EMJ Microbiology & Infectious Diseases 6.1 2025

Page 1


Editor's Pick

10 Review of the European Society of Clinical Microbiology and Infectious Diseases (ESCMID) Global Congress 2025

Congress Features

23 New Frontiers in Antimicrobial Stewardship

Aleksandra Zurowska

26 Tackling Tuberculosis: The Current Landscape and Future Directions

Katie Wright Abstract Reviews

32 One of the Largest Outbreaks of Hepatitis A in the 21st Century in Europe

Hockicková et al.

34 Turning Resistance into Vulnerability: Leveraging Genetic Insights to Predict Collateral Sensitivity and Synergism for Effective Multidrug Therapies

Schmidlin and Geiler-Samerotte

36 Epidermicin NI01, a First-in-Class Peptide Antibiotic Candidate, Has Potent Efficacy in a Robust MRSA Wound Infection Model and Low Allergic Reaction Liabilities

Upton et al.

39 Antibiotics with Anti-Anaerobe Activity Promote Enteric Pathobionts in ICU Patients

Taylor et al

41 Double-Dose Dolutegravir and Lamivudine Versus Efavirenz-Based Antiretroviral Therapy for Patients Coinfected with HIV and Tuberculosis: A Multicentre Open-Label, Randomised Trial

Le et al.

Congress Interview

43 F-Xavier Lescure

Interviews

48 Peter Openshaw

52 Maria Zambon

56 Timothy Walsh

62 Dirk Schnappinger

Infographic

66 What's Next for Respiratory Virus Vaccines? Articles

68 Editor's Pick: Oral Azithromycin Prescribing Practices for CommunityAcquired Pneumonia at the Emergency Department of a Tertiary Hospital: An Observational Study

Yean et al.

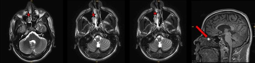
81 Recurrent Bacterial Meningitis Secondary to Cribriform Plate Defect: A Case Report and Literature Review

Schwartz et al.

89 Evaluation of Antimicrobial Resistance Patterns at FMIC Hospital in Kabul, Afghanistan

Dawlatpoor et al.

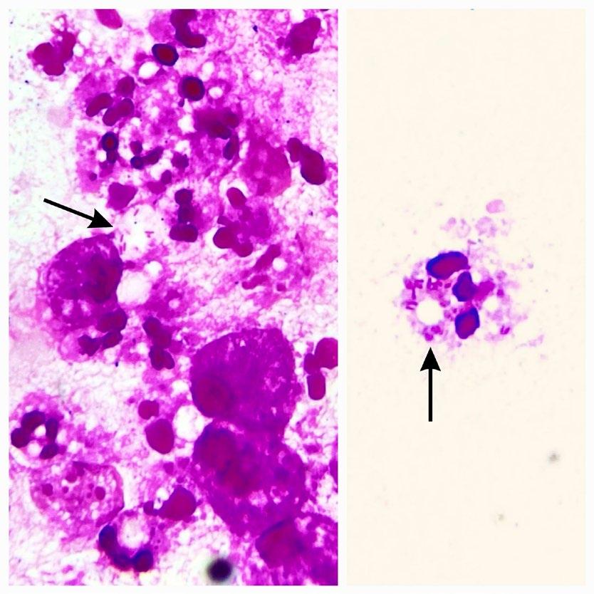
97 Candida Infection: Prevalence, Associated Risk Factors, and Outcomes from a Tertiary Care Centre NICU/PICU in South India – A Retrospective Study

Joshi et al.

106 Polyarticular Septic Arthritis, Subcutaneous Abscesses, and Osteomyelitis Due to Burkholderia Cepacia in a Clinically Immunocompetent Patient: A Case Report and Literature Review

Rajbongshi et al.

"This year’s opening ceremony called for scientific ambition and global responsibility"

Editorial Board

Prof Jens Lundgren

Editor-in-Chief

Prof Rajeshwar Reddy Kasarla

Professor, Microbiology Department, Malla Reddy Institute of Medical Sciences, Telangana, India

Rigshospitalet, University of Copenhagen, Denmark

Prof David Fisman

University of Toronto, Canada

Dr Ali Elbeddini

University of Ottawa, Canada

Dr Emilio Bouza

Hospital Gregorio Marañón, Spain

Dr Mohammad Nazish

Farwaniyah Hospital, Kuwait

Dr Muge Cevik

University of St Andrews, UK

Dr Oliver Grundmann

University of Florida, USA

Dr Smilta Shevade Millennium Path Lab, India

Dr Rahul Garg

All India Institute of Medical Sciences-Raipur, India

Prof Manisha Gupta

Super Specialty Cancer Institute and Hospital, India

Dr Sanjay Bhattacharya

Fakhruddin Medical College, India

Dr Hisham Elkhayat

Theodor Bilharz Research Institute, Egypt

Aims and Scope

EMJ Microbiology & Infectious Diseases is an open access, peerreviewed eJournal committed to publishing the highest quality medical research concerning all aspects of the prevention, diagnosis, and management of infectious diseases in humans.

The journal is published annually, six weeks after the Congress of the European Society of Clinical Microbiology and Infectious Diseases (ESCMID), and features highlights from this congress, alongside interviews with experts in the field, reviews of abstracts presented at the congress, as well as in-depth features on congress sessions. The journal also covers advances within the clinical and pharmaceutical arenas by publishing sponsored content from congress symposia, which is of high educational value for healthcare professionals. This undergoes rigorous quality control checks by independent experts and the in-house editorial team.

EMJ Microbiology & Infectious Diseases also publishes peer-reviewed research papers, review articles, and case reports in the field. In addition, the journal welcomes the submission of features and opinion pieces intended to create a discussion around key topics in the field and broaden readers’ professional interests. The journal is managed by a dedicated editorial team that adheres to a rigorous double-blind peerreview process, maintains high standards of copy editing, and ensures timely publication.

EMJ Microbiology & Infectious Diseases endeavours to increase knowledge, stimulate discussion, and contribute to a better understanding of infectious diseases. Our focus is on research that is relevant to all healthcare professionals in the field. We do not publish veterinary science papers or laboratory studies not linked to patient outcomes. We have a particular interest in topical studies that advance knowledge and inform of coming trends affecting clinical practice in microbiology and infectious diseases.

Further details on coverage can be found here: www.emjreviews.com

Editorial Expertise

EMJ is supported by various levels of expertise:

• Guidance from an Editorial Board consisting of leading authorities from a wide variety of disciplines.

• Invited contributors who are recognised authorities in their respective fields.

• Peer review, which is conducted by expert reviewers who are invited by the Editorial team and appointed based on their knowledge of a specific topic.

• An experienced team of editors and technical editors.

Peer Review

On submission, all articles are assessed by the editorial team to determine their suitability for the journal and appropriateness for peer review.

Editorial staff, following consultation with either a member of the Editorial Board or the author(s) if necessary, identify three appropriate reviewers, who are selected based on their specialist knowledge in the relevant area.

All peer review is double blind. Following review, papers are either accepted without modification, returned to the author(s) to incorporate required changes, or rejected.

Editorial staff have final discretion over any proposed amendments.

Submissions

We welcome contributions from professionals, consultants, academics, and industry leaders on relevant and topical subjects. We seek papers with the most current, interesting, and relevant information in each therapeutic area and accept original research, review articles, case reports, and features.

We are always keen to hear from healthcare professionals wishing to discuss potential submissions, please email: editorial.assistant@emjreviews.com

To submit a paper, use our online submission site: www.editorialmanager.com/e-m-j

Submission details can be found through our website: www.emjreviews.com/contributors/authors

Reprints

All articles included in EMJ are available as reprints (minimum order 1,000). Please contact hello@emjreviews.com if you would like to order reprints.

Distribution and Readership

EMJ is distributed through controlled circulation to healthcare professionals in the relevant fields across Europe.

Indexing and Availability

EMJ is indexed on DOAJ, the Royal Society of Medicine, and Google Scholar®; selected articles are indexed in PubMed Central®.

EMJ is available through the websites of our leading partners and collaborating societies. EMJ journals are all available via our website: www.emjreviews.com

Open Access

This is an open-access journal in accordance with the Creative Commons Attribution-Non Commercial 4.0 (CC BY-NC 4.0) license.

Congress Notice

Staff members attend medical congresses as reporters when required.

This Publication

Launch Date: 2020 Frequency: yearly Online ISSN: 2732-5326

All information obtained by EMJ and each of the contributions from various sources is as current and accurate as possible. However, due to human or mechanical errors, EMJ and the contributors cannot guarantee the accuracy, adequacy, or completeness of any information, and cannot be held responsible for any errors or omissions. EMJ is completely independent of the review event (ESCMID Global 2025) and the use of the organisations does not constitute endorsement or media partnership in any form whatsoever. The cover photo is of Vienna, Austria the location of ESCMID Global 2025.

Front cover and contents photograph: Vienna, Austria © Arnold / stock.adobe.com

Editor

Evgenia Koutsouki

Managing Editor

Darcy Richards

Copy Editors

Noémie Fouarge, Sarah Jahncke, Aranii Nagarajah

Editorial Leads

Helena Bradbury, Ada Enesco

Editorial Co-ordinators

Jenna Lorge, Bertie Pearcey

Editorial Assistants

Katrina Thornber, Katie Wright, Aleksandra Zurowska

Creative Director

Tim Uden

Design Manager

Stacey White

Creative Artworker

Dillon Benn Grove

Designers

Shanjok Gurung, Owen Silcox, Fabio van Paris

Senior Project Manager

Michael Stevenson

Senior Performance & Insight Lead

Darren Brace

Marketing Director

Kristina Mestsaninova

Chief Content Officer

Justin Levett

Chief Commercial Officer

Dan Healy

Founder and Chief

Executive Officer

Spencer Gore

Welcome

Dear Readers,

I am proud to introduce the 2025 issue of EMJ Microbiology & Infectious Diseases, which spotlights key insights from the European Society of Clinical Microbiology and Infectious Diseases (ESCMID) Global Congress that took place in Vienna, Austria. With a focus on climate change and infection, particularly antimicrobial resistance and emerging infections, the infectious diseases community gathered to share and explore research updates and innovations.

Our coverage of the event includes an up-to-date overview of the tuberculosis treatment landscape and the latest advancements in antimicrobial stewardship, alongside an array of abstract reviews presented at the Congress, and an exclusive interview addressing emerging infectious disease threats.

You can also find an infographic articulating the respiratory virus vaccine state of play and innovations in mucosal vaccine development, as well as a selection of peer-reviewed articles, including original research on prescribing practices for community-acquired pneumonia and an uncommon case report of an immunocompetent adult with polyarticular septic arthritis and osteomyelitis secondary to Burkholderia cepacia complex infection.

I would like to take this opportunity to thank the authors, interviewees, Editorial Board, and peer reviewers for their contributions in bringing this issue to fruition. I hope you enjoy reading and discover insights that help you elevate your daily practice.

Editorial enquiries: editor@emjreviews.com

Sales opportunities: salesadmin@emjreviews.com

Permissions and copyright: accountsreceivable@emjreviews.com

Reprints: info@emjreviews.com Media enquiries: marketing@emjreviews.com

C.DIFF QUIK CHEK COMPLETE ®

• Complete stand-alone 2-step algorithm in one test

• Simultaneously tests for GDH and Toxins A&B in 30 minutes

• Rapid EIA recommended by the ESCMID Guidelines*

Foreword

Dear Colleagues

It is with great pleasure that I introduce the 2025 edition of EMJ Microbiology & Infectious Diseases. This year’s issue reflects the remarkable pace of innovation and collaboration shaping our field, bringing together fresh insights from the European Society of Clinical Microbiology and Infectious Diseases (ESCMID) Global Congress 2025, alongside peer-reviewed research, expert interviews, and more.

Held in Vienna, Austria from the 11th–15th April, ESCMID Global 2025 brought the world’s leading microbiologists and infectious disease experts together to tackle today’s most urgent global health threats. Key discussions covered in this issue include innovative strategies in antimicrobial stewardship, and the ongoing battle against tuberculosis. Alongside this, our curated collection of abstracts highlights emerging research across diagnostics, treatment, and prevention.

This issue also features exclusive interviews with leading experts in the field. Maria Zambon reflects on the evolving landscape of respiratory virus surveillance and vaccine preparedness, Dirk Schnappinger shares his latest findings in tuberculosis pathogenesis, Timothy R. Walsh offers a global perspective on the spread of antimicrobial resistance genes, and Peter Openshaw discusses future directions in vaccine development for respiratory pathogens. To complement these discussions, we present an insightful

infographic on the future of vaccines against respiratory viruses, with a focus on the latest research in mucosal immunity.

Finally, our peer-reviewed articles spotlight key topics from the front lines of patient care. These include challenges in prescribing antimicrobials in low-resource settings, complex presentations of recurrent meningitis, and clinical management of invasive candidiasis in neonatal and paediatric intensive care units. We also feature a rare case report on polyarticular septic arthritis, offering valuable insights into diagnostic pathways and therapeutic decisions.

ESCMID Global 2025 brought the world’s leading microbiologists and infectious disease experts together to tackle today’s most urgent global health threats

Thank you to all our contributors and reviewers for their dedication to excellence. We hope this issue informs, inspires, and supports your continued work in advancing infectious disease care worldwide.

Microbiology Department, Malla Reddy Institute of Medical Sciences, Telangana, India

ESCMID 2025

This year’s opening ceremony called for scientific ambition and global responsibility

Congress Review

Review of the European Society of Clinical Microbiology and Infectious Diseases (ESCMID) Global Congress 2025

Location: Vienna, Austria

Date: 11th-15th April 2025

Citation: EMJ Microbiol Infect Dis. 2025;6[1]:10-22. https://doi.org/10.33590/emjmicrobiolinfectdis/MQQZ5964

THIS SPRING, Vienna, Austria played host to a momentous gathering, welcoming over 15,000 attendees from across five continents for the 35th European Society of Clinical Microbiology and Infectious Diseases (ESCMID) Global Congress.

This year’s opening ceremony called for scientific ambition and global responsibility. With escalating misinformation, political interference, and declining public trust threatening progress in infection control, ESCMID President Robert Leo Skov, University of Copenhagen, Denmark, reminded the medical community of its essential role: to defend evidence, uphold truth, and champion global health equity.

ESCMID Global 2025 is deeply invested in capacity-building and high-level advocacy

Reflecting on the congress’s recent evolution from ‘ECCMID’ to ‘ESCMID Global’, Skov highlighted just how significant this change has proven to be. “Naming our congress ESCMID Global was a commitment then, and it is an even stronger commitment now,” he declared, as he emphasised the urgency of international collaboration in the face of mounting global challenges, from vaccine hesitancy to antimicrobial resistance (AMR), and from funding cuts to the intimidation of scientists working with marginalised populations. Skov stressed

that “this world needs our community now more than ever.”

The 2025 programme mirrors this global, future-focused mission, introducing several new, exciting initiatives. Education Friday delivered hands-on workshops and small-group sessions using cutting-edge educational techniques, while the Mobile Lab, stationed just outside the congress venue, offered unique on-site parasitology training. Debuting this year was Pipeline Monday, a robust new track dedicated to research and development in AMR, diagnostics, and vaccines. ESCMID Global also served as a platform to spotlight upcoming landmark events: the relaunch of the ESCMID Vaccine Conference in Portugal, and the debut of the Global AMR Innovators Conference (GAMRIC) in Washington D.C., USA.

Crucially, the society’s influence now extends well beyond the lecture halls. From a 1.2 million EUR research investment to the formation of the ESCMID Foundation for Education, and from launching a certificate programme on antimicrobial stewardship in Latin America to shaping AMR policy at the United Nations General Assembly, ESCMID

Global 2025 is deeply invested in capacitybuilding and high-level advocacy.

Next to take the stage was Jacob MoranGilad, Ben-Gurion University of the Negev, Beer Sheva, Israel, who returned for his 5th year as the ESCMID Global Programme Director. With pride and enthusiasm, he presented the scale, diversity, and innovation underpinning the 2025 ESCMID Global programme.

With over 7,500 abstracts submitted from 119 countries, and 20% of abstracts originating from underrepresented regions, the numbers reflect ESCMID's ongoing commitment to giving a voice to researchers from every corner of the world. This year also marked a major achievement: over 10% of the invited faculty also came from underrepresented regions, with over half of the faculty members being women. Looking ahead, Moran-Gilad announced plans to expand focus in areas such as paediatric infectious diseases and fundamental science in 2026. Efforts are also underway to integrate more stakeholder groups and societies into the congress ecosystem.

The opening ceremony came to a close with a celebration of excellence and legacy through the 2025 ESCMID Awards, which recognise members for their significant contributions to the field. Marion Koopmans, Erasmus Medical Centre, Rotterdam, the Netherlands, was awarded the 2025 ESCMID Award for Outstanding Contributions in the Field of Infection. Through her roles at the WHO Collaborating Centre, the Netherlands Centre for One Health, and the Pandemic and Disaster Preparedness Center, Koopmans has led

global responses to COVID-19, Ebola, and influenza outbreaks.

The 2025 ESCMID Award for Excellence in Science was presented to Arturo Casadevall, Johns Hopkins Bloomberg School of Public Health, Baltimore, Maryland, USA, who is widely respected for his work in fungal pathogenesis, antibody mechanisms, and the impact of climate change on fungal infections.

Finally, the evening concluded with a heartfelt tribute to one of ESCMID’s founding members and the society’s first ever president: Jan Verhoef, the Netherlands, who received the 2025 ESCMID Lifetime Achievement Award. Throughout his career, Verhoef mentored more than 100 PhD students and authored over 700 publications, with more than 30,000 citations to his name, and has remained an active voice in infectious diseases after retirement.

As the final applause echoed through the auditorium, the message was clear: ESCMID Global is not just a congress, it is a community. The future of infectious diseases hinges not only on innovation, but on open exchange, inclusivity, and relentless advocacy for science. As ESCMID enters its next chapter, its growing community of 30,000 members stands ready to meet the challenge.

Read on for key insights into this year’s congress, and don’t miss our coverage of ESCMID Global 2026, which will be held in Munich, Germany, from the 17th–21st April 2026.

Three Million Child Deaths Tied to Antimicrobial Resistance in 2022

MORE than three million children worldwide died from antimicrobial resistance (AMR)-related infections in 2022, according to a landmark study presented at ESCMID Global 2025, highlighting the urgent need for targeted action to curb AMR in paediatric populations.

Southeast Asia and Africa recorded the highest paediatric mortality, with 752,000 and 659,000 deaths, respectively

Researchers conducted a comprehensive global analysis of paediatric AMR data, examining regional usage patterns of antibiotics and associated mortality. The study evaluated antibiotic use categorised by WHO’s Access, Watch, and Reserve classifications, and linked these trends to child mortality in various regions across the world. Special attention was given to Southeast Asia and Africa, where the burden of resistance-related deaths was highest, alongside analysis of healthcare infrastructure, antibiotic availability, and surveillance capacity.

The findings revealed that 2 million of the over 3 million paediatric AMR-related deaths were linked to Watch and Reserve antibiotics, classes of drugs intended for limited use due to their high resistance potential. Southeast Asia and Africa recorded the highest paediatric mortality, with 752,000 and 659,000 deaths, respectively. Between 2019 and 2021, Watch antibiotic use increased by 160% in Southeast Asia and 126% in Africa, while Reserve antibiotic use rose by 45% and 125% in the same regions, respectively. The African and Southeast Asian regions also showed the highest number of deaths linked

to these high-risk antibiotics, surpassing all other WHO regions.

The authors warned that the expanding use of Watch and Reserve antibiotics, while sometimes necessary, poses significant risks without careful stewardship. Much of the AMR mortality burden is attributed to antibiotic overuse, poor sanitation, limited diagnostics, and underdeveloped antimicrobial surveillance systems in low- and middle-income countries. Hospitals in these settings often struggle with overcrowding and infection control, accelerating the spread of resistant pathogens.

Urgent, coordinated action is essential to prevent further escalation of AMR-related child mortality. Improved surveillance, stewardship, and paediatric-specific treatment protocols must be prioritised globally, particularly in high-burden regions.

Reference

Hu Y et al. Global trends and impact of antimicrobial resistance in paediatric populations: an analysis using WHO AWaRe classification and priority pathogens. Poster E0503. ESCMID Global 2025, 11-15 April, 2025.

RSV-Linked Respiratory Illness Nearly Triples Adult Mortality

ADULTS diagnosed with respiratory syncytial virus-associated acute respiratory infection (RSV-ARI) face nearly triple the risk of death within 1 year compared to their peers, according to a large-scale Danish study presented at ESCMID Global 2025.

Hospitalisation rates were in patients with RSV-ARI versus in controls

57%

Researchers conducted a nationwide cohort study involving 5,289 adults diagnosed with RSV-ARI between 2011 and 2022, matched against 15,867 controls from the general population. Participants were followed for 365 days, with analyses focusing on clinical outcomes, including hospitalisation and disease exacerbation, and economic impact. The study population included a significant proportion of patients with chronic respiratory conditions such as asthma and chronic obstructive pulmonary disease, allowing for subgroup evaluation of these at-risk groups.

incurring average direct healthcare costs of 20,181 EUR over 1 year, more than double the 8,085 EUR spent on controls.

The authors highlighted the persistent nature of RSV-ARI’s effects, noting that complications often extended well beyond the acute phase. They reinforced the importance of prioritising vaccination in vulnerable adults to reduce severe outcomes and mitigate associated healthcare costs.

28 %

The results showed a 2.7-fold increased risk of death in patients with RSV-ARI within 1 year of diagnosis. These individuals also experienced significantly worse health outcomes compared to controls, with chronic obstructive pulmonary disease exacerbations occurring 3.1 times more frequently and asthma exacerbations 4.6 times more often. Hospitalisation rates were 57% in patients with RSV-ARI versus 28% in controls, while intensive care admissions were nearly quadrupled (5.3% versus 1.4%). The financial burden was equally substantial, with patients with RSV-ARI

This study adds significant evidence of RSV’s under-recognised long-term burden in adults, particularly those with pre-existing respiratory conditions. With effective vaccines now available, targeted prevention strategies are more crucial than ever to protect high-risk populations and alleviate pressure on healthcare systems.

Reference

Fonseca MJ et al. Clinical and economic burden of respiratory syncytial virus in adults with acute respiratory infections – a Danish nationwide cohort study. Abstract O0228. ESCMID Global 2025, 11-15 April, 2025.

IL-6 Outperforms Traditional Tests for Early Sepsis Detection

A BREAKTHROUGH study presented at ESCMID Global 2025 highlights IL-6 as a highly accurate early biomarker for sepsis in neonates, children, and pregnant women, three of the most vulnerable patient groups.

The retrospective cohort study evaluated IL-6’s diagnostic performance using serial blood samples from 252 patients with suspected sepsis, drawn from paediatric (n=111), maternity (n=72), and neonatal (n=69) populations. Patients were categorised by infection type (bacterial, viral, or no infection) and clinical response, ranging from systemic inflammatory response syndrome to septic shock. The researchers compared IL-6 against conventional biomarkers like C-reactive protein (CRP) and procalcitonin (PCT), with diagnostic accuracy assessed via Area Under the Receiver Operating Characteristic Curve (AUROC).

IL-6 consistently outperformed CRP and PCT in identifying bacterial infections and stratifying sepsis severity. AUROC values reached 0.94 in pregnant patients, 0.91 in children, and 0.86 in neonates, all indicating strong diagnostic utility. Sensitivity and specificity both exceeded 80% in paediatric and maternity patients, with IL-6 detecting bacterial infections with 91% sensitivity in children and 94% in pregnant women. While neonatal sensitivity was lower at 67.6%, specificity remained high at 97.1%, likely reflecting the diagnostic complexity of neonatal sepsis. In contrast to CRP and PCT, which peak later, IL-6 rises within 1–2 hours and peaks at 6 hours, providing a valuable early window for clinical intervention.

The study reinforces IL-6’s value as a fast and reliable marker for sepsis detection and severity assessment, particularly in high-risk populations where early diagnosis is vital. With the availability of commercial assays and growing clinical familiarity following widespread use during the COVID-19 pandemic, IL-6 testing is increasingly feasible in real-world settings.

Reference

Whelan SO et al. Interleukin-6 as a diagnostic biomarker for sepsis in neonates, children and pregnant women – a real-world cohort study. Abstract O0177. ESCMID Global 2025, 11-15 April, 2025.

Sensitivity and specificity both exceeded 80% in paediatric and maternity patients

Breath-Based Bacterial Test Shows Real-Time Diagnostic Promise

A

NOVEL breath test that identifies bacterial infections by detecting unique metabolic signatures may offer clinicians a rapid, non-invasive diagnostic and monitoring tool, according to findings presented at ESCMID Global 2025.

Researchers from the University of California, San Francisco (UCSF), USA, and St. Jude Children’s Research Hospital, Memphis, Tennessee, USA, evaluated the test using a laser-based platform known as integrated cavity output spectroscopy (ICOS) in preclinical models. The test involves administering 13C-labelled sugar compounds, which are selectively metabolised by bacteria but not mammalian cells, leading to the production of [13C]CO2, which is detectable in exhaled breath. The team assessed five bacterial pathogens, including Staphylococcus aureus and Escherichia coli, and administered 13C-maltose and 13C-mannitol to infected mice, using various infection models such as pneumonia, osteomyelitis, and myositis.

The test involves administering 13C-labelled sugar compounds, which are selectively metabolised by bacteria but not mammalian cells

Results demonstrated that [13C]CO2 was reliably detected only in infected animals, with healthy mice producing no signal following administration of the tested tracers. 13C-maltose and 13C-mannitol showed high specificity for bacterial metabolism, unlike 13C-glucose or

13C-sorbitol, which were also metabolised by mammalian cells. In a further validation step, E. coli-infected mice treated with ceftriaxone exhibited a marked decline in [13C]CO2 levels after 24 hours, mirroring the drop in bacterial load.

These findings support the test’s potential not only to diagnose infections but also to monitor treatment response in real time. Although this study did not quantify the test’s sensitivity, previous research suggests that the ICOS platform offers practical advantages over traditional isotope ratio mass spectrometry, including portability and reduced cost (estimated at under 100,000 USD per unit).

The authors emphasised that confirming the test’s specificity in healthy humans will be essential before clinical use, but they are optimistic about its broad future applications. If validated, this approach could significantly improve point-of-care diagnostics in emergency and intensive care settings.

Reference Lopez-Alvarez M et al. [13C]CO2 breath testing for detecting and monitoring bacterial infection. Poster P-2293. ESCMID Global 2025, 11-15 April, 2025.

AI Lung Ultrasound Outperforms Experts in Tuberculosis Diagnosis

AN AI-powered lung ultrasound tool has outperformed human experts in diagnosing pulmonary tuberculosis (TB), offering a fast, accessible, and sputum-free solution that could transform TB triage in high-burden, resource-limited settings.

Presented at ESCMID Global 2025, the study evaluated the ULTR-AI suite, an integrated set of deep learning models developed to interpret lung ultrasound scans in real time using portable, smartphone-connected devices. Conducted in a tertiary centre in Benin, West Africa, the study included 504 patients after exclusions, 38% of whom had microbiologically confirmed pulmonary TB. Researchers applied a 14-point standardised lung ultrasound protocol and compared AI model performance against human expert readings. A single MTB Xpert Ultra test was used as the reference standard for diagnosis.

The AI model ULTR-AI (max) achieved 93% sensitivity and 81% specificity, with an Area Under the Receiver Operating Characteristic Curve (AUROC) of 0.93 (95% CI: 0.92–0.95), surpassing WHO’s minimum target for non-sputum-based TB triage tools (90% sensitivity and 70% specificity).

Compared to human experts, the AI system demonstrated a 9% improvement in diagnostic accuracy. The AI detected both human-recognisable features, such as consolidations and interstitial changes, and more subtle patterns that may be missed by trained clinicians. Importantly, the tool

showed promise in identifying early, subcentimetre pleural lesions associated with TB. The tool’s performance was consistent even in patients with HIV co-infection and those with a prior history of TB. Once integrated into a mobile app, the AI model provided instant diagnostic results at the point of care.

This study highlights the potential of AI-enhanced ultrasound as a frontline diagnostic tool for TB, particularly in regions with limited access to radiological services. With real-time interpretation and minimal operator dependency, ULTR-AI could significantly improve early detection and reduce patient drop-out rates.

Reference

Suttels V et al. Lung ultrasound for the detection of pulmonary tuberculosis using expert and AIguided interpretation. Abstract O0573. ESCMID Global 2025, 11-15 April, 2025.

The AI model ULTR-AI (max) achieved sensitivity and 93 % 81 %

specificity

AI Sleep Data Effectively Predicts Respiratory Hospitalisation Trends

A RECENT study, presented at ESCMID Global 2025, has highlighted the promise of using AI-powered sleep data for real-time public health monitoring, focusing on respiratory illnesses such as influenza and COVID-19.

The research evaluated data from the ‘Cough Radar’ system, developed by Sleep Cycle® (Gothenburg, Sweden), that anonymously analyses night-time audio from users of its app to detect coughing. Aggregated and anonymised, this data estimates regional cough rates across the USA, updating each morning and covering approximately 50 million hours of sleep per month.

To assess the system’s accuracy, researchers compared Cough Radar data with state-level hospitalisation figures from the CDC, as well as Google (Mountain View, California, USA) search trends, between September 2023 and February 2025. The goal was to determine how well these sources could predict hospitalisation trends 14 days in advance. Two time periods were studied: 30th September 2023–1st April 2024, and 30th September 2024–1st February 2025.

Cough Radar showed a strong predictive correlation with hospitalisations, 0.62 and 0.74 for the two periods, respectively, outperforming Google Trends, which achieved 0.60 and 0.53. Notably, increases

in cough rates preceded hospitalisation surges in up to 70% of cases, while search data predicted fewer peaks. However, search trends were better at signalling decline after peaks.

A neural network model trained using Cough Radar data outperformed one based on Google Trends, achieving an F1-score of 0.77 compared to 0.73, with higher recall and identical precision. This suggests Cough Radar may offer more timely warnings for incoming waves of respiratory illness.

The results indicate a compelling case for the use of AI-driven tools in public health surveillance. As respiratory illnesses remains a significant burden, especially during winter months, the integration of systems like Cough Radar into broader forecasting platforms could significantly enhance preparedness and response efforts.

Reference Carlsson E, Kågebäck M. AI-driven live cough rate tracking for public health surveillance. Abstract L0009. ESCMID Global, 11-15 April, 2025.

Second UK Human Case of Avian Influenza Confirmed Amid Ongoing Outbreaks

PRESENTED at ESCMID Global 2025, the UK Health Security Agency (UKHSA) has confirmed a rare human case of avian influenza A(H5N1), following an outbreak at a poultry farm in January 2025.

The case was identified through UKHSA’s Zoonotic Influenza Enhanced Surveillance Study, launched in 2023 to monitor individuals exposed to infected birds. A farm worker developed eye and upper respiratory symptoms after repeated exposure to sick poultry. Laboratory testing of nasopharyngeal and conjunctival swabs confirmed infection with A(H5N1), clade 2.3.4.4b.

The individual received antiviral treatment and was isolated at a High Consequence Infectious Disease unit. Full recovery was achieved within five days, with subsequent tests returning negative. Genomic sequencing revealed the virus matched strains found in UK birds, with no signs of mutations associated with human adaptation or antiviral resistance.

UKHSA, alongside the Animal and Plant Health Agency (APHA) and the Department for Environment, Food and Rural Affairs (Defra), is conducting joint risk assessments as part of the UK’s annual avian influenza preparedness efforts. Active monitoring and post-exposure treatment were provided to high-risk contacts. No further transmission was detected.

The case highlights the need for continued vigilance as North America battles widespread A(H5N1) outbreaks in dairy cattle, poultry, and humans. Experts stress the importance of a coordinated One-Health approach to reduce the risks of future zoonotic transmission.

Reference Hamzaoui N et al. Human infection in the United Kingdom: a One-Health approach. Abstract H5N1. ESCMID Global, 11-15 April, 2025.

The case was identified through UKHSA’s Zoonotic Influenza Enhanced Surveillance Study, launched in 2023 to monitor individuals exposed to infected birds

ABCG1 Variants Linked to Tick-Borne Encephalitis Susceptibility

A NEW genetic study presented at ESCMID Global 2025 has identified suggestive associations between tick-borne encephalitis (TBE) and variants in the ABCG1 gene, pointing to host genetic susceptibility as a factor in disease development and progression. The study, conducted by the European Genetics Study of Tick-borne Encephalitis (EU-TICK-BO) consortium, combined genome-wide association analysis with functional validation, offering new insights into how host factors may shape outcomes in TBE virus (TBEV) infection.

TBE is a potentially severe infection of the central nervous system caused by TBEV, presenting as meningitis, encephalitis, or myelitis. Despite vaccination efforts in endemic regions, many cases still occur each year, often leading to lasting neurological impairment. However, why some individuals develop severe diseases while others remain asymptomatic has remained poorly understood.

In this genome-wide association study, researchers analysed genetic data from 1,600 patients with confirmed TBE and 9,699 matched controls across Europe. They identified two independent intronic variants in the ABCG1 gene on chromosome 21. Single-nucleotide polymorphism’s rs35873421 and rs3787986 showed a genome-wide suggestive association with TBE susceptibility (p=2.39×10⁻⁷ and p=3.2×10⁻⁶, respectively). Although these findings did not reach genome-wide significance, they pointed to a consistent genetic signal within ABCG1, which encodes a transporter protein involved in lipid metabolism and immune cell regulation.

Further gene expression analyses demonstrated that these variants were linked to altered ABCG1 expression in peripheral blood. To assess functional relevance, the researchers conducted in vitro experiments using neuronal cells

and macrophages. Both pharmacological inhibition of ABCG1 with benzamil and gene silencing with small interfering RNA led to significantly reduced TBEV replication in these cell types, suggesting a mechanistic role for ABCG1 in viral propagation.

Importantly, ABCG1 was the only gene reaching significance in gene-based analyses. While the study did not identify any variants meeting the threshold for genome-wide significance (p<5×10⁻⁸), the consistency of findings across statistical and experimental approaches underscores the gene's relevance in the host response to TBEV.

These results represent a significant step forward in understanding individual susceptibility to TBE, and could inform future studies focusing on predictive biomarkers, vaccine response, or antiviral targets. The EU-TICK-BO team emphasises the need for further validation in larger cohorts and additional mechanistic studies to fully delineate ABCG1’s role in TBE pathogenesis.

Reference

Gampawar P et al. Genome-wide association study identifies ABCG1 as a susceptibility locus for tick-borne encephalitis. Abstract L0026. ESCMID Global, 11-15 April, 2025.

In this genome-wide association study, researchers analysed genetic data from 1,600 patients with confirmed TBE and 9,699 matched controls across Europe

Five-Day Antibiotic Course Is Non-inferior to Longer Treatment in Community-Acquired Pneumonia

SHORTENED antibiotic treatment for 5 days is non-inferior to longer courses in hospitalised patients with community-acquired pneumonia (CAP) who achieve clinical stability by 3–5 days, according to the results of a multicentre randomised controlled trial presented at ESCMID Global 2025.

Antimicrobial resistance remains a critical global health challenge, necessitating antibiotic stewardship strategies to optimise treatment efficacy while minimising unnecessary exposure. CAP, a leading cause of hospitalisation and mortality, presents a key opportunity to reduce antibiotic durations without compromising patient outcomes, though optimal treatment duration requires further investigation.

These results support implementing 5-day antibiotic courses for clinically stable hospitalised patients with CAP

Therefore, this open-label trial randomised 395 adults, hospitalised with radiologically confirmed CAP, across six centres to 5-day (n=198) or ≥7-day (n=197) antibiotic regimens if clinical stability was achieved within 3–5 days. Exclusion criteria targeted immunosuppressed patients, those with extrapulmonary infections, complicated pneumonia, or intensive care needs. The primary outcome measured all-cause mortality at 90 days via absolute risk difference, with a 6% non-inferiority margin. Secondary outcomes included 90-day readmissions and adverse events.

After exclusions, 393 patients comprised the intention-to-treat population (median age 75, 54% female), with 303 completing per-protocol treatment. Median antibiotic duration was 5.0 days (interquartile range: 4.7–5.5) in the intervention group, versus 7.1 days (interquartile range: 6.6–8.3) in controls. Mortality rates were 3.1% (5day group) versus 2.0% (≥7-day group), demonstrating non-inferiority (risk difference: -1.1%; 95% CI: -4.1–2.0), with per-protocol results aligning closely (0.1%; 95% CI: -2.8–3.0). Readmission rates (18–23%) and adverse event frequencies showed no significant differences.

These results support implementing 5-day antibiotic courses for clinically stable hospitalised patients with CAP, as part of antimicrobial stewardship initiatives. The findings advocate for a shorter duration of antibiotic treatment based on stability criteria, reducing resistance risks without compromising recovery trajectories.

Reference

Bastrup Israelsen S et al. Shortened antibiotic treatment for 5 days in patients hospitalised with community-acquired pneumonia (CAP5): a multicentre randomised controlled noninferiority trial. AbstractL0024. ESCMID Global, 11-15 April, 2025.

New Understanding of Cervical Cancer Risk in Women with Schistosomiasis

NEW research presented at ESCMID Global 2025 has revealed a concerning link between the parasitic infection Schistosoma haematobium, a disease which is particularly prevalent in regions with limited access to sanitation and clean water, and the activation of cancer-related genes in the cervix.

While the parasite is already recognised as a cause of bladder cancer, understanding of its potential role in cervical cancer is limited. Crucially, the genetic changes appear to become even more pronounced following anti-parasitic treatment.

Among women who cleared the infection, 23 genes showed significant changes following treatment

The researchers analysed cervical tissue samples from 39 Tanzanian women with S. haematobium infection (n=20) and without (n=19). Women with the infection were treated with praziquantel, and cervical samples were taken at baseline and 4–12 months post-treatment. Using RNA sequencing and gene expression analysis, the researchers investigated changes in cancer-related molecular pathways. Comparisons were made between infected, uninfected, and post-treatment samples to identify key genetic alterations.

Nine genes were found to be significantly altered between women with and without the infection, with four of these (BLK protooncogene, Long Intergenic Non-Protein Coding RNA 2084, Trichohyalin, and TCL1 family AKT coactivator A) having known associations with various cancers. Among women who cleared the infection, 23 genes showed significant changes following treatment. Additionally, 29 genes showed differences when comparing individuals who were post-treatment to those who had never been infected. Notably, cancer-related pathways associated with inflammation, tissue remodelling, and reduced apoptosis were more active

after treatment, suggesting potential vulnerabilities to further cellular damage or oncogenic infections, such as human papillomavirus, due to treatment.

This study highlights a possible unintended consequence of anti-parasitic treatment, raising concerns about long-term risks for women previously infected with S. haematobium. While praziquantel remains essential for controlling schistosomiasis, these findings suggest treatment may not fully reverse parasite-induced changes and may even activate pathways that further heighten the risk of cervical cancer. Limitations of the study include the small sample size and the relatively short followup period. However, a larger ongoing study involving 180 women over 12 months aims to validate the results. Clinicians working in endemic areas should be aware of the potential link between schistosomiasis and cervical cancer, particularly when treating female patients. Enhanced post-treatment monitoring, combined with more widespread human papillomavirus vaccinations and potential adjunct therapies, could be key to reducing long-term cancer risk.

Reference

Mertelsmann AM et al. (2025). Schistosoma haematobium infection is associated with oncogenic gene expression in cervical mucosa, with enhanced effects following treatment. Abstract 00228. ESCMID Global, 11-15 April, 2025.

New Frontiers in Antimicrobial Stewardship

Citation: EMJ Microbiol Infect Dis. 2025;6[1]:23-25. https://doi.org/10.33590/emjmicrobiolinfectdis/ZRDW7920

AT the European Society of Clinical Microbiology and Infectious Diseases (ESCMID) Global Congress 2025, Karin Thursky, Director of the National Centre for Antimicrobial Stewardship, University of Melbourne, Australia, took the stage to explore the evolving landscape of antimicrobial stewardship (AMS). Speaking to an audience of colleagues and long-term collaborators, Thursky reflected on her professional journey, from clinician to health services and digital health researcher, which has shaped her systems-based approach to stewardship.

THE GLOBAL LANDSCAPE AND CHALLENGE OF IMPLEMENTATION

With billions of instances of antimicrobial use globally, effective implementation is one of the biggest challenges faced by the community. Many efforts are going into surveillance, but far less into actual programme implementation. Despite global and national action plans, there is a lack of sufficient support for the small, but crucial workforce that are the antimicrobial stewards, which poses a key struggle in many countries.

Furthermore, antimicrobial use extends far beyond human health. Antibiotic usage is vast in agriculture and the community, yet most evidence informing stewardship comes from hospitals, often in highincome countries. This leads to a bias in the evidence base.

Evidence Gaps and Structural Challenges

Thursky’s team were recently invited to conduct a global overview of AMS, where the team looked at structural, process, and outcome measures. The findings showed that most evidence sits in the hospital sector. Whilst strategies including policy guidelines, audit and feedback, and cost monitoring are well studied, major gaps remain in the community and animal health sectors, along with structural and process measures.

Reframing Antimicrobial Stewardship

Thursky emphasised that the key message from the talk was to answer the question: ‘Do we need to reframe antimicrobial stewardship?’

AMS is often framed purely in the context of antimicrobial resistance (AMR). Thursky noted that many studies still cite the O’Neill report predicting up to 10 million AMR-related deaths by 2050.¹ However, she argued that this framing may not be the most effective way to drive behaviour change in clinical practice. Drawing on insights from the Wellcome Trust, she highlighted that terms like ‘AMR’, ‘superbugs’, and ‘the war on superbugs’ often fail to resonate with prescribers and patients. These concepts can feel abstract or disconnected from day-to-day decisionmaking. Instead, Thursky advocated for a shift in language, towards messaging that is rooted in patient safety, clinical relevance, and appropriate medicine use.

Moral Injury and the Complexity of Prescribing

In a collaborative project with Mark Davies, a social scientist at Monash University in Melbourne, Australia, Thursky’s team explored the social dynamics of antibiotic prescribing in a One Health context. One concept that emerged was moral injury, for example, a paediatrician treating a visibly ill child with antibiotics despite suspecting

a viral illness, out of fear of missing a serious infection.

Thursky stressed that moral tension for clinicians is real, as they want to do what is safest for their patients and animals, even if it conflicts with stewardship principles. Thursky stressed that clinicians need support in this type of decision-making.

Many studies still cite the O’Neill report predicting up to 10 million AMR-related deaths by 2050

Reframing Stewardship Within Quality Use of Medicines

Thursky advocated for viewing AMS as part of the broader quality use of medicines, rather than limiting it to infection control or AMR. She pointed to Canada, where AMS is formally embedded in the national quality use of medicine framework with other stewardship programmes, like those for anticoagulation or opioids, which focus on safety, appropriate prescribing, and multidisciplinary care.

Thursky also noted that AMS and sepsis programmes are sometimes seen as conflicting, but should instead be aligned as part of a shared goal to improve medication safety and patient outcomes.

ADVANCING STEWARDSHIP: DATA, DESIGN, AND INNOVATION

Moving to efforts of advancing AMS, Tursky stated that: “Firstly, change needs to happen in the way we operate.” She highlighted the ‘learning health system’, a system that integrates research, real-time data, behavioural science, and cultural change into programme design, as a helpful approach. This dynamic continuous improvement model can alleviate waiting years for clinical trial results to affect clinical practice. Thursky’s team uses this framework in their One Health Services Research Group at the National Centre for Antimicrobial Stewardship in Melbourne, Australia.

A core message discussed was the importance of building stewardship programmes around meaningful data, particularly understanding how, where, and why antimicrobials are used. Indication,

Thursky noted, is the most critical factor in designing effective interventions, as recognised in the UK’s AMR strategy.

“In order to move from data to action, we need skilled contributors: data analysts, informaticians, human factors experts, and, crucially, patient and consumer voices,” emphasised Thursky, as these resources are often scarce, especially in lowresource settings, where prescribing data is fragmented across paper records and inconsistent systems.

Australia has addressed some of these challenges through initiatives like the National Antimicrobial Prescribing Survey (NAPS), a nationwide, web-based audit platform that offers real-time dashboards, benchmarking, and modules tailored to settings such as surgical prophylaxis, aged care, and fungal infections. NAPS has helped embed the concept of appropriateness into national standards and is now being adopted internationally.

In more complex settings like oncology and haematology, Thursky’s team used a co-design process to develop specialised antifungal stewardship tools. Notably, pharmacists outperformed physicians in assessing appropriateness, reinforcing the important role they play in AMS.

Recognising that few teams have access to implementation scientists, Thursky encouraged the use of design thinking, a practical, user-centred approach to programme design that starts with understanding real-world challenges and co-developing solutions with those affected.

Thursky advocated for viewing AMS as part of the broader quality use of medicines, rather than limiting it to infection control or AMR

THE FUTURE: AI

Looking ahead, Thursky acknowledged the growing role of AI in healthcare and stewardship. While AI tools, from large language models to diagnostic algorithms, hold promise, she stressed that they must be carefully integrated into clinical workflows and not treated as standalone solutions.

The current role of AI models in AMS lies in its applications to augment and improve systems, as well as alleviate labour intensive or computationally challenging tasks.

Additionally, machine learning can support AMS through antibiotic selection and optimisation, prediction of AMR, early diagnosis and risk stratification, and clinical decision support systems. However, there are concerns about bias and data limitations, which will need to be addressed in order to fully employ machine learning algorithms into AMS.

CONCLUSION

Thursky concluded the session with a short recap on the topics discussed, underlining that advancing AMS will come through combining clinical insight with better data, broader collaboration, and thoughtful design, so that AMS can adapt to evolving health systems and global challenges.

References

1. O’Niell J. Antimicrobial resistance: tackling a crisis for the health and wealth of nations. The review on antimicrobial resistance. 2014. Available at: https://amr-review.org/sites/ default/files/AMR%20Review%20Paper%20 -%20Tackling%20a%20crisis%20for%20the%20 health%20and%20wealth%20of%20nations_1.pdf. Last accessed: 30 April 2025.

Tackling Tuberculosis: The Current Landscape and Future Directions

Author: Katie Wright, EMJ, London, UK

Citation: EMJ Microbiol Infect Dis. 2025;6[1]:26-30. https://doi.org/10.33590/emjmicrobiolinfectdis/PBLK4850

THIS YEAR, the highly anticipated European Society of Clinical Microbiology and Infectious Diseases (ESCMID) Global Congress 2025 was held in Vienna, Austria from 11th–15th April. The Sunday afternoon session, entitled 'Tuberculosis: where are we now and where should we be', and chaired by Delia Goletti, National Institute for Infectious Diseases L. Spallanzani-IRCCS, Rome, Italy, and Jon S. Friedland, ESCMID President Elect; St. George's, University of London, UK, brought together global experts to address one of the most pressing infectious diseases of our time.1 The presentation by Guy Thwaites, Director of the Oxford University Clinical Research Unit (OUCRU), Ho Chi Minh City, Vietnam, focused on the current state of tuberculosis (TB) research and the urgent need for new solutions. Thwaites, a leading voice in infectious diseases, discussed the challenges and progress in TB research, emphasising the stark gap between where we are and where we should be in the fight against TB, while exploring groundbreaking advancements in diagnostics, treatments, and vaccines.

INTRODUCTION

The OUCRU is a Wellcome Major International Programme that has been at the forefront of infectious disease research for over three decades. Founded in 1991, OUCRU employs over 600 people across four research units in Asia, and its work is crucial to understanding and combating infectious diseases in the region. In 2023 alone, countries such as Indonesia, Vietnam, and Nepal reported alarmingly high numbers of new TB cases, contributing to a total of 1.35 million new TB cases across a population of 410 million people in Southeast Asia.2 This highlights the immense burden that TB continues to pose in the region and the need for intensified research efforts.

Thwaites’ presentation focused on OUCRU’s vision to have a local, regional, and global impact on public health by leading research programmes that address infectious diseases, with particular emphasis on TB. Despite the advances in diagnostics and treatment in recent years, the reality is that

TB remains one of the deadliest infectious diseases worldwide. According to the (WHO) Global Tuberculosis Report 2024, there were approximately 10.8 million TB cases globally in 2023, with 1.25 million deaths.2

THE GLOBAL TUBERCULOSIS CRISIS: WHERE ARE WE NOW?

In recent years, TB-related deaths have remained a major concern. While SARS-CoV-2 briefly surpassed TB as the leading cause of infectious disease-related deaths, TB has regained its position as the top infectious killer globally.1 The lack of significant progress in reducing TB-related mortality is alarming, as it points to the ineffectiveness of current disease control tools.3 One of the most telling indicators of this stagnation is the fact that global TB deaths have not declined substantially over the past few years, with the trend remaining flat, or even slightly increasing.2

In 2015, the WHO launched the End TB Strategy, which set ambitious targets to eliminate TB as a global health threat by 2035. This strategy outlined a 10% reduction in TB incidence per year, aiming for a 90% reduction in TB deaths by 2035; however, despite these targets, the global trend has been disappointing, with a current decline of only 1.5% per year.4

WHY ARE WE IN THE WRONG PLACE?

Outdated Tools

The tools used for TB prevention, diagnosis, and treatment have remained largely unchanged for decades. For example, the Bacille Calmette-Guérin vaccine, developed in the early 20th century, is still the most widely used vaccine for TB globally, despite its limited efficacy in protecting against pulmonary TB in adults.5 Diagnostic methods like the Ziehl-Neelsen stain, developed in 1882, continue to be used in many parts of the world, despite their limitations.6 Similarly, the Mantoux skin test, developed in the 1920s, is still used to diagnose latent TB.7 In terms of treatment, rifampicin, first introduced in 1963, remains one of the

cornerstone drugs for TB, despite the emergence of drug-resistant strains.8

Poverty and Politics

TB is often referred to as a disease of poverty, as it disproportionately affects people in low-income countries with limited access to healthcare. There is a strong correlation between GDP per capita and TB incidence.9 Despite the urgent need, funding for increased TB research and control has remained insufficient, with little growth in global TB research funding between 2015–2022.10

THE SUN IS RISING: NEW HOPE FOR TUBERCULOSIS CONTROL

New Vaccines

One of the most promising developments in TB prevention is the M72/AS01E vaccine by GSK plc (London, UK). In a Phase II trial, the vaccine demonstrated promising results in preventing TB in individuals who were immunologically primed for the disease,10 and a large-scale Phase III trial is currently underway, with over 90% of the 20,000 participants recruited.

New Diagnostic Technologies

Significant advances have been made in TB diagnostics, although their global accessibility remains limited. Traditionally, many TB diagnoses have relied on ZiehlNeelsen staining, a method that remains widespread despite the introduction of superior technologies. The first major technological leap came with the Xpert MTB/RIF test (Cepheid Inc, Sunnyvale, California, USA), endorsed by the WHO in 2010, offering rapid, automated molecular diagnosis. Its improved version, Xpert Ultra (Cepheid Inc, Sunnyvale, California, USA), released in 2017, demonstrated even greater sensitivity and accuracy.11

Despite these advances, data from the WHO Global Tuberculosis Report show that only around 50% of TB cases worldwide are diagnosed with WHO-recommended molecular tests.3 Meanwhile, the proportion of bacteriologically confirmed cases has plateaued at approximately 60% between 2015–2023, reflecting persistent challenges in culturing Mycobacterium tuberculosis 12

Significant advances have been made in TB diagnostics, although their global accessibility remains limited

In addition to molecular tests, immunological assays have evolved. Traditional tuberculin skin tests have been complemented, and often surpassed, by interferon-gamma release assays such as T-SPOT (Oxford Immunotec, Abingdon, UK) and QuantiFERON (Qiagen, Hilden, Germany), which offer greater specificity in detecting immunological reactivity to M. tuberculosis 13 However, the assumption that immunological reactivity equates to latent TB has been increasingly questioned. Recent analyses have highlighted the need for a paradigm shift, recognising that infection may lie along a dynamic spectrum rather than a binary ‘latent’ or ‘active’ state.14

This evolving understanding has led to the concept of ‘subclinical TB’. A notable preprint by Esmail et al.15 used PET/CT imaging to monitor high-risk individuals over five years, which identified a high burden of

subclinical TB that sometimes progressed to symptomatic disease. This finding reiterates the complex biology of TB progression and suggests that new diagnostic frameworks are needed.

Finally, there have been significant developments in drug resistance testing with the introduction of the Xpert cartridges capable of detecting resistance to secondline drugs, though their high cost limits their accessibility for lower income countries. Next-generation sequencing approaches, while technically challenging and expensive, offer rapid, comprehensive insights into drug resistance mechanisms and epidemiological patterns, helping drive the future of personalised TB care.

New Treatment Options

TB treatment has seen dramatic improvements in recent years, particularly for multidrug-resistant and extensively drug-resistant TB. Historically, TB treatment relied on long, toxic regimens, but new combinations are rapidly changing the landscape. Trials such as Nix-TB and ZeNix have shown that a 6-month, all-oral regimen consisting of bedaquiline, pretomanid, and linezolid (BPaL) can outperform the older, prolonged multidrug-resistant TB treatment approaches.14 These regimens significantly improve cure rates while reducing toxicity and treatment duration.1

There is also increasing evidence that shorter regimens may be effective for rifampicin-sensitive TB. Trials such as the 4-month rifapentine-moxifloxacin regimen by Dorman et al.,16 and the SHINE trial in children by Turkova et al.,17 demonstrated comparable efficacy to standard 6-month regimens, offering the potential for shorter, more manageable treatment courses for many patients.

More radical approaches, like the ultrashort 8-week regimens explored by Paton et al.,18 are still in proof-of-concept stages, but hold promise for further future reductions in treatment duration.

However, growing resistance to newer drugs like bedaquiline is cause for concern.

Recent studies show increasing rates of bedaquiline resistance among treated patients, threatening the long-term success of these regimens.19,20 The emergence of bedaquiline-resistant strains is indicative that without continued vigilance and new drug development, we risk losing the progress made in treating drug-resistant TB, and emphasises the urgent need for novel agents to treat TB and prevent further resistance.

The TB drug development pipeline is now robust, with a strong focus on new drug classes and mechanisms. The UNITE4TB21 initiative is accelerating the development of several promising candidates, including those that target ethionamide activity and cell wall synthesis.2

As a result of these collective efforts, the TB treatment landscape is entering an exciting new phase, with the real possibility of shorter, safer, and more effective therapies on the horizon.

As a result of these collective efforts, the TB treatment landscape is entering an exciting new phase

FUTURE APPROACHES

Current TB clinical trials face major challenges: they are expensive, highly bureaucratic, and predominantly led by high-income countries, with limited involvement from local researchers and

with minimal investment in local capacity and overreliance on international contract research organisations. Thwaites proposes a new approach inspired by agile, locally led efforts, emphasising reduced bureaucracy, lower costs, and strong national leadership. Building trial capacity within national TB infrastructures, strengthening local data systems, and fostering innovation from within high-burden regions are essential to creating a more effective, resilient, and inclusive model for TB research.

In answer to the question: is the sun setting or rising on TB research? Thwaites commented: “I think it’s rising.” Despite the ongoing challenges, this is a phenomenally exciting and positive time for TB. With smarter trial models, greater local leadership, and a shared global commitment, progress towards truly ending the TB epidemic can be accelerated.

CONCLUSION: A LONG ROAD AHEAD

The global TB burden remains high, and many challenges remain in terms of diagnosis, treatment, and prevention, particularly in low-income countries. However, the advancements in vaccines, diagnostics, and treatment strategies offer hope for the future. With continued investment in research, better access to diagnostics and treatment, and a focus on addressing the social determinants of health, there is a realistic chance that the global community can meet the WHO’s

References

1. Thwaites G. Tuberculosis: where are we now and where should we be. Presentation KN103. ESCMID Global, 11-15 April, 2025.

2. World Health Organization (WHO). Global tuberculosis report 2024. Available at: https://www.who. int/teams/global-programme-ontuberculosis-and-lung-health/ tb-reports/global-tuberculosisreport-2024. Last accessed: 28 April 2025.

3. Centers for Disease Control and Prevention (CDC). Tuberculosis (TB) data and statistics. 2023. Available at: https://www.cdc.gov/tb/ statistics/default.htm. Last accessed: 28 April 2025.

4. World Health Organization (WHO). The End TB Strategy. 2015. Available at: https://www.who.int/teams/globaltuberculosis-programme/the-end-tbstrategy. Last accessed: 28 April 2025.

5. Mangtani P et al. Protection by BCG vaccine against tuberculosis: a systematic review of randomized controlled trials. Clin Infect Dis. 2014;58(4):470-80.

6. Kocabaş CN et al. A comparison of Ziehl-Neelsen staining and PCR in the diagnosis of tuberculosis. Int J Infect Dis. 2020;95:233-7.

7. Huebner RE et al. The tuberculin skin test. Clin Infect Dis. 1993;17(6):968-75.

8. Mitchison DA. Role of individual drugs in the chemotherapy of tuberculosis. Int J Tuberc Lung Dis. 2000;4(9):796-808.

9. Treatment Action Group (TAG). Tuberculosis research funding trends, 2005–2022. Available at: https://www.treatmentactiongroup. org/wp-content/uploads/2023/12/ tb_research_funding_2023.pdf. Last accessed: 28 April 2025.

10. Tait DR et al. Final analysis of a trial of M72/AS01E vaccine to prevent tuberculosis. N Engl J Med. 2019;381(25):2429-39.

11. Chakravorty S et al. The new Xpert MTB/RIF Ultra: improving detection of Mycobacterium tuberculosis and resistance to rifampin. Clin Infect Dis. 2017;65(6):865-71.

12. Pai M et al. Systematic review: T-cell–based assays for the diagnosis of latent tuberculosis infection. Ann Intern Med. 2008;149(3):177-84.

13. Behr MA et al. Revisiting the timetable of tuberculosis. Am J Respir Crit Care Med. 2021;204(2):134-42.

14. Conradie F et al. BedaquilinePretomanid-Linezolid regimens for drug-resistant tuberculosis. N Engl J Med. 2022;386(10):893-902.

15. Esmail H et al. High-resolution imaging and five-year tuberculosis contact outcomes. medRxiv. 2023. Preprint DOI:10.1101/2023.07.03.23292111.

16. Dorman SE et al. Four-month rifapentine regimens with or without moxifloxacin for tuberculosis. N Engl J Med. 2021;384(18):1705-18.

17. Turkova A et al. Shorter treatment for nonsevere tuberculosis in African and Indian children. N Engl J Med. 2022;386(10):911-22.

18. Paton NI et al. Treatment strategy for rifampin-susceptible tuberculosis. N Engl J Med. 2023;389(5):377-89.

19. Andres S et al. Emergence of bedaquiline-resistant tuberculosis and of multidrug-resistant and extensively drug-resistant strains: a systematic review and meta-analysis. Lancet Infect Dis. 2024;24(3):297-307.

20. Singla R et al. Bedaquiline resistance and treatment outcomes among patients with tuberculosis previously treated with bedaquilinecontaining regimens. Clin Infect Dis. 2025;DOI:10.1093/cid/ciaf068.

21. UNITE4TB Consortium. About the UNITE4TB Project. 2023. Available at: https://unite4tb.org. Last accessed April 28 2025.

ESCMID 2025

Abstract Reviews

Drawing on key findings presented at ESCMID Global 2025, the following abstract reviews spotlight the latest advancements in microbiology and infectious diseases.

One of the Largest Outbreaks of Hepatitis A in the 21st Century in Europe

Authors: *Ivana Hockicková,1,2 Ján Hockicko,1,2

Daniela Javorská,1,2 Štefan Zamba,1,3 Alexandra Vasiľová,3 Martin Ševčík,1,4 Andrea Cehelská,4

Dana Hudáčková,5 Pavol Kristian1,2

1. Faculty of Medicine at Pavol Jozef Šafárik University, Košice, Slovakia

2. Louis Pasteur University Hospital, Košice, Slovakia

3. Štefan Kukura Hospital, Michalovce, Slovakia

4. Ján Adam Reiman Faculty Hospital, Prešov, Slovakia

5. Children’s University Hospital, Košice, Slovakia

*Correspondence to ivana.hockickova@upjs.sk

Disclosure: The authors have declared no conflicts of interest.

Keywords: Outbreak, public health, risk factors, Slovakia, viral hepatitis A.

Citation: EMJ Microbiol Infect Dis. 2025;6[1]:32-33. https://doi.org/10.33590/emjmicrobiolinfectdis/ WEWA5015

BACKGROUND

According to European Centre for Disease Prevention and Control (ECDC) data, a total of 4,548 cases were reported in 30 EU/ European Economic Area (EEA) countries in 2022.1,2 Since December 2022, a large, prolonged outbreak of hepatitis A has been ongoing in Slovakia. A small outbreak consisting of 12 cases (one adult and 11 children) occurred in December 2022 in Lunik IX, an urban district of the city of Košice, which is home to the largest Roma community in Central Europe. This local outbreak is considered to be the origin of the ongoing epidemic. Between 1 December 2022–30 September 2024, 5,015 cases were confirmed in Slovakia, showing a strong regional concentration. As many as 96.21% (n=4,825) of the cases occurred in Eastern Slovakia, a region with a higher proportion of Roma settlements, that has been characterised by low hygiene standards, unemployment, and a low level of education.3,4 This situation has led to outbreaks of hepatitis A that subsequently spread to the majority population.

METHODS

The authors retrospectively analysed a cohort of 3,616 patients hospitalised with confirmed hepatitis A (anti-hepatitis A virus [HAV]-IgM positive) across all four infectious disease departments, covering the entire Eastern Slovakia region. Data were extracted from the medical records of hospitalised patients. Chi-squared test and the t-test were used in statistical analysis. The study has been approved by the Ethical Committee of Louis Pasteur University Hospital (approval No. 2024/EK/11093).

RESULTS

The cohort consisted of 1,741 (48.15%) women and 1,875 (51.85%) men. The authors divided the cohort into two age groups: 2,946 (81.47%) children (0–18 years) with an average age of 7.4 years, and 670 (18.53%) adults (≥19 years) with an average age of 44.3 years (Figure 1). The average length of stay for children was 7.4 days (minimum of 2 days; maximum of 57 days), and for adults it was 11.8 days (minimum of 2 days; maximum of 58 days). This difference between age groups was statistically significant (p<0.01). Differences in the length of stay between genders were not statistically significant. A hospital stay longer than 21 days was observed in 88 patients (2.43%). There were eight recorded fatalities linked to concurrent acute hepatitis A infection (one 4-year-old child and seven adults with an average age of 70.8 years), resulting in an overall mortality rate of 0.22% among hospitalised patients. Three patients were placed on a waiting list, but died before liver transplantation. The contraindications for transplantation included advanced age (>75 years) in three patients, and alcohol abuse combined with a systemic infection in one patient. Among the risk factors for mortality, the authors identified preexisting liver disease, which was identified in six patients (p<0.01).

CONCLUSION

This ongoing epidemic is one of the largest in the modern history of Slovakia. Pre-exposure vaccination against hepatitis A is recommended but not covered by health insurance, with one exception that it is approved for reimbursement for 2-year-old children from socially excluded communities. Based on data from the Immunological Survey in the Slovak Republic conducted in 2018, only 13.4% of the Slovak population is vaccinated against viral hepatitis A. The lowest seroprevalence of anti-HAV IgG antibodies was confirmed in children in the 0–9-year age group.5 The lack of vaccination can lead to hepatitis A outbreaks. Despite the low mortality rate, the high number of cases is likely to result in an increase in deaths.

References

1. Hockicková I. One of the largest outbreak of hepatitis A in the 21st century in Europe. Abstract O0409. 35th ESCMID, 11-15 April, 2025.

2. European Centre for Disease Prevention and Control (ECDC). Hepatitis A - annual epidemiological report 2022. Available at: https://www.ecdc.europa.eu/en/ publications-data/hepatitis-annual-epidemiologicalreport-2022. Last accessed: 8 February 2024.

3. Public Health Authority of Slovak Republic. Monthly reports of occurrence of other communicable diseases. Available at: https://www.uvzsr.sk/ web/uvz/mesacne-hlasenia-vyskytu-dalsichprenosnych-ochoreni. Last accessed: 13 March 2025.

4. Cintulova LL et al. Health of Roma people living in marginalized communities in Slovakia. Clin Soc Work Health. 2023;14(1):7-15.

5. Public Health Authority of Slovak Republic. Immunological survey in the Slovak Republic. 2018. Available at: https://ssvpl.sk/wp-content/ uploads/2019/08/Imunologick%C3%BDpreh%C4%BEad-v-Slovenskej-republike-vroku-2018.pdf. Last accessed: 12 April 2025.

Figure 1: Age groups of patients hospitalised with acute hepatitis A.

Turning Resistance into Vulnerability: Leveraging Genetic Insights to Predict Collateral Sensitivity and Synergism for Effective Multidrug Therapies

Authors: Kara Schmidlin,1,2 *Kerry Geiler-Samerotte1,2

1. Center for Mechanisms of Evolution, Arizona State University, Tempe, USA

2. School of Life Sciences, Arizona State University, Tempe, USA *Correspondence to ksamerot@asu.edu

Disclosure: This study was funded by the National Institutes of Health (NIH) (grant number R35GM133674), Alfred P Sloan Research Fellowship in Computational and Molecular Evolutionary Biology (grant number FG-2021-15705), and the National Science Foundation Biological Integration Institution (grant number 2119963). The authors declare no conflicts of interest.

Keywords: Azole resistance, DNA barcodes, drug resistance, evolutionary tradeoffs, fitness profiles, molecular mechanisms.

Citation: EMJ Microbiol Infect Dis. 2025;6[1]:34-35. https://doi.org/10.33590/emjmicrobiolinfectdis/ IWEZ9556

BACKGROUND

The ability to design multidrug treatment strategies that manage, reduce or ideally prevent drug resistance in microbial populations are desperately needed.1 Collateral sensitivity (when resistance to one drug comes with sensitivity to another) and synergism (when two drugs magnify each other’s effects) are both promising strategies. However, both can fail when rare adaptive mutations do not display collateral sensitivity or synergism as expected. Therefore, designing a successful multidrug regimen requires extensive screening of drug environments and adaptive mutations to make accurate predictions about treatment success.

METHODS

Here the authors used novel, massively parallel technology to screen ~300,000 barcoded Saccharomyces cerevisiae

lineages as they adapt to different concentrations and/or combinations of fluconazole and radicicol. The authors observed a wide range of mutants conferring drug resistance, and performed subsequent experiments quantifying how these mutants respond to sequential and combination drug challenges.

RESULTS

Thousands of evolved mutants clustered into six distinct groups with unique collateral sensitivities and synergy profiles, suggesting there are fundamental differences in their underlying resistance mechanisms.2 Fluconazole-adaptive mutants demonstrated more predictable collateral sensitivity profiles, while radicicol-adaptive mutants exhibited diverse and lessconsistent tradeoffs. Notably, across both types of drug-resistant mutants, singlepoint mutations resulted in significantly varied outcomes in drug combinations, underscoring the challenges in evolutionary medicine pertaining to designing effective multidrug therapies that reliably exploit synergistic drug interactions.3

CONCLUSION

While leveraging collateral sensitivity and synergism offers significant therapeutic potential, understanding and predicting them requires comprehensive studies to map the complex genetic and environmental factors that influence microbial evolution. By systematically categorising adaptive mutations and their tradeoffs in many single, sequential, and double drug treatments, the authors study provides critical insights into the complexity of antifungal resistance and informs strategies for more effective, evolutionaryinformed therapies.

References

1. Schmidlin and Geiler-Samerotte. Turning resistance into vulnerability: leveraging genetic insights to predict collateral sensitivity and synergism for effective multidrug therapies. O0691. ESCMID Global 2025, 11-15 April, 2025.

2. Schmidlin K et al. Distinguishing mutants that resist drugs via different mechanisms by examining fitness tradeoffs. eLife. 2024; DOI:10.7554/ eLife.94144.

3. Schmidlin K et al. Environment by environment interactions (ExE) differ across genetic backgrounds (ExExG). bioRxiv. 2024; DOI:10.1101/2024.05.08.593194.

Epidermicin NI01, a First-in-Class Peptide Antibiotic Candidate, Has Potent Efficacy in a Robust MRSA Wound Infection Model and Low Allergic Reaction Liabilities

Authors: *Mathew Upton,1,2 Gordon Barker,2

Vicky Bennett,2 Ian Fotheringham,3

Scott Baxter,3 Heather Currie3

1. School of Biomedical Sciences (Faculty of Health), University of Plymouth, UK

2. Amprologix, Plymouth, UK

3. Ingenza, The University of EdinburghEaster Bush Campus, Roslin, UK

*Correspondence to mathew.upton@plymouth.ac.uk

Disclosure: This study was partly funded by UK Research and Innovation (UKRI) Innovate UK (grants 10071961 and 102147) and UKRI Biotechnology and Biological Sciences Research Council (BBSRC; grant BB/M01830X/1). The authors have declared no conflicts of interest.

Keywords: Allergy, antibiotic, epidermicin, histamine, methicillin-resistant Staphylococcus aureus, skin.

Citation: EMJ Microbiol Infect Dis. 2025;6[1]:36-38. https://doi.org/10.33590/emjmicrobiolinfectdis/ GNMX3585

BACKGROUND

Over 10% of antibiotic prescriptions are for skin infections.1,2 New therapeutic approaches are required, and new modalities may be favourable so that they are not undermined by currently circulating resistance mechanisms. Epidermicin NI01 is a first-in-class bacteriocin with potent activity and a novel mode of action against Staphylococci (including methicillin-resistant Staphylococcus aureus) and Streptococci, 3 the leading causes of skin infections.4

METHODS

Male CD1 mice (n=6 per group) were immunosuppressed (cyclophosphamide; 150 mg/kg and 100 mg/kg on Days -4 and -1, respectively). Dorsal skin (1×2 cm) was shaved and hair was removed, before three rounds of skin tape-stripping and topical application (2×106 CFU/mouse) of

S. aureus strain USA300, a well-recognised cause of community-acquired skin infections.5 Topical administration every 24 hours (q24h) of 50 μL of vehicle (0.5% hydroxypropyl methylcellulose [HPMC]) or NI01 (four dosing regimens in 0.5% HPMC), or 50 mg of mupirocin 2% or fusidic acid 2%, which are standard for the treatment of impetigo (according to the National Institute for Health and Care Excellence [NICE] guidelines),6 was initiated 24 hours post-infection. Weight monitoring, general health assessment, and skin clinical scoring were conducted daily until the endpoint at 96 hours, when quantitative skin burden (CFU/g) analysis was carried out.

Ex vivo human skin was recovered during ‘tummy tuck’ surgery, and a bolus of NI01 or control compound Substance P, which is known to stimulate histamine release from mast cells,7 was introduced subdermally. An anti-Immunoglobulin E antibody was used, as this leads to an antibody-meditated histamine release. Histamine levels were measured in a PIPES buffer that was perfused through the skin using semi-permeable tubing (Figure 1A). All histamine concentration data was compared to a PIPES buffer control using a two-way analysis of variance with Dunnett’s comparison test.

RESULTS

There was no marked weight loss, and there were no general signs of illness or adverse effects due to infection or treatment in any group. No efficacy was seen in the 3% NI01 mono-dose group or in groups treated q24 with 0.5% or 1% NI01. Some treatments resulted in significant log10 reductions in CFU/g tissue: 2.82 for fusidic acid q24; 2.48 for 3% NI01 q24; and 2.47 for mupirocin q24. The minimum inhibitory concentration of NI01 for S. aureus strain USA300 was 4 μg/mL before the study and ex vivo, indicating no change in susceptibility as

Figure 1: Measurement of histamine release in ex vivo human skin exposed to epidermicin NI01 and control compounds Substance P and anti-IgE antibody.

Microdialysis

Basal10min20min30min40min50min60min

Pipes

Anti-IgE

SP [1 μM]

SP [10 μM]

NI01 [1 μg/mL]

NI01 [2 μg/mL]

NI01 [4 μg/mL]

NI01 [8 μg/mL]

NI01 [16 μg/mL]

NI01 [40 μg/mL]

NI01 [80 μg/mL]

Measurement of histamine release in ex vivo human skin exposed to epidermicin NI01 and control compounds Substance P and anti-IgE antibody. Test material was introduced as a sub-cutaneous bolus in the skin (A) and buffer perfused through semi-permeable tubing and collected for analysis. Histamine levels were measured in perfusate over a 60-minute period (B). All data points for NI01 were compared to Pipes using a two-way ANOVA with Dunnett’s comparisons test and the statistical difference is indicated using the key below.

¤: different to anti-IgE; ^: different to SP [1 μM]; *: different to SP [10 μM]; *, **, and *** indicate a level of probability of 0.05, 0.01, and 0.001, respectively. SP: Substance P; NI01: epidermicin NI01.

a result of exposure to epidermicin NI01 during the study.

Histamine levels, which indicate allergic impacts during topical application, were low in all NI01 groups, at concentrations up to 80 μg/ml, approximately 20 times the minimum inhibitory concentration (Figure 1B). This indicates the unusual activity of NI01, which does not have the liabilities seen with compounds like Substance P.

CONCLUSION

These data warrant further development of NI01 for use in the topical therapy of infections caused by the WHO priority pathogens, and validate expansion of our AI-driven discovery pipeline for drugs in the epidermicin class to treat drug-resistant infections.

Syringe Pump

References

1. Upton M et al. Epidermicin NI01, a first-in-class peptide antibiotic candidate, has potent efficacy in a robust MRSA wound infection model and low allergic reaction liabilities. ESCMID Global, 11-15 April, 2025.

2. Dolk FCK et al. Antibiotics in primary care in England: which antibiotics are prescribed and for which conditions? J Antimicrob Chemother. 2018;73(Suppl 2)ii2-10.

3. Sandiford S, Upton M. Identification, characterization, and recombinant expression of epidermicin NI01, a novel unmodified bacteriocin produced by Staph. epidermidis that displays potent activity against Staphylococci. Antimicrob Agents Chemother. 2012;56(3):1539-47.

4. Kaye KS et al. Current epidemiology, etiology, and burden of acute skin infections in the United States. Clin Infect Dis. 2019;68(Suppl 3):S193-9.

5. Otto M. Community-associated MRSA: what makes them special? Int J Med Microbiol. 2013;303(6-7):324-30.

6. National Institute for Health and Care Excellence (NICE). Skin infections, antibacterial therapy. Available at: https://bnf.nice.org.uk/treatmentsummaries/skin-infections-antibacterialtherapy/#impetigo. Last accessed: 27 April 2025.

7. Columbo M et al. Substance P activates the release of histamine from human skin mast cells through a pertussis toxin-sensitive and protein kinase C-dependent mechanism. Clin Immunol Immunopathol. 1996;81(1):68-73.

Antibiotics with Anti-Anaerobe Activity Promote Enteric Pathobionts in ICU Patients

Authors: *Steven L. Taylor,1,2 Sophie J. Miller,1,2

Alyson Richard,1 Sarah K. Manning,1 Levi Elms,1

Egi Vasil,1,2 Lee-anne Chapple,3 Benjamin Reddi,4 Shailesh Bihari,5 Geraint B. Rogers,1,2

Lito E. Papanicolas1,2,6

1. Microbiome and Host Health Program, South Australian Health and Medical Research Institute, Adelaide, Australia

2. College of Medicine and Public Health, Flinders University, Adelaide, Australia

3. University of Adelaide, Australia

4. Royal Adelaide Hospital, Australia

5. Flinders Medical Centre, Adelaide, Australia

6. Microbiology and Infectious Diseases, SA Pathology, Adelaide, Australia

*Correspondence to steven.taylor@sahmri.com

Disclosure: Chapple has received payment or honoraria unrelated to this abstract from Nutricia and Nestle; has received travel and accommodation support from Nutricia to attend ESCMID Global; and has received support from Nutricia to attend an Advisory Board meeting. The other authors have declared no conflicts of interest.

Keywords: Anaerobe, blood stream infection, butyrate, colonisation resistance, critical care, intra-abdominal infection, mechanical ventilation, microbiome.

Citation: EMJ Microbiol Infect Dis. 2025;6[1]:39-40. https://doi.org/10.33590/emjmicrobiolinfectdis/ DLFZ2446

BACKGROUND

Infectious complications in those admitted to the ICU are a major contributor to mortality. Such nosocomial infections have been associated with the loss of commensal organisms and increased pathobionts in the gut. However, the relative contribution of different antibiotics to the disruption of intestinal microbiota in the ICU is poorly understood.

The authors hypothesised that antibiotics with activity against butyrogenic bacteria are a principal contributor to altered microbiota composition.

METHODS

One hundred and ten mechanically ventilated ICU patients were recruited across two hospitals. Gut samples were collected longitudinally approximately every 48 hours, resulting in 397 samples, and 16S ribosomal RNA amplicon sequencing was performed. The impact of antibiotic use (grouped according to anaerobe coverage) was assessed in relation to microbiota alpha-diversity and the relative abundance of butyrogenic obligate anaerobes as well as pathobionts. Analysis was performed using generalised mixedmodel regression, and adjusted for duration of stay, admission diagnosis, Sequential Organ Failure Assessment (SOFA) score, demographic characteristics, sample type, and medications.

RESULTS

ICU patients had a progressive depletion of butyrogenic obligate anaerobes and an enrichment of pathobionts, reflected in an associated decline in microbiota diversity. Cumulative exposure to antibiotics with anti-anaerobe activity (piperacillin/ tazobactam, amoxicillin/clavulanic acid, metronidazole, and meropenem) was independently associated with a decline in butyrogenic taxa (4.01% relative abundance decrease with every additional 48 hours of antibiotics; 95% CI: 2.25%–5.84%; p<0.0001) and an increase in pathobiont prevalence (6.98% increase; 95% CI: 4.07%–9.89%; p<0.0001; Figure 1). The expansion of a single pathobiont to >30% of the microbiota was also positively associated with antibiotics with antianaerobe activity (odds ratio: 2.32; 95% CI: 1.35–4.01; p=0.0026). The most common pathobionts at >30% abundance included the genera Enterococcus, Streptococcus, and Escherichia-Shigella. In contrast, cumulative exposure to antibiotics with limited activity against anaerobes (intravenous vancomycin, ceftriaxone,

Figure 1: Effect of antibiotic exposure (either antibiotics that cover anaerobes or antibiotics that have limited coverage of anaerobes) on relative abundance of butyrate-producing anaerobes and pathobionts.

Limited anaerobe coverage Anaerobe coverage

Butyrogenic anaerobes

Pathobionts

Estimate and 95% CI from generalised linear mixed models. ***p<0.0001.

cefepime, azithromycin, cefazolin) showed no significant relationship with abundance of either butyrate producers (estimate: -1.60%; 95% CI: -3.84%–0.55%; p=0.14) or pathobionts (estimate: 2.46%; 95% CI: -1.11–6.04; p=0.18; Figure 1).

CONCLUSION

Use of antibiotics with anti-anaerobe activity was associated with a loss of

Estimate

important commensal gut microbes and an increase in pathobionts. Alternative antibiotic options that preserve commensal anaerobes may reduce the risk of disseminated infections, such as sepsis, involving gut pathobionts.

Reference

1. Taylor S et al. Antibiotics with anti-anaerobe activity promote enteric pathobionts in ICU patients. O0454. ESCMID Global 2025, 11-15 April, 2025.

Double-Dose Dolutegravir

and Lamivudine Versus Efavirenz-Based Antiretroviral Therapy for Patients

Coinfected with HIV and Tuberculosis: A Multicentre, Open-Label, Randomised Trial

Authors: Xiaoqin Le,1 Wei Song,1 Lin Gu,1 Li Liu,1 Yanyun Dou,2 Ke Lan,2 Zhihao Meng,2 Yihong Zhou,3 Yanqiu Lu,3 Min Liu,3 Yaokai Chen,3 Min Jiao,4 Xuan Yang,4 Yan Sun,4 Congxia Wu,5 Zuoyu Huang,5 Meiyin Zou,5 Bo Tian,6 Jun Liu,6 Aichun Huang,7 Qisi Su,8 Zhiman Xie,8 Wenyao Tu,9 Jinhong He,9 Xiaoxin Xie,9 Yuhong Xiong,10 Aihua Deng,10 Jinchuan Shi,11 Jianhua Yu,11 Lianguo Ruan,12 Ke Hong,12 Tangkai Qi,1 Jianjun Sun,1 Zhenyan Wang,1 Yang Tang,1 Shuibao Xu,1 Junyang Yang,1 Youming Chen,1 Yueming Shao,1 Jiangrong Wang,1 Jun Chen,1 Renfang Zhang,1 *Yinzhong Shen1

1. Department of Infection and Immunity, Shanghai Public Health Clinical Center, Fudan University, China

2. Department of Infectious Diseases, Chest Hospital of Guangxi Zhuang Autonomous Region, Liuzhou, China

3. Department of Infectious Diseases, Chongqing Public Health Medical Center, China

4. Second Department of Infectious Diseases, Henan Provincial Hospital of Infectious Diseases, Zhengzhou, China

5. Department of Infectious Diseases, Nantong Third People’s Hospital, China

6. First Department of Infectious Disease, the Third People's Hospital of Kunming, China

7. Department of Tuberculosis, the Fourth People's Hospital of Nanning, China

8. HIV/AIDS Clinical Treatment Center, the Fourth People’s Hospital of Nanning, China

9. Infectious Immunology Department of Guiyang Public Health Clinical Center, China

10. Infectious Immunology Department of Jiangxi Chest Hospital, Nanchang, China

11. Second Department of Infectious Diseases, Hangzhou Xixi Hospital, Hangzhou, China

12. Department of Infectious Diseases, WuHan Jinyintan Hospital, China

*Correspondence to shenyinzhong@shphc.org.cn

Disclosure: This study was funded by the Science and Technology Commission of Shanghai Municipality (grant number: 21Y31900400) and Shanghai Hospital Development Center (grant number: SHDC22024317). The authors have declared no conflicts of interest.

Acknowledgements: The authors would like to thank all the study participants and their families for generously contributing their time and energy to this study. They are grateful to Xianmin Meng, Liyan Zeng, Dan Yin, and Bing Wu for their great help in trial design and implementation.

Keywords: Antiretroviral therapy, dolutegravir, HIV, lamivudine, tuberculosis.

Citation: EMJ Microbiol Infect Dis. 2025;6[1]:41-42. https://doi.org/10.33590/emjmicrobiolinfectdis/ MSIB9946

OBJECTIVES

This study evaluated the efficacy and safety of a dual therapy regimen comprising doubledose dolutegravir plus lamivudine in treating patients with HIV and tuberculosis.1

METHODS

This was a randomised, open label, parallelcontrolled trial conducted at 16 centres in China (ChiCTR2300075493). It included adults with HIV who were antiretroviral therapy (ART)-naïve and had initiated rifampicin-based anti-tuberculosis therapy ≤2 weeks prior. Participants were randomised (1:1) to receive either dolutegravir (50 mg twice daily) plus lamivudine (two-drug regimen [2DR] arm), or efavirenz (600 mg daily) with tenofovir and lamivudine (threedrug regimen [3DR] arm), beginning at 2 weeks after anti-tuberculosis treatment. The primary outcome and secondary outcome were virological suppression (HIV-1 RNA <50 copies/mL) at Week 24 in the modified intention-to-treat (mITT) population (defined as receiving at least one dose of ART drugs according to the protocol) and in the perprotocol-set (PPS; defined as strictly adhering to the protocol without major deviations).

RESULTS

Between July 2023–March 2025, 88 participants belonging to the mITT exposed population were randomly allocated to and received at least once either the 2DR (N=48) or 3DR (N=40).

Figure 1: Proportion of participants with HIV-1 RNA <50 copies/mL over time in modified intention-to-treat (A) and per-protocol set (B) analysis.

A B

Modified Intention-To-Treat (mITT)

70 (95% CI: 48–92)

62.1 (95% CI: 43.3–80.9)

100 (95% CI: 100–100)

72 (95% CI: 53.1–90.9)

This analysis presents the preliminary results of the study, with only a small number of patients having completed the 48-week follow-up; this study is still ongoing with continued enrollment and follow-up of patients.

DTG/3TC: dolutegravir/lamivudine; TDF/3TC/EFV: tenofovir/lamivudine/efavirenz.

Forty-nine participants (29 in the 2DR arm and 20 in the 3DR arm) finished Week 24 visits, of which 38 participants belong to the PPS (25 in the 2DR arm, and 13 in the 3DR arm). In the mITT set completing Week 24 visits, for the 2DR group 41.4% (12/29) had baseline HIV RNA ≥500,000 copies/ mL. Mean baseline HIV-1 RNA: 5.5±0.64 log10 copies/mL. Median CD4+ count: 46 cells/μL (interquartile range: 29.3–130). For the 3DR group, 20% (4/20) had HIV RNA ≥500,000 copies/mL. Mean baseline HIV RNA: 5.2±0.76 log10 copies/mL. Median CD4+ count: 59 cells/μL (interquartile range: 13.8–84.2). At Week 24, virological suppression rates were 62.1% (18/29; 95% CI: 43.3–80.9) versus 70% (14/20; 95% CI: 48–92) in the 2DR and 3DR group for the mITT population, and 72% (17/25; 95% CI: 53.1–90) versus 100% (13/13; 95% CI: 100–100) in the 2DR and 3DR group for PPS analysis (Figure 1), respectively. There was no statistically significant difference in viral suppression (p=0.566 for mITT and p=0.072 for PPS). For those with baseline viral load ≥500,000 copies/mL, the suppression rates of Week 24 for the mITT set were 50% (6/12) (95% CI: 16.8–83.2) versus 75% (3/4) (95% CI: 0–100) in the 2DR and 3DR group

(p=0.691); the suppression rates of Week 24 for the PPS set were 60% (6/10; 95% CI: 23.1–96.9) versus 100% (3/3; 95% CI: 100–100) in the 2DR and 3DR group (p=0.497). Twelve immune reconstitution inflammatory syndrome events were reported: nine in the 2DR group and three in the 3DR group, with no discontinuations due to the syndrome. There were two severe adverse events, but neither were directly related with ART drugs.

CONCLUSION

Double-dose dolutegravir with lamivudine was equally effective for adults with HIV who were on rifampicin-based antituberculosis treatments compared to a three-drug regimen of efavirenz, tenofovir, and lamivudine. This dual therapy may provide a new option for patients with HIV and tuberculosis.

Reference 1. Le X, Shen Y. Double-dose dolutegravir and lamivudine versus efavirenz-based antiretroviral therapy for patients coinfected with HIV and tuberculosis: a multicentre, open-label, randomised trial. L0022. ESCMID Global 2025, 11-15 April, 2025.

Congress Interview

In this exclusive interview, F-Xavier Lescure, ESCMID Emerging Infections Subcommittee Director, discusses key ESCMID initiatives, the importance of crisis preparedness, and the growing link between disease emergence and resistance.

Citation:

F-Xavier Lescure

European Society of Clinical Microbiology and Infectious Diseases (ESCMID) Emerging Infections Subcommittee Director; Professor, APHP Hôpital BichatClaude Bernard; Université Paris Cité, France

EMJ Microbiol Infect Dis. 2025;6[1]:43-47. https://doi.org/10.33590/emjmicrobiolinfectdis/ FNYA3891

How do you envision the role of the European Society of Clinical Microbiology and Infectious Diseases (ESCMID) evolving in response to the increasing frequency and complexity of emerging infectious threats globally?

The quality of the response depends on the quality of the preparedness phase, particularly today, when we are living in a chronic and perpetual systemic crisis. Decision-makers are under constant pressure, and it’s difficult for them to prepare for the future when they are fully occupied with managing the crisis of the day, whether political, climate-related, or other. The response does not start on day one of the outbreak; it starts during the preparedness phase. But today, preparedness is a very complex process. The challenge in this era of continuous crisis is to find the time and space to anticipate, rather than constantly managing one crisis after another.

For me, the solution lies in accumulating experience and continuously learning from crisis management. We must manage crises partly by listening to what the crisis is telling us, to

better understand the world we live in; not to predict, but to anticipate the future. In that regard, ESCMID plays a key role within the European landscape of infection control. Its most valuable characteristic is its composition. By definition, ESCMID is a society for both infectious diseases and clinical microbiology. But beyond that, we include experts in infection prevention and control, epidemiology, public health, veterinary medicine, and basic research. This diverse, multidisciplinary structure is very important and precious.

Secondly, the geographic reach of ESCMID is significant. Although it is a European society, more than a quarter of its members are outside of Europe, in Asia, Africa, and the Americas, and this trend is growing. ESCMID stands at the crossroads: crossdiscipline, cross-border, crossculture, and cross-generation. What is impressive is the energy of the younger generation: 40% of ESCMID members are under 40 years old. The objective of ESCMID is simple: science for care. Today, science must be defended, and care must be protected. Robert Leo Skov, the current ESCMID President,

carries this vision and creates a collective, positive, and kind spirit within the society: inclusive, cooperative, and with minimal administrative complications. That spirit is essential in the current context.

Another important aspect is the quality of our partnerships. Internally, we work with other ESCMID bodies (Education, Guidelines, and Antimicrobial Resistance [AMR] Subcommittees), and many study groups focused on emerging infectious diseases. Externally, we collaborate with national infectious diseases and microbiology societies, as well as intensive care unit and infection prevention and control societies, because emerging infectious diseases and epidemic risk are a transversal issue. We also have links with the European Centre for Disease Control and Prevention (ECDC), the European Commission through the Health Emergency Preparedness and Response Authority (HERA), and

in the future, we hope to work more with the World Health Organization (WHO).

Finally, ESCMID’s role is embodied in the Emerging Infections Subcommittee (EIS), a small and agile group with high-level expertise, well-balanced and rooted in a One Health approach. I hope that through its intelligence, education, communication, guidance, and science portfolios, we will be able to bring meaningful contributions to this very complex field.

Q2Given your experience advising the French Ministry of Health during the COVID-19 pandemic, how do you plan to integrate crisis preparedness into ESCMID's emerging infections strategy?

The COVID-19 crisis transformed me at different levels: as a clinician, as a researcher, as a citizen, as a father, as a husband, and as a human being.

I learned a lot during this very particular period, both on the frontline as a clinician and researcher over the first year of the pandemic, and as the COVID advisor to the French Ministry of Health in 2021. For the ESCMID EIS, I think the most important task is to anticipate events, and beyond the events themselves, to anticipate their consequences. It’s about recognising early signals, issuing alerts, thinking about the next steps, and always staying one step ahead, especially in terms of surveillance and analysis of epidemiological signals. It’s essential to interpret these signals within a multidisciplinary committee to ensure the most precise and informed analysis; epidemiologists alone are not enough. Because we include people from the field, we constantly consider the operational consequences and how processes on the ground will be affected.

Secondly, I would compare the Executive Committee of ESCMID

to a government ministry. They need to be reassured about the situation, but this is not easy. It requires monitoring signals, surveillance data, and developments happening across the world. It’s important to provide them with timely, accurate information, as well as a robust and rational interpretation to rationalise the situation, not just describe it.

To do this well, we need to maintain a permanent connection with the field, and to honestly and fairly consider what is happening at the bedside, both in hospitals and in primary care settings. That part of the health system is often overlooked, but it’s vital to value those partners, stay in touch at every phase of an alert, and build a durable, trusted field network over time.

We must also acknowledge political and diplomatic constraints. In a Europe-based

society like ESCMID, these realities matter. As such, it's important to integrate this dimension, and to bring the strongest arguments to advocate for health, science, and infectious diseases. That is probably the best way to uphold a One Health vision in a complex and global context. Organisationally, I’ve learned that you must always keep your foot on the ball, but also a margin under the pedal. Because when the time comes to accelerate, and it will, you must have reserves of energy and time to respond effectively, being aware that all of us, within the EIS, will probably be demanded by our respective national duties.

And finally, communication is critical, not just in content, but in timing. It’s essential to be on time (not too early, not too late), and to target the message appropriately if we want to be effective and understood.

Q3Can you share specific initiatives or collaborations the subcommittee is planning to strengthen surveillance and early response at the European level?

In terms of initiatives, I can summarise our work through the different portfolios we manage within the EIS; we have several key chapters.

The first is intelligence, which means proper analysis of epidemiological signals. This involves interpreting signals within a multidisciplinary group. To support this, we collaborate with the University of Amsterdam, the Netherlands, which helps us generate and send a weekly report on emerging infectious diseases worldwide, and we plan to offer it to all ESCMID members. This report is currently very focused on tropical diseases and travel medicine, but progressively, we aim to broaden

its scope. We plan to include a vision of epidemic risk analysis, pandemic preparedness, and also a One Health dimension with components of animal surveillance and environmental monitoring to give a more comprehensive view of intelligence.

The second chapter is education. In the past few months, we’ve organised several webinars, in collaboration with organisations like the Infectious Diseases Society of America (IDSA), covering topics such as mpox, Marburg disease, or H5 influenza. We are also setting up a postgraduate education course in Seville, Spain, in October 2025. You can already subscribe; we invite everyone to join us for 2 days of intensive discussion around emerging infectious diseases. The objective is to help participants understand current phenomena and explain where we are today in this complex situation.

Another key initiative is guidelines. One of the ESCMID Executive Committee’s expectations is the ability to rapidly produce guidelines, or even living guidelines, in response to an emerging outbreak, epidemic, or pandemic. We're currently piloting this with the mpox emergence, in collaboration with the Guidelines Subcommittee, to test how we can accelerate the process without compromising quality. Maybe these won’t always be formal ‘guidelines’, perhaps they will be recommendations or position papers, because the level and quality of evidence can evolve very quickly during a crisis. This is something we are actively reflecting on with the Guidelines Subcommittee.

Another example, though not exhaustive, is the development of a network of experts on

emerging infectious diseases. The Subcommittee itself has 10 core members, but we recently launched an open call to expand this network and create rapidresponse working groups, for instance, around H5 influenza or mpox. We received around 350 applications from colleagues in 35 countries, well beyond Europe. It’s been a very exciting and positive response, and we’re still building this network. The energy and willingness to collaborate from the field has been truly impressive.

We’ve also had exchanges with South American colleagues on yellow fever, and we are carefully archiving those contacts to strengthen the network’s quality and readiness. We’ve been collaborating for months with IDSA’s influenza task force on the H5 threat, and honestly, even with administrative changes in the USA, the quality of our partnership has remained excellent and productive. It’s extremely valuable for all of us.

Q4

Your research covers antimicrobial stewardship. How does this intersect with the Subcommittee’s work on emerging infections, particularly regarding resistance in novel pathogens?

Resistance and emergence are both central to my work, especially in research. You're right to link them, and in my view, resistance is part of emergence. Both phenomena represent the evolution of the living world, and for me, they are part of the same dynamic.

Over the past two centuries, humans have dramatically accelerated the pace of biological evolution. Both resistance and emergence are accelerating; they share a common mindset,

More than one million deaths per year are directly due to AMR, primarily from bacteria, in lowand middle-income countries

even though their kinetics are different. Resistance doesn’t appear explosively, like some emerging diseases might. Instead, it is a silent phenomenon, but it is deadly. We know today that more than one million deaths per year are directly due to AMR, primarily from bacteria, in low- and middleincome countries. Globalisation and solidarity demand that we address this urgently. The engines behind resistance and emergence are the same, so the level of response must also be the same. This is why I push these two topics in parallel, though acknowledging their different rhythms. Within ESCMID, we want to work closely with all the colleagues in the AMR Action Subcommittee. Together, we are exploring joint approaches, for example, showing how the same mindset can be applied to both threats.

Unity is essential because it can produce synergistic effects. From personal experience, I know that emerging infections specialists and AMR specialists sometimes clash. It's not only a matter of scientific perspective, but also about research funding. However, in my opinion, we must merge our efforts. Even if the dynamics are different, the genesis is the same, and so is the level of action required to address these problems. This is how we improve.

The questions must come from the bedside, and the answers must return to the bedside, with practical implementation in mind

Q5What do you see as the most pressing research gap in the field of emerging infections today, and how can ESCMID help address it?

It’s a tricky question. We’ve learned a lot in terms of research through the COVID-19 crisis, and there are many very positive initiatives. Just before our meeting, the leaders of the EU Response initiative were discussing how the European Commission is now considering creating a Coordination Committee to ‘coordinate the coordinators’, to manage the different associations and research initiatives. So, for ESCMID, this is a tricky situation. It is not our main priority, but we would like to play the role of facilitator, if possible. To do that, we could use the originality and the unique, multidisciplinary, and non-competitive nature of our society.

Beyond this complexity, the main message is very positive: there are a lot of initiatives, and that is a good sign. During the mpox experience in 2022–2023, we made significant progress, through few and powerful international clinical trials, a single

European cohort, etc. That’s a huge step forward. Nevertheless, I believe the most pressing research gaps where ESCMID can contribute meaningfully are, first, developing detection capacity, especially regarding diagnostics. This could be field-driven, coming from clinical microbiologists, infectious disease specialists, and from the diversity of sites, countries, and environments we represent in ESCMID. It would be interesting to develop multiplex point-of-care rapid tests with appropriate accuracy, taking into account implementation constraints. A good example could be a syndromic approach to haemorrhagic fevers, which is a crucial issue in our clinical practice, both to secure patient pathways and to protect healthcare workers from transmission risks.

Second, a gap to be filled is the better use of observational data to describe the natural history of emerging infections from the first patients onward. This includes understanding pathogen structure, pathogen kinetics, and host response, and giving a real place to cohorts, with funding. I think we must break silos between

surveillance and cohorts, and between cohorts and clinical trials. Ideally, we should build a registry that allows patient inclusion in multiple research pathways, depending on the evolving needs, whether it’s cohort studies or clinical trials within an adaptive platform.

Lastly, I think that ESCMID can help translate certain keywords into reality in research: One Health, multidisciplinarity, and pluri-professionality, all focused on the needs from the field. We should always consider the challenges of implementation as our perpetual obsession. The questions must come from the bedside, and the answers must return to the bedside, with practical implementation in mind.

In France, our President often says we must not forget “the last kilometre.” I think he’s right on this point. We, as scientists and researchers, may be collectively brilliant and clever, but we must respect and not neglect the last kilometre. That last kilometre applies to everyone: the patient, the physician, the nurse, and the citizen.

Interviews

EMJ had the pleasure to speak to four leading experts in microbiology and infectious diseases: Peter Openshaw, Imperial College London, UK; Maria Zambon, UK Health Security Agency (UKHSA); Timothy Walsh, University of Oxford, UK; and Dirk Schnappinger, Weill Cornell Medical College, New York, USA. Openshaw provides key immunological insights into respiratory syncytial virus, influenza, and COVID-19; Zambon discusses breakthroughs in diagnostic technologies for respiratory virus surveillance; Walsh explores the growing antimicrobial resistance crisis in low- and middle-income countries; and Schnappinger delves into the latest advances in tuberculosis drug development.

Featuring: Peter Openshaw, Maria Zambon, Timothy Walsh, and Dirk Schnappinger

Peter Openshaw

Proconsul, Professor of Experimental Medicine, National Heart & Lung Institute - Faculty of Medicine, Imperial College London, UK

It's a very exciting time in the RSV field, with three approved vaccines that provide excellent protection in

older adults

Citation: EMJ Microbiol Infect Dis. 2025;6[1]:48-51. https://doi.org/10.33590/emjmicrobiolinfectdis/PVMM7205

Q1

You’ve worked extensively on respiratory syncytial virus (RSV) and influenza. What are the key differences in how the immune system responds to these two viruses at the mucosal level?

In the opening lines of Anna Karenina, Leo Tolstoy wrote: "All happy families are alike; each unhappy family is unhappy in its own way." Similarly, each respiratory virus has developed its own way of getting round mucosal defences. Influenza tends to be a ‘quick in, quick out’, taking a smash-and-grab approach to replicating in the mucosa. RSV has greater immunological subtlety; perhaps I'm biased, but I admire the way that RSV takes its time and gains control of the defences. RSV has provided me with decades of interest trying to work out how it causes disease,

and how it infects again and again without the need to mutate. The non-structural proteins (called NS1 and NS2) seem vital in immune evasion, but the details are still being worked out.

Q2

Your early work revealed that T cells can be pathogenic in RSV infection, a major shift in how we think about antiviral immunity. Has this concept influenced vaccine design strategies for respiratory viruses?

I'm not sure how much that discovery influenced vaccinologists. They are pragmatic people; traditionally, they identify an antigen, make sure it's not too toxic and then find out whether it induces protection. Although they might be aware of what is going on in the world of immunology they are not necessarily governed by it. Despite knowing that T

cells could be important one way or another, they tend to focus on inducing a good antibody response. Antibodies are easier to measure. T cells might be good or bad, but it’s not easy to interpret what is found in the blood.

What’s transformed the RSV vaccine field was the realisation that the fusion protein flips into a post-fusion conformation which hides the neutralising epitope. By stabilising the antigen and pre-F form it’s been possible to make a new generation of vaccine candidates that has opened the floodgates for vaccines that work. It's a very exciting time in the RSV field, with three approved vaccines that provide excellent protection in older adults, and long half-life antibody that is superb at preventing babies from getting severe disease.

Q3 You've emphasised the importance of the ‘innate preparedness’ of the respiratory mucosa. Could you elaborate on how this concept changes our approach to both prevention and early detection of viral respiratory infections?

Having tried to study both innate and acquired responses in animals and human volunteers, it’s clear that the mucosa is constantly changing, and the state of

defences is variable. If there's somebody in the household with a cold, we may or may not catch it. If we put a cold virus into the nose of a volunteer, they may or they may not be infected. Often in household studies, about 20% of people become infected. So why do 80% resist, despite it being present in the household?

Over the last 20 years, we've learnt so much about innate defences, and how there's a complex matrix of competence and incompetence within each of us. We might have 40 different ways of developing an innate defence and 40 ways of failing to make that innate defence. This rich variety of innate defence is imprinted by the past and senses the present. The innate defences are crucial in determining which of us gets infected by a known or unknown pathogen, so no single pathogen will infect every member of a community. That rich landscape of innate defence is almost certainly at the bottom of why some people do, and others don't, catch a cold.

Q4

With your experience transitioning from murine to human immunology, what are some key limitations of animal models in respiratory virus research, and how do human mucosal studies offer a more translational perspective?

I found working with mice enormously rewarding. You could find out what the immune system was doing by taking a rational stepwise approach, altering one element at a time and seeing what the consequence was. Animal studies have provided a way to ‘pick apart the machine’ and understand what different components of the immune system do. It’s brought a great richness to immunology and informed the way that we design and run our human studies over the past two decades.

One transformative technique has been the sampling of mucosal fluid using absorptive matrix technologies developed by my great friend and colleague Trevor Hansel, working closely with Ryan Thwaites, at Imperial College London, UK. Although sampling the upper airway doesn't give you a completely reliable picture of what's happening in the deep mucosa, lung, or in the regional lymph nodes, it is so easy and convenient to get

sequential samples of mucosal fluid. Sampling lymph nodes with ultrasound and needle sounds invasive, but allows you to understand much more about what's going on by looking at the mucosa, the regional lymph nodes, and in the periphery. You do see what's going on in the immune system by studying the peripheral blood but it is a very Vaseline lens compared to looking at the site of the infection: the blood is ‘through a glass, darkly’

Q5 In your work establishing human challenge models for RSV, H1N1, and SARS-CoV-2, what have been the most valuable insights gained from controlled infection studies that would be difficult to observe in natural infections?

When observing natural infection, you are only seeing what's happening after the disease has established itself, the peak, and then recovery. What you're not seeing is the negotiation that has gone on between the virus and the mucosa in those very early stages, which is critical to the outcome.

The unique advantage of human challenge models is that you can look at what's present before disease starts; in other words, the mucosal landscape of innate responses and the microbiome of the mucosa. You can take a very careful account of past exposures, looking at which viruses the person has already some immunity to. Then, when exposing individuals to the virus, you can study who becomes infected, who doesn't become infected, or who becomes transiently infected with a ‘glancing’ infection, which resolves without any symptoms.

You can also take samples every day, or several times a day, using minimally invasive methods to get

a complete time-based profile of what happens in the early stage of infection, when the virus is gaining a foothold or is growing and invading new cells, and finally what happens as the infection resolves. You get that real-time picture of progression in a time-based sequence. Being able to watch the whole spectrum of infection, from the earliest encounter of the virus with a cell in the mucosa, through to the ultimate resolution, has really been the most fundamental insight for me.

Q6

Through the Mechanisms of Severe Acute Influenza Consortium (MOSAIC) and International Severe Acute Respiratory Infection Consortium-Coronavirus Clinical Characterisation Consortium (ISARIC4C), you’ve gathered rich clinical and immunological data during pandemic settings. What key learnings, and what are the immunological signatures or host response patterns have emerged from these cohorts that help distinguish severe from mild disease in influenza or COVID-19?

It's not only the immunological insights that have been important, but also the open collaboration. These consortia that you list work across different research groups, each bringing their own unique strengths. This approach is not easy under every funding model across different countries. For example, in the UK, it's been possible to put together these very open consortia where we all contribute our data and match it to all the clinical data, forming a platform for different analyses by different sciencebased groups. It's that consortium approach which has been truly transformative in terms of immunological signatures.

It's that consortium approach which has been truly transformative in terms of immunological signatures

Again, the time-based approach, which involves looking at what happens during the early viral phase and subsequent phases, is very much based on the inflammatory response to the virus. That's been the case both with MOSAIC, where we were studying influenza, and ISARIC4C, for SARS-CoV-2. We have these two different phases: the early viral stage is usually associated with the immunological responses you would expect from interferons, and the later phase is a highly inflammatory response which doesn't happen, fortunately, in everyone. When it does, it causes very severe disease.

We observed those different phases both in influenza and SARS-CoV-2, which emphasises the importance of treatments controlling that later inflammatory response associated with respiratory failure, intensive care, and artificial ventilation. Those are the unique insights gained from those studies.

Q7 Are there certain risk factors that influence a person having a stronger inflammatory reaction compared to another?

Absolutely, but the response that leads to severe disease and need for intensive care sits on a diverse platform of genetic variability. In a study led by intensivist Kenneth Baillie, University of Edinburgh,

UK (a key member of both the MOSAIC and the ISARIC4C Consortia), we identified 49 distinct immunological genetic variants that, together contributed to the likelihood of hospitalisation and intensive care.1 We mapped those traits onto the scheme that we had for the time-based phases of disease, with variable abilities to control the virus and mount an inflammatory response.

Q8 Given your leadership roles in New and Emerging Respiratory Virus Threats Advisory Group (NERVTAG) and Scientific Advisory Group for Emergencies (SAGE), how should scientific advisory bodies balance urgent public health decision-making with the evolving nature of immunological data during emerging respiratory threats?

The relationship between the scientific advice that you provide and decisions reached by the politicians is an interesting one. You have to accept that ‘advisers advise and politicians decide’. They have to balance not only the science that you tell them, but also the input they receive from other sources: schools, industry, civil service, etc.

As a scientific advisor, you must roll with the punches in terms of whether your advice is taken or not, and understand that scientific advice is but one aspect of what politicians have to consider. You mustn’t get upset if they decide on something which you think is not the best in terms of public health; that is their prerogative. Try to explain it better next time and put

it down to experience. If you get upset by that, you shouldn't really be a scientific advisor.

Q9

Looking ahead, what emerging areas or technologies do you believe will most significantly transform our understanding of respiratory immunity, and what challenges remain?

What I'm currently finding exciting are the new insights that we're gaining from matching single cell RNA to anatomical structures and niches. It's extraordinary to be able to see that there are cellular ‘nurseries’ being created within the mucosa, little nests of cells that nurture plasma cells making IgA, for example.

We're still learning things that are critical to our understanding of how the mucosa defends itself. What are the other players involved in the immune responses? Although people have been working on carbohydrates for a long time, I don't think that's really come through into the mainstream understanding of respiratory immunity.

When I started out in immunology in the 1980s, we were excited about T cells, given that the T cell receptor had just been resolved. Everything was all about T cells, and antibody was regarded as being a bit of old hat, because people had been measuring that for such a long time, mostly in peripheral blood.

Then, the importance of innate immunity came as a surprise. If I look back at the lectures I gave

undergraduates back in the 1990s, we knew almost nothing about the innate immune system. It's been wonderful to see that immunology keeps marching on. There's always another level of understanding and insight to be gained, particularly through extraordinarily powerful techniques that are now being applied. I can't see over the next hill, but I'm sure there's new mountains of knowledge ahead that we will be climbing. It's such an exciting and interesting field to work in.

In terms of future challenges, we've been studying influenza and RSV for a long time, and we gathered an amazing amount of information during the COVID-19 pandemic, where there was rapid funding allowing a wealth of information to be gathered in a very short time about a relatively uniform tsunami of infection in a naïve population.

We know a lot about those viruses, but what about the rhinoviruses which cause so much trouble in our patients? As a physician who has spent 40 years working in the NHS with patients with respiratory disease, it's rhinoviruses that are causing most exacerbations of asthma and deterioration of chronic bronchitis. We haven't made much progress in creating vaccines to prevent rhinovirus infection. I would love to see more progress with tackling rhinovirus as a cause of poor health. Finally, I think human metapneumovirus is quite prominent now, and will probably be the next frontier in respiratory vaccinology.

Reference 1. Pairo-Castineira et al. GWAS and meta-analysis identifies 49 genetic variants underlying critical COVID-19. Nature. 2023;617(7962):764-68.

Head of Respiratory Virology, UK Health Security Agency (UKHSA), UK

The UKHSA prevents, prepares for, and responds to threats from infectious diseases and environmental hazards

Citation: EMJ Microbiol Infect Dis. 2025;6[1]:52-55. https://doi.org/10.33590/emjmicrobiolinfectdis/ITFV1413

Q1Can you describe the role of the UK Health Security Agency (UKHSA) in responding to emerging infectious disease threats, and how your work in reference microbiology contributes to this mission?

The UK Health Security Agency (UKHSA) is an executive government agency, sponsored by the Department of Health and Social Care. UKHSA’s remit, as an agency with a global-to-local reach, is to protect the health of the nation from infectious diseases and other external threats to health. The UKHSA prevents, prepares for, and responds to threats from infectious diseases and environmental hazards. We provide scientific and operational leadership, working with local, national, and international partners to protect the public's health.

Our work in the Public Health Microbiology (PHM) division provides specialist, scientific expertise underpinning the development and delivery of diagnostics for new, difficult, and dangerous organisms. We organise national laboratory surveillance programmes for key organisms, ensuring that we have baseline data to interpret any significant trends or new signals emerging. As an example, we develop the tests that are used to detect H5N1 in people, in response to the bird flu threat.

Q2

Your team at UKHSA is deeply involved in respiratory virus surveillance. During your career, how have diagnostic technologies evolved, and what innovations do you think will be game changers in the near future?

Over a 40-year career in virology, the landscape has changed beyond recognition. As a young clinician in the 1980s, the diagnosis of viral disease relied upon clinical experience and judgement. Taking clinical samples for virology was very much an academic pursuit because virus culture was the only way that the presence of an infectious virus could be detected and usually took, at the very least, several days or weeks to provide a definitive result (either positive or negative). With the discovery and implementation of PCR technology in the late 1980s/early 1990s, this situation gradually started to improve. The earliest PCR detection capability was most useful for bloodborne virus infections or the diagnosis of viral encephalitis but, as the technology was gradually applied to respiratory viruses, it provided the capability of same-day results. This has developed further with rapid PCR testing being applied “near the patient” to give us a “test-and-treat” approach to the management of acute respiratory viral infections.

In parallel, we have also seen the development of rapid antigen tests (lateral flow devices [LFD]) that were used extensively during the COVID-19 pandemic, but actually first appeared in 1999

alongside the licensure of antiinfluenza drugs (neuraminidase [NA] inhibitors). The combination of technology development and public awareness of different kinds of tests and testing capabilities means that the landscape for virological diagnosis has made significant leaps and bounds over this period.

Technical innovations that are constantly being introduced contribute to incremental improvements in clinical practice, such as the expansion of hometesting capability, wastewater detection of pathogens, and the application of metagenomics to diagnose rare cases of severe illness. Some of the greatest gamechangers, in my view, are the ability to link data in different health sectors in real time to provide actionable intelligence. In other words, information sharing gives as much gain as technical innovation.

Q3

You contributed to the development of the first real-time RT-PCR test for SARSCoV-2 in 2020, with findings published in the highly cited paper, ‘Detection of 2019 novel coronavirus (2019-nCoV) by realtime RT-PCR’. Please tell us more about the research behind this diagnostic workflow.

The story about this work actually begins in 2003. With the emergence of severe

acute respiratory syndrome in southeast Asia (Vietnam, China, and Hong Kong), the World Health Organisation (WHO) pulled together a team of international virology laboratories to work together to determine the causality of the disease, which had a high mortality. It was considered likely, in the early days of the incident response, that the causative agent was viral. The international team comprised laboratories in Europe, the USA, and southeast Asia, with a track record in classical and molecular virology. Working together, as a team, we determined that the causal agent for the severe respiratory syndrome was a coronavirus, which became known as SARS-1. Together, we proved Koch’s postulates for SARS-1 and ascertained the likely zoonotic pathway for the emergence of this virus into the human population. Although SARS-1 was eventually fully contained and disappeared from the human population, it was nevertheless a wake-up call for many of us who were involved in outbreak response activities at a national level. I realised that we (UKHSA predecessor organisation, Health Protection Agency) did not have any decent human molecular diagnostic tests for coronaviruses. We therefore spent the next few years quietly establishing coronavirus detection capabilities so that we had these on the shelf, if needed.

The next time we needed these diagnostic capabilities was shortly after the London Olympics in 2012, when a case of severe undiagnosed pneumonia was transferred to a large London ICU from the Middle East. This coincided with a ProMed post about the detection of a novel coronavirus found at post-mortem in Saudi Arabia. Astute junior members of my team noticed the ProMed communication and we decided to test materials from the London ICU case for coronaviruses. To our surprise, this turned out to be a novel coronavirus, subsequently described as Middle Eastern Respiratory virus (MERS). As a consequence of this, my team became involved in national and international investigations, designed to understand the pathogenesis and spread of this coronavirus. We also developed specific diagnostics, which were used by many countries and groups over the next few years.

If we fast forward to January 2020, WHO again pulled together many of the original members of the SARS-1 investigation group to assist with the laboratory aspects of the emerging virus event in China. WHO wanted to publish, as rapidly as was humanly possible, a reliable diagnostic protocol for the new virus. The members of the 2020 team contributed banks of respiratory material,

which were used to trial and modify the proposed diagnostic protocols. This work was done in a very short period of time in several laboratories in parallel, using common sets of reagents and stored coronavirus materials, which all participating labs had experience of working with. We then implemented these protocols within the United Kingdom as our diagnostic response to the pandemic and, indeed, found the first case on the 31 January 2020, the day after the WHO declared an international pandemic.

Q4Your research has significantly advanced our understanding of RNA viruses and antivirals. What are some of the most exciting developments in antivirals that you’ve been recently involved in?

Rather like the discussion about changes in diagnostic and clinical virology that have taken place over 40 years, there have been quantum leaps in the development of medicines for the treatment of viral infection. Many of these developments in small-molecule inhibitors of viral replication have emerged from the field of blood-borne viral infections, such as HIV and hepatitis C. The biggest breakthrough for respiratory viral infections has arisen from the structural biology work to understand influenza viral glycoproteins, such as haemagglutinin (HA) and NA, leading the ability to undertake rational drug design based on the knowledge of 3D structure. This led to the development of NA inhibitors, designed to bind to the NA active site, and their subsequent deployment. In recent years, solving the crystal structure of parts of the influenza viral replicase has led to the development of high-

potency polymerase inhibitor drugs (e.g., baloxavir).

One of the consequences of the pandemic was the repurposing of direct-acting antiviral drugs that were in the late stages of development for other infections towards the treatment of SARS-CoV-2. This led to the licensure of several new drugs, e.g., molnupiravir, and a renewed enthusiasm from industry to establish a stronger early development pipeline. Also arising from the pandemic experience has been the capability of rapid development of monoclonal antibodies for passive immunisation. While the emergence of viral variants has reduced the efficacy of some of these monoclonals, the pathways now exist for extremely rapid synthesis and scale-up, which is an extremely valuable response capability.

It is now much more clearly recognised that respiratory infections may also have an important systemic effect

In addition, it is now much more clearly recognised that respiratory infections may also have an important systemic effect, leading to the concept of treatment to suppress viral replication through direct-acting antivirals and treatment to modulate the immune response to viral infection, which may be important in reducing the severity of infection.

Your PhD thesis on the mechanism of action of amantadine led directly to

the identification of viral ion channels (M2 protein). Can you elaborate on the research behind this discovery? How did it shape subsequent research in antiviral drug development?

Despite many decades of searching for suitable antiviral drugs to combat influenza, by the late 1970s, only a single compound (amantadine) and its closely related analogue (rimantadine) had been demonstrated to exhibit therapeutic effects in humans. The mechanism of action was not understood when I started my PhD in 1980. Indeed, the objective of the work was to understand how these compounds worked to inhibit viral replication. The overall approach was to try and narrow down the stage of viral replication at which the compounds were working. We soon established that the compound affected both viral entry and viral release from infected cells. At around the same time, within the Medical Research Council, work was underway to solve the three-dimensional structure of the viral haemagglutinin (HA) and its role in viral entry. The two pieces of work converged when it became clear that viral entry required a pH-dependent confirmational change in the viral haemagglutinin (HA), which could be inhibited by amantadine, likely as a consequence of its effect on intracellular, low-pH vesicles. Genetic analysis indicated that the viral gene segment associated with amantadine susceptibility was the M gene and its viral protein derivative, the M2 protein, which was subsequently shown to be a transmembrane protein capable of translocating ions, hence the term ‘viral ion channel’, a novel class of viral proteins not hitherto recognised.

This provided novel drug targets

for investigation and served as a prototype for the understanding of equivalent proteins in other virus systems, e.g., Vpu protein in HIV, Nβ in influenza B. The rapid emergence of resistance to amantadine through single-point mutations in the M2 protein also highlighted the importance of having multiple different targets for antiviral drugs.

Q6

You’ve been at the forefront of influenza vaccine development, particularly for avian flu strains. What have been the biggest breakthroughs in your work on H5, H7, and H9 vaccines, and what challenges remain?

The biggest breakthrough in historical work on avian influenza vaccines was the importance of the use of strong adjuvants in combination with protein vaccines. This observation holds true, even to the present day, as the immunological responses to avian flu viral proteins in vaccines seem muted. The reasons for this remain unclear and should certainly be the subject of intense work moving forward. The challenge remains how to make effective vaccines at short notice and for millions of people, i.e., how to achieve antigen sparing needed for massive scale-up.

Q7

You’ve been involved in multinational EU projects on influenza vaccines and antivirals. What are the key challenges in coordinating largescale international research efforts in infectious diseases?

There is a necessity for good communication and clear goals. It is often difficult to contain enthusiasm and curiosity in large teams to ensure that overall goals are achieved and problems are solved in a disciplined and

prioritised manner. An important factor in developing good teamwork is taking the time to explain the rationale of decisions and inviting discussion. Fostering good social relations is also important when working across teams with different languages.

Q8

With the ongoing global focus on pandemic preparedness, what lessons from your work in influenza research could be applied to future pandemic responses?

Progress is incremental. It is important to focus on achievable goals so that there is some measurable improvement in capability to inspire teams. Information flow is as important as technological innovation. Good teamwork is dependent on trust and on working together in the inter-pandemic periods. Once a pandemic happens, there is little or no time for innovation; you have to do what you know how to do and do it at pace.

Citation: EMJ Microbiol Infect Dis. 2025;6[1]:56-61. https://doi.org/10.33590/emjmicrobiolinfectdis/DKVT9894.

Q1You have discovered and named some of the most notorious antibiotic-resistant genes, NDM-1 and MCR-1. Can you walk us through these discoveries and their implications for patient care?

of Oxford, UK

Less than 2% of laboratories in Africa are routinely able to diagnose sepsis, a critical infection

We discovered NDM-1, which stands for New Delhi metallo-betalactamase, at the end of 2009, but nobody cared about it too much at the time; it was just a new gene. Then we started to collaborate with a UK reference lab in London, headed up by David Livermore, University of East Anglia, UK. At the time, a growing problem within UK clinics, particularly with patients coming back from India, was what we call medical tourism, or overseas surgery. There are lots of warnings now going on in the UK press regarding this, but at the time virtually no one had heard of medical tourism. This is a contemporary issue, not just with overseas surgery but also with private surgery within the UK not being as thorough in terms of preventing infections.

We started to link the existence of the antibiotic resistance gene NDM-1 to patients returning to the UK from overseas travels, particularly from India. When we wrote our article on 10 August 2010, we referred to medical tourism, or added-value travel. Because we wrote that one line in the discussion, we got into all sorts of trouble with the Indian authorities and government. There was a lot of hate going on. I was accused of working for MI6. It was a crazy time.

Even back then, before X (Twitter, Inc., San Francisco, California, USA), before Instagram (Menlo Park, California, USA), we had 4.7 million internet hits in 2 days. We were the number one topic on the BBC six o'clock news. We were doing interviews with Al Jazeera, Channel Four, Channel Five, the American networks. It was just everywhere. That was an interesting moment in my life because it was the first time that we had linked a basic science discovery with advocacy and policy, and linked healthcare systems around the world to economic drivers. I think I'm right in saying it's probably the most notorious discovery in terms of an antibiotic resistance gene that has ever been reported; and of course, it was just fortuitous. We didn't begin to imagine we would have that kind of impact.

Fast forward a few years to MCR-1, which stands for mobile colistin resistance. At the time, carbapenem resistance was going up, so now colistin was being used widely across the West because it was one of the few drugs left, apart from tigecycline to treat life threatening infections in humans. I was doing a lot of work with a group at China Agriculture University, mainly through a very good colleague, Professor Yang Wang, China Agricultural University, Beijing, China. He said to me, ‘We've discovered a mobile colistin resistance gene.’ And I said, ‘No, you haven't, they don't exist.’ It was like the Holy Grail, if you like, of research into antimicrobial resistance (AMR). Anyway, in a back of a taxi in

Beijing, he persuaded me that they had, and they'd submitted a paper that originally had been rejected by a journal.

Over the next few months, we worked intensely to deliver the best evidence-based research on the importance of MCR-1 We didn't want the same thing to happen in China that had happened in India regarding political fallout. So, we organised a meeting in Beijing in November 2015, and we had, across the table, the Ministry of Health and the Ministry of Agriculture. Since 2007, China had been using colistin in animal feeds, either as a growth additive or for disease prevention, and the Ministry of Health wanted to ban colistin, but the Ministry of Agriculture did not, since there was a lot of trade and industry associated with colistin. Finally, both agreed to ban it, and that was an absolutely monumental moment in antibiotic usage around the world. It was a bit of a political case, just as in India, because I told them that,

if they decided on this ban, they would put pressure on Europe, America, etc. By April 2017, all colistin had been wiped away from animal feed in China.

Q2Your work has focused extensively on AMR in low- and middle-income countries. What are the unique challenges these regions face in managing AMR, and how can global efforts be aligned to address these?

I've always had a passion for working in low- and middle-income countries, and the challenges are numerous and immense. Firstly, the problem of broken health infrastructure: there's not enough finance going into the public health sector in these countries, barely 1% if you compare that to the UK, or 10–11% to the Netherlands, Norway, or Sweden.

A lot of these countries suffer from conflict, like Ethiopia, Somalia, and Nigeria. Access to antibiotics and diagnostics is a

critical component in all of this; how do we get supplies that are cost-effective and reliable into these countries? The supply chain is so important, and yet nobody's taken hold of and worked with this. I think this is something that the WHO should step into with their global authority and reach to make sure it happens. Less than 2% of laboratories in Africa are routinely able to diagnose sepsis, a critical infection in a critical group of patients. In the UK, all our hospitals are able to do that, and that is just an example of many.

There are a lot of background issues, particularly around financing. Countries like Rwanda have really got their act together. They have a five-tier health system that supports the very poor. In countries like Nigeria, the cost deferment of diagnostics and antibiotics use is passed on to the patient. Therefore, if patients earn 2 dollars a day, which they do in some parts of Nigeria, and antibiotics cost between 5–10 dollars a day, how can they make

that work? We have to understand the economic framework in these countries if we're going to help and step in.

I think one of the problems is that there's a lack of coordination between non-government organisations and interested parties, so everything's piecemeal and ad hoc. I do think the way forward with this is real and meaningful partnerships. In the UK, we've had the Fleming Fund, which has been excellent in terms of laboratory capacity in Phase I. But the problem is that the Fleming Fund built the labs but didn't, in Phase II, supply the consumables, and therefore, the diagnostic capacity has been reduced. I also think large companies are not innocent (ergo, guilty) in creating additional problems in terms of access and supply chain, something we really have to address as a global community.

Q3Through the BARNARDS project, you have studied neonatal sepsis and its ties to AMR in several countries. What are your most significant findings from this research, and how are they influencing maternal and neonatal care?

We've now got a continuation of BARNARDS in Oxford, which we call BARNARDS's 2.0. We’re trying to understand more about the economics of sepsis and AMR, with a deeper dive into why antibiotics are being used and who actually pays for them.

BARNARDS 1.0 showed that there were certain organisms that were dominant in causing sepsis in babies. Mortality was very high in some of the units we were working in, up to 30%. There were a lot of outbreaks within the particular neonatal ICUs or the wards due to a lack of infection control, and

this was a real problem, and it's a continual problem. That is one of the things that the UN General Assembly High-Level Meeting (UNGA HLM) declaration is about: infection control and infection prevention. But the problem is, who's going to pay for this? The countries that we work in barely have soap and water, let alone alcohol scrub.

The other thing that we found is that, although gentamicin and ampicillin were widely used as per the WHO recommendation, 70% of the bacteria are resistant to the combination of gentamicin/ ampicillin. My personal opinion is that the WHO recommendations do not reflect the level of resistance in low-income countries. Now, if you look at BARNARDS 2.0, the two antibiotics that are dominantly used are ceftazidime and amikacin, which, thankfully, are relatively effective. Antibiotic usage should be led by local data and local clinical experiences.

We also, in BARNARDS 1.0, found that when babies went home after birth and came back a few days later, the key risk factor for sepsis was a lack of hygiene in the mother's home. Some have latrines instead of closed, sit-down toilets, and that was the key risk factor. All of that links to wash, water, sanitation, and hygiene (WASH) in the home. It's not just about what happens in the hospital in terms of outbreaks, but trying to make sure that people have good access to clean, potable water that is, by definition, drinkable, and thinking about how we manage sewage in a lot of the low-income countries. It's all linked.

I think one of the problems is that there's a lack of coordination between non-government organisations and interested parties

Q4Your Welcome Trust study examines the international impact of COVID-19 on AMR. What has your research revealed about how the pandemic has shaped the AMR landscape, and what lessons should be taken forward?

This research was led by a colleague called Refath Farzana, University of Oxford, UK. This is all high-level aggregated data and modelling. What sets this study, funded by the Welcome Trust, apart is that we went into nine countries and many centres in those nine countries, and we collected patient-specific or level data, which is very rare and virtually nobody has.

We found that understanding antibiotic use across the COVID-19 waves in each of the countries was crucial, as each country experienced different waves at different times, and at different levels. When COVID-19 hit the world in March 2020 we didn't know what to do. We didn't know about immunosuppressors, and there are some antibiotics that actually dampen down the immune system, which is helpful if you've got sepsis. So, during COVID-19, particularly in the UK, we started moving towards antibiotics like macrolides, which have this immuno-regulatory effect. The WHO, in May and June, bought out its recommendations

for patient management, and that changed a lot of clinical practice. But then different waves, like the Indian wave, hit India really, really badly between October–December 2020.

Then, of course, in 2021, we had the arrival of the vaccine, first the Oxford AstraZeneca vaccine, and then the Moderna/Pfizer vaccine (New York, USA), which was the RNA vaccine. Understanding how these interventions happened, and how they affected antibiotic use across these countries, was fascinating. In some countries, antibiotic use went through the sky, and in other countries it went down, particularly in lowincome countries. This was probably because they couldn't get access to them because the supply chain was broken, and nobody was travelling, nobody was posting antibiotics. When we speak about antibiotic use and abuse, we have to remember that a lot of countries rely on other countries and on supply chains for critical antibiotics to treat critical infections, and once that supply chain is gone, it stops.

Understanding antibiotic use across the COVID-19 waves in each of the countries was crucial

response to COVID-19 and helps the patient in their recovery, and then that antibiotic can also protect against secondary bacterial infections, particularly respiratory tract infections.

I think the main problem we have is that, particularly in high-level meetings such as the recent UNGA HLM, you will often have the West or ‘Global North’ preaching to the ‘Global South’ about how to use antibiotics and when to use them. This is done without really understanding the complexities of the environments where these people live, or helping them build good infrastructure in communities, or making sure that their hospitals are robust enough to have basic diagnostics.

Q6

The ‘One Health’ perspective is central to many of your projects. How do you see this multidisciplinary approach evolving to tackle AMR in both human and animal health sectors?

I actually do not like the concept of One Health. In fact, I wrote an article just complaining about how much I dislike it, largely because I think it’s one of those buzzwords that everybody feels they need to put into a grant, like AI. Sometimes, we scientists are like little children on a football pitch. The ball goes up one end, and we all chase after it, and the ball goes down the other, and we chase again.

For example, if I gave you 100 million USD to spend in a lowincome country, where would your priorities be? I would start with making sure their hospitals can treat critically ill patients with good diagnostics and appropriate antibiotics. I wouldn't necessarily start out in the rivers or lakes that are polluted, or necessarily build toilets in these places, whilst that is very important. I think sometimes the One Health notion has confused everybody as to where to divert critical funding.

Q5

Would you say the COVID-19 pandemic has led to an increase in antibiotic abuse?

I think in the UK, we're generally pretty good at warning against antibiotic abuse and not using antibiotics for viral infections. To me, what does make sense is to give a drug like a macrolide that helps reduce the immune

One Health links the UN Environmental Programme (UNEP), Food and Agriculture Organization (FAO), World Organisation for Animal Health (WOAH), and WHO; a quatre-partied group coming together to tackle AMR. Whilst I think that is really good, you could argue that what we're actually doing is diverting our attention away from what is really needed.

Trying to do studies to link up these different sectors is actually very difficult and quite costly and takes a long time. So, we've been doing some work in Mymensingh, Bangladesh, where we've taken animal samples and faeces, and faeces from farm workers. We've looked at accident and emergency patient admissions, and we're taking rectal swabs from them, looking at AMR in the hospital. Generally speaking, what happens in the animal sector does not necessarily equate to what happens in the human population, and I think that's true of a lot of studies. So, how much effort do we actually spend on swabbing chickens and understanding what happens in chickens? That is a food biosecurity and economic argument, not necessarily a human health or public health argument, in my opinion. I may, of course, be proved wrong in 2- or 3-years’ time. I think the One Health studies are good, we do have to think about what happens in the environment, but we also have to make sure that we focus and spend our energies and resources wisely.

Q7

As Director of Biology at the Ineos Oxford Institute for Antimicrobial Research, what are your current priorities, and where do you see the most promising developments in combatting AMR in the next decade?

First, we're undertaking two very big burden studies within the institute, one in neonates and one in adults: BARNARDS's 2.0 and BALANCE. We're working with a group of epidemiologists at Geneva University Hospital, and blending epidemiology with health economics, microbiology, and genomics to try to address exactly who pays for what, and what is the impact of that.

In BALANCE, the adult study, we're comparing high-income countries to low-income countries. In BARNARDS's 2.0, we’re working in two African and two South Asian countries. We also have a study looking at the carriage of AMR bacteria by fly populations, and what that means in lowincome countries in terms of infection control. Apparently, there are 17 million flies on planet Earth for every human being, so if they are all carrying highly resistant bacteria and flying from rubbish tips into wards, they could potentially be important vectors in the dissemination of AMR.

Point number two is that when we set up the Institute, 4 years ago, we were always going to blend

biology with chemistry to look at developing new drugs. We are able to work with an excellent group of chemists in Oxford, headed up by Chris Schofield, University of Oxford, and his team, and we provide the microbiology support. That's a unique thing, in the UK, if not in Europe, whereby you have two groups that come together to accelerate the progress of new and novel antibiotics. That work has gone amazingly well. We've got some chemical leads, almost candidate molecules, that address areas that nobody else is focusing on.

The third thing I would say is my ongoing collaborations with my Chinese colleagues. On a scientific level, China has the technologies and the infrastructure to make massive headway and progress in global health equity that simply, in the West, we've failed to do and probably will not achieve in the future. One particular example is where we've linked microplastics to increasing AMR. This happens by microplastics triggering an ‘SOS’ response in the bacteria, so the bacteria shed their DNA quicker, and that's picked up by other bacteria. We've looked at different microplastics. For the first time, we've definitively linked environmental degradation to AMR, combining two existential human threats. That work is of significant importance.

Q8You were awarded an OBE for your contributions to microbiology and international development. How has this recognition influenced your career, and what advice would you give to aspiring researchers in the field of AMR?

The OBE was a huge surprise because it didn't come through the university, which is unusual for an academic, it came from elsewhere in the UK Government. There's a funny element to the story; when they posted the notification to me, they got the wrong address. So instead of going to number 15, it went to number 5. I didn't get it for about 2 weeks later and actually thought it was a practical joke by a colleague.

Has it impacted my life? I would hope not. As academics, we pick up awards, but it doesn't change you as a person. It doesn't change the way you think. I'm dyslexic, and I struggled at school. I've always been state-schooled. These awards or degrees that you get shouldn't really change the fundamental quiddity of who you are, how you work, particularly with others, or your passion. Of course, my family went to the palace, and it was a lovely day; and of course, I'm proud. But that was way back in 2020, and now life moves on. We look forward, we don't look back.

What would be my advice to any young researcher? Number one: be enthusiastic. You need enthusiasm. Number two: be thick-skinned. Academia is a brutal game, and you've got to really dig deep sometimes to survive it. Number three: know your limitations. There are loads of things that I don't know, and therefore, I don't pretend to know. I'll go off and collaborate with other people who are far more gifted than me in this area. Your networks and your collaborations are really important. Number four: a lot of people call it ‘thinking

outside the box’. Well, there is no box, that's just fantasy. Be really creative in your thinking as a scientist. Scientists are often creatures of habit. As knowledge goes up, creativity goes down. I think being creative and trying to find creative space is critically important, for example, our work on microplastics and dissemination of AMR, I think, is really important.

One of my favourite bands is the Manic Street Preachers, and they've always tried to reinvent themselves. Their zenith was in

1994–8, but they’re always trying to be creative, and that's one of the things I like about them. A lot of rock bands reach their zenith by the time they're 30 and then fall away. As academics, we can't afford to do that. We need to keep on being creative.

Professor

Citation: EMJ Microbiol Infect Dis. 2025;6[1]:62-64. https://doi.org/10.33590/emjmicrobiolinfectdis/UCPZ4294

Q1

Your lab has developed various genetic methods to turn Mycobacterium tuberculosis (Mtb) genes on and off. How are these tools refining our understanding of tuberculosis (TB) pathogenesis?

and

Weill Cornell Medical College, New York City, USA

Success in drug development depends on integrating various scientific disciplines

The areas that benefit from these tools include: (i) studies of in vitro essential genes, (ii) the identification of genes Mtb requires to persist during infection, and (iii) the mechanistic analyses of antitubercular small molecules.

For example, conditional gene silencing tools allow us to study the consequences of inactivating in vitro essential gene functions using conditional knockdown mutants. Such mutants also allow us to determine the impact of inactivating an Mtb gene during a chronic infection. Exposing genome-wide pools of conditional knockdown mutants to antitubercular molecules helps to develop hypotheses on how these compounds affect Mtb, as it identifies mutants that increase or decrease Mtb’s susceptibility to these compounds.

Q2 Given the alarming rise of drug-resistant and extensively drug resistant (XDR) TB, how is your research helping in designing shorter, more effective TB treatments?

My lab is part of the TB Drug Accelerator (TBDA),1 a consortium supported by the Gates Foundation that brings together scientists with different areas of expertise to develop new drugs and drug regimens. Our contribution focuses on two

areas. One is the identification of targets for which partial inactivation is sufficient to kill Mtb in vitro and during infections. Such targets are then prioritised for the development of new drug candidates. The second is defining the mechanism(s) of action by which small molecules that are pursued for the development of new TB drugs prevent Mtb from growing.

More recently, we helped to establish the National Institutes of Health (NIH) funded Preclinical Design and Clinical Translation of TB Regimens (PReDiCTR) consortium (led by Rada Savic, University of California, San Francisco, USA), in which we apply our genomic approaches to understand why some multidrug TB treatment regimens failed in the clinic and why others succeeded. Understanding the parameters that determine clinical success of multidrug regimens should help us design faster-acting TB drug regimens in the future.

Q3

Cofactor metabolism is one of your current research focuses. Could you explain how targeting metabolic pathways in Mtb might contribute to the development of novel therapeutics?

The pathology of TB is complex. The pathogen grows and persists in various heterogeneous lesions, some of which are hypoxic, some of which are not. Mtb’s metabolic adaptability is key to its survival in these distinct environments, and thus is a vulnerability of the pathogen that could be exploited therapeutically.

Targeting cofactors has the additional advantage of interfering with multiple metabolic pathways. For example, hundreds of enzymes participating in different pathways require nicotinamide adenine dinucleotide as a cofactor. Depriving Mtb of nicotinamide adenine dinucleotide would thus affect the pathogen in multiple ways.

Q4

Your work spans both fundamental microbiology and translational research. What challenges do you face in bridging the gap between basic gene function studies and actual drug development?

Success in drug development depends on integrating various scientific disciplines, including chemistry, biology, pharmacology, and toxicology. Therefore, there is no academic lab that can realistically pursue drug development on its own. Collaboration is key. Realising this is easy, but implementing it is challenging. The grants we typically apply for cannot provide the funds needed to support a multidisciplinary team of experienced scientists.

Another complication is that academic careers depend on first authorships (for graduate students and postdoctoral fellows) and last authorships (for faculty). Devoting substantial effort to team science can thus be counterproductive for graduate students, postdoctoral fellows, and junior faculty.

Q5

Please explain key findings from your recent paper, ‘Engineered Mycobacterium tuberculosis triple-kill-switch strain provides controlled tuberculosis infection in animal models’. What are the implications of your findings for establishing effective TB human challenge models?

This paper is a good example of a tremendous team effort, with key contributions from two labs at Weill Cornell Medical College, New York, USA (led by Sabine Ehrt and me) and two labs at Harvard University, Cambridge, Massachusetts, USA (led by Sarah Fortune and Eric Rubin). The main goal was to construct a conditionally replicating Mtb strain that would be safe enough to serve as the challenge strain in a human challenge model.

The Mtb strain we developed requires two supplements to grow. Without these supplements, the strain dies. Such conditionally replicating Mtb strains had been constructed before, but the frequency with which so-called escape mutants (which can grow without the supplements) appeared was too high to contemplate their use in humans. For the strain we constructed, the frequency of escape mutants is more than 1,000-fold lower than for any of the previously constructed mutants.

There is still a lot of work to be done before the strain can be used in humans, but to me this is a tremendously exciting project that could have a profound impact on TB vaccine development. One reason is that a human challenge model could dramatically reduce the cost of testing vaccine candidates in humans. The Phase III trial for the M72 vaccine is estimated to cost 550 million USD. If it takes 550 million USD to test one vaccine, then we cannot test many of them. A human challenge model might reduce these costs to those of a Phase I clinical trial, which typically costs less than

10 million USD. That would be a game changer, allowing us to test more vaccine candidates than it is currently possible to test. A human challenge model would also provide ample opportunities to study the immune response to Mtb in humans in ways that are currently not possible.

A human challenge model could dramatically reduce the cost of testing vaccine candidates in humans
Q6

Looking ahead, what are the most promising strategies or technologies that you believe will reshape the future of TB therapy and vaccine development

In mycobacterial genetics, the CRISPR interference (CRISPRi) system has been transformative, and the impact of this technology will continue to grow. In drug development, there are several technologies that could have a major impact: improved DNA encoded libraries, which allow us to efficiently screen millions of small molecules for new chemical starting points for drug development; proteolysistargeting chimeras, which inactivate a targeted protein by degradation; and longacting injectables, which could reduce treatment failures due to nonadherence. I am also enthusiastic about utilising more natural products for TB drug development than we have been able to so far. AI is likely to transform several aspects of drug development, with the definition

of design rules for small molecules that efficiently penetrate the mycobacterial cell envelope being one possible example. An important strategy change will be to integrate considerations of regimen design into earlier steps of drug development. For vaccine development, I believe that a human challenge model would have a tremendous impact.

Finally, it seems worth repeating how much translational research depends on integrating different areas of expertise. When I started to do work that I hoped would facilitate TB drug development, I was quite naïve about what it takes to develop a drug. Since then, I have learned a lot from my colleagues in chemistry and pharmacology. This was only possible via regular faceto-face interactions which, in my case, primarily occurred through my participation in the TBDA. It’s important to continue to reduce the barriers for the multidisciplinary efforts that are required for success in translational research.

Reference

1. Pairo-Castineira et al. GWAS and meta-analysis identifies 49 genetic variants underlying critical COVID-19. Nature. 2023;617(7962):764-68.

What’s Next for Respiratory Virus Vaccines?

EMJ Microbiol Infect Dis. 2025;6[1]:66-67. https://doi.org/10.33590/emjmicrobiolinfectdis/FBEG5294

Current Landscape of Respiratory Virus Vaccines

Inactivated vaccine

• Based on chemically and/or physically inactivated virus grown in cell culture

• Advantages: stable, no risk of reversion, cost-effective, relatively easy to manufacture

• Ex: *Influenza IIVc, aIIV, IIV-HD2,3

Recombinant subunit vaccine

• Composed of assembled nanoparticles coated with purified or recombinant viral antigens; often formulated with adjuvants

• Advantages: no risk of infection or reversion, fewer side effects, easy antigen modification

• Ex: SARS-CoV-2 Nuvaxovid® (Novavax);4 RSV Abrysvo® (Pfizer)5 and Arexvy® (GSK)6

Viral vector vaccine

• Adapts existing successful and safe modified viral vectors to express viral proteins

• Advantages: induces strong cellular and humoral immunity, preserves native antigen, mimics natural infection

• Ex: **SARS-CoV-2 Vaxzevria™ (Oxford/ AstraZeneca)7

Live attenuated vaccine

• Uses a weakened version (with limited replication extent) of the living virus

• Advantages: preserves native antigen and mimics natural infection, induces long-term immunity, no adjuvants required

• Ex: Influenza Fluenz® (AstraZeneca)2

RNA vaccine

• Uses mRNA packed in lipid nanoparticles

• Advantages: safe and well-tolerated, highly adaptable to new pathogens, native antigen expression

• Ex: RSV: mResvia® (Moderna);8 SARSCoV-2 Spikevax® (Moderna)4 and Comirnaty® (BioNTech/Pfizer)

Adapted from Al-Jighefee et al.1 *Move from quadrivalent to trivalent formulation for 2025–2026 season2,3 **EMA marketing authorisation was withdrawn in May 20247

Future Directions in Mucosal Vaccine Development

Improving delivery systems to enhance vaccine bioavailability

• Adenoviral vectors are thermostable and can transduce a broad range of cells in the mucosa10

• Lipid nanoparticles have emerged as promising vehicles for mRNA delivery15

• Chitosan, a biocamptible polymer, can act as both a delivery vehicle and immunostimulatory molecule10,15

Developing more effective mucosal vaccine adjuvants

• TLR agonists are potent immune adjuvants: TLR4 agonists activate APCs and innate immune cells, favouring strong Th1-associated humoral responses; TLR5-specific flagellin activates both the innate and adaptive immune system10,15

• However, selection of adjuvants with a low inflammatory profile is critical to avoid safety concerns

Long-term boosting of innate immune responses through “trained immunity”

• BCG, oral polio, and measles vaccines, as well as PRR ligands LPS, flagellin, and β-glucans, have shown evidence of cross-protection against mucosal pathogens, but more studies are needed to confirm safety profiles10,14

Understanding the association of mucosal immune markers with clinical outcomes

• New technologies like CHIM, single-cell RNA-seq, antigen-specific T-cell proliferation assays, and highly sensitive mucosal antibody assays are advancing the field of mucosal immunology9,14

Considering public health implications with vaccine acceptance as a priority

• Administration routes and vaccine schedules need to be optimised, with a focus on at-risk populations14,16

Next-Generation

• Very few mucosal approved (Fluenz®, children aged 2–18

• Most respiratory against severe lower airway viral replication

• Preclinical evidence protection by eliciting proven difficult in

Abbreviations

aIIV: adjuvanted inactivated influenza vaccine, APC: antigen-presenting cell, BCG: Bacillus Calmette-Guérin, CHIM: controlled human infection model, DC: dendritic cell, IIV-HD: high-dose inactivated influenza vaccine, LAIV: live attenuated influenza vaccine, LPS: lipopolysaccharide, NK: natural killer, PRR: pathogen recognition receptor, RBD: receptor-binding domain, TLR: toll-like receptor.

Al-Jighefee HT et al. Vaccines. 2021;18;9(10):1196.

GOV.UK. 2025. Available at: https://www.gov.uk/ government/publications/influenza-vaccines-marketedin-the-uk/all-influenza-vaccines-marketed-in-the-uk-forthe-2025-to-2026-season-text-version. Last accessed: 18 March 2025.

Key challenges:

• Tolerance to foreign efficacy of mucosal

• Vaccine delivery

• A better understanding should be measured

• Efficient routes of

3.

www.ema.europa.eu/en/human-regulatory-overview/ public-health-threats/coronavirus-disease-covid-19/covid-

Mucosal vaccine 1
Intranasal immunisation 2

Vaccines?

Next-Generation Vaccines: Towards Mucosal Immunity

mucosal vaccines for respiratory viral infections have been (Fluenz®, the only nasal influenza vaccine, is approved in 2–18 years)2

respiratory virus vaccines are given intramuscularly, protecting lower airway disease but not necessarily against upper replication and transmission9

evidence has shown that mucosal vaccines can induce superior eliciting a robust mucosal immune response, but this has in humans11

Antigens

Mucosal adjuvants

Mucosal delivery systems

Advantages:

(1) Production of secretory IgA in mucosa-associated lymphoid tissues blocks viral spread from upper respiratory tract9,10

(2) IgG and IgM antibodies in the nasal mucosa can neutralise virions and activate complement12

(3) Tissue-resident memory B and T cells offer long-term immunity at mucosal sites and a rapid response to reinfection9,10

(4) The mucosa also sheds pathogens, so mucosal immunity would prevent transmission in case infection gets established10,11

(5) Induction of mucosal immunity at one site may protect other mucosal sites, also producing robust systemic immunity10

(6) Mucosal vaccines offer needlefree administration, potentially improving vaccine uptake and accessibility in underserved regions10

foreign antigens by the mucosal innate immune system, essential for avoiding inflammatory responses to harmless antigens, hampers the mucosal vaccines10,13 via the mucosal route is impeded by dilution in mucosal secretions, enzymatic degradation, and the epithelial barrier13 understanding of immune correlates of protection is needed to inform selection of mucosal vaccine platforms, adjuvants, and immune markers that measured in clinical trials9,14 of mucosal vaccine delivery to the lower respiratory tract are still under investigation (e.g., oral vs intranasal vs intratracheal)9,11 Intranasal immunisation

https://www.gov.uk/ government/publications/flu-vaccines-2025-to-2026-jcviadvice/jcvi-statement-on-influenza-vaccines-for-2025March 2025.

Agency (EMA). Available at: https:// www.ema.europa.eu/en/human-regulatory-overview/ public-health-threats/coronavirus-disease-covid-19/covid-

19-medicines. Last accessed: 18 March 2025.

5. European Medicines Agency (EMA). 2025. Available at: https://www.ema.europa.eu/en/medicines/human/EPAR/ abrysvo. Last accessed: 18 March 2025.

6. European Medicines Agency (EMA). 2025. Available at: https://www.ema.europa.eu/en/medicines/human/EPAR/ arexvy. Last accessed: 18 March 2025.

7. European Medicines Agency (EMA). 2025. Available at: https://www.ema.europa.eu/en/medicines/human/EPAR/ vaxzevria. Last accessed: 18 March 2025.

8. European Medicines Agency (EMA). 2025. Available at: https://www.ema.europa.eu/en/medicines/human/EPAR/ mresvia. Last accessed: 18 March 2025.

9. Knisely JM et al. NPJ Vaccines. 2023;8(1):53.

10. Dotiwala F, Upadhyay AK. Vaccines. 2023;11(10):1585. 11. Madhavan M et al. EBioMedicine. 2022;85:104298. 12. Ramasamy R. Viruses. 2022;14(5):933.

13. Baker JR et al. J Allergy Clin Immunol. 2022;150(1):1-11. 14. Morens DM et al. Cell Host Microbe. 2023;31(1):146-57.

Yifan Lin et al. hLife. 2024;2(2):50-63.

R. Int J Mol Sci. 2021;22(15):7919.

Ramasamy
Mucosal
Mucosal

Oral Azithromycin Prescribing Practices for Community-Acquired Pneumonia at the Emergency Department of a Tertiary Hospital: An Observational Study

Editor's Pick

This study provides a timely examination of antibiotic prescribing practices in the emergency department, a critical frontline in the fight against antimicrobial resistance. As azithromycin use for community-acquired pneumonia surges in Malaysia, this research offers valuable insights into prescribing patterns, guideline adherence, and the shortcomings that remain. While 74% of prescriptions adhere to recommendations, there are notable gaps, especially in the treatment of low-risk outpatients. The findings emphasise the urgent need to reinforce antimicrobial stewardship programmes in the emergency department.

Authors: *Yi Lyn Yean,1 You Leng Tan,1 Shiao Wei Lim,1 Doris George Visuvasam1 1. Taiping Hospital, Perak, Malaysia *Correspondence to cr1msonym_08@hotmail.com

Disclosure: The authors have declared no conflicts of interest.

Acknowledgements The permission to publish this article was granted by the Director General of Health Malaysia, to whom the authors are grateful. The authors also extend their thanks to Ng Chew Beng, Wan Azuati bt Wan Omar, Noor Hamizah bt Sabki, Lum Phooi Si, Norulsaffia bt Ahmad, Khor Ming Zhen, Mohamad Azhan bin Hamad, Nurashikin bt Abdul Rashid, Siti Nur Haseena bt Mohamad Hajar, Lee Khei Yan, Muhammad Zulhilmi bin Abdullah, Tan Chew Khee, Chew Teng Teng, Muhammad Adib bin Saharudin, Nur Amirah bt Aziz, Amirul Iqbar bin Mohamad Zahir, Azizatul Munirah bt Zaini, Salwana Huda bt Azman, and Lee Jia Sheng for their invaluable assistance, support, and commitment.

Received: 14.12.24

Accepted: 11.03.25

Keywords: Azithromycin, community-acquired pneumonia (CAP), emergency department (ED).

Citation: EMJ Microbiol Infect Dis. 2025;6[1]:68-80. https://doi.org/10.33590/emjmicrobiolinfectdis/XHAU8207

Abstract

Background: The emergency department (ED) plays a crucial role in addressing improper antibiotic prescribing, which is essential for reducing antimicrobial resistance (AMR) and preventing harm to patients. The increased use of oral azithromycin for treating community-acquired pneumonia (CAP) in the ED highlights the need for this study.

Objectives: To describe the prescribing practices and assess the appropriateness of oral azithromycin prescribing for CAP treatment in the ED of a tertiary hospital.

Methods: This retrospective observational study included patients aged 18 years and older who presented to the ED with CAP and were prescribed oral azithromycin.

Results: A total of 165 patients were enrolled, with 53.3% being female and under 65 years old. The majority (83.6%) had at least one comorbidity, with hypertension being the most prevalent (63.6%). Two-thirds of patients had a CURB-65 score of less than 2.

A 3-day course of oral azithromycin (500 mg once daily) was the most frequently prescribed regimen (67.9%), while intravenous (IV) amoxicillin/clavulanate was the most administered concurrent antibiotic (69.3%). Among the 118 hospitalised patients, a CURB-65 score of less than 2 was the main reason (21.6%) for discontinuing oral azithromycin. Approximately 74% of prescriptions complied with national guidelines, with non-adherence primarily due to inappropriate treatment choices for outpatients without comorbidities. Guideline adherence was significantly higher in patients aged 65 or older and those with comorbidities.

Conclusion: Oral azithromycin prescribing adherence for CAP in the ED was moderate, with compliance rates in similar studies ranging from 7% to 95%, underscoring the need for strengthened antimicrobial stewardship programmes.

Key Points

1. Oral azithromycin prescribing surged in the Emergency Department (ED), raising concerns about inappropriate use. This study supports antimicrobial stewardship efforts to curb resistance, improve safety, and enhance treatment guideline compliance.

2. This retrospective study assessed oral azithromycin prescribing practices for community-acquired pneumonia in a Malaysian tertiary hospital ED, examining compliance with national guidelines and associated patient outcomes.

3. While most oral azithromycin prescriptions were guideline-compliant, inappropriate use for low-risk patients persists. Strengthening antimicrobial stewardship in EDs is essential to improve prescribing practices and combat antimicrobial resistance.

INTRODUCTION

Azithromycin is an azalide effective against streptococci, staphylococci, Haemophilus spp., Moraxella spp., Neisseria gonorrhoeae, Legionella, Chlamydia spp., and Mycoplasma spp 1 Its broad spectrum, favourable safety profile, and ease of use make it an attractive option for treating community-acquired infections, especially acute respiratory infections. It is the initial empirical treatment of choice for community-acquired pneumonia (CAP) due to its action against atypical organisms such as Legionella, Chlamydia, and Mycoplasma. 2,3 A metaanalysis showed that empirical atypical coverage was linked to lower clinical failure rates in hospitalised adults with CAP.4

Since the aetiological diagnosis is frequently not accessible at the outset, the selection of empirical antibiotic therapy for CAP is determined by the severity of the patient’s condition, which can be assessed using scoring systems like CURB-65.5 Prompt administration of the right antibiotics in

the emergency department (ED) is crucial and can be life-saving, especially in cases of severe sepsis and septic shock.6 The Infectious Diseases Society of America/ American Thoracic Society (IDSA/ATS) CAP treatment guidelines recommend that for patients admitted via the ED, the first dose of antibiotics should be administered prior to hospital admission.7 However, in cases of CAP and other infectious diseases, the unnecessary or improper use of antibiotics can result in harm to both patients and the community, including adverse events, treatment failures, and the development of antimicrobial resistance (AMR).8–10

Despite the widespread use of azithromycin, no audits to date have specifically targeted this drug in the ED. The trend in oral azithromycin prescribing, particularly the tablet dosage form, has shown an increase from 2021 to the first quarter of 2023. During the period from January–March 2023, there was a 325% rise in defined daily dose (DDD) per 100 patient visits, compared with that in 2022.

This significant rise in DDD highlights the need for further investigation into potential prescribing issues.

Hence, the authors initiated this study as part of antimicrobial stewardship (AMS) efforts to optimise azithromycin use, in line with principles aimed at reducing AMR and preventing patient harm.10 Implementing AMS programmes in the ED has been shown to improve guideline adherence in treating CAP, increasing compliance rates from 20% to 29%, reducing unnecessary antibiotic use, and promoting more appropriate prescribing.11,12

OBJECTIVES

General Objectives

To describe the prescribing practices and assess the appropriateness of oral azithromycin prescribing for the treatment of CAP in the ED of a tertiary hospital.

Specific Objectives

• To describe the clinical characteristics of patients with CAP prescribed oral azithromycin.

• To describe the dosage regimen and treatment completion for oral azithromycin in CAP.

• To assess guideline compliance with oral azithromycin prescriptions in the ED for CAP.

• To determine the clinical outcomes and factors associated with guideline compliance.

METHODS

Study Design and Setting

This was a retrospective crosssectional study conducted in the ED of a tertiary care hospital in Malaysia.

Study Population

All patients who sought medical assistance at the ED between June 1–August 31, 2023, were reviewed. The data collection period from June–August 2023 was selected to efficiently capture prescribing patterns and related issues, following a 325% increase in the DDD of azithromycin per 100 patient visits from January–March 2023, compared with 2022. This timeframe will enable timely feedback to prescribers, help identify key concerns, and propose effective measures to address them, which will guide further work in the study.

Patients aged 18 years and older who were prescribed oral azithromycin in tablet form for the treatment of CAP were eligible for inclusion. Cases with incomplete data, azithromycin prescriptions in other forms (e.g., syrup or injectable azithromycin), patients with CAP who were not prescribed oral azithromycin, and prescriptions of azithromycin for non-CAP infections, were excluded.

Data Collection

The hospital ED registry and Pharmacy Information System (PhIS) were utilised to identify patients who visited the ED and were prescribed azithromycin tablets during the study period. The clinical notes of patients were traced and reviewed in the ED record unit. For patients who were admitted to wards, information was obtained from their inpatient case notes.

Data such as age, gender, comorbidities, diagnosis, CURB-65 score, azithromycin dosage regimen, antimicrobial exposure in the past month, concurrent antibiotics prescribed, ward admission, and continuation of azithromycin in the ward, were retrieved from ED records, inpatient clinical notes, and treatment charts by data collectors, who were pharmacists. All relevant information was recorded in an electronic data collection form.

Statistical Analysis

Descriptive analysis (percentage, frequency, median, and interquartile range)

and tests for association (using Chi-square test for independence or Fisher’s exact test) were conducted using IBM Statistical Package for Social Science Software (SPSS) version 24.0 (IBM Corp., Armonk, NY, USA) to assess the relationship between guideline compliance, clinical characteristics, and outcomes. A p value of <0.05 was considered significant.

Ethical Consideration

The study was registered with the National Medical Research Register (NMRR; ID-2400084-JTY), and ethical approval was

obtained from the Medical Research and Ethics Committee (MREC) of Malaysia. Due to the observational nature of the survey, the need for informed consent was waived.

Definitions

Guideline compliance is defined as prescribing the preferred or alternative agent, route, dose, and frequency as outlined in the National Antimicrobial Guideline (NAG),13 with evaluation based on the documentation in patient records. Data collection and analysis were conducted based on NAG 2019, prior to the release of

Table 1: Antibiotic recommendations for adult community-acquired pneumonia based on the National Antimicrobial Guideline 2024 and the modified version for institutional practice.

Outpatient with comorbidities (chronic heart, lung, liver, or renal disease, diabetes, alcoholism, malignancy, or asplenia)

Inpatient

CURB-65 score 2

Inpatient

CURB-65 score ≥3

*At risk of pseudomonal infection.

amoxicillin 500 mg to 1 g q8h for 5–7 days

doxycycline 100 mg q12h for 5–7 days

PO amoxicillin/clavulanate 625 mg q8h for 5–7 days

PLUS

PO azithromycin 500 mg q24h for 3 days

IV amoxicillin/clavulanate 1.2 g q8h OR

IV ceftriaxone 2 g q24h for 5–7 days PLUS PO/IV azithromycin 500 mg q24h for 3 days

IV amoxicillin/clavulanate 1.2 g q8h for 5–7 days OR

*IV piperacillin/tazobactam 4.5 g q6h for 7 days OR

*IV cefepime 2 g q8h for 7 days PLUS PO/IV azithromycin 500 mg q24h for 3 days

Inpatient (irrespective of CURB-65)

IV amoxicillin/clavulanate 1.2 g q8h OR IV ceftriaxone 2 g q24h for 5–7 days OR

*IV piperacillin/tazobactam 4.5 g q6h for 7 days OR *IV cefepime 2 g q8h for 7 days PLUS PO/IV azithromycin 500 mg q24h for 3 days

IV: intravenous; PO: per oral; q8h: every 8 hours; q12h: every 12 hours; q24h: every 24 hours.

CURB-65 is a clinical prediction rule to identify patients with community-acquired pneumonia requiring hospital admission. The criteria used in the score are new-onset confusion, serum urea >7 mmol/L, respiratory rate of ≥30/min, blood pressure ≤90/60 mmHg, and age ≥65 years. Patients are stratified as follows:13

Score 0–1: Mild. Can manage as an outpatient.

Score 2: Moderate. Consider admission.

Score 3–5: Severe. Inpatient admission. Consider ICU referral.

The defined daily dose is the assumed average daily maintenance dose of a drug for its primary indication in adults. The defined daily dose for oral azithromycin is 0.3 g.14

the updated NAG in July 2024. Following consultation with an infectious diseases physician, the authors decided to reassess the compliance of azithromycin prescribing, incorporating some modifications. For patients admitted to wards, irrespective of their CURB-65 score, azithromycin prescribing in the ED was assessed as guideline-adherent (Table 1).

RESULTS

Baseline Characteristics

After reviewing the medication charts of 207 patients, 165 (79.2%) fulfilled the inclusion criteria and were considered for this study. Forty-two patients were excluded for the following reasons: eight patients were <18 years of age and 34 had a non-CAP diagnosis at the time of ED presentation, including hospital-acquired pneumonia (HAP), leptospirosis, and infective diarrhoea. Of the 165 patients who received oral azithromycin, 53.3% were <65 years old, and the majority (53.3%) were female. A total of 83.6% of patients had at least one comorbidity, with hypertension being the most prevalent (63.6%), followed by diabetes mellitus (35.8%)and dyslipidaemia (31.5%).

A CURB-65 score of ≥2 was observed in 55 of the 165 patients (33.3%), meeting the criteria for hospital care of CAP. Only 10% of the patients had a documented history of antibiotic consumption in the past month. Among the hospitalised patients (71.5%), only 52 (44.1%) had a CURB65 score of at least ≥2, while 26.3% had concurrent non-CAP diagnoses, including decompensated congestive heart failure (35.5%), fluid overload due to renal disease (12.9%), and acute coronary syndrome (9.7%). Table 2 displays the baseline characteristics of the 165 patients.

Prescribing Details

As shown in Table 2, most patients (67.9%) were prescribed a 3-day oral azithromycin course of 500 mg once daily. Three out of 10 patients were administered only a single

500 mg dose, while two patients were prescribed a 5-day regimen. Intravenous (IV) amoxicillin/clavulanate was the most frequently administered concurrent antibiotic with azithromycin (69.3%), followed by oral amoxicillin/clavulanate (27.1%), IV ceftriaxone (0.6%), and oral amoxicillin (0.6%). Four patients received no concurrent antibiotics. One patient was prescribed a single dose of IV amoxicillin/clavulanate, followed by IV ceftriaxone in the ED.

Treatment Completion

Following their admission to the ward, oral azithromycin was discontinued for 43.2% of the patients by the attending physician. The three most frequent reasons for stopping azithromycin were a CURB-65 score of <2 (21.6%), a change in the diagnosis related to the illness (17.6%), and the presence of an infection for which antibiotics were not necessary (17.6%). Additionally, 13.7% of patients required the drug to be administered via the IV route, while 15.7% had their therapy interrupted due to QTc prolongation. Other causes included antibiotic escalation (7.8%), prescriber preference (3.9%), and patient death (2.0%). These findings are outlined in Table 3 Table 4 shows no association between treatment completion or discontinuation and clinical outcomes, such as inpatient mortality.

Guideline Compliance

The majority (73.8%) of tablet azithromycin prescriptions complied with the NAG. Of the 26.2% of non-compliant prescriptions, all were due to inappropriate use of azithromycin (not the preferred or alternative option) for the outpatient treatment of patients without comorbidities, as detailed in Table 3.

In Table 4, the association between guideline compliance, patient characteristics, and outcomes is described. Tablet azithromycin prescriptions in the ED were more likely to be guidelineadherent in patients aged 65 years or older and those with comorbidities such as hypertension, renal impairment, heart failure, and COPD. As all hospitalised

Table 2: Baseline characteristics of 165 patients and prescribing details of oral azithromycin in the emergency department to treat CAP.

Table 2: Continued.

CAD: coronary artery disease; CAP: community-acquired pneumonia; CKD: chronic kidney disease; COPD: chronic obstructive pulmonary disease; CVA: cerebrovascular accident; ESRF: end-stage renal disease; HD: haemodialysis; IQR: interquartile range; IV: intravenous; OD: once daily; PO: per oral; TRO: to rule out.

*One patient was prescribed one dose of IV amoxicillin/clavulanate, followed by one dose of IV ceftriaxone in the emergency department.

Table 3: Continuation of oral azithromycin for CAP in patients admitted to the ward (n=118) and guideline compliance.

Not assessable (indication not in guideline*) 1 Reason for non-compliance (n=43) Inappropriate choice (antibiotic is not the preferred or alternative option)†

(100.0)

CAP: community-acquired pneumonia; IV: intravenous; NAG: National Antimicrobial Guideline.

*One case, labeled “Not assessable due to indication not in guideline (i.e., atypical pneumonia),” will not be included in the denominator for the compliance calculation. Only 164 cases will be analysed for compliance.

†Not the preferred or alternative option for outpatient treatment in the absence of comorbidities.

CAP cases were guideline-adherent, a statistical association with clinical outcomes, such as inpatient death or live discharge, could not be computed.

DISCUSSION

The ED plays a pivotal role in managing improper antibiotic prescribing, serving as the bridge between the community and the hospital.15 This study offers valuable insights into the current practices of prescribing

azithromycin tablets in the ED of a 600bed tertiary hospital in Perak, Malaysia, for the treatment of CAP. In line with these practices, the patient demographic reveals important trends that shape antibiotic prescribing patterns.

Most patients presenting to the ED were <65 years of age, which aligns with the demographic profile of the district, where 65.2% of the population is aged between 15 and 64 years.16 A predominant comorbidity profile of diabetes mellitus and hypertension

Table 4: Association of guideline compliance with patient characteristics and clinical outcomes, and inpatient tablet azithromycin treatment completion with clinical outcomes.

CAD: coronary artery disease; CKD: chronic kidney disease; CVA: cerebrovascular accident; ESRF: end-stage renal disease.

*Chi-square test for independence, unless otherwise stated.

†Fisher–Freeman–Halton exact test.

‡Fisher’s exact test.

§Unable to compute tests for association.

was observed, consistent with findings from a local study that indicated individuals with such conditions were more likely to receive a prescription for an antibiotic combination, including a macrolide.17 This prescribing practice follows the NAG of Malaysia, which recommends combining azithromycin with amoxicillin/clavulanate for patients with CAP and comorbidities, even in mild cases.13

In line with the NAG, this study shows that the most frequently prescribed concomitant antibiotic with azithromycin for treating CAP is amoxicillin/clavulanate. The high clinical success rate of amoxicillin/clavulanate in treating respiratory tract infections supports its use as an empirical antibiotic.18 Although it is listed as an alternative antibiotic for CAP in local guidelines, third-generation cephalosporins, such as ceftriaxone, were rarely encountered during the study period. This contrasts with another local study that reported ceftriaxone was combined with azithromycin in approximately 10% of prescriptions for both non-severe and severe pneumonia in patients with comorbidities.17

In the management of CAP, CURB-65 is a preferred severity prediction score, as all the parameters needed to compute the score are easily accessible.19 A score of at least 2 indicates moderate-to-severe pneumonia and suggests consideration for hospital admission. One limitation of the CURB-65 approach is that it does not consider comorbid conditions, which may restrict its applicability for patients who encounter a high mortality risk if even a mild case of CAP exacerbates a chronic, but stable disease.20 In this study, more than 50% of hospitalised patients with azithromycin had a CURB-65 score of <2, suggesting mild CAP. This finding is consistent with a study conducted in Australia, where 64% of hospitalised patients received azithromycin despite not meeting the CURB-65 criteria.19 Additionally, therapy discontinuation was observed in this cohort, with only 56.8% of patients continuing azithromycin in the ward, compared to 80.2% in a previous study that examined ED-prescribed antibiotics maintained through discharge.21

While these findings shed light on prescribing practices, patient safety remains a key consideration, particularly regarding the potential adverse effects of macrolide antibiotics like azithromycin. One recognised risk is QTc interval prolongation, which can lead to sudden cardiac death and lethal arrhythmias.22,23 In this study, 7% of hospitalised patients experienced this adverse event, detected through routine ECGs, an assessment not performed in the outpatient ED setting. Many patients in this cohort had significant cardiovascular risk factors, such as hypertension, diabetes, and dyslipidaemia. Given its proarrhythmic effects, azithromycin has been associated with increased cardiovascular mortality, especially among those with a high baseline risk of cardiovascular disease.24

In addition to these safety concerns, the choice of administration route for azithromycin is an important factor in optimising treatment for CAP. In this study, 6% of patients required conversion from oral to IV azithromycin due to inadequate gastrointestinal absorption of oral antibiotics in critically ill individuals. Considering this, patients hospitalised for CAP, especially in severe cases, typically begin therapy via the IV route.25 Nonetheless, data indicate that the effectiveness of orally administered azithromycin is equivalent to that of IV administration, and one study also showed elevated concentrations of azithromycin in lung tissues following oral administration.25,26 Oral azithromycin is also much less expensive and reduces the risks associated with IV medication administration, such as thrombophlebitis and infection.27

Several studies have evaluated the rates of appropriate antimicrobial prescribing in the ED, comparing compliance against national or institutional antimicrobial guidelines. The lowest compliance rate reported was 19.1%, while one study reported the highest rate at 76.0%.28,29 In the ED of a tertiary hospital in Malaysia, the overall compliance rate was 46.9%.30 Other studies reported rates ranging from 32.5–62.0%.31–34 Reasons for non-adherence to guidelines included duration (28.6%), not indicated or not a

bacterial infection (15.2%), choice of therapy (34.3–53.4%), dosing (10.3–21.9%), or both choice of therapy and dosing (36.2%).31,32

While many studies have evaluated compliance with empirical antimicrobial guidelines for managing hospitalised patients with CAP, such data remain scarce in the ED setting. Available evidence shows that these rates vary across studies in the treatment of lower respiratory tract infections, including CAP. Bauman et al.29 observed the highest compliance rate among the studies reviewed at 95.0%, while Robinson et al.35 reported the lowest at 6.9%. Guideline compliance rates from other studies ranged from 28.3% to 66.3%.21,28,31,32,34,36,37 Reasons for noncompliance included inappropriate choice (26.9%) and not being indicated (65.4%).32

Evaluating the prescribing practice of a single antimicrobial agent for treating a specific infection, such as oral azithromycin, is even more uncommon. A review of current empiric prescribing practices in one ED found 25 inappropriate oral azithromycin prescriptions, with 48% deemed noncompliant due to choice, while 52% were considered not indicated.32 A retrospective chart review of patients discharged from the ED with oral antibiotic prescriptions reported that 11% or 10 patients received inappropriate azithromycin prescriptions.29

These findings highlight the need to better understand factors influencing adherence to antibiotic guidelines. A national audit of EDs in France found that the presence of COPD, congestive heart failure, and age >65 years were significantly linked to better adherence to guidelines.36 In contrast to our findings, one study indicated that patients <18 years old were more likely to receive appropriate antibiotics compared to adults (77.1% versus 63.1%).32 Additionally, another study found that non-compliance with guidelines was notably higher among males (87.1%).28

Despite these observations, there is a lack of research investigating the clinical or microbiological outcomes of guideline adherence in the ED context. A recent meta-analysis of hospitalised patients with CAP found that guideline-concordant

therapy was associated with a statistically significant reduction in both 30-day and in-hospital mortality rates. However, due to significant heterogeneity, the effect of guideline adherence on length of stay, ICU admission, re-admission rates, clinical cure, and adverse effects was not evaluated.38

Given these gaps, the findings of this study indicate that the ED represents a critical setting for initiating AMS interventions aimed at reducing inappropriate prescribing. A multifaceted approach is recommended, combining educational interventions for ED staff and the implementation of standardised clinical pathways and guidelines.15 These protocols should be easily accessible, tailored to factors such as patient age, comorbidities, and disease severity, and designed to guide prescribing practices, ensuring consistency and reducing variability in antibiotic use. Educational interventions should focus on the importance of adhering to national antimicrobial guidelines, recognising the risks of AMR, and identifying when antibiotics are unnecessary. Regular antimicrobial audits followed by feedback can identify areas where prescribing deviates from guidelines and provide opportunities for improvement.15

Previous studies have shown that multifaceted educational interventions for treating CAP in the ED improved antibiotic concordance with guidelines from 20% to 29%.11 Investigators found that implementing guidelines and clinical pathways for respiratory tract infections can significantly change antibiotic prescription trends. When supplemented with educational activities, prescriptions of amoxicillin/clavulanate and cefpodoxime were reduced from 43.0% to 10.2% and from 16.6% to 2.5%, respectively, with a complementary rise in amoxicillin prescriptions from 34.0% to 84.7%.12

Limitations

As this study is retrospective, some data on confounders may be missing, unavailable, or under-investigated, leading to potential bias. Variables that could impact outcomes, such as baseline ECG, previous antibiotic regimens, chest X-rays, culture and

sensitivity results, and drug allergies, may not have been recorded. It was not possible to ascertain whether antibiotics that differed from the guidelines were selected for specific reasons, unless explicitly documented.

Other limitations include the lack of formal validation of the CURB-65 scoring process and inter-rater reliability assessment across all reviewers. Additionally, the panel assessing antibiotic appropriateness and guideline compliance, which consisted of pharmacists, lacked input from a physician or infectious disease specialist, potentially limiting insights. To minimise discrepancies, discussions were held to guide decision-making in more complex cases. Azithromycin prescriptions may have varied according to patients’ risk profiles, and the exact reasons for discontinuation or failure to prescribe the drug may not have been recorded, leading to potential prescription bias. However, as this study included all patients prescribed azithromycin for CAP, and data were retrieved from records, selection and recall bias were minimised.39

References

1. Amsden GW. Advanced-generation macrolides: tissue-directed antibiotics. Int J Antimicrob Agents. 2001;18 Suppl 1:S11-5.

2. File TM et al. Macrolide therapy for community-acquired pneumonia due to atypical pathogens: outcome assessment at an early time point. Int J Antimicrob Agents. 2017;50(2):247-51.

3. Restrepo MI et al. Macrolide therapy of pneumonia: is it necessary, and how does it help? Curr Opin Infect Dis. 2016;29(2):212-7.

4. Eljaaly K et al. Clinical failure with and without empiric atypical bacteria coverage in hospitalized adults with community-acquired pneumonia: a systematic review and meta-analysis. BMC Infect Dis. 2017;17(1):385.

5. Marti C et al. Prediction of severe community-acquired pneumonia: a systematic review and meta-analysis. Crit Care. 2012;16(4):R141.

6. Sherwin R et al. Does early and appropriate antibiotic administration improve mortality in emergency department patients with severe sepsis or septic shock?. J Emerg Med. 2017;53(4):588-95.

7. Mandell LA et al. Infectious diseases society of America/American thoracic society consensus guidelines on the

Further Work

Future research should explore the impact of guideline adherence on clinical outcomes, examine the link between prescribing practices and AMR, and implement AMS measures to improve ED prescribing. Expanding the study to include comparative data across different EDs could provide further insights.

CONCLUSION

In summary, the compliance of oral azithromycin prescribing with national guidelines for CAP in the ED of this tertiary hospital was moderate. There is a need to extend AMS interventions to the ED to ensure that the most appropriate empiric treatment is initiated for CAP and other infections.

management of community-acquired pneumonia in adults. Clin Infect Dis. 2007;44 Suppl 2(Suppl 2):S27-72.

8. Denny KJ et al. The use and risks of antibiotics in critically ill patients. Expert Opin Drug Saf. 2016;15(5):667-78.

9. Tamma PD et al. Association of adverse events with antibiotic use in hospitalized patients. JAMA Intern Med. 2017;177(9):1308-15.

10. Viasus D et al. Antibiotic stewardship in community-acquired pneumonia. Expert Rev Anti Infect Ther. 2017;15(4):351-9.

11. Mcintosh KA et al. A quality improvement initiative to improve adherence to national guidelines for empiric management of communityacquired pneumonia in emergency departments. Int J Qual Health Care. 2011;23(2):142-50.

12. Angoulvant F et al. Impact of unlabeled French antibiotic guidelines on antibiotic prescriptions for acute respiratory tract infections in 7 pediatric emergency departments, 2009-2012. Pediatr Infect Dis J. 2014;33(3):330-3.

13. Ministry of Health Malaysia. National Antimicrobial Guideline (NAG) 4th Edition. 2024. Available at: https:// pharmacy.moh.gov.my/en/documents/ national-antimicrobial -guideline-nag-

2024-4th-edition.html. Last accessed: 2 August 2024.

14. WHO Collaborating Centre for Drug Statistics Methodology. Guidelines for ATC Classification and DDD Assignment. 2018. Available at: https:// www.drugsandalcohol.ie/29364/. Last accessed: 9 April 2025.

15. May L et al. Antimicrobial stewardship in the emergency department: characteristics and evidence for effectiveness of interventions. Clin Microbiol Infect. 2021;27(2):204-9.

16. Department of Statistics Malaysia (DOSM). My Local Stats Larut dan Matang, Perak. 2021. Available at: https://www.perak.gov.my/images/ menu_utama/ms/Kerajaan_ negeri/ data_UPEN/MyLocalStatsPerak/ Daerah/LarutMatang/ MLSLarutMatang2021.pdf. Last accessed: 2 February 2025.

17. Shakeel S et al. Adherence to national antimicrobial guidelines in hospitalized geriatric patients with community-acquired pneumonia: a prospective observational study in a Malaysian hospital. Antibiotics (Basel). 2021;10(12):1490.

18. Ball P. The clinical development and launch of amoxicillin/clavulanate for the treatment of a range of community-acquired infections. Int J Antimicrob Agents. 2007;30

Suppl 2:S113-7.

19. Qian S et al. Appropriate prescribing of azithromycin for community-acquired pneumonia. Intern Med J. 2022;52(6):1079-82.

20. Niederman MS. Recent advances in community-acquired pneumonia: inpatient and outpatient. Chest. 2007;131(4):1205-15.

21. Vieira AL, Capela C. Appropriateness of antibiotic prescriptions for hospital emergency department patients. Eur J Intern Med. 2013;24(Suppl 1):e198-9.

22. Hancox JC et al. Azithromycin, cardiovascular risks, QTc interval prolongation, torsade de pointes, and regulatory issues: a narrative review based on the study of case reports. Ther Adv Infect Dis. 2013;1(5):155-65.

23. Albert RK, Schuller JL. Macrolide antibiotics and the risk of cardiac arrhythmias. Am J Respir Crit Care Med. 2014;189(10):1173-80.

24. Ray WA et al. Azithromycin and the risk of cardiovascular death. N Engl J Med. 2012;366(20):1881-90.

25. Lode H. The pharmacokinetics of azithromycin and their clinical significance. Eur J Clin Microbiol Infect Dis. 1991;10(10):807-12.

26. Morris DL et al. High and prolonged pulmonary tissue concentrations of azithromycin following a single oral dose. Eur J Clin Microbiol Infect Dis. 1991;10(10):859-61.

27. Jit M et al. Quantifying the economic cost of antibiotic resistance and the impact of related interventions: rapid methodological review, conceptual framework and recommendations for future studies. BMC Med. 2020;18(1):38.

28. Salman JA, Alawi S, Alyusuf YE, et al. Patterns of antibiotic prescriptions and appropriateness in the emergency room in a major secondary care hospital in Bahrain. Int Arab J Antimicrob Agents. 2015;5(3):4.

29. Bauman EL et al. Appropriateness of antibiotic prescribing in patients discharged from a community hospital emergency department. Patient Safety. 2022;4(SI):10-9.

30. Koh HP et al. Appropriateness of antimicrobial prescribing in the highburden emergency department of a tertiary hospital in Malaysia. Int J Clin Pharm. 2021;43(5):1337-44.

31. Fahs I et al. Professional practice evaluation of emergency department prescriptions for community-acquired infections in Lebanon. Int J Infect Dis. 2017;64:74-9.

32. Le G et al. A study review of the appropriateness of oral antibiotic discharge prescriptions in the emergency department at a rural hospital in Mississippi, USA. Antibiotics (Basel). 2023;12(7):1186.

33. Almansoori N, Parag N. Antibiotic prescribing patterns in emergency

department at regional hospital in South Africa. Afr Health Sci. 2021;21(4).

34. Berrevoets MAH et al. Appropriate empirical antibiotic use in the emergency department: full compliance matters! JAC Antimicrob Resist. 2019;1(3):dlz061.

35. Robinson HL et al. Poor compliance with community-acquired pneumonia antibiotic guidelines in a large Australian private hospital emergency department. Microb Drug Resist. 2014;20(6):561-7.

36. Ducasse JL et al. Antimicrobial therapy for patients with communityacquired pneumonia in the emergency department: results from a French national audit. Emerg Med Investig. 2016;DOI:10.29011/2475-5605.101012.

37. Denny KJ et al. Appropriateness of antibiotic prescribing in the emergency department. J Antimicrob Chemother. 2019;74(2):515-20.

38. Seo C et al. Guideline-concordant therapy for community-acquired pneumonia in the hospitalized population: a systematic review and meta-analysis. Open Forum Infect Dis. 2024;11(7):ofae336.

39. Talari K, Goyal M. Retrospective studies—utility and caveats. J R Coll Physicians Edinb. 2020;50(4):398-402.

Recurrent Bacterial Meningitis Secondary to Cribriform Plate Defect: A Case Report and Literature Review

Authors: *Lucas Alexander Schwartz,¹ Alexander Mark Gliane Aldanese,¹ Jeremy Charles Fontirroche,¹ Miranda Montion,² Wyatt Ferrelle,² Nicole Kiril Nikolov,³ Kevin Kelly,⁴ Anjali Bakshi⁴

1. St. George's University, True Blue, Grenada

2. Ross University School of Medicine, Bridgetown, Barbados

3. Sutter Roseville Medical Center, California, USA

4. Flushing Hospital, New York, USA

*Correspondence to lucasalexanderschwartz@gmail.com

Disclosure: The authors have declared no conflicts of interest.

Received: 17.09.24

Accepted: 28.01.25

Keywords: Cerebrospinal fluid (CSF) leak, cribriform plate, familial meningitis, meningitis, recurrent meningitis.

Citation: EMJ Microbiol Infect Dis. 2025;6[1]:81-88. https://doi.org/10.33590/emjmicrobiolinfectdis/HCRO3967

Abstract

Recurrent meningitis, although rare, poses a significant clinical challenge due to its potential for severe complications and profound impact on patient quality of life. This case report details a 33-year-old male with a family history of meningitis who presented with recurrent bacterial meningitis. Initial diagnostic evaluations, including CT and MRI, identified a defect in the bony cribriform plate, creating an abnormal pathway for bacterial invasion.

Despite appropriate management with intravenous antibiotics, the patient's recurrent episodes necessitated surgical intervention. A multidisciplinary approach involving neurosurgical resection of the mass and repair of the skull base defect successfully resolved the issue, with the patient remaining asymptomatic postoperatively.

This report emphasises the importance of thorough anatomical evaluation in cases of recurrent meningitis, particularly in identifying subtle skull base defects that may not be apparent on initial imaging. The discussion reviews the relevant literature on the aetiologies of recurrent bacterial meningitis, highlighting the significant role of anatomical abnormalities and the necessity for advanced imaging techniques in diagnosis. Further research into the potential familial links and unrecognised aetiologies of recurrent meningitis is warranted to better understand and manage this complex condition.

Key Points

1. Recurrent bacterial meningitis is rare but poses significant diagnostic and treatment challenges, often requiring advanced imaging and multidisciplinary interventions to identify underlying anatomical defects.

2. This is a case report and literature review describing a 33-year-old male with recurrent bacterial meningitis due to a cribriform plate defect. The authors also analyse similar cases of recurrent meningitis, growths capable of causing cribriform plate defects, and possible aetiologies of familial bacterial meningitis.

3. Familial bacterial meningitis is exceptionally rare, and recurrent cases should be thoroughly investigated for anatomical defects and genetic contributions to guide appropriate diagnosis and management.

INTRODUCTION

Recurrent meningitis is a rare but serious condition, occurring in about 5% of cases of communityacquired meningitis.1 Recurrent episodes of meningitis can result from various underlying causes, including infection, tumours, medications, and autoimmune diseases, making accurate diagnosis crucial for treatment.2 Anatomical skull defects, which can be congenital or more often acquired through trauma or mass compression, are significant risk factors for an infectious aetiology, as they create abnormal pathways for pathogens to enter the meninges.3,4

In this case report, a complex presentation of recurrent meningitis secondary to a mass lesion, leading to a cribriform plate defect and creating a pathway for bacteria to cause repeated infections, is presented. While the author’s pathologists could not definitively diagnose the specimen microscopically, the likely role of nasal polyps as the cause of the patient’s recurrent episodes is also explored. This case is particularly notable due to the patient’s significant family history of adulthood meningitis, likely indicating familial contributions, an area only scarcely analysed in the medical literature. The imaging modalities used to diagnose the condition and its potential aetiology are also discussed, in addition to the established treatment protocols and potential surgical approaches for managing skull base defects causing cerebrospinal fluid (CSF) leaks.

This detailed analysis highlights the importance of comprehensive evaluation and intervention to prevent recurrent episodes and improve patient

outcomes. Written consent for this report was provided by our patient.

CASE PRESENTATION

A 33-year-old male presented to the emergency department (ED) with a 3-hour history of severe generalised headache accompanied by nausea and photophobia. He also reported a sore throat, myalgias, diarrhoea, and recent exposure to a sick contact. The patient’s past medical history was significant for migraines and two prior hospitalisations for bacterial meningitis in 2017 and 2020. There was no known history of recent or remote head trauma and no prior ENT (Ear, Nose, Throat) or neurosurgical procedures. His family history included a brother and an uncle who had both passed away from meningitis. He stated he was allergic to dust mite extract, tomato, amoxicillin-clavulanate, seafood, and shellfish and was a six-pack-year smoker. Although not reported by our patient in the ED, it was later noted he also had a history of chronic rhinosinusitis.

On arrival, the patient was afebrile and haemodynamically stable; however, his condition rapidly deteriorated, leading to progressive alteration in mental status and lethargy, necessitating intubation and admission to the ICU. Laboratory investigations revealed an elevated white blood cell (WBC) count of 14.4 with neutrophilia and increased procalcitonin levels. A CT scan of the head performed on admission was unremarkable. Two lumbar punctures (LP) were done, and the findings were consistent with bacterial meningitis, as shown in Table 1. Other positive findings in the CSF are also included in Table 1. Tests for HIV, herpes simplex virus, syphilis, and West Nile virus antibodies were negative. A

CSF Cell Count

CSF: cerebrospinal fluid; RBC: red blood cells; WBC: white blood cells.

limited immunological workup, performed acutely secondary to the family history, was also negative, including measurement of IgG and IgM levels, complement levels, and antinuclear antibodies (ANA). An EEG demonstrated diffuse slowing, indicative of encephalopathy of metabolic-toxic origin.

Follow-up head CT without contrast revealed mucosal-thickening in the maxillary and sphenoid sinuses, prompting further investigations. CT imaging of the sinus and maxillofacial bones, as seen in Figure 1, revealed a 4 mm defect in the bony cribriform plate and a widening of the olfactory fossa on the right. Follow-up MRI, per Figure 2, of the brain revealed an ovoid structure within the superior aspect of the right nasal cavity extending towards the cribriform plate defect measuring 0.6×0.8×0.8 cm, suggesting the presence of an intranasal glioma or dermoid cyst (Figures 1 and 2A–D).

The patient was treated with intravenous ceftriaxone for 2 weeks and

dexamethasone for 4 days. His condition gradually improved, and he was discharged on hospital Day 14, in stable condition, with a prescription for oral levofloxacin for 7 days and subsequent prophylactic antibiotics. He also received PCV 20 and PPSV 23 vaccinations.

A month after discharge, the patient underwent a nasal endoscopy to visualise the septum, turbinates, osteomeatal complexes, and sphenoethmoidal recesses. The findings of this procedure included generalised mucosal oedema with bilateral inferior turbinate hypertrophy and a deviated septum but no visualisation of any growths. The lack of clear findings prompted neurosurgical intervention to surgically resect the growth visualised on CT, causing the cribriform plate defect.

A week after the nasal endoscopy, the author’s patient went into surgery requiring both an otolaryngologist and two neurosurgeons. The otolaryngologist initiated the procedure by accessing the intranasal

Table 1: Cerebral spinal fluid findings.

Widening of the olfactory fossa on the right; 4 mm defect in the bony cribriform plate, marked by the arrow; increased soft tissues medial to the inferior turbinate and superior in the anterior nasal cavity, marked by the stars.

A B C D

Within the superior aspect of the right nasal cavity is a T1 hyperintense ovoid structure measuring 0.6 × 0.8 × 0.8 cm, marked by the stars, with corresponding lower signal on the T2/FLAIR images. On sagittal images, an arrow is marked where there appears to be a potential extending towards the cribriform plate defect seen on CT.

cavity with an endoscope. They identified the lesion at the anterior skull base, harvested a nasoseptal flap, and prepared it for later use. Using a bimanual technique, the surgeons collaboratively resected the lesion under endoscopic visualisation, noting a low-volume CSF leak from a small dural communication. The lesion and surrounding mucosa were removed and sent for biopsy,

revealing thick mucus-like material, which was cultured. To repair the skull base defect, an abdominal fat graft was harvested and placed intradural and over the dural defect. A button gasket seal using alloderm and adheris was created, effectively sealing the defect. The nasoseptal flap was then secured over the closure, ensuring no further CSF egress.

Figure 1: CT sinus maxillofacial bones without contrast.
Figure 2: MRI brain with and without contrast.

The procedure was completed without complications, and the patient was extubated post-operatively after placing a temporary lumbar drain for 3 days.

Outpatient MRI confirmed adequate repair of the cribiform plate defect. Approximately 1 month after discharge, the patient returned for follow-up, and he remained asymptomatic at subsequent visits, with a full recovery postoperatively. He underwent an extensive immunologic workup and was eventually cleared of his symptoms being secondary to an immunodeficiency. This was done in part secondary to the positive familial history. The anterior skull base lesion was subsequently biopsied, with the report stating only “benign sinonasal mucosa with no evidence of tumour.” This report ruled out a dermoid cyst or glioma, the leading suspicion after the MRI. However, no further comments were made about the nature of the removed pathology.

DISCUSSION

The definition of recurrent bacterial meningitis may vary depending on the source. According to a large 2022 study on bacterial meningitis, it is defined as a second or subsequent episode of bacterial meningitis, either caused by a different organism or occurring more than 3 weeks after the resolution of the previous infection.¹ In this 2022 study, 2,264 patients with bacterial meningitis were examined, and 118 (approximately 5%) met the criteria for recurrent bacterial meningitis based on this definition.¹ Thirty-two percent of these cases were secondary to CSF leakage, with the most frequent risk factor seen in patients with recurrent bacterial meningitis being parameningeal infections of the ears or sinuses at 36%.1 Immunocompromised states were involved in only 14% of cases, while 26% of subjects had no risk factors present.1 A history of otolaryngological surgery or remote head trauma were found to be the leading associations with CSF leakage, representing 27% and 24% of cases, respectively.1 These data underscore the importance of a thorough medical history and physical examination in patients with recurrent meningitis. For instance,

patients may not recognise prior head trauma or chronic sinusitis as relevant to their recurrent infections.

In the authors’ case, a CSF leak was identified to be the cause of the recurrent episodes, but the tissue biopsy for the lesion around the cribiform plate defect was left without stating a definitive diagnosis. It is believed that a mass of benign sinonasal mucosa indicates a polyp, and the patient’s history of chronic rhinorrhoea supports this claim. Polyps causing recurrent bacterial meningitis are exceedingly rare and can also involve the parameningeal spread of chronic sinus infection rather than CSF leak. In a case report from South Korea, a middleaged patient similar to the authors' also presented to the hospital for his 3rd episode of CSF culture-confirmed Streptococcus pneumoniae bacterial meningitis.5 CT scan revealed an inflammatory polyp along the cribriform plate, confirmed explicitly by biopsy upon removal.5 This patient, however, had no signs of a skull base defect causing a CSF leak, and their episodes were deemed to be caused by parameningeal spread.5

Recurrent bacterial meningitis secondary to a polyp causing CSF leak is thought to be due to the polyp causing increasing pressure on the skull.6 Eventually, after years, significant bony erosion can occur, causing skull base defects and CSF leaks. This rare phenomenon has previously been demonstrated to be a cause of recurrent bacterial meningitis.6 It should also be noted that chronic CSF leak could instead be the source of sinonasal inflammation and subsequent polyp formation.7 Still, given the patient’s lack of trauma history and the presence of multiple allergies, the polyp was likely the initiating factor in this particular case rather than a spontaneous CSF leak.

Although the pathology report likely rules these out, other possible causes of the patient’s CSF leak include meningiomas, dermoid cysts, inverted papillomas, meningoceles, and encephaloceles. These are benign sinonasal epithelial masses capable of causing CSF leaks.8 There have been several cases of dermoid cysts causing recurrent bacterial meningitis in children, which likely contributed to the initial MRI

read’s suspicion of a dermoid cyst. However, the few documented cases of these cysts presenting in adulthood have caused aseptic meningitis secondary to rupture. In the author’s review of the literature, one case of an adult patient with an encephalocele resulting in repeated episodes of bacterial meningitis was found. This patient underwent a pterional craniotomy with no known further episodes.9

Workup for recurrent bacterial meningitis should likely be initiated at the second lifetime episode. In addition to immunological tests, the above study revealing a significant amount of cases due to anatomical reasons highlights the importance of sensitive imaging studies to detect skull base defects. Although most patients will receive a non-contrast head CT before LP, it has low sensitivity in identifying skull base defects and subsequent CSF leaks. Therefore, it is recommended that further imaging be completed in cases of recurrent bacterial meningitis. As backed by the data stated above, it is also recommended that minor immunodeficiencies should not cause a complete cessation of imaging studies in the search for the aetiology of recurrent bacterial meningitis.4

Suspected CSF leaks, such as the presence of clear-coloured rhinorrhoea or otorrhoea, can also initially be investigated with a B-2 transferrin assay. This test is not diagnostic and was not performed on the authors’ patient, but positive test results will increase the urgency of precise imaging.10 The specific imaging studies should be based on the degree of clinical suspicion.

Suspicion of anterior skull base defects, as in the authors’ patient, should initially be investigated with a thin-section cranial CT focusing on the coronal cut. It has been reported that axial cuts have lower sensitivity in identifying defects in the ethmoidal or cribriform plate areas.11 Thin slice CT at 1–2 mm has also been found to be much more specific than a thicker cut of 4–5 mm.11 As seen in their patient, CT-sinuses should be performed if there is evidence of sinus pathology. The presence of CSF otorrhoea, would necessitate a CT

of the temporal bone. Regardless of the type, CTs should likely be followed up with MRIs, especially when there is surgical consideration. If CSF leakage suspicion remains strong with negative CT imaging, cisternography can be performed to identify more minor defects. However, it is essential to remember that cisternography requires LP and comes with associated risks of infections. For this reason and the fact that comparison of non-contrast imaging can significantly improve interpretation quality, cisternography should rarely be the initial imaging study of choice.

Identifying the pathogen via CSF cultures is also an integral part of the diagnostic and treatment plan. Like isolated bacterial meningitis, S. pneumoniae was also found to be the leading cause of recurrent episodes, representing ~65% of cases, as seen in the authors’ patient.1 Bacteria isolation can also give clues into possible aetiologies of the episodes. For example, 92% of cases in which Neisseria meningitidis was isolated were found to also have complement deficiencies.1 In these cases, performing early terminal complement studies first, then intense imaging, could be advantageous.

Familial bacterial meningitis is exceptionally rare and therefore scantily explored. The author’s literature search yielded few explanations as to why the patient and two family members experienced meningeal infections. Immunodeficiencies are the most common cause and could, in theory, also explain the patient’s chronic rhinosinusitis. Many of these complex genetic anomalies, however, more commonly cause aseptic meningitis.12 One possibility for episodes of bacterial meningitis within a family is hereditary complement deficiency. Although these immunodeficiencies are much more often acquired, there are cases of inherited syndromes. Nevertheless, the authors' patient underwent an extensive outpatient immunologic workup, which was nonrevealing. An immunodeficiency would also not account for the CSF leak.

Although it is unclear if this patient’s family members also had CSF leaks, inherited causes of this anatomical problem are exceedingly rare. There has been one

documented case of familial spontaneous CSF leaks being secondary to underlying connective tissue disorders, which involved the formation of meningeal diverticula, a feature not present in the authors’ patient.13 Other possible causes of familial CSF leaks include cranial malformation syndromes, which can lead to encephaloceles or dermoid cysts. An inheritable meningioma syndrome such as neurofibromatosis could also result in a CSF leak due to mass effect. However, the patient’s pathology report, which describes only benign sinonasal mucosa, rules out these possibilities. The presence of a polyp could suggest an inheritable sinonasal polyposis syndrome, such as primary ciliary dyskinesia, but in the literature search, no cases of this specific syndrome were found connected to recurrent bacterial meningitis. The authors’ patient was referred to a geneticist for further evaluation into these differential diagnoses, but no documentation exists of this visit.

Treatment of recurrent bacterial meningitis in the acute stage is no different than meningitis in isolated cases. Initiating intravenous antibiotics and supportive measures promptly is crucial to avoid acute deterioration. Once the patient is stabilised, any skull base defects should be addressed surgically. Endoscopic techniques are the preferred approach for managing these defects.14

There are several surgical techniques for repairing cribriform CSF leaks, including the overlay technique, where a free mucosal graft from the opposite septum is placed over the defect and stabilised with SurgiCel (Ethicon Inc., Raritan, New Jersey, USA). Other approaches include the interlay, underlay, and sandwich techniques, which position the graft between, beneath, or in multiple layers of tissue, respectively. The bath plug technique uses a fat graft to fill larger defects, often followed by a mucosal graft for support. The gasket seal technique, used on this patient, involves layering grafts to seal the defect tightly. Additionally, abdominal fat, bone, temporalis fascia, nasal septum mucosa, and conchal cartilage have been used as graft materials.15 While these techniques vary in complexity and donor site morbidity,

the use of an underlay or multilayer graft, as employed in this patient, is generally reserved for larger and deeper defects. The choice of graft material is often determined by the size of the defect, with larger defects requiring stronger materials, such as bone or muscle.14,16 However, the type of graft used has not been shown to significantly affect the overall success rate.17

Now nearly 1-year post-op, the patient has had no further episodes of meningitis. He has followed up with both ENT and immunology specialists without complications. He has also had no documented rhinorrhoea since the surgery. These findings support that this patient’s CSF leak was indeed patched. However, it is essential to consider that this patient’s prior episodes of meningitis occurred multiple years apart. Close follow-up to ensure the source of his infections was rectified will be essential for multiple years. This is particularly important when considering that up to 41% of patients will have an additional episode post-surgical repair.1 In these cases, further investigation into alternative causes should be conducted.

CONCLUSION

Bacterial meningitis is a severe and life-threatening condition that requires quick and effective treatment to prevent serious sequelae. Structural skull abnormalities, chronic infections of adjacent sites, or immunodeficiencies may allow for the reintroduction of bacteria, leading to recurrent infections. While immunodeficiencies should be evaluated in cases of recurrent bacterial meningitis, anatomical defects are a more common underlying aetiology. These defects, often affecting the skull base or cribriform plate, create a channel for bacteria to gain meningeal access. While these anatomical deformities may be present at birth, they also appear secondary to trauma or through bony erosion from tumours, cysts, and, in the authors’ patient, a likely polyp. Due to the significant prevalence of structural abnormalities in this patient population, it is crucial to obtain a thorough trauma history and proper imaging when investigating

the underlying cause. Understanding the aetiology of the infections is necessary to guide treatment and prevent future occurrences. Secondary to the scarceness of recurrent meningitis episodes, research is still needed to gain more precise data on the frequencies of these aetiologies, particularly of such involving CSF leaks.

References

1. Ter Horst L et al. Recurrent communityacquired bacterial meningitis in adults. Clin Infect Dis. 2021;73(9):e2545-51.

2. Rosenberg J Galen BT. Recurrent meningitis. Curr Pain Headache Rep. 2017;21(7):33.

3. Adriani KS et al. Community-acquired recurrent bacterial meningitis in adults. Clin Infect Dis. 2007;45(5):e46-51.

4. Verma N et al. An important diagnosis to consider in recurrent meningitis. JRSM Short Rep. 2013;4(9):2042533313486640.

5. Kim SY et al. Recurrent bacterial meningitis associated with inflammatory nasal polyp. J Korean Neurol Assoc. 2022;40(3):247-50.

6. Berhouma M et al. Benign ethmoidal polyposis as an unusual cause of CSF leakage and recurrent meningitis. Pan Arab J Neurosurg. 2009;13(2):122-123+138.

This is of particular importance when considering the possibility of recurrent familial meningitis. This case is unique because familial bacterial meningitis secondary to polyposis has not previously been explored before in the literature. The authors’ patient highlights the potential and unresearched role of familial inheritance in bacterial meningitis.

7. Gallina E et al. Cerebrospinal fluid rhinorrhea and unilateral nasal polyposis: a case report. Auris Nasus Larynx. 1990;17(1):39-44.

8. Syed MU et al. Radiologic overview of sinonasal lesions. Front Radiol. 2024;4:1445701.

9. Go K et al. Recurrent meningitis in the context of an encephalocele. Cureus. 2022;14(9):e29594.

10. Haft GF et al. Use of beta-2-transferrin to diagnose CSF leakage following spinal surgery: a case report. Iowa Orthop J. 2004;24:115-8.

11. Carrol ED et al. Lesson of the week: recurrent bacterial meningitis: the need for sensitive imaging. BMJ. 2001;323(7311):501-3.

12. Moon J. Rare genetic causes of meningitis and encephalitis. Encephalitis. 2022;10;2(2):29-35.

13. Mokri B. Familial occurrence of spontaneous spinal CSF leaks:

underlying connective tissue disorder (CME). Headache. 2008;48(1):146-9.

14. Chadaram S et al. Endoscopic repair of CSF rhinorrhea: our experience at a tertiary centre. Indian J Otolaryngol Head Neck Surg. 2023;75(Suppl 1):727-32.

15. Ahilasamy N et al. Cribriform CSF leak: endoscopic surgical repair using free septal mucosal graft without postoperative nasal packs. Indian J Otolaryngol Head Neck Surg. 2021;73(3):290-5.

16. Okasha MM et al. Evaluation of endoscopic repair of cerebrospinal fluid rhinorrhea. Interdiscip Neurosurg. 2021;23:101032.

17. Castelnuovo P et al. Endoscopic repair of cerebrospinal fluid rhinorrhea: learning from our failures. Am J Rhinol. 2001;15(5):333-42.

Evaluation of Antimicrobial Resistance Patterns at FMIC Hospital in Kabul, Afghanistan

1. Microbiology Department, Rabia Balkhi University, Kabul, Afghanistan

2. Afghanistan Food and Drug Authority (AFDA), Kabul, Afghanistan

3. Kabul University, Afghanistan

*Correspondence to zolfalidawlatpoor45@gmail.com

Disclosure: The authors have declared no conflicts of interest.

Acknowledgements: The authors would like to thank all the participants in this research, the leadership of Rabia Balkhi University, the specified hospital laboratory respected staff, and their family.

Received: 13.11.24

Accepted: 28.01.25

Keywords: Antibiotics, antimicrobial resistance (AMR), bacterial culture, microorganism, susceptibility.

Citation: EMJ Microbiol Infect Dis. 2025;6[1]:89-96. https://doi.org/10.33590/emjmicrobiolinfectdis/BMAE5143

Abstract

Antimicrobial resistance (AMR) is a critical global issue, contributing to increased morbidity and mortality, prolonged hospital stays, and rising healthcare costs. In Afghanistan, alarming levels of AMR continue to be driven by self-medication, overuse of antibiotics, and inadequate awareness among patients and healthcare providers. This study aimed to evaluate the levels of AMR at the French Medical Institute for Mothers and Children (FMIC) hospital in Kabul, Afghanistan, and compare them with the global landscape of AMR.

Blood, urine, and purulent samples were collected from 6,709 patients at FMIC hospital, including infants, children, and adults. The disk diffusion method was used for antimicrobial susceptibility testing, and data analysis was performed using SPSS (IBM, Armonk, New York, USA) software.

The majority of participants were adults (45.8%) and female. The largest proportion of positive samples came from male patients, and urine cultures yielded the highest number of positive results. Escherichia coli was the most commonly isolated microorganism, with resistance found in 51.2% of patients, followed by Staphylococcus aureus with resistance levels of 26.37%. Amikacin was the most frequently used antibiotic, while amoxicillin/ clavulanic acid was the least effective. Levels of E. coli resistance were seven-to-eight times higher than in Europe, highlighting the urgent need for improved antibiotic stewardship and infection control measures in Afghanistan.

The findings provide valuable information on the prevalence of microorganisms in clinical samples and their susceptibility to various antibiotics in Kabul, contributing to the development of effective strategies to combat both locally and globally.

Key Points

1. Antimicrobial resistance (AMR) is a growing global health threat, exacerbated by overuse and irrational use of antibiotics, particularly in low-resource settings like Afghanistan, where testing centres are limited.

2. This study, conducted at FMIC hospital in Kabul, analysed microbial resistance patterns among 6,709 patients, highlighting alarmingly high antibiotic resistance rates to common antibiotics like ampicillin and ciprofloxacin.

3. The study underscores the need for strict antibiotic stewardship and rational prescription practices, particularly for clinicians who overuse antibiotics, to combat the rising threat of AMR in Afghanistan and similar regions.

INTRODUCTION

Antimicrobial resistance (AMR) is a critical global issue, contributing to increased morbidity and mortality, prolonged hospital stays, and rising healthcare costs. According to the WHO, microbial resistance is expected to be one of the leading causes of death by 2050, surpassing even cancer. Currently, around 700,000 people die annually due to infections resistant to common antibiotics.1,2

Existing studies reveal alarming levels of AMR in Afghanistan, driven by factors such as self-medication, overuse of antibiotics, and inadequate awareness among patients and healthcare providers. For instance, findings show that 87% of individuals procure antibiotics from pharmacies without prescriptions, and misconceptions about antibiotic usage are prevalent.3 Additionally, local studies have identified high resistance rates among both Gram-positive and Gram-negative bacteria, particularly for commonly used antibiotics such as ampicillin and ciprofloxacin. Despite these challenges, limited data exists comparing microbial resistance in Afghanistan to global trends. This study addresses this gap by evaluating resistance patterns in Kabul hospitals and comparing them with other countries. This contribution is critical to informing targeted interventions for reducing AMR in the region and aligning Afghanistan’s response with global efforts.

In Afghanistan, AMR is exacerbated by various factors, including limited access to healthcare, low literacy, and the availability of substandard antibiotics. A 2021 study found that many people in Afghanistan use antibiotics irrationally, either without

prescriptions or in combination with other drugs, in an attempt to accelerate recovery.4 Such practices increase the risk of resistance, which can worsen the clinical outcomes of infections and complicate treatments. In a 2021 study in Kabul5 and a study conducted at FMIC between 2010–2015, resistance rates to commonly used antibiotics, such as amoxicillin and ampicillin, were alarmingly high.6

This study is of great significance for Afghanistan as it provides crucial insights into the rising levels of AMR in the country, a growing public health threat. Understanding local resistance patterns is essential for developing targeted treatment strategies, improving antibiotic stewardship, and guiding public health policies to combat infections effectively.

Globally, the study contributes to the broader understanding of AMR by highlighting regional differences in resistance profiles and comparing Afghanistan’s data with international trends. It emphasises the need for global collaboration in addressing AMR, sharing knowledge, and implementing effective measures to prevent its spread. The findings also add to the growing body of research on antibiotic resistance, which is critical for informing worldwide strategies to preserve the effectiveness of antibiotics for future generations.

MATERIALS AND METHODS

This cross-sectional descriptive study was conducted from January–November 2023 at FMIC hospital, a leading hospital in Kabul. A total of 6,709 patients were screened for

microbial cultures and antibiograms, with 1,889 positive cases analysed after excluding irrelevant samples (e.g., fungal samples and contaminated samples). The patient data collected included demographic details, the nature of the sample (e.g., blood, urine, or purulent), and the specific antibiotics tested.

Samples were processed in the laboratory using standard diagnostic procedures to ensure reliability and accuracy. Blood cultures were analysed using the BACTEC™ 9240 machine, and bacterial identification was performed using API identification strips (Biomerieux, France). Antibiotic susceptibility testing was conducted using the disk diffusion method, strictly adhering to Clinical and Laboratory Standards Institute (CLSI) guidelines.7 Internal quality control measures included the use of control strains and regular calibration of laboratory equipment. Additionally, any unexpected or inconsistent results were repeated to confirm accuracy. The laboratory staff consisted of trained microbiologists. Supervisors regularly reviewed the work to ensure strict adherence to established protocols.

Data were analysed using SPSS version 25 and Microsoft Excel (Redmond, Washington, USA), with a focus on patient demographics, types of microorganisms identified, and antibiotic resistance patterns. Patient information was obtained from the healthcare system database, and there was no direct contact with patients.

This study was conducted in coordination with the Ministry of Public Health of Afghanistan and the management of the hospital. Ethical approval was granted by the Ethical Committee of Rabia Balkhi University, Kabul, Afghanistan, ensuring compliance with national and international ethical standards for research.

RESULTS

This study, conducted in 2023, aimed to assess the microbial resistance situation in Kabul city. A total of 6,709 samples were collected, of which 1,889 exhibited positive bacterial growth and were subsequently

analysed. The samples were categorised into three age groups: infants (from birth to 2 years old), comprising 831 samples (44%); children (ages 2–19), comprising 192 samples (10.2%); and adults (ages 19–100), comprising 866 samples (45.8%). Among the participants, 910 (48.1%) were men and 979 (51.8%) were women. Regarding the sample origin, 318 blood samples (16.8%), 799 urine samples (42.3%), and 772 pus samples (40.9%) were analysed.

In this study, most infants were male. The frequency of participation among infants and children was similar across genders, while female adult participants were significantly more common (55.2%). Most blood samples were obtained from infants (82.4%), while most urine and purulent samples were collected from adults. The study identified 27 different microorganisms, with the most common resistant organisms being Escherichia coli (27.7%), predominantly in female patients (66.09%), followed by Staphylococcus aureus (13.8%), Staphylococcus spp. (non-aureus; 13.5%), Pseudomonas spp. (8.5%), Serratia spp. (4.9%), Klebsiella spp. (4.6%), Enterococcus spp. (3.4%), and Serratia odorifera (2.8%), with 55.77% of cases occurring in females.

ANTIBIOTIC RESISTANCE PATTERNS

Among the 33 antibiotics tested, the following showed the highest resistance rates:

• Amoxicillin-clavulanic acid: 81.9% resistance with 51.25% in females.

• Ampicillin: 95.7% resistance with 52.22% in females.

• Cefixime: 86% resistance with 51.85% in females.

• Cotrimoxazole: 68% resistance with 53.07% in females.

• Ceftazidime: 62.4% resistance with 52.21% in females.

• Ofloxacin/ciprofloxacin: 56.6% resistance with 52.72% in females.

Most significantly, higher resistance was observed in females, but antibiotics such as amikacin (56.42%), piperacillin/ tazobactam (57.14%), meropenem (64.57%), rifampicin (56.12%), vancomycin (66.66%), chloramphenicol (70.27%), tetracycline (58.33%), and fosfomycin (57.89%) showed higher resistance in male participants than in females (Table 1).

Antibiotics with the least resistance (below 20%) included vancomycin (2.4% resistance), colistin (2.6% resistance), and polymyxin B (0% resistance) (Table 2).

Resistance to antibiotics such as ampicillin and amoxicillin-clavulanic acid was notably high, indicating widespread resistance among common pathogens.

DISCUSSION

The findings of this study align with global trends, showing a significant increase in AMR. Escherichia coli was found to have the highest resistance to cephalosporins, penicillins, and fluoroquinolones, which mirrors findings from other regions, including Iran and Morocco.8,9 Additionally, resistance to co-tromoxazole has been reported in Iran.10

When comparing these results with other countries, such as Iran, China, and the USA,11 Afghanistan’s resistance rates were found to be significantly higher. For example, E. coli resistance to cephalosporins in Europe averages around 12%, whereas in Afghanistan, it was found to be 80.23%.12 A study in a US military hospital found that 70% of E. coli strains among Afghanistan nationals are resistant to cephalosporins.13 This substantial difference highlights the urgent need for improved antibiotic stewardship. Infection control practices in Afghanistan also require significant attention.

Among Gram-positive organisms, Staphylococcus aureus demonstrated 93.14% resistance to penicillin, which is greater than the 99.05% observed in this study, underscoring the prevalence of methicillin-resistant S. aureus (MRSA)

in the region.14 However, resistance to vancomycin was very low, which is promising for the treatment of MRSA infections in Afghanistan. In Kathmandu, Nepal, S. Aureus is less resistant to erythromycin, co-trimoxazole, and ciprofloxacin than in Afghanistan.15 In a 2008 study conducted in the European Union (EU), Staphylococcus spp. exhibited an overall resistance rate of 34.78% to fusidic acid.16 Among European countries, Ireland showed the highest resistance at 50%, followed by France with 49.4% resistance.16 In the authors’ study, Staphylococcus spp. (coagulase-negative) in Afghanistan showed a low resistance rate. This difference may be due to the lower consumption of fusidic acid in Afghanistan.

In a study conducted in 2007–2008 in the USA, only 7.2% of Staphylococcus spp. exhibited resistance to fusidic acid; while in Canada, the resistance rate was 20%, and in Australia, it was 10.8%.16 All of these rates are considerably lower than the resistance rate observed in Afghanistan.

Pseudomonas spp., another common pathogen, exhibited high resistance to multiple antibiotics, including amoxicillin-clavulanic acid (83.55%) and ampicillin (94.41%). This is concerning, as Pseudomonas infections are often associated with severe, hospital-acquired infections that require potent antibiotics. The authors’ study shows a concerning increase compared to previous studies. For instance, in Kandahar, Afghanistan in 2022, the resistance rate of Pseudomonas spp. to nitrofurantoin was recorded at 21.7%; whereas, this study found a much higher resistance rate of 83.87%.17 This sharp rise suggests a significant increase in resistance over a short period, highlighting the potential challenges in treating infections with nitrofurantoin. Similarly, amikacin and ceftriaxone resistance in Pseudomonas spp. was found to have increased between 2022–2023.17 This increase suggests a growing resistance to antibiotics, which is often used as a second-line or even last-resort antibiotic for treating resistant Pseudomonas infections.

Table 1: The most common antibiotic-resistant microorganisms identified in this study.

Resistance, R(%)

Microorganism

Enterobacter spp.

Klebsiella oxytoca

Staphylococci (other than aureus)

Burkholderia cepacia

Enterobacter cloacae

Baumannii

Stenotrophomonas maltophilia

Enterococcus spp.

Serratia spp.

Escherichia coli

Serratia odorifera

Serratia marcescens

Klebsiella pneumoniae

AMC: amoxicillin + clavulanic acid; AMK: amikacin; AMP: ampicillin; ATM: aztreonam; CAZ: ceftazidime; CFM: cefixime; COT: co-trimoxazole; CRO: ceftriaxone; FOS: fosfomycin; GEN: gentamicin; NA: not applicable; OFL/CLP: ofloxacin/ciprofloxacin; TAZ: piperacillin + tazobactam.

Table 2: The antibiotic-resistant microorganisms least frequently used in this study.

Microorganism

C: chloramphenicol; CFX: cefoxitin; CM: clindamycin; DOX: doxycycline; ERY: erythromycin; F: nitrofurantoin; FOS: fosfomycin; FUS: fusidic acid; PEN: penicillin; RIF: rifampicin; TEC: teicoplanin; TIC: ticarcillin.

According to the authors’ research, the overall antibiotic resistance of Serratia spp. in Afghanistan is 51.19%. In a 2022 study conducted in Kandahar, Serratia spp. exhibited a resistance rate of 53.8% to amoxicillin and ampicillin, 25.7% to cephalosporins, 15.4% to imipenem, 15.4% to fluoroquinolones, and 38.5% to vancomycin.17 In comparison, this study found a significantly higher rate of resistance; in some cases, two times more than in Kandahar, Afghanistan.

In a 2018 study conducted in Iran, Klebsiella spp. showed 54% resistance to co-trimoxazole.10 In Mexico (2005–2010), Klebsiella spp. showed an overall resistance rate of 23.36% to cephalosporins, 17% to fluoroquinolones, and 11.2% to piperacillin/tazobactam.18

In a 2016 study in eastern India, Streptococcus pyogenes showed 0% resistance to penicillin G, cefotaxime, vancomycin, and clindamycin, while erythromycin had a resistance rate of 2.85%, and tetracycline resistance was 53.57%.19 In contrast, in the authors’ study, Streptococcus pyogenes showed equal or high rate of resistance.

Regarding Streptococcus pneumonia, in a study by Jae-hoon Song et al.20 in Korea (2000–2001), S. pneumonia strains were less resistant to antibiotics than in Afghanistan, including penicillin, amoxicillin/clavulanic acid, erythromycin, and ceftriaxone. Furthermore, Song et al. reported that in other countries, S. pneumoniae had an overall resistance rate of 29.4% to penicillin, 32.4% to ceftriaxone, 53.1% to erythromycin, 1.6% to levofloxacin, and 6% to ciprofloxacin. When comparing the authors’ results to data from other countries, they found that the resistance to penicillin and erythromycin in Kabul is approximately twice as high.

The significant differences in AMR between Afghanistan and other countries can be attributed to several factors, including the overuse, over-prescription, and misuse of antibiotics, as well as the availability of non-standard or counterfeit antibiotics. Other contributing factors include poor

antibiotic stewardship, inadequate infection control measures, limited access to healthcare, diagnostic challenges, ineffective waste management practices, a low-income economy, and low health literacy. In Afghanistan, antibiotics are often used without proper prescriptions, leading to misuse and an increase in resistance. This is less common in countries with stricter regulations. Usman Hadi and their colleague’s studies in Indonesia have highlighted the necessary actions for reducing this, including modifying the behaviour of healthcare professionals and hospital staff, adapting health preservation practices, and enhancing good laboratory methods to decrease microbial resistance.21

Differences in laboratory materials, methods, and training could be significant factors in the observed discrepancies in antibiotic resistance results between Afghanistan and other countries. Standardising testing procedures and improving laboratory quality would help reduce these discrepancies.

CONCLUSION

This study highlights the alarming rates of AMR at this hospital in Kabul, Afghanistan, reflecting broader trends observed in similar low-resource settings. The findings emphasise the urgent need for action to address the growing AMR crisis in Afghanistan. Addressing this issue in a country with limited healthcare infrastructure presents significant challenges. Key strategies should include strengthening infection control measures, improving antibiotic stewardship, regulating the quality and availability of antibiotics, and promoting public awareness about the dangers of self-medication and overuse of antibiotics. Additionally, future research should explore new therapeutic options, including the use of biotechnology and nanotechnology solutions, to combat drug-resistant pathogens. This will require investment in local research capacity, partnerships with international experts, and the development of affordable treatment alternatives for the population in Afghanistan.

Given the literacy challenges, effective education for both healthcare workers and the public is critical. This can be achieved through the use of visual aids, community outreach, and culturally relevant messaging that emphasise the risks of improper antibiotic use. Healthcare workers can play a central role by leading these educational initiatives, ensuring that messages are delivered in simple, accessible ways.

References

1. World Health Organization (WHO). New report calls for urgent action to avert antimicrobial resistance crisis. 2019. Available at: https://www.who. int/news/item/29-04-2019-newreport-calls-for-urgent-action-toavert-antimicrobial-resistance-crisis. Last accessed: 26 February 2025.

2. Interagency Coordination Group on Antimicrobial Resistance (IACG). 2019. Available at: https://www.who. int/publications/i/item/no-time-towait-securing-the-future-from-drugresistant-infections. Last accessed: 26 February 2025.

3. Burtscher D et al. ‘They eat it like sweets’: A mixed methods study of antibiotic perceptions and their use among patients, prescribers and pharmacists in a district hospital in Kabul, Afghanistan. PLoS ONE. 2021;16(11):e0260096.

4. Roien R et al. Prevalence and determinants of self-medication with antibiotics among general population in Afghanistan. Expert Review of Antiinfective Therapy. 2021;20(2):315-21.

5. Jafari M et al. Evaluation of microbial resistance against ceftriaxone in patients referred to health centers in Kabul, 2021-2022. European Journal of Interdisciplinary Research and Development. 2022;1:19-28.

6. Tariq TM, Rasool E. Emerging Trends of bloodstream infections: a six-year study at a paediatric tertiary care hospital in Kabul. J Coll Physicians Surg Pak. 2016;26(11):887-91.

7. Clinical and Laboratory Standards Institute (CLSI). M100-S24:

In light of the high levels of resistance observed in this study, it is clear that AMR is an escalating problem in Afghanistan. Immediate action is needed from healthcare authorities, policymakers, and the international community to implement strategies that protect public health and prevent further resistance.

Performance standards for antimicrobial susceptibility testing. Available at: https://docslib.org/ download/6307536/m100-s24performance-standards-forantimicrobial-susceptibility-testing. Last accessed: 26 February 2025.

8. Tabatabaei SM et al. Epidemiology of hospital-acquired infections and related anti-microbial resistance patterns in a tertiary-Care teaching hospital in Zahedan, Southeast Iran. International Journal of Infection. 2015;2(4):e29079.

9. Loumame EH et al. Microbial resistance to carbapenems in effluents from gynaecological, paediatric and surgical hospital units. Antibiotics. 2022;15;11(8):1103.

10. Rezaee M et al. Prevalence of cotrimoxazole resistance uropathogenic bacteria in Iran: a systematic review and meta-analysis. archives of clinical infectious diseases. 2018;13(5).

11. Rodrigo L, E. coli infectionsimportance of early diagnosis and efficient treatment, 2020, IntechOpen eBooks.

12. Allocati N et al. Escherichia coli in Europe: an overview. International Journal of Environmental Research and Public Health. 2013;10(12):6235-54.

13. Sutter DE et al. High incidence of multidrug-resistant gram-negative bacteria recovered from Afghan patients at a deployed US military hospital. Infection Control and Hospital Epidemiology. 2011;32(9):854-60.

15. Morfin-Otero R et al. Resistance trends in gram-negative bacteria: surveillance results from two Mexican hospitals, 2005–2010. BMC Research Notes. 2012;5(1).

16. Castanheira M et al. Fusidic acid resistance rates and prevalence of resistance mechanisms among Staphylococcus spp. isolated in North America and Australia, 20072008. Antimicrobial Agents and Chemotherapy. 2010;54(9):3614-7.

17. Rahimi BA et al. Antibiotic resistance among patients with urinary tract infections in Kandahar, Afghanistan. Indian Journal of Community Medicine. 2023;48(6):867-72.

18. Morfin-Otero R et al. Resistance trends in gram-negative bacteria: surveillance results from two Mexican hospitals, 2005–2010. BMC Research Notes. 2012;5(1).

19. Ray D et al. Molecular characterization and evaluation of the emerging antibiotic-resistant Streptococcus pyogenes from eastern India. BMC Infectious Diseases. 2016;16(1).

20. Song JH et al. High prevalence of antimicrobial resistance among clinical Streptococcus pneumoniae isolates in Asia (an ANSORP Study). Antimicrobial Agents and Chemotherapy. 2004;48(6):2101-7.

21. Hadi U et al. Antimicrobial resistance and antibiotic use in low-income and developing countries. Folia Medica Indonesiana. 2006;42(3):183-95.

14. Naimi HM et al. Determination of antimicrobial susceptibility patterns in Staphylococcus aureus strains recovered from patients at two main health facilities in Kabul, Afghanistan. BMC Infectious Diseases. 2017;17(1).

Candida Infection: Prevalence, Associated Risk Factors, and Outcomes from a Tertiary Care Centre NICU/PICU in South India – A Retrospective Study

Authors: *Devesh Nitinkumar Joshi,1 Archana M,2 Niti Shaileshbhai Gor,3 Bhavana MV,4 Ranjeeta Adhikary,4 Bhaskar Shenoy2

1. Department of Pediatrics, GMERS Medical College and Civil Hospital, Gandhinagar, Gujarat, India

2. Department of Pediatrics, Manipal Hospital, Bengaluru, Karnataka, India

3. Department of Microbiology, B.J. Medical College and Civil Hospital, Ahmedabad, Gujarat, India

4. Department of Microbiology, Manipal Hospital, Bengaluru, Karnataka, India

*Correspondence to dr.deveshjoshi91@gmail.com

Disclosure: The authors have declared no conflicts of interest.

Received: 21.12.23

Accepted: 21.04.25

Keywords: Candidiasis, ICU, invasive fungal infection, neonatal, paediatric.

Citation: EMJ Microbiol Infect Dis. 2025;6[1]:97-105. https://doi.org/10.33590/emjmicrobiolinfectdis/HKMW5127

Abstract

Background: Advanced healthcare facilities have improved the survival of preterm babies and critically ill or immuno-compromised children. However, they have simultaneously increased the incidence of opportunistic infections like candidiasis.

Materials and methods: This is a 3-year retrospective descriptive study from the paediatric intensive care unit (PICU) and neonatal intensive care unit (NICU) of a tertiary care hospital in South India. The authors retrieved data from culture-proven candidiasis in blood, urine, and other fluids from January 2019–December 2021 to identify causative species, antibiotic sensitivity patterns, associated risk factors, and patient outcomes.

Results: Out of 1,843 admissions, 276 patients had culture-proven infections; among them, 22 (1.12%) were Candida. The incidence of Candida infection was 0.7% and 1.4% in the NICU and PICU, respectively. Out of 22 candidiasis cases, 77.2% were from the PICU and 22.7% from the NICU. Candida albicans and Candida tropicalis were the most common isolates in the NICU and PICU, respectively, and they were sensitive to fluconazole, other azoles, and echinocandins. Predisposing risk factors included the presence of invasive lines (77.3%), prior antibiotic exposure (95%), and surgical intervention (10%). A total of 54.5% of cases had bacterial co-infection during management. Overall mortality was 22.7%, with 20% and 23.5% cases from the NICU and PICU, respectively. All of these patients had multiple comorbidities, and some had serious bacterial co-infections.

Conclusion: C. albicans and C. tropicalis are the commonest species responsible for invasive Candida infections, which are highly sensitive to fluconazole. These infections are almost

always associated with risk factors, which is why high suspicion and early management are key to achieving a better outcome in such cases.

Key Points

1. Candidaemia causes significant morbidity and mortality in paediatric and neonatal ICUs. Prompt diagnosis, treatment, and prevention are critical, especially with rising antifungal resistance and high-risk factors like invasive lines and antibiotics.

2. In this retrospective ICU study, the authors found a candidaemia incidence of 1.12%, mostly involving Candida tropicalis and Candida albicans, with 22.7% mortality. Major risk factors were intravenous antibiotics and invasive lines.

3. Early antifungal treatment, as well as limiting invasive devices and inappropriate antibiotic use, are critical to reduce Candida-related ICU mortality. Fluconazole remains first-line, but resistance requires species identification and antifungal stewardship.

INTRODUCTION

Invasive Candida infections represent a significant healthcare concern, particularly in the vulnerable paediatric population. Candida species, a group of fungi normally present in the human microbiota, can cause invasive infections when they breach the body’s natural defence mechanisms.1,2 In recent years, the incidence of invasive Candida infections in children has been on the rise, leading to increased morbidity and mortality rates. Candida is the most common invasive fungal infection. The incidence of invasive Candida infection is higher in children and particularly newborns than in adults.3,4 It is one of the commonest organisms causing bloodstream infections in neonatal and paediatric patients and is associated with a very high fatality rate, with an approximate mortality of 30–50%.5–14 The incidence of candidaemia is 4–15 times higher in developing countries compared to developed ones.15 The average incidence of Candida infection in developed and developing countries varies from 0.03–1.86 per 1000 admissions and 0.26–4.2 per 1000 admissions, respectively.15 In India, the incidence of hospital-acquired candidaemia in ICU patients is 6.51 cases per 1,000 admissions.16,17

Invasive Candida infections encompass a spectrum of diseases, ranging from bloodstream infections (candidaemia) to

deep-seated organ involvement. These infections are associated with a wide range of clinical presentations, making early detection and prompt intervention critical for optimal patient outcomes. The most commonly implicated Candida species in paediatric cases include Candida albicans, Candida parapsilosis, Candida tropicalis, Candida glabrata, and Candida krusei.18,19 Because of advanced healthcare, there is an improvement in the survival of critically ill and immune-compromised patients. However, this is associated with increased opportunistic infections like candidiasis. Candidaemia is also associated with other risk factors such as invasive lines, prolonged antibiotic courses, children on total parenteral nutrition, and H2 blockers, as well as recent major surgery, particularly abdominal, necrotising pancreatitis, or peritoneal dialysis. Low birth weight children and necrotising enterocolitis (NEC) are also risk factors for preterm newborn babies.20–22

Treating invasive Candida infections in the paediatric age group poses unique challenges. Antifungal therapy with agents such as fluconazole, amphotericin B, or echinocandins is typically employed, taking into consideration factors such as the severity of the infection, patient age, immune status, and local patterns of antifungal resistance. Fluconazole and

amphotericin B are usually effective against this organism, but with the emergence of multidrug-resistant Candida species, the availability of sensitivity reports and knowledge of local antibiograms are crucial for early intervention.11,13,23–27

For better management of patients, preventing drug toxicity, and antibiotic stewardship, knowledge of regional organisms causing infections and their sensitivity patterns is not only helpful for local practitioners but also important for policymakers in creating guidelines. This knowledge is essential for shaping policies that aim to improve patient outcomes. Additionally, management often involves a multidisciplinary approach, including close collaboration between infectious disease specialists, intensivists, surgeons, and other healthcare providers.

This study was conducted to identify the Candida species responsible for infections, assess their sensitivity to antifungals, investigate associated risk factors, and analyse outcomes in the neonatal intensive care unit (NICU) and paediatric intensive care unit (PICU) within the hospital setup. While numerous studies have explored this area, this research uniquely contributes data from South India, where limited published information is available. Moreover, the study not only encompasses Candida species and sensitivity but also explores risk factors and outcomes.

OBJECTIVE

The objective of this study is to investigate several key aspects related to invasive Candida infection in the paediatric population. The specific objectives are as follows:

1. Prevalence of species-specific invasive Candida infection: the primary aim is to determine the prevalence of different Candida species causing invasive infections in paediatric patients.

2. Sensitivity pattern of Candida infection: the study intends to analyse the sensitivity pattern of the identified

Candida species to antifungal drugs. This will help guide appropriate treatment choices and determine the effectiveness of different antifungal agents.

3. Risk factors associated with invasive Candida infection: the study seeks to identify and evaluate risk factors associated with the development of invasive Candida infection in paediatric patients. Understanding these risk factors will aid in preventive strategies and targeted interventions.

4. Outcome of invasive Candida infection: the study aims to assess the outcomes of paediatric patients with invasive Candida infection.

METHODOLOGY

Materials and Methods:

This study utilised a retrospective descriptive design, involving the collection and analysis of data across 3 years, from January 2019–December 2021. It was a single-centre study conducted at a PICU and NICU of a multispecialty hospital located in Bengaluru, South India, after appropriate consent and ethical approval. A noobjection certificate (NOC) was issued by the institute, confirming that the publication of data complies with institutional policies and ethical standards. The study strictly adhered to ethical principles, including the anonymisation of patient data and the protection of confidentiality.

Data Collection:

A convenience sampling approach was used, which included all patients admitted to the PICUs and NICUs of the institute during the specified study period. Patients without any infection or those with infections unrelated to Candida were excluded from the study to ensure the accuracy and relevance of the data.

Methodology:

All available clinical data from paediatric and neonatal patients who were admitted

to the ICUs during the designated study period were retrospectively collected and analysed. Specifically, patients suspected of septicaemia, presenting with clinical indications, had samples collected from various sources, including blood, urine, pus, or others. These samples were then cultured in the in-house microbiology laboratory.

The identification of microorganisms was performed using the BacT/ALERT 3D automated system (bioMérieux, France). The system aids in the detection and identification of microbial growth, enabling the identification of the Candida species responsible for the infections. Further species identification of the Candida isolates was performed using the Vitek 2 YST identification card (bioMérieux, France), which provides accurate identification based on specific characteristics of the isolates. Standard operating procedures, as described by the manufacturer, were followed.28– 30

Data collection focused specifically on patients with culture-positive Candida infections, allowing for comprehensive analysis. Detailed information regarding the species of Candida involved and their sensitivity to antifungal drugs was collected and studied. Additionally, relevant clinical parameters of the paediatric patients were documented. Risk factors associated with Candida infection, such as prolonged antibiotic use, presence of invasive lines, and underlying comorbidities, were assessed and compared across patients. Finally, patient outcomes, including mortality rates and other significant clinical parameters, were evaluated and compared to determine the impact of invasive Candida infection on the paediatric population.

RESULTS

Patients details and risk factors

Out of a total of 1,843 ICU admissions, 276 had culture-proven infections, of which 22 (1.12%) were positive for Candida. In the NICU, a total of 693 admissions were recorded, with 5 out of 75 culture-proven infections growing Candida. In the PICU,

there were 1,150 admissions, with 17 out of 201 culture-proven infections growing Candida (Flowchart 1). The incidence rate of Candida infection was 0.7% in the NICU and 1.4% in the PICU, respectively. In contrast, 6.6% in the NICU and 8.4% in the PICU of culture-proven infections were due to invasive candidaemia. Female children were more affected than male children, with a male-to-female ratio of 1:4 in the NICU and 8:11 in the PICU. Of the 22 samples, 40% were isolated from blood, 40% from urine, and 20% from other fluids.

As mentioned in Table 1, 77.3% of cases had one or more invasive lines in situ before collecting culture samples. Except for one case, all other patients were either on intravenous (IV) antibiotics or had received IV antibiotics within 90 days prior to admission. Surgical intervention was required in 10% of cases. Among the 54.5% of cases with culture-proven bacterial co-infections during management, the most common was Klebsiella pneumoniae (seven cases), followed by Enterococcus (three cases), Escherichia coli (one case), and coagulasenegative Staphylococcus epidermidis (one case). In the NICU, 60% of infected newborns were preterm. Three out of five newborns had late-onset Candida infection (after 48 hours of life), while the remaining two had early-onset Candida sepsis.

Microbiological findings

In the PICU, the most common species responsible for candidaemia was C. tropicalis (n=7, 41%), followed by C. albicans (n=4, 23%), C. famata (n=2, 12%), and C. parapsilosis (n=2, 12%). One sample grew Candida auris (6%), and in one sample, the species could not be identified. In the PICU, 15 out of 17 cases were sensitive to fluconazole. Fluconazole-resistant organisms included C. parapsilosis, which was managed with voriconazole, and C. auris, which was pan-drug resistant (Table 2).

In the NICU, C. albicans was the most common species (n=2, 40%), followed by C. pelliculosa, C. glabrata, and non-albicans Candida species, which grew once out of five samples. Two out of five culturepositive Candida infections were resistant

Flowchart 1: Patient selection and Candida infection identification.

ICU Admissions (n=1,843)

Infections (n=276)

-Positive Cases (n=22)

Admissions: 693

Culture-Proven: 75

cases: 5

Admissions: 1,150

Culture-Proven: 210

cases: 17

NICU: neonatal ICU; PICU: paediatric ICU.

Table 1: Risk factors for invasive fungal infections among patients in the neonatal intensive care unit and the paediatric intensive care unit.

intravenous.

2: Distribution of Candida subspecies causing invasive infections in the paediatric intensive care unit.

Table

to fluconazole (one C. glabrata and one C. pelliculosa) (Table 3). All three fluconazolesensitive cases were successfully treated with fluconazole for 14 days in the NICU. The fluconazole-resistant cases were managed with conventional amphotericin B. Unfortunately, a newborn infected with C. glabrata succumbed despite appropriate antifungal therapy (amphotericin B) due to meconium aspiration syndrome, sepsis, and acute kidney injury.

Outcomes

Overall mortality was 22.7% (5 out of 22) in culture-proven Candida infections. There was no statistically significant difference in risk factors when comparing patient outcomes (p>0.05), as shown in Table 4 Mortality was 20% (1 out of 5) in NICU cases and 23.5% (4 out of 17) in PICU cases. In blood culture-positive cases, mortality was 40% (4 out of 10). All four

PICU cases had multiple comorbidities, such as inborn errors of metabolism (IEM), syndromic conditions, and chronic organ dysfunction. Three of the four had serious bacterial co-infections. One NICU case had severe sepsis along with multiple organ dysfunction syndrome (MODS). One NICU case was discharged on request while still being managed.

DISCUSSION

In this study, the incidence rate of cultureproven Candida infections was 0.01 per 1000 admissions, which is lower than the data from developing countries (0.26–4.2 per 1000 admissions).15 In culture-proven infections, candidiasis was the responsible organism in around 8% of cases (22 out of 276), which is double the rate found in the NeoOBS study on invasive Candida infections in lowand middle-income countries.15,31

Table 4: Comparison between survivors and non-survivors in culture-proven Candida infections.
Table 3: Distribution of Candida subspecies causing invasive infections in the neonatal intensive care unit.

In this study, females were more affected than males in both PICUs and NICUs, as seen in the NeoOBS study in neonatal ICUs, while a fungal infection study in the PICU in South India showed male dominance.31,32. In this NICU, 40% of cases were caused by C. albicans and 60% were due to non-albicans species. In the PICU, C. tropicalis was the most common species (41%), followed by C. albicans (23%). The predominance of C. albicans in NICU cases can be attributed to the underdeveloped immune systems of newborns, especially preterm infants, and its role as a common commensal. In contrast, PICU patients, being older, with complex comorbidities and greater exposure to healthcare interventions, are more prone to infections by non-albicans species like C. tropicalis, which are associated with healthcare environments. Regarding susceptibility, both C. albicans and C. tropicalis were susceptible to fluconazole. The overall susceptibility of Candida to fluconazole was 81.9%. All Candida species were sensitive to amphotericin B and voriconazole (95.5%), except C. auris, which was pan-resistant to all antifungals.

According to the recent NeoOBS study on neonatal invasive Candida infections, C. albicans emerged as the predominant cause of invasive fungal infections, accounting for 35% of cases, followed by C. parapsilosis at 30% and C. auris at 14%, particularly in low- and middle-income countries, including India, aligning with the authors' own research findings.31 The study revealed that C. albicans isolates exhibited a sensitivity of 91% to fluconazole and 100% to amphotericin B. In contrast, notable resistance to fluconazole was observed in the majority of C. parapsilosis and C. auris, with 85% of C. auris isolates also showing resistance to amphotericin B and 31% to voriconazole. The overall sensitivity to fluconazole was 60%, and 82% to amphotericin B.31,33,34 The disparity in sensitivity observed in the authors' study may be attributed to varying antibiotic usage policies and the avoidance of prophylactic antifungal drug use in their intensive care setup.

A 2016 research article from Kolkata, West India, examined 70 Candidapositive culture reports and reported findings similar to the authors', with nearly 50% attributed to Candida albicans.35 Additionally, an Iranian study mirrored these results, indicating that 47.7% of invasive fungal isolates were C. albicans, followed by C. glabrata and C. parapsilosis. Notably, almost 100% sensitivity to fluconazole was observed in C. albicans, in C. parapsilosis, and nearly 90% in C. glabrata.36 Studies conducted in haematology units and PICUs on invasive fungal infections also affirmed that C. albicans is the most prevalent Candida infection in children.37–39 The authors' study recorded a mortality rate of nearly 23% in paediatric patients with invasive fungal infections, consistent with other research findings.31,36 Patients with underlying comorbidities exhibited a higher mortality rate.

37

In this study, the major risk factor was previous IV antibiotics, which were received by all patients except one. Among them, nearly 60% had culture-proven bacterial infections. Another risk factor was the presence of invasive lines, found in over 75% of patients, correlating with research by Rajeshwari et al.32 A study published by Hlophe et al.38 on 36 culture-proven paediatric invasive fungal infections from low- and middle-income countries showed that 100% of patients were on IV antibiotics and two-thirds had invasive lines, and nearly 44% of cases had a history of previous surgical intervention.38 Research from North India by Lamba et al.40 found 60% late-onset Candida septicaemia and 40% early-onset, with around 60% of newborns delivered preterm.

Earlier research by Kumar et al.41 examined Candida infections in children with oncohaematological malignancies in South India. The study found that C. albicans already exhibited notable resistance to fluconazole, and C. tropicalis was frequently identified as a causative agent of infections. In contrast to the authors' findings, Kumar et al. found that 17% of cases were resistant to fluconazole.41

CONCLUSION

Candida infections are frequently encountered in ICUs, including NICUs and PICUs. Among the various Candida species, C. albicans and C. tropicalis are commonly isolated in cases of invasive candidaemia. Fortunately, the majority of invasive Candida infections are susceptible to treatment with fluconazole, making it the recommended empirical drug of choice when an invasive fungal infection is suspected, pending culture reports.

It is important to note that Candida infections are almost always associated with specific risk factors. Prolonged use of antibiotics and the presence of invasive lines, such as central venous catheters, are the most common risk factors for developing these infections. To minimise the risk, healthcare providers should exercise caution when considering the insertion of invasive lines, ensuring they are only used when necessary. Additionally, early removal of these lines when they are no longer essential is advisable. In preventing Candida infections, strict adherence to aseptic precautions is crucial to avoid hospital-acquired infections. This includes practicing proper hand hygiene, using appropriate barriers, and following sterile techniques during procedures. Maintaining a robust infection control program within the ICU setting is paramount to reducing the incidence of Candida infections.

References

1. Weissman J et al., Guide to Yeast Genetics: Functional Genomics, Proteomics, and Other Systems Analysis (2010). San Diego: Academic Press.

2. Flevari A et al. Treatment of invasive candidiasis in the elderly: a review. Clin Interv Aging. 2013;8:1199-208.

3. Zaoutis TE et al. The epidemiology and attributable outcomes of candidemia in adults and children hospitalized in the United States: a propensity analysis. Clin Infect Dis 2005;41:12329.

Implementing regular antibiotic stewardship practices is also key to preventing unnecessary use of antibiotics within the ICU. This practice aims to optimise antibiotic use by ensuring that patients receive the right medication, at the right dose, and for the appropriate duration. By reducing the indiscriminate use of antibiotics, the risk of developing invasive fungal infections can be significantly decreased.

Early suspicion of fungal infection is also important, particularly when high-risk factors are present. Timely recognition and prompt initiation of antifungal therapy, such as fluconazole, can significantly improve survival rates and patient outcomes. Therefore, healthcare providers should maintain a high index of suspicion for fungal infections in patients with known risk factors, such as prolonged antibiotic use or the presence of invasive lines.

LIMITATIONS

This study has several limitations. It is a single-centre retrospective study, which limits the generalisability of the findings. To validate these results and obtain a more comprehensive understanding, multicentre studies with larger sample sizes are required. Additionally, the lack of a standardised clinical scoring system for the diagnosis of invasive Candida infection remains a challenge. Future research should focus on developing a valid scoring system for the early diagnosis and treatment of invasive Candida infection.

4. Zaoutis TE et al. Outcomes attributable to neonatal candidiasis. Clin Infect Dis 2007;44(9):1187-93.

5. Roilides E. Invasive candidiasis in neonates and children. Early Hum Dev. 2011;87 Suppl 1:S75-6.

6. Wisplinghoff H et al. Nosocomial bloodstream infections in US hospitals: analysis of 24,179 cases from a prospective nationwide surveillance study. Clin Infect Dis. 2004;39(3):309-17.

7. Keighley C et al. Candida tropicalis— a systematic review to inform the World Health Organization of a fungal priority pathogens list. Med Mycol. 2024;62(6):myae040.

8. Lass-Flörl C et al. Invasive candidiasis. Nat Rev Dis Primers. 2024 Mar;10(1):20.

9. Pfaller M et al. Epidemiology and outcomes of candidemia in 3648 patients: data from the Prospective Antifungal Therapy (PATH Alliance®) registry, 2004–2008. Diagn Microbiol Infect Dis. 2012;74(4):323-31.

10. Diekema D et al. The changing epidemiology of healthcare-associated candidemia over three decades. Diagn Microbiol Infect Dis. 2012;73(1):45-8.

11. Pfaller MA et al. Candida bloodstream

infections: comparison of species distribution and resistance to echinocandin and azole antifungal agents in intensive care unit (ICU) and non-ICU settings in the SENTRY Antimicrobial Surveillance Program (2008–2009). Int J Antimicrob Agents 2011;38(1):65-9.

12. Pfaller MA et al. Candida bloodstream infections: comparison of species distributions and antifungal resistance patterns in community-onset and nosocomial isolates in the SENTRY Antimicrobial Surveillance Program, 2008–2009. Antimicrob Agents Chemother. 2011;55(2):561-6.

13. Pfaller MA et al. Geographic variations in species distribution and echinocandin and azole antifungal resistance rates among Candida bloodstream infection isolates: report from the SENTRY Antimicrobial Surveillance Program (2008 to 2009). J Clin Microbiol. 2011;49(1):396-9.

14. Morgan J et al. Excess mortality, hospital stay, and cost due to candidemia: a case-control study using data from population-based candidemia surveillance. Infect Control Hosp Epidemiol. 2005;26(6):540-7.

15. Kaur H, Chakrabarti A. Strategies to reduce mortality in adult and neonatal candidemia in developing countries. J Fungi. 2017;3(3):41.

16. Chakrabarti A et al. Incidence, characteristics and outcome of ICUacquired candidemia in India. Intensive Care Med. 2015;41(2):285-95.

17. Ray A et al. Burden of serious fungal infections in India. Open Forum Infect Dis. 2022;9(12):ofac603.

18. Turner SA, Butler G. The Candida pathogenic species complex. Cold Spring Harb Perspect Med. 2014;4(9):a019778.

19. Zervou FN et al., T2 Magnetic Resonance for Fungal Diagnosis. Human Fungal Pathogen Identification (2017). New York, USA: Humana Press, pp.305-19.

20. Filioti J et al. Invasive candidiasis in pediatric intensive care patients: epidemiology, risk factors, management, and outcome. Intensive Care Med. 2007;33(7):1272-83.

21. Pappas PG et al. Invasive candidiasis. Nat Rev Dis Primers. 2018;4(1):18026.

22. Thomas-Rüddel DO et al. Risk factors for invasive Candida infection in critically ill patients: a systematic review and meta-analysis. Chest. 2022;161(2):345-55.

23. Ram R et al. Extended vs bolus infusion of broad-spectrum β-lactams for febrile neutropenia: an unblinded, randomized trial. Clin Infect Dis. 2018;67(8):1153-60.

24. Alexander BD et al. Increasing echinocandin resistance in Candida glabrata: clinical failure correlates with presence of FKS mutations and elevated minimum inhibitory concentrations. Clin Infect Dis. 2013;56(12):1724-32.

25. Lewis JS 2nd et al. Rapid emergence of echinocandin resistance in Candida glabrata resulting in clinical and microbiologic failure. Antimicrob Agents Chemother. 2013;57(9):455961.

26. Castanheira M et al. Frequency of fks mutations among Candida glabrata isolates from a 10-year global collection of bloodstream infection isolates. Antimicrob Agents Chemother. 2014;58(1):577-80.

27. Lortholary O et al. Recent exposure to caspofungin or fluconazole influences the epidemiology of candidemia: a prospective multicenter study involving 2,441 patients. Antimicrob Agents Chemother. 2011;55(2):532-8.

28. Kaur R et al. Identification and antifungal susceptibility testing of Candida species: a comparison of Vitek-2 system with conventional and molecular methods. J Glob Infect Dis. 2016;8(4):139-46.

29. Siqueira RA et al. Evaluation of two commercial methods for the susceptibility testing of Candida species: Vitek 2® and Sensititre YeastOne®. Rev Iberoam Micol. 2018;35(2):83-7.

30. Clinical and Laboratory Standards Institute, Performance Standards for Antimicrobial Susceptibility Testing. Available at: chrome-extension:// efaidnbmnnnibpcajpcglclefindmkaj/ https://webstore.ansi.org/ preview-pages/CLSI/preview_ CLSI%2BM100-S27.pdf. Last accessed: 6 May 2025.

31. Cook A et al. Neonatal invasive candidiasis in low-and middleincome countries: data from the NeoOBS study. Med Mycol. 2023;61(3):myad010.

32. Rajeshwari R et al. Risk factors for candida infection among children admitted to a pediatric intensive care unit in a tertiary care centre in southern India. Indian J Crit Care Med 2022;26(6):717-22.

33. Warris A et al. Epidemiology and outcomes of candidaemia in neonates and children in Europe: an 11-year multinational retrospective study. 2020;39(2):114-20.

34. Rudramurthy SM et al. Candida auris candidaemia in Indian ICUs: analysis of risk factors. J Antimicrob Chemother. 2017;72(6):1794-801.

35. Bhattacharjee P. Epidemiology and antifungal susceptibility of Candida species in a tertiary care hospital, Kolkata, India. Curr Med Mycol. 2016;2(2):20-7.

36. Badiee P et al. Epidemiology and antifungal susceptibility of candida species isolated from 10 tertiary care hospitals in Iran. Microbiol Spectr. 2022;10(6):e0245322.

37. Supatharawanich S et al. Invasive fungal diseases in children with acute leukemia and severe aplastic anemia. Mediterr J Hematol Infect Dis. 2021;13(1):e2021039.

38. Hlophe ST et al. Invasive fungal infections in a paediatric intensive care unit in a low-to middle-income country. Afr J Thorac Crit Care Med. 2022;28(3): 10.7196/AJTCCM.2022. v28i3.200.

39. Reda NM et al. Prevalence and species distribution of Candida bloodstream infection in children and adults in two teaching university hospitals in Egypt: first report of Candida kefyr. Infection. 2023;51(2):389-95.

40. Lamba M et al. To study the profile of Candida isolates and antifungal susceptibility pattern of neonatal sepsis in a tertiary care hospital of North India. J Matern Fetal Neonatal Med. 2021;34(16):2655-9.

41. Kumar CP et al. Candidosis in children with onco-hematological diseases in Chennai, south India. Jpn J Infect Dis. 2005;58(4):218-21.

Polyarticular Septic Arthritis, Subcutaneous Abscesses, and Osteomyelitis Due to Burkholderia Cepacia in a Clinically Immunocompetent Patient: A Case Report and Literature Review

Authors: *Gourab Rajbongshi,1 Kokila Banerjee,2 Upamanyu Bag,1 Nandini Chatterjee,1 Shreya Chaudhuri,3 Anisha Sharma,4 Rupsa Bhattacharya,1 Padmanava Kundu,1 Shantasil Pain,1 Sandip Ghosh,1 Debroop Sengupta5

1. Department of General Medicine, Institute of Post-Graduate Medical Education and Research and Seth Sukhlal Karnani Memorial Hospital (IPGMER & SSKM) Hospital, Kolkata, India

2. Department of Microbiology, Drs. Tribedi and Roy Diagnostic Laboratory, Kolkata, India

3. Department of Microbiology, IPGMER & SSKM Hospital, Kolkata, India

4. Department of Radiology, IPGMER & SSKM Hospital, Kolkata, India

5. Department of Nephrology, IPGMER & SSKM Hospital, Kolkata, India

*Correspondence to rajgourab19@gmail.com

Disclosure: The authors have declared no conflicts of interest.

Acknowledgements: The patient has provided written informed consent for the case report to be published.

Received: 04.03.25

Accepted: 06.05.25

Keywords: Burkholderia cepacia, Burkholderia cepacia complex (BCC), osteomyelitis, polyarticular septic arthritis (PASA).

Citation: EMJ Microbiol Infect Dis. 2025;6[1]:106-113. https://doi.org/10.33590/emjmicrobiolinfectdis/LXJC4277

Abstract

Burkholderia cepacia complex (BCC) infections are rare in immunocompetent individuals. Members of BCC are opportunistic pathogens most often found in patients with cystic fibrosis and chronic granulomatous disease, and immunocompromised patients such as patients with cancer or transplant recipients. BCC can cause chronic pulmonary infection; acute respiratory deterioration, such as cepacia syndrome in patients with cystic fibrosis; sepsis; pneumonia; urinary tract infections; and wound infections in immunocompromised hosts. However, very few cases of septic arthritis and osteomyelitis by this agent have been reported in literature. Here, a 48-year-old male without any clinical evidence of an immunocompromised status presented with pain and fluctuant swelling of multiple large and small joints for 4 weeks. Blood reports revealed anaemia and neutrophilia with raised inflammatory markers including erythrocyte sedimentation rate and C-reactive protein. X-rays of all involved joints showed destruction of articular surfaces of the corresponding bones with evidence of osteomyelitis. An ultrasonography revealed a 32×22 mm collection at the medial aspect of the left knee. Cultures of aspirated fluid from multiple joints yielded heavy growth of BCC. The patient was treated with intravenous ceftazidime and oral trimethoprim/sulfamethoxazole as per the susceptibility report. He also underwent multiple joint aspirations and rehabilitation. BCC-related septic arthritis and osteomyelitis is uncommon in immunocompetent patients, and cases reported in literature are monoarticular. This case highlights that BCC polyarticular septic arthritis with osteomyelitis and soft tissue abscesses is possible in a seemingly immunocompetent adult.

Key Points

1. Burkholderia cepacia complex (BCC) infection mainly involves single joints in elderly patients. The authors report a case of polyarticular septic arthritis in a seemingly immunocompetent 48-year-old adult.

2. Appropriate diagnosis is a requisite for successful patient treatment. In this case report, the patient was not diagnosed during the first hospitalisation, when a single joint was involved. This delay led to the involvement of several joints with increased morbidity, financial burden, and prolonged anxiety for the patient and his family.

3. Transmission of BCC infection to the joint is either haematogenous, originating from the respiratory tract where BCC exists as a coloniser, or nosocomial, occurring through contaminated devices or solutions during a prior hospital intervention. The patient gave a negative history for both modes of transmission, but reported walking barefoot. This could have led to a minor foot injury serving as a portal of entry and infection, as BCC can survive for several months in moist soil.

INTRODUCTION

The Burkholderia cepacia complex (BCC) is a group of at least 20 distinct bacterial species within the Burkholderia genus, including Burkholderia cenocepacia, Burkholderia multivorans, Burkholderia vietnamiensis, Burkholderia dolosa, and Burkholderia ambifaria, among others. BCC members are aerobic, gram-negative, motile, catalase-positive, non-lactose fermenting bacilli, formerly known as Pseudomonas cepacia 1 They are found in soil, water, hospital disinfectants, and intravenous fluids. BCC is intrinsically resistant to disinfectants and multiple antimicrobial agents, making outbreaks difficult to control.1 BCC infections are uncommon in immunocompetent hosts. However, they are known to cause respiratory infections (e.g., pneumonia and cepacia syndrome), wound infections, sepsis, and urinary tract infections in immunocompromised hosts, such as patients with cystic fibrosis, chronic granulomatous disease, and cancer, as well as transplant recipients.2 The prevalence of cepacia syndrome is 10% among patients with cystic fibrosis, with a mortality rate of approximately 75%.3

Septic arthritis and osteomyelitis are caused by bacterial and, rarely, fungal pathogens. Prompt diagnosis and intervention are required to prevent important functional complications, post-infectious joint destruction or, more seriously, septicaemia and multiorgan failure.4 Polyarticular septic arthritis (PASA) is a rare entity, represented by the involvement of multiple

unrelated joints, which points to a bloodborne mode of spread of the causative organism. Infection can be caused by a variety of bacteria, but the most common pathogens are Staphylococcus aureus, gram-negative bacilli in immunocompromised patients, and Neisseria gonorrhoeae in sexually active individuals.5,6 While BCC members are ubiquitous in nature, they are largely responsible for infections in immunocompromised hosts, or in patients with certain genetic defects.7 Septic arthritis and osteomyelitis due to BCC are highly uncommon in the general population, with very few cases reported in the literature, most of which are monoarticular.8 Reported cases originate from Italy, Lebanon, Canada, Mexico, India, Iran, and the USA.8-12 The role of BCC in infection and pathogenicity is not well described among immunocompetent individuals. This case report highlights that BCC PASA with osteomyelitis and soft tissue abscesses is possible in a seemingly immunocompetent adult.

CASE REPORT

Patient Information

A 48-year-old male was admitted with complaints of multiple painful, swollen joints over the last 4 weeks. He was a car mechanic by profession, living in the suburbs of Kolkata, the capital of West Bengal, a state in eastern India. He gave no history of high-risk sexual behaviour or intravenous drug abuse, and did not have hypertension, diabetes, or other known illnesses.

He reported smoking one pack of ‘bidi’ per day and consuming four drinks of country liquor weekly over the past 15 years, which he claimed to have stopped in the last 1–2 years.

Four months prior, the patient had been admitted with pain and swelling in his left knee, but no history of trauma was found. At that time, he had undergone an emergency arthrotomy for suspected left knee septic arthritis, and had been administered oral nonsteroidal anti-inflammatory drugs and opioids for pain relief when experiencing severe, excruciating pain. However, the cultures had then been sterile, and he was discharged on oral antibiotics after 2 weeks.

Over the past 4 weeks, the patient reported developing symmetric inflammatory polyarthritis, predominantly involving the small joints of the hand, wrist, elbow, knee, and ankle, and small joints of the foot, in an additive fashion. The pain restricted his ability to perform self-care activities.

Clinical Findings

Upon admission, the patient was alert, co-operative, and afebrile. His general examination showed no sign of lymphadenopathy, icterus, cyanosis, or oedema, but revealed mild pallor, glossitis, angular cheilitis, poor oral hygiene, and tobacco stains. His BMI was 21 kg/m2, body weight was 50 kg, pulse rate was 110 beats/ min, and blood pressure 110/80 mmHg. His systemic examination revealed normal S1 and S2 sounds without murmur, bilateral air entry with clear chest, and normal central nervous system and abdominal findings with no hepatosplenomegaly. A local examination revealed fluctuant swelling over multiple large joints (Figure 1B) with restriction of both active and passive movements. Multiple discharging sinuses were present over the right ankle joint and on the dorsum of the right foot. Routine blood investigations on admission revealed normocytic, normochromic anaemia (haemoglobin: 100 g/L), and neutrophilic leukocytosis (total leukocyte count: 15.7×109/L) with adequate platelet count (320×109/L). Inflammatory markers were raised (erythrocyte sedimentation rate [ESR]: 57 mm/ 1st hour;

C-reactive protein [CRP]: 100.32 mg/L). Liver function test and renal function test were normal. Serology for Hepatitis B and C, and HIV were non-reactive. Glycaemic status revealed a fasting plasma glucose of 4.72 mmol/L, postprandial plasma glucose of 5.88 mmol/L, and HbA1c of 43 mmol/ mol. Antinuclear antibody and rheumatoid serology tests were also negative. His two paired blood culture samples (24 hours apart) were sterile.

X-rays of all involved joints showed the destruction of articular surfaces of the corresponding bones, and evidence of osteomyelitis (Figure 1A, 1C, 1D). An ultrasonography of the left knee revealed a 32×22 mm sized collection at the medial aspect of the knee and deeper communication with the knee joint.

The guided aspiration with aseptic measures from the depths of the left knee joint was purulent, with a leukocyte count of 60×109/L (neutrophil: 80%; lymphocyte: 20%) and no evidence of crystals on polarised microscopy. A Gram stain showed a large number of pus cells with long, slender gramnegative bacilli, most of them intracellular (Figure 2). The joint aspirate PCR for Mycobacterium tuberculosis on GeneXpert was negative.

Diagnostic Assessment

Culture showed heavy growth of B. cepacia on two separate occasions from two different sites: the left knee joint and left elbow joint aspirates. Antimicrobial susceptibility was performed by microbroth dilution method by VITEK-2 Compact (bioMérieux, Marcy-l’Étoile, France) as per Clinical Laboratory Standards Institute (CLSI) guidelines. The organism was susceptible to ceftazidime (minimum inhibitory concentration [MIC]: 2 µg/ml), meropenem (MIC: 4 µg/ml) and trimethoprim/ sulfamethoxazole (MIC≤ 20 µg/ml).

Therapeutic Intervention

Before culture and susceptibility reports were available, the patient was treated empirically with intravenous meropenem 1 g administered every 8 hours (q8h) for 1 week. Based on the antibiotic susceptibility

A: X-ray of bilateral leg (anteroposterior view); B: Subcutaneous abscess at left knee joint, post-arthrotomy; C: X-ray of right foot (anteroposterior view); D: X-ray of left elbow joint (anteroposterior and lateral view). Red arrows show multiple radiolucent lesions and erosions in the fibula, metatarsals, humerus, and radius; orange arrows show a sclerotic reaction in the shafts of the tibia, fibula, and radial head; green arrows show areas of bony expansion with gross cortical thinning.

report, intravenous ceftazidime 2 g q6h and oral trimethoprim/sulfamethoxazole (160 mg/800 mg) 1 tablet q12h were used to treat the patient for the following 8 weeks of hospital stay. MIC of ceftazidime was 2 µg/ml, two dilutions lower than the breakpoint MIC of 8 µg/ ml, whereas meropenem MIC was equal to its breakpoint MIC of 4 µg/ml;13 hence, the therapeutic window was larger for ceftazidime compared to meropenem. Furthermore, concentrations of ceftazidime and cotrimoxazole in synovial fluid are typically 80–100 % and 100% of serum

levels, respectively, whereas meropenem concentration is 60–100 % of serum levels.14,15 Ceftazidime has moderate soft tissue and bone penetration and good synovial fluid penetration.14,15 In literature, ceftazidime and cotrimoxazole have often been considered the treatment of choice for BCC infections.16 Therefore, instead of increasing meropenem dose to 2 g q8h, the authors decided to switch to a combination of ceftazidime and cotrimoxazole. The patient also underwent multiple joint aspirations and rehabilitation with ankle foot orthosis during this period.

Figure 1: Clinical and X-ray images of various affected sites.

Follow-Up and Outcomes

The patient gradually showed clinical improvement, his total leukocyte count decreased to 9.8×109/L (neutrophil: 70%; lymphocyte: 24%), and inflammatory markers in his blood normalised (CRP: 1.63 mg/L; ESR: 16 mm/1st hour) towards the end of his hospital stay. Upon discharge, he was advised to continue oral trimethoprim/ sulfamethoxazole (160 mg/800 mg) twice daily for 6 months, alongside ongoing rehabilitation and monthly follow-ups. After 6 months, his total leukocyte count was 8×109/L (neutrophil: 69%; lymphocyte: 21%), ESR was 14 mm/1st hour, and CRP was 2 mg/L. He has been doing well ever since, without any new joint involvement or soft tissue swelling.

DISCUSSION

To the best of the authors’ knowledge, very few cases of BCC-related bone and joint infections have been reported in the literature. BCC-related infections predominantly affect individuals with compromised immune systems, such as patients with diabetes,11 elderly patients,8,9,11,17,18 patients with malignancies,9 patients with intra-articular steroid injections,19,17 post-transplant recipients, or individuals with a history of substance abuse.8,18 Spontaneous cases of BCC septic arthritis have also been reported, particularly in individuals with underlying conditions like angio-immunoblastic T cell lymphoma,9 or substance abuse.18,8

Figure 2: Gram stain from aspirated fluid showing pus cells.
Black arrows show intracellular gram-negative bacilli.

Prosthetic joint infection due to BCC in a patient with diabetes has also been reported.11 Affected joints vary; the knee and shoulder are the most common sites, with a monoarticular pattern of involvement.

In the authors’ case report, the patient was diagnosed with PASA with osteomyelitis and subcutaneous abscess, despite being clinically immunocompetent. Osteomyelitis by BCC, though rare, has been documented to involve the vertebral column, and the reason for sparing the long bones remains elusive. BCC infection in this young, clinically immunocompetent adult involved several appendicular joints. Several cases of vertebral osteomyelitis have been reported worldwide, some following prior surgeries such as rhinoplasty, cholecystectomy, laminectomy, caesarean section, and bariatric surgery.12,20 Other cases of vertebral osteomyelitis without prior surgery have been reported in patients with cystic fibrosis, intravenous drug abuse, or minor trauma, but sometimes no probable risk factor has been identified.12,18,21 BCC infection largely involves cervical, thoraco-lumbar, or lumbar vertebrae.

Previous Reported Cases of BCC-Related Septic Arthritis

The first case of BCC-related septic arthritis was reported in the USA in a 58-year-old female.17 After receiving multiple intraarticular methylprednisolone injections, she developed septic arthritis of the left ankle joint. She was initially treated with clindamycin, and later switched to gentamicin. After receiving a 33-day course of gentamicin (80 mg intramuscular 3x/day) and undergoing repeated needle aspirations, she recovered successfully without permanent joint damage.

Matteson et al.18 reported right knee joint septic arthritis in the USA in a 72-yearold female with osteoarthritis. BCC was implicated following intra-articular corticosteroid injection.18 The patient received intravenous ceftazidime 2 g 3x/day for 8 weeks. Open drainage and synovectomy were performed, and after completion of treatment, the knee pain resolved.

Sebastian et al.11 from India reported a case of prosthetic joint infection due to BCC in an 85-year-old male with diabetes. The patient presented with left knee septic arthritis following knee replacement surgeries. He received oral cotrimoxazole 500 mg every 12 hours, and ciprofloxacin 750 mg every 24 hours for 2 months, and a revision arthroplasty was performed. There was no recurrence of infection both clinically and radiologically after an 8-month follow-up.

Koo et al.8 reported a case of BCC right knee septic arthritis from Canada, in a 67-year-old male with a medical history of hypertension, gout, osteoarthritis, and intramuscular opioid use.8 He received 3 days of empiric meropenem, and later switched to ceftazidime injections alongside joint irrigation and debridement. After 28 days of antibiotic therapy, his leukocyte counts and CRP levels normalised and his blood culture was sterile. This diagnostic and treatment pathway was very similar to the authors’ patient.

Li et al.18 reported a case of BCC cervical osteomyelitis from the USA in a 68-year-old user of intravenous heroin and methamphetamine.18 He was treated with intravenous Ceftazidime 2 g 3x/day for 6 weeks and prescribed indefinite oral minocycline (100 mg 2x/day). Corpectomy and fusion with allograft placement were performed. At the end of therapy, his inflammatory markers (ESR, CRP) were reduced.

Kalash et al.12 reported a case of vertebral osteomyelitis at T12-L1 due to BCC in a 22-year-old female from Iraq postcaesarean section.12 She was initially treated with meropenem for 3 weeks and then switched to oral cotrimoxazole, with a total treatment duration of 8 weeks. After treatment completion, the infection successfully resolved.

Case Analysis

In the authors’ patient, no organism was identified in the initial episode of septic arthritis, possibly due to low bacterial load. However, during the following admission, BCC was isolated from multiple joint fluid

aspirates. The patient gave a history of walking barefoot, reporting that most of the time he would not wear footwear. Literature mentions that some BCC genomovars responsible for life-threatening infections in humans have been identified from soil.22,23 The ability of the pathogen to survive in soil is due to its ability to utilise diverse substrates as a carbon source, and tolerate heavy metals present in soil. Isolation of pathogenic genomovars from soil points to human acquisition of infection from sources other than commonly known hospital environments, despite strict infection control measures. Therefore, the authors speculate that their patient may have acquired the infection in this manner, as his respiratory system examination was normal, and there was no history of repeated chest infections or COPD. Immunocompromised status was ruled out by negative serology, euglycemic state, absence of history of intravenous drug abuse and immunosuppressive treatment, negative rheumatoid arthritis factor/ antinuclear antibody, and normal serum CD4/CD8 ratio (1.05).

BCC Diagnosis and Treatment

BCC virulence factors confer the ability to form biofilms, which protect from host immunity and perpetuate chronic infection; metabolic adaptation to the tissue microenvironment; capacity for cellular invasion and intracellular survival; evasion of host immunity; and hypermutator phenotype.24 BCC is intrinsically resistant to disinfectants and multiple antimicrobial agents like ampicillin, amoxicillin, ertapenem, polymyxins, aminoglycosides and fosfomycin.1 This is mainly attributed to the efflux pump activity in the bacterial cell wall. Thus, BCC survives and multiplies in aqueous hospital environments, including detergent solutions and intravenous fluids.7 Hence, BCC has been emerging as an important nosocomial pathogen in ICUs, causing pneumonia, wound infection, and catheter-associated infection.25

Diagnosis of BCC is based on blood agar culture and other selective media, or PCR of molecular targets. Recently, matrixassisted laser desorption ionization-time

of flight (MALDI-TOF) is being used to diagnose BCC. Here, the authors relied on microscopy, culture, and identification and sensitivity testing by the VITEK-2 Compact system. The CLSI provides guidelines for antimicrobial susceptibility testing and reporting. Broth microdilution, agar dilution, or E-tests are preferred over disc diffusion methods for BCC susceptibility testing.26 The most active antimicrobial agents against BCC (which warrant their susceptibility testing) are ceftazidime, meropenem, doripenem, minocycline, doxycycline, and trimethoprim/ sulfamethoxazole.2 Treatment of septic arthritis involves a combination of surgical intervention and prolonged antibiotic therapy.27 Cases that involved surgical drainage or debridement generally had better outcomes. Antibiotics for septic arthritis are usually given parenterally for 2–4 weeks, later switching to oral antibiotics if the patient is improving.28 However, a prolonged course of antibiotics is required in patients who have infection associated with osteomyelitis or are immunosuppressed. In the case of septic arthritis, the purulent joint fluid should be drained by repeated joint aspiration or arthroscopic/surgical drainage.28 Treatment of osteomyelitis consists of antibiotic therapy and surgical management.29 Surgical exploration and drainage is the mainstay of treatment if there is abscess formation, necrotic or infected bone, failure of medical therapy, or chronic osteomyelitis. Surgical management includes debridement of infected bone and tissues; drainage of abscesses; reconstruction, if necessary, with bone grafts and/or flaps; and in severe or life-threatening infections, amputation may be required.

CONCLUSION

The possibility of BCC PASA, osteomyelitis, and soft tissue abscesses in a seemingly immunocompetent adult is demonstrated by this case. Delays in diagnosis can occur, and the experience can be draining for both patients and medical professionals. Patients can achieve full remission and resume their regular lives following careful evaluation and correct antibiotic

administration. Early recognition, targeted antibiotic therapy guided by susceptibility testing, and prompt surgical intervention are critical to ensure favourable outcomes.

Patient Perspective

I had already been admitted to the hospital 4 months prior to this admission and I underwent a surgery in my left knee. At that time, I could neither walk nor carry out self-care activities due to the severe pain. I stayed in the hospital for 2 weeks. However, the swelling reappeared along

References

1. Gondil VS, Subhadra B. Biofilms and their role on diseases. BMC Microbiol. 2023;23(1):203.

2. Sastry AS, Bhat S, "Infections due to Non-fermenting Gram-negative Bacilli," Essentials of Medical Microbiology (2021) 3rd Edition, New Delhi: Jaypee Brothers Medical Publishers, 642-47.

3. Branstetter JW et al. Management of Cepacia Syndrome With a Combination of Intravenous and Inhaled Antimicrobials in a Non-Cystic Fibrosis Pediatric Patient. J Pediatr Pharmacol Ther. 2020;25(8):730-4.

4. Lawrence C. Madoff, Nongnooch Poowanawittayakom, "Infectious Arthritis," Loscalzo J et al. (eds.), Harrison’s Principal of Internal Medicine (2022) 21st edition, New York: McGraw-Hill Education, 1041.

5. Mathews CJ et al. Bacterial septic arthritis in adults. Lancet. 2010;375(9717):846-55.

6. Clements J et al. Polyarticular septic arthritis in an immunocompetent patient. Ann R Coll Surg Engl. 2013;95(2):e34-5.

7. Gautam V et al. Burkholderia cepacia complex: beyond pseudomonas and acinetobacter. Indian J Med Microbiol. 2011;29(1):4-12.

8. Koo J, Deans GD. A rare case of Burkholderia cepacia complex septic arthritis. Case Rep Infect Dis. 2018;2018:6232760.

9. Miki R et al. Spontaneous septic arthritis caused by Burkholderia cepacia. Iowa Orthop J. 2006;26:147-9.

10. Nivedhana S et al. Spontaneous septic arthritis due to Burkholderia cepacia in a 3-month-old pre-term infant. Indian J Med Microbiol. 2016;34(3):394-5.

with pain, 3 months after discharge. This time it affected multiple joints, mainly the left elbow, left knee, and right foot. I had to get admitted once again. I stayed in the hospital for more than 2 months. During my hospital stay, I received injectable medicine, tablets, and my joints were drained multiple times. I also took one tablet twice daily for 6 months after discharge. Now the joint pain and swelling have subsided, and I have returned back to work. I am very thankful to the doctors for bringing me back to normalcy, as I am the sole breadwinner of my family.

11. Sebastian S et al. Prosthetic joint infection due to Burkholderia cenocepacia: an opportunistic pathogen with an expanding spectrum of disease. JCDR. 2017;11:11.

12. Kalash S, Kanafani ZA. Burkholderia cepacia vertebral osteomyelitis following cesarean section: case report and review of the literature. Microbes Infect Chemother. 2023;3:e1859.

13. Lewis JS et al. Performance standards for antimicrobial susceptibility testing, CLSI M100TM [Internet] (2024) 34th edition. Wayne, Pennsylvania: Clinical and Laboratory Standards Institute. 2024. Available at: https://pid-el. com/wp-content/uploads/2024/07/ CLSI-M100.pdf. Last accessed: 28 February 2024.

14. Lima AL et al. Recommendations for the treatment of osteomyelitis. Braz J Infect Dis. 2014;18(5):526-34.

15. Wormser GP, Tang YW. Antibiotics in Laboratory Medicine. Clinical Infectious Diseases. 2005; 41(4):577.

16. Chakhtour EL G et al. A 17-year nationwide study of Burkholderia cepacia complex bloodstream infections among patients in the United States Veterans Health Administration. Clin Infect Dis. 2017;65(8):1327-34.

17. Matteson EL, McCune WJ. Septic arthritis caused by treatment resistant Pseudomonas cepacia. Ann Rheum Dis. 1990;49(4):258-9.

18. Li SK, Messer WB. Burkholderia cepacia complex cervical osteomyelitis in an intravenous drug user. Case Rep Infect Dis. 2018;2018:7638639.

19. Kothari T et al. Pseudomonas cepacia septic arthritis due to intra-articular injections of methylprednisolone. Can Med Assoc J. 1977;116(11):1230, 1232, 1235.

20. Weinstein L et al. Cervical osteomyelitis caused by Burkholderia cepacia after rhinoplasty. J Infect Developing Countries. 2007;2(1):76-7.

21. Rabindra Ghimire et al. Vertebral osteomyelitis due to an unusual pathogen: a case report. EJMCR. 2019;3(2):65-7.

22. Govan JRW et al. Burkholderia cepacia - Friend and foe. ASM News. 2000;66(3):124–5.

23. LiPuma JJ et al. An epidemic Burkholderia cepacia complex strain identified in soil. Lancet. 2002;359:2002-3.

24. Leitão JH et al. Pathogenicity, virulence factors, and strategies to fight against Burkholderia cepacia complex pathogens and related species. Appl Microbiol Biotechnol. 2010;87(1):31-40.

25. Ramphal R, "Infections due to Pseudomonas, Burkholderia, and Stenotrophomonas Species," Loscalzo J et al. (eds.), Harrison’s Principles of Internal Medicine (2022) 21st Edition, New York: McGraw-Hill Education, 1290.

26. Van Pelt C et al. Identification of Burkholderia spp. in the clinical microbiology laboratory: comparison of conventional and molecular methods. J Clin Microbiol. 1999;37(7):2158-64.

27. Earwood JS et al. Septic arthritis: diagnosis and treatment. AFP. 2021;104(6):589-97.

28. Paul BJ, "Infection Induced Arthritis," Essentials of Clinical Rheumatology (2021), Delhi: Evangel Publishing, 187-8.

29. Maheshwari J, Mhaskar VA, "Infections of Bones and Joints," Essential Orthopaedics (2022) 7th Edition, New Delhi: Jaypee Brothers Medical Publishers, 168-81.

If you like it,why not share it...

Share with a colleague today

Turn static files into dynamic content formats.

Create a flipbook
Issuu converts static files into: digital portfolios, online yearbooks, online catalogs, digital photo albums and more. Sign up and create your flipbook.