar el CH₄, este se elimina mediante la eructación, con dos inconvenientes:
1.
Representa una pérdida de energía potencialmente utilizable para el animal.
Se libera a la atmósfera con la contaminación que esto implica.
En cambio, las dietas bajas en fibra y altas en concentrados favorecen la síntesis de propionato, reacción que incorpora H2 en lugar de generarlo, reduciendo la disponibilidad de H2 para la metanogénesis.
Estas reacciones se esquematizan en la Figura 3.
Las comunidades microbianas presentes en el rumen se adaptan dinámicamente a estos cambios en las dietas. Cuando el animal se alimenta con mucha fibra, comienzan a predominar bacterias fibrolíticas (como Fibrobacter succinogenes) y otros productores de acetato.


En cambio, a medida que suministramos más almidón en la dieta, esto favorece la proliferación de bacterias amilolíticas (como ) y las vías que generan
2. A

Cuanto más fibrosa es la dieta, mayor es la proporción de la energía que se pierde como CH₄, lo que está relacionado con variaciones en la microbiota y las vías metabólicas que los microorganismos emplean para la fermentación.
Dietas altas en fibra (especialmente ricas en lignocelulosa) promueven una fermentación dominada por acetato, un proceso que genera H₂ como subproducto y este es empleado por las arqueas para producir CH₄.







Figura 3. Esquema de las reacciones predominantes en el rumen cuando un rumiante consume una dieta con mucha fibra (A), generando predominantemente acético, o cuando consume una dieta con concentrados (B). Obsérvese que, a partir de una hexosa, la reacción puede producir hidrógeno (A) o captar hidrógeno (B). El metano será producido por las arqueas metanógenas a partir del hidrógeno generado. Por ello, las dietas con mucha fibra (dietas que producen más ácido acético) son las más metanógenas.
Por su parte, las poblaciones de metanógenos también se adaptan a los sustratos presentes, por lo que se reducen con la disminución de la fibra en la dieta. Como veremos más adelante, es por esto que aumentar la cantidad de almidón en la dieta es una posible forma de reducir la producción de metano, aunque este cambio, además de ser costoso y competir con la alimentación humana, puede provocar acidosis, alterando la fermentación ruminal.
Existen diversos métodos para monitorear y cuantificar las emisiones de CH₄ en rumiantes, cada uno con aplicaciones, ventajas y limitaciones distintas. La elección del método de medición más adecuado variará dependiendo de si los datos se utilizarán para tomar decisiones de manejo en la granja, evaluar alimentos, probar la eficacia de aditivos o para selección genética. La aplicación prevista dicta la metodología más adecuada.
El CH4 entérico se libera principalmente por eructación desde el rumen. También se genera en el intestino posterior, desde donde puede emitirse mediante flatulencias
Una porción del gas es absorbida del tracto digestivo al torrente sanguíneo y finalmente exhalada por los pulmones. No obstante, la gran mayoría (97-98 %) del total producido es emitida por la boca y las fosas nasales (Muñoz et al., 2012).
Es por ello, que la mayoría de los métodos miden el metano a nivel del hocico, y eso es suficiente para tener una estimación precisa de la cantidad emitida.
El método de medición más preciso es el llamado “cámara respiratoria” (Figura 4), donde los animales se colocan en recintos sellados para medir los gases que emiten. Aunque es el “Gold Standard” en investigación, este sistema tiene limitaciones:
El ambiente es artificial.
Restringe el movimiento.
No refleja del todo cómo viven los animales en condiciones naturales como el pastoreo.
Por ello, aunque ofrece datos muy exactos, no siempre representa fielmente lo que ocurre en la práctica real.


Figura 4. Cámaras del laboratorio de Respiración de Rumiantes del ILVO, Melle, Bélgica. A) Cámaras vistas de afuera. B) Vista interior de una cámara con una vaca atada en su interior (Extraído de De Campeneere y Peiren, 2014. En: Pinares C, Waghorn G, (eds) Technical Manual on Respiration Chamber Designs. https:// globalresearchalliance.org/library/livestock-research-group-technical-manual-respiration-chamber-designs-february-2014/).

La técnica del trazador con SF₆ (Figura 5) consiste en colocar una cápsula en el rumen del animal que libera un gas de referencia.
Un dispositivo que lleva el propio animal recoge aire de su hocico durante varios días para medir tanto el trazador como el CH₄. Comparando ambos, se puede calcular cuánto metano produce.
El SF₆ es un método práctico, portátil y de bajo coste, útil en animales tanto en pastoreo como en corrales.
Sin embargo, requiere mucho trabajo para preparar y mantener el equipo, los animales necesitan adaptación y pueden desprenderse durante las mediciones. Además, no es útil para medir cambios diarios o por horas en la emisión.


Figura 5. Uso del método del trazador SF₆ en el IPAV (Facultad de Veterinaria, UdelaR, Uruguay, imágenes de los autores). El sistema funciona con una cápsula colocada en el rumen que libera SF₆ a una tasa constante y conocida, y un dispositivo exterior de muestreo en el hocico del animal que extrae continuamente el aire exhalado hacia un frasco de vacío colocado en el lomo de los animales, durante 3-6 días. En las figuras se observa el dispositivo exterior en un animal de engorde y en vacas lecheras.
El sistema GreenFeed (Figura 6), que mide el CH₄ que producen los animales mientras se alimentan, fue desarrollado por Zimmerman (1993).
Funciona de manera automática y permite que los animales se muevan libremente, aunque solo mide a los que están entrenados para acercarse al equipo. Para atraerlos, se les da un poco de alimento concentrado, lo que limita su uso en dietas que emplean solamente pastura en la alimentación.
Con muestreos realizados durante varias semanas, ofrece datos confiables y en tiempo real sobre las emisiones. Su principal desventaja es que depende de un fabricante específico (C-Lock Inc., Rapid City, South Dakota, EE. UU.) y no siempre se puede acceder libremente a todos los datos que genera.
Una revisión realizada por Della Rosa et al. (2021), de casi 400 estudios (1995–2018) mostró que la mayoría usó cámaras respiratorias (55 %), seguidas por el método del trazador SF₆ (38 %) y, en menor medida, los sistemas GreenFeed (7 %). Sin embargo, se espera que en el futuro el uso de GreenFeed aumente, ya que cada vez más investigadores lo adoptan por sus ventajas para medir metano en condiciones de producción reales durante periodos largos.

Figura 6. Sistema GreenFeed para medición de gases en animales. Imágenes del fabricante. C-Lock Inc., 2025. https://www.c-lockinc. com/products/emissions-monitoring/greenfeed-large-animals#product_specs



También existen métodos portátiles para medir metano en granjas. Uno de ellos es el denominado sistema de “Sniffers”, que son dispositivos colocados en los comederos de los animales que registran las emisiones cuando las vacas comen o beben.
Los sniffers son prácticos y relativamente poco costosos, pero pueden fallar por movimientos de la cabeza de los animales o diferencias en la confección de los comederos.
Se han desarrollado métodos que utilizan detectores láser manuales, más económicos y capaces de medir en tiempo real. Aunque prometedores, todavía necesitan más investigación para reducir errores relacionados con la distancia o el ángulo de medición.
La inteligencia artificial (IA) se está empleando como una nueva forma indirecta de estimar el CH₄ que producen las vacas. Mediante algoritmos y modelos de aprendizaje automático, el empleo de la IA permite detectar patrones complejos y mejorar la precisión de las estimaciones.
Otro método indirecto consiste en analizar la leche de las vacas, usando espectroscopía y el estudio de ácidos grasos, junto con información del microbioma del rumen. Esto permite estimar emisiones de forma masiva y, además, podría ayudar a seleccionar genéticamente animales que produzcan menos metano.
Sin duda, el avance de este tipo de técnicas de medición y estimación permitirá monitorear en granja las emisiones, constituyéndose en herramientas utilizables para la toma de decisiones diarias.
El CH4 proveniente de los rumiantes representa, a la vez, un desafío ambiental y una oportunidad estratégica.
Comprender los mecanismos biológicos y los factores de manejo que explican estas emisiones es clave para trazar un camino hacia sistemas más sostenibles.
La ciencia ya ha avanzado en métodos de medición y monitoreo que nos permiten dimensionar el problema con mayor precisión, pero el gran reto está en cómo aplicar este conocimiento para reducir las emisiones sin comprometer la seguridad alimentaria ni la productividad del sector.
Producción de metano en rumiantes: ciencia, medición y retos productivos DESCÁRGALO EN PDF
sostenibilidad

Lucía Asenjo, Jorge Bou, Roberto Vitaller, David Guallar, Pablo Quílez, Javier Marco, Marta Ruiz de Arcaute y Héctor Ruiz
Servicio Clínico de Rumiantes de la Universidad de Zaragoza

El carcinoma de células escamosas (CCE) es la neoplasia cutánea más frecuente en el ganado ovino a nivel mundial.
Se trata de un tumor maligno de origen epitelial que se desarrolla a partir del estrato escamoso de la epidermis.
Aunque su etiología es multifactorial, la literatura científica coincide en señalar la radiación ultravioleta como el carcinógeno físico primario, cuya acción se ve exacerbada por factores intrínsecos del animal (Méndez et al., 1997):
Ausencia o baja pigmentación.
Falta de cobertura lanar.
Esta enfermedad neoplásica puede afectar a diversas especies.
A continuación, se analiza esta patología en el contexto específico de la raza Rasa Aragonesa y su manejo tradicional en el Valle del Ebro.
La raza ovina Rasa Aragonesa presenta características raciales definidas que, paradójicamente, incrementan su vulnerabilidad ante la radiación solar.
Según el estándar racial descrito por la Real Federación Española de Asociaciones de Ganado Selecto (RFEAGAS, s.f.), estos animales se caracterizan por un perfil subconvexo, capa blanca y un vellón de color blanco uniforme.
Esta selección puede estar influida de forma directa por determinados factores condicionantes, como pueden ser:


La pigmentación es un factor crítico, ya que no solo determina el color de la lana, sino de la piel y mucosas. La Rasa Aragonesa posee mucosas y piel rosáceas y despigmentadas, lo que, sumado a una falta de cobertura lanar en zonas clave expuestas constantemente al sol, como las orejas, el morro y el periné, puede favorecer su aparición.
La falta de melanina en los queratinocitos reduce la capacidad de protección frente a la radiación UV, permitiendo que esta dañe directamente el ADN celular (dímeros de timina), iniciando así la carcinogénesis (Riet-Correa et al., 1981).



La hipopigmentación está regulada por genes, como el MC1R (Melanocortin 1 Receptor) y el ASIP (Agouti Signaling Protein), que influyen en la aparición de CCE, por lo que puede haber una predisposición genética (Vasconcelos et al., 2023).


Estudios comparativos han demostrado que las razas con pigmentación oscura en la cabeza y extremidades presentan una incidencia de CCE prácticamente nula en comparación con razas blancas despigmentadas, confirmando la correlación fenotípica directa (Méndez et al., 1997). Por otro lado, los animales adultos tendrán una mayor susceptibilidad con respecto a los jóvenes (Vasconcelos et al., 2023).
La distribución anatómica del CCE no es aleatoria. En ovino, el tumor se asienta casi exclusivamente en zonas sin lana que tienden a presentar una cobertura pilosa escasa y escasa o nula pigmentación.
Las localizaciones más frecuentes son:

En la Rasa Aragonesa, así como en otras razas y asociado a prácticas de manejo tradicional (como el corte de cola), la zona del periné, la vulva y la base de la cola pueden llegar a quedar más expuestas.
Cabeza
Las localizaciones más frecuentes descritas son los pabellones auriculares, zona periocular, incluidos los párpados, y la zona de los ollares (Méndez et al., 1997).
Se han documentado casos clínicos graves en esta raza donde el tumor primario, originado en la piel vulvar o perineal debido a la exposición solar, ha mostrado un comportamiento agresivo con invasión hacia la cavidad abdominal (Marteles et al., 2009).

Abdominal
Debido a la selección y las características fenotípicas propias de la raza, la zona abdominal tiende a aparecer descubierta de lana. Sin embargo, la no exposición continuada a la radiación solar al ser una zona declive, favorece una menor aparición de lesiones neoplásicas en esta localización.
Esto podría llevar a plantear la hipótesis de que la lana actúa como un fotoprotector físico esencial, y su ausencia define las "zonas diana" del tumor.

La ubicación geográfica de los rebaños y las prácticas de manejo tradicionales con sistemas de producción de tipo semi-intensivo o extensivo asociadas a la producción de esta raza, juegan un papel determinante en la patogenia.
La mayoría de las ovejas Rasa Aragonesa se concentran en la cuenca del Ebro y zonas áridas de Aragón.

Climatología
Esta región se clasifica dentro del clima mediterráneo, identificándose las zonas donde mayor agrupación de ganado pastorea como un clima seco estepario o clima continental mediterráneo y cálido caracterizado por pocas precipitaciones anuales y grandes variaciones interanuales de temperatura.
Un aspecto clave de estas zonas son los veranos secos y soleados, quedando los animales expuestos a altos índices de heliofanía (horas de sol anuales). La radiación UV es particularmente intensa durante los meses estivales, lo que supone una agresión continuada para la piel expuesta de los animales.

En sistemas extensivos o semi-intensivos, las ovejas están sometidas a largas jornadas de pastoreo bajo luz solar directa.
La combinación de alta radiación UV ambiental y la falta de sombras naturales en muchas zonas de pasto estepario exacerba el riesgo, actuando el sol como un factor acumulativo de daño actínico (Riet-Correa et al., 1981).

La presencia de insectos, especialmente los simúlidos (mosca negra), muy frecuente en el valle del Ebro y las moscas causantes de miasis, (familias Caliphoridae y Sarcophagidae) tienden a causar daños a la piel, favoreciendo la aparición lesiones, incluyendo las de naturaleza tumoral, al alterar las barreras protectoras naturales cutáneas.
Además, una vez aparecido el tumor, puede verse afectado por una miasis, agravando la propia lesión e influyendo de forma notable en el bienestar del animal.
El CCE es un tumor maligno de los queratinocitos que presenta un desarrollo lento y un curso crónico, siendo frecuente su diagnóstico cuando la lesión ya se encuentra bastante avanzada.
Es una patología ligada a animales en edad adulta, en consonancia con el factor considerado más predisponente, la exposición solar y la acumulación de daño asociado.

Las estadísticas globales de decomisos en matadero pueden parecer bajas (frecuentemente <1%), pero estas cifras subestiman la realidad del campo y pueden distorsionarla en parte (Swan et al., 1984).
En rebaños de razas blancas expuestos a alta radiación, la morbilidad puede dispararse.
>5 años
Méndez et al. (1997) observaron que la incidencia aumentaba drásticamente con la edad, siendo casi inexistente en corderos. Así pues, la mayoría de casos detectados se encontraban por encima de los 5 años de edad.
El daño solar es acumulativo y las lesiones iniciales suelen ser queratosis actínicas (engrosamiento de la piel) o dermatosis solares que, tras años de exposición continuada, evolucionan hacia carcinomas invasivos.
Esto explica por qué los rebaños con mayor tasa de reposición (animales más jóvenes) tienden a presentar menos casos clínicos visibles que aquellos con mayor porcentaje de ovejas por encima de los 5 años, ya que la prevalencia del CCE aumenta con la edad (Daniels y Johnson, 1987).
10,8 %
En el brote estudiado por Méndez et al. (1997) en España, se reportó una prevalencia clínica del 10,8 % en ovejas adultas, una cifra alarmante para una neoplasia.
La prevalencia se incrementa en climas áridos y semiáridos y en épocas de clima seco y con muchas horas de luz solar (Méndez et al., 1997).
Como antecedente en medicina comparada, existen estudios de campo realizados en la Península Arábiga y Australia sobre el sector ovino que demuestran la alta prevalencia de neoplasias cutáneas, incluyendo el melanoma maligno, en razas locales como la Najdi y la Awassi (Ladds & Entwistle, 1977; Ladds & Daniel, 1982; Ahmed & Hassanein, 2012).
Estos estudios destacan que la falta de pigmentación en áreas específicas y la exposición prolongada a la radiación
solar son determinantes clave en la frecuencia de estas patologías en regiones con alta insolación.

El CCE provoca un importante deterioro del animal, el cual se hace evidente no solo en su productividad, sino en su propio bienestar, puesto que las lesiones tienden a infectarse o sufrir miasis, que todavía empeoran más la situación. Esto tiende a provocar el descarte prematuro del animal.
En el diagnóstico diferencial de los cuadros clínicos compatibles con carcinoma de células escamosas (CCE) en ovinos deben considerarse diversos procesos de origen neoplásico, infeccioso, parasitario, inflamatorio y traumático, que pueden presentar lesiones cutáneas proliferativas, ulceradas o de localización similar.
Entre los procesos neoplásicos, se incluyen:
Melanomas asociados a áreas de pigmentación oscura.
Melanomas amelanóticos.
Sarcomas, fibromas, mixomas y carcinomas de la glándula lagrimal.
(Ahmed & Hassanein, 2012; Villalobos, 2022)
Papilomatosis ovina, causada por el Ovine papillomavirus (OvPV), que afecta con mayor frecuencia a animales jóvenes, aunque puede localizarse en regiones anatómicas similares a las del CCE y presentar una apariencia macroscópica semejante (Polinas et al., 2024).

Entre las afecciones parasitarias, la miasis ovina constituye un diagnóstico diferencial relevante.
Se trata de una infestación por larvas de dípteros que se desarrollan en tejidos vivos o necrosados, principalmente de las familias Sarcophagidae (Wohlfahrtia magnifica) y Calliphoridae (Lucilia sericata, Phormia regina).
En ovinos, las lesiones se localizan con mayor frecuencia en zonas húmedas, como la región perineal, la vulva, el prepucio y heridas cutáneas.
La miasis primaria afecta a tejidos sanos, mientras que la secundaria se desarrolla sobre lesiones preexistentes (Valladares-Carranza et al., s.f.).
Deben considerarse también lesiones cutáneas infectadas secundarias a picaduras de simúlidos, insectos hematófagos cuyas picaduras pueden provocar dermatitis severa, edema, necrosis y ulceración, especialmente en áreas poco pilosas como la cara, las orejas y el escroto.
Estas lesiones pueden complicarse por infecciones bacterianas secundarias, principalmente por Staphylococcus aureus o Trueperella pyogenes (RuizArrondo et al., 2014).
Otros procesos a incluir en el diagnóstico diferencial son lesiones traumáticas, abscesos perioculares, queratosis actínicas, granuloma eosinofílico (caracterizado por una proliferación celular densa de eosinófilos, macrófagos y mastocitos) y procesos de fotosensibilización, que pueden dar lugar a lesiones cutáneas ulcerativas o proliferativas en zonas expuestas a la radiación solar.
Durante los últimos años, el Servicio Clínico de Rumiantes (SCRUM) de la Universidad de Zaragoza ha recibido una serie de casos con ciertas similitudes que han puesto de manifiesto la importancia de este tumor en la cabaña ganadera.
Han sido diagnosticados como carcinomas de células escamosas cinco casos en ovejas adultas de raza Rasa Aragonesa procedentes de diferentes explotaciones ubicadas en el Valle del Ebro.
Todas eran ovejas adultas de 3-6 años de edad procedentes de ganaderías incluidas dentro del libro genealógico de la raza Rasa Aragonesa y con manejos de tipo semi-intensivo tradicionales propios del valle del Ebro.
Los cinco animales presentaban masas localizadas a nivel de la cabeza, cuatro de ellas a nivel periocular y una más cercana a los ollares (Imagen 1).

Las masas presentaban un aspecto hemorrágico-purulento, con gran celularidad y un mal olor notable, que influía de forma considerable en el bienestar de los animales.






Aspecto externo de las masas de los cinco animales a su llegada al Servicio Clínico de Rumiantes (SCRUM).
En todos los casos se realizaron las pruebas complementarias pertinentes, que incluyeron analíticas, técnicas de diagnóstico por imagen como la termografía y la tomografía computarizada.
Tras la aplicación de cuidados paliativos por parte del equipo clínico, fue necesario proceder al sacrificio humanitario de los animales para la realización del examen histopatológico.
Todos los animales fueron diagnosticados de carcinoma de células escamosas, con distintos grados de desarrollo tumoral y presencia variable de lesiones secundarias.
El protocolo diagnóstico seguido fue descrito previamente en un caso de carcinoma de células escamosas periocular publicado en la edición de noviembre 2025 de la revista rumiNews (Sánchez et al., 2025).
Tumor de células escamosas en una oveja de desvieje LEER ARTÍCULO
La observación de esta serie de casos en el SCRUM a lo largo de los últimos años pone de manifiesto la necesidad de realizar diagnósticos diferenciales amplios y sistemáticos ante la presencia de lesiones cutáneas en ovinos.
Aunque la aparición de neoplasias cutáneas en esta especie es menos frecuente que en otras especies domésticas, como los équidos, su consideración resulta fundamental en el abordaje clínico.
Esto es especialmente relevante debido al riesgo de confundir estas lesiones con otros procesos más habituales, como miasis o lesiones traumáticas, lo que puede dar lugar a tratamientos repetidos, curas prolongadas y retrasos diagnósticos que condicionan negativamente el pronóstico.

La prevención y tratamiento de esta patología en condiciones productivas resultan especialmente complejos:
La exposición solar se considera el principal factor predisponente, pero no es sencillo modificar los manejos tradicionales asociados a la producción ovina, que incluyen el pastoreo y el aprovechamiento de pastos y zonas de monte a lo largo de todo el año.

El proceso histórico de selección genética aplicado en la mayoría de las razas ovinas, incluida la Rasa Aragonesa, orientado a la obtención de vellones blancos que facilitasen el teñido de la lana, podría haber contribuido a una mayor susceptibilidad a esta patología.
En este sentido, determinadas líneas genéticas con fenotipos muy marcados y una ausencia prácticamente total de melanina cutánea parecen ser las más afectadas.
En la actualidad, mantener un equilibrio entre selección genética y exposición solar, junto con un diagnóstico precoz que permita minimizar las repercusiones sobre el bienestar animal, constituye la principal estrategia de control disponible.


El carcinoma de células escamosas en la oveja Rasa Aragonesa constituye un ejemplo paradigmático de la interacción genotipoambiente.
La despigmentación característica de la raza, junto con la elevada insolación propia del Valle del Ebro, genera condiciones especialmente favorables para el desarrollo tumoral en zonas corporales desprovistas de lana.

En la práctica, las opciones de prevención en sistemas productivos son limitadas, dado que ni la base genética de la raza ni los manejos tradicionales asociados al pastoreo extensivo son fácilmente modificables.
Por ello, el diagnóstico precoz y la vigilancia clínica de lesiones cutáneas incipientes en animales adultos se perfilan como las medidas más relevantes para reducir el impacto de esta patología sobre el bienestar animal.
Las lesiones cutáneas persistentes o recurrentes en ovinos deben hacer sospechar procesos neoplásicos, especialmente cuando no responden a tratamientos antiparasitarios o curas convencionales.
Las razas ovinas despigmentadas expuestas a elevada radiación solar presentan un mayor riesgo de desarrollar neoplasias cutáneas, por lo que requieren una vigilancia clínica específica.
El carcinoma de células escamosas puede pasar desapercibido en fases iniciales al simular procesos traumáticos, infecciosos o parasitarios, lo que dificulta su diagnóstico precoz.


Carcinoma de células escamosas en ovino raza rasa aragonesa: paradigma predisposición-fenotipo DESCÁRGALO EN PDF
Laura Pérez Sala
Veterinaria especialista en producción animal y gestión de equipos

La gestión del talento se ha convertido en uno de los grandes desafíos para el sector ganadero.
La elevada rotación de personal y la dificultad para cubrir determinados puestos no son fenómenos nuevos, pero en los últimos años han adquirido una dimensión más estructural y persistente.
Uno de los factores clave es la creciente competencia con otros sectores económicos que ofrecen condiciones percibidas como más atractivas, especialmente en términos de horarios, estabilidad o proyección profesional.
Ámbitos como los servicios, la logística o el comercio concentran un volumen elevado de oportunidades laborales, lo que incrementa la presión sobre las explotaciones ganaderas a la hora de atraer y retener profesionales cualificados
Las granjas de rumiantes se enfrentan al reto de diferenciarse y poner en valor aspectos que van más allá del propio puesto de trabajo:
La especialización técnica.
El desarrollo profesional.
El uso de tecnologías avanzadas.
La participación activa en sistemas productivos cada vez más profesionalizados.
Frente a esta realidad, la gestión del talento deja de ser un aspecto secundario y pasa a ser un elemento clave para la sostenibilidad y competitividad del sector, que exige una mirada proactiva centrada en identificar oportunidades y actuar con estrategia.
Aunque resultan atractivos por su variedad de ofertas, otros sectores con los que compite la ganadería no siempre ofrecen condiciones especialmente ventajosas.
Los sueldos no son elevados.
Los horarios son largos y exigentes (fines de semana, noches, turnos partidos).
Muchas de las tareas no son motivadoras.
En cambio, el trabajo en una granja, bien presentado, puede ser mucho más atractivo:
Implica contacto con animales.
Conlleva tareas variadas.
Presenta un entorno de trabajo con retos y aprendizaje constante.
El primer paso es generar interés en el sector, ya que muchos potenciales trabajadores tienen una imagen negativa o distorsionada del trabajo en una granja:
Piensan que es una actividad monótona, físicamente exigente y desarrollada en un entorno desagradable.
Para cambiar esta percepción, debemos comunicar con claridad los aspectos positivos del trabajo en granja.
Por ejemplo:

Hay dos aspectos clave que conviene analizar cuando hablamos de competencia por el talento:
Nuestra competencia por el talento no siempre ofrece las mejores condiciones
La rotación laboral: una oportunidad para el sector ganadero
A medida que se producen cambios en el mercado laboral, muchos contratos temporales llegan a su fin y aumenta la movilidad entre sectores.
En determinados momentos del año, la rotación laboral se intensifica, dejando disponibles perfiles con experiencia previa en otros ámbitos.
En este contexto, el sector ganadero tiene una gran oportunidad:
Captar personal que queda disponible y ofrecerle un empleo estable, siempre que sepamos atraerlo y, sobre todo, retenerlo.
La tecnología aplicada a la producción. La importancia del trabajo en equipo.



El impacto directo que tiene sobre la alimentación y la economía local.


La posibilidad de aprender y progresar.
El contacto con animales.
A esto hay que sumarle una base imprescindible de condiciones dignas: Sueldo por encima del salario mínimo.





Horarios razonables.


Equipamiento de trabajo adecuado (ropa cómoda, abrigo en invierno, frescor en verano, calzado de seguridad).


Instalaciones adaptadas: duchas limpias con agua caliente, calefacción, lavadora para la ropa, sala de descanso limpia y confortable.



Diversos estudios coinciden en los factores que hacen que una persona se mantenga en su puesto de trabajo. Algunos de ellos son:
Es fundamental que el trabajador sepa qué se espera de él, reciba comunicación habitual (y respetuosa), y tenga espacios para el feedback constructivo.
La mayoría de personas no abandonan la empresa, sino a su responsable directo.
Buen ambiente laboral
El clima en el lugar de trabajo es un factor determinante.
Fomentar momentos agradables, espacios de relajación y una cultura de respeto genera cohesión
Gallup incluye entre sus indicadores de compromiso la pregunta: “¿Tienes algún amigo en el trabajo?”.

El sentido de pertenencia es clave: cuando alguien no se siente incluido, tenderá a marcharse o, en el peor de los casos, a boicotear el entorno.
Un plan de carrera claro, formación continua y capacitación adaptada son esenciales.
La sensación de avanzar, de adquirir maestría, de que uno mejora, es de las más gratificantes y motivadoras. Pero nadie nace sabiendo y hay que dar espacio al aprendizaje.
Las personas necesitamos entender el “por qué” de lo que hacemos. Esto incluye tanto las tareas más simples como el impacto global del trabajo.
En una granja, alimentamos al mundo, generamos empleo, dinamizamos el entorno rural. Participar en actividades locales, colaborar con iniciativas sociales o medioambientales del entorno da un sentido más profundo al trabajo y favorece el compromiso.



Es aquí donde hay que hacer un alto. No se trata solo de atraer talento, sino de adaptar el sector a las nuevas necesidades y formas de vida.
No es nada negativo ni juzgable que las personas quieran tener más calidad de vida, dedicar más tiempo a su familia o aficiones, y no sentirse esclavizadas por el trabajo.
¡Las nuevas generaciones tienen otras prioridades y el sector debe escucharlas! Resistirse al cambio es una pérdida de energía.
El futuro pasa por abrir la mente y explorar nuevas formas de trabajar:
Turnos rotativos que permitan la conciliación.
Horarios intensivos que liberen las tardes.
Flexibilidad real adaptada a cada contexto.
Mejora continua en la formación, digitalización y especialización de los equipos.

Tecnología: nos permite optimizar recursos, reducir tareas repetitivas y mejorar la calidad del entorno laboral. Sensores, robots de limpieza, sistemas automáticos de alimentación o climatización…Todo esto hace el trabajo más eficiente y, al mismo tiempo, más humano.

También se suele hablar mucho de la falta de compromiso de las nuevas generaciones.
Sin embargo, los datos no invitan a señalar con el dedo a nadie: según los últimos informes de Gallup, solo un 21 % de los trabajadores están comprometidos con su empleo.
La motivación real está estrechamente relacionada con tres grandes necesidades psicológicas:

Sentir que tenemos cierto control sobre nuestras tareas, que se confía en nuestro criterio y se valora nuestra capacidad de decidir.
Percibir que mejoramos, que progresamos y que se nos reconocen los logros.
Si una granja quiere atraer y retener talento, debe tener en cuenta estos elementos.
No se trata de grandes inversiones, no todo es culpa de las nuevas generaciones. Se trata de cambiar el enfoque: del control al respeto, del miedo a la confianza, de la queja a la propuesta.
¡Ahora es el momento! Transformar el lugar de trabajo en un espacio donde las personas quieran quedarse es el reto más importante para asegurar la sostenibilidad de nuestro sector.
Sentir que pertenecemos a un grupo, que somos parte de algo y que nuestra contribución tiene impacto.

Es momento de atraer y retener talento DESCÁRGALO EN PDF
¿Te imaginas una nueva herramienta para la prevención de Mycoplasma bovis?

Presentamos PROTIVITY® liofilizado y disolvente para suspensión inyectable para bovino: la primera vacuna viva modificada frente a Mycoplasma bovis.
Es hora de cambiar las reglas del juego en tu granja con PROTIVITY®. Más información en www.zoetis.es/protivity
