


![]()



Welcome to the final edition of Nursing in Practice Ireland (NiPI) in 2025.
It’s been an exciting year of growth and expansion for the journal, with the addition of the official Irish Association of Advanced Nurse Midwife Practitioners (IAANMP) supplement being a significant highlight. Working with the committee has been a pleasure on a personal level and a wonderful learning experience professionally.
This alliance would not have taken place without the efforts of our regular contributor Theresa Lowry Lehnen, who laid the foundations for developing the supplement within NiPI , and continues to work very hard in the background on each edition. A huge thank you to Theresa for this work, and to the IAANMP committee, particularly Chairperson Melissa Hammond, for their dedication and a successful year of collaboration and innovation.
Although not a new relationship, I would also like to acknowledge and thank the professional development coordinators for general practice nursing (PDCGPNs), especially Marie Cantwell who works very closely with NiPI , for another year of contribution, information-sharing, and working together to keep general practice nurses informed. The team at NiPI looks forward to another year of working with both the PDCs and the IAANMP in 2026.
Returning to 2025 and the final bumper edition of the year, we have an eclectic mixture of clinical articles, conference coverage, the latest news and research, and more.
In conference coverage, Priscilla Lynch summarises highlights from the recent Irish Osteoporosis Society Annual Medical Meeting 2025, and coverage of the IAANMP Annual Conference is also
featured as part of the supplement.
Among the clinical articles in this edition, Diabetes ANP Olivia Mc Cabe discusses some of the challenges in managing women with diabetes during menopause. She addresses the hormonal and other issues this period of transition brings, and provides an overview of nursing management and considerations.
In a separate article, Respiratory ANP Patricia Davis talks about the trajectory of home oxygen, from discovery of the gas in the 1700s to the most recent developments in prescribing and delivery. She also notes the role respiratory nurses have played, and continue to play, in improving care standards for patients receiving oxygen therapy at home.
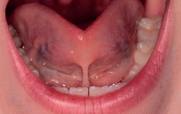
In paediatric care, Consultant Paediatrician Dr Justin Roche and Chartered Physiotherapist Kate Roche, both from the National Tongue Tie Centre, present a summary of the condition, its effects on infants in particular, and strategies to treat it. Recent research highlighting the benefits of skin-to-skin contact between parents and infants is also outlined.
Moving to dermatology-related content, Dr Johnny Loughnane, retired GP with a specialist interest in skin disorders, describes the ‘many faces of eczema’, and includes photos to illustrate the most common presentations. The article provides an exploration of each of the various types of eczema as well as practical tips for managing them.
There are two CPD modules included in this edition. The first is an overview of respiratory syncytial virus by Virginia Murray, Assistant Director of Nursing in Infection Control, which focuses on modes of transmission, infection control and prevention strategies, and immunisation. The second module looks
at the nursing considerations in chronic kidney disease (CKD), which will soon be included in the HSE Chronic Disease Management Programme. Readers will learn about the systemic dysfunction the condition brings, management options, and how CKD influences, and is influenced by, comorbidities.
For nurses working in general practice settings, Marie Cantwell outlines the valuable and multifaceted role of the PDC, from direct support and guidance for practice nurses, to advocacy and development at a national level around policy, education, and healthcare reform.
Finally, the Irish Pain Nurses and Midwives Society presents its Position Statement: Controlled drugs in Schedule 8 which a registered nurse/ registered midwife prescriber may prescribe within Schedules 2 and 3 –Misuse of Drugs Regulations, 2017.
We hope you enjoy another nurseled, diverse, and packed edition of NiPI . Thank you to all our contributors – in this edition and throughout 2025 – for sharing your knowledge and expertise to promote clinical excellence, evidence-based practice, and optimal patient outcomes.
We wish all of our readers a very happy Christmas and peaceful New Year, and look forward to bringing you more of the best evidence, research, and high-quality clinical articles in 2026.
As always, we welcome feedback, suggestions, and new contributors. If you would like to write an article for NiPI, contact denise@greenx.ie
To contribute to the IAANMP supplement, contact iaanmp@gmail.com.
The latest healthcare and nursing news from around Ireland 10
IOS 2025
Highlights from the Irish Osteoporosis Society
Annual Medical Conference 18
A MESSAGE FROM YOUR PDCS
The various ways PDCs support and develop general practice nursing 22
CPD MODULE: RSV –AN OVERVIEW
Exploring modes of transmission, infection control and prevention strategies, and immunisation in respiratory syncytial virus
28 POSITION STATEMENT
A statement by the Irish Pain Nurses and Midwives Society 31
IAANMP OFFICIAL SUPPLEMENT
Updates from the Irish Association of Nurse Midwife Practitioners
43
CPD MODULE: NURSING CONSIDERATIONS IN CKD
52 SUPPORTING WOMEN WITH DIABETES THROUGH M ENOPAUSE
A summary of the hormonal challenges during the transition
56 THE MANY FACES OF ECZEMA
Looking at the multiple presentations of the problematic skin condition
63 THE DIAGNOSIS AND T REATMENT OF TONGUE TIE
Looking at symptoms, management, and available resources
67 HOME OXYGEN
Reflecting on the role nurses played in improving standards of care and service delivery
70 ‘HOLD ME CLOSE’ FOR OPTIMAL INFANT OUTCOMES
The benefits of skin-to-skin contact for infant development
71 PRODUCTS
The latest in pharmaceutical innovations, research, and products
EDITOR
Denise Doherty denise@greenx.ie
SUB-EDITORS
Emer Keogh emer@greenx.ie
Elaine Walsh elaine@greenx.ie
CREATIVE DIRECTOR
Laura Kenny laura@greenx.ie
ADVERTISEMENTS
Gemma Tyrrell gemma@greenx.ie
ADMINISTRATION
Daiva Maciunaite daiva@greenx.ie
Please email editorial enquiries to Denise Doherty denise@greenx.ie
Nursing in Practice Ireland is produced by GreenCross Publishing Ltd (est. 2007).
© Copyright GreenCross Publishing Ltd. 2025
Front cover design: Laura Kenny Additional imagery: iStock.com
Please email publishing enquiries to Publisher and Director, Graham Cooke graham@greenx.ie
The contents of Nursing in Practice Ireland are protected by copyright. No part of this publication may be reproduced, stored in a retrieval system, or transmitted in any form by any means – electronic, mechanical or photocopy recording or otherwise – whole or in part, in any form whatsoever for advertising or promotional purposes without the prior written permission of the editor or publishers.
DISCLAIMER
The views expressed in Nursing in Practice Ireland are not necessarily those of the publishers, editor or editorial advisory board. While the publishers, editor, and editorial advisory board have taken every care with regard to accuracy of editorial and advertisement contributions, they cannot be held responsible for any errors or omissions contained. 04 NEWS
A deep dive into the systemic effects and management of chronic kidney disease
72 CROSSWORD
Test your knowledge on your tea-break
The Nursing and Midwifery Board of Ireland (NMBI) has launched a new podcast titled NMBI Voice, which explores the major challenges and transitions facing both professions. According to the Board, the podcast “breaks down complex topics” – like ethics, regulations, and maintaining professional development – into “practical guidance” for practitioners.
NMBI Voice is hosted by Kathyann Barrett, Head of Operations at the NMBI, and the first episodes are available now.
Lorraine Clarke Bishop, Interim Director of Education, Policy, and Standards, NMBI, discusses the newly updated Code of Professional Conduct and Ethics for Registered Nurses and Registered Midwives in the first episode of the NMBI Voice. Together with Ms Barrett, she talks about her own journey into nursing and

reflects on how the Code first shaped her practice, before examining why it remains a core element of practice for more than 90,000 nurses and midwives across Ireland today. From guiding everyday decision-making to handling ethical dilemmas, patient safety, cultural sensitivity, accountability, and even the challenges of social media and emerging technologies, the conversation describes how the Code
As the 2025 winter vaccinations get well under way, the HSE is building on last year’s successful respiratory syncytial virus (RSV) immunisation programme, which was delivered to newborn babies in maternity settings and high-risk babies in the community. The programme significantly reduced infections, serious illness, and hospitalisations.
A total of 83 per cent of those offered immunisation accepted it for their babies, amounting to 22,500 infants. Among those immunised (compared to similar babies the previous year who were not immunised), there was a significant decrease in the impact of RSV including:
] 65 per cent reduction in total number of cases
] 57 per cent reduction in cases presenting to emergency departments
] 76 per cent reduction in babies
requiring hospitalisation
] 65 per cent reduction in babies needing intensive care due to complications of RSV.
This winter season, the HSE will once again offer RSV immunisation in maternity settings to all babies born in Ireland from 1 September 2025 to 28 February, 2026, as well as extending the programme to all babies in Ireland born in the six-month period from 1 March 2025 to 31 August 2025 across various community sites.
Commenting on the success of the programme, HSE National Director for Health Protection, Dr Éamonn O’Moore said: “Before the introduction of the programme, each winter, four out of every 100 infants were hospitalised due to RSV, with some infants needing special treatment in intensive care units. A further 50 out of every 100 infants got
is both a safeguard and an empowering framework for professionals.
Episode 2 features NMBI Professional Officer Mary Devane, who discusses the new Professional Competence Scheme and what it means for nurses and midwives. She also reflects on her wide-ranging career and commitment to continuous learning. Ms Devane and Ms Barrett then move on to talk about the pilot scheme: The balance of continuing professional development hours and practice hours, the importance of reflective learning, the role of employers in supporting competence, and how the scheme will be audited and rolled out nationally by 2027.
New episodes are scheduled to air on the first Monday of every month and are available on Apple, Spotify, and other major platforms.
RSV and many needed medical care from their GP or the emergency department of a children’s hospital.
“The immunisation – called nirsevimab – is strongly recommended by the HSE and the National Immunisation Advisory Committee (NIAC) and has been approved by the European Medicines Agency. Nirsevimab starts working as soon as the baby receives the injection and protects against RSV for 150 days, covering the very early period in a baby’s life when they are most vulnerable to serious RSVrelated illness.
Dr O’Moore concluded by saying: “As well as protecting young babies against serious illness, the RSV immunisation programme will help safeguard vital hospital paediatric services during the very busy winter months by limiting preventable admissions caused by RSV-related illness.”
The Irish Nurses and Midwives’ Organisation (INMO) has said that Budget 2026 “lacks the ambition required when it comes to scaling up staffing and capacity” across the public health service. According to INMO General Secretary Phil Ní Sheaghdha, the Government’s intention to only hire an additional 3,300 staff into the public health service next year “demonstrates a lack of awareness into the severe staffing crisis” facing both hospitals and community settings in Ireland.
“In cutting the VAT rate for the hospitality sector, the Government has failed to heed last week’s advice from the Fiscal Advisory Council who said that the Government could hire 11,400 additional nurses rather than cut VAT for the hospitality sector,” she said.

Image: iStock.com/Nadzeya_Dzivakova
“Our members are about to work another extremely busy autumn and winter period where their workplaces are not staffed correctly. The HSE has confirmed that they have left 6,000 funded posts vacant in 2025. This level
of inertia when it comes to staffing means nurses, midwives, and other healthcare workers work short and patients spend longer on waiting lists and waiting for care in hospitals”.
Ms Ní Sheaghdha also called on Government to “do more” to improve the cost of living, particularly near the country’s largest hospitals in Dublin, Cork, and Galway.
“This budget has done very little for working nurses and midwives when it comes to cost-of-living supports – no help with rising energy costs, no tax relief on trade union subscriptions, a mere €500 reduction in student fees, and no reduction in childcare costs. A laser-like focus on retaining nurses and midwives in the public health service is required now more than ever.”
A new National Lived Experience Awareness Day in Ireland was launched on 15 October. The event aims to promote the voices of people with lived experience being at the core of how services are designed and delivered. This first ever national day brought together agencies and organisations to highlight the value of lived experience.
National Lived Experience Awareness Day will become an annual event on 15 October going forward.
The day was led by the HSE, with the support of the Department of Health, and in collaboration with the Strengthening Lived Experience Programme (a partnership between the HSE, Genio, and the Housing Agency).
Lived experience expertise is the unique wisdom gained through directly experiencing significant challenges –
such as mental health difficulties, social exclusion, disability, or homelessness. While everyone experiences adversity, lived experience expertise comes from navigating life-changing challenges and using that insight to shape better services. The National Lived Experience Awareness Day recognises, celebrates, and promotes this expertise across health, social, and housing services.
All departments, organisations, and programmes are encouraged to promote lived experience expertise in their work. They are urged to:
] Make the voices and experiences of people with lived experience a core part of how services are designed and delivered.
] Build on or begin new ways of including lived experience in service activities and decision-making.
] Work together to make services
stronger, more inclusive, and more effective.
Michael Ryan, Head of Mental Health Engagement and Recovery, HSE, said: “Lived and living experience is about the authentic voice of the person. It is the story of what happened to the person, not what is wrong with them. When we accept and understand those stories, it becomes a powerful piece of knowledge that can transform systems, attitudes, and above all people’s lives for the better.
The value of this expertise is now firmly recognised within contemporary mental health, social, and housing services.
“Over the past eight years, Mental Health Engagement has been an invaluable resource in bringing that experience into service improvement and new recovery innovation within our mental health services.”
‘A shared canvas’ illustrates the invisible burden of urticaria
A unique piece of art, developed through a partnership between an Irish researcher and an artist, was created to increase awareness and understanding of chronic spontaneous urticaria (CSU), a debilitating chronic autoimmune condition. The portrait: ‘A shared canvas: The untold stories of urticaria’, was displayed at the Royal College of Physicians of Ireland (RCPI) to mark World Urticaria Day on 1 October, and the event was attanded by a range of healthcare workers.
CSU, characterised by spontaneous hives, uncontrolled itching, and unpredictable episodes of disfiguring swelling of the skin, can significantly impact the quality of life of those affected, causing physical discomfort and emotional distress. It is estimated that one in 100 people in Ireland suffer from the chronic condition. While most people can be treated with over-thecounter antihistamines if diagnosed correctly, the literature indicates that up to 9,000 patients in Ireland could have uncontrolled symptoms.
Speaking about the condition, Prof Niall Conlon, Consultant Clinical Immunologist, St James’s Hospital, Dublin, and Senior Clinical Lecturer, Trinity College Dublin, said: “The uncontrolled itch from CSU substantially impacts quality of life, disrupting sleep and interrupting daily activities. This condition disrupts relationships, sleep, work, school, and mental wellbeing. Around the world, patients often feel unable to participate fully in society due to the unpredictability and discomfort of urticaria. It is not only a medical issue but a significant barrier to living a full and confident life. The global burden of this disease must be recognised and addressed with urgency.”
At the heart of the event at the RCPI was the unveiling of the portrait by artist Valentina Vittorio, which was deeply informed by extensive Irish

and
patient research conducted by PhD student Jennifer Donnelly from the Royal College of Surgeons in Ireland.
The research, based on in-depth patient interviews, uncovered the ofteninvisible psychosocial and emotional burdens of living with uncontrolled flares of hives, including profound loneliness, isolation, a devastating loss of identity, burning sensations, and relentless sleep deprivation.
“CSU is a condition under-recognised in public discourse. Our research over the past few years has highlighted the raw, often hidden, emotional toll including the loneliness, the isolation, the burning sensation that goes beyond the skin,” said Ms Donnelly. “I had so many text
documents of quotes and interviews, but it was artist Valentina Vittorio who took on the task of translating these perspectives into her artwork.”
Ms Vittorio explained: “Turning the different experiences of individuals living with CSU into a visual form was really moving and challenging. The feedback from the patients was that I should focus on the themes of loneliness, isolation, and that intense burning sensation. These were challenging to put into art, but it helped to have this input and direction. I aimed to create one portrait to represent all the different emotions and experiences. I hope it helps others better understand the unseen side of this condition.”
Irish people are struggling with mental health more than ever, despite an increase in available information, according to findings published as part of the Irish Life Health of the Nation Report 2025. The research examines Ireland’s overall health and wellbeing standards across a range of metrics, pinpointing the current health challenges Irish adults face, and highlighting the opportunities to make positive changes for our overall wellbeing.
Data show that stress levels are still rising, with 29 per cent feeling anxious or stressed more than half the time. Additionally, 19 per cent report feeling sad or depressed just as often. Younger adults continue to be the most stressed group, with more than two-thirds feeling stressed on a weekly basis. Stress levels are also rising among 35- to 54-yearolds, increasing from 54 per cent in 2024 to 57 per cent this year.
The research highlights how stress is impacting each generation differently, revealing the pressures and challenges across age groups. Adults under 35 are primarily stressed by work-related factors, while those aged 35-54 report stress from household tasks, parenting, and a demanding workload in their professional life.
More than half of adults say they are actively trying to reduce their stress levels, but admit that while they know what steps to take to improve their mental health, they struggle to put them into practice.
The research also found that adults are increasingly turning to social media and AI for health information. Half of those under 35 report receiving a significant amount of health-related content through social media, while nearly one-third have used AI to get a better understanding of their health.
Despite this growing reliance, more people wish to spend less time on social media and online in general. For the first time, alcohol consumption is no longer the most cited habit people want to reduce their dependence on, with over half indicating they want to cut back on their social media use.
Commenting on the findings, Stacey Machesney, Head of Health and Wellbeing at Irish Life, said: “What really stood out in this year’s findings is the number of people actively seeking to reduce their dependence on social media. At Irish Life, we’re seeing a sharp rise in demand from corporate organisations for our programmes that build healthier digital habits and
support employees in managing their relationship with technology.
“Encouragingly, more employers are now interested in expanding these supports to families, recognising the impact on children and teenagers too. That shift marks a real turning point and awareness is no longer enough – the challenge now is to turn intent into action by promoting more mindful and purposeful use of technology in everyday life.”
Irish Life’s Health of the Nation research tracks key indicators, scored out of 1,000, to create the National Health Index, a benchmark measuring the overall health of the population each year. The National Health Index has improved slightly for the first time in several years, rising to 523 in 2025, up from 520 in 2024. This increase reflects a combination of trends, including a decrease in the health score among women and a rise among men, highlighting ongoing disparities in wellbeing.
Despite this small improvement, the National Health Index remains in the ‘good’ category, but below pre-pandemic levels of 545 in 2019, underlining the continued need to address stress and promote healthier lifestyle habits to improve the nation’s overall health.
New data from Blackrock Health has shown that the average age of patients attending its rapid cardiac care service is just 63, a stark reminder that cardiac issues can emerge earlier than many people expect. Cardiovascular disease (CVD) remains the leading cause of death worldwide.
The most recent data shows that nearly 9,000 people in Ireland die
from CVD each year, despite evidence that up to 80 per cent of premature cases are preventable. On the back of this data, Blackrock Health has launched the ‘63-year-old reality check’ to encourage people to be ‘heart smart’ and give their heart health the attention it deserves earlier in life.
Dr Daniel O’Hare, Consultant Cardiologist at Blackrock Health, said:
“Heart disease and cardiac issues are not just an issue for older people. We are increasingly seeing risk factors and diagnoses in patients in their 40s and 50s. Stress, high blood pressure, raised cholesterol, and a sedentary lifestyle can all have serious consequences if left unaddressed. Recognising the signs early and taking proactive steps can save lives.”
On 18 October, World Menopause Day 2025, the International Menopause Society (IMS) called on healthcare professionals worldwide to lead a transformation in menopause care, ensuring women everywhere receive the support they need at midlife and beyond. Founded by IMS in 2009, World Menopause Day sets the global agenda through an annual White Paper.
This year’s report, authored under the leadership of IMS President Prof Rossella Nappi with lead author Dr Chika Anekwe, highlights the power of lifestyle medicine as part of the menopause management toolkit. The paper frames menopause as a natural life transition while recognising the symptoms and health risks that call for personalised, holistic care that can be championed by the healthcare community. Despite proven therapies that ease symptoms, protect health, and improve quality of life, millions of women still face stigma, misinformation, and barriers to care. While resources are constantly

Image: iStock.com/Shanina
under pressure and time is a luxury many healthcare professionals do not have, IMS stresses women deserve the right to the support and materials that do exist, and that they reach those who need them.
The Society argues the way forward lies in collaboration with healthcare providers, policymakers, and women themselves working together to make menopause support consistent, evidencebased, and universally accessible. It advocates that clinicians are uniquely
A new University of Limerick Product Design and Technology graduate has made her mark with an innovative final year project tackling healthcare inequality. Leah Shanahan, from Tralee, Co Kerry, has designed the world’s first fully accessible, multisensory pregnancy test. She was one of 3,678 students graduating from University of Limerick recently.
Inspired by personal experience as a visually impaired woman and driven by the blind women she met throughout the design process, Leah’s design is the
first saliva-based, reusable, accessible pregnancy test to deliver results through touch, sight, and sound. ‘AMY’ addresses a practical healthcare challenge through user-centred design with inclusivity at the heart of the product.
The reader uses photosensor technology, similar to that found in digital pregnancy tests. A raised plus or minus symbol on the reader can be felt by touch. It also includes a feature that allows users to tap their phone to open a web page, where they will view a bold red or green symbol along with
placed to normalise conversations, break taboos, and deliver the personalised care women urgently need.
“Menopause is not a disease, but it can bring symptoms and health risks that need personalised care. This year’s White Paper shows convincing evidence that lifestyle medicine, healthy eating, regular activity, good sleep, emotional wellbeing, and supportive relationships, can make a real difference. Together with other evidence-based treatments when needed, these approaches give women the tools to make informed choices and feel strong and well through this stage of life,” said Prof Nappi.
“Lifestyle medicine is at the heart of menopause care by focusing on nutrition, physical activity, stress management, avoidance of risky substances, restorative sleep, and strong social connections, we empower women to take control of their health and improve their quality of life during this pivotal transition,” added Dr Chika Anekwe.
large, high-contrast text for those who are partially sighted, and users can also choose to hear the result aloud.
When Leah realised that blind and visually impaired women were the only group excluded from the intimate moment of discovering their own pregnancy, she was driven to find a better solution, and AMY was created.
“I wanted to create a product that restores independence and dignity in this experience, using my skills in design and my understanding of accessibility to make a real difference,” Leah said.

✽ ALL REPORTS : Priscilla Lynch
The Irish Osteoporosis Society’s (IOS) 2025 Annual Medical Conference for health professionals was held virtually on Saturday, 18 October.
The well-attended conference featured presentations from expert speakers on a wide range of topical issues relating to osteoporosis.
More women die from the secondary effects of osteoporosis than the combined deaths of cancer of the ovaries, cervix, and
uterus, and the secondary effects of fractures lead to loss of independence and can lead to premature death, therefore osteoporosis is a major health concern, IOS President Prof Moira O’Brien told Nursing in Practice Ireland
A key highlight of this year’s meeting, Prof O'Brien stated that she was delighted to award Michele O'Brien, the CEO of the IOS, the Prof Moira O'Brien, IOS, Lifetime Achievement Award at the
end of the IOS Annual Medical Conference.
The award was given in recognition of her dedication and contributions to the field of osteoporosis and the profound impact on those with whom she has come into contact with, during her 25 years of service.
Prof O’Brien also thanked all the speakers, research winners, and attendees for their work in furthering knowledge on the prevention and treatment of osteoporosis in Ireland.
There needs to be increased awareness among healthcare professionals and the general public about what exercises are – and are not – suitable for those with osteoporosis, the Irish Osteoporosis Society’s (IOS) 2025 Annual Medical Conference for health professionals heard.
Ciara Shields, Chartered Physiotherapist and Clinical Specialist in Musculoskeletal Physiotherapy, IONA Physiotherapy, Drumcondra, Dublin, gave a presentation on what exercises those with bone loss should NOT be doing. She stressed that patients with low bone density need to be doing more physical activity, but must be supported on how to do this safely. “The overarching message we need to give to patients is that exercise is really good for their bone health and that inactivity should be avoided.”
She warned that patients are at risk of fracture from doing the wrong physical activities, such as higher-impact exercise like skipping, brisk walking, or jogging
in those with a history of low trauma, vertebral fractures, or who are very elderly or frail.
Ms Shields also cautioned against stretching exercises with excessive forward flexion stretches, which can lead to compression fractures. When a person bends forward at their waist, especially if their legs are straight, it compresses the anterior aspect of the lumbar vertebrae, increasing the risk of fractures.
IOS President Prof Moira O’Brien said that many osteoporosis patients are being told they should do yoga or Pilates for their bone health, despite the Society not recommending yoga or chair yoga. The IOS receives many calls from people who have fractured vertebrae doing forward flexion stretches, as well as experiencing disc and sciatic nerve problems, she said.
Ms Shields also highlighted issues with patients following the Liftmor highintensity resistance and impact training
exercise programme. She questioned the criteria used in the Liftmor trial, reminding healthcare practitioners to be careful and evidenced based in their exercise recommendations, pointing out that 70 per cent of vertebral fractures are undiagnosed.
Prof O’Brien echoed her comments on the Liftmor trial: “The IOS’s concern with this trial is that they relied on selfreporting for adverse outcomes. We believe it is misleading to say that there were no adverse outcomes, given the accepted lack of reliability with selfreporting, along with the fact that the exclusions for the trial caused a significant cohort of people to be excluded from participating in the trial.”
Prof O’Brien stated that she would not recommend anyone follow the Liftmor programme, because, in her opinion, she does not believe it is safe or appropriate.
In relation to what exercise people with bone loss should be doing, Ms Shiels said walking is important, and increases bone

density, but on its own is not sufficient to reduce falls or fracture risk, so weightbearing exercise, including strength and balance training, is vital.
“The goal is to reduce the risk of fracture; and falls, rather than bone density. Just telling them to go for a walk
is not enough,” Ms Shields explained. Strength and balance exercises may be required before increasing physical activity to improve bone health, as well as the appropriate scans first to ensure there are no undiagnosed fractures, she stressed. “And remember that exercise
needs to be considered an adjunct to pharmacological treatment rather than instead of,” Ms Shields concluded.
The IOS has a number of exercise resources on its website, at www. irishosteoporosis.ie/informationsupport/exercises-for-osteoporosis/
Ms Anne Power, Advanced Nurse
Practitioner in Chronic Disease
Management at Wexford Residential Intellectual Disability Service, discussed alternative bone health screening for people with an intellectual disability, during the 2025 IOS Annual Medical Conference.
She noted that while dual energy x-ray absorptiometry (DXA) scans remain the gold standard for the diagnosis of osteoporosis and bone density issues, they can be extremely difficult and often impossible to perform in those with intellectual disabilities, due to a range of physical, communication or behavioural issues.
Ms Power advocated the use of Echolight, a non-invasive, easy to use portable diagnostic and monitoring ultrasound device that measures bone mineral density, as an alternative to DXA scans in this population.
Echolight is based on radiofrequency echographic multi-spectrometry (REMs) technology, is US FDA approved, and does not produce ionising radiation. It is performed at the femoral hip and
lumbar spine (L1-L4), takes about two minutes to perform, and the results are available immediately.
Ms Power noted that people with an intellectual disability can have increased risk factors for osteoporosis including sedentary lifestyle, medications such as anticonvulsants, antipsychotics, proton pump inhibitors, poor nutrition, specific syndromes, and limited mobility. As a result, they are more likely to develop bone loss at a much younger age than the general population, leading to an increased risk of fractures, loss of independence, and premature death. However, despite these increased risks, people with an intellectual disability are less likely to have accessed bone health screening – less than 40 per cent according to Intellectual Disability Supplement to the Irish Longitudinal Study on Ageing (IDS-TILDA) data, and thus osteoporosis often goes undetected in this population.
Ms Power gave an update on her work (she has provided Echolight scans to approximately 250 people with intellectual disabilities nationwide) and research to
date, including a feasibility study, on using Echolight in the intellectually disabled population in Ireland.
The feasibility study, funded by the Nursing and Midwifery Planning and Development Unit (NMPDU) Southeast, found that 96 per cent of participants (n=81/84) completed the Echolight REMS assessment.
Results-wise, 34 (n=28/81) had a normal result, 38.3 per cent had osteopaenia, and 27.2 per cent had osteoporosis, “meaning almost two-thirds (53/81) had comprised bone health.”
“By implementing Echolight into practice, long-term we can significantly decrease the risk of fractures and loss of independence by screening all individuals with intellectual disabilities with accessible devices,” Ms Power said.
The impact of the study is that the IOS now endorses the use of Echolight specifically for those with intellectual disabilities, and it will be used by the IDS-TILDA in 2026, which will generate longitudinal data, she reported. Ms Power said she would like to see Echolight being made available throughout the country.
Elaine McGowan, CORU Registered Dietitian, Hermitage Medical Clinic, Dublin, gave a presentation on nutrition and bone health at the IOS 2025 Annual Medical Conference.
She raised concern about the ongoing
increase in referrals to her clinic of people on glucagon-like peptide (GLP)-1 agonists, particularly tirzepatide, who have experienced significant muscle loss and are at risk of osteoporosis following rapid weight loss and inadequate calcium and protein intake while on these drugs.
She also outlined the risks to bone health of those who adopt poorly planned vegan diets, particularly during the crucial bone formation teenage years, and who do not consume sufficient calcium, vitamin
To reduce the risk of fracture2 and to provide continuous BMD* gains over the long term1,5
Osteoporosis is a chronic long-term condition that requires ongoing continuous treatment 6-10†

*Bone Mineral Density. † Prolia should not be stopped without considering alternative treatment in order to prevent rapid bone mineral density loss and a potential rebound in vertebral fracture risk.7 References: 1. Prolia® (denosumab) SmPC. 2. Cummings SR, et al. N Engl J Med. 2009;361:756-65. 3. Holzer G, et al. J Bone Miner Res. 2009;24:468-74. 4. Poole K et al. J Bone Miner Res. 2015;30:46-54. 5. Bone HG, et al. Lancet Diabetes Endocrinol. 2017;5:513-23. 6. HSE Living Well. Available at: https://www2.hse.ie/living-well/exercise/being-active-health-condition/being-active/ Accessed 10th February 2024. 7. Tsourdi E, et al. Bone. 2017;105:11-7. 8. Hernlund E, et al. Arch Osteoporos. 2013;8:136. 9. Kanis, JA, et al. Osteoporos Int. 2019;30:3-44. 10. Brown JBMR 2013 Vol28 pp746-752.
PROLIA® (denosumab) Brief Prescribing Information. Please refer to the Summary of Product Characteristics (SmPC) before prescribing Prolia. Pharmaceutical Form: Pre-filled syringe with automatic needle guard containing 60 mg of denosumab in 1 ml solution for injection for single use only. Contains sorbitol (E420). Indication: Treatment of osteoporosis in postmenopausal women at increased risk of fractures. Dosage and Administration: 60 mg Prolia administered as a subcutaneous injection once every 6 months. Patients must be supplemented with calcium and vitamin D. No dosage adjustment required in patients with renal impairment. Prolia should not be used in children aged < 18 years because of safety concerns of serious hypercalcaemia. Give Prolia patients the package leaflet and patient reminder card. Re-evaluate the need for continued treatment periodically based on the benefits and potential risks of denosumab on an individual patient basis, particularly after 5 or more years of use. Contraindications: Hypocalcaemia or hypersensitivity to the active substance or to any of the product excipients. Special Warnings and Precautions: Traceability: Clearly record the name and batch number of administered product to improve traceability of biological products. Hypocalcaemia: Identify patients at risk for hypocalcaemia. Hypocalcaemia must be corrected by adequate intake of calcium and vitamin D before initiation of therapy. Clinical monitoring of calcium levels is recommended before each dose and, in patients predisposed to hypocalcaemia, within 2 weeks after the initial dose. Measure calcium levels if suspected symptoms of hypocalcaemia occur. Renal Impairment: Patients with severe renal impairment (creatinine clearance < 30 ml/min) or receiving dialysis are at greater risk of developing hypocalcaemia. Skin infections: Patients receiving Prolia may develop skin infections (predominantly cellulitis) requiring hospitalisation and if symptoms develop then they should contact a health care professional immediately. Osteonecrosis of the jaw (ONJ): ONJ has been reported rarely with Prolia 60 mg every 6 months. Delay treatment in patients with unhealed open soft tissue lesions in the mouth. A dental examination with preventative dentistry and an individual benefit:risk assessment is recommended prior to treatment with Prolia in patients with concomitant risk factors. Refer to the SmPC for risk factors for ONJ. Patients should be encouraged to maintain good oral hygiene, receive routine dental check-ups and immediately report oral symptoms during treatment with Prolia. While on treatment, invasive dental procedures should be performed only after careful consideration and avoided in close proximity to Prolia administration. The management plan of patients who develop ONJ should be set up in close collaboration between the treating physician and a dentist or oral surgeon with expertise in ONJ. Osteonecrosis of the external auditory canal: Osteonecrosis of the external auditory canal has been reported with Prolia. Refer to the SmPC for risk factors. Atypical femoral fracture (AFF): AFF has been reported in patients receiving Prolia. Discontinuation of Prolia therapy in patients suspected to have AFF should be considered pending evaluation of the patient based on an individual benefit risk assessment. Long-term antiresorptive treatment: Long-term antiresorptive treatment may contribute to an increased risk for adverse outcomes such as ONJ and AFF due to significant suppression of bone remodelling. Treatment discontinuation: Following denosumab discontinuation, decrease in bone mineral density (BMD) is expected (see section 5.1 of the SmPC), leading to an increased risk for fractures. Thus, monitoring of
BMD is recommended, and alternative treatment should be considered according to clinical guidelines. Concomitant medication: Patients being treated with Prolia should not be treated concomitantly with other denosumab containing medicinal products. Warnings for Excipients: This medicine contains 47 mg sorbitol in each ml of solution. The additive effect of concomitantly administered products containing sorbitol (or fructose) and dietary intake of sorbitol (or fructose) should be taken into account. Interactions: Prolia did not affect the pharmacokinetics of midazolam, which is metabolized by cytochrome P450 3A4 (CYP3A4). There are no clinical data on the co-administration of denosumab and hormone replacement therapy (HRT), however the potential for pharmacodynamic interactions would be considered low. Pharmacokinetics and pharmacodynamics of Prolia were not altered by previous alendronate therapy. Fertility, pregnancy and lactation: There are no adequate data on the use of Prolia in pregnant women and it is not recommended for use in these patients. It is unknown whether denosumab is excreted in human milk. A risk/benefit decision should be made in patients who are breast feeding. Animal studies have indicated that the absence of RANKL during pregnancy may interfere with maturation of the mammary gland leading to impaired lactation post-partum. No data are available on the effect of Prolia on human fertility. Undesirable Effects: The following adverse reactions have been reported: Very common (≥ 1/10) pain in extremity, musculoskeletal pain (including severe cases). Common (≥ 1/100 to < 1/10) urinary tract infection, upper respiratory tract infection, sciatica, constipation, abdominal discomfort, rash, alopecia and eczema. Uncommon (≥ 1/1000 to < 1/100): Cellulitis, ear infection and lichenoid drug eruptions. Rare (≥ 1/10,000 to < 1/1,000): Osteonecrosis of the jaw, hypocalcaemia (including severe symptomatic hypocalcaemia and fatal cases), atypical femoral fractures, and hypersensitivity (including rash, urticaria, facial swelling, erythema and anaphylactic reactions). Very rare (< 1/10,000): Hypersensitivity vasculitis. Please consult the Summary of Product Characteristics for a full description of undesirable effects. Pharmaceutical Precautions: Prolia must not be mixed with other medicinal products. Store at 2°C to 8°C (in a refrigerator). Prolia may be exposed to room temperature (up to 25°C) for a maximum single period of up to 30 days in its original container. Once removed from the refrigerator Prolia must be used within this 30 day period. Do not freeze. Keep in outer carton to protect from light. Legal Category: POM. Presentation and Marketing Authorisation Number: Prolia 60 mg: Pack of 1 pre-filled syringe with automatic needle guard; EU/1/10/618/003. Price in Republic of Ireland is available on request. Marketing Authorisation Holder: Amgen Europe B.V., Minervum 7061, NL-4817 ZK Breda, The Netherlands. Further information is available from Amgen Ireland Limited, 21 Northwood Court, Santry, Dublin D09 TX31, Ireland. Prolia is a registered trademark of Amgen Inc. Date of PI preparation: July 2025 (Ref: IRL-162-0725-80008)
Adverse reactions/events should be reported to the Health Products Regulatory Authority (HPRA) using the available methods via www.hpra.ie. Adverse reactions/events should also be reported to Amgen Limited on +44 (0)1223 436441 or Freephone 1800 535 160. IRL-162-25-80007 Date of preparation: October 2025
Desunin® Vitamin D3 is now available in a 25 000 IU soft capsule.


Desunin® Vitamin D3 25 000 IU soft capsules offer flexible weekly* or monthly# dosing1
*Treatment of vitamin D deficiency in adults: 1 capsule weekly for up to 4-12 weeks. After first month, a lower maintenance dose should be considered, dependent upon desirable serum levels of 25-hydroxycolecalciferol (25(OH)D), the severity of the disease and the patient's response to treatment1
#Prevention of vitamin D deficiency in adults with an identified risk when therapeutic adherence (or compliance) is not achieved by daily administration of low cholecalciferol doses: 1 capsule monthly1
Contraindications: Desunin 25 000 IU soft capsules: Hypersensitivity to cholecalciferol or to any of the excipients listed in section 6.1 of the Summary of Product Characteristics; Diseases/conditions associated hypercalcaemia and/or hypercalciuria; Calcium nephrolithiasis; nephrocalcinosis; Hypervitaminosis D; Severe renal impairment. Special warnings and precautions for use: Desunin 25 000 IU soft capsules: Monitoring of serum levels, calcaemia and calciuria; Concomitant use of multivitamin products; Dose adjustment; Sarcoidosis; Renal impairment; Calcium supplements; Pseudohypoparathyroidism. Undesirable effects: Desunin 25 000 IU soft capsules: Uncommon – Hypersensitivity reactions; Hypercalciuria; hypercalcaemia; weakness; anorexia; thirst in case of prolonged administration. Rare – Drowsiness; confusion; constipation; flatulence; abdominal pain; nausea; vomiting; diarrhoea; metal taste; dry mouth; rash; pruritus; urticarial.
Please refer to the Summary of Product Characteristics (SmPC) for full prescribing information.
Reference:
1. Desunin® 25 000 IU soft capsules Summary of Product Characteristics (SmPC) available at: https://assets.hpra.ie/products/Human/41092/Licence_PA23266-005-002_08072025151809.pdf.
Last accessed: 6th August 2025

ABBREVIATED PRESCRIBING INFORMATION:
Desunin® 25 000 IU soft capsules
Please refer to Summary of Product Characteristics (SmPC) before prescribing.
Indications, Dosage and Administration: Prevention and treatment of vitamin D deficiency in adults. Prevention of vitamin D deficiency for 25 000 IU only in adults with an identified risk when therapeutic adherence (or compliance) is not achieved by daily administration of low cholecalciferol doses. Posology: Adults: Dose should be established on an individual basis depending on the extent of the necessary vitamin D supplementation. The patient's dietary habits should be carefully evaluated and artificially added vitamin D content of certain food types should be taken into consideration. Desunin® 25 000 IU soft capsules are suitable for weekly (treatment) and monthly (prevention) vitamin D supplementation. Dosage should be established by a physician.
Adults
Prevention of vitamin D deficiency in adults with an identified risk when therapeutic adherence (or compliance) is not achieved by daily administration of low cholecalciferol doses: 1 capsule monthly. In a population at high risk of vitamin D deficiency, the dosage could be increased to 2 capsules monthly.
Treatment of vitamin D deficiency: 1 capsule weekly for up to 4-12 weeks. After first month, a lower maintenance dose should be considered, dependent upon desirable serum levels of 25-hydroxycolecalciferol (25(OH)D), the severity of the disease and the patient's response to treatment. Alternatively, national posology recommendations in treatment of vitamin D deficiency can be followed. The duration of use is usually limited to the first month of treatment, depending on the doctor's decision. Medical supervision is necessary as dose requirements may vary dependent on patient response.
Higher doses could be necessary in some patients with vitamin D deficiency, where the dose should be adjusted dependent upon desirable serum levels of 25-hydroxycholecalciferol (25(OH)D), the severity of the disease and the patient's response to treatment. Certain populations are at high risk of vitamin D deficiency, and may require higher doses and monitoring of serum 25(OH)D:
-Institutionalised or hospitalised individuals.
-Dark skinned individuals.
-Individuals with limited effective sun exposure due to protective clothing or consistent use of sun screens.
-Obese individuals.
-Patients with osteoporosis.
-Use of certain concomitant medications (e.g., anticonvulsant medications, glucocorticoids).
-Patients with malabsorption, including inflammatory bowel disease and coeliac disease.
Renal impairment
Desunin® 25 000 IU soft capsules should not be used in patients with severe renal impairment
Hepatic impairment
No posology adjustment is required in patients with hepatic impairment.
Paediatric population
Desunin® 25 000 IU soft capsules should not be used in children under 18 years.
Pregnancy and breastfeeding
Desunin® 25 000 IU soft capsules should not be used in pregnancy and breastfeeding
Method of administration: Oral use
Presentation: soft capsules
Contraindications:
-Hypersensitivity to cholecalciferol or to any of the excipients
-Diseases/conditions associated hypercalcaemia and/or hypercalciuria.
-Calcium nephrolithiasis, nephrocalcinosis
-Hypervitaminosis D.
-Severe renal impairment
Warnings and precautions:
Monitoring
In case of long-term administration at high doses, it is advised to monitor serum levels of 25–hydroxyl cholecalciferol. Intake of Desunin® soft capsules should be stopped when serum levels of 25–hydroxyl cholecalciferol exceed 100 ng/ml (corresponding to 250 nmol/l).
In patients already receiving cardiac glycosides or diuretics it is important to monitor calcaemia and calciuria. In case of hypercalciuria or renal insufficiency, the dose should be reduced or the treatment discontinued.
Concomitant use of multivitamin products
To avoid overdose, the total dose of vitamin D must be taken into consideration in case of combination with treatments containing vitamin D, food added with vitamin D, or in case milk enriched with vitamin D is used.
Dose adjustment
A dosage increase compared to those indicated may be required in the following cases:
• Obese subjects
• Digestive disorders (intestinal malabsorption, mucoviscidosis, or cystic fibrosis);
• Hepatic insufficiency.
Sarcoidosis
The product should be prescribed with caution in patients suffering from sarcoidosis, due to the possible increased metabolism of active vitamin D. Plasma and urinary calcium levels should be monitored in these patients.
Renal impairment
Vitamin D should be used with caution in patients with renal impairment and the effect on calcium and phosphate levels should be monitored. The risk of soft tissue calcification should be taken into account. In patients with severe renal impairment, vitamin D in the form of cholecalciferol is not metabolised normally and other forms of vitamin D should be used. During long-term treatment with high doses of vitamin D calciuria and renal function, especially in elderly patients, must be monitored. It is recommended to reduce the dose or
Viatris, Newenham Court, Northern Cross, Malahide Road, Dublin 17, DUBLIN, Ireland
www.viatris.ie
2025
interrupt treatment if the calcium content in the urine exceeds 7.5 mmol / 24 hours (300 mg / 24 hours)
The product should not be taken by patients with a predisposition to calcium-containing kidney stones.
Calcium supplements
Any need to add calcium supplements should be considered individually on a case-by case basis. Calcium supplements should be given under strict medical control.
Pseudohypoparathyroidism
Cholecalciferol should not be taken if pseudohypoparathyroidism is present (the need for vitamin D may be reduced by the sometimes normal sensitivity to vitamin D, with a risk of long-term overdose). In such cases, more manageable vitamin D derivatives are available. Interactions with other medicinal products and other forms of interaction:
Anticonvulsants and barbiturates
Concomitant use of anticonvulsants or barbiturates can reduce the effect of vitamin D3 due to metabolic inactivation (phenytoin, phenobarbital, primidone, etc.).
Thiazide diuretics
In case of therapy with thiazide diuretics reducing calcium urinary excretion, serum calcium levels should be monitored.
Glucocorticoids
Concomitant use of glucocorticoids can reduce the effect of vitamin D3
Digitalis and other cardiac glycosides
In case of treatment with drugs containing digitalis and other cardiac glycosides, oral administration of calcium combined with vitamin D may increase the risk of digitalis toxicity (arrhythmia). Medical control is therefore required as well as ECG and serum calcium levels monitoring, if required.
Antacids
Concomitant use of antiacids containing aluminium can interfere with the drug efficacy, reducing vitamin D absorption, while preparations containing magnesium may expose to a risk of hypermagnesemia.
Calciferol
Studies on animals have suggested a possible potentiation of warfarin action when given with calciferol. Although there is no such evidence with the use of cholecalciferol, caution is appropriate when the two drugs are used concomitantly.
Ion exchange resins, orlistat and laxatives
Colestyramine, colestipol, orlistat and laxatives (such as paraffin oil) may reduce vitamin D absorption, while chronic alcoholism reduces vitamin D deposits in the liver.
Rifampicin
Rifampicin may reduce cholecalciferol efficacy due to hepatic enzyme induction.
Isoniazid
Isoniazid may reduce cholecalciferol efficacy due to the inhibition of metabolic activation of vitamin D.
Actinomycin and imidazole antifungal agents
The cytotoxic agent actinomycin and imidazole antifungal agents interfere with vitamin D activity by inhibiting the conversion of 25-hydroxyvitamin D to 1,25-dihydroxyvitamin D.
Ketoconazole
Ketoconazole may inhibit both synthetic and catabolic enzymes of vitamin D. Reductions in serum endogenous vitamin D concentrations have been observed following the administration of 300 mg/day to 1,200 mg/day ketoconazole for a week to healthy men. However, in vivo drug interaction studies of ketoconazole with vitamin D have not been investigated.
Fertility, pregnancy and lactation: Pregnancy: Desunin® 25 000 IU soft capsules are not indicated during pregnancy due to the lack of clinical data. High doses of vitamin D have been shown to have teratogenic effects in animal experiments. Overdose in the first 6 months of pregnancy may have toxic effects on the foetus: there is a correlation between excessive intake of or extremely maternal sensitiveness to vitamin D during pregnancy and physical and mental retardation, supravalvular aortic stenosis and retinopathy of the child. Maternal hypercalcaemia can also lead to the suppression of parathyroid function in infants with consequent hypocalcaemia, tetany and convulsions. However, during pregnancy and breast-feeding adequate vitamin D intake is necessary and lower dosed products should be used, when needed. Where there is a vitamin D deficiency the recommended dose is dependent on national guidelines. Breast-feeding: Vitamin D3 and metabolites pass into the breast-milk. This should, however, be borne in mind when administering additional vitamin D to the child. Treatment with high-dose vitamin D in breast-feeding women is not recommended. Fertility: Normal endogenous levels of vitamin D are not expected to have any adverse effects on fertility.
Undesirable effects:
For details of uncommon, rare and very rarely reported adverse events and those of unknown frequency, see SmPC.
Reporting of adverse reactions:
Reporting suspected adverse reactions after authorisation of the medicinal product is important. It allows continued monitoring of the benefit/risk balance of the medicinal product. Healthcare professionals are asked to report any suspected adverse reactions via HPRA Pharmacovigilance, Website: www.hpra.ie. Adverse reactions/events should also be reported to the marketing autorisation holder at the email address: pv.ireland@viatris.com or phone 0044(0)8001218267.
Legal Category: Product subject to prescription which may be renewed (B).
Marketing Authorisation Number: PA23266/005/002
Marketing Authorisation Holder: Viatris Limited, Damastown Industrial Park, Mulhuddart, Dublin 15, DUBLIN, Ireland.
Full prescribing information available on request from: Viatris, Dublin 17.
Email: info.ie@viatris.com
Date of Revision of Abbreviated Prescribing Information: 03 July 2025
Reference Number: IE-AbPI-Desunin® soft gel-v002
D, and protein, all of which are essential for good bone health.
“Encourage your patient to consume protein with every meal to prevent sarcopaenia,” Ms McGowan stated, adding that the rise in plant-based milk is a particular concern in relation to calcium intake.
“Many people choose plant-based milks thinking they are the same as cow's milk nutritionally. This is NOT the case,” Ms McGowan pointed out. “Plantbased milks often contain less protein and micronutrients compared to cow’s milk. It is important for your patients to study the nutritional content of the milks
they choose.”
Ms McGowan also noted the importance of magnesium’s crucial role in bone health. International guidance recommends 300mg/ day for men and 270mg/day for women, she said. “This can easily be met with a healthy diet. If magnesium supplementation is needed, no osteoporosis guideline specifies one form of magnesium as superior.”
In relation to vitamin D intake, Ms McGowan said healthy children and adults aged one to 65 years of fairskinned ethnicity living in Ireland need to take a vitamin D supplement from October to March. Those of darkerskinned ethnicity or those who are
pregnant living in Ireland need to take a vitamin D supplement throughout the year, she added.
IOS President Prof Maura O’Brien recommends her patients to have a vitamin D level of minimum 70nmol/L, maximum 125nmol/L. She said that she found that some patients require a higher level of vitamin D in order to keep their parathyroid normal.
She also said that cortisol levels should be checked, as high stress levels can negatively affect vitamin D formation, and that lack of sleep and dehydration are other important contributors to bone loss and falls risk.
As the first speaker at the IOS 2025 Annual Medical Conference, Prof Bernard Walsh, Consultant Physician and Geriatrician, Bone Health Unit, St James's Hospital and Trinity College Dublin, gave a comprehensive practical presentation entitled: 'My patient has osteoporosis on DXA – What next?'
He outlined the importance of doing a thorough patient history, a falls assessment, and full suite of appropriate tests (DXA, bone ultrasounds, biochemistry, and haematology, etc) to determine the underlying cause of osteoporosis. Bone resorption markers can help in the initial assessment of selected patients, and are useful for monitoring compliance with bisphosphonates, and possibly for over suppression of bone turnover, Prof Walsh said.
IOS President Prof Moira O’Brien stated that one of the major issues that continues in the bone health area is that all causes are not thoroughly investigated and addressed; many causes of bone loss are assumed, such as if it is a woman, the menopause is blamed.
“The issue with this thinking is that the patient will not get the maximum benefit from the medication that they are placed
on. In my experience, one of the most common causes not addressed is gluten and/or wheat sensitivity. Many people are negative on the coeliac blood test, because unless a person, for example, eats four slices of bread a day for six weeks in order for the test, if sensitive, to be positive. If a person is sensitive to either gluten or wheat and continues to eat it, it will affect their absorption of nutrients.”
In relation to osteoporosis treatment, Prof Walsh stressed taking an individualised tailored approach with a focus on assessing ‘fracture probability’.
Discussing lifestyle advice for those with bone loss, Prof Walsh said physical activity and weight-bearing exercise is critical, as is not smoking, and he emphasised the importance of adequate calcium intake.
Prof Walsh, who has a specialist interest in the role of vitamin D in bone health, emphasised its importance and impact. He stressed the role of vitamin D deficiency in muscle weakness and increased falls risk and outlined how supplementation can address this issue, using a case study example of a woman successfully treated in St James’s.
He also quoted data showing that vitamin D supplementation appears to
reduce the risk of falls among ambulatory or institutionalised older individuals with stable health by more than 20 per cent.
Prof Walsh pointed to the high level of vitamin D insufficiency (<50nmol/l) and deficiency (<30nmol/l) in Ireland, and stressed the need for supplementation.
Prof O’Brien recommends her patients to have a vitamin D level of minimum 70nmol/L, maximum 125nmol/L.
Looking at pharmaceutical therapies for osteoporosis, Prof Walsh noted that beyond calcium and vitamin D intake, bisphosphonates are the backbone of treatment and that the National Osteoporosis Guideline Group (NOGG) sets out recommendations on review timelines for the different agents. A patient should not be on bisphosphonates for more than five years, Prof O’Brien commented. “This means in total, not five years on one brand, five years on another brand."
For those with more severe disease, Prof Walsh outlined the potency of denosumab, while noting that if it is stopped, there is rapid bone loss so it must be replaced with zoledronic acid and it is not suitable for ‘drug holidays’.
Surgery wise, vertebroplasty can be useful for select patients, he said.
For those with severe bone loss and osteoporosis, there are a number of powerful and effective treatments available, the IOS 2025 Annual Medical Conference heard.
Dr Donal Fitzpatrick, Consultant Geriatrician at St James’s Hospital, Dublin, discussed the role of denosunab, a human monoclonal antibody for the treatment of bone loss in severe osteoporosis, administered via injection every six months. He noted its efficacy and safety for long-term use, but warned against delayed injections or abrupt discontinuation due to rapid bone loss and fracture risk.
Dr Fitzpatrick noted the significant rise in usage of denosunab in Ireland, with over 75,000 people on it in 2023, according to HSE PCRS data.
There is evidence that denosumab discontinuation causes rapid bone loss within one year, which increases the risk of multiple vertebral fractures, particularly among those with existing vertebral fractures. The decision to use denosumab therefore needs to be carefully considered, as if stopped at a future point, bisphosphonates, even with up to three doses of zoledronic acid, may not prevent subsequent bone loss. “There must be a compelling reason to stop and the patient must be low risk. Treatment beyond 10 years is not a reason to stop,” Dr Fitzpatrick said.
Denosunab is also thus not a suitable agent for ‘drug holidays', he added. “Its’ Achilles’ heel is bone loss rebound after abrupt stoppage. Do not ever delay scheduled injections beyond four weeks.”
Dr Kevin McCarroll then discussed romosozumab, a monoclonal antibody that targets sclerostin, a protein that inhibits bone formation and also promotes bone resorption, which is now approved in Ireland. By blocking sclerostin, romosozumab is unique in
having both anabolic and antiresorptive effects, making it the most potent osteoporosis therapy for increasing bone mineral density and reducing fracture risk developed to date, he explained.
Romosozumab is not only superior at increasing bone mineral density compared to bisphosphonates and denosumab, but also teriparatide, the only other bone-forming therapy available in Ireland, Dr McCarroll stated. It is well tolerated, with only about 5 per cent discontinuing the drug due to adverse effects. However, its use warrants caution in individuals with high cardiovascular risk.
In the FRAME trial, one year of romosozumab therapy resulted in a 13.3 per cent gain in bone mineral density at the lumbar spine and 6.8 per cent at the total hip, with a 73 per cent reduction in new vertebral fractures and a 36 per cent reduction in clinical fractures. By contrast, potent bisphosphonates or denosumab typically yield around a 3 per cent annual
increase in lumbar spine bone mineral density, Dr McCarroll noted.
While approved by the US FDA and EMA in 2019, and with widespread use in some countries such as Japan, romosozumab was only made available in Ireland in November 2024 for postmenopausal women with severe osteoporosis who meet certain strict criteria, Dr McCarroll said, adding that it is hoped it will become more accessible in time.
Romosozumab is administered once monthly as two consecutive subcutaneous injections for a total of 12 months. Romosozumab therapy should be followed by an antiresorptive agent such as a bisphosphonate or denosumab, otherwise bone mineral density gains can dissipate. One year of romosozumab followed by denosumab for 12 months results in improvements at the total hip and spine equivalent to nearly seven years of denosumab, Dr McCarroll said.

BEST POSTER
Perioperative geriatrician assessment in patients presenting with hip fracture
Dr Konrad Timon
MOST INTERESTING
ABSTRACT CASE
Double trouble: Two incomplete atypical femoral fractures in a single femur
Dr Anna Christine O'Hanlon
BEST OVERALL
SCIENTIFIC AWARD, AS WELL AS A YOUNG INVESTIGATOR AWARD
Primary hyperparathyroidism presenting as atraumatic bilateral hip fractures:
A case report
Dr Puteri Maisarah Rameli
YOUNG INVESTIGATOR AWARD
Significant increase in lumbar spine mineral density after adding teriparatide to pre-existing denosumab therapy
Dr Eimear Buckley
] AUTHOR : Marie Cantwell, Professional Development Coordinator for General Practice Nursing
Strengthening patient care through practice development: Empowering the GPN
Across Ireland, general practice nurses (GPNs) are indispensable members of the primary care team. Their work spans preventive health, chronic disease management, vaccination programmes, and the care of patients from cradle to grave, often forming the first-line of patient contact within the community. While the importance of nursing in general practice has long been recognised, the professional pathways and nursing infrastructure supporting these nurses has sometimes been difficult to pinpoint.
As nursing continues to evolve in response to growing patient needs and complex community health challenges, the role of the professional development coordinator for GP nursing (PDCGPN) has never been more important. Embedded within the HSE primary care structures, PDCGPNs act as the vital link between policy and practice –supporting nurses in general practice in delivering safe, high-quality, and evidence-based care in line with national health strategy.
The PDC team – comprising Kathy Taaffe, Marie Courtney, Liz Carroll, Marie Cantwell, and Mairead Murphy, works across Ireland and each individual PDC (continuing professional developmet) works within a local region. These regions are currently undergoing a significant restructure and alignment of the PDC posts may change accordingly. For the most up to date locations and contact details for the PDCs you can check the HSE website at: www.hse. ie/eng/services/list/2/primarycare/ generalpracticenursing/contact-ageneral-practice-nursing-coordinator/

This regional model of professional coordination allows for responsiveness to local service needs while maintaining alignment with national policy objectives. It acknowledges that general practice nursing, though often situated in independent GP practices, is an integral component of Ireland’s public health infrastructure.
The PDC’s role is multi-faceted and dynamic. At its heart lies a commitment to support, advocate for, and advance
general practice nursing in Ireland.
The PDCGPN sits within the primary care departments of the HSE, but extends across a broad collaborative network that includes internal and external stakeholders such as nursing and midwifery services, the Office of the Nursing and Midwifery Services Director (ONMSD), HSE programme and operational teams, external and partner agencies, and GPs themselves. Through these partnerships, we ensure that the experiences and perspectives of GPNs are embedded
within the national dialogue on health service delivery.
For nurses transitioning into general practice, the move can be both exciting and daunting. Many ask: "What’s different in general practice? How do I keep my practice safe? How do I maintain my continuing professional developmet (CPD)? How do I develop my role?"
All GPNs are registered with the Nursing and Midwifery Board of Ireland (NMBI), and as such, operate within a regulated profession. As outlined by the Government of Ireland, a regulated profession is one “where access to, or practice of, a profession is restricted by national law to those who hold specific qualifications”. This brings with it autonomy of practice and accountability to the regulator (NMBI).
With their unique employment status as individual employees of small GP teams, GPNs are accountable directly to the employing GP and to their regulatory body. There is rarely a structure of nursing line management or reporting, and while the PDCGPN has no management function, they can provide the structured mentorship and professional guidance as senior nurses that will substitute for those structures typically found in other health service settings.
For new nurses entering general practice, the adjustment can be steep. The scope of practice is broad, the patient relationships are longterm, and the level of autonomy is high. Ensuring safety, maintaining
standards, and building confidence require time and support. That is why the structured involvement of PDCs is so critical in providing a professional safety net, offering evidence-based guidance, and promoting best practice across all aspects of care.
PDCGPN activities include:
] Providing advice and guidance to GPNs (and GPs) at local, regional, and national levels, at all stages, from novice to advanced practice.
] Planning bespoke practice development pathways for GPNs based on service need, individual interest, and ambition.
] Facilitating education, training, and CPD opportunities.
] Promoting quality and safety in practice.
] Supporting policy and programme development that recognises and builds on the unique contribution of general practice nursing.
] Encouraging innovation and role development, ensuring that GPNs are empowered to adapt to evolving service demands.
The PDCGPN role ensures that nurses working in private GP settings are not professionally isolated, but rather supported by a system that values education, consistency, and clinical
excellence. This includes assisting practices with the implementation of clinical audits, policy development, and standard operating procedures aligned with best practice and evidence. It also includes developing leadership and quality improvement skills, facilitating peer support networks, enabling GPNs to share knowledge and experiences, reducing professional isolation, and fostering a sense of community.
The PDCGPN will work with GPNs and their practice employers and colleagues to plan bespoke practice development journeys based on service need within the practice settings, married to the areas of interest and continuing education ambitions of the GPN. That demand-led planning will ensure support for the GPN to upskill and practice in an area that brings value to the practice in the form of improved or additional patient care.
Importantly, PDCGPNs act as advocates for lifelong learning. In a field where clinical guidelines, technology, and patient expectations are constantly evolving, maintaining professional competence is essential. By promoting reflective practice and supporting access to accredited education, the PDCGPNs help to ensure that GPNs remain at the forefront of community-based healthcare delivery. This includes guiding GPNs to fulfil CPD requirements, maintain competence in practice, and, where interested, expand practice to meet patient needs.
Continuing education is supported by signposting to relevant opportunities as well as coordinating delivery of, and access to, training programmes, CPD workshops, and specialised courses...
Continuing education is supported by signposting to relevant opportunities as well as coordinating delivery of, and access to, training programmes, CPD workshops, and specialised courses that address the diverse skill sets required in general practice. These include regional study days and national conferences run in collaboration with colleagues from across acute and community
services, as well as partner agencies. These include immunisation updates, chronic disease and integrated care study days, and skills workshops designed to update the GPNs clinical knowledge and competence in areas such as foot care for diabetic patients, clinical holding for childhood vaccination, antenatal skills for midwives, to name just a few.
The monthly PDC lunchtime webinar series has been running for almost three years and sees hundreds of GPNs attend a bespoke, hour-long, online educational session on the second last Friday of each month. These webinars address topics of significant interest or relevance to general practice and are delivered by expert speakers who have tailored their teaching to the GPN audience in particular. Topics have included hypertension management, contraception updates, palliative care, and professional portfolio development.
Keeping abreast of education and training opportunities pertinent for GPNs and signposting appropriately is key to the success of the PDCGPN advisory role. Local, regional, and national learning opportunities, online webinars and short courses, university and college based courses (from micro credential to masters level), clinical partner educational meetings, and education via the Centres for Nurse and Midwifery Education are all collated and communicated to GPNs looking to engage with practice development. Additionally, the PDCGPN collaboration with higher education institutions and providers ensures greater availability of education that meets the needs of the expert generalist role, as well as advanced roles where appropriate.
While the role of the GPN is both rewarding and essential, it also presents unique challenges. Unlike
nurses in hospital settings, GPNs most often work within independent GP practices, which can vary widely in size, resources, and governance structures. This independence can lead to variability in access to support, professional development funding, and clinical supervision.
Another ongoing challenge is ensuring that general practice nursing is visible and valued within the broader healthcare system. Despite being the first point of contact for many patients, GPNs have historically been under-represented in strategic workforce planning.
The PDCGPN role seeks to redress that balance by bringing data, evidence, and advocacy to national discussions. Working closely with policymakers and professional bodies to highlight workforce trends and identify emerging needs ensures that the general practice nursing perspective informs developments where appropriate.
Collaboration is at the core of the PDCGPN approach, and includes engagement with primary care teams, nursing and midwifery colleagues, academic partners, and GP organisations to strengthen the infrastructure supporting general practice nursing. In addition, PDCs contribute to policy development and research, sharing insights from frontline practice that inform national decision-making. Our collective voice helps ensure that new strategies are grounded in the lived experience of nurses and the realities of general practice.
Engagement with senior national nurse leaders and educators has reaped great improvements in access to education, research, and leadership training for GPNs. As a result, patients will benefit from more
consistent, evidence-based care, and nurses will gain a clearer career trajectory within general practice.
The future of general practice nursing is bright – but it will require continued investment, visibility, and advocacy. The PDCGPN model demonstrates how dedicated coordination can elevate a profession, ensuring that nurses are supported, not only in their clinical roles, but also as leaders, educators, and innovators.
As Ireland’s healthcare system continues to pivot toward community-based care, GPNs will play an increasingly central role in achieving population health goals, managing chronic conditions, and delivering preventive care.
For this potential to be fully realised, sustained support through the PDCGPN network will be essential to achieve a system where every GPN has access to structured mentorship, clear pathways for education and career advancement, and the professional recognition they deserve. The foundation is already strong – the challenge now is to build upon it, ensuring that general practice nursing continues to thrive as a cornerstone of primary care.
GPNs are at the heart of community healthcare – providing compassionate, skilled, and patientcentred care every day. The PDCs stand beside them, ensuring that they are supported, empowered, and professionally connected.
By fostering collaboration, advancing education, and embedding quality and safety into everyday practice, the PDCGPNs help shape a resilient, adaptable nursing workforce ready to meet the evolving needs of Irish communities. In doing so, they not only strengthen general practice, but also reaffirm the core values of nursing – compassion, care, and commitment. ]


] AUTHOR : Virginia Murray, RGN, BSc (Hons) Midwifery, MSC Infection Prevention and Control, Affiliated lecturer Royal College of Surgeons in Ireland, Assistant Director of Nursing, Infection Prevention and Control, Letterkenny University Hospital
The RSV season typically extends from October to March in Ireland and has a significant impact on patients and healthcare systems
To earn free CPD points, go to www.nurseCPD.ie and complete the quizzes based on this article.

Respiratory syncytial virus (RSV) is a topical subject at the moment, particularly since the successful introduction of the RSV vaccination programme in infants. RSV has often been underestimated as a viral infection, but a review of the literature reveals the significance of its global impact as the leading cause of lower respiratory tract infections in children and the number one reason for admission to hospital in children under one year of age.1 Infections and outbreaks have a huge impact on individuals and the health service in terms of cost and resources. 2 While the burden of RSV infection is most prevalent in young children, levels of infection are also significant in patients older than 65 years. 2,3,4,5 This CPD module provides a comprehensive overview of RSV – focusing on best practice guidance and infection prevention and control (IPC). The module explores RSV itself, its mode of transmission, what IPC measures can be put in place, and what tools we have in our arsenal to prevent infection in our vulnerable population groups.

UPPER RESPIRATORY TRACT INFECTION SYMPTOMS
] Rhinorrhoea
] Pharyngitis
] Nasal congestion
] Coughing
] Sneezing
] Decreased appetite
] Sore throat
In most adults and children, RSV causes a selflimiting upper respiratory tract infection
LOWER RESPIRATORY TRACT INFECTION SYMPTOMS
] Bronchiolitis
] Pneumonia
] Fever
] Increased work of breathing
] Wheeze
] Croup in children
Some children may require hospitalisation and supportive treatments. In older adults, RSV can cause severe respiratory illness, hospitalisation, and death
Presentation will be complicated by underlying conditions and co-morbidities
TABLE 1: Possible RSV symptoms in children and adults
RSV infection can manifest clinically in varying degrees of severity, from upper respiratory tract infection to bronchiolitis, tracheobronchitis, or in most severe cases, pneumonia.1,2,3,4,5 RSV is found within the genus Orthopneumovirus , and is a negative sense, single stranded, enveloped ribonucleic acid (RNA) virus. 6,7 Microscopically, it is the merging of the membranes of cells known as syncytia that have given RSV its name. 8
Once the virus comes in contact with the mucosa of the eyes, nose, or mouth, it infects the epithelial cells of the upper and lower airways. 2 The initial symptoms of RSV can be similar to a cold, and depending on the severity of the infection, the infected individual can develop symptoms such as a cough, wheeze, rhinorrhoea, fever, and sore throat ( Table 1). 9
It is important to note that the majority of people will have a mild illness, but for vulnerable individuals, RSV can cause serious infection. 3,4 In Ireland and other countries of the northern hemisphere, RSV is considered seasonal. Peak infection rates are observed in the autumn and winter months, which is considered to be the result of the virus becoming more stable in colder temperatures, with potentially dormant virus becoming activated and increased human susceptibility. 8 Typically in Ireland, the RSV season extends from October to March. 9
Globally RSV causes significant infection, ranging from mild selflimiting infections to those requiring hospital admissions. Estimates are around 33 million cases annually, with hospitalisation of 3.6 million children and infants under the age of five years.10 Hospitalisation of the sickest patients has a huge impact on the individual, with significant socioeconomic burden and a financial impact on the healthcare system also. The Health Information and Quality Authority (HIQA) highlights that in 2022 alone there were 2,500 paediatric hospital admissions related to RSV in Ireland (the majority to an intensive care unit (ICU) setting), diverting limited resources and disrupting care pathways within the paediatric service.11 The Respiratory Virus Notification Data Hub12 reports a weekly epidemiological summary of respiratory viral illnesses, including RSV, nationally – outlining data on confirmed cases, hospitalisations, ICU cases, outbreaks, and deaths from the infection. This provides practitioners with a valuable resource to track trends in infection and help inform required resources within healthcare systems.
The impact on children is well documented throughout the literature. Most infants will have been infected by RSV by the age of two years, and its impact on hospitalisations is considerably higher than for influenza.13
As discussed, thankfully the vast majority of children recover from RSV, but it has been estimated that RSV
Peak infection rates are observed in the autumn and winter months, which is considered to be the result of the virus becoming more stable in colder temperatures
caused the deaths of 100,000 children in less than five years worldwide.13 Risks for infection with RSV are higher for premature babies. 8 A concerning finding is that children who have been infected with RSV within their first year have an increased risk of wheeze and pulmonary obstruction for many years to come, with a history of RSV being associated with the development of asthma. 8
It is a general consensus that RSV in the older adult population (>60 years) is underestimated, possibly due to misdiagnosis.14 As with children, infections can be mild, but recent evidence highlights that hospitalisations and the socioeconomic burden of RSV can be as severe as influenza. 15 The risks associated with RSV are complicated with older adults due to comorbidities like chronic lung, heart, and renal disease; diabetes; immunocompromising conditions; and increasing frailty. 15 As healthcare workers, we must be cognisant of the fact that the burden on our healthcare systems is projected to intensify in line with the predicted increases in the global ageing population. 16
It is essential to understand how RSV is spread to inform appropriate IPC measures. Unfortunately, the virus is highly contagious and spreads very easily through coughing and sneezing. 6 The mode of transmission is droplet infection, 8 which can be direct or indirect.17 Direct transmission occurs when a person with RSV coughs or sneezes, and droplets from the infected host enter the mucosa of the eyes, nose, or mouth of another individual. Indirect transmission of RSV occurs when a person comes in contact with droplets from the infected person in the environment – for example, on a contaminated surface or the hands of the healthcare worker.17
Incubation period – the interval between exposure to the RSV and presentation of the first symptoms – is typically two to eight days. 9 The infectious period is considered to be three to eight days. 9 An important consideration for healthcare workers, particularly when considering transmission-based precautions, is that an individual will remain infectious for as long as the virus’s RNA particles are being shed, which may be prolonged in immunocompromised patients. 7
A helpful visual aid to understand the role of IPC measures in preventing the transmission of RSV is the chain of infection. 18
The reservoir of the infected agent (RSV) is present in the airways of the infected individual (reservoir) – which when the person coughs or sneezes (portal of exit), is transmitted directly through the air or via a healthcare worker’s hands (mode of transmission).
(PCRA) Infection prevention and control (IPC)
To be carried out before each patient* interaction
The mode of entry is the upper respiratory mucosa and the susceptible host is your patient contact. Breaking the chain of infection at any point will prevent the spread of infection. This is where key IPC precautions come into play. These precautions have become so familiar to us over the past few years, but back to basics is key, with a mixture of standard and transmissionbased precautions coming into play:17 ] Hand hygiene as per the World Health Organisation (WHO) five
IMPORTANT
Check patient's symptoms/ MDRO status/ travel history
HANDS
Perform hand hygeine as per WHO 5 moments
MUCOUS MEMBRANES
SKIN/ CLOTHING
IF CONDUCTING AN AEROSOL GENERATING PROCEDURE
Does the patient have unexplained rash, cough, sneezing/unexplained diarrhoea/fever or known MDRO. Suspected or confirmed droplet (eg, influenza, meningitis) or airborne illness (eg, chicken pox, measles, MDRX TB)
Can my hands be exposed to blood, body fluids, non intact skin, mucous membranes or contaminated items
Will I be exposed to a splash, spray, cough, sneeze while I am within 2 metres of a patient/client
Will my skin/clothing come in direct contact with blood, body fluids, non intact skin or items contaminated with body fluids
Aerosol generating procedure Does the patient have a suspected droplet/airborne illness or an emerging respiratory pathogen
REMEMBER: Hand hygiene (WHO 5 moments) to protect patients and yourself
IF YES:
PPE determined by level of anticipated contact and type of activities. For suspected/confirmed droplet/airbome illness – medical (droplet) or respirator (airborne) mask as minimum
Don gloves IF YES:
IF YES:
IF YES:
ADD
Facial protection (includes mask and goggles or visor)
Low contact activity = apron High contact activity gown
IF YES: ADD FFP2/3 respirator
*The term patient refers to patients, service users, clients, residents, person, supported individual
FIGURE 1
moments is essential. Either alcoholbased hand rub or soap and water is effective. It is essential for both staff and patients alike to carry out regular hand hygiene, reducing the risk of infection to themselves and others, and reducing contamination of the environment.
] Respiratory/cough etiquette: The infected patient should be advised to use a tissue when coughing and sneezing (or coughing into the crook of their elbow when a tissue is not available). The tissue should then be disposed of and hand hygiene performed.
] Isolation: If a hospitalised patient is symptomatic of a respiratory viral illness, isolation in a single occupancy room, ideally with en-suite facilities, is advised. If RSV has been diagnosed, patients may be cohorted in a multi-bed area where isolation capacity is limited.
] Environmental cleaning is a key component of reducing transmission by managing the contamination of surfaces and patient equipment. Research has shown that RSV can remain viable on non-porous surfaces for up to six hours. 7
] Appropriate use of personal protective equipment (PPE) including the use of masks, gloves, and apron. As always, a risk assessment is advised, with the choice of PPE dependant on a number of factors, including the patient care task involved. Nurses and other healthcare workers are directed to carry out a point-of-care risk assessment (PCRA) prior to patient contact ( Figure 1 ). 19
It can be difficult to distinguish RSV from other respiratory viral illness like Covid-19 or influenza based on clinical presentation and symptoms alone, which can be very similar. Polymerase chain reaction (PCR)
testing in the laboratory is currently the gold standard for diagnosis, using swabs from the nose and throat or other samples such as sputum or nasopharyngeal aspirate. 9 Point-ofcare testing is also available in the form of lateral flow/antigen tests. Diagnosis of RSV in the inpatient setting can be very beneficial to guide supportive treatments, cohorting of patients, and outbreak prevention and management.
There is no specific treatment for RSV, so the focus is on supportive measures and managing symptoms. 9 Supportive measures include managing fever, keeping the patient hydrated, and oxygen therapy where required. There are antiviral treatments available for RSV, but their development has not been as rapid or widespread as those used for influenza or Covid-19. 21
Ireland introduced a highly successful RSV vaccination/immunisation programme for babies in the winter of 2024/2025, utilising the nirsevimab vaccine. It is, however, incorrect to call it a vaccine – it is actually a laboratory-produced monoclonal antibody which provides passive immunity protection against RSV. 22 An advantage of utilising a monoclonal antibody is that when administered to babies, ideally at birth, it will immediately provide immunity – protecting the baby from RSV infection for the winter season. 22
The therapy requires a once off administration, making it a practical option for delivery and supporting compliance. The National Immunisation Advisory Committee (NIAC) have a number of high-level recommendations regarding the use of nirsevimab for the vaccination of infants at various stages up to the age of 24 months, which have
been adopted by Government in the Pathfinder 2.0 RSV Immunisation Programme. 23 The statistics from the initial vaccination programme were very impressive, resulting in the extension of the programme into the current Winter season. 24 The HSE provided the following analysis of the RSV immunisation programme. 24
] Almost 22,500 babies were immunised ] 83 per cent of those offered immunisation accepted it for their babies ] Among those immunised (compared to similar babies the previous year who were not immunised), there was a significant decrease in the impact of RSV including:
l 65 per cent reduction in total number of cases
l 57 per cent reduction in cases presenting to emergency departments
l 76 per cent reduction in babies requiring hospitalisation
l 65 per cent reduction in babies needing intensive care due to complications of RSV.
While RSV vaccinations have been developed for adults, they are currently not part of established national immunisation programmes in Ireland, but can be sourced privately.11 Rationale for this has been provided by the HSE in terms of risk versus benefit, cost, and practicality of immunising a huge patient population.11
RSV has always been associated with infection in children and neonates, but as discussed, has increasingly had an impact on our older patient population in recent years. While many infections are self-limiting, more serious infections require treatment and hospitalisation – having a significant impact on our hospital capacity, particularly in the winter months.
Infection varies from mild upper respiratory symptoms to severe bronchiolitis and pneumonia. A multimodal approach to RSV is
key. It is essential that healthcare workers have a working knowledge and understanding of its mode of transmission and the standard and transmission-based precautions that
References
1. Bont L, Checchia PA, Fauroux B, et al. Defining the epidemiology and burden of severe respiratory syncytial virus infection among infants and children in western countries. Infect Dis Ther. 2016;5(3):271-298. doi:10.1007/s40121-016-0123-0.
2. Sethi S, Murphy TF. RSV infection – not for kids only. N Engl J Med. 2005;352(17):18101812. doi:10.1056/NEJMe058036.
3. Shi T, Denouel A, Tietjen AK, et al. Global disease burden estimates of respiratory syncytial virus-associated acute respiratory infection in older adults in 2015: A systematic review and meta-analysis. J Infect Dis. 2020;222(Suppl 7):S577-S583. doi:10.1093/ infdis/jiz059.
4. Hansen CL, Viboud C, Chaves SS. The use of death certificate data to characterise mortality associated with respiratory syncytial virus, unspecified bronchiolitis, and influenza in the United States, 1999-2018. J Infect Dis. 2022;226(Suppl 2):S255-S266. doi:10.1093/ infdis/jiac187.
5. Teirlinck AC, Broberg EK, Stuwitz Berg A, et al. Recommendations for respiratory syncytial virus surveillance at the national level. Eur Respir J. 2021;58(3):2003766. doi:10.1183/13993003.03766-2020.
6. Griffiths C, Drews SJ, Marchant DJ. Respiratory syncytial virus: Infection, detection, and new options for prevention and treatment. Clin Microbiol Rev. 2017;30(1):277-319. doi:10.1128/CMR.00010-16.
7. Kaler J, Hussain A, Patel K, Hernandez T, Ray S. Respiratory syncytial virus: A comprehensive review of transmission, pathophysiology, and manifestation. Cureus. 2023;15(3):e36342. doi:10.7759/cureus.36342.
8. Piedimonte G. RSV infections: State of the art. Cleve Clin J Med. 2015;82(11 Suppl 1):S13-S18. doi:10.3949/ccjm.82.s1.03.
can be employed to prevent onward spread to our vulnerable patients. Much treatment is supportive, but there is a role for antivirals in the management of severe infection among certain patient
9. National Immunisation Advisory Committee. Immunisation Guidelines for Ireland: Chapter 18a Respiratory Syncytial Virus. Dublin: NIAC; 2025. Available at: www.hiqa. ie/reports-and-publications/niac-immunisation-guideline/chapter-18a-respiratorysyncytial-virus.
10. World Health Organisation. Respiratory syncytial virus. Geneva: WHO; 2025. Available at: www.who.int/health-topics/respiratory-syncytial-virus.
11. Health Information and Quality Authority. Plain language summary of the rapid health technology assessment of immunisation against respiratory syncytial virus (RSV) in Ireland. Dublin: HIQA; 2024.
12. Health Service Executive. Respiratory Virus Notification Data Hub. Dublin: HSE; 2025. Available at: https://respiratorydiseasehpscireland.hub.arcgis.com/pages/rsv.
13. Munro APS, Martinón-Torres F, Drysdale SB, Faust SN. The disease burden of respiratory syncytial virus in Infants. Curr Opin Infect Dis. 2023;36(5):379-384. doi:10.1097/ QCO.0000000000000952.
14. Recto CG, Fourati S, Khellaf M, et al. Respiratory syncytial virus vs Influenza virus infection: Mortality and morbidity comparison over seven epidemic seasons in an elderly population. J Infect Dis. 2024;230(5):11301138. doi:10.1093/infdis/jiae171.
15. Maggi S, Veronese N, Burgio M, et al. Rate of hospitalisations and mortality of respiratory syncytial virus infection compared to influenza in older people: A systematic review and meta-analysis. Vaccines (Basel). 2022;10(12):2092. Published 2022 Dec 7. doi:10.3390/vaccines10122092.
16. World Health Organisation. Ageing and health. Geneva: WHO; 2025. Available at: www.who.int/news-room/fact-sheets/detail/ ageing-and-health.
17. Department of Health. NCEC National
populations. Prevention is our best option. The vaccination programme in neonates has been a huge success and debate continues around extending this to the elderly. ]
Clinical Guideline No 30 Infection Prevention and Control Volume 1. Dublin: DOH; 2023. Available at: www.gov.ie/en/department-ofhealth/publications/infection-prevention-andcontrol-ipc/.
18. Association for Professionals in Infection Control and Epidemiology. Break the chain of infection. 2016. Available at: https://infectionpreventionandyou.org/protect-your-patients/ break-the-chain-of-infection/.
19. Antimicrobial Resistance and Infection Control. How to use a point-of-care risk assessment for infection prevention and control. HSE RESIST; 2025. Available at: www.hse.ie/ eng/about/who/healthwellbeing/our-priorityprogrammes/hcai/resources/general/.
20 Antimicrobial Resistance and Infection Control. Point of care risk assessment. HSE RESIST. Available at: www.hpsc.ie/a-z/microbiologyantimicrobialresistance/infectioncontrolandhai/ posters/PCRAResistPoster.pdf.
21 Ferruggia F. The role of antivirals in managing RSV infections. Pharmacy Times 2025. Available at: www.pharmacytimes. com/view/the-role-of-antivirals-in-managing-rsv-infections.
22. Drysdale SB, Cathie K, Flamein F, et al. Nirsevimab for Prevention of Hospitalisations due to RSV in infants. N Engl J Med 2023;389(26):2425-2435. doi:10.1056/NEJMoa2309189.
23. Health Service Executive. RSV 2.0 Immunisation Pathfinder SOP and Implementation Tools. Dublin: HSE; 2025. Available at: www. hpsc.ie/a-z/respiratory/respiratorysyncytialvirus/immunisation/rsvimmunisationpathfindersopand implementationtools/.
24. Health Service Executive. HSE extends very successful programme which protects babies from RSV in Winter. Dublin: HSE; 2025. Available at: www.hpsc.ie/news/hseextends-very-successful-programme-whichprotects-babies-from-rsv-in-winter.html.
Controlled drugs in Schedule 8 which a registered nurse prescriber or registered midwife prescriber may prescribe within Schedules 2 and 3 – Misuse of Drugs Regulations, 2017

In publishing this position statement, the aim of the Irish Pain Nurses and Midwives Society is to ensure that, in accordance with the Health Service Executive (HSE) National Service Plan 2024,1 all registered nurse and midwife prescribers working in the field of pain management are working “at the optimum of their professional scope of practice” (p45).
Since its introduction in 2007, it has
been demonstrated that nurse and midwife medicinal product prescribing is safe and appropriate. 2 Consequently, there has been incremental changes in the regulation of this expanded role since its inception. When nurse prescribing was first introduced, the original controlled drugs included in Schedule 8: Part 1 were limited to oral, intravenous or intramuscular morphine sulphate, and oral codeine phosphate; 3
this was expanded in 2017 to include buprenorphine, dihydrocodeine, fentanyl, morphine tartrate, oxycodone, and pethidine via a variety of routes. 4 At this time, parts 2 and 4 (drugs for palliative and neonatal care respectively) were also expanded, and part 5 (drugs for use in mental health or intellectual disability) was created. Subsequently, in 2018, the initial requirement for the Collaborative
DRUG ROUTE OF ADMINISTRATION
Buprenorphine Transdermal
Codeine phosphate Oral
Dihydrocodeine Oral
Fentanyl Intranasal, intravenous, transdermal, transmucosal, subcutaneous, sublingual/buccal
Morphine sulphate Intramuscular, intravenous, oral, subcutaneous
Morphine tartrate Intramuscular, intravenous, subcutaneous
Oxycodone Oral, subcutaneous, intravenous
Pethidine Intramuscular, intravenous, subcutaneous
DRUG ROUTE OF ADMINISTRATION
Buprenorphine Transdermal
Codeine phosphate Oral
Fentanyl Intranasal, intravenous, transdermal, transmucosal, subcutaneous, sublingual/ buccal
Hydromorphone Oral, subcutaneous
Methylphenidate Oral
Morphine sulphate Intramuscular, oral, subcutaneous
Morphine tartrate Intramuscular, subcutaneous
Oxycodone Oral, subcutaneous
PART 3: DRUGS FOR PURPOSES OF MIDWIFERY
DRUG ROUTE OF ADMINISTRATION
Pethidine Intramuscular
DRUG ROUTE OF ADMINISTRATION
Fentanyl Intravenous, transdermal, transmucosal
Morphine sulphate Intramuscular, intranasal, intravenous, oral, subcutaneous
Morphine tartrate Intramuscular, intravenous, subcutaneous
PART 5: DRUGS FOR USE IN MENTAL HEALTH OR INTELLECTUAL DISABILITY
DRUG ROUTE OF ADMINISTRATION
Methylphenidate Oral
FIGURE 1: Controlled Drugs in Schedule 8 which a Registered Nurse Prescriber or Registered Midwife Prescriber may prescribe within Schedules 2 and 3 – Misuse of Drugs Regulations, 2017 5
Practice Agreement (CPA) for registration and authority to prescribe was removed by the Nursing and Midwifery Board of Ireland. 5 Legislation was also amended in 2018, enabling the registered nurse or midwife prescriber to prescribe exempt medicinal products. 6 While welcoming these changes, the Irish Pain Nurses and Midwives Society maintains that Schedule 8 ultimately
continues to act as a barrier to effective pain management. The professionals best placed to assess and treat the patient are limited to a relatively narrow selection of analgesic agents, some of which are outdated and no longer supported by high-quality evidence. For example, the use of pethidine is discouraged in favour of other opioids.7 Furthermore, there are analgesic agents
and strategies recommended in bestpractice guidelines which do not appear on the schedule, such as tapentadol, epidural fentanyl, and ketamine. Tapentadol has similar efficacy to more commonly used opioids, has a superior side effect profile, fewer drug-drug interactions, and is associated with lower rates of abuse than oxycodone.7 While fentanyl does appear on Schedule
8, the epidural route is not included. This is in spite of Level I evidence which demonstrates that the analgesic effect with epidurals is enhanced with the addition of fentanyl 8 and evidence demonstrating that epidurals with fentanyl accelerate the return of gastrointestinal transit after abdominal surgery compared with an opioid-based regimen. 9 Multiple systematic reviews confirm that ketamine has a role in the management of postoperative pain.10,11,12,13,14 Perioperative ketamine reduces opioid consumption, pain intensity and nausea and vomiting, reduces the incidence of chronic pain after certain surgical procedures, and is also effective in patients who are opioid tolerant.7 Ketamine is also associated with fewer side effects requiring intervention compared to morphine.15
Given the benefits that drugs such as tapentadol, epidural fentanyl, and ketamine may have in the management of pain, nurses and midwives working at specialist and advanced practice level in pain management will recommend their use in selected patients. In the context of Schedule 8, the likely result is that a registered nurse or midwife prescriber must request a prescription for the recommended regimen from a medical practitioner. This results in reduced continuity of care, unnecessarily introduces opportunity for error, and in the case of the Advanced Nurse Practitioner, undermines the ability to undertake a complete episode of care for the patient.
The International Association for the Study of Pain16 asserts that governments and healthcare institutions
have an obligation “to establish laws, policies and systems that will help to promote, and will certainly not inhibit, the access of people in pain to fully adequate pain management. Failure to offer such management is a breach of the patient’s human rights” (p1). In 2012, changes were made to The Misuse of Drugs Regulations of 2001 to allow nurse and midwife prescribers in the United Kingdom to prescribe all schedule 2-5 drugs where clinically appropriate and within their scope of practice, with the exception of replacement therapies for addiction.17 The Irish Pain Nurses and Midwives Society asserts that a similar arrangement with the abolition of Schedule 8 is the most logical, practical, and safe option for nurse and midwife prescribers practising in the Republic of Ireland. ]
References
1. Health Service Executive. Our National Service Plan. Dublin: HSE; 2024 (Accessed 26 November 2024).
2. Naughton C, Drennan J, Hyde A, et al. An evaluation of the appropriateness and safety of nurse and midwife prescribing in Ireland. J Adv Nurs. 2013;69(7):1478-1488.
3. Government of Ireland. SI No 200/2007 –Misuse of Drugs (Amendment) Regulations 2007. Dublin: Government of Ireland; 2007.
4. Government of Ireland. SI No 173/2017 –Misuse of Drugs Regulations 2017. Dublin: Government of Ireland; 2017.
5. Nursing and Midwifery Board of Ireland. Practice Standards and Guidelines for Nurses and Midwives with Prescriptive Authority. Dublin: NMBI; 2019.
6. Government of Ireland (2018) SI No 529/2018 – Medicinal Products (Control of Placing on the Market) (Amendment) Regulations 2018. Dublin: Government of Ireland; 2018.
7. Schug SA, Palmer GM, Scott DA, et al. Working Group of the Australian and New Zealand College of Anaesthetists
and Faculty of Pain Medicine. Acute Pain Management: Scientific Evidence (5th edn). Melbourne: Australian and New Zealand College of Anaesthetists and Faculty of Pain Medicine; 2020. Available at: https://airr.anzca.edu.au/anzcacrisjspui/ handle/11055/1071. (Accessed 26 November 2024).
8. Walker SM, Goudas LC, Cousins MJ, Carr DB. Combination spinal analgesic chemotherapy: A systematic review. Anesth Analg. 2002;95(3):674-715.
9. Guay J, Nishimori M, Kopp S. Epidural local anaesthetics versus opioid-based analgesic regimens for postoperative gastrointestinal paralysis, vomiting, and pain after abdominal surgery. Cochrane Database Syst Rev. 2016;7(7):CD001893.
10. McCartney CJ, Sinha A, Katz J. A qualitative systematic review of the role of N-methyl-D-aspartate receptor antagonists in preventive analgesia. Anesth Analg. 2004;98(5):1385-1400.
11. Subramaniam K, Subramaniam B, Steinbrook RA. Ketamine as adjuvant analgesic to opioids: A quantitative and qualitative systematic review. Anesth Analg
2004;99(2):482-495.
12. Laskowski K, Stirling A, McKay WP, Lim HJ. A systematic review of intravenous ketamine for postoperative analgesia. Can J Anaesth. 2011;58(10):911-923.
13. Jouguelet-Lacoste J, La Colla L, Schilling D, Chelly JE. The use of intravenous infusion or single dose of low-dose ketamine for postoperative analgesia: A review of the current literature. Pain Med. 2015;16(2):383-403.
14. Brinck EC, Tiippana E, Heesen M, et al. Perioperative intravenous ketamine for acute postoperative pain in adults. Cochrane Database Syst Rev. 2018;12(12):CD012033.
15. Guo J, Zhao F, Bian J, et al. Low-dose ketamine versus morphine in the treatment of acute pain in the emergency department: A meta-analysis of 15 randomised controlled trials. Am J Emerg Med. 2024;76:140-149.
16. International Association for the Study of Pain. Declaration of Montreal. 2010. Available at: www.iasp pain.org. (Accessed 26 November 2024).
17. Royal College of Nursing. Non-Medical Prescribers. UK: RCN; 2024 Available at: rcn. org.uk. (Accessed 26 November 2024).

] EDITORIAL DIRECTOR: Theresa Lowry Lehenen
Association news ] Annual Conference 2025 ] Journal article review ] Updates from advanced practice across Ireland ] Meet the members










The sixth edition of the IAANMP (Irish Association of Advanced Nurse and Midwife Practitioners) Supplement marks what has been an exceptional year for the Association. We now have over 550 members, highlighting the growing influence and reach of IAANMP advanced nurse and midwife practitioners (ANMPs) in Ireland. This expanding membership strengthens the Association’s role in advocating for the profession, promoting excellence, and supporting innovation in patient care. Our strong working relationship
with Nursing in Practice Ireland offers a valuable platform to demonstrate the breadth and impact of ANMP practice in Ireland.
In this edition, we are especially pleased to feature highlights and reflections from the IAANMP 21st Annual Conference 2025, capturing the innovation, collaboration, and professional excellence that continue to shape our community. This year had the largest attendance of delegates and submissions for poster presentations to date. The conference was a resounding success and a
valuable opportunity to network with peers and key stakeholders, while also serving as a day of learning, collaboration, and celebration of advanced practice across Ireland. Engaging with research is important for advanced practitioners to remain aligned with best practice, maintain competence, and deliver safe, evidencebased care. As an association, we place strong emphasis on this commitment, as it not only enriches individual practice, but also fosters knowledge sharing, professional development, and the continued advancement of our roles.
In this issue, the research article ‘Integrated care: The way forward for ANPs by using strategy initiatives’ is reviewed by RANP Theresa Lowry Lehnen, with a focus on its relevance and implications for advanced nursing practice. If you would like your research to be included in the repository on the IAANMP website or considered for publication in a future supplement, please contact us at
iaanmp@gmail.com for details. In maternity news, Karlene Kearns provides an insightful overview of the Postnatal Hub Service at Sligo University Hospital, highlighting its role in supporting women and families during the postnatal period. We are also delighted to feature Gemma Smyth, who shares her experience as an ANP candidate in Intellectual Disability. In her piece, she emphasises
the vital role of disease prevention, early intervention, health maintenance, and the importance of ensuring equitable access to care for all. Our popular Meet the Members section in this issue features Lisa Egan, RANP Paediatric Respiratory, MRHP.
We hope you enjoy this edition of the IAANMP supplement and find a moment in your busy schedule to relax and take part in our hidden word challenge.
✽ Author: Melissa Hammond, Chair IAANMP, RANP in General Practice
The IAANMP Annual General Meeting (AGM) 2025 will take place online on Monday, 1 December at 7.30pm. This key event offers members the opportunity to review the past year’s
events, achievements, and activities, as well as to hear about the Association’s strategic priorities and plans for the year ahead. Full details and joining instructions will be circulated via email in advance. We encourage all members to attend, participate in discussions, and contribute to the ongoing growth
We look forward to welcoming Ms Fiona Paolozzi, Registered ANP for Immunology and Allergy at Beaumont Hospital Dublin, for our next clinical webinar. This is planned for 20 November at 7.30pm. We urge all our members to attend this exciting and interactive live webinar on the night. However, if unavailable, the recording will be in the IAANMP Medmeetings room on Medcafe for members only. In order to sustain pharma support for these webinars, our members need to engage with the content. We plan to be back in the new year in 2026 with more exciting and diverse educational webinars for our members.
and development of the IAANMP. We look forward to welcoming you to this year’s AGM as we reflect on our collective achievements and celebrate the continued advancement of IAANMP ANMPs across Ireland. Please get in touch if you have any ideas, comments, or suggestions in preparation for the AGM.
As Ireland’s national association for advanced practitioners, our mission is to represent, support, and advocate for nurses and midwives practising at an advanced level across the country. We maintain strong relationships with international advanced practice organisations and national stakeholders, and our membership continues to grow. We are working to represent all ANMP specialities. To achieve this, we welcome representation from all ANMP subgroups on our committee, ensuring every voice is heard and has the opportunity to shape the future trajectory of this evolving role within healthcare. We are asking our members to get involved, and nominate yourself or someone else from your advanced practice group. Whether you're experienced, or new to the role, if you are passionate about advanced practice and want to shape its future, we encourage you to get involved. Together, we can strengthen the voice and impact of advanced practice in Ireland.
✽ Author: Theresa Lowry Lehnen, IAANMP Committee Officer, RANP General Practice
The Irish Association of Advanced Nurse and Midwife Practitioners (IAANMP) held its landmark Annual National Conference 2025 on Monday 13 October at the Midlands Park Hotel in Portlaoise. With the theme ‘A vision on the advanced practice model of care’, the conference brought together advanced practitioners, healthcare leaders, policymakers, and academics, for a day of insight, collaboration, and inspiration, leaving delegates energised and motivated by the shared vision for the future of advanced practice.
The Midlands Park Hotel buzzed with anticipation from early morning as delegates arrived to register, collect their programmes, and network over coffee. The atmosphere was one of excitement and solidarity, a testament to the growing strength and recognition of advanced practice in Ireland.
Ms Melissa Hammond, IAANMP Chair, opened the day with a heartfelt welcome, reminding delegates of the extraordinary growth of advanced practice in recent years. She emphasised the Association’s mission to ensure that ANPs and AMPs remain at the forefront of healthcare delivery, innovation, and policy development.
The morning session was chaired by Ms Carmel Hoey, Lead for Advanced Practice at the Office of the Nursing and Midwifery Services Director (ONMSD), who guided the proceedings with

insight and facilitated a dynamic and engaging start to the conference.
Minister for Health Jennifer Carroll MacNeill addressed the conference via video link, offering a warm acknowledgment of the vital contribution made by ANMPs across the Irish healthcare system. She praised their leadership, innovation, and dedication in responding to increasing service demands, improving access to timely care, and ensuring high-quality, patient-centred outcomes in both acute and community settings.
Minister Carroll MacNeill highlighted the critical role of ANMPs in advancing national healthcare priorities, including integrated care, chronic disease management, and the delivery of care closer to home. She emphasised that the advanced practice model exemplifies the principles of Sláintecare, supporting sustainability, equity, and excellence in healthcare delivery.
Reaffirming the Government’s
commitment to strengthening the advanced practice workforce, Minister Carroll MacNeill emphasised that continued investment and support for ANMP roles will remain a key strategic priority for the future of Ireland’s health services. She described ANMPs as “an essential cornerstone of Ireland’s future health system”, recognising their growing influence in shaping policy, improving patient outcomes, and driving the evolution of modern nursing and midwifery practice nationwide.
Ms Caitriona McGarrell, RANP, spoke about clinical supervision, emphasising that advanced practitioners must continue to lead by example in fostering a culture of reflective practice and professional accountability. She reminded the audience that supervision is not a static process, but a dynamic and collaborative one, requiring ongoing dialogue, mentorship, and evaluation to ensure safe, effective, and evidence-based care.
Ms Anna Kiernan, RANP, followed with her presentation on the Spark Programme, which has created new opportunities for practitioners to develop innovative solutions to healthcare challenges. Her session highlighted the importance of empowering ANMPs, not only as clinicians, but also as change-makers.
A highlight of the morning was the presentation of the Bernie Carpenter Bursaries to Ms Sarah Daly, Respiratory RANP, and Ms Hannah Walsh, Emergency RANP. Both recipients were warmly applauded
for their outstanding professional contributions and dedication to advancing clinical practice. In addition to receiving their bursaries, they each delivered insightful presentations showcasing their innovative work, reflecting the impact and leadership of ANMPs in specialist areas of care.
The bursaries, which embody the profession’s ongoing commitment to research, leadership, and clinical excellence, were presented by Siobhán, sister of the late Bernie Carpenter, adding a deeply personal and heartfelt dimension to the occasion.
The mid-morning session was chaired by Ms Eileen Whelan, Regional Director of Nursing and Midwifery, who brought her wealth of experience and leadership to the proceedings, ensuring a dynamic and engaging continuation
of the conference programme.
Mr Steve Pitman, Head of Education and Professional Development, Irish Nurses and Midwives Organisation, delivered a compelling presentation on leadership, emphasising its critical role in shaping the future of nursing and midwifery. He highlighted that true leadership extends beyond management, encompassing the ability to inspire teams, drive innovation, and advocate effectively for the profession. He emphasised that ANMPs are uniquely positioned to influence positive change, uphold professional standards, and model best practice, all the while ensuring that patientcentred care remains at the heart of every decision and initiative.
Mr Stephen Kelly, RANP and CEO of Precision Health, delivered
a dynamic and thought-provoking address on innovation in practice. Drawing on Precision Health’s expertise in personalised, datadriven healthcare, he illustrated how digital technologies, predictive analytics, and patient-centred approaches are revolutionising care delivery. He emphasised that advanced practitioners are uniquely positioned to harness these innovations, integrating them into clinical practice in ways that enhance efficiency, improve outcomes, and preserve the human touch that is central to patient care. His presentation highlighted the critical role of ANMPs in driving innovation and shaping the future of a more personalised and responsive healthcare system.
Midday saw one of the most anticipated sessions – the panel discussion on ‘Changing healthcare to meet service demand’, chaired by Ms Priscilla Lynch, award-winning medical journalist and Clinical Editor of the Medical Independent . The panel featured voices from across the healthcare spectrum, including: Dr Ray Healy, Director of Registration, NMBI; Prof Mark White, Executive Dean, Faculty of Nursing and Midwifery, RCSI; Dr Geraldine Shaw, Nursing and Midwifery Director, ONMSD; Dr Susan Kent, Nursing, Midwifery, and Healthcare Innovation Leader; and Ms Fiona Colbert, frontline RANP Cardiology, Vice-Chair IAANMP.
The panel discussion was frank and energised, and highlighted both
the challenges and opportunities facing ANMPs today. Workforce shortages, system inefficiencies, patient access issues, and regulatory barriers were openly acknowledged, yet the atmosphere was one of strong optimism about the vital role of ANMPs in meeting these pressures.
A central theme was the importance of an advanced practice model of care, which was presented as not only a response to current system challenges, but also a blueprint for the future of healthcare delivery. Delegates explored how the ANMP role has evolved in recent years, whether practitioners are fully enabled to work to the top of their licence, and what policy or cultural changes are required to support and sustain this model. The advanced practice framework was recognised as key to maximising
scope of practice, strengthening interdisciplinary collaboration, and ensuring that patients consistently receive high-quality, timely, and evidence-based care.
The discussion also looked to the future, considering how ANMP leadership can shape service redesign and transform pathways of care. It covered opportunities for advanced practitioners to drive innovation in digital health, integrate AI into clinical practice, and lead quality improvement initiatives that respond to population health needs. The vision articulated was of a more integrated, ANMP-driven model of care, one that not only addresses workforce and system inefficiencies, but also delivers personalised, holistic, and accessible healthcare, ensuring that patients remain at the centre of every decision.
The afternoon session was chaired by Ms Kathleen Canavan, RANP in Cardiothoracic Surgery and IAANMP Committee Officer, who supported engaging and productive discussions.
Ms Aoife Feeney, RANP and Adjunct Professor, Trinity College Dublin (TCD), and Ms Ann Fitzpatrick, RANP, delivered an insightful update on TCD’s advanced practice research programme. Their presentation showcased how academic research is being translated into practical improvements in clinical settings, directly impacting patient care and service delivery. They highlighted key projects, innovations, and evidencebased initiatives led by advanced practitioners, demonstrating the vital connection between research, clinical practice, and improved health outcomes. The session emphasised the growing role of ANMPs in driving research-informed practice and shaping the future of advanced practice in Ireland.
The emotional high point of the day came with Mr Rory O’Connor of Rory’s Stories, who captivated the audience with his deeply personal account as a mental health advocate. His honesty and humour created a powerful connection with delegates, reinforcing the vital role of empathy, resilience, and mental health awareness not only for patients but for healthcare professionals themselves.
We were delighted by the overwhelming response to this year’s poster competition, which received over 40 high-quality abstracts from ANMPs across Ireland. As the day drew to a close, the poster competition winners were announced, celebrating the exceptional research, innovation, and leadership demonstrated within

advanced practice.
Third prize was awarded to RANP Niamh Orla Finan, Brothers of Charity Services Ireland-West Region, for her poster ‘ANP – Transforming care for adults with intellectual disabilities’. Second prize was awarded to cANP Avril Gannon, Respiratory Midland Regional Hospital, Tullamore, for her poster on 'COPD admission avoidance winter initiative'. First prize was presented to Gemma Finegan, cANP Paediatric Emergency Medicine, Our Lady of Lourdes Hospital, Drogheda, for her poster titled, ‘What is the current level of nurses’ knowledge regarding paediatric fever, and how do nurses in a general hospital paediatric setting approach its management in clinical practice?’.
Each of the winning projects exemplified excellence in clinical practice, innovation, and professional leadership, highlighting the important contributions ANMPs make to improving patient care and advancing the profession.
The closing reflections by IAANMP Chair Melissa Hammond eloquently captured the spirit of the day, expressing gratitude to all participants, pride in the
achievements and contributions of ANMPs, and a resolute determination to build on the momentum generated. She emphasised the importance of collaboration, ongoing professional development, and the shared commitment to advancing patient care, research, and innovation within the profession, leaving delegates inspired and motivated to continue shaping the future of advanced practice.

In a fitting finale to the conference, former Minister for Health Mary Harney delivered an inspiring video message reflecting on the significant progress of advanced practice in Ireland. She acknowledged the dedication, expertise, and leadership of ANMPs, highlighting their critical role in transforming healthcare delivery and improving patient outcomes. Ms Harney encouraged attendees to continue driving innovation, advocating for the profession, and embracing opportunities to influence policy and service redesign. Her message served as both a celebration of the achievements of ANPs and AMPs to date, and a powerful call to remain bold, visionary, and proactive in shaping the future of Ireland’s healthcare system.
The IAANMP National Conference 2025 was more than an academic or professional event, it was a celebration of identity, a forum for debate, and a catalyst for progress. Delegates left not only inspired, but armed with new knowledge, stronger networks, and a renewed sense of purpose.
The resounding message was clear: Advanced practice is not simply part of the Irish healthcare system, it is leading the transformation of healthcare, shaping a model that is responsive, innovative, and above all, patient-focused.

The IAANMP would like to extend our sincere thanks to everyone who contributed to making the conference such a wonderful and memorable day. From our generous sponsors and exhibitors, to the engaging presenters, panel, and chairs who shared their expertise; each contribution added immeasurable value to the event.
Thank you to the photography, video, lighting, and sound teams for capturing the spirit of the day and ensuring everything ran seamlessly. To the hotel staff, whose professionalism, organisation, and warm hospitality helped create a welcoming environment for all. To our delegates, judges, and awardees, thank you for your participation, enthusiasm, and commitment to advancing nursing and midwifery practice.
A special thank you to the IAANMP committee, whose tireless efforts and commitment brought every element of

the conference together with precision and care. Your dedication, teamwork, and passion were the driving force behind the success of the day. Together, we celebrated, connected, and strengthened our professional
community. We look forward to building on this momentum, advancing our shared goals, and inspiring excellence in the year ahead.
#StrongerTogether
The advanced practice journal article review section highlights advanced practitioner reviews of current, practice-relevant research articles that inform and support the evolving role of advanced nurse and midwife practitioners (ANMPs) in Ireland. With an emphasis on clinical leadership, innovation, and evidence-based care, these reviews highlight key findings from contemporary literature
and explore their implications for advanced practice.
In this edition, RANP Theresa Lowry Lehnen reviews ‘Integrated care: The way forward for advanced nurse practitioners by using strategy initiatives’. This journal article, written by Prof Marie Carney, presents a compelling analysis of the strategic role ANPs play in advancing integrated, person-centred care. It highlights the importance of ANP leadership
in driving health system reform, promoting interprofessional collaboration, and leading innovative service delivery models that respond to complex patient needs and evolving healthcare demands.
This review showcases how research continues to shape and support advanced practice, reinforcing the importance of critical engagement with the literature in advancing safe, effective, and future-focused healthcare.
AUTHOR: Marie Carney, Professor of Nursing and Midwifery, Royal College of Surgeons in Ireland (RCSI), Faculty of Nursing and Midwifery, RCSI University of Medicine and Health Sciences, Dublin, Ireland
REFERENCE: Carney M. Integrated care: The way forward for Advanced Nurse Practitioners by using strategy initiatives. Int J Nurs Health Care Res . 2024; 7:1493. https://doi.org/10.29011/26889501.101493
PUBLISHED DATE : 14 January 2024
JOURNAL ARTICLE REVIEW
AUTHOR: Theresa Lowry Lehnen, RGN, PG Dip Coronary Care, BSc, MSc, RNP, PGCE (QTS), M Ed, PhD, FFNMRCSI, Registered Advanced Nurse Practitioner General Practice
The journal article provides an insightful and timely exploration of how ANPs can lead integrated care through effective leadership and strategic alignment. Drawing on policy frameworks, professional experience, and contemporary healthcare reform discussions, Prof Marie Carney offers a conceptual analysis of the evolving role of ANPs in systems integration.
As healthcare systems worldwide shift toward models of integrated care, there is an urgent need to reimagine the roles of healthcare professionals in delivering coordinated, cost-effective, and patient-centred services. In this context, the contribution of ANPs has gained increased attention, not merely for their clinical expertise, but for their potential as strategic leaders within health system reform. Prof
Carney’s 2024 publication addresses this opportunity by framing ANPs as pivotal to implementing and sustaining integrated care pathways. Her work aligns closely with national health strategies such as Sláintecare, which call for enhanced community-based services and interprofessional collaboration.
The article sets out to examine how strategic initiatives can support the integration of ANPs into health systems undergoing transformation. With the global burden of rising chronic illness and healthcare systems under increasing financial and human resource pressure, the author argues that ANPs are wellpositioned to fill critical leadership and care coordination roles. The publication, which is discursive in nature, offers a conceptual roadmap for integrating ANPs into broader healthcare strategies.
Central to Prof Carney’s argument is the recognition that integrated care should be viewed as a strategic imperative rather than merely an isolated clinical intervention. She asserts that successful integration requires organisational alignment across policy, workforce planning, service design, and leadership development. In this landscape, ANPs can act as system connectors, linking primary, secondary, and community services through advanced clinical decision-making, leadership skills, and their ability to work across disciplinary boundaries.
The author draws on existing policy documents and strategic frameworks to contextualise her argument. In doing so, she highlights the alignment between ANP competencies and the aims of integrated care, particularly in delivering continuity, improving access, reducing hospital admissions, and supporting population health. Importantly, she positions ANPs as more than expert clinicians; they are viewed as active agents of change capable of shaping health service delivery and contributing to policy implementation.
The article advocates for formal strategic initiatives to support this vision. These include the development of role-specific career pathways, increased access to leadership development programmes, greater involvement of ANPs in health planning and service redesign, and the establishment of governance structures that enable ANPs to function at the top of their licence. Prof Carney’s approach to integration is multidimensional, requiring changes at both the macro-policy level and within organisational culture and service operations.
The conceptual discussion is well-argued and grounded in current healthcare priorities. The identification of the mismatch between ANP capability and the opportunities available for strategic engagement reflects a broader issue in health workforce planning. While the article is not empirical, it draws strength from its policy relevance and the author’s extensive professional insight.
One of the strengths of this article is its holistic vision of ANPs as clinical leaders and policy stakeholders. The author avoids limiting the discussion to the operational level and instead calls for structural reforms that elevate ANPs into decision-making circles. This framing is particularly relevant in Ireland, where the Sláintecare strategy highlights the need for innovative, integrated, and locally responsive care models.
The article provides a highly engaging and persuasive account of the strategic value advanced nurse practitioners bring to healthcare, showcasing their pivotal role in driving innovation, improving outcomes, and influencing policy. The already strong discussion could be further enriched by drawing on well-established theoretical frameworks, such as Kotter’s change management theory or the Chronic Care Model, to provide additional conceptual depth. Brief illustrative examples or case studies could also enhance understanding by demonstrating how advanced nurse practitioners have contributed to strategic initiatives in practice. Expanding on practical implementation approaches would offer additional value for policymakers and service
leaders keen to adopt these recommendations. Exploring structural and systemic factors, including organisational dynamics and role recognition, could offer further context on how ANPs engage in strategic roles.
Prof Carney’s article contributes significantly to the discourse on the future of advanced nursing practice, particularly at a time when health systems are increasingly oriented toward prevention, integration, and continuity of care. The publication reinforces the idea that the effective deployment of ANPs must be underpinned by strategic foresight, leadership development, and cross-sectoral collaboration. In the Irish context, the article resonates strongly with current policy priorities. The HSE’s community healthcare networks and integrated care programmes require clinical leaders who can navigate complex systems and champion innovation. ANPs are ideally suited for such roles, and the author rightly calls for systems that support their full integration into reform efforts. Her call for education providers to embed strategic competencies into ANP training is very important. Preparing ANPs to engage in systems leadership requires investment in curricula that go beyond clinical expertise to include policy literacy, organisational theory, and change leadership. Positioning ANPs as strategic leaders, contributes to a broader vision of nursing that embraces innovation, collaboration, and systems transformation.
✽ Author: Karlene Kearns, CMM2 Postnatal Hub Service
Sligo University Hospital is one of five national pilot sites for the implementation of a Postnatal Hub Service, funded by the National Women and Infants Health Programme (NWIHP). The service officially commenced in Sligo at the end of December 2023.
Postnatal care has long been recognised as the least satisfying component of the childbirth continuum, often referred to as the ‘Cinderella’ of maternity services. However, this phase presents a vital window of opportunity for delivering care that can significantly influence the health and wellbeing of mothers, infants, and families.
The postnatal hubs are designed to enhance structured support for women and their babies in the weeks following birth, facilitating earlier intervention, where necessary, across a range of physical, emotional, and social health needs. They also improve access to specialised maternity health services tailored to the unique requirements of the postnatal period.
Currently, the Postnatal Hub Service in the Sligo region operates across four key locations: Sligo Town, Carrick-onShannon, Ballyshannon, and Ballymote.
All women, regardless of their care pathway or mode of delivery, are routinely offered a postnatal appointment, typically scheduled between two and four weeks postpartum. This appointment is
designed to be flexible and womancentred, ensuring individual needs and preferences are prioritised. Earlier or later appointments may be arranged if clinically indicated, based on assessments made by the discharging maternity staff in collaboration with the Postnatal Hub team. Appointments are usually scheduled upon discharge from the maternity ward. Prior to the appointment, women are contacted to confirm their availability, discuss any emerging concerns, and ensure the appointment time is appropriate. This proactive engagement helps enhance continuity of care and early postnatal contact.
Public Health Nurses (PHNs) also have the option to refer women for an earlier appointment if clinically necessary. Each appointment is scheduled for one hour, with follow-up appointments offered as needed. During the consultation, a full postnatal assessment of both mother and baby is carried out. The visit may also include birth reflection, breastfeeding and lactation support, and onward referral to specialist services, such as perinatal mental health or other relevant support. A dedicated postnatal consultation pro forma has been developed to guide comprehensive care delivery.
Women are provided with the contact number for the postnatal hotline upon discharge from the ward. This number allows them to reach the Postnatal Hub team for clinical advice or to reschedule their appointments as required.
✽ Since the end of November 2023, over 1,700 women and their babies
have been seen through the Hub.
✽ Approximately 15 per cent of these were referred to additional or specialist services based on identified needs.
✽ The average ‘did not attend’ or ‘could not attend’ rate is 12 per cent; all women in this group are offered a rescheduled appointment to ensure continuity of care.
Developments since the establishment of the Postnatal Hubs include:
✽ Full establishment of all Postnatal Hubs and implementation of monthly key performance indicators.
✽ Strengthened communication and collaboration with healthcare professionals, including weekly referrals from PHNs and GPs.
✽ Direct referral pathways established to services such as the Mirena clinic and gynaecology outpatient department.
✽ Streamlined process for complaints management, including access to formal debriefing sessions when required.
✽ Provision of birth reflection and emotional support for postnatal women.
✽ Enhanced utilisation of ongoing community-based supports, such as family resource centres, breastfeeding support groups, and Lifestart.
✽ Clear escalation pathways developed for involvement of hospital services including the postnatal ward, emergency department, and paediatrics.
✽ Introduction of student placements within the Hubs to support professional education and workforce development.
✽ Structured discussions on future modes of delivery, including vaginal birth after caesarean counselling.
✽ Funding secured for dedicated physiotherapy services within the
Postnatal Hub model.
] Standard operating procedure created for women who delivered in other hospitals but require local postnatal care.
] Establishment of a postnatal anaesthetic clinic to address specific postpartum concerns.
] Active participation in the Infant Mental Health Forum, supporting integrated maternalinfant wellbeing initiatives.
Research currently being conducted by Trinity College on the experiences of both the women who attended the service and staff who work within it has revealed the following insights:
] Women described the Postnatal Hub service as both beneficial and essential to their postnatal journey and recovery.
] They particularly valued the personalised, woman-centred
care received from supportive and reassuring healthcare providers.
] For staff working in the Hubs, the research findings show that staff feel empowered to utilise the full range of their professional skills. They report a strong sense of autonomy in practice and the work environment was described as highly supportive, contributing to job satisfaction and quality care delivery.
] Author: Gemma Smyth, Advanced Nurse Practitioner Candidate, Health and Wellbeing, Intellectual Disability
As a candidate (c)ANP in Intellectual Disability (ID) Health and Wellbeing, my role centres around disease prevention, early intervention, health maintenance, and access to equitable care. A recent milestone in this journey was the launch of the Marie Keating Foundation’s ‘Healthy Living for Life’ initiative, a landmark cancer education project developed in collaboration with people with an ID, Cavan Monaghan HSE disability services, and health action groups throughout Ireland.
This project demonstrates the transformative power of leadership, advocacy, and inclusive practice. It is a leading example of how health literacy can be co-designed and co-produced to enable people with ID to engage with cancer prevention and screening. ANPs are ideally placed to lead these conversations, embedding health promotion in routine care, ‘making every contact count’,
championing reasonable adjustments, and educating colleagues and carers. By leading on initiatives like ‘Healthy living for life’, ANPs help shape a system that sees, hears, and includes people with an ID.
The new accessible resources launched during the Marie Keating Foundation’s Adults with ID Celebration Day in June 2025. This was more than an event; it was a national statement of inclusion. More than 100 participants from health action groups across Ireland came together to showcase the yearlong work of co-developing a cancer prevention booklet and infographic that is accessible, empowering, and evidence based.
Through professional collaboration, we bridged a critical gap. As an ID cANP, I played a key leadership role working with the Marie Keating Foundation on the project. The ‘Healthy living for life’ project originated from a request by members of the MISE group’s ‘Keeping well Society’, a group I established while developing my role, and who asked for
a session on cancer prevention. We found limited accessible information, and when the group saw the Marie Keating Foundation’s ‘Your health: Your choice’ materials, they asked if it could be made easier to understand.
I contacted the Foundation, who agreed to collaborate. With funding from Gilead Sciences and support from the Marie Keating Foundation’s health promotion nurses, we expanded the project to include six other health action groups across Ireland. Together, we co-produced accessible, user-friendly, cancer prevention resources shaped by the people they were designed for.
Health literacy is about making sure everyone can understand and use health information in a way that helps them live well. This project brings that to life. It shows the power of inclusion, advocacy, and coproduction, where the people with lived experience are involved every step of the way. We have seen how ‘nothing about us without us’ isn’t just a slogan – it is the foundation for change. My role involved supporting
content development, staff training, and community engagement to ensure that every voice was heard. The Marie Keating Foundation nurses, who have received focused training in effective communication and accessible information sharing for adults with IDs, will be instrumental in scaling this work nationally by training others.
This initiative is not just about materials, it is about mindset. It shows what is possible when healthcare is built around inclusion, partnership, and professional leadership. It is also a clear call to action – we must all advocate for and embed health literacy in every interaction.
As ANPs in ID nursing, our leadership matters. Whether it is shaping policy, informing practice, or making every contact count, our role is to ensure that people with
ID are never an afterthought in cancer prevention.
Health literacy is about making sure everyone can understand and use health information in a way that helps them live well.
Reflect on your last patient interaction involving a person with an intellectual disability:
] How did you include the person with ID and their supporters in shared decisions?
] What approaches helped the individual express their needs, concerns, or preferences?
] Could your communication or materials be made more accessible or supportive?
] What changes would improve confidence, understanding, and
advocacy for both individuals and carers?
] Involve individuals with ID and those who support them when designing or adapting health information.
] Enable people with ID to understand their health and express what matters to them.
] Support autonomy by embedding shared decision-making into every healthcare interaction.
] Collaborate with carers, families, and support staff to ensure consistent, person-centred health messaging.
] Promote inclusive care environments and seek practical ways to make services more accessible.
] Make communication support and health literacy a routine, not exceptional, part of care delivery.
Lisa Egan is a Registered ANP in Paediatric Respiratory Care at Midland Regional Hospital (MRH), Portlaoise. She began her advanced practice journey in 2017 as a Candidate ANP and completed a Master of Science in Advanced Nurse Practice in 2019. Following her registration, Lisa established her role as a RANP in Paediatric Respiratory Care, with a strong focus on allergy management integrated into her practice. She is deeply committed to improving the care of infants and children living with allergic conditions, including eczema, food allergy, allergic rhinitis, and asthma.

Lisa dedicates significant time to educating children and their families on how to live well with allergic conditions. She also enjoys educating her peers, emphasising the importance of mastering the fundamentals of asthma and allergy management.
Lisa has received national recognition for her contributions to paediatric respiratory and allergy care. She won the Best Poster Prize for the Food Challenge Service at the Irish Paediatric Association in December 2019, and again at the Trinity College Dublin International Nursing Conference in March 2022, for her presentation on the impact
of grass sublingual immunotherapy (SLIT) on the quality of life of children with asthma and allergic rhinitis. She was also awarded an educational bursary from the Anáil Respiratory Nurses Organisation, which supported the development of educational video tools for secondary caregivers of children with asthma and allergies. These resources, launched in 2023, are now available on YouTube and the DMHG website. More recently, the allergy and respiratory specialist team at MRH received a highly commended award at the Irish Healthcare Awards 2023 for their project ‘Educating children and their caregivers to self-manage asthma and allergies in the hospital and community’ in the Nursing and Midwifery Project of the Year category. Lisa has also completed a Postgraduate Diploma in Allergy
and Clinical Immunology at University College Cork and is an active member of several nursing and multidisciplinary subgroups working to ensure consistency of care across tertiary, secondary, and primary healthcare services. She is also the Paediatric Educational Committee Officer for Anáil, the Respiratory Nurses of Ireland group. Lisa and the team at MRH continue to advance care for children with atopic conditions. In July 2025, they hosted Ireland’s first national asthma camp, an innovative programme that used play-based learning to teach children and their families how to manage asthma. The camp was an outstanding success, and the valuable data gathered is now being prepared for publication by Lisa and the allergy and respiratory team. Their aim is to influence future approaches to asthma and allergy education,
demonstrating that play-based teaching not only empowers children, but also equips them with lifelong self-management skills, ultimately enhancing their quality of life.
Lisa has contributed to ongoing research at MRH and in collaboration with University College Cork. Two of her co-authored papers are currently awaiting publication: ‘The effect of a specialist nurse-led oral food challenge and penicillin de-labelling service in a secondary care hospital in Ireland’ and ‘Homebased introduction of egg protein in paediatric IgE-mediated egg allergy: A review of treatment strategy 2011-2021’. This work has also been presented by Lisa and the MRHP team at the European Academy of Allergy and Clinical Immunology Conference in Valencia, Spain, and at the Irish Thoracic Society meeting in Derry in 2024.

Each of the sentences below contains one bolded letter. Collect all the bolded letters, then unscramble them to reveal a word that reflects a core value of Advanced Nurse and Midwife Practitioners (ANPs and AMPs).
1. Advanced practitioners demonstrate e vidence-
based decision-making in every aspect of care.
2. Dedication to excellence and safety underlines every professional action.
3. Clinical judgment requires both compassion and experience.
4. Effective care depends on strong,
interprofessional collaboration.
5. Commitment to lifelong learning supports ongoing professional growth.
6. Patient-centred approaches ensure p ositive outcomes and holistic support.
7. ANPs and AMPs take
pride in their leadership and advocacy roles.
8. Practitioners show innovation in service delivery and care pathways.
9. Strong communication skills are essential to advanced practice.
Answer to be provided in the next edition
✽ AUTHOR : Denise Doherty, BSc, PG Dip Evidence-based healthcare, Renal RGN, Letterkenny University Hospital
The HSE’s Chronic Disease Management Programme is expanding soon to include CKD
To earn free CPD points, go to www.nurseCPD.ie and complete the quizzes based on this article.

Chronic kidney disease (CKD) is an incurable, progressive, and inherently systemic condition characterised by an irreversible loss of renal function. It varies in stage and severity, is widely under-diagnosed, and carries a significant burden for patients, their families, and healthcare systems.
Cardiovascular health, bone and mineral metabolism, red blood cell production, blood pressure (BP) regulation, acidbase balance, and many other bodily processes are affected by the disease. In recent years, CKD has emerged as a leading cause of global morbidity and mortality – due in part to a large increase in risk factors for the disease such as hypertension, diabetes, obesity, and increasing age. It is also one of very few non-communicable diseases that has seen a rise in associated deaths over the last two decades. In response to these factors and ongoing healthcare reform in Ireland, the HSE’s Chronic Disease Management Programme is expanding soon to include CKD.
Nurses in both primary and secondary care play a vital role in detecting CKD
and delaying its progress, in delivering and coordinating care during all of its stages, in providing education and support to patients with the disease, and in palliating symptoms throughout its trajectory. This CPD module provides an overview of CKD with a focus on general nursing considerations, rather than specialist renal care. The learner will gain knowledge about the high prevalence of CKD in Ireland; risk factors for developing the disease; its pathophysiology; functions of the kidney and subsequent systemic dysfunction in kidney disease; diagnosis and staging; general management strategies; and screening recommendations.
Over 800 million people are estimated to suffer from CKD worldwide, which equates to 10-13 per cent of the global population.1 Prevalence is notably high in Ireland, where the disease affects up to one in seven adults.2,3 Around 500,000 people are currently living with CKD across the country, with over 5,400 of these patients receiving renal replacement therapy (RRT), ie, either dialysis or a kidney transplant.3
Research indicates that many more people actually have CKD, but are asymptomatic, undiagnosed, and unaware. It is therefore believed that the true prevalence may be substantially higher, both nationally and globally. According to projections, CKD will continue to rise worldwide in coming years and become the largest cause of years of life lost by 2040.4 Hence, optimal prevention, early detection, and timely initiation of evidence-based treatment are essential, and nurses are ideally placed to provide all three.4,5
CKD is rarely due to a single causative factor and is generally the product of various processes such as nephrotoxin exposure, genetics, age, and the presence of other disorders. CKD is more common in older people, women, and those with diabetes, insulin resistance, hypertension, cardiovascular disease, heart failure, and obesity.1,4 Other major risk factors include a history of acute kidney injury (AKI), frequent untreated urinary tract infections (UTIs) or hydronephrosis; a family history of kidney disease; smoking; and an array of underlying disorders, including:
✽ Glomerular diseases like IgA nephropathy and glomerulonephritis
✽ Autoimmune diseases that affect the kidneys like lupus nephritis
✽ Vasculitis
✽ Inherited disorders like polycystic kidney disease
✽ Kidney cancer, myeloma
✽ Structural abnormalities of the renal tract
✽ Infections and sepsis 5,6
In order to fully appreciate the widespread systemic effects of CKD, it is important to note the varied functions of the kidneys. These two bean-shaped organs are around the size of a fist and are located just below the rib cage on the posterior abdomen. The kidneys play an array of roles in maintaining homeostasis. They:
✽ Excrete toxins, metabolic waste products, and excess ions
✽ Regulate plasma osmolarity by modulating the amount of water, solutes, and electrolytes in the blood
✽ Maintain acid-base balance
✽ Produce erythropoietin to stimulate erythropoiesis (the production of red blood cells)
✽ Produce renin, the key component of the renin-angiotensin-aldosteronesystem (RAAS) that regulates BP and sodium/potassium balance
✽ Convert vitamin D to its active form5,6
The pathophysiology of CKD is multifactorial and driven by ongoing inflammation and oxidative stress. It begins with the initial kidney injury, progresses with counter-productive compensatory mechanisms, and results in the development of fibrosis and sclerosis. Loss of renal function in CKD is due to gradual destruction of nephrons –the functional units of the kidney ( Figure 1). A healthy kidney contains around one million nephrons, which each contribute to the total glomerular filtration rate (GFR). Every individual nephron contains a glomerulus – a network of capillaries responsible for filtering the oxygenated, unfiltered blood arriving from the aorta via the renal artery –and a tubule – which is responsible for reabsorbing essential substances (like water, electrolytes, glucose, amino acids, and bicarbonate) from the glomerular filtrate and for excreting waste products. Renal tubules consist of four parts: The proximal convoluted tubule, loop of Henle, distal convoluted tubule, and collecting duct, with each playing a role in this process of fluid and electrolyte balance. The filtered, then deoxygenated, blood is then returned to the circulation via the renal vein. Initial and ongoing kidney injury (whether autoimmune or from hypertension, diabetes, vasculitis, etc) ultimately results in glomerulosclerosis, tubulointerstitial fibrosis, and vascular sclerosis. As this damage progress, the nephrons these structures are part of are progressively lost, contributing to a declining GFR. Despite this destruction of nephrons in CKD, the kidneys are

able to maintain GFR, in some cases for a notably prolonged period of time, due to hyperfiltration and hypertrophy of the remaining nephrons. Although initially acting as compensatory mechanisms, this hyperfiltration and hypertrophy ultimately drives a cycle of further renal function decline. Detectable changes in kidney function, such as elevated serum urea and creatinine, are only apparent when more than 50 per cent of the GFR is lost.7,8,9
Glomerular hypertension also ensues as the kidneys try to maintain adequate filtration, which further drives the cycle of damage. This combination of reduced or diminished filtration and reabsorption results in metabolic waste products like urea and creatinine accumulating in the blood over time. Uraemia is responsible for many of the signs and symptoms people with CKD experience and can become life-threatening in some cases, as can hyperkalaemia, pulmonary oedema, and other complications of advanced disease.7,8,9
Many patients with early-stage CKD will not experience any negative effects. Some may complain of nonspecific symptoms such as lethargy, itch, or loss of appetite, which makes prompt detection difficult. Symptoms commonly experienced in mid or later stages include:
✽ Altered urinary patterns, oliguria, foamy urine, nocturia, polyuria
✽ Hypertension
✽ Lethargy, fatigue, weakness
✽ Loss of appetite, nausea, vomiting, weight loss
✽ Peripheral oedema
✽ Limb numbness
✽ Difficulty concentrating and/or sleeping
✽ Muscle cramps, pain, twitching
✽ Breathlessness, pulmonary oedema
✽ Chest pain
✽ Ammonia (fishy) smelling breath
✽ Itching
✽ Restless legs syndrome
✽ Bone pain
✽ Symptoms due to anaemia
✽ Amenorrhoea in women
✽ Erectile dysfunction in men5,6
CKD is commonly an incidental finding when managing patients with other comorbidities or non-specific symptoms. Early detection is associated with improved outcomes, therefore, risk factors such as a family history, hypertension, diabetes, increasing age, etc, should trigger suspicion of CKD or strategies to prevent it. Additionally, the presence of proteinuria on urine dipstick testing should not be dismissed as merely related to a UTI, particularly in older multimorbid patients. When the nurse suspects that a person may have CKD, they should assess both their urine and blood, and escalate care accordingly.
CKD is generally diagnosed based on the estimated (e) GFR – an indicator of kidney function – and urine albumincreatinine ratio (uACR) – an indicator of the extent of existing kidney damage. Albuminuria (proteinuria) reflects damage of the glomerular filtration barrier, whereby albumin (the most abundant plasma protein which is normally too large to pass through a healthy glomerular membrane) leaks from the blood through the damaged membrane and into the urine.
CKD is defined by an eGFR of less than 60mL/min/1.73m² that persists for three months or more.5 The GFR is estimated from a filtration marker such as serum creatinine or cystatin C by using various formulae along with other factors such
as age and sex, and by the presence of albuminuria. Because the low eGFR and/or albuminuria should be detectable for at least three months, repeated measurements will be necessary.1 If after a repeat test (ideally two weeks after the initial assessment) the eGFR remains less than 60ml/min/1.73m2, and all other causes, including AKI, have been ruled out, the eGFR should be repeated again within three months.5,10 According to the Kidney Disease Outcomes Quality Initiative (KDOQI) guideline for CKD, a diagnosis requires that patients be tested on three occasions over a three-month period and that two of the three results be consistently positive.10
The National Institute for Health and Care Excellence (NICE) warns that the eGFR should be interpretated with caution in adults with extremes of muscle mass (eg, body-builders); in people who have had an amputation; or in patients with muscle wasting disorders.11 Nurses should advise patients not to eat any meat in the 12 hours prior to blood testing for eGFR because meat consumption can temporarily increase serum creatinine levels, one of the key factors in calculating eGFR.11 As well as standard phlebotomy, hand hygiene, and documentation considerations, the nurse should also ensure that samples are received and processed by the laboratory within 12 hours of venepuncture.11
The UK Kidney Association's (UKKA) 2024 eCKD Guide recommends several other investigations to determine either the cause or stage of CKD, including:12 ✽ Urine (dipstick and laboratory) testing: Albuminuria is both a marker
Uraemia is responsible for many of the signs and symptoms people with CKD experience and can become life-threatening in some cases
of glomerular damage and a driver of further glomerular damage. It is usually asymptomatic (except in nephrotic syndrome). Visible or non-visible haematuria alongside proteinuria may also indicate underlying glomerulonephritis. It is also important to note that persistent non-visible or visible haematuria in the absence of UTI requires further investigation on suspicion of urinary tract malignancy in individuals >45 years.13,14
✽ Full blood count and iron studies: To assess for the presence of renalrelated anaemia.
✽ Bone profile (including phosphate) and parathyroid hormone (PTH) levels: To determine the presence and severity of renal mineral bone disease (MBD).
✽ Bicarbonate: The presence of acidosis is common in advanced disease.
✽ Auto-immune screen: In patients with suspected glomerulonephritis, a soluble immunology screen should be obtained.5,15
✽ Virology: Human immunodeficiency virus (HIV), hepatitis B, and hepatitis C screening should be undertaken due to their associations with the development of renal disease. HIV infection can directly damage the kidneys, leading to HIVassociated nephropathy, while hepatitisrelated liver cirrhosis can subsequently affect renal function and directly damage the kidneys. Virology is also an important element of dialysis work-up.
✽ Immunoglobulins and serum free light chains: May be elevated in patients with myeloma-related disease.
✽ Imaging: A urinary tract ultrasound, CT, MRI, and other forms of renal imaging may be required for some patients. Patients with CKD should be evaluated carefully for the use of intravenous contrast and other nephrotoxic agents.5,13
G1 Mild renal impairment with normal or reduced GFR >90
G2 Kidney damage, slightly reduced GFR between 60–89
G3a Mildly to moderately reduced GFR between 45–59
G3b Moderately to severely reduced GFR between 30–44
G4 Severely decreased GFR between 15–29
G5 Renal failure <15 (or RRT)
✽ Renal biopsy: A kidney biopsy remains the gold standard investigation for the diagnosis of intrinsic renal disease and also gives information about the extent of fibrosis in the kidney; however, patients must be counselled regarding the risk of bleeding. Not all patients will require or receive a kidney biopsy.5
The international guideline group Kidney Disease Improving Global Outcomes (KDIGO) classifies CKD into stages 1-5, with stage 3 being divided in 3a and 3b, making a total of six categories (Table 1). The KDIGO classification system also includes staging based on three levels of albuminuria (A1, A2, and A3).13 The three levels of albuminuria include:
✽ A1: ACR less than 30mg/g (<3.4mg/mmol)
✽ A2: ACR 30 to 299mg/g (3.4-34mg/mmol)
✽ A3: ACR greater than 300mg/g (>34mg/mmol)
The role of the nurse in CKD management is targeted at slowing its progression, achieving adequate symptom control, reducing complications, providing support and education, and engaging in shared decision-making regarding treatment options – particularly in endstage kidney disease (ESKD). According to KDIGO, ideal management strategies are targeted at education, lifestyle, exercise, smoking cessation, diet, and medication management.
Both modifiable and non-modifiable risk factors will influence the progression of CKD and overall patient outcomes. Key areas for delaying progression include BP and blood sugar control, adequate management of cardiovascular risks, compliance, and lifestyle modifications. BP control and cardioprotection: Notably, hypertension is both a cause and effect of CKD that contributes substantially to disease progression. Controlling hypertension slows progression and also reduces cardiovascular risks. Between 80-85 per cent of patients with CKD have hypertension. The monitoring and management of BP by the nurse is therefore a crucial aspect of care. Cliniconly measurements may be inaccurate due to lack of repeat measurements, diurnal variation in BP, and white-coat hypertension; hence 24-hour ambulatory BP monitoring will provide a more accurate reflection of true trends.13,14,15 The perfect BP in CKD has long been debated. KDIGO recommends an ideal target of <120/80mmHg; however, this is not always achievable and an individualised approach is widely advocated.5,7,10,13 Anti-hypertensive medications and BP targets should be patient-centred, particularly in older adults, people with frailty and/ or a high risk of falls and fractures, those near the end of life, people with symptomatic orthostatic hypotension,
and patients receiving RRT. Patients with CKD and hypertension will often require a combination of antihypertensive medications to achieve their target BP.13,15
Non-pharmacological approaches the nurse should address with patients to improve BP control and reduce cardiovascular risks include:
✽ Being physically active – prescribe physical activity that is appropriate for the patient
✽ Maintaining a healthy weight or losing weight if necessary
✽ Smoking cessation
✽ Healthy or no alcohol intake
✽ Regular sleep patterns
✽ Healthy, balanced, renal diet
✽ Restricting dietary sodium to <2g/day
✽ Stress management strategies and mental health support6,13,15
Some of the drugs used to manage hypertension in CKD have also been shown to delay disease progression as well as treat BP. No specific combination of BP-lowering medications is superior to another,16 and prescribing is generally guided by the KDIGO 2021 Clinical Practice Guideline for the Management of Blood Pressure in CKD,17 the European Society of Cardiology/ European Society of Hypertension guidelines, and patient wishes. Multiple studies have demonstrated links between the RAAS system ( Figure 2 ) and the development of proteinuria, hypertension, and renal fibrosis in people with CKD. Therefore, RAAS inhibition (RAASi) with angiotensinconverting enzyme inhibitors (ACEi) and angiotensin receptor blockers (ARBs) is generally the first-line option, particularly for patients with albuminuria, type 2 diabetes, and/ or heart failure.15,16,17 Side effects that overlap with CKD complications are associated with RAAS blockade, notably hyperkalaemia, the development of AKI, and an increase in serum creatinine. Current guidelines suggest that a rise in serum creatinine of up to 30 per cent is acceptable, with

subsequent stabilisation.11,15
GFR reductions in excess of 30 per cent from baseline should be investigated and serum potassium should be monitored closely. Patients must be informed of these potential side effects and educated on the signs and symptoms of hyperkalaemia (muscle weakness; weakness, numbness, and tingling in the limbs; dyspnoea; chest pain; palpitations and arrhythmias; gut disturbances). It is also essential to note that ACEi are teratogenic; therefore, contraception and education will be required for sexually active pre-menopausal women taking the drug.
The SPRINT trial (Systolic BP Intervention Trial) and others recommend using combination therapy with a RASi and a thiazide-type diuretic and/ or a calcium channel blocker. Diuretics can cause dehydration and electrolyte imbalances, and again, patients should be informed of these side effects and renal function monitored.
Mineralocorticoid receptor antagonists (MRAs) and beta-blockers may also be required for some patients. In recent years, evidence is gathering to support the use of a non-steroidal MRA finerenone, which is recommended in patients with CKD and albuminuria associated with type 2 diabetes if eGFR
is at least 25mL/min/1.73m2 and serum potassium <5.0mmol/L.18
As well as direct BP-lowering effects, certain pharmacological therapies are recommended to delay CKD progression in view of their renoprotective, cardioprotective, and/or glycaemic benefits – namely statins, sodium-glucose co-transporter 2 inhibitors (SGLT2i), anti-platelet agents, and glucagon-like peptide-1 receptor agonists (GLP1-RAs).6,13,14,19,20 Bicarbonate supplementation for chronic metabolic acidosis has also been shown to delay CKD progression.21
The nurse prescriber should always consider potential nephrotoxic drug side effects, while all practitioners should educate patients about the potential dangers of some over-the-counter nephrotoxic products, particularly non-steroidal anti-inflammatory drugs (NSAIDS). 5,6 Many NSAID medicines are sold under various names and can be mixed with other ingredients like cough and cold remedies. Patients should always be encouraged to speak to their pharmacist or healthcare provider before taking any new medications. For diabetic patients, optimal blood glucose and HbA1C levels are are a vital component of care.
A healthy diet: Supporting patients towards a renal friendly, heart
healthy, balanced diet is vital, and recommendations will vary depending on the stage of the disease. All patients with CKD should be advised to opt for natural whole foods when possible and to avoid ultra-processed items. Initially, potassium-rich foods like fruit, vegetables, and beans are encouraged; however, hyperkalaemia is a very serious risk in later stages of the disease and many of these foods must be avoided or cooked in specific ways to reduce their potassium content. Therefore, as kidney function declines, dietician involvement will be necessary.5,13,22
Salt intake should be <5g/day (equivalent to 2g of sodium). All patients with advanced CKD should be instructed to limit their intake of phosphate-rich foods like dairy products, and for those prescribed the medications to take their phosphate binders with each meal. 5 Advise patients that boiling protein-rich foods can help reduce the phosphorus content and that double boiling potassium-rich foods like potatoes can reduce potassium content. Overall, support patients, refer to and consult the dietician, and provide practical education. Emphasise the importance of compliance with dietary recommendations and reinforce that non-concordance further drives complications of CKD like acidosis, hyperkalaemia, hyperphosphatemia, and MBD.
The benefits of a low-protein diet in patients with CKD has been controversial. In some studies, protein restriction has been associated with slower renal decline; however, the type
and amount of protein are yet to be determined. Large amounts of dietary protein increase nitrogenous waste products in the blood, further burdening the kidneys, while inadequate protein consumption can lead to muscle mass loss and a poor prognosis. A recent narrative review of the evidence concluded that although evidence is lacking to definitively show that a low protein diet delays CKD progression, it appears to be safe for metabolically stable patients with CKD who are not on dialysis and enhances phosphate metabolism, cardiovascular outcomes, intestinal dysbiosis, and metabolic acidosis.22
Fluid balance: Fluid intake may need to be reduced as renal function and urine output decline. Patients should have 24-hour urinary output measured at least annually and should be assessed for peripheral and central oedema. For hospitalised patients, monitoring fluid balance and ensuring adherence to fluid restrictions, if in place, may also be appropriate.
Managing anaemia: Anaemia in CKD is multifactorial and occurs due to a combination of reduced erythropoietin production, abnormal iron metabolism, and reduced red blood cell survival. Erythropoiesis-stimulating agents (ESAs) and iron supplementation are currently first-line approaches. 23 A full blood count and iron studies should be assessed annually (at a minimum) in patients with stage 3 CKD and every six months in those with stages 4 and 5. Patients on dialysis will require monthly blood testing for anaemia and other ESKD-related issues.
Patients should have 24-hour urinary output measured at least annually and should be assessed for peripheral and central oedema
Iron studies, including ferritin, transferrin saturation (TSAT), and total iron-binding capacity (TIBC), help determine the cause of anaemia and guide treatment with iron supplementation and/or ESAs. 23,24 Vitamin B12, folate, and thyroid studies may also be helpful to rule out other causes of anaemia. As well as a low haemoglobin, commonly found blood results in CKD anaemia include normal or low iron and TIBC levels, low TSATs, and increased ferritin levels, whereas low ferritin levels would be expected in traditional iron deficiency anaemia.
ESAs are generally commenced when haemoglobin is below 10g/ dL, but prescribing should be individualised and based on symptomatology, quality of life, and patient wishes, as well as haemoglobin levels. 23 The current KDIGO guideline recommends intravenous iron therapy when ferritin is less than 500ng/mL and TSAT is less than 30 per cent; however, recent and emerging data would suggest that intravenous iron exerts positive effects with ferritin levels as high as 1,200ng/mL. 23
Managing MBD: Altered mineral and bone metabolism is a difficultto-manage aspect of CKD. MBD is characterised by dysregulation of calcium, phosphate, PTH, vitamin D, and fibroblast growth factor-23 (FGF23) –the hormone produced by osteoblasts and osteocytes in bone that regulates phosphate and vitamin D metabolism. These disruptions result in altered bone morphology, multiple extra-skeletal effects such as vascular calcification, cardiovascular complications, and increased mortality.5,13,24 Extra-skeletal calcification, in particular, has been associated with increased mortality secondary to cardiovascular events.
Patients with advanced CKD often develop secondary hyperparathyroidism. The kidneys' impaired ability to activate vitamin
D and excrete phosphate leads to hypocalcaemia and hyperphosphataemia, which in turn trigger the parathyroid glands to overproduce PTH in an attempt to raise serum calcium levels. While the PTH aims to raise serum calcium levels ( Figure 3), it can lead to depletion of calcium from bones, potentially resulting in bone disease and vascular calcification. The presence of hypercalcaemia may also suggest underlying malignancy (especially myeloma) and can adversely impact on renal function, thus exacerbating decline. 5
All patients with CKD should have calcium, phosphate, PTH, and bonespecific alkaline phosphatase (BsALP) levels assessed. The gold standard for diagnosis is bone biopsy, however, it is rarely feasible or practical and the 2017 KDIGO guideline no longer recommends a bone biopsy before initiating treatment. A dual-energy x-ray absorptiometry (DXA) scan may be useful to measure bone mineral density. 25
Treatment focuses on control of phosphate, calcium, vitamin D, and PTH levels. Maintaining serum phosphate levels below 5.5mg/dL through dietary restriction +/- phosphate binders is crucial to reduce elevated PTH levels. Patients should also be advised to give preference to a vegetarian diet due to the lower bioavailability of phosphorus in vegetarian proteins24 and to actively look for the presence of phosphate additives on food labels.
Patients with asymptomatic and mild hypocalcaemia usually do not require treatment with calcium or vitamin D analogues. Some patients with more severe secondary hyperparathyroidism will require vitamin D supplementation with alfacalcidol, calcitriol, or paricalcitol if modifiable risk factors such as excessive phosphate intake fail to reduce PTH levels. 24 In serious cases, a parathyroidectomy may be required. Calcium supplementation requires caution due to the potential for both deficiency and excess. A recent European consensus statement recommends that total calcium intake from diet and

medications should be 800-1,000mg/ day in adults with CKD, not exceeding 1,500mg/day. 25
CKD patients with an eGFR below 30mL/ min/1.73m² are no longer directly referred to a nephrologist. The Kidney Failure Risk Equation (KFRE) is increasingly used to assess individual risk of kidney failure and need for specialist intervention. The KFRE uses the patient’s age, sex, eGFR, and uACR to predict their risk of requiring RRT within five years. A risk calculator and more information are available at www.kidneyfailurerisk.com.
According to NICE referral criteria, a 5 per cent or higher five-year risk of kidney failure, as calculated by KFRE, warrants nephrology referral, as well as the factors listed in Table 2 20
Slower rates of CKD deterioration may also need specialist nephrology assessment, particularly if there exists:
✽ Diagnostic uncertainty regarding the aetiology of the CKD
✽ Symptoms suggestive of systemic disease
✽ Associated biochemical abnormalities, eg, hyperkalaemia, hypocalcaemia
✽ Progressive anaemia
✽ Worsening fluid overload12
✽ uACR ≥70mg/mmol (unless known to be caused by diabetes and already appropriately treated)
✽ uACR ≥30mg/mmol plus haematuria
✽ Sustained decreased in eGFR of ≥25 per cent and a change in eGFR category within 12 months
✽ Sustained decreased in eGFR of 15ml/ min/1.73m or more per year
✽ Hypertension poorly controlled (above an individual’s target) despite the use of therapeutic doses of at least four antihypertensives
✽ Known or suspected rare or genetic cause of CKD
✽ Suspected renal artery stenosis
TABLE 2: Additional NICE referral criteria
ESKD (kidney failure) is the final, irreversible, terminal stage of CKD, whereby renal function has declined to a GFR of less than 15mL/min/1.73m².
People with CKD are five to 10 times more likely to die prematurely than they are to progress to this stage of the disease.7 The primary treatment options are RRT – namely dialysis or kidney transplantation for those suitable – or conservative management.
Most patients with ESKD elect to receive RRT; however, a conservative, palliative approach may be a reasonable alternative for frail, multimorbid, and older patients who have a limited life expectancy or are reluctant to start dialysis and unsuitable for transplant. 26 The decision to initiate dialysis or conservative care requires extensive communication and shared decisionmaking with the patient. 26,27 Patients at this stage will likely experience myriad troubling symptoms including fatigue,
drowsiness, decreased or no urinary output and subsequent fluid overload, dry itchy skin, headaches, weight loss, nausea, malnutrition, bone pain, skin and nail changes, and bruising and bleeding. Palliative input should be initiated when a patient decides to have conservative care.
Patients require early education during the CKD trajectory to promote best outcomes, whether they are likely to receive RRT or conservative care. Early information sharing allows people with CKD to fully consider the possibility of, and their suitability for, in-centre haemodialysis, peritoneal dialysis, home haemodialysis, and pre-emptive kidney transplant, as well as conservative and palliative options, in a timely manner. However, evidence has consistently shown that CKD and ESKD patients do not have timely discussions to plan for disease progression, despite the very nature of CKD. It also appears that this cohort have an array of unmet palliative care needs, and that advance care planning can improve outcomes. 28 The optimal timing of dialysis initiation in patients with CKD is unknown, but generally takes places when GFR falls below 15 per cent or when uraemic symptoms become severe.
29
The preservation of peripheral veins (usually in the non-dominant arm) is important for patients who opt for dialysis and will require an arteriovenous (AV) fistula or graft (ideally fistula as it is the gold standard), so the nurse should ensure phlebotomy, blood pressure measurements, and other interventions are not performed on the protected arm before or after AV fistula formation. A central vascular catheter will be required for patients unsuitable for an AVF or graft formation.
The nurse plays a central role in all stages of the CKD trajectory. Early diagnosis and slowing disease progression are key; however, many
people remain undiagnosed until they are in advanced stages of the disease. Nurses in both primary and secondary care settings must be vigilant when caring for patients with multiple risk factors. Screening in primary care will also promote early detection. There is no national screening programme for CKD in Ireland like there is for other conditions.
The KDOQI guidelines recommend screening high-risk populations, such as those with hypertension, diabetes mellitus, and individuals older than 65, through urinalysis, measurement of uACR, serum creatinine levels, and eGFR. 5
The NICE guidelines suggest that:
✽ uACR should be measured at least annually (regardless of eGFR) in people with type 1 and type 2 diabetes and/or hypertension
✽ uACR should be measured at least annually (regardless of eGFR) in people prescribed nephrotoxic medications like NSAIDs
✽ uACR should be measured at least annually (regardless of eGFR) in those with an eGFR <60ml/min/1.73m2 or uACR >3mg/mmol11
Despite these and other similar recommendations, albuminuria testing has historically been suboptimal in primary care in the UK.11 Irish data is not available, but is likely to be similar. Nurses are ideally placed to improve this deficit through more vigilant urine testing in high-risk patients.
Nurses play various roles across the entire CKD trajectory, from screening and diagnosis, to treatment and end of life care. Key management strategies include delaying disease progression, promoting concordance and lifestyle modifications, and alleviating symptoms. Ireland has a notably high prevalence of the disease, therefore, nurses must remain vigilant when treating patients with other chronic conditions and risk factors. ✽
References
1. Kovesdy CP. Epidemiology of chronic kidney disease: An update 2022. Kidney Int Suppl (2011). 2022;12(1):7-11.
2. Tandan M, Browne LD, Jalali A, Rowan C, Moriarty F, Stack AG. Prevalence and determinants of chronic kidney disease among community-dwelling adults, 50 years and older in Ireland. Clin Kidney J 2025;18(3):sfaf065.
3. Irish Kidney Association. Kidney disease, confronting a silent epidemic: Act now for a better future. Dublin: IKA; 2024. Available at: chrome-extension:// efaidnbmnnnibpcajpcglclefindmkaj/https:// ika.ie/wp-content/uploads/2024/11/ Election2024FullManifesto.pdf.
4. Francis A, Harhay MN, Ong ACM, et al. Chronic kidney disease and the global public health agenda: An international consensus. Nat Rev Nephrol. 2024;20(7):473-485.
5. Vaidya SR, Aeddula NR. Chronic Kidney Disease. [Updated 2024 Jul 31]. In: StatPearls [Internet]. Treasure Island (FL): StatPearls Publishing; 2025. Available at: www.ncbi.nlm.nih.gov/books/NBK535404/.
6. National Kidney Foundation. Chronic kidney disease. US: NFK; 2023. Available at: www.kidney.org/kidney-topics/chronickidney-disease-ckd.
7. Webster AC, Nagler EV, Morton RL, Masson P. Chronic kidney disease. Lancet. 2017;389(10075):1238-1252.
8. Matovinović MS. 1. Pathophysiology and classification of kidney diseases. EJIFCC 2009;20(1):2-11.
9. Altamura S, Pietropaoli D, Lombardi F, Del Pinto R, Ferri C. An overview of chronic kidney disease pathophysiology: The impact of gut dysbiosis and oral disease. Biomedicines. 2023;11(11):3033.
10. National Kidney Foundation. K/DOQI clinical practice guidelines for chronic kidney disease: Evaluation, classification, and stratification. Am J Kidney Dis. 2002;39(2 Suppl 1):S1-266.
11. National Institute for Health and Care Excellence. Chronic kidney disease: Assessment and management. NG204. UK:
NICE; 2021. Available at: www.nice.org.uk/ guidance/ng203/.
12. UK Kidney Association. The UK eCKD Guide. UK: UKKA; 2024. Available at: www.ukkidney.org/health-professionals/ information-resources/uk-eckdguide#assessment-of-patients-with-anew-diagnosis-of-ckd.
13. Kidney Disease Improving Global Outcomes. The KDIGO 2024 Clinical Practice Guideline for the Evaluation and Management of Chronic Kidney Disease. Kidney Int Suppl. 2024;105(4S):S117-S314.
14. Mayne KJ, Hanlon P, Lees JS. Detecting and managing the patient with chronic kidney disease in primary care: A review of the latest guidelines. Diabetes Obes Metab. 2024;26 Suppl 6:43-54.
15. Pugh D, Gallacher PJ, Dhaun N. Management of Hypertension in Chronic Kidney Disease. Drugs. 2019;79(4):365-379.
16. Kidney Disease: Improving Global Outcomes Blood Pressure Work Group: KDIGO 2021 clinical practice guideline for the management of blood pressure in chronic kidney disease. Kidney Int. 99: S1–S87, 2021
17. Williams B, Mancia G, Spiering W, et al. 2018 practice guidelines for the management of arterial hypertension of the European Society of Hypertension and the European Society of Cardiology: ESH/ESC Taskforce for the Management of Arterial Hypertension. J Hypertens. 2018;36: 2284-2309.
18. Theodorakopoulou M, Ortiz A, Fernandez-Fernandez B, Kanbay M, Minutolo R, Sarafidis PA. Guidelines for the management of hypertension in CKD patients: Where do we stand in 2024?. Clin Kidney J. 2024;17(Suppl 2):36-50.
19. Pethő ÁG, Tapolyai M, Csongrádi É, Orosz P. Management of chronic kidney disease: The current novel and forgotten therapies. J Clin Transl Endocrinol. 2024;36:100354.
20. Walker H, Sullivan MK, Jani BD, Gallacher K. Chronic kidney disease management in primary care: Challenges and possible developments. Br J Gen Pract. 2025;75(752):104-106.
21. Hultin S, Hood C, Campbell KL, Toussaint ND, Johnson DW, Badve SV. A systematic review and meta-analysis on effects of bicarbonate therapy on kidney outcomes. Kidney Int Rep. 2020;6(3):695-705.
22. Mafra D, Brum I, Borges NA, Leal VO, Fouque D. Low-protein diet for chronic kidney disease: Evidence, controversies, and practical guidelines. J Intern Med. Published online July 31, 2025.
23. Hashmi MF, Shaikh H, Rout P. Anemia of Chronic Kidney Disease. [Updated 2024 Jul 23]. In: StatPearls [Internet]. Treasure Island (FL): StatPearls Publishing; 2025 Jan. Available at: www.ncbi.nlm.nih.gov/ books/NBK539871/.
24. Shah A, Hashmi MF, Aeddula NR. Chronic Kidney Disease-Mineral Bone Disorder (CKD-MBD) [Updated 2024 Apr 3]. In: StatPearls [Internet]. Treasure Island (FL): StatPearls Publishing; 2025 Jan. Available at: www.ncbi.nlm.nih.gov/ books/NBK560742/.
25. Evenepoel P, Jørgensen HS, Bover J, et al. Recommended calcium intake in adults and children with chronic kidney disease – a European consensus statement. Nephrol Dial Transplant. 2024;39(2):341-366.
26. Wouk N. End-stage renal disease: Medical management. Am Fam Physician. 2021;104(5):493-499.
27. Rout P, Aslam A. End-stage renal disease. [Updated 2025 Jun 22]. In: StatPearls [Internet]. Treasure Island (FL): StatPearls Publishing; 2025 Jan-. Available at: www.ncbi.nlm.nih.gov/books/ NBK499861/.
28. Adenwalla SF, O'Halloran P, Faull C, Murtagh FEM, Graham-Brown MPM. Advance care planning for patients with end-stage kidney disease on dialysis: Narrative review of the current evidence, and future considerations. J Nephrol. 2024;37(3):547-560.
29. InformedHealth.org [Internet]. Cologne, Germany: Institute for Quality and Efficiency in Healthcare (IQWiG); 2006. Chronic kidney disease: Research summaries – When is the best time to start dialysis? 2018 Mar 8. Available at: www.ncbi.nlm.nih.gov/ books/NBK492982/.
] AUTHOR : Olivia McCabe, Advanced Nurse Practitioner in Diabetes, Our Lady's Hospital, Navan
Women with diabetes have an increased likelihood of many complications and early menopause may amplify these risks
Menopause, defined as the permanent cessation of menstruation, marks a significant physiological transition in a woman’s life. This period is characterised by a decline in oestrogen and progesterone, leading to various metabolic changes. For women with diabetes, menopause presents a unique set of challenges that can complicate glycaemic control and increase the risk of complications.1 Understanding the link between menopause and diabetes is essential for healthcare professionals.
In Ireland, most women reach menopause between the ages of 45 and 55, with the average age being around 51 years. While menopause is a natural physiological transition, the impact on a women’s health and wellbeing can be profound. In recent years, menopause has gained increasing attention in policy, media, and workplace discussions, reflecting the need for improved awareness and support. As an advanced nurse practitioner with 24 years of experience working with diabetes patients, I have observed that women living with diabetes tend to experience menopause earlier than their non-diabetic counterparts. Research has shown that women diagnosed with type 1 diabetes before age 30, or type 2 diabetes between ages 30-39, are more likely to undergo natural menopause earlier than women without diabetes.1,2,3
As women transition through menopause, declining oestrogen levels can lead to a wide range of symptoms that impact physical, emotional, and metabolic health (Table 1):
] Hot flushes and night sweats: Oestrogen helps regulate body temperature through its action on the hypothalamus. Lower levels make the system more sensitive, triggering sudden heat surges, hot flushes, and excessive sweating, particularly at night.
] Sleep disruption : Oestrogen influences serotonin and melatonin, which are essential for healthy sleep regulation. Reduced levels can make it difficult to fall asleep and maintain restorative sleep, often leading to frequent waking and poor-quality rest.
] Vaginal dryness and irritation: Oestrogen maintains the elasticity and
COMMON SYMPTOMS OF MENOPAUSE
] Hot flushes
] Night sweats (occur in 80 per cent of women)
] Sleep disruption
] Vaginal dryness, irritation
] Weight gain
] Joint pain
] Genitourinary symptoms
] Mood changes1
TABLE 1
lubrication of vaginal tissues. Its decline results in thinning of the vaginal walls, dryness, discomfort, and irritation, often affecting sexual health.
] Weight gain: Oestrogen influences fat distribution. When levels drop, fat tends to accumulate around the abdomen rather than being more evenly distributed over the hips and thighs.
] Joint pain: Oestrogen has antiinflammatory properties that support joint health. Its reduction increases inflammation, stiffness, and pain –commonly in the hands, shoulders, knees, and hips.
] Genitourinary symptoms: Oestrogen supports the urinary tract lining. Decline can cause thinning and weakening of the bladder and urethra, leading to issues such as:
– Reduced sensation: Nerve damage can decrease sensitivity in the genital area, affecting sexual function, intimacy, and overall quality of life.
– Vaginal dryness: Reduced blood flow related to nerve and vascular damage may result in dryness, leading to discomfort or pain during intercourse, which can contribute to relationship and psychological difficulties.
– Bladder dysfunction: Autonomic neuropathy can cause urinary problems such as frequency, urgency,
or incontinence. 6 These issues may increase the risk of urinary tract infections and negatively impact daily activities and social participation.
] Mood changes: Oestrogen interacts with neurotransmitters such as serotonin and dopamine, which regulate mood. Reduced levels may contribute to irritability, anxiety, depression, or mood swings. 3
Entering menopause earlier increases the duration of exposure to oestrogen deficiency, which heightens risks for cardiovascular disease, osteoporosis, and metabolic issues. For women with diabetes, who are already at elevated risk of such complications, earlier menopause may amplify these risks. It may also complicate glycaemic control, weight management, and microvascular/macrovascular risk management during perimenopause and post-menopause. It is crucial to emphasise the importance of optimising blood glucose control during menopause to female patients. Oestrogen plays a crucial role in glucose metabolism, and reduced oestrogen levels contribute to increased insulin resistance, making glycaemic control more difficult for women with diabetes. Weight gain, particularly central adiposity, is common during menopause and further exacerbates
insulin resistance. 1,4 Conversely, a decrease in progesterone levels can improve insulin sensitivity. Therefore, it is essential to closely monitor and adjust diabetes medication during menopause to optimise blood glucose control.
Glycaemic variability: Fluctuating hormone levels during perimenopause and menopause can cause unpredictable swings in blood glucose, complicating diabetes management. Increased insulin resistance and changes in body composition may necessitate adjustments in medication or insulin dosing. 5
Sleep disturbances and quality of life: Menopausal symptoms such as hot flushes and night sweats can disrupt sleep, which is linked to poorer glycaemic control. A significant challenge for women with diabetes during menopause is the overlap between symptoms of hypoglycaemia and menopausal hot flushes. Both can present with sweating, palpitations, anxiety, flushing, and feelings of warmth or heat. This similarity can make it difficult for women to distinguish between a hot flush and a hypoglycaemic episode, particularly at night or during periods of disrupted sleep. As a result, there may be delays in recognising and treating hypoglycaemia.
A significant challenge for women with diabetes during menopause is the overlap between symptoms of hypoglycaemia and menopausal hot flushes
Cardiovascular health: Both menopause and diabetes independently increase the risk of cardiovascular complications. As women transition through menopause, the protective effects of oestrogen on the cardiovascular system decline. This hormonal shift can lead to adverse changes in lipid metabolism, including elevated low-density lipoprotein cholesterol and reduced high-density lipoprotein cholesterol. For women with diabetes, these changes compound existing cardiovascular risks. Therefore, comprehensive management of blood pressure, glycaemic control, and lipid levels, alongside healthy lifestyle choices, becomes especially important during this stage of life.
Bone health: Bone health is a significant concern for women during the menopausal transition, as declining oestrogen levels accelerate bone loss and heighten the risk of osteoporosis. Oestrogen plays a central role in bone metabolism by regulating the balance between osteoblast activity (bone formation) and osteoclast activity (bone resorption). With the reduction in oestrogen, bone resorption may exceed bone formation, resulting in diminished bone mass and a higher incidence of fractures, particularly at the hip, spine, and wrist. This risk is even greater in women with diabetes. Diabetes is associated with multiple factors that adversely affect bone quality and fracture risk, microvascular complications, and peripheral neuropathy. The combined effects of menopause and diabetes demand a proactive approach to bone health. Strategies include ensuring sufficient calcium and vitamin D intake, promoting weight-bearing physical activity, implementing lifestyle modifications, and considering pharmacological interventions where indicated.
Diabetic neuropathy: This is a common complication of diabetes that develops from prolonged high blood glucose levels. It can affect different parts of the nervous system and presents in several forms. In women with diabetes, neuropathy poses unique challenges. Symptoms of autonomic neuropathy may overlap with those of menopause, making diagnosis and management more complex.
These complications can affect both physical and emotional wellbeing, with implications for sexual health, relationships, and mental health. As healthcare professionals, it is essential to adopt a holistic and sensitive approach to care, addressing not only glycaemic management, but also screening for neuropathic symptoms, providing appropriate treatment options, and ensuring timely referral to specialist wservices when needed.
Menopause treatments can have varying effects on blood glucose levels, depending on the type of treatment used. Common approaches include:
] Hormone replacement therapy (HRT)
] Non-hormonal treatments
] Alternative and complementary therapies
] Lifestyle modifications.1
For women with type 1 or type 2 diabetes going through menopause, it is crucial to closely monitor blood glucose levels and work with their diabetes team to adjust treatment plans as needed, especially if commenced on treatment for menopause.
For women with type 2 diabetes, glucagon-like peptide-1 (GLP-1) receptor agonists may be considered as part of treatment during menopause. These therapies can support weight management and improve insulin resistance, both of which are commonly exacerbated by hormonal changes. GLP-1 therapies are not indicated for type 1 diabetes but may offer significant benefits for type 2 patients in this life stage.
Hybrid closedloop insulin pump technology offers promising improvements in glycaemic control
Given society's increasing dependence on technology, its role in managing diabetes has become more significant than ever. Technological advancements play a crucial part in helping diabetes patients navigate their health journeys with greater ease.
Introducing the hybrid closed-loop insulin pump into type 1 diabetes management during menopause provides substantial improvements in blood glucose control compared to multiple daily insulin injections.
Menopause introduces significant physiological changes that can complicate diabetes management for women with both type 1 and type 2 diabetes. Hormonal fluctuations affect insulin sensitivity, increase glucose variability, and elevate the risk of complications. These challenges require a personalised and proactive approach to care. The integration of hybrid closedloop insulin pump technology offers promising improvements in glycaemic control, particularly for women with type 1 diabetes. For those with type 2 diabetes, lifestyle adjustments and careful medication management remain key. By combining technological innovation with education and support, healthcare providers can empower women to navigate menopause with greater confidence and improved health outcomes. Menopause can be a challenging time for women, especially with diabetes. Nurses and other healthcare providers should aim to make the journey as smooth as possible and help reduce long-term complications. ]
References
1. Lambrinoudaki I, Paschou SA, Armeni E, Goulis DG. The interplay between diabetes mellitus and menopause: Clinical implications. Nat Rev Endocrinol. 2022;18(9):525539. doi:10.1038/s41574022-00708-0.
2. American Diabetes Association. Diabetes and early menopause. 2024. Available at: https://diabetes.org/healthwellness/sexual-health/earlymenopause-diabetes
3. Yazdkhasti M, Jafarabady K, Shafiee A, et al. The association between age of menopause and type 2 diabetes: A systematic review and metaanalysis. Nutr Metab (Lond) 2024;21:87. doi:10.1186/ s12986-024-00858-0.
4. Mukherjee A. Managing menopause in women with diabetes. Br J Diabetes 2024;24(2). doi:10.15277/ bjd.2024.467.
5. Choi MJ, Yu J. Menopause and diabetes risk along with trajectory of β-cell function and insulin sensitivity: A community-based cohort study. Healthcare (Basel) 2025;13(9):1062. doi:10.3390/ healthcare13091062.
6. Diabetes Care Community. Menopause and diabetes. 2023. Available at: www. diabetescarecommunity.ca/ living-well-with-diabetes-articles/diabetes-managementarticles/menopause-anddiabetes/


EPISODE FIVE TOPIC:
Presented by Dawn O’Shea with Dr Orlaith Kelly



SCAN HERE TO LISTEN
SPONSORED BY


] AUTHOR : Dr Johnny Loughnane, retired GP with a specialist interest in dermatology, Newcastlewest, Co Limerick Most eczema patients
czema commonly presents in primary care. Most eczema patients can be adequately managed in this setting without the need for referral to secondary care. Informed and appropriate prescribing should give excellent results for most patients.
The terms ‘eczema’ and ‘dermatitis’ are used interchangeably to describe inflamed skin. Eczema nearly always itches.
To get a good understanding of the various eczemas the classification in Box 1 is helpful. Endogenous suggests the disease process is driven from within the body, while exogenous suggests direct contact with the causative agent. Except for seborrhoeic dermatitis, the eczemas listed have common key features. These features determine the basic components of any management plan we draw up to treat these eczemas. These features include:
] A background dry skin with a poor skin barrier. To manage this, avoidance of irritants and regular emollient applications are key.
] Skin inflammation with erythema and pruritus. Topical corticosteroids (TCS) and tacrolimus form the cornerstone of anti-inflammatory therapy.
] A susceptibility to secondary bacterial, viral, and fungal infection, which in turn cause flaring of the eczema. Antibiotic, antifungal, antiviral, or antiseptic measures may be indicated.
I have found that understanding this classification and applying these management principles are a great help in getting a handle on these eczemas. Space does not allow the discussion of the two most common eczemas – atopic eczema and seborrhoeic dermatitis.
A dry background skin and a defective skin barrier function are primary underlying problems in the eczemas. Irritants need to be avoided. Common irritants include soaps, shower gels, shampoos, detergent, washing-up liquid, polish, and sweat. Gloves, if used, need to be of good quality (with no holes). Cotton gloves should be worn under waterproof gloves to prevent sweat accumulating and changed regularly. When washing hair in the shower, suds should be allowed run down the plughole directly, avoiding contact with the body as much as possible. If taking a bath, the hair should be washed separately, not allowing bathing in water mixed with shampoo. For the body, a liquid moisturiser should be substituted for soap and shower gel. Following a shower or bath the skin should be moisturised. A regular moisturising regimen, outside bath or shower time, should be started. Emollients are greasy substances that
form an artificial barrier on the skin. They come as lotions, creams, and ointments, depending on their lipid content. An ointment is more effective than a cream, which in turn is more effective than a lotion. Unfortunately, when it comes to patient acceptability the reverse is true. An ointment formulation is recommended, twice daily in the first instance, but be ready to compromise. The best moisturiser is the one the patient finds acceptable and will use. A useful compromise might be an ointment last thing at night with a more acceptable cream during the day. For some years now though, aqueous cream has been out of favour due to the irritating effect of its high sodium laurel sulphate concentration.
Exogenous
Seborrhoeic eczema
▶ Atopic eczema
▶ Varicose eczema
▶ Asteatotic eczema
▶ Lichen simplex
▶ Discoid eczema
▶ Juvenile plantar dermatosis
▶ Pompholyx eczema
▶ Secondary eczema
▶ Contact irritant dermatitis
▶ Contact allergic dermatitis
▶ Photodermatitis
TCS have potent anti-inflammatory effects and are first-line therapy for acute flares of eczema. Many patients, carers, and doctors have negative feelings and beliefs regarding the use of TCS, so called ‘steroid phobia’. Studies have shown the most frequent causes for concern are skin thinning and the risk of systemic absorption. These need to be discussed at the time of prescribing, with reassurance that, with appropriate choice of potency, time scale, and monitoring, TCS are safe.
] Skin atrophy: Can be avoided by matching the potency of the TCS to the patient’s age and the area being treated. Striae are generally irreversible. Occlusion, if used, should be for a maximum of five days.
] Folliculitis or steroid acne: Like moisturisers, TCS should be applied in

the direction in which the skin hair lies to reduce the risk of opening up and plugging follicle openings.
] Periorificial dermatitis: Always consider this possibility if eczema near the periorificial areas on the face fails to clear, despite ongoing TCS application. Small papules and pustules on an erythematous background are a clue. Patients may experience a flare on stopping the TCS, with stinging and burning, which is relieved by restarting the TCS. The patient can end up in a never-ending vicious circle.
] Tachyphylaxis: With tachyphylaxis you get a reduction in effectiveness of the TCS with ongoing use. To reduce the amount of TCS being used, make sure the patient is using moisturisers and try maintenance treatment of TCS, as outlined below.
▶ Mild (Class I) – Hydrocortisone
▶ Moderate (Class II) – Clobetasone butyrate (Eumovate), alclometasone dipropionate (Modrasone)
▶ Potent (Class III) – Betamethasone butyrate (Betnovate), betamethasone dipropionate (Diprosone), hydrocortisone butyrate (Locoid), mometasone furoate (Elocon)
▶ Very potent (Class IV) – Clobetasol propionate (Dermovate)
Note: Class IV TCS are 600 times more potent than Class I
▶ Use an ointment formulation, rather than creams, when treating dry eczema. Ointments moisturise and increase penetration of TCS
▶ Covering the TCS with an occlusive dressing or clingfilm increases the potency by a factor of five. Because of the risk of skin atrophy, occlusion should be limited to five days
▶ Soaking the involved skin in water hydrates the skin. To increase penetration, the TCS should be applied immediately after rapid drying
▶ If a lower potency TCS is not sufficiently effective, a switch to a more potent formulation may help
▶ Pulse dosing (BD w/e only)/proactive TCS













] Glaucoma and cataracts: Are rare, but mean that we should not employ TCS on the eyelids beyond a short course of hydrocortisone. Tacrolimus does not cause skin atrophy or ocular problems and is usually very effective for eyelid eczema.
] Contact allergic dermatitis: Is not that uncommon. Mild and moderate potency TCS are more a risk. One needs a high index of suspicion, as ongoing application of the TCS may suppress itch and redness, but the eczema does not clear. Patch testing may help. Stopping the TCS and substituting moisturisers may sort the problem.
Matching TCS potency to the site being treated
] Face and neck in children – use mild potency generally. For severe flares, use moderate potency, reviewed after five days.
] Face and neck in adult – use mild or moderate potency generally. For severe flares use potent, reviewed after five days.
] Body and limbs in children – use moderate or mild potency generally. For severe flares use potent, reviewed after five days.
] Body and limbs in adult – use moderate or potent strength. For severe flares use very potent, reviewed after five days.
At these reviews the potency of the TCS might be maintained for another five days or the potency can be stepped down to a less potent formulation.
‘Reactive’ treatment. Traditionally TCS were started at the first signs or symptoms of a disease flare. Treatment was continued until resolution and then stopped.
‘Proactive’ treatment recognises that once a flare is brought under control and TCS stopped, recurrence is likely. Nonflared, chronic eczema may look normal and not itch, but histology shows ongoing

A: ALLERGIC CONTACT ECZEMA
The eczema was present on one ear only, affecting the side on which the patient slept on. He was allergic to lavender oil sprinkled on the pillow to help with sleep. As in this case, think of exogenous causes when eczema presents asymmetrically.

C:
Allergy is not the problem here. Repeated exposure to irritants, especially with hand washing, exposes the skin to cumulative damage. Once a certain threshold of irritation is reached eczema develops. Note the prominence of the rash on the dorsum of the hand and interdigital webs. Irritants may collect under rings causing ‘ring eczema’. Irritants are by far the commonest cause of contact hand eczema, accounting for 90 per cent. Allergens account for the remaining 10 per cent. Those with a history of atopic eczema are at particular risk of irritant contact eczema.

B:
The eczema is confined to the area of skin that came in contact with the adhesive of the nappy. The outline of the rash matches the area in contact with the allergen. This used to be called the ‘Lucky Luke’ sign, after a little boy, dressed as a cowboy, in a comic magazine. He had a holster on each hip.

Discoid eczema tends to develop on dry background skin. It starts as an area of itchy, localised papules. More and more papules develop and coalesce, eventually forming the disc-shaped areas of eczema. It is more common in middle-aged individuals and favours the limbs.

Repeated scratching on the anterior shins has led to the development of thickened eczema. It generally occurs on skin that is easily accessible for itching, such as the extensor surfaces of both upper and lower limbs and the occiput. It is increasingly found on the genital areas in both males and females. It may be challenging to control and initially a very potent TCS may be needed to suppress it on the limbs.



Note the involvement of the plantar surface of the forefoot. The surface has a characteristic shiny, polishedlike appearance. Fissures are common. It may be due to repeated friction from modern footwear. It is more common in boys and tends to resolve after the age of 12 years.
Pompholyx is also known as dyshidrotic eczema, although it is now accepted to have nothing to do with sweating. Note the acute, vesicular eruption on the fingers. It involves the hands and less frequently the feet. If vesicles or bullae become purulent, suspect bacterial superinfection. Pompholyx needs a particular treatment approach. Potassium permanganate soaks help dry up the blistering and their antiseptic action reduce the risk of secondary bacterial infection. It will cause temporary, brown staining. After a 10-minute soak the skin is dried and a potent TCS cream applied (cream is more drying than ointment). Improvement is seen after three days, at which time this regime is stopped. Treatment is continued with a potent TCS ointment plus a moisturiser.

H:
Note the background dry skin and the superficial fissures giving a crazy paving appearance. This is asteatosis. Asteatotic eczema is visible as red, inflamed areas within the fissures. It can sometimes be seen in children with atopic eczema, but it is essentially a disease of older people. Winter, with people more confined indoors, with the heating on and humidity low is a high-risk time (Willian’s itch).
inflammation. TCS, applied on two days each week to previously affected areas, suppress inflammation and significantly reduce the risk of recurring flares. This ‘proactive’ or ‘maintenance’ use of TCS should be combined with regular use of a moisturiser.
Stopping TCS after long-term, continuous use can lead to rebound flares. This phenomenon has led to an explosion of terms such as ‘steroid addiction syndrome’ on social media. In the UK, the British Association of Dermatologists and the National Eczema Society issued a statement acknowledging that some people have problems when they stop TCS after long-term use, including rebound erythema, soreness, itch, scaling,
and swollen glands and hypoadrenalism. The UK Medicines and Healthcare products Regulatory Agency also highlighted a risk of withdrawal problems after stopping long-term use of TCS. Problems can occur within days of stopping, but may be delayed. Sensitive skin areas are most at risk (face, genitals). Patients should be given advice on the amount of TCS to apply and the duration of treatment. Placing TCSs on repeat prescription should be avoided.
Management strategies for TCS withdrawal following long-term use include:
1) ‘Cold-turkey’ approach, with abrupt discontinuation of the TCS. While this may lead to a more rapid resolution (onethree months), it has a greater risk of precipitating a bad flare.

In patients with varicose insufficiency, eczema may have multiple causes – allergy to topical dressings, irritation from constant oozing, background asteatosis, and varicose insufficiency. Patients may benefit from referral for patch testing that includes the likely allergens in this group of patients. Viscopaste dressings are a common cause of contact eczema.
2) Tapering both the potency or the frequency of application of the TCS. This may avoid or reduce the severity of rebound. This takes a longer time, up to 12 months in some instances.
Tacrolimus is approved for moderate to severe atopic eczema. It is often used offlabel in the treatment of other eczemas and many inflammatory skin conditions. It is especially useful on the face and flexural areas, which are at risk of TCS side effects, such as skin atrophy and striae. It not as effective on thick eczema on the trunk or limbs.
Two formulations are available: Tacrolimus 0.03 per cent ointment is licensed for children over two years
Adex Gel also improved:
Quality of life1
Total eczema area2
Redness2
Dryness2
Sleeplessness2
Itch2

Adex Gel does not contain corticosteroids
Specially formulated with a high level of oils (30%) and an ancillary anti-inflammatory, nicotinamide (4%) which is a form of vitamin B3, to help reduce inflammation.
Recommended for use as long as necessary, all over the body including on the face, hands and flexures.
Available at your local pharmacy. For patients aged 1 year+
Scan the QR code for more trial information

Product name: Adex™ Gel. Key ingredients: Isopropyl myristate 15%, liquid paraffin 15%, nicotinamide 4%. Uses: Highly moisturising and protective emollient with an ancillary anti-inflammatory medicinal substance for the treatment and routine management of dry and inflamed skin conditions such as mild to moderate atopic dermatitis, various forms of eczema, contact dermatitis and psoriasis. Package sizes: 100g tube and 500g pump pack. Further information is available from: Dermal Laboratories Ltd, Tatmore Place, Gosmore, Hitchin, Herts, SG4 7QR, UK. ‘Adex’ is a trademark. SCORAD, SCORing Atopic Dermatitis. CDLQI, Children’s Dermatology Life Quality Index.
References: 1. Gallagher J. et al. Evaluation of an Emollient with Nicotinamide in Managing Moderate Atopic Eczema in Paediatric Patients: A RealWorld GP Study. Data presented at the European Academy of Dermatology and Venereology (EADV) Spring Symposium, May 2025, Prague, Czech Republic. 2. Gallagher J. et al. Impact of an Emollient Containing Nicotinamide on Moderate Atopic Eczema and Quality of Life in Paediatric Patients. Data presented at the European Academy of Dermatology and Venereology (EADV) Spring Symposium, May 2025, Prague, Czech Republic.
Adverse Events/Incidents should be reported. Reporting forms and information can be found at www.hpra.ie. Adverse Events/Incidents should also be reported to Dermal.
Scan for Adex Gel essential information and adverse event/ incident reporting.


of age, while tacrolimus 0.1 per cent ointment is licensed for individuals over 16 years of age.
Ongoing surveillance studies have shown no increased risk of cancer with long-term tacrolimus treatment. One in five patients experience a stinging or burning sensation on areas of skin where it has been applied, which can be quite severe. It is almost invariably transient, lasting only a few days despite continued use. Patients should be warned about it. If not warned, many will prematurely stop the treatment. Sun protection is recommended, even though there is no evidence of increased risk of skin cancer. After applying tacrolimus, 3060 minutes should be allowed before applying an emollient or sun protection. Guidelines generally recommend
tacrolimus as second-line treatment if TCS combined with emollients are not fully effective or appropriate.
Many of the eczemas discussed in this article are more common in atopic patients. A defective skin barrier and an increased susceptibility to secondary infection result in increased rates, especially of secondary bacterial infection. Traditionally, topical and oral antibiotics were often prescribed once infection was suspected. Infection caused flaring of the eczema and antibiotics were shown to have some benefit. However, in the era of increased antibiotic stewardship, we are urged to avoid topical antibiotics and reduce our prescriptions for oral antibiotics as much as possible. Instead, the emphasis is now on getting
control of eczema by prescribing TCS, as outlined above, combined with irritant avoidance and adequate moisturisation. Achieving and maintaining good disease control is the best defence against infection. If infection is an issue and an eczema persists, despite adequate topical therapy, Staph aureus is the usual cause. Flucloxacillin, for five days, is the first antibiotic option. Clindamycin can be used in the case of penicillin allergy.
Hopefully, gaining an understanding of the classification of the eczemas and an appreciation of their shared pathogenesis will help you make an accurate diagnosis and formulate an appropriate treatment plan for your eczema patients. ]

SOOLANTRA® (ivermectin) is indicated for the topical treatment of inflammatory lesions of rosacea (papulopustular) in adult patients1
TOPICAL IVERMECTIN IS RECOMMENDED BY NICE AND PCDS as a first-line treatment for mild to moderate papulopustular lesions of rosacea2-4
SOOLANTRA® Cream has anti-inflammatory and antiparasitic activity offering an alternative approach to help reduce inflammatory lesions of rosacea5
This convenient, once-daily treatment is more effective at reducing inflammatory lesions at 16 weeks*6 and gets more patients to clear skin (IGA 0)7 vs topical metronidazole 0.75%.
Most commonly reported adverse reactions are skin burning sensation, skin irritation, pruritus and dry skin, all occurring in 1% or less of patients treated with the medicinal product in clinical trial.
Soolantra is not recommended during pregnancy. Please refer to the full Prescribing Information available via the QR code.
] AUTHORS : Dr Justin Roche, Consultant Paediatrician; and Kate Roche, Chartered Physiotherapist; both National Tongue Tie Centre, Tipperary
Condition can lead to a variety of issues, including difficulty with breastfeeding or bottle feeding in infants
Atongue tie (ankyloglossia) is a condition in which the band of tissue (called the frenulum) underneath the tongue is shorter or tighter than usual such that it affects the tongue’s normal function. This can lead to a variety of issues, including difficulty with breastfeeding or bottle feeding in infants. In older children and adults, it can cause problems with speech, sleep, facial development, eating and drinking, nervous system regulation, and even posture.
Tongue ties are most commonly considered in infants as the condition can cause issues with feeding, or slow weight gain. However, tongue ties can also be identified in toddlers, older children, and adults. Common symptoms include:
Difficulty with feeding for infants:
] An infant may have trouble breastfeeding or drinking from a bottle. This can result in short, frequent, or prolonged feeds.
] They may become frustrated during feeding or make clicking noises.
] They may regularly have colic and reflux symptoms.
Speech delays or issues:
] A toddler with tongue tie may have delayed speech or difficulty saying certain sounds.
] An older child or adult may have learnt to compensate their speech sounds but this makes talking more effortful and they may still trip over words or have a lingering lisp, for example.
Limited tongue movement:
] A toddler with tongue tie might not be able to stick their tongue out past their bottom teeth or move it from side to side.
] A heart-shaped tip when they try to stick out their tongue can be common in children with tongue tie.
] Sometimes, a tongue tie can result in picky eating because chewing is compromised and swallowing sticky foods can be difficult.
Drooling:
] Excessive drooling, especially after a toddler reaches the age where it typically decreases.
If left untreated, a tongue tie can cause further problems into the teenage years and adulthood, such as sleep issues. If the base of the tongue is dropping back into the airway, facial development can be impacted because the tongue does not create the force on the upper jaw to encourage it to grow wider and forwards. A tongue tie can even affect posture due to either tension within the body or craning the head forward to open the airway.
In normal oral function, if you are not talking or eating, your tongue should be fully in contact with your palate. When your tongue is in that position, you will breathe through your nose. This means the air we breathe is filtered, warmed, and humidified, and prepared for our lungs.
If we have a low tongue position and the mouth is open, mouth breathing becomes the path of least resistance. You then bypass the nasal system and if you are not using the nasal passages, you are not going to keep them clear.
A common misconception is that people breathe through the mouth because the nose is blocked. It is actually the other way around in the case of a tongue tie and the tongue’s position has a big bearing on how we breathe.
If a parent suspects their infant or toddler has tongue tie, they should consult with a clinician who has specialist training in the assessment of tongue tie. This assessment should include a comprehensive evaluation of tongue function including feeding, eating, and drinking.
Sometimes therapy to promote normal function is all that is required. However, if the tongue tie is causing significant issues, a simple procedure to release the frenulum (frenectomy or frenuloplasty) can be performed in conjunction with therapy to improve function.
A frenectomy (see Images 1a and b) is a procedure that involves releasing the frenulum to free up tension. This allows the tongue to move with a greater range of movement. Frenectomy is a relatively simple and quick procedure. A numbing gel (topical anaesthetic) ensures this is pain-free.
Frenuloplasty (see Images 2a-d) is a procedure that involves releasing the tongue frenulum and placing absorbable stitches and glue to help control the




healing. Local anaesthetic is used to ensure this is pain-free. Children and older infants would have the procedure under conscious sedation, so they are relaxed, but still have normal tone in their tongue. Adolescents and adults do not need sedation just the local anaesthetic.
Based in Tipperary, the National Tongue Tie Centre is one of the only centres in Ireland that specialises in tongue tie and oral dysfunction. Headed up by Consultant Paediatrician, Dr Justin Roche and Chartered Physiotherapist, Kate Roche, the Centre treats hundreds of


infants, children, and adults, every year.
One such patient is baby Phoebe. At 12 weeks, Phoebe (now nine months), was having huge difficulty breastfeeding. Phoebe’s mother had noticed a clicking noise while Phoebe was trying and the whole experience had become difficult, painful, and stressful for both mother and baby. It was recommended to attend the National Tongue Tie Centre for treatment. Phoebe’s mother said: “Following the quick treatment, the difference was immediate. Feeding became a much smoother experience.” Phoebe’s mother now bottle feeds her daughter without difficulty, and their bond has grown
stronger every day. “What was once a stressful and frustrating experience has turned into a time of connection and ease for both of us. Phoebe is now thriving and the stress of feeding is gone.”
Kate Roche, Clinical Director at the National Tongue Tie Centre, said: “For many mothers, painful feeds and feeding difficulties can make the experience overwhelming. Whether you breastfeed, bottle feed or combination feed, every journey is unique, but when challenges arise, a tongue tie could be the hidden culprit of a lot of discomfort. If left untreated, a tongue tie can then go on to cause further problems for toddlers and children with speech and sleep, for example. However, the good news is that a tongue tie is something that can be immediately and easily treated once identified so it is important to raise awareness of it so it can be diagnosed and treated as soon as possible.”
The National Tongue Tie Centre is running courses for healthcare professionals on tongue tie.
The Tongue Tie Toolbox is an educational platform designed to equip healthcare professionals with the skills and knowledge to support patients who have oral dysfunctions. The platform is the culmination of 20-plus years of expertise in tongue tie treatment.
The Toolbox comprises comprehensive courses tailored to healthcare professionals; information on early identification and treatment techniques, a growing library of surgical insights and therapy modules, and a community-driven learning experience with live monthly discussions. The first course, ‘Functional feeding and therapeutic techniques for infants up to six months’ is now live. ]
For further information or to register, visit: www.tonguetietoolbox.com

This information is intended for healthcare professionals only
EAACI 2022 recognises that medications are often inappropriately used in the treatment of GER and GERD in infants1
is a unique formulation for the dietary management of reflux and regurgitation in formula-fed infants

Thickened with carob bean gum
Significant reduction in episodes and severity of regurgitation in 83% of formula-fed infants within 1 month2
Helps to normalise oesophageal pH3
Greater viscosity in the stomach compared to starch-based feeds4
EAACI: European Academy of Allergy & Clinical Immunology; GER: Gastroesophageal Reflux; GERD: Gastroesophageal Reflux Disease
References: 1. Meyer R et al., Pediatr Allergy Immunol. 2022 Oct;33(10):e13856. doi: 10.1111/pai.13856. PMID: 36282131. 2. Bellaiche, et al. Pediatr Gastroenterol Hepatol Nutr. 2023;26(5):249-265 3. Vandenplas Y et al. Eur J Pediatr 1994;153:419–23. 4. Nutricia Research. Artificial digestion model. Data on file.
IMPORTANT NOTICE: Breastfeeding is best. Aptamil Anti-Reflux is a food for special medical purposes for the dietary management of frequent reflux and regurgitation. It should only be used under medical supervision, after full consideration of the feeding options available including breastfeeding. Suitable for use as the sole source of nutrition for infants from birth and as part of a weaning diet from 6-12 months. This product should not be used in combination with antacids or other thickeners and is not suitable for premature infants. Refer to label for details.
Date of Publication: July 2025. Nutricia Ireland, Deansgrange Business Park, Deansgrange, Co. Dublin.
] AUTHOR : Patricia Davis, Respiratory Advanced Nurse Practitioner, Bray Integrated Care Hub, Wicklow Primary Care linked with St Vincent's Hospital, Dublin
Much of the driving force to improve standards of care for those requiring home oxygen originated with respiratory nurses
Oxygen therapy revolutionised the management of respiratory and other conditions after its discovery in the late 1700s. It plays a role in most care settings and is associated with myriad benefits for appropriate patients. Home oxygen therapy is often indicated for patients with long-term lung or heart conditions like chronic obstructive pulmonary disease (COPD), pulmonary fibrosis, and heart failure. This article takes a look at oxygen therapy in the home, including the nurses and advocates that have been, and continue to be, the driving forces behind the standardisation and optimisation of the treatment in Ireland.
Oxygen was first discovered as an element in 1774 by Joseph Priestley.¹ Its potential value for people with respiratory conditions was quickly recognised after its discovery. Thomas Beddoes, considered the father of respiratory therapy, worked with inventor James Watt to generate oxygen and other gases, using it to manage tuberculosis, asthma, congestive heart failure, and other ailments.
Following this pioneering work, many advancements in oxygen storage and delivery systems have been made, resulting in a treatment that is efficient, comfortable, and suitable for home use. In Ireland in the 1980s, Air Liquide (originally known as Medical Gases Ireland or MGI) brought the first oxygen concentrator to a patient’s home. Since

the 1980s, we have come further still, with even more sophisticated equipment, clearer prescribing guidelines, and a national home oxygen order formprescription (HOOF-P).
Much of the driving force to improve standards of care for those requiring home oxygen originated with respiratory nurses, physiotherapists, and patient advocacy groups. Members of the Respiratory Nurses Association of Ireland (Anáil) highlighted the need to standardise processes surrounding oxygen during a workshop in 2013.
The paucity of oxygen assessment and review clinics across the country was fervently discussed – with numerous accounts of varying prescribing practices
and a lack of standardised care, resources, and equipment provision. Subsequently, this motivated band of nurses set about establishing a multidisciplinary working group to devise Ireland’s first national guideline on longterm oxygen therapy (LTOT) in adults. Enrolling support from the Irish Thoracic Society, this guideline was launched at the annual conference in 2015.²
During this work, news of a new contract for the delivery of home oxygen products and services was circulated. The HSE procurement team sought clinical staff to support the tender process. As the co-
ordinator for the home oxygen guidelines, I joined in 2014, along with colleagues of all disciplines from around Ireland. Part of my assigned work was to examine the landscape of clinical expertise available to support an oxygen contract. In 2017, with support from the National Clinical Programme Respiratory Lead Prof Tim McDonnell, an audit of hospital sites was undertaken to appraise oxygen assessment clinics.³
The results supported the anecdotal evidence previously reported on the paucity of services and standards. Of responses from 36 hospitals, only 13 (36%) had a dedicated oxygen assessment clinic. Six of the 13 centres (45%) required patients to be optimised medically prior to initiation of oxygen therapy, and 84 per cent did not maintain a register of patients prescribed oxygen to ensure follow-up occurred. In summary, no centres met full criteria for the prescribing of oxygen therapy or had sufficient resources to ensure continuous follow-up of their patients, echoing findings from the literature.
In their 2021 study examining reassessment of home oxygen after hospitalisation with COPD, Spece et al suggested that as many as 84 per cent of patients no longer met the criteria for resting hypoxaemia.⁴ In the British Thoracic Society guideline, Hardinge (2015) suggested that 30-58 per cent of those prescribed oxygen during exacerbation no longer required it one to three months after commencing, and acknowledged that removing oxygen from someone can be difficult. The guideline recommends serious consideration and assessment before prescribing LTOT in the home.⁵
The Lancet Global Health Commission on Medical Oxygen Security (2025) describes in great detail how oxygen is a scarce and precious commodity, of which we do not have endless supplies.⁶ Throughout the Covid-19 pandemic, we witnessed the devastating effect shortages of oxygen had across the
Home oxygen is now recognised as a drug, requiring appropriate assessment and annual prescribing
globe, and the winter storms in 2024 left many homes without electricity for protracted periods, putting increased pressure on national supplies of liquid and cylinder oxygen. With all this in mind, it is imperative that all healthcare professionals evaluate and prescribe oxygen to patients responsibly.
It was widely acknowledged that a lack of strict regulations surrounding the prescription of home oxygen therapy, and deficient resource allocation to ensure adequate assessment and follow-up, often result in inappropriate prescribing or incorrect modalities being chosen. It has also been well established that appropriate assessment, prescription, and follow-up improves patient outcomes. During the Irish Thoracic Society conference in 2023, numerous centres presented positive data from dedicated home oxygen services. A quality improvement initiative of an oxygen assessment clinic in Nenagh Hospital found significant cost savings, improved prescribing practices, and a high level of patient satisfaction, while a retrospective audit from Portiuncula Hospital’s oxygen clinic of 216 patients found that 64 per cent no longer required oxygen post discharge with borderline hypoxia. A further examination of the data found that one hundred per cent of patients required adjustment to their prescription, equipment, or adherence at eight weeks post initiation of oxygen on hospital discharge. Without this service, as is the case in many Irish hospitals,
patients prescribed oxygen therapy for the first time are not receiving optimal follow-up.
As mentioned, historically, there had never been a HSE mandate surrounding the prescribing of home oxygen. However, through a long process of engagement, two major changes have occurred in the recent landscape of home oxygen therapy. The new national HOOF-P and agreement forms were mandated by the HSE in 2024. Alongside this, in May 2024, the first national contract for the delivery of home oxygen equipment and services was awarded. Air Liquide won the contract for twothirds of the country, while Vivisol, a new provider, gained the remaining third. Longstanding supplier BOC no longer delivers domestic oxygen therapy, but continues to supply medical cases to hospitals and other centres across the country. During the engagement period, and for the first time, the Health Products Regulatory Authority mandated suppliers to ensure a medical or nurse prescriber registration number accompanied each HOOF-P. These two regulations have been instrumental in creating a significant shift in prescribing practice nationally. Home oxygen is now recognised as a drug, requiring appropriate assessment and annual prescribing like all medicinal products. As a result of this significant change, it is anticipated that prescribing of home oxygen will be more carefully considered going forward. Clinicians are forced to contemplate if oxygen is clinically indicated and to ascertain if there is capacity to re-prescribe it in a year’s time. However, with no dedicated HSE funding for home oxygen assessment and review, follow-up care will continue to be precarious in reality. During the 10 years of working with the HSE to instigate this change, I brought in key stakeholders to ensure robust feedback and input from all
sectors. The main group of concern were oxygen users themselves. The Irish Thoracic Society committee was keen to gain the lived experience of oxygen users. Some of the issues highlighted during an oxygen user survey include:
] Only 53 per cent of respondents reported having enough oxygen therapy to enjoy social activities.
] Between 60-63 per cent reported having enough oxygen to undertake household chores (housework, shopping etc) or attend hospital appointments.
When asked ‘how has being on oxygen therapy affected your quality of life?’ some of the responses were as follows:
] “Severely affected by uncertainty over supply of portable oxygen.”
] “Total change to the quality of my life, but l have to be thankful l still can do a lot of my usual activities.… l look upon my oxygen as a great companion – always there when l need it.”
] “I can still do everything just a little slower. I rest when I need to.”
] “Very nervous to be alone.”
] “I am in early stages, so the oxygen is a boost when undertaking activities/exercising.”
] “Having to pay €403 per month, and then claim a DPS refund means I'm always out of pocket.”
] “The people taking the phone orders and the delivery men are always polite and respectful but the deliveries are unreliable.”
In order to facilitate the new contracts in 2024/2025, all patients were expected to have a new HOOF-P, regardless of territory. These changes were much needed; however, services struggled to meet the increased demand and were under-resourced to facilitate the requirements of the contracts. All respiratory and non-respiratory staff had to ensure the safe transition of patients to a new HOOF-P without any additional resource allocation. During this process,
awareness increased across the HSE on the breadth of unequal service provision for those requiring home oxygen therapy. With this major shift in process, we now have an opportunity to provide a higher standard of care to these often complex and vulnerable patients.
My vision is for dedicated, funded oxygen assessment and review services that provide the highest standard of care to all patients requiring home oxygen therapy. Across the spectrum of those requiring home oxygen are children and adults with complex needs. High-quality services would require a dedicated oxygen specialist nurse and physiotherapy team for each chronic disease hub; clinical governance for the staff provided by a knowledgeable consultant; and clinical governance for the medical optimisation of the patient remaining with the referring physician or service.
Staff operating services would be held as experts, and as such, non-prescribing specialist nurses and physiotherapists would hold recognised qualifications and prescribing rights to cover all oxygen modalities. In the past, there has been an over-reliance on suppliers to provide
1. Suplee C. Joseph Priestley discoverer of oxygen therapy, commemorative booklet. American Chemical Society. 2004.
2. Irish Thoracic Society. Irish guidelines on longterm oxygen therapy (LTOT) in adults. ITS; 2015. Available at: www. irishthoracicsociety. com/wp-content/ uploads/2017/05/LTOTguideline-2015-1.pdf
follow-up care or monitoring of patients on home oxygen and ventilation. Patients prescribed oxygen for the first time should have a home visit undertaken post commencement by HSE staff not affiliated with suppliers of oxygen, to ensure safety and adherence with treatment. Administration support would ensure robust data collection and that follow-up care takes place.
We have seen large financial savings when oxygen users are assessed, followed up, and supported correctly. Investing in dedicated services will provide cost-effective, standardised care to oxygen users that has long been required. Commencing oxygen therapy for the first time reflects a significant change in a person’s disease trajectory and often comes with significant grief. Oxygen users face substantial social, psychological, and economic challenges. Oxygen therapy restricts free movement in and out of the home. These patients need to be provided with clear information and education on the limitations and appropriate use of oxygen equipment. They deserve to be well supported by HSE and supply staff while they adapt to the changes home oxygen therapy inevitably brings to their life. ]
3. O’Donnell C, Davis P, McDonnell T. Oxygen therapy in Ireland: A nationwide review of delivery, monitoring, and cost implications. Ir Med J 2019;112(5):933.
4. Spece LJ, Epler EM, Duan K, et al. Reassessment of home oxygen prescription after hospitalisation for chronic obstructive pulmonary disease. A potential target for deimplementation. Ann Am Thorac Soc 2021;18(3):426-432.
5. Hardinge M, Annandale J, Bourne S, et al. British Thoracic Society guidelines for home oxygen use in adults. Thorax. 2015;70 Suppl 1:i1-i43.
6. Graham HR, King C, Rahman AE, et al. Reducing global inequities in medical oxygen access: The Lancet Global Health Commission on medical oxygen security. Lancet Glob Health 2025;13(3):e528-e584.
] AUTHOR : Denise Doherty
The HSE emphasised the benefits of safe skin-to-skin contact during National Breastfeeding Week
The practice of placing a baby directly on their mother’s chest is an important moment immediately after birth. Skin-to-skin contact between mother and baby, or kangaroo care, is associated with multiple benefits, such as helping the newborn to adjust to the outside world and stimulating brain development. Research shows that the more skin-to-skin contact an infant experiences during their first year of life, the better their overall physical and mental health outcomes, including into adulthood.
Skin-to-skin is important for all babies, whether breastfed, bottle fed, or a mix of both. From birth and beyond, the practice also boosts the growth of a healthy infant microbiome by facilitating the transfer of the mother’s microbes to the baby’s skin, gut, and oral cavity. Studies have shown that early skin-to-skin contact is particularly beneficial for premature babies.
According to UNICEF, research has shown that the general benefits of skinto-skin contact include that it:
] Helps infants adapt outside the womb
] Stimulates digestion and an interest in feeding
] Stimulates the release of hormones to support breastfeeding and mothering
] Calms and relaxes both mother and baby
] Regulates the infant’s temperature, heart rate, and breathing,
] Enables development of a healthy microbiome and subsequently improved immunity.
Reported benefits for babies in the neonatal unit include that it:
] Improves oxygen saturation
] Reduces cortisol levels, particularly following painful procedures
] Encourages pre-feeding behaviour
] Assists with growth and development
] May reduce hospital stay
] Improves milk volume if the mother expresses following a period of skin-to-skin contact, with the expressed milk containing the most up-to-date antibodies.
The HSE emphasised the benefits of safe skin-to-skin contact during this year’s National Breastfeeding Week, which took place from October 1-7. This year’s theme was ‘Hold me close: The power of skin-to-skin contact’.
According to the latest HSE data, 89 per cent of mothers and babies had the opportunity to have skin-to-skin contact immediately after birth. All midwives are trained in supporting safe skin-to-skin contact. It is covered in antenatal classes for parents-tobe and the HSE’s mychild.ie website includes information on how to do it safely, including a video.
Breastfeeding rates continue to increase in Ireland after notably low figures in recent years. Data indicates a rise from 60.3 per cent in 2023 to 61.9 per cent in 2024 at the first public health nurse (PHN) visit, and from 42 per cent in 2023 to 44 per cent in 2024 at the three-month PHN check.
The HSE, in partnership with the National Perinatal Epidemiology
Centre (NPEC), is also launching a new infant feeding survey for parents to share feedback on their experiences of feeding support from maternity and community healthcare professionals during pregnancy and after birth.
Clare Kennedy, HSE Baby Friendly Initiative Lead, said: “We put the mother’s voice at the centre of developing care and services for infant feeding. This survey will be available online and will be used for local and national service improvement and planning.”
Skilled breastfeeding supports are available in all maternity units and hospitals and through local health services. Parents or parents-to-be can ask questions by email or live chat through the ‘Ask our breastfeeding expert’ service on mychild.ie. Over the last year, 2,250 questions have been answered online by HSE experts. Most common queries this year were about expressing breast milk, sore nipples, low milk production, phasing out breastfeeding, and breastfeeding support groups. There is now a total of 225 free breastfeeding groups listed on mychild.ie. Details of local breastfeeding support groups and ‘Ask our breastfeeding expert’ support service are available on mychild.ie/breastfeeding , as well as practical advice across a wide range of breastfeeding and other pregnancy, parenting, and child health topics. ]

A recent study: ‘Menopause dialogues: The census’ has uncovered widespread symptoms, profound impacts on quality of life, and a pressing need for improved support and resources among women experiencing menopause. The research, which was commissioned by CanesMeno – a new brand from Bayer offering a dedicated product range and a digital educational hub designed to support women with menopause in Ireland – found that 92 per cent of women reported symptoms and reveals insight into their lived experiences.
Only 8 per cent of affected women reported no symptoms at all, while over half reported hot flushes, low energy, and difficulty sleeping. Despite a high overall awareness of menopause symptoms (87%), a notable 13 per cent of women experiencing symptoms initially failed to recognise their connection to menopause, underscoring the need for proactive educational initiatives, particularly as women approach perimenopause.
The impact of menopause extended significantly to women's sex lives, according to the data, with over one-third (38%) of respondents reporting a negative impact – a figure that increased to nearly half (46%) among those currently in menopause. Reduced libido was the primary issue reported, followed by hot flushes/

night sweats, mood changes, and fatigue. Beyond physical manifestations, the research also identified considerable emotional burdens.
Workplace support for women experiencing menopause was also notably lacking, with only 10 per cent expressing complete satisfaction, highlighting a substantial opportunity for employers to enhance their support systems. Furthermore, a concerning 61 per cent of women believe there is an insufficient number of trusted and credible resources available for those navigating
menopause or perimenopause. This sentiment was particularly strong among perimenopausal women, suggesting a feeling of unpreparedness for the onset of symptoms.
Finally, women reported a strong desire for improved support from their GPs as their initial point of contact. Overall, there was also a strong call for greater public awareness and increased access to reliable, credible information, indicating clear avenues for brand activation and public health initiatives.
Bayer, makers of Canesten, announced the launch of CanesMeno to coincide with the study findings. As well as a large range of female health products such as vaginal gels and food supplements, key features of the menopause hub include:
✽ Three-minute CanesMeno guide: A quick, accessible resource to learn about menopause signs, informed by the findings of the study with downloadable information
✽ Personalised menopause tracker: Users can input their symptoms to receive free, private, and personalised insights, revealing symptom impact and correlation with overall mood
✽ Comprehensive article library: An array of expert-led articles to equip users with knowledge to navigate their experience with greater ease
1 - Conjecture (11) 9 - Male relation (5)
1 Conjecture (11)
9 Male relation (5) 10 Empty space between two objects (3)
11 T hing that imparts motion (5)
12 Q uantitative relation (5)
13 Have a different opinion (8)
16 International negotiator (8)
18 T heme for a discussion (5)
21 Tennis stroke (5)
22 Legal rule (3)
23 O pposite of below (5)
24 A p arent's mum (11)
bject strongly (7)
Bravery (7)
- Empty space between two objects (3) 11 - Thing that imparts motion (5) 12 - Quantitative relation (5) 13 - Have a different opinion (8) 16 - International negotiator (8) 18 - Theme for a discussion (5) 21 - Tennis stroke (5) 22 - Legal rule (3) 23 - Opposite of below (5)
24 - A parent's Mum (11)
Find (6)
Belonging to them (5)
S hould (5)
Instantly (11)
Engagement (11)
Nearest (7)
Clasp (7)
Impart knowledge (6)
St rength (5)
Sequence (5)
2 - Object strongly (7)
- Bravery (7)
- Find (6)
- Belonging to them (5)
- Should (5)
- Instantly (11)
- Engagement (11)
- Nearest (7)
- Clasp (7)
- Impart knowledge (6) 19 - Strength (5) 20 - Sequence (5)

Successful completion of this module will earn you 2 CPD credits


