

HEALTH SCREENING
HEALTH SCREENING Worry Less. Live More.
Experience health screening that can make your life better .
Everything great takes time, so our health screening isn't just one appointment.
Access the latest cutting-edge screening : genetics, blood tests, MRI scans, and exercise testing.
We give you more than just a report. Your doctor will get to know you, your health, and will help you make a plan to live a healthier and happier life.
"There's
nothing like the peace of mind from knowing you've done all you can for your health and your family."
DR. LUCY HOOPER — CO-FOUNDER


"The greatest gift you can give yourself and your loved ones is the confidence that you are taking charge of your health. Your health is your wealth."
— DR. HUGH COYNE — CO-FOUNDER
CARDIOVASCULAR SCREENING
Cardiovascular disease is the number one cause of death in the UK.
We can now prevent 80% of cases.

TESTS
• Complete lipid tests for total, HDL, LDL, non-HDL cholesterol, and triglycerides
• Blood pressure assessment
• Electrocardiogram and rhythm screening
Lipoprotein (a) is a crucial part of risk assessment, raised in 1 in 5 people, and it can double the risk of heart attacks
Apolipoprotein B is a better risk predictor than other cholesterol tests. It's newer and more accurate
• Risk Assessment: We use a two-strand approach to risk assessment. We calculate both 10-year and lifetime risks at the same time
• Family History Assessment
Personalised Cardiovascular Disease Prevention Plan: Including considering further specialist tests, including CT Coronary Calcium Scoring.


CANCER EARLY DETECTION AND PREVENTION
1 in 2 people will be diagnosed with cancer in their lifetime.

Early detection can find cancer before symptoms appear.
TESTS
• Bowel cancer screening using stool FIT (faecal immunochemical testing)
• PSA (prostate-specific antigen) blood test
• Cervical screening
• Family History Evaluation
• Full Clinical Examination
• Breast screening (mammogram), including breast density assessment
• Family History Assessment
• Inherited Cancer Genetic Screening
• Whole-Body MRI Screening
• Multicancer Early Detection Blood Test
• Full biomarker testing
Specialist scans take place at our chosen expert imaging centres in London, W1.


INHERITED CANCER GENETIC SCREENING
"Without genetic screening, I would likely have developed breast cancer.
Thanks to my test results, I've reduced my risk by 95%.
I am lucky. In the UK, doctors have diagnosed fewer than 3% of people with these genetic changes."

DR LUCY HOOPER CO-FOUNDER
GENETIC TESTING
At the forefront of UK healthcare, we offer comprehensive genetic screening.
Inherited genetic mutations from parents cause up to 10% of all cancers.
We test over 50 genes linked to many common cancers, including:
• Colon
• Stomach
• Pancreas
• Breast
• Ovary
• Prostate
• Kidney
• Bladder
We focus on genetic changes that allow us to take action.
All positive results include advice on how to reduce your cancer risk and detect it early.


PHARMACOGENOMIC TESTING
1 in 4 new prescriptions would be changed if the patient had pharmacogenomic testing.

Your DNA is one of a kind, and your prescriptions should be as unique.
PHARMACOGENOMIC TEST
Our DNA can show if a drug will work. It can also tell if we need to adjust a standard dosage, or if we are at a high risk for side effects.
We test for 22 genes that predict your reaction to common drugs.
Linked medications include:
Cholesterol-lowering medicines (e.g., statins)
• Blood-thinning medications.
• Antidepressants.
• Pain killers
• Anaesthetics
• Cancer Drugs
A detailed report that you can keep for life.
Use it to help doctors find the best medicines for you.


MULTICANCER EARLY DETECTION BLOOD TEST
Almost half of all cancer cases in the UK are not diagnosed until they have reached stage 3 or 4.
Diagnosing cancer early can make treatment more effective.
MULTICANCER EARLY DETECTION BLOOD TEST
Diagnosing cancer early can make treatment more effective.
The test uses a normal blood sample and looks for circulating tumour cells.
These are cells that have broken off from a tumour and entered your bloodstream.
Suitable for adults aged 40 years and older.
Analysed in an expert UK laboratory.
Checks for over 70 tumours from a single blood sample.
Can detect cancer before symptoms appear.
It finds tumours that lack good screening, like pancreatic cancer.
Your doctor will be there to guide you at every step..


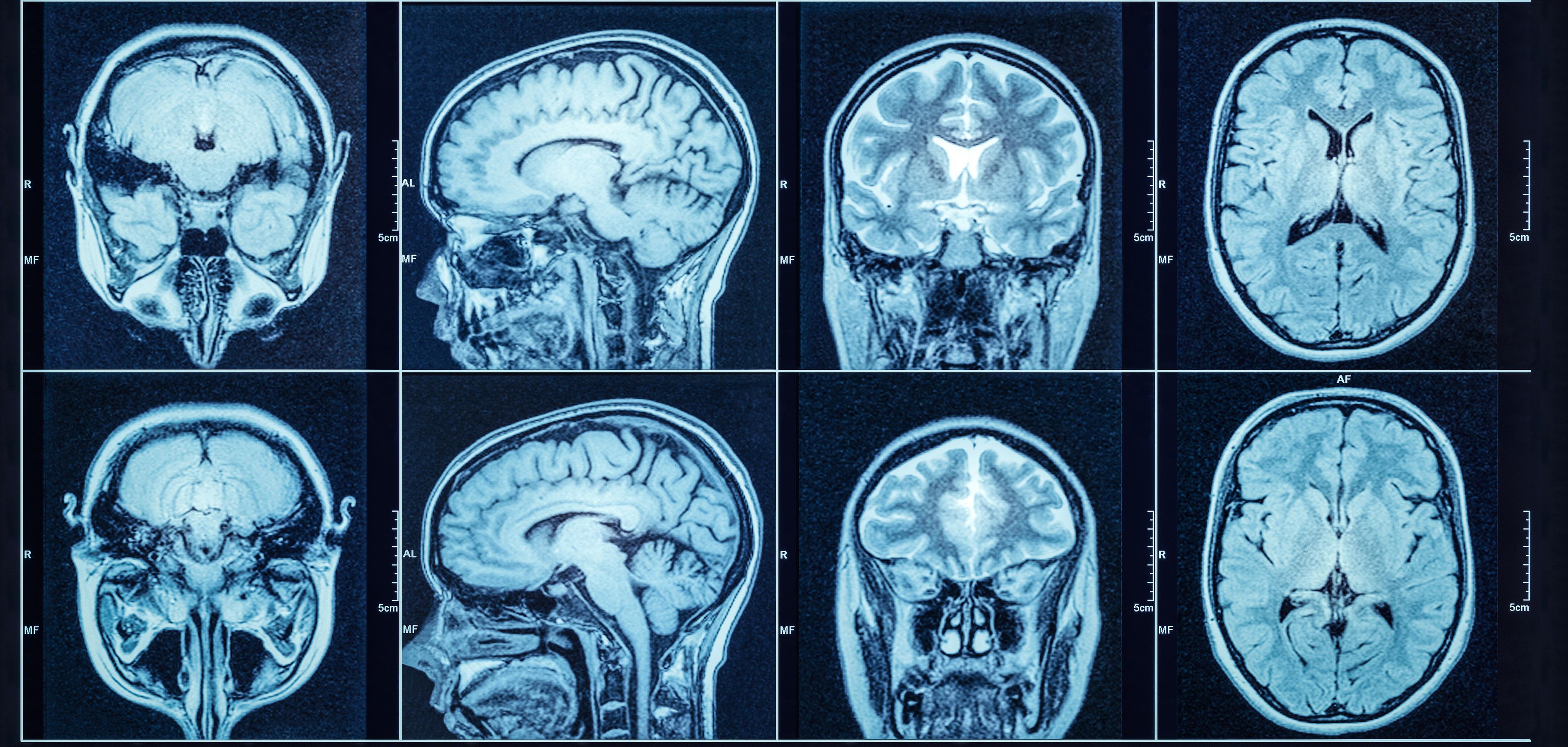
WHOLE BODY MRI SCREENING
Whole-body MRI is very effective in detecting cancer at an early stage. Large studies have shown that 1-2% of people over 40 have cancer on whole-body MRI screening.

Early diagnosis can make treatment more effective.
WHOLE BODY MRI SCREENING
Over 2,000 images of your body.
Head and neck, including the brain and skull.
Chest, including lungs.
Abdomen and pelvis: including the pancreas, liver, gallbladder, kidneys, adrenal glands, bladder.
Reports by expert UK radiologists.
No exposure to X-rays or radiation.
Can detect cancer before symptoms appear.
Comfortable scanning environment.
Doctor's guidance at all steps for positive results.
All scans are at imaging centres in Central London. Chosen for their expert radiologists.


METABOLIC HEALTH SCREENING
A U.S. study found that fewer than one in three 'normal' weight adults had a healthy metabolism.
Poor metabolic health is about more than weight. It increases the risk of diabetes, heart disease, cancer, and brain diseases.
METABOLIC HEALTH TESTS
• Body measurements: BMI, waist, hip, and waist-to-hip ratio.
• Body Composition: body fat, muscle mass
• Visceral fat by MRI scan: higher levels increase the risk of developing cancer and heart disease
• Diabetes Screening: blood glucose
HbA1C (shows average blood sugar levels over the last 12 weeks)
• Nutritional assessment
• Vitamin D level.
• Iron studies
• Thyroid function tests and thyroid hormone levels
• Sex hormone levels
Personalised Plan
We don't only give you numbers; we will work with you to create an improvement plan.


CARDIOPULMONARY EXERCISE TESTING
"VO2max is more strongly associated with reduced mortality risk than any other metric we know of"

CARDIOPULMONARY EXERCISE TESTING
V02max measures the most oxygen your heart, lungs, and muscles can use during exercise.
During 20 minutes of exercise, you will increase the intensity step by step to measure your VO2max.
We track your performance and vitals throughout the test. This ensures accurate results and your safety.
An above-average VO2max reduces your risk of death by 60-70% versus having a low score.
We have chosen to partner with an exclusive centre in Marylebone. They are true experts.
You get more than your VO2max result. You will also get personalised guidance on how you can improve your score.


HEALTH SCREENING PACKAGES
ADVANCED
Ideal for younger patients.
90 minute assessment with your doctor including full clinical examination
Advanced Blood Analysis : over 100 biomarkers.
Cardiovascular Risk Assessment : full lipid panel, lipoprotein (a), ECG blood pressure)
Metabolic Health Assessment : diabetes screening, body measurements and body fat levels.
Cancer Screening: (bowel cancer screening, PSA for males and cervical screening for females).
Family History Review
Nutrition, sleep, stress and mood assessment.
Personalised cancer and cardiovascular disease plans
30 minute follow-up consultation with your doctor.

Includes EVERYTHING in ADVANCED. Plus:
Whole Body MRI scan
COMPLETE
Perfect for detailed annual checkups for those over 40.
ULTIMATE
Comprehensive screening with genetic and pharmacogenomic testing.
MRI body composition including visceral fat
VO2max testing and exercise prescription.
Advanced lipid testing including Apolipoprotein B
Sex hormone analysis.

Our highest level of screening Includes EVERYTHING in ADVANCED and COMPLETE. Plus:
Inherited cancer genetic screening of over 50 genes.
Pharmacogenomic testing including detailed report
£895
£5950
£7950
BESPOKE PACKAGES
We are happy to arrange a bespoke package to suit your needs.
MULTICANCER
EARLY DETECTION BLOOD TEST
Add on to any health screening.
Screen for over 70 tumours using a blood test

INHERITED
CANCER GENETIC SCREENING
Screen for inherited genetic changes which can increase the risk of common cancers.
Included in ULTIMATE Health Screening.

Group and corporate packages available.
£1250
£900
30 gene panel
£1300
50 gene panel and pharmacogenomics
Contact us if you would like to arrange a bespoke package.
Your Health Screening Journey
Step
1:
First Consultation
Time: 90-minute doctor consultation
Location: Coyne Medical
Comprehensive Assessment
What Happens:
• Full review of medical history
• Check for readiness for specialist tests
• Complete physical examination
• Blood and urine sample collection
• ECG and body measurements
Goal: To ensure you're fully prepared for further testing and to establish a baseline for your health.
Step 2:
Complete and Ultimate Packakges
Time: 2 - 3 hours
Location: Specialist testing centers in Central London
Specialist Scans and Exercise Testing
What Happens:
Based on your selected package, tests might include:
• Whole Body MRI scan
• MRI Body Composition
• Cardiopulmonary exercise testing
Goal: To provide deeper insights into your health using state-of-the-art technology.

Step 3: Second Consultation
Time: 30-60minute doctor consultation
Location: Coyne Medical
Results and Planning
What Happens:
• Detailed review of your results
• Personalised plan for cancer early detection and prevention
• Cardiovascular disease prevention plan
Goal: To discuss results and create actionable steps to improve and protect your health.
Step 4: Continued Personalised Care
Time: 30 minute doctor consultations
Location: Coyne Medical
Follow-Up
What Happens:
• Continued care with regular follow-ups
• Monitoring key health metrics (e.g., blood pressure, cholesterol)
• Adjustments to your health plan based on changes over time
Goal: To ensure that your health screening translates into better long-term health outcomes. We're here to support your health journey every step of the way.
At Coyne Medical health screening is not just a one-day event, but an ongoing journey.
CORPORATE HEALTH SCREENING
More than 50% of UK businesses have identified the loss of a key individual as their greatest corporate risk. Protect your best assets

BESPOKE AND CORPORATE PACKAGES
Whether your team is a husband-and-wife team or an executive board, we can create a package to suit your needs.
Tax
Free
If you have a company, you can provide an annual health screening for any employee tax free.
Even better, you do not need to report to HMRC, pay tax, or national insurance.
If you would like to talk to us about a bespoke package, please get in touch. business@coynemedical. com


Why Patients Choose Us
"You have made this process really easy, and I’m so thankful to you!"
"Beautiful private clinic with a fantastic team who really do go that extra mile"
"Outstanding experience and care"
As Featured In
"The Ultimate Modern Luxury "

"Coyne Medical has normal doctors that you need to see for normal things – but with bells on."


"The Best Places For A Private Health Screening."

With personal plans, tests, and dedicated doctors, you can be your healthiest, happiest self. We care about your long-term health, not a single visit.

coynemedical.com

